PRIME July/August 2024

Page 1


TREATING

ACNE SCARS WITH THE LATEST POLYNUCLEOTIDE TECHNOLOGY

SKIN TIGHTENING AND REJUVENATION WITH THE GENTLEMAX PRO® SYSTEM

MULTI-CHANNEL RADIOFREQUENCY A CONSENSUS ON ITS USE IN AESTHETICS

WELCOME TO THE JULY/AUGUST EDITION OF PRIME. IN THIS issue, we explore some of the most exciting advancements in aesthetic and regenerative medicine, such as the rise of exosome therapy, the strategic use of cohesive fillers, and innovative approaches with multichannel radiofrequency.

One of the standout topics covered in this issue is the remarkable progress in the use of exosomes, particularly highlighted by ExoCoBio. Since its inception in 2017, ExoCoBio has been at the forefront of recognising and harnessing the potential of exosomes for regenerative therapies. On page 12, Founder and CEO Byong Cho shares insights into how these tiny extracellular vesicles, once considered cellular waste, are now leading a revolution in regenerative medicine. In another feature focusing on exosomes in the issue, Dr Rosario Salud Blas explains how exosomes are instrumental in facilitating cell-to-cell communication and have shown promise in treating a variety of skin conditions and promoting wound healing. The journey from novelty to necessity underscores the potential of exosomes not only in enhancing aesthetic outcomes but also in providing solutions to complex medical challenges like dermatitis, psoriasis, and scar treatments. The dual functionality of regeneration and anti-inflammation that exosomes possess means there is a great deal of promise for their use in aesthetic medicine and I’m sure we’re all going to hear a lot more about them in the years to come.

Affiliated partners:

International Journal of Aesthetic and Anti-Ageing Medicine

Informa Australia, Level 4/24 York St, Sydney, NSW, 2000, Australia ISSN 2159-8908 (print) ISSN 2159-8916 (online)

Editor Balraj Juttla balraj.juttla@informa.com

Art Director David ‘Spike’ McCormack

Digital Marketing Manager Slim Hakimi slim.hakimi@informa.com

Production & Ads Department balraj.juttla@informa.com

Please

Transitioning from microscopic treatments to more visible interventions, this issue also takes a look at the art and science of using cohesive fillers to sculpt ‘moon faces,’ a common aesthetic concern among South Asian populations. Dr Amit Luthra’s presentation on the strategic application of fillers of varying cohesivity levels showcases how tailored aesthetic interventions can significantly enhance facial contours, achieving more balanced and harmonious results. This approach not only emphasises the importance of customisation in cosmetic treatments but also highlights the nuanced understanding of facial anatomy required to achieve the desired outcomes and keep patients happy.

Additionally, on page 18, Dr Diana Li explores the use of the GentleMax Pro® system, with its dual wavelengths, as a robust solution for skin tightening and rejuvenation, achieving impressive results with minimal downtime.

Similarly, the emerging consensus on multichannel RF therapy reveals its efficacy in reinforcing facial ligaments, further contributing to skin tightening and enhancing the structural integrity of the skin. You can read the full article on page 30.

Balraj Juttla Editor, PRIME balraj.juttla@informa.com

1-2-3 OCTOBER 2025

July/August 2024

7

8

24

UK-based cosmetic surgery group Skin collapses with hundreds of job losses

Plastic surgery sees growth amidst economic uncertainty

Looking back at the 16th 5-CC World Congress, which took place in Lisbon, Portugal on June 13–16, 2024

INDUSTRY INSIDER

The rise of exosomes in regenerative medicine

Founded in 2017, ExoCoBio has pioneered exosome technology, Founder and CEO Byong Cho, discusses the evolution and impact of exosomes in regenerative therapies CASE

Skin tightening and rejuvenation with the GentleMax Pro® system

Diana Li, MD, explains how the GentleMax Pro® Systems’ 1064 nm and 755 nm wavelengths deliver proven results in skin tightening and rejuvenation, offering minimal downtime and high patient satisfaction

AESTHETIC FEATURES

Polynucleotides for acne scars and holistic skin rejuvenation

Maurizio Cavallini, MD and Mauro Raichi review an innovative fish farming byproduct that shows promise in treating acne scars and enhancing skin quality 30

Expert consensus on multichannel radiofrequency for ligament reinforcement

Expert consensus on the use of multichannel RF therapy, including clinical applications, suitable patient populations, and treatment protocols

PRIME PROMOTIONS

36

The role of cohesive fillers in sculpting moon faces

Amit Luthra, DNB, presents case studies showcasing the use of fillers of varying cohesivity levels to sculpt and refine heavy facial features in South Asian patients

38

40

Anti-ageing effects and dermal regeneration of Simildiet Exosomes

Exploring the rejuvenating potential of Melissa spp.derived exosomes in skin regeneration and anti-ageing therapies

Exosomes: nature’s gift to your skin

Dr Rosario Salud Blas explores the applications of exosomes in aesthetic medicine and their role in addressing skin concerns and wound healing

EVENTS 42

A round-up of the major industry events happening around the world over the next 12 months

news

A round-up of news stories in the aesthetic and anti-ageing medicine industry

UK-BASED COSMETIC SURGERY GROUP SKIN COLLAPSES WITH HUNDREDS OF JOB LOSSES

ONE OF BRITAIN’S LARGEST COSMETIC SURGERY PROVIDERS CEASES TRADING

kin, one of the UK’s largest plastic surgery providers with more than 70 branches, has collapsed, leaving hundreds of employees out of a job.

Skin’s website had been replaced by a message saying the company had ‘undertaken an extensive process to secure investment to enable it to continue trading but sadly we’ve been unsuccessful’.

It added: ‘We recognise this outcome will have a significant impact on our team members and our customers and we are deeply sorry for the stress and inconvenience this has caused.

‘We are doing all we can to address the concerns of those affected and will be contacting all clients still awaiting test results as soon as possible. All further updates will be provided on this website and when available.’

Before the website went down, it said the Birmingham-based company had ‘the largest network of specialist skin care clinics in the UK’.

Founded in 1990, the company expanded to locations in Manchester, Liverpool, Glasgow and had 17 clinics across London.

It also owned brands including the cosmetic surgery firm Harley Medical Group and the skin

technology company ABC Medical, whose phone lines had the same automated message.

Skin had more than 450 consultants, doctors, nurses and medical practitioners operating across England and Scotland. The company provided services from tattoo and wart removal to lip filler and thread lifts.

Customers have been told their appointments will no longer go ahead. One customer said they had pre-paid about £700 for a series of appointments and had not yet completed the course of treatment.

‘They’ve done this with no prior warning to customers, with no communications about how

to get a refund on the treatments customers are owed,’ the person said.

Customers calling Skin’s main office number were told:

‘Unfortunately as of July 17, the Skin Group, including Skin Clinics, the Harley Medical Group, Skin Brands, the Skin Experts and ABC Medical, has ceased trading.’

Skin’s accounts on X, formerly Twitter, and Instagram appear to have been closed.

The communications firm Kendrick PR, which was Skin’s PR agency, wrote in a post on Instagram that it had been ‘blindsided’ by the news.

‘We are unfortunately in the same position as many staff and patients, with several months of (our) own invoices being left unpaid with no explanation or redress.’

In a later post, they added: ‘Our sincere thoughts go out to all the employees, patients and suppliers of which we were one affected by this shocking closure and we will continue to update on our channels with any relevant information we can find.

Such was the disarray caused by the collapse that the UK Government published special guidance for patients, their relatives and carers, employees, and creditors.

ACCURE ACNE AND QUANTA SYSTEM ANNOUNCE PARTNERSHIP IN THE EU

Accure Acne, Inc.™, announced that Accure and Quanta System will expand their successful partnership, enhancing access to the Accure Laser System in Europe. Quanta will leverage its robust distribution platform to provide clinicians across the EU with this new acne treatment method.

‘Our partnership with Quanta has been foundational for Accure,’ commented Christopher Carlton, Co-Founder, Chairman, and CEO of Accure Acne, Inc. ‘Expanding this relationship to accelerate our access to the EU marketplace is exciting.’

The Accure Laser System employs the 1726 nm laser

wavelength with proprietary technology to control thermal gradient depth, maximising impact on the sebaceous gland. This AcneTech breakthrough includes a unique pulsing algorithm, integrated temperature monitoring, and precise automated control. During a limited commercial release, several

European providers have reported compelling clinical outcomes. The Accure Laser achieved the first-ever CE 0123 Mark certification for a 1726 nm-based device for treatment of mild to moderate inflammatory acne vulgaris and has received FDA clearance for treatment of mild to severe inflammatory acne vulgaris.

PLASTIC SURGERY SEES GROWTH AMIDST ECONOMIC UNCERTAINTY

SUGGESTS REPORT FROM THE AMERICAN SOCIETY OF PLASTIC SURGEONS

Despite high interest rates and tighter budgets, patients seemed to prioritise cosmetic procedures in their self-care routines in 2023. The American Society of Plastic Surgeons® (ASPS) has released the 2023 ASPS Procedural Statistics, which showed a 5% rise in plastic surgeries and a 7% rise in minimally invasive procedures compared to the previous year.

‘While the data suggests that the drastic growth of plastic surgery during the immediate postpandemic period has stabilised, the demand for aesthetic procedures remains comparatively robust,’ said ASPS President Steven Williams, MD. ‘As patients increasingly prioritise their aesthetic health, it remains imperative that they also prioritise education and safety by seeking out board-certified plastic surgeons. This becomes even more important as patients increasingly try to differentiate quality care and truth among the messages they receive in social media and paid advertisements.’

Top overall cosmetic and reconstructive procedures

Of the nearly 1.6 million cosmetic surgical procedures performed in 2023, the top 5 were:

■ Liposuction: 347,782 procedures, up 7% from 2022

■ Breast augmentation: 304,181 procedures, up 2% from 2022

■ Tummy tuck (abdominoplasty): 170,110 procedures, up 5%.

■ Breast lift: 153,600, up 7%.

lasers ablative/non-ablative): 3,501,696 procedures, up 5% from 2022

■ Skin treatment (e.g., laser hair removal, IPL treatment, laser tattoo removal, laser treatment of leg veins): 3,101,772 procedures, up 6% from 2022

■ Lip augmentation (with injectable materials: 1,439,291 procedures, up 4% from 2022

Of the nearly 1.02 million reconstructive procedures performed in 2023, the top 5 were:

■ Tumor removal (including skin cancer): 351,591 procedures, up 2% from 2022

■ Hand surgery (i.e., Carpal tunnel, arthritis, trigger finger): 207,887 procedures, up 2%

■ Breast reconstruction: 157,740 procedures, up 4%

■ Maxillofacial surgery: 52,868 procedures, up 1%

■ Scar revision: 52,000 procedures, up 2%.

Minimally invasive procedures remain popular

Minimally invasive procedures grew 7% in 2023, surpassing surgical procedures by 2%

Neuromodulator injections and hyaluronic acid fillers continued to grow, with more than 9 million and 5 million treatments, respectively. The continued interest is driven by advancements in technology and patients’ prioritisation of budget-friendly procedures, subtle results and minimal recovery time.

While the data suggests that the drastic growth of plastic surgery during the immediate post-pandemic period has stabilised, the demand for aesthetic procedures remains comparatively robust.

■ Eyelid surgery (blepharoplasty): 120,747 procedures, up 5%.

Of the nearly 25.4 million cosmetic minimally invasive procedures performed in 2023, the top 5 were:

■ Neuromodulator injections: 9,480,949 procedures, up 9% from 2022

■ Hyaluronic acid (HA) fillers: 5,294,603 procedures, up 8% from 2022

■ Skin resurfacing (dermabrasion, chemical peel,

Neuromodulator injections remained the most sought-after procedure, rising 9% in 2023. While ages 40-54 accounted for over 56% of all neuromodulator injections, age groups 20-29 and 30-39 both saw more than an 8% increase, which tracks against the trend of younger patients getting preventative Botox. Male patients saw 5% growth.

Hyaluronic acid fillers and non-hyaluronic acid fillers also both saw % increase.

APYX MEDICAL LAUNCHES GIVE BACK CAMPAIGN

Apyx® Medical Corporation, the manufacturer of a proprietary helium plasma and radiofrequency technology marketed and sold as Renuvion®, announced the launch of the ‘Renewing Lives’ campaign, a US-wide, life-changing give-back programme that will provide Renuvion treatments to people who can most benefit from this advanced medical technology.

As the only device that is FDA-cleared for contracting subcutaneous tissue, Renuvion provides people with a proven solution for loose skin, enabling them to achieve outcomes that improve their physical appearance and potentially benefiting their mental and emotional health as a result.

Apyx Medical recognises that there are people who would benefit from a Renuvion treatment, but treatment may not be accessible to everyone. For every Renuvion procedure performed in the US, Apyx Medical will donate to the ‘Renewing Lives’ campaign to fund treatments for those who need it most.

‘We know first-hand just how lifechanging Renuvion can be for many,’ said Charlie Goodwin, President and Chief Executive Officer. ‘Body contouring technology can have a positive impact on one’s mental health and can improve one’s life overall, which is why we’re committed to helping as many people as possible renew their confidence from the inside out through this campaign.’

‘It’s so unique for a company in the aesthetics space to spearhead a campaign like “Renewing Lives” and I’m thrilled to be participating,’ said Dr. Michael Kluska DO, FAACS, FACOS. ‘I’ve performed Renuvion on over 2,500 people, and I consistently hear from patients how the treatment empowers them to be the best versions of themselves.’

For the opportunity to receive a Renuvion treatment, qualifying participants can submit their personal stories explaining why they are potential candidates. Selected individuals will be featured in the next phase of Apyx Medical’s ‘Real Patients. Real Results’ campaign, sharing their transformative results.

With over 25 years of experience in medical aesthetics, Lewis shares her deep understanding of the challenges aesthetic clinics face to effectively market their products and services, manage patients, and increase profits. This updated text is the definitive expert user’s guide written specifically for healthcare professionals and medical spa managers to present best practices and actionable strategies for mastering digital marketing, social media, branding, and the advent of AI. It is a must-read for aesthetic practitioners to keep up with the latest developments they need to manage their businesses effectively in this highly competitive field. April 2024 • Hb: 9780367405656 • Pb: 9780367405182 • eBook: 9780429356742 www.routledge.com/9780367405182

on hot topics you need to know

tips, charts, tables, and resources

5CC CONGRESS ENJOYING SUNNY DAYS AND BEACHES IN LISBON

Wendy Lewis looks back on the 16th 5CC congress, which celebrated another successful year in Lisbon

AFTER SPENDING

MANY wonderful years in Barcelona, the 5CC Congress moved to another European hot spot in 2023. For the second year in a row, the international congress took place in charming Lisbon, Portugal.

This congress has a long and rich history featuring dermatology and dermatological surgery, aesthetic medicine, and cutting-edge technology. There is something new added to the programme every year to keep it interesting and give attendees a taste of trends that may not have turned up in the countries they call home.

According to Congress President

Nashville-based Dermatologist

Michael Gold, ‘The 5CC meeting continues to be one of the premier international dermatology and aesthetics meetings in the world. Every year, the meeting showcases distinguished faculty and vendors from all over the world. The quality of the presentations is second to none and demonstrates the strong commitment to excellence that has always been a trademark of this meeting.’

‘Our focus this year was on medical and aesthetic dermatologic therapies that enhance the patient experiences and make their lives better, healthier, and more youthful. Our Board of Directors has assembled an outstanding and diverse faculty from

all over the world to share their experience and introduce new ways to treat patients and strategies for elevating their practices,’ he said.

One of the newest editions to the 5CC family is the ‘Next Generation Stars.’ This is an invitation only group of young and forward-thinking leaders from all over the world. These sessions were focused on new insights on hot topics and novel advancements in their fields of expertise.

According to Professor Ofir Artzi, a dermatologist from Tel Aviv, Israel, ‘Compared to many other conferences, 5CC is a very boutique event that has a gathering of leaders and experts from around the world. There are so many conferences happening around the world, but for me, this one is unique.

email: wl@wendylewisco.com

WENDY LEWIS is Founder/ President of Wendy Lewis & Co Ltd, Global Aesthetics Consultancy since 1997, author of 13 books, and frequent presenter on the international stage. Her first textbook, Aesthetic Clinic Marketing in the Digital Age (CRC Press) debuted a second edition in 2024.

The attendees and speakers are coming from all backgrounds, and they really want to learn to take something new back to their clinics. It was a very positive experience and I look forward to the next one.’

‘By all accounts, one of the true highlights of the meeting was the worldclass Anatomy Course, run by Professor Sebastian Cotofana, and sharing the stage with Drs. Tapan Patel and Mariana Calomeni. We are delighted to have this team with us at the 5CC and welcome them back every year,’ said Dr Gold.

The scientific agenda

According to dermatologist, Professor Cotofana, MD, PhD., ‘This year’s 5CC meeting was an outstanding meeting again in which patient’s needs were placed first. This was reflected in the scientific programme as well as in the sessions conducted. The atmosphere was warm, kind, and familiar, a place where you could meet friends and colleagues and discuss current and future trends and research.’

He continues, ‘I especially enjoyed participating in the clinical, anatomic, and ultrasound-centred course, which was held on the first day of the congress. It was such a welcoming and relaxed but still informative and scientific day of sharing and learning between the stellar faculty, including Dr. Mariana Calomeni from Rio de Janerio, Dr. Tapan Patel from London, and myself, and the highly interactive audience. I am confident that this format will become very popular every year and will take place in future meetings as well.’

The versatility of speakers offers attendees a lot to choose from. Dr Virginia Benitez Roig from Marbella never misses this event. ‘One of the highlights of this congress is the opportunity to participate in networking sessions, allowing the establishment of valuable contacts and collaborations with colleagues from numerous countries. This year, the diversity and quality of the attendees were notable, further enriching the discussions and exchange of ideas.’

She continues, ‘This year was fantastic. I had the opportunity to learn something new and stay up to date with the latest technologies and approaches to tackle complex issues such as scars and melasma. The congress addressed technological innovations, and also interesting debates on marketing, regulations in different countries

regarding who can perform various types of treatments, and diverse approaches from global leaders in the manufacturing of aesthetic equipment and products. There is something for everyone to learn and to grow.”

Dermatologist Daniel Belkin of New York Dermatology Group / NYDG Wellness, was a presenter this year. ‘5CC is a great way to connect with my international colleagues. It was my second year participating in a session led by the International Society for Aesthetic Competence, whose goal is to explore and standardise the best treatments for filler complications. It was a great opportunity to compare our clinical experiences with the latest research.’

‘Another great panel focused on fillers. Dr Amy Taub and I moderated a group of physicians from the U.S., Spain, India, the Netherlands, and the UAE, who all spoke about their best injection techniques. It was a very informative for everyone,’ he said. Another important aspect of the congress every year is a focus on practice management, which is a critical success factor for managing a modern and lucrative clinic. Ran Berkman, the founder of Webtools Group, a global digital marketing agency, has joined me for the past 4 years to offer a comprehensive two-hour workshop on the first day of the congress. This year’s attendees were most interested in learning how to navigate social media channels and grow their followers, as well as strategies for effectively managing aesthetic patients, keeping them in your practice, and building loyalty to generate repeat visits, referrals, and 5-star Google reviews. No matter where you practice, or your specialty and training, patients today have high expectations for outcomes and the experience in the practice. After all, in every market today, patients have a lot of choices at every price point.

World-class Exhibition

Another frequent flyer of this congress is Sam Keene, Regional Leader UK & Ireland at Cutera, Inc. ‘At Cutera, we recognise that 5CC is an event that attracts leading physicians from around the globe, who are all seeking high-quality education and discussion from an esteemed faculty of speakers. This profile of attendees appreciates market-leading innovation in energy-based devices and is why Cutera will continue to exhibit at future 5CC events.’

Adatto, Prof. Dr. Ofir Artzi, Prof. Dr. Klaus Fritz, Prof. Dr. Moshe Lapidoth, Dr. Michael H. Gold (Congress President)

Sofwave also exhibited this year, and Scott Greenwood, Director of Sales EMEA, was excited to join the meeting for the first time this year with his EU team. ‘What a week in beautiful historic Lisbon for the 16th 5CC World Congress. It was a tremendous honour to have our founder and chairman, Shimon Eckhouse, and our CMO, Dr Ruthie Amir, with us, passionately sharing their deep expertise and insights throughout the week, together with our KOLs and doctors from around the globe. It was also incredible to have so many of our existing customers at the booth generously sharing their success stories, tips, and pearls with prospective customers. It was a wonderful congress for us.’

‘This year, I shared the podium with colleagues on various subjects of interest to our delegates, including on the science and use of exosomes in our aesthetic and medical dermatology fields. I also spoke on fat reduction, the new devices used to improve our patient’s wellbeing, and new technologies we are now using to treat acne, rosacea, psoriasis and vitiligo,’ said Dr Gold. ‘Focusing on what is new and exciting, what to be on the lookout that is coming next and sharing our experiences with each other are the cornerstones of the 5CC congress.’

The 5CC Board of Directors welcome you to participate in the 17th 5CC World Congress from May 29–31, 2025, in beautiful, sunny Lisbon, Portugal. Visit: www.5-cc.com/

5CC’s Board of Directors and several members of the Advisory Board. From the left: Dr. David J. Goldberg, Dr. Tapan Patel, Dr. Christine Dierickx, Dr. Tingsong Lim, Dr. Maurice

THE RISE OF EXOSOMES IN REGENERATIVE MEDICINE

Founded in 2017, ExoCoBio has pioneered exosome technology, Founder and CEO Byong Cho, discusses the evolution and impact of exosomes in regenerative therapies

THIS IS A NEW ERA FOR EXOSOMES IN regenerative aesthetics and regenerative medicine. When I started ExoCoBio to commercialise exosome technologies in 2017, few people knew about exosomes and their clinical applications. Since then, ExoCoBio has achieved incredible growth and has gone through many challenges to successfully create a new category in medical aesthetics based on exosomes. Now, it is estimated that there are about 70 to 100 exosome players worldwide to take advantage of these tiny nanosized vesicles. These small extracellular vesicles deliver important molecules to communicate or talk between cells. I believe that stem cell-derived exosomes will prove to be the best technology for a variety of unmet medical needs. More often than expected, I see very surprising clinical cases from around the world in which our technology significantly improved the quality of life of many hard-to-treat patients. In this article, I will share my experience in exosome science and business over the last 8 years.

When I founded ExoCoBio, my vision was to fill an unmet need within our global ageing population. Existing treatments like botulinum toxins, dermal fillers, and energy-based devices are not always suitable for skin regeneration and reversing skin ageing. Considering this

gap, my goal was to pioneer a new approach: regenerative aesthetics and regenerative medicine treatments that could potentially reverse certain aspects of ageing. Our innovative solution, based on stem cell-derived exosomes, holds significant promise for treating intractable skin conditions such as dermatitis, psoriasis, scleroderma, and skin fibrosis. These exosomes have a dual synergistic function of regeneration and antiinflammation, making them a powerful tool in the field of dermatology.

With all this in mind, ExoCoBio stands out by transcending traditional aesthetics. Exosome Regenerative Trifecta (ERT™), three of our key exosomebased products, are thought to improve physical appearance and individuals’ overall well-being by addressing challenging skin conditions. We started this new approach in 2017, and it is set to expand the field of regenerative dermatology and gynaecology, bridging the gap between exosome science, technology, and clinical applications.

I believe that stem cell-derived exosomes will prove to be the best technology for a variety of unmet medical needs.

With over 22 years of experience in biotech investment in the venture capital industry and the commercialisation of biotechnology in medical aesthetics, I had a commitment to advancing medical aesthetics. In 2002, I became the first venture capital investor in Asia to support the commercialisation of botulinum toxin technology. I have continued to have a deep interest in the field of medical aesthetics since then. Driven by this, I spent over a decade exploring new opportunities in regenerative medicine and aesthetics. This experience both as a scientist and in biotech investment led me to the revolutionary potential of exosomes, especially stem cell-derived exosomes, and to find out the ways to bridge exosome science with a commercially viable product to help people around the world.

Genesis

In early 2016, a close friend and biology professor introduced me to the concept of exosomes. After that, I spent several months reading all sorts of research and studying exosome-related papers and patents. I found that exosomes can develop completely new biotechnology, and in particular, I became interested in stem cell-derived exosomes for regeneration and dermatological applications.

During this period, I gained basic knowledge about exosomes and became interested in Dr. Sai Kiang Lim’s groundbreaking research on stem cell-derived exosomes, the first of its kind in the world. Altogether, my literature research underscored the potential of exosomes as triggers of regenerative and anti-inflammatory effects. This insight inspired an important question in my life: if someone can take the research that already exists and

develop a filtration method to create a commercially viable product, this could be the start of a new revolution. Why not me? Why not ExoCoBio?

With this vision, I established ExoCoBio on January 3, 2017, aiming to bridge the gap between exosome science and clinical applications. Our mission is to leverage the transformative power of stem cell-derived exosomes to advance aesthetic treatments and improve people’s quality of life.

Milestones and achievements

After discovering the potential of exosomes, the crucial steps included establishing a business plan, licensing and developing exosome technology, securing financing to create a successful startup, registering adipose stem cell-derived exosomes and several plant stem cellderived exosomes as a cosmetic ingredient, and partnering for marketing and sales in the US. While exploring numerous scientific papers, I contemplated the best business approach for exosomes. For this purpose and to deepen my understanding, I read all the publications by Dr. Sai Kiang Lim and contacted her directly to discuss technology licensing and to have her as a scientific advisor for 6 months in 2016. By

studying other scientists’ technologies and patents, I was able to build a solid business plan when establishing ExoCoBio. Since no other companies were using exosomes in aesthetics at that time, I anticipated significant changes and planned to develop various exosome-based aesthetic technologies and products within a five-year business plan.

Thanks to my network and previous successful venture capital and management experience, I raised about $12 million, enough to incorporate ExoCoBio and start a small laboratory to develop our own cell culture manufacturing process around April 2017. Since then, we have raised and invested more than $80 million to create our own science, technology, and process development while being able to build a brand new 6,000 sqm facility to produce the best quality exosomes. Curiously, most companies launching competitive products nowadays are even smaller labs than our lab back then.

In 2017, a significant milestone for the business was the registration of our exosomes, derived from adipose stem cells (ASC-Exo), with the International Cosmetic Ingredient Dictionary (ICID) of the Personal Care Products Council (PCPC) in the US. Knowing that cosmetic registration was critical for commercialising this new technology, we began the registration process immediately after securing financing in April 2017. ExoCoBio became the first company to obtain an International Nomenclature Cosmetic Ingredient (INCI) name and now proudly holds the largest number of exosome registrations in the ICID.

Another critical step was finding a partner to market our new technology in the USA. In 2017, I was introduced to BENEV Company Inc., a Californian company with 20 years in the aesthetics market. We began a long-term partnership that has grown stronger over the years. When we started the educational events in 2019, we had just 5-15 attendees for each day since almost nobody was interested in exosomes. We strived to create a new market. In 2023, ExoCoBio acquired BENEV to solidify its position in the US market and utilise BENEV’s marketing expertise and know-how to generate a higher impact on the worldwide market. These days, we usually have up to 700 attendees for each event, doing 250 events around the world every year.

With part of the $80 million investment, ExoCoBio has built the world’s first exosome-only GMP facilities, named ExoGMP™.

With part of the $80 million investment, ExoCoBio has built the world’s first exosome-only GMP facilities, named ExoGMP™, in Osong, South Korea. This facility presently aims to produce pharmaceutical-grade exosome products for regenerative medicine and aesthetics. In parallel, we have finished the second phase of the ExoGMP facility to install a fully automated mass production line of ASCE™ in 2024, ExoCoBio’s flagship product, increasing additional production capacity up to 3.5 times. This kind of commitment reinforces our position as the leading exosome player. Our large investment of about 30 million dollars in exosome science has allowed us to have a comprehensive patent portfolio of 70 as of June 2024, ranging from production methods, indications, and product formulations, to name just a few. Equally important, we have published 24

Figure 1 (Top) ExoGMP™ Facility, Osong, Republic of Korea. (Above left) Cell culture. (Above right) Exosome isolation.

scientific papers with our global doctors in several areas, such as atopic dermatitis, hair growth, anti-inflammation, plant exosomes, isolation and purification, and safety.

The rapid pace of scientific and technological advancements often goes faster than regulatory frameworks, and this is quite true for exosomes, too. Currently, many countries do not permit the use of human stem cell-derived exosomes as cosmetic products, creating an opportunity for ExoCoBio to innovate further. We expected these kinds of regulatory hurdles from the beginning. Therefore, we have been researching plant stem cell-derived exosomes for the best and consistent quality, which should not be confused with the so-called ‘plant cell-derived extracts’ produced by crushing the whole plant or vegetables/ fruits. Plant stem cell-derived exosomes are structurally and functionally similar to animal cell-derived exosomes. Specifically, we have isolated and characterised Rose Stem Cell Exosomes (RSCE™) over the past three years, finding that RSCE™ are in part comparable to human exosomes in three key areas: physical characteristics (lipid membrane with an average size of 30 to 200 nanometers), 30 kinds of matching miRNAs that explain their mechanism of action, and their ability to increase collagen production in human dermal fibroblasts and exhibit anti-inflammatory functions. Additionally, ExoCoBio is the world’s first to register this kind of plant stem cell-derived exosomes and to achieve its patent in the US or other countries.

Product development

With everything in place, I developed Advance Skincare Complex for Everyone (ASCE™), the world’s first exosome aesthetic product specifically designed for regenerative aesthetics and dermatology using human adipose stem cell-derived exosomes. This was not by chance. Skin is the largest organ in our body, containing the biggest number of stem cells per gram of tissue, which releases a considerable number of exosomes to maintain our skin and control our immune response. ExoCoBio conducted extensive internal studies and compared three major types of stem cell-derived exosomes, validating that adipose stem cell exosomes were superior in both efficiency and commercial viability.

The most challenging aspect was finding the right method and process for isolating exosomes. Even with the best exosomes, improper isolation from conditioned media results in high impurities and contamination. To address this, we conducted several studies on isolation methods, focusing on tangential flow filtration (TFF). This last technology, a membrane-based separation technique, formed the basis of our proprietary filtration technology, ExoSCRT™. ExoCoBio is now recognised as a pioneer in exosome filtration technology for mass production.

Key factors in successfully developing highquality exosome products include:

■ Purity of exosomes: Impurities, such as lipoproteins or protein aggregates in blood-derived exosomes, can

AFigure 2 Exosomes and white hair (poliosis). Hair repigmentation of poliosis circumscripta in androgenetic alopecia patient treated with exosomes and fractional picosecond laser. (A) Before and (B) 1 month after third treatment. Photo courtesy of: J of Cosmetic Dermatology, Volume: 23, Issue: 6, Pages: 2307-2311, First published: 28 February 2024, DOI: (10.1111/ jocd.16261)

B

dilute the efficacy of the product and also can cause serious adverse events. There are extremely large amounts of lipoproteins and protein aggregates in blood, which have similar-sized exosomes. Therefore, high-purity exosomes cannot be isolated from blood or PRP by using a simple filtration device. This should be conducted cautiously to ensure the best and consistent efficacy and safety.

■ Good Manufacturing Practice (GMP) is about ensuring the best possible quality for the actual product manufacturing. ExoCoBio created master cell banks (MCB) of human adipose stem cells and rose stem cells, which require a huge investment. Sometimes, we find that people in this industry have strong misconceptions about GMP compliance and do not seem to understand its importance.

■ Lyophilisation: Many scientists have proven that lyophilisation is the best method to maintain the lipid bi-membrane of exosomes which is a critical standard. Overall, liquid or frozen formulations usually destroy the stability over time whereas with lyophilisation we are able to preserve the product quality for up to two years.

We have been researching plant stem cellderived exosomes for the best and consistent quality, which should not be confused with the so-called ‘plant cell-derived extracts’.

■ Formulation: Combining exosomes with other ingredients effectively to create a final product that delivers results and is commercially viable. Exosomes are great and maybe the best bio-material naturally generated. They deliver messages and act as triggers to initiate a natural regenerative process in the body. With additional ingredients, we created synergistic effects for better and faster clinical benefits, enhancing the natural properties of exosomes.

ExoCoBio’s innovative ExoSCRT™ technology produces a customised line named ASCE™ and ERC™, with products tailored for diverse needs, including skin, hair, vaginal rejuvenation, and aftercare recovery with Exobalm™.

Global impact on medical aesthetics

In our estimates, there may be as many as 80 exosome participants globally who have jumped into this new megatrend we started. As a committed global leader,

A B C

ExoCoBio has made the largest investment in science, technology, GMP manufacturing, and business, totalling about $80M over the past 7 years.

We strived to cover and develop new technologies and innovative protocols/modalities for all skin and dermatological applications, leading to 70 registered patents worldwide. We expect more over time. Further, ExoCoBio and its affiliates have 24 scientific papers since its inception, an unprecedented achievement in medical aesthetics. Our team is helping millions of people under our statement, ‘Our Exosomes, Your Future.’ We frequently find that our technologies are significantly improving the quality of life for a large number of patients.

At IMCAS Paris 2024, the scientific committee announced a very important comparative table displaying the main six exosomes players in the market. In every aspect, ExoCoBio is the absolute pioneer in this new category of medical aesthetics. We are the most scientifically validated.

As of June 2024, our products have been delivered to about 1.5 million patients across 50+ countries, supported by 15,000 clinics and practitioners who trust our exosome technologies. Our exosome solutions have made a significant difference for many, enhancing beauty and overall health and well-being for skin, hair, and intimate areas. There have been times we have been shown incredible clinical cases that we never expected.

For example, Dr. Suparuj, a dermatologist in Thailand, made an innovative discovery of hair repigmentation by developing a new modality combining our exosome product, ASCE™ HRLV, with a pico-second laser. This world’s first case of the improvement of poliosis was recently published in the Journal of Cosmetic Dermatology. The white hair of poliosis has been considered impossible to improve or change to normal colour for decades. No doctors and companies had been successful before our team. We changed the white hair to black, and the effect lasted up to 12 months as of

June 2024. The mechanism of this discovery seems related to anti-inflammation and melanogenesis reactivated by topical exosome application in addition to the pico-second laser treatment in terms of ingredient delivery and wound healing process. When we looked at one hair shaft, the old part was still white, but the proximal new part was black. In parallel, we have seen many successful cases of hair repigmentation worldwide, even in an alopecia totalis case.

accident. Treatment involved, a scar cannula, topical ASCE™ application, microneedling and thulium laser over four sessions, every 3–4 weeks. (A) baseline, (B) day 30, (C) day 110. Treatment performed by Dr. Agnieszka Kondraciuk. Photos courtesy of Innmedis Poland.

One particularly impactful case involved a 24-year-old man from Poland who suffered a severe traffic accident. Sebastian sustained multiple injuries, including a concussion, broken ribs, and a torn flap of skin on his forehead and left cheek. Despite undergoing several surgeries, his recovery seemed challenging. However, with the pioneering decision of Dr. Agnieszka Kondraciuk, Sebastian received a series of treatments combining topical ASCE™ exosomes with microneedling and thulium laser procedures. The results were extraordinary. The procedure incredibly improved not only his scars but also motor functions in the facial area, allowing for free speech and facial expressions. The procedure significantly improved the patient’s psyche and return to social functioning. Sebastian experienced significant aesthetic improvement but more importantly, his overall well-being also improved dramatically.

Stories like Sebastian’s highlight the transformative impact of ExoCoBio’s exosome technologies. Our commitment to innovation and excellence continues to improve lives, proving that exosome therapies offer more than just cosmetic benefits—they contribute to overall health and recovery, bringing hope and healing to patients around the world.

Looking to the future

The future of exosomes in regenerative medicine and aesthetics is promising. However, regulatory limitations persist as many countries lack clear guidelines for exosome products. This regulatory ambiguity allows some companies to falsely claim exosome content or produce low-quality products with poor control. We anticipate an expanding market with many companies claiming exosome products but only a few true leaders. In this context, only companies with the ability to invest in research and development will maintain leadership.

Exosome-based products are already revolutionising skincare and anti-ageing treatments, and they are expanding other aesthetic areas, such as hair restoration, intimate rejuvenation, and wound recovery.

Yet, as research and technology advance, exosomes are meant to become a key part of regenerative medicine, offering innovative solutions for a wide range of conditions. Exosome-based products are already revolutionising skincare and anti-ageing treatments, and they are expanding other aesthetic areas, such as hair restoration, intimate rejuvenation, and wound recovery. Products that stimulate hair growth and improve the health of the scalp are likely to prevail. Additionally, exosome-based treatments for post-surgical and trauma-induced scars could offer faster and more effective healing, minimising scarring and improving overall skin

Figure 3 The clinical case of Mr. Sebastian Krak who suffered significant facial scarring following a vehicle

appearance. The technology and product concept of Exobalm came from Dr. Diane Duncan, who wanted to help a patient in the US who suffered from serious side effects of radiation burns.

Beyond aesthetics, exosomes have vast potential in treating various medical conditions due to their regenerative properties. These properties make them suitable for applications in oncology, cardiology, and neurology, among other fields. In particular, ExoCoBio is leveraging this potential by developing regenerative therapeutics in several areas, including inflammatory diseases, acute respiratory distress syndrome (ARDS) related to COVID-19, inflammatory bowel disease (IBD), and acute kidney injury.

Furthermore, we found that many women worldwide suffer from chronic inflammation and other conditions in the intimate area, especially after menopause. Approximately 30–50% of postmenopausal women, about 360–600 million, are expected to have a variety of intractable vulvovaginal problems due to ageing and low levels of sexual hormones like oestrogen. This issue is not only about rejuvenation but also a critical quality-of-life issue of unmet medical needs. Most treatments with steroids, laser, RF microneedling, stem cells, conditioned media, and PRP, have not been satisfactory. In 2023, ExoCoBio successfully developed ASCE™ IRLV for intimate rejuvenation, a new formulation utilising our know-how on exosomes. Many OB/GY doctors are already applying this innovation to help improve the quality of life of many women. We believe that this new product will soon become the gold standard for a new category of regenerative aesthetic gynaecology. During the AMWC Monaco 2024, ASCE™ IRLV was named ‘The Best Regenerative Aesthetic Medicine Product’ due to its huge potential to address unmet medical needs in the vulvovaginal area.

Exosomes are also being explored as a means to deliver drugs more effectively. We are now working on a long-term project on the next-generation anti-cancer drug, which we have called antibody-targeted exosome immunotherapy (ATEI™). We aim to engineer exosomes for drug delivery (protein or chemical) and create antibody-mediated exosome targeting.

All in all, ExoCoBio is committed to driving innovation and setting standards in the exosome industry, ensuring that our products remain at the forefront of this revolutionary field.

Our exosomes: your future

My journey with ExoCoBio, from its inception to becoming a leader in exosome-based regenerative medicine and aesthetics, has been a collaborative effort over the 7 seven years. The team at ExoCoBio, our distributors, doctors, and practitioners, share a vision to address the unmet needs of the global ageing population and ultimately benefit the users of our products.

ExoCoBio has developed exosome therapies that extend beyond aesthetics, significantly impacting overall health and well-being. Our commitment to research and development has driven us to explore the potential of

exosomes, resulting in groundbreaking products like ASCE™. These products have transformed the lives of countless patients around the world, providing effective solutions for skin regeneration, scar healing, and more. ExoCoBio’s advancements in exosome filtration technology and our proprietary ExoSCRT™ filtration technology have set new standards in the industry. Our innovative approach ensures the highest purity and efficacy of our products, positioning us as pioneers in the field.

As we continue to invest in cutting-edge research and navigate the continuously changing regulatory landscape, we are confident that exosome therapies will revolutionise regenerative medicine.

Looking to the future, we are excited about the vast potential of exosomes in both aesthetic and medical applications. As we continue to invest in cutting-edge research and navigate the continuously changing regulatory landscape, we are confident that exosome therapies will revolutionise regenerative medicine. Our goal is to remain at the forefront of this field, driving innovation and delivering transformative and multifunctional solutions to patients worldwide.

As we move forward, we remain dedicated to our mission of shaping the future of regenerative medicine and aesthetics, bringing hope and healing to those in need.

To learn more, visit: www.exocobio.com/

Figure 4 (Left) Byong Cho accepting two awards for ExoCoBio at the AMWC Aesthetic Medicine Awards 2024, held in Monaco, and (right) Ethan Min, CEO of BENEV Inc.

SKIN TIGHTENING AND REJUVENATION WITH THE GENTLEMAX PRO® SYSTEM: A CASE SERIES

Diana Li, MD, explains how the GentleMax Pro® Systems’ 1064 nm and 755 nm wavelengths deliver proven results in skin tightening and rejuvenation, offering minimal downtime and high patient satisfaction

DIANA LI, MD, is a specialist in Dermatology, practicing as the Chief Dermatologist at the Distinct HealthCare Clinic since 2019. Between 2016-19, Dr. Li was the Vice Director of the Dermatology department of First BCC Plastic Surgery Hospital in China.

email: dermdianali@163.com

ABSTRACT

The Candela GentleMax Pro® system offering 1064 nm and 755 nm dual wavelengths, which are widely known for laser hair removal (LHR), have also expanded capabilities beyond LHR for skin rejuvenation and tightening treatment, as well as treatment of benign pigmented lesions, wrinkle reduction, coagulation, and hemostasis of soft tissue. The systems’ Dynamic Cooling Device (DCD™) helps to protect the skin and maintain treatment comfort. This case series introduces a treatment approach in which laser fluences are increased in a progressive manner to provide a facial skin brightening and tightening treatment experience.

FACIAL TIGHTENING IS A COMMON SKIN DEMAND AMONG THE ASIAN population, and improving skin laxity is one of the top three issues reported by patients in Asia-Pacific. It is also ranked among the most urgent concerns in patients over 40 years old.1 In addition, younger patients often desire a narrower facial shape, owing to a strong cultural preference for a slim lower face.2

Long-pulsed 1064 nm Nd:YAG laser offers a versatile, successful clinical approach to achieving facial slimming and tightening with minimal discomfort. Studies show that using a long-pulsed 1064 nm Nd:YAG laser can stimulate dermal collagen production, which is associated with an increase in transforming growth factor beta (TGF-β).3,4 A recent study also showed that photothermal lipolysis may occur when laser energy is applied sustainably with epidermal cooling for a prolonged period of 10 minutes after reaching 39°C or 42°C.5

This case series features two patients treated with a GentleMax Pro® skin rejuvenation and tightening approach, where laser fluences were progressively increased across multiple passes to achieve facial tightening with minimal discomfort.

Methodology

Both patients received a treatment tailored to their individual clinical concerns with reference to the recommended steps outlined in Table 1 below.

KEYWORDS

Candela GentleMax Pro® Skin tightening, skin rejuvenation

Studies show that using a long-pulsed 1064 nm Nd:YAG laser can stimulate dermal collagen production, which is associated with an increase in transforming growth factor beta (TGF-β).

Pre-treatment

Anaesthetic cream should be applied 30 minutes before treatment.

Step 1: Warming up the entire cheeks and submental area

The 1064 nm Nd:YAG laser is used with a spot size of 18 mm at a recommended fluence of 10 J/cm2 and 100 ms pulse duration for three minutes to heat up the skin gradually. Selecting a long pulse duration allows the laser to penetrate deeper into the skin. The fluence is then increased to 12 J/cm2 for another three minutes of treatment, followed by 14 J/cm2 for the final three minutes.

Step 2: Continue bulk heating at the cheeks and submental area

Treat the same area using the same 1064 nm laser, 18 mm spot size at a fluence of 16 J/cm2 and 100 ms pulse duration for another five minutes, followed by another five minutes with a fluence of 18 J/cm2. DCD epidermal cooling should be administered before and after each laser pulse for 20 ms to prevent overheating of the skin.

Step 3: Increasing the laser fluence progressively to the lower third of the face and submental area

With the same wavelength, spot size and pulse duration of the previous steps, increase the fluence to 20 J/cm2

for three minutes, then treat for three minutes more with 22 J/cm2 and another three minutes with 24 J/cm2 Communicating with the patient during treatment is important to ensure good results and patient satisfaction. For patients who endure the heat well, the fluence can be increased up to 28 J/cm2 for optimal treatment results. In this step, DCD epidermal cooling should be provided for 30 ms before and after each laser pulse.

The GentleMax Pro® systems allow physicians to gradually heat the skin, triggering coagulation and hemostasis of soft tissue. This mode of treatment with the long-pulsed 1064 Nd:YAG laser can lead to a tighter and more contoured face.

Step 4: Focused treatment of the forehead and upper lip (optional)

While the patients featured in this case series did not undergo this step, for patients who require local treatment, these areas can be treated with a 1064 nm laser, 15 mm spot size, 60 ms pulse duration, and a fluence of 10 J/cm2 for around 300 pulses. Avoid treating too close to the eyebrows.

Step 5: Overall facial brightening and treating pigmentation (optional)

The 755 nm laser can be utilized with a 10 mm spot size, 0.375 ms pulse duration with a fluence of 6 J/cm2 for around 2–5 passes at the required area, and the DCD parameter is set to be 0/0/0. This step also helps to address skin tone evenness and refine pores.

B C D

Figure 1 Case 1: Images of the patient’s face across the
from left
with the third photo from the left showing the
Photo Courtesy: Diana Li, MD. All photos are unretouched. Individual

Post-treatment

Routine moisturizer and sunscreen are advised.

Case 1

An Asian female aged 28 years old with Fitzpatrick Skin Type III presented to our clinic and expressed her desire for a slimmer face. Treatment was applied over her entire face following Steps 1 to 3, with Step 3 going up to 24 J/cm2 and Step 5 as outlined in Table 1. The patient received three treatment sessions, with a onemonth interval between the first two sessions and a sixmonth interval between the second and the third sessions. The patient was satisfied with the clinical results, which demonstrated a visible tightening and slimming effect to the entire face. No treatment complications or adverse events were reported.

Case 2

The second case features an Asian female aged 35 years old with Fitzpatrick Skin Type III presenting with a loss of jawline definition and a double chin. This patient had received Steps 1 to 3, as shown in Table 1 with Step 3 going up to 28 J/cm2, followed by Step 5 with the 755 nm laser. A total of three sessions were performed, with a one-month interval between the first two sessions and a six-month interval between the second and the third sessions. Post-treatment photos (Figure 2) demonstrate an overall reduction of the face sagginess/laxity. The full face became significantly more V-shaped with a reduced appearance of the double chin. The patient has expressed satisfaction with the treatment, with no complications or adverse events reported.

Conclusion

The GentleMax Pro® systems allow physicians to gradually heat the skin, triggering coagulation and hemostasis of soft tissue. This mode of treatment with the long-pulsed 1064 Nd:YAG laser can lead to a tighter and more contoured face. The addition of a 755 nm laser allows for skin brightening and provides a more holistic approach to facial rejuvenation.

In this case series, two patients showed continuous

Key points

The GentleMax Pro® system offers dual wavelengths with the ability to gradually increase fluence for a prolonged period with the long-pulsed 1064 nm Nd:YAG and 755 nm laser to achieve facial tightening and brightening, respectively, with minimal patient discomfort.

Two Asian female patients with Fitzpatrick Skin Type III were treated for three sessions where facial tightness improvement was observed progressively throughout the treatment journey, with no complications or adverse events.

These results suggest that this GentleMax Pro® approach is a potential treatment option to achieve desired facial slimming in the Asian population.

improvement in skin tightening following each treatment session, with optimal clinical outcomes after three sessions. Treatment was associated with minimal discomfort and low downtime.

The results demonstrate that combining 1064 nm and 755 nm wavelengths, along with using DCD cooling protection during treatment, offers a clinically successful approach to address skin tightening and rejuvenation.

Declaration of interest The views and opinions expressed in this material are those of the authors and do not necessarily represent the official position of Candela Corporation or its affiliates. Healthcare professionals are solely responsible for making their own independent evaluation as to the suitability of any product for any particular purpose and in accordance with country specific regulations. This work was supported by a research grant from Candela Medical.

Figures 1–2 © Diana Li

References

1. Park, J. Y., Chen, J. F., Choi, H., Ho, W. W. S., Lesthari, N. N. I., Lim, J. T. E., Lim, T. S., Lowe, S., Ong-Amoranto, B., Vachiramon, V., Wanitphakdeedecha, R., & Kerscher, M. (2022). Insights on Skin Quality and Clinical Practice Trends in Asia Pacific and a Practical Guide to Good Skin Quality from the Inside Out. The Journal of clinical and aesthetic dermatology, 15(6), 10–21.

2. Fabi, S. G., Park, J. Y., Ho, W. W. S., Vachiramon, V., & Dayan, S. (2023). Aesthetic considerations for treating the Asian patient: Thriving in diversity international roundtable series. Journal of cosmetic dermatology, 22(6), 1805–1813.

3. Key D. J. (2007). Single-treatment

skin tightening by radiofrequency and long-pulsed, 1064-nm Nd: YAG laser compared. Lasers in surgery and medicine, 39(2), 169–175.

4. Lee, Y. B., Kang, N. H., Eun, Y. S., Cheon, M. S., Kim, K. M., Cho, B. K., & Park, H. J. (2012). Effects of long-pulsed 1,064-nm neodymium-doped yttrium aluminum garnet laser on dermal collagen remodeling in hairless mice. Dermatologic surgery, 38(7 pt1), 985-992.

5. Wu, S., Jiang, Z., Dong, J., & Yao, M. (2024). Evaluation of thermodynamic bioeffects of long-pulsed 1064 nm laser in the photothermal lipolysis. Lasers in Surgery and Medicine, 56(1), 90–99.

A B C D

Figure 2 Case 2: Images of the patient’s face across the treatments from left (baseline) to right (6 months post Tx. 3). (A) Baseline, (B) 1 month post Tx.1, (C) 6 months post Tx. 2, (D) 6 months post Tx. 3. Photo Courtesy: Diana Li, MD. All photos are unretouched. Individual results may vary.

3,000 +

POLYNUCLEOTIDES FOR ACNE SCARS AND HOLISTIC SKIN REJUVENATION

Maurizio Cavallini, MD and Mauro Raichi review an innovative fish farming byproduct that shows promise in treating acne scars and enhancing skin quality

ABSTRACT

Dermal fibroblasts are at the crossroads of a wealth of skin quality disorders—middle-third and nasolabial folds, crow’s feet, periorbital skin ageing, post-acne scars, and the dermal atrophy of intrinsic skin ageing. All techniques aimed at the compromised dermal environment have local safety burdens. Natural-origin PN HPT™, extracted from the gonads of salmon trouts farmed for human consumption, are highly fragmented and contain hydrophilic polynucleotide residue of

Ibetween fifty and two thousand base pairs with no direct pharmacological activity.

The short-term outcome of PN HPT™ intradermal injection is a filler-likea, skin-volumising effect. Over the longer term, PN HPT™ non-pharmacologically replenish the dermal pool of nitrogen bases and other nucleotide precursors through increased production of Type-I and Type-III collagen, proelastin fibres, and the extracellular matrix, the hallmark of fibroblast activation. The almost serendipitous discovery that exposing fibroblasts to the

N THE LAST MONTH, HOW OFTEN HAVE YOU, a distinguished aesthetic medicine specialist, battled in your office against, let’s say, the depressed, atrophic scars that are the hallmark of deep inflammatory acne? Would you say you duel against these skin quality annoyances at least once or twice weekly?

The clinical presentation of acne scars is variable: in more than half of all cases, narrow V-shape dice-pick scars that sharply penetrate the dermis; less frequently, wider U-shaped boxcar scars with vertical edges slightly extending into the dermis; even less often, rolling and even wider scars with tenacious tethering of the dermis to deeper layers1. Still, independent of clinical presentations, the core lesions are the same—depressions in the dermis texture excavated by the inflammatory destruction of collagen and extracellular matrix1,2

Acne scars are paradigmatic examples of devastated skin quality. The stage for everything is the dermis or, if you prefer, the non-quiescent dermal population of replicating active fibroblasts1-3. Unsurprisingly, all energybased and non-energy-based treatments for atrophic and depressed acne scars, ranging from ablative and nonablative lasers and fractional radiofrequency to subcision or subcutaneous needle untethering of the scar fibrous strands, microneedling, and dermabrasion, share the same purpose, which is to initiate the synthesis of new collagen and extracellular matrix4,5

Besides post-acne scarring, the dermal layer is at the crossroads of a wealth of skin quality disorders — middle-

MAURIZIO CAVALLINI, MD, is a plastic surgeon, Milan, Italy; MAURO RAICHI is a Clinical Pharmacology Consultant, Milan, Italy

email: Maurizio.cavallini@libero.it

KEYWORDS

Dermis, fibroblast, PN HPT™, Polynucleotides High Purification Technology, skin quality

combination of PN HPT™ and hyaluronates is more than additive to fibroblast vitality and reconditioning of the dermal microenvironment suggests some biological synergy. Might dermal fibroblasts show enhanced responses to other skin revitalisation strategies after, or concomitantly with, a PN HPT™ priming treatment that makes them more reactive? A discussion of the emerging ‘PN HPT™ Dermal Priming Paradigm’ follows the review of some recent examples of PN HPT™ clinical development.

third and nasolabial folds6, the hollowing and deep furrows of crow’s feet, periorbital skin ageing7, and, in general, the gradual dermal atrophy of intrinsic skin ageing8. Unfortunately, all the techniques aimed at the compromised dermal environment have local safety issues—inflammatory hyperpigmentation for all nonenergy-based techniques with the partial exception of skin needling; dyspigmentation, erythema, oedema, scarring, and downtime for energy-based procedures4,5 Regarding fillers, hyaluronic acid fillers are useful tissue volume-expanders, but they also have weak fibroblastrevitalising efficacy9

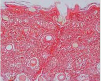
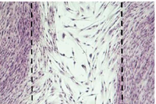
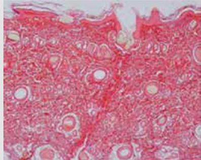
Looking at the microphotographs (Figure 1), it is evident that the use of PN HPT™ has resulted in the dense proliferation of human skin fibroblasts (upper microphotographs) and the production of new mature, well-organised collagen fibres in wounded skin areas with no evidence of erythema, oedema, and eschar (lower microphotographs)9. In control groups, but also the hyaluronic acid group, the low density of collagen fibres in damaged areas signals incomplete tissue repair; conversely, in intradermally treated PN HPT™ lab animals, tissue repair is almost complete with mature, well-organised collagen fibres and the uniform deposition of extracellular matrix9

PN HPT™ are of natural origin (this is where fish farming comes into play) and act non-pharmacologically10 Next, we will cover their physiological nature, advanced pharmaceutics, and some representative examples of their impressive tissue-rejuvenating properties.

In control groups, but also the hyaluronic acid group, the low density of collagen fibres in damaged areas signals incomplete tissue repair; conversely, in intradermally treated PN HPT™ lab animals, tissue repair is almost complete with mature, well-organised collagen fibres and the uniform deposition of extracellular matrix.

Figure 1 Effects of PN HPT™ on fibroblasts

and collagen fibres

PN HPT ™ increase the number and density of human fibroblasts9

Control fibroblasts Fibroblasts exposed to PN HPT™ for 96 hours

In-vitro scratch test, transmitted light micrographs, Giemsa staining, 10x magnification

PN HPT ™ accelerate the healing of wounded skin and increase the maturity and organisation of collagen fibres9

Control

HPT™

Transmitted light

HPT™

acid

acid

Polarised light, lack or paucity of collagen appear as dark areas

14-week-old C57BL female mice, cutaneous punch biopsies (4-mm diameter), Sirius Red staining, 4x magnification. Intradermal PN HPT™: 20 mg/mL; controls: saline solution. Authorised reproduction9

Figure 2 The goals of PN HPT™ treatment in different body skin districts10

Areas of treatment Face area, décolleté including the neck Body areas, back of the hands Scalp, eyebrows, beard

Objectives

rejuvenation

improvment

rejuvenation

Polynucleotides highly purified technology (PN HPT™) are highly fragmented, double-stranded polynucleotide residues between fifty and two thousand base pairs with no direct pharmacological activity.

Introducing polynucleotides highly purified technology

Polynucleotides highly purified technology (PN HPT™) are highly fragmented, double-stranded polynucleotide residues between fifty and two thousand base pairs with no direct pharmacological activity9,10

After intradermal injection, highly hydrophilic PN HPT™ polymers reorganise into a three-dimensional, sterically organised gel that persistently hydrates the dermal microenvironment9,10. The short-term outcome is a filler-like, skin-volumising effect.

Over the longer term, PN HPT™ boost new life into dermal fibroblasts via the passive non-pharmacological replenishment of the dermal pool of nitrogen bases and other nucleotide precursors released in the cell interstitium by endogenous tissue deoxyribonuclease (DNAse)9. The increased deposition of Type-I and later Type-III collagen, proelastin fibres, and extracellular matrix is the hallmark of fibroblast activation10. The two short-term and long-term actions are synergistic since hydration of the extracellular matrix is a prerequisite for fibroblast vitality9

As a helpful addition, electron-rich PN HPT™ also act as free-radical scavengers with no systemic safety or toxicological liability at the clinically administered doses10-12 The robust PN HPT™-associated deposition of collagen fibres efficiently reverses the post-inflammatory collagen destruction occurring in atrophic and depressed acne scars6,10

The origin of PN HPT™ is natural, extracted from the gonads of salmon trouts farmed for human consumption9 The HPT™ purification technology and high-temperature sterilising procedures, lead to a highly purified active ingredient free from biologically active contaminants and allergic potential. The trout farms perform strict quality controls to avoid contaminations and ensure maximum fish safety and well-being.

With extraction from wild salmons, veterinary control and monitoring of feed and water contamination (heavy metals, micro and nanoplastic particles, radioactive residues) would be impossible9,13

Figure 2 illustrates the goals of PN HPT™ treatment in areas with skin quality disorders, such as skin ageing, scars after inflammatory acne and wounds, stretch marks, and hair follicle dysfunctionalities, including hair loss, that qualify as PN HPT™ indications. Except for specific needs, Figure 3 details the usual intradermal treatment protocol10

Examples of the most recent PN HPT™ clinical development

Let’s begin this section with the aesthetic outcome of the PN HPT™ treatment of the acne scar case discussed at the beginning of the paper and in a similar case, at baseline and the final follow-up visit thirty days after the last PN HPT™ injection. The treatment protocol, with no post-treatment medication and repeated after three weeks, was 40 mg PN HPT™ (Plinest™, Mastelli S.r.l., Sanremo, Italy) fractionated into thirty microdrops (0.1–0.2 mL) administered subdermally at each injection

point without massaging with a 30 G/13 mm needle3. The tridimensional digital optical system Antera 3D® CS (Miravex Limited, Dublin, Ireland) for handheld, photometric colour-coded skin analysis confirmed the improvement of scar roughness3

Over the years, many papers have highlighted the benefits of PN HPT™ on skin quality: three of them, published in high-impact-factor journals, may be enough to testify to the PN HPT™ potential for improving skin quality, even if severely deteriorated. The first demonstrates the PN HPT™ benefits in the periocular area14; the second shows how such benefits are independent of skin differences, as in Far Eastern subjects15. The Caucasian and Asian skins diverge in melanocyte function, clinical manifestations of photoageing, and weaker skin barrier function compared to Caucasians due to reduced subcutaneous natural moisturising levels15

The HPT™ purification technology and high-temperature sterilising procedures, lead to a highly purified active ingredient free from biologically active contaminants and allergic potential.

After a three-session intradermal injection cycle with PLINEST™ eye (15 mg of PN HPT™ in 2 mL prefilled syringes, Mastelli S.r.l., Sanremo, Italy), the mean Wrinkle Severity Rating Scale (WSRS) score improved by 45.5% (Figure 4) and 46.9% in the outpatients with severely hypotrophic skin (Figure 5). Periocular and facial wrinkles of all severity improved based on the WSRS severity descriptors (Figure 6). Three before and after images of the periocular region are representative examples that testify to the aesthetic benefits of PN HPT™ (Figure 7)14

In an East Asian population, predominantly in their late thirties and early forties, the intradermal PN HPT™ treatment led to a meaningful improvement of the four perceptual categories — skin surface, firmness, pigmentation, and radiance15 Improvements, assessed with the Global Aesthetic Improvement Scale (GAIS), a validated widely used five-point scale, for each perceptual category (‘Much Improved’, ‘Very Much Improved’) were assessed between the second injection session, four weeks after baseline, and the second followup session 6 months after baseline. The subjective assessment by the East Asian subjects who underwent treatment implied a positive result for enlarged pores, fine lines, and wrinkles15

As a third testimonial, there is solid and convincing evidence for the use of PN HPT™ for striae albae remodelling as the current outcomes of aesthetic treatment of mature striae albae are often disappointing16

The

emerging PN HPT™ dermal priming paradigm

An interesting concept is that PN HPT™ might prove helpful as dermal priming agents before and

Figure 4 Mean Wrinkle Severity Rating Scale (WSRS) scores for all patients
Figure 5 Mean WSRS scores for 39 patients with hypotrophic skin
Figure 6 Overall improvement in periocular area in 48 patients
Figure 3 The intradermal injection procedure of PN-HPT™-based devices10
Comparison of the mean WSRS scores for periocular and facial wrinkles and skin quality at the baseline and the final follow-up visits for all cohort subjects and
Comparison of mean WSRS scores for periocular and facial wrinkles between the baseline and the final follow-up visits for the 39 cohort outpatients with hypotrophic skin. ** p <0.001 vs baseline14

References

1. Cutaneous scarring: Pathophysiology, molecular mechanisms, and scar reduction therapeutics. Part I. The molecular basis of scar formation. J Am Acad Dermatol. 2012; 66(1): 1-10. DOI: 10.1016/j.jaad.2011.05.055.

2. Holland DB, JeremyAH. The role of inflammation in the pathogenesis of acne and acne scarring. Semin Cutan Med Surg. 2005; 24(2): 79-83. DOI: 10.1016/j. sder.2005.03.004.

3. Araco A, Araco F. Preliminary prospective and randomised study of highly purified polynucleotide vs. placebo in the treatment of moderate to severe acne scars. Aesthetic Surgery Journal. 2021; 41(7): NP866-NP874. DOI: 10.1093/asj/sjab125.

4. Kravvas G, Al-Niaimi F. A systematic review of treatments for acne scarring. 476 Part 1: Non-energy-based techniques. Scars Burn Heal. 2017; 3: 2059513117695312. DOI: 0.1177/2059513117695312.

5. Kravvas G, Al-Niaimi F. A systematic review of treatments for acne scarring. Part 2: Energy-based techniques. Scars Burn Heal. 2018; 4: 2059513118793420. DOI: 10.1177/2059513118793420.

6. Araco A, Araco F, Raichi M. Clinical efficacy and safety of Polynucleotides High Purification Technology (PN-HPT®) and cross-linked hyaluronic acid for moderate to severe nasolabial folds: A prospective, randomised, exploratory study. J Cosmet Dermatol. 2023; 22(1): 146-155. DOI: 10.1111/jocd.15064

7. Markey JD, White WM. Advances in nonsurgical periocular rejuvenation. Clin Plast Surg. 2023; 50(3): 484 411-419. DOI: 10.1016/j.cps.2022.12.006.

8. Franco AC, Aveleira C, Cavadas C. Skin senescence: mechanisms and impact on whole-body aging. Trends Mol Med. 2022; 28(2): 97-109. DOI: 10.1016/j. molmed.2021.12.003.

9. Colangelo MT, Govoni P, Belletti S, et al. Polynucleotide biogel enhances tissue repair, matrix deposition and organization. J Biol Regul Homeost Agents. 2021b; 35(1): 355-362. DOI: 10.23812/20-320-L.

10. Cavallini M, Bartoletti E, Maioli L on behalf of The Polynucleotides HPT™ Priming Board. Consensus report on the use of PN-HPT™ (Polynucleotides High Purification Technology) in aesthetic medicine. J Cosm Dermatol. 2021; 20(3): 922-928. DOI: 10.1111/jocd.13679

11. Alma Universitas Studiorum Parmensis, Medical School, Embryology and Histology Laboratory, Parma (Italy). Free-radical scavenger activity of PN HPT™, hyaluronic acid and PN HPT™ + hyaluronic acid after exposure to oxidation by H2O2, Mastelli Srl Internal R&D Report, 2021.

12. Injectable gel medical devices toxicological assessment, KROS BioScience Healthcare consultants, February 9th, 2023, Pomezia, Italy.

13. Bartoletti E, Cavallini M, Maioli L, et al Introduction to Polynucleotides High Purification Technology. Aesthetic Medicine. 2020; 6(4): 43-47.

14. Palmieri IP, Moro L, Fraone N,et al. An innovative PN HPT™-based medical device for the therapy of deteriorated periocular skin quality. Surg Res. 2023; 5(2): 1-7. DOI: 10.33425/2689-1093.1058.

15. Lim TS, Liew SR, Tee XJ, et al. Polynucleotides HPT for Asian skin regeneration and rejuvenation. Clin Cosmet Investig Dermatol . 2024: 17: 417-431. DOI: 10.2147/CCID. S437942.

16. Bartoletti E, De Luca C, Maioli L, et al. PN HPT™ and striae albae - Exploratory interim analysis of a randomised prospective study. Surg Res. 2023; 5(2): 1-7. DOI: 10.33425/2689-1093.1057

Figure 7 Photographic documentation of how the periocular regions (the upper two couples of photographs) and overall face (the lower couple of pictures) of three enrolled outpatients evolve between the baseline and final follow-up visits (photos on the left and the right, respectively). © 2023 Palmieri IP, et al. This image is distributed under the terms of the Creative Commons Attribution 4.0 International License 14

Key points

PN HPT™, derived from salmon trout, offers a natural, nonpharmacological approach to treating acne scars and enhancing skin quality by boosting fibroblast activity and collagen production

Case studies demonstrate significant improvements in skin texture, firmness, and overall quality, with PN HPT™ showing superior results compared to traditional hyaluronic acid fillers and other treatments.

PN HPT™ provides a safe, effective treatment option, addressing a wide range of skin conditions, including acne scars, ageing signs, and more, making it a versatile addition to aesthetic medicine.

concomitantly with other energy-based and nonenergy-based treatments to enhance the efficacy of those secondary treatments10,11

Although hyaluronates only weakly stimulate cell growth and energy production, the combination of PN HPT™ and hyaluronates shows more than additive outcomes, suggesting some biological synergy9

An exploratory randomised study used PN HPT™ as a skin priming agent before cross-linked hyaluronic acid for correcting moderate to severe nasolabial folds first supported the emerging ‘PN HPT™ Dermal Priming Paradigm’6. The authors hypothesised that PN HPT™ would amplify and prolong the aesthetic benefits compared to hyaluronic acid alone by conditioning the skin to react more intensely to hyaluronic acid6. The benefits of the PN HPT™ dermal priming paradigm might also apply to the long-term maintenance of acquired improvements.

Ongoing clinical studies will provide the final supporting demonstrations. Figure 8 summarises the leading PN PHT™ Dermal Priming Paradigm suggestions.

Declaration of interest None.

Figure 1 © Colangelo MT, Govoni P, Belletti S, et al. Polynucleotide biogel enhances tissue repair, matrix deposition and organization. J Biol Regul Homeost Agents. 2021b; 35(1): 355-362; Figure 2–3 © Cavallini M, Bartoletti E, Maioli L on behalf of The Polynucleotides HPT™ Priming Board. Consensus report on the use of PN-HPT™ (Polynucleotides High Purification Technology) in aesthetic medicine. J Cosm Dermatol. 2021; 20(3): 922-928. Adapted by PRIME Journal; Figure 4–6 Palmieri IP, Moro L, Fraone N, et al. An Innovative PN HPT™-based Medical Device for the Therapy of Deteriorated Periocular Skin Quality. Surg Res. 2023; 5(2): 1-7. © adapted by PRIME Journal; Figure 7 © 2023 Palmieri IP, et al. This image is distributed under the terms of the Creative Commons Attribution 4.0 International License

Young subjects (according to the clinical picture) Severely damaged skin

Suggested intradermal doses according to skin area and severity of skin derangement. HA: hyaluronic acid. Suggested technique: a 30-32 gauge 13-mm needle and a microdroplet or linear retrograde intradermal injection strategy10

Figure 8 PN HPT™ dermal priming

www.amwc-la.com

OCTOBER 17-18-19, 2024

Medellín, C olombia

P laza Mayor C onvenciones

Expert consensus on the use of multichannel RF

therapy, including clinical applications, suitable patient populations, and treatment protocols

NON-INVASIVE RADIOFREQUENCY

(RF) therapy is a medical aesthetic method unaffected by gender or skin colour1. Currently, non-invasive RF devices approved by the National Medical Products Administration (NMPA) are primarily classified based on their probes into monopolar and bipolar RF devices. Traditionally, bipolar RF consists of two symmetrical positive and negative electrodes with a penetration depth of approximately half the distance between the electrodes2, 3. Consequently, it was believed that bipolar RF had a shallower penetration depth. However, this data was derived from measurements of 1 MHz bipolar RF under ideal conditions and cannot be generalised to all bipolar RF devices.

In this article, the authors summarise national and international clinical evidence for multichannel RF therapy in the field of aesthetics. The authors present an expert consensus on its clinical applications, suitable patient populations, treatment protocols, efficacy observation, and management of adverse reactions.

Definition of multichannel RF

By adjusting different electromagnetic wave frequencies, including 0.8 MHz, 1.7 MHz, and 2.45 MHz, multichannel RF can precisely target penetration depths ranging from 3.9 mm to 18.6 mm. This allows for precise, layered treatment of the superficial dermis, deep dermis, and subcutaneous fat tissue. The full-thickness multichannel mode accommodates all three frequencies, penetrating all skin layers from superficial to deep. The first, second, and third-dimensional channels allow for layer-by-layer heating, achieving comprehensive treatment. The device increases the dermal temperature to 40–50°C (at normal fluence) while maintaining the epidermal temperature at 39–42°C. Additionally, this device stimulates fibroblasts to produce more collagen and extracellular matrix (ECM).

ABSTRACT

This article examines the developments in multichannel radiofrequency (RF) therapy, a non-invasive technique that broadens the scope of medical aesthetics. Unlike traditional bipolar and monopolar RF systems, multichannel RF therapy incorporates adjustable frequencies, enabling targeted treatment of different skin layers, from the superficial dermis to subcutaneous tissue. This capability improves treatment precision and safety. This article collates international clinical data and expert opinions to highlight the procedural capabilities and applicability of multichannel RF therapy in the evolving field of non-invasive aesthetic treatments.

KEYWORDS

Multichannel Radiofrequency, RF, CORE technology

In this article, the authors summarise national and international clinical evidence for multichannel RF therapy in the field of aesthetics.

WANG HONGJUN, MD, Shenzhen beaucare Clinic, China
DR WANG BO, Beijing Berrina Medical Beauty Clinic, China
DR LIU BING Dalian Jingyan Medical Beauty Clinic, China
DR KEUNG CHUNGYUNG, Shenzhen Rongyue Medical Beauty Clinic, China
DR MO YAQING, Shanghai BeautMed Medical Beauty, China
ZHAO XIAOZHONG, PHD, Beijing Laserking BeauCare Clinic, China
WANG WEIZHEN, MD, Wuhan Taoran Dermatology Clinic, China
DR ZHOU LIYAN Jiangyin Chengmei Taoyuan Medical Beauty Clinic, China
DR LI BIN EVERCARE Medical Beauty Group, China
DR TIAN YANLI, ADD+ Medical Beauty Group, China
DR YAN LEI, Chengdu Xuzhang Medical Beauty Clinic, China
DR ZHA JINGDONG, Shenzhen Yestar Medical Beauty, China
WANG ZHAN, MD, Shenzhen For the Best U Clinic, China
DR MENG JIE, Wuxi Sanmu Medical Beauty Clinic, China
DR LI MIAO, Shenyang Li Miao Medical Beauty Clinic, China
DR CHEN FULI, Shandong YIMEI Beauty Group, China
DR HU YANG, Hangzhou ShareKey Medical Beauty Clinic, China
DR HAN DONGHAI, Taiyuan Xincheng Beauty, China

Figure 1 Temperature rise curves on human skin using the ST Applicator under different modes, energy densities, and simulated operation times

Human skin

0.8MHz-30J

0.8MHz-70J

1.7MHz-30J

1.7MHz-70J

2.45MHz-30J

2.45MHz-70J

Differences between multichannel RF and monopolar and other bipolar RF

Multichannel RF enables switching different RF frequencies on the same device probe, applying different temperatures to specific skin layers. Different skin tissues require varying heat accumulations. For instance, ex vivo studies have confirmed that the optimal active state of human fibroblasts is achieved by heating to 40–43°C for 10 minutes, resulting in activity levels 2–8 times higher than the control group4. Subcutaneous fat cells need to be heated to 43–45°C for 15 minutes to trigger delayed cell death5. Monopolar RF achieves different skin layer effects by adjusting energy density and cooling. Traditional bipolar RF, operating at a frequency of 1 MHz, often affects a depth of half the distance between the two electrodes due to the inability to adjust the RF frequency.

International clinical heat penetration data

CORE™ (Channeling Optimised RF Energy) technology employs a unique frequency modulation feature, influencing different tissue depths under various RF modes and vacuum intensity levels. In vivo studies on porcine skin using these treatment parameters measured a total heating depth range of 3.9 mm to 18.6 mm.2

Clinical heat penetration data from China

Tests conducted by Professor Yao Min’s team at the Ninth People’s Hospital, affiliated with Shanghai Jiao Tong University, conducted both in vitro and in vivo,

Multichannel RF enables switching different RF frequencies on the same device probe, applying different temperatures to specific skin layers. Different skin tissues require varying heat accumulations.

demonstrating that the overall thermal penetration depth follows the order of Mode 1 > Mode 2 > Mode 3 (Figure 1). In vivo animal studies for an ST applicator showed that Mode 1 and Mode 3 could penetrate the entire skin thickness, causing collagen contraction. Mode 3 is recommended for clinical use due to its higher safety. In Mode 3, significant collagen contraction and lipid droplet reduction were observed 48 hours posttreatment with eight passes at 60 J/cm³. The FC applicator, used for over 10 minutes, significantly promoted collagen proliferation and reduced fat. Although it requires a longer application time, it is safer.

Clinical applications

The innovative bipolar multifrequency RF mode combines thermal energy with vacuum suction, enhancing mechanical pressure and improving blood microcirculation, thus stimulating lymphatic drainage. In addition to achieving significant clinical improvements quickly, the bipolar configuration addresses the common issues associated with monopolar RF, such as pain and burns. This configuration is user-friendly, well-tolerated, requires no anaesthesia, and is notably safer for darker skin types, with shorter treatment times. As a practical medical aesthetic tool, bipolar multifrequency RF effectively treats skin laxity, stretch marks, and excess fat caused by ageing, weight loss, pregnancy, or other factors. Additionally, this technology can serve as an adjunct to surgical procedures, treating skin laxity resulting from weight and/or fat reduction, such as post-liposuction and post-weight loss.

Skin tightening and wrinkle reduction

Silviu D. Paun, M.D., conducted a study on 16 healthy female participants aged 37 to 66 years who exhibited moderate to severe wrinkles and/or laxity and sagging of the skin2. Participants underwent three treatment sessions spaced 3 weeks apart. The results showed that 81% of participants experienced moderate to significant improvements. A follow-up survey 3 months posttreatment indicated a high comfort level during multichannel RF treatment, with localised warmth during the procedure and no adverse sensations, resulting in an 83% satisfaction rate. Studies have shown that elastic and collagen fibres in the superficial dermis become more organised 12 weeks post-RF treatment, replacing the original elastic tissue. Additionally, due to the multidirectional nature of skin collagen, the treatment induces a multidirectional contraction effect, peaking 2–3 months post-treatment.

Lipolysis

Animal and human studies indicate that treating adipose tissue at 43–45°C for 15 minutes leads to macrophage infiltration and delayed apoptosis or shedding of fat cells, ultimately resulting in the contraction of the subcutaneous fat layer. Monica Elman reported that a study involving 24 healthy, non-obese women (BMI<29) aged 24–63 with cellulite grades ≥2 showed an overall average improvement of 55% after body contouring

treatment using multichannel RF2

James Chen reported that 22 participants experienced a reduction in body circumference after six sessions of multichannel RF treatment6, with stable weight. No adverse reactions were recorded throughout the trial, and a 3-month follow-up revealed no deterioration in the participants’ physical conditions.

Other indications

RF technology can stimulate the restoration of keratinocyte function, rebuild the skin’s barrier structure, and improve the skin’s tolerance to external stimuli. Additionally, RF technology can stimulate fibroblasts to produce more collagen and other ECMs, contributing to a fuller and more radiant skin appearance. Clinically, it has been observed that repeated multichannel RF treatments reduce skin inflammation and red areas, indicating the technology’s efficacy in treating problem skin conditions such as melasma, sensitive skin, and rosacea.

Target population

The target population for RF treatment includes individuals aged approximately 25–65 years with mild to moderate skin laxity, wrinkles, or localised fat accumulation, as well as those experiencing facial overfilled syndrome due to excessive facial fillers.

Treatment protocols and efficacy observation

The overall treatment protocol and medium involve using 90–99% glycerin for FC/BC applicators and medical ultrasound or photon-cooling gel for the ST applicator. Treatment involves sliding stamp emission with the rhythm of negative pressure suction for FC/BC heads and stamp emission point by point for the ST applicator. Complete contact between all treatment applicators and the skin is necessary to avoid adverse reactions such as burns or blisters.

Protocol 1

It usually requires several sessions, making it suitable for clinic appointments. Specifically, treatment is administered once a month for three sessions. Preheating: FC Mode 4, 4 minutes, followed by 10 minutes of Mode 1 for adipose tissue processing, and finally, 2 minutes each of Mode 2 and Mode 3. This approach, suitable for individuals with low pain tolerance, relies on mild heating to continuously accumulate new collagen and elastic substances.

Protocol 2

Building upon Protocol 1, this protocol refines and strengthens the treatment time for certain steps and focuses on specific treatment areas. Additionally, the ST is used multiple times in different treatment modes at ligament and protruding fat areas. Treatment recommendations vary by age group: individuals under 30 are advised to undergo treatment once a year, those aged 30–45 should receive 2–3 treatments per year, individuals aged 45–50 should undergo treatment 3–4

2 Reinforcement technique for periorbital ligaments. (A) FC: Mode 3, Vacuum: 1, RF: 2–3, approximately 5 minutes. (B) ST: Mode 3, 50–60 J/CM³, targeting fine lines or lifting the skin under the eyes, avoiding the eyeball area, applying fully along 2–3 rows, with 6–8 passes per row. (C)(D) ST Applicator: Mode 3, 60–70 J/CM³, avoiding the eyeball area, 6-8 passes. Treatment endpoint includes mild erythema and slight oedema at the wrinkle sites.

A A B C D B C D

Figure 3 Reinforcement technique for mid and lower face ligaments. (A) FC: Mode 4, Vacuum: 2, RF: 2-3, 4–6 minutes. (B) FC: Mode 1, Vacuum: 2-3, RF: Levels 2-3, 8-12 minutes. (C) FC: Mode 4, Vacuum: 1-2, RF: 2-3, 4 minutes. (D) ST: Mode 2, 60-70 J/CM³, 2-3 rows, with 6-8 passes per row (green area in D). If the patient has a significant fat protrusion, apply Mode 1, 60-70 J/CM³, with 6-8 passes in the specified area (blue area in D). Treatment endpoint includes mild erythema and slight oedema in the treated facial areas.

Figure

times per year, and those over 50 often require treatment more than 4 times per year.

Emerging trends in medical aesthetics and anti-ageing strategies

With the advancement of the medical aesthetics industry, patients increasingly seek treatments with enhanced treatment experiences, such as low pain, simple postoperative care, no downtime, and long-lasting results. Traditional monopolar and bipolar RF technologies may not fully meet these cosmetic trends. Therefore, combining the unique features of monopolar and bipolar RF to address their respective shortcomings is essential to satisfy a broader range of patients.

Enhanced treatment methods based on ligament sites

Key facial ligaments

Periorbital ligaments, zygomatic ligaments, zygomatic cutaneous ligament, buccal maxillary ligament, mandibular ligament, anterior ear neck ligament.

Significance of ligament reinforcement technique

Reinforcing ligaments at specific sites enhances the collagen remodelling effects, prolongs the duration of efficacy, and increases patient satisfaction.

Innovative treatment protocol schematic diagram

Treatment protocols for periorbital (Figure 2), mid-lower face (Figure 3), and neck (Figure 4) are illustrated.

Observation period of treatment efficacy

Immediate tightening and lifting effects are noticeable, attributed to the heating of fibrous septa causing a contraction effect. Additionally, oedema is often observed during adipose tissue treatment. Immediate results vary among individuals, displaying individual differences. In vivo studies have shown that collagen fibres contract within 2 days, with a significant collagen increase observed after 2 weeks. Ex vivo studies

demonstrate that FC applicator treatment immediately causes minor lipid droplet release from fat cells. The literature indicates that significant improvement in thigh skin laxity can be observed within 3 months following a single session of multichannel RF treatment7. A substantial 57.14% of subjects reported improved thigh skin appearance, with an impressive average improvement of 78% among all 14 subjects who completed the study. Therefore, extending the observation period for patients is recommended to allow for further collagen remodelling. Most practitioners agree that the effectiveness of multichannel RF treatment is proportional to the duration and precision of the procedure.

Combined treatment applications and interval recommendations

Combination with phototherapy

Radiofrequency should be performed first, before proceeding with other phototherapy treatments.

Combination with botulinum toxin

RF treatment should be completed first when performing RF and botulinum toxin injections on the same day and in the same area. Wait several minutes to hours until the skin cools before proceeding with botulinum toxin injections based on patient needs and tolerance. If botulinum toxin is injected first, RF treatment should be delayed for 2–4 weeks.

Combination with hyaluronic acid fillers

Multichannel RF treatment, with fewer adverse reactions, is safer than other energy-based cosmetic technologies. Most adverse reactions are temporary and transient, with no severe occurrences.

Once the heat and swelling subside after RF treatment, hyaluronic acid injections can be administered on the same day. For patients who have already received hyaluronic acid injections, the interval before RF treatment depends on the molecular weight and crosslinking degree of the hyaluronic acid, ranging from 2 weeks to 3 months8

Combination with thread lifting RF treatment can be followed by thread

Figure 4 Reinforcement technique for neck ligament. (A-B) The entire neck is divided into four sections. FC : Mode 2/3, Vacuum: 1, RF: 2-3, for 3-5 minutes. (C) Mark the neck wrinkles with a white marking pen. ST: Mode 3, 50-60 J/CM³, treating each wrinkle both horizontally and vertically for a total of 6-8 passes. Wrinkles over the thyroid area should not be treated directly; instead, the neck skin should be pulled away from the thyroid area before treatment. Treatment endpoint reaction includes mild erythema and slight oedema in the treated neck areas.

A B C

lifting once the skin temperature returns to normal. If thread lifting is performed first, RF treatment should be delayed for at least 3 months to avoid damaging the threads or causing excessive inflammation.

Combination with focused ultrasound

Treatments should be spaced apart for safety to avoid the accumulation of thermal coagulation zones and excessive thermal effects. Focused ultrasound is used for facial tightening and fat reduction. For facial lifting, the RF treatment can be followed by focused ultrasound on the same day after the skin temperature normalises. For fat reduction, high-energy focused ultrasound (both nonthermal and thermal) can be combined with the RF treatment. RF treatment for 15-20 minutes enhances local blood circulation, potentially boosting the mechanical effect of focused ultrasound9, which then destroys fat cells. If focused ultrasound is performed first, the RF treatment should be performed after one week to accelerate fat metabolism and tighten the skin.

Combination with mesotherapy and microneedling

If mesotherapy or microneedling has already been performed, RF treatment should be delayed for 10–15 days. Once the skin temperature returns to normal after RF treatment, mesotherapy or microneedling can be performed on the same day. Mesotherapy products with reparative and collagen components are preferred.

Adverse reactions and management

Multichannel RF treatment, with fewer adverse reactions, is safer than other energy-based cosmetic technologies. Most adverse reactions are temporary and transient, with no severe occurrences. Common adverse reactions are related to high treatment parameters, incomplete applicator contact, or undisclosed patient treatment history. Mild redness and oedema may occur immediately post-treatment, usually resolving within

Key points

The new ligament reinforcement protocol based on CORE technology improved the satisfaction of facial lifting and contouring. It offers a comfortable experience, high safety and reliability.

Combination therapy is popular in aesthetic marketing. This consensus discussed multichannel RF combined treatment and gave a suggestion.

References

1. Fisher GH, Jacobson LG, Bernstein LJ, et al. Nonablative radiofrequency treatment of facial laxity. Dermatol Surg. 2005;31(9 Pt 2):1237-1241; discussion 1241.

2. Belenky I, Margulis A, Elman M, et al. Exploring channeling optimized radiofrequency energy: a review of radiofrequency history and applications in esthetic fields. Adv Ther. 2012;29(3):249-266.

3. Elsaie ML. Cutaneous remodeling and photorejuvenation using radiofrequency devices. Indian J Dermatol. 2009;54(3):201-205.

4. Hiragami F, Motoda H, Takezawa T, et al. Heat shock-induced three-

0.5–1 hour. Rarely, petechiae may appear, resolving spontaneously within 5–7 days. Patients concerned about petechiae can be treated with lower vacuum energy levels. Blisters and burns, often due to incomplete applicator contact, can be managed with burn ointment, typically resolving in 4–6 days. As the treatment is noninvasive with no downtime, post-treatment care is simple, allowing regular skincare routines on the same day. Medical RF treatments require qualified physicians to perform the procedure, with careful pre-treatment evaluation of contraindications.

Acknowledgements

This consensus was discussed and approved by Zhao Xiaozhong, Wang Hongjun, Wang Weizhen, Zha Jingdong, Keung Chungyung, Wang Zhan, Wang Bo, Zhou Liyan, Meng Jie, Liu Bing, Li Bin, Li Miao, Tian Yanli, Chen Fuli, Yan Lei, Mo Yaqing , Hu Yang & Han Donghai at the Reaction Experts Consensus Seminar in May 2024. Note-taker: Meng Yixin

Figure 1-4 © Sinclair Pharma; 5 © Dr Liu Bing

dimensional-like proliferation of normal human fibroblasts mediated by pressed silk. Int J Mol Sci. 2009;10(11):4963-4976.

5. Franco W, Kothare A, Ronan SJ, et al. Hyperthermic injury to adipocyte cells by selective heating of subcutaneous fat with a novel radiofrequency device: feasibility studies. Lasers Surg Med. 2010;42(5):361-370.

6. Chan JKM, Belenky, I. and Elman, M. Bi-Polar RF, Still the Gold Standard for Non-Invasive Fat Volume Reduction. Journal of Cosmetics, Dermatological Sciences and Applications. 2015;5:247-253.

7. Kassim AT, Goldberg DJ. Assessment

of the safety and efficacy of a bipolar multi-frequency radiofrequency device in the treatment of skin laxity. J Cosmet Laser Ther. 2013;15(2):114-117.

8. Hsu SH, Chung HJ, Weiss RA. Histologic Effects of Fractional Laser and Radiofrequency Devices on Hyaluronic Acid Filler. Dermatol Surg. 2019;45(4):552556.

9. Paasch U, Bodendorf MO, Grunewald S, et al. Skin rejuvenation by radiofrequency therapy: methods, effects and risks. J Dtsch Dermatol Ges. 2009;7(3):196-203.

Figure 5 (A) Before treatment, (B) right face (red arrow side) after 1 treatment, 4 months and (C) after 6 months. Photos courtesy of Dr. Liu Bing

THE ROLE OF COHESIVE FILLERS IN SCULPTING MOON FACES

Amit Luthra, DNB, presents case studies showcasing the use of fillers of varying cohesivity levels to sculpt and refine heavy facial features in South Asian patients

HEAVY FACES, OR moon faces, are the most difficult to treat in aesthetic medicine, whether with fillers, energy-based devices or lifting threads. The populations in South Asia, comprising India, Pakistan, Bangladesh, Sri Lanka, Nepal, Bhutan and Maldives, have a problem of excess fat on the body as well as the face, which presents as round faces, and any addition of fillers has to be done judiciously to slim down or contour the face into a more pleasant looking oval or elongated shape using cohesive fillers.

Gel cohesion, also known as cohesivity, represents the internal adhesion forces within a gel. It is a crucial property that determines how

a filler behaves after being injected. High cohesivity ensures that the filler maintains its initial shape and offers greater resistance to vertical compression and stretching under the skin. Thus, cohesivity is important when evaluating the overall performance of a filler1

Materials and methods

The following case studies showcase the utility of using a highly cohesive filler, e.p.t.q.® lines (manufactured by JETEMA, Co., Ltd., Republic of Korea) to contour heavy or ‘moon’ faces and effectively slim down faces. Using a high cohesive filler is the key, and injecting it subcutaneously laterally into the preauricular area with injections primarily directed towards the scalp line with a cannula achieves a slimming down of the face. This can

be supplemented by injecting the chin and jawline, which further elongates the face, and then addressing the anteromedial cheek and tear trough2 to treat the maxillary retrusion, a feature of South Asian faces.

Case Study 1

A twenty-nine-year-old female patient presented with a full face and a heavy lower face and jawline. She also had concerns about under-eye hollowness with hyperpigmentation. On facial analysis, the patient had fullness in the midface and lower face, which gave her an oblong full face bordering on a moon face. Her chin and lower face were shorter compared to the midface and upper face and did not conform to the ratio of facial thirds3. She also had a prominent nasojugal groove and tear trough with acanthotic skin. Her jawline had no definition and no sharp transition from the face to the neck4

After a detailed analysis and discussion with the patient, it was decided to use seven syringes of fillers of different cohesivity and complex viscosity. The plan involved using two syringes of the highest cohesive product in the preauricular area, chin, and gonial angle. Four syringes of intermediate cohesiveness products were used in the anteromedial cheek, preauricular area, and jawline. The lowest cohesive product was used in the tear trough. Figure 1 shows her before-and-after, and it can be appreciated in the picture that she has gone from an oblong full face to a proper oval. Her

AMIT LUTHRA, DNB, is a board-certified dermatologist, expert in aesthetic dermatology with 20 years of experience in India, specialising in injectable treatments. He is on the board of IMCAS Asia, Cosmetic Dermatology Society of India, Saarcaad, and is invited faculty at International forums
Figure 1 Face line contouring from an oblong full face to a proper oval using HA fillers. (A) Before, (B) After treatment

tear trough also looks rejuvenated with less hyperpigmentation because of the stretching effect of the filler. Fillers in the preauricular area were injected subcutaneously, while those in the anteromedial cheeks, tear trough, chin, and gonial angle were injected into the bone/deep fat compartment.

Case Study 2

A twenty-six-year-old female patient presented with a full face with under-eye puffiness and hollowness. On facial analysis, the patient had fullness in the midface with a developing malar mound5 and under-eye herniation of the infraorbital fat that gave her an oblong full face bordering a moon face. Her chin and lower face were in proportion to the midface and upper face and conforming to the ratio of facial thirds3. She also had a prominent nasojugal groove and tear trough. Her jawline had decent definition and a fair transition from the face to the neck4

After a detailed analysis and discussion with the patient, it was decided to use four syringes of fillers with different cohesivity levels. The plan involved using one syringe of the highest cohesive product in the preauricular area, two syringes of intermediate cohesivity in the anteromedial cheek and preauricular area, and the lowest cohesivity product in the tear trough.

The final goal of the patient’s transformation was a shift from an oblong full face to a well-contoured oval face. The tear trough and puffiness could appear camouflaged due to the filler’s filling and stretching effects. Fillers were injected subcutaneously in the preauricular area and on the bone/deep fat

compartment in the anteromedial cheeks. These midface injections primarily lifted the preauricular area and volumized the tear trough, enhancing the overall facial contour and appearance.

Discussion

South Asian faces tend to be full and moon-like, with excess subcutaneous fat and tighter ligaments. Most need less volumisation and more redraping of the tissues to give them a slimmer face and a better-defined jawline. Considering the ethnic, racial, and geographic diversity of the Indian population, more studies are needed to obtain facial anthropometric data. A lack of understanding of this sub-geographic group may result in inaccurate assessments and treatments6

South Asians, generally and Indians particularly, may also have geographical variations. For example, a South Indian face might be fuller and rounder than a North Indian face7. Hence, these minor variations must be considered when injecting fillers. The onset of ageing would also be different, as the North and East India patients mostly have skin types 3–5, whereas in the South and West, they tend to be darker.

Earlier signs of ageing (in 30–40 years) were more visible in North and East Indian ethnic groups, followed by West and South Indians in decreasing order. Also, South Indians showed the least signs of ageing (early as well as overall) compared to the other three ethnic groups in any given age range8

Conclusion

Using a highly cohesive and viscoelastic filler like e.p.t.q.® Lidocaine S 500 injected into the preauricular

“South

Asian faces tend to be full and moon-like, with excess subcutaneous fat and tighter ligaments. Most need less volumisation and more redraping of the tissues to give them a slimmer face and a better-defined jawline.”

2 Lifting and volumising effects on the midface, primarily injections in the preauricular area and chin and jawline. (Blue) e.p.t.q.® Lidocaine S 500 (2.2 ml) preauricular area, chin, and gonial area. (Orange) e.p.t.q.® Lidocaine S 300 (4.4 ml) anteromedial cheek, preauricular area, jawline. (Green) e.p.t.q.® Lidocaine S 100 (1.1 ml) tear trough.

area lifts heavy faces, and this simple technique with a cannula can be a game changer. South Asian patients also need anteromedial cheeks and tear trough augmentations with relatively lower cohesive fillers to treat the common maxillary retrusion.

For more information, contact global@jetema.com

Further Reading

1. Azzolini, L., Filippi, S., Fiorini, F., Zavan, B., & Vindigni, V. (2022). Human skin keratinocytes bioengineered in 3D scaffolds: How their shape influences the reconstruction of the epidermal stem cell niche. Journal of Reconstructive Microsurgery Open, 7(1), e16-e24.

2. Kapoor KM, et al.. Consensus Recommendations for Treatment Strategies in Indians Using Botulinum Toxin and Hyaluronic Acid Fillers. Plast Reconstr Surg Glob Open. 2017 Dec 28;5(12):e1574

3. Lipko-Godlewska S, Bolanča Ž, Kalinová L, Kermen I, Onisak B, Papp I, Rebrov M, Valančienė G. Whole-Face Approach with Hyaluronic Acid Fillers. Clin Cosmet Investig Dermatol. 2021 Feb 17;14:169-178.

4. Braz A, Eduardo CCP. Reshaping the Lower Face Using Injectable Fillers. Indian J Plast Surg. 2020 Aug; 53(2): 207-218.

5. Dzifa S. Kpodzo, MD, MPH, Foad

Nahai, MD, Clinton D. McCord, MD Malar Mounds and Festoons: Review of Current Management Aesthetic Surgery Journal, 2014; 34 (2): 235–248

6. Uppada, U.K., Tauro, D.P. & Senthilnathan, K.P. Anthropometric Analysis of Indian Faces: A Systematic Review. J. Maxillofac. Oral Surg. 23, 451–461 (2024).

7. Harish Katti , S P Arun.Are you from North or South India? A hard face-classification task reveals systematic representational differences between humans and machines July 2019 Journal of Vision 19 (7):1

8. Shome, Debraj Vadera, Sapna, Khare, Stuti, Ram, M. Shiva , Ayyar, Anuradha , Kapoor, Rinky , Desai, Niharika . Aging and the Indian Face: An Analytical Study of Aging in the Asian Indian Face. Plastic and Reconstructive Surgery - Global Open; 2020: 8 (3): e2580

Figure

ANTI-AGEING EFFECTS AND DERMAL REGENERATION OF SIMILDIET EXOSOMES

Exploring the rejuvenating potential of Melissa spp.-derived exosomes in skin regeneration and anti-ageing therapies

Efficacy of Melissa spp. derived exosomes in necrotic wound repair: a bioactive approach

Materials and Methods

Study Design

The primary objective was to assess the potential of these exosomes to counteract infection and minimise scar tissue formation.

The study enrolled a 30-year-old male participant who developed necrotic wounds subsequent to undergoing laser-assisted liposuction in the double chin region.

Materials

The exosome preparation used in the study was supplied by Simildiet Laboratorios, Spain. The preparation consists of two phases:

■ Phase One: Melissa spp .-derived exosomes 18 mg (15 x 109). The

active ingredients within the exosomes include hepatocyte growth factor (HGF), vascular endothelial growth factor (VEGF), acidic fibroblast growth factor (aFGF), basic fibroblast growth factor (bFGF), keratinocyte growth factor (KGF), insulin-like growth factor 1 (IGF-1), and cytokines.

■ Phase two: Exosome diluent (5 ml) containing active ingredients such as dimethylaminoethanol tartrate, sodium hyaluronate, acetyl octapeptide-3, hexapeptide-10, pentapeptide-18, hydrolysed DNA and RNA, magnesium aspartate, copper and zinc, acetyl hexapeptide-30, acetyl hexapeptide-8, acetylarginyltryptophyl diphenylglycine, N-prolyl palmitoyl tripeptide-56 acetate, and mannan.

Since Phase One is in a lyophilised powder form, it is dissolved by mixing with the exosome diluent to prepare it for injection.

Treatment protocol

To accelerate the healing of the wound and enhance the reparative potential of the tissue, an injection of Melissa spp. -derived exosomes (15x 109 exosome particles/5ml) was administered both into and around the wound area.

For treatment, the wound and the surrounding area were cleansed according to aseptic principles, and this procedure was repeated at every visit.

The diluted exosome preparation was injected into and around the wound area every three days for 1 week, using the mesotherapeutic technique using Dr. Sabuhi Abilov's

SABUHI ABILOV, MD, Board
Certified Maxillo-Facial Plastic Surgeon, Azerbaijan; AYTAN MIRZALIYEVA, MD, Surgeon, Cosmetologist, Aesthetic Doctor in Medline Aesthetic Clinic, Azerbaijan; CARLOS AZNAR SÁNCHEZ, MD, Master in Aesthetic medicine by L’Union International de Médecine Esthétique, General Manager of Simildiet Laboratorios
Figure 1 (A) Necrotic wound (B) after treatment with exosomes

specific technique for this clinical case: 0.5 ml per injection. The distance between injection points was 2–3 mm, and the injection depth was 2–4 mm.

Results

The outcome of this study was that we observed the healing of necrotic wounds within a week of initiating treatment with Melissa spp. -derived exosomes. The area of the wound rapidly progressed through all phases of healing, culminating in the formation of minimal scar tissue.

Innovative anti-ageing therapies: case studies and results

Treatment Protocol

Sokolovskaia Helena developed an innovative anti-ageing therapy utilising Simildiet Antiaging Exos, a powerful product designed to combat the signs of ageing. A 45-year-old female patient underwent this treatment, which consisted of two sessions where 2.5 ml of Simildiet Antiaging Exos was administered each time, with a 15-day interval between sessions. The injections, using the micropapular technique, were administered around the eyes and the corners of the mouth, areas most prone to wrinkles and fine lines.

The results were highly satisfactory, and demonstrated a significant reduction in pronounced wrinkles in the treated areas. This outcome highlights the efficacy of Simildiet Antiaging Exos in visibly reducing the signs of ageing in middle-aged patients.

“The results were highly satisfactory, showing a significant reduction in pronounced wrinkles in the treated areas. This outcome highlights the efficacy of Simildiet Antiaging Exos in visibly reducing the signs of ageing in middle-aged patients.”

Treatment protocol

Dr. Bohachova Anna, a qualified dermatologist, has implemented an antiaging therapy protocol using Simildiet Antiaging Exos. A 35-yearold patient who presented with fine wrinkles and dehydrated skin was selected for this advanced treatment, which consisted of two sessions where 5 ml of Simildiet Antiaging Exos was administered in each, with a 15-day interval between sessions. The injections, using the micro-papular technique, were

applied to the face and neck. The results of the treatment were impressive, showing rapid skin recovery and a reduction in wrinkles. This protocol highlights the effectiveness of the micropapular technique in addressing fine wrinkles and improving skin hydration in younger patients.

Find out more at: simildiet.com

HELENA SOKOLOVSKAIA, MD, Pharmacologist, Ukraine; ANNA BOHACHOVA, MD, Dermatologist, Ukraine
Figure 2 (A) Wrinkles evident around the eyes, (B) after two sessions of exosome injections
Figure 3 (A) Patient with fine wrinkles and dehydrated skin, (B) after two exosome treatments

EXOSOMES: NATURE’S GIFT TO YOUR SKIN

Dr Rosario Salud Blas explores the applications of exosomes in aesthetic medicine and

their

role in addressing skin concerns and wound healing

DR. ROSARIO SALUD BLAS

is a board-certified dermatologist in the Philippines. She is an International Fellow of the American Academy of Dermatology and a Senior Member of the International Society of Extracellular Vesicles. She is an active consultant in the Department of Dermatology, St. Luke’s Medical Center, Global City and the Centre Medical Internationale, Global City, Taguig, Philippines

PERHAPS THE MOST underrated discovery in the last 30 years is the discovery of what exosomes can really do in the human body. Long dismissed as the ‘wastebaskets’ of cells, exosomes are now being respected for the many important responsibilities they carry out.

Exosomes are small extracellular vesicles produced by almost all living cells, not just human stem cells. These are characteristically:

■ nanosize, with a diameter less than 200 nm,

■ encapsulated with a lipid bilayer membrane,

■ not alive, thus not able to replicate on their own1

The main function of an exosome is in cell-to-cell communication. Each of these small extracellular vesicles carries the message of its parent cell

and a cargo of needed bioactive macromolecules such as miRNAs and proteins2. The lipid bilayer membrane of the vesicle appears to be evolutionarily conserved and is thus not rejected when applied to others, making heterologous sources feasible. The natural sources of exosomes are diverse. These include, for example, adipose tissue and other mesenchymal sources, bacteria and plant-derived exosome-like nanoparticles (PELNs)3

At the time of writing, all exosomes used in the specialties of dermatology, aesthetic medicine, and plastic and cosmetic surgery are registered only for topical application. None have been approved as an injectable4. Despite this current cosmetic label, reputable exosome manufacturing companies publish their research in respected scientific journals and produce their products in GMP-compliant,

pharmaceutical medical-grade facilities. These companies abide by their national MoH regulations and the MISEV 2023 guidelines of the International Society of Extracellular Vesicles.

The current practice of physicians and other health care providers is the synergistic use of exosomes with non-invasive devices such as electrophoresis, iontophoresis, microneedling, radiofrequency, LEDs, lasers and other energy-based technology. The skin and scalp are the most common sites of clinical use. Cosmetic concerns such as hair loss, skin photodamage, atrophic scarring, and medical issues like atopic dermatitis and wound healing are a few of the problems that have been improved with the topical application of exosomes in conjunction with in-clinic procedures.

Clinical applications for topical exosomes

Adipose stem cell-derived exosomes (ASC-Exos) are anti-inflammatory and known to have roles in all stages of skin wound healing, such as promoting thrombin activity and angiogenesis5,6. Topically applied commercially available ASC-Exo with a hyaluronic acid carrier increases collagen type III and extracellular matrix (ECM) remodelling, resulting in accelerated wound healing rates by 10%7. To visibly appreciate this swift healing, one must be sure to address patient variables such as controlling comorbidities like diabetes, preventing any secondary infection in the wound, and encouraging lifestyle changes

Figure 1 Clinical photographs taken at baseline, at week 2 (after the first treatment), and week 12 (8 weeks after the final treatment). After exosome treatment, clinical improvement of erythema on both cheeks, forehead and chin were noted.

such as quitting cigarette smoking and the use of e-cigarettes and vaping.

Exosomes also help patients with atopic dermatitis by restoring the skin barrier function. Topically applied ASC-Exos have an effect on the salvage pathway by activating the enzyme sphingosine kinase 1 (Sphk1) and inhibiting S1P lyase (S1PL), resulting in the de novo production of ceramides8. The anti-inflammatory property of ASC-Exos also helps decrease the erythema associated with dupilumab treatment by decreasing cytokine IL-1α (Figure 1)9 The relief of chronic seborrheic dermatitis has also been recently documented10

Post-inflammatory hyperpigmentation may also be improved by the topical application of PELNs from different plants11. These PELNs can transport bioactive materials to inhibit tyrosinase and improve skin hyperpigmentation (Figure 2). The ASC-Exos have also been shown to decrease intracellular melanin12. These effects are often seen as early as 4 weeks of application, with visibly significant improvement at 8 weeks.

ASC-Exos are also used with microneedling and other energy-based devices to shorten patient downtime and improve clinical results. In post-acne atrophic scarring treated with fractional carbon dioxide laser resurfacing, the addition of ASC-Exos significantly hastened wound healing and skin barrier restoration13

These are only a few examples of what these small extracellular vesicles can do for the skin. It is frankly amazing how a registered cosmetic product can swiftly address chronic problems such as skin wound healing and atopic dermatitis in the appropriate patients. We excitedly anticipate more randomised, controlled, double-blind, placebo-

“Cosmetic concerns such as hair loss, skin photodamage, atrophic scarring, and medical issues like atopic dermatitis and wound healing are a few of the problems that have been improved with the topical application of exosomes in conjunction with in-clinic procedures.”

2

applied. Treatment: 1

plus ASCEplus. Proper use of sunscreen emphasized. (B) Two months after 1 session of microneedling and ASCEplus and sunscreen use. Photo courtesy of Dr Blas.

controlled trials on this novel product being published soon.

Five key points to take home

■ Exosomes are a novel, cell-free product that is topically applied to improve skin and scalp concerns

■ Exosomes are not alive and function primarily in cell-to-cell communication

■ Exosomes are only as good as their parent cell and must be produced, isolated, purified, characterised and packaged in GMP-compliant, pharmaceutical medical-grade facilities that follow the MISEV 2023 guidelines and should be registered in the MoH in their country of origin

■ At present, exosomes are used synergistically with different devices to improve the results of such treatments and hasten the healing of patients

■ At the time of writing, all exosomes are registered as cosmetics. There are none approved as injectables.

References

1. Welsh J, Goberdhan D, O’Driscoll L et al. Minimal information for studies of extracellular vesicles (MISEV 2023): From basic to advanced approaches. J Extracell Vesicles. 2024; 13: e12404

2. YiQ, Xu Z, Thakur A et al. Current understanding of plant-derived exosome-like nanoparticles in regulating the inflammatory response and immune system microenvironment. Pharmacy Res 2023; 190:106733

3. Flemmin J, Wermuth P, Mahoney M. Extracellular vesicles in the skin microenvironment: Emerging roles as biomarkers and therapeutic tools in dermatologic health and disease. J Invest Dermatol. 2024; 144: 225-233

4. Tawanwongsri W, Vachiramon V. Skin necrosis after intradermal injection of lyophilized exosome: A case report and a review of the literature. J Cosmet Dermatol. 2024 May; 23(5); 1597-1603.

5. Chance T, Rathbone C, Kamucheka R et al. The effects of cell type and culture condition on the procoagulant activity of human mesenchymal stromal cell-derived extracellular vesicles. J Trauma Acute Care Surg. 2019; 87:574-82.

6. Pomatto M, Gai C, Negro F et al. Differential therapeutic effect of extracellular vesicles derived by bone marrow and adipose mesenchymal stem cells on wound healing of diabetic ulcers and correlation to their cargoes. Int J Mol Sci. 2021; 22: 3851.

7. Lee J, Won Y, Kim H et al. Adipose tissue-derived mesenchymal stem-cell derived exosomes promote wound healing and tissue regeneration. Int J Mol Sci 2023 June; 24(13): 10434

8. Shin K, Ha D, Kim J et al. Exosomes from human adipose tissue-derived

mesenchymal stem cells promote epidermal barrier repair by inducing de novo synthesis of ceramides in atopic dermatitis. Cells 2020, 9(3):680

9. Han H, Koh Y, Hong J et al. Adipose-derived stem cell exosomes for treatment of dupilumab-related facial redness in patients with atopicdermatitis. J Dermatol Treat 2023; 34(1): 2220444.

10. Luengarun S, Cho B, Tempark T. Topical moisturizer with rose stem-cell derived exosomes (RSCEs) for recalcitrant seborrheic dermatitis: A case report with 6 months of follow-up. J Cosmet Derm 2024 June 3. doi. org/10.1111/jocd.16389

11. Lee R, Ko H, Kim K et al. Antimelanogenic effects of extracellular vesicles derived from plant leaves and stems in mouse melanoma cells and human healthy skin. J Extracell Vesicles 2019; 9(1): 1703480

12. Cho S, Lee J, Won Y et al. Skin brightening efficacy of exosomes derived from human adipose tissue-derived stem/stromal cells: A prospective, split-face, randomized placebo-controlled study. Cosmetics 2020; 7(4):90

13. Kwon H, Yang S, Lee J et al. Combination treatment with human adipose tissue stem cell-derived exosomes and fractional CO2 laser for acne scars: A 12-week prospective, double-blind, randomized, split-face study. Acta Derm Venereol 2020;100:adv00310

Figure
(A) Two months history of post-inflammatory hyperpigmentation due to irritant contact dermatitis. No meds
session of microneedling

EUROPE

5–7 SEPTEMBER 2024

Marbella International

Plastic Surgery Summer School Marbella, Spain www.mipss.eu/

6–7 SEPTEMBER 2024

RSM Aesthetics London, UK www.rsmaesthetics.com

12–14 SEPTEMBER 2024

European Association of Societies of Aesthetic Plastic Surgery

Gothenburg, Sweden esaps.eu/event/esaps-biennial-meeting

25–29 SEPTEMBER 2024

EADV 2024

Amsterdam, Netherlands eadv.org

26–27 SEPTEMBER 2024

BAAPS 2024

London, UK baaps.org.uk/

3–5 OCTOBER 2024

Agorà 2024

Milan, Italy www.congressomedicinaestetica.it/

28–30 NOVEMBER 2024

State of the Art in Plastic Surgery (SOAP) 2024

Bremen, Germany www.soap-meeting-bremen.de

27–29 MARCH 2025

AMWC Monaco 2025

Monte Carlo, Monaco www.amwc-conference.com

NORTH AMERICA

26–29 SEPTEMBER 2024

Plastic Surgery: The Meeting San Diego, California www.plasticsurgerythemeeting.com/

17–20 OCTOBER 2024

ASDS Annual Meeting Orlando, Florida www.asds.net

23–27 OCTOBER 2024

American Dermatological Association Meeting Seattle, Washington ada1.org/

REST OF WORLD

18–20 OCTOBER 2024

AMWC China Chengdu, China en.amwcchina.com/

10–11 NOVEMBER 2024

AMWC Japan Tokyo, Japan www.amwc-japan.com/en

21–23 NOVEMBER 2024

AMWC Southeast Asia Bangkok, Thailand www.amwc-southeastasia.com

Turn static files into dynamic content formats.

Create a flipbook
Issuu converts static files into: digital portfolios, online yearbooks, online catalogs, digital photo albums and more. Sign up and create your flipbook.