Role of Notch Signaling in Ciliated Cells of the Airway Epithelia

Page 1

10 IX September 2022 https://doi.org/10.22214/ijraset.2022.46902

ISSN:

9653; IC Value:

www.ijraset.com

Role of Notch Signaling in Ciliated Cells of the Airway Epithelia

1Grade XII, Mallya Aditi International School, Bangalore, India.

2Institute For Stem Cell Science and Regenerative Medicine

Abstract: Multiciliated cells of airway epithelium are terminally differentiated cells which are involved in the mucociliary clearance and trapping pathogens and particulate matter. Previous works have shown the transdifferentiation of secretory club cells to ciliated cells upon inhibition of Notch signaling. But, none of the existing literature reports presence or role of Notch signaling in multiciliated cells of airway epithelium. Immunostaining for Notch Intracellular Domain (NICD) revealed the presence of Notch signaling in multiciliated cells of the airway. The basic aim of this paper is to understand whether there is a role of Notch signaling in ciliated cells, by doing a cell autonomous ablation of Notch in this particular cell type using FOXJ1 CreErtm/+ RBPJkflox/flox animals. We didn’t observe any obvious change in cellular architecture of lung or any difference in club or ciliated cell numbers.

I. INTRODUCTION AND BACKGROUND

Mammalian airway epithelium consist majorly of club cells, ciliated cells, basal cells and goblet cells. It plays a critical role in conducting air to and from the alveoli and is central to the defense of the lung against pathogens and particulates that are inhaled from the environment.

To understand the basis of this experiment, we must understand the cellular composition and general structure of the airway epithelia in mammals. Broadly, it consists of 3 types of cells (Gartner, 2015):

1) Goblet Cells/ Club Cells: These cells are mucosal; their primary function being the synthesis and secretion of mucus (by producing mucin glycoproteins). They act as sites for mucosal absorption, and also have protective functions in the respiratory tract lubricating the pathways and preventing the entry of unwanted particles into the lungs. (Le & Dao, 2022) These are narrow cells that resemble a goblet, with narrow bases and wider apexes; the apical component contains the mucin vesicles. (Vasković, 2022) Additionally, mature goblet cells are approximately 11 µm in diameter. (Bowlus & Gershwin, 2014)

2) Ciliated Columnar Cells: These cells are specialized and constitute approximately 30% of the total respiratory epithelial cell population, These narrow cells have a basal nucleus and possess cilia on their apical cell membrane. (Gartner, 2015) Cilia are membrane bound projections that arise from the cell surface and contain a microtubule cytoskeleton, and an axoneme that is enclosed within a ciliary membrane. The function of cilia is to move water relative to the cell in a regular movement; moving mucus and its trapped particulate matter, via ciliary action, toward the nasopharynx for its elimination. (Satir & Christensen, 2007)

3) Basal Cells: These are short cells located on the basement membrane and are relatively undifferentiated cells. These are considered to be stem cells that proliferate to replace non functioning goblet and ciliated cells, and are progenitors of these cells. (Dean & Snelgrove, 2018) These basal cells are sensitive to tissue health by initiating tissue repair by interacting with specialized immune cells. (Ruysseveldt et al.)

For the purpose of this experiment, we will be looking at the club cells and ciliated cells. As we already know, ciliated cells are specialized; i.e., they cannot be differentiated further. However, club cells, being secondary stem cells, are able to give rise to ciliated cells. So how is this related to ‘notch signaling’?

Cell signaling can be defined as the process by which a cell responds to substances outside the cell through signaling molecules. Signals transmitted after the binding of molecules such as hormones and neurotransmitters onto protein receptors (specific to that molecule) that bind to a specific protein receptor (signaling molecule) are passed from one molecule to another, resulting in a specific cell response. (Cell Signaling, n.d.) Notch signaling is a cell signaling mechanism. Notch signaling is involved in the intercell communication process by influencing patterns of gene expression and cell differentiation. (Roy, 2019) Notch is the cell surface receptor, present on cells undertaking this mechanism, which transduces short range signals by interacting with transmembrane ligands on neighboring cells. (Kopan, 2012)

International Journal for Research in Applied Science & Engineering Technology (IJRASET)
2321
45.98; SJ Impact Factor: 7.538 Volume 10 Issue IX Sep 2022 Available at
1707©IJRASET: All Rights are Reserved | SJ Impact Factor 7.538 | ISRA Journal Impact Factor 7.894 |

International

Science

Engineering Technology (IJRASET)

ISSN: 2321 9653; IC Value: 45.98; SJ Impact Factor: 7.538

Volume 10 Issue IX Sep 2022 Available at www.ijraset.com

In the airways, notch signaling plays a significant role. In fact, the improper function of Notch signaling results in a wide range of respiratory diseases including pulmonary artery hypertension (PAH), chronic obstructive pulmonary disease (COPD), interstitial pulmonary fibrosis (IPF), and lung cancer.

Therefore, through the experiment, if we are able to increase our understanding of the biological functions of Notch signaling, this can help us identify new treatment targets in multiple respiratory disorders. As mentioned before, we already know that club cells can give rise to ciliated cells. From previous reports in the lab that once the cells undertake notch signaling, the club cells in the respiratory airway can give rise to ciliated cells. However, it is unknown whether it is a general inhibition of notch signaling in club cells, or if it is the inhibition of notch in ciliated cells that give this transition.

II. METHODS

Through the experimental methods, we are looking at the general architecture of the lungs and if there is any differentiation from club to ciliated cells.

The main part of this experiment was generating the mice. Two FOXJ1 CreErtm/+RBPJkflox/flox mice were utilized; one control and one test subject. Portions of the mice’s tails were cut and DNA was extracted from them.

For genotyping, PCR was carried out, followed by electrophoresis. By utilizing PCR, we were able to amplify a small section of the DNA, giving us enough copies of the DNA sequences to use it in other future techniques. It was undertaken for 3 genes FoxJ1 cre (Wild Type and Mutant), Tdt and RBPJ Kappa.

After this, we utilized agarose gel electrophoresis to visualize the DNA, and determine which genes were present. In agarose gel electrophoresis, DNA is added to gel walls, and electric current is applied. We utilized EtBr as a dye as although it may be mutagenic, other dyes lack toxicological evidence regarding their safety. EtBr must be utilized and disposed of with high degrees of caution due to its carcinogenic nature.

A. Immunostaining Protocol

Adults lungs were inflated with 4% (wt/vol) Paraformaldehyde in PBS and immersed in the same fixative overnight (4oC). Fixed lungs were subsequently embedded in paraffin for histological analysis and 5 micron thin sections were used for immunostaining experiments.

B. Deparaffinization and Rehydration

Xylene for 5 min (2X)

100% ethanol for 5 min (2X), 90% ethanol for 2 min, 70% ethanol for 2 min, 50% ethanol for 2 min Distilled water for 5 min (3X)

C. Antigen Retrieval

Add 6.5ml of Tris based antigen retrieval buffer to 650 ml of DEPC water. Cover the beaker with a lid. Boil the solution for 10 min at 100% power. Insert the slides into the boiling solution and reheat for 15 min at 80% power. Keep the beaker outside, remove the lid and let the slides and solution cool down to RT (1 hr).

D. Washes

Wash with 1x PBS for 5 min (3 times)

Mark the borders using a hydrophobic pen.

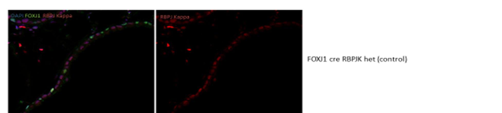
Add the blocking solution in 1:200 dilution. We use Mouse and donkey serum diluted in PBS. (1hr) Add primary antibodies. We used Goat anti Scgb1a1 (Santa Cruz, 1:500), Mouse anti Foxj1 (eBioscience, 1:100), Rabbit RBPUSH (CST, 1:200), Mouse anti RFP (Abcam, 1:300) antibodies and incubated overnight at 4 0 C. Alexa 488/568/647 conjugated Donkey anti mouse/rabbit/goat secondary antibodies (Invitrogen,1:300) are added and incubated for 2 hrs.

Sections were imaged on a Zeiss LSM 780 laser scanning confocal microscope.

Journal for Research in Applied
&
1708©IJRASET: All Rights are Reserved | SJ Impact Factor 7.538 | ISRA Journal Impact Factor 7.894 |

Here,

For Tdt,

For RBPJ

International Journal for Research in Applied Science & Engineering Technology (IJRASET) ISSN: 2321 9653; IC Value: 45.98; SJ Impact Factor: 7.538 Volume 10 Issue IX Sep 2022 Available at www.ijraset.com 1709©IJRASET: All Rights are Reserved | SJ Impact Factor 7.538 | ISRA Journal Impact Factor 7.894 | III. RESULTS AND CONCLUSION Fig. 1. Genotyping of biopsy sample taken from animal of interest to confirm the genotype.
For FOXJ 1 Cre, the wild type band is 472bp, heterozygous (het) is 472/294 bp and mutant is 294 bp.
the mutant band is 194 bp and Wild Type is 297 bp
kappa, the mutant band is 900 bp while Wild Type is 700 bp

ISSN: 2321 9653; IC Value: 45.98; SJ Impact Factor: 7.538 Volume 10 Issue IX Sep 2022 Available at www.ijraset.com

Through the experiment, we see that there is no change in the general architecture of airway epithelium between the control and test animals; the number of club cells and the number of ciliated cells were not significantly different in test and control. Thus, what we can conclude is that there is no obvious cell specific role for Notch signaling in ciliated cells in phenotypic level. Further experiments have to be carried out to understand if there is any gene regulatory role for Notch in ciliated cells.

REFERENCES

[1] Bowlus, C. L., & Gershwin, M. E. (2014). Autoantibodies (Third Edition) (Y. Shoenfeld & P. L. Meroni, Eds.). Elsevier. https://doi.org/10.1016/B978 0 444 56378 1.00034 4. https://www.sciencedirect.com/science/article/pii/B9780444563781000344

[2] Cell Signaling. (n.d.). Comprehensive Cancer Information NCI. https://www.cancer.gov/

[3] Dean, C. H., & Snelgrove, R. J. (2018, December 1). New Rules for Club Development: New Insights into Human Small Airway Epithelial Club Cell Ontogeny and Function. NCBI. https://www.ncbi.nlm.nih.gov/pmc/articles/PMC6290947/

[4] Gartner, L. P. (2015). Textbook of Histology E Book. Elsevier Health Sciences.

[5] Kopan, R. (2012). Notch Signaling PMC. NCBI. https://www.ncbi.nlm.nih.gov/pmc/articles/PMC3475170/

[6] Le, P. H., & Dao, D. P. D. (2022, May 5). Histology, goblet cells. National Library of Medicine. https://www.ncbi.nlm.nih.gov/books/NBK553208/

[7] Roy, A. (2019, February 26). Notch Signaling Pathway. News Medical. https://www.news medical.net/life sciences/Notch Signaling Pathway.aspx

[8] Ruysseveldt, E., Martens, K., & Steelant, B. (n.d.). Airway Basal Cells, Protectors of Epithelial Walls in Health and Respiratory Diseases. Frontiers. https://www.frontiersin.org/articles/10.3389/falgy.2021.787128/full

[9] Satir, P., & Christensen, S. T. (2007). Overview of structure and function of mammalian cilia PubMed. Annual review of physiology, 69. https://pubmed.ncbi.nlm.nih.gov/17009929/

[10] Stottler, J. (n.d.). Ethidium Bromide (EtBr) Safety Guidance. https://ehs.wisc.edu/wp content/uploads/sites/1408/2020/08/CHM GUI 003 NEW.pdf

[11] Vasković, J. (2022, July 6). Goblet cells: Definition, location, function. Kenhub. https://www.kenhub.com/en/library/anatomy/intraepithelial glands

International Journal for Research in Applied Science & Engineering Technology (IJRASET)
1710©IJRASET: All Rights are Reserved | SJ Impact Factor 7.538 | ISRA Journal Impact Factor 7.894 |

Turn static files into dynamic content formats.

Create a flipbook
Issuu converts static files into: digital portfolios, online yearbooks, online catalogs, digital photo albums and more. Sign up and create your flipbook.
Role of Notch Signaling in Ciliated Cells of the Airway Epithelia by IJRASET - Issuu