Microbiological Quality of Street-Vended Pani Puri Sold in Different Cities of India

Page 1

10 X October 2022 https://doi.org/10.22214/ijraset.2022.47068

ISSN: 2321 9653; IC Value: 45.98; SJ Impact Factor: 7.538

Volume 10 Issue X Oct 2022 Available at www.ijraset.com

Microbiological Quality of Street-Vended Pani Puri Sold in Different Cities of India

1

Abstract: A major health issue across the world is the microbial contamination of ready to eat meals supplied by street vendors and hawkers. Each city in India has its own distinctive street cuisine and a big portion of the population enjoys these delights because of their taste and flavor. In addition to their deliciousness and flavor, these meals are affordable and widely accessible. Panipuri is the most consumed street food from north to south and east to west. The current investigation was conducted to evaluate the microbial and fungal composition of the masala pani and matar sold with panipuri in major Indian towns. Utilizing tainted raw ingredients and food components, dirty water, unhygienic preparation methods, and infected containers all contributed to the contamination. Nearly 100 samples or more are aseptically collected in a screw cap container from various sites in various Indian cities and then analyzed following the prescribed methods, the predominant bacteria and fungus were isolated and identified. After analysis, a significant amount of bacterial pathogens were found in the food sample. The majority of the time, fungi like Mucor and Rhizopus are found alongside bacteria like Salmonella spp., Escherichia coli, Pseudomonas spp., Enterobacter spp., and Bacillus spp. Fecal contamination of the processing wat, as well as ongoing unsanitary circumstances associated with the location of the food booths,hs, were both suggested by the detection of fecal Streptococci and Coliform. Consumption of contaminated foods harboring bacteria and their toxin leads to foodborne disease. Therefore, it has been listed that to ensure the safety of human health, street food qualities must be checked and microbiological load standards must have adhered to.

Keywords: Street foods, Panipuri, Isolation, Indian cities, Contamination, Escherichia coli; Staphylococcus spp; Klebsiella spp; Salmonella spp; Shigella spp. ]

I. INTRODUCTION

Street food is defined as ready to eat foods and beverages that are produced and sold by hawkers and vendors, typically in public areas like streets (Torun Kumar Paul, 2018). In a nation like India, it is popular over time, every day Millions of people are fed with very inexpensive and diverse street cuisines easily reachable (Mohamed Ahmed Khalif, 2018). In most cases, vending machines lack flowing water, sites use bowls for hand washing and dishwashing or buckets, occasionally lacking soap. So from a health perspective, selling meals on the street is on controversial (Mohamed Ahmed Khalif, 2018). Street snacks increase the risk of foodborne illness. Diseases were reported in several locations, including Bangladesh, Gwalior City, Bangalore, and Chennai. Bacteria in food diseases frequently, the majority of the germs found in street meals are challenging to control, and they occasionally reach high levels that can cause fatality of a person (Anitha Akilan, 2020). About 30 million people live in Bangladesh Per year from a food borne illnesses (Mohamed Ahmed Khalif, 2018). The sample taken was Panipuri water, which was chosen for this study from a variety of sources. Recent studies in Lalitpur, a city that is part forbidden in Nepal’s province No. 2, the Kathmandu valley in Panipuri, there are more Cholera cases than usual (The New Indian Express, 2022) Several panipuri stalls in the city’s streets because of improper Aloo serving and storage procedures, Unclean water, and cholera germs were discovered in traces (Neha Chauhan, 2015)The water utilized by the population in India is 1.3billion, densely populated area. So there are chances of getting an infection through the consumption of street foods. Considering the facts, this study was carried out to assess the total bacterial load Isolation, and Identification of Pathogenic Bacteria like Escherichia coli, and Salmonella species in street foods.

II. MATERIALS AND METHODS

A. Sample Collection

To determine the microbiological quality of street food from different cities, random areas were selected. Various samples were collected like aloo stuffing, panipuri water was collected (Neha Chauhan, 2015)

International Journal for Research in Applied Science & Engineering
)
Technology (IJRASET
633 ©IJRASET: All Rights are Reserved | SJ Impact Factor 7.538 | ISRA Journal Impact Factor 7.894 |
Rakshitha N R , Bhavya D L2 , Swetha S A3 , Anusha M4 , Prof. Sheema Kauser5 1, 2, 3, 4PG Students, 5Associate Professor, Department of Microbiology, Nrupatunga University, Government Science College, Bangalore 01, India

ISSN: 2321 9653; IC Value: 45.98; SJ Impact Factor: 7.538

Volume 10 Issue X Oct 2022 Available at www.ijraset.com

B. Materials required for determination of microorganisms

1) Media: Nutrient broth and nutrient agar, selective media MacConkey agar, Tryptic Soy agar, Peptone water, and Methyl red Voges Proskauer (MR VP) broth (Rajesh Singh Tomar, 2018)

2) Glassware: Test tubes, Pipettes, Petri plates, Glass rods, Slides, and Inoculation loop (Thomas, 2022).

3) Statistical Analysis: The percentage was used to determine the level of microbial contamination. The most common organism was discovered using a statistics book (Zar, 2010)

III. PROCEDURE

A. Bacterial Isolation

1) One gram of the sample was taken and homogenized.

2) One millimeter of the homogenate is added to 9 ml of sterile distilled water in a test tube and diluted serially to obtain the required dilution

3) For the enumeration of microbes, Streak plate, Pour plate, and Spread plate techniques were performed

4) The plates were incubated for around 24 48 hours at 37C.

5) The agar plates were checked for growth after overnight incubation.

6) If growth was seen, the isolated colonies were picked up.

7) Various selective and differential mediums were used to transfer the isolated colonies of organisms, and different biochemical assays were used to identify them (Nagendra Prasad Yadav, 2019).

8) The plates were incubated for an additional 24 hours if growth was not seen following overnight incubation. The pani was deemed sterile and devoid of aerobic bacteria if there was no growth (Satish V G. U., 2021)

B. Fungal Isolation

1) The serially diluted samples were plated on the media and incubated for 24 48 hours The growth of fungal colonies is seen and these are tested by staining with lactophenol blue (Aruna, 2017).

2) Modern approaches, such as biosensors, nucleic acid based tests (NAT), and various PCR based techniques used in molecular biology to identify certain foodborne pathogens, have largely supplanted traditional methods (Umesha S, 2018)

IV. COLIFORMS DETECTION

The presence of coliform was studied both in liquid and solid parts (potato masala dissolving in sterilized distilled water at a final concentration of 1%) of the sample collected. Presumptive and confirmatory coliform tests were carried out by Most Probable Number (MPN 3 tube test) and sub culturing the same onto EMB agar plates, respectively (Aneja 1996) & (Madhuchhanda Das C. C., 2012)

V. IDENTIFICATION OF MICROBIAL ISOLATES

The isolated bacterial colonies are gram stained and the biochemical tests were performed for the isolated colonies using a standard protocol (Dr.Arijit Das, 2010) and the identification of the fungal isolates was performed by staining with Lacto phenol blue and observing the microscopic characters The isolated colonies were identified by doing Gram staining and by studying the morphology of the colony. Based on Gram staining certain Biochemical tests were performed and Bergeys Manual was followed (Thomas, 2022)

A. MALDI TOF MS

Matrix aided laser desorption ionization time of flight mass spectrometry (MALDI TOF MS) has, however, recently come into focus as a possible method for the detection and diagnosis of microorganisms. Microbes are identified utilizing either whole cells or cell extracts during the MALDI TOF MS procedure. The procedure is delicate, quick, and affordable in terms of labor and other associated expenditures. Microbiologists have quickly adopted the technology and reported using MALDI TOF MS for a variety of tasks, including microbial identification and strain typing, epidemiological studies, the detection of biological warfare agents, the detection of water and food borne pathogens, the detection of antibiotic resistance, and the detection of blood and urinary tract pathogens, among others. The technology’s drawback is that novel isolates can only be identified if the spectrum data are available (Singhal N, 2015).

International Journal for Research in Applied
Science & Engineering Technology (IJRASET)
634 ©IJRASET: All Rights are Reserved | SJ Impact Factor 7.538 | ISRA Journal Impact Factor 7.894 |

ISSN: 2321 9653; IC Value: 45.98; SJ Impact Factor: 7.538

Volume 10 Issue X Oct 2022 Available at www.ijraset.com

VI. RESULTS AND DISCUSSION

Samples overall were gathered for the current study from various Indian cities. Each sample was split up into two parts, each of which was then assessed further. Due to the fact that many of the sellers don’t wear gloves and the conditions in which they prepare the food, pathogenic bacteria proliferate more quickly. In every season of the year, RTE food samples were found to be contaminated, but the issue was worst in the summer season Probably because foodborne germs are so prevalent, more often when the weather is warm (Samad A, 2018) The situation is made worse by the sellers’ personal hygiene, notably their excessive perspiration in the summer (Jannat Raza, 2021). There have been reports of significant quantities of residues from excessive chemical applications to improve farming operations in soils, cattle, and aquatic creatures (F.P.Carvalho, 2006)

In contrast to solid samples, whose pH ranged from 5.5 to 6.0, liquid samples were found to have a significantly acidic pH (Madhuchhanda Das C. C., 2012) By using the pour plate technique at various dilutions, a total of panipuri samples from different zones were examined for the presence of bacterial pathogens. A compilation of the total viable count (CFU/ml) at various dilutions is made. The findings reveal that nearly all panipuri samples have a high bacterial load because the total viable count of bacteria varied between 58.6 121.310 5CFU and 48 119.310 5CFU in all samples of masala pani and matar, respectively (Prachi Marwaha S. P., 2018) The presence of numerous microbe species in the majority of samples was discovered, which indicates that the sample’s bacteriological quality is low. According to research, the samples are microbiologically unsafe to consume. This could be a result of contamination factors like contaminated water used during preparation and washing, uncovered or unhygienically maintained utensils, garbage bins left open, inconsistent hand washing, incomplete heating, or secondary contamination through contact with contaminated equipment like cutting boards, knives, and serving ware (Prachi Marwaha S. P., 2018) Water used by vendors for dishwashing has been found to contain pathogens such as Salmonella and Shigella (Tane, 2011). The majority of research in hot cities like Chennai, Baripada, Hyderabad, Telangana, and Bangalore has revealed that a high count of feces borne coliforms, feces borne Streptococci, Salmonella, Shigella, Klebsiella, and other species can be harmful The graph showed the total percentage of E. coli, Staphylococcus, Klebsiella, Streptococcus, and Shigella detected in various Indian cities, including Chennai, Baripada, Telangana, and Hyderabad, because of the bacterial aerosols produced by sneezing and coughing in public spaces, the prevalence of respiratory pathogens like Klebsiella in panipuri water may be explained. Due to various physical, chemical, and biological factors, the percentage of microorganisms found in the investigated locations varies (Dr.Arijit Das, 2010).

Fig.1 Graphical representation of the microbial percentage of different masalapani samples at different cities in India.

In Chennai the Salmonella, Staphylococcus, Shigella, and Klebsiella species are next in frequency in Chennai, followed by E. coli (Anitha Akilan, 2020). This shows that the samples were contaminated with faeces.

International Journal for Research in Applied Science
)
& Engineering Technology (IJRASET
635 ©IJRASET: All Rights are Reserved | SJ Impact Factor 7.538 | ISRA Journal Impact Factor 7.894 |

ISSN: 2321 9653; IC Value: 45.98; SJ Impact Factor: 7.538 Volume 10 Issue X Oct 2022 Available at www.ijraset.com

In Baripada, Escherichia coli species are abundantly present when compared to Shigella, Staphylococcus, and Salmonella respectively. Klebsiella species are next in frequency followed by Escherichia coli The presence of respiratory pathogen such as Klebsiella in pani puri water might be attributed to bacterial aerosols generated due to sneezing and coughing in public places. Salmonella and Shigella are not as common in Hyderabad as Escherichia coli which may be caused by dirty hands and water tainted with faeces , according to (G, 2022) In Telangana, Staphylococcus species are more in number followed by Escherichia coli and Klebsiella. Presence of Staphylococcus in food results in diarrhea and vomiting. Although most Staphylococcus infections are not serious, S. aureus can cause serious infections such as Bloodstream infections, Pneumonia, or joint infections. Sabouraud Dextrose agar was used to isolate colonies of acidophilic yeasts.

Saccharomyces spp was identified as the yeast isolate from the street vendor talks based on macroscopic and microscopic features. Mucor species and Rhizopus species were recognized as filamentous fungal forms among those isolated on potato dextrose agar (Dr.Arijit Das, 2010) Using biochemical testing, the colonies are examined for bacteria. The species was identified using biochemical characteristics and colony appearance (Anitha Akilan, 2020) Even other organisms like Bacillus are present in the wheat and rice flour used in preparation. Handling of soiled notes and currencies by the street food vendors might also act as vector transmission of Pseudomonas into the panipuri water (Dr.Arijit Das, 2010).

It is acceptable for Bacillus and Staphylococcus sp. To exist in Panipuri even in extremely acidic conditions because they typically display tolerance to a wide range of temperatures and Ph (Desai SV, 2010)

An overall sample of panipuri water and aloo stuffing were examined in this study. The samples were collected in aseptic condition at a temperature of 32°C and showed pH varying between 3.4 and 4.0 (Dr.Arijit Das, 2010) The majority showed fecal Coliforms. Microbial determination showed a high number of fecal Coliforms and Streptococci species indicating a bad quality of microorganisms in the chats (Dr.Arijit Das, 2010).

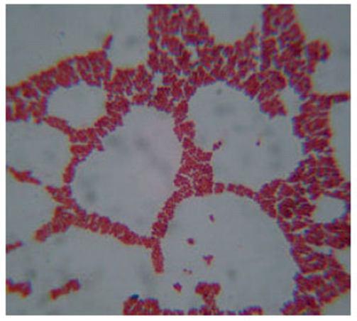
Fig.1 shows total bacterial counts on Tryptone Glucose Yeast Extract Agar.Fig.2 shows the presence of yeast and Streptococcus species and the morphology of these species can be obtained from gram staining.Fig.3 shows Staphylococcus aureus species isolated from different street food samples.Fig.4 shows the presence of Bacilli arranged in chains can be depicted through Gram staining.Fig.5 shows the presence of Acidophilic yeast colonies isolated on Sabouraud Dextrose agar obtained from street vended chats Panipuri masala pani.Fig.6 shows the presence of Mucor sp. these are filamentous fungal forms isolated on potato dextrose agar.

International Journal for Research in Applied Science
& Engineering Technology (IJRASET)
636 ©IJRASET: All Rights are Reserved | SJ Impact Factor 7.538 | ISRA Journal Impact Factor 7.894 |
Fig.2: Bacterial colonies on Tryptone Glucose Fig.3: Y, Yeasts; S, Streptococcus Yeast Extract agar faecalis Fig.4: Staphylococcus sp Fig.5: Gram Positive bacilli arranged in chains

ISSN: 2321 9653; IC Value: 45.98; SJ Impact Factor: 7.538

Volume 10 Issue X Oct 2022 Available at www.ijraset.com

VII. CONCLUSION

In the street vendors’ panipuri, the microbiological quality of panipuri sold in India is poor (G, 2022). This can be prevented by cooking food along the side of the road in a closed glass chamber with fresh ingredients and clean water while wearing gloves and a hand cap (Venkatesh Teegala, 2020)

Gram negative rods (Klebsiella Pneumonia and Vibrio spp.), Gram positive cocci (Staphylococcus aureus, Enterococcus faecalis), and Gram positive rods were among the organisms identified from the various street food samples (Lactobacillus sp (Thomas, 2022) According to the minimal requirements of wholesome and safe drinking water and food safety standards, the isolation of the pathogenic organisms is unacceptable. The best way to prevent food poisoning is to stay away from food sold on the street. The extensive contamination highlights the need for health education programs on food safety in both the food handler and the consumer and asks for regularised food inspection (Satish V, 2021)

The higher counts in these samples of food from street vendors may be the result of the food being prepared under unsanitary or unhealthy conditions, such as using dirty water, dipping bare hands in masala pani, and preparing the food next to a road where there is a lot of air pollution from vehicles, people moving around, dust, and other environmental pollutants that can contaminate the food. The microbial burden may have risen as a result of this. Fast food/street food preparation should be done in a closed glass chamber by the side of the road while wearing hand gloves, a cap, fresh ingredients, and clean water (Venkatesh Teegala*, 2020). Food security, nutrition, and safety are all intertwined. Every year, 420 000 people worldwide die and an estimated 600 million get sick from eating tainted food, losing 33 million years of healthy life (DALYs). Unsafe food costs low and middle income nations US$ 110 billion annually in lost productivity and medical costs.40% of foodborne disease deaths occur in children under the age of five, which results in 125 000 deaths annually. Foodborne illnesses obstruct socioeconomic progress by taxing healthcare systems and damaging international trade, tourism, and national economies (World health organization)

REFERENCES

[1] Anitha Akilan, K. K. (2020). Isolation and Identification of Pathogenic Bacteria From Street Foods In Chennai, 609 613.

[2] Arijit Das, G. S. (2010). Microbiological quality of street vended Indian Chaats sold in Bangalore, 255 260.

[3] Barro N, A. B. (2007). Street vended foods Improvement:Contamination Mechanism and Application of food safety objective strategy:Critical Review., 1 10.

[4] Bereda T, Y. E. (2016). Microbiological Safety of Street Vended Foods in Jigjiga City

[5] C, V. R. (2017). Microbial analysis of Street foods of different locations at Chennai (India)

[6] F.P.Carvalho. (2006). Agriculture,pesticides,food security and food safety, 685 692.

[7] FAO. (2012). The State of Food Insecurity in the World

[8] G.Uma Sri Tejasvi, A. K. (2022). Microbiological quality of panipuri sold in and around Greater Hyderabad municipal corporation ,Telangana, 127 133.

[9] Hasan M, S. K. (2018). Bacteriological quality assessment of buffalo meat collected from different districts of Bangladesh with particular emphasis on the molecular detection and antimicrobial resistance of the isolated salmonella species. , 12 20.

[10] Hassan MS, S. K. (2018). Bacteriological assessment of tap water collected from different markets of Mymensingh,Gazipur and Sherpur districts of Bangladesh with special focus on the molecular detection and antimicrobial resistance of the isolated Escher.

[11] Jannat Raza, T. M. (2021). Contamination of Ready to eat food in Pakistan with Salmonella spp, 123 127.

[12] Khandoker A Islam, M. M. (2015). Bacterial contamination of street vended spicy puffed rice sold at Bangladesh Agricultural University Campus.

[13] Madhuchhanda Das, C. C. (2012). Bacteriology of a most popular street food (panipuri)and inhibitory effect of essential oils on bacterial growth, 564 571.

[14] MC, D. V. (2010). Behavioural pattern of vegetative cells and spores of Bacillus cereus as affected by time temperature combinations used in processing of Indian traditional foods, 549 556.

[15] Mohamed Ahmed Khalif, M. H. (2018). Identification and antibiogram study of bacteria isolated from different street food, 279 287.

[16] Muzaffar AT, I. H. (2009). Entrepreneurs of the streets:An Analytical work on the street food vendors of Dhaka city, 80 88.

[17] Nagendra Prasad Yadav, R. K. (2019). Bacterial Contamination of Street Vended pani puri available in Janakpurdham ,Dhanusha, 70 75.

International Journal for Research in Applied Science
)
& Engineering Technology (IJRASET
637 ©IJRASET: All Rights are Reserved | SJ Impact Factor 7.538 | ISRA Journal Impact Factor 7.894 |
Fig.6: yeast colonies on SDA Fig.7: Mucor sp.

ISSN: 2321 9653; IC Value: 45.98; SJ Impact Factor: 7.538

Volume 10 Issue X Oct 2022 Available at www.ijraset.com

[18] Neha Chauhan, V. U. (2015). Microbial profiling if street foods of different locations at Dehradun city, 340 347.

[19] Prachi Marwaha, S. P. (2018). BACTERIAL PROFILE OF STREET VENDED PANIPURI FROM DIFFERENT ZONES OF JABALPUR CITY OF MP ,INDIA, 132 142.

[20] Rajesh Singh Tomar, M. G. (2018). Bacteriological Quality of Panipuri in Historical Gwalior City (MP),India

[21] Samad A, A. F. (2018). Prevalence of food borne pathogens in food items in Quetta,Pakistan, 1597 1600.

[22] Satish V, G. U. (2021). Bacterial aetiology of pani sold with popular street food chaat in Bengaluru, 020 024.

[23] Singhal N, K. M. (2015). MALDI TOF mass spectrometry:an emerging technology for microbial identification and diagnosis

[24] Tane, S. (2011). Street vended food in world: Hazard Analyses ,India, 100 106.

[25] The New Indian Express. (2022, June 27). Retrieved from thenewindianexpress: https://www.newindianexpress.com

[26] Thomas, R. K. (2022). Isolation and Characterization of Microbes of different kinds of street food and determination of antibiotic susceptibility of the isolates, 15 29.

[27] TorunBKumar Paul, S. R. (2018). Isolation and Identification of bacteria in different street vended foods collected from selected areas of Bangladesh, 65 70.

[28] Umesha s, M. H. (2018). Advanced molecular diagnostic techniques for detection of food borne pathogens:Current applications and future challenges, 84 104.

[29] Venkatesh Teegala, K. B. (2020). Microbiological quality of street vended panipuri in Jagtial district of Telangana ,India, 127 132.

[30] World Health Organisation. (n.d.). Retrieved from https://bit.ly/3v9kCd1

[31] Zar, J. H. (2010). Zar Biostatistical Analysis

International Journal for Research in Applied
Science & Engineering Technology (IJRASET)
638 ©IJRASET: All Rights are Reserved | SJ Impact Factor 7.538 | ISRA Journal Impact Factor 7.894 |

Turn static files into dynamic content formats.

Create a flipbook
Issuu converts static files into: digital portfolios, online yearbooks, online catalogs, digital photo albums and more. Sign up and create your flipbook.
Microbiological Quality of Street-Vended Pani Puri Sold in Different Cities of India by IJRASET - Issuu