Efficacy of Jambu (Seed) as an Antidote in Kuchala Poisoning an Experimental Study

Page 1

10 X October 2022 https://doi.org/10.22214/ijraset.2022.47072

ISSN: 2321 9653; IC Value: 45.98; SJ Impact Factor: 7.538

Volume 10 Issue X Oct 2022 Available at www.ijraset.com

Efficacy of Jambu (Seed) as an Antidote in Kuchala Poisoning an Experimental Study

Dr. Amit Kumar1, Dr. Ritu Kapoor2, Dr. Manoj Adlakha3

1MD scholar, P.G Dept, Agad Tantra Evam VyavaharAyuveda, DSRRAU, Jodhpur, Rajasthan, India

2Associate Professor & HOD, P.G Dept. Agad Tantra Evam Vyavahar Ayurveda, DSRRAU, Jodhpur, Rajasthan, India

3Associate Professor, P.G Dept, Dravya Guna Vinjana, DSRRAU, Jodhpur, Rajasthan, India

Abstract: Kuchala (Strychnos nux vomica) is spinal poison which is also classified as Upavisha in Ayurveda.Various poisons have been described in Ayurveda along with their antidotes. Mode of action of these antidotes is not mentioned in texts. In Ayurvedic literature According to Basavrajeeyam under the heading of Vish Prativishani, Jambu (seed) have been described to be possessing antidote action which may act by some way to counter toxicity of Kuchala. It is necessary to verify the efficacy of these antidotes on scientific parameters so that it can be useful in emergencies.

Objectives: To establish the action and mechanism of Jambu (seed) against toxic effects of Kuchala on albino wistar rats.

Methods: albino wistar rats were selected as an animal model and antidote potential of Jambu (seed) against Kuchala is evaluated by measuring convulsions and histopathological reports of brain and spinal cord.

Results: Jambu (seed) administration before Kuchala poisoning reduced the toxic effects of Kuchala such as convulsion and histopathological changes in brain and spinal cord.

Conclusion: From this study, we can conclude that Jambu (seed) can resist the toxic effects of Kuchala up to some extent.

Keywords: Kuchala, Jambu (seed), Agad, Toxicity, Antidote.

I. INTRODUCTION

One of the ancient disciplines of life, Ayurveda, is used to achieve total wellness. It is not only a relic of a bygone era of medicine. It is a science that is founded on the observation of living organisms and their real responses to their surroundings.1 The goal of Ayurveda can be achieved by maintaining metabolic homeostasis & psycho somatic condition in the human and to restore it to normalcy when it is disrupted.2 Agadtantra is the branch of Ayurveda which deals with the toxicity of various snakes, spiders, insects, rats etc. animals and its treatments. The word ‘Gada’ means poison and the antidote used is called as ‘Agada’.3 According to modern science, Toxicology is the branch which deals with the study of poison regarding their sources properties, mode of action, symptoms which they produce, lethal dose, fatal period, treatment of their detection estimation & autopsy findings.4,5 Kuchala (Strychnos Nux vomica) is spinal poison which is also classified as Upavisha in Ayurveda 6,7 Kuchala, a medium sized deciduous tree, 15 30 meters in height and up to 70 cm in diameter with fairly straight and cylindrical lobe having dark gray or yellowish gray bark and minute tubercles. Fruits are globular and contain disk shaped seeds. The seeds are round, disk shaped, concave on one side and convex on the other side. Seeds are ash gray in color and covered with silky fibers. The seeds are about 2.5 cm in diameter and 5 mm in thickness. The pericarp of seed is tough.8 If seeds are swallowed uncrushed, the hard pericarp resist digestion and seeds are passed in feces without any poisonous symptoms. With crushed seeds, symptoms begin to appear within 15 to 30 minutes. Bitter taste in mouth. Sense of uneasiness, restlessness, fear and anxiety. Increase difficulty in breathing and swallowing. Muscle twitching and spasm of muscle followed by convulsions. The convulsions last for 30 seconds to 2 minute and are precipitated by slightest stimuli such as sudden noise, a current of air or gentle touching of patient. The convulsions are first clonic but eventually becomes tonic. In between the convulsions, the muscles are completely relaxed and it is an important diagnostic feature

Various poisons have been described in Ayurveda 6 8 along with their antidotes. These antidotes are readily available in nature. Mode of action of these antidotes is not mentioned in texts. In Ayurvedic literature according to Basavrajeeyam, Jambu (seed) mentioned as an Prativisha (Antidote) in Kuchala Poison

Main chemical constituents of Jambu (seed) are Jambosine, gallic acid, ellagic acid, corilagin. It is necessary to verify the efficacy of these antidotes on scientific parameters so that it can be useful in emergencies. Hence present study “Efficacy of Jambu (Seed) as an Antidote in Kuchala Poisoning an Experimental Study” in mice was carried out to establish the action and mechanism of Jambu (seed) churna against toxic effects of Kuchala on albino wistar rats.

International Journal for Research in Applied Science
Engineering
)
&
Technology (IJRASET
689 ©IJRASET: All Rights are Reserved | SJ Impact Factor 7.538 | ISRA Journal Impact Factor 7.894 |

ISSN: 2321 9653; IC Value: 45.98; SJ Impact Factor: 7.538

Volume 10 Issue X Oct 2022 Available at www.ijraset.com

II. AIMS AND OBJECTIVES

In vivo study of Jambu (seed) as an antidote of Kuchala poisoning in wistar rats.

1) To study the toxic effects of Jambu (seed) according to OECD Gudieline 423 2) Experimental study to the efficacy of Jambu (seed) as an antidote of Kuchala.

III. MATERIAL AND METHODS

A. Sample Collection & Plant Identification

Collection of test sample: A test sample of Jambu Seed was collected by the scholar himself from nearby surroundings of Dr S.R. Rajasthan Ayurved University. The test sample was authenticated from BSI (Botanical Survey of India Jodhpur), having Reference no: BSI/AZRC/1.12012/TECH./2021 22 (Pl. Id.) / 13. Collected Jambu (seed) were dried in shade. The samples were used in powder form.

B. Animals

6 albino wistar rats for study the toxic effects of Jambu (seed) and 18 rats for Experimental study to the efficacy of Jambu (seed) as an antidote of Kuchala. were selected for the animal experiment and animals were maintained as per animal ethical committee regulations approved by the Committee for the Purpose of the Control with and Supervision of Experiments on Animals (CPCSEA).

C. Preparation and Administration of Jambu seed churna (Powder)

For preparing churna of Jambu (seed), the collected Jambu (seed) was properly washed then dried, the Jambu (seed) was then grind in a grinder and then sieved through a fine cloth. Then, the 20 gm Jambu (seed) churna of was given by mixing it with 1% CMC (carboxy methyl cellulose) as it does not alter any therapeutic value of a drug to be given with the help of oral feeding needle to the rats.

IV. DOSE CALCULATION & JUSTIFICATION

A. Acute oral toxicity study of Jambu (seed) according to OECD Guideline 423.

Group 1: 3 rats and dose will be 300 mg/kg test sample.

Table 1: Group 1 rats marking, weight (in gm), dose (in mg & ml).

S.N. Marking Weight (in gm) Dose (in mg) Dose (in ml)

1. H 181 54.3 0.2715

2. B 128 38.4 0.192

3. T 137 41.1 0.2055

Group 1: 3 rats and dose will be 2000 mg/kg test sample.

S.N. Marking Weight (in gm) Dose (in mg) Dose (in ml)

1. HB 118 236 1.18

2. BT 110 220 1.1

3. HT 158 316 1.58

Table 2: Group 2 rats marking, weight (in gm), dose (in mg & ml). 

Observations

Animals are observed individually after dosing at least once during the first 30 minutes, periodically during the first 24 hours, with special attention given during the first 4 hours, and daily thereafter, for a total of 14 days. All observations are systematically recorded with individual records being maintained for each animal. Additional observations will be necessary if the animals continue to display signs of toxicity. Observations include changes in skin and fur, eyes, mucous membranes, salivation, lethargy, sleep, coma, convulsions, tremors, diarrhoea, morbidity, mortality. Blood sample was withdrawn with help of capillary from orbital sinus site and all Haematology and Biochemical Analysis was done in automatic haematology and biochemistry analyser.

International Journal for Research
Applied
)
in
Science & Engineering Technology (IJRASET
690 ©IJRASET: All Rights are Reserved | SJ Impact Factor 7.538 | ISRA Journal Impact Factor 7.894 |

ISSN: 2321 9653; IC Value: 45.98; SJ Impact Factor: 7.538

Volume 10 Issue X Oct 2022 Available at www.ijraset.com

B. Strychnos nux vomica induce convulsion in wistar albino rats

Eighteen healthy albino wistar rats had been selected in this animal model and divided in three groups each group contain six rats. All rats orally received 45 mg/kg of suspension of Strychnos nux vomica for 10 days for induce convulsion.

Group 1: Six Convulsion induced albino wistar rats Dose form and time distilled water (control group) (5 ml/kg/P.O.) for 30 days.

Table 3: Group 1 rats marking, weight (in gm), dose (in ml). S.N. Marking Weight (in gm) Dose (in ml)

1. H 88 0.44

2. B 96 0.48

3. T 106 0.53

4. HB 175 0.87

5. BT 134 0.67

6. HT 113 0.56

Group 2: Six Convulsion induce albino wistar rats

Dose form and time Jambu (seed) (test drug) 200 mg/kg/P.O. for 30 days.

Table 4: Group 2 rats marking, weight (in gm), dose (in mg & ml). S.N. Marking Weight (in gm) Dose (in mg) Dose (in ml)

1. H 105 21 0.105

2. B 113 22.6 113

3. T 96 19.2 0.096

4. HB 96 19.2 0.096

5. BT 151 30.2 0.151

6. HT 93 18.6 0.093

Group 3: Six Convulsion induce albino wistar rats

Dose form and time Standard drug Valporic acid 45 mg/kg.

Table 5: Group 3 rats marking, weight (in gm), dose (in mg & ml). S.N. Marking Weight (in gm) Dose (in mg) Dose (in ml)

1. H 100 4.5 0.02

2. B 99 4.45 0.02

3. T 112 5.04 0.02

4. HB 115 5.17 0.02

5. BT 99 4.45 0.02

6. HT 110 4.95 0.02

Parameters

Convulsions and histopathological changes in brain and spinal cord.

International Journal for Research in
)
Applied Science & Engineering Technology (IJRASET
691 ©IJRASET: All Rights are Reserved | SJ Impact
7.538 | ISRA Journal Impact
7.894 |
Factor
Factor

ISSN: 2321 9653; IC Value: 45.98; SJ Impact Factor: 7.538

Volume 10 Issue X Oct 2022 Available at www.ijraset.com

V. RESULTS AND DISCUSSION

A. Acute oral toxicity study of Jambu (seed) according to OECD Guideline423.

There are no changes in skin and fur, eyes, mucous membranes, salivation, lethargy, sleep, coma, convulsions, tremors, diarrhoea, morbidity, mortality.

Table 6: Hematology and Biochemical Analysis of group 1 & group 2.

S. No. Parameters Group 1 Mean Value Group 2 Mean Value

1. Haemoglobin (grams per decilitre) 13.58 13.98

2. WBC (x 103/mm3) 8.15 8.35 3. RBC (x 106/ mm3) 7.25 6.81

4. Neutrophils (x103/ mm3) 2.85 2.69

5. Lymphocytes (x 103/ mm3) 6.49 6.82

6. Eosinophils (x 103/ mm3) 0.05 0.05

7. Monocytes (x 103/ mm3) 0.02 0.02

8. Basophiles (x 103/ mm3) 0 0 9. SGOT (IU/L) 79.96 81.69 10. SGPT (IU/L) 67.65 65.96 11. Serum Creatinine 0.51 0.49 12. Serum Urea 48.95 45.95

B. Strychnos nux vomica induce Convulsion in wistar Albino Rats

Table 7: Observation Recorded various phases of convulsion of group 1 to group 3. Marking

Flexion (Mean ± SEM) Extensor (Mean ± SEM) Clonus (Mean ± SEM) Stupor (Mean ± SEM) Group 1 3.67±0.494 8.50±0.764 3.17±0.601 96.00±4.243 Group 2 2.67±0.615 2.67±0.558 0.00±0.000 35.50±3.519 Group 3 2.33±0.422 0±0.00 0±0.00 0±0.00

Fig. 1: Graphical chart representing observations of group I to group 3 on flexion (convulsions) in nux vomica poisoning. 0 0.5 1 1.5 2 2.5 3 3.5 4

Flexion

Flexion

Group 1 Group 2 Group 3

International Journal for Research in
)
Applied Science & Engineering Technology (IJRASET
692 ©IJRASET: All Rights are Reserved | SJ Impact Factor 7.538 | ISRA Journal Impact
7.894 |
Factor

ISSN: 2321 9653; IC Value: 45.98; SJ Impact Factor: 7.538 Volume 10 Issue X Oct 2022 Available at www.ijraset.com

Fig. 2: Graphical chart representing observations of group I to group 3 on Extensor (convulsions) nux vomica poisoning.

Extensor

0 0.5 1 1.5 2 2.5 3 3.5 4

Flexion

Fig. 3: Graphical chart representing observations of group I to group 3 on Clonus (convulsions) nux vomica poisoning.

Clonus

Series1 Series2 Series3 0 0.5 1 1.5 2 2.5 3 3.5

Clonus

Fig. 8: Graphical chart representing observations of group I to group 3 on Stupor (convulsion nux vomica poisoning.

120

100

80

60

40

20

Group 1 Group 2 Group 3 0

Stupor

Stupor

Series1 Series2 Series3

International Journal for Research in Applied Science & Engineering Technology (IJRASET)
693 ©IJRASET: All Rights are Reserved | SJ
7.538 | ISRA Journal
|
Impact Factor
Impact Factor 7.894

ISSN: 2321 9653; IC Value: 45.98; SJ Impact Factor: 7.538

Volume 10 Issue X Oct 2022 Available at www.ijraset.com

Table 8: Statistical analysis of Flexion (Convulsion) of Group 1 to 3

Flexion

Dunnett's multiple comparisons test

Mean Diff. 95.00% CI of diff. Significant? Summary Adjusted P Value

Group 1 vs. Group 2 1.000 0.7814 to 2.781 No ns 0.3156

Group 1 vs. Group 3 1.333 0.4481 to 3.115 No ns 0.1525

In this study it was observed that when the Dunnett’s multiple comparison test was applied between Group 1 vs Group 2, the adjusted ‘p” value was 0.3156 and the result was not significant.

Table 9: Statistical analysis of Extensor (Convulsions) of Group 1 to 3

Extensor

Dunnett's multiple comparisons test

Mean Diff. 95.00% CI of diff. Significant? Summary Adjusted P Value

Group 1 vs. Group 2 5.833 3.950 to 7.717 Yes **** <0.0001

Group 1 vs. Group 3 8.500 6.616 to 10.38 Yes **** <0.0001

In this study it was observed that when the Dunnett’s multiple comparison test was applied between Group 1 vs Group 2, the adjusted ‘p” value was <0.0001 and the result was significant.

Table 10: Statistical analysis of Clonus (Convulsions) of Group 1 to 3

Clonus

Dunnett's multiple comparisons test Mean Diff. 95.00% CI of diff. Significant? Summary Adjusted P Value

Group 1 vs. Group 2 3.167 1.970 to 4.364 Yes **** <0.0001

Group 1 vs. Group 3 3.167 1.970 to 4.364 Yes **** <0.0001

In this study it was observed that when the Dunnett’s multiple comparison test was applied between Group 1 vs Group 2, the adjusted ‘p” value was <0.0001 and the result was significant.

Table 11: Statistical analysis of Stupor (Convulsions) of Group 1 to 3 Stupor

Dunnett's multiple comparisons test

Mean Diff. 95.00% CI of diff. Significant? Summary Adjusted P Value

Group 1 vs. Group 2 60.50 49.52 to 71.48 Yes **** <0.0001

Group 1 vs. Group 3 96.00 85.02 to 107.0 Yes **** <0.0001

In this study it was observed that when the Dunnett’s multiple comparison test was applied between Group 1 vs Group 2, the adjusted ‘p” value was <0.0001 the The overall result of experimental study on the efficacy of Jambu (seed) As an antidote in Kuchala poisoning is found 64.7%.

International Journal for Research
)
in Applied Science & Engineering Technology (IJRASET
694 ©IJRASET: All Rights are Reserved | SJ Impact Factor 7.538 | ISRA Journal Impact
7.894 |
Factor

ISSN: 2321 9653; IC Value: 45.98; SJ Impact Factor: 7.538

Volume 10 Issue X Oct 2022 Available at www.ijraset.com

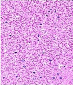
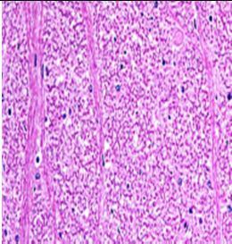
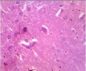
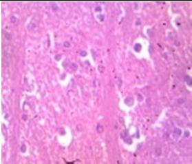
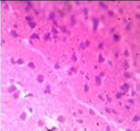
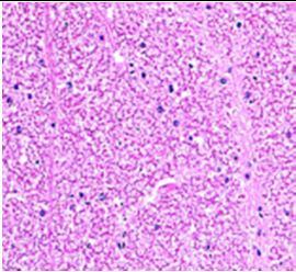
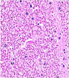
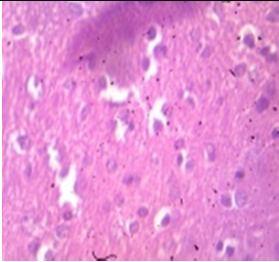
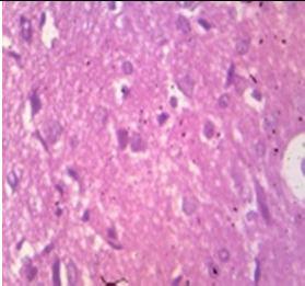
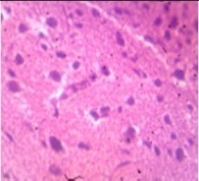
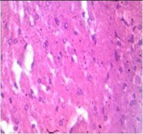
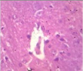
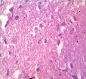
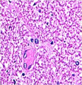
VI. HISTOPATHOLOGICAL CHANGES IN BRAIN AND SPINAL CORD

A. Histopathology of Brain

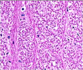
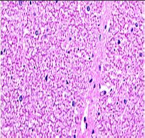
Fig. 9: Images of brain after histopathology of group 1 to group 3

Group 1: Severe degeneration of the neurons, hippocampal edema was observed.

Group 2: Mild rejuvenate of degenerate neurons, hippocampal edema was observed.

Group 3: Protected neurons and mild hippocampal edema.

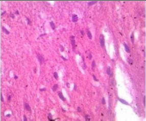
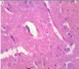
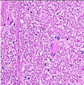
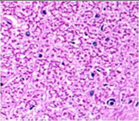
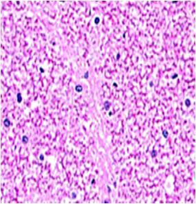
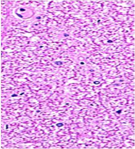
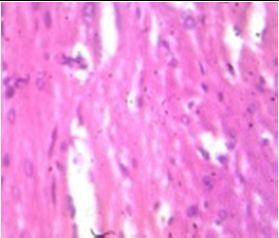
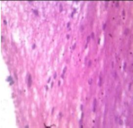
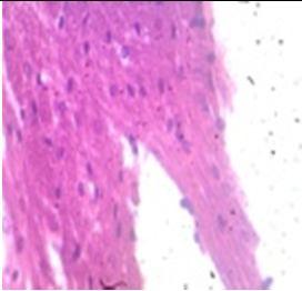
B. Histopathology of Spinal Cord

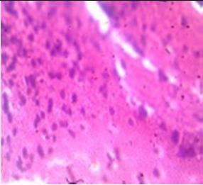
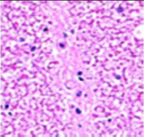
Fig. 10: Images of Spinal Cord after histopathology of group 1 to group 3.

Group 1: Inflammation, Severe nuclear and neuronal cell loss was observed.

Group 2: Mild nuclear and neuronal cell loss was observed.

Group 3: Mild nuclear and neuronal cell loss was observed.

In present study “Efficacy of Jambu (Seed) as an Antidote in Kuchala Poisoning an Experimental Study” histopathological report of brain showed mild rejuvenate of degenerate neurons, hippocampal oedema was observed and histopathological report of Spinal cord showed mild nuclear and neuronal cell loss was observed.

Journal
Research
)
International
for
in Applied Science & Engineering Technology (IJRASET
695 ©IJRASET: All Rights are Reserved | SJ Impact Factor 7.538 | ISRA Journal Impact Factor 7.894 |

ISSN: 2321 9653; IC Value: 45.98; SJ Impact Factor: 7.538

Volume 10 Issue X Oct 2022 Available at www.ijraset.com

VII. CONCLUSION

Based upon the results observed during present study “Efficacy of Jambu (seed) as an Antidote in Kuchala Poisoning an Experimental Study” following conclusions may be drawn:

1) In Acute Oral Toxicity Study, Jambu (seed) churna test dose was found to be safe at 2000 mg/kg.

2) Our drug shows 64.7% efficacy against convulsion in nux vomica induced wistar rats.

3) In histopathological report shows the test drug is mild regenerating for severely degenerate neurons in the brain.

4) The histopathological report shows the test drug reduces inflammation and mild regenerates nuclear and neuronal cells of the spinal cord.

Therefore, our test drug is biologically active and showing efficacy against Kuchala (nux vomica) Poisoning.

REFERENCES

[1] Dwivedi L., Dwivedi BK., Goswami PK. Charaka Samhita, 1st edition, Sutra sthana 1/53. Varanasi, Chowkhamba Sanskrit Series Office, 2007.

[2] Kunjalal Bhisagratna, Susruta Samhita, edited by Laxmidhar Dwivedi. 3rd edition, vol 1, Sutra sthana 15/47. Varanasi, Chowkhamba Sanskrit Series Office, 2003.

[3] Amarasimha; Amarakosha; 4th Ed, edited by Pt Haragovinda Shastri; Varanasi; Chaukhambha Sanskrit Samsthan; 2001.

[4] Agnivesha, revised by Charaka and Dhradabala; Charak Samhita with The Ayurveda Dipika Commentary of Chakrapanidatta, Edited by Jadavaji Trikamji Acharya, Chaukhambha Surbharati Prakashan, 2000.

[5] Sushruta; Sushruta Samhita; with the Nibandha Sangraha commentary of Sri Dalhana charya; Reprint edition, Edited by Jadavaji Trikamji Acharya, Varanasi; Chaukhambha Surbharati Prakashan; 2012.

[6] Shastri A, Sushruta Samhita, Choukhmba Sanskrit Sansthan, Varanasi, edition 2011.

[7] Vagbhata, Ashtanga Hridaya, With the Commentaries Sarvangsundara of Arunadatta and Ayurvedarasayana of Hemadri, edited by S.S.Paradakara, 9th Ed., Chaukhambha Surbharati Prakashan, 2011.

[8] Rajesh Bardale, Principles of Forensic medicine & toxicology, 1st edition, Spinal Poison. 2011

International Journal
Research
)
for
in Applied Science & Engineering Technology (IJRASET
696 ©IJRASET: All Rights are Reserved | SJ Impact Factor 7.538 | ISRA Journal Impact Factor 7.894 |

Turn static files into dynamic content formats.

Create a flipbook
Issuu converts static files into: digital portfolios, online yearbooks, online catalogs, digital photo albums and more. Sign up and create your flipbook.
Efficacy of Jambu (Seed) as an Antidote in Kuchala Poisoning an Experimental Study by IJRASET - Issuu