Durability Behavior of Nano-Silica and OMMT Nano-Clay In High Performance Concrete

Page 1

10 XI November 2022 https://doi.org/10.22214/ijraset.2022.47260

ISSN: 2321 9653; IC Value: 45.98; SJ Impact Factor: 7.538

Volume 10 Issue XI Nov 2022 Available at www.ijraset.com

Durability Behavior of Nano-Silica and OMMT Nano-Clay In High Performance Concrete

Sanjay N1 , Thanusha2

1MTech student, 2Asst Prof. Civil Engineering Dept. Nagarjuna College of Engineering & Technology Bengaluru, Karnataka, India

Abstract: In this work here the nanomaterials are colloidal and one is in aqueous state and other one is powdered form, so the materials are in liquid form so the usage of water for the mix is also decreases and the as the mix design is done for M60 so the water use is also limited or designed and the additional use is restricted for the water. Here in this work study as a durability behaviour study in high performance concrete the 30% GGBS is used here as the admixture and the cement content is also reduced and the superplasticizer of epoxy based is used for the sitting of the concrete and the strength increasing liquid are used. This work carried out for the testing of the specimens with days of curing of 7, 14 & 28 days for the mechanical properties here flexure testing is not done due to usage of highly expensive nanomaterials in actions. In this testing determines the dosage of the nano silica. Firstly 2, 4 & 6% nano silica are added in respectively mixed in concrete and casted and cured and tested and the result shows the 2% as the optimum dosage in the mechanical properties as well as the durability properties. Secondly keeping 2% nano silica as the constant and the OMMT nano clay 2, 4 & 6% are added and mixed and casted and cured and mechanical properties are determined and as well as durability is determined as the objective of the work is defined and scope of the work also states the experimental analysis of the work with microstructure analysis like SEM and EDX are done with samples to determine the additional compositions in the concrete and the conclusions is also done with concluding the project work.

Keywords: Nanomaterials, OMMT Nano-clay, Mechanical properties, Durability properties, Microstructure of specimen etc

I. INTRODUCTION

Concrete is the second most used material after consumption of water. Continuous use of concrete constituents leads to scarcity of natural materials. To avoid this problem many researchers came with alternative solutions like adding admixtures, fibres, waste materials etc. nano silica has potential for use in concrete and its application. Combination of slag and silica helps to gain more strength in less interval of time. Addition of 2% of nano silica gives better strength properties [1]. The reduction in the size of the silica inclusions at an early age often boosted the strength of the slag mortars [2]. The test was conducted by [3] and observed that, the compressive and flexural strengths of both NS and NC were increased when compared to traditional mortar. The structural behaviour was studied by [4] and concluded that interaction of nanomaterials with calcium hydroxide Ca (OF) 2 crystals, which are arranged in the interfacial zone (ITZ) between cured cement paste and aggregates, is responsible for this enhancement this result in the formation of C S H gel and the filling effectof nanoparticles, which intensify microstructure. The durability properties were studied by [5] and noticed that adding nanoparticles to cementitious materials would increase their durability by changing the physicochemical characteristics of the binder. The corrosion analysis were conducted and test findings were used to evaluate which nanomaterial concrete had the best mechanical characteristics and durability [6]. It has been discovered that nano silica, which ispozzolanic in nature and has a nice microstructure, would make an excellent substitute for cement [7]. And The results of X ray diffraction (XRD) and scanning electron microscopy (SEM) have also been utilised to determine the particle distribution in the concrete specimen. The complete experiment demonstrates that using the right number of nano composite components improves concrete specimen performance [8]. From various literatures it has been noticed that, the Nano materials based concrete structure fill all micro holes because it’s thousand times smaller than in the case of conventional concrete materials. The use of Nano materials helps in modifying properties and thus results into a more durable concrete. Increasing the content of binder improves the performance of the concrete mixture. Strengths and characterization there are optimal contents of NS & NC mass replacement of HPC matrix to obtain dense microstructure and highest mechanical strengths respectively. Strength of cement concrete increases proportionally with increasing the amount of Nano materials. From above considerations an attempt is made to study the mechanical properties of nano silica and nano clay in HPC along with durability and microstructural properties.

International Journal for Research in Applied Science & Engineering
(IJRASET)
Technology
83 ©IJRASET: All Rights are Reserved | SJ Impact Factor 7.538 | ISRA Journal Impact Factor 7.894 |

ISSN: 2321 9653; IC Value: 45.98; SJ Impact Factor: 7.538 Volume 10 Issue XI Nov 2022 Available at www.ijraset.com

II. MATERIALS AND METHODOLOGY

1) Cement: Here OPC 53 grade of cement is used and basic tests are conducted as per IS standards. The obtained results are tabulated below,

Fig 1: Cement.

Table 1: Cement properties. Materials Specifications Values Uniformity 29% Cement Fineness,kg/m3 275 Specific gravity 3.15 Soundness,mm 0.5 10

2) GGBS: GGBS was collected from RMC Plant used in the manufacturing of Concrete.

Fig 2 GGBS

Table2: GGBS properties. Colour Off white/cream white Specific gravity 2.9 GGBS Consistency 34% Fineness 382 Residue on 45 micron 4.6%

3) Fine Aggregates: This test is done for the fineness modulus and classification on IS 2386 part 3 1963, 383 1970, 460 1962. For this test it required dry fine samples and sieve analysis apparatus of 4.75mm, 2.36mm, 1.18mm, 600Microns, 300microns, 150microns and pan and weighting scale.

Table3: Fine aggregate properties. Specific gravity 2.59 2.6 Fine Aggregates Fineness 5.16 5.2 Zone I Bulk Density g/cc 1685

4) Coarse Aggregates: This test is done for the fineness modulus and classification on IS 2386 part 3 1963, 383 1970, 460 1962. For this test it required dry fine samples and sieve analysis apparatus of 20mm, 16mm, 12.5mm, 10mm, 4.75mm and pan and weighting scale.

International Journal
)
for Research in Applied Science & Engineering Technology (IJRASET
84 ©IJRASET: All Rights are Reserved | SJ Impact Factor 7.538 | ISRA Journal Impact Factor 7.894 |

ISSN: 2321 9653; IC Value: 45.98; SJ Impact Factor: 7.538 Volume 10 Issue XI Nov 2022 Available at www.ijraset.com

Table4: Coarse aggregate properties.

Coarse Aggregates Water absorption 0.28 0.32 Specific gravity 2.63 Elongation index 9 10 Flakiness 7.6 9.6

5) Nano Particles: Nanoparticle dispersions are collections of nanoparticle suspensions in organic or inorganic solvents. Dispersions often have hardness, dimensional stability, and phase stability, which may be utilized to improve the characteristics of nanoparticles and regulate their functions. The mix design was calculated for M60 grade of concrete. The properties are tabulated below,

Table 5: Nano particle properties

Nano Silica Purity 99.9% Avg.particle size 20 50nm SSA 220m3/g Bulk density 0.25g/cc Form Liquid Dispersed in Water Colour White Nanoclay Appearance Light Yellow Volatile Matter 2 4% Specific gravity 1.7 Loss content 30% Code 250 84 090

Nomenclatures used in the project 

S1 100 % Cement mix (Conventional or Control Mix) 

S2 70% Cement + 30% GGBS 

S3 68% Cement + 2% Nano Silica + 30% GGBS

S4 66% Cement + 4% Nano Silica + 30% GGBS

S5 64% Cement + 6% Nano Silica + 30% GGBS

S6 66% Cement + 2% NS + 2% Nano Clay + 30% GGBS

S7 64% Cement + 2% NS + 4% Nano Clay + 30% GGBS

S8 62% Cement + 2% NS + 6% Nano Clay + 30% GGBS

Fig3. Methodology followed

)
International Journal for Research in Applied Science & Engineering Technology (IJRASET
85 ©IJRASET: All
are Reserved | SJ
|
Rights
Impact Factor 7.538
ISRA Journal Impact Factor 7.894 |

ISSN: 2321 9653; IC Value: 45.98; SJ Impact Factor: 7.538 Volume 10 Issue XI Nov 2022 Available at www.ijraset.com

This above flowchart shows the study methods of used and the theories behind them in order to develop an approach this main is on the tests properties of the sample materials which are going to be used in the experiment study.

III. STRENGTH PROPERTIES

A. Mechanical Properties

1) Compressive Strength: The test specimens must be administered at known ages, with 7 14 and 28 days being the most common ranges.

Fig4. Compressive test

2) Split Tensile Test: It involves placing moulded under a load at a pace that stays within a set range until failure. The test specimens must be administered at known ages, with 7 14 and 28 days being the most common ranges.

Fig5. Split tensile test

3) Durability Test

a) Water Absorption: The quantity of water a material absorbs is known as its water absorption, and it is measured as the weight of the water absorbed divided by the weight of the dry material.

Fig 6. Water absorption test

International Journal for Research in Applied Science & Engineering Technology (IJRASET)
86 ©IJRASET: All Rights are Reserved | SJ Impact Factor 7.538 | ISRA Journal Impact Factor 7.894 |

ISSN: 2321 9653; IC Value: 45.98; SJ Impact Factor: 7.538 Volume 10 Issue XI Nov 2022 Available at www.ijraset.com

b) RCPT (Rapid Chloride Permeability Test): In order to conduct the test, a 100mm diameter by 50mm thick slice of vacuumconditioned concrete is exposed to a potential of 60V DC. The samples are submerged in sodium chloride on one end and sodium hydroxide on the other. The entire test would take around three days to complete, with the actual test taking six hours.

Fig7. RCPT setup

c) Sorptivity Test: It is the capacity of a material to absorb and transfer water through it by capillary suction. Sorptivity is a more and more common way to quantify concrete resistance to exposure to hostile settings.

Fig 8. Sorptivity test

4) Microstructural Properties

a) SEM (Scanning Electron Microscope): Using an electron beam to scan a material, scanning electron microscopy (SEM) creates a magnified picture that may be used for examination.

b) EDAX (Energy Dispersive X Ray Analyser): Is a method for characterising a sample's chemical make up or elemental composition. It depends on a sample and an X ray excitation source interacting. The fundamental idea that every element has a different atomic structure, allowing for a different set of peaks on its electromagnetic emission spectrum, is a major factor in its ability to characterise things (which is the main principle of spectroscopy).

Fig9. EDX with SEM

)
International Journal for Research in Applied Science & Engineering Technology (IJRASET
87 ©IJRASET: All Rights are Reserved | SJ Impact Factor 7.538 | ISRA Journal Impact
7.894 |
Factor

ISSN: 2321 9653; IC Value: 45.98; SJ Impact Factor: 7.538 Volume 10 Issue XI Nov 2022 Available at www.ijraset.com

IV. RESULT AND DISCUSSIONS

A. Compressive Strength

The compressive strength of samples with nanomaterials and conventional or control samples are been tested with curing period with respective days and was determined the results.

Table 6 shows the compressive stg results with the samples Sl No. Samples Compressive Stg in N/mm2 7 D 14D 28D

1 Conventional mix 41 53.61 63.21 2 30% GGBS 42 52 65 3 2% NS 46 57.10 69.23 4 4%NS 40 51.82 60.2 5 6%NS 39 48.24 59.12 6 2%NS+2%NCl 44 59.10 71.29 7 2%NS+4%NCl 47 60.36 75.63 8 2%NS+6%NCl 45 61.20 74.28

As S3, S4 & S5 is the nanomaterial sample and it is the addition of the 2%, 4% & 6% respectively of the addition of Nano silica. Here which don’t known the dosage so in addition of increasing the NS % mix was done and the 2% NS is the more as compare to other two mix samples.

B. Split Tensile Test

The below shows the graphical representation of the tensile strength of the work carried out.

Graph 1 Tensile stg with 7 & 28 Days

The 2% nanosilica gives the more strength as compared to other mix due to the increasing the nano silica the also decreases so the 2% nano silica gives the satisfactory results in tensile test too. As the 2% NS is as the constant the 2, 4 & 6 OMMT NCl gives the desired strength and the 4% OMMT NCl with 2% NS gives the higher strength rather than the other two sample mix with OMMT NCl with NS of 2%.

C. Water Absorption

The below shows the graphical representation of water absorbed percentages for the 28 days of curing.

Graph 2 Water absorption test

International Journal for Research
)
in Applied Science & Engineering Technology (IJRASET
88 ©IJRASET: All Rights are Reserved | SJ Impact Factor 7.538 | ISRA Journal Impact Factor 7.894 |

ISSN: 2321 9653; IC Value: 45.98; SJ Impact Factor: 7.538 Volume 10 Issue XI Nov 2022 Available at www.ijraset.com

The test results representation is shown above and from that the mix of 2% nano silica has the less water absorption as compared to other and in the hybrid mix the 2% nano silca and 4% NCl has the less absorption as other two mix has the more due to the excesses of nanomaterials in use also the durable decreases.

D. Sorptivity

The below graph shows the representation of graphical of the test results with satisfactory results as per the code with the density of water in the codeal provision.

Graph 3 Sorptivity test with samples

From this test it shows the initial time the water absorption goes with fluctuation in rising and falling up to till 6hr duration of time after the 2 days there is the rising and the days goes on there is difference in the reading of the results as the increasing.

E. RCPT

The obtained results of RCPT are tabulate below, Table 7: RCPT with coulombs

Samples Total Ain amps Charge Passed in coulombs Remarks

S1 0.61 2320 Moderate

S2 0.58 2130 Moderate

S3 0.50 1870 Low S4 0.59 2130 Moderate

S5 0.64 2290 Moderate

S6 0.68 2448 Moderate

S7 0.56 1970 Low S8 1.04 3774 Moderate

As the test results are tabulated and the charges passed in columbs are tabulated and the remarks are also given and tabulated in the above table with respect to code book observations. The 2% NS and the hybrid mix of the 4% NCl are the low penetrated chloride ions in the test and the other are moderately ions are penetrated but the concrete is in good conditions of cement are used in the experimental study.

)
International Journal for Research in Applied Science & Engineering Technology (IJRASET
89 ©IJRASET: All Rights are Reserved | SJ Impact Factor 7.538 | ISRA Journal Impact Factor 7.894 |

ISSN: 2321 9653; IC Value: 45.98; SJ Impact Factor: 7.538 Volume 10 Issue XI Nov 2022 Available at www.ijraset.com

F. SEM

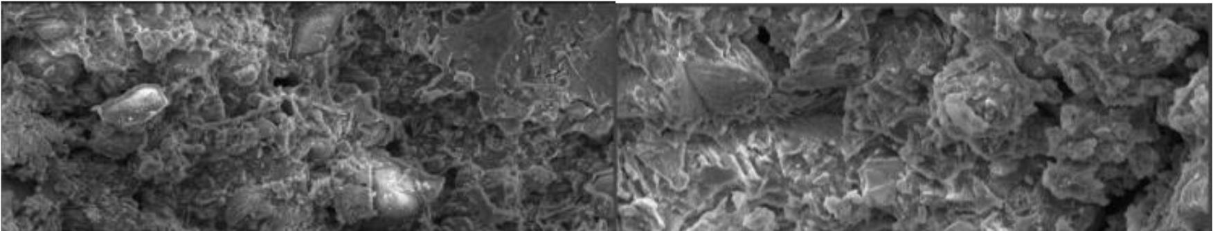
The microstructure analysis SEM and EDX is carried out for the samples and the below images and discussions are carried out in the below with compositions with weights and atomic. This below sem image is shown for the 2% Nano silica with 6% OMMT NCl sample concrete with compositions of additional of GGBS which shows the scale of 10 nm with magnification of 3.50 and the this sem image high voltage accelerating electron scanning with secondary detect of the electrons with wide range sacle of 15.78 mm with the field view with respect to the sem high voltage of 10kilo volts with the field of 59.3 nm. a b c d

G. EDX Analysis

After the SEM analysis the EDX analysis is done to show or to know the element compositions mixed or additional with the atomic weight percentages. This analysis are done for the specimens of all samples with 28 days curing period.

V. CONCLUSIONS

1) In the testing the S1 & S2 gives the strength as the control mix the those two has to give the satisfactory results with increasing from curing period of strength with respectively.

2) The use of nanomaterials gives the strength more than the control mix in the use of addition of nano silica the 2% nano silica is has the more strength as compared to other two mixes. Here in the compressive test the 2% nano silica sample S3 is optimum.

3) This S3 and S7 are sample specimen of 2% Nano silica and the hybrid mix with 2% Nanosilica with 4% OMMT nanoclay.

4) The RCP test is one of the most durability test it shows the chloride attack on the sample specimen with charges of coulombs passed and this shows the passing remarks on the concrete conditions.

5) This images show the minute particle in the samples with CSH gel is also shown and the nanomaterials structure is also shown. In this images the 30% mix,GGBS is also shown and the determined for the presenting in the sample.

6) This EDX images shows not only the peaks but also with the elements presents in it with the detectors weather primary or secondary transmissions with magnifications of kiloelectrovolts (keV).

International Journal
Research
)
for
in Applied Science & Engineering Technology (IJRASET
90 ©IJRASET: All Rights are Reserved | SJ Impact Factor 7.538 | ISRA Journal Impact
7.894 |
Factor
Fig 10 a) SEM image of conventional concrete b) SEM image of 30% GGBS c) SEM image of 2% NS d) SEM image of 2% NS + 4%NCl.

ISSN: 2321 9653; IC Value: 45.98; SJ Impact Factor: 7.538 Volume 10 Issue XI Nov 2022 Available at www.ijraset.com

REFERENCES

[1] Kinnaresh Patel (2012) “The Use of Nanoclay and Nanosilica as a Constructional Material” IJERA Vol 2 Issue 4

[2] Islam et.al (2012) “The use of NS and NMK with cement” IJRET Vol 5 Issue 7

[3] M. L. Nehdi et.al (2013) “NS & NCl in HPC” HBRC vol 11 2011601Anwar M Mohamed (2014) “Influence of Nanomaterilas on flexural and strength of concrete” HBRC vol 10 1016

[4] Surendra P. Shah et.al (2015) “Durability of Nano Particles” SIPS Spinger 978

[5] Priya et.al (2021) “The effects of nanosilica and nanoclay in the with the properties of cement” JKA Journals vol 13.556541.11.254

[6] Jayaraman Ariyagounder (2021) “Investigation on the strength durability properties of concrete with nanomaterials” Springer vol 10.1007

[7] Sravanti et.al (2021) “The use of Nanomaterials in M60 concrete” SNR Journals vol 14.2564.253654.102

[8] Peng Zhang et.al (2021) “Effect of Nano Silica Particles on Impact Resistance and Durability of Concrete” MDPI 12, 1296

About the authors

Mr. SANJAY NARAYAN received the Bachelor of Engineering in Civil Engineering degree from Raja Rajeswari College of Engineering, Bangalore, affiliated to VTU, Karnataka and currently pursing MTech in Construction Technology from Nagarjuna College of Engineering and Technology, Bangalore affiliated to VTU, Karnataka, India

Email sanjay.gnarayanaswamy@gmail.com

Ms. THANUSHA PATEL received Bachelor of Engineering in Construction Technology and Management from Acharya Institute of Technology and MTech in Construction Technology from Nagarjuna College of Engineering and Technology, Bangalore affiliated to VTU, Karnataka, India. She has 1 years of professional experience as Industry experience and has 1+ years of professional experience in Teaching. She is presently working as an Assistant Professor Nagariuna College of Engineering and Technology, Bangalore.

Email thanusha@ncetmail.com

International Journal for Research
)
in Applied Science & Engineering Technology (IJRASET
91 ©IJRASET: All Rights are Reserved | SJ Impact Factor 7.538 | ISRA Journal Impact Factor 7.894 |

Turn static files into dynamic content formats.

Create a flipbook
Issuu converts static files into: digital portfolios, online yearbooks, online catalogs, digital photo albums and more. Sign up and create your flipbook.
Durability Behavior of Nano-Silica and OMMT Nano-Clay In High Performance Concrete by IJRASET - Issuu