Development of MRI Scalar Maps using DWI Images

Page 1

10 XI November 2022 https://doi.org/10.22214/ijraset.2022.47312

ISSN: 2321 9653; IC Value: 45.98; SJ Impact Factor: 7.538

Volume 10 Issue XI Nov 2022 Available at www.ijraset.com

Development of MRI Scalar Maps using DWI Images

1

1, 2Department of computing Technologies, SRM Institute of Science and Technology KTR Campus, Chennai India Assistance Professor, Department of computing Technologies, SRM Institute of Science and Technology KTR Campus, Chennai India

Abstract: Neuroimaging has been dramatically advanced by diffusion weighted and diffusion tensor imaging (DWI/DTI). Moreover, DWI/DTI permits the examination of the brain's microarchitecture. A thorough understanding of the fundamentals is essential to better understanding pathological presences and avoiding misinterpretation of typical DWI/DTI abnormalities. Diffusion weighted imaging (DWI) is based on the measurement of the thermal Brownian motion of water molecules, and Diffusion tensor imaging (DTI) is an MRI technique that calculates the axonal arrangement of the brain through anisotropic diffusion. FA, AD, RD, and MD maps are used to study the biological signature of white matter in diffusion MRI studies of brain aging, neurodevelopment, and neurologic injuries. These maps are normally expensive on the market because they are generated separately. Using the DIPY library, we will generate FA, AD, RD, and MD maps to make this process more cost effective.

Keywords: Magnetic Resonance Imaging, Diffusion Weighted Imaging, Diffusion Tensor Imaging

I. INTRODUCTION

A brain MRI is one of the most widely used medical imaging procedures. where it allows physicians to investigate the architecture and pathophysiology of distinct brain regions , mainly focusing on Diffusion weighted imaging (DWI). It is an advanced functional magnetic resonance (MR) technique where it calculates the thermal Brownian motion of water molecules and these directions of maximum diffusivity along the white matter fibre is projected in the final image. Diffusion tensor imaging (DTI) is a second neuroimaging method in this study. It’s the indirect measurement of the degree of anisotropy and structural orientation. It accomplishes this by generating information about the degree and direction of water diffusion in numerous directions inside individual voxels of the magnetic resonance image, which in turn provides clues to the structure of the tissues. The use of gradient pulses allows for the collection of diffusion weighted observations in at least two separate directions. The integration of these six values, which is then summed into a "tensor" model, determines the rate and direction of diffusion in each voxel. The best way to conceptualize the diffusion tensor is as an ellipsoid with its long axis aligned in a direction that is perpendicular to the direction of maximum diffusion also referred to as the major diffusion direction. The rate of diffusion in directions that are perpendicular to the primary diffusion direction is represented by two supplementary vectors. The tensor model produces measurements of the microstructure of cerebral tissue at a microscopic scale that are based on features of diffusion in those tissues. These measurements are generated according to the characteristics of diffusion in those tissues. This is the most recognized and verified clinical application of MR tractography, and neurosurgeons are increasingly asking for it. To circumvent DTI's shortcomings, more complex diffusion MR acquisition systems, such as high angular resolution diffusion imaging (HARDI), and tractography algorithms, such as spherical deconvolution (SD) and Q ball imaging (QBI), have been developed. There are Several metrics can be derived from DTI in each voxel, including the mean diffusivity (MD), the degree of anisotropy (i.e., FA), and two directional diffusivity measures (i.e., AD, RD). These DTI metrics are used to apply strategies to identify local WM differences among individuals or abnormalities in clinical populations. They can be compared locally by voxel based analysis, ROI based analysis, tractography based analysis, or analysis based on the skeletonization of group registered FA maps. MRI procedures are available on almost every portion of the body to assist in the diagnosis of problems that an individual may be having, ranging from chronic conditions to traumatic events. There is a diverse range of charges incurred when having an MRI performed due to variables like location, facility, and body part. Contrary to other diagnostic techniques, MRI may entail the use of contrast agents that are based on gadolinium (GBCA), which is a special kind of MRI dye that helps improve an image's readability and clarity. This distinguishes MRI from other imaging methods. Before putting the patient's body through an MRI scan to examine blood arteries, nerve functioning, or any number of other organs or systems, a dye is first injected into the patient's body. The price of an MRI scan might vary significantly due to the several MRI scanning options that are now available.

International Journal for Research in Applied Science
Engineering
)
&
Technology (IJRASET
303 ©IJRASET: All Rights are Reserved | SJ Impact Factor 7.538 | ISRA Journal Impact Factor 7.894 |
Guggilla Sai Sasidhar Sastry , Ramasahayam Srikar Reddy2, Dr. L. Sathya Priya3

ISSN: 2321 9653; IC Value: 45.98; SJ Impact Factor: 7.538 Volume 10 Issue XI Nov 2022 Available at www.ijraset.com

Table.1 Prices of MRI Scan in different cities of India (in Rupees (₹)):

City Starting price of MRI

Highest price of MRI

Starting Price of Contrast MRI

DELHI 1000 24000 3160 CHENNAI 1000 24000 5700

MUMBAI 2200 37000 7824

KOLKATA 2500 35000 5700

PUNE 2500 23000 9000 HYDERABAD 3000 18150 5700 (Source: Medifee, Healthians )

Prices The more advanced the technology used in the diagnostic, the higher the price of the test will be. Keeping up with the expenditures of healthcare is not an easy task, and something that is beneficial to a person's health may not be so wonderful for their financial welfare. In the world, poverty is still very much a problem, and the rising expense of medical care as detailed in the table is a major contributor to this problem. Many governments around the world mandate that all citizens have access to free medical care; however, this is not the only option available. In most regions, the healthcare system is in a deplorable situation since there is a lack of availability of high end technological diagnostic instruments and a rise in the unwillingness of skilled and experienced medical professionals to work in the system. In addition, the price will be exorbitant in locations that have an abundance of all kinds of amenities.

To overcome these challenges the usage of scalar maps instead of multiple contrasts MRI is the best option. The expenditure will be reduced greatly by generating images just by using the software on the computer. The simple MRI is enough to make all images making this method one of the less expensive and can be made available to all regions of the world without the special expertise that needs for contrast MRI. The use of GBCA in contrast imaging has some adverse effects like headache, and dizziness and may cause allergic reactions.

II. STATEOFTHEART (LITERATURESURVEY)

In this part, a few of the most popular and connected strategies are discussed in order to cover the goals. Diffusion tensor imaging (DTI) is credited for revolutionising the treatment of acute ischemia and the diagnosis of brain lesions, in addition to being regarded as one of the most aesthetically pleasing imaging methods in radiology.[1] The traditional methods of clinical MRI is mentioned that offer a single scalar value for each image pixel (or, in 3D, each voxel), which results in a picture made up of grayscale intensities that represent the tissue attribute to which the imaging sequence is sensitive. So, for instance, fluid will seem black in T1 weighted pictures, but in T2 weighted images, fluid would appear bright. This is because T1 and T2 weightings have opposite effects on the appearance of fluid. It broadens the significance of quantitative image analysis, which is used seldom. It is possible to get an understanding of the neurological or psychiatric problems that affect the human brain, as well as the creation of biomarkers of brain disease. These biomarkers may be used to assess the pathological status and the effectiveness of therapy. Our understanding of neurological illnesses has been aided by the development of diffusion weighted imaging (DWI) sequences in recent years [2]. These sequences are based on the difference in the amount of water diffusion. Isotropic diffusion can place when there are no obstacles in their route, such as in a beaker of water, where molecules that are bumping about owing to heat action would disperse in the same manner. This is an example of a situation in which isotropic diffusion may take place. An anisotropic kind of diffusion occurs when molecules come up against directed obstacles since their movement is then no longer distributed uniformly along all possible pathways. The use of DTI as a visualization tool has assisted in differentiating between massive, orientated macromolecule structures such as the fiber bundles that make up the brain's white matter. The use of DTI as a visualization tool has helped to distinguish between large, oriented macromolecule structures such as the brain white matter fiber bundles. T2 weighted sequences need to have a few minor adjustments made in order to be used for diffusion imaging. Before and after a 180 degree refocusing pulse, two diffusion sensitizing gradients of equal intensity are applied in opposite directions [3]. This value is referred to as the b value. The phase shift is caused by the first gradient pulse, and the second pulse will "rephase" the phase shift that

International Journal
for Research in Applied Science & Engineering Technology (IJRASET)
304 ©IJRASET: All Rights are Reserved | SJ Impact Factor 7.538 | ISRA Journal Impact Factor 7.894 |

ISSN: 2321 9653; IC Value: 45.98; SJ Impact Factor: 7.538 Volume 10 Issue XI Nov 2022 Available at www.ijraset.com

was caused by the first pulse. There is no phase shift or signal degradation for water molecules that are stationary as a result of the gradient pulses. Moving water molecules have a net dephasing impact on the gradient pulses, which will result in phase shift and signal loss as a direct consequence. Because neighboring bulk motion from vessels might compromise the research, DWI has to be obtained as quickly as possible.

Every single diffusion sequence uses something called a spin echo [4], which consists of creating another gradient pulse in the opposite direction in order to refocus the water molecules. The received signal is nonlinearly attenuated as the diffusivity is raised because diffusion has an impact that defocuses it. Diffusion weighted sequences, on the other hand, are only sensitive to diffusion in a single direction since they are dependent on a field gradient. The sequences that are used in DTI are an expansion of those that are utilized in DWI. When the process is repeated six or more times while the gradient direction is changed, a phenomenon known as the diffusion tensor is produced.

The article starts out by providing an explanation of the physics of water diffusion and the many ways in which the immense complexity of diffusion in the brain [5], which is the primary organ that is investigated using diffusion MR imaging, may be explained. Following this, a description is given of the fundamental principles that underpin diffusion contrast encoding with MR imaging. This provides the reader with the ability to comprehend the connection that exists between the MR imaging signal and diffusion, in addition to the constraints that simple diffusion imaging techniques impose. For the sake of ADC imaging, we have made the assumption that diffusion behaves according to a free diffusion physical model and may be characterised by an isotropic Gaussian distribution.

III. PRPOSEDWORK

A. Abbreviations and Acronyms

AD

Axial Diffusivity

BIDS Brain Imaging Data Structure

CSF Cerebral Spinal Fluid

FA Fractional Anisotropy

GBCA Gadolinium Based Contrast Agent

GM Gray Matter MD Mean Diffusivity

RD Radial Diffusivity

SNR Signal to Noise Ratio WM White Matter λ Eigen Value; length of the axis in the tensor

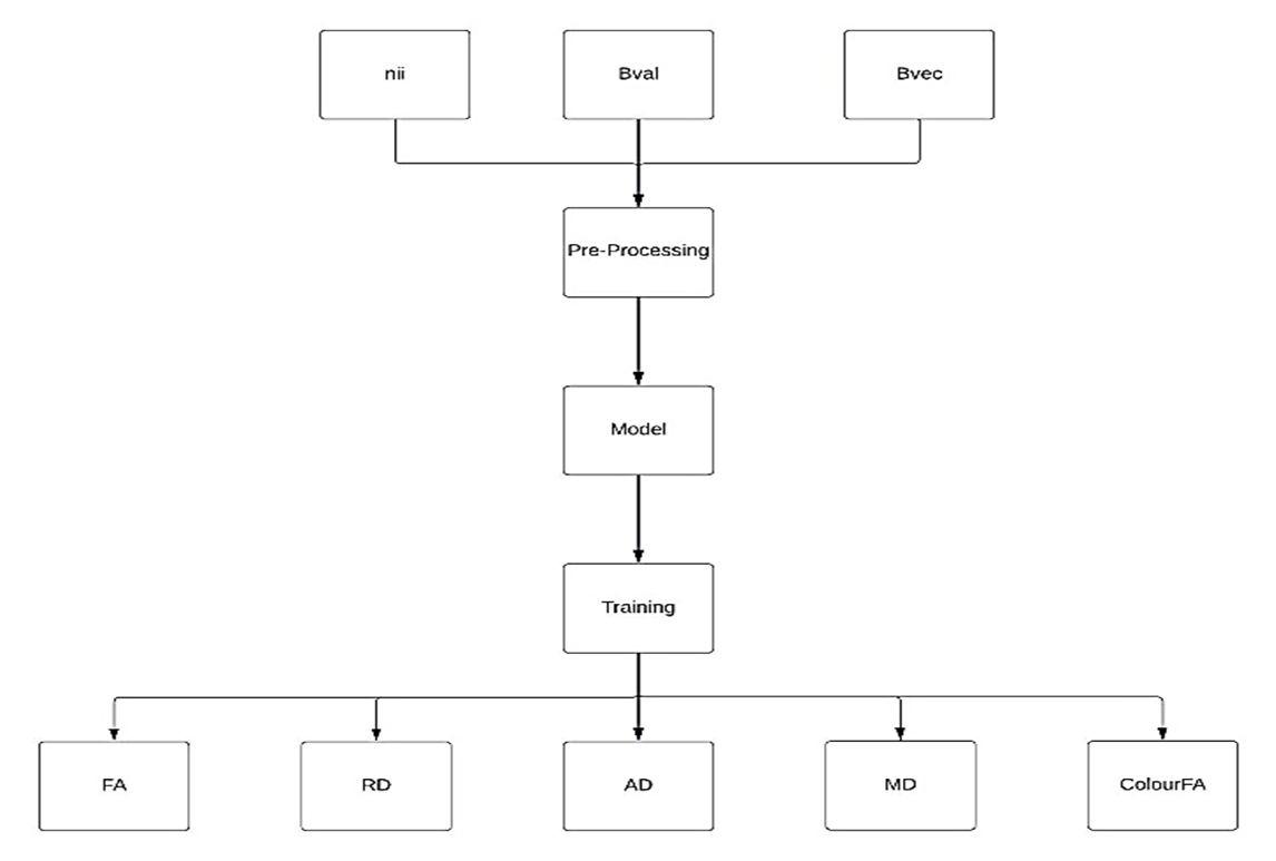
B. Architecture

Fig. 1 Architecture Diagram

International Journal
)
for Research in Applied Science & Engineering Technology (IJRASET
305 ©IJRASET: All Rights are Reserved | SJ Impact Factor 7.538 | ISRA Journal Impact Factor 7.894 |

ISSN: 2321 9653; IC Value: 45.98; SJ Impact Factor: 7.538 Volume 10 Issue XI Nov 2022 Available at www.ijraset.com

C. Dataset

We have collected the data from the open source BIDS on the OpenNeuro web platform. It is a technology that has been developed by the Stanford Center for Reproducible Neuroscience as a means to encourage and enhance data sharing as well as analysis of raw MRI data. It makes use of BIDS in order to organize and standardize these data. This data was acquired as part of a Traveling Human Phantom (THP) dataset for the purpose of conducting a multi site investigation on the reliability of neuroimaging. The THP dataset contains recurrent multi modal magnetic resonance (MR) images that were acquired for a group of five healthy controls at a total of eight imaging facilities. Diffusion weighted pictures, also known as DWI, as well as three dimensional T1 weighted MP RAGE and T2 SPACE sequences are among the modalities. As a result of taking repeated images using a variety of imaging methods, both the intra subject and inter site variability of MRI scans were evaluated and can be evaluated in the future.

D. Preprocessing

We have also done pre processing for taken data which is called by the name Patch2self which is a self supervised learning method for denoising DWI data, this makes use of the whole volume in order to learn a full rank locally linear denoiser for the volume in question. Utilizing the oversampled q space that the DWI data provides for our benefit. Patch2Self can be implemented at any stage of the pre processing pipeline, as it relies solely on the noise's randomness. it is designed to operate on any sort of diffusion data or body part without requiring a noise calculation or assumptions about the nature of noise (such as its distribution).

Fig. 2 The above figure demonstrates the working of Patch2Self. The idea is to build a new regressor for denoising each 3D volume of the 4D diffusion data

Fig. 3 Denoised Output

)
International Journal for Research in Applied Science & Engineering Technology (IJRASET
306 ©IJRASET: All Rights are Reserved | SJ Impact Factor 7.538 | ISRA Journal Impact Factor 7.894 |

ISSN: 2321 9653; IC Value: 45.98; SJ Impact Factor: 7.538 Volume 10 Issue XI Nov 2022 Available at www.ijraset.com

E. Model Development

In medical research and clinical practice, it may be necessary to analyse the white matter integrity at a particular site. Mean diffusivity, degree of anisotropy and the primary direction of diffusivity are the three various ways that the data from the tensor model at the level of each voxel and then in an area can be summarised and presented. The mean diffusivity of the water molecules is characterized by the amount of net movement that they undergo, and it is measured in micrometres per millisecond. An anatomical image can have the mean diffusivity of individual voxels superimposed over it; high mean diffusivity is shown as a white appearance, while low mean diffusivity is represented as a dark look. Because growing complexity within cells makes it more difficult for water to diffuse across them, mean diffusivity declines with age in both grey and white matter. As a result, mean diffusivity can be an effective measure for determining the degree to which white matter has matured.

Fig. 4 Flow Chart of Model Development

F. Diffusion Imaging

In this paper, we have used DIPY, library that is a 3D or 4D imaging technique. which can help in statistical analysis, machine learning, and the visualisation of medical images. It also includes specialised approaches for computational anatomy, such as diffusion and structural imaging. Through this library, we can reconstruct the structural image of the brain. Firstly, we use the Dipy library to reconstruct the dMRI image. then go on to extract the data from the dataset. Then we will create a gradient table by loading b values and b vectors, which summarises the diffusion parameters. Second, we generate a brain mask for the taken image to avoid computation on the background of the image. Thirdly, we try to reconstruct the voxel in two steps: the first is to use the tensor model of DTI; the second is to fit the data to obtain the tensorfit object, which contains parameters and standard diffusion DTI metrics as object attributes; and finally, we plot all the required maps using Matplotlib.

IV. IMPLEMENTATION

Here we are reconstructing the DWI pictures into five distinct scalar maps so that we can better understand the biological microstructure of the interior sections of the brain.

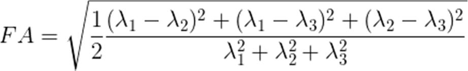
Fractional anisotropy (FA) is a nondirectional proportion ranging from 0 to 1 that is used to express the degree to which diffusion is anisotropic. When it is compared to dense packing, light axonal packing would leave more water in the intercellular spaces; this would result in less restriction of diffusion and, hence, a lower FA. On the other hand, a high degree of myelination would lead axons to be packed together more closely, which would increase FA.

International Journal
Research
)
for
in Applied Science & Engineering Technology (IJRASET
307 ©IJRASET: All Rights are Reserved | SJ Impact Factor 7.538 | ISRA Journal Impact Factor 7.894 |

ISSN: 2321 9653; IC Value: 45.98; SJ Impact Factor: 7.538

Volume 10 Issue XI Nov 2022 Available at www.ijraset.com

On an anatomical map, the FA of all of the voxels in the brain can be superimposed; voxels with high values are depicted as white, while voxels with low values are represented as black. The FA has been used as the principal measure of white matter integrity in several studies.

FA is formally defined as the normalized variance of the tensor's eigenvalues:

In the case of perfect, isotropic diffusion, the diffusion tensor is a sphere, and FA = 0 (In general FA values vary between 0 and 1). If the starting two eigenvalues are equal then the tensor will be oblate or flat and if the first eigenvalue is greater than the other two, the tensor will have the previously specified ellipsoid shape as diffusion gradually becomes more anisotropic, eigenvalues become more unequal, leading the tensor to grow elongated; with FA approaching, it must be evaluated with caution. It may indicate the density of packed fibres in a voxel and the quantity of myelin around the axons, although it is not always indicative of "tissue integrity."

Mean diffusivity (MD) is a measure of the degree of diffusion, independent of direction. This is sometimes known as the apparent diffusion coefficient (ADC).MD is determined mathematically as the mean eigenvalues of the tensor and is measured in mm2/s. It often used complementarymeasures to FA.

Axial diffusivity (AD) and radial diffusivity (RD) are the Additional measures necessary to further define the tensor if two tensors with different forms provide identical FA values. AD describes the diffusion rate along the primary axis of diffusion, along ( ), or parallel to the axon (and hence, some works refer to it as parallel diffusivity). On the other hand, RD is the average diffusivity along the minor axes(being named perpendicular diffusivity). Where both are measured in mm^2/s.

There are several ways of visualizing tensors. One of the approaches is to use an RGB map that overlays the major diffusion orientation on an FA map. The colours of this map encode the diffusion orientation. This map provides directional information (e.g., whether the diffusion flows from right to left or vice versa), with the help of the DIPY Python library, we can use the color_fa function. The colours correspond to the following architectures: 

Red = Left / Right 

Green = Anterior / Posterior 

Blue = Superior / Inferior

International Journal
Research
)
for
in Applied Science & Engineering Technology (IJRASET
308 ©IJRASET: All Rights are Reserved | SJ Impact Factor 7.538 | ISRA Journal Impact Factor 7.894 |
Fig. 5 RD and FA maps Fig. 6 MD and AD maps

ISSN: 2321 9653; IC Value: 45.98; SJ Impact Factor: 7.538 Volume 10 Issue XI Nov 2022 Available at www.ijraset.com

V. RESULTSDISCUSSION

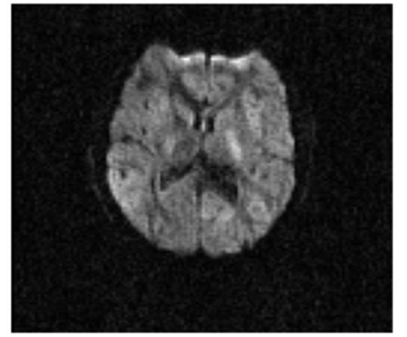
dMRI is capable of capturing information in several dimensions at once. There have been a number of different approaches suggested to summarise the various diffusion properties found in biological tissues. Here we are trying to use a statistical approach to calculate diffusion anisotropy within a given voxel or region. The first image is a raw DWI image where we can see the internal structure of brain by differentiating between white and grey matter.

Fig. 7 Raw DWI image

The subsequent images are the various scalar maps that were generated by making use of the Dipy library. Here, we can see the FA map, which ranges from 0 to 1 and does not take any dimensions into account; it describes the amount of one directional water movement. An FA value of 0 indicates that there is no anisotropy in the movement of water. This is the case for movement that is truly isotropic, such as the movement that one would anticipate in a glass of water or within a collection of cerebrospinal fluid like the ventricular system. An FA value of 1 indicates that water is moving in a single direction only, which is a movement pattern that is typically absent in living things.

Fig. 8 Output FA map

In a similar manner, MD maps place an emphasis on inverse membrane density, which is determined by cerebrospinal fluid and the bright signal on the images indicates either a lower water diffusion or a larger water content, both of which are very helpful in the process of clinical assessment.

Fig. 9 Output MD map

)
International Journal for Research in Applied Science & Engineering Technology (IJRASET
309 ©IJRASET: All Rights are Reserved | SJ Impact Factor 7.538 | ISRA Journal Impact Factor 7.894 |

International Journal for Research in Applied Science & Engineering Technology (IJRASET

ISSN: 2321 9653; IC Value: 45.98; SJ Impact Factor: 7.538 Volume 10 Issue XI Nov 2022 Available at www.ijraset.com

When it comes to AD and RD maps, we are able to identify changes in the axonal parameter by adjusting the white matter area. This allows us to better understand the connections between neurons. In AD, the main water movement is strongly focused, along primary axis. but in RD, it is focused transverse to the long axis.

Fig. 10 Output AD map

Fig. 11 Output RD map

Fig. 12 Output Coloured FA map

)
310 ©IJRASET: All Rights are Reserved | SJ Impact Factor 7.538 | ISRA Journal Impact
7.894 |
Factor

ISSN: 2321 9653; IC Value: 45.98; SJ Impact Factor: 7.538 Volume 10 Issue XI Nov 2022 Available at www.ijraset.com

The FA maps illustrate the various degrees of anisotropy found throughout space. The majority of white matter voxels are depicted on the color direction maps that are seen above. This is primarily the result of selecting the Weight with FA option within the Visualize direction of the primary eigenvector field. This option takes into account the magnitude of the FA value at each voxel in order to blend the color information with the background (anatomical) intensity information. The cost of the standard scan might range anywhere from 3,000 to 9,000 rupees, but the contrast scan is significantly more expensive. The majority of the time, between thirty percent and forty percent of patients only have this contrasted scan, as stated in an article on medical radiology; this statistic only accounts for one city. If we compute the additional amount that they spent on this scan, it amounts to about 15,000 to 25,000 rupees, which means that it is possible to make it very cost efficient by employing this mapping technique.

VI. CONCLUSION

In radiology, a diagnosis is nearly always made based solely on the radiologist's impressions of the patient's appearance, and quantitative image analysis is almost never used. Image quantification is essential for understanding the basic disease mechanisms that underlie neurological or psychiatric disorders of the human brain, as well as for the development of biomarkers of brain disease that can be used to evaluate pathology status and treatment efficacy. While routine clinical diagnosis can be determined qualitatively, image quantification is essential for understanding the basic disease mechanisms that underlie these disorders. Although clinicians have received extensive training in the process of reading scalar images, which are also known as the grayscale images that are typical of CT scans and conventional MRI sequences, they are less familiar with the process of deriving quantitative information from complex imaging data, such as that which is captured using dMRI. With the use of these image data that were taken, we will be able to build various scalars that will be of great assistance to us in comprehending the microstructure information of the brain's architecture. Some examples of these scalars include FA, AD, RD, and MD maps. We are able to cut down on the amount of time and money spent scanning.

REFERENCES

[1] Wim Van Hecke, Louise Emsell, Stefan Sunaert, Diffusion Tensor Imaging: Springer Science+Business Media New York 2016.

[2] T.A.G.M. Huisman, Diffusion weighted and diffusion tensor imaging of the brain, made easy: Cancer Imaging. 2010 Oct 4;10 Spec no A(1A):S163 71.

[3] Siddhartha Gaddamanugu, Omid Shafaat, Houman Sotoudeh, Amir Hossein Sarrami Ali Rezaei, Zahra Saadatpour & Aparna Singhal, Clinical applications of diffusion weighted sequence in brain imaging: beyond stroke: Neuroradiology 64, 15 30 (2022).

[4] Asim F. Choudhri MD, Eric M. Chin BS, Ari M. Blitz MD and Dheeraj Gandhi MD, Diffusion Tensor Imaging of Cerebral White Matter; Radiologic Clinics of North America, 2014 03 01, Volume 52, Issue 2, Pages 413 425.

[5] Patric Hagmann, Lisa Jonasson, Philippe Maeder, Jean Philippe Thiran, Van J. Wedeen, Reto Meuli, Understanding Diffusion MR Imaging Techniques: From Scalar Diffusion weighted Imaging to Diffusion Tensor Imaging and Beyond; oct 1 2006,vol 26.

[6] Do Tromp, DTI Scalars (FA, MD, AD, RD) How do they relate to brain structure?, The Winnower 9:e146119.94778 (2016).

[7] Figley, C. R., Uddin, M. N., Wong, K., Kornelsen, J., Puig, J., & Figley, T. D. (2022): Potential Pitfalls of Using Fractional Anisotropy, Axial Diffusivity, and Radial Diffusivity as Biomarkers of Cerebral White Matter Microstructure. Frontiers in Neuroscience.

[8] K. Seeliger, U. Güçlü, L. Ambrogioni, Y. Güçlütürk, M. A. J. van Gerven: Generative adversarial networks for reconstructing natural images from brain activity(2018), bioRxiv.

[9] Alexander, A. L., Lee, J. E., Lazar, M., and Field, A. S. (2007). Diffusion tensor imaging of the brain. Neurotherapeutics 4, 316 329.

[10] Jelescu, I. O., and Budde, M. D. (2017). Design and validation of diffusion MRI models of white matter. Front. Phys. 5:61.

[11] Runge, V.M., Heverhagen, J.T (2022). Diffusion Tensor Imaging. In: The Physics of Clinical MR Taught Through Images. Springer, Cham.

[12] Salamon, N., Moritani, T. (2021). Diffusion Weighted and Tensor Imaging of the Normal Brain. In: Moritani, T., Capizzano, A.A. (eds) Diffusion Weighted MR Imaging of the Brain, Head and Neck, and Spine. Springer, Cham.

[13] Yoshiura T, Wu O, Sorensen AG (1999) Advanced MR techniques: diffusion MR imaging, perfusion MR imaging, and spectroscopy. Neuroimaging Clin N Am 9:439 453.

International Journal
Research
for
in Applied Science & Engineering Technology (IJRASET)
311 ©IJRASET: All Rights are Reserved | SJ Impact Factor 7.538 | ISRA Journal Impact Factor 7.894 |

Turn static files into dynamic content formats.

Create a flipbook
Issuu converts static files into: digital portfolios, online yearbooks, online catalogs, digital photo albums and more. Sign up and create your flipbook.
Development of MRI Scalar Maps using DWI Images by IJRASET - Issuu