Covid-19 Analysis and Detection Using Chest X-Ray Images

Page 1

10 XII December 2022 https://doi.org/10.22214/ijraset.2022.48456

ISSN: 2321-9653; IC Value: 45.98; SJ Impact Factor: 7.538 Volume 10 Issue XII Dec 2022- Available at www.ijraset.com

Covid-19 Analysis and Detection Using Chest XRay Images

Shahi din1, Dr. Gurinder Kaur Sodhi2

1M. Tech Scholar, 2HOD, Department of Electronics and Communication Engineering, Desh Bhagat University, Mandi Gobindgarh, Punjab, India

Abstract: COVID-19 is the most lethal and life-threatening sickness induced by a single corona virus. In December 2019, the Corona virus, which seems originated in Wuhan, China and has been accountable for a significant quantity of fatalities, soon distributed around the world. A correct diagnostic can enable the rapid identification of COVID-19, even if there are no evident manifestations, and this can help people live longer. The most common clinical procedures Diagnostic tests and chest X-rays can both diagnose this illness. This study found that COVID-19 may be spotted using an object recognition method of chest X-ray images and Tomography. Such pictures give vital info on the COVID-19 virus, thus according to ongoing study based on radiology imaging methods... This suggested method, utilizing state-of-the-machine learning capabilities, which has been determined to be profitable in recognizing COVID-19 and when combined with chest radiography, can assist in the correct identification of the condition. The suggested approach for binary classification is designed to offer reliable diagnosis for patients with and without COVID. The results show that VGG-19 is the optimal configuration cantered on the picture, with 98.87% in connection comparisons and 95.91 percentage efficacies in insurance status identification. Each layer has its own filtering, hence convolutional layers were utilized. As a result, the VGG-19 classification system was competent in categorizing COVID-19 instances. . This approach, on the other hand, might be considerably enhanced by changing it or adding a convolution operation on front of it. Our system can help radiology validate their initial screenings and can also be used to quickly test affected role over the web

Keywords: Covid-19, X-Ray, VGG-19, and Disease Detection

I. INTRODUCTION

The far more dangerous and heart illness brought on by a lone viral virus is COVID-19. In Christmas 2019, the Tiger virus, which was implicated in a considerable lot of killings and is believed to have its origins in Wuhan, China, continue to happen throughout the continent. Even in the absence of overt indicators, COVID-19 may be accurately diagnosed early on, which can prolong life The far more common forms of therapy for this condition are chest X-rays and Ct scanners. In accordance with this study, CT scans and chest X-ray pictures can automatically identify COVID-19. The most popular approach, pattern recognition, may be the only option to deal with these image data. COVID-19 discovery might be revolutionized in the future thanks to advances in deep learning. COVID-19 has already been identified utilizing Using genetic algorithms learning models, health imaging studies like X-rays and CT scans have produced positive outcomes. This study's primary objectives are to review the approaches used in earlier studies, compile all datasets of lung CT and X-ray images that are accessible, and provide an overview of the approaches that are most frequently used to analyze COVID-19 individually utilizing x - rays. Data collection is required to improve the corporation and teach employees. When treating COVID-19 cases with artificial intelligence techniques, this dataset will be helpful. The scientists created a novel technique for distinguishing COVID-19 that employs AI algorithms to examine chest CT or X-ray pictures due to the shortcomings of RT-PCR.

International Journal for Research in Applied Science & Engineering Technology (IJRASET)
2275 ©IJRASET: All Rights are Reserved | SJ Impact Factor 7.538 | ISRA Journal Impact Factor 7.894 |
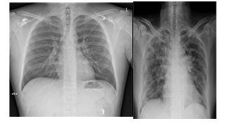
Figure 1Coronavirus and pro physician chest X-ray pictures Figure 2Coronavirus and Non Corona virus adolescents' chest Tomography pictures

ISSN: 2321-9653; IC Value: 45.98; SJ Impact Factor: 7.538 Volume 10 Issue XII Dec 2022- Available at www.ijraset.com

According to the Centers for Disease Control and Planning, Even if a chest CT or X-ray shows COVID-19, its only definitive technique of diagnostic is the viral screening (CDC). And endeavor is the first step in creating a tool that verifies or provides further details regarding the present disease through viral investigation. The greatest result to have is achieved by VGG-19 (spatial Geography Group), which classifies pulmonary symptoms with a highest score of 100 percent. The normal class did well, though the COVID-19 classes have had minor issues. Categorization issues despite strong results. So far, in the COVID-19 class, this model has produced the greatest and most regular outcomes.

II. OBJECTIVES

We provide a unique classifier that uses the observant unit and VGG-19, being one of the flagships for categorizing CXR images, in our opinion. Our proposed model can better accurately identify zones that are more likely to be deteriorating in both national and global level of CXR pictures since this incorporates density and pooling unit on VGG-19. A convolutional network (CNN) will be started, where by processes the input photos via a series of layers, encompassing neural, pools, flatness, and tightly coupled layers, before forming the CNN outputs, which classifications the photographs. With the building of CNN models from the bottom - up, we will use picture supplementation approaches to fine-tune the model. Therefore, we'll categorize photos and measure performance for both training and testing data using one of the VGG-19 pre-trained models.

III. LITERATURE REVIEW

Images from medical X-rays are applied to analyze one of the delicate living beings, including the bones, chest, dentition, and head. For decades, physicians have used this tool to examine and find organ fractures or other disorders [1]. This is because X-rays are extremely great screening tools for discovering clinical symptoms, in add to being quell and affordable. Chest conditions can manifest on CXR imaging as cavitations, amalgamations, invade, blunted something that angles, and microscopic widely dispersed nodules. By looking at the chest X-ray picture, radiologists can identify a variety of conditions and illnesses, including bacterial pneumonia, ascites, asthma, respiratory problems, colonization, tumour, haemoptysis, fluid overload, atelectasis, implosion, fractures, COVID positivity or negative, and more.

Since the beginning of the year 2020, several researches have been done in an effort to create a system for identifying those who have the condition. In order to detect likely instances of the corona virus, the vast majority of these studies in data science employ deep neural network algorithms (CNNs) to classify images of thoracic CT or X-rays as anomalous [2].[Convolutional neural networks (CNNs) are frequently employed for classifiers because of their strong performance in the areas of automatic identification and picture spotting. CNNs have grown more complex throughout time, ranging in complexity to the most simpleLeNet-5, which has five divisions, to ResNet-50, which has 152 levels, represents the most complicated. They can acquire information from the photographs with its fc layers, which is the key

IV. METHODOLOGY

A. ANN (Artificial Neural Network)

In terms of deep unlabeled data, artificial neural networks continue to be some of the fundamental and influential (ANN). The brain connection, the most complicated mechanism in our biology, served as the inspiration for its structure. In the male mind, there are around 90 billion nerves an extremely small number of cells. Nodes are interconnected by nerve endings intercalated discs and axons. An axon's principal job is to transport messages from one neuron to some other. Neurons, on the other hand, are principally responsible for receiving information from the neuron's axons to which it is attached. Each brain in the chain analyzes slight quantity of information prior transmitting it to the synapse after it. Our intellect analyses vast amounts of input, including verbal, cognitive, and certain other types of data, and draws useful information from them primarily via this technique

B. Perceptron

Frank Rosenblatt, a psychologist, relying on this model, its first Deep Neural Network (ANN) was developed in 1958.An ANN is similar to a neuronal in that it is made up of many nodes. The nodes are tightly connected and organized into numerous layers that are concealed. The data is received by the input layer, which is then transferred in a proper sequence to one or more hidden layers until being forecasted by the activation function. A photograph may be the input, and the item recognized in the image, such as a cat, could be the output. In ANN, a single neuro-transmitter (sometimes called a network) is defined as:

International Journal for Research in Applied
Science & Engineering Technology (IJRASET)
©IJRASET: All Rights are Reserved | SJ Impact Factor 7.538 | ISRA Journal Impact Factor 7.894 | 2276

ISSN: 2321-9653; IC Value: 45.98; SJ Impact Factor: 7.538

Volume 10 Issue XII Dec 2022- Available at www.ijraset.com

Figure 3 How a single supervised learning works

C. Multi-Layer Perceptron

The multi-layer classification model has been the most basic form of ANN. It consists of one input surface, a multilayer unit or units, followed by an activation function. Numerous buried nerves make form layers. The procedure stratum is one or more elements of the incoming data. Each Ann includes one or more levels that evaluate a specific title's item after releasing the material that has been examined to a next convolution layers. The output layer process receives the data from the last hidden layer and works as expected.

Figure 4multi-layerperceptrons and how they function

D. Convolutional Neural Network

The convolutional neural network is one among the most often used ANNs. It is frequently used in the fields of video and image intelligence analytics. Based on numerical principles idea of several, It is almost exactly like a multi-layer classifier, with the exception of the segmentation and max - pooling layers that come before the fully linked neurons in the hidden layers layer. It consists of three stages.

1) Convolution layer: It is the extremely fundamental constructing piece and performs calculations using the multilayer polynomial.

2) Pooling layer: It is meant to reduce the quantity of ideas by removing superfluous information, letting for nimbler computing, and it lies next to the convolutional.

3) Fully connected layer: It classifies input into several categories and is installed next to a series of distortion and max - pooling..

Figure 5A visual depiction of CNN's building

A straightforward CNN is depicted like follows. –

Figure 6basic CNN

Figure 7Simulated results and losses are shown using data curves.

Journal
)
International
for Research in Applied Science & Engineering Technology (IJRASET
©IJRASET: All Rights are Reserved | SJ
7.538 | ISRA Journal
| 2277
Impact Factor
Impact Factor 7.894

ISSN: 2321-9653; IC Value: 45.98; SJ Impact Factor: 7.538 Volume 10 Issue XII Dec 2022- Available at www.ijraset.com

Figure 8Simulated results and losses are shown using instructional funnels.

E. VGG-19 (Visual Geometry Group)

The VGG-19 learning method was in their article Very Complete Rnns Systems for Large-Scale Computer Vision, K. Simonyan and A. Convolutional from the Oxford University report Categorization. The method beats Image Net’s top-5 test efficiency of 92.7 percent, which is based on a dataset of more than 14 million photographs from 500 people. The sample which was presented to the ILSVRC-2014 was a popular one. Acts as a filter with large kernel sizes (11 and 5 in the first case and intermediate convolutions), it beats AlexNet accordingly) with a large number of 33 kernel-size elements in a timely order. NVIDIA Titan Black GPUs were used to train VGG-19 over a period of weeks.

The VGG-19 development method was suggested by K. Simonyan and A. Radial basis function from the University of Melbourne in their publication Very Fully Rnns Networking for Picture Categorization. The method beats Image Net’s top-5 positive way of 92.7 percent, which is based on a pool of more than 14 million photographs from 500 people. That is a well prototype that was shown to the ILSVRC-2014. By using big linux screens (11 and 5 in the first and intermediate convolutions), it beats AlexNet. Five give or take levels that follow some of the conv. layers are used to create physical pools. A 22-pixel frame is max-pooled using stride 2.

After a sequence of convolutional (of varying thickness and distinct styles), Three Highly Connected (FC) elements are connected; the tripling conducts 1000-way ILSVRC classifies and has thousand units; the very first two together contain 4096 glass. The top layer is the lightest. The completely connected portions are constructed in a similar way throughout all circuits.

.In most every submerged layer, the determining (ReLU) quells is maintained. It is really crucial to remember why, save for one, every hub makes use of Local Answer Liberalization (LRN), meaning increases usage and runtime and really doesn't increase productivity on the ILSVRC dataset.

To extract, utilizing a VGG-19trained network trained on ImageNet levels and feed that data to a new classifier to classify photographs. We need to specify weights = ImageNet' to acquire the ImageNet resource was used to generate the VGG-19 models. It is imperative to use Include top = False to prevent getting all related layers of the model is trained. We need to add our own classifier because the fully convolutional model classifier has more than two classifications. The objective is to divide the image into two categories positively and negatively COVID results. The fully connected layer splits low-level image properties like edges, lines, and blobs into two groups after the convents of the from before the deep model extracts them.

Figure 9Graphhic representation of VGG-19 architecture

Figure 10a basic vgg 16

International Journal for Research in Applied
)
Science & Engineering Technology (IJRASET
©IJRASET: All Rights are Reserved | SJ Impact Factor 7.538 | ISRA Journal Impact Factor 7.894 | 2278

ISSN: 2321-9653; IC Value: 45.98; SJ Impact Factor: 7.538

Volume 10 Issue XII Dec 2022- Available at www.ijraset.com

Figure 11Precision and losses are shown utilizing instructional funnels.

V. SYSTEM ARCHITECTURE

A. Software Implementation

It entails all of the processes required after a sale to get anything to perform properly in its environment, such as assessing specs, distributing, evaluating, and operating.

B. Python

Python is an interpreted programming language that is often utilized for several uses. It was started by Guido van Rossum in 1991, and the Django Committee funds it. Its style, which was made with readability in view, means that it is possible to explain concepts in less programming language. Using the code generator Python, you can create with systems faster and effectively. In PyCharm IDE, we may use the Python language to construct APIs.

C. Libraries Availed

The modules in Python are quite a set of useful programs that may be utilized in place of developing original code. Currently, there are more than 137,000 libraries for Python. Activities including multimedia information manipulation, process analysis, data science, and visualizing all make use of Python libraries. Some useful Python libraries are as follows:

D. Keras and Tensor Flow

A Python reward actually teaching API called Keras uses Tesla as its foundation scientific framework. The concept was conceived by Francois Chollet, a Google artificial intelligence researcher. Google, Square, Netflix, Huawei, and Uber are among the companies that employ Keras. It was made with the intention of facilitating speedy experimentation. TensorFlow 2.0 and Keras are stations for cognitive computing that are entirely open public. It combines four crucial abilities:

1) Efficient manner execute low-level geometric actions on the CPU, GPU, or TPU.

2) Expression multiprocessing, allowing huge volumes of data, such like big data, to be handled.

3) TensorFlow explains all math processes, no matter how simple, using a processing graph.

4) Keras allows TensorFlow 2.0's versatility and bend features may be fully utilized by scientists and designers; Keras can be run on TPUs or massive GPU groups, and Keras modeling can be exported to run on the online or on mobile devices.

a) NumPy and pandas: While the NumPy function works with quantitative form, the Pandas module deals with tabular analytics. Although the NumPy subsystem includes a potent abstraction named Array, Pandas serves as a base for complex utilities likes Data Frame and Movie franchise.

E. Matplotlib

International Journal for Research in Applied
)
Science & Engineering Technology (IJRASET
©IJRASET: All Rights are Reserved | SJ Impact Factor 7.538 | ISRA Journal Impact Factor 7.894 | 2279
Figure
Tid bits
12Developed Code

Technology (IJRASET

ISSN: 2321-9653; IC Value: 45.98; SJ Impact Factor: 7.538 Volume 10 Issue XII Dec 2022- Available at www.ijraset.com

With the help of this well-known Perl data source, you may write Python language to generate 2D graphs and reports.. The following graphs and plots are endorsed: line, log, data sets, scatter diagram, frequency spectral, error maps, and some other graphs and plotlines.

F. Technology Used

The terms "innovation" and "procedures, procedures, and hardware" both apply to the results of applying scientists to practical goals.

G. Django

An advanced Python web design is called Django. That allows you to easily create secure and accessible website. Django is a configuration file created by game professionals that handles much of the heavy work so you can concentrate on designing your project rather than spinning the tyre. It is free content with helpful support, a bustling metropolis, and a variety of free and premium development tools.

H. Google Colab

Colab is a free-to-use cloud-based Jupyter notebook environment. Most importantly, it doesn't take any preparation, and the journals you create, like Google Docs assignments, may be edited continuously by your group members. Collab supports a variety of machine learning libraries that may be rapidly installed into your notepad.

I. CSS

CSS is a sort of programming language that describes how an internet json such is displayed in HTML or XHTML, which includes, among other things, fonts, textures, width, and colour combinations. A code CSS is used to improve the appearance of available data; it is a language that encourages expressive style and inventiveness. The potential to segregate text expressed in html code (such as HTML) from large point One of CSS's major features is the definition of providers.

J. JavaScript

JavaScript is a system for composing or programming that enables you to construct complex structures on websites, such like realtime streaming media, info graphics, dance in two- and three-dimensions, swiping video recorders and more.

Figure 13Developed Code Factoids

VI. SIMULATION AND RESULTS

VGG-19 fared much better in the ILSVRC-2012 and ILSVRC-2013 competitions than the most current projections. The ILSVRC2013 finalist Clarifai's winnings from the VGG-19 discoveries are surpassed by 11.2 percent with a dataset and 11.7 %, respectively cents per share without each other, and compare well to the classifications task finalist (GoogleLeNet with a 6.7 percent difference). In a particular act, the VGG-19 infrastructure executes 0.9 percent better than a Google Net (7.0 per test error) We used Tkinter to create graphical user interfaces since the interaction was developed with a visual concept in mind for ease of use. We chose Tkinter since this combination of Python and Tkinter allows us to create graphical interface quickly and easily. Tkinter additionally provides a powerful device interfaces for the Tk GUI toolkit.

A. Confusion Matrix

The system effectiveness is measured using an N x N matrices, where De denotes the starting classification. The array links the real objective characteristics to the assumptions made by the training set. This paints a straight forward portrait for us. The kind of inaccuracies our svm classifier makes and how well it is really doing.

International Journal
Research
for
in Applied Science & Engineering
)
©IJRASET: All Rights are Reserved | SJ Impact Factor 7.538 | ISRA Journal Impact Factor 7.894 | 2280

ISSN: 2321-9653; IC Value: 45.98; SJ Impact Factor: 7.538

Volume 10 Issue XII Dec 2022- Available at www.ijraset.com

There are two possibilities for the target variable: Is it a good or bad idea?

• The readings of the target variable are shown in the columns. The rows correspond to the target variable's projected values

•.

Figure 14 Values of Confusion Matrix

B. VGG-19 Comparison

Expanded representation depth improves generalization ability, and using a conventional Online cloud with substantially greater complexity, jurisdiction accuracy on the ImageNet data sets may be attained

Figure 15 Confusion matrix for VGG-19

C. Results

It can be categorized into two forms: 1) 6.3.1. Confusion Matrix without normalization

Figure 16 • Confusion Matrix without normalization

2) Confusion Matrix with normalization

Figure 17Matrix of Surprise with Linearization

Figure 18Design loss of our COVID-19 Prototype represented

Figure 19Authenticity of our COVID-19 Framework as represented

)
International Journal for Research in Applied Science & Engineering Technology (IJRASET
©IJRASET: All Rights are Reserved | SJ Impact
7.538 | ISRA Journal Impact
7.894 | 2281
Factor
Factor

ISSN: 2321-9653; IC Value: 45.98; SJ Impact Factor: 7.538 Volume 10 Issue XII Dec 2022- Available at www.ijraset.com

VII. CONCLUSION

This research proposes a need plenty approach for COVID-19 case detection and identification using X-Ray pictures. This kind is built from the ground up, thus no manual background subtraction is required. With 98.40 percent accuracy, our created system can do binary classification jobs. The efficacy of the created model is assessed, and a larger population may now be used to analyze it. The suggested methods can be used to detect sinusitis and TB, two additional chin diseases. Using a tiny percentage of X-Ray Corona virus pictures in the investigation is a limitation. To make this approach more durable and efficient, potential severity photographs from nearby hospitals has been used. The performance of our proposed technique, on the other hand, may be strengthened even more. Additionally, this increases the amount of CXR photos.

Figure 20ROC curve displaying the proportion of true positives to false negatives

This study supports a practical plan for boosting the standard of medical treatment and the accuracy of diagnostic tests. If Despite being among effective methods for separating Corona virus individuals from Non corona virus individuals, innovation continuing process releases the performance of the model

Table 1 comparison with other models: Model Solver Drop Out1 Validation Accuracy% Test Set Accuracy%

2-ary Adam (0.8,0.7,0.4) 88.35 74.50

2-ary SGD (0.6,0.6,0.4) 88.07 71.75

2-ary NAG (0.7,0.8,0.4) 87.50 70.00

2-ary RMSProp (0.7,0.7,0.4) 85.80 69.50

2-ary AdaGrad (0.7,0.7,0.5) 87.22 66.25

3-ary AdaGrad (0.7,0.7,0.5) 63.28 68.75

3-ary SGD (0.6,0.6,0.4) 65.63 67.00

3-ary NAG (0.7,0.8,0.4) 67.71 64.75

3-ary RMSProp (0.7,0.7,0.4) 60.68 64.00

3-ary Adam (0.8,0.7,0.4) 64.32 63.50

REFERENCES

[1] Sitaula C, Xiang Y, Basnet A, Aryal S, Lu X (2020) Hdf: hybrid deep features for scene image representation. In: To appear in international joint conference on neural networks (IJCNN).

[2] Deng J, Dong W, Socher R, Li LJ, Li K, Fei-Fei L (2009) ImageNet: a large-scale hierarchical image database. Proceedings of the IEEE conference on computer vision and pattern 067 recognition (CVPR).

[3] Loey M, Smarandache F, M Khalifa NE (2020) within the lack of chest COVID-19 X-Ray dataset: a novel detection model based on gain and deep transfer learning. Symmetry 12(4):651.

[4] Singhal T (2020) A review of coronavirus disease-2019 (COVID- 19). Indian J Pediatr 87:1-6.

[5] J.Vilar, M.L.Domingo, C. Soto, J. Cogollos Radiology of bacterial pneumonia Eur J Radiol, 51 (2) (2004), pp. 102-113.

[6] Cohen JP “COVID-19 image data collection,” https://github.com/ieee 8023/covid-chestxray-dataset 2020.

[7] Wu, F.; Zhao, S.; Yu, B.; Chen, Y.M.; Wang, W.; Song, Z.G.; Hu, Y.; Tao, Z.W.; Tian, J.H.; Pei, Y.Y.; et al. A new corona virus associated with human respiratory disease in China. Nature 2020, 579, 265–269.

[8] Chowdhury, N.K.; Rahman, M.M.; Kabir, M.A. PDCOVIDNet: A parallel-dilated convolutional neural network architecture for detecting COVID-19 from chest X-Ray images. Health Inf. Sci. Syst. 2020, 8, 1–14.

[9] Martinez, F.; Martínez, F.; Jacinto, E. Performance evaluation of the NASNet convolutional network in the automatic identification of COVID-19. Int. J. Adv. Sci. Eng. Inform. Technol. 2020, 10, 662.

[10] S. A, et al. Duration of infectiousness and correlation with RT-PCR cycle threshold values in cases of COVID-19, England, January to May 2020 Euro Surveill, 25 (32) (2020).

International Journal for Research in Applied
)
Science & Engineering Technology (IJRASET
©IJRASET: All Rights are Reserved | SJ Impact Factor 7.538 | ISRA Journal Impact Factor 7.894 | 2282

Turn static files into dynamic content formats.

Create a flipbook
Issuu converts static files into: digital portfolios, online yearbooks, online catalogs, digital photo albums and more. Sign up and create your flipbook.