Brain Tumor Detection in Image Processing

Page 1

https://doi.org/10.22214/ijraset.2023.48799

11 I January 2023

ISSN: 2321-9653; IC Value: 45.98; SJ Impact Factor: 7.538

Volume 11 Issue I Jan 2023- Available at www.ijraset.com

Brain Tumor Detection in Image Processing

Harshit Singh1 , Mohd Armaan2, Jayesh Srivastava3, Mo Rizwan4 , Subhajit Ghosh5 1, 2, 3, 4 Department of CSE, IMS Engineering College, Ghaziabad, India

5Professor, Department of CSE, IMS Engineering College, Ghaziabad, India

Abstract: MRI plays a significant role in brain tumor analysis, diagnosis and treatment planning. It’s useful to doctor to determine the preceding steps of a brain tumor. Brain tumor detection and analysis by using MRI images is a challenging task because of the complex structure of the brain. Abnormal growth of tissues in the brain which affect proper brain functions is considered as a brain tumor. CT-scan is not always preferred method for detection. MRI images provide greater result than CTscan and X-rays. In this numerous pre-processing, post-processing, and methods like contrast enhancement, Filtering, Edge detection, and post-processing techniques like Threshold, Segmentation, Histogram, Morphological operation through image processing (IP) tool, and image segmentation techniques is available in MATLAB for detection of brain tumor images (MRIImages) are discussed

Keywords: Brain Tumor, MRI, CT, x-rays, Preprocessing, post-processing, segmentation, Feature Extraction

I. INTRODUCTION

A human body consists of cells and a brain tumor is a mass or growth of abnormal cells in your brain. Brain tumors are the most common solid tumor in children and adolescents, affecting around 308,102 people and they were diagnosed with a primary brain or spinal cord tumor in 2020. Many different types of brain tumors exist. Brain tumors can be malignant (cancerous cells) or benign (noncancerous cells). Medical imaging techniques are used to create visual representations of the interior of the human body for medical and research purposes and noninvasive possibilities can be diagnosed by this technology. The various types of medical imaging technologies are based on noninvasive approaches, like MRI, Ultrasound, CT scan, SPECT, PET, and X-ray. When compared to other medical imaging techniques, like CT scan, and CAT scan, Magnetic Resonance Imaging (MRI) is majorly used and it provides greater contrast images of the Brain cancerous tissues. Brain tumor detection is able to see through MRI images. In image processing, image enhancement tools are used for medical image processing to improve the quality of images. Contrast adjustment, noise filtering, and threshold techniques are used for highlighting the features of MRI images. The Histogram, Edge detection, Segmentation, and Morphological operations play a vital role in the classification and detection of the tumor in the brain. This paper focuses on the detection of brain tumors using image processing techniques.

II. LITERATURE SURVEY

In Rabia Ijaz et al. [7], the system's goal is to detect brain tumors from MRI images, but it also takes their size into account. Tumors can be detected in the image. By applying further MATLAB algorithms, they can detect the size of this tumor. Since the intensity of the tumor is much greater than the background of the image and that’s the only reason tumors can be detected in MRI (Mancas, Gosselin, et al.2005). This system can precisely locate a tumor in an image. The algorithms used in the system are MATLAB watershed algorithms. Additionally, some of the brain tumor MRI images were taken for testing the proposed methodology using the hybrid approach for image segmentation that involves the combination of a top-hat filter and watershed algorithm (Patil and Bhalchandra 2012). However, their example images are simple cases of MRI scans. However, for more complicated images, their proposed algorithm failed to generate good results. In contrast, their proposed method shows promising results in more complicated cases.

B Advantages Disadvantages

Active contourmethod Use activecontour Models. Preservesglobal lineshapes efficiently.

Should find strong image gradients to drive the contour.

Lacking accuracywith weak image boundaries and Image noise.

International Journal for Research in Applied Science & Engineering Technology (IJRASET)
1324 ©IJRASET: All Rights are Reserved | SJ Impact Factor 7.538 | ISRA Journal Impact Factor 7.894 |

International Journal for Research in Applied Science & Engineering Technology (IJRASET)

ISSN: 2321-9653; IC Value: 45.98; SJ Impact Factor: 7.538

Volume 11 Issue I Jan 2023- Available at www.ijraset.com

WatershedsMethod Based on mathematicalmorphology Helps to improve the capture range

Thresholdmethod

Try to findedge pixels while eliminating the noise influence. Use gradient magnitude to find edge pixels

Seed region growing Correctly separate the regions that have the same properties. Determine the seed points

Marker based Watershed It removes the over segmentation problem, which occur in watershed segmentation

Over segmentation

The detected edges consist of discrete pixels and may be incomplete or discontinuous Computationally expensive

It requires manual interaction to obtain seed point

III. METHODOLOGY

The various steps of MR imaging like preprocessing, feature extraction, segmentation, post-processing, etc. which is used for finding the tumor area of MRI images. The figure-1 shows the basic structure of feature extraction through digital image processing

Some of the Image Processing Techniques are:

A. Median Filtering for Noise Removal

The median filter is a nonlinear filter that is used for removing noise from the images. It is very effective at removing impetus noise, the “salt, and pepper” noise, in the image. The principle of the median filter is to substitute the gray level of each pixel with the median of the gray levels in a neighborhood of the pixels, instead of using the average operation. The median filter used for removing salt and pepper noise from MRI images is shown in figure 2

1325 ©IJRASET: All Rights are Reserved | SJ Impact Factor 7.538 | ISRA Journal Impact Factor 7.894 |
Fig. 1 Block diagram of feature extraction through Digital Image processing Fig 2. (a) And (c) original images and (b) and (d) after noise removal by median filter

ISSN: 2321-9653; IC Value: 45.98; SJ Impact Factor: 7.538

Volume 11 Issue I Jan 2023- Available at www.ijraset.com

Noise removal techniques have become a necessary practice in medical imaging applications for the study of anatomical structure and image processing of MRI medical images. To report these issues, many de-noising algorithms have been developed like the Gaussian filter, Weiner filter, median filter, etc. The most commonly affected noises in medical MRI images are Speckle, Salt and Pepper, Gaussian, and Poisson noise. The medical images taken for comparison include MRI images, in grayscale as well as RGB.

B. Image Enhancement

Image enhancement techniques improve the quality of an image used in various fields. A variety of techniques are used for improving image quality. Contrast stretch edge enhancement, density slicing, and spatial filtering are the more commonly used techniques. Image enhancement helps to improve suitable and efficient treatment by improving images Image enhancement is attempted after the image is corrected for radiometric and geometric distortions. Image enhancement methods are applied individually to each band of a multispectral image. Image enhancement techniques are used in the medical field, especially in MRI images, because of the precision and wide variety of digital processes.

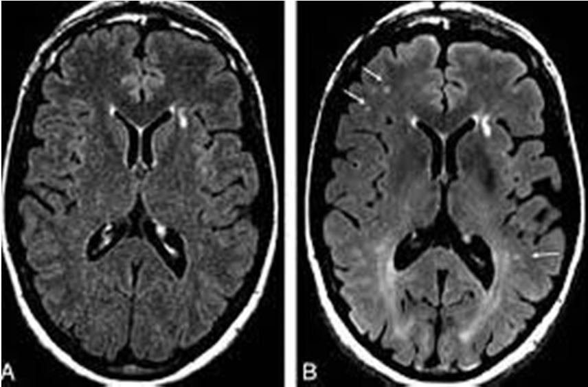
C. Threshold

Threshold Image threshold is an effective, simple, way of partitioning an image into a foreground and background. This image analysis technique is also a type of image segmentation that isolates objects by converting grayscale images into binary images. Image threshold is most effective in images with high levels of contrast. The threshold technique is applied on input of the MRI image by changing the threshold value and the result is shown in Figures 3 and 4.

D. Feature Extraction.

Accurate tumor extraction is a critical task in the case of brain tumors due to the complex structure of the brain. There are some criteria that are being considered to extract features such as configuration, size, form (shape), and image location. With respect to the results retrieved from extract features the process of tumor classification is performed.

E. Edge Detection

Edge detection is used for image segmentation in areas such as image processing, machine vision, and computer vision. Common edge detection algorithms include methods like Canny, Sobel, Prewitt, and Robert. Edge detection is an image processing technique for finding the boundaries of objects within images. It works by detecting discontinuities in brightness.

Journal
International
for Research in Applied Science & Engineering Technology (IJRASET)
1326 ©IJRASET: All Rights are Reserved | SJ Impact Factor 7.538 | ISRA Journal Impact Factor 7.894 |
Fig 3 image (A) without image Enhancement and image (B) with images enhancement Fig 3Threshold applied image

ISSN: 2321-9653; IC Value: 45.98; SJ Impact Factor: 7.538

Volume 11 Issue I Jan 2023- Available at www.ijraset.com

F. Histogram

The histogram of an image generally refers to a histogram of the pixel intensity values. This histogram is a graph that shows the number of pixels in an image at each different intensity value found in that image. The histogram of a digital image with gray levels in the range of [0, L-1] is a discrete function. The histogram technique used on an image mostly represents the comparative frequency of the many gray levels in the image. A histogram is a common tool for improving contrast in medical imaging and other various imaging fields. It recovers the lost contrast by redistributing the image brightness values that unfortunately may generate undesirable artifacts. T histogram techniques apply on input MRI image and result shown in figure

G. Bounding box

[4]The bounding box of an element is the smallest possible rectangle (aligned with the axes of that element's user coordinate system) that entirely encloses it and it is descendants. [5]When used in medical imaging, the bounding box refers to the border coordinates that enclose an image. They are often used to or identify bind a target and serve as a reference point for object detection and create a collision box for that object.

on MRI images

H. Morphological Operation

The morphological operation is used as an image-processing tool for sharpening the regions. Morphological image processing is a collection of non-linear operations related to the morphology or shape of features in an image. [3]The erosion and dilation methods are used for morphological operation. There are two main functions erosion and dilation. The dilation of an image f by a structuring element (denoted f s) produces a new binary image g = f s with ones in all locations (x,y) of a structuring element's origin at which that structuring element hits the input image of the f, i.e. let’s suppose g(x,y) = 1 if s hits f and 0 otherwise, repeating for all pixel coordinates (x,y). Dilation has the opposite effect of erosion. It also adds a layer of pixels to both the inner and outer boundaries of regions.

International Journal for Research in Applied Science & Engineering Technology (IJRASET)
1327 ©IJRASET: All Rights are Reserved | SJ Impact Factor 7.538 | ISRA Journal Impact Factor 7.894 |
Fig 5 (a) Original image (b) Histogram graph of Fig. 4 (a) (c) Histogram of original images (d) histogram image of fig 4(c) Fig 8 bounding box applied

ISSN: 2321-9653; IC Value: 45.98; SJ Impact Factor: 7.538

Volume 11 Issue I Jan 2023- Available at www.ijraset.com

I. Image Segmentation

[6]Image segmentation is a method or technique in which a digital image is broken down into various subgroups called Image segments which help in reducing the complexity of the image to make further analysis or processing of the image simpler. Segmentation is simply a way of assigning labels to pixels we used Edge-Based Segmentation, Threshold-Based Segmentation, and Region-Based Segmentation.

IV. CONCLUSION

MRI images are best suitable for brain tumor detection and analysis. In this study, Digital Image Processing Techniques are essential for brain tumor detection by MRI images. The preprocessing techniques include different methods like Filtering, Edge detection, and Contrast enhancement; anisotropic diffusion is used for image smoothing. The preprocessed images are used for postprocessing operations like; threshold, histogram, morphological and segmentation, and anisotropic diffusion which are used to enhance the images.

REFERENCES

[1] Deepak C. Dhanwani, Mahip M. Bartere, “Survey on various techniques of brain tumor detection from MRI images”, IJCER, Vol.04, issue.1, Issn 22503005, January 2014, pg. 24-26.

[2] Dr. Navneet Singh Sikarwar “Image Processing Techniques for Brain Tumor Detection: A Review” in JETTCS),2015

[3] P Kanmani; P Marikkannu; “MRI Brain Images Classification: A Multi-Level Threshold Based Region Optimization Technique", JOURNAL OF MEDICAL SYSTEMS, 2018. (IF: 3)

[4] Vipin Y. Borole, Sunil S. Nimbhore, Dr. Seema S. Kawthekar “Image Processing Techniques for Brain Tumor Detection: A Review” , I international Journal of Emerging Trends & Technology in Computer Science (I JETTCS), Volume 4, Issue 5(2), September - October 2015

[5] Anisotropic Diffusion in Image Processing by Joachim Weickert , Department of Computer Science ,University of Copenhagen, Copenhagen, Denmark

[6] Praveen Gamage ,” Identification of Brain Tumor using Image Processing Techniques” University of Moratuwa , 11 September 2017

[7] Rabia Ijaz, Mohsin Jamil, and Syed Omer Gilani, Brain Tumor Extraction from MRI Images using MATLAB, International Journal of Multimedia and Ubiquitous Engineering Vol.12, No.12 (2017), Saudia Arabia,2017

[8] Vipin Y. Borole, Sunil S. Nimbhore, Dr. Seema S. Kawthekar, Image Processing Techniques for Brain Tumor Detection: A Review, International Journal of Emerging Trends & Technology in Computer Science (I JETTCS), 2015, India.

International Journal for Research in Applied Science & Engineering Technology (IJRASET)
1328 ©IJRASET: All Rights are Reserved | SJ Impact Factor 7.538 | ISRA Journal Impact Factor 7.894 |
Fig 7 Morphological operation applied MRI images Figure 9. Steps of Brain tumor detection

Turn static files into dynamic content formats.

Create a flipbook
Issuu converts static files into: digital portfolios, online yearbooks, online catalogs, digital photo albums and more. Sign up and create your flipbook.