Skip to main content

Skin Pathology Part 1

Page 1


FRCPath Part 1 Dermatopatholoy

Dr Anila Chughtai

• Single best answer (SBA) questions

• Stem

• Lead in

• Option list

• Extended matching questions (EMQ)

• 5 sub-question

Questions each have a theme (i.e. speciality) and a focus (e.g. macroscopy, cut up, governance)

• Likely skin will be a few SBA questions and 1 or 2 EMQs

• Certain topics keep coming up

• Immunobullous disorders

• Lichenoid conditions

Useful resources

• Robbins or similar

Weedon • McKee

• RCPath pathway documents

• DermnetNZ

• St Johns institute website

Inflammatory dermatoses Adnexal neoplasms

Syndromes

Melanocytic lesions

Inflammatory Dermatoses

• A. Tissue reaction patterns

• Spongiotic

• Psoriasiform

• Lichenoid

• Vasculopathic

• Granulomatous

• Vesiculobullous

• B. Patterns of inflammation

Spongiotic reaction

Eczematous dermatitis

• Early/’typical’ lesions: spongiosis and lymphocyte exocytosis

• Overlying parakeratin, acanthosis

• Late lesions: psoriasiform hyperplasia

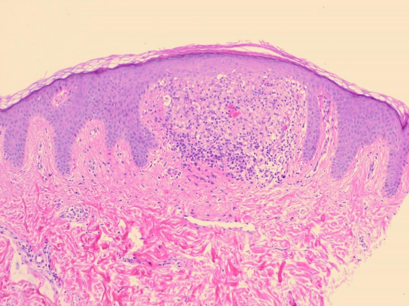
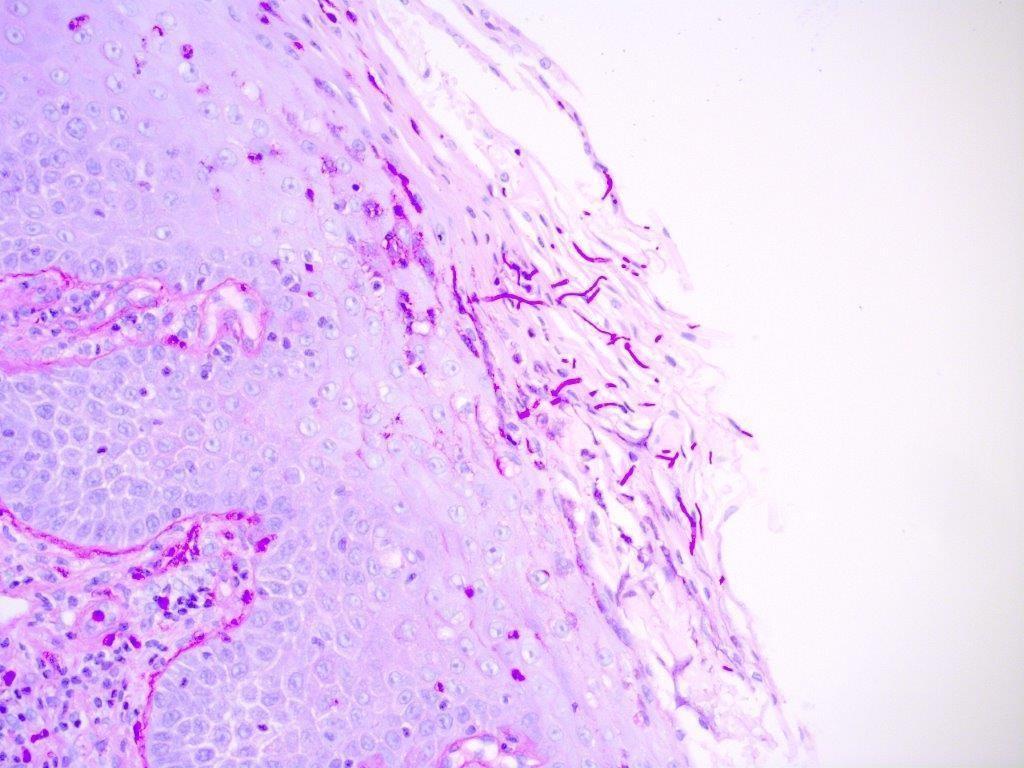
• Always perform a fungal stain for dermatophyte infection

• Eosinophilic spongiosis (eosinophils in the epidermis with spongiosis)

• Drug reaction

• Allergic/contact dermatitis

• Insect bite reaction

• Pre-bullous bullous pemphigoid

• Langerhan cell vesicles – allergic/contact

• Underlying vascular changes – stasis dermatitis

• Lipping or separation of keratin (‘teapot sign’) – pityriasis rosea

• Hyphae – dermatophyte infection

MCQ 1

33 year old male printer complained of a 3 month history of hand dermatitis. Patch testing was negative. A biopsy showed spongiosis and lymphocyte exocytosis. No Munro’s microabcesses are seen. Identify the most likely diagnosis.

• A. Prebullous pemiphigoid

• B. Psoriasis vulgaris

• C. Irritant/contact eczematous dermatitis

• D. Mycosis fungoides

• E. Drug reaction

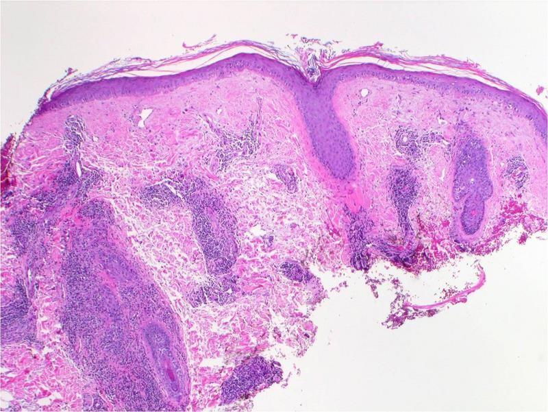
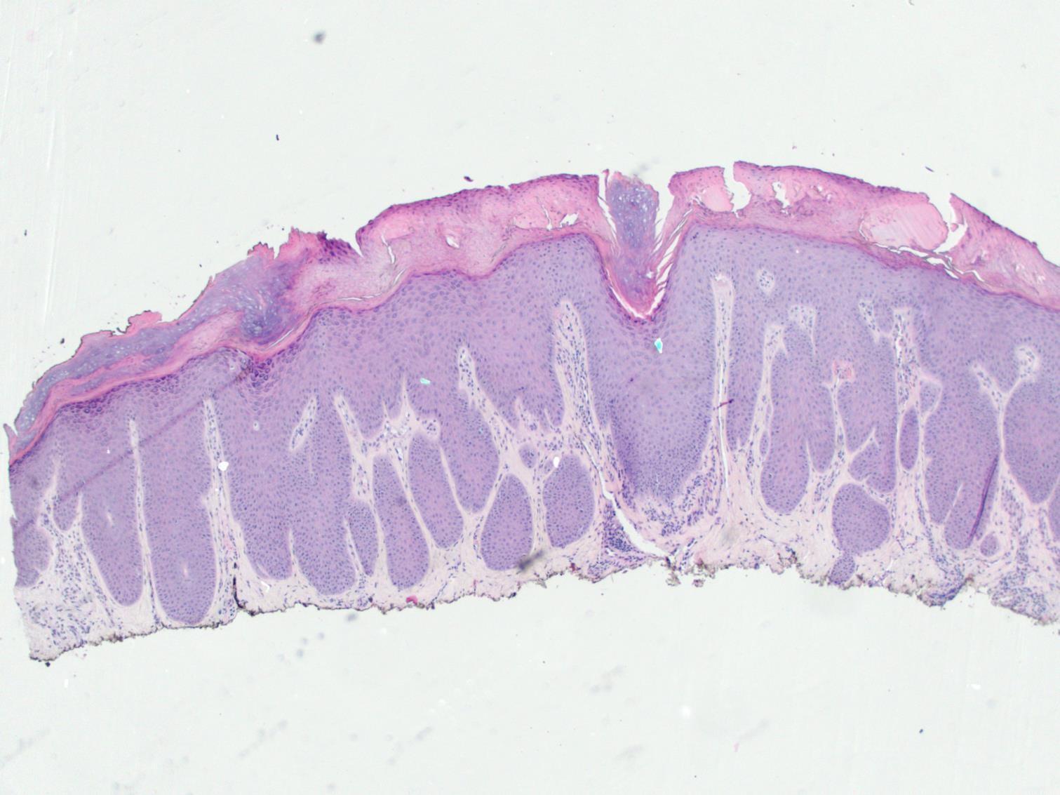
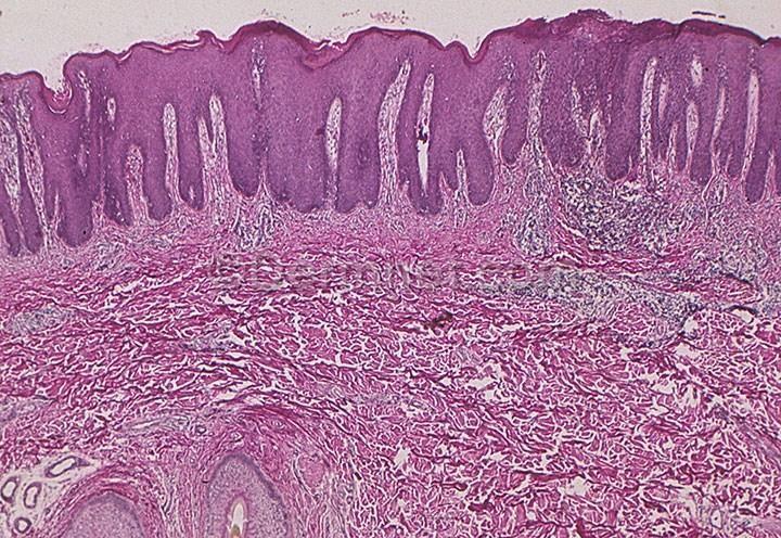
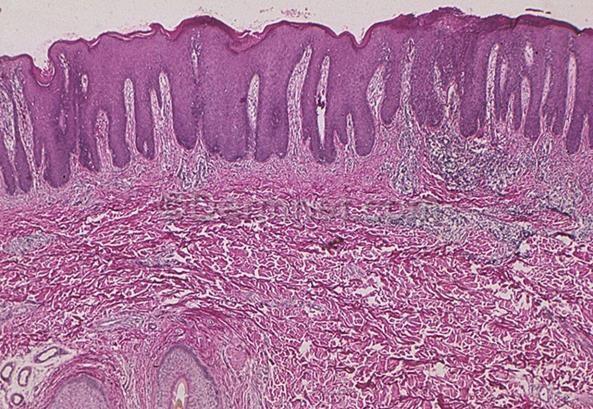
Psoriasiform reaction

• Regular elongation and broadening of rete

•Psoriasis •Lichen simplex chronicus

•Pityriasis rubra pilaris •Psoriasiform changes in eczematous dermatitis

Psoriasis

• Chronic non-infectious inflammatory dermatosis

• Well demarcated erythematous plaques topped with silvery scales

• Two peaks 2nd to 3rd and 6th decades

• FH; HLA Cw6, B13 and B17

Inflammatory dermatoses

• Precipitating factors include: Koebner phenomenon, Infection, Drugs, Sunlight, Psychological stress

• Variants: Plaque, Palmoplantar, Scalp, Guttate, Flexural, Nail

•Early

• Vascular proliferation in dermal papillae

• Slight spongiosis

•Established lesions

• Regular acanthosis with regular elongation of rete ridges

• Thinning of supra-papillary epidermal plate

Inflammatory dermatoses

• Parakeratosis

• Increased mitotic activity at the base of epidermis

• Reduced/absent granular cell layer

• Neutrophil pustules – Munro microabscesses

Inflammatory dermatoses

MCQ 2a

• Which statement is false.

• Psoriasis:

a. Can result in alopecia

b. Sacrum affected

c. Pustular form exists

d. Histologically shows spongiform pustule of Kogoj

e. Vascular ectasia is seen with margination of neutrophils

• A 34 year old patient presents with multiple silvery skin plaques. A skin biopsy is performed to confirm the diagnosis.

MCQ 2b

• Identify the finding which would not be consistent with a diagnosis of psoriasis.

a. Can result in alopecia

b. Sacrum affected

c. Pustular form exists

d. Histologically shows spongiform pustule of Kogoj

e. Vascular ectasia is seen with margination of neutrophils

• A 34 year old patient presents with multiple silvery skin plaques involving the extensor surface of the limbs, scalp and lower back. The condition is worse after periods of stress and

MCQ 2c

localises to areas of trauma. A skin biopsy is performed to confirm the diagnosis.

• Identify the finding which would not be expected in this condition.

a. Can result in alopecia

b. Sacrum affected

c. Pustular form exists

d. Histologically shows spongiform pustule of Kogoj

e. Vascular ectasia is seen with margination of neutrophils

MCQ 2d

• A 34 year old patient presents with multiple silvery skin plaques involving the extensor surface of the limbs, scalp and lower back. The condition is worse after periods of stress and localises to areas of trauma. A skin biopsy is performed to confirm the diagnosis.

• Identify the finding which would not be expected in this condition.

a. Fibrous replacement of hair follicles

b. Parakeratosis

c. Neutrophilic pustules in the epidermis

d. Vascular ectasia is seen with margination of neutrophils

e. Loss of the granular cell layer

Pityriasis rubrapilaris (PRP)

• Red-orange well demarcated scaling patches

• Islands of sparing

• Can present with erythoderma

• ‘Alternating orthokeratin and parakeratin’ in a checkerboard pattern •

Psoriasiform hyperplasia

Lichen simplex chronicus/nodular prurigo

• Dermatosis related to chronic excoriation without an underlying aetiology

• Common in practice but a difficult exam question to write

• Many biopsies show an element of this with other clues to underlying cause

Syphilis

• Secondary syphilis

• Shows a widespread hyperpigmented maculopapular eruption.

• Typical copper penny macules with surrounding annular scale (Biette’s collarette)

• Marked hyperkeratosis and parakeratosis.

• Epidermis shows psoriasiform hyperplasia.

• A dense inflammatory cell infiltrate (plasmacytic) in the dermis.

• Can look like anything (with plasma cells)…..

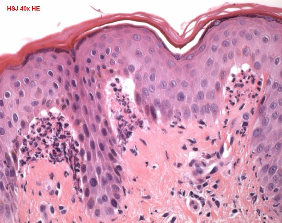
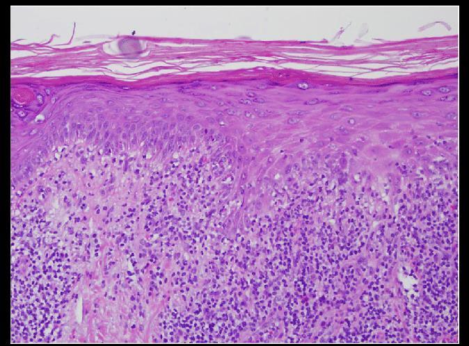
Lichenoid reaction

-Lichen planus

• Basal cell vacuolation

• Apoptotic cells

• Pigment incontinence

• Band-like lymphoid infiltrate obscuring the dermoepidermal junction

Lichenoid reaction

-Lichenoid keratosis

-Lichen nitidus

-Erythema multiforme/Stephen Johnson syndrome/toxic epidermal necrolysis

(TEN)

-Lupus erythematosus

-Graft versus host disease

-Lichen sclerosus

•Interface change •Basal cell vacuolation

•Apoptotic cells

•Pigment incontinence

•Band like lymphocytic infiltrate obscuring the dermo-epidermal junction = associated lichenoid inflammation

Lichen Planus

•Violaceous, flat-topped papules, which are usually pruritic

•Flexor surfaces of wrists, trunk, thighs, and genitalia

Histopathology

Basal cell vacuolation

•Typical lichenoid features - Apoptotic cellsPigment incontinence

•No parakeratosis Band-like lymphoid infiltrate obscuring the dermoepidermal junction

•‘Saw tooth’ acanthosis

•Wedge shaped hypergranulosis

Lichen planus – like keratosis (lichenoid keratosis)

•Solitary discrete slightly raised lesions

•Arms and presternal area of middle aged and elderly women>men

•Clinically diff. diagnosis: BCC ? Bowen’s ?

•Histopathology

•Lichenoid reaction – lichen plaus –like!

•Thought to be an inflamed/regressing seborrheic keratosis

Lichen nitidus

•Less common, chronic eruption, multiple small flesh coloured papules

•Upper extremities, chest, abdomen and genitalia of children and young adults

•Histopathology

•Dense, well circumscribed sub-epidermal infiltrate, sharply limited to one or two adjacent dermal papillae.

•Claw-like acanthotic rete ridges, which appear to grasp the infiltrate

Erythema multiforme spectrum

• Erythema multiforme: Targetoid lesions - central blister surrounded by an outer erythematous border

• Stevens–Johnson syndrome: mucosal involvement with <30% skin involved

• Toxic epidermal necrolysis: >30% skin involvement

Erythema multiforme spectrum

• Causes: idiopathic, viral, bacterial, fungal, drugs (antibiotics, NSAIDs), other

• Oral, conjunctival, genital lesions not uncommon

• Interface change >lichenoid infammation

MCQ 3

•A 44 year old taxi-driver presents with an sudden eruption on the trunk and limbs. Target lesions are present on the hands and feet. His skin biopsy shows basal cell damage with apoptotic keratinocytes.

•Identify the most likely diagnosis.

a. Lichen planus

b. Dermatomyositis

c. Erythema multiforme

d. Chronic graft versus host disease

e. Lichen nitidus

Toxic epidermal necrolysis (TEN)

• Sub-epidermal blisters with necrotic overlying epidermis

• Medical emergency

• Treated as a burns patient

• Main clinical differential – staphylococcal scalded skin

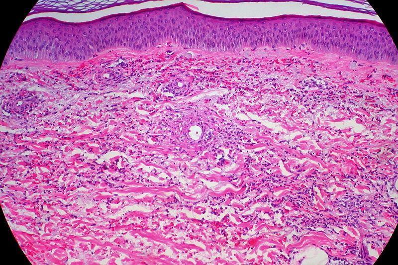
Lupus erythematosus

•Clinically: Sharply demarcated erythematous, scaly patches with follicular plugging.

•Characterised by

1. Interface change +/- lichenoid reaction

2. Superficial and deep perivascular and periadnexal chronic inflammatory cell infiltrate.

3. Hyperkeratosis, follicular plugging and epidermal atrophy.

4. Thickening of basement membrane

5. Increased dermal mucin

Graft versus host disease

• Usually a clinical diagnosis

• Following transplantation the donor's immune cells in the transplant (graft) make antibodies against the patient's tissues (host).

• Organs most often affected include the skin, gastrointestinal (GI) tract and the liver.

• Acute < 100 days

• Chronic > 100 days

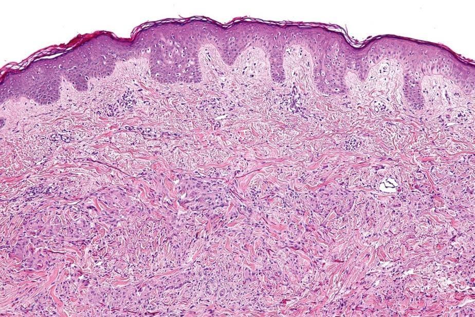
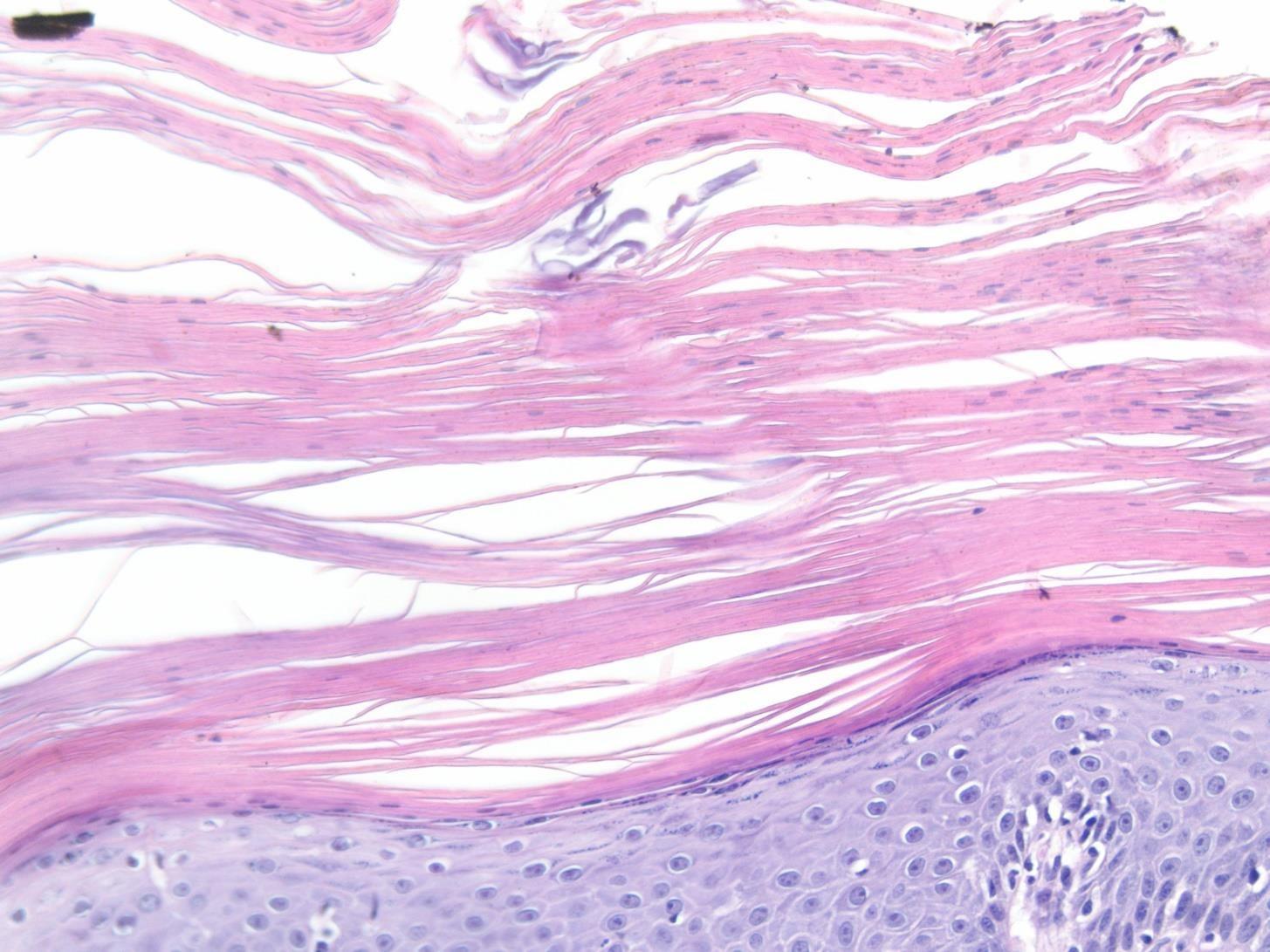
Lichen sclerosus

• Pale atrophic patches

• Clinical DD often morphoea

• Lichenoid reaction (often subtle)

• Homogenisation of dermal collagen

• Thickening of basement membrane

• Ectatic vessels

• Underlying inflammatory infiltrate – often contains eosinophils

Inflammatory dermatoses

Vasculopathic conditions

• Vasculopathic just means it involves the blood vessels.

• Conditions include:

• Inflammation of vessels – vasculitis.

• Changes in the walls – porphyria, amyloid.

• Something in the lumen – thrombosis.

• More widespread changes – stasis dermatitis, arteriopathic changes.

Inflammatory dermatoses

Leukocytoclastic vasculitis

• Tissue reaction pattern which can be idiopathic or have underlying associations including drugs, connective tissue disease, infection and systemic vasculitis.

• Intramural neutrophils

• Red blood cell extravasation

• Fibrinoid necrosis

• Leukocytoclasis

Inflammatory dermatoses

Polyarteritis nodosa (PAN)

• Necrotising vasculitis of medium sized vessels

• Uncommon

• Tender nodules

• May develop hypertension, renal failure and neuropathy

• Similar findings to leukocytoclastic vasculitis but involves deeper vessels (into subcutis)

Wegener’s granulomatosis/Granulomatosis with polyangiitis

• Multiple purpuric macules and papules

• Possible to have ulcerating plaques and nodules.

Inflammatory dermatoses

• Histology

• Leukocytoclastic vasculitis.

• May see ill-defined granulomatous infiltrate surrounding vessels.

• c-ANCA positive

• Respiratory tract (nasal and lung) biopsies show necrosis associated with a granulomatous infiltrate

Inflammatory dermatoses

•Which of the following conditions does not show a leukocytoclastic vasculitis?

A. Erythema nodosum

B. Microscopic polyangiitis

C. Wegeners granulomatosis

D. Polyarteritis nodosa

E. Urticarial vasculitis

• A 42 year old patient presents with purpuric lesions involving both limbs. Inflammatory markers are raised. A skin biopsy is taken and shows features of a leukocytoclastic vasculitis.

• Identify the condition which does not show this feature.

A. Erythema nodosum

B. Eosinophilic granulomatosis with polyangiitis

C. Granulomatosis with polyangiitis

D. Polyarteritis nodosa

E. Urticarial vasculitis

MCQ 4c

• A 42 year old patient presents with purpuric lesions involving both limbs. Inflammatory markers are raised. A skin biopsy is taken and shows fibrinoid necrosis of vessel walls with leukocytoclasis and red blood cell extravasation.

• Identify the condition which would not show these features.

A. Erythema nodosum

B. Eosinophilic granulomatosis with polyangiitis

C. Granulomatosis with polyangiitis

D. Polyarteritis nodosa

E. Urticarial vasculitis

• A 42 year old patient presents with purpuric lesions involving both limbs. Inflammatory markers are raised. A skin biopsy is taken and shows fibrinoid necrosis of vessel walls with leukocytoclasis and red blood cell extravasation.

• Identify the most likely diagnosis.

A. Erythema nodosum

B. Eczematous dermatitis

C. Epidermolysis bullosa acquista

D. Erythema multiforme

E. Polyarteritis nodosa

Granulomatous inflammation/reaction

Types of granulomatous inflammation

•Sarcoidal

Foreign body

Suppurative

Tuberculoid •Necrobiotic

Interstitial

Differential always includes infection in all patterns of granulomatous inflammation

Sarcoidal granulomas

• Sarcoidosis

• Reaction to foreign materials

• Secondary Syphilis • Infection

• Crohn’s disease

Sarcoidosis

• Multisystem disorder

• Skin, liver, spleen, lung, eyes, lymph nodes

• 10-35% patients with systemic sarcoid have cutaneous lesions

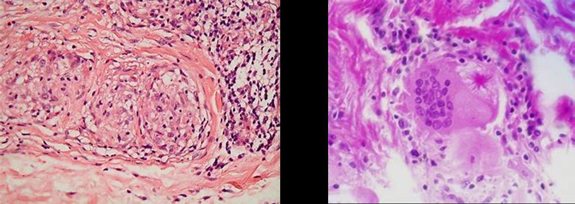
• Sarcoidal granulomas are composed of epithelioid cells and giant cells, some containing asteroid bodies or other inclusions.

Foreign Body Granulomas

•Seen every day

•Scar/re-excision specimens

•Ruptured epidermoid cysts/follicles

Suppurative Granulomas

• Neutrophils within and sometimes surrounding the granuloma. The granulomatous component is not always well defined.

• Infection needs to be excluded – special stains don’t necessarily do this.

• Gram – Bacteria

• PAS and Grocott silver – fungal infection

• Ziehl Neelsen and Wade-Fite –acid fast bacilli

Tuberculosis – Tuberculoid granulomas

• Primary tuberculosis

• Miliary tuberculosis of skin

• Lupus vulgaris

• Scrofuloderma

• Tuberculous gumma

• Tuberculosis cutis orificialis

• Papulonecrotic

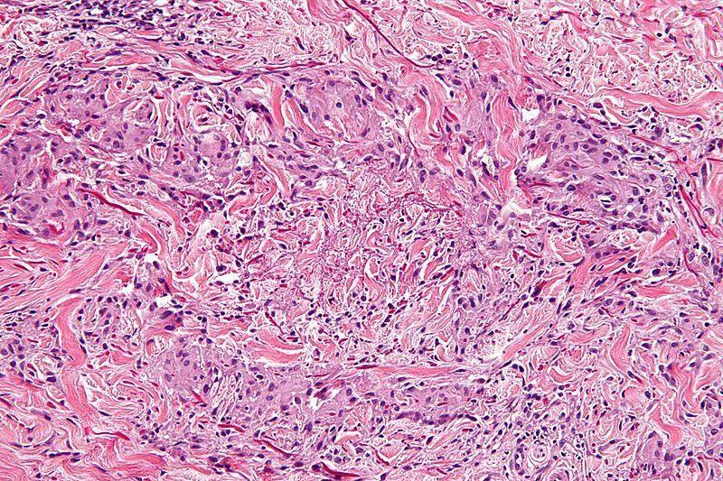
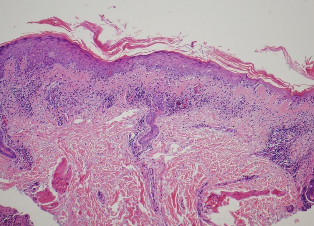
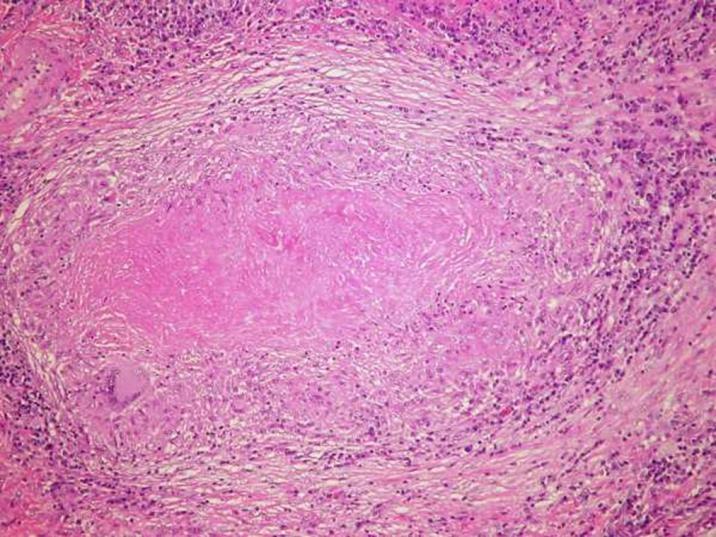
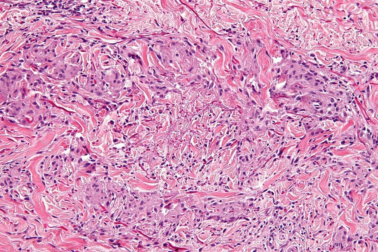
Necrobiotic granulomas

• Palisading of histiocytes around degenerate collagen

Necrobiotic granulomatous dermtoses

•Granuloma Annulare – palpable annular lesions on hands, feet or face

•Necrobiosis lipoidica – shiny atrophic yellowish red plaques on shins (62% in diabetics)

•Rheumatoid nodule - a local swelling or tissue lump, over bony prominences which occurs almost exclusively in association with rheumatoid arthritis

• Granuloma annulare

• Superficial/mid dermis

• Often intersitial (‘incomplete’)

• No plasma cells

• Eosinophils

• Mucin stain

• Necrobiosis lipoidica

• Diabetes

• Mid to deep dermis

• Linear pattern

• Plasma cells

• Rheumatoid nodules

• History

• Over joints

• Deep dermis to subcutis

• Palisading of histiocytes around eosinophilic material

• Fibrin/Trichrome stain

MCQ 5a

• Which of the following conditions is not associated with granulomatous inflammation.

A. Sarcoidosis

B. Granuloma annulare

C. Pemphigus vulgaris

D. Fungal infection

E. Tuberculosis

MCQ 5b

• A 58 year year old woman presents with itchy annular skin lesions. She has a history of Crohn’s disease for which she is on systemic therapy. A skin biopsy show aggregates of histiocytes.

A Grocott silver stain is positive.

• Identify the most likely diagnosis.

A. Sarcoidosis

B. Granuloma annulare

C. Necrobiosis lipoidica

D. Fungal infection

E. Metastatic Crohn’s disease

MCQ 5c

• A 59 year old lady presents with annular lesions over the dorsal surfaces of both hands. A biopsy shows an interstitial infiltrate of histiocytes with mucin deposition and focal necrobioisis. No plasma cells are seen.

• Identify the most likely diagnosis

• Necrobiosis lipoidica

• Sarcoidosis

• Granuloma annulare

• Fungal infection •

Rheumatoid nodules

Blistering conditions

1. Anatomical level of split 2. Mechanism

responsible 3. Nature of inflammatory cell infiltrate

Anatomical Level of Split

•Intracorneal/ subcorneal •Intraepidermal (within stratum spinosum) •Suprabasal •Subepidermal

•Correlates with clinical type of blister

Mechanism responsible

•Cytopathic •Spongiotic

•Autoimmune - immunobullous

•Vasculitic •Trauma

Intracorneal/ Subcorneal

• Impetigo

• Dermatophytosis

• Staphylococcal scalded skin

• Superficial variants of pemphigus

Intraepidermal

• Herpes Infection

• Spongiotic vesicles - blisters

• Friction blister

• Acantholytic disorders

Suprabasal

Acantholytic disorders

• Loss of cell-to-cell adhesion in epidermis

• Immune mediated

• Blisters tend to be fragile as suprabasal or above

• Immunofluoresence helps distinguish the pemphigus variants from other conditions

Differential Diagnosis – Acantholytic disorders

• Suprabasal • Pemphigus vulgaris

• Suprabasal/intraepidermal

• Hailey-Hailey

• Darier’s Disease

• Grover’s Disease (transient acantholytic dermatosis)

• Acantholytic actinic keratosis

• Paraneoplastic pemphigus

Differential Diagnosis

• Pemphigus Vulgaris

• Hailey-Hailey disease

• Acantholysis

• Intracellular IgG and C3c on IMF

• Mucosal involvement

• Acantholysis

• Autosomal dominant, flexural

• Dilapidated brick wall/intraepidermal

• Spares adnexal epithelium

• Negative IMF

• ATP2C1 gene

• Darier’s Disease

Differential Diagnosis

• Grover’s Disease (transient acantholytic dermatosis)

• Acantholysis

• Autosomal dominant, sebaceous areas

• Suprabasal and intraepidermal

• Dyskeratotic cells = corps ronds and grains

• Involves adnexal epithelium

• Negative IMF

• Acantholysis

• Itchy papules trunk

• Can show similar findings to HH, Dariers or PV)

• Negative IMF

• Multiple tissue reaction patterns now recognised

• Acantholytic actinic keratosis

• Epidermal dysplasia

• Paraneoplastic pemphigus

• Blistering

• Acantholytic

• Both intercellular and linear (BMZ) IgG and C3c on IMF

Subepidermal

• Immunobullous

• Bullous pemphigoid

• Dermatitis herpetiformis

• Epidermolysis bullosa

• Linear IgA ( = Chronic bullous disease of childhood)

• Traumatic

• Vasculitis

• Lichenoid/interface dermatoses

• Bullous diabeticorum

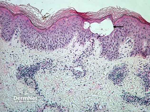
• Bullous amyloidosis Bullous pemphigoid

•Large often tense blisters with a predilection for trunk and flexural extremities

•Subepidermal blister with eosinophils

•‘Eosinophilic spongiosis’

•Direct IMF - linear IgG and C3c at BMZ

• Linear IgG and C3c along BMZ

• Bullous pemphigoid

• Epidermolysis bullosa acquista

• Pemphigoid gestationalis

• Paraneoplastic pemphigus (+chicken wire pattern of intercellular deposition)

Dermatitis herpetiformis

• Young adults

• Intense pruritic vesicles with excoriation

• Predilection for extensor surfaces

• Invariably associated with gluten enteropathy although often subclinical

• Sub-epidermalneutrophilrichblister

• Dermalneutrophil-richinfiltratewithleukocytoclasis

• Neutrophilmicro-abscessinadjacentdermalpapillae

• Granular IgA in the tips of the dermal papillae on direct immunofluorescence.

• Vesiculo-bullous eruption of hepatobiliary disease may also present with dermatitisherpetiformis-likefeatures

• Linear IgA disease (and chronic bullous disease of childhood) show similar morphology

• Older individuals – present with blisters

• Distinguish by immunofluoresence

MCQ 6

• A 68 year old female has a 1/52 history of tense large blisters arising on erythematous skin. A skin biopsy shows a subepidermal blister containing eosinophils.

• Identify the most likely diagnosis.

A.Pemphigus vulgaris

B.Pemphigus foliaceus

C.Darier’s disease

D.Bullous pemphigoid

E.Grover’s disease

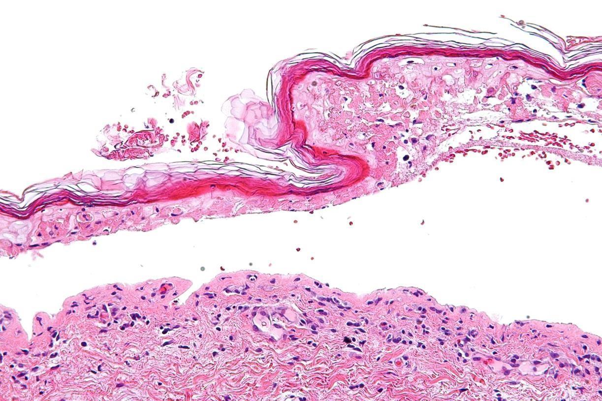
Cell poor subepidermal blisters

• Bullous pemphigoid

• Porphyria cutea tarda

• Burns

• Toxic epidermal necrolysis

• Suction blister

• Drugs

• Bullous amyloid

• Bullous diabeticorum

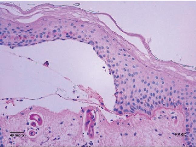
Porphyria cutea tarda

• Increasingly fragile skin hands and feet

• Fluid filled blisters (vesicles and bullae)

• Tiny cysts (milia) arising as the blisters heal

• Increased sensitivity to the sun

• Cell poor sub-epidermal blister

• Deposition of basement membrane material in epidermis – ‘caterpillar bodies’

• Thickening and increased eosinophilic in dermal vessels

• PAS and DPAS

Inflammatory dermatoses

• A. Tissue reaction patterns

• Spongiotic

• Psoriasiform

• Lichenoid

• Vasculopathic

• Granulomatous

• Vesiculobullous

• B. Patterns of inflammation

Turn static files into dynamic content formats.

Create a flipbook