Skip to main content

Liver-and-Pancreas January 2025

Page 1


Hepatobiliary and pancreatic pathology

Pathology Spheres

FRCPath Part 1 Course

January 2025

Dr Casey Powell

Lecture outline

Hepatobiliary and pancreas pathology

• Resources

• Relevance of clinical information

• Liver tissue processing

• Normal liver anatomy and histology

• Approach to liver disease

• Hepatobiliary topics

• Gallbladder Pancreatic pathology

Resources

• RCPath datasets:

• Tissue pathways

• Updated TNM Classification

• Reporting proforma for liver resection

• Virtual Pathology at the University of Leeds:

• Lectures: Hepatobiliary pathology and gallbladder on ST1 curriculum

• Exam Practice: FRCPath Part 1

Relevance of clinical information

• Clues

• Patient’s background (alcohol, diet, drugs, occupation exposure, travel history, genetic and metabolic conditions), clues at autopsy (ketoacidosis)

• Serology

• Liver function tests:

• Active pathology: AST/ALT/ALP/GGT/Bilirubin

• Synthetic function: Plt, PT, urea, albumin

• Viral: Hepatitis (A-E), EBV, CMV

• Autoimmune: ANCA, ANA, ASMA, LKM

• Genetic: Iron studies, α-1 antitrypsin, caeruloplasmin

• Other: cholesterol, coeliac serology, glucose, HBA1C

• Imaging: Ultrasound, MRI, Elastography

Causes of cirrhosis

• V WASH CABS

Viral hepatitis (10%)

– Wilson's disease

Alcoholic liver disease (60-70%)

– Secondary biliary cirrhosis (gall stones, stricture)

– Hemochromatosis (Iron overload)

Cryptogenic cirrhosis (Rare)

– α- antitrypsin deficiency (Rare)

Biliary disease- primary biliary cirrhosis and secondary (stones, stricture) biliary cirrhosis

Sclerosing cholangitis

Liver tissue processing

• Specimens: liver core biopsy, hepatic resections: wedge / segmentectomy / metastatectomy, hepatectomy/explant (transplant), autopsy

• H&E is the starting point

• Special stains (liver panel)

• Connective tissue: Massons trichrome, Sirius red, Gordon and Sweet Reticulin

• Micro-organisms: Ziehl-Neelsen, Shikata Orcein, Grocott

• Pigmented and minerals: Perl’s iron, Rhodanine

• Glycogen: PAS/PAS-D

• Amyloid: Congo red

• Lipids: Oil red O

Odze, Robert D, and John R Goldblum. Odze and Goldblum’s Surgical Pathology of the GI Tract, Liver, Biliary Tract and Pancreas. Fourth edition. Philadelphia, PA: Elsevier, 2023. p1360.

Liver tissue processing

• Immunohistochemistry:

• Viral antigens : HBsAg, HBcAg, HDV, HCV

• ID and classification of tumours: HepPar1, AFP, p and mCEA, Glypican-3, Glutamine synthetase, MOC-31, CKs, CD68, SAA

• ID bile duct epithelium: CK7 or CK19

• Prognostic factors: CK19, AFP, Ki67, SMA, B-catenin

• Storage and hereditary disease: α1-antitrypsin, fibrinogen

Odze, Robert D, and John R Goldblum. Odze and Goldblum’s Surgical Pathology of the GI Tract, Liver, Biliary Tract and Pancreas. Fourth edition. Philadelphia, PA: Elsevier, 2023. p1360.

Hepatitis B antigens

Hepatitis - risks

• Following a single hollow needle stick innoculum :-

• HIV – 0.9 %

• Hep B – 30 %

• Hep C – 3 %

• Wearing gloves reduces risk by x 10 – 100

• Mucous membrane or broken skin splashrisk is 0.09% for HIV, higher for Hep B

Liver

tissue processing

• Electron microscopy: storage diseases

• Molecular studies:

• In Situ Hybridisation: Viruses

• PCR: ID micro-oragnisms

• Laser capture microdissection

• Gene array analysis

Odze, Robert D, and John R Goldblum. Odze and Goldblum’s Surgical Pathology of the GI Tract, Liver, Biliary Tract and Pancreas. Fourth edition. Philadelphia, PA: Elsevier, 2023. p1360.

Normal liver anatomy & histology

Approach to liver disease

• Medical liver biopsy:

• Hepatitis: confirm diagnosis of chronic hepatitis, assess inflammatory (grade) and fibrosis (stage)

• Confirm diagnosis of suspected pathology

• Pattern diagnosis possible, requires clinicopathological integration

• Identify cause of pathology

• Transplant pathology

• Tumour pathology

• Diagnose, classify and subtype tumours

• Identify background pathology, may be cause (virus, alcohol)

Ischak scoring in hepatitis

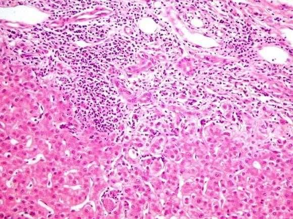
Patterns of liver injury

• Cholestatic

• Hepatocellular necrosis

• Fatty liver disease

• Fibrosis and cirrhosis

• Granulomas

• Vascular lesions

• Neoplasms

Kumar, Vinay, Abul K Abbas, and Jon C Aster. Robbins & Cotran Pathologic Basis of Disease. Tenth edition. Philadelphia, PA: Elsevier, 2021. p836.

Hepatobiliary topics

• Infectious disorders

• Auto-immune hepatitis

• Drug- and toxininduced liver injury

• Fatty liver disease

• Inherited liver disease

• Cholestatic disease

• Circulatory disorders

• Hepatic disease associated with pregnancy

• Nodules and tumours

• Gallbladder: stones, -it is, carcinoma

Kumar, Vinay, Abul K Abbas, and Jon C Aster. Robbins & Cotran Pathologic Basis of Disease. Tenth edition. Philadelphia, PA: Elsevier, 2021. p836.

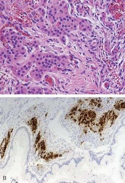
Infectious disorders

• Hepatitis viruses (table and key concepts in Robbins): type of virus, route, incubation period, frequency of chronic liver disease, diagnosis

• Morphologic features of acute and chronic hepatitis

• Chronic hep B: ground-glass appearance, IHC

• Chronic hep C: prom lymphoid aggregates/follicles in portal tracts, steatosis (genotype 3), bile duct injury

• Other infections: hydatid cyst, schistosomiasis, TB

Kumar, Vinay, Abul K Abbas, and Jon C Aster. Robbins & Cotran Pathologic Basis of Disease. Tenth edition. Philadelphia, PA: Elsevier, 2021. p836.

Drug- and toxin-induced liver injury

• Alcoholic liver disease

• Steatosis

• Alcoholic steato-hepatitis

• Fibrosis

Kumar, Vinay, Abul K Abbas, and Jon C Aster. Robbins & Cotran Pathologic Basis of Disease. Tenth edition. Philadelphia, PA: Elsevier, 2021. p843

Inherited liver disease

• Haemochromatosis

• Wilson disease

• α1-antitrypsin

Cholestatic disease

• PBC: Middle ages female, granulomas and lymphocytic infiltrates in portal tract

• PSC: Assoc with IBD more UC, less CD

Circulatory disorders

• Impaired blood flow into and through the liver

• Hepatic venous outflow obstruction

• Passive congestion and centrilobular necrosis

• Autopsy

• Clinical scenario

Hepatic disease associated with

pregnancy

• Pre-eclampsia and eclampsia

• Acute fatty liver of pregnancy

• Intrahepatic cholestasis of pregnancy

Hepatic nodules and tumours

• Focal nodular hyperplasia

• Nodular regenerative hyperplasia

• Cirrhosis

• Adenoma

• Hepatocellular carcinoma

• Metastasis

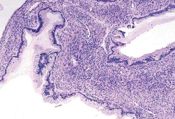
Gallbladder: stones, -it is, carcinoma

• Cholelithiasis

• Cholcystitis

• Gallbladder carcinoma:

• Porcelain gallbladder

Paediatric hepatobiliary pathology

• Neonatal cholestasis:

• Extrahepatic biliary atresia

• Reye’s syndrome

• Cystic fibrosis

• Structural anomalies of the biliary tree

• Choledochal cyst

• Fibropolycystic disease

Pancreas

• Non neoplastic cysts

– Pseudocysts

– Lymphoepithelial cysts

– Retention cysts

– Enterogenous cysts

– Parasitic cysts

– Endometrial cysts

• Neoplastic cysts

– Serous cystic neoplasm

– Mucinous cystic neoplasm

– Intraductal mucinous neoplasm

– Solid-cystic pseudopapillary neoplasm

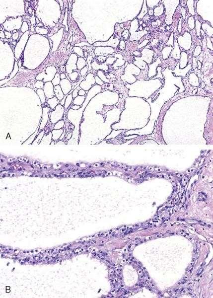
Serous cystadenoma

• Most common type of cystic

• Body, tail

• Predominantly in females

neoplasm

Serous cystadenoma

Mucinous cystadenoma

• Macrocystic

• Almost exclusively in females

• Tail

• Pathology: mucinous glands and ovarianlike stroma

Mucinous cystadenoma

EMQ

• Match the findings of liver biopsy with the correct diagnosis.

• A IVDU, interface hepatitis, orcein granules in hepatocytes

• Answer: Hepatitis B

• B Female with biopsy showing numerous plasma cells within the portal tracts

• Answer: Autoimmune hepatitis

EMQ

• C Middle aged female with biopsy showing granulomas and lymphocytic infiltrates in portal tract

• Answer: Primary biliary cirrhosis

• D Man with history of alcohol excess. Macro and microvesicular steatosis and Mallory bodies

• Answer: Alcoholic hepatitis

EMQ

• E Young patient with cirrhosis and diabetes. PERLs positive material in hepatocytes.

• Answer: Haemochromatosis

MCQ

• A 32 year old intravenous drug user is admitted to hospital with jaundice. An ultrasound demonstrates a cirrhotic liver.

• Identify the most likely cause.

• A Hepatitis B

• B Hepatitis C

• C HIV

• D Budd Chiari syndrome

• E Idiopathic

• (What is alcohol was in there?)

MCQ

• A 3 month old boy presents with progressive jaundice and pale stool. A liver biopsy shows ductular proliferation with accumulation of bile in the hepatocytes.

• Identify the most likely diagnosis.

• A Cholelithiasis

• B Hirschsprungs disease

• C Biliary atresia

• D Primary sclerosing cholangiitis

• E Primary biliary cirrhosis

MCQ

• A 52 year old alcohol dependent male is found dead at home. At autopsy he has a fatty liver but no cause of death is found. Toxicology shows a blood alcohol level of zero but elevated butyric acid levels.

• Identify the correct cause of death

• A Gastrointestinal haemorrhage

• B Cirrhosis of the liver

• C Alcohol related ketoacidosis

• D Acute intoxication of alcohol

• E Aspiration pneumonia

MCQ

• A 3 year old child presents with a febrile illness. They are prescribed aspirin. They represent 6 days later with liver failure.

• Identify the most likely change seen on liver biopsy.

• A Fatty change

• B Centrilobular necrosis

• C Ductular proliferation and bile accumulation

• D Interface hepatitis

• E Cirrhosis

MCQ

• GIST IHC

• Colorectal TNM staging

• Cystic fibrosis gene product – Chloride channel

• Zones of liver

• IVDU with varices - ?test (Hep C)

• Suspicious of GIST – CD117 negative ?other IHC (DOG1 or CD34)

MCQ

• Baby born to type 1 diabetic mother becomes hypoglycaemic soon after birth.

Why?

– Islets continue to produce increased insulin

• Child with recurrent chest infection and failure to thrive. Diagnosis?

– Cystic fibrosis

Turn static files into dynamic content formats.

Create a flipbook