Skip to main content

Head and Neck 2025

Page 1


Head and Neck

January 2025

Presentation delivered by: Mickhaiel Barrow
Presentation prepared by: Gillian Hall

Head and Neck Summary

 Special stains / immunos

 Syndromes

 Tumours most commonly but not uniquely encountered in the head and neck

 Sinonasal tract

 Head and Neck

 Minimum Datasets / cancer questions

 Oral cavity / hypopharynx / larynx

Question 1

Special stains / immunos

 Q1: Identify the special stain / immunochemical antibody which would aid in diagnosis for each case:

 CD1a CD45

 S-100 DPAS

 CD68 p16

 Synaptophysin EBV ISH

 Ziehl Neelson GFAP

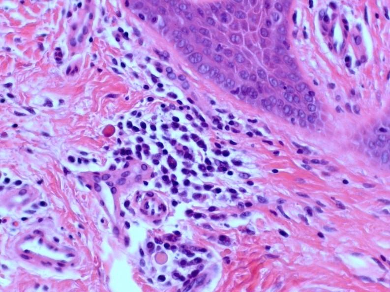
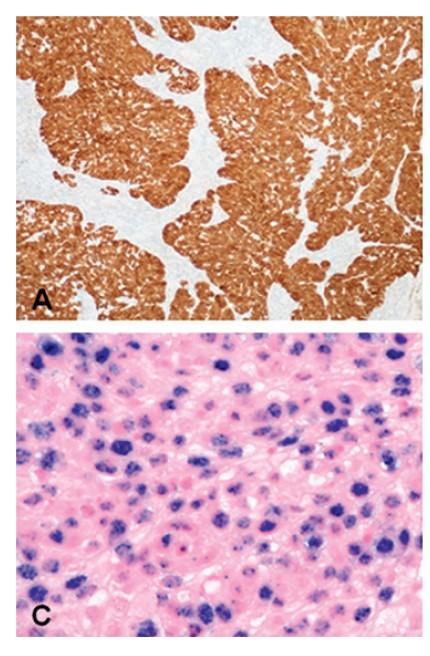
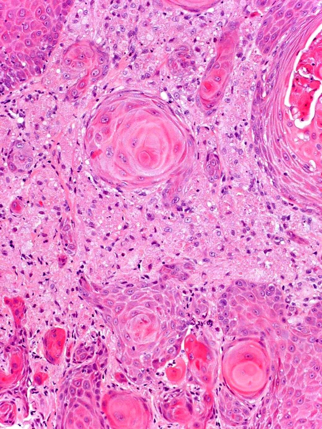
 1. A 37 year old female presents with a polyp on the tongue which is excised. The H and E stained section shows sheets of plump polygonal cells with abundant eosinophilic granular cytoplasm filling the lamina propria.

Options:

CD1a CD45

S-100 DPAS

CD68 p16

Synaptophysin EBV ISH

Ziehl Neelson GFAP

Granular cell tumour

Differential diagnosis of lumps and bumps on tongue

 Fibroepithelial polyp

 Chronic oral candidiasis  Viral wart

Minor salivary gland tumour

SCC

Granular cell tumour

Granular cell tumour

 Previous names include granular cell myoblastoma

 Most common non-epithelial benign tumour

 50% of Head and Neck Cases

 Tongue, larynx

 Schwannian origin S100 positive

Granular cell tumour

 Infiltrative growth pattern

 Eccentric small bland nuclei

 Abundant granular cytoplasm

 Indistinct cell boundaries

 Pseudoepitheliomatous hyperplasia

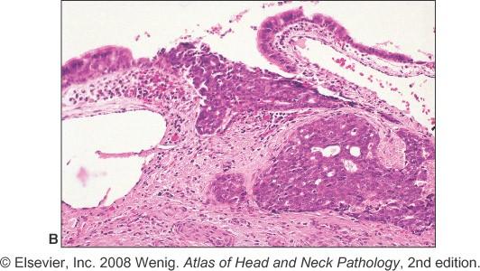
 2. A 75 year old female undergoes incisional biopsy of a mixed red and white plaque on the tongue. There is some irregular pseudoepitheliomatous hyperplasia of the epithelium and mild atypia. Aggregates of neutrophils are readily detected in the surface parakeratin.

Options:

CD1a CD45

S-100 DPAS

CD68 p16

Synaptophysin EBV ISH

Ziehl Neelson GFAP

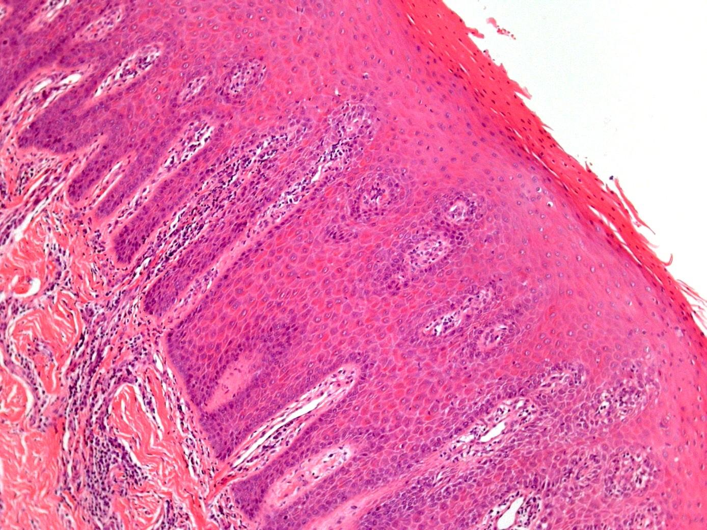
Pseudooepitheliomatous hyperplasia

 Chronic hyperplastic candidiasis

 Psoriasiform hyperplasia

 Plasma cells

 Neutrophilic microabscesses

 PAS or PASD to look for hyphae

 Usually some reactive keratinocyte atypia and often overcalled dysplasia

PAS

 Similar appearances seen in benign migratory stomatitis aka geographic tongue

 No candida will be found

 Psoriasiform hyperplasia

 +++ neutrophilic abscesses

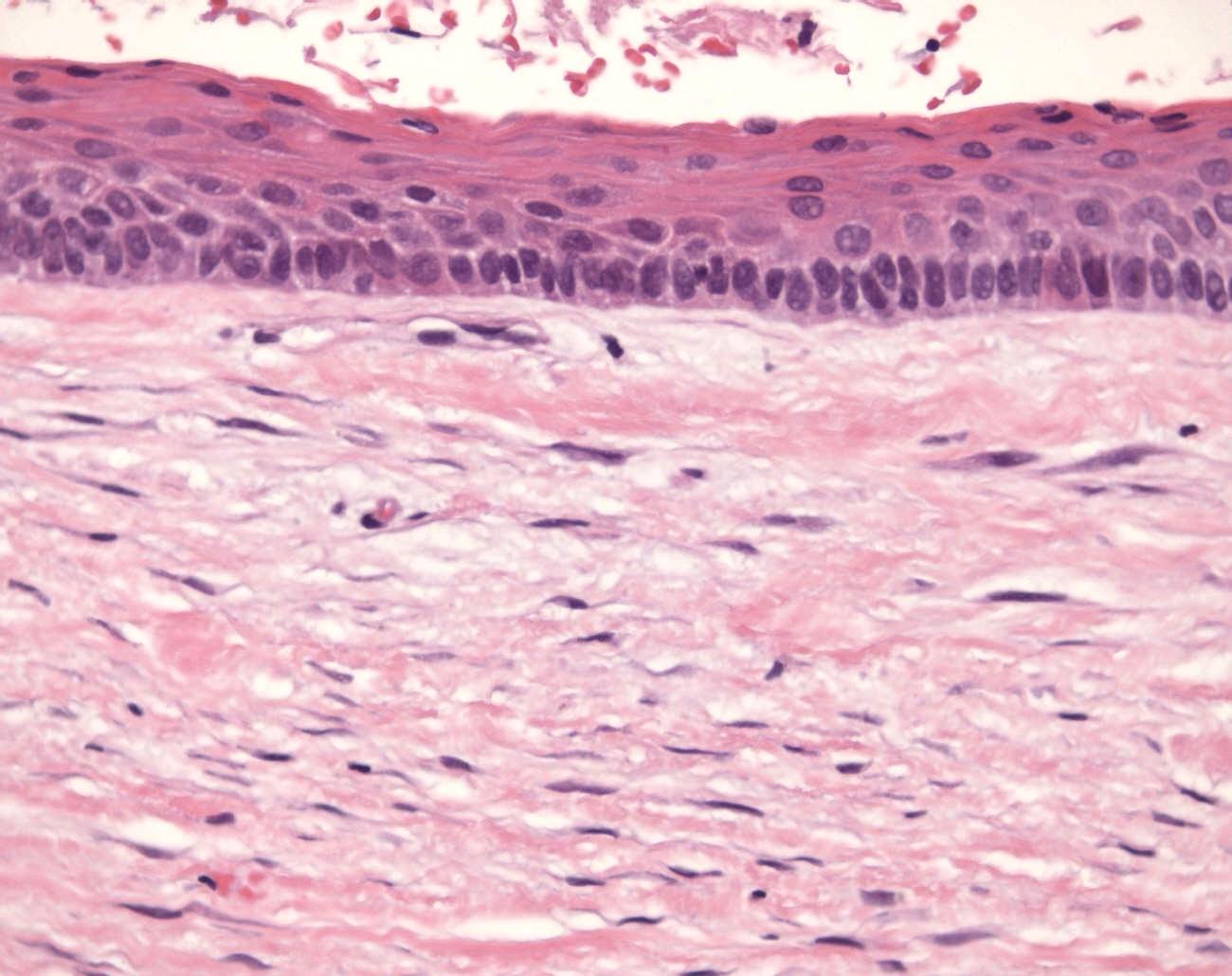
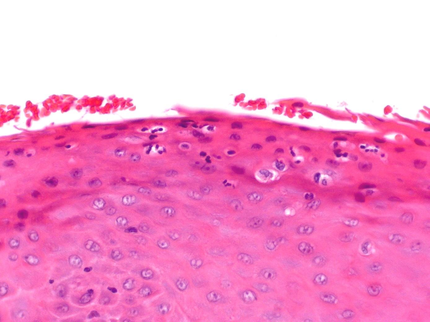
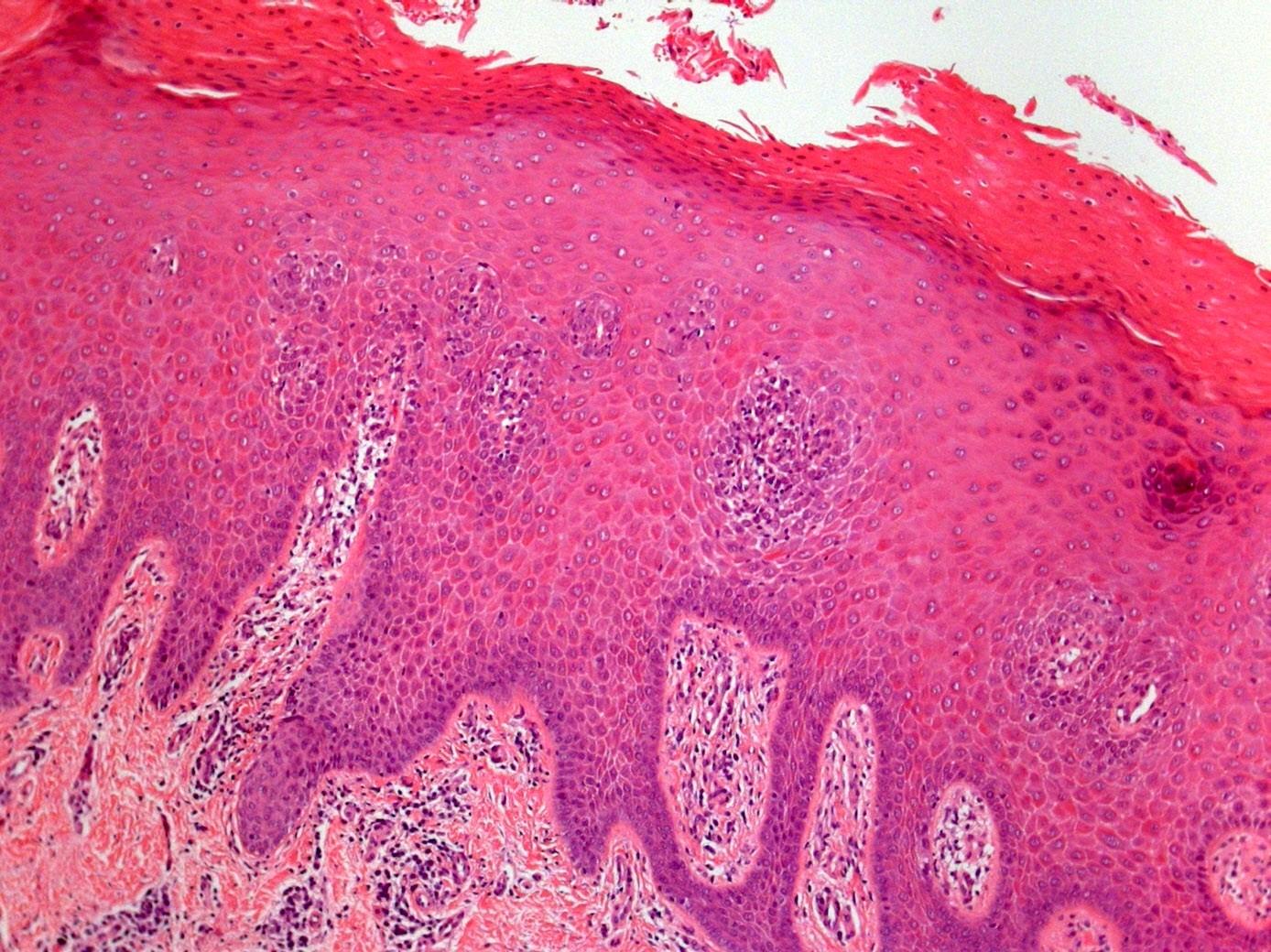
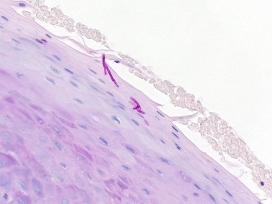
 3. A 30 year old male undergoes biopsy of a white patch on the lateral border of the tongue. Histological examination shows parakeratosis and a band-like layer of cells with clear cytoplasm in the upper stratum spinosum.

Options:

CD1a CD45

S-100 DPAS

CD68 p16

Synaptophysin EBV ISH

Ziehl Neelson GFAP

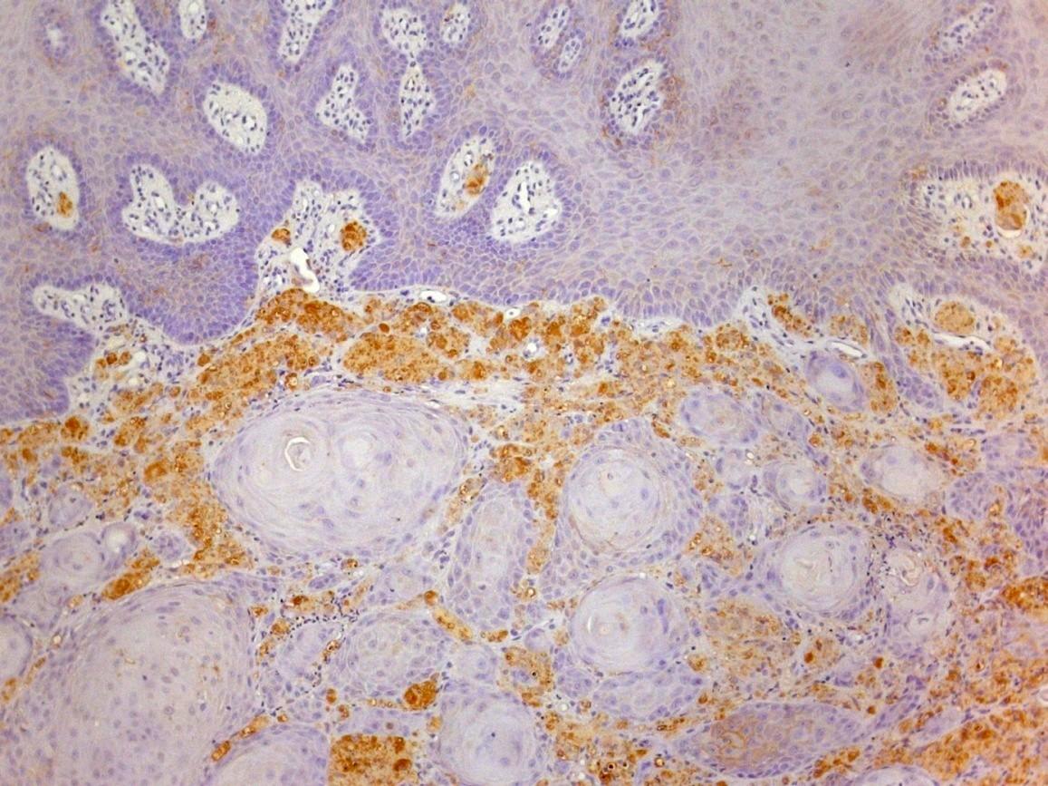
Hairy leukoplakia

 Classical histological appearances

 Often candida +++ but lack of inflammation

 Band of clear cells classical

 Should confirm diagnosis by EBV immuno’ or ISH

 Pathognomonic of HIV

 4. A 45 year old oriental male presents with an enlarged cervical lymph node and on pan-endoscopy is found to have a mass in the nasopharynx.

Options:

CD1a CD45

S-100 DPAS

CD68 p16

Synaptophysin EBV ISH

Ziehl Neelson GFAP

Nasopharyngeal carcinoma

 Aetiological factors: race, genetic, environmental (diet), EBV

 Around 70% present with lymphadenopathy

 Subtypes

Keratinising SCC Non-keratinising SCC

Undifferentiated (with lymphoid stroma)

Nasopharyngeal carcinoma

Non-keratinising and undifferentiated types

EBV associated

Radiosensitive

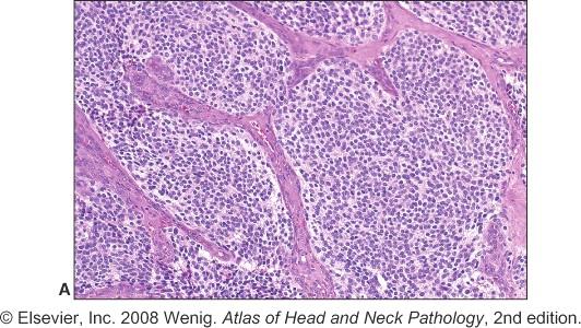
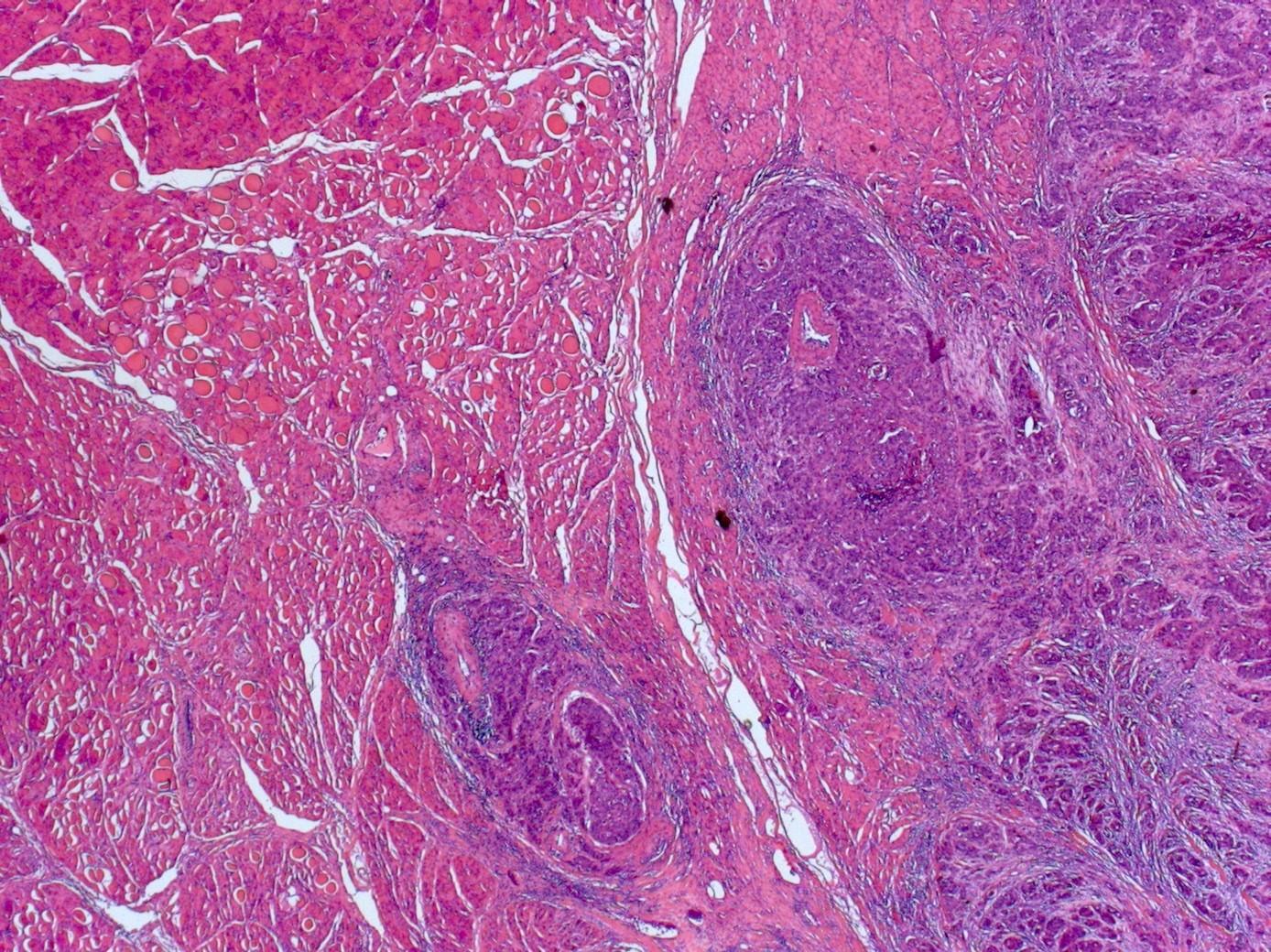
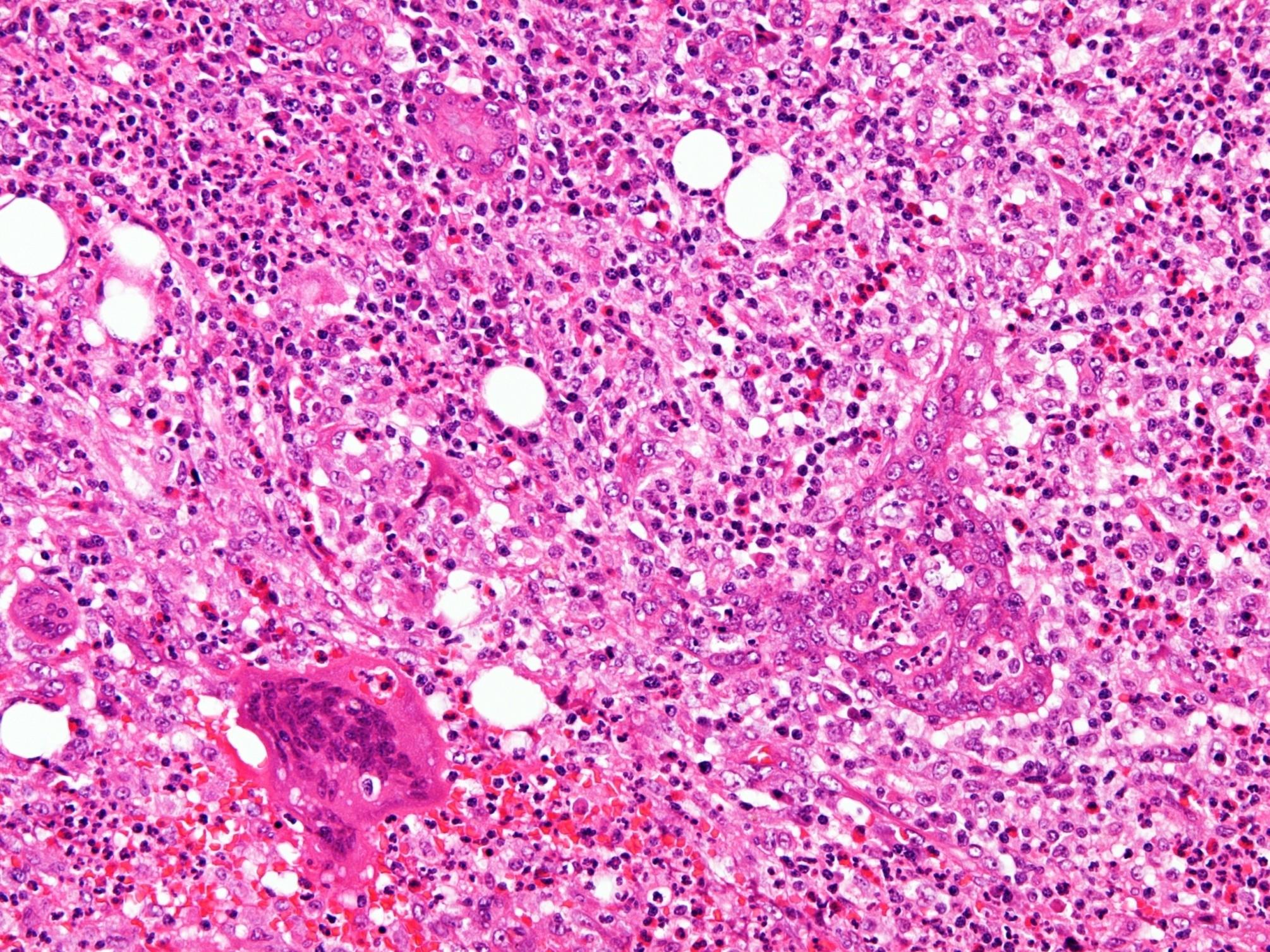
 5. An 8 year old male presents with premature loosening of deciduous molars on the lower left side and an osteolytic lesion is seen on plain X-ray. Curettings show sheets of mononuclear cells with oval nuclei admixed with clusters of eosinophils.

Options:

CD1a CD45

S-100 DPAS

CD68 p16

Synaptophysin EBV ISH

Ziehl Neelson GFAP

Langerhan’s cell histiocytosis

 Childhood mainly

 Head and Neck: middle ear and jaw

 Osteolytic punched out lesions

 Unifocal, multifocal

 Oval reniform nuclei with grooves or folds

 Eosinophils

 CD1a (also S-100 positive)

 DD: other histiocytic proliferations, HL

Question 2

Syndromes

 Many syndromes present with signs in the head and neck region. Match the syndrome to the clinical description:

 Neurofibromatosis type 2

 Fanconi’s anaemia

 Gardners syndrome

 Down’s syndrome

 Albrights syndrome (McCune-Albright)

 Osteogenesis imperfecta

 Gorlin Goltz syndrome

 MEN2b

 Cowdens syndrome

 Plummer-Vinson syndrome

 1. A 21 year old male who on a routine dental X-ray was found to have bilateral multilocular jaw cysts and also on further examination, a pearly plaque with central telangiectasia on the forehead

 Neurofibromatosis type 2

 Fanconi’s anaemia

 Gardners syndrome

 Down’s syndrome

 Albrights syndrome (McCune-Albright)

 Osteogenesis imperfecta

 Gorlin Goltz syndrome

 MEN2b

 Cowdens syndrome

 Plummer-Vinson syndrome

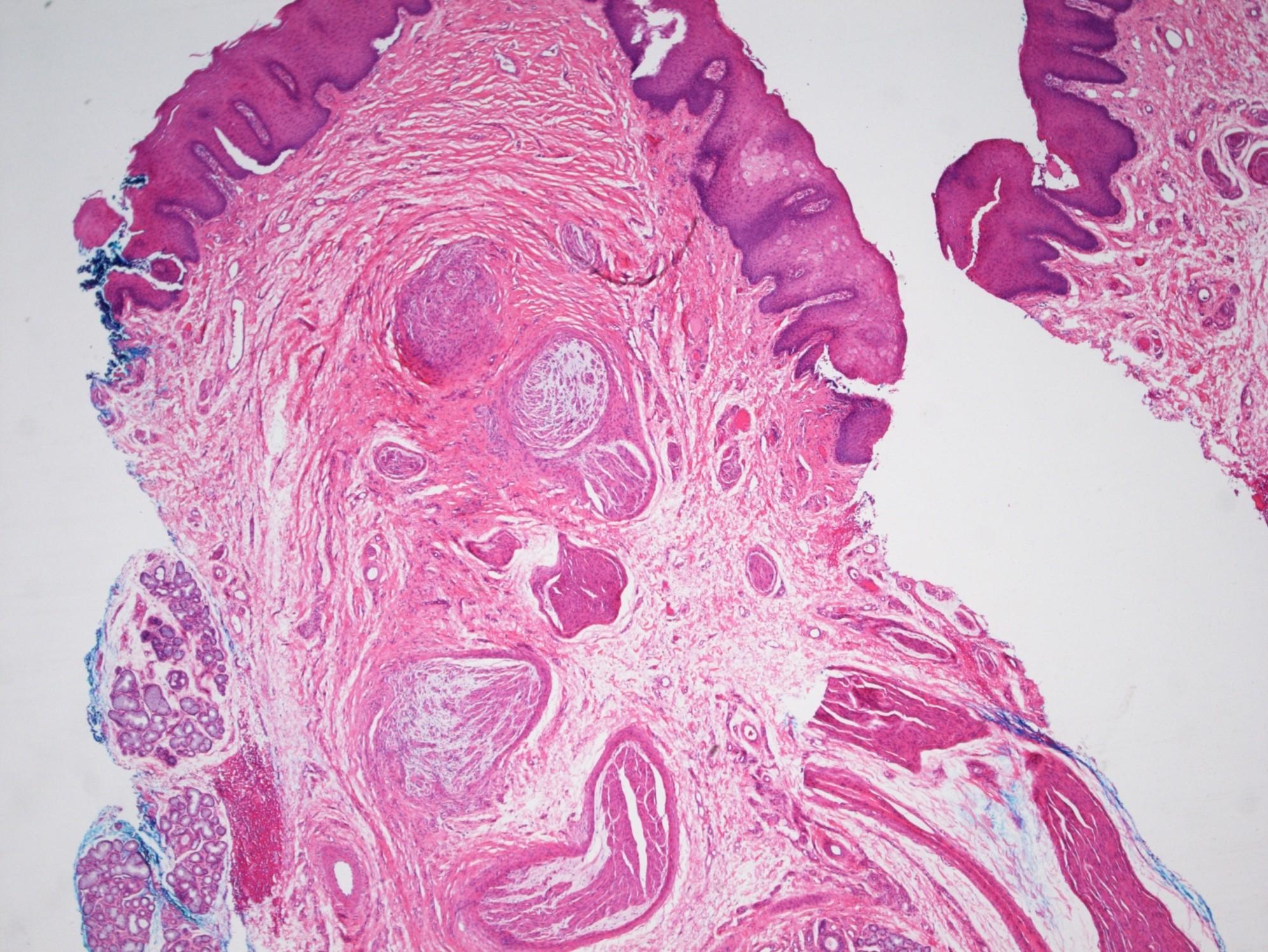
Odontogenic keratocyst

 Officially now a tumour (WHO 2005)

 In syndrome: multiple and earlier onset than sporadic and greater tendency to recur

 Is the only odontogenic cyst to keratinize

 Basal cell palisading and corrugated surface typical

 Satellite and daughter cysts more prevalent in syndromic patients

 2. A 60 year old female with long standing dysphagia and anaemia undergoes pharyngo-laryngectomy for a post-cricoid (hypopharyngeal) squamous cell carcinoma

 Neurofibromatosis type 2

 Fanconi’s anaemia

 Gardners syndrome

 Down’s syndrome

 Albrights syndrome (McCune-Albright)

 Osteogenesis imperfecta

 Gorlin Goltz syndrome

 MEN2b

 Cowdens syndrome

 Plummer-Vinson syndrome

Soft tissue in continuity ND

Upper aerodigestive tract SCC

 Mostly associated with alcohol / tobacco

 Nasopharyngeal already mentioned

 Small proportion of patients never smokers and little to moderate alcohol intake

 Fanconi anaemia

 Other inherited disorders of DNA repair

 Check it’s not pseudoepitheliomatous hyperplasia in a v young patient!!!

 Plummer Vinson associated with post-cricoid ca (30-70% at this site have syndrome)

 3. An 8 year old boy with multiple mucosal polyps especially around the lips and a fixed thyroid mass which is reported as probably malignant on cytology

 Neurofibromatosis type 2

 Fanconi’s anaemia

 Gardners syndrome

 Down’s syndrome

 Albrights syndrome (McCune-Albright)

 Osteogenesis imperfecta

 Gorlin Goltz syndrome

 MEN2b

 Cowdens syndrome

 Plummer-Vinson syndrome

MEN 2b

 Adrenal phaeochromocytoma

 Medullary carcinoma of thyroid

 Multiple mucosal neuromas

 Marfanoid bodies

 AD –RET mutation

 4. A 9 year old female with pigmented skin lesions, early onset of puberty and a painless unilateral swelling of the maxilla along with radiological abnormalities of the ribs and right femur.

 Neurofibromatosis type 2

 Fanconi’s anaemia

 Gardners syndrome

 Down’s syndrome

 Albrights syndrome (McCune-Albright)

 Osteogenesis imperfecta

 Gorlin Goltz syndrome

 MEN2b

 Cowdens syndrome

 Plummer-Vinson syndrome

Albright’s syndrome / fibrous dysplasia

 Expansion and replacement of bone by cellular fibroblastic tissue in which irregular trabeculae of woven bone are deposited

 Tend to lack osteoblastic rimming and lesional bone merges with adjacent normal bone

 Syndrome = polyostotic fibrous dysplasia + café au lait pigmentation + endocrinopathy

Question 3

Tumours most commonly but not uniquely encountered in the head and neck

 Tumours most commonly (but not uniquely) encountered in the head and neck

 Granular cell tumour

 Adenomatoid odontogenic tumour

 Adenoid cystic carcinoma

 Acinic cell carcinoma

 Squamous cell carcinoma

 Ameloblastoma

 Myoepithelioma

 Polymorphous low grade adenocarcinoma

 Mucoepidermoid carcinoma

 Pleomorphic adenoma

 1. A 36 year old female with a multilocular radiolucency of the left body of mandible. Histology shows islands of epithelium composed of loosely cohesive cells centrally with peripheral palisading and reverse polarity

 Granular cell tumour

 Adenomatoid odontogenic tumour

 Adenoid cystic carcinoma

 Acinic cell carcinoma

 Squamous cell carcinoma

 Ameloblastoma

 Myoepithelioma

 Polymorphous low grade adenocarcinoma

 Mucoepidermoid carcinoma

 Pleomorphic adenoma

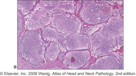
Ameloblastoma

 Most common odontogenic tumour (exc odontoma which is hamartomatous)

 Wide age range

 Benign but locally aggressive

 Classical histological appearances

Peripheral palisading

Reverse polarity

Central stellate reticulum-like cells

Stellate reticulum like cells

like cells

Ameloblast

 2. A 45 year old male has a biopsy of the floor of mouth swelling which consists of cribriform islands of angular basaloid cells arranged around gland like spaces filled with homogenous eosinophilic or basophilic material.

 Granular cell tumour

 Adenomatoid odontogenic tumour

 Adenoid cystic carcinoma

 Acinic cell carcinoma

 Squamous cell carcinoma

 Ameloblastoma

 Myoepithelioma

 Polymorphous low grade adenocarcinoma

 Mucoepidermoid carcinoma

 Pleomorphic adenoma

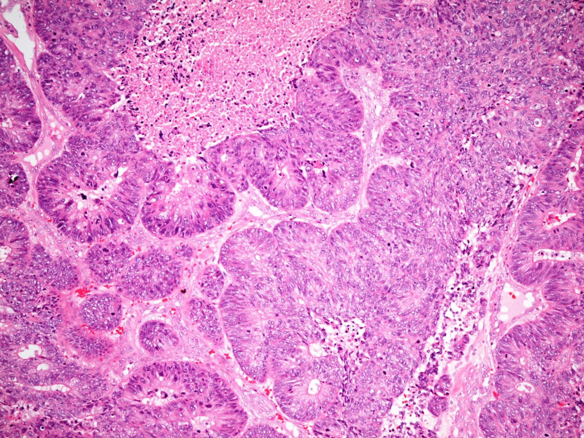
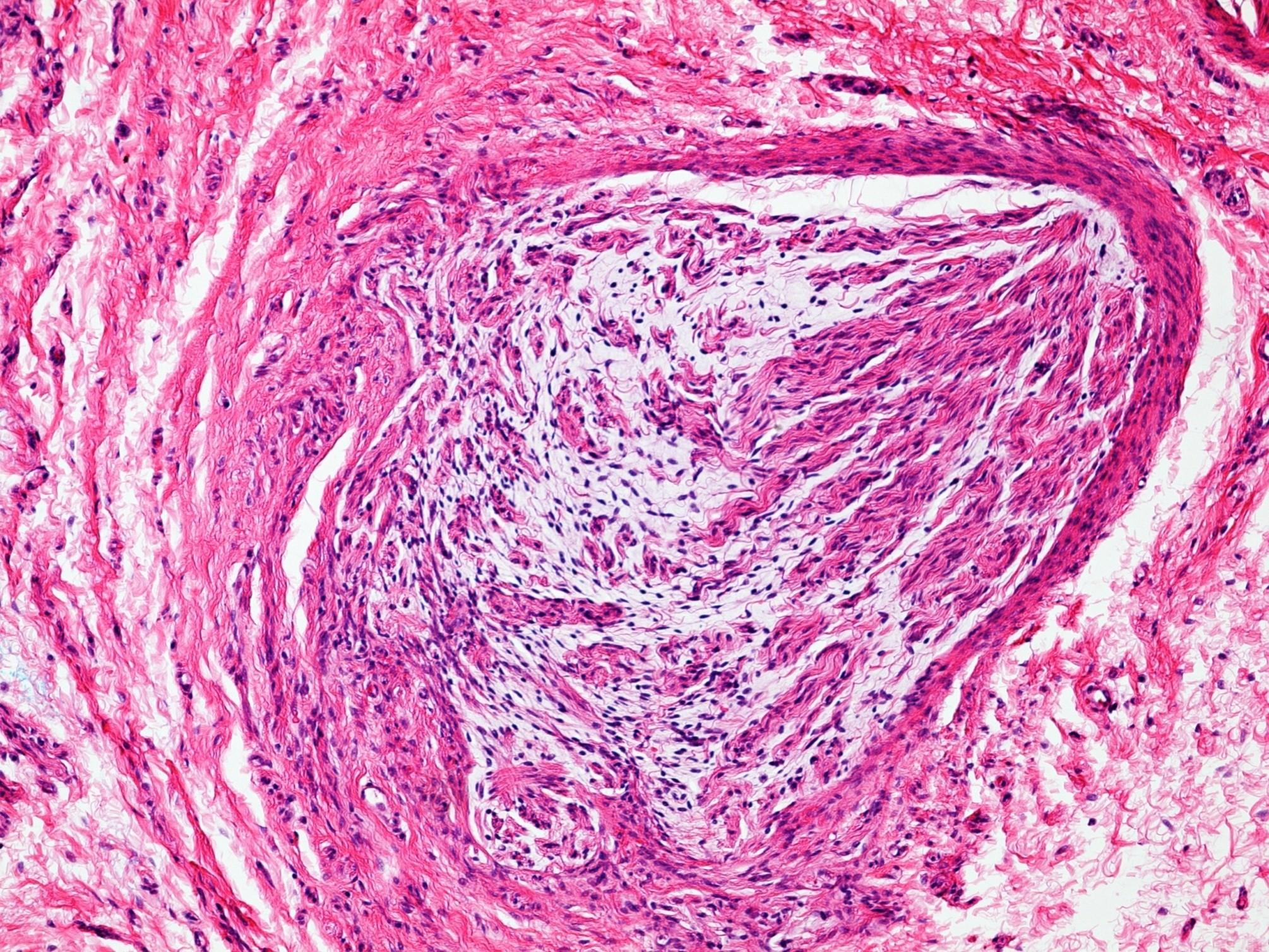
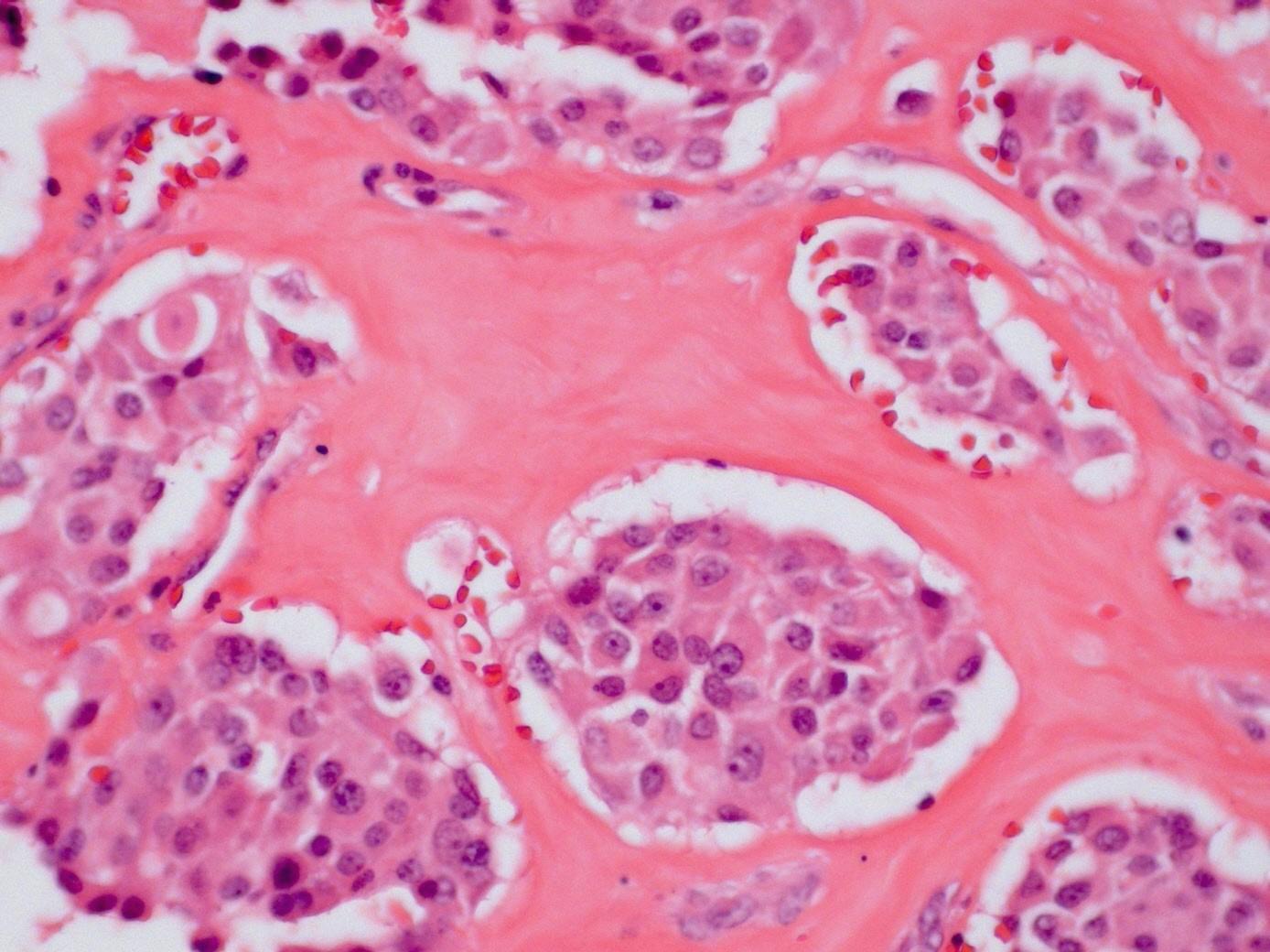
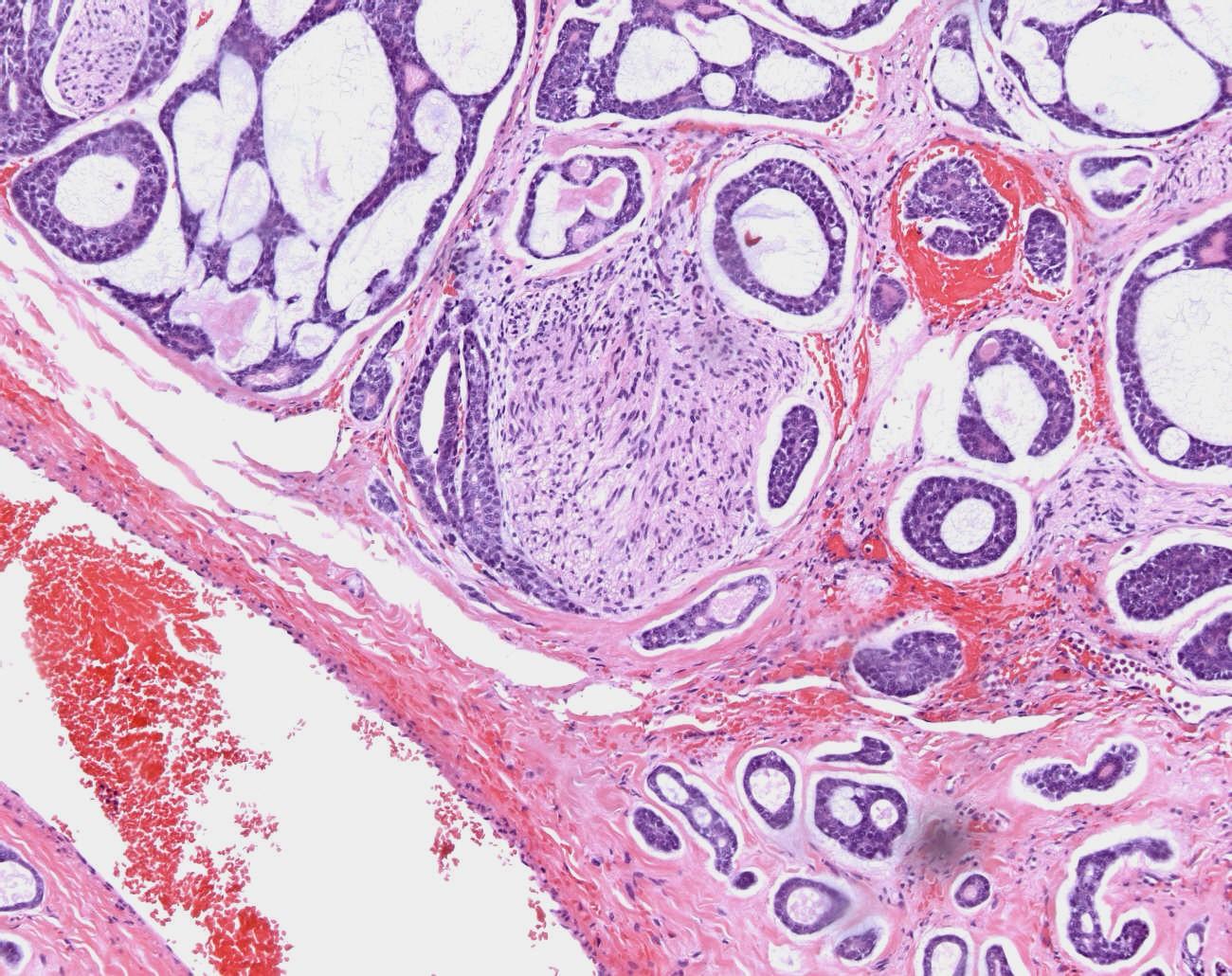
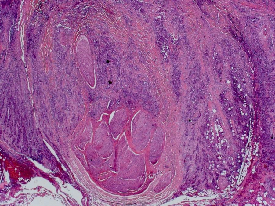
Adenoid cystic carcinoma

 Wide age range

 Slow growing with tendency for perineural spread

 Tubular, cribriform and solid patterns

 2 cell populations: ductal cells and abluminal myoepithelial cells

 Cytologically bland, angular and dense chromatin

Adenoid cystic carcinoma

 Cribriform pattern: multiple punched out holes “pseudocysts”

 Contain dense eosinophilic basement membrane-like material or bluish mucopolysaccharides

 Perineural invasion +++

 5 yr survival good, 20 yrs <10%

 Lung metastases seen later in course

 3. A palatal biopsy from a 15 year old female showing lobular islands of cytologically bland polygonal cells with distinct cell boundaries admixed with scattered mucous / goblet cells.

 Granular cell tumour

 Adenomatoid odontogenic tumour

 Adenoid cystic carcinoma

 Acinic cell carcinoma

 Squamous cell carcinoma

 Ameloblastoma

 Myoepithelioma

 Polymorphous low grade adenocarcinoma

 Mucoepidermoid carcinoma

 Pleomorphic adenoma

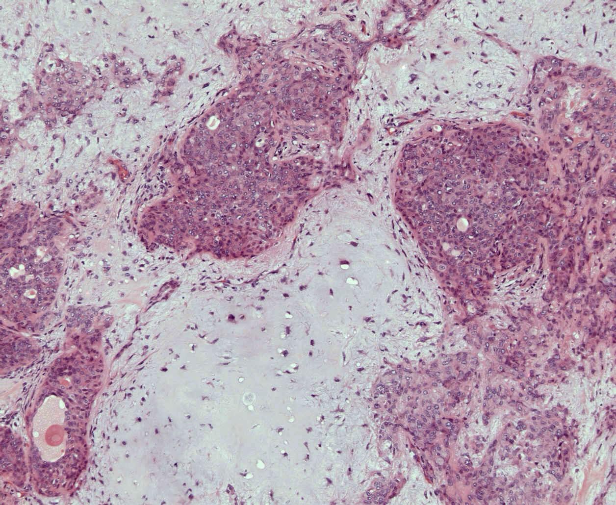
Mucoepidermoid carcinoma

 Wide age range and most common malignant salivary gland tumour in

adolescents and children

 3 types of cells

Epidermoid cells

Mucous cells

Intermediate cells

Clear cells

Mucoepidermoid carcinoma

Grading

Cystic change

Necrosis

Neural invasion

Anaplasia

>4 mitoses / 10 hpf

Mucoepidermoid carcinoma

 Low grade can be well circumscribed

 Often a nesting pattern

 Sometimes lymphoid stroma

 4. A multinodular submandibular tumour which has rather variable appearances including cellular areas containing ductal structures, sheets and strands of hyaline plasmacytoid cells, all embedded in a loose myxoid stroma.

 Granular cell tumour

 Adenomatoid odontogenic tumour

 Adenoid cystic carcinoma

 Acinic cell carcinoma

 Squamous cell carcinoma

 Ameloblastoma

 Myoepithelioma

 Polymorphous low grade adenocarcinoma

 Mucoepidermoid carcinoma

 Pleomorphic adenoma

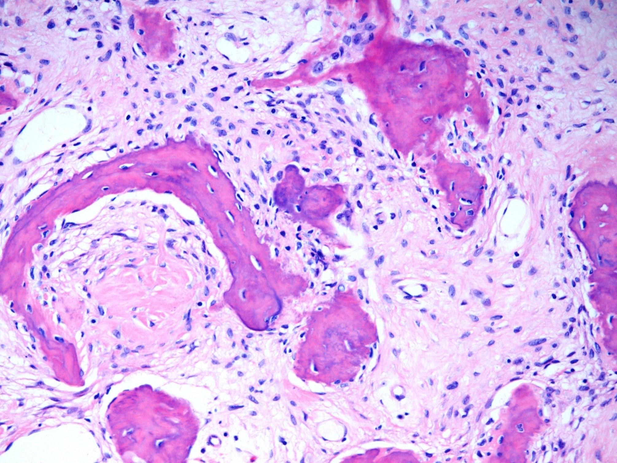
Pleomorphic adenoma

 Pleomorphic refers to variety of cells and architectural patterns not to cytomorphology

 The most common benign tumour

 Tumours of minor glands can be non or poorly encapsulated

 Ductal / luminal cells and abluminal myoepithelial population

 Myoepithelial population often most prominent

Pleomorphic adenoma

Myoepithelial cells

Hyaline plasmacytoid

Clear

Spindled

Epithelioid

Pleomorphic adenoma

Stroma

Myxoid

Chondroid

Hyalinised

Fibrous

(Bone)

Pleomorphic adenoma

Bosselated multinodular growth

Malignant transformation

CHONDROID

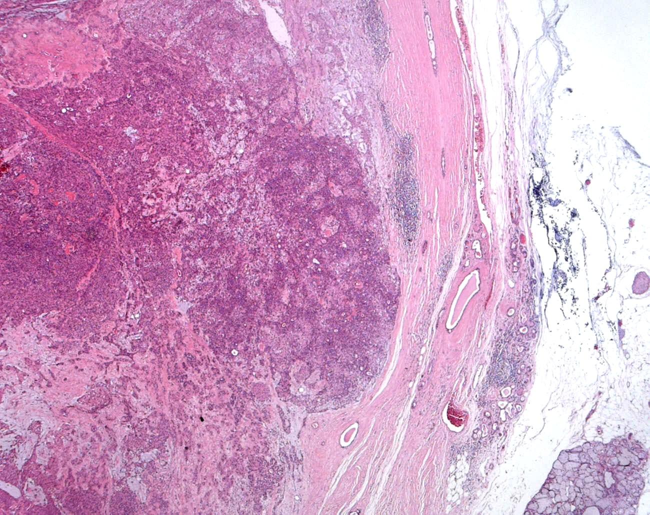
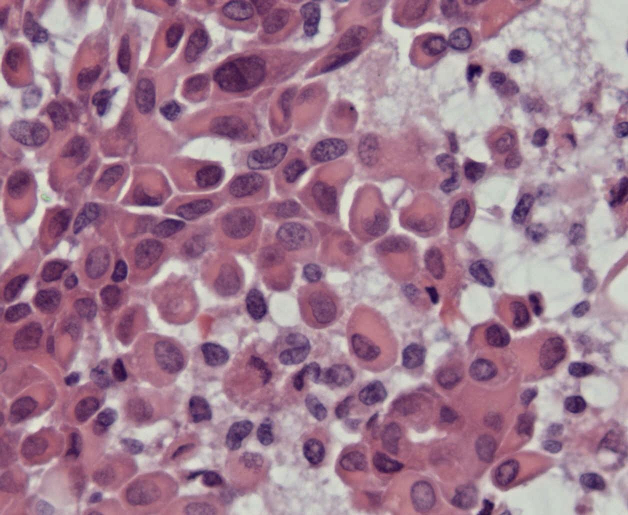
 5. A well defined parotid gland tumour, reported as probably benign by the radiologist, composed of sheets of plump cells with voluminous basophilic granular cytoplasm with a smaller population of clear cells and focal areas of papillary cystic architectural change

 Granular cell tumour

 Adenomatoid odontogenic tumour

 Adenoid cystic carcinoma

 Acinic cell carcinoma

 Squamous cell carcinoma

 Ameloblastoma

 Myoepithelioma

 Polymorphous low grade adenocarcinoma

 Mucoepidermoid carcinoma

 Pleomorphic adenoma

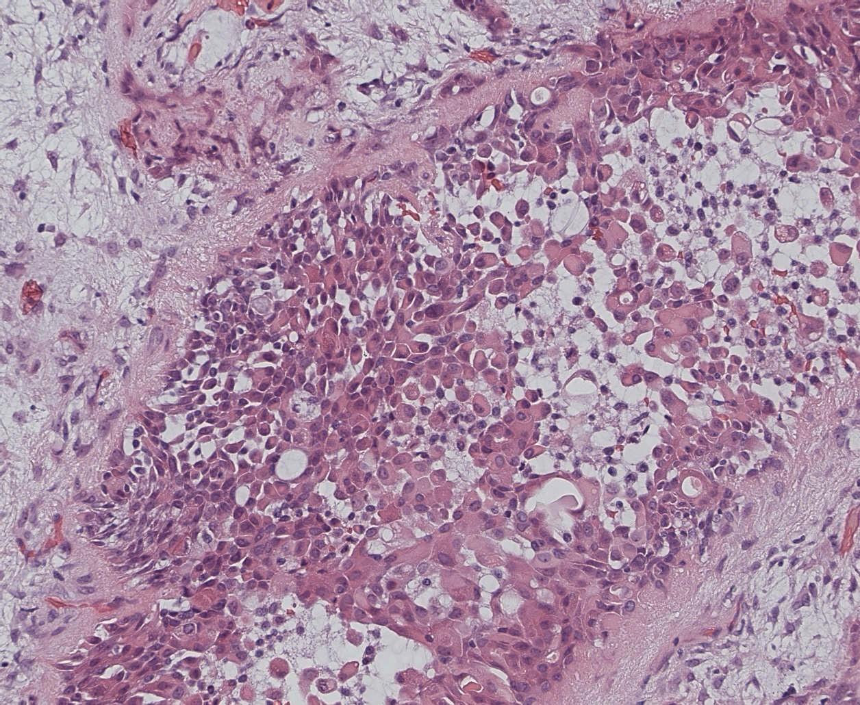
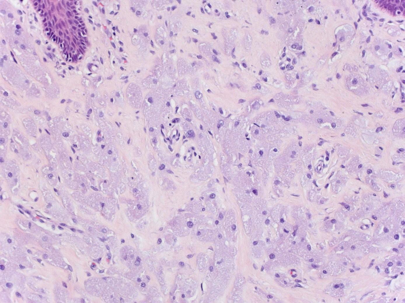
Acinic cell carcinoma

 90% parotid

 Low grade tumour, usually fairly well circumscribed

 Lymphoid stroma

 Variable histological appearances and rarity account for difficult in diagnosis in many cases

Acinic cell carcinoma

In it’s simplest form

Sheets of large polygonal cells with abundant granular basophilic cytoplasm, small eccentric nuclei with even chromatin pattern

Often nested organoid pattern

Acinic cell carcinoma

Other cell

types

 Clear cells

 Non-specific glandular cells

 Hobnail cells

 Vacuolated

 Architectural arrangements

Solid

Papillary cystic

Microcystic

Follicular

Question 4

Sinonasal tract

Sinonasal lesions: select one of the following:

 Tuberculosis

 Wegener’s granulomatosis

 Capillary haemangioma

 Nasopharyngeal angiofibroma

 Haemangiopericytoma

 Malignant melanoma

 Intestinal type adenocarcinoma

 Mucocele

 NK/T cell lymphoma

 Sinonasal undifferentiated carcinoma

 Olfactory neuroblastoma

 1. A 50 year old female with a polypoid mass in the roof of the nasal fossa comprising lobular sheets of small blue round cells embedded in a fibrillary background and with occasional rosettes.

 Tuberculosis

 Wegener’s granulomatosis

 Capillary haemangioma

 Nasopharyngeal angiofibroma

 Haemangiopericytoma

 Malignant melanoma

 Intestinal type adenocarcinoma

 Mucocele

 NK/T cell lymphoma

 Sinonasal undifferentiated carcinoma

 Olfactory neuroblastoma

Olfactory neuroblastoma

 3rd – 4th decade

 Lobules of small blue round cells

 60-70% have a fibrillary stroma

 Rosettes: Homer - Wright or Flexner –Wintersteiner

 Neuroendocrine markers +

 Cytokeratins –

 S-100 scattered + cells at periphery of lobules

Olfactory neuroblastoma

Differential diagnosis

Small cell carcinoma

SNUC

Rhabdomyosarcoma

ES / PNET

Melanoma

Lymphoma

 2. A 14 year old male also with a polypoid mass in the roof of the nasal fossa composed of variable sized vessels embedded in a variably cellular and collagenised fibroblastic stroma with stellate shaped fibroblasts a notable feature

 Tuberculosis

 Wegener’s granulomatosis

 Capillary haemangioma

 Nasopharyngeal angiofibroma

 Haemangiopericytoma

 Malignant melanoma

 Intestinal type adenocarcinoma

 Mucocele

 NK/T cell lymphoma

 Sinonasal undifferentiated carcinoma

 Olfactory neuroblastoma

Juvenile nasopharyngeal angiofibroma

 Exclusively seen in males 10-25 yrs

 Androgen receptor positive

 Collagenised vascular stroma containing numerous irregularly shaped blood vessels

 Spindle and stellate shaped cells

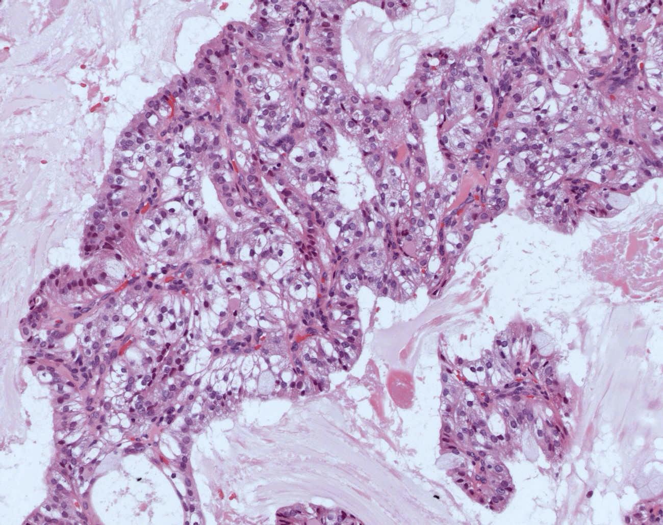
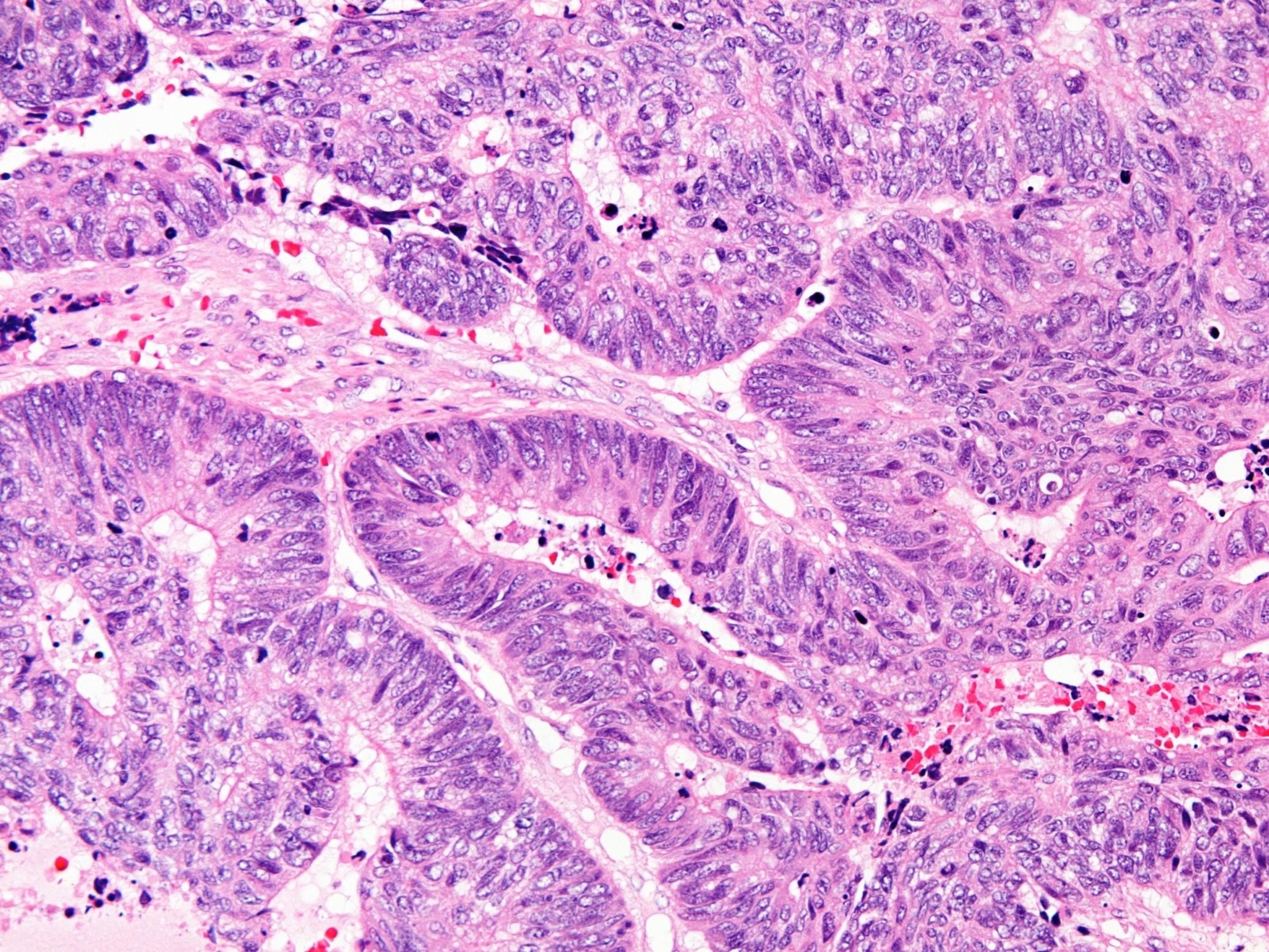
 3. A 57 year old carpenter presents with nasal discharge and obstruction. Curettings comprise mucinous material containing glandular structures and papillary strands of columnar cells showing cytological atypia and frequent mitoses

 Tuberculosis

 Wegener’s granulomatosis

 Capillary haemangioma

 Nasopharyngeal angiofibroma

 Haemangiopericytoma

 Malignant melanoma

 Intestinal type adenocarcinoma

 Mucocele

 NK/T cell lymphoma

 Sinonasal undifferentiated carcinoma

 Olfactory neuroblastoma

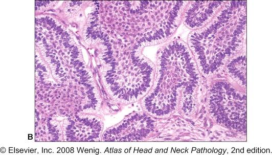
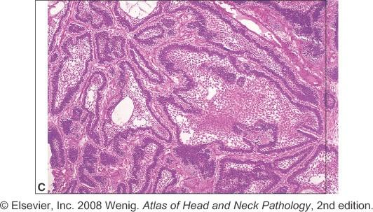
Intestinal type adenocarcinoma

 Classification of sinonasal malignancy Keratinising squamous cell carcinoma

Non-keratinising (transitional) squamous cell carcinoma

Sinonasal undifferentiated carcinoma

Low grade adenocarcinoma

Intestinal type adenocarcinoma Malignant melanoma

ITAC

 Aetiological factors: occupational wood and nickel workers

 Well differentiated looks virtually like normal colonic mucosa

 Papillary-tubular patterns, back to back glands with atypia

 Essentially range of features seen in colonic adenoca

 CK7+/- CK20 + can be CDX2 positive

 4. Crusting and ulceration of the nasal septum, altered renal function in a 39 year old female. A biopsy from the nasal cavity is largely necrotic but in viable areas, some non-caseating granulomata containing multinucleated giant cells are seen.

 Tuberculosis

 Wegener’s granulomatosis

 Capillary haemangioma

 Nasopharyngeal angiofibroma

 Haemangiopericytoma

 Malignant melanoma

 Intestinal type adenocarcinoma

 Mucocele

 NK/T cell lymphoma

 Sinonasal undifferentiated carcinoma

 Olfactory neuroblastoma

Wegener’s granulomatosis

 Systemic vasculitis and necrotising granulomatosis

 Upper and lower respiratory tracts and kidneys  cANCA positive

Triad

Necrosis

Vasculitis

Granulomatosis

Wegener’s granulomatosis

 Mixed acute on chronic inflammation with neutrophilic microabscesses

 Eosinophils

 Giant cells unassociated with granulomas

 Geographic necrosis

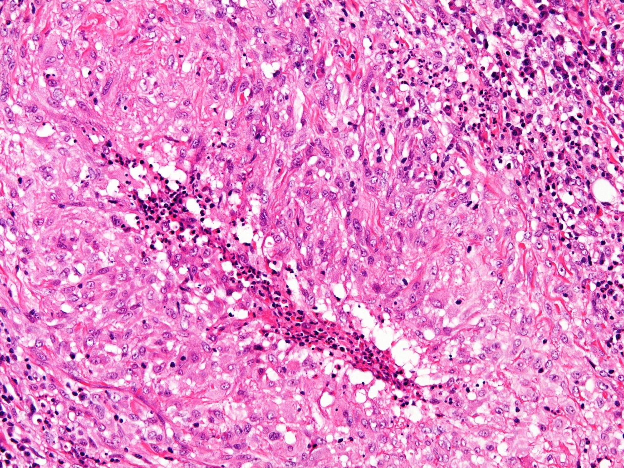
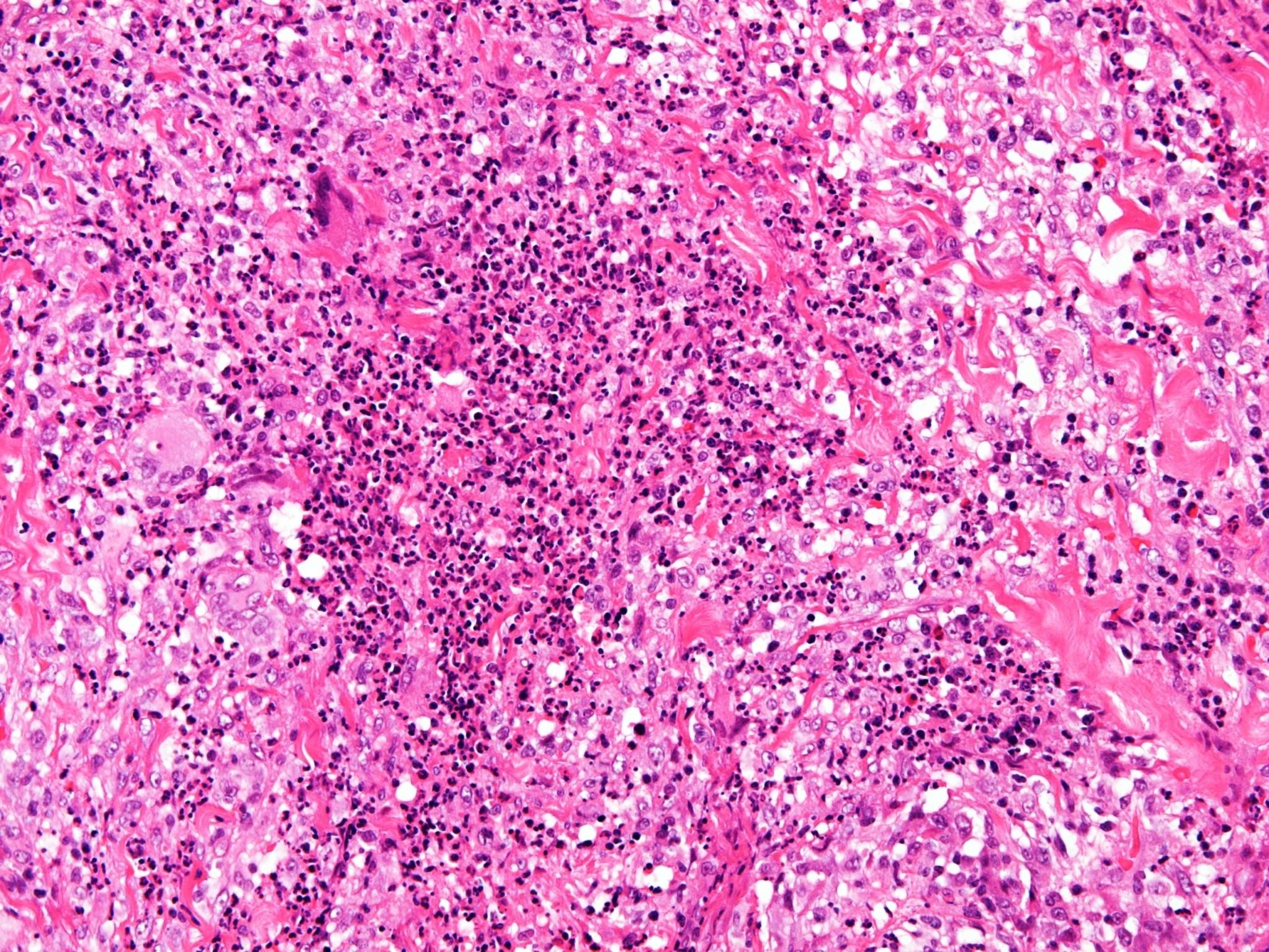
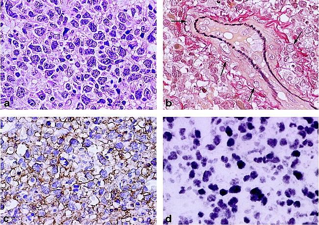
 5. A 52 year old male also with crusting and ulceration of the nasal mucosa but with no other systemic symptoms. The biopsy shows geographic ulceration with sheets of small, medium and large cells present in viable areas which frequently invade vessel walls.

 Tuberculosis

 Wegener’s granulomatosis

 Capillary haemangioma

 Nasopharyngeal angiofibroma

 Haemangiopericytoma

 Malignant melanoma

 Intestinal type adenocarcinoma

 Mucocele

 NK/T cell lymphoma

 Sinonasal undifferentiated carcinoma

 Olfactory neuroblastoma

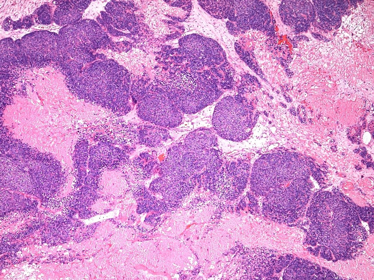
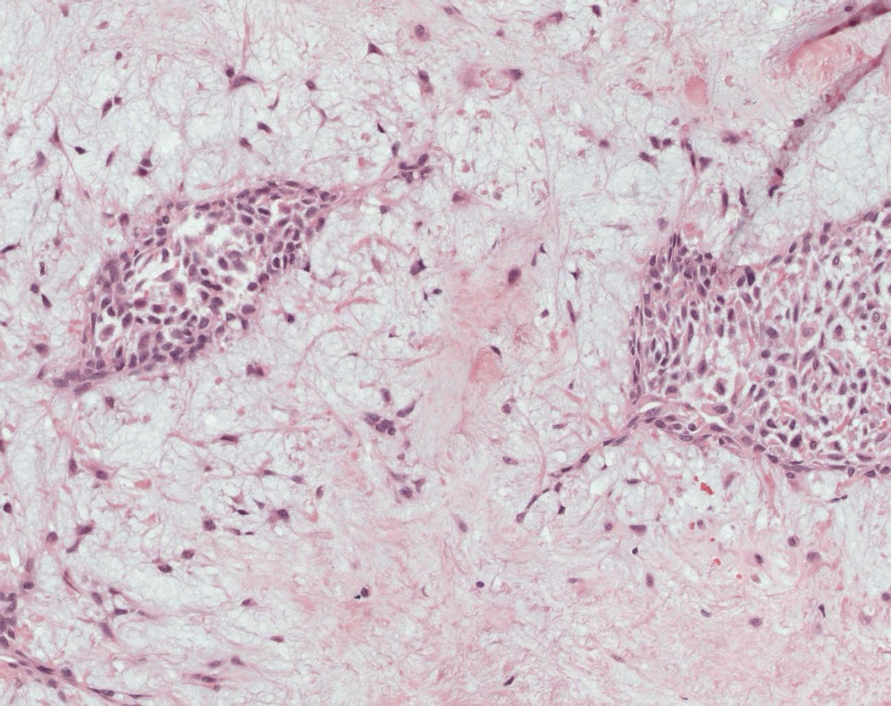
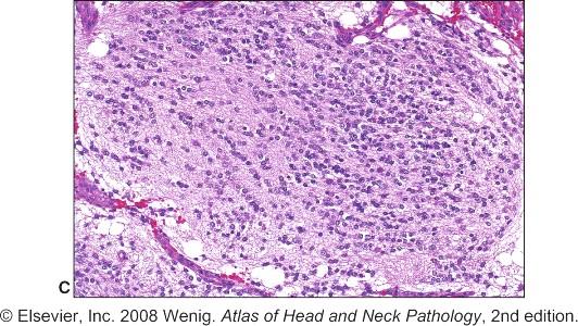
Sinonasal NK/T cell lymphoma

 Broad morphological spectrum

 Polymorphic with atypical lymphoid cells

 Plus background of other cells (neuts eos)

 Pale to clear cytoplasm

 Angioinvasion

 Geographic necrosis

 CD56, variable for T cell markers (CD2)

 EBV related

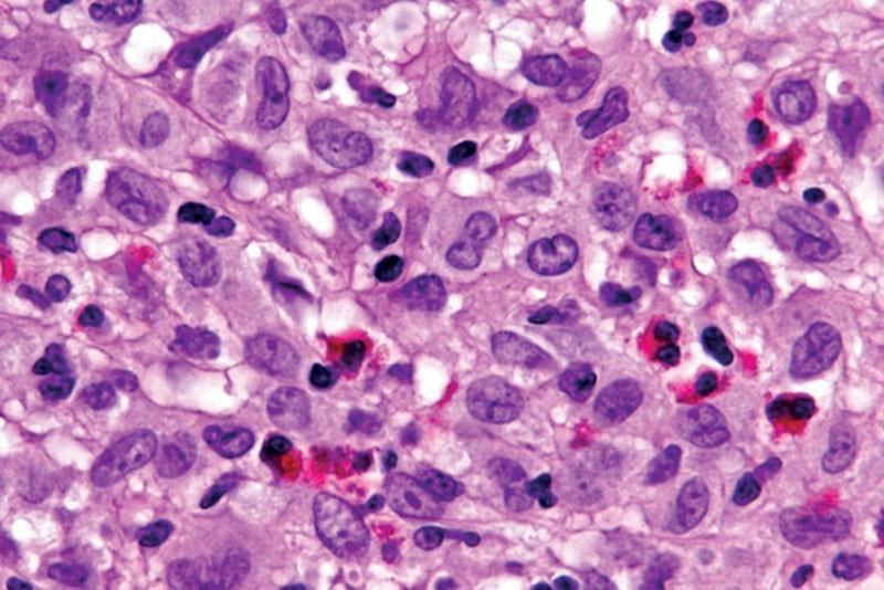
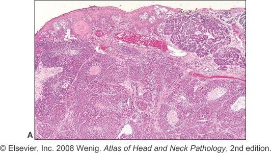
a, Proliferation of small to large, pleomorphic lymphoma cells

b, Lymphoma cells are invading a vein (arrows)

d, Expression of EBER1 in nuclei of lymphoma cells (EBER in situ hybridization,) Biopsy findings for the nasopharynx prior to radiotherapy.

c, Positive reactions for UCHL-1 are evident on the cytoplasmic membranes of lymphoma cells

Questions 5-10

Head and Neck

Minimum Datasets / cancer questions

Question 5

Lymph nodes lying deep to sternocleidomastoid at a level bounded superiorly by omohyoid muscle and inferiorly by the clavicle are located in anatomical level

Terminology of node groups

Six major anatomical groups (levels) of lymph nodes are described.

Level I: nodes of the submandibular and submental triangles.

Levels II, III and IV: nodes of the upper, middle, and lower jugular chain. These nodes lie deep to the upper, middle and lower thirds of the sternocleidomastoid muscle respectively. The point at which the omohyoid muscle crosses deep to the sternocleidomastoid muscle is a useful landmark separating levels III and IV.

Level IV extends from the omohyoid muscle to the clavicle.

Level V: nodes of the posterior triangle, behind the posterior border of the sternocleidomastoid muscle.

Level VI: nodes of the anterior compartment, around the midline visceral structures of the neck from the hyoid bone to the suprasternal notch.

Imaging studies may subclassify node levels II and V.

It is not suggested that this should be part of routine pathological practice but if separate groups are submitted, e.g. IIA and IIB, this should be noted in the pathology report.

 Lymph nodes lying deep to sternocleidomastoid at a level bounded superiorly by omohyoid muscle and inferiorly by the clavicle are located in anatomical level

Question 6

 A tumour resected from the postero-lateral part of the tongue is seen to be composed of lobules of atypical cells with a high n:c ratio showing peripheral palisading, a thickened basement membrane and focal evidence of keratinisation. Cystic spaces containing mucoid material are seen and there is high grade dysplasia of the surface epithelium. There is also comedo type necrosis within larger islands. This is a:

 Adenosquamous squamous cell carcinoma

 Adenoid cystic carcinoma

 Adenoid / acantholytic squamous cell carcinoma

 Basaloid squamous cell carcinoma

 Moderately differentiated squamous cell carcinoma

 A tumour resected from the postero-lateral part of the tongue is seen to be composed of lobules of atypical cells with a high n:c ratio showing peripheral palisading, a thickened basement membrane and focal evidence of keratinisation. Cystic spaces containing mucoid material are seen and there is high grade dysplasia of the surface epithelium. There is also comedo type necrosis within larger islands. This is a:

 Adenosquamous squamous cell carcinoma

 Adenoid cystic carcinoma

 Adenoid / acantholytic squamous cell carcinoma

 Basaloid squamous cell carcinoma

 Moderately differentiated squamous cell carcinoma

Question 7

 A resected squamous cell carcinoma of mandibular alveolus with a diameter of 22mm and depth of 7mm shows superficial erosion of the cortex of the mandible but not full thickness loss of cortical plate. This is most appropriately graded:

 A resected squamous cell carcinoma of mandibular alveolus with a diameter of 22mm and depth of 7mm shows superficial erosion of the cortex of the mandible but not full thickness loss of cortical plate. This is most appropriately graded:

Question 8

 Which of the following statements is true:

 High risk HPV can cause squamous cell carcinoma at any site in the head and neck

 HPV associated tumours are well differentiated

 HPV associated tumours have a better prognosis and are more sensitive to non surgical therapy than nonHPV tumours

 HPV is a rare cause of head and neck cancer

 HPV associated tumours present with large primaries and rarely metastasize to cervical lymph nodes

 HPV associated SCC almost exclusively in oropharynx i.e. tonsil

and base of tongue

NASAL CAVITY

PARANASAL SINUSES

ORAL CAVITY

NASOPHARYNX

OROPHARYNX PHARYNX

HYPOPHARYNX

SALIVARY GLANDS

LARYNX
OESOPHAGUS
TRACHEA

Oropharyngeal

ca

 As a proportion of H&N ca (US)

1973 – 18%

2004 – 31%

Oropharyngeal carcinoma

 Incidence of tonsil cancer England

 1997 n=281

 2007 n=703

Oropharyngeal SCC

 HPV as an aetiological agent first proposed in 1983

 HPV + oropharyngeal ca is a different entity

Patient demographics and clinical presentation

Histological grading

Response to chemoradiotherapy

Clinical outcome

 HPV 16

Oropharyngeal SCC

 Thought currently that around 60% of oropharyngeal SCC are HPV associated

 Other head and neck sites?

 3% oral cavity

 Detection of virus does not prove it is biologically relevant

HPV oropharyngeal carcinoma

 Oral cavity ca ↓ 1.85% per year 19732004 (US)

 Oropharyngeal ca ↑ 2-3% per year

Demographics

 A decade younger than non-HPV SCC (50’s)

 Especially males

 Often non, ex or minimal smokers and low to moderate alcohol intake

 Presentation more often with neck lump rather than primary lesion

Histological grading

 For all cancer sites general principle in pathology that poorer differentiation associated with worse outcome

Poorly differentiated / basaloid SCC

Poorly differentiated basaloid SCC

Oral cavity / hypopharynx / larynx

 HPV negative and poorer prognosis than conventional SCC

Oropharyngeal

If HPV associated, radiosensitive and much better prognosis

Basaloid squamous cell carcinoma of upper aerodigestive tract: a single squamous cell carcinoma subtype of two distinct entities hiding under one histologic pattern. Woolgar et al Eur Arch Otolaryngol 2011

Response

to chemo and radiotherapy

 More radio and chemo sensitive than non-HPV tumours

 Apoptosis / cell cycle inhibition pathways intact but switched off

Molecular basis of HPV ca

Viral protein E6 inactivates p53

Viral protein E7 inactivates Rb

Rb normally held in a complex with E2F

E2F when free triggers cell cycle

Methods of testing

If positive HPV ISH or PCR (or both)

Survival data

 5 year survival data

80-85% HPV +

30-35% HPV –

Independent of the treatment

HPV + tobacco users – negative effect on the prognosis

 Which of the following statements is true:

 High risk HPV can cause squamous cell carcinoma at any site in the head and neck

 HPV associated tumours are well differentiated

 HPV associated tumours have a better prognosis and are more sensitive to non surgical therapy than nonHPV tumours

 HPV is a rare cause of head and neck cancer

 HPV associated tumours present with large primaries and rarely metastasize to cervical lymph nodes

Question 9

 A patient underwent bilateral selective neck dissections at the same time as removal of a floor of mouth SCC. Pathological assessment found 4 positive LNs on the right, largest 35mm and one on the left, diameter 10mm. The pathological stage is:

Nodal staging

 pN Regional lymph nodes (for all primary sites, except nasopharynx)

 pNX Nodes cannot be assessed

 pN0 No nodal metastasis

 pN0(i+) Isolated tumour cells only (<0.2 mm)

 pN1(mi) Micrometastasis (2 mm or less) only, in single node

 pN1 Metastasis in single ipsilateral node 30 mm or less in diameter

 pN2(mi) Micrometastasis (2 mm or less) only, in multiple or bilateral nodes

 pN2a Metastasis in single ipsilateral node 31–60 mm diameter

 pN2b Metastasis in multiple ipsilateral nodes <61 mm diameter

 pN2c Metastasis in bilateral or contralateral lymph nodes, none more than 60 mm in

 greatest dimension

 pN3 Metastasis in lymph node more than 60 mm diameter.

 A patient underwent bilateral selective neck dissections at the same time as removal of a floor of mouth SCC. Pathological assessment found 4 positive LNs on the right, largest 35mm and one on the left, diameter 10mm. The pathological stage is:

Nodal staging

 For nasopharyngeal primary carcinomas:

 pN1 Unilateral metastasis <61 mm above the supraclavicular fossa and/or unilateral or

 bilateral retropharyngeal metastases

 pN2 Bilateral metastases <61 mm above the supraclavicular fossa

 pN3 Metastasis in nodes >60 mm or in supraclavicular fossa

 pN3a > 60 mm in dimension

 pN3b Extension in the supraclavicular fossa.

Question 10

 Which of these statements is true for oral SCC:

Perineural invasion does not influence prognosis

ECS is an important prognosticator and presence implies an aggressive tumour and poor prognosis

pT staging is based purely on size criteria

A cohesive pattern of invasion is associated with a

poor

prognosis

Microscopic ECS

Macroscopic ECS

Macro ECS – nerves and vessels

Importance of microscopic ECS

 Which of these statements is true for oral

SCC:

Perineural invasion does not influence prognosis

ECS is an important prognosticator and presence implies an aggressive tumour and poor prognosis

pT staging is based purely on size criteria

A cohesive pattern of invasion is associated with a poor prognosis

Any Questions or Comments ?

Turn static files into dynamic content formats.

Create a flipbook