Posters de la Journée de l'innovation

Page 1

répartis dans

tous

Digital & VR Biotech & Medtech Confort patientes et patients 17 posters
3 hubs Découvrez
les posters

Digital & VR

16ème journée de l’innovation 20 octobre 2022 ACCORDONS-NOUS POUR MIEUX ANTICIPER LES SOINS ET RÉDIGER LES DIRECTIVES ANTICIPÉES 17 30 170 3Patient·es partenaires impliqué·es dans le développement de l’app Expert.es pluridisciplinaires impliqué·es dans le développement de l’outil Études réalisées Utilisateur·trices test pour les études réalisées 2 études publiées Catalysé par le Centre de l’innovation des HUG
© Julien GRÉGORIO, HUG
Un outil conçu pou Amorcer une réflexion personnell Initier le dialogue avec les proches et le personnel médicosoignan Rédiger les directives anticipées Antoine Berger1, Catherine Bollondi2, Helena
Bornet
dit Vorgeat3, Laurence Buytaert4, Christine Clavien5, Vincent Clavien6, Camille De La Serna4, Frédéric Ehrler1, Thomas Fassier7, Florence Hartheiser5, André Koller8, François Pierre Robert6, Marianne Rubio9, Simon Schmitt9, Céline Schoepfer5, Ines SERRE10, Pierre SUTTER10 1Service applications, Direction des systèmes d'information, HUG, 2Infirmière, Direction des soins, HUG, 3Centre de l'innovation, HUG, 4Faculté de médecine, UNIGE, 5Institut éthique histoire humanités, UNIGE, 6Informaticien, 7Département de réadaptation et gériatrie, Service de médecine interne de l’âgé, HUG, 8Rédacteur, HUG, 9Direction de la Communication, HUG, 10Patient·es partenaires, HUG

CAREZHEIMER

Introduction

La prise en charge des malades d'Alzheimer est source de stress pour les soignants familiaux et professionnels

Des coûts croissants

Avec le vieillissement de la population la maladie d’Alzheimer prend une importance croissante

La maladie évolue de manière constante et nécessite une adaptation constante des stratégies de soin

CAREZHEIMER vise à aider les soignants à acquérir les bonnes stratégies comportementales pour réduire le stresse associé à la prise en charge

La prise en charge des malades d'Alzheimer induit des coûts énormes pour les proches aidant et la société

la plateforme CAREZHEIMER

la plateforme POSTHCARD

Développé suivant une approche centrée patient

Basé sur un modèle neuropsychologique validé

S’appuie sur un moteur d’intelligence artificiel

Une Interface engageante

Structure de soins

Capacité à former le personnel soignant Réduction de l’absentéisme Meilleure prise en charge des patients

Les opportunités

Les opportunités

CAREZHEIMER forme les utilisateurs en les immergeant dans une simulation réaliste et personnalisée ou ils vont pouvoir apprendre à interagir de manière appropriée avec les patients atteints d'Alzheimer

Soignant familiaux

Adapté aux spécificités de chaque situations Relation améliorée avec les proches malades Réduction de la charge

Contact: Frederic.ehrler@hcuge.ch

MRI Adventure

Prepare children in VR before an MRI scan

WHAT

MRI Adventure is a virtual reality (VR) application allowing children to immerse themselves inside the 3D reproduction of an MRI scanner in a fun and safe environment

The main objectives of the VR application are:

• Teach children the safety rules in an MRI environment

• Allow children to get familiar with an MRI scanner in order to control their fears (feelings of anxiety and/or claustrophobia)

• Teach children to not move their heads during scans to ensure proper image acquisition

WHY

x 30% of pediatric MRI scans are unusable (due to incomplete scans or excessive motion)

50% of pediatric MRI exams are sedated

x Sedation is risky and scan duration last 2 5 times longer

x MRI decoration and mock scanners cannot be used in a research context because of emotional induction.

A VR application is the only way to train anywhere (at home, research laboratory, hospital) and to fully prepare children before an MRI scan (get familiar with MRI environment and security rules, train specifically to avoid head motions)

PRELIMINARY RESULTS

• 6x 6 12 years old children were asked to train in VR during 20 minutes and then to do an MRI scan during 5 minutes

• Feelings of children (comfort, fears, claustrophobia) before and after the VR training and after the MRI scan were recorded Head movements and gaze directions were also recorded during the VR training

• Outcome: children successfully learned MRI security rules and to avoid head motions during scans thanks to the dedicated VR training

PERSPECTIVES

• The reduction of anxiety and claustrophobia thanks to the VR training needs to be confirmed with a larger population Scientific literature already demonstrated VR is helpful to treat many phobias such as claustrophobia

• A full version of the VR application (including a specific task based on eye tracking to train to avoid head motions) already exists for hospitals and research laboratories

• A new version of the application for smartphones is under development to allow children to train in VR at home without the need of a VR headset

Emmanuel Badier & Florian Buchheit Bruno Bonet Christophe Mermoud Dr. Frédéric Grouiller Dr. Sylvain Delplanque Emmanuel Badier Amine Hadjiat Céline Gaignot Dr. Laurent Moccozet
16ème JOURNEE DE L’INNOVATION 20 OCTOBRE 2022
x

A personalized oral hygieneinstruction form

A software application for patients and caregivers.

Introduction

Individuals presently more often retain their teeth later in life and some have complex prosthetic reconstructions. Medical events such as a stroke or a fall can put the patient rapidly in a state of dependency putting at risk their oral health. The knowledge of caregivers about oral health is limited and does not include the complexity of routine dental prosthetic treatment.

Innovation: A Software App

How it works ?

Advantages

For caregivers

needed to conduct

For patients

chronic inflammation and infection

its incidence on general

For dentists

around

For the society

Funding will enable us to create a well designed, maintained, tested and accessible on all devices app. Legal and logistic support is needed to define terms and conditions for dentist and ensure compliance with regulations pertaining to medical devices.

16ème JOURNEE DE L’INNOVATION
20 octobre 2022
Conclusion
• Clear and concise instructions • Time
care is defined hence saves time
• Fewer nutritional problems due to tooth loss • Reduces
and
health • Reduces future dental bills
• Improvement in preventive dentistry • Longer lasting reconstructions • The fee is
40CHF.
• Is in accord with UN sustained development goal #3 supporting good health and well being Examples of smiles on top of prosthetic reconstructions on implants 90 y old, prosthesis kept in for 3 month Patient sees the dentist Dentist uses the app Hands the prescription Caregiver/patient follows instructions 1 2 3 4

de

en français

Anorexie mentale

Prochaines

16ème JOURNEE DE L’INNOVATION 20 octobre 2022 Manque
ressources
! Un problème :
• Une maladie psychique sévère avec le plus haut taux de mortalité • Une dénutrition sévère qui peut amener à une hospitalisation Parents sont la ressource la plus importante ! Consultation AliNEA, HUG Alinea@Home Conclusions : Une satisfaction positive Des retours positifs Des pistes d’améliorations Une solution : une plateforme web Qu’est-ce que le thérapeute m’avait dit à ce sujet ? Comment est ce que je vais gérer le prochain repas ? Que faire ? Un exemple concret Des informations sous différents formats Une étude sur l’acceptabilité et la faisabilité de la plateforme est en cours Pour l’instant : Service de la communication digitale HUG
étapes Mettre la plateforme à libre disposition aux parents qui sont sur la liste d’attente/en thérapie. Des textes Des vidéos Des images Des témoignages audio 19h Un parent Des questions Plusieurs Avantages : 1. Répondre aux interrogations des parents 2. Consolider les informations 3. Disponibles sur de nombreuses plateformes 4. Accessible à tout moment Projet Programme pour Parents d’Adolescents souffrant d’anorexie mentale focalisé sur : les Ressources, l’Empathie, la Nutrition, les Techniques et le Soutien Antony A. Janakiram, Eline Tombeur, Hanna Schumacher et Nadia Micali

RAFAEL, LA PLATEFORME D’INFORMATION

(ENFANTS-ADULTES), UNE INNOVATION POSITIONNANT LES HUG COMME LEADER DES CHATBOTS MÉDICAUX

Introduction

Le post-Covid est une maladie chronique qui touche environ 10-30 % de la population générale, enfants et adultes. Face à ce syndrome et aux vagues pandémiques, les professionnelles et professionnels de santé se sont retrouvés à un niveau de connaissance comparable à celle de la population.

Les personnes atteintes se sont quant à elles retrouvées face à un risque de désinformation (fake news), un besoin d’encadrement et de prise en charge. Dans un contexte de ressources extrêmement limitées (manque de staff, soutien au stationnaire, consultations qui débordent), le besoin de soutien et d’accès aux soins a encore augmenté. La plateforme RAFAEL permet aux HUG d’être présents auprès des patientes et patients, même dans des conditions exceptionnelles.

Objectifs

Promouvoir l’approche participative Promouvoir la récolte de données ouvertes et l’alimentation des connaissances via l’agent conversationnel (chatbot)

Proposer des réponses-encadrement 24h/24, 7j/7 tout en apprenant Partager les expériences avec les partenaires.

Ecosystème

Comment ça marche ?

Le post-Covid est une maladie chronique qui touche environ 10-30 % de la population générale, enfants et adultes. Face à ce syndrome et aux vagues pandémiques, les professionnelles et professionnels de santé se sont retrouvés à un niveau de connaissance comparable à celle de la population.

Les personnes atteintes se sont quant à elles retrouvées face à un risque de désinformation (fake news), un besoin d’encadrement et de prise en charge. Dans un contexte de ressources extrêmement limitées (manque de staff, soutien au stationnaire, consultations qui débordent), le besoin de soutien et d’accès aux soins a encore augmenté. La plateforme RAFAEL permet aux HUG d’être présents auprès des patientes et patients, même dans des conditions exceptionnelles.

Résultats octobre 2022

POST-COVID
Dre Mayssam Nehme1, Franck Schneider 2, Dre Anne Perrin3, Wing Sum Yu2, Simon Schmitt 2, Guillemette Violot 2, Aurélie Ducrot1, Frédérique Tissandier 2, Pre Klara Posfay-Barbe3, Pr Idris Guessous1 1 Service de médecine de premier recours, HUG, 2 Direction de la communication, HUG, 3 Service de pédiatrie générale, HUG.
Partenaires :
Conclusion Innovation participative pour alimenter les connaissances et apporter des réponses Soutenir l’hôpital, les médecins, les partenaires et patients et les patientes Data visualization tools à venir Appliquer RAFAEL à d’autres maladies chroniques.
Orienter Feedback Loop Cliquer Poser
la
question
Innovation Information vérifiée Chatbot Webinaires Recommandations Partenariats Publication Nehme M, Schneider F, Perrin A, Yu W S, Schmitt S, Violot G, Ducrot A, Tissandier F, Posfay-Barbe K, Guessous I. RAFAEL : An interactive digital platform utilizing Chatbot technology for information dissemination and exchange on postCOVID condition in children and adults. JMIR Preprints. 30/09/2022 : 43113 Voyagez dans l’écosystème RAFAEL 4 500 Utilisateurs 6 webinaires 1 200 participantsInteractions 23 500 73% 78% Satisfaction Matching 15 Partenaires Lancé par le HUG en Nov. 2021 Lancée par les HUG Webinaire

A virtual classroom to help children with attention deficit to regulate their attention

OBJECTIVES

Attention De fi cit Hyperactivity Disorder (ADHD) is a common neurodevelopmental disorder affecting 5% of school age children. The invalidating consequences for children suffering from ADHD compromise their quality of life with school underperformance or social exclusion. Drug treatments exist but have many side effects.

The aim of the project is to propose an alternative to medication in order to train the children to self-regulate their attention in a playful environment.

METHODS

We developed a virtual classroom in an immersive virtual reality cave in which the children is seated in a real desk. Their level of attention is monitored in real-time using electroencephalography (EEG) and a feedback is displayed onto the school board.

The children were asked to regulate their attention by trying to fly a helicopter. The level of distraction fluctuates depending on their level of attention in order to train them progressively.

PRELIMINARY RESULTS

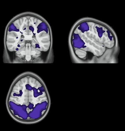
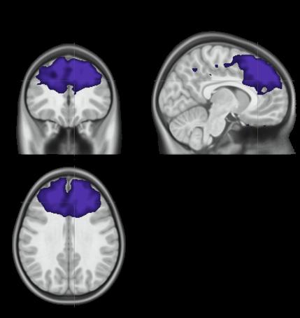
• 6 neurotypical children performed 8 EEG-neurofeedback (EEG-NFB) sessions into the virtual classroom environment. They also performed neuropsychological tests and functional MRI before and after this intervention to evaluate the benefits of the training.

• All the children remained highly motivated and enjoyed participating in the 8 sessions until the end of the training.

Neuropsychological tests

Most of children showed faster reaction times without accuracy trade-off. This result underlines a stronger attentional focus in the exercise performed and a higher cognitive control

Connectivity at rest Strength to which activity between a pair of brain regions correlates over time

Increased connectivity

Connectivity strength between Fronto-parietal and Dorsal Prefrontal networks significantly increased after the EEG-NFB training. These findings echo the behavioral results and suggest a greater signal transmission between brain areas involved in attentional control

PERSPECTIVES

• To make the EEG-NFB treatment more accessible, we envision transposing our virtual classroom to the child's home or in pediatric consultation thanks to a combined Virtual Reality - EEG helmet.

• This highly adaptable environment can also be reused to treat other pathologies (autism, emotional disorders, etc.).

16ème Journée de l’Innovation 20 octobre 2022 https://padawanproject.wordpress.com
Dr. F. GROUILLER Dre. C. GUEDJ R. TYRAND E. BADIER R. HA-VINH LEUCHTER Contact: carole.guedj@unige.ch Functional MRI Fronto-parietal network Dorsal Prefrontal network

Biotech & Medtech

Detect’ τAU

Essais cellulaires pour la détection des formes bioactives et toxiques de la protéine TAU dans les maladies neurodégénératives

Aurélien Lathuilière1, Bradley T Hyman2

1Centre de la Mémoire, Service de Gériatrie, HUG ; 2Massachusetts General Hospital, Boston, USA

IntroductionIl y a environ un nouveau cas de maladie d’Alzheimer toutes les 17 minutes en Suisse Ce nombre devrait doubler d’ici 2050, en raison du vieillissement de la population A l’heure actuelle, nous avons les moyens de poser un diagnostic précoce et précis en utilisant des biomarqueurs, mais nous ne pouvons toujours pas prédire la vitesse d’évolution de la maladie au niveau individuel, qui est une préoccupation principale des patients

Dans la maladie d’Alzheimer, certaines formes pathologiques de la protéine TAU sont capables de se propager de proche en proche, d’un neurone à l’autre, d’une région du cerveau à l’autre

Propagation de TAU au cours de la maladie d’Alzheimer

Lorsque ces formes toxiques de TAU entrent dans une cellule receveuse, elle sont capable de recruter la forme normale, de la faire s’agréger et la transformer en forme toxique, ce qui favorise la dissémination dans le cerveau On parle alors d’un processus de seedingou mécanisme de type prion

La capacité de propagation de TAU est corrélée à la vitesse de progression de la maladie d’Alzheimer

L’innovation

Mécanisme de propagation

La quantité de ces formes toxiques de TAU dans le cerveau est corrélée à la vitesse de progression de la maladie d’Alzheimer

Nous avons développé un essai cellulaire ultrasensible pouvant détecter les formes toxiques de TAU capables de se propager Des cellules « biosenseurs » expriment une sonde composée d’un fragment de la protéine TAU modifiée, fusionné à une protéine reporter fluorescente Lorsqu’un échantillon humain est incubé sur ces cellules, les formes toxique de TAU contenues dans l’échantillon induisent l’agrégation de la sonde Ce processus d’agrégation peut être quantifié par imagerie ou cytométrie de flux (signal FRET) Cet essai cellulaire est sensible à des quantités minimes de TAU toxique, en femto grammes (10 15 ) par ml, le résultat est disponible en 24 heures

Conclusion

La technologie développée devrait permettre de quantifier les formes toxiques de la protéine TAU dans les biofluides humains comme le liquide céphalo rachidien et pourrait être utilisée comme biomarqueur prédictif de la progression de la maladie d’Alzheimer Des études cliniques à large échelles seront nécessaires pour démontrer l’utilité de ce nouveau biomarqueur

16ème JOURNEE DE L’INNOVATION
20 octobre 2022
Agrégats fluorescents induits dans les cellules biosenseur
Giorgio Ramadori, Roberto Coppari, Gloria Ursino Department of Cell Physiology and Metabolism, University of Geneva, 1211 Geneva, Switzerland THE PROBLEM: treatment of type 1 diabetes is suboptimal OUR SOLUTION: S100A9 –protein based treatment to make insulin therapy in T1D more effective and safer CONCLUSION AND PERSPECTIVE 20 octobre 2022 therapy is the only life saving option for type 1 diabetes (T1D) patients million people worldwide) Unfortunately, most T1D patients do not reach the glycaemic targets necessary to prevent the diabetes complications/comorbidities, which continue to exert a high clinical burden and reduced life expectancy of more than 10 years: Better glycemic control Our Solution !!"#$%&'($)*$+&$),-#&./$+0/$()./*$&1$$$$$$ -/&-(/$2)+0$+3-/$4$5)'6/+/*7 16ème JOURNEE DE L’INNOVATION Giorgio Ramadori, giorgio.ramadori@unige.ch Insulin treatment itself is a risk factor: o Insulin treatment is cause of life threatening hypoglycemia events (cause of 10% death in T1D) o Due to its lipogenic action, insulin treatment causes overweight and is understood to be a strong contributing factor to cardiovascular disease (cause of 40% death in T1D) There is need of a better solution for T1D therapy to: Ø Improve glycaemic control Ø Lower insulin therapeutic dose % Roadmap 2023 2024 2025 2026 Q1 Q2 Q3 Q4 Q1 Q2 Q3 Q4 Q1 Q2 Q3 Q4 Q1 Q2 Extended PoC UNIGE Lab Diatheris SA Spin off Lead optimization Preclinical development Clinical Phase 1/2a 2 2.5 M CHF 6 8 M CHF Exit Pharma Partnershipt Outlicensing $ Competitive Landscape Insulin Adjuvants Unpublished data Unique selling proposition of our solution: both effective and safe Product Company Status Improved glycemia Reduced insulin dose Reduced risk of hypoglycemia Reduced risk of diabetic ketoacidosis Symlin Pen (Pramlintide acetate: amilin analog) AstraZeneca Approved only in US Yes Yes Increased risk No Zynquista (Sotagliflozin: SGLT1/ SGLT2 inhibitor) Sanofi Lexicons Approved only in EU for patients with BMI>27 Yes Yes Little effect Increased risk S100A9 based insulin adjuvant UNIGE spinoff (Diatheris) Proof of concept completed Yes Yes Yes Yes Better glycaemic control with less insulin: COMPETITIVE LANDSCAPE Insulin adjuvants in T1D • We have established a solid PoC in vivo for efficacy and safety with a R&D formulation of the S100A9 protein • Next steps of the project: 2023Q3: creation of a Start up at Geneva (Diatheris SA) 2023Q4: scaling up a GMP compliant S100A9 production 2023Q4: pre IND meeting 2025Q1: beginning of human trial 2026Q2: Exit After a Phase 2a we expect opening of opportunity for outlicensing or partnerrship with pharma • A strong support for this game changing approach has been obtained by recognized International Diabetes Key Opinion Leaders and the translation towards a start up is backed up by experienced BioTech Entrepreneurs New mechanism of action: Metabolic control by activation of TLR4/ mTORC1 signaling axis in hepatic non parenchymal cells (in anti inflammatory manner) Our solution overcomes the major safety limitations of the available adjuvants to insulin therapy for T1D Ø Unique selling proposition of our solution: both effective and safe Nature Commun 2019 Aug 7;10(1):3545 Nature Commun 2022 July 15; 13(1):4107 Roadmap www.diatheris.com ! Ø Need of better glycemic control and lower insulin dose 12 am 12 pm 12am 12 pm 12 am 180 mg/dL 70 mg/dL 250 mg/dL Poor glycemic control Glycemia: Time of day T1D Normal Cardiovascular disease Kidney failure Nerve damage Insulin therapy is suboptimal for T1D patients (30M) (≥ 10 years reduction in life expectancy) (Example from Diabetes Metab 2020;44:828 839) Hyperglycemia and risk of life threatening diabetic ketoacidosis Risk of severe lethal hypoglycemia Blindness Serious co morbidity riskSerious event risk Target range

Poumon en acier « portable »: Aide respiratoire sans toucher le visage!

INTRODUCTION

Assistance et thérapie ventilatoire dans la détresse respiratoire:

Masque facial non invasif (CPAP) et lunettes O2 (HFNO)

Ventilation invasive par pression positive avec un tube ET La pression négative extra-thoracique continue (CNEP) pourrait-être considérée comme une alternative à l’assistance respiratoire.

Avantages Physiologiques :

Augmentation de la pression transpleurale

Recrutement des zones d’atélectasie sans application de pressions excessives des voies aériennes

Moins d’effets hémodynamiques par rapport à une ventilation mécanique conventionnelle

Avantages Pratiques :

Cuirasse portable

Le visage est libre

Association facile avec d’autres supports ventilatoires

METHODES

Application de la pression négative extra thoracique :

patients intubés

patients non intubés assistés par CPAP ou HFNO

1 à 4 heures de CNEP, 2 fois par jour

RESULTATS

Patients non-intubés :

La durée des thérapies HFNO et CPAP a été réduite

Amélioration de la saturation en oxygène Patients intubés :

Oxygénation améliorée

Réduction des pressions ventilatoires

Patient soigné

Patient (Covid 19) soigné aux soins intensifs

CONCLUSIONS

L’application de cette technique d’assistance respiratoire peut-être élargie. Prochaines étapes: CNEP et ventilation extra thoracique biphasique

Réhabilitation pulmonaire pré et post opératoire

Application pendant de simples procédures

Application en chirurgie ORL comme alternative à la “jet-ventilation”

16ème JOURNEE DE L’INNOVATION
CENTRE DE L’INNOVATION CHACUN PEUT FAIRE LA DIFFÉRENCE
 15
 15
dans une unité de soins
20 Octobre 2022
16ème Journée de l’Innovation Le 20 Octobre 2022 Genève TUMOR WATCH Un dispositif médical pour améliorer la chirurgie des tumeurs cérébrales
Pr
Shahan Momjian Neurochirurgien HUG Dr Affif Zaccaria Chercheur UNIGE 100,000 par an en Europe Origine de l’innovation: Painpoint du neurochirurgien Contacts shahan.momjian@hcuge.ch zaccaria.affif@gmail.com Intervention considérée comme TRÈS EXIGEANTE par les neurochirurgiens Résection principale Les étapes de la chirurgie IRM per-opératoire Complément de résection ● Création de la cavité de résection ● Extraction des résidus tumoraux● Détection des résidus tumoraux Passer des images IRM à la cavité de résection Réalité de la “grotte” de résection en 3D STRESS DURÉE ERREUR Résection principale IRM per-opératoire avec Tumor Watch Localisation des résidus Tumor Watch réconcilie les images IRM avec la cavité de résection Collaborateurs Pr Rares SALOMIR Mme Orane LORTON BÉNÉFICES Meilleur pronostic Meilleur rendement Confiance accrue

Confort patientes & patients

ANABOX

Le choc anaphylactique pour les nuls

Quel dosage?

INTRODUCTION :

Dans les milieux non spécialisés comme les Services de Radiologie, lors des premières minutes d'une prise en charge d'un choc anaphylactique, le personnel est confronté au stress lié à la situation, à la disponibilité du matériel dans des lieux non adaptés (le chariot de réanimation n'est pas forcément à disposition et est méconnu ou peu utilisé par le personnel en place), et à une multitude de procédures institutionnelles complexes à la mise en œuvre pour un personnel non aguerri aux situations d'urgence.

OBJECTIF : Répondre à la demande du personnel de terrain en inconfort dans la gestion des réactions allergiques, rares, mais malgré tout possibles et sévères, en simplifiant la prise en charge dans les premières minutes.

INNOVATION :

Création de l’ANABOX : une boite à compartiments contenant tout le nécessaire à la gestion d’une réaction au produit de contraste, adaptée aux particularités structurelles et au personnel soignant du service de Radiologie. Elle est composée du matériel de base nécessaire (perfusion, NaCl, Tavegyl, masque O2 ...) et d'un epipen dosé à 0.3 mg qui est le dosage préconisé dans la prise en charge de ces situations d'urgence Elle est accompagnée d'un guide visuel simplifié et basé sur les procédures existantes pour leur gestion. L’ANABOX permet à un personnel peu exposé de prendre en charge ces situations en étant plus sécuritaire et en minimisant les possibilités d'erreur de dosage.

16ème JOURNEE DE L’INNOVATION
C. Bitter₁, M. Gartmann₁, S. Badji₁, R. Rodriguez₁ ₁ Service de Radiologie, Département Diagnostique, Hôpitaux Universitaires de Genève
20 octobre 2022
Guide visuel
Kit
«Tavegyl»
Kit
«Epipen» Abaisse langues
Kit
«oxygène» Masque à oxygène Tubulure
Kit «Voie Veineuse» Kit «Remplissage» NaCl 0.9 1 tubulure

depédiatrie

therapeute,physiotherapeute és
soinsspécifiquesdel’enfanten ssoignants
e 2022
Commentmieuxaccompagnerl'enfantensituationdehandicap, safamilleetlessoignants? Assureruneréférence,unsuivi,unlien continuauprèsdesenfantsen situationdehandicapetdeleur Objectifs: Améliorerlaqualitédessoins optimiserl’anticipationd’unehospitalisation perfectionnerlamiseàjourdesdonnéesadministratives

«

Moi et mes médicaments »

Un outil pour faciliter la communication soignant/patient autour du traitement

1. Constats

• 50% des patients, toutes maladies confondues, ne prennent pas leurs médicaments tels que prescrits (OMS)

• Pour communiquer avec les patients autour des médicaments les soignants ne posent souvent qu’une seule question : «Vous prenez bien vos médicaments ?» Réponse … oui !

• Nous ne disposons pas d’outils pour faciliter la communication soignant/patient

5. Objectifs

• Donner confiance aux soignants pour aborder le délicat sujet de la prise des médicaments

• Aider les soignants à approfondir leurs entretiens autour des médicaments et à créer les conditions pour que les patients se sentent libres et en confiance pour s’exprimer

18 soignants

patients

• Aider les soignants à mieux comprendre les patients pour affiner la justesse de leur accompagnement

4. Hypothèse

Faciliter la communication autour des médicaments permettra un accompagnement plus efficace et plus serein des patients

Pour explorer le vécu et les priorités des patients …

Un médicament, c’est quoi pour vous ?

Dans quelle mesure est ce important pour vous de prendre des médicaments ?

Quels autres traitements, ne figurant pas sur votre ordonnance, prenez vous ?

Avantages

Outil «universel» adapté à toutes les pathologies

Utilisable quel que soit le nombre de médicaments pris

Les icônes permettent de l’utiliser avec des patients illettrés/allophones

Des traductions sont déjà disponibles en anglais, espagnol et portugais

Un format de cartes permet également l’utilisation en groupe

C’est un guide, non une marche à suivre (place à la créativité du soignant)

C’est le patient qui choisit le thème en fonction de ses priorités

Côté soignants

«

Cela m’a permis de poser des questions que je n’aurais pas osé poser spontanément. J’ai maintenant une vision plus large du patient »

Résultats

« Ça m’a hallucinée ce qu’elle m’a dit. Je la connais depuis plusieurs années et je ne m’occupais que de son asthme, pas de ce qui lui pose problème »

« J’ai appris que c’était sa mère qui lui faisait ses injections hebdomadaires, mais que souvent elle n’était pas là alors elle ne les faisait pas. Maintenant elle vient chaque semaine faire ses injections à l’hôpital »

2. Enquête qualitative

• Difficultés d’identifier les patients ne prenant pas leur traitement et quand ils y arrivent, vécu de frustration, de déception, sentiment d’inutilité ou d’échec

• Difficultés à comprendre les patients

• Crainte que les soignants réagissent négativement s’ils disent qu’ils ne prennent pas leurs médicaments ou que cela ait un impact sur leurs relations

• Sentiment d’être freinés à partager leurs difficultés d’adhésion avec leurs soignants

3. Problème

Manque de communication autour des médicaments entraînant une collaboration insatisfaisante

12 thèmes d’exploration 50 questions ouvertes

Dans quelle mesure vos médicaments influencent ils vos projets de vie ?

qui parlez vous de vos médicaments ?

Qu’est ce qui vous aide / vous freine pour prendre vos médicaments ?

Inspiration

Modèle des croyances de santé, Rosenstock et Becker, 1974

Modèle transthéorique du changement, Prochaska et Di Clemente, 1982

Modèle socio cognitif, Munro et al., 2007

Modèle du rapport affectif à la maladie, Lacroix et Assal, 2011

Modèle allostérique, Giordan, 2016

Entretien motivationnel, Miller et Rollnick, 2019

Nos expériences d’entretien

Côté patients

« Je ne me suis pas exprimée pour faire plaisir aux soignants mais pour dire ce qui est important pour moi : je me suis sentie libre »

« Je n’aurais pas parlé de mes traitements parallèles sans les cartes, les soignants ne sont pas souvent ouverts à ça »

« J’ai plus parlé, d’habitude c’est plus l’infirmière qui parle ! »

« Il faudrait donner cet outil aux médecins, s’ils me comprenaient mieux ça m’éviterait de prendre des antidépresseurs »

PerspectivesConclusions

plus grand

3 jours de formation

dans la journée

d’ajuster

Pulsations

Dispensation

rédaction

médicaments

article

16ème journée de l’innovation 20 octobre 2022
SALIEZ PIERRET Géraldine, infirmière, Service de Médecine de Premier Recours (SMPR), Département de Médecine de Premier Recours (DMPR) BRAILLARD Olivia, LAZZARO Daniela, SCHNEIDER Marie Paule
6
 Les thèmes et les questions ouvertes sont très aidantes pour les soignants  L’utilisation de cet outil libère la parole des patients  Il permet ensuite aux soignants
l’accompagnement de leurs patients  Une capsule vidéo : diffusion au
nombre  Le fil rouge des
ETP aux HUG ?  Insertion
«
des
» ?  Visibilité dans «
» et
d’un
dans la revue ETP/TPE ?
A

Introduction

-Les crises d’épilepsies inaugurales arrivant aux urgences représentent un enjeu diagnostique de taille, étant donné qu’il s’agit d’un événement avec une mortalité de 2-3x plus élevée par rapport à la population générale, ainsi qu’avec de nombreux diagnostics différentiels alternatifs.

-Le rendement d’un EEG est le plus élevé s’il est réalisé dans les 24h et s’il comporte du sommeil.

Le Projet Première Crise:

• projet novateur, pluridisciplinaire et unique en Suisse qui vise à mieux identifieret individualiserla prise en charge diagnostique et thérapeutique rapide des patients arrivant aux urgences avec une suspicion de première crise d’épilepsie.

• permet un bilan précoce réalisé par un neurologue expert en épileptologie, incluant un EEG deveilleetdesommeilet une IRMcérébraledédiéedans les premières 24h suivant l’épisode.

Innovation

• Mise en place d’une filière «Première Crise» en collaboration avec les Urgences, pour tout patient de > 16 ans arrivant avec clinique suspecte de 1e crise d’épilepsie.

• Hospitalisation (24h) dans unité dédiée avec bilan précoce avec (avis spécialisé d’épileptologie, EEG longue durée incluant sommeil, IRM cérébrale avec séquences spéciales, +/-avis cardio et psychiatrique.

Conclusion

• Résultats préliminaires: depuis mai 2021, 142 patients hospitalisés, ~ 9 patients / mois.

La prise en charge précoce présente un intérêt diagnostique, pronostique et thérapeutique majeur et augmente la performance des examens réalisés (davantage d’anomalies à l’EEG détectables dans les < 24h).

Elle permet aussi de libérer plus rapidement les lits aux urgences. Elle réduit l’anxiété des patients suite à une première crise, par une synthèse rapide par un expert en épilepsie

16ème JOURNEE DE L’INNOVATION
DrPatrick STANCU, Prof Serge VULLIEMOZ, DrStéphanie DONOHUE, Daniel PELLISE, Eric MENETRE PhD, Prof Fabienne PICARD, Prof Margitta SEECK Service de Neurologie, Département des Neurosciences Cliniques Hôpitaux Universitaires de Genève
20 octobre 2022
EEG-US ou l’unité «Première Crise»

SÉCURISATION ET SIMPLIFICATION DU PROCESSUS D’IDENTIFICATION DES TRAITEMENTS INTRAVEINEUX Département d’oncologie

INTRODUCTION

Contexte : Le processus d’identification des traitements intraveineux est basé sur la retranscription manuscrite des informations figurant dans le DPI sur des étiquettes blanches ou partiellement pré remplies

Problématique : Risque d’erreur lié à la retranscription et mauvaise lisibilité Activité très chronophage

Objectifs : Sécuriser et simplifier le processus d’identification des traitements intraveineux en supprimant la rédaction manuscrites au sein des unités d’oncohématologie Diminuer de 50% le temps dédié à la réalisation des étiquettes

INNOVATION

Comment ça marche : La création d’une interface permet d’utiliser les informations présentes sur l’échéancier du DPI pour générer les étiquettes des traitements intraveineux selon l’horaire choisi Ces dernières sont imprimées en couleur sur une imprimante laser présente dans l’unité Les étiquettes sont imprimées sur les planches « Diogène » et chaque planche correspond aux traitements d’un unique patient Le matériel utilisé est déjà disponible dans l’institution ce qui n’entraine qu’un coût restreint

Résultats : Dans les unités d’onco hématologie adulte 95% des étiquettes sont désormais informatisées. Le temps dédié aux étiquettes a diminué de 59% La satisfaction des infirmières par rapport à l’étiquetage est en très net amélioration

CONCLUSION

CONTACT

16ème JOURNEE DE L’INNOVATION 20 octobre 2022 DSI Portela J., concepteur en informatique Staub J C., analyste en informatique Chefs de projet Berent A., infirmière Sommer S., infirmier DS Ducloux P., infirmier chargé d’études Pharmacie Dr Guignard B., pharmacien DMQ Despond M., infirmière cheffe de projet DONCO Percebois V., infirmière Girard C., informaticien DONCO Dr Beauverd Y., médecin chef de clinique Tarpin Lyonnet M., IRES EQUIPE PROJET
La production automatique des étiquettes augmente la sécurité et redistribue du temps patient Son déploiement dans les unités de soins serait une plus value pour les patients et les équipes soignantes des HUG
Chefs de projet : A. Berent & S. Sommer Mandante : S. Decosterd TEMPS DE RÉALISATION D’UNE ÉTIQUETTE 10 20 30 40 50 60 1 2 3 4 5 6 7 8 9 Temps [sec] Rédacteur n Temps de réalisation d'une étiquette manuscrite Temps [sec] Médianne Temps médian de 36 sec. 0 10 20 30 1 2 3 4 5 6 7 8 9 Temps [sec] Rédacteur n Temps de vérification d'une étiquette informatisée Temps médian de 13 sec. Panel de 14 questionnaires SATISFACTION PAR RAPPORT À L’ÉTIQUETAGE DES INTRAVEINEUX Panel de 17 questionnaires Mauvais 7% Insuffisant 57% Suffisant 36% Satisfaction pré projet Suffisant 12% Bon 88% Satisfaction post projet Mars 2018 Février 2022 Traitement Identification Planification 7 cm 6.4 cm 5 cm4.4 cm MISE EN PAGE DES ÉTIQUETTES DES TRAITEMENTS INTERMITTENTS
Alesandra Berent (Infirmière) Sylvain Sommer (Infirmier) Service d'Hématologie, 7DL Service d'Hématologie, 7DL alesandra.berent@hcuge.ch sylvain.sommer@hcuge.ch

Triage par couleur Suivi postopératoire adapté après chirurgie cardiaque pédiatrique.

Dr Léonce Mwizerwa1 , Dr Julie Wacker1, Prof Maurice Beghetti1, Dr Angelo Polito2

1. Unité de Cardiologie pédiatrique.

Introduction

2.Unité des soins intensifs pédiatriques. .

Malgré les progrès techniques et les connaissances accumulées, la chirurgie cardiaque pédiatrique reste une chirurgie à risques. La prise en charge postopératoire des enfants opérés pour une cardiopathie congénitale nécessite donc un suivi constant avec de nombreux prélèvements sanguins. Néanmoins, aucune relation entre le nombre de prélèvements et les outcomes ont été démontré (1,2)

Objectifs du projet

Limitation des prélèvements sanguins en adaptant la prise en charge post opératoire selon le score de RACHS 1

Coarctation >

Coarctation

Bénéfices attendus

Réduction des infections nosocomiales (diminution des manipulations des cathéters).

• Réduction des épisodes de déglobulisation et des transfusions de produits sanguins suite à la diminution des prélèvements.

• Répartition infirmière adaptée à la complexité du patient.

• Outil pour les médecins en formation grâce à la prise en charge standardisée et le niveau de complexité des patients reconnaissable simplement.

Diminution des coûts liés à l’hospitalisation.

Conclusion

Innovation

Système de triage préopératoire basé sur la complexité chirurgicale.

• Score de RACHS 1 (couleurs vert, jaune et rouge).

• Choix de la fréquence des examens de laboratoire estimés selon score de RACHS 1 modulable en fonction de l’évolution du patient.

• Projet d’amélioration de la qualité des soins implanté en pédiatrie et facilement reproductible chez les adultes.

• Résultats tangible et facile à évaluer.

16ème JOURNEE DE L’INNOVATION
20 octobre 2022
1. Delgado Corcoran C et al. Reducing blood testing in pediatric patients after heart surgery: a quality improvement project Pediatr Crit Care Med. 2014 Oct;15(8):756 61 2. Jenkins KJ et al. Consensus based method for risk adjustment for surgery for congenital heart disease. J Thorac Cardiovasc Surg. 2002 Jan;123(1):110 8. Risk category 1 Risk category 2 Risk category 3 Risk category 4 Risk category 5 Risk category 6 CIA CIV Plastie mitrale Unifocalisation APSO Anomalie d’Ebstein Norwood
30j
< 30j ASO pour TGA/SI ASO pour TGA/CIV Truncus arteriosus + interruption de l’arc aortique Procédure de DKS
CAP Tétralogie de Fallot Conduit VD AP Plastie aortique

Turn static files into dynamic content formats.

Create a flipbook
Issuu converts static files into: digital portfolios, online yearbooks, online catalogs, digital photo albums and more. Sign up and create your flipbook.