Informe FAROS nº12: Una mirada a la salut mental dels adolescents

Page 1

QUADERN FAROS 12 Una mirada a la salut mental dels adolescents Claus per comprendre’ls i acompanyar-los https://faros.hsjdbcn.org/ Pròleg d’ArgyrisStringaris ProfessordePsiquiatria iInvestigadordel National Institute of Mental Health (EEUU)

Faros Sant Joan de Déu (https://faros.hsjdbcn.org) és la plataforma de promoció de la salut i el benestar infantil de l’Hospital Sant Joan de Déu Barcelona.

Ens dirigim principalment a mares i pares que tenen interès en rebre informació de qualitat respecte la salut i benestar de les seves filles i fills. Així mateix, Faros es dirigeix també a personal de docència i altres cuidadors i professionals, especialment en el camp de la salut i l’educació.

La nostra missió és proporcionar informació i oferir tot el nostre coneixement per fomentar valors i hàbits saludables. Comptem amb la col·laboració i revisió dels professionals de l’Hospital i, per tant, garantim la màxima qualitat dels continguts que publiquem.

A Faros trobaràs més de 1.000 consells de salut classificats en cinc grups diferents d’edat i temàtiques variades, des de l’alimentació fins a informació sobre malalties o sobre el comportament i l’aprenentatge.

A més, Faros posa al teu abast una secció amb interessants recursos per transmetre hàbits i valors saludables a nenes i nens de manera amena i divertida.

Tots els documents realitzats i publicats per Faros estan disponibles i de lliure accés a https://faros.hsjdbcn.org/.

Edició: Faros Sant Joan de Déu, 2021

Direcció:

Jaume Pérez Payarols

Coordinador:

Arian Tarbal

Comitè Assessor:

Carmen Cabezas

Jaume Campistol

Jordi Carmona

Josep Corbella

Manuel del Castillo

Lola Gómez

Juango García

Salvador Maneu

Imma Marín

Toni Massanés

Maria Dolors Navarro

Esther Planas

Antoni Plasencia

Jaume Funes

També ens trobaràs a les xarxes socials:

https://www.facebook.com/SJDHospitalBarcelona/

https://twitter.com/sjdbarcelona_ca

https://www.instagram.com/sjdhospitalbarcelona/

Una mirada a la salut mental dels adolescents

Com comprendre’ls i acompanyar-los

Coordinadors:

• Montse Dolz. Psiquiatra infantil i juvenil. Cap de l’Àrea de Salut Mental. Servei de Psiquiatria i Psicologia Infantil i Juvenil. Hospital Sant Joan de Déu Barcelona.

• Ester Camprodon. PhD. Psicòloga. Adjunt a Cap de l'Àrea de Salut Mental. Servei de Psiquiatria i Psicologia Infantil i Juvenil. Hospital Sant Joan de Déu Barcelona.

• Arian Tarbal. Project manager del Departament d’innovació i investigació i Coordinador de Faros, el canal de promoció de salut i benestar de l’Hospital Sant Joan de Déu Barcelona.

Autors i autores: (per ordre d’aparició)

• Argyris Stringaris. MD, PhD, FRCPsych. Secció de Psiquiatria Clínica i Computacional, Institut Nacional de Salut Mental, Instituts Nacionals de Salut, Bethesda, Maryland, Estats Units.

• Pablo Vidal-Ribas. PhD, Branca de Ciències Socials i del Comportament, Institut Nacional de Salut Infantil i Desenvolupament Humà, Instituts Nacionals de Salut, Bethesda, Maryland, Estats Units.

• Mª Eugenia Russi. Neuropediatra. Servei de Neurologia Pediàtrica. Hospital Sant Joan de Déu Barcelona.

• Anna Vilar. Psicòloga clínica. Adjunta a l’Hospital de Dia Infantojuvenil Litoral Mar, Institut de Neuropsiquiatria i Addiccions. Parc de Salut Mar, Barcelona.

• Cristina Fresno. Psicòloga. Adjunta al CSMIJ de Ciutat Vella, Institut de Neuropsiquiatria i Addiccions. Parc de Salut Mar, Barcelona.

• Santiago Batlle. PhD. Psicòleg clínic. Adjunt a Direcció de Comunitària i Programes Especials. Coordinador CSMIJs Sant Martí-La Mina i Ciutat Vella i Hospital de Dia Litoral Mar. Institut de Neuropsiquiatria i Addiccions. Parc de Salut Mar, Barcelona.

• Josep Lluís Matalí. PhD. Psicòleg clínic, Coordinador de la Unitat de Conductes Addictives de Psiquiatria i Psicologia Infantil i Juvenil i Cap de Psicologia i Consultes Externes. Àrea de Salut Mental. Servei de Psiquiatria i Psicologia Infantil i Juvenil. Hospital Sant Joan de Déu Barcelona.

• Elena Flores. Psicòloga clínica. Unitat de Conductes Addictives de Psiquiatria i Psicologia Infantil i Juvenil. Àrea de Salut Mental. Servei de Psiquiatria i Psicologia Infantil i Juvenil. Hospital Sant Joan de Déu Barcelona.

• Anna Sintes. PhD. Psicòloga clínica. Àrea de Salut Mental. Servei de Psiquiatria i Psicologia Infantil i Juvenil. Hospital Sant Joan de Déu Barcelona.

• Laura González. Psicòloga clínica de la Unitat de Salut Mental Pediàtrica. Àrea de Salut Mental. Servei de Psiquiatria i Psicologia Infantil i Juvenil. Hospital Sant Joan de Déu Barcelona.

• Laia Mollà. Psicòloga clínica de la Unitat de Salut Mental Pediàtrica. Àrea de Salut Mental. Servei de Psiquiatria i Psicologia Infantil i Juvenil. Hospital Sant Joan de Déu Barcelona.

• Soledad Romero. PhD. Psiquiatra. Servei de Psiquiatria i Psicologia Infantil i Juvenil, Hospital Clínic de Barcelona. CIBERSAM, IDIBAPS.

• Iria Méndez. Psiquiatra. Servei de Psiquiatria i Psicologia Infantil i Juvenil, Hospital Clínic de Barcelona.

• Jordina Tor. PhD. Psicòloga Investigadora. Àrea de Salut Mental. Servei de Psiquiatria i Psicologia Infantil i Juvenil. Hospital Sant Joan de Déu Barcelona.

• Eduard Serrano. PhD. Psicòleg. Coordinador de la Unitat de Trastorns de la Conducta Alimentària. Àrea de Salut Mental. Servei de Psiquiatria i Psicologia Infantil i Juvenil. Hospital Sant Joan de Déu Barcelona.

• M. Ángeles Mairena. PhD. Psicòloga clínica. Unitat Multidisciplinar del Trastorn de l'Espectre de l'Autisme. Àrea de Salut Mental. Servei de Psiquiatria i Psicologia Infantil i Juvenil. Hospital Sant Joan de Déu Barcelona.

• Marcela Mezzatesta. Psiquiatra. Unitat Multidisciplinar del Trastorn de l'Espectre de l'Autisme. Àrea de Salut Mental. Servei de Psiquiatria i Psicologia Infantil i Juvenil. Hospital Sant Joan de Déu Barcelona.

• Maria Elias. Psicòloga clínica. Unitat Multidisciplinar del Trastorn de l’Espectre de l’Autisme i Unitat 0-5. Àrea de Salut Mental. Servei de Psiquiatria i Psicologia Infantil i Juvenil. Hospital Sant Joan de Déu Barcelona.

• José Ángel Alda. Psiquiatre. Cap de Secció i Coordinador de la Unitat del Trastorn per Dèficit d'Atenció i Hiperactivitat. Àrea de Salut Mental. Servei de Psiquiatria i Psicologia Infantil i Juvenil. Hospital Sant Joan de Déu Barcelona.

Il·lustracions i disseny gràfic:

• Satur Herraiz i David Allende.

Amb l’especial col·laboració de:

• Child Mind Institute - https://childmind.org/

• National Institute of Mental Health (NIMH) - https://www.nimh.nih.gov/index.shtml

6
Una mirada a la salut mental dels adolescents Claus per comprendre’ls i acompanyar-los
Índex 7
Pròleg 11 Introducció 13 1. Neurodesenvolupament cerebral. Els canvis en el cervell de l’adolescent ................................................................... 17 2. Comunicar-me amb el meu fill adolescent .................................................. 43 Reptes actuals de la quotidianitat .......................................................................... 73 3. Com gestionem l’impacte de les noves tecnologies? ........................... 75 4. Per què et fas mal? Introducció a la conducta autolesiva i al seu abordatge per a pares i educadors 91 Els principals problemes de salut mental 115 5. Preocupar-se en excés (ansietat) 117 6. Estat d’ànim canviant? Depressió i trastorns afectius 143 7. Quan la percepció del món canvia (psicosi) 159 8. Quan la relació amb el menjar canvia (anorèxia i bulímia) 183 9. Quan la socialització és un repte (adolescència i autisme) 199 10. El TDAH i els trastorns de conducta en els adolescents 227 Conclusions 249 Decàleg per comprendre i promoure la salut mental de l’adolescent .......................................................................................................................... 254 Acrònims ........................................................................................................................................ 255
Índex

Una mirada a la salut mental dels adolescents

Claus per comprendre’ls i acompanyar-los

8

L’adolescència és un moment de creixement físic, cognitiu i emocional sense precedents. És un període d’aprenentatge, de sentiments i desenvolupament intensos, de recerca de la novetat i amb una essència profundament creativa.

En aquesta etapa de la vida es produeixen canvis substancials en les funcions i estructures cerebrals que ens expliquen molts dels seus comportaments i que seran altament importants per a un desenvolupament de la identitat i autonomia personal. Hàbits saludables, entorn familiar, escolar i comunitari favorables seran claus en la promoció d’una salut mental acomodada.

Segons una enquesta realitzada a FAROS Sant Joan de Déu Barcelona, previ a l’eclosió de la pandèmia del Coronavirus-SARS-CoV-2, la salut mental dels fills resulta ser una de les preocupacions principals dels pares.

L’evidència científica corrobora que els fets vitals estressants són factors que, combinats amb aspectes temperamentals, genètics i característiques de l’entorn poden precipitar l’aparició de problemes en la salut mental en nens i adolescents.

A través del present Informe esperem acompanyar pares i educadors en la comprensió del comportament de l’adolescent des d’un prisma neurocientífic, psicològic, biològic i social facilitant la vivència de l’adolescència com una etapa d’oportunitats.

En les següents pàgines trobareu pautes d’actuació preventives que poden frenar o retardar l’aparició de problemes de salut mental.

En definitiva, aconseguir ser sensibles a aquells senyals d’alarma que ens facilitaran la detecció de la possible aparició d’algun problema de salut mental permetent un abordatge precoç de la problemàtica.

9

Una mirada a la salut mental dels adolescents

Claus per comprendre’ls i acompanyar-los

10

Pròleg

Argyris Stringaris.

MD, PhD, FRCPsych. Secció de Psiquiatria Clínica i Computacional, Institut Nacional de Salut Mental, Instituts Nacionals de Salut, Bethesda, Maryland, Estats Units.

Pablo Vidal-Ribas.

PhD, Branca de Ciències Socials i del Comportament, Institut Nacional de Salut Infantil i Desenvolupament Humà, Instituts Nacionals de Salut, Bethesda, Maryland, Estats Units.

Es diu sovint que sense salut mental no hi pot haver una autèntica salut física. El cost de la salut mental per a les persones, però també per a les societats, és cada vegada més reconegut, sobretot per als joves. Trastorns com la depressió són freqüents i la principal causa de la seva discapacitat. A més, poden ser letals a causa de la seva forta associació amb el suïcidi, accidents i males decisions relacionades amb la salut.

La nostra comprensió de com els trastorns psiquiàtrics evolucionen al llarg del temps també ha canviat en els darrers anys. Ara sabem que la gran majoria dels problemes psiquiàtrics que observem en els adults tenen el seu origen en els primers anys de vida, i fins i tot podrien ser diagnosticats durant l’adolescència. També sabem que les persones amb problemes de salut mental durant els primers anys de vida tenen més probabilitats de patir males condicions de salut en el futur, així com tenir menys èxit social i econòmic. Aquests coneixements emfatitzen el potencial del reconeixement i intervenció precoços per tal de promoure una bona salut mental en els primers anys de vida.

Clarament, qualsevol intent de prevenir problemes de salut mental a la vida primerenca requereix un enfocament multifacètic. Els nens i nenes no existeixen de forma aïllada, estan integrats a les societats, escoles, famílies. Com a tal, aquesta prevenció requereix un enfocament interdisciplinari que involucri clínics, professors, pares i cuidadors, però també els mateixos joves. És mitjançant la col·laboració d’aquestes persones que es pot aconseguir la prevenció i la promoció del benestar.

Pròleg 11

Una mirada a la salut mental dels adolescents

Tenint això en ment, l’Informe d’aquest any de FAROS i l’Hospital Sant Joan de Déu Barcelona, en col·laboració amb experts nacionals i internacionals en salut mental infantil i juvenil, proporciona a les famílies i al personal escolar l’última informació sobre el desenvolupament dels adolescents i estratègies de promoció i prevenció basades en l’evidència. En concret, les famílies i el personal escolar aprendran sobre la promoció d’estils de vida saludables, el reforç de les conductes i entorns protectors, i la reducció dels factors de risc. L’informe també proveeix informació sobre els trastorns de salut mental més freqüents que poden afectar als adolescents, incloent descripcions detallades de la fenomenologia, les seves causes, així com informació actualitzada sobre els tractaments més efectius. És important destacar que aquest Informe és una eina per ensenyar a tots els implicats en la cura dels adolescents a identificar els primers signes de problemes de salut mental, per actuar ràpidament i ajudar els joves.

La ciència de la salut mental i la seva prevenció evoluciona a un ritme accelerat, com documenta aquest Informe, i també ho fa el reconeixement de la necessitat de treballar en col·laboració; tot en benefici dels joves i les seves famílies.

12

Introducció

Ester Camprodon.

PhD. Psicòloga. Adjunt a Cap de l’Àrea de Salut Mental. Servei de Psiquiatria i Psicologia Infantil i Juvenil. Hospital Sant Joan de Déu Barcelona.

Montse Dolz.

Psiquiatra infantil i juvenil. Cap de l’Àrea de Salut Mental. Servei de Psiquiatria i Psicologia Infantil i Juvenil. Hospital Sant Joan de Déu Barcelona.

L’adolescència és un moment de creixement físic, cognitiu i emocional sense precedents. És un període d’aprenentatge, de sentiments i desenvolupament intensos, de recerca de la novetat i amb una essència profundament creativa. Els inconvenients són les tempestes emocionals i el mal humor; l’avantatge és una poderosa passió per viure la vida plenament. És una etapa d’elevada connexió i compromís social en la que destaca una capacitat pregona de col·laboració entre ells.

En aquesta fase, es produeixen canvis substancials en les funcions i estructures cerebrals que ens expliquen molts dels seus comportaments i que seran altament importants per a un desenvolupament de la identitat i autonomia personal. Hàbits saludables, entorn familiar, escolar i comunitari favorables seran claus en la promoció d’una salut mental benestant.

Seguint les ensenyances del Dr. Daniel J. Siegel (doctor en medicina, professor de psiquiatria clínica a la Facultat de Medicina de la Universitat de Califòrnia a Los Ángeles), «Si arribem a veure l’adolescència com un període de temps, i els adolescents com a individus, amb un potencial inexplotat, és molt més probable que vegem la realització d’aquesta possibilitat i poder en direccions positives. Quan potenciem els adolescents, podem inspirar-los perquè permetin desenvolupar la integració en el seu desenvolupament neuronal».

Segons l’Organització Mundial de la Salut (OMS), en tot el món, s’estima que entre el 10 – 20 % dels adolescents experimenten trastorns mentals. La meitat dels trastorns mentals s’inicien als catorze anys o abans, però en la majoria dels casos no es detecten ni es tracten. No abordar els trastorns mentals dels adolescents té conseqüències que s’estenen al llarg de la vida de la persona afectant-ne la qualitat de vida d’ells i del seu entorn. Segons dades de l’OMS de totes les malalties, els trastorns mentals són una de les principals causes de patiment i disfunció

Introducció 13

Una mirada a la salut mental dels adolescents

Claus per comprendre’ls i acompanyar-los

en el món. Cal tenir en compte que, en el cas de malalties com l’esquizofrènia, el temps transcorregut entre l’aparició dels primers símptomes i el contacte terapèutic és determinant per la progressió del pacient, es fa evident que la prevenció de les malalties mentals hauria de ser prioritària en els sistemes de salut i en les polítiques de prevenció.

En una enquesta realitzada a la plataforma FAROS de l’Hospital Sant Joan de Déu, previ a l’eclosió de la pandèmia del Coronavirus SARS-CoV-2, d’un total de 510 enquestats, la preocupació per la salut mental dels seus fills era una prioritat de la majoria dels enquestats. De tots els problemes de salut mental, els que més preocupen als pares són: les conductes addictives (tant de substàncies com comportamentals), l’ansietat i la depressió. Les mesures preventives més rellevants empleades pels pares per abordar els problemes de salut mental són: estar atents als senyals d’alarma i oferir espais de comunicació. Elements claus, com veurem al llarg de l’Informe i desenvoluparem en més profunditat, en la detecció i abordatge precoç dels problemes de salut mental en l’adolescència.

L’evidència científica corrobora que els fets vitals estressants (per exemple: pèrdua d’algun dels progenitors, bullying, separació dels pares, ser víctima o estar exposat a qualsevol tipus de violència, esdeveniments traumàtics...) són factors que, combinats amb aspectes temperamentals, genètics i característiques de l’entorn poden precipitar l’aparició de problemes en la salut mental en infants i adolescents.

Un dels esdeveniments traumàtics més recents que hem viscut al llarg del 2020 i 2021 ha estat el de lidiar amb la pandèmia del Coronavirus SARS-CoV-2. Una pandèmia que ha generat en cascada una sèrie de conseqüències emocionals, econòmiques i socials d’elevada amplitud i complexitat. També ha posat llum a algunes fortaleses de la nostra societat i demostrat, el que ja n’érem coneixedors, que els nens i adolescents són altament resilients front l’adversitat.

Amb aquest Informe pretenem oferir algunes d’aquestes claus a famílies i educadors en aquesta etapa desconcertant i apassionant a parts iguals com és l’adolescència.

En el primer capítol de l’Informe, s’aborda el desenvolupament neuronal i els canvis en el cervell de l’adolescent amb l’objectiu de comprendre què ocorre en el cervell durant aquest període i en els anteriors per tal de tenir les claus que ens desxifrin la conducta dels infants i adolescents. Al mateix temps, es suggereixen pautes per estimular i protegir el cervell en aquestes etapes. Seguidament, abordem els principals problemes de salut mental tals com: ansietat, depressió, conducta autolesiva, alteracions en la conducta alimentaria, dèficit d’atenció i hiperactivitat, psicosi i autisme amb la finalitat d’oferir eines de detecció precoç dels principals senyals d’alarma, recomanacions d’actuació per als pares front aquestes situacions i orientacions sobre quines situacions cal un abordatge més especialitzat.

14

També s’exposen quins són aquells factors protectors que cal detectar i promoure per afavorir una salut mental saludable. Atès el creixent interès i preocupació per part dels pares de l’ús de les “pantalles” en els adolescents, s’ha inclòs un capítol específic sobre l’impacte de les noves tecnologies en l’adolescent. Finalment, donada la importància de com l’entorn modularà la salut mental de l’adolescent i, com sovint, és una etapa en la que apareixen molt dubtes de com aproximar-se al fill adolescent, s’ha inclòs un capítol que aborda la comunicació amb l’adolescent.

Esperem amb el present Informe acompanyar-vos en la comprensió del comportament de l’adolescent des d’un prisma neurocientifíc, psicològic, biològic i social tot facilitant la vivència de l’adolescència com una etapa d’oportunitats. S’ofereixen pautes d’actuació preventives que poden frenar o retrassar l’aparició de problemes de salut mental. En definitiva, poder esdevenir sensibles a aquells senyals d’alarma que ens facilitaran la detecció de la possible aparició d’algun problema de salut mental permetent un abordatge precoç de la problemàtica.

Introducció 15

Una mirada a la salut mental dels adolescents

Claus per comprendre’ls i acompanyar-los

16

1. Neurodesenvolupament cerebral. Els canvis en el cervell de l’adolescent

Com podem estimular el neurodesenvolupament dels nostres fills? La importància de l’estimulació ambiental en el desenvolupament de l’infant i l’adolescent

“Pel que fa a mi, vaig veure una imatge molt antiga renovada. La Mare i el Nen és un poderós símbol d’amor i innocència, bellesa i fertilitat. Tot i que aquests valors materns, i les dones que els encarnen, poden ser venerats, generalment se’ls veu en oposició a altres valors: investigació i intel·lecte, progrés i poder.

1. Neurodesenvolupament cerebral. Els canvis en el cervell de l’adolescent 17

Una mirada a la salut mental dels adolescents

Claus per comprendre’ls i acompanyar-los

Però sóc neurocientífica i vaig treballar per crear aquesta imatge, i a la vegada sóc la mare que apareix a la imatge, arraulida dins el tub amb el meu fill petit... “.

Dra. Rebecca Saxe. Neurocientífica del Departament de Ciències Cognitives i Cerebrals de l’Institut de Tecnologia de Massachussets.

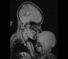
A l’abril de 2015, Rebecca Saxe, neurocientífica del Departament de Ciències Cognitives i Cerebrals de l’Institut de Tecnologia de Massachussets (MIT per les inicials del seu nom en anglès, Massachussets Institute of Technology), ens regalava una imatge commovedora que donaria la volta al món en tan sols uns minuts.

Aquesta ressonància magnètica que captura la imatge de la Dra. Saxe amb el seu nadó de tan sols pocs mesos de vida traspassa els límits de la ciència i desentranya la universalitat de dues figures amb la seva roba, cabell i rostre invisibles, que podrien ser qualsevol mare amb el seu fill, en qualsevol moment o lloc de la història.

Un correcte desenvolupament i funcionament cerebral requereix la formació d’un complex sistema i entramat de connexions entre neurones.

La seva genialitat rau no només en la seva capacitat de posar en evidència les clares diferències anatòmiques entre el cervell d’un adult i el d’un nen en ple desenvolupament de les seves capacitats, sinó que a més és una finestra que deixa al descobert “l’anatomia del vincle” en tot el seu esplendor més enllà de tota individualitat i revela el nexe d’unió que hi ha entre tots dos estadis evolutius del desenvolupament cerebral: l’amor i les cures d’una mare cap al seu fill. Perquè la mare, a través de les seves carícies i dels seus petons, del joc, de la parla, l’alimentació i l’estimulació tàctil, olfactiva i visual que li proporciona el seu nadó durant els primers mesos de vida, exerceix un potent estímul que prepara al cervell immadur del seu fill per a que aquest pugui desenvolupar més endavant tot el potencial per al qual està genèticament determinat.

I és que un correcte desenvolupament i funcionament cerebral requereix la formació d’un complex sistema i entramat de connexions entre neurones que formen una sèrie de “carreteres neuronals”, la “construcció” de la qual comença a materialitzar-se durant l’embaràs, però que continua al llarg dels primers mesos i fins i tot anys de vida de l’individu.

1. S’anomena noxa als factors o elements, tant del medi exterior com de l’organisme, la presència de la qual pot causar alteració o una malaltia.

Determinats trastorns genètics, metabòlics, nutricionals, traumàtics, infecciosos i/o tòxics (com el consum d’alcohol, tabac o altres drogues durant l’embaràs), poden alterar el correcte acoblament d’aquestes carreteres, traduint-se en alteracions posteriors en el desenvolupament normal de l’infant i de l’adolescent. Ara bé, el moment de la gestació en què aquestes noxes1 actuïn, així com la intensitat i la durada de les mateixes, és la que determinarà la gravetat dels trastorns resultants a l’impedir la correcta formació del sistema nerviós, revestint més gravetat aquelles que apareixen de forma precoç, es perllonguen en el temps i són intenses.

18

D’aquesta manera és fàcil comprendre la importància que adquireix la implementació primerenca de les atencions mèdiques prenatals des d’etapes molt precoces de l’embaràs; ja que un bon estat de salut materna afavorirà que el nadó disposi d’un equipament neurobiològic suficient perquè els processos cognitius i comportamentals es puguin desenvolupar amb total normalitat, tant en l’etapa escolar com en l’adolescència.

És important destacar doncs que l’embaràs és un moment crític per al desenvolupament del sistema nerviós del futur nadó, per la qual cosa és fonamental que la mare faci una sèrie de controls des de l’inici de la gestació que permeti prevenir l’aparició de malalties o actuar precoçment en cas de patir-les i segueixi les recomanacions del ginecòleg i la llevadora per mantenir un bon estat de salut i eviti tots aquells factors que puguin posar en risc el futur desenvolupament del seu fill com el consum de tòxics, el tabac, l’alcohol, infeccions, accidents, alimentació inadequada, exposició a tòxics ambientals, etc.

No obstant, el procés de desenvolupament del sistema nerviós no finalitza amb l’embaràs, sinó que continua a partir del naixement, facilitant d’aquesta manera la consolidació dels processos cognitius, psicomotors i socioafectius de l’infant (veure figura 1).

Font: Conel (1936 - 67)

1.
Els canvis en
de
19
Neurodesenvolupament cerebral.
el cervell
l’adolescent
Figura 1. Augment de la mida neuronal i de les seves connexions experimentat en els primers anys de vida.
Recent nascut 1 mes d’edat 3 mesos d’edat 6 mesos d’edat

Una mirada a la salut mental dels adolescents

El creixement que experimenta el cervell durant el primer any de vida és espectacular: passa de 335 a 1.000 grams i es transforma en aquest període en l’òrgan amb més demandes d’abastament energètic, despesa i activitat metabòlica. El seu creixement està regulat tant per factors genètics com ambientals que interactuen entre si. I qualsevol noxa de tipus traumàtica, metabòlica, infecciosa o genètica que afecti aquest delicat equilibri durant els primers anys pot provocar alteracions en el desenvolupament normal del cervell. Tot això permet comprendre l’excepcional importància que adquireix aquest període de la vida, ja que en cap altre moment del cicle vital el sistema nerviós experimentarà modificacions d’aquesta magnitud.

És a través de les cures i l’estímul que el nadó rep del seu entorn com s’afavoreix la correcta maduració i acoblament de les diferents estructures cerebrals que més endavant faran possible els aprenentatges, l’atenció, la motivació, la planificació i el control d’impulsos.

S’ha de tenir en compte, a més, que cada neurona estableix diversos centenars o milers de connexions amb altres neurones (formant d’aquesta manera les vies i connexions necessàries per a la formació del conjunt de “carreteres neuronals” que esmentàvem anteriorment), i que ho fa en proporció directa al grau d’estimulació que rep. Aquestes connexions també anomenades sinapsis resulten claus per a un correcte funcionament cerebral, perquè són les que en definitiva permetran el moviment, la respiració, l’autocontrol, el domini conductual, intel·lectual i socioafectiu de l’individu.

Promoure un aprenentatge actiu és clau en totes les etapes de la infància i l’adolescència per a un correcte funcionament cerebral.

L’aprenentatge, en el més ampli sentit de la paraula, té el potencial d’afavorir la sinaptogènesi en qualsevol moment del cicle vital. D’aquí la importància de promoure, no solament en els nens, sinó també en els adolescents, totes aquelles instàncies que propiciïn un aprenentatge actiu.

És important destacar que el desenvolupament de la intel·ligència depèn tant de factors genètics com ambientals i té una estreta relació amb el grau d’estimulació ambiental rebut. Una adequada estimulació motriu, sensorial, afectiva i cognitiva té el potencial d’incrementar les connexions nervioses, optimitzant la funció cerebral.

La qüestió, però, no acaba aquí, perquè per a que la informació viatgi d’una manera més ràpida i efectiva per aquesta xarxa de “carreteres neuronals” interconnectades entre si, es necessita una substància anomenada mielina, que és una capa que protegeix i aïlla aquestes connexions i les transforma en veritables “autopistes” al permetre que l’impuls nerviós viatgi a major velocitat i de manera més efectiva.

Avui dia sabem que si bé la mielinització és un procés molt actiu que comença a les catorze setmanes de gestació i es torna més intens en l’últim trimestre de

20

l’embaràs, el mateix pot mantenir-se i prolongar-se durant dècades amb un increment directament proporcional al grau d’estimulació ambiental rebut. D’aquesta manera, el procés de mielinització té, de la mateixa manera que la sinaptogènesi (formació de les sinapsis o connexions entre les neurones), un profund impacte sobre la conducta, ja que afecta directament la velocitat i eficàcia amb la qual es transmeten els impulsos nerviosos. Això el converteix en un dels factors que més activament intervé en el desenvolupament cognitiu de l’infant i és el motiu pel qual tots aquells trastorns que l’afectin poden tenir efectes irreversibles si es presenten en etapes precoces del desenvolupament, bé sigui durant l’embaràs o en edats primerenques.

Aquest procés de mielinització és gradual i dinàmic i comença en els nervis situats a la part superior de la medul·la espinal, facilitant així els moviments dels membres superiors i la prensió de la mà, permetent-li al nadó explorar els objectes del seu entorn per després arribar als inferiors, fent possible la marxa autònoma, el que li proporciona a l’infant la capacitat de sortir a buscar pels seus propis mitjans els diferents estímuls que “alimentaran” i “saciaran” la seva ment.

Més tard, el procés continua dins el propi cervell en sentit posteroanterior (de darrere cap endavant), fins arribar a l’última regió a madurar que és el lòbul frontal (al voltant dels divuit - vint anys), que és la zona del nostre cervell implicada en l’autocontrol, l’atenció, la flexibilitat, la planificació, l’autogestió, la regulació de la conducta i les emocions (funcions executives).

D’aquesta manera, l’ésser humà finalitzarà la seva maduració cerebral dotat d’una sèrie d’habilitats que li distingiran d’altres espècies i que seran imprescindibles per assolir un desenvolupament ple de les capacitats com a individu.

Què succeeix durant l’adolescència?

L’adolescència també constitueix un període crucial de la vida en la qual es produeixen canvis molt importants en l’estructura i funció cerebrals de l’individu que resulten d’importància cabdal per al correcte desenvolupament de la seva identitat i autonomia personal. Conèixer millor la naturalesa d’aquests canvis pot facilitar la nostra comprensió com a pares d’aquesta etapa, que de vegades pot ser un període desconcertant i ple de reptes.

Com hem vist al llarg del capítol, el procés de maduració cerebral sol seguir un ordre biològicament predeterminat, és a dir, un patró universal pel qual les diferents àrees van assolint la seva maduresa, i que avança en sentit posteroanterior, com s’evidencia a la figura 2.

1.
21
Neurodesenvolupament cerebral. Els canvis en el cervell de l’adolescent

Una mirada a la salut mental dels adolescents

Claus per comprendre’ls i acompanyar-los

Figura 2. Procés de mielinització que es produeix en el cervell normal en sentit anteroposterior. Els tons blaus indiquen un major desenvolupament de la mielina en aquestes zones i per tant un major desenvolupament maduratiu.

Font: Proceedings of the National Academy of Sciences of the United States of America, PNAS; 101:8174-8179. 2004.

En l’adolescència es produeixen canvis rellevants en l’estructura i funcions cerebrals amb un efecte directe en la identitat i autonomia de l’individu.

Durant l’adolescència, el creixement físic i la maduració corporal es fan més evidents que en l’etapa escolar (a l’igual que els canvis cognitiu-conductuals i emocionals experimentats), el que al seu torn s’acompanya d’uns canvis profunds en l’estructura cerebral. I és que durant l’adolescència, el cervell pateix una reorganització estructural que el dota de nous circuits i connexions (“carreteres neuronals”), que posteriorment donaran suport a tot el procés de pensament analític que caracteritza l’adult.

És a dir, en una primera etapa de la infància es creen una sèrie de circuits cerebrals que permeten a l’ésser humà realitzar una sèrie de funcions bàsiques i necessàries (control motor, manipulació, desenvolupament social i del llenguatge), però és en l’adolescència quan es desenvolupen i maduren tots aquells circuits que permetran perfeccionar les seves capacitats cognitiu-conductuals i emocionals. D’altra banda, en aquest període de la vida no només es refermaran els circuits

22

que regulen les funcions executives i que permeten una correcta integració entre el cervell racional i l’emocional, sinó que a més s’eliminen tots aquells que no tenen utilitat mitjançant un procés de “poda sinàptica”.

Però aquí no acaba la història, perquè tot aquest procés també s’autoregula i modula amb l’augment de les hormones sexuals pròpies d’aquest període de la vida, que també intervenen en el desenvolupament mental i socioemocional de l’adolescent. Per exemple, les hormones sexuals femenines condicionen una maduració més precoç de les regions frontals (encarregades de les funcions executives, com l’autocontrol, el maneig de la impulsivitat i la gestió cognitiu-conductual). En canvi en nois, les hormones sexuals masculines fan el mateix amb determinades regions del lòbul parietal (on s’integren les tasques espacials). L’hipocamp i l’amígdala cerebral involucrats en la memòria i l’afectivitat també maduren de forma i a ritmes diferents en nois i noies, la qual cosa també contribueix a diferències en el desenvolupament cognitiu i social presents en uns i en altres.

No obstant, com ja hem comentat amb anterioritat, no tot és biologia i genètica. I és que, com a éssers humans, estem constantment exposats a una sèrie d’influències socioculturals i ambientals que deixen una empremta única i irrepetible en cada un de nosaltres. El que passa és que durant l’adolescència som més vulnerables a aquests estímuls a causa de la “inestabilitat” pròpia dels circuits cerebrals que es troben en ple desenvolupament de les seves capacitats a aquestes edats. I és que enfrontar-se amb la pressió i l’estrès no és un assumpte menor per a un cervell que no està completament madur i que es troba en plena transició del pensament concret a l’abstracte.

Aquí també hi ha diferències de gènere en la forma de processar i gestionar l’estrès i les diferents experiències a les quals ens veiem exposats. Per exemple, el cervell femení és més sensible a l’aprovació social i als matisos emocionals; busca agradar i ser acceptat en el seu grup de pertinença. Els estrògens activen l’alliberament de dopamina (plaer) i oxitocina (inclinació), facilitant així, a través de les seves relacions socials amb iguals, l’alliberament d’aquestes substàncies en el cervell. Per la seva banda, en nois, la testosterona afavoreix la secreció de serotonina, que compleix un paper important en la regulació de l’agressivitat i estimula la competitivitat, motiu pel qual els homes d’aquestes edats poden ser més temeraris o “llançats” i confiar més en la seva capacitat de sortir-se amb èxit dels problemes.

Com a conclusió, el cervell pateix tota una transformació al llarg dels primers anys de vida que es manté fins l’edat adulta. Igual que en les diferents etapes de desenvolupament de l’infant, l’establiment i la consolidació dels circuits cerebrals es modela amb les experiències de vida, l’educació, l’estimulació i el suport ambiental rebuts. És un òrgan complex, dinàmic i canviant que es retroalimenta i “nodreix” de l’ambient que l’envolta. Gràcies a aquest complex sistema d’acoblament i perfeccionament del nostre sistema de “carreteres neuronals”, l’evolució ha

És en l’adolescència quan s’estableix una integració entre el cervell racional i emocional. Aquells circuits que no tenen utilitat s’eliminen per la “poda sinàptica”.

1.
23
Neurodesenvolupament cerebral. Els canvis en el cervell de l’adolescent

Una mirada a la salut mental dels adolescents

Claus per comprendre’ls i acompanyar-los

dotat els éssers humans d’una infinitat de possibilitats que li permeten explorar el medi que l’envolta alhora que s’enriqueix d’aquest. I en aquesta simfonia de canvis en què la genètica i l’ambient són els directors d’orquestra, els primers anys de vida resulten fonamentals perquè és quan es creen i reforcen els fonaments que sustentaran tot el procés cognitiu-conductual posterior. Perquè, en definitiva, tot el que estimula el nostre cervell també l’alimenta.

Els adolescents són més susceptibles als estímuls que reben de l’entorn, fent-los més vulnerables a les influències socioculturals i ambientals que reben.

Cal destacar doncs que l’increment de la mida neuronal, de les sinapsis i de la mielina és directament proporcional al grau d’estimulació ambiental que rep el nen i posteriorment l’adolescent; per la qual cosa, buscarem afavorir i estimular el seu correcte desenvolupament parlant-li correctament enriquint així el seu llenguatge, transmetent-li hàbits d’autonomia, bona conducta i respecte cap als demés, donant-li afecte a la vegada que li mostrem els límits.

Com estimular el neurodesenvolupament els primers anys de vida?

Com hem vist, els primers anys de vida resulten crítics per a un correcte creixement i desenvolupament cerebrals i el nadó necessita un espai físic i afectiu en el qual poder explotar tot el potencial per al qual està genèticament determinat. Necessita sentir que algú el mira, li parla, l’escolta i respon a les seves necessitats i que estableix amb ell un vincle social i afectiu que li permeti créixer segur.

A continuació enumerarem una sèrie de consells seguint les recomanacions de la Guia del desenvolupament infantil des del naixement fins als 6 anys de la Federació Estatal d’Associacions de Professionals d’Atenció Primerenca (GAT) i dels Centres per al Control i la Prevenció de Malalties (CDC, per les sigles del seu nom en anglès, Centers for Disease Control and Prevention) que us poden ser d’utilitat a l’hora d’afavorir aquest procés.

El primer mes de vida:

• El nadó necessita un ambient càlid i tranquil, tenir un espai propi però sense estar aïllat del medi que l’envolta.

• Mirar-lo, parlar-li, cantar-li, acariciar-lo, agafar-lo i interactuar amb ell, però respectant els seus períodes de son.

• Crear uns hàbits i rutines al voltant de l’alimentació, l’hora del bany i el son.

Els primers tres mesos de vida:

• Tot i que encara roman moltes hores del dia dormint, a poc a poc passarà més moments despert que es poden aprofitar per parlar-li o cantar-li esperant la seva reacció.

24

• Ensenyar-li joguines de colors o que facin soroll perquè pugui veure-les, sentir-les i seguir-les al moure-les.

• Portar-lo a passejar amb freqüència.

• Aprofitar l’hora del bany per jugar amb ell i després fer-li un massatge estimulant-lo mitjançant el tacte, la mirada i la veu.

Dels quatre als sis mesos de vida:

• Gronxar-lo amb suavitat, animant-lo a canviar de posició i ensenyar-li joguines atractives que pugui agafar amb les dues mans.

• Començar a asseure’l recolzant-li l’esquena vigilant que no caigui.

• Ensenyar-li diferents joguines o objectes de colors en diferents direccions perquè el nadó s’hi fixi, els segueixi i intenti agafar-los.

• Penjar joguines atractives al bressol o al cotxet.

• Parlar-li, repetir els sons que el nadó realitza, cantar-li, acariciar-lo, fer-li pessigolles, jugar al cucut.

• Respectar els seus horaris de son i alimentació, i propiciar unes rutines estables al voltant dels mateixos.

Dels set als nou mesos de vida:

• Permetre al nadó moure’s per un espai ampli però protegint-lo dels perills.

• Deixar al seu abast objectes de diferents colors, materials i textures que li agradin, perquè pugui explorar-los i jugar amb ells.

• Animar-lo a fer sorolls amb els objectes i gaudir d’aquest joc.

• Cridar-lo pel seu nom i ensenyar-li coses.

• Posar-lo davant d’un mirall, jugar amb ell, imitar els sons que el nadó emet i cantar-li fent gestos perquè els aprengui.

• Oferir-li joguines atractives, de diferents mides i colors i que siguin segures.

Dels deu als dotze mesos de vida:

• Animar-lo a desplaçar-se i a canviar de posició per aconseguir alguna cosa.

• Amagar-li joguines perquè les busqui i les pugui trobar.

• Deixar-li un espai controlat per descobrir què passa davant d’una acció que ell porti a terme, ensenyar-li a assenyalar les coses que li agraden, parlar-li amb frases senzilles (però pronunciant les paraules de forma correcta i nomenant les coses perquè aprengui el que són).

1.
25
Neurodesenvolupament cerebral. Els canvis en el cervell de l’adolescent

Una mirada a la salut mental dels adolescents Claus per comprendre’ls i acompanyar-los

• Ensenyar-li els sons que emeten els diferents animals i animar-lo a repetir-los.

• Utilitzar diferents tons de veu ajustant-los a les diferents situacions.

• Aprofitar l’hora del bany per anomenar les diferents parts del cos.

Dels dotze als divuit mesos de vida

És molt important estimular el neurodesenvolupament en els nadons, ja que els primers anys són crítics per a un correcte desenvolupament cerebral.

• Jugar a tirar i rebre la pilota, a fer construccions amb caixes o blocs de fusta, a amagar-nos perquè així ens busqui, a mirar contes i assenyalar-li les imatges, i a descobrir els sons dels objectes i dels animals.

• Establir uns límits clars quan s’obstini a fer alguna cosa que no sigui adequada.

• Aprofitar les rutines diàries d’alimentació, de son, o el canvi del bolquer per parlar amb el nadó.

Dels divuit als vint-i-quatre mesos de vida

• Estimular-lo perquè camini agafat de la mà, ajudar-lo a pujar i baixar escales, a participar activament durant el bany, el menjar i el vestir i a manipular objectes amb supervisió.

• Permetre que gargotegi amb pintures, jugar amb construccions, jocs d’encaix i blocs.

• Mostrar-li contes i fomentar que hi participi activament buscant, assenyalant i repetint els noms de les coses.

• Animar-lo a començar a fer coses sol i ensenyar-li a compartir les coses amb els altres.

• Estimular-lo a explorar de manera autònoma (però amb supervisió), el medi que l’envolta, els espais i els objectes, intentant ajudar-lo a resoldre els inconvenients que vagin sorgint.

Dels vint-i-cinc als trenta-sis mesos

• Donar-li un espai perquè s’entretingui jugant sol, amb joguines que siguin adequades i segures per a la seva edat i nivell de desenvolupament.

• Estimular el joc simbòlic, amb imaginació.

• Parlar-li com a un nen gran i de forma correcta, donant-li temps per expressar el que vol explicar i ensenyant-li a esperar el seu torn.

• Mantenir unes normes i límits clars i estables en el temps.

• Facilitar la companyia d’altres nens per poder jugar amb ells, sortir i tenir experiències noves.

• Mostrar-li contes, històries o cançons, utilitzant un llenguatge clar i variat.

26

• Deixar-lo ser autònom en tot allò que pugui fer per si mateix.

• Ensenyar-li a demanar les coses, a saludar, a agrair, etc.

Dels tres als sis anys de vida

• Estimular tant els moments de dibuix lliure com de joc imaginatiu i actiu (córrer, saltar, enfilar-se, anar en bicicleta, etc.).

• Explicar-li contes i històries i permetre-li fer el mateix.

• Oferir-li joguines que siguin segures i que estimulin la seva creativitat i imaginació.

• Ajudar-lo a pensar i a resoldre els conflictes amb els altres, donar-li petites responsabilitats perquè pugui ajudar tant a casa com a l’escola, i posar-li normes clares.

• Crear unes rutines i hàbits predictibles i estables en el temps.

• Animar-lo a fer coses noves i al joc compartit.

• Fomentar la seva imaginació, la seva curiositat i autonomia.

• Proposar-li diferents activitats i deixar-li triar entre elles.

• Ensenyar-li a distingir situacions de risc.

• Controlar el temps que passa davant el televisor, l’ordinador i les noves tecnologies en general i ensenyar-li a fer un bon ús de les mateixes des de petit.

• Ajudar-lo a comprendre els sentiments i necessitats dels altres, i a acceptar les seves diferències ètniques, cultura, credo, religió i capacitats.

• Ensenyar-li a reflexionar sobre els seus propis actes i a fer-se responsable dels mateixos.

• Oferir-li un bon model de conducta i valors, que el nen pugui seguir.

En l’adolescència:

• Ensenyar-li a distingir entre diferents situacions de risc.

• Ressaltar la importància de tenir amics als quals els interessin activitats positives i a evitar aquells que el pressionin a prendre decisions perilloses.

• Mostrar interès per les seves activitats (tant acadèmiques com extraescolars).

• Ajudar-lo a prendre decisions saludables i, al seu torn, animar-lo a prendre les seves pròpies decisions.

• Respectar les seves opinions tenint en compte les seves idees i sentiments (és important que se senti escoltat).

1.
Els canvis en
de l’adolescent 27
Neurodesenvolupament cerebral.
el cervell

Una mirada a la salut mental dels adolescents

Claus per comprendre’ls i acompanyar-los

• Ser honest i directe quan s’aborden temes delicats, com les drogues, l’alcohol, l’hàbit de fumar i el sexe.

• Controlar el temps que passa davant de l’ordinador i les noves tecnologies en general, i ensenyar-li a fer un bon ús de les mateixes.

• Ajudar-lo a comprendre els sentiments i necessitats dels altres, i a acceptar les seves diferències ètniques, cultura, credo, religió i capacitats.

• Ensenyar-li a reflexionar sobre els seus propis actes i a fer-se responsable dels mateixos.

• Oferir-li un bon model de conducta i valors que pugui seguir.

• Oferir-li una bona educació en aspectes relacionats amb la seguretat viària.

• Establir regles i normes clares per quan estigui sol a casa.

• Ensenyar-li a manejar-se en situacions perilloses (incendis, emergències, drogues, etc.).

• Estimular-lo en la pràctica d’activitat física regular.

• Assegurar-se que dorm la quantitat d’hores recomanades cada nit.

• L’hora del menjar és molt important per a les famílies, ja que permet el diàleg entre els seus membres i és un bon moment per transmetre hàbits saludables a nivell alimentari.

• Estimular l’hàbit de la lectura i la curiositat intel·lectual.

Quins altres factors poden afavorir un adequat neurodesenvolupament?

Per a un desenvolupament psicomotor normal, tan important és el correcte acoblament de la xarxa de carreteres neuronals que conformen el nostre cervell, com el manteniment que d’aquestes se’n realitzi. Per a això és tan important que l’aportació de nutrients sigui l’adequada i s’adapti a les necessitats d’alt requeriment i despesa energètica del cervell en “construcció” (el que s’aconsegueix mitjançant una adequada alimentació), com que els sistemes de reparació cerebrals es puguin executar amb normalitat (per a això és imprescindible tenir un son normal en quantitat i qualitat).

A continuació es revisen aquests i altres factors que també influeixen positivament en el desenvolupament psicomotor dels nostres fills.

28

Beneficis d’una correcta alimentació en el desenvolupament cognitiu i l’aprenentatge

Els avantatges d’una adequada alimentació en l’àmbit de la pediatria són múltiples i innegables. I no només es restringeixen a l’àmbit de la salut en general des d’un punt de vista més físic o orgànic, sinó que també són extrapolables al desenvolupament cognitiu o intel·lectual de l’individu.

Això és així especialment en les primeres etapes del desenvolupament (període que abasta des de la gestació fins als primers dos - tres anys de vida), que és l’etapa en la qual els nens són més vulnerables als efectes d’un dèficit nutricional. Com més d’hora ocorri la carència i més gran sigui la seva intensitat, més gran serà el risc que el nen pugui veure’s afectat més endavant, per exemple, durant l’etapa escolar.

Per exemple, l’anèmia soferta abans dels dos anys de vida pot tenir conseqüències negatives sobre el rendiment escolar i la qualitat dels aprenentatges posteriors. En aquest sentit, la llet materna conté tots els altres nutrients necessaris per a proporcionar un correcte creixement durant els primers sis mesos de vida: posseeix hidrats de carboni que subministren energia, totes les vitamines que necessita l’organisme del nadó i una sèrie de proteïnes específiques per l’espècie humana

1. Neurodesenvolupament cerebral. Els canvis en el cervell de l’adolescent 29

Una mirada a la salut mental dels adolescents

Una alimentació saludable ajudarà a mantenir un adequat neurodesenvolupament en l’adolescent.

i en la proporció adequada a les necessitats del lactant. Proporciona, a més, un alt contingut d’àcids grassos essencials i colesterol en el moment just en què el cervell del nadó ho necessita per a un correcte desenvolupament. El ferro i la resta dels minerals de la llet materna són fàcilment absorbibles i estan també en les quantitats justes en què els necessita el nadó durant els primers mesos de vida. Més endavant, quan es produeixi el deslletament, la provisió de tots aquests nutrients obtinguts a través d’una alimentació sana, variada i equilibrada (amb la supervisió del pediatre de capçalera), resultarà d’importància cabdal. I durant l’adolescència, que és una etapa de gran creixement i despesa metabòlica, també es requerirà una adequada nutrició que proporcioni tots els nutrients essencials per a un correcte desenvolupament físic i cognitiu, pel que els primers anys de vida són l’etapa ideal per a la promoció i instauració d’hàbits de vida i alimentació saludables que perdurin amb el pas del temps.

Actualment se sap que tant l’aportació calòrica com la protèica són fonamentals i necessàries durant tot el període de desenvolupament ja que la manca d’una, d’una altra o d’ambdues simultàniament, poden afectar tant a la reproducció de les neurones (al voltant de 200.000 noves neurones es formen per minut entre la vuitena i divuitena setmanes de gestació), com al funcionament dels neurotransmissors (missatgers químics que són fonamentals per a una correcta comunicació entre les neurones).

Els requeriments nutricionals en l’edat escolar solen ser semblants per a nens i nenes, però a partir dels onze anys, l’aportació calòrica en les nenes serà aproximadament de 2.200 quilocalories al dia i, en els nens, de 2.750 quilocalories diàries. D’altra banda, durant l’adolescència, s’ha de vigilar també que les necessitats de nutrients essencials (com el ferro i el calci), estiguin correctament cobertes. En el cas del ferro, que és un nutrient indispensable per al bon funcionament de totes aquelles funcions cerebrals superiors que conformen la intel·ligència de l’individu, una adequada ingesta del mateix durant aquest període de gran creixement i despesa metabòlica neuronal resulta fonamental per garantir un òptim funcionament cerebral a mitjà i llarg termini. No menys important és la manca específica de zinc, coure, vitamines i altres elements, que també poden produir diverses alteracions del sistema nerviós central en desenvolupament.

I és que en definitiva, un nen ben alimentat (i com veurem a continuació, que dorm bé a les nits), estarà en millors condicions d’aprendre a classe que un altre que tingui un dèficit en aquestes àrees. Des de fa diverses dècades es reconeix que els nois i noies d’estrats socials més pobres pateixen més desnutrició i retards del desenvolupament, i presenten amb més freqüència fracàs escolar en relació a la resta dels seus iguals de major nivell socioeconòmic i cultural. Aquesta situació tendeix a perpetuar-se a través de les generacions si no es reverteixen les condicions de vida i es posen en pràctica estratègies diferencials d’atenció d’aquests

30

nens que creixen en famílies en risc. I és que la desnutrició limita el potencial intellectual no només de qui el pateix sinó també de la nació a la qual aquest pertany; i així ha de ser entès, com un veritable problema de salut pública.

Atès que la desnutrició té efectes profunds (especialment en determinats períodes crítics de desenvolupament), una intervenció primerenca des dels programes d’atenció precoç a la primera infància que inclogui la integració de la salut, la nutrició i l’estimulació psicosocial, poden ajudar a prevenir la desnutrició i el seu impacte sobre l’aprenentatge.

Procurar mantenir un bon estat nutricional a través d’una alimentació sana, variada i equilibrada, supervisada pel pediatre, és fonamental perquè els processos cognitius i conductuals es desenvolupin amb normalitat.

Beneficis d’una correcta higiene del son en el desenvolupament cognitiu i l’aprenentatge de nens i adolescents

Els éssers humans passem una tercera part de les nostres vides dormint i encara que tradicionalment se li ha atribuït com a principal funció al son el de permetre que el cervell “descansi” i “desconnecti” després de l’activitat realitzada durant el dia, actualment se sap que constitueix un procés de gran activitat mental i corporal, imprescindible per a l’aprenentatge. De fet, el son juga un paper fonamental en el desenvolupament tant de l’infant com de l’adolescent, i té implicacions tant en l’ajust social, conductual i emocional, com en el rendiment cognitiu en general.

Des de temps immemorials es reconeixen els beneficis d’un son nocturn reparador, adequat i adaptat als requeriments i necessitats fisiològiques pròpies de les diferents etapes evolutives per les quals el nen passa fins a esdevenir adolescent, i posteriorment a adult.

Investigacions recents han demostrat que un son inadequat en quantitat i/o qualitat no només pot afectar el comportament i l’estat d’ànim de qui el pateix, sinó que a més pot alterar les seves funcions cognitives (actuant en detriment de les funcions atencionals, l’estat de vigilància i les funcions memorístiques). En aquest sentit, el son exerceix un paper fonamental en els processos de reparació cerebral, de consolidació de la memòria, i de restauració de l’eficàcia de les connexions neuronals (sinapsis). Constitueix, quan és adequat en quantitat i qualitat, un eficaç sistema de manteniment i reparació de la xarxa de carreteres neuronals, que permet un òptim funcionament cerebral.

Per la qual cosa, si no es dediquen les suficients hores al son nocturn (que és variable en funció de l’edat de l’infant, com s’aprecia a la figura 3), aquests processos

El son juga un paper fonamental en el desenvolupament i té implicacions tant en l’ajust social, conductual i emocional, com en el rendiment cognitiu en general.

1. Neurodesenvolupament cerebral. Els canvis en el cervell de l’adolescent 31

Una mirada a la salut mental dels adolescents

Claus per comprendre’ls i acompanyar-los

no es podran completar de manera adequada. I és tan important dedicar-li temps al son com tenir cura de la qualitat del mateix. Atès que fins a un 30 % de la població infantil pot presentar algun trastorn del son durant la infància i/o adolescència, el pediatre de capçalera encarregat del seguiment i control de l’infant i adolescent adquireix un paper fonamental a l’hora de detectar tots aquells trastorns mèdics o del son pròpiament dits que puguin alterar la qualitat del mateix, i iniciar les mesures terapèutiques que siguin oportunes.

32

Figura 3. Recomanacions en relació a les hores de son ajustades per edat.

Font: Fundació Nacional del Son (National Sleep Foundation).

Per tant, atès que mantenir unes normes d’higiene de son contribueix a un adequat desenvolupament cognitiu, conductual i emocional, a continuació resumim una sèrie de consells que poden ser d’utilitat per afavorir la qualitat del son de nens i adolescents seguint les recomanacions de la guia de pràctica clínica de trastorns del son infantojuvenil:

• Crear rutines estables al voltant de l’hora d’anar a dormir.

• Mantenir els horaris d’anar a dormir a la nit i d’aixecar-se al matí, el més estable i regular que sigui possible.

• Evitar migdiades molt prolongades i/o que acabin més enllà de les 17 h.

• No convertir el son en un càstig.

• Afavorir l’activitat física regular evitant que sigui a última hora del dia.

1.
33
Neurodesenvolupament cerebral. Els canvis en el cervell de l’adolescent

Una mirada a la salut mental dels adolescents

Claus per comprendre’ls i acompanyar-los

• La llum matinal que arriba als ulls al matí afavoreix un inici de son més precoç a la nit.

• Una temperatura ambiental d’entre 19 i 22 ºC igual que un ambient silenciós afavoreix el son.

• L’ús de noves tecnologies (tauletes, ordinadors, videojocs, mòbils, etc.), ha de finalitzar com a mínim dues hores abans de l’inici de les rutines de son.

• És recomanable separar l’hora de dormir de l’última ingesta d’aliments com a mínim uns trenta minuts.

• És recomanable evitar la ingesta de begudes excitants/estimulants (coles, preparats comercials vigoritzants, te, cafè, etc.) a partir del migdia.

Com a conclusió, el son és una necessitat fisiològica essencial en els éssers humans i la seva pèrdua en qualitat i/o quantitat comporta importants repercussions en la salut física, cognitiva i psicosocial de l’infant i adolescent. Un ràpid diagnòstic i tractament de tots aquells trastorns que el puguin afectar resulten imperatius ja que molts dels problemes poden ser resolts fàcilment seguint una sèrie de mesures de caràcter conductual.

Un son adequat en quantitat i qualitat permet la posada en marxa d’una sèrie de mecanismes reparadors a nivell cerebral, la consolidació del que s’ha après durant el dia i la secreció de determinades hormones i substàncies reguladores que en el seu conjunt contribueixen a un adequat desenvolupament cognitiu, conductual i emocional.

Beneficis de l’esport en el desenvolupament cognitiu i l’aprenentatge de nens i

adolescents

Des de temps immemorials, l’ésser humà ha hagut de fer del “moviment” el seu principal aliat en la lluita per la supervivència. La seva capacitat per córrer, saltar, nedar, grimpar i utilitzar les seves mans com a eina li han permès explorar i explotar l’entorn al seu favor. I és que estem fets per al moviment, i en gran mesura depenem d’ell tant per a la formació, com per al desenvolupament i la consolidació anatòmica i funcional del nostre ésser.

La pràctica d’activitat física és un fet natural i fonamental en la vida de l’infant i de l’adolescent. Li ofereix moments de felicitat, diversió i aprenentatge, alhora que l’introdueix en un àmbit psicosocial que l’estimula i enforteix com a individu. És essencial en la prevenció de malalties de l’adult i l’enforteix física, mental i emocionalment.

34

Gràcies a l’avanç de les neurociències, actualment sabem que l’intel·lecte no només es nodreix del coneixement i que l’activitat física regular i mantinguda en el temps (especialment l’exercici cardiovascular o aeròbic), pot produir canvis funcionals i estructurals en el sistema nerviós a l’alliberar-se un gran nombre de substàncies (com la serotonina, la dopamina, l’adrenalina i la noradrenalina, entre d’altres) que modulen i consoliden determinats processos cognitius (com l’atenció i la memòria).

Sabem també que hi ha un altre important grup de substàncies que augmenta amb l’exercici físic (com el factor neurotròfic derivat de cervell, també conegut com BDNF, de l’anglès brain-derived neurotrophic factor, el factor de creixement insulínic tipus 1 i el factor de creixement vascular endotelial) i que en models animals aquests factors poden modular tant l’augment en el nombre de neurones, com en el dels capil·lars sanguinis i les connexions entre les pròpies neurones (sinapsis).

Per tant, hem descobert que la pràctica regular d’esports ajuda a optimitzar el procés de l’aprenentatge mitjançant la secreció d’una sèrie de substàncies químiques i neurohormonals que són facilitadores dels processos cognitius relacionats especialment amb l’atenció i la memòria. Millora la circulació i oxigenació cerebral, fonamental proveïdor dels nutrients necessaris per al seu correcte funcionament. Té a més una enorme influència positiva en la resta dels sistemes de l’organisme (cardiovascular, respiratori, locomotor, immunològic i endocrinològic). I a més, hem après que l’hàbit de l’exercici físic introduït des d’edats primerenques podria arribar a reduir el risc de patir malalties mentals a llarg termini (depressió, ansietat).

No obstant això, malgrat els indubtables beneficis que l’activitat física aporta a aquests aspectes cognitius i de salut mental, la relació entre activitat física i cognició és summament complexa i no tots els tipus d’exercici semblen millorar de forma evident tots els aspectes cognitius. En aquest sentit, sembla ser que l’exercici cardiovascular o aeròbic (caminar, trotar, córrer, ballar, esquiar, anar en bici, etc.) és possiblement el més efectiu pel que fa a millorar la funció cognitiva en nens. Se sap que nens en edat escolar que dediquen almenys una hora cada dia a fer activitat física intensiva, mostren un millor funcionament cognitiu. I encara que es necessiten més estudis al respecte, hi ha suficient evidència en la literatura científica actual com per recomanar la pràctica regular d’aquest tipus d’esports en nens i adolescents.

Perquè l’esport (independentment dels beneficis biològics abans esmentats) quan és entès i plantejat des d’un disseny pedagògic adequat, pot resultar generador de valors socials i personals molt positius i contribuir a la formació integral de la persona. És en definitiva educació, ja que transmet uns valors associats que

La pràctica d’activitat física és essencial pel neurodesenvolupament: ens ofereix felicitat, diversió i aprenentatge i ens ajuda a prevenir malalties.

1. Neurodesenvolupament cerebral. Els canvis en el cervell de l’adolescent 35

Una mirada a la salut mental dels adolescents

Claus per comprendre’ls i acompanyar-los

són essencials en la formació de la persona i de les seves habilitats socials, com són la tolerància, la solidaritat, l’esforç, el sacrifici i el respecte als altres i a les normes. És doncs una font de coneixement, una oportunitat per enfortir el caràcter i adquirir determinats valors extrapolables a molts altres camps de la vida familiar, professional i cívica.

L’esport físic regular prevé l’aparició de malalties cardiovasculars en l’etapa adulta, al mateix temps que afavoreix el desenvolupament cognitiu dels nostres nens i adolescents, i els enforteix física, mental i emocionalment.

Si vols saber més sobre la relació entre esport i aprenentatge consulta el 7è Informe FAROS L’activitat física millora l’aprenentatge i el rendiment escolar disponible al web de FAROS Sant Joan de Déu: http://faros.hsjdbcn.org/

Noves tecnologies i cognició

En les últimes dècades hem assistit a un veritable boom en el desenvolupament de noves tecnologies, en les quals internet i els dispositius mòbils han jugat un paper protagonista, i la irrupció i expansió de les quals ha suposat una transformació radical en el paradigma de la comunicació i la forma que tenim de relacionar-nos. I és que la tecnologia ha canviat les nostres vides, en ocasions de forma imperceptible, però per sempre de forma inexorable.

Conviure amb elles s’ha convertit en un repte especialment complicat per a pares i fills, perquè en la seva potencialitat infinita rau un concepte paradoxal fonamental: “tot el que és infinit per definició no té fi ni límits”.

I en aquest camp en particular un ús profitós de les mateixes passa indefectiblement per tenir molt clar quin és el fi i on està el límit. Però passa també per assumir que el fet que els nostres nens i adolescents siguin “nadius digitals” no necessàriament implica que sàpiguen fer un ús responsable i saludable d’aquestes tecnologies. Com veurem en més profunditat en el capítol Com gestionem l’impacte de les noves tecnologies?, depèn en gran part de nosaltres i del sistema educatiu dotar els menors de les competències digitals necessàries per navegar segurs per un món que ofereix infinitat d’oportunitats, alhora que comporta certs perills.

Des d’un punt de vista més neurobiològic, encara no comprenem en la seva totalitat l’impacte que les noves tecnologies poden tenir en el cervell dels nens, i hi ha un debat obert a la comunitat científica sobre els possibles beneficis en contraposició amb els riscos de l’ús de les noves tecnologies sobre el desenvolupament cerebral. Això ha promogut diferents estudis que tenen la finalitat d’analitzar com les noves tecnologies poden influir en la nostra conducta i en la

36
Hi ha en marxa diversos estudis que busquen analitzar com les noves tecnologies influeixen en la conducta i capacitat cognitiva dels infants i adolescents.

capacitat cognitiva dels nostres fills. Si bé sabem que tant nens com adolescents necessiten una adequada estimulació ambiental per assolir un òptim desenvolupament cerebral, quines són les eines tecnològiques més adequades i eficients no és un tema encara amb una resposta clara i definitiva.

Per exemple, Brown i col·laboradors descriuen en els seus estudis que els programes de televisió per a nens menors de dos i tres anys no aporten cap valor educatiu, i que en qualsevol cas sempre és millor promoure activitats i esports a l’aire lliure, llegir amb ells (més temps de lectura de text també s’ha correlacionat amb una major activitat funcional i connectivitat d’àrees cerebrals relacionades amb el llenguatge, el control cognitiu i a nivell visual, cosa que no passa amb l’ús de les pantalles), o practicar jocs cooperatius i que estimulin la seva imaginació.

El Cognitive Development & Media Lab (Kirkorian Lab) de la Universitat de Wisconsin (Estats Units), per la seva banda, analitza com les pantalles interactives poden arribar a ser un recurs eficaç per a l’aprenentatge durant els primers anys de vida. Observen com els nens de dos i tres anys reaccionen de forma més ràpida i fàcil davant les pantalles que els inciten a interactuar, i com això els permet progressar més ràpidament, equivocar-se menys i aprendre més.

Per contrapartida, en investigacions dutes a terme en estudiants que realitzen multitasques quan utilitzen les noves tecnologies, es conclou que hi ha un efecte

1. Neurodesenvolupament cerebral. Els canvis en el cervell de l’adolescent 37

Una mirada a la salut mental dels adolescents

Claus per comprendre’ls i acompanyar-los

negatiu amb un pitjor rendiment acadèmic, menor temps dedicat a estudiar i major absentisme escolar quan se’ls compara amb els seus iguals que dediquen menys temps a aquests recursos. En el cas dels adolescents, a més, els hàbits de son pobres sumats amb l’ús de noves tecnologies i els aparells mòbils abans d’anar-se’n al llit, s’han associat a un son reduït en quantitat i qualitat i a un pitjor rendiment cognitiu.

A això se li afegeix el menor temps que els nois dediquen a altres activitats saludables i imprescindibles per al seu correcte desenvolupament psicoemocional (com ara activitats esportives, socials, a l’aire lliure, etc.), el que a la llarga actua en detriment de la seva salut física i mental. Si a això se li suma el contingut violent i inadequat d’alguns programes de televisió i videojocs, als quals els nois es poden veure exposats, és fàcil comprendre perquè s’ha associat aquesta exposició amb majors nivells de pensaments agressius, hostilitat, ansietat, por i acceptació de la violència com a forma de solucionar els conflictes.

El que està clar és que les teories de l’aprenentatge basades en el model cognitiu plantegen la necessitat d’interactuar amb l’entorn, amb els objectes i les persones que ens envolten com a pas imprescindible perquè el procés de construcció del propi coneixement es desenvolupi de forma òptima. I en aquest sentit, les noves tecnologies han arribat per quedar-se i ja formen part de les nostres vides. Per tant, pares i educadors hem de ser conscients del tipus de mitjans que utilitzem, la qualitat de les eines que proporcionem als nens, i les accions que duem a terme amb ells com a mediadors amb la tecnologia. I és que l’única manera que tenim de protegir els nostres nens i adolescents “digitals” és sent capaços d’establir unes normes clares i predicar amb l’exemple.

Quin és el nostre principal repte com a pares? Fer dels nostres fills persones responsables i autònomes, amb criteri suficient per poder fer un ús intel·ligent i madur de les noves tecnologies.

I quin és el nostre principal mitjà? Bàsicament la coherència i l’equilibri entre el model d’utilització de les tecnologies amb les que volem educar els nostres fills, l’ús que com a adults fem de les mateixes, i les actuacions que diàriament duem a terme. Perquè en definitiva serà el que determinarà el benefici que aquests puguin treure d’aquestes en el seu desenvolupament cognitiu, psicomotor i afectiu.

38
Assolir un adequat desenvolupament cognitiu depèn tant de factors genètics com ambientals.

A tall de conclusió

Assolir un adequat desenvolupament cognitiu depèn tant de factors genètics com ambientals, i manté una estreta relació amb el grau d’estimulació ambiental rebuda, de manera que una adequada estimulació motriu, sensorial, afectiva i cognitiva durant els primers anys de vida dels nostres fills, i fins i tot durant l’adolescència, té el potencial d’incrementar les connexions nervioses, optimitzant així la funció cerebral.

Procurar mantenir un bon estat nutricional a través d’una alimentació sana, variada i equilibrada, portar un estil de vida saludable cuidant la nostra salut física i mental, practicar esport físic regular, i mantenir una bona qualitat i quantitat de son és molt important perquè els processos cognitius i conductuals es desenvolupin amb normalitat.

1. Neurodesenvolupament cerebral. Els canvis en el cervell de l’adolescent 39

Referències bibliogràfiques

Akin A, Iskender M. (2011). Internet addiction and depression, anxiety and stress. Int Online J Educ Sci, 3, 138–148.

Anderson K, Bradley A.J.(2013) Sleep disturbance in mental health problems and neurodegenerative disease. Nat Sci Sleep; 5, 61-75.

Banjanin N, Banjanin N, Dimitrijevic I, Pantic I. (2015). Relationship between internet use and depression: Focus on physiological mood oscillations, social networking and online addictive behavior. Comput Hum Behav, 43, 308–312.

Biddle SJ, Gorely T, Stensel DJ. (2004). Health-enhancing physical activity and sedentary behaviour in children and adolescents. J Sports Sci, 22, 679–701.

Borbely A. (2001). From slow waves to sleep homeostasis: new perspectives. Arch Ital Biol, 139, 53-61.

Cheung LM, Wong WS. (2011). The effects of insomnia and internet addiction on depression in Hong Kong Chinese adolescents: An exploratory cross-sectional analysis. J Sleep Res, 20, 311–317.

Deliens G, Gilson M, Peigneux P. (2014). Sleep and the processing of emotions. Exp Brain Res, 232, 1403-1414.

Drygas W, Skiba A, Bielecki W, Puska P. (2002). Assessment of the physical activity of inhabitants of six European countries. The “Bridging East–West Health Gap” project. Pol J Sports Med, 18, 169–174.

Drygas W, Skiba A, Bielecki W, Puska P. (2001). Physical activity estimation among the inhabitants of six European countries. Project “filling the Reducing East-West Health Gap”. Med Sport, 5, 119–125

Familia y nuevas tecnologías. Pamplona: Consejo Audiovisual de Navarra. CESICAT. (2015). Centre Internet Segura. Recuperado de http://www.internetsegura.cat

Gais S, Born J. Low acetylcholine during slow-wave sleep is critical for declarative memory consolidation. (2004) Proc Natl Acad Sci, 101, 2140-2144.

Guía para el desarrollo infantil desde el nacimiento hasta los 6 años. Federación Estatal de Asociaciones de Profesionales de Atención Temprana. GA

Grupo de trabajo de la Guía de Práctica Clínica sobre Trastornos del Sueño en la Infancia y Adolescencia en Atención Primaria. Guía de Práctica Clínica sobre Trastornos del Sueño en la Infancia y Adolescencia en Atención Primaria. Plan de Calidad para el Sistema Nacional de Salud del Ministerio de Sanidad, Política Social e Igualdad. Unidad de Evaluación de Tecnologías Sanitarias de la Agencia Laín Entralgo; 2011.

Hasselmo ME. (1999). Neuromodulation: acetylcholine and memory consolidation. Trends Cogn Sci, 3, 351-359.

Hollmann W, Struder H, Gehirn K. Psyche und Korperliche Aktivitat. Brain, Psyche and Physical Activity, 1th ed.; Springer: Berlin, Germany, 2000.

Huber R, Ghilardi MF, Massimini M, Tononi G. (2004). Local sleep and learning. Nature, 430, 78-81.

Inoue S, Honda K, Komoda Y. (1995). Sleep as neuronal detoxification and restitution. Behav Brain Res, 69, 91-96.

Janssen I, Leblanc AG. (2010). Systematic review of the health benefits of physical activity and fitness in school-aged children and youth. Int J Behav Nutr Phys Act, 7, 40.

“Las nuevas tecnologías en niños y adolescentes. Guía para educar saludablemente en una sociedad digital”. http://faros.hsjdbcn.org/es/cuaderno-faro/nuevas-tecnologias-ninos-adolescentes-guia-educar-saludablemente-sociedad-digital

40
Una mirada a la salut mental dels adolescents Claus per comprendre’ls i acompanyar-los

Kim YJ, Kim DJ, Choi J. (2017). The cognitive dysregulation of Internet addiction and its neurobiological correlates. Front Biosci, 9, 307–320.

Makarowski R, Lipowski M, Marszałł M, Czarnowski W. (2009). Temperamental determinants of physical activity as preventive factor of heart diseases—In the search of the model. Pol. J. Sport Med., 25, 83–94.

Marshall L, Helgadottir H, Molle M, Born J. (2006).Boosting slow oscillations during sleep potentiates memory. Nature, 444, 610-613.

Ostovar S, Allahyar N, Aminpoor H, Moafian F. (2016). Internet addiction and its psychosocial risks (depression, anxiety, stress and loneliness) among Iranian adolescents and young adults: A structural equation model in a cross-sectional study. Int J Ment Health Addict, 14, 257–267.

Peigneux P, Smith C. Memory processing in relation to sleep. In: M. Cryger (Ed.) Principles and Practice os Sleep Medicine. Elsevier, Philadelphia 2012; 335-347.

Rasch B, Born J. (2013). About sleep´s role in memory. Physiol Rev, 93, 681-766.

Rauchs G, Carrier J, Peigneux P. (2013). Sleep and cognition in the elderly. Front Neurol, 4, 71. Strzałkowska D, Szewieczek J, Janowska M. (2005). Is sport always healthy? Cardiac arrhythmias in competitive athletes. Ann Acad Med Sil, 59, 497–505.

Tononi G, Cirelli C. (2006). Sleep function and synaptic homeostasis. Sleep Med Rev, 10, 49-62.

1. Neurodesenvolupament cerebral. Els canvis en el cervell de l’adolescent 41

Una mirada a la salut mental dels adolescents

Claus per comprendre’ls i acompanyar-los

42

2. Comunicar-me amb el meu fill adolescent

Anna Vilar.

Psicòloga clínica. Adjunta a l’Hospital de Dia Infantojuvenil Litoral Mar, Institut de Neuropsiquiatria i Addiccions. Parc de Salut Mar, Barcelona.

Cristina Fresno

Psicòloga. Adjunta al CSMIJ de Ciutat Vella, Institut de Neuropsiquiatria i Addiccions. Parc de Salut Mar, Barcelona.

Santiago Batlle.

PhD. Psicòleg clínic. Adjunt a Direcció de Comunitària i Programes Especials. Coordinador CSMIJs Sant Martí-La Mina i Ciutat Vella i Hospital de Dia Litoral Mar. Institut de Neuropsiquiatria i Addiccions. Parc de Salut Mar, Barcelona.

“Quiero que (mis palabras) digan lo que quiero decirte, para que tú las oigas como quiero que me oigas”

(Pablo Neruda)

L’adolescència suposa una etapa de canvis, reptes i aprenentatges decisius a molts nivells, inclosa la comunicació. Encara que en aquest període s’inicien relacions afectives noves i importants amb amics i parelles, es mantenen els llaços afectius amb els pares, i aquests continuen sent una de les seves principals fonts d’afecció i de suport emocional. La relació que els pares mantinguin amb els seus fills adolescents és un factor crucial en el creixement i desenvolupament d’aquests. Tot i la importància d’aquesta relació, els conflictes entre pares i adolescents són habituals.

Al llarg d’aquest capítol revisarem alguns dels principis bàsics de la comunicació, constatarem l’evidència científica de la importància de la comunicació familiar en aquesta etapa i la seva importància en la prevenció de problemes de salut mental en l’adolescència. Finalment, oferirem alguns consells pràctics per al maneig de la comunicació i la relació amb els adolescents.

2. Comunicar-me amb el meu fill adolescent 43

Una mirada a la salut mental dels adolescents Claus per comprendre’ls i acompanyar-los

La comunicació familiar

És innegable la importància de la família per a un adequat desenvolupament socioemocional en la infància i l’adolescència. La comunicació té un paper primordial en les relacions familiars: és l’eina principal per al maneig de situacions de la vida quotidiana, la satisfacció de necessitats bàsiques, l’expressió d’idees i opinions, la presa de decisions, la construcció d’acords, i fins i tot la revisió i adaptació de les pròpies regles de funcionament de la família.

La relació entre pares i adolescents

és crucial en el seu creixement i desenvolupament.

A través de la comunicació familiar es construeixen les relacions entre els seus membres, es comparteixen esquemes mentals, es transmeten valors i creences i s’expressen emocions i afectes. En la seva teoria de la comunicació humana, Watzlawick va descriure la comunicació com basada en l’intercanvi, per la qual cosa comunicar no és simplement transmetre informació entre un emissor i un receptor, sinó que implica construir un sentit en la interacció amb els altres.

44

Aquest sentit l’aporta allò que diem (comunicació verbal), la forma com ho diem (comunicació no verbal, que constitueix entre un 65 - 80 % de la nostra comunicació), el context, i la interpretació que fa/n el/s nostre/s interlocutor/s en funció dels seus propis esquemes mentals i estats emocionals. Qualsevol error o contradicció en algun element d’aquest sistema pot conduir a un fracàs en la comunicació. Per prevenir-ho podem emprar diferents tècniques que faciliten una comunicació més eficaç.

Principals models teòrics sobre comunicació familiar

La investigació de la comunicació familiar i la influència de la mateixa en el desenvolupament adolescent s’ha basat principalment en dos models teòrics: el dels estils parentals i el dels patrons de comunicació familiar.

Afegim en aquest apartat un tercer model teòric que aporta una visió útil sobre l’ús de la comunicació en els conflictes interpersonals: el dels estils de resolució de conflictes.

La teoria dels estils parentals

El constructe d’estil parental s’utilitza per descriure variacions normals en l’educació dels fills, tenint en compte les estratègies que posen en marxa els pares per supervisar-los i socialitzar-los.

La investigació de la socialització parental s’ha basat tradicionalment en dues grans dimensions teòricament independents de la capacitat de resposta (implicació/acceptació) i l’exigència (severitat/imposició) que defineixen l’actuació parental. La primera dimensió fa referència al grau en què els pares s’impliquen de manera afectiva en la socialització dels fills mostrant-los afecte, oferint el seu suport i comunicant-se amb ells fent ús de la raó quan aquests es comporten de manera inadequada. La dimensió d’exigència es refereix al grau en què els pares actuen de manera estricta i impositiva per establir els límits en la seva conducta i imposar així la seva autoritat.

De la combinació d’ambdues dimensions sorgeixen quatre tipologies d’estils parentals (veure taula 1).

través de la comunicació familiar es construeixen relacions, es comparteixen esquemes mentals, es transmeten valors i creences i s’expressen emocions i afectes.

2. Comunicar-me amb el meu fill adolescent 45
A

Una mirada a la salut mental dels adolescents

Claus per comprendre’ls i acompanyar-los

Taula 1. Tipologies d’estils parentals. Font: elaboració pròpia.

Implicació / Acceptació (afecte)

Autoritari Democràtic

- Es caracteritza per una alta rigidesa i un gran ús del control i les exigències, així com per escassetat d'afecte i comunicació en les relacions amb els fills.

Exigència / Control

- Perceben l'obediència com una virtut i el càstig és considerat com la principal mesura de modificació de conducta.

- Es tracta de pares controladors, propensos al càstig i que presten poc suport als seus fills.

Negligent

- Els pares amb aquest estil mostren baixes dimensions d'afecte i comunicació, així com una escassetat de control d'exigències. Són passius, no hi ha normes ni afecte. Es mostren indiferents a les necessitats dels seus fills. No hi ha cap tipus d'implicació emocional.

- Aquests pares no estan implicats en la criança dels seus fills i, per tant, no proporcionen el suport necessari als seus fills ni els serveixen de guia.

- Els pares amb aquest estil solen ser ferms i establir límits, però també brinden suport i afecte als seus fills.

- Tracten de guiar la conducta de l'infant per mitjà del respecte i reconeixement mutu, mostrant interès per satisfer les necessitats que demanden els seus fills i reconeixent i respectant la individualitat i els drets dels menors.

- Solen explicar les conseqüències que té la conducta negativa en comptes d'aplicar càstigs i empren el reforç positiu per a les conductes a incrementar.

Indulgent

- Aquest estil es caracteritza per alts nivells en la dimensió d'afecte i implicació, així com baixos pel que fa a mecanismes de control i exigència.

- Els pares amb aquest estil intenten protegir els seus fills de tots els danys, presentant un estil sobreprotector amb escassa disciplina. Actuen amb massa flexibilitat en rutines, hàbits i horaris, portant escàs control sobre els seus fills i cedint amb facilitat als desitjos d'aquests. Els fills creixen sense normes ni pautes de conducta.

La teoria dels patrons de comunicació familiar

Koerner i Fitzpatrick (2002) postulen que és en la família on es desenvolupen els denominats esquemes relacionals: maneres de comunicació estables i predictibles, que estableixen les nostres expectatives de comunicació. El sistema familiar tendeix a regular aquests esquemes, de manera que els patrons de comunicació en una família determinada són creats i mantinguts per normes de comportament definides de forma implícita i explícita per la pròpia família.

Per definir les tipologies de patrons de comunicació familiar Koerner i Fitzpatrick (2002) utilitzen dues dimensions centrals del funcionament familiar:

1. L’orientació a la conversa: grau en què les famílies creen un clima que anima els seus membres a participar amb llibertat en les interaccions.

2. L’orientació a la conformitat: grau en què la comunicació familiar propicia l’homogeneïtat en actituds, valors i creences.

46
La qualitat de la comunicació familiar és clau per mantenir una relació positiva i té un impacte en el desenvolupament de l’adolescent.

La teoria dels estils de resolució de conflictes

Els conflictes són situacions normals en la vida familiar. Depenent del tipus d’estratègies que s’utilitzin per resoldre’ls poden suposar tant oportunitats per al creixement personal i l’enfortiment de les relacions familiars com associar-se a un creixent malestar a la família i posar en perill la continuïtat del projecte familiar. Així, les famílies funcionals no es distingeixen de les disfuncionals per la quantitat de conflictes sinó per la forma en què resolen aquestes discrepàncies.

Kurdek (1994) va definir quatre estils principals de resolució de conflictes:

• Resolució positiva/negociació: basada en la comprensió de la posició de l’altre i tàctiques de raonament constructiu per assolir compromisos i negociar.

• Estil confrontatiu: centrar-se en un mateix sense tenir en compte a l’altre, implica comportaments verbalment abusius, estar a la defensiva, atacar a l’altre i pèrdua d’autocontrol.

• Estil de retirada: caracteritzat pel rebuig o evitació del problema, negant-se a parlar o retirant-se del lloc.

• Estil de submissió: s’accepta la solució de l’altre sense defensar la pròpia posició.

Influeix la comunicació familiar en el desenvolupament de l’adolescent?

La literatura científica confirma que així és. Els estudis duts a terme en les últimes dècades apunten que la qualitat de la comunicació pares-adolescents és clau per mantenir una relació positiva i pot influir en diferents aspectes del desenvolupament de l’adolescent.

A continuació assenyalarem alguns dels resultats més rellevants:

Ajust psicològic

S’ha trobat una relació positiva de l’autoestima adolescent amb aspectes concrets de la parentalitat com la participació (implicació en activitats conjuntes) de cada un dels progenitors, la seva disponibilitat i la qualitat de la relació amb els pares.

Un ambient familiar obert i positiu afavoreix l’ajust psicològic en l’adolescència, ja que els adolescents que perceben que els seus pensaments i opinions són

Un clima proactiu i poder participar amb llibertat en les interaccions familiars és clau per un ajust psicològic positiu en els adolescents.

2. Comunicar-me amb el meu fill adolescent 47

Una mirada a la salut mental dels adolescents

Claus per comprendre’ls i acompanyar-los

valuosos mostren nivells més alts d’autoestima. De la mateixa manera, una bona comunicació i que els pares mostrin interès per les activitats dels seus fills adolescents es relaciona amb un major respecte i compliment dels límits i normes per part dels fills.

En els estudis realitzats fins ara, l’estil democràtic es revela com l’estil òptim. S’ha relacionat amb una major autoestima i satisfacció vital així com amb el foment de vincles més segurs entre pares i fills i un major sentit d’autonomia, millor maduresa psicosocial, orientació a la feina i competència social i amb una menor incidència de problemes d’inadaptació emocional. L’estil sobreprotector també s’ha associat amb alts nivells d’autoestima mentre que els estils de criança autoritaris i negligents es van relacionar sistemàticament amb els nivells més baixos d’autoestima.

2. La metaanàlisi és un conjunt d’eines estadístiques que són útils per sintetitzar les dades d’una col·lecció d’estudis.

Quant als patrons de comunicació familiar, en una metaanàlisi2 portada a terme el 2008, en què es van revisar cinquanta-sis articles científics, es va concloure que en les famílies que propiciaven un clima on s’anima als seus membres a ser proactius i participar amb llibertat en les interaccions (orientació a la conversa) els adolescents presentaven nivells més alts d’ajust psicològic, mentre que quan la comunicació familiar propiciava l’homogeneïtat en actituds, valors i creences (orientació a la conformitat) s’observava un augment de problemes psicològics.

48

Socialització

El context familiar té un paper crucial en el desenvolupament d’habilitats per gestionar els conflictes. Se sap que una relació positiva i solidària entre pares i adolescents fomenta el desenvolupament de l’autonomia d’aquests i els possibilita expressar el seu propi punt de vista durant els conflictes. En canvi, les interaccions negatives i controladores entre pares i fills soscaven l’autonomia dels adolescents i poden evocar comportaments reactius i d’oposició contribuint a la generació de nous conflictes.

Alguns dels estils de gestió de conflictes que pares - adolescents poden utilitzar davant les seves disputes, com la retirada (evitació del problema, s’evita parlar del tema) i l’estil combatiu (estil centrat en un mateix sense tenir en compte a l’altre, implica comportaments verbalment abusius, estar a la defensiva i perdre l’autocontrol), s’han relacionat amb resultats més desadaptatius en l’adolescent: queixes depressives, conductes d’externalització, menor autoestima i qualitat de les relacions.

Un clima de suport parental basat en el suport a l’autonomia de l’adolescent i en una bona capacitat de resposta per part dels pares, s’ha associat amb menor presència de conflictes en la relació pares - fills i una gestió dels mateixos basada en la resolució positiva (estil centrat en comprendre la posició de l’altre i ús de tàctiques de raonament constructiu per assolir compromisos i negociar).

Reprenent la teoria de patrons de comunicació familiar, Koesten i Anderson (2004) van trobar que els individus amb un patró familiar orientat a la conversa presentaven millors nivells d’habilitats socials i es mostraven més eficaços en la gestió de conflictes interpersonals. Per contra, els adolescents procedents de famílies amb una orientació a la conformitat van reportar menors nivells de competència interpersonal comunicativa.

Conductes de risc

Els estudis apunten que la comunicació familiar “saludable” és un indicador clau de si un adolescent s’involucrarà en conductes d’alt risc. S’ha argumentat que els nens que perceben que les seves famílies són més cohesives i presenten majors nivells de suport emocional tenen menys probabilitats de suïcidar-se i d’iniciar relacions sexuals de forma precoç. De la mateixa manera, en el camp del consum de tòxics s’ha destacat l’important paper protector de la família com a factor mediador d’altres predictors de consum.

Els individus amb un patró familiar orientat a la conversa presenten millors nivells d’habilitats socials i es mostren més eficaços en la gestió de conflictes interpersonals.

2. Comunicar-me amb el meu fill adolescent 49

Una mirada a la salut mental dels adolescents

Claus per comprendre’ls i acompanyar-los

També s’ha trobat una associació important entre disfunció familiar i inici precoç de les relacions sexuals completes. Lima-Serrano et al. (2017) van trobar que els que pertanyien a famílies normofuncionals van mostrar una menor probabilitat d’iniciar relacions sexuals amb penetració.

Així mateix, encara que són menys els treballs que han analitzat la relació entre les característiques familiars i la seguretat viària, s’han trobat associacions de la comunicació i el clima familiar amb l’estil de conducció en adolescents. En l’estudi dut a terme per Lima-Serrano et al. (2017) van trobar que el fet de ser noia i un bon funcionament familiar podrien ser factors protectors de les pràctiques de risc com conducció sota l’efecte de l’alcohol i/o altres drogues, mentre que l’edat i una elevada afluència social podrien ser factors de risc.

Conductes agressives

Nombrosos estudis han assenyalat que el comportament desadaptatiu i violent dels adolescents s’associa amb pràctiques educatives inadequades, una supervisió i orientació ineficaç per part dels pares i amb relacions negatives entre els membres de la família. O dit d’una altra manera, la família pot actuar com a factor protector contra el comportament agressiu dels adolescents.

Una comunicació familiar “saludable” és un indicador clau de si un adolescent s’involucrarà en conductes d’alt risc.

Així, els adolescents que se senten emocionalment involucrats amb la seva família mostren una major confiança i independència i una menor tendència a cometre actes violents i antisocials. El comportament d’intimidació (bullying) s’ha relacionat amb diverses variables familiars i models de criança, com la baixa participació dels pares, una criança severa i autoritària, desacord entre els pares així com amb alts nivells d’estrès dels pares. La victimització entre companys també s’ha associat amb el tipus de criança, com alts nivells de criança agressiva i reactiva, alta exigència intrusiva i baixa capacitat de resposta per part dels pares i falta de relacions cooperatives entre pares i fills.

En canvi, la cohesió familiar s’ha assenyalat com una variable protectora per als rols tant d’assetjador com de víctima. En una revisió duta a terme sobre l’assetjament escolar (bullying) realitzada per Álvarez-García et al. (2015) es van identificar dos factors de risc parentals perquè els adolescents es converteixin en agressors: poc control del comportament i baixa percepció de suport i participació afectiva.

Martínez et al. (2019) van analitzar l’efecte protector o de risc que podien exercir els diversos estils parentals en el bullying i ciberbullying. Els resultats van constatar que l’estil sobreprotector actuava com un factor protector mentre que l’estil autoritari actuava com a factor de risc. L’estil autoritari s’ha relacionat també amb una major participació en comportaments violents proactius (impulsats per una meta) i reactius (resposta defensiva a alguna provocació) mentre que els adolescents de

50

famílies indulgents van ser els que van obtenir puntuacions més baixes en violència proactiva.

És important assenyalar que els adolescents no agressius van obtenir en els estudis puntuacions més altes en gestió de l’estrès (intel·ligència emocional), desenvolupament positiu dels adolescents i en funcionament familiar, respecte als agressors.

Formació de la identitat en l’adolescència

La forma en què es relacionen pares - fills també repercutirà en la futura formació de la identitat d’aquests últims. Així, els estudis suggereixen que els adolescents, els pares dels quals recolzen la seva autonomia (fomenten la resolució de problemes i presa de decisions independent i promouen la seva pròpia autoregulació, respectant la perspectiva de l’adolescent) i s’abstenen de fer servir el control psicològic (estratègies intrusives i manipuladores que obliguen els fills a complir amb les expectatives dels pares), amb més freqüència se senten lliures d’explorar i adoptar un sentit propi d’identitat personal.

Per contra, els pares que s’interposen en els pensaments i sentiments interns dels adolescents i apliquen una certa manera de pensar o actuar, tenen més probabilitats d’inhibir la capacitat dels adolescents d’estar en sintonia amb el seu jo interior, el que dificulta les decisions relacionades amb la identitat.

Ajust escolar

Pel que fa a l’ajust escolar, les investigacions mostren que els adolescents procedents de famílies amb un estil democràtic presenten un bon ajust escolar, amb una adequada competència acadèmica i orientació cap a l’escola, estan menys involucrats en els episodis de mala conducta escolar i estan més orientats a la consecució tant d’objectius de domini (desenvolupament de competències i domini de tasques) com de rendiment (demostració de competència en relació als altres).

En resum, encara que en ocasions la comunicació amb els nostres fills adolescents pugui resultar difícil i frustrant per a ambdues parts, nombrosos estudis constaten que la comunicació familiar és fonamental per facilitar el seu desenvolupament socioemocional adequat i la superació reeixida d’aquesta etapa.

2. Comunicar-me amb el meu fill adolescent 51

Una mirada a la salut mental dels adolescents

Claus per comprendre’ls i acompanyar-los

Peculiaritats de la comunicació familiar en l’adolescència

Ja hem comentat que l’adolescència pot ser una etapa convulsa tant per als propis adolescents com per les seves famílies. Tot i que la comunicació amb els fills en la infància hagi estat fluida i positiva, quan aquests arriben a l’adolescència sol veure’s afectada de forma significativa.

Forma part del període adolescent que aquests posin a prova la relació amb els pares, desafiant les regles familiars preexistents i exigint més llibertat i autonomia. És habitual que tant pares com fills se sentin frustrats pels canvis en la seva forma de comunicar-se, però aquest és un procés que requereix temps i ajustos constants.

Molts pares senten als seus fills adolescents distants o tremendament reactius i se senten confosos davant la seva conducta, sense saber com actuar. L’etapa de l’adolescència implica una diferenciació amb els rols paterns a la recerca d’una identitat pròpia. En ocasions aquesta recerca d’identitat xoca de ple amb valors o normes familiars, generant freqüentment conflictes entre pares i fills. L’expressió de l’afecte també és un aspecte canviant, podent evitar activament mostres d’afecte normals en la infància i que ara consideren “vergonyoses”.

En aquesta etapa es fa especialment necessari que els pares intentin posar-se al lloc dels fills, intentant conèixer i comprendre aquesta etapa de desenvolupament amb l’objectiu de poder donar significat a conductes inherents a l’adolescència i que en un primer moment poden donar la sensació de ser transgressores, provocadores o conflictives. Pot ser d’ajuda recordar que, encara que existeixin canvis en la forma d’expressar-se i comunicar-se amb els pares, això no implica una disminució en el seu afecte cap a nosaltres, sinó que “ens estimen de forma diferent”.

Algunes actituds habituals amb l’arribada de l’adolescència i que solen ser motiu de preocupació per a la majoria dels pares són:

Sentir que l’adolescent es nega o es tanca davant els intents de comunicació per part dels pares: molts pares viuen amb ansietat el silenci dels seus fills. Es preocupen especialment si creuen que hi ha algun problema que l’adolescent es nega a compartir.

Com actuar? La comunicació és un procés de doble via. És aconsellable que nosaltres com a pares també compartim les nostres inquietuds amb els nostres fills adolescents per servir de model. Un altre aspecte clau és valorar què pot estar dificultant la comunicació. Potser els nostres fills sentin que estem poc disponibles o se sentin “interrogats” per les nostres preguntes. Recomanem tenir paciència, mostrar disponibilitat, curiositat real i utilitzar el modelatge.

52

Sentir que l’adolescent mai està disponible: pot donar la impressió que sempre té altres plans, està connectat amb els seus amics i la família passa a ocupar un segon lloc. Per als pares és molt difícil assumir també el nou rol o paper amb el qual l’adolescent intenta investir-nos. Podem passar de relacions molt aferrades en la infància a una marcada distància en l’adolescència. És important aprendre a respectar la seva necessitat d’espai. Això no implica renunciar a realitzar activitats agradables amb ells.

Com actuar? Es recomana mostrar interès per les seves aficions i interessos i no oblidar-nos de proposar (sense atabalar) activitats que puguem realitzar conjuntament, encara que en aquesta etapa moltes vegades aquestes propostes passaran per “acompanyar” a l’adolescent en alguna de les seves tasques o activitats (per exemple, acompanyar-lo a comprar-se unes sabates) i és fonamental atresorar aquests moments. Pel que fa a l’ús d’aparells tecnològics, practicar amb l’exemple i tenir clar que prohibir és augmentar el desig, són, de nou, dos aspectes crítics per prevenir l’aparició de problemes futurs.

Sentir que l’adolescent sempre està de mal humor i que salta a la més mínima: com s’ha comentant en el capítol anterior, l’adolescència és una etapa de múltiples canvis no només socials sinó també físics, biològics i neurològics que fan que alguns adolescents estiguin especialment sensibles o reactius emocionalment. És aconsellable no agafar-nos-ho com una cosa personal, encara que això no vol dir que haguem de tolerar conductes agressives o reaccions molt desproporcionades.

Com actuar? Tractar de mantenir la calma i no desbordar-nos davant comentaris com “t’odio”, “m’estàs amargant la vida” o “tant de bo no fossis el meu pare”. Si davant de comentaris d’aquest tipus aprenem a mantenir-nos serens i ferms, ajudarem al nostre fill a autoregular-se i li ensenyarem una manera diferent de respondre en situacions d’elevada càrrega emocional. Li estarem proporcionant un model de conducta alternatiu i més adequat.

Sentir que cada negociació és una batalla a vida o mort: en la seva recerca d’autonomia i identitat és habitual que l’adolescent comenci a qüestionar les regles i normes familiars establertes. Al mateix temps l’egocentrisme propi de l’adolescència (pensar que tot té a veure amb ells i que són únics) i la primacia de les relacions socials sobre les familiars, també repercuteixen en un abandonament de certes normes de convivència.

Com actuar? Novament intentar no prendre el conflicte com a atac personal. L’adolescent pot o no rebel·lar-se per sistema, però l’habitual és que aquest desafiament a l’autoritat paterna es faci per evidenciar el

És habitual que tant pares com fills se sentin frustrats pels canvis en la seva forma de comunicar-se, però aquest és un procés que requereix temps i ajustos constants.

2. Comunicar-me amb el meu fill adolescent 53

Una mirada a la salut mental dels adolescents

canvi d’etapa. És molt important saber triar les batalles que volem lluitar. Que un adolescent estigui castigat les vint-i-quatre hores del dia no és eficaç i estar tot el dia “de morros” tampoc ens ajudarà a millorar la nostra forma de comunicar-nos. Per evitar-ho, pactar una sèrie de normes inamovibles i establir les conseqüències per la seva transgressió pot ser una bona base i, a partir d’aquí, estar oberts a la negociació.

Sentir que no podem evitar que cometin errors: és especialment difícil per als pares veure que els fills adolescents cometen errors i prenen males decisions. Això és una cosa que cal esperar i que forma part del procés. És fonamental que els pares aprenguem a anar tolerant les decisions que prenguin, tot i sentir que s’estan equivocant, amb l’objectiu que puguin esdevenir persones autònomes i autoregulades.

Com actuar? Deixar que els adolescents experimentin per si mateixos les conseqüències de les seves decisions i aprenguin a tolerar la frustració és una manera de convertir-los en persones competents i amb capacitat per gestionar i resoldre conflictes. Evidentment, això no és aplicable si veiem que l’adolescent està posant en risc el seu benestar (físic o psíquic), o el d’un altre, o si les conseqüències dels seus actes podrien ser molt greus.

Com

promoure una comunicació familiar eficaç

La comunicació eficaç es defineix com aquella en què el receptor interpreta i comprèn el missatge en el sentit que pretenia l’emissor. Aquesta seria la comunicació ideal, però freqüentment trobem dificultats per a una correcta comunicació. La distracció, les interrupcions, precipitar-nos a oferir solucions, fer judicis de valor, negar o rebutjar el que sent el nostre interlocutor, contraargumentar i centrar-nos en nosaltres mateixos, i no cuidar la nostra comunicació no verbal (veu, gestos) són algunes de les barreres més freqüents en la comunicació.

La comunicació, com hem comentat, és molt més que una reacció lineal causa-efecte (missatge-resposta), és una construcció que fem en funció de moltes variables i que requereix d’unes habilitats específiques. Podem millorar significativament la nostra comunicació amb els adolescents posant en pràctica algunes senzilles estratègies:

54
Claus per comprendre’ls i acompanyar-los

Escolta activa

Escolta activa significa escoltar i entendre la comunicació des del punt de vista de l’altre, comprenent no només el que expressa directament, sinó també els sentiments, idees o pensaments subjacents al que està dient. Per a això cal una atenció adequada, però és més que parar atenció, significa tractar de comprendre a l’altre de forma global.

Per facilitar una escolta activa ens pot ser d’ajuda parafrasejar (verificar amb les nostres paraules el que acaben de dir), resumir el que hem entès per comprovar que ho estem entenent bé i emetre expressions o paraules de reforç (per exemple: “ah!”, “que interessant”, “m’agrada parlar amb tu”). Hem d’intentar adaptar el nostre llenguatge al de l’adolescent, sense confondre’ns ni situar-nos al mateix nivell (no som els seus col·legues).

També és aconsellable cuidar la nostra comunicació no verbal: mantenir el contacte visual, distància adequada, postura lleugerament inclinada cap endavant, gestos i expressions que demostrin interès, expressió facial en sintonia amb el contingut del missatge, etc.

Disponibilitat

Ens ajudarà presentar una actitud positiva davant els inicis d’interacció dels nostres fills (encara que això ens suposi generalment un esforç per interrompre el que estiguem fent en aquell moment), intentant aprofitar les oportunitats per conèixer les seves opinions, respondre a les seves preguntes i compartir les nostres pròpies experiències. Però també caldrà acceptar els seus silencis, rebutjos o falta d’interès, entenent que a aquesta edat formen part de la normalitat.

Si estem ocupats en un assumpte que no pot ser relegat a un segon pla, seria interessant poder “negociar” i acordar un nou moment per establir la comunicació pendent. Els estarem manifestant el nostre interès i a l’hora els ensenyarem a tolerar l’espera.

Convé assegurar-nos que saben que podran comptar amb nosaltres si tenen un problema i actuar en conseqüència, estant alertes a si mostren algun tipus de preocupació (per exemple, si realitzen preguntes indirectes sobre alguna cosa que li passa a un amic, que han vist o llegit, o realitzen preguntes sobre la pròpia adolescència dels pares), intentant mostrar-nos receptius i acceptar-los incondicionalment.

2. Comunicar-me amb el meu fill adolescent 55

Una mirada a la salut mental dels adolescents Claus per comprendre’ls i acompanyar-los

Adaptabilitat

Per mantenir una comunicació fluida amb els nostres fills adolescents caldrà una elevada proactivitat per part nostra; haurem de buscar ocasions i realitzar propostes de comunicació de forma flexible, donant-los a entendre el nostre interès i preocupació, però sabent valorar les possibilitats per a una interacció i adaptant-nos a cada situació. És recomanable participar en activitats compartides (tenint en compte els interessos actuals de l’adolescent), ja que generen bones oportunitats per conversar.

En el cas de voler comunicar-nos amb els nostres fills és convenient triar el moment i el lloc adequats. Un bon estil comunicatiu i un contingut coherent poden ser insuficients si no hem valorat el lloc, el grau d’intimitat, el seu estat anímic (posant atenció al seu llenguatge corporal, el to i inflexió de la seva veu, les seves expressions facials), i que la activitat que estigui realitzant no sigui incompatible amb l’acte de la comunicació (exemple: no triar el moment en que estigui amb el mòbil ja que segurament no tindrem l’atenció necessària i pot generar un conflicte al sentir-nos frustrats per la seva falta de resposta).

També ens ajudarà tenir present si el nostre estat anímic és l’apropiat en aquell moment per mantenir una conversa determinada (per exemple, si creiem que és probable que una discussió se’ns escapi de les mans podem interrompre-la dient-li “ara estic massa enfadat per pensar amb claredat, ho discutirem més tard quan estiguem més tranquils”).

Empatia i acceptació

Empatia és l’habilitat per posar-nos al lloc de l’altre, comprendre i sentir segons el seu punt de vista. És imprescindible per a realitzar una escolta activa des del punt de vista emocional, tractant de “posar-nos en la seva pell” i fent-li saber que “ens en fem càrrec”.

De vegades ens resulta difícil no minimitzar les preocupacions o la intensitat de les reaccions emocionals de l’adolescent, però el que els adolescents necessiten és sentir-se validats i no jutjats per les seves opinions o afectes. Encara que no compartim el seu punt de vista, la comunicació es beneficiarà si som capaços de fer que se sentin escoltats i compresos.

Sovint ens expressaran que “no els entenem”. Haurem de tolerar aquestes reaccions, intentant que ens expliquin en més profunditat allò que els preocupa i procurant recordar que nosaltres no sempre ens vàrem sentir entesos pels nostres pares, tot i que ho fessin el millor possible.

56

Assertivitat i autoregulació

La comunicació assertiva ens permet expressar les nostres opinions, emocions i desitjos de forma tranquil·la i respectuosa, i intentar acceptar a l’altre sense jutjar-lo. Si com a pares aconseguim mantenir una postura assertiva amb els nostres fills, autoregulant les nostres emocions de forma adequada, exercim un modelatge positiu cap a ells i és més probable que incorporin aquest tipus d’estratègies en el seu estil de comunicació interpersonal.

Per a això ens ajudarà tenir en compte diversos aspectes:

• Respectar i acceptar les diferències. Un dels objectius de l’etapa adolescent és la formació de la pròpia identitat a través de la diferenciació dels pares, de manera que és esperable l’expressió d’opinions contràries als valors, creences i ideologies familiars. No és recomanable encetar discussions per cada idea que no sigui del nostre grat, ni tampoc evitar parlar dels temes en què es discrepa. Els nostres fills necessiten expressar-se i sentir-se escoltats i tinguts en compte, de manera que cal “donar-los via lliure”, deixar-los parlar i, si ho considerem oportú, realitzar comentaris perquè es qüestionin algunes afirmacions sense enfrontar-nos-hi directament (per exemple, davant d’un comentari del tipus “no crec en la fidelitat en les relacions”, poder preguntar-li “creus que en algun cas pot ser important per a altres persones?”).

• Ser específics en la comunicació. Poder definir allò que opinem, el què demanem o volem i fer propostes concretes (per exemple, en comptes de dir “sempre estàs amb els teus amics i ja mai passes temps amb nosaltres”, poder proposar “què et sembla si dissabte m’ensenyes com es juga al videojoc del que sempre parles”).

• Procurar ser breus. Repetir diverses vegades el mateix o allargar el discurs de forma excessiva pot fer que els adolescents “desconnectin” o ens qualifiquin de “pesats”. És millor deixar clar el que esperem d’ells i el que farem si no es compleix, i donar-los temps perquè ells mateixos ho gestionin, sense haver de recordar-los-hi constantment. També és bo tenir en compte, a l’hora de posar conseqüències, que ja no són uns nens petits i que no podem tractar-los com a tals (per exemple, és millor cridar-los l’atenció sobre una conducta inadequada a soles i no davant dels amics, ja que ho viuran com una humiliació).

• Ser precisos a l’hora d’’expressar un desacord o una crítica esmentant la conducta concreta que ens desagrada i no a la persona en la seva totalitat (no dir per exemple “sempre arribes tard, ets un desastre” sinó “avui has arribat tard, últimament et passa bastant”). És recomanable

L’escolta activa, estar disponibles, treballar l’empatia i l’acceptació i ser assertius són algunes estratègies per millorar la comunicació.

2. Comunicar-me amb el meu fill adolescent 57

Una mirada a la salut mental dels adolescents Claus per comprendre’ls i acompanyar-los

no utilitzar generalitzacions (sempre/mai, tot/res), ni etiquetes (ets un...), poques vegades són certes i no impulsen canvis positius en l’altre.

• Intentar no barrejar temes. A vegades (molt més sovint del que creiem) aprofitem una discussió per comentar un altre tema que ens preocupa o retreure alguna cosa del passat, i els adolescents també solen fer-ho (per exemple, si porta unes notes baixes i li retraiem els seus gustos sobre música o que demani sortir amb les seves amistats). És recomanable tractar els assumptes un per un i buscar el moment apropiat per a cada un d’ells.

• No anar acumulant emocions negatives sense comunicar-les. Aquestes poden conduir a un conflicte amb l’adolescent o a un esclat emocional desproporcionat. Hem de ser coherents amb el que diem i poder autoregular-nos per ensenyar-los a fer-ho (per exemple: dirli “això no m’ha agradat”, “em dol que em parlis així”, en comptes de “no et suporto”, “em mataràs d’un disgust”) i no utilitzar els crits com a arma.

• Ser pacients, negociar i marcar límits clars. És propi de l’adolescència qüestionar les normes familiars establertes fins al moment, i l’entrada en aquesta etapa requereix una reconstrucció de les regles i límits, parcialment negociada amb els adolescents, però aquests segueixen necessitant algunes normes bàsiques, clares i inamovibles i adequades per a cada moment evolutiu (per exemple, poden ser freqüents les peticions de sortir de nit, i hem de deixar clar en quin moment ho valorarem adequat i acceptarem negociar-ho).

Nous reptes en la comunicació pares - adolescents

El món canvia a un ritme cada vegada més ràpid. La vida actual discorre a una velocitat tan alta que es produeixen alteracions profundes en la forma d’interactuar de les persones, no en el termini d’una generació sinó fins i tot diverses vegades dins de les mateixes. Les tecnologies de la informació i comunicació (en endavant TIC) han implicat canvis qualitatius en el funcionament familiar, creant nous escenaris d’interacció i reorganitzant els patrons relacionals familiars actuals. Les formes tradicionals de comunicació, com el cara a cara, han assumit avui nous formats tecnològics per incloure els mòbils, el correu electrònic i les xarxes socials entre d’altres. Per a una descripció més detallada consultar el capítol Com gestionem l’impacte de les noves tecnologies? d’aquest mateix Informe.

58

Com afecten les noves tecnologies a la comunicació familiar?

El Centre d’Investigacions Sociològiques (CIS) va realitzar un estudi d’opinió al març de 2016 sobre l’ús i la influència d’internet, el mòbil o les xarxes socials en la vida dels espanyols i de les seves famílies trobant que el 68 % d’espanyols creia que les noves tecnologies danyaven la comunicació entre pares i fills com a conseqüència d’una menor inversió de temps en altres activitats familiars (CIS, 2016).

Els avenços i la incorporació de les TIC a la vida familiar quotidiana han guanyat un lloc destacat en el camp de la investigació. Són molts els estudis destinats a analitzar com es veu afectada la família quan interacciona a través d’aquestes tecnologies, així com conèixer el tipus d’usos que la família pot fer d’aquestes eines i analitzar com incideixen sobre l’evolució de les relacions familiars. En una revisió de la literatura duta a terme per Carvalho, Francisco i Relvas, (2015) es van analitzar quaranta-cinc estudis que estudiaven la relació de les TIC i el funcionament familiar trobant resultats mixtos.

2. Comunicar-me amb el meu fill adolescent 59

Una mirada a la salut mental dels adolescents

Claus per comprendre’ls i acompanyar-los

D’una banda, alguns estudis informen que les TIC tendeixen a augmentar el temps que passen en família i enforteixen els vincles familiars, millorant la comunicació familiar i augmentant la intimitat entre els membres. Això seria així, per exemple, en el cas de compartir les activitats en línia entre pares i fills o amb l’ús de les TIC per gestionar les activitats diàries així com en aquelles famílies en què els pares senten que treballar des de casa els permet major dedicació familiar.

De la mateixa manera, també han tingut un impacte positiu en les famílies transnacionals permetent el manteniment i la (re)creació de vincles familiars, tot i la distància geogràfica, i en relacions efectives de co-paternitat després del divorci, facilitant als pares la planificació i la presa de decisions conjuntes sobre els seus fills.

No obstant això, malgrat els aspectes positius prèviament comentats, la incorporació de les TIC a la vida quotidiana també ha comportat l’aparició de noves dificultats en l’àmbit familiar. Altres estudis assenyalen que l’ús particular de patrons com la multicomunicació (comunicació amb diverses persones alhora) i la perpètua disponibilitat traduïda per exemple en l’abundància d’amics connectats a xarxes socials i en la quantitat d’informació compartida arreu del món, pot portar a situacions de pèrdua de control familiar de les interaccions que es produeixen en entorns virtuals.

És important estar informats i buscar recursos que ens ajudin a acompanyar i educar als adolescents en l’ús responsable de les TIC.

Així mateix, investigacions centrades en l’ús de les noves tecnologies destaquen com a conseqüències de les mateixes una reducció del temps dedicat a la família, un augment en l’aparició de conflictes intergeneracionals, així com certa obstaculització en l’exercici de la criança dels fills. Un altre dels problemes que poden comportar les TIC en les relacions familiars es refereix a la desconnexió existent entre senyals verbals i no verbals, els malentesos que se’n deriven, així com l’aïllament dels membres de la família a la mateixa casa entre si en lloc d’establir connexions personals.

En un estudi dut a terme per Mesch (2006) es va concloure que, a major freqüència d’ús d’internet per part dels joves, menor era la percepció de la qualitat relacional amb els pares. No obstant, aquesta relació negativa no es devia a la freqüència de l’ús d’internet en si, sinó a l’existència d’una altra variable: el tipus d’activitat en línia.

Així, l’ús d’internet per part dels adolescents amb una finalitat social (per exemple, jugar jocs en línia, comunicar-se amb amics i participar en grups de discussió) es va trobar associat positivament amb els conflictes familiars, mentre que l’ús d’internet amb una finalitat d’aprenentatge o relacionats amb l’escola (com la recerca d’informació) no es va associar amb les variables de conflictes familiars, temps familiar i cohesió familiar.

60

Warren i Aloia (2018) també van assenyalar la importància de l’ús que es dona a aquestes tecnologies entre pares i adolescents com a predictor de l’afectació a nivell relacional. Així, quan s’utilitzaven els dispositius mòbils amb motius relacionals (per exemple, expressar suport, gestionar conflictes) aquests eren predictius de sentiments de proximitat, mentre que els usos més funcionals o instrumentals (per exemple, coordinar horaris, compartir contingut) no predeien la proximitat familiar.

Un altre dels factors a tenir en compte i que pot repercutir en un canvi en les dinàmiques familiars entre pares i fills adolescents, és que en l’era digital no tots els pares tenen la competència digital necessària per educar i/o supervisar als seus fills en aquest àmbit, per la qual cosa, de vegades es troben amb l’inconvenient de ser pares sense un model de referència pel que fa a les TIC, ja que aquests dispositius van sorgir massa tard en les seves vides. D’aquesta manera, la capacitat tecnològica per part dels joves tendeix a augmentar l’esquerda digital entre generacions, i desvia l’autoritat dels pares, qüestionant les regles i els valors que intenten transmetre.

Alguns consells i recomanacions

Els nostres fills són el que s’anomena “nadius digitals” (Prensky, 2001), atès que han nascut en una societat en què l’ús de la tecnologia està present en el seu dia a dia i requeriran habilitats digitals per gestionar-se correctament en la seva vida acadèmica i professional.

Com a pares, és aconsellable que estiguem informats i busquem recursos que ens ajudin a acompanyar-los i educar-los en el descobriment i utilització de les TIC. A continuació es llisten alguns consells a tenir en compte. Consultar el capítol Com gestionem l’impacte de les noves tecnologies? per a més profunditat:

• No negar l’ús de les TIC sinó limitar-lo. És recomanable pactar unes regles clares respecte l’ús de mòbils, tauletes i altres dispositius: on i quan poden usar-los i establir un temps límit d’ús. També es poden acordar uns horaris “sense pantalles” i donar exemple nosaltres mateixos d’allò que els demanem que facin, deixant de banda les TIC i realitzant altres activitats.

• Aprofitar el seu interès en les TIC per ajudar-los a reflexionar sobre el seu ús. Plantejar-los preguntes sobre si mateixos i l’ús responsable de les TIC, així com dels avantatges i riscos que impliquen. Les TIC els permeten proporcionar gran quantitat d’informació sobre ells mateixos i relacionar-se amb els altres en funció de la imatge que projecten, pel que els adolescents han de poder reflexionar sobre les possibles conseqüències de l’exposició de la seva vida privada a les xarxes, quines

2. Comunicar-me amb el meu fill adolescent 61

Una mirada a la salut mental dels adolescents

Claus per comprendre’ls i acompanyar-los

fotografies pengen i amb quina finalitat, si estan pendents constantment dels comentaris o “likes” dels seus amics i què passa quan no els obtenen, quines conductes online poden suposar un problema o fins i tot constituir un delicte (la distància sol crear una falsa sensació d’anonimat i impunitat, però també pot generar sensació d’indefensió davant el ciberbullying), etc.

• Detectar possibles problemes. En ocasions, l’ús de les tecnologies pot servir com a refugi per no enfrontar-se a situacions que generen ansietat o malestar en els adolescents (per exemple, conèixer gent nova o parlar cara a cara amb un amic sobre un conflicte). Cal ajudar-los a adquirir competències socials més enllà de les xarxes i estimular que realitzin altres activitats amb els amics. I, com hem comentat anteriorment, mostrar-nos receptius i disponibles perquè puguin explicar-nos qualsevol problema o dificultat.

Com puc millorar la comunicació amb el meu fill adolescent?

La majoria de programes d’intervenció dissenyats per millorar la comunicació entre pares i fills destaquen una sèrie d’aspectes clau a tenir en compte, alguns dels quals ja han estat recollits en apartats anteriors.

A la taula següent presentem un resum dels principals facilitadors i obstacles per a la comunicació pares - fills recollits en el programa Parent-Adolescent Communication Toolkit (PACT), al qual afegim alguns consells i recomanacions ja citats anteriorment.

62

Taula 2. Principals facilitadors i obstacles per a la comunicació pares - fills

Font: Programa Parent-Adolescent Communication Toolkit (PACT).

Afavoreixen la comunicació Com fer-ho?

• Reaccionant de manera positiva als seus intents de connexió emocional.

Parar atenció

• Mostrant disponibilitat i interès.

• Escoltant-lo activament.

Demostrar afecte i respecte

• Expressant emocions positives cap al teu fill/a mitjançant compliments, lloances i comentaris positius.

• Respectant les seves decisions i errors.

• Generant confiança i estabilitat en la vostra relació a través de la comprensió i l’empatia.

Construir significats compartits

Permetre que assoleixi els seus objectius

Acceptar les seves idees i influència

Acceptació mútua

Transigir

Discrepar amb suavitat

• Creant rituals que tinguin un significat simbòlic i emocional per a vosaltres.

• Coneixent i acceptant els somnis del teu fill/a.

• Potenciant la seva autonomia i autoeficàcia.

• Escoltant-lo i acceptant les seves idees i opinions, encara que no estiguis d'acord.

• Estant obert a la seva persuasió, encara que no signifiqui cedir en tot.

• Acceptant-lo per qui és i no per la persona que voldries que fos.

• Mostrant flexibilitat en les teves decisions.

• Assolint acords que us satisfacin a tots dos.

• Aprenent a comunicar-li una queixa o desacord de forma assertiva.

• No caient en crítiques ni desqualificacions.

• Desescalant les teves emocions negatives durant les discussions amb el teu fill/a adolescent.

Reparar la comunicació

• Interrompent la conversa si creus que pots perdre el control i reprendre-la amb més calma després.

Parlar sobre temes difícils

• Estant obert a parlar sobre sexualitat, alcohol i drogues, salut mental, divorci, mort, etc.

2. Comunicar-me amb el meu fill adolescent 63

Una mirada a la salut mental dels adolescents

Claus per comprendre’ls i acompanyar-los

Dificulten la comunicació Com evitar-ho?

• No atacant la seva manera de ser, ni etiquetant.

Ser hipercrític

• Assenyalant el teu desacord amb fets o comportaments concrets.

• No estant absent mentalment durant les converses amb el teu fill/a.

“Parlar amb la paret”

• Utilitzant tècniques d'escolta activa.

• Deixant acabar al teu fill/a sense tallar-lo.

Interrupcions constants

• No oferint consells o solucions de manera precipitada.

• Raonant i negociant amb l'adolescent.

Elevada rigidesa

• No dient-li constantment el que ha de fer, deixant que decideixi per si mateix/a.

• No contraargumentant davant les seves queixes (no utilitzar "doncs jo més", "el meu és pitjor").

Estar a la defensiva

• No contraatacant davant comentaris ofensius i/o desqualificacions que et profereixi el teu fill/a adolescent.

• No insultant-lo ni humiliant-lo, encara que estiguem molestos.

Comentaris despectius

• Tenint cura de la nostra comunicació no verbal.

• Informant-lo d'assumptes importants per a ell/a o la família.

“Silencis a veus”

• Abordant preocupacions que pugui tenir el teu fill/a i oferint-li informació fiable.

• No minimitzant el malestar del teu fill/a, acompanyant-lo i observant-lo.

Negació de dificultats

• Buscant consell o ajuda experta en cas de no observar signes de millora o d'empitjorament.

64

A tall de conclusió

Al llarg d’aquest capítol hem subratllat la importància de la comunicació en les relacions familiars i en el desenvolupament de l’adolescent.

S’han revisat els principals models teòrics (estils parentals, patrons de comunicació familiar i estils de resolució de conflictes) i quines dimensions han demostrat una major correlació amb l’ajust psicològic, socialització, conductes de risc, agressivitat, processos identitaris i ajust escolar en l’adolescència.

Com hem pogut veure, la comunicació familiar és fonamental per facilitar un adequat desenvolupament socioemocional dels nostres fills adolescents i la superació reeixida d’aquesta etapa. L’estil educatiu democràtic (basat en una alta exigència però també una alta implicació) és el que es revela en la literatura científica com el més beneficiós. Pel que fa a l’estil de resolució de conflictes, l’orientació a la conversa (famílies que propicien un clima on s’anima als seus membres a ser proactius i participar amb llibertat en les interaccions) i una gestió dels conflictes basada en la resolució positiva (estil centrat en comprendre la posició de l’altre i ús de tàctiques de raonament constructiu per assolir compromisos i negociar) són els que obtenen millors indicadors a nivell d’ajust psicosocial en adolescents.

S’ha assenyalat també la transformació de la interacció familiar en l’adolescència, resumint alguns principis bàsics per a una comunicació eficaç, tenint en compte les peculiaritats pròpies d’aquesta etapa i els reptes que suposa l’ús de les TIC en la comunicació. Com hem comentat, la comunicació entre pares i fills sol veure’s afectada de forma significativa amb l’arribada de l’adolescència sent habitual que tant pares com fills se sentin frustrats pels canvis produïts, però no cal oblidar que la comunicació és un procés de doble via i que requereix temps i ajustos constants. Com a elements imprescindibles per a una comunicació de qualitat destacàvem l’escolta activa, la disponibilitat, la capacitat d’adaptació, l’empatia i acceptació i, finalment, però no menys important, l’assertivitat i autoregulació.

Pel que fa a l’ús de les TIC vèiem que els seus efectes depenien de l’ús que se’n derivaven, i com a factors convenients recomanàvem practicar amb l’exemple, no prohibir però sí limitar, formar-los en un ús funcional de les mateixes, ajudar-los a adquirir competències socials més enllà de les xarxes i estimular-los que realitzin altres activitats amb els amics.

Finalment, s’han recollit en un taula els principals facilitadors i obstacles per a la comunicació pares - adolescents, així com consells i recomanacions.

2. Comunicar-me amb el meu fill adolescent 65

Una mirada a la salut mental dels adolescents Claus per comprendre’ls i acompanyar-los

Referències bibliogràfiques

Ackard, D. M., Neumark-Sztainer, D., Story, M., & Perry, C. (2006). Parent–Child Connectedness and Behavioral and Emotional Health Among Adolescents. American Journal of Preventive Medicine, 30(1), 59–66. https://doi.org/10.1016/j.amepre.2005.09.013

Albert Sznitman, G., Zimmermann, G., & Van Petegem, S. (2019). Further insight into adolescent personal identity statuses: Differences based on self-esteem, family climate, and family communication. Journal of Adolescence, 71, 99–109. https://doi.org/10.1016/j. adolescence.2019.01.003

Allen, J. P., McElhaney, K. B., Land, D. J., Kuperminc, G. P., Moore, C. W., O’Beirne-Kelly, H., & Kilmer, S. L. (2003). A secure base in adolescence: markers of attachment security in the mother-adolescent relationship. Child Development, 74(1), 292–307. Retrieved from http:// www.ncbi.nlm.nih.gov/pubmed/12625451

Álvarez-García, D., García, T., & Núñez, J. C. (2015). Predictors of school bullying perpetration in adolescence: A systematic review. Aggression and Violent Behavior, 23, 126–136. https:// doi.org/10.1016/J.AVB.2015.05.007

AUNOLA, K., STATTIN, H., & NURMI, J.-E. (2000). Parenting styles and adolescents’ achievement strategies. Journal of Adolescence, 23(2), 205–222. https://doi.org/10.1006/jado.2000.0308

Bacigalupe, G., & Camara, M. (2011). Adolescentes digitales: El rol transformador de las redes sociales y las interacciones virtuales. In Adolescentes en el siglo XXI: entre impotencia, resiliencia y poder (pp. 227–244). Morata. Retrieved from https://dialnet.unirioja.es/servlet/ articulo?codigo=3818233

BACIGALUPE, G., & LAMBE, S. (2011). Virtualizing Intimacy: Information Communication Technologies and Transnational Families in Therapy. Family Process, 50(1), 12–26. https://doi. org/10.1111/j.1545-5300.2010.01343.x

Baldry, A. C., & Farrington, D. P. (2000). Bullies and delinquents: personal characteristics and parental styles. Journal of Community & Applied Social Psychology, 10(1), 17–31. https://doi. org/10.1002/(SICI)1099-1298(200001/02)10:1<17::AID-CASP526>3.0.CO;2-M

Barber, B. K., Chadwick, B. A., & Oerter, R. (1992). Parental Behaviors and Adolescent SelfEsteem in the United States and Germany. Journal of Marriage and the Family, 54(1), 128. https://doi.org/10.2307/353281

Barker, E. D., Boivin, M., Brendgen, M., Fontaine, N., Arseneault, L., Vitaro, F., … Tremblay, R. E. (2008). Predictive Validity and Early Predictors of Peer-Victimization Trajectories in Preschool. Archives of General Psychiatry, 65(10), 1185. https://doi.org/10.1001/archpsyc.65.10.1185 Beyers, W., & Goossens, L. (2008). Dynamics of perceived parenting and identity formation in late adolescence. Journal of Adolescence, 31(2), 165–184. https://doi.org/10.1016/J. ADOLESCENCE.2007.04.003

Branje, S. J. T., van Doorn, M., van der Valk, I., & Meeus, W. (2009). Parent–adolescent conflicts, conflict resolution types, and adolescent adjustment. Journal of Applied Developmental Psychology, 30(2), 195–204. https://doi.org/10.1016/J.APPDEV.2008.12.004

Bulanda, R. E., & Majumdar, D. (2009). Perceived Parent–Child Relations and Adolescent SelfEsteem. Journal of Child and Family Studies, 18(2), 203–212. https://doi.org/10.1007/s10826008-9220-3

Calafat, A., García, F., Juan, M., Becoña, E., & Ramón Fernández-Hermida, J. (2014). Title: Which parenting style is more protective against adolescent substance use? Evidence within the European context. https://doi.org/10.1016/j.drugalcdep.2014.02.705

Carvalho, J., Francisco, R., & Relvas, A. P. (2015). Family functioning and information and communication technologies: How do they relate? A literature review. Computers in Human Behavior, 45, 99–108. https://doi.org/10.1016/J.CHB.2014.11.037

Caughlin, J. P., & Malis, R. S. (2004a). Demand/Withdraw Communication between Parents and Adolescents: Connections with Self-Esteem and Substance Use. Journal of Social and

66

Personal Relationships, 21(1), 125–148. https://doi.org/10.1177/0265407504039843

Caughlin, J. P., & Malis, R. S. (2004b). Demand/withdraw communication between parents and adolescents as a correlate of relational satisfaction. Communication Reports, 17(2), 59–71. https://doi.org/10.1080/08934210409389376

Cenkseven Önder, F., & Yilmaz, Y. (n.d.). The Role of Life Satisfaction and Parenting Styles in Predicting Delinquent Behaviors among High School Students *. Retrieved from www.edam. com.tr/estp

Centro de Investigaciones Sociológicas. (2016). Estudio no3131. BARÓMETRO DE MARZO 2016. Retrieved from http://datos.cis.es/pdf/Es3131mar_A.pdf

Chesley, N., & Fox, B. (2012). E-mail’s Use and Perceived Effect on Family Relationship Quality: Variations by Gender and Race/Ethnicity. Http://Dx.Doi.Org/10.1080/00380237.2012.630906 https://doi.org/10.1080/00380237.2012.630906

Collins, W. A., & Steinberg, L. (2007). Adolescent Development in Interpersonal Context. In Handbook of Child Psychology. Hoboken, NJ, USA: John Wiley & Sons, Inc. https://doi. org/10.1002/9780470147658.chpsy0316

Currie, C., Zanotti, C., Morgan, A., Currie, D., De Looze, M., Roberts, C., … Barnekow, V. (2012). Social determinants of health and well-being among young people : health behaviour in school-aged children (HBSC) study : international report from the 2009/2010 survey. World Health Organization, Regional Office for Europe.

Darling, N., & Steinberg, L. (1993). Parenting style as context: An integrative model. Psychological Bulletin, 113(3), 487–496. https://doi.org/10.1037/0033-2909.113.3.487

Deković, M., Janssens, J. M. A. M., & Van As, N. M. C. (2003). Family predictors of antisocial behavior in adolescence. Family Process, 42(2), 223–235. Retrieved from http://www.ncbi. nlm.nih.gov/pubmed/12879595

Devitt, K., & Roker, D. (2009). The Role of Mobile Phones in Family Communication. Children & Society, 23(3), 189–202.

https://doi.org/10.1111/j.1099-0860.2008.00166.x

DiIorio, C., Kelley, M., & Hockenberry-Eaton, M. (1999). Communication about sexual issues: mothers, fathers, and friends. The Journal of Adolescent Health : Official Publication of the Society for Adolescent Medicine, 24(3), 181–189. Retrieved from http://www.ncbi.nlm.nih. gov/pubmed/10195801

Ehrenreich, S. E., Beron, K. J., Brinkley, D. Y., & Underwood, M. K. (2014). Family predictors of continuity and change in social and physical aggression from ages 9 to 18. Aggressive Behavior, 40(5), 421–439.

https://doi.org/10.1002/ab.21535

Estévez López, E., Murgui Pérez, S., Moreno Ruiz, D., & Musitu Ochoa, G. (2007). [Family communication styles, attitude towards institutional authority and adolescents’ violent behaviour at school]. Psicothema, 19(1), 108–113. Retrieved from http://www.ncbi.nlm.nih. gov/pubmed/17295991

Flouri, E., & Buchanan, A. (2003). The role of father involvement in children’s later mental health. Journal of Adolescence, 26(1), 63–78. https://doi.org/10.1016/S0140-1971(02)001161

Ganong, L. H., Coleman, M., Feistman, R., Jamison, T., & Stafford Markham, M. (2012). Communication Technology and Postdivorce Coparenting. Family Relations, 61(3), 397–409. https://doi.org/10.1111/j.1741-3729.2012.00706.x

Garaigordobil, M., & Machimbarrena, J. M. (2017). Stress, competence, and parental educational styles in victims and aggressors of bullying and cyberbullying. Psicothema, 29(3), 335–340. https://doi.org/10.7334/psicothema2016.258

Garcia, O., Serra, E., Garcia, O. F., & Serra, E. (2019). Raising Children with Poor School Performance: Parenting Styles and Short- and Long-Term Consequences for Adolescent and Adult Development. International Journal of Environmental Research and Public Health, 16(7), 1089. https://doi.org/10.3390/ijerph16071089

Garrido-González, I., Bugarín-González, R., & Machín-Fernández, A. J. (2016). Consumo

2. Comunicar-me amb el meu fill adolescent 67

Una mirada a la salut mental dels adolescents Claus per comprendre’ls i acompanyar-los

de drogas en estudiantes de enfermería. Enfermería Clínica, 26(3), 174–180. https://doi. org/10.1016/j.enfcli.2015.11.006

Gonzalez, A. R., Doan Holbein, M. F., & Quilter, S. (2002). High School Students’ Goal Orientations and Their Relationship to Perceived Parenting Styles. Contemporary Educational Psychology, 27(3), 450–470. https://doi.org/10.1006/CEPS.2001.1104

González A, E., Molina G, T., Montero V, A., & Martínez N, V. (2013). Factores familiares asociados al inicio sexual temprano en adolescentes consultantes en un centro de salud sexual y reproductiva en Santiago de Chile. Revista Médica de Chile, 141(3), 313–319. https:// doi.org/10.4067/S0034-98872013000300005

Grotevant, H. D., & Cooper, C. R. (1985). Patterns of Interaction in Family Relationships and the Development of Identity Exploration in Adolescence. Child Development, 56(2), 415. https:// doi.org/10.2307/1129730

Haddon, L. (2006). The Contribution of Domestication Research to In-Home Computing and Media Consumption. The Information Society, 22(4), 195–203. https://doi. org/10.1080/01972240600791325

Healy, K. L., Sanders, M. R., & Iyer, A. (2015). Parenting Practices, Children’s Peer Relationships and Being Bullied at School. Journal of Child and Family Studies, 24(1), 127–140. https://doi. org/10.1007/s10826-013-9820-4

Hernández Prados, M. Á., López Vicent, P., & Sanchez Esteban, S. (2001). La comunicación en la familia a través de las TIC percepción de los adolescentes. Pulso: Revista de Educación, ISSN 1577-0338, ISSN-e 2445-2866, No. 37, 2014, Págs. 35-58, (37), 35–58. Retrieved from https:// dialnet.unirioja.es/servlet/articulo?codigo=4954346

Hertlein, K. M. (2012). Digital Dwelling: Technology in Couple and Family Relationships. Family Relations, 61(3), 374–387. https://doi.org/10.1111/j.1741-3729.2012.00702.x

Huescar, E., Cervello, E., Llamas, L., & Moreno-Murcia, J. A. (2011). Conductas de consumo de alcohol y tabaco y su relacion con los habitos saludables en adolescentes. Behavioral Psychology/Psicologia Conductual, 19(3), 523–540. Retrieved from http://go.galegroup.com/ ps/anonymous?id=GALE%7CA314254346&sid=googleScholar&v=2.1&it=r&linkaccess =abs&issn=11329483&p=AONE&sw=w

Huisman, S., Edwards, A., & Catapano, S. (2012). The impact of technology on families. International Journal of Education and Psychology in the Community (Vol. 2).

Kanter, M., Afifi, T., & Robbins, S. (2012). The Impact of Parents “Friending” Their Young Adult Child on Facebook on Perceptions of Parental Privacy Invasions and Parent-Child Relationship Quality. Journal of Communication, 62(5), 900–917. https://doi.org/10.1111/ j.1460-2466.2012.01669.x

Karavasilis, L., Doyle, A. B., & Markiewicz, D. (2003). Associations between parenting style and attachment to mother in middle childhood and adolescence. International Journal of Behavioral Development, 27(2), 153–164. https://doi.org/10.1080/0165025024400015

Kaufmann, D., Gesten, E., Lucia, R. C. S., Salcedo, O., Rendina-Gobioff, G., & Gadd, R. (2000). The Relationship Between Parenting Style and Children’s Adjustment: The Parents’ Perspective. Journal of Child and Family Studies, 9(2), 231–245. https://doi.org/10.1023/A:1009475122883

Kiesler, S., Zdaniuk, B., Lundmark, V., & Kraut, R. (2000). Troubles With the Internet: The Dynamics of Help at Home. Human–Computer Interaction, 15(4), 323–351. https://doi. org/10.1207/S15327051HCI1504_2

Klasen, F., Otto, C., Kriston, L., Patalay, P., Schlack, R., & Ravens-Sieberer, U. (2015). Risk and protective factors for the development of depressive symptoms in children and adolescents: results of the longitudinal BELLA study. European Child & Adolescent Psychiatry, 24(6), 695–703. https://doi.org/10.1007/s00787-014-0637-5

Koerner, A. F., & Fitzpatrick, M. A. (2002). Toward a Theory of Family Communication. Communication Theory, 12(1), 70–91. https://doi.org/10.1111/j.1468-2885.2002.tb00260.x

Koesten,J.(2004).Familycommunicationpatterns,sexofsubject,andcommunicationcompetence. Communication Monographs, 71(2), 226–244. https://doi.org/10.1080/0363775052000343417

68

Koesten, J., & Anderson, K. (2004). Exploring the Influence of Family Communication Patterns, Cognitive Complexity, and Interpersonal Competence on Adolescent Risk Behaviors. Journal of Family Communication, 4(2), 99–121. https://doi.org/10.1207/s15327698jfc0402_2

Koesten, J., Miller, K. I., & Hummert, M. L. (2002). Family Communication, Self-Efficacy, and White Female Adolescents’ Risk Behavior. Journal of Family Communication, 2(1), 7–27. https://doi.org/10.1207/S15327698JFC0201_3

Kurdek, L. A. (1994). Conflict Resolution Styles in Gay, Lesbian, Heterosexual Nonparent, and Heterosexual Parent Couples. Journal of Marriage and the Family, 56(3), 705. https://doi. org/10.2307/352880

Ladd, G. W., & Ladd, B. K. (1998). Parenting behaviors and parent-child relationships: correlates of peer victimization in kindergarten? Developmental Psychology, 34(6), 1450–1458. Retrieved from http://www.ncbi.nlm.nih.gov/pubmed/9823524

Lamborn, S. D., Mounts, N. S., Steinberg, L., & Dornbusch, S. M. (1991). Patterns of competence and adjustment among adolescents from authoritative, authoritarian, indulgent, and neglectful families. Child Development, 62(5), 1049–1065. Retrieved from http://www.ncbi. nlm.nih.gov/pubmed/1756655

Lanigan, J. D. (2009). A Sociotechnological Model for Family Research and Intervention: How Information and Communication Technologies Affect Family Life. Marriage & Family Review, 45(6–8), 587–609. https://doi.org/10.1080/01494920903224194

Laursen, B., & Collins, W. A. (2009). Parent-Child Relationships During Adolescence. In Handbook of Adolescent Psychology. Hoboken, NJ, USA: John Wiley & Sons, Inc. https://doi. org/10.1002/9780470479193.adlpsy002002

Lima-Serrano, M., Guerra-Martín, M. D., & Lima-Rodríguez, J. S. (2017). Relación entre el funcionamiento familiar y los estilos de vida de los adolescentes en edad escolar. Enfermería Clínica, 27(1), 3–10. https://doi.org/10.1016/J.ENFCLI.2016.09.004

Lima-Serrano, M., Lemos, I., & Nunes, C. (2013). Adolescent quality of life and health behaviors: a comparative study between adolescents from the south of Portugal and Spain. Texto & Contexto - Enfermagem, 22(4), 893–900. https://doi.org/10.1590/S0104-07072013000400004

Livingstone, S. (2007). Strategies of parental regulation in the media-rich home. Computers in Human Behavior, 23(2), 920–941.

https://doi.org/10.1016/J.CHB.2005.08.002

López de Ayala López, M. C. (2007). El consumo de tecnologías de la información y comunicación en la familia. Retrieved from https://dialnet.unirioja.es/servlet/ tesis?codigo=2268

Luyckx, K., Soenens, B., Vansteenkiste, M., Goossens, L., & Berzonsky, M. D. (2007). Parental psychological control and dimensions of identity formation in emerging adulthood. Journal of Family Psychology, 21(3), 546–550.

https://doi.org/10.1037/0893-3200.21.3.546

Maccoby, E. E., & Martin, J. A. (1983). Socialization in the context of the family: parentchild interaction. Handbook of Child Psychology : Formerly Carmichael’s Manual of Child Psychology / Paul H. Mussen, Editor. Retrieved from http://agris.fao.org/agris-search/search. do%3FrecordID%3DUS201301452933

Martínez, I., Murgui, S., Garcia, O. F., & Garcia, F. (2019). Parenting in the digital era: Protective and risk parenting styles for traditional bullying and cyberbullying victimization. Computers in Human Behavior, 90, 84–92. https://doi.org/10.1016/J.CHB.2018.08.036

MCKEOWN, R. E., GARRISON, C. Z., CUFFE, S. P., WALLER, J. L., JACKSON, K. L., & ADDY, C. L. (1998). Incidence and Predictors of Suicidal Behaviors in a Longitudinal Sample of Young Adolescents. Journal of the American Academy of Child & Adolescent Psychiatry, 37(6), 612–619. https://doi.org/10.1097/00004583-199806000-00011

Mesch, G. S. (2006a). Family characteristics and intergenerational conflicts over the Internet. Information, Communication & Society, 9(4), 473–495. https://doi. org/10.1080/13691180600858705

Mesch, G. S. (2006b). Family Relations and the Internet: Exploring a Family Boundaries Approach. Journal of Family Communication, 6(2), 119–138. https://doi.org/10.1207/s15327698jfc0602_2

2. Comunicar-me amb el meu fill adolescent 69

Una mirada a la salut mental dels adolescents Claus per comprendre’ls i acompanyar-los

Milevsky, A., Schlechter, M., Netter, S., & Keehn, D. (2007). Maternal and Paternal Parenting Styles in Adolescents: Associations with Self-Esteem, Depression and Life-Satisfaction. Journal of Child and Family Studies, 16(1), 39–47. https://doi.org/10.1007/s10826-006-9066-5

Missotten, L. C., Luyckx, K., Van Leeuwen, K., Klimstra, T., & Branje, S. (2016). Adolescents’ Conflict Resolution Styles Toward Mothers: The Role of Parenting and Personality. Journal of Child and Family Studies, 25(8), 2480–2497. https://doi.org/10.1007/s10826-016-0421-x

Moreno-Ruiz, D., Estévez, E., Jiménez, T., & Murgui, S. (2018). Parenting Style and Reactive and Proactive Adolescent Violence: Evidence from Spain. International Journal of Environmental Research and Public Health, 15(12), 2634. https://doi.org/10.3390/ijerph15122634

Nation, M., Vieno, A., Perkins, D. D., & Santinello, M. (2008). Bullying in school and adolescent sense of empowerment: an analysis of relationships with parents, friends, and teachers. Journal of Community & Applied Social Psychology, 18(3), 211–232. https://doi.org/10.1002/ casp.921

NIE, N. H. (2001). Sociability, Interpersonal Relations, and the Internet. American Behavioral Scientist, 45(3), 420–435. https://doi.org/10.1177/00027640121957277

Nie, N. H., Hillygus, D. S., & Erbring, L. (2002). Internet use, interpersonal relations and sociability: Findings from a detailed time diary study. in The Internet in everyday life, B.Wellman and C. Haythornthwaite, eds. Blackwell Publishing chap (Vol. 7).

Obradors-Rial, N., Ariza, C., & Muntaner, C. (2014). Consumo de riesgo de alcohol y factores asociados en adolescentes de 15 a 16 años de la Cataluña Central: diferencias entre ámbito rural y urbano. Gaceta Sanitaria, 28(5), 381–385. https://doi.org/10.1016/j.gaceta.2014.04.004

Orcasita Pineda, L. T., & Uribe Rodríguez, A. F. (2010). La importancia del apoyo social en el bienestar de los adolescentes. Psychologia. Avances de la disciplina, 4(2), 69–82. Retrieved from https://www.redalyc.org/articulo.oa?id=297224090010

Padilla-Walker, L. M., Coyne, S. M., & Fraser, A. M. (2012). Getting a High-Speed Family Connection: Associations Between Family Media Use and Family Connection. Family Relations. National Council on Family Relations. https://doi.org/10.2307/41495220

Pinquart, M., & Kauser, R. (2018). Do the associations of parenting styles with behavior problems and academic achievement vary by culture? Results from a meta-analysis. Cultural Diversity and Ethnic Minority Psychology, 24(1), 75–100. https://doi.org/10.1037/cdp0000149

Plowman, L., McPake, J., & Stephen, C. (2010). The Technologisation of Childhood? Young Children and Technology in the Home. Children & Society, 24(1), 63–74. https://doi. org/10.1111/j.1099-0860.2008.00180.x

Pons, J., & Buelga, S. (2011). Factores Asociados al Consumo Juvenil de Alcohol: Una Revisión desde una Perspectiva Psicosocial y Ecológica. Psychosocial Intervention, 20(1), 75–94. https:// doi.org/10.5093/IN2011V20N1A7

Prensky, M. (2001). Digital Natives, Digital Immigrants Part 1. On the Horizon, 9, 1–6. https:// doi.org/10.1108/10748120110424816

Puente Bienvenido, H., Fernández Ruiz, M., Sequeiros Bruna, C., & López Jiménez, M. (2015). Revistas de juventud Revista de Estudios de Juventud, ISSN-e 0211-4364, No. 110, 2015 (Ejemplar dedicado a: Los estudios sobre la juventud en España: Pasado, presente, futuro), págs. 155-172 Inst. Retrieved from https://dialnet.unirioja.es/servlet/articulo?codigo=5641907

Puente, D., Zabaleta-del-Olmo, E., Pueyo, M. J., Saltó, E., Marsal, J. R., & Bolíbar, B. (2013). Prevalencia y factores asociados al consumo de tabaco en alumnos de enseñanza secundaria de Cataluña. Atención Primaria, 45(6), 315–323. https://doi.org/10.1016/j.aprim.2012.12.007

Rompaey, V. Van, Roe, K., & Struys, K. (2002). Children’s Influence on Internet Access at Home: Adoption and use in the family context. Information, Communication & Society, 5(2), 189–206.

https://doi.org/10.1080/13691180210130770

Rubenstein, J. L., & Feldman, S. S. (1993). Conflict-Resolution Behavior in Adolescent Boys: Antecedents and Adaptational Correlates. Journal of Research on Adolescence, 3(1), 41–66.

https://doi.org/10.1207/s15327795jra0301_3

70

Sánchez-Sosa, J. C., Villarreal-González, M. E., Ávila Guerrero, M. E., Jiménez, A. V., & Musitu, G. (2014). Contextos de socialización y consumo de drogas ilegales en adolescentes escolarizados. Psychosocial Intervention, 23(1), 69–78. https://doi.org/10.5093/in2014a7

Schlack, R., Hölling, H., & Petermann, F. (2009). Psychosoziale Risiko- und Schutzfaktoren bei Kindern und Jugendlichen mit Gewalterfahrungen. Psychologische Rundschau, 60(3), 137–151. https://doi.org/10.1026/0033-3042.60.3.137

Schrodt, P., & Ledbetter, A. M. (2007). Communication Processes That Mediate Family Communication Patterns and Mental Well-Being: A Mean and Covariance Structures Analysis of Young Adults From Divorced and Nondivorced Families. Human Communication Research, 33(3), 330–356. https://doi.org/10.1111/j.1468-2958.2007.00302.x

Schrodt, P., Witt, P. L., & Messersmith, A. S. (2008). A Meta-Analytical Review of Family Communication Patterns and their Associations with Information Processing, Behavioral, and Psychosocial Outcomes. Communication Monographs, 75(3), 248–269. https://doi. org/10.1080/03637750802256318

Şenyürekli, A. R., & Detzner, D. F. (2009). Communication Dynamics of the Transnational Family. Marriage & Family Review, 45(6–8), 807–824. https://doi.org/10.1080/01494920903224392

Skripkauskaite, S., Hawk, S. T., Branje, S. J. T., Koot, H. M., van Lier, P. A. C., & Meeus, W. (2015). Reactive and proactive aggression: Differential links with emotion regulation difficulties, maternal criticism in adolescence. Aggressive Behavior, 41(3), 214–226. https://doi. org/10.1002/ab.21583

Soenens, B., Vansteenkiste, M., Lens, W., Luyckx, K., Goossens, L., Beyers, W., & Ryan, R. M. (2007). Conceptualizing parental autonomy support: Adolescent perceptions of promotion of independence versus promotion of volitional functioning. Developmental Psychology, 43(3), 633–646. https://doi.org/10.1037/0012-1649.43.3.633

Spera, C. (2005). A Review of the Relationship Among Parenting Practices, Parenting Styles, and Adolescent School Achievement. Educational Psychology Review, 17(2), 125–146. https:// doi.org/10.1007/s10648-005-3950-1

Stafford, L., & Hillyer, J. D. (2012). Information and Communication Technologies in Personal Relationships. Review of Communication, 12(4), 290–312. https://doi.org/10.1080/15358593. 2012.685951

Steinberg, L, Lamborn, S. D., Darling, N., Mounts, N. S., & Dornbusch, S. M. (1994). Overtime changes in adjustment and competence among adolescents from authoritative, authoritarian, indulgent, and neglectful families. Child Development, 65(3), 754–770. Retrieved from http://www.ncbi.nlm.nih.gov/pubmed/8045165

Steinberg, Laurence, Elmen, J. D., & Mounts, N. S. (1989). Authoritative Parenting, Psychosocial Maturity, and Academic Success among Adolescents. Child Development, 60(6), 1424. https:// doi.org/10.2307/1130932

Stern, M. J., & Messer, C. (2009). How Family Members Stay in Touch: A Quantitative Investigation of Core Family Networks. Marriage & Family Review, 45(6–8), 654–676. https:// doi.org/10.1080/01494920903224236

Stevenson, O. (2011). From public policy to family practices: researching the everyday realities of families’ technology use at home. Journal of Computer Assisted Learning, 27(4), 336–346. https://doi.org/10.1111/j.1365-2729.2011.00430.x

Taubman – Ben-Ari, O. (2014). How are meaning in life and family aspects associated with teen driving behaviors? Transportation Research Part F: Traffic Psychology and Behaviour, 24, 92–102. https://doi.org/10.1016/J.TRF.2014.04.008

Toombs, E. (2014). Evaluating the Parent-Adolescent Communication Toolkit: Usability, measure assessment and preliminary content effectiveness. Retrieved from https://dalspace. library.dal.ca/handle/10222/55959

2. Comunicar-me amb el meu fill adolescent 71

Una mirada a la salut mental dels adolescents Claus per comprendre’ls i acompanyar-los

Tsaousis, I. (2016). The relationship of self-esteem to bullying perpetration and peer victimization among schoolchildren and adolescents: A meta-analytic review. Aggression and Violent Behavior, 31, 186–199. https://doi.org/10.1016/J.AVB.2016.09.005

Van der Giessen, D., Branje, S., Keijsers, L., Van Lier, P. A. C., Koot, H. M., & Meeus, W. (2014). Emotional variability during mother–adolescent conflict interactions: Longitudinal links to adolescent disclosure and maternal control. Journal of Adolescence, 37(1), 23–31. https://doi. org/10.1016/j.adolescence.2013.10.007

Van der Giessen, D., Hollenstein, T., Hale, W. W., Koot, H. M., Meeus, W., & Branje, S. (2015). Emotional variability in mother-adolescent conflict interactions and internalizing problems of mothers and adolescents: dyadic and individual processes. Journal of Abnormal Child Psychology, 43(2), 339–353. https://doi.org/10.1007/s10802-014-9910-9

Van Petegem, S., Vansteenkiste, M., Soenens, B., Beyers, W., & Aelterman, N. (2015). Examining the longitudinal association between oppositional defiance and autonomy in adolescence. Developmental Psychology, 51(1), 67–74. https://doi.org/10.1037/a0038374

Vitaro, F., Barker, E. D., Boivin, M., Brendgen, M., & Tremblay, R. E. (2006). Do Early Difficult Temperament and Harsh Parenting Differentially Predict Reactive and Proactive Aggression? Journal of Abnormal Child Psychology, 34(5), 681–691. https://doi.org/10.1007/s10802-0069055-6

Wajcman, J., Bittman, M., & Brown, J. E. (2008). Families without Borders: Mobile Phones, Connectedness and Work-Home Divisions. Sociology, 42(4), 635–652. https://doi. org/10.1177/0038038508091620

Wang, R., Bianchi, S. M., & Raley, S. B. (2005). Teenagers’ Internet Use and Family Rules: A Research Note. Journal of Marriage and Family, 67(5), 1249–1258. https://doi.org/10.1111/ j.1741-3737.2005.00214.x

Warren, R., & Aloia, L. (2018). Parent–Adolescent Communication Via Mobile Devices: Influences on Relational Closeness. Journal of Family Issues, 39(15), 3778–3803. https://doi. org/10.1177/0192513X18793924

WATT, D., & WHITE, J. M. (1999). Computers And The Family Life: A Family Development Perspective. Journal of Comparative Family Studies. University of Toronto Press. https://doi. org/10.2307/41603606

Whitchurch, G. G., & Constantine, L. L. (n.d.). Systems Theory. In Sourcebook of Family Theories and Methods (pp. 325–355). Boston, MA: Springer US. https://doi.org/10.1007/978-0-38785764-0_14

Williams, A. L., & Merten, M. J. (2011). iFamily: Internet and Social Media Technology in the Family Context. Family and Consumer Sciences Research Journal, 40(2), 150–170. https://doi. org/10.1111/J.1552-3934.2011.02101.X

Xiang, S., Liu, Y., & Bai, L. (2017). Parenting Styles and Adolescents’ School Adjustment: Investigating the Mediating Role of Achievement Goals within the 2 × 2 Framework. Frontiers in Psychology, 8, 1809. https://doi.org/10.3389/fpsyg.2017.01809

Zhong, B. (2013). From smartphones to iPad: Power users’ disposition toward mobile media devices. Computers in Human Behavior, 29(4), 1742–1748. https://doi.org/10.1016/J. CHB.2013.02.016

72

Reptes actuals de la quotidianitat

Reptes actuals de la quotidianitat 73

Una mirada a la salut mental dels adolescents

Claus

per comprendre’ls i acompanyar-los

74

3. Com gestionem l’impacte de les noves tecnologies?

PhD. Psicòleg clínic, Coordinador de la Unitat de Conductes Addictives de Psiquiatria i Psicologia Infantil i Juvenil i Cap de Psicologia i Consultes Externes. Àrea de Salut Mental. Servei de Psiquiatria i Psicologia Infantil i Juvenil. Hospital Sant Joan de Déu Barcelona.

Elena Flores.

Psicòloga clínica. Unitat de Conductes Addictives de Psiquiatria i Psicologia Infantil i Juvenil. Àrea de Salut Mental. Servei de Psiquiatria i Psicologia Infantil i Juvenil. Hospital Sant Joan de Déu Barcelona.

Fa temps que la tecnologia digital va entrar a les nostres vides per quedar-s’hi, tot i així, l’interès sobre com gestionar-la per evitar un impacte negatiu sobre els joves cada cop està més present. Això es deu, en part, a la ràpida evolució d’aquests dispositius i de les seves possibilitats que fan que el medi estigui en constant canvi i exigeix pràcticament una adaptació constant per part nostre. En poc temps els temes de debat en referència a les tecnologies digitals han anat canviant passant de discutir sobre les hores adequades per veure la televisió, a plantejar-nos on és el millor lloc de la casa per instal·lar l’ordinador per acabar reflexionant, per exemple, si s’ha de fer ús del mòbil als instituts.

Recentment, s’han donat canvis importants en les tecnologies digitals que marquen l’ús que en fem i la implicació que tenen a les nostres vides, el fet de que l’accés a la xarxa sigui lliure i universal i que els dispositius siguin personals i pràcticament intransferibles determinen unes característiques socials úniques fins el moment. Aquesta falta de precedent genera una incertesa que pot augmentar l’angoixa de les famílies que es plantegen quin ús han de fer els seus fills de la tecnologia per mantenir-hi una relació sana i no patir conseqüències negatives en un futur.

UNICEF publica anualment un informe sobre l’estat actual de la infància; al 2017 l’informe va ser titulat Nens en un món digital (UNICEF, 2017). Això ens pot aportar una idea sobre l’interès global que genera la relació dels infants amb les

3. Com gestionem l’impacte de les noves tecnologies? 75

Una mirada a la salut mental dels adolescents

Claus per comprendre’ls i acompanyar-los

tecnologies i de l’impacte d’aquesta sobre les seves vides. Segons aquest informe, un de cada tres usuaris de la xarxa és menor de divuit anys i el 62 % dels joves consideren que fan bones relacions a través de la xarxa.

Moltes famílies es plantegen quin ús han de fer els seus fills de la tecnologia per mantenir-hi una relació sana i no patir conseqüències negatives en un futur.

És possible que al llegir el present capítol aquestes dades ja estiguin desactualitzades, per la ràpida evolució de la temàtica, però ens serveixen per concloure que els joves són el grup d’edat més connectat i que els patrons de relació que coneixem estan canviant; més aviat podem dir que ja han canviat. L’impacte de les tecnologies de la informació i comunicació (TIC) no és un tema futurista ni quelcom que ens quedi molt llunyà, ja que per a aquests joves la tecnologia digital forma part de les seves vides, del seu passat i del seu present; han crescut envoltats de tecnologia i, per tant, ni la tecnologia és nova per a ells ni s’han d’adaptar a ella perquè forma part de la seva infància.

Tot i així, l’anomenada “esquerda digital” segueix sent el major risc relacionat amb internet. L’accés digital s’està convertint en la nova línia divisòria, ja que milions d’infants i adolescents que podrien obtenir grans avantatges de la tecnologia digital (accés a informació, aprenentatges, oportunitats laborals,...) no s’estan beneficiant d’ella. Per exemple, els joves africans són els menys connectats, aproximadament el 60 % no estan en línia en comparació amb el 4 % d’europeus. Aquesta esquerda encara és més important quan tenim en compte el gènere: al 2017, segons aquest informe, un 12 % més d’homes que de dones van fer servir internet. A més, les divisions digitals també reflecteixen les esquerdes econòmiques predominants, el que amplifica les avantatges dels joves més rics i nega oportunitats dels que tenen menys recursos econòmics, ja que a més de l’accés, es té en compte la qualitat d’aquest (tipus de dispositius, velocitat d’accés,...).

76

Al nostre entorn més immediat, la preocupació general gira entorn a l’ús excessiu de les TIC; una pregunta habitual de les famílies és si l’ús que fan els seus fills és “normal” referint-se al nombre d’hores que passen davant d’una pantalla, però la realitat és que el debat basat en el temps està cada cop més obsolet. No hi ha un acord clar sobre què seria un temps excessiu ja que és una qüestió que no només depèn de l’edat de l’infant sinó també de les característiques particulars d’aquest i del seu context. En entorns amb alta connectivitat és difícil estimar el temps total que es passa davant d’una pantalla perquè es va fent servir, en curts o llargs moments, durant tot el dia. Per tant, es constata que no és tan important el temps dedicat a les pantalles com quin ús es fa d’aquestes; ens hauríem de fixar més en els continguts i les experiències digitals dels joves, és a dir, en el que fan i el perquè ho fan.

Així doncs, per definir si l’ús que fan els nostres fills és moderat o excessiu haurem de fixar-nos en altres paràmetres. En el present capítol intentarem donar una mica de llum al respecte definint els tipus d’ús de la tecnologia digital i l’addicció a videojocs, com es detecta, i com procedir en aquests casos. Per últim, ens centrarem en el rol de les famílies per afavorir una bona relació entre els joves i les TIC.

Les addiccions comportamentals es defineixen com la pèrdua de control sobre una conducta que genera l’aparició de conseqüències adverses i un fracàs en la resistència a l’impuls o temptació de realitzar un acte perjudicial per un mateix o els altres. A més, la presència d’accions repetitives iniciades per un impuls causa en l’individu una disminució de l’ansietat o una sensació d’eufòria, generant un alt nivell d’interferència en totes les esferes de la vida quotidiana de la persona. Com en les addiccions a substàncies, els joves que mostren addiccions comportamentals poden experimentar una necessitat cada cop més elevada de realitzar la conducta addictiva, mostrant més freqüència o durada de la mateixa i síndrome d’abstinència davant la privació, caracteritzat per malestar com tristesa, irritabilitat i inquietud física.

Actualment no existeix una categorització clara, consensuada i ben establerta en relació a les addiccions comportamentals. El grau d’evidència científica en relació a si aquests comportaments són realment trastorns és molt baix. Tot i que es parla de moltes addiccions comportamentals diferents com al sexe, als robatoris, a les compres, al menjar, al joc i a les noves tecnologies, etc., en l’actualitat, l’única addicció comportamental que obté el reconeixement de malaltia en els manuals diagnòstics més reconeguts és el trastorn per joc patològic. No

3. Com gestionem l’impacte de les noves tecnologies? 77
“Està enganxat?”

Una mirada a la salut mental dels adolescents

Claus per comprendre’ls i acompanyar-los

obstant, es contempla la possibilitat a estudi del trastorn relacionat amb els videojocs, trastorn per joc a internet (IGD, per les seves sigles en anglès de Internet Gaming Disorder), que és del que parlarem en aquest capítol per ser més freqüent en persones més joves.

Tipus d’usos

Al nostre entorn més immediat, la preocupació general gira entorn a l’ús excessiu de les TIC; una pregunta habitual de les famílies és si l’ús que fan els seus fills és “normal”.

Així doncs, com podem saber si l’ús que fan els joves és perjudicial? Per saber-ho ens hem de fixar en les conseqüències derivades de l’ús de les TIC i segons això podem fer la següent classificació:

• Ús normalitzat: el consum de TIC, per quantitat, freqüència o motivació, no produeix conseqüències negatives al jove o al seu entorn.

• Ús inadequat: realització d’actes perjudicials per als demés (ciberbullying, sèxting3, …).

• Ús excessiu: el consum de TIC s’associa a algunes conseqüències principalment escolars, relacionals i familiars. No obstant, l’adolescent manté l’ajustament en el funcionament diari.

• Ús patològic/dependència: es prioritza l’ús de les TIC davant de situacions considerades de major importància per al jove. El seu ús passa a ser prioritari i s’associa a conseqüències greus per al subjecte i el seu entorn.

Prevalença

Les enquestes indiquen que una gran part de la població occidental realitza un ús excessiu de les TIC (17,57 %), principalment de videojocs (6,8 %) (Kaess et al., 2016). Segons l’informe nacional sobre addiccions comportamentals del 2019, basat en les enquestes EDADES i ESTUDES, al 2017 existia un 2,9 % de la població de quinze a seixanta-quatre anys que realitzava un ús compulsiu d’internet, valor que es manté constant respecte al 2015 i sense gairebé diferències per sexe. En canvi, a la població d’estudiants de catorze a divuit anys, la prevalença d’un possible ús compulsiu d’internet al 2016 era set vegades més alt (21 %) (veure figura 4), presentant una tendència ascendent des del 2014 (16,4 %), en totes les edats avaluades, i més elevada en dones. A la mateixa enquesta, al 2018 la prevalença disminueix un punt (20 %) intuint-se certa estabilitat en l’evolució. També les prevalences de consum d’alcohol i cànnabis són superiors entre els individus que realitzen un possible ús compulsiu d’internet segons aquest informe. A la pràctica clínica, els serveis de psiquiatria infantojuvenil han detectat un increment d’aquest tipus de demandes per part de les famílies.

78
3. Sèxting és un anglicisme que es refereix a l’enviament de missatges sexuals, eròtics o pornogràfics per mitjà de les tecnologies de la informació i la comunicació.

Figura 4. Prevalença de l’ús compulsiu d’internet.

Font: Informe sobre adicciones comportamentales: Juego y uso compulsivo de internet en las encuestas de drogas y adicciones en España EDADES y ESTUDES.

Factors de risc

És important puntualitzar que no tots els adolescents tenen el mateix risc d’acabar desenvolupant una addicció. Tot i l’elevat percentatge d’adolescents que consumeixen drogues, la majoria no desenvolupa un trastorn addictiu. De la mateixa manera, tot i que pràcticament tots els adolescents fan servir les noves tecnologies, la majoria no realitza comportaments de risc i no desenvoluparan un trastorn addictiu.

Alguns dels factors de risc que s’han descrit per a les addiccions a les tecnologies digitals són:

• Ser jove (quan més jove més risc).

• Inestabilitat afectiva, ansietat i depressió.

• Baixa autoestima.

• Personalitat de tipus insegur, timidesa extrema.

• Soledat.

• Presència d’algun dèficit en l’entorn familiar, com per exemple, baixa supervisió i desconeixement de les TIC.

l’ús, el sobre ús i l’addicció als videojocs i les tecnologies digitals.

3. Com gestionem l’impacte de les noves tecnologies? 79
És important diferenciar el que significa

Una mirada a la salut mental dels adolescents

Claus per comprendre’ls i acompanyar-los

Conseqüències de les addiccions

S’han descrit moltes repercussions associades amb l’ús de les TIC, sent les més destacades: la reducció de la qualitat de vida (pitjor salut i baixa qualitat del son), la presència de dificultats per a la socialització presencial i la disminució del rendiment acadèmic.

A la vegada, també s’han relacionat amb l’augment del risc de patir altres psicopatologies associades com la depressió, l’ansietat i el trastorn de dèficit d’atenció i hiperactivitat (TDAH), així com la presència de malestar emocional, aïllament en el domicili i altres conductes de risc. És important tenir en compte que algunes aplicacions com els jocs online generen més demanda d’atenció clínica per les seves majors conseqüències a la vida de l’individu.

Senyals d’alarma

Generalment la instauració de l’addicció és un procés més o menys gradual que va des dels primers contactes esporàdics, on el jove experimenta aspectes plaents que promouen la seva repetició (anomenat reforçador positiu) fins a la necessitat de realitzar la conducta una vegada i una altra per tal d’alleugerar el malestar (anomenat reforçador negatiu).

És important tenir en compte el moment evolutiu en la valoració dels adolescents. En els moments insidiosos de qualsevol procés patològic en l’adolescent, pot ser difícil diferenciar entre la conducta adolescent normal i la que està provocada per una addicció incipient. L’adolescent pot presentar i experimentar canvis en el seu estil de vida que solen descentrar a les seves famílies però que constitueixen part de l’evolució normal del seu desenvolupament i maduració. Ara bé, sí que existeixen senyals que podem considerar d’alarma, per exemple, canvis que es produeixen de forma abrupta, adquireixen una dimensió extrema o es consoliden en el temps més enllà del que seria un procés normal de desenvolupament de l’adolescència.

Els senyals d’alarma són petits canvis que l’adolescent va fent de forma subtil però continua i que en un determinat moment passen de ser poc habituals i justificables tant per a ell com pel seu entorn a no ser-ho. Són tots aquells indicadors de falta de normalitat que poden evidenciar-se en alguns dels següents punts, havent de presentar-se de manera recurrent i sostinguda en el temps:

• Patró de son alterat, secundari al canvi d’hàbits al dormir i a la disminució de les hores de son per a realitzar la conducta addictiva. Per exemple, es queda connectat per les nits, se’n va a dormir tard, pel matí li costa molt llevar-se.

80
El grau d’evidència científica en relació a si les addiccions comportamentals són realment trastorns és molt baix.

• Patró de la gana alterat, menja ràpid i malament per guanyar temps, pot arribar a saltar-se algun àpat.

• Menys atenció per la higiene, havent de recordar-li pautes d’higiene bàsica que abans realitzava (rentar-se les dents, dutxar-se, canviar-se de roba).

• Deixadesa en aspectes importants de la seva vida, motivat per l’augment del temps que ocupa el temps amb les pantalles.

• Canvi de l’estil d’oci, canvi d’interessos, d’entorn.

• Irritabilitat, especialment quan no pot realitzar la conducta addictiva.

• Estat d’ànim oscil·lant, tendència a la tristesa, es mostra poc comunicatiu, tancat en el seu món, li molesta que li preguntis coses sobre el seu dia a dia.

• Rendiment acadèmic alterat, absentisme, increment de les notificacions d’actitud poc col·laboradora o reprovatòria, augment dels suspensos i les expulsions de classe.

• Comença a realitzar furts, generalment de petites quantitats de diners, i especialment a la família més propera.

Una ràpida detecció de que “alguna cosa va malament” per part de l’entorn més proper ajudarà a parar l’espiral negativa i a reconduir la situació. Pel contrari, la no detecció dels senyals d’alarma o la seva banalització poden provocar un sentiment d’incomprensió i indefensió que acostuma a complicar el quadre (més aïllament, més cerca de nous referents o l’increment de la possibilitat d’aparició d’un trastorn de l’estat d’ànim).

Com avaluem?

Quan detectem els senyals d’alarma esmentats anteriorment és important consultar amb un especialista. És necessari realitzar una correcta exploració i avaluació psicopatològica del jove, que permeti entendre els motius pels que s’ha establert el sobre ús de les TIC (en la mesura del possible, determinar la motivació inicial i la possible funció que compleix la conducta addictiva, així com el manteniment de la mateixa) i determinar l’existència o no d’altres diagnòstics de salut mental. A més, han d’avaluar-se les capacitats cognitives (atenció, percepció, memòria, llenguatge, etc.) i les funcions executives (flexibilitat, planificació, etc.). En aquest últim es valora, per exemple, la capacitat/incapacitat de control, és a dir, si el jove realitza la conducta tot i els intents de controlar-la i/o no pot detenir-la un cop iniciada.

Tot i que pràcticament tots els adolescents fan servir les noves tecnologies, la majoria no realitza comportaments de risc i no desenvoluparan un trastorn addictiu.

3. Com gestionem l’impacte de les noves tecnologies? 81

Una mirada a la salut mental dels adolescents

Claus per comprendre’ls i acompanyar-los

És important que els pares reconeguin senyals d’alarma d’un possible trastorn addictiu i consultar amb un especialista en cas de dubte.

També s’inclouen a l’avaluació les repercussions emocionals de la conducta addictiva. Quan juga se sent feliç, acceptat, excitat, desinhibit o pel contrari si quan no ho fa se sent sol, insatisfet, insegur, inhibit. En aquest context, és imprescindible conèixer l’evolució i severitat del problema, com ha acabat l’adolescent generant un abús a la conducta per veure com han anat succeint les coses i descobrir si aquest sobre ús tracta de cobrir o evitar una situació de malestar anterior. Per valorar la dependència psicològica, que inclou el desig irrefrenable de fer servir les TIC, la polarització cognitiva o l’enfocament atencional i la modificació d’estat d’ànim, s’avaluarà fins a quin punt l’addicció s’ha convertit en l’element més important de la vida del jove ocupant la major part dels seus pensaments i sentiments. A més, és important valorar altres àrees:

• La personalitat i el temperament de l’infant.

• L’escola i/o el funcionament professional, valorant com ha estat el seu rendiment o adaptació escolar fins el moment actual.

• El funcionament familiar i els possibles canvis que s’han donat en l’àmbit familiar.

• Les competències socials i les relacions interpersonals del jove, en el passat i en el moment present.

• El temps lliure i les activitats d’oci que tenia abans del problema i les que manté.

Intervenció terapèutica

La gran majoria dels adolescents que acudeixen a un professional de la salut mental ho fan obligats o pressionats pels seus pares, que són els que estan realment preocupats pel comportament que el seu fill està tenint. És per aquest motiu que quan arriben a consulta tenen poca consciència de malaltia (pot ser que minimitzin els problemes que els hi comporta estar tan centrats en el joc), normalitzen l’ús que fan de les pantalles perquè en el seu entorn la majoria de coneguts poden fer un ús semblant a ells (tot i que potser no amb les mateixes conseqüències) i estan enfadats amb els seus pares. Per tant, el més important inicialment és treballar la relació terapèutica o aliança, a través d’estratègies motivacionals; una cosa que en qualsevol teràpia és necessària però que en aquest context és essencial.

Un cop realitzat el diagnòstic i quan s’aconsegueix una bona adherència, es realitzarà el pla de tractament, que se centra en les següents àrees:

• En el cas de tractar-se únicament de l’addicció, l’objectiu del tractament pot centrar-se en la retirada o modificació de patrons d’ús, i en

82

restablir uns patrons més adequats i responsables, mitjançant un reaprenentatge de l’ús adaptatiu.

• Quan l’adolescent presenta un trastorn addictiu juntament a un altre trastorn psiquiàtric (anomenat patologia dual), s’han de tractar ambdós trastorns paral·lelament.

• La intervenció amb la família és un component imprescindible en l’abordatge d’aquesta problemàtica no només pel maneig i la comprensió del que els hi està succeint als seus fills sinó perquè nivells d’ansietat parental estan relacionats amb l’ús patològic o sobre ús de les TIC en els adolescents com una manera de compensar la interacció problemàtica amb els seus progenitors o tutors.

Perfils, tots són iguals?

Entre els pacients adolescents que consulten per un trastorn relacionat amb els videojocs s’han descrit dos perfils clínics en funció del motiu pel qual utilitzen aquests videojocs:

• El primer grup, denominat reclosos, es caracteritza per utilitzar els videojocs com una manera de fer front al malestar emocional o alleujar les seves dificultats, sent les més destacades les dificultats interpersonals, fent-los més vulnerables al mateix temps a desenvolupar una addicció comportamental. A més, en aquest grup s’ha identificat una associació entre problemes com la soledat i la depressió, una edat d’ús primerenca (és a dir, adolescents més joves) i l’addicció al videojoc.

• El segon grup de pacients, anomenats rebels (joves que no estan aïllats), també usen les TIC de manera problemàtica, però per motius vinculats al plaer, principalment recreatius, mantenint alternatives d’oci amb companys i presentant major prevalença de trastorns externalitzants (conductes problemàtiques com desobediència, agressivitat, expressivitat de la ira, trencament de les normes,...).

La importància en la diferenciació d’aquests dos perfils rau en l’abordatge terapèutic. S’ha comprovat que els pacients reclosos consumeixen més recursos, tenen més necessitat de tractaments combinats (farmacològics i psicoterapèutics) i tenen una evolució més lenta, tenint per aquest motiu un pitjor pronòstic. Per tant, tot i que els objectius terapèutics puguin ser semblants en ambdós perfils les estratègies per assolir-los poden ser diferents.

3. Com gestionem l’impacte de les noves tecnologies? 83

Una mirada a la salut mental dels adolescents Claus per comprendre’ls i acompanyar-los

Prevenció de l’addicció a les pantalles

No tots els infants tenen el mateix risc de desenvolupar una addicció a les TIC, la relació que generin amb les pantalles dependrà en gran mesura del seu punt de partida. Mentre que aquells que gaudeixen de sòlides relacions socials i familiars acostumen a fer servir internet per reforçar aquestes relacions, els infants que pateixen a causa de la soledat, l’estrès, la depressió o determinats problemes a la llar poden trobar, per exemple, que internet agreuja algunes d’aquestes dificultats inicials. Pel contrari, els infants que tenen dificultats socials poden a vegades establir amistats i rebre recolzament social online que no reben d’altres maneres.

Per tant, la prevenció passa per promoure actituds i hàbits saludables en les diferents àrees de la vida dels nostres fills i això comença per revisar el nostre funcionament com a referents.

Apoderament

La gestió de l’ús de pantalles no és l’únic tema que ens pot ocasionar mals de cap en la criança dels fills. Al mateix temps que van creixent, socialitzant, descobrint altres maneres de fer les coses i definint la seva personalitat també van apareixent dubtes i preocupacions que poden generar conflictes en l’ambient familiar o que ens poden produir angoixa com a pares. La part positiva de tot això és que la paternitat genera situacions d’aprenentatge i creixement constant. Així que, tot i que amb les TIC no tinguem gaire experiència, sí que la tenim en molts altres temes, i per tant, el criteri que acostuma a ser vàlid per la majoria d’aspectes relacionats amb els fills és possible que es pugui generalitzar a aquest àmbit. Aprofitem el sentit comú generat pels anys d’expertesa i confiem en el nostre criteri i capacitat per fer front als diferents moments de crisi que es viuen durant la criança.

Apoderar-se implica el desenvolupament de la confiança en les pròpies capacitats i accions. És important que els pares estiguin apoderats ja que “només fem allò que ens veiem capaços de fer” i és per això, que si no ho estem, moltes vegades, les pròpies inseguretats acaben per definir les decisions que prenem en comptes de fer-ho els objectius que ens proposem com a educadors, i així es pot donar el cas que cedim a la pressió social comprant un videojoc que no és adequat per a l’edat de l’infant o li deixem el mòbil a la criatura mentre esperem al restaurant per evitar la rebequeria davant de tothom, per posar dos exemples.

84

Observar-me per començar a entendre

Com diu el refrany és més fàcil veure la palla en els ulls dels altres que la biga en el propi ull. Segurament estem acostumats a mirar als fills, el que fan, com reaccionen, com es relacionen, com ens contesten, si ens fan cas, ... al cap i a la fi és la nostra responsabilitat. Però a vegades, des d’aquesta observació perdem de vista com reaccionem nosaltres, quins són els nostres hàbits o com ens relacionem amb els altres.

Hem d’entendre que ells també ens observen i moltes vegades ens fan saber la incongruència entre el nostre discurs i els nostres actes. Un exemple típic seria el pare preocupat perquè el fill juga molt a vídeojocs mentre ell mira sèries a la televisió. Però també hi ha exemples fora de l’àmbit de les TIC, aquella mare que crida demanant al seu fill que no alci la veu, o per no fer-ho tant evident, podríem posar l’exemple del pare que demana respecte als fills quan es dirigeixin a ell mentre ell no el té cap a la resta de conductors.

Així doncs, per acostar-nos als adolescents i millorar la comunicació amb ells la mirada ha de canviar, hem de posar la mirada més en nosaltres. Això suposa observar com ens relacionem amb la tecnologia però també com ens comuniquem amb ells i com gestionem el propi malestar. Pot passar que els

3. Com gestionem l’impacte de les noves tecnologies? 85

Una mirada a la salut mental dels adolescents

Claus per comprendre’ls i acompanyar-los

hi demanem coses que ni nosaltres mateixos fem però el pitjor de tot és que, a més, ens podem arribar a enfadar amb ells per no fer-ho generant conseqüències en el vincle i en la seva autoestima. Quantes vegades com a adults hem intentat començar una dieta i hem fracassat a mig camí? O quantes vegades ens hem promès no tornar a perdre els nervis i cridar i ho hem tornat a fer? Tothom pot tenir dificultats per assolir objectius i la perseverança i l’autocontrol són habilitats de maduració tardana en el desenvolupament humà. Així que si pretenem posar algun límit és interessant, d’una banda, observar si nosaltres mateixos el podem assumir (per exemple, no fer servir el mòbil quan estem a la sala d’espera del metge), i d’altra banda, acompanyar-lo de cert control de l’entorn per afavorir l’autocontrol (per exemple, no tenir el wifi encès de nit o instal·lar l’ordinador a una zona comuna de la casa).

Parlar menys, actuar més

Difícilment, les coses canvien només repetint un discurs moltes vegades. Donar la informació o explicar la norma és imprescindible però dir-la constantment no assegura l’èxit. És molt més efectiu actuar, demostrar i donar exemple. Així doncs, si el nostre objectiu, per exemple, és que els nostres fills mengin saludablement, serà més efectiu posar a l’abast menjar saludable i fer els àpats amb ells que repetir el discurs mentre ingerim davant seu menjar ràpid.

Compartir activitats amb els adolescents és una bona idea per fomentar que tinguin oci variat.

De la mateixa manera, si el que pretenem és que tinguin un oci variat serà més efectiu compartir activitats amb ells i que ens vegin exercir diferents aficions que dir-ho mentre mirem el mòbil. Per aquesta raó és important promoure un ús responsable de les TIC per tota la família i establir uns límits de temps d’oci tecnològic familiar (no només pel jove). Té més incidència en els nostres fills què fem que no pas el què diem.

Alfabetització digital

Si no coneixem l’entorn digital no el podem entendre i el que no entenem genera distància, por i fins i tot rebuig. A més, si ells pensen que no ho entenem o que no ens interessa s’allunyen i aïllen, perden interès en comunicar i compartir. Per tant, sembla important acostar-nos, informar-nos, interessar-nos per saber què fan, com ho fan, amb qui, què els hi aporta,...

D’altra banda, si no coneixem el medi difícilment els podrem preparar de la manera adequada per desenvolupar-se en un entorn digital. L’alfabetització digital no només consisteix en saber fer servir un aparell digital, sinó també en entendre

86

i aplicar com aquest ús pot fer que la nostra vida millori o que siguem més productius i eficients amb ella. L’ideal en relació a pantalles és fer una aproximació gradual, de menys a més, acompanyant en aquest aprenentatge com ho fem en la resta i generant autonomia de manera progressiva.

Tot i que a la primera infància es desaconsella l’ús de pantalles, si prohibim l’accés a les TIC durant tota la infància ens estem perdent l’oportunitat d’educar en el maneig de les noves tecnologies ja que a l’adolescència serà més complicat que el nostre fill o filla ens permeti interactuar en aquest pla i, per tant, hi pot quedar més desprotegit. Per dir-ho d’una altra manera, serà com donar-li un ganivet sense ensenyar-li abans a fer-lo servir i sense supervisió.

Com a pautes generals, s’aconsella escollir amb cura els jocs i aplicacions tenint en compte el moment evolutiu, acompanyar-los en aquesta activitat, advertir dels perills d’establir contacte amb desconeguts, donar dades personals o descarregar programes sospitosos, establir moments i llocs d’ús, i permetre l’oci tecnològic com a recompensa i no com a dret adquirit.

Els límits són necessaris però no suficients

Els infants han de créixer en un entorn que permeti predir amb certa seguretat el que passarà, això els hi dona confiança i permet reduir els nivells d’estrès, entre d’altres coses. Per això les rutines i els límits són imprescindibles, a més han de saber que certes conductes estan permeses i altres no. Els pares i mares tenen un paper clau com a figura d’autoritat i guia generant aquest entorn previsible i segur.

En aquest sentit, cal recordar que a l’hora d’establir normes a casa és preferible que siguin poques i ben clares per tal de poder-les recordar i respectar. Però marcar límits no és suficient per garantir un creixement cognitiu saludable. Hem de poder fomentar el pensament crític a través de preguntes, exposant incongruències,... perquè davant de situacions confuses o problemàtiques es plantegin quina és l’actitud que volen tenir sobre aquell tema independentment del que facin els demés o de si està prohibit o no. Així doncs, a més d’escollir videojocs o programes amb continguts adequats a la seva edat intentarem reflexionar sobre perquè aquell altre videojoc no és adequat per a ells, per exemple.

A més, s’ha d’afavorir la cohesió i la comunicació familiar, i el suport entre els membres de la família tenint demostracions d’afecte mutu i potenciant la vida familiar a través d’activitats d’oci comuns. El tenir interessos variats pot ser un factor protector de salut general i es pot entrenar des de la infància a més de resultar un element interessant per generar espais d’experiències positives

3. Com gestionem l’impacte de les noves tecnologies? 87

Una mirada a la salut mental dels adolescents

Claus per comprendre’ls i acompanyar-los

plegats. Hi ha infinitat d’alternatives d’oci no tecnològic (activitats físiques, artístiques, intel·lectuals, altruistes,...); a l’hora d’escollir hem de tenir present que algunes tenen l’afegit de permetre’ns potenciar altres capacitats com les habilitats socials (especialment aquelles que es fan en grup) o l’autoeficàcia (aquelles amb les que puc obtenir un resultat desitjat en funció del propi esforç).

Millorar la comunicació

Escoltar i procurar entendre com se sent l’altre, animant a l’infant o jove a donar el seu punt de vista sense jutjar-lo des de l’acceptació total de l’altre és la clau per establir una bona comunicació. L’ideal és poder-ho fer des de petits per generar l’hàbit i afavorir la comunicació oberta entre tots els membres de la família ja que de manera natural durant l’adolescència, el jove busca la diferenciació respecte als pares, els referents passen a ser altres figures (amics, cantants, youtubers,...) i estan més estones fora de casa.

Prohibir l’accés a les TIC durant tota la infància ens fa perdre l’oportunitat d’educar-los en el maneig de les noves tecnologies.

Com hem vist en el capítol Comunicar-me amb el meu fill adolescent, si esperem a l’adolescència per millorar la comunicació, perquè és quan ens preocupa més què fan o amb qui van, correm el risc de que ens visualitzin com a policies que volen extreure informació, i per tant, es mostrin més hermètics amb nosaltres repercutint així en el vincle i quedant més desprotegits, perquè si tenen dificultats o es posen en risc, és menys probable que recorrin a nosaltres.

Tot i així, mai és tard per intentar millorar el clima i la comunicació. L’èxit recau en buscar espais i moments agradables on poder parlar centrant-nos en el present sense remoure el passat fora de la rutina i l’estrès diari. També ajuda, especialment al principi per agafar hàbits i que el jove no ens vegi tan invasius, parlar de temes d’interès del propi jove o temes més neutres (no conflictius) on no es pugui veure jutjat afavorint així que exposi la seva opinió. Per dir-ho d’una altra manera, és més fàcil parlar de futbol o dels problemes d’una amiga a una pizzeria amb el pare, que parlar de les males notes mentre fem el sopar un dilluns amb la resta de la família donant voltes per la casa.

88

A tall de conclusió

Al llarg d’aquest capítol, hem intentat explicar la diferència entre l’ús, el sobre ús i l’addicció als videojocs i les tecnologies digitals. Hem pogut veure com el problema de l’addicció no és senzill. Al contrari, el mecanisme és molt complex i s’han d’establir una sèrie de causes molt concretes per a la conducta addictiva. Per tant, no existeix una relació directa entre adolescents, comportaments potencialment addictius (noves tecnologies, videojocs, etc.) i l’addicció. No obstant això, és evident que parlem d’un fenomen que està generant una alarma creixent i que provoca conseqüències per a l’adolescent i la seva família, la qual cosa requereix un tractament especialitzat que tingui com a objectiu recuperar els hàbits de vida saludables.

Hem explicat els diferents tipus d’ús de les tecnologies digitals intentant desglossar en quins aspectes ens hem de fixar per saber quan s’està produint una addicció, les seves conseqüències i el seu tractament.

A nivell preventiu ens hem centrat en allò que podem fer les famílies des de casa per fomentar uns hàbits de vida saludables i una bona relació amb els fills però és necessari que a nivell social també es prenguin mesures preventives. Per millorar el benestar mental dels infants, és important adoptar un enfocament holístic i centrar-se en altres factors que sabem que tenen un impacte més gran que el temps de pantalla, com el funcionament familiar, les dinàmiques socials a l’escola i les condicions socioeconòmiques, alhora que fomentar l’ús moderat de la tecnologia digital.

3. Com gestionem l’impacte de les noves tecnologies? 89

Referències bibliogràfiques

Beard, C. L., Haas, A. L., Wickham, R. E., & Stavropoulos, V. (2017). Age of initiation and internet gaming disorder: The role of self-esteem.  Cyberpsychology, Behavior, and Social Networking, 20(6), 397-401.

Beranuy, M., Carbonell, X., & Griffiths, M. D. (2013). A qualitative analysis of online gaming addicts in treatment. International Journal of Mental Health and Addiction, 11(2), 149-161.

Cao, F., & Su, L. (2007). Internet addiction among Chinese adolescents: prevalence and psychological features. Child: care, health and development, 33(3), 275-281.

Carli, V., Durkee, T., Wasserman, D., Hadlaczky, G., Despalins, R., Kramarz, E., ... & Kaess, M. (2013). The association between pathological internet use and comorbid psychopathology: a systematic review. Psychopathology, 46(1), 1-13.

Gámez-Guadix, M. (2014). Depressive symptoms and problematic Internet use among adolescents: Analysis of the longitudinal relationships from the cognitive–behavioral model. Cyberpsychology, Behavior, and Social Networking, 17(11), 714-719.

Gámez-Guadix, M., Orue, I., & Calvete, E. (2013). Evaluation of the cognitive-behavioral model of generalized and problematic Internet use in Spanish adolescents.

Kaess, M., Parzer, P., Brunner, R., Koenig, J., Durkee, T., Carli, V., Wasserman, C., Hoven, CW., Sarchiapone, M., Bobes, J., Cosman, D., Värnik, A., Resch, F. I Wasserman, D. (2016). Pathological Internet Use Is on the Rise Among European Adolescents. Journal of Adolescent Health,59(2):236-9.doi:10.1016/j.jadohealth.2016.04.009

Karim, D.O. i Priya Chaudhri, Ph.d. (2012) Behavioral Addictions: An Overview. Journal of Psychoactive Drugs, 44(1), 5-17.

Martín-Fernández, M., Matalí, J. L., García-Sánchez, S., Pardo, M., Lleras, M., & CastellanoTejedor, C. (2016). Adolescentes con Trastorno por juego en Internet (IGD): perfiles y respuesta al tratamiento. Adicciones, 29(2), 125-133.

Observatorio Español de las Drogas y las Adicciones. Delegación del Gobierno para el Plan Nacional sobre Drogas (2019). Informe sobre Adicciones comportamentales. Juego y uso compulsivo de internet en las encuestas de drogas y adicciones en España EDADES y ESTUDES. Madrid: Ministerio de sanidad, consumo y benestar social.

Matalí-Costa, J., Serrano-Troncoso, E., Pardo, M., Villar, F., & San, L. (2014). Social Isolation and the “Sheltered” Profile in Adolescents with Internet Addiction. J Child Adolesc Behav, 2(139), 2. UNICEF (2017). El estado mundial de la infància 2017. NIÑOS EN UN MUNDO DIGITAL. New York: División de comunicaciones de UNICEF.

Wartberg, L., Kriston, L., Kramer, M., Schwedler, A., Lincoln, T. M., & Kammerl, R. (2017). Internet gaming disorder in early adolescence: Associations with parental and adolescent mental health. European Psychiatry, 43, 14-18.

90
mirada
Una
a la salut mental dels adolescents Claus per comprendre’ls i acompanyar-los

4. Per què et fas mal? Introducció a la conducta autolesiva i al seu abordatge per a pares i educadors

4. Per què et fas mal? Introducció a la conducta autolesiva i al seu abordatge per a pares i educadors

La Laura té setze anys. Viu amb els pares i una germana gran de divuit. Estudia 4rt curs de l’Educació Secundària Obligatòria (ESO) i abans practicava gimnàstica esportiva, però ho va haver de deixar fa dos anys. Tenia un grup d’amigues molt estable, que formaven part de la seva vida des que varen començar P3 a la mateixa escola on va acabar la primària, però des de 1er de la ESO, quan canvià de centre escolar, li ha costat mantenir un grup estable, i ha tingut algunes dificultats amb alguns companys de classe.

La Laura no havia tingut mai problemes per a estudiar i treure bones notes. Mai havia assolit les “notasses” de la seva germana gran, que treu excel·lents i matrícules, i és l’orgull de tota la família, perquè vol estudiar medicina. Però la Laura se’n sortia prou bé fins ara. No obstant, des de 2on de l’ESO va començar a tenir dificultats amb algunes assignatures, motiu pel qual va haver de deixar les activitats extraescolars, incloent-hi la gimnàstica, i va començar a anar a classes de reforç.

91

Una mirada a la salut mental dels adolescents

Claus per comprendre’ls i acompanyar-los

Se sent molt trista per haver perdut el contacte amb les noies de l’equip, i a més, s’ha engreixat una mica, i ara es veu i se sent malament amb la seva imatge corporal, però no és capaç de fer dieta, ans al contrari, sovint berena moltíssim, i amb la sensació que perd el control del que ingereix, perquè ho fa molt ràpid i sense poder parar quan ja està tipa, però el cert és que en un primer moment creu que li serveix per a pcrisiassar-se l’ansietat que té just abans de posar-se a fer els deures, tot i que a mig termini la fa sentir culpable, i tampoc no li “cura” l’angoixa.

No sap què vol estudiar en el futur. No sap ni tan sols si vol fer batxillerat o estudiar un grau. Mai ha tingut una vocació, com la seva germana, però alguna cosa haurà de fer. Havia pensat que li agrada el cinema, però la majoria d’escoles de cinema són privades, i ara que els seus pares estan en crisi econòmica, per això de la pandèmia, i es passen el dia discutint per problemes de diners, només faltaria que ella digués que vol estudiar en una escola privada. La Laura no té cap relació sentimental. Va conèixer un noi a l’institut ara fa un any, que li agradava força, però el noi va començar a sortir amb una de les seves conegudes de classe, que és tan crack en els estudis com la seva germana, i a sobre alta, prima i molt popular, com una d’aquestes influencers estrangeres que segueix a Instagram.

Ara fa unes setmanes, la Laura va començar a sentir-se molt angoixada per tot. Qualsevol cosa la fa reaccionar de forma hostil. Es nota irritable i parla malament a la seva família, cosa que ha fet que noti als seus pares com si estiguessin en la seva contra. No paren de preguntar-li què vol estudiar l’any vinent, i demanar-li que s’espavili amb les notes, i aprofiti el reforç que li estan pagant.

A més, a classe no té ningú amb qui desfogar-se i amb qui compartir els seus sentiments. Voldria ser diferent de com és, com a mínim aprimar-se, i ser més popular... però l’ansietat la fa menjar encara més. Ha començat a dormir molt malament. Triga a adormir-se, i sovint es desperta molt aviat, i no pot tornar a dormir.

L’altre dia, després d’una discussió amb els pares, es va tancar a la seva habitació, i va experimentar una mena de crisi. Es va notar que s’ofegava, que tenia una pressió al pit insuportable, que no podia pensar, i es mirava al mirall i ni tan sols es reconeixia. Va agafar un cúter que tenia a l’escriptori, i es va fer talls als avantbraços.

Uns dies més tard, parlant amb l’orientadora de l’institut, li comentava que no sabia si ho havia fet perquè ho havia vist en alguna sèrie, que una noia ho feia i li anava bé per a relaxar-se, o li va sortir sola la conducta, de forma espontània.

92

4. Per què et fas mal? Introducció a la conducta autolesiva i al seu abordatge per a pares i educadors

Es va sentir relaxada en un primer moment, però després es va sentir molt culpable, i també avergonyida, i una mica temorosa de que això li anés a més, així que li va “confessar” a una de les companyes de classe amb les que té més confiança, i aquesta li digué a la Glòria, la psicopedagoga de l’institut, que fa d’orientadora.

La Glòria ha demanat a la Laura que ho expliqui als pares, li ha recomanat algunes lectures terapèutiques i li ha ofert consell durant unes setmanes, però li ha comentat a que si el seu estat no millora en unes setmanes, potser haurà de demanar-li hora amb la psicòloga del CAP, per tal que valori si li cal una atenció més especialitzada, amb un professional de la psicologia clínica.

La Glòria també està mantenint unes sessions d’aconsellament amb la tutora de la Laura, doncs per la classe s’ha escampat la informació, i hi ha una altra noia que també ho ha fet. La mestra està espantada, i alguns pares també.

Què entenem per autolesió no suïcida i en quin context l’observem?

L’autolesió no suïcida (ANS) és una destrucció directa i deliberada de la pròpia superfície corporal, sense intencionalitat letal. Per tant, implica un dany corporal autoinfligit, sense intenció de provocar-se la mort.

Actualment l’ANS està rebent molt d’interès per part de periodistes, científics, mestres i educadors, pares i mares, etc., en part per l’increment en la incidència d’aquestes conductes per part de joves i adolescents, i per la preocupació i angoixa que la conducta genera en les persones que envolten a aquests joves i adolescents.

Si bé l’ANS no és un trastorn psiquiàtric, el Manual Diagnòstic i Estadístic dels Trastorns Mentals (DSM per les seves sigles en anglès de Diagnostic and Statistical Manual of Mental Disorders), en la seva cinquena versió (APA, 2013) l’ha inclòs com a un diagnòstic que requereix més estudi.

La definició del concepte ha anat canviant al llarg de les últimes dècades, la qual cosa fa que alguns dels estudis publicats no siguin del tot comparables, doncs parteixen d’una conceptualització diferent, i això comporta problemes metodològics.

Actualment, la majoria d’estudis ja es realitzen amb la definició proposada per l’última versió del DSM, que diferencia clarament les autolesions no suïcides d’altres tipus de conductes perjudicials per la salut i d’altres conductes que

L’autolesió no suïcida implica un dany corporal autoinfligit sense intenció de provocar-se la mort.

93

Una mirada a la salut mental dels adolescents Claus per comprendre’ls i acompanyar-los

impliquen certa intencionalitat suïcida. Es considera que aquesta definició més precisa i específica millorarà la comparabilitat entre estudis i així el coneixement que tenim del trastorn.

Al DSM 5 es defineixen les autolesions no suïcides en base als següents sis criteris: (adaptat de DSM 5, Psychiatric, 2013).

A. En l’últim any, l’individu s’ha produït, durant cinc o més dies, danys intencionats a si mateix a la superfície del seu cos, un tipus que probablement indueixi sagnat, contusió o dolor (per exemple, tallar, cremar, apunyalar, colpejar, fregar excessivament), amb l’expectativa que la lesió només comportarà danys físics lleus o moderats (és a dir, que no hi ha cap intenció suïcida).

B. L’individu es comporta en un comportament autolesiu amb una o més de les següents expectatives:

1. Obtenir alleujament d’un sentiment negatiu o d’un estat cognitiu.

2. Resoldre una dificultat interpersonal.

3. Induir un estat de sensació positiva.

C. L’autolesió intencionada està associada a almenys un dels següents criteris:

1. Dificultats interpersonals o sentiments o pensaments negatius, com ara depressió, ansietat, tensió, ira, angoixa generalitzada o autocriticisme, que es produeix en el període immediatament anterior a l’acte d’autolesió.

2. Abans d’iniciar-se en l’acte, s’ha de produir un període de preocupació pel comportament previst que és difícil de controlar.

3. Pensar en l’autolesió que es produeix amb freqüència, fins i tot si no s’actua.

D. El comportament no està sancionat socialment (per exemple, pírcing corporal, tatuatge, part d’un ritual religiós o cultural) i no es restringeix a gratar-se una crosta o a mossegar-se les ungles.

E. El comportament o les seves conseqüències provoquen molèsties o interferències clínicament significatives en funcions interpersonals, acadèmiques o altres funcions importants.

F. El comportament no es produeix exclusivament en episodis psicòtics, deliri, intoxicació de substàncies o retirada de substàncies. En individus amb un trastorn del neurodesenvolupament, la conducta no forma part d’un patró d’estereotípies repetitives. El comportament no s’explica millor per un altre trastorn mental o condició mèdica (per exemple, trastorn

94

4. Per què et fas mal? Introducció a la conducta autolesiva i al seu abordatge per a pares i educadors

psicòtic, trastorn de l’espectre autista (TEA), discapacitat intel·lectual, síndrome de Lesch-Nyhan, trastorn de moviment estereotipat amb autolesió, tricotil·lomania [trastorn de tirar-se del cabell, excoriació trastorn de gratar-se la pell]).

Al camp de la psiquiatria i la psicologia clínica, l’ANS tradicionalment ha estat considerada una conducta associada a un trastorn mental greu, com l’esquizofrènia, la síndrome de la Tourette, la discapacitat intel·lectual greu, o síndromes neurològiques greus. També tradicionalment les ANS han estat un símptoma més en el trastorn límit de la personalitat (TLP), sent un dels criteris diagnòstics establerts.

En aquests trastorns, les conductes autolesives han estat enteses com un tipus de conducta orientada a disminuir l’ansietat (ja sigui realitzades de forma conscient o inconscient per part dels nens o adolescents) o bé com una forma d’autoestimular-se que s’observa en aquests casos de trastorn mental greu.

Actualment l’ANS segueix observant-se en malalties mentals greus, i la seva prevalença no ha canviat en aquests casos, però el que és una novetat és observar-la en nois i noies de la població general, és a dir, en nois i noies sense patologies psiquiàtriques establertes. Això no vol dir, no obstant, que els joves que realitzen aquestes conductes no tinguin cap malestar o dificultats psicològiques significatives, sinó al contrari.

95
La prevalença d’ANS en malalties mentals greus es manté constant, el que és una novetat és el seu augment en població adolescent general.

Quants adolescents sense cap trastorn psiquiàtric s’autolesionen?

Històricament es considerava un problema poc freqüent, però les darreres dècades s’ha observat un increment en joves i adolescents, sense trastorn psiquiàtric. Quan es publicaren els primers articles científics sobre el tema (principis dels anys vuitanta) informaven d’una prevalença del 0,4 % (percentatge de casos en una població) (Pattison EM, 1983), però els estudis actuals a nivell internacional observen prevalences molt superiors.

Així, en estudis publicats els últims deu anys, s’han descrit prevalences de 17 % a la Xina, 18 % a l’Índia, 20 % a Nova Zelanda, 21,7 % a Finlàndia, 17,1 % a Suècia, 30,7 % a Bèlgica, 25,6 % a Alemanya, 23,2 % als Estats Units, o bé 11,4 % a Catalunya, per posar alguns exemples, tot i que en diferents estudis les dades són força heterogènies en funció dels instruments de recollida de dades, o el tipus de prevalença que s’estudiï (prevalença vital o a l’últim any).

En general, podríem considerar que es considera arreu del món que entre un 13 i 45 % dels adolescents s’han autolesionat alguna vegada a la seva vida i a Europa es parla d’una prevalença vital del 27,6 %. A l’estat espanyol es disposa de molt poques dades en menors de divuit anys, però les dades són similars a les europees.

Per tant, les dades procedents de la recerca epidemiològica ens permeten afirmar que és un fenomen que s’ha incrementat els últims anys i que traspassa les barreres de la patologia mental greu i s’estén entre els adolescents i joves de la població general en tots els països i cultures.

Les autolesions entre els adolescents amb algun tipus de problema de salut mental

Quan s’estudien adolescents amb algun tipus de trastorn psiquiàtric o psicològic, la incidència de les ANS és molt més elevada per diversos motius.

En primer lloc, aquesta conducta pot ser un símptoma més dins un trastorn mental que cursi amb altres símptomes, a més de les autolesions, però en el que les autolesions siguin un símptoma inherent al mateix i, per tant, molt rellevant per al diagnòstic i el tractament. Aquest és el cas del TLP.

96
mirada a la salut
Una
mental dels adolescents Claus per comprendre’ls i acompanyar-los

4. Per què et fas mal? Introducció a la conducta autolesiva i al seu abordatge per a pares i educadors

El TLP és un trastorn de la personalitat que es defineix per un patró de pensament, emocions i conductes disfuncionals a causa de diverses alteracions relacionades amb la inestabilitat anímica, la impulsivitat, problemes amb la pròpia identitat, etc. i també la propensió a realitzar ANS.

En segon lloc, les ANS també poden observar-se en adolescents amb altres trastorns (a més del TLP) com a un símptoma acompanyant, que pot associar-se a aquest trastorn, o bé no donar-se.

En aquests casos s’ha observat que en adolescents amb trastorns de la conducta alimentària (TCA), amb trastorns depressius o d’ansietat, etc., la conducta autolesiva es presenta de forma ocasional o puntual (no sempre) i es produeix de diferents maneres, complint diferents funcions en l’afrontament de les dificultats del noi o noia (com a mecanisme per reduir l’ansietat, per expressar socialment el malestar, etc.).

I, per últim, un altre motiu que podria explicar l’elevada incidència de les ANS en població clínica és el contagi.

Un fet inevitable entre els adolescents amb patologia psiquiàtrica, sigui quina sigui, és l’ingrés en dispositius assistencials especialitzats (unitats d’hospitalització, hospitals de dia, etc.). Aquest fet té avantatges demostrats com són l’accés a un tractament i a professionals especialitzats, beneficis dels tractaments grupals amb altres adolescents que tenen els mateixos problemes, entre d’altres. Però també té l’esmentat inconvenient del possible contagi d’aquestes i altres conductes patològiques.

L’ANS en aquest context es considera un símptoma que es dona en algunes patologies com són el TLP, els TCA i els trastorns afectius entre d’altres.

A quina edat s’inicia el problema i quina evolució s’observa?

Es disposa de molt poques dades sobre la incidència i prevalença de les ANS abans dels dotze anys, però sí sabem per estudis recents que aquesta conducta sol iniciar-se entre els onze i els tretze anys.

Aquesta dada s’explica pel fet que els adolescents són una població de gran vulnerabilitat per a incórrer en ANS, sobretot per l’elevada impulsivitat i reactivitat emocional que caracteritza aquesta etapa vital.

97
La conducta autolesiva sol iniciar-se entre els onze i els tretze anys.

Adolescents amb trets de personalitat disfuncionals i amb elevada reactivitat emocional, tenen més risc de patir ANS.

Quins adolescents podrien ser especialment proclius?

Factors de risc

S’han identificat algunes variables psicològiques que, quan estan presents, són factors de risc per al desenvolupament d’ANS.

Unes d’aquestes variables són els trets de personalitat disfuncionals, i concretament les personalitats de tipus inestable, amb elevada reactivitat emocional, amb tendència a les conductes impulsives, o amb tendència a desenvolupar punts de vista excessivament subjectius i/o egocèntrics, etc.

Els trets de personalitat disfuncionals, en general, fan referència a un patró perdurable d’experiència interna i comportament que es desvia de forma notable de les expectatives culturals de l’individu. Aquest patró, a més, segons el DSM, es manifesta en dos o més dels següents àmbits:

1. Cognició (manera de percebre’s o interpretar-se a un mateix, a altres persones o als esdeveniments).

2. Afectivitat (amplitud, intensitat, labilitat i idoneïtat de la resposta emocional).

3. Funcionament interpersonal (manera de relacionar-se amb altres).

4. Control dels impulsos.

D’altra banda, cal afegir que, per a que uns determinats trets de personalitat siguin disfuncionals (alterats), cal que aquest patró de pensament, emoció i conducta sigui inflexible i dominant en situacions personals i socials, cal que causi un malestar clínicament significatiu o un deteriorament social, laboral (acadèmic) o en altres àrees importants de la vida, i que aquest patró s’iniciï a l’adolescència o primeres etapes de la vida adulta.

També cal que aquest patró no s’expliqui per la presència d’un altre trastorn mental (esquizofrènia, etc.) ni estigui causat pels efectes d’una substància (droga, medicament, etc.) o per una causa mèdica (traumatisme cranioencefàlic, per exemple).

Pel que fa als trastorns de personalitat del clúster B4, ens referim als de tipus antisocial, límit, histriònic i/o narcisista, que, com s’esmentava prèviament, es caracteritzen per l’inestabilitat anímica, la reactivitat emocional, la impulsivitat, l’egocentrisme, les dificultats per a empatitzar i l’excessiva necessitat d’afecte, entre d’altres.

Aquests quatre tipus de trastorns de la personalitat poden ser difícils de diagnosticar en l’adolescència, perquè les característiques de la personalitat adolescent “normal”, sovint té components que podrien semblar els d’aquests tipus de trastorns de personalitat.

98 Una mirada a la salut mental dels adolescents
per comprendre’ls i acompanyar-los
Claus
4. Hi ha tres clústers: l’A, el B i el C, i cada clúster, que està marcat per unes característiques diferents, agrupa uns trastorns.

4. Per què et fas mal? Introducció a la conducta autolesiva i al seu abordatge per a pares i educadors

Per exemple, forma part de la personalitat adolescent una certa inestabilitat afectiva, l’elevada reactivitat als esdeveniments de l’entorn, sobretot als de tipus interpersonal, la tendència a presentar dificultats per a controlar algunes conductes impulsives, etc. Una avaluació clínica pot ser necessària, en alguns casos, per diferenciar quines conductes o dificultats personals formen part de l’adolescència normal, quines de l’adolescència normal però amb alguns problemes que poden requerir d’ajuda més o menys especialitzada, i quines s’escapen del que seria una adolesència normal i caldria considerar-les conductes amb rellevància clínica, i que caldria abordar per part d’un professional de la salut mental.

La qüestió del gènere

Tradicionalment l’autolesió s’ha considerat un fenomen predominantment femení. Hi ha molts estudis sobre prevalença i incidència que avalen aquesta consideració. No obstant, també hi ha estudis recents que matisen les procedents d’estudis més antics, i algunes recerques assenyalen diferències menors en la incidència segons el sexe/gènere.

99

Una mirada a la salut mental dels adolescents

Claus per comprendre’ls i acompanyar-los

Un altre aspecte relacionat amb el gènere, que també està demostrat, és l’ús de mètodes diferents per a realitzar les autolesions no suïcides en nois i en noies. Mentre que les noies són més propenses a tallar-se, rascar-se, i utilitzar mètodes que impliquen el sagnat, els nois són més propensos a colpejar-se i a cremar-se.

La influència de l’ambient. Les experiències vitals adverses

Un dels fets que està també força contrastat és l’elevada incidència, entre els nois i noies que s’autolesionen, d’experiències que impliquen assetjament escolar, maltractament o abús durant la infantesa.

Els estudis que mostren aquesta associació, però, indiquen que hi ha un risc compartit entre ambdós factors (ANS i abús), malgrat que no vol dir que l’abús sigui la causa de la conducta autolesiva.

Per què s’autolesionen els joves que ho fan?

Un dels aspectes més rellevants per als professionals que estudien el fenomen, així com per als mestres i pares, és saber quin sentit o motivació té l’adolescent quan realitza aquesta conducta. Diversos autors han abordat l’estudi de la funcionalitat d’aquestes conductes, és a dir, de la funció que la conducta compleix en el funcionament psíquic i social de l’adolescent.

Com totes les conductes humanes que es mantenen al llarg del temps, o que, fins i tot, tendeixen a augmentar, és ben clar que alguna funció reforçant (o útil, o eficaç) compleix la conducta en el funcionament de la persona, perquè sinó no es repetirien com ho fan. Per tant, els joves que s’autolesionen obtenen alguna cosa “positiva” per a ells quan ho fan. El problema és que aquest suposat “benefici” és a curt termini (a mig i llarg termini no hi ha benefici) i comporta riscos per a la salut, la qualitat de les relacions, etc.

Alguns dels autors que més han estudiat la funcionalitat de les ANS són Nock i Klonsky. Aquests autors han observat que les ANS complirien dos tipus de funcions, unes que es relacionen amb motivacions intrapersonals (més individuals) i d’altres que són de tipus més interpersonals (o socials).

En cada un d’aquest tipus hi hauria funcions diferents. Els autors proposen, entre les intrapersonals, la reducció d’algun estat intern (emoció, pensament) que la persona experimenta com a negatiu. Per exemple, alguns adolescents s’autolesionen per reduir la sensació de buidor que experimenten, o un estat d’ansietat intensa. De vegades, intenten aturar la recurrència de pensaments negatius.

100

4. Per què et fas mal? Introducció a la conducta autolesiva i al seu abordatge per a pares i educadors

Entre les funcions interpersonals, els autors mencionats descriuen la possibilitat d’evitar situacions interpersonals desagradables, o obtenir atenció, afecte, o aprovació per part de l’entorn social.

Aquest tipus de funcions, de tipus més socials, són les que sovint generen més problemes en els àmbits escolars i familiars, doncs per als adolescents per als quals les ANS compleixen funcions d’aquest tipus, la resposta del medi social a la seva conducta influeix molt en la seva evolució i pronòstic.

A més, quan la funció interpersonal predomina, es poden produir fenòmens de contagi, imitació, influència, que en l’àmbit escolar és un repte per a educadors i orientadors.

Orientació per a pares i mares

Com puc saber si el meu fill o filla s’autolesiona?

Hi ha alguns senyals que ens poden ajudar a saber-ho. Serien els següents:

• Comportament distant o evitador pel que fa l’expressió de sentiments o emocions.

• Presència de talls, cremades o blaus en braços i/o cames.

• Trobar amagats ganivetes d’afaitar, ganivets o altres objectes que poden ser utilitzats per autolesionar-se.

• Notar que porta roba que no s’adequa al clima (com mànigues llargues a l’estiu) per amagar cicatrius, ferides o blaus.

Quines són les reaccions més freqüents en pares i mares? Com puc esperar sentir-me?

Quan els pares s’adonen que l’adolescent s’autolesiona, sovint se senten angoixats, i es pregunten pels motius. En aquest punt, cal que tinguin present que gairebé sempre els nois i noies ho passen molt malament, i que la conducta implica dificultats per a gestionar els seus propis sentiments.

Enlloc d’afrontar una emoció intensa (com la tristesa o la ràbia), utilitzen l’autolesió per intentar reduir, gestionar o escapar d’aquests sentiments, de forma que poden sentir alleujament després d’autolesionar-se, i això pot fer que en un futur utilitzin la mateixa estratègia per gestionar les emocions difícils.

Com a pare/mare d’una persona que s’autolesiona pot ser difícil entendre que l’autolesió pugui ajudar, i pot ser difícil d’acceptar-ho, però és important entendre

Alguns senyals d’alarma davant un noi que presenta ANS poden ser comportaments distants, presència de ferides o notar que porta roba per amagar parts del cos.

101

Una mirada a la salut mental dels adolescents

Claus per comprendre’ls i acompanyar-los

que les persones que s’autolesionen senten alleujament després de fer-ho i això contribueix al desig de tornar-ho a fer.

Pot ser que tu com a pare o mare experimentis alguna de les següents reaccions:

• Estar en xoc, negar-ho

• Ràbia i frustració

• Confusió i preocupació

• Tristesa

• Culpa

Totes aquestes reaccions poden ser normals. Alguns d’aquests sentiments és millor no compartir-los amb el noi o noia, com a mínim en el moment en el que són extremadament intensos i/o quan el fill o filla està en crisi.

Però parlar amb el fill/a és necessari i ajuda a trobar la millor manera d’abordar el problema i s’hauria de poder fer quan abans millor. Algunes orientacions per a fer-ho serien:

• Per parlar amb el noi/a que s’autolesiona és important triar un bon moment. És millor parlar de forma privada, en una espai en el que et sentis còmode i tranquil.

• És aconsellable explicar al noi/a que la seva conducta et genera molta preocupació.

102

4. Per què et fas mal? Introducció a la conducta autolesiva i al seu abordatge per a pares i educadors

• Caldria tenir cura de les teves emocions. Si estàs molt enfadat/da pot no ser un bon moment per tenir una conversa. És important que la conversa esdevingui quan estiguis més tranquil/a.

• Comença parlant al teu fill/a sobre perquè estàs preocupat/da i perquè creus que es pot estar lesionant a si mateix.

• Intenta no discutir, acusar o amenaçar (per exemple amb ultimàtums). Pot ser bona idea assegurar-li que no serà castigat/da per autolesionar-se.

• Si el teu fill/a és receptiu a la conversa, fes preguntes sobre autolesió. Pots fer preguntes com: “Com et sents abans d’autolesionar-te?”; “Com ets sents després?”; “Hi ha alguna cosa que estigui preocupant-te ara, en la que jo pugui ajudar-te?”.

• Obtenir ajuda professional és molt important, no pots tractar l’autolesió per tu mateix/a. Pots parlar amb el teu metge de família, o un professional de la salut mental com un psicòleg clínic.

• Si el teu fill/a rebutja parlar sobre el tema, tingues paciència. Pot ser difícil al principi. Repeteix-li les teves preocupacions i explica-li que intentaràs mantenir la conversa en un altre moment. Quan ho facis intenta seguir aquests consells de nou.

Com puc ajudar a l’adolescent?

Aprendre sobre l’autolesió és important. Habitualment, com més sabem sobre un tema, més podem ajudar en el procés de recuperació, però no convé que els pares adoptin una postura d’experts, i s’acostin a l’adolescent com si fossin un professional, o de manera molt tècnica.

Tot seguit compartim algunes pàgines web en les que hi ha informació útil i fiable, i poden ajudar als pares a informar-se.

• La web de l’equip GRETA (www.answers.cat), en la que hi ha desenvolupats alguns dels continguts que es comenten en aquest capítol.

• A més, n’hi ha d’altres a nivell internacional com la web de l’organització sense ànim de lucre Helpguide (www.helpguide.org/articles/anxiety/cutting-and-self-harm) que ofereix informació psicoeducativa i recursos de suport sobre diferents problemes de salut mental, entre ells les autolesions no suïcides.

• D’altra banda, el sistema nacional de salut del Regne Unit disposa d’una web de suport per a joves amb problemes de salut mental, i en ella es poden trobar recursos i una guia (en anglès) per a pares de joves que s’autolesionen (www.youngminds.org.uk/find-help/for-parents/ parents-guide-to-support-a-z/parents-guide-to-support-self-harm).

103
Com a pares és important que parleu amb el vostre fill/a per abordar el problema i seguir algunes orientacions que us ajudaran a gestionar la situació.

Una mirada a la salut mental dels adolescents

Claus per comprendre’ls i acompanyar-los

A continuació es comparteixen maneres d’ajudar al fill adolescent:

Afrontar. No convé ignorar el problema, perquè sovint és senyal de malestar emocional, i podria indicar-nos que hi ha problemes psicològics que cal identificar i abordar. Quan escolteu al vostre fill/a s’ha d’intentar no simplificar el problema o suggerir un punt de vista positiu, o bé una solució ràpida i fàcil, com si el problema fos menys important del que és. Una resposta així podria fer pensar al vostre fill/a que no se l’està escoltant, o que no se li dona prou importància, i això podria empitjorar el seu malestar emocional. Per tant, necessitem escoltar sense sancionar, jutjar, corregir, solucionar el problema ràpida i fàcilment, i transmetre el missatge que només estem confirmant el què estem escoltant.

Valorar el risc. Si valores que el teu fill/a pot estar en risc immediat (per exemple que té pensaments suïcides), se l’ha de portar a la consulta d’un professional de la salut mental, per tal que valori el risc. En ocasions això pot implicar acudir a urgències, però en d’altres pot haver un professional més proper, ja conegut, que ho pugui fer. En tot cas, sempre se l’ha d’animar a demanar i acceptar ajuda professional.

Durant el tractament. Hi ha tractaments que estan validats i tenen components específics dirigits al tractament de la conducta autolesiva, com ara la teràpia dialèctica conductual o la teràpia de mentalització. A més, hi ha tractaments que també han mostrat eficàcia per aquest tipus de conductes i per als problemes psicològics associats a les mateixes, com ara la teràpia cognitivoconductual. Pel que fa al tractament, cal deixar-se orientar per un professional de la salut mental, tant pel que fa la tria de la modalitat d’intervenció més adequada, en cas que sigui necessària la intervenció d’un clínic, com la seva aplicació.

Sigues pacient. En un procés de recuperació sempre hi ha contratemps. Això és normal, doncs el tractament requereix temps. Recorda mantenir una bona comunicació amb ell/ella durant tot el procés de tractament i tingues cura de tu mateix/a. Contra millor estiguis, millor l’ajudaràs.

Si el teu fill/a és menor (< divuit anys):

• És important que no el/la castiguis per autolesionar-se. Necessita suport per deixar de fer-ho i potser no ho farà immediatament o fàcilment. Castigar-lo/a o amenaçar-lo/a, sovint comporta que el comportament autolesiu es faci d’amagat.

• Pots forçar el teu fill/a a seguir un tractament. No obstant, els resultats són sempre millors si està motivat/da per buscar tractament. Intenta que participi en aquest procés.

104

4. Per què et fas mal? Introducció a la conducta autolesiva i al seu abordatge per a pares i educadors

Si el teu fill/a és adult (> divuit anys):

• Si el teu fill/a viu fora, pot ser que vulguis que vingui a casa. Pots pensar que així podràs controlar-lo/a més de prop. No obstant, això no sempre funciona i no significa que perquè vingui a casa millorarà. Intenta pactar-ho amb ell/ella.

• Pot ser molt frustrant per tu si el teu fill/a adult no vol rebre ajuda professional. No pots obligar-lo/a a fer teràpia (a menys que el seu comportament amenaci la seva vida). Has de ser conscient que no pots controlar-ho, però intenta que això no esdevingui el centre de la vostra relació i perjudiqui la vostra comunicació.

Si el teu alumne s’autolesiona

Entendre perquè ho fa

Com hem esmentat abans, els adolescents que s’autolesionen, sovint tenen dificultats per a gestionar sentiments i emocions intenses, i utilitzen aquesta conducta per a reduir o escapar d’aquestes emocions. El reforçament que implica aquesta reducció del malestar els pot portar a repetir la conducta, encara que els porti conseqüències negatives a més mig o llarg termini.

Per a mestres, educadors o altres professionals de l’àmbit educatiu, l’autolesió pot ser un problema difícil d’afrontar. Per això, cal que tinguin eines per a identificar els possibles casos, i per a respondre de mode efectiu.

Sovint cal una aproximació sistemàtica i a nivell d’equip. És recomanable que els centres educatius disposin d’un protocol de resposta en el que es concreti la forma d’actuar, de mode general, si bé cada cas és únic, i cal que els protocols siguin flexibles i individualitzats. Els punts claus que hauria d’incloure un protocol d’actuació davant d’un alumne que s’autolesiona serien els següents (adaptat del material de treball del Grup GRETA):

A. Com identificar les autolesions.

B. Com, quan i qui ha d’avaluar el cas.

C. Rols i funcions dels professionals.

D. Quan i com s’ha de contactar amb els pares o amb algun professional extern.

E. Normes i guies per avaluar el risc.

105

Una mirada a la salut mental dels adolescents

Claus per comprendre’ls i acompanyar-los

A. Identificació:

Pel que fa la identificació de l’ANS, aquesta pot ésser complicada, perquè molts adolescents amaguen la conducta, ho fan “en secret”.

És probable que el noi/a que es fa ANS ho parli amb un amic/ga o amb una parella, abans que no pas amb un adult. Això pot fer que el jove depositari d’aquesta informació se senti insegur, angoixat o ambivalent respecte a com ha d’actuar (si revelar-ho a un adult o no, per exemple). També pot ser que se senti en la necessitat d’ajudar al seu company/a que s’autolesiona, i assumeixi més responsabilitat de la que seria adequat.

És molt important que els professors, educadors, i la resta de professionals dels centres educatius coneguin l’elevada prevalença de l’autolesió en els joves, així com els mètodes més habituals i els motius pels quals les persones recorren a l’autolesió.

Rebre formació específica pot ser útil per poder abordar aquest problema si apareix. En concret, el personal haurà d’estar pendent dels factors de risc o senyals d’alarma per l’autolesió, si bé és important destacar que tant els factors de risc com els d’alarma són d’utilitat per poder iniciar una avaluació del cas, però la seva presència no implica necessàriament que aquella persona s’autolesioni.

Factors de risc Senyals d’alarma

• Talls injustificats, cremades, rascades o cops.

• Dificultats en la regulació emocional

• Dificultats interpersonals

• Idees de suïcidi

• Portar roba inadequada (per exemple màniga llarga a l’estiu) o negar-se a realitzar activitats que impliquin canviar-se de roba (per exemple gimnàstica, natació).

• Ús habitual d’embenats.

• Verbalització d’idees relacionades amb l’autolesió (per exemple a classe, dibuixos, converses amb companys).

• Necessitat freqüent de privacitat.

• Portar objectes que tallin (ganivetes d’afaitar, trossos de vidre, ...).

106
Taula 3. Factors de risc i senyals d’alarma davant de joves que experimenten ANS. Font: adaptació del material publicat a la web del Grup GRETA. www.answers.cat

4. Per què et fas mal? Introducció a la conducta autolesiva i al seu abordatge per a pares i educadors

B. Avaluació del cas:

El protocol hauria de contemplar quan i com els professionals haurien de reportar la sospita de que un estudiant s’està autolesionant, i a qui s’hauria de reportar aquesta sospita. En el cas d’estar segur que un estudiant s’autolesiona, la primera resposta és molt important, ja que pot condicionar que aquest vulgui parlar sobre l’autolesió i que accepti demanar ajuda.

Alguns estudis suggereixen que els professionals de l’àmbit de l’educació acostumen a experimentar emocions desagradables (com ira, preocupació, frustració, o repulsió) quan es troben amb un jove que s’autolesiona. És important ser conscient d’aquestes emocions, i controlar la reacció, doncs podrien tenir un impacte negatiu en el jove. Cal considerar que el jove que s’autolesiona és probable que hagi patit abans judicis i estigma sobre el fet d’autolesionar-se. Algunes conductes que poden ajudar a augmentar la probabilitat de que l’estudiant demani ajuda serien, i que per tant, convindria fer, són: adoptar una actitud tranquil·la a l’hora de parlar amb el jove, i verbalitzar que hi ha persones que es preocupen per ell/a, que no està sol/a i que, a més, hi ha altres persones que també s’autolesionen i que han pogut deixar de fer-ho.

També convé recordar a l’adolescent que l’autolesió és una estratègia per afrontar el dolor emocional i que, per tant, sabem que està patint. És molt útil, quan es parla amb adolescents utilitzar les seves pròpies paraules, la seva forma de referir-se a la conducta (“em tallo”, “em faig mal”), evitant tecnicismes. També cal esmentar l’ús de les estratègies bàsiques per a una bona comunicació, com són la de mirar als ulls, mostrar interès mitjançant la comunicació verbal i la no verbal, respectar els silencis, etc. És important que la comunicació sigui no judiciosa, és a dir, que el jove no se senti valorat de forma negativa, i que no senti que se l’està etiquetant pel fet d’incórrer en ANS.

A més, també existeixen unes pautes generals respecte al que hauríem d’evitar fer (en la mesura que ens sigui possible). Així, el personal educatiu no hauria de mostrar-se nerviós o insegur. No hauria de mostrar rebuig respecte al que el jove està fent, no s’hauria d’amenaçar, donar ultimàtums per tal que deixi de fer-ho. Tampoc convindria centrar-se només en els detalls de l’autolesió (mètode o freqüència), si bé són qüestions rellevants.

Una altra orientació per a mestres o educadors seria la de no parlar sobre l’autolesió d’aquell estudiant davant de la classe o dels seus companys, o fer un debat sobre el tema, o parlar de la qüestió a classe. Les repercussions d’una iniciativa com aquesta poden ser imprevisibles i/o difícils de controlar.

Com a mestres, cal que conegueu les eines per a identificar els possibles casos i saber com respondre de mode efectiu davant d’un adolescent que s’autolesiona.

107

Una mirada a la salut mental dels adolescents

Claus per comprendre’ls i acompanyar-los

Un dels aspectes més problemàtics de manegar en els grups, i a les aules en concret, és el contagi social. El contagi social fa referència a com una conducta, com l’autolesió, pot propagar-se entre els membres d’un grup. Podríem identificar-lo quan, per exemple, existeixen dos casos en el mateix grup en un espai de vint-iquatre hores, o un nombre significatiu de casos dins d’un mateix grup, com una classe.

Cal que el centre educatiu tingui disponible un protocol sobre com actuar i quins rols han de prendre els diferents professionals.

En el centre educatiu, el contagi social pot aparèixer quan existeix algun cas d’autolesió. Per prevenir-lo es recomana limitar la informació que reben els estudiants sobre un cas en particular. Per exemple, pot ser útil parlar amb la persona que s’ha autolesionat per tal que es comprometi a no compartir aquesta informació amb els seus companys, o evitar que pugui haver ferides visibles.

D’altra banda, sí que seria recomanable proporcionar als estudiants informació i recursos sobre l’autolesió, en un context més ampli de l’aprenentatge d’habilitats de regulació emocional (sense relacionar-ho amb el jove identificat).

És aconsellable que els membres de l’equip fomentin la demanada d’ajuda per part de tots el alumnes i que els animin a parlar amb algun dels membres del professorat o personal del centre si experimenten malestar. És important insistir en que això s’ha de fer amb tots els alumnes i no només associat a les autolesions; del contrari podríem estigmatitzar a aquells estudiants que s’autolesionen.

Tot i que els professionals del centre han de tenir informació detallada sobre les autolesions (tipus, mètodes, funció), cal evitar aquests detalls als estudiants. Aquesta informació podria ser mal utilitzada (“descobrir” utilitzar nous mètodes, o autolesionar-se a altres parts del cos).

Per últim, si es detecta un cas d’autolesió al centre, no es recomana abordar-lo en dinàmiques de tipus grupal (per exemple assemblees a classe, reunions amb altres alumnes, etc.). Caldrà fer-ho individualment.

C. Rols i funcions dels professionals

Per tal de clarificar què han de fer els diferents professionals implicats, el protocol d’actuació hauria d’incloure una explicació dels rols de cada persona implicada en el maneig de l’estudiant que està autolesionant-se. En aquest punt, serà especialment important la existència d’un equip de crisi.

Aquest equip pot estar format per diferents professionals (docents, infermeria, psicologia, gestors). Preferiblement, per les tasques que desenvolupen al centre, aquests professionals podran identificar els possibles casos d’autolesió. Seria aconsellable que aquest equip rebés formació específica per part dels professionals de la salut mental.

108

4. Per què et fas mal? Introducció a la conducta autolesiva i al seu abordatge per a pares i educadors

En la següent llista es mostren les principals responsabilitats de l’equip de salut mental (adaptació del material publicat a la web del Grup GRETA. www.answers.cat):

• Elaborar el protocol d’actuació davant de l’autolesió del centre.

• Respondre a qualsevol sospita o cas d’autolesió, guiar i proporcionar recolzament a la resta de professionals del centre.

• Parlar amb l’estudiant. Assegurar-se que pugui ser atès per infermeria si existeix alguna ferida.

• Assegurar-se que s’avalua el possible risc de suïcidi.

• Actuar com un enllaç entre l’estudiant, els pares o tutors, el professorat i el personal del centre, els companys, i possibles professionals externs (per exemple metge de família, psicòleg clínic, psiquiatra).

• Establir una relació de confiança amb l’estudiant, que pugui ajudar-lo a superar el seu problema.

D. Informar a pares o contactar amb algun professional extern

En general, convé comprometre’s amb l’estudiant que no es comunicarà a ningú el seu problema amb l’autolesió, però també cal tenir el suport de la resta de l’equip de crisi, dels pares i potser cal la intervenció d’algun professional de la salut mental. Per tant, caldrà animar a l’estudiant a que sigui ell mateix qui contacti amb els seus pares, i els hi expliqui el problema.

Una opció pot ser acordar una reunió amb els pares i l’alumne per tal de poder parlar del problema. En aquesta reunió pot ser d’ajuda proporcionar informació sobre els recursos de salut mental als que poden accedir, així com de pàgines web en la que poden trobar informació sobre l’autolesió.

E. Normes i guies per avaluar el risc

És important que el protocol contempli l’avaluació del risc, i en concret, del risc de suïcidi. Tot i que l’autolesió no és sinònim de suïcidi, és important recordar que aquestes dues entitats poden estar relacionades. Pot ser difícil valorar el risc a l’àmbit acadèmic. Alguns punts que es poden considerar serien els següents (veure taula 4):

En alguns casos serà necessària l’ajuda d’un especialista en psicologia clínica per ajudar a l’adolescent que s’autolesiona.

109

Una mirada a la salut mental dels adolescents Claus per comprendre’ls i acompanyar-los

Taula 4. Valoració dels riscos a considerar davant ANS.

Font: adaptació del material publicat a la web del Grup GRETA. www.answers.cat.

Valoració dels riscos

Risc baix:

• Freqüència baixa (pocs episodis al llarg de la vida).

• Mètodes amb poca capacitat de causar dany físic (per exemple rascar-se, pessigar-se).

• Utilització d’un o dos mètodes.

(*) Valorar aquest nivell de risc en el moment actual no implica que no s’hagi de prendre molt seriosament el cas. En comparació amb les persones que no s’autolesionen, les que sí ho fan (encara que sigui amb un risc baix), poden escalar en el risc (autolesionant-se cada cop més o de manera més severa) i presenten més idees de suïcidi.

Risc moderat:

• Freqüència baixa (pocs episodis al llarg de la vida).

• Mètodes capaços de causar dany físic (per exemple, clavar-se objectes afilats, colpejar-se).

• Ús de més de dos mètodes d’autolesió diferents.

(*) Les persones que presenten un risc moderat mostren un major risc de suïcidi que el grup anterior, i també poden presentar altres problemes de salut mental.

Risc alt:

• Freqüència alta (més de cinc episodis l’últim any; més de deu episodis al llarg de la vida).

• Mètodes capaços de causar dany físic important (per exemple tallar-se, cremar-se).

• Ús de més de dos mètodes d’autolesió diferents.

(*) Les persones que presenten un risc alt, poden mostrar també un risc alt de suïcidi, i també poden presentar altres problemes de salut mental.

110

Tractaments

Malgrat que en molts casos la conducta autolesiva pot ésser gestionada en l’àmbit de la família, l’escola, amb ajuda de professionals d’atenció primària o no especialitzada a nivell clínic, en alguns casos, quan la conducta s’acompanya o és un símptoma més d’altres alteracions a nivell psicològic, pot ser necessari sol·licitar l’ajuda d’un especialista en psicologia clínica.

En aquests casos, és convenient deixar-se ajudar per un professional que apliqui les teràpies que han mostrat major eficàcia per aquests tipus de problemes.

La psicoteràpia pot ajudar a identificar i intervenir sobre els problemes que podrien estar a la base de la conducta autolesiva, aprendre estratègies per controlar millor l’angoixa i altres emocions desagradables, aprendre a regular les emocions i a tolerar millor les emocions negatives, desenvolupar habilitats per millorar en l’àrea de les relacions socials, aprendre estratègies per solucionar els problemes de forma més eficaç i desenvolupar una imatge més favorable i realista d’un mateix.

D’altra banda, les teràpies es poden realitzar individualment (amb el noi o noia) o de forma grupal (amb tota la família o amb els membres que convingui).

Les modalitats terapèutiques que han mostrat més eficàcia per a abordar aquest objectius són:

• La teràpia cognitivoconductual (TCC): ajuda a identificar creences (pensaments) i conductes desadaptatives (que no estan ajudant al noi/a a aconseguir els seus objectius o que resulten perjudicials per a la seva salut física i mental) i substituir-les per d’altres més saludables, o flexibilitzar-les, de manera que deixin de tenir un impacte negatiu en l’equilibri del noi/a.

• Les teràpies basades en la consciència plena (mindfulness): són tècniques que ajuden a viure en el present, percebent i acceptant els estats mentals actuals, de forma que millora el benestar general i pot reduir els nivells d’ansietat i depressió.

• La teràpia de solució de problemes: és una teràpia orientada a entrenar en estratègies constructives per a la resolució de problemes pràctics o interpersonals, o per a manegar les dificultats de la forma el més adaptativa possible, de manera que millori el funcionament i qualitat de vida de la persona.

• La teràpia dialècticaconductual: és un tipus de teràpia cognitivoconductual derivada de la TCC que inicialment es va desenvolupar per a tractar pacients amb conductes suïcides i TLP,

111
4.
Per què et fas mal? Introducció a la conducta autolesiva i al seu abordatge per a pares i educadors

Una mirada a la salut mental dels adolescents

però actualment s’aplica i és eficaç per a altres problemes com l’ansietat, la depressió o els trastorns per ús de substàncies. El terme dialèctica fa referència a les forces oposades en l’evolució de la persona, sent especialment rellevants les forces del canvi i de l’acceptació. Per tant, es promou el canvi dels aspectes a millorar, a la vegada que es promou l’acceptació dels aspectes que ja estan presents, li funcionen bé a la persona i, per tant, no cal canviar. Aquest tipus de teràpia està manualitzat i estandarditzat per fases i mòduls, i té components específics per al maneig de la conducta autolesiva.

Pandèmia COVID-19, confinament, desconfinament i autolesions

Reaccions emocionals dels adolescents a les situacions de crisi

L’adolescència és un període de crisi, per la qual cosa, viure una situació de crisi pot ser una complicació afegida. Les reaccions emocionals habituals a aquestes situacions, en aquesta etapa, poden manifestar-se en forma de problemes de conducta (oposició o negativa a seguir les normes), les dificultats per complir amb les exigències de l’autoritat, la pèrdua d’interès en les activitats habituals (estudis, amics, etc.).

Algunes de les teràpies que han mostrat més eficàcia són la cognitivoconductual, el mindfulness, la de solució de problemes i la dialècticaconductual.

A més, és possible la presència de dificultats per dormir, o alteracions en el patró de son-vigília, o alteracions en els patrons de la gana i la ingesta, o bé la presència de somatitzacions o altres manifestacions ansioses.

A més, les característiques específiques de la crisi per la pandèmia de la COVID-19 (confinament al domicili, restricció de les relacions socials directes, obligació de realitzar tasques escolars de forma telemàtica, etc.), és possible que hagin causat un increment de l’ansietat dels adolescents, un increment en el temps d’ús de les pantalles, etc.

Encara no disposem de dades empíriques procedents d’estudis de recerca realitzats durant el període de confinament i posterior desconfinament, sobre les conseqüències reals en l’estat emocional dels nois i noies, però disposem ja d’algunes dades procedents d’estudis realitzats en adults joves que indiquen que aquest collectiu podria ser un dels més afectats pel que fa als nivells de depressió i ansietat (Suso-Ribera, 2020).

Una de les dades que es desprenen d’aquest estudi és la relació entre les variables de personalitat i la repercussió emocional de les conseqüències de la pandèmia. Sembla que les persones més extravertides serien les més afectades.

112
Claus per comprendre’ls i acompanyar-los

4. Per què et fas mal? Introducció a la conducta autolesiva i al seu abordatge per a pares i educadors

Una hipòtesi que podria explicar aquests resultats és el fet que els adolescents més sociables podrien haver patit més les conseqüències de la manca de relació social directa durant el confinament. A més, d’aquestes dades es podria deduir que, si bé els adolescents més introvertits, i amb menys necessitat de relació social, podrien haver estat més adaptats durant la fase de confinament, podrien ser els més perjudicats durant la fase de represa de les relacions socials.

D’altra banda, a l’Hospital Sant Joan de Déu Barcelona s’està duent a terme un estudi (EmCoVID19, Emocions i Conducta durant la COVID-19), que aportarà dades reals sobre les conseqüències emocionals i conductuals per als adolescents de la pandèmia i les circumstàncies associades a la mateixa.

Pel que fa al desconfinament i al risc d’infecció, una de les dificultats que presenten els adolescents és la seva tendència a infravalorar els riscos, en general. L’adolescent tendeix a ser coneixedor de les conseqüències negatives derivades de les possibles conductes de risc, però a la vegada tendeix a infravalorar-ne els riscos, per l’estil de pensament conegut com la “faula de la invencibilitat”, que es tracta d’un esbiaix cognitiu característic del pensament adolescent, que els porta a pensar que “a ell/a no li passarà allò”.

Aquest pot ser un repte important per als pares i educadors que han de promoure les conductes de protecció dels adolescents i joves durant la fase de represa de les activitats socials.

113

Referències bibliogràfiques

Brunner, R., Kaess, M., Parzer, P., Fischer, G., Carli, V., Hoven, C. W., … Wasserman, D. (2014). Life-time prevalence and psychosocial correlates of adolescent direct self-injurious behavior: A comparative study of findings in 11 European countries. Journal of Child Psychology and Psychiatry and Allied Disciplines, 55(4), 337–348. https://doi.org/10.1111/jcpp.12166

Muehlenkamp, J. J., Claes, L., Havertape, L., & Plener, P. L. (2012). International prevalence of adolescent non-suicidal self-injury and deliberate self-harm. Child and Adolescent Psychiatry and Mental Health, 6(1), 10. https://doi.org/10.1186/1753-2000-6-10

Pattison EM, K. J. (1983). The deliberate self-harm syndrome. Am J Psychiatry., 140, 867–872. Psychiatric, A. (2013). American Psychiatric Association. Diagnostic and statistical manual of mental disorders. 5a ed.

Suso- Ribera, C, Martin Brufau, R., (2020). How Much Support Is There for the Recommendations Made to the General Population during Confinement ? A Study during the First Three Days of the COVID – 19 Quarantine in Spain. International journal of environmental research and public health, 17. 4382.

Vega D, Sintes A, Fernández M et.al. (2018) Review and update on non-suicidal self-injury: who, how and why?. Actas Españolas de Psiquiatria. ISSN: 15782735

Whitlock J, S. M. (2014). En: In E. Nock M (Ed.), The Oxford Handbook of Suicide and Self-injury. (pp. 133–151). New York: Oxford University Press;

Webs d’interès:

ANSwers. Projecte sobre autolesió no suïcida: www.answers.cat

Altres membres del Grup GRETA:

• Daniel Vega (Consorci Sanitari de l’Anoia)

• Juan Carlos Pascual (Hospital de la Santa Creu i Sant Pau)

• Joaquim Puntí (Corporació Parc Taulí)

• Iria Méndez (Hospital Clínic i Provincial de Barcelona)

• Laia Briones (Fundació Sanitària d’Igualada)

• Soledad Romero (Hospital Clínic i Provincial de Barcelona)

• Marta Fernández (Hospital Sant Joan de Déu)

• Anaïs Lara (Althaia Manresa)

• Joaquim Soler (Hospital de la Santa Creu i Sant Pau)

• Pilar Santamarina (Hospital Clínic i Provincial de Barcelona)

• Àngel Soto (Consorci Sanitari de l’Anoia)

• Raquel Martínez (Hospital Sant Joan de Déu)

114
Una mirada a la salut mental dels adolescents Claus per comprendre’ls i acompanyar-los

Els principals problemes de salut mental

Els principals problemes de salut mental 115

Una mirada a la salut mental dels adolescents Claus per comprendre’ls i acompanyar-los

116

5. Preocupar-se en excés (ansietat)

Psicòloga clínica de la Unitat de Salut Mental Pediàtrica. Àrea de Salut Mental. Servei de Psiquiatria i Psicologia Infantil i Juvenil. Hospital Sant Joan de Déu Barcelona.

Psicòloga clínica de la Unitat de Salut Mental Pediàtrica. Àrea de Salut Mental. Servei de Psiquiatria i Psicologia Infantil i Juvenil. Hospital Sant Joan de Déu Barcelona.

Des de l’inici de la pandèmia i, sobretot, des de setembre, amb la reincorporació a l’escola i l’inici de batxillerat, la Sara se sent molt irritable a casa. També ha deixat de sortir amb les amigues i diu que vol deixar el futbol (que feia des de petita) perquè li treu massa temps per estudiar. Fa primer de batxillerat i sempre ha tingut un rendiment excel·lent. De fet, la Sara és una noia que si no treu excel·lents o les coses no li surten “perfectes”, no es queda tranquil·la. A l’escola sempre ha estat una alumna modèlica: responsable, educada, estudiosa, organitzada, etc., però sempre han destacat d’ella que “hauria d’exigir-se una mica menys”, ja que sovint l’han vist bloquejada en algun examen i, fins i tot, plorant quan se li han acumulat molts treballs i tasques a fer. En canvi, quan està de vacances aconsegueix estar molt més relaxada, fins i tot sembla una altra.

No només li preocupen els estudis, a la Sara. De fet, podem dir que des de sempre li ha preocupat tot, és com si li costés estar relaxada: pateix contínuament perquè la germana petita estigui bé (té una malaltia crònica), es preocupa quan ha tingut una discussió amb les amigues fins al punt de no poder treure’s del cap el que ha passat, es posa molt nerviosa quan mira les

5. Preocupar-se en excés (ansietat) 117
Laura González. Laia Mollà.

Una mirada a la salut mental dels adolescents

Claus per comprendre’ls i acompanyar-los

notícies... Quan es preocupa tant, es posa molt tensa, diu que li fa mal el cap, li costa adormir-se a la nit, necessitant que l’ajudin a tranquil·litzar-se.

Sovint ha hagut de faltar a l’escola per mals de panxa. L’inici de la pandèmia no l’ha ajudat gens, perquè entre les classes online, que li va costar organitzar i adaptar-se, i la por a que algú de la família es contagiés, va començar a estar encara més tensa i angoixada. Ha arribat un punt que això li està afectant i ha sentit que era el moment de demanar ajuda. S’ha vist sobrepassada en dues ocasions, en què ha estat tan angoixada que ha notat que li faltava l’aire, el cor li palpitava molt ràpid i notava un dolor al pit. Sent que pateix massa i li agradaria que algú li ensenyés a estar més relaxada i a no preocupar-se tant.

Els trastorns d’ansietat

La infància i l’adolescència són les etapes del cicle vital en les que s’experimenten a gran velocitat la major part dels canvis que pateix l’ésser humà al llarg de la seva trajectòria vital, fet que les converteixen en un període de gran vulnerabilitat en relació a la salut i la malaltia.

Els trastorns d’ansietat són els problemes de salut mental més prevalents que pateixen els adolescents avui dia.

Els trastorns d’ansietat són els problemes de salut mental més prevalents que pateixen els adolescents avui dia i sovint no són detectats en aquest col·lectiu. Aquest fet és especialment preocupant donat que sabem que, de no ser detectats i tractats a temps, els trastorns d’ansietat a l’adolescència poden persistir a l‘etapa adulta en formes més severes. Actualment disposem de nombroses dades procedents d’estudis científics que avalen l’eficàcia de diverses intervencions psicològiques, basades en l’evidència.

Amb l’objectiu de millorar la capacitat de detecció d’aquests problemes, en aquest capítol es realitzarà un repàs en relació als diferents trastorns d’ansietat i les seves manifestacions clíniques, així com dades epidemiològiques en l’etapa adolescent (prevalences, factors de risc i de protecció). Finalment oferirem claus rellevants respecte la seva prevenció i el seu maneig.

L’ansietat

Definició i epidemiologia

Totes les persones tenim ansietat. De fet, l’ansietat és normal i saludable. La resposta d’ansietat com a reacció defensiva instintiva davant d’un perill exerceix una funció protectora en les diferents espècies i ha protegit a la humanitat durant milers d’anys. Tots els infants experimenten ansietat. L’ansietat, fins i tot, és esperada en moments específics del desenvolupament. Per exemple, des d’aproximadament

118

els vuit mesos fins als anys preescolars, els infants poden manifestar angoixa intensa en moments de separació dels seus pares o cuidadors principals. Poden tenir por a situacions o objectes específics com ara a les tempestes, animals o estranys. És el que s’anomena pors evolutives.

Les pors evolutives esdevenen problemàtiques si no desapareixen amb el temps o si són tan intenses que interfereixen en el funcionament quotidià del nen, causant un patiment molt significatiu.

Taula 5. Evolució de les pors més freqüents amb l’edat.

Font: adaptat de Méndez, F.X. (1999). Miedos y temores en la infancia. Madrid: Pirámide.

Edat Pors

0 a 2 anys

• Pèrdua brusca de la base de recolzament, sorolls forts, estranys, separació dels pares, ferides animals, foscor.

• Disminueix: pèrdua del recolzament, estranys.

3 a 5 anys

• Es mantenen: sorolls forts, separació, animals, foscor.

• Augmenta: dany físic, persones disfressades.

• Disminueix: sorolls forts, persones disfressades.

• Es mantenen: separació, animals, foscor, dany físic.

6 a 8 anys

• Augmenta: escola (exàmens, por a suspendre), aspecte físic, relacions socials, mort.

• Disminueix: separació, foscor, éssers imaginaris.

• Es mantenen: animals, dany físic, tempesta.

9 a 12 anys

• Augmenta: escola (exàmens, por a suspendre), aspecte físic, relacions socials, mort.

• Disminueix: tempestes.

13 a 18 anys

• Es mantenen: animals, dany físic.

• Augmenta: escola, aspecte físic, relacions socials, mort.

En l’ansietat patològica (problemàtica) apareix una tendència a focalitzar l’atenció de manera desproporcionada a estímuls amenaçadors i a manifestar respostes de por condicionades, generalitzades i indiscriminades davant d’estímuls tant amenaçadors com segurs. Així, els trastorns d’ansietat apareixen quan la nostra

5. Preocupar-se en excés (ansietat) 119

Una

mirada a la salut mental dels adolescents

Claus per comprendre’ls i acompanyar-los

resposta d’ansietat és tan intensa que les nostres estratègies d’afrontament no són prou eficaces per a fer-li front i poder adaptar-se de manera adequada a la situació.

A continuació il·lustrem amb un esquema quin és el cicle de l’ansietat patològica:

Figura 5. Cicle de l’ansietat. Font: elaboració pròpia.

Situació desencadenant d’ansietat

Pensament negatiu

CONDUCTA:

• Evitació

• Dificultat en la resolució de la situació

EMOCIÓ:

• Ansietat / por

Sensacions físiques interpretades com a desagradables i/o amenaçadores

• El cor va ràpid, em poso vermell, em costa respirar...

Hi ha autors que distingeixen quatre aspectes que ens poden ajudar a diferenciar l’ansietat normal de l’ansietat problemàtica i patològica:

• Intensitat, freqüència i durada de l’ansietat.

• Proporció entre la gravetat objectiva de la situació i la intensitat de la resposta d’ansietat.

• Grau de patiment que produeix en la persona.

• Grau d’interferència negativa en la vida quotidiana de l’adolescent (funcionament acadèmic, relacions socials i familiars, activitats d’oci).

120

De les malalties psiquiàtriques, l’ansietat és un dels diagnòstics mentals més comuns arreu del món: els estudis de prevalença en població d’Estats Units mostren que un 32 % dels adolescents d’entre tretze i divuit anys pateixen algun problema d’ansietat, i entre un 5 a un 18 % d’ells presenten algun trastorn d’ansietat. Per tant, l’ansietat és un problema molt més freqüent que d’altres trastorns mentals a l’adolescència.

A més a més, són el grup de trastorns que apareixen de manera més primerenca en comparació amb altres trastorns que típicament presenten els adolescents, amb un inici promig al voltant de la pubertat. Tots els trastorns d’ansietat són més freqüents en noies que no pas en nois: per cada noi, trobem aproximadament dues noies que pateixen ansietat. Aquesta diferència apareix ja de manera molt primerenca, al voltant dels cinc anys d’edat

Dels diferents trastorns d’ansietat (explicats més endavant), el National Comorbidity Study-Adolescent Supplement d’Estats Units (NCS-A, 2010), va detectar les següents prevalences:

• 2,2 % pel trastorn d’ansietat generalitzada (TAG)

• 2,3 % pel trastorn de pànic

• 2,4 % per l’agorafòbia

• 5 % pel trastorn d’estrès post traumàtic (TEPT)

• 7,6 % pel trastorn d’ansietat per separació (TAS)

• 9,1 % per la fòbia social (FS)

• 19,3 % per les fòbies específiques

En estudis recents també s’ha detectat un increment dels casos amb TEPT, FS i TAG. En l’estudi del NCS-A es va detectar que un 8,3 % dels adolescents presenten un trastorn d’ansietat d’intensitat severa, la majoria dels quals degut a la presència d’agorafòbia i TEPT.

Tot i aquests dades, la proporció de joves que reben tractament per un trastorn d’ansietat pràcticament no arriba ni al 20 %. Aquest fet és alarmant sobretot tenint en compte, per una banda, que en l’actualitat disposem de dades que avalen l’eficàcia d’intervencions basades en l’evidència pel maneig dels trastorns d’ansietat en aquestes edats, i per una altra, pel fet que, no detectar ni intervenir en els trastorns d’ansietat en aquestes etapes, s’associa a persistència de les dificultats i malestar creixent a l’etapa adulta.

Els trastorns d’ansietat apareixen quan la nostra resposta d’ansietat és tan intensa que no som capaços de fer front a una situació.

5. Preocupar-se en excés (ansietat) 121

Una mirada a la salut mental dels adolescents Claus per comprendre’ls i acompanyar-los

Tots els trastorns d’ansietat són més freqüents en noies que no pas en nois.

L’ansietat en els infants i adolescents els causa malestar en diferents àmbits, amb interferència en les relacions familiars i entre iguals. A més a més, impacta negativament en la qualitat de vida, repercutint en una baixa autoestima i en una baixada del rendiment acadèmic.

Per tant, detectar de manera precoç els senyals d’alarma dels problemes d’ansietat en una etapa d’elevada vulnerabilitat com l’adolescència pot ajudar a prevenir i millorar la salut i la qualitat de vida dels joves, i a prevenir dificultats en l’etapa adulta.

Ansietat vs. Por

La por és una reacció fisiològica de defensa davant potencials perills que generalment està associada a algun estímul extern amenaçant identificable. És adaptativa, en el sentit que és útil per a la supervivència, ja que impulsa una conducta de lluita o fugida de l’amenaça identificada. Per altra banda, l’ansietat consisteix en la mateixa reacció però sense que existeixi tal perill o –tot i existir- la seva intensitat i freqüència són desproporcionades.

122

L’ansietat té les següents característiques:

1. Por desproporcionada en relació al caràcter amenaçant de la situació.

2. Condueix a l’evitació de la situació temuda.

3. És de caràcter irracional: no existeix una possible explicació lògica del fenomen, de manera que la persona ja sap que “no és per tant”, però té la sensació de no poder gestionar-ho.

4. Sobrepassen el control voluntari “no puc”.

5. Produeixen cert grau de malestar o patiment.

L’ansietat acostuma a ser anticipatòria, en el sentit que adverteix d’un possible perill futur. És desadaptativa en quant anticipa un perill irreal o desproporcionat.

Per últim, es converteix en patològica quan és més freqüent, intensa i/o persistent que la por “adequada” i esperada davant de certes situacions amenaçadores.

Tot i ser emocions diferents, sovint fem servir la paraula “ansietat” i “por” com a sinònims. Hi ha dos criteris o paràmetres que ens poden ajudar a diferenciar els dos conceptes:

• Nivell de concreció de l’estímul: la por s’identifica com un estat concret, és a dir, el que ens fa por és un estímul o situació específica, com ara un avió, un gos, les agulles, la foscor, etc. Per tant, aquest estímul és quelcom susceptible de ser evitat. En canvi, l’ansietat es considera un estat emocional de preocupació, desassossec i intranquil·litat, que s’experimenta sovint sense saber per què ha aparegut, i essent, en la majoria dels casos, difícil associar-la a un estímul o situació específica.

• Sistema de resposta predominant: en l’ansietat predominen les respostes cognitives, internes, mentre que en la por hi ha un predomini de les respostes motrius i conductuals. En conseqüència, tant un observador extern com el propi nen identifiquen més fàcilment la situació desencadenant en la por que no pas en l’ansietat.

Detectar de manera precoç els senyals d’alarma dels problemes d’ansietat en l’adolescència és clau per a la seva salut present i futura.

5. Preocupar-se en excés (ansietat) 123

Una mirada a la salut mental dels adolescents

Claus per comprendre’ls i acompanyar-los

Diferències entre ansietat i por

Grau de concreció de l’estímul o situació

MENOR ANSIETAT ANSIETAT

COGNITIU POR POR

Nivells o sistemes implicats en la resposta d’ansietat

L’ansietat és una emoció normal i saludable que es manifesta com un sistema de resposta (cognitiva, fisiològica i conductual) que ens protegeix davant un perill (veure taula 6).

Taula 6. Components implicats en la resposta d’ansietat. Font: elaboració pròpia.

Component fisiològic

• Inquietud psicomotriu

• Tremolor

• Taquicàrdia / palpitacions

• Insomni

• Pèrdua de la gana

• Símptomes somàtics

• Dificultats d’atenció i concentració

• Pensaments intrusius, anticipatoris de perill

• Hiperalerta

• Preocupacions

• Dificultat per tolerar la incertesa

Component conductual

• Conductes evitatives, de comprovació i de reasseguració

124
Figura 6. Diferències entre ansietat i por Font: Méndez, F.X. (1999). Miedos y temores en la infancia. Madrid: Pirámide.
Sistema de resposta predominant MAJOR MOTOR
Component cognitiu

1. Sistema somàtic i fisiològic: aquestes reaccions s’experimenten com a conseqüència de l’activació del sistema nerviós autònom (SNA). Tot i que existeix una gran variabilitat entre persones, les més freqüents inclouen en major o menor mesura, la presència de mareig, diarrees, opressió en el pit, sensació d’ofec i inquietud motriu. Sembla ser que les respostes somàtiques i fisiològiques són més habituals en la por, és per això que la por és considerada una emoció “molt física”. La situació d’emergència sanitària pel coronavirus SARS-CoV-2-19 pot ser considerada com un factor desencadenant d’estrès molt significatiu a diferents nivells i, a hores d’ara, encara present, generadora d’incertesa, sensació d’incontrolabilitat i de preocupació al voltant dels pilars més importants per les totes les persones arreu del món: la salut, la família i l’economia; en aquest sentit, des del 15 de març de 2020, moment en el que es decretà l’estat d’alarma a Espanya, estem sotmesos a una situació d’estrès, i molts adolescents, especialment aquells prèviament vulnerables per presentar un estat de salut física i/o problema de salut mental previ, descriuen sensacions compatibles amb activació del seu SNA tals com increment de la freqüència cardíaca, dificultat per a conciliar el son, diferents somatitzacions corporals (mals de cap, mals de panxa, etc.) que poden considerar-se una reacció normal adaptativa del nostre organisme a una circumstància “d’amenaça” excepcional.

2. Sistema cognitiu: seria tot allò que percebem mentalment i que sentim, com ara preocupacions excessives, impressió de no poder amb allò que ens preocupa, dificultats de concentració, dificultat per deixar de pensar en allò que ens preocupa, dificultats de concentració i memòria, etc. Per exemple, l’adolescent que ha de fer una presentació davant de tota la classe pensa que potser es quedarà en blanc i els altres se’n riuran d’ell, o l’adolescent que actualment té por de sortir al carrer i/o a relacionar-se amb gent davant la possibilitat de contagi de la COVID-19. També els passa als adolescents amb una preocupació intensa per situacions quotidianes, que poden sentir-se desbordats i pensar que no aprovaran i repetiran curs, o en els períodes d’exàmens. La presència d’aquests pensaments negatius, que sovint s’experimenten com incontrolables, augmenten a la vegada l’emoció negativa (angoixa).

3. Sistema conductual: tot i que davant la por i/o les situacions que generen ansietat, l’adolescent pot reaccionar de manera molt diversa, podem considerar que les respostes d’evitació són les més freqüents. Continuant amb un dels exemples anteriors, és possible que la persona amb por a parlar en públic faci tot el possible per intentar no fer la presentació, evitant-la de diferents maneres; també pot ser que no vulgui sortir al carrer i quedi reclòs a casa, per por a contagiar-se. Quan la situació que genera ansietat no es pot evitar, i l’adolescent ha de passar per ella, és habitual que apareguin altres respostes d’ansietat tals com serien el quequeig, tremolors, etc.

Tot i ser emocions diferents, sovint fem servir la paraula “ansietat” i “por” com a sinònims.

5. Preocupar-se en excés (ansietat) 125

Una mirada a la salut mental dels adolescents

Claus per comprendre’ls i acompanyar-los

Intentem il·lustrar gràficament com funciona la resposta d’ansietat, amb un exemple específic:

Figura 7. Funcionament de la resposta d’ansietat.

Font: Adaptat de C. Maganto Mateo i JM Maganto Mateo. Cómo potenciar las emociones positivas y afrontar las negativas. Ed. Pirámide 2010

SITUACIÓ QUE PRODUEIX TEMOR / ANSIETAT

REACCIONS FÍSIQUES

Tremolor de veu, suor de mans, inquietud motriu, ...

RESPOSTA COGNITIVA:

Pensar que faré el ridícul perquè em quedaré en blanc

ESTRATÈGIES DE MANEIG O DE CONTROL

(estratègies d’afrontament que fa servir l’adolescent)

ES CONTROLA / SUPERA LA SITUACIÓ?

RESPOSTA CONDUCTUAL:

Comportaments d’ansietat diversos: sequedat de boca, fregament de mans…

SI: Reducció de l’ansietat.

NO:

Pot ser que no s’hagi superat perquè ha evitat la situació (per exemple, aconseguint no fer la presentació), o si l’ha fet, que no li hagi sortit bé

126

Ansietat i adolescència: com es manifesta?

Cadascuna de les etapes del desenvolupament té unes característiques específiques i es manifesta diferenciadament de la resta; cadascuna d’elles, incideix (determina canvis) en les etapes de desenvolupament posterior de manera que, com esdevingui i es resolguin les demandes i experiències de l’adolescència, influirà en la etapa adulta. Tot això constitueix el desenvolupament humà.

Tot allò que un individu és, s’explica per la interacció entre l’herència genètica i les influències i experiències ambientals. És el que anomenem model bio-psico-social. En l’etapa de l’adolescència, el grup d’iguals (amics, companys de classe, etc.) juga un paper essencial en aquest sentit.

La presentació dels trastorns d’ansietat varien d’un adolescent a altre, però els símptomes generalment inclouen temors i preocupacions excessives, sentiments d’inquietud interna i una tendència a ser excessivament prudent. Fins i tot en absència d’una amenaça real alguns adolescents descriuen sentiments de nerviosisme i tensió continua.

Els adolescents que pateixen ansietat, habitualment també experimenten una varietat de símptomes físics: tensió muscular, mals d’estómac, mals de cap i fatiga.

Alhora, a nivell conductual els adolescents que pateixen ansietat poden evitar les seves activitats habituals o negar-se o resistir-se a participar en situacions noves i/o desconegudes. De fet, l’evitació de les situacions que es consideren subjectivament amenaçadores és el tret principal dels trastorns d’ansietat.

L’evitació sovint s’acompanya de sentiments com ara por, malestar o timidesa. Cal assenyalar també que l’adolescent amb ansietat pot ser un adolescent que manifesta irritabilitat i tensió i, de vegades, com a manera de negar o de dissimular els símptomes d’ansietat (ansietat social, per exemple) poden participar en conductes de risc, com seria el consum de tòxics.

Per últim, adolescència i ansietat poden associar-se a menor rendiment en els estudis i a menor participació en les activitats d’oci habituals. L’adolescent també pot evitar algunes situacions com ara situacions socials, assistir a l’institut, etc. Tot això pot acabar repercutint en el seu potencial a diferents nivells. L’adolescent preocupat habitualment es caracteritza per presentar una elevada conformitat, amb elevat desig d’agradar els altres, preocupació pel rendiment (alt perfeccionisme) i inseguretat de si mateix. Li pot costar prendre decisions i manifestar opinions diferents a les dels seu grup d’iguals o entorn familiar. Sovint, l’adolescent insegur i ansiós cerca la tranquil·lització per part del seu entorn, de manera que acaba depenent de les seves figures de vinculació.

Els símptomes que solen presentar els adolescents amb ansietat inclouen temors excessius, sentiments d’inquietud interna i excessiva prudència.

5. Preocupar-se en excés (ansietat) 127

Una mirada a la salut mental dels adolescents Claus per comprendre’ls i acompanyar-los

Com detectem l’ansietat? Senyals d’alerta. Trastorns d’ansietat

El tret característic dels trastorns d’ansietat és l’evitació, a nivell conductual (accions), i la intolerància a la incertesa, a nivell cognitiu (pensament).

El tret característic dels trastorns d’ansietat és l’evitació, a nivell conductual (accions), i la intolerància a la incertesa, a nivell cognitiu (pensament). L’evitació de vegades és molt evident, com quan l’adolescent amb atacs de pànic i agorafòbia evita anar a llocs públics per por a presentar símptomes d’ansietat, però d’altres vegades és més subtil incloent per exemple, dubtes excessius, aïllament, resistència, etc.

A més, tots els trastorns d’ansietat inclouen d’una manera o altre l’anticipació de catàstrofe o amenaça (“i si…”; “suspendré”; “se’n riuran de mi”, etc.).

Les diferències bàsiques entre els diferents trastorns d’ansietat tindran a veure amb el contingut d’aquests pensaments negatius i de l’estímul percebut com amenaçant.

128

Taula 7. Principals trastorns d’ansietat. Font: elaboració pròpia (basat en DSM-5).

Trastorn Focus de la por

Trastorn d’ansietat de separació (TAS)

• Por a la separació de figures d’aferrament.

Mutisme selectiu (MS)

• Por a parlar en algunes situacions (per exemple escola), mentre que sí es parla en d’altres (a casa). Típicament s’inicia a la etapa infantil, i habitualment es resol a la infantesa.

• Animals.

• Entorn natural.

Fòbia específica (FE)

• Sang-injeccions-ferides.

• Situacions específiques: escola, avions, ascensors, espais tancats...

Trastorn d’ansietat social (Fòbia social, FS)

• Situacions socials en les que la persona pot estar exposada a examen per part d’altres.

Trastorn de pànic (TP)

• Atacs de pànic.

Agorafòbia

• Llocs en els que pot ser difícil escapar.

Trastorn d’ansietat generalitzada (TAG)

• Preocupacions excessives (anticipacions aprensives) davant qüestions quotidianes.

Trastorn obsessiu-compulsiu (TOC)

Ansietat per la salut

Trastorn per estrès posttraumàtic (TEPT)

• Pensaments intrusius (obsessions) i conductes compulsives.

• Por a tenir alguna malaltia.

• Experiències traumàtiques.

5. Preocupar-se en excés (ansietat) 129

Una mirada a la salut mental dels adolescents

Claus per comprendre’ls i acompanyar-los

A la pràctica, aquestes pors es tradueixen en conductes evitatives i reasseguradores que permetin tenir “controlat” l’estímul temut.

En el cas de l’ansietat de separació (més habitual en nens que en adolescents), trobem dificultats per separar-se de les figures de vinculació. El nen evitarà situacions en què s’hagi de separar i demanarà ajuda dels seus progenitors fins i tot en tasques que no li suposen una excessiva dificultat i que podria afrontar sol.

En el trastorn d’ansietat social trobarem adolescents tímids i que valoren molt l’opinió dels altres, fins i tot per sobre de la seva. Sovint es qüestionen les intervencions en contextos socials fins al punt que els podem veure inhibits o amb respostes alentides. L’adolescent amb ansietat social evitarà situacions on s’hagi d’exposar a l’opinió dels altres. Aquestes poden ser des de situacions en l’àmbit acadèmic (presentacions orals, preguntar dubtes a l’aula...) fins a situacions en l’àmbit social (menjar o ballar en públic, participar de converses en grup d’iguals...).

Als adolescents amb trastorn d’ansietat generalitzada els podem veure preocupats per tasques quotidianes com els deures o els exàmens.

Als adolescents amb trastorn d’ansietat generalitzada els podem veure preocupats per tasques quotidianes com els deures o els exàmens. Podem observar com, tot i haver estudiat suficient, es queden repassant de manera excessiva. També poden evitar escoltar les notícies pel malestar que els genera o demanar que els anticipem els canvis per la dificultat que els suposa la falta de control de l’entorn. En general, l’adolescent amb TAG és un adolescent que es preocupa excessivament per una ampla gama d’esdeveniments quotidians, sense concretar una situació específica. Pot preocupar-se excessivament per catàstrofes, per la salut pròpia i/o de la seva família, perquè no li vagi bé l’inici de les classes, pot preocupar-se també per quelcom que fa temps va passar, -per exemple un comentari que va dir a un amic-, i que té por es mal interpreti, etc.

En els adolescents amb trastorn de pànic i/o ansietat per la salut, notarem que estan molt pendents de les sensacions corporals i que de seguida detecten petits canvis, que ens consulten per la por que representin un atac d’angoixa o un problema de salut important. En el cas de l’ansietat per la salut, és possible que demanin que els portem al metge, i en el cas del trastorn de pànic i/o agorafòbia pot ser que demanin d’anar a un lloc on se sentin segurs (com seria a casa o en un espai on sigui fàcil sortir-ne).

130

En el trastorn per estrès posttraumàtic es poden observar manifestacions diferents. Podem trobar un adolescent hiperalerta, amb dificultats per conciliar el son i relaxar-se, i que evita parlar d’aquell esdeveniment que va resultar traumàtic. En ocasions poden recórrer al consum de tòxics per poder evitar aquests pensaments i records traumàtics.

Per últim, en el trastorn obsessiu-compulsiu, tot i que acostuma a ser difícil detectar els pensaments intrusius des de fora, sí que podem observar les conductes compulsives, com ara rentar-se les mans repetidament, tot i estar netes, etc.

Relació entre ansietat i salut

Existeix una relació bidireccional entre ansietat i salut, en el sentit que l’ansietat pot desencadenar o agreujar algunes malalties mèdiques, com serien les malalties inflamatòries intestinals (colitis ulcerosa, malaltia de Crohn) i altres malalties cròniques. Però també aquestes, a la seva vegada, poden desencadenar o

5. Preocupar-se en excés (ansietat) 131

Una mirada a la salut mental dels adolescents

Claus per comprendre’ls i acompanyar-los

agreujar l’ansietat prèvia d’una persona, ja que comporten un estrès continuat que pot arribar a esgotar l’organisme.

L’estrès es caracteritza com els canvis psicofisiològics que es produeixen a l’organisme en resposta a una situació concreta de sobre demanda. Aquests canvis preparen el cos per afrontar-se a situacions d’emergència, d’una manera similar a la por, de dues maneres:

L’ansietat pot desencadenar o agreujar algunes malalties mèdiques, com les malalties inflamatòries intestinals i altres malalties cròniques.

• Es paralitzen els sistemes fisiològics que no són imprescindibles. Per exemple, s’inhibeix temporalment la libido, els processos digestius o el sistema immunitari.

• Es concentra tota l’energia disponible en els sistemes que són decisius per fer front a la demanda, com seria un augment de la pressió arterial o que s’aguditzin els sentits.

Aquesta resposta, de la mateixa manera que la por que s’activa davant un estímul perillós, és adaptativa, en el sentit que contribueix a la supervivència. Tot i això, si l’estrès dura molt de temps acaba esgotant a l’organisme, produint un esgotament físic que augmenta el risc de desenvolupar o exacerbar malalties somàtiques. Això és el que s’anomena síndrome general d’adaptació:

Figura 8. Fases del síndrome general d’adaptació. Font: adaptat de Amigo, I., Fernández, C., y Pérez, M. (2009). Manual de psicología de la salud. Madrid: ediciones Pirámide.

Reacció d’alarma

Fase de resistència

Fer front a l’amenaça

Si la situació continua, l'organisme s'adapta i manté la sobreactivació (lluita continuada amb l'estressor)

Fase

Esgotament dels recursos de l'organisme> conseqüències psicosomàtiques

Una situació d’ansietat o estrès crònic manté en alerta permanent a l’organisme, afecta al sistema immunològic i per tant, disminueix el nivell de resistència de l’individu davant de certes malalties.

132
d’esgotament

Factors de risc, de protecció i de manteniment

Existeix una vulnerabilitat comú a tots els trastorns d’ansietat, que es relaciona amb la presència dels següents factors: trets d’introversió i timidesa; tret temperamental d’inhibició conductual; presència d’algun familiar amb ansietat o altres dificultats psicopatològiques, i la presència d’experiències vitals negatives. Un factor de risc és aquell que augmenta la probabilitat que aparegui un trastorn psicopatològic.

De manera general, es considera que els trastorns d’ansietat vénen explicats per la interacció de diferents factors, tals com:

1. Factors genètics

2. Temperament a la infància

3. Factors sociodemogràfics

4. Factors desencadenants ambientals

5. Factors psicològics

A continuació descrivim de manera més detallada cadascun dels factors de risc anomenats amb anterioritat:

1. Història familiar i variables familiars: que un dels pares tingui un trastorn d’ansietat augmenta el risc de patir ansietat. D’altra banda, nombrosos estudis s’han centrat en les relacions entre estils relacionals dels pares amb els seus fills i associació amb símptomes d’ansietat en els nens. En aquest sentit, sembla que estils educatius amb un excessiu nivell de control i sobreprotecció són factors de risc rellevants, ja que limiten l’autonomia i la independència dels fills. Els adolescents amb més factors de risc genètic poden experimentar ansietat inclús en absència d’una amenaça real, tot descrivint sentiments de nerviosisme continu, inquietud o estrès elevat, amb dificultat per a sentir-se relaxats i tranquils.

2. Temperament a la infància: el temperament és la individualitat heretada que afecta la manera de pensar, sentir i actuar de cada persona. És la tendència constitucional de l’individu a reaccionar de determinada manera a l’ambient.

Bàsicament són dos els trets temperamentals que s’han associat a presentar trastorns d’ansietat: la inhibició conductual (IC) i la sensibilitat a l’ansietat (SA).

La IC és un dels factors de risc pel desenvolupament de trastorns d’ansietat més rellevants. Es defineix com la tendència a manifestar por, evitació o cautela

5. Preocupar-se en excés (ansietat) 133

Una mirada a la salut mental dels adolescents Claus per comprendre’ls i acompanyar-los

en situacions que són noves i/o persones desconegudes. Els nens amb IC es caracteritzen perquè son nens que davant d’aquestes situacions solen mostrar:

• Dificultat per tolerar canvis o novetats.

• Lentitud per agafar confiança amb persones desconegudes.

• Poc somriure.

• Buscar molta proximitat a figures d’aferrament.

Els trastorns d’ansietat apareixen per una interacció de diferents factors: genètics, de temperament, sociodemogràfics, ambientals i psicològics.

• Parlar poc.

• Mirada tímida, evitació del contacte ocular.

• No voler explorar situacions noves.

D’altra banda, la sensibilitat a l’ansietat es defineix com la tendència a manifestar por davant l’experiència de símptomes d’ansietat, tot cometent biaixos cognitius i tendència a interpretar-los de manera catastròfica. En aquest sentit, es detecta de manera molt precoç qualsevol canvi somàtic i s’interpreta com una amenaça, pensant per exemple que puc tenir un atac cardíac al percebre cert increment en els batecs del cor.

Hi ha estudis que mostren que la presència d’IC significativa prediu l’aparició de problemes relacionats amb l’ansietat en dos anys. També s’ha observat que la presència d’IC prediu l’existència de fòbia social a l’adolescència, i la sensibilitat a l’ansietat es relaciona més amb trastorn de pànic o trastorns somàtics i TAS.

3. Factors sociodemogràfics: com serien l’edat i el sexe. En aquest sentit, nombrosos estudis informen d’un risc més alt de patir qualsevol trastorn d’ansietat en noies. Això és particularment evident en el TEPT, que és on es constata una diferència superior entre sexes. En relació a l’edat, se sap que la pubertat és el moment evolutiu de més vulnerabilitat i risc per l’inici de problemes d’ansietat, aproximadament als onze anys. L’inici dels trastorns d’ansietat és molt més anterior que altres problemes importants a l’adolescència com ara trastorns de l’estat d’ànim, problemes de comportament i problemes amb l’ús de substàncies.

4. Factors desencadenants ambientals: esdeveniments vitals com ara separació dels pares, canvi d’escola etc., o altres considerats més estressants (per exemple, experiència de maltractament) s’associen al desenvolupament de trastorns d’ansietat en persones biològicament vulnerables. De manera específica, la presència de victimització i bullying entre iguals a l’adolescència s’associa amb símptomes d’ansietat i depressió a mig i llarg termini, degut a l’estrès psicològic persistent.

134

5. Factors psicològics: els adolescents amb ansietat acostumen a tenir més pensaments que els informen de les amenaces de l’entorn. Per exemple, un adolescent amb ansietat social tindrà més pensaments en relació a amenaces socials (“no cauré bé als altres nens”), els nens amb ansietat de separació en relació a amenaces al benestar dels pares (“els passarà alguna cosa i em quedaré sol”), etc. Aquest biaix atencional respecte possibles amenaces i el biaix d’interpretar informacions ambigües consistentment cap a una lectura des de la por són típics dels trastorns d’ansietat.

La presència i la intensitat d’aquests factors de risc determina el grau de vulnerabilitat d’una persona: a més factors de protecció i menys factors de risc, s’incrementa la resistència front l’adversitat; en canvi, quants més factors de risc i menys de vulnerabilitat, s’incrementa la vulnerabilitat individual. Tot i això, perquè aquesta vulnerabilitat es converteixi (o no) en una manifestació de trastorn, necessita de la interacció amb altres factors.

Els factors protectors són aquells que disminueixen la probabilitat que aquella vulnerabilitat acabi desencadenant un trastorn. Els factors de protecció són habitualment característics de la persona (com una bona autoestima) o de l’ambient (com una comunicació i relació familiar positiva). Aquests factors protectors ajuden a “fer pressió o resistència” davant dels factors de risc o de vulnerabilitat.

5. Preocupar-se en excés (ansietat) 135

Una mirada a la salut mental dels adolescents

Claus per comprendre’ls i acompanyar-los

La família és un dels principals agents de transmissió de valors. Nombrosos autors l’han relacionat directament amb estats psicopatològics en els fills. En aquest sentit, un dels principals factors de protecció a nivell familiar es relaciona amb l’expressió d’emocions i mostres d’afecte, així com un estil educatiu que afavoreixi l’autonomia i autoconfiança en els infants.

A la taula que es presenta a continuació es detallen alguns dels factors de protecció més rellevants quant als trastorns d’ansietat a l’etapa adolescent:

Taula 8. Factors de protecció en els trastorns d’ansietat en l’adolescència.

Font: adaptat de Cabral, M.D. & Patel, D.R., 2020 (citat a Anxiety Disorders, 2020).

Individuals Familiars

• Habilitat per a superar l’adversitat (estratègies d’afrontament).

• Flexibilitat i capacitat d’adaptació.

• Absència de dificultats en el son.

• Habilitats de resolució de conflictes i solució de problemes.

• Autoeficàcia.

• Habilitats per a gestionar l’estrès adequadament.

• Estil de comunicació positiu entre pares i fills.

• Cohesió a la unitat familiar.

• Vincle segur.

• Educació positiva (no coercitiva ni punitiva).

• Recolzament familiar.

Entorn

• Xarxa social.

• Recolzament social adequat.

• Ambient positiu en el sistema escolar.

• Responsabilitat social, empatia.

136

Afrontar l’ansietat. Prevenció i intervenció: què poden fer els pares?

L’ansietat en els adolescents pot produir dificultats de concentració i repercutir en l’habilitat per mantenir un rendiment acadèmic, pot interferir també en les relacions amb els amics. De vegades, fins i tot, l’adolescent amb ansietat evita relacionar-se. D’altra banda, l’ansietat persistent pot associar-se a mals de cap o a d’altres parts del cos, fatiga i dificultat per dormir a la nit. Tot això pot repercutir en el benestar de l’adolescent i afectar a la seva qualitat de vida.

Ja hem vist que cal estar alerta als senyals de risc de patiment en els joves per tal de poder ajudar-los a gestionar i afrontar adequadament aquelles situacions i esdeveniments que els hi estan generant patiment. Moltes vegades, l’entorn pròxim, ja siguin tutors, progenitors o fins i tot el mateix grup d’amistat d’iguals pot detectar el malestar incipient del jove, i podem mobilitzar tota una sèrie de recursos que l’ajudin. D’altres, caldrà la valoració i intervenció per part d’especialistes en psicologia clínica.

La intervenció psicològica tindrà com a objectiu disminuir i actuar de manera preventiva sobre els factors de risc que siguin modificables, així com potenciar tots els factors de protecció que s’han descrit amb anterioritat.

Estratègies per a que els pares puguin ajudar als seus fills adolescents

1. Educació i prevenció: construir un context familiar que fomenti l’expressió d’emocions i el vincle segur, la qual cosa permet que l’adolescent, quan se senti desbordat i/o amb malestar, pugui tenir eines per expressar-nos com se sent. Un altre aspecte que té un paper preventiu té a veure amb ajudar als nens a que des de la infància precoç puguin anar coneixent i interioritzant els seus propis recursos personals.

Aquest darrer punt està relacionat, entre altres qüestions, amb permetre que el nen s’equivoqui i que se senti frustrat, trist, enfadat, etc., sense renyar ni sobreprotegir, sinó acompanyant i sostenint. De vegades els pares fem servir frases com ara “no ploris”, “no t’enfadis que no n’hi ha per tant”, “no cal tenir por per això”, etc., que fan que els nens no puguin viure lliurement les seves emocions. Cal fomentar la idea que totes les emocions són vàlides i ens acompanyen al llarg de la vida en

Existeixen algunes estratègies que poden ajudar els pares a gestionar l’ansietat dels seus fills adolescents.

5. Preocupar-se en excés (ansietat) 137

Una mirada a la salut mental dels adolescents

Claus per comprendre’ls i acompanyar-los

diferents contextos i intensitats. L’adolescent que ha crescut experimentant que pot expressar com se sent i afrontar amb èxit les dificultats amb les que es va trobant és un adolescent que se sent fort i segur davant l’estrès i les dificultats que es va trobant.

D’altra banda, una actuació preventiva rellevant, dins l’àmbit familiar té a veure amb la importància de permetre cert grau d’autonomia, procurant no sobreprotegir al fill i interferir constantment en les seves activitats o iniciatives, però tampoc forçant una independència precoç. Es tracta de reforçar l’autonomia, des de la seguretat que té les seves figures de vinculació com a suport.

Però molt especialment, resulta clau la demostració clara d’afecte i acceptació incondicional per part dels pares, ja que aquest aspecte està íntimament relacionat amb un vincle segur i en conseqüència amb la capacitat posterior perquè l’adolescent pugui establir llaços i relacions afectives “sanes”.

2. Observar i detectar els senyals d’alerta d’ansietat: de vegades els joves poden verbalitzar directament que se senten desbordats o preocupats, però altres vegades no és tan evident potser fins i tot perquè ni tan sols ell se n’adona. Alguns dels senyals d’alerta inclouen:

• Canvis d’humor, amb increment de la irritabilitat.

• Evitació de situacions tals com anar a classe, quedar amb amics, conèixer gent nova, anar a situacions grans on hi ha molta gent, etc.

• Dificultats de concentració, més dispersió, i possible davallada en el rendiment acadèmic.

• Dificultats per a conciliar el son per la nit i/o es desperta durant la nit.

• Queixes respecte patir mal de cap, fatiga, i altres somatitzacions o molèsties físiques.

3. Trobar un moment de tranquil·litat: de vegades, caldrà esperar. L’important és estar disponible, per parlar amb el nostre fill o filla adolescent dels possibles problemes o dificultats que pugui estar tenint. Caldria adoptar una actitud d’escolta activa i empàtica. Per això, cal recordar què hem d’intentar veure el món de la manera que ells ho fan, sense jutjar ni criticar, que no vol dir que hi estiguem d’acord. En aquest punt, és important també ajudar-los a agafar perspectiva i relativitzar, en cas que es pugui.

138

4. En alguns adolescents, el problema pot ser que se sentin desbordats per les exigències i demandes (de l’entorn i pròpies), de manera que caldrà ajudar-lo a repartir de manera més equitativa dins de la rutina diària les estones dedicades a cada tasca (estudi), amb èmfasi en el descans, la relaxació, el plaer i el temps d’oci.

5. En la conversa amb l’adolescent és molt important validar les emocions i el moment pel que està passant. D’aquesta manera l’adolescent se sentirà escoltat i recolzat. Frases i missatges com “entenc que et sentis així si penses...”. Validar les emocions no vol dir estar d’acord amb el que ens està comunicant, vol dir simplement transmetre el missatge que estem amb ell i que entenem el seu malestar. La fase següent serà ajudar-lo a activar les seves pròpies estratègies d’afrontament. L’adolescent que se sent escoltat, és un adolescent que se sent segur i sobretot, que percep que pot confiar en nosaltres.

6. L’adolescent que se sent segur i amb autoconfiança davant els reptes propis de l’etapa vital (exàmens, conèixer gent nova...) no se sent desbordat per l’ansietat i se sent capaç i amb confiança en els seus recursos, de manera que normalment no es produiran conductes d’evitació. No obstant, un percentatge elevat d’adolescents experimentaran ansietat significativa, pel que caldrà animar-los a afrontar els seus temors, permetent-los comprovar per una banda que, en la majoria d’ocasions, allò que temem mai no arriba a produir-se; per una altra, també poden comprovar que en cas que passi allò temut o que els hi preocupa, la majoria de vegades tenen més recursos personals dels que pensen per a gestionar de manera satisfactòria la situació, i acabant guanyant seguretat en si mateixos.

5. Preocupar-se en excés (ansietat) 139

Una mirada a la salut mental dels adolescents Claus per comprendre’ls i acompanyar-los

A tall de conclusió

Les reaccions de por i ansietat són respostes fisiològiques adaptatives que serveixen per posar-nos en estat d’alerta davant de possibles amenaces, i que sens dubte han estat molt útils per garantir la supervivència de l’espècie. Els nens i adolescents capten molt ràpidament els perills de l’ambient que els envolta; ens ho han demostrat amb la resposta (encomiable) que han mostrat durant el confinament necessàriament imposat per l’estat d’alarma front la COVID-19. No obstant, quant a les circumstàncies ambientals s’hi afegeixen d’altres factors tals com predisposició genètica, temperamental i/o familiar (increment del risc), pot aparèixer un trastorn d’ansietat, que es viu com una por/preocupació incontrolable, amb símptomes d’activació fisiològica (resposta d’estrès) intensa i perllongada en el temps, conductes d’evitació, etc.

Al llarg del capítol s’han presentat diverses claus que poden guiar i orientar en la detecció i maneig de l’ansietat en l’adolescent. Per exemple: estar atents als diferents tipus de símptomes que poden presentar, observar conductes evitatives i tranqui·litzadores, validar els sentiments i parlar-ne obertament, adoptar actituds que els ajudin a afrontar la por desadaptativa. No obstant, cal tenir present que si aquestes indicacions no són suficients i l’adolescent continua patint de manera significativa, caldrà derivar a serveis especialitzats de salut mental (psicologia clínica o psiquiatria), donat que disposem de tractaments eficaços que poden ajudar a l’adolescent a adquirir estratègies de comprensió i de gestió del seu malestar, que li permetran reduir significativament l’ansietat i gaudir d’una millor qualitat de vida.

140

Referències bibliogràfiques

Amigo, I., Fernández, C., y Pérez, M. (2009). Manual de psicología de la salud. Madrid: ediciones Pirámide.

Caballo, V. E., & Simon, M. A. (2001). Manual de psicología clínica infantil y del adolescente: Trastornos generales. Pirámide.

Cabral, M. D., & Patel, D. R. (2020). Risk factors and prevention strategies for anxiety disorders in childhood and adolescence. In Anxiety Disorders (pp. 543-559). Springer, Singapore.

Ezpeleta, L., & Trallero, J. T. (2014). Psicopatología del desarrollo. Ediciones Pirámide.

Fisak, B. J., Richard, D., & Mann, A. (2011). The prevention of child and adolescent anxiety: A meta-analytic review. Prevention Science, 12(3), 255-268.

Georgiades, K., & Swendsen, J. (2010). Lifetime prevalence of mental disorders in US adolescents: Results from the National Comorbidity Study-Adolescent Supplement (NCS-A). Journal of the American Academy of Child and Adolescent Psychiatry, 49(10), 980-989.

Kimball, H. & Cohen, Y. (2019). Children’s Mental Health Report: Social Media, Gaming and Mental Health. New York: Child Mind Institute.

Mardomingo, M. J. (2005). Trastornos de ansiedad en el adolescente. Pediatria integral, 9(2), 125-134.

Mateo, C. M., & Mateo, J. M. M. (2016). Cómo potenciar las emociones positivas y afrontar las negativas. Ediciones Pirámide.

Rapee, R. (2012). Anxiety disorders in children and adolescents: Nature, development, treatment and prevention. En: Rey JM (editor). IACAPAP e-Textbook of Child and Adolescent Mental Health. Geneva: International Association for Child and Adolescent Psychiatry and Allied Professions 2012.

Rey JM (editor). IACAPAP e-Textbook of Child and Adolescent Mental Health. Geneva: International Association for Child and Adolescent Psychiatry and Allied Professions 2012.

Rey, J. M., & Omigbodun, O.. (2015). International dissemination of evidence-based practice, open access and the IACAPAP textbook of child and adolescent mental health. Child and adolescent psychiatry and mental health, 9(1), 51.

Siegel, R. S., & Dickstein, D. P. (2012). Anxiety in adolescents: Update on its diagnosis and treatment for primary care providers. Adolescent health, medicine and therapeutics, 3, 1.

Waters, A. M., & Craske, M. G. (2016). Towards a cognitive-learning formulation of youth anxiety: A narrative review of theory and evidence and implications for treatment. Clinical Psychology Review, 50, 50-66.

5. Preocupar-se en excés (ansietat) 141

Una mirada a la salut mental dels adolescents

Claus per comprendre’ls i acompanyar-los

142

6. Estat d’ànim canviant? Depressió i trastorns afectius

Soledad Romero.

PhD. Psiquiatra. Servei de Psiquiatria i Psicologia Infantil i Juvenil, Hospital Clínic de Barcelona. CIBERSAM, IDIBAPS.

Iria Méndez.

Psiquiatra. Servei de Psiquiatria i Psicologia Infantil i Juvenil, Hospital Clínic de Barcelona.

Des de fa alguns mesos la Maria se sent diferent. La Maria té molts amics, li agrada molt quedar amb ells, anar de compres i també juga en un equip de bàsquet.

No obstant, en les últimes setmanes, no ha volgut quedar amb ningú els caps de setmana, tot i que els seus amics li havien insistit per quedar, ella no hi ha anat, no en té ganes. Els seus amics pensen que la Maria està enfadada amb ells. Però no és aquest el motiu, de fet a la Maria se li fa molt difícil explicar què li passa, no té ganes de sortir, no li ve de gust, no s’ho passa bé.

No sap perquè, però ja no gaudeix amb res, ni té ganes de res, només vol estar a la seva habitació, sola, dormitant tot el dia.

Quedar-se a casa seva però no és l’únic canvi. Sempre havia sigut bona estudiant, però en les últimes setmanes està suspenent alguns exàmens. Els seus pares estan enfadats amb ella i la renyen per no esforçar-se, però la Maria ha perdut tota la seva concentració. Fins i tot petits exercicis li resulten molt difícils de fer, i no té ganes ni prou energia per acabar els deures a temps.

6. Estat d’ànim canviant? Depressió i trastorns afectius 143

Una mirada a la salut mental dels adolescents

Claus per comprendre’ls i acompanyar-los

També ha canviat la gana que té. No en té, i ha començat a saltar-se alguns àpats, tot i que a casa intenta esforçar-se perquè els seus pares no es preocupin. No dorm com abans, es desperta molt d’hora sense cap raó aparent, i després, per molt cansada que estigui durant el dia, quan arriba la nit no és capaç d’agafar el son. Plora molt sovint, de vegades sense cap raó, de cop i volta, gairebé sense sentit. A més se sent molt trista, preocupada per alguna cosa que no sap expressar, com si el futur ja no tingués gaire sentit. Té por i s’altera fàcilment, i reconeix que discuteix amb els seus pares més del que és habitual, com si tot li semblés malament.

Els seus pares estan preocupats. Noten canvis en la seva filla, però no saben perquè. Han intentat acostar-s’hi de diferents maneres però ella s’ha tancat molt en si mateixa i sembla que no vulgui o no pugui parlar. Quan li pregunten directament no respon, i ni participa quan intenten iniciar una conversa col·loquial. Han provat a enfadar-se i renyar-la, però tampoc veuen cap resposta.

Tant la Maria com els seus pares estan perduts. Veuen canvis però no entenen perquè. No saben que el que passa és que la Maria té un trastorn anomenat depressió.

Què és la depressió? Què són els trastorns afectius?

La depressió forma part dels anomenats trastorns afectius que es caracteritzen per una alteració persistent en la capacitat del nostre cervell per regular les nostres emocions i el nostre estat d’ànim. Els principals trastorns afectius engloben als trastorns depressius (depressió major, distímia i depressió no especificada) i el trastorn bipolar.

La depressió és la manifestació més freqüent dels trastorns afectius i engloba una sèrie de símptomes que afecten:

• L’estat d’ànim: és trist o irritable.

Els principals trastorns afectius engloben als trastorns depressius (depressió major, distímia i depressió no especificada) i el trastorn bipolar.

• La motivació: falta d’interès i d’energia. Incapacitat per gaudir de coses que abans provocaven plaer.

• El pensament: és pessimista, restringit, indecís.

• El cos: canvis en la gana i el son.

• La percepció sobre un mateix: inutilitat, culpa, desesperança.

Els trastorns afectius es diagnostiquen quan es compleixen una sèrie de criteris clínics que estan consensuats en els tractats diagnòstics que són la CIE (Classificació Internacional de Malalties) (a Europa) i el DSM (Estats Units). Tot i els importants avenços actuals en neuroimatge o altres marcadors genètics i biològics, el diagnòstic és exclusivament clínic.

144

Per això han de complir-se una sèrie de símptomes per a que els clínics estableixin el diagnòstic. Els símptomes tal com s’especifiquen en els tractats diagnòstics que utilitzen els clínics són els següents:

1. Estat d’ànim deprimit o tristesa la major part del temps (sense motius aparents); en nens i adolescents l’estat d’ànim pot ser irritable.

2. Disminució important de l’interès o el plaer per totes o gairebé totes les activitats.

3. Pèrdua o augment considerable de pes.

4. Canvis considerables en els patrons de son (incapacitat per adormir-se, romandre despert o aixecar-se al matí).

5. Agitació o retard psicomotor gairebé cada dia.

6. Falta d’energia i sensació de cansament permanent.

7. Sentiments d’inutilitat o de culpa excessiva o inadequada.

8. Disminució de la capacitat per pensar o concentrar-se, o per prendre decisions.

9. Pensaments de mort recurrents, idees suïcides recurrents sense un pla determinat. Intent de suïcidi o un pla específic per portar-ho a terme.

Per fer el diagnòstic de depressió es requereix que almenys cinc d’aquests símptomes siguin presents i que almenys un d’ells sigui l’1 o el 2. Aquests símptomes han d’estar presents la major part del dia i durant diversos dies (almenys dues setmanes).

La depressió és alguna cosa més que sentir-se malenconiós, trist o de mal humor de tant en tant.

6. Estat d’ànim canviant? Depressió i trastorns afectius 145

Una mirada a la salut mental dels adolescents

Claus per comprendre’ls i acompanyar-los

És molt important tenir tots aquests criteris en ment, ja que en ocasions un nen o adolescent pot expressar que està trist, però s’aixeca, s’arregla, va a l’escola, fa els seus deures, juga amb els seus amics i compleix amb les seves tasques i la gana i el son estan conservats, pel que no podem parlar de depressió.

La tristesa en si és una emoció necessària i és important donar-li espai i escoltar-la ja que ens podrà donar pistes sobre pèrdues o necessitats que pugui tenir aquell nen. Tota persona té fluctuacions de l’estat anímic i la tristesa ocasional és una emoció normal. Les tensions normals de la vida poden portar els nens o adolescents a sentir-se tristos de tant en tant. Esdeveniments com una discussió amb un amic, una separació, un mal resultat en un examen, no ser elegits en un esport, el trasllat d’un amic fora de la ciutat o la mort d’un ésser estimat poden derivar en sentiments de tristesa, dolor, desil·lusió o aflicció. Aquestes reaccions solen ser breus i desapareixen amb el temps i l’afecte.

En canvi, la depressió és alguna cosa més que sentir-se malenconiós, trist o de mal humor de tant en tant. La depressió és un estat d’ànim intens que dura setmanes, mesos o fins i tot més. Per realitzar un diagnòstic de depressió, els símptomes han de causar un malestar clínicament significatiu o deteriorament social, escolar o altres àrees del funcionament.

Els símptomes depressius existeixen al llarg de diferents edats, preescolar, escolar i adolescents (veure taula 9) i es caracteritzen pels mateixos símptomes que en adults ajustant la manifestació a l’edat (més que observar símptomes diferents).

Taula 9. Principals símptomes depressius en nens i adolescents.

Font: elaboració pròpia

Nens

• Més símptomes d’ansietat (per exemple fòbies, ansietat de separació), somatitzacions i al·lucinacions auditives.

• Depressió s’expressa amb rebequeries freqüents i problemes conductuals.

• Menor freqüència de símptomes delirants i temptatives suïcides greus.

• Durant la infància mitja, preocupacions amb la mort, baixa autoestima, tendència a l’aïllament/rebuig social i mal rendiment escolar.

Adolescents

• Major nombre de cognicions negatives/depressives que els nens.

• Major evidència de sentiments de culpa i desesperació. Endogeneïtat/melancolia.

• Major alteració del son, i gana, símptomes psicòtics, i conducta suïcida.

• Comparat amb els adults, més problemes conductuals i menors alteracions neurovegetatives.

146

Una de les principals característiques de la depressió és l’aparició d’un símptoma anomenat anhedonia que es caracteritza per una pèrdua de la capacitat d’obtenir plaer i resulta un dels símptomes que més desconcerta els nens i adolescents amb depressió. Sovint expressen que “s’avorreixen” o que “ja no m’ho passo bé quan estic amb els meus amics” o “abans m’agradava fer esport i ja no gaudeixo”. Aquest símptoma genera un fort malestar i està darrere de l’abandonament de les activitats i la desesperança.

La depressió també inclou altres símptomes com ara la disfòria, que pot manifestar-se en els nens amb irritabilitat, i ser observable per altres ja que afecta a la conducta del nen (per exemple fugida, plors, oposicionisme, protestes, tics, aïllament, hiperactivitat, immobilitat, agressions, etc.).

Altres símptomes no són observables i només són accessibles per informació verbal (per exemple desànim, manca d’interès, sentiments de fracàs, de culpa, etc.).

Cal tenir en compte que no existeix un únic tipus de depressió. Algunes vegades la depressió ocorre de forma sobtada, amb un inici agut i una resolució aguda, que pot ser seguida de possibles nous episodis en el futur de curs similar. Això seria l’anomenada depressió major.

En altres ocasions la depressió apareix de forma més lenta i persistent, durant mesos i fins i tot anys, sense que hi hagi ni moments clars d’empitjorament ni moments de millora, com si estiguéssim constantment una mica tristos. Aquesta forma de depressió es diu distímia.

Finalment, algunes depressions podrien ser el debut d’un trastorn bipolar. Podríem dir que serien episodis afectius que mostren dues cares, alternant-se de forma periòdica episodis de depressió amb episodis de mania o hipomania. Els episodis de mania són totalment oposats a la depressió i es caracteritzen per una eufòria desmesurada, sentiments de superioritat davant dels altres o idees de grandiositat (per exemple el més ric del món, el més guapo, el més intel·ligent etc.), un increment de l’energia, amb múltiples plans i projectes, increment de la creativitat, disminució de la necessitat de dormir durant dies sense sentir-se cansat per això, un augment de la libido que pot portar a conductes com promiscuïtat sexual o augment de la masturbació, disminució de la percepció de risc, amb conductes molt arriscades, sentint-se com si un estigués a la “cresta de l’onada”.

Quan apareixen els episodis de mania estaríem davant del que es denomina un trastorn bipolar o malaltia maníaco-depressiva, precisant alguns canvis en l’abordatge terapèutic.

6. Estat d’ànim canviant? Depressió i trastorns afectius 147
L’anhedonia (pèrdua de la capacitat d’obtenir plaer) és una de les principals característiques de la depressió.

Tothom pot tenir una depressió? Pot passar a la meva família?

Actualment es calcula que fins a un 30 % de la població mundial tindrà algun episodi depressiu en un moment de la seva vida. Sembla que amb l’edat augmentaria el risc de depressió, especialment entre els 20 - 40 anys. Pel que fa als menors, els estudis indiquen que entre un 1-2 % dels nens i un 3-8 % dels adolescents presenten un trastorn depressiu. La proporció per sexe seria d’1:1 en nens i 2:1 (femení vs masculí) en adolescents.

La depressió pot aparèixer en totes les cultures, nivells econòmics i ètnies. Entre els preadolescents i els ancians sembla que afectaria més als homes, mentre que durant l’adolescència i la vida adulta més a les dones, probablement per un component hormonal.

La depressió és una condició recurrent en nens i adolescents. Normalment fins a un 40 % dels adolescents presentaran un segon episodi en dos anys i un 75 % en els cinc anys. S’associa a una disminució significativa del funcionament acadèmic a l’escola, augment de l’abús de drogues i de suïcidi consumat, essent la principal causa de morbiditat i mortalitat en l’edat pediàtrica en les societats desenvolupades. Les condicions de vida que augmenten el benestar material i la qualitat de vida no afecten el grau de felicitat sent la insatisfacció un sentiment a l’alça. Es tracta d’un fenomen paradoxal i s’argumenta que podria ser perquè es coneix més sobre la depressió o perquè hi ha més conscienciació, però tot sembla indicar que la depressió augmenta en les societats més desenvolupades i podria estar en relació amb determinats factors de risc que tenen a veure amb els canvis socials experimentats en els últims anys. En l’adolescència per exemple, la introducció de smartphones al 2007 i generalització del seu ús al 2015, i el desenvolupament de xarxes socials convertint-se en la principal forma de connexió entre iguals, es correlaciona amb un clar augment de la prevalença de la depressió en adolescents en aquesta mateixa època.

148
Una mirada a la salut mental dels adolescents Claus per comprendre’ls i acompanyar-los
S’estima que fins a un 30 % de la població mundial tindrà algun episodi depressiu en un moment de la seva vida.

Quines són les causes de la depressió?

Com en la majoria de les malalties, no hi ha una única causa per a la depressió. Les causes de la depressió combinen factors biològics, genètics, psicològics i ambientals.

Entre les causes biològiques destaquen canvis que es produeixen en la neurotransmissió cerebral i en els circuits cerebrals responsables de la modulació emocional i de l’activitat del sistema límbic responsable de l’activació emocional. Alguns cervells senzillament estan predisposats a presentar diferències en producció de serotonina i altres neurotransmissors, o diferències en els receptors de superfície, o en la seva secreció que els fan més vulnerables a l’aparició dels trastorns afectius.

Si en la nostra família hi ha antecedents de depressió, és possible que hi hagi un gen en la família que alteri aquest funcionament. Diversos estudis mostren com determinats gens estan implicats en l’aparició de simptomatologia depressiva, si bé per a que aparegui la depressió ha d’existir una interacció d’aquests gens amb factors de l’ambient (per exemple, estrès psicosocial). Podríem dir que es pot heretar la “vulnerabilitat” a tenir depressió, però hauran de passar altres factors ambientals per acabar patint depressió.

Com hem vist en el capítol Neurodesenvolupament cerebral. Els canvis en el cervell de l’adolescent, a l’inici de la pubertat es produeix un increment en la reactivitat dels sistemes neuronals subcorticals (responsable de l’activació emocional) i no és fins a l’adolescència tardana, adult jove, que es produeix una maduració dels sistemes corticals encarregats de la modulació de les emocions. Existint per tant un desajust entre aquests dos sistemes durant l’adolescència i augmentant el risc de desregulació emocional. Aquests canvis propis del neurodesenvolupament normalment estan intervinguts per factors hormonals, el que explica el perquè molta gent experimenta un primer episodi depressiu durant la pubertat.

Com dèiem, alguns tipus de depressió són hereditaris, el que suggereix que es pot heretar una vulnerabilitat biològica. En el trastorn bipolar és més clar el component genètic, trobant-se, en els estudis de famílies en les quals membres de cada generació desenvolupen trastorn bipolar, que tenen una estructura genètica diferent en comparació amb aquells que no es posen malalts. No obstant això, el contrari no és cert: no totes les persones amb l’estructura genètica que causa la vulnerabilitat a trastorns afectius tindran la malaltia. Aquests factors addicionals, que inclouen estressors a la llar, la feina o l’escola, estan involucrats en la seva aparició.

Les causes de la depressió combinen factors biològics, genètics, psicològics i ambientals.

6. Estat d’ànim canviant? Depressió i trastorns afectius 149

Una mirada a la salut mental dels adolescents Claus per comprendre’ls i acompanyar-los

Les causes psicològiques poden incloure sentiments d’impotència i vulnerabilitat, ira, desesperança i tendència al pessimisme i baixa autoestima. Poden estar relacionats amb patrons de comportament i caràcter anormals i relacions personals problemàtiques. En molts pacients, la història identifica una pèrdua personal específica o un factor estressant sever que probablement interactuï amb la predisposició de la persona a provocar una depressió major. Les persones que tenen baixa autoestima, que constantment es veuen a si mateixes i al món amb pessimisme o que se senten aclaparades fàcilment per l’estrès, són propenses a la depressió.

Entre els factors ambientals destacarien el nostre entorn social, els problemes i desgràcies que ens toquin patir. Si en la nostra vida comencen a aparèixer moltes complicacions (per exemple pares amb problemes, presenciar moltes discussions o baralles a casa, dificultats econòmiques, canvi de ciutat o de país, múltiples hospitalitzacions o problemes crònics de salut, situacions provocades com a causa de la pandèmia de la COVID-19, etc.), o situacions d’elevat impacte emocional (per exemple la mort d’algú molt proper, una catàstrofe natural com un terratrèmol, un accident, qualsevol forma d’abús físic, sexual o emocional, etc.), presentarem major predisposició que si tenim una vida tranquil·la, en què ens sentim segurs i rebem afecte.

En general els precipitants que apareixen fins als sis anys d’edat solen ser dins el si familiar. La relació amb pares i germans és l’eix de les seves motivacions i per tant font dels seus sentiments negatius. L’afecció equilibrada durant els tres primers anys és una base sòlida per a la constitució d’una afectivitat sana i prevenció de la depressió.

150

A partir dels sis anys els factors ambientals estarien més relacionats amb l’escola i els iguals i els desajustos en aquestes interaccions es converteixen en fonts de preocupació. És per això important evitar comparacions i exigències poc alineades amb la capacitat d’un nen ja que pot potenciar emocions negatives i el deficient afrontament de les tasques pròpies de l’edat. Per exemple un factor ambiental precipitant de depressió seria l’assetjament escolar sent per tant molt important per a la prevenció de depressió la implantació de protocols a les escoles de prevenció de l’assetjament escolar.

La depressió també pot ser secundària a una condició mèdica específica i per això estaria indicat descartar alteracions en la funció tiroïdal, presència d’anèmia o altres alteracions hormonals i metabòliques.

De vegades, els medicaments receptats per afeccions mèdiques i psiquiàtriques, així com moltes substàncies de les que s’abusa amb freqüència, també poden causar depressió. Els exemples inclouen antihipertensius, psicotròpics, analgèsics narcòtics i no narcòtics, fàrmacs antiparkinsonians, nombrosos medicaments cardiovasculars, antidiabètics orals, antimicrobians, esteroides, agents quimioterapèutics, cimetidina i alcohol.

És important recordar que tots els trastorns depressius són condicions tractables.

A més de la depressió

En l’adolescència és freqüent que els trastorns afectius es presentin conjuntament amb altres problemes, sent la clínica més heterogènia que l’observada en adults. La coexistència d’altres trastorns s’anomena comorbiditat i afecta al curs, a la gravetat i al pronòstic del trastorn efectiu. Per això és important detectar si hi ha comorbiditat per poder dissenyar l’abordatge terapèutic més adequat.

En general, la depressió en adolescents es pot associar amb trastorn de conducta, major càrrega familiar de trastorns afectius, major risc d’abús de tòxics i problemes de conducta alimentària (veure capítol Quan la relació amb el menjar canvia (anorèxia i bulímia) per a més informació). A la figura 9 es mostren els problemes que solen aparèixer associats als trastorns afectius en l’adolescència.

6. Estat d’ànim canviant? Depressió i trastorns afectius 151
És important recordar que tots els trastorns depressius són condicions tractables.

Una mirada a la salut mental dels adolescents

Claus

per comprendre’ls i acompanyar-los

Figura 9. Problemes associats als trastorns afectius en l’adolescència Font: elaboració pròpia.

Trastorn bipolar

Abús de substàncies

Adolescència extrema (normodesenvolupament)

Símptomes depressius

Entorn invalidant / família negligent

Abusos físics o sexuals

Desregulació emocional

Conducta autolesiva

Bullying

De fet, la majoria dels nens i adolescents (40 – 90 %) amb depressió major presenten associat una comorbiditat, i entre un 25 – 50 % tenen dues o més comorbiditats. Entre les comorbiditats més freqüents estarien la distímia i els trastorns d’ansietat (30 – 80 %), els trastorns disruptius (10 – 80 %) i el trastorn per ús de substàncies (20 – 30 %).

En general, la depressió sol aparèixer després de l’inici d’un altre trastorn psiquiàtric, (per exemple, secundari a un trastorn d’ansietat). En canvi, l’abús de substàncies sol aparèixer secundari a la simptomatologia depressiva (primer apareix la depressió, després l’abús de substàncies), sent una de les principals complicacions dels trastorns afectius.

El trastorn de conducta també pot esdevenir secundari a la depressió i persistir després que la depressió hagi estat tractada.

Normalment observem que l’associació amb l’ansietat per separació és més comú en nens, mentre que el consum de tòxics, el trastorn de conducta, la fòbia social i el trastorn d’ansietat generalitzada són més comuns en adolescents.

152

L’abordatge terapèutic dels trastorns afectius

Com hem vist, els trastorns afectius afecten el cos, a l’estat d’ànim i als pensaments. Afecta la forma en què una persona menja i dorm, la forma en què un se sent amb si mateix i la forma en què pensa sobre les coses. Com s’ha comentat prèviament, un trastorn depressiu no és el mateix que un estat d’ànim trist passatger. No és un signe de debilitat personal o una condició que pugui desitjar-se o deixar de tenir.

Les persones amb una malaltia depressiva no poden simplement “recuperar-se” i millorar. Sense tractament, els símptomes poden durar setmanes, mesos o anys. No obstant això, un tractament adequat pot ajudar a la majoria de les persones que pateixen depressió.

La depressió es cura, i fins i tot les depressions més greus poden rebre ajuda. Actualment existeixen medicaments i teràpies psicosocials com les cognitives/ conductuals, les “conversacionals” o les interpersonals que alleugen el dolor de la depressió.

Tractar la depressió és especialment important perquè afecta a la persona que la pateix, a la seva família i al seu entorn. El canvi no es produirà de la nit al dia, però amb el tractament adequat, es pot evitar que la depressió eclipsi la seva vida.

Durant l’adolescència encara s’està formant la personalitat de l’individu i les experiències o conductes que assimilem en aquesta etapa poden generalitzar-se en l’etapa adulta, amb la possibilitat que es cronifiquin patrons de conducta desadaptats. A més del propi trastorn, hi ha efectes addicionals que poden causar problemes de per vida. Amb la depressió es produeix disminució de l’energia i problemes de concentració, que són símptomes que poden tenir un impacte en el funcionament social i acadèmic. L’impacte a nivell acadèmic afebleix la confiança i imatge de si mateix que té el nen, i pot repercutir en la seva vida futura si es perllonga. Però l’aprenentatge social és tan crític com l’aprenentatge acadèmic en l’adolescència. Les deficiències en les habilitats socials no només posen als adolescents deprimits darrere dels seus iguals, sinó que, en ells mateixos, pot agreujar la depressió.

D’altra banda, si la depressió no es tracta, pot complicar-se amb consum de tòxics o empitjorar fins al punt de convertir-se en una amenaça per a la vida per la possibilitat d’aparició d’autolesions (veure capítol Per què et fas mal? Introducció a la conducta autolesiva i al seu abordatge per a pares i educadors) o conductes suïcides.

que els trastorns afectius es presentin conjuntament amb altres problemes.

6. Estat d’ànim canviant? Depressió i trastorns afectius 153
És freqüent en l’adolescència

Una mirada a la salut mental dels adolescents

Claus per comprendre’ls i acompanyar-los

Tractar la depressió

és especialment important perquè afecta a la persona que la pateix, a la seva família i al seu entorn.

Des de l’inici del tractament és molt important la psicoeducació al menor, als pares i als professors. Entendre el trastorn i el que està passant ens ajuda a combatre l’estigma associat a la depressió, a més de poder donar suport al jove en el tractament. És molt important també abordar tots els temes relacionats amb la salut mental dels pares (i altres membres de la família) que hauran de ser identificats i idealment tractats. Moltes vegades el focus es posa en el nen o l’adolescent. No obstant, altres membres de la família presenten problemes de salut mental i tenen dificultats per acceptar ajuda, podent ser aquest un factor que cronifica i manté la simptomatologia depressiva en l’adolescent.

A continuació es presenten les formes més comunes i efectives de tractar la depressió en els adolescents.

La psicoteràpia

La psicoteràpia està especialment indicada en els trastorns depressius. La psicoteràpia ofereix als nens i adolescents l’oportunitat d’explorar esdeveniments i sentiments que els resulten dolorosos o inquietants. La psicoteràpia també els ensenya habilitats d’afrontament. A vegades simplement parlar de les emocions i de suport emocional són suficients perquè es produeixi una millora. En la depressió major les psicoteràpies que han mostrat major eficàcia són:

• La teràpia cognitivoconductual (TCC) que combina dos tipus de psicoteràpia molt eficaços: la teràpia cognitiva i la teràpia conductual. La teràpia cognitivoconductual es fonamenta en la idea que una persona que estigui patint un trastorn de l’estat d’ànim està atrapada en un patró de pensament negatiu. Els nens deprimits tendeixen a autoavaluar-se de forma negativa, interpretar les accions d’altres de forma negativa i suposar el resultat més fosc possible dels esdeveniments. En la TCC s’ensenya als que la pateixen a desafiar aquests pensaments negatius, a reconèixer el patró i a autoentrenar-se per pensar més enllà d’aquest tipus de pensaments.

• La psicoteràpia interpersonal (IPT) és una de les teràpies a curt termini que ha demostrat ser eficaç per al tractament de la depressió adolescent. La teràpia interpersonal s’enfoca en com desenvolupar relacions més saludables a la llar i a l’escola.

154

Medicaments

Si la depressió és moderada a severa, el tractament pot implicar medicaments, com ara antidepressius. Generalment, una combinació de psicoteràpia i medicaments funciona millor que qualsevol d’elles sola. En el cas del trastorn bipolar la medicació és necessària per al control dels símptomes.

Per al tractament de la depressió hi ha diferents tipus de medicaments antidepressius disponibles. Investigacions recents indiquen que els joves amb trastorns depressius poden respondre més favorablement als anomenats inhibidors selectius de la recaptació de serotonina (ISRS) que a altres antidepressius. Els fàrmacs que han demostrat major eficàcia són la fluoxetina i l’escitalopram. Cal assenyalar que els estudis que s’han realitzat també mostren respostes elevades al placebo sobretot en depressió lleu, trobant-se que a major severitat de la depressió, major resposta als antidepressius pel que fa al placebo.

En canvi, els tractaments que s’utilitzen per al trastorn bipolar difereixen dels que s’usen per al trastorn depressiu. Llevat d’excepcions, els antidepressius no estarien indicats en el tractament ja que poden desencadenar símptomes de mania.

El tractament d’elecció són els anomenats estabilitzadors de l’ànim, sent el carbonat de liti un dels fàrmacs més coneguts i eficaços en estabilitzar l’ànim. Altres fàrmacs que s’utilitzen amb freqüència són els anticonvulsionants (valproat i lamotrigina) i els antipsicòtics atípics (com estabilitzadors de l’ànim o com antipsicòtics quan el trastorn bipolar apareix amb símptomes psicòtics).

Cal fer un bon diagnòstic diferencial i en moltes ocasions els episodis de mania apareixen més tard que els depressius. Per això en ocasions pot passar que s’estigui tractant un episodi depressiu i aparegui en l’evolució l’episodi de mania. Això pot ocórrer en un 20 % de les depressions majors que debuten en l’adolescència, sobretot si són severes, si es presenten amb símptomes psicòtics o si existeixen antecedents familiars de trastorn bipolar.

Les formes més efectives per tractar la depressió són la psicoteràpia i el tractament farmacològic.

6. Estat d’ànim canviant? Depressió i trastorns afectius 155

Una mirada a la salut mental dels adolescents Claus per comprendre’ls i acompanyar-los

A tall de conclusió

• Els trastorns afectius solen debutar en l’adolescència sent la forma més freqüent de presentació la depressió.

És important personalitzar el tractament segons la severitat de la depressió i afectació en el funcionament.

• Els símptomes d’alarma que ens farien sospitar de la presència d’un trastorn afectiu inclouen un estat d’ànim persistent trist o irritable, juntament amb una disminució de l’energia, abandonament d’activitats, tendència a l’aïllament, baixada del rendiment escolar i canvis en la gana i el son.

• Els trastorns afectius són condicions tractables. El tractament funciona, però pot comportar algunes setmanes.

• És important realitzar un adequat tractament davant la presència d’un trastorn afectiu en l’adolescència. Si no es tracta, el trastorn afectiu pot afectar el desenvolupament d’habilitats socials, emocionals i cognitives.

• És important personalitzar el tractament segons la severitat de la depressió i afectació en el funcionament, les comorbiditats associades, les conductes (autolesions, conducta suïcida) i la història d’aprenentatge.

• S’han de tenir en compte els possibles estressors ambientals (bullying, abús, problemes d’identitat sexual, conflicte familiar o depressió en progenitor) en l’abordatge terapèutic.

• És important valorar si hi ha comorbiditats ja que són freqüents en els trastorns afectius i influeixen en l’evolució, i vigilar l’aparició de simptomatologia (hipo) maníaca (suggestiu de trastorn bipolar).

• La família s’ha d’incloure dins de l’abordatge terapèutic, ja que l’entorn és clau com a factor de recuperació o de manteniment de les conductes disfuncionals o tots dos.

• En la depressió lleu o moderada es recomana començar per visites de suport, higiene del son i psicoeducació.

• La TCC està indicada en combinació amb tractament farmacològic en depressió moderada-severa.

• Els ISRS són eficaços en el tractament de la depressió major. L’ISRS que ha demostrat major eficàcia en nens i adolescents és la fluoxetina.

• La psicoteràpia és crucial en aquesta època ja que hi ha una important plasticitat cerebral i d’assentament d’aprenentatges. Pot prevenir l’aparició de patrons disfuncionals de conducta.

• La farmacoteràpia ajuda en el control de símptomes sent limitada en situacions de disfunció ambiental o història de trauma, on altres abordatges complementaris estarien indicats.

Si se sospita en un nen o adolescent la presència d’un trastorn afectiu es pot consultar amb el pediatre o metge de família que podrà orientar i determinar si necessita valoració amb un especialista en salut mental.

156

Referències bibliogràfiques

Beardslee WR, Gladstone TRG, O’Connor EE. Developmental Risk of Depression: Experience Matters. Child Adolesc Psychiatr Clin N Am [Internet]. 2012;21(2):261–78. Available from: http://dx.doi.org/10.1016/j.chc.2011.12.001

Cummings CM, Caporino NE, Kendall PC. Adolescents : 20 Years After. Psychlogical Bull. 2014;140(3):816–45.

Ezpeleta L, Toro J. Psicopatología del desarrollo. 01a edició. Pirámide; 2014. 616 p. Sakolsky D, Birmaher B. Developmentally Informed Pharmacotherapy for Child and Adolescent Depressive Disorders. Child Adolesc Psychiatr Clin N Am [Internet]. 2012;21(2):313–25. Available from: http://dx.doi.org/10.1016/j.chc.2012.01.005

Thapar A, Collishaw S, Pine DS, Thapar AK. Depression in adolescence. Lancet [Internet]. 2012;379(9820):1056–67. Available from: http://dx.doi.org/10.1016/S0140-6736(11)60871-4

Webs d’interès:

• AACAP: https://www.aacap.org/AACAP/Families_and_Youth/Resource_Centers/Depression_Resource_Center/Depression_Resource_Center.aspx

• Child Mind Institute: https://childmind.org/article/cuales-son-los-sintomas-dedepresion-en-los-adolescentes/; https://childmind.org/article/causan-depresion-las-redes-sociales/

• Depression Guide: http://www.depression-guide.com

• Healthy Children: https://www.healthychildren.org/spanish/health-issues/conditions/emotional-problems/paginas/childhood-depression-what-parents-cando-to-help.aspx

• Help Guide: https://www.helpguide.org/articles/depression/parents-guide-toteen-depression.htm

6. Estat d’ànim canviant? Depressió i trastorns afectius 157

Una mirada a la salut mental dels adolescents Claus per comprendre’ls i acompanyar-los

158

7. Quan la percepció del món canvia (psicosi)

Montse Dolz.

Psiquiatra infantil i juvenil. Cap de l’Àrea de Salut Mental. Servei de Psiquiatria i Psicologia Infantil i Juvenil. Hospital Sant Joan de Déu Barcelona.

Jordina Tor.

PhD. Psicòloga Investigadora. Àrea de Salut Mental. Servei de Psiquiatria i Psicologia Infantil i Juvenil. Hospital Sant Joan de Déu Barcelona.

En Miquel té catorze anys i viu amb els seus pares i germà petit. Va a l’institut. Juga a hoquei i toca el violí. Li agrada gaudir de la muntanya.

Un dia sense saber de quina manera ni perquè, el món li semblava un lloc diferent de com l’havia vist fins ara. Era com si de cop i volta visqués una altra realitat. El temps passava extranyament diferent i més lent de l’habitual. Alguna cosa estava passant i ell no li trobava el motiu.

Quan anava pel carrer tenia la sensació que les persones el miraven malament i que, quan establien contacte visual, podien llegir els seus pensaments. Creia que algunes persones formaven part d’un complot mundial que volien controlar la humanitat. Un dia, mirant el seu pare, va pensar que ell també hi estava implicat. Tenia molta por. Ell estima molt el seu pare. També li passava amb el seu professor de música i va començar a posar excuses per no anar-hi. Cada vegada tenia més por.

Pocs dies després, va començar a sentir unes veus que l’insultaven. I les sentia de tant en tant. Cada vegada tenia més por i no ho volia compartir amb ningú. De sobte, quan escoltava la ràdio va creure que li enviaven missatges xifrats. Poc a poc sentia que el seu món es trencava. A casa el veien més aïllat, deia que no volia sortir al carrer i els hi deia molt que anessin amb

7. Quan la percepció del món canvia (psicosi) 159

Una mirada a la salut mental dels adolescents

Claus

per comprendre’ls i acompanyar-los

compte. Estava més irritable i li va començar a costar dormir i descuidava la seva higiene. Un dia va dir que ja no volia anar a l’institut, creia que els seus companys també estaven implicats en el complot.

En Miquel va fer un episodi psicòtic. Després d’un ingrés hospitalari, va anar recuperant-se. Segueix tractament farmacològic i psicològic. Ha pogut reprendre, poc a poc, la seva activitat tant acadèmica com social. Ha pogut aprendre a diferenciar la simptomatologia psicòtica per si reapareix poder-la controlar. S’està preparant pel batxillerat.

Què són els trastorns psicòtics?

Els trastorns psicòtics són un conjunt de malalties mentals greus i complexes que acostumen a manifestar-se durant el període de transició de la infància cap a la vida adulta. Es caracteritzen per la presència de simptomatologia de l’esfera psicòtica com a nucli de la malaltia. Els símptomes psicòtics comporten en la persona que els pateix una desconnexió o distorsió de la realitat, generant en l’individu pensaments i percepcions que sovint no concorden amb la realitat que tots podem percebre.

Els símptomes psicòtics comporten en la persona que els pateix una desconnexió o distorsió de la realitat.

A nivell general, aquests símptomes provoquen una alteració en el pensament i la percepció (visual, auditiva, olfactiva i/o tàctil), així com un conjunt de dificultats emocionals i conductuals que provoquen elevat estrès i patiment en la persona afectada i al seu entorn. Quan una persona mostra aquests símptomes es diu que presenta un episodi psicòtic o un brot psicòtic.

Dins dels trastorns psicòtics, la malaltia més coneguda i estudiada és l’esquizofrènia; aquesta és, a trets generals, la que té una presentació més greu i genera més dificultats en totes les esferes de la vida de la persona.

Hi ha d’altres trastorns psicòtics com el trastorn psicòtic breu o l’esquizoafectiu, entre d’altres. Tots els trastorns psicòtics tenen com a tret comú la presència de símptomes psicòtics que comporten una distorsió de la realitat.

No obstant, els símptomes psicòtics també poden presentar-se de manera aïllada o de manera breu i puntual en d’altres malalties mentals com per exemple en el trastorn bipolar o en la depressió major, així com també en d’altres malalties mèdiques.

Donada la complexitat dels trastorns psicòtics i dels seus símptomes associats, en primer lloc repassarem quins són els símptomes psicòtics i com es mostren, i en segon lloc veurem quins trastorns s’identifiquen com a trastorns psicòtics.

160

Símptomes psicòtics

Els símptomes psicòtics es caracteritzen per una mala interpretació o distorsió de la realitat així com alteracions emocionals i conductuals. Es diferencien dos grans tipus de símptomes psicòtics: els positius, que són els que comporten una distorsió de la realitat; i els símptomes psicòtics negatius, aquells que es manifesten com dificultats en l’esfera afectiva, social i de funcionament.

Símptomes psicòtics positius:

Són aquells símptomes que es manifesten com una distorsió i/o desconnexió de la realitat i una pèrdua de judici de la realitat, tal i com l’entén la major part de la població. Estan formats per tres grans grups de símptomes:

• Deliris: són creences fixes i errònies que la persona experimenta com a certes i indiscutibles, fins i tot quan hi ha proves en contra. El contingut d’aquestes idees pot tenir diverses temàtiques. Les més freqüents solen ser la persecutòria, que comporta que l’individu pensa que el persegueixen, que el miren pel carrer, etc; o el deliri de referència, que es dona quan la persona pensa que els esdeveniments i/o els pensaments de les persones estan vinculats a l’individu que pateix aquest símptoma, per exemple pensar que la gent pensa malament d’ell o que el miren malament, que una determinada notícia a la televisió va dirigida a ell, que les altres persones poden saber el que pensa, entre d’altres.

Es diferencien dos tipus de símptomes psicòtics: els positius (distorsió de la realitat) i els negatius (dificultats en l’esfera afectiva, social i de funcionament).

7. Quan la percepció del món canvia (psicosi) 161

Una mirada a la salut mental dels adolescents

Claus per comprendre’ls i acompanyar-los

• Alteracions de la percepció o al·lucinacions: les al·lucinacions són experiències sensorials paranormals que es produeixen en absència d’un estímul real extern. L’individu les percep com a vívides i clares, amb la força d’una percepció normal. Poden donar-se en totes les modalitats sensorials (visual, auditiva, olfactiva i tàctil) però les més comunes, i més encara en l’adolescència, són les al·lucinacions auditives.

• Desorganització del pensament i/o el comportament: la desorganització és un símptoma que pot afectar al pensament o al comportament, quan la desorganització del pensament es mostra com una forma de parlar poc comprensible, amb idees inconnexes o on la parla no segueix un ordre semàntic adequat ni un fil d’argumentació que pugui comprendre’s, fent que el discurs de la persona sigui molt poc comprensible i poc coherent. Quan la desorganització afecta al comportament, es pot observar que la persona es presenta molt inquieta o fins i tot agitada i violenta sense motiu aparent. Es pot mostrar, per exemple, un comportament que no està d’acord amb la situació social en que ens trobem, que està fora de lloc, o és poc comprensible. A vegades pot fins i tot donar-se una immobilitat absoluta, mostrant molta rigidesa al cos.

Símptomes psicòtics negatius:

Els símptomes negatius són la causa principal de la disminució del funcionament de les persones amb trastorns psicòtics. Els símptomes més freqüents són:

• L’expressió emocional disminuïda o aplanada, que s’observa quan el pacient no presenta expressió emocional, i descriu la seva emocionalitat com a plana, com si no sentís les emocions tan fortes com de costum. Aquest símptoma és observable en l’expressió facial, el contacte ocular, la tonalitat de la veu i els moviments de tot el cos de la persona que el pateix.

• L’abúlia-apatia es caracteritza per una disminució de la motivació en realitzar activitats i un baix interès en la participació d’activitats socials, acadèmiques o laborals.

• L’anhedonia fa referència a la incapacitat o disminució de la capacitat de sentir plaer. Normalment es manifesta primerament per la disminució de la realització d’activitats que anteriorment eren agradables i donaven plaer a la persona.

162

• L’alògia es refereix a un empobriment del pensament i de la cognició i que es pot observar en la persona que la pateix quan el seu discurs es torna més simple i pobre.

Els símptomes negatius no apareixen en tots els trastorns psicòtics i quan apareixen, no es mantenen igual en intensitat ni en duració al llarg de la malaltia.

Altres símptomes associats als trastorns psicòtics:

• Alteracions de l’estat d’ànim: a més a més dels símptomes ja mencionats, poden aparèixer alteracions de l’estat d’ànim, com poden ser la presència d’estat d’ànim baix o símptomes depressius o un estat d’ànim elevat o símptomes maníacs.

• Alteracions emocionals: la presència de símptomes depressius, d’ansietat o altres símptomes associats apareixen amb freqüència. Aquests símptomes sovint són les primeres manifestacions dels trastorns psicòtics i per tant es el que primer s’observa, sobretot en el cas dels nens i adolescents.

• Dificultats en el funcionament cognitiu: apareixen com a símptomes propis d’algunes d’aquestes malalties dificultats en les funcions cognitives. Les funcions cognitives són els processos mentals que ens permeten dur a terme el pensament i desenvolupar-nos en el dia a dia. Ens permeten rebre, processar, emmagatzemar, recuperar i transformar la informació que ens arriba del món. Dins d’aquestes funcions hi trobem l’atenció, la memòria, el pensament, el llenguatge, les funcions executives, la cognició social, etc. La disminució en el rendiment d’aquestes funcions són inherents a alguns dels trastorns psicòtics. El trastorn on aquest dèficit de les funcions cognitives és més evidenciat és l’esquizofrènia. El perfil del dèficit que presenten els pacients amb esquizofrènia, tot i no ser sempre el mateix, sol estar vinculat a dificultats de memòria, atenció i funcionament executiu. Un dels aspectes més importants del deteriorament que s’observa en les funcions cognitives dels pacients amb trastorns psicòtics, és que aquestes alteracions estan directament vinculades i afecten al funcionament global de la persona.

7. Quan la percepció del món canvia (psicosi) 163

164

Una mirada a la salut mental dels adolescents

Claus per comprendre’ls i acompanyar-los

En la següent figura es recullen els principals símptomes associats als trastorns psicòtics:

Figura 10. Símptomes associats als trastorns psicòtics.

Font: elaboració pròpia.

SÍNTOMAS

SÍMPTOMES

POSITIVOS SÍNTOMAS NEGATIVOS DÉFICIT COGNITIVO

ALTERACIÓN ESTADO DE ÁNIMO

Ideas delirantes

Idees delirants

Alteraciones de la percepción / alucinaciones Desorganización del pensamiento y/o comportamiento

Alteracions de la percepció / al·lucinacions

Desorganització del pensament i/o comportament

Expressió emocional disminuïda o aplanada

Expresión emocional disminuida o aplanada

Apatía / Abulia

Apatia / Abúlia

Anhedonia

Anhedonia

Alogia

Alògia

Atenció

Atención

Memòria verbal / visual

Memoria verbal / visual Funcionamiento ejecutivo

Funcionament executiu

Síntomas depresivos

Símptomes depressius

Síntomas de manía o estado de ánimo elevado

Símptomes de mania o estat d’ànim elevat

Tipus de trastorns psicòtics

En el Manual Diagnòstic i Estadístic dels Trastorns Mentals (DSM per les seves sigles en anglès de Diagnostic and Statistical Manual of Mental Disorders) (American Psychiatric Association. et al. 2014), en la seva cinquena edició (DSM-5) es descriu la categoria de “Trastorns de l’espectre de l’esquizofrènia i d’altres trastorns psicòtics”. Dins d’aquesta categoria s’identifiquen els següents trastorns:

Psicosis idiopàtiques

Aquelles que es presenten de forma espontània o sense una causa coneguda:

• Trastorn delirant: es caracteritza per la presència de deliris com a nucli de la malaltia. En aquest trastorn els símptomes delirants, excepte per

+ -
POSITIUS SÍMPTOMES NEGATIUS DÈFICIT COGNITIU ALTERACIÓ ESTAT D’ÀNIM

l’impacte directe del de les idees delirants, l’activitat psicosocial de la persona no està afectada de forma significativa, és a dir, la persona que l’experimenta pot funcionar amb relativa normalitat en la major part dels ambients. Per exemple, podria donar-se el cas que una persona pateixi un deliri relacionat amb l’entorn acadèmic o laboral, per exemple pensar que un dels companys de la feina vol enverinar-lo i té intencions negatives cap a la persona. En aquest sentit, el funcionament de la persona que pateix el trastorn delirant únicament es veuria afectat a la feina, però tindria un funcionament relativament preservat en els altres entorns de la seva vida.

• Trastorn psicòtic breu: aquest trastorn psicòtic es caracteritza per la presència d’algun dels símptomes psicòtics positius esmentats, però que tenen una duració curta en el temps. La duració dels símptomes ha de ser major a un dia, però no excedeix a un mes.

• Esquizofrènia: aquest trastorn és el més greu dins dels trastorns psicòtics. Es caracteritza per la presència de com a mínim un dels símptomes psicòtics positius explicats (deliris, al·lucinacions i desorganització de la conducta). A més a més, aquesta malaltia presenta també símptomes psicòtics negatius, dèficits cognitius i una disminució del funcionament acadèmic o laboral. Per tal que es diagnostiqui aquesta malaltia, els símptomes han d’estar presents durant més de sis mesos.

• Trastorn esquizofreneiforme: en aquest trastorn es presenten símptomes iguals a l’esquizofrènia però a diferència de l’esquizofrènia en aquest cas els símptomes tenen una duració inferior a sis mesos.

7. Quan la percepció del món canvia (psicosi) 165
L’esquizofrènia és el trastorn més greu dins dels trastorns psicòtics.

Una mirada a la salut mental dels adolescents

Claus per comprendre’ls i acompanyar-los

• Trastorn esquizoafectiu: aquest trastorn es caracteritza per presentar símptomes psicòtics positius així com d’altres símptomes presents en l’esquizofrènia, però també per la presència de símptomes de l’estat d’ànim. Es diferencia de l’esquizofrènia per l’aparició d’un o més episodis de depressió o de mania (estat d’ànim elevat) durant la vida de la persona.

Psicosis degudes a una condició mèdica

En aquest subgrup s’engloben els pacients que presenten símptomes psicòtics deguts a una altra malaltia. Alguns trastorns mèdics com l’epilèpsia, els accidents cardiovasculars, o malalties neurodegeneratives com les demències, poden tenir dins dels seus símptomes els psicòtics com al·lucinacions visuals o olfactives, deliris i d’altres símptomes.

Psicosis tòxiques

Són aquells trastorns psicòtics que es desenvolupen degut al consum de substàncies tòxiques, ja siguin substàncies il·legals com les drogues, o d’altres substàncies com medicacions o a algunes toxines.

A més a més d’aquests trastorns, en alguns casos d’altres trastorns mentals també poden mostrar símptomes psicòtics. En aquest cas, els trastorns més vinculats a la presència de símptomes psicòtics son el trastorn bipolar i el trastorn depressiu major.

• Trastorn bipolar: és un trastorn de l’estat d’ànim on es presenten variacions del mateix. Poden donar-se episodis on es presenta un estat d’ànim baix o símptomes depressius, o episodis on es presenta un estat d’ànim elevat o d’eufòria, que s’anomena mania. En els dos tipus d’episodis (depressiu o maníac) poden donar-se la presència de símptomes psicòtics de tipus positiu associats.

• Depressió amb presència de símptomes psicòtics: la depressió és un trastorn de l’estat d’ànim que a vegades pot arribar a comportar una desconnexió de la realitat i presentar símptomes psicòtics.

A la següent taula es recullen els diagnòstics que recull el Manual DSM-5, i les seves característiques i símptomes associats.

166

Taula 10. Resum de diagnòstics associats als trastorns psicòtics.

Font: elaboració pròpia.

Diagnòstics Símptomes associats

• Trastorn psicòtic breu

• Símptomes positius

Altres característiques

• Duració inferior a un mes.

• Esquizofrènia

• Presència de símptomes positius, negatius, deteriorament cognitiu i dificultat en el funcionament en diverses àrees.

• Trastorn esquizofreneiforme

• Presència de símptomes psicòtics positius, negatius.

• Trastorn esquizoafectiu

• Els símptomes psicòtics de tipus positiu apareixen conjuntament amb alteracions de l’estat d'ànim de tipus depressió o mania.

• Els símptomes es presenten durant més de sis mesos.

• La persona experimenta dificultats en el funcionament psicosocial.

• Els símptomes tenen una duració inferior a sis mesos.

• El diagnòstic no es pot realitzar si no existeixen com a mínim, dos episodis psicòtics.

• Trastorn delirant

• Símptomes positius de tipus ideació delirant.

• Psicosis tòxiques

• Presència de símptomes de tipus positiu.

• Trastorn psicòtic no especificat

• Presència de símptomes psicòtics de tipus positiu.

• Trastorn depressiu amb símptomes psicòtics

• Presència de símptomes de l’estat d’ànim de tipus depressiu i conjuntament apareixen símptomes de tipus positiu.

• La persona no sol experimentar alteracions del funcionament psicosocial, excepte el que es vincula amb el deliri que presenta.

• Són degudes al consum de substàncies tòxiques i els símptomes que presenten es poden atribuir al consum de les mateixes.

• Per les característiques del trastorn, no es pot especificar cap dels altres diagnòstics.

• No es consideren trastorns psicòtics però la presència d’aquests símptomes pot ser un factor de gravetat.

• Trastorn bipolar amb símptomes psicòtics

• Trastorn de l’estat d'ànim on apareixen símptomes d’estat d'ànim baix (depressius) i d’estat d'ànim elevat (mania).

• Poden aparèixer símptomes psicòtics en els dos estats.

• No es consideren trastorns psicòtics però la presència d’aquests símptomes pot ser un factor de gravetat.

7. Quan la percepció del món canvia (psicosi) 167

Una mirada a la salut mental dels adolescents

Per què quan parlem de trastorns psicòtics sobretot es parla d’esquizofrènia?

L’esquizofrènia és, dins dels trastorns psicòtics que acabem de veure, el més greu i el que comporta una disfuncionalitat més elevada. Igualment, és la malaltia on més símptomes negatius apareixen, afectant greument al funcionament de l’individu, i on la cognició està més afectada. No obstant això, com s’ha exposat en els paràgrafs anteriors, hi ha molts més trastorns psicòtics, i la presència de símptomes de l’esfera psicòtica, sobretot els positius, no sempre estan vinculats o acabaran desenvolupant una esquizofrènia. No obstant això, cal recordar que els símptomes psicòtics estan associats a un elevat malestar per la persona que els pateix, pel que quan apareguin és important demanar l’opinió d’un professional.

Els símptomes psicòtics i els trastorns psicòtics en els nens i adolescents

Els trastorns psicòtics són malalties que es donen en la gran majoria dels casos en les franges d’edat que comprenen el pas de la infància cap a la vida adulta. El pic màxim de desenvolupament se situa entre els divuit i trenta anys. Sovint en els nois es presenta a edats més primerenques (divuit – vint-i-cinc anys) i en les noies se sol donar en una etapa més tardana de la vida (vint-i-cinc – trenta-cinc anys, mostrant també un pic d’incidència als quaranta anys).

Els trastorns psicòtics apareixen sovint en les franges d’edat que comprenen el pas de la infància cap a la vida adulta.

No obstant, hi ha vegades que durant l’adolescència es presenten aquestes malalties. L’adolescència, per ser un període on el creixement cerebral està en ple desenvolupament s’ha observat que sovint es dona un increment en la presència de símptomes del tipus psicòtics lleus o atenuats, com a un procés més vinculat a la maduració cerebral. A més a més, en la infància, els deliris i les al·lucinacions poden ser menys elaborades que les que s’observen a l’etapa adulta de la vida, les al·lucinacions visuals són més freqüents, i cal tenir en compte que s’ha de distingir entre els símptomes del joc i de les fantasies pròpies de l’edat.

Diverses investigacions també han demostrat que en les etapes infantil i adolescent aquestes malalties sovint es presenten d’una manera més insidiosa o gradual, apareixent primer símptomes més del tipus negatiu i que afecten al funcionament, i més tard els símptomes positius.

D’altra banda, també cal tenir en compte que haver d’explicar als pares aquests símptomes, sovint no es fàcil, ja que poden ser viscuts amb molt de malestar. Per això recordem que és important sempre demanar l’opinió d’un professional davant la sospita d’algun dels símptomes mencionats.

168
Claus per comprendre’ls i acompanyar-los

Símptomes psicòtics i la seva evolució

Epidemiologia

Els nens i adolescents amb trastorns psicòtics representen un 0,3 % de la població infantil i juvenil, arribant a ser l’1 % de la població total en arribar a l’edat adulta. Malgrat que la incidència del trastorn no és equiparable a la d’altres trastorns més freqüents, la gravetat d’aquesta malaltia i el risc de cronicitat és tan elevada que en un informe de l’Organització Mundial de la Salut (OMS 2004) situa l’esquizofrènia en el novè lloc de les malalties que més càrrega de discapacitat associada impliquen, sent una de les malalties mentals que suposen més patiment tant psicològic (individual i familiar), com social.

Causes

Les causes d’aquestes malalties són a dia d’avui desconegudes. Si bé és cert que dins del conjunt de les psicosis, sí que hi ha dos grups que manifesten causes conegudes (les psicosis induïdes per tòxics i les psicosis degudes a afeccions mèdiques), el grup de psicosis idiopàtiques, tal i com el seu nom indica, no se’n coneix la causa. En aquest sentit, hi ha diverses hipòtesis explicatives:

• Hipòtesis biologicistes: són aquelles que es basen en factors biològics i genètics per a descriure les causes de la malaltia. En aquest sentit s’han dut a terme molts estudis en el camp genètic de la malaltia. Aquests estudis per una banda es basen en la determinació de la càrrega genètica que traspassem a la nostra descendència. Així, amb la realització d’estudis de fills de pacients que pateixen un trastorn psicòtic s’ha identificat un elevat grau de càrrega genètica (fins a un 80 % d’heretabilitat de la malaltia). D’altra banda, més actualment, hi ha diversos estudis genètics que intenten identificar gens específics que siguin causants de la malaltia. En aquest sentit, s’han identificat diversos gens, però fins al moment, cap dels estudis mostra resultats concloents com per mostrar un gen específic com a causant únic de la malaltia.

• Hipòtesis neurobiològiques: aquestes hipòtesis es basen principalment en un mal funcionament de factors neuronals (mecanismes cerebrals) com a causants de la malaltia. En aquest camp, es realitzen estudis de mida cerebral, mida d’estructures dins del cervell, mecanismes de funcionament cerebral, etc. Fins ara, no s’ha detectat un mecanisme concret que sigui el causant de la malaltia, però sí molts indicadors i factors comuns dins d’aquest camp.

Els nens i adolescents amb trastorns psicòtics representen un 0,3 % de la població infantil i juvenil, arribant a ser l’1 % en adults.

7. Quan la percepció del món canvia (psicosi) 169

Una mirada a la salut mental dels adolescents Claus per comprendre’ls i acompanyar-los

• Hipòtesis ambientals: aquestes hipòtesis identifiquen factors ambientals tals com l’estrès, els esdeveniments vitals estressants, lloc on vivim (ambient rural o urbà), etc. com a causants d’aquestes malalties. En aquest sentit, tampoc s’ha detectat un únic indicador ambiental com a desencadenant dels trastorns psicòtics.

Els investigadors determinen que les causes d’aquestes malalties, si bé no són comunes ni hi ha una única causa com hi pot haver en d’altres malalties, són un conjunt de factors. Per això, les hipòtesis que més força prenen a l’hora d’explicar aquestes malalties són aquelles biopsicosocials, és a dir, que es basen en l’enteniment de múltiples causes com a determinants de la malaltia.

Factors de risc i factors protectors

Si bé es cert que fins ara no tenim una única causa que ens expliqui com s’origina la malaltia, la investigació al llarg dels anys amb les hipòtesis abans mencionades ha comportat el coneixement de diversos factors que fan que una persona tingui més risc de patir una malaltia psicòtica:

Hi ha diferents hipòtesis que explicarien les causes dels trastorns psicòtics: hipòtesis biologicistes, neurobiològiques i ambientals.

• Història familiar de trastorn psicòtic: aquest camp ha estat estudiat sobretot en l’àmbit de l’esquizofrènia, però també en d’altres trastorns psicòtics. En aquest sentit, la ciència ha evidenciat que tenir un progenitor que pateixi la malaltia, augmenta el risc de patir-la en un 80 %.

• Estrès: és una de les causants o contribuents en el desenvolupament de diverses malalties mentals. En el cas dels trastorns psicòtics, s’ha evidenciat com la presència d’experiències estressants al llarg de la vida poden interaccionar amb d’altres factors biològics de susceptibilitat i contribuir a incrementar el risc de desenvolupar un trastorn psicòtic.

• Consum de tòxics: el consum de drogues tals com el cànnabis i la cocaïna s’ha mostrat com a un factor de risc en la literatura científica. Tant el consum de tòxics com els esdeveniments estressants negatius s’han vinculat a un major risc de patir simptomatologia psicòtica en nens i adolescents, així com de que la simptomatologia es mantingui.

• Clima familiar: dins dels esdeveniments vitals estressants un dels factors estudiats científicament és el clima familiar. Des de l’escola psicològica sistèmica, que s’ocupa de l’estudi de les relacions familiars i interpersonals, s’ha estudiat el concepte emoció expressada. L’emoció expressada es defineix com els estils comunicatius que es donen en les famílies i es descriuen cinc tipus d’estils comunicatius, tres de negatius i dos de positius: comentaris crítics (crítica), hostilitat, sobreimplicació, calidesa i afecte. En el camp de l’esquizofrènia diversos estudis d’investigació han vinculat les recaigudes dels malalts d’esquizofrènia amb la

170

presència d’elevats nivells dels estils comunicatius de crítica, hostilitat i sobreimplicació.

• Presència de símptomes psicòtics atenuats i experiències psicòtiques: en l’actualitat cada vegada existeix més evidència de que la presència de símptomes psicòtics positius de forma atenuada o breus augmenten el risc de patir un trastorn psicòtic en fases més tardanes de la vida.

• Adherència al tractament: acudir a consulta i seguir la pauta de tractament que indica el psiquiatra és un factor protector i de bon pronòstic.

Diagnòstic Diagnòstic i detecció

El diagnòstic d’un trastorn psicòtic ha de ser realitzat per un professional de la salut mental, principalment un psiquiatra i/o un psicòleg clínic. És d’especial importància en tots els casos, però com hem observat, el seu diagnòstic en la infància i l’adolescència pot ser especialment confós pel que és essencial que el diagnòstic sigui realitzat per un especialista.

Detecció precoç

Diversos estudis han mostrat que la detecció precoç d’aquests trastorns és un factor molt important en el curs que seguiran els pacients amb diagnòstic de trastorn psicòtic. S’ha evidenciat que el temps que transcorre entre la presència dels primers símptomes i l’inici del tractament, el que es coneix com el temps de psicosi no tractada, és un factor implicat en l’evolució de la malaltia. Així, com més curt és aquest temps, millor pronòstic poden presentar les persones amb diagnòstic de psicosi.

En aquest sentit, i tenint en compte els factors de risc estudiats al llarg del temps, en les últimes dècades s’han iniciat esforços en la detecció a fases prèvies al desenvolupament dels símptomes psicòtics. Diversos grups d’investigació arreu del mon estudien a tots aquells pacients en risc de patir una malaltia amb l’objectiu de realitzar prevenció.

Alguns factors de risc de psicosi són: història familiar, estrès, consum de tòxics, clima familiar i experiències psicòtiques.

7. Quan la percepció del món canvia (psicosi) 171

Una mirada a la salut mental dels adolescents

Claus

per comprendre’ls i acompanyar-los

Els pacients en risc s’identifiquen de moment amb criteris clínics basats en la presència de símptomes del tipus psicòtics però d’una forma lleu o atenuada. Parlem de símptomes psicòtics atenuats quan una persona presenta símptomes del tipus deliris però encara és capaç de dubtar de si son verídics o no, o quan una persona té percepcions que li fan dubtar de si són reals o no. Tot i que aquest encara és un camp en estudi, l’especialització dels serveis de detecció precoç està donant resultats esperançadors i sobretot, està contribuint a la disminució del temps de psicosi no tractada. Per tots els resultats positius que s’estan observant, es considera d’elevada importància la realització d’un diagnòstic precoç d’aquestes malalties.

Tractament

El tractament en els trastorns psicòtics es conforma per una multiintervenció formada per intervenció en diverses branques de la salut mental. El tractament d’elecció és el psiquiàtric-farmacològic, combinat amb tractament psicològic.

Tractament psiquiàtric: primera línia d’intervenció

La detecció precoç d’aquests trastorns és un factor molt important en el curs que seguiran els pacients.

El tractament psiquiàtric o farmacològic és la primera línia d’intervenció en els trastorns psicòtics i pot ser necessari en la majoria dels casos. El psiquiatra valorarà la necessitat de realitzar una intervenció farmacològica apropiada. Els fàrmacs usualment utilitzats s’anomenen antipsicòtics i van enfocats a la millora dels símptomes psicòtics positius, en primer terme. No obstant, és difícil saber com cada fàrmac actuarà en un individu, per això a vegades es requereix l’administració d’altres fàrmacs com poden ser els estabilitzadors de l’humor, els antidepressius, els ansiolítics o d’altres fàrmacs. El psiquiatra valorarà en cada cas individual quin és el tractament d’elecció i és molt important que se segueixin les indicacions que proporciona el psiquiatra i que no es tingui en compte si la medicació és la mateixa o diferent a la que pren una altra persona.

Els fàrmacs antipsicòtics, com tots els psicofàrmacs, són medicaments que actuen en el sistema nerviós i ajuden a compensar els desajustos que provoquen els símptomes. Hi ha diverses categories, d’entre les més representatives trobem els antipsicòtics de primera generació (o típics) i els de segona generació (o atípics). Els de primera generació van aparèixer en primer terme i tot i que en l’actualitat són menys utilitzats, el psiquiatra valorarà quin és el millor tractament en cada cas. Alguns dels noms d’aquesta categoria són l’haloperidol o la clorpromazina. Els antipsicòtics de segona generació són els que s’administren en la majoria dels casos actualment. Majoritàriament produeixen un menor nombre d’efectes adversos, tot i que cal remarcar que cada persona és diferent. Alguns d’aquests fàrmacs són l’aripiprazol, la quetiapina o la risperidona, entre d’altres.

172

Un dels aspectes que més solen preocupar en consulta són les preguntes que ens fem sobre quant de temps ha de durar el tractament o si afectarà negativament al nostre fill/a. Com s’ha explicat, cada persona requereix d’una intervenció que pot ser diferent, i és molt important consultar amb el professional sanitari tots els dubtes que se’ns generin al voltant de la presa de medicació. No obstant, un dels factors que més s’ha associat a la recuperació i millora dels pacients és l’adequat seguiment i adherència dels pacients al tractament. És important comprendre que s’ha evidenciat que el temps que passa sense tractament una persona que desenvolupa un primer episodi psicòtic és un factor de mal pronòstic de la malaltia, pel que cal seguir les indicacions del psiquiatra de referència.

Tractament psicològic: tractament d’elecció teràpia cognitivoconductual

El tractament psicològic és també un tractament d’elecció en els trastorns psicòtics. En aquest sentit, la teràpia que major nivell d’eficàcia ha mostrat és la teràpia cognitivoconductual (TCC). Dins de la intervenció que ha de proporcionar un professional de la psicologia, els objectius s’orienten a la psicoeducació, al maneig d’estrès i a l’entrenament en habilitats socials com els punts més rellevants d’intervenció.

Altres tractaments rellevants

Tot i que els tractaments d’elecció i que compten amb la major evidencia científica són els ja mencionats, hi ha d’altres intervencions que agrupen també un nivell d’evidència favorable.

Rehabilitació cognitiva

Com hem explicat, diversos trastorns psicòtics cursen amb uns dèficits cognitius que afecten principalment a les capacitats de memòria, funcionament executiu i atenció, cognició social, entre d’altres. Aquesta afectació està directament vinculada amb la funcionalitat de les persones amb trastorns psicòtics, afectant en el cas dels adolescents el seu rendiment acadèmic i que és una font d’estrès associat pels pacients que els pateixen.

Per això, un dels tractaments de primera elecció i recomanats per les guies clíniques és la rehabilitació cognitiva. Aquest tractament és dut a terme per neuropsicòlegs i es tracta d’un entrenament en les funcions cognitives mencionades mitjançant diversos exercicis d’estimulació cognitiva. Actualment es duen a terme intervencions tant en llapis i paper com informatitzades, mostrant les dues nivells d’evidència favorables.

El tractament més utilitzat per a trastorns psicòtics és el psiquiàtricfarmacològic, combinat amb tractament psicològic.

7. Quan la percepció del món canvia (psicosi) 173

Una mirada a la salut mental dels adolescents

Claus per comprendre’ls i acompanyar-los

Teràpia familiar

Donat que s’ha identificat que el clima familiar i l’emoció expressada és un factor de risc vinculat a les recaigudes en els pacients, la teràpia familiar tracta d’identificar i modificar possibles estils comunicatius que generen malestar tant en el funcionament de la família com en el pacient. Així mateix, la teràpia en psicoeducació familiar, també s’ha mostrat rellevant tant per l’adherència al tractament com per el maneig de la situació per part de tota la família.

Suport acadèmic i ajudes socials

L’afectació acadèmica i social, així com l’estigmatització i el malestar que comporten els trastorns psicòtics fa que sigui molt beneficiosa l’ajuda rebuda en aquests dos àmbits.

Evolució dels trastorns psicòtics

Evolució dels símptomes psicòtics cap a un trastorn psicòtic

La rehabilitació cognitiva, la teràpia familiar i el suport acadèmic juntament amb les ajudes socials són altres tractaments rellevants.

El desenvolupament de símptomes psicòtics en la infància i l’adolescència no implica necessàriament la presència d’un trastorn psicòtic, però sí que implica un risc més elevat per a desenvolupar-ne un al llarg de la vida. A més, la presència de símptomes psicòtics aïllats en el període infantil i adolescent és major que en l’edat adulta. Així, diversos estudis han mostrat com la prevalença dels símptomes psicòtics és més elevada entre els nou i dotze anys, i també que hi ha un augment de presència de símptomes psicòtics positius als quinze - setze anys. Igualment, d’altres estudis mostren que entre el 75 - 90 % de les experiències de tipus psicòtic són transitòries.

Tot i això, cal tenir en compte que les investigacions suggereixen que el fet de presentar símptomes psicòtics de forma intensa i freqüent es vincula a major risc de ser diagnosticat d’un trastorn psicòtic en els següents quatre anys, i que la presència d’aquests símptomes s’associa a elevats nivells d’estrès i símptomes depressius en la població infantil.

174

Evolució dels trastorns psicòtics

L’evidència en la literatura científica destaca que els primers cinc anys després de l’aparició d’un primer episodi psicòtic són crítics per definir l’evolució que presentarà la persona al llarg de la vida. Aquest període es coneix com a període crític i cal observar si es produeixen més episodis psicòtics, si hi ha símptomes de l’estat d’ànim associats i quina adherència al tractament mostra el pacient.

Els estudis en aquest camp es vinculen sobretot a l’esquizofrènia. En aquest sentit, es descriuen tres possibles cursos d’evolució dels pacients amb diagnòstic d’esquizofrènia. Es suggereix que un terç dels pacients tindrà un curs favorable, amb funcionalitat normalitzada i adequada adaptació a la vida quotidiana, amb poca presència de recaigudes. Un altre terç mostrarà un curs variable, amb funcionalitat adequada però variable i amb major nivell de recaigudes. Per últim hi ha un terç dels pacients que presentarà elevat nivell de recaigudes, poca adherència al tractament i el seu funcionament ocupacional i social quedarà severament afectat.

El curs dels pacients amb diagnòstic de trastorn psicòtic és variable, però factors com el diagnòstic precoç, l’adequat compliment dels diversos tractaments, el control dels esdeveniments estressants o un ambient estressant, el baix consum de tòxics i el recolzament social, clima familiar i baixos nivells d’emoció expressada es vinculen a una millor evolució dels pacients.

Què podem fer?

Senyals d’alarma

Els principals senyals d’alarma per a la detecció d’aquests trastorns es basen en l’observació de la conducta dels nois. Així, podem destacar com a principals senyals d’alarma els següents punts:

• Símptomes similars als descrits en l’apartat de símptomes positius tals com elevada desconfiança, hipervigilància o estats d’ànim diferents als que presentava anteriorment que apareixen sobtadament, són senyals que ens han de fer pensar en que potser és necessària l’ajuda d’un professional. Cal donar especial rellevància al cas que aquestes característiques apareguin de forma sobtada, amb o sense desencadenant aparent.

Els primers cinc anys després de l’aparició d’un primer episodi psicòtic són crítics per definir l’evolució que presentarà la persona al llarg de la vida.

7. Quan la percepció del món canvia (psicosi) 175

Una mirada a la salut mental dels adolescents

Claus per comprendre’ls i acompanyar-los

• Comunicació i llenguatge diferent: a la persona li costa expressar les seves idees, o quan parla no aconsegueix arribar a un objectiu comunicatiu. Dona moltes voltes sobre un punt concret i costa tenir converses diferents, utilitza expressions estranyes, etc.

• Comportament estrany: té comportaments diferents als que solia tenir, com ara passar llargues hores a l’habitació tancat, negativa a acudir a l’escola, disminució acadèmica sobtada, canvi d’aficions sobtat, canvi de grup d’amics sense causa aparent, etc.

• Canvis en el son: els trastorns en el son són comuns dins dels trastorns psicòtics. A vegades fins i tot es pot donar el cas que es quedin tota una nit desperts, o fins i tot diverses nits, o que canviïn el cicle de son-vigília dormint durant el dia i estan desperts durant la nit.

• Deixadesa amb la imatge física: li costa dutxar-se, no es canvia de roba, etc.

• Consum de substancies tòxiques i d’altres conductes: el consum inesperat de substàncies tòxiques, o d’altres comportaments que no tenen en compte les conseqüències tals com gastar grans quantitats de diners, marxar durant dies sense donar noticies, etc., són comportaments que ens han de donar un senyal d’alarma.

Què fem davant la presència de símptomes psicòtics

Davant la presència de símptomes psicòtics és molt important acudir amb la major brevetat possible a un servei de salut mental, des d’on podran realitzar una valoració adequada de la presència d’aquests símptomes i oferir el millor tractament per a cada cas.

Davant la presència de símptomes psicòtics és molt important acudir amb la major brevetat possible a un servei de salut mental.

Així mateix, davant la presència dels senyals d’alarma mencionats, és important poder valorar amb un professional de la salut si aquests senyals poden comportar la presència d’un trastorn psicòtic i realitzar les derivacions pertinents als serveis especialitzats.

Com hem vist, la detecció precoç en aquest tipus de trastorn pot marcar la diferència en el curs de la malaltia pel que cal que demanem informació en la major brevetat que ens sigui possible.

176

Què fem a casa? Conductes que poden ajudar a la persona que pateix

• Acudir a un professional i seguir les seves indicacions: els trastorns psicòtics són malalties mentals complexes, i on una detecció i intervenció precoç pot ser diferencial en el transcurs de la malaltia. Per això, cal que proposem als nois i noies la possibilitat d’acudir a un professional quan detectem algun senyal d’alarma.

• Clima familiar de confiança i tranquil: és important poder generar a casa un espai de confiança i de seguretat, on els nois i noies puguin percebre que es pot parlar dels problemes que pateixen. Generar aquest clima sovint també passa per explicar-los que estem percebent una situació on ens sembla que estan patint. En ocasions aquests converses se’ns fan complicades tant als pares com als fills, donat que per una banda ens pot fer por rebre una negativa per part seva o bé empitjorar la situació, i per l’altra banda, es pot pensar que s’enfadaran, que no ens entendran o que ens jutjaran. No obstant, a vegades el simple fet d’explicar o dir d’una manera propera i càlida que ens sembla que hi ha alguna dificultat i que si necessita parlar

7. Quan la percepció del món canvia (psicosi) 177

Una mirada a la salut mental dels adolescents

pot tenir confiança en nosaltres, pot fer treure pressió a l’adolescent i veure-hi una oportunitat per iniciar un camí.

• Observem, però no aclaparem: l’etapa de l’adolescència es caracteritza per un cert rebuig, o per una separació dels adolescents quant a la relació amb els pares que fins l’etapa infantil s’havia anat donant. A la vegada aquest comportament s’acompanya per una major identificació dels nois i noies amb el grup d’iguals. Per això, el fet de estar constantment preguntant al nostre fill o filla adolescent en ocasions pot generar més allunyament i un clima a casa més estressant. Oferir ajuda d’una manera poc invasiva, és a dir, estar disposats a escoltar amb la ment oberta i sense judicis, possiblement faciliti la comunicació dels adolescents amb els pares.

Per a més informació consulteu el capítol Comunicar-me amb el meu fill adolescent en aquest mateix informe.

Mites i llegendes de la psicosi

Al llarg de la història, tant les malalties mentals com la psicosi, i l’esquizofrènia en concret, s’han vinculat a una àmplia diversitat de maneres de fer o característiques de la personalitat, creant una sèrie de mites al voltant d’aquestes malalties:

Existeixen encara avui dia molts mites en relació a les malalties mentals, especialment pel que fa als trastorns psicòtics.

• Les persones amb psicosi són violentes. Aquesta és una vinculació totalment arbitrària, probablement fruit del desconeixement sobre aquesta malaltia, i vinculada amb la por al desconegut. No hi ha evidència que vinculi psicopatia i esquizofrènia, i es descriuen en el manual diagnòstic com dos trastorns diferenciats. Si bé a vegades l’esquizofrènia i d’altres trastorns poden cursar amb certa hostilitat com passa en d’altres malalties mentals, en el cas de l’esquizofrènia no és un dels símptomes principals de la malaltia. A més a més, el tractament que sovint els mitjans han fet, destacant característiques de la salut mental de certs agressors, ha fet que aquesta vinculació es mantingui. Actualment tant mitjans com professionals i persones afectades estan lluitant per a sensibilitzar i desmitificar les malalties mentals.

• La persona amb esquizofrènia té una personalitat canviant i variable. Sovint la utilització de l’adjectiu “esquizofrènic” per a identificar alguna cosa canviant dona la impressió que aquesta malaltia es vincula amb això. Per aquest motiu, també cal que evitem definir o referir-nos a una persona que pateix esquizofrènia o un trastorn psicòtic com un “esquizofrènic” o un “psicòtic”. La malaltia no defineix la persona, sinó que es una afecció amb la qual ha de conviure.

178

• Les persones amb esquizofrènia són superdotades: el vincle del cinema amb certes personalitats del món de la ciència, les arts i d’altres àrees del coneixement, ha fet que vinculem l’esquizofrènia amb persones amb una intel·ligència sobre dotada, o molt elevada. Si bé és cert que hi ha persones amb esquizofrènia que presenten una intel·ligència elevada, aquesta prevalença no és més elevada que en el conjunt de la població general i en l’actualitat no hi ha suficient evidència científica com per donar per certa aquesta afirmació.

• Les persones amb esquizofrènia són més creatives: igualment al mite anterior, el vincle entre certs aspectes de l’art i l’expressió artística i persones que han patit aquest trastorn, fa que puguem vincular la creativitat amb l’esquizofrènia. De nou, no hi ha estudis que vinculin creativitat amb esquizofrènia o trastorns psicòtics. La creativitat i d’altres característiques de la personalitat no depenen ni estan vinculades a una malaltia mental sinó a una persona.

En referència als mites i llegendes dels trastorns psicòtics, cal fer la reflexió que tot trastorn mental és viscut per una persona i que cada persona és diferent. Les diferències individuals entre les persones i la diversitat que mostra la personalitat humana fa que inevitablement aquesta diversitat també s’observi entre les persones que pateixen malalties mentals. Per això, abans de fer afirmacions cal que reflexionem si tenim suficient informació i si la ciència ha recopilat suficients dades per mantenir aquesta afirmació com a certa i donar-la a conèixer.

7. Quan la percepció del món canvia (psicosi) 179

Una mirada a la salut mental dels adolescents Claus per comprendre’ls i acompanyar-los

A tall de conclusió

Els símptomes psicòtics poden aparèixer durant la infància i l’adolescència i poden comportar el desenvolupament d’un trastorn psicòtic. Tot i que no tots els casos segueixen el mateix curs, és important identificar aquests símptomes i consultar amb un professional que us assessorarà i guiarà en els propers passos a donar.

La identificació primerenca i la intervenció precoç dels trastorns psicòtics és molt rellevant per al decurs dels pacients que debuten amb un primer episodi psicòtic, pel que es recomana demanar ajuda en el moment en que s’identifiquen les primeres possibles manifestacions dels símptomes psicòtics.

La implementació d’un tractament precoç i l’adequada adherència i seguiment del mateix beneficia el curs que pot seguir el pacient que ha patit un primer episodi psicòtic pel que és molt important seguir les indicacions del psiquiatra que us guia en el procés.

Els factors de risc com el consum de substàncies tòxiques i l’estrès poden interferir en el curs del desenvolupament d’un trastorn psicòtic pel que cal tenir en compte els factors de risc i demanar ajuda si pensem que podem estar davant de símptomes d’alerta.

L’actitud que prenem, tant individualment com en el funcionament familiar, davant de l’aparició d’aquests símptomes és important. Actituds properes a la confiança, així com estar disposats a escoltar i acompanyar poden ajudar molt a la persona que pateix símptomes psicòtics.

180

Referències bibliogràfiques

American Psychiatric Association., Kupfer, D.J., Regier, D.A., Arango López, C., Ayuso-Mateos, J.L., Vieta Pascual, E., Bagney Lifante, A., (2014). DSM-5: Manual Diagnóstico Y Estadístico De Los Trastornos Mentales. 5a ed. Madrid [etc.]: Editorial Médica Panamericana, 5a ed. Editorial Médica Panamericana, Madrid.

Anagnostopoulou, N., Marinos Kyriakopoulos, Alba, A., (2019). Psychological interventions in psychosis in children and adolescents: a systematic review 28, 735–746. https://doi. org/10.1007/s00787-018-1159-3

Armando, M., Nelson, B., Yung, A.R., Ross, M., Birchwood, M., Girardi, P., Nastro, P.F., (2010). Psychotic-like experiences and correlation with distress and depressive symptoms in a community sample of adolescents and young adults. Schizophr. Res. 119, 258–265. https://doi. org/10.1016/j.schres.2010.03.001

Celso Arango, David Fraguas, J.C.-F.G. de expertos participantes: C., Arango, David Fraguas, Josefina Castro-Fornieles, Inmaculada Baeza, Sara Barbeito, Montserrat Dolz, A., Fernández Jaén, Aranzazu Fernández Rivas, Montserrat Graell, Carlos Ímaz, Carmen Moreno, B.P. y S., Azúa., R. de, (2014). Grupo de trabajo del CIBERSAM para la elaboración de una guía clínica y terapéutica para primeros episodios psicóticos en la infancia y adolescencia.

Gore, F.M., Bloem, P.J.N., Patton, G.C., Ferguson, J., Joseph, V., Coffey, C., Sawyer, S.M., Mathers, C.D., (2011). Global burden of disease in young people aged 10-24 years: A systematic analysis. Lancet, 377, 2093–2102. https://doi.org/10.1016/S0140-6736(11)60512-6

Holtzman, C.W., Trotman, H.D., Goulding, S.M., Ryan, A.T., MacDonald, A.N., Shapiro, D.I., Brasfield, J.L., Walker, E.F., (2013). Stress and neurodevelopmental processes in the emergence of psychosis. Neuroscience, 249, 172–191. https://doi.org/10.1016/j.neuroscience.2012.12.017

Mathers, C., Ma Fat, D., Boerma, T., World Health Organization, (2004). The global burden of disease: (2004) update, WHO. World Health Organization, Geneva, Switzerland.

Mayo, D., Corey, S., Kelly, L.H., Yohannes, S., Youngquist, A.L., Stuart, B.K., Niendam, T.A., Loewy, R.L., (2017). The role of trauma and stressful life events among individuals at clinical high risk for psychosis: A review. Front. Psychiatry 8. https://doi.org/10.3389/fpsyt.2017.00055

McClellan, J., 2018. Psychosis in Children and Adolescents. J Am Acad Child Adolesc Psychiatry 57, 308–312. https://doi.org/10.15713/ins.mmj.3

Miklowitz, D.J., O’Brien, M.P., Schlosser, D.A., Addington, J., Candan, K.A., Marshall, C., Domingues, I., Walsh, B.C., Zinberg, J.L., De Silva, S.D., Friedman-Yakoobian, M., Cannon, T.D., (2014). Family-focused treatment for adolescents and young adults at high risk for psychosis: Results of a randomized trial. J. Am. Acad. Child Adolesc. Psychiatry 53, 848–858. https:// doi.org/10.1016/j.jaac.2014.04.020

Murray, R.M., Bhavsar, V., Tripoli, G., Howes, O., (2017). 30 Years on: How the Neurodevelopmental Hypothesis of Schizophrenia Morphed into the Developmental Risk Factor Model of Psychosis. Schizophr. Bull., 43, 1190–1196. https://doi.org/10.1093/schbul/sbx121

Murray, R.M., Lewis, S.W., (1987). Is schizophrenia a neurodevelopmental disorder? Br. Med. J. (Clin. Res. Ed). 295, 681–2.

National Institute for Health and Care Excellence. (2014). Psychosis and schizophrenia in adults: prevention and management [ CG178]. https://www.nice.org.uk/guidance/cg178

7. Quan la percepció del món canvia (psicosi) 181

Una mirada a la salut mental dels adolescents

Claus per comprendre’ls i acompanyar-los

PIENSA: Guía para adolescentes y familias que quieren entender y afrontar la psicoshttps:// www.ciberisciii.es/media/436748/piensa-guia.pdf

Pruessner, M., Cullen, A.E., Aas, M., Walker, E.F., (2017). The neural diathesis-stress model of schizophrenia revisited: An update on recent findings considering illness stage and neurobiological and methodological complexities. Neurosci. Biobehav. Rev. 73, 191–218. https://doi. org/10.1016/j.neubiorev.2016.12.013

Puig, O., Penadés, R., Baeza, I., De la Serna, E., Sánchez-Gistau, V., Bernardo, M., Castro-Fornieles, J., (2014). Cognitive remediation therapy in adolescents with early-onset schizophrenia: a randomized controlled trial. J. Am. Acad. Child Adolesc. Psychiatry 53, 859–68. https:// doi.org/10.1016/j.jaac.2014.05.012

Schmidt, S.J., Schultze-Lutter, F., Schimmelmann, B.G., Maric, N.P., Salokangas, R.K.R., Riecher-Rössler, a, van der Gaag, M., Meneghelli, a, Nordentoft, M., Marshall, M., Morrison, a, Raballo, a, Klosterkötter, J., Ruhrmann, S., (2015). EPA guidance on the early intervention in clinical high risk states of psychoses. Eur. Psychiatry, 30, 388–404. https://doi.org/10.1016/j. eurpsy.2015.01.013

Schultze-Lutter, F., Michel, C., Schmidt, S.J., Schimmelmann, B.G., Maric, N.P., Salokangas, R.K.R., Riecher-Rössler, a, van der Gaag, M., Nordentoft, M., Raballo, a, Meneghelli, a, Marshall, M., Morrison, a, Ruhrmann, S., Klosterkötter, J., (2015). EPA guidance on the early detection of clinical high risk states of psychoses. Eur. Psychiatry 30, 405–16. https://doi.org/10.1016/j. eurpsy.2015.01.010

Sheffield, J.M., Karcher, N.R., Barch, D.M., (2018). Cognitive Deficits in Psychotic Disorders: A Lifespan Perspective. Neuropsychol. Rev. 28, 509–533. https://doi.org/10.1007/s11065-0189388-2

Shenton, M.E., Dickey, C.C., Frumin, M., McCarley, R.W., 2001. A review of MRI findings in schizophrenia. Schizophr. Res. https://doi.org/10.1016/S0920-9964(01)00163-3

Stafford, M.R., Jackson, H., Mayo-Wilson, E., Morrison, A.P., Kendall, T., (2013). Early interventions to prevent psychosis: systematic review and meta-analysis. BMJ 346, f185. https://doi. org/10.1136/bmj.f185

182

8. Quan la relació amb el menjar canvia (anorèxia i bulímia)

PhD. Psicòleg. Coordinador de la Unitat de Trastorns de la Conducta Alimentària. Àrea de Salut Mental. Servei de Psiquiatria i Psicologia Infantil i Juvenil. Hospital Sant Joan de Déu Barcelona.

L’Alexandra té quinze anys i estudia 4t de l’Educació Secundària Obligatòria (ESO), és filla única i viu amb els seus pares a un poble a prop de Barcelona. El seu rendiment escolar sempre ha estat excel·lent, els seus pares la descriuen com una nena tímida, perfeccionista i molt autoexigent amb els estudis. Des de petita s’ha relacionat bé amb els companys i, encara que sempre ha estat una nena introvertida, havia aconseguit mantenir un cercle reduït però estable d’amigues. Com a esport realitza gimnàstica rítmica en un club del poble. Des de sempre ha estat una nena sensible i bastant tancada a l’hora d’expressar els seus sentiments, tant positius com negatius. Com la majoria dels joves de la seva edat, els pares de l’Alexandra li van regalar l’apreciat mòbil a l’iniciar l’ESO. Ràpidament es va convertir en un element indispensable en la seva vida. De manera inevitable el temps dedicat a les xarxes socials va començar a augmentar de forma exponencial.

Encara que sempre havia estat una nena més aviat prima, l’Alexandra sempre havia mostrat preocupació per la seva imatge corporal. En moltes ocasions feia comentaris despectius cap al seu cos, principalment centrats en la panxa i les cames. Però aquesta insatisfacció amb la imatge corporal, que es va iniciar amb la pubertat, no li havia preocupat en excés ni li havia fet canviar els hàbits alimentaris. Com tants adolescents, havia intentat fer dieta sense arribar a persistir més d’una setmana.

8. Quan la relació amb el menjar canvia (anorèxia i bulímia) 183

Una mirada a la salut mental dels adolescents

Claus per comprendre’ls i acompanyar-los

El final de curs va ser complicat, l’Alexandra va tenir un problema amb una amiga que va significar de manera inexplicable per a ella, el rebuig directe de la resta del grup. L’Alexandra no tenia consciència d’haver fallat a ningú però tampoc es va atrevir a parlar-ho directament amb cap de les seves amigues. Aquesta situació va significar per a ella un aïllament progressiu a casa, no sortia els caps de setmana i encara que els seus pares no entenien el canvi de conducta de la seva filla, ella no va explicar res. A més, els pares tenien molts problemes a l’empresa familiar i l’Alexandra no volia ser una càrrega per a ells. La jove se sentia culpable del problema amb les amigues i es trobava cada vegada més sola, trista i sense ànim ni concentració per seguir el curs com a ella li agradava portar-lo, perfecte.

En aquest context de malestar, l’Alexandra va passar més temps aïllada i absorta en les xarxes socials. Semblava inevitable comparar-se no només amb aquells cossos espectaculars de models i actrius, sinó també, amb les companyes de la seva pròpia classe. Com s’apropava l’estiu l’Alexandra va decidir que arribava el moment de cuidar-se, fer dieta, augmentar l’exercici físic i, en definitiva, posar-se en marxa per a l’operació biquini. A diferència d’altres anys, en aquesta ocasió va poder mantenir la dieta (va apartar primer la brioixeria industrial i llaminadures, després el pa i els hidrats de carboni, les salses i finalment els arrebossats) i va augmentar l’exercici (sortia a córrer cada dia, cada vegada més temps, i feia taules d’abdominals a casa).

Al cap de poc, l’Alexandra va començar a veure a la bàscula la recompensa de tot el seu esforç. El pes va anar baixant de forma ràpida i progressiva, cada vegada l’Alexandra disminuïa més la dieta i ara també les quantitats. Es pesava cada dia i encara que el pes baixava mai acabava d’estar satisfeta. Volia més, s’havia convertit en una obsessió. Els pares al principi no li van donar importància, fins i tot van premiar el canvi cap a una hipotètica vida saludable i van celebrar la pèrdua de pes inicial: “ara estàs més prima i més maca”. Però quan els pares van voler reaccionar ja era massa tard, la pèrdua de pes era insostenible, la seva filla s’havia convertit en un sac d’ossos, el seu estat d’ànim era trist i irritable, cada vegada estava més aïllada i centrada en no menjar.

Tot i la pèrdua de pes, l’Alexandra se seguia veient malament, només realitzava comentaris despectius cap al seu cos i era com si no percebés la seva extrema primesa: “mira quina panxa que tinc”, “no puc sortir al carrer amb aquestes cames”, “semblo una foca”. L’Alexandra es trobava molt feble físicament, amb molt baix pes, sense energia i, en els últims mesos, havia perdut la regla pel baix pes. Es trobava cada vegada més irritable a casa, trista, no podia dormir a la nit. Tenia pànic a menjar normal i a engreixar-se malgrat la seva increïble primesa. Ni els pares ni els seus amics havien pogut ajudar-la en tot aquest temps. El pes, la dieta i la imatge corporal s’havien convertit en una obsessió.

184

Quan la relació amb el menjar canvia (anorèxia i bulímia)

Els trastorns de la conducta alimentària (TCA) constitueixen un grup de desordres mentals que es caracteritzen per una conducta alterada davant de la ingesta d’aliments i pensaments erronis en relació a la dieta, el pes i la figura corporal. Aquestes cognicions i conductes alterades poden comportar greus problemes físics i del funcionament psicològic i social de la persona.

Els TCA són patologies d’origen multifactorial on intervenen variables genètiques, biològiques, psicològiques i socioculturals. Afecten majoritàriament a població femenina adolescent i adults joves. Els trastorns alimentaris més coneguts són l’anorèxia nerviosa, la bulímia nerviosa i el trastorn per afartaments.

Els TCA són malalties greus però que poden remetre en un percentatge elevat si es detecten de manera precoç i es realitza un tractament multidisciplinari i psicoterapèutic especialitzat. Un tret habitual d’aquests trastorns és la manca de consciència de malaltia i, en conseqüència, la manca de motivació per recuperar-se. Per aquest motiu, el tractament dels TCA és llarg i complex, i el paper de la família és fonamental per a la recuperació.

Els TCA constitueixen un grup de desordres mentals que es caracteritzen per una conducta alterada davant de la ingesta d’aliments.

8. Quan la relació amb el menjar canvia (anorèxia i bulímia) 185

Una mirada a la salut mental dels adolescents

Claus per comprendre’ls i acompanyar-los

Classificació dels trastorns de la conducta alimentària (TCA)

Tant el Manual Diagnòstic i Estadístic dels Trastorns Mentals (DSM-5) (American Psychiatric Association, 2013) com la Classificació Internacional de Malalties (CIE11) (OMS, 2018) classifiquen els TCA primaris en: anorèxia nerviosa, bulímia nerviosa, trastorn per afartaments, pica, trastorn de ruminació, i trastorn d’evitació/restricció de la ingestió d’aliments (ARFID, de les sigles de la nomenclatura en anglès: Avoidant/Restrictive Food Intake Disorder).

• Anorèxia nerviosa: es manifesta com un desig irrefrenable de recerca de primesa, que pot venir acompanyat de mesures i procediments compensatoris: dieta restrictiva estricta (o inclús dejuni), exercici físic excessiu i/o conductes purgatives (vòmits autoinduïts, abús de laxants i/o diürètics). Les persones afectades expressen un intens temor a guanyar pes i a la possibilitat d’arribar a ser obeses, o una conducta persistent que interfereix en el guany de pes. Presenten una distorsió de la imatge corporal, amb preocupació extrema per la dieta, la figura i el pes. La seva atenció està centrada en la pèrdua ponderal, el que els causa dèficits nutricionals que poden comportar riscos vitals. En dones postpuberals és habitual la pèrdua de la menstruació (amenorrea) com a conseqüència del baix pes. A nivell psicològic, es troben trets de personalitat caracteritzats per elevat perfeccionisme, autoexigència i baixa autoestima. Destaca una baixa consciència de malaltia i el risc físic derivat del baix pes.

Els TCA són malalties greus però que poden remetre en un percentatge elevat si es detecten de manera precoç.

• Bulímia nerviosa: es caracteritza per episodis d’afartaments (ingesta voraç i incontrolada), en els quals la persona ingereix una gran quantitat d’aliment en poc espai de temps, generalment en secret, i amb sensació de pèrdua de control. Les persones afectades intenten compensar els efectes de la sobreingesta mitjançant vòmits autoinduïts, abús de laxants i/o diürètics, dejuni o exercici físic excessiu. Igual que l’anorèxia nerviosa, les persones amb bulímia nerviosa mostren preocupació excessiva pel pes, imatge i figura corporal. El que la diferència de l’anorèxia nerviosa és la manca de control de la ingesta. La bulímia nerviosa sol ser un trastorn més difícil de detectar, ja que fàcilment passa desapercebut (la persona afectada pot presentar pes normal, baix o sobrepès) i es viu amb sentiments de vergonya i culpa. La persona afectada sol demanar ajuda quan el problema ja està avançat.

• Trastorn per afartaments: es caracteritza per la presència recurrent d’una ingesta voraç (afartaments), similar a la dels pacients amb

186

bulímia nerviosa. La diferència està en que la persona amb trastorn per afartaments no incorre en mecanismes compensatoris a la ingesta voraç, de manera que amb el temps el pacient s’encamina inexorablement cap a un problema de sobrepès o obesitat. Moltes persones amb trastorn per afartaments utilitzen el menjar com una manera de suportar les emocions i sentiments negatius. Presenten dificultats per manejar l’ansietat, i troben que el menjar els reconforta i calma. No obstant, acaben sentint-se tristos i culpables per no poder controlar la seva forma de menjar, el que augmenta l’estrès i així continua el cicle.

• La pica: és un trastorn que consisteix en ingerir substàncies no nutritives com, per exemple, sorra o guix. La ingesta d’aquestes substàncies és considerada inadequada per al nivell de desenvolupament de la persona. La substància típica ingerida tendeix a variar amb l’edat, els nens petits solen menjar pintura, guix, cordes, cabells o roba. El trastorn és més habitual durant la infància, i en alguns casos es presenta en nens que tenen autisme o una discapacitat intel·lectual.

• El trastorn de ruminació: es caracteritza per la presència de regurgitacions repetides d’aliment (sense nàusees o malaltia gastrointestinal associada com, per exemple, reflux esofàgic) que van de l’estómac a la boca, per tornar a ser mastegats, empassats o escopits. El trastorn s’observa amb més freqüència en nens petits (entre els tres i dotze mesos), però es pot veure en subjectes de més edat, particularment amb discapacitat intel·lectual. No es diagnostica trastorn de ruminació quan apareix en el context de l’anorèxia nerviosa o la bulímia nerviosa.

• Trastorn d’evitació/restricció de la ingestió d’aliments (ARFID): Els pacients amb ARFID es caracteritzen per la presència de conductes alimentàries restrictives, pèrdua de pes significativa o estancament pondoestatural, dependència de l’alimentació per sonda nasogàstrica o de suplements nutricionals orals, i dificultats psicosocials. A diferència de l’anorèxia nerviosa i la bulímia nerviosa, aquests pacients no manifesten símptomes com la distorsió de la imatge corporal o la por a l’augment de pes. Es tracta, en general, de nens prepuberals -encara que també el trobem en adolescents i adults- (amb major afectació al sexe masculí) que eviten la ingesta d’aliments principalment per tres motius: manca d’interès en menjar i pel menjar, restricció alimentària per les propietats sensorials dels aliments (color, textura, sabor,

Es classifiquen els TCA primaris en anorèxia nerviosa, bulímia nerviosa, trastorn per afartaments, pica, trastorn de ruminació, i trastorn d’evitació/restricció de la ingesta d’aliments.

8. Quan la relació amb el menjar canvia (anorèxia i bulímia) 187

Una mirada a la salut mental dels adolescents Claus per comprendre’ls i acompanyar-los

marques), i l’evitació d’aliments per pors específiques (ennuegar-se, vomitar, dolor). Aquest trastorn es troba associat a problemes d’ansietat, trastorn per dèficit d’atenció amb hiperactivitat (TDAH), trastorn obsessiu-compulsiu (TOC) i trastorn de l’espectre autista (TEA).

Epidemiologia

S’estima una prevalença de TCA al voltant del 5 % en població de risc: dones entre dotze i vint-i-un anys.

Estudis epidemiològics en la població de risc, dones entre dotze i vint-i-un anys, indiquen una prevalença de TCA en els països occidentalitzats al voltant del 5 %. Per diagnòstic, les dades de prevalença en el nostre entorn són del 0,3 % per a l’anorèxia nerviosa, 0,8 % per a la bulímia nerviosa i 3,1 % per als TCA-no especificat (quadres parcials o incomplets d’anorèxia nerviosa o bulímia nerviosa) (Pérez-Gaspar et al., 2000). Les conductes de risc per patir un TCA en adolescents se situa entre l’11 – 18 %. Els resultats d’un estudi recent dut a terme al Regne Unit i Irlanda indiquen un augment de la incidència (casos nous en un temps i població determinada) de l’anorèxia nerviosa en població infantil i juvenil (Petkova et al., 2019).

188

Factors de risc

Entre els factors de risc per al desenvolupament d’un TCA es troben variables biològiques, genètiques, psicològiques i socioculturals. El pes específic de cada un d’ells encara no està ben establert. Els TCA solen iniciar-se en l’adolescència, tot i que progressivament es va observant una major freqüència d’inici prepuberal i en l’edat adulta. Afecta principalment a la població femenina (de cada deu casos de TCA, aproximadament nou són dones i un és un home).

• Factors biològics: vulnerabilitat familiar. Els estudis realitzats en famílies mostren una major freqüència de TCA entre els familiars de persones amb TCA que entre els controls (persones sense la malaltia). En el cas de l’anorèxia nerviosa, la genètica sembla explicar entre el 60 – 70 % del risc a patir el trastorn.

• Factors socioculturals: diferents estudis identifiquen la relació entre TCA i models familiars sobreprotectors, rígids i exigents, conflictius, i poc cohesionats. D’altra banda, es troben els factors culturals relacionats amb el culte al cos, un ideal de bellesa excessivament prim, la influència de la moda i dels mitjans de comunicació, i l’impacte de les xarxes socials en els joves.

• Factors psicològics: s’han associat amb els TCA trets de personalitat d’excessiva rigidesa, perfeccionisme, autoexigència, retraïment social i baixa autoestima, així com història personal de dificultats alimentàries.

• Esdeveniments vitals potencialment estressants: s’han relacionat abusos sexuals i/o físics en la infància, crítiques de l’entorn respecte al físic i antecedents de crisi vital.

Comorbiditat

Les persones que tenen algun trastorn alimentari presenten freqüentment, al seu torn, una altra patologia associada mental (comorbiditat). Entre les més habituals trobem els trastorns de l’estat d’ànim (40 – 80 %), trastorns d’ansietat (10 – 40 %) i trastorn obsessiu-compulsiu (40 %). En adults joves també s’associa amb abús i dependència de substàncies, trastorns de la personalitat i trastorns relacionats amb el control d’impulsos (Guia Pràctica Clínica per als TCA, 2009).

Entre els factors de risc per al desenvolupament d’un TCA es troben variables biològiques, genètiques, psicològiques i socioculturals.

8. Quan la relació amb el menjar canvia (anorèxia i bulímia) 189

Una mirada a la salut mental dels adolescents Claus per comprendre’ls i acompanyar-los

Senyals d’alarma

Hi ha alguns senyals d’alarma que ens poden fer pensar en l’inici d’un TCA. Aquests signes i símptomes d’alarma poden ser físics, psicològics i conductuals.

Signes i símptomes físics d’alarma:

• Pèrdua de pes en poc temps sense conèixer l’origen.

• Retard en el creixement normal per la seva edat i pes.

• Canvis de pes bruscos.

• Trastorns menstruals, pèrdua de la menstruació sense raó mèdica.

• Osteoporosi.

• Hirsutisme o lanugen (aparició de borrissol corporal fi).

• Hipertròfia parotídia (inflamació de les glàndules paròtides).

• Anomalies dentàries.

• Callositats en els artells de les mans.

Cal estar atents a senyals d’alarma tant físics, psicològics com conductuals que ens puguin fer pensar en un possible TCA.

Signes i símptomes psicològics d’alarma:

• Preocupació extrema per la figura, la dieta i el pes.

• Comentaris despectius sobre el propi cos.

• Distorsió severa de la imatge corporal.

• Perfeccionisme i insatisfacció.

• Inestabilitat emocional.

• Aïllament i preocupació excessiva pels estudis.

• Irritabilitat.

• Baixa autoestima.

• Impulsivitat.

• Augment de la rigidesa i l’obsessió.

Signes i símptomes conductuals d’alarma:

• Dieta persistent tot i que la persona estigui molt prima.

• Canvi d’hàbits alimentaris (tornar-se vegetarià o vegà).

• Creixent interès per cuinar, roba i modes.

• Desaparèixer després dels àpats i tancar-se al bany.

190

• Tendència a amagar certes parts del cos amb la roba.

• Compra i consum de productes per aprimar-se.

• Rituals estranys amb el menjar, com trossejar –lo molt.

• Pràctica d’exercici físic excessiu.

• Obsessió per pesar-se contínuament.

• Aïllament social.

En cas d’observar la família o l’escola alguns dels senyals d’alarma descrits anteriorment i que impliquin un canvi significatiu en el funcionament normal de la persona, els pares s’han de posar en contacte amb el pediatre o metge de família perquè valori un possible trastorn alimentari.

Com s’ha comentat a la introducció, la persona afectada d’un TCA pot ser que no sigui conscient del problema, que el minimitzi o inclusivament rebutgi qualsevol tipus d’ajuda. No obstant, davant l’evidència de senyals d’alarma significatius, el professional sanitari l’haurà de derivar, o bé a un Centre de Salut Mental Infantil i Juvenil (CSMIJ) o a una unitat específica de TCA, per a la seva avaluació, diagnòstic i tractament adequat per a cada cas segons gravetat. El diagnòstic és fonamentalment clínic, és a dir, basat en l’entrevista clínica amb el pacient i la família. També es poden realitzar exploracions mèdiques i psicològiques complementàries per valorar la gravetat dels símptomes. És molt important una intervenció precoç especialitzada i la col·laboració de la família per a una millor resposta al tractament.

Tractament

El tractament dels TCA és multidisciplinari i pot realitzar-se en diferents nivells d’atenció i recursos assistencials segons la gravetat (ambulatori, hospital de dia i hospitalització total). En línies generals, en els pacients amb TCA és important incrementar el reconeixement de la malaltia (consciència de problema), la motivació per al tractament, i establir una bona relació-aliança terapèutica.

Els objectius generals del tractament en els TCA són els següents:

1. Restaurar o normalitzar el pes i l’estat nutricional de la persona.

2. Tractar les complicacions físiques.

3. Proporcionar educació sobre patrons alimentaris i nutricionals sans. S’ofereixen recomanacions a la família i pacients sobre els principis de la dieta equilibrada (en proporció, varietat i freqüència d’aliments).

8. Quan la relació amb el menjar canvia (anorèxia i bulímia) 191

Una mirada a la salut mental dels adolescents Claus per comprendre’ls i acompanyar-los

4. Modificar/millorar les disfuncions prèvies o adquirides a conseqüència dels TCA (pensaments, actituds, sentiments, conductes alterades). Reduir/eliminar afartaments i conductes compensatòries inadequades (restricció, purgues, exercici físic excessiu), treballar la insatisfacció d’imatge corporal, distorsions cognitives, millorar l’autoestima i relacions socials. Aquests canvis s’aconsegueixen a través de la psicoteràpia i la intervenció familiar.

El tractament de primera línia en els TCA en adolescents són les intervencions psicosocials amb el pacient i la família.

5. Tractar els trastorns associats (comorbiditats), tant psiquiàtrics (alteracions de l’estat d’ànim, símptomes obsessius, etc.) com físics (diabetis mellitus, etc.) si és el cas.

6. Aconseguir el suport familiar de la persona afectada del TCA i proporcionar-li assessorament i teràpia quan sigui necessari. Es recomana involucrar la família i oferir-los grup de pares (psicoeducatius i plurifamiliars) amb l’objectiu d’augmentar l’aliança terapèutica amb els pares, oferir-los informació sobre la malaltia i suport emocional.

7. Prevenir les recaigudes. Inclou abordar i prevenir situacions que puguin afavorir-les (dietes, inestabilitat emocional) i planificar estratègies per enfrontar-s’hi.

Cal subratllar que el tractament de primera línia en els TCA en adolescents són les intervencions psicosocials amb el pacient (amb l’objectiu de corregir les distorsions cognitives, millorar l’autoestima i les relacions socials) i la família (millorar la relació i comunicació familiar). Per tant, el tractament farmacològic no és de primera elecció per als TCA, però s’utilitza per tractar els problemes associats (depressió, ansietat, trastorn obsessiu). Estudis en població adulta amb bulímia nerviosa i trastorn per afartament mostren que els antidepressius poden ajudar en la reducció d’afartaments. Els estudis sobre l’eficàcia de tractaments farmacològics en adolescents són limitats.

Evolució

El tractament dels TCA acostuma a ser llarg i complex. De mitjana, fins a la curació definitiva, el procés terapèutic pot durar entre tres i quatre anys. Una de les característiques de l’evolució és que aquesta no acostuma a ser lineal sinó que cursa amb alts i baixos. Els factors que s’han associat a una bona evolució de la malaltia són la detecció precoç, l’inici d’un tractament especialitzat i la participació de la família en el tractament.

Per contra, per a l’anorèxia nerviosa, un inici de la malaltia en edat prepuberal o en l’edat adulta, la presència de conductes purgatives (vòmits autoinduïts, ús de laxants i/o diürètics), un molt baix pes a l’inici del tractament i repetides hospita-

192

litzacions, s’han associat a un pronòstic desfavorable. En la bulímia nerviosa, una evolució negativa es relaciona amb elevada impulsivitat, abús de substàncies i trastorns de personalitat associats. Estudis de seguiment a cinc - deu anys, indiquen unes taxes de recuperació del trastorn, al voltant del 70 – 80 % per a l’anorèxia nerviosa i la bulímia nerviosa, respectivament. La cronicitat se situa entre el 10 – 20 % de les persones que pateixen d’un TCA.

Factors de protecció

De la mateixa manera que tenim factors de risc per al desenvolupament dels TCA, també disposem de factors de protecció (aquells que poden reduir el risc de desenvolupar la patologia alimentària). Els principals factors de protecció per als TCA els agrupem en individuals, familiars i socioculturals.

Factors individuals de protecció:

• Bona autoestima.

• Imatge corporal positiva.

• Pensament crític en relació a les imatges dels mitjans.

• Benestar emocional.

• Bona adaptació escolar (rendiment i relació amb iguals).

• Assertivitat.

• Bones habilitats socials en general.

• Resolució de problemes i estratègies d’afrontament.

Factors familiars de protecció:

• Pertànyer a una família que no emfatitza massa el pes i l’atractiu físic.

• Afavorir la comunicació i expressió emocional.

• Realitzar al menys un dels àpats principals en família.

Factors socioculturals de protecció:

• Pertànyer a una cultura menys occidentalitzada que accepta una varietat de formes i mides corporals.

• Participar en esports (o indústria) on no hi hagi èmfasi en l’atractiu físic o primesa.

• Relacions de suport social on el pes i l’aparença física no són motiu de gran preocupació.

El tractament dels TCA acostuma a ser llarg i complex. De mitjana, entre tres i quatre anys.

8. Quan la relació amb el menjar canvia (anorèxia i bulímia) 193

Una mirada a la salut mental dels adolescents Claus per comprendre’ls i acompanyar-los

A continuació es descriu un decàleg sobre els principals factors familiars de protecció dels TCA:

1. Potenciar l’autoestima: elogiar als nostres fills per com són i reforçar positivament la seva personalitat i les seves habilitats en lloc de tot allò relacionat amb l’aparença física.

2. Afavorir una autoimatge corporal positiva: acceptar les diferències entre les persones i respectar a tots i totes, independentment de com és el seu aspecte físic.

3. Promoure hàbits alimentaris i un estil de vida saludables: la família ha de ser un model de salut per als seus fills.

4. Fer al menys un àpat al dia en família: convertint l’alimentació en un acte social i familiar.

5. Donar eines per desenvolupar un sentit crític: davant estereotips de bellesa difosos en els mitjans de comunicació. Informació sobre dietes miracle. Relació entre primesa i èxit social.

6. Fomentar la comunicació en la família: escoltar els nens la seva opinió dins la família. Establir vies de comunicació amb els adolescents.

194

7. Compartir activitats en el temps lliure: realitzar junts activitats esportives, sortides culturals, llegir, veure la televisió, navegar per internet, etc.

8. Rebutjar ideals estètics no realistes: que puguin posar en risc la salut dels nostres fills.

9. Fomentar l’autonomia: evitar la sobreprotecció per afavorir l’autoestima i seguretat personal dels fills.

10. Advertir dels continguts potencialment nocius d’internet i les xarxes socials: pàgines web i xarxes socials que fan apologia de l’anorèxia i la bulímia com una forma de vida.

Trastorns de la conducta alimentària i coronavirus

Una de les principals accions de salut pública per limitar la propagació de la COVID-19 ha estat aïllar els casos positius i contactes propers, així com restringir les interaccions socials amb l’objectiu de reduir la transmissió del virus. A dia d’avui, sabem que el confinament ha suposat un factor d’estrès significatiu per a una part de la població general i per a col·lectius específics com ara persones amb patologia mental prèvia.

Específicament, les conseqüències del confinament s’han considerat un factor precipitant per al desenvolupament d’un TCA en població vulnerable i, en persones amb patologia alimentària prèvia, un factor de risc de recaiguda i/o empitjorament de la simptomatologia alimentària. Respecte a la població vulnerable, el confinament ha significat un augment de la preocupació per mantenir una vida saludable (vigilant més la dieta, incorrent en restricció alimentària més o menys severa, i en elevar la pràctica d’exercici físic) i una major exposició a xarxes socials (amb la seva potencial influència negativa en la incorporació d’un ideal de bellesa d’extrema primesa en adolescents).

D’altra banda, les persones amb un trastorn alimentari previ, l’estrès associat a la situació de confinament pot haver empitjorat els seus símptomes de base degut principalment a les conseqüències de l’aïllament social i les dificultats de regulació emocional, que poden propiciar símptomes alimentaris com episodis d’afartaments i posterior conducta purgativa (vòmits autoinduïts, i ús de laxants i/o diürètics). Finalment, la càrrega emocional dels pares en relació a la pròpia preocupació i incertesa per la pandèmia, sumada a la convivència amb una persona amb TCA durant el confinament pot augmentar l’estrès del cuidador i empitjorar el clima familiar (aspectes de mal pronòstic de la malaltia).

Cal fomentar factors de protecció (individuals, familiars i socioculturals) per prevenir TCA.

8. Quan la relació amb el menjar canvia (anorèxia i bulímia) 195

Una mirada a la salut mental dels adolescents

Claus per comprendre’ls i acompanyar-los

A tall de conclusió

• Els TCA són patologies mentals greus que es caracteritzen per una alteració de la ingesta i pensaments irracionals en relació al pes, el menjar i la imatge corporal.

• Els TCA són malalties que afecten majoritàriament a adolescents i joves i en el seu origen influeixen aspectes biològics, psicològics i socials.

• La detecció precoç i un tractament psicoterapèutic especialitzat amb intervenció familiar són aspectes claus per a la recuperació de la malaltia.

196

Referències bibliogràfiques

American Psychiatric Association. Diagnostic and Statistical Manual of Mental Disorders, 5th edition: DSM-5. Washington DC: American PsychiatricAssociation; 2013.

Grupo de trabajo de la Guía de Práctica Clínica sobre Trastornos de la Conducta Alimentaria. Guía de Práctica Clínica sobre Trastornos de la Conducta Alimentaria. Madrid: Plan de Calidad para el Sistema Nacional de Salud del Ministerio de Sanidad y Consumo. Agènciad’Avaluació de Tecnologia i Recerca Mèdiques de Cataluña; 2009. Guías de Práctica Clínica en el SNS: AATRM Núm. 2006/05-01.

Lock J, La Via MC, AACAP. (2015) Practice parameter for the assessment and treatment of children and adolescents with eating disorders. J Am Acad Child Adolesc Psychiatry. ; 54(5):412-25.

Pérez-Gaspar M, Gual P, de Irala-Estévez J, Martínez-González MA, Lahortiga F, Cervera S. (2000). Prevalencia de trastornos de la conducta alimentaria en las adolescentes navarras. MedClin (Barc).,114(13):481-6.

Petkova H, Simic M, Nicholls D, et al. (2019) Incidence of anorexia nervosa in young people in the UK and Ireland: a national surveillance study. BMJ Open;9:e027339. doi:10.1136/ bmjopen-2018-027339.

World Health Organisation. The 11th Revision of the International Classification of Diseases (ICD-11). 2018.

Webs i recursos d’interès:

• Academy of Eating Disorders: www.aedweb.org

• Asociación Española para el Estudio de los Trastornos de la Conducta Alimentaria: https://www.aeetca.com/

• Associació contra l’Anorèxia i la Bulímia: http://www.acab.org/es

• Beat Eating Disorders: https://www.beateatingdisorders.org.uk/

• Canal Salut Gencat: http://canalsalut.gencat.cat/ca/salut-a-z/t/trastorns_ conducta_alimentaria/anorexia-nerviosa

• Hospital Sant Joan de Déu Barcelona: https://www.sjdhospitalbarcelona. org/es/trastornos-conducta-alimentaria-coronavirus

• National Eating Disorders: https://www.nationaleatingdisorders.org/

• National Eating Disorders Collaboration: https://www.nedc.com.au/

• National Eating Disorder Information Centre: https://nedic.ca/

• The Butterfly Foundation: https://www.thebutterflyfoundation.org.au/

• Trastorns alimentaris: http://trastornsalimentaris.gencat.cat/ca/

• Perfil d’Instagram @stoptca_sjd: compte d’Instagram dels pacients de l’Hospital de dia de TCA de l’Hospital Sant Joan de Déu Barcelona. El perfil té com a objectiu la conscienciació i prevenció dels trastorns alimentaris a través d’aquesta xarxa social. Es tracta del primer compte a Instagram de pacients d’un hospital a Espanya.

8. Quan la relació amb el menjar canvia (anorèxia i bulímia) 197

Una mirada a la salut mental dels adolescents

Claus per comprendre’ls i acompanyar-los

198

9. Quan la socialització és un repte (adolescència i autisme)

M. Ángeles Mairena.

PhD. Psicòloga clínica. Unitat Multidisciplinar del Trastorn de l’Espectre de l’Autisme. Àrea de Salut Mental. Servei de Psiquiatria i Psicologia Infantil i Juvenil. Hospital Sant Joan de Déu Barcelona.

Marcela Mezzatesta.

Psiquiatra. Unitat Multidisciplinar del Trastorn de l’Espectre de l’Autisme. Àrea de Salut Mental. Servei de Psiquiatria i Psicologia Infantil i Juvenil. Hospital Sant Joan de Déu Barcelona.

Maria Elias.

Psicòloga clínica. Unitat Multidisciplinar del Trastorn de l’Espectre de l’Autisme i Unitat 0-5. Àrea de Salut Mental. Servei de Psiquiatria i Psicologia Infantil i Juvenil. Hospital Sant Joan de Déu Barcelona.

En Mateu té tretze anys i cursa 2n de l’Educació Secundària Obligatòria (ESO). Té dues germanes petites (de deu i set anys) i viu amb la seva família en una ciutat de mida mitjana. En Mateu sempre ha estat un nen tranquil. Des de petit li ha agradat jugar sol o amb un altre nen/a, i ha tingut dificultats per a jugar en grup. De vegades es relacionava amb un grup petit de nens, però li costava integrar-se amb altres companys de fora d’aquest cercle. Solia implicar-se en jocs senzills, però quan es proposaven jocs amb més regles deixava de jugar-hi.

9. Quan la socialització és un repte (adolescència i autisme) 199

Una mirada a la salut mental dels adolescents

Claus per comprendre’ls i acompanyar-los

A casa, en Mateu gaudia amb els seus trens i els seus animals de joguina. Li agradava col·locar els seus ninots en fila i també ordenar-los per categories. Sempre ha mostrat interès per temes relacionats amb les ciències i li encantava veure documentals sobre naturalesa i sobre l’univers. Era un petit “expert” en aquests temes i sovint parlava d’aquests temes en les converses amb adults. Tot i així, malgrat establir converses amb els adults, li costava fer-ho si no era en relació als seus temes d’interès. Tendia a realitzar monòlegs més que no pas establir converses en dues direccions. Solia oferir molta informació sobre detalls i era difícil fer-li canviar de tema. El seu vocabulari sempre ha estat molt ric, encara que de vegades cridava l’atenció el fet d’usar expressions pròpies d’adult i la seva entonació una mica monòtona.

Actualment, en Mateu manté el seu grup reduït d’amics, però en els últims dos anys ha anat mostrant cada vegada més diferències amb ells. Sovint han quedat per jugar a videojocs en línia, cadascun des de casa, encara que de vegades també s’han trobat a casa d’algun amic per jugar. En Mateu gaudeix d’aquestes estones, però quan la partida s’acaba i els seus amics surten o parlen de temes que a ell no li interessen, prefereix tornar a casa. No entén perquè als seus amics els agrada tant passar l’estona parlant en una plaça o jugant a futbol o al bàsquet a les pistes del barri. Tampoc comparteix l’interès per les xarxes socials i això fa que sovint no s’assabenti de coses que passen entre els seus companys de classe.

Recentment la situació s’ha complicat encara més. Les diferències amb els seus amics i companys han fet que es vagi distanciant més i quedant-se cada vegada més sol. De vegades alguns companys es burlen d’ell i fan comentaris a través de les xarxes socials. En Mateu no sap com respondre a aquests comentaris i de vegades ho fa de manera poc apropiada, la qual cosa agreuja encara més el problema. Davant aquesta problemàtica, ha decidit deixar de mirar les xarxes socials i centrar-se més en el seu interès per la ciència. Passa les tardes a la seva habitació buscant informació sobre temes que li agraden o jugant a videojocs en línia amb persones que no coneix. Malgrat que de vegades comenta als seus pares que li agradaria quedar amb els seus companys, no expressa sentir-se malament pel que fa a la seva situació d’aïllament ni fa cap intent de quedar amb els seus companys.

El rendiment escolar ha estat bo fins ara, però està començant a baixar. A nivell familiar, en Mateu també mostra escàs interès per les activitats que li proposen els seus pares i per interactuar amb les seves germanes. Els seus pares mostren preocupació pel seu baix interès social i pel seu descuit en relació a la neteja i a l’autocura. Han buscat múltiples alternatives d’oci, tal com grups

200

d’excursions, esports, club d’escacs, però no han aconseguit que s’impliqui en elles. Ell prefereix centrar-se en els seus temes d’interès. A més, recentment ha descobert que la informàtica i la tecnologia també li agraden molt. A través de tutorials d’internet està aprenent a programar i a crear jocs d’ordinador senzills. També gaudeix amb un aparell d’electrònica que els seus pares li han regalat. Usant llums i música aconsegueix fer jocs que agraden molt a les seves germanes.

Introducció

El món social de l’adolescència implica un nivell de complexitat important en diferents àrees, especialment en les relacions amb amics, amb adults o de parella. Aquesta complexitat social coincideix amb una etapa en què es va construint una identitat cada vegada més madura, es continua desenvolupant l’autonomia i, a més, apareixen els canvis fisiològics propis de la pubertat.

En el present capítol es descriu en primer lloc què és el desenvolupament emocional. A continuació, es mostra com aquest procés pot ser diferent en alguns adolescents, com aquells que són més tímids o introvertits, podent en alguns casos desenvolupar algun problema que requerirà atenció especialitzada. Posteriorment ens centrarem en el gruix d’aquest capítol on s’exposen algunes dificultats amb les que pot trobar-se una persona amb trastorn de l’espectre de l’autisme (TEA) a l’arribar a l’adolescència, com problemes en l’àrea socioemocional, reptes en l’entorn escolar o dificultats en el desenvolupament del pla afectiusexual i en aspectes d’autonomia i autocura.

L’objectiu principal d’aquest capítol és aportar informació que faciliti la detecció de possibles dificultats en àrees concretes relacionades amb la socialització, descriure les dificultats amb què es troben específicament les persones amb TEA a l’arribar a l’adolescència i oferir suggeriments o pautes per afavorir el desenvolupament.

El desenvolupament socioemocional en l’adolescència

Durant l’adolescència continua el desenvolupament socioemocional, un procés a través del qual les persones aprenen a entendre i gestionar les seves emocions, marcar-se i assolir objectius positius, sentir i mostrar empatia vers els altres, establir relacions positives i prendre decisions de forma responsable. Es considera que el desenvolupament socioemocional té diverses àrees: consciència

Els adolescents amb habilitats socials escasses se solen sentir més insegurs en entorns socials.

9. Quan la socialització és un repte (adolescència i autisme) 201

Una mirada a la salut mental dels adolescents

Claus per comprendre’ls i acompanyar-los

emocional, autoestima i autoconeixement, regulació emocional, consciència social/empatia i habilitats de relació i solució de conflictes.

• La consciència emocional consisteix en conèixer les pròpies emocions i les emocions dels altres.

• L’autoestima és el punt de referència per a valorar-se a un mateix i es relaciona amb la necessitat de ser apreciat i valorat. Les persones amb alta autoestima solen mostrar més seguretat i confiança en elles mateixes i en els altres. D’altra banda, l’autoconcepte és la percepció d’un mateix, la visió que cadascú té de les seves habilitats i característiques. En general, en l’adolescència se sol desenvolupar cada vegada més un pensament més abstracte que permet crear un autoconcepte més complex, al mateix temps que es va desenvolupant la identitat, que està més relacionada amb el rol social.

Una característica comuna en persones amb TEA és la dificultat en habilitats de comunicació i interacció social.

• La regulació emocional es refereix a donar una resposta apropiada a les emocions que experimentem, afavorint les positives i gestionant de forma adequada altres emocions com la ràbia, la por o la tristesa.

• L’empatia és la capacitat de reconèixer, comprendre i connectar amb les emocions dels altres. Ens permet comprendre el món des de la perspectiva d’una altra persona i això és clau per establir bones relacions amb els altres.

• Les habilitats de relació estan relacionades amb habilitats d’interacció i comunicació adequada amb l’entorn. Algunes habilitats socials són: iniciar, mantenir i acabar una conversa, saber esperar el torn, escoltar els altres, expressar els sentiments de forma adequada, demanar ajuda quan sigui necessari, saber dir “no”, expressar-se de forma assertiva, formular i respondre a una queixa, demostrar esportivitat d’un joc/saber perdre, fer front a la pressió grupal i resoldre conflictes interpersonals. També estan relacionades les habilitats de conversa recíproca, com saber escoltar, explicar bé els temes, fer preguntes o mantenir el contacte ocular durant la conversa. Finalment, com el conflicte és una part inevitable de les relacions, disposar d’habilitats pel maneig dels conflictes serà clau.

Hi ha algunes diferències per sexe/gènere en el desenvolupament socioemocional. Es considera que en general, les nenes desenvolupen una habilitat més primerenca per reconèixer rostres i expressions facials, identificar emocions i el malestar aliè. De la mateixa manera, desenvoluparien més aviat una conducta prosocial (interès pel que els passa als altres, oferir ajuda), així com en el reconeixement de components no verbals de la comunicació. Altres aspectes diferencials són una capacitat més primerenca per oferir mostres d’empatia i entendre perspectives alienes. També sabem que hi ha diferències en les normes socioculturals pel què fa a l’expressió de les emocions en funció del gènere: l’enuig, la ràbia i l’externalització són més acceptades en el gènere masculí, realitzant les nenes un aprenentatge de no expressar aquests sentiments des d’edats molt primerenques. D’altra banda, les nenes tendeixen a una socialització en diades (dues noies juntes) més que en grups

202

grans en etapes preescolars i escolars i realitzen més joc basat en el llenguatge. Els nens tendeixen a activitats en grups, sobretot esportives. El component socioambiental o biològic d’aquestes diferències, encara no està del tot aclarit.

La timidesa i l’ansietat social en l’adolescència

La timidesa es caracteritza per la vivència d’incomoditat en situacions socials noves o en les situacions en què s’anticipa l’avaluació social. Això comporta sovint sensació d’inseguretat en situacions que impliquen entrar en contacte o relacionar-se amb altres persones. La timidesa en l’adolescència pot ser molt habitual a causa de que l’adolescent ha d’aprendre nous rols i expectatives socials, a més d’adaptar-se i acceptar els canvis corporals, hormonals i emocionals propis de l’etapa vital. Tot això pot resultar en una certa falta de confiança cap a si mateix i cap a les pròpies habilitats socials.

Els adolescents tímids poden preocupar-se excessivament sobre l’opinió de la resta, temen una crítica negativa o fer el ridícul, i per això poden tenir dificultats per iniciar o acabar converses, expressar sentiments o parlar en públic. Quan la timidesa és elevada, sovint s’eviten les situacions socials, la qual cosa genera un impacte negatiu en la vida de la persona. Així doncs, la timidesa excessiva s’associa

La consciència emocional és el primer pas en el desenvolupament de les competències emocionals i és una àrea de dificultat per a les persones amb TEA.

9. Quan la socialització és un repte (adolescència i autisme) 203

Una mirada a la salut mental dels adolescents

Claus per comprendre’ls i acompanyar-los

amb problemes d’ajust social, com ara el retraïment o inhibició social i la reticència social, la qual cosa deriva en una disminució important en el nombre i la qualitat de les amistats. Quan la timidesa és molt elevada l’adolescent pot acabar desenvolupant un quadre de fòbia social que requereix ser atès per serveis especialitzats.

Sabem que la timidesa pot estar associada a problemes en el desenvolupament de les habilitats socials. Els adolescents amb habilitats socials escasses se solen sentir més insegurs en entorns socials. Alhora, aquesta inseguretat fa que, sovint, evitin situacions socials que són necessàries per al desenvolupament de les habilitats socials, amb la qual cosa es dificulta el desenvolupament de les mateixes. En aquest cas serà important ajudar a l’adolescent de manera específica en la millora de les habilitats socials.

L’adolescent amb trastorn de l’espectre de l’autisme

Sovint molts pares es qüestionen com afrontaran els seus fills aquesta nova etapa de l’adolescència, com es mouran en el món social, com s’organitzaran amb les tasques acadèmiques o com s’ocuparan dels seus propis hàbits d’higiene i cura. Les respostes a aquestes preguntes es compliquen quan pensem en adolescents amb TEA.

El TEA és una condició del neurodesenvolupament que implica deficiències en la interacció social recíproca i la comunicació social, juntament amb interessos restrictius, conductes repetitives i anomalies sensorials. Es tracta d’una condició de per vida que comporta un impacte significatiu en la persona afectada i la seva família.

L’espectre inclou diferents nivells de gravetat i funcionalitat en relació a les capacitats cognitives i verbals de cada persona. Així i tot, una característica comuna i molt present és la dificultat en les habilitats de comunicació i interacció social. Les dificultats per relacionar-se amb altres persones i en molts casos per controlar la seva conducta i/o per organitzar-se a nivell de tasques, pot interferir en el dia a dia de l’adolescent. A més, la hipersensibilitat sensorial pot fer que els costi integrar hàbits d’higiene, com la dutxa, interferint també en aspectes de les relacions socials.

Les característiques i particularitats pròpies del TEA, al tractar-se d’una condició del neurodesenvolupament, acompanyen la persona al llarg de tota la seva vida. Per tant, serà recomanable que l’adolescent estigui vinculat a un equip especialista de salut mental i que tingui suports o supervisió en els diferents àmbits on es desenvolupa (entorn escolar, salut, oci...). A més, és important estar alerta a situacions de crisi, les quals es poden donar amb més probabilitat davant moments de més dificultat, canvis o nous reptes.

204

Desenvolupament socioemocional en l’adolescent amb TEA

Les dificultats en el desenvolupament de la interacció social i la comunicació social pròpies del TEA poden interferir de forma important en les diverses àrees de desenvolupament socioemocional (consciència emocional, autoestima i autoconeixement, regulació emocional, consciència social/empatia i habilitats de relació i solució de conflictes). És important detectar aquestes dificultats a temps i dotar d’estratègies a l’adolescent.

Com s’ha comentat prèviament, en general les nenes desenvolupen una habilitat més primerenca en aspectes de desenvolupament socioemocional, com reconèixer rostres i expressions facials, identificar emocions i el malestar aliè. S’hipotetiza que, entre altres causes, algunes d’aquestes diferències en el desenvolupament típic entre nenes i nens afavoriria en part també a les nenes amb TEA, tendint a passar més desapercebudes en la infància, el que portaria a diagnòstics més tardans i propers a l’adolescència, moment en què les dificultats socials es fan més evidents.

Consciència emocional

La consciència emocional és el primer pas en el desenvolupament de les competències emocionals i és una àrea de dificultat per a les persones amb TEA. Sovint, aquests adolescents tenen dificultats per identificar i expressar les seves pròpies emocions i això fa que la gestió emocional sigui més complicada.

Per afavorir la consciència emocional es recomana:

• Ajudar a l’adolescent a entrar en contacte amb les seves pròpies emocions, creant espais per a la calma i posant nom a les seves emocions.

• Afavorir moments que permetin la comunicació i en els que se sentin escoltats.

• És possible que la comunicació sigui limitada, però se’ls pot ajudar a associar les seves sensacions físiques a emocions (per exemple, associar el malestar abdominal a la por) i a posar nom als seus sentiments.

Autoestima

Els adolescents amb TEA mostren menors nivells d’autoestima que els adolescents de desenvolupament típic. Pel que fa al desenvolupament de l’autoconcepte i la identitat, en moltes ocasions els adolescents amb TEA tendeixen a mostrar un pensament més rígid i concret, amb dificultats per a la flexibilitat cognitiva i per adquirir conceptes més abstractes. Per exemple, podrien tenir un autoconcepte basat únicament en el que fan en lloc d’estar basat en la seva manera de ser (per exemple “sóc un jugador de videojocs”) i pensar a més que

9. Quan la socialització és un repte (adolescència i autisme) 205

Una mirada a la salut mental dels adolescents

Claus per comprendre’ls i acompanyar-los

aquest autoconcepte és estàtic i difícil de canviar. En aquesta etapa molts prenen més consciència de la diferència o senten incomprensió, donant això lloc al sentiment de solitud.

Algunes recomanacions per afavorir l’autoestima són:

• Transmetre seguretat i confiança a l’adolescent.

• És important que se senti recolzat i que es valorin els seus èxits i esforços.

• Dedicar temps de qualitat per a realitzar activitats d’oci junts o compartir interessos.

• Davant comportaments inadequats, es recomana posar límits de forma clara, però evitant etiquetar a la persona.

Regulació emocional

Els adolescents amb TEA mostren menors nivells d’autoestima que els adolescents de desenvolupament típic.

En adolescents amb TEA s’han observat dificultats en la regulació emocional, amb presència de reaccions emocionals desproporcionades i poc ajustades a la situació. En general, mostren més risc de presentar alteracions psicològiques com depressió o ansietat. En molts casos, aquestes alteracions estan relacionades amb el desig de formar part d’un grup i la consciència de les seves pròpies dificultats per assolir aquesta fita. És important tenir en compte que la presència d’ansietat pot augmentar les dificultats en el funcionament social, ja que l’augment de hiperactivació física o fisiològica durant els estats d’ansietat pot dificultar la interpretació de claus socials i la resposta social apropiada.

De vegades, les dificultats en regulació emocional unides als problemes de comprensió social i la tendència a la rigidesa poden donar lloc a problemes de comportament o conductes desadaptatives. En alguns casos poden augmentar les conductes agressives cap a ells mateixos o cap a altres persones, especialment en el cas dels adolescents amb TEA amb escàs llenguatge verbal.

La millor estratègia per manejar els problemes de conducta és actuar abans que realment es presentin problemes importants. Algunes claus per prevenir els problemes de conducta i de regulació emocional són:

1. Adaptar les característiques de l’entorn:

• Rutines clares i estables.

• Ambient estructurat i organitzat amb estímuls que ajudin a transmetre seguretat i control.

• Anticipació.

• Ajudes visuals.

• Control d’estímuls: evitar estímuls que sabem que ocasionen malestar.

206

2. Canviar el comportament de les persones que envolten a l’infant o adolescent.

• Parar atenció a l’estat emocional de l’adolescent i els possibles signes d’ansietat o depressió.

• Ús de reforç positiu.

• En alguns casos, ús de tècniques com economia de fitxes, que consisteix a “pactar” privilegis (reforços) que només s’aconseguiran a canvi de realitzar altres tasques.

• Assegurar la motivació, atenció als interessos de l’adolescent.

• Donar instruccions de forma adequada: acostar-se a l’adolescent i col·locar-se davant per assegurar que presta atenció; donar ordres clares, simples i ben definides.

• No es recomana amenaçar ni castigar, sinó motivar l’adolescent i reforçar molt socialment si fa el que se li ha demanat.

• Els adults han de mantenir la calma i evitar mostrar ansietat o pèrdua de control.

• És important ser coherent amb un mateix i complir els pactes que es diuen, com les recompenses. La coherència també s’ha de mantenir entre els diferents adults.

• Retirar l’atenció de les conductes poc apropiades (això s’anomena extinció)

3. Ajudar al desenvolupament d’habilitats.

• Afavorir la millora d’habilitats de comunicació i interacció social, a través de programes terapèutics específics.

• Ajudar al desenvolupament d’habilitats de planificació i flexibilitat davant els canvis. Es recomana l’ús d’horaris visuals, calendaris visuals i històries socials (ja comentades prèviament).

• Ús d’històries socials i guions socials, que ajudin a saber què passarà i què s’espera d’ells. De vegades, les dificultats emocionals i de conducta són conseqüència dels problemes en comprensió social o les habilitats socials. La comprensió d’una situació social específica es pot facilitar a través de l’ús d’històries socials, que són contes curts que descriuen situacions socials i transmeten informació rellevant i precisa. Normalment es fan servir quan hi ha una situació que la persona amb TEA no entén i això li ocasiona problemes. En aquests casos es descriu la situació, es planteja el problema i es dona una resposta acceptada al problema. Les històries socials inclouen material escrit (amb llenguatge senzill) i pictogrames.

9. Quan la socialització és un repte (adolescència i autisme) 207

Una mirada a la salut mental dels adolescents Claus per comprendre’ls i acompanyar-los

• Posar en marxa estratègies que afavoreixin la regulació d’emocions, com el control de l’estrès (relaxació, respiració, separar-se un moment de la situació, distracció amb una altra tasca plaent).

• Davant d’una emoció negativa com la ràbia, la por o la tristesa, és recomanable oferir ajuda per expressar-la i gestionar-la de forma apropiada. Es poden utilitzar imatges que l’ajudin a expressar el seu malestar.

• Davant els problemes de conducta i les conductes desadaptatives, és important mantenir suports i ajudes tant en l’àmbit escolar com en el context familiar. Sol ser útil l’ús d’ajudes visuals per a l’anticipació.

• Afavorir les emocions positives, promovent activitats que ajudin al desenvolupament de la motivació, la curiositat, l’alegria o la calma.

• Entrenar en habilitats de resolució de conflictes: davant algun conflicte o problema concret, és útil ajudar-los a pensar les diferents opcions sobre com podrien haver actuat i les conseqüències que haurien aconseguit. En el procés de resolució de problemes, es recomana seguir una sèrie de fases:

o Identificar el problema: escoltar l’adolescent i definir bé el problema.

o Buscar solucions: generar alternatives de solució.

o Anticipar conseqüències: per cada alternativa de solució, anticipar possibles conseqüències.

o Escollir la millor opció, tenint en compte la situació i els diferents punts de vista.

o Avaluar l’elecció.

En casos de problemes greus de conducta, es requerirà la intervenció de professionals específics que ajudin en el maneig de la conducta problemàtica. Algunes recomanacions generals serien:

• Entendre que les conductes problemàtiques estan relacionades amb el context en què es produeixen. Per tant, és important analitzar els factors de l’entorn que afecten l’adolescent i valorar possibles canvis que puguin ajudar. Per exemple, és possible que alguns adolescents amb TEA mostrin més problemes de conducta en contextos que són altament variables i amb situacions difícils de preveure, la qual cosa els genera malestar que portaria als problemes de conducta. En aquestes situacions, pot ser útil intentar que la situació estigui més estructurada, planificada i clara. També es poden fer servir agendes visuals que expliquin i anticipin el que passarà i d’aquesta manera els seria més fàcil adaptar-se a l’entorn.

208

• Les conductes problemàtiques solen tenir una funció per a la persona que les presenta. Per això, s’ha d’estudiar què pretén aconseguir l’adolescent amb aquesta conducta i dotar-lo d’estratègies més adequades per aconseguir la seva meta.

• Conèixer bé a l’adolescent, el seu context, les seves preferències, els seus interessos. Respectar la seva dignitat.

• Assegurar estabilitat en les rutines i en el context ambiental, anticipant canvis.

• Modificar el comportament de les persones de l’entorn. Per exemple, és important que professors i familiars aprenguin a manejar la conducta de forma adequada, fent ús d’estratègies com a reforç positiu i ajudant a la regulació emocional en moments difícils.

Empatia

D’altra banda, les persones amb TEA presenten dificultats en empatia, mostrant així problemes en el reconeixement de les emocions i en l’atribució d’estats mentals, com creences, desitjos o intencions d’altres persones. Aquesta baixa capacitat d’empatia pot fer que vegin les situacions únicament des de la seva pròpia perspectiva i que mostrin dificultats per entendre perquè les altres persones se senten de forma diferent.

Recomanacions per afavorir l’empatia:

• És important que els adults siguin bons models i que siguin capaços de reconèixer les emocions dels adolescents i actuar en conseqüència.

• Mantenir diàlegs que permetin manifestar les pròpies emocions i prendre consciència de les emocions d’altres persones.

• Els adolescents amb TEA poden necessitar ajuda per “llegir” el llenguatge corporal i entendre la comunicació no verbal. Per exemple, de vegades necessiten ajuda per interpretar la mirada o el to de veu d’una altra persona.

Habilitats de relació

En adolescents amb TEA, els problemes d’interacció i comunicació social són una característica nuclear i solen interferir de forma important en les seves habilitats de relació. Encara que molts adolescents amb TEA milloren en habilitats socials a l’arribar a l’adolescència, aquest desenvolupament social no segueix el mateix ritme accelerat que els seus iguals sense TEA.

Les relacions adolescents tendeixen a tornar-se complexes i les demandes socials augmenten ràpidament. En conseqüència, les dificultats socials es fan més evidents en aquesta etapa de la vida, fins i tot en casos en què han pogut passar des-

La baixa empatia pròpia dels adolescents amb TEA els pot comportar dificultats per entendre perquè les altres persones se senten de forma diferent.

9. Quan la socialització és un repte (adolescència i autisme) 209

Una mirada a la salut mental dels adolescents Claus per comprendre’ls i acompanyar-los

apercebudes en etapes més primerenques. Molts adolescents i joves adults amb TEA tenen escasses relacions amb amics, s’aïllen i assisteixen amb poca freqüència a activitats socials fora de l’entorn escolar o acadèmic. Aquest distanciament entre les habilitats d’uns i altres fa que les relacions socials siguin més difícils i pot augmentar les dificultats emocionals.

Per exemple, els adolescents amb TEA sovint presenten problemes en contacte ocular o dificultat per interpretar els senyals socials verbals i no verbals com el to de la veu, l’expressió facial, els gestos, la mirada i la postura. En la conversa, mostren dificultats per respectar torns, per proporcionar suficient informació o seleccionar la informació que és rellevant per al tema que els ocupa. S’observen també dificultats per a la gestió de conflictes interpersonals.

Per als nens i els homes, les relacions properes generalment s’estableixen a través d’un enfocament en temes relacionats amb objectes i activitats, com esports o esdeveniments. Molts adolescents amb TEA prefereixen implicar-se en jocs amb amics que requereixin el mínim d’interacció possible, com veure pel·lícules o jugar a videojocs.

Per contra, per a les nenes i les dones, les relacions s’estableixen mitjançant l’intercanvi de pensaments, emocions, experiències i activitats, i és més probable que la conversa se centri en temes socials i en confidències. És a dir, les relacions femenines adolescents requereixen habilitats socials més complexes. A més, les

210

noies amb TEA poden necessitar més temps per processar i respondre a la informació, la qual cosa dificulta el seguiment de converses ràpides amb els altres. Tots aquests problemes suggereixen que les relacions socials entre noies poden ser més complexes de negociar que les masculines i, per tant, poden contribuir a taxes més altes d’aïllament social i problemes de salut mental relacionats, com depressió i ansietat en les noies i dones amb TEA, en comparació amb els homes.

Pel que fa a situacions de conflicte com a part de les relacions socials, entre adolescents l’assetjament escolar és el conflicte més comú i se sap que afecta més a nois i noies amb TEA que a altres adolescents, tal com indiquen nombrosos estudis. Per contra, no hi ha gaire bibliografia sobre conflictes dins de les amistats d’adolescents amb TEA. En els conflictes relacionals entre noies, hi ha comportaments menys evidents o explícits, tant a nivell verbal (expandir rumors), i comportaments no verbals (ignorar, mirades penetrants, retirar la mirada o la salutació), entre d’altres. Aquests comportaments a nivell emocional poden tenir resultats negatius similars a la intimidació manifesta, com ser físicament agredit o amenaçat.

És possible que les noies amb TEA experimentin aquest conflicte amb més freqüència quan interactuen amb nenes neurotípiques que empren aquests mètodes. Aquests conflictes subtils i no explícits, són difícils d’entendre per a les noies amb TEA. En general, l’agressió té lloc dins del context d’una «amistat», que requereix que les nenes desenvolupin una comprensió flexible dels «amics», en lloc de prendre’s a les persones al peu de la lletra (el que pot ser un desafiament per a les noies amb TEA).

Si bé els adolescents amb TEA informen graus similars de conflicte en les seves amistats més properes, les noies experimenten més conflictes en el seu cercle més proper i més dificultats per gestionar aquests conflictes.

Problemes per a l’oci i temps lliure

L’ús del lleure és molt variat entre adolescents amb TEA, però en moltes ocasions les escasses relacions socials poden estar lligades a la dificultat per implicar-se en activitats extraescolars, associacions esportives o culturals o altres activitats organitzades.

A l’igual que els adolescents de desenvolupament típic, els adolescents amb TEA passen molt temps realitzant activitats lliures, sent mirar la televisió l’activitat més freqüent. Pel que fa a diferències amb la resta d’adolescents, destaca que els adolescents amb TEA passen més temps implicats en tasques solitàries (mirant la televisió, usant l’ordinador o llegint) i menys temps realitzant activitats socials. Aquest patró és més freqüent en adolescents amb TEA que a més tenen discapacitat intel·lectual o que presenten dificultats de conducta comòr-

Les noies amb TEA solen experimentar més conflictes en el seu cercle més proper i més dificultats per gestionar-los.

9. Quan la socialització és un repte (adolescència i autisme) 211

Una mirada a la salut mental dels adolescents

Claus per comprendre’ls i acompanyar-los

bides, en comparació amb adolescents amb TEA sense aquestes comorbiditats. Els adolescents amb TEA amb més habilitats per iniciar i mantenir converses amb altres mostren més intercanvis socials i participen més en activitats de grup.

En el cas de les noies adolescents amb TEA, hi ha algunes similituds pel que fa a la gestió del lleure comparades amb els homes amb TEA. En estudis qualitatius realitzats a pares i mares, destaquen una gran necessitat d’estructuració de la rutina i resistència a introduir-hi novetats. De la mateixa manera, poden presentar molta dificultat en la transició a altres activitats quan estan realitzant les seves activitats preferides, fet que pot provocar que arribin a tenir alteracions conductuals o bloquejos en aquestes circumstàncies. Moltes vegades hi ha una sola activitat que volen realitzar, no podent diversificar les opcions per ocupar el temps lliure. En les adolescents, pot aparèixer un interès excessiu en l’ús de noves tecnologies. Aquest ús, pot estar lligat a intentar relacionar-se amb iguals, tal com ho fan els adolescents de desenvolupament típic, però les adolescents amb TEA, tenen moltes dificultats per interpretar el contingut dels missatges, fins i tot contextualitzar alguns elements gràfics com emoticones, el que genera nombrosos malentesos en les interaccions. En altres casos, desenvolupen un interès excessiu per alguna celebritat, o per youtubers o influencers. Aquestes aficions poden ser compartides amb noies de desenvolupament típic; no obstant, destaca el caràcter circumscrit, limitat i la intensitat de l’interès en les noies amb TEA.

Les noies amb TEA poden tenir un elevat desig de socialitzar, la qual cosa és un aspecte positiu; no obstant, això pot portar-les a iniciar contactes amb persones desconegudes, per exemple en xarxes socials, amb els riscos que això implica.

Recomanacions per afavorir les habilitats de relació i solució de conflictes:

• Afavorir estratègies d’interacció i comunicació social. Aquest treball pot requerir la intervenció de professionals especialitzats, però també es pot afavorir des de l’entorn familiar i escolar. Entrenar en habilitats de conversa pot ser molt útil per a que l’adolescent pugui relacionar-se amb el seu grup d’iguals.

• Es recomana afavorir activitats d’oci i temps lliure apropiades que permetin tenir trobades amb altres adolescents, ja sigui amb activitats organitzades o trobades informals. En aquestes situacions pot ser necessari ajudar a l’adolescent a iniciar acostaments i integrar-se al grup.

• Davant situacions de conflicte interpersonal, és important ajudar a l’adolescent a saber mantenir la calma, identificar el problema i les seves emocions, buscar alternatives de solució i posteriorment posar a prova aquesta alternativa i valorar-la.

• En el cas de les noies amb TEA, les mateixes recomanacions que per als nois són útils. Es recomana a més, ajudar-les a interpretar actituds verbals i no verbals més subtils, indicadores de conflicte, que poden aparèixer en les relacions entre noies. D’altra banda, és important que

212

aprenguin estratègies simples de sol·licitud d’ajuda, i facilitar la identificació de persones del seu “cercle de confiança” en els diferents àmbits on es moguin, de manera que aquestes persones puguin ajudar-les en situacions socials que no puguin o sàpiguen gestionar soles.

• És important afavorir també estratègies d’ús segur de les xarxes socials, a més d’introduir actituds i temàtiques “esperables“ i “no esperables“ en les mateixes.

En algunes situacions pot ser útil l’ús de guions socials, que són descripcions explícites de la seqüència de passos que cal realitzar en una situació concreta. Aquesta estratègia ajuda a saber com comportar-se i saber què s’espera d’ells en una situació determinada. Per exemple, en el cas d’una festa d’un amic, es pot fer explícit que cal saludar, que cal menjar o beure alguna cosa i alhora mantenir una conversa.

Quins són els reptes en l’entorn escolar i com gestionar-los?

Per què pot resultar difícil anar a l’escola per a molts dels adolescents amb TEA?

Quins són els reptes escolars als quals s’enfronten els adolescents amb TEA?

Com podem ajudar-los a moure’s millor a l’escola?

L’entorn escolar com un repte

L’entorn escolar, des de les primeres etapes d’escolarització comporta desafiaments per a tots els alumnes. No obstant, els reptes els quals han d’enfrontar les persones amb un TEA són més grans. Aquests es deuen principalment a les dificultats en les habilitats socials i de comunicació, les conductes restringides i repetitives, les dificultats emocionals i de comportament i les dificultats d’aprenentatge que poden presentar-se. Quan arriben a l’escola secundària els reptes en cadascuna d’aquestes àrees augmenten i per tant els adolescents amb TEA necessiten suport continu a l’escola.

Així, al llarg de l’escolarització secundària dels adolescents amb un TEA poden sorgir dificultats associades a diferents factors com ara:

• La interacció social que es requereix al llarg de tota la jornada escolar amb els professors i els companys. Sovint es podran donar dificultats en la comprensió de les situacions socials i en la seva resposta a aquestes demandes socials i emocionals. Així, podem

El pas a l’escola secundària és tot un repte pels adolescents amb TEA: a nivell de comunicació, de comportament, social i acadèmic.

9. Quan la socialització és un repte (adolescència i autisme) 213

Una mirada a la salut mental dels adolescents Claus per comprendre’ls i acompanyar-los

trobar-nos que l’adolescent presenti poca interacció amb els iguals, situacions de conflicte en les relacions...

• Interessos restringits, rituals o insistència en què les coses succeeixin de forma estable i sense canvis.

• Estil particular de pensament i d’aprenentatge de l’estudiant.

• Dificultats per gestionar situacions estressants.

• Dèficits en les habilitats d’organització i execució.

• Episodis d’ansietat i/o disminució de l’estat d’ànim.

Els adolescents amb TEA comparteixen característiques bàsiques comunes però cadascun presenta les seves pròpies característiques i particularitats. Per tant per ajudar a cada un d’ells a enfrontar-se als reptes de l’entorn escolar haurem de tenir en compte:

• Les seves habilitats acadèmiques i interpersonals.

• Els seus interessos actuals.

• L’estat de salut mental en el moment específic.

Altres reptes o situacions de conflicte que es poden presentar es deuran a les dificultats de l’entorn (equip docent i/o alumnes) per comprendre les característiques d’una persona amb TEA i saber-se manegar amb aquestes.

Alguns factors de l’entorn escolar que poden afavorir o dificultar l’adaptació a l’entorn escolar poden ser:

• Aspectes relacionats amb el pla d’estudis (si està o no ajustat a les característiques de l’alumne).

• Els recursos de suport escolar dels que es disposi.

• Les característiques personals i de formació dels professionals docents referents de l’adolescent.

• L’adaptació a l’entorn social (amistats, habilitats per socialitzar i integració social).

• Aspectes ambientals (soroll, estructura, temperatura...).

• La presència de burles i d’intimidació per part de companys.

El canvi de l’escolarització primària a la secundària

El pas de l’escolarització primària a la secundària és un canvi per si mateix. Com ja sabem, l’adaptació als canvis és difícil per a moltes de les persones amb un TEA. A més, el pas a la secundària comporta canvis significatius i augment de l’exigència a nivell acadèmic, social i d’autonomia personal. Així doncs, és freqüent que en les primeres fases de l’escolarització secundària presentin inquietud o ansietat davant aquest nou entorn i els reptes que comporta.

214

Per poder encarar tots aquests reptes serà necessari disposar de:

• Canals de comunicació freqüents i efectius entre l’equip docent, l’adolescent i els seus pares.

• Col·laboració entre l’equip docent, l’adolescent i els seus pares.

repte de la socialització a l’escola per als adolescents amb TEA

El

L’escola es dona en un entorn social: aquest és un dels grans reptes per a l’adaptació escolar. El mateix context escolar exigeix interacció amb els professors i els companys durant tot el dia. Així doncs, pel fet que les persones amb TEA presenten alteracions i particularitats en l’esfera sociocomunicativa, l’exigència social serà un dels principals factors de dificultat i d’estrès.

La relació amb els iguals:

Els adolescents amb TEA presentaran amb major probabilitat resultats socials negatius com ara: tenir pocs amics, tenir xarxes socials limitades, experimentar més rebuig per part dels seus companys que altres nens i/o viure situacions d’assetjament escolar.

Algunes raons per les quals poden donar-se dificultats en les interaccions socials a l’escola són les següents:

• Les dificultats en les habilitats sociocomunicatives. A mesura que el nen amb TEA creix, les seves dificultats socials i les particularitats del seu comportament poden tornar-se més evidents i també ser menys tolerades pels seus companys. És possible que tot i que desitgi integrar-se al grup d’iguals, la manera de fer-ho sigui poc apropiada, inusual o estranya. Així mateix, les dificultats en l’ús social del llenguatge (en les habilitats de conversa social) poden generar dificultats per integrar-se al grup d’iguals (per exemple, poden tenir dificultats per saber què dir en una conversa, decidir què és rellevant i irrellevant o conversar de forma perllongada sobre un tema del seu interès sense tenir en compte si a l’altre li interessa).

• La pròpia situació social pot generar ansietat. És freqüent que l’evitació a integrar-se en un grup es degui a una elevada ansietat social i no a una absència de motivació per les relacions socials. Al seu torn, el fracàs en les interaccions

9. Quan la socialització és un repte (adolescència i autisme) 215
Els nens amb TEA són objectiu d’assetjament escolar amb major freqüència.

Una mirada a la salut mental dels adolescents

socials condueixen a una major ansietat social, establint-se així un cercle d’anticipació-ansietat-evitació que condueix a retirar-se de les situacions socials que augmenten la seva ansietat en lloc de tractar de socialitzar amb els seus companys. En aquest context s’entén doncs com, en ocasions, reaccionarà negativament quan es troba en una situació social que experimenta com amenaçant. També sabem que els adolescents amb TEA d’alt funcionament sovint s’adonen de les seves dificultats socials, la qual cosa augmenta la seva ansietat en un context d’interacció social.

La relació amb els professors:

Molts dels aspectes esmentats també poden generar dificultats i conflictes en la relació amb els professors. De vegades la comunicació amb el professor pot no estar ajustada, generant-se discussions freqüents, enfrontaments o, per contra, una conducta excessivament inhibida.

Assetjament escolar (bullying)

L’assetjament escolar (bullying) s’ha definit com un comportament agressiu o mal intencionat que es porta a terme de forma repetida en el temps en una relació interpersonal caracteritzada per asimetria de poder. Actualment l’assetjament escolar es considera un problema social important amb conseqüències serioses per a les víctimes i els agressors. Tant uns com els altres presenten més risc de símptomes físics, com mals de cap o abdominals, més risc de simptomatologia d’ansietat i més risc de suïcidi. A més, en els últims anys, una nova forma d’assetjament escolar s’ha afegit a aquestes preocupacions, el ciberbullying, que es porta a terme a través de les noves tecnologies com a missatges de mòbil o xarxes socials. És especialment perillós perquè pot arribar a les víctimes fins i tot quan són a casa.

En el cas de nens o adolescents amb TEA, les dificultats en habilitats socials i en comunicació els fan més vulnerables a l’assetjament escolar. Els nens amb TEA són objectiu d’assetjament amb freqüència i en moltes ocasions hi ha iguals que els provoquen intencionadament per involucrar-los en baralles o conflictes. Alguns factors de risc per a patir assetjament en casos de TEA amb bon funcionament són: dificultats socials, hipersensibilitats sensorials, aïllament, burles i exclusió social per part de companys, la presència d’altres problemes de salut mental (per exemple el trastorn per dèficit d’atenció i hiperactivitat (TDAH), depressió, ansietat o trastorn de conducta), malaptesa motora, higiene deficient, adhesió rígida a normes i regles, parlar massa sobre els seus temes favorits fins

216

i tot quan altres persones estan avorrides o molestes amb el tema, enutjos freqüents i elevada rigidesa (manca de flexibilitat).

Aquells nens amb TEA que volen relacionar-se amb els seus iguals però tenen dificultats per fer-ho presenten més risc de patir assetjament escolar que els que prefereixen jugar sols o que juguen amb altres que se’ls hi acosten. No obstant, quan els nens amb TEA aprenen a fer amics de forma satisfactòria, el risc d’assetjament disminueix.

En alguns casos, els nens o adolescents amb TEA poden no adonar-se d’estar realitzant conductes d’assetjament cap a altres. Això pot ser degut a la presència de respostes disruptives o impulsives, dèficits en habilitats socials i en resolució de problemes, elevada rigidesa o insistència en posar les seves pròpies normes o que s’enfadin fàcilment amb altres companys quan no aconsegueixen el que volen.

Davant aquest risc de dificultats, es recomana tenir consciència de les elevades taxes de bullying entre adolescents amb TEA i afavorir la integració amb el grup d’iguals en l’entorn escolar. En alguns casos cal adaptar les polítiques escolars i proporcionar als alumnes i famílies estratègies efectives per afrontar l’assetjament. La comunicació amb l’adolescent i la comunicació entre la família i el centre escolar és clau per detectar les dificultats i determinar si cal prendre mesures específiques.

9. Quan la socialització és un repte (adolescència i autisme) 217

Una mirada a la salut mental dels adolescents

Claus per comprendre’ls i acompanyar-los

Què poden fer els professors i els pares per millorar l’adaptació i el benestar de l’adolescent amb TEA a l’escola?

Per fer front a les demandes acadèmiques, els joves amb TEA poden requerir ajuda en aspectes relacionats amb planificació, organització i altres funcions executives.

1. Disposar d’un protocol on es reflecteixin les seves necessitats i els procediments i accions que es duran a terme per donar-ne resposta (entorns d’aprenentatge integrals i estructurats, contingut curricular especialitzat, un enfocament funcional per comportaments difícils...) i una avaluació periòdica d’aquests procediments.

2. Potenciar una comunicació freqüent entre els pares i l’equip docent (afavorir la participació familiar).

3. Afavorir situacions en què pugui parlar amb adults en un entorn no amenaçant.

4. Estar pendent de l’estat emocional i conductual de l’adolescent per poder-li donar una resposta no demorada davant de situacions problema, evitant així que s’aguditzin o es cronifiquin.

5. Ajudar-lo a identificar i respondre eficaçment a l’assetjament escolar. Per a això sol ser útil l’ús de material d’històries socials visuals, així com donar instruccions clares sobre què fer i a qui acudir en cas d’estar sent assetjat.

6. Ensenyar al grup d’iguals com establir relacions positives amb la persona amb TEA.

El repte de les transicions a l’escola

La transició és el canvi que es produeix quan passem d’una activitat a una altra o d’un lloc a un altre. En el context escolar es produeixen al llarg del dia nombroses vegades. És freqüent en les persones amb TEA la dificultat per realitzar transicions.

Aquesta dificultat es pot explicar per diferents factors: rigidesa, baix interès per l’activitat nova a realitzar, dificultats en funcions executives, hipersensibilitats sensorials (per exemple passar de la classe on hi ha silenci i llum tènue al pati on hi ha crits i molta llum), dificultats en la comprensió verbal (per exemple si s’ha donat molta informació sobre el motiu del canvi o la informació és contradictòria), dificultat per interpretar senyals socials subtils que indiquen que hi haurà un canvi d’activitat...

En aquest context pot aparèixer ansietat i problemes de conducta.

218

Què es pot fer per facilitar les transicions?

• Planificar les activitats.

• Crear rutines que facilitin la predictibilitat i anticipar els canvis en la rutina.

• Disposar d’estratègies per als canvis.

• Assegurar la comprensió de les transicions.

• Proporcionar informació visual clara.

En el moment de canviar d’aula:

• Si presenta hipersensibilitat al soroll i les multituds, permetre arribar o sortir uns minuts abans o després.

• Oferir un horari clar d’assignatures, on es realitzen i cap a on anar.

• Notificar els canvis imminents (és útil també informar els pares).

• Proporcionar un espai segur on pugui anar en cas de sentir-se estressat.

Problemes en funcions executives

En els cursos superiors, el rendiment escolar dels adolescents amb TEA es pot veure afectat en el cas que l’adolescent presenti dificultats en les funcions executives, les quals són més freqüents en les persones amb TEA. Anomenem funcions executives a un conjunt d’habilitats cognitives tals com: l’atenció, la memòria de treball, la planificació, l’organització i la flexibilitat cognitiva. Aquestes habilitats són importants al llarg de tota la vida acadèmica, no obstant, en cursos superiors, a l’augmentar l’exigència escolar, les dificultats en aquestes habilitats genera una major interferència en els aprenentatges. Les dificultats en funcions executives poden ocasionar lentitud a l’agafar apunts, dificultats per adaptar-se a canvis de professors o aules, malaptesa a l’hora de planificar l’estudi o dificultats per captar la idea principal d’un text. A més, s’ha observat que, a mesura que es fan grans, els adolescents amb TEA mostren més rigidesa cognitiva i més problemes en habilitats executives, donant lloc a més dificultats en situacions socials i l’entorn laboral.

Per a fer front de forma apropiada les demandes de l’institut, els adolescents amb TEA poden requerir ajuda en aspectes relacionats amb planificació, organització i altres funcions executives. En moltes ocasions necessiten un major nivell de suport extern per part de la família o el centre educatiu. Aquests suports poden ser una comunicació freqüent entre els pares i el centre, supervisió de tasques per part dels professors o ajuda dels professors per dividir projectes en parts més petites que permetin anar pas a pas. Aquest tipus d’ajudes solen disminuir en l’època de l’adolescència, però els alumnes amb TEA solen requerir que es man-

9. Quan la socialització és un repte (adolescència i autisme) 219

Una mirada a la salut mental dels adolescents

Claus per comprendre’ls i acompanyar-los

tinguin més temps. Aquesta necessitat de suport pot xocar amb el major desig d’independència de l’adolescent i això pot generar conflicte, raó per la qual s’ha de mantenir l’equilibri i anar ajustant les ajudes segons l’evolució.

Pubertat i desenvolupament afectiusexual

Com per a qualsevol persona, el desenvolupament afectiusexual dels adolescents amb TEA és fonamental per al seu desenvolupament personal. Segons l’Organització Mundial de la Salut (2002) la sexualitat és una part integrant del desenvolupament psicoafectiu i psicoevolutiu.

És important oferir informació als adolescents sobre què significa la pubertat i què implica un adequat desenvolupament afectiusexual.

Sovint moltes persones amb discapacitat tenen problemes en el desenvolupament afectiusexual a causa de les dificultats en habilitats socials, problemes per accedir a contextos naturals d’interacció social, actituds de sobreprotecció per part dels seus cuidadors, absència d’espais i temps privats o falta d’educació sexual. Aquestes dificultats poden donar lloc a sentiments de solitud i baixa autoestima, que al seu torn repercuteixen en el desenvolupament afectiu i poden donar lloc a manca de vincles de parella o a una sexualitat no satisfactòria o inadequada.

Pel que fa als canvis físics propis de la pubertat, en algunes ocasions, els adolescents amb TEA són capaços d’explicar de forma precisa els processos biològics de la reproducció, però poden no entendre què impliquen aquests processos en ells mateixos. En algunes ocasions no saben quina informació o conductes han de ser privades.

En el cas de les noies amb TEA, en estudis qualitatius d’entrevistes a pares i mares, refereixen elevades dificultats per adaptar-se als canvis corporals propis, i a les necessitats d’higiene i autocura relacionades. En aquest mateix estudi, els pares i mares, referien necessitat de rebre orientacions sobre com tenir xerrades sobre les relacions afectiusexuals i ajudar-les a prevenir potencials situacions d’abús.

Una altra situació a considerar és la menarquia i els successius períodes menstruals. S’ha observat que, en ocasions, les noies amb TEA durant la menstruació perceben una intensificació dels seus símptomes per exemple a nivell sensorial, amb una major sensibilitat a nivell olfactiu, i tàctil i al dolor, així com majors dificultats per regular les emocions i la conducta.

Les noies amb TEA experimentaran molts canvis durant la pubertat, de la mateixa manera que altres nenes. És probable que el seu primer període sigui un de les seves majors fites durant aquest temps. El TEA no afecta quan les nenes comencen els seus períodes, de manera que moltes nenes amb TEA probablement tindran el seu primer període entre els nou i els onze anys.

220

Per afavorir una adequada comprensió dels canvis físics propis de la pubertat i un adequat desenvolupament afectiusexual, es recomana:

• Oferir informació clara sobre els canvis físics propis de la pubertat i sobre la seva implicació en el seu propi cos. Oferir informació sobre com es relacionen aquests canvis amb el món social.

• Oferir informació sobre com mantenir la seguretat en situacions de relacions amb altres persones.

• Aclarir quina informació i conductes s’han de reservar per a l’àmbit privat.

• Desenvolupar programes d’educació sexual adequats i adaptats a les diferents necessitats de les persones amb TEA, tenint en compte el seu nivell de funcionament.

• Respectar moments d’intimitat i privacitat.

En relació a l’anatomia i fisiologia sexual, es recomana:

• Oferir informació sobre el seu propi cos i desenvolupar una actitud positiva cap a un mateix.

• Promoure hàbits d’higiene i cura personal. Revisions mèdiques.

9. Quan la socialització és un repte (adolescència i autisme) 221

Una mirada a la salut mental dels adolescents

Claus per comprendre’ls i acompanyar-los

• Oferir informació sobre aspectes com la menstruació. En el cas de les noies, proporcionar més informació sobre els cicles menstruals, ajudar-les a trobar estratègies per identificar i regular les sensacions físiques i emocionals associades. Atès que és impossible saber exactament quan una noia tindrà el seu primer període, és important tenir en compte les seves preferències personals, la seva personalitat i el seu nivell de comprensió a l’hora de decidir quan debatre aquest tema. És important tenir en compte que els pre-adolescents amb TEA sovint necessiten temps addicional per adaptar-se als canvis i la nova informació, i de vegades poden obsessionar-se amb esdeveniments impredictibles. Atès que el primer període generalment ocorre entre dotze i divuit mesos després de començar el desenvolupament dels pits, sovint és un bon moment per començar a parlar sobre el tema. És crucial preparar les noies per al seu primer període abans d’hora. És important triar el moment adequat per preparar-la. Es poden utilitzar suports visuals per explicar els canvis corporals que tindran lloc, l’ús adequat de tampons i compreses, així com escales, també visuals, per a que puguin quantificar les seves sensacions físiques.

• Oferir informació sobre altres conceptes com ejaculació i masturbació. Explicar concepte de “públic” i “privat”, amb suports visuals i històries socials que facilitin la comprensió.

En relació als abusos sexuals, es recomana oferir informació sobre què són, qui poden cometre’ls, qui ens pot ajudar i què fer en cas de patir abús sexual. És important afavorir la prevenció.

Autonomia i autocura

Durant l’adolescència augmenta l’exigència d’autonomia i de forma gradual el noi o noia va prenent un paper cada vegada més actiu en la seva pròpia cura, tasques o decisions. Cada vegada hi ha menys acceptació de la supervisió dels pares.

Els adolescents amb TEA solen mostrar millora en habilitats de la vida diària, com vestir-se sols, manejar diners o preparar-se un entrepà. No obstant, molts adolescents amb TEA poden mostrar descuit de la higiene i la cura personal i aquesta manca d’higiene pot arribar a provocar rebuig per part d’amics o companys.

És possible que siguin poc conscients de la importància de l’autocura per a l’acceptació social o que tinguin poca motivació social per fer bona olor o mostrar-se nets. En altres ocasions, el rebuig a la dutxa o l’afaitat pot ser degut a la

222

hipersensibilitat sensorial: no els agrada la sensació d’aigua al cap o la fulla d’afaitar a la cara. Per això, en algunes ocasions els adolescents amb TEA requereixen molta insistència per dutxar-se o afaitar-se. En altres ocasions els adolescents amb TEA poden mostrar la conducta contrària, arribant fins i tot a desenvolupar rituals obsessius en relació amb la higiene (per exemple, el rentat obsessiu de mans).

En estudis qualitatius en pares i mares de noies adolescents amb TEA, descriuen moltes dificultats en relació a l’aparença i la higiene en accions bàsiques com la higiene dental, raspallar els cabells, o canviar-se de roba. També descriuen resistència a usar els lavabos públics o escolars, especialment durant la menstruació. Aquestes dificultats podrien ser de causa multifactorial, entre elles, la manca de comprensió de l’impacte social, per exemple de no mantenir hàbits d’higiene adequats, així com la tendència a la baixa autoestima relacionada amb la consciència de diferència respecte als seus iguals, etc. .

D’altra banda, els problemes de son poden mantenir-se en l’adolescència i pot augmentar l’insomni i la somnolència diürna.

Com ajudar en la seva autocura i higiene personal:

• Descobrir quin factor determina que l’adolescent rebutgi la dutxa.

• Explicar la importància de la higiene per a les relacions socials i ser acceptat.

• Adaptar pautes d’higiene a una possible hipersensibilitat sensorial: per exemple, fer servir un recipient d’aigua petit per tirar-se aigua, en lloc de la dutxa.

• Afavorir rutines que assegurin una adequada higiene de la son.

Com és la intervenció que requereix un adolescent amb TEA

Els programes d’intervenció han de prioritzar objectius relacionats amb les característiques bàsiques del TEA: dificultats en comunicació, dificultats en interacció social, interessos restringits i tendència a la rigidesa. A més d’atendre aquestes dificultats centrals, en funció de cada cas caldrà abordar altres aspectes, com possibles alteracions de conducta, de gestió emocional, teoria de la ment, imaginació, etc.

9. Quan la socialització és un repte (adolescència i autisme) 223
La teràpia en els adolescents TEA implica un abordatge psicològic, psiquiàtric, suport comunitari i educació.

Una mirada a la salut mental dels adolescents

Claus

per comprendre’ls i acompanyar-los

En línies generals l’abordatge terapèutic en els adolescents TEA hauria d’abastar els següents aspectes, sempre sota una òptica multidisciplinària i interdisciplinària:

• Abordatge psicològic: programes terapèutics específics de competència social, conducta, comunicació o d’atenció a comorbiditats (son, alimentació, alteració emocional, etc.)

• Abordatge psiquiàtric: si hi ha simptomatologia comòrbida amb important interferència en el funcionament habitual de l’adolescent.

• Suport comunitari: suport familiar, xarxa social, activitats de suport.

• Educació: programes de comunicació, suport en els aprenentatges, orientació acadèmica i laboral.

A tall de conclusió

L’adolescència és una etapa en què continua el desenvolupament socioemocional i en la qual el món social adquireix una complexitat important. Alguns adolescents es mostren més tímids o introvertits en aquesta fase, però aconsegueixen adaptar-se al seu entorn. No obstant, el repte és més gran quan es tracta d’un adolescent amb TEA. En aquest cas, cal parar atenció a aspectes en els quals pot presentar més dificultats, com l’àrea socioemocional, l’entorn escolar, el desenvolupament afectiusexual i les àrees d’autonomia i autocura.

La detecció de possibles problemes permetrà a les persones properes (com pares, cuidadors o professors) posar en marxa estratègies que ajudin al desenvolupament i a l’adaptació a l’entorn. En alguns casos, quan les dificultats interfereixen de forma important, pot ser necessària la intervenció per part d’un especialista de salut mental.

224

Referències bibliogràfiques

American Psychiatric Association (2013). Diagnostic and Statistical Manual of Mental Disorders, 5th edition: DSM-5.  American Psychiatric Association, Washington DC.

Anderson, D.K., Maye, M.P. & Lord, C. (2011) Changes in Maladaptive Behaviors From Midchildhood to Young Adulthood in Autism Spectrum Disorder. Am J Intellect Dev Disabil. 2011 Sep;116(5):381-97.

Barrutia, A. (2009): Inteligencia emocional en familia. España: Editorial Toro Mítico.

Beggiato, A., Peyre, H., Maruani, A., Scheid, I., Rastam, M., Amsellem, F., … Delorme, R. (2017). Gender differences in autism spectrum disorders: Divergence among specific core symptoms. Autism Research, 10, 680– 689. doi:10.1002/aur.1715

Bisquerra, R. (2009): Psicopedagogía de las emociones. Madrid: Síntesis.

Cobo, C. (coord., 2012): Protocolo sobre relaciones interpersonales y sexualidad en personas con discapacidad intelectual, trastornos del espectro autista y otras discapacidades con déficit cognitivo usuarias de centros residenciales. Dirección General de Personas con discapacidad. Consejería para la Igualdad y Bienestar social. Junta de Andalucía.

Hebron, J., & Humphrey, N. (2014). Exposure to bullying among students with autism spectrum conditions: a multi-informant analysis of risk and protective factors. Autism 18(6): g18–630.

Hill, E., Berthoz, S., & Frith, U. (2004). Cognitive processing of own emotions in individuals with autistic spectrum disorders and in their relatives. Journal of Autism and Developmental Disorders, 34, 229-235.

Jamison, T.R., Oeth Schuttler, J. (2017). Overview and Preliminary Evidence for a Social Skills and Self-Care Curriculum for Adolescent Females with Autism: The Girls Night Out Model.J Autism Dev Disorder 47:110–125.

Koegel, L.K. & LaZebnik, C. (2009). Growing Up on the Spectrum. New York, NY: Penguin Group, p. 160.

Koenig K. & Tsatsanis K.D. (2005) Pervasive Developmental Disorders in Girls. In: Bell D.J., Foster S.L., Mash E.J. (eds) Handbook of Behavioral and Emotional Problems in Girls. Issues in Clinical Child Psychology. Springer, Boston, MA

Mademtzi, M., Singh, P., Shic, F., Koenig, K. (2018). Challenges of Females with Autism: A Parental Perspective. J Autism Dev Disord 48:1301–1310.

McCauley, J.B, Harris, M.A., Zajic, M.C., Swain-Lerro, L.E., Oswald, T., McIntyre, N., Trzesniewski, K., Mundy, P. & Solomon, M. (2019). Self-Esteem, internalizing symptoms, and theory of mind in youth with Autism Spectrum Disorder. Journal of Child and Adolescent Psychology; 48 (3): 400-411.

Nichols, S., Moravcik, G.M., &  Pulver Tetenbaum, S. (2009). Girls Growing Up on the Autism Spectrum: What Parents and Professionals Should Know about the Pre-teen and Teenage Years. London: Jessica Kingsley.

Rosenthal, M., Wallace, G.L., Lawson, R., Wills, M.C., Dixon, E., Yerys, B.E. & Kenworthy, L. (2013) Impairments in real-world executive function increase from childhood to adolescence in autism spectrum disorders. Neuropsychology. ;27(1):13-8.

Rowley E., Chandler S., Baird G, et al. (2012). The experience of friendship, victimization and bullying in children with an autism spectrum disorder: associations with child characteristics and school placement. Research in Autism Spectrum Disorders 6(3): 1126–1134.

Rubenstein, E., Wiggins, L., & Lee, L. (2015). A Review of the Differences in Developmental, Psychiatric, and Medical Endophenotypes Between Males and Females with Autism Spectrum Disorder. J Dev Phys Disabil., 27(1): 119–139.

SIIS Centro de Documentación y Estudios, Vivir mejor. Apoyo conductual positivo. Serie: Buenas Prácticas en la Atención a Personas con Discapacidad Vitoria-Gasteiz, Diputación Foral

9. Quan la socialització és un repte (adolescència i autisme) 225

Una mirada a la salut mental dels adolescents

Claus per comprendre’ls i acompanyar-los

de Álava, 2011, 54Smith, L.E., Maenner, M.J. & Seltzer, M.M. (2012) Developmental trajectories in adolescents and adults with autism: the case of daily living skills. J Am Acad Child Adolesc Psychiatry. 2012 Jun;51(6):622-31.

Steward, R. (2013). The Independent Woman’s Handbook for Super Safe Living on the Autistic Spectrum. London: Jessica Kingsley Publishers.

Underwood, M.K. (2004). Glares of contempt, eye rolls of disgust and turning away to exclude: non-verbal forms of social aggression among girls. Feminism & Psychology 14(3):371–375.

White, S. W., Ollendick, T., Albano, A., Oswald, D., Johnson, C., Southam-Gerow, M. A., Kim, I. & Scahill, L. (2013). Randomized controlled trial: Multimodal anxiety and social skill intervention for adolescents with autism spectrum disorder. Journal Of Autism And Developmental Disorders, 43(2), 382-394.

Zablotsky, B., Bradshaw, C.P., Anderson, C.M. & Law, P. (2014). Risk factors for bullying among children with autism spectrum disorders. Autism; 18 (4): 419-27.

226

10. El TDAH i els trastorns de conducta en els adolescents

Psiquiatre. Cap de Secció i Coordinador de la Unitat del Trastorn per Dèficit d’Atenció i Hiperactivitat. Àrea de Salut Mental. Servei de Psiquiatria i Psicologia Infantil i Juvenil. Hospital Sant Joan de Déu Barcelona.

Child Mind Institute.

Organització americana independent sense ànim de lucre dedicada a transformar les vides dels nens i les famílies que lluiten contra la salut mental i els trastorns de l’aprenentatge.

En Daniel té onze anys, va a la consulta per problemes d’atenció, inquietud i impulsivitat. Els pares situen l’inici dels problemes al començar preescolar, sobre els tres anys. Actualment cursa 6è de primària, amb un rendiment just, per sota de les seves capacitats. En els informes escolars apareixen problemes d’atenció: no apunta les coses a l’agenda, no escolta, passota “de sempre”, perd coses amb freqüència o les oblida i després no sap on són, els pares refereixen que es despista amb facilitat, “està a la lluna”. També presenta símptomes d’inquietud i impulsivitat: contesta sense pensar, és molt mogut, ha d’estar contínuament en moviment, toca tot el que està al seu voltant, a l’escola fa “sorollets amb el boli o el llapis” que posa nerviós a tot aquell que està al seu costat. Aquest curs apareixen problemes de conducta: es porta malament tant a casa com a l’escola, mostra

10. El TDAH i els trastorns de conducta en els adolescents 227

Una mirada a la salut mental dels adolescents

Claus per comprendre’ls i acompanyar-los

una actitud desafiant cap a les figures d’autoritat, “sempre és que no, mai fa les coses a la primera”.

Aquest trimestre l’han expulsat de classe per barallar-se amb un nen als vestidors després d’educació física, també ha començat a agafar diners als pares per gastar en aplicacions i videojocs online. Tan els pares com l’escola no saben què fer amb ell.

Introducció

Gestionar les emocions intenses d’una manera sana i madura requereix una varietat d’habilitats que hem de conèixer.

Tal com s’ha explicat en el primer capítol, l’adolescència és una època que constitueix un període crucial de la vida en la qual es produeixen canvis molt importants en l’estructura i en les funcions cerebrals. No només es consoliden els circuits que regulen les funcions executives i que permeten una correcta integració entre el cervell racional i l’emocional, sinó que a més s’eliminen tots aquells que no tenen utilitat mitjançant un procés de “poda sinàptica”. En aquest sentit, la regulació emocional i la impulsivitat es troben en un procés de normalització, però com podem diferenciar el problema del trastorn?

En aquest capítol abordarem dos àmbits que en ocasions s’interrelacionen, d’una banda, emmarcarem els problemes de conducta i els trastorns en els quals apareixen i d’altra banda explicarem la diferència entre els problemes d’atenció i impulsivitat i el TDAH en l’adolescència.

Problemes de conducta i trastorns de la conducta: conceptes bàsics, implicacions familiars i tractament

Els problemes de conducta en els joves poden suposar un impacte negatiu en tots els membres de la família. Els pares saben que necessiten respondre, però sovint no estan segurs de quina és la millor estratègia, especialment si un nen es porta malament amb freqüència i res sembla funcionar. Aquest capítol ofereix als pares una visió integral de la conducta problemàtica. Cobreix una varietat de temes, incloent els factors que poden desencadenar un comportament problemàtic, com millorar la relació entre pares i fills quan aquesta és tensa, què fer si els nens tenen problemes amb el comportament a l’escola i com obtenir ajuda professional en cas de ser necessari.

El present capítol també revisa el diagnòstic i el tractament dels anomenats trastorns de la conducta, inclòs el trastorn negativista desafiant (TND), el trastorn de conducta, el trastorn explosiu intermitent (TEI) i el trastorn per desregulació dis-

228

ruptiva de l’estat d’ànim (TDDEA). Cal recordar que des de 2013, el DSM-5 situa el TDAH dins dels trastorns del neurodesenvolupament, sortint de la classificació dels trastorns de conducta.

Per què alguns nens tenen problemes de conducta?

Quan els joves tenen rebequeries o disgustos freqüents o intensos, pot ser un senyal de que encara no han desenvolupat les habilitats que necessiten per fer front a sentiments com la frustració, l’ansietat i la ira. En moltes ocasions aquests símptomes són difícils de diferenciar dels propis canvis que ocorren en l’adolescència, necessitant personal entrenat per a poder diferenciar-ho d’un trastorn més greu. En general, si els símptomes són més freqüents, intensos i amb afectació en diversos àmbits (escola, casa, etc) juntament amb l’absència de “moments” agradables i de comunicació fluïda o de compartir alguna activitat, s’orientarien més cap a un problema que hauria de ser valorat per l’especialista.

10. El TDAH i els trastorns de conducta en els adolescents 229

Una mirada a la salut mental dels adolescents

Claus per comprendre’ls i acompanyar-los

Gestionar les emocions intenses d’una manera sana i madura requereix una varietat d’habilitats, que inclouen:

• Control dels impulsos

• Autoregulació emocional

• Resolució de problemes

• Retardar la gratificació

• Negociar

• Comunicar desitjos i necessitats als adults

• Saber què és apropiat o què s’espera en una situació determinada

Pot semblar que altres joves tenen més dificultats amb els límits i en seguir les regles. Poden ser desafiants o ignorar les instruccions o intentar evitar situacions que no són opcionals. És possible que els pares notin patrons de conducta que semblen sorgir en certs moments del dia (com l’hora d’anar a dormir) durant certes tasques (com l’hora de fer els deures) o amb certes persones. També poden notar que els fills es comporten malament, especialment quan són a casa, però no quan estan a l’escola, o viceversa.

Les rebequeries generalment no són un comportament voluntari d’un nen, però poden ser el que es coneix com un “comportament après”.

Les rebequeries i altres tipus d’actituds són sovint una part normal i fins i tot saludable de la infància. Són un senyal que un nen s’està tornant més independent, indicacions que un nen està provant límits, desenvolupant habilitats i opinions, i explorant el món que l’envolta.

Però quan un nen o adolescent es porta malament, pot tensar la relació entre pares i fills, creant frustració i ressentiments regulars que no són saludables en la família.

El comportament pertorbador o desafiant es pot aprendre

De vegades, els pares senten que la conducta problemàtica és intencionada o manipuladora. No obstant, els metges que s’especialitzen en el comportament dels nens estan d’acord que les rebequeries generalment no són un comportament voluntari d’un nen, però poden ser el que es coneix com un “comportament après”. Això significa que els nens aprenen que amb aquest tipus d’actituds aconsegueixen el resultat que desitgen.

En altres paraules, si bé un nen que lluita per controlar les seves emocions pot ser que no calculi conscientment les seves rebequeries, pot recórrer-hi perquè no ha après una millor manera de resoldre els problemes o comunicar les seves

230

necessitats. Els pares, de manera ben intencionada, sovint responen a les rebequeries tractant de solucionar allò que ha causat el problema, consolant el nen o donant-li el que estigui demanant. Desafortunadament, això reforça el comportament de les rebequeries, el que fa que els nens siguin més propensos a seguir tenint rebequeries i menys propensos a desenvolupar formes més sofisticades i més adequades de manejar els seus sentiments.

Quan és necessari consultar a un professional davant els problemes de conducta?

La majoria dels nens tenen rebequeries o rampells ocasionals. Actuar malament quan és hora d’anar-se’n al llit o deixar de jugar és part del procés. Però quan els nens presenten rebequeries freqüents o són intenses o el comportament es torna inadequat o extrem per l’edat, o sembla que no poden controlar el seu temperament la major part del temps, és possible que es tracti d’un problema de conducta.

Es comparteixen a continuació alguns senyals a tenir en compte:

• Quan el problema de conducta interfereix amb la seva capacitat per fer amics o portar-se bé amb els altres.

• Quan el problema de conducta està causant molts conflictes a la llar i pertorbant la vida familiar.

• Quan el nen sent que no pot controlar la seva ira i això el fa sentir malament amb si mateix.

• Quan el seu comportament està causant problemes a l’escola amb els seus mestres o els seus companys d’estudis.

• Quan el seu comportament és perillós per a ell o per als altres.

Per a aquells pares que estiguin preocupats pel comportament del seu fill i senten que tenen dificultats per gestionar la situació, pot ser útil programar una cita amb un especialista que tingui experiència en salut mental infantil i juvenil. L’especialista pot realitzar una avaluació integral per determinar si el nen o adolescent pot tenir un trastorn de salut mental no diagnosticat que estigui contribuint als seus problemes de conducta, o recomanar estratègies o tractaments específics que podrien ser útils.

Cal estar atents a aquells senyals que ens facin sospitar que el nen o adolescent presenta un trastorn de conducta.

10. El TDAH i els trastorns de conducta en els adolescents 231

Trastorns de salut mental responsables dels problemes de conducta i trastorns disruptius i de control dels impulsos

A continuació, es presenten alguns trastorns de salut mental i altres dificultats que poden estar associats amb els problemes de conducta. Alguns d’aquests són “trastorns del comportament”, però d’altres, com l’ansietat o els trastorns de l’aprenentatge, són problemes força diferents que poden manifestar-se com problemes de conducta.

• Trastorn de desregulació disruptiva de l’estat d’ànim (TDDEA): els nens amb TDDEA experimenten rampells de temperament freqüents i greus que semblen enormement desproporcionats a la situació respectiva. Entre enrabiades, els nens amb TDDEA es caracteritzen per ser crònicament irritables. El seu comportament disruptiu és el resultat d’una elevada resposta emocional i pobres habilitats d’autoregulació. Els nens amb TDDEA sovint es disculpen molt després que finalitzi una rebequeria.

• Ansietat: els nens que semblen enfadats i desafiadors poden estar molt ansiosos. Quan els nens tenen dificultats per afrontar situacions que els causen angoixa, poden pegar o donar una puntada de peu a algú o alguna cosa. Això pot passar quan les demandes a la llar o a l’escola exerceixen una pressió sobre ells que no poden manejar. En una situació que indueix ansietat, l’instint de “lluitar o fugir” de l’infant pot consolidar-se: pot actuar amb una rebequeria o negar-se a fer alguna cosa per evitar la font de la por concreta. Per a més informació sobre l’ansietat consulteu el capítol Preocupar-se en excés (ansietat).

• Trauma: els nens que han estat traumatitzats sovint emmascaren el seu dolor amb un comportament agressiu. Com a resultat del seu trauma, poden presentar una autoregulació emocional deficient, pensaments negatius i estar massa alerta dels perills, i és més probable que activin la seva resposta de “lluita o fugida” en un esforç per protegir-se.

• Problemes d’aprenentatge: els nens que es porten malament repetidament a l’escola o durant l’hora de fer els deures poden tenir un trastorn d’aprenentatge no diagnosticat. És possible que se sentin frustrats i avergonyits perquè tenen dificultats per fer coses que a altres nens els semblen fàcils i no saben perquè. En lloc de demanar ajuda, és possible que no compleixin amb les seves tasques o es comportin malament per distreure’s dels seus problemes reals.

232
mirada
Una
a la salut mental dels adolescents Claus per comprendre’ls i acompanyar-los

• Problemes de processament sensorial: alguns nens tenen problemes per processar la informació sensorial que obtenen del món que els envolta. Els nens que són hipersensibles o insuficients a l’estimulació sovint poden sentir-se incòmodes, ansiosos, distrets i aclaparats, el que sovint pot portar a comportaments pertorbadors.

• Autisme: els nens amb trastorn de l’espectre de l’autisme (TEA) tendeixen a ser rígids, necessiten una rutina constant per sentir-se segurs, i els canvis inesperats poden provocar que presentin una rebequeria. Els nens amb autisme també poden presentar dificultats amb problemes sensorials que els deixen aclaparats. Alguns nens amb TEA també poden no tenir les habilitats de llenguatge i comunicació per expressar el que volen o necessiten. Consulteu el capítol Quan la socialització és un repte (adolescència i autisme) per a més informació sobre l’adolescent amb TEA.

Al Manual Diagnòstic del DSM 5 de l’Associació Americana de Psiquiatria (APA) es classifiquen els trastorns disruptius i del control dels impulsos en:

• El trastorn negativista desafiant (TND): els nens amb TND tenen un patró ben establert de problemes de conducta, amb símptomes que inclouen discutir amb figures d’autoritat, negar-se a seguir les regles, culpar als altres pels seus errors, estar inusualment enfadats i irritables, entre d’altres. Tots els nens poden tenir aquests símptomes ocasionalment. El que distingeix el TND de la conducta d’oposició normal és com de greu és la conducta i quant temps porten presentant aquests símptomes.

• Trastorn explosiu intermitent (TEI): arravataments recurrents en el comportament que reflecteixen una manca de control dels impulsos amb agressivitat.

• Trastorn de la conducta: presenten un patró repetitiu i persistent de comportament en el qual no es respecten els drets bàsics d’altres, les normes o regles socials pròpies de l’edat, pot existir agressió a persones o animals, destrucció de la propietat, robatori o engany o incompliment greu de les normes socials.

• Trastorn de la personalitat antisocial: inatenció i vulneració dels drets dels altres, que es produeix des dels quinze anys.

• Piromania: provocació d’incendis de forma deliberada i intencionada.

• Cleptomania: l’individu presenta un fort impuls de robar objectes que no són necessaris per a ús personal ni pel seu valor monetari.

pels altres.

10. El TDAH i els trastorns de conducta en els adolescents 233
El trastorn de conducta es caracteritza per un comportament violent emocional i, de vegades, físic i pel menyspreu

Una mirada a la salut mental dels adolescents Claus per comprendre’ls i acompanyar-los

Trastorn de la conducta

Alguns consells per manejar el comportament problemàtic passen per no cedir, ignorar el comportament negatiu i elogiar el positiu.

El trastorn de conducta es caracteritza per un comportament violent emocional i, de vegades, físic i pel menyspreu pels altres. Els nens amb trastorn de conducta exhibeixen crueltat, poden començar amb empentes, cops i mossegades, fins més tard, arribar a fer burles i més assetjament del que s’esperaria per la seva edat, ferir als animals, provocar baralles, robatoris, vandalisme i incendis provocats.

Símptomes del trastorn de conducta:

• Un menyspreu persistent per les normes socials i els drets, sentiments i espai personal d’altres persones.

• Obtenir gratificació de l’agressió, l’engany o la coerció.

• En un nen més petit, mentir pel simple fet de mentir, robar articles sense valor aparent, assetjament implacable.

• En un nen més gran, provocar baralles, violació de domicili, mentir, fer trampa, robar, vandalisme i comportament abusiu emocional o físicament, fins i tot utilitzar una arma mortal o forçar el sexe.

• Els professionals també intenten determinar si el comportament és una adaptació negativa a un entorn problemàtic, un comportament “après” o si la gratificació que prové de l’agressió sembla originar-se des de dins.

El tractament del trastorn de conducta implica psicoteràpia i teràpia conductual que idealment involucra a tota la família i la xarxa de suport de l’infant o adolescent. Com més aviat es diagnostiqui el trastorn, més reeixida serà la teràpia.

En els nens més petits, la teràpia d’interacció entre pares i fills s’usa per ensenyar als pares com encoratjar els comportaments desitjats i descoratjar els disruptius, i a l’infant a controlar el seu comportament de manera més efectiva.

En els adolescents, la teràpia pot dirigir-se no només a la seva conducta a casa, sinó també a les interaccions amb les figures d’autoritat a l’escola i els companys. Atès que el trastorn de conducta sovint (però no sempre) es diagnostica juntament amb altres trastorns que es poden tractar farmacològicament, un nen també pot prendre medicaments com a part de la seva teràpia.

234

Programes per a pares per al maneig de conductes problemàtiques

Els programes de capacitació per a pares estan dissenyats per reforçar les habilitats que els pares poden necessitar per manejar el comportament problemàtic d’un nen i millorar la relació entre pares i fills. Aquests programes estan dirigits per psicòlegs i treballadors socials i es basen en l’evidència disponible, el que significa que s’han provat exhaustivament i han demostrat la seva eficàcia científicament. A continuació, es mostra una llista de diferents tipus de programes per a pares, en la qual es presenten les característiques que els fa diferents i per a quin tipus de famílies poden anar millor.

• Capacitació per al maneig de pares (CMP): a la CMP, que és per a nens de tres a tretze anys, els pares generalment assisteixen sense el nen present, encara que se’ls pot demanar als nens que participin en algunes sessions. El terapeuta ensenya i modela les habilitats per afrontar més eficaçment els comportaments desafiants i després realitza un joc de rols amb els pares. Després de cada sessió, s’espera que els pares practiquin les habilitats a casa. Les famílies solen participar en unes deu sessions. Atès que la CMP

10. El TDAH i els trastorns de conducta en els adolescents 235

Una mirada a la salut mental dels adolescents

és apropiada per a totes les edats, és una bona opció quan els nens són massa grans per a la teràpia d’interacció entre pares i fills (PCIT, per les seves sigles en anglès de Parent-Child Interaction Therapy). També pot ser una bona opció per a famílies on la relació entre pares i fills és forta, però els nens poden estar presentant ansietat, impulsivitat extrema o ira explosiva.

• Adolescents desafiants: és per a pares d’adolescents que tenen entre tretze i divuit anys. La primera meitat d’aquest programa involucra només als pares i s’enfoca en ensenyar eines més efectives per interactuar amb el fill adolescent, específicament per a gestionar la falta de compliment o el comportament desafiant. Però atès que els adolescents són més autònoms que els nens més petits i estan menys influenciats per l’orientació dels seus pares, el programa també inclou capacitació per a l’adolescent per ajudar-lo a participar en el canvi de la dinàmica familiar. A la segona meitat, tant els pares com els adolescents estan capacitats en la comunicació per resoldre problemes. L’objectiu és proporcionar recursos de comportament familiar per ajudar a cada membre de la família a desenvolupar habilitats de comunicació, negociació i resolució de problemes més efectives i corregir qualsevol creença irraonable que pugui estar impedint les seves interaccions.

Consells per manejar el comportament problemàtic

Finalment, s’enumeren a continuació alguns consells generals per als pares amb fills amb conductes desafiants o disruptives.

• No cedir. Els pares han de resistir la temptació d’acabar l’escena donant-li al seu fill/a el que vol quan exploti. Cedir li ensenya que les rebequeries funcionen.

• Mantenir la calma. Les respostes dures o emocionals tendeixen a intensificar l’agressió d’un nen, ja sigui verbal o física. Al mantenir la calma, també serveix per modelar en el nen el tipus de comportament que desitgem veure en ell.

• Ignorar el comportament negatiu i elogiar el comportament positiu. Els pares han d’ignorar les males conductes menors, ja que fins i tot l’atenció negativa com renyar-lo o dir-li a l’infant que s’aturi pot reforçar les seves accions. Per contra, és millor elogiar-lo per aquells comportaments que es volen fomentar: no cal dir simplement “ho has fet molt bé”, sinó “ens agrada molt com has aconseguit mantenir la calma”.

236
Claus per comprendre’ls i acompanyar-los

• Utilitzar conseqüències consistents. Els nens necessiten saber quines són les conseqüències dels comportaments negatius, com els “temps fora”, així com les recompenses pels comportaments positius, com ara el temps a la tauleta o a la consola de videojocs. Els pares han de demostrar-li que compleixen amb aquestes conseqüències en tot moment.

• Esperar a parlar fins que acabi la crisi. No és aconsellable intentar raonar amb un nen que està enfadat o molest. És millor animar un nen a practicar la negociació quan no estigui enrabiat (ni tampoc els pares).

Trastorn per dèficit d’atenció amb hiperactivitat (TDAH)

El trastorn per dèficit d’atenció amb hiperactivitat, o TDAH, és un dels trastorns del neurodesenvolupament més freqüents en nens i adolescents. És un trastorn que fa que sigui inusualment difícil per als nens i adolescents concentrar-se, parar atenció, no aixecar-se de la cadira sense motiu, seguir instruccions i controlar el comportament impulsiu.

Si bé tots els nens petits de vegades es distreuen, estan inquiets i ignoren les instruccions dels pares i mestres, els nens amb TDAH es comporten d’aquesta manera amb molta més freqüència que altres nens de la seva edat. I la seva incapacitat per calmar-se, concentrar-se i complir amb les tasques de manera apropiada per a la seva edat fa que sigui molt difícil per a ells fer el que s’espera d’ells a l’escola. També pot provocar conflictes a la llar i dificultats per portar-se bé amb els companys. A Espanya les dades reflecteixen una prevalença entre el 3 – 7 %.

Els símptomes del TDAH es divideixen en dos grups: conductes de falta d’atenció i conductes hiperactives i impulsives.

Símptomes de manca d’atenció en el TDAH:

• Comet errors per distracció.

• Es distreu fàcilment.

• No sembla estar escoltant quan se li parla directament.

• Té dificultat per seguir instruccions.

• Té problemes per organitzar-se.

• Evita o no li agrada l’esforç sostingut.

• És oblidadís, sempre perd coses.

Es calcula que en el nostre entorn la prevalença del TDAH se situa al voltant del 3- 7 %.

10. El TDAH i els trastorns de conducta en els adolescents 237

Una mirada a la salut mental dels adolescents

Claus per comprendre’ls i acompanyar-los

Símptomes hiperactius o impulsius del TDAH:

• Es mou inquiet o es retorça a la cadira, té problemes per a romandre en un lloc o esperar el seu torn.

• Corre i s’enfila en excés.

• Té problemes per jugar en silenci.

• Presenta impaciència extrema.

• Sempre sembla estar “en moviment” o “impulsat per un motor”.

• Parla o interromp en excés, contesta de forma impulsiva abans que acabis de fer la pregunta.

Alguns nens exhibeixen només el primer grup de símptomes de TDAH (inatenció) i alguns exhibeixen només l’últim (hiperactivitat/impulsivitat). Però la majoria dels que tenen un diagnòstic de TDAH tenen una combinació de tots dos, el que pot dificultar el seu funcionament en l’escola i en altres activitats, i pot crear molts conflictes a la llar.

238

Principalment el problema dels nens i joves amb TDAH se centra en una dificultat en el punt d’execució de la tasca. Les funcions executives5 es troben alterades de manera que poden entendre perfectament la tasca a realitzar, però mostren elevades dificultats en l’execució de la tasca provocant que moltes d’elles no finalitzin amb èxit.

Per als joves amb TDAH, la seva falta d’atenció i impulsivitat afecten les seves amistats, activitats extracurriculars i la vida familiar. Poden tenir problemes per fer i mantenir amics perquè interrompen constantment i són propensos a explotar quan no se surten amb la seva. No és estrany que els nens amb TDAH greu siguin exclosos de les cites de jocs o aniversaris perquè és complicat a vegades comptar amb ells per a que es comportin bé. Els nens amb TDAH poden tenir problemes per jugar en equips perquè els resulta complicat concentrar-se i seguir les regles.

A casa, poden trobar-se en un procés de col·lisió amb els seus pares i germans perquè no segueixen les instruccions, són impulsius i s’ensorren quan se’ls demana que facin la transició d’alguna activitat que gaudeixen a l’hora de dinar, fer els deures o anar-se’n a dormir.

Adolescents i TDAH

Quan els nens amb TDAH arriben a l’adolescència, la seva impulsivitat pot ser perillosa, fent-los propensos a accidents automobilístics, sexe insegur i altres conductes de risc o perilloses. De fet, el desafiament i els rampells emocionals són molt comuns en els nens amb TDAH, tot i que no són, en si mateixos, símptomes de TDAH.

Els nens i adolescents que tenen TDAH tendeixen a mostrar-se desafiants quan s’espera que facin coses que els resultin difícils, especialment quan això significa deixar de fer alguna cosa plaent, com jugar a un videojoc. Així que coses com fer els deures, anar-se’n al llit, vestir-se i anar a sopar poden convertir-se en camps de batalla. Aquestes situacions els resulten difícils de tolerar a causa dels dèficits heretats per parar atenció, tolerar una situació avorrida, controlar els impulsos, passar d’una activitat divertida a una altra menys agradable i controlar el seu nivell d’activitat. Atès que aquestes situacions són realment complicades per a ells, és possible que intentin evitar-les. Les estratègies d’evitació que aquests nens solen utilitzar són el comportament pertorbador, les rebequeries, les discussions, el desafiament i les lluites de poder.

No hi ha un adolescent típic amb TDAH. En general, els adolescents amb TDAH tendeixen a mostrar menys símptomes d’hiperactivitat dels que associem amb el TDAH en els nens. Però una vegada que els nens arriben a l’escola secundària, les

Quan els nens amb TDAH arriben a l’adolescència, la seva impulsivitat augmenta, fent-los propensos a conductes de risc o perilloses.

5. Les funcions executives són un conjunt de processos cognitius necessaris per al control cognitiu de la conducta: seleccionar i controlar amb èxit les conductes que facilitin l’assoliment dels objectius escollits.

10. El TDAH i els trastorns de conducta en els adolescents 239

Una mirada a la salut mental dels adolescents

Claus per comprendre’ls i acompanyar-los

expectatives bolcades en ells, tant acadèmica com socialment, augmenten enormement, i això pot ser difícil per als adolescents amb TDAH.

Des del punt de vista del desenvolupament, s’espera que els adolescents siguin capaços de ser més autònoms: menor estructura en la seva vida escolar i familiar i menor supervisió de mestres i pares, i majors demandes i expectatives. Amb els seus dèficits d’atenció, els desafiaments per als nens amb TDAH augmenten en l’adolescència. A més, els adolescents són més susceptibles a la influència del grup de companys, que es torna més poderosa en l’adolescència, a mesura que els nens se separen gradualment dels seus pares i altres figures d’autoritat.

Aproximadament la meitat dels adolescents amb TDAH tenen seriosos problemes en les relacions amb els companys. Les investigacions mostren que tendeixen a tenir menys amistats recíproques i és més probable que els seus companys els ignorin o rebutgin. També és més probable que siguin víctimes d’assetjament escolar o intimidin a altres. Pot ser degut a un deteriorament de les habilitats socials i de comunicació: és possible que no escoltin els seus amics, no captin senyals socials importants o actuïn de manera impulsiva o intrusiva.

Per ajudar a un adolescent amb TDAH, el més important que poden fer els pares és saber amb qui passa el temps el seu fill adolescent i intentar encoratjar-lo a que parli amb ells o amb un altre adult de confiança sobre les dificultats d’amistat i relació. També és important fomentar la seva participació en activitats extracurriculars, que ofereixen oportunitats socials en un entorn estructurat. Davant l’observació d’un adolescent amb TDAH amb serioses dificultats per fer i mantenir amics, és recomanable consultar un terapeuta perquè pugui ensenyar-li habilitats socials.

Els pares poden ajudar als adolescents amb TDAH a practicar estratègies per calmar-se i desenvolupar eines d’afrontament.

L’adolescència tendeix a ser una muntanya russa emocional per a tots els nens, però els que tenen TDAH són propensos a una mala regulació de les emocions, el que pot resultar en majors alts i baixos. La seva impulsivitat emocional els pot causar dificultats a l’hora de tolerar la frustració. Pot ser difícil per a ells i per als que els envolten.

Els pares poden ajudar els adolescents a practicar estratègies per calmar-se i desenvolupar eines d’afrontament. També poden parlar amb ells sobre el valor de disculpar-se després que hagi perdut els estreps. Per als nens i adolescents amb TDAH que tenen problemes greus de regulació emocional, la teràpia cognitivoconductual pot ser eficaç.

240

Diagnòstic del TDAH

Atès que els símptomes del TDAH també poden ser el resultat d’altres problemes, com ansietat, depressió o trauma, un professional que avaluï a un nen o adolescent ha de descartar acuradament altres possibles raons del seu comportament. Un nen ha de rebre un diagnòstic de TDAH només si exhibeix una varietat de conductes de manca d’atenció o impulsives:

• A un nivell anormal per als nens de la seva edat.

• Durant un període prolongat.

• En més d’un entorn, tant a la llar com a l’escola, per exemple.

• Aquests comportaments també han d’interferir significativament amb el rendiment escolar o la interacció social.

Com es realitza un diagnòstic de TDAH?

Per fer un diagnòstic precís, un facultatiu amb experiència en TDAH i les seves comorbiditats més freqüents ha de recopilar informació de diverses persones que han observat a l’infant o adolescent en qüestió, inclosos els pares, altres cuidadors i mestres. S’ha de demanar als pares i mestres que completin alguna escala d’avaluació de símptomes, com ADHD RS (DuPaul), SNAP, Child Behavior Checklist o el Conner’s Checklist, per realitzar una avaluació precisa de la freqüència dels símptomes durant un període de temps. A un nen se li pot fer una prova coneguda com a prova de rendiment continu (CPT, per les seves sigles en anglès de Conners’ Performance Test), que qualifica la seva capacitat per completar una tasca repetitiva durant un període de temps i pot oferir una imatge més completa dels seus símptomes de TDAH. Un nen no ha de ser diagnosticat amb TDAH simplement per l’informe d’un pare o mestre que informi sobre que està massa actiu o distret.

En aquests moments no disposem de proves de neuroimatge, laboratori o genètica que proporcionin un diagnòstic precís del TDAH. El diagnòstic, com s’ha referit abans, és clínic realitzat per un facultatiu (pediatre, neuropediatre, psicòleg clínic o psiquiatre) amb experiència en TDAH i en les seves comorbiditats.

Sovint és l’escola, professors i psicòlegs escolars, els que donen el senyal d’alarma sobre l’existència d’un possible TDAH. En el nostre entorn és el pediatre del centre de salut el primer en fer el cribratge clínic, i segons la gravetat dels símptomes o l’existència de comorbiditats, remetrà a la xarxa de salut mental o neuropediatria.

Sovint és en l’entorn escolar on es detecten els senyals d’alarma sobre l’existència d’un possible TDAH.

10. El TDAH i els trastorns de conducta en els adolescents 241

Una mirada a la salut mental dels adolescents Claus per comprendre’ls i acompanyar-los

Tractament del TDAH

Davant el TDAH, un enfocament combinat de medicació i teràpia conductual és el tractament més eficaç.

Estudis de recerca mostren que un enfocament combinat de medicació i teràpia conductual és el tractament més eficaç. En els casos lleus i moderats es recomanen ajustaments a l’aula, reforç psicopedagògic i psicoeducació als pares sobre el trastorn i el maneig dels problemes de conducta. Per als casos de TDAH de moderats a greus, la primera línia de tractament sol ser la medicació. Els medicaments per al TDAH anomenats psicoestimulants, que augmenten la quantitat de certes substàncies químiques en el cervell, ajuden als nens i als adolescents a concentrar-se i a frenar la impulsivitat i la hiperactivitat. Les teràpies conductuals els ajuden a controlar el comportament impulsiu i a organitzar-se millor.

Disposem de dos grans grups de fàrmacs per al tractament del TDAH, els estimulants i els no estimulants. Els fàrmacs estimulants disponibles al nostre país amb indicació per al TDAH són el metilfenidat i la lisdexanfetamina (Elvanse®).

Tenim diverses presentacions de metilfenidat en funció de la durada de l’efecte al llarg del dia:

• Rubifen® i Medicebran®: durada de l’efecte entre 3-5 hores

• Equasym®, Medikinet®: durada intermèdia entre 8-9 hores

• Concerta®, Rubicrono® i Rubifen Retard®: durada de 10-12 hores

242

Dins dels fàrmacs no estimulants tenim l’atomoxetina (Strattera®) i la guanfacina (Intuniv®).

Tots aquests fàrmacs han mostrat la seva eficàcia i seguretat en estudis controlats en nens a partir dels sis anys; són molt eficaços i segurs.

Si un nen té TDAH, els estudis mostren que hi ha més del 80% de probabilitats que respongui a la medicació estimulant amb una reducció significativa dels símptomes.

Els principals efectes secundaris dels fàrmacs estimulants són la pèrdua de la gana, sobretot al migdia i la dificultat per agafar el son, però, és molt estrany que aquests efectes secundaris obliguin a la suspensió del tractament.

Amb els fàrmacs disponibles en l’actualitat, podem fer una medicina personalitzada, individualitzant el tractament en cada pacient en funció de la intensitat dels símptomes que presenta, la seva repercussió en el dia a dia i l’existència d’efectes secundaris.

Quins són els tractaments conductuals per al TDAH?

Les teràpies conductuals no eliminen els símptomes centrals del TDAH, però poden ser molt útils per ensenyar als nens a desenvolupar-se millor. Per exemple, els nens que tenen problemes per acabar les coses i organitzar-se poden aprendre tècniques per completar tasques, fer un seguiment de les assignacions i fer les seves tasques escolars.

També hi ha un tipus de teràpia conductual per al TDAH coneguda com a psicoeducació per a pares que pot ajudar a reduir els problemes de conducta que es deriven del TDAH en els nens. La teràpia d’interacció entre pares i fills i altres formes de capacitació per a pares els ensenyen com treballar amb els seus fills per cultivar bons comportaments i minimitzar la impulsivitat o la manca d’atenció. Estimulats per un reforç més positiu, els nens que han estat fora de control poden aprendre a controlar el seu comportament i gaudir de relacions més gratificants amb pares i mestres.

10. El TDAH i els trastorns de conducta en els adolescents 243

El trastorn negativista desafiant (TND)

És normal que els nens s’oposin i es mostrin desafiants de tant en tant. De fet, és un senyal d’un desenvolupament saludable. Llavors, quan es considera que un nen presenta un trastorn negativista desafiant (TND)? El diagnòstic no ha de donar-se, per exemple, a un nen petit que acaba de descobrir que la seva nova paraula preferida és «no». El TND generalment es diagnostica al començar la primària, amb sis - set anys, i deixa de diagnosticar-se a l’adolescència. Els nens que tenen TND tenen un patró ben establert de problemes de conducta. Els símptomes inclouen:

• Estar inusualment enutjat i irritable

• Perdre la paciència amb freqüència

• Molestar-se fàcilment

• Discutir amb figures d’autoritat

• Negar-se a seguir les regles

• Són persones deliberadament molestes

• Culpar els altres pels errors

• Ser venjatiu

Tots els nens poden tenir aquests símptomes de tant en tant. El que distingeix el TND de la conducta d’oposició normal és com de greu és i quant de temps porta presentant aquests símptomes. Un nen amb TND haurà tingut problemes de comportament extrems durant al menys sis mesos. Un altre segell distintiu del TND és el cost que té en les relacions familiars. Les frustracions diàries regulars (ordres ignorades, discussions, arravataments explosius) s’acumulen amb el temps, i aquestes interaccions negatives fan malbé el vincle entre pares i fills i reforcen els patrons de comportament hostils. S’estima que el 6 % dels nens es veuen afectats pel TND. Aproximadament el 30 % dels joves TDAH també tenen TND.

Els nens que tenen problemes de conducta posen als pares al límit de la seva capacitat de contenció. Els pares se senten pressionats per una banda a actuar amb permissivitat i per l’altra a ser hipercoercitius amb l’esperança que un major control farà que el nen escolti. Cap d’aquests extrems contribueix a la paternitat ideal. Mai és la intenció dels pares reforçar el mal comportament i, sovint, no ens adonem de quan ho estem fent just al revés de com ens agradaria. Es presenten a continuació dos escenaris comuns:

• Un pare li demana al seu fill que deixi de jugar i es prepari per anar al llit. El nen ignora les dues primeres sol·licituds. La tercera vegada que el pare ho torna a demanar, està tan enfadat que ho demana cridant.

244
Una mirada a la salut mental dels adolescents Claus per comprendre’ls i acompanyar-los
El TND generalment es diagnostica al començar la primària i deixa de diagnosticar-se a l’adolescència.

• Un pare li demana al seu fill que deixi de jugar i es prepari per anar al llit. El nen fa una enrabiada perquè vol seguir jugant. El pare no vol que estigui tan alterat abans d’anar a dormir, així que retrocedeix i li diu que pot jugar deu minuts més, però després ha d’anar al llit.

En el primer escenari, el nen aprèn que cridar és una forma acceptable de transmetre un missatge. De manera més subtil, també podria estar aprenent que pot seguir ignorant aquestes primeres sol·licituds; quan el pare escala la situació és quan el nen sap que parla de debò.

En el segon escenari, el nen ha après que fent una rebequeria pot aconseguir allò que es proposa, per tant, serà més probable que ho torni a fer en el futur.

Tots dos escenaris poden suposar per a les famílies el desenllaç de conflictes futurs, i com més es repeteixen, més es converteixen en patrons de comportament familiars dels que és més difícil sortir-ne. No cal que el nen tingui TND perquè passin aquests escenaris, però les interaccions negatives repetides com aquestes fan que sigui molt més probable diagnosticar un trastorn de conducta.

10. El TDAH i els trastorns de conducta en els adolescents 245

Una mirada a la salut mental dels adolescents

Claus per comprendre’ls i acompanyar-los

Això també explica per què els nens amb TND poden comportar-se pitjor a casa. És probable que els nens amb TND s’oposin més a les persones que coneixen bé, en part perquè els patrons de relació entre elles estan ja molt afermats. Mentre que en un lloc com l’escola, on un nen té menys control en general sobre el seu entorn, els tipus de comportaments que són comuns als TND poden no donar el mateix resultat.

Hi ha una comorbiditat (dos o més trastorns que apareixen en el mateix individu a la vegada) molt alta en els nens amb TDAH als quals també se’ls diagnostica TND. Depenent de l’estudi, la comorbiditat podria ser del 30 al 50 % dels nens amb TDAH que també presenten TND.

Els nens que van tenir moltes dificultats per calmar-se per si sols quan eren petits i continuen de més grans presentant dificultats en mantenir una capacitat apropiada per controlar les seves emocions davant de la decepció o la frustració, de vegades poden desenvolupar TND. Els adults del seu entorn poden estar més inclinats a adaptar-se a les seves demandes perquè la família funcioni de la manera més harmoniosa possible. Els nens que han experimentat molt estrès i traumes a la vida també són més propensos a desenvolupar TND.

Els pares juguen un paper clau en el tractament del TND. Això pot ser sorprenent, ja que els nens són els que reben el diagnòstic, però en el TND, la relació entre pares i fills ha de reparar-se, el que significa que les dues parts han de fer canvis per tornar a situar-se en el camí correcte.

Tots els programes de tractament tenen certs objectius en comú, com ajudar els pares a trobar el terme mig entre ser massa autoritaris i massa permissius. Un terapeuta conductual ajudarà als pares a aprendre com entrenar el comportament dels seus fills establint expectatives clares, elogiant als nens quan compleixen el que se’ls demana i aplicant conseqüències efectives quan no ho fan. Els pares també aprenen a fer servir aquestes estratègies de manera constant; una de les raons per les quals les estratègies de gestió de la conducta de vegades no funcionen és perquè els pares proven tècniques diferents i conflictives o no segueixen un programa el temps suficient per veure resultats. Els pares i els nens també aprendran habilitats per resoldre problemes quan ho necessitin.

Un petit percentatge de nens amb TND desenvolupen el que es coneix com trastorn de conducta, que és un quadre més greu que inclou actes delictius com robar, provocar incendis i fer mal a les persones o als animals.

246
Els pares juguen un paper clau en el tractament del TND.

A tall de conclusió

El TDAH és un dels trastorns del neurodesenvolupament més freqüents en nens i adolescents, amb una freqüència del 5 % en població general. Els símptomes nuclears són la manca d’atenció i la hiperactivitat/impulsivitat.

És freqüent que s’acompanyi d’altres problemes com: dificultats d’aprenentatge, baixa autoestima, ansietat i problemes de conducta. El diagnòstic i tractament precoç eviten complicacions futures millorant l’evolució del trastorn, per això és important consultar amb l’especialista davant l’inici dels símptomes, sobretot a l’inici de l’educació primària.

Referències bibliogràfiques

American Psychiatric Association. (2013). Diagnostic and statistical manual of mental disorders (5th ed.). Washington, DC: Author.

Barkley, R. A. (2014). Attention-deficit hyperactivity disorder: A handbook for diagnosis and treatment. New York, NY: Guilford Publications

Brown, T. E. (2005). Attention deficit disorder: the unfocused mind in children and adults. New Haven, CT: Yale University Press.

Grupo de trabajo de la Guía de Práctica Clínica sobre el Trastorno por Déficit de Atención con Hiperactividad (TDAH) en Niños y Adolescentes (2010). Guía de Práctica Clínica sobre el Trastorno por Déficit de Atención con Hiperactividad (TDAH) en Niños y Adolescentes. Plan de Calidad para el Sistema Nacional de Salud del Ministerio de Sanidad, Política Social e Igualdad. Agència d´Informació, Avaluació i Qualitat (AIAQS) de Cataluña. Madrid: Ministerio de Ciencia e Innovación.

10. El TDAH i els trastorns de conducta en els adolescents 247

Una mirada a la salut mental dels adolescents

Claus per comprendre’ls i acompanyar-los

248

Conclusions

Ester Camprodon.

PhD. Psicòloga. Adjunt a Cap de l’Àrea de Salut Mental. Servei de Psiquiatria i Psicologia Infantil i Juvenil. Hospital Sant Joan de Déu Barcelona.

Montse Dolz.

Psiquiatra infantil i juvenil. Cap de l’Àrea de Salut Mental. Servei de Psiquiatria i Psicologia Infantil i Juvenil. Hospital Sant Joan de Déu Barcelona.

L’objectiu d’aquest Informe ha estat oferir eines per comprendre el cervell de l’adolescent des d’un prisma neurocientífic, psicològic, biològic i social. Facilitant la conceptualització de la seva conducta i podent establir quins són els senyals d’alarma front els principals problemes de salut mental per tal de realitzar una millor detecció i abordatge dels mateixos. També s’han ofert pautes d’actuació per aquestes situacions. Al llarg de l’Informe, s’orienta com fomentar els factors protectors i promoure la salut mental dels adolescents. S’ha abordat el tema de les noves tecnologies i la comunicació amb l’adolescent.

A continuació s’exposaran les principals conclusions que s’extreuen de l’Informe.

Durant l’adolescència, el cervell pateix una reorganització estructural que el dota de nous circuits i connexions, que posteriorment donaran suport a tot el procés de pensament analític propi de l’adult. En aquest període de la vida no només s’afiancen els circuits que regulen les funcions executives i que permeten una correcta integració entre el cervell racional i l’emocional, sinó que a més s’eliminen tots aquells que manquen d’utilitat mitjançant un procés de “poda sinàptica”. Els circuits cerebrals es modelen amb les experiències de vida, l’educació, l’estimulació i el recolzament ambiental rebuts. Gràcies a aquest sistema complexe, li permet explorar el medi que l’envolta al mateix temps que l’enriqueix. En definitiva, tot allò que estimula al nostre cervell també l’alimenta. Procurar mantenir un bon estat nutricional a través d’una alimentació sana, variada i equilibrada, portar un estil de vida saludable cuidant la nostra salut física i mental, practicar esport físic regular,

Conclusions 249

Una mirada a la salut mental dels adolescents

Claus per comprendre’ls i acompanyar-los

i mantenir una bona qualitat i quantitat de son resulta de fonamental importància que els processos cognitius i conductuals es desenvolupin amb normalitat.

Pel que fa als principals problemes de salut mental, la combinació de característiques temperamentals, vulnerabilitat genètica, situacions estressants i l’ambient solen ser el denominador comú i la combinació dels factors que faciliten l’aparició d’un trastorn mental. Estar atents als principals senyals d’alarma serà important per a un abordatge precoç. El que ens marcarà la diferencia entre la conducta normal i la patològica serà la intensitat dels símptomes i la seva durabilitat (llarga i sostinguda en el temps). Qualsevol canvi brusc de conducta, alteració del patró de son i/o alimentari, baixada en el rendiment acadèmic, canvis en la higiene i/o pèrdua de funcionalitat, caldria ser consultat a un especialista. Actualment disposem d’avaluacions i tractaments basats en l’evidència científica que donen resposta als principals problemes de salut mental.

Pel que fa a l’ús de les TIC, sabem que els seus efectes depenen de l’ús que se’n fa i d’entre els factors convenients es troben: practicar amb l’exemple, no prohibir però sí limitar, formar-los en un ús funcional i ajudar-los a adquirir competències socials més enllà de les xarxes i estimular a que realitzin altres activitats amb els seus amics. Per millorar el benestar mental dels infants i adolescents és important adoptar un enfocament holístic i centrar-se en altres factors que també sabem que tenen un impacte més gran que el temps de pantalla, com serien: el funcionament familiar, les dinàmiques socials a l’escola i les condicions socioeconòmiques, alhora que fomentar l’ús moderat de la tecnologia digital.

Finalment, tal i com s’ha exposat anteriorment, la comunicació familiar és fonamental per facilitar un adequat desenvolupament socioemocional dels adolescents i la superació exitosa d’aquesta etapa. L’estil educatiu democràtic (basat en una alta exigència però també amb alta implicació) és el que es revel·la en la literatura científica com el més beneficiós. Pel que fa a l’estil de resolució de conflictes, l’orientació a la conversa (famílies que propicien un clima on s’anima als seus membres a ser proactius i participar amb llibertat en las interaccions) i una gestió dels conflictes basada en la resolució positiva (estil centrat en comprendre la posició de l’altre i ús de tàctiques de raonament constructiu per arribar a compromisos i negociar) són els que obtenen millors indicadors a nivell d’ajust psicosocial en adolescents. La comunicació entre pares i fills se sol veure afectada de manera significativa amb l’arribada de l’adolescència sent habitual que tant pares como fills se sentin frustrats pels canvis produïts, però no s’ha d’oblidar que la comunicació és un procés de doble via i que requereix de temps i ajustos constants. Com a elements imprescindibles per a una comunicació de qualitat destaquem: l’escolta activa, la disponibilitat, la capacitat d’adaptació, l’empatia i acceptació i, per últim, l’assertivitat i autorregulació.

250

L’adolescència és una època extraodinària, un moment d’integració dels canvis cerebrals que juntament amb els factors ambientals el prepararan per la vida adulta. Establir un clima familiar i educatiu de confiança, empàtic, participatiu, assertiu, disposat a negociar, que aculli totes aquestes vivències i que li facin de mirall, li permetran adquirir les habilitats necessàries per desenvolupar-se en la vida adulta.

Conclusions 251

Una mirada a la salut mental dels adolescents

Claus per comprendre’ls i acompanyar-los

252

Decàleg per comprendre i promoure la salut mental de l’adolescent

1.  Comprendre que el cervell està canviant: durant l’adolescència els circuits cerebrals es reestructuren. Es formen noves connexions i d’altres desapareixen.

2.    Modelar família i entorn: els circuits cerebrals es modelen amb les experiències de vida, l’educació, l’estimulació i el recolzament ambiental rebuts.

3.    Assumir el repte: aprofitar que és una època única, de múltiples canvis on es generarà l’oportunitat d’aprendre les habilitats necessàries per afrontar la vida adulta.

4.    Promoure una vida sana: mantenir un bon estat nutricional, estil de vida saludable, practicar esport físic regular, i una bona qualitat i quantitat de son resulta fonamental per l’adequat desenvolupament normal dels processos cognitius i conductuals.

5.    Gestionar les TIC: predicar amb l’exemple. No prohibir però sí limitar. Formar-los i ajudar-los a adquirir les competències socials adequades.

6.    Comunicar amb qualitat: la comunicació canvia, tenir un estil basat en l’escolta activa, la disponibilitat, la flexibilitat, l’empatia i acceptació i, per últim, l’assertivitat i autoregulació seran claus en el desenvolupament socioemocional de l’adolescent.

7.    Negociar: una gestió dels conflictes basada en la resolució positiva serà el més beneficiós per a la promoció de la salut mental i l’establiment d’unes relacions entre pares i fills més saludables.

8.    Demanar ajut: l’aparició de símptomes amb intensitat i durada considerable, la disminució del rendiment, un canvi marcat en la conducta, seran indicadors de sol·licitar consulta a un especialista.

9.    Acompanyar: en els encerts i en els errors. En la gestió de les dificultats i del trastorn quan apareix.

10.  Fer xarxa: pares, mares, centres acadèmics i especialistes, comunicar-nos, caminar plegats en el diàleg per facilitar a l’adolescent amb problemes de salut mental -o sense- al trànsit a la vida adulta.

Decàleg per comprendre i promoure la salut mental de l’adolescent 253

Una mirada a la salut mental dels adolescents

Claus per comprendre’ls i acompanyar-los

254

Acrònims

ANS: Autolesió no suïcida.

APA: American Psychiatric Association. Associació Americana de Psiquiatria.

ARFID: Avoidant/restrictive food intake disorder. Trastorn d’evitació/restricció de la ingestió d’aliments.

BDNF: Brain-derived neurotrophic factor. Factor neurotròfic derivat del cervell.

CDC: Centers for Disease Control and Prevention. Centres per al Control i Prevenció de Malalties.

CIM: Classificació Internacional de Malalties.

CIS: Centre d’Investigacions Sociològiques.

CMP: Capacitació per al maneig de pares.

CPT: Conners’ Performance Test.

CSMIJ: Centre de Salut Mental Infantil i Juvenil.

DSM: Diagnostic and Statistical Manual of Mental Disorders. Manual Diagnòstic i Estadístic dels Trastorns Mentals.

FS: Fòbia social.

IC: Inhibició conductual.

IGD: Internet Gaming Disorder. Trastorn per joc a internet.

IPT: Psicoteràpia interpersonal.

ISRS: Inhibidors selectivus de la recaptació de serotonina.

OMS: Organització Mundial de la Salut.

MIT: Massachusetts Institute of Technology. Institut de Tecnologia de Massachusetts.

PCIT: Parent-Child Interaction Therapy. Teràpia d’interacció entre pares i fills.

SA: Sensibilitat a l’ansietat.

SNA: Sistema nerviós autònom.

TAG: Trastorn d’ansietat generalitzada.

TAS: Trastorn d’ansietat per separació.

TCA: Trastorns de la conducta alimentària.

TCC: Teràpia cognitivoconductual.

TDAH: Trastorn de dèficit d’atenció i hiperactivitat.

TDDEA: Trastorn per desregulació disruptiva de l’estat d’ànim.

TEA: Trastorn de l’espectre autista.

TEI: Trastorn explosiu intermitent.

TEPT: Trastorn d’estrès post traumàtic.

TIC: Tecnologies de la informació i comunicació.

TLP: Trastorn límit de la personalitat.

TND: Trastorn negativista desafiant.

TOC: Trastorn obsessiu-compulsiu.

Acrònims 255

La mirada a la salut mental dels adolescents que planteja aquest nou Quadern Faros és tan pertinent i esperada com urgent és la necessitat d’impulsar una acció ràpida i decidida a nivell polític per posar en marxa la nova Estratègia Nacional de Salut Mental; una estratègia que ha d’incloure un pla especial per a la infància i l’adolescència que doni resposta als seus drets i necessitats en aquest àmbit.

Només donant suport a les famílies amb iniciatives com aquesta, i garantint una atenció especialitzada i específica als nens, nenes i adolescents, serem capaços d’assolir el seu benestar emocional i el seu dret a una vida plena.

President d’UNICEF Espanya

Turn static files into dynamic content formats.

Create a flipbook

Articles inside

Una mirada a la salut mental dels adolescents Claus per comprendre’ls i acompanyar-los

3min
pages 218-219

Una mirada a la salut mental dels adolescents

2min
pages 216-217

Una mirada a la salut mental dels adolescents Claus per comprendre’ls i acompanyar-los

2min
pages 214-215

Una mirada a la salut mental dels adolescents Claus per comprendre’ls i acompanyar-los

3min
pages 212-213

Una mirada a la salut mental dels adolescents Claus per comprendre’ls i acompanyar-los

2min
pages 210-211

Una mirada a la salut mental dels adolescents Claus per comprendre’ls i acompanyar-los

3min
pages 208-209

Una mirada a la salut mental dels adolescents Claus per comprendre’ls i acompanyar-los

2min
pages 206-207

Desenvolupament socioemocional en l’adolescent amb TEA

1min
page 205

Una mirada a la salut mental dels adolescents Claus per comprendre’ls i acompanyar-los

1min
page 204

Una mirada a la salut mental dels adolescents Claus per comprendre’ls i acompanyar-los

3min
pages 202-203

Una mirada a la salut mental dels adolescents Claus per comprendre’ls i acompanyar-los

3min
pages 200-201

9. Quan la socialització és un repte (adolescència i autisme)

1min
page 199

Referències bibliogràfiques

1min
page 197

Una mirada a la salut mental dels adolescents Claus per comprendre’ls i acompanyar-los

2min
pages 194-195

Una mirada a la salut mental dels adolescents Claus per comprendre’ls i acompanyar-los

2min
pages 192-193

Una mirada a la salut mental dels adolescents Claus per comprendre’ls i acompanyar-los

2min
pages 190-191

Una mirada a la salut mental dels adolescents Claus per comprendre’ls i acompanyar-los

2min
pages 188-189

Una mirada a la salut mental dels adolescents Claus per comprendre’ls i acompanyar-los

3min
pages 186-187

Una mirada a la salut mental dels adolescents Claus per comprendre’ls i acompanyar-los

3min
pages 184-185

8. Quan la relació amb el menjar canvia (anorèxia i bulímia)

1min
page 183

Una mirada a la salut mental dels adolescents Claus per comprendre’ls i acompanyar-los

1min
page 182

Referències bibliogràfiques

1min
page 181

Una mirada a la salut mental dels adolescents Claus per comprendre’ls i acompanyar-los

1min
page 180

Una mirada a la salut mental dels adolescents

2min
pages 178-179

Claus per comprendre’ls i acompanyar-los

2min
pages 176-177

Evolució dels trastorns psicòtics

1min
page 175

Una mirada a la salut mental dels adolescents Claus per comprendre’ls i acompanyar-los

1min
page 174

per comprendre’ls i acompanyar-los

3min
pages 172-173

Una mirada a la salut mental dels adolescents Claus per comprendre’ls i acompanyar-los

3min
pages 170-171

Símptomes psicòtics i la seva evolució

1min
page 169

Una mirada a la salut mental dels adolescents

1min
page 168

Una mirada a la salut mental dels adolescents Claus per comprendre’ls i acompanyar-los

2min
pages 166-167

Una mirada a la salut mental dels adolescents Claus per comprendre’ls i acompanyar-los

4min
pages 162-165

per comprendre’ls i acompanyar-los

2min
pages 160-161

7. Quan la percepció del món canvia (psicosi)

1min
page 159

Una mirada a la salut mental dels adolescents Claus per comprendre’ls i acompanyar-los

1min
page 156

Una mirada a la salut mental dels adolescents Claus per comprendre’ls i acompanyar-los

2min
pages 154-155

per comprendre’ls i acompanyar-los

2min
pages 152-153

Una mirada a la salut mental dels adolescents Claus per comprendre’ls i acompanyar-los

2min
pages 150-151

Una mirada a la salut mental dels adolescents Claus per comprendre’ls i acompanyar-los

6min
pages 146-149

Una mirada a la salut mental dels adolescents Claus per comprendre’ls i acompanyar-los

2min
pages 144-145

6. Estat d’ànim canviant? Depressió i trastorns afectius

1min
page 143

Referències bibliogràfiques

1min
page 141

Una mirada a la salut mental dels adolescents Claus per comprendre’ls i acompanyar-los

1min
page 140

Una mirada a la salut mental dels adolescents Claus per comprendre’ls i acompanyar-los

2min
pages 138-139

Una mirada a la salut mental dels adolescents Claus per comprendre’ls i acompanyar-los

2min
pages 136-137

Una mirada a la salut mental dels adolescents Claus per comprendre’ls i acompanyar-los

2min
pages 134-135

Factors de risc, de protecció i de manteniment

1min
page 133

Una mirada a la salut mental dels adolescents Claus per comprendre’ls i acompanyar-los

1min
page 132

Claus per comprendre’ls i acompanyar-los

2min
pages 130-131

Una mirada a la salut mental dels adolescents Claus per comprendre’ls i acompanyar-los

1min
pages 128-129

Diferències entre ansietat i por

4min
pages 124-127

Una mirada a la salut mental dels adolescents Claus per comprendre’ls i acompanyar-los

2min
pages 122-124

mirada a la salut mental dels adolescents

2min
pages 120-121

Una mirada a la salut mental dels adolescents Claus per comprendre’ls i acompanyar-los

2min
pages 118-120

5. Preocupar-se en excés (ansietat)

1min
page 117

Referències bibliogràfiques

1min
page 114

Una mirada a la salut mental dels adolescents

2min
pages 112-113

Una mirada a la salut mental dels adolescents Claus per comprendre’ls i acompanyar-los

2min
pages 110-111

Una mirada a la salut mental dels adolescents Claus per comprendre’ls i acompanyar-los

3min
pages 108-109

Una mirada a la salut mental dels adolescents Claus per comprendre’ls i acompanyar-los

3min
pages 106-107

Una mirada a la salut mental dels adolescents Claus per comprendre’ls i acompanyar-los

3min
pages 104-105

Una mirada a la salut mental dels adolescents

2min
pages 102-103

Una mirada a la salut mental dels adolescents

3min
pages 100-101

Una mirada a la salut mental dels adolescents Claus per comprendre’ls i acompanyar-los

7min
pages 94-99

Una mirada a la salut mental dels adolescents Claus per comprendre’ls i acompanyar-los

3min
pages 92-93

4. Per què et fas mal? Introducció a la conducta autolesiva i al seu abordatge per a pares i educadors

1min
page 91

Referències bibliogràfiques

1min
pages 90-91

A tall de conclusió

1min
page 89

Claus per comprendre’ls i acompanyar-los

1min
page 88

Claus per comprendre’ls i acompanyar-los

3min
pages 86-87

Una mirada a la salut mental dels adolescents Claus per comprendre’ls i acompanyar-los

2min
pages 84-85

Una mirada a la salut mental dels adolescents Claus per comprendre’ls i acompanyar-los

3min
pages 82-83

Una mirada a la salut mental dels adolescents Claus per comprendre’ls i acompanyar-los

3min
pages 80-81

Claus per comprendre’ls i acompanyar-los

2min
pages 78-79

Claus per comprendre’ls i acompanyar-los

3min
pages 76-77

3. Com gestionem l’impacte de les noves tecnologies?

1min
page 75

Una mirada a la salut mental dels adolescents Claus per comprendre’ls i acompanyar-los

1min
page 72

Una mirada a la salut mental dels adolescents Claus per comprendre’ls i acompanyar-los

4min
pages 70-71

Una mirada a la salut mental dels adolescents Claus per comprendre’ls i acompanyar-los

4min
pages 68-69

Una mirada a la salut mental dels adolescents Claus per comprendre’ls i acompanyar-los

3min
pages 66-67

A tall de conclusió

1min
page 65

Una mirada a la salut mental dels adolescents Claus per comprendre’ls i acompanyar-los

2min
pages 62-63

Una mirada a la salut mental dels adolescents Claus per comprendre’ls i acompanyar-los

3min
pages 60-61

Una mirada a la salut mental dels adolescents Claus per comprendre’ls i acompanyar-los

2min
pages 58-59

Una mirada a la salut mental dels adolescents Claus per comprendre’ls i acompanyar-los

3min
pages 56-57

Una mirada a la salut mental dels adolescents

2min
pages 54-55

Una mirada a la salut mental dels adolescents Claus per comprendre’ls i acompanyar-los

3min
pages 52-53

Claus per comprendre’ls i acompanyar-los

3min
pages 50-51

Una mirada a la salut mental dels adolescents Claus per comprendre’ls i acompanyar-los

2min
pages 48-49

Claus per comprendre’ls i acompanyar-los

3min
pages 46-47

Una mirada a la salut mental dels adolescents Claus per comprendre’ls i acompanyar-los

2min
pages 44-45

2. Comunicar-me amb el meu fill adolescent

1min
page 43

Referències bibliogràfiques

2min
pages 40-41

A tall de conclusió

1min
page 39

Claus per comprendre’ls i acompanyar-los

1min
page 38

Una mirada a la salut mental dels adolescents Claus per comprendre’ls i acompanyar-los

2min
pages 36-37

Una mirada a la salut mental dels adolescents Claus per comprendre’ls i acompanyar-los

3min
pages 34-35

Una mirada a la salut mental dels adolescents Claus per comprendre’ls i acompanyar-los

1min
pages 32-33

Una mirada a la salut mental dels adolescents

3min
pages 30-31

Una mirada a la salut mental dels adolescents Claus per comprendre’ls i acompanyar-los

2min
pages 28-29

Una mirada a la salut mental dels adolescents Claus per comprendre’ls i acompanyar-los

2min
pages 26-27

Una mirada a la salut mental dels adolescents Claus per comprendre’ls i acompanyar-los

3min
pages 24-25

Claus per comprendre’ls i acompanyar-los

3min
pages 22-23

Una mirada a la salut mental dels adolescents

3min
pages 20-21

Una mirada a la salut mental dels adolescents Claus per comprendre’ls i acompanyar-los

2min
pages 18-19

1. Neurodesenvolupament cerebral. Els canvis en el cervell de l’adolescent

1min
page 17

Una mirada a la salut mental dels adolescents Claus per comprendre’ls i acompanyar-los

2min
pages 14-15

Introducció

1min
page 13

Una mirada a la salut mental dels adolescents

1min
page 12

Pròleg

1min
page 11

Una mirada a la salut mental dels adolescents

1min
pages 8-9

Una mirada a la salut mental dels adolescents

2min
pages 5-6
Issuu converts static files into: digital portfolios, online yearbooks, online catalogs, digital photo albums and more. Sign up and create your flipbook.