

Hair Derived Keratin Biomaterials for Regenerative Wound Healing
Jessica Barayuga, Esther Thomas, Naatram Jotis, Dr. Roche C. de Guzman, Ph.D. Bioengineering Program, Department of Engineering, Hofstra University, Hempstead,
NY 11549
INTRODUCTION
Hair keratin proteins encourage cell attachment, migration, and proliferation. They contain bioactive sequences that stimulate keratinocytes and dermal fibroblasts, accelerating the epithelialization and collagen deposition of the skin
Objective: To evaluate hair proteins (natural, biocompatible, abundant, renewable, and cost-effective biomaterials) for acceleration/enhancement of tissue repair and body’s natural healing process.
Hypothesis: Tailored hair keratin structural variants can actively participate in enhanced wound healing by mimicking native epidermal cues, supporting both structural remodeling and cellular activation in full-thickness skin excision wounds.
MATERIALSAND METHODS


Chemical Processing to isolate keratin variants from hair Animal Study to


5 groups where n = 6 3 males (M), 3 females (F)
SH: hydrocolloid dressing
SA: silver alginate dressing
HC: keratin with cuticle
HD: keratin without cuticle
HS: soluble keratin
RESULTS


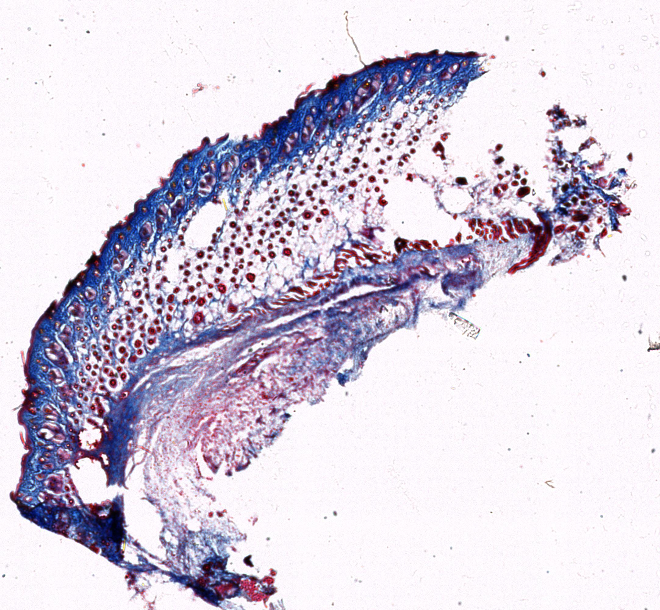
IACUC approved protocol – bilateral full-thickness skin excisions on the dorsal region of murine (mice) active reepithelization across wound surface
subcutaneous revascularization around original excision site

CONCLUSION
Hair keratin-based treatments accelerated wound closure compared to conventional hydrocolloid and silver alginate dressings; with the more soluble form showing the fastest and most consistent healing These results supported our study hypothesis which demonstrate that human hair-derived biomaterials can actively promote tissue regeneration, offering a low-cost and bioactive alternative for advanced wound care

DISCUSSION

Soluble hair keratin (HS) achieved the greatest reduction in wound area over 14 days, outperforming standards and other hair keratins. HS promoted the fastest and most consistent wound closure, demonstrating strong bioactive healing potential.


ACKNOWLEDGEMENTS
Bioengineering Biomaterials Lab
Jash Mody, Michelle Paszek, Vivian Leung, Kelly Levengood, andAllison Meer for keratin preparation and animal procedure
Hofstra Biology Department
Dr. Christopher Boyko and Nancy Radecker for animal care
In vivo murine model of HS F3
HS-M3
HS-M2