Introducing Acteon C50

Page 1

FULL HD CAMERA

Your view. Where others can only imagine

Remarkable clinical vision

Unprecedented

Improved interpretation of tooth shades with rendering of natural colors.

All you need to see at your fingertips

Exclusive macrovision performance

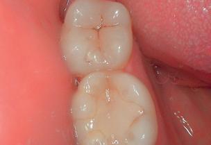
Extreme visibility for ultra-precise diagnosis.

Straight forward patient education

Great for comparing teeth stain and sharing it with patient

Ease of use for the clinician

Improved patient comfort

An aid to controlling pathology and posttreatment, facilitating the follow-up process.

But also...

Crystal clear vision with greater depth of field. A single camera for all modes: macro, intraoral, tooth, smile and portrait.

Improved patient follow-up

More information about your patients: age, illnesses, diet, oral hygiene, etc. Lasting trust between you and your patients.

vision with Daylight mode
Macro Tooth Smile Portrait Intra-oral ACTEON®
User-friendly product for an improved procedure
clinical
Enhanced communication between clinician and patient *The 5 modes include macro, portrait, smile, tooth and intraoral FULL HD Clear and detailed images VISION MODE Transcript of natural colors MACRO VISION More visibility of fissures & caries DEPTH OF FIELD 5 modes* available in ONE camera AUTO FOCUS Gain of time & better image clarity
more
final diagnostic Increased case acceptance ┌ 2 ┘ ┌ 3 ┘
Quick switch : from one mode to another in a second Easier
evaluation
A
confident

Remarkable clinical versatility

Vision modes for a detailed and more reliable diagnosis

Record of natural colors for a better interpretation of tooth shade, pathology identification and patient follow-up.

High contrasts emphasizing anatomic fissures and details of the dentin structure/depth.

Camera modes for complete patient follow-up

INTRAORAL MODE

daily dentistry follow-up

Daylight or Diagnostic aid modes help you visualize anatomical details that are invisible to the naked eye or with a mirror (thanks to its magnification).

These modes allow the dentist to show the difference between «before» and «after» care.

Enhancement of dental plaque and gingival inflammation thanks to chromatic amplification.

PORTRAIT MODE

orthodontics follow-up

The portrait mode turns off the LED light to capture the patient’s facial or lateral side, ensuring the best orthodontics follow-up.

DAYLIGHT MODE PERIO MODE
Caries detection by fluorescence technique by LEDs.
ACTEON® DAYLIGHT+ MODE CARIO MODE
┌ 4 ┘ ┌ 5 ┘
A versatile system to access a large panel of cases

Easily integrated into any software, do not waste any more time installing support tools.

to anyone
Open
MANAGEMENT AND IMAGING SOFTWARE DICOM
operationnal freedom ACTEON®
compatible Free yourself from constraints PLUG pre-installed driver ready to use 1 USE user friendly interface 2 DIAGNOSE mode symbols 3 COMMUNICATE 4 TREAT 5
EASY TO USE
can handle it ┌ 6 ┘ ┌ 7 ┘
PATIENT
Remarkable
Fully
SO
that anyone

Beyond the details

Patients become more involved as they quickly understand the importance of the suggested treatment.

Increase treatment acceptance

Highlight pathologies and explain clinical procedures easily. Facilitate dialogue to address objections and patient concerns.

Improved patient communication

Provide effective treatment planning by saving the images directly in the patient record. Easily compare images from previous patient visits and monitor progress.

Confident patient relationship

ACTEON®
Empowering you to focus on what matters the most: your patients
┌ 8 ┘ ┌ 9 ┘

Workflows by ACTEON®

We understand that with the number of patients you see every day, your practice requires that you stay on top of productivity

This is why ACTEON® accompanies you during every step of your patients care pathway: from assessment to diagnosis to treatment planning and execution.

caries detection workflow

"With ACTEON® imaging and surgical instruments, my diagnosis is fast, and the treatment delivery time is shorter than ever"

About ACTEON®’s caries detection workflow

With ACTEON®’s caries detection product portfolio, you can implement an efficient caries detection and treatment workflow. It also helps you communicate more successfully with your patients and increase confidence.

"I’m not afraid of going to the dentist anymore.

I can recover my oral health in just one painless visit"

prophylaxis workflow

About ACTEON®’s prophylaxis workflow

This combination of solutions helps dentists easily and quickly diagnose potential dental disease such as periodontal disease and gingivitis. It also helps to perform safe and minimally invasive procedures, providing best care and comfort for patients.

With you, every step of the way
Al-Qudah, Jordan Dentist
Mahmoud
Patient of Dr Al-Qudah
DETECT DIAGNOSE TREAT FOLLOWUP PROTECT 01 02 03 04 DIAGNOSE & COMMUNICATE TREAT RETREAT FOLLOWUP PROTECT 01 02 03 04 ┌ 10 ┘ ┌ 11 ┘

Camera Specifications

Sensor CMOS

Resolution 1920 x 1080px

Sensitivity 2 lux

Frame per second (FPS) 25 – 30

Aspect ratio 16/9

Lighting

6 white LEDs and 2 blue LEDS

Focus adjustment Automatic focus or Single focus

4 Visions mode DAYLIGHT mode

If option enabled: DAYLIGHT+ mode, PERIO mode and CARIO mode

Depth of field From portrait to macro

Image capture Capture button or footswitch (optional) Angle of view

Handpiece dimensions

L: 200; W: 30; H: 24mm

Handpiece weight 100g

International Protection Marking (IP) Dust & waterproofness protection IP53

Computer Configuration Requirements

Computer requirements Specs

CPU Intel Core i5 4 core 2GHz Gen 8 or greater

RAM 8GB

USB version 3.0 or greater

USB chipset Intel or Renesas

Operating system from Windows 10 PRO 64 bits or macOS Catalina

Class I medical device for dental care. CE. For professional dental use only. This medical device is not refunded by health insurance organizations. Read carefully the instructions before use.

Manufacturer: Sopro® ACTEON® Group (France)

Creation date: November 2022

75°
Cable length 3m
USB output 3.0 Consumption 4.5W max
Non contractual documentRef. 707256 A -11/2022Copyright © 2022 SOPRO. All rights reserved. No information or part of this document may be reproduced or disclosed in any format without the prior authorisation of SOPRO. SOPRO A company of ACTEON Group ZAC Athélia IV Avenue des Genévrier 13705 LA CIOTAT cedex FRANCE Tel. +33 (0) 442 980 101 Fax. +33 (0) 442 717 690 E.mail: sopro@acteongroup.com www.acteongroup.com ACTEON

Turn static files into dynamic content formats.

Create a flipbook
Issuu converts static files into: digital portfolios, online yearbooks, online catalogs, digital photo albums and more. Sign up and create your flipbook.