KaVo Instruments


1909
KaVo is founded in 1909 in Berlin-Steglitz by Alois Kaltenbach with a mission to deliver „quality and precision”
1922
Development of the first dental instrument: the first sterilisable handpiece, Asepto, is created in 1924
1977-1980
The MULTIflex coupling sets a worldwide standard and later becomes the MULTIflex LUX system with integrated light
1970
Introduction of the INTRAmatic coupling, a worldwide standard
1989
The SUPERtorque 640 B is born, the first instrument with a robust light rod thanks to the bundling of 3,000 optical fibres
With a variety of patents and utility models granted, KaVo consistently delivers on its promise of Dental Excellence. We have repeatedly set new standards with our innovations, especially in terms of instruments, and we will continue to exceed expectations.
1984 SONICflex 2000, the start of a unique air scaling success story that continues to this day
2003
INTRA LUX KL 703 LED motor, the world’s smallest dental micromotor of its time
2003
GENTLEpower, low-vibration operation thanks to new triplegear technology
2010
Introduction of MULTI LED for perfect lighting and fast, economical switching to LED
2008
DIAGNOdent pen, caries detection based on laser fluorescence technology, with no X-rays or mechanical stress
2014 MASTERsurg surgical unit with one-touch calibration and instrument checking
2013 MASTERtorque M9000 L with Direct Stop Technology and improved performance
2020
SURGmatic S201 XL Pro, hexagon clamping system enabling 80 Ncm torque and an outstanding lifetime
2018
PROPHYflex 4, the first powder jet device based on the mixing chamber principle for targeted work
2021
DIAGNOcam Vision Full HD, one camera for three diagnostically relevant images in full HD resolution within one second
The development of a KaVo instrument often begins in dental practices like yours. During numerous technical discussions around the world, we take note of your requirements and suggestions and, from those, derive the features for new KaVo instruments. For example, a refined instrument head size for a better view of your work, easier hygiene and any specific requirements from your specialist area of work: what you come up with sets the goals pursued by our product developers.
To ensure new KaVo instruments not only meet the highest requirements, but also far exceed them, innovations at KaVo are all about teamwork. Specialists in design, development, marketing and sales all work together on-site in Biberach throughout the entire product development phase. Preliminary drawings become 3D data, and initial material samples become final prototypes. Once everyone is satisfied, production tests begin for the KaVo instruments that you will later be thrilled to use every day at your practice.
To ensure KaVo instruments can cope with the tough conditions they will face in practice, they have to pass some very rigorous tests. In our development laboratories, we simulate the kind of stress that equipment will encounter during years of use. Can the instrument complete several billion rotations with no problems? Is the retention force at the bur really as high as 30 newtons? Does the turbine still stop in less than a second after being used for the thousandth time thanks to Direct Stop Technology? Once the quality and performance of our instruments is beyond any doubt, pre-production testing is concluded and serial production can begin.
instruments sold worldwide are proof of Dental Excellence.
6 MILL.
By experts, for experts
KaVo instruments are created from the best materials according to your requirements.
11,500 m2 space for the narrowest of margins (in the µ range)
Other suppliers still have their head office in Germany, but outsourced their production long ago. KaVo, however, insists on a 100% ’Made in Germany’ approach for its instruments. This means all our instruments are made exclusively at the main plant in Biberach. But the most important factor in ensuring the legendary KaVo quality is our ’vertical integration’ of at least 95%. This means almost all components (of which there can be up to 50) in a KaVo instrument are also manufactured in Biberach and are therefore subject to the same stringent quality control.
From delivery of the raw materials to the final inspection of the finished instruments, the 400-plus highly qualified employees at the 11,500 m2 production facility are focused on the tiniest details. Ultra-precise production, based on tolerances in the µ range (one µ equals 0.001 mm), ensures that you in turn can work with real precision at your practice.
The final assembly of many KaVo instruments is performed in special dust-free rooms. To stop even the smallest dust particle impairing the great quality associated with KaVo, the air is constantly cleaned and purged. Temperature, humidity and air pressure are also kept constant. This is the only way that each individual KaVo instrument can pass its thorough final inspection prior to delivery.
Quality pays — every single day KaVo has now sold over 6 million instruments worldwide. This includes the KaVo EXPERTmatic E25 L, which is one of the most successful instruments ever (with over 100,000 units produced). But for KaVo, quality both today and in the future is more important than previous sales figures. And this is why every single instrument undergoes final testing — and a final polish — prior to delivery. So it can make a dazzling impression at your practice for the whole of its working life.
98%
of all parts for KaVo instruments are produced in Biberach.
Everything is made by us! Biberach — the home of quality.
400
95% quality, from the raw materials to the finished instrument. All from a single source.
100% re-purchase rate for instruments shows just how satisfied our customers are.
highly qualified employees ensure the instruments produced deliver the quality associated with KaVo.
Enjoy maximum power with KaVo’s most innovative comfort.
• Best treatment quality
Maximum treatment comfort
• Highest patient satisfaction
Rely on KaVo’s advanced performance.
• Maximum longevity
• Efficient operations
• Reliable features
Start safe with affordable KaVo quality.
• Made in Germany
• Premium materials
• Entry level price for the world of KaVo
Enjoy maximum power with KaVo’s most innovative comfort.
Benefits at a glance.
Optimum access thanks to the ergonomic 100°/19° head/knee angle combination
Triple-gear technology for ultra-smooth operation with minimal vibration
High-tech FG chuck with carbide guide bush for optimum longevity
Flexibility thanks to exchangeable heads for complete versatility and optimum cost effectiveness
Ceramic ball bearings for excellent quiet and low-vibration operation
Small head size for easy, efficient access to the preparation area
Plasmatec coating for a perfect grip and excellent hygiene
3-port spray with ultra-fine spray wetting for optimum cooling
Glass rod light conductor with up to 25,000 lux for reliable detection of the preparation margins
Low volume (only 55 dB(A)) to eliminate unpleasant noises for patients and treatment personnel
Internally channelled, separate coolant for optimum spray results
Replaceable spray microfilter for effective and trouble-free spray cooling
KaVo INTRAmatic coupling system can be used with any treatment unit
KaVo push-button chuck system with a retention power of up to 30 N for secure retention of the bur
Thermo-disinfectable and sterilisable up to 135 °C
1. Best treatment quality
2. Maximum treatment comfort
3. Highest patient satisfaction
MASTERmatic LUX
speed-increasing
contra-angle M25 L (1:5)
Our best high-speed contraangle thanks to a reduced head size (H: 13.5 mm; diameter 10.3 mm), ergonomic head/knee angle combination, carbide guide bush, triple-gear technology and replaceable spray filter, 3-port spray, push-button chuck, ceramic ball bearings, low volume (55 dB(A))
Mat. no. 1.009.3630
MASTERmatic LUX
speed-increasing
contra-angle M05 L (1:5)
Mini head (H: 12.6 mm, diameter 9 mm) for short-shaft burs, triple-gear technology and replaceable spray filter, 1-port spray, with push-button chuck, ceramic ball bearings, head 43% smaller than for GENTLEpower 25 LP, perfect for hard to reach areas and ideal for treating children and the elderly, low volume (55 dB(A))
Mat. no. 1.009.3640
MASTERmatic LUX reducing shank M29 L (7.4:1)
For endodontic applications, glass rod light conductor with up to 25,000 lux, replaceable spray filter, maximum treatment flexibility with 14 exchangeable heads Mat. no. 1.009.3580
MASTERmatic LUX handpiece M10 L (1:1)
For straightforward extraoral work, suitable for handpiece and contra-angle burs, no replaceable spray filter Mat. no. 1.009.3570
MASTERmatic LUX
shank M20 L (1:1)
For cavity and crown preparation, finishing, caries excavation and endodontic treatments using KaVo treatment units, glass rod light conductor with up to 25,000 lux, replaceable spray filter, maximum treatment flexibility with 14 exchangeable heads
Mat. no. 1.009.3620
MASTERmatic LUX
reducing shank M07 L (2.7:1)
For caries excavation and prophylaxis applications, glass rod light conductor with up to 25,000 lux, replaceable spray filter, maximum treatment flexibility with 14 exchangeable heads
Mat. no. 1.009.3610
COMFORTdrive contra-angle 200 XD
High-speed contra-angle, very light and versatile, integrated brushless motor, glass rod light conductor, ceramic ball bearings, spray filter replaceable by user, 3-port spray, only suitable for direct connection to KaVo COMFORTbase, max. drive speed: 200,000 rpm Mat. no. 1.000.5500
A total of 14 exchangeable heads for unlimited versatility: a single shank and optimised heads mean almost limitless options for all applications, at lower overall costs and with simpler maintenance processes.
Easy switching:
KaVo INTRA heads fit all
KaVo MASTERmatic shanks.
INTRA head L68 (1:1)
With push-button chuck, for contra-angle burs, diameter 2.35 mm, with debris deflector disc, max. drive speed: 40,000 rpm
Mat. no. 1.008.1833
INTRA head L66 B (3:1)
With push-button chuck, ball bearings, for contra-angle burs, diameter 2.35 mm, with debris deflector disc, max. drive speed: 20,000 rpm
Mat. no. 1.008.1831
INTRA Prophy head L31 (2:1)
With thread and knob, for screw-type and snap-on polishing attachments, and multiple seals to prevent ingress of polishing paste, max. drive speed: 15,000 rpm
Mat. no. 1.008.1824
INTRA Endo/Prophy head L53
With push-button chuck, for root canal instruments with contra-angle shaft, diameter 2.35 mm, reciprocating rotation through 60°, max. drive speed: 3,000 rpm
Mat. no. 1.008.1826
INTRA head L68 B (1:1)
With push-button chuck, ball bearings, for root canal instruments with contraangle shaft, diameter 2.35 mm, max. drive speed: 40,000 rpm, suitable for endo function of the ESTETICA E50 Life and ESTETICA E70/E80 Vision in combination with MASTERmatic M20 L Mat. no. 1.008.1834
INTRA head L80 (1:1)
With push-button chuck, for burs (FG), diameter 1.6 mm, max. drive speed: 40,000 rpm
Mat. no. 1.004.4456
INTRA Mini head L52 (1:1)
With push-button chuck, for miniature contra-angle burs (length 16 mm), for contra-angle burs, diameter 2.35 mm, max. drive speed: 40,000 rpm
Mat. no. 1.008.1825
INTRA Endo/Prophy head L53
With push-button chuck, for polishing attachments with contra-angle shaft, diameter 2.35 mm, reciprocating rotation through 60°, max. drive speed: 3,000 rpm Mat. no. 1.008.1826
INTRA LUX Endo head L3
With push-button chuck, for manual root canal instruments with grip with diameter
3.5–4.0 mm, reciprocating rotation through 60°, max. drive speed: 3,000 rpm
Mat. no. 1.008.1822
INTRA head L66 B (3:1)
INTRA head L68 B (1:1)
With push-button chuck, ball bearings, for contra-angle burs, diameter 2.35 mm, with debris deflector disc, max. drive speed: 40,000 rpm
Mat. no. 1.008.1834
INTRA head L67 (2:1)
With push-button chuck, for contra-angle burs, diameter 2.35 mm, with debris deflector disc, max. drive speed: 40,000 rpm
Mat. no. 1.008.1832
INTRA EVA head L61 G
Files rotate freely, with buffered 0.8 mm stroke, e.g. for files made by Intensiv Co., max. drive speed: 20,000 rpm Mat. no. 1.008.1828
INTRA Endo head L3 Y
With push-button chuck, for manual root canal instruments with grip, diameter
3.5–4.0 mm, stroke 0,4 mm, file receptacle rotates 360°, max. drive speed: 3,000 rpm
Mat. no. 1.008.1823
With push-button chuck, ball bearings, for root canal instruments with contra-angle shaft, diameter 2.35 mm, max. drive speed: 20,000 rpm, suitable for endo function of the ESTETICA E50 Life and ESTETICA E70/E80 Vision in combination with MASTERmatic M20 L Mat. no. 1.008.1831
INTRA EVA head L61 R
36 separate locking positions for locking files, with buffered 0.8 mm stroke, e.g. for files made by Intensiv Co., max. drive speed: 20,000 rpm
Mat. no. 1.008.1829
INTRA head L62 (10:1)
With push-button chuck, for contra-angle burs and root canal filler instruments, max. drive speed: 2,000 rpm
Mat. no. 1.008.1830
INTRA Micro head L22 (1:1)
With round bur (size 2), and U-inverted cone bur (size 0), for microsurgery, max. drive speed: 20,000 rpm
Mat. no. 1.008.1835
Optimum access thanks to ergonomic 100°/19° head/knee angle combination
Ceramic ball bearings for excellent quiet and low-vibration operation
Small head size
Overall height 13.1 mm (standard version) or 12.1 mm (mini version) for good access and overview
Plasmatec coating for a perfect grip and excellent hygiene
4-port spray with ultra-fine spray wetting for optimum cooling
Glass rod light conductor with up to 25,000 lux for reliable detection of the preparation margins
Low volume (only 57 dB(A)) to eliminate unpleasant noises for patients and treatment personnel
Replaceable spray microfilter for effective and trouble-free spray cooling
KaVo push-button chuck system with a retention power of up to 32 N for secure retention of the bur
Thermodisinfectable and sterilisable up to 135 °C
Direct Stop Technology
Bur stops in less than one second for greater safety during treatment
Non-return feature effectively prevents contaminated debris and aerosol getting inside the housing around the head
Optimum view thanks to offset light and spray outlets
Maximum power of up to 31 watts for more efficient work
High-tech FG chuck with carbide guide bush for optimum longevity
Maximum power
Minimal head size
MASTERtorque LUX
Head height 13.1 mm, maximum power up to 31 watts*, up to 57 dB(A), 4-port spray
M9000 L: Mat. no. 1.008.7900
M9000 L chocolate brown: Mat. no. 1.007.9900
M9000 L anthracite: Mat. no. 1.007.7100
MASTERtorque Mini LUX
Small head: head height 12.1 mm, 30 watts of power*, up to 59 dB(A), for standard and miniature burs, 3-port spray
M8700 L: Mat. no. 3.001.0000
MASTERtorque LUX
Like M9000 L, fits
Sirona click&go coupling**
M9000 LS: Mat. no. 1.008.5400
MASTERtorque Mini LUX
Like M8700 L, fits
Sirona click&go coupling**
M8700 LS: Mat. no. 3.001.0600
Rely on advanced KaVo performance.
High-tech FG chuck with carbide guide bush for optimum longevity
Ceramic ball bearings for excellent quiet and low-vibration operation and high-quality, low-wear materials such as a stainless steel head
Small head size for easy, efficient access to the preparation area
EXPERTgrip surface for fast cleaning and excellent grip
3-port spray with ultra-fine spray wetting for optimum cooling
Glass rod light conductor with up to 25,000 lux for reliable detection of the preparation margins
Low volume (only 57 dB(A)) to eliminate unpleasant noises for patients and treatment personnel
Internally channelled, separate coolant for optimum spray results
Replaceable spray microfilter for effective and trouble-free spray cooling
KaVo INTRAmatic coupling system can be used with any treatment unit
KaVo push-button chuck system with a retention power of up to 30 N for secure retention of the bur
Thermo-disinfectable and sterilisable up to 135 °C
EXPERTmatic LUX
speed-increasing contra-angle E25 L (1:5)
Carbide guide bush, glass rod light conductor with up to 25,000 lux, fast, precise work thanks to small head, flexible latch and ceramic ball bearings, internally channelled spray water and spray air, 3-port spray and replaceable spray filter
Mat. no. 1.007.5550
EXPERTmatic LUX contra-angle
E20 L (1:1)
Glass rod light conductor with up to 25,000 lux, efficient access thanks to even smaller head, 1-port spray, internally channelled spray water and spray air, easy to handle thanks to flexible latch
Mat. no. 1.007.5540
EXPERTmatic LUX reducing contra-angle
E15 L (5.4:1)
Glass rod light conductor with up to 25,000 lux, efficient access thanks to even smaller head, 1-port spray and internally channelled spray water and spray air, easy to handle thanks to flexible latch
Mat. no. 1.007.5530
EXPERTmatic handpiece E10 C (1:1, without light)
1-port spray, internally channelled spray water and spray air, suitable for both handpiece and contra-angle burs
Mat. no. 1.007.5560
EXPERTmatic prophylaxis contra-angle
E31 C (5.4:1, without light)
Keeps out polishing paste thanks to multiple seals, with thread and screw-off holder for screw-type and snap-on cups
Mat. no. 1.008.4998
EXPERTmatic EVA prophylaxis contra-angle E61 C (2.7:1, without light)
For the EVA system (files made by Intensiv Co.), for polishing in interdental spaces, for approximal enamel reduction etc., buffered 0.8 mm stroke, precise locking for files thanks to 36 locking positions
Mat. no. 1.008.4999
EXPERTmatic speedincreasing contra-angle
E25 C (1:5, without light)
Carbide guide bush, fast and precise work thanks to even smaller head, flexible latch and ceramic ball bearings, 3-port spray and replaceable spray filter, internally channelled spray water and spray air
Mat. no. 1.007.5551
EXPERTmatic contra-angle E20 C (1:1, without light)
Efficient access thanks to even smaller head, 1-port spray, internally channelled spray water and spray air, easy to handle
Mat. no. 1.007.5541
EXPERTmatic reducing contra-angle E15 C (5.4:1, without light)
Efficient access thanks to even smaller head, 1-port spray, internally channelled spray water and spray air, easy to handle
Mat. no. 1.007.5531
Optimum access thanks to ergonomic 100°/19° head/knee angle combination
Ceramic ball bearings for excellent quiet and low-vibration operation
Small head size Overall height 13.6 mm (standard version) or 12.2 mm (mini version) for good access and overview
EXPERTgrip surface for fast cleaning and excellent grip
4-port spray with ultra-fine spray wetting for optimum cooling
Glass rod light conductor with up to 25,000 lux for reliable detection of the preparation margins
Low volume (only 62 dB(A)) to eliminate unpleasant noises for patients and treatment personnel
Replaceable spray microfilter for effective and trouble-free spray cooling
KaVo push-button chuck system with a retention power of up to 30 N for secure retention of the bur
Thermodisinfectable and sterilisable up to 135 °C
Maximum power of up to 29 watts for efficient work
High power
Small head size Without light
High Quality
High-tech FG chuck with carbide guide bush for optimum longevity
EXPERTtorque LUX E680 L
Head height 13.6 mm, up to 29 watts of power*, 4-port spray, glass rod light conductor, up to 62 dB(A) Mat. no. 1.006.8700
EXPERTtorque Mini LUX E677 L
Small head: head height 12.2 mm, for standard and miniature burs, 27 watts of power*, 3-port spray, glass rod light conductor, up to 65 dB(A)
Mat. no. 1.007.3600
EXPERTtorque LUX
Like E680 L, fits Sirona click&go coupling** or NSK FlexiQuik coupling**
E680 LS**: Mat. no. 1.006.4600
E680 LN**: Mat. no. 1.006.4700
EXPERTtorque Mini LUX
Like E677 L, fits NSK FlexiQuik coupling**
E677 LN**: Mat. no. 1.006.0100
* At 3.5 bar. Power depends on drive pressure and other parameters.
** Registered trademark of Sirona or NSK.
EXPERTtorque E680 C (without light)
Up to 29 watts of power*, 4-port spray, head height 13.6 mm, up to 62 dB(A) Mat. no. 1.006.9000
Start safe with affordable KaVo quality.
Benefits at a glance.
100% made in Germany
All instruments are developed and produced exclusively in Germany
Extremely precise ball bearings for long-lasting smooth operation and a high degree of efficiency
Small head size for easy, efficient access to the preparation area
Internal spray transmission to the spray clip for a quick changeover of instruments on all motors
Ceramic slider within the clamping system for enduring and secure tool holding
High-quality, seamless surfaces for rapid cleaning and flawless hygiene
Lightweight for tireless working
Optimum balance for precise treatment
Premium materials Rust-free stainless steel for long-lasting durability and low running costs
Suitable for all requirements whether you’re pursuing restorative, endodontics or prophylaxis
KaVo INTRAmatic coupling system can be used with any treatment unit
Thermo-disinfectable and sterilisable up to 135 °C
SMARTmatic S20 S (1 : 1) with external spray
For burs with shaft diameter 2.35 mm, internal spray transmission to the spray clip, max. drive speed: 40,000 rpm
S20 S Mat. no. 1.011.6752
Also available without spray
S20 | Mat. no. 1.011.6750
SMARTmatic S10 S (1 : 1) with external spray
For burs with shaft diameter 2.35 mm, for straight and contra-angle handpiece drills, internal spray transmission to the spray clip, max. drive speed: 40,000 rpm
S10 S | Mat. no. 1.011.6732
Also available without spray
S10 Mat. no. 1.011.6730
SMARTmatic ENDO S81 (8 : 1)
For endodontic files with shaft diameter 2.35 mm, max. drive speed: 40,000 rpm
Mat. no. 1.011.6780
SMARTmatic ENDO S321 (32 : 1)
For endodontic files with shaft diameter 2.35 mm, max. drive speed: 40,000 rpm
Mat. no. 1.011.6790
SMARTmatic PROPHY S31 prophylaxis contra-angle (8 : 1)
Double-threaded (1-64-UNC and 1-72-UNF) for screwtype polisher / brushes, unscrew-able holder for Snap-on polishing applications, sealing to prevent intrusion of paste, max. drive speed: 20,000 rpm
Mat. no. 1.011.6760
SMARTmatic PROPHY S19 prophylaxis handpiece (8 1)
For disposable prophylaxis heads, Doriot shaft/ clamping system, max. drive speed: 20,000 rpm
Mat. n o. 1.011.6740
SMARTmatic PROPHY S33 prophylaxis
contra-angle (8 1)
70° oscillating rotation direction, sealing to prevent intrusion of paste, holder for Snap-on polishing applications, max. drive speed: 20,000 rpm
Mat. no 1.011.6800
SMARTmatic S53
prophylaxis and endo contra-angle (8 : 1)
70° oscillating rotation direction, usable with polishing and endodontic files with shaft diameter 2.35 mm, max. drive speed: 20,000 rpm
Mat. no 1.011.6810
Ceramic bearings for excellent quiet work with reduced vibrations
Small head size
Overall height of 14.5 mm (standard version) or 12.3 mm (mini version) for good accessibility and overview
KaVo push-button chuck system with a retention power of up to 30 N for secure bur retention
Thermo- disinfectable and sterilisable up to 135 °C
4-port spray with ultra-fine spray wetting for optimum cooling
Glass rod light conductor with up to 25,000 lux for reliable detection of the preparation margins
High-tech FG chuck with carbide guide bush for optimum longevity
SMARTtorque LUX S619 L
Standard head, glass rod light conductor, 26 watts of power*, ceramic bearings, made in Germany, pushbutton chuck, 4-port spray, hard tungsten carbide bur guiding bush, hardened push button chuck
Mat. no. 1.008.1641
SMARTtorque Mini
LUX S615 L
Miniature head, 22 watts of power*, ceramic bearings, made in Germany, glass rod light conductor, pushbutton chuck, 1-port spray, hard tungsten carbide bur guiding bush, hardened push button chuck
Mat. no. 1.008.1643
SMARTtorque S619 C
Standard head, 26 watts of power*, ceramic bearings, made in Germany, pushbutton chuck, 4-port spray, hard tungsten carbide bur guiding bush, hardened push button chuck
Mat. no. 1.008.1642
SURGtorque S459 L
45° head with push-button chuck, Glass rod light conductor, Water jet without air, Rear air exhaust guides air away from the operation area by side vents, Ceramic ball bearing, fits MULTIflex LUX coupling
Mat. no. 3.000.4808
SURGtorque S459 C
45° head with push-button chuck, Water jet without air, Rear air exhaust guides air away from the operation area by side vents, Ceramic ball bearing, 4-hole standard connection
Mat. no. 3.000.5063
SMARTtorque S609 C (without light)
Standard head, 4-hole standard connector, 26 watts of power*, ceramic bearings, made in Germany,4-port spray Midwest, hard tungsten carbide bur guiding bush, hardened push button chuck
Mat. no. 1.008.1644
SMARTtorque Mini S605 C (without light)
Miniature head, 4-hole standard connector, 22 watts of power*, ceramic bearings, made in Germany, 1-port spray Midwest, hard tungsten carbide bur guiding bush, hardened push button chuck
Mat. no. 1.008.1645
Turbines Benefits at a
INTRA LUX motor KL 703 LED
The perfect combination of power and comfort: fatigue-free work thanks to reduced weight and optimum balance. SMARTdrive means the motor is up to speed after just 100 revolutions. Thanks to a brushless motor and a maintenance-free LED light, the motor offers an extremely long service life.
Brushless motor, speed range from 100 to 40,000 rpm, controlled torque output, max. torque 2.7 Ncm, sterilisable, KaVo MULTI LED replaceable by user, 36-month warranty Mat. no. 1.007.0150
INTRA LUX motor KL 701
Brushless motor, speed range from 2,000 to 40,000 rpm, torque 2.7 Ncm, KaVo MULTI LED replaceable by user, 36-month warranty Mat. no. 1.001.8776
INTRAmatic L-LUX motor 181 L
Speed range from 5,000 to 20,000 rpm, 4-hole LUX connection, forward and reverse running, sterilisable, INTRAmatic LUX coupling, KaVo high-pressure lamp replaceable by user, 12-month warranty Mat. no. 0.535.5210
INTRAmatic L-motor 181 H
Speed range from 5,000 to 20,000 rpm, 4-hole connection, sterilisable, INTRAmatic coupling, 12-month warranty Mat. no. 0.535.5200
INTRAmatic L-motor 181 M
Speed range from 5,000 to 20,000 rpm, forward and reverse running, sterilisable, for connection to MULTIflex couplings, INTRAmatic coupling, 12-month warranty Mat. no. 0.535.5250
Highest power and constant speed at high load
Perfect balance of the system due to the lightweight motor and tube SMARTdrive sensorless control allows high torque at low speed ranges. The LED light gives up to 25,000 lux to the preparation margin. Spray water regulation is easy on the motor tube.
Automatic dynamic speed regulation and calibration system allows auto set-up of system air pressure and always max. speed at changing air pressure within a high pressure range.
Easy, flexible installation with mounting brackets included
Integrated water filter with replacement filter
• Self-exchangeable modular system: tubes, LED bulb, motor
Air-to-electric motor conversion kit (controller, tubing, brushless electric motor and fixtures) for any treatment unit. Easy retrofitting of existing air-driven treatment units. It allows the dentist to upgrade to an electric motor and all its advantages within minutes.
ELECTROmatic with KL 703 LED motor Mat. no. 1.012.8537
ELECTROmatic with COMFORTbase Mat. no. 1.012.8539
The solution for all high- and low-speed applications
Same features than for ELECTROmatic plus:
LCD Colour Display with 3 speed programs for fast switch between 100 and 40,000 rpm
Easy program and change of individual speed settings and forward/reverse option
• Display rotates for vertical and horizontal mounting.
• Display can be installed remotely.
• Easy installation due to flexible mounting options
• Further adjustment of light brightness and afterglow, key tone and selection between digital or analogue speed
• Dimensions: 145 x 132 x 44 mm
• Standard tube 1,750 mm (long tube 2,200 mm available)
• Dimensions: 143 x 118 x 36 mm
• Standard tube 1,750 mm (long tube 2,200 mm available)
ELECTROmatic Premium with KL 703 LED motor Mat. no. 1.012.8545
ELECTROmatic Premium Dual with 2x KL 703 LED motor Mat. no. 1.012.8547
ELECTROmatic Premium Dual with KL 703 LED motor and COMFORTbase Mat. no. 1.012.8549
ELECTROmatic Plus with KL 703 LED motor Mat. no. 1.012.8541
ELECTROmatic Plus with COMFORTbase Mat. no. 1.012.8543
Premium/Premium Dual Workflow at its best
• All-in-one device with a special prep and endo mode (torque controls) 5 speed programs in prep mode with display of speed set, very easy to adjust with a slider
Integrated endo file database for easy set-up of endo torque and speed settings with different files
• NEW since 2021: With reciprocating file system TF-Adaptive from KERR Intuitive handling due to integrated 4.3” TFT colour touchscreen display Vivid colour touch display with speed slider for fast set-up Touchscreen with Dragontrail® glass, six times harder than glass and easy to clean
• System shows real bur speed when selected gear ratio of handpiece is set.
• The Dual Motor System allows a complete new workflow with preset high- and low-speed handpieces and burs. No further exchanging of the handpiece is necessary.
• Dimensions: 150 x 135 x 76 mm
• Standard tube 1,750 mm (long tube 2,200 mm available)
The conversion kit from air to electrics.
With light
MULTIflex LED coupling 465 LED
With KaVo MULTI LED, 4-hole LUX connection, spray adjustment ring with locking positions, anti-retraction valve to prevent intrusion of spray water Mat. no. 1.007.3197
MULTIflex LED coupling 460 LED
With KaVo MULTI LED, 4-hole standard connection without spray adjustment ring, anti-retraction valve
Mat. no. 1.007.3201
MULTI LED
Screw in the KaVo MULTIflex 465 LED coupling at the turbine hose or replace the halogen lamp in the KaVo MULTIflex coupling with KaVo MULTI LED and start working with LED light immediately – for a much longer service life than conventional halogen lamps, a colour temperature similar to daylight (5,500 K) and 25,000 lux at the bur tip Mat. no. 1.007.5372
MULTIflex LUX coupling Midwest Fits Midwest cold light supply, with integrated glass rod light conductor Mat. no. 0.553.1390
MULTIflex LUX coupling 465 LRN
With KaVo high-pressure lamp, 4-hole LUX connection, spray adjustment ring with locking positions, anti-retraction valve to prevent intrusion of spray water Mat. no. 0.553.1550
Without light
MULTIflex coupling 465 RN
With 4-hole standard connection, spray adjustment ring with locking positions, anti-retraction valve to prevent intrusion of spray water
Mat. no. 0.553.1600
MULTIflex LUX coupling 460 LE
With KaVo high-pressure lamp, 4-hole standard connection without spray adjustment ring, anti-retraction valve
Mat. no. 1.001.7599
MULTIflex coupling 460 E
With 4-hole standard connection without spray adjustment ring, anti-retraction valve Mat. no. 1.001.7600
All MULTIflex couplings come with a 12-month warranty and fit all of the following:
MULTIflex coupling 457
With 4-hole standard connection, without spray adjustment
Mat. no. 0.553.1210
Turbines SONICflex CORONAflex PROPHYflex 4
RONDOflex plus 360 and many more
Thanks to its versatility, the KaVo SONICflex will soon become one of your most frequently used instruments. With more than 50 tips, which are quick and easy to replace, it adapts to your requirements across a vast range of applications.
* Outside the EU only available in countries that accept CE conformity. Please check with your local KaVo dealer.
Precise preparation of various bevel angles around margins after „rough preparation” with rotary instrument; this enables improved dental restoration:
Perfect adaptation of cavity preparations to the specific processes of CAD/CAM systems:
tip no. 34 mesial, lateral 30°, cervical 90°, diamond coating
preparation, ideal combination of rotating crown preparation instruments with sonically vibrating tips of similar design:
with gradual angle transitions from cervical to lateral margins:
Separation prior to crown preparation, rounding of sharp transitions with the approximal border during cavity preparation, anatomical shaping of approximal surfaces of composite fillings, approximal enamel reduction in relation to orthodontics:
Searching for/locating root canal. Simplifies work associated with retrograde cavity preparation:
| extremely narrow,
extremely narrow,
Preparation of root canal, significantly simplified access, even with highly convoluted roots:
Preparation of the undercut; axially aligned root canal preparation with minimal bone defects: For roots with apices highly inclined towards the buccal cavity:
* Outside the EU only available in countries that accept CE conformity. Please check with your local KaVo dealer.
* Outside the EU only available in countries that accept CE conformity. Please check with your local KaVo dealer.
Important information regarding material numbers:
XX: Tip for SONICflex 2003/2000 (long thread)
XXA: Tip for SONICflex 2008 (short thread)
Take advantage of the possibilities offered by the high-end ultrasonic scaler from KaVo. Enjoy the convenience of operating the equipment via your KaVo treatment unit. Achieve the best treatment results thanks to precise illumination.
PiezoLED
Where strength meets intelligence: Innovative KaVo CARE Technology with intelligent feedback control and high removal performance
Fully adjustable to suit individual requirements with various mode settings
• Can be fully integrated into your treatment unit
• Perfect light quality thanks to circular LEDs
• Wear indicator card for efficient work
• Wide range of applications
Mat. no. 1.007.3995
Prophylaxis
PIEZO Scaler tip 201
For removal of supragingival calculus in all quadrants Mat. no. 1.007.4024
PIEZO Scaler tip 202
For removal of supra- and subgingival calculus in all quadrants up to a pocket depth of 4 mm Mat. no. 1.007.4026
PIEZO Scaler tip 203
For removal of subgingival deposits on root surfaces. Also suitable for deep periodontal pockets and periodontal treatments/check-ups Mat. no. 1.007.4028
Implant cleaning
PIEZO Implant tip set
For removing plaque and calculus from implant surfaces and metal or ceramic restorations, metal-free tip; contains holder for PIEZO Implant tips (tip 222); wrench for PIEZO Implant tip holder; one PIEZO Implant refill tip set
–
K-ERGOgrip 4944
High-power laboratory drive offering convenient solutions based on ergonomic and light design
• Short, ergonomic handpiece with 2 grip sleeves
• 7 Ncm torque
• Up to 50,000 rpm in both clockwise and anticlockwise direction
• For all common materials
• Robust shaft system
• Easy-to-replace ball bearing Chuck system with 40% higher retention power
Various grip sleeves with soft grip
Easy-to-clean chuck system
For right- and left-handed personnel
Mat. no. 1.003.7555
K-POWERgrip 4941
Powerful and low-vibration laboratory drive with minimal running noise
• Max. 7 Ncm torque
• Up to 50,000 rpm in clockwise and up to 5,000 rpm in anticlockwise direction
• For all common materials
• Easy-to-replace ball bearing Mat. no. 1.002.2916
K5 plus 4911
Light and short laboratory drive
Max. 4.5 Ncm torque
• Up to 35,000 rpm in clockwise and up to 5,000 rpm in anticlockwise direction
• Shaft system with just 2 ball bearings, easy to replace Mat. no. 1.001.6733
Order Mat. no. 1.005.4206 Mat. no. 1.005.4207 Mat. no. 1.005.4204 K-POWERgrip Power Mat. no. 1.007.2082 Mat. no. 1.007.2084 Mat. no. 1.007.2083 K5 plus Ergonomics Mat. no. 1.009.4244 Mat. no. 1.009.4245 Mat. no. 1.009.4243
Knee control
KaVo K-Control TLC universal control unit with options to suit individual requirements or the space available (table, knee or foot control), easy to replace handpieces thanks to automatic handpiece recognition, knee version can be attached to an existing KaVo K-Control knee hook, safety switch for enabling speeds of over 30,000 rpm, clockwise and anticlockwise rotation, depending on handpiece, of up to 50,000 rpm, 4 storable programs: Save within 4 seconds for a 4-second speed control function, 4-colour display for easy differentiation, quick access to preset speeds and torque by simply pressing the speed control
Perfection in motion.
ARCUSdigma 3
• Records temporomandibular joint (TMJ) movements quickly
• Assists in the effortless design and development of simple and complex dental prosthesis
Fast and precise articulator programming thanks to KaVo Transfer System without applying a face bow
Increased measuring accuracy thanks to the optical measuring process for in-depth temporomandibular joint diagnostics
Simple operation through wireless data acquisition
Safety for the practitioner – even with major restorations
Modular, retrofittable software concept - adaptable to your needs
Mat. no. 1.012.2320
The ARCUSdigma 3 measures the movement paths of the temporomandibular joints and the incisal point in real time and represents these in 3D in the software. The data can be used in the PROTARevo Digma to create the perfect dental prosthesis. All PROTARevo articulators offer the precision and longevity that KaVo is famous for. Furthermore, they support many specific solutions and provide useful analysis. The ARCUS and ARCUSevo face bows help record the maxilla in the correct position – quickly, precisely and safely.
PROTARevo
Dental articulators for perfect precision and masterful handling
Dental articulators, from the KaVo PROTARevo 2 entry-level model to the top-of-the-range PROTARevo 9, offer a winning combination of perfect precision and masterful handling. With an extensive range of accessories for almost all dental requirements.
PROTARevo 2: Mat. no. 1.002.3305
PROTARevo 3: Mat. no. 1.002.3309 (also available without split cast)
PROTARevo 5: Mat. no. 1.002.3313 (also available without split cast)
PROTARevo 5b: Mat. no. 1.002.3317 (also available without split cast)
PROTARevo 7: Mat. no. 1.002.3321 (also available without split cast)
PROTARevo 9: Mat. no. 1.002.3325 (also available without split cast)
PROTARevo Digma: Mat. no. 1.005.4121
ARCUS and ARCUSevo
KaVo face bows: your patient will thank you for it
The face bow that records the position of the maxilla in less than 3 minutes – fewer hand movements and no assistance required! Minimise occlusal adjustments, particularly when raising and lowering the bite.
The ARCUSevo face bow can be fitted to the patient in no time at all by just one person.
Quick, precise and safe
The earpieces are designed to allow unrestricted communication with the patient.
ARCUS: Mat. no. 0.622.5000
ARCUSevo: Mat. no. 1.005.0900
SONICflex for prophylaxis
Thanks to its numerous tips, SONICflex is a perfect partner for prophylaxis purposes. All the tips available, which can be used for a wide range of indications, can be found on pages 48–54.
is both thorough and gentle.
PiezoLED for prophylaxis
PiezoLED is fully adjustable to suit individual requirements, which also makes it ideal for prophylaxis purposes. An overview of the various tips associated with its broad range of applications can be found on page 55.
KaVo
PROPHYpearls
For an all-round clean and gentle prophylaxis
• Indication: effective elimination of discolouration, plaque and biofilm
• Active ingredient: calcium carbonate with a particle size of 60–70 μm, biodegradable, no salt, sugar or gluten
• Highlights: round shape and a uniform size for optimum cleaning with minimal abrasion, 4 flavours and 2 neutral variants
PROPHYpearls flavour (80 pcs per 15 g)
Neutral: Mat. no. 1.010.1826
Mint: Mat. no. 1.010.1828
Peach: Mat. no. 1.010.1829
Orange: Mat. no. 1.010.1830
Blackcurrant: Mat. no. 1.010.1831
PROPHYpearls Selection (4 times 20 pcs per 15 g) Mixture of Mint, Peach, Orange and Black Currant: Mat. no. 1.013.4400
Bottles (4 pcs per 250 g)
Neutral: Mat. no. 1.010.1798
KaVo
PROPHYflex Powder
Polishing can be so quick.
• Indication: highly effective elimination of discolouration, plaque and biofilm
• Active ingredient: sodium bicarbonate with a particle size of 60–70 μm, water-soluble
• Highlights: simple, fast and highly effective treatment with 4 flavours
Sticks (80 pcs per 15 g)
Orange: Mat. no. 1.007.0014
Berry: Mat. no. 1.007.0015
Cherry: Mat. no. 1.007.0016
Mint: Mat. no. 1.007.0017
KaVo
PROPHYflex Perio Powder
For subgingival and supragingival treatment
• Indication: efficient biofilm management in periodontal pockets and cleaning of crowns, bridges and implants
• Active ingredient: fine glycine powder (18–22 μm), protects gums
• Highlights: very gentle and not too abrasive, suitable for efficient cleaning of pockets as well as supragingival applications on implants
Bottles (4 pcs per 100 g) Mat. no. 1.009.3732
Perio Kit for PROPHYflex 4 10 perio tips for safe and targeted pocket cleaning thanks to the stable, thin tip* with depth markings and Perio Adapter as well as PROPHYflex Perio Powder and accessories
Perio Kit: Mat. no. 1.011.9403**
Refill Set: Mat. no. 1.010.0287**
PROPHYpearls, PROPHYflex Powder and PROPHYflex Perio Powder are perfectly suited to the KaVo PROPHYflex 4 and allow for tooth cleaning that
Do you want your daily prophylaxis treatments to be easier, quicker, more thorough and even more enjoyable during longer sessions?
The KaVo PROPHYflex 4 ticks all the boxes. It’s feather-light, perfectly balanced and ergonomically designed for comfortable working.
The PROPHYflex Perio attachment
Optional Perio Kit for focused and gentle subgingival treatment as well as cleaning bridges, implants and crowns
The PROPHYflex Standard cannula
Less disruptive polishing mist thanks to high precision air polishing for the gentle, protective removal of biofilm and discolouration. The narrow cannula gives the technician a better view during supragingi-val cleaning
The PROPHYflex Power cannula
The power cannula removes even stubborn discolouration in no time
Because every hand, every treatment and every patient is different, the KaVo PROPHYflex 4 can be individually adjusted. You decide, whether you’re working in subgingival or supragingival regions, whether to eliminate mild or severe discolouration with more or less powder and how long the handpiece should be.
The precise little cannula for pockets
Perio Kit for focused and gentle subgingival treatment as well as cleaning bridges, implants and crowns
Tailored to you
Two grip sleeves with different lengths to fit your hand perfectly. Also ideal when several practitioners work with the same handpiece. Work comfortably even at difficult-to-reach places, thanks to the 360°-rotatable grip sleeve
Stay relaxed, work with ease
A super-light, perfectly balanced handpiece with individually adjustable lengths for comfortable handling and stress-free treatment
Safely prepared for everything
Simple filling and secure placement thanks to an even surface. For interruption-free treatment, the powder container can be filled in advance and sealed with a rubber seal which shows the indication
Three is simply better
You will be delighted with the adjustable powder quantities and constant, focused powder jet which brings precise cleaning performance and minimised powder mist formation, for an optimal hygiene routine.
Evenly distributed energy along the jet surface has two advantages: the more evenly the jet energy is distributed, the more effective the cleaning performance and the greater the protection of the tooth structure.
Three levels of adjustment, with the first level for powderless cleaning of the teeth to remove powder residue. Levels 2 and 3 are for individually adjustable cleaning performances depending on the patient and indication
Finding a connection just got easier Choice of KaVo or Sirona connection
The KaVo PROPHYflex 4
Perfect ergonomics has never been so flexible ...
... and flexibility has never been so comfortable.KaVo PROPHYflex 4 Competitor Further prospects: less powder mist Tough against stains, gentle to teeth KaVo PROPHYflex 4 Competitor**
Vision Full HD
Three instant diagnostic images from one shot: Full HD Intraoral images, Transillumination, Fluorescence
Always sharp without setting
The permanent autofocus is always on — inside as well as outside of the mouth — and creates extremely precise, clinically relevant images without delays caused by focusing, thus avoiding retakes.
The image is always displayed in correct position, because the integrated gyro sensor recognizes whether you are taking a shot on the left or right side, upper or lower jaw — and aligns the recording automatically.
To minimize the susceptibility to blurry image, the camera automatically saves recordings directly before and after the shot, selects the image with highest quality and displays it on the screen.
“There are many cameras that have an autofocus function to take a sharp image. But most of the time it takes too long to get a clinically relevant shot as you have to wait for the image to sharpen. The permanent autofocus function of the DIAGNOcam Vision Full HD is completely different. It is always on, there is no need to press a button or to adjust anything. It focuses automatically and without interruption — always get a sharp image instantly.
Jochen Kania Dental practitioner, Laupheim, GermanyThe result is impressive. You can barely take an image that isn‘t perfectly sharp — in Full HD quality. This is true regardless of whether you use the DIAGNOcam Vision Full HD as an intraoral camera, as a transilluminating device or if you are working in the fluorescence mode — or combining all of them in one shot.”
With the DIAGNOcam Vision Full HD you create remarkably clear and distortion-free Full HD images in real time. In addition, all images, from face to macro shots, are optimised to keep their natural colour tones and to remain clear even when enlarged — enabling you to easily view the smallest details.
Detecting caries early is good. Detecting caries early and safely is better. Thanks to the intuitive handling, you can diagnose caries using the transillumination mode of the DIAGNOcam Vision Full HD with an extreme accuracy of up to 99%* — with almost no training at all! Clinically established and proven in practice through countless recordings.
Face image
Distortion-free portraits, easily added to the patient file documentation of your Patient Management System (PMS).
Smile image
Ideal to capture the lip line and smile line — useful for dental technicians to match the colour and create perfectly aligned aesthetic anterior teeth restorations and for pre-post comparison and documentation for your patients.
Tooth image
The quick and easy way to get a first overview of the dental situation, including fillings, dental prosthesis, extractions, deformities and overall dental hygiene. Perfect for pre-post comparison and documentation for your patients.
Macro shot
Enlargement of the finest tooth and gum structures, recommended for detecting the smallest lesions, defective transitions of filling material or crowns to the tooth as well as for initial examination of root canals.
99 % * accuracy
Caries diagnosis with transillumination — light years ahead. With both DIAGNOcams, light waves complement X-rays otherwise needed for caries detection, giving you exceptional image quality and detail.
Perfectly adaptable to your existing needs
No matter if you have a KaVo treatment unit or one from another brand, if you want to use the DIAGNOcam Vision Full HD as a st and-alone device or integrate it into your Patient Management System or your X-ray software: Just pick it up from your preferred mounting option (wall, table, or treatment unit), detect and show — it´s that easy.
Pure joy, clear sight: Superior hygiene concept
By using the sheaths, the DIAGNOcam Vision Full HD is protected against contamination. The tip and the fluorescence cover can be easily installed over the sheath, which does not affect the image quality. The tip and the fluorescence cover can be reused after being washed in a thermal disinfector and sterilised in autoclaves, the sheath is disposable and for single use only.
• The light source inserted in the tip illuminates the tooth outwards from the neck of the tooth to the occlusal tooth surface.
• A digital camera shows the captured scenes live on the screen of your choice.
• The tooth becomes a light conductor, making the tooth structures visible. Any caries or cracks that the light comes across on its way to the tooth surface are clearly identifiable and visibly darker.
The KaVo DIAGNOcam is designed so that all procedures are intuitive and carried out in a matter of seconds. Integrated functions such as the recording assistant, a clear structure and easy-to-understand symbols make diagnostics almost as easy as recording itself.
Triple effective diagnosis, wow effect included
Simultaneously captured, immediately displayed: all images are recorded in Full HD resolution.
Depending on the dental situation and the step of your workflow, you can choose the specific image mode you prefer or combine two or all three of them in one shot. Giving you a clinically relevant overview, like never before.
One
Thanks to its patented design, you can use the tip for the transillumination mode and for all capturing modes. No need to waste time changing the tip.
Fluorescence mode:
The ultimate check at the end of your workflow
This fluorescent light stimulates the metabolic products of (e.g. cariogenic) bacteria on the tooth´s hard substances. Emitting different colours, the tooth´s hard substance is displayed greenish and metabolic products of cariogenic bacteria are shown reddish. This allows the user to detect caries activity, making it possible to diagnose pathological findings. The mode enables the recording of images in the fluorescence range, in order to diagnose occlusal caries and plaque.
96% 2% 99%
“The more often I can use my DIAGNOcam the better. use DIAGNOcam for early caries detection on every patient in every treatment. With this unique transillumination device, I can see caries and other findings very clearly and at an early state of treatment. When showing my patients their own clinical situation with DIAGNOcam, they are more likely to accept my treatment recommendation. This also reflects in my revenue: Since I’ve bought my DIAGNOcam, am doing significantly more fillings than before.
For me, DIAGNOcam is the perfect assistant for early caries detection.”
A Apart from some occlusal (brown) discoloration, clinical examination of premolar 15 fails to identify any carious process. The DIAGNOcam image B however, shows extensive distal shadowing, which has already reached the dentine-enamel junction. The bitewing X-ray shot C reveals a carious process extending as far as the inner half of the dentine. Both of the lesions diagnosed are confirmed when the carious process is opened as the filling is inserted D
Occlusal caries diagnostics on an existing molar (hidden caries)
A The visual examination of the occlusal surface of tooth 46 does not provide any reliable evidence of caries-related discoloration or the like. The DIAGNOcam image B shows some shadowing in the distal section of the central fissure, which also shows up as an area of brightness in the X-ray image C Once opened up, the carious process D shows some carious dentine.
Occlusal caries diagnostics on an existing molar (hidden caries)
A Tooth 37 shows an established occlusal carious lesion with several localised areas where the enamel is broken. Demineralisation can be seen near the mesiobuccal cusp, which shows up as a dark shadow in the DIAGNOcam image B. The corresponding X-ray image C shows an advanced dentine lesion. Once the carious process is opened up, as can be seen in image D the active nature of the lesion and the undermining effect of the caries becomes visible.
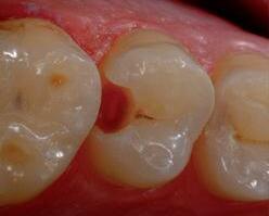
KaVo DIAGNOdent pen
The laser fluorescence technology means early-stage and hidden caries can be identified too.
• Practices worldwide have used over 15,000 devices with success for over 10 years. The gold standard in fluorescence-based caries detection, with add-on services chargeable accordingly
• Scientifically proven, easy to use at any time
• In many cases, the gentle measurement enables microinvasive treatment without unnecessary removal of healthy enamel
• Perfect support for simple and reliable diagnosis
Fissure with measured value of 0–12 or approximal measured value of 0-7: healthy dental substance Fissure with measured value of 13–24 or approximal measured value of 8–15: early demineralisation
Prof. Dr Adrian Lussi, University of Bern
“When combined with clinical evaluation and an assessment of individual factors relating to caries, the values obtained with the DIAGNOdent pen support early identification of caries and diagnosis. Because the values obtained are highly reproducible, the DIAGNOdent pen is an outstanding instrument for tracking the development of lesions at regular check-ups.!
Fissure with measured value above 25 or approximal measured value above 16: significant demineralisation
Easy to use, with acoustic signals and an easy to read display
Very pleasant for the patient
Optimum integration into your workflow
High-value, low-maintenance solution with significant clinical benefits
DIAGNOdent pen 2190: Mat. no. 1.002.7000
DIAGNOdent pen Display 2191: Mat. no. 1.004.8400
DIAGNOdent pen sapphire fissure probe: Mat. no. 1.002.6967
DIAGNOdent pen sapphire proximal probe: Mat. no. 1.002.6970
DIAGNOdent pen sapphire perio probe: Mat. no. 1.004.0370
Storage box for DIAGNOdent pen probes: Mat. no. 1.002.7011
KaVo ERGOcam One
A small camera with a big reputation.
Use images with significant depth of field and outstanding colour reproduction to help explain your patients’ particular situation to them.
• The significant depth of field means there is no need to focus.
• The easy-to-operate KaVo ERGOcam One gives you the perfect shot whenever you want – a convenient option that really saves you time.
• The shutter release can be triggered by hand or with the foot control on a KaVo treatment unit.
• Control is via the CONEXIO patient communication software. Cable length 1.30 m
Mat. no. 1.011.2130
Munich, 2013. Available for download: https://www.kavo.com/diagnocam-clinical
A safe bet for identifying caries.
Early caries detection with transillumination.
Transillumination uses light waves instead of X-rays. This makes it possible to take shots of coronal dental structures above the gingiva with outstanding brilliance. You can identify caries very early and carry out minimally invasive or even prophylaxis treatment.
Approximal caries diagnostics on an existing premolarExtract from the clinical study on the KaVo DIAGNOcam Ludwig-Maximilians-University
Restoration From primary, secondary and wall preparation through to finishing: KaVo offers you solutions for effective, successful restorations that will keep your patients smiling.
Primary preparation: opening the cavity
SONICflex
As a multifunctional instrument, the KaVo SONICflex can be used for several steps with the appropriate tips. It is notable for its precise and minimally invasive removal of dental substance.
When it comes to opening the cavity and creating the contour and the necessary depth, KaVo’s very powerful high-speed instruments or turbines are ideal for processing work performed at high speeds. The small head, the ergonomic head/knee angle and the powerful light provide the best view.
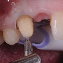
Finishing: preparation and polishing
For optimum aesthetics and occlusion, the blue shank combined with the specially sealed polishing heads deliver great results in terms of grinding and polishing the surfaces.
Thanks to outstanding rotation performance, KaVo high-speed instruments and turbines can shape precise fillings and achieve optimum occlusion results.
Secondary preparation: caries excavation
A green shank, with a suitable KaVo INTRA head, is perfect for precise removal of carious dentine when used at a constant low speed.
Wall/margin preparation
For optimum preparation of the cavity and the best contact between the prepared margins and the filling material in the further course of treatment, KaVo high-speed instruments or KaVo turbines are absolutely perfect, thanks to their extremely precise rotation.
Air abrasion with additional water supply and reduced powder contamination: The following case report demonstrates the use of the RONDOflex plus 360 for enhancing and optimising the adhesion between the restoration and tooth, in a complex clinical situation.
Air abrasion with Al 2O3 is a method of increasing the retentiveness of the treated surface for subsequent adhesive procedures. The surface is micro-retentive due to its roughening and has a higher-energy surface, ready for bonding.
The technique is especially suited for pretreating dentine, metal or ceramic surfaces before resinbased adhesives and cements are then applied. The bond strength of orthodontic brackets to air-abraded enamel is greater than for acid etching alone. Air abrasion may also increase the bond strength of self-etching dentine bonding systems to dentine.
The pressure-sprayed alumina particles are well contained within the water spray and are not scattered throughout the mouth or clinical working space. The RONDOflex plus 360 provides its stream of alumina particles within the confines of a concurrent water spray.
The RONDOflex plus 360 connects to the same MULTIflex coupling that an air turbine high-speed handpiece connects to, which further enhances the convenience of the device.
2) Abutment tooth was air abraded with the RONDOflex plus 360
RONDOflex plus 360
4) Hydrofluoric acid etching and application of a silane
3) Matt appearance after the use of the RONDOflex plus 360
Air-abrasion system with spray water for reduced powder aerosol and gentle and relatively pain-free removal of material from the surface of teeth
Possible applications:
Minimally invasive cavity preparation
Preparation of adhesive surfaces prior to acid/etching techniques
Preparation of adhesive surfaces for braces
• Preparation of fissure seals
• Opening and widening of fissures
• Removal of residual adhesive from bridges, crowns, etc. (extraoral)
Product information:
Accessories:
5) Final result after adhesion and occlusion check
Comes with 2 cannulas (diameter 0.46 mm and 0.6 mm) as well as 2 powder containers and 2 powder bottles (each 75 g), easy to connect to the KaVo MULTIflex system, 12-month warranty Mat. no. 1.002.2179
RONDOflex powder 27 µm to remove less 1,000 g: Mat. no. 1.000. 5957
RONDOflex powder 50 µm to remove more 1,000 g: Mat. no. 1.000.5956
Extract from:
All around solution for minimal invasive cavity preparation
Dr Michael N. Mandikos, prosthodontist, is a visiting specialist to the University of Queensland, Australia, and formerly a Specialist Consultant to the Royal Australian Air Force. He is a reviewer for several international dental journals and a product evaluator for several dental companies. Dr Mandikos regularly presents continuing dental education programmes throughout Australia and South East Asia, and works in a specialist private practice in Brisbane, Australia.
As shown in Figure 1, I prefer the KaVo Turbine with a fixed sharp crown slitter for establishing the coronal access opening. I recommend the following trick to reduce the risk of slipping with the crown slitter or diamond when trepanning a hard zirconium oxide crown: simply use the index finger of the left hand as a supportive guide for the head of the turbine (Fig. 2). When the occlusal core is drilled to the level of the provisional Harvard sub-filling, I exchange the turbine head for an extra-long, round-end diamond (Fig. 3). This removes the lateral overhang of the pulp roof but avoids the floor of the pulp chamber for reasons of perforation prophylaxis. For safety reasons, the rinsing cannula remains unscrewed on the disposable syringe (Fig. 4) so that it does not disengage even at high rinsing pressures.
Rhodium-metallised mouth mirrors are ideal for working at high magnification levels, as they come in two sizes (1.5 cm and 2.5 cm) and they can be unscrewed at the handle to be exchanged when they are scratched. The extra-long bud bur remains far enough away from the pulp chamber floor so that the fine structures that are being worked on can be seen in the mirror (Fig. 5).
Important information regarding material numbers:
XX : Tip for SONICflex 2003/2000 (long thread)
XXA : Tip for SONICflex 2008 (short thread)
Thanks to its numerous tips, SONICflex is a perfect partner for endodontic purposes. All the tips available, which can be used for a wide range of indications, can be found on pages 48–54.
Endo tip no 66 | button, large, diamond coating D46 66: 1.000.5825
PiezoLED is fully adjustable to suit individual requirements, which also makes it ideal for endodontic purposes. An overview of the various tips associated with its broad range of applications can be found on page 55.
PIEZO Endo Tip 220
Conical tip with diamond coating for location of root canals and removal of calcifications from the coronal third of the root system
Mat. no. 1.007.4040
–
PIEZO Endo Tip 221
Fine cylindrical tip with diamond coating for removing steps and other obstructions
Mat. no. 1.007.4041
PIEZO Endo Tip 222
File holder at 120° for flexible use of Piezo Endo files: holder for 5 different stainless steel files (ISO 15, 20, 25, 30, 35) Mat. no. 1.007.4043
I NTRA Endo head L3 Y Stroke 0.4 mm, for manual root canal instrument with grip diameter 3.5–4.0 mm
Mat. no. 1.008.1823
INTRA Endo LUX head L3
Endo mode for KaVo treatment units
INTRA head L68 B (1:1) With push-button chuck, ball bearings, for contra-angle burs with diameter 2.35 mm and root canal instruments, suitable for endo function of the ESTETICA E50 Life and ESTETICA E70/E80 Vision Mat. no. 1.008.1834
The integrated endo function means there is no need to buy an expensive endodontic device. With 3 modes for file management, you couldn’t be better equipped. All important parameters such as speed increase and torque values can be set, called up and saved via the dentist element. Workflow at its best
MASTERmatic LUX shank M20 L (1:1)
For cavity and crown preparation, finishing, caries excavation and endodontic treatments Mat. no. 1.009.3620
Air-to-electric motor conversion kit (controller, tubing, brushless electric motor and fixtures) for any treatment unit. Easy retrofitting of existing air- driven treatment units. It allows the dentist to upgrade to an electric motor and all its advantages within minutes.
• All-in-one device with a special prep and endo mode (torque controls)
• Integrated endo file database for easy set-up of endo torque and speed settings with different files
• NEW since 2021: With reciprocating file system TF-Adaptive from KERR
Intuitive handling due to integrated 4.3” TFT colour touchscreen display • Vivid colour touch display with speed slider for fast set-up.
Reciprocating rotation through 60°, for manual root canal instrument with grip diameter 3.5-4.0 mm Mat. no. 1.008.1822
INTRA Endo head L53
Reciprocating rotation through 60°, for manual root canal instrument with contra-angle shaft with diameter 2.35 mm.
Mat. no. 1.008.1826
INTRA Endo head L62 (10:1) For contra-angle burs and root canal filler instruments
Mat. no. 1.008.1830
LUX reducing shank M29 L (7.4:1) Maximum treatment flexibility with 14 exchangeable heads Mat. no. 1.009.3580
SMARTmatic
ENDO S81 (8:1)
Green contra-angle for endodontics, max. drive speed: 40,000 rpm, for files with a shaft diameter 2.35 mm Mat. no. 1.011.6780
In surgical procedures, including implant treatment, a sense of safety regarding the surgical device carries a great deal of weight in terms of being able to concentrate on the surgical procedure.
While working with the KaVo EXPERTsurg LUX, I appreciate the compact design of this device and the foot control, which is also very compact. When performing an implant treatment, the dentist has to check the insertion direction from various positions and this means the position of the foot control has to be changed often. A very helpful feature is that you can move the foot control by hooking it over the top of your foot. This comfort accelerates the procedure and I work with better quality, because I can perform the procedure without distractions. Therefore I can work in a very concentrated manner.
Moreover, the surgery device of KaVo has an engine with an excellent sense of torque and constant rpm. These two features are very important for achieving high quality in dental surgery and implantology.
It is very important to choose a product that is highly reliable and that also has good usability, such as the KaVo EXPERTsurg LUX. It allows you to concentrate more on the procedure and it helps you to easily achieve good results.
Thanks to its numerous tips, SONICflex is a perfect partner for surgery work. All the tips available, which can be used for a wide range of indications, can be found on pages 48–54.
The KaVo MASTERsurg LUX Wireless surgical device helps you carry out dental interventions at a whole new level. The underlying philosophy is to help you deliver great performance on a daily basis — thanks to convenient features that make a real difference.
• Convenient thanks to the intuitive touchscreen display, the freely positionable wireless foot control and the data documentation feature with a graphic real-time display showing torque for quality control purposes
• Data can be saved to an SD card and transferred to patients’ files
• Can be customised with up to 10 programs, each with 10 freely programmable steps
• Powerful and precise thanks to the S600 LED, one of the world’s lightest surgical motors
• Maximum torque: 80 Ncm at the instrument, speed range: 0–40,000 rpm
Mat. no. 1.009.1200
(including INTRA LUX S600 LED, sterile hose set, motor cable and instrument tray)
EXPERTsurg LUX
The surgery system that offers high precision and power for greater safety and reliability. Work safely and with great precision thanks to one of the lightest and smallest micromotors and the unique self-calibration feature. Trust the high power levels available, based on 80 Ncm torque at the instrument, and save time thanks to intuitive programming of your work steps and parameters.
• One-touch self-calibration: you can perform automatic calibration in just a few seconds
• Intuitive user interface with symbols for instructions and a bright colour display
• Restriction of parameters based on indications
• Navigation during treatment via the foot control
Freely programmable work sequences and image-based representation of all program steps help simplify the work to be done
Mat. no. 1.008.3500
(including INTRA LUX S600 LED, sterile hose set, motor cable and instrument tray)
Surgical motor
INTRA LUX S600 LED
• Light and short motor delivering a high level of power
• Ergonomic operation thanks to 28% lighter and 20% shorter motor delivering the same level of power
• All-metal surface
• High power across the entire speed range of 0–40,000 rpm
Immediate, gentle start
• Motor torque: max. 5.5 Ncm
• Light: 25,000 lux
Mat. no. 1.008.8000
SURGmatic S201 XL Pro | S201 L Pro contra-angles (20 : 1)
• S201 XL Pro: Hexagon chuck system for a long service life and a max. torque of 80 Ncm
• S201 L Pro: Max. torque of 55 Ncm
• Optimized clamping system to avoid jamming tool shanks
• Removable head, easy to clean
EXPERTgrip for outstanding grip and easy hygiene
• Small head with internal cooling system as per Kirschner and Meyer
• External cooling via a coolant connection on the head
• Contra-angles with optimised toothing at the head and improved ball bearings
S201 XL Pro (with hexagon and light): Mat. no. 1.013.7541
S201 L Pro (with light): Mat. no. 1.013.7540
SURGmatic S201 Pro heads are only compatible with the corresponding SURGmatic S201 Pro bases.
All handpieces and contra-angles in the surgery portfolio come with a 12-month warranty.
MASTER series
SURGmatic handpiece S11 L (1:1)
EXPERTgrip, for handpiece burs with a length of 44.5 mm, can also be used with contra-angle burs, external coolant connection
Mat. no. 1.009.1010
INTRA LUX handpiece CL10 (1:1) Glass rod light conductor, for handpiece burs with a length of 44.5 mm, external coolant connection
Mat. no. 1.002.0911
INTRA surgical handpiece 3610N1 (1:1)
For handpiece burs with a length of 44.5 mm, external coolant connection, easy to dismantle Mat. no. 0.524.5600
EXPERT series
INTRA LUX contra-angle (27:1)
Glass rod light conductor, can be dismantled into head and shank, head with internal cooling system (as per Kirschner and Meyer), external coolant connection
CL3-09 Mat. no. 1.002.3693
Consisting of:
INTRA LUX surgical reducing head (3:1)
CL3 Mat. no. 1.001.8993
INTRA LUX surgical shank (9:1)
CL09 Mat. no. 1.001.9258
INTRA surgical handpiece 3610N3 (1:1)
For handpiece burs with a special length of 70.0 mm, external coolant connection, easy to dismantle Mat. no. 0.524.5620
INTRA surgical handpiece 3610N2 (1:1)
For handpiece burs with a special length of 62.5 mm, external coolant connection, easy to dismantle Mat. no. 0.524.5610
More than 50% of handpiece and contra-angle failures are caused by improper cleaning and care. With a few tips from us, you will be able to extend the service life of your KaVo instruments and avoid the most common defects.
1.1 Rotating instruments with shafts intact
We always recommend that you use burs that are approved by KaVo, otherwise the instrument may suffer significant damage. Damage includes defects involving the chuck system or bur shaft.
1.2 Comply with dimensions for cutters/grinders. For manufacturer information concerning the length, diameter, shaft shape and max. speed, please refer to the relevant instructions for use.
1.3 Removal of crowns and bridges/separation of crowns
Bur manufacturers offer crown separators to suit different crown materials. Please comply with the speeds recommended by the bur manufacturer. In the case of straight- or cross-toothed crown separators, these are often lower than for diamond-coated crown separators.
1.4 Never leave the bur in the chuck after a treatment. The chuck should not bear any load when stored, in order to prolong its service life. Storing instruments with burs in can lead to a risk of injury or infection.
1.5 Close the tensioning ring on the handpiece. Never start operating a straight handpiece while the chuck is open because:
The straight handpiece blocks.
• The chuck will block.
1.6 Never press the pushbutton during operation. Never press or wipe the pushbutton on the turbine or handpiece/ contra-angle while the instrument is rotating because this may cause:
• Excessive wear and tear on the drive/rotor
• Damage to the push-button/chuck
Never position the push-button close to the patient’s cheek. The friction between the push-button and the chuck system generates heat, which may cause burn injuries.
2. Ball bearings
Ball bearings must always be lubricated. Using other than original KaVo oils or applying insufficient oil to ball bearings causes excessive wear and tear and may lead to defects. To prevent any secondary damage, replace ball bearings regularly with original KaVo ball bearings.
4. Damage after dropping
4.1 Avoiding damage caused by dropping instruments
Visually inspect the instrument at the preparation stage for any changes in order to protect both the instrument and the patient.
4.2 Listen for the click when attaching instruments to the coupling. The instrument must be heard to click into place on the motor/ turbine coupling. Otherwise, it may not be secure and could fall and be damaged.
Surgical instruments require special treatment. After each use, clean the instrument immediately under lukewarm running water to remove all external soiling. Wherever possible, dismantle the instrument and clean the inside under lukewarm running water as well.
6. Care
• Automated care with the QUATTROcare PLUS
• Manual care with KaVo Spray
• Chucks must be treated at least once a week with KaVo Spray or in the QUATTROcare PLUS.
The instrument must never be immersed in a disinfection/ ultrasonic bath because:
• The ball bearings might be destroyed
• Other technical defects involving the instrument may occur
It is generally advisable to disinfect by wiping. If excessive disinfectant or a non-approved disinfectant is sprayed onto the instrument or the motor/turbine coupling, malfunctions may occur.
Important note regarding preparation: All information concerning correct preparation can be found in the „Instructions for use” for the relevant instrument.
Always use an instrument stand to store instruments after cleaning them (Mat. no.: 3.005.5204). Any excess residual oil will be able to drain away. Otherwise, the instrument may become too hot when used again, leading to further damage to ball bearings.
Your instruments will seem as good as new, thanks to the care provided by the QUATTROcare PLUS. The approved care process and just the right amount of oil act like a spa treatment for your instruments. They are lubricated perfectly, and ready to perform again.
KaVo QUATTROcare PLUS 2124 A 3x INTRAmatic short and 1x MULTIflex care coupling, with 1 can of QUATTROcare Plus Spray, care couplings for all the usual competitor instruments available as accessories, 12-month warranty
• Lubrication cycle for 4 instruments lasting just 1 min.
• Program-controlled, automated care process
Optimum lubrication, thanks to automatic, outletspecific, metered dosing
• Easy handling prevents erroneous care.
• Compressed-air blasting of transmission system and spray channels, using purging function
• No leakage of residual oil after lubrication has been performed
• Integrated chuck care program
Basic device complete with four couplings (1x MULTIflex/3x INTRAmatic short)
• Modern and ergonomic design
Mat. no. 1.008.3805
KaVo QUATTROcare Plus Spray
Care spray for use in KaVo QUATTROcare PLUS lubrication devices, environmentally friendly propellant, each contains 500 ml.
Pack. 2140 P (6 cans):
Country-specific Mat. no. 1.005.4525* or 1.011.5720**
KaVo CLEANspray/DRYspray
Cleaning and drying spray for validated intensive manual cleaning of the insides of instruments. Proven by experts to remove residual protein.
Pack. KaVo CLEANspray 2110 P (4 cans): Mat. no. 1.007.0579
Pack. KaVo DRYspray 2117 P (4 cans): Mat. no. 1.007.0580
KaVo CLEAN/DRYspray starter set 2116 P: Mat. no. 1.007.0573
Accessories:
INTRAmatic adapter (1 pc): Mat. no. 1.007.1776
MULTIflex adapter (1 pc): Mat. no. 1.007.1775
COMFORTdrive adapter (1 pc): Mat. no. 1.007.3350
Cleanpac packaging (10 pcs): Mat. no. 0.411.9691
KaVo Spray
Universal lubrication spray for manual lubrication of KaVo instruments, environmentally friendly propellant, each contains 500 ml.
Pack. 2112 A (6 cans):
Country-specific Mat. no. 0.411.9640* or 1.011.5721**
Accessories:
INTRA spray head (5 pcs): Mat. no. 0.411.9911
MULTIflex spray head (5 pcs): Mat. no. 0.411.9921
COMFORTdrive spray head (1 pc): Mat. no. 1.005.3154
Spray head for NSK turbines (1 pc): Mat. no. 1.005.8436
Spray head for Morita turbines (1 pc): Mat. no. 1.005.8275
Spray head for Sirona turbines (1 pc): Mat. no. 1.005.8365
Cleanpac packaging (10 pcs): Mat. no. 0.411.9691
KaVo spray portfolio for manual reprocessing of your dental instruments.
When a KaVo instrument needs a service, second best is just not good enough. It deserves the best — a KaVo Original Factory Repair. Fitting third-party parts can impair functionality (and therefore any treatment provided) as well as invalidate the KaVo warranty. A KaVo Original Factory Repair means only KaVo Original replacement parts are used. So ensure optimum treatment quality, unbeatable reliability and greater longevity at attractive fixed prices from KaVo.
You know how important quality is when it comes to the KaVo medical devices you use:
The use of KaVo Original replacement parts guarantees all components work together as efficiently and safely as possible and gives you the security of a factory warranty and an all-round service by KaVo
If KaVo medical devices are repaired with third-party replacement parts, this invalidates the KaVo operator licence and the warranty and liability is transferred to the party carrying out the repairs
Available in many countries:
our best service for dentists and dental technicians
KaVo Original Factory Repair direct from us (no third parties)
Knowledgeable, skilled and highly trained technicians with many years’ experience
Top quality through the use of KaVo Original replacement parts, tools and testing devices
• Fast returns to your practice
Our fixed price, your advantages:
Attractive fixed prices for almost all imaginable repairs
Full cost coverage for accepted warranty claims
Automatic pick-up and delivery of the KaVo BOX
• 1-year warranty on repairs and replaced parts
• Save time online at www.kavobox.com
KaVo BOX — Original Factory Repair is available in certain countries only. In all other countries, please contact your authorised KaVo dealer.
Making sure your KaVo instrument remains a KaVo instrument: KaVo
With online sales becoming increasingly common, there is a higher risk of people being offered counterfeit dental instruments that are advertised as KaVo Original products but which are actually marked with forged CE markings. Any instruments with counterfeit or non-original replacement parts may prove damaging to health and present a risk to both treatment personnel and patients.
Quality at a glance: how to spot counterfeit instruments!
It can often be difficult to spot counterfeit instruments at first sight because the packaging and labels are only very slightly different. But the technical quality of these fakes differs significantly from the original. Also, counterfeit products violate industrial property rights and the copyright.
Quality comes at a price, but it’s fair to say that a fake could prove much more costly in the end!
To prevent potential harm to patients and dentists, we will continue to pursue a hard line against counterfeits. We would also ask you — for your own safety too – to let us know if you notice any instruments being offered which might be counterfeit. Please email us at tm.reporting@kavo.com
Many thanks!
You can be sure of getting original KaVo quality from approved KaVo dealers. All addresses can be found at www.kavo.com/kavo-dealers-worldwide
Not genuine means genuinely dangerous! Counterfeit products present a health risk.
KaVo treatment units and lights, dental chairs, patient communication systems and additional operatory accessories
Dental straight and contra-angle handpieces, turbines, air polishing systems and small equipment for all application areas including diagnosis, prophylaxis, restorative, surgery, endodontics and instrument care
The products, features and services shown and described in this catalogue are not available in all countries. All specifications were correct at the time of publication. KaVo Dental GmbH assumes no liability for deviations in colour or form from the illustrations, mistakes or printing errors and reserves the right to make changes to the brochures at any time. Reprinting, even just of excerpts, is only permitted with the consent of KaVo Dental GmbH.