
11 minute read
Clinical
Simple adhesive luting in everyday practice
José Ignacio Zorzin1
1 José Ignacio Zorzin P.D. Dr. med. Dent Research Assistant and Dentist, Dental Clinic 1 (Preventive Dentistry and Periodontology), University Hospital of Erlangen, Germany
Introduction
Self-adhesive resin cements facilitate the adhesive bonding of indirect restorations. When using these materials, no pre-treatment of the hard tooth substances is necessary. Self-adhesive resin cements have a wide indication spectrum, but in everyday practice you have to resort to conventional adhesive cementation in some cases. As a result, you have to procure both a self-adhesive cement and a conventional composite cement and select your cement per case. Universal self-adhesive resin cements are an interesting solution to this problem. They can be used as self-adhesive resin cement and - in combination with an associated primer - also as a conventional adhesive resin cement.
The following clinical cases show the possibilities of using a universal self-adhesive resin cement (G-CEM ONE, GC Europe). The first case shows the self-adhesive cementation of a monolithic zirconium oxide bridge and the second case the conventional adhesive cementation of two lithium disilicate inlays (Initial LiSi Press, GC Europe).
Case 1 The endodontically treated tooth 24 had to be extracted due to a root long fracture. It was decided to fill the gap by means of a three-unit monolithic zirconia bridge. After adhesive restorative therapy of abutment teeth 23 and 25, these teeth were prepared with an isogingival finish line (chamfer). After taking the impression, a provisional restoration was made, luted with a eugenol-free, temporary cement (Freegenol, GC Europe) and cleaned (Fig. 1). No eugenol-containing cement should be used to fasten the provisional restoration, as eugenol impairs the polymerization and adhesion of adhesives and composites.
After completion, the monolithic zirconia bridge was inserted (Fig. 2). For this purpose, the temporary solution was removed and then all remains of the luting cement were removed with a scaler and a polishing cup with pumice slurry (Fig. 3). The colour effect, accuracy of fit and occlusion of the bridge were checked (Fig. 4). Prior to adhesion, all intaglio surfaces of the restoration must be clean and slightly roughened. Saliva, in particular, adheres very strongly to the oxide ceramic due to its polarity and must be thoroughly removed. Cleaning with alcohol is unfortunately ineffective and phosphoric acid is absolutely contraindicated. In the case of zirconium oxide, the adhesive surfaces are cleaned and roughened after the try-in by sandblasting with aluminum oxide powder (35 µm grit) at low pressure (approx. 1.5 bar). Ideally, this is done chair-side (e.g. Airsonic Mini Sandblaster, Hager and Werke). For this purpose, it is advisable to mark the surfaces to be treated, as in the present case, with a waterproof felt-tip pen (Fig. 5) before they are sandblasted (Fig. 6). Alternatively, if the restoration has already
Fig. 1: Temporary restoration from teeth 23 to 25 Fig. 2: Monolithic zirconia bridge to be luted Fig. 3: Abutment teeth 23 and 25, thoroughly cleaned





Fig. 4: Try-in of the restoration
5a 5b
Fig. 5: The intaglio surface was marked with a black felt-tip pen as a visual control

6a 6b

Fig. 6: After sandblasting the intaglio surface, the black marking had entirely disappeared
been roughened in the laboratory, you can use a restoration cleaner after the try-in (e.g. Ivoclean, Ivoclar Vivadent or Katana Cleaner, Kuraray Noritake).
Before the relative isolation of the work area, with cotton rolls and parotid absorbent pad, the tooth abutments were cleaned again and then checked for contamination with saliva and blood. For insertion with the self-adhesive resin cement, the dentine must not be overdried, but must appear semi-moist. In this case, a “re-wetting” was necessary. For this purpose, a microbrush was sprayed from a distance with air-water spray. With the microbrush prepared in this way, the tooth was moistened.
In order to prevent premature light polymerization of the self-adhesive resin cement during insertion, the ambient light was reduced. Then, G-CEM ONE was applied on the inner crown surfaces (Fig. 7a and b) and the bridge was inserted with strong pressure (Fig. 8).
The tack-cure technique was used for the clean-up. For this

7a 7b

Fig. 7: Cementation with the universal self-adhesive resin composite G-CEM ONE (GC Europe) Fig. 8: Insertion of the bridge with strong pressure


Fig. 9: Tack-curing the excess cement for 1 s to give it an instant rubbery consistency Fig. 10: Excess removal with a probe Fig. 11: Occlusal view after cementation



Fig. 12: Vestibular view after cementation purpose, the light guide of the curing light was waved over the excess cement for 1 second (Fig. 9) until it reached a rubber-like consistency. The hardened excess cement could be easily removed with a scaler (Fig. 10). Reaching a good consistency for excess cement removal depends on the lightcuring unit being used. Therefore, one should practice in advance to find the best combination of time, intensity, and distance of the curing light in use.
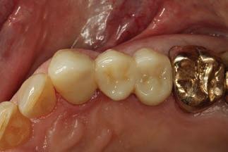
After complete removal of the excess cement, the adhesion, occlusion and articulation movements were checked (Figs. 11 and 12).


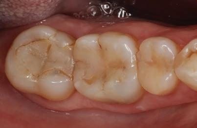
Fig. 13: Deficient restorations on teeth 46 and 47 Fig. 14: After removal of the caries and the old restorations

Case 2 During a check-up, it was found that the restorations on teeth 47 and 46 were deficient (Fig. 13). Under local anesthesia and rubber dam isolation (isodam, Sigma Dental Systems), the restorations and caries were removed. Using the rubber dam has several advantages in this clinical situation: increased patient comfort, infection prophylaxis for the treatment team, a perfect overview and thus time-saving. Due to the pronounced oro-vestibular expansion of the cavities in the approximate region, it was decided to restore the teeth indirectly with glass-ceramic restorations (Fig. 14). A two-bottle universal adhesive (G2-BOND Universal, GC Europe) was applied to the dentine portions of the cavities (self-etch mode; Fig. 15), gently blown and light-cured (Fig.

15a 15b

Fig. 15: Application of the two-step adhesive G2-BOND Universal Fig. 16: Light-curing of the adhesive




Fig. 17: After cavity preparation for indirect glass ceramic restorations
18a
Fig. 18: Inlays made from Initial LiSi Press
18b


Fig. 19: Try-in of the inlays Fig. 20: The restorations were etched with hydrofluoric acid Fig. 21: Preparing the restoration surface to be bonded with G-Multi PRIMER

21a
21b




24a 24b

Fig. 24: Application of G-CEM ONE Adhesive Enhancing Primer ensures immediate high bond strength Fig. 25: The preparations are ready for cementation


Fig. 26: Seating of the inlay Fig. 27: Excess removal with a probe Fig. 28: Light-curing of all margins



Fig. 29: After finishing of the margins Fig. 30: Immediately after removal of the rubber dam. The teeth are still slightly dehydrated.
16). Finally, undercuts and irregularities were blocked using a composite (G-ænial Universal Injectable A3, GC Europe) and the cavities were prepared (Fig. 17). An impression was made using the two-step technique and provisionals were made. These were, as described above, luted with a eugenolfree, provisional cement (Freegenol) and cleaned.
The restorations were made from a lithium disilicate press ceramic and characterized (Initial LiSi Press, shade A3-MT and Initial IQ Lustre Pastes ONE, GC Europe; Fig. 18).
After having removed the provisional restorations and having thoroughly cleaned the cavities, the restorations were tried in and checked for fit and aesthetics (Fig. 19). This should be done under rubber dam to minimize the risk of incidental aspiration and to protect the ceramic from damage if the patient would bite on it. Evidently, the aforementioned good reasons for rubber dam remain also valid.
After the try-in, the adhesive surfaces of the inlays were etched with 5% hydrofluoric acid for 20 seconds (IPS Ceramic Etching Gel, Ivoclar Vivadent; Fig. 20). Etching creates a clean surface with a retentive micro-relief. To reconcile the hydrophilic glass ceramic with the rather hydrophobic resin cement, the etched surfaces were silanized with a universal

primer (G-Multi PRIMER, GC Europe, Fig. 21).
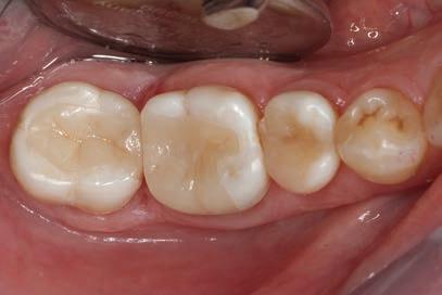
After pre-treatment of the restorations, the enamel surfaces of the cavity were etched with 35% phosphoric acid gel for at least 15 sec. (Fig. 22), then thoroughly rinsed with water spray and dried with compressed air (Fig. 23). Due to the glass-ceramic and the non-(macro)retentive preparation, the adhesive attachment of the inlays was carried out with the universal self-adhesive resin cement in combination with its corresponding primer (G-CEM ONE and G-CEM ONE Adhesive Enhancing Primer, GC Europe). The primer was applied with a brush to the prepared enamel and dentine surfaces (Fig. 24, left to rest for 10 s and dried for 5 s at maximum air pressure (Fig. 25). At this time, the intensity of the operation light and ambient light was reduced to prevent premature setting of the universal self-adhesive resin cement. The Adhesive Enhancing Primer contains a chemical initiator for G-CEM ONE. When G-CEM ONE comes into contact with the primer, the setting reaction is accelerated. For this reason, the inlay was first seated on tooth 47 (Fig. 26) and thereafter the inlay on 46. After insertion, the cement was tack-cured as described above. The excess cement was thoroughly removed (Fig. 27) and then extensively light-cured (Fig. 28). Before removing the rubber dam, the margins were finished with polishing discs (Sof-Lex, 3M) and polishing strips (Epitex, GC Europe) (Fig. 29). After removal of the rubber dam, the occlusion and articulation check was carried out (Fig. 30).
Conclusion The presented cases show how - with a universal selfadhesive resin cement - indirect restorations can be attached in a self-adhesive as well as conventional adhesive manner. Hence, universal self-adhesive resin cements simplify adhesive cementation in everyday practice.
Reprinted with permission GC get connected
UPCOMING CPD COURSES AND EVENTS
Explore over 270 hours of clinical and business related content all in one place with access to courses, webinars, podcasts and articles. View our upcoming courses and webinars below.

Dr Gordon Christensen Clinical Courses
Insight Hyaku100
Dr. Gordon J. Christensen Access courses online until January 2023 7 CPD Credit Saturday 18 February 2023
READ MORE READ MORE

Business Booster Panel Discussion
Hosted by Mike Covey Wednesday 2 November FREE Webinar
READ MORE
Why you should use Reveal Clear Aligners

Dr Bruce McFarlane 1 CPD Credit | FREE Webinar Monday 7 November
READ MORE
UPCOMING CPD COURSES AND EVENTS
Explore over 270 hours of clinical and business related content all in one place with access to courses, webinars, podcasts and articles. View our upcoming courses and webinars below.

Zirconia bio-design with KATANA
Daniele Rondoni 1 CPD Credit | FREE Webinar Tuesday 8 November
READ MORE

Learn how 3D printing is redefining chairside dentistry | VIC
Jeroen Klijnsma 5 CPD Credits | $450 Wednesday 9 November
READ MORE
Minimally invasive veneer preparation & full mouth rehabilitation

Dr. Felix Wöhrle 1 CPD Credit | FREE Webinar Thursday 10 November
READ MORE

Implant CPD ‘BITES’ WA
Tabitha Acret 1.5 CPD Credits Thursday 17 November
READ MORE