
5 minute read
Case Report
Treatment of a young patient with zirconia veneers
Daniele Rondoni1 and Enzo Attanasio2
Veneers made of zirconia? In some cases, like the one presented below, monolithic zirconia veneers may be an option. Reasons for selecting a latest-generation zirconia such as “KATANA™ Zirconia” YML include its very high trunslucency and a wall thickness of only 0.3 to 0.4 mm supporting minimally invasive tooth preparation. Due to highly automated production procedure, the manual effort involved may be reduced, while highly asthetic outcomes are possible.
1 Daniele Rondoni, MDT Savona, Italy
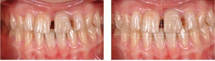
2 Enzo Attanasio, DDS Lamezia Terme, Italy Figure 1: Initial situation: Young female patient with misshaped and misaligned maxillary incisors. Figure 2: Digital smile design revealing the ideal proportions and positions of the anterior teeth.

Figure 3: Ideal tooth proportions and positions displayed over a picture of the teeth after orthodontic treatment and the creation of a mock-up. The positions are ideal and the tooth shapes obtained with the mock-up only need some minor adjustments. Figure 4: Detailed view of the maxillary teeth with the ideal shapes blended in. The decision is made to produce six veneers made of “KATANA™ Zirconia” YML for definitive treatment.

Figure 5a: Digital impression of the maxillary teeth with mock-up imported into the design software. Figure 5b: Digital model of the maxilla in the CAD software with full-contour veneers designed for the incisors and canines according to the ideal shapes planned with digital smile design.

Figure 6a: Occlusal view of the virtual model. Figure 6b: Occlusal view of the model with the designed veneers.

Figure 7a: Facial view of the patient with the mock-up in place. Figure 7b: Facial view of the patient with the planned veneers blended in.
RONDONI / ATTANASIO

Figure 8: Guided tooth structure removal with the aid of a silicone index. The minimum wall thickness of the selected material - “KATANA’” Zirconia” YML- is 0.4 mm. Figure 9: Maxillary teeth immediately after minimally-invasive tooth preparation.

Figure 10: Matched digital impressions of the maxilla and mandible taken after the tooth preparation. Figure 11: Digital impression: occlusal view of the maxillary teeth.

Figure 12: Virtual veneers ready to be milled. Figure 13: Pre-sintered veneers made of “KATANA™ Zirconia” YML.

Figure 14: Zirconia veneers on the resin model after sintering. Figure 15: Monolithic zirconia restorations on the resin model after the 7-hour final sintering.

RONDONI / ATTANASIO

Figure 16: Frontal view of the master cast with the six veneers individualized with the liquid ceramic system CERABIEN’” FC Paste Stain. Figure 17: Lateral view of the veneers on the master cast.


Figure 18: Tooth-like translucency of the veneers on the model. Figure 19: The minimal wall thickness of 0.4 to 0.6 mm and the positioning of the veneers in the upper (enamel) part of the blank are responsible for this effect.

Figure 20: Veneers made of “KATANA’” Zirconia” YML ready for try-in. Figure 21: Intra-oral try-in with two different shades of the “PANAVIA’” V5” Try-in Paste: A2 is used in the right and Clear in the left quadrant.

Figure 22: Cleaning of the tooth structure with pumice paste after try-in. Figure 23: Thorough rinsing with water to remove any paste residues.

RONDONI / ATTANASIO

Figure 24: Etching of the prepared tooth structure with phosphoric acid etchant. Figure 25: Clean, isolated central incisors ready for adhesive cementation.

Figure 26: Sandblasting of the veneer’s intaglio with alumina oxide (particle size: 50 μm, pressure: 2 bar). This kind of surface conditioning treatment is recommended for zirconia, as it creates the desired micro-retentive surface structure favourable for adhesive bonding1 . Figure 27: Application of “CLEARFIL™ CERAMIC PRIMER” PLUS to the bonding surface of the veneers (followed by mild airdrying).

Figure 28: Treatment of the etched tooth structure with “PANAVIA™ V5” Tooth Primer (followed by mild air-drying). Figure 29: Application of “PANAVIA™ V5” Paste (shade A2) to the bonding surface of the veneers.
RONDONI / ATTANASIO

Figure 30: Close-up view of the restoration margin during cementation. Working field isolation is a key success factor of adhesive procedures. Figure 31: Lateral view of the cemented veneers. The result is a natural surface texture, which contributes to a natural appearance of the restorations.

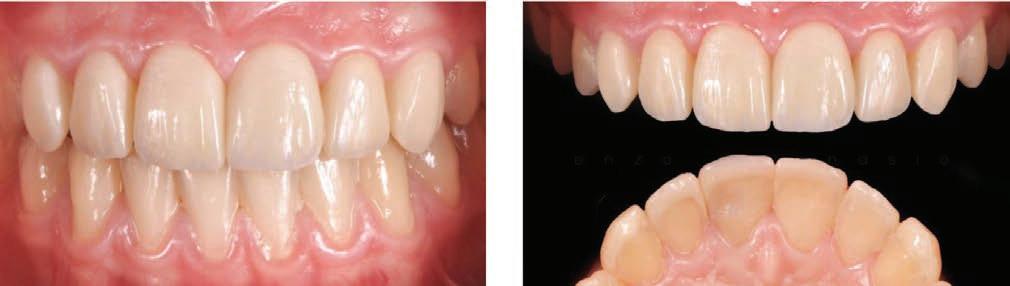
Figure 32: Frontal view of the veneers in place. Figure 33: Treatment outcome immediately after rubber dam removal.

Figure 34: Treatment outcome with healthy soft tissues two weeks after treatment. Figure 35: Gums are healthy and the restorations show a great optical integration with the adjacent posterior teeth.
References 1 Nishigawa G, Maruo Y, Irie M, Maeda N, Yoshihara K, Nagaoka N, Matsumoto T, Minagi S. Various Effects of Sandblasting of Dental Restorative Materials. PLoS One. 2016 Jan 14;11(1):e0147077.