Achord Brochure

Page 1

Simplicity, aesthetics and performance
G-ænial® A’CHORD The advanced universal composite with unishade simplicity
in your hands

G-ænial A’CHORD revolution from GC

With more than 100 years of experience in serving dentistry and over one billion composite restorations worldwide, GC introduces its proprietary High-performance Pulverised CERASMART (HPC) filler and FullCoverage Silane Coating (FSC) technologies with its latest universal composite G-ænial A’CHORD which brings together simplification, invisible fillings, natural fluorescence and advanced technologies in one syringe

A’CHORD Simplification

• simplified unishade system

• simplified handling

• simply universal

A’CHORD Aesthetics

G-ænial

A’CHORD

• natural fluorescence

• long-lasting gloss

• extreme challenges

A’CHORD Revolutionary technology

• proprietary filler and coating

• high stain and wear resistance

• excellent radiopacity

G-ænial A’CHORD is a universal composite that delivers long lasting*, invisible restorations*. Designed to save time and therefore costs, it brings together superior technology in a straightforward product. Now you can feel truly confident using a material with effortless handling even in challenging cases.

Impress your patients with this simplified solution.

A’CHORD Simplification

Simplified unishade

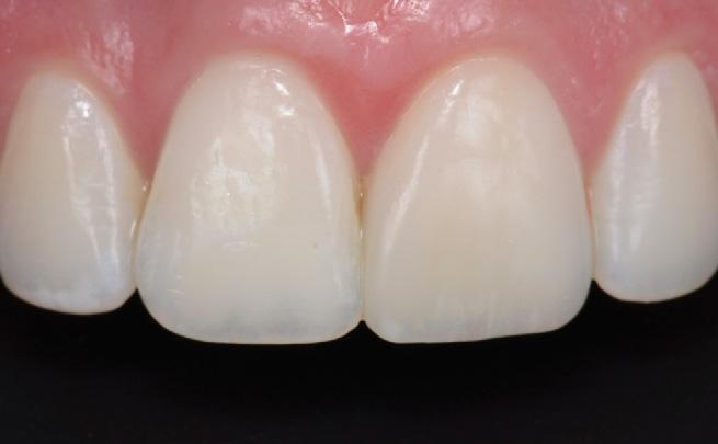
G-ænial A’CHORD always delivers more: a simplified unishade system of 5 core shades that achieves the aesthetics of the 16 classic Vita shades with ease. With this reduced inventory, you will save time and costs. Its unique filler technology mimics natural light reflection resulting in impressive invisible restorations.

Simplified handling

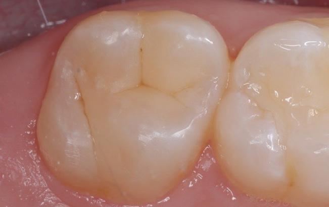
G-ænial A’CHORD provides consistently simplified handling, whether sculpting with a hand instrument or using a brush. This is enabled by the non-sticky Bis-MEPP monomer and optimised filler-monomer combination of proprietary FSC and HPC technology (GC data on file).

Simply universal

G-ænial A’CHORD offers the combination of aesthetics and strength for both anterior and posterior restorations in one straightforward package.

A1 l A3.5 l A4 l A2 l A3 l
Images courtesy of Dr A. Mak, Australia Images courtesy of Dr Y. Choi, Australia

A’CHORD Aesthetics

Natural fluorescence

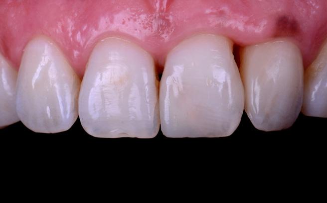
G-ænial A’CHORD creates a beautifully invisible and naturally fluorescent end result under any lighting conditions, including black light, giving patients a truly confident smile

Long-lasting gloss

G-ænial A’CHORD polishes exceptionally* and retains a high gloss* thanks to its specialised proprietary technology with uniform nanofiller distribution and high filler load.

Time-saving results: The remarkable high gloss achieved with minimal polishing. Before polishing After polishing

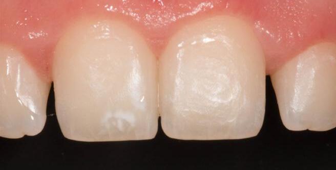
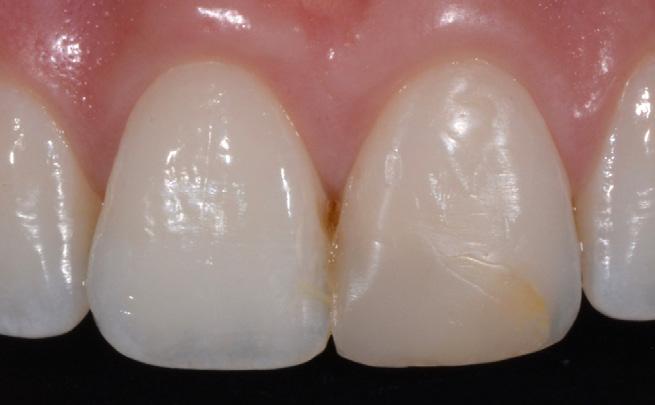
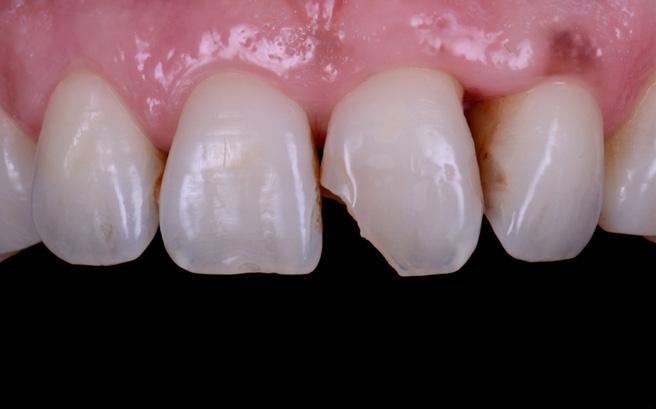
Invisible aesthetics even for extreme challenges

In addition to its 5 core shades G-ænial A’CHORD extends its portfolio with 2 cervical shades for elderly patients, 3 opaque for masking discolouration, 2 enamel for life-like translucency and 2 bleach shades for brighter smiles, thus making it possible to create invisible fillings even for extreme challenges.

* Source: GC R&D, Japan, 2020. Data on file.

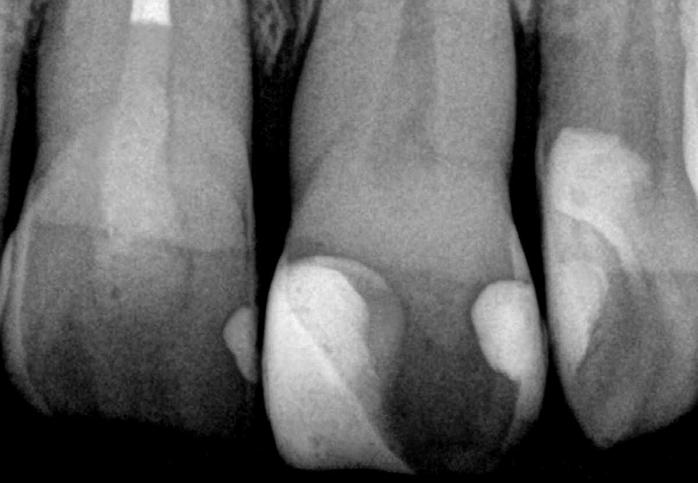
G-ænial A’CHORD Images courtesy of J. Tapia Guadix, Spain Images courtesy of Dr W. Boujemaa, France Images courtesy of Dr G. Benjamin, Germany G-ænial A’CHORD veneer on tooth 11 Near-UV 405 nm initial situation Conventional composite veneer on tooth 11

A’CHORD Revolutionary technology

Proprietary filler and coating

G-ænial A’CHORD represents another significant step forward in the advancement of composite materials. It is the combination of two remarkable proprietary technologies created by GC; Full-Coverage Silane Coating (FSC) and High Performance Pulverised CERASMART (HPC). The result? The ideal synergy between advanced physical properties such as wear resistance*, gloss retention* and low discolouration1 with simplified handling, providing the clinician excellent adaptation to the cavity preparation. Reducing placement time, it provides excellent marginal integrity and consistently yields natural-looking restorations!

1. Mizukami et al. IADR2020. Evaluation of Water Sorption and Colour Stability of Paste-Resin Composite. J Dent Res. 2020;99 Spec Issue A: #2471.

*Source: GC R&D, Japan, 2019. Data on file.

SEM comparison of different composite materials.

Source: GC R&D, Japan, 2020. Data on file.

Source: GC R&D, Japan, 2020. Data on file. G-ænial A’CHORD High Strength and Radiopacity

strength [MPa] value

Source: GC R&D, Japan, 2020. Data on file.

Radiopacity (318 % Al) optimizes the radiographic follow-up over time.

200 180 160 140 120 100 80 60 40 20 0
Flexural
Product
Product
G-ænial A’CHORD A Product B Product C D
G-ænial A’CHORD Product A Product B Product E Discolouration (∆E) value after immersion in red wine (37°C, 1week) 25 20 15 10 5 0 G-ænial A’CHORD Product A Product B Product C Product D
High Stain and Wear Resistance 3-Body wear [μm] value 18 16 14 12 10 8 6 4 2 0 G-ænial A’CHORD Product A Product B Product C Product D
Image courtesy of Dr W. Boujemaa, France
G-ænial A’CHORD

Kit

G-ænial A’CHORD Layering Syringe Kit

G-ænial A’CHORD Layering Unitip Kit

G-ænial A’CHORD Universal Trial Syringe Kit

G-ænial A’CHORD Universal Trial Unitip Kit

G-ænial A’CHORD Bleach Syringe kit

Refill

G-ænial A’CHORD A1

G-ænial A’CHORD A2

G-ænial A’CHORD A3

G-ænial A’CHORD A3.5

G-ænial A’CHORD A4

G-ænial A’CHORD A5

G-ænial A’CHORD A6

Content

A2; A3; AO2; AE; JE

A2; A3; AO2; AE; JE

A2 x 2, A3 x 1

A2 x 2, A3 x 1

BW, BOW,JE

Catogory

Standard

Standard

Standard

Standard

Standard

Standard

Standard

G-ænial A’CHORD AO1 Opaque

G-ænial A’CHORD AO2 Opaque

G-ænial A’CHORD AO3 Opaque

G-ænial A’CHORD JE (Junior Enamel) Enamel

G-ænial A’CHORD AE (Adult Enamel) Enamel

G-ænial A’CHORD BW (Bleach) Bleach

G-ænial A’CHORD BOW (Opaque Bleach) Bleach

Related products

G-Premio BOND Universal bonding agent

G2 BOND Universal Universal 2-bottle bonding system

G-ænial® Universal Injectable High-strength Injectable restorative

Composite Manipulation Brush

Available in packs: 2x brush handle 10x brush tips flat 10x brush tips round

T: +61 2 9301 8200 E: info.australasia@gc.dental www.gcaustralasia.com GC Australasia Dental Pty Ltd 1753 Botany Road Banksmeadow NSW 2019 Australia
G-ænial A’CHORD is a trademark of GC.

Turn static files into dynamic content formats.

Create a flipbook
Issuu converts static files into: digital portfolios, online yearbooks, online catalogs, digital photo albums and more. Sign up and create your flipbook.