
1 minute read
A’CHORD Aesthetics
from Achord Brochure
Natural fluorescence
G-ænial A’CHORD creates a beautifully invisible and naturally fluorescent end result under any lighting conditions, including black light, giving patients a truly confident smile


Long-lasting gloss
G-ænial A’CHORD polishes exceptionally* and retains a high gloss* thanks to its specialised proprietary technology with uniform nanofiller distribution and high filler load.


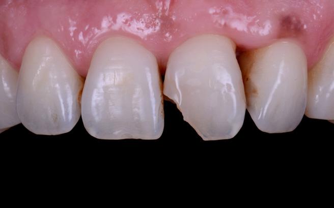
Invisible aesthetics even for extreme challenges
In addition to its 5 core shades G-ænial A’CHORD extends its portfolio with 2 cervical shades for elderly patients, 3 opaque for masking discolouration, 2 enamel for life-like translucency and 2 bleach shades for brighter smiles, thus making it possible to create invisible fillings even for extreme challenges.





