
1 minute read
A’CHORD Simplification
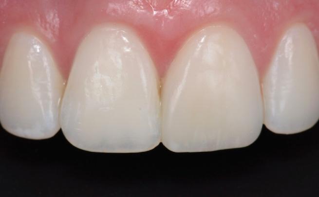
from Achord Brochure
Simplified unishade
G-ænial A’CHORD always delivers more: a simplified unishade system of 5 core shades that achieves the aesthetics of the 16 classic Vita shades with ease. With this reduced inventory, you will save time and costs. Its unique filler technology mimics natural light reflection resulting in impressive invisible restorations.
Simplified handling
G-ænial A’CHORD provides consistently simplified handling, whether sculpting with a hand instrument or using a brush. This is enabled by the non-sticky Bis-MEPP monomer and optimised filler-monomer combination of proprietary FSC and HPC technology (GC data on file).

Simply universal
G-ænial A’CHORD offers the combination of aesthetics and strength for both anterior and posterior restorations in one straightforward package.











