December 2022 Happenings Magazine

Page 1

Sarah needed specialized surgery only Lehigh Valley Hospital–Pocono could handle. After the procedure revealed cancer, the team at Dale and Frances Hughes Cancer Center provided Sarah with lifesaving care. As part of Lehigh Valley Topper Cancer Institute – the only local member of the Memorial Sloan Kettering Cancer Alliance – our cancer center offers advanced treatments and trials close to home.

I wouldn’t go anywhere else.

INBOX

Dear Happenings,

I want you to know I enjoy every issue of Happenings! We are so fortunate to have access to such a great, informative book to tell us what’s going on in the area, such as stories of happiness, awards, etc. I look forward to receiving my copy each month, as my daughter does too. You do a great job!

Dear Happenings,

The September 2022 issue was great. The cover story was very interesting, as well as the wedding couples, especially as to where and how they met. Happenings is a great magazine. I enjoy it very much.

Dear Happenings,

Your article (Live, Love Sandwich, August 2022) brought me back to a few bygone days when liverwurst was king: (1) During my third pregnancy, I ate liverwurst on a toasted bagel with mayo every single day for lunch. While I look back in horror, I know I was just satisfying my craving, and my third son is no worse the wear for my strange dietary habit; and (2) We took my now-deceased motherin-law to Smith’s for liverwurst sandwiches, too! Even after she passed, I would occasionally return to Smith’s for the nostalgic meal.

I bet these aren’t the only liverwurst sandwich memories your readers will share – thanks for the article.

Dear Happenings,

It was a pleasure working with you! I speak for all of us in expressing our appreciation for an excellent article on Mrs. Tressler and the Deutsch Institute. Thank you!

Publisher Art Director

Associate Art Director

Director of Social Media Contributors

Paula Rochon Mackarey

Lisa Kalaha Ragnacci

Peter Salerno

Mary Joyce Christine Fanning Ben Freda

Account Representative

Linette Manley

l_manley@happeningsmagazinepa.com (570) 878-5009

On the Cover: Western Wayne High School student, Anjali de Leon-Bello, captures the essence of the sights and sounds of the season.

Published Monthly. Also read at HappeningsPA.com ©2022 HAPPENINGS MAGAZINE

All rights reserved. No part of this publication may be reproduced by any process except with written permission.

Happenings Magazine published since 1969 Phone: (570) 587-3532

the services provided by the Deutsch Institute. “Jeff comes in, sets up and then moves things out the next day,tak- ing a huge load off our plates.” When asked why she continued to serve with the Deutsch Institute she replied, “this organization makes a world of difference in the lives of those who participate in the activities.” No matter what resources they had at the time,the Tresslers knew that being thankful meant giving back to the community. The event helps to raise...awareness of how the organization serves its participants – adults over age 18 who have special needs or,as they like to refer to it,“diverse abilities.” October 2022 HappeningsPA.com The event he just funds,bu of how the o serves its pa over age 18 needs or,as to it,“diver are anythi physical.D leagues,a small cru activities facilitate bound y begin b institut win m comp state. neve oppo Duri inst hol me ap so O c t The Deutsch Institute was founded in Scranton in 1979 by a group of dedicated and passionate individuals. Joyce and her husband,the late DavidTressler who passed away in 2020,began serving together with the Deutsch Institute shortly after moving to the region fromWestern Pennsylvania in 1975.The couple moved here when Dave became an executive vice president with Northeastern Bank of Pennsylvania. Dave and Joyce met in 1956 while both attended Penn State,where they both were pursuing degrees in education.When Dave took the position with the bank,Joyce recalled that“...it was expected that bankers would give back to their community,and Dave wanted me to join him in his work with several organizations.” Joyce said that her training as a teacher may have contributed to her ability to effectively organize and manage events for large groups of people. Mrs.JoyceTressler has spent her life serving the community.On October 30,2022, she will be honored at the Champagne Celebrity Brunch by the Deutsch Institute along with her dear friend, the late Roseann Novembrino,for more than four decades of dedication to the organization.The Deutsch Institute is dedicated to developing and expanding recreational and leisure activities for those with special needs. The Deutsch Institute began hosting its annual fundraiser, dubbed“Celebrity Brunches,”in 1984.The idea was that recognizable members of the community would“serve”brunch to guests.“Local celebrities”who were recruited to serve over the years included members of the media,politicians,health care CEOs,postmen/women,college presidents,etc.“We tried to get folks who would be recognizable to the brunch guests,” Joyce recalls. This year,the Champagne Celebrity Brunch committee decided that the“true regional celebrities”are the remarkable people like Joyce who selflessly gave of their time for decades to make the annual event a highly anticipated and effective fundraiser. Honoring a Lifetime of Service
Straub 42 HappeningsPA.com October 2022 4 December 2022
Photo:Michael
DECEMBER 2022 5 10 The Northeastern Pennsylvania Philharmonic The Sights and Sounds of the Season 24 Yuletide Fun and Entertainment Film Festivals, Theatre, Holiday Light Displays 38 A Look at Christmas Past A Holiday Stroll Down Memory Lane 62 A Few of Our Favorite Things Seizing the Christmas Spirit! 92 Two All Beef Patties... National Burger Day Whose Burger is Best? Photo: James Ruane ©

Stonehedge Golf Course- Dec. 1-31 Festival Of Lights

Dietrich Theater, 12 Movies of Christmas, Dec. 2-15

Village, Dec. 1- Jan.1

Shawnee Playhouse, Dec. 1-18, Christmas Carol

Broadway Theater, Dec. 2-4, Scranton

Cultural Center

Laceyville Oldest House Annual Christmas Tea Dec. 2-4

Market, Dec. 3-4 Outdoor Market

Bach and Handel Chorale, Dec. 3rd St. Joseph's Catholic Church, Jim Thorpe, PA

Hawley Winterfest, Dec. 9-11

Bach and Handel Chorale, St. Paul's Church, Tannersville, PA NEPA Philharmonic’s Holiday Concert, Dec. 9-10

Bach and Handel Chorale, St. Paul's UCC, Trexlertown, PA

Hanukkah Begins (ends the evening of Dec. 26)

National Egg Nog Month National Pear Month Root Vegetables and Exotic Fruits Month Aids Awareness Month National Tie Month 30 20 22
19 13 24 23 18 9 16 21 12 28 29
27 6 7 4 26 5 8
Lackawanna County Arts, Shop Small on the Square, Dec. 2, 3 & 4
11
31 25 15 17
Theatre, A Christmas Carol, Dec. 1-28
National Hamburger Day
10
Christmas Day Kwanzaa Begins Boxing Day (Canada) New Year’s Eve National Champagne Day National Fruit Cake Day december sunday tuesday wednesday thursday friday saturday 14 6

May

As a dual-certified specialist in both Periodontology and Prosthodontics, Dr. Kristen Frantz brings a high-level of training to the patients of Northeastern PA.

A prosthodontist has specialty-level training in rebuilding the functional and esthetic components of compromised smiles.

As a board-certified periodontist, Dr. Kristen has extensive training in periodontal regenerative therapies, cosmetic periodontal procedures and placement of dental implants.

Dr. Kristen practices with her father, Dr. Bryan Frantz, and Dr. Thomas Langan in a multispecialty group where complex surgical and restorative dental treatment is completed in a state-ofthe-art facility using the latest technologies and therapies.

She is married to Brendan Matthews, an oral and maxillofacial surgeon practicing in the area.

Your
be
and
1039 O’Neill Hwy Dunmore, PA, 18512 P: 570-344-3344 711 Church St. Honesdale, PA 18431 P: 570-253-3210 www.periohealthpros.com
Smile
Merry
Bright!
Dr. Kristen Frantz

Dear Readers,

Last December as we left the holiday performance of the Northeastern Pennsylvania Philharmonic (held at the Scranton Cultural Center), I couldn’t stop realizing how blessed we were to have such world-class entertainment available and affordable just minutes from our home. For the previous year (pre-pandemic, December 2019) my family and I ‘traveled’ to the holiday performance at the Kirby Center in Wilkes-Barre, a whole 19 miles away! We left equally joy-filled, retaining terrific memories of an incredible event.

In September of this year a friend and I took our teenage daughters, one of whom plays piano and the other, violin, to the Philharmonic’s Broadway themed performance that was held at Scranton Prep. We both remarked afterward that although we were tired after a busy Friday, we were so very glad that we didn’t cancel our plans. Each number was perfection.

I have enjoyed the Philharmonic since I was a young teen when my older sister Susie would take me. Until working on this issue however, I honestly didn’t realize the high level of world class musicians that have made this organization so outstanding. With experience at such esteemed institutions as Harvard, Stanford and Cambridge, it is amazing that we can find such talent without traveling far at all!

The month of December includes many wonderful opportunities to experience a myriad of local entertainment. In addition to music and ballet, enjoy live theatre, a Christmas Film Festival, Drive Through Light Festivals and soooo much more!

What ever way you choose to celebrate in December, we wish you a peaceful, happy and healthy month. Make a list of everything you would like to experience and try to support those who work hard to provide these opportunities for us to enjoy. You will be so glad you did.

Sending love to you and your families, Paula

8

The Festive Sounds of the Holidays

Northeastern Pennsylvania Philharmonic

Ring in the Holidays by enjoying the festive sounds of the Philharmonic’s Holiday Concert, featuring Ballet Theater of Scranton dancers, the Choral Society of Northeastern PA, the Bloomsburg University Concert Choir, a guest conducting perform ance by the winner of a high school student contest and a special visit from North Pole residents. This fun, familyfriendly concert will get you into the spirit of the most wonderful time of the year while providing world-class entertainment.

December 9 Scranton Cultural Center and December 10 F.M. Kirby Center
10
“Ave Maria” soloist Lily Pavuk: Ballet Theatre of Scranton

2022 Holiday Program Selections:

Anderson, A Christmas Festival Rutter, Shepherd's Pipe Carol Tchaikovsky, December from The Seasons op37B

Let it Snow! Let it Snow! Let it Snow!

Holst, Christmas Day Anderson, Sleigh Ride Williams, Three Songs from Home Alone (Somewhere in my Memory, Star of Bethlehem, Merry Christmas, Merry Christmas!)

Handel, Hallelujah Chorus Parade Wooden Soldier Tomorrow Shall be my Dancing Day Finnegans, Sing Along Nickel: Following Yonder Star Bach/Gounod Ave Maria Darin Kelly, Nights and Lights Hanukkah medley Bass, Jingle Bells Finale

Philharmonic History

In the late 1960s, two sepa rate Philharmonic groups existed in the region: one in Wilkes-Barre and one in Scranton. Although the two cities were only a few miles apart, there was little com munication and few shared resources between them. One orchestra seemed like an impossible dream, but visionaries thought other wise. What began as casual conversations led to the formation in 1970 of the Northeastern Pennsylvania Philharmonic for a two year trial period and was cited as a milestone, not only in the

development of the perform ing arts, but as the first real breakthrough between the two cities.

This new regional Philharmonic continued under the baton of two direc tors, Scranton’s Beatrice Brown, one of the few female conductors in the country and Wilkes-Barre’s Ferdinand Liva. Brown’s resignation in 1971 led to Polish-born maestro and Pittsburgh Symphony conductor Thomas Michalak’s hiring as the first official Music Director after the

Philharmonic’s incorporation. The first performances were held at the Irem Temple, Wilkes-Barre, and the Masonic Temple, Scranton. The orches tra grew into a cohesive, pro fessional unit, and in 1979, Michalak was succeeded as Music Director by Harvard University and Peabody Institute of Music graduate, Hugh Wolff. The Philharmonic’s reputation soared under Wolff, highlight ed by a statewide performance of the commissioned work “The River Flows” in 1982, a piece composed to celebrate

December 2022 HappeningsPA.com 11

the Commonwealth’s tricentennial. In 1986, Wolff left for the New Jersey Symphony, and London-born Hugh Keelan, a Cambridge University graduate was appointed. Under Keelan’s direction for 14 seasons, the NEPA Philharmonic became one of the country’s best regional orchestras. Clyde Mitchell followed Keelan as Music Director for two sea sons. Maestro Lawrence Loh, a graduate of Yale University, lead the orchestra for twelve spectacular seasons before he resigned in 2017.

The only fully professional symphony orchestra in the region, the NEPA Philharmonic, performs Masterworks, Pops, Holiday and Young Peoples concerts at the F.M. Kirby Center for the Performing Arts,

Scranton Cultural Center, People’s Security Bank Theater at Lackawanna College, and The Kirby Center for Creative Arts at Wyoming Seminary. A series of chamber concerts is performed at WVIA’s Sordoni Theater, First Presbyterian Church (Clarks Summit and Wilkes-Barre),and Saint Luke’s Episcopal Church, Scranton. Free July 3rd and 4th concerts in downtown Scranton and Kirby Park are the Philharmonic’s gift to the region.

In 2017, the board suspended major operations for the remainder of the 2017-18 season to revamp the Philharmonic for today’s audi ence and to ensure decades more of excellent live music. The Philharmonic has presented concerts on par with major urban centers for 50 years. Major symphonies uni versally lack the financial sup port necessary to compete and thrive. While it was a diffi cult decision to suspend oper

Lawrence Loh Hugh Wolff
12 December 2022
Hugh Keelan

ations, it was necessary to take a proactive and positive direc tion for the future. In March of 2020, Maestro Mélisse Brunet was appointed as the NEPA Philharmonic’s Music Director. Shortly thereafter, all concerts were cancelled due to COVID 19. Adaptations led to online pro grams, private lessons by zoom, videos of orchestra musicians performing chamber music and by col laboration with the Ballet Theatre of Scranton. In the 2021-2022 Season, which happened to be the 50th anniversary, live perform ances resumed. The Philharmonic is now ready to continue its mission of provid ing outstanding, professional main stage and chamber concerts, as well as excellent educational programs in Northeastern Pennsylvania. Mélisse Brunet French conductor Mélisse Brunet is quickly gaining attention on both sides of

the Atlantic as a “skilled and polished conductor with panache” (ClevelandClassical.com). In July 2022, she became the fifth Music Director of the Lexington Philharmonic, KY, and the first woman to hold the position. She is also in her third season as the Music Director of the Northeastern Pennsylvania

Philharmonic, PA. In May 2021, she was named the first woman Director of Orchestral Studies at the University of Iowa-School of Music where she is conduct ing the orchestras in sym phonic concerts, operas and musical theater, as well as teaching orchestral conduct

13
Mélisse Brunet

ing to master and doctorate students. A protégée of Pierre Boulez, Brunet was one of the 14 finalists selected over 200 applicants for the second edition of the International Competition La Maestra in 2022 in Paris. She was one of six conductors selected for the 2018 Bruno Walter National Conductor Preview, chosen for their “experience, talent, leadership potential

and commitment to a career in service to American orchestras.”

In 2017 she was one of six conductors chosen for the international Hart Institute for

Women Conductors at the Dallas Opera, selected out of 161 applicants from 33 countries.

A native of Paris, Brunet began her studies on the

14

The musicians come primarily from New York City, Philadelphia and the regions surrounding Northeastern Pennsylvania.

cello, and also learned to play the trumpet, French horn and piano. She holds six diplomas from the Paris Conservatory (Analysis, Harmony, Counterpoint, Renaissance Counterpoint,

Orchestration and a Masters in Orchestral Conducting), a Bachelor in Music from the Université la Sorbonne, a Professional Studies diploma from the Cleveland Institute of Music, and a Doctorate in

conducting from the University of Michigan. She has studied French, English, German and Italian lyric diction and speaks English, French, Italian, Chinese, Hebrew and German. H

15

Philharmonic Staff

Alan L. Baker, D.M.A. Artistic Director –Conductor

A Professor of Music at Bloomsburg University, Alan Baker has served as the Society’s Artistic Director since its formation in 1999.

Conducting the Society’s Symphonic Chorus and its adult chamber ensemble, the Choral

Wyoming Valley Children’s Chorus and coordinated the choral/vocal programs of the Encore Music Camp of Pennsylvania. He also assumed similar responsibilities with the Young Artists program of Wyoming Seminary’s summer Performing Arts Institute.

A native of Springfield, Missouri, Dr. Baker holds advanced degrees from Temple and Stanford

University-Chico, Glassboro State College and Wilkes University, where as Director of Choral and Vocal Program, he founded the University’s Opera Workshop and Early Music Ensemble and was hon ored with an “Outstanding Faculty” designation from the School of Liberal Arts and Human Sciences. He was similarly honored with the “Dean’s Salute to Excellence”

Mélisse Brunet Music Director Nancy Sanderson Executive Director Gemma Sturdevant Office Manager Sandra Davis Patron Sales Manager, Finance Officer Jason Stein Music Librarian, Orchestra Personnel Manager Jerry Miller Production Manager Choral Society of Northeastern PA

When the Philharmonic’s Board of Directors hired Nancy Sanderson, they were looking for a person with an administrative background, a creative vision and a passion for bringing symphonic music of the highest quality to the region. Her experience was a perfect fit. Her education includes a bachelor’s degree in musical arts from Hartwick College and post graduate classes at Wilkes University. Her music experi ence includes flute studies with Lois Schaefer (piccolo player with the Boston Symphony Orchestra) and John Oberbrunner (principal flutist with the Syracuse Symphony.) Nancy served on the music faculty of Wilkes University and in 1998, founded the Performing Arts Institute of Wyoming Seminary.

Darin Kelly

Arranger; Orchestrator

Darin Kelly is an arranger and orchestrator whose distinctive, clever style of writing has made his music a favorite of audi ences across the country. Recent projects include a series of new mixed chamber group commissions for the Philadelphia Orchestra, holiday arrangements for the Boston Pops and the Buffalo Philharmonic, a world premiere chamber music/theatre setting of Prokofiev’s Lieutenant Kijé suite for the Breckenridge Music Festival and numerous short works for the renowned new music ensemble Relâche. Upcoming performances of his music include the Pittsburgh

Symphony, Boston Pops Orchestra, Vermont Symphony Orchestra and the Northeast Pennsylvania Philharmonic. Through his eponymous Sextet,

he has expanded chamber repertoire through his own arrangements from within an eclectic array of genres, including innovative set tings of works by Mahler, Barber, Poulenc, Astor Piazzolla and Raymond Scott. When not involved in writing projects, he main tains an active performance schedule as a trumpeter, appearing frequently in per formances, tours and recordings with the Philadelphia Orchestra, as well as with the eclectic, jazz-centered Timberdale Brass. His collaborative recording with soprano Julianne Baird, Soprano Arias with Trumpet and Organ, has been hailed by critics worldwide as “seam less playing that is equally light and virtuosic.” He received undergraduate and graduate degrees from the University of Michigan, where he studied trumpet with Armando Ghitalla and composition with William Bolcom and William

Nancy Sanderson Executive Director, Northeastern Pennsylvania Philharmonic
17
Ballet Theatre of Scranton Toy Soldiers

Albright. In the non-classical realm, the Philadelphia resident is an active jazz performer, and is widely in demand as a guitar and piano accompanist for Traditional Irish musicians throughout the eastern seaboard. He has recorded for the Albany, Naxos, Ondine, and Deutsche Gramophon labels.

Joanne Arduino

Artistic Director, Ballet Theatre of

Scranton

Joanne Arduino has been the Artistic Director of Ballet Theatre of Scranton since 1991 and owner of The Dance Studio in Scranton since 1978. A producer, director, choreographer and former dancer, she received certificates from the Royal Academy of Dancing in London, England and has studied and choreographed nationally and internationally. Arduino was mentored by the late Constance Reynolds, who founded Ballet Theatre of Scranton in 1958.

Christine Zike

President of the NEPA Philharmonic League

Christine Zike is president of the NEPA Philharmonic League, and a director and co-chair of development of the NEPA Philharmonic Board. She earned a Bachelor of Arts in Education and English from Marywood University and a Master’s in education curriculum, instruction and research from Rollins College Hamilton Holt School in Winter Park, Florida. H

18 HappeningsPA.com December 2022 18 HappeningsPA.com December 2022

Anjali de Leon-Bello

December cover artist, Anjali de Leon-Bello is a Western Wayne High School Senior. She hails from Lake Ariel.

“I appreciate that Happenings has opportunities like this that bring the community together and provide opportunities to stu dents like me,” she said about her experience creating the cover art.

Anjali has an older sister, Alivia, an older brother, Adam and a twin sister, Analise. “We all do a form of art in some way but my mom was always the most artistic

what they love in life.”

Anjali enrolled in art in the 9th grade. She never considered herself to be good at art but she excelled in class. “I also practiced in 10th grade over the pandemic.”

Since then she has been consid ering a career in art. She prefers to work with acrylic paint which came as a surprise to her because she remembers that she originally found it so difficult. “Creating art is simply a way of expressing what people feel.” She derives much satisfaction when she cre ates something of which she is very proud.

“My favorite aspect of the holi days is the way people swallow their differences and come together to enjoy themselves. It’s a time of year where everyone gets along, the only exception being Black Friday; no one gets along on Black Friday. A Christmas tradition I really enjoy is waking up very early

When asked three words to describe herself, Anjali turned and asked her siblings. “According to my brother in three words I am rude, mean and rude again,” she laughed. “I don’t expect to make a huge mark on the world but I hope I can give a memorable impression on peo ple’s lives around me; that mat ters to me more than leaving a huge mark on the world as a whole.”

Anjali enjoys visiting the Jersey Shore where a great deal of her family reside. As for her mentors she considers her art teacher, Mr. Justin Hayden to be one of her biggest supporters. “He inspires me and always pushes me to do better and put my best work out, no matter how much it annoys me. My closest friend Niya also inspires me and is always giving me ideas and ways to build my pieces into something better than I thought possible. And of course, my family, if not inspiring me, is always supporting me.” H

COVER ARTIST
20

More people prefer a full service hospital keeping patients local.

Thank you for choosing St. Luke’s Monroe Campus for your health care needs. We are committed to providing the highest quality care to the community we serve. With patient care and quality at the forefront of every decision, there is no question why...

...MORE PEOPLE CHOOSE ST. LUKE’S.

sluhn.org/monroe
www.endlessmountains.org • 800-769-8999 COME VISIT THE ENDLESS MOUNTAINS OF NORTHEASTERN PA! 15% off any item $50 or more until Dec. 31st! We have a range of wine style ciders from dry to sweet, even dessert wines and PA beers! Our Roots Run Deep 570-746-3222 • 348 Back Rd. Sugar Run, PA deeprootshardcider.com Tunkhannock Susquehanna Montrose Dushore Nicholson Eagles Mere For a Free Brochure: 1-800-769-8999 or 570-836-5431 The White Capped Hilltops • The Ice Covered Branches • The Ski Slopes • The Waterfalls • The Snow That Just Dances

From Movie Theater to Cultural Center

The Dietrich Theater has come a long way since its reopening in April 2001 after being closed for 14 years. What began as a lit tle movie house in down town Tunkhannock has expanded into a dynamic cultural center.

Also known as the Wyoming County Cultural Center, it is now more than just a place for movies. Studios that host a wide variety of classes throughout the year are a big part of the center. Open mic nights, performances, Tai Chi yoga, jewelry making classes,

writers’ work shops and pro grams that con nect veterans are all examples of some of the offerings.

The Golden Days of Radio Players read original scripts from old-time radio plays from the 1930s to the 1950s while wearing attire that represents the era. Although most of the sound effects are digital, live sound is used whenever possible. There are currently 17 members of this group of all ages including one who is over 100 years old!

A performance of the Golden Days of Radio will be on December 6 at 7 p.m. Three halfhour long readings of comedies including an episode of The Mystery Traveler, an episode of The Great Gildersleeve, and a short play called The Bickersons. The

performances are all serial shows that were held at that time. Prior to television, families would come home, have dinner and listen to the radio programs. The group tries to recreate what it was like for audience members in a radio stu dio broadcast.

The studios also host art camps for children of all ages including pre school pottery, sculpture, drawing, printmaking and painting taught by artists in residence.

For teens and adults, open studio sessions and portfolio preps are held.

Local artwork and history presen

24 HappeningsPA.com December 2022

tations are also part of the pro gramming. The theatre partnered with the Kitson Arts Alliance to showcase both local and interna tional artists’ works.

ater prospered until the 1950's when televi sion took over as the primary source of entertainment. Outdoor driveins also gained popularity causing indoor movie theaters to close across America.

After many struggles, the Dietrich Theater closed its doors in 1987. For more than a decade, it remained vacant while a few potential buyers expressed inter est in purchasing the theater None of the potential buyers had a cred ible business plan, however.

season. At least 21 independent movies are shown within in a three-week period.

During Tunkhannock’s “Christmas in our Hometown,” on December 2 and 3, a classic Christmas display (with a toy the atre model created by a retired set designer of film and television) ,a quaint dollhouse and holiday scenes will also be exhibited.

The Dietrich Theatre will present the “12 Days of Christmas” - a movie festival with a mix of Christmas movies shown for free at various showtimes. It will run from December 2-15 and again on December 21. On December 21, “It's a Wonderful Life,” will be shown.

In March 1998, visionary citizens explored the possibility of reopen ing the theater as a non-profit cul tural center. Secretary Hildy Morgan, who was the executive director at the time, along with president Sandy Vieczorek, went door to door to collect money to purchase the theater. The town rallied behind it and donated the necessary money. The theater was able to make the down payment, and a board was established.

"It has been exciting to see how the theater has grown and evolved over the past 20 years. We look forward to continuing to pro vide arts, cultural and educational offerings and entertainment to all ages throughout the region” , said Erica Rogler, Executive Director. H Ben Freda

Before it became a cultural center, the Dietrich was a small movie theater constructed in the Art Deco-style by entrepreneur George Dietrich in 1936. The the

Organizations such as the Pennsylvania Council on the Arts, Pennsylvania Humanities Council, and the Bradford County Regional Arts Council also helped to make the project possible.

The Dietrich Theater has a film festival every

140
60 E. Tioga St., Tunkhannock •dietrichtheater.com 570-836 1022 No advance tickets Enjoy 12 holiday movie favorites for free on the Dietrich’s big screen at various showtimes for 14 days. Funded in part by the Wyo. Cty. Tax fund and the Endless Mountains Visitors Bureau. For list of films and showtimes visit DietrichTheater.com Dietrich Theater’s 12 Movies of Christmas December 2022 www.endlessmountains.org • 800-769-8999

StoneHedge Festival of Lights

A2.5 mile Festival of Lights display is located at Stonehedge Golf Course in Tunkhannock. Now in its sixth year, this holiday experience is enjoyed by all ages. Founded in 2017 by owners Bill and Karen Ruark, the Festival of Lights was creat ed to provide a positive impact on the local com munity and economy, and an opportunity for seasonal golf employees to retain full time employment through the winter months. The strong support and patronage of guests has allowed the Festival of Lights to give back to the

community in a big way. A portion of the admission proceeds is donated to local charities and organi zations each year. The Festival of Lights also increases tourism to the small town of Tunkhannock.

A variety of themed dis plays, both fixed and in motion, are selected and arranged differently each year by Karen and her small team. Since 2019, the dis plays are also locally manu factured by Stonehedge, allowing for new annual themes, keeping the dis play fresh and inviting. The grounds crew wraps hun dreds of trees with thou

sands of individual strands of multi-colored lights that create a true sight to behold!

Guests can also visit the pavilion for seasonal refreshments including hot cocoa, homemade cookies, brownies and other family friendly food. Roast a s’more at one of the numerous free fire pits. Local vendors also offer fun holiday shopping items. Free pictures with Santa are available Sunday through Wednesday nights. After the holidays, other charac ters will be available Sunday through Wednesday for pictures with little ones.

26 HappeningsPA.com December 2022

For a small fee, hop on an adorable train for a short ride Sunday through Wednesday nights all season. The Festival of Lights at Stonehedge Golf course is open November 23December 31, but will be closed on Christmas Eve.

Hours are Sunday – Thursday 5 p.m. to 9 p.m, Friday and Saturday 5 p.m. to 10 p.m. Follow on Facebook and visit www.playstonehedge.com H

Holiday Gift Guide

Alpacas of Sunshine Farm, New Milford

The Essential Sweater does it all! It’s a shrug, it’s a cardigan, it’s a hoodie, it’s a shawl collar! Available in a variety of colors. Best worn with a dark shirt and jeans to bring out its beautiful color and texture!

The BriarPatch at Thornhurst Nurseries, Thornhurst

Soy candles with an invigorating fragrance such as newcomers ‘Birch’ and ‘Mountain Mist’. And the always popular ‘Forest Crunch’ with its true aroma of freshly cut pine.

14 oz jar $21.99 278 Pine Grove Rd., Thornhurst, PA 570-842-1266. Follow us on Facebook.

70% alpaca - 30% acrylic Reg $130, XL $140 570-465-3360

Van Gorders’ Furniture, Lake Wallenpaupack, Honesdale, Milford

RailRiders

The perfect present for a baseball fan in your life. Two gift package offerings including game tickets, apparel, and more – Deck the Halls ($310) & Stocking Stuffer ($150). Call 570-969-BALL to learn more and purchase.

Unique rustic bottle barrel hutch by Fighting Creek. American-made, Amishcrafted showpiece to adorn your home bar or man cave. $1,799 570-253-1860

The Beehive, Moscow

The boutique portion of our store has this cozy, fleece mid-length plaid shacket in red, sizes small- 3xl, $58. 570-780-9005

Bella Faccias, Old Forge Elegant necklaces for your holiday celebrations or for gift giving.

14K gold/rhodium plated over brass chains and genuine freshwater pearls. Beginning at $30.00. 570-343-8777

Scranton/Wilkes-Barre
28

My Mother's Delicacies, Inc., Scranton

Small, medium, large and extra large gift tins filled with authentic butter and cream cheese rugelach in cinnamon walnut, apricot, raspberry, and/or chocolate flavors. Approx. 16-48 pieces Straight from Galicia, Poland! $22.49-$52.49 570-343-5266

Deep Roots Hard Cider, Sugar Run

Gift Baskets come with either a bottle of Raspberry or Apple Crisp Hard Cider, 2 bags of Pittston Popcorn, Chocolate covered pretzels and Non-Pareils! $30 each! 570-746-3222

When words can’t express it, wrap up your love with Pandora jewelry. Beautiful sterling pieces that you personalize for yourself or a loved one.
2023 HOLIDAY PACKS 2023 HOLIDAY PACKS Call (570) 969-BALL or email info@swbrailriders.com today! STOCKING STUFFER $150  1 Limited Edition RailRiders Holiday Shirt  10 Undated Field Reserved Seat Vouchers  1 SWB Snowflake Ornament DECK THE HALLS $310  2 Limited Edition RailRiders Holiday Shirts  20 Undated Infield Box Seat Vouchers  1 SWB Snowflake Ornament  1 Aaron Judge Nutcracker Ornament Give the gift of RailRiders Baseball this season! Give the gift of RailRiders Baseball this season! | SWBRAILRIDERS.COM | (570) 969-BALL Triple-A Affiliate of the December 2022 HappeningsPA.com 29
3 Sisters, Kingston
Prices range from $50-$65. 570-288-3147

Beginning December 18, menorahs will be placed in windows, letting their light shine to the world outside. Their flickering flames symbolize a miracle that occurred almost two thousand years ago.

Hanukkah celebrates the uprising of faithful Jews against their power ful Greek oppressors. When the Jews defeated their enemy against all odds, they traveled to the Holy Temple in Jerusalem to reclaim and rededicate it to the service of God. They found only enough oil inside to light the menorah for one day; however, it miraculously lasted for eight until new oil could be pre

Festival of Lights

pared. It is this miracle that is now celebrated by Jews across the world. To celebrate the eight-day festival of lights, families attend special services, perform special prayers, eat delicious foods and exchange gifts.

Hanukkah is the only holiday where Jews publicize to the world. Every other holiday they observe and take to themselves, but because of the nature of the mira cle, they are supposed to put a menorah in the window so that the outside can see.

The centerpiece of Hanukkah is the menorah—a nine-armed cande labra. On the first night, the center candle, or shammash, is lit, then used to light a second candle. Another candle is added each night until the eighth and final night of Hanukkah. Just as Hebrew is written from right to left, candles are placed in the menorah from right to left; however, the candles

are lit each night from left to right. After placing the candles in the menorah but before lighting them, three blessings are recited to com memorate the miracle of Hanukkah. The menorah is always placed by a window.

Traditional Hanukkah foods add flavor to each night’s celebration. In remembrance of the miracle, fried foods like potato latkes and jelly donuts are always included. The dreidel game is another popular Hanukkah celebration, especially for kids. While its origin is unclear, the letters that appear on the fourfaced piece—un, gimmel, hey and shin—are said to stand for the phrase, “Nes gadol haya sham,” which in Hebrew means, “A great miracle happened here.” Though not an original part of the celebra tion, many exchange gifts on each night of Hanukkah as well. In this way, it has been adopted to American culture. H

30 HappeningsPA.com December 2022

Wayne County Inspires Winter Wonderland

Sleigh bells ring, are you listening?”

Chances are you can sing the next sen tence. “Winter Wonderland” is one of the most recognizable Christmas songs in history and the most often recorded.

Honesdale native Richard “Dick” Smith was inspired by his hometown to pen the beloved tune in 1931.

Smith was born in Honesdale, PA on September 29, 1901. He lived with his parents John and Eliza Smith and siblings in a house with a direct view of Central Park and the Wayne County Courthouse. He learned to play the piano at his family home.

He graduated from Honesdale High School in 1920 and then left the area. Smith attended Penn State where he conducted the school’s orchestra, served as editor-in-chief of the school newspaper and

wrote several songs for the Glee Club and plays. After grad uation, he managed movie the aters in Connecticut, New York City and Chattanooga, TN.

Smith married Jean Connor from Scranton on March 30, 1930 and contracted tuberculo sis shortly after in 1931. He was admitted to Lenox Hill Hospital and later Scranton’s West Mountain Sanatorium, where he wrote his best-known work, “Winter Wonderland.” He wrote the song about the snow-cov ered beauty of the park that he saw from his boyhood home. Felix Bernard composed the music for the song.

He wrote the song about the snow-covered beauty of the park that he saw from his boyhood home.

Although Smith realized his dream of writing a Christmas song, he passed away before it rose to popularity. He died on

September 29, 1935 at the age of 34. “Dick Smith‘s song has become a classic– a work of enduring excel lence,” said the Wayne County Historical Society. “It has timeless lyrics that are just as fun to sing or lis ten to as they were in 1934. Though the song is general ly recognized as a Christmas song, the lyrics do not refer to Christmas at all, just the snowy winter season.”

“Winter Wonderland” was featured in Ziegfeld Follies on Broadway and Guy Lombardo and the Royal Canadian Orchestra per formed the song. Over 200 artists have recorded “Winter Wonderland” including Bing Crosby, The Andrew Sisters, Perry Como, The Carpenters, Diana Ross and Aretha Franklin.

“There is a small plaque on the front porch of a privately owned house in Honesdale where Dick Smith grew up. The locals know which house it is and tell their children and friends.” H

32 December 2022
December 2022 HappeningsPA.com 33 www.brianjcali.com

he babies are coming: January 2023 T

your
for inclusion
the
All entries must
(Baby must
$25 Entry Fee See details at happeningspa.com Question? Email info@happeningspa.com
Submit
baby's photo
in
next "New Baby Photo Gallery".
be received prior to December 12.
be born after Nov. 1, 2021)

Van Gorders’ Furniture

Street (Route 2001) in Milford, PA, just down the road from The Waterwheel Cafe. Scott’s three sons Derek, Dylan and Max now manage the three showrooms.

Quality Furniture Ready for Delivery

All of Van Gorders’ showrooms offer Sealy Mattress Galleries where customers can test out the newest Sealy Posturepedic and Stearns & Foster mattress es. And, the Honesdale location offers a La-Z-Boy Comfort Studio with hundreds of reclin ers and sofas of all styles and sizes.

Right now, Sealy mattresses and Laz-Z-Boy recliners are in stock and ready for delivery.

Celebrates 86 Years in Business

Back in 1936, Ralph Van Gorder rented the bottom floor of the Jenkins Building on Honesdale, PA’s Main Street and placed an ad in the Wayne Independent saying he would buy anyone’s used furniture— “a single piece, an attic full or a house full.”

Although he first named his busi ness the Honesdale Furniture Exchange, it has matured into an 86-year-old fourth-generation family business now known as Van Gorders’ Furniture, featuring quality name brands of the latest furniture styles for every room.

Three Big Showrooms in Milford, Hawley and Honesdale

Business picked up quickly and Ralph soon realized the need to expand. He purchased a sprawl ing four-floor historic landmark in Honesdale, which is still in use today as Van Gorders’ flagship showroom. The building, which

was originally the National Hotel, has stood at the corner of Church and Sixth Streets since 1865.

As the business continued to grow, Ralph’s son Don opened a second showroom on Route 6 near scenic Lake Wallenpaupack in 1978. Eventually, Don’s son Scott came on board and added a unique focus on rustic Adirondack-style furnishings that reflect the natural beauty of the Pocono Mountains, Catskills and Upper Delaware River region. Since that time Van Gorders’ has specialized in the finest Americanmade rustic home furnishings.

In October 2014, Van Gorders’ Furniture once again expanded into its third show room at 321 Water

Unlike the typical big box stores, all three of Van Gorders’ showrooms feature a unique mix of lodge-style furnishings that bring the outdoors inside.

Friendly Staff

Another factor contributing to Van Gorders’ 86 years of success is its caring and knowledgeable staff—many of whom have been with the business for decades.

For more information, check out Vangorders.com or stop by one of its three welcoming show rooms soon for your shopping adventure! H

36
With a quick tap, you can set customizable alerts and receive real-琀me no琀昀ca琀ons for your Fidelity Bank Visa Debit Card. 2
holiday
© ©
Stay on top of your 昀nances. Whether shopping, traveling, or celebra琀ng, the Fidelity Mobile Banking App can help make this
season worry-free.

Christma s Past

1957

The late Mary E. Dubill, Robert Dubill & the late Mary ann Dubill Kalaha, circa 1940 Teri Kalaha Lyon, Andrea Kalaha Leschak & Lisa Kalaha Ragnacci, 1966 James, Barbara (holding 'grocery store doll') Robert, Deborah, Richard VanBlarcom, 1957
We asked our readers to submit holiday photos that were 50 years old or more. Enjoy this special vintage collection and walk down memory lane.
Jim and Loie Mack, circa 1960, Newfoundland, PA Denise, Joanie and Rick Girello, circa 1957
Sue Butler (Cantarella), with the Globe Store Santa, Danny (deceased),Horan Beth Horan(baby),Matous Kathi Horan (holdingBankes baby), Joellen Horan Conigliaro (deceased), 1968 om 39
Jo Ann Verduce,Christmas 1969

Basil and Anna Mushala, Peter, Helen, Basil, Anna and Mary, circa 1967-68

with The Globe Santa, 1959 Angeline Sirianni with grandchildren Maryann Sirianni Siconolfi & her brother Michael Sirianni, 1945 Janet Keen, 1954 Brothers Forever! Joe & Bill Hines celebrate Christmas in the Nativity neighborhood of Scranton. 1968

Drutarovsky (Jordan), Michaela Drutarovsky (Mancak) and Irene Drutarovsky 1956

Mel, Joyce and Jerry Eby, 1969

(front), David Johnson, Marianne Johnson (mother, Valerie Serine (Langan), The Globe Store 1960

The Oldest House, Laceyville

The Oldest House in Laceyville PA, gives visitors a historical glimpse into Victorian Era Christmas traditions. Originally built in 1781 to face the Susquehanna River, the house was restored in 1940 and has been occupied by many families through the years.

The house is built around a large stone fireplace that measures 8 feet by 12 feet, with two

openings on the basement level and three on the main floor. The house is decorated in a Victorian style and stays true to its roots on the basement level, but it is slightly more modern ized in the main, upper part of the house.

A Classic
Christmas
A group of community volunteers decorate the home over the course of one weekend using natural Christmas trees and garland in each room.
44 HappeningsPA.com December 2022

The 2021 Christmas Tea will take place December 3 to 5. The three rooms located on the main floor will feature three individ ual themes for the sea son. The living room will showcase a Christmas tree dis played in front of the window. The dining room includes cookies for guests. A classic train display will also be on display.H

The original hanging irons, as well as hardware elsewhere in the house, were forged by a local blacksmith shop. Photos by Stan Warunek, Montage Photography
December 2022 HappeningsPA.com 45
A display of quilts and wool blan kets will be featured upstairs

Ski What’s New at Shawnee Mountain

Family-focused and independently-owned Shawnee Mountain announces improvements to enhance its ski, snowboarding and snow tubing facilities for the upcoming winter season.

Snowmaking Upgrades

As part of a multi-year, multi-million-dollar snow making upgrade project, Shawnee has added three new fan guns on the begin ner’s area, as well as two new efficient snowmaking pumps able to deliver 1000 gallons/min of water for snowmaking.Shawnee also continues to replace snow making pipes all over the

acres of skiable terrain, of which is now 90% fully automated.

General Improvements

Shawnee’s off season was ded icated to gener al repairs and maintenance mountain wide. All 221 bridge boards were replaced,160 new snow tubes were purchased (including double tubes for families) large

Information Technology upgrades were made as well as upgrades in the food court.

Rental Shop

Shawnee purchased 450 new Alpina ski boots, 300 pairs of Elan skis, 150 Head snowboards and 150 Head snowboard boots for the 22/23 season. The new Head snowboard system allows the snowboards to be stored with the binding on, making the process faster and more efficient for employees and guests.

Shawnee’s Children’s Program continues to make upgrades to its own private rental shop, making it a one stop shop for families.

Call 570-421-7231.

46 HappeningsPA.com December 2022
December 2022 HappeningsPA.com 47
Follow Shawnee on Facebook. Email info@shawneemt.com Visit Shawnee Mountain online at: www.shawneemt.com H

Koziar’s Christmas Village

Nestled on a farm in Berks, arriving at Koziar’s is a little like coming to the North Pole. Millions of Christmas lights welcome visi tors from the dark ness. The Koziar family has entertained thou sands of guests for nearly 75 holiday seasons. What began as a private Christmas dis play created by William H. Koziar has grown into a major destination–even earning a place as one of the Top 10 Travel Attractions in Pennsylvania by the PA Travel Council. Tour the grounds at your own pace. Paved walkways

wind through hundreds of holiday displays, lighted dec orations and festive scenes. Two giant outdoor train setups chug through a miniature village and farm

scenes. Small buildings along the way house scenes of holiday traditions. Peek through the giant windows to get a glimpse of Santa’s Post Office, an old-fashioned

48 HappeningsPA.com December 2022

bakery, a candy shop and Santa’s Toy Shop plus beautiful Nativity scenes. Warm up with hot chocolate and warm cookies or other festival food. Koziar’s Christmas Village is open daily through January 1.

www.koziarschristmasvillage.com

December 2022 HappeningsPA.com 49

s a Keystone College alumnus, John F. Pullo, Sr. is grateful for the impact a Keystone education had on his own life and career. Now, as the college’s recently appointed interim president, he is bringing new leadership inspired by that experience to the entire Keystone community. Mr. Pullo became interim president at the end of July 2022 and is off and running with an impas sioned sense of energy, optimism and vision in his new position.

“I find the experience of leading Keystone not only fulfilling but also exciting as we build upon the good work that has been done in the past and chart a new course to enhance our already great tradition as one of the leading educational institu tions in Northeastern Pennsylvania,” Mr. Pullo said. “We have a great team at Keystone, and I am cer tain we will accomplish great things in the days ahead.”

Mr. Pullo has a long history of service to Keystone and to the local community. A 1969 Keystone alumnus, Mr. Pullo is a member of the College’s Board of Trustees and served as Board Chair from

Keystone College Inspired

2018 to 2020. He is founder and CEO of Chartwell Strategies, LLC, a strategic advisory services and con sulting firm formed in 2018.

Prior to founding Chartwell, he was employed for 35 years at Gentex Corporation, a world leader in personal protection for defense and security personnel, where he held a variety of senior positions in business leader ship, corporate development, research and develop ment, business development and operations.

A Clarks Summit resident, Mr. Pullo’s industry experi ence prior to Gentex includes 12 years with the Swedish conglomerate Sandvik AB, where he held key management positions at both the corporate and divi sional levels.

nomic development affairs, he is Chairman of the Board at the Carbondale Technology Transfer Center, a region al business incubator and Vice Chair of the Board of Directors of the Abington Regional Wastewater Authority Recognized as one of the best educational values in Northeastern Pennsylvania, Keystone offers more than 50 undergraduate and graduate degree options in liberal arts and science-based programs in business, communications, education, natural science, environmental science and social sciences. Keystone is known for small class sizes and individual attention focused on student success through internships and research, as well as innovative career training and cer tificate programs for adult students.

He holds a bachelor’s degree in economics from Wilkes University and a Master of Business Administration with a concentration in operations management from the University of Scranton. He also received a master’s degree in technology management from the University of Pennsylvania, conferred jointly by the School of Engineering and Applied Science and the Wharton School.

Mr. Pullo serves on the Board of Directors at WVIA and as part of a long history of service in Pennsylvania eco

Keystone has been recognized in numerous national publications, including U.S. News and World Report and Military Times magazine. Keystone has also received national awards for the 26,000 hours of service to the local community by students, faculty and staff.

“Keystone College has such a proud past and I’m really honored to be in a position to help shape its promising future,” Mr. Pullo said. “We’re moving forward and look ing ahead with confidence to creating the opportuni ties that will build upon our legacy in the coming months and years. H

A

Weddings 2022

Leah K. Ann and Sean Patrick Welenc
December 2022 HappeningsPA.com 53
Photo: Ashley Errington

Leah K. Ann EIGhazal Sean Patrick Welenc &

Leah K. Ann EIGhazal and Sean Patrick Welenc were married on June 4, 2022. Leah, daughter of Al and Sonia EIGhazal, graduated from Scranton Preparatory School and The University of Scranton. She is currently a registered nurse at Geisinger CMC in the ICU. Sean, son of Doris Keating and Bernard Welenc, gradu ated from Holy Cross High School and West Chester University. He received his master’s degree from Marywood University and currently works as a physician assistant in the ICU at Geisinger CMC.

The couple met in 2016 when Sean started work ing side by side with Leah in the Intensive Care Unit

Center, and had transferred to the ICU close to a year prior.

Sean proposed to Leah on February 18, 2021, on a cold and snowy Thursday night in their back yard underneath the ambient lights on their patio. He included their one-year-old golden retriever, Echo, in the proposal with a bandana around her neck that said, ‘Will You Marry Dad!?’ Sean proposed with an elongated

54 HappeningsPA.com December 2022
Photos: Ashley Errington

cushion cut single stone ring with a platinum setting and a hidden halo of pave diamonds.

The ceremony was at St. Paul’s Parish Roman Catholic Church in Scranton PA, but the cere mony was officiated in the Lebanese Maronite Rite performed by Leah’s great uncle and for mer pastor at St. Ann’s Maronite Church, Msgr.

Peter Azar. Msgr. Neil J. Van Loon of St. Paul’s Parish and Fr. Tony Youssef of St. Ann’s Maronite Church also helped perform the ceremony. A prayer was sung while four crowns were blessed for the witnesses: the maid of honor and the best man and the bride and the groom. The crowns symbolized the glory and honor that is bestowed on them by God during the sacrament of Holy Matrimony as the couple joins in unity together in the presence of Christ, family and friends.

The reception was held at Glen Oak Country Club in Clarks Summit, where everyone danced to traditional Lebanese music.

The couple honeymooned in Grenada, a country in the Caribbean.

Leah and Sean offer this advice to future couples: “Love each other day in and day out, do what makes each other happy and focus on the marriage and not the wedding itself. Enjoy every minute and take it all in.” H

55 December 2022 HappeningsPA.com

Megan Elizabeth Savage Thissa Terence Ruwan de &Silva

Megan Elizabeth Savage married Thissa Terence Ruwan de Silva on September 5, 2021. Megan, daughter of Kathleen and Dr. Donald Savage, attended Dallas High School and graduated from the University of Notre Dame with a degree in biological sciences. She received her medical degree from Jefferson Medical College, com

pleted her residency at LSU in New Orleans, her fellowship at Cornell in New York City and is cur rently working at Lenox Hill Hospital as a maternalfetal medicine specialist. Thissa, son of Kishan de Silva and Dr. Renuka Fernando, attended Underhill Primary School in the United Kingdom and later received his degree in mathematics at the University of Nottingham and attended the Imperial College of London for graduate school. He received his certification as a chartered financial analyst and current ly works as a bond trader at HSBC.

The couple met in New York City and had their first date in Central Park. For the proposal, Thissa designed the engagement ring with a jewel er in New York City. He tricked

56 HappeningsPA.com December 2022

Megan into leaving her apartment with one of her friends and told Megan they were going to meet up for dinner. Thissa texted Megan claiming that he left his watch at her apartment and was won dering if she was willing to pick it up before dinner. When she opened the door, the apartment was decorated with candles, lights and music was playing. Thissa wrote a heartfelt speech. They then went out to dinner, but Thissa forgot his wallet, so he had to leave his watch with the maître d' as collateral for the dinner bill.

The wedding ceremony and recep tion took place at Skytop Lodge. The couple had two wedding offi ciants incorporate their different backgrounds and traditions. Thissa played the guitar and performed a serenade to Megan as part of the ceremony.

Thissa’s family is Sri Lankan, so they incorporated many of these traditions into the ceremony such

as lighting an oil lamp, tying their fingers together with gold string as they said their vows, feeding each other a special, ceremonial rice and Thissa placing a necklace on Megan as a symbolic family gift. Traditional Sri Lankan food was served at the rehearsal dinner party. The cou ple had a second wedding reception at Thissa’s parents’ home in Maidstone Kent (outside of London) because his family had to quarantine for two weeks.

Megan and Thissa offer this advice: “Make sure the cere mony reflects you as a couple. Exchange thoughtful gifts on the day of the wedding. Re-read your vows after the wedding to each other because you might be nervous on your wedding day. If you don't have a videographer, ask a friend to record the speeches on their iPhoneit is fun to listen to them later.” H Elizabeth Haikes

December 2022 HappeningsPA.com 57
Photos: Rob Lettieri Photography

beauty to say “I Do” Silver Springs Ranch

Over

90 acres of

Silver Springs Ranch is an exceptional venue for weddings, special events and Standardbred horses. Located just one mile from Harveys Lake, the facility sits on over 90 majestic acres amidst the beauty and splendor of a world class harness horse training facility. Situated in the beautiful “Back Mountain” of Pennsylvania, the setting provides the perfect backdrop for weddings and special events.

Features include:

A private lofted luxury cabin with a patio over looking the spring fed pond. This is ideal for the bridal party or client’s personal use to refresh, relax or store personal items during event. Plush seating, TV, mini fridge, snacks and com plimentary champagne make it the perfect respite spot.

An outdoor covered kitchen containing com mercial catering equipment will delight the client’s caterer of choice.

A beautiful gazebo extending over the pond offers a perfect scene to exchange vows. Two white swans never seem to miss a photo op! The property lends itself to client's creativity…

58 HappeningsPA.com December 2022

everything from horsedrawn car riages, fireworks or hot air balloon landings! It is the perfect scene for guests to enjoy a magnificent setting and then have it captured with gor geous photos.

Plans are underway to break ground in early Spring for a permanent all-season, state-ofthe-art pavilion, able to accommodate approximately 450 seated guests. It will fea ture a full built-in bar and kitchen, bath rooms, exquisite lighting and retractable glass walls, so you don’t have to worry about canceling due to unpleasant weather. H

December 2022 HappeningsPA.com 59
60 HappeningsPA.com December 2022 201 Jefferson Avenue Scranton, PA 570.344.9021 follow us on ANNUAL HOLIDAY TRUNK SHOW THURSDAY DECEMBER 8 SHOP OUR WEBSITE: boccardojewelers.com All I want for Christmas... is MORE HAIR! KATHY POPE’S HAIR FASHIONS 965 Winton St. Dunmore www.kathypopeshairfashions.com Call today for a consultation! APPOINTMENT NECESSARY FULL SERVICE SALON SPECIALIZING IN WOMEN’S HAIR REPLACEMENT & HAIR LASER THERAPY PROGRAMS corrective hair solutions
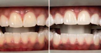
December 2022 HappeningsPA.com 61 FROM THE TEAM YOU KNOW & TRUST Our excellence in dental services extends into our cosmetic service line! Cosmetic Services • Zoom! Whitening • Juvéderm • Botox • Invisalign • Veneers • Dental Implants Zoom! Whitening before (left) and after (right) Results may vary from patient to patient. www.electriccitydentistry.com SCHEDULE YOUR CONSULTATION TODAY 570-343-4472 COSMETIC SERVICES LOVE YOUR SELFIE Limited time offer. Scan QR to schedule now! $399 Whitening Special Gift Cards Available!

A Few of Our Favorite Things...

Hot Chocolate/Egg Nog Bar

To increase the holiday spirit at your home or office, set up a hot chocolate station. Add candy canes, marshmallows, sprinkles and whipped creme. Local treats from My Mother’s Delicacies (rugelach and specialty cookies) and hand made chocolates and gourmet baked desserts from Bella Faccia will make entertaining pleasurable for both the host and guests. A punch bowl with Mannings’ egg nog and scoops of ice cream will leave guests wishing that everyday was Christmas.

62 HappeningsPA.com December 2022

Bring Nature Inside

Brown paper packages tied up in string, these are a few of our favorite things! Simple, natural decor becomes the most beautiful in our crazy, busy world. Simmering pots of oranges with cranber ries and decorating with popcorn strings, cranberries, branches and pine cones bring an old-fashioned, peaceful and aromatic touch to your home. Add the glow of a balsam pine or holly berry candle and you will have succeeded in capturing the best of the natural win

Christmas Trains

Trains running around Christmas trees bring back memories of simpler times. Historians believe the train tradition dates back at least 100 years to the early 1900s, when manufac turer Lionel began to produce the first electric toy trains.

With the rise of electronic technology filling Christmas lists, toy trains became less preva lent over the years. Within the past decade or so, experts have seen a renewed interest in the toy train tradition, perhaps through movies like the “The Polar Express.” Train enthusiasts hope that interest continues to fuel a return to the time-honored tradition of old-fashioned toy trains under the Christmas tree.

125 N. Main St., Moscow, PA Nov/Dec hours Wed - Sat 11-6 Sun 11-4 570-780-9005 Closed Mon/Tue Come to The Beehive for all your home decor & gift needs! Plus check out the Beehive Boutique!
December 2022 HappeningsPA.com 63

MORE JOY Less Stress Jackie’s Tips

Tis the season! The most won derful time of the year can certainly be the most stressful time of year for many Personally, I have a love/not so much love mixed feeling about the holi days. I love all the lights and music and magic that surround us from Thanksgiving through New Year’s. But then there’s the stressful feeling of creating the perfect holiday.

I am a single mom of four, a full-time personal trainer and I run two business es. I am also blessed to have my par ents, a great guy in my life and two dogs. If you think I just pull everything together without multiple holiday sea son freak outs/meltdowns/moments when I lose my &%^&*) think again! I have been a mom for 29 years. So for each of those years I have envisioned a perfect holiday for my family. I think my kids will tell you that I always seem to

to keep our holidays special and filled with great memories. I have hosted Christmas Eve at my house for a long time and we all look for ward to this time together. I make decisions to have everything com pleted before Christmas Eve morning so that I can just set up and then enjoy time with my family, especially my kids.

Here are some tips that I try to follow so this season is more joyful and less stressful.

64 HappeningsPA.com December 2022

Make your list of gifts that you need to buy. If someone mentions some thing they like, grab it immediately.

Buy gift bags instead of wrapping paper. I try to do color themes for each person so multiple gift bags all match.

Make your menu and grocery list a few weeks ahead of time. Pick up non-perishable items early so your list is smaller as the holiday gets closer.

Pick a day to have a little tree deco rating/cookie baking party, even if it is only two people (usually just my daugh ter and me.)

Watch a Christmas movie or Hallmark show. These feel-good movies are fun to watch, help you to relax and put you in a great mood.

Be sure to eat three meals a day even when busy. If you have a holi day party, plan your food for that day and save your carbs for some favorite holiday treats.

Do not skip your daily exercise dur ing this busy time. Not only will it help burn off some extra calories but also helps keep your mind clear.

Realize that it is more important to spend time with family and friends than to make sure every detail is perfect. Most likely, you are the only one who notices if something is not the way you intended.

Wishing you and your family a very blessed and joyful holiday!

Merry Christmas, XO, Jackie H –Jackie Kerekes

PERSONAL TRAINING SEMI PRIVATE TRAINING SMALL GROUP TRAINING NUTRITION COACHING GUIDED MEDITATION SMOOTHIE BAR Jackie Kerekes, Owner NASM CPT, NASM FNS 513 S. State St., Village Square Clarks Summit, PA trainingattheloft.com 570-332-8519
December 2022 HappeningsPA.com 65 1 6 7 8 2 3 4 5

Christmas Tree Farms

The Briar Patch at Thornhurst Nurseries

Christmas Tree Farm & Gift Shop

Pre-cut Fraser and Douglas Fir. Choose & cut (7’ & above) Colorado Blue Spruce & Norway Spruce. Available tree sizes 6ft - 14ft. Fresh handmade wreaths & garland. Check out the gift shop... woodsy... eclectic... nature oriented. 278 Pine Grove Rd, Thornhurst, PA 570-842-1266. Follow us on Facebook.

Helen & Ed’s Tree Farm

The tradition continues...In business since 1957, Helen and Ed’s is a 220 acre tree farm located in Dorrance Township, PA. Find fresh cut evergreens or choose and cut your own from many varieties and sizes. Wreaths and garland are handmade and pin tree stands are available. Come enjoy Christmas music, friendly atmosphere and service.

3758 Saint Mary's Road, Wapwallopen, PA 18660 www.helenandedstreefarm.com (570) 868-6252

Roba Family Farms

Choosing the perfect tree comes easy here! Visit for your fresh-cut tree starting on November 25! Trees include Douglas Fir, Fraser Fir, Canaan Fir and Concolor Fir. Handmade wreaths, tree stands, and of course, our yummy cider donuts are also available! Open Thursday-Sunday while trees last. See you at the Farm! 200 Cranston Ave, North Abington Township, PA robafamilyfarms.com (570) 563-2904

A Few of Our Favorite Things...

Ceramic Christmas

The classic ceramic Christmas Tree holds an inter esting place in my memory. Throughout the 1970s my mother, Sylvia Rochon, held ceramic classes in our basement. Two nights a week ladies would gather on long tables to make every sort of ceramic piece known to man. Many, many of these ceramic Christmas trees were pro duced in our home where my mother had her own kiln. Some trees had windup music boxes and played “O Tannenbaum.” All were wired with electricity so that the ‘bulbs’ and star on top would light up. As a small child I would help my mom with the wiring because my hand would fit inside the tree -Paula Rochon Mackarey

Hard Candy Christmas

When Dolly Parton sings about being… ‘fine and dandy, like hard candy Christmas’… she is quite possibly singing about this old fashioned favorite. Whether you prefer ribbon candy, cut rock candy or candy canes, nothing says Christmas like an oldfashioned sugary treat.

Keeping companions close

Allied Services Hospice is proud to partner with Pet Peace of Mind. Our staff and volunteers work to preserve the loving bond between patients and their pets, enabling them to stay together through the end of life journey.

Find support at 570.341.4320

At some point, support from family, friends and local pro grams may not be enough for safe senior living. Some facilities have only housing and housekeeping, but many also provide personal care and medical services. Many facilities offer special programs for people with Alzheimer’s disease or dementia.

Residential care facilities provide personal care and meals and have staff available around the clock. Assisted living is for people who need help with daily care, but not as much help as a nursing home provides. Typically, a few "levels of care" are offered. Assisted living residents usually live in their own apartments and share common areas. They have access to many services, including meals, assistance with personal care, help with medications, housekeeping and laundry, 24-hour supervision, security/on-site staff and recreational activities.

Nursing homes, also called skilled nursing facilities, provide a wide range of health and personal care services. Their servic

es focus on medical care more than most assisted living facilities. Continuing care retirement communities (CCRCs), also called life care communities, offer different levels of service in one location. Anticipating what is needed ahead of a crisis can help ensure that the right facility is available when needed. H

For more information, call 570-655-2891 UnitedMethodistHomes.org Wesley Village Campus offers seniors a safe and secure community where they can thrive. Enjoy an active lifestyle with support based on your individual needs, so you can enjoy every moment! Experience maintenance-free, worry-free living and a wide variety of daily programs, social activities, and amenities! Winter can be a stressful time. We want to ease that stress so you can focus on what’s important - making memories with friends & family. Independent Living Personal Care Short-Term Rehabilitation Skilled Nursing Memory Care 209 Roberts Road, Pittston, PA

Touching Lives through Coaching Vincent Yurko

Vmore than 1,200 players, he vol unteered over 35 years of his life to touching lives through coaching baseball. Many of his players continued to play in college and some even played Major League Baseball. During his career at Meyers High School and South Wilkes Barre Teeners' League, his teams won more than 30 championships and tournaments.

"More important than my father’s cham pionships however, is that he was a great leader and example for young men and women," said son Paul Yurko.

Coach Yurks realized that 13-yearolds were quitting teeners' league as the result of playing against bigger players on a bigger field. So he helped organize a special league just for those aged 13 in the Wyoming Valley. And, after discovering that not many of his players participated in fall sports, he organ ized a fall baseball program.

During his own childhood, Vince played baseball, football and basketball. He was a wide receiver, linebacker and punter in football and a forward in basketball while at Plymouth High School, earning six varsity letters for football and basket ball. He had many accomplishments in football including 14 touchdowns. He was selected to be in the Wyoming Valley Coaches All-Star Team dur ing his senior year. He also was chosen to play in the UNICO Game, and scored an 80-yard punt.

"He loved the competition and the team aspect of the sports he played," said Paul. "He also loved the life lessons of hard work, commitment and the discipline that sports taught him."

Although he was invited to try out for the

joined the US Navy instead. During the Korean War, he spent four years as a radarman on a destroyer ship called USS Murray. He continued to serve the next four years by joining the reserves.

After his service in the 1960s, Vince became a volunteer fireman in New Jersey. He was employed by Keystone Pharmacy, Metropolitan Wire Company and Simgo Tennis Court Company.

In the late 1970s, Vince began coaching base ball at all levels from teeners' league to college. He was also a treasurer, umpire and equipment buyer. For a decade, he was the head coach for the Pocono Region Pennsylvania Keystone Games, in which his teams won numerous medals including two gold. He was an assistant coach at Meyers High School and Penn State Wilkes Barre and helped his team win many allstar championships for the South Wilkes Barre Teeners' regular season, Wyoming Valley Baseball and the league for those age 13. His for

70 HappeningsPA.com December 2022

mer players wrote to newspapers and shared comments on social media about the positive effect that he had on his players.

"Vince insisted that we practice like winners, behave like winners and dress as winners," former player Kevin Welles wrote. "That usually resulted in winning on the field, but even rare losses were still wins because they were equally valuable les sons. The greatest testament to his remarkable success as a coach … were the contributions we subsequently made to our communities as grown men."

Coach Yurks received service recognition and coach-of-the-year awards from many organiza tions. The Wilkes Barre Teeners' League estab lished the "Vince Yurko for the Love of the Game" award in 2004. Throughout his life Coach Yurks held fundraisers for organizations that supported kids. His hobbies included golf and watching the New York Yankees and New York Giants. He also fixed and refurbished baseball equipment for young baseball players.

Vince was married to his wife Barbara for 61 years. They had three children: Paul, Dave and Barb and their families that include ten grandchil dren and several great-grandchildren. Vince taught them all about sports and life. Most of his grandchildren played baseball through high school. Paul's youngest son Aaron Yurko played baseball through college at the Division 1 level. His coaches and umpires would tell him what a great and honorable person his grandfather was and how they loved how he taught the game the right way. Although he was Coach Yurks’ grand son, Aaron never got a free pass.

"And that's exactly how he would have wanted it," Paul said. "You earn every thing!"

Vince was modest and didn't want his action seen in the paper. When Paul received unofficial word that his father was considered to be inducted in the Luzerne County Sports Hall of Fame, he didn't let on to his father until he received the official letter.

"Then I got an overwhelming feeling that I needed to tell him," he said. "I said Dad, I told you a little white lie a while back; the informa tion we gathered wasn't for a college paper but was to nominate you for the Luzerne County Sports HOF. I got that Vince Yurko death stare. He got tears in his eyes and he looked at me like I laid down a perfect squeeze bunt (which was his favorite play) and he hugged me. He passed away three days later."

Former players, coaches, umpires and parents of his 1,200 players have reached out to Vince's family both when he passed and when he was elected.

"I still have people coming up to me telling stories (some with tears in their eyes) of how he affected their lives," said Paul.

Ben Freda

December 2022 HappeningsPA.com 71

own. Knowledgeable tour guides will answer questions and make this a seasonal experience to remember.

The Mercer Museum 84 South Pine Street Doylestown, PA, 18901

Fonthill Castle 525 East Court Street Doylestown, PA, 18901

The Mercer Museum & Fonthill Castle Hours: Tuesdays – Sundays 10 a.m. – 5p.m.

Visit mercermuseum.org. H

December 2022 HappeningsPA.com 73
Kevin Crawford Imagery

Christmas Gifts for Proud Scrantonians

At 11 a.m. Gary Ryman will speak about his new book, Gifford Pinchot: The People’s Governor. At 1 p.m. longtime LHS volunteer Arlene O’Malley will present a hands-on Victorian ornament-making work shop. At 2 p.m. retired University of Scranton professor Willis Conover will offer a program on his new book Labeling Lackawanna: The Stories Behind Lackawanna County Place Names. Other local authors will sign copies of their books on many top ics: Jay Luke on anthracite history in the Mid-Valley; Julie Esty shares the “stories in stone” found in the Dunmore Cemetery; S. Robert Powell on the Delaware & Hudson Railroad; and Joe Klapatch details the history of local fire companies. Letterpress designs from Chris Medley of Crow Designs and handmade items from Juliana Piccini will also be featured. Call 570-344-3841 or email lackawannahistory@gmail.com H

Looking for Christmas gifts for proud Scrantonians, or nostalgic gifts for rela tives who moved away? The Lackawanna Historical Society will provide one-stop shopping featuring local authors and historians at a Local History Holiday Emporium December 4, 10 a.m. -3 p.m. The event will be held at the Society’s headquarters, the Catlin House, 232 Monroe Avenue, Scranton. Start or polish off your holiday shopping, or enjoy special presentations.

Photos: Jim Ruane

The Wright Center’s Ryan White HIV Clinic

More than half of the patients cur rently receiving HIV care at The Wright Center for Community Health’s Ryan White HIV Clinic are ages 50 and older –a stirring testament to how advances in treatment are allowing people to control the virus and enjoy long, active lives.

The epidemic, however, is not over in Northeast Pennsylvania or the nation.

On Dec. 1, recognized as World AIDS Day, The Wright Center joins with other health care organizations and advocates around the globe to commemo rate more than 35 million lives lost to AIDS and HIV-related illnesses since the outbreak began in the 1980s. The obser vance also provides an opportu nity to show support for individ uals living with the virus and to draw people’s attention to a bold campaign to achieve a potential end to HIV.

The U.S. Department of Health and Human Services previously announced a plan to halt the epidemic in this nation by 2030, driving down new infections from about 38,000 per year to less than 3,000. In support of that goal, The Wright Center’s long-running Ryan White HIV Clinic is striving to further pro mote testing and prevention strategies and to engage with

more patients, some of whom don’t know the full extent of the clinic’s services.

“At The Wright Center, we are extremely proud that we’ve been at the fore front of HIV/AIDS treat ment locally for more than two decades, provid ing continuous and coor dinated services to patients from seven counties,” says Shane Cobert-Fuller, director of HIV and Preventive Services.

“But,” he adds, “we continue working on community out reach and increasing knowl edge about HIV, because there are still many who don’t under stand the disease or the ways in which we can help.

The Ryan White HIV Clinic cur rently assists approximately 500 patients through its clinical program, which provides spe cialty health care and support services, and about 300 clients through a medical case man agement program, with some people dually enrolled. The patients range in age from 18 to their 80s, and they defy all preconceptions about the dis ease and sexual orientation, social strata and gender. About 40% of the clinic’s users are women.

The clinic’s professional team sees patients at The Wright Center’s Scranton and Kingston practices. Ryan White services

are integrated within primary care services at each location, which decreases the stigma sometimes associated with going to a stand-alone HIV treat ment facility. The integrated sys tem of care delivery also gives patients the convenience of visit ing a single site for a full spec trum of health services, including primary care, behavioral health, addiction and recovery and dental.

The clinic’s users also can access support services that allow them to move past imme diate financial challenges and instead prioritize their health. Services include access to free hygiene products and healthy foods as well as assistance with health insurance coverage, med ication purchases and certain emergency situations (such as a utility shut-off). Patients might also be eligible for transporta tion to medical appointments.

Regional program part of national effort to end HIV epidemic by 2030
Cobert-Fuller, director of HIV and Preventive Services

Increasingly, the Ryan White program emphasizes preven tion strategies. It offers risk assessments, partner counsel ing and access to pre-expo sure prophylaxis (PrEP) servic es, which is available in pill form or injection and reduces the risk of getting HIV from sex by about 99% when taken

as prescribed. In addition, The Wright Center provides confi dential testing for sexually trans mitted infections at each of its locations.

There is no cure for HIV. But thanks to modern drug proto cols, most people with the virus can achieve and maintain an

undetectable viral load, which both protects their immune health and prevents the disease from being transmitted to others. This year, The Wright Center’s program has attained a nearly 95 percent viral load suppres sion rate, outpacing the fed eral government’s timetable for reaching that goal.

“New medications are chang ing the landscape around HIV prevention and care,” Cobert-Fuller says. Visit TheWrightCenter.org H

Gordon W. Chase, CPA Tunkhannock, PA 18657 (570) 836-3868

Richard S. Lochen, CPA Nicholson, PA 18446 (570) 942-4578

Shane Cobert-Fuller and Judith Chavez are among the team members trying to lower the rate of HIV infections in Northeast Pennsylvania.
Offering the following services: Tax Preparation & Planning, Auditing, Payroll, Bookkeeping Individuals, Corporations, Partnerships, Government, and Non-profit Full Service Accounting Firm
& Chase, P.C.
Lochen

residential treatment facili ty for adolescent boys. I began taking classes toward my LCADC (License Certified Alcohol Drug Counselor) and never looked back.

I was living and working in New Jersey when I decided that working as a LCADC was my passion and I was ready for a change. I moved here in pursuit of a position with Scranton Counseling Center as a Drug and Alcohol Therapist. After a short period of time, I was pro moted to my current role as Director of Outpatient Drug and Alcohol Services.”

This requires her to wear a variety of hats. “A key part of my role is supervising and coordinating sub

PEGGY DEMONT

Director of Outpatient Drug and Alcohol Services Scranton Counseling Center

eggy Demont began her career in Human Resources and spent a brief period working in the retail industry. With introspection and a great deal of soul searching, she found herself wanting to remain in a helping role, but in a different capacity. She recalled: “As a woman of faith, I began praying about my ‘calling.‘ I decided to pur sue my Master’s Degree in Counseling, and chose Liberty University. The ability to engage in an advanced degree pro gram in a pre-COVID world was ahead of its time and was an excellent way for me to pursue my degree while maintaining full-time employment.

As I began my transition to the human service field, a friend encouraged me to apply for a clinical therapist position at a

stance abuse services, com munication and collabora tion with stakeholders such as the Lackawanna County Courts and Probation Officer, collecting and ana lyzing data to understand client satisfaction and suc cess, navigating complexi ties and maintaining com pliance with regulatory bodies and funders, grow ing and sustaining the pro gram, and providing direct services in the form of indi

78 HappeningsPA.com December 2022
P

vidual and group therapies to consumers.”

Peggy believes that individ uals who are able to build upon and access a strong support network are the most suc cessful at over coming and recovering from addiction. She has found that the individuals who consistently engage in treat ment, surround themselves with others who are serious about recovery, engage in meetings and/or alternative forms of recovery such as mindfulness, art or music therapy, exercise and other prosocial activities, are most likely to be successful. “What ends up often being very true is the assumption that people who find them selves back in relationships or situations with negative people, places and things, end up relapsing. It is espe cially true with romantic relationships. Staying in or returning to a relationship where a significant other is actively using, often ends in relapse. Statistically, we understand that it can take individuals up to 5-8 attempts at sobriety before successfully entering recov ery. Treatment of chronic diseases involves changing deeply rooted behaviors, and relapse doesn’t mean treatment has failed. When a person recovering from an addiction relapses, it indi cates that the person needs

to speak with his/her treat ment provider(s) to resume treatment, modify it, or try another treatment.”

When considering how dif ficult the pandemic was on average individuals, we can only imagine the added layers of hardship, stress and isolation it placed on individuals struggling with addiction. “Isolation is one of the biggest triggers for those struggling with addiction and co-morbid mental health issues. We were suddenly living in a world where consumers not only lost in-person access to supportive treat ment, support groups and other methods of healings, but also the added layer of accountability that comes with meeting with providers and groups in person.

As a provider, we continue to see increases in strug gles with addiction and mental health as a result of the pandemic that has cre ated an increased demand for services. We feel very fortunate to be back to a space where we can sup port people in-person.”

Based on Peggy’s experi ence as a clinician in New Jersey, she noted that it is clear that the opiate epi demic is a nationwide struggle. “The opioid epidem ic's toll is felt across the life span and in every sociode mographic group, but more heavily burdens vulnerable popu lations, such as those in eco nomically depressed areas. We have also observed that regionally, methamphetamine appears to be a widely abused substance.”

When considering char acter traits of someone predisposed to addiction, Peggy said that both genetic and environmen tal factors are noted. For instance, does the person have parents/siblings who struggle with addic tion? “The term ‘genetics’ is very broad and encompasses genes inherited – parent to child – over generations. Though no particular gene has been identified as the ‘addiction gene,’ individuals who suffer from addiction tend to have children who also suffer from addiction at much higher rates (25% higher on average) than children of non-addict parents. Similarly growing up in an environment where parents or caretak

December 2022 HappeningsPA.com 79
“Statistically, we understand that it can take individuals up to 5-8 attempts at sobriety before successfully entering recovery.”

ers abused alcohol and or illicit substances makes children more susceptible to things like childhood abuse or neglect.

Trauma in childhood is a huge predictor of addic tion, as drugs and alcohol are often used as a coping

strategy to ‘numb’ emo tional pain. Comorbidities between mental illness and substance abuse disorders are very common. A key step in prevention is seek ing treatment at the first sign of symptoms or strug gles.”

In her role at the Scranton Counseling Center, Peggy attends Treatment Court, DUI Court and Gagnon Court. “Consumers who are court ordered to treatment are often among the most compliant. We are incredi bly fortunate to have Specialized Treatment Courts in Lackawanna County. Addiction and criminogenic behavior often go hand and hand. Working with a court sys tem that allows people a chance at recovery through treatment instead

of punishment or incarcer ation is an incredible advantage. It also provides people with the tools to access the resources they need to truly pursue recov ery, and to break free from cycles that lead to destruc tive behaviors. While some individuals may eventu ally require the account ability of incarcera tion for their own safety, statistics show that a majority of people incarcerated who are struggling with a substance use disor der don’t have access to treatment. While incarcera tion may be a short term tool of accountability and safety, it leaves individuals without the skillset required to truly begin their path to recovery. We are proud to be a service provider in a region that truly places an emphasis on treatment and recov ery.”

According to Peggy, family remains the primary source of attachment, nurturing and socialization for humans in our society. Therefore, the impact of substance use disorders (SUDs) on the family and individual family members merits attention. “Each fam ily and individual family member is uniquely affect ed by the individual using

substances including but not limited to having unmet developmental needs, impaired attach ment, economic hardship, legal problems, emotional distress and sometimes violence being perpetrated against him or her. For chil dren there is also an increased risk of develop ing an SUD themselves. We have found treating only the individual with the active disease of addiction is limited in effectiveness. Human Services, more than any other health care pro fession, has historically rec ognized the importance of assessing the individual in the context of his or her family environment. Whenever possible, we integrate the family system into treatment so that indi viduals are being treated as a whole person and in the context of their envi ronment and systems,” she said.

While there are many approaches to recovery, faith based institutions affected Peggy’s approach to her career. “I believe in the concept that one can’t get and stay sober alone. For me, a higher power/faith (for me that is God) is essential in giving a person the strength to fill the emptiness deep inside one’s soul. For individuals who don’t identify as reli gious or spiritual, family, social supports, treatments, and other alternative forms of therapy may be the key to entering their journey toward sobriety.

A person
80 HappeningsPA.com December 2022
“Isolation is one of the biggest triggers for those struggling with addiction and co-morbid mental health issues.“

with an addiction is often attempting to fill pain, emptiness or other voids with drugs and alcohol and we know that this is only a temporary fix. Whether it be religion, spirituality, treatment or other forms of healing, a variety of tools are needed for substantial and lasting answers to the emptiness and hopeless ness often endured by indi viduals struggling with SUDs. Recovery and living a sober lifestyle look differ ent for every person; I find it essential in my position to meet consumers where they are and find an approach to treatment and recovery that fits their unique needs and belief systems,” she said.

met with much heartache when a client losses his or her life to the dis ease of addiction. However I also want to share that there truly is hope for individuals and their loved ones who are living with or through addiction. Many consumers truly are able to turn their lives

around. When it finally clicks with someone that living sober has more benefits then being in the darkness of addiction, it is the most rewarding thing of all!” H

December 2022 HappeningsPA.com 81
“My time in this field has been
“Working with a court system that allows people a chance at recovery through treatment instead of punishment or incarceration is an incredible advantage.”

W ho is the cutest of them all?

Bodhi Cali

Bodhi is a certified therapy dog who is loved by all patients. He resides with the Kafrissen Family of Kingston.

Cali is a crazy smart pup who loves bas ketball, chasing butterflies and pounding down on a good pair of shoes of her Frank family in Laurel Run.

Godiva

In Jermyn, the Colarusso family says that Godiva loves long naps, doggy day care and eggs on Saturday morning.

Houston, Nikita, Tango & Eris

Houston, Nikita, Tango and Eris are all part of the Fazio family from Clarks Summit who loves each one the same.

At the Mokhtari house in Clarks Summit, Claire loves chatting with family and tak ing up space when she sleeps.

Claire Max

Max (Maxwell) loves playing with the grandchildren at the Malinak household in Dunmore. He loves lying in the yard under the weeping cherry tree.

82
HappeningsPA.com December 2022

Vote for your favorite December pet at

www.HappeningsMagazinePA.com!

The winner receives a Happenings bandana!

Natasha

Roscoe

Roscoe enjoys walking around her farm in Scott Township and chasing chickens. She is well-loved in her Clum household.

SkyeBoat Trinity & Mitten

Skyeboat likes escape into the yard and refuses to come in for several hours. She resides with the Rayburn family in Scranton.

The Lieseifsky family of Throop report that Trinity and Mitten spend many hours online and napping.

Skittles

Skittles

Willow & Daisy

love to play and have treats provided by the Shukis family of Taylor.

The votes are in... November’s Pet of the Month is Bentley Congratulations!
Natasha practices yoga with her mom, takes care of her little brother Chipper and lives with the Grzybowski family in Dickson City.
December 2022 HappeningsPA.com 83
is intense, running around her house in Newton Ransom with the Davis family. She goes crazy for bugs and dan delions but blueberries make her hyper.

First Steps of the Electric City Trail

on October 28, Valley In Motion began paint ing footprints on side walks in downtown Scranton as part of a new “urban trail” sys tem. Electric City Trails will connect downtown Scranton with key public recreation sites like the Iron Furnaces, the Lackawanna River Heritage Trail, and Nay Aug Park. Directional footprints and signage will guide walkers or run ners using existing side walks, paths and road crossings. This project is the first stage in an effort to place the Iron Furnaces once again at the intersection of

Scranton public life. Following completion of the walking paths, similar wayfinding will be created to guide bicyclists on a sixmile loop from the trail to Nay Aug Park. These proj ects will connect key por tions of the City for resi dents and visitors alike, encouraging walking and

biking as a means of recre ation and transit.

Additional stages of this project include revitalizing the streetscape in front of the Iron Furnaces, building a trail that runs through the Iron Furnaces property, and creating a new trail along Roaring Brook at the Iron Furnaces.

84 HappeningsPA.com December 2022

coalition of organiza tions part ners with Valley In Motion for this project, including the City of Scranton, Anthracite Heritage Museum, Lackawanna Heritage Valley, the University of Scranton, Scranton Tomorrow and Lackawanna County.

Valley in Motion (VIM) is a non-profit that fosters community and quality of life in the Lackawanna Valley. Reach VIM President Gus Fahey at 570-3460600 or gus@valleyinmotion.org. Visit www.valleyinmotion.org. H

CLOSE TO ALL THE AMENITIES 230 Lackawanna Avenue • Olyphant, PA 570-489-4756 Rent based on 30% of your income. Includes all utilities except cable and telephone. NowAccepting Applications CLOSE TO ALL THE AMENITIES 145 Church Street • Montrose, PA 570-278-3849 62 or older, handicapped or disabled. Rent based on 30% of your income. Includes all utilities except cable and telephone. NowAccepting Applications Montrose Square Apartments
A
Photo: Brian Anderson

Wayne Bank Supporting Wayne Pike Trails and Waterways Alliance

James O. Donnelly, President and Chief Executive Officer of Wayne Bank, recently announced a $15,000 donation toward the Lackawaxen River Trails project in conjunction with the Wayne Pike Trails and Waterway Alliance.

The Lackawaxen River Trails is a multi-year project guided by a group of dedicated commu nity volunteers. Volunteers work with many community partners, including the Wayne County Community Foundation, to raise funds to build a trail system from Honesdale to Hawley on land, river and rail. The plans are based on a feasibility study completed by Wayne County in 2020. Public input from the

study revealed overwhelm ing support for such trails.

“Wayne Bank is so proud to be a part of this project that will offer tremendous bene fits for local residents, fami lies and visitors to our area,” stated Donnelly. “We are dedicated to investing in our communities and this project will provide a wonderful way for people to connect to the beautiful natural resources of Wayne County, as well as extensive economic benefits, through increased tourism to our area.”

Since the feasibility study was released, the Lackawaxen River Trails has had much to celebrate. Construction of three river access sites has been fully

funded by a combination of grants from the PA Fish & Boat Commission (PFBC) and the PA Department of Conservation and Natural Resources, with required matching funds coming from local foundations, companies and individuals. Two sites will begin work in the fall of 2022, the third in 2023.

A river access at Industrial Point in Honesdale will include ADA-compliant features, including a boat ramp, walking paths, parking and park amenities such as picnic tables and restrooms. A river access in White Mills will have two boat ramps, ADA parking, and a restroom. These two sites will join a river access already completed in Hawley at Bingham Park and one that is

86 HappeningsPA.com December 2022

planned in Indian Orchard near the intersection of Route 6 and 652.

These four sites will offer paddlers, fishermen and nature lovers places to enjoy the beauty of the Lackawaxen River. All four sites will be official PFBC access points, which will provide consistent rules and enforcement to pro tect the river and its use.

For information or to make a tax-deductible donation for the project, visit waynefoundation.org.

Wayne Bank is a subsidiary of Norwood Financial Corp., Member FDIC, and is located in Honesdale, Pennsylvania. The Bank has 29 Community Offices serving Wayne, Pike, Monroe, Lackawanna, and Luzerne Counties in Pennsylvania, along with Delaware, Sullivan, Otsego, Ontario, and Yates Counties in New York State, including those offices operating under the Bank of Cooperstown and Bank of the Finger Lakes brands. The stock trades on the NASDAQ Global Market under the symbol— NWFL

December 2022 HappeningsPA.com 87
L-R: Grant Genzlinger, Lackawaxen River Trails project volunteer; Molly Rodgers, Lackawaxen River Trails project volunteer; James O. Donnelly, President and Chief Executive Officer, Wayne Bank; Jeff George, Lackawaxen River Trails project volunteer and Ryanne Jennings, President and Chief Executive Officer, Wayne County Community Foundation.

Bosak’s Choice Meats Manning Farm Dairy

Since the 1920s, Manning Farm Dairy has delivered fresh milk and ice cream products to Northeast PA. Enjoy holiday treats such as egg nog, ice cream cakes and featured ice cream specials such as pumpkin, cinnamon, apple and peppermint stick. 570-563-1702 www.manningfarm.com

Edible Arrangements

Edible Arrangements are perfect for holidays and occasions of all types. Featured promotions include an upcoming snowman arrangement that is so festive to give or receive. Visit their Facebook page or call 570-983-0621.

ANortheast PA holiday is not complete without Bosak’s award winning store-made kielbasa and sausage. Bosak’s Choice Meats has offered its specialities for over the past 20 years. Bosak’s fan favorite kielbasa comes in five flavors: fresh, smoked, smoked with cheese, turkey and turkey cheese. They make it in three forms includ ing rings, patties and sticks. Their store-made sausage comes in 10 flavors. The old fashioned butcher shop also offers a full variety of deli meats and store-made salads, prepared foods, custom cold cuts and kielbasa. In addition to kielbasa and sausage, best sellers for the holiday season include prime rib, ham and turkey. The Bosak family cuts, packs and grinds all their own meats. Bosak’s also offers the option for hunting customers to bring in deer, pheasant and other game for wild game processing to your liking!

Throughout the years Bosak’s has collected several awards, including winners of first place trophies for its store-made meats and poultry as well as for its customer service.

The Bosaks cut, package and grind all of their own meats and believe that the excellent meats they sell should be enjoyed to their fullest, which is why they love to give cus tomers ideas on delicious meals. If you don’t know how to cook or are a beginner, ask them for help and they will happily share.

Though Bosak’s is a meat store, shoppers can find everything needed for a holiday meal, including fresh fish and bakery bread. Lunch from Bosak’s consists of hot sandwiches and storemade soup, prepared fresh every morning. Bosak’s is located on the Burke Bypass in Olyphant. Call 570-3835260. www.bosakschoicemeats.com. Custom orders are always welcome and gift certificates make recipients more than joyful. H

88 HappeningsPA.com December 2022

207-0405

Ave. Scr. 961-1645

Ave. W. Scr. 558-1680

MADE IN PA 16 First Place Awards! Award Winning Store Made Kielbasi Black Angus Choice Beef Variety of Store-Made Sausage Pork, Poultry, Lamb & Veal Full Variety of Deli Meats & Store Made Salads 524 Burke By-Pass, Olyphant • 570 383-5260 www.BosaksChoiceMeats.com No added RBST (bovine growth hormone) Farm
Dunmore
Clarks
Meadow
Main
Holiday ice cream cakes and ice cream pies - all locations We are a local dairy that milks our own cows and bottles our milk every day! Eggnog is Available November 10 thru January 1
563-1702
Summit 586-1288

RECIPE

Red Wine Poached Pears

Here is a Fall /Christmas recipe using Bosc or Anjou pears. Bartletts are not suitable for this recipe because they can be too mushy.

Ingredients:

2 cups Cabernet Sauvignon

1/2 cup white sugar

1/2 -1 teaspoons grated orange peel

1/2 cup orange juice—can use apple cider/pomegranate juice

2 tsp vanilla extract

3-5 pears, not overripe —with stem intact

1 stick cinnamon

8-10 whole cloves

Compliments of Grace Lyle

Directions:

Select a saucepan to accommodate pears so they fit snuggly, but still have a little room. Place pears in upright position to start. Place all the ingredients in saucepan except pears. Simmer red wine and sugar until dissolved. Peel the pears after poaching liquid has sim mered. Otherwise the pears will discolor. Poach for 20-25 minutes. Rotate the pears every 5 minutes so they poach evenly, up to the stem. Keep pears in poaching liquid to cool down. Remove the pears to a plate and leave them covered with plastic wrap. Heat the remaining liquid to a simmer, until syrupy. Pour a little syrup over each pear. Serve chilled with mascarpone.

90 HappeningsPA.com December 2022
December is National Pear Month
“One of the world’s most beautiful inns” – Brides Magazine www.genevaonthelake.com l 1001 Lochland Rd., Geneva NY l 315-789-7190 BOOK NOW! Call & Order NOW for the Holidays! Corporate Gifts Available 302 Cherry Street • Scranton, PA 18505 • 570-343-5266 ext. 1 Featuring Fresh, Gourmet European Style Rugelach, Specialty Cookies and More! High Quality Tradition Attention to Detail Exquisite Baskets • Party Platters • Gift Tins We Ship UPS Anywhere! 570-343-5266 ext.1 FAX: 570-961-8861 www.mymothersdelicacies.com Celebrating 34 Years! December 2022 HappeningsPA.com 91

Burgers!

December 21, we asked our readers to send in their favorite burgers. Here is what they said...

Bistro on the Avenue, Kingston

BLT Salmon Burger, Cooper's Seafood, Scranton

Camelot Restaurant, Clarks Summit Friendly's, Dunmore Gannon's, Scranton

Jack’s Draft House, Scranton

JackAsh Burger, Mansour's Market, Scranton Jake's Elk Lake Tavern, Waymart and The Smoke and Pepper Burger, Red Robin, Dickson City

Lunchbox Burger at 3 Jacks Burger Bar, Dunmore Patches Burger, NYX, Clarks Summit

Rockin' Elvis Burger, Eden Vegan Cafe, Scranton

Rodeo Burger, Cooper's Seafood, Scranton Stirna Burger, Stirna’s, Scranton

Texas Burger, Coney Island Lunch, Scranton The RE-Pete, Pete's Place, Carbondale

Tunkhannock Burger and Mushroom Burger, Fireplace Restaurant, Tunkhannock Two Rivers Grill, Matamoras

Vintage Burger at 3 Jacks Burger Bar, Dunmore

White Haven Diner, monstrous burgers, White Haven

White Haven Diner, hubcap giant burgers, White Haven

OUR READERS’ FAVORITE

SAVORY MAZA

Meat Pies

Ground beef, diced onion, tomatoes, salt and pepper. Pine nuts options.

COOPER’S SEAFOOD HOUSE

Rodeo Burger

Don’t be afraid to get a little saucy. A thick, one half pound, fresh ground, grilled burg er, Jack Daniels® BBQ sauce, American cheese and onion rings. WOW!!

STIRNA’S The Stirnaburger

Full 1/4 lb. top choice ground beef topped with tomato, bacon, and choice of American or Swiss cheese melted on a semi-hard roll.

CONEY ISLAND LUNCH Texas Burger

The deep-fried burger is topped with Düsseldorf mustard, freshdiced onions and family-crafted chili sauce all served on a National Bakery roll.

Note! All hours are subject to change without notice. Call ahead, consult website and Facebook pages of each individual restaurant for updated information.

Abbiocco

Try our signature dishes, such as Chicken Abbiocco, manicotti or blackened salmon. BYOB. Text Abbiocco to 51660 to receive our texts every Wednesday or see weekly specials. Tues-Thurs. 11 a.m.-8 p.m. and Fri. and Sat. 11 a.m.-9 p.m., 639 N. Blvd., Clarks Summit. www.abbiocco.net 570-319-9633.

Coney Island Lunch

Try our Texas Wiener with mustard, onions and chili sauce! Tues.-Sun.11 a.m.-3 p.m. 515 Lackawanna Ave., Scranton. www.Texas-wiener.com. Delivery by DoorDash! 570-961-9004.

Gresham's

Chop House

Steaks, seafood, Italian specialties & more. Book your holiday parties now! Closed Sunday and Monday, Open Tuesday-Saturday at 4 p.m. 570-226-1500 greshamschophouse.com

Northern Light

Espresso

Bar and Café

Downtown Scranton’s original Espresso Bar. Celebrating 20 years! Enjoy locally roasted brewed coffee, Espresso, Tea and more. Grab and go for breakfast and lunch! Fresh baked goods daily! northernlightespresso.com M-F 8 a.m. to 6 p.m. S 9 a.m. to 6 p.m. 536 Biden Street, Scranton (formerly Spruce St.)

Pettinato’s Restaurant

Try our grilled salmon in Asian sauce. Take out and delivery. Mon.-Sat. 4-8 p.m., Sun. 4-7 p.m. 78 Dundaff St., Carbondale. 570-282-5860.

Dining around the Region

Sibio’s Restaurant

Our fettuccine Alfredo is a customer favorite! Lunch and dinner regular hours, full menu with specials. 1240 Quincy Ave., Dunmore. Sibiosrestaurant.com 570-346-3172.

Savory Maza

Shish barak special on Wednesdays this season! Indulge in fresh, homemade vegetarian and meat meals, plus daily specials. Mon.-Thurs. 11 a.m.-7 p.m., Fri. and Sat. 11 a.m.-8 p.m. 200 N. Main St., Scranton. savorymaza.com 570-969-2666.

Stirna’s

Our Stirnaburger is full 1/4 lb. top choice ground beef with tomato, bacon and American or Swiss on a semi-hard roll. Wed.-Sat. 4 p.m.9 p.m. 120 W. Market St. Scranton. On/off premise catering daily. 570-961-9681. H

The Blue Shutters Restaurant and Bar Modern Dining in a Historic Setting Private Event Specialists Modern American Cuisine We Have Excellent Taste! For reservations and private party availability call 570.842.9497 200 Memorial Drive • Elmhurst, PA • TheBlueShutters.com k k SINCE 1928

Melt 2 tablespoons of butter. Add 1 tablespoon of flour. Mix until thickened.

Add 1/2 cup of Half & Half and stir until boiling (strain if lumpy).

Drain 1 can crabmeat. Add to mixture. Add salt, pepper, and 1/3 cup of Italian flavored bread crumbs and mix well.

Spoon mixture on filets. Roll and place fold on bottom of buttered baking dish.

Melt remaining butter (or more). Add a few cloves of pressed garlic (or garlic powder) and grated cheese.

Pour over fish.

Season with a little salt, pepper, paprika, parsley (I also sprinkle some seasoned bread crumbs).

Add a little lemon juice.

Put dish in 350 degree oven - uncovered for 45 minutes. Baste with butter while baking.

Ingredients: 6 Filets of Flounder 2 Sticks of Butter 1 Can Crabmeat 1/3 Cup of Italian Seasoned Bread Crumbs 1 TBSP. of Flour Garlic or Garlic Powder 1/2 Cup of Half & Half Salt and Pepper to Taste Grated Romano-Pecorino cheese Lemon Juice Parsley From the kitchen of Joann Marianelli Finnerty, Bella Faccias 1) 2) 3) 4) 5) 6) 7) 8) 9) 96 HappeningsPA.com December 2022
RECIPE
Trust Cooper's for your seafood! Find the freshest fare! Fish • dry scallops • clams • oysters • lobster tails • king crab snow crab • shrimp & our famous soups: Crab and Lobster Bisque, Manhattan and New England Clam Chowder • LOUISIANA ALLIGATOR STEW AND OYSTER STEW Also ready- to-eat meals. Just purchase and heat! Spend $30 or more and get a free pint of Maryland Crab Bisque!! Dec. 23 9 a.m. 5 p.m. • Dec. 24 8 a.m. 4 p.m • Dec. 30 9 a.m. 5 p.m. • Dec. 31 8 a.m. 4 p.m. www.coopers-seafood.com • 701 N. Washington Ave., Scranton (570) 346-6883 ddddddddddddddddddddddddddddddddddddd ddddddddddddddddddddddddddddddddddddd
John Mackarey, LUTCF, RICP® Agent, New York Life Insurance Company Registered Representative offering securities through NYLIFESecurities LLC (Member FINRA/SIPC), A Licensed Insurance Agency. 220 Penn Avenue, Suite 100 Scranton, PA 18503 Phone: 570-340-1320 Email: John@JohnMackarey.com

Turn static files into dynamic content formats.

Create a flipbook
Issuu converts static files into: digital portfolios, online yearbooks, online catalogs, digital photo albums and more. Sign up and create your flipbook.
December 2022 Happenings Magazine by Happenings Magazine - Issuu