

PATOLOGI
Menneskets sykdommer
2. utgave
Bjørn Inge Bertelsen
Patologi
Bjørn Inge Bertelsen
Patologi Menneskets sykdommer
2. utgave
© Gyldendal Norsk Forlag AS 2011
2. utgave, 4. opplag 2024
ISBN 978-82-05-40560-8
Omslagsdesign: Gyldendal Akademisk
Omslagsfoto: Bjørn Inge Bertelsen
Illustrasjoner:
Jeanette Engqvist: 1.5, 4.1, 8.1, 8.2
Deborah Maizels: 1.2, 1.3, 1.4, 1.6, 1.7, 2.1, 2.5, 2.7, 4.3, 4.6, 4.7, 4.8, 6.1, 6.2, 6.3, 6.8, 6.9, 6.10, 6.11, 7.7, 11.1
Nancy Marshburn: 8.4, 8.5, 9.4, 10.3, 10.4, 12.1, 13.3, 15.2, 15.3, 15.4, 16.1, 18.5
Kari Toverud: 1.8, 1.9, 2.2, 2.4, 3.1, 4.9, 7.2, 7.3, 7.4, 7.8, 7.9, 7.11, 7.13, 8.3, 9.1, 13.2, 15.1, 17.1, 17.2, 18.1, 19.2, 20.1
Ellen Wilhelmsen: 13.1, 13.4, 13.5, 13.6
Foto:
Aventis Pharma: 7.5
Bjørn Inge Bertelsen: 4.2, 4.4, 4.5, 6.4, 6.5, 6.6, 6.7, 6.12, 6.13, 7.9, 7.11, 7.12, 9.1, 9.5, 10.1, 10.2, 17.2
Torstein Bertelsen: 11.2
ConvaTec: 14.1
Haukeland Universitetssykehus: 14.2
Jørgen Jahnsen: 9.2
Helga Maartmann-Moe: 9.3, 9.5
Dr. P. Marazzi / Science Photo Library: 2.3
Sverre Mørk: 18.2, 18.3, 18.4, 18.6
MSD: 19.1
Fredrik Petlund: 7.1
Layout og sats: Laboremus Oslo AS Brødtekst: Minion 10,5/13 pkt
Papir: 100 g G-Print
Trykk: Mediehuset Andvord AS, Norge 2024
Alle henvendelser om boken kan rettes til Gyldendal Akademisk
Postboks 6730 St. Olavs plass 0130 Oslo
www.gyldendal.no/akademisk akademisk@gyldendal.no
Det må ikke kopieres fra denne boken i strid med åndsverkloven eller avtaler om kopiering inngått med KOPINOR, interesseorgan for rettighetshavere til åndsverk. Kopiering i strid med lov eller avtale kan medføre erstatningsansvar og inndragning, og kan straffes med bøter eller fengsel.
Forord
I denne boken søker jeg å formidle en grunnleggende forståelse av menneskets sykdommer som et fundament for videre studier innenfor diagnostikk, behandling og pleie av syke. I denne andre utgaven er faktadelen oppdatert og en del illustrasjoner er nye. Hvert kapittel inneholder nå en litteraturliste. Kapittelstrukturen er også noe endret. Omtalen av celleskade og organismens respons på celleskade er nå samlet i de to første kapitlene. Sirkulasjonsforstyrrelser var tidligere omtalt i et separat kapittel, men behandles nå sammen med sykdommer i hjertet og blodkar. Kapittel 6 er nytt og inneholder en introduksjon til sentrale arbeidsmåter og metoder i moderne patologisk-anatomisk diagnostikk, noe som kun var kort omtalt i den første utgaven.
Mange studenter, undervisere og kolleger har gjennom årene kommet med nyttige kommentarer til den første utgaven av boken. Spesielt takknemlig er jeg for at overlege dr. med. Lars Helgeland, en ytterst kompetent kollega, ville gi en grundig vurdering av den første utgaven. Helgelands velfunderte kommentarer var svært verdifulle i arbeidet med denne nye utgaven.
Bergen, mai 2011
Bjørn Inge Bertelsen
Innhold
Kapittel 1Sykdom og celleskade
Årsak og mekanisme ved sykdom.
Adaptasjon
Cellevekst, atrofi og metaplasi
Årsaker til celleskade.
Celledød
Morfologiske endringer ved celleskade og celledød
Kapittel 2Respons på celleskade
Type I-hypersensitivitet – straksallergi, anafylaksi.
Type II-hypersensitivitet – cytotoksisk reaksjon
Type III-hypersensitivitet – immunkomplekssykdom.
Type IV-hypersensitivitet – forsinket reaksjon
Transplantatreaksjoner.
Avstøtningsreaksjon.
Transplantat-mot-vert-reaksjon.
Autoimmune sykdommer
Immunsvikt.
Kapittel 4Svulster
Svulst – tumor – neoplasme.
Oppbygning av svulster
Svulstceller
Støttevev
Svulstenes form.
Klassifikasjon av svulster
Benigne og maligne svulster
Klassifikasjon basert på opprinnelsescelle
Grad av differensiering
Kreft – en folkesykdom.
Kreftcellenes kjennetegn.
Spredning av kreftceller
Lokal invasjon.
Metastasering
Kreft oppstår i en celle med endret DNA
Genskadens effekt.
Faktorer som utløser genskade
Forhold som påvirker prognosen
Terminologi.
Hovedregler
Epiteliale svulster
Bindevevssvulster.
Andre svulster og tumorliknende tilstander
Kapittel 5Genetiske faktorer ved sykdom
Kromosomfeil
Gendefekter
Kapittel 6Patologisk-anatomisk diagnostikk
Vevsprøver.
Diagnostiske vevsprøver
Operasjonspreparater.
Autolyse og fiksering
Preparering og fremføring av vevet
Snittskjæring og farging.
Lysmikroskopi
Frysesnitt
Celleprøver
Eksfoliativ cytologi
Væskecytologi
Finnålsaspirasjonscytologi
Andre cytologiske undersøkelser
Supplerende teknikker.
Avanserte mikroskopiteknikker.
Obduksjon.
Lovgivning og forskrifter vedrørende sykehusobduksjon.
Prosedyren
Rettslig obduksjon.
Kapittel 7Sirkulasjonssystemet og hjertet
Væskeopphopinger
Ascites og pleuravæske
Blødning
Koagulasjonen og blodplatenes funksjon.
Trombose
Arteriell trombose
Venetrombose
Konsekvenser av trombose.
Hva skjer med tromben?.
Infarkt
Konsekvenser av sjokk
Konsekvenser av arteriosklerose
Kjempecellearteritt og andre vaskulitter
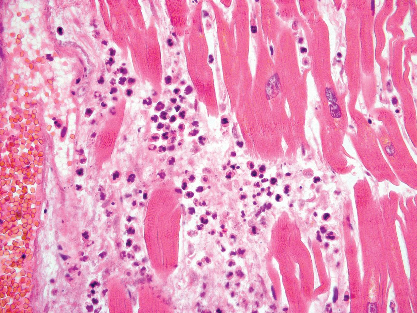
Hjertesykdommer.
Iskemisk
Medfødte hjertesykdommer.
Karsvulster
Kapittel 8Lungene og de nedre luftveier
Respirasjonssvikt.
Atelektase. .
Betennelse i de nedre luftveier og lungene
Bronkitt og bronkiolitt.
Lungebetennelse.
Sarkoidose.
Lungeødem
Lungeemboli
Obstruktiv lungesykdom
Astma.
Kronisk obstruktiv lungesykdom (kols).
Bronkiektasier
Sjokklunge
Lungefibrose
Pulmonal hypertensjon
Svulster i lungene
Primære lungesvulster
Diagnostisering av lungesvulster.
Lungesykdom hos for tidlig fødte
Sykdommer i pleura
Kapittel 9Spiserøret, magesekken og tarmene
Spiserøret.
Betennelse.
Magesår.
Svulster
Malabsorpsjon
Mage- og tarminfeksjoner.
Inflammatorisk tarmsykdom
Sirkulasjonsforstyrrelser i tarmene.
Obstruksjon av tarmpassasjen.
Akutt appendisitt
Svulster i tarmen.
Kapittel 10Leveren, galleveiene og bukspyttkjertelen
Akutt levercelleskade
Kroniske leversykdommer.
Skrumplever (levercirrhose)
Svulster i leveren
Galleblærebetennelse.
Svulster i de store gallegangene og galleblæren.
Tilstopping av galleveiene.
Bukspyttkjertelen
Betennelse.
Adenokarsinom.
Kapittel 11Hode og hals
Munnhulen.
Leppe- og ganespalte.
Tannråte.
Betennelse i tannkjøttet.
Betennelse i munnslimhinnen
Hvite slimhinneflekker
Svelget (farynks).
Sykdommer i øyets fremre del
Grønn stær.
Sykdommer i netthinnen
Svulster.
Kapittel 13Endokrine organer
Hypofysen .
Hypofyseforlappen.
Hypofysebaklappen
Skjoldkjertelen.
Struma.
Hypertyreose og hypotyreose
Svulster i skjoldkjertelen
Biskjoldkjertlene
Kalsiumstoffskiftet
Hyperparatyreose.
Hypoparatyreose
Binyrene.
Binyremargen.
Binyrebarken.
Bukspyttkjertelens endokrine del
Diabetes mellitus
Svulster
Kapittel 14Huden
Infeksjoner.
Bakterieinfeksjoner.
Soppinfeksjoner
Virusinfeksjoner.
Betennelsesaktige (inflammatoriske) hudsykdommer
Eksem
Psoriasis.
Sår.
Venøse sår.
Arterielle sår
Trykksår
Svulster.
Føflekk.
Hudkreft
15Nyrene og urinveiene
Nyresvikt.
Sykdommer i glomeruli.
Sykdommer i tubuli og interstitier.
Cyster i nyrene
Nyreinfarkt
Nyrene og hypertensjon.
Nyresykdom hos gravide.
Kapittel
Urinveisobstruksjon og hydronefrose.
Nyrestein
Svulster i nyrene.
Urinlederne og urinblæren
Passasjehinder i urinlederen.
Blæredivertikler.
Blærebetennelse.
Hindret urinblæreavløp
Svulster i urinblæren.
Kapittel 16Mannlige kjønnsorganer
Blærehalskjertelen
Prostatahyperplasi.
Prostatakarsinom.
Betennelse i prostata
Peniskreft
Testiklene og bitestiklene.
Kryptorkisme.
Hevelse i skrotum
Betennelse
Kapittel 17Kvinnelige kjønnsorganer
Karsinom i livmorhalsen.
Adenokarsinom i endometriet.
Svulster i eggstokkene.
Plateepitelkarsinom i vulva og vagina
Andre sykdommer i livmoren.
Menstruasjonsforstyrrelser.
Endometriepolypper.
Endometriehyperplasi.
Muskelknuter i livmoren
Endometriose
Sykdommer i svangerskapet
Preeklampsi og eklampsi.
Kapittel 18Nervesystemet
Romoppfyllende prosesser i kraniehulen
Herniering.
Svulster i kraniehulen.
Hjerneslag
Hjerneinfarkt
Hjerneblødning
Blødning under spindelvevshinnen
Traumatisk hjerneskade.
Infeksjoner i sentralnervesystemet
Hjernehinnebetennelse
Hjerneabscess
Hjernebetennelse
Prionsykdommer
Hydrocefalus
Multippel sklerose.
Parkinsons sykdom.
Huntingtons sykdom
Alzheimers sykdom.
Myasthenia gravis
Kapittel 19Beinvev, muskler, bløtvev og ledd
Beinskjørhet
Rakitt og osteomalasi.
Skjelettsykdom ved hyperparatyreose og nyresvikt.
Osteomyelitt
Svulster i skjelettet
Muskler
Muskeldystrofier.
Muskelbetennelse.
Svulster i skjelettmuskulaturen.
Bløtvev (bindevev, fettvev).
Svulster i bløtvev.
Andre bindevevssykdommer.
Ledd
Slitasjegikt.
Leddgikt.
Seronegativ leddbetennelse
Urinsyregikt
Leddinfeksjoner
Bindevevssykdommer (kollagensykdommer)
Systemisk lupus erythematosus (SLE)
Kapittel 20Blod, beinmarg og lymfatiske organer
Nedsatt produksjon av røde blodceller
Mangel på vitamin B12 eller folsyre
Tap av røde blodceller.
Økt blødningstendens
Blodplatemangel og blodplatedefekter
Koagulasjonsdefekter
Disseminert intravaskulær koagulasjon (DIC)
Blod- og lymfecellenes kreftsykdommer
Leukemi
Myeloproliferative sykdommer
Plasmacellemyelomer
Lymfatiske organer.
Lymfeknuteforstørrelse.
Malignt lymfom.
Stikkord