

IMPRESSIONS OF SPRING
ECHOING NATURE’S PALETTE WITH FLUID FORMS AND THE TIMELESS RHYTHM OF THE GULF THE STYLE ISSUE

The Johnsons POWER COUPLE
BILL AND SUSIE MET ON A BLIND DATE AND QUICKLY BUILT A STRONG FOUNDATION OF FRIENDSHIP AND MUTUAL CARE. THEIR ENDURING RELATIONSHIP IS ROOTED IN PRIORITIZING EACH OTHER AND SHARED VALUES. DEEPLY INVOLVED IN THE NAPLES COMMUNITY, THEY ARE PASSIONATE ABOUT THE NAPLES NEIGHBORHOOD HEALTH CLINIC, WHERE THEY CO-NAMED A PARK AND BILL SERVES ON THE BOARD, AND THE NAVY SEAL FOUNDATION, WHICH WILL HONOR BILL WITH THE 2025 PATRIOT AWARD. SUSIE HAS LED PHILANTHROPIC EFFORTS NATIONALLY, INCLUDING SERVING ON BOARDS FOR MAKE-A-WISH, RONALD MCDONALD HOUSE, AND THE MYASTHENIA GRAVIS FOUNDATION. HOSTING THE NAVY SEAL FOUNDATION DINNER, WHICH DREW OVER 600 ATTENDEES, STANDS OUT AS A CHERISHED ACHIEVEMENT. INSPIRED BY NAPLES’ GENEROUS SPIRIT AND THE PHILANTHROPY OF THEIR FRIENDS, BILL AND SUSIE ADVISE OTHERS TO ENGAGE WITH THE COMMUNITY, EMPHASIZING THAT ASKING HOW TO HELP IS THE FIRST STEP. NAPLES HAS ENRICHED THEIR OUTLOOK ON GIVING BACK, AFFIRMING THE JOY IN MAKING A DIFFERENCE.

LEARN MORE ABOUT OUR POWER COUPLE HERE:




Patrick J. carrigan, DMD Jose M. Horak, DMD eDwarD a scHerDer, DMD, JD robert c. HeDgePatH, DMD katie n roDriguez, DMD, Ms kurtis P. Hussey, DMD









Don’t Let Perfection Pass You By.
As an icon rises along the Vanderbilt Beach skyline, there will be a new address in Naples to surpass all others. With coastal residences of unrivaled space and finishes, 50,000 square feet of inspired amenities, and impeccable service by the first name in luxury, every moment of every day will be yours to enjoy at The Ritz-Carlton Residences, Naples.
A rare opportunity reserved for the few, the time to select your residence is now.
Occupancy Early 2026















6897 Grenadier Boulevard #Ph-3, Naples, FL $15,995,000. Exclusively offered by P remier S otheby’s I nternational R ealty. Listing Advisor - Walter T. Patrick, III


WATER+ WONDER
The shore less traveled



Ritz-Carlton Residences, Estero Bay are not owned, sold or developed by The Ritz-Carlton Hotel Company, L.L.C. or its affiliates (“The Ritz-Carlton”). LB Estero Bay Investments, LLC uses The Ritz-Carlton marks under a license from The Ritz-Carlton, which has not confirmed the accuracy of any of the statements or representations made herein.


Introducing a new kind of away. Just north of well known. Beside the protected shores of Estero Bay, Florida’s first aquatic preserve. Where life feels truer to nature. More private and peaceful. And supported by impeccable Ritz-Carlton hospitality. Nestled in the emerging coastal village of Saltleaf on Estero Bay, these refined tower residences offer a rare blend of curated living and unspoiled nature. Walk to your private lagoon for cocktails. Or the marina for a fishing excursion. To extraordinary games of golf. Or hikes through a nature preserve. But whatever the day brings, the best place to end up is your balcony, for sunset over Estero Bay. From the $3 millions. Secure your home now at the Sales Gallery.




The Art of Living Vibrantly

10 Designer-Decorated Models Now Open
Caymas is the talk of the town.
Caymas, Naples’ most successful new luxury lakefront community, is experiencing phenomenal demand as construction progresses on the incredible homes and amenities. The much-anticipated sports park is set to open this summer, and will feature 6 tennis courts and 8 pickleball courts, plus a spacious dog park. The spectacular 30,000-square-foot social clubhouse will enrich the residential experience with resort-style pools, indoor/outdoor dining, fitness center, movie theater, an indoor golf simulator, and much more.
Nowhere else in Naples will you find such a grand selection of designer homes paired with this exceptional level of lifestyle offerings.
Residences by
Stock Luxury Homes and Pulte Homes.





HERMÈS
LOUIS VUITTON
LILLY PULITZER
FERRAGAMO
TORY BURCH
TIFFANY & CO. GUCCI
SAKS FIFTH AVENUE
ALICE + OLIVIA
VAN CLEEF & ARPELS
OMEGA
VERONICA BEARD
RALPH LAUREN
ZIMMERMANN +
OVER 50 MORE
WATERSIDESHOPS watersideshops.com
A RESORT WITHIN A RESORT.






• Sunset roof terrace with fire pits THE
• Private Bay Club dining on Estero Preserve
• Private golf, practice facility & grand clubhouse
• Racquet Centers with 18 tennis & pickleball courts
• Dayboat shuttle to a glorious private beach club
• Private marina
• Kayak Park
• Beach entry pool with sun shelf
• Lap pool with shaded daybeds
• Hot & cold plunge pools
• Pickleball courts
• Poolside café with food & bar service
• Beau Welling par-3 putting course
• Bocce & yoga lawns, fire pits, barbeques
• Game room bar, arcade games & more
• Private theatre with reclining & bar seating
• Fitness center with massage, sauna & steam

3,000 to 4,000 SF • From the Mid $2Ms Sales Gallery: 4861 Coconut Road, Bonita Springs, FL 239-362-9550 | InfinityColony.com
138 / Botanical Couture
Against Naples Botanical Garden’s lush backdrop, spring fashion embraces nature’s palette with feathered confections and garden party silks.




152 / The Petal Society
A fresh wave of floral artists transforms Southwest Florida with botanical boutiques and garden-to-vase gatherings.


HARBOR SPRINGS | ROCHESTER | TRAVERSE CITY | NAPLES















At Persian Galleries, on Fifth Avenue South, handknotted Tabriz silk rugs and modern colorways showcase the evolution of Persian carpet craftsmanship.
268 Stylish Living: East-meets-West at Tiburón Golf Club
280 Talking Shop: Naples’ Persian rug master
Healthy Life 298 Fitness: Women drawing strength through sports
306 Root & Rise: A gentler, spring reset
312 Editors’ Pick: Transcending in SWFL
Agenda: Top events for March 342
Dining Guide: 150+ essential restaurants
290 Favorite Things: Shop like a landscape architect — Life on the Gulf 324


Life on the Gulf
Naples’ Harmon-Meek Gallery presents an exhibition of the late American modernist Herman Maril’s landscapes and life scenes from March 4 to 14.



I AM SO GRATEFUL TO HAVE THE FINEMARK TEAM IN MY
I TRAVEL 35 WEEKS OUT OF THE YEAR AND THEY ARE ALWAYS AVAILABLE TO HELP, WHICH ALLOWS ME TO FOCUS ON PLAYING GOLF.”
Azahara Muñoz Professional Golfer




Publisher Carin Keane
Editor in Chief
Stephanie Granada
Creative Director
Scott Glick
Editor at Large
Dorothea Hunter Sönne
Assistant Managing Editor
Addison Pezoldt
Senior Editors
Nikki Miller-Ka, Food + Wine
Emma Witmer, Arts + Culture
Assistant Editors
Emily Flournoy
Annamarie Simoldoni
Visvajit Sriramrajan
Editorial Fellows
Jasmine Heckerman
Alexandra Igoe
Micaela Saad
Sydney Sakalosky
Contributing Editor
Samantha Garbarini
ART
Art Director
Alberto Orta
P hoto Editor
Elizabeth Bankmann
ADVERTISING
National Account Director
Wendy Tooley
Marketing Consultants
Holly Baldwin
Romina Combe
Natasha Gonzalez
Meredith Parsons
MARKETING
Director of Marketing and Events
Samantha Tobias
Digital Marketing Manager
Meagan Bonesteel
CIRCULATION
Director of Audience Development
Kerri Nolan
PRODUCTION
Production Manager
Martha Leavitt
ADMINISTRATION
Advertising Services Manager/
Reprint Sales & Distribution
Kathleen Hill
President
Jim Schwartzel
Evy Great Design
“Their extraordinary vision, meticulous attention to detail, and ability to balance creativity with functionality brought our design dreams to life.”
- Angela Scherder




Reader Services
OFFICE ADDRESS
26101 S. Tamiami Trail Bonita Springs, FL 34134
Call or text us at (239) 498-8500 Website: gulfshorelife.com Email: info@gulfshorelife.com
SUBSCRIPTIONS
Your subscription includes 12 issues of Gulfshore Life a year. If you have a question about your subscription, call or text us at (239) 498-8500; write to Subscription Services, Gulfshore Life, 26101 S. Tamiami Trail, Bonita Springs, FL 34134; email subscriptions@ gulfshorelife.com; or visit gulfshorelife.com . Please Note: Subscription refunds are unavailable for this publication due to the excessive discounting from the cover price. You may transfer the remaining issues of your subscription to someone else or to a local business or charity.
GIFT SUBSCRIPTIONS
Call or text us at (239) 498-8500 or order from gulfshorelife.com . We will send a gift announcement card to the recipient.
CHANGE OF ADDRESS
Send the old and new addresses and a mailing label, if possible, to Gulfshore Life, 26101 S. Tamiami Trail, Bonita Springs, FL 34134. Visit gulfshorelife. com/subscribe to log in and update your address; call or text us at (239) 498-8500; or email subscriptions@gulfshorelife.com.
BACK ISSUES
Order online at gulfshorelife. com/backissues . Purchase will be mailed for $10.95 postage paid, plus tax.
REPRINTS
Visit gulfshorelife.com/reprints for plaques and reprints.
LETTERS
Send letters to Gulfshore Life, 26101 S. Tamiami Trail, Bonita Springs, FL 34134; or visit gulfshorelife.com . Include full name, address and phone number.


LLC. All rights reserved. 26101 S. Tamiami Trail, Bonita Springs, FL 34134
Gulfshore




Ingrid Aielli Co-Owner, Aielli Group 2016 Woman of the Year

Dwayne Bergmann Principal Designer/ Owner, Dwayne Bergmann Interiors
2020 Man of the Year

David Corban President, David Corban Architects 2020 Man of the Year

Brooke Denson Real Estate Professional, Dina Marie Realty Trustee and Treasurer, SWFL Children’s Charities
2019 Woman of the Year

Mark Loren Head Jewelry Designer/Owner, Mark Loren Designs 2016 Man of the Year

Elliott H. Singer
Managing Director and Founder, Fairview Advisors Trustee, Naples Children & Education Foundation Member-at-Large

Mary Susan Clinton Founder, Gallien Global Vision Inc. Trustee, Naples Children & Education Foundation 2002 Woman of the Year

Shirlene Elkins Real Estate Professional, John R. Wood Properties Trustee, Naples Children & Education Foundation
2003 Woman of the Year

Rebecca Maddox Owner/Developer, Three60 Market, Three60 Wine and Celebration Park
2019 Woman of the Year

Adria Starkey President, Collier FineMark National Bank & Trust Trustee, Naples Children & Education Foundation 2000 Woman of the Year

Denise Cobb Chair, Community Advisory Board Trustee, Naples Children & Education Foundation
2000 Woman of the Year

Ellin Goetz President, Goetz+Stropes Landscape Architects 2000 Woman of the Year

Gail Markham Founding Partner, Markham Norton Mosteller Wright & Company
2011 Woman of the Year

Sandra Stilwell Youngquist Owner and CEO, Stilwell Enterprises
2006 Woman of the Year

McCurry Jewelry Buyer and Curator, G. J. G, Marissa Collections

Kathleen van Bergen CEO and President, Artis—Naples
2012 Woman of the Year
Jennifer
Anna Nguyen (13), Brian Tietz (2); Courtesy Ellin Goetz
Leopoldo Baccaro, MD

TAILORED CARE, NATURAL RESULTS
Find comfort with the dedicated, experienced and personable board certified surgeons and medical staff at Naples Plastic Surgery. Each patient is unique, and our approach to individual and personalized care in a comfortable and safe environment is our top priority and meets the highest quality of healthcare safety standards. Achieve natural, beautiful results in a discrete and luxurious setting. You deserve it.
Elevate your look with our complete range of hair replacement services featuring Dr. Mike Wisiorek, a board-certified hair transplant surgeon. Discover personalized solutions tailored just for you, and reclaim your confidence today!

PROCEDURES & PRODUCTS
• Facelift & Necklift
• Mini Facelift
• Eyelid and Brow Lift
• Breast Enlargement
• Breast Reconstruction
• Breast Lift & Reduction
• Tummy Tuck
• Liposuction Renuvion Skin Tightening
• Fat Transfer & Brazilian Butt Lift
• Botox & Fillers Hair Restoration
Andrew Bonett, MD

























On the Cover
Shot on location at Naples Botanical Garden, by Omar Cruz.
Model Xenia Belskaya, Elite Models
Stylist Veronica Porras HMUA Duality Artistry
The model wears a bodysuit from Inclover; chiffon cape by Elie Saab.




Fashioning Life
Style reveals itself in moments of unexpected harmony—when tradition meets innovation, when beauty serves function, when craft elevates experience. In this issue, we explore how the Gulf expresses its sophisticated spirit across art, culture and design.
Whether seen through the sculptural drama of a handcrafted hat or the thoughtful curation of a cultural institution, style here serves a greater purpose—it brings us together, sparks conversation and advances the causes that shape our future.
Nowhere is that more evident than at the apex of fashionable social events, Naples Botanical Garden’s Hats in the Garden, returning on March 28. The event harnesses high fashion and sculptural millinery as catalysts for environmental preservation. In honor of the occasion, we return
to the garden for our March fashion portfolio. This time, we interpret nature’s grandeur through a Monet-inspired lens, where couture details meet wild abundance. The images’ dreamlike quality captures what the garden inspires: transcendent wonder.
Beyond being purposeful, local style is nuanced, melding heritage and innovation. In these pages, we traverse the region to reveal these moments of cultural synthesis.
At Artis—Naples, The Baker Museum, a new curator is redefining how art institutions engage with their communities, bringing in voices from the Everglades and Immokalee to tell richer stories.
A Tiburón Golf Club residence demonstrates how clean contemporary lines can harmonize with laid-back Bohemian principles. And, on the sports front, the young, dapper coach of Naples’ first professional soccer team brings a European sensibility to our evolving athletic landscape.
Southwest Florida sophistication finds perhaps its purest expression among the burgeoning botanical movement. In our features, writer Jaynie Bartley reports on how floral boutiques,
such as Kaleidoscope Floral in Naples and Wild at Heart Flower Bar & Mercantile in Fort Myers, have become refuges where rare blooms and creative workshops spark connections as readily as cocktails do.
From galleries to gardens, these narratives reveal how Southwest Florida continues to define luxury on its own terms—bridging tradition and possibility, beauty and purpose.

Granada Editor in Chief
Stephanie


In this iconic residential tower, enjoy the luxurious comforts of spacious three- to four-bedroom corner residences with spectacular Estero Bay views. New construction delivers modern enhancements that allow you to fully savor an amenity-rich, Naples lifestyle. With immediate membership, you can indulge in 18 holes of championship golf and access the West Bay Club’s serviced Beach Club on the Gulf. Make your next move truly carefree.

Artist’s Rendering
Spring Into Action
One of my favorite issues of the year, the March edition of Gulfshore Life, marks the height of season and the arrival of spring style in Southwest Florida. Every page in this issue brings fresh energy to the magazine’s pages. Once again, we are excited to spotlight the Faces of Southwest Florida—an inspiring group of business owners, nonprofit leaders and creative personalities who represent the dynamic spirit of our community. These individuals at the forefront of their businesses—which include architecture firms, nonprofits and wellness clinics—help shape the vibrant fabric of our region. A huge thank you to photographer Brian Tietz for making the section shine with his dynamic portraiture skills.
On March 4, we gather this year’s group under one roof for our annual Faces of Southwest Florida celebration at JET1 in Naples. We can’t wait to mingle with so many talented people who dedicate their time and efforts to improving our community.
Our philanthropic calendar is in full swing, too. We’re honored to continue lasting partnerships and forge new relationships with area nonprofits, and to be able to support many causes in and outside the magazine’s pages. From the whimsical fascinators at Naples Botanical Garden’s Hats in the Garden party to the immersive atmosphere at Conservancy of Southwest Florida’s Magic Under the Mangroves celebration to Youth Haven’s glittering Starry Nights Gala, our partners demonstrate their thoughtful efforts in full force. These March events are just a sampling of the generous work being done throughout the region.
Season’s energy is palpable, and the impact of this generous, vibrant community continues to
make headlines. Thank you for being part of it, and as always, we look forward to sharing these moments with you. In the meantime, we’ll be grabbing our hats and heading to the garden to show our support for the community. We hope to see you there—it’s going to be a fantastic month.

Cheryl Richards
Carin Keane Publisher

Gulfshore Treasures
The latest Southwest Florida’s floral renaissance is rooted in creativity. From high-design florists to handson potting bars, flower enthusiasts are cultivating new ways to engage with nature. In Fort Myers, Sincerely Succulents offers a DIY potting station, where visitors craft living arrangements from a painter’s palette of succulents, moss, and polished stones. Read more about the floral boom on p. 152.

Christina Bankson











INSIDER / People, places and ideas making waves on the Gulf

Personalities: Naples’ soccer pioneer
Wine Watch: A Sonoma migration
Janice T. Paine

Artistic Entanglement
Artis—Naples, The Baker Museum’s new modern art curator challenges convention and amplifies often-overlooked voices, creating a more complete picture of the arts in Southwest Florida.
Like the lawyer she once thought she’d be, Dianne Brás-Feliciano is serious and analytical when she talks about art. When we meet for coffee to discuss the first exhibition she has seen from start to finish as Artis—Naples, The Baker Museum’s curator of modern art, she comes prepared, her black polish-tipped fingers sifting through pages of handwritten notes on a yellow legal pad. Her manner is precise, not overtly emotional, so it’s a bit surprising when she looks up and says, “This is my life’s project.”
The exhibition, Entangled in the Mangroves: Florida Everglades Through Installation, explores our inextricable connection to the Everglades ecosystem through the lens of nine contemporary South Florida-based artists. The multimedia works echo themes of environmentalism and political awareness—ideas entwined with Dianne’s life and career.
Growing up in Mayagüez, a city on the western coast of Puerto Rico, Dianne and her younger sister filled their days with beach walks and excursions with their grandparents. “[My dad’s parents] were the ones who took us traveling, to museums, to concerts, to the opera,” she says. As her interest in the arts grew, Dianne also became aware of the social, political and environmental impacts of the archipelago’s territory status. By the time she reached adulthood, the beaches of her youth were ecologically devastated by offshore developers. Though U.S. citizens, her neighbors had little voice in the laws dictating their future. Economic instability drove a mass exodus of young people seeking opportunities elsewhere.


Curator Dianne Brás-Feliciano calls Entangled in the Mangroves her life’s work. Opening March 8, the show marks her first full project as the museum’s modern art curator, following earlier collaborations like Deep Cuts from the Ahmet Ertegün Collection (above).
Inspired to foster change, Dianne dove into political science studies at the University of Puerto Rico. But courses in the humanities and art theory revealed a different path to making an impact.
“[I thought,] ‘I don’t want to be a lawyer,’” she says. “I can still argue, but from the perspective of the arts.” Dianne earned a bachelor’s degree in political science and a master’s in museum administration, as well as a doctorate in history from the Center for Advanced Studies of Puerto Rico and the Caribbean in San Juan. “Usually, curators are art historians,” she says. “I’m a historian. I’m a political scientist … This is deeply integrated into what I do.”
In the years that followed, Dianne worked as an independent curator, a private collection manager and an arts writer in Puerto Rico and South Florida, where she moved in 2021. Her probative mind fueled a uniquely academic approach focused on elevating marginalized voices. To lend scholarly credence and cultural immediacy to the emotional resonance of art, she penned essays
and exhibition catalogs on subjects like the expanding impact of self-identified female creators in Puerto Rico’s underground zine scene, the violence wrought on the environment by urban expansion, and the impact of 2017’s Hurricane Maria on the archipelago’s creative community.
When Dianne saw the Artis—Naples, The Baker Museum’s job listing, she was drawn to the multidisciplinary cultural center’s melding of visual and performance art, the depth of Latin American and Spanish art in the permanent collection, and the region’s strong ties to the environment. In turn, she brought to the table a commitment to broadening the institution’s audience—a major priority for museum director and chief curator Courtney A. McNeil and Artis—Naples CEO Kathleen van Bergen.
After joining the staff in 2023, Dianne jumped into outreach, meeting with Immokalee’s agricultural workers to gain first-person accounts of labor conditions and the irony of food

CRAFTED WITH BRILLIANCE
Elevate your custom homebuilding journey with the award-winning expertise of Stock Custom Homes. Trust in our renowned craftsmanship to curate a residence that embodies your refined way of life. Build your dream home on your cherished homesite, or explore our select collection of exquisite custom homes currently being meticulously crafted across Southwest Florida.




Dianne immerses herself in curatorial projects—from interviewing agricultural workers to exploring wilderness areas—and creates scholarly catalogs to contextualize her exhibitions. For Entangled in the Mangroves , she collaborated with the Miccosukee Tribe of Florida to ensure authentic representation of the ecosystem’s original stewards.
Anna Nguyen



insecurity among populations most responsible for putting food on American tables. The curator used her findings to supplement The Art of Food, a traveling exhibition the museum hosted in 2023, with an informational poster that added local context to the displayed works. She also developed the museum’s first Spanish-language tours. By bringing a diversity of local voices into the conversation, Dianne is helping to connect local communities and bringing new heft to the museum’s efforts to attract a wider, more engaged audience.
Her approach to Entangled in the Mangroves was no different. In addition to the curator’s frequent ventures into the Everglades with her husband and their 8-year-old son, Camilo, for inspiration, she collaborated with William J. Osceola, secretary of the Miccosukee Business Council, on all aspects of the programming. Dianne also invited him to write the introduction for the exhibit’s catalog and introduce the museum’s panel discussion on March 21. With centuries of living in the Everglades, the region’s indigenous population serves not only as an authority on the ecosystem’s history but also as a necessary component of forging a path toward its equitable, sustainable future. “There are a lot of climate change exhibitions going on recently. That’s amazing because we need to keep this conversation going. Our lives depend on it,” Dianne says. “I wanted to do this program from a completely different angle. That’s why [we’re working] with the tribes, the original stewards of the Everglades.” Rather than solely exalting nature’s beauty or highlighting its decline, Dianne curated works that speak to a sense of belonging and kinship with the environment.
The art in Entangled in the Mangroves—installations, paintings, site-specific drawings, prints, collages, photographs and videos conveying the artists’ personal experiences with nature— provides an emotional counterpoint to the historical record. For Dianne, it was critical that the voices of people who live on the
Environmental protection and representation are themes in Dianne’s work. For Entangled in the Mangroves , she pulled on the talents of a diverse group of artists, who share their lens on the ecosystem’s relationship to history, culture and sustainability.
Courtesy Artis—Naples, The Baker Museum; Anna Nguyen

IT’S EASY
Our professional interior designers will help with planning, measuring, furniture and accessory selections, delivery and installation.
IT’S QUICK
No waiting. Our Instant Designs feature premium furniture and curated accessories from our collections.
EXCELLENT RESULTS
There is no better way to quickly create beautiful, expertly-designed rooms that work for your lifestyle.
To get started, please schedule an appointment. 239-649-0906
Immediate delivery is always available for all furniture purchases.















land extend beyond background research. One of the works in the exhibit, a multimedia film by Reverend Houston R. Cypress, a member of the Miccosukee Tribe of Florida’s Otter Clan, celebrates joy in places that some see as inhospitable, lands inhabited by large reptiles and buzzing mosquitoes. His project combines oral poetry and Everglades landscapes, composed as a travelogue. He calls the five-minute film, “a love letter to the Everglades.”
Naples photographer Lisette Morales, who has spent years exploring the swamp’s wilderness, also contributed lush landscape photography to the exhibition. One of her photographs, Brad Phares’ Ranch, Okeechobee, captures a burst of sun cresting the horizon, illuminating dewy strands of a delicately spun spider web. Shot during a 2021 healing prayer walk led by Miccosukee tribeswoman and activist Betty Osceola, the image exudes a sense of fragile balance and hope for a new dawn.
As with her work on The Art of Food poster, Dianne produced an extensive catalog for the show. Her writings explore the evolving environmental and cultural role of the ecosystem through the cen-
turies, aiming to present a path forward for the threatened environment that can be beneficial to all. Lisette, whose father was an indigenous man born in Nicaragua, sees this inclusive approach as essential to environmental storytelling. “Dianne understands, like I do, that decolonizing the lens is vital,” the photographer says, referring to the act of challenging and expanding narratives beyond the view of a singular, dominant group. “My perspective is based on my lived experience, cultural understanding and historical awareness that is missing from the mainstream media. In order to have a decolonized view, you have to have diverse voices.”
The exhibit also contains a collage of coastal imagery, titled Every Being Is an Island (Island I), by Miami-based photographer Amalia Caputo. “The idea of entanglement [is] that we are all connected,” she says. “If we damage what we are connected with, we will be damaged, as well.” Dianne’s curation epitomizes the idea. Her exhibits are not only beautiful but also rich with overlooked stories, forming a mosaic of issues, influences and artistic visions that, together, present a more complete picture of our community.
Dianne’s work to foster connections with the community aligns with Artis—Naples’ goals to broaden the museum’s audience. With her first major project nearly done, Dianne is working on her next exhibit, a “collaborative project with and for the community,” coming 2026.

Anna Nguyen





NORTH NAPLES
2


Strike a Chord
Local restaurants harmoniously integrate live music, blending good eats with even better beats.
Music is a standard component of a restaurant’s ambience—soft jazz streaming through speakers, maybe a lone pianist playing by the bar. However, a rare few Southwest Florida restaurants recognize that live performance can transcend background fodder. The choice of instrument, staging and style has the ability to transform a dining experience, providing a transportive atmosphere and strengthening cultural ties. For these restaurants, dinner is even more of a multisensory spectacle.
At Barbatella on Naples’ Third Street South, the haunting strains of a Puccini aria drift through the dining room, wafting over plates of short rib ravioli with black truffle cream and porcini mushrooms. Once a month, the restaurant hosts an opera night—theater reimagined as the sopranos and tenors descend from the grand stages they typically grace to weave among their audience. “That we do not have a stage makes the event a highly intimate experience that people normally do not experience in opera houses,” Dimitrios Settos, the restaurant’s marketing representative, says.
To secure top talent for the sell-out suppers, Barbatella partners with Opera

Local restaurants, like The London Club (above) and The Club Room (below), give live music and fine dining co-headliner status. “The audio cues are every bit as important as the visual ones,” Beau Harris, general manager of The Club Room, says.

Naples co-founder Livio Ferrari. While diners tuck into fresh pastas and other classic Italian fare, Livio (a seasoned tenor himself ) and guest performers hit their high notes, spanning operatic styles from Monteverdi’s baroque brilliance to Andrea Bocelli’s contemporary hits. “A culinary experience automatically provides a cultural experience as well,” Dimitrios says. “Opera has a deep-rooted heritage in Italy, much like the flavors and techniques that define the cuisine. On these special evenings, the synergy between food and music brings our guests closer to Italy.”
Bodega Olé in the Naples Design District similarly turns to music to bolster a sense of cultural identity. The restaurant is one of the few in Naples to serve traditional Spanish tapas, like Serrano ham croquettes, blood sausage and wine-infused figs. On Saturdays, live guitar adds to the Iberian cachet, its romantic timber acting as an acoustic trompe l’oeil to trick your sangria-soaked self into believing you’re in Madrid or Murcia, rather than Southwest Florida.
Monthly flamenco nights turn the vibe electric. The whip of skirts and rhythmic stomps of dancers’ heels create a fiery, dramatic duet. As the percussion crescendos, the energy in the room feels alive, surging and ebbing with the tempo. The boundary between artist and audience dissolves, making each performance feel personal.
“As long as I’m in business, I’ll always support live music in my restaurants,”
Andrea Mucciga, owner of Bellini’s in South Fort Myers, says. “There’s live music in bars, [but the] supper clubs like they used to do in the ’60s don’t exist very much anymore.” The original Bellini’s opened on Captiva in 1988, becoming a beloved island fixture for its Northern Italian cuisine and live music seven nights a week. The restaurant closed in 2001, and a series of equally music-forward Sanibel eateries followed, including The Riviera, Dolce Vita and Traditions on the Beach.
When Andrea revived Bellini’s on the mainland last summer, daily live music was essential to recreating the original’s spark. “It’s not just eat, get the check and
Nathan Lopez, Courtesy Roepke Communications
DR. GEORGE WARGA
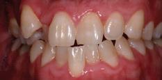
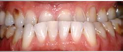
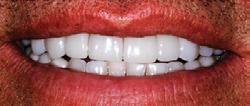
Nationally recognized teacher, speaker, and expert in comprehensive restorative dentistry with over 30 years experience in private practice. His expertise is to simplify treatment for problematic complex bites and to create beautiful natural smiles.


Real client photos: Invisalign and conservative cosmetic bonding, completed in 12 months.


Real client photos: Patient advised by prior dentist to have surgery, but severe wear and underbite was simply corrected with porcelain veneers and crowns without surgery or orthodontics.





The London Club at Naples’ Bellasera Hotel takes its cues from metropolitan jazz lounges, with two seatings of live jazz nightly featuring acts like Florida Gulf Coast University jazz instructor Brandon Robertson.
go,” Andrea says. “Customers can spend a few hours here in the evening.” Regulars plan their reservations around the performers, with top billing going to local talent who have been on Andrea’s circuit for decades, like pianist and jazz festival fixture Danny Sinoff and fellow pianist Dean Winkelmann, who toured as part of an opening duo for Three Dog Night, The Byrds and former The Tonight Show bandleader Doc Severinsen. After old fashioneds, chilled shrimp cocktails and rich dishes like center-cut filet mignon in a pool of demi-glace or seafood Wellington with lobster-brandy sauce, Bellini’s often
witnesses a phenomenon that’s rarely seen in modern restaurants: Diners turn the lively bar area into a spontaneous dance floor, some swaying to the music, others doing the two-step, hands clasped, to a classic American standard.
For some restaurateurs, the allure of music, food and drink is so strong they’ve built entire concepts around it.
At Naples’ Bellasera Hotel, The London Club is an ode to sultry, metropolitan jazz lounges. Two nightly seatings rotate among a robust roster of jazz artists, including up-and-comer Decyo McDuffie, Florida Gulf Coast University
jazz instructor Brandon Robertson, pianist and recording artist Scott Earl Holman, and award-winning vocalist and trumpeter Chris Santiago. On weekends, the dimly lit room is a whir of icecold martinis and silver seafood towers, whisked upstairs from the hotel’s seafood restaurant, The Claw Bar. The space was designed to amplify the acoustics, with a velvet-draped stage at one end and a mix of private, high-backed booths and frontand-center tables for immersing oneself in jazz’s rollercoaster sound.
Naples’ The Club Room is another purpose-built restaurant-meets-jazz club.
Chris Lake

Beloved local acts draw regulars to Bellini’s in South Fort Myers, where there’s live music every night. After dinner, the bar area often transforms into dance floor.

Anna Nguyen
Delivering on a Vision for New Generations

A
commitment
to



building a Florida that inspires and endures for generations to come.
Today, we are developing an attainable haven for first-time homebuyers and emptynesters at Ave Maria, creating a sportsperson’s paradise with Collier Rod & Gun Club, and reimagining and designing luxury condominium residences on one of the most covetable destination beaches in the world at Park Place on Gulf Shore
With a range of projects for a diverse group of customers, we’re bringing more of what Florida has to offer to more of those grateful for it.

Intentional use of music reinforces cultural ties. At Bodega
in the Naples Design District, Spanish guitar and flamenco transport diners to the
Campiello imbued this adjacent, intimate music space with a sense of bygone glamour, coating the walls in Venetian plaster, laying down black-and-white checkerboard flooring, outfitting tables with deep leather seating and adding a stage backlit by Champagne-inspired bubble lights. “The Club Room was designed to transport you to another echelon of dining. You feel like you could be at a supper club in Soho or Paris—the audio cues are every bit as important as the visual ones,” general manager Beau Harris says. “Jazz and dining evoke a time before cell phones interrupted table conversations, when we dressed up for dinner out.”
The menu draws from Campiello classics, but with added indulgences,
including a retro drink cart stocked with after-dinner spirits (aged whiskies, syrupy port and bitter digestifs) and a new Valrhona chocolate service. But the centerpiece is musician-in-residence Benny Weinbeck. A world-traveled composer, jazz pianist and producer, he takes the stage most nights, effortlessly arranging a variety of styles from early jazz to swing, often with added star power from fellow Southwest Florida musicians, such as torch singer Vanessa Trouble and bassist Michael Ross. “Naples is blessed with a wide variety of quality dining experiences,” Beau says. “But some nights call for more than great food—an experience that nourishes your soul as much as your palate.”

Olé
Iberian Peninsula.
Brian Tietz (2)








Goal Oriented
Marco Island resident and former pro player
Matt Poland builds Southwest Florida’s first professional soccer franchise with community at the core.
They say defense wins championships, but for Matt Poland, it was his crucial off-field offense that paid off. As FC Naples’ head coach, he’s building Naples’ first professional sports team from the ground up.
It all started with an impromptu conversation. “I just walked up to the CEO, Roberto Moreno, and introduced myself during an event,” he recalls. Matt, fresh off building the Chicago House A.C. club and leading them on a 15-match, unbeaten streak in 2023, was up against 300 contenders for the gig. His confident approach landed him the interview; his community-focused mindset and steadfast focus on creating a winning culture got him the gig. “It’s not just about the score but giving 100% focus—whether it’s an appearance at a hospital, while we’re training or during a match,” he says.
Matt is now responsible for steering FC Naples within the United Soccer League’s Level One division—the third tier of North American professional soccer—and establishing the team as a community cornerstone. Living in Marco Island between soccer seasons for the past 13 years, he’s
witnessed Naples’ transformation into a market primed for its own pro team. Around town, adult and youth leagues pack local fields on weekends, while children’s programs continue expanding with the recent years’ influx of young families.
The timing aligns with the growth of soccer in the U.S. and the excitement around the FIFA World Cup coming to the States in 2026. It also dovetails with Naples’ broader evolution from a snowbird destination to a dynamic, year-round community. Matt sees an opportunity to give the growing city something uniquely its own—a rallying point for permanent residents hungry for hometown pride. “When you drive around town, you see Dallas Cowboys and New York Giants signs and logos, but you don’t see a local team that unites us,” he says. “FC Naples can be that.”
The 33-year-old has been immersed in soccer since he first laced up cleats as a 3-year-old in Minnesota. In high school, his older brother gave up his senior-year spot in their soccer team’s final playoff game to make roster space for sophomore Matt.

Drawing on 13 years of local experience on Marco Island, Matt leverages his deep community ties and global soccer expertise to guide FC Naples as the new team’s inaugural head coach.

“It became a massive driving motivation for me,” he says, noting how his brother’s sacrifice propelled him to push on through moments of doubt and exhaustion. Now, with his brother as an Air Force pilot, Matt finds deep resonance in the pre-game singing of the national anthem, each note a reminder of the opportunities carved out by family. “I can’t afford to waste the gift that he gave me,” he reflects.
Matt went on to become the backbone of his teams as a central defender, leading his
Indiana Taylor University team to its first national tournament appearance on the heels of a seven-game shutout streak. He later competed professionally in Finland and Sweden until an ACL injury in 2018 cut his playing career short and set him on a path toward coaching. “Soccer is a microcosm of life,” he says. “It’s about handling success, failure and relationships—things I learned firsthand as a player.”
Having successfully built Chicago’s team, Matt approaches FC Naples with
hard-earned confidence. He knows how to navigate the intricate challenges of being the first—securing sponsorships, negotiating complex travel logistics, recruiting a roster that balances technical skills within the intangible alchemy of team chemistry. “Every time you go to a higher level, there’s less room for error,” he says.
Rather than commanding through volume, Matt focuses on personal development and building trust. The coach helps his players with dreams of grandeur

Matt leads the team in the USL League One, the third tier of professional soccer in the United States. “I feel an even deeper responsibility to give my utmost because this is my city,” he says.


drill into the granular details—nutrition, sleep, daily habits—that drive excellence. He challenges his guys to align their daily standards with aspirational goals and focus on continuous growth. “I tell the players every day, ‘Who we are today is not who we will be next week, is not who we will be six months from now,’” he adds, drawing inspiration from startup narratives like Apple’s garage beginnings.
Though victories matter, the Midwesterner, whose family ties in Collier County date to the 1960s, is most motivated by
the responsibility of strengthening team and community bonds. “Especially in today’s world, and how divisive things can be, sports can help bring people together and find common ground,” he says.
After a long day spent juggling conversations with agents, acclimating new players to the area, onboarding staff and refining team strategies, Matt, a voracious reader, sneaks in a chapter or two from one of the three books he’s reading, including Quiet Leadership, about empathetic management. “If I don’t personally improve,
grow and develop, then I can’t impact [my team],” he says.
While much of Matt’s time is dedicated to the behind-the-scenes work that sets the stage for FC Naples’ first season, he lives for the roughly two hours a day he spends on the pitch. In training, he often cites the Rudyard Kipling quote, “The strength of the pack is the wolf, and the strength of the wolf is the pack,” underscoring his belief that individual brilliance and collective strength are intertwined. “I have a feeling the players
Matt previously coached the semi-pro Naples United FC team and helped develop youth skills at Marco Island Academy. “The game grows at a younger age,” he says. “Youth partners are massively important to the continued development of our club.”






“Soccer is a microcosm of life,” the coach says. “It’s about handling success, failure and relationships—things I learned firsthand as a player.”



For Matt, FC Naples is a unifier and badge of honor for a growing city. “It represents us as more than just a retirement or beach vacation place,” he says. “People that never lived here don’t know all the other amazing things that Naples has to offer.”
are going to get tired of me saying this line,” Matt jokes.
The coach sees FC Naples as a catalyst for growing soccer in Southwest Florida, starting at the core—with kids. “The game grows at a younger age,” he says. Having a local pro team gives budding players local role models and a tangible path toward the majors. “That dream pushes them,” he says. “Maybe they don’t make it to professional soccer, but because they worked harder, they’re able to get a college scholarship. Or maybe, they are that hometown kid that started watching us at 12 years old, and now, six years down the road, they’re signing that contract.”
When the squad opens its first match at the 3,500-seat Paradise Coast Sports Complex Stadium on March 8, Matt will see months of team-building come to life. He expects star players like attacking midfielder Jayden Onen, who went through the academy ranks with top-tier English soccer programs at Arsenal FC Academy and Crystal Palace F.C., and goalkeeper Edward “Lalo” Delgado, the two-time USL One’s leader in shutouts, to lift FC Naples’ standing in the league—and with local fans.
Last summer, FC Naples debuted its name, colors and logo to about 1,000 fans, braving a rainy day at the stadium. The crest, with details honoring Naples Pier’s boardwalk, shelling culture and the Gulf’s blue hue, is a unifying badge of pride for the city. “What an honor and privilege to start a new club here in Naples,” Matt says. “Now it’s time to compete and fight for wins.”


Meeting of the Minds
Sonoma County chef and Naples Winter Wine Festival alum Dustin Valette debuts his acclaimed wines—made in collaboration with top California vintners—in Naples.

Chef Dustin Valette’s Sonoma County roots run deep. He and his family live in the same Victorian farmhouse where his French great-grandfather, Honoré Valette, resided in the 1930s. He hangs homemade charcuterie, made from local heritage breed pork, in the cellar and hosts barrel tastings with winemaker friends. His most recent restaurant, The Matheson, occupies the same building in Healdsburg where Honoré once operated a French-inspired bakery. There, Dustin crafts micro-seasonal, modern wine country cuisine, drawing on a deep bench of local ingredients from artisanal California cheeses to foraged mushrooms to in-season fruit grown just down the road.
Dustin grew up playing and picking grapes in his uncle’s Alexander Valley vineyard. At 17, he left the state’s wine country to work and travel, ultimately enrolling in the Culinary Institute of America in New York’s Hudson Valley. After graduating, he cooked his way through Michelin-starred kitchens, including Thomas Keller’s Bouchon Bistro in Napa Valley and now-closed Aqua in San Francisco, where he met his wife.
He returned to Healdsburg in 2008 to assume the role of executive chef at Charlie Palmer’s award-winning, hyper-local Dry Creek Kitchen, where he formed relationships with local growers and began working with winemakers on signature pairings for his cuisine. “I traveled the world, and I realized Sonoma County has some of the best pinot noir and chardonnay,” Dustin says.“It became my dream to not only have a restaurant but also to have


The Michelin-caliber Sonoma chef crafts foodfriendly wines in partnership with four celebrated California winemakers. Naples is the only place beyond Dustin’s restaurants and wine club where you can get the bottles.

a wine brand. I wanted to intertwine the two and tell this story of harmony, balance—how wine enhances a meal and how much a meal enhances a wine—they’re completely synergistic.”
He started making wine in his garage with juice from local growers and quickly realized that, although he was a skilled chef, he was only an ‘okay’ winemaker. One evening, Dustin was chatting with fourth-generation grape grower Bob Cabral. The winemaker had just left Russian River Valley winery Williams Selyem to start his own label, and Dustin joked it would be great if Bob could make wine for him. “If you cook for me,” Bob responded.
That conversation was the spark for Valette Wines, a small-production label in collaboration with four winemakers, who are masters of specific varietals: Bob Cabral (pinot noir and rosé), Jesse Katz (cabernet sauvignon and sauvignon blanc), and Tom Rochioli and David Ramey (both chardonnay). “As a chef, I don’t work with just one person; I work with specialists in their field—the best ranchers and best farmers,” Dustin says. “When it came to making wine, I wanted to do the same thing. I wanted to work with the best.”
Together, the four bring more than a century of winemaking experience and numerous accolades into the cellar. Bob (“The Godfather of pinot noir,” as Dustin dubs him) was the first North American vintner to achieve a perfect, 100-point score from Wine Enthusiast for his 2007 Litton Estate Pinot Noir. Jesse set the record for most expensive wine bottle ever sold at charity auction when a 6-liter methuselah of his 2019 Glass Slipper Vineyard Cabernet Sauvignon went for a cool $1 million at a 2021 paddle raise. Last year, Jesse’s 2021 Valette Cabernet Sauvignon received a 100-point rating from Wine Spectator—a milestone that Dustin celebrated with a wine dinner at The Matheson. The full-bodied red is bold and ripe, with aromas of cassis and peppercorn and a beautiful balance of tannins and acidity on the long finish. “We’re
Brian Tietz; Courtesy M Woolsey
GLAMOUR & GOOD TIMES











Valette Wines produces only 2,500 cases annually, sourcing grapes from acclaimed sites. Its bold, full-bodied 2021 Valette Cabernet Sauvignon, made by winemaker Jesse Katz (top center), earned a perfect, 100-point rating from Wine Spectator in May 2024. Outside of California, Dustin’s wines are available exclusively at a handful of local country clubs and local restaurants, including Naples’ The French Brasserie and Nosh on Naples Bay.
Courtesy af&co. (3), Valette Wines (3); Brian Tietz (2), Matt Rice
Where Knowledge Empowers Excellence
FGCU is more than a university — we’re a driving force behind Southwest Florida’s growth. We fuel the economy, enrich the cultural community and build innovative partnerships with local industries. Our graduates aren’t just staying in Southwest Florida — they’re building a brighter future for us all by launching businesses, educating future generations and providing healthcare. 49% ANNUAL ECONOMIC IMPACT
DISCOVER YOUR UNIVERSITY fgcu.edu/community


Chelsea R. Ganey Chief Strategy Officer Moran Wealth Management

making wine that’s a shared vision with chefs,” Dustin explains. When winemakers and chefs work together, the wine becomes an extension of the food.
Valette Wines produces a mere 2,500 cases a year with a focus on single vineyards and highly acclaimed sites, like Bush Crispo in Sonoma’s cool-climate Russian River Valley. When Valette Wines debuted in 2016, the only way to sip the wines was at The Matheson or Dustin’s Michelin-rated namesake restaurant, Valette, which celebrates 10 years of infusing French technique into bright California cuisine this year. “I always had this belief that the best way to sample our wine was coming out to Healdsburg and drinking it with our food,” he says. Two years ago, Valette Wines debuted a membership wine club, extending the label’s reach while maintaining its ties to Sonoma cuisine through recipes and seasonings designed to pair with bottles.
Last fall, Valette Wines made its debut outside California with a dinner at Seventh South Craft Food + Drink in Naples. Dustin has been coming to the area for nearly a decade as a Naples Win-

ter Wine Festival celebrity chef, and local restaurateurs have long been waiting to add his full-bodied cabernet, pinot noir bursting with notes of ripe cherry, and vibrant, minerality-forward chardonnay to their wine lists. “We’re big believers in helping out and giving back to those in need, especially when it comes to children and education,” Dustin says.
Naples marks the only place outside of Sonoma where the wines are available. Along with Seventh South (which is soon to reopen at Seventh South Waterfront in the Bayshore Arts District), you’ll find Valette Wines at Nosh on Naples Bay, The Continental, The French Brasserie, Chez Boët and The Cave Bistro & Wine Bar. “I’ve been doing this for 20 years, and I’ve never worked with anyone doing something like this,” says sommelier Sophie Crawford, the owner of Wines By Sophie, the first distributor to carry Dustin’s wines in Florida. “It’s the winning combination since he’s getting access to amazing fruit and working with renowned winemakers who know how to get the most out of the grape.”
Valette Wines debuted outside California last fall with a dinner in Naples. The lineup includes pinot noir, brut rosé, sauvignon blanc and a Wine Spectator 100-point cabernet sauvignon.
Courtesy Valette Wines (2)




Aboard Seven Seas Splendor
11-Night Cruise
Montreal to New York
Oct. 22 to Nov. 2, 2025
Hosted by Cindy Macrides

Seven Seas Grandeur
12-Night Cruise
Roundtrip Miami
Dec. 22 to Jan. 3, 2026
Hosted by Connie Moody



Seven Seas Grandeur
18-Night Cruise
Reykjavik to London
Jul. 27 to Aug. 14, 2025
Hosted by Linda Walker














The course? The beach? The marina? A spa? Yes, we’ve got a club for that. And more. Fiddler’s Creek is everything you want, everywhere you want to be, including at home in luxurious, fabulously appointed residences set in a lavish, picture-postcard landscape. not if, but when and where.













ART OF STYLE / Designers, jewels and finery for a sophisticated look

Annamarie

Los Angeles-based Arturo Rios, known for theatrical runway pieces worn by Lady Gaga, creates explosive drama through precisely placed feathers. Available through the designer’s website. The model also wears a Wolford bodysuit; diamond earrings from Wish Fine Jewelry.
Art of Style — Style Points — By
Simoldoni — Photography by Omar Cruz — Styling by Veronica Porras

Top Form
Naples’ most anticipated spring soirée inspires a parade of statement millinery, with sculptural fascinators and dramatic wide-brims.

A go-to for Naples Botanical Garden’s Hats in the Garden attendees, Marilyn’s, on Fifth Avenue South, sources from top European millinery brands, like Mademoiselle Chapeaux, whose pillbox hat plays with proportions to transform the familiar bow into something fantastical. Available through Marilyn’s in Naples. The model also wears sapphire and diamond drop earrings from Wish Fine Jewelry; dress by Michael Costello.
Attorneys Jacqueline Johnson and Miranda Weiss represent one of Florida’s largest Estate Planning practices in Naples. From the simple and straightforward, to the comprehensive and complex, they can help you navigate the intricacies of your estate plan in the most tax-efficient manner.
With 20+ years of combined experience, Jacqueline and Miranda remain at the forefront of legal developments, allowing them to support the preservation of each clients’ wealth for generations.
Supporting families through all major life events often requires the expertise of other areas of law. Working collaboratively with Dean Mead’s 50+ attorneys in offices throughout Florida, they offer clients the full-service experience.
Contact us today to schedule an appointment.


JACQUELINE J
LL. M, Master of Laws in Taxation
(239) 544-3069 | jcjohnson@deanmead.com

MIRANDA WEISS
LL. M, Master of Laws in Taxation (239) 544-4490| mweiss@deanmead.com



London-based Merve Bayindir crafts pieces from sustainably sourced sinamay or felt, using traditional blocking techniques. Her pieces are available through Marilyn’s. The model also wears diamond earrings by Patricia Robalino Designs.

through the power of collective giving.


Arturo Rios reimagines showgirl glamour, with faux pampas grass architecturally shaped to resemble lush ostrich feathers. Stark black plumes keep the look from reading campy. Available through the designer’s website. The model also wears a dress by Idan; Wolford bodysuit; jewelry from Wish Fine Jewelry.
Zeil Millinery reconceptualizes classic shapes through a modernist lens. Here, a pristine wool cloche becomes a canvas for an avant-garde cage hat. Available through the designer’s social media. The model also wears ruby and diamond studded earrings from Wish Fine Jewelry; jacket from Wade Allyn.

Time to

Scan here to see our season



Christine A. Moore elevates the basic fascinator with her mastery of traditional materials—each petal is hand-cut and shaped from silk, while a precisely formed horsehair twist traces a delicate sweeping pattern. Her designs are available through Marissa Collections in Naples. The model also wears a dress from Maison Tai; ring from Wish Fine Jewelry.

ALWAYS advancing quality
Pursuing our mission of longer, happier, healthier lives through a relentless commitment to quality care.
Expect more firsts, bests, and onlys from a healthcare system ranked among the top 2% in the nation for clinical performance by Healthgrades ® in 2024 .

Rebecca Couture, whose pieces are Royal Ascot fixtures, updates the wide-brimmed silhouette and classic black-and-white palette with dramatic proportions. The pairing presents a suitable canvas for Naples’ beloved orchid to float across the crown. Available through Marilyn’s in Naples. The model also wears black diamond earrings by Patricia Robalino Designs.
Shot on location at Vanderbilt Beach. Hair and Makeup Duality Artistry. Model Laken Romine.










1 Katie Walls, Ryan Kruger
Ana Oates, Lina Ayers
Brittany O’Brien, Dionne Fleming
Lauren Maxwell, Dan Kowal
Liz McCoy-Ferreira & Eliezer Ferreira
Charmin & Bruce Good
Elizabeth & Randall Huizinga
Journeys Gala / Hosted at Arthrex One in support of St. Matthew’s House




More than 400 guests turned out for the second annual St. Matthew’s House Journeys Gala on November 22. The evening balanced celebratory elements (a cocktail reception, seated dinner and music from the Brett Foreman Band) with a serious mission: highlighting the need for services to combat food insecurity, homelessness and addiction locally.
An Evening in Paris Gala / Hosted at Royal Poinciana Golf Club in support of Opera Naples






1 John McGlade, Grace Cheng
2
3 Jan & Kim Kantor
4 Rick & Victoria Tibberino
5 Shirley Pessl, Richard Diedrich
Opera Naples held its 10th annual gala on December 5. Themed after The City of Light, the event celebrated artistry and drew 250 patrons to revel in the nonprofit’s world-class talent. During dinner, guests enjoyed operatic performances, curated by artistic and music director Ramón Tebar. By the night’s end, nearly $500,000 was raised to support Opera Naples’ artistic and educational programs.
Vinnie Hunter, Mitch Crawford, Jordyn Jasparro, Rachel Comerford, Nick Blasey




PHOTOGRAPHY BY RON ROSENZWEIG
An Evening in Paris Gala / Hosted at Royal Poinciana Golf Club in support of Opera Naples




1 Marsha McDonald, Diana Dempster
2 Jim Herrmann, Teresa Caroline, Wendy Isaacson, Bob Jankowitz
3 Shari Boehnen, Ellen Beecher

“My passion is providing personalized care and transformative results, ensuring every client feels confident and rejuvenated, inside and out.”
— Dr. Aldene McKenzie

• REGENERATIVE AESTHETICS
Reawaken your natural beauty.
• FACIAL CONTOURING
Natural Sculpted Beauty with Precision and Artistry using nonsurgical solutions.
• BODY CONTOURING
Sculpt your body with nonsurgical contouring solutions.
Dr. McKenzie blends precision and artistry to enhance natural beauty, preserve natural harmony and balance, helping clients achieve timeless, radiant results.
877) 536-9477 900 6th Ave South, Suite 303, Naples FL 34102 | www.kenzispa.com | info@kenzispa.com Social Media Channels : @kenzimedspa and @dr_kenzi on Instagram
An Evening in Paris Gala / Hosted at Royal Poinciana Golf Club in support of Opera Naples





1 Eduardo Salles, Ramón Tebar, Yetzabel Arias Fernandez
Melanie Kalnins, Paula Weatherburn-Baker
Louise Ost, Jo Liddy
Hina Sanghvi Cory, Lisa Nelson
Edmundo & Dolly Muniz











About 400 guests followed the ‘Yellow Brick Road’ into an emerald green hangar for Grace Place for Children and Families’ anniversary gala on December 7. The Wizard of Oz-themed event celebrated 20 years of transformative educational programming, with $1.8 million raised to support the nonprofit’s free services to help families build a stronger future through learning. Celebration of Grace / Hosted
at Elite Jets in support of Grace Place for Children and Families




Steve & Julie Campbell, Jeannette & Cesar Taveras
Don & Joanna Avjean
Jamie & John Brown
Fran Letham




Celebration of Grace / Hosted at Elite Jets in support of Grace Place for Children and Families





1 Joe Sanda, Julia Van Domelen
2 Tony & Moira Lardakis
3 Karina Mambucka & Dallas Clarke
4 Diane & Richard Ponton

LEADING THE WAY IN Eco-Friendly Aviation
We’re excited to announce that Naples Airport now offers Sustainable Aviation Fuel (SAF) , a groundbreaking alternative to traditional jet fuel that significantly lowers lifecycle greenhouse gas (GHG) emissions. We are the first airport in Florida to offer a regular supply of this eco-friendly option, and this is the latest step in our ongoing dedication to sustainable aviation practices.


Scan to learn more about the Naples Airport


1
2 Denise Bondy, Chris Clontz
3 Kris Savoie, Joana Vasilescu, Belinda Victor
4 A musician serenades the party
5 Chair Hannah Roberts, Lisa Kahn-Allen
6 Jean Hellegas




Paul Duseau, Ruth Sheridan, Ken & Lisa Ewell

Celebration of Grace / Hosted at Elite Jets in support of Grace Place for Children and Families



1 Kenneth Heidelberger & Barbara DiJames
2 Carlos & Joyce Metz
3 Kristy Pollard, Sharon Schoen
4 Connor & Lexi DiPascale McGraw, Cynthia & Greg Lammert
5 Guests pose with Glinda the Good Witch







Elevate Gala / Hosted at The Ritz-Carlton Naples, Tiburón, in support of Guadalupe Center


1 Don & Darlene DeMichele
2 Giselle Wagner, Eric & Daria Wallach, Paul Myerson
3 Cynthia & Greg Lammert
4 Maureen Dougherty-Maconaghy & Jeff Maconaghy
5 Liz & Tim Curtin


More than 300 guests attended Guadalupe Center’s January 10 gala in support of the region’s underserved youth. Instrumentalists from local music collective Jade Strings welcomed donors, who bid high on live auction lots, like a week-long excursion to Spain. The evening raised $2 million to further the nonprofit’s mission to break the cycle of poverty through education.
Experience Beachfront Living


This stunning standalone villa with Bay views, is perfectly situated within the exclusive gated beachfront community of Villa Mare in Park Shore.
• Recently renovated with a sleek, modern design. Chef’s kitchen featuring top-tier appliances, custom cabinetry, and exquisite finishes.
• Open-concept living and dining spaces, filled with natural light through expansive windows
• Attached two-car garage with abundant storage and an elevator for convenience
Experience luxury living at its finest — schedule a private showing today!



Elevate Gala / Hosted at The Ritz-Carlton Naples, Tiburón, in support of Guadalupe Center



1 Mark & Gemma Wilson
2 David & Jeanette Fuentes, Elizabeth & Francisco Jose
3 John & Valerie Paro
4 Lisa Nakfoor, Tina Gulliford, Janet Gable, Heather Donlan
5 Joe & Donna Warburton
6 Helene & Richard Monaghan
7 Holly Baldwin, Meredith Parsons





Evening for Better Tomorrows / Hosted at Royal Poinciana Golf Club in support of Baker Senior Center Naples



1
2
3
4

Baker Senior Center Naples held its Evening for Better Tomorrows gala on January 11. After cocktail hour, 300 guests enjoyed a fourcourse, seated dinner and danced to a live band playing hits from Motown and the 1960s. The evening’s fund-a-need raised more than $2.1 million to support critical services for older adults in Collier and Lee Counties.
Sandi Moran, Nancy White, Roz Travis
Devon & Jana Banning
Jaclynn Faffer, Jay & Patty Baker
Ralph & Shelly Stayer


Evening for Better Tomorrows / Hosted at Royal Poinciana Golf Club in support of Baker Senior Center Naples






GADV Men’s Event / Hosted at Grey Oaks Country Club in support of The Shelter for Abused Women & Children




1 Co-chairs Corey Lazar & Colin Estrem
2 Matt Poland, Roberto Moreno
3 Michael Masius, Alexander Hayes, Jamie Dockweiler
4 Rick George, Dan Bennewitz
5 Charles Weinrich, Bill Barnett, Mike Gebeau
6 Vincent Keeys, Sheriff Kevin Rambosk
7 Linda Oberhaus, John Jordan, Cyndi Fields
8 Jonathan Garrick, Dave Anderson




Husbands, brothers and sons came out in droves to support the The Shelter for Abused Women & Children during its annual GADV (Gentle’men Against Domestic Violence) Men’s Event on January 15. Estrem & Co.’s Colin Estrem and WINK News anchor Corey Lazar co-chaired the evening’s festivities and record-breaking live auction featuring prizes like four pitch-side seats to a home game for the region’s new professional soccer team, FC Naples. The coveted package also included perks like signed merchandise and pregame access to the locker room.









FEATURES / A deep dive into the soulful stories of the region
“I envisioned something bigger than just setting up a table. I pictured a space where people could connect, learn and build community.” — Shana Maree, Sincerely Succulents
138 B otanical Couture
152 The Petal Society

Naples Botanical Garden channels Monet’s Giverny as spring’s most theatrical pieces—feathered confections, floating silks and impressionist details—come to life amid water lilies and dappled light.

PHOTOGRAPHY BY OMAR CRUZ
STYLED BY VERONICA PORRAS

Nature’s textures inspire impressionist embellishment for formal affairs, from noir silk and feathers to artisanal petals creating a painterly corset effect.
Left: Black dress by Lena Erziak; earrings from Wish Fine Jewelry.
Right: Floral top by Wade Allyn; earrings from Patricia Robalino Designs. Previous spread:
Lena Erziak feather dress; earrings from Wish Fine Jewelry.

Form follows function in a blush gown with architectural simplicity. The minimalist column silhouette, softened by draped fabric, offers a modern approach to garden party elegance. Dress from Inclover; yellow gold and diamond bracelet, earrings, and rings from Wish Fine Jewelry.




Through a veil of monstera leaves, structured silhouettes offer sharp contrast to
the lush subtropical setting. Dress from Lena Erziak; crocodile bag by Sandra J.; earrings, bracelet and necklace from Patricia Robalino Designs.
Layers of violet silk cascade like fallen petals, and hand-painted florals echo the romance of the garden’s water lily pond. Dress and long vest from Wade Allyn.




Sculpted organza petals echo the garden’s flowering trees; a vintage tapestry bag adds a collected, curator’s touch to the ethereal scene. Dress by Inclover; earrings and rings from Wish Fine Jewelry; vintage handbag from Fly Boutique.


chiffon cape dress; diamond earrings by Patricia Robalino Designs.
As evening approaches, midnight silk sets an elegant tone through verdant paths, while metallic lace catches the day’s last light. Oscar de
la Renta
Shot on location at Naples
Botanical Garden Hair and makeup
Duality
Artistry Model
Xenia Belskaya, Elite Models.
Where Wallflowers Bloom
Southwest Florida’s flourishing floral culture blossoms into a thriving hub of creativity and connection.
By Jaynie Bartley

Austin Trenholm

Flower power couple Sean and Melissa Stevenson have been at the forefront of Naples’ floral renaissance, shaping the city’s botanical culture with their distinctive eye for untamed elegance. At their newest Kaleidoscope Floral location, blooms—sculpted, styled and celebrated with the same reverence as fine art—serve as the backdrop for community.
he gentle chime of the shopkeeper’s bell marks the steady flow of customers entering Wild at Heart Flower Bar & Mercantile. They greet owner Heather Moore with a long hug as if entering their mother’s living room. Her husband, Bryan, tells me personal anecdotes about each shopper. Whimsical white drawings by Fort Myers artist Gabrielle Kesecker decorate the windows of the artsy mercantile, where ’60s tunes play from an antique jukebox. The Downtown Fort Myers boutique embodies the socially fueled gardening resurgence taking root in our region.
“It’s a whole paradigm shift, looking for that way to make you smile, to get away from the burdens of the world: Go to the movies, meet us at the truck, start a garden, buy another plant,” Bryan says.
Horticultural tradition has strong roots in Southwest Florida, with social groups such as Mina Miller Edison’s Periwinkle Garden Club forming in Fort Myers in 1928 and The Naples Garden Club launching in 1953. Now, a fresh cohort of cultivators is

Austin Trenholm (3)




Austin Trenholm (2)
Kaleidoscope Floral’s journey has been as dynamic as its arrangements. After a pioneering space on Fifth Avenue South and a short-lived but gorgeous stint on Third Street South, the Stevensons have settled into their dreamiest iteration yet—an airy East Naples shop with a secret garden and a pop-up from Bonita Springs cult-favorite Wolfmoon bakery.


Mobile florists gave the region’s flower movement its momentum, popping up at markets and events and redefining flower buying as a sensory, social experience. Sony Viloria’s Petals the Flower Truck often rolls into places like Mercato, Wonder Gardens and Third Street South with workshops and an ever-changing selection of fresh blooms offered from a whimsical 1971 Volkswagen Single Cab.


transforming gardening from a weekend hobby to a cultural cornerstone. At these places, teeming social calendars revolve around nature, and diverse crowds reflect the region’s evolving demographic. The fusion of retail and refuge reflects a larger, post-pandemic yearning for spaces blending commerce with community.
At the forefront of this green movement is flower power couple Sean and Melissa Stevenson—loved locally for their lavish and wildly composed event florals—who brought the DIY arrangement concept to Naples in 2017, when they opened Kaleidoscope Home on Fifth Avenue South. Their dreamy bouquet bar full of uncommon blooms quickly grew a following, sparking a movement beyond retail. “People were getting inspired by [the flowers],” Sean says. “Nonstop, we had requests for classes and group experiences.” In November, the Stevensons opened the latest iteration of their shop in East Naples, with a large garden for experiences, including yoga sessions and the Chinese tile game, Mahjong.
Inside the mossy green building, sunlight streams across wooden shelves lined with matte black Cire Trudon candles and sculptural ceramic vessels, while the pantry area glows with refrigerated cases of natural wines, along with artisanal cheeses and other provisions. The buttery scent of
Katherine Michelle (3)

fresh croissants from the cafe counter—via a partnership with Bonita Springs’ darling Wolfmoon bakery—mingles with the perfume of coral ranunculus and butteryellow garden roses. Peeking through the glass production door, you see Melissa working with a cascade of ivory peonies and garden roses, their petals unfurling in the humidity, while shop cat Frank weaves between fallen leaves and stems. Outside, shell-paved paths wind through a garden, where wooden children’s games spill across the grass, seasonal visitors ogle native palms and dogs lie patiently by their owners under red-trimmed umbrellas. “It’s beautiful, but it’s not unapproachable, and it’s not snooty,” Sean says, describing the aesthetic they designed. “It’s a cool place where people feel comfortable.”
Further west, interior designer-turnedflorist Allison Keevan also invites guests to linger when they visit her new, chic Old Naples flower shop, Flora & Fauna. “You are constantly giving or getting flowers for various occasions throughout your life,” Allison says. “They just bring a sense of peace and a connection with nature.” At a recent Sound Bath Bubbles & Blooms event with a local sound healer, attendees capped off the relaxation with a glass of bubbly from the Champagne bar, a key component of the multi-use space. She also keeps a stock of pre-made arrangements, curated

Kelly Jones (3)

At Flora & Fauna, flowers pair well with a glass of bubbly. With its in-house Champagne bar, the Old Naples boutique invites guests to sip while they browse, arrange or simply take in the blooms. Like other botanically minded social salons, her shop champions a holistic approach to life—a recent event included a breathwork and sound bath experience.


Christina Bankson
Traveling to Sincerely Succulents is a plant lover’s pilgrimage. Located within a sliver of Old Florida in Fort Myers’ Buckingham area, Shana Maree’s locale presents a trove of exotic succulents—lush, pink-tipped echeverias, spiky star cacti, trailing strings of pearls—sparking a sense of discovery at every visit.
seasonal wares and locally made goods, and a DIY bar filled with dainty blooms. Back at Wild at Heart, nearly all cut flowers are sourced from a private wholesaler in Punta Gorda—aside from a few imports by request—and a chandelier of house-dried stems hangs from the center of the room, a sustainable practice to save imperfect blooms. Founders Heather and Bryan were inspired to create their floral-filled sanctuary within the lively downtown strip after their 1962 Ford Econoline floral truck, Willow, amassed a quick and loyal following with her 2022 debut at local markets and events. Mobile floristry has emerged as the driving force in this green movement. The vibey vehicles fit perfectly in Southwest Florida’s sun-soaked markets. Fort Myers’ M&M Farms was one of the first locally to mobilize the trend with a selection of blooms in the bed of their weathered ’66 Ford pickup truck in 2020. Over the next few years, more trucks popped up from Naples to Fort Myers, each bringing a unique style—from M&M’s rustic-chic pickup to Dottie Jean’s Flower Truck’s whimsical mint-hued ride, where bistro lights and hand-lettered signs create the feeling of an impromptu garden party. In Naples, the Petals the Flower Truck’s cotton-candy-pink 1971 Volkswagen Single Cab, accented by posh black-andwhite striped awnings and filled with elegant florals, looks right at home parked at Mercato or Third Street South, where the van often pops up.
Shana partnered with her in-laws in 2023 to open Sincerely Succulents on their Marée Farms property. The rural site also houses their nursery, filled with bromeliads, philodendrons and colorful blooms, traditional Spanish garden pots for sale, and a shop with contemporary gardening accessories and a DIY potting bar.

Christina Bankson (3)
Plant folk converge at local farmers markets. At any given location, you may run into green thumb Julie Sherer selling coveted monstera Thai constellations and staghorn ferns from her Groovy Growing stand in Fort Myers, or skilled artist Tori Linton with En Root in Naples showing off her handmade macrame hangers and shattered concrete pots.
These plant enthusiasts communicate like the storied Wood Wide Web, the network of fungi deep in the soil believed to connect all trees, allowing them to communicate and heal each other. Through Facebook groups and messenger chats, horticulturalists share dates for plant swaps, growing tips and leads on collectible greenery. Last year, respected landscape architect Christian Busk entered the retail scene with his new 41 Home & Garden in North Naples, where blooms and greenery spill out across half an acre. Outdoor sculptures and potted arrangements throughout inspire dreamy landscapes for green thumbs. Locals also flock to other garden centers that feel more like botanical gardens than retail spaces—from the flamingo-pink Green Door Nursery in Bayshore Art District to the verdant expanse of Marée Farms in rural Fort Myers.


M&M Farms’ Tamber Robinson was among the first to mobilize the trend when she rolled out her flower truck, a 1966 Ford pickup, from her Buckingham family farm in 2020. Below, top: At Wild at Heart Flower Bar & Mercantile, in Downtown Fort Myers, music hums from a vintage jukebox while customers linger among the blooms.
Down a road in rural Old Florida, within Fort Myers’ Buckingham area, Marée reveals itself like a hidden garden, where copper-hued bromeliads and fanning monsteras frame a lily pad-dotted lake. Here, beneath shade cloth and Spanish moss, rows of exotic tropicals thrive—from rare pink princess philodendrons to colorful desert roses.
The nursery gained new life in 2023 when Shana Maree, whose popular Sincerely Succulents began as a modest market stand, partnered with her in-laws to open her succulent shop on-site. Inside a farmhouse, her expanded vision unfolds in a plant-filled oasis, where wood shelving displays boho-chic plant accessories. At the DIY potting station, visitors select from a painter’s palette of succulents—silvery echeverias, spiky chin cacti, variegated hoyas—to create living arrangements.“I envisioned something bigger than just setting up a table,” Shana says. “I pictured a space where people could connect, learn and build community.” Her idea resonates through private potting parties and seasonal events, where enthusiasts gather.
Like other flower-powered sanctuaries in the region, the site has evolved into a botanical salon, where master gardeners and novice growers connect over their shared passion for Southwest Florida’s verdant possibilities.


Courtesy M&M Farms (2), Wild at Heart Flower Bar & Mercantile





























FACES OF SOUTHWEST FLORIDA






























FACES OF SOUTHWEST FLORIDA
Welcome to the 11th edition of Gulfshore Life’s Faces of Southwest Florida. At the heart of this special feature is a timeless collective of local business owners who not only excel in their respective fields but also support one another, fostering a spirit of unity and collaboration. This celebratory edition brings together business owners, chefs, entrepreneurs, real estate agents, medical professionals, artisans, and more—each contributing to the vibrant culture of our region.
Southwest Florida is a community driven by an unwavering commitment to excellence. Whether in business, community engagement, or creativity, these individuals embody the spirit of innovation and inspiration. In Southwest Florida, these qualities are brought to life by individuals who are not only forwardthinking but also deeply committed to making a lasting impact. They introduce new ideas, solutions, and ways of doing business, while inspiration stems from their ability to lead by example and encourage others to reach new heights.
Whether through creative ventures, cutting-edge business strategies, or community-building efforts, the people featured in this edition of Faces of Southwest Florida are perfect examples of how we shape the fabric of our region. Together, they cultivate an environment where excellence thrives, and everyone is encouraged to push boundaries and strive for greatness.
We are proud to present the excellence of these professionals in the following pages. Beautifully captured by professional photographer Brian Tietz, their stories are a testament to the power of dedication, resilience, and the shared pursuit of greatness. We hope you find them as inspiring as we do!
Appreciatively,



Step inside Alchemist Kava and meet store owner and Naples native Ashley Giannone and manager Juliana Coppola, who welcome you to a haven where tranquility and creativity flourish. Since opening in 2023, East Naples’ premier kava bar has become a beloved community refuge. Owned by Ashley and her husband Vincent, this botanical lounge is renowned for its vibrant weekly events, craft botanical beverages and inviting social atmosphere that inspires connection and relaxation.
Alchemist Kava offers handcrafted botanical elixirs designed to enhance focus, spark creativity and elevate social moments. For coffee lovers, the menu also features locally roasted Grumpy Goat Coffee.
Deeply rooted in the Naples community, Alchemist Kava honors the locals who make Naples special. Students, teachers, veterans, county employees and first responders enjoy daily discounts. Beyond its peaceful ambiance, Alchemist Kava serves as a hub for local artists to showcase and sell their creations, making each visit a celebration of Naples’ talent and spirit.
Whether you’re new to kava or a seasoned enthusiast, Alchemist Kava offers sanctuary for all. Join the vibrant and growing Southwest Florida kava community, savor refreshing elixirs and discover the magic within.
Alchemist Kava
4121 Tamiami Trail E., Naples, FL 34112 (239) 900-1616 | alchemistkava.com
THE FACES OF KAVA

Since 1945, Allied Marine has earned its place as one of the world’s leading yacht brokerage and charter companies. It proudly serves as the United States’ exclusive Central and East Coast dealer for Ferretti Group’s renowned brands, including Riva, Pershing, Itama and Ferretti yachts and is an authorized agent for Custom Line and CRN.
At a newly renovated office in Naples, Florida, Allied Marine’s team of seasoned professionals guides you through every step of the yacht ownership journey, whether you’re buying, selling or designing your dream yacht. Allied Marine also provides the option to charter luxury vessels for unforgettable global adventures, backed by its trusted charter brokers.
Selecting the right yacht is a deeply personal experience. Allied Marine’s team listens to your preferences and carefully curates options that align with your lifestyle. From new yachts to high-quality pre-owned models sourced from a vast network of global offerings, Allied Marine is committed to finding the perfect fit for you. With more than 70 years of experience, a stellar reputation and unmatched expertise, Allied Marine Naples enhances every aspect of the yacht ownership experience. Ready to elevate your life on the water? Contact the Allied Marine team today to make your maritime dreams a reality.
Allied Marine
909 10th St. S., Suite 102, Naples, FL 34102 (239) 262-6500 | alliedmarine.com


Thousands of families are on the front doorstep of foster care, but they don’t have to be. Better Together strengthens families by helping parents address the root cause of their struggles and build a lasting support system. Volunteer host families give children a safe place to live while mentors and professional staff help parents regain stability through the nonprofit’s mentoring programs. Ninety-eight percent of children served stay out of the state system. The key? Community.
“Everybody should have someone to call in a crisis,” says Better Together CEO Megan Rose. Megan built the organization after working more than 10 years in the Florida child welfare system and becoming frustrated by its limitations. Her entrepreneurial and relational approach has attracted attention in Florida and across the nation. The Manhattan Institute named Megan among its Civil Society Fellows, and she received its Civil Society Award in 2019. Better Together has also been named The Community Foundation’s 2020 Nonprofit Rising Organization of the Year and SWFL Inc.’s 2022 Nonprofit of the Year.
Better Together expanded from its beginnings in Naples in 2015 to serving 48 Florida counties today. By 2030, the nonprofit aims to help families statewide.
Better Together
15275 Collier Blvd., Suite 201-284, Naples, FL 34119 (239) 470-2733 | bettertogetherus.org
THE FACE OF PHILANTHROPY



Chef Vincenzo Betulia and Campagna Hospitality Group made waves in the Naples dining scene last season with a bold new concept: Rouge Clandestine Steak. The idea was born after Vincenzo noticed people increasingly craving comfort foods during the 2020 pandemic closures. Rouge Clandestine Steak blends the allure of classic steakhouse dining with a retro, intimate atmosphere, perfect for those seeking a luxurious, nostalgic dining experience.
Located in the back of The French, the 18-seat, semi-private dining room has transformed into a lush, 1960s-inspired space. With red velvet drapery, hanging florals, classic French tile flooring, ruby red banquettes and a record player spinning Frank Sinatra and John Coltrane, Rouge Clandestine Steak evokes the glamour and charm of a New York or Chicago steakhouse. This hidden gem focuses on prime cuts of meat, each selected for their marbling and flavor profile.
Rouge Clandestine Steak has strengthened The French’s reputation by “Raising the Steaks”—bringing top-tier steaks to The French’s main dining room menu. The French, already a notable name in Naples, was recently honored with the Two Glass Best of Award of Excellence from Wine Spectator, placing it among an exclusive list of only 900 restaurants in the continental United States to hold this distinction.
Beyond the restaurant scene, 2024 has marked significant growth for Tulia Catering and Events, which expanded its reach in Naples. Tulia Catering has curated experiences that range from intimate Michelin-style home dinners to grand events for hundreds, including luxury yacht and private aviation catering, as well as large-scale galas for 500 to 750 guests.
With Rouge Clandestine Steak, The French’s continued accolades and Tulia Catering’s ambitious growth, Chef Vincenzo Betulia and Campagna Hospitality Group the future of dining in Naples.
Campagna Hospitality Group
Osteria Tulia | Bar Tulia | The French Brasserie | Rouge Clandestine Steak 365 Fifth Ave. S., Naples, FL 34102 (239) 213-2073 | campagnahospitalitygroup.com






As homes evolve from mere spaces to intelligent ecosystems, homeowners are seeking sophisticated technology that effortlessly integrates into their lifestyles to provide unparalleled convenience.
This is why Clive Daniel Home is proud to introduce Tyler Nary as its innovative home automation services director. With more than a decade of expertise in smart home electronics and professional installation, Tyler is renowned for his exceptional technical mastery and ability to craft intuitive solutions that elevate daily living.
Tyler’s work transcends simple functionality and instead leans into a formulaic blend of cutting-edge systems with elegant interiors. From mood-enhancing lighting controls to bespoke audio-visual solutions, his designs transform each home into a personalized sanctuary that harmonizes beauty and technology.
At the helm of Clive Daniel Home Automation, powered by Daisy, Tyler is reshaping the future of luxury living, offering bespoke smart home systems that combine effortless control with timeless aesthetics. Under Tyler’s leadership, the dream of a smart, stylish home is not just possible—it’s here.
Clive Daniel Home 2777 Tamiami Trail N., Naples, FL 34103 (239) 206-3560 | clivedaniel.com
Tyler Nary | Director of Home Automation
THE FACE OF HOME AUTOMATION


Since opening its doors almost 10 years ago, Detailers of Naples continues to grow into a one-stop-shop for the automotive enthusiast and is committed to providing high-quality service while putting customer needs first. Having grown tremendously in recent years, Detailers of Naples added a range of services aimed at helping vehicle owners protect their investments. The company announced that its operations have expanded with the acquisition of an incredible 14,000-square-foot property in Naples.
As the exclusive XPELTM brand dealer in Collier County, Detailers of Naples offers paint protection film, ceramic coatings, K40 radar detectors, window tint, and vinyl and maintenance detailing. “There is a major need in Southwest Florida for a shop people can trust to do the work right and provide an all-around experience where you feel like you need to tell the world about it,” owner Brennan Seaman says. The Detailers of Naples team caters to each project’s specific needs to ensure excellence and provide clients with a level of service that is unmatched.
Detailers of Naples
3550 Westview Dr,Naples, 34104 (239) 280-0034 | detailersofnaples.com info@detailersofnaples.com
THE FACE OF EXOTIC CAR DETAILING /

Founded in Naples, Florida, in 1983 by Scott Phillips, Jet 1 quickly became one of the top aircraft sales, charter and management companies worldwide. Under Scott’s direction, Jet 1 has handled more than 800 domestic and international transactions totaling over $2 billion in sales. Today, Scott is focused on aircraft acquisitions, sales and fleet development.
Keaton Phillips joined the family business full-time in 2014 to lead the charter and management division of Jet 1. Keaton founded the charter brokerage arm in Los Angeles, California, with a focus on tour support for celebrities within the music and entertainment industry. After gaining a strong following in the charter world, Keaton moved back to Naples to develop the charter and management operation. While Jet 1 continues to serve the likes of celebrities, Keaton has shifted his focus toward Naples-based families and businesses looking for a curated experience in aviation.
Jet 1 has continued to grow its local operation to include a fleet of Learjet 60XR, Citation XL/XLS and Gulfstream G280 aircraft right here in Naples. With an emphasis on the community and a reach that spans globally, Jet 1 is set to soar into 2025 and beyond!
Jet 1
101 Aviation Drive N., Naples, FL 34104 (239) 643-9700 | flyjet1.com
THE FACES OF PRIVATE AVIATION



keep boutique, established in 2023 by Nissa Sultan, is a luxury fashion and gifting destination that blends timeless elegance and stylish trends. With two boutique locations and a thriving e-commerce platform, keep boutique curates exceptional collections designed to inspire confidence and elevate everyday living. From versatile wardrobe staples to statement pieces, each selection reflects a commitment to quality, craftsmanship and individuality.
With a passion for community and connection, keep boutique is a space where customers can explore, express themselves and celebrate the art of fashion. Every item is thoughtfully chosen to provide clientele with a shopping experience reflective of their unique tastes and lifestyles.
Whether visiting in-store or shopping online, keep strives to deliver an elevated experience that leaves a lasting impression. Discover the joy of fashion redefined.
keep boutique 16888 McGregor Blvd, Ste. 101, Fort Myers, FL 33908 1400 Gulf Shore Blvd N., Ste. 184, Naples Fl 34102 (239) 955-4714 | keepboutique.com


THE FACES OF ESTATE JEWELRY
Lovejoy Antiques is a premier destination in Naples, cherished for its extraordinary collection of vintage jewelry and timeless watches. For more than 30 years, the shop has been a haven for those who appreciate craftsmanship and history. Owned by Ace Gordon, a passionate curator with a sharp eye for detail, the store offers a diverse selection of treasures that span eras and styles, catering to both seasoned collectors and firsttime buyers.
Continuing the family legacy, Ace’s son, Grey Gordon, represents the fourth generation operating Lovejoy Antiques. Grey brings fresh energy and a modern perspective, complementing the store’s rich heritage while embracing new trends in vintage and antique pieces. Together, Ace and Grey uphold the shop’s reputation as a place where history meets artistry.
Every visit to Lovejoy Antiques feels like stepping into a gallery of stories, where each piece has a unique tale waiting to be shared. With its warm atmosphere, expert knowledge and dedication to preserving timeless beauty, Lovejoy Antiques continues to inspire and delight customers, ensuring its legacy thrives for generations to come.
Lovejoy Antiques
325 5th Ave. S., Naples, FL 34102 (239) 649-7447 | lovejoynaples.com

BUILDING AND REMODELING
With a new office overlooking Fifth Avenue South, MDK Construction , a preeminent builder in the US and Canada, is poised to elevate bespoke home building and remodeling in Florida.
Founder Mitch Kleinstein enlisted local business development and operations expert George Klein to usher in his firm’s commitment to the highest quality, and personalized service. Mitch is 100% involved in every project. “If you’re hiring MDK, you’re hiring me,” he says.
Mitch’s hands-on work bringing luxury homes to life through extensive collaboration with architects and designers for 30 years has earned him the reputation for making the impossible possible. With a goal of immaculately tailoring interiors and exteriors to his clients’ needs, Mitch vests not just his time and discerning aesthetic into every project but that of a coterie of highly skilled tradesmen whom MDK has partnered with for decades.
The results speak for themselves: An urban residence was an Interior Design 2020 “Best of the Year Award” winner, and The Wall Street Journal featured its undulating spiral staircase. An estate home with bronze fascia curving the perimeter and a hand-carved ash ceiling won both the prestigious 2022 Architecture MasterPrize Award and the 2023 International Architecture Award.
When the goal is a one-of-a-kind home, look no further than MDK. It’s only a matter of time before the firm’s work in Florida will earn additional accolades.
MDK Construction
500 Fifth Ave. S., Suite 509, Naples, FL 34102 (239) 238-4343 | mdk-construction.com
THE FACES OF LUXURY HOME



Moran Wealth Management, LLC, a Naples-based registered investment advisor (RIA), is a recognized leader in wealth management in Southwest Florida. Founded by Tom Moran, a Naples resident for more than 35 years, the firm manages over $5 billion in client assets and serves high-net-worth individuals, families and institutions.
With a team of more than 40 professionals, Moran Wealth combines expertise in wealth advisory and asset management to provide exceptional service and tailored solutions that meet each client’s unique goals. A pioneer in commission-free money management, Tom leads the firm with a commitment to transparent, client-first guidance that drives Moran Wealth’s continued success and trusted reputation. President Don Drury compliments this leadership by executing the firm’s strategic initiatives, driving ongoing growth and excellence.
Tom’s children, Kylen and Patrick Moran, bring a multi-generational perspective, blending the firm’s legacy with forward-thinking innovation. Moran Wealth’s team-based approach, proprietary investment portfolios and fiduciary commitment position it as a trusted partner in building and preserving wealth. Moran Wealth Management® aspires to set the standard for exceptional financial guidance in Southwest Florida and beyond.
Moran Wealth Management®
5801 Pelican Bay Blvd., Suite 110, Naples, FL 34108 (239) 920-4440 | moranwm.com
THE FACES OF INVESTING


The structural heart team at Physicians Regional Healthcare System (PRHS) is transforming cardiac care through a collaborative, patient-centric approach.
Transcatheter aortic valve replacement (TAVR) is a minimally invasive procedure that provides life-changing treatment for patients with aortic stenosis—a condition where blood flow from the heart is restricted due to narrowing of the aortic valve, which places extra strain on the heart. TAVR offers hope and is an alternative to traditional openheart surgery for individuals with symptomatic aortic valve disease. The procedure involves threading a collapsible, artificial valve on the tip of a catheter and guiding it to the heart using X-ray guidance. Once positioned appropriately, the new valve is expanded, immediately restoring unrestricted blood flow.
In just under four years, the structural heart team at PRHS has performed over 450 TAVR procedures, with more than 90% of patients being discharged after a single night’s stay in the hospital. This highly advanced procedure allows patients to expect full recovery in under 2 weeks, compared to traditional open-heart methods that require a week’s stay in the hospital and a minimum of two months for recovery.
Physicians Regional Healthcare System is fully committed to structural heart care which ensures patients in the region have access to the most advanced heart treatments close to home.
Physicians Regional Healthcare System (239) 304-4971 | physiciansregional.com/cardiac-care
Ronald Caputo, M.D., Larry Leslie, M.D., Julia Stevenson, M.D., Scot Schultz, M.D.
THE FACES OF HEART CARE
THE FACES OF NOSTALGIC DINING

Meet Ted and Emily Monty, the Naples power couple taking Spanky’s to a new level. Walk into the 41-year-old iconic landmark and immerse yourself in southern charm and nostalgia. Whether you choose to dine in the family-friendly dining room or in the quaint lounge favored by the locals, there is truly a place for everyone. Spanky’s menu focuses on American fare favorites, but is known for its prime rib. Another favorite is the soup and salad bar nestled in the bed of a 1924 Ford Model T. If you are able to save room, you must try the key lime pie—Spanky’s received a Best of the Gulfshore Readers’ Choice award for the Florida favorite!
Ted and Emily have owned Spanky’s since 2015. Since then, they have strived to provide the best quality product at an exceptional value and are continuously grateful to serve the residents of Southwest Florida.
Spanky’s Speakeasy
1550 Airport-Pulling Rd., Naples, FL 34104 (239) 643-1559 | spankysspeakeasy.com



Tom Trovato is the creative force transforming Naples’ event scene with his dramatic, overthe-top floral designs. Known for his ability to blend artistry and architecture, Tom creates stunning environments through suspended floral installations, towering greenery and custom décor. His designs are the centerpiece of society weddings and philanthropic galas, turning ordinary venues into unforgettable experiences.
Tom’s journey began in his family’s garden and flourished through his studies in landscape architecture at Michigan State University. After relocating to Naples 15 years ago, he built his reputation crafting funeral arrangements before shifting to weddings and events. Today, Tom Trovato Event Floral & Design orchestrates nearly 700 events annually from a 13,000-square-foot facility filled with global blooms and custom props.
What sets Tom apart is his versatility. Whether crafting lavish displays or subtle arrangements, he works within any budget to bring his clients’ visions to life. Beyond his designs, Tom’s personal touch and community dedication make him a local treasure. A passionate gardener, runner and gourmet cook, he embodies the vibrant spirit of Naples.
For Tom, event planning is more than a profession—it’s storytelling. Each flower, texture and hue is a chapter in a tale of joy, beauty and celebration.
Tom Trovato Event Floral & Design 4110 Enterprise Ave., Suite 219, Naples, FL 34104 (239) 384-4985 | tomtrovato.com
THE FACES OF FLORAL DESIGN


Tru Glo Medspa, a premier medical spa in Naples, offers revitalizing treatments and anti-aging products to reinvigorate your mind and body. Directed by two renowned medical specialists, internist Dr. Diane Brzezinski and plastic surgeon Dr. Paul Gardner, Tru Glo Medspa specializes in advanced and effective spa treatments designed to make you look younger and feel more confident and vibrant than you have in years.
Tru Glo Medspa offers a comprehensive range of services designed to enhance your overall well-being. Its facial rejuvenation treatments, such as microneedling, BBL and chemical peels, are tailored to revitalize your skin, revealing a glowing complexion. For those seeking to sculpt and refine their silhouette, body contouring solutions like CoolSculpting deliver transformative results with minimal downtime. And because self-care is more than skincare, Tru Glo Medspa provides relaxing experiences that allow you to unwind and recharge in a serene environment. Your journey to confidence and relaxation begins here.
Tru Glo Medspa
1250 Pine Ridge Rd., Suite 101B, Naples, FL 34108 (239) 919-7009 truglomedspa.com

Ever since Benji and Laura Kendall established their presence in Naples more than a decade ago, they’ve relied on their business acumen and commitment to client transparency to propel the Yamron Jewelers brand into enduring success. The couple has uniquely personalized the luxury jewelry experience by engaging in the community and partaking in their clients’ most joyous and significant occasions.
As dedicated philanthropists, the Kendalls are involved with organizations such as the Juvenile Diabetes Research Foundation (JDRF), Boys & Girls Clubs of Collier County and the Women’s Foundation of Collier County. The personal connection to JDRF is especially profound for them, as their niece was diagnosed with Type 1 diabetes at a young age.
As the brand expands its footprint, Benji and Laura are committed to upholding the impeccable quality and service standards customers associate with the Yamron name. Looking ahead, they are excited about continuing their mission to elevate the luxury shopping experience with exclusive jewelry collections, top-notch timepieces and the goal of helping clients mark life’s significant milestones.
Yamron Jewelers
5555 Tamiami Trail N., Suite 11, Naples, FL 34108 (239) 592-7707 | yamron.com
La Maison Yamron
5505 Tamiami Trail N., Suite 5, Napes, FL 34108 (239) 596-2732 | lamaisonyamron.com


Abodeable is a full-service boutique, construction and interior design firm with more than 30 years in the Naples design market. Specializing in construction, architecture and interior design, Abodeable focuses on creative ingenuity with precise execution. Creative use of scale, space and materials, curated furnishings, couture fabrics and commissioned art create spaces reflective of the client, not the company. The boutique is proud to offer an incredible selection of furniture, lighting and decor for every room of your home. Visit the flagship store, Abodeable HOME, a luxury furnishing, accessory and gift boutique located in the Alexander’s Plaza on Rt.41.
Abodeable
4085 Tamiami Trail N., Suite B-105, Naples, FL 34103 (239) 331-2508 | abode-able.com
THE FACES OF COLLABORATIVE CONSTRUCTION

Founded in 2017, AdVenture has become the preferred creative team for private clubs in Southwest Florida. Backed by more than a decade of combined experience, this team of FGCU alumni, led by William Kobrin and Peyton Schaefer, brings a fresh, modern perspective with unmatched attention to detail.
AdVenture specializes in photography, video production, design and social media management. While the team’s portfolio includes over 50 private country clubs, their expertise extends beyond the private club industry in partnerships with businesses and brands across the nation.
The AdVenture team strives to make the world a more beautiful place and continues to set new standards for creative excellence. #WeCreate
AdVenture | AdVCreates.com | @AdVentureSWFL
William Kobrin | Founder & President
Peyton Schaefer | Creative Director & Partner
Joey Anderson | Digital Media Director
Maximilian Trullenque, Jared Pearlman, & Maricel Esquilin | Creatives

Alexis Martinez Puleio’s artwork immerses viewers in a visual voyage over coastal shorelines. Inspired by pristine beaches and the boundless depth of the ocean, she pushes the boundaries of creativity in her ocean resin art, which mimics aerial views of coastlines with hand-sculpted landscapes and glass-like resin water. In addition to her custom-made landscapes, Alexis combines epoxy resin with acrylic pigments to capture nature’s beauty.
Alexis’ work is displayed at locations such as The Ritz-Carlton Naples, Naples Airport and Lakeland Regional Medical Center. She earned her degree in biology and chemistry at Florida Gulf Coast University.
Alexis Martinez Puleio Custom Art instagram: @ampuleio_art (239) 273-4125 | customartbyalexis.com
THE FACE OF RESIN ART

Located in the heart of Old Naples overlooking Naples Bay, BayView Dental Arts makes your comfort their first priority! Utilizing cutting-edge CAD/CAM technology, CEREC crowns are fabricated on-site so patients can leave with permanent, beautiful ceramic restorations in a single visit. BayView’s specialists in prosthodontics, endodontics and general dentistry can treat and maintain all dental needs. Let them pamper you with unparalleled patient care and state-of-the-art technology. Drs. Kurtis Hussey, Katie Rodriguez, Edward Scherder, Robert Hedgepath, Patrick Carrigan and Jose Horak look forward to meeting with you to discuss your dental health and expectations and create the smile of your dreams.
BayView Dental Arts 10th Ave. S., Ste. 218, Naples, FL 34102 (239) 434-5545 | bayviewdentalarts.com
THE FACES OF COSMETIC DENTISTRY

Jim Boatman, Ernest Ricci and Stephen Schahrer are AV Preeminent-rated litigators who annually receive Martindale-Hubbell’s Client Distinction Award, which is given to less than 1% of all AV-rated lawyers for high client satisfaction ratings. With 18 years of service to the community, a strong team of lawyers and staff, and offices from Marco Island to Tallahassee, Boatman Ricci holds a premier position as a steadfast legal firm along the west coast of Florida. As a Christian firm, Boatman Ricci strives to be truth-guided and relationship driven in everything it does.
Boatman Ricci
3021 Airport-Pulling Road N., Suite 202, Naples, FL 34105 (239) 330-1494 | boatmanricci.com

Southwest Florida is the perfect location for a commercial photographer like Brian Tietz. The weather, the people and the culture in this region have drawn dozens of companies in recent years. Brian has been there every step of the way, visually documenting the rapid growth and transformation of this part of the state.
Brian specializes in on-location environmental portraiture for executives and professionals, creating images that reflect the personality, leadership and confidence of his clients. By listening closely to his clients’ needs and crafting powerful visuals that tell a story, he has built a reputation for long-term success. His portfolio also includes food photography, portraits of athletes and creative drone aerials as well as lifestyle and branding photography for companies and communities throughout Florida.
His editorial and commercial work has been regularly featured in the pages of Gulfshore Life and Gulfshore Business for nearly 20 years.
Brian Tietz Photography (239) 823-8850 | briantietz.com
THE FACE OF PHOTOGRAPHY
Bill Gaston, co-founder of BUILD, has been shaping the future of construction since 2006. Starting with a vision to lead both commercial and residential construction markets, he grew BUILD into a leading force across the southeast United States. The company’s award-winning projects, commitment to client satisfaction and strong base of repeat customers have positioned it as an industry leader. Bill’s leadership, dedication to quality and commitment to creating an enjoyable workplace for his team has propelled BUILD’s growth, leaving a lasting impact on the communities the company serves in Southwest Florida and beyond.
[BUILD]
950 1st Ave N., Suite 200, Naples, FL 34102
(239) 207-7703 | build-gh.com


THE FACE OF COMMERCIAL CONSTRUCTION

Locally owned and operated in Southwest Florida since 1988, California Closets has been redefining home organization with personalized, high-quality storage solutions that transform cluttered spaces into organized, stylish sanctuaries. From luxurious walk-in closets to efficient home offices, the company’s expert designers work closely with clients to create tailored systems that suit any space, lifestyle and budget.
With a commitment to quality, craftsmanship and customer satisfaction, California Closets has become the trusted destination for homeowners in Southwest Florida seeking innovative, custom storage solutions that enhance both organization and aesthetics.
California Closets
Locations in Fort Myers and Naples (239) 694-8100 | californiaclosets.com
THE FACES OF AN ORGANIZED LIFE

Established in 2006, Calusa Bay Properties has earned the title of No. 1 sales team in Pelican Bay and is led by broker Taber Tagliasacchi, P.A. Calusa Properties offers highly coveted, award-winning new construction homes, as well as numerous luxury listings throughout the prestigious community.
The team has defined itself as a market leader by cultivating a dynamic skill set and impressive professional resources, including architects, builders and designers. Serving as one’s personal concierge during the entire real estate process, they represent sellers and buyers with a keen focus on the luxury home market.
Calusa Bay Properties, LLC
795 Myrtle Terrace, Naples, FL 34103 (239) 593-5533 | calusabayproperties.com
THE FACE OF PELICAN BAY REAL ESTATE

Founded by wine expert Rachel Keller, Carl’s Wine Vault is a premier wine storage facility in Florida, trusted by residents and visitors alike. With state-of-the-art technology and multiple contingency systems, Carl’s ensures your wine is always stored at the perfect temperature, protecting your investment. The company offers concierge services like delivery reception, cataloging, purchasing discounts and easy home delivery to make wine ownership effortless. Rachel’s expertise, paired with her unmatched service, makes Carl’s the ultimate hub for wine enthusiasts. Whether you’re building your collection or enjoying a glass, Carl’s Wine Vault guarantees your wine is always in expert hands.
Carl’s Wine Vault 13500 Tamiami Trail N., #9, Naples, FL 34110 (239) 913-9700 | carlswinevault.com
THE FACE OF WINE

For more than a century, Commerce Trust has been a leading provider of financial and tax planning, investment portfolio management, private banking and trust administration services. Clients benefit from the company’s experience administering more than $74 billion in total client assets through all market cycles as of December 31, 2024.
Connect with Commerce Trust’s multidisciplinary team of specialists, including (pictured from left to right) Albina Telo, Danielle Roberson, John Disogra, and Anastasia Sapronova at (239) 383-6420 or commercetrustcompany.com/Naples.
Commerce Trust
4501 Tamiami Trail N., Suite 100, Naples, FL 34103 (239) 383-6420 | commercetrustcompany.com/Naples
THE FACE OF TRUST AND ESTATE PLANNING

At Community School of Naples, the senior leadership team is comprised of eight individuals with more than 150 years of combined experience (from left to right): Paul Selvidio (Chief Financial Officer/Chief Operations Officer) Brooks Fleming (Head of Upper School), Jacqueline McCormick (Head of Lower School), Dr. David Watson (Head of School), Dr. Donna Norkeliunas (Director of Advancement), Franchesca Whiting (Director of Admissions and Marketing), Jacqueline Lentini (Head of Middle School) and Harold Hilliard (Director of Athletic Operations).
Their individual strengths and diverse professional backgrounds blend in their shared vision to set a benchmark for excellence and create a thriving educational environment for students in preschool through twelfth grade. By working together, they ensure CSN remains a place where students can thrive.
Community School of Naples 13275 Livingston Road, Naples, FL 34109 (239) 597-7575 | communityschoolnaples.org
THE FACES OF PRIVATE EDUCATION

Founded more than 35 years ago, Conroy, Conroy & Durant is a boutique real estate law firm whose partners are AV Preeminent Peer Review-rated through Martindale-Hubbell and are board-certified in real estate law by the Florida Bar. The 21-member firm focuses exclusively on real estate transactions and title work. This singular dedication ensures that clients buying, selling or leasing are supported by a depth of experience in an increasingly competitive and sophisticated market. While deeply involved in each transaction, the firm is never too busy to answer phone calls or shake hands.
Conroy, Conroy & Durant, P.A.
2210 Vanderbilt Beach Road, Suite 1201, Naples, FL 34109 (239) 649-5200 | naplespropertylaw.com
THE FACES OF REAL ESTATE LAW

Since its founding 45 years ago, Dean Mead has been a leader in estate planning, serving clients throughout Florida.
Dean Mead’s Naples office is led by Jacqueline Johnson and Miranda Weiss, who both excel in navigating the intricacies of tax law and crafting tailored solutions for high-net-worth individuals and families. They blend cutting-edge strategies with personalized service to safeguard your legacy.
Working collaboratively with the firm’s 50-plus attorneys across Florida, Jacqueline and Miranda provide a full-service experience right here in Naples. Discover the expertise that sets Dean Mead apart in the world of estate planning.
Dean Mead 4501 Tamiami Trail N., Suite 220, Naples, FL 34103 (239) 422-8687 | deanmead.com
THE FACES OF ESTATE LAW

For more than 40 years, Driftwood Garden Center has been a beloved Southwest Florida staple offering exceptional plants, expert gardening advice, beautiful floristry and top-notch landscaping services. As a family-owned and operated business, Driftwood takes pride in its commitment to the community and passion for all things gardening. The expansive selection includes everything from vibrant centerpieces and a vast variety of pottery to unique plants and seasonal decor, ensuring you’ll find exactly what you need to create your perfect space. Visit Driftwood Garden Center and experience the difference that four decades of expertise and care can make.
Driftwood Garden Center
5051 Tamiami Trail N., Naples, FL 34103 (239) 261-0328 | driftwoodgardencenter.com
THE FACE OF CURATED GARDENING

“Life’s a party, just plan it.” This was the phrase on Paige Nocera’s graduation cap at the University of Florida in 2019. Paige began to pursue her career in event planning before the COVID-19 pandemic, so after a few detours and working out of her home, she brought her dream to life. Events With Paige launched in July 2023 and has flourished with personal classes, custom charcuterie boards, private events and her own personal storefront. As a Naples native, Paige is excited to share her talents with her community and bring a new meaning to custom charcuterie.
Events with Paige
349 10th St. N., Unit B, Naples, FL 34102 (239) 370-7077 | eventswithpaige.com
THE FACE OF CHARCUTERIE

The Extension Bar is owned by a husband-and-wife duo. Lyndsey specializes in hand-tied extensions and Richard is the salon’s blonde specialist.
The couple opened their first salon in Connecticut in 2010, and recently expanded with a second location, The Extension Bar, located in downtown Naples.
Lyndsey and Richard work with New York city’s top salons, offering hand-tied extensions and custom styling backstage for New York Fashion Week. They also work with an ever-expanding portfolio of celebrity clientele.
Richard and Lyndsey are excited to bring their experience to Naples. To reserve a custom coloring or hand tied extension appointment please visit the salons website and click “Book Now”.
The Extension Bar at Salon Couture of Naples 850 Central Ave #160, Naples, FL 34102 (239) 682-5803 | TheExtensionBarNaples.com
THE FACES OF HAIR COUTURE

Since opening its doors in December 2020, Ferrari of Naples has become one of Southwest Florida’s premiere luxury automotive destinations. Led by General Manager Helder Rosa and his team of seasoned professionals, the 57-000-square-foot, state-of-the-art showroom offers a wide selection of new and pre-owned models, a sophisticated service center, motorsport opportunities, lifestyle events and more.
“My team and I strive to embody the four pillars defined by Ferrari – Community, Passion, Elegance and Expertise,” Rosa shares. “We are proud of the tremendous success we have experienced thus far and look forward to continuing to deliver unparalleled experiences with the shared goal of building lifelong relationships with our clients.”
Ferrari of Naples
11291 Tamiami Trail N., Naples, FL 34110 (239) 256-1400 | ferrariofnaples.com
THE FACE OF LUXURY AUTO

[FLY] Charters combines luxury, convenience and personalized service to deliver a premier private aviation experience. With a fleet of sleek Cirrus SR22 aircraft and expert pilots, [FLY] Charters ensures every journey—whether business or leisure—is tailored to your needs.
Based in Naples, [FLY] Charters specializes in destinations across the Southeastern United States and Florida Keys, offering the freedom to travel on your schedule without the hassle of commercial airlines.
Escape the ordinary and embrace the freedom of private travel with [FLY] Charters—where the sky is not just the limit but the beginning of your adventure.
[FLY] Charters
(239) 944-6138 | flychartersfl.com THE FACE OF AFFORDABLE CHARTERS

Michael and Karen Gavala are the masterminds behind G3 Catering, an award-winning, upscale catering company in Fort Myers, Florida. With their combined passion for all things culinary and their dedication to exceptional service, they create unforgettable dining experiences for weddings, galas and special events. When they’re not crafting culinary masterpieces, you can find them giving back to their community by supporting local nonprofits. Email us at info@g3caterting.com.
G3 Catering
(239) 887-0069 | g3catering.com

Dr. Ralph Garramone is a world-renowned plastic surgeon with over 25 years of experience. He is board-certified by the American Board of Plastic Surgery and has been repeatedly voted Southwest Florida’s best plastic surgeon. Dr. Garramone specializes in aesthetic plastic surgery of the face, breast, and body, using the latest techniques and modern technology to achieve exceptional results. Dr. Nicholas Garcia has joined Garramone Plastic Surgery, bringing extensive surgical training and specializing in breast and body procedures with a meticulous, artistic approach. Together, they are dedicated to providing outstanding patient care and beautiful, natural results.
Garramone Plastic Surgery
12998 South Cleveland Ave., Fort Myers, FL 33907 (239) 482-1900 | garramone.com
THE FACES OF TOTAL BODY MAKEOVERS

A resident of Naples since 1986, Tim Savage holds a bachelor’s degree in finance and economics from Florida State University. He has been a full-time realtor in the Naples luxury real estate market since 1998, setting multiple sales records and earning awards through his work with homes in Port Royal, Aqualane Shores, Old Naples, Royal Harbor, Park Shore, Moorings, Coquina Sands, Pelican Bay/ Bay Colony, Pine Ridge and Grey Oaks.
As the principal of Gulf Coast International Properties® and Gulf Coast International Properties® Luxury Rentals, Savage and his team continue to achieve milestones and record-setting sales in Naples’ finest neighborhoods.
Gulf Coast International Properties 1144 Third Street South, Naples, FL 34102 (239) 434-2558, (239) 821-7576 | gcipnaples.com
THE FACE OF LUXURY REAL ESTATE

At Gulf Coast Orthodontics, Drs. Rosalie Brao, Michèle Laboda and Bibi Tejera Summey are orthodontic specialists who genuinely care about each smile they touch. For almost 30 years, the practice has specialized in using braces and Invisalign to create confident, beautiful smiles in kids, teens and adults. Combining cutting-edge technology with caring, skilled hands, the Gulf Coast Orthodontics team provides a warm, personalized experience for every patient.
Gulf Coast Orthodontics
Offices in: Naples, Estero and Fort Myers (239) 561-2258 | gulfcoastortho.com THE FACES OF ORTHODONTICS

Alexander Hayes is a Naples native who has spent the last decade working in luxury department stores, including Saks Fifth Avenue. During his time there, he represented brands such as Zegna and Isaia, which fueled his taste for luxury menswear. Now, as the owner of Hayes Haberdashery, Alexander’s goal is to create a curated luxury menswear boutique that serves as a destination for the most esteemed men, not only in Naples but throughout the world! In the hours you don’t find Alexander at the store, you will most likely catch him playing pickleball or strolling downtown Naples.
Hayes Haberdashery
97 9th St. N., Naples, FL 34102 (239) 249-9752 | hayeshaberdashery.com
THE FACE OF LUXURY MEN’S WEAR

Hudson Park Interior Design has a unique alchemy for creating spaces that seamlessly blend personal stories with timeless, sophisticated design. Specializing in luxury residential design, principal designer L.A. DeRiggi combines functional elegance with a commitment to design that celebrates meaningful connections and experiences. Each project begins with a deep understanding of lifestyle, ensuring every detail—whether a renovation or custom new construction home in one of Naples’ prestigious neighborhoods—aligns with our client’s vision. What story does your home tell? Let us create a space that speaks to you.
Hudson Park Interior Design 938 3rd Avenue N., Suite A, Naples, FL 34102 (239) 326-9236 | hudsonparkdesign.com
THE FACE OF INTERIOR DESIGN

In its 33-year history, The Immokalee Foundation has grown into a dedicated team of 41 individuals who contribute their time, talents and resources to educate, empower, and bring hope to Immokalee’s youth. Under the leadership of President and CEO Noemi Y. Perez, The Immokalee Foundation has achieved extraordinary results for its students:
✓ 100% high school graduation rate
✓ 100% postsecondary enrollment ✓ 93% earn an advanced postsecondary certificate or degree ✓ 87% work in their field of study
The Immokalee Foundation proves many of Southwest Florida’s most powerful pathways to success begin in Immokalee.
The Immokalee Foundation 2375 Tamiami Trail N., Suite 308 Naples, FL 34103 (239) 430-9122 immokaleefoundation.org

In today’s fast-paced digital landscape, it’s not enough to simply be seen—you need to be known. Inspired Social Collective uses a strategic, omni-channel approach to marketing, ensuring your brand not only captures attention but leaves a lasting impression.
Founder Stephanie Paradiso is a certified marketing strategist with more than a decade of experience working with product-based and service-based brands. She brings a consumer-first approach to every campaign her agency creates and leads with creativity and high-level strategy.
From email marketing and content creation to strategic digital funnels, web design and community events, Inspired Social Collective helps your brand stand out and succeed.
Inspired Social Collective @inspiredsocialco | inspiredsocial.co
THE FACE OF MARKETING

With more than two decades of expertise in luxury real estate marketing and sales, Inga Lodge, the owner and broker of Luxe Naples Real Estate, has consistently distinguished herself from her peers.
Since founding her own company in 2012, she and her team have successfully facilitated sales exceeding $1 billion throughout Southwest Florida. Inga’s ability to offer developers and clients key insights on emerging trends and market dynamics has been instrumental in the success of her latest project: Naples’ premier high-rise community, Kalea Bay. Her impressive sales numbers aside, Inga is most proud of the long-lasting relationships she has with her clients.
Kalea Bay 13910 Old Coast Rd., Naples, FL 34110 (239) 793-0110 | luxenaplesre.com
THE FACE OF LUXE HIGH-RISE LIVING

The Kellam Group of Truist Investment Services, Inc. is a forward-thinking wealth management team of committed professionals offering tailored advice, guidance and a highly engaged standard of care. The team works with a select group of affluent families, business owners and corporate executives domestically and internationally. The Kellam Group’s mission is to become an essential partner to clients by way of experience, resources and passion for making a difference while helping clients pursue their vision of financial success at any stage of life. If you are considering a change, The Kellam Group is excited to meet you.
The Kellam Group 801 Laurel Oak Drive, 2nd Floor, Naples, FL 34108 (239) 249-5080 | truist.com/wealth
THE FACES OF WEALTH MANAGEMENT

Founded in 2023, LoKey Hat Co.’s flagship store in Bonita Springs is your destination for stylish and trendy custom hats! Our collection brings versatile designs perfect for the ranch, the beach, and everywhere in between. LoKey Hat Co. is proudly led by certified hat masters Candy Nanke, Amanda Boge, and Jess Delfs whose passion for unique fashion inspires every piece!
LoKey Hat Co. is more than a brand; it’s a legacy. Rooted in the history of LoKey Ranch, which spans more than 1,500 acres in Tennessee, the company carries a tradition of authenticity and quality. Whether you’re seeking a private appointment, attending a special event or browsing their collection, LoKey Hat Co. is where you can find the perfect hat and boot to tell your story.
LoKey Hat Co. 28292 Industrial Road, Unit 7, Bonita Springs, FL 34135 (239) 961-2634 | lokeyhatco.com
THE FACES OF CUSTOM HATS

Sweden-born and Naples-raised Jennifer Kallstrom blends chic Swedish minimalism with bold American flair at her boutique, Love, Celine. Inspired by Stockholm’s cobblestone streets and Florida’s sunny shores, Jennifer’s selections offer a timeless, trendy aesthetic that intertwines her travels, Scandinavian roots and American style.
Love, Celine prides itself in effortlessly blending the latest trends with classic elegance. Whether you’re dressing for a busy day at work or an evening out, the shop’s collection has you covered from day to night. Visit the store for a personalized shopping experience or explore Love, Celine’s curated collections online. Check out our online boutique at shoploveceline.com.
Love, Celine
27975 Old 41 Rd., Suite 103, Bonita Springs, FL 34135 (239) 322-2557 | @shoploveceline
1199 1st Ave S, Naples, FL 34102 (239) 322-2557 | @shoploveceline
THE FACE OF WOMEN’S FASHION

Headquartered in Naples, Florida, MHK Architecture specializes in creating luxury residences and commercial spaces that seamlessly blend timeless elegance with modern functionality. The firm’s collaborative, client-led approach ensures each project reflects the unique vision, lifestyle and goals of the individual or business. With a commitment to sustainable practices and innovative, community-focused design, MHK has earned a reputation as a trusted industry leader. MHK transforms ideas into extraordinary spaces by delivering tailored solutions with precision, creativity and an unwavering focus on client satisfaction.
MHK Architecture
2059 Tamiami Trail E., Naples, FL 34112 (239) 331-7092 | mhkarchitecture.com
Kragh | President, MHK Architecture
Matthew
THE FACE OF ARCHITECTURE

MY Self Wellness is a beacon of hope and healing for those facing mental health challenges. As a pioneering, award-winning ketamine clinic, we blend the transformative power of ketamine with holistic lifestyle practices to foster a complete mental reset. Our compassionate approach has guided thousands away from pharmaceuticals and helps alleviate symptoms of depression, anxiety, trauma/PTSD and chronic pain. With more than 15,000 treatments delivered, MY Self Wellness is at the forefront of innovative mental health care, empowering individuals on their journey to wellness and transforming lives and communities for the better.
MY Self Wellness
3541 Bonita Bay Blvd.
Bonita Springs, FL 34134 (239) 908-9958 | myselfwellness.com
THE FACES OF KETAMINE THERAPY
THE FACE OF CONSERVATION

Naples Botanical Garden is on fire with its dedicated conservation efforts, nature-based solutions and mission for plants and people to thrive—together. Seen here is Eric Foht, director of natural resources, at the prescribed burn site in the Garden’s 90-acre Preserve in November 2024. These burns allow the Garden’s restored habitats to remain healthy and demonstrate Naples Botanical Garden’s strong partnerships across Southwest Florida. For more on conservation efforts, the Garden’s beautiful collections, family-friendly programming and many celebrations, visit naplesgarden.org.
Naples Botanical Garden
4820 Bayshore Drive, Naples, FL 34112 (239) 643-7275 | naplesgarden.org

Leopoldo Baccaro, M.D. is a board-certified plastic surgeon who specializes in aesthetic surgery of the breasts that goes beyond the traditional approach of breast implant surgery. Known as the “hybrid” breast augmentation, he uses a combination of modern techniques, such as fat grafting and an internal bra, to create a beautiful decolletage with longlasting results. The goal is to design braless cleavage tailored to modern feminine fashion and our Floridian beach lifestyle.
Naples Plastic Surgery
1250 Pine Ridge Road, Suite 101C, Naples, FL 34108
(239) 566-2611 | naplesps.com THE FACE OF BREAST AUGMENTATION

Paul M. Gardner, M.D, F.A.C.S. is a board-certified plastic surgeon who has served the Naples community for more than 18 years. Recognized as a Castle Connolly “Top Doctor” since 2013, Paul is a former tenured university professor who has taught and written on various techniques in facial cosmetic surgery. His surgery technique has evolved to produce a natural, refreshed look. “My goal is to turn the clock back, not change appearance,” he says. Paul and his staff are committed to excellence in service, which they provide in a personable and discrete manner.
Naples Plastic Surgery 1250 Pine Ridge Road, Ste 101C, Naples, FL 34108 (239) 566-2611 | naplesps.com
THE FACE OF FACIAL PLASTIC SURGERY
THE FACES OF COSMETIC & RECONSTRUCTIVE SURGERY

Dr. Mark Walsh, F.A.C.S is a board-certified plastic surgeon specializing in cosmetic surgery and reconstructive surgery of the face, breast and body. Previously on faculty at Emory University for 11 years, Dr. Walsh authored multiple books and journal articles. He has also received special recognition for both patient care and teaching.
Dr. Andrew Bonett is a board-certified plastic surgeon specializing in cosmetic and reconstructive surgery with a special interest in reconstruction after skin and breast cancers. During his time at Chicago’s Rush University, Dr. Bonett worked with multiple university programs to develop their curriculum and institute a new integrated residency program.
Naples Plastic Surgery
1250 Pine Ridge Road, Ste 101C, Naples, FL 34108 (239) 566-2611 | naplesps.com

The brain is the ultimate unsolvable puzzle. To be a neurologist is to be a great detective—always noticing the details others overlook and understanding that every mystery can have more than one explanation. No wonder writer Arthur Conan Doyle had his physician professors in mind when he created the character Sherlock Holmes! Arthur cited many neurological ailments such as catalepsy, stroke, seizures and different poisonings in his stories. It appears he was a neurologist at heart!
NASA MRI
877 111th Ave. N., Suite 1, Naples, FL 34108
(239) 594-8002 | nasamri.com THE FACE OF

If you ever meet Grant Phelan, you’ll quickly get the impression of a genuine, kind family man. Grant’s authenticity and work ethic launched him to the top of Florida’s hospitality scene, leading a restaurant group that boasts 26 restaurants and 10 different concepts.
Grant and his father opened their first 12-table restaurant in Bonita Springs in 1997. The passion and pride the Phelans exude resonates with their team, which has more than 1,500 members. Grant is a visionary in the culinary space and an industry leader with a passion for providing memorable dining experiences and incredible food to all who dine in his restaurants.
Phelan Family Brands
Locations throughout Southwest Florida phelanfamilybrands.com

Dr. Joseph Bandeira, a dual board-certified internal and geriatric medicine specialist, is redefining healthy aging through cutting-edge medical weight loss and hormone optimization therapies at Premier Medical Wellness. With a strong foundation in biomedical engineering and extensive experience as medical director of geriatrics at NCH, Dr. Bandeira brings unparalleled expertise and compassion to the Naples and Bonita Springs communities.
At Premier Medical Wellness, Dr. Bandeira and his wife, Jaslin, deliver a highly personalized healthcare experience, where each patient’s health, vitality and unique needs take center stage. By combining innovative treatments with compassionate, results-focused care, they empower clients to age with strength, confidence and vibrant health.
Premier Medical Concierge
9655 Tamiami Trail N., Suite 202, Naples, FL 34108
(239) 631-6780 | premiermedconcierge.com
THE FACES OF HEALTHY AGING

A Florida native, Kim Price has spent the past 25-plus years selling coastal real estate in Naples. Ranking as one of Naples’ top agents by RealTrends and recognized in 2023 by Sotheby’s International Realty as one of the Top 100 agents worldwide, Kim has become a premier agent in the Naples luxury market. She attributes her success to her extensive market knowledge and deeply established relationships. Kim and her associate, Jared Miners, describe themselves as luxury concierge agents, going beyond the typical duties of real estate professionals to exceed their clients’ expectations.
Kim Price | Premier Sotheby’s International Realty 4001 Tamiami Trail N., Suite 102, Naples, FL 34103 (239) 248-6924 | kimprice.premiersothebysrealty.com

The Quail West Sales Group has more than 100 years of collective experience in real estate and related professions. Tom and Carmen Grifferty, Kim Basa, Matt Wood, John Burdick, Brooke Walker, Regina Shephard and Amanda Dean are ranked among the top real estate teams in Southwest Florida, with a No. 3 ranking out of 750 agents in the top real estate company in the region. Through their affiliation with John R. Wood and Christie’s International, the team is also honored to be in the top 1.5% of real estate professionals nationwide with a combined sales volume exceeding half a billion dollars.
Quail West Sales Group (239) 592-1010 | quailwestsales.com
THE FACES OF QUAIL WEST REAL ESTATE

Restore Hyper Wellness is where groundbreaking science meets expert guidance to optimize your body and mind. Restore offers Hyper Wellness therapies including IV therapy, biomarker testing, infrared sauna, NAD+ and Niagen® therapy, cryotherapy, red light therapy, hyperbaric oxygen therapy, HydrafacialTM, NeveskinTM and more—to improve sleep, energy and mood; increase athletic performance; boost focus and reclaim cognitive edge; decrease pain and inflammation, and slow aging.
No matter your goal, Restore Hyper Wellness’ team of experts, registered nurses and licensed estheticians will help you achieve it. Create your customized wellness plan on our website at restore.com or visit any location.
Restore Hyper Wellness
Locations throughout Southwest Florida (239) 260-5684 | restore.com
THE FACES OF HYPER WELLNESS
THE FACE OF FACIALS

Erica Current is the founder and CEO of The Skin Room, Naples’ premier skincare destination. After earning a Bachelor of Science degree, Erica furthered her education and studied advanced facial aesthetics. Her mission is to build confidence and strengthen self-esteem by ensuring each of her clients fall in love with their skin. In addition to helping each client achieve healthy skin, Erica wants them to understand her treatments, why they work and the importance of maintaining results with medical-grade, prescription strength at-home skincare.
From general skin health and anti-aging to scarring and pigmentation, Erica combines her passion for science with her specialized training to deliver life-changing results.
The Skin Room
2400 Vanderbilt Beach Rd., Unit 106, Naples, FL 34109 (239) 826-6094 | theskinroom.com

Skin Wellness Physicians is dedicated to delivering the care patients deserve. The medical group’s approach ensures dermatology services and cosmetic treatments always prioritize patients’ overall well-being, not just their skin. Skin Wellness Physicians’s providers go beyond simply addressing rashes, cancer or wrinkles—they treat people, offering compassionate and personalized care tailored to individual needs. As a true neighborhood dermatology clinic, Skin Wellness Physicians is proud to serve its community with expertise and genuine concern for each patient’s health. By fostering trust and building lasting relationships, the group strives to create a supportive environment where patients feel valued and confident in its care.
Skin Wellness Physicians
Multiple locations in Southwest Florida (239) 732-0044 | skinwellnessflorida.com
THE FACES OF DERMATOLOGY

Tony’s Off Third, which is celebrating 30 years in business in 2025, is a locally owned wine boutique paired with a full-service coffee shop and from-scratch bakery in Old Naples. Known for its exemplary and varied selection appealing to the curious shopper as well as the serious oenophile, Tony’s benefits from decades-long industry connections cultivated by co-owner and wine director Sukie Honeycutt. Insiders know Tony’s for its curated wine tastings, often featuring winemakers’ reps. Keep an eye out for namesake and co-owner Tony Ridgway, whose palate and influence are felt throughout the bakery and pastry shop.
Tony’s Off Third 1300 Third Street South, Naples, FL 34102 (239) 262-7999 | tonysoffthird.com
THE FACE OF FINE WINE

Rasit and Ilkay Turk, the visionary designers behind the fashion brand House of Turk & Turk, bring European elegance and sophistication to a luxury collection of clothing and accessories.
From hand-made silk scarves, dresses and kimonos to exclusive home collections inspired by land and sea, House of Turk & Turk’s creations are wearable and livable art that set a new standard for Florida chic among the community’s elite.
For private clients, Turk & Turk Bespoke offers custom personalization across its entire range of apparel, handbags, footwear and home couture. Each piece is impeccably stylish, exquisitely crafted and truly one of a kind.
House of Turk & Turk 8320 Casa Del Rio Lane, Fort Myers, FL 33919 (239) 297-0915 | turkandturk.com
THE FACES OF WEARABLE ART

The Village School of Naples (TVS) provides a student-centered education in a Christian environment that inspires students from PK-3 through 12th grade to achieve academic excellence, grow in their faith and thrive as leaders with character.
Rooted in a rigorous AP and STREAM college preparatory curriculum, The Village School’s dedicated educators foster creativity and collaboration in a nurturing, personalized learning environment to prepare students for success in college and beyond. Join a community where faith and knowledge unite to shape tomorrow’s leaders.
Schedule your private tour today and discover why families choose TVS for their child’s journey. Email TVS at admissions@tvsnaples.org.
The Village School of Naples 6000 Goodlette Frank Road N., Naples, FL 34109 (239) 325-2123 | tvsnaples.org
Dr. Jeff Cavallo | Head of Middle School, Janna Outlaw | Head of Lower School & ECE, Dr. Dennis Chapman | Head of School, Nikki Sweeney | Head of Upper School & Assistant Head of School
THE FACES OF INDEPENDENT CHRISTIAN SCHOOL LEARNING

What do many of Naples’ leading nonprofit and for-profit organizations have in common? They trust Richard Weisberg to manage their 401(k) and 403(b) contribution retirement plans. With more than 30 years of experience and deep ties in the Naples community, Richard is known for his retirement expertise. He has built a reputation for honesty, integrity and exceptional service providing tailored solutions that deliver real value to organizations and their employees. Weisberg combines award-winning strategies with a personal touch and a passion for giving back.
Securities offered through Raymond James Financial Services, Inc., member FINRA/ SIPC Investment advisory services offered through Raymond James Financial Services Advisors, Inc. Weisberg Wealth Management is not a registered broker/dealer and is independent of Raymond James Financial Services.
Weisberg Wealth Management 400 Fifth Ave. S., Suite 302 Naples, FL 34102 (239) 367-7152 | weisbergwealth.com
SPIRITS

Wicked Dolphin Distillery was born out of a desire to produce a great Florida craft rum. The distillery uses allnatural, locally sourced ingredients, including sugarcane from Florida fields. The Wicked Dolphin team oversees all aspects of the distilling process, from fermentation and distillation to barrel aging and bottling the best quality alcohol, known as “the heart of the spirit”. The distillery’s award-winning rums are available at restaurants, bars, local grocers and fine liquor chains throughout Florida. Wicked Dolphin Distillery offers free tours and tastings and attracts more than 35,000 people a year.
Wicked Dolphin Distillery
131 SW 3rd Place, Cape Coral, FL 33991 (239) 242-5244 | wickeddolphin.com
THE FACE OF LOCAL

Naples’ Crumbl Cookie owners Benjamin and Ginny Rattner and their crew welcome you to a special, go-to destination for dessert fans of all kinds. Whether you’re celebrating a holiday, birthday, wedding, office gathering or craving a sweet treat for yourself, the company’s famous pink boxes come in multiple sizes with fun addons to make it extra special.
Desserts are available in-store or through the Crumbl app for pick-up, curbside drop-off, delivery and catering.
Crumbl
6270 Naples Blvd, Unit 3, Naples, FL 34109 (239) 799-5289 | crumbl.com
Established in 2016, Beards and Brews redefines men’s grooming with its blend of precision and relaxation. Master barbers tailor haircuts and beard trims to perfection. Step into a stylish, laid-back space where you can unwind with a hot towel shave or a crisp craft beer. More than a barbershop, Beards and Brews is a sanctuary for the modern man—where confidence is crafted and grooming is elevated.
Beards and Brews
2464 Vanderbilt Beach Rd., Unit 508 Naples, FL 24109 (239) 325-9055 | beardsandbrews.com
24830 S. Tamiami Trail, Unit 1900 Bonita Springs, FL 34134 (239) 319-5833 | beardsandbrews.com THE

THE FACES OF GOURMET DESSERTS
FACE OF MEN’S GROOMING
THE FACES OF MENTAL HEALTH
As leaders of the David Lawrence Centers’ clinician team, Dr. Marta Pieczalska and Maggie Baldwin provide hope to children, adolescents and adults in need throughout Collier County each year. Their expertise and commitment help DLC transform 9,000 lives each year through more than 352,000 lifesaving and lifechanging services.
David Lawrence Centers for Behavioral Health (DLC) 6075 Bathey Lane, Naples, FL 34116 (239) 455-8500 | dlcenters.org


THE FACES OF DOLPHIN TOURS
10,000 Island Dolphin Study Project, on board the 45-seat Dolphin Explorer, is the only dolphin study team in Southwest Florida. With 19 years monitoring local dolphins, lead naturalist Bob, marine biologist James and environmental scientist Ed have studied Marco Island’s dolphins in detail, sending quarterly reports around the globe. The team has won several awards and been published in major papers, and has even welcomed National Geographic on board twice. Reserve your spot now!
Dolphin Explorer
Rose Marina | 951 Bald Eagle Drive Marco Island, Fl 34145 239-642-6899 | dolphin-study.com
For the modern couple dreaming of a custom, curated wedding experience, Faithful Weddings is the team to make it happen. Dedicated to an effortless experience and every memorable detail, Faithful Weddings can procure each couple’s dream wedding.
Because life is a celebration created by all the moments—big, small and everything in between.
Faithful Weddings faithful-weddings.com
Brianna Gates and Amanda Crowe


Giuseppe and Lizette Candela, owners of GCFlooring, are a husband-and-wife team dedicated to their familyowned business. Their full-service, boutique-style flooring company is located in the heart of Naples’ industrial area. Together, they are passionate about their work, their clients and the relationships they have built throughout the years. The team at GCFlooring ensures clients get the service and attention they deserve, creating a foundation for collaboration, trust and personal connection that often develops into deep friendships.
GC Flooring
2155 J and C Boulevard, Naples, Florida 34109 (239) 599-5678 | gcflooringofnaples.com
THE FACES OF FLOORING
THE FACES OF SWFL WEDDING PLANNING
Glow to Go Naples is Southwest Florida’s premier mobile spray tanning service. With a passion for healthy, glowing skin, owner Rachael Williams specializes in bringing a natural sun-kissed glow directly to your doorstep. Rachael and her expert team use top-quality, organic and ecofriendly products to enhance your beauty safely.
Whether you’re seeking that bronzed glow for a special event or everyday radiance, Glow to Go Naples ensures a personalized, professional experience that leaves you feeling and looking your best!
Glow to Go Naples (239) 250-8707 | @glowtogonaples | glowtogonaples.com


At Hammer & Nails, grooming services take place in spacious rooms with leather chairs and personalized TVs. With original artwork and a lounge, bar and outdoor seating area for cigar aficionados, the shop’s ambience is top-tier.
Consider a haircut, beard grooming, straight razor shave, face treatment, waxing, manicure, pedicure or a color camouflage for that youthful appearance.
“Lavender-infused, steamed towels and plenty of pampering are all part of the experience,” owner Rick Sander adds. Luxe services include a 24-karat gold mask followed by a cooling CBD massage.
Hammer & Nails Grooming Shop for Guys 2500 Tamiami Trail N., Suite 116, Naples, Fl 34103 (239) 316-0008 | hammerandnailsgrooming.com
THE FACE OF MEN’S LUXURY PERSONAL CARE
THE FACE OF SUNLESS TANNING
Dr. Edward Humbert is one of the country’s most experienced joint replacement surgeons. He specializes in knee and hip replacement and is board-certified through the AOBOS. Dr. Humbert has been ranked as the No. 1 volume surgeon in Florida for hip and knee replacement. He also instructs at orthopedic learning centers and specializes in the latest minimally invasive techniques, custom joint replacement, partial knee replacement and complex revision surgery of the hip and knee.
Joint Implant Surgeons of Florida 7331 College Parkway, Suite 300 Fort Myers, FL 33907 (239) 337-2003 | jointimplant.com


Luminary Beauty is a premier, on-site beauty team founded in 2024 by best friends Niki Fernandez and Lazaro Arbos. Niki, a Naples native and licensed cosmetologist, has more than 13 years of makeup and hair experience, while Lazaro, an “American Idol” season 12 finalist, brings more than 15 years of beauty expertise. The duo met nine years ago while working at MAC cosmetics. Together, they deliver stunning makeup and hair looks, specializing in weddings but providing flawless glam for every occasion.
Beauty 8965 Tamiami Trail N., Naples, FL 34108 (239) 285-7605 | luminarybeautynaples.com
Martha Good Luxury Travel specializes in designing unparalleled, bespoke experiences to the world’s most coveted destinations. Picture yourself embarking on an exclusive private safari through the wilds of South Africa, jetting across the globe aboard your own private aircraft, or basking in the timeless elegance of a luxury villa in Tuscany with your loved ones. With an unwavering commitment to perfection, the expert team at MGLT orchestrates every detail to ensure each journey is effortlessly seamless, exquisitely refined, and truly unforgettable. Every escape is meticulously crafted to your desires, surpassing your highest expectations and offering a level of indulgence that is second to none.
Martha Good Luxury Travel (717) 208-0025 | marthagood.com

THE FACE OF MORTGAGES

Lauren Maxwell, executive vice president of CrossCountry Mortgage and leader of the Maxwell Mortgage Team, approaches her work with unwavering dedication and a personable manner. Known for her never-say-no attitude, she focuses on helping others achieve their dreams. This motivation has fueled her remarkable 37-year career in mortgage lending. Since 2019, Lauren has closed more than 4,000 loans, amounting to $1.3 billion, solidifying her reputation as a passionate, reliable and highly successful leader in the industry.
Maxwell Mortgage
9130 Galleria Ct., Suite 101 Naples, FL 34109 (239) 254-2260 | maxwellmortgageloans.com
Dr. William L. Barrett founded The Cincinnati Cancer Foundation, Inc. in 2018, powering the no-cost services of Cincinnati Cancer Advisors (CCA) and Naples Cancer Advisors (NCA).
In 2023, NCA opened its doors to introduce a transformative approach to oncology consultative second opinion services tailored specifically for the SWFL region. Originating from the successful model established by CCA, Naples Cancer Advisors aims to provide the crucial services of barrier-free, expert second opinions, genetic testing and counseling, and financial advocacy services for patients with a cancer diagnosis.
Naples Cancer Advisors
3201 Tamiami Trail N., Suite 112, Naples, FL 34103 (239) 846-2273 | naplescanceradvisors.org


THE FACE OF PERFORMING ARTS
Bryce Alexander and The Naples Players (TNP) have become the face of performing arts in Southwest Florida by centering the community in everything they do. TNP’s commitment to accessibility, local talent and innovative programming ensures the arts are welcoming and inclusive for all.
Under Bryce’s leadership, TNP thrives as a cultural cornerstone, fostering connections through education, volunteerism and high-quality productions that inspire and unite audiences from across the region.
The Naples Players 701 Fifth Ave. S., Naples, FL 34102 (239) 263-7990 | naplesplayers.org
Dr. Marilyn Sandor, founder of Naples Pediatric Dentistry, is a globally recognized pediatric dental specialist. An expert in her field, Dr. Sandor is known for her industry innovations that enhance the patient experience and expand access to care. Dr. Sandor and her skilled team provide compassionate, gentle care, offering customized solutions focused on dental health and prevention. Naples Pediatric Dentistry welcomes young patients to experience exceptional care in an engaging environment.
Marilyn C Sandor, DDS, MS
4529 Executive Drive, Suite 101, Naples, FL 34119 (239) 592-0800 | drmarilynsandor.com


In 2013, Dave and Steph Feightner founded Spectrum Concierge, which provides home watch, estate management, maintenance, handyman, cleaning and concierge services. Spectrum aims to provide clients with an exceptional, stress-free homeownership experience in Naples. Its experienced team members, unique administrative structure and proprietary software provide a responsive, detail-oriented, and comprehensive home management experience.
Spectrum Concierge
6101 Shirley St., Naples, FL 34109 (239) 777-6173 | spectrumconcierge.com
THE FACES OF HOME WATCH
THE FACE OF PEDIATRIC DENTISTRY
Sarah Frank founded Surreal Beauty Ink by combining her passion for beauty, art and empowering others to feel their best. She offers both timeless and on-trend, age-appropriate styles, all crafted to enhance a client’s natural beauty. And with expertise spanning all skin types, Sarah is able to provide each client with a personalized, luxurious experience. Explore her portfolio at surrealbeautyink.com and schedule a consultation today.
Surreal Beauty Ink
3369 Pine Ridge Rd., Unit 201 Naples, FL 34109 (239) 300-5957 | surrealbeautyink.com


THE FACE OF DESIGNER CONSIGNMENT
Jennifer Johnson, owner of True Fashionistas, Florida’s largest lifestyle resale store, leverages her entrepreneurial success to mentor other business owners. Through her coaching program, small business academy and “The Confident Entrepreneur” podcast, she shares proven strategies for growth while maintaining worklife balance. An Amazon bestselling author and professional speaker featured in TIME, CNN and Inside Edition, Jennifer demonstrates how to achieve business success while making an impact in the community.
True Fashionistas
2355 Vanderbilt Beach Rd, Suite 104 Naples, FL 34109 (239) 596-5044 | truefashionistas.com
THE FACE OF PERMANENT MAKEUP

Gulfshore Life has highlighted the Southwest Florida lifestyle, delivering sophisticated content to an affluent audience of residents and visitors since 1970. These five women excel at supporting local businesses with branding and marketing campaigns that engage their loyal readers. In addition to publishing Gulfshore Life monthly, they oversee other specialty publications, including a weekly newspaper that shares valuable community information beyond their lifestyle magazine. With decades of combined experience in print and media, their expertise is unmatched locally. They are passionate about fostering community growth, strengthening client relationships, and helping businesses boost revenue and establish their presence through innovative sponsorship opportunities, selective digital channels, and curated print media solutions.
Gulfshore Life
(239) 498-8500 | gulfshorelife.com
Holly Baldwin, Meredith Parsons, Natasha Gonzalez, Wendy Tooley, Romina Combe
THE FACES OF LUXURY BRAND ADVERTISING















































gulfshorelife.com































Quail West Golf & Country Club
EXCELLENCE HAS AN ADDRESS
PROUDLY SHOWCASING THE VIBRANT QUAIL WEST LIFESTYLE

Our welcoming and inclusive private club offers unlimited opportunities to create lasting friend ships. Supported by exciting programs for golf, racquet, and fitness activities, wellness oppor tunities as well as social events, you can enjoy a new and vibrant lifestyle. Our two sun-bathed, championship golf courses provide year-round possibilities for you to perfect your game.
The community’s delightful and casually service delivers truly unique experiences for you, your family and friends. The beautiful club house, the social heartbeat of the community, offers fabulous dining created by our culinary team allowing you to enjoy memorable indoor and outdoor experiences. One of Southwest Florida’s most prestigious clubs, Quail West’s world class amenities are shared by a limited number of discerning members.


AWARD WINNING CLUB







HOME / Spaces, concepts and characters for inspired design


Stylish Living: East-meets-West at Tibur ón Golf Club 280 Talking Shop: Naples’
Favorite Things: Shop like a landscape architect
Opposites Attract
Perspective-shifting colors and curves reveal the precision that went into designing this contemporary condo in Tiburón Golf Club.
INTERIOR DESIGN: Hudson Park Interior Design
ARCHITECTURE: David Poorman Architect
PHOTOGRAPHY: Lori Hamilton
In this North Naples condo, juxtaposition creates intrigue: a perfectly symmetrical kitchen flaunts an off-center snack top and lighting fixture; right-angled panels in the living area stand near a Bohemian sectional with mix-matched fabric; white and taupe spaces are punctuated by rich teal and wood hues. The tone is set from the entryway, where a curved, slatted wall offers only a peek at the open-concept space beyond.
When the homeowners bought the early 2000s-built condo in Tiburón Golf Club, they brought a global perspective and plenty of ideas for what they wanted from previous homes across the U.S. and Asia. Their priority: creating an entertainment hub anchored by a chef-worthy kitchen (the husband attended culinary school).
“Instead of trying to fit the kitchen into the home, we wanted to start with the kitchen,” the homeowner says.
To build their design team, the couple consulted Richard Corbett from Richlin International, a local distributor of their favored Italian luxury furniture brand, Poliform. He pointed them toward contemporary architect David Poorman, who, in turn, pulled in L.A. DeRiggi of Hudson Park Interior Design.



An illusionist Zhuang Hong-yi rice paper artwork, which seems to shift in color, elevates the contemporary interior alongside an iconic Roche Bobois Mah Jong sectional. Matching floor pillows double as a coffee table. Left: Designer L.A. DeRiggi repainted a modular desk unit and added a bank of drawers, so it can also work as a buffet.

David started by stripping the cramped, Tuscanized condo to its studs, transforming the segmented layout into an open-plan great room, showcasing the living, kitchen and dining areas. He reconfigured the space from three bedrooms to two with ensuite baths, plus a den and powder room, and relocated the primary bed to the opposite side of the condo, away from the golf course, where it’s quieter. At the entrance to the lanai, he installed a beam to replace the sliding door-and-stationary window configuration with wall-to-wall sliding doors. “That really opened everything up, and we went as high as we could with it,” he says of the 10-foot windows, which match the height of the ceilings throughout.
The kitchen anchors the great room with Poliform embossed lacquer cabinets in a grayish tan concealing appliances behind integrated handles. A countertop in Pompeii Quartz (from Naples’ UMI Stone) features a softer, beveled-edge detail. Stations on the
back side of the island for cooking and baking, and drawers for all their storage needs complete the meld of form and function.
“The kitchen is the physical and spiritual center of the home and allows for gathering between the living, kitchen and dining spaces without sacrificing flow,” L.A. says.
The designer unified spaces with the warm, creamy white City
Loft by Sherwin-Williams—a chameleon paint color that shifts from gray to beige tones depending on placement. Taupe Poliform panels, matching the kitchen cabinets, connect the living, kitchen, and dining areas and add depth. “People don’t want their environments to feel sterile,” L.A. says. Hidden drapery pockets, large-format tiles, and recessed lighting minimize distractions.
With the open main space, David wanted to create a distinct entryway moment and provide a little privacy. He added a slatted screen wall at the entrance to create the impression of a foyer.


A curved, wooden slat wall at the entryway creates the illusion of a foyer without compromising on the open-concept layout. “Plus, it adds some softness and gives the space some flow,” architect David Poorman says.


When hosting larger groups, the homeowners take advantage of the dining room’s Roche Bobois AXEL dining table, which extends to seat eight. The room’s repurposed shelving and desk system work well as a buffet or laptop perch.
“Plus, it adds some softness and gives the space some flow,” he says. The homeowners love it: “It prepares you for a ‘wow’ effect as soon as you turn around.”
One of those jaw-dropping moments greets you in the living area: a tactile, immersive artwork with painted rice paper folded into hundreds of buds. Part of influential contemporary Chinese artist Zhuang Hong-yi’s Flowerbed series, the piece features a gradation of color, with its layers catching and reflecting light in ways that make for an ever-evolving canvas. “The artwork changes as you move throughout the space and depending on how the light is filtering throughout the home,” L.A. says.
Furnishings offer equal whimsy. A Roche Bobois Mah Jong sectional—an iconic 1970s design—features prominently in the
living area. The homeowners were attracted to the upholstery’s Parisian-meets-Asian style—a mix-matched combination of velvet in blues, greens and yellows with grosgrain—designed by Japanese fashion star Kenzo Takada. L.A. had the vision to use the coordinating floor pillows as a coffee table. “But it’s multifunctional—sometimes I just watch TV laying there,” the homeowner says. A bowed Kyudo by Hansandfranz for KDLN floor lamp arches overhead, complementing all the right angles in the room, while a custom TV console aligns precisely with the wall paneling, and a pair of Roche Bobois TRIBU jars further break up the symmetry and pull in the room’s blues. “We took a mathematical approach without being technical—so everything feels fluid and relaxed,” L.A. says.
Marco Island’s
Exquisite Waterfront Estates
Over $100 million personally sold in 2023!
Over $100 million personally sold in 2023!


EXTRAORDINARY WATERFRONT ESTATE ON MARCO ISLAND

Epitome of Luxury Living with 360-Degree View 970 Cape Marco Drive #2506 | PRICE UPON REQUEST
Epitome of Luxury Living with 360-Degree View
Perfectly positioned on a coveted Collier Bay tip lot with over 200 feet of direct-access seawall, this jaw-dropping custom estate redefines luxury living. Built in 2020 and spanning nearly 5,000 SF of refined living space (7,200 SF total), this home boasts designer finishes, unparalleled craftsmanship, and breathtaking views. Soaring custom ceilings, custom European white oak staircase, and disappearing edge doors create an unforgettable first impression. Highlights include 5 en-suite bedrooms, a stunning great room, a cozy den, and a gourmet kitchen equipped with Sub-Zero and Wolf appliances, quartz countertops, and a hidden pantry with a Miele coffee bar. An impressive temperature-controlled wine room with a humidor adds a sophisticated touch for collectors. The outdoor spaces are equally captivating, featuring a resort-style saltwater pool and spa with fire bowls, a fully equipped outdoor kitchen, and a fireplace. The 180 ft. dock offers a 24,000 lb boat lift, two jet ski lifts, making this home a true waterfront paradise! 3-car garage with room for lifts, Sold fully furnished, this rare property combines timeless elegance, modern amenities, and breathtaking vistas for the ultimate waterfront lifestyle.
970 Cape Marco Drive #2506 | PRICE UPON REQUEST

Marco Island’s Greystone Manor, an Italian Venetian Palazzo, Spans
This stunning grand penthouse boasts 13,528 square feet under air, a total of 16,893 square feet. Six bedrooms, six full baths, two half baths, o ce, media room, sta ’s quarters and library all with six terraces for incredible 25th-floor views of Marco Island and the Gulf of Mexico. No expenses were spared in this one-of-a-kind, exclusive residence! Enjoy the lifestyle you deserve with world-class amenities.
This stunning grand penthouse boasts 13,528 square feet under air, a total of 16,893 square feet. Six bedrooms, six full baths, two half baths, o ce, media room, ’s quarters and library all with six terraces for incredible 25th-floor views of Marco Island and the Gulf of Mexico. No expenses were spared in this one-of-a-kind, exclusive residence! Enjoy the lifestyle you deserve with world-class amenities.

1629 MCILVAINE COURT – ESTATES AREA

Marco Island’s Greystone Manor, an Italian Venetian Palazzo, Spans
Nearly 3 Acres with Four Lots
1690 North Copeland Drive | PRICE UPON REQUEST
Nearly 3 Acres with Four Lots
This contemporary masterpiece in the prestigious Estates area of Marco Island offers 300’ of direct waterfront on one of the largest tip lots, minutes from open Gulf waters! Built in 2014, with no expense spared this 5700 SF home(10,000+total sf) features a grand porte-cochere entrance, a stunning great room with vaulted ceilings and a gourmet kitchen equipped with wolf and subzero appliances, quartz counters and custom-built buffets. With 5 en-suite bedrooms, 2 half baths , a state of the art movie theatre and a massive wine room, every corner of this home exudes sophistication. The outdoor living space is equally impressive with an expansive lanai, an outdoor kitchen, two fireplaces and retractable screens and shutters. Two boat docks with lifts, jet ski lifts and a whole house generator enhance convenience and luxury. With 4 garage spaces( two 2- car garages) lifts could be added, and exceptional craftsmanship throughout, this home is a rare opportunity to own a slice of paradise on Marco Island.
1690 North Copeland Drive | PRICE UPON REQUEST

Once owned by former baseball legend Bob Turley, this mansion has been called one of Marco Island’s most prestigious addresses. Boasting masterful architcture and design, including a grand salon spanning over 2,700 square feet adorned with handpainted scenes by Italian artisans. Over 13,000 square feet of lavish interior space and over 20,000 square feet total. This opulent estate features six bedrooms, eight-and-a-half baths, two cherry dens and sta living.
Once owned by former baseball legend Bob Turley, this mansion has been called one of Marco Island’s most prestigious addresses. Boasting masterful architcture and design, including a grand salon spanning over 2,700 square feet adorned with handpainted scenes by Italian artisans. Over 13,000 square feet of lavish interior space and over 20,000 square feet total. This opulent estate features six bedrooms, eight-and-a-half baths, two cherry dens and sta living.
CATHY D. ROGERS Global Advisor | Over $100 million in closed sales volume 2023
CATHY D. ROGERS
in closed sales volume 2023
760 North Collier Boulevard, Suite 101
c 239.821.7926 | o 239.642.2222 | Cathy.Rogers@PremierSIR.com
760 North Collier Boulevard, Suite 101 Marco Island, Florida 34145
Global Advisor | Over $100 million in closed sales volume 2023
Marco Island, Florida 34145 c 239.821.7926 | o 239.642.2222 | Cathy.Rogers@PremierSIR.com
c 239.821.7926 | o 239.642.2222 | Cathy.Rogers@PremierSIR.com
One of Sothebys top 100 Global Advisors worldwide Member of Sothebys Elite Club 1744

In the kitchen, a Hubbardton Forge light fixture floats partially over the snack top and the island. “There’s beauty in both symmetry and asymmetry,” the designer says.
The white oak snack top makes for a casual dining spot, paired with deep teal Cattelan Italia chairs from Naples’ Casa Italia. When hosting bigger groups, the homeowners can easily pull the chairs to the adjacent Roche Bobois AXEL dining table, which extends to seat eight people. The dining room’s shelving and desk system are repurposed from the homeowners’ existing collection; L.A. stained it black and added a bank of drawers so the piece could serve double duty as a buffet and laptop perch.
For the primary bedroom, L.A. designed a wall covering inspired by the willow trees in the nearby preserve and softened
The kitchen was a top priority for the homeowners. Poliform embossed lacquer cabinets and a bevel-edge Pompeii Quartz countertop lend a smooth finish. “The kitchen is the physical and spiritual center of the home,” L.A. says.










the windows with Holland & Sherry wool drapery. Hubbardton Forge pendants create lighting for reading in bed, and a Knoll Womb chair by Eero Saarinen offers another comfy perch. The spa-like primary bath—outfitted with custom oak cabinetry from Naples’ Acadian Builders—gets its no-fuss texture from the Calacatta marble basketweave 3D mosaic tile behind her vanity. Cove lighting behind the mirror and in the shower provides ambient lighting—an elegant, functional feature, along with the towel warmer and creatively concealed trash bin tilting out of the side of the cabinet.
Under David and L.A.’s hands, the space was infused with the perfect balance of contemporary minimalism and Bohemian warmth. “I appreciate a renovation because you have to think creatively,” L.A. says. “It’s incredible to take an existing space that’s not working and turn it into something amazing.”

The primary bath offers a serene retreat, with ambient cove lighting behind the mirror and in the shower, oak cabinetry from Naples’ Acadian Builders, and a concealed wastebasket popping out of the vanity’s side.





Lane Nieset
Photography by Christina Bankson

Uncommon Threads
At Naples’ Persian Galleries, craftsmanship and heritage weave together in the art of fine, handmade rugs.
Magic carpets may be a creation of Middle Eastern folk tales like One Thousand and One Nights and Aladdin, but the mythical, treasure-filled caves in which they were discovered weren’t far off from the opulent palaces of the First Persian Empire.
More than two millennia ago, these royal residences were lined with decorative carpets, and today, Persian rugs continue to carry an unmatched sense of artistry and heritage. A select few Iranian families with centuries of experience act as stewards of the craft, finishing each intricate piece with a woven signature in the same way an artist signs a canvas. At Persian Galleries, a family-run showroom and rug restoration shop on Naples’ Fifth Avenue South, co-owner Max Kashani cultivates exclusive relationships with some of the industry’s most prestigious artisans and designers. “These families have worked together making rugs for


generations,” he says. “The signature is a high recognition [of craftsmanship].”
Raised in the central Iranian city of Isfahan, a former capital of the Persian Empire that sits at the center of the Silk Road, Max and his brother began studying Persian carpet-making in their teens. The brothers honed their understanding of color, pattern, shape and size by observing master weavers dye silks, compose designs and determine loom size. In the 1970s, the young men launched a wholesale carpet business, operating out of Zurich, then moved operations to Atlanta, and finally opened Persian Galleries in Naples 15 years ago.
Max sources custom-made rugs from his native Iran, as well as Turkey, India, Afghanistan, Morocco, Tibet and Pakistan. Acting as a curator for clients, he may also track down antique rugs dating back to the 1850s. “Some of our antique pieces are especially rare,” Max says. “[We had] a 140-year-old Serapi rug in the royal palace sizing. The unusually large size is hard to come by and the
Persian Galleries co-owner Max Kashani upholds centuries of artistry and heritage through the sourcing of authentic Persian rugs for his Naples showroom and restoration shop.



















Hanging rugs like a tapestry allows intricate details to shine. The highest quality designs are made from 100% silk, ranging from historic dome to modern, abstract pattern.
Your Garage Reimagined





Max cultivates exclusive relationships with top artisans, including in his native Iran, where a few families act as stewards of the craft. The process is labor-intensive, with rugs taking years to weave.

rug was a stunning representation of the Serapi style, known for its timeless beauty and practical design.” Rugs from different regions can be differentiated in terms of tradition and storytelling, but all of the shop’s pieces are handmade in their country of origin, using traditional methods and either silk or a blend with lamb’s wool.
Pure, 100% silk floor coverings from renowned carpet-making locales in Iran, like Qom, Tabriz and Max’s hometown, Isfahan, are synonymous with superior quality. Silk designs take the longest to craft since the fine fibers require the highest density of knotting, which allows for exceptionally detailed patterns and a crisp look. An all-silk, 8-by-8-foot carpet may take five to eight years to complete and fetches anywhere from $30,000 to $100,000, depending on the shape and complexity of the design. Among the most time-consuming is a dome design, which is often crafted from silk due to the style’s intricate geometry. “The difficulty lies in the way the design expands outward, often in a circular pattern, symbolizing




Eagle Creek Golf and Country Club offers a unique blend of golf racquet sports, luxury, and community. Located between the upscale shops of Naples and the pristine beaches of Marco Island our tranquil village setting is a place our members proudly call home
Eagle Creek Golf and Country Club offers a unique blend of golf, racquet sports, luxury, and community. Located between the upscale shops of Naples and the pristine beaches of Marco Island, our tranquil village setting is a place our members proudly call home.
Eagle Creek Golf and Country Club offers a unique blend of golf racquet sports, luxury, and community. Located between the upscale shops of Naples and the pristine beaches of Marco Island our tranquil village setting is a place our members proudly call home
Our recently completed $12 million clubhouse refresh elevates the Eagle Creek experience with modern amenities and upgraded spaces, ensuring a premier destination for years to come.
Our recently completed $12 million clubhouse refresh elevates the Eagle Creek experience with modern amenities and upgraded spaces, ensuring a premier destination for years to come.
Our recently completed $12 million clubhouse refresh elevates the Eagle Creek experience with modern amenities and upgraded spaces, ensuring a premier destination for years to come.

the universe’s continuous expansion,” Max explains. “The center of the dome is typically a point of origin with everything radiating outward.”
At Persian Galleries, tapestry-style pieces depicting scenes from an ancient souk are displayed in gilded frames. Red velvet couches are strategically placed throughout the room—a setup reminiscent of the Louvre, the rugs serving
as large-scale artwork intended to be admired. “The style is changing all the time,” Max says, adding that many clients seek out rugs to display as art. “There are a lot of trendy styles that come to market for a few years and then fall out of fashion.”
Modern patterns are currently the most popular styles in the Naples showroom. These styles may eschew patterns and ornamentation altogether or replace his-
toric patterns with abstract elements and a focus on color. Transitional pieces integrate vibrant hues like lavender, pink and terracotta into conventional floral, geometric and medallion designs. Among the most popular are Turkish Oushak rugs with medallion designs inspired by Ottoman manuscripts. “Whether they are new or antique, a fine rug is still a fine rug,” Max says. “They’re as popular as they’ve ever been.”






Featuring the TiburÓn/Ritz-Carlton Golf Resort with optional immediate full golf membership availability with purchase of condominium or home in the community. Indulge in the splendor of unparalleled service, magnificent golf course views and exquisite dining at Tiburón’s clubhouse, master your skills at the Tiburón Golf Academy, or enjoy the many activities offered at the club. As a member, you will enjoy 36 holes of championship golf with exceptional amenities including concierge services, fitness center, spa, water park with lazy river and slides at the golf resort, and beach transport to Vanderbilt Beach. Tiburón is host to the LPGA Tour’s CME Group Tour Championship and the PGA Tour’s Grant Thornton Invitational and the Chubb Classic. It is consistently rated among the top 20 golf facilities in Florida by Golf Digest and Golf Magazine. Call Julie Rembos at 239.595.1809 for more information on this incredible neighborhood and these beautiful homes or visit LiveTiburon.com to see more photographs of available Tiburón properties.


Retro Revival
In each issue, we tap local design pros to share their favorite global finds. This month, Christian Busk, the award-winning landscape architect, who recently opened 41 Home & Garden boutique in Naples, assembles a refined selection of furnishings reflecting his love for vintage-inspired design.
Courtesy Busk & Associates/Ed Chappell, DUSTY


The Portuguese brand HOMMÉS Studio’s 7-foot-wide, circular dining table in acts as a bold foil to contemporary gray and beige palettes. Five sculptural legs add stability and artistic flair. “It’s very architectural with a nod to postmodern design,” says Christian, who suggests styling the vibrant centerpiece with tufted chairs to soften the sleek, glossy, cherry-red finish.
hommes.studio
Volver Dining Table by HOMMÉS Studio

Evoking pebble-strewn shores, this jewel box assortment of hand-blown crystal pendants was crafted for customization. Different shapes and opacities of multicolored glass can be mixed, matched and arranged in a column over a cylindrical LED light source, illuminating the entire structure. “It’s lighting, but it’s art,” Christian says. “Color, dimension, sculpture—it’s everything all in one.” Adding to the organic feel, the made-to-order fixtures embrace the natural imperfections of hand-blown glass. Dangle a series of pendants in varying lengths to add dimension to soaring ceilings, or stack them to create a whimsical floor lamp.
bomma.cz
Courtesy Boris Klimek
Pebbles by Boris Klimek









on Structure by Jwana Hamdan
“The long floating ledge with a cushion is just dreamy,” Christian says of Italian-Lebanese designer Jwana Hamdan’s low-rise outdoor sofa. The piece blends contemporary Italian modularity with the hospitable nature of Arabic majlis—traditional sitting areas lined with low sofas and floor cushions to foster conviviality. With bountiful cushions upholstered in water-repellent fabric on a durable iroko wood frame, the sofa extends interior comfort to outdoor living spaces.
jwanahamdan.com
Majlis
Courtesy Rami Mansour






13915OldCoastRd#301|4Beds|4Baths:$3.500M
1115CentralAve#443|2+Den|2½Baths:$2.695M
705ShadowLakeLn|5+Den|5½Baths:$11.500M
3675thAveN|4+Den|3½Baths:$7.000M
1677514552TopsailDr|4Beds|3Baths:$950,000 CabreoDr|3+Den|3½Baths:$3.440M



PELICAN BAY
KALEA BAY TOWER 100
RESERVE
CABREO AT MEDITERRA







HEALTHY LIFE / Rituals, resources and goods for a balanced life
Editors’ Pick: Transcending in SWFL
Breaking Through
From overcoming generational fear to mastering mental tenacity, these SWFL women demonstrate how physical pursuits open doors to profound personal growth.
The turning point looks different for everyone. For Latifah Lowery, it was evolving from a non-swimmer who could barely doggy-paddle to training for a triathlon. For Nikki Oliver, it came through fractured bones and a displaced nose, revealing that vulnerability and strength aren’t opposites. Toni Novack finds her edge on the court, proving mastery knows no age limit, and for ultra-runner Jamie DePaola, transformative insights emerge from the tranquility of pre-dawn runs, when the divide between self and environment grows indistinct. For four local women, the physical pursuit of excellence has opened doors to deeper transformations and understanding of self, legacy and possibility.
Latifah Lowery: The Triathlete
The water that once represented generations of fear and limitation has become Latifah Lowery’s sanctuary. “I feel like I’m defying gravity,” she says of swimming. “I feel like I’m flying.”
Growing up, Latifah’s relationship with water was defined by strict boundaries. Generations of women, from her grandmother to her mother, saw danger under the surface. “We were never allowed to be around deep water. We were told if the water touches your knees, that’s when you stop,” she says.
Still, the 35-year-old, Naples-based triathlete found herself drawn to the aquatic realm, often sitting and staring at the ocean, mesmerized by its vastness. After witnessing her first triathlon in 2017, something shifted. “When I saw my [first race], I thought everyone looked so good,” she says. “I was like, ‘Wow, I want to try this sport.’” It took some time to put those thoughts into action. In 2019, Latifah began to train for her first competition until she
Brian Tietz




Naples triathlete Latifah Lowery first tried swimming three months after the birth of her son in 2020. Within three years, she was competing at the highest level. Last year, she was awarded Ironman Gold All World Athlete status.
found out she was pregnant. The nine-month pause only intensified her determination. Three months after giving birth to her son in 2020, she faced her fears head-on: She started with low-stakes practice lessons, barely able to doggy-paddle across a 25-meter pool. Motivated, Latifah hired a coach and started swimming, biking and running for three hours a day, seven days a week. Within three years, she was competing at the highest level. Now, she’s often a standout swimmer in her races. In 2024, she competed in Ironman Florida in Panama City Beach and earned Ironman Gold All World Athlete status (awarded to the top 2% of athletes per age group each year). Her schedule is booked and busy, with major races like the Ironman 70.3 World Championship on the lineup for October.
Her achievements spark ripple effects as she leads by example in her sport. “I have an impact as a mother, as a person that starts late in life and can still achieve big things … I show what’s possible,”
Latifah says. She introduced her son Apollo to swimming at 6 months old, healing a family trauma one stroke at a time. “I’m here to be the example.”
Nikki Oliver: The Taekwondo Master
Nikki Oliver’s shoulder won’t lift above her head, and she can’t count the times she’s broken a finger or displaced her nose. These aren’t war stories—they’re chapters in understanding what the human body and mind can achieve. “With taekwondo, there is something freeing about knowing that you can handle yourself, both on and off the mat,” she says.
At her Fort Myers dojang, the fifth-degree black belt and Olympic coach challenges traditional training approaches. After competing internationally and earning silver at the 2011 Pan American Games, Nikki turned to coaching with a focus on nurturing physical and psychological strength. She admits training
Fifth-degree black belt in taekwondo Nikki Oliver has made space for women in a male-dominated sport. “As a woman, we’re taught to cater to others, be kind, be respectful and be sweet,” Nikki says. “You can be all of those things and still be fierce and passionate and tough.”


Tennis champion Toni Novack continues to compete—and win—at the highest level. She encourages fellow septuagenarians to visualize their goals and continue to find joy in what they love.
under her can be tough, but her nuanced training approach adds a level of sensitivity she didn’t frequently see growing up. For one, the coach embraces empathy in her practice to establish trust with her athletes. She’s strategic in how she addresses her athletes’ needs, tailoring lessons to each individual rather than taking a one-size-fits-all approach. Nikki also refuses to have athletes cut weight, the historically pervasive practice where fighters drop weight drastically to compete in lighter divisions. At her practice, athletes learn to hone their strengths through a combination of precise and assertive coaching methods rather than relying on a single ideology.
The results validate her methods: Nikki trained the USA Taekwondo Cadet National team at the world championships, which took home double the medals in 2024 from 2023; coached Team Niger at the Paris 2024 Olympics (making her the first American female taekwondo coach in the games); and earned Best Female Coach at the Pan American qualifiers and the Rio Open in 2024. “As a woman, we’re taught to cater to others, be kind, be respectful and be sweet,” Nikki says. “You can be all of those things and still be fierce and passionate and tough.”
Toni Novack: The Tennis Star
For 65 years, Toni Novack has embraced that tennis is all about perpetual evolution. Currently ranked third in the world in the International Tennis Federation’s (ITF) 75+ division, she teaches about 25 hours of lessons weekly at Pelican Bay while maintaining her own rigorous practice schedule. She credits tennis itself as her fountain of youth, keeping her physically and mentally sharp. “When I look at the number, I can’t believe I’m this old,” Toni says. “I don’t feel old at all.”
Her journey has been marked by constant reinvention. Through national junior teams, college scholarships and professional circuits, Toni learned that physical skill was only part of the equation. In her early career on the Virginia Slims Circuit, she could go three sets with pretty much anybody but struggled to close matches. She hadn’t fully developed her mental game yet. “Believing you can win, having the talent to win and loving the challenges on the court are all part of the psyche of the game,” she says.
Toni began seeing the sport as a physical form of chess, where success demands mental tenacity and strategic thinking. “[With Anna


tennis], you’re [always] thinking three or four shots ahead in many ways,” she says. Today, she relies on the court to keep up her stamina and physical fitness, and gravitates toward anything that engages the brain—board games, backgammon, chess—and pursuits that promote rhythm and coordination.
Even stepping away from teaching for more than a decade in her 50s became part of her evolution. “It’s hard,” she says of the coaching lifestyle. “You’re on your feet all day long, and I needed a break.” Now back on the court with renewed energy, she’s proving that age doesn’t dictate capability. (She was ranked No. 1 in her age group in USA Singles and the ITF World Rankings for the past two years.) When she coaches fellow septuagenarians, she encourages visualization techniques, pacing oneself and setting rituals. “Everyone can get smarter on the court,” she says. “There comes a time when you won’t get faster, but you can still have fun as long as you play other players who are of similar skill.”
Jamie DePaola: The Ultramarathoner
Naples-based runner Jamie DePaola embodies the essence of resilience. The former collegiate gymnast-turned-ultramarathoner felt adrift when she retired from the sport she’d been practicing since she was 2 years old. “I felt like I lost my whole self, my best friend and a place I belonged; my days felt naked and structureless,” Jamie says. Counseling wasn’t very successful, and the athlete was
initially cynical when her father suggested she take up running. But endurance training proved to be a lifeline. “Gymnastics was hard on me when I was hard on myself,” Jamie says. “Running leans in, gives me a hug and shows me how much endurance I have.” When she moved to Naples, she found a connection to her community by taking to the streets. With each step from Cambier Park to Fort Myers Beach, she discovered more about her home—and herself. “Running isn’t my escape; it is a way to connect to myself and the world,” she adds.
When she competes in races, like the Caloosahatchee Ultra 50K she ran in about eight hours last December, the athlete fortifies her mind by reminding herself inherent imperfections are OK. “I can put my brain on auto-pilot and conserve energy—you have to rest your mind as much as your body on long-distance runs.”
At her core, Jamie is a motivator, using her personal journey to inspire the same confidence she’s found through running within her community. Whether as a Lululemon ambassador or a leader in her local run club, she builds social circles rooted in strength, support and empowerment. “It is my purpose,” she says. “I find so much joy in true connection and in running—I believe in both existing together.
With reporting contributed by Nila Do Simon, Emily Flournoy, Rozalynn S. Frazier, Visvajit Sriramrajan and Shaun Tolson.

Ultramarathoner Jamie DePaola finds peace and unity when running. “Running isn’t my escape,” she says. “It is a way to connect to myself and the world.”
Brian Tietz


At Art of Dermatology, our Board Certified Providers are dedicated to offering exceptional care for the diagnosis, treatment, and enhancement of your overall skin health. We understand how important it is to look and feel your best. With several locations to serve you, trust us as your go-to dermatology practice, providing you with everything you need in one convenient place.
From personalized consultations to state of the art procedures, our promise is to provide the highest standard of care backed by expertise and compassion We serve to be a one stop shop for all of your dermatology and aesthetic services
By Jennifer Khosla


Spring Renewal
Nature provides everything needed to support your body’s sophisticated detoxification processes, so you can refresh your systems, restore balance and reclaim your energy.
Nutrition is one of the most powerful tools we have to support the body’s natural ability to heal and thrive. While our systems are designed to eliminate toxins and maintain balance, modern lifestyles—heavy in processed foods and environmental stressors—can challenge these pathways.
If you’ve been feeling sluggish, bloated, foggy, or dealing with dull skin and irregular digestion, your body may be signaling that it’s working overtime to clear out the gunk. Spring in Southwest Florida, with its natural energy of renewal, offers the perfect moment to support your body’s natural detoxification—not through deprivation or extreme cleanses, but by focusing on whole foods that optimize your filtering powerhouses, the kidneys and liver.
The protocol is straightforward: For seven days, you’ll eliminate inflammatory triggers (sugar, alcohol, caffeine, dairy and all processed foods) while focusing on organic, whole foods. Look for pesticide- and preservative-free ingredients straight from the earth. Hydration is key: I recommend 100 ounces of water a day (roughly six tall glasses). Meals should

Jennifer Khosla brings over a decade of experience bridging clinical nutrition and holistic wellness. With a background in sports medicine and advanced training in functional holistic nutrition, she helps clients optimize their health through evidence-based natural solutions. Each month, she’ll explore practical applications for enhanced well-being in paradise.
Getty, Anna Nguyen

Rather than relying on detox fads, Jennifer recommends a seven-day, whole-foods cleanse—loaded with ingredients that support your hardworking liver and kidneys—to optimize the body’s natural purification process.
also center on antioxidants, lean proteins to stabilize blood sugar and keep you full, and high-fiber veggies to aid digestion.
The kidneys, which filter about 50 gallons of blood per day and maintain crucial electrolyte balance, benefit from antioxidant-rich berries, which are reported to shield kidney tissue from oxidative stress—where cellular damage outpaces the body’s repair mechanisms. Meanwhile, natural diuretics, like dandelion tea and citrus (which also contain stone-preventing citrate), encourage the removal of excess fluids, reducing the load on the system. I drink dandelion tea year-round as an easy way to maintain strong renal function and clear out waste.
Pantry staples bring powerful benefits, too. In Ayurvedic care, basil is believed to help lower uric acid (a byproduct from processing purine-rich foods like red meat, certain seafood and high-fructose corn syrup, which can lead to gout and kidney disease), while ginger can improve circulation, boosting kidneys’ filtration capacity. Dark leafy greens are packed with many of the nutrients and antioxidants your detoxing organs need. Their alkalizing quality also helps support the body’s pH balance, while their chlorophyll helps bind to heavy metals for removal.
All these kidney-supporting foods also benefit the liver. To give your hard-working liver extra firepower, double up on your serving of cruciferous vegetables like broccoli, Brussels sprouts and cabbage. The sulfur-rich powerhouses contain compounds that activate detoxifying enzymes and help maintain levels of glutathione—one of the body’s most powerful antioxidants.
Anna Nguyen




Ancient Ayurvedic medicine suggests basil can prevent gout and kidney disease, while milk thistle—a millennia-old remedy—is studied for its regenerative properties.

Garlic deserves special attention: its compound allicin has shown promise in early studies for reducing liver fat and oxidative stress—key factors in preventing nonalcoholic fatty liver disease. The allium can also reduce inflammation and the risk of insulin resistance—a key driver of fat buildup in the liver. Other produce aisle allies pack similar power: Beets bring their own protective chemistry, with its betaine helping the liver process fats efficiently, while their rich betalains work to quell inflammation. Artichokes stimulate bile production (where harmful fat-soluble toxins are packaged and eliminated) and contain silymarin, which is studied for its potential to reduce liver cell damage and support regeneration. The plant compound is even more potent in milk thistle, a touted liver remedy dating back to ancient Greece and Rome.
Plenty of studies show magnesium— which can be depleted by alcohol consumption—plays a crucial role in liver
health, with healthy levels linked to better function. Pumpkin seeds deliver the highest dose per serving while also containing hepatic-aiding zinc.
Even with a generally healthy, daily diet, the liver can be taxed by metabolic processing of sugar, fats, alcohol and pollutants. Ease the burden with fiber, which slows glucose absorption, keeping blood sugar steady. A healthy gut is essential to keep everything moving and properly detox, and fiber acts like a magnet, pulling away cellular debris and regulating digestion for effective excretion.
Along with keeping a fiber-rich diet, I turn to age-old remedies to support my purification processes. Apple cider vinegar (ACV) has been part of my daily routine for nearly a decade. Research suggests ACV may help regulate blood sugar, reducing metabolic stress on the liver. Some believe the acidic liquid may also stimulate stomach acids, aiding digestion. I like Bragg’s
ACV, which contains ‘the mother,’ the cloudy mix of beneficial bacteria and enzymes in every bottle. A tablespoon diluted in 4 to 6 ounces of water first thing in the morning can prime your systems for success. But, check with your wellness provider first, as its acidity isn’t suitable for everyone.
In holistic nutrition, we recommend timing your nutritional resets to the start of each season to align the body with nature’s rhythms. The results shine through from the inside out—clients report increased energy, mental clarity, immunity, better sleep, reduced bloat and a renewed skin glow. Your body already knows how to thrive—it just needs the right tools to do so.
The information provided in this article is for educational purposes only and not intended as medical advice. Always consult your healthcare provider before beginning any new dietary program.


Quiet Power
For the over-scheduled crowd, Transcendental Meditation promises clarity and calm with no effort—just 20 minutes.
I’ve long filed meditation under “should do ... eventually.” Then, I watched a fellow burnt-out colleague transform from exasperated to notably grounded through Transcendental Meditation (TM). “It wasn’t anything here,” she said, pointing to external factors. “It was me.” If a few days of TM could foster such selfawareness, I wanted to learn more.
The practice involves two daily 20minute sessions requiring no concentration or control—just a personalized mantra, obtained during a four-day course. (Transcendental Meditation in Naples has the only certified center in Southwest Florida.) The required train-
ing initially seemed excessive, but its structured approach proves invaluable. Our instructor, Dr. Frank DiChiara, provides a framework for lifelong practice, emphasizing there’s no religion or ideology involved. The former rock musician-turned-physician, who credits TM for surviving medical school, regularly repeats: “It’s natural; it’s easy.” Silencing thoughts is not the primary goal, and the mental chatter is even seen as positive, touted as a natural byproduct of stress relief. “We agree the mind and body are connected, right?” Frank asks our group on day three. He posits a mental reaction should accompany the phys-
ical release of cortisol and other healing functions of a body at rest. Works for me. Sometimes, the rhetoric can veer toward the esoteric (Stephen Hawking would raise an eyebrow at equating quantum unified field theory with collective consciousness), but I’ve chosen to focus on tangible benefits. The research around reduced blood pressure and anxiety is compelling, with some reports showing marked drops in cortisol. Plus, there’s how I feel: While I’ve yet to achieve the coveted state of transcendence, even brief sessions leave me lighter, with brighter eyes and a quieter mind. In the end, small, consistent steps lead to the most enduring changes. Getty


REYU is a movement for those who want to stay healthy and beautiful, by restoring their bodies’ natural connections.
Our bodies are constantly self-repaired by 3 central organs; the brain, the heart, and the intestines. They feed, repair, and regulate all our peripheral cells and organs through blood vessels, nerves, and lymphatic ducts, which run back and forth in loops - we call them the bio-feedback loops. The youthful state of both internal and external peripheral organs is dependent on the integrity of their bio-feedback loops to these 3 central organs. As we age, these loops degenerate. The impaired connection between the central organs and ALL our cells is creating both beauty and health issues. That’s why beauty and health are correlated - both are a reflection of young and functional biofeedback loops. True rejuvenation starts with the biofeedback loops. REYU is a technology designed to achieve the restoration of these loops in a sustainable and 100% natural way.


feed new hair growth harness your natural power
reyu technology to reverse hairloss, while you still can restore your urinary flow enhance your sexual confidence

explore the power of natural healing restore your sport injuries swift and natural reyu, the future of healing



SHOPPING DESTINATIONS
























Bonita Springs Farmer’s Market
October to May 2025
Every Saturday from 8 a.m. to noon
SEASONAL HOURS
November 1 to April 30, 2025
Monday to Saturday, 10 a.m. to 7 p.m.
Sunday, 12 p.m. to 5 p.m.
SUMMER HOURS
May 1 to October 31, 2025
Monday to Saturday, 10 a.m. to 6 p.m.
Sunday, CLOSED
Through Linda’s Luxury Consignment’s exclusive online platform, we effortlessly link buyers and sellers worldwide, creating an inclusive community bound by a passion for discovering fashion treasures.
We pride ourselves on providing exceptional, professional service, authentic products and the best return for your pre-loved luxury items. Shop online or by appointment.
Now introducing our “WHITE GLOVE” concierge service. Let us come to you. Our team can upcycle the items you no longer use, sell them for top dollar, and give your luxury items the chance to be loved by someone new. Contact us to start your consignment journey today.


www.lindasluxuryconsignment.com |
"Mosaic Circles" original painting Debbie W Nelson











LIFE ON THE GULF / Flavors,
By Alexandra Igoe


THE TOP EVENTS FOR MARCH 2025
Spring into the month with art exhibitions, film festivals and operas. Don’t miss our top events for March.
Through Mar. 9
Coming Home… at BIG ARTS, Sanibel Island Bonita Springs artist Mally Khorasantchi explores themes of love, loss, growth and change in an exhibit of her botanical-inspired collages at BIG ARTS’ Dunham Family Gallery. Blending oil paints with clippings from fashion magazines and bits of old telegrams from her late husband’s international
travels, the German American artist draws striking parallels between the cycles of life and natural processes. bigarts.org
Mar. 1 and 2
Bonita Springs National Art Festival at Riverside Park Arts Bonita’s annual showcase returns with the final installment of its three-part, 25th anniversary arts festival. Juried works from more than 200 national and international
Naples artist Marvin Rouse debuts a multisensory, interactive exhibit at Sidney & Berne Davis Art Center on March 7.
Brian Tietz
From March 4 to 14, see an impressive collection of works from late American modernist painter Herman Maril at Naples’ Harmon-Meek Gallery.
artists are displayed throughout Riverside Park, encouraging festival-goers to discover different mediums, mingle with artists and explore Downtown Bonita Springs’ growing cultural hub. Proceeds benefit underserved students, area schools and youth art programs.
artsbonita.org
Mar. 2, 3, 6, 7, 8, 9 and 15
Opera Naples’ Festival
Under the Stars at Cambier Park and Wang Opera Center
The annual, outdoor opera festival continues with Mozart’s The Magic Flute on Mar. 2. The following night, Nicoletta Mantovani honors the 90th birthday of her late husband, Luciano Pavarotti, with tales from the famed tenor’s life. Giacomo Pucci-






Gulf Coast Symphony celebrates its 30th anniversary with a special concert featuring guest acts and beloved musical selections on March 30.
Courtesy Gulf Coast Symphony




ni’s timeless La bohème hits Cambier Park on Mar. 6 and 8, while witty romance The Mikado takes center stage on Mar. 7 and 9. The festival closes with Sleeping Beauty, a joint performance between Gulfshore Ballet and Opera Naples that breathes life into Tchaikovsky’s classic score. operanaples.org




Mar. 2, 9, 16, 23 and 30
Naples Jewish Film Festival at Nina Iser Jewish Cultural Center
An annual staple for Southwest Florida film buffs, the Naples Jewish Film Festival celebrates the best of emerging Jewish and Israeli cinema with screenings of five newly released films. This year includes 2024 Tribeca Film Festival Audience Award-winner Bad
Shabbos, which explores the challenging dynamics of interfaith relationships and familial expectations over a Shabbat dinner.
jewishnaples.org
Mar. 4-9
The Cher Show, The Broadway Tour Production at Artis—Naples
The national tour of Tony Award-winning jukebox musical The Cher Show


comes to Southwest Florida as part of Artis—Naples’ Broadway Series. Front women Catherine Ariale, Ella Perez and Morgan Scott portray its eponymous star at different stages of her six-decade career with style, swagger and 35 chart-topping hits. artisnaples.org
Mar. 4-14
Herman Maril at HarmonMeek Gallery, Naples
The gallery presents a collection of works from the late American modernist painter, whose landscapes and life scenes have been represented by the gallery since 1989. Displayed works, such as In
Pasture, Mexican Vendors and Near Penny Hill, reflect the artist’s impactful use of reductive, color field-driven compositions. harmonmeekgallery.com
Mar. 6-16
Jersey Boys at TheatreZone, Naples
The Tony Award-winning musical captures the spirit and struggles behind The Four Seasons’ music as it traces the group’s dramatized trajectory from its 1960s origins to its inevitable end. The production marks two decades since the show’s Broadway opening, an apt pairing for TheatreZone founders Mark and Karen Danni’s 20th season in Southwest Florida. theatre.zone
The Naples Flower Show & Garden Market, held March 14 and 15 at Naples Botanical Garden, is among the state’s largest juried garden shows.
Courtesy Naples Garden Club











Supporting the Underserved in Collier County
WEDNESDAY MARCH 2025 26
The Ritz-Carlton Naples, Tiburón 2600 Tiburón Drive, Naples, FL
“Pilgrims of Hope” - Pope Francis
The James A. McTague Humanitarian Award will be presented to Rita and Dominick Cavuoto
Entertainment provided by The Brett Foreman Band Black-tie optional. Complimentary valet parking provided.
EmeraldBall@ccdov.org 941-786-2762

Mar. 8 — Sept. 21
Entangled in the Mangroves at Artis—Naples, The Baker Museum
The first major exhibition from the museum’s newest modern art curator, Dianne Brás-Feliciano, explores the relationship between the Everglades ecosystem and the surrounding population. The exhibition takes over the museum’s entire second floor with multimedia works from nine Florida artists, including
Miccosukee Tribe of Indians
member The Rev. Houston R. Cypress and Naples-based writer and photographer Lisette Morales. artisnaples.org
Mar. 9
24 Hour Festival at Sidney & Berne Davis Art Center, Fort Myers
Naples nomadic theater troupe Ghostbird Theatre Company hosts a race
against the clock, challenging artists in a variety of mediums to create songs, choreography, films, skits and poetry in 24 hours or less. With prompts from Ghostbird artistic director and Florida Gulf Coast University professor Barry Cavin, artists of all ages work together for an epic night of theatre, creativity and a lack of sleep before performing their creations the next night. ghostbirdtheatrecompany.org


JANUARY 18 - APRIL 13, 2025



Mar. 12 — Apr. 13
Man of La Mancha at The Naples Players’ Kizzie Theater
Based on Don Quixote, Miguel De Cervantes’ iconic 17th-century novel, this fivetime Tony Award-winning musical-within-a-play presents a retelling of the life of Alonso Quijano (the true name of the novel’s titular character). Set amid the terror of the Spanish Inquisition, the musical is famed for its hopeful Broadway standards including “The Impossible Dream.” naplesplayers.org
Mar. 14
Lewis Black: Goodbye Yeller Brick Road at Barbara B. Mann Performing Arts Hall, Fort Myers
Touring stand-up comedian Lewis Black returns to Barbara B. Mann Performing Arts Hall. After 35 years on the road, The Daily Show alum and voice behind Anger in Pixar’s film Inside Out bids farewell to audiences with a final tour filled with bitingly funny commentary on topics ranging from political drama to technological absurdity. bbmannpah.com

Opening March 8, Entangled in the Mangroves is the first major exhibit for Artis—Naples, The Baker Museum’s new modern art curator, Dianne Brás-Feliciano.
Jennifer Basile (American, b. 1973).
‘Stanley’ The Great Blue Heron 2018. Relief print on rice paper, 48 x 24 in.
Private collection, Miami, FL. Courtesy of LnS Gallery.
Mar. 14 and 15
Naples Flower Show & Garden Market at Naples Botanical Garden
One of Florida’s largest juried garden shows, this annual event returns with floral displays, exotic plants, botanical art exhibits and educational demonstrations throughout the garden. Presented by the Naples Garden Club, the show offers the chance to test your green thumb with plants for purchase and ample inspiration for Southwest Florida landscapes. naplesgardenclub.org
Mar. 18 — Apr. 13
SHOUT! The Mod Musical at Historic Arcade Theatre, Fort Myers
Florida Repertory Theatre’s production of the swinging, Off-Broadway musical pays homage to the women who defined England’s music and fashion scenes in the 1960s. With dance numbers set to iconic songs of the era from artists like Dusty Springfield, Lulu and Petula Clark, SHOUT!
five women living in London during the ever-evolving decade.





Scan QR code to purchase tickets.
Sunday, April 6,2025 | Baker Park | Naples, FL Benefiting
Individual Ticket: $55 ($65 at the door) Kids Yoga: $20 (ages 4-12)
VIP tickets: $500
Table Vendor: $300
J O I N U S 9:00 AM (registration opens at 8:30 AM) Naples


The Peking Acrobats perform gravity-defying feats at BIG ARTS on March 20, blending acrobatics with Chinese music and pageantry.
Mar. 20
The Peking Acrobats at BIG ARTS, Sanibel Island
Since their inception in 1986, The Peking Acrobats have captivated audiences worldwide with astounding acts of control, flexibility, contortion and gravity-defying acrobatics. The colorful spectacle combines daring moves like the Human Chair Stack (they hold a Guinness World Record for the stunt) with tumbling
and Chinese music and pageantry. bigarts.org
March 20-22
Harwell Godfrey at Marissa
Collections, Naples
San Francisco-based Lauren Godfrey’s jewelry feels less like adornment and more like sculpture—bold, geometric and layered with meaning. Her stone-inlay work, geometric gold settings, and blend of ancient symbolism
with modern sensibility has earned the designer a CFDA Award and a devoted following. During the three-day trunk show, you can meet the designer to learn about her creative process and shop new pieces in her highly collectible line. marissacollections.com
Mar. 21-23
Fort Myers River Fest in Downtown Fort Myers
Held in Downtown Fort

Myers, the annual fest brings nonstop entertainment with live music, food vendors and a market. Florida-based reggae, R&B, country and rock acts fill the musical lineup; previous performers have included Memphis Lightning, and cover band Thunder Beach. paragonfestivals.com
Mar. 25, 27 and 29
Rusalka (Multiple Locations) Gulfshore Opera brings Rusalka to Arts Bonita, Naples’ Norris Center and Punta Gorda’s Burnt Store Presbyterian Church. Czech composer Antonín Dvorák’s haunting, operatic fairytale loosely mirrors Hans Christian Andersen’s The Little Mermaid, a tragic tale of a young nymph who cedes her voice to an evil witch for a chance to meet a human prince. gulfshoreopera.org
Mar. 28 — Apr. 13
Lend Me a Tenor at Golden Gate Community Center, Naples
In this comedic farce by
playwright Ken Ludwig, The Studio Players bring zany banter and mysterious happenings to the stage. Chaos ensues when fictional Italian opera star Tito Merelli goes missing in Ohio ahead of his local opera debut. In a panic, the show’s presenter must distract Merelli’s adoring fans as speculation begins. thestudioplayers.org
Mar. 30
Gulf Coast Symphony’s 30th Anniversary Concert Celebration at Barbara B. Mann Performing Arts Hall, Fort Myers
For three decades, Gulf Coast Symphony has elevated Southwest Florida’s classical music scene with standout talent and emotionally charged performances. The Lee County performing arts nonprofit celebrates its growing legacy with guest stars, returning acts and community-favorite musical selections. gulfcoastsymphony.org
Recurring Events We Love
With live music on the streets, nibbles at local galleries and shops, and other fun diversions, these monthly events keep us coming back.
Mar. 1, 8, 15, 22 and 29
Third Street South Farmers Market in Naples
A community staple for 30 years, the winter market pops up between Broad and 13th avenues on Saturdays from 7:30 a.m. to 11:30 a.m. thirdstreetsouth.com
Mar. 7
Downtown Fort Myers Art Walk in the River District
The booming Downtown Fort Myers arts district is on full display during the first Friday of every month when local artists set up shop along the historic streets. Don’t miss the accompanying rooftop party at the Sidney & Berne Davis Art Center. sbdac.com
Mar. 8
Naples Artcrafters in Cambier Park
The Naples festival, which runs on the first Saturday of the month, features everything from ceramics to oil paintings to handwoven baskets. naplesartcrafters.com
Mar. 13
Evening on Fifth in Naples Shops stay open late, restaurants offer dining specials and live music fills historic Fifth Avenue South on second Thursdays. fifthavenuesouth.com
Mar. 21
Fort Myers Music Walk in the River District
On third Fridays, enjoy live music by local and regional musicians in Fort Myers’ downtown streets. myriverdistrict.com




Children learn through play. And what they learn is inextricably linked to how they play.
The Hats in the Garden Fund-a-Need will give this generation of children— who are our up-and-coming adults—a gift that many of us had as children not all too long ago: the gift of irreplaceable core memories—and the seeds of natural stewardship—that take root during nature-based play.

To support Nature Play trials in the Garden, please contact Rhea Merrill, Director of Development, at rmerrill@naplesgarden.org.
DINING GUIDE
The Dining Guide is crafted each month based on editorial discretion and may include restaurants that advertise regularly (denoted by an asterisk). Please email diningout@gulfshorelife.com to report changes in a restaurant’s location, prices or menu. Dining Guide Key : b Brunch o Outside Dining p Pet-Friendly v Valet w Water Views

Brian Tietz
At North Naples' Côte d’Azur , chef and co-owner James Waller leans into Provençal French cuisine for elegant fare like New Zealand lamb chops with asparagus, sweet red cabbage and black currant sauce.
THE NAPLES CHILDREN & EDUCATION FOUNDATION FOUNDERS OF THE NAPLES WINTER WINE FESTIVAL
To our Chefs, Vintners, Sommeliers, Donors, Sponsors & Corporate Partners, Guests, Trustees, Staff and Volunteers




TOGETHER WE RAISED OVER
$34 Million and counting…
bringing total raised since inception to more than $336 million.
Every dollar raised under the tent will be awarded to some of the most effective nonprofits that help fulfill children’s needs for food, healthcare, education and other special requirements in our community. Thanks for bringing a little joy to Collier County!



SPONSORS AND CORPORATE PARTNERS | 2025






COLLIER COUNTY
NAPLES
SOUTH NAPLES
Osteria Capri
387 Capri Blvd., (239) 9705721; 918 N. Collier Blvd., (239) 388-4081. osteriacapri. com. Chef AJ Black creates Italian pizza, pasta and seafood specialties from waterfront fish houses on Isles of Capri and Marco Island.
$$$ ITALIAN o p w
THIRD STREET SOUTH
Barbatella
1290 Third St. S., (239) 2631955. barbatellanaples.com.
A stunning bar and relaxed patio with casual Italian cuisine from the team behind Sea Salt. $$$ ITALIAN o p
The Bevy
360 12th Ave. S., (239) 228-4220. naplesbevy.com
Enjoy craft cocktails and New American cuisine at this favorite off Third Street South.
$$$ MODERN AMERICAN b o p
Campiello/The Club Room
1177 Third St. S., (239) 4351166. campiellonaples.com.
A favorite for its contemporary Italian cuisine and courtyard. During season, The Club Room, a restaurant
within, has its own menu and live music most nights.
$$$ ITALIAN o p v
D’Amico’s The Continental American Provisions and Craft Bar
1205 Third St. S., (239) 6590007. damicoscontinental. com. Savor top-quality cuts of steaks and the stylish indoor and outdoor decor.
$$$$ STEAK b o p v
Jane’s Cafe on 3rd
1209 Third St. S., (239) 2612253. janesgardencafe.com
Come for the lobster Benedict and stuffed French toast; stay to sit around the koi fountain on the sunny patio.
$$ CAFE b o p
Mediterrano
336 13th Ave. S., (239) 2617498. mediterrano-naples. com. Bright decor and a lush patio complement robust dishes and rich desserts.
$$$ MEDITERRANEAN o
Ridgway Bar & Grill
1300 Third St. S., (239) 2625500. ridgwaybarandgrill.com.
A quintessential Old Naples restaurant. For light bites and coffee, head to neighboring Tony’s Off Third.
$$$ MODERN AMERICAN b o p
Sea Salt
1186 Third St. S., (239) 434-7258. seasaltnaples.com. Loved for sophisticated seafood, monthly wine dinners and events
$$$ MEDITERRANEAN o p v
FIFTH AVENUE SOUTH
Bha! Bha! Persian Bistro
865 Fifth Ave. S., (239) 594-5557. bhabhabistro.com. Iranian chef Michael Mir serves indulgent flavors in a jewel box dining room. $$$ MIDDLE EASTERN o
Bontà Bakery
824 Fifth Ave. S., (239) 2346631. bontabakery.com. Italian pastry chefs use traditional ingredients to prepare pastries, pizza, sandwiches and gelato.
$ ITALIAN o p
Bistro 821
821 Fifth Ave. S., (239) 2615821. bistro821.com. An open kitchen serves a menu filled with creativity, including its original Neapolitan pasta and seafood dish. $$$ MODERN AMERICAN o p
Chops City Grill
837 Fifth Ave. S., (239) 262-4677. chopscitygrill.com. An elegant, Baroque-inspired steakhouse with in-house, dry-aged cuts.
$$$$ STEAK o p
Del Mar
494 Fifth Ave. S., (239) 3500134. delmarnaplesrestaurant. com. Cameron Mitchell’s two-story, fine dining
locale draws from various Mediterranean cuisines.
$$$$ MEDITERRANEAN b o p
Dolce & Salato
300 Fifth Ave. S., (239) 3000444. dolcesalatousa.com. A tucked-away, transportive cafe with breakfast, lunch and inseason weekend brunch.
$$ ITALIAN b o
The French Brasserie
365 Fifth Ave. S., (239) 315-4019. thefrenchnaples.com. Lauded chef Vincenzo Betulia serves escargot and steak frites in an elegant atmosphere. Tucked into the back is Rouge, an intimate speakeasy.
$$$ FRENCH b o p
HobNob Kitchen & Bar
720 Fifth Ave. S., Suite 101, (239) 580-0070. hobnobnaples. com. Updated takes on American cuisine inside a cool, contemporary dining room.
$$$ MODERN AMERICAN o p
Ichi Togarashi
800 Fifth Ave. S., Suite 102, (239) 778-5324. togarashinaples. com. A favorite for its authentic takes on dim sum, seafood and 10 types of ramen.
$$ PAN-ASIAN
Keewaydin's on Fifth
711 Fifth Ave. S., (239) 262-5787. keewaydins.com. The team's approach to American fare takes a coastal and global twist.
$$$ MODERN AMERICAN b o v
La Pescheria/Molto Trattoria
474 Fifth Ave. S., (239) 316-7322 (La Pescheria). lapescherianaples. com. (239) 261-5853 (Molto Trattoria). moltonaples.com
The Neris' Italian standbys offer fresh seafood (La Pescheria) and classic comfort recipes (Molto) within steps of each other; plus, there's a newer, darling wine bar, Casa Neri, next to Molto.
$$$$ ITALIAN o p v
Le Colonial
457 Fifth Ave. S., (239) 372-9700. naples.lecolonial.com. Jawdropping interiors set the stage for exciting takes on Vietnamese cuisine.
$$$ FRENCH VIETNAMESE o
Ocean Prime
699 Fifth Ave. S., (239) 430-0404. ocean-prime.com. Cameron Mitchell presents surf and turf, an elegant dining room and highly attentive service.
$$$$ MODERN AMERICAN v
Osteria Tulia/Bar Tulia
466 Fifth Ave. S., (239) 2132073. osteriatulia.com. Go for Sicilian-inspired fare in a rusticchic setting or craft cocktails at Bar Tulia gastropub next door.
$$$ ITALIAN o p
Pazzo! Cucina Italiana
853 Fifth Ave. S., (239) 434-8494. pazzoitaliancafe.com. Beautiful presentations and twists on Italian favorites.
$$$ ITALIAN o p


Premier Dining on the Water

Sails Restaurant
301 Fifth Ave. S., (239) 360-2000. sailsrestaurants. com. This uncompromising establishment offers finedining to the max—and a stellar Champagne brunch.
$$$$ SEAFOOD b o p v
Sendo De Cafe
534 Park St., (386) 338-7986. Ichi Togarashi owners serve boba tea, udon, onigiri, sandos and a dessert menu at this Japanese inspired cafe.
$ JAPANESE
Sushi Thai Downtown
898 Fifth Ave. S, (239) 4307575. sushithaidowntown. com. Find a mix of sushi and Thai dishes with locations throughout Collier and Lee counties. $$ PAN-ASIAN o p
Truluck’s
698 Fourth Ave. S., (239) 530-3131. trulucks.com. A fine-dining locale touting seafood from the Gulf and beyond.
$$$ SEAFOOD v
Veranda E
290 Fifth Ave. S., (239) 6593466. hotelescalante.com
A courtyard setting serving Asian and French influences in The Escalante Hotel.
$$$ MODERN AMERICAN o p
The Vine Room
465 Fifth Ave. S., (239) 3161202. vineroom.com. Behind an ivy-shrouded door, this cocktail lounge crafts drinks with flair, plus small plates.
$$ COCKTAIL LOUNGE
DOWNTOWN NAPLES
The Claw Bar/The London Club
221 Ninth St. S., (239) 231-3912. theclawbar.com
Southern charm, the best oysters and elegant seafood are found at The Claw Bar inside the Bellasera Resort. Upstairs, The London Club serves the same menu with a sultrier vibe and live jazz.
$$$$ SEAFOOD b o v
District/Staff Only/
The Mini Bar/The Alley
1200 Central Ave., Suite 105, (239) 428-3101. districtnaples. com. A culinary hub in Naples Design District, with sexy sushi bar District, speakeasy Staff Only, alfresco The Mini Bar and '90s-themed The Alley.
$$$ SEAFOOD/ MODERN AMERICAN b o
LoLa 41
560 Ninth St. S., (239) 3993300. lola41.com. Influenced by the cultures along the 41st parallel north, Lola 41 excels at sushi and bistro-style plates. $$$ PAN-ASIAN o
Grappino 90 Ninth St. N., (239) 331-4325. grappinonaples.com. This Aielli Group spot offers a fine selection of charcuterie and build-your-own pasta dishes.
$$$ ITALIAN o
The Lake Park Diner 944 Seventh Ave. N., (239) 228-6351; 8856 Founders St., (239) 529-1559. thelakepark diner.com. Now with a second location at Founders Square, the casual locale serves organic fare with vegan options, plus diner classics.
$$ MODERN AMERICAN b o p
Limón Rooftop Bar
455 12th St. S., (239) 944-3755. limonrooftop.com. A stylish interior meets an outdoor poolside area, with lively bar drinks and Mediterranean fare with a voguish twist.
$$ MEDITERRANEAN o
Nosh on Naples Bay 1490 Fifth Ave. S., Suite 101, (239) 384-9208. noshon naplesbay.com. Chef Todd Johnson crafts a menu of haute small plates.
$$$ ECLECTIC o v w
PJK Neighborhood Chinese 835 4th Ave. S., (239) 3670300. pjkchinese.com. From restaurateur Paul Fleming, with coastal-inspired takes on Americanized Chinese fare.
$$ CHINESE
The Rooster Food + Drink
600 Goodlette-Frank Road N., Suite 101, (239) 228-5973. theroosternaples.com. Comforting, Southern-style breakfast and fast-casual lunch served seven days a week.
$$ AMERICAN b o p
Unidos 1 Ninth St. S., (239) 331-3668. unidosrestaurant.com. The likes of Peruvian ceviche, Cuban ropa vieja and Argentinian-style grilled meats come together in perfect harmony.
$$$ LATIN AMERICAN b o
Warren Naples
111 Tenth St. S., (239) 3302611. warrennaples.com. An expansive whiskey and wine collection headline alongside a contemporary menu.
$$$ MODERN AMERICAN CRAYTON COVE
Bleu Provence
1234 Eighth St. S., (239) 2618239. bleuprovencenaples.com.
Channel Southern France with the cuisine and Naples’ only Grand Award-winning wine list.
$$$ FRENCH o p v
The Boathouse on Naples Bay 990 Broad Ave. S., (239) 6432235. boathouseonnaplesbay. com. This waterfront restaurant dishes up fresh seafood.
$$ SEAFOOD o w
Chez Boët
755 12th Ave. S., (239) 6436177. chezboetnaples.com. French staples paired with an impressive Scotch list.
$$$ FRENCH o p
The Dock at Crayton Cove 845 12th Ave. S., (239) 2639940. dockcraytoncove.com. This laid-back spot serves Florida seafood on Naples Bay. $$$ SEAFOOD b o p w
The Syren Oyster & Cocktail Bar
909 10th St. S., (239) 6101559. syrenoysterbar.com
Located within the Naples Boat Club, this seafoodcentric hotspot comes from lauded restaurateur Peter Tierney (The Claw Bar, The London Club).
$$$$ SEAFOOD o w
EAST NAPLES
21 Spices by Chef Asif 4270 Tamiami Trail E., Suite 21, (239) 919-8830. 21spicesdining.com.
Authentic Indian cuisine from an award-winning chef.
$$$ MODERN INDIAN o p
Carole’s Place Café & French Bakery 8793 Tamiami Trail E., (239) 331-8003. carolesplacecafe. com. French pastries with fresh-brewed coffee, robust breakfast and lunch menus.
$ BAKERY b o
Celebration Park
2880 Becca Ave., (239) 3167253. celebrationparknaples.
com This waterfront food truck park has a lively bar scene and boat-up slips.
$$ ECLECTIC o p w
Espíritu Peruvian Cuisine
3861 Tamiami Trail E., (239) 285-3924. espirituperuviancuisine.com. Don’t miss the ceviche here.
$$ PERUVIAN o
Kareem’s Lebanese Kitchen
4270 Tamiami Trail E., (239) 315-4167. kareemskitchen. com Try shawarma wraps, salads and chicken with za’atar potatoes.
$$ MIDDLE EASTERN o p
Lima Restaurant
5047 Tamiami Trail E., (239) 280-0167. lima-restaurant.com. Traditional Peruvian cuisine and a wide selection of pisco are the calling cards.
$$$ PERUVIAN o
LowBrow Pizza & Beer
3148 Tamiami Trail E., (239) 529-6919. lowbrow pizzaandbeer.com. Creative wood-fired pies are served with craft brews in a fun, art-filled space.
$$ ITALIAN o p
The Med
3929 Bayshore Drive, (239) 307-4755. themednaples.com.
Artfully plated dishes, intimately showcased.
$$$ MEDITERRANEAN o
Old Vines Supper Club
2795 Davis Blvd., Suite 1, (239) 417-4466. oldvinesnaples.com
Find seasonal tasting menus and a weekly wine dinner on Wednesdays at this refined yet unpretentious East Naples hideaway from chef Brooke Kravetz.
$$$$ MODERN AMERICAN
Rebecca’s Cocktail & Wine Bar
2955 Bayshore Drive, (239) 799-1801. rebeccas naples.com. Gorgeous decor and stellar charcuterie headline the latest from the namesake Bayshore visionary.
$$ WINE BAR
Rumba Cuban Café
1265 Airport-Pulling Road S., (239) 659-2996. rumbacuban cafe.com. Classic Cuban cuisine with fun twists and attentive service. $$ LATIN AMERICAN o p
Seventh South Waterfront
2891 Bayview Drive, (239) 2314553. seventhsouth.com. A new name and location for one of Naples’ top spots where food and drinks earn equal acclaim.
$$$$ MODERN AMERICAN o p
Tacos & Tequila Cantina
4834 Davis Blvd., (239) 7328226. tacosandtequilanaples. com. Tacos with lots of clever spins, plus margaritas aplenty.
$ MEXICAN o p
MIDTOWN
Alexander’s Garden Restaurant
4077 Tamiami Trail N., (239) 262-4999. alexanders naples.com. Menus filled with seafood and global flavors presented in a modern cafe and lush garden atmosphere. Open October to May.
$$$ MODERN AMERICAN o p
Andre’s Steakhouse
2800 Tamiami Trail N., (239) 263-5851. andressteak house.com. If you consider yourself a fan of New York’s iconic Peter Luger chophouse, opt for this tiny joint founded by one of its former chefs.
$$$$ STEAK o
Cibao Grille
814 Neapolitan Way, (239) 434-6653. cibaogrille.com.
Dishes from the owners’ native Dominican Republic mix with American classics.
$$$ MODERN AMERICAN o p
DiGusto
4180 Tamiami Trail N., (239) 228-9414. digustoitaly.com.
Authentic Italian pasta and other specialties presented with simple elegance.
$$$ ITALIAN
Dorona
2110 Tamiami Trail N., (239) 529-2819. dorona naples.com. The Aiellis’ chic steakhouse has a menu with Mediterranean-style seafood, pasta and prime cuts. $$$$ STEAK o p
Escargot 41
4351 Tamiami Trail N., (239) 793-5000. escargot41. com. This traditional spot features a page of escargot specials alone.
$$$ FRENCH o p
Fernández the Bull Multiple locations in Collier and Lee counties. fernandezthebull.com. Classic Cuban dishes such as picadillo a la criolla and ropa vieja.
$$ LATIN AMERICAN o p
Fujiyama
2555 Tamiami Trail N., (239) 261-4332. naples fujiyama.com. Japanese master chefs prepare dinners with flair at your hibachi table. $$ ASIAN
FUSE Global Cuisine
2500 Tamiami Trail N., Suite 114, (239) 455-4585. fuseglobalcuisine.com. Cosmopolitan cuisine, stellar barbecue and cocktails with a creative punch.
$$$ ECLECTIC o p
Harold’s Place
2555 Tamiami Trail N., (239) 263-7254. naplesharoldsplace.com
This chickee bar serves a topshelf charbroiled burger and poolside ambience.
$ CLASSIC AMERICAN o
Hogfish Harry’s
600 Neapolitan Way, (239) 776-7623. hogfishharrys.com. The menu sources most of its seafood from local fishers.
$$$ SEAFOOD o p
Hyde N Chic Restaurant 923 Creech Road, (239) 3995756. hydenchicrestaurant. com. In his artfully appointed dining room, chef Andy Hyde guides you through inspired tasting menus from Africa, Europe and the Americas.
$$$$ ECLECTIC FUSION
Jimmy P’s Charred 1833 Tamiami Trail N., (239) 643-2427.jimmy pscharred.com. A casual butcher-steakhouse specializing in Wagyu beef.
$$$$ STEAK o p
Komoon Thai
Sushi & Ceviche
Multiple locations in Collier and Lee counties. komoon thai.com. Thai, Japanese and Peruvian fare come together.
$$ ASIAN
Lamoraga Restaurant 3936 Tamiami Trail N., (239) 331-3669. lamoraga restaurant.com. Find upscale twists on Spanish dishes, plus inventive vegan fare.
$$$ SPANISH p v
The Local 5323 Airport-Pulling Road, (239) 596-3276. thelocalnaples.com. A farm-to-table restaurant with locally sourced, healthy cuisine.
$$$ MODERN AMERICAN b o p
Martin Fierro 13040 Livingston Road, (239) 300-4777. martinfierrorestaurant.
com. At this Argentinian and Uruguayan parrillada, you’ll find grass-fed beef and other South American specialties.
$$$ LATIN AMERICAN o p
Moura Bistro
3369 Pine Ridge Road, (239) 738-8883. mourabistro.com. Flavorful Lebanese fare, such as falafel, tabbouleh salad and shawarma. $$ MIDDLE EASTERN o p
Nat Nat 3080 Tamiami Trail N., Suite 1, (239) 919-8732. natnat naples.com. A coffee shop by day, evening menus showcase scratch-made shareable plates and natural wines in a buzzy space. $$$ MODERN AMERICAN o p
Shula’s Steak House
5111 Tamiami Trail N., (239) 430-4999. shulasnaples. com. Late NFL Hall of Fame coach Don Shula’s brainchild.
$$$$ STEAK
Spanky's Speakeasy
1550 Airport-Pulling Road N., (239) 643-1559. spankysspeakeasy.com. The 40-year-old Naples staple serves everything from broiled seafood to filet mignon.
$$ SEAFOOD, AMERICAN o w
Swan River Seafood & Fish Market
3741 Tamiami Trail N., (239) 4037000. swanriverseafood.com. Find Cape Cod-style seafood and a market with favorites like fresh catch and wine.
$$$ SEAFOOD o p
Turco Taco
410 Ninth St. N., (239) 431-6682; 1514 Immokalee Road, Suite 116, (239) 431-6682. theturcotaco. com. Bright, comforting flavors infuse the menu.
$ MEXICAN o
USS Nemo
3745 Tamiami Trail N., (239) 261-6366. ussnemo restaurant.com. Masterful, fresh seafood creations.
$$$ SEAFOOD o
THE VILLAGE SHOPS ON VENETIAN BAY
Bayside Seafood
Grill & Bar
4270 Gulf Shore Blvd. N., (239) 649-5552. baysidesea foodgrillandbar.com. Dine with more than 200 feet of waterfront views.
$$$ SEAFOOD b o p v w
Fish Restaurant
MiraMare Ristorante
4236 Gulf Shore Blvd. N., (239) 430-6273, miramarenaples.com. Enjoy classic Italian fare on the waterfront patio along Venetian Bay.
$$$ ITALIAN o v w
M Waterfront Grille
4300 Gulf Shore Blvd. N., (239) 263-4421. mwaterfrontgrille.com. Organic meals served with bay views.
T-Michaels Steak & Lobster House*
4050 Gulf Shore Blvd. N., (239) 261-0622. t-michaels. com. Steakhouse dining on the water, featuring USDA Prime meats, Maine lobster and an early dining menu.
$$$$ STEAK v w
WATERSIDE SHOPS
seafood and steaks that appeal to a variety of appetites.
$$$ AMERICAN b
True Food Kitchen
Thank
$$$ MODERN AMERICAN b o p v w
BrickTop's
5555 Tamiami Trail N., (239) 596-9112. bricktops. com/naples. This locale draws crowds for a wellchoreographed menu of
5375 Tamiami Trail N., Suite 15, (239) 431-4580. truefoodkitchen.com. The health-driven menu caters to flexitarians but has plenty of options for vegetarians and vegans. $$ CAFE b o p


in Emerald City raised over $1.8 million to support ering Golden Gate families through education.
Honorary Chairs
Pat & Craig Jilk
The Schoen Family
Julia Van Domelen
Honorees
Rev. Stephanie Campbell
Diane Ponton
Event Chair
Hannah Roberts

LEARN MORE






NORTH NAPLES
BALEEN
9891 Gulf Shore Drive, (239) 598-5707. laplayaresort.com. A stunning dining room and tables on the beach for dining on creative cuisine, overlooking the Gulf.
$$$ MODERN AMERICAN b o v w
The Bay House
799 Walkerbilt Road, (239) 591-3837. bayhousenaples.com. Southern-inspired menus, a raw bar and mangrove-lined views.
$$$ SEAFOOD o v w
Bicyclette Cookshop
819 Vanderbilt Beach Road, (239) 514-3333. bicyclette cookshop.com. Helmed by James Beard Award semifinalist and Food Network Chopped champion chef, with inspired, playful menus.
$$$ MODERN AMERICAN o
Black Forest Restaurant
2366 Immokalee Road, (239) 592-4784. blackforestnaples. com. Find classic German and Austrian fare like traditional sauerbraten and schnitzel.
$$ EUROPEAN
Bone Hook Brewing Co. 1514 Immokalee Road, (239) 631-8522. bonehook brewing.com. A microbrewery with a taproom and full kitchen.
$$ BAR BITES o p
Part of the Luminary Hotel in Downtown Fort Myers, The Silver King Ocean Brasserie channels a refined ambience with gray and blue tones that mimic the surrounding waterfront and seafood-centric menu.
Anna Nguyen
Côte d’Azur
11224 Tamiami Trail N., (239) 597-8867. cotedazur restaurant.com. Old World French cuisine in a cozy, Provençal setting.
$$$ FRENCH
The Crust
8004 Trail Blvd., (239) 2448488. thecrustpizza.net. A sports bar with stellar pizza.
$ ITALIAN
Deep Lagoon Seafood & Fish Market
Multiple locations in Lee and Collier counties. deeplagoon. com. Naples-based Phelan Family Brands owns this popular eatery.
$$$ SEAFOOD o p
Dusk/The Grill/Gumbo Limbo/Nolita/Sofra at The Ritz-Carlton, Naples 280 Vanderbilt Beach Road, (239) 598-3300. ritzcarlton. com. The beach resort houses private club-like The Grill, sultry sushi joint Dusk; Italian gem Nolita and Med-inspired Sofra on the finer end; plus casual eats at beachfront Gumbo Limbo.
$$$$ ASIAN, STEAKHOUSE, ITALIAN, MEDITERRANEAN, AMERICAN b o v w
Food & Thought 2
7941 Airport-Pulling Road, (239) 791-3663. food andthought2.com. The longtime Naples organic grocer debuted a cool,
second location in 2022, with a sit-down restaurant and menus that draw from the owner’s nearby farm. $$ AMERICAN b o p
Grain de Café
8803 Tamiami Trail N., (239) 594-8081. frenchcafe naples.com. The pain au chocolat, quiches and crepes are worth a visit.
$$ FRENCH b o
Jimmy P’s Burgers & More
1201 Piper Blvd., Suite 11, (239) 514-1800. jimmyps burgers.com. Superior meats are a local tradition here.
$$ AMERICAN o p
Namba
8847 Tamiami Trail N., (239) 592-4992. nambanaples.com. Enjoy a remarkable selection of ramen, sushi and small plates. $$ JAPANESE
New York Pizza & Pasta 11140 Tamiami Trail N., (239) 594-3500; 8855 Immokalee Road, (239) 597-3800. nypp. com. Go for hand-tossed pies. $$ ITALIAN o p
Parmesan Pete’s 7935 Airport-Pulling Road, (239) 992-3663. parmesan petes.com. Order large portions of eggplant, veal and chicken Parms, meatballs and lasagna. $ ITALIAN o p
Ria at The Ritz-Carlton Naples, Tiburón 2600 Tiburon Drive, (239) 5932000. rianaples.com. Find food and cocktails inspired by Latin American street markets, served alfresco.
$$$$ LATIN AMERICAN o v
Simit Fresh Mediterranean 1230 Airport-Pulling Road, (239) 331-4477. simitfresh.com. Lunch is a good bet, but seafood shines on the dinner menu.
$$$ MEDITERRANEAN
The Turtle Club 9222 Gulfshore Drive N., (239) 592-6557. turtleclubnaples.com A longtime favorite for toesin-the-sand lunch and divine seafood dinners.
$$$ NEW AMERICAN o p w
Two Fillets
10395 Tamiami Trail N., (239) 788-0222. twofillets.com. Surfand-turf restaurant and market from Phelan Family Brands.
$$$ AMERICAN o p
Zen Asian BBQ
10823 Tamiami Trail N., (239) 260-7037. eatatzen.com. A pan-Asian joint with fresh sushi, ramen, bar bites and Korean barbecue. $$ ASIAN o
MERCATO
Bar Tulia
9118 Strada Place, Suite 8150, (239) 438-1031. bar tulia.com. This location of the
Italian-inspired gastropub features expertly crafted cocktails, pasta and wood-fired pizza.
$$ ITALIAN b o p
The Hampton Social 9114 Strada Place, (239) 202-2038. thehamptonsocial. com. A chic, rosé-all-day bar scene complemented by great seafood and noshes.
$$ NEW AMERICAN b o p
Old Vines Mercato
9105 Strada Place, Suite 3125, (239) 591-5351. oldvines. net. The parent restaurant to Naples’ top supper club also has two stellar happy hours daily. Chef Brooke Kravetz leads the kitchen team, making forward-thinking menus that do justice to the sophisticated wine and cocktail lists.
$$$ MODERN AMERICAN b o
Rocco’s Tacos
9123 Strada Place, (239) 5008226. roccostacos.com. Go for the roughly 500 selections of tequila and mezcal.
$$ MEXICAN b o p
The 239 Naples 9108 Strada Place, (239) 6311902. the239naples.com. The restaurant keeps the focus on local growers and producers.
$$ MODERN AMERICAN b o
GALLERIA SHOPPES AT VANDERBILT
Alpine Restaurant
2355 Vanderbilt Beach Road, Suite 158, (239) 325-9499. alpineofnaples.com. The best of German, Slovak, Czech, Polish and Hungarian fare.
$$ EASTERN EUROPEAN b o p
The Cave Bistro & Wine Bar
2343 Vanderbilt Beach Road, Suite 604, (239) 513-0095. thecavenaples.com. A magnificent selection of wines and small plates.
$$$ WINE BAR o p
Mister O1
Extraordinary Pizza
2355 Vanderbilt Beach Road, Suite 176, (239) 631-6844. mistero1.com. Extraordinary isn’t hyperbole; try the star-shaped pizza with ricotta-stuffed crust for proof. A second location debuts soon to Downtown Naples.
$$ ITALIAN o p
MARCO ISLAND
844 Gulf and Prime 844 Bald Eagle Drive, (239) 544-9844. 844gulfand prime.com. Stunning spaces make an apt backdrop for shareable small plates and robust entrees.
$$$ MODERN AMERICAN w
Ario
400 S. Collier Blvd., (239) 642-2695. arioatjw marco.com. At the JW Marriott Marco Island Beach Resort, Ario has a sophisticated aesthetic, elevated culinary offerings and an impressive bar program. $$$$ STEAK o v
Island Gypsy Café & Marina Bar
292 Capri Blvd., (239) 394-1111. theislandgypsy.com. A go-to on Isles of Capri—just north of Marco Island proper—the restaurant's alfresco, marina setting is as salty as its seafood specialties and casual ship-shaped bar (once a fishing yacht).
$$ SEAFOOD o w
LeeBe Fish Restaurant
350 Royal Palm Drive, (239) 389-0580. leebefish.com. A fisherman-owned seafood market and restaurant, it sells products right off the boat.
$$ SEAFOOD o
The Oyster Society
599 S. Collier Blvd., (239) 394-3474. theoyster society.com. This chic locale's raw bar has more than 80 oyster selections, as well as sushi and fresh catches.
$$$ SEAFOOD o p
Sale e Pepe
480 S. Collier Blvd., (239) 393-1600. sale-e-pepe. com. A seasonally open gem with inspired Italian dishes, a formidable wine cellar and a waterfront patio overlooking the beach. $$$ ITALIAN o p v w
Tesoro
400 S. Collier Blvd., (239) 393-3208. tesoroat jwmarco.com. Beach views and coastal fare make for a dreamy dinner. $$$ MEDITERRANEAN o v w
Verdi's American Bistro
241 N. Collier Blvd., (230) 3945533. verdisbistro.com
Specialties include crispy duck, rack of lamb, apple strudel and a distinguished wine list.
$$$ AMERICAN
LEE COUNTY
BONITA SPRINGS
Angelina’s Ristorante
24041 S. Tamiami Trail, (239) 390-3187. angelinasof bonitasprings.com. Plush banquettes, live piano and award-winning wine lists define the fine dining here.
$$$ ITALIAN o v
The Bohemian
27975 Old 41 Road, Suite 104, (239) 451-9619. thebohemian bonita.com. The team behind Downtown Coffee and Wine
Company presents a globally inspired menu. $$$ ECLECTIC o
Chartreuse Craft
Cocktail Lounge
27313 Old 41 Road, (239) 9492776. chartreuselounge.com.
Swanky and hip, with personable bartenders shaking up cocktails you’ve never had before; plus, there’s a dessert menu.
$ COCKTAIL LOUNGE
Chops City Grill
8200 Health Center Blvd., (239) 992-4677. chopsbonita. com. The sister restaurant to Naples’ elegant steakhouse.
$$$$ STEAK o p
C Level Bistro & Wine Bar
4450 Bonita Beach Road, (239) 221-7046. c-levelbar.com.
An intimate locale great for steak, lamb and seafood.
$$$$ MODERN AMERICAN o
Coconut Jack’s
Waterfront Grille
5370 Bonita Beach Road, (239) 676-7777. coconutjacks. com. A perfect stop for quick bites and water views.
$$ SEAFOOD o p v w
DeRomo’s Gourmet Market & Restaurant
26811 S. Bay Drive, Suites 140 and 148, (239) 325-3583. deromos.com. A classic Italian restaurant with an adjacent market of imported goods and takeaway foods.
$$$ ITALIAN o p
Downtown Coffee and Wine Company
27546 Old 41 Road, (239) 272-6068. downtowncoffee andwinecompany.com. Light bites, specialty coffee and wine by the glass.
$ CAFE
b o p
El Basque Vin & Pintxo Bar
25245 Chamber of Commerce Drive, (239) 3014973. elbasque.com. Spanish and French influences merge at this tapas-style wine bar.
$$$ BASQUE p o
The Industry Standard
28280 Old 41 Road, Suite 1, (239) 431-4912. tisbonita.com
A from-scratch, full-service kitchen and bar that also houses a ghost kitchen serving late-night pizza.
$$$ AMERICAN
Jimmy P’s Charred
25301 S. Tamiami Trail, (239) 390-0301. jimmypssteaks.com. Enjoy superior meats and shareable side dishes.
$$$$ STEAK
Lapa’s Costa Rican Bistro
26251 S. Tamiami Trail, Suite 9, (239) 221-7016. lapascr.com. Our editors' favorite lunch spot serves Latin fare, like arroz con pollo, gallos and tostadas.
$$ LATIN AMERICAN
Malinche Mexican Cuisine
3250 Bonita Beach Road SW, Suite 202, (239) 301-2902. malinchebonitasprings.com. The Salazar brothers dish up Central and Southern Mexican flavors.
$$ MEXICAN
Maria's Restaurant
27080 Old 41 Road, (239) 4951868. restaurantmarias.com
Homestyle Mexican comfort food with creative twists, plus exclusive Taco Tuesday menus.
$$ MEXICAN o
Springtime Harmonies
Sunday, March 16, 2025
Gala Co-Chairs
Pamela and Bob Krupka
Sandra and William Snyder
Zoe and Alexander Shelley, Artistic and Music Director
All proceeds benefit Artis—Naples and our youth education programs. This exclusive event is available for Artis—Naples donors at the Benefactor level and above. For ticket information, please call 239-254-2615.
Media Sponsor:
Friends of Artis—Naples Gala

Naples' The Vine Room draws inspiration from iconic cocktail lounges for its plush decor, handcrafted cocktails and fine wines.
The Other Side Bistro
24630 S. Tamiami Trail, (239) 992-7433. othersidebistro. com. Chef Brian McCarley serves comfort dishes with modern flair.
$$$ MODERN AMERICAN o p
Petar’s Restaurant
3300 Bonita Beach Road, Suite 120, (239) 249-4064. petarsrestaurant.com. Chef Petar
Al Kurdi has developed a strong following for his deftly prepared cuisine. $$$ MODERN AMERICAN o
Rooftop at Riverside
27333 Old 41 Road, (239) 268-0080. eatdrinkparadise. com. The rooftop craft bar overlooks a half-dozen food trucks and Old 41.
$$ ECLECTIC o p
Roy’s Restaurant
26831 S. Bay Drive, Suite 100, (239) 498-7697. roysrestaurant.
com. Enjoy celebrity chef Roy Yamaguchi’s Pacific and Hawaiian fusion fine dining.
$$$ PACIFIC RIM o
A Table Apart
4295 Bonita Beach Road, (239) 221-8540. atableapart. com. Fusion influences from the Pacific Rim and beyond.
$$$ PACIFIC RIM
Wolfmoon
27975 Old 41 Road, Suite 107, (601) 557-3238. wolfmoon. co. Go for some of the best croissants and coffee in town.
$ CAFÉ o
Wylds Café
4271 Bonita Beach Road, (239) 947-0408. wyldscafe.com. Three chefs join forces for this fine-dining experience.
$$$ MODERN AMERICAN
ESTERO
Divieto Ristorante
23161 Village Shops Way, Suite 101, (239) 390-2977. divietoristorante.com. The famous fettuccine Alfredo is prepared in a hollowed-out Parmesan wheel.
$$$ ITALIAN o p
El Gaucho Deli Café
22905 Lyden Drive, (239) 3172994. elgauchoinca.com. This locale intertwines South and North American flavors.
$ ECLECTIC b
El Nido
23161 Village Shops Way, Suite 113, (239) 319-1900. elnidoeats.com. A contemporary joint using local ingredients for house-made sauces and a modern spin on Latin dishes.
$$ MEXICAN o p
Real Seafood Co.
8001 Plaza Del Lago Drive, Suite 116. (239) 539-4748. realseafoodcorestaurant.com. Find fish from New England, the Great Lakes and the Gulf.
$$$$ SEAFOOD
Tacos & Tequila Cantina 10952 Eagle Village Drive, (239) 330-8226. tacosand tequilanaples.com. Tacos with clever tweaks, plus margaritas. $ MEXICAN o p
FORT MYERS
SOUTH FORT MYERS
Artisan Eatery
8951 Daniels Parkway, (239) 887-4844. artisan eatery.com. Look for outstanding specials at this stamp-sized favorite.
$ MODERN AMERICAN b
Backyard Social
16371 Corporate Commercial Way, (239) 703-7077. backyardsocial.com. One of the region’s food truckoutdoor bar concepts with eight vendor take-out options.
$$ ECLECTIC o
Bellini's
13451 McGregor Blvd., (239) 270-5005. bellinisfortmyers. com. Elevated Italian favorites in a casual atmosphere with live music nightly.
$$ ITALIAN o
Coldwater Oyster Market
5611 Six Mile Commercial Court, (239) 220-5918. coldwateroystermarket.com. Oysters and seafood from the North Atlantic and Pacific Northwest from Chef Adam Nardis.
$$$ SEAFOOD o p
Courtney's Continental Cuisine
20351 Summerlin Road, Unit 111, (239) 466-4646. courtneys continentalcuisine.com. A hidden gem serving an eclectic from-scratch menu and wine.
$$$ CONTINENTAL EUROPEAN
Cubans Be Like
13300 S. Cleveland Ave., Suite 21, (239) 789-1869. cubansbelike.com. Cuban favorites define the menu. Don’t miss the vaca frita.
$$$ CUBAN o
Ember
7091 College Parkway, Suite 9, (239) 771-8818. emberfortmyers.com.
A gem with tabletop barbecue, fusion dishes and sushi.
$$$ PAN-ASIAN
Fancy’s Southern Café 8890 Salrose Lane, Suite 101, (239) 561-2988. fancyssoutherncafe.com. Elevated Southern favorites in a casual atmosphere.
$$ AMERICAN b o p
Flock Wine Bistro
9405 Cypress Lake Drive, Suite 1, (239) 245-7105. flockwinebistro.com. Inspired by Rome’s hipster Monti neighborhood, this wine bar offers curated vinos, obsessionworthy small plates and pizzaflatbread hybrids.
$$ WINE BAR
Harold’s
15250 S. Tamiami Trail, Suite 107, (239) 849-0622. harolds cuisine.com. Chef Harold Balink’s cozy, farm-to-table bistro and bourbon bar.
$$$ MODERN AMERICAN
Lan Xang
12995 Cleveland Ave., S Unit 133, (239) 689-8603. lanxangftmyers.com. Popular for takeout and dine-in, its pan-Asian— Japanese, Thai, Vietnamese, Indian—flavors are spot-on.
$$ PAN-ASIAN
Liberty 12995 S. Cleveland Ave., Suite 112, (239) 689-5528. eatliberty.us. Chef Bob Boye’s gem features artfully presented, progressive menus of complex small plates.
$$$ MODERN AMERICAN
MAKS Asian Kitchen & Sushi
13650 Fiddlesticks Blvd., Suite 206, (239) 985-9632. maksfl. com. Masters at sushi, the Mak brothers also prepare Japanese noodle and rice dishes.
$$ ASIAN
Mastello Ristorante & Steakhouse
7890 Summerlin Lakes Drive, Suite 101, (239) 936-3660. mastello.com. Upscale creations dished in a gorgeous dining room.
$$$ ITALIAN
Osteria Celli
15880 Summerlin Road, Suite 308, (239) 267-1310. osteriacelli.com. Pasta and open kitchen are highlights.
$$$$ ITALIAN
Two Meatballs in the Kitchen
8880 Salrose Lane, (239) 489-1111. twomeatballsmenu. com. With a second location in Cape Coral, it brings classic and house-tweaked dishes to the table, including gluten-free pasta.
$$ ITALIAN
BELL TOWER SHOPS
DaRuMa Japanese
Steakhouse & Sushi Lounge
13499 S. Cleveland Ave., (239) 344-0037.
darumarestaurant.com. Enjoy Teppan-style tableside cooking, tempura and sushi.
$$$ JAPANESE o p
McGregor's Public House
13499 S. Cleveland Ave., (239) 990-3336. mcgregors publichouse.com. Delightful interpretations of Irish cuisine made from scratch.
$ IRISH o
CENTRAL FORT MYERS
El Gaucho Inca
4383 Colonial Blvd., (239) 275-7504. elgauchoinca. com. A mix of Argentinian and Peruvian dishes with a second location in Estero.
$$$ LATIN AMERICAN o p
Farmers Market Restaurant
2736 Edison Ave., (239) 3341687. farmersmarketrestau rant.com. Southern classics and comforts at this regional mainstay. $ AMERICAN b
KJ’s Steakhouse
10950 S. Cleveland Ave., (239) 275-4745. kjsfreshgrill. com. They pride themselves on aging and searing.
$$$ MODERN AMERICAN o p
MCGREGOR CORRIDOR
Azure 15301 McGregor Blvd., Suite 1, (239) 288-4296.
azurefortmyers.com
Enjoy modernized French classics with a Southern flair.
$$$ FRENCH o
Blanc
13451 McGregor Blvd., Suite 10, (239) 887-3139. blancentertainment.com.
France meets Asia at Chef Jean Claude Rogé’s intimate restaurant. $$$ ECLECTIC
Cibo
12901 McGregor Blvd., Suite 16, (239) 454-3700. cibofortmyers.com. This popular Italian spot serves stellar food and wines.
$$$ ITALIAN
Jordan’s Wine Bar and Cellar
12901 McGregor Blvd., Suite 14, (239) 313-7056. The latest venture from chef Gloria Jordan-Cabral, with novelties and next-level sandwiches.
$$ WINE BAR
Roadhouse Café
15660 San Carlos Blvd., Suite 280, (239) 415-4375. road housecafefl.com. Try a wide range of dishes, including steak dinners.
$$$ MODERN AMERICAN
DOWNTOWN FORT MYERS
10 Twenty Five
33 Patio De Leon, (239) 208-6903. 10twentyfive.net
A from-scratch kitchen adds culinary legitimacy to its rooftop and downstairs scene
of craft cocktails, live music and clever pub fare.
$ AMERICAN b o p
Bay Street Yard 2136 Bay St., (239) 2705941. baystreetyard.com. Downtown’s new beer garden offers fresh food truck bites and thoughtfully curated cocktails in an alfresco setting.
$$ ECLECTIC o
Bruno's of Brooklyn 2149 First St., (239) 278-0211. brunosofbrooklyn.com. Acclaimed Sicilian cuisine by way of New York City, with a new address and new lunch and weekend brunch menus.
$$ ITALIAN
The Silver King Ocean Brasserie/Oxbow Bar & Grill/ Beacon Social Drinkery 2200 Edwards Drive, (239) 3143855. luminaryhotel.com. Inside Luminary Hotel & Co., find fine dining at The Silver King, riverfront eats at Oxbow Bar & Grill, Ella Mae's Diner and the rooftop Beacon Social Drinkery.
$$$ SEAFOOD o v w
The Standard Restaurant 1520 Broadway, (239) 219-6463. thestandardftmyers.com. Fromscratch eats and craft cocktails.
$$$ MODERN AMERICAN b p
The Veranda 2122 Second St., (239) 3322065. verandarestaurant.com. Fort Myers’ grande dame
provides top-notch service and Southern specialties.
$$$ MODERN AMERICAN o p v
Wisteria Tea Room & Cafe
2512 Second St., (239) 6894436. wisteriatearoom.com. A charming historic home with several prix fixe options for afternoon tea and nibbles.
$$ TEA ROOM b o
NORTH FORT MYERS
Blossom & Brie
8250 Nalle Grade Road, (239) 385-0415. blossomandbrie.com
This locale pulls raw materials for its menu and desserts from its on-site farm.
$$$ AMERICAN b o
Buckingham Farms
12931 Orange River Blvd., (239) 495-1868. buckinghamfarmsonline.com. Farm-to-table breakfast and lunch experience featuring weekly to-go dinners and a charming country store.
$$ MODERN AMERICAN b o
FORT MYERS BEACH
Fresh Catch Bistro
4761 Estero Blvd., (239) 4882400. freshcatchbistro.com. Hidden behind Publix among a marina and backwater mangroves, its menu and second-story patio views win favor. $$$ SEAFOOD o w
JWB Grille
451 Crescent Street, (239) 899-4094. margaritaville resorts.com. This eatery at Margaritaville Resort offers an array of global tastes in an elevated setting overlooking the beach.
$$$ MODERN AMERICAN w
SANIBEL ISLAND
Bleu Rendezvous
751 Tarpon Bay Road, (239) 565-1608. bleurendez
vous.com. This restaurant is lauded for authentic French fare, such as coq au vin and cassoulet. $$$ FRENCH o p
Cielo
1244 Periwinkle Way, (239) 472-5555. cielo-sanibel. com. Elevated island fare and craft cocktails.
$$$ MODERN AMERICAN v
Doc Ford’s Rum Bar & Grille Locations throughout Lee County. docfords.com. Seafood, mojitos and a namesake rum bar.
$$ SEAFOOD o p
MudBugs Cajun Kitchen
1473 Periwinkle Way, (239) 472-2221. mudbugssanibel. com. Find Cajun classics here.
$$$ MODERN AMERICAN o p
Rosalita's Cantina
975 Rabbit Road, (239) 9557673. rosalitascantina.com/ sanibel. Modern Mex cuisine in a contemporary setting.
$$ MEXICAN b
The Timbers Restaurant & Fish Market
703 Tarpon Bay Road, (239) 472-3128. timbersofsanibel. com. Fresh fish off the docks
and steaks comprise the oldschool menu in this longtime island institution.
$$$ SEAFOOD
Traders
1551 Periwinkle Way, (239) 472-7242. traderssanibel.com. A local's pick for lunch, dinner and happy hour, its consistent menu adds signature twists to fish and beef dishes.
$$$ MODERN AMERICAN o p v
Tutti Pazzi Italian Kitchen
1200 Periwinkle Way, (239) 966-7654. tuttipazzisanibel.com. Wood-fired pizzas and Italian favorites with a cozy farmhouse ambience. $$ ITALIAN

Wickies Lighthouse Restaurant
362 Periwinkle Way, (239) 472-1100. wickieslighthouse restaurant.com. Two highpowered restaurants combined to create a casual-byday, gourmet-by-night spot in a fresh, nautically themed space.
$$$ MODERN AMERICAN/ SEAFOOD b o p
CAPTIVA ISLAND
Crow's Nest Steakhouse, Old Captiva House and The Shipyard 15951 Captiva Drive, (239) 472-5161. tween-waters.com. ’Tween Waters Island Resort presents refined and casual fare in its locales.
$$$ STEAK, SEAFOOD
Keylime Bistro at Captiva Island Inn* 11509 Andy Rosse Lane, (239) 395-4000. keylimebistrocaptiva.com. A colorful island spot on Boca Grande expected to reopen on Captiva spring 2025. $$$
MODERN AMERICAN b o p
RC Otter’s Island Eats* 11506 Andy Rosse Lane, (239) 395-1142. captivaisland inn.com. Tropical-inspired breakfast, lunch and dinner with live music.
$$ AMERICAN b o p
Sunshine Seafood Cafe and Wine Bar*
11508 Andy Rosse Lane, (239) 472-6200. captivaislandinn. com. A sophisticated, beachy cafe with beloved chef Ryan Kida at the helm.
$$$ SEAFOOD
CAPE CORAL & PINE ISLAND
Café YOU
1423 SE 10th St., (239) 6000966. cafeyou2.wordpress. com. Global and gluten-free breakfast and lunch, plus monthly fine dining menus.
$ CAFÉ
Cork Soakers Deck & Wine Bar
837 SE 47th Terrace, (239) 542-6622. corksoakers. net. An irreverent tone shows in the decor and on the menu.
$$ MODERN AMERICAN b o p
Fathoms Restaurant & Bar
5785 Cape Harbour Drive, Suite 106, (239) 542-0123. fathomsrestaurant.com.
Upscale cuisine with international influences.
$$$ MODERN AMERICAN o p w
Fish Tale Grill
By Merrick Seafood
1229 SE 47th Terrace, (239) 257-3167. fishtalegrill. com. Overflowing seafood platters and diverse brunch, lunch and dinner menus, plus
an adjacent fish market, make this family-owned seafood spot shine.
$$$ SEAFOOD b o
Front Porch Social 4721 Vincennes Blvd., (239) 3478914. frontporchsocialcc.com.
A breezy, shaded patio, small plates and fab cocktails make for a perfect date spot.
$$ MODERN AMERICAN b o
Gather
5971 Silver King Blvd., Suite 116, (239) 673-9939. gather cape.com. Celebrated chefs blend Mediterranean flavors with classics.
$$$ MODERN AMERICAN b o w
Ginger Bistro
Multiple locations throughout Lee County. gingerbistrousa. com. Traditional Chinese fare and Cantonese barbecue.
$$ CHINESE
High Tide Social House
6095 Silver King Blvd., (239) 341-4441. hightidesocialhouse. com. Modern, nautical charm with coastal-inspired menus and weekly live music.
$$$ SEAFOOD o w
Jungle Bird Authentic Tiki
1520 Lafayette St., (239) 4714111. junglebirdtiki.com. Clever Pacific Rim dishes and signature rum drinks.
$$ ECLECTIC b o p
Lobster Lady Seafood Market & Bistro
1715 Cape Coral Parkway, (239) 471-0136. lobsterlady seafood.com. In addition to lobster, find sushi, crab, snapper and a whole list of local seafood.
$$$ SEAFOOD o p
Marker 92 Waterfront
Bar & Bistro/ Nauti Mermaid
5961 Silver King Blvd., (239) 541-5000. marriott.com
Bay views and entrees from two restaurants at The Westin Cape Coral. $$$ SEAFOOD b o p w
Nevermind Awesome
Bar and Eatery
927 Cape Coral Parkway E., (239) 257-9444. nevermind awesomebar.com. A legendary place with a history of off-grid sandwiches and cocktails.
$$ MODERN AMERICAN
Next Door
5971 Silver King Blvd., Suite 114, (239) 984-2453. nextdoorcape. com. From the team at Gather, Next Door elevates small dishes with focused flair.
$$$$ ITALIAN o
Nice Guys Pizza
1404 Cape Coral Parkway E., (239) 549-7542. niceguyspizza. com. It's built a cultish following for creative pizzas like the Street Corn Named Desire.
$$ MODERN AMERICAN o p
Point 57 Kitchen & Cocktails
3522 Del Prado Blvd. S., (239) 471-7785. point-57.com. A modern bar and dining space with a critically acclaimed menu.
$$$ MODERN AMERICAN b o
Prime 239 Steakhouse 11715 Cape Coral Parkway, (239) 673-8816. prime239. com. Known for the 40-ounce tomahawk power-hitter, but don't miss the creative side dishes.
$$$$ STEAK
Sage on 47th 1015 SE 47th Terrace, (239) 542-0200. sageon47th. com. A locally grown chef returns to his roots with this buzzy space.
$$ MODERN AMERICAN b o
Tarpon Lodge Restaurant 13771 Waterfront Drive, Bokeelia, (239) 283-3999. tarponlodge.com. Menus inspired by Old Florida charm and stunning waterfront views combine for exquisite dining in a historic 1920s fishing lodge.
$$$ MODERN AMERICAN o w
The Waterfront Cafe
Restaurant & Marina 2131 Oleander St., (230) 9665026. waterfrontrestaurant marina.com. A favorite for well-crafted seafood creations without pretension and dockside seating.
$$ SEAFOOD o p w

El Gaucho Inca serves Argentinian and Peruvian dishes, including lots of fresh seafood, at its Fort Myers and Estero locations.

Crowning Moments
When Yves Saint Laurent’s Rive Gauche collection made its Southwest Florida debut in Fort Myers’ Royal Palm Square in 1983, it marked a fresh era for destination shopping along the Gulf. The new shopping center impressed with its open-air design and lush courtyards—enduring qualities that still define its charm, even as the plaza now faces a transformation under new ownership. Then and now, a hat—like this broad-brimmed, bold, utterly assured YSL gesture—captured the Gulf’s elegance. Nowhere is millinery more central to the art of occasion dressing than at Hats in the Garden, Naples Botanical Garden’s highly anticipated spring event, returning March 28. From the plumed procession filling the garden each spring to the elegant society moments preserved in our archives, we see that while places and ideas evolve, certain sartorial traditions—like the perfect headpiece—only grow more captivating with time.