Operación mundo: Biología y Geología 3 ESO VAL

Page 1


Los saberes básicos del curso

Ada Jonath. Curiosa por naturaleza

Comprende, reflexiona y pon a prueba tus competencias

La nutrición y la alimentación

Louis Pasteur. Un químico entre bacterias

42

La alimentación y la sostenibilidad

Comprende, reflexiona y pon a prueba tus competencias

la función de nutrición

• Lucy Wills. Una guerrera contra la anemia

1. El aparato digestivo

2. La digestión

3. El aparato respiratorio

4. El aparato circulatorio

5. La circulación sanguínea

6. El sistema linfático y el medio interno

7. El aparato excretor

8. La salud y la función de nutrición

60

Comprende, reflexiona y pon a prueba tus competencias Porfolio

4 La función de relación

• Rita Levi-Montalcini. La dama de la neurona

1. La relación en el ser humano

2. La percepción: los sentidos

3. La percepción y la salud

4. La coordinación nerviosa

5. La salud del sistema nervioso

6. La coordinación endocrina

7. La salud del sistema endocrino

8. Las drogas y la drogadicción

9. La ejecución de la respuesta. El aparato locomotor

10. La ejecución de la respuesta y la salud

Comprende, reflexiona y pon a prueba tus competencias

5 Aparatos para la función de reproducción

• Marie-Anne Victorie Gillain Boivin. Una sabia ginecóloga.

1. La reproducción humana

2. Los aparatos reproductores

3. Los gametos humanos

4. Los ciclos del ovario y del útero

5. La fecundación, el embarazo y el parto

6. Salud y planificación reproductiva

Comprende, reflexiona y pon a prueba tus competencias

6 Vida sana

• James McCune Smith. La esperanza de un pueblo

1. La salud y la enfermedad

2. Los tipos de enfermedades

3. El medioambiente y la salud: One Health

4. La transmisión de las enfermedades infecciosas

5. El sistema inmunitario

6. Prevención y curación de enfermedades infecciosas

7. Los trasplantes y la donación

8. Los primeros auxilios

Comprende, reflexiona y pon a prueba tus competencias

Vivir en un volcán

7 La cambiante Tierra

• Alfred Wegener. Un explorador a la deriva

1. La superficie terrestre y sus cambios

2. El tiempo geológico

3. La energía interna de la Tierra y los procesos endógenos

4. El magmatismo y los volcanes

5. Las fuerzas tectónicas

6. Los riesgos geológicos

Comprende, reflexiona y pon a prueba tus competencias

8 El modelado del relieve

• Marjorie Sweeting. La gran exploradora del karst

1. El modelado del relieve

2. Los procesos geológicos exógenos

3. El modelado de las aguas de arroyada

4. El modelado de los ríos

5. El modelado de las aguas subterráneas

6. El modelado glaciar

7. El modelado del viento

8. El modelado del mar

9. Los seres vivos modelan el relieve

10. El suelo

Comprende, reflexiona y pon a prueba tus competencias

Porfolio

Exploramos nuestro patrimonio geológico

Así es tu libro

QUE DEJAN HUELLA

APERTURA DE UNIDAD

ayudarme. En 1837 me gradué en medicina siendo el primero de mi clase. A partir de entonces empecé a ejercer como ginecólogo y publiqué mis primeros artículos. ¡Los primeros escritos por un médico afroamericano! En aquella época había otro ginecólogo, Hannay, que trataba a sus pacientes de gonorrea de una forma dolorosa y, en mi opinión, ineficaz. Habría sido más fácil mantenerme al margen pero soy incapaz de ignorar esas cosas así que me puse manos a la obra. Entrevisté a pacientes de Hannay, recopilé datos sobre su tratamiento y los comparé con los de otras opciones. Fui pionero en usar la estadística para sacar conclusiones. Reuní toda mi investigación en un artículo que, para mi alivio, acabó con las prácticas de Hannay. Cuando regresé a Nueva York me recibieron como a un héroe. Abrí mi propia consulta para atender a todo tipo de pacientes, sin discriminación, monté una escuela, una farmacia y luego trabajé más de 20 años como médico de un orfanato. Publiqué decenas de artículos sobre medicina y en contra de la esclavitud y el racismo…. Aún así, nunca me admitieron en la Asociación Médica Americana. Qué se le va a hacer. Mi contribución

Situación de aprendizaje, una para cada trimestre, que te hará poner en acción los conocimientos, destrezas y actitudes que trabajarás en él, y que contribuirá a la adquisición y al desarrollo de tus competencias.

Compromiso ODS Plan Língüístico

Conoce a una figura científica. Conoce la biografía de científicas y científicos y descubre sus grandes aportaciones al conocimiento científico.

Contenidos y recursos digitales de la unidad.

Recursos relacionados con LAS CLAVES del proyecto

Pasos de la secuencia de aprendizaje correspondientes a la unidad con las explicaciones necesarias para su desarrollo.

Desarrollo del pensamiento Aprendizaje cooperativo

SABERES BÁSICOS Y ADQUISICIÓN DE COMPETENCIAS

alimentos, en el agua, en el suelo, incluso en los animales y en las personas. Estos medios son posibles fuentes de infección y de transmisión de enfermedades. La transmisión puede tener lugar: - Por contacto directo con el enfermo, como en el sida y la sífilis. - A través del aire, del agua y de objetos o alimentos contaminados, como es el caso de la gripe, el cólera o la salmonelosis.

Mediante vectores de transmisión, que, generalmente, son animales. Por ejemplo, la malaria se contagia por la picadura de un mosquito; la rabia, por la mordedura de perros infectados. Vías de entrada La entrada de los agentes infecciosos en las personas puede producirse por: - Vía cutánea. Nuestra piel puede tener cortes, arañazos u otras lesiones por los que pueden penetrar los patógenos. Estos se distribuyen a través de la sangre por todo el organismo. - Vía respiratoria. El aire que respiramos puede contener bacterias o virus que entran a través del aparato respiratorio.

- Vía digestiva. Los gérmenes penetran cuando tomamos alimentos o agua contaminados. - Vía genitourinaria. Los patógenos pueden entrar de diferentes modos, uno de ellos es por contacto sexual.

COMPRENDE, PIENSA, INVESTIGA... Enumera las vías de entrada de los agentes infecciosos. 2 Clasifica en tu cuaderno cómo se transmiten las siguientes enfermedades y busca las vías de transmisión de aquellas que no conozcas: la rabia, el cólera, la gripe, la fenilcetonuria, la psoriasis, el dengue, el ébola, la enfermedad de Chagas, la anorexia, las paperas y la candidiasis.

3 Explica

Diversas formas de representar la información (textual, gráfica, audiovisual) para ayudarte a comprender, a expresarte y ofrecerte experiencias que te motiven a participar en tu aprendizaje.

Actividades especialmente diseñadas para el desarrollo de tus competencias, en las que trabajarás con imágenes, textos, vídeos, etcétera y con las que aprenderás aplicando e investigando.

Los iconos incluidos en algunas actividades sugieren la clave del proyecto que puede aplicarse en cada caso.

CIERRE DE LA UNIDAD

Avanza 12 Responded en grupo:

b) Deduce las causas de las diferencias observadas en cuanto a esperanza de vida en las diferentes partes del mundo. c) ¿Cómo ha evolucionado la esperanza de vida a lo

Salud y enfermedad. b) Signo y síntoma. c) Diagnóstico y terapia. d) Respuesta inflamatoria y respuesta inmunitaria.

e) Fagocito y linfocito. f) Vacuna y suero.

7 Explica qué es y de qué depende la virulencia de un organismo patógeno.

8 ¿Cómo se adquiere la inmunidad específica? ¿Qué son los anticuerpos? ¿En qué consiste la memoria inmunitaria?

9 Indica si las siguientes frases hacen referencia a a) Es un método curativo.

b) Es un método preventivo.

c) Contiene anticuerpos. d) Provoca la respuesta inmunitaria en el paciente. 10 Razona si una persona ha de estar muerta para ser donante de un órgano.

11 Define célula madre e indica las ventajas de su utilización en los trasplantes.

a) Seleccionad una enfermedad sobre la que

El SIDA (síndrome de la inmunodeficiencia adquirida) es producido por la infección de un virus, el VIH (virus de la inmunodeficiencia humana). Investigad sobre diferentes aspectos de esta enfermedad y su agente causal y elaborad un mural para exponerlo en clase.

a) Efecto de la entrada del virus en el cuerpo hu-

b) Síntomas, consecuencias y tratamiento.

c) Formas de transmisión de la enfermedad. d) Prevención.

14 En la actualidad, el mal uso de los antibióticos y otros medicamentos es uno de los grandes problemas sanitarios

Organizador visual de los contenidos.

Cuestiones sobre los aspectos esenciales de la unidad, con las que podrás elaborar tu propio resumen.

Imágenes para que trabajes la observación y la interpretación.

Aplica y avanza

Reflexión sobre los avances realizados en la situación de aprendizaje correspondiente a la unidad.

Propuesta en la web una evaluación de tus competencias.

Mitos y contagios

Así es tu proyecto digital

Un proyecto que te ofrece todos los contenidos del curso a través del libro digital, junto con una gran diversidad de recursos.

Descubre otra forma de aprender sencilla, intuitiva y compatible con cualquier plataforma y dispositivo.

¿Cómo accedes?

Tienes todas las indicaciones necesarias para acceder a él junto a la primera página de tu libro.

¿Cómo es?

Una respuesta global para un entorno educativo diverso.

Intuitivo

Fácil de usar para ti.

Multidispositivo

Se adapta y visualiza en cualquier tipo de dispositivo (ordenador, tableta, smartphone...) a cualquier tamaño y resolución de pantalla.

Descargable

Te permite trabajar sin conexión a Internet y descargarlo en más de un dispositivo.

Sincronizable

Los cambios que realices se sincronizan automáticamente al conectar cualquiera de los dispositivos en los que estés usándolo.

Universal

¿Qué te ofrece?

Contiene diversidad de recursos; es mucho más que una reproducción del libro en papel.

Con ellos podrás:

Ejercitar actividades interactivas

Estudiar resúmenes interactivos, esquemas...

Compatible con todos los sistemas operativos, los entornos virtuales de aprendizaje (EVA) y las plataformas educativas (LMS) más utilizadas en los centros escolares.

Compatible con:

Aprender audios, vídeos...

Evaluar autoevaluación, porfolio

Antes de empezar

Conoce tus desafíos

¿CÓMO SON?

Son tres propuestas de situaciones de aprendizaje, una para cada trimestre:

• Pensadas para entrenar conocimientos, actitudes y destrezas y fomentar el intercambio de saberes y el desarrollo de tus competencias.

• Comprometidas con los Objetivos de Desarrollo Sostenible 2030.

• Cercanas y respetuosas con tu mundo real y tus experiencias.

• Con una estructura clara y sencilla de las tareas y actividades que tendrás que llevar a cabo.

¿CÓMO TRABAJARÁS CON ELLOS?

AL INICIO DE CADA TRIMESTRE ENCONTRARÁS:

AL INICIO DE CADA UNIDAD ENCONTRARÁS:

• Un texto motivador que te descubrirá un marco de desafíos relacionados con las unidades del trimestre.

• La propuesta de una situación de aprendizaje vinculada a uno o varios ODS.

• La secuencia de aprendizaje de la situación propuesta.

• Los pasos de la secuencia de aprendizaje correspondientes a la unidad, con las explicaciones necesarias para su desarrollo.

¿CUÁLES SON?

• Superchefs, para el primer trimestre.

• ¡Es una emergencia!, para el segundo trimestre.

• Vivir en un volcán, para el tercer trimestre.

EN LAS PÁGINAS FINALES DE CADA UNIDAD ENCONTRARÁS:

AL FINALIZAR EL TRIMESTRE ENCONTRARÁS:

• Una reflexión sobre los avances realizados en la situación de aprendizaje a lo largo de la unidad.

• Una propuesta de evaluación de tus competencias que podrás descargarte de anayaeducacion.es

Tu porfolio del desafío, con:

• Tareas de comunicación y de compromiso social.

• Otras propuestas de desafíos que te pueden interesar.

• Propuestas de instrumentos de diagnóstico, descargables de anayaeducación.es

• Una rúbrica del perfil de salida, descargable de anayaeducación.es, para autoevaluar la adquisición de competencias alcanzada.

El método científico

El método científico es una metodología específica que sistematiza la investigación y que ha permitido a la humanidad el mayor progreso en la historia de la ciencia y la tecnología.

1.1 El método científico

El método científico es un conjunto de pasos ordenados que se emplean para adquirir nuevos conocimientos.

Planteamiento del problema

Los científicos y las científicas observan el entorno de manera sistemática, lo que les conduce a plantearse problemas que requieren una respuesta y que hacen objeto de su estudio.

Elaboración de una hipótesis

A partir de la observación realizada y de la información que recopilan sobre los conocimientos previos, mediante la búsqueda bibliográfica, se elaboran hipótesis. Es muy frecuente plantear varias hipótesis diferentes, que serán aceptadas o rechazadas tras la experimentación.

Experimentación para comprobar la hipótesis

En esta etapa se diseñan experimentos, de campo o de laboratorio, que permitirán contrastar las hipótesis planteadas. Para ello, se suelen elaborar modelos, formas simplificadas del problema real, que disminuyen el número de variables a estudiar, facilitando así el estudio del problema. Generalmente, los experimentos se hacen por duplicado o triplicado para obtener datos más fiables.

Análisis de los resultados

Tras la obtención de los resultados mediante experimentación, se realiza su correspondiente análisis. De este se podrán extraer conclusiones sobre el problema estudiado. Para ello, se elaboran tablas, representaciones gráficas, etc. con los datos obtenidos, que facilitan su interpretación. Cuando es posible, se llevan a cabo estudios estadísticos de los datos, que aumentan su fiabilidad. El análisis de los resultados permite:

- Comprobar la hipótesis.

Hipótesis. Posible explicación del fenómeno observado, que deberá ser sometida a experimentación.

Variable. Factor que puede cambiar y que puede influir sobre el resultado del experimento, como, por ejemplo, la temperatura o la concentración de una sustancia.

- Refutar la hipótesis y modificarla o plantear una nueva hipótesis.

Comunicación de los resultados

Una vez aceptada la hipótesis, los investigadores y las investigadoras comunican al resto de la comunidad científica sus resultados. Para ello, redactan artículos científicos e informes. También se reúnen en congresos con otros científicos de su misma área de conocimiento, donde intercambian información.

La difusión de los resultados es clave para que otros investigadores e investigadoras puedan reproducir el experimento y validarlo, así como para poder diseñar nuevos estudios que contribuyan al avance del conocimiento.

Los pasos del método científico

Comunica tus resultados.

Ejemplos de leyes científicas

Ley de Charles y Gay Lussac

La ley de Charles y Gay Lussac postula que el volumen que ocupa una masa determinada de un gas es proporcional a su temperatura, si la presión se mantiene constante.

Leyes de conservación

Las leyes de conservación postulan que en los sistemas aislados existen magnitudes que tienen un valor constante, como, por ejemplo, la masa o la energía. Así, según la ley de la conservación de la masa y la ley de la conservación de la energía, la masa y la energía de un sistema aislado permanecen constantes, es decir, no se crean ni se destruyen, únicamente se transforman.

Energía potencial

Energía cinética

Energía potencial

1.2 Cómo es el método científico

El método científico es un proceso destinado a explicar fenómenos, establecer relaciones entre los hechos y enunciar leyes que expliquen los fenómenos físicos del mundo y permitan obtener, con estos conocimientos, aplicaciones útiles al ser humano.

Para ser llamado científico, el método debe cumplir las siguientes características:

- Ser empírico, es decir, se basa en la experimentación. Se lleva a cabo en un laboratorio o en el medio natural, en condiciones controladas.

- Ser objetivo, es decir, no se ve influido por la persona que realice el estudio.

- Ser reproducible por el resto de la comunidad científica, que debe ser capaz de repetir el estudio en las mismas condiciones y obtener los mismos resultados.

- Ser refutable, ya que no es infalible, es decir que está sometido a nuevos estudios que podrían contradecirlo.

- Ser acumulativo, ya que se basa en los conocimientos, leyes y teorías previas. La difusión de los resultados favorece la construcción del conocimiento y el avance de la ciencia.

1.3 Leyes, teorías y modelos

Cuando la comunidad científica acepta que una hipótesis es correcta y pasa a formar parte del conjunto de conocimientos contrastados y aceptados, puede formular una ley o una teoría científica.

Otras veces propone modelos para facilitar el análisis y el estudio de los fenómenos investigados.

Las leyes científicas

Una ley científica es un enunciado ampliamente demostrado, que relaciona de manera concreta dos o más variables, que son propiedades de un sistema determinado.

Las leyes suelen estar expresadas con un lenguaje formal; por lo general, en lenguaje matemático. Así, aunque una ley permite predecir acontecimientos, no explica sus causas.

Las teorías científicas

Una teoría científica es un conjunto de hipótesis demostradas que explican o definen un sistema o fenómeno determinado. Por lo general, las teorías permiten realizar predicciones sobre el sistema o fenómeno de estudio.

Las teorías científicas pueden incluir otras leyes o teorías. La formulación de una teoría implica el conocimiento contrastado que permite explicar un sistema o fenómeno. En ella se describen las variables que intervienen y su relación entre ellas, así como las condiciones bajo las cuales se puede aplicar la teoría. De las teorías se pueden deducir predicciones, que pueden ser sometidas a la experimentación.

Modelos científicos

El método científico utiliza muchas veces modelos, que facilitan la experimentación de las hipótesis propuestas. Son instrumentos muy útiles para la investigación científica. Los modelos pueden ser diversos, matemáticos, físicos, estadísticos, etc., y se utilizan para el análisis, el estudio y la simulación de sistemas o fenómenos pero de una forma simplificada, es decir, no se corresponden completamente con el sistema o fenómeno real, pero facilitan el estudio de su funcionamiento.

Un modelo científico es la simplificación teórica de un sistema o fenómeno, que facilita el estudio del sistema y la formulación de leyes y teorías.

Ejemplo de teoría científica

La teoría celular

Ejemplo de modelo científico

La teoría celular afirma que la célula es la unidad estructural, funcional y reproductora de todos los seres vivos.

La teoría de la evolución

La teoría de la evolución explica el proceso de transformación de las especies a través de cambios genéticos a lo largo de sucesivas generaciones. Actualmente, la teoría de la evolución combina las propuestas de Darwin y Wallace con las leyes de Mendel y otros avances genéticos posteriores; por eso se denomina síntesis evolutiva moderna o teoría sintética de la evolución.

Los organismos modelo

Los organismos modelo se utilizan para facilitar el estudio de seres vivos de características similares, rutas metabólicas, características genéticas, etc. Por ejemplo, los ratones y las ratas se emplean para estudiar enfermedades humanas; la levadura del pan, Saccharomyces cerevisiae, para estudios de rutas metabólicas y ciclo celular; uno de los modelos de estudios de genética es la mosca de la fruta, Drosophila melanogaster.

Modelo de la doble hélice

El modelo de la doble hélice, propuesto por Watson y Crick, para explicar la estructura del ADN.

La investigación en el laboratorio

El trabajo experimental se realiza principalmente en el laboratorio, donde se controlan y fijan las variables de estudio.

2.1 El trabajo en el laboratorio

En toda investigación que se realice en el laboratorio es necesario aplicar los pasos del método científico. Así, tras el planteamiento de la hipótesis para dar una respuesta a nuestro problema de partida, se debe realizar el diseño del experimento. Este diseño experimental requiere de las siguientes etapas:

- Determinar las variables. La variable de estudio será la que irá cambiando, mientras el resto de variables permanecerán fijas.

- Establecer experimentos control, positivos o negativos, de los que se conoce el resultado, y con los que se puede comparar.

- Definir qué datos se van a tomar y elegir el equipo o aparato adecuado para obtenerlos. Los datos son las observaciones y las medidas que realizamos durante el experimento. Los datos y las anotaciones se deben ir recogiendo en el cuaderno de laboratorio.

A continuación, se deben analizar los resultados obtenidos durante la experimentación; para ello, siempre que sea posible, se representarán los datos en forma de tablas o gráficos y se realizarán estudios estadísticos. De este análisis se podrán obtener conclusiones sobre si los datos apoyan nuestra hipótesis de partida o si necesitamos recopilar más datos o si hubo algún fallo en el experimento.

Por último, el resultado de cualquier trabajo debe ser comunicado a la comunidad científica para su conocimiento, evaluación y crítica. En general, suele publicarse un informe científico, aunque hay otras muchas formas de difundir las investigaciones; por ejemplo, a través de artículos en revistas, conferencias, etc.

La estructura de un informe científico es la siguiente:

- Título e índice. Define el tema sobre el que se realiza el informe y se nombran los apartados de los que consta.

- Introducción. Presenta el trabajo, con el objetivo que persigue.

- Diseño de la investigación. Se expone el procedimiento o método seguido, los materiales e instrumentos utilizados.

- Resultados, su análisis y las conclusiones obtenidas.

- Bibliografía. Recoge todas las fuentes consultadas para realizar el trabajo de investigación.

2.2 Materiales, instrumentos y aparatos de laboratorio

En el laboratorio existen reactivos, instrumentos y equipos necesarios para la experimentación, que por su fragilidad y/o peligrosidad requieren conocer su manejo y mantener unas medidas de seguridad adecuadas. En las tablas de las páginas siguientes se muestran los materiales y los instrumentos más habitualmente empleados durante la investigación en el laboratorio de biología y geología.

Algunos materiales de laboratorio

Recipientes de vidrio o de plástico

Se usan para contener o mezclar compuestos.

Son, por ejemplo, los vasos de precipitados, los matraces Erlenmeyer, los embudos de decantación, los tubos de ensayo, las botellas o los frascos lavadores.

Matraz Erlenmeyer

Cuentagotas

Frasco lavador

Material volumétrico graduado

Se utiliza para medir volúmenes con precisión. Pueden ser de vidrio o de plástico.

Son, por ejemplo, las probetas, las pipetas, las buretas y los matraces aforados.

Materiales de microscopía

Generalmente de vidrio, se usan para depositar, teñir o cubrir las muestras, como portaobjetos, cubreobjetos, cristalizadores y cubetas de tinción. Las tinciones se realizan con colorantes, que varían en función de lo que se quiere teñir.

Material de microbiología

Necesario para cultivar microorganismos. Incluye las asas de siembra, las placas de Petri, reactivos para preparar los medios de cultivo, etc.

Otros materiales de usos diversos

Por ejemplo, los soportes, las gradillas para tubos de ensayo, los vidrios de reloj, varillas agitadoras, espátulas, las pinzas, el bisturí, las agujas enmangadas, etc.

En todo laboratorio de investigación debe haber contenedores especiales donde se depositan los residuos que se generan tras la experimentación (vidrio, muestras biológicas, plásticos, etc.) y que permiten su correcta eliminación o reciclado.

Espátula

Bisturí

Tubos de ensayo

Vaso de precipitados

Probetas Matraces aforados

Cubeta de tinción

Portaobjetos

Cubreobjetos

Cristalizador

Asas de siembra

Nuez

Soporte

Vidrio de reloj

de Petri

Gradilla para tubos

Pipeta Pasteur

Pinza para tubos de ensayo

Varilla agitadora

Reactivos para tinción Medios de cultivo

Mortero

Contenedores de residuos Aguja enmangada

Bureta
Placas

2 La investigación en el laboratorio

Algunos instrumentos y aparatos de laboratorio

Instrumentos de medida

En el laboratorio, hay diferentes instrumentos de medida como las balanzas, los cronómetros, los termómetros, los barómetros, los higrómetros, etc.

Instrumentos de observación

Los más habitualmente utilizados son las lupas binoculares y microscopios ópticos, que son instrumentos que permiten aumentar la imagen del objeto de estudio. Las lupas se usan principalmente para observar detalles de plantas, insectos o minerales, aumentando hasta 40 veces su tamaño. Los microscopios cuentan con varios objetivos que pueden ir aumentando el poder de resolución hasta ampliar la imagen unas 1 000 veces.

Instrumentos de uso diverso

Además de los mencionados, hay instrumentos y aparatos de usos muy diversos; por ejemplo, placas calefactoras y agitadores magnéticos, mechero Bünsen, baños termostáticos, centrífugas, estufas de incubación, etc.

Placa calefactora y agitador magnético

Baño termostático

Microscopio óptico

Mechero Bünsen

Estufa de incubación de cultivos

Manómetro
Cronómetro
Termómetro
Balanza
Lupa binocular
Centrífuga

2.3 Seguridad en el laboratorio

A la hora de realizar un experimento en el laboratorio, además de utilizar los sistemas de seguridad que hay en él, es necesario adoptar una serie de normas de seguridad básicas.

Antes de empezar

- Llevar siempre la vestimenta y el equipo de protección apropiados; esto es, la bata abrochada, guantes y gafas de seguridad y mascarilla si fuera necesario.

- Leer el guion antes de comenzar cualquier experimento y asegurarse de que entendemos todo lo que se va a hacer.

- Informarse de dónde están el botiquín y el extintor por si hubiera que utilizarlos ante un accidente.

- Si se tiene el pelo largo, se debe recoger en la parte posterior de la cabeza. Además, hay que evitar los anillos, los pendientes largos o los collares en el laboratorio; se pueden enganchar y provocar accidentes.

Durante la experimentación

- Mantener la mesa de trabajo ordenada y limpia. Sobre la mesa dejar solo el guion de la experiencia y el cuaderno para anotaciones.

- No hacer experimentos que no estén planificados ni tocar materiales, instrumentos o aparatos sin autorización.

- No correr por el laboratorio y evitar los desplazamientos innecesarios mientras se realiza la experiencia.

- No comer ni beber en el laboratorio y no utilizar los recipientes de laboratorio para beber agua u otros líquidos.

Al finalizar

- Al finalizar el experimento, recoger el lugar de trabajo, limpiar el instrumental y la mesa.

- Eliminar los residuos colocándolos en los contenedores adecuados.

- Lavarse las manos con agua y jabón al salir del laboratorio.

Equipo de protección individual

Cualquier trabajo en el laboratorio debe realizarse siempre con el equipo de protección individual. Este está formado por la bata, guantes de látex, gafas de protección y mascarilla.

Bata
Gafas
Guantes

La investigación en la naturaleza

La investigación del entorno natural se lleva a cabo en el medio real, por lo que será difícil tener un control de todas las variables que intervienen en el estudio. Generalmente, el trabajo de campo comienza con la observación y recogida de muestras o datos in situ, es decir, sobre el terreno, y se complementa con el análisis de esos datos en el laboratorio, donde se pueden realizar ensayos y simulaciones mediante modelos experimentales.

3.1 La planificación de la salida

Antes de salir a observar o recoger datos del medio natural es importante:

- Establecer la época del año en la que se va a realizar la investigación, ya que puede que el fenómeno o el ser vivo a estudiar solo se vea en un determinado momento del año.

- Localizar y conocer la zona en la que se va a realizar la investigación, las condiciones del terreno, accesibilidad, y, si es necesario, solicitar permisos o autorizaciones.

- Decidir la cantidad y tipo de datos que se tomarán. En caso de llevar a cabo una toma de muestras, decidir si se hará de forma aleatoria (se cogen muestras al azar) o sistemática (se definen zonas a lo largo de un transecto o se divide una gran zona en secciones menores para tomar una o varias muestras de cada sección).

- Seleccionar el material y los instrumentos necesarios para tomar los datos y las muestras (equipo de detección y observación, recipientes para muestras, etc.), así como la vestimenta y el calzado adecuados.

3.2 La observación in situ

Cuando se investiga el entorno natural se pueden obtener diferentes tipos de datos:

- Datos cualitativos. Se registran a través de dibujos, fotografías o simples anotaciones, como, por ejemplo, las formas del relieve, el tipo de vegetación que predomina, la presencia de huellas de seres vivos, observaciones del comportamiento de determinados organismos, etc.

- Datos cuantitativos. Implican un recuento o una medida de datos numéricos, como, por ejemplo, el recuento de individuos de una especie determinada en la zona, o medidas de temperatura, humedad u otras condiciones ambientales, para lo cual se necesitará material específico (termómetro, higrómetro, anemómetro, etc.).

- Recolección de muestras. No siempre la investigación de campo termina con la toma de datos; a veces, es necesario tomar algunas muestras y completar su estudio en el laboratorio. La toma de muestras ha de hacerse de forma sostenible, de modo que el medio se altere lo menos posible, y respetando siempre la legislación. Siempre que sea posible, es mejor recoger restos o partes abandonadas como hojas o plumas caídas, nidos viejos, mudas o crisálidas, etcétera. En caso de suelo, arenas o rocas, la zona no debe quedar alterada tras la recogida. Además, las muestras deben guardarse en recipientes adecuados que se etiquetarán correctamente.

3.3 El procesado de las muestras

Muchas de las muestras obtenidas en la zona de interés deben ser procesadas y analizadas en el laboratorio mediante ensayos y técnicas, para que de esa manera, se pueda completar la investigación. A veces se trata de un simple recuento, por ejemplo, si se han recogido muestras de especímenes, o puede que sea necesaria la limpieza, filtración, tamización y posterior análisis físico-químico del material de muestreo.

3.4 Simulaciones en el laboratorio

Los datos obtenidos del medio pueden servir para hacer simulaciones en el laboratorio. Para ello, se utilizan modelos, que permiten reproducir un sistema real y llevar a cabo experiencias con él, para entender y predecir su funcionamiento. Por ejemplo, los modelos climáticos son fundamentales para entender las causas y los efectos del calentamiento global; de esta manera se pueden tomar las medidas adecuadas para minimizar sus efectos.

Un ejemplo de

Un ejemplo de modelo. El modelo climático

1. Precipitación-evaporación

2. Interacción atmósferabiosfera

3. Interacción atmósferasuelo

4. Interacción atmósferahielo

5. Interacción biosfera-suelo

6. Intercambio de calor

una investigación en la naturaleza

1 Establecer un transecto con los puntos de recogida de arena.

2 Delimitar el tamaño de las áreas de recogida y determinar la profundidad de recogida.

7. Cambios en el océano: circulación, nivel del mar...

8. Actividad volcánica

9. Actividades humanas

10. Cambios en la superficie terrestre

4 Procesar las muestras en el laboratorio.

a. Las muestras se secan extendidas a 50 °C. A continuación, se pesan.

b. Se pasan por dos tamices, uno de 5 mm y el otro de 1 mm.

mm

mm

3 Tomar diferentes muestras.

c. Se separan los microplásticos por flotación introduciendo la arena en una disolución de cloruro sódico.

d. Por último, se filtra la parte líquida y se deja secar la membrana de filtración a 50 °C.

e. Con un microscopio se hace un recuento de las micropartículas.

Equipación básica

3.5

El equipo para la investigación de campo

Cuando se va a realizar una investigación en el entorno natural es preciso ir bien preparado tanto desde el punto de vista de la indumentaria como del material para realizar las investigaciones:

Ropa y calzado adecuados. Por ejemplo, chubasquero para la lluvia, así como un sombrero o gorra para el sol.

Mochila ligera, mejor si es impermeable para poder preservar su contenido.

Botiquín de primeros auxilios con vendas, gasas, esparadrapo, desinfectantes y medicamentos para picaduras de insectos.

Teléfono móvil cargado, que puede servir de cámara fotográfica y nos permitirá estar localizados o poder comunicar con servicios de emergencia.

Instrumentos de observación

Prismáticos. Necesarios para observar fauna. Deben ser ligeros, ya que el tiempo de observación puede ser prolongado.

Cámara fotográfica. Permitirá recoger las características del paisaje, de la vegetación, registrar huellas y rastros de animales. En las fotografías es importante colocar un objeto que sirva como referencia de tamaño, como una moneda o un bolígrafo.

Lupa plegable, muy útil para observar pequeños detalles en plantas, rocas y en rastros de animales.

Telescopio terrestre y trípode, que se instalan en lugares apropiados para la observación de animales, como, por ejemplo, posaderos de aves.

Otros materiales

De orientación: mapa de la zona (mapa impreso en papel, GPS o un mapa dibujado previamente) y brújula.

De recogida de muestras: bolsas, botes, cajas u otros recipientes y etiquetas con códigos para identificar las muestras. También puede hacer falta una navaja multiusos.

De consulta y toma de datos, como, por ejemplo, guías de identificación de especímenes, libreta o cuaderno de campo y lápiz para dibujar y hacer anotaciones sobre las observaciones.

Móvil
Mochila
Ropa y calzado adecuados
Botiquín
Prismáticos
Lupa
Telescopio
Cámara fotográfica
GPS
Mapa
Brújula
Cuaderno
Bolsas
Navaja multiusos

3.6 Normas de comportamiento en el medio natural

Cuando se realiza una investigación en el campo, se deben cumplir unas normas de comportamiento y seguir algunos consejos para reducir el impacto que nuestra presencia pueda causar en el entorno.

Algunas de las recomendaciones más importantes son las siguientes:

- Planificar bien la actividad que se va a realizar.

- Llevar la indumentaria y el material apropiado al objetivo de la salida al campo.

- Evitar ir solo y, si se hiciera, comunicar el recorrido a realizar y la hora de regreso.

- Caminar siempre por los senderos indicados. No deben abrirse nuevos caminos porque pueden dar lugar a procesos de erosión y a pisar pequeñas plantas, huevos o insectos con funciones fundamentales en ese ecosistema en cuestión.

- Respetar siempre las propiedades privadas y las actividades de las personas que trabajan en la agricultura y la ganadería.

- Evitar producir ruidos o emplear radios o aparatos cuyo volumen moleste a los animales que habiten en el entorno. Tratar de pasar inadvertidos.

- No dejar basura en el campo, ni siquiera la orgánica. Llevar siempre una bolsa vacía donde ir recogiendo los desperdicios que se generen y depositarla en los contenedores adecuados.

- No cortar ni arrancar las plantas, las ramas de los árboles, etc. No coger animales, rocas, etc.

- No dar de comer a los animales del entorno, ya que esto cambia su comportamiento y sus pautas alimenticias.

- No encender fuego en el campo. Los incendios son devastadores para la vida silvestre en cualquier época del año.

- Evitar llevar objetos o envases de vidrio, el cristal puede actuar de efecto lupa convirtiendo en fuego los rayos del sol.

- No bañarse en los lagos y lagunas; son ecosistemas muy delicados y pueden verse alterados por la presencia de las personas.

- Prescindir de los productos químicos en la naturaleza, como los detergentes o los jabones.

- Dejar todo como estaba y avisar a las autoridades si hay algún desperfecto o algún animal en peligro.

• Salgo a investigar, pero sin molestar. go a investigar

• El campo dejé como lo encontré.

• Tengo cuidado, y llevo el material adecuado. engo

es a investigar,

• Si sales a compañíainvestigar, hay que llevar.

• Al caminar, sé elegante; no vayas como un elefante. egante;

• Nunca dejes basura. ¡Compórtate con altura! basur

Trabaja con la imagen Piensa en otros eslóganes para el resto de normas de comportamiento en el medio natural.

La búsqueda de información

Así es un artículo científico

TÍTULO

AUTORES Y AUTORAS

Una parte esencial del trabajo científico se basa en conocimientos previos aportados por los científicos y las científicas de todo el mundo. Por ello, resulta fundamental revisar de forma constante la información aportada por otros grupos de investigación que realizan estudios sobre el mismo tema y que, a su vez, comunican los resultados de sus investigaciones para que las conozcan otros científicos y científicas del mundo. De esta forma, se genera el conocimiento científico, en un proceso cooperativo y de intercambio constante de información.

Los avances y los descubrimientos científicos quedan reflejados en las fuentes de información científicas, que pueden ser primarias, secundarias y terciarias.

4.1 Fuentes de información primarias

Las fuentes de información primarias contienen información original. Se corresponden con publicaciones en las que quienes investigan comunican sus descubrimientos por primera vez.

Artículos científicos

Constituyen la fuente de información científica más importante. Estos artículos se publican en revistas científicas, que están especializadas en un área de investigación, como, por ejemplo, la bioquímica. Los artículos científicos utilizan un lenguaje muy técnico y en ellos se realiza una descripción muy precisa del trabajo que se expone, ya que están dirigidos a expertos en la materia. Se estructuran siempre en los mismos apartados: introducción, materiales y métodos, resultados, discusión y bibliografía.

Comunicaciones a congresos

Los congresos son reuniones de científicas y científicos de un campo concreto de investigación, como, por ejemplo, la virología. El objetivo de estas reuniones es el intercambio de información y la interacción y la discusión activa entre las personas dedicadas a investigar. En estos encuentros se exponen los últimos avances, bien de forma oral, en una conferencia, o bien exponiendo un póster.

Patentes

Son documentos que muestran una novedad tecnológica o invención al tiempo que protegen legalmente al inventor o a la inventora para que obtenga beneficio económico de dicha invención.

4.2 Fuentes de información secundarias

El objetivo de estas fuentes de información secundarias es el de facilitar el acceso a la información primaria. Para ello, recogen la información, la organizan y la estructuran, de forma que su consulta sea más rápida y sencilla. Las más importantes son las bases de datos, que median el acceso a la información a las fuentes primarias. Existen diversas bases de datos en las que buscar información, por ejemplo, Google Scholar (o Google académico), que es una base de acceso gratuito a la información sobre numerosas áreas de conocimiento; Medline, una base de datos que recoge la mayoría de las publicaciones en revistas científicas.

4.3 Fuentes de información terciarias

Las fuentes de información terciarias recopilan la información más relevante sobre diferentes temas. Son redactadas por especialistas, basándose en fuentes primarias y secundarias de información. Son los libros, las enciclopedias, etc.

Libros científicos

Estos documentos suelen utilizar un lenguaje muy técnico y recogen la información más importante sobre un tema científico concreto.

Enciclopedias

Una enciclopedia es un trabajo de investigación científica o técnica diseñado y redactado por un numeroso grupo de destacados especialistas. Abarca diferentes disciplinas científicas: medicina, botánica, zoología, ciencias de la salud.

Guías

Las guías son libros con imágenes y descripciones de seres vivos, minerales, fósiles, rastros o de rocas que pueden encontrarse regularmente en una región determinada. Su objetivo es ayudar en la identificación apropiada de una especie o de un tipo de roca.

Cómo hacer una búsqueda de información

El inglés es el idioma científico por excelencia.

Escribe las palabras, sinónimos y abreviaturas.

Para búsquedas muy generales, utiliza un buscador conocido (Google, Bing, etc.). Haz búsquedas específicas, por ejemplo, con Google Scholar.

«AND» para buscar documentos que incorporan dos o más términos simultáneamente.

«NO/NOT» para eliminar documentos que contengan algún término.

«O/OR» para buscar documentos que contienen uno u otro de los términos.

Lee el título y el resumen de los documentos para tulo quedarte con los más importantes. Contrasta la información obtenida en diferentes fuentes.

No olvides anotar cada una de las fuentes de información para luego citarlas.

TRIMESTRE 1

2

3

9

PRESENTACIÓN DE LA SITUACIÓN

Si algo nos caracteriza a los seres vivos son las tres funciones vitales que todos compartimos, una de ellas es la función de nutrición. Todos y todas necesitamos

Estos nutrientes serán procesados por nuestro organismo hasta hacerlos llegar a las células, un proceso aparentemente sencillo que implica la acción coordinada de cuatro aparatos: el digestivo, respiratorio, circulatorio y excretor; así como del

¿Qué has traído para el recreo?

Nuestro cuerpo cumple de forma precisa e involuntaria con esta función, pero necesita una ayuda voluntaria por nuestra parte: tenemos que hacerle llegar alimentos. Y no le sirve cualquier alimento. Como si fuéramos chefs disputándonos el premio de un concurso, analizaremos los alimentos que traen nuestros compañeros y compañeras al centro, estudiaremos su valor nutricional y propondremos nuevas recetas más saludables. Recuerda que una de las metas del ODS 2 Hambre

Unidad 1

Quemando calorías

Elaboramos un Nutri-score propio

Unidad 2

Superchefs: diseñando una dieta saludable

¿Qué ocurre con los alimentos dentro de tu cuerpo?

Unidad 3

SUPERCHEFS

Algunos estudios señalan que en España hay un 40 % de obesidad y sobrepeso infantil. Chicos y chicas con un exceso de peso que será más complicado reducir

Una mala alimentación en la que haya un exceso de alimentos procesados, comida rápida y escasez de alimentos frescos, frutas y verduras puede provocar graves problemas de salud. Por eso, en este reto, vas a aprender a diferenciar los alimentos nutritivos –entendiendo cómo los procesa y utiliza nuestro organismo–, investigarás qué traen tus compañeros y compañeras para comer en los recreos –situando los productos en un « » propio– y te convertirás en «superchef», diseñando dietas saludables para los recreos, promoviendo así un cambio de hábitos alimenticios en tu centro. Además, crearás un tríptico que se repartirá en tu centro para concienciar sobre la importancia de unos buenos hábitos ali-

Ayudantes en el proceso de nutrición

Organizamos la información en una infografía en forma de tríptico

Presentamos y repartimos el tríptico final

Recogida de datos y análisis de impacto

1La organización del ser humano

ADA YONATH.

Curiosa por naturaleza

Para hacer ciencia, lo esencial es tener curiosidad. Por todo. Y créeme, yo he tenido siempre de sobra. Cuando tenía cinco años intenté determinar la altura de nuestro piso y me rompí un brazo en el proceso. En serio.

Mi nombre es Ada Yonath y soy originaria de Israel. Nací en la ciudad de Jerusalén, en 1939. En mi familia nunca sobró el dinero. Mi padre murió cuando yo era una niña y tuve que hacer de todo para poder estudiar: daba clases particulares de matemáticas, cuidaba niños, limpiaba el laboratorio de química… Era cansado, pero me dio la oportunidad de aprender y desarrollar mis propias investigaciones a escondidas, así que no me quejo.

Empezar mi carrera como investigadora fue maravilloso. ¡De pronto me pagaban por hacer preguntas y buscar respuestas! Me interesé especialmente por algo que entonces parecía imposible: descubrir cómo son y cómo funcionan los ribosomas. Estas pequeñas máquinas moleculares se encargan de decodifi-

car las instrucciones del ADN de las células y usarlas para construir proteínas. ¿Pero cómo era su estructura exactamente? No teníamos ni idea.

Yo soy especialista en una técnica que consiste en crear cristales y observarlos usando rayos X. El problema era que los que hacíamos con ribosomas se rompían con suma facilidad. Pasamos años destrozando cristales hasta que por una combinación de suerte y experiencia desarrollamos la manera de fabricar cristales de ribosomas que aguantaban lo suficiente como para poder observar, por fin, los detalles de su estructura.

Este descubrimiento me valió, entre otros premios, el Nobel de Química en 2009. La verdad, no me importan demasiado los premios, lo que realmente me enorgullece es que mi descubrimiento se puede utilizar para atacar los ribosomas de las bacterias y desarrollar nuevos antibióticos con los que seguir ganando la batalla a las infecciones.

¿Qué vas a descubrir?

En esta unidad

• Ada Yonath. Curiosa por naturaleza

1. Los niveles de organización

2. La célula humana

3. La diferenciación celular

4. Los tejidos humanos

5. Órganos, aparatos y sistemas

• Comprende, reflexiona y pon a prueba tus competencias

En anayaeducacion.es

Para motivar

• Vídeo: Antes de empezar

• Conoce más a...

… Ada Yonath

Para detección de ideas previas

• Presentación: Qué necesitas saber

Para exponer

• Presentación:

Las células procariotas y eucariotas

La observación de las células

• Vídeos:

El tamaño de las células

Para ejercitar

• Actividades interactivas: Aprende jugando Ponte a prueba

• Taller de ciencias: Observa células de la mucosa

Y, además, toda la documentación necesaria para aplicar las claves del proyecto.

SECUENCIA DE APRENDIZAJE

1.1 Analizad los alimentos que habéis traído

b) ¿Son alimentos procesados o son frescos? ¿Podría considerarse comida sana?

c) ¿Créeis que lo que pasa en vuestra clase es representativo de vuestro centro o cambiaría al preguntar en otros grupos? Extraed conclusiones y anotadlas en

1.2 Elegid uno de los alimentos envasados que habéis traído. Buscad la etiqueta y leed los ingredientes; ¿sabéis lo que son y de dónde vienen? ¿Sabéis qué significan los datos de la información nutricional? Buscad qué son las biomoléculas y anotad qué datos hacen

2.1 Los hidratos de carbono, por ejemplo, se usan para generar energía que se utilizará para llevar a cabo las funciones vitales. Esto es lo que comúnmente se conoce como «quemar calorías». Buscad información para averiguar en qué orgánulo celular sucede esta «quema» de hidratos de carbono y descubre cómo sucede. Presenta la información en un esquema resumen, en tu

2.2 Imagina que el orgánulo sobre el que has investigado fuera la chimenea de una casa. ¿Con qué espacios de una vivienda podrías relacionar el resto de componentes celulares? Haz un dibujo y rotúlalo para mostrar

+ anayaeducacion.es

Los niveles de organización

Las biomoléculas forman los seres vivos

Los glúcidos

Son la principal fuente de energía de la célula. Forman parte de algunas estructuras celulares y sirven para construir otras biomoléculas.

Pueden ser complejos como la celulosa, que forma las paredes de las células vegetales; o sencillos, como la glucosa.

Los lípidos

Los lípidos son sustancias de naturaleza química muy diversa. Algunos, como los fosfolípidos y el colesterol, forman parte de las membranas celulares; otros, como los triglicéridos, son una fuente de energía y de almacenamiento energético para la célula, etc.

Las proteínas

Forman parte de las estructuras de la célula y llevan a cabo la regulación y la ejecución de la mayoría de los procesos celulares; por ejemplo, la hemoglobina de los glóbulos rojos transporta el oxígeno en la sangre; las proteínas de membrana regulan el intercambio de sustancias entre el interior y el exterior de las células, etc.

Los ácidos nucleicos

Contienen la información genética, que transmiten a la descendencia, y controlan las funciones celulares. Son el ADN (ácido desoxirribonucleico) y el ARN (ácido ribonucleico).

El ser humano está formado por materia que presenta distintos grados de complejidad, denominados niveles de organización.

Se denominan niveles de organización a cada uno de los grados de complejidad en los que se organiza la materia viva.

Los elementos de cada nivel se agrupan para formar otros niveles más complejos, con nuevas características y propiedades que van más allá de la simple agrupación de los elementos del nivel anterior.

1.1 El nivel atómico

Los átomos son las partículas más pequeñas en que puede dividirse la materia, conservando sus propiedades. Son átomos el hidrógeno (H), el oxígeno (O) o el calcio (Ca). A los átomos que forman parte de la materia viva se los denomina bioelementos.

1.2 El nivel molecular

Las moléculas son agrupaciones de átomos, unidos por enlaces químicos. Son moléculas el agua (H2O), el oxígeno (O2) o el carbonato cálcico (CaCO3). Las moléculas que forman parte de los seres vivos se denominan biomoléculas, y tienen un alto contenido en carbono.

Las biomoléculas se agrupan para realizar una función dentro de la célula. Forman los orgánulos como los ribosomas o las mitocondrias.

COMPRENDE, PIENSA, INVESTIGA...

1 Define con tus palabras bioelemento, biomolécula y enlace químico

2 Explica qué es un polímero y propón ejemplos de biomoléculas que lo sean.

Estas biomoléculas suelen ser polímeros; es decir, cadenas formadas por la unión de varias moléculas de un mismo tipo llamadas monómeros. Son los hidratos de carbono o azúcares, los lípidos, las proteínas y los ácidos nucleicos (como el ácido desoxirribonucleico o ADN).

Otras sustancias como el agua y las sales minerales tienen una estructura química sencilla. Estas se encuentran tanto en la materia viva como en la no viva.

3 Indica de los siguientes compuestos los que son exclusivos de la materia viva:

Fosfolípidos   Glucosa  Hierro

Cloruro de sodio   Potasio  Agua

ADN   Celulosa

1.3 Nivel celular

Las células son la unidad estructural y funcional de todo ser vivo; es decir, la parte más pequeña capaz de realizar las tres funciones vitales.

Todas las células humanas son eucariotas de tipo animal, aunque se especializan en más de doscientos tipos. Son células las neuronas, los glóbulos rojos, los adipocitos, los óvulos, los espermatozoides, etc.

1.4 Nivel organismo

Los tejidos son asociaciones de células semejantes especializadas en la misma función, acompañadas, en ocasiones, de otras sustancias. Ejemplos de tejidos son el tejido nervioso, el muscular o el epitelial. Los tejidos se agrupan formando órganos, que realizan una función concreta; algunos ejemplos de órganos son el corazón, los pulmones o los riñones.

A su vez, el conjunto de órganos que llevan a cabo una función común constituyen los aparatos y sistemas. Algunos ejemplos son el aparato respiratorio, el excretor o el nervioso.

Finalmente, el cuerpo humano está constituido por el conjunto de órganos, aparatos y sistemas que funcionan de forma coordinada para realizar las tres funciones vitales.

Los niveles de organización

¿A qué nivel de organización del cuerpo humano corresponden los siguientes ejemplos o agrupaciones?

a) Óvulo.

b) Corazón.

c) Conjunto formado por la boca, el esófago, el estómago, el intestino, el páncreas, etc.

d) Glucosa.

e) Mitocondria.

f) Carbono.

se unen formando como que se agrupan formando que se agrupan formando que se agrupan formando que se agrupan formando

La célula humana

Estructura de la célula eucariota animal

Citoplasma

El ser humano es un organismo pluricelular, formado por células (eucariotas de tipo animal), muy diferentes entre sí en forma y tamaño que, por lo general, presentan tres componentes fundamentales: la membrana plasmática, el núcleo y el citoplasma.

2.1 La membrana plasmática

Núcleo

Membrana plasmática

Orgánulos celulares

Membrana celular

Glúcidos

Lípidos

La membrana plasmática es una fina capa que envuelve a la célula, la protege y regula el intercambio de sustancias con el medio que la rodea.

La membrana plasmática está compuesta por lípidos, que forman una capa que rodea a la célula y en la que se insertan proteínas. Las funciones de la membrana son:

- Proteger a la célula y separar su contenido del exterior.

- Detectar los cambios que se producen en el medio y permitir que la célula responda de forma adecuada a ellos.

- Regular el intercambio de sustancias con el medio. El transporte de sustancias a través de la membrana plasmática tiene lugar mediante diferentes mecanismos, según su tamaño. Por ejemplo, sustancias pequeñas como el oxígeno pueden atravesar la membrana por sí solas; las sustancias de tamaño mediano atraviesan la membrana ayudadas por las proteínas; las sustancias más grandes no pueden atravesarla, por lo que su paso al interior celular se realiza por endocitosis, que consiste en un hundimiento de la membrana que engloba a la partícula que se va a incorporar.

COMPRENDE, PIENSA, INVESTIGA...

1 Define célula

Proteínas

2 Explica las funciones que desempeña la membrana plasmática.

3 Aunque lo más común es representar las células animales con formas redondeadas, la morfología de las células de nuestro cuerpo es muy diversa. Busca imágenes de diferentes tipos de células del cuerpo humano y dibújalas en tu cuaderno. Señala en ellas las tres estructuras comunes: la membrana plasmática, el núcleo y el citoplasma.

2.2 El núcleo

El núcleo es una estructura grande y esférica que contiene el material genético (ADN), que dirige la actividad de la célula.

El núcleo se compone de las siguientes partes:

- La membrana nuclear está atravesada por los poros nucleares, que permiten el intercambio de sustancias entre el núcleo y el citoplasma.

- El nucleoplasma está formado por un líquido acuoso, que contiene el material genético o ADN.

- La cromatina es el conjunto de todas las fibras de ADN y proteínas. Cuando la célula va a dividirse, las fibras de cromatina se enrollan y compactan, formando unas estructuras, visibles al microscopio, denominadas cromosomas.

- El nucléolo es una zona esférica del núcleo donde se fabrican los componentes de unos orgánulos celulares llamados ribosomas.

Así es el núcleo de la célula

Cromatina Nucléolo

Membrana nuclear

Poros nucleares

COMPRENDE, PIENSA, INVESTIGA...

4 anayaeducacion.es No todas las células son iguales, ni tienen la misma organización celular. Recuerda los tipos de organización celular de los seres vivos visualizando la presentación «Las células procariotas y eucariotas», disponible en tu banco de recursos, y di qué tipo de organización tienen las siguientes células:

a) Un protozoo. d) Un insecto.

b) Un hongo. e) Una bacteria.

c) Un alga. f) Un pino.

5 Dibuja el núcleo de una célula en tu cuaderno, escribe los nombres de sus componentes y las funciones que desempeñan.

6 ¿En qué dos estados puede estar el núcleo desde un punto de vista estructural?

7 Como sabes, las células tienen un tamaño microscópico. Para medirlas, se utiliza una unidad llamada micrómetro o micra (μm).

1 μ = 0,001 mm = 0,000 001 m

a) Utiliza el cursor para calcular el diámetro de la célula. ¿Cuántos micrómetros mide?

Los cromosomas (se forman por condensación de la cromatina cuando las células se van a dividir).

b) Identifica el nucléolo de esta célula e indica cuánto mide su diámetro.

c) Como la célula de la imagen tiene forma redondeada, podemos calcular su volumen como el de una esfera. ¿Qué volumen tiene? ¿Y su nucléolo?

5 μm

Interpreta una imagen de microscopía

Observa la fotografía de la célula e indica qué estructura celular se observa teñida de color verde. Describe lo que ves en la fotografía.

2.3 El citoplasma

El citoplasma es la parte de la célula contenida entre la membrana plasmática y la membrana nuclear.

El citoplasma está formado por un líquido acuoso denominado citosol, que contiene sustancias y orgánulos celulares.

El citosol está compuesto por un 70-80 % de agua y un 30-20 % de otras sustancias disueltas o en suspensión como proteínas, glúcidos, lípidos, ácidos nucleicos, sales minerales e iones. En él se producen muchas de las reacciones químicas vitales para la célula.

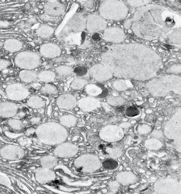
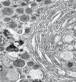
2.4 Los orgánulos celulares

Los orgánulos celulares son estructuras inmersas en el interior del citoplasma y que realizan funciones específicas a modo de «órganos».

Los orgánulos pueden ser de dos tipos: los no membranosos y los membranosos.

Los orgánulos no membranosos

Los centriolos son dos cilindros compuestos de fibras que dirigen el movimiento del citoesqueleto y de los cromosomas durante la división de la célula.

Los ribosomas son pequeñas partículas encargadas de sintetizar las proteínas. Pueden estar adheridos al retículo endoplasmático o dispersos por el citoplasma.

El citoesqueleto es una red de fibras que sostiene los orgánulos y da forma a la célula. También interviene en los movimientos celulares (constituye los cilios y los flagelos).

Los orgánulos membranosos

Las mitocondrias son estructuras ovaladas de doble membrana, con abundantes repliegues en su membrana interna. Obtienen energía para la célula mediante el proceso de respiración celular.

El retículo endoplasmático (RE) es un conjunto de canales y sáculos que sintetizan sustancias. El RE rugoso, que tiene ribosomas adheridos a su pared, participa en la síntesis de proteínas. El RE liso, sin ribosomas, interviene en la síntesis de lípidos.

El aparato de Golgi es un conjunto de sáculos aplanados que modifican las sustancias sintetizadas en el RE y las transportan en vesículas al exterior celular.

Las vesículas son pequeños compartimentos que transportan o almacenan sustancias.

1 Observa con atención las microfotografías de la derecha y responde a las preguntas:

a) ¿Son células aisladas o se trata del interior de una célula? Explícalo.

b) Utiliza el cursor que aparece en la micrografía para calcular el tamaño de la imagen A.

c) Haz un dibujo en tu cuaderno en el que representes cómo crees que será este orgánulo en 3D. Calcula su volumen.

2 Las mitocondrias son las principales productoras de moléculas energéticas de la célula. Cada una de ellas por sí sola, produce poca energía, pero muchas de ellas juntas pueden suministrar energía para hacer funcionar todo el cuerpo humano. Sabiendo que hacen falta alrededor de 1,5 · 1017 mitocondrias para producir 1 kWh de energía, calcula cuántas mitocondrias necesitarías para:

a) Cargar el móvil.

b) Poner una lavadora.

c) Jugar durante una hora a tu videoconsola favorita.

Los lisosomas son vesículas en las que se digieren partículas capturadas por la célula, gracias a sus enzimas digestivas.

μm

0,5

La diferenciación

La diferenciación celular

La diferenciación es un conjunto de cambios en la forma y la estructura de la célula que le permiten especializarse en una función determinada.

Las células de los organismos pluricelulares se forman a partir de una primera célula llamada cigoto, que se divide para formar un embrión. Al principio, todas las células del embrión son iguales, pero después van adquiriendo formas diferentes y funciones específicas; es decir, se especializan. Este proceso se llama diferenciación celular.

Así, aunque todas las células del ser humano comparten unas características básicas (por ejemplo, tienen el mismo material genético), no todas tienen la misma forma ni realizan las mismas funciones.

Una vez diferenciadas, las células que realizan la misma función y que tienen un aspecto parecido se agrupan en el organismo pluricelular para formar tejidos. Por ejemplo, las neuronas tienen un aspecto estrellado con prolongaciones del citoplasma que facilitan la recepción de los estímulos y la transmisión del impulso nervioso, y forman el tejido nervioso.

Diferenciación celular

Diseña una célula

Piensa en una función, real o inventada, que pudiera desarrollar una célula en el cuerpo humano y diseña una célula que pudiera cumplir dicha función. Debes dibujar la célula, explicar la función y qué características estructurales tiene que le permiten cumplir esa función. Para ello, ten en cuenta los siguientes consejos:

• Considera qué orgánulos debería tener para cumplir con su función.

• Dibuja una forma que tenga que ver con la función que va a desarrollar la célula. Busca información sobre funciones y formas celulares si necesitas inspiración.

• Piensa si la célula funciona de forma libre o conectada con otras para formar un tejido; si es así, ¿cómo se conectan unas a otras?

Célula madre

Fibras musculares
Glóbulos rojos
Neurona
Astrocito

Los tejidos humanos 4

COMPRENDE, PIENSA, INVESTIGA...

1 Define tejido

2 ¿Qué tejido forma parte de las glándulas sudoríparas?

3 Observa la fotografía y di qué tipo de tejido epitelial observas en ella.

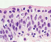
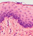
Tipos de tejidos epiteliales

Células escamosas

Un tejido es un grupo de células, de forma y estructura semejante, especializadas en realizar la misma función.

Los tejidos que forman el cuerpo humano pueden clasificarse en cuatro tipos básicos: epitelial, conectivo, muscular y nervioso.

4.1 Tejido epitelial

Los tejidos epiteliales (o epitelios) están formados por una o varias capas de células muy próximas entre sí.

Los tejidos epiteliales recubren los órganos y actúan como barreras protectoras. Los tejidos epiteliales pueden ser de dos tipos:

- Epitelio de revestimiento. Tiene una función protectora, ya que recubre tanto las superficies externas como las internas de los órganos. Por ejemplo, los epitelios que tapizan las cavidades internas que comunican con el exterior.

- Epitelio glandular. Están formados por células especializadas en producir y secretar sustancias sobre la superficie epitelial. Estas células pueden estar dispersas o formar glándulas. Por ejemplo, las glándulas sebáceas.

Epitelios simples

Células cúbicas

Epitelios estratificados

Células prismáticas

Epitelio glandular

Sustancias secretadas

Tipos de tejidos conectivos

Tejido conjuntivo

Fibras

Células rodeadas de abundantes fibras.

Células grasas o adipocitos con poca sustancia intercelular.

Tejido cartilaginoso

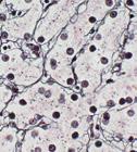
4.2 Tejido conectivo

Los tejidos conectivos están formados por células que se encuentran rodeadas por una sustancia intercelular y por fibras llamadas «matriz».

Los tejidos conectivos actúan de soporte y unión para los órganos y otros tejidos del cuerpo. Hay diferentes tipos:

- Tejido conjuntivo. Contiene una abundante matriz gelatinosa en la que hay abundantes fibras. Rellena el espacio que hay entre los órganos manteniéndolos en su lugar y forma los tendones.

- Tejido adiposo. Tiene una matriz con poca sustancia intercelular. Sus células almacenan grasa como reserva energética y aislante térmico. Se encuentra bajo la piel.

- Tejido cartilaginoso, cuya matriz es sólida y elástica. Recubre las articulaciones para evitar el desgaste y forma, por ejemplo, el cartílago de la oreja.

Células óseas u osteocitos rodeados de una matriz sólida.

Tejido sanguíneo

Matriz sólida y elástica

Condrocitos

Tejido óseo

- Tejido óseo, cuya matriz es sólida y rígida por la presencia de sales de calcio. Forma los huesos.

- Tejido sanguíneo, que tiene una matriz líquida que se denomina plasma. En él están suspendidas las células sanguíneas (los glóbulos rojos, los glóbulos blancos y las plaquetas).

COMPRENDE, PIENSA, INVESTIGA...

4 Explica qué tipo de tejido conectivo se observa en cada una de las imágenes siguientes.

Plasma sanguíneo

Glóbulos blancos

Glóbulos rojos

Plaquetas

Tejido adiposo

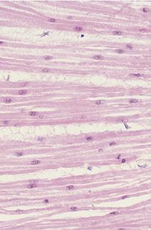
4.3 Tejido muscular

El tejido muscular está formado por células con forma alargada, que constituyen las fibras musculares, y que tienen la capacidad de contraerse y relajarse. Es responsable del movimiento del cuerpo.

Hay tres tipos de tejido muscular:

- Tejido muscular estriado esquelético. Constituye los músculos del aparato locomotor y permite su movimiento voluntario. Las células que conforman este tejido tienen varios núcleos y tienen estriaciones.

- Tejido muscular estriado cardiaco. Es el que forma las paredes del corazón. Es un tejido similar al anterior, pero sus células estriadas tienen solo un núcleo y su contracción es involuntaria.

- Tejido muscular liso. Se encuentra en las paredes de distintos órganos como el estómago o la vejiga. Su contracción es involuntaria. Las células que lo forman tienen solo un núcleo y no tienen estriaciones.

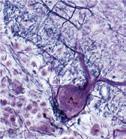
4.4 Tejido nervioso

El tejido nervioso es el principal componente de todas las estructuras que forman el sistema nervioso.

Está formado por las neuronas, células con forma de estrella especializadas en recoger y transmitir la información, junto a las células de glía que se encargan de su nutrición, defensa y soporte.

Tejido nervioso

Tipos de tejidos musculares

Tejido muscular estriado esquelético

Fibra muscular plurinucleada.

Tejido muscular estriado cardiaco

Fibras musculares similares al muscular estriado esquelético, pero con un solo núcleo.

Tejido muscular liso

Células musculares con un solo núcleo.

1 El espejo. Elabora una tabla para comparar los diferentes tipos de tejidos musculares utilizando esta técnica de pensamiento.

2 Compara el tejido de la imagen con los esquemas que has estudiado en estas páginas y justifica de qué tipo de tejido se trata.

Células de glía

Neurona

Órganos, aparatos y sistemas

COMPRENDE, PIENSA, INVESTIGA...

1 Rompecabezas. Formad grupos en clase y repartid los temas a investigar. Cada grupo, investigará sobre un órgano concreto (cerebro, corazón, estómago, intestino delgado, etc.). Sobre los siguientes aspectos:

a) ¿Qué función desempeña?

b) ¿Qué tejidos lo forman?

c) ¿Cómo son las células de estos tejidos?

Como acabas de ver, las células de un mismo tipo se organizan formando tejidos. A su vez, los diferentes tejidos se organizan en estructuras más complejas, denominadas órganos, que forman conjuntos coordinados llamados aparatos y sistemas.

5.1 Los órganos

Los órganos del cuerpo humano están formados por varios tejidos que funcionan de forma coordinada para realizar una función concreta.

Por ejemplo, el corazón bombea sangre, el riñón la limpia, los pulmones intercambian gases...

5.2 Los aparatos y los sistemas

Los aparatos y los sistemas son agrupaciones de órganos que colaboran de forma coordinada para realizar una actividad común.

El funcionamiento conjunto de los diferentes aparatos y sistemas contribuye a que el organismo lleve a cabo las funciones vitales (nutrición, relación y reproducción).

5.3 El medio interno

Una característica de los organismos pluricelulares, como el ser humano, es que la mayor parte de sus células no están en contacto directo con el medio externo y no pueden intercambiar sustancias (gases, nutrientes, desechos...) con él, como hacen las de los organismos unicelulares. Para solucionar esto, han desarrollado un medio interno.

El medio interno es el líquido que baña todas las células y que entra en contacto con el exterior a través de la sangre. Las células toman de este medio los nutrientes y el oxígeno que necesitan, y vierten a él los desechos que producen.

La homeostasis

La homeostasis es el conjunto de procesos fisiológicos que mantienen estables las características del medio interno.

Este equilibrio se consigue gracias a la acción de los distintos órganos, sistemas y aparatos del organismo. Este proceso de regulación evita alteraciones del medio interno que resultarían fatales para las células.

Medio externo

Alimentos

Nutrientes

ORGANISMO

Células de los tejidos

Oxígeno (O2)

Dióxido de carbono (CO2)

Desechos

Orina y sudor

COMPRENDE, PIENSA, INVESTIGA...

2 Indica cuál de las funciones siguientes es realizada por el medio interno:

a) Actúa de vehículo para el intercambio de sustancias.

b) Sirve de aislante térmico.

c) Sirve de protección a las células que rodea.

3 ¿Qué pasaría si…? Explica qué pasaría en nuestro organismo si no existiera el medio interno. Para conocer cómo aplicar esta llave, consulta la información correspondiente en anayaeducacion.es

La homeostasis

Observa la imagen; en ella, está esquematizado el funcionamiento del medio interno. Basándote en lo que se representa en la ilustración, elabora un texto para explicar cómo se realiza el intercambio entre los nutrientes, el oxígeno, el dióxido de carbono y los desechos entre el medio interno y el externo.

COMPRENDE

Organiza las ideas

1 Cadena de secuencias. Copia y completa en tu cuaderno la siguiente cadena de secuencias sobre los niveles de organización de la materia viva. Aprende a utilizar este organizador gráfico en anayaeducacion.es

Nivel atómico

Los átomos son ? como ?

Los bioelementos son ?

Nivel organismo El cuerpo humano es ?

Los aparatos y sistemas son ? como ?

Los órganos son ? como ?

Los tejidos son ? como ?

Nivel celular

Las células son ?

Se agrupan para realizar funciones

Haz un resumen

Se agrupan uniéndose por enlaces químicos

Nivel molecular

Las moléculas son ? como ?

Las biomoléculas son ?

Se agrupan formando orgánulos celulares como ?

Las células humanas son ? como ?

2 Elabora tu propio resumen de la unidad siguiendo este guion:

• Diferencia los niveles de organización atómico y molecular, definiendo bioelemento y biomolécula.

• Define célula y explica los niveles superiores en que se organiza.

• Explica la composición y las funciones de la membrana celular.

• Enumera los componentes del núcleo celular explicando su función.

• Elabora un listado con los orgánulos membranosos y los no membranosos, diferéncialos y di la función principal de cada uno de ellos.

• Explica en qué consiste la diferenciación celular.

• Nombra los diferentes tejidos humanos con las características principales de cada uno.

• Nombra los diferentes aparatos y sistemas que forman el cuerpo humano y la función en la que participan.

Interpreta imágenes

3 Copia este dibujo e indica a qué estructuras celulares corresponden los números. Indica la función de cada una de ellas: 1 5 3 7 2 6 4 8 9

4 Observa las imágenes de los siguientes tejidos y células y responde a las cuestiones:

a) ¿De qué tejidos se trata?

b) ¿Cuál es la función de cada uno de estos tejidos?

c) ¿Qué características tienen las células que forman estos tejidos que las hace idóneas para la función que desempeñan?

5 ¿Qué estructura celular observas en la siguiente imagen? ¿Cuál es su composición? ¿A qué nivel de organización de la materia viva corresponde?

Aplica

6 Indica a qué nivel de organización del cuerpo humano corresponden: calcio; riñón; núcleo; conjunto formado por la boca, el esófago, el estómago, el intestino, el páncreas, etc.; espermatozoide; proteína.

7 Establece las diferencias entre:

a) Núcleo y nucléolo.

b) Cromatina y cromosoma.

c) Nucléolo y nucleoplasma.

8 Elabora una tabla sobre los orgánulos celulares, indicando la forma del orgánulo, acompañada de un dibujo, y su función.

9 Copia las siguientes frases e indica el tejido al que hacen referencia.

a) Su matriz es líquida y se denomina plasma.

b) Forma las glándulas, que segregan sustancias.

c) Su matriz es sólida y elástica. Lo encontramos entre las vértebras y en la oreja.

d) Tiene una función protectora al tapizar cavidades.

e) Tiene poca sustancia intercelular y sus células almacenan grasa.

f) Sus células transmiten el impulso nervioso.

g) Sus células son alargadas y se encarga del movimiento del cuerpo.

h) Su matriz es sólida y con sales de calcio.

REFLEXIONA

Avanza

10 Lee el texto siguiente y responde:

El microscopio, un invento del siglo XVI, es una herramienta clave en el estudio de la célula. Con la aparición de microscopios cada vez más potentes se ha podido conocer la estructura celular. La «potencia» de un microscopio es su poder de resolución; es decir, la distancia más pequeña a la que dos puntos de una imagen se aprecian como puntos separados. Los microscopios ópticos utilizan la luz visible, que atraviesa la muestra proporcionando una imagen ampliada por un conjunto de lentes. Su poder de resolución es de 0,2 μm. Los microscopios electrónicos no utilizan la luz, sino un haz de electrones que, después de atravesar la muestra o rebotar en ella, son captados por una pantalla, donde se forma la imagen.

a) Indica con qué tipo de microscopio se han tomado estas imágenes de glóbulos rojos.

b) Sabiendo que el diámetro de un glóbulo rojo es de unos 5 μm, calcula el número de aumentos que proporciona cada microscopio.

En esta unidad has sentado las bases teóricas necesarias para entender cómo está estructurado nuestro cuerpo y has visto cuáles son las macromoléculas que lo componen relacionándolas con las que se encuentran en los alimentos. Reflexiona sobre tu aprendizaje rellenando el cuestionario y la rúbrica disponibles en anayaeducacion.es

AspectosTotalmente conseguido

Identifico la información contenida en la etiqueta de un alimento, y sé diferenciar los tipos de nutrientes que aparecen en ella.

Bastante conseguido

PON A PRUEBA TUS COMPETENCIAS

ConseguidoCasi conseguido

Realiza la autoevaluación competencial incluida en anayaeducacion.es

La nutrición y la alimentación

LOUIS PASTEUR.

Un químico entre bacterias 2

Me llamo Louis Pasteur, nací en 1822 en la ciudad francesa de Dôle y como estudiante fui un desastre en ciencias. Irónicamente, hoy soy uno de los científicos más conocidos de la historia. Tiene narices la cosa.

Cuando era niño destacaba en pintura, así que mis maestros me guiaron en esa dirección. Crecí con el deseo de convertirme en profesor de arte, pero mi padre, poco convencido, me obligó a estudiar también otras materias. En 1842 obtuve el título de Matemáticas en la universidad de Dijon con notas bastante mediocres en física y química. Me costó lo mío, pero en 1847 logré doctorarme precisamente en Física y Química.

A partir de entonces me gané la vida como profesor de Física en el Liceo de Dijon y después como profesor de Química en la Universidad de Estrasburgo. Por fin podía investigar algunas de las incógnitas que me planteaba, ¡y vaya si obtuve resultados!

En 1864 demostré de una vez por todas que los seres vivos no pueden formarse espontáneamente. Hasta entonces se creía que algunos materiales inertes,

como el caldo o el barro, se podían transformar en seres vivos sencillos como moscas o lombrices. A mí se me ocurrió dejar al aire un matraz con caldo de carne y poner filtros para que ningún ser vivo pudiera llegar al caldo. Como esperaba, en esas condiciones no se formaron moscas ni ningún otro ser.

Fruto de mi trabajo incansable fue también la teoría germinal de las enfermedades infecciosas. Establecía que las enfermedades infecciosas están causadas por parásitos microscópicos y que son estos gérmenes los que se transmiten entre seres vivos provocando los contagios. Para combatirlos planteé un método que lleva mi nombre, la pasteurización. Consistía en calentar las bebidas antes de consumirlas para matar los microorganismos que pudieran contener. También se me ocurrió que se podían emplear gérmenes debilitados para provocar que una persona se inmunizara contra una enfermedad, lo que me permitió desarrollar vacunas contra el cólera y la rabia.

No es por presumir, pero no está mal para un estudiante mediocre, ¿no crees?

¿Qué vas a descubrir?

En esta unidad

• Louis Pasteur. Un químico entre bacterias

1. La nutrición en el ser humano

2. Los nutrientes

3. El aporte de energía

4. La alimentación

5. Las recomendaciones dietéticas

6. Alimentación y sostenibilidad

7. La dieta y la salud

• Comprende, reflexiona y pon a prueba tus competencias

En anayaeducacion.es

Para motivar

• Vídeo: Antes de empezar

• Conoce más a... Louis Pasteur

Para la detección de ideas previas

• Presentación: Qué necesitas saber

Para exponer

• Presentación: Las vitaminas; Dónde puede haber contaminantes alimentarios; La etiqueta de los alimentos.

• Infografía: Ruedas, pirámides y rombos

Para ejercitar

• Actividades interactivas: Aprende jugando Ponte a prueba

• Taller de ciencias: Valora si una dieta es equilibrada

Y, además, toda la documentación necesaria para aplicar las claves del proyecto.

SECUENCIA DE APRENDIZAJE

3.1 En esta fase vais a analizar los alimentos que traéis a clase. En primer lugar recoged

3.2 Analizad las etiquetas y anotad si creéis

3.3 Con los datos recogidos elaborad un propio. Investigad qué es y para

3.4 Valorad vuestros alimentos con el y elaborad una infografía para expli-

4.1 Vais a diseñar dietas saludables para los recreos. En primer lugar, haced un listado con los criterios que determinan qué es una

4.2 Seleccionad alimentos saludables que pue-

4.3 Diseñad cinco comidas saludables para los recreos usando los alimentos que habéis

4.4 Valorad vuestras comidas saludables y comprobad si cumplen con todos los criterios del listado que habéis realizado. Haced las modificaciones necesarias para que

+ anayaeducacion.es

La nutrición en el ser humano

1.1 La función de nutrición

Las células de nuestro organismo no tienen capacidad para conseguir nutrientes por sí mismas y dependen de órganos, aparatos y sistemas que se los proporcionen. Los órganos especializados en la nutrición llevan a cabo los siguientes procesos:

COMPRENDE, PIENSA, INVESTIGA...

1 ¿Qué es la nutrición?

2 ¿Qué aparatos son necesarios para que los nutrientes y el oxígeno lleguen a las células?

3 ¿Qué aparatos están implicados en la eliminación de los productos de desecho y del dióxido de carbono? ¿De dónde proceden estas sustancias?

Digestivo

El aparato digestivo se encarga de transformar los alimentos en sustancias más simples, los nutrientes, y de que estos pasen a la sangre. Lo hace mediante los procesos de digestión y absorción.

Circulatorio

El aparato circulatorio, mediante la sangre, se encarga del transporte de los nutrientes y del oxígeno hasta las células, y retira de ellas los desechos llevándolos hasta los órganos excretores.

La nutrición es el conjunto de procesos que permite al ser humano obtener la materia y la energía necesarias para construir y mantener sus estructuras y realizar sus actividades.

- La obtención de nutrientes, a partir de los alimentos, y de oxígeno, a partir del aire.

- El transporte de los nutrientes y el oxígeno a las células.

- La respiración celular, que tiene lugar en las mitocondrias de las células.

- La eliminación de los desechos celulares y del dióxido de carbono, que han de ser transportados desde las células hasta los órganos encargados de expulsarlos al exterior.

1.2 Los aparatos para la nutrición

La función de nutrición la llevan a cabo, de forma coordinada, los aparatos digestivo, respiratorio, circulatorio y excretor, y el sistema linfático.

Linfático

Respiratorio

El aparato respiratorio se encarga del intercambio de gases. Toma el oxígeno del aire, que pasa a la sangre, y elimina de esta el dióxido de carbono, que es expulsado al exterior.

El sistema linfático colabora con el aparato circulatorio en el transporte de sustancias.

Excretor

El aparato excretor se encarga de eliminar de la sangre los productos de desecho de la actividad celular y expulsar estos al medio exterior. Lo forman los órganos excretores.

Los nutrientes

Clasifica nutrientes

El ser humano tiene nutrición heterótrofa; es decir, toma materia orgánica, en forma de alimentos, para obtener de ellos los nutrientes necesarios para su supervivencia.

Los nutrientes son compuestos que forman parte de los alimentos y son necesarios para el correcto funcionamiento de nuestro organismo, que los obtiene mediante el proceso de la digestión.

Los nutrientes se pueden clasificar de formas diferentes, por ejemplo, según la función que realizan, según la cantidad que se necesita ingerir de los alimentos o según la composición química.

2.1 Tipos de nutrientes según su función

- Nutrientes con función estructural o plástica. Algunos nutrientes como las proteínas, algunos lípidos, el calcio o el agua suministran al organismo materiales para la formación y renovación de las estructuras y tejidos del organismo.

Observa el organizador visual y lee el texto sobre las diferentes formas de clasificar los nutrientes para completar la tabla siguiente en tu cuaderno:

Función estructural y, ocasionalmente, energética Macronutrientes ?

- Nutrientes con función energética. Los hidratos de carbono y los lípidos son los principales nutrientes que aportan a nuestro organismo la energía necesaria para el mantenimiento de las funciones vitales. Aunque las proteínas también pueden aportar energía, desempeñan una función principalmente estructural.

- Nutrientes con función reguladora. La llevan a cabo los nutrientes que regulan los procesos metabólicos de nuestro organismo. Son, sobre todo, las vitaminas y los minerales, pero también el agua y la fibra desempeñan esta función en el organismo.

2.2 Tipos de nutrientes según

la cantidad que se necesita ingerir

- Micronutrientes. Son aquellos que el organismo necesita en cantidades muy reducidas. Los nutrientes de este tipo son las vitaminas y los minerales.

- Macronutrientes. Son los nutrientes que el organismo necesita en cantidades más grandes. Son las proteínas, los lípidos, los hidratos de carbono y el agua.

Los nutrientes esenciales son aquellos que nuestro organismo no puede sintetizar en cantidad suficiente, pero son imprescindibles para el crecimiento y el desarrollo de cada persona. Por ello, deben ser administrados en los alimentos que tomamos.

2.3 Tipos de nutrientes según su composición

Nutrientes inorgánicos

- El agua es el principal componente del ser humano, forma entre el 55 y el 70 % del peso corporal. Es un nutriente esencial por lo que es necesario ingerirla bien directamente o a través de los alimentos. Sus funciones son muy diversas: actúa como disolvente de los nutrientes, por lo que permite transportar sustancias y facilita las reacciones químicas en las células, cumple funciones estructurales, mantiene la temperatura corporal, etc.

- Las sales minerales. Destacan por su importancia: calcio, fósforo, hierro, yodo, flúor, sodio, cloro, potasio, azufre, magnesio, manganeso, cobre, cobalto, cinc, cromo, molibdeno y selenio. Tienen función reguladora; por ejemplo, el calcio en la contracción muscular o el hierro en el transporte de oxígeno a las células; y función estructural; por ejemplo, el fósforo y el calcio en los huesos.

Nutrientes orgánicos

COMPRENDE, PIENSA, INVESTIGA...

1 Elabora una tabla en la que relaciones los nutrientes con sus respectivas funciones.

2 Consulta el recurso «Las vitaminas» en tu banco de recursos en anayaeducacion.es y responde:

a) ¿Qué diferencia hay entre las vitaminas hidrosolubles y las liposolubles?

b) Explica qué funciones desempeñan la vitamina C y la vitamina A.

3 Folio giratorio. Haced una lista con las biomoléculas que componen el organismo, y otra, con los nutrientes. Comparad ambas listas y debatid en clase si lo que observáis se relaciona con la famosa frase «Somos lo que comemos».

- Los glúcidos o hidratos de carbono. Su función principal es proporcionar energía. Los más sencillos son los azúcares, como la glucosa, la fructosa y la sacarosa. Los más complejos, también llamados polisacáridos, están formados por varios cientos de azúcares sencillos unidos en largas cadenas que pueden ramificarse. Entre estos hay que destacar los llamados polisacáridos digeribles, como el almidón digerible y el glucógeno, y los polisacáridos no digeribles, que solo pueden ser utilizados en parte y constituyen lo que se denomina fibra alimentaria; por ejemplo, el almidón no digerible, las celulosas, las hemicelulosas y las pectinas.

- La fibra alimentaria. Aunque tradicionalmente se ha incluido la fibra dentro del grupo de hidratos de carbono (el 90 % de los compuestos que forman la fibra son polisacáridos), otros compuestos que son considerados fibra, como la lignina, no tienen esta estructura química. La fibra desempeña un papel esencial en la regulación de las funciones digestivas, fundamentalmente regula el tránsito intestinal y la absorción de nutrientes.

- Los lípidos. Tienen composiciones químicas muy diferentes y cumplen diversas funciones. Por ejemplo, las grasas proporcionan energía; el colesterol o los fosfolípidos forman parte de las membranas celulares; otros lípidos tienen función reguladora, como los que componen las hormonas sexuales.

- Las proteínas. Son macromoléculas formadas por la unión de moléculas sencillas llamadas aminoácidos. Tienen una función estructural, ya que constituyen el segundo componente más abundante del cuerpo. También tienen función reguladora, como las enzimas, que aceleran las reacciones químicas; función defensiva, como los anticuerpos; función transportadora, como la hemoglobina.

- Las vitaminas. Son sustancias de composición muy variada y, aunque se requieren en cantidades muy pequeñas, son esenciales para el correcto funcionamiento del organismo. Se dividen en hidrosolubles (vitamina C y vitaminas del grupo B) y en liposolubles (A, D, E y K).

2.4 Las fuentes alimentarias

de los nutrientes

Las fuentes alimentarias de los nutrientes son aquellos alimentos que contienen una mayor cantidad del nutriente en cuestión en comparación con otros.

Así, un ejemplo de fuente rica en hidratos de carbono son las patatas; de lípidos, el aceite de oliva; de proteínas, el pescado y la carne; de vitaminas, las frutas y las verduras (ver tabla más abajo).

Además de los nutrientes, los alimentos contienen una serie de sustancias no nutritivas, los llamados no nutrientes. Como se verá más adelante, algunas de estas sustancias, en ocasiones, pueden resultar perjudiciales para nuestro organismo.

Agua y otras bebidas y en forma de alimentos como frutas, verduras, pescados, etc.

Presentes en casi todos los alimentos en mayor o menor cantidad. Por ejemplo, hierro, en hígado, carnes, pescados y en legumbres, frutos secos oleaginosos, verdura; el yodo, en la sal yodada, pescados, mariscos, algas y vegetales, etc.

En frutas, miel, zumos y conservas, azúcar de mesa, cereales, legumbres, patatas y tubérculos.

Grasas saturadas: en la mantequilla, la margarina, los productos de pastelería, las galletas, las vísceras, las carnes rojas, los huevos y el marisco.

Grasas insaturadas: en los aceites de oliva, girasol, maíz, soja, pepita de uva y pescado azul.

Proteínas de origen animal: en las carnes, pescados, huevos, vísceras, leche y derivados.

Proteínas de origen vegetal: en las legumbres, soja y frutos secos.

Hidrosolubles: en carnes, pescados, hígado, huevos, leche, frutos secos, cereales, legumbres y levadura.

Liposolubles: en carnes, hígado, leche, yema de huevo, cacahuete, coco, aceites vegetales, salmón, sardina, bacalao, acelgas y las crucíferas como la col y la coliflor, etc.

Sobre todo en alimentos vegetales como verduras y hortalizas, frutas, legumbres, cereales y derivados, y frutos secos.

Analiza alimentos

Observa la composición en macronutrientes de los siguientes alimentos expresada por cada 100 g de parte comestible:

Agua: 85,7 g

Proteínas: 0,3 g

Lípidos: 0 g

Glúcidos: 12 g

Fibra: 2 g

Agua: 62,3 g

Proteínas: 21 g

Lípidos: 16,7 g

Glúcidos: 0 g

Fibra: 0 g

Mezcla de frutos secos

Agua: 4,6 g

Proteínas: 22,9 g

Lípidos: 54,1 g

Glúcidos: 7,9 g

Fibra: 7,5 g

Agua: 75,1 g

Proteínas: 1,2 g

Lípidos: 0,3 g

Glúcidos: 20 g

Fibra: 3,4 g

Agua: 87,9 g

Proteínas: 3,7 g

Lípidos: 2,7 g

Glúcidos: 4,4 g

Fibra: 0 g

Agua: 87,5 g

Proteínas: 2 g

Lípidos: 0,4 g

Glúcidos: 4,5 g

Fibra: 5,6 g

a) Ordena los alimentos de esta actividad de mayor a menor aportación de los siguientes macronutrientes: de agua, de proteínas, de lípidos, de glúcidos y de fibra.

b) Antes pensaba…, ahora pienso… Di si te ha sorprendido o no conocías algunos de los datos sobre la composición de los alimentos de esta actividad aplicando esta técnica de pensamiento. Para conocer cómo hacerlo, consulta la información disponible en el banco de recursos de anayaeducacion.es

c) Busca información sobre la composición de algunos de los alimentos que has tomado hoy en el desayuno y en el almuerzo y ordénalos de la misma forma que en el apartado a) de esta actividad.

Manzana
Carne semimagra
Plátano
Yogur
Acelgas

El aporte de energía

COMPRENDE, PIENSA, INVESTIGA...

1 ¿En qué lugar de la célula tiene lugar la obtención de energía?

2 Explica paso a paso la respiración celular.

3 ¿Para qué utiliza la célula la energía que obtiene de los nutrientes?

4 Busca información para definir metabolismo, catabolismo y anabolismo. ¿Qué tipo de proceso metabólico es la respiración celular?

Como ya se ha comentado, algunos nutrientes procedentes de los alimentos son utilizados como fuente de energía.

La célula emplea la energía obtenida de los nutrientes para realizar diversas actividades celulares, como, por ejemplo, transportar ciertas sustancias a través de la membrana, fabricar componentes celulares, realizar movimientos, etc.

El valor energético de un alimento es proporcional a la cantidad de energía que pueden aportar los nutrientes que contiene al quemarse en presencia de oxígeno; es decir, durante la respiración celular.

3.1 La respiración celular

La obtención de energía tiene lugar en el interior de las células, a través de la respiración celular, un proceso que se realiza en las mitocondrias y requiere oxígeno.

La respiración celular comprende las siguientes etapas:

- Los nutrientes orgánicos, fundamentalmente la glucosa, procedentes de la digestión de los alimentos, llegan a las células.

- Una vez en ellas, la glucosa entra en la mitocondria, junto con el oxígeno (O2) captado del aire, a través de los pulmones.

- En la mitocondria, el O2 se combina con la molécula de glucosa, que se rompe liberando la energía almacenada en sus enlaces químicos.

- La molécula de glucosa se transforma en agua (H2O), que queda en el interior celular, y dióxido de carbono (CO2), un desecho que se expulsa fuera de la célula.

De forma sencilla, la respiración celular se puede esquematizar así:

La respiración celular en la mitocondria

Nutrientes orgánicos (glucosa) procedentes de la digestión de los alimentos

O2 (procedente de la respiración pulmonar)

3.2 El contenido energético de los alimentos

Aunque la mayor parte de la energía que se obtiene procede de los glúcidos, las células pueden también obtener energía a partir de los lípidos, e incluso de las proteínas. Los lípidos son utilizados por la célula para obtener energía solo en ausencia de glucosa; las proteínas solo serán utilizadas para este fin en ausencia de glúcidos y lípidos. Cuando estos nutrientes, procedentes de los alimentos, llegan a las células, liberan la energía contenida en ellos.

La cantidad de energía liberada por los alimentos se mide en kilocalorías o en kilojulios. Siendo una caloría la cantidad de energía que hay que suministrar a 1 gramo de agua para elevar su temperatura 1 °C.

Así, cada gramo de glúcidos o proteínas aporta unas 4 kilocalorías, frente a las 9 kilocalorías que aporta un gramo de lípidos. No todos los nutrientes aportan energía; así, por ejemplo, los micronutrientes (vitaminas y minerales), el agua y la fibra no aportan energía.

Kilocaloría y caloría

1 kcal = 1 000 cal

Kilojulio y julio

1 kjulio = 1 000 julios

Equivalencias

1 cal = 4 ,186 julios

1 julio = 0,24 cal

3.3 Los requerimientos energéticos

Nuestras necesidades energéticas diarias dependen de la constitución, del sexo, de la edad y de la actividad física. Debemos tomar la energía necesaria para cubrir nuestras necesidades sin excedernos, lo que podría conducir al sobrepeso. Nuestro gasto energético total es la suma de la energía que gastamos en:

- El metabolismo basal o tasa de metabolismo basal (TMB), que es la cantidad mínima de energía necesaria para realizar las funciones del organismo en reposo; mantiene, por ejemplo, la temperatura corporal, la actividad cerebral, el ritmo respiratorio o el latido cardiaco, en ausencia de actividad física. El valor del metabolismo basal varía con la talla, el peso, el sexo y la edad de la persona. También sufre cambios durante el embarazo y la lactancia.

- La actividad física que realizamos a diario. Así las personas que llevan una vida sedentaria gastan menos energía que las que desarrollan una actividad física intensa. Además, según la actividad física, se gasta más energía o menos; por ejemplo, caminar a paso rápido consume unas 300 kcal/h y correr unas 650 kcal/h.

- La digestión y la absorción de nutrientes también tiene un requerimiento energético que no está contemplado dentro de la TMB.

Cálculo de las necesidades calóricas diarias

Hombres

TMB = (10 x masa en kg) + (6,25 altura en cm) – (5 × edad en años + 5

Mujeres

TMB = (10 x masa en kg) + (6,25 × altura en cm) – (5 × edad en años) – 161

Al resultado obtenido se le añade un factor de corrección para tener en cuenta la actividad física realizada:

– Si se lleva una vida sedentaria:

Calorías diarias necesarias = TMB x 1,2

– Si se hace ejercicio regularmente y de forma moderada:

Calorías diarias necesarias = = TMB x 1,5

– Si se hace mucho ejercicio atendiendo a la frecuencia y a la intensidad:

Calorías diarias necesarias = = TMB x 1,725

COMPRENDE, PIENSA, INVESTIGA...

5 ¿Por qué crees que las células utilizan los lípidos y no los glúcidos como almacén energético?

6 Si 100 g de zanahorias contienen 90 g de agua; 7,30 g de hidratos de carbono totales; 0,90 g de proteínas; 0,20 g de lípidos, y 2,40 g de fibra; ¿cuánta energía dará un zumo de 5 zanahorias que pesan 400 gramos?

7 Calcula tus necesidades calóricas diarias aplicando la fórmula de Harris-Benedict. El metabolismo basal diario (TMB) se puede calcular de forma aproximada de la siguiente forma mediante las ecuaciones de Harris-Benedict:

La alimentación 4

COMPRENDE, PIENSA, INVESTIGA...

1 Explica la diferencia entre alimentación y nutrición.

Algunos ejemplos de raciones

Organiza en una tabla la información que se muestra a continuación y relaciona el nombre de la ración y su medida (masa, volumen, etc.).

Líquidos

La tarrina suele contener 125 mL.

Un vaso puede contener 200-250 mL de un líquido como leche o agua.

Sólidos

Este plato de legumbres equivaldría a 60 g en crudo y 10 cucharadas en cocido.

Porción

La alimentación es el proceso por el cual se toman las sustancias (alimentos) que proporcionan los nutrientes.

La alimentación forma parte de la nutrición; aunque en este caso se trata de un proceso voluntario y consciente.

4.1 Conceptos previos sobre la alimentación

- Dieta. Conjunto de alimentos y bebidas que consumimos regularmente en una determinada cantidad o ración. Cuando se ingieren, es decir, se toman por la boca, se denominan ingesta.

- Ración. Medida aproximada y, en ocasiones, poco exacta que se emplea habitualmente para referenciar la cantidad de un determinado alimento a la hora de consumirlo como recomendación dietética o a la hora de elaborar recetas como medida culinaria. Suele expresarse en medidas de volumen o de masa, en porciones como la rebanada, la pieza... o incluso en medidas consideradas como «caseras» como la cucharada, el puñado, etc.

Una cucharada sopera contiene 20-30 mL.

Esta ración en plato de pasta equivale a 70 g en crudo.

Una porción puede equivaler a....

Un pieza.

Un puñado.

Otras medidas

Un puñado de frutos secos pueden ser 20 g.

Esta ración en plato de arroz equivale a 50 g en crudo.

Una pizca (porción muy pequeña) de, por ejemplo, mantequilla pueden ser 10 g.

Un bol de cereales pueden ser 60-80 g, 150 g si el contenido son verduras de ensalada o 240 mL si el contenido es un líquido.

Una tajada.

2 o 3 unidades que serían, aproximadamente, 100 g.

Un filete de 110-120 g.

1 o 2 huevos, según el tipo.

Un trozo de, por ejemplo, queso, equivale a 60 g.

Dos manos de verduras como las zanahorias, el brócoli o el tomate equivalen a 150 g.

Una rebanada o un trozo de 3 dedos de ancho de unos 30 g.

4.2 Alimentación saludable

La alimentación saludable es aquella que aporta al organismo los nutrientes y la energía necesarios para realizar las funciones vitales, conservar o restablecer la salud, disminuir el riesgo de padecer enfermedades, asegurar la reproducción, la gestación y la lactancia, y que promueve un crecimiento y desarrollo óptimos.

Estilo de vida saludable o dieta equilibrada o saludable son conceptos equivalentes a alimentación saludable. No se puede afirmar que exista un solo tipo de dieta para tener una alimentación saludable, ya que esta varía en función de la edad, el sexo, la actividad física, el embarazo, las enfermedades, la estación del año, la región geográfica...

LA ALIMENTACIÓN SALUDABLE DEBE SER:

Una alimentación saludable

a) Mapa mental. A continuación, se exponen algunos consejos para tener una alimentación saludable. Estructura esa información en un mapa mental en el que la «alimentación saludable» sea el tema principal del que parten las recomendaciones y amplíala. Para saber en qué consiste este tipo de organizador de pensamiento, consulta el banco de recursos en anayaeducacion.es

b) Elabora el menú de un día en el que no se cumpla ninguno de estos consejos. Justifica en cada caso, por qué no se cumple.

Consejos para tener una alimentación saludable

Suficiente. Que cubra las necesidades de energía, en función de las exigencias de las diferentes etapas o circunstancias de la vida.

Completa. Que contenga todos los nutrientes que precisa el organismo y en cantidades adecuadas.

Equilibrada. Que contenga una mayor presencia de una amplia variedad de alimentos de buena calidad nutricional como los productos frescos y de origen principalmente vegetal, y con una escasa o nula presencia de alimentos de baja calidad nutricional.

Segura. Que la presencia de contaminantes físicos, químicos o biológicos no resulte nociva para las personas sensibles o que no supere los límites de seguridad establecidos por las autoridades competentes.

Armónica. Que tenga una proporción equilibrada de los macronutrientes que la integran.

Satisfactoria. Que sea agradable y sensorialmente placentera.

Adaptada. Que se ajuste a las características individuales, sociales, culturales y del entorno.

Social y asequible. Que permita la interacción social y la convivencia, y que sea económicamente viable.

Sostenible. Que su contribución al cambio climático sea la menor posible y que priorice los productos autóctonos.

• Tiene que aportar la energía necesaria. Un 55 % debe proceder de los glúcidos, un 30 % de los lípidos y un 15 % de las proteínas.

• Debe ser variada y tener la proporción adecuada con:

– Alimentos que contengan todos los tipos de nutrientes

– Cinco raciones de frutas y verduras al día, que aportan vitaminas, minerales y fibra vegetal.

– Sin abuso de alimentos ricos en proteínasy grasas, en cuyo caso son mejores las de origen vegetal o las procedentes del pescado azul (atún, sardina, boquerón, salmón, etc.).

• Debe incluir al menos litro y medio de agua al día y evitar el exceso de sal

• Conviene realizar cinco comidas al día, desayuno y almuerzo, más energéticos; y comida, merienda y cena, más ligeros.

Las recomendaciones dietéticas 5

Existen multitud de formas de presentar las recomendaciones para seguir un estilo de vida saludable; entre estas, las más destacadas y conocidas son la rueda de los alimentos, la pirámide de la alimentación saludable, el patrón alimentario saludable, etc. Todas ellas, además se complementan con la recomendación de realizar ejercicio físico y tener una hidratación suficiente y adecuada.

5.1 La rueda de los alimentos

La rueda de los alimentos

¿Por qué los grupos V y VI de alimentos se presentan sobre fondo verde y los grupos I y II sobre fondo amarillo? ¿Por qué el sector del grupo IV es más pequeño que el sector del grupo I?

Color del sector Grupo de alimentos

Función

I, II Energética

III, IV Plástica

V, VI Regulador

Grupo I. Incluye los cereales y sus derivados, como el pan o la pasta, las patatas y el azúcar. Son alimentos ricos en glúcidos, con función energética.

La rueda de los alimentos es una representación gráfica de la cantidad y del tipo de alimentos que debe incluir una dieta equilibrada, incluyendo además los consejos relacionados con la actividad física y la hidratación. En ella, los alimentos se distribuyen en seis sectores de distintos colores (amarillo, rojo y verde), que son indicativos del grupo de alimentos (hay seis), de la función que desempeñan los nutrientes que predominan en ellos (energética, plástica o reguladora); y de la frecuencia y la cantidad en la que han de consumirse (cuanto más grande sea el sector mayor ha de ser su consumo).

Esta es una de las representaciones más utilizadas para hacer recomendaciones dietéticas; por ejemplo, es una de las propuestas de la Sociedad Española de Dietética y Ciencias de la Alimentación.

Grupo II. Incluye los aceites y las grasas, como la mantequilla. Son alimentos ricos en lípidos, con función energética.

Grupo VI. Incluye las frutas frescas. Son alimentos ricos en sales minerales y vitaminas, con función reguladora.

Grupo III. Incluye las carnes y los pescados, los huevos, las legumbres y los frutos secos. Son alimentos ricos en proteínas, con función plástica.

Grupo IV. Incluye la leche y sus derivados, como el queso. Son alimentos ricos en proteínas, con función plástica.

Grupo V. Incluye las verduras y las hortalizas. Son alimentos ricos en sales minerales y vitaminas, con función reguladora.

5.2

La pirámide de la alimentación saludable

La Sociedad Española de Nutrición Comunitaria, conocida por su acrónimo SENC, plasma su recomendación en la pirámide de la alimentación saludable. En ella, hay seis niveles que representan estilos de vida, conductas relacionadas con la alimentación y la salud, y frecuencia de consumo de los alimentos:

- La base: los estilos de vida saludable como la actividad física, el equilibrio emocional, la hidratación adecuada, etc.

- Los siguientes tres niveles: alimentos que deben consumirse a diario.

- El quinto nivel: alimentos que deben consumirse semanalmente.

- Y el sexto: alimentos cuyo consumo ha de ser ocasional y moderado.

Ocasionalmente y con moderación

Semanal

COMPRENDE, PIENSA, INVESTIGA...

1 Consulta el recurso «Ruedas, pirámides y rombos de la alimentación» del banco de recursos de anayaeducacion.es y di en qué se basa cada una de las clasificaciones y recomendaciones.

2 1-2-4. Sabiendo qué hay que comer y cuánto, elaborad un menú saludable para una semana.

Lácteos: 2-3 al día

Resto: < 3 al día

Verduras: 2-3 al día

Frutas: 3-4 al día

A diario

Mantener estilos de vida saludables

Según el grado de actividad física

Hidratación adecuada

5.3 El patrón alimentario saludable

La pirámide de los alimentos

En la pirámide de la alimentación, además de indicarse la frecuencia de los alimentos, conducta relacionadas ción, como la fracción cinco comidas alimentos ocurre ayude a tener una alimentación saludable?

Las recomendaciones alimentarias también se hacen en forma de listado o patrón con consejos para seguir un estilo de vida saludable:

Tomar alimentos nutritivos y variados; consumir al día:

• 4-6 raciones de legumbres, tubérculos o frutos secos.

• 2-4 raciones de estos grupos de alimentos: cereales y derivados; frutas; y carnes, pescados y huevos.

• 2-3 porciones de lácteos.

• 40-60 g de grasas.

ámide de la alimentación, adeecuencia de consumo os, se proponen normas de elacionadas con la alimentación de la ingesta en al día, el consumo de os de cercanía, etc. ¿Se te e alguna conducta más que ener una alimentación ? Propón, al menos,

Y seguir consejos como: c realizar 3-5 comidas al día, ealizar 3-5 realizar c procurar consumir produc- ar pr ocur onsumir oduc- pr c tos de cercanía, comer en os de c omer en canía, c tos cer compañía, cocinar… cocinar ompañía,c

• Mantener una adecuada hidratación mediante el consumo de agua, infusiones, caldos, frutas, verduras...

• Procurar que las proteínas y las grasas consumidas sean de origen vegetal, de pescados azules o carnes blancas; o aceites de oliva.

• Limitar el consumo de alimentos ricos en grasas saturadas, bebidas con azúcares añadidos y sal.

Equilibrio emocional Balance energético
Técnicas culinarias saludables Actividad física

La alimentación y la sostenibilidad

Algunos alimentos de la dieta mediterránea

Investiga sobre estos típicos platos de la dieta mediterránea e indica qué características les hacen pertenecer a ella.

Según la FAO, la Organización de las Naciones Unidas para la Alimentación y la Agricultura, las dietas sostenibles son aquellas que, además de criterios relacionados con la nutrición y la seguridad alimentaria, tienen en cuenta el componente medioambiental.

Las dietas sostenibles son aquellas que generan un menor impacto ambiental.

Las dietas sostenibles protegen y respetan la biodiversidad y los ecosistemas, y cumplen los criterios de alimentación saludable. Son culturalmente aceptables, accesibles; económicamente justas y asequibles; nutricionalmente adecuadas e inocuas y optimizan los recursos naturales y humanos.

Algunos ejemplos de dietas sostenibles próximas a nuestro entorno son la dieta mediterránea y la dieta atlántica.

6.1 La dieta mediterránea

La dieta mediterránea es tradicional de la región del mismo nombre. Es un ejemplo de alimentación saludable.

La base de la dieta mediterránea son las verduras, el aceite de oliva, el pescado, los cereales, las legumbres, las patatas, las frutas, el yogur y las leches fermentadas, así como el agua.

La dieta mediterránea

Haz un listado con todo lo que has comido en los últimos 7 días y responde a las siguientes cuestiones.

a) Anota al lado de cada plato cuál podría considerarse como parte de la dieta mediterránea.

b) Los platos que no forman parte de la dieta mediterránea, ¿se pueden considerar platos saludables? Justifica tu respuesta.

c) Si en tu listado hay algún plato que pudiera considerarse como no saludable, ¿cómo podrías sustituirlo por algo que sí lo fuera?

d) Planifica un menú para 3 días que cumpla con las normas de una dieta saludable y especifica si hay algún plato que pudiera considerarse parte de la dieta mediterránea.

Es importante mantener la dieta mediterránea pese a los obstáculos de hoy en día (falta de tiempo para comprar y cocinar...), ya que evita enfermedades relacionadas con la nutrición como la obesidad, las enfermedades cardiovasculares, la diabetes y algunos tipos de cáncer. Sus principales características son:

- Las recetas cuya base son los cereales, las legumbres o las patatas (pasta, arroz, lentejas, alubias, garbanzos, guisos, etc.) y que incluyen abundantes verduras (judías, zanahorias, cebollas, espinacas, etc.) y pocas proteínas.

- Las principales fuentes de proteínas son el pescado, las aves de corral, los huevos y los productos lácteos. El consumo de carnes rojas, como cerdo y ternera, es mucho menor.

- Las comidas principales se acompañan de ensaladas, con verduras y hortalizas: lechuga, tomate, pepino, etc., y se finalizan con fruta de temporada.

- Se utiliza el aceite de oliva y condimentos, como ajo, perejil, limón, orégano o pimienta, que disminuyen la necesidad del uso de sal.

6.2 La dieta atlántica

Otro ejemplo de dieta sostenible y saludable es la dieta atlántica. Esta tiene muchas similitudes con la dieta mediterránea; algunas de ellas son:

- La principal grasa culinaria es el aceite de oliva.

- Abundan los alimentos de origen vegetal como el pan, las patatas, las legumbres y las frutas y verduras.

- Hay un elevado consumo de huevos y lácteos, y un moderado consumo de carnes frente a un mayor consumo de pescados y mariscos.

La dieta atlántica es típica de los países bañados por el océano Atlántico en las que predomina el consumo de pescados y mariscos, patatas, cereales, legumbres, frutas y hortalizas como el repollo, las berzas y los grelos, entre otros.

6.3 Otras dietas sostenibles y saludables

Además de las dietas mencionadas existen otras maneras de tener una alimentación saludable que también cumplen con los criterios de sostenibilidad establecidos. Todas ellas priorizan alimentos obtenidos siguiendo un modelo de producción más sostenible con medidas como:

- Tener en cuenta la procedencia y la temporalidad de los alimentos a la hora de consumirlos, favoreciendo los que se producen en el entorno cercano y su fecha de obtención. Por ejemplo, son de invierno la calabaza, las alcachofas, la lubina; de verano, la sandía, el atún...

- Utilizar como fuente de lípidos y proteínas alimentos de origen vegetal como el aceite de oliva o de girasol, el aguacate, la avena, los frutos secos, las legumbres como los garbanzos, las lentejas...

- Limitar el consumo de determinados alimentos como las bebidas azucaradas, los aperitivos salados o los envasados en plástico.

- Utilizar técnicas culinarias más saludables y sostenibles que requieren un menor consumo de energía, ayudan a prevenir enfermedades... Por ejemplo, favorecer el consumo en crudo de los alimentos, reducir el consumo de sal o de azúcar al utilizar como aliño o condimento hierbas aromáticas, ajo, limón, canela...

COMPRENDE, PIENSA, INVESTIGA...

1 La dieta mediterránea ha sido declarada Patrimonio Cultural Inmaterial de la Humanidad. Investiga y di qué significa este reconocimiento y cuándo y por qué ha sido otorgado.

2 Elabora un calendario con alimentos de temporada; incluye, al menos, una fruta, una verdura y un pescado para cada mes.

3 Propón maneras de reducir el consumo de sal y de azúcar.

4 Mapa conceptual sistémico. Completa, amplía y relaciona las ideas del organizador de la derecha sobre maneras de llevar una alimentación sostenible y saludable. Para saber en qué consiste este organizador gráfico consulta el banco de recursos en anayaeducacion.es

Un alimento tradicional y saludable

El pan es uno de los alimentos estrella nutricionalmente hablando. Ha sido base de la alimentación tradicional de nuestro entorno. Es muy recomendable el elaborado a la manera tradicional, con harinas integrales y poco refinadas, y con un bajo contenido en sal.

te de oliva, Predominan el aceite de oliva, Predominan el acei los pescados, las frutas y las verduras como ? ; las legumbres como ? , los cereales como ?

La dieta y la salud

Muchos aspectos de la salud pueden ser mejorados si se adoptan estilos de vida saludables. Por ejemplo, pueden prevenirse enfermedades como el cáncer, la aterosclerosis, el ictus, etc.

La falta de glóbulos rojos es un tipo de anemia que puede prevenirse si se lleva una dieta saludable y variada. La enfermedad provoca debilidad y cansancio.

La forma de alimentarse, en cuanto a tipología de alimentos, variedad, cantidad, componentes..., tiene efectos sobre la salud de las personas. Por estos efectos sobre la salud, la dieta está relacionada con la seguridad alimentaria.

La seguridad alimentaria es el acceso de todas las personas y en todo momento a alimentos nutricionalmente adecuados e inocuos en cantidad y calidad suficientes para llevar una vida activa y sana.

Estos efectos pueden ser positivos si contribuyen a tener un buen estado de salud (ayudan a prevenir o a curar enfermedades, por ejemplo) o negativos si, por el contrario, son la causa de enfermedades relacionadas con la falta o el exceso de nutrientes y energía como la malnutrición, o con la presencia de sustancias que pueden causar daños, lo que haría perder al alimento su cualidad de inocuo, como es el caso de las intoxicaciones alimentarias.

7.1 La malnutrición

La malnutrición está causada por una dieta inadecuada con déficit o superávit de nutrientes o energía, que provocan alteraciones como la desnutrición o la sobrenutrición, las enfermedades carenciales...

La desnutrición

Se produce por una ingesta inadecuada de alimentos que deriva en la falta de energía, lo que ocasiona que el cuerpo utilice las reservas de glúcidos y lípidos y, en los casos más graves, la pérdida de las propias proteínas, que puede conducir a la muerte.

COMPRENDE, PIENSA, INVESTIGA...

1 ¿Cuáles son los peligros de tomar a menudo un exceso de alimentos y llevar una vida sedentaria?

2 Diferencia malnutrición y desnutrición.

3 Busca el significado de estos términos relacionados con la malnutrición: raquitismo, marasmo, caquexia y emaciación.

4 ¿Dónde crees que hay más frecuencia de xeroftalmía o ceguera infantil, una enfermedad causada por la falta de vitamina A? Propón, al menos, una medida para evitarla.

Entre los trastornos de este tipo está el raquitismo; la anorexia nerviosa, un trastorno psicológico con graves consecuencias para la salud que se caracteriza por el rechazo a alimentarse por miedo a engordar; y la bulimia, otra enfermedad mental que se caracteriza por el deseo compulsivo por la comida, el consiguiente atracón y la posterior purga, normalmente mediante vómito, por la culpa, el miedo a engordar, etc.

La sobrenutrición

Se produce normalmente por una ingesta excesiva de alimentos, nutrientes y energía que acaba almacenándose provocando, en la mayoría de los casos, efectos negativos para la salud de las personas.

Uno de los efectos más habituales de este tipo de malnutrición es la obesidad, enfermedad caracterizada por la acumulación del exceso de grasa corporal que además está relacionada con el padecimiento o el agravamiento de otras enfermedades como las cardiovasculares (la aterosclerosis), el cáncer, la diabetes, etc.

Las enfermedades carenciales

Están producidas por una dieta poco variada o insuficiente, en la que faltan determinados nutrientes. Las más frecuentes son las avitaminosis (falta de vitaminas) o la anemia por deficiencia de hierro.

7.2 Las alergias e intolerancias alimentarias

Algunas personas muestran reacciones adversas (intolerancias o reacciones alérgicas o de defensa ante sustancias que deberían ser inocuas) al ingerir algunos alimentos. Las más comunes son la intolerancia a la lactosa, que es un azúcar de la leche, y la celiaquía, o intolerancia al gluten, que es una proteína presente en el trigo. Las alergias alimentarias más frecuentes son a los frutos secos, el huevo o el marisco.

7.3 Las enfermedades y la higiene alimentaria

Algunas veces, en los alimentos puede haber sustancias o microorganismos que pueden causar daños en la salud de las personas que los consumen provocando enfermedades de transmisión alimentaria o intoxicaciones alimentarias...

La presencia de estas sustancias contaminantes está relacionada con el mal estado de los alimentos. Normalmente, esa contaminación se produce en alguna de las etapas de la cadena alimentaria (proceso que va desde la producción al consumo) o se debe a la contaminación ambiental. La legislación establece las cantidades máximas permitidas para este tipo de sustancias.

De las medidas de higiene alimentaria destacan el lavado de los alimentos que se consumen crudos, la limpieza de los objetos que se utilizan para cocinar o comer, la conservación en frío de los alimentos que necesitan refrigeración, etc.

Los contaminantes de los alimentos, dependiendo de su origen, pueden ser: biológicos, químicos o físicos.

Contaminantes biológicos

Las medidas encaminadas a garantizar el buen estado de los alimentos evitando la presencia de sustancias que causan enfermedades se denomina higiene alimentaria.

- Organismos causantes de enfermedades como la bacteria Salmonella, que causa la salmonelosis, el gusano Taenia solium, que causa la teniasis, las larvas del gusano Anisakis que provoca la enfermedad del mismo nombre, etc.

- Toxinas como la toxina botulínica que causa el botulismo y que está producida por la bacteria Clostridium botulinum o la aflatoxina producida por ciertos hongos de la familia Aspergillus.

Contaminantes químicos

- Algunos aditivos alimentarios pueden tener efectos nocivos.

- Otras sustancias como los pesticidas o los metales pesados como el plomo o el mercurio, ejemplos de contaminantes ambientales, se relacionan con enfermedades como el cáncer, ciertas alteraciones neurológicas, etc.

Contaminantes físicos

A veces, en los alimentos puede haber restos de vidrio, metal, madera..., que pueden producir heridas en la persona que los consume.

COMPRENDE, PIENSA, INVESTIGA...

5 Haz una lista de cinco alimentos que no pueden tomar las personas con intolerancia a la lactosa y las personas con celiaquía.

6 ¿Qué son los aditivos alimentarios? Averigua qué son y nombra, al menos, un ejemplo.

7 La predicción. ¿Qué puede pasar si no lavas o pelas la fruta que vas a tomar, aunque la pieza esté limpia en apariencia?

8 Consulta «En qué alimentos puede haber contaminantes alimentarios» en tu banco de recursos en anayaeducacion.es. Después, relaciona las sustancias o los microorganismos causantes de enfermedades que se citan con los alimentos de este plato en los que pueden encontrarse.

Contaminantes biológicos

Contaminantes químicos

Contaminantes físicos

Salmonella
Restos de vidrio Pesticidas
Taenia solium
Mercurio
Toxina de Aspergillus
Anisakis

COMPRENDE

Organiza las ideas

1 Rueda de atributos. Copia y completa en tu cuaderno el siguiente organizador visual. Aprende a hacer una rueda de atributos con el recurso disponible en anayaeducacion.es

Debe aportar la energía necesaria ?

Realizar cinco ? Tiene que ser variada ?

Beber ?

Las más energéticas ? y las más ligeras ? ? ? ?

Haz un resumen

Evitar ?

2 Elabora tu propio resumen de la unidad siguiendo este guion:

• Define nutrición y nombra y explica brevemente los procesos necesarios para llevarla a cabo.

• Cita los aparatos implicados en la nutrición, especificando la función de cada uno de ellos.

• Nombra las funciones de los nutrientes.

• Explica qué tipos de nutrientes hay según su composición química.

• Explica por qué los requerimientos energéticos no son los mismos para todas las personas.

• Di en qué consiste una alimentación saludable.

• Comenta cómo es y para qué sirve la rueda de los alimentos.

• Comenta cómo son y para qué sirven la pirámide y el patrón alimentario.

• Explica qué características deben tener las dietas sostenibles y di dos ejemplos de este tipo de dietas.

• Nombra los tipos de malnutrición y explícalos brevemente.

• Explica en qué consiste una intolerancia alimentaria.

• Di qué consecuencias tiene para la salud una mala higiene alimentaria.

Interpreta imágenes

3 Observa las imágenes siguientes y responde:

a) ¿Qué nutrientes se representan en las imágenes?

b) ¿Cuál es su función en el organismo?

c) ¿De qué alimentos podemos obtenerlos?

4 En las siguientes gráficas aparece la composición de cuatro tipos de alimentos. Compáralas y trata de asignar cada una a uno de estos alimentos. a) Mantequilla b) Fresas c) Pechuga de pollo d) Pasteles. Justifica tu respuesta.

5 Observa las siguientes imágenes de alimentos y contesta:

a) ¿De qué nutrientes son fuentes alimentarias?

b) ¿Qué funciones desempeñan en el organismo los nutrientes que contienen?

c) ¿Cuáles de estos alimentos deben consumirse a diario y cuáles ocasionalmente?

Agua Proteínas Lípidos Hidratos de carbono Fibra

Aplica

6 Establece las diferencias entre:

a) Alimentación y nutrición.

b) Nutriente orgánico e inorgánico.

c) Macronutriente y micronutriente.

d) Puñado y porción.

7 Copia y corrige las siguientes frases falsas relativas a los nutrientes:

a) El agua es necesaria por su aporte energético.

b) Las vitaminas son necesarias en grandes cantidades.

c) Las frutas son alimentos muy ricos en lípidos.

d) Las proteínas están formadas por aminoácidos y solo tienen función defensiva.

8 Clasifica los siguientes alimentos según tengan función plástica, energética o reguladora: pimiento, filete de pescado, chocolate, fruta, pastel de manzana y huevo.

9 Di cuáles son las raciones diarias más adecuadas de los siguientes alimentos:

a) Arroz o patatas o cereales. e) Agua

b) Aceite de oliva. f) Verduras

c) Fruta. g) Legumbres

d) Carne o pescado.

10 Explica en qué consisten la anorexia y la bulimia e indica sus consecuencias.

REFLEXIONA

Avanza

11 Explica el significado de la siguiente oración: «Existen muchas formas diferentes de alimentarse, pero solo una manera de nutrirse».

12 Elabora una dieta basada en tu alimentación diaria. Debes anotar todo lo que tomas y las cantidades aproximadas de cada alimento. Después, responde:

a) Recuerda la información del recurso «Tabla nutricional de los alimentos» que está en el banco de recursos de anayaeducacion.es y di los nutrientes y el contenido energético de los alimentos que forman parte de la dieta que has elaborado.

b) Calcula el contenido energético de tu dieta diaria.

c) Estudia tu dieta y analiza si cumple con los requisitos de una dieta equilibrada.

13 Investiga qué alimentos se podían encontrar en la Edad Media en España. Haz un listado con algunos de ellos y elabora el menú de un día. Compáralo con uno de la actualidad y comenta las diferencias desde el punto de vista de la alimentación saludable y sostenible. Para facilitar tu respuesta, ten en cuenta estos aspectos:

– Variedad de alimentos.

– Origen de los alimentos.

– Higiene alimentaria.

Hemos identificado los nutrientes presentes en la comida que traemos a clase. Además hemos creado un sistema de clasificación y comprobado cómo de saludables son nuestros hábitos alimenticios. También hemos puesto en práctica nuestros conocimientos sobre dietas saludables haciendo propuestas sanas y nutritivas. Reflexiona sobre lo que has aprendido rellenando el cuestionario y la rúbrica correspondiente, disponibles en anayaeducacion.es

AspectosTotalmente conseguido

Comprendo el contenido energético de un producto, relacionándolo con las necesidades energéticas de un individuo

Bastante conseguido

PON A PRUEBA TUS COMPETENCIAS

ConseguidoCasi conseguido

Realiza la autoevaluación competencial incluida en anayaeducacion.es

Aparatos para la función de nutrición

LUCY WILLS.

Una guerrera contra la anemia

¿Sabes cuál ha sido la idea más feliz que he tenido en toda mi carrera? Dar Marmite a un mono desnutrido. El Marmite es un alimento típico de mi país, Inglaterra. Es una especie de crema para untar que se fabrica con extracto de levadura y que se obtiene como subproducto en la fabricación de cerveza. Puede parecerte un experimento tonto, pero sus resultados han salvado la vida de miles de mujeres. ¿No me crees? Deja que te cuente.

Soy Lucy Wills. Nací en 1888 en Royal Sutton Coldfield y me licencié en Botánica y en Geología en 1911 por la Universidad de Cambridge. Antes de que me diera tiempo a dedicarme en profundidad a estas ciencias, el estallido de la I Guerra Mundial me llevó a trabajar como enfermera voluntaria en Sudáfrica y allí descubrí mi verdadera vocación: la medicina.

Regresé a Londres para estudiar en la London School of Medicine for Women y logré licenciarme en 1920. Me fascinaba especialmente la hematología, la rama que estudia la sangre y sus componentes, así que en

vez de dedicarme a atender enfermos, preferí concentrarme en la investigación.

Entre 1928 y 1933 trabajé en Bombay, estudiando una enfermedad conocida como anemia macrocítica que causaba muchas muertes entre mujeres embarazadas. Mi equipo y yo habíamos llegado a la conclusión de que existía una relación entre la alimentación de las mujeres y el desarrollo de la anemia, así que empecé a experimentar en busca de algún alimento eficaz para contrarrestar la enfermedad.

Entre mis muchas pruebas se me ocurrió dar Marmite a un mono en estado particularmente grave. ¡Nuestra sorpresa fue mayúscula cuando el animal se recuperó en pocos días! Como no sabía qué componente del Marmite era el responsable de combatir la anemia, lo llamé simplemente «factor Wills». Gracias a mis avances, hoy en día sabemos que mi «factor Wills» es la vitamina B9, el ácido fólico, y hemos aprendido a prevenir eficazmente la anemia administrándoselo a las mujeres embarazadas.

¿Qué vas a descubrir?

En esta unidad

• Lucy Wills. Una guerrera contra la anemia

1. El aparato digestivo

2. La digestión

3. El aparato respiratorio

4. El aparato circulatorio

5. La circulación sanguínea

6. El sistema linfático

7. El aparato excretor

8. La salud y la función de nutrición

• Comprende, reflexiona y pon a prueba tus competencias

En anayaeducacion.es

Para motivar

• Vídeo: Antes de empezar

• Conoce más a...

… Lucy Wills

Para detección de ideas previas

• Presentación: Qué necesitas saber

Para exponer

• Infografía: La circulación sanguínea

• Presentación: La dentadura humana

• Vídeos: Una animación de la circulación sanguínea

Para ejercitar

• Actividades interactivas: Aprende jugando; Ponte a prueba

• Taller de ciencias: Cómo actúa la bilis

Y, además, toda la documentación necesaria para aplicar las claves del proyecto.

SECUENCIA DE APRENDIZAJE

5.1 Elabora un listado con los principales nutrientes de un alimento. Selecciona los tres

5.2 Busca información y haz un esquema del recorrido que realiza el nutriente en el organismo. ¿Hay diferencias en el recorrido

5.3 Crea una historia cuyo protagonista sea uno de los nutrientes. Tienes libertad creativa para idear tu historia, pero no olvides el

6.1 Vamos a realizar un resumen visual de todo lo que ocurre durante la función de nutrición. Vas a trabajar con una gran cantidad de información. Lo primero que debes hacer es familiarizarte con la técnica de pensamiento visual que consiste en representar conceptos con imágenes y muy poco texto.

6.2 Debes realizar un esquema con las ideas principales de cada aparato y sistema que participan en la nutrición. A continuación, realiza un boceto de cómo podrías distribuir la información con ilustraciones en el papel. Pásalo a limpio en un folio o cartulina A3 cuando hagas las correcciones nece-

+ anayaeducacion.es

El aparato digestivo

La función del aparato digestivo es digerir los alimentos y absorber los nutrientes.

Anatomía del aparato digestivo

El aparato digestivo está formado por el tubo digestivo y las glándulas digestivas.

El tubo digestivo

El tubo digestivo es un largo conducto compuesto por la boca, la faringe, el esófago, el estómago, el intestino delgado y el intestino grueso.

- La boca. Es una cavidad que contiene la lengua y los dientes. Los dientes son unas piezas duras insertadas en la mandíbula que trituran los alimentos. Los hay de cuatro tipos: incisivos, que cortan la comida; los caninos, que la desgarran, y los premolares y los molares, que la trituran.

- La faringe. Es un conducto común al aparato respiratorio. Por la faringe circulan los alimentos hacia el esófago, y el aire desde la nariz o la boca hacia la laringe (conducto del aparato respiratorio). En la faringe, se encuentra la epiglotis, una membrana cartilaginosa encargada de impedir el paso de los alimentos a la laringe.

- El esófago. Es un conducto rodeado de una capa muscular, cuyas contracciones ayudan a llevar el alimento hasta el estómago.

En la ilustración puedes observar que hay ciertas partes marcadas en color. Explica a qué crees que se debe. Después, escribe en orden todos los órganos que recorre el alimento desde que entra por la boca hasta que es expulsado por el ano.

- El estómago. Es un órgano que se comunica con el esófago y con el intestino a través de dos orificios llamados cardias y píloro, respectivamente. La apertura de estos orificios está regulada por músculos denominados esfínteres.

- El intestino delgado. Es un tubo muy largo que comunica el estómago con el intestino grueso. Sus paredes tienen unos repliegues, las vellosidades intestinales, que aumentan la superficie de absorción y están rodeadas de capilares linfáticos y sanguíneos. En el intestino delgado se distinguen tres partes: el duodeno, el yeyuno y el íleon.

- El intestino grueso. Es un amplio conducto que rodea al intestino delgado y llega hasta el ano. Se divide en tres partes: el ciego, el colon y el recto. El ciego contiene una prolongación sin salida, denominada apéndice.

El aparato digestivo
Faringe
Lengua

Las glándulas digestivas

Las glándulas digestivas vierten sus secreciones al tubo digestivo.

- Las glándulas salivales. Son un conjunto de glándulas que segregan saliva en la boca. Existen tres pares de glándulas mayores llamadas glándulas parótidas, glándulas sublinguales y glándulas submaxilares y un gran conjunto de glándulas menores distribuidas por toda la superficie de la boca salvo las encías y el paladar duro.

- El hígado. Es un órgano cuya función digestiva es producir la bilis, sustancia que se almacena en la vesícula biliar antes de ser vertida al duodeno.

- El páncreas. Es una glándula cuya función digestiva es segregar el jugo pancreático y verterlo al duodeno.

- Las glándulas gástricas. Son células de la mucosa gástrica que segregan el jugo gástrico y el moco protector.

- Las glándulas intestinales. Son células de la mucosa intestinal que segregan el jugo intestinal y el moco protector.

COMPRENDE, PIENSA, INVESTIGA...

1 Define hígado, faringe, esófago y páncreas

2 Enumera los tipos de dientes de los seres humanos y especifica para qué sirve cada uno.

3 Pienso-me interesa-investigo. Utiliza esta estrategia de pensamiento para descubrir las funciones del apéndice y la epiglotis y qué ocurre cuando no funcionan adecuadamente. Descubre cómo aplicar esta estrategia en anayaeducacion.es

Vellosidades intestinales

Algunos detalles del aparato digestivo

Glándula parótida Dientes

Lengua

Glándula sublingual Glándula submandibular

biliar

Jugos gástricos

Estómago

Capilar linfático
Capilares
Hígado
Esófago
Duodeno
Estómago
Vesícula
Duodeno
Páncreas

La digestión

Una digestión difícil

Seguro que alguna vez has oído que ciertas comidas son de digestión difícil, que determinados alimentos provocan gases o que otros facilitan la digestión. Escribe dos tópicos relacionados con la digestión y busca información sobre su veracidad y con qué sustancias y procesos digestivos se relacionan. Algunos ejemplos de tópicos que podrías analizar son:

• Las legumbres provocan gases.

• La lechuga es indigesta por la noche.

• Si pica al entrar, pica al salir.

• Si comes espinacas tus heces se vuelven verdes.

• El ajo provoca mal aliento.

COMPRENDE, PIENSA, INVESTIGA...

1 Explica con tus palabras qué son los movimientos peristálticos y pon dos ejemplos de órganos del aparato digestivo en los que ocurran.

2 Nombra los fluidos que intervienen en la digestión química.

3 Razona el tipo de nutrientes que no podrían digerirse si no hubiese:

a) Ácido en el estómago.

b) Bilis.

La digestión es la transformación de los alimentos en nutrientes. Tiene lugar a lo largo del tubo digestivo y consta de varias etapas: la digestión mecánica, la digestión química, la absorción intestinal y la defecación.

2.1 La digestión mecánica

La digestión mecánica consiste en reducir el tamaño de los alimentos mecánicamente y moverlos a lo largo del tubo digestivo.

Comprende los procesos siguientes:

- La masticación y la insalivación. Los dientes trituran el alimento y la lengua ayuda a que los alimentos triturados se mezclen con la saliva. Una vez triturados e insalivados los alimentos se transforman en el bolo alimenticio.

- La deglución. Es el proceso en el que el bolo alimenticio pasa hacia la faringe impulsado por la lengua de forma voluntaria. A continuación, el bolo alimenticio pasa al esófago y se desplaza por él impulsado por los movimientos peristálticos que realizan los músculos de las paredes del tubo digestivo.

2.2 La digestión química

La digestión química consiste en transformar mediante reacciones químicas las grandes moléculas (macromoléculas), como los hidratos de carbono o los lípidos (grasas), en las moléculas más pequeñas que los constituyen: los nutrientes.

La digestión química la llevan a cabo la saliva, el jugo gástrico, la bilis, el jugo intestinal y el jugo pancreático, que segregan las glándulas digestivas.

- La saliva contiene agua y enzimas, que rompen los grandes hidratos de carbono, como el almidón, en otros más sencillos. Aquí las grandes moléculas se transforman en fragmentos de menor tamaño. La digestión de los hidratos de carbono se completa más adelante.

- El jugo gástrico del estómago contiene fundamentalmente ácido clorhídrico y enzimas, que rompen las proteínas en fragmentos pequeños de varios aminoácidos.

- La bilis almacenada en la vesícula biliar contribuye a la digestión de las grasas emulsionándolas, es decir, las transforman en pequeñas gotas para facilitar la acción de las enzimas.

- El jugo intestinal contiene enzimas que degradan las proteínas en aminoácidos y los hidratos de carbono en azúcares simples como la glucosa.

- El jugo pancreático contiene muchas enzimas que digieren las grasas convirtiéndolas en ácidos grasos y otras sustancias.

La transformación de los alimentos en nutrientes

Empieza su digestión con enzimas de la saliva

No se alteran

No se alteran

2.3 La absorción intestinal

No se alteran

No se alteran

Empieza su digestión con enzimas de los jugos gástricos

Termina su digestión con enzimas de los jugos intestinal y pancreático Azúcares simples

Los enzimas del jugo pancreático actúan sobre las grasas Ácidos grasos

Termina su digestión con enzimas de jugos intestinales Aminoácidos

La absorción de los nutrientes es el proceso por el cual los nutrientes obtenidos en la digestión atraviesan la pared intestinal y pasan al aparato circulatorio para ser repartidos por todas las células.

Cómo se realiza la absorción

- En el intestino delgado, se produce la absorción de la mayor parte de los nutrientes orgánicos. Estos atraviesan la membrana plasmática de las células de la mucosa intestinal hacia el interior de las vellosidades intestinales. En el interior de las vellosidades existe una red de capilares sanguíneos a través de la cual los nutrientes pasan al aparato circulatorio.

- En el intestino grueso continúa la absorción del agua, las sales minerales y se forman las heces fecales. En este tramo de intestino viven unas bacterias que descomponen los alimentos no digeridos ni absorbidos en el intestino delgado. Estas bacterias, conocidas como microbiota, sintetizan aminoácidos y vitaminas que son absorbidos por los capilares sanguíneos.

2.4 La defecación

Las heces fecales formadas en el intestino grueso son los restos que el organismo no puede digerir ni, por tanto, absorber. Las heces se acumulan en el recto hasta que se desencadena el mecanismo reflejo de la defecación, es decir, la expulsión de las heces a través del ano.

Detalles de las vellosidades

En las vellosidades intestinales se produce la mayor parte de la absorción de los nutrientes orgánicos. Razona cómo la estructura que se muestra en la fotografía se relaciona con su función.

El aparato respiratorio

COMPRENDE, PIENSA, INVESTIGA...

1 Explica qué son el diafragma y la pleura.

2 Describe el camino que sigue el aire desde que entra en el organismo hasta que es expulsado.

El aparato respiratorio

Fosas nasales. Se comunican con el exterior por los orificios nasales.

Faringe

Tráquea

Bronquios

Diafragma

La función del aparato respiratorio es captar el oxígeno necesario para la respiración celular y eliminar el dióxido de carbono generado en este proceso.

3.1 Anatomía del aparato respiratorio

El aparato respiratorio está formado por las vías respiratorias y los pulmones.

Las vías respiratorias

Las vías respiratorias son un conjunto de conductos a través de los que llega el aire a los pulmones. A medida que avanzan hacia los pulmones, los conductos se ramifican y son cada vez más estrechos. Están formadas por las fosas nasales, la faringe, la laringe, la tráquea, los bronquios y los bronquiolos. Los bronquiolos terminan, en el interior del pulmón, en unas estructuras con forma de saco, denominadas alvéolos pulmonares, cuyas finas paredes están formadas por una sola capa de células y rodeadas por capilares sanguíneos.

Los pulmones

Los pulmones son dos órganos de aspecto esponjoso, situados en el interior de la caja torácica y separados del abdomen por un músculo llamado diafragma. Están protegidos por una membrana, denominada pleura, en cuyo interior se encuentra el líquido pleural, y por las costillas.

Laringe. En ella se encuentran las cuerdas vocales.

Bronquiolos

Bronquiolos. Son ramificaciones de pequeño tamaño que proceden de los bronquios y terminan en los alvéolos.

El intercambio gaseoso se produce en los capilares.

Alvéolos pulmonares

3.2 Así funciona el aparato respiratorio

El aparato respiratorio realiza su función en tres etapas: la inspiración, el intercambio de gases y la espiración.

La inspiración

Ocurre cuando los músculos que elevan las costillas y el diafragma se contraen. La acción conjunta de estos músculos provoca el ensanchamiento de la cavidad torácica y, por tanto, la entrada de aire por la nariz, donde se calienta, se humedece y recorre las vías respiratorias hasta los pulmones.

El intercambio de gases

El intercambio de gases tiene lugar en los alvéolos pulmonares entre el aire que estos contienen y el transportado por la sangre. Se realiza por difusión; es decir, los gases pasan de forma natural atravesando las membranas celulares desde donde se encuentran en mayor concentración hasta donde lo están en menor abundancia. Por ejemplo, el aire contenido en los alvéolos pulmonares tiene más cantidad de oxígeno que la sangre de los capilares que los rodean; por tanto, el oxígeno tiende a pasar al interior de los capilares. De forma similar, el dióxido de carbono tiene una mayor concentración en la sangre de los capilares pulmonares que el aire del interior de los alvéolos y tiende a pasar desde la sangre a los alvéolos y de ahí es expulsado al exterior.

La espiración

Ocurre cuando los músculos que elevan las costillas y el diafragma se relajan, la cavidad torácica reduce su volumen y los pulmones se comprimen expulsando el aire de forma pasiva por las vías respiratorias.

La inspiración

Músculos intercostales contraídos

El intercambio gaseoso

Entra O2

O2 O2 Sale CO2 CO2

Costillas

El diafragma se contrae y los músculos ensanchan la cavidad torácica.

Sangre rica en O2

El O2 pasa del alvéolo a la sangre.

Mecanismo de la circulación del aire

Observa la imagen y contesta a las siguientes preguntas:

a) ¿Qué diferencias existen entre el proceso de inspiración y el de espiración?

b) Describe detalladamente qué ocurre en los alvéolos durante el intercambio gaseoso.

c) Averigua y describe qué pasa durante el intercambio gaseoso cuando se respira accidentalmente aire rico en monóxido de carbono. ¿Qué consecuencias tiene para el organismo?

La espiración

CO2 CO2

Sangre rica en CO2 Músculos intercostales relajados

El CO2 pasa de la sangre al alvéolo.

El diafragma se relaja y la cavidad reduce su volumen.

El aparato circulatorio

Arterias, venas y capilares

Arteria

Las arterias llevan la sangre desde el corazón a los tejidos. Son gruesas, lo que les permite soportar la fuerza con la que la sangre sale del corazón.

Vena

Las venas llevan la sangre de regreso al corazón. Sus paredes son más delgadas y menos elásticas que las de las arterias. Tienen válvulas en su interior.

Capilar

Los capilares están formados por una sola capa de células. En ellos se produce el intercambio de gases entre la sangre y los tejidos.

La función del aparato circulatorio es transportar los nutrientes y el oxígeno a todas las células del cuerpo y retirar de ellas las sustancias de desecho procedentes de la actividad celular.

El aparato circulatorio está formado por el corazón y los vasos sanguíneos, por los que circula la sangre, que constituye el medio de transporte del organismo.

4.1 Los vasos sanguíneos

Existen tres tipos de vasos sanguíneos: las arterias, las venas y los capilares.

- Las arterias. Son vasos de sección circular, de paredes gruesas y elásticas. Llevan la sangre del corazón a los órganos. Se van ramificando en vasos más finos.

- Las venas. Son vasos de sección oval, de paredes delgadas y poco elásticas. Llevan la sangre de los órganos al corazón. Se forman por la unión de pequeñas venas, las vénulas. Tienen válvulas que evitan el retroceso de la sangre, facilitando que llegue al corazón.

- Los capilares. Son vasos muy delgados que comunican las arterias y las venas. Al ser tan finos, permiten el intercambio de nutrientes, desechos y gases entre la sangre y las células.

COMPRENDE, PIENSA, INVESTIGA...

1 El espejo. Utiliza esta estrategia de pensamiento y su organizador para comparar las características de las arterias y las venas. Descubre cómo aplicar esta estrategia en anayaeducacion.es

4.2 La sangre

La sangre humana es un líquido viscoso, rojo y ligeramente salado, compuesto por el plasma y las células sanguíneas.

Funciones de la sangre

La sangre desempeña una gran variedad de funciones en nuestro organismo. Las principales son las siguientes:

- Transporta sustancias. La sangre suministra a las células los nutrientes y el oxígeno que necesitan y retira de ellas el dióxido de carbono y los productos de desecho del metabolismo celular, llevándolos hasta los órganos excretores.

- Defiende al organismo. Los distintos tipos de leucocitos, los anticuerpos que estos producen y otras sustancias protectoras defienden al organismo frente a infecciones y lesiones.

- Regula la temperatura corporal. Al circular la sangre por todo el cuerpo ayuda a mantener y distribuir el calor corporal.

Los componentes de la sangre

El plasma sanguíneo

El plasma sanguíneo es una disolución, formada principalmente por agua. Está compuesta por gases, sales minerales y sustancias orgánicas como glucosa, proteínas y hormonas.

Sangre

Las células sanguíneas

Los glóbulos rojos, eritrocitos o hematíes. Son las células más numerosas de la sangre. Son muy elásticos. Transportan O2 y CO2, gracias a la hemoglobina presente en su citoplasma.

No tienen núcleo

COMPRENDE, PIENSA, INVESTIGA...

2 Enumera y describe las funciones de la sangre. ¿Cuál de esas funciones puede relacionarse con los glóbulos rojos? ¿Cuál con los glóbulos blancos?

3 La cantidad de células de un tipo u otro en la sangre es un parámetro que se usa para diagnosticar distintas enfermedades. Averigua cómo se denomina al exceso y defecto de los tres tipos celulares.

Centrifugadora

Al centrifugar una muestra de sangre, sus componentes se separan.

Los glóbulos blancos o leucocitos. Son células con núcleo, de mayor tamaño que los glóbulos rojos. Pueden desplazarse activamente mediante seudópodos. Su función es la defensa del organismo frente a infecciones y células tumorales.

Plasma

Leucocitos y plaquetas

Eritrocitos

Las plaquetas o trombocitos. No son realmente células, sino fragmentos de citoplasma. Su función es intervenir en la coagulación sanguínea.

Plaquetas activadas

Monocito Eosinófilo Basófilo

4.3 El corazón

El corazón es un órgano musculoso, situado en la cavidad torácica, entre los dos pulmones.

- En su interior, el corazón presenta cuatro cavidades. Las dos cavidades superiores son las aurículas, que reciben la sangre. Las dos inferiores son los ventrículos, de paredes más gruesas, que impulsan la sangre al exterior. Longitudinalmente, el corazón presenta un tabique que lo divide en dos mitades e impide que la sangre de un lado y de otro se mezclen.

El camino de la sangre

1-2-4. Tras salir del corazón, la aorta se divide en tres arterias que parten hacia la zona superior del cuerpo; ¿hacia dónde creéis que se dirige cada una? ¿De qué partes del cuerpo creéis que procede cada una de las venas cavas?

Las partes del corazón

Vena ca

Venas pulmonar

- En la mitad derecha, la sangre procedente del cuerpo, pobre en oxígeno, entra en la aurícula a través de las venas cavas. De la aurícula pasa al ventrículo, a través de la válvula tricúspide, que se abre al paso de la sangre y se cierra a continuación, evitando su retroceso. La sangre sale del ventrículo por las arterias pulmonares, que la llevan a los pulmones.

- En la mitad izquierda, la sangre procedente de los pulmones, cargada de oxígeno, entra en la aurícula por las venas pulmonares. De la aurícula pasa al ventrículo, a través de la válvula mitral. La sangre sale del ventrículo por la arteria aorta para ser distribuida por todo el cuerpo.

La salida de la sangre de los ventrículos, a través de las grandes arterias, está regulada por las válvulas semilunares, que impiden su re-

Aurícula derecha

Vena cava inf

eria aorta

Arteria pulmonar

Válvula tricúspide

Ventrículo derecho

Venas pulmonares

Aurícula izquierda

álvula mitral

Ventrículo izquierdo

Tabique interventricular

4.4 El ciclo cardiaco

El corazón tiene un sistema muscular especial que le permite generar impulsos, que producen una contracción rítmica (el latido cardiaco) y conducir estos impulsos por todo el corazón.

Cada latido cardiaco se compone de una contracción o sístole, y de una dilatación o diástole. Se divide en tres etapas:

1 La sístole auricular. Las aurículas se contraen, impulsando la sangre hacia los ventrículos a través de las válvulas tricúspide y mitral, que están abiertas. Las válvulas semilunares están cerradas.

2 La sístole ventricular. Cuando la sangre llega a los ventrículos, estos se contraen. El empuje de la sangre hace que se cierren las válvulas tricúspide y mitral, evitando su retorno a las aurículas. Simultáneamente, se abren las válvulas semilunares, permitiendo que la sangre salga por las arterias. Esta salida es intermitente y se percibe como el pulso cardiaco.

3 La diástole general. Las aurículas y los ventrículos se relajan. Las válvulas semilunares se cierran. La sangre entra en las aurículas a través de las venas. Los ventrículos, también dilatados, comienzan a recibir sangre de las aurículas cuando las válvulas mitral y tricúspide se abren.

Las fases del ciclo cardiaco

Sístole auricular. La aurículas se contraen y la sangre que se había acumulado en ellos pasa a los ventrículos.

Sístole ventricular. Los ventrículos se contraen y la sangre que contenían sale por las arterias.

COMPRENDE, PIENSA, INVESTIGA...

4 Define sístole y diástole

5 Enumera los movimientos del corazón y explica cuál es la consecuencia de cada uno de ellos.

6 Averigua a qué se deben los sonidos del corazón que pueden oírse en una auscultación.

Diástole general. Las aurículas y los ventrículos están relajados. La sangre entra en las aurículas, y empieza a pasar a los ventrículos. Una nueva sístole auricular impulsa la sangre en las aurículas, los ventrículos se terminan de llenar y el ciclo se cierra. 1 2 3

La circulación sanguínea

El viaje mítico de la Brisa. De Corpus a Pululung

En la ciudad de Corpus es un honor formar parte de los portadores de brisa y un nuevo grupo de valientes se prepara para enfrentarse la aventura del viaje a Pululung. Guíalos en su camino para que puedan cumplir su misión y los engranajes de Corpus sigan funcionando.

Lee el texto de la misión y completa estas tareas:

- Dibuja el camino que sigue el grupo de aventureros y aventureras.

- Después, cambia los nombres de los lugares por partes del sistema circulatorio para que describa el recorrido que hace la sangre a través del cuerpo.

- Escribe qué crees que es la brisa y por qué es tan importante para Corpus.

Para cumplir con la misión, el grupo de aventureros y aventureras deberá seguir este camino:

- La búsqueda de la brisa empieza en el Atrio del Destino, donde los últimos portadores de Brisa acaban, cansados, su viaje.

- Los nuevos héroes y heroínas deberán abrir las puertas de triple hoja de la Verdad Testaruda para comenzar su viaje.

La circulación sanguínea es el recorrido de la sangre desde que sale del corazón hasta que vuelve. En el ser humano y otros mamíferos, esta circulación es doble; es decir, sigue dos circuitos: el pulmonar y el general.

- Llegarán al Vehículo Dorado que los hará pasar a través de las puertas del Valor Sofocado y recorrer los caminos de la Aridez Perdurable.

- Los caminos de la Aridez Perdurable les conducirán hasta Pululung, la Casa de la Brisa donde descansarán y se renovarán gracias a la brisa que cargarán y protegerán en sus mochilas.

- La brisa debe ser transportada rápidamente hasta el Atrio Inmaculado a través de las Vías Polvorientas.

- Si el grupo transporta la suficiente brisa hasta el Atrio Inmaculado se abrirán las puertas de la Verdad Material y podrán llegar hasta el Vehículo Inmaculado.

- Con el Vehículo Inmaculado en marcha se abrirán las puertas de la Verdad Silente que permitirá que la brisa sea transportada por los Áreas Áureas para distribuirse por todo Corpus.

- El uso de la brisa en Corpus deja residuos que los héroes y heroínas deberán transportar de vuelta al Atrio del Destino donde su viaje volverá a comenzar en un ciclo sin fin.

Si necesitas alguna pista, consulta los recursos «La circulación sanguínea» y «Una animación de la circulación sanguínea» en anayaeducacion.es.

El sistema linfático y el medio interno

El sistema linfático

Ganglios linfáticos

6.1 El medio interno

Como ya estudiaste en la unidad 1, las células del organismo no pueden realizar intercambios de nutrientes y desechos directamente con el medio externo, por lo que necesitan un medio interno para poder hacerlo. En el ser humano, el medio interno lo forman la sangre, el líquido intersticial y la linfa.

- El líquido intersticial es el medio que rodea las células y con el que intercambian directamente las sustancias que necesitan y producen.

- La linfa es un líquido de color claro que se forma a partir del plasma intersticial y que circula a través de un segundo sistema circulatorio: el sistema linfático.

6.2 El sistema linfático

Vasos linfáticos

Capilares linfáticos

El sistema linfático es un sistema que carece de bomba impulsora. La linfa se desplaza cuando, al movernos, los músculos esqueléticos que rodean a los vasos linfáticos se contraen.

Está formado por los capilares linfáticos, los vasos linfáticos y los ganglios linfáticos.

- Los capilares linfáticos son conductos de tamaño muy pequeño que se distribuyen por la mayoría de los tejidos del organismo.

Detalle de un ganglio linfático

Lugar donde se multiplican los glóbulos blancos

Vasos linfáticos

- Los vasos linfáticos son similares a las venas y recogen la linfa de los capilares. Estos vasos desembocan en el sistema circulatorio sanguíneo.

- Los ganglios linfáticos son unos nódulos que se encuentran a lo largo de los vasos linfáticos y su función es filtrar la linfa y producir los glóbulos blancos.

COMPRENDE, PIENSA, INVESTIGA...

1 Explica las diferencias entre capilares, vasos y ganglios linfáticos.

2 Explica qué es y cómo se mueve la linfa a través de los ganglios y los vasos linfáticos.

3 Razona si el sistema linfático tiene alguna función que no esté directamente relacionada con la nutrición.

4 Averigua el nombre del principal vaso linfático y explica cómo se comunica con el sistema circulatorio.

Bazo
Corazón

El aparato excretor

El aparato excretor

Arteria

La función del aparato excretor consiste en recoger de la sangre y expulsar al exterior las sustancias de desecho, procedentes de la actividad celular, que pueden resultar tóxicas para las células.

Detalle de un riñón

Glomérulo

7.1 Anatomía del aparato excretor

El aparato excretor está formado por los riñones y las vías urinarias.

Los riñones

Son dos órganos con forma de alubia situados en la zona lumbar, a ambos lados de la columna vertebral. Se encargan de filtrar y limpiar la sangre y formar la orina. En un corte longitudinal de un riñón se aprecian las siguientes zonas:

- La corteza o zona externa, de color rojizo y aspecto granuloso. Sus principales funciones son la filtración de la sangre y la reabsorción de sustancias recuperables de la orina.

- La médula, dividida en sectores con forma de pirámide. Es el lugar donde se forma la orina.

- La pelvis renal, cavidad en forma de embudo donde desembocan todas las pirámides y que se encarga de recoger la orina formada.

La nefrona

En cada riñón hay más de un millón de estructuras microscópicas llamadas nefronas. Cada nefrona consta de un glomérulo, formado por un ovillo de capilares sanguíneos rodeados de la cápsula de Bowman, que continúa con un túbulo renal, desemboca junto a los de otras nefronas en un tubo colector que, finalmente, desemboca en la pelvis renal.

Las vías urinarias

Túbulo renal

Cápsula de Bowman

Tubo colector

Se encargan de transportar la orina desde el riñón al exterior. Estas vías son los uréteres, la vejiga urinaria y la uretra.

Asa de Henle (parte del túbulo renal)

- Los uréteres son conductos que parten de la pelvis renal y llevan la orina de forma continua hasta la vejiga urinaria, órgano musculoso donde se almacena. Cuando la vejiga está llena, surge la necesidad de orinar, siendo la uretra el conducto por donde la orina sale al exterior. La vejiga puede almacenar entre 200 y 300 mL de orina.

Vena cava inferior Riñones
Corteza renal
Nefrona

7.2 La formación de la orina

Cápsula de Bowman

Glomérulo

Asa de Henle

1 La filtración. Tiene lugar en el glomérulo donde, a través de las paredes de los capilares, se filtran agua y pequeñas moléculas disueltas, como sales minerales, glucosa, aminoácidos o sustancias tóxicas. El filtrado glomerular es recogido en la cápsula de Bowman y empieza a circular por el túbulo renal.

7.3 Los órganos excretores

Tubo colector

Red de capilares

2 La reabsorción. A lo largo del túbulo renal, la mayoría de los componentes del filtrado glomerular son reabsorbidos, pasando nuevamente a la sangre. Se reabsorben el 98 % del agua, toda la glucosa y los aminoácidos y gran parte de las sales minerales.

En el proceso de excreción participan otros órganos como:

- Los pulmones, que expulsan al exterior el dióxido de carbono producido durante la respiración celular.

- Las glándulas sudoríparas que, distribuidas por toda la piel, excretan el sudor a través de los poros. El sudor es un líquido semejante a la orina diluida, que se produce por filtración de la sangre de los capilares cercanos a la glándula. Además de ser un producto de excreción, tiene función termorreguladora, ya que al evaporarse sobre la piel absorbe calor y disminuye la temperatura corporal.

- El hígado. Además de intervenir en la digestión y otros procesos metabólicos, actúa como órgano de excreción de algunas sustancias, como los pigmentos biliares que proceden de la degradación de los eritrocitos, o determinados fármacos, que se excretan con la bilis.

La orina es un líquido formado por agua ormado y sustancias de desecho. tancias de desecho y sus desecho Se fabrica en las nefronas. abrica nefronas. f

Hacia los uréteres

3 La secreción. Tiene lugar en la última parte del túbulo renal. Algunas sales pasan desde los capilares al interior del túbulo, formando la orina, que es vertida al tubo colector. La orina formada pasa de las nefronas a la pelvis renal y de ahí al uréter, que la conduce hasta la vejiga, donde permanece hasta su expulsión.

COMPRENDE, PIENSA, INVESTIGA...

1 Enumera las partes del aparato excretor.

2 Dibuja un esquema de un riñón y señala en él la corteza, la médula y la pelvis renal.

3 Define orina y explica cómo es su proceso de formación.

4 Piensa y comparte en pareja. Discute si la idea de que sudar adelgaza tiene sentido biológico o es falsa. Puedes aprender a usar esta estrategia de pensamiento en anayaeducacion.es.

La salud y la función de nutrición

8.1 Enfermedades relacionadas con el aparato digestivo

Los órganos que componen el aparato digestivo son muy diversos, por lo que también lo son las enfermedades que se producen en ellos. Algunas de las más comunes son:

- La caries dental es un proceso de destrucción de los dientes debido a la actividad de bacterias.

- La gastroenteritis es una inflamación de la mucosa gástrica y del intestino delgado, debido a virus, bacterias y otros parásitos.

- La apendicitis es la inflamación del apéndice debido a una infección bacteriana.

- La hepatitis es la inflamación del hígado debida a una infección vírica o a sustancias tóxicas, como el alcohol o algunos fármacos.

- La pancreatitis es la inflamación del páncreas. Puede estar causada por la formación de cálculos biliares o piedras en la vesícula, que bloquean los conductos biliares, o por el alcoholismo.

Los riesgos del tabaco

Según datos de la Organización Mundial de la Salud, ocho millones de personas al año mueren como consecuencia del tabaco y, aproximadamente, la mitad de las personas que fuman morirán a causa del tabaquismo.

¿Qué crees que representa esta imagen? Usando esta imagen como inspiración, diseñad una campaña de información sobre los riesgos del tabaco para la salud.

8.2 Enfermedades relacionadas con el aparato respiratorio

Las vías respiratorias y los pulmones están continuamente expuestos a microorganismos, a contaminantes ambientales, a agentes alergénicos y a cambios de temperatura que, con frecuencia, causan las enfermedades. Algunas de estas enfermedades son:

- El resfriado y la gripe afectan a las vías respiratorias superiores. Suelen ser leves y de corta duración.

- La neumonía afecta a los alvéolos pulmonares, produciendo en ellos una inflamación. Puede llegar a ser muy grave.

- El asma es la obstrucción de las vías respiratorias, debida al estrechamiento causado por una excesiva contracción de la musculatura de los bronquios. En la mayoría de los casos, es una enfermedad producida por alergias al polen, al polvo, etc. En otros casos, se debe al tabaco, a la contaminación o al aire frío.

- La bronquitis crónica es la inflamación de los bronquios y la obstrucción de las vías respiratorias cuando la mucosa está dañada. La mayoría de las bronquitis están causadas por el humo del tabaco.

COMPRENDE, PIENSA, INVESTIGA...

1 Escribe cuáles de las enfermedades respiratorias y digestivas de este apartado pueden ser causadas por virus o bacterias.

2 Actualmente, hay definidos varios tipos de hepatitis; busca cuáles son y cuáles son sus causas.

3 Razona por qué algunas personas con asma o alergias graves tienen que usar mascarillas y gafas protectoras.

8.3

Enfermedades relacionadas con el aparato circulatorio

Estas enfermedades pueden afectar a la sangre o a las vías sanguíneas y al corazón. Estas dos últimas se conocen con el nombre de enfermedades cardiovasculares.

Las enfermedades que afectan a la sangre

Son enfermedades que generalmente tienen su origen en un mal funcionamiento de la médula ósea roja, que es la responsable de la formación de las células sanguíneas. Algunas de estas enfermedades son:

- La leucemia se caracteriza por una producción y acumulación incontrolada de leucocitos, que invaden los tejidos formando tumores. Los leucocitos no son maduros, por lo que no ejercen su función defensiva, y aparecen infecciones.

- La anemia se produce por un déficit de glóbulos rojos, por lo que el transporte de oxígeno por la sangre se ve disminuido. Se asocia con fatiga, palidez o vértigos al realizar movimientos bruscos. Puede deberse a la alteración o destrucción elevada de eritrocitos.

- La hemofilia es una enfermedad hereditaria, que se debe al déficit de factores de coagulación, por lo que se producen hemorragias espontáneas o debidas a pequeños traumatismos.

Las enfermedades cardiovasculares

Algunas de estas enfermedades pueden ser hereditarias, pero la mayoría están relacionadas con hábitos no saludables. Algunas de estas enfermedades son:

- La trombosis es el taponamiento de un vaso sanguíneo, por un coágulo o trombo. Puede ser más o menos importante según el vaso sanguíneo afectado.

- La angina de pecho se debe a una insuficiencia en el suministro de oxígeno al corazón, generalmente a causa de un trombo. Se manifiesta por un dolor fuerte en el pecho, al realizar un esfuerzo, y suele durar pocos minutos.

- El infarto de miocardio se debe a un trombo en las arterias coronarias. El tejido cardiaco se queda sin oxígeno y muere. Se manifiesta como una angina de pecho pero de varias horas de duración y con dolor en el brazo izquierdo.

- La arteriosclerosis se produce por el depósito de placas de colesterol en las paredes internas de las arterias. Esto dificulta la circulación y favorece la formación de coágulos o trombos.

COMPRENDE, PIENSA, INVESTIGA...

4 Rueda lógica. Elige entre la leucemia, la anemia y la hemofilia y usa esta estrategia de pensamiento para explicar cuáles son las posibles causas de estas enfermedades, cómo se desarrollan y sus tratamientos. Aprende a usar esta estrategia de pensamiento en anayaeducacion.es.

El infarto de miocardio

El depósito de colesterol en las paredes internas de las arterias dificulta la circulación sanguínea y facilita la formación de trombos. Si un trombo llega al corazón puede producir un infarto de miocardio.

erias onarias

Anticoagulante

Fluidos

diálisis

Bomba de sangre

Dializador (riñón artificial)

Drenaje del fluido inservible

8.4 Enfermedades relacionadas con el sistema linfático

Estas enfermedades afectan a los ganglios y a los vasos linfáticos. Su origen es diverso y pueden ser graves. Algunas de estas enfermedades son:

- Las adenopatías, en general, son inflamaciones de uno o más ganglios linfáticos y aparecen después de la infección de una zona cercana.

- La linfagitis aguda es una inflamación de los vasos linfáticos, producida por bacterias.

8.5 Enfermedades relacionadas con el aparato excretor

Las principales enfermedades ligadas al aparato excretor son:

Fístula arteriovenosa

La sangre vuelve al paciente.

- La formación de cálculos renales o piedras se produce por precipitación de algunas sales en la orina, generalmente por ingerir una cantidad insuficiente de agua en la dieta. Cuando los cálculos salen por los uréteres, rozan sus paredes y producen un dolor repentino de gran intensidad conocido como cólico nefrítico.

- La cistitis es una inflamación de las paredes de la vejiga urinaria, provocada por una infección bacteriana, un agente químico o una lesión. Suele provocar dolor o escozor al orinar, cuya necesidad es muy frecuente, incluso después de haber vaciado la vejiga.

Trampa de burbujas

Algunas personas que padecen insuficiencia renal deben someterse a un proceso de hemodiálisis. En este proceso se hace pasar la sangre del paciente a través de un filtro artificial que depura la sangre y normaliza su composición para que pueda volver al organismo.

Para poder realizar la hemodiálisis en pacientes con insuficiencia renal crónica, es necesaria la creación quirúrjica de una fístula arteriovenosa. En este procedimiento se unen una arteria y una vena con el fin de ensanchar el lugar donde se pincharán las agujas de diálisis y favorecer el flujo sanguíneo.

Estos pacientes suelen necesitar tres sesiones de diálisis a la semana cuya duración es de entre tres y cuatro horas por sesión.

- La insuficiencia renal es una disminución o una interrupción de la función filtradora del riñón, lo que da lugar a un aumento de la cantidad de urea en la sangre. Se produce el envenenamiento sanguíneo, con síntomas de intoxicación, alteraciones nerviosas y cardiovasculares. El enfermo con insuficiencia renal debe ser tratado con hemodiálisis, en una máquina que actúa como un riñón artificial. Cuando la insuficiencia es crónica se procede a un trasplante de riñón.

La hemodiálisis

Observa la imagen y lee el texto relacionado con la hemodiálisis, después, describe cómo crees que es el día a día de una persona con insuficiencia renal crónica. ¿Crees que podrá trabajar o ir de vacaciones de forma normal? ¿Cómo crees que se sentirá en su día a día? ¿Cómo crees que podría mejorar su calidad de vida?

8.6 Hábitos saludables

Muchas de las enfermedades que afectan a los aparatos que intervienen en la nutrición pueden prevenirse siguiendo una serie de hábitos saludables relacionados con el estilo de vida.

Hábitos saludables relacionados con el aparato digestivo

Para proteger y cuidar nuestro aparato digestivo, debemos:

- Llevar una dieta equilibrada y evitar los excesos.

- Moderar el consumo de sal, café, té, chocolate y salsas picantes.

- Evitar el alcohol y el tabaco.

- Comer despacio, masticando bien los alimentos y distribuir la ingesta en cuatro o cinco comidas, preferentemente a las mismas horas.

- Evitar el sedentarismo y el estrés.

- Mantener una buena higiene dental.

- Lavarse las manos para manipular los alimentos y antes de comer.

Hábitos saludables relacionados con el aparato respiratorio

Para proteger y cuidar nuestro aparato respiratorio, se recomienda:

- No fumar. El consumo de tabaco se relaciona con muchas enfermedades, entre ellas el cáncer de pulmón, la primera causa de mortalidad por cáncer en los varones y la tercera en las mujeres.

- Evitar ambientes contaminados.

- Respirar por la nariz y proteger del frío las vías respiratorias.

- Taparse la boca y la nariz durante el estornudo o la tos.

Hábitos saludables relacionados con el aparato circulatorio

Para proteger y cuidar nuestro aparato circulatorio, debemos:

- Realizar ejercicio físico.

- Llevar una dieta sana y equilibrada.

- Evitar ambientes con humo de tabaco.

- Intentar llevar una vida sin estrés.

Hábitos saludables relacionados con el aparato excretor

Para proteger y cuidar nuestro aparato excretor, es necesario:

- Beber abundante líquido, preferiblemente agua, para evitar la concentración de la orina y la formación de cálculos.

- Llevar una dieta equilibrada, sin abusar de alimentos salados.

- Evitar el consumo de alcohol y otras sustancias tóxicas, que son depuradas por el hígado, cuya función excesiva puede dañarlo.

- Mantener la higiene de las vías urinarias.

- Orinar con frecuencia, evitando mantener durante mucho tiempo la vejiga llena.

Hábitos saludables

En equipos elegid uno de los aparatos del sistema digestivo y elaborad una campaña de concienciación para promocionar los hábitos saludables para este aparato. La campaña debe tener los siguientes elementos:

• Un eslogan.

• Un elemento gráfico que puede ser un póster, un tríptico, un fanzine, etc.

• Un elemento audiovisual en formato vídeo, puede ser un anuncio, un cortometraje, un monólogo, etc.

• Un anuncio pensado para incluirlo en un formato que sea solo de audio como un podcast o la radio.

Una de las recomendaciones para prevenir enfermedades relacionadas con el aparato respiratorio es proteger del frío las vías respiratorias.

Una de las recomendaciones para prevenir enfermedades relacionadas con el aparato excretor es beber al menos un litro y medio de agua al día.

COMPRENDE

Organiza las ideas

1 Diagrama de Venn. Completa en tu cuaderno los espacios vacíos del siguiente diagrama de Venn sobre los hábitos saludables para los aparatos digestivo, respiratorio y circulatorio. Puedes aprender a hacerlos con el recurso disponible en anayaeducacion.es

Aparato digestivo

– Masticar bien los alimentos.

– Buena higiene dental. –?

Aparato respiratorio

– Respirar por la nariz.

– Taparse la boca al estornudar. –?

Haz un resumen

Aparato circulatorio – Evitar ambientes con humo de tabaco. –? ?

2 Elabora tu propio resumen de la unidad siguiendo este guion:

• Nombra los aparatos implicados en la función de nutrición e indica de qué se encarga cada uno.

• Describe la anatomía del tubo digestivo y nombra las glándulas que vierten a él su jugo.

• Explica en qué consiste la digestión, y diferencia entre la digestión química y la mecánica.

• Explica en qué consiste la absorción y la defecación.

• Describe la anatomía del aparato respiratorio.

• Explica cómo y dónde se produce el intercambio de gases.

• Indica los componentes y las funciones de la sangre.

• Describe la anatomía del corazón y explica el ciclo cardiaco.

• Nombra los tipos de vasos sanguíneos y cómo se lleva a cabo la circulación mayor y menor.

• Explica qué es y cómo funciona el sistema linfático.

• Describe la anatomía del aparato excretor y explica dónde y cómo se forma la orina.

• Comenta las principales enfermedades relacionadas con los aparatos y sistemas de la función de nutrición.

Interpreta imágenes

3 Observa y contesta: B

a) ¿Qué aparato del cuerpo humano se representa en la imagen?

b) Indica cada una de las partes señaladas y explica brevemente su función.

c) ¿Son todos los órganos que aparecen en las imágenes del mismo aparato o sistema? Justifica tu respuesta.

4 Copia y completa en tu cuaderno el siguiente esquema del corazón humano. Después, contesta a las preguntas.

a) Anota qué tejido constituye fundamentalmente este órgano y cuáles son sus características.

b) Señala en el dibujo por dónde entra y sale la sangre e indica cada una de las partes señaladas.

c) ¿Por qué se representa en azul una parte del corazón y la otra en rojo?

Recuerda que dispones, en tu banco de recursos:

• de diversos talleres para gestionar tus emociones y de una diana para evaluarlas.

• de fichas para mejorar tu ciudadanía digital.

Aplica

5 Explica por qué es importante la microbiota intestinal.

6 Establece las diferencias entre:

a) Ingestión y digestión.

b) Inspiración y espiración.

c) Sístole y diástole.

d) Linfa y sangre.

e) Riñón y nefrona.

7 ¿Por qué es necesario que los alvéolos pulmonares estén húmedos? ¿Sale vapor de agua por tu boca al exhalar aire?

8 Establece las diferencias entre arterias, venas y capilares sanguíneos.

9 Describe el recorrido de una molécula de oxígeno desde que entra por las fosas nasales hasta que llega al corazón.

10 Explica los procesos que ocurren en una nefrona para formar la orina.

11 Escribe al menos tres hábitos saludables para evitar un infarto de miocardio y otros tres para prevenir el cáncer de pulmón.

12 Explica por qué es importante:

a) Lavarse las manos antes de manipular los alimentos.

b) Comer despacio masticando bien los alimentos.

c) Ingerir una buena cantidad de agua a lo largo del día.

REFLEXIONA

Avanza

13 El pan está elaborado con harina (glúcidos complejos y proteínas), aceite y agua. Describe el recorrido de un trozo de pan desde la boca hasta que es totalmente digerido y sus nutrientes son absorbidos. Indica qué ocurre en cada sección del tubo digestivo.

14 Analiza la tabla sobre la composición de la sangre y la orina, contestando a las siguientes preguntas:

a) ¿Qué sustancias se encuentran en mayor proporción en el plasma sanguíneo que en la orina y al revés?

b) ¿A qué se deben estas diferencias?

c) Investiga sobre alguna enfermedad que provoque la aparición de glucosa en la orina.

En esta unidad has identificado los nutrientes presentes en la comida que traéis a clase. Además, has creado un sistema de clasificación de alimentos y has usado tus conocimientos para diseñar dietas sanas y nutritivas. Reflexiona sobre tu aprendizaje rellenando el cuestionario y la rúbrica disponibles en anayaeducacion.es

AspectosTotalmente conseguido

Identifico el reino al que pertenecen los organismos de mi nevera y diferencio partes de estos.

Bastante conseguido

PON A PRUEBA TUS COMPETENCIAS

ConseguidoCasi conseguido

Realiza la autoevaluación competencial incluida en anayaeducacion.es

TRIMESTRE 1

PORFOLIO

SUPERCHEFS

Para comprobar si la información recogida en los trípticos ha promovido un cambio de hábitos, puedes volver a analizar las constumbres alimenticias de tus compañeros y compañeras pasadas unas semanas. Comprueba qué alimentos están llevando a los recreos y compara la información con la que recogiste al principio del proyecto.

Las conclusiones de comparar la evolución de las constumbres en tu centro servirá para comprobar si ha habido impacto positivo de vuestra intervención, en cuyo caso, quizá quieras extender esta práctica a otros niveles o difundirla en redes para que se realice en otros centros. También es posible que no se haya producido un impacto significativo. En ese caso sería interesante analizar las razones por las que no ha funcionado y plantear nuevos retos que se dirijan a obtener mejores resultados. Y el último escenario posible es que os encontréis con datos peores que los iniciales; en este caso podéis reflexionar sobre qué aspectos del proyecto han podido influir en esto y qué cambios podrían introducirse para evitarlo. Además de este análisis de impacto, las conclusiones extraídas en este proyecto se pueden ampliar con un análisis de las diferencias en la alimentación a gran escala. ¿Cómo es posible que 690 millones de personas en el mundo no tengan alimentos suficientes, mientras en otros lugares del planeta se desperdician cada día miles de toneladas de alimentos?

Te proponemos ver el documental «Taste the waste» y recoger datos para establecer un debate en clase, tomando como estímulo esta afirmación: «El hambre es consecuencia directa de un sistema alimentario injusto».

TAMBIÉN PUEDES PROBAR ESTOS PROYECTOS

Si este proyecto te ha resultado interesante y quieres investigar más sobre la función de nutrición aquí tienes algunas ideas para crear tus propios proyectos.

Estudio de tu dieta semanal

Repartidos por parejas, cada alumno/a puede analizar la comida que ha consumido un compañero o compañera a lo largo de una semana, de nuevo analizando nutrientes y ofreciendo propuestas de mejora.

Concurso en tu centro: «Snacks saludables»

Además de investigar, diseñar y escribir sobre dietas saludables, podemos proponer al alumnado que diseñe y cocine snacks sanos y nutritivos. Un concurso de cocina con jurado y premios puede ser un gran incentivo para fomentar su creatividad basada en criterios científicos. Los snacks se pueden elaborar en casa (grabando vídeos o trayendo el resultado a clase) o, si es posible, en las propias instalaciones del centro.

Colaboración con centro de salud u hospital cercano

El centro de salud es un lugar donde se promueven los buenos hábitos de vida, ya que estos previenen la aparición de muchas enfermedades. Además, allí acuden personas del entorno, de todas las edades y características sociales, es un lugar ideal para proponer una colaboración. Por ejemplo, repartiendo allí los trípticos elaborados por el alumnado.

REVISA

Estudio de la dieta propuesta en el comedor escolar

Haz un estudio nutricional sobre los productos de un comedor o cafetería escolar. Elabora una propuesta de dieta saludable. Puede realizarse una infografía final a modo de póster con las conclusiones obtenidas y la dieta alternativa elaborada.

TU PLANIFICACIÓN Y EL TRABAJO EN GRUPO

Revisa tu planificación del trabajo y el desempeño de tu grupo en este proyecto rellenando la rúbrica que puedes encontrar en anayaeducacion.es

PERFIL COMPETENCIAL DE SALIDA

Al finalizar estos desafíos reflexiona y comprueba si has alcanzado estos objetivos:

Descriptor

Utilizo el pensamiento científico y compruebo hipótesis mediante la experimentación y la indagación.

He desarrollado hábitos de vida saludables relacionados con la nutrición.

Conozco la importancia de mi participación en la promoción de la salud pública a través de la alimentación.

Emprendo acciones con fundamento científico para preservar mi salud y la de mi entorno.

Expreso conceptos y pensamientos científicos de forma adecuada.

Uso el pensamiento científico para entender y explicar fenómenos.

Uso herramientas digitales para crear contenidos y compartirlos.

Completa en tu cuaderno

TRIMESTRE 2

PRESENTACIÓN DE LA SITUACIÓN

Imagínate que sufres un accidente de tráfico, parece que ha sido grave, rápidamente eres trasladado al hospital, donde se hará lo imposible para estabilizarte. Tras la intervención de urgencia y unos meses de rehabilitación, vuelves a hacer vida normal. Imagina ese mismo accidente, pero ahora te ocurre en Sudán del Sur. ¿Habrá cerca un hospital? ¿Tendrán los mismos medios tecnológicos? ¿Podrás

en Estados Unidos. Existe la tecnología para tratarte, pero ¿podrías costearla? ¿Podrías pagar el tratamiento de rehabilitación? Si puedes pagar por estos tra-

Las situaciones posibles son tantas como países existen. Nuestra salud depende, entre otros factores, del sistema sanitario que nos dé cobertura. Una de las metas pendientes en esta década, según el ODS 3 (Salud y bienestar), es conseguir una cobertura sanitaria universal y reforzar la capacidad de todos los países para ges-

El accidenteEn el hospitalPensando en ampliar la familia

Unidad 4

El embarazo y el parto En el hospital Las consecuencias del accidente

Unidad 5

¡ES UNA EMERGENCIA!

La pandemia causada por la COVID-19 ha puesto en evidencia la importancia que los sistemas de salud tienen en nuestra sociedad. Gracias a ellos se ha logrado

Son muchos los momentos a lo largo de nuestra vida en los que necesitamos acudir a un centro de salud o a un hospital. En este reto se analizarán tres situaciones –un accidente de tráfico; el seguimiento de un embarazo y el posterior parto, y, por último, un paciente que da positivo en una prueba de coronavirus– para entender qué ocurre en el interior del organismo en cada caso y analizar cómo la

Este análisis se centrará en cómo responden tres sistemas sanitarios ante estas situaciones: los de España, Estados Unidos y Sudán del Sur, de modo que al final del reto recopilarás en un informe las fortalezas y deficiencias de los distintos sis-

¿De qué depende nuestra salud?

Unidad 6

¿Una enfermedad más?

Primeros auxilios

Relizamos un análisis DAFO de tres sistemas sanitarios

Escribimos un informe

Presentamos el informe

La función de relación

RITA LEVI-MONTALCINI.

La dama de la neurona

En mi opinión, si realmente crees en algo tienes que luchar por ello. En mis 103 años de vida tuve que luchar por muchas cosas. Por mi derecho a estudiar, por mi vida, por mi investigación… No puedo decir que siempre saliera victoriosa, pero creo que sí gané las suficientes batallas como para hacer una gran contribución a la medicina y a la sociedad.

Me llamo Rita Levi-Montalcini. Nací en Italia, en la ciudad de Turín, en 1909. En mi juventud tuve que convencer a mi padre de que no tenía ningún interés en dedicar mi vida a casarme y tener hijos. Lo que realmente deseaba era estudiar medicina y ayudar a otras personas. ¡Y eso hice! Trabajé en panaderías para pagarme la carrera y en 1936 me gradué en la especialidad de Neurología y Psiquiatría.

La cosa se torció en 1943. Nos vimos obligados a huir. Mi familia era judía y por tanto perseguida por el régimen Nazi, cuya influencia se extendía por Europa. Escapamos primero de Turín a Bélgica. Luego de vuelta a Italia, a Piamonte, y por último a Florencia hasta que concluyó la II Guerra Mundial. Yo no podía permitirme

interrumpir mi investigación, que estaba muy avanzada, así que durante esta época trabajé en secreto montando laboratorios clandestinos.

Me interesaba especialmente el modo en que se desarrolla el sistema nervioso. ¿Cómo saben las neuronas cuándo reproducirse? Al finalizar la guerra me invitaron a trabajar unos meses en la Universidad de Washington, así que hice las maletas y me llevé mi trabajo a EE. UU., donde acabé pasando 30 años y logré aislar junto con mi colega Stanley Cohen el NFG: el factor de crecimiento neuronal. Esta es la proteína que da la orden a las neuronas de reproducirse y por su descubrimiento nos concedieron el Premio Nobel de Medicina en 1986.

Durante toda mi vida defendí que hombres y mujeres tenemos la misma capacidad intelectual y, por tanto, podemos contribuir de igual forma al avance de la humanidad. Espero que algún día mi trabajo pueda usarse para curar enfermedades nerviosas como el Alzheimer o la demencia. Toda mi lucha habrá merecido la pena.

¿Qué vas a descubrir?

En esta unidad

• Rita Levi-Montalcini. La dama de la neurona

1. La relación en el ser humano

2. La percepción: los sentidos

3. La percepción y la salud

4. La coordinación nerviosa

5. La salud del sistema nervioso

6. La coordinación endocrina

7. La salud del sistema endocrino

8. Las drogas y la drogadicción

9. La ejecución de la respuesta. El aparato locomotor

10.La ejecución de la respuesta y la salud

• Comprende, reflexiona y pon a prueba tus competencias

En anayaeducacion.es

Para motivar

• Vídeo: Antes de empezar

• Conoce más a... Rita Levi-Montalcini

Para detección de ideas previas

• Presentación: Qué necesitas saber

Para exponer

• Presentación: Los tipos de lágrimas

• Vídeos: El esqueleto, La musculatura, Hábitos posturales

Para ejercitar

• Actividades interactivas: Aprende jugando, Ponte a prueba

• Taller de ciencias: Busca pareidolias

Y, además, toda la documentación necesaria para aplicar las claves del proyecto.

SECUENCIA DE APRENDIZAJE

1.1 Vamos a analizar cómo funcionarían los sistemas sanitarios de EE. UU., España y Sudán del Sur ante un accidente de tráfico. Imagina que un conductor ha sido deslumbrado por otro coche provocando que se salga de la carretera y que se choque con-

1.2 Explica los motivos por los que ocurrió el accidente y relaciónalo con los órganos de

2.1 Analiza cómo responden en cada lugar los servicios de emergencia para atender el accidente. El paciente accidentado tiene ries-

2.2 Explica cómo funciona el sistema nervioso y qué tipo de daños pueden provocar una

3.1 Analiza las diferencias que existen en los sistemas de salud en cuanto a la capacidad de diagnóstico y tratamiento de las lesiones del accidente. Busca información sobre las tasas de mortalidad en los distintos paí-

3.2 Escribe ejemplos de otras enfermedades relacionadas con el sistema nervioso y los

3.3 Ten en cuenta la accesibilidad, las opciones públicas y privadas de tratamiento y los

+ anayaeducacion.es

La relación en el ser humano

Un mundo de estímulos

Dedica dos minutos a concentrarte e intenta ser consciente y escribe una lista con todos los estímulos que recibas durante este tiempo. Después, contesta a las siguientes cuestiones:

a) Es muy difícil ser consciente de todos los estímulos que recibe nuestro cerebro. Intenta pensar en esos dos minutos y analiza si puede habérsete escapado anotar algún estímulo.

b) Clasifica los estímulos que has anotado según el órgano de los sentidos que lo ha captado. ¿De cuáles hay más? ¿De cuáles hay menos? ¿A qué crees que se pueden deber las diferencias?

c) Compara las respuestas con tus compañeras y compañeros y comprueba las diferencias. ¿A qué se deben?

COMPRENDE, PIENSA, INVESTIGA...

1 Escribe dos ejemplos de órganos que perciban estímulos, dos que elaboren respuestas y dos que ejecuten respuestas.

2 Explica de forma breve y con un ejemplo cómo se lleva a cabo la función de relación en los seres humanos.

La función de relación es la que permite a los seres humanos detectar cambios en el medio y responder ante ellos.

Se lleva a cabo mediante tres procesos: la percepción del estímulo, el análisis de la información y la elaboración de la respuesta, y la ejecución de la respuesta.

1.1 La percepción de los estímulos

La percepción de los estímulos la realizan los receptores, que son células especializadas en detectar cambios físicos y químicos del entorno y enviar esta información a los centros de coordinación.

Los receptores pueden ser células aisladas o estar agrupados formando órganos como el ojo o el oído.

1.2 El análisis de la información y la elaboración de la respuesta

La elaboración de las respuestas la llevan a cabo los centros de coordinación, cuya función es analizar la información que reciben de los receptores y elaborar una respuesta para enviar a los órganos efectores.

Los centros de coordinación de nuestro organismo son:

- El sistema nervioso, formado por un conjunto de órganos, como el encéfalo o la médula espinal, que envían las respuestas a los órganos efectores en forma de impulsos nerviosos, que permiten coordinar respuestas rápidas y breves, como la contracción y la relajación de los músculos, y provocar así los movimientos.

- El sistema endocrino, formado por un conjunto de órganos denominados glándulas endocrinas, como el páncreas o la tiroides, que envían las respuestas a los órganos efectores, a través de la sangre, en forma de sustancias químicas llamadas hormonas, que las propias glándulas sintetizan.

1.3 La ejecución de la respuesta

Los efectores son órganos cuya función es ejecutar las respuestas. Los órganos efectores son:

- Los músculos, que, al recibir la orden de contracción o relajación mediante impulsos nerviosos, son capaces de realizar movimientos voluntarios como levantar un brazo o involuntarios como los movimientos peristálticos del intestino.

- Las glándulas, que sintetizan y vierten sustancias. Son, por ejemplo, las glándulas salivales o las gástricas, que liberan saliva o jugos en respuesta a la presencia de alimentos o incluso ante su olor.

Así se lleva a cabo la función de relación

son captados por

que envían señales a

que elabora órdenes en forma de impulsos nerviosos y los envía a como

que ejecutan como

La percepción: los sentidos

2.1 Tipos de receptores

La percepción se realiza mediante los receptores, que pueden ser de dos tipos:

- Los receptores internos. Captan los cambios del medio interno. Están dispersos por todo el organismo y nos informan de su estado general. Nos permiten, por ejemplo, detectar hambre, sed o dolor.

El tacto

Termorreceptor del frío

Mecanorreceptor del contacto

Termorreceptor del calor

Mecanorreceptor de la presión

Terminaciones nerviosas que captan el dolor

- Los receptores externos o sensoriales. Captan los estímulos del medio externo. Según la naturaleza del estímulo que perciben, podemos clasificarlos en:

• Mecanorreceptores, si captan estímulos mecánicos; por ejemplo, la presión, las vibraciones y el movimiento.

• Termorreceptores, si perciben variaciones de temperatura.

• Quimiorreceptores, si detectan sustancias químicas.

• Fotorreceptores, si perciben variaciones en la intensidad o el color de la luz.

• Nociceptores, si son sensibles al dolor.

Los receptores sensoriales pueden agruparse y, junto con otras estructuras, formar los órganos de los sentidos. En las personas, los sentidos son el tacto, el gusto, el olfato, el oído y la vista.

2.2 El tacto

Los receptores del sentido del tacto son mecanorreceptores sensibles al contacto y a la presión, termorreceptores sensibles al calor y al frío, y nociceptores sensibles al dolor. No son células, sino terminaciones nerviosas, libres o encerradas en cápsulas (corpúsculos).

Las terminaciones nerviosas táctiles se encuentran bajo la piel. Los receptores del tacto se distribuyen de forma desigual por la piel y transmiten la información a través de los nervios, son fundamentalmente termorreceptores, mecanorreceptores y nociceptores.

Los lugares más sensibles son las puntas de los dedos, las plantas de los pies y las manos, el rostro y la punta de la lengua.

2.3 El gusto

Los receptores del gusto o células gustativas son quimiorreceptores sensibles a las sustancias químicas que se disuelven en la saliva cuando comemos o bebemos.

Las células gustativas se encuentran en los botones gustativos, unas estructuras redondeadas situadas en las papilas gustativas. Las papilas gustativas son unas protuberancias que se localizan en el paladar, en la faringe y, principalmente, en la lengua. El sabor de los alimentos es la mezcla de las señales de cuatro tipos de receptores: los del sabor dulce, salado, ácido y amargo. En la percepción de los sabores influyen, además, las percepciones olfativas, ya que al masticar se desprenden sustancias volátiles que llegan a la cavidad nasal a través de la faringe.

2.4 El olfato

Los receptores del olfato o células olfativas son quimiorreceptores sensibles a las sustancias químicas gaseosas que hay en el aire.

Las células olfativas se concentran en la parte superior de las fosas nasales. Cuando son estimuladas envían impulsos nerviosos a través del nervio olfatorio hasta el cerebro, que interpreta e identifica el olor.

El gusto y el olfato

Botón gustativo

Fibras del nervio

COMPRENDE, PIENSA, INVESTIGA...

1 Enumera los tipos de receptores externos especificando qué es capaz de percibir cada uno.

2 Explica de qué están compuestas y dónde se encuentran las papilas gustativas.

3 ¿Qué pasaría si...? Aprende a usar esta llave de pensamiento consultando el recurso disponible en anayaeducacion.es y contesta: ¿Cómo crees que es la vida de una persona que carece de sentido del gusto? ¿Qué crees que hubiera pasado si los seres humanos nunca hubiésemos evolucionado para percibir los sabores?

Célula basal

Fosas nasales

Detalle de una papila gustativ

Bulbo olfatorio

Células gusta orio

Hueso del cráneo

Células olfativas

2.5 El oído

COMPRENDE, PIENSA, INVESTIGA...

4 Nombra las partes del oído y di de qué estructuras está formada cada una.

5 Explica razonadamente para qué crees que tenemos dos oídos, uno a cada lado de la cabeza.

6 En la fotografía puedes ver un implante coclear, un dispositivo que permite recuperar la audición a personas con hipoacusias severas; averigua y haz un breve resumen sobre cómo funcionan.

El oído

Oído externo

Los receptores del sentido del oído son las células auditivas, que son mecanorreceptores sensibles a las vibraciones, y las células del equilibrio, que son sensibles al movimiento del líquido que las baña.

El oído se divide en tres partes, el oído externo, el medio y el interno.

- El oído externo se compone de la oreja, o pabellón auditivo, y el conducto auditivo.

- El oído medio está compuesto por el tímpano, una fina y tensa membrana, y de la cadena de huesecillos, que son el martillo, el yunque y el estribo. Se comunica con la faringe a través de la trompa de Eustaquio.

- El oído interno está formado por el caracol, un canal relleno de líquido en el que se encuentran las células auditivas, y por los canales semicirculares, donde se encuentran las células del equilibrio. Del primero parte el nervio auditivo, y del segundo, el nervio vestibular.

Cómo funciona el oído

- La audición. Las ondas sonoras se canalizan, a través de la oreja y del conducto auditivo, hacia el tímpano. La vibración de esta membrana se transmite, a través de la cadena de huesecillos, hasta el líquido del interior del caracol. Las células auditivas tienen cilios que detectan las vibraciones y las transmiten a través del nervio auditivo hasta el cerebro, donde se traducen en sonidos.

- El equilibrio. Cuando se mueve la cabeza, el líquido del interior de los canales semicirculares se desplaza. El movimiento es detectado por las células del equilibrio, gracias a sus cilios, y transmitido a través del nervio vestibular hasta el cerebro, que informa de la posición del cuerpo.

Conductos semicirculares
Tímpano
Caracol
Nervio vestibular
Nervio auditivo
Pabellón auditiv
Cadena de huesecillos
Células auditivas
Yunque
Estribo Martillo

2.6 La vista

Los receptores del sentido de la vista son fotorreceptores sensibles a la intensidad de la luz y a sus colores. Son las células denominadas conos y bastones.

El ojo se divide en dos partes, el globo ocular y los órganos anejos.

- El globo ocular. Es una esfera rellena de líquido, que se aloja en una cavidad ósea. Está formada por tres capas:

• La esclerótica. Es la capa exterior blanca que, en su parte delantera, más abombada y transparente, se denomina córnea. Una membrana externa, denominada conjuntiva, protege la córnea.

• La coroides. Es la capa intermedia, cuya parte delantera forma el iris, un anillo muscular coloreado con un orificio central, la pupila. Detrás se encuentra el cristalino, una lente que enfoca las imágenes en la retina.

• La retina. Es la capa interna en la que se encuentran las células fotorreceptoras; los conos y los bastones.

- Los órganos anejos. Las cejas, los párpados, las pestañas y las glándulas lacrimales protegen el globo ocular de la sequedad, del sudor y de cuerpos extraños. Los músculos oculares permiten mover el globo ocular.

Cómo funciona el ojo

La luz atraviesa la córnea y pasa por la coroides a través de la pupila, que se abre cuando la luz es débil, o se cierra cuando es demasiado intensa. El cristalino modifica su curvatura gracias a unos músculos que tensan o relajan la lente, para enfocar la luz sobre la retina. Los bastones (que perciben la intensidad de la luz) y los conos (que perciben los colores) transmiten la información a través del nervio.

Esclerótica

Las lágrimas

Las lágrimas son un líquido secretado por las glándulas lacrimales cuyas funciones son mantener el ojo húmedo, limpiarlo y protegerlo contra las infecciones.

COMPRENDE, PIENSA, INVESTIGA...

7 Anota en qué parte del globo ocular se sitúan las células fotorreceptoras y el nombre que reciben.

8 Explica qué ocurre en el ojo cuando la luz es muy intensa y qué ocurre cuando hay poca luz.

9 Define lágrima y enumera cuáles son sus funciones.

10 Piensa y comparte en pareja. Podéis aprender a usar esta estrategia de pensamiento consultando el recurso disponible en anayaeducacion.es y explicad si las personas con ojos claros son más sensibles a la luz o no.

El ojo
Iris
Córnea
Conjuntiva
Retina
Coroides
Pupila

La percepción y la salud

Consejos para el cepillado de dientes

Cepíllate la parte interna de los dientes inclinando el cepillo unos 45°.

La lengua también debe ser cepillada, ya que entre las papilas gustativas pueden acumularse las bacterias.

No olvides usar el hilo dental.

Cepíllate las piezas dentales superiores desde la encía hacia abajo y las piezas dentales inferiores desde la encía hacia arriba.

Cepilla las superficies masticadoras apoyando el cepillo sobre ellas y efectuando movimientos circulares.

COMPRENDE, PIENSA, INVESTIGA...

1 Razona por qué los procesos infecciosos en las vías respiratorias dificultan el funcionamiento de los receptores del gusto y el olfato.

2 Elabora un listado con las consecuencias de no lavarse los dientes.

Además de ser esenciales para nuestra vida diaria, los órganos de los sentidos nos permiten captar gran cantidad de estímulos que nos proporcionan felicidad y bienestar.

Por ello, es muy importante adoptar hábitos saludables y prevenir las enfermedades que pueden alterar nuestra percepción.

3.1 La salud del olfato y del gusto

El olfato y el gusto se ven alterados generalmente por procesos infecciosos de las vías respiratorias, como el resfriado o la gripe. El aumento en las secreciones mucosas que se produce durante estas enfermedades dificulta el funcionamiento de los receptores gustativos y olfativos.

El consumo de tabaco también puede alterar la función de las papilas gustativas de la lengua e irritar la mucosa nasal, disminuyendo la capacidad de detección de los órganos del gusto y del olfato.

Los hábitos saludables

La higiene diaria de la boca y de las fosas nasales y evitar el consumo de tabaco son hábitos saludables que mejoran estos dos sentidos.

3.2 La salud del oído

Las principales enfermedades de este órgano son las infecciones del oído interno, provocadas por algunas bacterias y virus, que pueden llegar a producir una pérdida irreversible de la capacidad auditiva. Otro factor que altera nuestra percepción auditiva es la exposición prolongada a sonidos intensos, como el ruido o la música a un volumen excesivamente elevado. Los sonidos de intensidad elevada producen la pérdida de receptores auditivos y, por lo tanto, una pérdida auditiva irreversible o sordera.

Los hábitos saludables

Es muy importante la higiene de los oídos, que debe realizarse con una solución fisiológica y evitando introducir palillos u otros objetos que puedan dañar el tímpano.

Así mismo, evita lugares muy ruidosos, no pongas el volumen del televisor o de cualquier aparato de música demasiado alto y seca bien tus oídos después de ducharte para prevenir infecciones causadas por hongos.

3.3

La salud de la vista

Las enfermedades más comunes que afectan a la visión son debidas a infecciones oculares, producidas por bacterias, hongos o virus, y a la aparición de las anomalías visuales, que provocan un defecto en la calidad de las imágenes captadas por la retina.

Las anomalías en la visión

Son debidas a alteraciones en el tamaño y la forma del globo ocular y la córnea.

- La miopía. Se debe a una longitud excesiva del globo ocular, que provoca que la imagen captada no se forme en la retina, sino delante de ella. El resultado es la dificultad para captar imágenes lejanas. Este defecto se corrige utilizando lentes divergentes.

- La hipermetropía. Se debe a una menor longitud del globo ocular, que provoca que la imagen captada no se forme en la retina, sino detrás de ella. El resultado es la dificultad para captar imágenes cercanas. Este defecto se corrige utilizando lentes convergentes.

- El astigmatismo. Se debe a la presencia de irregularidades en la curvatura de la córnea, lo que provoca que los objetos tanto cercanos como lejanos se perciban de forma borrosa o distorsionada. Se corrige utilizando lentes cilíndricas.

3.4 Los hábitos saludables

Algunos de los hábitos saludables que mejoran nuestra visión son la higiene de los ojos, leer y estudiar con buena iluminación, mantener una distancia adecuada entre nuestros ojos y las pantallas, proteger los ojos de luces intensas usando, por ejemplo, gafas de sol y realizar revisiones oftalmológicas periódicas.

COMPRENDE, PIENSA, INVESTIGA...

3 Explica las diferencias que existen entre un ojo miope y uno hipermétrope.

4 Razona si es posible que se combinen entre sí las anomalías de la visión. Es decir, si se puede tener a la vez miopía y astigmatismo; hipermetropía y astigmatismo y miopía e hipermetropía.

5 Haz un listado con hábitos saludables relacionados con la visión en el que incluyas al menos uno que tenga que ver con la dieta.

Anomalías de la visión y su corrección

El ojo miope y su corrección

El ojo miope forma la imagen enfocada delante de la retina.

La lente divergente «retrasa» la imagen a su lugar correcto.

El ojo hipermétrope y su corrección

El ojo hipermétrope forma la imagen enfocada detrás de la retina.

La lente convergente «adelanta» la imagen a su lugar correcto.

La coordinación nerviosa

Así es un nervio

La coordinación nerviosa la realiza el sistema nervioso. Este sistema está formado por tejido nervioso, cuyas células, las neuronas, son capaces de transmitir información mediante impulsos nerviosos.

4.1 Las células del sistema nervioso

La información recibida y elaborada por el sistema nervioso viaja en forma de impulsos eléctricos, que son transmitidos por las neuronas o células nerviosas.

Las neuronas son las unidades estructurales y funcionales del sistema nervioso. Son células muy diferenciadas y con una morfología compleja.

Las neuronas tienen un cuerpo celular o soma, donde se alojan el núcleo y los orgánulos citoplasmáticos, del que parten prolongaciones cortas y ramificadas, llamadas dendritas. De un extremo del cuerpo celular sale una única prolongación, mucho más larga, que se denomina axón, que termina en extremos ensanchados, llamados botones terminales.

Los axones de varias neuronas se agrupan en haces que constituyen las fibras nerviosas; varias de estas, a su vez, se agrupan para formar los nervios.

Según la función que realicen, existen diferentes tipos de neuronas:

- Las neuronas sensitivas, cuyas dendritas están conectadas a células de un receptor.

- Las neuronas motoras, cuyo axón está conectado a un órgano efector.

- Las neuronas de asociación o intermedias, que comunican las anteriores.

- En el tejido nervioso, las neuronas están acompañadas de las células de glía que se encargan de su nutrición, defensa y soporte.

El impulso nervioso

COMPRENDE, PIENSA, INVESTIGA...

1 Dibuja en tu cuaderno dos neuronas y señala sus partes.

2 Define impulso nervioso y neurotransmisor

3 Comprobamos. ¿Creéis que las neuronas son capaces de reproducirse? ¿Es igual durante todo el ciclo de vida de los seres humanos?

Las funciones de las neuronas son posibles debido a que estas células transmiten información en forma de señales electroquímicas llamadas impulsos nerviosos.

Los impulsos nerviosos viajan por la membrana neuronal, siempre desde las dendritas o desde el cuerpo celular hacia el extremo del axón. Una vez allí, la neurona conecta con otra neurona o con un efector para transmitir el impulso.

Sin embargo, las neuronas no llegan a tocarse ya que entre el extremo del axón de una neurona y el cuerpo o una dendrita de otra, existe una zona de comunicación llamada sinapsis. En ella, la neurona transmisora del impulso nervioso emite unas sustancias denominadas neurotransmisores, que llegan a la membrana de la neurona receptora y hacen que en esta se genere el mismo impulso.

Nervio Fibra nerviosa

Así se transmite el impulso nervioso

Neurona transmisora

Axón Botón terminal del axón

Sinapsis

Neurona receptora

Impulso nervioso

1 La neurona recibe el impulso nervioso.

Dendritas

2 El impulso nervioso recorre la neurona.

3 La neurona transmite el impulso nervioso a la neurona siguiente.

Observa la imagen y responde a las preguntas:

a) Explica por qué se dice que el impulso nervioso es una señal electroquímica.

b) ¿A qué parte de la sinapsis crees que se la puede llamar la hendidura sináptica?

Neurona transmisora

Impulso nervioso

Botón terminal del axón

Neurotransmisores

4 El impulso nervioso recorre la siguiente neurona.

Neurona receptora La sinapsis

Impulso nervioso

Espacio sináptico

4.2

El sistema nervioso

El sistema nervioso conforma una red de neuronas que interpreta las señales o estímulos que envían los órganos de los sentidos y elabora órdenes para que los efectores respondan a ellas.

El sistema nervioso está constituido por el sistema nervioso central (SNC) y el sistema nervioso periférico (SNP).

4.3 El sistema nervioso central (SNC)

El SNC coordina todas las funciones del organismo. Está formado por el encéfalo y la médula espinal.

El encéfalo

El encéfalo está protegido por el cráneo y por tres membranas, las meninges, entre las que circula el líquido cefalorraquídeo, que amortigua y lo protege de los golpes. Consta de tres partes: el cerebro, el cerebelo y el tronco encefálico.

El encéfalo

Cuerpo calloso

El cerebro: está dividido en dos hemisferios interconectados. Su superficie, llamada corteza cerebral, es rugosa y tiene repliegues llamados circunvoluciones. En el cerebro se hace consciente la información y residen las funciones avanzadas, como la memoria, la inteligencia o la voluntad.

Tálamo e hipotálamo

El cerebelo: también tiene dos hemisferios y corteza replegada. Se encarga de controlar el equilibrio y los movimientos voluntarios previamente aprendidos, como andar, escribir o tocar un instrumento.

Bulbo raquídeo

El tronco encefálico enlaza el encéfalo con la médula y controla diversas funciones involuntarias. Por ejemplo, la parte denominada bulbo raquídeo controla los movimientos de la respiración y el ritmo cardiaco.

Cráneo

La médula espinal

Es un cordón nervioso, protegido por la columna vertebral, que conecta el encéfalo con el resto del cuerpo.

Por ella viajan los impulsos nerviosos desde los receptores al encéfalo y desde este hasta los efectores. Coordina respuestas sencillas, llamadas actos reflejos.

4.4 El sistema nervioso periférico (SNP)

El SNP está formado por nervios que conectan el SNC con los órganos del cuerpo. Está formado por 31 pares de nervios que parten de la médula, o nervios raquídeos, y por 12 pares de nervios que salen del encéfalo, o nervios craneales.

Los nervios se clasifican en sensitivos (llevan información de los receptores al SNC) y motores (transmiten órdenes del SNC a los efectores).

El sistema nervioso periférico se divide en somático y autónomo.

- El SNP somático controla movimientos voluntarios, como la locomoción.

- El SNP autónomo controla el funcionamiento involuntario de órganos vitales, como el corazón. Está formado por el SN simpático, que prepara el cuerpo para situaciones de peligro o acción, y el SN parasimpático, que relaja el cuerpo. Ambos son antagónicos, de forma que cuando uno estimula un órgano el otro lo relaja.

COMPRENDE, PIENSA, INVESTIGA...

4 Indica en tu cuaderno las partes del encéfalo y explica, en cada caso, las funciones que tiene cada una.

5 Expón, con un ejemplo, qué significa que los sistemas nerviosos simpático y parasimpático sean antagónicos.

6 1-2-4. El cerebro y su funcionamiento sigue guardando muchos secretos, lo que provoca la creación de gran cantidad de mitos e informaciones falsas sobre él. Una de las falsedades más famosas y recurrentes es la que argumenta que los seres humanos solo usamos un 10 % del cerebro. ¿Qué argumentos se podrían dar para refutar esta idea?

La médula espinal

Médula espinal

Columna vertebral

Disco intervertebral

Nervios raquídeos

1. Dilata la pupila.

2. Estimula la salivación (suavemente).

3. Acelera el latido.

4. Relaja los bronquios.

5. Inhibe la actividad en estómago y páncreas.

6. Estimula la liberación de glucosa (hígado).

7. Estimula las suprarrenales (adrenalina).

8. Excita los esfínteres intestinales.

9. Relaja la vejiga.

10. Inhibe los órganos reproductores.

1. Contrae la pupila.

2. Estimula mucho la salivación.

3. Ralentiza el latido.

4. Contrae los bronquios.

5. Estimula la actividad del estómago.

6. Estimula la actividad de la vesícula biliar.

7. Estimula la actividad del páncreas.

8. Inhibe los esfínteres intestinales.

9. Contrae la vejiga.

10. Estimula los órganos reproductores.

Los actos voluntarios

1 Para cualquier acto voluntario, por ejemplo coger un lápiz, es necesario que numerosos receptores como los del tacto o la visión transmitan información a través de las fibras nerviosas de los nervios sensitivos (flechas en color verde) hasta el encéfalo.

2 Allí se analizan y se elaboran señales (flechas de color rojo) que circulan por los nervios motores de la médula espinal hasta llegar a los músculos que se vayan a encargar de producir la respuesta. En este caso, mover la mano y agarrar el lápiz.

3 La respuesta, coger el lápiz, consiste en contracciones musculares que generan un movimiento no especialmente rápido, pero preciso.

4.5 Cómo funciona el sistema nervioso

Ante un estímulo, los receptores mandan información al SNC que, tras procesarla, envía la orden adecuada a los efectores para responder a ese cambio del medio.

El funcionamiento del sistema nervioso es más o menos rápido, dependiendo de las necesidades del organismo. En función de esto, se distingue entre actos voluntarios y actos reflejos.

Los actos voluntarios

Los actos voluntarios son respuestas conscientes, «decididas», que están coordinadas por el encéfalo.

En un acto voluntario intervienen:

- Un receptor que recibe el estímulo, por ejemplo, receptores de la visión y del tacto detectan un lápiz para dibujar.

- Un nervio sensitivo que transmite el impulso hasta la médula, y desde esta, hasta la corteza cerebral.

- La corteza cerebral, que transforma la información en una sensación consciente (una imagen, una forma, calor, etc.) y, con la información recibida y la almacenada de experiencias anteriores, elabora una orden de respuesta, que se dirige, pasando por la médula, a un nervio motor.

- Un nervio motor por el que viaja la orden hasta el órgano efector.

- Un órgano efector (por ejemplo, un músculo), que se contrae o relaja de forma voluntaria para ejecutar la respuesta: coger el lápiz y dibujar.

COMPRENDE, PIENSA, INVESTIGA...

7 Describe con un ejemplo cómo se realiza, a nivel nervioso, un acto voluntario.

8 Ridículo. Puedes aprender a usar esta llave de pensamiento con el recurso disponible en anayaeducacion.es y responde a la pregunta. ¿Qué crees que pasaría si cada acto voluntario que hacemos tuviéramos que pensarlo con palabras?

Los actos reflejos

Los actos reflejos son respuestas rápidas, involuntarias y automáticas, controladas por la médula espinal, que se producen en situaciones de emergencia.

La información llega a la médula, que elabora la respuesta sin la intervención del encéfalo, por lo que esta es más rápida.

En un acto reflejo intervienen un conjunto de elementos nerviosos que reciben el nombre de arco reflejo y son:

- Un receptor que recibe el estímulo; por ejemplo, los receptores del calor de la piel detectan algo muy caliente.

- Un nervio sensitivo que transmite el impulso hasta la médula.

- Una neurona de asociación que elabora una orden de respuesta inmediata.

- Un nervio motor por el que viaja la orden hasta el órgano efector.

- Un órgano efector, por ejemplo, un músculo, que ejecuta la respuesta, es decir, se contrae y retiramos la mano.

Los actos reflejos

1 Una información que requiere de una rápida respuesta llega a los receptores; por ejemplo, que te estás quemando la mano.

COMPRENDE, PIENSA, INVESTIGA...

9 Enumera las partes del sistema nervioso que intervienen en un acto reflejo.

10 En la fotografía inferior puedes ver a un profesional de la medicina realizando una prueba del reflejo rotuliano, averigua para qué se realiza esta prueba. Existen otras pruebas de reflejos parecidas, busca el nombre de cuatro de ellas.

2 En la médula espinal se genera la respuesta: retirar la mano.

3 La respuesta (retirar la mano) es involuntaria, muy rápida y muy poco precisa, ya que se lleva a cabo sin la intervención del encéfalo.

La salud del sistema nervioso

COMPRENDE, PIENSA, INVESTIGA...

1 Describe en qué consisten el alzheimer y el párkinson.

2 Los traumatismos son los principales causantes de lesiones medulares como la paraplejia y la tetraplejia. Escribe un listado de al menos cinco causas de este tipo de traumatismos y qué se puede hacer para prevenirlos.

La gran complejidad de nuestro sistema nervioso hace que pueda sufrir enfermedades de dos tipos: unas debidas a daños orgánicos, y otras originadas por alteraciones en su funcionamiento: enfermedades mentales.

5.1 Las alteraciones del sistema nervioso por causas orgánicas

Son alteraciones físicas en los órganos del sistema nervioso. Algunas de ellas son:

Los traumatismos causados por accidentes

Son lesiones en la zona craneoencefálica o en la médula debidas a fuertes golpes. Pueden derivar en paraplejia, parálisis de medio cuerpo, o tetraplejia, parálisis de todo el cuerpo.

Los accidentes cerebrovasculares

Son daños en el tejido nervioso que se producen al obstruirse arterias cerebrales y dejar sin oxígeno una zona del cerebro. Destacan las hemorragias o las isquemias cerebrales, muerte por falta de oxígeno de una zona del cerebro.

El consumo de drogas

El alcohol y otras drogas causan daños irreparables en el sistema nervioso, además de una fuerte dependencia física y psicológica.

Las enfermedades degenerativas

Se producen por la pérdida de las neuronas debido principalmente a la edad. El alzheimer produce pérdida de memoria y desorientación; el párkinson produce una falta de control de los movimientos del cuerpo.

La boccia

La boccia es un deporte paralímpico que practican personas con parálisis cerebral, lesiones cerebrales o discapacidades físicas severas.

a) Busca información sobre qué es la parálisis cerebral.

b) En la fotografía puedes observar la final de boccia en categoría BC3 en las olimpiadas de Atenas en 2004 donde se enfrentaron Korea del Sur y España. Averigua qué significa esta categoría y qué otras existen en este deporte.

c) Practicar deporte es uno de los hábitos recomendados para cuidar de la salud del sistema nervioso. Haz un listado con otros tres hábitos saludables.

5.2 Las enfermedades mentales

Son cambios en el carácter y en el comportamiento que crean malestar emocional. Se pueden deber a problemas orgánicos, a una predisposición genética o a influencias sociales y ambientales. Los podemos clasificar en:

Trastornos de ansiedad

Determinadas situaciones pueden someter al sistema nervioso a una tensión excesiva o estrés, que puede causar daños orgánicos. Por ejemplo, origina un estado de angustia o miedo llamado ansiedad, caracterizado por tensión muscular, alteraciones del sueño, aumento del ritmo cardiaco y de la sudoración, problemas digestivos...

Las fobias, el trastorno obsesivo compulsivo o el trastorno de ansiedad generalizada son algunos ejemplos.

Trastornos en la conducta alimentaria

Son, por ejemplo, la anorexia nerviosa y la bulimia:

- La anorexia nerviosa. Las personas anoréxicas se autoimponen una dieta de adelgazamiento severa, porque se ven obesas aunque no lo sean realmente. En los casos graves, la persona deja de comer del todo, adelgaza hasta el extremo y muere, porque no se da cuenta de lo que le está pasando; lo niega y lo oculta.

- La bulimia. Las personas que la padecen también adoptan dietas muy estrictas de adelgazamiento, pero las rompen comiendo compulsivamente. Esto les crea un sentimiento de culpa, y se provocan el vómito para no engordar. La bulimia es causa de graves alteraciones en la salud.

Trastornos del estado de ánimo

Uno de los más frecuentes es la depresión. En este trastorno, un sentimiento de tristeza muy intenso e incontrolable invade a la persona afectada. Otro ejemplo de este tipo de trastornos sería el trastorno bipolar.

Estas enfermedades pueden tener orígenes diversos: experiencias traumáticas, trastornos hormonales (depresión posparto), predisposición genética, etc.

Trastornos psicóticos

Son patologías en las que las personas pierden el contacto con la realidad y pueden sufrir delirios o alucinaciones. Los más frecuentes son la esquizofrenia y el trastorno delirante.

Un problema añadido

Las personas que padecen enfermedades mentales suelen tener que luchar además contra el estigma social que este tipo de trastornos tienen asociados. La incomprensión de las enfermedades mentales al infravalorar sus efectos, las burlas o el miedo hacia las personas que las padecen, la soledad y la discriminación son solo algunos de los problemas que causa este estigma.

Se calcula que una de cada cuatro personas padecerán algún tipo de enfermedad mental a lo largo de su vida.

COMPRENDE, PIENSA, INVESTIGA...

3 Busca el significado de la palabra estigma

4 Elige una enfermedad mental de las que se mencionan en esta página y realiza las siguientes tareas:

a) Elabora una pequeña ficha en la que aparezcan sus causas, sus efectos en la persona que la padece y sus posibles tratamientos.

b) Describe los estigmas que lleva asociados esta enfermedad.

c) Escribe un listado de acciones que podrían llevarse a cabo para concienciar sobre esta enfermedad y ayudar a eliminar el estigma que lleva asociada.

La coordinación endocrina

COMPRENDE, PIENSA, INVESTIGA...

1 Describe la función de la hipófisis.

2 Define hormonas y explica cómo se distribuyen por el organismo.

3 Indica dos glándulas de las que aparecen en el esquema que no tengan solo función endocrina y explica qué función tienen.

6.1 El sistema endocrino

La coordinación endocrina es un mecanismo que regula, de manera lenta pero prolongada, las acciones de muchos órganos del cuerpo.

La lleva a cabo el sistema endocrino, que está constituido por un conjunto de glándulas endocrinas, especializadas en sintetizar y segregar hormonas a la sangre. La sangre transporta por todo el organismo las hormonas, que solo actúan sobre unos órganos o células determinados, llamados diana.

Las glándulas endocrinas

- La hipófisis. Se conoce también como glándula pituitaria y se encuentra localizada en la base del cerebro. Es la glándula más importante, ya que algunas de las hormonas que sintetiza controlan la secreción del resto de glándulas.

- Otras glándulas endocrinas son la tiroides, la paratiroides, las glándulas suprarrenales, el páncreas, los ovarios y los testículos. Algunos órganos del cuerpo humano, que desempeñan otras funciones, pueden funcionar como glándulas endocrinas, como, por ejemplo, la placenta, que sintetiza y libera progesterona durante todo el embarazo.

Las glándulas del sistema endocrino

Masculinas

Tiroides

Femeninas

Paratiroides

Timo Hipófisis

Páncreas

Glándulas suprarrenales

6.2 Cómo se realiza la coordinación endocrina

La coordinación endocrina de los órganos del cuerpo mediante hormonas es un proceso muy complejo.

Las hormonas se producen solo cuando son necesarias y en la cantidad adecuada. Para producir y liberar la cantidad necesaria de hormona, el sistema endocrino tiene un mecanismo de regulación llamado retroalimentación, que está controlado por una parte del cerebro llamada hipotálamo.

El proceso consiste en varias etapas:

- El hipotálamo estimula la hipófisis. El hipotálamo recibe una señal y libera factores, que estimulan a la hipófisis para que sintetice hormonas.

- La hipófisis estimula a otras glándulas. La hipófisis segrega hormonas que circulan por la sangre y estimulan a otras glándulas endocrinas para que produzcan sus hormonas.

- Las hormonas actúan sobre los órganos. Las hormonas producidas en las glándulas son liberadas a la sangre y llegan a los órganos o células diana, donde actúan.

- El aumento en la cantidad de hormona detiene su secreción. Cuando la cantidad de hormona en la sangre aumenta por encima de unos determinados niveles, el hipotálamo deja de estimular la hipófisis, que detiene la liberación de hormonas. Es decir, la propia concentración de hormona es la que regula su secreción.

COMPRENDE, PIENSA, INVESTIGA...

4 Indica qué es el hipotálamo y cómo controla la función de la hipófisis.

5 Explica la importancia que tiene el mecanismo de retroalimentación.

Así funciona el sistema endocrino

Redacta un texto que explique el mecanismo de retroalimentación mostrado en la imagen.

Hipó

Estimulación

Inhibición

Glándulas suprarrenales

6.3 Las hormonas

Cada hormona actúa sobre un tipo determinado de órgano o célula diana, controlando y coordinando su actividad. Las hormonas son muy eficaces, ya que una pequeña cantidad es suficiente para ejercer su función. Su acción es más lenta pero más continuada que la de los impulsos nerviosos.

Hipófisis

Hormona del crecimiento (STH)

Hormona antidiurética (ADH)

Gonadotropinas (FSH, LH)

Hormona estimulante de la tiroides (TSH)

Oxitocina

Prolactina

Tiroxina

Hormona paratiroidea

Adrenalina

Cortisona

Insulina

Glucagón

Estrógenos y progesterona

Testosterona

COMPRENDE, PIENSA, INVESTIGA...

6 Indica qué glándula y qué hormona produce el orgay poca glucosa en sangr nismo cuando hay sangre.

Estimula el crecimiento de músculos y huesos.

Regula la cantidad de agua en la orina.

Estimulan la actividad de las gónadas.

Estimula la actividad de la tiroides.

Induce las contracciones del útero para el parto.

Estimula la secreción de leche en las mamas.

Activa el metabolismo celular e influye en el crecimiento y el desarrollo.

Regula los niveles de calcio y fósforo en la sangre.

Prepara al organismo para una situación de peligro o acción.

Regula el metabolismo de los glúcidos.

Disminuye la cantidad de glucosa en la sangre.

Aumenta la cantidad de glucosa en la sangre.

Controlan el desarrollo de los caracteres sexuales secundarios. Regulan el ciclo menstrual y la ovulación.

Preparan al cuerpo ante un posible embarazo.

Controla el desarrollo de los caracteres sexuales secundarios. Regula la producción de espermatozoides.

7 ¿Qué hormona crees que es conocida comúnmente omo la hormona del part como parto?

La salud del sistema endocrino

7.1 Las alteraciones del sistema endocrino

La mayor parte de las enfermedades endocrinas se originan cuando se ve alterada la producción de hormonas que produce una glándula. Una glándula sufre hiperfunción cuando produce más hormona de lo normal, e hipofunción si libera menos hormona de lo necesario.

Algunas enfermedades producidas por alteraciones endocrinas son:

- El gigantismo y el enanismo, que se deben, respectivamente, a una alta o a una baja producción de la hormona del crecimiento (STH), resultando personas muy altas o muy bajas.

- El hipertiroidismo se produce cuando la tiroides aumenta su tamaño y fabrica demasiada tiroxina pudiendo provocar pérdida de peso o nerviosismo.

- El hipotiroidismo, que puede deberse a falta de yodo en la dieta, produce un metabolismo lento que puede llevar a la persona a aumentar de peso y presentar apatía y cansancio.

COMPRENDE, PIENSA, INVESTIGA...

1 Escribe dos alteraciones del sistema endocrino que tengan que ver con un déficit hormonal y dos con una sobreproducción.

2 Intuyo y deduzco. Aprende a usar esta técnica de pensamiento en anayaeducacion.es e intenta explicar cómo podría afectar una alteración en las glándulas suprarrenales al organismo.

- La diabetes es una enfermedad originada, en la mayoría de casos, por un mal funcionamiento del páncreas, de forma que segrega poca insulina. Como consecuencia, se produce una hiperglucemia, es decir, un aumento del nivel de glucosa en la sangre. Esto acarrea graves daños en el organismo como ceguera o insuficiencia renal.

Hay hábitos que ayudan a mantener sano el sistema endocrino, como seguir una dieta saludable, hacer ejercicio físico y no consumir sustancias como el alcohol y otras drogas.

Los hábitos que favorecen la salud del sistema endocrino son seguir una dieta saludable, evitar bebidas alcohólicas y realizar ejercicio físico.

Enfermedades de cine

El hombre que ves en la imagen se llama Richard Kiel y padecía acromegalia. Fue un actor norteamericano que se hizo famoso por interpretar, entre otros personajes, a Jaws, uno de los grandes enemigos de James Bond, en varias películas y videojuegos.

a) Según lo que puedes ver en la imagen, ¿qué síntomas crees que puede tener la acromegalia? ¿Con qué hormona crees que puede tener relación?

b) Busca información sobre la alteración del sistema endocrino que padecía Richard Kiel.

c) Averigua si existen otros tipos de gigantismo y si están causados por alteraciones del sistema endocrino.

Las drogas y la drogadicción

La adicción al juego

La adicción al juego se clasifica dentro de las llamadas adicciones sin sustancia. Los datos de investigaciones recientes revelan que cada vez hay más personas que participan en juegos con dinero tanto físicamente como online. Este aumento es especialmente importante en personas jóvenes en quienes las patologías relacionadas con el juego también han aumentado. Contestad a las siguientes preguntas relacionadas con la adicción al juego:

a) Folio giratorio. Averiguad cuáles son los problemas de salud que ocasiona la adicción al juego.

b) Elaborad un listado de actividades sin sustancia que puedan transformarse en una adicción. ¿Cómo creéis que una persona llega a volverse adicta a sustancias o actividades?

c) Diseñad una campaña de información sobre los riesgos de la adicción al juego destinada a concienciar a personas jóvenes.

Una droga es una sustancia que altera el sistema nervioso central y que produce un estado de dependencia física y psíquica, tolerancia y graves trastornos en la salud.

La drogadicción es un grave problema social, ya que puede llegar a anular la voluntad del que se droga, afectando gravemente a su salud, estudios, trabajo y relaciones sociales y familiares.

8.1 La dependencia

- La dependencia física. Es la necesidad de consumir la droga, para que el organismo funcione de modo normal. El síndrome de abstinencia es un conjunto de graves trastornos fisiológicos que se producen cuando no se suministra la droga a un cuerpo habituado a ella. Entre otros síntomas, se produce respiración agitada, sudoración, hiperactividad y convulsiones, que pueden ocasionar la muerte.

- La dependencia psíquica. Es la necesidad de consumir la droga, para obtener un estado de euforia o placer, o para evitar el malestar que produce la privación. Por ejemplo, la dependencia de cocaína produce cansancio extremo, ansiedad y depresión.

8.2 La tolerancia

La tolerancia es la disminución de los efectos deseados debido al uso continuado de una droga. Como consecuencia, se va requiriendo un aumento de la dosis para conseguir los mismos efectos. La sobredosis ocurre cuando se toma una cantidad que el cuerpo no puede asimilar, pudiendo llegar a ser mortal.

COMPRENDE, PIENSA, INVESTIGA...

1 Define droga y drogadicción.

2 Explica qué es el síndrome de abstinencia y en qué se diferencia de la dependencia psicológica.

3 Indica qué es la tolerancia a las drogas y razona cuál es su relación con la sobredosis.

8.3 Tipos de drogas y trastornos en la salud

Las drogas se pueden clasificar según su mecanismo de acción en:

- Depresoras. Por ejemplo, el alcohol o los tranquilizantes. Frenan la transmisión nerviosa produciendo relajación, somnolencia, alteración de la percepción e incluso coma.

- Estimulantes. Por ejemplo, la cocaína, la nicotina, las anfetaminas o la cafeína. Activan la transmisión nerviosa produciendo sensación de euforia y disminución de la fatiga y del sueño.

- Narcotizantes. Por ejemplo, el opio, la morfina y la heroína. Se utilizan para calmar el dolor y producen sueño y estupor. Generan una fuerte dependencia que es difícil de superar.

- Alucinógenas. Por ejemplo, el cannabis o el LSD. Alteran la transmisión nerviosa, modificando la percepción de la realidad y provocando ilusiones visuales o auditivas (alucinaciones).

Trastornos en la salud

Las drogas dañan la salud ya que afectan al cerebro y a la transmisión del impulso nervioso. Los principales daños que causan son:

- Daños en el sistema nervioso, que provocan graves trastornos psicológicos como pérdida de memoria, depresión, ansiedad o esquizofrenia.

- Daños en otros aparatos o sistemas, como la hepatitis, que produce el alcohol; el cáncer de pulmón, que produce el tabaco; o las arritmias, que produce el cannabis.

- Trastornos del comportamiento, que dan lugar a problemas familiares y laborales, actos delictivos o conductas agresivas.

- Alteraciones en la percepción de la realidad y en la respuesta motora, que provocan accidentes de tráfico o laborales.

- Hay que tener en cuenta, además, los efectos dañinos de las sustancias que se utilizan para adulterar las drogas, muchas de ellas muy tóxicas y sin ningún tipo de control sanitario.

Es importante tener en cuenta que, a pesar de que los daños más graves suelen producirse en personas que hacen un uso continuado de las drogas, un uso puntual también puede causar daños irreversibles.

El alcohol: la droga más peligrosa

El alcohol es una droga peligrosa y adictiva. Su consumo excesivo puede ocasionar daños irreversibles en el sistema nervioso, especialmente en el de los jóvenes. Según un estudio realizado por la revista médica The Lancet se trata de la droga más peligrosa por los daños que causa a sus usuarios y a las personas que tienen a su alrededor.

Es importante tener esto presente en situaciones en las que la presión social de un grupo induce al consumo incontrolado de bebidas alcohólicas.

Conoce los efectos de las drogas

Elige una droga legal y una droga ilegal y recopila sobre ellas la siguiente información:

• Pequeño resumen histórico del uso, origen y forma de consumo de la sustancia.

• Efectos en la salud distinguiendo entre consumo a largo plazo y reacciones agudas.

• Efectos psicosociales de la adicción a la sustancia.

• Datos estadísticos sobre el consumo y defunciones asociadas en España.

Una vez recopilados los datos elabora un producto audiovisual en el que reflejes toda la información reunida.

Di Difificultades cultades
de tráfico

La ejecución de la respuesta. El aparato

locomotor

Las radiografías

Para realizar radiografías se aplican rayos X a la parte del cuerpo que se quiera observar. Los rayos X son un tipo de radiaciones que son capaces de traspasar algunos materiales sólidos cuyos átomos tengan números atómicos bajos.

Podemos ver los huesos en las radiografías debido a que al estar formados por calcio, un elemento con un número atómico elevado, los rayos X son absorbidos por ellos. Lo que vemos en la radiografía es el contraste entre lo que pueden atravesar los rayos X y lo que no.

COMPRENDE, PIENSA, INVESTIGA...

1 Indica cómo pueden clasificarse los huesos según su forma poniendo dos ejemplos en cada caso.

2 Dibuja un esquema de un hueso largo indicando qué es la epífisis y qué es la diáfisis.

3 Enumera los tipos de articulaciones y explica brevemente su estructura.

9.1 El sistema esquelético

El sistema esquelético lo forman los huesos del esqueleto y las articulaciones. Sus funciones son:

- Sostener el cuerpo.

- Proteger los órganos vitales.

- Ser el lugar donde se fijan los músculos.

- Fabricar células sanguíneas.

- Ser una reserva de calcio y fósforo.

Los huesos

Los huesos son estructuras rígidas formadas externamente por tejido óseo compacto e internamente por tejido óseo esponjoso. La rigidez de los huesos se debe a la presencia de sales de calcio.

Según la forma que presentan, los huesos se clasifican en huesos largos, como el fémur; cortos, como las vértebras o los huesos de la muñeca; y planos, como los huesos que forman el cráneo.

Los huesos largos tienen dos regiones: los extremos, o epífisis, y la parte central, o diáfisis. El tejido esponjoso de las epífisis está relleno de médula ósea roja, cuya función es formar células sanguíneas. La diáfisis, de tejido compacto, deja un canal interno relleno de médula ósea amarilla o tuétano, formada por tejido adiposo.

Las articulaciones

Son las zonas de unión entre los huesos. Pueden ser:

- Fijas. Son articulaciones sin movimiento, como sucede con las de los huesos del cráneo.

- Semimóviles. Permiten un movimiento limitado entre los huesos, como ocurre con las vértebras, entre las cuales existen discos de tejido cartilaginoso, más elástico y blando.

- Móviles. Permiten movimiento de los huesos en todas las direcciones. Por ejemplo, las de la rodilla o de la muñeca. Las zonas de contacto entre los huesos están recubiertas por tejido cartilaginoso y por el líquido sinovial, que evita el rozamiento. En estas articulaciones, los huesos se unen mediante ligamentos.

Los huesos de los bebés

Cuando nacemos, no todos los huesos se encuentran calcificados; los del cráneo, por ejemplo, están formados por cartílago para que sean más flexibles y facilitar el parto. Los huesos se van calcificando poco a poco hasta llegar a la edad adulta.

El esqueleto humano

Omóplato

Húmero

Mandíbula

Falanges

Costillas

Ilion

Carpo

Metacarpo

Peroné

Las articulaciones

Fijas: huesos del cráneo

Falanges

Pubis

Clavícula

Isquion

Cúbito

Esternón

Articulación

Radio Columna vertebral

Semimóviles: las vértebras

Disco cartilaginoso

Fémur

Rótula

Vértebras

Móviles: los codos

Húmero

Tarso

Metatarso

Ligamentos

Radio

Cúbito
Tibia

El movimiento del brazo

El brazo se extiende

1 A través de un nervio, llega una orden al tríceps y este se contrae.

2 El tríceps está unido al hueso por un tendón y tira de él. El brazo se estira.

El brazo se dobla

1 A través de un nervio, llega una orden al bíceps y este se contrae.

2 El bíceps está unido al hueso por un tendón y tira de él. El brazo se dobla.

COMPRENDE, PIENSA, INVESTIGA...

4 Enumera las funciones del sistema muscular.

5 Explica cómo se produce la contracción muscular.

9.2 El sistema muscular

El sistema muscular lo forman los músculos y los tendones. De los tres tipos de músculos existentes, esquelético, cardiaco y liso, solo los músculos esqueléticos forman parte del aparato locomotor.

Nuestro cuerpo cuenta con unos 400 músculos que constituyen cerca del 40 % del peso del organismo. Las funciones del sistema muscular son:

- Producir movimiento, cuando los músculos se contraen y tiran de los huesos.

- Mantener la postura del cuerpo mediante el tono muscular, que son pequeñas contracciones que hacen que el cuerpo permanezca en su posición.

- Producir calor. La contracción muscular produce la mayor parte del calor necesario para mantener la temperatura corporal.

Los músculos y los tendones

Los músculos esqueléticos están formados por haces de fibras musculares reunidas en fascículos. Las fibras, o células musculares, son cilíndricas y alargadas.

Cada músculo está rodeado por una capa de tejido conjuntivo, que se prolonga formando estructuras muy resistentes, llamadas tendones. Estos lo unen fuertemente a los huesos, a la piel o a otro músculo.

Por su forma, los músculos pueden ser:

- Fusiformes, con forma alargada y más estrecha en los extremos, como, por ejemplo, el bíceps.

- Planos, tan anchos como largos, como, por ejemplo, los pectorales.

- Circulares, como los músculos orbiculares que abren y cierran los labios.

La contracción muscular

- Los movimientos del cuerpo son el resultado de la contracción de los músculos, al actuar sobre los huesos y las articulaciones.

- Cuando un músculo recibe un impulso nervioso, acorta sus fibras y se contrae. Esto provoca un movimiento en los huesos a los que está unido, haciendo que se acerquen, se separen o giren. Generalmente, los músculos esqueléticos forman parejas de función antagónica, o contraria, de forma que cuando uno se contrae, el otro se relaja. Por ejemplo, cuando el bíceps se contrae y el tríceps se relaja, se produce la flexión del brazo.

Bíceps

La musculatura humana

Temporal

Masetero

Pectoral

Bíceps

Sartorio

Orbicular

Esternocleidomastoideo

Oblicuo

Deltoides

Serrato

Costales Abdominales

Cuádriceps

Tríceps

Trapecio

Glúteo

Semitendinoso

Semimembranoso

Tibial anterior

Gemelos

Tendón de Aquiles

Dorsal
Bíceps femoral
Aductor

La ejecución de la respuesta y la salud

La rotura de cadera

Las fracturas de cadera son una de las lesiones óseas más graves que pueden sufrir personas de avanzada edad, ya que suponen una importante disminución de su calidad de vida. Uno de los tratamientos supone el implante de prótesis como la que ves en la imagen.

10.1 La salud del aparato

locomotor

Las enfermedades que afectan al aparato locomotor son muy frecuentes en la población y disminuyen considerablemente la calidad de vida de muchas personas.

La salud de los huesos y de las articulaciones

Las enfermedades más frecuentes en el sistema esquelético son:

- La osteoporosis. Se caracteriza por la disminución de la densidad del tejido óseo, lo que provoca una mayor fragilidad de los huesos.

- La artritis. Es la inflamación del tejido cartilaginoso que forma las articulaciones. Produce dolor y, a largo plazo, deformaciones en el tejido.

- Las fracturas. Son roturas totales o parciales del hueso. Se producen generalmente como consecuencia de traumatismos, debidos a golpes y accidentes. En ocasiones, la fragilidad de los huesos, debida a otras enfermedades, puede ser el origen de la fractura.

- Las luxaciones. Se producen cuando los huesos se salen de las articulaciones, produciendo dolor y dificultando su movilidad.

- Las roturas de cartílagos en las articulaciones, debidas, generalmente, a traumatismos.

La salud de los músculos

Las principales enfermedades del sistema muscular son:

- Las contracturas musculares. Son contracciones excesivas e involuntarias de los músculos, debidas generalmente a un esfuerzo.

- Los esguinces. Son estiramientos o torsiones de los ligamentos, que causan dolor e inflamación.

- Las tendinitis. Son inflamaciones de los tendones.

- Las roturas fibrilares, debidas, generalmente, a traumatismos.

Hueso sano

Hueso con osteoporosis

La osteoporosis

Describe en qué consiste la alteración ósea que puedes observar en la imagen e investiga sobre sus causas y cuáles son los factores de riesgo para desarrollarla.

10.2

Los hábitos saludables para el aparato

locomotor

La mayor parte de las enfermedades del aparato locomotor se pueden prevenir adoptando hábitos saludables. Algunos de ellos son:

- Llevar una alimentación sana y equilibrada. Nuestra dieta debe aportar los minerales necesarios para el correcto funcionamiento de los músculos y para conservar la fortaleza de los huesos. Una dieta sana previene el exceso de peso, que puede sobrecargar nuestro esqueleto.

- Proporcionar el descanso necesario a nuestro organismo, practicando estiramientos y ejercicios de relajación tras una actividad física y durmiendo suficientes horas de sueño.

- Adoptar posturas correctas, que proporcionan descanso a nuestros huesos y músculos y evitan las sobrecargas.

- Realizar ejercicio físico regular, que favorece el desarrollo de los músculos y aumenta la resistencia de los huesos.

Mantén la espalda erguida y apoyada en el respaldo.

Prevención de riesgos laborales

Todos los trabajos tienen asociados riesgos para la salud, muchos de ellos asociados al aparato locomotor y concretamente a los relacionados con hábitos posturales y de movimiento. Te proponemos que elijas una profesión y averigües cuáles son los riesgos laborales asociados a esa profesión así como las medidas obligatorias y recomendadas para evitarlos.

Evita las posturas relajadas de la columna.

Mantén la cabeza y el tórax erguidos.

Consejos para adoptar posturas correctas

Comprobamos. Eligid cada uno una postura que adoptéis habitualmente que sea incorrecta, puede ser en clase o en casa, quietos o en movimiento. Pensad, a continuación, en cómo deberíais realizarla de forma correcta. Enseñadles la postura y la corrección que habéis pensado a vuestros compañeros y compañeras y contrastad vuestras opiniones.

Al sentarse
Al coger peso
Al caminar
Evita sentarte en el borde del asiento.
Evita flexionar la columna con las piernas extendidas.
Dobla las rodillas, no la espalda.

COMPRENDE

Organiza las ideas

1 Mapa conceptual de araña. Completa en tu cuaderno los espacios vacíos del siguiente mapa conceptual. Aprende a hacer mapas conceptuales con el recurso disponible en anayaeducacion.es

La función de relación

Receptores internos: ?

Receptores externos: ?

Sistema endocrino –? – Hormonas

Sistema esquelético –? – Articulaciones

Sistema nervioso S. N. central –? –? S. N. periférico –? –?

Sistema muscular –? – Tendones

Órganos de los sentidos: ? Las glándulas

Los receptores

Haz un resumen

Los efectores

Los centros coordinadores

2 Elabora tu propio resumen de la unidad siguiendo este guion:

• Define función de relación y enumera los procesos mediante los cuales se realiza.

• Explica cómo se lleva a cabo la recepción de los estímulos.

• Describe los órganos de los sentidos y su función.

• Define neurona y explica cómo se transmite el impulso nervioso.

• Realiza un esquema del sistema nervioso central y periférico, indicando sus partes y funciones principales.

• Compara el funcionamiento del sistema nervioso en los actos voluntarios y en los actos reflejos.

• Nombra las glándulas endocrinas y explica cómo realizan la coordinación.

• Nombra las funciones de los sistemas esquelético y muscular.

• Clasifica los huesos y los músculos y nombra los principales del cuerpo humano.

• Define articulación y explica cómo se produce la contracción muscular.

• Nombra los hábitos saludables para los órganos de los sentidos, el aparato locomotor y los sistemas nervioso y endocrino.

Interpreta imágenes

a) ¿Qué tipo de receptores se representa en el esquema?

b) ¿En cuál de los sentidos intervienen?

c) ¿Qué tipo de estímulo capta cada uno de estos receptores?

4 Observa el proceso representando en la imagen y contesta:

a) ¿A qué tipo de acto corresponde?

b) ¿Qué órgano de coordinación interviene en este proceso?

c) Redacta un pequeño texto explicativo para cada una de las etapas de este proceso indicadas en la ilustración.

5 ¿Qué anomalía de la visión se observa en esta imagen? Explica a qué se debe y cómo se puede corregir.

Aplica

6 Indica qué parte del ojo es la responsable de:

a) Enfocar la imagen.

b) Contener los conos y bastones.

c) Proteger la córnea.

d) Regular el paso de la luz.

7 ¿Por qué un constipado puede provocar una infección de oído?

8 Al tomar un medicamento con sabor desagradable, muchas veces nos tapamos la nariz; ¿por qué?

9 Establece las diferencias entre:

a) Miopía y astigmatismo.

b) Epífisis y diáfisis de un hueso.

c) Tendón y ligamento.

d) Esguince y luxación.

e) Dendrita y axón.

10 Clasifica y nombra:

a) Los receptores según el estímulo que captan.

b) Las articulaciones según la capacidad de movimiento.

c) Las neuronas según la función que realizan.

d) Las drogas según el tipo de acción.

11 Razona por qué una persona puede morir si se da un golpe en la nuca.

12 Explica qué tipo de sistema nervioso autónomo actúa ante una situación de peligro y por qué.

REFLEXIONA

Avanza

13 El nivel de glucosa en la sangre, glucemia, es regulado por dos hormonas producidas por el páncreas: la insulina y el glucagón.

Nivel bajo de glucosa. Páncreas

Nivel alto de glucosa.

Glucagón segregado por las células del páncreas.

El hígado descarga glucosa en la sangre.

Insulina segregada por las células del páncreas.

Se restablecen los niveles normales de glucosa en sangre.

Las células toman glucosa de la sangre.

a) Observa el esquema y redacta un texto en el que expliques cómo tiene lugar la regulación de la glucemia en sangre.

b) ¿Qué enfermedad aparece cuando el organismo pierde la capacidad de generar insulina?

En esta primera unidad nos hemos puesto en la piel de una persona que ha sufrido un accidente de tráfico con posibles consecuencias permanentes. Hemos comprendido la importante labor de los órganos de los sentidos y la importancia de mantener el buen estado de nuestro sistema nervioso. Reflexiona sobre tu aprendizaje rellenando el cuestionario y la rúbrica disponibles en anayaeducacion.es

AspectosTotalmente conseguido Bastante conseguido ConseguidoCasi conseguido

Soy capaz de explicar con mis palabras lo que significa la función de relación y su importancia para la vida.

PON A PRUEBA TUS COMPETENCIAS

Realiza la autoevaluación competencial incluida en anayaeducacion.es

Aparatos para la función de reproducción

MARIE-ANNE VICTOIRE GILLAIN BOIVIN.

Una sabia ginecóloga

¿Crees que nacer es fácil? Piénsalo un momento. En nuestro primer paso hacia el mundo hay mil piedras con las que tropezar. Una hemorragia en el útero, un posicionamiento incorrecto del feto, una infección, un fallo en el desarrollo embrionario… y fin. Nunca probarás el chocolate, ni verás el mar, ni leerás este texto… Nunca existirás.

Me llamo Marie-Anne Victoire Gillain Boivin y dediqué mi carrera a intentar resolver el sinfín de problemas que pueden darse durante el embarazo. Nací en un suburbio parisino en 1773. Las monjas de un convento en Étampes me educaron y me enseñaron las bases de la medicina hasta que, durante la Revolución francesa, el lugar fue destruido. Afortunadamente, mi talento había llamado la atención de Isabel de Francia, la hermana menor del rey Luis XVI, quien me dio la oportunidad de estudiar anatomía y formarme como partera.

En 1800 comencé a trabajar en la maternidad del hospital de Versalles, donde mi habilidad para diagnosticar y resolver casos complicados pronto me granjeó el

respeto de mis colegas de profesión. A lo largo de mi carrera convencí a uno de los ministros de Napoleón para que fundara una escuela de partería en París, formé parte de diversas sociedades médicas e incluso fui directora de varios de los hospitales en que trabajé.

A medida que fui profundizando en el campo de la ginecología recopilé mis métodos y conocimientos en varios manuales que escribí, ilustré y coloreé yo misma. Para mi alegría, han sido traducidos a multitud de idiomas, ¡y algunos se han usado durante más de un siglo! Asimismo inventé algunos instrumentos, como un nuevo tipo de pelvímetro y un espéculo vaginal. También fui una de las primeras personas en usar el estetoscopio para auscultar el latido del feto.

Pese a que tuve una vida modesta, especialmente durante los últimos años en que me vi sumida en la pobreza, sé que mi perseverancia y creatividad han facilitado que muchos bebés lleguen al mundo de forma segura para ellos y para sus madres. Si lo piensas, es una recompensa generosa.

¿Qué vas a descubrir?

En esta unidad

• Marie-Anne Victoire Gillain Boivin. Una sabia ginecóloga

1. La reproducción humana

2. Los aparatos reproductores

3. Los gametos humanos

4. Los ciclos del ovario y del útero

5. La fecundación, el embarazo y el parto

6. Salud y planificación reproductiva

• Comprende, reflexiona y pon a prueba tus competencias

En anayaeducacion.es

Para motivar

• Vídeo: Antes de empezar

• Conoce más a... Marie-Anne Victoire Gillain Boivin

Para detección de ideas previas

• Presentación: Qué necesitas saber

Para exponer

• Presentación: Alteraciones del ciclo ovárico

• Vídeos: La formación de un nuevo ser

Para ejercitar

• Actividades interactivas: Aprende jugando, Ponte a prueba

• Taller de ciencias: Analizamos datos sobre la igualdad de género

Y, además, toda la documentación necesaria para aplicar las claves del proyecto.

SECUENCIA DE APRENDIZAJE

4.1 En este caso vamos a analizar cómo es la respuesta de los distintos sistemas sanitarios en el seguimiento del caso de una pareja que lleva tiempo intentando tener un

4.2 Investiga y explica cuáles son las posibles causas de infertilidad así como sus posibles

5.1 Analiza el ciclo del ovario y del útero y ex-

5.2 Compara los sistemas sanitarios y explica cómo se realiza el seguimiento del embara-

6.1 Investiga posibles complicaciones del embarazo relacionadas con las infecciones de transmisión sexual y las formas de preve-

6.2 Busca cuáles son las complicaciones más comunes durante el embarazo y el parto y cuáles son sus consecuencias. Compara cómo se abordan en cada sistema sanita-

6.3 Para tu análisis ten en cuenta la accesibilidad, las opciones públicas y privadas de tratamiento y los costes en cada sistema

+ anayaeducacion.es

La reproducción humana 1

Los cromosomas

Antes de que cualquier célula se reproduzca el ADN del núcleo se compacta y condensa para formar unas estructuras llamadas cromosomas. Las células humanas tienen 46 cromosomas.

1.1 Características de

la reproducción humana

La reproducción humana es sexual. Se realiza a través de los gametos, que se forman en los aparatos reproductores masculino y femenino. Los gametos transmiten parte de la información genética de cada progenitor al descendiente, por lo que es semejante a ellos.

Los procesos de la reproducción sexual

La reproducción sexual requiere los siguientes procesos:

- La formación de los gametos. Los gametos humanos son el óvulo o gameto femenino, y el espermatozoide o gameto masculino. Son células especializadas que contienen la mitad de la dotación cromosómica del resto de células humanas; es decir, veintitrés cromosomas.

La especie humana es unisexual; es decir, cada tipo de gameto es producido por un sexo distinto, los espermatozoides por individuos de sexo masculino y los óvulos por individuos de sexo femenino. Además, presenta diferencias anatómicas entre ambos sexos, lo que se conoce como dimorfismo sexual.

- La fecundación. Es la unión de los gametos masculino y femenino. De esta unión se forma un cigoto o célula huevo. En nuestra especie, la fecundación es interna y tiene lugar en el interior de la mujer. Los espermatozoides son depositados en las vías genitales femeninas.

- El desarrollo embrionario. Es el conjunto de procesos que tienen lugar entre la formación del cigoto y la del nuevo ser. La especie humana es vivípara; es decir, el desarrollo embrionario tiene lugar en el interior del útero de la mujer.

- El nacimiento. Es el momento en el que el nuevo ser humano sale del cuerpo materno y comienza a realizar por sí mismo las funciones vitales.

COMPRENDE, PIENSA, INVESTIGA...

1 Explica qué significa que la especie humana sea vivípara.

2 Razona por qué los óvulos y los espermatozoides tienen tan solo 23 cromosomas si los seres humanos tenemos 46 cromosomas en el núcleo de nuestras células.

3 Explica las diferencias que existen entre los conceptos dimorfismo sexual y especie unisexual.

4 Imagina que un grupo de extraterrestres llega a la Tierra y eres la persona elegida para comunicarse con ellos. Una de tus tareas es explicarles las características de la reproducción humana. Escribe el texto que mandarías a este grupo de extraterrestres.

1.2 La madurez sexual

Cuando un ser humano nace, su aparato reproductor está totalmente formado, pero no es funcional.

En la adolescencia, durante la pubertad, gracias a la producción de las hormonas sexuales, se producen los cambios fisiológicos y psicológicos que dotan a las personas de capacidad sexual y reproductora.

la musculatura, el pene

Analizamos la adolescencia

Se desarrollan la identidad

El inicio de la pubertad no es igual para todas las personas. Responde a estas cuestiones y comenta con tus compañeras y compañeros cómo se están sintiendo al pasar por estos cambios.

• ¿A qué edad empezasteis a notar los cambios físicos que se describen en este apartado?

• ¿Os preocupa el acné? Averiguad qué es exactamente y cuáles son sus causas y las pautas médicas recomendadas para su tratamiento.

• ¿Qué crees que significa que durante la adolescencia se adquiere mayor madurez psicológica? ¿Cómo crees que esto afecta a las relaciones con las personas de tu alrededor?

• Pregunta a personas mayores cercanas a ti qué recuerdan sobre sus sensaciones en esta etapa de cambio. ¿Se parecen sus experiencias a las tuyas?

Los aparatos reproductores

2.1 El aparato reproductor masculino

El aparato reproductor masculino tiene la función de producir los espermatozoides y depositarlos en las vías genitales femeninas, para facilitar su encuentro con el óvulo.

El aparato reproductor masculino

Vista de perfil

Vejiga urinaria

Glándula de Cowper

Está formado por los testículos, las vías genitales masculinas, el pene y varias glándulas.

Conduct def

Uretra

Escroto

Testículo

Túbulo seminífero

Describe el camino que realizan los espermatozoides desde que se forman en los testículos hasta que salen al exterior.

COMPRENDE, PIENSA, INVESTIGA...

1 Define escroto y próstata

2 Razona por qué crees que es necesario tanto el líquido que se produce en las glándulas de Cowper como el que se genera en la próstata.

- Los testículos son las gónadas masculinas. Están situados fuera de la cavidad abdominal en un repliegue de piel, a modo de bolsa, denominado escroto. Cada testículo está formado por multitud de finos conductos enrollados, denominados tubos seminíferos, donde se forman los espermatozoides. Además, los testículos son glándulas endocrinas, que vierten a la sangre hormonas sexuales masculinas como la testosterona.

- Las vías genitales masculinas son el epidídimo, los conductos deferentes y la uretra.

• El epidídimo. Es un conducto enrollado, situado en la parte superior de cada testículo. En él desemboca la red de tubos del testículo y se almacenan los espermatozoides.

• Los conductos deferentes. Conectan el epidídimo con la uretra.

• La uretra. En ella desembocan los conductos deferentes. A través de la uretra salen al exterior el semen y la orina.

- El pene es un órgano cilíndrico que termina en un ensanchamiento denominado glande. Está cubierto por una capa de piel, el prepucio. La función del pene es depositar los espermatozoides en el interior de las vías genitales femeninas.

- Las glándulas son glándulas exocrinas que vierten sus secreciones a los conductos deferentes, donde se unen a los espermatozoides para formar el semen. Estas glándulas son:

• Las vesículas seminales. Segregan sustancias que nutren a los espermatozoides.

• La próstata. Segrega sustancias que activan la movilidad de los espermatozoides.

• Las glándulas de Cowper. Producen una secreción lubricante que neutraliza la acidez de la uretra y la vagina.

2.2 El aparato reproductor femenino

El aparato reproductor femenino tiene la función de producir los óvulos, facilitar su encuentro con los espermatozoides y nutrir y albergar al embrión tras la fecundación.

Está formado por los ovarios, las vías genitales femeninas y la vulva.

- Los ovarios son las gónadas femeninas. La forma y el tamaño de estos órganos son similares a una almendra. Están situados en el interior de la cavidad pélvica y contienen multitud de óvulos inmaduros, formados durante la gestación de la mujer. Además, son glándulas endocrinas, que vierten a la sangre hormonas sexuales femeninas, como los estrógenos y la progesterona.

- Las vías genitales femeninas son las trompas de Falopio, el útero y la vagina.

• Las trompas de Falopio son dos conductos que conectan los ovarios con el útero. Presentan un ensanchamiento con prolongaciones para recoger el óvulo. Su interior está tapizado por un epitelio de células, cuyos cilios ayudarán a transportar el óvulo hacia el útero.

• El útero o matriz es un órgano situado en el centro de la cavidad pélvica, cuya forma y tamaño son similares a los de una pera. Está constituido por una gruesa pared de tejido muscular, que delimita una cavidad interna tapizada por un epitelio denominado endometrio o mucosa uterina. En su interior se implanta y alimenta el embrión, tras la fecundación. La parte del útero que conecta con la vagina, más estrecha, se denomina cuello uterino o cérvix.

• La vagina es un conducto de paredes flexibles que conecta el útero con el exterior.

- La vulva está formada por dos pliegues de piel, llamados labios.

COMPRENDE, PIENSA, INVESTIGA...

3 Las paredes de las trompas de Falopio están compuestas de células ciliadas mientras que las del útero están cubiertas de una capa mucosa. ¿A qué crees que se debe esta diferencia?

El aparato reproductor femenino

Dibuja en tu cuaderno el aparato reproductor femenino e indica sus partes.

4 Razona por qué la uretra está presente en el aparato reproductor masculino y no en el femenino.

5 Piensa y comparte en pareja. Explica qué crees que significa que todos los óvulos de una mujer se e su ges formen durante su gestación.

Út
Cuello uterino
Vulva Trompa de Falopio Ovario

Los gametos humanos

Los gametos son las células especializadas en la reproducción sexual. Los espermatozoides y los óvulos llevan la información genética de los progenitores, necesaria para la formación de la primera célula de un nuevo ser.

3.1 Los espermatozoides

Los espermatozoides constan de las siguientes partes:

- La cabeza, donde se encuentra el núcleo.

- La zona intermedia, donde abundan las mitocondrias que aportan la energía necesaria para su gran movilidad.

- La cola, formada por un largo flagelo que le permite moverse.

Los espermatozoides o gametos masculinos son células pequeñas y móviles. Se forman en los testículos mediante un proceso denominado espermatogénesis.

COMPRENDE, PIENSA, INVESTIGA...

1 Define gameto

2 Los espermatozoides tienen una estructura llamada acrosoma. Averigua su función y localización.

La espermatogénesis

Los espermatozoides se forman en los testículos, dentro de los largos y finos tubos seminíferos. En sus paredes se encuentran unas células germinales, que se multiplican continuamente desde la pubertad. Estas células se dividen y sufren un proceso de diferenciación celular que le dará la forma y la funcionalidad del espermatozoide.

La formación de los espermatozoides ocurre en en los que hasta formar

Zona intermedia

Observa la imagen y dibuja un espermatozoide en el que indiques cada una de sus partes.

Cabeza
Cola

3.2 Los óvulos

Los óvulos o gametos femeninos son células grandes e inmóviles que contienen sustancias nutritivas para alimentar al embrión. Se forman en los ovarios mediante un proceso denominado ovogénesis.

Los óvulos constan de las siguientes partes:

- El núcleo, que contiene los cromosomas.

- El citoplasma, que contiene el vitelo, un conjunto de sustancias nutritivas que sirven de reserva para nutrir al embrión en las primeras etapas del desarrollo embrionario.

- La membrana, rodeada de la zona pelúcida y la corona radiata, que son cubiertas que lo protegen.

La ovogénesis

Los óvulos se forman en los ovarios. Durante la gestación; es decir, cuando la mujer es todavía un embrión, se forman un elevado número de óvulos inmaduros protegidos dentro de unas estructuras llamadas folículos.

En la pubertad, comienza la maduración cíclica de los óvulos. Cuando el óvulo madura aumenta su tamaño, se rompe el folículo y se libera el óvulo; este proceso se conoce con el nombre de ovulación. Las ovulaciones se prolongan hasta la menopausia, momento en el que cesa la capacidad reproductora de la mujer.

Así es un óvulo

Citoplasma Membrana pelúcida

COMPRENDE, PIENSA, INVESTIGA...

3 Describe el proceso de ovogénesis.

4 Define menopausia y averigua cuáles son las consecuencias que tiene para la salud de las mujeres.

Los óvulos y la ovulación

Observa la imagen y dibuja un óvulo en el que indiques cada una de sus partes.

Crecimiento del folículo y ovulación

Cuerpo lút (resto del f

1. Crecimiento y maduración del folículo

Corona radiata
Núcleo
2. Ovulación
Óvulo

Los ciclos del ovario

y del útero

COMPRENDE, PIENSA, INVESTIGA...

1 Elabora un listado con las hormonas relacionadas con el ciclo ovárico especificando su función en cada caso.

2 Explica qué es el cuerpo lúteo y cuál es su relación con el óvulo.

3 Si tras la ovulación se produce fecundación, ¿habrá menstruación durante la fase secretora? Razona tu respuesta.

4 Busca información y averigua por qué las siguientes afirmaciones son falsas:

a) En el ciclo menstrual solo hay un día fértil. El de la ovulación.

b) El ciclo ovárico sucede siempre en el mismo ovario.

c) El ciclo menstrual dura siempre 28 días.

d) Una forma de calcular la ovulación es sumar 14 días al día que empieza la menstruación.

Los ovarios y el útero sufren cambios cíclicos, estrechamente relacionados y controlados por hormonas. Estos cambios están destinados a producir óvulos y preparar el útero para un posible embarazo.

4.1 El ciclo ovárico

El ciclo ovárico se repite aproximadamente cada veintiocho días y tiene lugar en tres fases: fase de crecimiento folicular, ovulación y fase de formación del cuerpo lúteo.

- Fase de crecimiento folicular (días 1 al 14). La hipófisis, una glándula endocrina situada en la base del cráneo, segrega la hormona FSH, que estimula la maduración en el ovario de algunos folículos. Durante esta fase, se producen estrógenos, que son hormonas liberadas por los propios folículos.

- Ovulación (alrededor del día 14). Uno de los folículos completa la maduración, se rompe y libera un óvulo. Este proceso está regulado por un aumento de los niveles de las hormonas FSH y LH. Estas hormonas las segrega la hipófisis como respuesta a los estrógenos producidos en la fase de crecimiento folicular.

- Fase de formación del cuerpo lúteo (días 14 al 28). Los restos del folículo constituyen el cuerpo lúteo, una estructura que produce estrógenos y progesterona, hormonas que preparan al útero para un posible embarazo. Si el óvulo no es fecundado, el cuerpo lúteo degenera, disminuyen los niveles de hormonas y se reinicia el ciclo.

4.2 El ciclo uterino

Este ciclo se produce simultáneamente al ciclo ovárico, en tres etapas: la menstruación, el crecimiento del endometrio o fase proliferativa y la fase secretora.

- Menstruación (días 1 al 5). La parte superficial del endometrio, que está muy gruesa y vascularizada, se destruye y se expulsa al exterior a través de la vagina junto con la sangre que hay en sus capilares, produciéndose una hemorragia. Esta etapa está relacionada con la degeneración del cuerpo lúteo y la disminución de los niveles de hormonas.

- Crecimiento del endometrio o fase proliferativa (días 6 al 14). Una vez terminada la menstruación y hasta dos días después de la ovulación, el endometrio que se había perdido en la etapa anterior se regenera y vasculariza.

- Fase secretora (días 15 al 28). Después de la ovulación, si hay fecundación, el cuerpo lúteo mantiene la pared interna del útero para que pueda producirse el desarrollo del embrión. Si no se produce la fecundación, el cuerpo lúteo degenera, bajan los niveles hormonales y se produce una nueva menstruación que reinicia el ciclo.

Los ciclos del ovario y del útero y su regulación hormonal

3 Las paredes del útero siguen engrosándose hasta que se produce una nueva menstruación. El óvulo degenera si no ha sido fecundado.

1 Menstruación: el cuerpo lúteo degenera y la parte superficial del endometrio se desprende.

Ovulación

Menstruación

2 Una vez completada la menstruación y hasta dos días después de la ovulación, el endometrio se regenera y vasculariza.

Observa las gráficas e indica cómo son los niveles de las hormonas que aparecen en ellas antes, durante y después de la ovulación.

Averigua la función de cada una de estas hormonas en caso de que se produzca la fecundación.

5

La fecundación, el embarazo y el parto

5.1 La fecundación y el desarrollo embrionario

La fecundación es la unión de un espermatozoide y de un óvulo para formar una nueva célula: el cigoto. El proceso tiene lugar en las trompas de Falopio.

El desarrollo embrionario es el proceso que acontece entre la fecundación y el parto; en los seres humanos dura en torno a cuarenta semanas.

De la fecundación a la formación de la placenta y el amnios

- Tras la fecundación, el cigoto, que sigue su camino hacia el útero, sufre las primeras divisiones celulares que darán lugar al embrión.

- Cuando el embrión llega al útero se fija al endometrio. A este proceso se lo conoce como implantación.

- Para proteger al embrión una vez se ha implantado, se forman la placenta y el amnios. La placenta es un órgano que conecta el embrión con la madre a través del cordón umbilical. Su función es permitir el intercambio de sustancias como nutrientes, oxígeno y desechos. El amnios es una bolsa llena de líquido amniótico en la que el embrión se encuentra inmerso y protegido.

La fecundación y la implantación

1 Fecundación

Espermatozoides

2 Primeras divisiones del cigoto

Observa la imagen y cópiala en tu cuaderno indicando las partes del aparato reproductor femenino en las que ocurren la fecundación, las primeras divisiones del cigoto y la implantación.

3 Implantación Óvulo

El desarrollo continúa

- El primer trimestre: las divisiones celulares continúan y se desarrollan la mayoría de los órganos del embrión. Alrededor de la semana siete se forma la cabeza, pasa a llamarse feto y mide en torno a 11 mm.

- El segundo trimestre: comienza a osificarse el esqueleto y madura el sistema nervioso, el feto comienza a moverse y a tener ciertos reflejos. Alrededor de la semana 18 comienza a oír y en la 26 los pulmones comienzan a madurar.

- El tercer trimestre: el feto aumenta de tamaño y maduran todos los órganos, comienza a crecer el cabello y los movimientos se hacen más frecuentes e intensos. A partir de la semana 37, los huesos están totalmente desarrollados, pero aún son flexibles y blandos, y los pulmones son completamente funcionales. En el momento del parto, el bebé mide entre 45 y 50 cm y pesa algo más de tres kilogramos.

5.2 El parto

Tras las cuarenta semanas de gestación, la hipófisis de la madre libera la hormona oxitocina, que provoca contracciones en el útero, con lo que comienza el parto. La oxitocina estimula también la secreción de leche, de la que se alimentará el bebé durante los primeros meses de vida. El parto comprende tres fases: la dilatación, la expulsión y el alumbramiento.

La fase de dilatación

Debido a las contracciones uterinas, cada vez más regulares y frecuentes, el cuello del útero se dilata, hasta alcanzar un diámetro de unos diez centímetros. Durante esta fase, la bolsa amniótica se rompe, se produce la liberación del líquido amniótico a través de la vagina.

La fase de expulsión

Las contracciones son más intensas y frecuentes y empujan al feto hacia el cuello uterino. La madre ayuda a la expulsión contrayendo los músculos abdominales. Una vez en el exterior, el personal sanitario ata y corta el cordón umbilical del bebé, contribuyendo a la activación de su aparato respiratorio.

La fase de alumbramiento

Nuevas contracciones hacen que se desprenda la placenta y se expulse fuera del cuerpo, junto con los restos de la bolsa amniótica y el cordón umbilical.

El desarrollo embrionario

30 semanas 16 semanas 8 semanas

COMPRENDE, PIENSA, INVESTIGA...

1 Nombra las fases del parto y explica, brevemente, lo que ocurre en cada una de ellas.

2 Pienso - me interesa - investigo. Usa esta estrategia de pensamiento para explicar cómo se producen los embarazos de mellizos y los de gemelos. Aprende a usar esta estrategia de pensamiento con el recurso disponible en anayaeducacion.es

Salud y planificación reproductiva

Algunos métodos anticonceptivos

Consiste en elaborar un calendario del ciclo menstrual para predecir cuándo se producirá la ovulación. Es muy poco fiable y no previene las ITS.

Es una técnica de esterilización que consiste en cortar o ligar las trompas de Falopio. No previene las ITS.

6.1 Los métodos anticonceptivos

Los métodos anticonceptivos permiten la planificación familiar y algunos ayudan a prevenir infecciones de transmisión sexual (ITS).

Es una técnica de esterilización que consiste en cortar y sellar los conductos deferentes para que los espermatozoides no lleguen a formar parte del semen. No previene las ITS.

Impide la ovulación. Requieren prescripción y control médico. Pueden ser en pastillas, parches o inyecciones. No previenen las ITS.

Son cremas, geles o cápsulas que se colocan en la vagina y que inactivan o destruyen los espermatozoides. No son muy eficaces por sí solos y no previenen las ITS.

Consiste en detectar el momento de la ovulación por el pequeño incremento de temperatura que se da en ese momento del ciclo. Es muy poco fiable y no previene las ITS.

Impide mecánicamente el encuentro entre gametos. Es el único método que previene las ITS. Puede ser masculino o femenino.

Es un objeto que dificulta la fecundación e impide la implantación del embrión en el útero. Requiere control y revisiones médicas periódicas. No previene las IT ITS.

Es una membrana de goma que se coloca en el útero. Requiere asesoramiento ginecológico para su uso y no previene las ITS.

6.2 La infertilidad y sus causas

La infertilidad es la imposibilidad de poder tener hijos. Puede ser tanto masculina como femenina.

Causas de la infertilidad

- En el caso de la infertilidad femenina, las principales causas son la falta o escasez de óvulos, anomalías en el útero y la obstrucción de las trompas de Falopio.

- En el caso de la infertilidad masculina, las principales causas son la ausencia o anomalías en los espermatozoides, las malformaciones de las gónadas o de las vías genitales.

6.3 La reproducción asistida

La reproducción asistida puede llevarse a cabo mediante diversas técnicas que dependerán de la causa de infertilidad. En la actualidad, las más utilizadas son la inseminación artificial y la fecundación in vitro.

La inseminación artificial

La inseminación artificial es una técnica que suele utilizarse cuando el número de espermatozoides es bajo o su calidad es baja.

Consiste en obtener los espermatozoides del semen y depositarlos directamente en el útero femenino, a través del instrumental adecuado, evitando la barrera defensiva que supone el cuello del útero.

La fecundación in vitro y transferencia de embriones

La fecundación in vitro y transferencia de embriones (FIVTE) es una técnica más compleja que la inseminación artificial. En ella, la fecundación se realiza en el exterior del cuerpo femenino, en una placa de laboratorio.

Esta técnica requiere los pasos siguientes:

- Se estimulan los ovarios con hormonas, para que produzcan muchos óvulos.

- Se extraen los óvulos.

- Se realiza la fecundación (FIV). Se unen los óvulos y los espermatozoides, previamente obtenidos de la pareja o donante, en una placa de vidrio, en una proporción de un óvulo por cada 70 000 espermatozoides.

- Se cultivan los embriones y se seleccionan los más viables. En España se autoriza, además, la selección de embriones con finalidades terapéuticas; por ejemplo, para curar a un hermano enfermo a través de las células madre del cordón umbilical.

- Se transfieren los embriones (TE). Tras el cultivo, los embriones seleccionados se depositan en el útero por medio de una cánula. El resto del embarazo se desarrolla como cualquier otro.

Fake news

A continuación, tienes varias afirmaciones relacionadas con los métodos anticonceptivos. Señala cuáles de ellas son verdaderas y cuáles son falsas justificando tu respuesta. Añade a la lista otro mito relacionado con los anticonceptivos que hayas escuchado.

• No hay riesgo de embarazo en la primera relación sexual.

• Si conozco mucho a la persona, no hay riesgo de contraer ITS.

• Todos los anticonceptivos hormonales tienen efectos adversos.

• El único método anticonceptivo que protege también contra las ITS es el preservativo.

• Los anticonceptivos hormonales reducen la fertilidad posterior. Comentad en grupo cuántas de las afirmaciones falsas habíais oído. ¿Por qué crees que hay tantos mitos sobre este tema?

Epidemiología de la gonorrea

Incidencia de infección gonocócica

Número de casos y tasa por 100 000 hab. España 1995-2016

Casos notifi cados Tasa gonococia Casos sífilis Tasa sífilis

gonococia

Observa la gráfica y contesta a las preguntas:

a) ¿Qué ha ocurrido con la gonorrea y la sífilis en los últimos años?

b) ¿Con qué crees que pueden tener relación esas cifras a lo largo de los años?

c) Averigua cuáles son los factores de riesgo para contagiarse de estas enfermedades.

d) Grupo nominal. En grupos, diseñad una campaña de prevención de ITS especialmente orientada hacia las personas jóvenes.

6.4 Las infecciones de transmisión sexual (ITS)

Las infecciones de transmisión sexual o ITS son enfermedades infecciosas, cuya principal vía de contagio es el contacto directo a través de las relaciones sexuales.

En función del tipo de patógeno que las causa podemos clasificarlas en: ITS causadas por bacterias, ITS causadas por virus e ITS causadas por otros patógenos.

ITS causadas por bacterias

Las principales son:

- Clamidiasis: es causada por la bacteria Chlamydia trachomatis. Su período de incubación suele ser de entre una y tres semanas. Algunos de sus síntomas en mujeres son incremento de secreciones, escozor al orinar y pequeños sangrados espontáneos. En hombres provoca irritación y picor del glande, dolor al orinar y secreción por la uretra de un exudado claro parecido al de la gonorrea. Se puede contagiar al feto durante el embarazo y llegar a provocar abortos espontáneos. Se trata con antibióticos.

- Gonorrea: es causada por la bacteria Neisseria gonorrhoeae. Su período de incubación suele ser de dos a cinco días. Puede ser asintomática, especialmente en las mujeres. Los principales síntomas cuando se produce la infección en la uretra de los hombres son: aumento del número de micciones acompañadas de dolor y aparición de una secreción uretral espesa de color amarillo verdoso. Puede contagiarse al feto durante el parto dañando habitualmente los ojos. Es una bacteria con gran capacidad de generar resistencia a los antibióticos.

- Sífilis: es causada por la bacteria Treponema pallidum. Su período de incubación es de 21 días. Se caracteriza por la presencia de una lesión llamada chancro que no suele ser dolorosa. Esta lesión suele aparecer en el pene y en los labios mayores. En estados avanzados aumenta el número de lesiones que pueden ser en otras partes del cuerpo. Los síntomas pueden ser muy variados y, en ausencia de tratamiento, pueden conducir, con el paso de los años, a graves complicaciones, incluso a la muerte.

ITS causadas por virus

- Herpes: es causada por el virus del herpes simple (VHS). Su período de incubación es de entre siete y diez días. Los síntomas son malestar, fiebre y aparición de lesiones en genitales y ano. El tratamiento es sintomático ya que no tiene cura.

- Síndrome de inmunodeficiencia adquirida (SIDA): es causado por el virus de la inmunodeficiencia humana (VIH). Tras la infección puede permanecer latente durante mucho tiempo; sin embargo, en ausencia de tratamiento, da lugar a la enfermedad en el 100 % de los casos. Es la ITS más grave ya que el virus ataca a los linfocitos dejando a la persona infectada sin defensas ante cualquier otro patógeno. El virus se transmite a través de la sangre, el semen, las secreciones vaginales, la placenta y la leche materna. Se trata mediante fármacos antirretrovirales, pero aún no existe cura. Se calcula que cada año mueren en el mundo más de medio millón de personas por enfermedades relacionadas con el SIDA.

- Enfermedades causadas por el virus del papiloma humano (VPH): actualmente es la infección con mayor número de personas afectadas. Existen más de 60 variedades del virus cuya gravedad varía de ser asintomáticos a provocar cáncer de cuello de útero. Actualmente, una vacuna contra el VPH está incluida en el calendario de vacunación.

ITS causadas por otros patógenos

- Ladillas: son insectos ectoparásitos de la especie Phthirus pubis. Se alimentan de sangre que absorben a través de la piel. Provocan picor que puede derivar en dermatitis. Se tratan con jabones especiales que destruyen los insectos y sus huevos.

- Tricomoniasis: causada por protozoos de la especie Trichomonas vaginalis. Suele ser una enfermedad asintomática en hombres pero que pueden provocar vaginitis en las mujres. Su período de incubación es de entre cuatro y siete días. Se trata con un medicamento antiparasitario.

- Candidiasis: son provocadas por hongos de la especie Candida albicans y otras del mismo género. Puede no transmitirse por contacto sexual. Su período de incubación es de entre dos y cinco días. Provoca picor, dolor e inflamación. Se trata mediante antifúngicos que consiguen curaciones entre el 80 y 90 % de casos.

6.5 Reproducción y hábitos saludables

Muchas de las enfermedades relacionadas con la reproducción lo están a su vez con hábitos saludables. Algunos de ellos son:

- Mantener una higiene diaria, en especial de los genitales, para evitar infecciones.

- Realizar revisiones médicas especializadas.

- Ante cualquier duda, pedir información a personas cualificadas.

- Evitar el consumo de tabaco y alcohol.

COMPRENDE, PIENSA, INVESTIGA...

1 Nombre las ITS transmitidas por bacterias.

2 Averigua en qué consiste la vacuna contra el VPH y cómo se realiza esta vacunación en tu comunidad autónoma.

3 El VIH fue identificado en los años ochenta del siglo xx. Investiga sobre cómo se identificó y sobre la búsqueda de tratamientos y escribe un breve informe con los hitos más importantes sobre la historia del virus. Fotografía realizada con microscopio electrónico de un ejemplar de ladilla (Phthirus pubis). Las ladillas miden entre uno y tres milímetros. La parte final de las patas está modificada formando un gancho que utilizan para fijarse al vello púbico.

COMPRENDE

Organiza las ideas

1 Mapa conceptual jerárquico. Copia y completa en tu cuaderno el siguiente mapa conceptual sobre la reproducción humana. Aprende a usar este organizador con el recurso disponible en anayaeducacion.es

Gónadas masculinas ?

LOS APARATOS REPRODUCTORES

aparato reproductor masculino

aparato reproductor femenino

Haz un resumen

2 Elabora tu propio resumen de la unidad siguiendo este guion:

• Cita los procesos de la reproducción sexual.

• Haz un listado de los cambios físicos y psicológicos que se producen durante la adolescencia.

• Describe la anatomía de los aparatos reproductores masculino y femenino.

• Explica qué es la espermatogénesis y cómo son los espermatozoides.

• Explica qué es la ovogénesis y cómo son los óvulos.

• Relaciona el ciclo ovárico y el ciclo uterino haciendo referencia a sus fases.

• Explica dónde y cómo se produce la fecundación.

• Detalle las fases del desarrollo embrionario y del parto.

• Nombra los métodos anticonceptivos detallando si previenen o no las ITS.

• Explica qué son las ITS y nombra las más comunes.

• Compara la inseminación artificial y la fecundación in vitro.

Interpreta imágenes

3 Observa la imagen y responde:

a) ¿Qué proceso de la reproducción representa?

b) Nombra las partes señaladas y los procesos indicados en el esquema.

c) Redacta un pequeño texto explicativo sobre el proceso.

4 Observa las siguientes imágenes y responde a las cuestiones:

a) Ordena las imágenes.

b) ¿A qué proceso de la reproducción corresponden?

c) Nombra cada una de las fases del parto representadas y explícalas brevemente.

5 ¿Qué métodos anticonceptivos se muestran en las siguientes imágenes? ¿En qué se basan? ¿Previenen las ITS?

Aplica

6 Ordena los siguientes procesos según el orden en el que ocurren.

a) Fecundación.

b) Parto.

c) Formación de gametos.

d) Desarrollo embrionario.

7 Razona si los siguientes cambios se producen en la adolescencia o no:

a) Mayor madurez psicológica.

b) Crecimiento del pelo en la cabeza.

c) Ensanchamiento de las caderas.

d) Osificación de los huesos.

e) Aparición de vello en el pubis y las axilas.

f) Agravamiento de la voz.

8 Describe el recorrido que realizan los espermatozoides desde que se forman hasta que, a través del coito, llegan al óvulo y lo fecundan.

9 Explica por qué el período fértil de una mujer abarca más que el día de la ovulación.

10 Establece las diferencias entre:

a) Óvulos y espermatozoides.

b) Fecundación y gestación.

c) Fecundación in vitro e inseminación artificial.

11 Razona si es lo mismo nacimiento que alumbramiento.

REFLEXIONA

12 Define infertilidad y cita las principales causas en ertilidad hombres y en mujeres.

13 Explica por qué el preservativo es el método anticonceptivo más recomendable para la prevención de las ITS.

14 Cita las hormonas sexuales femeninas y masculinas indicando su función principal.

Avanza

15 En cursos anteriores has estudiado que, además de la reproducción sexual, existe otro tipo de reproducción: la asexual.

a) Explica las ventajas y las desventajas de ambos tipos de reproducción.

b) Cita algunos ejemplos de seres vivos que tengan reproducción asexual.

16 El diagnóstico preimplantacional permite analizar genéticamente un embrión obtenido por fecundación in vitro, antes de ser transferido al útero. Busca información sobre esta técnica y responde:

a) ¿Cuándo se puede realizar este diagnóstico y en qué consiste?

b) ¿Qué tipo de enfermedades se pueden prevenir?

c) ¿Es posible seleccionar el embrión? ¿En qué casos está permitido legalmente?

En esta unidad nos hemos puesto en el lugar de una pareja que tiene problemas para tener descendencia y hemos analizado las causas y posibles soluciones para el problema. También hemos investigado las diferencias de seguimiento e intervención durante el embarazo y el parto. Reflexiona sobre tu aprendizaje rellenando el cuestionario y la rúbrica disponibles en anayaeducacion.es

AspectosTotalmente conseguido Bastante conseguido ConseguidoCasi conseguido

Entiendo cómo se produce la función de reproducción: fases y lugares del cuerpo donde ocurre cada una.

Soy capaz de distinguir los conceptos cigoto, embrión y feto.

PON A PRUEBA TUS COMPETENCIAS

Realiza la autoevaluación competencial incluida en anayaeducacion.es

Vida sana

JAMES MCCUNE SMITH.

La esperanza de un pueblo

¿Te imaginas cómo es pertenecer a otra persona? Que tu cuerpo y tus acciones sean propiedad de otro…. Eso es lo que significa ser esclavo. Me llamo James McCune y antes de dedicarme a la medicina fui uno de los últimos esclavos en Nueva York.

Nací en 1813, pero mi vida, la verdaderamente mía, comenzó cuando fui liberado 14 años después. Crecí solo con mi madre, que también era esclava. Ella me envió a estudiar a la «African Free School», uno de los pocos lugares donde se educaba a chicos negros. Allí demostré ser un excelente alumno, sensible al sufrimiento ajeno. Mis profesores me animaron a estudiar medicina, pero me rechazaron todas las universidades de Nueva York por ser afroamericano.

Uno de mis profesores, el Reverendo Peter Williams, me propuso intentarlo en la Universidad de Glasgow en Escocia. ¡Y allí fui! Armado solo con mi inteligencia y el dinero que mi profesor y algunos de sus socios habían reunido para ayudarme. En 1837 me gradué en medicina siendo el primero de mi clase.

A partir de entonces empecé a ejercer como ginecólogo y publiqué mis primeros artículos. ¡Los primeros

escritos por un médico afroamericano! En aquella época había otro ginecólogo, Hannay, que trataba a sus pacientes de gonorrea de una forma dolorosa y, en mi opinión, ineficaz. Habría sido más fácil mantenerme al margen pero soy incapaz de ignorar esas cosas así que me puse manos a la obra. Entrevisté a pacientes de Hannay, recopilé datos sobre su tratamiento y los comparé con los de otras opciones. Fui pionero en usar la estadística para sacar conclusiones. Reuní toda mi investigación en un artículo que, para mi alivio, acabó con las prácticas de Hannay.

Cuando regresé a Nueva York me recibieron como a un héroe. Abrí mi propia consulta para atender a todo tipo de pacientes, sin discriminación, monté una escuela, una farmacia y luego trabajé más de 20 años como médico de un orfanato. Publiqué decenas de artículos sobre medicina y en contra de la esclavitud y el racismo….

Aún así, nunca me admitieron en la Asociación Médica Americana. Qué se le va a hacer. Mi contribución a la comunidad afroamericana y a la humanidad en general es igual de valiosa.

¿Qué vas a descubrir?

En esta unidad

• James McCune Smith. La esperanza de un pueblo

1. La salud y la enfermedad

2. Los tipos de enfermedades

3. El medioambiente y la salud: One Health

4. La transmisión de las enfermedades infecciosas

5. El sistema inmunitario

6. Prevención y curación de enfermedades infecciosas

7. Los trasplantes y la donación

8. Los primeros auxilios

• Comprende, reflexiona y pon a prueba tus competencias

En anayaeducacion.es

Para motivar

• Vídeo: Antes de empezar

• Conoce más a... James McCune

Para detección de ideas previas

• Presentación: Qué necesitas saber

Para exponer

• Infografía: La circulación sanguínea

• Presentación: Emergencias sanitarias en el siglo XXI; El ciclo de un retrovirus el caso del VIH

• Vídeos: La importancia del lavado de manos

Para ejercitar

• Actividades interactivas: Aprende jugando, Ponte a prueba

• Taller de ciencias: Analiza la composición del tabaco

Y, además, toda la documentación necesaria para aplicar las claves del proyecto.

SECUENCIA DE APRENDIZAJE

7.1 Vamos a comparar la atención y el seguimiento que recibiría una persona afectada por COVID-19 que requiere hospitalización

7.2 Durante la crisis de la COVID-19 se han tomado muchas medidas relacionadas con la salud pública. Explica qué es la salud públi-

7.3 Describe el protocolo de actuación en el

8.1 Analiza las características de la COVID-19. ¿Qué la causa? ¿Qué tratamientos existen? ¿Cómo se transmite? ¿Afecta por igual a

8.2 Busca información sobre las diez enfermedades que mayor mortalidad causan en el mundo y clasifícalas. Elige una de ellas y analiza los costes y tratamientos disponi-

8.3 Para tu análisis ten en cuenta la accesibilidad, las opciones públicas y privadas de tratamiento y los costes en cada sistema

9.1 Explica la importancia que tienen los pri-

9.2 Prepara un botiquín. ¿Llevarías lo mismo a un viaje a un lugar tropical y a una excur-

+ anayaeducacion.es

La salud y la enfermedad

El concepto one health, creado por la Organización Mundial de la Salud, es una propuesta para mejorar la salud de los seres humanos desde un enfoque multidisciplinar. Este enfoque promueve la realización de acciones a nivel local e internacional para mejorar las políticas sanitarias relacionadas con la salud humana, la salud animal y el cuidado de los ecosistemas. Aprende más sobre este concepto con el recurso que puedes encontrar en anayaeducacion.es

COMPRENDE, PIENSA, INVESTIGA...

1 Define salud y enfermedad

2 Enumera los factores que influyen en la salud.

3 En algún momento de tu vida seguro que has padecido alguna enfermedad. Explica qué síntomas tenías, cómo te sentías y cuánto tiempo estuviste enfermo. Escribe un breve texto explicándolo en el que también anotes, si lo recuerdas, el nombre de la enfermedad.

4 Compartid en clase vuestros recuerdos y comprobad si habéis padecido enfermedades similares. ¿A qué creéis que se deben las diferencias o las similitudes que habéis encontrado en el grupo?

5 La inclusión de la idea de bienestar social en la definición de salud supuso alejarse de lo puramente biológico. ¿Por qué crees que se considera un importante avance?

1.1 Qué son la salud y la enfermedad

La salud es el estado de completo bienestar físico, mental y social y no la mera ausencia de enfermedad, según la Organización Mundial de la Salud (OMS), organismo que coordina internacionalmente los asuntos sanitarios.

El bienestar físico se alcanza cuando el cuerpo funciona correctamente; el bienestar mental y social, cuando hay un equilibrio entre trabajo, familia, amistades y ocio, que permite a las personas desarrollar sus capacidades y ser felices.

La enfermedad es una alteración de la salud, que se mantiene durante un período de tiempo.

1.2 Factores que influyen en la salud

- Nuestras características biológicas como la edad o algunas alteraciones genéticas pueden determinar la aparición de enfermedades.

- Nuestro estilo de vida, que es el conjunto de actividades que realizamos en nuestra vida diaria, puede propiciar la aparición de enfermedades. Por ejemplo, la falta de ejercicio físico y la mala alimentación favorecen la obesidad; el consumo de drogas y de alcohol, o no dormir horas suficientes, provocan enfermedades en el sistema nervioso; una mala higiene favorece la aparición de diversas enfermedades, causadas por organismos patógenos (virus, bacterias...).

- El medioambiente, que nos expone a contaminación, organismos patógenos, ruido, etc., que causan diversos daños a nuestro organismo.

- La salud pública, que se encarga de aplicar los conocimientos y avances de la medicina para mejorar y conservar la salud de las personas que viven en un determinado lugar. Algunas medidas de salud pública son el control sanitario de los alimentos, del agua potable, de enfermedades contagiosas, de los residuos, etc. Sin embargo, estas medidas de salud pública no están a disposición de la gran mayoría de la población mundial.

Estos factores pueden influir en nuestra salud de forma positiva o negativa.

1.3 El desarrollo de una enfermedad

Cuando una persona se siente enferma, acude a un centro sanitario y le expone a la doctora o al doctor sus síntomas, que son la expresión de los daños que una persona enferma percibe en su organismo. Estos síntomas pueden ser dolor, náuseas, mareos, etc. Los profesionales sanitarios exploran al paciente y piden pruebas para buscar los signos de la enfermedad, que son alteraciones cuantificables como la fiebre o la cantidad de azúcar en sangre.

La actuación de la medicina ante una persona enferma

En los centros sanitarios, los profesionales de la medicina aplican un protocolo para lograr la curación de su enfermedad:

- El primer paso es hablar con el paciente y realizar una exploración física. Si fuera necesario, se solicitan pruebas diagnósticas; por ejemplo, análisis de sangre y de orina o una radiografía.

- A partir de las pruebas diagnósticas se obtienen una serie de signos clínicos que, unidos a los síntomas que expresó el paciente y a los conocimientos de los profesionales, permiten realizar un diagnóstico; es decir, identificar la enfermedad.

- A continuación, se propone una terapia o tratamiento, que es el conjunto de acciones destinadas a la curación de la enfermedad. El tratamiento es muy variado y puede incluir prescripción de medicamentos, cirugía, cambios en la dieta, etc.

- Todos los datos recopilados quedan registrados en un documento: la historia clínica del paciente. En ella, figura el seguimiento de la salud de una persona a lo largo de su vida.

1 Se identifica y valora la emergencia.

2 Las autoridades del país donde ha ocurrido la emergencia emiten una alerta y solicitan cooperación internacional.

La respuesta global a una emergencia sanitaria Mesa redonda. En ocasiones se producen emergencias sanitarias a las que un país no puede hacer frente por sí solo. Por eso, existen instituciones como la OMS, la ONU o la AECID (Agencia Española de Cooperación Internacional para el Desarrollo) que, junto con numerosas ONG, actúan para ayudar a resolverlas. En el esquema que puedes ver más abajo se refleja cómo suele ser el protocolo de actuación en estas situaciones; observadlo y contestad a las preguntas:

a) ¿Por qué se divide la actuación en tantos trabajos concretos?

b) ¿En qué circunstancias creéis que puede ser necesaria una de estas intervenciones? Buscad algunos ejemplos y las instituciones que han intervenido.

3 Las instituciones internacionales confirman la alerta y, de ser necesario, solicitan la intervención de agencias de la ONU y privadas (ONG).

5 El gobierno local, las agencias de la ONU y las ONG se organizan para cubrir todas las necesidades.

y saneamiento

4 Las agencias de la ONU y las ONG valoran la emergencia y preparan la intervención sobre el terreno.

6 La intervención se desarrolla hasta que la emergencia quede solucionada.

7 Las instituciones que han participado en la intervención realizan un seguimiento hasta asegurar la vuelta a la normalidad.

Los tipos de enfermedades

2.1 Cómo se clasifican las enfermedades

Existen multitud de enfermedades, que se pueden clasificar según sus causas en infecciosas y no infecciosas.

2.2 Las enfermedades no infecciosas

Enfermedades genéticas

Las enfermedades no infecciosas son aquellas que no están causadas por organismos patógenos, sino por otras causas (accidentes, envejecimiento, etc.) y no se transmiten de una persona a otra.

La clasificación de las enfermedades no infecciosas

Según la causa que las produce, las enfermedades no infecciosas se pueden clasificar en toxicológicas, genéticas, nutricionales, alérgicas, autoinmunes, mentales, traumatismos, degenerativas, endocrinas y metabólicas.

Como, por ejemplo, Como, por ejemplo,

- Toxicológicas. Se producen por toxinas, sustancias que originan graves trastornos, incluso la muerte. Las causan picaduras o mordeduras de animales, alimentos en mal estado o la ingestión de drogas o medicamentos.

- Genéticas. Se deben a alteraciones en el ADN, heredadas de padres a hijos o producidas espontáneamente. Algunos ejemplos son la hemofilia o algunos tipos de cáncer.

COMPRENDE, PIENSA, INVESTIGA...

1 Explica qué características debe tener una enfermedad para ser considerada como no infecciosa.

2 Elige una enfermedad no infecciosa y realiza un pequeño informe en el que incluyas su nombre, sus causas y su tratamiento si lo hubiera.

- Nutricionales. Las ocasiona la carencia o el exceso de determinados nutrientes, debido a una mala absorción o a malos hábitos alimentarios. Son ejemplos el escorbuto, la anemia y la obesidad.

- Alérgicas. Se deben a una reacción de defensa exagerada del organismo frente a una sustancia externa inofensiva, como el polen, los ácaros o el pelo de gato.

- Autoinmunes. Las causa una reacción anormal de defensa del organismo contra el propio organismo. Por ejemplo, en la psoriasis, el organismo reacciona contra su propio tejido epitelial.

- Mentales. Son trastornos del sistema nervioso, causados por factores genéticos o ambientales, que afectan a la conducta. Son ejemplos la depresión, la esquizofrenia y la anorexia.

- Traumatismos. Son alteraciones de la piel o del aparato locomotor, debidas a accidentes. Algunos ejemplos son las fracturas, los esguinces y las luxaciones.

- Degenerativas. Las origina el desgaste de los órganos, como las cataratas en los ojos, la artrosis en las articulaciones o el alzhéimer en el cerebro.

- Endocrinas y metabólicas. Se deben a la secreción excesiva o deficiente de una hormona, como la insulina en la diabetes, y a fallos en las reacciones químicas en el interior de las células, como en la fenilcetonuria.

2.3 Las enfermedades infecciosas

Las enfermedades infecciosas son las que están causadas por organismos patógenos (bacterias, virus, protozoos y hongos) o una sustancia producida por ellos. La mayoría de estas enfermedades se transmiten de una persona a otra.

Una infección es la invasión y multiplicación de microorganismos en el cuerpo de una persona.

Ejemplos de estas enfermedades son la amigdalitis, el resfriado común o la toxoplasmosis.

Los agentes infecciosos

Los agentes infecciosos, u organismos patógenos, destruyen las células, bien directamente, bien mediante la producción de toxinas, que son sustancias que matan a las células o alteran sus procesos fisiológicos. No todos los agentes infecciosos hacen el mismo daño a la persona a la que invaden.

Se llama virulencia a la facultad que tiene un agente infeccioso para causar alteraciones. La virulencia depende de la capacidad de invasión y de la de producir toxinas.

Hay gérmenes, como la bacteria del tétanos, con poca capacidad de invasión pero muy virulento, debido a su gran toxicidad.

Algunos agentes infecciosos

Las bacterias

Pertenecen al reino de los moneras; son organismos unicelulares con células de tipo procariota. No todas son dañinas para los seres humanos, pero pueden causar enfermedades como la neumonía o el cólera.

COMPRENDE, PIENSA, INVESTIGA...

3 Define toxina y virulencia

4 Algunos organismos fabrican toxinas que pueden resultar mortales. Busca el nombre y el tipo del organismo que fabrica la toxina botulínica. ¿Qué aplicación se le da a esta toxina en medicina?

5 Los teléfonos móviles nos hacen estar expuestos a gran cantidad de patógenos que pueden ser perjudiciales.

a) ¿Cómo crees que los patógenos llegan hasta el teléfono?

b) Explica qué crees que puedes hacer para evitar este peligro.

c) Comenta cómo crees que el móvil puede usarse para mejorar tu salud.

Los protozoos

Pertenecen al reino de los protoctistas; son organismos unicelulares con células de tipo eucariota. No todos provocan enfermedades en los seres humanos, pero pueden causar enfermedades como la malaria o la enfermedad de Chagas.

Los hongos Los virus

Los hongos son organismos unicelulares o pluricelulares formados por células eucariotas. La mayoría no son perjudiciales para los seres humanos, pero hay algunos que pueden provocar enfermedades como la clamidiasis o la aspergilosis.

Son agentes infecciosos que no están formados por células y están obligados a parasitar células de otros seres vivos para multiplicarse. Causan enfermedades como la gripe o el sida.

El medioambiente y la salud: One Health

3.1 One Health

El concepto One Health, creado por la Organización Mundial de la Salud, es una propuesta para mejorar la salud de los seres humanos a través de un enfoque multidisciplinar.

El enfoque One Health propone que la mejora en la salud de los ecosistemas y de todos los seres vivos, especialmente de los animales, tiene una relación directa con la mejora de la salud humana.

Cambios sociales que promueven el enfoque One Health

El rápido crecimiento de la población humana y su expansión a nuevas áreas geográficas.

La destrucción de ecosistemas y el cambio climático hacen que las poblaciones animales se desplacen.

El incremento en el contacto de los seres humanos con animales, tanto mascotas como en explotaciones ganaderas.

El movimiento de animales y personas entre diferentes países ha aumentado.

3.2 Nuevas costumbres, nuevos riesgos

Como ya hemos visto, en las últimas décadas, se han producido muchos cambios sociales en el mundo cuyas consecuencias aún se están analizando. Algunas de ellas son:

- Dispersión de enfermedades: el aumento de la cantidad de personas, bienes y animales que se mueven cada día por el mundo hace que tanto las enfermedades como sus vectores se dispersen con mayor rapidez.

- Más superbacterias: expansión de las bacterias resistentes a antibióticos debido al uso masivo de estas sustancias en ganadería y a su mal uso en humanos.

- Zoonosis: muchas enfermedades de origen animal tienen mayores posibilidades de «dar el salto» y empezar a afectar a los seres humanos.

- Enfermedades agrícolas y ganaderas: que se expanden a gran velocidad amenazando los suministros de comida para la población y la economía de grandes zonas del mundo.

- Amenaza a los suministros de agua: la contaminación y el cambio climático están reduciendo los suministros de agua disponibles para el uso y consumo humanos.

3.3 Actuaciones One Health

Las principales actuaciones en las que el enfoque One Health pretende trabajar son:

- Disminuir las posibilidades de que se produzcan epidemias en animales y que estas se transmitan a los seres humanos como, por ejemplo, reducir la destrucción de ecosistemas que desplacen poblaciones salvajes o aumentar la seguridad y controles en la industria alimentaria mundial.

- Aumentar las regulaciones en el uso de antibióticos, tanto en humanos como en la ganadería, para reducir las poblaciones de bacterias resistentes a antibióticos.

- Incluir la ciencia de la salud de la vida silvestre como un componente esencial de la prevención, vigilancia, monitoreo, control y mitigación global de enfermedades.

- Mejorar y universalizar la atención sanitaria para prevenir los brotes y la dispersión de enfermedades.

Las zoonosis

Las zoonosis son enfermedades que se transmiten de forma natural entre los animales y los seres humanos.

- Zoonosis alimentarias: se transmiten al consumir alimentos contaminados: salmonelosis, triquinosis, listeriosis, etc.

- Zoonosis no alimentarias: transmitidas con o sin vector.

• Con vector: leismanoisis, enfermedad de Lyme, malaria, enfermedad de Chagas, etc.

• Sin vector: rabia, hidatidosis, psitacosis.

COMPRENDE, PIENSA, INVESTIGA...

1 Explica con tus propias palabras en qué consiste el enfoque One Health

2 El Ministerio de Agricultura, Pesca y Alimentación considera que la brucelosis, la salmonelosis, la triquinosis y la tuberculosis son algunas de las zoonosis que deben estar bajo vigilancia siempre en España. Elige una de estas enfermedades y realiza una pequeña investigación para explicar en qué consiste y cómo se transmite a los humanos desde los animales.

3 Justifica cómo la destrucción de ecosistemas puede hacer que se produzca un brote de una enfermedad.

(COVID)

La transmisión de las enfermedades infecciosas 4

Mitos y contagios

Seguro que alguna vez has escuchado algo como «no andes descalzo que te vas a resfriar». Observa las imágenes y contesta a las preguntas.

a) ¿En cuál de ellas crees que es más probable que alguien coja un resfriado? Argumenta tu respuesta.

b) ¿Cómo crees que se produciría el contagio?

c) Viajes en el espacio y en el tiempo. ¿Crees que hace dos siglos la gente hubiera respondido de otra forma? ¿Por qué? Para saber cómo aplicar esta estrategia de pensamiento, consulta anayaeducacion.es

4.1 Formas de transmisión

Los agentes infecciosos u organismos patógenos nos rodean. Se pueden encontrar en el aire, en los alimentos, en el agua, en el suelo, incluso en los animales y en las personas. Estos medios son posibles fuentes de infección y de transmisión de enfermedades. La transmisión puede tener lugar:

- Por contacto directo con el enfermo, como en el sida y la sífilis.

- A través del aire, del agua y de objetos o alimentos contaminados, como es el caso de la gripe, el cólera o la salmonelosis.

- Mediante vectores de transmisión, que, generalmente, son animales. Por ejemplo, la malaria se contagia por la picadura de un mosquito; la rabia, por la mordedura de perros infectados.

Vías de entrada

La entrada de los agentes infecciosos en las personas puede producirse por:

- Vía cutánea. Nuestra piel puede tener cortes, arañazos u otras lesiones por los que pueden penetrar los patógenos. Estos se distribuyen a través de la sangre por todo el organismo.

- Vía respiratoria. El aire que respiramos puede contener bacterias o virus que entran a través del aparato respiratorio.

- Vía digestiva. Los gérmenes penetran cuando tomamos alimentos o agua contaminados.

- Vía genitourinaria. Los patógenos pueden entrar de diferentes modos, uno de ellos es por contacto sexual.

COMPRENDE, PIENSA, INVESTIGA...

1 Enumera las vías de entrada de los agentes infecciosos.

2 Clasifica en tu cuaderno cómo se transmiten las siguientes enfermedades y busca las vías de transmisión de aquellas que no conozcas: la rabia, el cólera, la gripe, la psoriasis, el dengue, el ébola, la enfermedad de Chagas, las paperas y la candidiasis.

3 Explica al menos una medida para evitar contagiarte de una enfermedad respiratoria, de una digestiva y de una genitourinaria.

4.2

Desarrollo de las enfermedades infecciosas

Las enfermedades infecciosas se caracterizan por la aparición de distintos síntomas, entre los cuales están la fiebre, el malestar general o el decaimiento. Todas estas enfermedades pasan por un período de incubación, uno de desarrollo y la convalecencia.

El período de incubación

El período de incubación es el tiempo transcurrido entre la entrada del germen y la aparición de los primeros síntomas. En esta fase, el microorganismo se multiplica e invade el cuerpo.

El período de desarrollo

El período de desarrollo es aquel en el que aparecen los síntomas característicos de la enfermedad. Por ejemplo, las ampollas cutáneas de la varicela o las erupciones rojizas del sarampión.

La convalecencia

Esta es la etapa final, en la que ha desaparecido el agente infeccioso y el organismo se recupera de los daños sufridos durante la enfermedad.

1 El mosquito inyecta el parásito Plasmodium en un ser humano.

5 El parásito se reproduce sexualmente dentro del mosquito y da lugar a las células que se pueden transmitir a los seres humanos.

La malaria

Observa la infografía y responde:

• ¿Cuál es el nombre del parásito que causa la enfermedad? ¿Cómo llega la enfermedad a los humanos?

• Escribe un informe sobre la mortalidad de la malaria, su incidencia y qué medidas se pueden adoptar para prevenirla.

• Recientemente, la OMS ha certificado la eliminación de la malaria en China; busca información sobre cómo se ha conseguido esto.

• Busca información sobre la vacuna RT,S/AS01 y explica si ha sido eficaz o no.

Célula hepática

Célula parasitaria

El ciclo de vida en los mosquitos.

4 Los parásitos llegan a los mosquitos a través de glóbulos rojos infectados con las formas que pueden reproducirse sexualmente.

El ciclo de vida en los seres humanos.

2 Los parásitos llegan a las células hepáticas y se multiplican hasta que las rompen.

Formas sexuales del parásito

Formas asexuales del parásito

3 Los parásitos pasan a la sangre e infectan a los glóbulos rojos, donde se reproducen asexualmente varias generaciones hasta que surgen nuevas formas del parásito que pueden reproducirse sexualmente.

El sistema inmunitario

La respuesta inmunitaria inespecífica

1 A través de una herida entran agentes infecciosos que dañan el tejido. Los macrófagos, un tipo de fagocitos, comienzan a destruir los patógenos y liberan sustancias que producen vasodilatación.

Sustancias que activan la vasodilatación.

2 La vasodilatación puede provocar un aumento de temperatura y favorece la llegada de más sangre con otros fagocitos que continúan con la destrucción de gérmenes.

3 Los restos de fagocitos y patógenos son drenados a través del sistema linfático.

El sistema inmunitario es el conjunto de mecanismos de defensa que tiene el cuerpo humano ante las enfermedades infecciosas.

En el ser humano, la resistencia frente a microorganismos patógenos se denomina inmunidad.

La inmunidad es congénita; es decir, nacemos preparados para defendernos de algunos agentes extraños. Esta es una inmunidad inespecífica, no especializada. Sin embargo, a lo largo de la vida, el sistema inmunológico se va perfeccionando, dando lugar a una nueva inmunidad adquirida. Esta es una inmunidad específica o especializada.

5.1 La inmunidad inespecífica

La inmunidad inespecífica actúa independientemente del agente causante de la enfermedad. La llevan a cabo las dos primeras barreras defensivas: las barreras físicas y la respuesta inflamatoria.

Las barreras físicas

Para evitar que cualquier agente extraño penetre en el cuerpo, contamos con barreras físicas: la piel, las mucosas y las secreciones.

La piel recubre el exterior del cuerpo, y las mucosas, las cavidades internas; ambas barreras no dejan pasar muchos agentes patógenos. Las secreciones, como el sudor, la saliva o el ácido del estómago, contienen unas sustancias antimicrobianas que destruyen algunos gérmenes.

La respuesta inflamatoria

Si por cualquier motivo (pinchazo, rasguño o herida) el agente infeccioso atraviesa las barreras físicas, tiene lugar un mecanismo defensivo muy eficaz, la reacción inflamatoria, que comienza con la vasodilatación. La dilatación de los vasos sanguíneos facilita la llegada al tejido de más sangre, con gran cantidad de fagocitos (un tipo de glóbulos blancos). La zona se enrojece, se hincha y aumenta de temperatura. En ocasiones, esta respuesta generalizada provoca un aumento de temperatura corporal, denominado fiebre.

Uno de los mecanismos de la respuesta inflamatoria es la fagocitosis, llevada a cabo por un tipo de glóbulos blancos, llamados fagocitos, que atacan, capturan y digieren internamente a los patógenos.

5.2 La inmunidad específica

La inmunidad específica es la adquirida a lo largo de la vida, como consecuencia de la exposición del organismo a agentes infecciosos que han logrado superar las barreras inespecíficas.

La respuesta inmunitaria

La respuesta inmunitaria la llevan a cabo los linfocitos, que son un tipo de glóbulos blancos.

Cuando un patógeno entra en el organismo, los fagocitos que lo digieren alertan a los linfocitos mediante unas sustancias que liberan. Estos linfocitos fabrican unas proteínas denominadas anticuerpos.

Los anticuerpos se unen específicamente a ese patógeno, facilitando su destrucción.

Algunos linfocitos pueden perdurar en la sangre durante toda nuestra vida, guardando una memoria inmunitaria del agente patógeno. Así, ante un nuevo contacto con el invasor, la respuesta del organismo es tan rápida que la enfermedad no llega a manifestarse.

Un cuento inmunológico

La actividad del sistema inmunitario podría parecerse a una de esas invasiones alienígenas, de zombis o de malvados megalómanos que quieren dominar el mundo. En esta actividad te invitamos a que elijas entre la respuesta inmunitaria inespecífica y la respuesta inmunitaria específica y las expliques como si fuera una historia de ciencia ficción. Aquí tienes algunas pautas que podrían ayudarte:

• Elige a tus protagonistas y los antagonistas. Estos pueden ser individuos o facciones enteras que representen los elementos del sistema inmunitario y las amenazas a las que se enfrentarán.

• Principio, nudo y desenlace. Estructura tu historia teniendo en cuenta estos tres elementos.

• Puedes investigar y elegir un tipo concreto de infección y de respuesta inmune que te ayude a detallar más tu historia.

Cuando toda la clase haya escrito su historia, leedlas en voz alta y tratad de identificar qué personajes o situaciones representan cada elemento y proceso del sistema inmunitario.

La respuesta inmunitaria específica

1 Cuando un patógeno entra en el organismo, un fagocito lo digiere y libera unas sustancias que alertan a algunos linfocitos para que se activen.

3 Los linfocitos comienzan a fabricar anticuerpos específicos para luchar contra ese patógeno.

Anticuerpos

2 Los linfocitos activados se multiplican para luchar contra el patógeno.

4 El patógeno es destruido por los anticuerpos que fabricaron los linfocitos.

Linfocito
Fagocito
Patógeno

Prevención y curación de enfermedades infecciosas

Medidas específicas de prevención

DENGUE ZIKA

Contra algunas enfermedades, por su extrema gravedad o por la gran cantidad de personas a las que afectan, las autoridades aplican medidas extraordinarias.

6.1 La prevención

La salud de las personas está relacionada con su estilo de vida y sus hábitos diarios. La prevención de enfermedades infecciosas depende de muchos parámetros, algunos de los cuales son:

- Tener acceso a un sistema sanitario de calidad.

- Estructuras básicas de saneamiento como alcantarillado y fácil acceso a agua potable.

- Llevar una alimentación equilibrada y realizar ejercicio físico.

- Seguir un horario regular, que proporcione el descanso necesario, y evitar el consumo de sustancias tóxicas, como las drogas o el tabaco.

Cubre las ventanas y la cama con mallas antimosquito.

Vacía y limpia los contenedores de agua.

Usa repelentes de insectos efectivos.

Viste ropa que cubra bien el cuerpo.

Lee detenidamente la información y responde a las preguntas:

a) Viendo las medidas de prevención del dengue y el zika, ¿cómo crees que se contagia? Justifica cada una de ellas.

b) Escribe otra enfermedad a la que podrían aplicarse las medidas de prevención del dengue y el zika.

c) ¿Por qué crees que son tan importantes las campañas de prevención contra estas enfermedades?

- Prevenir los riesgos que pueden causar enfermedades y accidentes.

- Cuidar nuestra higiene personal y practicar la medicina preventiva, siguiendo las vacunaciones oficiales y acudiendo regularmente al médico.

La importancia de la higiene

Hasta que a mediados del siglo XIX Joseph Lister desarrolló un método para esterilizar el instrumental médico, las intervenciones quirúrgicas tenían un elevado riesgo de complicarse con infecciones que causaban una enorme mortalidad en los hospitales. Su método de esterilización se basaba en la aplicación de un tipo de alcohol al instrumental y a las manos del personal médico.

Hoy en día, el lavado de manos sigue siendo la principal forma de prevenir enfermedades que podemos practicar. Durante el día entramos en contacto, a través de nuestras manos, con gran cantidad de patógenos que pueden penetrar en nuestro organismo, o ser contagiados a otras personas, al entrar en contacto con las mucosas de ojos, boca o nariz. Se calcula que un lavado de manos adecuado puede reducir las infecciones intestinales hasta en un 40 % y las respiratorias hasta en un 21 %.

COMPRENDE, PIENSA, INVESTIGA...

1 Explica con tus palabras en qué consiste la prevención de enfermedades infecciosas nombrando algunas estrategias para llevarla a cabo.

2 Actualmente existen numerosos métodos para conseguir la esterilización del material médico. Busca dos de esas técnicas y describe en qué consisten.

6.2 Las vacunas

Las vacunas son preparados que contienen patógenos debilitados o algunos de sus componentes, capaces de provocar la respuesta inmunitaria sin causar la enfermedad.

Las vacunas son una forma de inmunización artificial. Su función es introducir en el organismo un agente patógeno que ha perdido su capacidad infecciosa, bien porque ha sido previamente debilitado, bien porque no contiene todos sus componentes. Sin embargo, el patógeno mantiene su capacidad de provocar la respuesta de los linfocitos, por lo que la persona desarrolla anticuerpos y queda inmunizada.

Aunque existen ejemplos anteriores de inmunización artificial, la primera vacunación, contra la viruela humana, la realizó el médico inglés Edward Jenner en 1796. Desde entonces, las vacunas han salvado muchas vidas y han permitido erradicar enfermedades de gran impacto para el ser humano.

El movimiento antivacunas

1-2-4. Lee el siguiente texto y contesta a las preguntas:

El movimiento antivacunas

En el año 2019, la OMS incluyó el movimiento antivacunas como una de las cuestiones que las autoridades sanitarias debían abordar para evitar el auge de enfermedades que pueden prevenirse.

Pese a que numerosas investigaciones científicas han desmentido sus argumentos, estos movimientos siguen activos. Algunos de estos falsos argumentos son que las vacunas contienen sustancias peligrosas o que la inmunidad adquirida naturalmente es mejor que la obtenida mediante vacunas.

a) Busca tu cartilla de vacunación y anota contra qué enfermedades tienes protección.

b) Busca información sobre una enfermedad erradicada gracias a la vacunación.

c) ¿Cómo convencerías a una persona antivacunas de que estas son seguras y que benefician a toda la sociedad? Haz una lista de argumentos.

d) Haz una lista con los riesgos para la salud individual y colectiva que provoca la falta de vacunación.

Cómo actúan las vacunas

1 Se inyecta un agente patógeno que ha perdido su capacidad infecciosa (patógeno debilitado).

2 Estos patógenos provocan la respuesta de los linfocitos y la persona genera anticuerpos específicos para ese patógeno.

3 Cuando entra el patógeno sin debilitar, los linfocitos pueden generar anticuerpos específicos rápidamente.

4 Los anticuerpos actúan sobre los patógenos y los destruyen.

La resistencia a los antibióticos

Busca información en la página web de la OMS sobre el problema que representan las bacterias resistentes a los antibióticos. Después, lee atentamente la información y contesta a las siguientes cuestiones:

• ¿Habías oído hablar alguna vez de este problema?

• ¿Cuál crees que es el uso indebido de antibióticos al que se refiere la OMS?

• Analiza la infografía inferior y explica con tus palabras cómo se produce la resistencia a los antibióticos.

• Las bacterias que desarrollan este tipo de resistencia se conocen como superbacterias, ¿a qué crees que se debe?

• Averigua cuáles son las recomendaciones de la OMS para tratar este problema y anota las que crees que podrías aplicar personalmente.

6.3 El tratamiento de enfermedades

Uno de los motores más importantes en el desarrollo de la sociedad humana es el avance de la medicina, que ha permitido al ser humano prolongar y mejorar sus condiciones de vida.

Entre otros avances médicos, el desarrollo de sustancias terapéuticas, como los sueros o los antibióticos, son de vital importancia en la curación de las enfermedades infecciosas.

Los sueros inmunológicos

Los sueros son preparados que contienen anticuerpos para hacer frente a los agentes patógenos.

Los sueros se utilizan para curar enfermedades contra las que la persona no está inmunizada o no ha sido vacunada.

Los sueros se pueden obtener de la sangre de otros animales, que han sido previamente inmunizados contra una enfermedad, ya que, durante un cierto tiempo, se mantienen los anticuerpos generados contra el microorganismo causante de la enfermedad.

Los antibióticos

Los antibióticos son sustancias que impiden el crecimiento de las bacterias.

Los antibióticos son sustancias naturales producidas por algunos hongos, como mecanismo de defensa frente a determinadas bacterias, contra las que compiten por el alimento.

El primer antibiótico fue la penicilina, descubierta por el médico inglés Alexander Fleming en 1928. Actualmente, la mayoría de los antibióticos que consumimos se sintetizan químicamente de forma artificial.

En una población bacteriana hay algunas que son resistentes a los antibióticos.

Los antibióticos matan a todas aquellas bacterias no resistentes, incluidas las que son beneficiosas para el organismo.

Las bacterias resistentes ahora no tienen competencia para crecer y multiplicarse.

Algunas bacterias pueden transferir su capacidad de resistencia a otras que no la tenían.

Los antivirales

Los antivirales son sustancias que se usan para el tratamiento de enfermedades causadas por virus.

Los medicamentos antivirales son más complejos de obtener que otros fármacos como los antibióticos. Esto se debe a las limitaciones que tiene el manejo de los virus en el laboratorio, como las pocas moléculas eficaces contra los virus que se descubren y el difícil equilibrio entre eficacia contra el virus y toxicidad para los pacientes que tienen esas moléculas.

Una de las primeras moléculas utilizadas para tratar infecciones víricas fueron los interferones, que son un grupo de proteínas que genera de forma natural el organismo como parte de la respuesta inmunitaria y que lograron aislarse y producirse artificialmente para usarse como medicamentos.

Medicamentos sintomáticos

A diferencia de los antibióticos o los antivirales, que tratan directamente la causa de la enfermedad, estos medicamentos solo alivian algunos de los síntomas que genera la enfermedad, dando tiempo al organismo para recuperarse.

Los dos grupos de medicamentos más habituales para el control de los síntomas de enfermedades infecciosas son:

- Los antiinflamatorios: su función es reducir la inflamación y como consecuencia suelen reducir el dolor, muchos de ellos tienen también función antitérmica y pueden reducir la fiebre. Algunos de los más habituales son el ibuprofeno o el naproxeno.

- Los analgésicos: su función es aliviar el dolor y también suelen tener efecto antitérmico. El más habitual es el paracetamol.

- Los antihistamínicos: son medicamentos indicados para reducir los efectos de las alergias. Su función es bloquear la acción de la histamina, una sustancia que libera el organismo cuando reacciona ante un alérgeno.

Los riesgos

de los medicamentos

Antes de que un medicamento sea apto para el consumo humano pasa por numerosos controles y pruebas para probar su eficacia y su seguridad. Sin embargo, todos los fármacos pueden producir efectos secundarios; por ello, es fundamental, que su uso esté siempre prescrito por un profesional sanitario y leer detenidamente el prospecto.

Terapia con bacteriófagos

5 Se liberan nuevos virus completos.

4 Se forman nuevos virus completos.

1 El virus reconoce la bacteria y se fija a ella.

2 El ADN del virus entra en la bacteria.

3 Se forman partes del virus dentro de la bacteria.

Debido al problema que supone la resistencia a los antibióticos que están desarrollando muchas bacterias, se están buscando nuevas formas de combatirlas. Una de las más prometedoras es el tratamiento con virus bacteriófagos, un grupo de virus que usan las bacterias para reproducirse y en el proceso las destruyen. Lo más prometedor de este tipo de terapia es que permitiría diseñar virus específicos para un tipo concreto de bacteria.

COMPRENDE, PIENSA, INVESTIGA...

3 Explica las dificultades con las que se encuentra la ciencia a la hora de investigar los antivirales.

4 Argumenta la importancia de que el uso de medicamentos esté prescrito por un profesional sanitario.

5 Cuando alguien enferma de gripe, el tratamiento suele implicar antiinflamatorios y analgésicos, ¿cómo relacionas la acción de esos medicamentos con esta enfermedad?

6 Palabras como posología, excipiente o principio activo son comunes en los prospectos de los medicamentos. Busca y anota su significado.

Los trasplantes y la donación

El protocolo de los trasplantes

1 Detección del potencial donante.

2 Activación del protocolo del búsqueda de receptor. El sistema busca primero entre los casos más graves. Si no hay casos extremos, se valoran los casos de la comunidad autónoma; después, a nivel nacional y, por último, se hace una búsqueda internacional.

7.1 Los trasplantes

Un trasplante es la sustitución de órganos, tejidos o células enfermos de una persona llamada receptor, por órganos, tejidos o células sanas de otra persona llamada donante.

Los trasplantes han supuesto un gran avance en la medicina para aquellas enfermedades que no tienen otra posibilidad de curación, como, por ejemplo, la insuficiencia renal.

Los tipos de trasplantes

Existen diferentes tipos de trasplantes: los autotrasplantes, los alotrasplantes y los xenotrasplantes.

- Los autotrasplantes. El donante y el receptor son la misma persona. Un ejemplo son los autoinjertos de piel.

2 Certificación de compatibilidad entre donante y receptor.

3 Notificación al receptor.

- Los alotrasplantes. El donante y el receptor son de la misma especie pero no son genéticamente idénticos. El caso más común es el de trasplante de órganos.

- Los xenotrasplantes. El donante y el receptor pertenecen a diferentes especies. Un ejemplo son los implantes de huesos de cerdo en personas.

7.2 La donación

4 Traslado del órgano del donante al centro hospitalario en el que se encuentra el paciente y realización del trasplante.

5 Seguimiento y tratamiento posoperatorio.

A la vista del protocolo, ¿cuánto tiempo crees que puede pasar desde que se encuentra un órgano hasta que este llega al paciente?

Averigua qué es el tiempo de isquemia y explica cómo puede condicionar el proceso del esquema. ¿Es igual el tiempo de isquemia para todos los órganos trasplantables?

Para que se realicen trasplantes, es necesario que existan donantes; es decir, personas sanas que, de forma desinteresada y solidaria, ceden parte de su organismo a otra persona que lo necesita.

Quién puede donar

Las donaciones se pueden realizar:

- Cuando el donante está vivo. Es el caso de algún tejido renovable, como la sangre; de algún órgano prescindible, como un riñón; o de una parte de un órgano, como el hígado.

- Cuando el donante ha muerto. En este caso, las células, los órganos vitales o los tejidos que se vayan a utilizar deben extraerse rápidamente y conservarse de forma artificial hasta el momento de realizar el trasplante.

La donación está legislada para asegurar que se realice en condiciones altruistas y justas. España es el país del mundo donde más donaciones se producen.

7.3 La compatibilidad y el rechazo

Para que se pueda realizar un trasplante con éxito, es necesario que el donante y el receptor sean compatibles. Esto significa que el sistema inmunitario del receptor no reconozca las células del donante como extrañas. En caso de que esto ocurra, se produce un rechazo y el órgano trasplantado es destruido por parte del sistema inmunitario del receptor.

Las células madre

Las células madre son células indiferenciadas, que tienen la capacidad de diferenciarse y originar distintos tipos celulares.

Suponen una gran esperanza para la medicina regenerativa, ya que ofrecen la posibilidad de obtener tejidos totalmente compatibles con el individuo enfermo.

Hay dos tipos de células madre:

- Las células madre embrionarias, que forman el embrión. Tienen capacidad para generar todos los tipos celulares humanos.

- Las células madre adultas, presentes en todos los tejidos, que solo pueden generar algunos tipos celulares, como las células madre de la médula ósea.

COMPRENDE, PIENSA, INVESTIGA...

1 Enumera los tipos de trasplantes que hay y explica en qué consiste cada uno.

2 Haz un listado con los órganos que se pueden donar cuando el donante está vivo.

3 Uno de los problemas más graves que se presentan en las personas trasplantadas es que rechacen el órgano que han recibido. ¿Qué medidas se toman a nivel sanitario para intentar evitarlo?

4 Viajes en el espacio y en el tiempo. A lo largo de la historia, la percepción de la sociedad con respecto a la ciencia ha ido cambiando. Explica cómo crees que fue en la antigua Roma y en la Edad Media y compáralo con la situación actual. ¿Crees que será diferente en el futuro?

La historia de las células madre

Descubrimiento de células madre sanguíneas en ratones.

Se descubren células madre en el cordón umbilical de los seres humanos.

Se consigue cultivar en laboratorio células madre embrionarias de ratón.

Se crean diversas líneas de células madre embrionarias de varios animales.

Se clona a la oveja Dolly.

Se consiguen aislar células madre embrionarias de seres humanos.

Se consigue transformar células de la piel en células madre mediante técnicas genéticas.

Se consigue corregir defectos genéticos en células madre embrionarias en un laboratorio.

Comienzan los ensayos clínicos para tratar una forma de ceguera mediante células madre.

Se consigue revertir la degeneración macular (un tipo de ceguera) en dos pacientes del Reino Unido.

Observa la línea del tiempo y responde a las preguntas.

a) ¿A qué crees que se debe que pase tanto tiempo desde el descubrimiento de las primeras células madre hasta su aplicación en una terapia?

b) El uso de células madre embrionarias para investigación está muy restringido y regulado. Busca información sobre cómo se obtienen esas células para la investigación.

Los primeros auxilios

El DESA

El desfibrilador externo semiautomático (DESA) o automático (DEA) es capaz de diagnosticar y tratar una parada cardiorrespiratoria. Actualmente, numerosas comunidades autónomas establecen la obligatoriedad de colocar y mantener este tipo de dispositivos en algunos espacios públicos.

COMPRENDE, PIENSA, INVESTIGA...

1 Explica con un ejemplo cómo se debe actuar durante una emergencia en la que haya una persona herida.

2 Averigua si en el lugar en el que vives existe obligatoriedad de instalar dispositivos DEA o DESA y, de ser así, en qué lugares deberían estar instalados.

8.1 Qué son los primeros auxilios

Los primeros auxilios son los cuidados adecuados que se prestan a una persona accidentada o con una enfermedad, que aparece de forma repentina, antes de que pueda ser atendida en un centro sanitario.

Qué hacer en una situación de emergencia

Ante una situación que requiera primeros auxilios, las actuaciones básicas que se aconsejan son:

- Mantener la calma.

- Protegerse y proteger a la persona accidentada o enferma.

- Comprobar que el lugar donde se encuentra el paciente es seguro: si el paciente se puede mover, ubicarlo en lugar seguro; si no se puede mover, organizar un cordón humano.

- Avisar a los servicios de emergencia (112), indicando cuál es el suceso y la dirección exacta del lugar en el que ha ocurrido.

- Mientras llegan los servicios de emergencia debemos:

• Una vez asegurada la escena del suceso, no mover al paciente ni desplazarlo.

• Hablar con el paciente, tranquilizarlo e intentar obtener información sobre enfermedades que padezca, medicamentos que toma...

• Observar su ritmo respiratorio, acercando nuestra mejilla a la boca y la nariz del paciente y comprobar los movimientos del tórax. Si el paciente no respira, volver a informar a los servicios de emergencia.

• Comprobar el pulso cardiaco, pero no actuar si no se conocen las técnicas de reanimación.

8.2 La RCP

La reanimación cardiopulmonar (RCP) de primeros auxilios es una técnica que se utiliza para intentar mantener las constantes vitales de una persona que ha sufrido una parada cardiorrespiratoria hasta que se le puedan aplicar técnicas avanzadas por parte de personal sanitario. Esta técnica no debe ser usada sin una formación previa por parte de profesionales cualificados. Este tipo de formación suele obtenerse en cursos que muchas instituciones ofrecen gratuitamente de forma periódica.

8.3 El botiquín escolar

El botiquín escolar es una caja fácil de transportar que pese poco, que cierre herméticamente y que contenga los materiales necesarios para realizar pequeñas curas o aliviar algunos síntomas, como fiebre, dolor, etc.

Qué requisitos debe cumplir

- El botiquín escolar debe identificarse fácilmente.

- Estar ubicado en un lugar seguro, seco y alejado de la luz y fuera del alcance de los estudiantes.

- Debe tener una lista con los medicamentos y demás elementos que contiene.

- Los medicamentos deben estar guardados en sus envases originales con sus prospectos para conocer la fecha de caducidad y las indicaciones y las dosis que hay que administrar.

- La localización del botiquín deben conocerla todos los trabajadores del centro escolar: profesores, profesoras, personal administrativo, conserjes...

- Debe haber una persona responsable del botiquín que lo revise periódicamente para reponer el contenido que falte.

yodada

Antisépticos

Jabón

Suero fisiológico

Medicamentos

Corticoides tópicos o lápiz de amoniaco para picaduras

Qué debe contener un botiquín

En la imagen puedes ver los elementos básicos que debería contener un botiquín. Obsérvalos y responde a las preguntas:

a) ¿Añadirías más elementos al botiquín? Justifica tu respuesta.

b) El alcohol ya no es un producto que deba usarse para tratar heridas. Averigua por qué y explica por qué crees que está en el botiquín.

c) ¿Qué números de teléfono crees que sería útil apuntar en la libreta del botiquín?

Antiinflamatorios

Analgésicos

Material de curas

Guantes estériles

Vendajes

Apósitos

Accesorios

Cuaderno con números de emergencias

Termómetro

Povidona
Alcohol
Bolsa de frío
Clorhexidina
Linterna y pilas de repuesto
Tijeras

COMPRENDE

Organiza las ideas

1 Mapa conceptual jerárquico. Completa en tu cuaderno los espacios vacíos del siguiente mapa conceptual jerárquico. Aprende a utilizar este organizador con el recurso disponible en anayaeducacion.es

Enfermedades no infecciosas

Toxicológicas

Genéticas

Nutricionales

Alérgicas

Autoinmunes

Mentales

Traumatismos

Degenerativas

Endocrinas y metabólicas

Haz un resumen

Se deben a Ejemplos

Se deben a Ejemplos

Se deben a Ejemplos

Se deben a Ejemplos

Se deben a Ejemplos

Se deben a Ejemplos

Se deben a Ejemplos

Se deben a Ejemplos

Se deben a Ejemplos

Toxinas que originan trastornos

Hemofilia, algunos tipos de cáncer

Alergia al polen, ácaros…

Depresión, esquizofrenia, anorexia

desgaste de los órganos

2 Elabora tu propio resumen de la unidad siguiendo este guion:

• Define salud y enfermedad y nombra los factores ermedad que influyen en la salud. Explica en qué consiste el enfoque One Health

• Explica qué son las enfermedades infecciosas y cuáles son los agentes que las causan.

• Nombra las vías de transmisión y de entrada en nuestro cuerpo de los organismos patógenos y las fases en que se desarrolla una enfermedad infecciosa.

• Define sistema inmunitario y establece las diferencias entre inmunidad específica e inespecífica.

• Explica cómo tiene lugar la respuesta inflamatoria.

• Explica cómo se pueden prevenir y curar las enfermedades.

• Indica qué es un trasplante y los tipos que existen.

• Menciona los posibles donantes y explica por qué se produce el rechazo en los trasplantes.

Interpreta imágenes

3 Observa las imágenes y responde:

a) ¿Qué tipo de organismos son y qué tipo de enfermedades producen?

b) Nombra tres ejemplos de enfermedades causadas por este tipo de organismos.

4 Observa la siguiente gráfica y contesta:

Esperanza de vida al nacer por región — América del Norte — Europa — América del Sur — Mundo — Norte de África — Asia — África subsahariana

Fuente: ONU/Nuestro mundo en datos.

a) ¿Dónde se alcanzan las mayores esperanzas de vida? ¿Y las menores?

b) Deduce las causas de las diferencias observadas en cuanto a esperanza de vida en las diferentes partes del mundo.

c) ¿Cómo ha evolucionado la esperanza de vida a lo largo de las últimas décadas? ¿Por qué?

Aplica

5 Indica dos factores que pueden influir en nuestra salud positivamente y dos que pueden hacerlo negativamente. Justifica tu respuesta.

6 Establece las diferencias entre:

a) Salud y enfermedad.

b) Signo y síntoma.

c) Diagnóstico y terapia.

d) Respuesta inflamatoria y respuesta inmunitaria.

e) Fagocito y linfocito.

f) Vacuna y suero.

7 Explica qué es y de qué depende la virulencia de un organismo patógeno.

8 ¿Cómo se adquiere la inmunidad específica? ¿Qué son los anticuerpos? ¿En qué consiste la memoria inmunitaria?

9 Indica si las siguientes frases hacen referencia a una vacuna o a un suero:

a) Es un método curativo.

b) Es un método preventivo.

c) Contiene anticuerpos.

d) Provoca la respuesta inmunitaria en el paciente.

10 Razona si una persona ha de estar muerta para ser donante de un órgano.

11 Define célula madre e indica las ventajas de su utilización en los trasplantes.

Recuerda que dispones, en tu banco de recursos:

• de diversos talleres para gestionar tus emociones y de una diana para evaluarlas.

• de fichas para mejorar tu ciudadanía digital.

Avanza

12 Responded en grupo:

a) Seleccionad una enfermedad sobre la que elaboraréis un informe detallado del protocolo médico para su diagnóstico y tratamiento.

b) Exponed la información en clase a través de una presentación.

13 Preparar la tarea. El SIDA (síndrome de la inmunodeficiencia adquirida) es producido por la infección de un virus, el VIH (virus de la inmunodeficiencia humana). Investigad sobre diferentes aspectos de esta enfermedad y su agente causal y elaborad un mural para exponerlo en clase.

a) Efecto de la entrada del virus en el cuerpo humano.

b) Síntomas, consecuencias y tratamiento.

c) Formas de transmisión de la enfermedad.

d) Prevención.

14 En la actualidad, el mal uso de los antibióticos y otros medicamentos es uno de los grandes problemas sanitarios a los que se enfrentan la sociedad y la ciencia. Responde a las siguientes preguntas sobre este fenómeno.

a) ¿Qué riesgos sanitarios plantea este problema?

b) ¿Qué medidas podrían plantearse para solucionarlo?

REFLEXIONA

A lo largo de las dos primeras unidades hemos puesto a prueba la eficacia de varios modelos de sistema sanitarios comprobando cómo responderían ante un accidente de tráfico, un embarazo y parto y, en esta unidad, ante la pandemia de la COVID-19. Reflexiona sobre lo que has aprendido rellenando el cuestionario y la rúbrica correspondiente disponibles en anayaeducacion.es

AspectosTotalmente conseguido

Entiendo lo que significa estar sano, comprendo las tres dimensiones de la salud.

Valoro la importancia de tener un sistema sanitario fuerte ante emergencias como la generada por la COVID-19.

Bastante conseguido

PON A PRUEBA TUS COMPETENCIAS

ConseguidoCasi conseguido

Realiza la autoevaluación competencial incluida en anayaeducacion.es

TRIMESTRE 2

PORFOLIO

¡ES UNA EMERGENCIA!

Esta situación de aprendizaje te ha permitido analizar en detalle nuestro sistema nacional de salud, así como otros dos muy diferentes: el de Estados Unidos y el de Sudán del Sur.

La matriz DAFO demuestra las diferencias a la hora de acceder a la sanidad en distintos lugares. Los países analizados son solo una muestra de los diferentes sistemas sanitarios del mundo y los obstáculos son muy diferentes en cada país. En estos obstáculos y dificultades se refleja así lo lejos que aún estamos de lograr el objetivo de desarrollo sostenible número 3 (Garantizar una vida sana y promover el bienestar para todos en todas las edades).

Sin embargo, la matriz DAFO también nos muestra oportunidades y fortalezas, aspectos positivos que conviene resaltar y fomentar. Basándonos en estos datos, y ampliándolos con una búsqueda en Internet sobre buenas prácticas sanitarias en otros países, os proponemos realizar en grupo un «Decálogo del mejor sistema de salud».

Esto es, seleccionar las diez características más importantes que debe tener un sistema de salud para ser eficaz y para lograr que toda la población pueda acceder a él. Esto implicará hacer un listado de características positivas, y ordenarlo en función de la mayor o menor relevancia de cada aspecto identificado. El decálogo resultante se puede presentar en cualquier formato audiovisual, puede ser una presentación, un vídeo o un póster.

Si queréis que vuestra huella sea aún mayor, os animamos a compartirlo y hacerlo llegar a la mayor cantidad de gente posible.

TAMBIÉN PUEDES PROBAR ESTOS PROYECTOS

Si este proyecto te ha resultado interesante y quieres investigar más sobre los sistemas sanitarios, aquí tienes algunas ideas para crear tus propios proyectos.

Estudio los sistemas de salud de otros países

La elección de países del reto se ha realizado intentando mostrar tres realidades muy diferenciadas, pero el análisis se puede realizar sobre otros países que tengan aspectos sanitarios distintos al nuestro.

Estudio de la respuesta ante la COVID-19 de diferentes países

Analizar lo que ha ocurrido ante esta pandemia en los diferentes países nos puede dar una visión muy global de la capacidad de respuesta de los distintos sistemas de salud pública ante situaciones de emergencia.

Relación entre tasas de mortalidad, esperanza de vida y los sistemas sanitarios de distintos países

En lugar de hacer un análisis muy exhaustivo de tres sistemas sanitarios, podemos ampliar el número de países estudiados, centrándonos en un par de datos. En este caso se propone analizar si la tasa de mortalidad y la esperanza de vida están relacionadas con las características de los sistemas de salud de cada país.

Análisis de países conocidos por el alumnado

Podemos comparar las experiencias que hayan podido tener nuestros compañeros y compañeras o sus familiares y conocidos en sistemas sanitarios diferentes del español. En este caso podría ser interesante diferenciar distintos elementos a analizar como atención primaria, urgencias y medicina preventiva.

REVISA TU PLANIFICACIÓN Y EL

TRABAJO EN GRUPO

Revisa tu planificación del trabajo y el desempeño de tu grupo en este proyecto rellenando la rúbrica que puedes encontrar en anayaeducacion.es

PERFIL COMPETENCIAL DE SALIDA

Al finalizar estos desafíos reflexiona y comprueba si has alcanzado estos objetivos. Descarga la rúbrica en anayaeducacion.es

Descriptor

Utilizo el pensamiento científico para entender y explicar fenómenos adoptando una actitud crítica.

Localizo, selecciono y contrasto información procedente de diferentes fuentes evaluando su fiabilidad.

Realizo búsquedas avanzadas en Internet atendiendo criterios de validez, calidad y fiabilidad.

Conozco los riesgos para la salud relacionados con factores sociales.

Expreso conceptos y pensamientos científicos de forma adecuada.

Emprendo acciones fundamentadas, conscientes y responsables para preservar la salud física y mental.

Completa en tu cuaderno

TRIMESTRE 3

PRESENTACIÓN DE LA SITUACIÓN

¿Qué tienen en común el Campo de Calatrava (Ciudad Real), la Garrotxa (Girona), el cabo de Gata (Almería), las islas Columbretes (Castellón) y Cofrentes (Valencia)?

Todos ellos son zonas volcánicas. Así es, dentro de la península ibérica también tenemos volcanes dormidos, y muchas de las personas que viven sobre ellos o que los visitan ni siquiera lo saben. ¿Os imagináis qué pasaría si se activaran y

Aunque esto es muy improbable, lo cierto es que la situación vivida en La Palma nos ha demostrado que aún nos queda mucho camino para conseguir que todas nuestras ciudades sean seguras, resilientes a este tipo de desastres y sostenibles, como marca el objetivo de desarrollo sostenible número 11 Ciudades y comunida-

A lo largo de esta situación de aprendizaje lograremos entender qué son los riesgos geológicos y cómo se pueden predecir y prevenir, consiguiendo así reducir el

¿Qué pasó en La Palma? Analizamos mapas de prevención de riesgos

Unidad 7

Nuestro paisaje Volcanes y terremotos

Unidad 8

VIVIR EN UN VOLCÁN

La explosión del volcán Cumbre Vieja dejó a cientos de habitantes de La Palma sin casas, sin plataneras, sin lugar ni medios para vivir. Pero las erupciones volcánicas no son el único tipo de desastre al que estamos sometidos: inundaciones, grandes nevadas (¿quién no recuerda a Filomena?), terremotos… nos hacen enfrentarnos a

En esta situación de aprendizaje, utilizaréis vuestros conocimientos sobre procesos geológicos internos y externos para analizar los riesgos geológicos existentes a nivel mundial, pudiendo así predecir los riesgos geológicos en vuestra propia

Entenderéis qué normas existen para la protección de la población y cómo se

Mirar al pasado para predecir el futuro

La acción de los seres vivos

Al final del reto, seréis capaces de crear un mapa de riesgos geológicos específico para vuestra localidad, acompañado de un informe completo sobre medidas de

Realizamos el mapa de prevención de riesgos

Organizamos la información en un informe

La cambiante Tierra

ALFRED WEGENER.

Un explorador a la deriva

Los continentes se han movido. Cuanto más investigaba, más fuerza cobraba la idea en mi mente. ¿Pero cómo puede ser que algo tan inmenso se haya paseado por el planeta? ¡Es asombroso! No obstante, existen pruebas que lo demuestran. Yo las recopilé y analicé en mi teoría de la deriva continental. ¿Y sabéis lo que opinó la mayoría de la comunidad científica?

Que era una soberana estupidez.

Soy Alfred Lothar Wegener. Nací en Berlín en 1880, y siempre fui un chico muy movido. Me encantaba escalar, pasear, navegar… Como además era buen alumno y me gustaban las ciencias naturales decidí estudiar física, astronomía y meteorología en la Universidad de Berlín. En 1906 me ofrecieron participar en una expedición… ¡a Groenlandia! Me atraía tremendamente el reto físico y mental que implica investigar en un entorno brutalmente hostil. Pasé dos años allí, explorando la costa e instalando la primera base meteorológica. Lo dicho, siempre fui muy movido.

Al volver a Alemania me convertí en un reconocido profesor de meteorología en la Universidad de Marburgo. Fue entonces cuando empecé a gestar mi teo-

ría de la deriva continental. Me resultaba enigmático que las costas de África y Sudamérica no solo parecían encajar como piezas de un puzle, sino que ocultaban rocas y fósiles similares. ¿Podrían haber estado juntas en algún momento?

En 1915, tras regresar de una segunda expedición a Groenlandia publiqué El origen de los continentes y océanos, el libro en que desarrollé mis ideas sobre la deriva continental. En aquel momento, en plena Primera Guerra Mundial, pasó más bien desapercibido. En 1922 publiqué una versión revisada que esta vez sí llamó la atención. Sin embargo, puesto que no pude explicar qué provoca el movimiento de los continentes, la comunidad científica tildó mi teoría de absurda. Tristemente, mi cuarta expedición a Groenlandia me costó la vida en 1930. Tenía solo 50 años cuando perecí en el hielo. Fue una lástima, apenas tres décadas más tarde mi teoría fue rescatada y aceptada a la luz de los nuevos descubrimientos en los océanos. De hecho, es la base de la actual teoría de la tectónica de placas. ¡Me hubiera encantado vivir para ver las caras de quienes la consideraron ridícula!

¿Qué vas a descubrir?

En esta unidad

• Alfred Wegener. Un explorador a la deriva

1. La evolución del relieve. El ciclo geológico

2. El tiempo geológico

3. La energía interna de la Tierra y los procesos endógenos.

4. El magmatismo y los volcanes

5. Las fuerzas tectónicas

6. Los riesgos geológicos

• Comprende, reflexiona y pon a prueba tus competencias

En anayaeducacion.es

Para motivar

• Vídeo: Antes de empezar

• Conoce más a... Alfred Wegener

Para detección de ideas previas

• Presentación: Qué necesitas saber

Para exponer

• Presentación: Guía de rocas; Tipos de bordes de placas

• Vídeos: Así se produce una erupción volcánica

Para ejercitar

• Actividades interactivas: Aprende jugando; Ponte a prueba

• Taller de ciencias: Localizamos el epicento del terremoto

Y, además, toda la documentación necesaria para aplicar las claves del proyecto.

SECUENCIA DE APRENDIZAJE

1.1 Escribe una pequeña noticia, como las que se publican cuando un volcán entra en erupción, en la que expliques de donde

1.2 ¿Por qué son las islas Canarias un lugar con tanta actividad geológica? Investiga los acontecimientos geológicos más importantes de los últimos años en el archipiélago y

2.1 Estudia el origen geológico de las islas Canarias. ¿Hay más lugares en el mundo con

2.2 La actividad volcánica suele ir acompañada de actividad sísmica antes y durante las erupciones. Haz un pequeño resumen de la actividad sísmica en Cumbre Vieja antes de la erupción y durante las primeras semanas

3.1 ¿Qué son los mapas de prevención de ries-

3.2 Busca un mapa de riesgos sísmicos y volcánicos de España y analízalo. ¿Cuáles son las zonas de alto riesgo? ¿Por qué se sitúan en esos lugares? Puedes encontrar ejemplos de mapas en las páginas web del Instituto Geológico y Minero de España y en la

+ anayaeducacion.es

La superficie terrestre y sus cambios

La evolución del relieve. El ciclo geológico

Orogénesis: La energía interna de la Tierra produce movimientos en la litosfera que forman volcanes y levantan nuevas cordilleras. Se crean nuevos relieves.

Cordillera en formación

Sedimentos procedentes de un relieve anterior

Volcanes

Movimientos de la litosfera

Calor interno de la Tierra

Cordillera

Gliptogénesis: Los procesos exógenos del modelado del relieve desgastan las rocas y transportan los sedimentos hasta zonas bajas. El relieve queda llano y desgastado, hasta que nuevos procesos endógenos lo reactiven. Se depositan sedimentos. Los procesos exógenos erosionan el relieve.

Las formas del relieve terrestre, como un valle, un acantilado, una montaña o un volcán, presentan evidencias de haber sido formadas por fenómenos colosales en los que está involucrada mucha energía. Esos fenómenos, que siguen sucediendo constantemente en la actualidad, son los procesos geológicos.

1.1 Los procesos geológicos

Los procesos geológicos son todos aquellos fenómenos que cambian el relieve de la superficie terrestre y que forman y transforman los diferentes tipos de rocas.

Dependiendo de la fuente de energía que los impulsa, se distinguen dos tipos de procesos geológicos: los endógenos y los exógenos.

Los procesos geológicos endógenos

Los procesos geológicos endógenos están producidos por la energía interna de la Tierra. Son los fenómenos del magmatismo y las fuerzas que deforman las rocas, elevan las cordilleras, causan terremotos...

Los procesos geológicos exógenos

Los procesos geológicos exógenos son impulsados por las dinámicas de la atmósfera y la hidrosfera que, a su vez, dependen de la energía solar y de la gravedad. Son los procesos del modelado del relieve.

1.2 Efecto de los procesos geológicos

Como se ha explicado, tanto los procesos geológicos endógenos como los exógenos tienen dos efectos principales en la Tierra: la evolución del relieve y la formación y la transformación de las rocas.

La evolución del relieve

Los procesos geológicos actúan simultáneamente sobre la litosfera produciendo la evolución constante de las formas del relieve:

- Los procesos endógenos suelen asociarse con la creación de nuevos relieves, ya que producen la elevación de las cordilleras (orogénesis) o la aparición de terrenos volcánicos, como algunas islas.

- Los procesos exógenos suelen asociarse a la destrucción o al modelado de relieves ya existentes (gliptogénesis), por desgaste o denudación de las montañas hasta transformarlas en llanuras.

La

formación y la transformación

de rocas

La otra consecuencia de los procesos geológicos es la formación y la transformación de los diferentes tipos de rocas que observamos en la corteza terrestre y que, si recuerdas, son de tres tipos principales según su origen:

- Las rocas magmáticas proceden de la solidificación de magmas, que son masas de rocas que se funden en el interior de la corteza y del manto debido a los procesos endógenos.

- Las rocas metamórficas se originan a partir de la transformación en estado sólido de otras rocas, que son sometidas tanto a presiones como a temperaturas elevadas por los procesos endógenos.

- Las rocas sedimentarias se forman por la compactación y la cementación de sedimentos, es decir, de los materiales resultantes de la acción de los procesos exógenos sobre las rocas expuestas en la superficie terrestre.

Los procesos geológicos endógenos y los exógenos actúan de forma conjunta y simultánea sobre las rocas de la corteza terrestre y las someten a cambios que las forman y las destruyen y que pueden resumirse en un esquema denominado «ciclo de las rocas».

El ciclo de las rocas

1 Formación de rocas magmáticas

Los magmas que proceden del interior de la corteza solidifican y dan lugar a rocas plutónicas y volcánicas.

3 Formación de rocas

metamórficas

Las fuerzas tectónicas y la energía interna transforman las rocas sedimentarias o magmáticas en otras nuevas llamadas metamórficas.

COMPRENDE, PIENSA, INVESTIGA...

1 Explica las diferencias entre los procesos geológicos endógenos y los exógenos.

2 Respecto a los fenómenos de la orogénesis y la gliptogénesis:

a) Relaciónalos con los tipos de procesos geológicos.

b) Explica por qué decimos que ambos fenómenos se producen simultáneamente.

3 Folio giratorio. Explicad por qué el «ciclo de las rocas» no es realmente un proceso cíclico.

4 ¿Qué energías intervienen en cada tipo de proceso geológico?

5 ¿Qué procesos geológicos intervienen en la formación de los diferentes tipos de rocas? Explica tu respuesta.

2 Formación de rocas sedimentarias

Los procesos exógenos erosionan las rocas del terreno y forman sedimentos. Después, la presión debida a la gravedad y la energía interna de la Tierra compactan esos sedimentos y forman rocas sedimentarias.

El tiempo geológico

El Fanerozoico El Fanerozoico

El eón fanerozoico es en el que nos encontramos en la atualidad. Observa el esquema y responde:

a) ¿En qué era y período nos encontramos?

b) Busca información y completa en tu cuaderno los eventos y las fechas aproximadas para aquellos períodos en los que falta información.

c) Los períodos son cada vez más cortos a medida que nos acercamos a la actualidad. ¿A qué crees que puede deberse?

Eones Eras

FANEROZOICO

Casi todos los procesos geológicos ocurren con muchísima lentitud. Por ejemplo, la coordillera del Himalaya comenzó a formarse hace más de 70 millones de años y el mar Mediterráneo comenzó a llenarse hace aproximadamente 5,3 millones de años.

2.1 El tiempo geológico

El tiempo geológico es el tiempo transcurrido entre el origen de la Tierra y el momento actual. Se mide en millones de años (Ma).

Para poder estudiar la historia de la Tierra, que abarca más de 4 600 millones de años, es necesario dividir el tiempo en intervalos que nos faciliten su comprensión. Estos intervalos son:

- Los eones: son las divisiones más grandes. Se extienden a lo largo de cientos de millones de años. Sus límites coinciden con grandes cambios planetarios. Son el Hádico, el Arcaico, el Proterozoico y el Fanerozoico.

- Las eras: son intervalos en los que se dividen los eones. Sus límites se sitúan en grandes extinciones o en momentos en los que se formaron grandes cordilleras.

- Los períodos: son los intervalos en los que se divide una era. Sus límites son cambios en el registro fósil o en la composición de los grandes bloques de rocas sedimentarias.

Períodos

Cámbrico

Ordovícico

Silúrico

Devónico

Carbonífero

Pérmico

Triásico

Jurásico

Cretácico

Paleógeno

Neógeno

Cuaternario

ACTUALIDAD

Explosión de vida en los océanos

542

La vida coloniza el medio terrestre

Extinción global masiva

Impacto del asteroide KT

Aparición del Homosapiens

2.2 Estudiamos el pasado

La humanidad siempre ha tenido curiosidad por conocer el origen de las montañas o los ríos y numerosos mitos en todas las culturas de la Tierra intentan explicarlo con dioses, héroes y gigantes.

En el siglo XVIII surgió una corriente científica, el actualismo, que planteaba que se podía estudiar el pasado de la Tierra analizando los fenómenos naturales actuales.

El actualismo considera que las mismas leyes físicas, químicas y biológicas que actúan hoy lo hicieron también en el pasado geológico y con consecuencias similares.

Así, un fenómeno que hoy afecte a las rocas, lo haría de la misma forma en el pasado por lo que estudiar el presente nos ayuda a descifrar el pasado.

2.3 El registro estratigráfico

Todas las rocas aportan información sobre el pasado de la Tierra: acerca de lo que ocurrió durante su formación o sobre los fenómenos que las afectaron (deformaciones, modelado…). Pero son las rocas sedimentarias las que más información aportan. Esto es debido a sus características, que resultan de la evolución de las cuencas sedimentarias en las que se originaron y que dan lugar a la formación de estratos en los que, en muchas ocasiones, hay un registro fósil.

Un estrato es una capa de sedimentos o rocas con una composición homogénea que se depositó durante un intervalo de tiempo concreto.

Con la información contenida en un conjunto de estratos se pueden reconstruir y ordenar en el tiempo los sucesos geológicos y biológicos que sucedieron en distintos momentos de la evolución de una cuenca.

COMPRENDE, PIENSA, INVESTIGA...

1 Explica qué es el actualismo y por qué permite estudiar el pasado geológico terrestre.

2 Consulta el recurso «La fosilización» que puedes encontrar en anayaeducacion.es y explica cómo se forman los fósiles.

El registro estratigráfico

Estrato C Estrato A Estrato B

Organismos enterrados

En una zona se depositaron materiales arrastrados por el agua en capas superpuestas. Cada capa se formó según la composición de los sedimentos que llegaban al lugar en cada momento. Algunos organismos quedaron enterrados.

Secuencias de estratos

Fósiles

Las distintas capas de sedimentos se compactaron y formaron una secuencia sedimentaria. Algunos restos de seres vivos que había en los sedimentos se transformaron en fósiles.

Nuevo estrato

El territorio volvió a quedar sumergido, se reinició la sedimentación y se formó una nueva secuencia, dispuesta sobre la anterior.

Secuencia 2

Secuencia 1

El paso del tiempo hizo que la zona volviera a secarse y que se puedan ver las dos secuencias de sedimentos.

Nuevo estrato (D)
Relieve

La energía interna de la Tierra y los procesos endógenos

3.1 La energía interna de la Tierra

El interior de la Tierra contiene una gran cantidad de energía, denominada energía geotérmica, que mantiene las capas más profundas del planeta a temperaturas de miles de grados centígrados. Esta energía procede, en parte, del violento origen de la Tierra, en el que la energía de numerosas colisiones de planetesimales formaron un planeta muy caliente y fundido. Además, en el interior terrestre se produce calor debido a la desintegración de los elementos radiactivos presentes en las rocas.

La presencia de una litosfera sólida que aísla el interior terrestre de la atmósfera y del espacio exterior ha mantenido el calor interno hasta el momento actual. Aun así, la Tierra se va enfriando.

3.2 La energía mueve las rocas

La estructura de la Tierra y la convección en el manto

Fíjate en la ilustración del modelo del interior terrestre y:

a) Describe cómo está representada la litosfera. ¿Es continua?

b) Explica los movimientos ascendentes y descendentes de materiales en el manto.

La energía geotérmica se transfiere desde el ardiente núcleo hacia el exterior frío del planeta en forma de calor, y puede causar desplazamientos de las rocas del manto, que tienen un comportamiento plástico debido a la presión y a la temperatura que soportan. Estos desplazamientos, conocidos como convección en el manto, son así:

- Masas de rocas del manto en contacto con el núcleo se calientan, por lo que se hacen menos densas y ascienden hacia la superficie.

- Al mismo tiempo, masas frías de litosfera pueden introducirse en el manto en ciertas zonas, hacerse más densas y hundirse hasta el límite con el núcleo.

Masas de rocas calientes que ascienden

Placa litosférica 1

Placa litosférica 2

Masas frías de litosfera que se hunden

Placa litosférica 3

3.3 La litosfera y su dinámica

Cuando se estudió la distribución de los volcanes y los terremotos en todo el mundo, se descubrió que no es homogénea. Se comprobó que la mayoría de estos fenómenos se localizan en regiones concretas del globo, formando líneas que coinciden con formaciones como cordilleras, dorsales oceánicas y fosas marinas.

Al representar estos datos en mapas, parecía que la capa superficial de la Tierra, la litosfera, se encontraba fragmentada.

La litosfera, la capa más superficial del planeta, no es una capa continua, sino que se encuentra dividida en fragmentos que se denominan placas litosféricas o placas tectónicas.

Pronto se comprobó que estas placas eran dinámicas, es decir, que habían cambiado de tamaño o de posición a lo largo de la historia de la Tierra, a causa de los efectos de la energía geotérmica.

El estudio de las placas litosféricas y de su dinámica dio origen a la principal teoría de la geología, que explica la totalidad de los procesos geológicos: la teoría de la tectónica de placas.

Las placas tectónicas y sus movimientos principales

COMPRENDE, PIENSA, INVESTIGA...

1 Explica las causas de que el interior de la Tierra esté muy caliente.

2 Explica cómo la transmisión de la energía geotérmica genera movimientos en las rocas del manto.

3 ¿Cómo se llegó a la conclusión de que la litosfera no era una capa continua sino que estaba fragmentada en placas?

4 anayaeducacion.es Consulta el recurso «Así han cambiado las placas litosféricas» y formula una hipótesis para explicar por qué crees que se han producido esos cambios en las placas.

Pacífico
filipina

COMPRENDE, PIENSA, INVESTIGA...

5 Escribe un texto sobre los principios fundamentales de la tectónica de placas, de forma que quede claro por qué esta teoría explica todos los procesos geológicos.

6 Explica qué es la zona de subducción y comenta en qué tipo de bordes de placas se puede dar.

3.4 La teoría de la tectónica de placas

La teoría de la tectónica de placas, o tectónica global, es la teoría fundamental de la geología moderna. Permite explicar todos los procesos geológicos a partir de las propuestas siguientes:

- Las placas litosféricas se mueven debido a la energía interna de la Tierra. Se desplazan y cambian de posición y pueden cambiar de tamaño y de forma a lo largo de millones de años.

- El movimiento de las placas hace que estas interactúen, especialmente en sus límites. Las fuerzas y los cambios que resultan de esta interacción entre bordes de placas producen una intensa actividad geológica que desencadena los procesos geológicos endógenos e influye de manera determinante en los exógenos.

Estructura de un borde divergente

Se forman magmas que salen al exterior y se solidifican, originando nueva litosfera.

Estructura de un borde convergente

1

Estructura de un borde transformante

1

Litosfera oceánica

Litosfera continental

Si la placa que queda en la superficie es de litosfera continental, se pliega y se eleva formando una cordillera paralela a la línea de costa, como la de los Andes.

Las placas se rozan al desplazarse en sentidos opuestos y originan terremotos. Litosfera oceánica

Litosfera continental

La placa oceánica se introduce en el manto (subducción) y esa litosfera se destruye.

Se forman magmas y el vulcanismo en la zona es intenso. También la actividad sísmica.

Dorsal
La litosfera se fractura.
Placa 1
Placa
Placa
Placa 2
Placa 2
Placa 2

3.5 Tipos de bordes de placas

En función de cómo sea el contacto entre dos placas litosféricas, es decir, de cómo se mueven la una con respecto a la otra, sus bordes pueden ser divergentes, convergentes o transformantes.

- Los bordes divergentes son límites entre dos placas que se separan la una de la otra.

- Los bordes convergentes son límites entre dos placas que se aproximan la una a la otra.

- Los bordes transformantes son límites entre dos placas que se mueven lateralmente, una con respecto a la otra.

Al separarse dos placas, la litosfera se fractura. Esto disminuye la presión y se produce la fusión de las rocas del manto, que forman magmas que ascienden y se solidifican en la superficie rellenando las fracturas. Así, se origina nueva litosfera oceánica, por lo que estos límites se denominan también bordes constructivos.

• Si el borde divergente se abre en una placa de litosfera continental, la tensión fractura el continente y forma una depresión con gran actividad volcánica en su fondo. Como la del valle del Rift en África.

• Si las placas que se separan son de litosfera oceánica, en el borde divergente se origina una dorsal oceánica. Es una gran cordillera volcánica que se levanta en el fondo oceánico y que se extiende a lo largo del borde divergente. Por ejemplo, la dorsal centroatlántica.

Por lo general, una de las placas que colisionan, formada por litosfera oceánica, más densa, se introduce debajo de la otra, de litosfera continental, hacia el manto en un proceso llamado subducción y da lugar a la aparición de numerosos volcanes y terremotos en la zona.

Si las dos placas que convergen son oceánicas, la más antigua y densa es la que se introduce bajo la otra. En la zona de subducción también se forman magmas y volcanes, originándose arcos de islas volcánicas como el de Japón o el de las Aleutianas.

Como en estos límites de placas la litosfera se reduce, también se llaman bordes destructivos.

Estos bordes se dan en las fracturas transversales de las dorsales y en zonas intracontinentales como la falla de San Andrés, en California. En ellas se producen grandes tensiones que originan terremotos. También se denominan bordes pasivos.

Volcanes y terremotos

Observa la siguiente imagen. Representa la superficie de la geosfera en una zona del planeta. En ella se han reproducido, en rojo, los volcanes activos y, en amarillo, los focos de los terremotos. Consulta el mapa de las placas tectónicas y responde a estas preguntas:

• ¿A qué crees que se debe esta distribución de volcanes?

• ¿Qué relación tiene con la orografía de la zona?

• ¿Crees que estas circunstancias influyen en la forma de vida de la gente de la zona?

• Busca y anota otras zonas en el mundo en el que haya una distribución parecida de terremotos y volcanes.

El magmatismo y los volcanes

Zonas de la litosfera en las que se forman magmas

A partir de la ilustración inferior deduce:

a) ¿Por qué las zonas en las que se forman magmas suelen estar relacionadas con bordes de placas?

b) Localiza dos zonas del planeta que tengan una gran actividad magmática y explica las causas de esa actividad.

c) Investiga y localiza en el planeta un punto caliente como el que se describe en el dibujo.

1 Los bordes convergentes con subducción

En estos bordes, la placa que se introduce en el manto se funde en parte y provoca la fusión de más rocas del manto, generando bolsas de magma.

Tal y como se explica en la teoría de la tectónica de placas, las interacciones de las placas litosféricas desencadenan los procesos geológicos endógenos. Entre esos procesos están los del magmatismo.

El magmatismo es el conjunto de los procesos geológicos endógenos en los que intervienen magmas.

4.1 ¿Dónde se forman los magmas?

Los magmas se forman en zonas de la litosfera o del manto superior donde la tectónica de placas genera unas condiciones que provocan la fusión de las rocas.

En todas estas regiones, los magmas ascienden a través de la corteza terrestre y producen dos tipos de fenómenos magmáticos:

- La formación de las rocas magmáticas intrusivas o plutónicas, como los granitos o los gabros, por enfriamiento lento y solidificación del magma en profundidad.

- La actividad volcánica y la formación de rocas magmáticas extrusivas o volcánicas, como el basalto, la obsidiana o la pumita, por la salida del magma a la superficie.

2 Los bordes divergentes

Tanto en las dorsales como en los rifts continentales, la fracturación de la litosfera hace disminuir la presión sobre las rocas calientes del manto, provocando que se fundan.

3 Los puntos calientes

Son zonas que pueden estar en mitad de las placas, lejos de los bordes. Bajo ellas se produce el ascenso de masas de rocas muy calientes procedentes del manto profundo que, cuando llegan a la litosfera, se funden.

4.2 La actividad volcánica

Un volcán es una grieta u orificio de la litosfera por donde sale al exterior el magma originado en el interior terrestre.

Todos los volcanes tienen unas características comunes y cuatro partes principales (cámara magmática, chimenea, cráter y edificio volcánico) que se describen en la ilustración.

Las erupciones volcánicas

COMPRENDE, PIENSA, INVESTIGA...

1 Busca información y prepara una exposición oral para explicar:

a) Cómo se forma una masa de granito.

b) Cómo se produce una erupción volcánica.

Cráter. Es el orificio de salida de la lava al exterior. Si es de grandes dimensiones se denomina caldera.

Chimenea. Es el conducto por el que sale el magma desde la cámara magmática hasta el exterior.

Edificio volcánico. Es una estructura generalmente de forma cónica y de las dimensiones de una colina o una montaña, que se forma por la acumulación de los materiales expulsados por el volcán.

Cámara magmática. Es el lugar del interior de la litosfera en el que se almacena el magma antes de salir al exterior.

Dos tipos de volcanes

La salida de magma a través de un volcán se denomina erupción. Las erupciones no se producen de forma continua, sino periódicamente, cuando se acumula mucho magma en la cámara magmática.

En esas condiciones, los gases del magma ejercen gran presión y se abren fisuras o grietas entre la cámara magmática y el exterior del volcán. Por esas grietas salen bruscamente los gases y empujan a las rocas fundidas de la cámara, de modo que salen al exterior los diversos materiales volcánicos:

- Los gases. Son, principalmente, vapor de agua, dióxido de carbono y dióxido de azufre.

- La lava. Es el magma desgasificado, que fluye ladera abajo del cono volcánico formando corrientes llamadas coladas. Al solidificar, forma las rocas volcánicas.

- Los sólidos (piroclastos). Son fragmentos de lava que son lanzados al aire y solidifican antes de caer. Según su tamaño, se llaman cenizas (de unos 2 mm de diámetro), lapilli (del tamaño de un guisante al de una nuez) y bombas (mayores que una nuez).

En función de su ubicación en la superficie de la litosfera, los volcanes pueden tener un aspecto y una actividad muy variables que dependen de la composición de los magmas que expulsan.

Volcán poco explosivo. Emite lavas de composición basáltica, muy calientes y fluidas, que tardan mucho en solidificar y por eso salen suavemente junto con gases y muy pocos piroclastos.

Volcán muy explosivo. Emite lavas de composición mixta, muy viscosas, que solidifican muy deprisa en la chimenea y producen explosiones que lanzan bruscamente lava y abundantes piroclastos.

Las fuerzas tectónicas

Así se forman pliegues y fallas

Actúan fuerzas que pliegan y rompen las rocas.

Así se producen los terremotos

Se acumula tensión.

Se libera la tensión y se produce el terremoto.

Otro efecto de la dinámica litosférica son las enormes fuerzas tectónicas que actúan sobre las masas de roca y que causan en ellas metamorfismo, deformaciones o las sacudidas de los terremotos.

5.1 El metamorfismo

Cuando un macizo de rocas es sometido a las fuerzas tectónicas y al calor interno de la geosfera experimenta aumentos de presión y de temperatura que cambian sus minerales sin variar su estado sólido.

Llamamos metamorfismo al conjunto de procesos geológicos endógenos que causan aumentos de presión y temperatura en zonas de la litosfera y transforman las rocas existentes en otras diferentes llamadas rocas metamórficas.

5.2 La deformación de las rocas

Cuando las fuerzas tectónicas actúan sobre las masas de roca de forma intensa y duradera, pueden producir en ellas deformaciones de tres tipos:

- Deformaciones plásticas. Son los pliegues, que permanecen en las masas de rocas incluso cuando cesa la fuerza que los causó.

- Fracturas. Son roturas de la masa de roca. Así se originan las fallas.

- Rebotes elásticos. Son cambios de forma o desplazamientos en masas de roca, que recuperan bruscamente su estado inicial al cesar las fuerzas.

5.3 Los terremotos

Los terremotos o seísmos son vibraciones u oscilaciones del terreno que se producen al romperse o moverse bruscamente grandes masas de roca sometidas a fuerzas tectónicas.

El súbito desplazamiento o fractura de grandes masas de rocas libera energía que causa vibraciones, las ondas sísmicas, que se propagan por la litosfera produciendo el terremoto.

Cuando las ondas sísmicas llegan a la superficie de la litosfera hacen que el terreno se ondule, se rompa o se altere. También originan enormes olas llamadas tsunamis si ocurren en el fondo marino.

COMPRENDE, PIENSA, INVESTIGA...

1 Busca información sobre tres rocas metamórficas y escribe una breve descripción de cada una de ellas. Indica la roca de la que proceden.

2 ¿Qué tipos de deformaciones de las rocas causan terremotos?

Falla Pliegues

Los riesgos geológicos

Los riesgos geológicos

Localidad

Observa la imagen y evalúa los riesgos geológicos que pueden afectar a la localidad que aparece en el dibujo.

6.1 El riesgo geológico

Los procesos geológicos endógenos, en especial los que producen actividad volcánica y terremotos, son fenómenos muy peligrosos para el ser humano debido a la destrucción que pueden causar. Por esa razón, se dice que constituyen un riesgo geológico.

El riesgo geológico es la probabilidad de que se produzcan daños humanos o materiales en una zona debido a la acción de procesos geológicos.

El riesgo volcánico

Los volcanes pueden ocasionar destrucción de forma directa debido a las explosiones y a las emisiones de materiales durante las erupciones. Además, pueden constituir peligros indirectos, ya que provocan terremotos o tsunamis, además de avalanchas de barro si funden la nieve de las cumbres y el agua de fusión arrastra materiales sueltos de las laderas.

El riesgo sísmico

Los terremotos son destructivos en el momento en que se producen debido a que las vibraciones de la superficie terrestre derriban edificios e infraestructuras y ocasionan movimientos de tierras. De forma indirecta, causan tsunamis y debilitan taludes que pueden derrumbarse después de forma inesperada.

6.2 Factores de riesgo

El riesgo volcánico o sísmico en una zona determinada puede ser mayor o menor dependiendo de una serie de factores como:

COMPRENDE, PIENSA, INVESTIGA...

1 Define riesgo sísmico y riesgo volcánico.

2 anayaeducacion.es Consulta el recurso «Los mapas de riesgo» en tu banco de recursos, interpreta el mapa del riesgo sísmico en España y determina cómo es ese riesgo en tu localidad.

3 Explica cómo se puede reducir el riesgo sísmico en una ciudad situada en una zona con terremotos frecuentes.

4 Pon ejemplos para explicar cómo influye la peligrosidad de los volcanes en el riesgo volcánico.

- La peligrosidad del fenómeno. Depende de la frecuencia y de la violencia de las erupciones volcánicas o de los terremotos.

- La cantidad de población expuesta al peligro. Cuanta más población haya en una zona volcánica o sísmica, mayor será el riesgo.

- La capacidad para la predicción y la prevención. Las poblaciones con medios técnicos y económicos desarrollan programas de vigilancia sísmica y volcánica y medidas para minimizar los efectos de estos sucesos (planes de evacuación, construcción de refugios, diques para desviar lava, construcción de edificios sismorresistentes...). En esas zonas, el riesgo es menor que en aquellas en las que se carece de esos medios.

COMPRENDE

Organiza las ideas

1 Mapa mental. Completa en tu cuaderno los espacios vacíos del siguiente mapa mental sobre los volcanes. Aprende a hacerlos con el recurso disponible en anayaeducacion.es ? Materiales volcánicos

Volcanes poco ?

Partes de un volcán Erupciones volcánicas periódicas Se acumulan ? en la ?

Volcanes muy ? ? ? ? ? ? ? ? ?

Los gases ejercen ?

Tipos de volcanes

Haz un resumen

2 Elabora tu propio resumen de la unidad siguiendo este guion:

• Diferencia los tipos de procesos geológicos y di cuáles son los efectos de cada tipo.

• Explica qué es el tiempo geológico y cómo se relaciona con el registro estratigráfico.

• Nombra los tipos de rocas según su origen y explica su ciclo de formación en la geosfera.

• Explica la relación que existe entre la energía interna de la Tierra, la convección en el manto y la dinámica litosférica.

• Enuncia la teoría de la tectónica de placas.

• Nombra los diferentes tipos de límites de placas tectónicas y explica las diferencias entre ellos.

• Define magmatismo y explica su relación con los bordes de las placas tectónicas.

• Describe las diversas consecuencias que tiene la acción de las fuerzas tectónicas sobre las masas de roca de la litosfera.

• Explica qué es el riesgo geológico debido a los procesos geológicos endógenos y cita los factores de los que depende.

Interpreta imágenes

3 Identifica el tipo de bordes de placas litosféricas que se corresponden con cada uno de los dibujos.

4 ¿Qué tipos de rocas crees que se pueden formar en las zonas de la litosfera señaladas en el dibujo?

A B C D

5 La imagen corresponde a una formación de rocas que ha sufrido la acción de los procesos geológicos endógenos. Explica cuáles han sido esos procesos y cuáles han sido los efectos sobre estas rocas.

Aplica

6 Explica en tu cuaderno por qué son falsas las siguientes frases:

a) La energía solar es responsable de la fragmentación de los continentes.

b) Los volcanes y los terremotos no suelen producirse en las mismas zonas.

c) La energía geotérmica procede del Sol.

d) La litosfera es una capa continua y plástica.

7 Clasifica en una tabla los diferentes productos que expulsa un volcán e indica sus características.

8 Escribe frases correctas con los grupos de palabras siguientes:

a) Exógenos, relieve, gliptogénesis, modelado.

b) Relieve, fuerzas, magmatismo, orogénesis.

c) Convergentes, subducción, volcanes, seísmos.

9 Establece las diferencias entre:

a) Orogénesis y gliptogénesis.

b) Rocas sedimentarias y rocas metamórficas.

c) Rocas plutónicas y rocas volcánicas.

d) Pliegues y fallas.

e) Riesgo volcánico y riesgo sísmico.

10 Explica cómo puede una población minimizar los riesgos sísmicos y los riesgos volcánicos.

11 Deduce por qué en zonas de riesgo volcánico se construyen viviendas con tejados muy inclinados o semiesféricos en lugar de planos.

REFLEXIONA

Avanza

12 Un ejemplo de punto caliente en el interior de una placa tectónica es el que se sitúa bajo el archipiélago hawaiano, responsable de la actividad volcánica actual en la isla de Hawái. Como la placa tectónica se mueve sobre el punto caliente, las islas se encuentran alineadas, ya que se han formado en sucesivas etapas eruptivas del punto caliente sobre la placa tectónica.

a) Investiga sobre la edad de cada una de las islas del archipiélago de Hawái.

b) ¿Hay alguna relación entre la edad de las islas y su disposición? ¿Por qué?

c) A partir de esta información, deduce en qué dirección se mueve la placa tectónica.

En esta primera unidad hemos investigado lo sucedido en La Palma para comprender cómo funciona la Tierra por dentro. Analizando lo ocurrido hemos sido conscientes de los procesos de orogénesis, del vulcanismo y de los terremotos. Reflexiona sobre tu aprendizaje rellenando el cuestionario y la rúbrica disponibles en anayaeducacion.es

AspectosTotalmente conseguido

Entiendo

Bastante conseguido

PON A PRUEBA TUS COMPETENCIAS

ConseguidoCasi conseguido

Realiza la autoevaluación competencial incluida en anayaeducacion.es

de dónde proviene la lava que salió del volcán Cumbre Vieja y arrasó gran parte de la isla de La Palma.

El modelado del relieve

MARJORIE SWEETING.

La gran exploradora del karst

A menudo mis alumnos y mis alumnas de la universidad me preguntan cómo es que no me da miedo adentrarme en las entrañas de la piedra. En las cuevas, la oscuridad te engulle, el silencio es sobrecogedor, la humedad se pega a la ropa y la pendiente es traicionera por las rocas sueltas… Todo ello es cierto, pero se me antoja un precio pequeño a cambio de poder admirar de primera mano las maravillas del modelado kárstico.

Me llamo Marjorie Sweeting. Nací en Fulham, Inglaterra, en 1920. Mi padre era profesor de Geología en el Imperial College de Londres por lo que desde niña le cogí el gusto a dicha ciencia y acabé por licenciarme en Geografía Física en el Newham College de Cambridge, en 1941. A partir de aquel momento pude entregarme a mis dos actividades preferidas: la investigación y la enseñanza. Durante las siguientes décadas compaginé dar clases en la Universidad de Oxford y el St Hugh’s College con largas expediciones para estudiar las zonas kársticas más impresionantes del planeta.

Mi pasión por la investigación y las cuevas era tan

grande que, en una ocasión, convencí a un compañero recién operado de apendicitis de que la mejor forma de curarse era venir conmigo a hacer espeleología. No hay nada mejor que la combinación de aire fresco, calizas y un poco de investigación para recuperarse de cualquier mal. Cuando el dióxido de carbono atmosférico reacciona con el agua de lluvia, se forma una pequeña cantidad de ácido carbónico. Este compuesto químico tiene la capacidad de disolver las rocas calizas y, a lo largo de miles de años, excavar en ellas verdaderas catedrales de estalactitas, estalagmitas, simas y galerías cuya belleza quita el aliento. A este tipo de paisaje los geólogos lo llamamos karst. Me llamaban tanto la atención que llegué a convertirme en la primera científica occidental en investigar la gran zona kárstica de Guilin, al sur de China.

Hasta mis últimos días organicé excursiones con mis alumnos y mis alumnas para visitar algunas de mis cuevas preferidas. Al fin y al cabo, ¡no podía permitir que se perdieran semejantes maravillas solo por miedo a la oscuridad!

¿Qué vas a descubrir?

En esta unidad

• Marjorie Sweeting. La gran exploradora del karst

1. El modelado del relieve

2. Los procesos geológicos exógenos

3. El modelado de las aguas de arroyada: los torrentes

4. El modelado de los ríos

5. El modelado de las aguas subterráneas

6. El modelado de los glaciares

7. El modelado del viento

8. El modelado del mar

9. Los seres vivos modelan el relieve

10. El suelo

• Comprende, reflexiona y pon a prueba tus competencias

En anayaeducacion.es

Para motivar

• Vídeo: Antes de empezar

• Conoce más a... Marjorie Sweeting

Para detección de ideas previas

• Presentación: Qué necesitas saber

Para exponer

• Presentación: El modelado y el clima; Seres vivos y meteorización

• Vídeos: El agua como agente geológico

Para ejercitar

• Actividades interactivas: Aprende jugando; Ponte a prueba

• Taller de ciencias: Fabricamos estalactitas y estalagmitas con sal

Y, además, toda la documentación necesaria para aplicar las claves del proyecto.

SECUENCIA DE APRENDIZAJE

4.1 Elige un lugar natural cercano al lugar en el que vives y describe el relieve que ves a tu alrededor. ¿Hay ríos, montañas, cuevas?

4.2 Busca un mapa físico de la zona que has descrito y marca sobre él todas las formas del relieve que identificaste en tu descripción.

5.1 Explica qué eventos geológicos han dado lugar al paisaje que has descrito. ¿Qué procesos exógenos han intervenido mayorita-

5.2 Busca información sobre la historia geológica del lugar que has elegido y compárala con tus suposiciones. Corrige aquellas co-

5.3 A partir de todo lo que has estudiado describe cómo crees que será este relieve en el

6.1 Señala qué elementos del paisaje que has descrito han sufrido la intervención de los

6.2 Busca información sobre si hay algún plan oficial de actuación de la zona, como si es algún tipo de lugar protegido, si hay previ-

6.3 Busca en un mapa de riesgo geológico en qué categoría se encuadra la zona que has elegido y si existe algún plan de actuación

+ anayaeducacion.es

El modelado del relieve 1

Los agentes geológicos externos

La hidratación y la deshidratación debidas al vapor de agua provocan reacciones sucesivas que favorecen la fragmentación de las rocas.

Deshidratación

1.1 Los agentes geológicos exógenos

Los agentes geológicos exógenos son los que producen cambios en los materiales de la superficie terrestre, dando lugar a determinadas formas del relieve. Son el agua, el viento, los cambios de temperatura, algunos gases atmosféricos y los seres vivos.

El agua

El agua líquida favorece la disolución de minerales y su posterior precipitación.

Hidratación

Fragmentación

El viento

En el proceso de abrasión, el viento arrastra partículas que desgastan las rocas como si fuera una lija.

Los gases atmosféricos

Algunos gases atmosféricos alteran la composición de las rocas, al reaccionar con sus minerales.

En el proceso de gelifracción, el hielo fragmenta las rocas, y los glaciares las fragmentan y las trituran.

Los cambios de temperatura

Los cambios de temperatura fragmentan las rocas al dilatarlas y contraerlas.

Los seres vivos

Los seres vivos pueden fragmentar las rocas mecánicamente y alterarlas químicamente.

Caliza

CO2

El CO2 junto con el agua forma ácido carbónico que puede disolver las calizas.

1.2 Factores que influyen en el modelado

Los factores que influyen en el modelado del relieve son el clima, la presencia de vegetación, el tipo y la disposición de las rocas; otros factores, como la presencia del mar o la acción del ser humano, también contribuyen.

- El clima de la región hace que predomine un agente exógeno u otro. Por ejemplo, en las zonas glaciares predominan la acción de los glaciares y el hielo; en las desérticas, el viento y los cambios de temperatura; en las templadas, el agua, y en las tropicales, los gases y los seres vivos.

- La vegetación protege la superficie de la alteración causada por agentes como el agua o el viento, ya que las raíces de las plantas sujetan el suelo y favorecen la infiltración del agua, disminuyendo la escorrentía.

- La acción de los agentes geológicos depende de las características de cada roca, determinadas, fundamentalmente, por su textura y composición química. Por ejemplo:

• Las arcillas son rocas impermeables, que favorecen la escorrentía superficial. Producen relieves suaves en los climas templados, al estar protegidas por la vegetación, pero se alteran con facilidad en los climas áridos.

• Los granitos son rocas muy resistentes. Sin embargo, presentan grietas por las que se infiltra el agua, lo que favorece que se fragmenten en bloques que dan lugar a un típico paisaje, denominado berrocal.

- La disposición de las rocas en el espacio influye cuando estas presentan distinta resistencia a la erosión; por ejemplo, si alternan estratos horizontales de rocas duras con estratos de rocas blandas, los ríos se encajan en un relieve en gradas, en el que los estratos duros producen paredes verticales y los blandos paredes de pendientes suaves. Los plegamientos, la fallas y las fracturas condicionan también la erosión, que siempre actúa buscando los puntos más débiles del relieve.

- La presencia del mar determina los relieves costeros, ya que el principal agente modelador es el agua marina.

- La acción humana al construir embalses, canteras, etc., puede cambiar el modo en el que actúan los agentes geológicos exógenos sobre los terrenos.

COMPRENDE, PIENSA, INVESTIGA...

1 Enumera los agentes geológicos exógenos.

2 Explica cómo influyen los cambios de temperatura y los gases atmosféricos en las formas del relieve.

3 Define berrocal, gelifracción y abrasión

4 Observa la fotografía de la derecha y nombra tres factores que hayan influido en su modelado. Justifica tu respuesta.

El tipo de roca condiciona las formas del relieve. Las rocas como las arcillas o los yesos se alteran con facilidad en climas áridos, lo que origina paisajes como los de la imagen A. Los granitos, en cambio, originan el paisaje que se muestra en la fotografía B.

2

Los procesos geológicos exógenos

Cuando el agua que se encuentra entre las grietas de las rocas se congela, se expande y fragmenta las rocas.

Los ácidos producidos por los líquenes alteran químicamente las rocas.

La acción de los agentes geológicos exógenos modela el relieve de la superficie terrestre a través de cuatro procesos: la meteorización, la erosión, el transporte y la sedimentación.

2.1 La meteorización

La meteorización consiste en una serie de procesos que alteran y disgregan las rocas de la corteza. Existen dos tipos de meteorización: la meteorización física o mecánica y la meteorización química.

La meteorización física o mecánica

La meteorización física es la fragmentación de las rocas sin que se produzcan cambios en su composición. Los procesos más importantes de meteorización física son la gelifracción, la abrasión eólica, los ciclos de dilatación y contracción de las rocas y la acción de las raíces de las plantas.

La meteorización química

La meteorización química es la descomposición de las rocas como resultado de reacciones químicas que alteran los minerales que las forman; es decir, cambian su composición química. Las reacciones de meteorización más importantes son:

- La disolución de algunos componentes de las rocas, sobre todo de las sales.

- La hidratación de minerales, que reaccionan con el vapor de agua atmosférico.

- La oxidación de minerales metálicos, que reaccionan con el oxígeno atmosférico.

- La carbonatación de minerales, que reaccionan con el dióxido de carbono disuelto en el agua.

- El ataque químico de los ácidos, procedentes de la actividad de los seres vivos.

2.2 La erosión

La erosión es el desgaste de las rocas, debido al arrastre de los materiales resultantes de la meteorización. Estos pueden ser retirados de la roca por la acción del mismo agente geológico que ha producido la meteorización, o bien por otros agentes geológicos como el agua o el viento.

COMPRENDE, PIENSA, INVESTIGA...

1 Explica en qué se diferencia la meteorización física de la química.

2 Razona por qué la erosión y la meteorización se consideran procesos distintos si ambos degradan las rocas.

2.3 El transporte

El transporte es el desplazamiento de los materiales erosionados de un lugar a otro. Durante el transporte, los materiales siguen sufriendo procesos erosivos, que cambian su forma. Por lo general, los materiales que han sufrido procesos de transporte cortos presentan formas angulosas. Si, por el contrario, el proceso de transporte ha sido intenso, presentan formas más suaves y redondeadas.

2.4 La sedimentación

La sedimentación es el depósito y la acumulación de los materiales erosionados y transportados, denominados sedimentos. Se produce en zonas en las que el agente geológico ha perdido gran parte de su energía y, por tanto, ha disminuido su capacidad erosiva y de transporte. Los materiales son depositados según su tamaño, sedimentándose antes los más gruesos y, en último lugar, los materiales más finos. El proceso de sedimentación es más intenso en las cuencas de sedimentación, zonas de menor altitud de la corteza terrestre, donde los sedimentos se acumulan durante millones de años, dando lugar a la formación de rocas sedimentarias.

El agua y las partículas de roca arrastradas por ella erosionan las rocas de la parte inferior de la cascada creando una zona más profunda llamada piscina de inmersión.

La roca más dura de la parte superior se rompe y rellena la piscina de inmersión.

COMPRENDE, PIENSA, INVESTIGA...

3 Explica qué es la sedimentación.

4 ¿Qué forma tendrá un fragmento de roca que haya sido transportado a lo largo de muchos kilómetros en un río?

Los agentes geológicos

Observa la imagen e indica en qué etapa tienen lugar cada uno de los procesos geológicos exógenos. ¿Qué crees que ocurrirá con la cascada a partir del cuarto paso?

Poco a poco aumenta la profundidad de la piscina de inmersión y se va destruyendo la pared de roca tras la cascada.

El proceso erosivo continúa tanto en la zona superior como en la inferior donde las rocas se van redondeando.

5 Saco de dudas. La geología puede ser difícil de comprender debido a que sus efectos se producen a lo largo de miles de años. Utilizad esta técnica de pensamiento para resolver en grupo las dudas que engáis sobre los presos geológicógenos. tengáis geológicos exógenos.

Roca dura
Roca blanda
A
C B D

El modelado de las aguas de arroyada 3

Identifica formas del relieve

Observa las imágenes superiores e identifica con qué forma del relieve de las aguas de arroyada se corresponde cada una. Escribe el nombre de algún lugar que conozcas en el que puedas encontrar alguna de estas formaciones.

3.1 Las aguas de arroyada

Las aguas de arroyada o aguas salvajes son las aguas que circulan por la superficie terrestre sin cauce fijo.

El agua de la lluvia o del deshielo que no se infiltra en el subsuelo circula por la superficie, formando las aguas de escorrentía.

Algunas de estas aguas superficiales discurren por un cauce y van a parar a los ríos, los torrentes y las ramblas. Pero otra parte de estas aguas de escorrentía circula por las laderas, formando las llamadas aguas de arroyada o aguas salvajes.

Las aguas de arroyada forman pequeños regueros o hileras, que se unen entre sí, lo que hace que su caudal y la velocidad con la que discurren por las laderas sean mayores; esto les confiere un gran poder erosivo.

Formas del relieve de las aguas de arroyada

Las principales formas del relieve que originan las aguas salvajes son:

- Los surcos son pequeñas hendiduras que se forman cuando el agua arrastra los materiales. En terrenos de rocas duras y solubles, como las calizas, se forman grandes superficies llenas de surcos de poca profundidad, denominados lenar o lapiaz.

- Las cárcavas se forman cuando los surcos son muy profundos. Si el suelo está desprovisto de vegetación, se forman grandes extensiones de surcos y cárcavas denominadas badlands.

- Las chimeneas de hadas son formaciones cónicas características de terrenos en los que alternan rocas duras y materiales más blandos. Las rocas más resistentes protegen de la erosión a los materiales más blandos que se encuentran en las capas inferiores, produciendo una erosión diferencial.

COMPRENDE, PIENSA, INVESTIGA...

1 Define escorrentía y aguas de arroyada.

2 Interpretamos. Consulta la documentación sobre esta técnica en anayaeducacion.es y explica por qué crees que las chimeneas de hadas reciben ese nombre.

3.2 Los torrentes

Los torrentes son cauces de agua de corto recorrido y de caudal irregular, situados en zonas de alta montaña o con elevada pendiente.

Los torrentes conducen el agua del deshielo o de lluvias intensas, permaneciendo sus cauces secos la mayor parte del año. Debido a su elevada pendiente, las aguas torrenciales descienden a gran velocidad, por lo que presentan un gran poder erosivo.

Estructura de un torrente

En un torrente se diferencian tres partes:

- La cuenca de recepción está situada en la parte más elevada del terreno. Es la zona en la que las aguas salvajes se encauzan, alimentando el curso de agua. En ella se produce una intensa erosión debida a la elevada pendiente.

- El canal de desagüe es la zona intermedia y el cauce principal del torrente. Por él desciende el agua a gran velocidad, transportando los materiales arrastrados. La erosión aquí también es muy intensa, lo que favorece la formación de un cauce profundo de paredes escarpadas.

- El cono de deyección está situado en la zona de menor pendiente de la ladera. En esta zona, el agua pierde velocidad, por lo que disminuye la erosión y se depositan los sedimentos transportados por el torrente. Estos materiales suelen presentar formas angulosas, debidas al escaso transporte.

COMPRENDE, PIENSA, INVESTIGA...

3 Describe qué ocurre en un torrente durante una época con intensas lluvias y qué ocurre en una época de sequía.

4 Enumera las partes de un torrente y especifica en qué partes domina la erosión y en qué partes lo hace la sedimentación.

5 Puede que hayas oído expresiones como un «torrente de ideas» o «un torrente de indignación». Explica qué crees que tienen que ver estas expresiones con las características de un torrente en geología y, después, escribe una noticia en la que utilices alguna de ellas.

Las formas del relieve de las aguas de arroyada y los torrentes

Cuenca de recepción

Canal de desagüe

Cono de deyección

Chimeneas de hadas

Los cursos de agua de los torrentes son cortos e irregulares.

Badlands

El modelado de los ríos

Los ríos son cauces de agua de largo recorrido y de caudal estable, que discurren desde las zonas más elevadas a las zonas más bajas del relieve.

Los ríos, que reciben el agua de la lluvia y del deshielo, son cauces permanentes por los que circula el agua de manera continua, aunque presentan variaciones en su caudal a lo largo del año.

A pesar de que los ríos muestran pendientes menos pronunciadas que los torrentes, tienen un importante papel erosivo que, junto a los procesos de transporte y sedimentación, modelan el relieve y forman valles fluviales.

El curso de un río se divide en tres tramos: el curso alto, el curso medio y el curso bajo. En cada uno de estos tramos, el relieve adquiere un modelado característico y diferencial que depende de los procesos de modelado del relieve que predominan en cada caso.

Valle en V: se forman por la intensa erosión del agua sobre el lecho del río, que excava el cauce.

Gargantas y cañones: son propias de terrenos formados por rocas duras. El río excava un cauce estrecho y profundo de paredes casi verticales. ofundo par

Cascadas: se forman cuando el agua encuentra desniveles bruscos del terreno. Con el tiempo se suavizan y se pueden formar rápidos.

4.1 El relieve en el curso alto

En este tramo del río es donde la pendiente es mayor. Por esta razón, el agua circula a gran velocidad por lo que los procesos que predominan son la erosión y el transporte.

Las formas de relieve típicas de este tramo son los valles en V, las gargantas y cañones y las cascadas.

4.2 Relieve de los cursos medio y bajo

En los cursos medio y bajo del río disminuye la pendiente. El agua pierde velocidad y disminuye su poder erosivo, por lo que en estos tramos los procesos que predominan son el transporte y la sedimentación. Al curso bajo del río llegan gran cantidad de materiales que proceden de los cursos alto y medio. Estos materiales comienzan a sedimentar, especialmente los más gruesos. A medida que el río se acerca a su tramo final, la sedimentación es cada vez mayor.

Las formas características de estos tramos del río son los valles en artesa, los meandros, las terrazas fluviales, los deltas y los estuarios.

Valle en artesa: el cauce del río se ensancha y se aplana formando un valle más amplio. Cuando hay grandes crecidas se depositan abundantes sedimentos en el fondo del valle y forman llanuras de inundación o vegas.

Meandros: en las llanuras de inundación, el río describe curvas, denominadas meandros. Se originan debido a una erosión diferencial a ambos lados del cauce.

El modelado fluvial

Observa la ilustración y razona responde a las siguientes cuestiones:

• Determina si el origen de los dos lagos que se pueden ver en el curso alto del río es natural o artificial.

• Explica qué procesos geológicos predominan en cada tramo del río.

• Elabora una ficha con la descripción de cuatro formas del relieve típicas de los ríos. Busca una fotografía de cada una de esas formas para acompañar la descripción.

Terrazas fluviales: son antiguas llanuras de inundación situadas a distintas alturas a ambos márgenes del cauce.

Deltas y estuarios: en la zona baja predomina la sedimentación de materiales. En los deltas, los sedimentos aportados por el río ganan terreno al mar. En los estuarios, un mayor poder erosivo del mar provoca que este avance hacia el interior del curso fluvial.

El modelado de las aguas subterráneas

Así es un acuífero

Zona de infiltración

Nivel freático principal

Las aguas subterráneas proceden de la infiltración de las aguas superficiales a través de las rocas permeables.

La infiltración de las aguas superficiales aumenta en las zonas de abundantes lluvias, de terrenos permeables y en aquellas en las que hay vegetación (las raíces de las plantas retienen el agua). Por el contrario, la infiltración disminuye en zonas donde hay mucha evaporación o en aquellas en las que el terreno tiene mucha pendiente, ya que el agua circula muy deprisa y no da tiempo a que esta se infiltre.

5.1 Qué son los acuíferos

Los acuíferos son acumulaciones de agua subterránea, situadas bajo la superficie terrestre.

Los acuíferos se forman cuando las aguas de infiltración circulan a través de los poros y las fisuras de las rocas permeables, hasta encontrar una capa de roca impermeable que les impide continuar. Entonces el agua se acumula, ocupando todos los poros de la roca hasta un nivel determinado, denominado nivel freático.

El nivel freático varía a lo largo del año; es más profundo en la estación seca, y más superficial, en las estaciones lluviosas. Las aguas de un acuífero pueden salir libremente por fuentes o manantiales, cuando el relieve corta el nivel freático, o artificialmente mediante pozos, que son perforaciones que alcanzan el acuífero.

Manantial

Nivel freático en época de lluvias

de infiltración

Zona
Pozo seco
Pozo

5.2 El modelado kárstico

El modelado kárstico es consecuencia de la acción química y mecánica de las aguas subterráneas sobre terrenos calizos.

La caliza es una roca formada por carbonato de calcio, lo que la hace insoluble en agua. Suele aparecer formando grandes masas plegadas y con fisuras, lo que favorece que el agua de lluvia se infiltre en ellas.

El agua de lluvia suele llevar disuelto dióxido de carbono atmosférico que reacciona con el carbonato de calcio de la caliza y lo transforma en bicarbonato de calcio, que sí es soluble.

Así, el agua va disolviendo poco a poco los macizos de roca caliza, agrandando las grietas y los poros, y dando lugar a paisajes característicos, tanto en la superficie, formas exokársticas, como bajo ella, formas endokársticas.

Las formas exokársticas

Se producen en las rocas de la superficie y son muy variadas.

- Los lapiaces o lenares, formados al discurrir el agua sobre la roca.

- Los sumideros son pozos estrechos y verticales por los que se infiltra el agua.

- Las dolinas son depresiones en forma de embudo, formadas al acumularse el agua. La unión de varias dolinas forma grandes depresiones, denominadas poljés.

Las formas endokársticas

Se producen en el interior del macizo rocoso. Algunas se originan al ensancharse las fisuras, como las galerías o conductos horizontales; las simas o los conductos verticales; y las cuevas, grandes cavidades formadas por la unión de galerías y simas.

El modelado kárstico

Las cuevas son lugares muy interesantes y peligrosos. La ciencia que las estudia se llama espeleología y, aunque no solo se estudian las cuevas kársticas, estas son de las más abundantes. Busca una formación de cuevas kársticas cercana al lugar en el que vives y recopila información acerca de ellas para elaborar una presentación o un póster. Estos son algunos de los apartados que debe tener tu estudio:

• Nombre de la formación.

• Profundidad y extensión de la cueva.

• Fotografías o ilustraciones de la cueva y de formas endo o exokársticas asociadas.

• Historias o leyendas asociadas a la cueva. Si no las hay, inventa una.

Río subterráneo Sumidero
Dolina Poljé
Lapiaz
Cueva
Estalactita
Estalagmita
Columna
Galería
Sima

El modelado glaciar

de alta montaña.

Los glaciares son grandes masas de hielo que se desplazan lentamente hacia zonas más bajas, lo que ocasiona una gran transformación del relieve.

6.1 Los tipos de glaciares

Hay dos tipos de glaciares según la latitud y la altitud a la que se encuentren: los glaciares de montaña y los glaciares de casquete.

Los glaciares de montaña

Se encuentran en zonas de alta montaña, y en ellos se distinguen tres partes: el circo, el valle glaciar y la zona terminal.

- El circo es la zona más elevada donde la nieve se acumula y se transforma en hielo.

- El valle glaciar es el cauce por el que desciende la masa de hielo o lengua.

- La zona terminal es la zona de menor altitud donde se produce la fusión del hielo.

Los glaciares de casquete o inlandsis

Estos glaciares se encuentran en los polos, y son grandes masas de hielo con lenguas que acaban en el mar, y que al romperse dan lugar a icebergs.

6.2 El modelado glaciar

Los movimientos de las masas de hielo además de producir abrasión arrastran fragmentos de roca. Durante este proceso, las masas de hielo van excavando el fondo y las paredes del valle glaciar.

Las masas de hielo, a medida que avanzan por el valle glaciar, transportan fragmentos de roca que quedan incluidos en el hielo. Cuando este hielo se funde, todos los materiales transportados sedimentan y se acumulan en depósitos, llamados morrenas.

Las morrenas

Dependiendo de su situación, las morrenas pueden ser:

COMPRENDE, PIENSA, INVESTIGA...

1 Enumera las partes de un glaciar de montaña.

2 Durante la última glaciación se formaron numerosos glaciares de montaña en la península ibérica; busca el nombre de tres de ellos.

- Laterales, que están situadas junto a las paredes del valle.

- Centrales, que se encuentran entre dos lenguas.

- De fondo, que se encuentran en el fondo del glaciar.

- Terminales, que están situadas en el frente del glaciar, donde el hielo se derrite.

Glaciar
Iceberg.

6.3 El relieve glaciar

El relieve originado por la acción de un glaciar se hace visible cuando cambia el clima y el hielo ha desaparecido de la zona.

- En las zonas de circo, donde se acumuló el hielo, quedan picos muy afilados, llamados horn. Las depresiones pueden llenarse de agua, dando lugar a lagos de circo o ibones.

- En las zonas por las que discurrieron las lenguas de hielo se forman amplios valles glaciares con forma de U, donde las rocas del fondo y de las paredes presentan estrías o arañazos, provocados por los materiales que transporta la masa de hielo. Estas rocas se denominan rocas aborregadas.

- En las zonas terminales, donde el hielo se funde, los materiales transportados llamados till, se acumulan en las morrenas, y con el tiempo se pueden transformar en rocas sedimentarias llamadas tillitas.

El modelado glaciar

Aspecto de los glaciares de montaña en un terreno hace unos 30 000 años

Circo

Lengua

Morrenas laterales

COMPRENDE, PIENSA, INVESTIGA...

3 Nombra la zona de un glaciar de montaña donde podemos encontrar un valle en U una vez que el hielo se retira.

4 En muchos lugares, una vez se ha retirado el hielo, quedan lagos en los lugares donde se encontraba el circo de un glaciar. ¿Cómo crees que se forman?

terminal

de fondo

Aspecto del terreno en la actualidad, una vez que se han retirado los glaciares

Circo
Morrena
Morrena
Morrena central
Tillitas
Tillitas
Valle en U
Ibones Horn
Valle en U
Lengua

El modelado del viento

Así transporta el viento

Fragmentos de roca (reptación)

Tamaño > 0,5 mm

Arena (saltación)

Tamaño 0,02-0,06 mm

Fragmentos muy finos en suspensión (suspensión).

Tamaño de las partículas

< 0,02 mm

El viento, gracias a su energía cinética, es un importante agente geológico que modela y erosiona, transporta y sedimenta materiales.

La acción geológica del viento, o acción eólica, depende de tres factores:

- La existencia en el terreno de materiales sueltos, que el viento puede levantar.

- La velocidad del viento, que deberá ser alta para levantar y desplazar los materiales sueltos.

- La existencia de cubierta vegetal, que disminuye o anula la acción del viento al sujetar el suelo.

Por ello, los procesos eólicos predominan en zonas áridas, como los desiertos.

7.1 Los procesos eólicos

- La meteorización y la erosión producida por el viento se denomina abrasión eólica, y es el proceso de desgaste que sufren las rocas por el impacto de las partículas que transporta el viento.

- El transporte eólico se denomina deflación y se produce de forma selectiva, ya que solo las partículas más ligeras pueden ser arrastradas por el viento. Puede realizarse por:

• Reptación, si las partículas son arrastradas por el suelo.

• Saltación, si las partículas se elevan y caen a intervalos cortos.

• Suspensión, cuando las partículas son tan finas que pueden mantenerse en el aire durante mucho tiempo.

- La sedimentación de los materiales se produce cuando el viento pierde fuerza. Ocurre de forma selectiva, depositándose, primero, los materiales más gruesos y, luego, los más finos.

7.2 Formas de erosión eólica

Las principales formas de erosión eólica son:

- Las rocas fungiformes, con aspecto de seta, más erosionadas en la parte inferior, debido al transporte de una mayor cantidad de partículas.

- Los alvéolos, pequeñas oquedades en las rocas ocasionadas por la abrasión.

- Los montes isla, formaciones rocosas más resistentes a la abrasión que el resto de materiales de su entorno.

- Los campos empedrados, que se deben al transporte y al depósito selectivo de las partículas más finas.

7.3 Formas de sedimentación eólica

La sedimentación eólica da lugar a formaciones características como:

- Las dunas, que son montículos de arena depositada por el viento cuando encuentra un obstáculo que impide su transporte. Pueden ser móviles o fijas, según la arena sobrepase o no el obstáculo. Las más comunes, denominadas barjanes, tienen forma de media luna.

- Los depósitos de loess, que son acumulaciones de partículas muy finas de limo y arcilla, que han sido transportadas a grandes distancias y que, al depositarse, dan lugar a suelos fértiles.

Formas de modelado eólico

COMPRENDE, PIENSA, INVESTIGA...

1 Enumera los factores que condicionan la acción geológica del viento.

2 Explica qué son la abrasión eólica y la deflación.

3 Razona y explica con tus palabras por qué las rocas fungiformes tienen la base más degradada que la parte superior.

4 Busca el nombre y una foto de cinco zonas de dunas eólicas que haya en Europa.

Desierto de rocas

Roca fungiforme
Loess
Rocas fungiformes

El modelado del mar

El modelado del mar

El agua del mar realiza una actividad constante de modelado sobre el litoral, debido a la energía cinética de sus movimientos.

8.1 Los movimientos marinos

Los movimientos del agua del mar son las olas, las corrientes y las mareas.

Las olas

Son movimientos ondulatorios que origina el viento sobre la superficie marina. Las olas realizan fundamentalmente una acción erosiva, que se ve aumentada por los fragmentos de roca que el agua arranca y vuelve a lanzar contra la costa. Este proceso se denomina abrasión marina.

Las corrientes

Son movimientos debidos al viento y a las diferencias de salinidad y de temperatura. Las corrientes litorales, generalmente paralelas a la costa, transportan y sedimentan materiales.

Las mareas

Son movimientos periódicos de elevación y descenso causados por la atracción solar y lunar. Las mareas transportan y sedimentan materiales, además amplían la superficie de costa que puede llegar a modelar el mar.

Barra Flecha Islote
Tómbolo
Playa
Arco
Bahía

8.2 Formas de erosión marina

Las principales formas de erosión marina son:

- Los acantilados. Son cortes verticales del terreno que se generan debido a la erosión marina de las costas rocosas y elevadas. La erosión marina produce el socavamiento de la base de las rocas y la formación de un voladizo que acaba por desplomarse. La acumulación de fragmentos que se genera al pie del acantilado se denomina plataforma de abrasión.

- Los arcos, cuevas e islotes también se producen en este tipo de costa debido a la abrasión marina.

- Los promontorios y los cabos. Son salientes del litoral que se forman donde las rocas son más resistentes. Donde las rocas son más blandas se forman calas y bahías.

8.3 Formas de sedimentación marina

Las principales formas de sedimentación marina son:

- Las playas, que son acumulaciones de arenas o gravas que se forman en costas bajas y planas.

- Los tómbolos, que son pequeñas islas unidas a la costa por depósitos de arena o grava.

- Las barras y flechas, que son acumulaciones rectilíneas de arena que depositan las corrientes. Se denominan barras si son paralelas a la costa y restingas si cierran una bahía. Las flechas se forman perpendicularmente a la costa a partir de un saliente.

- Las albuferas y marismas; cuando una bahía se cierra total o parcialmente por una restinga se la denomina albufera. Si este proceso lo sufre el estuario de un río, se denomina marisma, en la que abundan los sedimentos fluviales.

COMPRENDE, PIENSA, INVESTIGA...

1 Explica las diferencias que existen entre las olas, las corrientes y las mareas.

2 Define marisma, playa y tómbolo

3 1-2-4. En algunos lugares como en Lanzarote o en Islandia existen playas con arenas negras. ¿A qué crees que se debe?

4 Describe el proceso de formación de un acantilado.

Algunas formas del modelado costero

Flecha
Acantilado
Arco
Tómbolo

Los seres vivos modelan el relieve 9

Los seres vivos, y en especial el ser humano, son agentes geológicos exógenos capaces de modelar el relieve.

9.1 El modelado de los seres vivos

La meteorización biológica es el conjunto de procesos por el que los seres vivos disgregan la roca madre mediante su alteración física o química.

La meteorización física

Consiste en la introducción de las raíces de las plantas en el interior de las grietas de las rocas, primer paso de la formación del suelo.

La meteorización química

La meteorización química consiste en la segregación de ácidos y otras sustancias que atacan a las rocas, de modo que las disgregan y pasan a formar parte del suelo.

La realizan las bacterias, los líquenes y las raíces de algunas plantas. Los animales excavadores, como las lombrices y los topos, contribuyen a esta alteración con la construcción de galerías por las que penetra el agua y el aire que facilitan las reacciones químicas.

Las lombrices y los topos excavan galerías bajo tierra, por las que penetra el aire y el agua.
Las raíces de las plantas penetran en las rocas y las fragmentan.

9.2 El modelado del ser humano

El ser humano utiliza la tecnología (grúas, maquinaria pesada, explosivos, etc.) para realizar modificaciones drásticas del relieve.

Algunas de las modificaciones del relieve debidas a las acciones de las personas son:

- Los asentamientos humanos, como las poblaciones y los polígonos industriales.

- Las canteras y las minas a cielo abierto.

- Las vías de comunicación, como las carreteras, las vías ferroviarias, los puentes, los túneles, etc.

- Los vertederos, donde se acumulan toneladas de basuras y se acaban cubriendo de tierra y las escombreras, donde se depositan áridos sobrantes de minas o construcciones.

Algunos cambios, además de modificar el relieve o el paisaje, también alteran la acción de los agentes geológicos externos. Algunos ejemplos son:

- Los pantanos o canales, que modifican la acción de los ríos. Estas modificaciones se dan tanto en el lugar de construcción como en el resto del río. Por ejemplo, en los sedimentos que se dejan de transportar al curso bajo del río.

- Los puertos y espigones, que cambian la acción de las corrientes modificando los lugares donde se forman las playas.

- Los paseos marítimos y las construcciones cerca de la línea de costa, que modifican la acción del viento favoreciendo la desaparición de las dunas móviles.

- Los bancales o terrazas de cultivo para la explotación agrícola, que modifican la acción de las aguas de arroyada.

COMPRENDE, PIENSA, INVESTIGA...

1 Detalla un ejemplo de meteorización física y uno de meteorización química del que sean responsables los seres vivos.

2 Busca o haz diez fotografías de modificaciones del relieve que se deban a los seres humanos.

3 En la fotografía de la derecha puedes ver una presa, ¿cómo crees que altera el relieve la acción de los agentes geológicos en la zona? ¿Qué consecuencias ambientales crees que tienen estas construcciones construcciones?

Asentamiento

El modelado del ser humano

El suelo

El suelo es un ecosistema

A partir de esta imagen de un suelo y de sus habitantes, indica cuáles son el biotopo y la biocenosis de este ecosistema.

10.1 El suelo y sus componentes

El suelo es la capa superficial de materiales disgregados que recubre gran parte de la corteza terrestre y sobre el que pueden desarrollarse las plantas y otros seres vivos.

Los componentes del suelo

El suelo está formado por una gran variedad de componentes, que se pueden agrupar en orgánicos e inorgánicos.

- Entre los componentes orgánicos podemos encontrar:

• Seres vivos, como bacterias, hongos y pequeños animales vertebrados e invertebrados.

• Restos orgánicos, como restos vegetales, cadáveres de organismos o excrementos.

• Humus, que son restos de materia orgánica en estado de descomposición.

- Los componentes inorgánicos presentes en el suelo son fragmentos de rocas y minerales, sales minerales, agua y aire.

10.2 La formación del suelo

La formación del suelo es un proceso extremadamente lento, resultado de la acción conjunta de dos tipos de procesos:

- La alteración y la degradación de las rocas, debida a la acción de agentes atmosféricos como el agua, el viento o los cambios de temperatura.

- La acción sobre la roca alterada de los seres vivos, que remueven los materiales, permitiendo su aireación, y descomponen los restos de materia orgánica, transformándolos en humus y sales minerales.

La combinación de estos procesos a lo largo del tiempo transforma la roca en un suelo estructurado y cada vez más grueso.

10.3 El suelo y su importancia

El suelo constituye una de las mayores riquezas de la biosfera. Sobre él nos asentamos y de él depende la agricultura, y de ella, nuestra alimentación. Es la base para el desarrollo de los ecosistemas, ya que:

- En el suelo pueden enraizar y desarrollarse las plantas y otros seres vivos, por lo que el suelo es el hábitat de gran variedad de organismos.

- Las bacterias y los hongos descomponedores del suelo llevan a cabo el reciclado de la materia, produciendo las sales minerales necesarias para la nutrición de las plantas.

- El suelo almacena parte del agua que se infiltra, que puede ser absorbida por las plantas y extraída por el ser humano.

COMPRENDE, PIENSA, INVESTIGA...

1 Escribe tu propia definición de suelo.

2 El suelo es imprescindible para los seres vivos, pero ¿se puede formar un suelo sin la intervención de seres vivos? ¿Por qué?

3 Si la velocidad de formación de un suelo es de unos 2 cm cada 1 000 años, ¿cuánto tiempo tardará en formarse un suelo maduro de un espesor de 50 cm?

4 Explica por qué el suelo es tan importante para los ecosistemas.

5 Explica también cuál crees que es la importancia del suelo para el ser humano.

Las etapas de formación de un suelo

1 La formación del suelo comienza con la alteración de la roca, que genera un soporte en el que puede crecer vegetación.

2 La descomposición de la vegetación da lugar a la acumulación de materia orgánica, que hace aumentar el grosor del suelo.

3 Con el tiempo, los procesos que renuevan los materiales (transporte y meteorización) dan origen a un suelo totalmente estructurado.

COMPRENDE

Organiza las ideas

1 Diagrama de Ishikawa. Completa en tu cuaderno los espacios vacíos del siguiente diagrama de Ishikawa. Aprende a hacerlos con el recurso disponible en anayaeducacion.es

Por ejemplo:

• El oxígeno ? • El dióxido de carbono ?

Haz un resumen

2 Elabora tu propio resumen de la unidad siguiendo este guion:

• Nombra los agentes geológicos exógenos responsables del modelado del relieve.

• Enumera los factores geológicos y cómo influyen en el modelado del relieve.

• Define meteorización y explica en qué consiste la erosión, el transporte y la sedimentación.

• Diferencia aguas de arroyada y los torrentes, explicando los tipos de relieve a que dan lugar.

• Explica cómo modelan los ríos el relieve en su curso alto, curso medio y curso bajo.

• Relaciona acuífero y modelado kárstico, e indica las diferencias entre formas endo y exokársticas.

• Define glaciar, explica los tipos que existen y las formas de relieve a que dan lugar.

• Detalla cómo lleva a cabo sus acciones el viento, y sus formas de erosión y sedimentación.

• Explica los movimientos del mar y las formas de erosión y sedimentación marina.

• Comenta cómo influyen el ser humano y otros seres vivos sobre el relieve.

• Enumera los componentes del suelo y explica su formación e importancia.

Interpreta imágenes

3 Observa y contesta para cada una de las imágenes:

B

a) ¿Qué proceso tiene lugar? Explícalo brevemente.

b) ¿Cuál es el agente geológico responsable?

4 En las siguientes fotografías se observan dos formas de meteorización causadas por el mismo agente geológico.

B

a) ¿De qué agente geológico se trata?

b) ¿Qué tipo de meteorización se produce en cada caso?

c) ¿En qué se diferencian?

5 Observa los valles fotografiados en las siguientes imágenes.

B

a) Identifica cuál de ellos es un valle glaciar y cuál un valle fluvial.

b) ¿En qué te has basado para dar tu respuesta?

c) ¿Qué otros elementos del paisaje nos podrían informar de si el agente que ha modelado el relieve ha sido el agua o el hielo?

Aplica

6 Nombra los procesos de meteorización física más importantes e indica, en cada caso, cuál es el agente geológico que los produce.

7 Cita el tipo de reacción de meteorización química que se da en los siguientes ejemplos:

a) Las rocas calizas reaccionan con el dióxido de carbono del agua, lo que produce su disolución.

b) El vapor de agua de la atmósfera reacciona con los componentes de las rocas, aumentando su volumen.

c) Las sales que actúan de cemento en las rocas sedimentarias detríticas son disueltas por el agua.

d) Algunas rocas contienen minerales metálicos, que reaccionan con el oxígeno del aire.

8 Razona y argumenta, mediante algún ejemplo, por qué el clima influye en el modelado del relieve.

9 Explica cómo influye la vegetación en el modelado del relieve.

10 Establece las diferencias entre:

a) Estalactitas y estalagmitas.

b) Ríos y torrentes.

c) Playas y cabos.

d) Deltas y estuarios.

e) Simas y galerías.

f) Dolinas y sumideros.

REFLEXIONA

Avanza

11 Una de las formas de sedimentación eólica más características son las dunas.

a) ¿Qué tipo de dunas se observan en la siguiente imagen?

b) Por la disposición que presentan, ¿dirías que los vientos tienen una dirección predominante en esta región? ¿Por qué?

12 Razona por qué en el cono de deyección de un torrente rara vez encontramos cantos redondeados.

En esta unidad has aprendido cómo los agentes geológicos externos actúan para modelar el relieve y has analizado los tipos de relieve y las formas peculiares que se forman en función del agente predominante, el tipo de roca, etc. Reflexiona sobre tu aprendizaje rellenando el cuestionario y la rúbrica disponibles en anayaeducacion.es

AspectosTotalmente conseguido

Identifico una formación en el paisaje cercano y sé decir cómo se llama y cómo se ha formado.

Puedo relacionar la acción de los procesos geológicos internos y externos, poniendo un ejemplo de esta interrelación.

Bastante conseguido

PON A PRUEBA TUS COMPETENCIAS

ConseguidoCasi conseguido

Realiza la autoevaluación competencial incluida en anayaeducacion.es

TRIMESTRE 3

PORFOLIO

VIVIR EN UN VOLCÁN

En este reto se ha puesto el foco en el factor social tras un fenómeno natural devastador. Cada proceso geológico que afecta a las personas o a sus bienes supone un perjuicio que, en determinadas zonas del mundo, puede ser de grandes dimensiones.

Analizando los riesgos asociados a vuestro entorno más cercano, es posible que hayáis descubierto peligros que desconocíais y que podrían llegar a afectaros. Es muy probable que las autoridades locales estén al tanto de estos riesgos, pero también siempre son útiles nuevos estudios con otras perspectivas y más aún cuando tienen un carácter divulgativo y de fácil comprensión.

Os proponemos enviar una carta a las autoridades locales (Ayuntamiento, Junta de distrito, Concejalía de Medio Ambiente…) en el que os presentéis y en el que adjuntéis el informe y el mapa con el análisis de los riesgos geológicos que habéis elaborado.

Además, desde una perspectiva más global, el objetivo de desarrollo sostenible número 11 (Ciudades y comunidades sostenibles) hace alusión a la falta de resiliencia ante los desastres naturales de muchos territorios, especialmente los más vulnerables por carecer de recursos económicos. Esto nos lleva a encontrarnos que un terremoto de la misma intensidad causa miles de muertes en Haití, y muy pocas en Japón.

Os proponemos elegir una zona del mundo especialmente expuesta a riesgos naturales (por estar, por ejemplo, sobre límites de placas) y analizar cuáles son esos riesgos y qué normas y leyes relacionadas con la prevención de riesgos existen. Comparad con las zonas que han analizado en otros grupos y comentad si las medidas son parecidas o no y a qué pueden deberse las diferencias que encontréis.

TAMBIÉN PUEDES PROBAR ESTOS PROYECTOS

Si este proyecto te ha resultado interesante y quieres investigar más sobre riesgos geológicos, aquí tienes algunas ideas para crear tus propios proyectos.

Estudio de riesgos en tu comunidad autónoma

Si tu centro está ubicado en una zona de bajo riesgo geológico, se puede ampliar el área a estudiar, analizando toda la comunidad autónoma a la que pertenece el centro.

Mapa de riesgos geológicos de las islas Canarias

Las islas Canarias son una zona geológicamente activa y bastante localizada que permite el estudio pormenorizado de diferentes riesgos geológicos. El riesgo volcánico se puede trabajar localizando en el mapa los diversos volcanes canarios y estudiando los posibles efectos de su activación. Además, podemos añadir los riesgos derivados de los factores meteorológicos asociados a una erupción volcánica.

«Georreporteros por el mundo»: análisis de riesgos a nivel mundial Podemos ampliar más el objetivo de nuestra investigación, buscando cual reporteros las zonas con mayores probabilidades de los diferentes tipos de riesgos geológicos, ubicándolas en el mapa y estudiando sus causas y las medidas de prevención que existen en esos lugares.

REVISA TU PLANIFICACIÓN Y EL

Análisis de riesgos geológicos y cambio climático

Dado que muchos desastres naturales dependen directamente de la dinámica atmosférica, y esta está siendo modificada por efecto de las actividades humanas, se puede analizar si existe relación entre los riesgos geológicos y el cambio climático (ODS-13). Un análisis desde una perspectiva global que nos hará entender las diversas consecuencias de nuestra acción sobre el medio.

TRABAJO EN GRUPO

Revisa tu planificación del trabajo y el desempeño de tu grupo en este proyecto rellenando la rúbrica que puedes encontrar en anayaeducacion.es

PERFIL COMPETENCIAL DE SALIDA

Al finalizar estos desafíos reflexiona y comprueba si has alcanzado estos objetivos:

Descriptor Conseguido

Utilizo el pensamiento científico y compruebo hipótesis mediante la experimentación y la indagación.

Uso el pensamiento científico para entender y explicar fenómenos geológicos que ocurren a mi alrededor.

Localizo, selecciono y contrasto información relacionada con la geología de distintas fuentes y evalúo su fiabilidad.

Transmito la información relacionada con procesos de forma clara y precisa en distintos formatos (tablas, mapas, esquemas).

Participo, colaboro e interactúo, mediante herramientas digitales, en la realización de trabajos cooperativos.

Emprendo acciones fundamentadas científicamente para preservar mi integridad física.

tu cuaderno

Completa en

Exploramos nuestro patrimonio geológico

El patrimonio geológico

El patrimonio geológico es el conjunto de recursos naturales geológicos con un valor científico, cultural o educativo que permiten conocer el origen y evolución de la Tierra, los procesos que la han modelado, los climas y paisajes del pasado y el presente y el origen y la evolución de la vida.

Las figuras legales de protección más importantes en España son lugar de interés geológico (LIG), punto de interés geológico (PIG), monumento natural y la que ofrece la red de Geoparques.

Los lugares de interés geológico (LIG)

Los LIG se definen como zonas de interés científico, didáctico o turístico que, por su carácter único o representativo, son necesarias para el estudio e interpretación del origen y evolución de los grandes dominios geológicos españoles, incluyendo los procesos que los han modelado, los climas del pasado y su evolución paleobiológica. Actualmente, existen más de 3 200 LIG en España.

Monumento natural

Los monumentos naturales son espacios o elementos de la naturaleza constituidos básicamente por formaciones de notoria singularidad, rareza o belleza, que merecen ser objeto de una protección especial.

Pueden ser árboles, formaciones geológicas, yacimientos minerales o paleontológicos y cualquier otro elemento cuyos valores científicos, culturales o paisajísticos merezcan protección.

COMPRENDE, PIENSA, INVESTIGA...

1 Explica qué es el patrimonio geológico y qué utilidad tiene su protección.

2 Observa el pliegue de la fotografía inferior y explica cómo se forman.

El pliegue Zalesky

El pliegue Zalesky es un pliegue tumbado que se encuentra cerca de la localidad de Pedrezuela, en la Comunidad de Madrid. Es un enorme pliegue tumbado formado principalmente por rocas metamórficas como migmatitas, cuarcitas y gneises atravesados por pegmatitas, un tipo de roca volcánica.

Su nombre se debe a una pintada publicitando una tienda de deportes que alguien realizó sobre el pliegue.

Los geoparques

Los geoparques son áreas de protección que promueven el uso del patrimonio geológico de forma sostenible. Surgieron a partir de una propuesta de la UNESCO en 2001 para la creación de una red global de protección. En la actualidad, hay más de 140 geoparques en 41 países.

Geoparque Villuercas

Ibores de Jara

Este geoparque está situado en el sureste de la provincia de Cáceres, en Extremadura, entre las cuencas del Tajo y el Guadiana. Es un macizo montañoso que se extiende a través de más de 2 500 km. Dentro de este geoparque hay numerosas zonas de interés geológico como el Risco de la Villuerca, la mina de Costanza o el desfiladero de Peña Amarilla.

Geoparque de Sobrarbe-Pirineos

Este geoparque está formado por gran parte de los Pirineos, una cordillera cuyas rocas se encontraban sumergidas bajo el mar hace más de 300 millones de años. Su territorio cubre toda la comarca de Sobrarbe, en el norte de la provincia de Huesca. En este territorio se encuentran, el parque nacional de Ordesa y Monte Perdido, varios parques naturales y numerosos espacios protegidos por la red natura 2000.

Exploramos nuestro patrimonio geológico

La costa de los dinosaurios

Se conoce con el nombre de costa de los Dinosaurios a una zona de la costa asturiana comprendida entre las localidades de Gijón y Ribadesella que se caracteriza por la presencia de gran cantidad de huellas y otros restos paleontológicos de dinosaurios y otros seres vivos que vivieron en la zona durante el Mesozoico y fundamentalmente en el Jurásico hace entre 150 y 200 millones de años. Actualmente, pueden visitarse nueve yacimientos en los concejos de Villaviciosa, Colunga y Ribadesella.

Las Gredas de Bolnuevo

Las Gredas de Bolnuevo son un monumento natural situado en el municipio de Mazarrón en Murcia. La zona protegida se extiende por más de 24 000 metros cuadrados. En esta zona predominan las formaciones relacionadas con la erosión del viento, así como numerosos restos fósiles y abundantes fallas verticales que permiten estudiar la historia tectónica de la zona.

Lapiaz de Escorca

Esta formación es un cañón kárstico excavado en materiales procedentes de la era mesozoica hace entre 66 y 250 millones de años. Es uno de los más significativos y se encuentra situado en la localidad de Escorca, en la sierra de Tramuntana, en la isla de Mallorca. El inmenso valor natural de la zona ha hecho que obtenga la declaración de patrimonio mundial por parte de la UNESCO.

Las Tuerces

Se conoce con este nombre a un paisaje protegido situado en la provincia de Palencia. Se trata de un paraje kárstico moldeado a partir de calizas formadas durante el Cretácico

Superior hace entre 66 y 100 millones de años. Una de las formaciones más características de la zona es el cañón de La Horadada excavado por el río Pisuerga. Además, el llamado Laberinto de las Tuerces está declarado monumento natural.

COMPRENDE, PIENSA, INVESTIGA...

3

Busca un LIG que haya cerca del lugar donde vives y realiza una pequeña ficha en la que incluyas sus características geológicas y su interés científico.

4 Dibuja en tu cuaderno un mapa de España y sitúa en él los lugares de interés geológico que se mencionan en estas páginas.

Operación Mundo es un proyecto educativo de Anaya para Educación Secundaria.

En la realización de esta obra han intervenido:

Equipo de edición: Departamento de Ciencias ◆❅turales (Almudena Alcón, Berta Gallego, Elena García, M.a Isabel García, Verónica Montero, Marco Sánchez y Jorge Torres).

Diseño, gráficos y cartografía: Patricia G. Serrano, Paz Franch, Lucía Belinchón (infografías), Marta Gómez, Miguel Á. Castillejo, José María Gil y Míriam Arribas.

Ilustración: Sara Mateos, Celia López Bacete, Santi Martín, Alicia Posada, M.a Carmen Fuente, David Menéndez y Carlos Moreno.

Maquetación: Óscar Latorre e Isabel Román.

Corrección: Sergio Borbolla.

Edición gráfica: Olga Sayans y Beatriz Gutiérrez.

Fotografía: Alamy/Cordon Press (Alistair Scott, Imagebroker, Moviestore Collection Ltd), Album (CNRI/ SPL, DENNIS KUNKEL MICROSCOPY/SPL, DR JUERG ALEAN/SPL, HANNAH GAL/SPL, Science Source/ JENNIFER WATERS, Science Source/Wellcome Images), Archivo Anaya (Alcón, A. y Santos, V❆❇❆❈ ❉❅❊ laguer, T.; Candel, C.; Canto, M.; CNB/Ruiz Castón, J.; Cosano, P.; CSIC/Abrisqueta, J.; Dpto. Histología y Anatomía Universidad de Navarra; Grajera, R. & Muñiz, E.; Martín, J. A.; Martínez, C.; Moreno, C.; Ortega, Á.; Pozo, M.; Quintas, D.; Rico, J. J.; Ruiz Pastor, L.; Ruiz, J.B.; Sánchez, J.; Sanz, C.; Steel, M.; Velasco,  P. - Fototeca de España; Villaboy, N.; Vázquez, A.), Getty Images (Hugh Whitaker, Jacek Kadaj, JacobH, Micro Discovery, Miguel Sotomayor, Milos Bicanski, Morsa Images, Simonkr, Slonov), iStock/Getty Images, Jacques Descloitres/MODIS Rapid response Team/NASA/GSFC, Nature Picture Library/Cordon Press (Solvin Zankl), 123RF y colaboradores.

Orientación Académica y Profesional: elaborada con el asesoramiento de la Fundación Bertelsmann. Coordinación: Juan José Juárez Calvo. Colaboración como expertas: Sara Lozano Santiago, Belén Pérez Castro y Pilar Vázquez Hernández.

Importante:

Las actividades propuestas en este libro deben ser realizadas en cuadernos u hojas sueltas; nunca en el propio libro.

Esta obra puede contener enlaces a páginas y sitios externos, que ANAYA no edita, controla, supervisa y/o mantiene, por lo que ANAYA declina expresamente cualquier responsabilidad respecto a dichas páginas y sitios.

© Del texto: Silvia Clemente Roca, M.a Aurora Domínguez Culebras, Ana Belén Ruiz García, 2024. © Del conjunto de esta edición: GRUPO ANAYA, S.A., 2024 - C/ Valentín Beato, n.o 21 - 28037 Madrid ISBN: 978-84-698-7736-4 - Depósito Legal: M-13621-2024 - Printed in Spain. Reservados todos los derechos. El contenido de esta obra está protegido por la Ley, que establece penas de prisión y/o multas, además de las correspondientes indemnizaciones por daños y perjuicios, para quienes reprodujeren, plagiaren, distribuyeren o comunicaren públicamente, en todo o en parte, una obra literaria, artística o científica, o su transformación, interpretación o ejecución artística fijadaen cualquier tipo de soporte o comunicada a través de cualquier medio, sin la preceptiva autorización.

Turn static files into dynamic content formats.

Create a flipbook
Issuu converts static files into: digital portfolios, online yearbooks, online catalogs, digital photo albums and more. Sign up and create your flipbook.
Operación mundo: Biología y Geología 3 ESO VAL by Grupo Anaya, S.A. - Issuu