Revista rumiNews Septiembre 2024

Page 1


Ordinario.

Ese espacio conocido, habitual, corriente. Donde habita lo usual.

Sin embargo, cuando vamos más allá de lo común, descubrimos nuevas formas de dibujar el futuro, y potenciar aquello que realmente importa.

La diferencia es ese extra. Ese extra que transforma lo ordinario en extraordinario.

ORDINARIO

Ese EXTRA EXTRA que transforma lo ORDINARIO en ORDINARIO

RETOS Y OPORTUNIDADES EN LA GANADERÍA: ADAPTACIÓN, SANIDAD Y TECNOLOGÍA

La ganadería se enfrenta constantemente a retos que ponen a prueba la capacidad de adaptación de productores y veterinarios, siendo necesario mantenerse al tanto de las amenazas emergentes y los avances científicos que impactan el sector ganadero.

En el contexto global de un clima cada vez más extremo, la salud y productividad de los animales requieren una gestión eficiente.

¿Cómo afecta el entorno al estado sanitario de los animales y a la sostenibilidad de las granjas? ¿Qué estrategias se pueden implementar para optimizar el uso de los recursos sin perder rentabilidad?

Este tipo de cuestiones están en el centro del debate actual, poniendo de relieve la importancia de optimizar las instalaciones y el manejo en las granjas.

Asimismo, la exposición a sustancias tóxicas y las resistencias antimicrobianas plantean un reto continuo para la salud de los rumiantes que requiere un enfoque holístico basado en el diagnóstico y la prevención.

Las soluciones a estas amenazas deben evolucionar, pero ¿cuáles son las más prometedoras?

Por otro lado, además de las enfermedades emergentes que están poniendo en jaque a veterinarios y ganaderos por igual, no podemos olvidarnos de las enfermedades endémicas que persisten en la cabaña ganadera, menoscabando su salud, bienestar y rentabilidad.

A este respecto, los nuevos avances en herramientas de diagnóstico y las estrategias de control son esenciales para mantener la salud del ganado.

La revolución tecnológica también asoma la cabeza en el sector ganadero, estando las nuevas tecnologías de ganadería de precisión cada vez más presentes en el día a día de las granjas.

En este sentido, la Inteligencia Artificial se irá integrando silenciosamente en la ecuación, aportando valor y abriendo nuevas posibilidades para la prevención y el manejo de enfermedades, gestión de las granjas y mejora del bienestar animal.

La cuestión no es si la tecnología cambiará el sector, sino cómo nos adaptaremos a estas nuevas herramientas para afrontar los desafíos que se avecinan.

EDITOR

GRUPO DE COMUNICACIÓN AGRINEWS S.L.

PUBLICIDAD

Laura Muñoz +34 629 42 25 52 laura@mediatarsis.com

Félix Muñoz +34 618 18 00 16 felix@mediatarsis.com

Luis Carrasco +34 605 09 05 13 lc@agrinews.es

DIRECCIÓN TÉCNICA

Christian de la Fe Rodríguez Luis Miguel Jiménez Galán

REDACCIÓN

Daniela Morales Osmayra Cabrera

COLABORADORES

Carlos Ramón Romero Sala Fernando Bacha Gema Chacón

María Fernández

ADMINISTRACIÓN

Mercè Soler

Tel: +34 93 115 44 15 info@grupoagrinews.com www.rumiantes.com

Precio de suscripción anual: España 30 € Internacional 90 €

DIRIGIDA A VETERINARIOS DE RUMIANTES

Depósito legal rumiNews B-8798-2019

ISSN (Revista impresa): 2696-8185

ISSN (Revista digital): 2696-8193

Revista trimestral

La dirección de la revista no se hace responsable de las opiniones de los autores. Todos los derechos reservados. Imágenes: Noun Project / Freepik/Dreamstime/BioRender

4

La revolución de la inteligencia artificial: ¿un nuevo impulso a la productividad y sostenibilidad del sector ganadero?

Braulio de la Calle Campos Director técnico en formulación de rumiantes

COREN agroindustrial

La Inteligencia Artificial está transformando la ganadería, impulsando la productividad, el bienestar animal y la sostenibilidad del sector.

16

Micotoxinas en la alimentación animal ¿Cómo cambiará el cambio climático nuestra perspectiva actual?

Dr. Rui Alexandre Gonçalves Experto en micotoxinas

El cambio climático plantea nuevos desafíos en la gestión de micotoxinas en la alimentación animal.

24

¿Pueden los fagos ser útiles para el control de las infecciones bacterianas en rumiantes domésticos?

Oscar Mencía-Ares, Sonia Martínez Martínez y César B. Gutiérrez Martín Grupo BACRESPI, Departamento de Sanidad Animal, Universidad de León

La fagoterapia ofrece una alternativa innovadora a los antibióticos para controlar infecciones bacterianas en rumiantes domésticos.

34

46

¿Estamos preparados para el desafío de reagrupar a edades tempranas en terneras lactantes? - Parte II

Laura Molina Moreno1 y Carolina Tejero Gallego2

1Técnico Veterinario Vacuno Rusama Ganadería S.L

2Técnico Veterinario Vacuno MSD Animal Health

La hipocalcemia no siempre es el enemigo

Rodrigo García-Lastra Servicio Técnico de Rumiantes TechMix Europe

La huella hídrica del vacuno lechero

Inés Sellarès Rodríguez y Carmen L. Manuelian Grup de Recerca en Remugants (G2R), Departament de Ciència Animal i dels Aliments, Universitat Autònoma de Barcelona

La huella hídrica en el vacuno lechero está dominada por el agua verde, lo que abre oportunidades para implementar prácticas sostenibles que optimicen el uso del agua en la producción ganadera.

Impacto del estrés por calor y el enfriamiento en la eficiencia alimentaria de granjas lecheras en climas cálidos 50 56

Israel Flamenbaum

Ph. D. Cow Cooling Solutions, Ltd, Israel

El estrés por calor reduce la eficiencia alimentaria en vacas lecheras, pero la implementación de sistemas de enfriamiento intensivo puede mejorar la producción y generar importantes beneficios económicos.

62

Avanzando en la prevención de la Enfermedad Hemorrágica Epizoótica

Sergio Rodríguez Pedrouzo

Servicio Técnico Rumiantes de Vetia Animal Health

70

Ordeño y calidad de leche en las explotaciones de ganado ovino: Parte II. Inhibidores, esporas butíricas, punto crioscópico y sedimento

Carlos Gonzalo Abascal1 , Mª Teresa Juárez Blanco2

Carmen García Jimeno2

1Dpto. Producción Animal. Facultad de Veterinaria de León, España

2Consorcio de Promoción del Ovino. Zamora

La mejora en la calidad de la leche ovina pasa por reducir inhibidores, controlar esporas butíricas y asegurar un buen manejo del punto crioscópico y los sedimentos durante el ordeño.

Intoxicaciones en pequeños rumiantes 78

Sebastián Samus, Cristina Baselga y Gema Chacón

Exopol S.L.

Las intoxicaciones en pequeños rumiantes requieren la identificación de agentes tóxicos y medidas preventivas para evitar daños graves al rebaño.

Tuberculosis en ganado caprino: situación

epidemiológica en España y avances en su diagnóstico 84

Álvaro Roy1 , Carlos Velasco1 y Javier Bezos1,2

1Centro de Vigilancia Sanitaria Veterinaria (VISAVET), Universidad Complutense de Madrid, Madrid.

2Departamento de Sanidad Animal, Facultad de Veterinaria, Universidad Complutense de Madrid, Madrid.

La tuberculosis caprina, con alta prevalencia en España, requiere de mejores técnicas de diagnóstico y programas regionales para avanzar en su control y erradicación.

Agradecemos a nuestros anunciantes por hacer posible la publicación de esta revista: Bioplagen, Elanco, Hipra, Instalaciones Agropecuarias Cosma, Intracare, Lidervet, Qualivet y Vetia Animal Health.

LA REVOLUCIÓN DE LA INTELIGENCIA ARTIFICIAL: ¿UN NUEVO IMPULSO A LA PRODUCTIVIDAD Y SOSTENIBILIDAD DEL SECTOR GANADERO?

Braulio De La Calle Campos

Director técnico en formulación de rumiantes COREN agroindustrial

La Inteligencia Artificial (IA) es la capacidad de las máquinas para pensar y actuar de forma similar a los seres humanos y, probablemente, interactuamos con ella todos los días sin darnos cuenta.

Representa una revolución en la forma en la que interactuamos con la tecnología, un salto hacia un presente y futuro donde las máquinas no solo ejecutan instrucciones, sino que también piensan, aprenden y evolucionan.

El pasado 1 de agosto de 2024 entró en vigor la ley de IA, la primera y pionera legislación que busca regular los sistemas de Inteligencia Artificial que operen en UE para garantizar la seguridad y los derechos fundamentales de los ciudadanos ante los riesgos que plantea esta tecnología.

Será plenamente aplicable 2 años después, con algunas excepciones, para facilitar la transición al nuevo marco regulador

La Comisión Europea ha puesto en marcha el Pacto sobre la IA, una iniciativa voluntaria que pretende apoyar la futura aplicación e invita a los desarrolladores de IA de Europa y de fuera de ella a cumplir con antelación las obligaciones claves de la ley.

La AIoT se basa en:

1 2La recopilación de grandes cantidades de datos de dispositivos conectados a la AIoT.

El procesamiento de esos datos a través de técnicas de aprendizaje automático, redes neuronales y algoritmos de Inteligencia Artificial.

Con la AIoT, los dispositivos pueden aprender y mejorar automáticamente su rendimiento y tomar decisiones autónomas basadas en los datos recopilados.

INTELIGENCIA ARTIFICIAL DE LAS COSAS

El término AIoT (Inteligencia Artificial de las cosas) se refiere a la convergencia de la Inteligencia Artificial (AI) y el internet de las cosas (IoT).

Se trata de la combinación de tecnologías del IoT con herramientas y técnicas de Inteligencia Artificial para mejorar el rendimiento y la eficiencia de los sistemas automatizados.

La AIoT se utiliza en una variedad de aplicaciones, incluyendo la automatización industrial, la gestión de edificios inteligentes, la salud conectada, la agricultura inteligente, la movilidad conectada y la ciudad inteligente, entre otros.

Por ello, tiene el potencial de revolucionar la forma en que interactuamos con el mundo físico y optimizar los sistemas automatizados en diversas áreas.

ganadería de precisión

LEY DE RENDIMIENTO

ACELERADO

La Ley de rendimiento acelerado de Kurzweil sostiene que la tasa de cambio de cualquier sistema evolutivo siempre tiende a aumentar de forma exponencial y uno de estos sistemas es el crecimiento tecnológico.

El desarrollo tecnológico es constante, ocurre de forma exponencial y su propia aceleración acelera la tasa de cambio.

Cada vez que aparece una nueva tecnología, esta es utilizada para generar una tecnología aún mejor, creándose una retroalimentación positiva en un ciclo sin fin de desarrollo tecnológico.

El crecimiento tecnológico no se puede entender como algo lineal. De hecho, siempre ha sido exponencial. Aunque la mente humana haya intentado entender el progreso como algo gradual y lineal, la Ley de rendimiento acelerado de Kurzweil ha demostrado que la tasa de cambio del progreso se duplica a intervalos constantes.

Es decir, en el transcurso de un siglo no se experimentará un desarrollo tecnológico equivalente a 100 años, sino que este podría ser el equivalente a unos cuantos miles de años, por ejemplo, desarrollo de inteligencia biológica y no biológica, máquinas con una inteligencia muy superior a la humana e, incluso, capaces de expresar emociones.

BIG DATA

El término Big Data describe el gran volumen de datos, tanto estructurados como no estructurados, que inundan los negocios cada día. Sin embargo, lo importante no es la cantidad de datos, sino lo que las organizaciones hacen con los datos.

¡El Big Data se puede analizar para obtener ideas que conduzcan a mejores decisiones y movimientos de negocios estratégico!

Chatbot y ChatGPT

Chatbot es un programa informático que simula una conversación con usuarios finales humanos mediante un modelo de lenguaje ajustado con técnicas de aprendizaje supervisadas y de refuerzo.

ChatGPT es una aplicación de chatbot transformador generativo pre-entrenado (Chat Generative Pre-Trained Transformer) de Inteligencia Artificial desarrollado en 2022 por OpenAI que se especializa en el diálogo.

INTELIGENCIA AUMENTADA

La Inteligencia Aumentada amplía y apoya la inteligencia humana con la ayuda de la Inteligencia Artificial, pudiendo analizar gran cantidad de información en segundos y buscar tendencias y correlaciones a través del aprendizaje automático.

El resultado de este análisis de datos sirve como base para acelerar y simplificar el proceso de toma de decisiones en futuras acciones.

¡La Inteligencia Aumentada no ha llegado para sustituir a la inteligencia humana, sino a empoderarla!

El principal objetivo de unir la Inteligencia

Artificial con el conocimiento y la intuición humana es, por tanto, ayudar a las personas a realizar su trabajo de forma más eficiente y exitosa.

GEMINI

Gemini es el nuevo modelo de Inteligencia

Artificial de Google que, a diferencia de Google Bard (el modelo anterior de Google),

Chat GPT o Bing IA, no se trata de una aplicación o un chatbot que responde a consultas, sino que consiste en una tecnología que subyace a las plataformas.

Se trata de un modelo multimodal capaz de comprender distintos tipos de información texto, código, imágenes, audios, a diferencia de otras tecnologías que lo hacen de forma restringida al texto o a las imágenes.

Ha superado la capacidad o inteligencia de las tecnologías competidoras, por lo que se posicionaría como la IA más avanzada en existencia.

INTELIGENCIA ARTIFICIAL GENERATIVA

La Inteligencia Artificial generativa (IA generativa) es un tipo de Inteligencia Artificial que puede crear ideas y contenidos nuevos, como conversaciones, historias, imágenes, videos y música.

Se trata del siguiente paso en la Inteligencia

Artificial:

Puede ser entrenada para que aprenda lenguaje humano, lenguajes de programación, arte, química, biología o cualquier tema complejo.

Reutiliza los datos de entrenamiento para resolver nuevos problemas. Por ejemplo, puede aprender vocabulario en inglés y crear un poema a partir de las palabras que procesa.

Puede utilizarse para diversos fines, como los chatbots, la creación de medios y el desarrollo y diseño de producto.

ganadería de precisión

Para sacar el máximo rendimiento a la IA generativa, es importante saber que no piensan de la misma manera que los humanos:

Procesamiento de datos vs pensamiento consciente:

La IA generativa procesa información siguiendo patrones y datos, sin tener consciencia o experiencias subjetivas.

Aprendizaje automático:

La IA usa algoritmos de aprendizaje automático para aprender de grandes cantidades de datos, pero su aprendizaje se basa en estadísticas y patrones, no en una compresión real.

Imitación de pensamiento humano:

La IA puede imitar aspectos del pensamiento humano como la generación de lenguaje una simulación, pero no un pensamiento consciente.

Falta de autonomía y consciencia:

Las IA carecen de deseo, emoción y consciencia, siendo sus respuestas resultado de cálculos, no de pensamientos conscientes.

Limitaciones:

La IA generativa está restringida a las programaciones y datos con los que ha sido entrenada, sin capacidad para pensar de manera independiente o creativa como las personas.

IRRUPCIÓN

DE LA IA EN EL MERCADO LABORAL

Según el Foro Económico

Mundial, gran parte de las habilidades que aporten los empleados a la empresa habrán cambiado en los próximos años. Así, en el 2030, se prevé que el 75-85% de las profesiones que serán demandadas aún no existen.

Tabla 1. Ranking de características deseables en el futuro trabajador según el Foro económico mundial (2023).

Pensamiento analítico

Pensamiento creativo

Resiliencia, flexibilidad y agilidad

Motivación y autoconciencia

Curiosidad y aprendizaje

Alfabetización tecnológica

Fiabilidad

Empatía y escucha activa

Liderazgo e influencia social

Control de calidad

Pensamiento analítico

Pensamiento creativo

IA y Big Data

Liderazgo e influencia social

Resiliencia, flexibilidad y Agilidad

Curiosidad y aprendizaje

Alfabetización tecnológica

Diseño y experiencia

Motivación y autoconciencia

Empatía y escucha activa

2023
2030

IA EN LA GANADERIA

El sector ganadero tiene a su disposición herramientas técnicas innovadoras para que puedan desarrollarse de forma más sostenible, producir de manera más eficiente y eficaz, y con un menor coste.

Existen varios niveles de implementación de la IA en la producción animal.

El primer gran paso es computarizar la granja y, para ello, el ganadero ha de considerar la rápida evolución de los mercados, siendo recomendable tener en cuenta las ventajas de invertir en tecnología e IA.

La implementación de la IA en las granjas permite:

Mantener el bienestar animal.

Optimizar la producción.

Tener precisión y rapidez en la toma de decisiones para minimizar los fallos.

Capturar datos.

Aumentar la productividad.

Reducir los costes de producción con un mejor uso de insumos y recursos naturales.

El monitoreo constante de los animales a través del uso de la Inteligencia Artificial puede prevenir enfermedades y favorecer el bienestar animal.

Por ejemplo, la identificación de algún dato alterado en el confort térmico o un cambio en el comportamiento de los animales puede ayudar al productor a detectar precozmente una enfermedad y evitar que se propague.

Los datos se recogen con dispositivos IoT —que pueden ser un conjunto de hardware (aretes, chips y básculas electrónicas)— que incluso registran las actividades nutricionales, sanitarias, de vacunación y de control de enfermedades.

Gracias a las herramientas de diagnóstico precoz y predicción de enfermedades, es posible identificar dolencias ocasionales y garantizar el bienestar de los animales.

Las valoraciones en la agroganadera son siempre inciertas, ya que todo depende del clima y de los ciclos biológicos, que son susceptibles a cambios. En general, aún no se puede controlar si llueve o no y en qué cantidad, pero con lo que sí pueden contar los productores es con sistemas que ayuden a monitorear los ambientes constantemente y que hagan que la conectividad esté presente en todos ellos, ya sean externos o internos.

ganadería de precisión

En este sentido, la Inteligencia Artificial ayuda y evita las pérdidas en el proceso de producción, existiendo empresas que ponen a disposición sus tecnologías con sensores, aprendizaje profundo (deep learning), aprendizaje automático (machine learning), cámaras térmicas y escáneres que aportan al productor datos sanitarios que se integran con la producción y reproducción de los animales.

Monitorización del comportamiento animal

Existen sistemas de gestión de granjas en el mercado que utilizan sensores para registrar el comportamiento de cada animal y analiza los datos utilizando IA.

Este tipo de sistemas ayuda a identificar vacas en celo o enfermas, mejorando la eficiencia y el bienestar animal, e incluye los siguientes elementos:

En el caso del ganado bovino, por ejemplo, hay dispositivos electrónicos de pesaje, collares con sensores, abrevaderos y comederos automáticos, termografía infrarroja y estaciones meteorológicas que aumentarán la capacidad de observación del rebaño. Así, el consumo de alimentos y agua, la conducta alimentaria e incluso el ritmo cardiorrespiratorio, que promueven el bienestar animal, pueden analizarse con el apoyo de la Inteligencia Artificial.

A continuación, se repasan algunas de las aplicaciones actuales de la IA disponibles para el sector ganadero.

Sensores que comunican automáticamente con nodos en el establo, registrando datos de comportamiento.

Procesadores que procesan los datos utilizando modelos de comportamiento de las vacas, ofreciendo cálculos avanzados de detección de celo, rumia y comportamiento de alimentación.

Tecnología que emplea algoritmos basados en IA desarrollados mediante técnicas de aprendizaje automático. Utilizan datos de más de 150.000 días de alimentación en granjas para anticipar la ingesta diaria de alimento del ganado. Entre las variables consideradas se encuentran las tasas de alimentación, tiempos de alimentación, ciclos de alimentación, comportamiento del ganado, tipo de ración y condiciones climáticas.

Cabe resaltar también que los sistemas de ordeño robotizado proporcionan multitud de datos que son gestionados por IA.

Detección y prevención de enfermedades

La colocación de sensores en los animales puede dar mucha información valiosa, como sus movimientos o temperatura. Por ejemplo:

La mastitis genera un alto impacto económico y en el bienestar animal.

En los modelos de aprendizaje automático del mercado, se usa la conductividad de la leche y el recuento de células somáticas para predecir la aparición de mastitis:

Una temperatura más alta de lo normal puede ser un signo de una enfermedad o infección.

Si se detecta desde un primer momento, es posible actuar de forma más rápida, pudiendo salvar la vida del animal y evitar la propagación de la enfermedad.

Un animal que lleva más tiempo del habitual sin moverse puede indicar una enfermedad, una lesión como, por ejemplo, una cojera.

Gracias a la Inteligencia Artificial, el ganadero puede recibir un aviso en su móvil cada vez que se detecta un posible animal enfermo.

Esto también conlleva un ahorro económico, ya que detectar enfermedades a tiempo disminuye los costes en servicios veterinarios, medicamentos y pérdida de animales.

Si una vaca produce leche con una conductividad superior a 5,5 mS/ cm, se considera un posible caso de mastitis.

La acidosis también puede tener graves consecuencias para la salud y la productividad de la vaca.

En el modelo de aprendizaje automático se utiliza el pH ruminal, registrado con un bolo ruminal, un sensor colocado en el rumen de la vaca, para predecir la presentación de acidosis:

Se considera un posible caso de acidosis a una vaca con un pH ruminal por debajo de 5,8.

Los dos modelos presentan un excelente rendimiento en la identificación de casos potenciales de mastitis y acidosis, proporcionando a los ganaderos retroalimentación casi en tiempo real para mejorar el bienestar y el rendimiento de sus animales.

Actualmente, los modelos se están refinando para mejorar su precisión, aunque la mayoría de los pocos errores detectados, tanto para mastitis como para acidosis, tienden a ser preventivos, generando falsas alarmas.

ganadería de precisión

Los crotales inteligentes que predicen y/o miden la temperatura de los animales y avisan de desviaciones ya están presentes en nuestras explotaciones.

También se ha investigado el potencial de algunos indicadores de comportamiento registrados por collares de acelerometría (tiempo de alimentación, rumia y descanso) para la detección temprana de la acidosis.

La evidencia indica que es posible predecir una disminución del pH ruminal un día antes de que ocurra, observando una reducción significativa en el tiempo de rumia.

Bienestar animal

El bienestar animal es visto cada vez más como un atributo de la calidad alimentaria y los ciudadanos de la UE desean más información sobre cómo son tratados los animales de granja.

A este respecto, el etiquetado de productos puede contribuir a la conciencia de los consumidores sobre la calidad alimentaria y la sostenibilidad, al mismo tiempo que respalda a los productores de la UE que cumplen con altos estándares de bienestar animal.

Un ejemplo de las aplicaciones de la Inteligencia

Artificial en ganadería que se está desarrollando en estos momentos es la grabación del comportamiento de los cerdos en granjas porcinas, estableciendo una relación entre su comportamiento y su bienestar.

Gracias a esto, se puede cuantificar el bienestar animal, que depende de factores como su alimentación, los estímulos que recibe o su hábitat, pero también de la relación con su cuidador.

Para establecer los patrones de comportamiento de los animales, se les graba en distintas situaciones en las que entran en juego factores diversos.

Posteriormente, estos vídeos se tratan con visión artificial, mediante una serie de métodos que procesan y analizan imágenes del mundo real para generar información que pueda ser tratada por una máquina.

Gracias a este sistema, se pueden detectar señales de estrés, desconfianza o problemas de salud en los animales.

La información sobre el bienestar animal en el etiquetado es, de momento, voluntaria en la Unión Europea, lo que lleva a diferentes esquemas nacionales de etiquetado de bienestar animal que pueden confundir a los consumidores.

Las tecnologías que trabajan con IA aumentan la transparencia y minimizan el riesgo de información engañosa, en línea con las regulaciones voluntarias de etiquetado de alimentos europeas y nos proporciona información valiosa a los consumidores.

Optimización del uso del alimento

Los animales tienen distintas necesidades de alimento dependiendo de factores como la época del año o de los nutrientes que obtienen mediante el pasto.

A este respecto, se han desarrollado sistemas basados en IA que controlan los pastos por satélite, determinando la cantidad de nutrientes que los animales ingieren con el pasto y realiza una propuesta de los suplementos de pienso necesarios para la correcta nutrición de los animales.

Conocer la cantidad exacta de pienso que se va a necesitar en un día permite gestionar los recursos de la mejor manera, evitando el desperdicio o quedarse sin pienso para el ganado debido a un mal cálculo.

Otra de las posibilidades es la de controlar el nivel de llenado de los silos, facilitando la vida al ganadero y evitando la necesidad de realizar una comprobación manual, lo que también mejora también la seguridad laboral en las explotaciones ganaderas.

Trazabilidad animal

La trazabilidad es una cuestión clave en la industria ganadera y su objetivo es garantizar el bienestar animal y la seguridad alimentaria.

La Inteligencia Artificial permite conocer los movimientos de los animales en cada una de sus etapas, tener un historial con los tratamientos que se le han suministrado o un control de peso semanal durante toda su estancia en la granja.

Estos datos, que antes tenían que recogerse de forma manual por el ganadero y volcarse en una base de datos, pueden recolectarse ahora de forma prácticamente automática gracias a sistemas basados en IoT e Inteligencia Artificial.

ganadería de precisión

Vallados virtuales

La IA también permite que los animales circulen libremente, sin necesidad de encerrarlos para tenerlos bajo control.

Con los sistemas de GPS actuales, se puede definir un vallado dentro del que pueden permanecer los animales. Si estos intentan traspasar el vallado virtual, su collar emite estímulos para disuadirlos, como por ejemplo ruidos o pequeñas descargas.

Una de las ventajas del vallado virtual es que es posible modificar la zona cercada según las necesidades, algo que sería muy costoso si se tratase de vallas físicas.

Impacto ambiental

El impacto ambiental de la producción ganadera es un factor significativo en el bienestar animal.

Utilizando la metodología de Evaluación del Ciclo de Vida (ECV) estandarizada se pueden determinar el impacto ambiental de productos, procesos o servicios a lo largo de todo su ciclo de vida.

Cuando se aplica a los sistemas de cría de vacuno lechero, la ECV evalúa su impacto en el calentamiento global, el uso de tierras, la eutrofización, la acidificación, el uso del agua y otros factores.

Esto ayuda a identificar las etapas clave de la contaminación o el consumo de recursos y estrategias para mejorar.

La ECV define los límites del sistema y evalúa los productos animales junto con subproductos como mantequilla, queso y carne. Después, mediante la IA se pueden conectar los resultados de la ECV con el bienestar animal y el medio ambiente.

Genética

La Inteligencia Artificial facilita la selección genómica, permitiendo a los ganaderos identificar y criar animales con genes de alta calidad, incluyendo la resistencia a enfermedades, eficiencia alimentaria, calidad de la leche y sostenibilidad.

En este contexto, existen actualmente programas de cebo de terneros que, mediante la IA, son capaces de predecir los rendimientos y la calidad de las canales.

La aplicación de estas técnicas puede elevar la calidad y el rendimiento del ganado, contribuyendo a una producción más sostenible y rentable.

Estas tecnologías también serían aplicables en el ganado ovino, prediciendo la calidad de su lana.

CONCLUSIONES

La IA ha venido a quedarse y, de hecho, estamos interactuando con ella todos los.

La velocidad a la que irán implantándose sistemas de trabajo con IA en las explotaciones y ganaderías será muy rápida.

A la hora de implementar IA en las explotaciones debemos tener en cuenta y utilizarlas para:

Objetivos claros.

Calidad de los datos.

Consideraciones éticas y etológicas.

Desarrollo de habilidades.

Infraestructuras adecuadas.

Gestión de facturas.

Gestión de stocks.

Soporte al cliente.

Verificación de proveedores.

Vigilancia y seguridad.

Control de calidad.

Estrategia comercial.

Cumplimiento normativo.

Rendimiento ventas.

Presentación de ventas.

Automatización muestras laboratorio.

Sostenibilidad.

Optimización de rutas.

Control cadena suministro.

Predicción de precios.

El uso de la IA nos permite ser más eficaces y eficientes, mejorando las producciones y el bienestar animal, y contribuyendo a aumentar la sostenibilidad y rentabilidad de las granjas.

La revolucion de la inteligencia artificial: ¿un nuevo impulso a la productividad y sostenibilidad del sector ganadero?

DESCÁRGALO EN PDF

ganadería de precisión

MICOTOXINAS EN LA ALIMENTACIÓN ANIMAL ¿CÓMO CAMBIARÁ EL CAMBIO CLIMÁTICO NUESTRA PERSPECTIVA ACTUAL?

Dr. Rui Alexandre Gonçalves

Experto en micotoxinas

La amenaza que representan las micotoxinas para las industrias agrícola y de la alimentación animal está bien caracterizada. Sin embargo, el Cambio Climático supone una nueva amenaza para las materias primas agrícolas, lo que cambiará nuestra forma de abordar la evaluación del riesgo de las micotoxinas.

El aumento de las temperaturas, las condiciones climáticas extremas y las variaciones anómalas de las precipitaciones son nuevos retos para la gestión de los cultivos, pero también para los ganaderos.

Para comprender el impacto potencial del Cambio Climático en la contaminación por micotoxinas de los cultivos/piensos, en primer lugar, es importante entender:

Por qué se producen las micotoxinas

Cómo llegan a los piensos

Entonces, podremos intentar comprender cómo el Cambio Climático puede conllevar algunos retos adicionales a los protocolos actuales de gestión de micotoxinas y cómo, en algunos casos, puede que necesitemos reajustar nuestro enfoque de la gestión de micotoxinas en el futuro.

¿CÓMO Y POR QUÉ PRODUCEN MICOTOXINAS LOS HONGOS?

No se conoce del todo bien el proceso exacto de producción de micotoxinas por parte de los hongos.

Existe la hipótesis de que la producción de micotoxinas puede ser una estrategia para competir con otros microorganismos por el acceso a los nutrientes de las plantas (Rankin y Grau, 2002).

Otra explicación dada por Khaneghal et al. (2018), que estudiaron los efectos del DON en la planta huésped, plantea que la producción de DON impide la formación de una pared celular gruesa, lo que facilita la infección fúngica.

Para entender cómo se producen las micotoxinas, es necesario conocer las características biológicas de los hongos.

Condiciones ambientales

El crecimiento de hongos y la aparición de micotoxinas individuales es el resultado de una compleja interacción de varios factores entre los que las condiciones ambientales (geografía y factores climáticos) son los más relevantes (Kuiper-Goodman, 2004; Miraglia et al., 2009; Paterson y Lima, 2010; Paterson y Lima, 2011; Ramírez et al., 2006).

Requisitos biológicos

Estrechamente relacionados con estos, los requisitos biológicos, concretamente, la temperatura y la actividad de agua (aw) desempeñan un papel fundamental en el crecimiento de los hongos y la consiguiente producción de micotoxinas (CAST, 2003; FAO, 2004; Marth, 1992; Ramírez et al., 2006; Sweeney y Dobson, 1998), siendo fundamental conocerlos para estimar los posibles impactos futuros del Cambio Climático.

Las micotoxinas más estudiadas (deoxinivalenol -DON-, aflatoxinas -AFs-, fumonisinas -FUM-, zearalenona -ZEN- y ocratoxina A -OTA-) son producidas por unas pocas especies de los géneros Aspergillus, Penicillium y Fusarium.

Estas especies pueden clasificarse de forma simplista en base a sus necesidades de aw en hongos de campo (Fusarium spp.) y hongos de almacenamiento (Aspergillus spp. y Penicillium spp.).

HONGOS DE CAMPO (Fusarium spp.)

Suelen requerir mayores niveles de humedad (aw >0,9) para crecer y producir micotoxinas y, por tanto, infectan principalmente semillas y plantas en el campo.

Fusarium spp.

HONGOS DE ALMACENAMIENTO (Aspergillus spp. y Penicillium spp.)

Tienen menores necesidades de actividad de agua y son, por tanto, más predominantes después de la cosecha y durante el almacenamiento.

HONGOS DE CAMPO
HONGOS DE ALMACENAMIENTO

Todas las especies de Aspergillus spp. y Penicillium spp. son comensales, lo que significa que pueden crecer en los cultivos sin signos evidentes de patogenicidad, pero también pueden invadir los cultivos después de la cosecha, produciendo toxinas durante las fases de secado y almacenamiento.

En la actualidad, las especies de Aspergillus más importantes que se dan en climas más cálidos son A. flavus y A. parasiticus.

No obstante, existen algunas excepciones a esta regla simplista son:

Penicillium verrucosum también produce OTA, pero solo en climas templados fríos donde infecta granos pequeños.

Fusarium verticillioides, omnipresente en el maíz con carácter endofítico, produce FUM y suele ser más frecuente cuando los cultivos están sometidos a estrés por sequía o sufren daños excesivos por insectos.

Estado sanitario de la planta

El crecimiento de los hongos y la producción de micotoxinas no son solo el resultado de simples combinaciones de temperatura óptima y actividad del agua, sino que el estado sanitario de la planta es un factor muy influyente que se verá muy afectado por el Cambio Climático.

¿CÓMO LLEGAN LAS MICOTOXINAS A LOS PIENSOS?

A pesar de los esfuerzos por controlar la contaminación fúngica, tanto en el campo como en el almacenamiento, se ha registrado una amplia contaminación por micotoxinas en cultivos, harinas vegetales y piensos acabados.

El tipo y prevalencia de la contaminación por micotoxinas dependen del tipo de sustrato (tipo de harina vegetal y características del pienso acabado), estando muy asociado a determinadas zonas geográficas y a las condiciones climáticas locales durante las fases críticas de crecimiento o almacenamiento de las plantas.

Como hemos visto anteriormente, entre los factores que contribuyen a la presencia o producción de micotoxinas se incluyen las condiciones ambientales (temperatura, humedad) y las condiciones ecológicas relacionadas con la salud de las plantas.

Para complicar aún más las cosas, las micotoxinas más frecuentes en los productos vegetales no se destruyen durante la mayoría de las operaciones de transformación (por ejemplo, peletización o extrusión).

De hecho, el procesado afecta a la distribución de las micotoxinas e incluso puede concentrarlas en las fracciones que se utilizan habitualmente en el pienso (subproductos vegetales, como la harina de gluten de maíz, los DDGS, etc.).

A este respecto, varios autores han estudiado el destino de las micotoxinas durante el procesado de los cereales, como la selección, la limpieza, la molienda y los procesos térmicos. Sin embargo, su concentración final en los piensos es variable y se ve afectada por diversos factores, como:

El tipo de micotoxinas.

El nivel y el alcance de la contaminación fúngica.

La complejidad de la tecnología de transformación de los cereales.

Teniendo en cuenta la complejidad de la cadena de valor de los piensos, desde los cultivos hasta los piensos acabados, es fácil comprender que el control de todos los factores que pueden provocar la contaminación por micotoxinas escapa a menudo al control humano.

Es por ello que la industria depende, sobre todo, de los MÉTODOS DE MITIGACIÓN.

No es objetivo de este artículo discutir los métodos de mitigación, pero es importante destacar que no todos los mohos producen micotoxinas e incluso los que tienen capacidad de hacerlo pueden estar presentes sin producir ninguna micotoxina, porque las condiciones para su producción podrían no cumplirse.

Por tanto, la confirmación de la contaminación fúngica no es lo mismo que la demostración de la contaminación por micotoxinas.

En consecuencia, el uso de inhibidores del crecimiento fúngico en los granos y piensos no garantiza que estén libres de micotoxinas, ya que éstas también se producen en los cultivos y no se destruyen durante el procesado.

Por ello, se recomienda encarecidamente realizar controles regulares para detectar la contaminación por micotoxinas.

¿QUÉ CONSECUENCIAS TRAERÁ CONSIGO EL CAMBIO CLIMÁTICO?

Tal y como hemos visto, el crecimiento fúngico y la posterior producción de micotoxinas dependen, en gran medida, de factores ambientales como el estrés relativo de la planta, la humedad, la temperatura y los niveles de oxígeno y CO2

Por tanto, es fácil comprender que el Cambio Climático podría tener un impacto relevante en la aparición de peligros para la seguridad de los piensos/ alimentos a lo largo de toda la cadena agroalimentaria.

Los fenómenos climáticos extremos, como inundaciones y sequías, serán factores importantes a tener en cuenta, no solo por la contaminación de los cultivos, sino también por sus consecuencias en toda la cadena de valor.

Para hacer frente a un reto tan tremendo, parece que el enfoque actual del sector de la producción animal, centrado únicamente en métodos de mitigación, puede quedarse corto.

micotoxinas

Debe considerarse un enfoque holístico que tenga en cuenta los pasos involucrados en la gestión de riesgos, la estimación de riesgos, la identificación de riesgos, el análisis de riesgos y la evaluación de riesgos, no solo para los piensos, sino para toda la cadena agroalimentaria.

Estas complejas interacciones que implican a toda la cadena agroalimentaria, supondrán una gestión compleja, pero también aumentará la eficiencia y transparencia del sector.

POSIBLES RETOS LEGISLATIVOS

La mayoría de los países cuentan con normativas que limitan la presencia de las micotoxinas detectadas con más frecuencia en los productos destinados a la alimentación animal, para disminuir la posibilidad de que tengan efectos negativos en la producción animal y limitar su transferencia a los alimentos.

Evaluación de riesgos

Gestión de riesgos Abordaje holístico a las micotoxinas

Análisis de riesgos

Estimación de riesgos

Identificación de riesgos

Para que su aplicación sea exitosa, deben tenerse en cuenta varios factores importantes en un macroescenario de este tipo, por ejemplo:

El contexto legislativo.

Modelos que permitan la interacción y el intercambio de datos entreagricultores, procesadores de cereales y fabricantes de piensos.

Implementación de modelos predictivos que abarquen desde los cultivoshasta el almacenamiento (de los cereales a los piensos).

Desarrollo de nuevas estrategias de detoxificación de micotoxinas (del cultivo al pienso).

Sin embargo, existe una falta de armonización legislativa que, incluso hoy en día, ha contribuido significativamente al debate sobre la concienciación de la entrada de micotoxinas en la cadena de suministro de piensos/alimentos, especialmente cuando se considera el comercio global.

Además, cada vez será más frecuente que los países tengan que hacer frente a micotoxinas poco comunes en su región (tanto importadas como producidas localmente debido al Cambio Climático).

Por tanto, los programas de evaluación de riesgo de micotoxinas deben tener en cuenta la globalización de este reto, uniformizando los niveles máximos de contaminación aceptables para los distintos tipos de productos finales.

Aparte de los riesgos para la salud animal o los posibles efectos de transferencia a los seres humanos (que podríamos analizar en otro artículo), la contaminación por micotoxinas de cultivos, cereales y piensos puede tener importantes repercusiones económicas y comerciales, así como nuevas oportunidades.

El impacto económico de las micotoxinas es enorme debido a:

La pérdida de producción de cultivos.

La eliminación de alimentos y piensos contaminados.

La reducción de la producción ganadera.

La pérdida de vidas humanas y animales.

El aumento de los costes de atención sanitaria humana y animal.

Los costes analíticos y normativos.

La inversión en investigación.

El establecimiento de un marco legislativo claro y la aplicación de modelos que permitan la interacción y el intercambio de datos entre agricultores, transformadores de grano y fabricantes de piensos, junto con el uso de herramientas predictivas, pueden permitir:

Identificar en una fase más temprana de la cadena de producción cómo mejorar nuestra eficacia en la evaluación de riesgos.

Disminuir la probabilidad de pérdida de eficacia de la producción.

Encontrar soluciones para los granos altamente contaminados por micotoxinas que son inadecuados para su uso en alimentación animal (en lugar de su eliminación mediante destrucción).

De hecho, los granos altamente contaminados por micotoxinas podrían abrir las puertas a nuevos avances, como la detoxificación de micotoxinas mediante insectos comestibles, el uso de estas materias primas como fuentes de energía y nutrientes para proteínas fermentadas alternativas o el desarrollo de nuevas herramientas de detoxificación de materias primas.

Es difícil obtener estimaciones cuantitativas de las pérdidas económicas asociadas a la contaminación por micotoxinas, pero se calcula que oscilan entre cientos de millones y miles de millones de dólares anuales.

Así pues, un marco legislativo adecuado puede ser el catalizador que siente las bases para una mayor inversión en el sector, posiblemente pasando de una gestión de tipo reparador a un enfoque de gestión más preventivo, fomentando también la aplicación de nuevas tecnologías (por ejemplo, modelos predictivos) y el desarrollo de nuevas industrias.

LAS HERRAMIENTAS DE MODELIZACIÓN PUEDEN SER MUY ÚTILES

Una cosa de la que podemos estar seguros es que el Cambio Climático supondrá una mayor imprevisibilidad para los actuales planes de gestión de micotoxinas. Por ello, las herramientas de evaluación de riesgos y los modelos predictivos serán fundamentales para ayudar a identificar los posibles retos que plantean las micotoxinas.

Mejorar los métodos de evaluación de riesgos en la cadena alimentaria animal, incorporando modelos predictivos para evaluar el riesgo derivado de las micotoxinas en los cultivos, los cereales y los piensos, incluida su transferencia a los productos animales, parece ser la herramienta más poderosa para hacer frente a los efectos adversos derivados del Cambio Climático.

El efecto del Cambio Climático en los sistemas agrarios puede ser profundo y ello repercutirá en la productividad de la producción animal si no actuamos con prontitud.

El mayor riesgo asociado a las micotoxinas en relación con el Cambio Climático será encontrar micotoxinas en países/cultivos que antes no eran infrecuentes.

Por ello, todos los agentes de la cadena de valor tendrán que actualizar sus conocimientos y, para ello, es necesario recopilar y compartir datos en toda la cadena.

CONSIDERACIONES PARA

FUTURAS ESTRATEGIAS DE GESTIÓN DE MICOTOXINAS

Las evidencias bibliográficas y las opiniones de los expertos señalan que el Cambio Climático traerá consigo retos adicionales para nuestros planes de gestión de micotoxinas.

Existe una alta probabilidad de que aumente la presencia de micotoxinas y de que aparezcan micotoxinas en regiones y/o en cultivos donde no eran frecuentes en el pasado.

Los modelos de predicción pueden ayudarnos a mejorar la eficacia de nuestra evaluación de riesgos, lo que disminuirá la probabilidad de pérdida de eficiencia productiva, pero es posible que también necesitemos encontrar una solución para los cultivos altamente contaminados por micotoxinas que no son aptos para la alimentación animal.

Habrá que considerar las incertidumbres del Cambio Climático como un reto para toda la cadena de valor, desde los cultivos hasta los productos animales. Esto puede suponer una nueva oportunidad holística y una perspectiva entusiasta para el sector.

Esto puede abrir oportunidades para nuevos avances, como la detoxificación de micotoxinas mediante insectos comestibles, el uso de esas materias primas como fuentes de energía y nutrientes para proteínas fermentadas alternativas, o el desarrollo de nuevas herramientas de detoxificación de materias primas.

Micotoxinas en la alimentación animal ¿Cómo cambiará el cambio climático nuestra perspectiva actual? DESCÁRGALO EN PDF

ACCEDER A BIBLIOGRAFÍA

¿PUEDEN LOS FAGOS SER ÚTILES PARA EL CONTROL DE LAS INFECCIONES BACTERIANAS EN RUMIANTES DOMÉSTICOS?

Oscar Mencía-Ares, Sonia Martínez Martínez y César B. Gutiérrez Martín Grupo BACRESPI, Departamento de Sanidad Animal, Universidad de León

¿QUÉ SON LOS BACTERIÓFAGOS Y CÓMO PUEDEN SER ÚTILES EN LOS RUMIANTES DOMÉSTICOS?

Los bacteriófagos, también conocidos como fagos, son virus que infectan y se replican dentro de las bacterias.

Son las formas de vida más abundantes y ubicuas del planeta, esenciales para mantener el equilibrio de las poblaciones bacterianas en todos los ecosistemas (Clokie et al., 2011).

Descubiertos a principios del siglo XX, los fagos se propusieron inicialmente como agentes útiles para tratar infecciones bacterianas, tanto en humanos como en animales, implementándose esta práctica en diferentes regiones del mundo (Chanishvili, 2012; Wittebole et al., 2013).

Sin embargo, el descubrimiento de los antibióticos los desplazó completamente, especialmente en el mundo occidental, debido a su mayor eficacia y amplio espectro de acción.

En contraste, en los países de la antigua Unión Soviética, la investigación sobre fagos continuó, generalizándose su uso en la práctica clínica. De hecho, hoy en día es posible encontrar preparados a base de fagos para el tratamiento de infecciones humanas en farmacias de países como Rusia o Georgia.

El desarrollo de las resistencias a los antimicrobianos ha hecho necesario la búsqueda de alternativas, tanto en medicina humana como en veterinaria y en la industria agroalimentaria.

En este contexto, los sectores bovino, ovino y caprino están realizando un gran esfuerzo para encontrar e implementar alternativas a los antibióticos que permitan controlar de forma eficiente las infecciones bacterianas sin comprometer los rendimientos productivos.

Los bacteriófagos podrían ser una solución innovadora gracias a su alta especificidad, actuando de forma selectiva contra bacterias patógenas sin perturbar la microbiota beneficiosa y reduciendo la necesidad de usar antibióticos.

INDAGANDO EN LAS CARACTERÍSTICAS DE LOS BACTERIÓFAGOS

Los fagos conforman un grupo muy diverso de virus cuya taxonomía está en constante actualización.

En general, los fagos de mayor interés clínico pertenecen a la clase Caudoviricetes. Aunque tradicionalmente se clasificaban en tres familias principales según su morfología (Myoviridae, Podoviridae y Siphoviridae), esta clasificación ha sido reemplazada por un enfoque más genético que morfológico (Turner et al., 2023).

Independientemente del nombre que reciban, todos se caracterizan por tener la forma típica de "nave espacial", con una cápside icosaédrica, cuello, espículas y una cola que se une específicamente a receptores en la superficie de las bacterias (Figura 1) (Wittebole et al., 2013).

Figura 1. Estructura típica de un bacteriófago (Creado con BioRender.com).

Ácido nucléico (ADN)

Cola

Placa basal con espículas de anclaje

Fibras de la cola

Cabeza
Cuello
Cápside
Cuello Vaina

Entender cómo se replican dentro de las bacterias es indispensable para conocer cómo actúan de forma selectiva frente a los patógenos. En general, los fagos tienen dos ciclos de replicación principales (Figura 2) (Roughgarden, 2024):

CICLO LÍTICO

Los fagos se replican de forma activa y las partículas víricas son liberadas al exterior, produciendo la muerte de la bacteria.

CICLO LISOGÉNICO

El ADN del fago se integra en el genoma de la bacteria y se transmite de forma vertical de la bacteria madre a las hijas, sin causar muerte celular.

Ante ciertos estímulos externos, el fago lisogénico puede cambiar a ciclo lítico, matando a la bacteria y liberándose al exterior.

Tanto los fagos líticos como los lisogénicos tienen aplicaciones prácticas en investigación y en clínica.

En la fagoterapia clínica se deben usar fagos estrictamente líticos, ya que estos matan a las bacterias patógenas sin integrarse en su genoma.

Los fagos lisogénicos tienen una aplicación esencial en ingeniería genética para la introducción de genes específicos.

De lo contrario, un fago lisogénico podría facilitar la transferencia de genes entre bacterias, promoviendo la diseminación de genes de resistencias a los antibióticos o factores de virulencia, siendo peor el remedio que la enfermedad.

El fago se adhiere a la bacteria diana e inyecta su ADN

El fago puede escindirse del cromosoma bacteriano y entrar en ciclo lítico

Divisiones celulares

4a 3a Lisis celular y liberación de fagos

El ADN del fago se circulariza

Síntesis de ADN y proteínas y ensamblado de los fagos

El ADN del fago se integra en el genoma bacteriano

El fago se transmite verticalmente

Fago Bacteria diana Cromosoma bacteriano Profago

Figura 2. Esquema de los ciclos de replicación de los bacteriófagos (Creado con BioRender.com).

Algunas de las características principales de los bacteriófagos para su uso en el control de patógenos bacterianos incluyen:

Origen natural: están presentes en cualquier ambiente donde se encuentre la bacteria diana, como suelos, contenido gastrointestinal o tracto respiratorio.

Alta especificidad: tienen un rango de hospedador muy limitado a una única especie, serotipo o, incluso, cepa bacteriana, lo que aumenta su seguridad y permite desarrollar terapias personalizadas para cada granja.

Autorreplicación y autolimitación: solo se reproducen si está presente la bacteria diana, multiplicándose rápidamente y disminuyendo drásticamente una vez desaparece su diana.

Bajo coste de producción: tras su aislamiento y caracterización, son relativamente sencillos de producir a escala industrial, puesto que solo necesitan a la bacteria diana como sustrato.

Gran versatilidad: son muy adecuados para infecciones causadas por bacterias multirresistentes o que producen biofilms. Además, pueden administrarse como cócteles con dos o más fagos, aumentando su rango de hospedador y el éxito terapéutico.

¿CUÁLES

SON LOS PASOS PARA

PREPARAR Y APLICAR UN PRODUCTO A BASE DE FAGOS EN LOS RUMIANTES DOMÉSTICOS?

La aplicación de un producto a base de fagos en una granja es un proceso complejo que requiere de tres etapas consecutivas (Figura 3):

Etapa 1.

Búsqueda, aislamiento y caracterización de fagos individuales

En esta etapa se identifican los fagos aptos para su uso terapéutico, conocidos como monofagos, que formarán parte de una colección de fagos destinada a combatir la especie bacteriana de interés. Para ello, se siguen los siguientes pasos:

1Aislamiento de fagos: se toman muestras de lugares donde se encuentra la bacteriana diana.

Por ejemplo, en el ganado vacuno pueden ser interesantes muestras de heces, hisopos o lavados tranqueobronquiales, órganos afectados o, incluso, leche.

Para ello, la muestra se pone en contacto con la bacteria de interés, intentando cubrir la variabilidad epidemiológica de la granja.

2

3

Evaluación de su rango de hospedador: el fago aislado se prueba frente a una batería de bacterias de la misma especie, especialmente del histórico de la granja, seleccionando aquellos con mayor rango de actividad.

Caracterización fenotípica: tras elegir aquellos con un espectro más amplio, se evalúa su estabilidad a diferentes rangos de pH, temperatura, salinidad o compuestos químicos, orientándolos a la forma de administración que garantice su eficacia terapéutica.

4

Caracterización molecular: se analiza el genoma completo del fago para asegurar que no contiene genes de resistencia a antibióticos ni factores de virulencia con el fin de evitar la diseminación de genes indeseados entre las poblaciones bacterianas.

Etapa 2.

Desarrollo y evaluación del producto a base de fagos

El producto final puede estar compuesto por un único monofago o un cóctel de varios fagos.

Al preparar cócteles, se deben realizar estudios in vitro para asegurar que su administración conjunta mantiene (o incluso potencia) el rango de hospedador.

Una vez diseñado el producto final, se producirá a gran escala utilizando biorreactores, seguido de un filtrado para eliminar endotoxinas.

En esta fase se deben valorar procedimientos para su administración como:

Encapsulación

Liofilización

Nebulización

Finalmente, se debe validar su uso en campo, siendo ideal una prueba inicial en granja diana, para poder ajustar la pauta de dosificación y duración del tratamiento.

Etapa 3. Aplicación rutinaria y actualización del producto final

Una vez estandarizado, el producto se aplicará de forma rutinaria en la granja y se revisará periódicamente para garantizar el mantenimiento de su eficacia.

En caso necesario, se reformulará el producto, incluyendo nuevos monofagos, para abordar posibles desarrollos de resistencias o cambios en la situación epidemiológica de la granja debido a la aparición de nuevas cepas del patógeno.

Toma de muestras en granja diana

Aplicación en granja del cóctel de fagos

Aislamiento de fagos

Caracterización de monofagos y descarte de los no adecuados

Selección y preparación de cócteles de nitivos

Diseño de cócteles y evaluación in vitro

Figura 3. Representación del proceso de preparación de un producto a base de fagos para su aplicación en una explotación ganadera (Creado con BioRender.com).

¿CUÁL ES LA SITUACIÓN ACTUAL

RESPECTO A LA FAGOTERAPIA EN LOS RUMIANTES DOMÉSTICOS?

El aumento de las resistencias a los antibióticos y la búsqueda de alternativas han incrementado significativamente la investigación sobre el uso de bacteriófagos para controlar infecciones bacterianas en la producción animal en los últimos años.

En el caso de los rumiantes domésticos, la mayoría de los esfuerzos se han centrado en el desarrollo de cócteles de fagos para el control de infecciones causadas por Staphylococcus aureus, Escherichia coli y, en menor medida, Listeria monocytogenes (Bianchessi et al., 2024).

Diversos estudios han intentado desarrollar productos a base de fagos para el control de las mamitis bovinas causadas por S. aureus, con resultados dispares.

El primer estudio, en el año 2006, encontró importantes limitaciones debido a la inactivación de los fagos por el sistema inmunitario y algunos componentes de la leche (Gill et al., 2006).

Desde entonces, los estudios se han limitado a ensayos in vitro o en modelos de ratón, con resultados prometedores (Ngassam-Tchamba et al., 2020).

Respecto a E. coli, dado su carácter multifacético, los ensayos han abordado tanto el control de mamitis (Guo et al., 2021), como de diarreas neonatales (Alomari et al., 2021) y su papel como agente zoonótico en el caso de E. coli O157:H7, con el objetivo de reducir el riesgo para la salud pública (Rozema et al., 2009).

Todos los resultados apuntan a una reducción de E. coli tras la administración de los fagos, aunque se debe profundizar en su investigación.

Además de la administración única de productos a base de fagos, estos pueden combinarse con otras alternativas a los antibióticos, como los probióticos.

De hecho, se han obtenido resultados interesantes al combinar cócteles de fagos con probióticos como:

Lactiplantibacillus plantarum para el control de mamitis por S. aureus (Titze & Krömker, 2020).

Lactobacillus spp. para el control de la colibacilosis en terneros (Alomari et al., 2021).

¿DISPONEMOS EN EL MERCADO DE PRODUCTOS A BASE DE FAGOS PARA EL CONTROL DE LAS INFECCIONES BACTERIANAS EN RUMIANTES?

Hasta la fecha, no existe ningún cóctel comercial de fagos autorizado para su aplicación como medicamento veterinario en España, a pesar de los grandes esfuerzos que está realizando la Agencia Española de Medicamentos y Productos Sanitarios (AEMPS).

La AEMPS está colaborando activamente con la Agencia Europea de Medicamentos (EMA) para la implantación de guías que faciliten el desarrollo de productos a base de fagos (EMA, 2023).

Esta cooperación podría acelerar la legislación y los trámites de autorización, permitiendo que en un futuro cercano se disponga de productos a base de fagos para controlar infecciones bacterianas en rumiantes domésticos.

En el mercado latinoamericano ya está disponible un producto para el control de diarreas provocadas por E. coli y Salmonella en terneros de lecherías, con buenos resultados.

Este avance sugiere que la fagoterapia tiene un futuro prometedor en el control de infecciones bacterianas en rumiantes.

¿Pueden los fagos ser útiles para el control de las infecciones bacterianas en rumiantes domésticos?

DESCÁRGALO EN PDF

ACCEDER A BIBLIOGRAFÍA

¿ESTAMOS PREPARADOS PARA EL DESAFÍO DE REAGRUPAR A EDADES TEMPRANAS EN TERNERAS LACTANTES?

PARTE II

Laura Molina Moreno1 y Carolina Tejero Gallego2

1Técnico Veterinario Vacuno Rusama Ganadería S.L

2Técnico Veterinario Vacuno MSD Animal Health

En la edición de marzo 2024 de la revista rumiNews definimos la evolución del tipo de alojamiento en terneras lactantes junto con sus pros y sus contras.

En esta segunda parte, nos centraremos en intentar responder a una de las preguntas que con más frecuencia nos hacemos...

¿Estamos preparados para el desafío de reagrupar a edades tempranas en terneras lactantes? - Parte I LEER ARTÍCULO

REAGRUPANDO A EDADES MÁS TEMPRANAS, ¿AUMENTAREMOS EL RIESGO DE PADECER

ENFERMEDAD RESPIRATORIA?

El alojamiento individual minimiza el contacto ternero-ternero siempre y cuando no puedan tener contacto visual y táctil no forzado. Teniendo en cuenta que por normativa de bienestar animal, los terneros tienen que poder verse y tocarse, el riesgo de transmisión de patógenos aumenta desde la primeras edades a diferencia de lo que ocurre cuando los animales están aislados en casetas individuales, situación que tiende a ser cada vez más inusual.

A lo largo de los últimos años, se han ido definiendo los factores fundamentales relacionados con instalaciones, ambiente y medidas de manejo que tienen más peso en la prevención de la enfermedad respiratoria.

Unos factores son comunes para el alojamiento en individual y en grupo, mientras que otros son más específicos para las diferentes modalidades que se han ido implementando en granjas con alojamientos en grupos.

De ahí, la importancia por mantener las medidas de bioseguridad, maximizar la inmunidad y realizar un buen control del estado de salud cuando reagrupamos en las primeras semanas de vida.

Los ganaderos que ya tengan o estén pensando instaurar en sus granjas alojamientos tempranos en grupos deberían considerar:

1

2

Cómo diseñar y gestionar las instalaciones.

Cuáles son los mejores protocolos para trabajar con este sistema con el fin conseguir los objetivos de crecimiento, bienestar y salud en sus terneras de recría.

Desde el punto de vista de los veterinarios, estos nuevos sistemas de alojamiento brindan una nueva oportunidad para realizar más servicios y consultorías en esta área para mejorar el bienestar animal y los parámetros productivos del futuro de las explotaciones.

1.

FACTORES

COMUNES

Los principales factores comunes para ambos sistemas son:

Manejo del calostro

Cumplir las “4C´s” es una de las claves para tener una buena función inmunitaria y resistencia a las enfermedades (Pardon y col., 2015).

CUÁNDO CALIDAD

Primera toma: 0-4 horas tras el nacimiento

Ordeño del calostro: antes de 4-6 horas tras el parto

CANTIDAD

Seleccionar calostro de alta calidad del primer ordeño usando calostrímetro o BRIX (>23°Bx)

Incrementar inmunidad especí ca vacunando a la madre en el último tercio de gestación

LAS 4 DEL ENCALOSTRADO

CANTIDAD

1ª toma > 3,5 litros (10% PV)

Continuar administrando calostro o leche de transición 3-5 días proporciona protección local a nivel intestinal (inmunidad lactogénica)

Fresco: maximizar la higiene y refrigerar antes de 30 minutos postordeño

REFRIGERADO: máx 48 horas

CONGELADO: máx. 6 meses

promover el desarrollo ruminal mediante una correcta estrategia de destete acompañada de una adecuada formulación y manejo del starter.

No debemos olvidarnos de uno de los nutrientes más importante, el agua, que debe estar a libre disposición y ser de calidad.

El consumo de nutrientes aumenta cuando se responde a desafíos infecciosos. En este sentido, una ternera sana utiliza el alimento de manera más eficiente que una enferma, ya que la respuesta inmunitaria consume energía.

que incluyen un solo patógeno o una combinación de estos, siendo importante adaptar el protocolo de vacunación a los períodos de riesgo de cada granja y a los principales patógenos implicados.

Lo más habitual es utilizar vacunas multivalentes víricas y bacterianas vía parenteral, pero el uso de vacunas víricas vía intranasal es interesante por varios motivos:

Se consigue evitar los fallos vacunales por interferencia con los anticuerpos maternales.

Favorece el aumento de la inmunidad específica a nivel local, proporcionando inmunidad en la puerta de entrada frente a los virus respiratorios, así como la respuesta de IgA en tracto respiratorio superior (Golden y col., 2010).

4.

Correcta ventilación

Una mala calidad del aire con reducidas renovaciones por minuto y pocos m3, igual que la presencia de corrientes directas sobre las terneras, se asocia con un aumento de los problemas respiratorios (Lago y col., 2006).

FACTORES ESPECÍFICOS

Factores específicos para el alojamiento en grupo en fase lactante relacionados con la composición y dinámica del grupo:

1.

Edad de introducción al grupo

Si bien, no todos los estudios están de acuerdo, la mayoría han reportado los beneficios de retrasar la introducción a los 12- 14 días de vida sobre el comportamiento y la salud de las terneras.

Svensson y col. (2006) observaron un aumento del 50% en el riesgo de Síndrome Respiratorio Bovino (SRB) si los terneros eran introducidos al grupo a los 12 días o menos de edad.

4.

Dinámica de los reagrupamientos

2.

Tamaño del grupo

De forma consistente, se han publicado estudios que han reportado un aumento de la incidencia de enfermedad respiratoria cuando las terneras se alojan en grupos más grandes en comparación con las terneras alojadas en grupos más pequeños o alojados individualmente.

Brscic y col. (2012) observaron una menor prevalencia de enfermedades respiratorias en grupos de menos de 6 terneros en comparación con grupos de más de 15 terneros por grupo.

La dinámica de grupo se considera el flujo de animales dentro y fuera del corral, así como el rango de edades de los terneros dentro de un solo grupo.

Hasta que no se lleguen a unas directrices basadas en evidencia científicas, una solución práctica y razonable sería:

Manejar el mismo lote sin flujos de entradas y salidas mediante el sistema Todo Dentro-Todo Fuera (sistema TD-TF). (Pederson y col., 2009). 1 2

Limitar el rango de edades dentro de un corral a un máximo de 1 semana (preferido) o 2 semanas (límite máximo).

3.

Densidad animal

La densidad de población hace referencia al área de cama y espacio de descanso (m2) proporcionado a cada ternera y debe considerarse de forma independiente del tamaño del grupo (Jorgensen y col., 2017).

Espacio mínimo/ ternera:

Grupos grandes: 3,25 m2 4-4,5 m2

James y col. (2017) recomiendan un mínimo de 3,25 m2 de espacio de descanso por ternera. Cuando se alojan en grupos grandes, lo ideal es aumentar a 4-4,5 m2

Puntos clave a tener en cuenta en el momento de reagrupar

Espacio disponible: 3,3 m2 efectivos de cama/ternera y un fácil acceso al agua y la comida (Jorgensen y col., 2017)

Ventilación: la instalación debe estar bien ventilada, pero libre de corrientes de aire a la altura de las terneras (Lago y col., 2006)

Grupo estático y homogéneo: mismo lote sin flujo de entradas/salidas y pequeñas diferencias de edad (Pederson y col., 2008)

Tamaño de grupo: grupos de 6 terneras tienen menos problemas respiratorios que grupos de másde 15 terneras (Brscic y col., 2012)

SALUD PULMONAR EN TERNERAS

LACTANTES: ALOJAMIENTO INDIVIDUAL VS ALOJAMIENTO EN GRUPOS

A modo recordatorio y para ir adentrándonos en los casos prácticos de campo, hay que tener en cuenta que, cuando se analizan los datos de salud pulmonar comparando terneros alojados individualmente vs alojados en parejas o grupos, todavía no disponemos de suficiente información para la toma de decisiones en cuanto a cuál es el mejor método de alojar a las terneras para garantizar su salud respiratoria (Ollivett, 2020), al ser el SRB un proceso multifactorial en la que intervienen múltiples factores.

Para seguir avanzando y poder aportar nuevos datos para la toma de decisiones, se llevó a cabo el presente estudio en 12 granjas con diferentes localizaciones geográficas (6 con alojamiento individual y 6 con alojamiento temprano en grupo).

Se llevó a cabo un seguimiento mediante ecografía pulmonar de las terneras en la fase lactante por semanas de vida, con una frecuencia de visita quincenal o mensual.

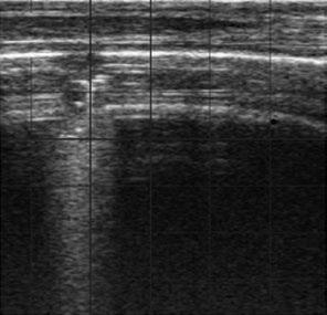
Los datos de salud pulmonar se realizaron por dos técnicas veterinarias siguiendo las mismas directrices para la clasificación y puntuación, utilizando el score desarrollado por Adams y Buczinski (2016) (Figura 1).

Además, se recogieron los datos para la caracterización de las granjas centrándolos en los puntos relacionados con el alojamiento, la composición y dinámica de los grupos, comentados anteriormente.

Puntuación 1-2

Puntuación 1

Patrón aireado: un pulmón aireado no puede visualizarse por ecografía, generándose una imagen artefactual en forma de líneas horizontales, paralelas e hiperecogénicas (líneas A).

Puntuación 2

Patrón intersticial: líneas verticales que llegan al final de la pantalla, hiperecogénicas. Se mueven sincrónicamente con el desplazamiento pleural (líneas B).

Figura 1. Score de lesión pulmonar (Adams y Buczinski, 2016).

Puntuación 3

Patrón de consolidación pulmonar: masa de aspecto hipoecoico, parecido a la imagen ecográfica del hígado, como consecuencia de la inflamación y depósito de exudados en el parénquima pulmonar (1 o más lesiones lobulares de 1-6 cm2).

Derrame pleural: presencia de líquido que separa la pleura parietal de la visceral con cantidad variable de hebras ecoicas correspondientes con la presencia de fibrina.

Puntuación 4

Consolidación pulmonar: masa de aspecto hipoecoico, parecido a la imagen ecográfica del hígado, como consecuencia de la inflamación y depósito de exudados en el parénquima pulmonar (1 o más lesiones lobares de >6 cm2).

Abscesos: cápsula gruesa con un contenido interior heterogéneo. Normalmente se asocia con procesos crónicos y con pronóstico reservado.

Resultados

CARACTERIZACIÓN DE LAS GRANJAS

En las Tablas 1 y 2 se muestran los datos de caracterización de las granjas estudiadas.

Las granjas en naranja son de la zona noreste de España y las granjas en azul de la zona sur.

Nº granja Granja 1 Granja 2 Granja 3 Granja 4 Granja 5 Granja 6

Info granja >500 vacas en ordeño >500 vacas en ordeño >500 vacas en ordeño <200 vacas en ordeño <200 vacas en ordeño 200-500 vacas en ordeño

Tipo de alojamiento Caseta individual Caseta individual Caseta individual Caseta individual Caseta individual Caseta individual Nº de ecografías en la fase lactante

Tipo de caseta Con patio Con patio Con patio Sin patio Sin patio, elevada Sin patio

Localización alojamiento Exterior Exterior Exterior Exterior Exterior Exterior Sombras Sí Sí No Sí No No

Programa vacunal INTRANASAL + PARENTERAL INTRANASAL + PARENTERAL INTRANASAL + PARENTERAL PARENTERAL INTRANASAL + PARENTERAL INTRANASAL + PARENTERAL

Formacion especializada del personal Sí Sí Sí No No No Días medios al destete

Tabla 1. Caracterización de 6 granjas con terneras en alojamiento individual.

Nº granja Granja 1 Granja 2 Granja 3 Granja 4 Granja 5 Granja 6

Info granja >500 vacas en ordeño >500 vacas en ordeño >500 vacas en ordeño <200 vacas en ordeño <200 vacas en ordeño 200-500 vacas en ordeño

Tipo de alojamiento Casetas colectivas Nodrizas Nodrizas Casetas colectivas Nodrizas Nodrizas

Nº de ecografías en la fase lactante

Puntos críticos del SRB evaluados

Días medios a la entrada en el grupo 17 12 3 25 14 14

Tamaño del grupo (rango) 10 12-14 14-14 12-17 7 15-18

Densidad animal (m2) <4 >4

Dinámica de entrada de animales al grupo 1 vez/semana 1-2 veces/semana Continua 1 vez/semana 1 vez/semana Continua

Flujo de entrada-salida DinámicaTD-TF

Rango de edad del grupo (días) Máximo 1 semana Máximo

Programa vacunal

INTRANASAL + PARENTERAL INTRANASAL + PARENTERAL INTRANASAL + PARENTERAL INTRANASAL + PARENTERAL INTRANASAL + PARENTERAL INTRANASAL + PARENTERAL

Formacion especializada del personal Sí Sí Sí No No No

Tabla 2. Caracterización de 6 granjas con terneras en alojamiento colectivo.

MONITORIZACIÓN POR ECOGRAFÍA PULMONAR DE LA SALUD PULMONAR

En las 12 ganaderías, se llevaron a cabo un total de 7.672 ecografías con el objetivo de analizar la salud pulmonar en los distintos tipos de alojamientos en terneras (alojamiento individual y alojamiento colectivo, dentro del cual nos encontramos con nodrizas y con casetas colectivas) en el sur y en el noreste de España.

La dinámica de la salud pulmonar por semanas de vida en los diferentes tipos de alojamientos se muestra en las Gráficas 1, 2 y 3, donde podemos ver cómo vamos perdiendo pulmones sanos a medida que avanzan las semanas. Tal y como era de esperar, este descenso es más pronunciado en las terneras alojadas en grupo.

Porcentaje de lesiones

Semanas de vida

Gráfica 1. Salud pulmonar por semanas de vida de las terneras alojadas en casetas individuales.

Porcentaje de lesiones

Semanas de vida

Gráfica 2. Salud pulmonar por semanas de vida de las terneras alojadas en grupos colectivos.

Semanas de vida

Gráfica 3. Salud pulmonar por semanas de vida de las terneras alojadas en nodrizas.

En las casetas individuales, el porcentaje de terneras con lesiones superiores al 20% comenzó a incrementarse a partir de la 10ª semana de vida, mientras que en los grupos colectivos ocurrió a partir de la 7ª semana y en las nodrizas desde la 5ª semana.

La salud pulmonar próxima al destete en los 3 grupos de estudio se presenta en la Gráfica 4.

Gráfica 4. Salud pulmonar de las terneras alojadas en caseta, en grupo colectivo o en nodriza a las 8-12 semanas de vida.

Gráfica 5. Comparativa del porcentaje de lesiones pulmonares en la granja con alojamiento en casetas individuales con los peores resultados vs. la granja con alojamiento en nodrizas con los mejores resultados.

A nivel global, los resultados en todos los grupos de estudio fueron inferiores al objetivo marcado por #WeanClean™ Philosophy de la universidad de Wisconsin que recomienda comenzar el destete con <15% de terneras con lesión pulmonar.

<15% lesión pulmonar

Las terneras alojadas en nodrizas fueron las que presentaron el nivel más alto de lesión al destete (34%), aunque sin diferencias significativas en el porcentaje de lesiones graves, que son las que se ha demostrado que tienen más repercusión sobre la GMD y supervivencia (Adams y Buczinski, 2016). Grupos comparados

Con estos resultados podríamos pensar que, en los alojamientos en grupo, principalmente en las nodrizas, existe un mayor riesgo de padecer enfermedad respiratoria y que la enfermedad aparece más temprano, que era la pregunta a la que queríamos responder al principio del artículo.

Sin embargo, analizando las granjas de forma individual y comparando la granja con alojamiento en casetas individuales con los peores resultados frente a la granja con alojamiento en nodrizas con los mejores resultados podemos observar que alojar en caseta individual no implica que siempre se vayan a tener mejores resultados.

Sin lesión

Lesión leve

Lesión grave

Destete

En la Gráfica 6 podemos observar las diferencias de salud pulmonar entre zonas y alojamientos.

Sin lesión

Lesión leve

Lesión grave

Gráfica 6. Salud pulmonar de las terneras alojadas en casetas, grupos colectivos o nodrizas en función de la zona geográfica. Porcentaje

Localización geográ ca NORESTE

Si analizamos detalladamente, uno de los factores clave a destacar es que, en los alojamientos grupales, el número de partos/día/semana puede perjudicar a las granjas de menor tamaño, influyendo en los parámetros de flujo de entrada y salida de los grupos, así como en el rango de edad dentro los grupos, resultando en una mayor variabilidad de edades entre los animales en cada lote.

También hemos observado que estas tienen menos superficie dedicada a la recría con menos m2 de cama por ternera.

El tipo de alojamiento individual es de formato más pequeño y tienen menos protección de sombras (sombra encima de la propia caseta), y el clima es más extremo en verano si lo comparamos con las granjas del noreste de mayor tamaño.

Uno de los factores determinantes es que las granjas de menor tamaño tienen menos personal especializado en el control de las terneras, lo que puede retrasar el diagnóstico que se lleva a cabo el día de la revisión ecográfica. En cambio, las granjas grandes cuentan con personal más especializado que identifica antes las terneras que necesitan atención.

Estos resultados también podrían estar afectados por el tamaño muestral en los diferentes alojamientos, en cada una de las zonas.

En el noreste se analizaron 3.473 alojadas en casetas frente a 415 en el sur, por lo que, para poder ser determinantes a la hora de analizar la salud al destete en el sur en casetas, se necesitaría un mayor número de ecografías en este tipo de alojamiento.

Con los datos de grupo colectivo, pasaría algo similar, ya que en el noreste se valoraron 1.124 ecografías frente a 376 en el sur. Sin embargo, los valores analizados de nodrizas si fueron similares, 1.245 en norte vs 1.039 en el sur.

Estos puntos pueden explicar en cierta media las diferencias entre ambas zonas, aunque deberíamos analizar otros puntos fundamentales, como el nivel de encalostrado, programa nutricional y ventilación que no se han contemplado en este estudio.

CONCLUSIONES

El alojamiento en grupo durante las primeras edades cuenta con numerosos beneficios sobre el bienestar que vemos reflejados en la alimentación, salud y comportamiento de los terneros. Además, nos ayuda a reducir tiempo de mano de obra, lo que en muchas granjas es una necesidad.

Sin embargo, puede favorecer la transmisión de enfermedades, por lo que, para poder aprovechar los beneficios de este sistema, sin penalizar en exceso la salud pulmonar, os recomendamos revisar los siguientes puntos:

3. 1.

Medidas de manejo enfocadas a reducir el riesgo de neumonía

Correcta ventilación.

Grupos de pequeño tamaño.

Sistemas de todo dentro todo fuera.

Poca variación de edad entre los grupos, etc.

2.

Programas completos de vacunación

Combinando el uso de vacuna intranasal y parenteral para una protección más completa.

Detección y tratamiento precoz

Las nuevas tecnologías pueden ayudarnos a identificar de forma automática a los animales sospechosos, focalizando el tiempo en los animales a revisar.

La formación del personal continúa siendo esencial, tanto a la hora de aplicar los protocolos como de contar con buenos datos de seguimiento que nos permitan después analizar los resultados de salud pulmonar y tomar las medidas adecuadas si fuera necesario.

El trabajo de concienciación de ganaderos y veterinarios en el cuidado de la recría, mediante el análisis de datos recopilados de la salud de las terneras, es clave para poder seguir avanzando en un área de la ganadería en la que aún queda mucho margen de mejora.

¿Estamos preparados para el desafío de reagrupar a edades tempranas en terneras lactantes? Parte II DESCÁRGALO EN PDF

manejo

LA HIPOCALCEMIA NO SIEMPRE ES EL ENEMIGO

Rodrigo García-Lastra Servicio Técnico de Rumiantes TechMix Europe

Artículo publicado en inglés en Progressive Dairy (24 de mayo, 2022)

La hipocalcemia (bajo nivel de calcio en sangre) es una respuesta fisiológica “normal” en los mamíferos para proporcionar el calcio necesario para el calostro, la producción de leche y la activación del sistema inmunológico, si es necesario.

Afortunadamente, los mamíferos tienen una buena reserva de calcio en sus huesos, regulada por hormonas, siendo las tres principales:

La hormona paratiroidea (PTH).

La vitamina D3.

La calcitonina. Además, estas hormonas pueden aumentar la absorción de calcio en el intestino y estimular la reabsorción de calcio en los riñones.

En las últimas décadas, la hipocalcemia clínica (fiebre de la leche o vitularia) en las vacas lecheras ha sido ampliamente investigada.

El uso de sales aniónicas y el balance de la diferencia catión-anión de la dieta (DCAD) prácticamente han eliminado la incidencia de la enfermedad clínica en la mayoría de las ganaderías de leche.

Desafortunadamente, la hipocalcemia subclínica todavía se diagnostica con frecuencia y la hipocalcemia persistente puede desencadenar la enfermedad clínica.

Algunos estudios citan una incidencia de hipocalcemia subclínica tan alta como el 50%, pero pocos estudios coinciden en el día de prueba óptimo y el umbral para la intervención.

Incidencia hipocalcemia subclínica 50%

IMPORTANCIA DE DETERMINAR LA CALCEMIA EN VACAS LECHERAS

Algunos estudios sugieren que realizar pruebas inmediatamente después del parto no tiene mucho valor informativo, más allá de confirmar si las dietas preparto están cumpliendo su función.

Por ello, investigadores de la Universidad de Cornell sugieren que la mejor estrategia para las lecherías comerciales es realizar pruebas entre dos y cuatro días en leche (DEL) para comprobar el estado de calcio del rebaño.

Con base en esta estrategia de pruebas, las vacas se clasificaron en cuatro grupos:

01

02

Normocalcémicas: con niveles normales de calcio el día uno y el día cuatro después del parto.

HSC transitoria: empiezan con niveles bajos, pero se recuperan rápidamente a niveles normales el día cuatro.

Las vacas normocalcémicas y con hipocalcemia transitoria:

Recuperaron su ingesta de materia seca poco después del parto.

Posteriormente, produjeron más leche (con mejor rendimiento en las vacas con hipocalcemia transitoria después del parto).

03

HSC persistente: caída pequeña pero prolongada de los niveles de calcio en sangre.

04

HSC retardada: niveles normales de calcio el día uno, pero una caída significativa después y una recuperación lenta tras cuatro días en leche.

Las vacas con hipocalcemia subclínica retardada o persistente:

No recuperaron la ingesta lo suficientemente rápido, mostrando deficiencias de magnesio.

Tenían muchas más probabilidades de padecer una enfermedad posparto posterior.

Produjeron menos leche durante la lactancia, especialmente las vacas con hipocalcemia retardada.

¡La duración de la hipocalcemia subclínica tiene un efecto significativo en la salud de la vaca en transición!

Estos estudios destacan la necesidad de una buena estrategia de pruebas y de una forma práctica de implementarla para categorizar y gestionar mejor el metabolismo del calcio en las vacas lecheras, además de la necesidad de una rápida recuperación de la ingesta de materia seca al comenzar la lactancia.

Un punto interesante de estos estudios fue que los rebaños que recibieron una dieta aniónica no tuvieron vacas con hipocalcemia subclínica persistente, pero sí con hipocalcemia subclínica retardada. Esto resalta los beneficios de:

1 2

Usar dietas aniónicas en el preparto.

Establecer estrategias para que las vacas recuperen la ingesta más rápido y evitar casos de hipocalcemia subclínica retardada.

Todas las vacas postparto experimentan una interrupción en la ingesta de alimentos y se benefician de cualquier intervención que promueva la rápida recuperación de la ingesta de alimento, no solo desde el punto de vista de la homeostasis del calcio, sino también por otros nutrientes necesarios como potasio, magnesio, energía, proteínas e incluso agua.

Aún no existe una buena prueba portátil para medir el calcio en sangre.

Hay algunas opciones en el mercado, pero aún son demasiado complicadas, costosas y requieren tiempo. En este sentido, se necesita un mayor desarrollo tecnológico para tener una solución confiable, simple y rentable.

ESTRATEGIAS CLAVE PARA

COMBATIR LA HIPOCALCEMIA RETARDADA O PERSISTENTE

Para reducir el impacto de la hipocalcemia retardada o persistente, deben implementarse dos estrategias principales:

DIETA PREPARTO

Trabaje con su nutricionista para una buena dieta preparto que regule el metabolismo del calcio.

Una dieta preparto baja en calcio (menos de 20 g/día) es difícil de lograr.

Otras opciones son el uso de fijadores de calcio o una dieta aniónica.

ADMINISTRACIÓN DE BOLOS ORALES

Si se detecta o se presume hipocalcemia subclínica, como método de prevención, el calcio oral es la solución más práctica disponible.

Elija un suplemento que no solo proporcione calcio, sino también otros nutrientes necesarios para ayudar a recuperar la ingesta lo más rápido posible.

En este sentido, los bolos orales de YMCP Vitall® son el único producto comercial que combina el beneficio del calcio oral de rápida absorción con la estimulación de la ingesta mediante levaduras vivas y el aporte de otros nutrientes necesarios para la recuperación de la vaca postparto.

Es importante tener en cuenta que la administración de calcio intravenoso a una vaca en pie puede generar efectos negativos en la ingesta de alimento y la producción de leche.

Finalmente, no debemos olvidar que la activación del sistema inmunitario y la posterior inflamación son normales durante la transición y parcialmente necesarias para la expulsión de la placenta y la reparación y movilización de tejidos.

La causa de esa activación inmunitaria sigue sin estar clara, aunque se ha propuesto un posible origen en la ubre, el útero o el intestino.

Se sabe bien que, si la inflamación se vuelve patológica (generalizada y crónica), reduce la ingesta de alimentos y causa más hipocalcemia.

Esto lleva a preguntarse si el bajo calcio circulante es una enfermedad en sí misma o una consecuencia de un problema mayor.

En resumen, no todos los casos de hipocalcemia son iguales y, para los productores de alto rendimiento, una caída temporal de calcio es incluso necesaria para activar una respuesta homeostática.

Las pruebas entre dos y cuatro días posparto son una mejor estrategia para identificar vacas que se beneficiarían de un soporte prolongado, pero deberían desarrollarse mejores métodos para las granjas comerciales.

Esto podría tener importantes implicaciones en las estrategias futuras de prevención de hipocalcemia subclínica en vacas lecheras.

La hipocalcemia no siempre es el enemigo DESCÁRGALO EN PDF

Estimula la actividad ruminal y recupera el nivel óptimo de ingestión posparto

Magnesio

Necesario para el metabolismo del Calcio

Osmolito

Ayuda a la salud celular

Calcio

Para la optima producción de calostro y leche y la correcta respuesta inmunitaria

Levadura viva

Potasio

Responsable del correcto equilibrio hídrico

Niacina

Mejora la función hepática y despierta el apetito

Para el correcto funcionamiento del rumen y la estimulación de la ingesta

LA HUELLA HÍDRICA DEL VACUNO LECHERO

Sellarès Rodríguez y Carmen L. Manuelian

de Recerca en Remugants (G2R), Departament de Ciència Animal i dels Aliments, Universitat Autònoma de Barcelona, CP 08193, Bellaterra, España

La creciente preocupación por el cambio climático y la disminución de los recursos hídricos conlleva la necesidad de mejorar las prácticas agrícolas para mitigar su impacto ambiental. Por otro lado, el aumento de las temperaturas y los eventos meteorológicos extremos afectan negativamente a la producción y salud del ganado.

Todo ello nos lleva tener que valorar las huellas ambientales en la producción ganadera, siendo la más reciente la huella hídrica.

La huella hídrica es una métrica que resume el volumen de agua consumida desde el origen hasta la puerta de la granja, ya sea para la alimentación del ganado como para las operaciones en la granja1. Se divide en tres componentes en función del tipo de agua consumida2:

AGUA GRIS

El componente gris contabiliza el agua dulce necesaria para reducir los contaminantes a niveles ambientales.

AGUA AZUL

El componente azul considera el agua superficial y subterránea que se consume a la salida de la granja.

AGUA VERDE

El componente verde hace referencia al agua de lluvia consumida por el cultivo, incluida el agua evaporada y el agua que se incorpora al producto.

La huella hídrica es una huella bastante reciente. Descrita por primera vez en 2002 por Hoekstra, en 2014 salió publicada la ISO 14046 para estandarizar su cálculo3.

VARIABILIDAD Y FACTORES QUE INFLUYEN EN LA HUELLA HÍDRICA DEL VACUNO LECHERO

El primer artículo que cumplió con los criterios de selección establecidos fue publicado en 2016 (Tabla 1).

Este artículo pretende resumir los principales resultados de la revisión bibliográfica sobre la huella hídrica en vacuno lechero llevada a cabo entre noviembre de 2023 y enero de 2024 en revistas en inglés revisadas por pares.

La mitad de los artículos no mencionan la raza de los animales y, en aquellos que lo hacen, la mayoría considera granjas con vacas Holstein.

De los 10 artículos seleccionados, solo 6 de ellos están expresados en la misma unidad de medida, m³ por kg de leche corregida en grasa y proteína (FPCM).

Componente de la huella hídrica

Verde Azul Gris

Verde, azul y gris 7,589 m3 (88%) 0,584 m3 (7%)

0,402 m3/kg de FPCM (60%) 0,198 m3/kg de FPCM (30%) 0,064 m3/kg de FPCM (10%)

17,2 m3/kg de FPCM (pastoreo tradicional)

0,06 m3/kg de FPCM (pastoreo tradicional), 0,08 m3/kg de FPCM (mixto tradicional), 0,54 m3/kg de FPCM (industriales modernos)

± 0,055 m3/ kg de FPCM

0,24 m3/ kg de FPCM (industriales modernos) 1,4 m3/kg de FPCM (mixto tradicional)

Verde y azul 0,93 ± 0,40 m3/kg de FPCM (69%) 0,42 ± 0,30 m3/kg de FPCM (31%) 1,36 ± 0,41 m3/kg

FPCM = Leche corregida en grasa y proteína. Datos expresados como media ± desviación estándar.

Tabla 1. Resumen de los artículos analizados en función de los componentes del agua considerados.

Estos 6 artículos contabilizan el agua gastada para:

La producción de alimento.

Abrevadero de vacas.

Limpieza y enfriamiento de las instalaciones.

Uno de los estudios también incluye el agua relacionada con el transporte de las vacas4.

La huella hídrica considerando los 6 estudios varía entre 0,017 y 2,7 m³/kg FPCM, con una media de 1,23 m³/kg FPCM.

Se ha observado que la huella hídrica está relaciona con los patrones de precipitaciones de la región.

Zonas con una mayor precipitación normalmente llevan asociada una mayor huella hídrica, ya que tienden a tener recursos hídricos más abundantes5,6

Regiones con menos precipitaciones suelen presentar una huella hídrica menor, ya que sus prácticas agrícolas consumen menos agua5,6.

0,017-2,7 m³/kg FPCM

Huella hídrica total País Raza Referencia

La producción de alimento es la principal contribuyente a la huella hídrica, llegando a representar el 99%, debido a la sobreirrigación de cultivos. Por otro lado, el agua consumida directamente por los animales representa el 0,4-9% de la huella hídrica.

Los factores que influyen en la variación de la huella hídrica incluyen:

La productividad lechera7

Los componentes del alimento7

Las diferencias regionales en la disponibilidad y gestión del agua8

0,4-9% 99%

Agua consumida directamente por las vacas Agua consumida para producir alimento

Agua Verde

En relación a los componentes de la huella hídrica, hay un predominio del componente verde, que oscila entre el 60%6 y el 98%7, con una media del 78,5% (Figura 1).

Esta variabilidad está influenciada por4:

El tipo de sistema agrícola.

Las prácticas de manejo.

Las condiciones ambientales.

Por ejemplo, los sistemas de pastoreo tradicionales tienen un mayor consumo del componente verde que los sistemas industriales o mixtos4.

Agua Azul

El componente azul presenta una gran variabilidad entre estudios, oscilando entre el 2%7 y el 31%5,6, con una media del 17,5% (Figura 1).

Agua Gris

El componente gris representa entre un 5%10 y un 10%6, con una media del 7,5% (Figura 1).

Esta variabilidad es debida a9:

El tipo de sistema de producción.

Las prácticas de gestión del agua.

La zona geográfica y condiciones climáticas locales.

Esta variabilidad depende de9:

Las prácticas agrícolas.

La industrialización y el manejo de aguas residuales.

17,5% 7,5%

CONCLUSIONES

78,7%

Evaluar y gestionar el uso del agua, no solo a nivel de la granja sino también a lo largo de toda la cadena de producción, es esencial para establecer estrategias integrales de reducción de la huella hídrica.

También se debe tener en cuenta que la huella hídrica está relacionada con los patrones de precipitaciones regionales, siendo mayor en regiones con más precipitación.

La huella hídrica en vacuno lechero se ve dominada por el componente verde (>75%), seguida por el azul (>15%) y finalmente por el gris (~10%), lo que refleja la importancia de adoptar estrategias de gestión del agua adaptativas y multifactoriales para reducir el impacto ambiental en la producción ganadera.

ACCEDER A BIBLIOGRAFÍA

Agua azul Agua verde Agua gris

Gráfica 1. Resumen del valor medio de la contribución cada uno de los componentes de la huella hídrica de los artículos analizados.

Recomendaciones para reducir la huella hídrica

Usar alimentos con menores requisitos hídricos o importar alimentos de regiones con menor consumo de agua.

Usar sistemas de bebida eficientes y buen mantenimiento de las instalaciones para evitar pérdidas.

Gestionar los residuos para minimizar el consumo de agua.

Usar recursos locales con menores requisitos hídricos y reducir la importación de agua.

Usar razas con menor consumo de agua.

Aplicar estrategias de mitigación del consumo del agua adaptadas a granjas de forma individualizada, ya que son más efectivas que la aplicación uniforme en todas las regiones.

Implementar prácticas de gestión del agua más eficientes y tecnologías de tratamiento de aguas residuales.

DESCÁRGALO EN PDF

La huella hídrica del vacuno lechero

IMPACTO DEL ESTRÉS

POR CALOR Y EL ENFRIAMIENTO EN LA EFICIENCIA ALIMENTARIA DE GRANJAS LECHERAS EN CLIMAS CÁLIDOS

Israel Flamenbaum Ph. D. Cow Cooling Solutions, Ltd, Israel israflam@inter.net.il www.cool-cows.com

En las últimas décadas se ha publicado mucha información sobre el efecto negativo del estrés por calor estival en las características productivas y reproductivas de las vacas de alto rendimiento.

Sin embargo, existe información muy limitada sobre el efecto del estrés por calor en la eficiencia alimentaria de las vacas (estimada en términos de relación alimento/leche).

Comprender plenamente las pérdidas económicas derivadas del estrés por calor es clave tener una visión clara del impacto real en los ingresos, lo que es un claro incentivo para invertir en las instalaciones y el correcto funcionamiento de los sistemas de mitigación del calor en las granjas.

IMPACTO DEL ESTRÉS POR CALOR EN EL RENDIMIENTO Y EFICIENCIA ALIMENTICIA DE LAS VACAS LECHERAS

Una publicación de la NRC a principios de los años ochenta mostró que, en comparación con las vacas en condiciones normales, los requisitos de energía para el mantenimiento de las vacas en ordeño:

Aumentan en un 20% cuando se exponen a temperaturas ambientales de 30 °C.

Aumentan en un 35% para aquellas expuestas a temperaturas a partir de 40 °C.

Los requerimientos de energía de las vacas de alto rendimiento que ingieren dietas de mantenimiento expuestas a condiciones de estrés por calor aumentarán en un 5-10% en comparación con vacas mantenidas en condiciones térmicas normales.

30 °C 40 °C Requerimentos Requerimentos

Estudios llevados a cabo en las instalaciones de una granja experimental estadounidense (USDA) revelaron que la relación alimentoleche era un 10% más alta en las vacas que parían en verano, en comparación con las que parían en invierno.

El contenido energético de la leche representó solo el 60% de la energía consumida por las vacas en condiciones normales, pero disminuyó al 35% cuando estuvieron expuestas durante dos semanas a estrés térmico en condiciones climáticas a 32 °C.

En una encuesta a gran escala realizada en 13 granjas lecheras comerciales en Alabama, las vacas produjeron 1,4 kg de leche/kg de materia seca (MS) consumido en los meses de invierno, mientras que, en los meses de verano, esta producción descendió a 1,3 kg de leche/kg MS, lo que representa una pérdida del 5% de eficiencia alimenticia.

bienestar

Por su parte, investigadores de la Universidad de Arizona publicaron un estudio realizado en sus nuevas cámaras climáticas ubicadas en Tucson donde las vacas de alto rendimiento mantenidas en condiciones climáticas normales y con una ingesta de alimento igualada a la de vacas expuestas a calor mostraron una disminución en la producción que fue solo la mitad de la registrada en las vacas sometidas a estrés por calor ( 30% en vacas sometidas a estrés por calor frente a 15% en vacas con restricción alimenticia y mantenida en condiciones climáticas normales).

La caída en el consumo de alimento de las vacas sometidas a estrés por calor solo explica la mitad de la disminución en la producción de leche, lo que implica que la mitad restante se puede atribuir al hecho de que parte de la energía consumida se destina a la activación de mecanismos para disipar el calor, así como a otros cambios metabólicos en el sistema digestivo de la vaca.

En otras palabras, el estrés por calor se traduce en “ineficiencia nutricional”.

Haciendo uso del mismo protocolo experimental, llevamos a cabo hace unos años en Israel, una investigación en las instalaciones de la granja lechera experimental del ministerio de agricultura.

Dos grupos de 21 vacas lecheras de alto rendimiento con un promedio de 45 kg de leche/día fueron alimentados ad libitum, una ración TMR (proporcionada en cajas de alimentación individuales pesadas diariamente) y ordeñadas 3 veces al día.

Todas las vacas fueron enfriadas intensivamente mediante una combinación de rociadores y ventilación forzada durante 6 horas acumulativas/día en 8 “sesiones de enfriamiento”.

A mediados del verano:

El tratamiento de enfriamiento se detuvo gradualmente en uno de los grupos.

El suministro de alimento a las vacas del otro grupo, donde continuó el enfriamiento, se equiparó al consumido por las vacas privadas de enfriamiento y con estrés por calor.

Al igual que en el estudio en Arizona, la disminución del 20% en el consumo de alimento (24,4 kg/vaca/día 19,4 kg/vaca/día) asociada al estrés por calor solo explicaría la mitad de la disminución en la producción de leche.

La disminución de la producción de leche en las vacas expuestas a estrés por calor fue casi el doble en comparación con aquellas que fueron enfriadas y sometidas a una restricción en el consumo de alimento, alcanzando 14 kg/vaca/día frente a 8 kg/vaca/día, respectivamente.

Es decir, enfriar las vacas en el verano mejora la eficiencia alimenticia de las vacas en un 5 - 10%, casi lo mismo que se puede obtener con vacas en condiciones climáticas normales.

El calor estival no solo afecta la producción anual de leche en las vacas, reduciendo su rendimiento, sino que también provoca un empeoramiento de la eficiencia alimenticia.

Este efecto se suma al impacto directo que el estrés por calor tiene sobre la eficiencia alimentaria, tal y como se ha comentado anteriormente.

Los requerimientos energéticos de mantenimiento son constantes, siendo las mismas independientemente de que la vaca produzca 10 kg o 40 kg de leche/día.

Por tanto, los requerimientos energéticos de mantenimiento/unidad de leche producida son menores en vacas de alto rendimiento, ya que se encuentran “repartidos” en más litros de leche/día.

En una encuesta realizada en 40 granjas lecheras de Israel durante un período de 20 años, se registró la cantidad de materia seca (MS)/litro de leche producida anualmente en granjas cuya producción anual oscilaba entre 9.000 y 14.000 kg.

Esta encuesta reveló que se requieren 0,78 kg de materia seca para producir 1 kg de leche a un rendimiento anual de 10.000 kg, mientras que, para un rendimiento anual de 12.000 kg, solo se necesitan 0,70 kg de alimento ( 10% menos).

Según un artículo publicado hace casi 20 años por St. Pierre de la Universidad de Ohio, se puede esperar una caída de 2.000 kg de leche/vaca/año en las granjas lecheras del sur de los EE. UU. debido al calor estival y la falta del uso eficaz de los medios de mitigación del calor.

Hoy sabemos, en base a nuestra experiencia en Israel, que la implementación adecuada de medios de enfriamiento puede evitar la mayor parte de esta disminución.

Aumentar en 2.000 kg la producción anual de leche por vaca en estos climas puede reducir los gastos de alimentación en un 10-15% para generar la misma cantidad de leche. Esta mejora en la eficiencia se suma a los beneficios previamente mencionados, optimizando aún más la producción.

BENEFICIOS ECONÓMICOS Y AMBIENTALES

DEL ENFRIAMIENTO INTENSIVO DE LAS VACAS

Para ilustrar impacto económico de la disminución de la eficiencia alimenticia y los beneficios derivados del enfriamiento de las vacas, se presenta a continuación un cálculo basado en los resultados de los estudios presentados anteriormente.

Se trata de un escenario donde el coste diario de alimentación por vaca es de 8 USD, en una granja lechera ubicada en una región con 150 días de verano estresantes (Israel, sur de EE. UU., sur de Europa y gran parte de América Latina) y donde la eficiencia alimenticia anual cae aproximadamente un 15 %.

El enfriamiento adecuado de las vacas tiene el potencial de aumentar las ganancias anuales por vaca en aproximadamente 400 USD, triplicando la inversión necesaria para mantenerlas frescas durante el verano. En granjas lecheras situadas en regiones más frías, como Sudamérica y Europa del Norte, se podría esperar obtener entre la mitad y dos tercios de este beneficio.

Enfriamiento adecuado 400 USD

En conclusión, la caída en la eficiencia alimenticia asociada al estrés por calor tiene un impacto económico significativo en las granjas lecheras, especialmente en aquellas ubicadas en climas cálidos, pero también en aquellas ubicadas en regiones templadas.

Estos datos sobre los beneficios del enfriamiento intensivo y adecuado de las vacas son un fuerte aliciente para invertir en la implementación y operación adecuada de los medios de mitigación del calor.

Este enfoque beneficiará principalmente al ganadero, pero también al medio ambiente, ya que permitirá producir leche con menos vacas, reduciendo la necesidad de alimentos para su mantenimiento y producción, al tiempo que disminuirán las emisiones de gases de efecto invernadero (GEI) a la atmósfera.

Impacto del estrés por calor y el enfriamiento en la eficiencia alimentaria de granjas lecheras en climas cálidos DESCÁRGALO EN PDF

“La inversión en calidad siempre rinde sus frutos.

Intra Hoof-fit asegura el bienestar animal y aumenta la producción láctea.”

Iris van den Berg Ganadera lechera

AVANZANDO EN LA PREVENCIÓN DE LA ENFERMEDAD HEMORRÁGICA EPIZOÓTICA

La Enfermedad Hemorrágica Epizoótica (EHE) es una enfermedad emergente en España que apareció por primera vez en nuestro país a finales de 2022. Desde julio de 2023, ha habido una expansión masiva de la enfermedad por toda la península ibérica, llegando también a Francia.

Hasta la actualidad las medidas de control de la enfermedad han sido muy complejas debido a la ausencia de una vacuna frente al serotipo del virus de la EHE que circula en España.

En julio de 2024, la Agencia Española del Medicamento y Productos Sanitarios (AEMPS) concedió la autorización de uso temporal (Art. 110.2, Reglamento (UE) 2019/6) a una vacuna frente al serotipo 8 del virus de la EHE para su aplicación en la especie bovina, que será clave para el control de la enfermedad.

Sergio Rodríguez Pedrouzo Servicio Técnico Rumiantes de Vetia Animal Health

LA ENFERMEDAD HEMORRÁGICA EPIZOÓTICA

La EHE es una enfermedad vírica infecciosa, no contagiosa, transmitida por vectores (mosquitos Culicoides), que afecta a rumiantes domésticos y salvajes.

Los bovinos y los cérvidos son los más susceptibles a la infección y a la enfermedad, que puede cursar de forma clínica (con gravedad variable) o subclínica.

El ganado ovino es susceptible a la infección, pero poco a la enfermedad clínica, y el caprino es muy poco susceptible a la infección y a la enfermedad.

No es una zoonosis, por lo que no representa un riesgo para la salud pública.

Para que se produzca y se expanda la infección tienen que coexistir:

HOSPEDADOR (vaca, por ejemplo)

PATÓGENO (virus de la EHE)

VECTOR (Culicoides spp.)

Si, además, se da una situación en la que hay una alta presencia del virus de la EHE en la zona (animales virémicos y/o vectores portadores), una gran cantidad y actividad de Culicoides que propaguen el virus y muchas vacas sin inmunidad específica frente a la EHE, la expansión de la enfermedad se puede producir de forma desmedida.

Esta es la situación acontecida entre agosto y noviembre de 2023 y en la que nos encontramos actualmente.

EHE, ¿QUÉ LA PRODUCE?

El virus de la EHE es un Orbivirus, un virus ARN de la familia Reoviridae.

¿CÓMO SE TRANSMITE LA EHE?

Su periodo de incubación es de 2-10 días y la duración media de la viremia es de 30 días, aunque puede prolongarse varios meses.

Se replica en las células endoteliales provocando daño vascular, responsable de los signos clínicos y lesiones. Además, infecta a células dendríticas, macrófagos y linfocitos, produciendo una inmunosupresión importante en el animal.

En España está circulando el serotipo 8 del virus, pero hay 7 serotipos identificados (1, 2, 4, 5, 6, 7 y 8).

La patogenicidad varía en función del serotipo y la cepa que actúe, no existiendo inmunidad cruzada entre serotipos.

MOSQUITO NO INFECTADO

El virus se multiplica más rápidamente en el vector infectado a temperaturas altas (25-30 oC), mientras que por debajo de 12 oC no se multiplica, pero se mantiene vivo, volviendo a multiplicarse cuando la temperatura vuelve a subir.

Esto, sumado al hecho de que los mosquitos pueden sobrevivir a temperaturas bajas y que la viremia en los hospedadores puede durar varios meses, explica por qué la enfermedad puede reaparecer en la siguiente temporada vectorial tras una temporada sin presencia de enfermedad.

En este sentido, tanto los mosquitos Culicoides como los hospedadores (rumiantes domésticos y salvajes) pueden actuar como reservorios del virus durante todo el año.

MOSQUITO INFECTADO

MOSQUITO

Pica a un animal infectado

TRANSMISIÓN DE LA EHE

INFECCIÓN

MOSQUITO INFECTADO

Pica a un nuevo animal no infectado

Figura 1. Ciclo de transmision del virus de la Enfermedad Hemorrágica Epizoótica.

¿QUÉ SABEMOS DEL VECTOR?

El género Culicoides comprende un grupo de mosquitos de pequeño tamaño, con un peso de 0,5 μg y con una longitud de 1-5 mm.

CULICOIDES

1.300 68

Existen más de 1.300 especies de Culicoides distribuidas por todo el planeta, 68 de los cuales se han encontrado en España.

La importancia del género Culicoides radica en su papel como vectores en la transmisión de enfermedades, especialmente a mamíferos ungulados.

Son vectores de distintos Orbivirus:

Lengua Azul.

Peste Equina.

Enfermedad Hemorrágica Epizoótica.

Predicción de presencia de C. imicola

En España, los más relevantes en la transmisión de estas enfermedades son:

Culicoides imicola (climas cálidos).

Culicoides obsoletus (climas fríos).

Estos mosquitos tienen actividad crepuscular y nocturna. Prefieren alimentarse en el exterior, pero algunas especies pueden entrar dentro de las explotaciones en busca de alimento.

De hecho, en invierno, en zonas frías, los adultos se pueden introducir en las explotaciones para sobrevivir a las bajas temperaturas.

Cabe destacar que solo las hembras son hematófagas, ingiriendo sangre cada 3 a 5 días en condiciones óptimas y ovipositando en zonas húmedas y con materia orgánica.

Su radio de vuelo es muy corto (hasta 5 km), pero pueden ser transportados por el viento cientos de kilómetros.

Predicción de presencia del complejo C. obsoletus

Periodo de máximas capturas: de agosto a octubre. Periodo de mínimas capturas: de diciembre a abril (prácticamente inexistentes).

Período de máximas capturas: de mayo a julio. Periodo de mínimas capturas: de noviembre a marzo (relativamente abundantes). Culicoides obsoletus puede estar presente durante todo el año en la Cornisa Cantábrica.

Imagen 1. Mapas de abundancia de Culicoides imicola y Culicoides obsoletus en la Península Ibérica. Las zonas en color rojo muestran una mayor densidad y las zonas en azul una menor densidad. (Fuente: Relationship between bluetongue serotypes and their vector in Europe and the mediterranean basin, Revista Complutense de Ciencias Veterinarias, 2008).

¿CUÁLES SON LOS SIGNOS

CLÍNICOS Y TRATAMIENTO DE LA EHE?

La EHE puede presentar un cuadro clínico que varía desde subclínico hasta hiperagudo y mortal. Los signos clínicos son muy variables, estando asociados principalmente las lesiones vasculares (hemorragias y trombosis):

Fiebre, depresión y anorexia.

Cianosis en cavidad nasofaríngea y úlceras en mucosas.

Prolapso lingual, hipersalivación y disfagia.

Laminitis y cojeras.

Edema palpebral, facial y de cabeza.

Descarga ocular, nasal y disnea.

Diarrea sanguinolenta o con melena.

Eritema de la ubre y agalaxia.

Imagen 2. Bovino con signos clínicos de prolapso lingual, hipersalivación y descarga nasal (Foto cedida por La Montaña Veterinarios).

Imagen 3. Bovino con se evidencia un prolapso lingual e hipersalivación. Cavidad oral inflamada y enrojecida con lesiones ulcerativas en paladar (Foto cedida por La Montaña Veterinarios).

¿CUÁLES SON LAS CONSECUENCIAS DE LA EHE?

La EHE tiene unas consecuencias económicas muy graves para las explotaciones de bovino derivadas de:

Aumento de la mortalidad (tasa de letalidad: 1-5%).

Al tratarse de una infección vírica, no existe tratamiento específico, por lo que debe ser sintomático mediante la administración de antiinflamatorios, sueroterapia, complejos vitamínicos, minerales y aminoácidos y antibióticos frente a las infecciones bacterianas secundarias.

Reducción muy acusada de la producción: debido al mal estar general del animal y a las lesiones en la cavidad oral, se reduce el consumo de alimento y agua, por lo que habrá una pérdida importante de condición corporal (reducción de GMD) y una bajada cuantiosa de la producción de leche.

Incremento de la incidencia de abortos, mortinatos y terneros débiles al nacimiento.

Reducción de la fertilidad en hembras y machos.

Mayor tasa de reposición debido a las bajas directas y a los descartes voluntarios (muchos animales, aunque son capaces de superar la enfermedad son irrecuperables productivamente).

Inmunosupresión e incremento de enfermedades asociadas.

Aumento del gasto en tratamientos y mano de obra.

Restricciones al movimiento de animales: limita el comercio de animales para vida.

¿QUÉ HA SUCEDIDO EN ESPAÑA CON LA EHE?

El 10 de noviembre del 2022 se notificó la primera detección del virus en Europa (Cerdeña) y tan solo 8 días después, el 18 de noviembre de 2022, se detectaron los primeros casos en España en ganado bovino, en las provincias de Cádiz y Sevilla.

La enfermedad no se extendió ampliamente en ese momento debido a que estaba terminando el periodo de mayor actividad de los Culicoides.

Se cree que el origen de los casos de EHE-8 en España está en Túnez, donde ya se había detectado la presencia del mismo serotipo.

La vía de entrada más probable del virus a Europa es a través de vectores transportados en las masas de aire procedentes de África.

Desde julio de 2023 ha habido una expansión masiva, sobre todo en los meses de agosto a noviembre (en los que se dan las condiciones más favorables para el vector y el virus), tal y como se muestra en la Imagen 4.

Imagen 4. Focos EHE en España a fecha 05/09/202 (1), 04/10/2023 (2) y 30/11/23 (3) (Fuente: MAPA).

En junio de 2024, se notificaron los primeros casos de EHE-8 desde el inicio del presente periodo de actividad vectorial y, hasta la fecha, tan solo las Islas Baleares y Canarias tienen la consideración de territorio libre de EHE (Imagen 5).

Hasta ahora, la prevención de la EHE solo se podía realizar mediante:

1

El control del vector, algo que es prácticamente imposible debido a su amplia expansión, ciclo de vida y comportamiento.

2

La restricción del movimiento de animales de zonas afectadas a zonas libres.

A partir de ahora, disponemos de una vacuna inactivada frente al serotipo 8 de la EHE (HEPIZOVAC*, Vetia) indicada para la inmunización activa del ganado bovino para prevenir la viremia y para reducir los signos clínicos causados por el virus de la EHE.

Imagen 5. Situación epidemiológica de la EHE a fecha de 18/09/24 (Fuente: MAPA).

Medidas a establecer en las explotaciones

Vacunación frente a la EHE:

Primovacunación a partir de los 2 meses de edad y 2 dosis de 4 ml por animal vía subcutánea con un intervalo de 3 semanas.

Se recomienda la revacunación anual.

Control del vector y reducción de la exposición de los animales al mismo:

Utilizar insecticidas y larvicidas para reducir las áreas de reproducción de los Culicoides.

Aplicar repelentes de insectos que podrían disminuir las picaduras y el riesgo de infección.

Reforzar la limpieza, desinfección y desinsectación de los vehículos tras la entrada y salida de la explotación.

La vacunación es una herramienta de gran utilidad para evitar las pérdidas directas en las explotaciones derivadas de los síntomas y lesiones producidos por la enfermedad, y, además, facilitará el movimiento de animales susceptibles y ayudará a controlar la diseminación de la enfermedad.

Avanzando en la prevención de la Enfermedad Hemorrágica Epizoótica DESCÁRGALO EN PDF

Establecer un plan sanitario completo (vacunaciones y desparasitaciones) en la explotación con lo que lograremos una mejora general de la inmunidad del rebaño.

Mantener a los animales en una óptima condición corporal a través de una alimentación correcta.

Vigilancia de los animales y detección precoz de la enfermedad para poder establecer un tratamiento temprano.

*Titular de la autorización de uso temporal: CZ Vaccines, SAU (Art.110.2, Reglamento (UE) 2019/6)

HEPIZOVAC PRIMERA VACUNA

BOVINO EHE

Vacuna inactivada

Serotipo 8

Dosis: 4 ml

Pauta de vacunación: Dos dosis (separadas 3 semanas)

Revacunación anual

HEPIZOVAC suspensión inyectable para bovino.

Presentaciones: 100 ml y 252 ml

Composición por dosis (1 ml): Virus inactivado de la enfermedad hemorrágica epizoótica (VEHE), serotipo 8, 105.5 DICC50 Indicaciones y especies de destino: Para la inmunización activa de bovino para prevenir la viremia y para reducir los signos clínicos causados por el virus de la enfermedad hemorrágica epizoótica. Vía de administración: Subcutánea. Posología: Dosis: 4 ml. Pauta de vacunación: A partir de los 2 meses de edad. Administrar dos dosis de 4 ml con un intervalo de 3 semanas. Revacunación: Se recomienda una revacunación anual. Contraindicaciones: Ninguna. Precauciones: Conservar y transportar refrigerado (entre 2ºC y 8ºC). No congelar. Proteger de la luz. Tiempo de espera: Cero días. Medicamento sujeto a prescripción veterinaria. Titular de la autorización de uso temporal (Art. 110.2, Reglamento (UE) 2019/6): CZ Vaccines S.A.U. A Relva s/n-Torneiros. 36410 O Porriño. Pontevedra.

En caso de duda consulte a su veterinario

ORDEÑO

Y CALIDAD DE LECHE EN LAS

EXPLOTACIONES DE GANADO OVINO:

PARTE II. INHIBIDORES, ESPORAS BUTÍRICAS, PUNTO CRIOSCÓPICO Y SEDIMENTO

Carlos Gonzalo Abascal1*, Mª Teresa Juárez Blanco2 y Carmen García Jimeno2

1Dpto. Producción animal. Facultad de Veterinaria de León, España

2Consorcio de Promoción del Ovino. 49630-Villalpando, Zamora *c.gonzalo@unileon.es

Como continuación del artículo publicado en la edición de junio 2024 de la revista RumiNews, referente a los programas de control implementados actualmente sobre el extracto quesero, el recuento de células somáticas y el recuento bacteriológico de la leche de tanque de los rebaños ovinos, abordamos ahora estudio de otras variables de calidad que también configuran el pago del litro de leche al ganadero, como los inhibidores, las esporas butíricas, el punto crioscópico y el sedimento de la leche.

Ordeño y calidad de leche en explotaciones de ganado ovino: Parte I. Extracto quesero y recuento celular y bacteriológico LEER

ORDEÑO E INHIBIDORES

La presencia de residuos antimicrobianos en la leche no tiene su origen propiamente en el ordeño, sino en el incumplimiento de los tiempos de retirada de la leche asociados a los tratamientos del ganado.

Su aparición en la leche de tanque se produce por errores de manejo en el momento del ordeño (ovejas tratadas que, por diferentes circunstancias, se encuentran en el lote de ordeño), tal como se aprecia en la Gráfica 1, donde se observa un pico en la ocurrencia de inhibidores en la estación de menor producción lechera (otoño), asociado al momento de máxima frecuencia de realización de terapias antibióticas de secado.

Afortunadamente, la ocurrencia de inhibidores ha ido disminuyendo progresivamente a lo largo del tiempo, alcanzando en Castilla y León el valor de 0,017% en el año 2022 (Gráfica 2), lo que corresponde apenas al 1% de los ganaderos con algún positivo anual a inhibidores.

Inhibidores (%) Leche (10 4 L)

1,4

1,2 0,8 0,6 0,4 0,2

Inhibidores Prod. leche

Ello ha supuesto un descenso del 66% con relación a la ocurrencia del año 2021 (0,05%) debido muy probablemente a la entrada en vigor del Real Decreto 992/2022, de 29 de noviembre, por el que se establece el marco de actuación para un uso sostenible de antibióticos en especies de interés ganadero, donde se incluye ya una clasificación de las explotaciones y un régimen sancionador.

Gráfica 1. Curva de ocurrencia de inhibidores en la leche de tanque (muestras positivas x 100/muestras totales analizadas) y producción lechera mensual/rebaño en rebaños del Consorcio de Promoción del Ovino (Gonzalo et al., 2010).

Inhibidores (%)

Gráfica 2. Evolución de la ocurrencia de inhibidores (%) en los últimos 19 años (2004-2022) en más de 400 rebaños de Castilla y León (Fuente: Consorcio de Promoción del Ovino).

ordeño

Esto es importante porque existe un consenso en la comunidad científica de que las explotaciones ganaderas son una fuente significativa de bacterias multirresistentes a los antibióticos que transmiten su resistoma a la cadena alimentaria, lo que aconseja racionalizar su uso a fin de aminorar la prevalencia de superbacterias (de Garnica et al., 2013; Esteban-Blanco, et al., 2020; Rubiola et al., 2020; Tóth et al., 2020).

Además de respetar el periodo de retirada de la leche específico para cada tratamiento, otras normas preventivas que ayudan a minimizar la ocurrencia de inhibidores en leche de tanque son:

La buena comunicación entre los ordeñadores.

El registro escrito de los tratamientos y la identificación externa de los animales tratados.

La completa separación e identificación de los animales que conforman los lotes de secado y ordeño.

El ordeño aparte de los calostros y de los animales tratados (Imagen 1).

El establecimiento de un servicio de detección rápida de antibióticos por parte de las cooperativas que esté a disposición del ganadero para que éste pueda analizar aquellas leches dudosas antes de poder o no incorporarlas al tanque de refrigeración.

Imagen 1. Ordeño aparte (en este caso en olla) del animal tratado (Foto: cortesía de los autores).

ORDEÑO Y ESPORAS BUTIRICAS

Las esporas butíricas son formas de resistencia (sobreviven a la pasterización de la leche) de bacterias del género Clostridium, como Cl. sporogenes, Cl. beijerinckii, Cl. tyrobutyricum, etc.

Fermentan el ácido láctico produciendo ácido butírico, ácido acético, CO2 e hidrógeno, provocando la hinchazón tardía de los quesos, lo que puede arruinar una partida entera cuando se parte de leche muy contaminada en origen.

Son bacterias de procedencia telúrica, encontrándose en el suelo, las heces, las camas, el polvo, etc.), pero también en los ensilados y subproductos húmedos de la industria cervecera y conservera (bagazo de cerveza, pulpa de cítricos, etc.).

Estas bacterias llegan a la leche en el momento del ordeño por unas malas prácticas de manejo, entre ellas:

Deficiente higiene de la sala de ordeño y de las ubres.

Realización de encamados y de barridos de la sala de ordeño durante el ordeño.

Ordeño de ubres sucias.

Caída de pezoneras.

Mala ventilación.

Tanque de refrigeración de leche con la tapa abierta.

Como valor de referencia, un nivel asumible o adecuado de contaminación por esporas butíricas en la leche de tanque sería un recuento <1.000 esporas/L.

<1.000 esporas/L

En algunos países, como Francia, la industria penaliza la leche en origen con concentraciones de esporas superiores a esta cifra.

Sin embargo, en España las esporas butíricas no están incluidas en el sistema de pago por calidad de leche, lo que obliga a la industria a la adición de sales antibutíricas, nitratos, bacteriocinas, etc., o al uso de aparatos de alta presión para neutralizar sus efectos negativos sobre los quesos.

1.700-2.000 esporas/L

Los valores medios de contaminación en las principales cuencas lecheras españolas oscilan entre 1.700-2.000 esporas/L.

Por ello, debe prestarse especial atención a:

Todo aquello que evite o minimice la incorporación de tierra y la contaminación de los ensilados, tanto en el momento de su confección como en la carga del carro unifeed.

La higiene de la sala de ordeño, evitando la contaminación aérea (barridos, encamados, etc.) en el momento del ordeño.

El uso de subproductos húmedos en la alimentación, práctica que no es aconsejable (Arias et al., 2013).

Otras posibles variables de calidad higiénica como los coliformes, los patógenos mamarios o incluso patógenos humanos (Listeria spp.), podrían incluirse también en el sistema de calidad e incrementar el valor sanitario de la leche en origen.

ordeño
Parte II. Inhibidores, esporas butíricas, punto crioscópico y sedimento
Parte II. Inhibidores, esporas butíricas, punto crioscópico y sedimento
ordeño
Parte II. Inhibidores, esporas butíricas, punto crioscópico y sedimento

Solo así el ganadero establecerá conductas preventivas adecuadas.

con vistas a implementar de manera más contundente conductas preventivas más efectivas en los rebaños lecheros.

Ordeño y calidad de leche en las explotaciones de ganado ovino: Parte II. Inhibidores, esporas butíricas, punto crioscópico y sedimento DESCÁRGALO EN PDF

ACCEDER A BIBLIOGRAFÍA

ordeño

INTOXICACIONES EN PEQUEÑOS RUMIANTES

Sebastián Samus, Cristina Baselga y Gema Chacón. Exopol S.L.

Las intoxicaciones en los pequeños rumiantes tienen dos formas de presentación, aguda con aparición de un brote repentino afectando a muchos animales y crónica que afecta de manera subclínica.

Aunque hay pocos estudios sobre el impacto económico real de los compuestos tóxicos en la producción animal, se reportan altas tasas de mortalidad asociadas a intoxicaciones en explotaciones extensivas. Otras pérdidas asociadas son:

Disminución de los índices reproductivos y productivos.

Aumento del impacto de otras enfermedades.

Gastos relacionados con el diagnóstico, tratamiento y medidas de control de los animales afectados.

Es importante recalcar que las intoxicaciones en la ganadería extensiva se suelen asociar a factores climáticos, fumigaciones o escasez de alimento, mientras que en los sistemas intensivos suelen asociarse a causas yatrogénicas.

En este artículo hablaremos de los agentes tóxicos más frecuentes, las vías de exposición, el cuadro clínico y el abordaje del diagnóstico de una intoxicación.

PRINCIPALES FUENTES

DE INTOXICACIÓN EN PEQUEÑOS RUMIANTES

Plantas tóxicas

Ciertas plantas pueden presentar compuestos tóxicos como alcaloides, oxalatos, glucósidos, etc., siendo importante tener en cuenta que:

Pueden ser tóxicas durante algunas etapas de su ciclo vegetativo.

Pueden presentar diferentes concentraciones de moléculas tóxicas en hojas, raíces o frutos.

Algunos compuestos solo se encuentran en la planta viva y otros perduran tras la henificación.

Es importante conocer las plantas tóxicas de la zona geográfica donde se ubica el ganado, ya que la climatología y las características del suelo condicionarán la aparición de un tipo de plantas u otras.

GRUPOS DE PLANTAS

Neurotóxicas

Hepatotóxicas

Hemorrágicas o hemolíticas

Cardiotóxicas

Cutáneos

Digestivos

Renales

Teratogénicas

Altramuces, garbanzo del diablo, chícharo, retama, nabo del diablo, berenjena del diablo, dulcamara, hierba mora, tomate, berenjena y otras solanáceas, amapola, jaras, hierba de la sangre, bledo.

Hierba de Santiago, hierba cana, borraja, viborera, buglosa.

Cañaheja, helecho águila, ajos, cebollas, puerros, coles, mostaza silvestre.

Acacia negra, mimosa, saúco común, sorgo, dedalera, cebolla albarrana, adelfa, tejo.

Hierba de San Juan, pie de oso, ruda montesina, alforfón, cenizo, abrojo.

Aro, torvisco, hierba carmín, mercurial, ranáculo bulboso, celidonia menor, botón de oro, alfalfa, tréboles, avena dorada.

Acederas, oxalis, portulaca, remolacha azucarera, bellotas de roble.

Depresión, ataxia, ceguera, presión de la cabeza contra objetos, temblores, convulsiones, pedaleo, opistótonos y rigidez.

Inapetencia, pérdida de peso, estreñimiento, ictericia, ascitis, encefalopatía hepática, y fotosensibilización.

Hemorragias generalizadas, epistaxis, heces hemorrágicas, hemoglobinuria, ictericia, respiración rápida y superficial, debilidad muscular y depresión.

Temblores, debilidad, disnea, agitación, arritmias, bradicardia, colapso y muerte súbita.

Fotofobia, blefarospasmo, lagrimeo, prurito, eritema, edema subcutáneo de áreas no pigmentadas y necrosis cutánea.

Ptialismo, inflamación de mucosas digestivas, dolor abdominal, timpanismo espumoso, diarreas líquidas y hemorrágicas.

Signos asociados a hipocalcemia: temblores, ataxia, debilidad, tetania, sonidos cardíacos débiles, depresión y decúbito.

Signos asociados a insuficiencia renal: ptialismo, secreción nasal, espasmos, marcha tambaleante, decúbito permanente, obstrucciones uretrales, cálculos de oxalatos, coma y muerte.

Veratro, cicuta mayor, Astragalus sp. Oxytropis sp. Infertilidad, pérdidas embrionarias. Abortos.

Tabla 1. Principales grupos de plantas tóxicas en función de su tropismo y la sintomatología asociada.

resistentes a las micotoxicosis, ya que una gran parte de las micotoxinas se metabolizan en el rumen. Sin embargo, pueden generar cuadros clínicos variados dependiendo de:

El tipo de micotoxina, su concentración y combinación.

La edad y el estado reproductivo de los animales.

Las micotoxinas más relevantes en pequeños rumiantes son aflatoxinas y tricotecenos, pues un consumo elevado de las mismas puede provocar una intoxicación aguda con cuadros digestivos, depresión y debilidad.

La aflatoxicosis, además, puede provocar congestión y hemorragias generalizadas en órganos internos y daño hepático grave, dando lugar a edemas generalizados y encefalopatías hepáticas.

Los tricotecenos producen una gastroenteritis hemorrágica y shock cardiovascular.

La zearalenona también es una micotoxina importante, ya que su acción estrogénica causa alteraciones reproductivas y disminución de la producción láctea.

Las micotoxinas afectan a la tasa de crecimiento, alteran la microbiota, la integridad intestinal y causan daño hepático, además de generar un cuadro de inmunodepresión predisponiendo a otras enfermedades.

ocurrir por la ingesta accidental a través de concentrado, forraje o pastos contaminados.

La intoxicación por selenio se produce con mayor frecuencia por errores en la dosificación en tratamiento preventivos.

La forma aguda se manifiesta con anorexia, disnea, taquicardia, marcha y posturas anormales, postración y muerte.

La intoxicación crónica se presenta con ataxia, depresión, adelgazamiento, pelaje áspero, rigidez y cojera.

El ganado ovino es especialmente sensible al cobre, pudiéndose producir intoxicación por su uso como antimicótico, parasiticida, en la erradicación de plagas o por el acceso accidental a pastillas de sales o raciones de concentrados formulados para otras especies.

La Intoxicación aguda provocada por la ingesta se caracteriza por una necrosis del tubo intestinal y shock mortal, mientras que la intoxicación por vía inyectable se presenta con anorexia, decaimiento y deshidratación y muerte en menos de 24 horas.

Las intoxicaciones crónicas se manifiestan con anorexia, sed, hemoglobinuria, palidez e ictericia.

Algunas plantas tóxicas (senecio o trébol) producen una intoxicación secundaria debido a que impiden el metabolismo del cobre o aumentan su concentración en hígado.

Otros cuadros tóxicos menos frecuentes se producen por plomo, arsénico, molibdeno, mercurio, zinc, azufre, hierro, boro, cadmio y yodo.

Nitratos y Nitritos

La intoxicación por nitratos/nitritos ocurre por el consumo de aguas contaminadas con vertidos industriales, agua de pozo con filtraciones subterráneas de nitratos o forrajes contaminados.

No obstante, los rumiantes también se pueden intoxicar por la ingesta de plantas (sorgo, avena, trigo, cebada y maíz) que acumulan altas concentraciones de nitratos en su tallo en periodos largos de sequía.

Los nitratos provocan gastroenteritis por su acción cáustica en la mucosa digestiva, metabolizándose en el rumen y pasando a sangre como nitritos causando metahemoglobinemia e hipoxia tisular.

Esta disminución de la hemoglobina le da a la sangre un característico color achocolatado y causa signos clínicos como disnea, temblores musculares y cianosis.

Insecticidas

Los organoclorados no se emplean directamente en los animales, pero se siguen utilizando en agricultura, pudiendo contaminar los suelos durante años.

Las manifestaciones clínicas aparecen en pocas horas y consisten en anorexia, irritabilidad, ataxia, temblores musculares, parálisis y, en casos graves, muerte de los animales.

Los organofosforados y carbamatos se incluyen en numerosos compuestos insecticidas utilizados en plantas y animales, pudiendo intoxicarse los animales por sobredosis, pastoreo en áreas recién fumigadas o contaminación aérea tras la fumigación de un campo vecino.

Los organofosforados son extremadamente tóxicos, se absorben por ingestión, inhalación o contacto directo con la piel y las conjuntivas.

El cuadro clínico incluye sialorrea, lagrimeo, disnea con gruñidos, micción frecuente, temblores, ceguera, anorexia, estasis ruminal y diarrea.

Herbicidas

Existen numerosos grupos de herbicidas con diferente toxicidad y mecanismo de acción. Los más frecuentes en intoxicaciones en rumiantes son:

Dinitrofenoles: las manifestaciones clínicas observadas son inquietud, respiración rápida y profunda, fiebre y síncope. También se produce hemolisis intravascular, metahemoglobinemia e hipoproteinemia en los rumiantes.

Glifosato: los signos más frecuentes de la intoxicación son dolor abdominal y diarreas que pueden llegar a causar shock hipovolémico. Ocasionalmente, pueden observarse hemorragias y alteraciones hepáticas.

ABORDAJE DIAGNÓSTICO DE LAS INTOXICACIONES EN PEQUEÑOS RUMIANTES

El diagnóstico de intoxicaciones debe abordarse desde un enfoque clínico-patológico, siendo fundamental recopilar información que permitirá restringir la búsqueda a las sustancias sospechosas:

Animales afectados: edad, sexo, pigmentación de la piel y estado fisiológico.

Factores externos: calidad del agua y alimento, cambios en la zona de pastoreo, operaciones agrícolas en el área.

Tratamientos aplicados a los animales.

Signos clínicos y lesiones que puedan orientar sobre los órganos o sistemas afectados.

Una vez establecida la sospecha, es crucial confirmar que el animal ha consumido o estado expuesto al tóxico mediante una correcta toma de muestras, tanto de la fuente de intoxicación (agua, plantas, alimentos sospechosos) como de los animales afectados (sangre u órganos internos en caso de bajas).

Toma de muestras

Es de vital importancia elegir la muestra adecuada y en cantidad

Según el tóxico a analizar se recogen distintas muestras:

La técnica HPLC (cromatografía líquida de alta resolución) es la más usada para el estudio toxicológico y consiste en separar los diferentes componentes de una muestra a través de una columna y una fase líquida solvente. Seguidamente, mediante un espectrómetro de masas (MS) se detecta dichos componentes y el espectro obtenido se contrasta con una base de datos.

Esta técnica permite analizar una gran variedad de sustancias en las muestras con una gran sensibilidad y especificidad.

La conservación de estas muestras debe ser en refrigeración si se envían rápidamente al laboratorio o en congelación, a excepción de la sangre que debe enviarse inmediatamente en refrigeración.

Caso 1: Intoxicación por herbicidas

En un rebaño de ovino de carne en extensivo en 2 días se produjo la muerte repentina de 4 ovejas con clínica digestiva, una de las cuales presentaba signos nerviosos el día previo a la muerte.

Figura 1. La cromatografía líquida de alta resolución acoplada a la espectrometría de masas (HPLC-MS).

En la necropsia se observó timpanismo, enteritis hemorrágica, hepatomegalia, esplenomegalia, petequias y hemorragias en las serosas de los órganos.

Al inspeccionar la zona donde pastaban observaron que en un lado cercano a la carretera se ha echado herbicida para el control de las malas hierbas.

Se remitieron al laboratorio muestras de órganos sistémicos de los dos animales: hígado, riñón, bazo y pulmón.

En el laboratorio se realizaron estudios toxicológicos a hígado y riñón:

Diferencial de plantas tóxicas

Se realizó un estudio de las moléculas tóxicas presentes en las plantas que pueden provocar una intoxicación en animales de ganadería de la península ibérica.

El resultado fue negativo.

La presencia de un metabolito del glufosinato en hígado y riñón, es indicativo de que los animales analizados habían consumido herbicidas, lo que, junto con la anamnesis y las lesiones observadas, permitió confirmar que se trataba de un caso de intoxicación por herbicidas, pudiendo atribuirse los signos nerviosos observados en una de las ovejas al daño hepático.

Las ovejas se trasladaron a otra zona de pasto donde no tenían contacto con los herbicidas cesando las bajas.

Caso 2: Intoxicación por cobre

En un rebaño de corderas de reposición de 8 meses de edad estabuladas y alimentadas con una mezcla en carro unifeed (silo de cebada, guisante y paja) y concentrado para reposición en crecimiento se produjeron varias bajas en el en 24-48 horas.

alteración hepática y riñones muy oscurecidos

La sospecha principal en este caso era la intoxicación por cobre, por lo que se enviaron al laboratorio muestras de hígado y riñón, aunque también se solicitó el estudio de agentes infecciosos causantes de procesos ictéricos agudos.

Mediante qPCR se descartó la presencia de Clostridium haemolyticum y Leptospiras patógenas en el pool de hígado y riñón.

Análisis de herbicidas

Se testaron las moléculas glifosato, AMPA (ácido aminometilfosfonico, metabolito del glifosato), glufosinato y MPPA (ácido 3-metilfosfinicopropiónico, metabolito del glufosinato).

Se detectó presencia de MPPA

La detección de una concentración de 242,5 ppm de cobre en las muestras de hígado permitió confirmar las sospechas de intoxicación por cobre (valores por encima de 150ppm son indicativos de intoxicación en ovino).

Una vez confirmado el caso de intoxicación, el veterinario clínico y el ganadero evaluaron las posibles fuentes de la intoxicación.

El estudio del pienso y el forraje utilizado para el unifeed reveló que el pienso presentaba una concentración de cobre dentro de los rangos permitidos, pero el forraje presentaba niveles elevados.

El origen de esta contaminación fue el uso de fitosanitarios con sulfato de cobre.

En conclusión, las intoxicaciones en pequeños rumiantes representan un desafío en sistemas de producción extensiva e intensiva, ya que factores como el clima, las prácticas agrícolas y la escasez de alimentos pueden contribuir a la aparición de intoxicaciones agudas y crónicas.

Las plantas tóxicas, micotoxinas, metales pesados, nitratos, nitritos, insecticidas y herbicidas son algunas de las principales fuentes de intoxicación.

La implementación de medidas preventivas y la correcta identificación de los agentes tóxicos son esenciales para mitigar los efectos negativos sobre la salud y productividad de los rebaños

Micotoxinas en la alimentación animal ¿Cómo cambiará el cambio climático nuestra perspectiva actual?

DESCÁRGALO EN PDF

TUBERCULOSIS EN GANADO CAPRINO: SITUACIÓN EPIDEMIOLÓGICA

EN ESPAÑA Y AVANCES

EN SU DIAGNÓSTICO

Álvaro Roy1, Carlos Velasco1 y Javier Bezos1,2

1Centro de Vigilancia Sanitaria Veterinaria (VISAVET), Universidad Complutense de Madrid, Madrid.

2Departamento de Sanidad Animal, Facultad de Veterinaria, Universidad Complutense de Madrid, Madrid.

SITUACIÓN

EPIDEMIOLÓGICA

Y PROGRAMAS DE ERRADICACIÓN DE LA TUBERCULOSIS EN GANADO CAPRINO EN ESPAÑA

La tuberculosis animal es una enfermedad zoonósica con grandes implicaciones en sanidad animal y en salud pública que afecta a multitud de animales domésticos y silvestres, entre ellos al ganado caprino.

23% censo UE

Esta especie tiene una gran relevancia como reservorio de tuberculosis en nuestro país, ya que España es el segundo país con mayor censo de ganado caprino tras Grecia y representa el 23% del censo de la Unión Europea1.

No existe un programa de erradicación de tuberculosis en ganado caprino a nivel nacional, pero, dada la importancia de la cabaña ganadera en algunas regiones, algunas Comunidades Autónomas a iniciativa propia han implementado programas regionales obligatorios o voluntarios2.

Esto conlleva que no existan datos precisos de prevalencia de la enfermedad a nivel nacional en esta especie.

Los datos obtenidos a nivel regional en zonas del centro y sur de la península han mostrado una elevada prevalencia al inicio de estos programas, como es el ejemplo más reciente de Andalucía o Castilla-La Mancha3,4

Los primeros años de implementación de estos programas han supuesto un esfuerzo económico considerable por parte de la administración y los ganaderos, pero queda justificado por el ya demostrado éxito de algunos programas:

En Castilla y León se redujo la prevalencia desde más de un 5% a menos del 1% en un periodo menor a 10 años5

En Extremadura, la prevalencia de rebaños era del 6% en 2017 y seis años más tarde, en 2022, había descendido al 1,4%6

Otras Comunidades Autónomas que también han implementado programas de erradicación de tuberculosis en ganado caprino son Aragón, Asturias, Baleares, Cataluña, la Región de Murcia y la Comunidad Valenciana2. A pesar de que no hay datos a nivel nacional y aún quedan muchas zonas en las que se desconoce la situación de la enfermedad en ganado caprino y su papel en el mantenimiento de la tuberculosis en otras especies, la imagen de la incidencia y prevalencia de la tuberculosis caprina va ganando mayor definición.

Castilla y León

Reducción prevalencia >5% <1%

Extremadura

Reducción prevalencia 6% 1,4%

TÉCNICAS DE DIAGNÓSTICO DE LA TUBERCULOSIS CAPRINA

Existe disparidad entre los programas autonómicos de erradicación de la tuberculosis caprina en cuanto a la obligatoriedad y la presión diagnóstica. No obstante, estos programas se basan principalmente en:

1 2

El diagnóstico ante-mortem mediante la prueba de la intradermotuberculinización simple (IDTBs) o comparada (IDTBc).

El sacrificio de los animales reactores, empleando normalmente la misma metodología e interpretación recomendada en bovino.

Intradermotuberculinización

La IDTB, pese tener una sensibilidad limitada7, ha demostrado su eficacia al reducir drásticamente la prevalencia en periodos cortos de tiempo en los programas de erradicación autonómicos.

En la mayoría de las Comunidades Autónomas se emplea:

Inicialmente, la IDTBc cuando el estatus de la explotación es desconocido o en explotaciones recientemente vacunadas de paratuberculosis.

La IDTBs para el mantenimiento de la calificación o el control de la infección en explotaciones infectadas.

No obstante, la estrategia e interpretación de las pruebas varía entre Comunidades Autónomas en función de si se quiere incrementar la sensibilidad o la especificidad.

Prueba de detección de interferón-gamma (IFN-γ)

Otra prueba de base celular empleada de rutina en el ganado bovino es la prueba de detección de interferón-gamma (IFN-γ).

En el ganado caprino esta prueba se ha empleado de forma puntual en algunos estudios de investigación o de forma específica en el control de algunos brotes, pero no es una técnica incluida de forma rutinaria en los programas de erradicación.

Presenta una mayor sensibilidad y elimina el carácter subjetivo de la IDTB.

Requiere una mayor infraestructura, costes de laboratorio y personal especializado.

Pruebas serológicas

En los últimos años, las pruebas serológicas de detección de anticuerpos como ELISA han demostrado ser una técnica complementaria eficaz y de coste aceptable en esta especie, pudiendo usarse tanto muestras de suero8-10 como de leche11,12.

Asimismo, otros tests rápidos de detección de anticuerpos con una sensibilidad menor pero complementaria a las pruebas de base celular han sido evaluados en ganado bovino y fauna silvestre13,14. Sin embargo, su uso individual en el marco de estos programas a gran escala supone unos costes difícilmente asumibles.

PERSPECTIVAS DE FUTURO EN EL DIAGNÓSTICO DE LA TUBERCULOSIS CAPRINA

De forma similar al ganado bovino, la mejora del diagnóstico ante-mortem pasa por dos puntos clave:

1

2

El desarrollo nuevas técnicas y la optimización de las técnicas actuales.

El desarrollo de nuevos antígenos que mejoren y sustituyan a las tuberculinas o PPDs (derivado proteico purificado).

Los nuevos antígenos basados en proteínas recombinantes o proteínas fusión han demostrado una alta especificidad y su utilidad como antígenos DIVA en animales vacunados con BCG. Sin embargo, todavía son necesarios estudios de campo que demuestren una sensibilidad equiparable a las PPDs15,16

Nuevos antígenos - Proyecto europeo imdiTBap

En relación al desarrollo de nuevos antígenos, actualmente se encuentra en marcha el proyecto europeo imdiTBap17, coordinado por el Centro de Vigilancia Sanitaria Veterinaria de la Universidad Complutense de Madrid (VISAVET) que está evaluando el rendimiento diagnóstico de dos nuevos antígenos (DST-F y P22) a gran escala en pruebas de base celular y humoral en estudios de campo en bovinos, caprinos y búfalos en distintos países.

“Mejorando el diagnóstico para ayudar en la erradicación de la tuberculosis en los rumiantes domésticos: El proyecto internacional imdiTBap” LEER ARTÍCULO

Concretamente, en este proyecto se están evaluando estos nuevos antígenos en:

Las pruebas de IDTB y detección de IFN-γ

Varias plataformas de detección de anticuerpos.

Una prueba de detección multicitoquinas

Caracterización de las PPDs

La caracterización de las PPD utilizadas en los programas de erradicación es otro pilar fundamental a mejorar.

La prueba de detección multicitoquinas también puede suponer una mejora sustancial del diagnóstico mediante la búsqueda de nuevos biomarcadores que complementen la detección del IFN-γ18 .

Actualmente, únicamente se evalúa su potencia biológica para su validación y uso en campo mediante una prueba en cobayas con una reproducibilidad limitada, unos costes elevados y un problema ético por la gran cantidad de animales necesarios.

La composición de las PPDs es compleja, ligada principalmente a su modo de obtención, como han demostrado estudios de proteómica19

Tienen la problemática de que comparten muchas proteínas con otras micobacterias ambientales, por lo que la caracterización de las PPDs y la determinación de sus antígenos más inmunogénicos y específicos es vital para seleccionar las PPDs más óptimas y mejorar el rendimiento de las técnicas diagnósticas.

Algunos avances se han logrado en este sentido, como es el caso de P22, un complejo proteico más específico e inmunogénico obtenido a partir de la inmunopurificación de la PPD bovina20

Los resultados preliminares de este proyecto en ganado caprino sugieren una sensibilidad de estos antígenos similar a las PPDs en el IGRA y una elevada sensibilidad del ELISA empleando el antígeno P22.

Metodologías emergentes para el diagnóstico ante-mortem

Existen otras plataformas o metodologías emergentes de potencial aplicación en el campo del diagnóstico ante-mortem de la tuberculosis animal que actualmente se encuentran en fase de desarrollo y todavía presentan costes elevados.

Algunas de estas plataformas han reducido considerablemente sus costes en los últimos años, como es el caso de la espectroscopía de resonancia magnética nuclear de sobremesa (de campo bajo) que, en estudios recientes, ha permitido discriminar correctamente bovinos y caprinos infectados y no infectados con tuberculosis en base al perfil de metabolitos en plasma21,22

Métodos

de detección directa in vivo de micobacterias

Se han evaluado algunos métodos de diagnóstico directo del agente causal in vivo, mostrando con una sensibilidad significativamente menor que las técnicas inmunológicas.

Un ejemplo relativamente reciente es el empleo de fagos en combinación con PCR para detectar micobacterias tuberculosas viables en sangre23

Sin embargo, un trabajo de investigación en ganado caprino mostró una sensibilidad muy baja de esta técnica, incluso en un contexto de alta prevalencia24

Del mismo modo, el empleo de una PCR directa en sangre de bovino también ha demostrado una sensibilidad muy limitada (menos del 30% en animales confirmados con tuberculosis en el diagnóstico postmortem)25

Las muestras ambientales empleadas para la detección de ADN de micobacterias tuberculosas también han demostrado utilidad en estudios epidemiológicos a nivel de rebaño para confirmar la infección, por ejemplo, utilizando un sistema de esponjas hidratadas en un medio de inactivación en puntos de interacción entre especies (ej. puntos de agua y comida)26

Otros métodos indirectos más complejos como, por ejemplo, el estudio de los compuestos orgánicos volátiles (COV)27, se encuentran en una fase más experimental, pero pueden ser una herramienta útil en el futuro del diagnóstico de la tuberculosis y otras enfermedades infecciosas.

Los COV han sido evaluados en estudios de investigación en el diagnóstico de infecciones tuberculosas en ganado bovino en diferentes matrices (aire exhalado, heces o suero)27,28, pero aún es necesario estandarizar la metodología y las variables predictivas de infección para conseguir una adecuada reproducibilidad.

Tuberculosis en ganado caprino: situación epidemiológica en España y avances en su diagnóstico DESCÁRGALO EN PDF

El rendimiento de las técnicas de diagnóstico y su frecuencia e interpretación son puntos clave en los programas de erradicación de tuberculosis. Las pruebas de diagnóstico actuales han permitido controlar y erradicar la tuberculosis animal en algunas regiones del mundo.

No obstante, éstas no están exentas de limitaciones y es imprescindible seguir trabajando en la mejora de las mismas y el desarrollo de nuevas técnicas enfocadas a las diferentes especies domésticas y silvestres implicadas, con el fin de acelerar la erradicación de la enfermedad en regiones con una situación epidemiológica compleja.

ACCEDER A BIBLIOGRAFÍA

Turn static files into dynamic content formats.

Create a flipbook
Issuu converts static files into: digital portfolios, online yearbooks, online catalogs, digital photo albums and more. Sign up and create your flipbook.