



![]()




En las entrañas de cada granja, entre los pasillos de los centros de investigación y en el trabajo diario de tantos veterinarios y ganaderos, se gesta algo más que conocimiento…
Se construye un relato colectivo que nos habla de responsabilidad, de avance, de la convicción de que el futuro del sector rumiante no puede escribirse solo con técnica, sino también con propósito.
Vivimos tiempos en los que los desafíos —epidemiológicos, climáticos, sociales, económicos— se entrelazan con una complejidad que exige más que nunca remar en la misma dirección.
No basta con reaccionar. Es preciso anticiparse, prevenir e integrar visiones.
No hay sostenibilidad sin cooperación.
No hay progreso sin diálogo.
No hay bienestar sin ciencia que escuche.
Los avances que se observan hoy en la Sanidad Animal no se resumen únicamente en diagnósticos más precisos o en herramientas de digitalización cada vez más afinadas. Son también un reflejo de una nueva sensibilidad, más consciente de los vínculos que unen la salud del animal, del ser humano y del entorno. En ese sentido, el enfoque One Health no es una etiqueta: es una brújula.
La lucha contra la resistencia a los antimicrobianos nos lo recuerda con crudeza. Su uso prudente no puede ser una consigna superficial ni una exigencia puntual, sino un cambio profundo de cultura que abarca la bioseguridad, la formación, la vigilancia epidemiológica, la innovación terapéutica… y, sobre todo, la voluntad de hacer las cosas bien, incluso cuando no hay urgencia aparente.
Del mismo modo, el Bienestar Animal ya no es solo una expectativa social: es un requisito técnico.
Observar el comportamiento, entender el lenguaje silencioso de una cabra que deja de moverse o prevenir el estrés en las fases críticas del ciclo productivo son formas de cuidar que, lejos de restar eficiencia, la multiplican. Porque la salud empieza antes del síntoma y el confort no es lujo, es prevención.
No hay avances sin método, pero tampoco sin mirada. Las tecnologías emergentes no son el fin, sino el medio.
Son herramientas al servicio de una ganadería que aspira no solo a producir más, sino a producir mejor, respetando al entorno y al bienestar animal, y con viabilidad para quien la trabaja.
En este esfuerzo colectivo, cada actor importa. Desde el investigador que valida un nuevo modelo de detección, hasta el ganadero que adopta una práctica preventiva porque entiende su valor. Y, entre ellos, un tejido técnico y profesional que, edición tras edición, muestra que el sector rumiante está lejos de la inmovilidad. Que se mueve. Que aprende. Que se adapta.
Septiembre es un mes que invita a mirar hacia adelante. Que nos recuerda que, tras cada reto, puede haber una mejora. Y que la ciencia —esa ciencia cercana, aplicada, comprometida— no es un lujo de laboratorio, sino la herramienta más humilde y más poderosa para transformar la ganadería desde dentro.
Porque cuidar no es solo tratar. Es prever, comprender y acompañar. Y en eso, este sector tiene mucho que enseñar.
EDITOR
GRUPO DE COMUNICACIÓN AGRINEWS S.L.
PUBLICIDAD
Laura Muñoz +34 629 42 25 52 laura@mediatarsis.com
Félix Muñoz +34 618 18 00 16 felix@mediatarsis.com
Luis Carrasco +34 605 09 05 13 lc@agrinews.es
DIRECCIÓN TÉCNICA
Christian de la Fe Rodríguez
Luis Miguel Jiménez Galán
REDACCIÓN
Daniela Morales
COLABORADORES
Gema Chacón
Fernando Bacha Braulio de la Calle Campos
María Fernández
ADMINISTRACIÓN
Mercè Soler
Tel: +34 93 115 44 15 info@grupoagrinews.com www.rumiantes.com
Precio de suscripción anual: España 30 € Internacional 90 €
DIRIGIDA A VETERINARIOS DE RUMIANTES
Depósito legal rumiNews B-8798-2019
ISSN (Revista impresa): 2696-8185
ISSN (Revista digital): 2696-8193
Revista trimestral
La dirección de la revista no se hace responsable de las opiniones de los autores. Todos los derechos reservados. Imágenes: Noun Project / Freepik/Dreamstime/BioRender
42
4

Digitalización en el sector de los rumiantes: una oportunidad clave para fomentar el relevo generacional
Alba Reguant
Veterinaria y docente en la Escuela Agraria del Solsonés
El papel clave del cubo preparto en la salud y productividad de rumiantes de leche
Servicio Técnico de AMBiotec 12









Alimentación de vacas con carros autónomos 18

Braulio de la Calle Campos
DT Rumiantes Coren Agroindustrial SAU y responsable Departamento Vacuno de Carne en Coren Sociedad Cooperativa
Berkant Topuzoğlu Soporte técnico para rumiantes, MIAVIT Fuentes de selenio en rumiantes 28
Toma de muestras respiratorias en ganado bovino


Cristina Baselga y Gema Chacón Exopol S.L. 34
Frente a la lengua azul, la vacunación es prácticamente la única medida realmente eficaz
Manuel Cerviño
Asesor técnico de rumiantes de Boehringer
Ingelheim Animal Health España
Exploración del aparato respiratorio mediante ecografía en ovinos
Pequeños rumiantes y leishmaniosis: ¿Un potencial reservorio ignorado? 48 56
Alejandro Sánchez-Fernández1, Pablo Quilez2, Pierre Aykut
Chaulier2, David Guallar2, Héctor Ruiz2, Marta Ruiz De Arcaute2, Delia Lacasta2, Juan Carlos Gardón3 y Joel Bueso-Ródenas1
1Departamento de Producción Animal y Salud
Pública, Universidad Católica de Valencia
2Servicio Clínico de Rumiantes (SCRUM), Universidad de Zaragoza
3Departamento de Medicina y Cirugía Animal, Universidad Católica de Valencia
62





Karen Hammad, Roberto Vitaller, Elena Longarón, Idoia Ubieta, Pedro Manuel Martín-Mesa, Pablo Quilez, Álex Gómez, David Guallar-Abellan, Diana Marteles y Sergio Villanueva-Saz
Servicio Clínico de Rumiantes. Facultad de Veterinaria. Universidad de Zaragoza
Visión artificial para la identificación en tiempo real del comportamiento en cabras
Daniel Alexander Méndez, Blanca Fajardo Viloria, Eliseo Gil Vidal, Salvador Calvet y Andrea Costantino
Instituto de Ciencia Animal, Universitat Politècnica de València
Evaluación de dos antígenos
experimentales (DST-F y P22) para el diagnóstico inmunológico de la tuberculosis en ganado bovino 68




Javier Ortega1 , Carlos Velasco1,2 , Beatriz Romero1,2 , Julio Álvarez1,2 y Javier Bezos1,2
1Centro de Vigilancia Sanitaria Veterinaria (VISAVET), Universidad Complutense de Madrid
2Departamento de Sanidad Animal, Facultad de Veterinaria, Universidad Complutense de Madrid
Plan Nacional frente a la Resistencia a los Antibióticos (PRAN) 2025-2027: Una estrategia integral para preservar la salud pública, animal y ambiental 76



María Vilar Ares1 , Cristiana Teixeira Justo1 y Cristina Muñoz Madero2
1Técnico científico del PRAN en Sanidad Animal
2Coordinadora del PRAN en Sanidad Animal
Agradecemos a nuestros anunciantes por hacer posible la publicación de esta revista: AMBiotec, Arvet Veterinaria, Bioplagen, Boehringer Ingelheim Animal Health, Datamars Livestock, Instalaciones Agropecuarias Cosma, Intracare, Lidervet, Miavit, Quimunsa, Vetia Animal Health y Zoetis.




Veterinaria y docente en la Escuela Agraria del Solsonés

En los últimos años, la digitalización se ha consolidado como un pilar estratégico para la modernización del sector agroganadero.




En el ámbito de los rumiantes —bovino, ovino y caprino—, esta transformación digital no solo responde a imperativos normativos, sino que también representa una oportunidad para optimizar la gestión sanitaria, mejorar el rendimiento productivo y aumentar la rentabilidad de las explotaciones.
Al permitir una gestión más eficiente y automatizada, la digitalización contribuye a liberar tiempo en el día a día del ganadero, lo que favorece la conciliación de la vida laboral y familiar en una profesión tradicionalmente exigente y poco flexible.
NORMATIVO: HACIA UNA TRAZABILIDAD ELECTRÓNICA OBLIGATORIA
El impulso regulador hacia la digitalización tiene como base el Reglamento (UE) 2016/429 del Parlamento Europeo y del Consejo, de 9 de marzo de 2016, relativo a las enfermedades transmisibles de los animales, también conocido como la “Legislación sobre sanidad animal”.
ACCEDER AL REGLAMENTO (UE) 2016/429
Esta norma establece que es responsabilidad de los Estados miembros desarrollar sistemas eficaces de identificación y registro de animales terrestres en cautividad, como parte esencial de la prevención, control y erradicación de enfermedades.
Este factor resulta clave para hacer más atractiva la actividad ganadera a las nuevas generaciones y fomentar el relevo generacional en el medio rural.



En este marco, el Gobierno de España aprobó el Real Decreto 787/2023, publicado en el BOE nº 263 de 3 de noviembre de 2023, por el que se regula el sistema de trazabilidad, identificación y registro de animales.
Una de las principales novedades del Real Decreto es la obligatoriedad de la identificación electrónica del ganado bovino a partir del pasado 1 de julio de 2025. Desde esa fecha, todos los bovinos nacidos deben ser identificados electrónicamente, lo que permitirá una gestión más precisa y eficiente de la información individual de los animales.
Código de país

Código de especie
Código de Comunidad Autónocma
Código de identificación individual del animal
Figura 1. Ejemplo de crotales visuales utilizados para la identificación oficial de bovinos nacidos después del 30 de junio de 2025 en España (Fuente: MAPA, 2024. Identificación de bovinos nacidos después del 30 de junio de 2025 – España).
ACCEDER AL REAL DECRETO 787/2023
La nueva identificación electrónica consiste concretamente en la colocación de un crotal electrónico en la oreja izquierda y un crotal convencional en la oreja derecha, ambos con un código unificado que incluye información específica como:
El país
La especie
La comunidad autónoma
Un número individual del animal
Se han establecido excepciones para determinadas explotaciones extensivas o semiextensivas, localizadas en zonas de difícil acceso, donde, a petición del titular y con autorización de la autoridad competente, se podrá utilizar, además, un bolo ruminal como medio de identificación electrónica.

La implementación de dispositivos electrónicos (bolos ruminales, crotales RFID, etc.), junto con plataformas digitales que integren estos datos, permite:
Automatizar los procesos.
Reducir errores humanos.
Disponer de un sistema de trazabilidad en tiempo real.











3 & 4 DICIEMBRE 2025


Palacio de Congresos y Exposiciones de León (CONELE)

Unidos por la salud animal, comprometidos con la calidad lechera







Adoptar soluciones digitales no solo mejora la trazabilidad y la sanidad animal, sino que aporta beneficios tangibles en tres ejes principales:
1
Mayor eficiencia: automatizar procesos permite optimizar el uso de recursos, reducir errores y mejorar la planificación.
2
Incremento de la rentabilidad: tomar decisiones basadas en datos mejora los índices productivos y reproductivos, reduce costes y permite una mejor gestión comercial (venta en el momento óptimo).
3 Digitalización en el sector de los rumiantes: una oportunidad clave para fomentar el relevo generacional DESCÁRGALO EN PDF
Mejora de la calidad de vida del ganadero: la digitalización reduce la carga de trabajo manual, facilita la organización diaria y mejora la capacidad de respuesta ante imprevistos.

La digitalización en el sector de los rumiantes representa una herramienta estratégica para afrontar los retos sanitarios, productivos y económicos actuales y futuros. Lejos de ser una mera obligación normativa, la identificación electrónica obligatoria del ganado bovino abre la puerta a una transformación profunda del modelo de gestión ganadera.

Apostar por la digitalización implica avanzar hacia un sistema productivo más eficiente, sostenible y profesionalizada, donde el dato se convierte en el mejor aliado del veterinario y del ganadero.
Al facilitar la automatización de tareas y una toma de decisiones más ágil, la digitalización contribuye a mejorar la conciliación de la vida laboral y familiar en el medio rural, lo que refuerza la viabilidad social de la actividad ganadera y actúa como incentivo para el tan necesario relevo generacional.






Servicio Técnico de AMBiotec
El periodo de transición —que comprende las semanas anteriores y posteriores al parto— es una de las fases más críticas en la vida productiva de una hembra lechera, ya sea vaca, oveja o cabra.
En este intervalo, el animal atraviesa cambios fisiológicos, metabólicos y hormonales de gran envergadura, que determinan no solo el éxito del parto y la viabilidad de las crías, sino también la producción y calidad de la leche en la siguiente lactación.


Entre las estrategias nutricionales disponibles para optimizar este periodo, el cubo preparto se ha consolidado como una herramienta práctica y eficaz para asegurar el suministro de nutrientes clave de forma controlada y constante, complementando la dieta base y cubriendo necesidades específicas difíciles de alcanzar únicamente con el forraje y el concentrado.
Es importante profundizar en qué es un cubo preparto, su importancia metabólica y productiva en rumiantes lecheros, los principales nutrientes que debe aportar, y cómo su uso puede prevenir trastornos metabólicos y mejorar la eficiencia reproductiva y productiva.
El cubo preparto es un bloque sólido de suplementación mineral y vitamínica, enriquecido en ocasiones con otros aditivos funcionales, formulado específicamente para ser administrado en las últimas 3-4 semanas antes del parto.
Se presenta en formato de lamido libre acceso, lo que permite que el animal autorregule su consumo según sus necesidades, manteniendo un aporte constante y evitando picos o carencias.
A diferencia de otros bloques de uso general, el cubo preparto está diseñado para:
En el periodo preparto, el organismo de la hembra debe hacer frente a varias adaptaciones críticas:
Aumento de las demandas de calcio
En las horas previas y posteriores al parto, la síntesis de calostro y el inicio de la lactación multiplican las necesidades de calcio del organismo.
El animal debe activar rápidamente los mecanismos de absorción intestinal y movilización ósea de calcio, y, si este ajuste no es eficiente, aparece la hipocalcemia clínica o subclínica.
Cambios en el metabolismo energético
La capacidad de ingesta disminuye conforme avanza la gestación, especialmente en las últimas semanas, mientras el feto sigue creciendo.
Esto provoca un balance energético negativo que, si es acusado, conduce a movilización excesiva de grasa y riesgo de cetoacidosis.

Ajustar el balance de minerales clave para la preparación al parto.
Optimizar la movilización de calcio y prevenir la hipocalcemia.
Favorecer el metabolismo energético y reducir el riesgo de cetosis.
Apoyar la función inmunitaria para el periparto.
Mejorar la viabilidad de las crías y la calidad del calostro.
En este periodo se incrementa la necesidad de selenio, zinc, cobre, yodo y vitaminas A, D y E, esenciales para la inmunidad, la integridad de tejidos y el desarrollo fetal.
El cubo preparto actúa como una herramienta integral para preparar al animal ante los retos fisiológicos del parto y el inicio de la lactación.
Uno de sus beneficios más relevantes es la prevención de la hipocalcemia, tanto clínica como subclínica, un trastorno que no solo compromete la capacidad del animal para incorporarse y alimentarse, sino que también incrementa el riesgo de retenciones de placenta, metritis y desplazamientos de abomaso. Para ello, la formulación debe contemplar:
El parto es un evento que eleva la producción de radicales libres, y el organismo requiere antioxidantes para evitar daños celulares y favorecer una buena recuperación.

El cubo preparto proporciona un apoyo clave al metabolismo energético, incorporando precursores de glucosa como propilenglicol en forma sólida o glicerol, que ayudan a mantener la glucemia estable y reducir el riesgo de cetosis.
Este aporte es especialmente crítico en ovino y caprino lechero, donde la toxemia de gestación representa un riesgo elevado debido a la limitación de la ingesta y al aumento de las demandas energéticas en las últimas semanas de gestación.

Una relación calciofósforo equilibrada que favorezca la homeostasis mineral.
Un aporte suficiente de magnesio para estimular la liberación de parathormona (PTH).
En algunos casos, el uso de aniones como cloruros y sulfatos que induzcan una ligera acidosis metabólica compensada, mejorando así la respuesta del organismo a la PTH y la movilización del calcio óseo.
Un pilar fundamental es el refuerzo de la inmunidad y la viabilidad de las crías.
En este sentido, las vitaminas A, D₃ y E, junto con minerales traza esenciales como selenio, zinc y cobre, contribuyen a potenciar la respuesta inmunitaria de la madre, mejorar la calidad del calostro y optimizar la transferencia pasiva de inmunoglobulinas, garantizando así un mejor estado sanitario en los neonatos.

La formulación también incorpora antioxidantes potentes como el selenio (en formas orgánica e inorgánica), vitamina E y polifenoles de origen vegetal, que neutralizan los radicales libres generados durante el parto y el inicio de la lactación, favoreciendo una recuperación más rápida del aparato reproductor y una mejor fertilidad en el siguiente ciclo.
El formato de lamido de libre acceso no solo asegura un aporte constante y autorregulado de nutrientes, sino que también estimula la salivación, mejora la digestión de la fibra y proporciona una actividad ocupacional que reduce el estrés, especialmente en animales estabulados.
Este efecto positivo sobre el bienestar repercute indirectamente en la salud digestiva y la eficiencia productiva del rebaño.
Componente
Calcio y fósforo
Magnesio
Sodio y cloro
Azufre
Selenio y vitamina E
Vitaminas A y D3
Precursores de glucosa
Fitobióticos y antioxidantes vegetales
Aunque los principios son comunes, hay diferencias relevantes:

Bovino de leche
Presenta una mayor incidencia de hipocalcemia y desplazamientos de abomaso.
Requiere mayor control del DCAD.

Ovino de leche
Presenta una mayor susceptibilidad a toxemia de gestación.
Es importante ofrecer un aporte energético rápido.

Caprino de leche
Presenta una menor incidencia de fiebre de la leche, pero alta sensibilidad a cetosis subclínica.
Hay que prestar especial atención al control antioxidante.
Función principal
Preparar para la lactación, huesos y metabolismo
Activar PTH y movilización de Ca
Consideraciones en bovino, ovino y caprino
Ajustar relación Ca:P
Niveles de 3-4% en preparto
Equilibrio osmótico y DCAD En DCAD negativo: aumentar cloruros
Formación de aminoácidos y DCAD
Antioxidantes y función inmune
Reproducción, epitelios, metabolismo mineral
Energía rápida para evitar cetosis
Reducción de estrés oxidativo, salud digestiva
Controlar exceso por riesgo de toxicidad
Selenio orgánico más biodisponible
Asegurar niveles óptimos
Glicerol, propilenglicol sólido
Aceites esenciales, extractos vegetales
DCAD: Diferencia Catión-Anión Dietética, es un concepto en nutrición animal que se refiere a la diferencia entre la cantidad de cationes (iones con carga positiva como sodio y potasio) y aniones (iones con carga negativa como cloruro y azufre) en la dieta de un animal, especialmente en rumiantes.
Tabla 1. Principales nutrientes y aditivos en un cubo preparto.
En AMBiotec hemos desarrollado un nuevo cubo preparto diseñado para optimizar la salud, el rendimiento y el bienestar de los animales durante el periodo de preparto.
Gracias a su formulación específica y a la incorporación de nutrientes clave en formas altamente biodisponibles, su utilización se asocia con una mejora integral del estado productivo y reproductivo del rebaño, aportando beneficios como:
Reducción de hipocalcemia clínica y subclínica.
Menor incidencia de retenciones de placenta y metritis.
Mejor inicio de lactación con mayor pico de producción.

Mayor contenido y calidad de inmunoglobulinas en el calostro.
Mayor supervivencia y vitalidad de las crías.
Menor intervalo parto-concepción por recuperación más rápida.
Inicio de administración: 21 a 28 días antes de la fecha estimada de parto.
Acceso libre: al menos un cubo por cada 15-20 animales para evitar competencia.
Ubicación: cerca de la zona de descanso o alimentación.
Monitoreo de consumo: el objetivo es un consumo moderado y constante con ajustes según análisis mineral de la dieta base.
Complementariedad: el cubo no sustituye la dieta base, sino que la optimiza.
El papel clave del cubo preparto en la salud y productividad de rumiantes de leche DESCÁRGALO EN PDF
El cubo preparto es mucho más que un bloque mineral, es una herramienta estratégica que integra nutrición, salud preventiva y manejo práctico.
En bovino, ovino y caprino de leche, su uso permite afrontar con mayores garantías el complejo periodo de transición, reduciendo trastornos metabólicos, mejorando la viabilidad de las crías y optimizando la producción lechera.
En un sector donde cada parto marca el inicio de un nuevo ciclo productivo, invertir en una correcta suplementación preparto no es un gasto, sino una decisión técnica con retorno tangible en la salud y el rendimiento del rebaño.


Bloque sólido de suplementación mineral y vitamínica
El Cubo Preparto AMBiotec está formulado específicamente para ser administrado en las últimas 3-4 semanas antes del parto. Se presenta en formato de lamido libre acceso, lo que permite que el animal autorregule su consumo según sus necesidades. Está diseñado para:
• Ajustar el balance de minerales clave para la preparación al parto.
• Optimizar la movilización de calcio y prevenir la hipocalcemia.
• Favorecer el metabolismo energético y reducir el riesgo de cetosis.
• Apoyar la función inmunitaria para el periparto.
• Mejorar la viabilidad de las crías y la calidad del calostro.


Agroalimentaria Manchega de Biotecnología, S.L.
C/ Río Montiña, 5 Pol. Ind. Sta. Mª de Benquerencia
45007 Toledo (España)
Teléfono: 925 672 642 info@ambiotecsolutions.com
www.ambiotecsolutions.com

Braulio de la Calle Campos
DT Rumiantes Coren Agroindustrial SAU y responsable Departamento Vacuno de Carne en Coren Sociedad Cooperativa

Los sistemas de alimentación automatizada, que mediante un robot preparan y distribuyen la ración al ganado, empiezan a implementarse en algunas ganaderías de vacuno de leche.
En un futuro no muy lejano, estos sistemas, unidos a los de ordeño robotizado, los avances en genética y el uso de la Inteligencia Artificial, nos permitirán tener animales más sostenibles, eficaces y rentables.

Los robots de alimentación son ser sistemas parciales o totalmente automatizados, en los que participa uno o varios robots que trabajan de manera conjunta y sincronizada.
Su función es preparar y distribuir el alimento en el momento y la forma adecuados, sin necesidad de intervención humana.
El principio de funcionamiento de estos sistemas es similar al de los unifeed: alimentar a los animales con raciones homogéneas, uniformes y equilibradas en nutrientes.
El objetivo es mezclar todos los componentes de la ración —forrajes húmedos y secos, concentrados, subproductos agroindustriales y compuestos vitamínico-minerales— para ofrecer una dieta completa.
Estos sistemas:
Facilitan la preparación de raciones adaptadas a diferentes lotes de producción.
Reducen costes.
Mejoran el Bienestar Animal.
Disminuyen la competencia por el alimento.
Al arrimar los restos de comida sobrante, contribuyen a evitar el desperdicio.

Destinados a forrajes y concentrados, constituyen la zona de almacenamiento de materias primas, como silo de maíz, hierba, pienso, paja, entre otros.

Se trata de un espacio físico o edificio con zonas delimitadas donde se lleva a cabo una fase del proceso que aún no está completamente automatizada, ya que algunos ingredientes requieren manipulación manual (forrajes secos y húmedos).
A partir de ahí, un puente grúa o cintas transportadoras se encargan de recoger y suministrar los componentes.
Cada 1-3 días debe reponerse el alimento, en función del tipo de forraje, su conservación y la época del año, para que el robot pueda preparar la ración destinada a la distribución.


3 4

Se trata de la incorporación de los diferentes ingredientes en el interior del carro mezclador.
Una vez realizada la mezcla, el carro se desplaza —ya sea sobre ruedas o suspendido por un raíl— hasta la línea de cornadizas, donde se descarga la ración.

Estos sistemas, apoyados en la Inteligencia Artificial y combinados con el ordeño robotizado, permiten llevar el concepto de nutrición de precisión a su máxima expresión.
Gracias a ello, es posible implementar estrategias de alimentación más efectivas y sostenibles, que favorecen tanto la salud de los animales como la mejora de su producción.
Además, ofrecen una gran flexibilidad, ya que permiten establecer múltiples esquemas de alimentación: desde suministrar varias raciones al día hasta ajustar la dieta en función de las necesidades de cada grupo de vacas.


La cocina del sistema de alimentación es un espacio abierto destinado al almacenamiento de los diferentes ingredientes y constituye una pieza clave para su buen funcionamiento.
Cada ingrediente debe ubicarse en su lugar correspondiente y renovarse con la frecuencia necesaria para garantizar la calidad de la ración.
La conservación del ensilado es un aspecto crítico, ya que el tiempo que transcurre desde que se extrae del silo, pasa por la zona de almacenaje de la cocina y llega al pesebre determina su estabilidad.
En invierno, con bajas temperaturas, el silo de maíz puede mantenerse sin riesgo de fermentación durante unas 48 horas tras el desensilado.
En verano, el riesgo aparece mucho antes, incluso a las 24 o 12 horas.
Antes de instalar un sistema de alimentación robotizado es imprescindible que la explotación disponga de forrajes bien conservados, correctamente desensilados y con la capacidad de suministrarlos a la cocina en condiciones óptimas de calidad.
Estos sistemas funcionan de manera continua, detectando dónde y cuándo se necesita alimento fresco a lo largo de las 24 horas del día, para después prepararlo y suministrarlo.
Gracias a sensores láser que miden la altura del alimento en la cornadiza, es posible conocer con precisión la cantidad de comida disponible. Además, estos equipos pueden actuar como arrimadores de manera autónoma o en conexión con otros dispositivos específicos que gestionan esta función.
Con ello se favorece una mayor frecuencia de consumo, lo que puede incrementar la ingesta de materia seca hasta un 3,5 % y, al mismo tiempo, reducir el desperdicio de alimento.

Los sistemas de unifeed robotizados deben ajustarse al crecimiento de las explotaciones donde se instalan.
En este sentido, es fundamental que sean capaces de aumentar su volumen o capacidad de trabajo para responder a las necesidades crecientes de la granja en caso de ser necesario.

EFICIENCIA ENERGÉTICA EN LA ALIMENTACIÓN
ROBOTIZADA
Estos sistemas son 100 % eléctricos y no requieren combustibles fósiles para su funcionamiento.
El consumo diario de un robot de alimentación es inferior a 3 € en energía, lo que supone un ahorro significativo frente a un carro mezclador convencional.
Como referencia, un carro unifeed consume alrededor de 16 L de combustible por cada hora de funcionamiento.
En cambio, en un sistema de alimentación robotizado la “cocina” se carga unas tres veces por semana, con operaciones que duran entre 1 y 2 horas. Al realizarse esta tarea con una telescópica o un tractor con pala, el consumo es mucho menor que el de un carro mezclador.
En conjunto, esto se traduce en un ahorro energético notable y sostenible.
Una de las ventajas más evidentes de los sistemas de alimentación automática es la mejora en las condiciones de trabajo y la reducción de la mano de obra necesaria.
Diversos estudios publicados señalan que el tiempo dedicado a la preparación y distribución de la ración puede reducirse hasta en un 55 %. De ese tiempo, aproximadamente un 60 % se emplea en aprovisionar la cocina y el resto en tareas como limpieza, programación o mantenimiento.
En la práctica, lo único que se requiere es rellenar la cocina y limpiarla periódicamente. Lo habitual es cargarla unas tres veces por semana, lo que representa un ahorro de mano de obra considerable frente al uso del carro unifeed.
Esta reducción no solo implica menos trabajo, sino también menor estrés para el ganadero, liberando tiempo para dedicarlo a la gestión integral de la explotación.

La nueva web dedicada a la salud de los rumiantes.
Todo lo que importa, en un solo lugar.







Un aspecto que casi nunca se contempla al cambiar el sistema de alimentación es el coste real de la mano de obra. En muchos casos es el propio ganadero quien realiza la mezcla con el carro unifeed, pero si se calcula este coste con un baremo de 12 €/hora, la diferencia económica entre ambos sistemas se hace aún más evidente.
Existen numerosos estudios que demuestran el incremento de producción de leche en las ganaderías que han incorporado sistemas automáticos de alimentación.
Los datos indican que:
Durante el primer año tras la instalación del sistema, se obtiene un aumento medio de 1,42 litros de leche por vaca y por día.
Dos años después de su puesta en marcha, este incremento alcanza los 1,65 litros por vaca y por día, consolidando el impacto positivo de la alimentación inteligente sobre la productividad.
Resulta fundamental conocer y medir la cantidad de alimento que las vacas pueden ingerir en 24 horas, ya que casi siempre quedan restos que los animales no consumen.
Estos desperdicios son fácilmente cuantificables y suponen un factor económico a tener en cuenta.
En muchos casos, las sobras se desechan, con la consiguiente pérdida económica, o bien se destinan a animales en fase de crecimiento.
Sin embargo, diversos estudios publicados reflejan un ahorro sustancial con la alimentación robotizada: mientras que en un sistema de unifeed convencional los restos en la cornadiza alcanzan una media de 180 kg de alimento al día, con un sistema automatizado esta cifra se reduce a apenas 10 kg.
Con el carro mezclador convencional, la ración suele distribuirse entre 1 y 2 veces al día. En cambio, en granjas analizadas en Francia con sistemas de alimentación robotizada, se ha comprobado que la frecuencia media alcanza las 7,5 distribuciones diarias.
Esto garantiza que el alimento esté siempre fresco y disponible para los animales, favoreciendo su consumo y mejorando la eficiencia de la alimentación.
Este sistema tenderá a implementarse cada vez más en cebaderos de terneros, especialmente en los de mayor tamaño, ya que permite aplicar la nutrición de precisión en función de la edad, el peso, el sexo o la velocidad de crecimiento de los animales.
La automatización será, por tanto, un elemento clave para alcanzar la máxima eficacia y eficiencia en la producción.

Entre las ventajas más destacadas se encuentran:
Una alimentación más frecuente que ayuda a prevenir la acidosis ruminal y los problemas de salud asociados.
Raciones homogéneas y bien mezcladas, que dificultan la selección de ingredientes por parte de los animales.
Mayor frecuencia y precisión en la alimentación, lo que se traduce en mayor eficiencia productiva.
Posibilidad de formular mezclas adaptadas incluso a grupos pequeños según sexo, estado de engrasamiento, edad o raza.
Reducción de la jerarquía entre animales.
El ahorro de tiempo es uno de los beneficios más evidentes.
Actualmente, la alimentación manual puede ocupar alrededor de una hora y media diaria, según las instalaciones.
En cambio, un sistema automatizado reduce esta tarea a entre 15 y 30 minutos al día.
Si bien los costes de inversión deben analizarse en cada explotación en particular, su amortización se reparte a lo largo de la vida útil del sistema, lo que lo convierte en una alternativa cada vez más atractiva para los cebaderos de terneros.
La incorporación de tecnología en los sistemas de alimentación animal favorece el Bienestar Animal, reduce costes, mejora la conversión alimenticia y aumenta la rentabilidad de la explotación.
Sin embargo, antes de implementar un sistema de alimentación automática es fundamental realizar un diagnóstico individualizado de cada granja.



Estos sistemas permiten optimizar el uso de los alimentos y, en combinación con el ordeño robotizado, ajustar con precisión cada fase del ciclo productivo de los animales.
Antony Thomas
Hoof Trimmer del Reino Unido @keepingcowsmoovin

















































Minerales traza como el selenio (Se) se añaden en cantidades muy pequeñas a las dietas del ganado, ya que son esenciales para apoyar el potencial, la productividad y el bienestar de los animales.
En la naturaleza, el Se existe en dos formas químicas:
Se inorgánico: puede encontrarse como selenito, selenato y seleniuro.
Se orgánico: se encuentra principalmente como selenometionina (SeMet) en forrajes, granos y harinas de semillas oleaginosas.
Berkant Topuzoğlu Soporte técnico para rumiantes, MIAVIT
Los animales reciben Se principalmente en forma de SeMet y, por lo tanto, están mejor adaptados para utilizar el Se en esta forma natural u orgánica.
Las plantas absorben Se del suelo en forma de selenito o selenato, luego sintetizan aminoácidos con selenio, incluyendo SeMet, que representa aproximadamente el 50 % del Se en los granos de cereales.
La concentración de Se en el suelo varía significativamente, lo que afecta su disponibilidad para las plantas.
El Se es un mineral traza esencial para la nutrición animal, principalmente por su papel clave en:
La defensa antioxidante.
La inmunidad.
Los procesos de modulación inflamatoria.
El estrés oxidativo está reconocido como un factor que influye negativamente en la función inmunitaria y mejorar la inmunidad durante períodos de estrés puede reducir la proliferación excesiva de patógenos secundarios y las infecciones.
A este respecto, el Se es un antioxidante crucial que, junto a la vitamina E, tiene un impacto significativo en el estrés oxidativo.
Así, una suplementación adecuada de Se puede mejorar la eficiencia de los leucocitos y antioxidantes como la glutatión peroxidasa.

Durante las etapas exigentes de la vida (crecimiento rápido, gestación tardía o lactación) aumentan las necesidades de Se en los animales y, cuando falta, los efectos varían de leves a graves, incluyendo:
Enfermedad del músculo blanco en corderos, terneros y cabritos.
Fertilidad reducida y muerte embrionaria.
Retención de membranas fetales, metritis, involución uterina deficiente y ovarios quísticos en vacas.
Mastitis subclínica y función inmunitaria deteriorada.
Prematuridad, muerte perinatal y aborto.
A menudo, la deficiencia subclínica pasa desapercibida, socavando silenciosamente la productividad y el bienestar.
Por ejemplo, los neutrófilos de la leche de vacas alimentadas con una dieta deficiente en Se tienen una capacidad significativamente reducida para matar Escherichia coli y S. aureus ingeridos, en comparación con las células de vacas alimentadas con una dieta suplementada con Se.
La suplementación con Se en el ganado lechero contribuye a proteger los ovocitos del daño oxidativo y apoyar el crecimiento folicular, ayudando a regular las hormonas necesarias para la ovulación, lo que conduce a una mejor fertilidad, menos abortos y terneros más sanos.

Los niveles críticos tentativos de Se son los siguientes:
Dado que la mayoría de los ingredientes de los alimentos en todo el mundo son deficientes en Se, la suplementación dietética con Se es una práctica comercial estándar.
Se asocia la suplementación con Se con mejora de la salud animal, observándose:
Reducción de la prevalencia de retención de membranas fetales.
Disminución de la gravedad y prevalencia de mastitis clínica.
Reducción del recuento de células
somáticas en la leche.
Disminución de la mortalidad de terneros.
Forrajes y granos: un contenido de 0,1 mg/kg de materia seca se considera adecuado.
Suelo: los suelos que contienen menos de 0,5 mg/kg probablemente producirán cultivos con concentraciones inadecuadas de Se.
Tejidos animales, sangre y leche: la concentración de Se en varios tejidos es un indicador confiable del estado de Se del animal.
Existe una correlación positiva entre el contenido de Se del alimento y el contenido de Se en los tejidos y la sangre de los animales que lo ingieren, y los valores fluctúan con la ingesta dietética del elemento.
Los principales suplementos de Se utilizados durante los últimos 50 años han sido el selenito y el selenato (principalmente selenito de sodio), ambas formas inorgánicas de Se.
Estas formas inorgánicas tienen limitaciones como:
Alta toxicidad.
Interacciones con otros minerales.
Baja eficiencia de transferencia a la leche y la carne.
Incapacidad para crear y mantener reservas de Se en el cuerpo.
El Se orgánico, como el SeMet, se absorbe y retiene mejor en el cuerpo en comparación con el Se inorgánico.
Esta retención en los tejidos corporales permite al animal crear una reserva del mineral para usar en momentos de mayor estrés fisiológico (por ejemplo, transición).
Sin embargo, también puede haber diferencias sustanciales en toxicidad, estabilidad y eficacia entre los productos de Se orgánico.
La absorción de Se tiende a ser mucho menor en rumiantes en comparación con los no rumiantes, siendo el intestino delgado el principal sitio de absorción. A este respecto, cabe señalar que la disponibilidad intestinal del Se depende de su origen (inorgánico u orgánico)
debido al efecto del ambiente ruminal (Figura 1):
Rúmen
Se Met
Na Se
MiaTrace Se








La capacidad de los rumiantes para utilizar Se inorgánico está fuertemente influenciado por el ambiente altamente reductor del rumen. De hecho, el rumen reduce el selenato a selenito, que a su vez se convierte en formas insolubles de bajo peso molecular (Se elemental), probablemente no absorbibles, que luego se excretan en las heces, reduciendo así la disponibilidad intestinal de Se.
Cuando se suplementan formas orgánicas (SeMet), el Se parece sufrir menos alteraciones en el ambiente ruminal.
Se Met

Se, elemento
Na Se



Intestino delgado






Na Se
Figura 1. Influencia de la microbiota ruminal en la absorción de las diferentes fuentes de selenio (MIAVIT, 2025).
La absorción de Se inorgánico puede ser tan baja como el 13 % en novillos y entre el 10-16 % en vacas secas y lactantes.
Weiss (2005) informa que el coeficiente de absorción del Se inorgánico en vacas lecheras se estima en un 50 %, mientras que el Se orgánico, derivado de forrajes o granos en los que está incorporado como SeMet, se estima en un 65 %.
BIODISPONIBILIDAD

En los últimos años, las fuentes de Se protegidas frente al rumen han ganado protagonismo en el mercado.
MiaTrace Se de Miavit GmbH es un selenito de sodio recubierto que proporciona una protección específica frente al rumen para asegurar y mejorar el estado de Se en rumiantes.
Las partículas de Se alcanzan el sitio de absorción objetivo sin alteraciones gracias a la cápsula protectora confiable.
Las enzimas intestinales disuelven rápidamente la cápsula para garantizar una alta tasa de absorción.
Puede utilizarse en piensos completos y sustituir hasta el 50 % del contenido total de Se.
MiaTrace Se ofrece una mayor biodisponibilidad de selenio en comparación con las fuentes inorgánicas de Se y su eficacia es comparable a la de las fuentes orgánicas de Se.
Cuando se incluye en los piensos minerales o en las premezclas vitamínico-minerales (Gráfica 1), reduce el coste del Se y permite mantener la misma eficacia que ofrecen las fuentes orgánicas.
Referencias disponibles bajo solicitud.
Gráfica 1. Coste de 40 mg de Se/kg de pienso mineral al utilizar diferentes fuentes de selenio (MIAVIT, 2025).

El uso de MiaTrace garantiza un alto nivel de seguridad en la suplementación con selenio en rumiantes.
Seguro
Protegido
Dirigido

Cristina Baselga y Gema Chacón
Exopol S.L.

El Síndrome Respiratorio Bovino (SRB) es una de las enfermedades de origen infeccioso más frecuente en terneros jóvenes.
Se caracteriza por la participación simultánea de microorganismos de naturaleza vírica y bacteriana y existen ciertos factores predisponentes que favorecen su aparición, como el estado inmunitario del individuo o ciertas condiciones ambientales o manejos que causen situaciones estresantes (transporte, alta densidad de animales, etc.).

En la Tabla 1 se muestran los principales agentes víricos y bacterianos implicados en el SRB.
En general, los virus actúan como agentes primarios que lesionan el epitelio pulmonar y la mucosa de vías respiratorias, favoreciendo la proliferación de bacterias respiratorias que son las que desencadenan el cuadro clínico grave.


Bacterias
Herpesvirus bovino 1 (IBR)
BRSV (Virus sincitial)
PI3 (Parainfluenza 3)
BVDV (Diarrea viral bovina)
BCoV (Coronavirus bovino)
Mannheimia haemolytica
Pasteurella multocida
Histophilus somni
Mycoplasmopsis bovis
Además de los patógenos mencionados en la Tabla 1, hay otros microorganismos capaces de ocasionar procesos respiratorios, pero con una menor incidencia, como ciertos agentes víricos (Adenovirus tipo 3, Influenza D), parásitos (Dictyocaulus viviparus), bacterias que provocan infecciones secundarias (Trueperella pyogenes, Salmonella sp.) u hongos (Aspergillus sp.).
Fiebre, rinitis, descarga nasal serosa o purulenta y tos.
Disnea, estertores, fiebre y tos.
Fiebre baja, tos seca, descarga nasal serosa y signos respiratorios leves.
Inmunosupresión, diarrea y signos respiratorios leves.
Fiebre, tos, disnea leve y descarga nasal serosa. Puede haber diarrea asociada.
Fiebre alta, disnea severa, descarga nasal mucopurulenta, decaimiento y muerte rápida
Tos crónica, fiebre y pérdida de condición corporal.
Fiebre y tos con signos nerviosos o articulares.
Tos persistente, otitis, artritis y baja respuesta a tratamientos.
Tabla 1. Principales agentes implicados en el SRB y sus signos y lesiones más característicos.
Congestión nasal, traqueítis, lesiones ulcerativas en nariz y tráquea, y bronconeumonía catarral o fibrinosa.
Enfisema intersticial, edema pulmonar y bullas subpleurales.
Congestión en mucosa traqueal y bronquial.
Lesiones inespecíficas y depleción linfoide.
Congestión e inflamación traqueal y bronquial leve.
Consolidación cráneo-ventral, fibrina y necrosis, pleuritis
Neumonía supurativa, exudado purulento y colapso pulmonar.
Neumonía con pleuritis, miocarditis/endocarditis/ pericarditis, artritis y/o meningitis.
Neumonía caseosa, abscesos pulmonares, artritis y otitis media.
Para obtener un diagnóstico laboratorial fiable, uno de los aspectos clave es la toma de muestras.
Es necesario seleccionar correctamente a los animales para realizar el muestreo y asegurarse de que la muestra se conserve de manera apropiada recepción en el laboratorio.
Algunas de las medidas para garantizar un correcto muestreo son:
Seleccionar varios animales que sean representativos de la población con sintomatología respiratoria hayan sido tratados con antibióticos previamente.
No tomar muestras, animales crónicos.
En función de la disponibilidad y objetivo de análisis (diagnóstico de un caso clínico o monitorización de la explotación), se pueden enviar diferentes tipos de muestras (Figura 1).
Lavados broncoalveolares y transtraqueales

Enviar muestras de animales muertos recientemente para evitar la autolisis y contaminación postmortem de los órganos.
Si se envían órganos, hay que separarlos en distintos recipientes herméticos.
Conservar las muestras refrigeradas e intentar que lleguen al laboratorio como máximo en 24 horas.
Pulmones
Sueros sanguíneos
Hisopos nasales profundos
Muestras ambientales
Figura 1. Principales tipos de muestras respiratorias en bovino: suero sanguíneo, pulmón, lavados broncoalveolares, hisopos nasales profundos y muestra ambiental.

Antes de comenzar la recogida de muestras es esencial tener el material preparado y un protocolo estandarizado de toma de muestras, para realizar el muestreo de una manera sistemática y organizada.

Tras realizar una correcta sujeción del animal, se introduce la sonda por un orificio nasal y, al alcanzar las vías respiratorias bajas, se introduce un volumen de suero salino variable en función del tamaño del animal (20-40 ml) y inmediatamente, recogiendo la máxima cantidad de suero posible.
Se deben recoger fragmentos de distintas zonas cuando se observen lesiones macroscópicas diferentes.

Las muestras deben recogerse con posible para evitar contaminaciones utilizando un e introducirlas en un

También es recomendable tomar muestra del interior del parénquima pulmonar con un hisopo e introducirlo en medio ya que a medida que avanzan las horas las bacterias ambientales pueden proliferar y el tejido puede sufrir autolisis, alterando el estudio laboratorial.


Es importante continuar aspirando mientras se retira la sonda para obtener también muestra de la tráquea. Luego se transfiere el lavado a un y se identifica con el crotal del animal.
Lavados transtraqueales
Para recoger esta muestra es necesario tener una buena sujeción del animal y administrarle sedación, siendo importante rasurar y desinfectar la zona de acceso al interior de la tráquea.
Se localiza la zona entre dos anillos traqueales lo más caudoventral posible y se accede con el trócar, seguidamente se introduce la sonda a través del trócar y se introduce el suero salino (la cantidad depende del tamaño del animal) y se aspira inmediatamente, recogiendo la máxima cantidad de suero posible.

Es importante continuar aspirando mientras se retira la sonda. Luego se transfiere el lavado a un tubo estéril y se identifica con el crotal del animal.
Tras realizar una correcta sujeción del animal, se introduce el hisopo largo con protección de plástico por un nasal, al llegar a la zona retrofaríngea se exterioriza el hisopo de la protección, se realiza el hisopado en la mucosa de la zona y se vuelve a introducir dentro de la protección para sacarlo por las fosas nasales, evitando la contaminación con bacterias comensales de vías altas.

El diagnóstico de muestras ambientales está orientado a monitorizar enfermedades presentes en la ganadería.
Los patógenos respiratorios se transmiten vía aerógena, por lo que es posible realizar un muestreo de aire para valorar la circulación de agentes infecciosos respiratorios en el ambiente de las instalaciones.

Una vez fuera del animal, el hisopo se introduce en un tubo con medio de conservación, asegurando que el hisopo está en el interior del medio y se identifica con el crotal del animal.
BOVINO - Hisopo nasal VER VÍDEO
La extracción de suero sanguíneo se realiza con sin anticoagulante temperatura ambiente para que se forme el coágulo. Posteriormente, se desuera en un tubo eppendorf para realizar el análisis del suero sanguíneo.


Tubo
Equipo
Figura 2. Equipo Coriolis para la recolección de aire en granjas: esquema del dispositivo y del principio de funcionamiento para la captura de partículas en líquido.
Existen diferentes aparatos para recolectar el aire que puede suministrar el laboratorio de diagnóstico con el material necesario para luego realizar el análisis mediante qPCR, por ejemplo, Coriolis (Imagen 2A) y Aerocollect (Imagen 2B).
2A


2B

Entrada de aire
Cono

Líquido
Partículas Aire
La técnica de recogida consiste en colocar el aparato en diferentes puntos de las instalaciones y realizar los muestreos según indicaciones del aparato.
Permite un diagnóstico completo.
Valoración de problemas respiratorios en vías bajas.
Requiere de animales muertos recientemente o sacrificados.
Al ser un número limitado de muestras, puede no ser representativo del problema del grupo.

Fácil de tomar en animales vivos.

Muestreo in vivo.
Permite muestrear a un mayor número de animales.
Aporta información de los agentes presentes en pulmón.
Requiere de material específico y personal cualificado.
Riesgo de presencia de bacterias comensales en fosas nasales.
Permite muestrear a un mayor número de
Valoración de problemas respiratorios en vías
No se obtiene muestra de pulmón, solo llega a la


Muestreo in vivo
Permite muestrear a un mayor número de animales.
Aporta información de los agentes presentes en pulmón.
Requiere de material específico y personal cualificado.
Es una técnica más invasiva para el animal.
Buen sistema de monitorización mediante realización de seroperfiles.
Muestreo sencillo de los animales.
Diagnóstico incompleto limitado a las enfermedades de las que se dispone kits

Es necesario muestrear un número significativo de animales para obtener resultados concluyentes del

Es un diagnóstico indirecto, se analiza la presencia de anticuerpos en respuesta al agente infeccioso, no
En la mayoría de las enfermedades no es posible diferenciar la respuesta a una vacuna de la respuesta a la infección natural.
Sistema de monitorización de enfermedades transmitidas por el aire.
Requiere material específico.

Como hemos comentado previamente, hay diferentes tipos de muestras.
Entonces, ¿cuál es la mejor?
No hay una respuesta única a esta pregunta pues dependerá de los animales disponibles en el momento del muestreo y el objetivo del análisis laboratorial.

La Tabla 2 presenta las muestras más idóneas en función del objetivo del muestreo.
Pulmones Lavados Hisopos Sueros Muestras ambientales
Diagnóstico completo (incluido estudio histopatológico)
Muestra de animal vivo
Elección de muestra representativa del colectivo
Estudio de patógenos presentes en pulmón
Monitorización de la explotación
Aislamiento de cepas (antibiograma, producción de autovacunas…)
Tabla 2. Tipos de muestras más idóneas según el objetivo del muestreo en el diagnóstico del Síndrome Respiratorio Bovino.
El SRB es una de las principales patologías en el ganado bovino y, dependiendo de los animales disponibles y el diagnóstico a realizar, se elegirán las muestras más adecuadas:
Las muestras de pulmón ofrecen el diagnóstico más completo, pero son postmortem y poco representativas a nivel de grupo.
Los lavados broncoalveolares y transtraqueales son útiles y específicos para agentes pulmonares, pero requieren técnica y equipo especializado.
Los hisopos nasales son fáciles y útiles para vías altas, aunque no permiten detectar agentes pulmonares.
El suero es ideal para monitorización grupal, aunque ofrece un diagnóstico indirecto.
Las muestras ambientales permiten una visión general de los patógenos circulantes por vía aérea, con bajo impacto en los animales.
En definitiva, la correcta elección y manejo de las muestras es fundamental para obtener diagnósticos fiables en el SRB. Adaptar el tipo de muestreo al objetivo del análisis y a la situación de la explotación permite optimizar los resultados y aplicar medidas de control más eficaces.
Toma de muestras respiratorias en ganado bovino DESCÁRGALO EN PDF

Dosis: 4 ml
Primovacunación: Dos dosis (separadas 3 semanas)
HEPIZOVAC suspensión inyectable para bovino.
Presentaciones: 100 ml y 252 ml
Composición por dosis (1 ml): Virus inactivado de la enfermedad hemorrágica epizoótica (VEHE), serotipo 8, 105.5 DICC50 Indicaciones y especies de destino: Para la inmunización activa de bovino para prevenir la viremia causada por el serotipo 8 del virus de la enfermedad hemorrágica epizoótica. Vía de administración: Subcutánea. Posología: Dosis: 4 ml. Pauta de vacunación: Primovacunación: A partir de 2 meses de edad. Administrar dos dosis de 4 ml por vía subcutánea con un intervalo de 3 semanas. Revacunación: No establecida. Contraindicaciones: Ninguna. Precauciones: Conservar y transportar refrigerado (entre 2ºC y 8ºC). No congelar. Proteger de la luz. Tiempo de espera: Cero días. Medicamento sujeto a prescripción veterinaria. Titular de la autorización: CZ Vaccines S.A.U. A Relva s/n-Torneiros. 36410 O Porriño. Pontevedra. Reg. Nº: EU/2/25/341/001-003
En caso de duda consulte a su veterinario

Asesor técnico de rumiantes de Boehringer Ingelheim Animal Health España



Boehringer Ingelheim, compañía líder en salud animal, anunció recientemente la autorización de comercialización, en circunstancias excepcionales (artículos 25 y 26 del Reglamento UE 2019/6) de BULTAVO® 3, una nueva vacuna frente al serotipo 3 de la Lengua Azul.
Manuel Cerviño, asesor técnico de rumiantes de Boehringer Ingelheim Animal Health España, analiza una enfermedad que ha captado el interés informativo por la complicada situación que presenta nuestro país y nos habla del papel de la vacunación.
¿Cuáles son los aspectos más relevantes de la Lengua Azul?
La Lengua Azul (BT por sus siglas en inglés, Bluetongue) o Fiebre Catarral Ovina es una enfermedad:
Infecciosa
No contagiosa
De declaración obligatoria
De origen vírico

Transmitida por la picadura de ciertas especies de insectos del género Culicoides


Afecta tanto a rumiantes domésticos como salvajes.
Se ha descrito en ovejas, que es quizá la especie más afectada y la considerada como la hospedadora principal.
También se ha diagnosticado en caprino, bovinos, búfalos, antílopes, cérvidos…
Incluso se ha constatado la infección en otras especies no rumiantes, como la musaraña o el perro, aunque con escasa relevancia epidemiológica y clínica.
El responsable de la enfermedad es un virus de la familia Reoviridae, género Orbivirus, del que se conocen más de 30 serotipos.
No hay protección cruzada entre los diferentes serotipos, lo que facilita la diseminación de la enfermedad y dificulta la profilaxis vacunal, puesto que se hace necesario vacunar específicamente frente a cada serotipo.
¿Cómo se diagnostica la enfermedad?
El diagnóstico se basa, en primera instancia, en la aparición de signos clínicos característicos, que no patognomónicos, y en la constatación de la presencia de los vectores en la zona.
La confirmación se realiza mediante pruebas laboratoriales, que deben realizarse en los laboratorios de diagnóstico de las Comunidades Autónomas o en el Laboratorio Nacional de Referencia de la Lengua Azul (Laboratorio Central de Veterinaria de Algete), al tratarse de una Enfermedad De Declaración Obligatoria.

El diagnóstico se basa en el aislamiento del virus y su identificación a partir de muestras de sangre y tejidos, así como en la detección de anticuerpos en animales no vacunados.
La gravedad de la enfermedad depende del serotipo y de la especie
Entre los animales domésticos, los ovinos son los más afectados, mientras que en los caprinos y bovinos puede cursar de modo inaparente, aunque sí juegan un papel importante en la transmisión.
En cuanto a los serotipos que circulan por nuestro país, el serotipo 3 se está mostrando como el más agresivo.
¿Cuál es la situación actual de la Lengua Azul España?
En España tenemos una situación complicada, ya que el virus está distribuido en toda la península.
Los serotipos aislados son el 1, 3, 4 y 8, y en cada actualización de la situación de estos serotipos por parte del Ministerio de Agricultura, Pesca y Alimentación encontramos nuevas zonas afectadas.
Siempre se ha considerado esta enfermedad como estacional, pero en los últimos años, los inviernos son cada vez más suaves y, en consecuencia, la supervivencia de los culicoides es cada vez mayor.
Las últimas informaciones publicadas por el Ministerio indican que toda la península es territorio “sin estatus” para los serotipos 1, 3, 4 y 8.
Esto implica que la vacunación es voluntaria y el movimiento no está restringido.
Las Islas Canarias son territorio libre de la enfermedad y en las Islas Baleares se sigue un programa de erradicación.
En el resto del país, de momento, se trabaja para la contención de la enfermedad de manera que podamos convivir con ella.
La Lengua Azul no es una zoonosis, así que no constituye un problema de salud pública.
Su importancia estriba en las pérdidas de producción y en las trabas que se imponen al comercio de los animales procedentes de zonas afectadas.
Has
hablado del control y de la erradicación de la enfermedad.
¿Qué medidas se están tomando para contener al virus?
La Organización Mundial en Sanidad Animal (WOAH) señala qué medidas deben llevarse a cabo frente a la Lengua Azul (LA).
Estas medidas se recogen en la legislación de la Unión Europea y a nivel nacional se establece una normativa propia recogida en el Manual Práctico de Operaciones en la Lucha Contra la Lengua Azul.

La lucha contra la enfermedad está basada en las siguientes actuaciones:
Programa de vigilancia serológica para detectar precozmente la presencia de animales infectados.
Programa de vigilancia entomológica.
Restricción de movimientos de animales procedentes de explotaciones afectadas.
Medidas de control del vector en el medio ambiente, en los alojamientos de los animales y en los propios animales, mediante el uso de desinfectantes y repelentes.
Establecimiento de áreas de control y vigilancia alrededor de los focos.
Vacunación de animales domésticos susceptibles.
¿Qué papel juega la vacunación entre todas estas medidas?
La vacunación está recomendada, y contemplada por la OIE y por la Unión Europea (Directiva 2000/75/CE) como método eficaz para el control y la erradicación de la Lengua Azul.
Mediante la correcta vacunación del ganado susceptible, no solo se palía la sintomatología clínica, sino que además es posible limitar, e incluso evitar por completo la replicación vírica en los animales que pudieran infectarse, y con ello controlar la circulación de los serotipos frente a los que se ha vacunado.
Personalmente considero que el desarrollo de las vacunas supone uno de los mayores avances, si no el mayor, en la sanidad humana y animal. Además, en enfermedades como esta, donde la transmisión depende de vectores de muy difícil control y donde los factores ambientales juegan un papel fundamental, la vacunación es prácticamente la única medida realmente eficaz.
Mediante el uso de vacunas, junto a otras actuaciones, es posible, no solo el control efectivo, sino incluso la erradicación de la enfermedad. Además, en muchos casos es un requisito para el comercio fuera de las zonas afectadas.
En 2024, en España se dieron una serie de circunstancias excepcionales:
La circulación simultánea de cuatro serotipos a la vez.
La dificultad logística de vacunar frente a los cuatro serotipos.
La falta de vacuna disponible.
Esto hizo que las autoridades se replantearan el programa de erradicación, sustituyéndolo en la mayor parte del territorio por una estrategia de protección clínica basada en la vacunación voluntaria de los animales susceptibles a la enfermedad, eliminando la obligación de que los animales objeto de movimiento dentro de esta zona debieran haber sido vacunados previamente frente a los serotipos presentes.
¿De qué vacunas disponemos actualmente? ¿Son seguras?
La variedad de tipos de vacunas es grande.
Se han desarrollado vacunas no replicativas, conseguidas:

Con diferentes tecnologías de inactivación.
Mediante el uso de subunidades producidas mediante tecnologías que exponen una o más proteínas concretas del virus de la Lengua Azul (VLA).
Se han producido vacunas replicativas:
Mediante el uso de vectores.
Por atenuación mediante diferentes métodos.
Por modificación genética.
Actualmente en nuestro mercado solo se dispone de vacunas de virus completo inactivados y las de virus vivos atenuadas, monovalentes, o como mucho frente a dos serotipos.
En todos los casos, para conseguir el permiso de comercialización, las vacunas pasan por la evaluación de seguridad y eficacia por parte de las autoridades sanitarias europeas competentes.
Boehringer Ingelheim ha lanzado recientemente una vacuna frente al serotipo 3 de BTV, Bultavo® 3. ¿Qué ha motivado esta decisión?
Boehringer Ingelheim entra en este mercado con Bultavo® 3 con el firme propósito de colaborar de manera efectiva a mantener un stock de vacunas suficientes en España que facilite el control e incluso la erradicación de la enfermedad.
¿Que ofrece
Bultavo® 3 es una vacuna monovalente, inactivada, frente al serotipo 3 de la Lengua Azul, registrada para su aplicación en ganado bovino y ovino.
Contiene un doble adyuvante, a base de hidróxido de Aluminio y Quil A específicamente seleccionado para desarrollar una respuesta completa, tanto humoral como celular.
No podemos olvidar que el agente causal es un virus y, por ello, hay que procurar una respuesta inmunitaria integral.
La mayor parte de las vacunas presentes en nuestro mercado están diseñadas para reducir la viremia consecuencia de la infección y reducir los síntomas clínicos.
Sin embargo, si hay algo que resaltar de Bultavo® 3 es que ha demostrado su capacidad para prevenir por completo la viremia propia de la infección y los signos clínicos en ganado vacuno, y así figura en su ficha técnica.
Boehringer Ingelheim se encuentra en disposición de desarrollar de manera rápida vacunas frente a otros serotipos y la decisión de lanzar nuevas vacunas frente a la Lengua Azul se tomará atendiendo, sobre todo, a las necesidades del mercado, tanto nacional como europeo.

Sin duda, es una característica muy relevante en el control de la enfermedad, ya que la diseminación del virus depende de la viremia.
Si a esto añadimos que desencadena inmunidad efectiva tres semanas después de la pauta de primovacunación, creo que esta vacuna es muy interesante para el control o incluso la erradicación de la Lengua Azul serotipo 3 en nuestro país. Además, hasta la fecha y después de muchas dosis aplicadas, apenas hemos tenido notificaciones de reacciones indeseables.
El uso de las vacunas para el control de la Lengua Azul es un elemento de efectividad perfectamente contrastada, y la elección de Bultavo® 3 cuando se trata de prevenir frente al serotipo 3 de la enfermedad, una alternativa muy interesante, que cuenta con la garantía de Boehringer Ingelheim.
Frente a la lengua azul, la vacunación es prácticamente la única medida realmente eficaz - Entrevista con Manuel Cerviño DESCÁRGALO EN PDF

BULTAVO® 3 con eficacia demostrada en:
Bovino
Prevención de la viremia
Prevención de los signos clínicos

Ovino
Reducción de la viremia
Prevención de los signos clínicos
LIBÉRATE DE LA AMENAZA DEL SEROTIPO 3 DEL VIRUS DE LA LENGUA AZUL
BULTAVO® 3 suspensión inyectable para ovino y bovino. Composición: Cada dosis (1 ml) contiene: Virus de la lengua azul, serotipo 3, cepa Bio-93:BTV3, inactivado 10 - 320 unidades ELISA. Especies de destino: Ovino y bovino. Indicaciones: Ovino: Inmunización activa para reducir la viremia y prevenir los signos clínicos causados por el serotipo 3 del virus de la lengua azul (VLA). Bovino: Inmunización activa para prevenir la viremia y los signos clínicos causados por el serotipo 3 del virus de la lengua azul (VLA). Establecimiento de la inmunidad: 3 semanas después de la primovacunación. Duración de la inmunidad: no se ha establecido. Contraindicaciones: Ninguna. Gestación y lactancia: Puede utilizarse durante la gestación. No ha quedado demostrada la seguridad del medicamento veterinario durante la lactancia. Acontecimientos adversos: Frecuentes: Temperatura elevada y Hinchazón en el punto de inyección. Muy raros: Reacción anafilactoide. Posología: Administrar una dosis de 1 ml, por vía subcutánea en ovino, y por vía intramuscular en bovino. En ovino: una inyección a partir de 1 mes de edad en animales no expuestos. En bovino: una 1ª inyección a partir de 1 mes de edad en animales no expuestos y una 2ª inyección 3 semanas después de la primera inyección. Precauciones: Vacunar únicamente animales sanos. La inmunización básica debe iniciarse a tiempo para que la protección se haya desarrollado completamente al comienzo del período de riesgo para el animal. Tiempos de espera: Cero días. Conservación: Conservar y transportar refrigerado (entre 2 °C y 8 °C). No congelar. Proteger de la luz. Nº autorización: 4400 ESP. Autorización de comercialización en circunstancias excepcionales. Formatos: Caja de cartón con 1 vial de 50 dosis. Titular: Boehringer Ingelheim Vetmedica GmbH. Medicamento sujeto a prescripción veterinaria. En caso de duda consulte a su veterinario.
Alejandro Sanchez-Fernandez1, Pablo Quilez2, Pierre Aykut Chaulier2, David Guallar2, Héctor Ruiz2, Marta Ruiz De Arcaute2, Delia Lacasta2, Juan Carlos Gardón3 y Joel Bueso-Ródenas1
1Departamento de Producción Animal y Salud Pública, Universidad Católica de Valencia San Vicente Mártir, Valencia
2Servicio Clínico de Rumiantes (SCRUM), Universidad de Zaragoza, Zaragoza, Miguel Servet 177, 50013 Zaragoza
3Departamento de Medicina y Cirugía Animal, Universidad Católica de Valencia, San Vicente Mártir, Valencia

La ecografía pulmonar tiene un interés creciente en el sector ganadero. De hecho, en bovino su uso ya está extendido en algunas fases del ciclo productivo, como por ejemplo, en la recría de terneras de aptitud lechera o en las incorporaciones a granjas de cebo de terneros.
Ahora, esta técnica empieza a cobrar relevancia también en ovino, especie en la que las enfermedades respiratorias tienen un notable impacto sanitario y productivo.

En el caso del ovino:
El pulmón de la oveja tiene buena capacidad para transmitir el ultrasonido, lo que permite en adultos usar frecuencias intermedias entre 5,0 y 6,5 MHz.
En corderos jóvenes o al explorar estructuras más superficiales, puede ser útil emplear frecuencias más altas para mejorar la resolución de la imagen (hasta 10 MHz).
Para este tipo de examen, se pueden utilizar sondas convex o microconvex, ya que su forma curva y su imagen trapezoidal facilitan el acceso entre las costillas y ofrecen buena visualización. También es válida la sonda lineal para ovejas de mayor tamaño.
Los ovinos tienen 13 pares de costillas, por tanto, poseen 12 espacios intercostales y, para examinar los primeros espacios intercostales, se recomienda extender la extremidad anterior del animal hacia delante para facilitar el acceso a esa región.

El examen ecográfico se realiza con la oveja en estación, colocando la sonda de forma paralela a las costillas.
El ajuste inicial de profundidad en 6 cm suele ser adecuado para un estudio torácico estándar.
Es importante examinar ambos lados del tórax, ya que las lesiones pueden ser unilaterales o variar en severidad.
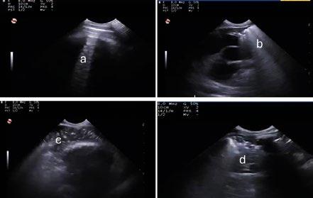
PULMÓN SANO

En un pulmón sano, se observa una línea hiperecogénica continua en la región superior, correspondiente a la pleura visceral, que representa la interfaz con la superficie pulmonar.
Al ser un órgano predominantemente aireado, el pulmón genera artefactos de reverberación conocidos como líneas A, que aparecen como líneas horizontales paralelas y son un hallazgo ecográfico normal.
Esta imagen puede variar según la edad o el estado corporal del animal.

PULMÓN ALTERADO

Entre las alteraciones más comunes se encuentran las líneas B o "colas de cometa", que indican inflamación o líquido en el tejido.
Pueden observarse irregularidades, engrosamientos o discontinuidades pleurales, sugestivas de infección, así como consolidaciones pulmonares, donde el tejido pierde su patrón aireado y se vuelve más denso.
Las consolidaciones pulmonares pueden ser localizadas o extensas y, en casos graves, pueden dar un aspecto similar al hígado (hepatización), característico de neumonías avanzadas.
Dentro de estas zonas es frecuente visualizar un broncograma aéreo, representado por bronquios llenos de aire como puntos o líneas hiperecogénicas.


Las enfermedades respiratorias de vías bajas más frecuentemente observadas en ovinos adultos incluyen:
Complejo Respiratorio Ovino (CRO).
Adenocarcinoma Pulmonar Ovino (APO).
Neumonía por aspiración (gangrenosa).
Forma pulmonar de la infección por lentivirus de los pequeños rumiantes (SRLV, Imagen 1).

Todas ellas son potencialmente detectables mediante la ecografía pulmonar.
Forma visceral de la linfadenitis caseosa.
Neumonía verminosa causada por vermes pulmonares parasitarios.
Ciertas enfermedades pulmonares pueden estar asociadas más comúnmente con zonas específicas, por lo que también es importante relacionar las diferentes imágenes con la región que se está evaluando (Tabla 1).
CRO (forma crónica)
APO
Neumonía gangrenosa
SRLV
Linfadenitis caseosa
Neumonía verminosa
Ecogenicidad heterogénea en el parénquima pulmonar (consolidación).
Áreas hipoecoicas que representan una masa tumoral, delimitadas dorsalmente por una amplia línea hiperecoica.
Áreas hiperecoicas/anecoicas, según el contenido (pus o líquido, con posible punteado hiperecoico.
Ecogenicidad homogénea en el parénquima pulmonar con alta presencia de líneas B (Imagen 1).
Nódulos con diferentes ecogenicidades, a menudo en círculos concéntricos, rodeados por patrón normal.
Múltiples líneas B.
Lóbulos apicales.
Regiones cráneo ventrales de todos los lóbulos.
Lóbulos apicales.
Todo el pulmón.
Puede aparecer en cualquier zona del parénquima pulmonar (no visible la afección del linfonodo mediastínico).
Regiones dorsales.
Tabla 1. Características ecográficas y regiones pulmonares afectadas en distintas enfermedades respiratorias ovinas.

Es importante tener en cuenta que la aparición simultánea de múltiples enfermedades pulmonares en un mismo individuo adulto es un fenómeno muy común, por lo que se deberá tener en cuenta durante la valoración ecográfica del pulmón.



La aplicación de la ecografía pulmonar en ovinos adultos tiene un futuro prometedor, siendo ya una técnica estandarizada en el Reino Unido para el diagnóstico de la APO.
En cambio, en el caso de los corderos la aplicación más plausible sería el diagnóstico del CRO, que constituye una de las principales causas de morbilidad y mortalidad en fase de cebo, afectando gravemente al bienestar animal y a la rentabilidad de las explotaciones ganaderas.
La detección temprana y precisa de las lesiones pulmonares es fundamental para:
Optimizar el tratamiento.
Reducir el uso innecesario de antimicrobianos.
Mejorar el pronóstico.

Uno de los estudios más recientes de este equipo de trabajo tuvo como objetivo de estudio evaluar la utilidad de la ecografía torácica en corderos mediante la comparación con métodos diagnósticos convencionales como la auscultación, la puntuación clínica y la evaluación postmortem.
Este estudio se desarrolló en una explotación de ovino lechero de raza
Lacaune ubicada en la Comunidad
Valenciana (España), con una muestra de 111 corderos.
Tras el destete y durante la fase de cebo, los animales fueron seleccionados por presentar signos clínicos o condiciones susceptibles de retraso en el crecimiento, siendo aptos para su transporte al matadero.
Las pruebas diagnósticas se realizaron 12 horas antes del sacrificio.
El examen físico se basó en una versión adaptada del sistema Wisconsin Calf
Respiratory Score, considerando signos como:
Descarga ocular y nasal.
Inclinación de cabeza.
Tos.
Temperatura rectal.

La auscultación pulmonar se llevó a cabo mediante un protocolo sistematizado con fonendoscopio, evaluando los lóbulos pulmonares derecho e izquierdo describiéndose:
Sonidos normales.
Sonidos bronquiales.
Ronquidos.
Sonidos crepitantes.
Ausencia de ruidos respiratorios.
La ecografía torácica se realizó con un ecógrafo portátil (Esaote MyLab One Vet) equipado con sonda microconvexa de 10 MHz. En esta, se evaluaron secuencialmente los lóbulos pulmonares craneales, medios y caudales, categorizando las imágenes obtenidas según la aparición de:
Líneas A (patrón normal) (Imagen 2a).
Líneas B (Imagen 2b).
Consolidaciones (Imagen 2c).
Derrame pleural.
Abscesos (Imagen 2).
En el matadero se realizó la evaluación postmortem, considerada como la técnica de referencia, midiendo el porcentaje de pulmón afectado y clasificando las lesiones macroscópicas de forma estandarizada en cuatro categorías (Imagen 3).

La severidad y la extensión de la enfermedad, valorada según cada una de las cuatro técnicas (examen físico, auscultación ecografía pulmonar y evaluación post mortem) fue valorada de 0 a 3. A continuación se calculó la sensibilidad y la correlación entre las técnicas, teniendo a la evaluación macroscópica post mortem como referencia.
consolidación y (d) absceso.

Limitaciones de las técnicas convencionales
A pesar de ser una técnica económica y rápida, la auscultación tiene una utilidad diagnóstica limitada en comparación con la ecografía por su baja especificidad, la dificultad para localizar abscesos o distinguir ruidos pulmonares de otros sonidos fisiológicos, y también por la influencia del operador.
Aunque útil en casos moderados, su capacidad para calificar la gravedad de los procesos y la correlación con la evaluación postmortem fue menor.
Imagen 3. Lesión pulmonar delimitada para su cuantificación.
El examen físico es una herramienta valiosa para el cribado inicial y la toma de decisiones en campo, pero puede no detectar los casos más leves o incipientes por no detectar casos subclínicos (un 24,3% de los animales que no presentaban signos clínicos mostraban alteraciones ecográficas compatibles con enfermedad respiratoria).
Además, no tiene la sensibilidad suficiente para clasificar los casos según su gravedad.
La ultrasonografía pulmonar permitió una evaluación objetiva, no invasiva y repetible de las lesiones pulmonares, con capacidad para identificar consolidaciones, líneas B, derrames y abscesos, incluso en animales sin síntomas clínicos.
Aunque presenta limitaciones en lesiones profundas o mediastínicas, su aplicación en corderos en fase de cebo resulta especialmente útil, dada la localización superficial y la localización típica de las neumonías en regiones craneoventrales del tórax. Además, puede servir para monitorizar la respuesta al tratamiento y para implementar estrategias preventivas basadas en el manejo o vacunación.
En conclusión, este estudio demuestra que la ecografía pulmonar es una herramienta fiable, práctica y complementaria para el diagnóstico del complejo respiratorio ovino.
Su uso en condiciones de campo permitiría mejorar el manejo sanitario, reducir el uso innecesario de antibióticos, y avanzar hacia una producción más sostenible y respetuosa con el bienestar animal.
Se recomienda su incorporación a protocolos diagnósticos rutinarios, así como la realización de estudios futuros para relacionar los patrones ecográficos con agentes etiológicos específicos.

Karen Hammad, Roberto Vitaller, Elena Longarón, Idoia Ubieta, Pedro Manuel Martín-Mesa, Pablo Quilez, Álex Gómez, David Guallar-Abellan, Diana Marteles y Sergio Villanueva-Saz* Servicio Clínico de Rumiantes. Facultad de Veterinaria. Universidad de Zaragoza *Autor de correspondencia: svs@unizar.es


La leishmaniosis es una zoonosis de transmisión vectorial provocada por diversas especies del género Leishmania.
En Europa, Leishmania infantum es la especie más comúnmente identificada, y su propagación ocurre mediante varias especies de flebótomos.
Leishmania spp. es un parásito con un ciclo biológico bifásico que se desarrolla en dos tipos de hospedadores:





vector flebótomo que alberga la forma extracelular flagelada conocida promastigote.

hospedador mamífero es donde se transforma en la forma intracelular denominada amastigote.
Las hembras de flebótomo transmiten los promastigotes al hospedador vertebrado durante






Una vez en el punto de inoculación, los promastigotes son fagocitados por macrófagos y otras células mononucleares del sistema fagocítico donde se diferencian a amastigotes.



evadir las defensas inmunitarias del hospedador, replicándose por fisión binaria e infectando nuevas células del sistema mononuclear fagocítico.
La evolución de la infección dependerá de la competencia del sistema inmunitario del hospedador.
zonas
endémicas durante los últimos carácter emergente en
Si bien existen reservorios principales reconocidos, es posible que otros animales también actúen como reservorios temporales del parásito, contribuyendo a su mantenimiento y diseminación, aunque aún no hayan sido plenamente identificados.
Por este motivo, detectar y caracterizar todos los potenciales reservorios resulta esencial para implementar estrategias eficaces de control de la enfermedad.
Con el avance y las mejoras de las pruebas de confirmación de la infección se están detectando la presencia de la infección en otras especies tanto domésticas (hurón), como de fauna salvaje (visón europeo, mangabey de nuca blanca, entre otros).



En el caso de los pequeños rumiantes, su posible papel epidemiológico en relación con la infección por Leishmania infantum ha comenzado a estudiarse en Europa en el año 2013, con un primer estudio realizado en la región de Tesalia (Grecia), donde no se detectaron anticuerpos frente a L. infantum en 361 ovejas procedentes de 34 explotaciones distintas.
No obstante, años antes, en 2002, se había publicado en una revista nacional en España una investigación en la que se detectó seropositividad en ovejas y cabras de Cataluña, concretamente en la zona del Priorat (Tarragona).
En todos los pequeños rumiantes seropositivos se observaron bajos niveles de anticuerpos, con una seroprevalencia del 11,86 % en ovejas y del 18,85 % en cabras.
Tras la descripción de un primer caso de leishmaniosis en una cabra de Cataluña atendida telemáticamente por el Servicio Clínico de Rumiantes (SCRUM) de la Universidad de Zaragoza, se ha empezado a valorar el potencial papel de los animales de producción en la epidemiología de la infección de este parásito.
En este caso en concreto, se trataba de una cabra que era mantenida como animal de compañía.
El animal presentaba lesiones dérmicas persistentes (dermatitis exfoliativa) durante varios meses de evolución (Imagen 1), acompañadas de linfadenomegalia.
Desde el punto de vista de alteraciones clínicopatológicas, aunque la mayoría de los valores analíticos se encontraron dentro de los rangos de referencia, se detectó:
Aumento de proteínas totales, alanina aminotransferasa (ALT) y bilirrubina total.
Hiperglobulinemia.
Disminución de gamma-glutamil transferasa (GGT) y el calcio (Ca).

Proteinograma del paciente
Se llevó a cabo una electroforesis de proteínas séricas para investigar la naturaleza de la hiperglobulinemia, revelando una gammapatía policlonal (Gráfica 1).

Proteinograma de una cabra sana

Gráfica 1. Proteinograma sérico detectando la presencia de una gammapatía de tipo policlonal que se caracteriza por un aumento generalizado de inmunoglobulinas (gammaglobulinas) producido por múltiples clones de células plasmáticas. Cuando un animal presenta la leishmaniosis de forma activa, la respuesta inmunitaria se activa intensamente para combatir la infección. Esta respuesta inmunitaria genera una producción exagerada y descontrolada de anticuerpos, pero no de un solo tipo sino de muchos diferentes, esto es lo que se llama "policlonal".
Imagen 1. Cabra afectada por leishmaniosis con presencia un cuadro de dermatitis exfoliativa (Imagen cortesía de Joan Ferrán Serra).
Finalmente, se realizó una serología de tipo ELISA indirecto como prueba de confirmación de la infección por L. infantum, resultando positiva con niveles moderados de anticuerpos anti-Leishmania.
Debido a todos estos hallazgos clínicos, laboratoriales y un resultado positivo por serología, se estableció un protocolo terapéutico anti-Leishmania totalmente empírico basado en antimoniato de meglumina a una dosis de 100 mg/kg cada tres días por vía subcutánea durante 25 días, debido a la imposibilidad del propietario de administrar el tratamiento a diario.
Tras finalizar el tratamiento, se resolvió la dermatitis descamativa, pero 20 días después, se produjo una recaída leve con dermatitis exfoliativa.
Por ello, se instauró un protocolo terapéutico con alopurinol a una dosis de 40 mg/kg cada 12 horas por vía oral durante 4 meses, logrando una resolución clínica completa (Imagen 2).

anti-Leishmania (Imagen cortesía de Joan Ferrán Serra).

Antes de este caso descrito en España, se había documentado otro caso en Kenia en una cabra que presentaba lesiones cutáneas y viscerales, pero se consideró Leishmania aethiopica como agente etiológico más plausible.
A partir de este primer caso clínico descrito en España se empezó a investigar en nuestro territorio:
Si los pequeños rumiantes se encuentran expuestos a la infección por Leishmania spp. (detección de anticuerpos anti-Leishmania por serología).
Si los animales seropositivos se pueden detectar.
Si los animales infectados presentan o no lesiones compatibles similares a las descritas en la cabra enferma o cuadros clínicos producidos por el parásito en otras especies animales en las que se dispone de información científica al respecto.
INFANTUM: NUEVOS ESTUDIOS EPIDEMIOLÓGICOS
Un primer estudio realizado por el SCRUM ha revelado la presencia de anticuerpos frente a L. infantum en ovejas diferentes provincias al área de influencia de casos atendidos por este servicio. Se analizaron un total de 302 muestras de suero procedentes de las provincias de Zaragoza, Guipúzcoa, Huesca, Lleida y Guadalajara.

Los resultados del análisis mediante ELISA (Imagen 3) mostraron:
Una seroprevalencia del 9,27 %, lo que indica contacto previo con el parásito.
Mayor tasa de seropositividad en ovejas adultas y hembras, lo que no se había descrito antes en estudios similares.

Imagen 3. Prueba ELISA para la detección de anticuerpos anti-Leishmania. La intensidad de color es directamente proporcional a nivel de anticuerpos presente es la muestra analizada. Cada pocillo corresponde a una muestra de un animal diferente.
Posteriormente, se ha publicado otro estudio epidemiológico realizado en Alemania, un país que tradicionalmente se ha considerado como zona no endémica para la infección por L. infantum, en el que se utilizó la misma técnica serológica, lo que permite una comparación directa de los resultados. En este estudio, se analizaron 551 animales (551 ovejas y 88 cabras) en dos estados del sur de Alemania, Baden-Wurtemberg y Baviera.
Estos nuevos hallazgos apuntan a que otras especies, como las ovejas, podrían tener un potencial papel en su ciclo epidemiológico. A pesar de que ninguna de las ovejas presentaba signos clínicos compatibles con leishmaniosis, la detección de anticuerpos sugiere que pueden haber estado expuestos.
Utilizando la técnica ELISA, se detectaron anticuerpos en ocho ovejas (1,45 %), distribuidas en varios rebaños. En cambio, todas las cabras resultaron negativas.
Aunque no se encontraron asociaciones significativas entre la seropositividad y factores como edad, sexo o localización del rebaño, el hecho de que estos animales hayan tenido contacto con L. infantum en regiones sin vectores confirmados plantea un posible cambio en el escenario epidemiológico.
Finalmente, una investigación publicada este año 2025 llevada a cabo en la provincia de Granada ha revelado la presencia de anticuerpos frente a L. infantum en un porcentaje significativo de animales de producción, lo que indica que podrían haber estado expuestos al parásito sin mostrar signos clínicos de enfermedad.
Este estudio analizó 864 muestras de suero de vacas, ovejas, cabras y cerdos, utilizando la técnica de inmunofluorescencia indirecta (IFI).
Los resultados mostraron una seroprevalencia global del 10,8 % (93/864), destacando el ganado vacuno con un 21,6 % (27/125), seguido de las ovejas con un 15,4 % (43/280), las cabras con un 7,3 % (22/302) y los cerdos 0,6 % (1/157).
Un aspecto importante a tener en cuenta en los estudios seroepidemiológicos es la posible variabilidad de los resultados entre investigaciones. Estas diferencias pueden deberse a:

La evidencia acumulada en los últimos años sugiere que los pequeños rumiantes, en particular las ovejas y cabras, podrían estar expuestos a L. infantum en mayor medida de lo que se había reconocido anteriormente.
La diversidad de técnicas serológicas empleadas: cada método presenta sensibilidades y especificidades distintas, lo que influye directamente en la capacidad para detectar anticuerpos.
El tipo de antígeno utilizado en la prueba: puede captar distintos perfiles inmunológicos en los animales analizados.
La dilución del suero: concentraciones más altas pueden dificultar la detección de títulos bajos, mientras que diluciones menores aumentan el riesgo de falsos positivos.
Los valores de corte establecidos para considerar un resultado como positivo: no siempre son uniformes entre estudios, lo que complica la comparación directa de las tasas de seroprevalencia o de exposición entre distintas poblaciones o regiones.
ACCEDER A BIBLIOGRAFÍA
Aunque su papel como reservorios activos aún no está confirmado, la detección de anticuerpos en distintas regiones y la descripción de casos clínicos puntuales, como el de la cabra en nuestro territorio, ponen de manifiesto la necesidad de seguir investigando su implicación en el ciclo epidemiológico de la infección.
Por ello, se hace imprescindible:
Profundizar en el estudio serológico y molecular en estas especies.
Incorporar su vigilancia dentro de los programas de control de la enfermedad.
Considerar un enfoque integrado "One Health" que contemple el papel de todos los hospedadores potenciales en el ecosistema.
Pequeños rumiantes y leishmaniosis: ¿un potencial reservorio ignorado? DESCÁRGALO EN PDF

Daniel Alexander Méndez, Blanca Fajardo Viloria, Eliseo Gil Vidal, Salvador Calvet y Andrea Costantino Instituto de Ciencia Animal, Universitat Politècnica de València, Valencia, España

LA NECESIDAD DE UNA MONITORIZACIÓN CONTINUA DEL COMPORTAMIENTO EN CABRAS
El comportamiento es clave para evaluar el bienestar y salud de las cabras, puesto que detectar cambios tempranos en sus patrones de actividad permite anticipar posibles problemas sanitarios.
De esta manera es posible mejorar el manejo, la eficiencia y la rentabilidad de la explotación (Matthews et al., 2016). Sin embargo, la observación manual del rebaño es un proceso costoso, subjetivo y poco compatible con grandes explotaciones intensivas.

En los últimos años, la Ganadería de Precisión (PLF, por sus siglas en inglés “Precision Livestock Farming”) ha revolucionado el sector con herramientas para monitorizar y controlar el rebaño de forma continua, automático y en tiempo real.

Entre las tecnologías PLF, la visión artificial representa una solución prometedora que ofrece un método automático, económico y no invasivo para monitorear el comportamiento del rebaño.
La visión artificial, rama de la inteligencia artificial, busca imitar la visión biológica mediante el uso de algoritmos aplicados a imágenes. Este enfoque se ha adoptado previamente en la cría de cerdos y en ganado vacuno (Nasirahmadi et al., 2017), pero su aplicación sigue siendo muy limitada en la cría de cabras, pese a sus posibles beneficios.
En el marco del proyecto ComfyPLF, se desarrolló un modelo de visión artificial de detección multiobjeto para identificar el comportamiento de cabras en tiempo real a través de imágenes grabadas por una cámara.
La actividad experimental se realizó en la granja de pequeños rumiantes de la Universitat Politècnica de València, cuya planimetría esquemática se muestra en la Figura 1.
Se seleccionó el corral 1 para la recopilación de videos, realizada ininterrumpidamente durante tres semanas, del 8 al 28 de julio de 2024.
Durante este periodo, se seleccionaron ocho cabras murciano-granadinas que fueron alojadas en dicho corral.
1.
Esquematización planimétrica de la granja de pequeños rumiantes de la Universitat Politècnica de València. La grabación de videos se llevó a cabo en el corral 1.

Para la grabación de videos se utilizó una cámara comercial RGB (lente de 2,8 mm y sensor CMOS) con una resolución QHD (2.560 x 1.440 píxeles), frecuencia de imagen de 20 Hz y LED infrarrojo para la grabación en ausencia de luz visible.
La cámara se instaló en posición cenital, centrada sobre el corral, a una altura de 5 metros.
En la Imagen 1 se presenta un ejemplo de fotograma grabado por la cámara.


Imagen 1. Ejemplo de fotograma adquirido por la cámara.
De las 500 horas de grabaciones se extrajo un conjunto de 1.247 fotogramas significativos, que se clasificaron en subconjuntos para el entrenamiento (70 %), validación (20 %) y testeo (10 %) del modelo.
Todos los fotogramas se etiquetaron manualmente, identificando cada cabra con un recuadro de contorno y clasificando su comportamiento según las siguientes clases categóricas (Figura 2):
Comer: acción de introducir la cabeza en los comederos.
Beber: acción de introducir la cabeza en los dispensadores de agua.
Estar de pie: acción de estar de pie sobre cuatro patas, también incluye caminar y orinar.
Tumbarse: acción de estar en el suelo en cualquier posición.

Acción de introducir la cabeza en los comederos.
Acción de introducir la cabeza en los dispensadores de agua.
Acción de estar de pie sobre cuatro patas, también incluye caminar y orinar.
Acción de estar en el suelo en cualquier posición.
Figura 2. Clases categóricas y ejemplos de comportamientos identificados por el modelo multiobjeto de detección.

El subconjunto de entrenamiento se usó para desarrollar un modelo de visión artificial basado sobre YOLOvX (Ge et al., 2021), un algoritmo consistente en una red neuronal que encuentra diferentes aplicaciones en visión artificial, como la guía autónoma (Zhang et al., 2025) o la detección de fauna silvestre (Delplanque et al., 2023).
En la Imagen 2 se muestra un ejemplo de fotograma analizado por el modelo que identifica cada cabra a través de un recuadro rojo e indica su comportamiento y el nivel de fiabilidad de la detección.

Imagen 2. Ejemplo de fotograma analizado por el modelo. Las cabras son identificadas a través de un recuadro verde. Las escritas en rojo proporcionan información sobre el comportamiento detectado y el grado de fiabilidad.
Después de la fase de entrenamiento, se procedió a evaluar el modelo a través de la comparación de sus predicciones con los datos etiquetados, que representan la verdad fundamental.
Para que una predicción se considere correcta, deben cumplirse contemporáneamente dos condiciones:
1
El recuadro indicante de la cabra, definido por el modelo, debe solaparse al menos un 50 % con el recuadro de la verdad fundamental. Esta medida, conocida como intersección sobre unión (IoU), se ilustra en la Figura 3.
2
El modelo debe identificar el mismo comportamiento de la cabra que el etiquetado, que representa la verdad fundamental.

Verdad fundamental
Predicción del modelo IoU
Área de intersección
Área de unión
Figura 3. Esquematización gráfica de la medida de la intersección sobre unión (IoU). Para la detección correcta de una cabra es necesario que el modelo alcance una IoU de al menos el 50%.
de precisión

Como métrica para evaluar la fiabilidad del modelo se adoptó la Average Precision (AP), que evalúa conjuntamente la precisión del modelo, lo que incluye:
Su exactitud al identificar las cabras y sus comportamientos, minimizando falsos positivos (como sombras confundidas con cabras).
La exhaustividad, que mide su capacidad para detectar todas las cabras presentes, minimizando falsos negativos (como cabras no detectadas).
Tal y como muestran las métricas en la Tabla 1, el modelo es rápido y preciso, puesto que procesa más de 50 fotogramas por segundo (permitiendo aplicación en tiempo real) con una AP media del 96 %.
El modelo logra AP iguales o superiores al 95 % en todos los comportamientos, con la única excepción de beber (AP = 94 %).
de procesamiento
51,5 fotogramas por segundo
1. Métricas de evaluación del modelo de detección multiobjeto desarrollado para la detección del comportamiento en cabras.

La menor precisión del modelo a la hora de detectar cabras bebiendo se debe a varias razones:
Existe un desequilibrio en los datos, con menos fotogramas con cabras bebiendo respecto a las otras clases.
La distorsión de ojo de pez afecta significativamente las esquinas de los fotogramas, donde se ubica uno de los bebederos.
Existe una gran similitud visual entre cabras de pie y bebiendo.

Como se muestra en la Imagen 3, donde se evidencian las zonas del fotograma en que se enfoca el modelo, este se basa en elementos contextuales para identificar comportamientos, como la valla para identificar cabras comiendo o las patas para detectar cabras tumbadas.
El único elemento que permite distinguir entre cabras de pie y bebiendo es la posición relativa entre la cabeza y el bebedero.

Imagen 3. Mapa de calor de las zonas del fotograma enfocadas por el modelo para la detección de los comportamientos.
El modelo desarrollado permite monitorizar de forma fiable, continua y en tiempo real el comportamiento grupal de las cabras, facilitando la adquisición de diferentes indicadores, como patrones comportamentales, mapas de calor de uso del corral e histórico de actividades del rebaño.
Actualmente, se está trabajando para llegar a una monitorización más detallada a través de la integración de algoritmos de tracking para seguir a cada cabra y obtener información detallada a nivel individual.
Agradecimientos
El equipo de investigación quiere agradecer a los técnicos José Vicente Martí Vicent y José Luis Palomares Carrasco por su contribución en las actividades de granja. Este trabajo fue financiado con Ayuda a Primeros Proyectos de Investigación (PAID-06-23), Vicerrectorado de Investigación de la Universitat Politècnica de València (UPV) y parte del equipo de investigación benefició de la ayuda del proyecto TED2021-130759B-C31, financiado por MCIN/ AEI/10.13039/501100011033/ y por la "Unión Europea NextGenerationEU/PRTR".
Visión artificial para la identificación en tiempo real del comportamiento en cabras DESCÁRGALO EN PDF


La tuberculosis (TB) bovina es una micobacteriosis zoonósica producida por miembros del Complejo Mycobacterium tuberculosis (CMTB), especialmente M. bovis y M. caprae (Valcheva et al., 2022).
La presencia de esta enfermedad en la cabaña ganadera comporta una serie de repercusiones sanitarias y económicas por lo que diversos países, entre ellos España, han instaurado programas de erradicación de la TB en ganado bovino (MAPA, 2025).
Javier Ortega1, Carlos Velasco1,2, Beatriz Romero1,2, Julio Álvarez1,2 y Javier Bezos1,2
1Centro de Vigilancia Sanitaria Veterinaria (VISAVET), Universidad Complutense de Madrid, Madrid
2Departamento de Sanidad Animal, Facultad de Veterinaria, Universidad Complutense de Madrid, Madrid
Estos programas se basan eminentemente en una estrategia de diagnóstico y sacrificio, principalmente mediante el empleo de la intradermotuberculinización simple y comparada (IDTBs e IDTBc, respectivamente) y el ensayo de liberación de interferón-gamma (IGRA), combinada con bioseguridad y vigilancia en matadero.

ANTEMORTEM DE TB BOVINA?
Para la ejecución de las pruebas diagnósticas de carácter oficial, basadas en la respuesta inmunitaria de base celular, se emplean unos antígenos denominados derivados proteicos purificados (PPDs) o tuberculinas (MAPA, 2025).
Sin embargo, las PPDs tienen una serie de limitaciones:
Presentan variabilidad en su composición proteica, lo que puede influir en la potencia biológica del producto final, existiendo diferencias entre fabricantes e incluso entre lotes debido a las variaciones en su producción descritas en distintos estudios (Dobbelaer et al., 1983; Good & Duignan, 2011; Balks et al., 2025).
El hecho de que algunos antígenos de las PPDs se compartan entre micobacterias del CMTB y micobacterias no tuberculosas, puede dar lugar a la aparición de interferencias diagnósticas en las pruebas oficiales (Fernández-Veiga et al., 2023).
Por estas razones, en los últimos años se han desarrollado diferentes líneas de investigación con el objetivo de identificar, producir y evaluar nuevos antígenos con elevada sensibilidad y especificidad, y cuyo proceso de producción y composición sea más homogéneo y estandarizable que el de las PPDs, especialmente en el caso de péptidos sintéticos o proteínas recombinantes (Middleton et al., 2021; Jones et al., 2022).
Como resultado de estas investigaciones, en los últimos años se han desarrollado:
Mezclas de antígenos sintéticos, como ESAT-6, CFP-10, y Rv3615c (Jones et al., 2022).
Inmunocomplejos purificados a partir de la de la PPD bovina (PPDb) como el complejo proteico P22 (InfantesLorenzo et al., 2017).
Originalmente, estos nuevos antígenos se destinaron principalmente para su uso en técnicas in vitro (IGRA y serología) (Sidders et al., 2008; Infantes-Lorenzo et al., 2019), siendo en los últimos años cuando se han empezado a realizar estudios para evaluar su rendimiento en técnicas in vivo (ArrietaVillegas et al., 2020; Jones et al., 2022).
En el caso concreto de las mezclas peptídicas, las investigaciones iniciales iban encaminadas a obtener un producto DIVA (por sus siglas en inglés
Differentiating Infected from Vaccinated Animals) que permitiese discernir entre animales vacunados e infectados (Vordermeier et al., 2016).
Sin embargo, en los últimos años las líneas de investigación que conciernen a estos antígenos han evolucionado a escenarios diagnósticos sin vacunación (Kumar et al., 2021).
El objetivo principal era desarrollar alternativas a las PPDs con una mayor especificidad y una sensibilidad similar.
Adicionalmente, en el caso de las mezclas sintéticas, permitiría estandarizar la producción y composición, reduciendo la necesidad de pruebas de potencia biológica en animales para su validación, que son complejas, poco reproducibles y no siempre representativas de la calidad del producto final (Balks et al., 2025; Good et al., 2011).

Recientemente se han realizado estudios para evaluar el rendimiento diagnóstico de varios de estos antígenos:
P22 (Arrieta-Villegas et al., 2020).
Diferentes combinaciones de ESAT-6, CFP-10, Rv3615c y Rv3020c (Köhler et al., 2021).
MDT, resultante de la combinación de CFP-10, ESAT-6, Rv1789, Rv3020c, Rv3478, Rv3615c, Rv3616c y Rv3810 (Middleton et al., 2021).
DST-F, compuesto por ESAT-6, CFP-10 y Rv3615c (Jones et al., 2022; Subramanian et al., 2022; Holder et al., 2023).
El uso de estos antígenos en la IDTB y en el IGRA en diferentes especies (bóvidos domésticos y caprino) ha mostrado resultados prometedores en términos de sensibilidad y especificidad, de manera que podrían representar una posible alternativa a las PPDs en el futuro (Arrieta-Villegas et al., 2020; Kumar et al., 2021; Middleton et al., 2021; Jones et al., 2022; Subramanian et al., 2022).
El DST-F ha sido evaluado principalmente en ganado bovino (Jones et al., 2022; Subramanian et al., 2022; Holder et al., 2023) y búfalos (Kumar et al., 2021) en estudios a pequeña escala observándose, en líneas generales, una mayor especificidad que cuando se utiliza la PPDb y una sensibilidad similar, constituyendo por tanto un potencial candidato para sustituirla.
No existían datos relativos al funcionamiento del complejo P22 con respecto a las PPDs para la realización de la IDTB e IGRA en ganado bovino.
En caprino, un estudio a pequeña escala observó un mejor rendimiento de ambas técnicas oficiales empleando P22 como antígeno con respecto a PPDs (Arrieta-Villegas et al., 2020) y ha sido evaluado principalmente en técnicas de detección de anticuerpos (Ortega et al., 2022; Velasco et al., 2024).
Son necesarios estudios de campo a gran escala que generen datos sobre el rendimiento de las pruebas de diagnóstico oficial (IDTB e IGRA) empleando estos dos nuevos antígenos en rumiantes domésticos para extraer conclusiones sobre su fiabilidad para ser utilizados bajo diferentes situaciones epidemiológicas en el contexto de programas de erradicación de TB.
BASE CELULAR EMPLEANDO EL DST-F Y LA P22 COMO ANTÍGENOS EN PRUEBAS DE CAMPO: EL PROYECTO imdiTBap
El proyecto internacional “Improving the diagnosis of tuberculosis in domestic ruminants through the use of new antigens and test platforms” (imdiTBap)” tiene como uno de sus principales objetivos la evaluación del rendimiento diagnóstico de los antígenos DST-F y P22 en diferentes especies de rumiantes domésticos y condiciones sanitarias y epidemiológicas, encuadrándose los resultados de este artículo dentro del mismo.
Dentro de las actividades comprendidas en este proyecto, el centro VISAVET ha evaluado el rendimiento de las técnicas oficiales de diagnóstico de TB de base inmunológica en ganado bovino empleando DST-F y P22 en comparación con los resultados obtenidos empleando las PPDs.
En el desarrollo de las actividades necesarias para cumplir este objetivo, se evaluó el rendimiento de la IDTB e IGRA en vacas de cuatro explotaciones con TB (confirmadas mediante cultivo bacteriológico) empleando los nuevos antígenos y las PPDs tradicionales.


En el caso de las pruebas intradérmicas, los animales (n=103) fueron sometidos a la IDTBs, IDTBc y una intradermorreacción (IDR) con DST-F (IDR-DST-F) y P22 (IDR-P22).
Previo a la realización de las pruebas intradérmicas se tomaron muestras de sangre de estos mismos animales para una posterior estimulación con las PPDs tradicionales, DST-F y P22 y realizar la técnica del IGRA con el kit comercial Bovigam (Thermo Fisher Scientific, Waltham, EEUU).
Los criterios de interpretación para las diferentes pruebas intradérmicas (IDTBs, IDTBc e IDR) y la técnica de IGRA vienen descritos en las Tablas 1 y 2.
Para establecer las diferencias en lo relativo a la proporción de reactores a las diferentes técnicas utilizando diferentes antígenos en el estudio se analizaron estadísticamente utilizando el test Q de Cochran y de McNemar ajustando el valor p con la corrección de Bonferroni y considerando un valor p de 0,05 como estadísticamente significativo.

El mayor número de reactores a las pruebas intradérmicas (IDTBs-IDR) se detectó al emplear como antígeno la P22, tanto empleando un criterio de interpretación estándar (7/103; 6,8 %) como severo (10/103; 9,7 %), seguida de la PPDb (6/103; 5,8 % y 8/103; 7,8 %; respectivamente) y DST-F (4/103; 3,9 % con ambas interpretaciones).

En el caso del DST-F, el número de reactores se incrementó utilizando un punto de corte extra-severo (recomendado por el fabricante) obteniéndose un número de reactores similar al observado con la interpretación estándar de la IDR-P22 (7/103; 6,8 %) y ligeramente superior a la de la IDTBs (6/103; 5,8 %).
En cambio, el uso de las interpretaciones estándar y severa (4/103; 3,9 %) de la IDR-DST-F condujo a una reactividad de la técnica similar a la IDTBc, especialmente a su interpretación severa (4/103; 3,9 %) (Tabla 1 y Gráfica 1).
Hubo diferencias significativas en la proporción de reactores al emplear los diferentes antígenos (p < 0,05):

El número de reactores a la interpretación severa de la IDR-P22 fue significativamente mayor (p < 0,05) con respecto al observado a la misma interpretación de la IDR-DST-F (Gráfica 1).
Se observó un mayor número de reactores al emplear la P22 como antígeno con respecto a la PPDb, siendo contrario a lo observado en un estudio previo en ganado caprino (Arrieta-Villegas et al., 2020).
Una posible explicación podría ser las diferencias entre especies, siendo esta mayor reactividad de las pruebas intradérmicas utilizando P22 como antígeno característico de la especie bovina.

Tabla 1. Número (n) y porcentaje (%) de animales positivos a las pruebas intradérmicas utilizando los diferentes antígenos del estudio.
Técnica Antígeno (s)
Para la IDTBs/IDR se consideró como reactor aquel animal que presentó un incremento en el grosor del pliegue cutáneo ≥ 4 mm (interpretación estándar), ≥ 3 mm (criterio severo) o ≥ 2 mm (criterio extra-severo; únicamente empleando DST-F como antígeno) y/o que presentó signos clínicos en la zona de administración del antígeno.
Para la IDTBc se consideró reactor aquel animal que presentó una respuesta bovina > 4 mm (criterio estándar) o ≥ 1 mm (criterio severo) con respecto a la respuesta aviar y/o presentase signos clínicos en la zona de administración de la PPDb.
En cuanto al DST-F, la menor reactividad mostrada con este antígeno en las pruebas intradérmicas con respecto a la PPDb ha sido observada en estudios previos en ganado bovino infectado (Jones et al., 2022; Holder et al., 2023).
Sin embargo, son necesarios más estudios que permitan confirmar los hallazgos observados en este estudio, especialmente en lo relativo a las diferencias observadas en la reactividad entre P22 y DST-F, al ser el primer estudio en el que se comparan ambos antígenos en esta especie.
Gráfica 1. Porcentaje de reactores a las técnicas intradérmicas en animales procedentes rebaños de ganado bovino infectados de TB (n=103). * p < 0,05.

Tabla 2. Número (n) y porcentaje (%) de animales positivos al ensayo de liberación de interferón-gamma (IGRA) utilizando los diferentes antígenos del estudio. Respecto al rendimiento mostrado por el IGRA, los resultados de la reactividad obtenida se describen en la Tabla 2.
Se obtuvieron reactividades muy similares con los tres antígenos (PPDb, DST-F y P22) utilizando el kit Bovigam (Tabla 2 y Gráfica 2).
De hecho, no se observaron diferencias significativas (p > 0,05) en las muestras estimuladas (n=103) con los diferentes antígenos que resultaron positivas, obteniéndose un porcentaje de reactores del 20,4 % (21/103), del 21,4 % (22/103) y del 22,3 % (23/103) empleando PPDb, DST-F y P22, respectivamente.
La mayor reactividad mostrada con P22 va en línea con lo observado previamente en ganado caprino con este mismo kit (Arrieta-Villegas et al., 2020). Atendiendo a los resultados obtenidos estimulando las muestras con DST-F, la reactividad conseguida con este antígeno, similar a la observada con PPDb, ha sido descrita previamente en esta especie (Holder et al., 2023).
Gráfica 2. Porcentaje de reactores a la técnica del IGRA en animales procedentes rebaños de ganado bovino infectados de TB (n=103) empleando el kit Bovigam.

En el presente estudio, el mayor rendimiento diagnóstico de las pruebas intradérmicas (IDTB/IDR) se obtuvo al emplear P22 como antígeno, seguido de la PPDb y el DST-F, este último muy similar al observado al aplicar la IDTBc y significativamente menor que el observado con P22.
En cambio, no se observaron diferencias significativas en el rendimiento diagnóstico mostrado por el IGRA utilizando PPDb, DST-F y P22, presentándose variaciones mínimas entre la reactividad mostrada por los diferentes antígenos.
Estos resultados preliminares proporcionan información valiosa de la utilidad del DST-F y P22 como antígenos en las pruebas de diagnóstico oficial de base inmunológica de la TB en ganado bovino, siendo necesario confirmar estos hallazgos con los resultados en rebaños libres y los análisis realizados por otros países que participan en el proyecto imdiTBap.

Agradecimientos
Esta investigación ha sido posible gracias a la financiación de ICRAD, una red ERA- NET cofinanciada por el programa de investigación e innovación Horizon 2020 de la Unión Europea en virtud del acuerdo de subvención nº862605, y el Ministerio de Ciencia, Innovación y Universidades de España (MCIN/AEI/10.13039/501100011033) a través del proyecto “Improving the diagnosis of tuberculosis in domestic ruminants through the use of new antigens and test platforms” (referencia PCI2023-143368), y el Ministerio de Agricultura, Pesca y Alimentación de España.
Evaluación de dos antígenos experimentales (DST-f y P22) para el diagnóstico inmunológico de la tuberculosis en ganado bovino DESCÁRGALO EN PDF
ACCEDER A BIBLIOGRAFÍA

María Vilar Ares1, Cristiana Teixeira Justo1 y Cristina Muñoz Madero2
1Técnico científico del PRAN en Sanidad Animal
2Coordinadora del PRAN en Sanidad Animal

La resistencia a los antimicrobianos (RAM) es una de las mayores amenazas para la salud pública a nivel global.



En España, la piedra angular para abordar este problema es el Plan Nacional frente a la Resistencia a los Antibióticos (PRAN), alineado con las estrategias de la Unión Europea (UE) y del cuatripartito (la Organización de las Naciones Unidas para la Alimentación y la Agricultura (FAO), la Organización Mundial de Sanidad Animal (OMSA), la Organización Mundial de la Salud (OMS) y el Programa de las Naciones Unidas para el Medio Ambiente (PNUMA)).
Desde sus inicios en 2014, el PRAN ha asentado las bases del abordaje de la resistencia antimicrobiana mediante una estrategia One Health que integra la salud humana, la sanidad animal y el medioambiente.
En sanidad animal en concreto, este nuevo plan tiene previsto:

Medioambiente ONE HEALTH
Son ya cuatro los planes adoptados desde entonces y cada uno de ellos ha supuesto un avance tangible, evidenciado en la reducción progresiva del consumo de antibióticos que ha llevado a España a posicionarse como un referente en la lucha contra esta amenaza global.

Este año se ha puesto en marcha el PRAN 2025-2027, que da continuidad al trabajo realizado hasta el momento, consolidando los proyectos existentes, extrapolándolos a otras áreas e impulsando nuevas acciones que responden a otros retos emergentes.
ACCEDER AL PRAN 2025-2027


El desarrollo e implementación de los Programas de Optimización del Uso de Antimicrobianos (PROA), tanto para animales de producción como para animales de compañía. La creación de un grupo de trabajo para mejorar el control y prevención de las infecciones (CPI), en línea con la Acción Conjunta Europea contra las Resistencias Antimicrobianas y las Infecciones asociadas a la Atención Sanitaria (EUJAMRAI2).

La consolidación de la Red de Vigilancia Europea de Ventas y Uso de Antimicrobianos en Veterinaria (ESUAvet).

El desarrollo y consolidación del proyecto de Vigilancia de Bacterias Patógenas Clínicas y de resistencias en animales silvestres.

Mejorar la disponibilidad a medicamentos veterinarios con antimicrobianos o con alternativas a los mismos.

Apostar por la formación y la sensibilización de todos los implicados en el uso prudente de antimicrobianos.


El PRAN ha dado un paso más con el desarrollo de los Equipos PROA en sanidad animal.
Estos programas se centran en la prevención de las enfermedades infecciosas de cara a la reducción de uso de antimicrobianos, destacando la prevención y control de la aparición y difusión de RAM, además de garantizar el acceso sostenible a tratamientos eficaces.
Son de aplicación, tanto en animales de producción como en animales de compañía.
Para el desarrollo e implementación de estos programas se requiere de la participación de diferentes actores con una definición clara de sus responsabilidades y de las medidas o intervenciones a implementar.
Entre estas intervenciones se encuentran:

La monitorización y vigilancia de las RAM y del consumo de antimicrobianos.

Las medidas de CPI en los animales.

El uso adecuado de antimicrobianos.

La disponibilidad de una amplia gama de medicamentos antimicrobianos eficaces y de alternativas a los mismos como vacunas u otras terapias de prevención o tratamiento.

La formación y sensibilización en la materia de los veterinarios, ganaderos y dueños de los animales.

El marco regulatorio aplicable.
Estas iniciativas incluyen:

La identificación de los actores necesarios en cada área.

El establecimiento de indicadores que permitan evaluar el grado de implementación de los PROA.

La elaboración de una formación y/o sensibilización a los actores.


La integración de la información recogida en los sistemas de vigilancia.

El objetivo es claro: reducir el uso innecesario de antimicrobianos, prevenir resistencias y mejorar la sanidad y el bienestar animal dentro de un enfoque One Health que aúna salud humana, animal y ambiental.


NUEVAS ACCIONES DEL PRAN EN RUMIANTES
Las acciones para 2025-2027 en el sector de los rumiantes, de manera general, incluyen apoyar y asesorar al sector en la implementación de los PROA, para lo cual se trasladarán las guías estándar PROA que se están elaborando a nivel europeo.


En ellas se identificarán:
1
Los actores necesarios (p.ej. ganaderos, veterinarios y otros profesionales relacionados, expertos científicos, etc.).
2
Los elementos y/o intervenciones necesarias (p.ej. prácticas de bioseguridad, CPI, monitorización y vigilancia de uso de antibióticos y resistencia, etc.).
3
Se incluirán indicadores que permitan evaluar el grado de implementación de los mismos.
La información recogida en el primer informe ESUAvet sirve además como punto de referencia para promover el uso óptimo de antimicrobianos.


Los datos muestran el compromiso del sector con la protección de la salud pública y animal.
El informe refleja que la mayor parte de los antimicrobianos utilizados en bovinos (56%), caprinos (65%) y ovinos (88%) pertenecen a la categoría AMEG D “uso con prudencia” lo que muestra el compromiso de estos sectores con la protección de la sanidad y bienestar animal, y la salud pública, al ser considerados de menor impacto en la RAM.

Dicho informe muestra que queda margen de mejora, al mostrar que el consumo de antibióticos de categoría C “uso con cautela “es relativamente alto, especialmente en bovino (43%).

Para favorecer la comunicación multidireccional, se organizarán reuniones de seguimiento de manera periódica con los grupos de trabajo de bovino de carne, ovino y caprino de carne y el grupo de trabajo de leche (bovino, caprino y ovino) establecidos en el marco del PRAN.

En estas reuniones se elaborarán planes de actuación, por ejemplo, identificando las enfermedades infecciosas con mayor impacto en el consumo de antimicrobianos que son prevenibles con intervenciones como la implementación de medidas de CPI y de bioseguridad.
Se podrá crear también un banco con recomendaciones de buenas prácticas para apoyar y asesorar al sector.
Otra de las acciones planificadas es diseñar una estrategia de formación y/o sensibilización de los actores, como realizar cursos o sesiones formativas específicas a las necesidades del sector de los rumiantes y crear materiales didácticos o audiovisuales de difusión de las necesidades y de los resultados.

En definitiva, el PRAN 2025-2027 representa un avance decisivo en la mejora de la sanidad animal, promoviendo un uso responsable y sostenible de los antimicrobianos.
Este plan estratégico no solo fortalece las medidas de prevención y control de enfermedades, sino que también contribuye a salvaguardar la salud pública y el medioambiente.
Su éxito dependerá del compromiso y la colaboración estrecha entre todas las partes implicadas, consolidando así un sector ganadero más seguro y sostenible para el futuro.

¿Te imaginas una nueva herramienta para la prevención de Mycoplasma bovis?

Presentamos PROTIVITY® liofilizado y disolvente para suspensión inyectable para bovino: la primera vacuna viva modificada frente a Mycoplasma bovis.
Es hora de cambiar las reglas del juego en tu granja con PROTIVITY® Más información en www.zoetis.es/protivity

