Revista porciNews - Junio 2023

Page 1

COINFECCIONES DE PRRS

LA IMPORTANCIA DE UNA APROXIMACIÓN

DIAGNÓSTICA GLOBAL

Número 34 JUNIO 2023
110
p.

CERDOS E INTELIGENCIA ARTIFICIAL porciNews

¿Puede ayudarnos la Inteligencia

Artificial a mejorar la productividad y eficiencia en la producción porcina?

Hace unos días, tuve una conversación con mi amigo Michel que tiene unas granjas de engorde de cerdos integradas y surgió el tema de la Inteligencia Artificial (IA). Él dudaba de su utilidad y se preguntaba qué beneficios podría obtener usándola en su trabajo. Al día siguiente, me conecté a mi cuenta de inteligencia artificial y le pregunté:

“¿Podrías proporcionarme un Procedimiento Operativo Estándar (SOP) sobre cómo separar los cerdos por tamaños en los corrales de una granja de engorde?”

No voy a transcribir aquí la respuesta de la IA, pero tengo que decir que me quedé impresionado. Animo a todos los lectores a hacerlo. ¿Lo hace perfecto?

Probablemente no, pero ayuda y simplifica mucho. Si tras la primera versión le haces más preguntas, cada vez afina más. Luego, con unas correcciones particulares, ya lo tienes hecho. Esto es solo un simple ejemplo. Yo animo a todo el mundo a tener escritos SOPs.

La IA puede ayudarnos en muchísimas tareas y más productivas que escribir SOPs.

La IA debe ayudarnos en la detección temprana de enfermedades, recopilando datos del ambiente de la granja y de biomarcadores que sean fáciles de obtener y analizar y que sean lecturas en línea, de forma constante. Es decir, que no sean muestras de sangre que requieran sujetar al animal, enviar muestras al laboratorio, etc., sino que se obtengan de las heces, con sensores colocados en las fosas de purín, o del ambiente.

Otro beneficio importante del uso de IA podemos encontrarlo en la gestión de la alimentación.

A través de algoritmos y sensores (cámaras, básculas, muestras de saliva u otras muestras que dejan los cerdos al beber o comer, heces) podremos conocer datos que nos permitirán mejorar la eficiencia de la alimentación y reducir costes.

Podemos diseñar curvas de alimentación específicas dependiendo del estatus sanitario de los animales, su peso, etc.

Y por supuesto, la IA puede ayudar a mejorar el bienestar animal aportando información para comprender qué sucede en las granjas y por qué.

Michel y otros amigos granjeros se quejan del arduo trabajo que supone el triaje constante de los cerdos de engorde. Y a mi, que siempre tengo mis dudas, me ha dado por buscar artículos y proyectos donde se evaluase eso precisamente: ¿es realmente efectivo, en términos de resultados productivos y económicos, realizar selecciones constantes (o no tan constantes) de los cerdos dependiendo de su tamaño?

No hay excesivas referencias a trabajos en ese sentido y merecería la pena una investigación profunda y bien diseñada sobre este tipo de actuaciones. Lógicamente, si vamos a tener alimentación diferente para los diferentes corrales (grandes, medianos y pequeños) tiene todo el sentido del mundo.

Pero mi conclusión es que, para dar respuesta a nuestras dudas y no actuar “porque siempre se ha hecho así” o “porque me parece que …”, hace falta investigación, no tener sesgos cognitivos ni de pérdida o hundimiento, y tener la mente abierta a todo tipo de ideas.

Define, mide, analiza, mejora y controla. No hay otro camino para la mejora.

EDITOR

GRUPO DE COMUNICACIÓN

AGRINEWS S.L.

PUBLICIDAD

Laura Muñoz

+34 629 42 25 52

Luis Carrasco

+34 605 09 05 13

REDACCIÓN

Daniela Morales

Óscar Cáceres

Osmayra Cabrera

COLABORADORES

Alberto Morillo Alujas

Laura Pérez

Jordi Baliellas

Vicens Enrique-Tarancón

Fernando Laguna

ADMINISTRACIÓN

Mercè Soler

Barcelona

España

Tel: +34 93 115 44 15 info@agrinews.es www.porcinews.com

Precio de suscripción anual: España 30€

Extranjero 90€

DIRIGIDA A VETERINARIOS DE PORCINO

Depósito Legal Porcinews B17989-2015

ISSN (Revista impresa) 2696-8029

ISSN (Revista digital) 2696-8037

Revista Trimestral

La dirección de la revista no se hace responsable de las opiniones de los autores. Todos los derechos reservados.

1 porciNews Junio 2023

porciNews

CONTENIDOS

4/20

Eficiencia reproductiva: Desde el manejo del semen hasta el parto

José Manuel Pinto Carrasco1, Emilio

José Ruiz Fernández2, Manuel Guerra Rico2, Manuel Toledo Castillo3 y Elena Goyena Salgado4

1Ingeniero Agrónomo, SAT Hnos. Chico

2Veterinario de producción, Agropecuaria Casas Nuevas

3Veterinario jefe de producción, Agropecuaria Casas Nuevas

4Veterinaria de producción, Piensos Cartagena S.L.

A lo largo de este artículo, repasaremos los puntos clave del para optimizar la eficiencia reproductiva en las explotaciones porcinas.

22/26

Transición a la lactación: Un periodo crítico para las cerdas

Francisco José Rodríguez Calvente

Jefe de producto Porcino, De Heus Nutrición Animal

28/36

La cerda lechera - Parte I

Laura Pérez Sala

Veterinaria especialista en producción porcina & Personal Coach

La producción de leche de las cerdas ha aumentado en los últimos años, existiendo factores no nutricionales que juegan un papel crucial.

38/42

La capacidad maternal de las cerdas se refuerza con datos

Servicio Técnico de Danish Genetics

45/54

De la maternidad a la transición: Influencia del crecimiento y el sexo en el desarrollo de patologías digestivas

Dra. Sara Crespo Vicente1 y Ricardo Gabriel Guzmán Bermejo2

1Técnico Veterinario de Cefu, S.A. e Investigadora Post PHD Fisiología UMU

2Técnico Veterinario de engorde de Cefu, S.A.

El impacto de los lechones de bajo peso al nacimiento y con baja viabilidad ha adquirido un gran protagonismo en nuestro sector.

57/61

Necrosis auricular en cerdos. Problemática y solución

Alba Lorena Rojas Departamento Técnico Produmix

64/68

El uso de datos en la gestión y producción porcina

Servicio Técnico de AgroVision

70/80

Granja Zahara: Apostando por el bienestar animal

En la Granja Zahara mantienen un firme compromiso por hacer frente a las exigencias del sector, adelantándose a lo que ha de venir.

82/83

Indagando en las claves de la acidificacion de purines

Entrevista con Míriam Cerrillo Investigadora en el grupo de Sostenibilidad Biosistemas del IRTA

La investigación sobre el tratamiento purines esta abriendo las puertas a novedosas y prometedoras formas de gestionar mejor los residuos a la vez que se recuperan nutrientes y energía.

2 porciNews Junio 2023

84/87

Granja de destete de vanguardia en Cuenca. Eficiencia y bienestar animal con New Farms

88/95

Evaluación del estrés a través de la saliva porcina

J.J. Cerón, M.D. Contreras‑Aguilar, D. Escribano, S. Martínez‑Miró, M.J. López‑Martínez, A. Ortín‑Bustillo, L. Franco‑Martínez, C.P. Rubio, A. Muñoz‑Prieto, A. Tvarijonaviciute, M. López‑Arjona, S. Martínez‑Subiela y F. Tecles

1Laboratorio Interdisciplinar de Análisis Clínicos, Interlab-UMU, Campus Regional de Excelencia Internacional ‘Campus Mare Nostrum’, Universidad de Murcia

En este artículo se repasan los principales biomarcadores empleados para evaluar el nivel de estrés en cerdos.

96/100

Llega ADA, la revolución de los datos en ganadería

118/124

Influencia mutua de la microbiota del lechón y los patógenos víricos - Una mirada a la situación previa a la infección

Exploramos cómo infecciones víricas y bacterianas que no afectan necesariamente al intestino modifican la microbiota del lechón.

126/131

¿Te gustaría tener este cebadero por el precio de uno estándar?

132/136

Avances en la prevención de la enfermedad por Streptococcus suis en cerdos: El papel de las vacunas autógenas

Agradecemos a nuestros anunciantes por hacer posible la publicación de esta revista: Agrovision, Animal Data Analytics (ADA), Arvet, Basf Animal Nutrition, Bbzix, Bioplagen, Boehringer Ingelheim, Ceva Salud Animal, Danish Genetics, Datamars Livestock, De Heus, DFBLUEAFARM, Exafan, Lidervet, Liptosa, Livisto, Nediver Axiom, New Farms, OPP Group, Ph Albio, Prebiotec, Produmix, Qualivet, Tashia, Vetia Animal Health y Vetoquinol.

102/108

Aplicación de medidas de bioseguridad interna en maternidad: impacto sobre la diseminación del PRRSV y los parámetros productivos

Nacho Tardío1, Fran Gonzalvo2, José Casanovas1, Alberto Escoda1, Jordi Baliellas3, Glòria Abella2 y Lorenzo Fraile4

1Cincaporc

2Boehringer Ingelheim Animal Health España

3Grup de Sanejament Porcí de Lleida

4Universitat de Lleida

110/117

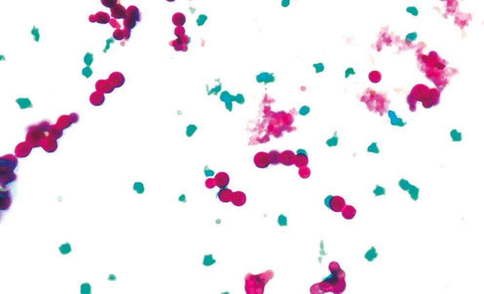
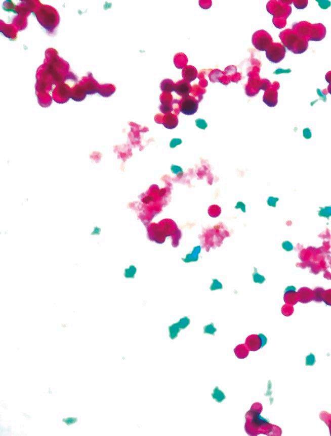
Coinfecciones de PRRS: La importancia de una aproximación diagnóstica global

Gema Chacón y Sofía Lázaro Exopol S.L

Este artículo está enfocado en las coinfecciones más importantes de PRRS y cómo realizar un diagnóstico global para poder establecer las medidas de control más efectivas.

porcinews.com
Entrevista a Carlos Piñeiro Director General de Animal Data Analytics Alberto Morillo Alujas Dr. en Veterinaria y Consultor de Tests & Trials S.L.U. Ceva Salud Animal

EFICIENCIA REPRODUCTIVA

DESDE EL MANEJO DEL SEMEN HASTA EL PARTO

1Ingeniero Agrónomo, SAT Hnos. Chico

2Veterinario de producción, Agropecuaria Casas Nuevas

3Veterinario jefe de producción, Agropecuaria Casas Nuevas

4Veterinaria de producción, Piensos Cartagena S.L.

La eficiencia reproductiva de una explotación porcina está determinada por numerosos factores, siendo el semen y su correcta manipulación fundamental, pero no el único punto a tener en cuenta, ya que el manejo que se hace de las cerdas desde su llegada a la granja hasta el parto es determinante para la consecución de los objetivos reproductivos.

A lo largo de este artículo, repasaremos los puntos clave relacionados con el manejo del semen y de los animales de cara a optimizar la eficiencia reproductiva en las explotaciones porcinas.

José Manuel Pinto Carrasco1, Emilio José Ruiz Fernández2, Manuel Guerra Rico2, Manuel Toledo Castillo3 y Elena Goyena Salgado4
reproductoras 4 porciNews Junio 2023 | Eficiencia reproductiva Desde el manejo del semen hasta el parto

MANEJO DEL SEMEN

La calidad seminal es un factor clave para conseguir mejores resultados reproductivos en una explotación porcina.

Importancia de la contaminación de las dosis seminales

La contaminación de las dosis seminales suele producirse por una mala higiene en los centros, tanto a la hora de obtener las dosis como en el propio alojamiento de los verracos.

CONSECUENCIAS DE LA CONTAMINACIÓN EN EL SEMEN

Es importante mantener unas correctas normas de higiene para obtener dosis con las suficientes garantías sanitarias y de calidad, ya que la contaminación microbiana:

Reduce la vitalidad del semen.

Acidifica el medio por el metabolismo bacteriano.

Influye negativamente sobre el metabolismo de los espermatozoides.

¡La limpieza debe ser estricta en el interior de las verraqueras y en el laboratorio!

AGLUTINACIÓN

MORTALIDAD DE LOS ESPERMATOZOIDES

DAÑO DE LOS ACROSOMAS

BAJA MOTILIDAD

Imagen 1. Medios de cultivo para valorar la contaminación bacteriana del semen. Figura 1. Influencia de la contaminación seminal en la eficiencia reproductiva.
reproductoras 5 porciNews Junio 2023 | Eficiencia reproductiva Desde el manejo del semen hasta el parto

Factores ligados al semen que influyen directamente en los resultados reproductivos

La edad del semen tiene un gran impacto sobre su calidad, no debiendo usarse dosis con 72 horas de vida o más desde su procesado, ya que los resultados de prolificidad normalmente se ven alterados negativamente.

La importancia de la edad del semen se muestra en la Tabla 1 donde se observan los resultados de un trabajo del año 1996 (Flowers, B., 1996). Con el incremento de la prolificidad de las cerdas, estos datos adquieren unas dimensiones mayores hoy en día.

Es importante darle a las dosis seminales la importancia que tienen y nunca dejarlas de lado.

En la granja se puede mejorar su conservación mediante el control de las neveras donde son almacenadas, empleando sondas que proporcionen gráficas de temperatura en tiempo real.

Tabla 1. Alteraciones reproductivas que tienen como causa directa factores relacionados con la calidad seminal (Flowers, B., 1996).

Problema Frecuencia del problema Tasa de partos (%) Lechones nacidos vivos Edad del semen 27% -12 -1,0 Almacenamiento 15% -9 -0,7 Calidad del agua 12% -8 -0,7 Diluyente 12% -15 -1,1 Ratio de dilución 10% -11 -1,0 Morfoanomalías 9% -11 -1,0 reproductoras 6 porciNews Junio 2023 | Eficiencia reproductiva Desde
el manejo del semen hasta el parto

MANEJO DE LOS ANIMALES

Nulíparas

Las nulíparas son una de las claves para mantener la producción y la sanidad de una granja estable, siendo fundamental efectuar una correcta reposición en la granja, teniendo en cuenta que trabajar con una estructura censal optimizada aporta estabilidad sanitaria y productiva a la granja.

Gráfica 1. Estructura censal de una explotación de cerdas reproductoras.

Por ejemplo, en la Gráfica 1 se muestra la estructura censal de una explotación de reproductoras con un 5% de primalas a la espera de cubrición, aclimatándose en la granja antes de ser cubiertas y que serán necesarias en las próximas 8 semanas.

Para ello, será necesario tener, aproximadamente, un 4% mensual del censo de primalas anual en espera de cubrición.

La idea es ir realizando la eliminación de las cerdas por ciclo, ya que aquellas de más ciclos tienen:

Consumos de pienso más elevados debido a su mayor peso.

Una productividad más baja, con un mayor número de lechones nacidos muertos y mayor variabilidad de pesos de los nacidos vivos.

Por ello, es necesario disponer de un número de nulíparas en espera de cubrición estable para poder realizar la eliminación de las cerdas menos productivas de la granja y tener una estructura censal eficiente.

Gráfica 2. Nulíparas cubiertas por semana. Ejemplo de mala gestión.
25,00% 20,00% PORCENTAJE DE CERDAS CICLOS 15,00% 10,00% 5,00% 0,00% C0 C1 C2 C3 C4 C5 C6 C7 C8 4,82% 22,05% 17,80% 13,25% 10,32% 9,25% 8,55% 7,26% 6,70% 50 40 30 20 10 0 1 2 3 4 5 6 7 8 9 10 11 12 13 14 15 NÚMERO DE NULÍPARAS CUBIERTAS SEMANAS
reproductoras 7 porciNews Junio 2023 | Eficiencia reproductiva Desde el manejo del semen hasta el parto

SELECCIÓN DE FUTURAS REPRODUCTORAS

Las nulíparas se deben manejar de tal modo que alcancen la pubertad, aproximadamente, a los 180 días de vida, observándose tres celos a los 220 días con un peso aproximado de 150 kg, ya que las primerizas bien

Condiciones ambientales: Tª<28˚C e intensidad lumínica adecuada

Peso al nacimiento: > 1kg

Horquilla de crecimiento nacimiento-cubrición: >700 g/día y <900 g/día

Pubertad:

180 días Observación de 3 celos: 220 días y 150 kg

Se debe establecer un protocolo de selección de las futuras reproductoras:

Eliminar cualquier futura reproductora que pese menos de 1 kg al nacimiento, ya que su aparato reproductor tendrá proporciones más reducidas y, en consecuencia, una menor producción de lechones durante su vida productiva.

Las cerdas deben tener una horquilla de crecimiento entre el nacimiento y la cubrición superior a los 700 g e inferior a los 900 g diarios. Aquellas cerdas con un crecimiento excesivo serán cubiertas con demasiado peso y tendrán una menor tasa de retención en la granja, mientras que las de crecimiento lento tendrán problemas para iniciar la pubertad, pudiendo ser menos productivas. Se debe realizar una estimulación con el verraco en el periodo de recría para que las cerdas salgan en celo y presenten celos regulares, evitando así su eliminación por anestro.

Es fundamental estimular un buen consumo de pienso antes de la cubrición.

Se deben monitorizar las condiciones ambientales, garantizando que la temperatura no supere los 28˚C, ya que influye en su ovulación, y una intensidad lumínica suficiente para que salgan a celo.

reproductoras 8 porciNews Junio 2023 | Eficiencia reproductiva Desde el manejo del semen hasta el parto

Hazlo fácil

Los protocolos de inseminación

requieren gran cantidad de recursos y esfuerzo y pueden ser una fuente importante de estrés en la granja. La inseminación es crucial, aunque es sólo una parte de tu trabajo. Relájate, ahorra tiempo y trabajo y reduce tu estrés gracias a la simplicidad de un protocolo de inseminación única a tiempo fijo (IAU-TF).

Ahorra tiempo y trabajo

Reduce tu estrés Cronograma conocido

Simplemente fácil

FICHA TÉCNICA: OVUGEL 0,1 MG/ML GEL VAGINAL PARA CERDAS PARA LA REPRODUCCIÓN. Composición: Un ml contiene: Sustancia activa: Triptorelina (como acetato de triptorelina) 0,1 mg; Excipientes: Parahidroxibenzoato de metilo, sal de sodio 0,9 mg, Parahidroxibenzoato de propilo, sal de sodio 0,1 mg. Para la lista completa de excipientes, véase la sección 6.1. de la Ficha Técnica. Indicaciones de uso: Para la sincronización de la ovulación en cerdas destetadas a fin de permitir una única inseminación artificial en un momento determinado. Contraindicaciones: No usar en casos de hipersensibilidad a la sustancia activa o a algún excipiente. No usar durante la gestación ni la lactancia. No usar en cerdas con anomalías evidentes en el aparato reproductor. Precauciones especiales de uso. Advertencias especiales para cada especie de destino. La eficacia de OvuGel no se ha demostrado en cerdas jóvenes (cerdas nulíparas), por lo que no se recomienda el uso del medicamento veterinario en estos animales. La respuesta de las cerdas a los protocolos de sincronización puede verse influida por el estado fisiológico en el momento del tratamiento. Las respuestas al tratamiento no son uniformes ni entre las distintas piaras ni entre los individuos de una misma piara. Precauciones especiales para su uso en animales: El producto no debe utilizarse en cerdas con anomalías en el aparato reproductivo, infertilidad o trastornos médicos en general. Se realizó un estudio de seguridad de la reproducción en cerdas después de la administración de 3 veces la dosis recomendada de OvuGel, que no mostró ningún efecto en el rendimiento de la reproducción ni en los lechones. Sin embargo, no se ha demostrado la seguridad del tratamiento en cerdas en los ciclos reproductivos posteriores. No se pueden excluir los posibles efectos a largo plazo de la aparición de quistes. Precauciones específicas que debe tomar la persona que administre el medicamento veterinario a los animales: El producto puede causar irritación de los ojos. Las personas con hipersensibilidad conocida a los análogos de la GnRH o cualquiera de los excipientes (incluidos los parabenos) deben evitar todo contacto con el medicamento veterinario. Usar un equipo de protección personal consistente en un mono y guantes al manipular el medicamento veterinario. No comer, beber ni fumar al manipular el medicamento veterinario. Evitar el contacto directo con la piel o los ojos, lavarse las manos tras la manipulación del medicamento veterinario. En caso de contacto accidental con los ojos, enjuagar bien y buscar atención médica inmediatamente. En caso de contacto accidental con la piel, lavar las zonas contaminadas con agua y jabón. La triptorelina puede afectar a los ciclos reproductivos de las mujeres y se desconocen los efectos de la exposición accidental en mujeres embarazadas; por consiguiente, se recomienda que las mujeres embarazadas no manipulen el medicamento veterinario y que las mujeres fértiles lo hagan con precaución. Uso durante la gestación, la lactancia o la puesta. Gestación y lactancia: No ha quedado demostrada la seguridad del medicamento veterinario durante la gestación ni la lactancia. No usar durante la gestación ni la lactancia. Tiempo de espera: Carne: Cero días. Titular de la autorización de comercialización Vetoquinol S.A. Número de la autorización de comercialización: EU/2/20/260/001. USO VETERINARIO. MEDICAMENTO SUJETO A PRESCRIPCIÓN VETERINARIA. BAJO CONTROL O SUPERVISIÓN DEL VETERINARIO. Información del medicamento en: https://cimavet.aemps.es/cimavet

GA680-2

Aclimatación sanitaria a la explotación

Es necesario establecer, dependiendo del estatus sanitario de la explotación, un protocolo vacunal que adapte a las futuras reproductoras para las enfermedades que hay en la explotación (Figura 2).

Se debe tener en cuenta que, entre dos vacunas iguales frente al mismo patógeno (vacuna y revacuna), hay que establecer tres semanas de intervalo, mientras que entre vacunas frente distintos patógenos no es necesario establecer un intervalo de tiempo entre vacunas.

PARVOVIRUS

INFLUENZA PORCINA

SARNA

CIRCOVIRUS PORCINO

TEMBLOR CONGÉNITO

ENTEROVIRUS

MYCOPLASMA

ILEÍTIS PORCINA

MAL ROJO

ENFERMEDAD DE AUJESZKY

La vacuna frente a Parvovirus siempre se aplicará cuando la cerda haya superado los 6 meses de edad, debido a que la larga persistencia de los anticuerpos maternales frente a este patógeno puede provocar un fallo vacunal.

Infección natural con el virus de la granja: Vacunación

Vacunación antes de la entrada en cubrición

Vacunación en periodo de recría

Tratamiento con ivermectina en periodo de recría

Vacunación de lechonas y revacunación antes de la entrada en cubrición

Exposición a restos de semen del área de cubriciones y heces

Exposición a heces

Vacunación de lechonas y revacunación antes de la entrada en cubrición

Vacunación de lechonas

Vacunación antes de la entrada en cubrición

Protocolo vacunal en recría y granja

Figura 2. Protocolo de aclimatación sanitaria de nulíparas.
PRRS
reproductoras 10 porciNews Junio 2023 | Eficiencia reproductiva Desde el manejo del semen hasta el parto

DATOS PRODUCTIVOS

Objetivo de cubriciones

Cumplir con el objetivo de cubriciones es un punto crítico, ya que determina, en gran medida, el flujo de lechones por banda, y, por lo tanto, el flujo de caja de la granja para poder hacer frente a los pagos.

Grafica 3. Cubriciones semanales en una explotación porcina.

Además de ser uno de los factores de mayor importancia con respecto a las tareas de la granja, si las cubriciones no son estables (Gráfica 3), la granja se verá alterada por sobrecargas de trabajo seguidas de periodos de menos trabajo, haciendo que el procesado de los lechones, junto con otras tareas como la limpieza de las salas, se haga con prisas, lo que redunda en una disminución de la calidad del trabajo.

La consecuencia directa del aumento de las cubriciones semanales es el aumento de la cantidad de lechones nacidos vivos semanales (Gráfica 4).

Gráfica 4. Número de lechones nacidos vivos por semana.

1 2 3 4 5 6 7 8 9 10 11 12 13 14 15 SEMANAS NÚMERO DE CUBRICIONES 175 136 117 148 122 146 149 159 151 146 148 127 134 134 143
1.633 1.935 1.981 1.417 1.621 1.750 1.316 1.135 1.446 1.167 1.357 1.253 1.523 1.659 1 2 3 4 5 6 7 8 9 10 11 12 13 14 LECHONES NACIDOS VIVOS SEMANAS reproductoras 12 porciNews Junio 2023 | Eficiencia reproductiva Desde el manejo del semen hasta el parto

Piroterm

Propiedades antipiréticas, antiinflamatorias y analgésicas

Mitiga los efectos negativos del estrés por calor

Sin efectos secundarios gastrointestinales

DISPONIBLE PARA PIENSO Y AGUA DE BEBIDA

Para más información: AlbioFerm, S.L. | T. 937 291 764 | phalbio@phalbio.com | www.phalbio.com
La solución fitogénica para la fiebre y el estrés por calor.
I NDICADOPARA ELCONTROL DELESTRÉS PORCALOR
i

Fertilidad semanal en la granja

Una gran variabilidad en la fertilidad semanal de la granja es un indicador de que algo no se está haciendo bien. Hay una serie de factores que no se están controlando correctamente (Gráfica 5).

La calidad del semen y su conservación, los protocolos de recela y cubrición, y la alimentación en lactación y durante el periodo en el que las cerdas están vacías son determinantes para que una cubrición llegue a parto.

El intervalo destete-cubrición

El intervalo destete-cubrición (IDC) presenta variaciones dependiendo de:

La alimentación en maternidad y durante el periodo en que las cerdas están vacías.

La calidad de la recela.

La temperatura y la luz ambiental.

En nuestra experiencia, las áreas de cubriciones bien iluminadas contribuyen a que el celo se presente un día antes que en las áreas con una intensidad lumínica inferior a 200 lux.

Las temperaturas elevadas durante el IDC también tienen una fuerte influencia en la prolificidad. De hecho, está comprobado que temperaturas elevadas 15 días antes y 15 días después de la cubrición reducen la prolificidad de las cerdas, puesto que el estrés térmico impide que la ovulación y la implantación embrionaria se desarrollen correctamente.

Gráfica 5. Variabilidad de la fertilidad en una explotación porcina.

PORCENTAJE DE FERTILIDAD SEMANAS 76 1 2 3 4 5 6 7 8 9 10 11 78 80 82 84 86 88 90 92 94 96 98 0 1 2 3 4 5 6 7 8 9 10 11 12 13 1 2 3 4 5 6 7 8 9 SEMANAS
Gráfica 6. Intervalo destete-cubrición por semana.
reproductoras 14 porciNews Junio 2023 | Eficiencia reproductiva Desde el manejo del semen hasta el parto

Cualquier acontecimiento que altere el consumo de pienso antes de la cubrición puede reducir la prolificidad (Gráfica 7). El estrés asociado a la introducción de las nulíparas en el box se ve reflejado en el descenso del consumo de pienso, lo que se relaciona directamente con una disminución en su prolificidad.

Por ello, para lograr una correcta adaptación hay que dejar a las cerdas en los boxes durante aproximadamente 21 días, estimulando un incremento gradual en el consumo de pienso antes de su cubrición.

FORMACION DEL PERSONAL

Los cambios de personal tienen un fuerte impacto en la fertilidad y prolificidad de la granja (Tabla 2). Por ello, todas las acciones destinadas a tener un personal formado redundarán en mejores resultados productivos.

ACLIMATACION AL BOX
DIFERENCIA EN LECHONES NACIDOS VIVOS DÍAS DE ADAPTACIÓN -1 -0,8 -0,6 -0,4 -0,2 0-1 0 0,2 1-3 4-6 7-9 10-12 13-15 16-18 19-20
Gráfica 7. Diferencias en el tamaño de la camada en 1er ciclo según los días de adaptación de la primeriza al box (Manual PIC, 2011).
TÉCNICA TASA DE PARTOS TAMAÑO DE LA CAMADA 1 75,0 ± 5,3 9,7 ± 0,4 2 88,5 ± 6,1 11,1 ± 0,3 3 75,5 ± 5,3 9,9 ± 0,3 4 84,7 ± 4,2 11,7 ± 0,4 5 67,1 ± 5,4 9,1 ± 0,3 reproductoras 16 porciNews Junio 2023 | Eficiencia reproductiva Desde el manejo del
hasta el
Tabla 2. Impacto de la formación del personal sobre los resultados reproductivos
semen
parto

MANEJO DE LA RECELA

La ovulación se produce a las 36-42 horas tras el inicio del celo, siendo fundamental adaptar las cubriciones a este periodo:

Si se recela una vez al día, lo ideal será cubrir el mismo día de la salida a celo y luego cada 24 horas, ya que el semen tiene capacidad de supervivencia en el tracto genital de la cerda durante ese tiempo.

No se debe superar el 30% de cerdas que admitan la tercera cubrición, ya que esto indica que se están efectuando cubriciones demasiado temprano, y, por tanto, las cerdas que se han recelado no tenían una clara presentación a celo.

Esto puede conducir a la realización de cubriciones demasiado pronto antes de la ovulación, lo que puede conllevar un mayor porcentaje de fallos.

No se deben cubrir cerdas que no tengan una buena manifestación del celo, ya que si se cubren cuando ya están en la fase luteal dejan de contar con la protección de los estrógenos (tono muscular del endometrio y de las defensas uterinas), pudiendo favorecer el incremento de descargas vaginales asociadas a infecciones por las cubriciones en fase de incremento de la progesterona.

Una vez que se ha producido la cubrición, sobre todo en primerizas, no se debe incrementar la ración de pienso, ya que ello puede favorecer que se produzcan reabsorciones embrionarias.

En el caso de multíparas, esto solo ocurre en los primeros tres días después de la cubrición, de modo que después sí hay que aumentar la ración para garantizar un buen desarrollo placentario.

Cuando se realice el manejo de “cubrir y soltar”, se debe aportar más cantidad de pienso para evitar la competencia entre las cerdas.

Es Importante conseguir un buen desarrollo placentario y buen flujo sanguíneo durante el primer mes de gestación, ya que el peso de los lechones al nacimiento depende de ello, mucho más que del incremento del aporte de pienso en el último tercio de gestación.

Si las nulíparas manifiestan descargas en el momento de la cubrición, puede ser debido a una cistitis o incluso a una pequeña metritis debida a la higiene inadecuada de las instalaciones.

Hay que tener en cuenta que las cerdas solo abren el cuello del útero en el parto y en el celo, de lo contrario, permanecerá cerrado.

1 2 4 5 3 reproductoras 17 porciNews Junio 2023 | Eficiencia reproductiva Desde el manejo del semen hasta el parto

A tener en cuenta…

En ocasiones, uno puede plantearse si efectuar la recela en box o en cuadras. El box tiene la ventaja de limitar las peleas entre las cerdas, reduciendo el nivel de estrés. En cambio, las cuadras tienen la ventaja de fomentar el consumo de pienso y la recela resulta más sencilla para operarios sin mucha experiencia.

Durante la inseminación postcervical está contraindicada la presencia del verraco, ya que, al estimular a la cerda se produce una contracción uterina dificultando el paso de la cánula a través del cuello del útero. En el caso de primerizas, donde se realiza la inseminación intracervical, la estimulación asociada a la presencia del verraco es positiva, ya que hace que los espermatozoides progresen más fácilmente.

La recela entre los 19 a 23 días debe ser prioritaria para detectar las cerdas que están repitiendo, permitiendo así una identificación temprana de estos animales.

ABORTOS EN LA EXPLOTACION

Existen tres tipos de procesos que cursan con aborto:

PROCESO FEBRIL

El aborto que se produce como consecuencia de la fiebre que afecta a la cerda durante el curso de una enfermedad sistémica (Mal Rojo, Influenza).

Este aborto tiene como consecuencia la cascada inflamatoria asociada a la producción de prostaglandinas de modo que el tratamiento con un antiinflamatorio no esteroideo que detenga la cascada inflamatoria evitará que se produzcan abortos.

ENFERMEDAD INFECCIOSA QUE

AFECTA AL FETO O PLACENTA SIN SIGNOS EN LA CERDA

Abortos producidos por enfermedades que inciden directamente sobre el feto o la placenta.

En este caso, la cerda no manifiesta ninguna sintomatología, no deja de comer y se produce el aborto.

Esto ocurre en los casos de leptospirosis.

Nosotros somos partidarios de hacer una sola recela al día, pero que esta sea de calidad, dedicando el tiempo necesario y que las cerdas tengan la estimulación adecuada. Es cierto que incrementar la estimulación con el verraco otorga una mayor precisión a la hora de las cubriciones, pero es importante diseñar las granjas para que las tareas sean lo más sencillas y eficaces.

ENFERMEDAD INFECCIOSA QUE

AFECTA AL FETO O PLACENTA CON SIGNOS EN LA CERDA

Abortos asociados a procesos que afectan al feto o la placenta directamente, y que también tienen un impacto en la salud de la cerda.

En este caso la cerda deja de comer y se produce el aborto, pero el uso de antinflamatorios no esteroides no tendrá efectos, ya que el aborto no tiene como causa directa la fiebre.

reproductoras 18 porciNews Junio 2023 | Eficiencia reproductiva Desde el manejo del semen hasta el parto

Tu bioseguridad empieza aquí

Descenso de hasta un 90% de la carga microbiana

Perfecta combinación de tensoactivos, hidróxidos, ácidos y secuestrantes para cada aplicación

Degradan biofilms e incrustaciones de sales imposibles de eliminar sólo con agua

Facilitan el aclarado y la desinfección posterior

www.bioplagen.com
BIO SECURITY KLINGUARD DETERGENTES ®

Todo lo mencionado anteriormente nos conduce a la idea de que la mejor muestra para determinar la causa de un aborto nunca es un feto.

CIRCOVIRUS

INFLUENZA PORCINA

SI SE SOSPECHA DE…

Se deben enviar para análisis torundas nasales de las cerdas que manifiesten fiebre y malestar, ya que el virus no genera viremia y permanece en el árbol bronquial.

Los exudados nasales y fluidos orales son las mejores muestras. Sin embargo, estos últimos tienen la limitación de que los animales abatidos no suelen ir a las cuerdas, lo que dificulta su obtención.

PRRS

La mejor opción es el control de fluidos de procesado, enviando muestras de lenguas de nacidos muertos, diferenciando entre primíparas y multíparas, y entre semanas para valorar el curso de la patología.

Para nosotros, los fetos son una mala muestra, ya que en ocasiones suelen salir negativos a pesar de tener la certeza de que el virus está involucrado en los signos clínicos observados en la explotación.

LEPTOSPIRA

Se debe enviar suero de cerdas abortadas, realizando como cribado primario una PCR y, posteriormente, una prueba de microaglutinación en tubo para confirmar el diagnóstico y conocer cuáles son los serotipos implicados en el proceso.

El PCV está involucrado con muy poca frecuencia en los procesos abortivos, pero la muestra ideal son los pulmones de nacidos muertos para el análisis por qPCR.

ROJO

Aparecerán cerdas con debilidad en las extremidades traseras y alguna con la sintomatología cutánea característica de la enfermedad.

Eficiencia reproductiva desde el manejo del semen hasta el parto

DESCÁRGALO EN PDF

¿Cómo diagnosticar la causa del aborto?
MAL
reproductoras 20 porciNews Junio 2023 | Eficiencia reproductiva Desde
el manejo del semen hasta el parto

¡Conoce nuestras mejores soluciones para porcino!

CONFORMIDAD

SEGURIDAD DEL OPERADOR

SEGURIDAD ALIMENTARIA

CALIDAD ALIMENTARI

BIENESTAR ANIMAL

INYECTOR SEKURUS™

• Reducción de rotura de agujas

• Mecanismo patentado en 2 etapas

• Bienestar Animal

BIOSEGURIDAD

SISTEMA MODULAR

DISEÑO ERGONÓMICO

IDENTIFICACIÓN

VS INJECTOR INYECTOR PREMIUM

INYECTOR ACCURUS

• Seguridad del Operador

• Reducción de Rotura de Agujas

• Bienestar Animal

• Fatiga Reducida

• Selección de Dosis

LIVESTOCK.DATAMARS.ES / CONTACTA CON NOSOTROS ATENCIONCLIENTE@DATAMARS.COM / 967 52 01 87 619 627 087

TRANSICIÓN A LA LACTACIÓN: UN PERIODO CRÍTICO PARA LAS CERDAS

La transición desde la gestación a la lactación está marcada por rápidos y sustanciales cambios fisiológicos, hormonales y metabólicos en la cerda.

Este periodo, que comprende la última semana de gestación y la primera semana de lactación, es especialmente difícil para las cerdas hiperprolíficas.

10 a 20 min

Una duración del parto con intervalos de 10 a 20 minutos entre lechones se considera fisiológicamente normal y es crucial para garantizar que los lechones nazcan vivos y tengan vitalidad. Además, también se requiere una transición suave para un inicio óptimo de la producción de leche.

José Jefe de producto Porcino, De Heus Nutrición Animal
nutrición 22 porciNews Junio 2023 | Transición a la lactación: Un periodo crítico para las cerdas

La nutrición y el manejo de las cerdas desempeñan un papel importante durante este periodo crítico y son cruciales para una transición satisfactoria.

Este artículo ofrece información sobre la fisiología de la cerda durante la transición a la lactación y cómo podemos influir en esta etapa.

LOS CAMBIOS EN EL ORGANISMO DURANTE LA TRANSICIÓN

¿Qué ocurre realmente con las cerdas?

Durante el periodo de transición, la cerda da prioridad a:

El crecimiento fetal.

El desarrollo de las glándulas mamarias.

El comportamiento de construcción del nido.

La producción de calostro.

Las contracciones uterinas.

Estos procesos están controlados por hormonas y exigen grandes cantidades de energía y nutrientes.

La energía y los nutrientes proceden del pienso o, cuando la ingesta de nutrientes es inferior a las necesidades, de las reservas corporales.

Entrada Salida

Ingesta de pienso Mantenimiento

Reservas corporales Crecimiento fetal

Crecimiento mamario

Construcción del nido (pérdida de calor)

Producción de calostro

Parto – contracciones uterinas

Tabla 1. Reparto de energía y nutrientes durante el periodo de transición. Entrada (provisión) y salida (procesos que demandan nutrientes).

Cambios hormonales

Durante el periodo de transición, los cambios hormonales desempeñan un papel importante.

Los estrógenos, la oxitocina y la prolactina son hormonas clave que actúan e interactúan para preparar el cuerpo de la cerda para expresar su comportamiento maternal y de anidamiento, parir y producir calostro y leche. Sin embargo, para que estas hormonas aumenten, la "hormona del embarazo", la progesterona, debe disminuir (Gráfica 1).

¡Un funcionamiento hormonal equilibrado es crucial para que todos los procesos se produzcan correctamente!

La energía y los nutrientes utilizados se reparten entre los diferentes tejidos y procesos del cuerpo de la cerda para cubrir sus necesidades fisiológicas (Tabla 1)

Gráfica 1. Cambios en los niveles de hormonas reproductivas durante el periodo de transición (Adaptado de Peltoniemi y Oliviero, 2014).

-9 -8 9 -7 6 -6 -5 5 -4 4 -3 3 -2 2 -1 1 0 Días para el parto (0) Prolactina Oxitocina Estrógenos Progesterona
nutrición 23 porciNews Junio 2023 | Transición a la lactación: Un periodo crítico para las cerdas

El equilibrio hormonal puede verse alterado si las cerdas sufren estrés, estreñimiento o cuando la condición corporal en el momento del parto no es óptima. Además, las intervenciones humanas pueden alterar el equilibrio hormonal.

Estrés: para las cerdas en transición, el estrés es el desencadenante más importante del desequilibrio hormonal.

Estreñimiento: el estreñimiento aumenta el sobrecrecimiento bacteriano intestinal y la absorción de endotoxinas del intestino, lo que provoca una inflamación no deseada en el organismo que puede causar un desequilibrio hormonal.

Condición corporal: Las cerdas demasiado gordas tienen niveles más altos de progesterona y leptina circulantes en la sangre.

Utilización de la energía y los nutrientes durante la transición

El requerimiento energético es, posiblemente, el aspecto más importante a considerar para las cerdas en transición, ya que es la base para sostener todos los procesos fisiológicos del organismo.

La Gráfica 2 muestra las necesidades energéticas estimadas por proceso/tejido. Como se puede ver:

2/3 de la energía se utiliza para el mantenimiento.

El 19% se pierde en forma de calor.

El 7% se utiliza para la producción de calostro.

El 5% se destina al crecimiento fetal.

PROGESTERONA

Los altos niveles de progesterona circulante en sangre afectarán al aumento de hormonas y, por tanto, interferirán con la actividad uterina y la producción de calostro.

LEPTINA

La leptina es una hormona que suprime el apetito, lo que provoca una alimentación escasa y una ingesta insuficiente de nutrientes.

El uso de oxitocina o prostaglandinas, ambas producidas sintéticamente, también altera el funcionamiento normal de las hormonas. Por lo tanto, ¡tenga cuidado al utilizarlas

Dado que el crecimiento mamario debería finalizar principalmente en este momento, ya no requiere mucha energía.

Gráfica 2. Energía necesaria para mantener las funciones fisiológicas corporales adecuadas durante el periodo de transición.

1% 5% 7% 19% 1% 67%
nutrición 24 porciNews Junio 2023 | Transición a la lactación: Un
periodo crítico para las cerdas

Las contracciones uterinas requieren una atención específica:

La energía y el calcio se utilizan en grandes cantidades para las contracciones uterinas durante el parto.

La glucosa es la principal fuente de energía (~80%) utilizada por el útero durante el parto, pudiendo usar también glucógeno y los ácidos grasos como otras fuentes de energía.

LA ALIMENTACIÓN DE LAS CERDAS

DURANTE LA TRANSICIÓN

La alimentación de las cerdas durante la transición a la lactación es una tarea compleja.

Las cerdas hiperprolíficas tienen unas necesidades elevadas de energía, calcio, vitaminas y oligoelementos durante el periodo de transición.

Si las cerdas han agotado la glucosa o el calcio disponibles durante el proceso de parto, tendrán contracciones lentas o inexistentes, lo que prolongará la duración del parto y, a su vez, puede provocar una mayor mortalidad de los lechones.

Por lo tanto, hay que asegurarse de que la cerda dispone de estos nutrientes cuando los necesita.

Es esencial tener en cuenta que una ingesta baja (insuficiente) de oligoelementos y vitaminas puede afectar a las funciones hormonales, la actividad enzimática y el estado antioxidante de las cerdas.

Las necesidades de estas funciones corporales son difíciles de estimar, pero las investigaciones han demostrado que las necesidades de varias vitaminas y oligoelementos de las cerdas hiperprolíficas son probablemente mayores de lo que cabría esperar en un principio.

Proporcionar a las cerdas hiperprolíficas cantidades de pienso inferiores a 3 kg al día durante la transición y alrededor del parto podría no ser suficiente, ya que las necesidades de nutrientes son a menudo superiores a la ingesta de nutrientes cuando se les proporciona esa cantidad.

Cálculo del valor energético del pienso

Para diseñar programas de alimentación que satisfagan las necesidades de nutrientes, no debemos hablar de kilogramos por día, sino de cantidad de nutrientes por día.

<3 kg pienso/día

En la semana anterior al parto, las cerdas necesitan al menos 7.250 kcal Energía Neta (EN)/día.

El día del parto, el nivel de energía debe reducirse en 1.000 kcal (EN)/día (es decir, hasta 6.250 kcal EN/día) para prevenir la tensión de la ubre.

Después del parto, el nivel de energía debe incrementarse en 1.000 kcal EN/día hasta que las cerdas alcancen su ingesta máxima de alimento.

Este cálculo debe determinar el nivel de energía del alimento, ya que queremos satisfacer la mayoría de las necesidades posibles de la cerda durante el pico de lactación.

nutrición 25 porciNews Junio 2023 | Transición a la lactación: Un periodo crítico para las cerdas

Cálculo del nivel de alimentación

Una vez que conocemos el valor energético del pienso, podemos calcular el nivel de alimentación durante el periodo de transición.

Por ejemplo, se deben suministrar 3,3 kg de pienso a las cerdas si el pienso contiene 2.200 kcal/EN (7.250 / 2.200 kcal EN).

Frecuencia de alimentación

La frecuencia de la alimentación también afecta a la ingesta de nutrientes de la cerda. De hecho, aumentar esta frecuencia:

Puede incrementar la ingesta de nutrientes por día.

Garantiza unos niveles más constantes de nutrientes en la sangre, que pueden utilizarse para las contracciones uterinas.

Nuestros ensayos han demostrado que alimentar a las cerdas 4 veces/día a intervalos de 6 horas suaviza a el periodo de transición.

Aporte de agua

Además de la composición del pienso y la frecuencia de la alimentación, no hay que olvidar el agua.

Las cerdas en transición deben consumir al menos 15 litros de agua al día para evitar el estreñimiento y asegurar una producción suficiente de calostro. En condiciones de calor, el aporte de agua debe ser aún mayor.

¿QUÉ MEJORAS PUEDEN LLEVARSE A CABO EN LA GRANJA?

La situación de cada granja es diferente y no hay un modelo único. Por ello, es importante evaluar la situación de la explotación, satisfacer las necesidades nutricionales de las cerdas y evitar cualquier tipo de estrés en el periodo de transición, pero también después del mismo.

De este modo, las cerdas podrán superar sin problemas el periodo de transición.

Nuestros especialistas pueden ayudarle a diseñar las estrategias de gestión y alimentación adecuadas para su granja.

Un periodo de transición sin sobresaltos le ayudará a conseguir los siguientes beneficios:

Una menor duración del parto con menos variación entre cerdas.

Menor necesidad de asistencia al parto.

Menor probabilidad de que las cerdas sufran estreñimiento.

Mayor producción de calostro, crecimiento de la camada y peso al destete.

Menor peso corporal y pérdidas de grasa dorsal durante la lactación.

Transición a la lactación: un periodo crítico para las cerdas DESCÁRGALO EN PDF

/>15 l/día nutrición 26 porciNews Junio 2023 | Transición a la lactación: Un periodo crítico para las cerdas

MÁXIMA EFICIENCIA NUTRICIONAL PLAN

El Plan ProBigH de De Heus te ayudará a:

Equilibrar entre deposición magra y grasa

Controlar la condición corporal

Mejorar la producción láctea

Solicita asesoramiento a un experto en

Optimizar el uso del calcio

Obtener partos más rápidos y sin complicaciones

PROBIGH®
www.deheus.es

LA CERDA LECHERA - PARTE I

Con una década de cerda hiperprolífica en el sector, es curioso que sigamos gastando tinta en innumerables artículos sobre el manejo de este tipo de cerda como si fuera una novedad.

Parece lógico hacerlo con virus mutantes, pero ¿con un sistema productivo tan instaurado? Tanto dar vueltas sobre lo mismo seguramente se deba a una sensación de ligero desatino, fuga de arena entre los dedos...

Hay detalles que no acabamos de controlar.

28 porciNews Junio 2023 | La cerda lechera - Parte I reproductoras

Si algo nos ha proporcionado la experiencia de los últimos años son una serie de certezas en las que casi todos los técnicos nos pondríamos de acuerdo: El aumento de tamaño de las camadas tiene como resultado el nacimiento de lechones de menor peso.

El manejo marca la diferencia y adquiere más protagonismo que nunca.

El peso al nacimiento determina la supervivencia y está directamente relacionado con el peso al destete y con el rendimiento productivo del cerdo en el engorde.

Una vez han nacido los lechones, la toma de calostro y leche producida por la madre son factores determinantes y limitantes para la camada.

Está claro que, genéticamente, la cerda ha dado un salto cualitativo impresionante.

Se puede seguir investigando y mejorando, sobre todo en aspectos de rusticidad, resistencia a enfermedades y carácter maternal, pero en lo que respecta a prolificidad y fertilidad están a niveles excepcionales.

En cuanto al manejo, aún hay muchas granjas donde se puede mejorar.

La capacitación y formación del personal debe ser un pilar en nuestras empresas y se debe insistir en ello, no solo para nuevas incorporaciones, sino para todos los empleados.

Sabemos que el conocimiento y la maestría son motores de la motivación. ¡Encontramos a auténticos genios de la eficiencia productiva con una gestión espectacular de camadas, cerdas y nodrizas!

Aun así, en algunas explotaciones la producción de leche de las cerdas sigue siendo el talón de Aquiles. ¿Es todo responsabilidad de la alimentación?

¿Qué indican los últimos estudios?

reproductoras 29 porciNews Junio 2023 | La cerda lechera - Parte I

FACTORES NO NUTRICIONALES ASOCIADOS A LA PRODUCCIÓN DE LECHE

La producción de leche de las cerdas ha aumentado significativamente en los últimos años. A este respecto, existen varios factores no nutricionales, incluidas las características genéticas de las cerdas y los factores ambientales, que juegan un papel crucial en la determinación de la producción de leche.

TAMAÑO DE LA CAMADA (Nº de lechones)

Existe una fuerte relación lineal positiva entre la producción de leche y el tamaño de la camada.

A pesar de que la ingesta de leche por parte de los lechones disminuye individualmente a medida que aumenta el tamaño de la camada, el hecho de incrementar el número de glándulas funcionales con el aumento del tamaño de la camada compensa con creces cualquier disminución en la producción de leche de las glándulas individuales.

Los lechones beben leche, aproximadamente, 30 veces/día y, dentro de los 35 minutos posteriores a cada bajada de leche, la ubre estará llena en un 80% para la siguiente bajada. Sin embargo, si un alvéolo no se ha vaciado cuando baja la leche, no habrá espacio para leche adicional. Esto significa que la cerda no podrá producir leche para ese alvéolo.

¡Una glándula no utilizada equivale a la pérdida de 1 kg de leche/día o del 7% de la producción potencial de leche!

En este sentido, son factores esenciales para aumentar la producción de leche:

El número de pezones funcionales.

El acceso sin obstáculos al pezón.

La presencia de un lechón en el momento de la bajada de la leche.

30 porciNews Junio 2023 | La cerda lechera - Parte I reproductoras

CALIDAD DE LA CAMADA

Relacionado con el punto anterior, en un reciente estudio se observó que, durante la primera semana de vida, las camadas de mayor peso lactaban una media de 31 minutos/ día más que las camadas de menor peso.

Esto se atribuye a la hipotermia postnatal y a la menor vitalidad de los lechones más pequeños que, a su vez, tienen una menor capacidad de estimulación de la glándula mamaria, resultando en una menor producción de leche

En cambio, los lechones más pesados pueden estimular un mayor flujo de leche de las cerdas y la lactancia más frecuente por parte de éstos también da como resultado una mayor producción de leche por parte de las cerdas.

A partir de la segunda semana de vida, no se observaron diferencias en la frecuencia y tiempo de amamantamiento entre camadas de alto y bajo peso, deduciéndose que los lechones de menor peso que sobrevivían a la primera semana eran capaces de estimular la glándula mamaria adecuadamente.

A veces, nos vemos obligados a desarrollar procedimientos de rutina para salvar el máximo número de lechones, lo que puede tener un impacto negativo en la producción de leche.

¿Cómo influyen los procedimientos para salvar el máximo número de lechones?

PARTIR CAMADAS

Las primeras 12-24h postparto son vitales para el desempeño inmunológico de los lechones, ya que es el intervalo durante el cual hay calostro disponible y su intestino es capaz de aprovecharlo.

En camadas de muchos lechones, especialmente en las que son poco homogéneas, es frecuente encerrar temporalmente a los lechones más pesados para dar una oportunidad a los más pequeños y débiles.

Sin embargo, según lo explicado anteriormente, este procedimiento puede conducir a que las glándulas se vacíen menos con una consecuente menor estimulación de la producción de leche.

Por ello, es importante que, al partir camadas, se tengan en cuenta un par de reglas básicas: Solo encerrar a los lechones más grandes, nunca a los pequeños.

Mantener el encierro durante solo una hora, proporcionando una fuente de calor y repetirlo como máximo 3 veces/día

En algunas granjas con altos índices de aplastamiento, se encierra a los lechones mientras las cerdas comen.

Este puede ser un buen procedimiento, siempre y cuando nos aseguremos de liberar a los lechones lo antes posible para que tengan acceso a las ubres.

Si alargamos mucho los tiempos de encierro, las glándulas se vacían poco y disminuye la producción. Esto es especialmente crítico en las horas posteriores al parto y puede llegar a ser la causa de altos índices de mamitis y agalaxia durante la primera semana de lactancia.

ADOPCIONES E IGUALACIONES

Cuando los lechones son trasladados a otra camada necesitan encontrar su pezón en una nueva ubre, lo que les puede llevar un tiempo y, nuevamente, conducir a que las glándulas no se vacíen.

Cuanto más se tarde en realojar a los lechones, mayor será su nivel de hipotermia, estrés y debilidad, lo que prolongará el tiempo que tardan en volver a mamar. El movimiento de lechones es necesario, pero en algunos casos excesivo comprometiendo así la producción lechera de las cerdas.

PARIDAD

Por norma general, las cerdas primerizas producen menos leche que las cerdas multíparas.

El consumo de pienso por parte de las cerdas lactantes experimenta un aumento desde el primer al sexto parto, siendo este aumento más notable entre el primer y el segundo parto ( 15-20%).

La ingesta de pienso por parte de la cerda durante la lactación, a menudo, no es suficiente para satisfacer sus necesidades de energía y nutrientes para el mantenimiento y la producción de leche, especialmente para las cerdas de primer y segundo parto.

32 porciNews Junio 2023 | La cerda lechera - Parte I reproductoras

Estas cerdas movilizan sus propios tejidos corporales para satisfacer sus necesidades de energía y nutrientes.

Los estudios de investigación han demostrado que, si las cerdas de primer y segundo parto movilizan más del 15% de su masa proteica durante la lactancia, se reduce la eficiencia reproductiva posterior y el peso al destete de la camada.

Además, las cerdas de primer parto todavía están creciendo y, por tanto, suelen tener reservas corporales inferiores de grasas, proteínas y minerales.

La alimentación segregada de cerdas jóvenes en parideras era una estrategia útil hasta la llegada de tecnología que permite lo más parecido a una alimentación ad libitum prácticamente individualizada.

SISTEMA ANOXIA

Simple y respetuoso con los animales.

Polivalente para distintas especies. Reduce el estrés.

Generación de burbujas a partir de gas nitrógeno. Tecnología desarrollada y probada por científicos.

CARRO PARIDERA

Eléctrico y completamente modulable

Reducción del tiempo de trabajo.

Mejor precisión en la dosificación y reducción del coste de medicamentos.

Mejora de la sanidad al reducir los traumatismos,

Fácil limpieza y mantenimiento del carro tras su uso.

Configurable a las necesidades y dimensiones de la

Eutanasia responsable con los animales C.Pica

Permite colocar los crotales sin esfuerzo físico.

Minimiza los problemas por tendinitis del personal.

álido para todo tipo de crotales y todas las

d’Estats, 22, 3-2 25006 Lleida Mob. 629 329 319 T • F. 973 260 198 arvet@arvet.eu • www.arvet.eu
AL SERVICIO DE TU RENDIMIENTO

Por otra parte, limitar el tamaño de la camada en las cerdas de primer parto para evitar grandes pérdidas de condición corporal puede parecer una buena idea, pero recordemos el efecto que tiene el vaciado de las glándulas mamarias.

Cuanto más trabaja una glándula, más leche produce en la lactación actual y también en las futuras. Limitar el número de lechones de primalas para asegurar una buena condición corporal puede comprometer la capacidad lechera de los siguientes ciclos.

FACTORES AMBIENTALES

Factores como el estrés, la temperatura ambiental y el fotoperiodo también pueden afectar la producción de leche en cerdas bien alimentadas. El mecanismo mediante el cual estos factores influyen en la producción de leche, a menudo, puede estar relacionado con la:

Interacción de los comportamientos de lactancia entre los lechones y la cerda.

Capacidad de los lechones para extraer leche de la glándula mamaria.

El control de la secreción de leche durante la lactancia parece depender de un inhibidor químico localmente activo en la leche que reduce la secreción por retroalimentación negativa.

Por tanto, el vaciado más regular y completo de la glándula mamaria puede favorecer una respuesta autocrina de secreción de leche y aumentar su producción.

ESTRÉS

Las estrategias para reducir el intervalo de lactancia y garantizar la extracción completa durante la eyección de la leche deben explorarse más a fondo.

El estrés inhibe la bajada de leche en todos los mamíferos, siendo una respuesta natural muy primitiva que prepara al animal para huir en caso de peligro.

Los ruidos bruscos, los manejos agresivos o las simples entradas constantes en las salas pueden alterar la eyección láctea.

Esto resulta especialmente importante durante la primera semana postparto, siendo importante recordar que las cerdas jóvenes suelen ser más sensibles.

34 porciNews Junio 2023 | La cerda lechera - Parte I reproductoras

TEMPERATURA

Una temperatura elevada en la sala de parto deprimirá el apetito de las cerdas lactantes.

Las cerdas más jóvenes de primer y segundo parto, que tienden a comer menos, y las cerdas extremadamente grandes o con sobrepeso tienden a verse más afectadas negativamente por las altas temperaturas.

Un estudio de campo llevado a cabo en verano (Lallemand Animal Nutrition, 2016) con el objetivo de evaluar el impacto del estrés por calor en granjas de cerdas en Europa demostró que, cuando la temperatura ambiental aumenta de 18°C a 28°C, la producción de leche disminuye en un 25%.

La temperatura no solo es importante por su impacto en el apetito de las cerdas, sino porque afecta directamente a la producción de leche.

Las altas temperaturas aumentan la vascularización periférica por vasodilatación superficial en detrimento de la vascularización de la glándula mamaria, disminuyendo la cantidad de sangre que llega a ella.

La glándula mamaria se caracteriza por estar muy vascularizada, siendo las mamas más craneales las más buscadas por los lechones por tener más vascularización y producir más leche.

Para producir 100 g de leche se necesitan aproximadamente 45-50 kg de sangre.

45-50 kg de sangre 100 g de leche

Es importante recordar que las necesidades térmicas de madres y lechones son muy diferentes, por lo que es importante conseguir dos climas en una misma sala.

Mientras que las madres están cómodas a 20°C, los lechones recién nacidos necesitan temperaturas cálidas (32-36°C).

Si los lechones pasan frío entran en el círculo destructivo de hipotermia, poca vitalidad, poco acceso a la glándula mamaria y, en muchos casos, muerte por aplastamiento.

Y, si los lechones no maman, disminuye la producción láctea.

Aumento de temperatura ambiental Producción de leche 18ºC 25% 28ºC
reproductoras 35 porciNews Junio 2023 | La cerda lechera - Parte I

FOTOPERÍODO

Como es natural, en vacas lecheras se han hecho varios estudios para comprobar cómo afecta el fotoperiodo y la intensidad de la luz a la cantidad y composición de la leche.

En un estudio muy reciente, se observó que:

Las vacas lecheras expuestas a 50 y 100 lux durante 16h, presentaron mayor producción de leche que las de otros grupos.

Las vacas lecheras expuestas a 100 lux exhibieron un mayor nivel de grasa, proteína y sólidos totales en la leche en comparación con otras vacas del grupo.

El nivel de melatonina en la leche aumentó significativamente a medida que aumentaba la intensidad de la luz, mientras que los niveles de cortisol en la leche fueron más bajos.

Los resultados sugirieron a los investigadores que la diferencia de fotoperiodo e intensidad de luz podría actuar como una estimulación externa al patrón rítmico (metabolitos) involucrado en la alteración de la función hormonal, la producción de leche y su composición.

En la segunda parte de este artículo hablaremos sobre aspectos relacionados específicamente con la dieta que afectan a la producción láctea de las cerdas.

Los pocos estudios que se han realizado han concluido que:

Exponer a las cerdas a 16 horas de luz/día en la sala de parto, en comparación con 8 horas o menos, aumenta el consumo de pienso por parte de las cerdas y el peso al destete de la camada, al tiempo que mejora su rendimiento reproductivo en los siguientes ciclos.

Las camadas de lechones expuestos a 16h de luz lactan mayor número de veces al día en comparación con aquellas expuestas a tan solo 8h.

La cerda lechera - Parte I DESCÁRGALO EN PDF
¿Cabría esperar resultados similares en la cerda?
1/ 2/
36 porciNews Junio 2023 | La cerda lechera - Parte I reproductoras

Natuphos® E Natugrain® TS Natupulse® TS

Enzimas para aprovechar al máximo el potencial del pienso

• Aumento de digestibilidad de los nutrientes y la energía

• Excepcional estabilidad de proceso y almacenamiento

• Aplicación amplia y flexible

• Mayor eficacia de los recursos

The science of sustainable feed that succeeds

Más que 30 AÑOS

Experiencia pionera Enzimas de BASF

La capacidad maternal tiene un papel muy importante en las labores de la empresa de genética porcina Danish Genetics

Por este motivo, la empresa ha mejorado aún más la recopilación de datos, por ejemplo:

Midiendo la ingesta de pienso.

Monitorizando la ganancia de peso diario.

Siendo la única empresa de genética que registra el peso al nacimiento de todos los lechones de todas las camadas.

publirreportaje 38 porciNews Junio 2023 | La capacidad maternal de las cerdas se refuerza con datos
Servicio Técnico de Danish Genetics

Una mayor tasa de supervivencia de los lechones.

Nos adaptamos constantemente a las necesidades de nuestros clientes. Y cuando lo logramos, como en el caso del refuerzo de las capacidades maternales, tiene sus frutos y aporta resultados positivos que conviene procesar y estructurar.

publirreportaje 39 porciNews Junio 2023 | La capacidad maternal de las cerdas se refuerza con datos

“Hemos empezado a recoger datos de nuestras camadas núcleo que muestran el peso de los lechones al nacimiento y determinan el número de lechones viables. Con nuestros nuevos registros de datos, tenemos la solución para determinar cómo debemos tratar la genética en el futuro”.

Además de los datos recogidos sobre el peso al nacimiento y los lechones viables, la empresa de genética recopila datos sobre el número de pezones de sus cerdas de razas Yorkshire y Landrace.

Se trata de un parámetro esencial para que la cerda pueda amamantar a sus lechones y se valora muy positivamente en términos de capacidad maternal, ya que hay cerdas que no tienen suficientes pezones para atender a su camada. Ante esta problemática, especialmente en camadas no uniformes, los lechones serán más débiles y, probablemente, derive en una mayor tasa de mortalidad.

Ulla Gam Hansen, consultora técnica en Danish Genetics nos cuenta:
publirreportaje 40 porciNews Junio 2023 | La capacidad maternal de las cerdas se refuerza con datos

LA CRÍA SOSTENIBLE SIEMPRE ES POSITIVA

“Como industria, tenemos la responsabilidad ética de que los lechones nazcan siempre en buen estado y viables, y de criarlos en un entorno adecuado. Como es lógico, esto ocurre cuando la cerda presenta grandes capacidades maternales”.

Un porcicultor alemán experimenta la diferencia

En Alemania, en la granja Hof Oesau, que trabaja con un hato exterior de cerdas, lechones destetados y cerdos de engodre, Simon Oesau resalta las excepcionales capacidades maternales de sus cerdas reproductoras procedentes de Danish Genetics. Ulla Gam Hansen recalca:

“Al mismo tiempo, la carga medioambiental afecta a la forma en la que debemos dar prioridad a los lechones viables y sanos en el sistema de cría. Si la tasa de mortalidad de los lechones es demasiado alta, desperdiciamos recursos valiosos”.

Datos recientes de Danish Genetics muestran que la cerda con mejores resultados tiene de media 21 lechones viables transcurridos 21 días.

¡Una buena base para futuros trabajos genéticos!

“En nuestra granja conseguimos una ganancia diaria de 1.100 gramos por cerdo de engorde, mientras que nuestro consumo de pienso está en 2,7 unidades de pienso. Atribuyo estos resultados en gran medida a nuestras cerdas y a su gran capacidad maternal, incluso en nuestra granja con cerdos de engorde y cerdas que retozan fuera en grandes recintos comunes”.

21 21 41 publirreportaje porciNews Junio 2023 | La capacidad maternal de las cerdas se refuerza con datos

El hecho de que los animales puedan convivir en grandes recintos comunes al aire libre es en parte posible gracias a la robustez de sus extremidades y espaldas derivadas de la genética proporcionada por Danish Genetics

En la granja Hof Oesau, los animales disponen de corrales nivelados, comederos y mucho espacio destinado al descanso.

Estas rutinas mejoran los rasgos fuertes y favorecen la musculatura de los cerdos.

Tienen muy claro y son conscientes de los beneficios del trabajo genético de Breeders of Denmark , partner de Danish Genetics.

Hace 4 años, Simon y su equipo decidieron probar con otra empresa de genética durante un tiempo, pero no dio los resultados esperados en las condiciones específicas de la explotación.

Simon valora la estrecha relación que mantiene con el partner de Danish Genetics que se evidencia cuando entre ellos ríen, negocian, optimizan o resuelven problemas en Hof Oesau, Grevenkop, al oeste de Hamburgo.

La capacidad maternal de las cerdas se refuerza con datos

DESCÁRGALO EN PDF

publirreportaje 42 porciNews Junio 2023 | La capacidad maternal de las cerdas se refuerza con datos

DE LA MATERNIDAD A LA TRANSICIÓN:

INFLUENCIA DEL CRECIMIENTO Y EL SEXO EN EL DESARROLLO DE PATOLOGÍAS DIGESTIVAS

1Técnico Veterinario de Cefu, S.A. e Investigadora Post PHD Fisiología UMU

2Técnico Veterinario de engorde de Cefu, S.A.

El impacto de los lechones de bajo peso al nacimiento y con baja viabilidad en la nueva realidad productiva donde la disminución de los tratamientos antibióticos, el coste de la materia prima, la aparición de cepas altamente virulentas de PRRS y la retirada de óxido de zinc ha adquirido todo el protagonismo en nuestro sector.

Antes de hablar de las diferentes problemáticas digestivas que padecen los lechones durante la transición en relación a su peso y sexo, debemos tener en cuenta qué lechones debemos seleccionar para el destete, así como sus características, el manejo básico a la entrada a las transiciones y su desarrollo intestinal.

Dra. Sara Crespo Vicente1 y Ricardo Gabriel Guzmán Bermejo2
lechones 45 porciNews Junio 2023 | De la maternidad a la transición: Influencia del crecimiento y el sexo en el desarrollo de patologías digestivas

LACTACIÓN

Lamaldicióndelos“lightpiglets”

Desde hace tiempo venimos hablando de lechones de bajo peso y viabilidad al nacimiento, por lo que no nos vamos a extender demasiado en esta área.

Básicamente definimos como “light piglet” a aquellos lechones que:

1 6

Presentan nacimiento (<1 kg), siendo el peso óptimo de supervivencia 800 g.

Incrementan los a los costes ocultos relacionados con la capacidad de crecimiento y días de estancia en las diferentes fases.

5

Incrementan la transmisión y permanencia de enfermedades, necesitando más días para alcanzar su peso comercial. lechones 46 porciNews Junio 2023 | De la maternidad a la transición: Influencia del crecimiento y el sexo en el desarrollo de patologías digestivas

Tabla y Gráfica 1. Porcentaje de mortalidad global (%) en las diferentes fases de los light piglets (Fuente: Crespo y Gadea, 2021).

El sistema digestivo de los lechones en lactación

La rentabilidad de la producción porcina está determinada, principalmente, por el éxito o fracaso de la transición de la leche materna a dietas secas sin que ocurra una reducción del crecimiento o la aparición de enfermedades.

El potencial de crecimiento de los lechones es alto inmediatamente después del destete, pero el limitado consumo de alimento junto con un sistema digestivo inmaduro a menudo impide que se alcance este potencial en condiciones prácticas (G.L. Allee y K.J. Touchette, 1999)

MICROBIOTA INTESTINAL

Al nacer, los lechones quedan expuestos a los microorganismos del ambiente que les rodea, entrando en contacto con la microbiota materna y con las heces en la maternidad, e incorporando las bacterias que colonizarán su tracto digestivo.

Estas bacterias buscan el nicho más adecuado para establecerse, de forma que compiten e interaccionan entre sí, constituyendo finalmente una población relativamente estable y compleja que representa la microbiota intestinal normal.

lechones

Influencia del crecimiento y el sexo en el desarrollo de

Rangos de peso (kg) Número de lechones Mortalidad Total (%) 0,5-0,69 34 73,53 0,7-0,79 83 53,01 0,8-0,89 99 52,53 0,9-0,99 59 37,29 1,00-1,22 78 24,36 TOTAL 353 45,89 80 70 60 50 40 30 20 MORTALIDAD TOTAL % 10 0 73,53 53,01 53,53 37,29 24,26 0,5 a 0,69 0,7 a 0,79 0,8 a0,89 1,0 a 1,22 0,9 a0,99
47 porciNews Junio 2023 | De la maternidad a la transición:
Los animales nacidos con bajo peso al nacimiento presentan sistemas digestivos inmaduros y un menor desarrollo del tracto digestivo, lo que conlleva una peor capacidad de digestión y absorción de los nutrientes (Michiels et al., 2013). patologías digestivas

MADUREZ INTESTINAL

Al realizar el estudio histológico del intestino de los lechones, se ha demostrado que aquellos con bajo peso al nacimiento presentan secciones de vellosidades acortadas con una ratio más baja entre las vellosidades y las criptas (Imágenes 1 y 2).

Estos lechones son más susceptibles al padecimiento de diarreas por un desarrollo inmaduro de su tracto gastrointestinal, lo que condicionará su alimentación y crecimiento durante todas sus fases productivas (Crespo y Gadea, 2021).

MADUREZ DE LAS FIBRAS MUSCULARES

El peso al nacimiento también está relacionado con el número y tipo de fibras musculares que presenta el animal, determinando el crecimiento muscular y la calidad de la carne (Beaulieu et al., 2010).

De hecho, al realizar el estudio anatómico de los lechones con bajo peso al nacimiento se ha comprobado que presentan fibras musculares más inmaduras (Imagen 3).

Imagen 3: Desarrollo de las fibras musculares de un lechón de bajo peso al nacimiento a los 5 días de vida (Fuente: Propia). Imágenes 1 y 2. Secciones intestinales de lechones de bajo peso al nacimiento con acortamiento de algunas vellosidades y disminución de las criptas (Fuente: Propia).

lechones 48 porciNews Junio 2023 | De la maternidad a la transición:
digestivas
50μm 200μm 100μm
Influencia del crecimiento y el sexo en el desarrollo
de patologías

Separación por tamaño y sexo

TRANSICIÓN

Manejobásicoalaentradaenla transición

En el momento de la recepción de los lechones, en primer lugar, se debe realizar una separación por tamaño y sexo, colocando a los de menor peso en las cuadras centrales con una menor densidad de animales para mejorar su acceso al agua y alimento y minimizar la variabilidad.

La reducción de la variabilidad de tamaño, dotando de más espacio y de protocolos de alimentación distintos, debe ser una prioridad en esta fase, ya que es importante que no se retrasen los lechones y que las diferencias de edad y peso sean mínimas entre los animales alojados en la misma nave.

Siempre se debe trabajar con flujos de animales de la misma edad para evitar la transmisión de patologías.

Flujo de animales de la misma edad

Lechones de menor peso:

Cuadras centrales

Menos densidad de animales

Más acceso a alimento y agua

lechones 49 porciNews Junio 2023 | De la maternidad a la transición: Influencia del crecimiento y el sexo en el desarrollo de patologías digestivas

Cortar la cadena epidemiológica y la transmisión de enfermedades entre distintos lotes, intentando tener la menor horquilla de edades posible y manteniendo un flujo de lechones constante, dependiendo de la tasa de transmisión de la enfermedad, permitirá controlar mejor la aparición de enfermedades endémicas o brotes periódicos de procesos patológicos.

Hasta hace poco, la tendencia habitual era el alojamiento de los lechones en grupos pequeños tras el destete, generalmente con individuos de la misma camada.

No obstante, en los últimos años se han ido generalizando las instalaciones que alojan grupos medianos o grandes con el objetivo final de ahorrar costes de equipamiento en relación a los grupos pequeños.

Se aconseja que el tamaño de las cuadras se ajuste para alojar 18-36 lechones, ya que los grupos de más de 40 lechones generalmente se ven penalizados en su crecimiento durante las primeras semanas postdestete, aunque en la mayoría de los casos experimentan un crecimiento compensatorio en los periodos siguientes, siendo así aceptables desde el punto de vista comercial.

Sin embargo, cuanto menor sea el tamaño de los grupos y cuanto más homogéneos sean en tamaño y peso, menor será el estrés al destete.

Todos los animales que sufran un proceso patológico deben de ser tratados y separados del resto en cuadras en las “enfermerías”.

Separar a estos animales y dotarlos de mejor acceso al agua y alimento y más espacio hace que tengan una mejor recuperación (Magallón, 2017).

lechones 50 porciNews Junio 2023 | De
la maternidad a la transición: Influencia del crecimiento y el sexo en el desarrollo de patologías
digestivas

Alteraciones digestivas en el postdestete

El lechón recién destetado tiene unas altas demandas de energía para poder llevar a cabo procesos fisiológicos relacionados con el desarrollo corporal y la maduración del sistema inmunitario.

Paradójicamente, la capacidad digestiva necesaria para que estos animales aprovechen los nutrientes es bastante limitada en el periodo postdestete, pues los órganos del tracto gastrointestinal están poco desarrollados y la actividad de las secreciones digestivas es baja.

Cambio de dieta Ayuno

Cambio de ambiente Estrés

Infección

Desarrollo del tracto gastrointestinal + Alteraciones funcionales

Digestión y absorción

Etiología multifactorial

Defensas

Este problema se acentúa con las proteínas de origen vegetal, pues son menos susceptibles a la digestión enzimática que las de origen animal.

Así, en el periodo postdestete, cuando el lechón empieza a consumir dietas sólidas con base en materias primas vegetales, se incrementa su susceptibilidad a los trastornos gastrointestinales (Reis de Souza et al., 2010).

Sustrato

Microbiota

Resistencia a la colonización de bacterias patógenas

En el momento del destete de los lechones, el cambio de la alimentación a base de leche por una ración sólida está frecuentemente asociado con una severa depresión del crecimiento y con la presencia de diarrea, dando lugar al denominado “síndrome de las diarreas postdestete”, con una etiología multifactorial (manejo, composición de las dietas, higiene, entre otros), siendo la anorexia y la subnutrición los factores desencadenantes más importantes de este síndrome.

Crecimiento/Adhesión de bacterias patógenas (E. coli, por ejemplo)

Producción de toxinas

DIARREA

Figura 1. Interacción de los factores que conducen a los procesos diarreicos (Adaptado de Reis de Souza, 2010).
51 porciNews Junio 2023 | De la maternidad a la transición: Influencia del crecimiento y el sexo en el desarrollo de patologías digestivas
lechones

Durante las primeras 24-36 horas postdestete se observan cambios en la mucosa del intestino delgado a nivel funcional y estructural:

Se produce una atrofia de las vellosidades e hipertrofia de las criptas Lieberkühn, con una reducción del 20-30% del peso de este órgano, lo que implica una disminución en la ratio vellosidad-cripta y se relaciona con procesos de diarrea.

La disminución de células caliciformes productoras de mucina se traduce en una menor protección de la mucosa frente a las secreciones digestivas, patógenos o lesiones.

La pérdida de función de las “uniones estrechas” conlleva un incremento del transporte paracelular de macromoléculas, desencadenando un proceso de inflamación local.

RESPUESTA HISTOLÓGICA CONSECUENCIA

Reducción de la altura de las vellosidades e incremento en la profundidad de las criptas intestinales.

Disminución del número de células caliciformes productoras de mucinas.

Pérdida de la función de las “uniones estrechas”.

Comportamiento de los lechones en transiciónduranteunprocesodigestivo asociado a la retirada del ZnO

El óxido de zinc (ZnO) tiene como ventaja que se absorbe a nivel intestinal en muy bajas cantidades.

Su modo de acción aún no se comprende del todo, pero es probable que tenga efectos sobre los procesos inmunitarios o metabólicos, la microbiota alterada o el metabolismo postabsorción.

Déficit de enterocitos maduros: deficiencia enzimática e incapacidad digestiva.

Menor protección de la mucosa frente a secreciones digestivas, patógenos y/o lesiones.

Tabla 2. Respuesta histológica y consecuencia del aumento de la permeabilidad intestinal en el periodo de postdestete (Fuente: Propia).
52 porciNews Junio 2023 | De la maternidad a la transición: Influencia del crecimiento y el sexo en el desarrollo de patologías digestivas
lechones

SEXO VS DIARREAS

El análisis de datos demostró que los lechones de bajo peso al destete (5,82 kg), que suelen estar condicionados por el bajo peso al nacimiento, presentaban una mayor mortalidad por episodios de diarrea (33%).

La comparativa entre los machos y las hembras puso de manifiesto que, en la transición e independientemente a los pesos de entrada, los machos tenían una mayor ingesta de pienso, lo que se tradujo en una mayor aparición de diarrea y mortalidad asociada en comparación con las hembras que presentaban una ingesta más regulada de pienso.

Esto implica que, tras la retirada del óxido de zinc, tan perjudicial son los procesos de anorexia por falta de consumo de alimento como una ingesta desmesurada y no controlada del pienso que pueda provocar patologías digestivas, ya que la capacidad digestiva necesaria para que los lechones aprovechen los nutrientes es bastante limitada en el periodo postdestete.

PORCENTAJE DE LECHONES (%) PESO AL DESTETE (KG) 90 80 70 60 50 40 30 20 10 0 [3,8-4,6] (4,6-5,4] (5,4-6,2] (6,2-7] (7-7,8] (7,8-8,6] (8,6-9,4] (9,4-10,2] (10,2-11] (11-11,8] 12 53 72 82 64 40 23 11 6 1
Gráfica 2. Distribución de pesos al destete de los lechones estudiados en transición (Fuente: Propia)
Lechones N Peso de entrada (kg) Presencia de diarreas (%) Mortalidad 12 5,82±0,29 33,33 Finalizaron fase 352 6,81±0,8 8,24 P-valor 0,02 <0,01
Tabla 3. Mortalidad asociada a la presencia de diarreas en relación al peso al destete (Fuente: Propia).
Lechones N Mortalidad (%) Presencia de diarreas (%) Machos 167 4,19 11,98 Hembras 197 2,54 6,60 P-valor 0,38 0,08
Tabla 4. Mortalidad asociada al sexo y a la presencia de diarreas.
lechones 53 porciNews Junio 2023 | De la maternidad a la transición: Influencia del crecimiento y el sexo en el desarrollo de patologías digestivas

En consecuencia, si buscamos una solución única al control de diarreas en el postdestete, no obtendremos una respuesta sencilla. Se están empleando diferentes alternativas, incluyendo:

Un mayor control de la bioseguridad en las granjas.

La revisión de los esquemas vacunales para prevenir brotes de enfermedades.

El control de las ingestas reguladas.

La administración de dietas en combinación con ácidos grasos de cadena media.

Una limpieza y desinfección esmerada de las instalaciones.

Sin embargo, aunque hemos aprendido mucho en los últimos meses, aún nos queda un largo camino por recorrer en el manejo de los problemas digestivos de nuestras transiciones.

CONCLUSIONES 1 2

El peso al nacimiento no solo es importante para la viabilidad de los lechones, sino que también influye de manera importante en su desarrollo muscular y digestivo.

Debemos realizar una selección temprana de viabilidad bajo madre para evitar mayores pérdidas en etapas posteriores.

3 4

Agradecimientos

La recogida y monitorización de datos no habría sido posible sin el trabajo y dedicación de nuestros equipos de granja, por lo que este articulo va directamente dedicado a todos ellos. “Un gran veterinario esta forjado por los logros de su equipo”.

ACCEDER A BIBLIOGRAFÍA

Los lechones de menor peso presentan menor desarrollo de las vellosidades intestinales, lo que implica que tendrán unas necesidades nutricionales y de manejo exclusivas.

La retirada del ZnO es un proceso lento al que debemos adaptarnos paulatinamente teniendo en cuenta que influyen gran cantidad de factores.

De la maternidad a la transición: Influencia del crecimiento y el sexo en el desarrollo de patologías digestivas DESCÁRGALO EN PDF
54 porciNews Junio 2023 | De la maternidad a la transición:
digestivas
lechones
Influencia del crecimiento y el sexo en el desarrollo de patologías
ELIMINA EL ÓXIDO DE ZINC SIN DIARREAS PROGRAMA DE PIENSO MÁS AGUA Estudio realizado por Test & Trials
un programa de pienso y agua para eliminar el óxido de zinc sin tener diarreas BIOCIDAS BIODEGRADABLES ZIX S.L. / Pasaje Baleares, 4, Oficina 1 22004 Huesca (España) / Tfno.: +34 974 230 381 / bbzix@bbzix.com / www.bbzix.com TRATAMIENTO DE AGUA 300 ml / 1.000 L agua COLIZIX® PREMEZCLA DE ADITIVOS (SIN ZINC NI COBRE) 3 Kg / Tn
Todos dicen lo mismo, nosotros lo demostramos Tenemos

Combate la Necrosis Auricular

NecroSTOP

mejora la integridad intestinal y previene el efecto de las exo y endotoxinas.

REDUCCIÓN

Reduce un 80% la necrosis auricular en granjas con brote activo.

PREVENCIÓN

Reduce su aparición en el 95% de las granjas en las que se suministró como tratamiento preventivo.

NECROSIS AURICULAR EN CERDOS PROBLEMÁTICA Y SOLUCIÓN

La necrosis de orejas es una patología multifactorial de distribución mundial que puede afectar a todas las granjas, independientemente de su línea genética. Afecta principalmente a lechones en fase de transición e inicio de cebo sin importar el sexo, el peso o el estatus sanitario de la granja.

Existen muchos factores de riesgo asociados con la aparición de esta patología. Sin embargo, hasta ahora no se ha encontrado o no se ha podido demostrar una causa específica demostrada.

La necrosis auricular representa consecuencias negativas para el Bienestar Animal, así como para la rentabilidad de la producción Además, pone en juego nuestro compromiso para disminuir el uso de antibióticos, razones de sobra para abordar la prevención y control de esta patología.

publirreportaje porciNews Junio 2023 | Necrosis auricular en cerdos. Problemática y solución 57

¿CÓMO SE PRESENTA Y EVOLUCIONA LA NECROSIS AURICULAR EN CERDOS?

Habitualmente, la necrosis auricular se observa en lechones entre la 6ª y 7ª semana de vida o bien durante las 3 primeras semanas de entrada a cebo

Antes de aparecer la necrosis, puede haber un proceso febril con descenso de actividad en muchos lechones del corral que puede llegar a producir aletargamiento.

La patología se caracteriza por la aparición de necrosis en la punta de las orejas y algunas veces en el borde posterior del pabellón auricular, cerca de la base de la oreja, pudiendo aparecer las lesiones de forma unilateral o, en mayor medida, en ambas orejas

Las lesiones evolucionan disparmente, pudiendo observarse:

Heridas superficiales leves que cicatrizan y desaparecen.

Inflamaciones severas con exudación, ulceración y necrosis que se pueden complicar con canibalismo hasta perder totalmente el pabellón auricular.

Esta patología tiene baja mortalidad y alta morbilidad, pudiendo tener prevalencias de más del 80% de lechones en un mismo corral. La distribución de la enfermedad en las salas suele ser homogénea y estar distribuida en corrales concretos dentro de un mismo brote.

OTROS SIGNOS CLÍNICOS OBSERVADOS EN BROTES DE NECROSIS AURICULAR

Además de las lesiones necróticas en las orejas, los animales presentan:

Apatía

Pelo hirsuto

Disminución del consumo de pienso

Disminución del crecimiento

Pueden surgir complicaciones secundarias cuando se ve comprometida la epidermis y permite la propagación sistémica de bacterias que desencadenan casos de poliartritis, afectaciones neurológicas, respiratorias y abscesos.

FACTORES DE RIESGO ASOCIADOS A LA NECROSIS AURICULAR

Al tratarse de una problemática multifactorial, la necrosis auricular puede estar asociada a uno o a la combinación de varios factores, como:

Presencia de micotoxinas

Endotoxinas y exotoxinas liberadas por las bacterias

Disbiosis de la microbiota intestinal

Deficiencias nutricionales

Manejo inadecuado: hacinamiento, ventilación deficiente, poco espacio de comederos y bebederos o cualquier otro factor estresante que cause nerviosismo en los animales

>80% publirreportaje 58 porciNews Junio 2023 | Necrosis auricular en cerdos. Problemática y solución

La etiología de este proceso está relacionada con estados de estrés e inmunosupresión en los animales, lo que desencadena inflamación y una cascada de eventos hasta llegar a la necrosis.

Una posible explicación de la aparición de necrosis de orejas es el exceso de biotoxinas en el intestino delgado que pasan al torrente sanguíneo y son detectadas por el sistema inmunitario, desencadenando un proceso inflamatorio.

Celulitis

BIOTOXINAS RESPONSABLES DE LA NECROSIS AURICULAR

ENDOTOXINAS

Las endotoxinas son compuestos tóxicos liberados durante la lisis o muerte bacteriana.

A este grupo de toxinas pertenecen los lipopolisacáridos (LPS) que forman parte de la pared celular de bacterias Gram negativas, como E. coli o Salmonella.

Las endotoxinas son abundantes en el tracto gastrointestinal de los animales debido a la diversidad de microrganismos que forman parte de la microbiota.

Los LPS conducen a una respuesta inmunitaria con la activación de genes inflamatorios, la secreción de citoquinas proinflamatorias, la activación del sistema de complemento de las proteínas plasmáticas y expresión del factor tisular, induciendo a la coagulación de la sangre.

EXOTOXINAS MICOTOXINAS

Las exotoxinas son proteínas tóxicas, secretadas por bacterias Gram positivas y Gram negativas, capaces de alterar el metabolismo y provocar lisis celular al generar efectos tóxicos sobre células diana específicas. Las bacterias que colonizan y se adhieren al intestino pueden producir exotoxinas entéricas causantes de diarreas o intoxicaciones alimentarias. Existe también otro grupo de exotoxinas pirogénicas que estimula la liberación de citoquinas.

Las micotoxinas son metabolitos secundarios tóxicos producidos por géneros de hongos como Fusarium, Claviceps y Penicillium que pueden encontrarse contaminando materias primas y piensos. Su presencia puede afectar la barrera intestinal favoreciendo la entrada de biotoxinas al torrente sanguíneo. Además, son responsables directas de patologías reproductivas, respiratorias y digestivas, entre otras.

La presencia de estas biotoxinas en el lumen intestinal tiene efectos sinérgicos, favoreciendo el aumento de permeabilidad de la barrera intestinal y desencadenando una respuesta inmunitaria e inflamatoria exacerbada.

TRATAMIENTO DE LA NECROSIS

AURICULAR

En las explotaciones es común detectar el problema cuando existen varios animales con heridas y necrosis en las orejas, lo que hace más difícil controlar el brote. Se suelen usar una serie de antibióticos que controlan las lesiones, pero que, a su vez, causan disbiosis en la microbiota intestinal.

Aumento de la permeabilidad intestinal Entrada de biotoxinas a capilares sanguíneos Desarrollo de proceso inflamatorio Vasculitis Trombosis Isquemia NECROSIS
publirreportaje porciNews Junio 2023 | Necrosis auricular en cerdos. Problemática y solución 59

auricular.

¿Cómo actúan sus componentes?

LEONARDITAS

Las leonarditas son sustancias vegetales humificadas ricas en materia orgánica, compuestas principalmente de sustancias húmicas y minerales.

Poseen elevada capacidad para el intercambio iónico y se caracterizan por tener polifenoles que actúan como antioxidantes naturales y agentes biotransformadores de toxinas.

BENTONITAS

Se trata de una selección de arcillas con alta polaridad y reactividad frente a biotoxinas.

Tienen un mecanismo físico de captura que actúa como filtro y, además, ejercen una atracción polar sobre las micotoxinas en la fase digestiva, lo que impide su paso a través de la barrera intestinal.

al reducir las concentraciones plasmáticas de cortisol y catecolaminas, controlando el canibalismo.

EFICACIA DEMOSTRADA DEL USO DE NecroSTOP

Presentamos los resultados de una prueba en la que se usó NecroSTOP como tratamiento preventivo a razón de 1 kg/T.

Para ello, se usaron 4 grupos (1 grupo control y 3 grupos tratamiento) de 120 animales cada uno, variando el inicio de la inclusión del producto en el pienso a diferentes días de vida de los cerdos.

publirreportaje 60 porciNews Junio 2023 | Necrosis auricular en cerdos. Problemática y solución

Grupo N31d: comparado con el grupo control, hubo una disminución del 80% de animales afectados en el pico del brote y 7 días después (día 57) hubo un 95% menos.

Grupo N37d: hubo una disminución del 45% de animales afectados con respecto al grupo control en el pico del brote y 7 días después (día 57) hubo un 80% menos de animales afectados.

Grupo N44d: hubo una reducción del 15% de animales en el pico del brote y 7 días después (día 57) hubo un 50% menos de animales afectados con respecto al grupo control.

Los resultados indican que el producto es capaz de controlar y evitar los procesos de necrosis auricular y que su administración temprana, desde el día 31 de vida, logra prevenir en mayor proporción los casos de necrosis de orejas.

multifactorial, que puede estar asociado a la entrada de biotoxinas desde el lumen intestinal y éstas pueden desencadenar procesos inflamatorios y una cascada de síntomas que terminan en necrosis de las orejas.

El uso de NecroSTOP, como preventivo desde 10 días antes a la aparición del brote, evita la aparición de la enfermedad y su uso en brotes en activo disminuye en gran proporción la sintomatología de necrosis auricular.

Problemática
DESCÁRGALO
publirreportaje porciNews Junio 2023 | Necrosis auricular en cerdos. Problemática y solución 61
Necrosis auricular en cerdos.
y solución
EN PDF

ELUSO DE DATOS

EN LA GESTIÓN Y PRODUCCIÓN

PORCINA

Cada productor porcino tiene que enfrentarse a diferentes desafíos cada día.

Mientras que unos tienen que vigilar su rentabilidad, otros tienen desafíos en el proceso de destete.

Afortunadamente, el sector agropecuario ha ido evolucionando paralelamente a los avances de la sociedad.

¡Ahora puedes usar los datos para obtener información sobre tu negocio!

La correcta gestión de datos permite tomar las decisiones correctas.

Servicio Técnico de AgroVision
publirreportaje 64 porciNews Junio 2023 | El uso de datos en la gestión y producción porcina

Con todos estos datos, el productor también puede comparar sus resultados con otras granjas. En base a este tipo de Benchmarking, el productor puede saber si las cosas van bien o no.

No obstante, si quieres optimizar tu negocio, la revisión de tus propios resultados es más importante que tu comparación con otras granjas.

Al conocer tus datos puedes impactar de manera más eficiente para establecer un programa de mejora continua, incidiendo en aquellos indicadores que son críticos de acuerdo con tu propia realidad.

Para crear este programa de mejora continua, se deben tener en cuenta cuatro consideraciones al trabajar y

publirreportaje 65 porciNews Junio 2023 | El uso de datos en la gestión y producción porcina

CENTRARSE EN TODO EL SISTEMA DE PRODUCCIÓN

Un programa de gestión debería permitirte gestionar todo tu sistema de producción, no solo centrarse en silos de información con indicadores independientes.

1 2

Debe ser posible partir de las ventas para poder establecer en qué parte del proceso se debe incidir para aumentar la rentabilidad.

Descubre dónde se pierde productividad con la información y optimiza las prioridades.

CENTRARSE EN LA EFICIENCIA ECONÓMICA

Además de la eficiencia técnica, un sistema de gestión también debe poder centrarse en la eficiencia económica.

Un buen indicador técnico no siempre es sinónimo de un buen desempeño

publirreportaje 66 porciNews Junio 2023 | El uso de datos en la gestión y producción porcina

Un ejemplo puede ser la conversión alimentaria:

Los altos costes de las materias primas pueden no ser tan relevantes como el margen sobre el coste del pienso. Por lo tanto, puede ser que el enfoque pase de centrarse en la cantidad de lechones destetados por cerda y año a la cantidad de lechones destetados por cerda atendidos en el grupo de monta.

CENTRARSE EN LAS VARIACIONES

El sistema también debe poder centrarse en las variaciones en vez de solamente en los promedios. Si bien, los promedios dan indicios de lo que puede estar pasando, solo trabajando

El problema de los promedios se comprende mejor con el siguiente ejemplo: si una persona come dos tartas y la otra ninguna, en promedio, cada persona se comió una, pero esto no es cierto.

El programa de gestión de datos de producción debe permitir la identificación de estas variaciones para enfocar mejor tus decisiones.

3
publirreportaje 67 porciNews Junio 2023 | El uso de datos en la gestión y producción porcina

CENTRARSE EN LOS GRUPOS DE MONTA 4

Finalmente, debe existir un sistema de gestión que te permita monitorear tus grupos de cubrición con mayor precisión, no solo hacer un análisis periódico del comportamiento de tus indicadores.

Cada grupo de cubrición es como una pequeña granja dentro de tu granja y solo la correcta planificación de cada grupo y su manejo te permitirán mejorar el rendimiento de todo el hato reproductivo.

Tener estos cuatro elementos en tu sistema de gestión te puede ayudar a convertirte en un mejor productor y más eficiente, ya que podrás concentrarte en los detalles que realmente necesitan tu atención y sabrás en tiempo real cuál es el rendimiento de tu granja.

AgroVision es una empresa internacional que crea soluciones de software únicas y de alta calidad para empresas agrícolas y ganaderas. Somos proactivos en nuestro esfuerzo por progresar y valorar a la persona individual. Nuestro software de manejo de cerdos, PigVision, combina conocimiento y datos en línea en un solo programa, y luego los traduce en información útil para tu negocio. Nuestro equipo español está para ayudarte a alcanzar cualquier objetivo productivo.

El uso de datos en la gestión y producción porcina DESCÁRGALO EN PDF
publirreportaje 68 porciNews Junio 2023 | El uso de datos en la gestión de cerdos
Eche un vistazo en la web de AgroVisión para saber más.
a Información en tiempo real a Mayor eficiencia a Fácil de usar a Aplicación móvil para iOS y Android a Posibilidad de trabajar sin conexión a Soporte español gratuito PigVision Manejo fácil e inteligente para la gestión de granjas de producción porcina El software de gestión para cerdas y engorde Encuentra más información aquí www.agrovision.com/es Teléfono: +34 960 130 261 - WhatsApp: +34 612 584 141 support-es@agrovision.com
Desde que empezamos a trabajar con PigVision, hemos ganado dos horas a la semana en mano de obra”. Daniel Biedemann, ganadero en Alemania

GRANJA ZAHARA APOSTANDO POR EL BIENESTAR ANIMAL

La producción porcina global se enfrenta a importantes desafíos a los que no somos ajenos en España. Gran parte de estos desafíos son resultado de una presión social creciente por una producción más respetuosa con el bienestar animal y el medio ambiente.

Las empresas del sector porcino no pueden permanecer indiferentes a esta realidad y deben trabajar en la obtención de animales capaces de mantener y mejorar sus resultados productivos en los ambientes y condiciones en los que se desarrolla y se desarrollará la cría de cerdos en años venideros.

A pesar de estos desafíos, es fundamental apostar por abrazar los cambios y ver en ellos nuevas oportunidades.

bienestar animal 70 porciNews Junio 2023 |
Granja Zahara: Apostando por el bienestar animal

La selección de líneas terminales en condiciones de alto bienestar animal responde a dos necesidades fundamentales:

Producir cerdos robustos

Realizar la selección de animales en base a unos elevados estándares de bienestar permite identificar aquellos con mayor capacidad genética para expresar su potencial en estas condiciones.

En este sentido, producir animales robustos adaptados a las condiciones en las que se deben trabajar hoy en día es el primer objetivo.

Prueba de ello es la evolución de la capacidad maternal de las líneas maternas seleccionadas durante años en núcleos en Noruega donde los sistemas de gestación en grupo y parideras libres están presentes desde hace más de 20 años.

Desarrollar programas de mejora genética bajo estas condiciones de producción ha contribuido de forma decisiva a la selección de cerdas muy tranquilas con alta capacidad para criar a sus lechones de forma autónoma, algo que destacan todos los ganaderos que tienen oportunidad de trabajar con estas líneas y sus híbridas en gestación y maternidad.

Del mismo modo, la selección de las líneas terminales puede y debe contribuir de forma decisiva a producir cerdos:

Más robustos y eficientes.

Capaces de lidiar con los desafíos sanitarios de forma natural, requiriendo de una menor intervención de granjeros y veterinarios.

Capaces de ser criados en grupos sin que se presenten comportamientos agresivos indeseables.

Priorizar el bienestar animal

Las empresas del sector porcino deben mostrar su compromiso con los máximos estándares de bienestar animal que exige actualmente la sociedad.

La verticalización del sector implica la necesidad de demostrar que las exigencias de bienestar animal están presentes en toda la pirámide productiva, desde los centros de inseminación donde se alojan los verracos, las transiciones y cebos donde se crían los cerdos, los transportes empleados en el movimiento de animales hasta los establecimientos donde los animales son sacrificados para incorporarse a la cadena alimentaria.

Las granjas de procedencia de los verracos y de las reproductoras no deberían ser una excepción y seguramente será exigible en un futuro no muy lejano.

1 2
bienestar animal 71 porciNews Junio 2023 |
por el bienestar animal
Granja Zahara: Apostando

EL EJEMPLO DE GRANJA ZAHARA

En la provincia de Toledo, cerca de Talavera de la Reina, a los pies de la Sierra de Gredos, se encuentra la Granja Zahara en un entorno excepcional y aislado donde las condiciones climáticas pueden llegar a ser extremas, especialmente durante el verano.

Se trata de una granja de ciclo cerrado con 320 madres en la que trabajan con dos líneas hembras (Pietrain y Large White) y tres líneas terminales diferentes, algo que en ocasiones supone un gran reto, pero que permite comparar, analizar y mejorar en distintos aspectos de la producción porcina

En esta explotación producen y seleccionan su propia auto-reposición de hembras y reciben dosis seminales de verracos seleccionados presentes en centros nacionales e internacionales como parte de sus programas de mejora genética.

Desde hace años, mantienen un firme compromiso por hacer frente a las exigencias del sector, adelantándose a lo que ha de venir.

Iniciaron la retirada del óxido de zinc (ZnO) año y medio antes de su prohibición.

Comenzaron la reducción del consumo de antibióticos en 2019 y el estudio y valoración de las categorías de los antibióticos utilizados en la granja es un objetivo de su sistema de calidad desde ese mismo año.

Y otro gran reto: la eliminación total del corte de colas desde su primera Auditoría de Bienestar de 2020.

El personal es estable y se beneficia de un programa de formación continua como exige el RD 306/2020.

No ha sido un camino sencillo y durante el proceso han tenido que aprender los aspectos claves para continuar produciendo con éxito los mejores verracos.

ACCEDER AL RD 306/2020
bienestar animal 72 porciNews Junio 2023 |
Granja Zahara: Apostando por el bienestar animal

El reto de producir sin óxido de zinc

Con respecto a la retirada del óxido de zinc, han aprendido que la calidad del lechón destetado, las instalaciones, el manejo y la nutrición son los pilares básicos del éxito.

Apuestan por destetes a cuatro semanas para obtener un lechón capaz de superar este desafío.

Al tratarse de una granja de ciclo cerrado, el destete se realiza en salas contiguas a parideras, por lo que tienen la suerte de no someter al lechón a largos desplazamientos ni transportes.

Aunque se trata de una granja de antigua construcción, todas las naves donde se alojan los lechones (desde las 4 semanas hasta las 9 semanas de vida) disponen de calefacción, refrigeración y ventilación forzada.

El uso de dietas de calidad y ácidos en agua, el control de las densidades y, como siempre, el punto más importante, personal profesional y formado, capaz de anticipar y reaccionar frente a cualquier problema con los lechones, son las claves del éxito.

El reto de producir sin el corte de colas

La prevención de la caudofagia es un desafío presente y no solo futuro.

Son cerca de tres años desde que eliminaron el corte de colas como práctica habitual en la granja y esto les ha servido para adquirir gran experiencia.

De igual manera que ocurría cuando practicaban el raboteo, siguen existiendo episodios de mordedura de cola, con similar frecuencia y en diferentes momentos del año. Se trata de un problema de naturaleza multifactorial y de equilibrio entre distintos elementos (Henry et al., 2021).

¡Son muy estrictos con los vacíos sanitarios superiores a 1 semana!

bienestar animal 73 porciNews Junio 2023
| Granja Zahara: Apostando por el bienestar animal

El hecho de trabajar con tres líneas diferentes pone de manifiesto las diferencias de comportamiento y de incidencia por línea criada en el mismo ambiente. En este sentido, han aprendido, de nuevo, que el manejo juega un papel clave en la eliminación con éxito del raboteo.

La detección precoz y saber identificar los principales puntos críticos que puede desencadenar un brote de mordeduras de rabos y orejas son fundamentales.

Un personal bien formado, sensibilizado con el problema y consciente de las implicaciones del raboteo y de sus consecuencias es vital para el éxito de la eliminación del corte de colas.

Cada brote debe ser debidamente registrado y, a continuación, se realiza una evaluación de los animales afectados y de los factores externos que hayan podido afectar a dicho brote (temperatura, humedad, densidad de animales, etc.).

Con respecto al material de enriquecimiento, que siempre ha de estar presente en las explotaciones porcinas (RD 159/2023), es importante:

Valorar los momentos en los que resulta más relevante.

Evaluar su efectividad.

Disponer de alternativas y diferentes materiales que poder emplear cuando se presenta un problema.

ACCEDER AL RD 159/2023

En el caso de la Granja Zahara, han detectado que la semana antes de entrar a cebo es el momento más crítico para la aparición de brotes de mordeduras de colas.

Es en ese periodo cuando el personal ha de estar más atento, aumentar la provisión de material de enriquecimiento y, si es posible, reducir densidades

Imagen 1. Cerdos con colas intactas en la semana antes de entrar al cebo.
animal 74 porciNews Junio 2023 |
bienestar
Granja Zahara: Apostando por el bienestar animal
ARP-9 MinusGram Innovación y Dinamismo ´ AYuda a la desmedicalizacion Ecovet Economía Veterinaria S.L. OFICINAS EN: Majadahonda Vic Lleida qualivet@qualivet.es www.qualivet.es ´ Eficiencia en la utilizacion de nutrientes Cebo

El reto de producir animales libres de antibióticos

En la Granja Zahara llevan apostando claramente por la reducción del consumo de antibióticos desde hace años.

Partieron de una situación privilegiada, siendo una granja triple SPF (Specific Pathogen Free, libre de PRRS, Mycoplasma hyopneumoniae, Actinobacillus pleuropneumoniae, Sarcoptes y Brachyspira hyodisenteriae).

Mantener un alto estatus sanitario en esta granja es imprescindible y, desde hace años, aplican las más estrictas medidas de bioseguridad.

El chequeo continuo de este estatus sanitario es parte de su trabajo rutinario.

Ser libres de un gran número de enfermedades no significa que no haya otros retos a los que hacer frente, especialmente en lo que respecta a enfermedades entéricas en animales jóvenes.

Como parte de su programa de selección, trabajan con intensidades de reposición muy altas (>100%) lo que implica trabajar de forma continua con un censo muy joven y con un alto porcentaje de primerizas, lo que implica que el nivel inmunitario puede ser deficitario.

El objetivo en los últimos años ha sido producir animales totalmente libres de antibióticos, implementando el uso de antibiogramas y enfocándose, siempre que se pueda, en el uso de antibióticos de categoría D.

Gráfica 1. Registro de incidencia de caudofagia en la Granja Zahara.
100% 80% 60% 40% 20% 0% Incidencia de caudofagia Semanas Transición Cebo 52 51 50 49 48 47 46 45 44 43 42 41 40 39 38 37 36 35 34 33 32 31 30 29 28 27 26 25 24 23 22 21 20 19 18 17 16 15 14 13 12 11 10 1 2 3 4 5 6 7 8 9 bienestar animal 76 porciNews Junio 2023 | Granja Zahara: Apostando por el bienestar animal

CONSUMO DE LA EXPLOTACIÓN EN Mg/UR Y COMPARATIVA

El consumo habitual en mg/UR de su explotación para esta especie y clasificación zootécnica de este periodo se encuentra por debajo del índice de referencia.

IR: índice de referencia de la clasificación zootécnica a nivel nacional en el año anterior al analizado.

Consumo habitual: consumo expresado en mg/ UR de la explotación, calculado a partir del consumo de la misma durante el trimestre en curso y los tres trimestres anteriores al analizado.

“Consideramos que, como veterinarios, podemos realizar prescripciones de forma totalmente válida y correcta, como cualquiera de nuestros colegas sanitarios prescriptores, basándonos en nuestra formación, experiencia y los medios a nuestro alcance que existen en la actualidad. Pero hace años detectamos la tendencia de una legislación que impondría una mayor restricción al uso de antibióticos, así que mucho antes de la publicación del RD 992/2022 nosotros ya trabajamos en el uso sostenible de los antibióticos, porque tenemos herramientas y conocimientos para poder hacerlo, y nuestros animales son especialmente robustos ante desafíos sanitarios”.

En este escenario, es muy relevante poder identificar animales capaces de alcanzar su máximo desempeño en un entorno de uso mínimo de antibióticos y seleccionar machos que puedan contribuir a producir cerdos con una mayor robustez general y resistencia natural frente a cualquier enfermedad.

160 140 120 100 80 60 40 20 0 Trimestre1 Trimestre2Trimestre3Trimestre4 IR por clasi cación zootécnica Consumo habitual Mg/UR T4 2022 2022 142,16 23,1062 9,6269 2,7822 2,311 9,46
Gráfica 2. Datos Presvet de la Granja Zahara (2022).
bienestar animal 77 porciNews Junio 2023 |
por
animal
Granja Zahara: Apostando
el bienestar

EL BIENESTAR COMIENZA ANTES DEL NACIMIENTO

Prevenir la aparición de comportamientos indeseables y garantizar el máximo bienestar de los cerdos es una tarea que comienza antes de su nacimiento.

Diferentes estudios han demostrado que el estrés que experimentan las cerdas durante la gestación puede impactar en el futuro desempeño de los lechones durante toda su vida.

Niveles elevados de cortisol durante la gestación pueden tener impacto en el comportamiento de los lechones tras su nacimiento (Kranendonk et al., 2008) además de afectar a su sistema inmunitario (Couret et al., 2009) e incluso se ha sugerido que pueden afectar a su percepción del dolor (Rutherford et al., 2009).

Por ello, tratar de minimizar el estrés en las cerdas gestantes, proporcionando el máximo bienestar posible, tendrá beneficios no solo para la propia cerda sino también para su progenie, contribuyendo así a producir cerdos más robustos.

En esta granja tratan de proporcionar las mejores condiciones y facilitar material de enriquecimiento a las cerdas gestantes en las diferentes etapas para reducir los niveles de estrés.

Para ello, han diseñado diferentes alternativas, tanto para la etapa en boxes como para la gestación en corrales, donde las cerdas disponen de espacio adicional muy superior a lo estipulado por ley.

Imagen 2. Material de enriquecimiento en gestación en parques y boxes.
bienestar animal 78 porciNews Junio 2023 |
por
Imagen 3. Cerda Pietrain en maternidad con sus lechones.
Granja Zahara: Apostando
el bienestar animal

CERTIFICADOS EN BIENESTAR ANIMAL

Todos los esfuerzos realizados para incrementar los estándares de bienestar animal en la Granja Zahara durante los últimos años se han traducido en la obtención de las certificaciones de Bienestar Animal incluidos el sello de certificación

IAWS de INTERPORC y la certificación de Bienestar Animal por AENOR basada en el referencial Welfare Quality®, principal referente europeo en materia de bienestar animal, que evalúa las buenas prácticas ganaderas en base a cuatro principios fundamentales:

Buena alimentación

Buen alojamiento

Buen estado de salud

Comportamiento apropiado de los animales

1 2

Para la obtención de esta certificación ha sido necesaria la realización de auditorías exhaustivas de las instalaciones y de los animales en la granja, pues el sello Welfare Quality® se basa en dos premisas básicas:

SELECCIONANDO LOS CERDOS DEL FUTURO

En Granja Zahara contribuyen al progreso genético de sus cerdos, siendo fundamental la recogida exhaustiva de información que pueda ser empleada en la estimación de valores genéticos.

La mayor contribución que se puede hacer para maximizar el bienestar animal es la selección de animales robustos capaces de lidiar con las dificultades propias de la producción porcina y de transmitir esa robustez a su descendencia.

El bienestar animal no depende de un único factor, sino que requiere evaluar una muestra representativa de los animales, mediante la observación directa desde todos los ángulos posibles (su estado de salud, comportamiento, etc.).

La evaluación del bienestar animal debe centrarse en los animales, no en el manejo o en las instalaciones ni el sistema productivo, además del cumplimiento de la legislación vigente en materia de bienestar animal.

79 porciNews Junio
bienestar animal 2023 | Granja Zahara: Apostando por el bienestar animal

La experiencia y la ciencia nos demuestran que la manera más eficaz de trasladar a las siguientes generaciones el progreso alcanzado es por medio de índices genéticos que se calculen con la información recogida en las granjas.

Por ejemplo, seleccionar un verraco con buenos aplomos que garanticen su función como reproductor no es garantía de que su progenie vaya a tener mejores o peores aplomos que puedan comprometer su bienestar por culpa de una cojera. Sin embargo, si se va más allá, registrando por medio de un protocolo pormenorizado que revise de forma rigurosa los aspectos críticos de la pisada, articulaciones, pezuñas, movimiento, etc. para todos los animales de la población y teniendo en cuenta la relación de parentesco entre ellos, se pueden estimar valores genéticos específicos para cada aspecto y realizar una selección mucho más efectiva que realmente reduzca los problemas en las generaciones sucesivas.

Este es solo un ejemplo, pero igualmente existen otros protocolos que contribuyen de forma decisiva a la selección de animales robustos (registros de defectos congénitos, mortalidad en paridera, transición y cebo, etc.).

Más recientemente, han implementado en la granja protocolos destinados a evaluar la susceptibilidad de los animales al estrés y para registrar la incidencia de mordeduras de colas y orejas.

Recientes estudios han revelado la existencia de un componente hereditario que, aunque tiene un peso limitado, muy inferior al componente ambiental, implica que existe posibilidad de mejora genética en lo que respecta a la caudofagia.

Los resultados de estos estudios han demostrado que existe una influencia genética importante en el comportamiento social de los animales y abre las puertas a aprovechar esa variabilidad genética para seleccionar contra la mordedura de colas (Leite et al., 2021).

Además, se ha observado una diferente predisposición genética de los animales a ser mordidos que, en parte, puede ser explicada por su correlación con el síndrome de inflamación y necrosis porcina (SINS, por sus siglas en inglés) en el que también existe un componente genético (Leite et al., 2023).

Todo ello demuestra, una vez más, que existen opciones para que la mejora genética contribuya a un mayor bienestar animal de nuestros cerdos.

Granja Zahara: Apostando por el bienestar animal DESCÁRGALO EN PDF
“El bienestar en la granja comienza con el bienestar de su personal”
Imagen 4. Personal de Granja Zahara.
ACCEDER A BIBLIOGRAFÍA 80 porciNews Junio 2023 |
bienestar animal Granja Zahara: Apostando por el bienestar animal

INDAGANDO EN LAS CLAVES DE LA ACIDIFICACIÓN DE PURINES

Exploramos, de la mano de Míriam Cerrillo, las claves del Proyecto AciDemo* que busca acompañar al sector porcino en la adaptación al nuevo modelo de fertilización del Departamento de Acción Climática, Alimentación y Agenda Rural que establece nuevas obligaciones en la gestión de las deyecciones.

Numerosos estudios señalan que la acidificación de los purines mitiga las emisiones de gases durante su almacenamiento. ¿Por qué acidificar y qué se consigue con ello?

La acidificacion del purín durante su periodo de almacenamiento en balsas (~4 meses) contribuye a reducir las emisiones de amoniaco, CO2 y otros gases a la atmósfera. De hecho, hay estudios que indican que, mediante la acidificacion, podemos reducir estas emisiones en un 50-70%.

Desde el punto de vista medioambiental es importante reducir estas emisiones dado que:

El amoniaco emitido a la atmósfera contribuye a la formación de aerosoles que empeoran la calidad del aire.

El metano producido durante el almacenaje de los purines es un gas de efecto invernadero que contribuye al cambio climático.

*Actividad financiada a través de la operación 01.02.01 de Transferencia Tecnológica del Programa de desarrollo rural de Cataluña 2014-2022.

Por otro lado, al reducirse las emisiones de nitrógeno a la atmosfera, este queda acumulado en el purín de manera que, cuando se aplique a los terrenos cultivables, tendrá mayor valor fertilizante, es decir, tiene mayor contenido de nitrógeno que puede ser aprovechado por las plantas.

¿Qué ocurre dentro del purín cuando se acidifica?

REDUCCIÓN DE EMISIONES DE AMONIACO

El nitrógeno puede encontrarse en dos formas diferentes en el purín: amonio (compuesto soluble que se queda en el purín) y amoniaco (gas que fácilmente escapa a la atmosfera).

Estos compuestos se encuentran en un equilibrio, estando sus proporciones determinadas por el pH del purín y por la temperatura de almacenaje de forma que:

Cuanto mayor sea la temperatura y el pH (más básico), mayor será el paso de amonio a amoníaco y, por tanto, mayores serán las emisiones a la atmósfera.

Cuanto menor sea la temperatura y el pH (más ácido), menor será el paso de amonio a amoniaco, quedando solubilizado en el purín y disminuyendo las emisiones a la atmosfera.

Sobre la temperatura es difícil influir porque es un factor ambiental externo, pero si acidificamos hacemos que la mayor parte del nitrógeno esté en forma de amonio en vez de amoníaco, de forma que no se volatiliza.

Entrevista con Míriam Cerrillo Investigadora en el grupo de Sostenibilidad en Biosistemas del IRTA NH4+
entrevista 82 porciNews Junio 2023 | Indagando en las claves de la acidificacion de purines
NH4+

REDUCCIÓN DE EMISIONES DE METANO

La acidificacion también influye en la producción de otros gases, como el metano. Esto se debe al hecho de que en el purín hay bacterias que, en condiciones de anaerobiosis (sin presencia de oxígeno), degradan la materia orgánica dando lugar a metano.

Estas bacterias tienen un pH óptimo neutro (alrededor de 7) de modo que, si se baja el pH a 5, se inhibe su actividad, reduciéndose la formación de metano.

¿En qué consiste el Proyecto AciDemo?

El Proyecto AciDemo, que comenzó en 2022 y finalizará en junio de 2024, tiene como objetivo evaluar la eficacia de la acidificacion de los purines en las balsas de almacenamiento para mitigar las emisiones de amoniaco en el clima mediterráneo y también ver qué efecto tiene sobre la emisión de otros gases de efecto invernadero.

Para ello, trabajamos con dos balsas de 5 m3 en las que se introducirá el purín, una de ellas (balsa acidificada) con un sistema de control de pH y de dosificación de ácido sulfúrico para acidificar el purín a un pH de 5,5, y la otra que sirve de balsa control en la que no se realiza ningún tratamiento pero que permite determinar el nivel de emisiones en la balsa tipificada sin acidificación

Los ensayos llevados a cabo en el marco del Proyecto AciDemo se han planteado en dos periodos, uno frío (otoño-invierno) y uno cálido (primavera-verano). ¿Por qué se ha planteado así?

La temperatura es un parámetro muy importante, pero es difícil de controlar cuando se almacena el purín en el exterior. Por ello, hemos planteado estos ensayos bajo dos condiciones de temperatura diferentes para comprobar cuál es la efectividad de la acidificacion cuando hace más frío o más calor.

Indagando en las claves de la acidificacion de purines DESCÁRGALO

Es una técnica que se aplica en países del norte de Europa donde las temperaturas son más bajas, pero lo realmente interesante es saber si será igualmente eficaz con las temperaturas elevadas típicas del clima mediterráneo. Por ello, lo más importante es hacer estas mediciones en periodo cálido y ver si la técnica realmente es efectiva.

Cuando estemos a 30-40°C compararemos las emisiones de la balsa acidificada con las de la balsa control con el fin de determinar el porcentaje real de reducción de emisiones.

¿Cómo ayudará este proyecto a los ganaderos del sector porcino?

La normativa es cada vez más estricta en lo relativo a las emisiones a la atmósfera, especialmente en el sector agrícola y ganadero. Ello obliga a llevar a cabo las MTDs (Mejores Técnicas Disponibles) que son una serie de técnicas o procesos que se pueden aplicar en las explotaciones para minimizar sus emisiones.

En este escenario, es fundamental que los profesionales del sector tengan información sobre las diferentes alternativas que tienen para adaptarse a la normativa con datos reales de nuestra región. De esta forma, en cada explotación, según sus características particulares, se podrá decidir si cubrir, acidificar o adoptar alguna otra alternativa.

ACCEDE A LA ENTREVISTA COMPLETA

EN PDF
entrevista 83 porciNews Junio 2023 | Indagando en las claves de la acidificacion de purines

GRANJA DE DESTETE DE VANGUARDIA EN CUENCA EFICIENCIA Y BIENESTAR ANIMAL

En la provincia de Cuenca, España, se encuentra una granja de destete de 15.000 lechones (6 salas de 2.500 lechones) que destaca por su enfoque en la eficiencia y el bienestar animal.

Dotada con tecnología puntera, esta granja se ha equipado con sistemas de ventilación Fancom y sistemas de alimentación Roxell, los mejores del mercado, que maximizan la productividad, la salud y el bienestar de los animales.

84 reportaje porciNews Junio 2023 | Granja de destete de vanguardia en Cuenca. Eficiencia y bienestar animal

Además, también se han instalado 21 entradas de aire Fantura por sala, lo que permite una ventilación homogénea y adecuada, con una calidad del aire óptima para el bienestar de los lechones.

Uno de los aspectos más destacados de esta granja de destete es el sistema de ventilación Fancom.

En cada una de las seis salas de la granja se han instalado seis ventiladores de bajo consumo I-Fan de 56 (IF56), que garantizan un control preciso y óptimo del clima, y optimizan el consumo energético.

Estos ventiladores están diseñados para proporcionar una distribución uniforme del aire fresco, eliminando la acumulación de gases nocivos y manteniendo una temperatura adecuada y constante.

Con la instalación de los módulos ATMs y ATs debajo de los ventiladores se consigue una ventilación mínima precisa. También es importante destacar que la ventilación de cada sala está controlada por un Ordenador Aura 14-A, fácil e intuitivo de manejar.

Sistema de ventilación Fancom – Una apuesta por la eficiencia Ventilador IF56 de bajo consumo
85 reportaje porciNews Junio 2023 |
en
animal
Entradas de aire Fantura
Granja de destete de vanguardia
Cuenca. Eficiencia y bienestar

Sistema de alimentación Roxell – Garantía de suministro continuo de pienso

En esta granja de destete también se ha implementado un eficiente sistema de transporte de pienso con la cadena Discaflex de Roxell.

Este sistema de transporte permite distribuir de manera precisa y eficiente el alimento a las diferentes tolvas de cada sala.

Con dos silos en tándem, uno de 3.900 kg y otro de 19.600 kg por sala, se asegura y garantiza un suministro continuo de pienso.

Dos silos en tándem (3.900 kg y 19.600 kg) por sala

El sistema de transporte de cadena

Discaflex garantiza un flujo constante de alimento, evitando interrupciones y asegurando una alimentación adecuada y oportuna para los lechones en cada fase de crecimiento.

Cadena Discaflex de Roxell
86 reportaje porciNews Junio 2023 | Granja de destete de vanguardia en Cuenca. Eficiencia y bienestar animal

La combinación de la ventilación adecuada y el sistema de transporte de pienso eficiente tiene un impacto significativo en la productividad de la explotación, el bienestar de los lechones y la eficiencia de la granja.

El control preciso de la temperatura y la calidad del aire ayuda a prevenir problemas de salud asociados con el estrés térmico y la acumulación de gases perjudiciales.

Los ventiladores IF56 y las entradas de aire Fantura proporcionan un ambiente óptimo y homogéneo para el desarrollo saludable de los lechones, promoviendo su bienestar y crecimiento óptimo.

Esta tecnología vanguardista no solo beneficia a los animales, sino que también contribuye a la RENTABILIDAD Y SOSTENIBILIDAD de la granja al optimizar el uso de los recursos y minimizar los problemas de salud.

Esta granja de destete se presenta como un ejemplo destacado de cómo la implementación de tecnología avanzada puede mejorar tanto el bienestar animal como la eficiencia en la producción ganadera.

87 reportaje porciNews Junio 2023 | Granja de destete de vanguardia en Cuenca. Eficiencia y bienestar animal
Tolvas Blu’Hox Granja de destete de vanguardia en Cuenca. Eficiencia y bienestar animal DESCÁRGALO EN PDF

EVALUACIÓN DEL ESTRÉS A TRAVÉS DE LA SALIVA PORCINA

J.J. Cerón, M.D. Contreras‑Aguilar, D. Escribano, S. Martínez‑Miró, M.J. López‑Martínez, A. Ortín‑Bustillo, L. Franco‑Martínez, C.P. Rubio, A. Muñoz‑Prieto, A. Tvarijonaviciute, M. López‑Arjona, S. Martínez‑Subiela y F. Tecles

Laboratorio Interdisciplinar de Análisis Clínicos, Interlab-UMU, Campus Regional de Excelencia Internacional ‘Campus Mare Nostrum’, Universidad de Murcia

El uso de la saliva como muestra biológica tiene muchas ventajas, principalmente relacionadas con su obtención, ya que es un procedimiento no invasivo, simple y que no genera dolor

Además, se pueden obtener muestras repetidas en cualquier momento y lugar, sin necesidad de personal especializado. Por lo tanto, es muy adecuada para fines de monitorización y tiene muchas aplicacionespotenciales, tanto en medicina veterinaria como humana.

bienestar animal 88 porciNews Junio 2023 | Evaluación del estrés a través de la saliva porcina

Estas ventajas son especialmente relevantes en cerdos, donde la extracción de sangre es muy estresante, tanto para el animal como para el personal encargado de la toma de muestras.

El uso de saliva en la especie porcina puede ser muy apropiado, pudiendo el personal tomar muestras fácilmente, lo que permite realizar análisis más frecuentes y controlar mejor la salud y el bienestar animal (Imagen 1)

Sin embargo, la saliva también puede ser utilizada para evaluar otros aspectos relacionados con la salud y el bienestar animal, como:

Nivel de estrés

Respuesta inflamatoria

Respuesta inmunitaria

Equilibrio redox

En este artículo se repasan los principales biomarcadores empleados para evaluar el nivel de estrés en cerdos.

Además, se incluyen algunos consejos generales relativos a la toma de muestras y el almacenamiento de la saliva.

En una revisión sobre la utilización de la saliva para la detección de patógenos en cerdos se señaló la posibilidad de detectar más de 23 patógenos virales, siendo la detección de enfermedades infecciosas el principal uso de la saliva en la práctica rutinaria en esta especie.

BIOMARCADORES DE ESTRÉS

Cortisol

Alfa-amilasa salival (sAA)

Cromogranina-A (CgA)

Esterasa total (TEA) y sus componentes

Oxitocina (OT)

Imagen 1. Obtención de muestras de saliva en cerdos.
bienestar animal 89 porciNews Junio 2023 | Evaluación del estrés a través de la saliva porcina

Cortisol

Actualmente, el cortisol sigue siendo el biomarcador más utilizado para detectar el estrés en cerdos. Cuando se produce una situación de estrés, se activa el eje hipotalámico-pituitario-adrenal (HPA) que desencadena la liberación de cortisol a la circulación sanguínea (Figura 1).

Eje hipotalámicopituitario-adrenal (HPA)

Hormona liberadora de corticotropina (CRH)

Hipó sis Hormona Adrenocorticotrópica (ACTH)

Glándula adrenal Riñon

Figura 1. Secuencia de activación del eje hipotalámico-hipofisario-adrenal (HHA).

CORTISOL

Es importante tener en cuenta que las concentraciones de cortisol en saliva siguen un ritmo circadiano que puede variar con la edad y el sexo.

En la sangre, el cortisol está presente en dos fracciones, unido a proteínas y libre. En cambio, en la saliva solo hay cortisol libre, que es la fracción activa.

El paso del cortisol libre desde la sangre hacia la saliva se produce por difusión pasiva de la molécula a la glándula salival.

Debe tenerse en cuenta que existe variabilidad en los rangos de referencia reportados en la literatura para este metabolito en animales no estresados y una alta variación intraindividual al estrés.

La variabilidad entre animales puede alcanzar un coeficiente de variación del 62% en la saliva de animales no estresados. Por lo tanto, es recomendable comparar las concentraciones de cortisol en un individuo con los valores obtenidos con el mismo ensayo e, idealmente, en el mismo animal o grupo de animales con condiciones similares de edad, raza y sexo y sin signos evidentes de estrés.

bienestar animal 90 porciNews Junio 2023 | Evaluación del estrés a través de la saliva porcina

Alfa-amilasa salival (sAA) y Cromogranina-A (CgA)

La sAA y CgA son biomarcadores producidos directamente por la estimulación de las glándulas salivales por el sistema nervioso autónomo (SNA).

Ambos analitos pueden aumentar en situaciones de estrés agudo. Sin embargo, al igual que el cortisol, la variabilidad individual es amplia:

sAA CgA

La sAA puede pasar de valores inferiores a 100 UI/L a valores superiores a 1.000 UI/L, llegando en algunos individuos hasta 4.000 UI/L, en el momento de la inducción del estrés, mientras que en otros cerdos no cambia.

La CgA aumenta en 1,2 veces tras 10 minutos de inmovilización continua, pasando de valores inferiores a 2 mg/L a valores superiores a 3 mg/L despues de 15 minutos del cese de la inmovilizacion.

En un modelo de restricción por encierro en una jaula durante 60 minutos, el aumento de CgA fue 4 veces superior a los valores basales, permaneciendo aumentada (2-3 veces por encima del nivel basal) a los 30 minutos desde el cese del estímulo, lo que podría indicar una posible relación de este biomarcador con el estrés de duración más prolongada.

Si bien, ambos biomarcadores están relacionados con el SNA y, por tanto, con la reacción que se produce tras un estrés agudo, se han descrito cambios en los niveles de CgA y sAA en situaciones de estrés crónico, por ejemplo:

Se ha observado el aumento de los niveles de sAA en cerdos que sufrían dolor por cojera y prolapso rectal.

Los animales con estos trastornos mostraron aumentos aún mayores de sAA (7,49 veces y 18,20 veces en los casos más graves de cojera y prolapso, respectivamente, en comparación con los animales sanos) que de otros biomarcadores como el cortisol (1,72 veces y 2,30 veces en los animales cojos y con prolapso, respectivamente).

Asimismo, aunque no se conoce bien el mecanismo, se ha observado la disminución de los niveles de CgA en saliva tras el aporte de diferentes tipos de enriquecimiento ambiental y suplementación con hierbas durante 2 meses en cerdos en crecimiento, pasando de 1 mg/L a valores inferiores a 0,3 mg/L.

Esto podría indicar una reducción del estrés de estos cerdos durante este periodo. Además, la CgA en saliva mostró una correlación de baja a moderada, pero significativa, con la concentración de cortisol en pelo

bienestar animal 91 porciNews Junio 2023 | Evaluación del estrés a través de la saliva porcina

La CgA también es un biomarcador temprano del síndrome de disgalactia postparto (SDP), ya que aumenta significativamente en cerdas con SDP antes del parto, mostrando una mayor sensibilidad que otros marcadores como el cortisol.

Aunque se desconoce la razón de este aumento, los valores elevados de CgA podrían indicar una situación de estrés con activación del sistema adrenérgico que podría estar implicado en la patogénesis de esta enfermedad.

Además, podría existir un papel de la CgA en los trastornos gastrointestinales asociados al SDP, ya que, en el tracto gastrointestinal humano, la CgA es liberada por las células enterocromafines y las neuronas de los ganglios submucosos y mientéricos, pudiendo modular la motilidad colónica en respuesta a la inflamación.

Actividad de la esterasa total (TEA) y sus componentes

La TEA es abundante en la saliva de los cerdos. Varias enzimas contribuyen a esta actividad esterasa:

La colinesterasa (ChE) y la colesterol esterasa representan alrededor del 20% de la actividad TEA salival en cerdos sanos no estresados.

La lipasa salival (sLip) podría rondar el 30% en cerdos sanos no estresados.

La isoenzima 6 de la anhidrasa carbónica (CA-VI) podría representar hasta el 50% de la actividad de la TEA en la saliva porcina.

La TEA, la butirilcolinesterasa (BChE) y la sLip pueden medirse mediante técnicas espectrofotométricas, existiendo ensayos validados para cerdos.

La TEA salival puede aumentar en situaciones de estrés agudo, habiéndose descrito un aumento en 1,49 veces de su actividad en cerdos justo después del estímulo (la sujeción mediante lazo nasal).

bienestar animal 92 porciNews Junio 2023 | Evaluación del estrés a través de la saliva porcina

Además, se registró un aumento (1,8 veces) de la TEA salival a las 4 h de la descarga y la estabulación en el matadero en comparación con los valores anteriores al transporte. Este aumento fue inferior al observado con otros biomarcadores como el cortisol.

El comportamiento de la TEA en saliva en estrés crónico debe ser evaluado más profundamente. En este sentido, podría verse aumentada en cerdos que sufren dolor debido a cojera y prolapso rectal.

Oxitocina (OT)

Esta hormona, además de tener un importante papel en la fisiología del parto y la lactación, se considera un biomarcador de emociones positivas y bienestar social en animales domésticos.

La fuente de OT en la saliva es desconocida, pero un informe reciente en humanos indica que la OT salival puede reflejar la concentración y producción endógena.

En la saliva de los cerdos, al igual que en otras especies, la OT puede estar en dos formas principales:

Unida a proteínas

Libre

Al igual que otros biomarcadores, el conocimiento sobre las mediciones de OT en la saliva de cerdos está en sus inicios.

El aumento de OT en respuesta a situaciones positivas de bienestar contrasta con el resto de biomarcadores de estrés utilizados hasta ahora, que aumentan cuando existe una situación estresante o falta de bienestar.

bienestar animal 93 porciNews Junio 2023 | Evaluación del estrés a través de la saliva porcina

situaciones de estrés agudo.

En un estudio se encontraron disminuciones en las concentraciones salivales de OT en cerdos a las 4 h de estabulación en un matadero. Esto podría indicar una disminución de bienestar en esta situación, posiblemente debido a diversos estímulos estresantes como el proceso de:

Descarga

Mezcla con cerdos desconocidos Ambiente extraño

La OT puede aumentar por interacciones positivas.

En un estudio en el que se evaluaron las interacciones positivas entre humanos y animales en cerdos, la concentración de OT en saliva se asoció positivamente con ser acariciado.

Además, la eyaculación aumenta las concentraciones salivales de OT en verracos reproductores.

Por lo tanto, estos datos sugieren que esta hormona puede ser un marcador de emociones positivas.

Si las muestras no se procesan inmediatamente, se recomienda refrigerarlas o, al menos, mantenerlas en un lugar fresco hasta su llegada al laboratorio.

La utilización de esponjas permite obtener saliva con menor contenido en mucina y, por tanto, menor viscosidad, facilitando el procesado y manejo de las muestras.

Lo ideal es conservar las muestras a -20 °C o -80 °C si no se van a analizar inmediatamente.

Las muestras deben centrifugarse para eliminar los restos celulares y alimentarios. El protocolo de centrifugación recomendado es de 3.000×g durante 10 minutos a 4 °C.

La temperatura óptima de almacenamiento depende del analito.

La CgA es estable en saliva 1 año almacenado a -20 °C

Para el almacenamiento prolongado de sAA, BChE y las enzimas y biomarcadores de estrés oxidativo se recomienda una temperatura de -80 °C En general, a -80 °C, los analitos son más estables que a -20 °C.

bienestar animal 94 porciNews Junio 2023 | Evaluación del estrés a través de la saliva porcina
PUNTOS CLAVE DE LA TOMA DE MUESTRAS DE SALIVA

Conclusiones

La saliva de los cerdos puede utilizarse para medir biomarcadores que pueden ayudar a evaluar el estrés, la respuesta inflamatoria, el sistema inmunitario y la homeostasis redox.

Estos biomarcadores reflejan que la saliva, además de ser una herramienta de diagnóstico para la detección de enfermedades infecciosas, puede proporcionar información interesante sobre el estado de salud y bienestar de los cerdos.

Artículo traducido y adaptado de: Cerón, J.J. et al. (2022) “Basics for the potential use of saliva to evaluate stress, inflammation, immune system, and redox homeostasis in Pigs,” BMC Veterinary Research, 18(1) (CC BY 4.0).

Sin embargo, todavía se necesitan más datos para validar el uso de la saliva en este campo. Por lo tanto, se espera que en un futuro próximo se generen más conocimientos sobre la fisiología y aplicaciones prácticas de los marcadores salivales aquí revisados, y también sobre otros nuevos que puedan descubrirse, especialmente mediante técnicas "ómicas".

Se espera que el conocimiento generado proporcione información más precisa y útil sobre estos biomarcadores, contribuyendo a un uso más amplio de la saliva en esta especie, así como en otras especies animales y en humanos en el futuro.

Evaluación del estrés a través de la saliva porcina DESCÁRGALO EN PDF BIBLIOGRAFÍA
bienestar
95 porciNews Junio 2023 | Evaluación del estrés a través de la saliva porcina
animal

LLEGA ADA , LA REVOLUCIÓN DE LOS DATOS EN GANADERÍA

ENTREVISTA A CARLOS PIÑEIRO

DIRECTOR GENERAL DE ANIMAL DATA ANALYTICS

Es decir, convertimos la información útil en:

Entrevistamos a Carlos Piñeiro sobre Animal Data Analytics y la importancia de la gestión de la información en un sector ganadero cada vez más tecnificado y digitalizado.

¿Qué es Animal Data Analytics?

Todas las empresas tienen una mina de datos propios a su disposición. Algunos no los extraen o, si lo hacen, los ven como una materia prima en bruto, como simples minerales sin pulir.

Pero en ADA somos joyeros de datos.

Ayudamos a los clientes a extraer sus “piedras de datos” y luego las tallamos para hacer “piedras preciosas”.

Mejoras productivas

Aumento de eficiencia

Mayor rentabilidad

Garantía de sostenibilidad

Facilidad de trabajo para las personas

¿Qué diferencia a ADA de PigCHAMP Pro Europa?

El concepto es parecido, pero somos otra cosa. Ni somos una empresa pequeña ni somos solo un software o una compañía dedicada solo al sector porcino.

No nos identificamos ya con una sola especie, sino con el sector ganadero en su conjunto.

entrevista 96 porciNews Junio 2023 | Llega ADA, la revolución de los datos en ganadería

Ahora abarcamos mucho más; tenemos más conocimiento y más herramientas, lo que nos permite desarrollar información de gran utilidad para nuestros clientes, pudiendo ofrecerles más servicios y llegar a otros mercados más allá del porcino.

Queríamos ser un partner global y ahora ya lo somos. La digitalización nos permite atender mercados y clientes en cualquier parte del mundo, siempre trabajando con partners locales.

¿Por qué el cambio en este momento?

Nuestro carácter y ambición siempre nos ha llevado a tomar riesgos, a aspirar a más, a estar siempre en la vanguardia tecnológica y dispuestos a hablar de futuro más que de presente.

Tenemos esa mentalidad y sabemos que el mundo ganadero también la necesita. Esa necesidad se ha acentuado aún más en los últimos tiempos.

Las nuevas tecnologías y las exigencias de un mundo cada vez más competitivo nos conducen a un necesario cambio de ciclo, de cultura empresarial. Hoy en día, los datos y su uso inteligente, son una revolución que debe llegar al sector ganadero, y nosotros estamos en la vanguardia de esa ola.

Nos dimos cuenta de que llevábamos muchos años invirtiendo en generar conocimiento sobre una manera de hacer las cosas en ganadería y que eso nos capacitaba para facilitar al sector ganadero el salto al futuro que necesita.

Por eso, en realidad, con ADA simplemente hemos dado forma coherente a la empresa que queríamos ser desde que creamos PigCHAMP.

¿Cuál es la propuesta de valor de ADA?

Lo fácil es contar que proporcionamos servicios profesionales que se adaptan a las necesidades de los negocios pecuarios. Concretamente, ayudamos a los responsables de los negocios ganaderos, dándoles más información de la que tenían, pero, sobre todo, ofreciéndosela debidamente analizada, de manera simple y comprensible y en el momento en el que más la necesita.

Ofrecemos elementos como software, analítica simple o avanzada, incluso usando algoritmos de inteligencia artificial (machine-learning), formación, puesta en marcha e integración entre fuentes de datos.

Todo esto con el objetivo de sacar el máximo partido a toda esa información que se genera, aumentando la eficiencia de las empresas pecuarias y garantizando su sostenibilidad.

También ofrecemos algo más intangible aún. Buscamos un cambio de mentalidad en la gente y contribuimos a implantar una cultura del trabajo basada en datos.

De este modo:

Impulsamos a la excelencia en la producción ganadera facilitando la toma de decisiones objetiva basada en datos.

Mejoramos los resultados, el entorno laboral y la experiencia de empleado de los profesionales.

Contribuimos a generar una cultura empresarial de mejora continua.

entrevista 97 porciNews Junio 2023 | Llega ADA, la revolución de los datos en ganadería

¿Trabajar en un entorno de datos complica el trabajo diario de los profesionales de una granja?

En absoluto.

Los datos no tienen por qué conformar un entorno complicado. Hay que quitarse el miedo a esa sensación porque la labor de ADA es hacer fácil lo que para un profano en análisis de datos puede resultar complicado.

Lo importante es tener claro que para mejorar cualquier proceso hay que realizar una buena toma de decisiones, y esta se basa en la recogida, procesado y análisis de datos.

Asumido esto, todo lo demás es sencillo porque se lo damos hecho.

Un profesional de una empresa ganadera, ocupe el puesto que ocupe, tiene a su disposición la información que realmente le es útil para desempeñar mejor su labor, más rápida y eficazmente. Y siempre con un veterinario, agrónomo, informático o científico de datos que le acompañará en el proceso.

¿Es ADA una solución para todas las empresas agropecuarias independientemente de su dimensión?

Por supuesto.

Somos un partner adecuado para cualquier dimensión de empresa, desde empresas familiares, a cooperativas medianas y grandes productores.

También para:

Proveedores de medicamentos

Vacunas

Aditivos alimentarios

Piensos

Genéticas

Equipamientos

Muchos ya trabajan con nosotros y todos los demás también pueden cambiar su futuro gracias a nuestro análisis de datos y a nuestros servicios, porque somos facilitadores del trabajo diario de todos los profesionales del sector ganadero/ agropecuario.

entrevista 98 porciNews Junio 2023 | Llega ADA,
revolución de los datos en
la
ganadería

¿Cómo son los profesionales de ADA?

En el equipo de ADA combinamos disciplinas como sanidad, producción, nutrición, programación, comunicaciones o ciencia de datos.

Esa combinación genera un valor superior a la aportación de cada una de ellas por separado, generándolo tanto en el trabajo diario como para la programación estratégica de las empresas.

Hemos conformado un equipo en el que todos traíamos de serie un valor muy concreto, vigor híbrido, de forma que todos nos retroalimentamos con los beneficios que aporta la diversidad.

¿Qué puede ofrecer ADA al sector porcino?

Desde ADA creemos que podemos aportar soluciones a varios problemas que afectan al sector porcino en la actualidad.

Podemos ayudar a mejorar la toma de decisiones mediante un uso inteligente de los datos, de cualquier origen.

Muchas empresas son ricas en datos, pero pobres en información, ya que no seleccionan las fuentes de datos adecuadas, bien registrados por personas, o bien, desde máquinas y sensores (alimentación, control ambiental, matadero o transporte).

Combinar los conocimientos de los veterinarios con los de los matemáticos, estos con los de los informáticos y a su vez con los de los agrónomos, generando soluciones robustas, fiables, de alto nivel técnico y adecuadas a las necesidades del sector.

Estos no se procesan, limpian y agregan adecuadamente y, por tanto, no generan la información que se necesita.

Muchas veces, la información no se distribuye bien, a tiempo y en el formato adecuado, y tampoco llega a la persona con la responsabilidad asignada, por lo que la toma de decisiones se ve comprometida y mal desarrollada, basándose en sensaciones.

Este proceso tiene un gran margen de mejora, también en empresas grandes y estructuradas.

Desde ADA ayudamos a las empresas y a las personas que trabajan en ellas a mejorar su destreza digital mediante el uso de herramientas digitales (las que producen datos), tanto de las que ya tienen como otras nuevas, facilitando su integración de manera armónica. Así los profesionales del sector pueden dedicar su tiempo a donde realmente generan valor y no a pelearse con diferentes software, Excel u equipamientos.

entrevista 99 porciNews Junio 2023 | Llega ADA, la revolución de los datos en ganadería

De manera concreta, ayudamos a entender mejor:

Las genéticas modernas, optimizando su rendimiento y longevidad a través de los datos reproductivos usando PigCHAMP software.

Los datos de alimentación y comportamiento que el sistema Gestal produce y que es referencia en el sector con unos resultados excelentes comprobados por las empresas y que nos está permitiendo crecer, tanto en granjas nuevas como en la reforma de existentes, por su robustez y fiabilidad.

El rendimiento, la prevalencia y la incidencia de enfermedades en las granjas y el uso de antimicrobianos en tiempo real mediante nuestra solución

Sanitrax

Facilitamos unos mejores estándares de bioseguridad previniendo visitas de riesgo y monitorizando los movimientos de personas y vehículos mediante el sistema Biorisk®

Siempre ofrecemos el apoyo de veterinarios, ingenieros informáticos y científicos de datos. Así, ayudamos a mejorar la toma de decisiones y, por tanto, los resultados, lo que favorece la sostenibilidad de la empresa, incluyendo un mejor rendimiento económico.

La información queda unificada en un mismo lugar, pudiendo ser integrada con otros sistemas de la empresa.

Además, generando una base de datos potente y robusta que puede integrar un elevado número de granjas, se puede:

Efectuar análisis más complejos de cualquier variable controlada.

Efectuar comparativas entre granjas o lotes.

Aplicar algoritmos de inteligencia artificial (agrupamiento, predictivos) a lo largo de toda la cadena, incluyendo reproducción, cría, sanidad, alimentación y sacrificio.

En este contexto estamos satisfechos con el uso de inteligencia artificial, en particular machinelearning y analítica predictiva para mejorar los resultados de la empresa. ¡Es asombroso el valor oculto en los datos que las empresas tienen archivados sin hacer uso de ellos!

Si el cliente no puede o no considera oportuno trabajar en ello, siempre contará con un equipo experto para atenderle en lo que necesite durante el tiempo que necesite.

En definitiva, mejorar la calidad de los datos recogidos, y transformarlos en

Llega ADA, la revolucion de los datos en ganadería

DESCÁRGALO EN PDF
entrevista 100 porciNews Junio 2023 | Llega ADA, la revolución de los datos en ganadería

APLICACIÓN DE MEDIDAS DE BIOSEGURIDAD INTERNA EN MATERNIDAD IMPACTO SOBRE LA DISEMINACIÓN DEL PRRSV Y LOS PARÁMETROS

Este trabajo pretende valorar el efecto que tienen la restricción de movimientos de lechones, el uso de sistemas de inyección sin aguja y la toma de medidas higiénicas entre camadas en la diseminación del virus del Síndrome Reproductivo y Respiratorio Porcino (PRRSV) y en los parámetros productivos

Los resultados revelan diferencias en la prevalencia de PRRSV al destete a favor del grupo McRebel (p<0,005) que también consigue mayor peso del lechón destetado (p=0,0001), aunque su tasa de supervivencia es menor que la del grupo control (p=0,004).

manejo 102 porciNews Junio 2023 | Aplicación de medidas de bioseguridad interna en maternidad: impacto sobre la diseminación del PRRSV y los parámetros productivos

La utilidad del manejo McRebel El impacto del manejo McRebel en la prevalencia del PRRSV al destete

Está ampliamente estudiado que la aplicación del manejo McRebel reduce la transmisión de patógenos en maternidad (Colomer y col., 2019)

¿Pero qué efecto tiene sobre la diseminación de PRRSV en una granja comercial?

¿Y sobre la productividad en cerdas hiperprolíficas?

Parece claro que restringir los movimientos en un escenario donde hay más lechones que tetas podría aumentar la mortalidad.

¿Pero realmente lo hace? ¿En qué medida? ¿Y qué ocurre con los pesos al destete?

Objetivos

El objetivo de este ensayo fue cuantificar y comparar las diferencias en prevalencia de camadas PRRSV positivas al destete, la incidencia de diarreas neonatales, la tasa de supervivencia y el peso entre dos grupos con dos manejos en maternidad distintos:

Grupo control

Grupo prueba o McRebel like

Material y métodos

Para la realización de este ensayo, se trabajó con dos grupos de estudio bien definidos y diferenciados:

GRUPO McREBEL

anejo habitual de la granja, sin restricción de movimientos de lechones.

El criterio a la hora de realizar las adopciones igualar las camadas por tamaño para seguir cambiando lechones de camada conforme aparecían animales retrasados en cualquier momento de la lactación.

materiales de uso compartido como carros de procesado, aplicadores de coccidiostáticos o cortadientes no se desinfectaron entre camadas.

Se administró hierro intramuscular a los 3-5 días de vida y vacunas frente a PCV-2

M. hyopneumoniae entre los 21-24 días con jeringuillas tradicionales con aguja.

Aquí, tan solo estuvo permitido mover lechones dentro de las primeras 24 horas de vida.

El criterio en el reparto no solo fue mover el menor número de lechones posible, sino implicar al menor número de camadas. Además, solo se pudieron hacer cambios dentro de la misma sala.

A la hora de realizar el procesado, se usó una bolsa desechable para cubrir el carro que se cambió con cada camada. Igualmente, los aplicadores de coccidiostático, los cortadientes y las manos de los operarios se desinfectaron entre camadas.

Se usaron sistemas de inyección intramuscular sin aguja para administrar el hierro (Acushot®) y las vacunas (FreVAX™).

manejo 103 porciNews Junio 2023 | Aplicación de medidas de bioseguridad interna en maternidad: impacto sobre la diseminación del PRRSV y los parámetros productivos

DISEÑO DE LA PRUEBA DE CAMPO

Cada uno de los grupos estuvo conformado por 136 camadas ubicadas en 4 salas exactamente iguales.

La unidad experimental fue la camada, donde se realizaron las siguientes actuaciones:

1

Identificación de todos los lechones vivos al nacimiento mediante crotal numerado y comprobación de números tras las adopciones y al destete para obtener la siguiente información:

Lechones nacidos de cada cerda.

Lechones movidos a las 24 horas de vida.

Lechones movidos hasta el destete. Supervivencia.

Imágenes 1 y 2. En el grupo McRebel se usaron bolsas desechables en las pesadas como medida de bioseguridad interna.

2 3

Pesaje de todas las camadas tras el reparto de lechones a las primeras 24 horas de vida y también al destete para valorar crecimientos.

Toma de muestras de sangre de los 5 lechones más pequeños de cada camada al destete para conocer la prevalencia final de PRRSV en cada grupo. Los 5 sueros/camada se analizaron en pool, realizándose una PCR para PRRSV.

Esto implica un total de 1.360 lechones muestreados y 272 PCRs.

Imágenes 4 y 5. Toma de muestras de sangre durante el estudio.

Imagen 3. Pesaje de los lechones en el momento del destete.
manejo 104 porciNews Junio 2023 | Aplicación de medidas de bioseguridad interna en maternidad: impacto sobre la diseminación del PRRSV y los parámetros productivos

INSTALACIÓN, MOMENTO DEL ESTUDIO Y GENÉTICA

Imagen 6. Vista aérea de la granja donde se realizó el estudio.

La prueba se realizó en una granja de 3.000 cerdas hiperprolíficas situada en la provincia de Huesca durante el mes de agosto de 2022.

En el momento del estudio, su estatus frente a PRRSV era inestable, aunque con baja prevalencia.

Resultados

El grupo McRebel registró, de manera significativa, una menor prevalencia de PRRSV (p<0,005) y un mayor peso del lechón al destete (p=0,00003). Sin embargo, en este grupo se encontró una menor tasa de supervivencia (p=0,004) y una menor producción de lechones destetados por camada (p<0,005).

La incidencia de diarreas fue más alta en el grupo control, pero no llegó a ser una diferencia estadísticamente significativa (Tabla 1).

Tabla 1.

las distintas variables estudiadas en función del grupo (control versus McRebel).

Resultados de
GRUPO CONTROL GRUPO McREBEL DIF SIG p-valor Nº de camadas al inicio 134 135 1Lechones nacidos vivos/camada 16,4 15,4 -1 S 0,0004 Peso inicial de la camada (kg) 21,7 20,7 -1 NS 0,1426 Peso medio inicial del lechón (kg) 1,33 1,34 0,01 NS 0,8471 Días de lactación 20,7 21,4 0,7 S 0,0033 Incidencia diarrea neonatal 34% 24% -10% NS 0,08 Supervivencia en maternidad 82% 78% -4% S 0,0040 Lechones destetados/ camada 13,3 12,9 -0,4 S <0,005 Peso final de la camada (kg) 62,4 62,8 0,4 NS 0,6124 Peso medio final del lechón (kg) 4,55 5,08 0,53 S 0,0001 Prevalencia PRRS al predestete 3% 0 -3% S <0,005
manejo 105 porciNews Junio 2023 | Aplicación de medidas de bioseguridad interna en maternidad: impacto sobre la diseminación del PRRSV y los parámetros productivos

En la Tabla 2, se muestran los movimientos de lechones tras las primeras 24 horas y al destete.

Obsérvese el número de camadas implicadas en la creación de una nueva tras las adopciones (1,4 en el grupo McRebel vs 3,5 para el grupo control).

También resulta impactante observar que el 80% de los lechones nacidos en el grupo control no se destetaron con su madre.

24 horas de vida tras adopciones

LIMITACIONES DEL ESTUDIO

Se detectó que el número de lechones nacidos vivos/camada y los días de lactación fueron significativamente diferentes entre los grupos. Por este motivo, se realizaron dos estudios multivariables para determinar qué efecto tenían todas las variables sobre los parámetros estudiados y cuáles permanecían como significativas en un modelo global.

Efectivamente, se corroboró que el mayor peso al destete se podía explicar por el factor “días de lactación” (p=0,00001), pero también por el factor grupo (p=0,00003) (más peso final en grupo McRebel).

Del mismo modo, la supervivencia se vio muy influenciada por el factor “nacidos vivos” (p<0,00001) y por el factor “peso inicial” (p=0,00002), pero también por el factor grupo (p=0,00035) (mayor supervivencia grupo control).

Cada color (diferente del naranja original) representa un lechón cambiado proveniente de una camada de origen distinta

Imagen 7. Mapa de color que representa los movimientos de lechones en una camada promedio.

GRUPO CONTROL GRUPO McREBEL Nº total de lechones 2.202 2.093 Nº lechones cambiados 893 164 % de lechones movidos 41% 8% Nº de camadas implicadas en los movimientos 332 56 Promedio de camadas al nacimiento implicadas en formar una camada a las 24h 3,5 1,4 Día del destete Nº total de lechones 1.780 1.713 Nº lechones cambiados 1.419 272 % lechones movidos 80% 16% Nº camadas implicadas en los movimientos 796 149 Promedio de camadas al nacimiento implicadas en formar una camada al destete 6,9 2,0
Tabla 2. Análisis descriptivo del movimiento de lechones en cada grupo.
DESTETE GRUPO CONTROL GRUPO McREBEL 24h POSTPARTO
manejo 106 porciNews Junio 2023 | Aplicación de medidas de bioseguridad interna en maternidad: impacto sobre la diseminación del PRRSV y los parámetros productivos
RESUMEN MOVIMIENTOS EN MATERNIDAD

Este estudio se diseñó, principalmente, para evaluar la prevalencia de PRRSV al destete en función del tipo de manejo. Si bien, los resultados pusieron de manifiesto diferencias, la prevalencia de enfermedad fue tan baja que se debe ser cauteloso en la interpretación de resultados. Además, se desconocían las prevalencias para ambos grupos al inicio del estudio.

Colomer y col. (2019) describieron que el movimiento de lechones en maternidad apenas afectaba a la prevalencia de enfermedad al destete en escenarios de baja exposición.

Esto concuerda con el hecho de que, en el grupo control, la prevalencia de PRRSV fue de tan solo el 3% a pesar de haber movido al 80% de los lechones. No obstante, es lógico pensar que estos movimientos sí incrementan la prevalencia en fases posteriores.

A nivel de parámetros productivos, se pueden extraer más conclusiones interesantes.

Los lechones del grupo McRebel pesaron al destete un 12% más, lo que va en la línea de lo descrito por Straw y col. (1998), que observaron incrementos de peso del 20% al restringir las adopciones a los primeros 2 días de vida. También McCaw (2000) asoció restricción de adopciones a mayor peso de venta.

El grupo control (con libertad de movimientos durante toda la lactación) presentó una mejor tasa de supervivencia frente al grupo McRebel.

Esto entra en conflicto con lo publicado hasta la fecha, ya que Straw y col. (1998) no observaron diferencias en la mortalidad predestete y McCaw (2000) registró una menor mortalidad con el manejo McRebel.

Estas diferencias podrían ser debidas a distintos factores, como la prevalencia de enfermedad en el momento en el que se realizó el estudio, diferencias en el manejo control de cada granja, presencia de otros patógenos, etc., pero, sobre todo, con la prolificidad de las cerdas estudiadas.

manejo 107 porciNews Junio 2023 | Aplicación de medidas de bioseguridad interna en maternidad: impacto sobre la diseminación del PRRSV y los parámetros productivos
¿Cuál es el impacto real del tipo de manejo en la prevalencia de PRRSV al destete?

En la experiencia y opinión de los autores, para conseguir una alta productividad con genéticas hiperprolíficas hay que mover muchos lechones.

En condiciones óptimas de sanidad, instalación y manejo, se pueden conseguir resultados sobresalientes, pudiendo llegar a destetar más de 15 lechones bajo madre Pero, desgraciadamente, cada vez es más difícil encontrar estas condiciones o mantenerlas en el tiempo. Y es que resulta muy complicado mover suficientes lechones sin que sean demasiados.

Encontrar ese equilibrio es muy complicado, máxime cuando el sistema de integración (predominante en España) impone habitualmente el que se premie la cantidad y, casi nunca, la calidad de los lechones destetados.

Con todo esto, ¿tiene sentido tener unas cerdas que paren más de 18 lechones nacidos totales para destetar 12,9 lechones por camada, minimizando los movimientos en pro de una buena sanidad?

Seguramente, NO.

¿Y destetar el 80% de los lechones fuera de su madre (con el trabajo que ello implica) para conseguir destetar 13,3 lechones por camada (solo 0,4 más) con 500 g menos de peso por lechón y un peor estatus sanitario?

La respuesta tiene que ser un NO tan rotundo o más que el anterior.

La idea es mover lechones para salvarlos y reducir la mortalidad, pero se debe reflexionar sobre lo que se está haciendo porque demasiado a menudo no se consigue.

Aplicación de medidas de bioseguridad interna en maternidad: impacto sobre la diseminación del PRRSV y los parámetros productivos DESCÁRGALO EN PDF

La respuesta tiene que ser un NO tan rotundo o más que el anterior.

ACCEDER A BIBLIOGRAFÍA

manejo 108 porciNews Junio 2023 | Aplicación de medidas de bioseguridad
sobre la diseminación del PRRSV y los parámetros productivos
interna en maternidad: impacto

COINFECCIONES DE PRRS:

LA IMPORTANCIA DE UNA APROXIMACIÓN DIAGNÓSTICA

GLOBAL

El Síndrome Respiratorio y Reproductivo Porcino (PRRS) es una de las enfermedades con más impacto económico en la industria porcina.

La aparición de cepas hipervirulentas en los últimos años en España¹ ha aumentado las pérdidas

Gema Chacón y Sofía Lázaro Exopol S.L
patología 110 porciNews Junio 2023 | Coinfecciones de PRRS: La importancia de una aproximación diagnóstica global

El PRRS ocasiona importantes pérdidas económicas derivadas de la propia enfermedad, pero también debido al aumento de la incidencia de otras enfermedades en los brotes de PRRS¹.

Este artículo está enfocado en las coinfecciones más importantes de PRRS y cómo realizar un diagnóstico global para poder establecer las medidas de control más efectivas.

La coinfección se define como la infección concomitante de una célula u hospedador por dos patógenos diferentes.

En las coinfecciones se clasifican los patógenos como:

PATÓGENOS PRIMARIOS

Agentes patógenos que pueden infectar al animal en ausencia de otros patógenos y favorecen la coinfección posterior con patógenos secundarios.

El virus PRRS habitualmente actúa como agente primario.

PATÓGENOS SECUNDARIOS U OPORTUNISTAS

Son aquellos agentes patógenos que, en ausencia de la infección primaria, no son capaces de producir infección o ésta es asintomática.

Por otro lado, un agente infeccioso puede favorecer, atenuar o, incluso, prevenir la infección con otro patógeno. Del mismo modo, el segundo patógeno puede influir en el desarrollo de la infección del primer agente de forma directa o indirecta, o puede producirse una acomodación de ambos agentes.

Por último, no debemos olvidar los procesos multifactoriales. Muchas enfermedades que afectan a la especie porcina son multifactoriales, es decir, su desencadenamiento depende de diferentes factores:

La presencia de agentes etiológicos.

Factores ambientales.

Condiciones de manejo.

Factores del propio animal, como su sistema inmunitario o su microbioma.

El virus PRRS forma parte del Complejo Respiratorio Porcino (CRP).

¿QUÉ
ES UNA COINFECCIÓN?²
patología 111 porciNews Junio 2023 | Coinfecciones de PRRS: La importancia de una aproximación diagnóstica global

CONOCIENDO LA ENFERMEDAD DE PRRS 3,4

Conocer en profundidad la enfermedad del PRRS es importante para entender la relevancia de las coinfecciones con otros agentes infecciosos.

CUADRO CLÍNICO

El cuadro clínico variará según el estado epidemiológico de la explotación (infección epidémica o endémica) y de la fase productiva.

Cerdas gestantes: sintomatología reproductiva.

Lechones lactantes: incremento de mortalidad debido a la mayor susceptibilidad a otras patologías. Transición y cebo: sintomatología predominantemente respiratoria.

AGENTE ETIOLÓGICO

El agente etiológico del PRRS es un virus

ARN del género Arterivirus.

Se clasi ca en dos genotipos:

Genotipo 1 (PRRS europeo), presente principalmente en Europa.

Genotipo 2 (PRRS americano), presente sobre todo en América del Norte y Asia.

TRANSMISIÓN

La transmisión horizontal del virus es principalmente oronasal, siendo también importante la transmisión vertical de la cerda al feto (a partir del día 90 de gestación), la transmisión venérea por semen infectado, la vía aerógena y a través de vectores (agujas, material, etc.).

EXCRECIÓN

La excreción del virus PRRS se puede producir por diferentes vías como saliva, secreción nasal, orina, semen, heces o secreciones mamarias.

PERIODO DE INCUBACIÓN

El periodo de incubación puede variar de 3 días a varias semanas. El virus se multiplicará en macrófagos alveolares e intravasculares, así como en linfocitos de tonsilas y nódulos linfáticos.

En caso de cruzar la barrera placentaria se replicará en timo, tonsilas y nódulos linfáticos del feto.

El virus PRRS:

Altera la respuesta inmunitaria innata Desencadena una respuesta in amatoria Altera la producción de citoquinas

112 porciNews Junio 2023 | Coinfecciones de PRRS: La importancia de una aproximación diagnóstica global
patología

EL PAPEL DEL PRRS EN LAS COINFECCIONES

Mecanismos de acción del virus PRRS como agente primario2,3,5

EFECTO INMUNOSUPRESOR

El virus PRRS:

Se multiplica en macrófagos causando su apoptosis y, por tanto, reduciendo la capacidad de fagocitar bacterias.

Interfiere con la respuesta inmunitaria innata con alteración de la producción de citoquinas con actividad antiviral, como el IFNα o IFNβ

Interfiere con la correcta presentación de antígenos, lo que dificulta la respuesta inmunitaria adaptativa.

EFECTO INFLAMATORIO

Produce inflamación y altera la barrera epitelial, permitiendo la actuación de agentes oportunistas.

EFECTOS SOBRE EL MICROBIOMA INTESTINAL

Altera el microbioma intestinal, desplazando poblaciones bacterianas beneficiosas y predisponiendo a fenómenos de disbiosis y de proliferación de poblaciones bacterianas potencialmente patógenas.

Principales coinfecciones con el virus PRRS2,5

A continuación, se profundizará en las características de las principales coinfecciones con el virus PRRS.

Coinfección de virus PRRS con Circovirus tipo 2 (PCV2)

Ambos virus tienen las mismas células dianas en el sistema inmunitario, lo que provoca que tengan efectos sinérgicos

Provocan una disrupción del sistema inmunitario debido al incremento de citoquinas e interleucinas inflamatorias y a la disminución de la producción de anticuerpos.

La presencia de PCV2 puede aumentar la carga vírica de PRRS, lo que origina signos clínicos más graves y mayor mortalidad.

PCV2 incrementa la tasa de mutación de PRRS, dificultando su eliminación y aumentando la probabilidad de aparición de cepas hipervirulentas de PRRS.

A nivel clínico, la infección de PRRS se asocia a un incremento de la incidencia de enfermedades endémicas en las que PRRS actúa como agente primario2:

Cerdas: rinitis atrófica, cistitis, pielonefritis y sarna sarcóptica.

Lechones lactantes: poliartritis y meningitis por Streptococcus suis

Transición y cebo: aumento de la incidencia del CRP en concomitancia con otros agentes etiológicos del complejo, meningitis por Streptococcus suis, poliserositis por Glaesserella parasuis, dermatitis exudativa por Staphylococcus hyicus y sarna sarcóptica.

patología 113 porciNews Junio 2023 | Coinfecciones de PRRS: La importancia de una aproximación diagnóstica global

Coinfección de virus PRRS con Influenza A

La presencia concomitante de PRRS e Influenza A aumenta la inflamación por el efecto aditivo de las interleucinas y citoquinas inflamatorias producidas, lo que ocasiona una sintomatología clínica más severa y mayor retraso del crecimiento.

El virus PRRS modifica la relación entre el virus Influenza A y sus células dianas, pudiendo desembocar en un fallo de respuesta vacunal frente a la gripe.

Coinfección de PRRS con Mesomycoplasmahyopneumoniae

PRRS y M. hyopneumoniae son agentes inmunosupresores, por lo que la coinfección de ambos agentes incrementa la aparición de infecciones secundarias.

Aumentan la producción de factores inflamatorios desencadenando una excesiva respuesta inflamatoria.

La infección por M. hyopneumoniae prolonga la neumonía por PRRS. En cambio, la vacunación frente a esta bacteria disminuye las lesiones y la viremia por PRRS.

Coinfección de PRRS con Glaesserellaparasuis

La inflamación de la mucosa nasal y la destrucción de macrófagos alveolares ocasionadas por el virus PRRS favorece la colonización y proliferación de G. parasuis.

La presencia concomitante de PRRS y G. parasuis incrementa la expresión de citoquinas inflamatorias.

Las cepas de PRRS altamente patógenas promueven la proliferación y de G. parasuis en sangre y tejidos.

Coinfección de PRRS con Streptococcus suis

El virus PRRS, como agente primario, aumenta la susceptibilidad a S. suis, lo que desemboca en una sintomatología más grave.

La infección secundaria por S. suis incrementa la inflamación causada por el virus PRRS.

Coinfección de PRRS con Actinobacillus pleuropneumoniae (APP)

La presencia de PRRS provoca un aumento en la gravedad de los cuadros agudos de pleuroneumonía porcina.

Sin embargo, en estudios in vitro se ha documentado que la infección por APP bloquea o disminuye la posterior infección por el virus PRRS.

patología 114 porciNews Junio 2023 | Coinfecciones de PRRS: La importancia de una aproximación diagnóstica global

ABORDAJE DIAGNÓSTICO DE PRRS Y COINFECCIONES

El diagnóstico de PRRS se puede realizar por diferentes metodologías, siendo las técnicas moleculares (PCR a tiempo real y secuenciación) las más utilizadas actualmente⁶.

Las técnicas de inmunoensayos (ELISA) para detectar anticuerpos siguen siendo muy utilizadas para confirmar el estatus de animales negativos.

La PCR a tiempo real (qPCR) es la técnica de elección para analizar diferentes agentes en una muestra biológica gracias a su alta sensibilidad y especificidad.

Se deben combinar con técnicas moleculares debido al periodo de tiempo transcurrido desde la infección y la seroconversión7

Como se ha indicado anteriormente, el virus PRRS suele actuar como agente primario por lo que es importante su inclusión dentro de los diagnósticos diferenciales (Tabla 1).

Mesomycoplasma

hyopneumoniae

Mesomycoplasma

hyorhinis

Pasteurella

multocida

Actinobacillus

pleuropneumoniae

Glaesserella

parasuis

Streptococcus suis

Bordetella

bronchiseptica

Actinobacillus suis

PRRS Influenza

Circovirus tipo 2

(PCV2)

Circovirus tipo 3

(PCV3)

Leptospiras patógenas

Chlamydia suis

Brucella suis

Erysipelothrix

rhusiopathiae

PRRS

Circovirus tipo 2

(PCV2)

Pestivirus Atípico

Teschovirus

Sapelovirus

Virus

Encefalomielitis

Hemoaglutinante

Enfermedad de Aujeszky*

Enfermedad

Vesicular*

Fiebre Aftosa*

Peste Porcina

Africana*

Peste Porcina

Clásica*

Streptococcus suis

Glaesserella parasuis

Escherichia coli

verotoxigénico (enfermedad de los edemas)

*España es indemne a estas enfermedades

Tabla 1. Diagnóstico diferencial de procesos infecciosos en los que el virus PRRS puede aparecer como agente etiológico.
Complejo Respiratorio Porcino Procesos reproductivos Procesos nerviosos Virus Bacterias Virus Bacterias Virus Bacterias PRRS Influenza A Circovirus tipo 2
3
(PCV2) Circovirus tipo
(PCV3)
A Parvovirus
patología 115 porciNews Junio 2023 | Coinfecciones de PRRS: La importancia de una aproximación diagnóstica global

COINFECCIONES DE PRRS EN DATOS

Coinfecciones de PRRS con otros agentes del CRP

En las Gráficas 1 y 2 se muestran las coinfecciones de PRRS con otros agentes etiológicos del CRP en muestras analizadas por Exopol entre el 2016 y el 2020.

En aproximadamente el 50% de los casos positivos a un agente del CRP se detectó la presencia concomitante del virus PRRS, evidenciando el carácter multifactorial del CRP.

Coinfecciones de PRRS en procesos nerviosos

En el caso de proceso nerviosos se obtuvieron resultados similares, detectando la presencia de PRRS en el 40,7% de los casos de menigitis por Streptococcus suis y aproximadamente en el 51,9% de los casos positivos a Glaesserella parasuis (Gráfica 3)

Casos positivos S. suis en encéfalo (n=59)

Casos positivos G. parasuis en encéfalo (n=27)

Casos positivos Circovirus tipo 2 (n=757)

Casos positivos In uenza A (n=317)

positivo a PRRS negativo a PRRS

Casos positivos M. hyopneumoniae (n=562)

Casos positivos A. pleuropneumoniae (n=823)

Casos positivos B. bronchiseptica (n=403) positivo a PRRS negativo a PRRS

Casos positivos P. multocida (n=853)

Casos positivos M. hyorhinis (n=1126)

Casos positivos Actinobacillus suis (n=146)

Casos positivos G. parasuis (n=1352)

Casos positivos S. suis (n=1415) positivo a PRRS negativo a PRRS

47% 52% 49% 48% 40% 51,9% 40,7%
47% 47% 48% 53% 43%
Gráfica 2. Coinfecciones de PRRS con agentes secundarios del Complejo Respiratorio Porcino. Gráfica 1. Coinfecciones de PRRS con otros agentes primarios del Complejo Respiratorio Porcino. Gráfica 3. Coinfecciones de PRRS en casos de meningitis por Streptococcus suis o Glaesserella parasuis.
patología 116 porciNews Junio 2023 | Coinfecciones de PRRS: La importancia de una aproximación diagnóstica global

Coinfecciones de PRRS en procesos reproductivos

En los casos de procesos reproductivos (Gráfica 4) la presencia concomitante de PRRS y otros agentes en fetos abortados disminuyó, no llegando a superar el 15% de los casos.

Casos positivos Brucella sp. (n=16) Chlamydiaceae (n=46)

Circovirus tipo 2 (n=46)

Casos positivos Circovirus tipo 3 (n=4)

Casos positivos Leptospiras patógenas (n=50)

positivo a PRRS negativo a PRRS

Gráfica 4. Coinfecciones de PRRS con otros patógenos asociados a procesos reproductivos.

Casos positivos Parvovirus porcino (n=12)

Como conclusión, el PRRS se presenta habitualmente en concomitancia con otros procesos infecciosos, principalmente por su carácter inmunosupresor. Por ello, el diagnóstico de PRRS no puede ser un proceso aislado, sino que es necesario realizar una anamnesis detallada y un diagnóstico diferencial completo.

6% 9% 2% 15%
ACCEDER A BIBLIOGRAFÍA patología 117 porciNews Junio 2023 | Coinfecciones
diagnóstica global
Coinfecciones con PRRS: La importancia de una aproximación diagnóstica global DESCÁRGALO EN PDF
de PRRS: La importancia de una aproximación

INFLUENCIA MUTUA DE LA MICROBIOTA DEL LECHÓN Y LOS PATÓGENOS VÍRICOS

UNA MIRADA A LA SITUACIÓN PREVIA A LA INFECCIÓN

Las infecciones víricas y bacterianas afectan la microbiota del lechón pero, además, la microbiota previa a una infección tiene un papel crucial en el desarrollo de la enfermedad.

A lo largo de esta serie de artículos sobre la microbiota del lechón, hemos repasado los factores que la afectan, incluyendo la dieta de la cerda y del lechón, así como los diferentes ingredientes y nutrientes que la componen (proteína, fitatos, fibra y aditivos). También hemos visto cómo el medio en el que nace y se desarrolla el lechón afecta a su microbiota.

118 porciNews Junio 2023 | Influencia mutua de la microbiota del lechón y los patógenos víricos - Una mirada a la situación previa a la infección salud intestinal

Tratamientos de enfermedades

FACTORES QUE INFLUYEN EN LA MICROBIOTA DEL LECHÓN

Enfermedades que afecten al lechón

La salud general del lechón y, particularmente, las enfermedades que le transmitan el entorno y sus progenitores, así como las condiciones de fecundación y crecimiento durante el periodo fetal y de nacimiento, también modifican su microbiota intestinal.

Microbiota de la cerda

Iniciamos una serie de artículos en los que exploraremos diferentes estudios que muestran cómo infecciones víricas y bacterianas que no afectan necesariamente al intestino modifican la microbiota del lechón. Una de las más importantes por sus repercusiones sanitarias y económicas es el Síndrome Respiratorio y Reproductivo Porcino (PRRS).

Dieta de los lechones (nutrientes e ingredientes)

Factores estresantes para el lechón durante la lactación y postdestete

La microbiota previa y su diversidad también afecta al desarrollo de enfermedades, ya sean respiratorias o digestivas, influyendo de manera determinante en la capacidad de respuesta inmunitaria del lechón (Niederwerder, 2017).

No solamente las infecciones víricas no relacionadas directamente con el intestino afectan a la microbiota intestinal del lechón, sino que la composición de la microbiota previa a estas infecciones se asocia con la gravedad de la enfermedad ocasionada y con el empeoramiento de parámetros productivos como la Ganancia Media Diaria (GMD).

En este sentido, la progresión de la enfermedad, la inflamación de las vías respiratorias, la respuesta inmunitaria y la morbilidad pueden tener asociación con la composición y diversidad de la microbiota durante estas infecciones virales.

Dieta de la cerda en gestación
Limpieza del entorno durante la gestación y el parto
salud intestinal 119 porciNews Junio 2023 | Influencia mutua de la microbiota del lechón y
víricos - Una mirada a la situación previa a la infección
los patógenos

¿Cómo afecta el virus PRRS (PRRSv) a la microbiota del lechón?

Las pérdidas ocasionadas por las infecciones de PRRSv se asocian con una mayor mortalidad y menores tasas de crecimiento debido al desarrollo de procesos respiratorios en lechones destetados (Holtkamp et al., 2013)

Además, las infecciones por PRRSv también contribuyen a una serie de modificaciones en la inmunidad del lechón, aumentando su susceptibilidad a infecciones secundarias por patógenos primarios y secundarios (Gómez-Laguna et al., 2013)

IMPACTO DE LA MICROBIOTA PREVIA AL DESARROLLO DE LAS INFECCIONES VÍRICAS

La microbiota previa a una infección vírica modifica la capacidad de respuesta de los cerdos, un hecho que quedó demostrado en el estudio realizado por Niederwerder et al. (2016) para analizar cómo la composición de la microbiota de lechones previa a una coinfección de PCV2 y PRRSv podía ser determinante en la evolución de esta coinfección.

Un total de 95 lechones machos castrados de 4 semanas de edad de una sola granja comercial negativa para PRRSv fueron usados en el estudio.

La granja origen no tenía antecedentes de enfermedad clínica asociada con PCV2 o PRRSV.

Todos los lechones eran negativos frente PRRSv antes de iniciarse el estudio.

DÍA 0 DÍA 63

Tras un periodo de aclimatación de 14 días, los lechones fueron infectados con ambos virus (PCV2 y PRRSV), estableciéndose

A lo largo del periodo de estudio, hasta el día 63 tras la infección, observaron individualmente los lechones anotando los signos clínicos detectados:

Disnea

Cianosis auricular

Tos

Secreción nasal

Respiración bucal

Mala condición corporal

Atrofia muscular

Palidez o ictericia

Cojera

Derrame articular

Depresión y letargo

Asimismo, pesaron a los lechones y obtuvieron muestras de sangre.

El día 63 se seleccionaron para su sacrificio y obtención de muestras:

Los 10 lechones con mayor GMD desde el día 0 al día 63 y con ausencia total de signos clínicos durante el período posterior al desafío.

Los 10 cerdos con peor GMD en el mismo periodo y que mostraron (durante al menos 10 días) signos clínicos moderados o graves durante el período posterior al desafío.

120 porciNews Junio 2023 | Influencia mutua de la microbiota del lechón y los patógenos víricos - Una mirada a la situación previa a la infección salud intestinal

COLIDEX-C ®

LA INMUNIDAD ES EL MEJOR SUPERPODER

Protege a tus lechones frente a la colibacilosis posdestete hasta el inicio del cebo con la vacuna inyectable COLIDEX-C®

COLIDEX-C ® emulsión inyectable

Composición por dosis (2 ml): E. coli (adhesina F4ac), cepa P6 ≥ 1 PR; E. coli (adhesina F5), cepa P1 ≥ 1 PR; E. coli (adhesina F6) cepa P2 y P4 ≥ 1 PR; E. coli (adhesina F5 + F41), cepa P10 ≥ 1 PR; E. coli (adhesina F18ab), cepa P5 ≥ 1 PR; E. coli (adhesina F18ac), cepa P9 ≥ 1 PR; Toxoide β de C. perfringens tipo C ≥ 10 UI. Indicaciones y especies de destino: Porcino: cerdas y lechones. Para la inmunización activa de cerdas primíparas y multíparas y pasiva de los lechones para prevenir la colibacilosis causada por las cepas de E. coli enterotoxigénicas y enteropatogénicas que expresan las adhesinas F4ac, F5, F6, F18ac y F41, frente a la enfermedad de los edemas causada por la cepa de E. coli que expresa la adhesina F18ab y frente a la enteritis necrótica causada por C. perfringens tipo C. Para la inmunización activa de los lechones frente a la diarrea post-destete. Posología y via de administración: Vía intramuscular profunda en los músculos del cuello. Dosis: Cerdas primíparas y multíparas: 2 ml. Lechones: Primera dosis: 0,5 ml. Segunda dosis: 1 ml. Pauta de vacunación: Cerdas gestantes: Administrar una primera dosis 6 a 7 semanas antes del parto, y una segunda dosis 4 semanas antes del mismo. Revacunar en las gestaciones siguientes con una dosis única, 4 semanas antes del parto. Lechones: Administrar, a los diez días de edad, una primera dosis de 0,5 ml. En el momento del destete inyectar una segunda dosis de 1 ml. Contraindicaciones: No usar en caso de hipersensibilidad a las sustancias activas, a los adyuvantes o a algún exicipiente. Tiempo de espera: Cero días Titular: CZ Veterinaria, S.A. Reg. Nº: 3450 ESP

info@vetia.es (+34) 910 901 526 www.vetia.es A COMPANY OF ZENDAL GROUP VETIA ANIMAL HEALTH, SAU. C/ Teide, nº 4. 28703 San Sebastián de los Reyes - Madrid
VACUNA
P AUTASENCILLAYEFICA Z
INYECTABLE

En el grupo de los peores resultados, la GMD fue de 0,475 ± 0,15 kg (máximo de 0,698 kg y mínimo de 0,149 kg) en comparación con la GMD del grupo de los mejores resultados que fue de 0,837 ± 0,04 kg (máximo de 0,903 kg y mínimo de 0,779 kg) siendo la diferencia entre las medias altamente significativa (p < 0,0001).

Se estudió la microbiota fecal de estos 20 lechones mediante una técnica de detección microbiana que incluyó todas las bacterias, virus y protozoos patógenos de los vertebrados conocidos (Lawrence Livermore Microbial Detection Array – LLMDA- Jaing et al., 2015).

En la Gráfica 1 se muestra el resultado de la detección de bacterias patógenas en heces en los 10 mejores y 10 peores lechones del estudio al día 70 del estudio.

Bacteria

Acidaminococcus fermentans

Planococcus donghaensi

Dorea longicatena

Eubacterium rectale

Eubacterium eligens

Methanobrevibacter smithii

Lactococcus garvieae

Streptococcus gallolyticus

Streptococcus agalactiae

Corynebacterium renale

Prevotella copri

Treponema succinifaciens

Phascolarctobacteriu

Megasphaera elsdenii

Faecalibacterium prausnitzii

Lactobacillus acidophilus

Lactobacillus johnsonii

Escherichia coli

Bacillus cereus

Gráfica 1. Bacterias patógenas detectadas en los 20 cerdos sacrificados del estudio. En color verde se muestran los lechones con mejor GMD y en color rojo los lechones con peor GMD (modificado de Niederwerder et al., 2016).

* 0 20 40 60 80 100 Porcentaje de lechones
122 porciNews Junio 2023 | Influencia mutua de la microbiota del lechón
-
a la situación previa a la infección salud intestinal
y los patógenos víricos
Una mirada

El hallazgo más interesante de este estudio fue la presencia de E. coli (Gráfica 1) en 5 cerdos del grupo con mayor GMD, pero no se detectó en ningún miembro del grupo con peores resultados (p = 0,03). Aunque algunas cepas de E. coli son enteropatógenas y causan diarrea en lechones, no se detectaron genes de toxinas en estas cepas.

En los días 4 y 14 del estudio, el grupo de lechones con menor GMD tuvo un aumento significativo en la replicación del virus PRRS (*p = 0,03 y p = 0,004 respectivamente).

Gráfica 3. Evolución de la viremia por PRRS (media ± desviación estándar) de los dos grupos de lechones (modificado de Ober et al., 2017).

Número de familias Peores resultados Mejores resultados 4 0 6 5 4 3 2 1 0 0 5 15 20 30 40 25 35 45 10 Log10 copias/reacción PCR Días postinfección
salud intestinal 123 porciNews Junio 2023 | Influencia mutua de la microbiota del lechón y los patógenos víricos - Una mirada a la situación previa a la infección
Baja tasa de crecimiento Alta tasa de crecimiento

Gráfica 4. Diversidad de la microbiota antes de la infección en cerdos con GMD altas y bajas después de la coinfección con PRRSv y PCV2 (Media y desviación estándar). A. Número total de familias microbianas. B. Número de especies microbianas antes de la coinfección (modificado de Ober et al., 2017)

A. Diversidad de Familias B. Diversidad de Especies

Cuando se analizaron los resultados de las muestras fecales mediante la técnica LLMDA se observó un aumento en la proporción de especies de Firmicutes:Bacteroidetes en la microbiota de los cerdos de alto crecimiento (5,6 en comparación con 4,2 para el grupo de bajo, p = 0,05).

Los autores señalan que, al igual que en los humanos, también se ha descrito que los cerdos obesos tienen menos miembros del phylum Bacteroidetes en comparación con los cerdos magros (Guo et al., 2008) y que existe una correlación positiva entre el aumento de peso y el phylum Firmicutes (Pedersen et al., 2013).

No obstante, a pesar de que se encontró en este estudio la misma correlación, los autores señalan que en esta observación se deben considerar las limitaciones para cuantificar la abundancia relativa de poblaciones microbianas con la técnica LLMDA.

En este estudio, al igual que en el de Nierderwerder (2016), se puede observar que en los lechones de baja GMD la diversidad microbiana antes de la infección es menor, por lo que estos resultados demostrarían que la diversidad y la composición del microbioma antes de la infección juegan un papel en el aumento de peso después de la coinfección por PRRSV/PCV2.

Influencia mutua de la microbiota del lechón y los patógenos víricos - Una mirada a la situación previa a la infección

DESCÁRGALO EN PDF

ACCEDER A BIBLIOGRAFÍA

40 30 20 10 0 Número detectado
En los siguientes artículos descubriremos cómo la infección con PRRSv modifica la composición de la microbiota.
124 porciNews Junio 2023 | Influencia mutua de la
salud intestinal
Baja tasa de crecimiento Alta tasa de crecimiento Alta tasa de crecimiento Baja tasa de crecimiento microbiota del lechón y los patógenos víricos - Una mirada a la situación previa a la infección

¿TE GUSTARÍA TENER

POR EL PRECIO DE UNO ESTÁNDAR? ESTE CEBADERO

La búsqueda de la excelencia es el motor que mueve al sector porcino.

Prueba de ello es la espectacular evolución que han experimentado las granjas porcinas que, apostando por la construcción con materiales de excelente calidad, incorporando tecnologías punteras y, sobre todo, confiando en empresas de referencia como Exafan, están llevando su productividad al siguiente nivel preocupándose por el bienestar animal y la sostenibilidad ambiental.

reportaje 126 porciNews Junio 2023 | ¿Te gustaría tener este cebadero por
el precio de uno estándar?

Si bien es cierto que esta evolución ha estado más visible en granjas de reproductoras y de transición, ahora es el momento de los cebos. Para conocer cómo serán los cebaderos del futuro, nos desplazamos a Capdesaso (Huesca) donde se encuentra la Granja Gascón 2, una granja de cebo que va un paso por delante, en la que se ha apostado por la tecnología de última generación con:

Un sistema de gestión total de producción.

Un control climático avanzado

Un sistema de preciso de la alimentación de los animales en función de su peso.

Se trata de una granja equipada con las tecnologías más innovadoras que son aplicables a todo tipo de cebadero, incluso a los cebaderos estándar; con los sistemas de climatización más avanzados del mercado. (control de ventanas, ventilación mixta con control de gases, refrigeración y calefacción ambiental.

XCALIBUR - UN PASO MÁS EN LA ALIMENTACIÓN DE PRECISIÓN

A nuestra llegada a la granja, nos sorprenden las altas medidas de bioseguridad que se encuentran en la misma. Pero no solo eso, ya que también nos asombra la sensación de estar entrando en un espacio seguro y libre de estrés, ideado para proporcionar los máximos cuidados a los cerdos. Destaca la modernidad y la tecnología de un cebadero que, tal y como señalan sus propietarios, va un paso por delante.

Capdesaso

En un futuro próximo, tanto las integradoras como el consumidor final van a empezar a exigir una serie de requisitos en lo que al bienestar animal y la sostenibilidad se refiere. En esta línea, Exafan ha lanzado un nuevo Sistema de optimización de crecimiento porcino y en la Granja Gascón 2 tenemos el privilegio de ver, en primera persona, su funcionamiento y sus características. Presentamos XCALIBUR.

¿Cuáles son las características de XCALIBUR?

1. Seguimiento en tiempo real

Este sistema realiza un seguimiento del crecimiento y del número de visitas a la estación de alimentación que hace cada cerdo. Esto permite conocer la actividad y el estado de salud de los animales, además de poder detectar, con inmediatez, si hay algún problema con algún cerdo para poder adoptar las medidas correctoras necesarias.

reportaje 127 porciNews Junio 2023 | ¿Te gustaría tener este cebadero por el precio de uno estándar?

2. Alimentación según el peso

La tecnología inteligente de Exafan es capaz de determinar el tipo y la cantidad de alimento en función del peso de cada cerdo. En este sentido, el sistema cuenta con una máquina de selección con la posibilidad de facilitar hasta cuatro salidas y zonas independientes en función del peso de los animales.

Podemos decir que XCALIBUR actúa como una báscula clasificadora. Imaginemos que tenemos un corral con un alimento A y otro con un alimento B.

Para poder comer, los cerdos deberán pasar obligatoriamente por la báscula inteligente que los pesa y, en función de su curva de crecimiento, los dirige a un pienso u otro.

En este sentido, lo que busca Exafan es conseguir una curva de crecimiento en la que los animales engorden homogéneamente. Además, es importante destacar que, una vez el los cerdos llegan al peso idóneo para ser trasladado a matadero, XCALIBUR los conduce al corral habilitado para ello.

Cabe destacar que, al seleccionar a los cerdos en base a datos muy exactos, el sistema permite entregar más animales dentro de los límites de peso requeridos por los mataderos.

Con el sistema de alimentación multifase conseguimos proporcionar diferentes tipos de alimentos en etapas específicas de crecimiento o desarrollo.

Este sistema reconoce las necesidades nutricionales cambiantes de los animales a lo largo de su ciclo de vida y busca adaptar la alimentación para optimizar su rendimiento y salud.

Desde Exafan cuidan todos los detalles, por lo que han diseñado un sistema de espacios modulares que permiten adaptar la granja a las necesidades de cada crianza.

reportaje 128 porciNews Junio 2023 | ¿Te gustaría tener este cebadero por el precio de uno estándar?
¡XCALIBUR permite un ahorro del 20% en el pienso de arranque!

Los corrales disponen de unas puertas de una única dirección, de forma que los cerdos saben que para ir a beber agua tienen que dirigirse a la zona de agua, justo al lado de la zona de descanso.

Este aspecto es muy importante, ya que minimiza el estrés y favorece al bienestar animal, ya que reduce las peleas y permite que los animales más bajos en la jerarquía puedan escapar de los dominantes si así lo necesitan.

4. Índice de conversión

Tener controlados el I.C.A., los consumos de agua y pienso y las visitas de los animales es muy importante. Todo ello facilitado por el sistema de EXAFAN. Además, XCALIBUR también permite comparar corrales y explotaciones.

3. Detección temprana de problemas de salud

La identificación precoz de enfermedades, trastornos o condiciones de salud en los animales es crucial para iniciar rápidamente el tratamiento y tomar las medidas necesarias para prevenir la propagación de enfermedades, reducir el sufrimiento de los animales y mejorar las posibilidades de recuperación.

En este sentido el sistema permite, de un vistazo, observar las anomalías y actuar en consecuencia.

5. Facilidad de uso

El sistema de Selección de cerdos de Exafan facilita el manejo de los cerdos alojados en grupos grandes, además de hacerlo más eficiente y más preciso. Esto es muy beneficioso para la economía de la explotación.

reportaje 129 porciNews Junio 2023 | ¿Te gustaría tener este cebadero por el precio de uno estándar?

6. Registro diario de pesos individuales

Como ganadero porcino, lo más normal es que uno desee obtener el rendimiento más alto de cada cerdo. En este sentido, XCALIBUR registra la información exacta acerca del desarrollo del peso y la actividad de cada animal en cada instante.

CLIMATIZACIÓN EFICIENTE PARA MAXIMIZAR SOSTENIBILIDAD Y BIENESTAR ANIMAL

En un sector cada vez más exigente con los requerimientos medioambientales, Exafan apuesta por una ventilación combinada, lo que aporta ahorro energético y bienestar para los animales.

Desde el exterior de la granja ya nos asombra la gran cantidad de chimeneas y extractores que rodean a la infraestructura.

7. Gestión eficiente de grandes grupos

El sistema, conjuntamente con la alimentación avanzada Exafeed, es capaz de alimentar a los grupos de manera diferenciada en función de su capacidad de crecimiento. Esto permite ahorrar costes de alimentación y reducir la cantidad de nitrógeno excretado.

Teniendo en cuenta que las integradoras empezarán a exigir una serie de requisitos, al entrar a la Granja Gascón 2 observamos que se respira un aire totalmente limpio y climatizado.

En este sentido, cabe destacar que el recinto está dotado con un sistema de ventilación mixto, con ventanas en los laterales y chimeneas, algunas con extractor, que permiten expulsar el amoniaco y el CO2 de la sala.

Una extracción adecuada de los gases CO2 (dióxido de carbono) y NH3 (amoniaco) es esencial en entornos donde se encuentren animales, ya que estos gases pueden acumularse y tener efectos perjudiciales en la salud de los animales y las personas.

¿Te gustaría tener este cebadero por el precio de uno estándar?

DESCÁRGALO EN PDF

reportaje 130 porciNews Junio 2023 | ¿Te gustaría tener este
cebadero por el precio de uno estándar?

El aire entra por las ventanas laterales y sale hacia arriba a través de las chimeneas. A diferencia de las ventanas tradicionales de guillotina, las que nos encontramos en la Granja Gascón 2 son de dos lamas, lo que facilita que, en invierno, gracias a la ventilación inlet plus, solo se abra una de ellas para que la entrada de aire sea la justa y necesaria, ya que en esta época del año cuando la nave no necesita mucha ventilación.

TODO EL CONTROL AMBIENTAL SUPERVISADO POR EL CONTROLADOR CCI

Antes de abandonar la Granja Gascón 2, nos dirigimos a una sala en la que nos asombra la presencia de un controlador que dirige todo el control ambiental de la explotación.

El sistema gestiona la ventilación, refrigeración, calefacción así como el control remoto del mismo.

La refrigeración instalada permite mantener estable la temperatura del interior, permitiendo que los cerdos vayan comiendo durante el día y que no lo aplacen a la noche, como suelen hacer cuando el sistema de climatización es incapaz de mitigar los efectos de las altas temperaturas.

Son varias las integradoras que ya tienen experiencia propia con estos sistemas de refrigeración, han observado de primera mano el impacto positivo en cuanto al bienestar de los animales así como del su rendimiento ( ya que incluso se acortan los días de crianza). por lo que incentivan a los integrados para instalar estos sistemas en sus granjas.

GESTIÓN REMOTA DEL SISTEMA DESDE CUALQUIER PLATAFORMA

Dejamos la Granja Gascón 2 con la certeza de que esta no será el último cebadero donde veremos las enormes ventajas de trabajar con un sistema de gestión total de la producción puntero y de calidad inmejorable.

reportaje 131 porciNews Junio 2023 | ¿Te gustaría tener este cebadero por el precio de uno estándar?

AVANCES EN LA PREVENCIÓN DE

LA ENFERMEDAD POR STREPTOCOCCUS SUIS

EN CERDOS: EL PAPEL DE LAS VACUNAS AUTÓGENAS

La enfermedad por Streptococcus suis (S. suis) es una preocupación importante en la industria porcina a nivel mundial.

Esta enfermedad, causada por una bacteria Gram-positiva, facultativa anaerobia y con forma de coco, afecta principalmente a los lechones, causando meningitis, sepsis, artritis y otras complicaciones graves.

Ceva Salud Animal
publirreportaje 132 porciNews Junio 2023 | Avances en la prevención de la enfermedad por Streptococcus suis en cerdos: El papel de las vacunas autógenas

Además de representar un riesgo para la salud de los animales, S. suis también puede ser transmitida a los humanos, lo que plantea preocupaciones adicionales desde una perspectiva de salud pública.

El uso excesivo de antibióticos en la producción porcina ha contribuido al aumento de la resistencia antimicrobiana en las cepas de S. suis, lo que dificulta su tratamiento efectivo.

Las infecciones por S. suis no solo afectan el rendimiento económico de los productores de porcino, sino que también plantean preocupaciones importantes sobre el bienestar animal.

Las infecciones pueden causar meningitis, artritis, septicemia y otras patologías invasivas en cerdos.

La morbilidad puede variar del 5% al 50%, y la mortalidad puede alcanzar hasta el 20% en rebaños no tratados.

UN IMPORTANTE RIESGO PARA LOS SERES HUMANOS

La infección por S. suis en humanos se presenta principalmente con:

Meningitis bacteriana purulenta aguda

Septicemia

Síndrome similar al choque tóxico estreptocócico (STSS, por sus siglas en inglés)

Fallo multiorgánico

Endocarditis

La infección puede ocurrir a través de lesiones en la piel en grupos ocupacionales específicos, como criadores de cerdos, veterinarios y trabajadores de procesamiento de carne, pero también puede transmitirse a través de la ingesta de alimentos, especialmente en Asia.

Se han reportado casos en varios países europeos y se considera que la enfermedad está subdiagnosticada y subnotificada en muchos lugares.

publirreportaje 133 porciNews Junio 2023 | Avances en
la prevención
de la enfermedad por Streptococcus suis en cerdos: El papel de las vacunas autógenas

EL AUGE DE LAS RESISTENCIAS ANTIMICROBIANAS

Las infecciones por S. suis son uno de los procesos por los que se reporta un mayor uso de antibióticos en cerdos.

En las granjas afectadas, la incidencia de las estreptococias puede llegar al 20%, pero generalmente se mantiene por debajo del 5% en el campo gracias al uso metafiláctico de antibióticos.

Sin embargo, esta práctica rutinaria puede propiciar el aumento de los niveles de resistencia de bacterias como S. suis que se convierten en un reservorio de resistencia antimicrobiana con alto riesgo de transmisión a otros patógenos.

Por otro lado, además de ser una preocupación para la salud pública, los tratamientos antimicrobianos en cerdos jóvenes también pueden afectar negativamente a las bacterias beneficiosas de la microbiota.

salud pública, es crucial buscar alternativas a la dependencia de los antibióticos en la lucha frente a la enfermedad causada por S. suis en cerdos.

A pesar de la intensa investigación en la búsqueda de candidatos vacunales, de momento no existe una vacuna comercial universal, siendo las existentes únicamente específicas de serotipo.

El objetivo de conseguir una vacuna con protección cruzada universal es un reto debido a la elevada diversidad genómica, fenotípica y geográfica de S. suis1. En consecuencia, las vacunas autógenas pueden ser herramientas de prevención útiles.

publirreportaje 134 porciNews Junio 2023 | Avances en la prevención de la enfermedad
por Streptococcus suis en cerdos: El papel de las vacunas autógenas

VACUNAS AUTÓGENAS FRENTE A S. SUIS

Las vacunas autógenas están formuladas específicamente para inmunizar frente a las cepas de S. suis aisladas de una granja en particular.

Estas vacunas se basan en los serotipos específicos de S. suis presentes en la granja, ya que la bacteria se clasifica en serotipos según su antígeno de polisacárido capsular (cps).

Actualmente se han descrito más de 35 serotipos de S. suis y cada granja puede tener su propio perfil de serotipos predominantes.

Las vacunas autógenas se diseñan para estimular una respuesta inmunitaria específica frente a los serotipos presentes en la granja, lo que brinda una protección adaptada.

Sin embargo, hasta la fecha existen pocos estudios científicos que hayan demostrado que el uso de autovacunas en el campo redunda en una disminución de la mortalidad y en el uso de antimicrobianos2

Hay múltiples factores que influyen en la eficacia de una autovacuna, empezando por el diagnóstico de S. suis y siguiendo por el proceso de fabricación de cada fabricante. Algunos de los factores que más influyen en la calidad final de la autovacuna son²:

El protocolo de fabricación

Las dosis, tipos y concentración de antígenos

publirreportaje 135 porciNews Junio 2023 | Avances en
la prevención de la enfermedad por Streptococcus suis en cerdos: El papel de las vacunas autógenas

ESTUDIO DE EFICACIA DE UNA

AUTOVACUNA EN ESPAÑA3

Un estudio reciente realizado en una granja porcina en España evaluó la eficacia de una autovacuna (Ceva-Biovac) frente a S. suis en lechones en condiciones de campo.

La granja, que albergaba a 600 cerdas, tenía un historial de meningitis asociada a S. suis en lechones lactantes.

Las cerdas y las primerizas recibieron dos dosis de la autovacuna antes del parto como primoinmunización.

Se monitorizó la mortalidad global y la mortalidad asociada a S. suis, así como el uso de antibióticos durante la fase de lactación.

Después de la implementación de la autovacuna, se observó una disminución significativa en la mortalidad asociada a S. suis, pasando del 9,7% al 0,97%. Además, el consumo de antibióticos por parte de los lechones disminuyó en un 94,5%.

Estos resultados indican que la autovacuna fue efectiva para reducir la mortalidad y disminuir la dependencia de los antibióticos en el control de la enfermedad por S. suis en esta granja específica.

CONCLUSIONES

La enfermedad por Streptococcus suis continúa siendo un desafío importante en la industria porcina. Su control y prevención en un escenario de disminución del uso de antibióticos es, hoy por hoy, un reto al que se enfrentan veterinarios y productores.

Las autovacunas, diseñadas específicamente para abordar los serotipos presentes en una granja en particular, pueden ser una herramienta prometedora en términos de reducción de la mortalidad y el uso de antibióticos.

La transición hacia enfoques preventivos más sostenibles es fundamental para reducir la dependencia de los antibióticos y combatir la resistencia antimicrobiana en la producción porcina.

Además, se deben seguir mejorando las prácticas de manejo y salud animal en general para minimizar la transmisión de S. suis y otras enfermedades.

Con una combinación de medidas de prevención adecuadas, incluida la vacunación, podemos avanzar hacia una industria porcina más saludable y sostenible.

ACCEDER A BIBLIOGRAFÍA
Avances en la prevención de la enfermedad por Streptococcus Suis en cerdos: El papel de las vacunas autógenas DESCÁRGALO EN PDF
Consumo antibióticos en lechones ( 94,5%) Mortalidad (9,7% 0,97%) publirreportaje 136 porciNews Junio 2023 | Avances en la prevención
de la enfermedad por Streptococcus suis en cerdos: El papel de las vacunas autógenas
Aliados para PROTEGER Juntos, más allá de la salud animal. ne Ceva Salud Animal S.A www ceva.es - www.porciplanet com - Avda. Diagonal 609-615 planta 9 -08028 Barcelona - Spain - Telf. +34932920660 - ceva salud-animal@ceva com Health
Plaza García Lorca, 15 - 43006 Tarragona (Spain) Tel. (+34) 977 552316 Fax (+34) 977 552646 www.lidervet.com Mejorando el bienestar del animal

Turn static files into dynamic content formats.

Create a flipbook
Issuu converts static files into: digital portfolios, online yearbooks, online catalogs, digital photo albums and more. Sign up and create your flipbook.