CEVA Separata Gumboro 2024

Page 1

GUMBORO special

RECENT EVIDENCE ABOUT GUMBORO VIRUS CHANGES IN EUROPE

CONTENTS
2 10
Magazine
is Really
1
SUMMARY OF
The presence of New Variants of Gumboro virus detected in Europe Europe Poultry Team, Ceva Santé Animale
“Reussir Aviculture”-France Field Case Testimonial. “This Gumboro Virus
Insidious”

The presence of New Variants of Gumboro virus detected in Europe

Europe Poultry Team, Ceva

INFECTIOUS BURSAL DISEASE VIRUS

Infectious bursal disease virus (IBDV), also known as Gumboro disease, is a highly contagious and resistant disease that causes an immunosuppressive infection in chicken.

IBDV infections can present with clear clinical signs and elevated mortality or in a subclinical manner involving increased susceptibility to other pathogens, decreased productivity or disrupted vaccine immunity, which leads to major economic losses to the poultry industry worldwide.

2

The causative agent of IBDV is a doublestranded RNA virus belonging to genus Avibirnavirus, family Birnaviridae.

Its genome comprises two segments, A and B, which encode five viral proteins (VPs).

Segment A encodes a capsid protein (VP2), scaffolding protein (VP3), protease (VP4) and nonstructural protein (VP5), whereas segment B encodes an RNA-dependent RNA polymerase (VP1).

VP2 contains antigenic domains and determines pathogenicity, and its gene is accordingly the best known and most studied.

However, VP1 also plays a role in determining pathogenicity.

VP1 and VP2 are the two proteins that most frequently sustain genetic mutations, recombinations and rearrangements generating new strains with different antigenic and virulence characteristics.

REASSORTMENT:

In this article, we refer to this last type of modification, which involves an exchange of entire genome segments between two strains to give rise to a third (which we call Reassortants).

Reassortant strains

MAPS, University of Padova, Italy

Parent IBDv Strain 1 Parent IBDv Strain 2 Example: A3B2 (very virulent) Example: A1B1 (classical) Example: A3B1 A B B B A A
3
New
detected in Europe
Figure 1. Example of the recombination of different IBDV segments to generate a reassortant strain.
The presence of
Variants of Gumboro virus

CLASSIFICATION

In recent years, various classification schemes have been developed to better address the variance seen from the traditional classification based on antigenicity and pathogenicity (classical, very virulent and variant strains).

For example, there are some ‘new reassortant’ viruses classified antigenically as very virulent (vvIBDV) but that induce mild clinical signs and no deaths.

The scheme described by Michel and Jackwood (2017) is based on a phylogenetic analysis of part of VP2 protein and distinguishes seven main genogroups.

Two other schemes, proposed by et Islam et al. (2021) and Wang et al. (2021), also considered a section of the VP1 gene, which enabled the detection of reassortants.

These schemes recognised nine genogroups for segment A and five for segment B and allowed a composite classification into genotypes based on a combination of genogroups of segment A and segment B.

Segment A-VP2

A1 Classic

A2 US variant

A3 vvIBDV

A4 dlBDV

A5 Mexican

A6 Italian

A7 Early Australian-like

A8 Australian variant-like

A0 Serotype 2

EPIDEMIOLOGY

Segment B-VP1

B1 Classic

B2 vvIBDV

B3 Early Australian-like

B4 Polish & Tanzania

B5 Nigerian

The genetic drift of IBDV is continually reported in scientific publications, particularly in recent years.

Various studies have confirmed that the ‘new variants’ of IBDV are clearly different from the already known ‘American’ IBDV variants and cause subclinical infections with considerable economic losses. Jackwood et al. (2016) and Wang et al. (2021)

For more than 20 years, Ceva has been actively monitoring Gumboro virus around the world and conducting and participating in epidemiological and scientific studies.

Several of these studies have identified the presence of certain reassortant strains of IBDV in commercial broiler chicken flocks in most European countries.

Figure 2. Harmonised classification: Michel and Jackwood (2017) and Islam et al. (2021)
4

In one of the studies, Legnardi et al. (2022), using the classification scheme of Islam, performed a study to update the strains present in various European countries in 2021 and 2022.

The result was that most of the reassortant strains detected in Europe belong to the A3B1 genogroup (classed as vvIBDV based on the VP2 characterisation and as classical based on the VP1 characterisation).

In addition, in this same study, it is mentioned what the author, together with the Ceva Portugal team (Legnardi et al., 2021), had previously detected in that country: the presence of, in addition to type A3B1, reassortant strains distinct at the VP2 level to other genogroups found in the other countries and not included in the aforementioned classifications. These strains would form the A9 genogroup.

In another scientific study from Ceva Phylaxia, Tamás Mató et al. (2020), had already reported the isolation of this largely ‘new reassortant’ widely found in European countries: The Netherlands, Belgium, Denmark, Sweden, Germany, France, United Kingdom, Portugal and Czech Republic (Mató et al. 2020, 2022 , Legnardi et al. 2022). According to the authors, this strain would originate from recombination of a strain very similar to a vaccine strain (D78 attenuated IBDV) for the VP1 segment with a vvIBDV for VP2 with some mutations. Additionally, similar reassortant strains with A3B1 genotype were detected and genetically characterized from Central and Eastern European Countries as Slovakia, Poland and Ukraine. Mató et al. (2023)

In this regard, and thanks to continual monitoring by our Veterinary Services Team, strains of the A3B1 genogroup have been detected for the first time in Spain, which appeared to be free of this emerging strain as recently as last year. Ceva Spain, 2024. Unpublished data

Figure 3. Characterisation of field strains detected in various European countries in 2021 and 2022. Data published by Legnardi et al. (2022).

5 The presence of New Variants of Gumboro virus detected in Europe

PATHOGENICITY

To compare the pathogenicity of these strains, the study by Mató et al.(2020) compared the clinical signs and macroscopic and histopathological lesions of this ‘new reassortant’ with those of an old vvIBDV strain.

Whereas the reference vvIBDV strain induced clinical signs of Gumboro disease with clear macroscopic lesions such as haemorrhages in the muscle, proventriculus and bursa, as shown in Figures A , B and C-, the ‘new reassortant’ did not induce clinical signs or gross lesions (just edematous and yellowish bursa, as illustrated in Figure D ).

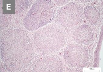
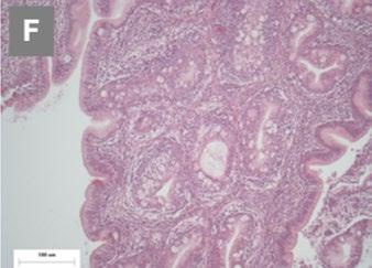
Image 2. Comparative histopathology of the pathogenicity of the reassortant and vvIBDV strains by Mató et al. (2020).

At the histopathological level, severe lymphocyte depletion was seen in the follicles and moderate bursal necrosis and inflammation with the reassortant strain at 3 dpi (E) and partial or total absence of lymphoid follicles at 14 dpi (F), although not to the same extent as with vvIBDV.

Image 1. Macroscopic and histopathological lesions in the reassortant and vvIBDV strains by Mató et al. (2020).

A C
B D E F
6

In addition, it seems that this type of reassortant virus can overcome a higher level of maternally derived antibodies (MDAs) than the typical vvIBDV, rapidly colonising the bursa and damaging its tissue.

Accordingly, although it did not induce any of the more typical clinical signs of IBD, it can cause a severe immunodepression, as shown by atrophy of the bursal follicles at an early age. Mató et al. (2020).

Finally, the authors demonstrated that this reassortant can easily spread in clinically healthy flocks, which highlights the importance of active vigilance.

Moreover, diagnostic studies indicated that co-infection with Avian Adenovirus or Chicken Infectious Anaemia virus worsened the IBDV infection outcome (10%-20% mortality).

Recent work from the Ceva Veterinary services Team in France demonstrated high circulation of the A3B1 reassortant virus in various regions of the country.

About 145 cases of wild virus between January 2021 to current 2024 are recorded.

This monitoring revealed that this type of strain has no clinical signs (except with co-infection with other pathogens, as mentioned above) but does have effects on productive parameters and any antimicrobial treatments.

At the macroscopic level, no lesions were found in bursa but moderate lesions were seen in the thymus. However, both tissues showed inflammation and atrophy at the histopathological level.

These studies agree with the pathogenicity tests conducted in SPF birds by Lupini et al. (2019) for strains detected in Italy.

In this case, similar characteristics were also seen in the bursa, as well as severe bursal lymphoid depletion at the histopathological level.

Notably, we found reports of reassortants with a similar genomic structure (VP2 from vvIBDV and VP1 from classical IBDV) with maintained pathogenicity, as shown by 80% mortality in challenge studies in SPF birds with the Bpop/03/PL strain detected in Poland.

7
presence of New
Gumboro virus detected in Europe
The
Variants of

PREVENTION

Firstly, as previously mentioned, due to the potential absence of evident clinical signs, regular monitoring of the bursa of Fabricius will help us determine the epidemiological status on our farms and assess how effectively we are preventing colonization by these strains.

Strictly in terms of prevention, we must base our efforts on two cornerstones.

The first priority is hygiene and biosecurity, as IBDV can persist robustly in the environment. This necessitates stringent disinfection efforts between flocks to limit the spread of the virus on our farms.

And, secondly, vaccination.

However, not all type of vaccines are able to colonize the bursa so early and also to displace the wild virus. As an example, looking at the construction of a Vector HVT-IBD vaccine, we can observe that there is only a fragment of virus inside. In this case, there is a theory of “homology” saying that the VP2 region would need to be “homologous” to the VP2 of the wild virus to generate antibodies to protect the bird.

Vaccination against Gumboro disease

The new variant virus infects chickens earlier than the classic strain. Vaccine protection becomes a race against time: the vaccine virus must establish itself before the wild virus can take hold.

Therefore, using vaccines that adapt to the maternal immunity of each individual, and capable of overcoming maternally derived antibody levels to colonize the bursa before these antibodies can act, is crucial for effective control. These are next generation of Immunocomplex vaccines.

8

In addition, the correct administration of the vaccine must be ensured in the highest possible percentage of birds.

To do so, hatchery vaccination provides better protection than water vaccination in farms because automation of the process allows both mass vaccination and better control of vaccine preparation and application by using trained and regularly audited operators.

CONCLUSIONS

In recent years, reassortant strains derived from a combination of segments A and B of different strains have been isolated in various European countries.

The strains of the A3B1 genogroup have spread rapidly over Europe, with the first strains now found in Spain.

These strains, are able to colonise the bursa at early stages and do not usually generate evident clinical signs but are able to induce immunosuppression and impact productive outcomes.

The control of these emerging strains must be based on very early protection of the bursa and on guaranteeing a correct administration of the vaccine in the highest possible percentage of birds

9
presence of New Variants of Gumboro virus detected in Europe
The

Field Case Testimonial

“This

Gumboro Virus is Really Insidious”

“Diagnosing and identifying the agent responsible was the first relief. I was beginning to question myself and consider quitting poultry farming”

Article published at the specialized French magazine «Réussir Aviculture» under the title «Ce virus variant Gumboro est vraiment insidieux». Written by Armelle Puybasset. Edition May-June 2024. P.18-19. Translated by Dr.Elisabeth Moreau, Ceva France.

Pascal Laurent is now more serene and has regained his passion for farming.

His broiler flocks have returned to their high-performance levels after months of decline due to sanitary issues.

The performance index has risen to around 400-410, whereas in 2022, it had fallen to 340 or even 300 for the most affected flocks, with feed-to-chick margins halved. The culprit: a variant virus of Gumboro disease, which was particularly hard to detect.

This Gumboro virus is really insidious because its direct effects are not visible,

explains Pascal Laurent, a poultry farmer since 1997, running a farm with his wife in Brennilis, Finistère, on an isolated site (low disease pressure) that includes a dairy unit and two 1200 m² poultry houses.

It does not cause mortality as it used to but has a strong immunosuppressive effect that impacts technical performance.

The Gumboro virus has not disappeared but has evolved over time, requiring adaptations in control protocols.

10

Field Case Testimonial. “This Gumboro Virus is Really Insidious”

Key points to remember

The reassortant Gumboro disease virus infects chickens earlier than classic strains.

The virus has an immunosuppressive effect, progressively impacting technical performance. The control strategy involves adapted vaccination and enhanced biosecurity.

A SLOW DETERIORATION OVER SEVERAL FLOCKS

It was from late 2021 that performance began to deteriorate, very gradually.

This was evident in several flocks: mainly through a worsening feed conversion ratio (rising from 1.63 to 1.80 kg of feed per kg of live weight), wet litter areas, more heterogeneity at the end of the flock, less active and more timid chickens, and then co-infections (coccidia, colibacillosis, enterococci), pathogens the farm had not encountered before,

describes Guillaume Gannat, his technician from Huttepain Bretagne.

These signs have multifactorial causes.

We first thought of a ventilation adjustment problem as it had just been renovated in the two poultry houses, but optimizing the settings did not change anything.

CO-INFECTIONS BY OTHER PATHOGENS

In June 2022, an abnormally high loss rate among broilers at departure triggered alarms and extensive investigations with the farm’s veterinarian, Claudio Chimienti. The Gumboro virus was not initially suspected. The farm, which had long vaccinated its chickens against infectious bursitis disease with a “hot” vaccine, thought it was protected. Serology confirmed good vaccine uptake, and initial searches for the wild virus were negative.

TWO PARALLEL CONTROL STRATEGIES

The reassortant virus was identified through a more thorough monitoring protocol and PCR analysis with sequencing, differentiating it from classic wild strains.

through drinking water at 17 days,

suggests the veterinarian.

The vaccination protocol was revised with the adoption of a new generation immunocomplex vaccine (1) from Ceva Animal Health®, administered at the hatchery, promoting earlier immunity.

Additionally, the cleaning and disinfection protocol during downtime was strengthened: adapting cleaning and disinfection protocols, maintaining hot water washing, adding a second disinfection by thermal fogging, more thorough store cleaning, spreading lime then soda on the dirt floor, and insecticide treatment to eliminate dark beetles, vectors of the virus.

The goal is to leave nothing to chance and act on all areas where the virus, very resistant in the environment, could survive,

emphasizes Guillaume Gannat. The farmer was also particularly attentive to external biosecurity, especially for visitors.

(1)Nextmune, IBD immunocomplex frozen vaccine

11

SEVERAL CASES IDENTIFIED IN FRANCE

At Gaec du Yeun, the combined effect of the new vaccination protocol and enhanced biosecurity allowed a return to a stable health situation after a few months.

Diagnosing and identifying the responsible agent was the first relief,

recalls the farmer, who regained his morale.

I was beginning to question myself and consider quitting poultry farming. The support of my technician and veterinarians was also crucial.

The farmer could count on economic support from his group during bad flocks. Since then, a hundred reassortant virus cases have been identified in France by Ceva Animal Health, confirming that the Gumboro virus still circulates.

It can be suspected during an unexplained performance drop, advises Guillaume Gannat.

THE REASSORTANT GUMBORO VIRUS REMAINS BRIEFLY IN THE ANIMAL

Claudio Chimienti, veterinarian of the Reseau Cristal Group.

The reassortant IBV A3B1 virus, present in the Gaec du Yeun farm, was particularly difficult to detect. Classic searches on previous flocks were negative, so a very thorough follow-up protocol was implemented on three consecutive flocks with Ceva Animal Health: serology twice a week, histology, organ sampling, PCR analysis with sequencing... This follow-up showed that the variant virus remained in the animal for only a few days (detected from 21 days then declining from 28 days). With late sampling, typically done at the end of the flock around 41-42 days, there’s a risk of missing the virus! It is essential to find the right sampling window to avoid false negatives.

More surprisingly, we never observed lesions on the Bursa of Fabricius, an organ usually first affected by a Gumboro virus infection. Only lesions in the Thymus were observed.

97 CASES OF WILD VIRUS IDENTIFIED IN FRANCE

Reassortant strains of the infectious bursitis virus (Gumboro disease) have been detected in Europe since 2017. A mapping in France by Ceva Animal Health identified 97 cases of wild virus between January 2021 and July 2023 (145 cases up to time of publication).

Due to its immunosuppressive effect, some strains increase chickens’ sensitivity to the Escherichia coli bacteria by 60% . More challenging to diagnose, the variant virus infects chickens earlier than the classic virus.

Vaccination protection is a race: the vaccine virus must develop before the wild virus.

12
Sources: Ceva.

References

1.Islam, M.R.; Nooruzzaman, M.; Rahman, T.; Mumu, T.T.; Rahman, M.M.; Chowdhury, E.H.; Eterradossi, N.; Muller, H. (2021) A unified genotypic classification of infectious bursal disease virus based on both genome segments. Avian Pathol. 50, 190–206. .

2.Mató, T., Medveczki, A., Kiss, I. (2022). Research Note: “Hidden” IBDV infections in Central Europe. Poultry Science 101, 101958

3.Mató, T.; Tatar-Kis, T.; Felfoldi, B.; Jansson, D.S.; Homonnay, Z.; Banyai, K.; Palya, V. Occurrence and spread of a reassortant very virulent genotype of infectious bursal disease virus with altered VP2 amino acid profile and pathogenicity in some European countries. (2020).Vet. Microbiol. 245, 108663.

4.Legnardi M, Franzo G, Tucciarone CM, Koutoulis K, Cecchinato M. (2023). Infectious bursal disease virus in Western Europe: the rise of reassortant strains as the dominant field threat. Avian Pathol. Feb;52(1):25-35.

5.Legnardi M, Franzo G, Tucciarone CM, Koutoulis K, Duarte I, Silva M, Le Tallec B, Cecchinato M. (2022). Detection and molecular characterization of a new genotype of infectious bursal disease virus in Portugal. Avian Pathol. 51, 97–105.

6.Michel LO, Jackwood DJ. (2017). Classification of infectious bursal disease virus into genogroups. Arch Virol. Dec;162 (12):3661-3670.

7.Wang, Y.L.; Fan, L.J.; Jiang, N.; Gao, L.; Li, K.; Gao, Y.L.; Liu, C.J.; Cui, H.Y.; Pan, Q.; Zhang, Y.P.; et al. (2021).An improved scheme for infectious bursal disease virus genotype classification based on both genome-segments A and B. J. Integr. Agric. 20, 1372–1381

www.ceva.com

Turn static files into dynamic content formats.

Create a flipbook
Issuu converts static files into: digital portfolios, online yearbooks, online catalogs, digital photo albums and more. Sign up and create your flipbook.