porciNews Latam Marzo 2023

Page 1

POTENCIALES USOS DE LA SALIVA PORCINA: EVALUACIÓN DEL ESTRÉS

MARZO 2023
p. 42

HACIA LA RECUPERACIÓN DEL SECTOR PORCINO

Después de una seguidilla de eventos desafortunados, comienza a verse luz en el sector porcino mundial. Los pronósticos parecen ser positivos, para el año en curso y los que vendrán.

Según el Departamento Agrícola de los Estados Unidos (USDA), el 2023 traerá consigo la recuperación total del canal HORECA (hoteles, restaurantes y catering), uno de los principales canales comerciales afectados durante la pandemia.

Asimismo, se espera que China recupere su consumo, a el cual se vio disminuido por la aparición de los virus de la peste porcina africana (PPA) y del COVID-19, dando como resultado, una baja de un 11% en el consumo per cápita del 2020.

La recuperación es debida, en gran parte, a la disminución de los precios de la carne porcina, los cuales se mantuvieron en valores impensados debido a los estragos generados por la PPA en el sector porcino mundial.

Según la Organización de las Naciones Unidas para la Alimentación y la Agricultura (FAO), el consumo per cápita mundial de carne porcina, una vez que el consumo de China se restablezca, podría alcanzar, en 2031, los 35 kg/hab./año

En lo que a la producción de carne porcina respecta, se proyecta que el incremento, en la próxima década, será del 17%.

Crecimiento en el que China y Vietnam tendrán gran relevancia; ya que, si bien la PPA seguirá generando pérdidas económicas, se evidencia una conversión de las granjas, pasando de producciones de traspatio y de pequeña escala a granjas comerciales de gran escala con aplicación de medidas efectivas de bioseguridad.

Por otro lado, se estima que la producción de Latinoamérica se incremente por una mayor tecnificación de sus sistemas productivos.

EDITOR AGRINEWS LLC

PUBLICIDAD

Luis Carrasco +34 605 09 05 13 lc@agrinews.es

Mayra Calagua +51 977 193 279 porcilatam@grupoagrinews.com

Félix Muñoz +34 618 18 00 16 felix@mediatarsis.com

COMITÉ TÉCNICO

Laura Batista

Roberto M.C. Guedes

REDACCIÓN

Noelia Ammendolea

ATENCIÓN AL CLIENTE secretaria@grupoagrinews.com

ADMINISTRACIÓN

Ines Navarro contabilidad@grupoagrinews.com

Precio de suscripción anual: 90 USD

info@grupoagrinews.com porcinews.com grupoagrinews.com

Revista de distribución gratuita DIRIGIDA A VETERINARIOS Y TÉCNICOS

Depósito Legal Porcinews B17989-2015

ISSN (Revista impresa) 2696-8169

ISSN (Revista digital) 2696-8177

Revista trimestral

Imágenes: Noun Project / Freepik/Dreamstime

porciNews A.Latina Marzo 2023 1
La dirección de la revista no se hace responsable de las opiniones de los autores. Todos los derechos reservados.

América Latina porciNews

CONTENIDOS

04

Cerdas hiperprolíficas, ¿existe el manejo ideal durante la lactación?

Cesar Augusto Pospissil Garbossa

Laboratório de Pesquisa em Suínos da FMVZ/USP

En la producción porcina, la selección genética a favor de caracteres de importancia económica, como el número de lechones nacidos, ha dado lugar a una serie de desafíos.

12

Abordando la disentería porcina

Roberto M. C. Guedes

Doctor en Veterinaria (Universidad Federal de Minas Gerais)

La disentería porcina tiene una distribución mundial, produciéndose principalmente en las regiones con mayor densidad de producción porcina.

21

Influenza A porcina en Brasil: visión general de las cepas circulantes en cerdos en los últimos 10 años

Ana Luiza Soares Fraiha & Erica Azevedo Costa

Escola de Veterinária da UFMG

Durante la pandemia de influenza en humanos en 2009, se empezaron a notificar numerosos brotes de enfermedad respiratoria aguda, en cerdos, en los principales centros productores de porcino de Brasil.

28

¿Existe una distribución de partos ideal para las hembras de cría en una granja?

Laura Batista

MVZ, DVM, PhD Asesor Porcino

La distribución de paridad óptima es un tema complejo ya que está relacionado con factores biológicos, económicos, y en ocasiones ligados al manejo e instalaciones propias de la granja.

2

Auditoría interna de Bienestar Animal paso a paso 36

M° Verónica Jiménez Grez Médico Veterinario, MSc Etología y Bienestar Animal

En la actualidad, ya no sólo basta con producir y entregar productos de la más alta calidad, sino que también se debe cumplir con todos los estándares de bienestar animal del mercado nacional y/o internacional.

Potenciales usos de la saliva porcina: evaluación del estrés

Cerón, J.J. et al. (2022)

“Basics for the potential use of saliva to evaluate stress, inflammation, immune system, and redox homeostasis in Pigs,” BMC Veterinary Research, 18(1). Available at: https://doi.org/10.1186/s12917-02203176-w.1

El uso de la saliva como muestra biológica tiene muchas ventajas, principalmente relacionadas con su obtención ya que es un procedimiento no invasivo, simple y que no genera dolor.

Utilización de DDGS en dietas de cerdos de crecimiento y finalización: ¿Cuál es el efecto en el rendimiento de la canal?

Los DDGS son un subproducto importante de la producción de etanol a partir de granos como el maíz, trigo y cebada. Actualmente, se utilizan en dietas de crecimiento y engorda - finalización de cerdos.

El subóptimo consumo de alimento de la cerda lactante como “efecto mariposa” en la producción porcina (parte I)

Gerardo Ordaz-Ochoa1, Rosa E. Pérez-Sánchez2, Ruy OrtizRodríguez3

1Centro Nacional de Investigación Disciplinaria en Fisiología y Mejoramiento Animal, INIFAP, México;

2Facultad de Químico Farmacobiología, UMSNH, México;

3Facultad de Medicina Veterinaria y Zootecnia, UMSNH, México.

En la actualidad, las modernas prácticas de producción porcina han propiciado que la duración de la lactancia sea un periodo relativamente corto dentro del ciclo reproductivo de la cerda.

Acidificantes: ¿Cómo influyen en la salud intestinal del lechón?

Alberto Morillo Alujas Dr. en Veterinaria y Administrador de Tests and Trials, S.L.U.

Las restricciones en el uso de antibióticos, promotores del crecimiento y óxido de zinc en la Comunidad Europea, han hecho que sea necesario invertir en investigación para buscar soluciones que aumenten o mantengan los resultados productivos durante un periodo tan crítico del desarrollo del lechón como es el destete.

56
42
50
66
3 porciNews A.Latina Marzo 2023

CERDAS HIPERPROLÍFICAS, ¿EXISTE EL MANEJO IDEAL DURANTE LA LACTACIÓN?

INTRODUCCIÓN

En la producción porcina, la selección genética a favor de caracteres de importancia económica, como el número de lechones nacidos, ha dado lugar a una serie de desafíos sanitarios y de bienestar, aumentando las tasas de mortalidad consideradas normales, como también, cambios significativos en los manejos de rutina, especialmente durante la lactación.

Uno de los principales retos es la relación entre el tamaño de la camada y la mortalidad de los lechones.

Como demuestra el benchmarking de Agriness (2022), en Brasil, en el año 2021, una granja alcanzó el récord de 41,15 destetes/hembra/año.

Aunque se ha tenido éxito en la reducción del impacto negativo de las grandes camadas a través de estrategias genéticas, nutricionales y de manejo, sigue siendo un variable que plantea un importante desafío para la producción porcina mundial.

porciNews A Latina Marzo 2023 | Cerdas hiperprolíficas, ¿existe el manejo ideal durante la lactación? 4 manejo

La relación entre mortalidad y las camadas numerosas está asociada a varios factores, incluyendo:

Aumento de la duración del parto

Mortinatos y lechones que sufren hipoxia

Competencia por las tetas y, en consecuencia

Reducción de la ingesta de calostro

Este escenario se ve agravado por la amplia heterogeneidad de peso dentro de las camadas.

En las grandes camadas se produce un aumento del 30 al 40% de la aumento del número de animales con retraso de crecimiento intrauterino (RCIU).

AMBIENTE

Los lechones al nacer son propensos a presentar hipotermia, ya que no cuentan con grasa marrón y sus reservas de glucógeno son escasas.

Aunque la hipotermia raramente es considerada como causa de mortalidad en granjas comerciales, es precursora de aplastamiento, inanición y la muerte por enfermedades.

El desafío térmico en el momento del nacimiento es bastante complejo, debido a la marcada diferencia entre la zona termoneutra de las cerdas y los lechones recién nacidos.

Además de los efectos negativos sobre los lechones, la hiperprolificidad puede afectar a la salud de las cerdas, reduciendo su longevidad debido al desafío metabólico al que están expuestas, aumentando su susceptibilidad al estrés térmico y presentando una mayor pérdida de condición corporal.

En este sentido, si los desafíos salud y el bienestar de las cerdas no son tenidos en cuenta, habrá consecuencias negativas sobre el rendimiento y la supervivencia de los lechones, perdiendo por ende, los beneficios logrados por aumento del número de lechones nacidos.

La elevada temperatura ambiente requerida por los lechones perjudica la ingesta de pienso de las cerdas, impactando negativamente en el peso de destete, resultando en efectos negativos sobre la productividad y salud de estas.

De este modo, los microambientes que proporcionar confort térmico a las cerdas (aire en la nuca, suelo refrigerado etc.) y una fuente de calor para los lechones como una lámpara o un suelo calefaccionado, son esenciales para garantizar una buena salud, bienestar y desempeño de los animales en la maternidad.

porciNews A Latina Marzo 2023 |
ideal durante la lactación? 5
Cerdas hiperprolíficas, ¿existe el manejo
manejo

Otra posibilidad es el suministro de material de nidificación para las cerdas, lo que beneficia tanto para las hembras (comportamiento natural de construcción de nidos), así como para los lechones (menor pérdida de calor). Sin embargo, este tipo de gestión no es viable para el sistema de enrejillado utilizado en la mayoría de las granjas comerciales.

Sin embargo, cabe mencionar que dada la normativa 113 del Ministerio de Agricultura, Ganadería y Abastecimento de Brasil (MAPA), pronto será obligatorio este manejo exigiendo modificaciones en las granjas.

MANEJO DE LAS CERDAS

Un punto importante a tener en cuenta en relación con las cerdas, es la asociación entre camadas grandes y la mayor duración del parto, ya que trae aparejado un aumento de la mortalidad de lechones.

Recientemente, algunos investigadores han demostrado la estrecha relación entre el estado energético de la cerda durante el periparto y la duración del parto.

De manera general, el manejo de las cerdas una vez que se trasladan a las instalaciones de maternidad implica una restricción alimenticia para minimizar los problemas asociados a síndromes metabólicos. Esto, sumado a que las cerdas se alimentan generalmente una o dos veces al día, genera un desequilibrio en el estado energético.

Por lo tanto, se recomienda que las cerdas sean alimentadas más veces al día, minimizando el intervalo entre la ingesta de alimento y el parto (idealmente tres horas).

Otro manejo que puede contribuir es la composición de la dieta. El incremento de la proporción de fibra alimentaria en las dietas durante los periodos de transición y preparto, mejoran el estado energético, reduciendo la tasa de mortinatos, el estreñimiento y mejorando también, la calidad del calostro.

Además, los trabajos de nuestro equipo han demostrado que la suplementación con aditivos energéticos durante el parto puede aportar beneficios a la cerda y a los lechones.

Además, la inclusión de niveles más altos de ingredientes fermentables y la adecuación de los aminoácidos esenciales en la dieta pueden beneficiar a la calidad embrionaria, así como al peso de los lechones y, por lo tanto, minimizar la variación de peso entre los lechones de la misma camada.

porciNews A Latina Marzo 2023 | Cerdas hiperprolíficas, ¿existe
ideal durante la lactación? 6 manejo
el manejo

MANEJO DE LECHONES ASISTENCIA DEL PARTO

Cuando el número de lechones supera la capacidad de lactancia de las cerdas, es necesario intervenir. Inicialmente, se deben identificar los lechones con baja viabilidad, es decir, aquellos cuya salud y bienestar están en riesgo, como los lechones con RCIU.

La gravedad del RCIU determinará si es viable mantener esos lechones dentro de la camada. En el primer caso, se deberá intervenir para promover su supervivencia. En el segundo caso, deberá optarse por la eutanasia.

Los lechones nacen con bajas reservas de energía corporal, lo que les hace depender de fuentes de energía exógenas para:

Asegurar la termorregulación

Localizar y competir por el acceso a la teta

Escapar de los movimientos potencialmente peligrosos de la cerda.

Por lo tanto, suministrar energía a los lechones poco después del nacimiento garantiza una mejor capacidad de succión del calostro y, en consecuencia, maximiza la supervivencia y el crecimiento neonatal. Para garantizar el éxito en su utilización se deben seguir ciertas premisas:

La asistencia al parto es fundamental, ya que requiere la instrucción del personal para despejar las vías respiratorias, secar y proporcionar una fuente de calor para los lechones, lo que mejora su supervivencia y rendimiento.

El manejo del calostrado es fundamental para asegurar el buen desarrollo de los lechones, ya que nacen sin ningún tipo de anticuerpo.

Por lo tanto, ayudar a los lechones a encontrar una teta poco después de nacer puede reducir la mortalidad.

Protocolos más complejos con administración de calostro bovino y oxígeno también han mostrado efectos beneficiosos sobre la mortalidad y el rendimiento de los lechones.

Los lechones deben estar calientes en el momento del consumo

El suplemento debe proporcionar a los lechones suficiente energía, sin aletargarlos ni prolongar su saciedad.

La suplementación debe realizarse mientras la cerda aún esté produciendo calostro (antes de las 12 horas posparto)

24 horas

Lo ideal es suministrar al menos dos dosis en las primeras 24 horas.

porciNews A Latina Marzo 2023 |
8
Cerdas hiperprolíficas,
¿existe el manejo ideal durante la lactación?
manejo

LACTANCIA DIVIDIDA

Aproximadamente el 30 % de las cerdas hiperprolíficas aportan calostro insuficiente a sus camadas.

Debido a que la duración media del parto de las cerdas hiperprolíficas supera los 450 minutos, existe el riesgo de que los lechones que nacen últimos no adquieran el calostro en cantidad y calidad suficiente.

De esta manera, la alimentación dividida ayuda a garantizar que todos los lechones ingieran calostro de su propia madre.

TRANSFERENCIA DE LECHONES

La transferencia de lechones implica la reubicación de algunos o todos los lechones de su madre a una cerda adoptiva, o el intercambio de lechones entre cerdas, en función de:

Para ello, el manejo se realiza dividiendo la camada en dos grupos marcados, que se alternan cada 90 minutos, procurando que los lechones amamanten con éxito varias veces en ese período. Lo ideal es alternar estos grupos durante al menos las primeras 12 horas posteriores al parto.

Características de la glándula mamaria de la cerda

horas de vida.

En este sentido, para que la transferencia sea exitosa, se deben considerar algunos aspectos, tales como:

Evaluación del complejo mamario con respecto a los pezones funcionales; Las cerdas primíparas deben recibir tantos lechones como la glándula mamaria lo permita;

La transferencia de lechones debe realizarse entre 12 y 24 horas después del nacimiento y debe reducirse al mínimo, para prevenir la transmisión de enfermedades; y,

Los lechones que son demasiado pequeños o demasiado grandes deben moverse y reubicarse en una camada de tamaño similar.

Tamaño Vigor Sexo
porciNews A Latina Marzo 2023 | Cerdas hiperprolíficas, ¿existe el manejo ideal durante la lactación? 9
Este manejo no debe realizarse antes 12
manejo

Asimismo, cabe señalar que el traslado de lechones supernumerarios en un lote de parto (común en piaras hiperprolíficas) no resolverá el problema.

NODRIZAS

USO DE CERDAS NODRIZAS

En la estrategia de un paso, una cerda que destetó a sus propios lechones, generalmente tres semanas después del parto, recibe lechones recién nacidos, excedentes de varias camadas, y amamanta por otras tres o cuatro semanas.

La estrategia de dos pasos implica dos cerdas: La primera cerda desteta sus lechones tres semanas después del parto y recibe toda la camada de la segunda cerda, que amamantó a sus propios lechones durante cinco a siete días posparto. Esta cerda a su vez, recibe lechones recién nacidos excedentes de diferentes camadas.

En general, el manejo en dos pasos es el más adecuado ya que el período de lactancia de la cerda nodriza es más corto, la calidad de la leche ofrecida a los lechones es más adecuado para su edad.

LACTANCIA ARTIFICIAL

La lactancia artificial implica el retiro de los lechones de sus madres y su asignación a lugares especializados, donde serán alimentados con sustituto lácteo hasta la edad del destete.

Este ambiente debe contener una fuente de calor para garantizar el confort térmico, lechones, bebederos y tetinas, así como el suministro de ración en forma de creep - feeding.

Esta tecnología se puede utilizar reemplazando el uso de nodrizas, y el hecho de que los lechones se alimentan ad libitum en un entorno controlado en el que el riesgo de el aplastamiento es inexistente, lo hace bastante atractivo.

Sin embargo, los sistemas de lactancia artificial representan una inversión financiera bastante elevada, así como mayores preocupaciones sobre la separación de la cerda, que puede ser considerado una forma de destete temprano y, en consecuencia, no seguir los lineamientos de la normativa 113 del MAPA antes mencionada.

porciNews A Latina Marzo 2023 | Cerdas hiperprolíficas,
10 manejo
¿existe el manejo ideal durante la lactación?

LACTANCIA CON SUPLEMENTACIÓN

El suministro de sustituto para los lechones es una estrategia alternativa para garantizar la nutrición para lechones. Al usar el sistema de lactancia suplementaria, las cerdas pueden mantener un mayor número de lechones que el número de tetas que poseen.

Aunque este sistema es un posibilidad de minimizar el uso de nodrizas, es un sistema costoso. Además, cabe señalar que este sistema no proporciona la misma calidad nutrición que la leche de la cerda y por lo tanto predispone a una mayor tasa de peleas entre lechones por el acceso a las tetas.

Los beneficios del creep-feeding para lechones a partir de los 10 días están relacionados la garantía de un aporte nutricional, considerando la imposibilidad de producir leche para toda la camada, así como los beneficios asociados a la adaptación digestiva temprana de los lechones, donde el consumo de alimento conduce a secreciones de enzimas digestivas y desarrollo intestinal, preparar adecuadamente a los lechones para el destete.

Hay varias estrategias para minimizar el impacto negativo causado por las camadas numerosas. Sin embargo, no existe una solución exacta y perfecta que pueda extinguir los efectos efectos negativos causados por la hiperprolificidad.

En este sentido, la implementación de diferentes tecnologías será clave para asegurar las ventajas económicas del aumento número de lechones nacidos.

Además, debe considerarse el mantenimiento de lechones

RCIU en la camada, dado que esta característica además del impacto negativo en la salud y bienestar de esos lechones, genera perjuicios económicos en la granja.

Cerdas hiperprolíficas, ¿existe el manejo ideal durante la lactación?

DESCARGAR EL PDF

porciNews A Latina Marzo 2023 |
ideal durante la lactación? 11 manejo
Cerdas hiperprolíficas, ¿existe el manejo

ABORDANDO LA DISENTERÍA PORCINA

INTRODUCCIÓN

Brachyspira hyodysenteriae es el principal agente etiológico de la disentería porcina. Otras dos especies de Brachyspira han sido caracterizados como agentes primarios causantes de la misma enfermedad B. suanatina (Rasback et al, 2007) y B. hampsonii, genomovars I, II y III(Mirakjar et al, 2016).

Las infecciones por B. suanatina se limitaron a los países nórdicos entre 2004 y 2007, y los casos fueron desapareciendo a partir de 2008.

B. hampsonii ha causado y sigue causando problemas particularmente en Estados Unidos y Canadá.

La disentería porcina tiene una distribución mundial, produciéndose principalmente en las regiones con mayor densidad de producción porcina (Calderaro et al., 2001).

12 porciNews A.Latina Marzo 2023 | Abordando la disentería porcina patología

desde 2008

Estados Unidos entre los años 80 y 90Brasil

A pesar de que la enfermedad ha estado ausente en las piaras de Estados Unidos en los últimos 20 años, desde 2008, debido principalmente a la gestión de los sistemas de producción, se han reportado varios casos en los Estados Unidos y Canadá (Chander et al., 2012).

Desde 2010, brotes de disentería porcina han sido registrados en varios estados brasileños, localizados en las regiones que concentran la mayor producción de cerdos, causando pérdidas económicas significativas (Daniel e Guedes, 2013)

Estudios recientes describen casos en Europa (Dors et al., 2015, Löbert et al., 2016) y en Asia (Kajiwara et al., 2016)

En Brasil, la disentería porcina fue descrita en los años 80 y 90 en informes esporádicos de pequeños rebaños, en muy pocos estudios epidemiológicos o asociados a la optimización de las técnicas diagnósticas (Barcellos et al., 2000).

EPIDEMIOLOGÍA

Brachyspira hyodysenteriae

Es una espiroqueta anaerobia fácilmente teñida con colorantes de anilina. Produce la hemólisis en agar sangre.

Es sensible a la desecación, al calor y al pH ácido, no sobreviviendo mucho tiempo fuera del hospedador cuando se expone al aire y la luz solar

Sin embargo, en un entorno protegido, así como heces acumuladas, sobrevive durante largos períodos de tiempo.

La disentería porcina provoca una diarrea mucohemorrágica grave, y consecuentemente, importantes pérdidas económicas para los productores del sector porcino.

Europa
Desde 2010
13 porciNews A.Latina Marzo 2023 | Abordando la disentería porcina patología

El organismo sobrevive en heces durante 7 días a 25ºC, 10 días a 10ºC, 78 días en suelo con un 10% de heces, y hasta 112 días en heces puras, también a 10ºC. En heces disentéricas diluidas en agua, se ha constatado una supervivencia de 61 días a 5ºC

Es evidente que la supervivencia de este microorganismo está favorecida por la presencia de heces y las bajas temperaturas.

Hemólisis en agar sangre Espiroqueta móvil anaerobia tolerante al oxigeno

La disentería porcina ocurre independientemente del tipo de manejo y la forma de alimentación de los animales.

Sin embargo, la morbilidad y mortalidad están directamente influenciadas por:

condiciones estresantes en la granja

alimentación

tamaño del lote

flujo de producción

peso de los animales

25ºC 10ºC Heces diluídas en agua a 10ºC Suelo con 10% de heces a 10ºC 5ºC Temperatura Días
en heces Sensibilidad Desecación Calor pH ácido 7 10 61 78 112
Supervivencia
14 porciNews A.Latina Marzo 2023 | Abordando la disentería porcina patología
Figura 1: Tiempo de supervivencia de Brachyspira hyodysenteriae en el medio ambiente en función de la temperatura y presencia de materia orgánica.

LA PROTECCIÓN MÁS EFICAZ Y SEGURA

EFICACIA PROBADA

DESINFECCIÓN EN CONDICIONES DIFÍCILES

VERSATILIDAD EN SU USO

DESINFECCIÓN DE AMPLIO ESPECTRO

SANIVIR ® DESINFECTANTE AÉREO DESINFECTANTE FUMÍGENO OHSAS 18001 www.bioplagen.com
FRENTE A LA PESTE PORCINA AFRICANA

La morbilidad puede llegar al 90%, con una media del 30- 40%.

90% 30%

La mortalidad varía del 5 al 15%, pudiendo llegar al 30% dependiendo de la eficacia del tratamiento

Los siguientes factores pueden agravar la patología, provocando una mayor tasa de pérdidas:

Se pueden infectar cerdos de pero la enfermedad es más común en animales de recría y finalización el período inmediatamente después de la transición.

El período de incubación varía de 10 a 14 días, aunque en algunos casos, pueden transcurrir de tres a seis semanas hasta la aparición de los primeros síntomas clínicos.

TRANSMISIÓN

La superpoblación de las instalaciones.

Suministro de dietas ricas en carbohidratos y pobres en bra.

1 3 2 4 6

El movimiento y mezcla de los animales.

La disentería porcina se transmite desde los animales enfermos, a través del agua, particularmente en aguas profundas; fómites como botas y ropa sucia, contaminadas con heces, y alimentos contaminados.

Cambios en la ración y la retirada de medicamentos.

5

En instalaciones húmedas y frías o con una higiene de ciente, los perjuicios son mayores.

Dietas de cientes en vitamina E y selenio, entre otros.

Una piara de cerdos puede infectarse por la introducción de portadores en el grupo, a través de vehículos que transportan animales enfermos o portadores, visitantes u otros reservorios como perros, ratas, moscas y mosquitos.

Los ratones pueden infectarse y eliminar B. hyodysenteriae a través de las heces durante más de 180 días, mientras que las ratas solo eliminan durante 2 días.

El aislamiento de esta bacteria en heces de gaviotas en Reino Unido ha alertado de la posibilidad de transmisión a través de aves.

16 patología

CERDOS PORTADORES

Reproductores con infección subclínica (portadores subclínicos).

Cedos en periodo de incubación*, especialmente cuando no se realiza la cuarentena

Ingreso del patógeno a la granja

Roedores

Generalmente, la aparición de un brote se asocia a la cría comercial de reproductores con infección subclínica (portadores asintomáticos) o de cerdos en período de incubación de la enfermedad, particularmente cuando no se realiza la cuarentena antes de introducir los animales al plantel.

Los cerdos que se recuperan de la forma aguda de la enfermedad no presentan síntomas, pero eliminan B. hyodysenteriae en heces.

Cerdas portadoras pueden ser causa de infección en los lechones, dependiendo del estado de inmunización de las mismas, pudiendo ser que los lechones no presenten síntomas hasta el destete.

Los lechones que nacen en una camada infectada pueden no mostrar síntomas de enfermedad, y transmitirla a otras camadas cuando son vendidos.

Los brotes de enfermedad que no están asociados a la introducción de animales, normalmente se atribuyen al uso de alimento, camiones contaminados, fómites y botas contaminadas.

FÓMITES

Camiones

Alimento y agua

Botas

RESERVORIOS

Personas Perros Mosquitos

LESIONES

Moscas

Lesiones macroscópicas

Las lesiones macroscópicas se limitan al intestino grueso, con una línea de demarcación casi siempre evidente a nivel de la unión ileocecal.

Incluyen un engrosamiento variable de la mucosa, hemorragia multifocal, un exudado fibrinoso asociado a necrosis y mucosidad variable, pero a menudo excesiva, en el intestino grueso (Hampson, 2012).

La alteración macroscópica es básicamente una enteritis mucohemorrágica o fibrinohemorrágica.

Durante la fase aguda, se observa macroscópicamente una mucosa fuertemente hiperémica, edema de mesocolon, ganglios linfáticos reactivos y aumentados de volumen, así como exudado rico en moco y fibrina, asociado o no a sangre.

En lesiones más crónicas, generalmente se observa un exudado superficial asociado a una necrosis acentuada (Hampson et al, 2006).

Figura 2: Transmisión de Brachyspira hyodysenteriae
17 porciNews A.Latina Marzo 2023 | Abordando la disentería porcina patología porciNews A.Latina Marzo 2023 | Abordando la disentería porcina

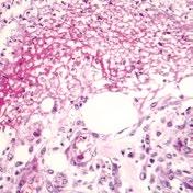
Lesiones histopatológicas

Las lesiones histopatológicas más significativas se encuentran en ciego y colon. Hay hiperplasia de las células caliciformes, pudiendo observarse las espiroquetas en el interior de las células caliciformes y entre los enterocitos.

DIAGNÓSTICO

Para un diagnóstico eficaz de la disentería porcina es necesaria la recopilación de datos clínicos, la comprobación de las alteraciones macroscópicas e histopatológicas, así como el aislamiento bacteriano y pruebas moleculares.

El aislamiento es considerado el “Gold Standard” para la identificación del agente (Fellstrom et al., 2001; Stanton, 2006).

Infiltrado neutrofílico

Células caliciformes Cortes histológicos de intestino grueso en los que se observa hiperplasia de las células caliciformes e intenso infiltrado neutrolifico en la lamina propia.

También hay necrosis con desprendimiento epitelial y una fuerte infiltración neutrofílica en la lámina propia.

Las lesiones crónicas se evidencian con la acumulación de fibrina, moco y restos celulares sobre la mucosa intestinal y en el interior de las criptas.

La necrosis superficial puede ser intensa, pero no se producen úlceras profundas (Sobestiansky et al., 2001)

Fellstrom et al. (2001) demostraron que el aislamiento bacteriano es una prueba altamente sensible, siendo eficaz incluso con presencia de una mínima cantidad de bacterias, en condiciones de conservación ideales.

El aislamiento bacteriano, además de ser un diagnóstico fiable, permite la evaluación posterior de la sensibilidad a antibióticos a través de la prueba MIC (Concentración Mínima Inhibitoria) (Vannucci e Gebhart, 2013).

Gracias a las pruebas bioquímicas es posible identificar las especies del género Brachyspira. Estas evaluaciones bioquímicas se realizan en base al

Figura 3: Lesiones histopatológicas causadas por B. hyodysenteriae
18 porciNews A.Latina Marzo 2023 | Abordando la disentería porcina patología

Las principales pruebas realizadas son la producción de indol e hidrólisis del hipurato (Fellstrom et al., 1995; Fellstrom et al., 1997). Las espiroquetas pueden ser evidenciadas en los cortes histológicos a través de la tinción argéntica o inmunohistoquímica.

La tinción argéntica es una técnica que permite la visualización de la morfología típica de espiroqueta.

La inmunohistoquímica solamente permite la detección del género Brachyspira, sin diferenciar entre especies patógenas y no patógenas (Paulovich et al., 2004; Hampson et al., 2006).

Ambas son técnicas inespecíficas, lo cual es un factor limitante de las mismas. La técnica de la Hibridación

In Situ Fluorescente (FISH) es una alternativa eficaz para la detección específica y definitiva de agentes infecciosos en cortes histológicos.

En la FISH se utilizan sondas específicas, marcadas con un fluorocromo para la

Las técnicas moleculares son ampliamente utilizadas en el diagnóstico de bacterias del género Brachyspira, porque son rápidos y fáciles de realizar (Guedes e Barcellos, 2012). Se han desarrollado pruebas de PCR (Polimerase Chain Reaction) individuales para cada agente, y técnicas de amplificación doble o múltiple para los agentes entéricos más comúnmente detectados (Atyeo et al., 1998; La et al., 2003 e 2006).

Recientemente, la secuenciación de genes específicos (Multilocus sequence typing-MLST) se ha desarrollado como un método alternativo para el análisis de la estructura de la población bacteriana y para discriminar entre las cepas.

La MLST mide directamente las variaciones en la secuencia del ADN de un conjunto de genes, caracterizando a las cepas por sus perfiles alélicos (Maiden et al., 1998; Urwin e Maiden, 2003).

Un procedimiento muy utilizado y de gran importancia epidemiológica es la técnica de la PCR para el gen NOX, seguida de la secuenciación genómica del producto amplificado.

La secuenciación del gen NOX se considera el “Gold Standard” para la caracterización completa de Brachyspira spp., ya que a través de las secuencias obtenidas es posible la comparación entre las cepas, identificando el grado de similitud entre las mismas (Bellgard et al, 2009).

19 porciNews A.Latina Marzo 2023 | Abordando la disentería porcina patología

CONTROL Y TRATAMIENTO

Para el tratamiento de la disentería porcina, existen en el mercado varios fármacos que pueden ser administrados por vía parenteral, en la ración o a través del agua de bebida.

Para los animales enfermos en fase aguda, la medicación parenteral o en el agua de bebida es más eficiente, ya que, en esta fase, el consumo de la ración es menor debido a la inapetencia, mientras que el consumo de agua, generalmente es constante.

Los tratamientos más usados en las piaras infectadas en general son dirigidos a combatir la forma aguda de la enfermedad, no con el objetivo de eliminar el agente etiológico.

CONSIDERACIONES FINALES

La disentería porcina es una enfermedad infecciosa importante e impactante desde el punto de vista económico, aun difícil de erradicar, siendo por tanto una excelente oportunidad para recordar a los productores y veterinarios la importancia de las medidas de bioseguridad, esenciales para mantener las piaras libres de enfermedad.

De esta forma, los casos de recidivas son frecuentes, y los gastos en fármacos para el control de los brotes se vuelven considerablemente elevados. Por lo tanto, se han realizado varios estudios que han demostrado el gran impacto económico de la enfermedad, y como consecuencia, la incapacidad de mantener piaras positivas y la clara necesidad de su erradicación

Abordando la disentería porcina DESCÁRGALO EN PDF

20 porciNews A.Latina Marzo 2023 | Abordando la disentería porcina patología
Las referencias bibliográficas estarán a disposición de quién las solicite.

INFLUENZA A PORCINA EN BRASIL: VISIÓN

GENERAL DE LAS CEPAS

CIRCULANTES EN LOS ÚLTIMOS 10 AÑOS

INTRODUCCIÓN

Durante la pandemia de influenza en humanos en 2009, se empezaron a notificar numerosos brotes de enfermedad respiratoria aguda, en cerdos, en los principales centros productores de porcino de Brasil.

Desde entonces, el virus Influenza A H1N1 (H1N1pdm09), causante de la influenza porcina, se volvió endémico en las piaras brasileñas con una alta prevalencia de animales positivos.

Otros linajes y subtipos del virus de la influenza A porcina (SIAV) también han sido detectados en el país, entre ellos, los virus de origen humano H3N2, H1N2 y H1N1.

El H1N1pdm09 facilitó reordenamientos con los virus humanos, aumentando la ocurrencia de brotes respiratorios y coinfecciones causadas por virus de influenza.

Ana Luiza Soares Fraiha & Erica Azevedo Costa Escola de Veterinária da UFMG
patología 21 porciNews A.Latina Marzo 2023 | Influenza A porcina en Brasil:
de
circulantes en cerdos en
últimos 10 años
visión general
las cepas
los

La gran variación genética y antigénica de los virus circulantes en el país dificulta la producción de vacunas eficientes y altera el perfil de la enfermedad respiratoria en las piaras.

Por lo tanto, es necesario el monitoreo constante de los virus de Influenza A en porcinos (SIAVs) circulantes en las piaras brasileñas, ya que proporcionan información relevante para aplicar medidas efectivas de control y prevención de la enfermedad.

CARACTERÍSTICAS DE LA INFLUENZA A PORCINA

La influenza A, causada por SIAVs, es una enfermedad vírica de naturaleza zoonótica que afecta a un amplio espectro de especies, como el ser humano, las aves y los cerdos, constituyendo un grave problema de sanidad animal y salud pública.

Debido a su genoma de ARN segmentado, estos virus presentan una gran variabilidad genética y antigénica, que se produce por dos mecanismos de mutación distintos:

Mutaciones puntuales (deriva antigénica)

Reordenamiento en el genoma viral (cambio antigénico)

Estas mutaciones pueden dar lugar a un escape inmunológico a los anticuerpos neutralizantes, lo que provoca cambios constantes en la formulación de las vacunas.

El virus de la influenza A porcina (SIAV) es uno de los principales agentes causales de la enfermedad respiratoria aguda, generando grandes pérdidas económicas debido a:

La reducción de la ganancia de peso

1) 2) 3) La enfermedad se caracteriza por brotes explosivos de enfermedad respiratoria, con alta morbilidad (puede alcanzar el 100% de la piara) y síntomas típicos caracterizados por:

Los costes de los medicamentos utilizados para controlar la enfermedad clínica

El aumento del tiempo requerido para alcanzar el peso de sacrificio

Conjuntivitis

Anorexia Tos Secreción nasal Reducción del consumo de pienso patología 22 porciNews A.Latina Marzo 2023 | Influenza A porcina en Brasil: visión general de las cepas circulantes en cerdos en los últimos 10 años
Dificultad respiratoria Hipertermia

Se considera que los cerdos son un “sitio de mezcla” porque son susceptibles de infectarse con SIAVs aviares, porcinos y/o humanos, lo que potencia la aparición de reordenamientos entre estos virus.

La transmisión del virus de humano a cerdo ha sido mucho más frecuente que la vía inversa. Los datos históricos sugieren que, desde la abrumadora pandemia humana de 1918, el virus se ha transmitido a los cerdos y sigue siendo así en la actualidad, lo que se conoce como H1N1 clásico. Además, la introducción de virus estacionales humanos (H1N2, H1N1 y H3N2) y aviares (H3N2) en las piaras de cerdos ha aumentado la diversidad genética de los SIAVs.

INFLUENZA PORCINA EN BRASIL ANTES DE LA PANDEMIA DE 2009

En 2009, un H1N1 formado por un triple reordenamiento entre virus de origen porcino, humano y aviar, denominado H1N1pdm09, se propagó rápidamente en la población humana mundial y se hizo endémico en humanos.

ANTES DE 2009

Hasta 2009, el virus de la influenza porcina no era de gran importancia para el sector porcino brasileño. Antes de la pandemia de 2009, se reportaban pocos estudios sobre la ocurrencia de brotes de influenza porcina.

Estudios serológicos identificaron baja prevalencia de anticuerpos contra H1N1 y H3N2, tanto de origen humano como porcino.

Desde la aparición del virus de la gripe H1N1pdm09 en humanos, se han empezado a notificar en Brasil numerosos brotes de enfermedades respiratorias agudas en cerdos de diversas edades.

Así, el H1N1pdm09 se ha convertido en endémico en las piaras porcinas brasileñas, con una alta prevalencia de animales positivos.

INFLUENZA A PORCINA EN BRASIL

POST PANDEMIA DE 2009: 1ª OLEADA

Desde entonces, estos virus han seguido circulando estacionalmente en la población humana. Tras la aparición en humanos, se empezaron a notificar brotes de enfermedades respiratorias en piaras de cerdos en varios países, entre ellos Brasil.

Al ser un virus de triple origen, el H1N1pdm09 favorece los reordenamientos con otros SIAVs circulantes, produciendo nuevos linajes y aumentando aún más la diversidad genética de los SIAVs.

DESPUÉS DE 2009: 1ª OLEADA

Después del 2009, estudios serológicos realizados en granjas no vacunadas en varios estados brasileños mostraron que, además del H1N1pdm09, subtipos de origen humano como el H3N2 y el complejo H1hu (H1N2 y H1N1) también se diseminaron en las regiones Sur y Sudeste (principales centros de porcicultura del país). Por lo tanto, el H1N1pdm09 siguió siendo el subtipo más prevalente.

patología 23 porciNews A.Latina Marzo 2023 | Influenza A porcina en Brasil: visión general de las cepas circulantes en cerdos en los últimos 10 años

El porcentaje de piaras seropositivas para el H1N1pdm09 alcanzó el 94% y, para los subtipos de origen humano, H3N2, y el complejo H1hu, el 68% y el 48%, respectivamente.

Los estudios moleculares sobre muestras de hisopos nasales y pulmones de cerdos con signos respiratorios, recogidos entre 2014-2015, confirmaron la alta prevalencia de H1N1pdm09, alcanzando un 77% de positividad (Figura 1). Sin embargo, a pesar de la alta prevalencia del virus pandémico, algunas granjas individuales comenzaron a presentar únicamente infecciones por virus de origen humano.

En 2015, un estudio filogenético dilucidó algunas cuestiones relativas a los SIAVs en Brasil. Se analizaron las secuencias genéticas de aislados virales de hisopos nasales y pulmonares, recogidos entre 2009 y 2012 en diferentes estados brasileños.

El análisis genético mostró que los subtipos de origen humano H3N2 y H1N2 circularon en humanos en el país entre 1990-2003, antes de ser transmitidos a cerdos.

Sin embargo, no se asociaron a enfermedad clínica. Los cerdos parecen ser portadores de estos virus, aunque ya no circulen en humanos.

Desde 2009, el H1N1pdm09 empezó a producir reordenamientos genéticos con virus de origen humano, lo que hizo que empezaran a causar brotes de enfermedad respiratoria.

Además, el H1N1pdm09, que circula en humanos desde la pandemia de 2009, empezó a transmitirse de humano a cerdo, de forma constante.

Figura 1. Porcentaje de muestras subtipadas para SIAV, durante el periodo de 2012 a 2019, mediante la técnica de RT-PCR. Se evaluaron muestras de hisopos nasales y fragmentos pulmonares de cerdos que presentaban signos respiratorios con diagnóstico previo de influenza porcina A. Las muestras procedían de granjas comerciales de diferentes estados brasileños. Fuente: Adaptado de Fraiha et al., 2021.

Durante el periodo de 2009 a 2015, las pruebas moleculares y serológicas evidenciaron que el H1N1pdm09 era el más prevalente, mostrando incluso su implicación en coinfecciones. Sin embargo, hubo cambios en el perfil de circulación de las cepas predominantes en Brasil.

100% 90% 80% 70% 60% 50% 40% 30% 20% 10% 0% Porcentaje de muestras positivas H1N1pdm09+H1hu+N3N2 H1N1pdm09+N3N2 H1N1pdm09+H1hu H3N2+H1hu H3N2 H1Hu H1N1pdm09 Años 2012/2013 2014/2015 2017/2018 2019 64% 77% 23% 23% 5% 12% 6% 5% 5% 14% 12% 6% 41% 29% 27% 11% 3% 9% 21% 14%
patología 24 porciNews A.Latina Marzo 2023 | Influenza A porcina en Brasil: visión general de
en
en los últimos 10 años
las cepas circulantes
cerdos

A partir de 2017, los datos serológicos y moleculares demostraron una disminución en la ocurrencia de H1N1pdm09 y un aumento significativo en la ocurrencia de H3N2 y complejo H1hu en piaras brasileñas, así como de coinfecciones.

Entre 2017-2018, las pruebas moleculares mostraron una disminución en el porcentaje de muestras positivas para H1N1pdm09, del 77% al 23%, así como un aumento en el porcentaje de muestras positivas para H3N2, del 3% al 23%.

Sin embargo, en 2019 se produjo un aumento del porcentaje de muestras del complejo H1hu, del 27% al 41%, seguido de un aumento de las coinfecciones, del 9% al 29% (Figura 1).

En 2020, los análisis serológicos confirmaron el aumento de las coinfecciones, principalmente triples (H1N1pdm09 + H3N2 + H1N1 de origen humano), alcanzando el 49,1%. Este aumento de la coinfección triple también se observó en las muestras recogidas en el año 2021 (Figura 2).

Figura 2. Porcentaje de anticuerpos neutralizantes contra H1N1pdm09, H3N2 y H1N1hu en muestras de suero colectadas durante el período de 2020 a 2021. Los sueros fueron obtenidos de granjas comerciales con historial de enfermedad respiratoria de diferentes estados brasileños. Fuente: Adaptado de Fraiha et al., 2021.

Cabe destacar que estas coinfecciones se detectaron en muestras procedentes del mismo animal.

Este es un dato preocupante, ya que los animales están siendo desafiados con diferentes subtipos/linajes, aumentando la posibilidad de reordenamientos genéticos en el animal y potenciando la aparición de nuevos linajes/subtipos.

En la figura 3 se resume la visión general de los linajes/subtipos del virus de la influenza porcina A circulantes en cerdos en Brasil desde 2009 hasta 2021.

INFLUENZA A PORCINA EN BRASIL POST PANDEMIA DE 2009: 2ª OLEADA DESPUÉS DE 2009: 2ª OLEADA 100% 90% 80% 70% 60% 50% 40% 30% 20% 10% 0% Porcentaje de ocurrencia H1N1pdm09+H1hu+N3N2 Negativo H1N1pdm09+N3N2 H1N1pdm09+H1hu H1hu +H3N2 H3N2 H1Hu H1N1pdm09 Años 2021 2020 14% 37% 17% 7% 5% 8% 5% 11% 49% 6% 12% 13% 0% 8% 7% patología 25 porciNews A.Latina Marzo 2023 | Influenza A porcina en Brasil: visión general de las cepas circulantes en cerdos en los últimos 10 años

Pandemia de influenza en humanos (H1N1pdm09)

Brotes de enfermedad respiratoria en porcinos

Sin reportes de brotes de enfermedad respiratoria por influenza

Baja seroprevalencia de los linajes:

H1N1 clásico, H1N1 humano, H3N2 porcino, H3N2 humano

Primera vacuna comercial aprobada por MAPA para el control de H1N1pdm09

H1N1pdm09 endémico en piaras de cerdos brasileñas

Detección de otros subtipos/linajes de origen humano: H3N2, H1hu (H1N1 y H1N2)

Detección de reordenamientos genéticos del H1N1pdm09 + linajes de origen humano (H3N2 y H1hu: H1N1 y H1N2)

Se especula que el aumento de la ocurrencia de H3N2 en cerdos en 2017 puede estar relacionado con el aumento de la prevalencia de este subtipo de virus Influenza A en la población humana brasileña.

De acuerdo con los datos serológicos de Influenza en humanos publicados por la OMS (2018), durante el año 2017 se observó una mayor y significativa ocurrencia de H3N2 en la población humana brasileña, con una ocurrencia no expresiva de H1N1pdm09 (Figura 4).

Es probable que este aumento esté relacionado con la introducción de una nueva cepa vacunal de H1N1pdm09 en la formulación de la vacuna humana, disminuyendo la circulación de ese subtipo en la población humana.

H1N1 pdm09 deja de ser el más prevalente en las piaras porcinas brasileñas

Aumento de la ocurrencia de H3N2 y H1hu en muestreos

Aumento de coinfecciones H1N1pdm09 + linajes de origen humano

Aumento de la ocurrencia de H1N1pdm09 y H1N1 en muestreos

Aumento de coinfecciones triples (H1N1pdm09 + H3N2 + H1hu), alcanzando el 49,1% en muestreos

4a. Análisis serológico realizado en varios estados de Brasil en 2017-2018. Adaptado de Fraiha, 2019.

100% 90% 80% 70% 60% 50% 40% 30% 20% 10% 0% Porcentaje de animales Negativo H1N1pdm09+N3N2 H3N2 H1N1pdm09 Años 2018 2017 43% 27% 39% 29% 3% 33% 11% 14%
Figura 3. Visión general de los linajes/subtipos del virus de la influenza porcina A que circulan en cerdos en Brasil.
ANTES DE 2009 2009 2009-16 2017-18 2019-20 2014 ACTUALMENTE patología 26 porciNews A.Latina Marzo 2023 | Influenza A porcina en
en
en
últimos 10 años
Brasil: visión general de las cepas circulantes
cerdos
los

4b. Ocurrencia de subtipos de influenza A (H1N1pdm09 y H3N2) en la población humana de Brasil entre 2009-2018.

Adaptado de: FluNet

Figura 4. Comparación de la ocurrencia de los subtipos de Influenza A (H1N1pdm09, H3N2 y H1N1hu) en la población porcina y humana, Brasil, durante 2017-2018. Fuente: Adaptado de Fraiha, ALS, 2019.

Se sugiere que el monitoreo de los virus de Influenza A circulantes en la población humana es una herramienta importante para predecir posibles brotes de influenza en cerdos.

Cabe destacar que la transmisión del virus de la influenza de humanos a cerdos es más fácil a que se produzca por la vía inversa, resaltando la importancia de implementar protocolos de bioseguridad en las granjas y la vacunación anual de los trabajadores para prevenir la transmisión interespecie.

LA IMPORTANCIA DE LA VACUNACIÓN

La vacunación es el método más utilizado para el control y la prevención de la influenza A en cerdos y la gran variabilidad genética entre los SIAVs hace que exista una variación constante en la formulación de las vacunas.

En Brasil, una vacuna comercial monovalente e inactivada contra la cepa H1N1pdm09 fue autorizada en 2014 y recientemente se autorizó el uso de vacunas autógenas en el país. En el país circulan diferentes cepas, por lo que no todas las vacunas ofrecen una protección satisfactoria a los animales.

Por lo tanto, el monitoreo de los SIAVs circulantes en cerdos se torna fundamental para establecer la actualización de las cepas vacunales, además de proporcionar información relevante para la aplicación de medidas de control en las granjas.

CONSIDERACIONES FINALES

La aparición de diferentes subtipos o cepas del virus de la influenza A en cerdos varía geográficamente y a lo largo del tiempo.

La aplicación de medidas de bioseguridad en las granjas, incluida la vacunación de los trabajadores contra la influenza humana, ayuda a prevenir la enfermedad en los cerdos.

El uso de vacunas en la población porcina es el principal método de prevención de enfermedades en la especie.

Por lo tanto, el seguimiento de los SIAVs mediante pruebas serológicas y moleculares ayuda a tomar decisiones sobre los métodos de control de la enfermedad en las granjas, además de proporcionar datos para actualizar las vacunas.

Influenza A porcina en Brasil: visión general de las cepas circulantes en cerdos en los últimos 10 años

100% 90% 80% 70% 60% 50% 40% 30% 20% 10% 0% Porcentaje de humanos positivos al virus de la in uenza A A (H3) A (not subtyped) A
A
Años 2009 2010 2011 2012 2013 2014 2015 2016 2017 2018
(H1)
(H1N1) pdm9
DESCÁRGALO EN PDF
DESCARGAR BIBLIOGRAFÍA patología 27 porciNews A.Latina Marzo 2023 | Influenza A porcina en Brasil:
de las
en cerdos en los últimos 10
visión general
cepas circulantes
años

¿EXISTE UNA DISTRIBUCIÓN DE PARTOS IDEAL PARA LAS HEMBRAS DE CRÍA EN UNA GRANJA?

La globalización y la competitividad en la producción porcina actual nos obliga a tener granjas más productivas. Hoy, ser un productor eficiente inicia con destetar un lechón al menor costo posible.

La longevidad de las cerdas se asocia favorablemente con un aumento tanto en las ganancias como en el bienestar animal, tema que cada día toma mayor importancia en la producción porcina mundial.

Por definición, una cerda más longeva permanece por más tiempo y produce más kilogramos totales en nuestro plantel.

gestión 28 porciNews A.Latina Marzo 2023 | ¿Existe una distribución de partos ideal para las hembras de cría en una granja?

En consecuencia, la distribución de partos de una piara afectará tanto su rendimiento económico como biológico.

La distribución de paridad óptima es un tema complejo ya que está relacionado con factores biológicos, económicos, y en ocasiones ligados al manejo e instalaciones propias de la granja.

La longevidad de una cerda puede considerarse como:

Por lo tanto, aumentar su longevidad permite que el costo de desarrollo de una hembra de reemplazo se distribuya entre más partos. Actualmente, no hay un consenso sobre cómo definir y estimar los valores genéticos para la longevidad, por lo que se utiliza una combinación de:

La información genómica, donde se pueden obtener estimaciones bastante precisas de los valores genéticos de longevidad, y

La probabilidad de que una hembra primeriza logre un parto de máxima productividad, o

El número de partos (≥3) que una cerda permanezca en la granja.

Es claro que la eliminación prematura del reemplazo tiene un impacto negativo en la rentabilidad y el bienestar de las cerdas.

2 9 8 7 6 5 4 3 2 1 0

1 P aridad Cerdos/vida de la cerda

Gráfico 1. Longevidad de la cerda

Entre otros, la información de la edad al primer parto, el número acumulado de lechones nacidos vivos durante varios partos, la probabilidad de que una primeriza ingrese a una granja, sobreviva hasta la primera inseminación, y durante varios partos, y la conformación de patas

gestión 29 porciNews A.Latina Marzo 2023 | ¿Existe una distribución de partos ideal para las hembras de cría en una granja?

Investigaciones realizadas por el Dr. Yuzo Koketzu en la Universidad de Meiji en Japón, sugieren para que una cerda comercial se considere rentable, la hembra debe alcanzar un mínimo de tres partos.

Con estos indicadores, y utilizando metodologías de selección genómica se puede realizar una selección de precisión de longevidad en las primeras etapas de la vida.

Ahora bien, ¿cómo lograr una distribución óptima para nuestra piara?

Ahora bien, ¿cómo lograr una distribución óptima para nuestra piara?

El primer paso es hacer una selección en base al rendimiento de cada cerda, o sea eliminando lo antes posible a las hembras no productivas, y manteniendo un hato altamente productivo.

La única manera eficiente de lograrlo es mantener una base de datos fidedigna, actualizada, y hacer un análisis continuo de la producción de cada una de las hembras activas en el hato.

Cuando esto se logra, se pueden aprovechar las oportunidades para adoptar políticas de descarte susceptibles de optimizar los perfiles de paridad del hato para un mejor desempeño económico.

Entonces, las decisiones de desecho deben centrarse en la eliminación de cerdas que no puedan competir con la producción de una hembra de reemplazo que además nos permitirá reducir el rezago genético.

Es decir, reducir el tiempo requerido para que el mejoramiento genético pase del núcleo al nivel comercial. Lograr esto nos lleva a romper los paradigmas de las estructuras tradicionales de la distribución censal aquellas con un:

Alto porcentaje de hembras de más ≥5 partos (gráfico 2)

En forma de triángulo, o con alto porcentaje de hembra entre 3 a 6 partos (gráfico 3).

Gráfica 2. Distribución de partos tradicional.
26 20 13 7 0 1 2 3 4 5 ≥6 Porcentaje de hembras (%) Paridad 50 38 25 13 0 1 2 3 4 5 6 ≥7 P orcentaje de hembras (%) Paridad
Gráfica 3. Distribución de partos de forma triangular.
gestión 30 porciNews A.Latina Marzo 2023 | ¿Existe
una distribución de partos ideal para las hembras de cría en una granja?

A una distribución con una desviación izquierda con un alto porcentaje de hembras de primero y segundo parto (gráfico 4).

Sin embargo, debemos tener precaución con esta modalidad, pues en mi opinión, aumentar de forma excesiva el reemplazo de hembras puede causar problemas productivos (gráfico 5) y sanitarios.

Esto, gracias a que los avances genéticos y reproductivos han logrado que el rendimiento de las cerdas jóvenes, medidos en indicadores claves de rendimiento (KPI, por sus siglas en inglés) sea casi tan alto como el de las cerdas de entre 3 a 6 partos.

Esta información fue publicada desde 1997 por la Dra. Sandra Edwards de la Universidad de Newcastle en el Reino Unido, y sigue siendo vigente hasta la fecha. La clave del éxito consiste en manejar un programa adecuado de aclimatación tanto reproductivo como sanitario para las hembras de reemplazo.

Gráfica
26 20 13 7 0 1 2 3 4 5 ≥6 Porcentaje de hembras (%) Paridad
4.
Distribución de partos con un alto porcentaje de reemplazo.
18 16 14 12 10 8 6 Tamaño de camada (Nacidos totales) 1 <=8 9 10 11 12 13 14 15 16 >=17 2 3 4 5 Paridad
Gráfica 5. Tamaño de camada subsecuente de acuerdo con el manejo inicial de la hembra de reemplazo.
gestión 31 porciNews A.Latina Marzo 2023 | ¿Existe
una
distribución de partos ideal para las hembras de cría en una granja?

Causas

de desecho de cerdas

Las causas de desecho se dividen en:

Voluntarias (económicas)

Aquellas cuando un productor decide retirar a la cerda por razones tales como edad, paridad, KPI bajas, comportamiento materno deficiente durante el parto y/o lactancia.

Involuntarias (biológicas)

Aquellas cuando un productor se ve obligado a retirar a la cerda por razones tales como pérdida de condición corporal, lesiones e infertilidad por mal manejo de la alimentación en la lactancia o en general en el plantel, cojeras por malas instalaciones, enfermedad, o muerte.

En la última década, la mortalidad en cerdas es una preocupación creciente ya que ha ido en aumento en muchas granjas porcinas y sistemas de producción, convirtiéndose en la causa de desecho involuntaria más importante en la producción porcina.

Tema que sigue siendo motivo significativo de investigación y discusión en diferentes foros mundiales. La mortalidad en hembras, además de aumentar las pérdidas económicas, afecta negativamente la moral de los empleados y compromete el bienestar animal.

Las causas de la mortalidad de las cerdas pueden estar asociadas con factores infecciosos y no infecciosos, incluidos aquellos relacionados con enfermedades, prácticas de manejo, nutrición y medio ambiente como se presenta en el gráfico 6.

29,10 % 30,89 %

26,96 % 13,05 %

Cortesía de Pallas, R. 2022. Gráfica 6. Causas de mortalidad de cerdas. Muerte subita Prolapsos Cojera Otros
1 2
gestión 32 porciNews A.Latina Marzo 2023
| ¿Existe una distribución de partos ideal para las hembras de cría en una granja?
Si desea ser distribuidor, ¡CONTÁCTENOS!

Existen dos formas de optimizar la longevidad de las cerdas:

Aumentar la probabilidad de que una primeriza logre un parto de máxima productividad.

Aumentar el número de partos (≥5) en los que una cerda es altamente productiva. 2

Ahora bien, no todo debe estar relacionado con los costos, no olvidemos que un aumento en el porcentaje de reemplazo significa una disminución en la inmunidad general del hato.

Está bien documentado que las hembras primerizas y sus lechones tienen una menor inmunidad contra los microorganismos presentes en la granja, situación que juega un papel desfavorable en hatos con un estatus sanitario bajo o inestable.

La eliminación prematura tiene un impacto desfavorable en la rentabilidad y el bienestar de las cerdas.

Aumentar la longevidad de una cerda permitirá que el costo del desarrollo de una primeriza se distribuya entre más partos, lo que aumenta la oportunidad de que sea más rentable.

Es decir, en una piara donde no se ha logrado controlar la circulación de los patógenos presentes o conseguir una inmunidad adecuada contra los mismos.

Además, las camadas numerosas de las hembras altamente productivas tienen un porcentaje importante de lechones con menor vitalidad y peso al nacimiento.

1
gestión 34 porciNews A.Latina Marzo 2023 |
¿Existe
una distribución de partos ideal para las hembras de cría en una granja?

Varias publicaciones indican que estos lechones presentan cordones umbilicales adheridos, nacen con disnea, apnea o latidos cardíacos anormales, y tardan más en alcanzar la teta de la madre resultando en que maman una menor cantidad del calostro requerido para mantenimiento y para obtener una inmunidad sólida.

Conclusión

En conclusión, y como ya lo mencioné, entre otros, la genética, el medio ambiente, el manejo reproductivo, nutricional, y general, así como las instalaciones de cada plantel, influyen grandemente en la supervivencia de una hembra.

Por lo que recomendar una curva censal para la producción porcina latinoamericana es un reto difícil.

Así que mi recomendación en este tema es que mantengan un sistema de registros actualizados y fehaciente para que cuenten con información útil que les permita llegar a conclusiones informadas que respalden su decisión de cuál debe ser la mejor distribución de paridad en su granja para que les permita seguir siendo un productor de alto rendimiento.

¿Existe una distribución de partos ideal para las hembras de cría en una granja? DESCÁRGALO EN PDF

gestión 35 porciNews A.Latina Marzo 2023 | ¿Existe
una distribución de partos ideal para las hembras de cría en una granja?

AUDITORÍA INTERNA PASO A PASO DE BIENESTAR ANIMAL

En la actualidad, ya no sólo basta con producir y entregar productos de la más alta calidad, sino que también se debe cumplir con todos los estándares bienestar animal del mercado nacional y/o internacional, volviéndose imprescindible para las empresas tomar acciones y realizar auditorías para cumplir con sus exigencias.

En este artículo revisaremos que es y cómo se hace una Auditoría interna de Bienestar animal o más bien llamada auditoría FIRST PARTY, en empresas productoras de proteína animal. Dichas instancias corresponden a auditorías de primer nivel realizadas por personal interno de la empresa y son utilizadas como una herramienta para autoevaluar los sistemas productivos dentro de toda la cadena (desde granja a matadero).

porciNews A Latina Marzo 2023 | Auditoría interna de Bienestar Animal paso a paso 36 bienestar
M° Verónica Jiménez Grez Médico Veterinario, MSc Etología y Bienestar Animal

¿POR QUÉ REALIZAR UNA AUDITORÍA INTERNA DE BIENESTAR ANIMAL?

Los principales objetivos de las auditorías de primer nivel son evaluar el estado insitu de los animales, las instalaciones e infraestructura, los manejos y al personal, el cumplimiento de los requerimientos del consumidor y mercados específicos.

A continuación, se presenta un detalle de los objetivos antes mencionados:

SELECCIÓN DEL AUDITOR INTERNO DE BIENESTAR ANIMAL

El auditor debe tener las habilidades y conocimientos necesarios para el cargo, por lo que se recomienda que sea un médico veterinario o profesional a fin, que posea capacitación formal en bienestar animal y al menos, un curso de auditor interno.

Al pertenecer a la empresa, debe desarrollar su trabajo con absoluta objetividad e imparcialidad, evitando así beneficiar a la empresa durante la auditoría. Es esencial que el auditor aprenda y entienda el proceso, observeverifique y evalúe la documentación.

Evaluar y verificar en terreno las condiciones reales de los cerdos

Medición objetiva parámetros ambientales mediante instrumentos específicos

Detección de problemas relacionados con el Bienestar de los Animales

Identificar debilidades de la empresa

Mejorar condiciones de bienestar animal en granja, transporte, matadero

Benchmarking con otras granjas dentro de la misma empresa (se puede idear un sistema de incentivos por cumplimiento de Bienestar Animal)

PROCESO DE AUDITORÍA INTERNA

LISTADECHEQUEODEBIENESTARANIMAL

Generalmente son utilizadas listas de chequeo para los procesos de auditoría siendo elementos para guiar paso a paso de la auditoría las cuales incluyen una serie de preguntas específicas. Se puede utilizar pautas o estándares como por ejemplo el creado por National Pork Board (2014-2023); “Auditoría de la industria común porcina” CSIA, estándar que posee 27 puntos claves de evaluación y cubre todo el ciclo productivo. Incluye 4 áreas: Registros, animales, instalación y colaboradores.

La lista debe contener información relevante.

porciNews A Latina Marzo 2023 | Auditoría interna de Bienestar Animal paso a paso 37 bienestar

Información administrativa

Información de la observación

Durante la auditoría debe tener un orden lógico y subdividir en áreas/criterios cómo se presentan a continuación:

tipo de instalación (Sitio 1, 2 3, DesteteVenta, Transporte; Planta Faenadora) nombre del encargado

existencia de animales

dirección

Aspectos básicos: Alimentación y Agua de Bebida Alojamiento e Infraestructura Salud, Comportamiento (de lo posible realizar pruebas que evalúen el comportamiento de los animales para así obtener resultados concluyentes)

número de pabellones

Manejos (arreos, vacunaciones, muestreo, procedimientos)

Protocolos de sacrificio de emergencia/Planes de contingencia

Bioseguridad

Capacitación del personal en materia de Bienestar animal

Registros y documentación

Marcar una casilla no es auditar, el auditor debe entender el proceso, planificar la auditoría y conocer a cabalidad su lista de chequeo para luego aplicarla en terreno.

ASIGNACIÓNDECRITERIOSENLISTAS

Establecer los Límites o los puntos críticos de bienestar animal (PCBA)

Se debe crear un sistema de puntajes de la empresa, con el objetivo de valorizar los criterios, para así poder evaluar cuantitativamente el bienestar del plantel (figura 1). Esta métrica debe incluir explícitamente los límites aceptables y de rechazo de la auditoría.

Criterio a evaluar

1.- Alimentación y Agua de Bebida

1.1- Alimentación

Los comederos son funcionales

1.2- Bebederos

Los bebederos son funcionales

A modo de ejemplo para establecer los criterios y evaluar cuantitativamente los indicadores de bienestar animal se puede considerar la información otorgada por la Dra. Temple Grandin acerca del manejo de los animales y su relación con el bienestar animal (figura 2).

Puntualmente nos referiremos al estudio ¨Interpretación de las pautas de manejo de animales del Instituto Norteamericano de Carne (NAMI) para auditar el bienestar del ganado bovino, porcino y ovino en las plantas de matanza” (Animal Handling, s.f.). Si bien es un artículo para evaluación en planta faenadora, podemos utilizar los limites (%) para granja y transporte.

Cumple No Cumple No Aplica Puntaje Obtenido Observaciones

1

Se encuentran en buen estado Si: 1 punto No: 0 puntos

1 2 Si: 1 punto Se encuentran en buen estado No: 0 puntos

Total, Ítem Alimentación y Agua de bebida

Figura 1. Ejemplo de un tipo de plantilla del auditor
porciNews A Latina Marzo 2023 | Auditoría interna de Bienestar Animal paso a paso 38 bienestar

Figura 2. Recomendaciones para la puntuación según el tamaño de la muestra de ganado (utilizando 100 animales*)

El ítem de mayor importancia se encuentra el relacionado a los manejos, donde se observa directamente la interacción Humano-animal, es una instancia en la que se evalúa directamente el comportamiento de los trabajadores hacia los animales durante los manejos rutinarios.

Asimismo, es el minuto para entablar una conversación con el objetivo de conocer un poco más de su trabajo y verificar si ha recibido la debida capacitación para ejercer sus funciones. Es importante evaluar las capacidades cognoscitivas, actitudinales y procedimentales.

¿CÓMO SE REALIZAN LAS AUDITORÍAS?

Lo primordial para realizar una auditoría es el factor sorpresa, esto se refiere a que el personal del lugar a auditar no sepa que viene dicho proceso, para que no se vean alterados los resultados y ser lo más real posible.

Además, el auditor, debe resguardar la bioseguridad de la explotación ganadera, cumpliendo los requisitos exigidos y respetando los protocolos de ingreso.

Todo el material que se ingrese al plantel debe ser autorizado previamente por el encargado y cumplir con los procesos de desinfección.

MATERIALES NECESARIOS PARA REALIZAR LA AUDITORÍA

Equipos de evaluación de parámetros ambientales como; cámara termográfica, termohigrómetro, medidor, flujómetro, medidor de decibeles)

Cámara para realizar registros fotográficos o video (material confidencial)

¡COMENCEMOS LA AUDITORÍA!

En una primera instancia, se debe efectuar con una pequeña entrevista al encargado del plantel o encargado de bienestar animal, con el propósito de realizar un pequeño resumen de lo que se evaluará durante la visita, su objetivo, y los ítems de rechazo automático. Este es el minuto para anotar la información del plantel, y, proceder a seccionar la muestra al azar de los pabellones y animales a auditar.

Cabe destacar que el auditor no es un investigador privado, que va a revisar a todos los cerdos de cada corral, y levantar a cada lechón, ya que se trabajará en base a una muestra representativa que será registrada en nuestra plantilla de registro.

El auditor debe tener todos sus sentidos activos durante la visita, principalmente dentro de los pabellones seleccionados, con el fin de recopilar la mayor cantidad de información y registrarla dentro de su planilla.

Plantilla del auditor (Papel o Tablet)
Criterio Muestra 100 animales Vocalización 3% Animales que caen 1% Actos de abuso 0% Arrastrar animales 0%
porciNews A Latina Marzo 2023 | Auditoría interna de Bienestar Animal paso a paso 39 bienestar

Rechazo de la auditoría: Tolerancia 0.

Si el auditor, observa alguna de las siguientes acciones como:

actos de abuso

arrastrar cerdos desde puntos sensibles se rechaza la auditoría inmediatamente. Esto debe quedar debidamente registrado y documentado y debe ser destacado en el informe final. bienestar

Informe final para detección de las brechas y mejoras relacionadas al bienestar animal

El informe final debe ser un documento formal, que debe contener toda la información y los resultados registrados en la plantilla de registro.

Este documento debe entregar las brechas y recomendaciones con el objetivo de identificar los desvíos y es fundamental para que la empresa pueda realizar las mejoras correspondientes en materia de bienestar animal.

Cómo mensaje final, les cuento un poco de mi experiencia como auditora de bienestar animal; he realizado cursos presenciales y online como auditor de bienestar animal, y he ido aprendiendo los tips, uno debe ser muy ordenado e ir guiando la auditoría paso a paso, sin salirse de tu plantilla de evaluación.

El auditor puede cometer fallas que se deben evitar: desviarse de la herramienta de la auditoría especular dejarse guiar acortar tiempo no evaluar la muestra seleccionada ser demasiado amigable o agresivo durante la auditoría dañar a los animales durante su visita opinar y participar en desacuerdos durante la auditoría

Todo será comunicado en el informe final y esta visita no corresponde una asesoría *Cloverleaf Animal Welfare

Uno de los puntos más importantes a mi parecer es registrar lo observado de inmediato en la planilla e idealmente respaldarlo con imágenes o vídeos, para así poder elaborar lo más completo posible el informe final.

Descarga planillas para evaluar el bienestar de los cerdos

DESCARGAR BIBLIOGRAFÍA DESCÁRGALO EN PDF

Auditoría interna de Bienestar Animal paso a paso

Fallas del auditor Más contenido sobre Bienestar Porcino
aturdimiento ineficaz en sacrificios de emergencia animales lesionados por manejos maltrato hacia los animales animal con evidente sufrimiento que no ha sido sacrificado oportunamente ! porciNews A Latina Marzo 2023 | Auditoría interna de Bienestar Animal paso a paso 40

BIENESTAR PORCINO

Encontrarás consejos prácticos para mejorar el bienestar de tus cerdos_

Colaboradora

M. Verónica Jiménez Grez

Médico Veterinario

MSc Etología y Bienestar Animal Auditora de Bienestar Animal Instructora de Bienestar Animal

Calendario de vídeos

Enero Lo mejor del 2022

Febrero Criterios para el descarte de cerdos

Marzo Plan de contingencia: despoblamiento de granja

Abril Manejo correcto de animales caídos en granja

Mayo Seguridad alimentaria

Junio Manejo de lechones

Julio Alimentación y bienestar porcino

Agosto Caudofagia

Septiembre Cojera en cerdas

Octubre Eutanasia

Noviembre Auditoría remota

Diciembre Inteligencia artificial

porcinews.com/abc/abc-bienestar-porcino

¡ NUEVA S E CCIÓN!

POTENCIALES USOS DE LA SALIVA PORCINA: EVALUACIÓN DEL ESTRÉS

Artículo traducido y adaptado de: Cerón, J.J. et al. (2022) “Basics for the potential use of saliva to evaluate stress, inflammation, immune system, and redox homeostasis in Pigs,” BMC Veterinary Research, 18(1)

Available at: https://bmcvetres.biomedcentral.com/articles/10.1186/s12917-022-03176-w 1

El uso de la saliva como muestra biológica tiene muchas ventajas, principalmente relacionadas con su obtención ya que es un procedimiento no invasivo, simple y que no genera dolor.

Además, se pueden obtener muestras repetidas en cualquier momento y lugar, y sin necesidad de personal especializado. Por lo tanto, es muy adecuada para fines de monitorización y tiene muchas aplicaciones potenciales tanto en el área veterinaria como humana.

investigación 42 porciNews A.Latina Enero 2023 | Potenciales usos de la saliva porcina: evaluación del estrés

Estas ventajas son especialmente relevantes en cerdos, donde la extracción de sangre es altamente estresante, tanto para el animal como para el personal encargado de la toma de muestras.

Por lo tanto, el uso de saliva en esta especie puede ser muy apropiado. El personal puede tomar fácilmente las muestras, lo que permite realizar análisis más frecuentes y controlar mejor la salud y el bienestar (imagen 1)

Sin embargo, también puede ser utilizada para evaluar otros aspectos relacionados con la salud y el bienestar que pueden ser de interés, como:

Evaluación del estrés

Respuesta inflamatoria

Respuesta inmune

Equilibrio redox

En este artículo se desarrollará la base fisiológica e interpretación de la acción de biomarcadores que pueden utilizarse para detectar y evaluar el estrés en cerdos.

Además, se incluirán algunas normas generales relativas a la toma de muestras y el almacenamiento de la saliva.

EVALUACIÓN DEL ESTRÉS

Imagen 1: Muestreo de saliva en cerdos

Recientemente se ha publicado una revisión sobre la utilización de la saliva para la detección de patógenos en cerdos. Según esta publicación, se pueden detectar más de 23 patógenos virales en la saliva porcina, y actualmente la detección de enfermedades infecciosas es posiblemente el principal uso de la saliva en la práctica rutinaria en esta especie.

BIOMARCADORES DE ESTRÉS

Cortisol

Alfa-amilasa salival (sAA)

Cromogranina-a (CgA)

Esterasa total (TEA) y sus componentes

Oxitocina (OT)

investigación 43 porciNews A.Latina Enero 2023 | Potenciales usos de la saliva porcina: evaluación del estrés

Cortisol

Actualmente, el cortisol es, posiblemente, el biomarcador más utilizado para detectar el estrés en cerdos. Cuando se produce una situación de estrés, se activa el eje Hipotálamo - Pituitario - Adrenal (HPA) a partir del cual se produce cortisol que se libera en la sangre (figura 1).

Eje HipotálamoPituitarioAdrenal (HPA)

CRH Hormona liberadora de corticotropina

Glándula pituitaria ACTH Hormona Adrenocorticotrópica

Glándula adrenal Riñon

CORTISOL

Figura 1: Secuencia de activación del eje Hipotálamo - Pituitario - Adrenal (HPA)

En la sangre, el cortisol está presente en dos fracciones:

unido a proteínas y libre;

mientras que en la saliva sólo hay libre, que es la fracción activa.

El paso del cortisol libre de la sangre a la saliva se produce por difusión pasiva de la molécula a la glándula salival.

Debe tenerse en cuenta que existe variabilidad en los rangos de referencia reportados en la literatura para este metabolito en animales no estresados y una alta variación intraindividual.

También es importante indicar que las concentraciones de cortisol siguen un ritmo circadiano en saliva, que puede variar con la edad y el sexo

La variabilidad entre animales puede alcanzar un coeficiente de variación del 62% en la saliva de animales no estresados. Por lo tanto, sería recomendable comparar las concentraciones de cortisol en un individuo con los valores obtenidos con el mismo ensayo e, idealmente, en el mismo animal o grupo de animales con condiciones similares de edad, raza y sexo y sin signos evidentes de estrés.

investigación 44 porciNews A.Latina Enero 2023 | Potenciales usos de la saliva porcina: evaluación del estrés

Alfa-amilasa salival (sAA) y cromogranina-a (CgA)

Estos biomarcadores son producidos directamente por la estimulación de las glándulas salivales por el sistema nervioso autónomo (SNA).

Ambos analitos pueden aumentar en situaciones de estrés agudo. Al igual que el cortisol, la variabilidad individual es amplia.

En esta línea, la sAA puede aumentar desde valores inferiores a 100 UI/L hasta superiores a 1000 UI/L, llegando algunos individuos hasta 4000 UI/L, en el momento de la inducción del estrés en algunos cerdos, mientras que en otros cerdos no cambia.

Si bien ambos biomarcadores están relacionados con el SNA, y por tanto con la reacción que se produce tras un estrés agudo, se han descrito cambios en CgA y sAA en situaciones de estrés crónico, por ejemplo:

sAA mostró aumentos en cerdos que sufrían dolor por cojera y prolapso rectal. Los animales con estos trastornos mostraron aumentos aún mayores de sAA (7,49 veces y 18,20 veces en los casos más graves de cojera y prolapso, respectivamente, en comparación con los animales sanos) que de otros biomarcadores como el cortisol (1,72 veces y 2,30 veces en los animales cojos y con prolapso, respectivamente).

También, se ha observado que la CgA se multiplica por 1,2 tras 10 minutos de inmovilización continua y que pasa de valores inferiores a 2 mg/L - 3 mg/L tras 15 minutos de cese de la inmovilización.

En un modelo de restricción por encierro en una jaula durante 60 min, el aumento de CgA fue superior a 4 veces y permaneció aumentado 2-3 veces a los 30 min de cesar el estímulo. Esto podría indicar una posible relación de este marcador con el estrés de mayor duración.

Aunque no se conoce bien el mecanismo, la CgA disminuyó en la saliva tras diferentes tipos de enriquecimiento ambiental y suplementación con hierbas durante 2 meses en cerdos en crecimiento, desde valores de 1 mg/L a valores inferiores a 0,3 mg/L.

Esto podría indicar una reducción del estrés de estos cerdos durante este periodo. Además, la CgA en saliva mostró una correlación de baja a moderada, pero significativa, con la concentración de cortisol en pelo.

investigación 45 porciNews A.Latina Enero 2023 | Potenciales usos de la saliva porcina: evaluación del estrés

Además, la CgA es un biomarcador temprano del síndrome de disgalactia postparto (SDP). Este biomarcador se incrementó significativamente en cerdas con SDP antes del parto, mostrando una mayor sensibilidad que otros marcadores como el cortisol.

Aunque se desconoce la razón de este aumento, los valores elevados de CgA podrían indicar una situación de estrés con activación del sistema adrenérgico que podría estar implicado en la patogénesis de esta enfermedad.

Además, podría existir un papel de la CgA en los trastornos gastrointestinales asociados al SDP, ya que, en el tracto gastrointestinal humano, la CgA es liberada por las células enterocromafines y las neuronas de los ganglios submucosos y mientéricos, y podría modular la motilidad colónica en respuesta a la inflamación.

Actividad de la esterasa total (TEA) y sus componentes

La TEA es abundante en la saliva de los cerdos. Varias enzimas contribuyen a esta actividad esterasa:

La colinesterasa (ChE) y la colesterol esterasa representan alrededor del 20% de la actividad TEA salival en cerdos sanos no estresados.

La lipasa salival (sLip) podría rondar el 30% en cerdos sanos no estresados.

La isoenzima 6 de la anhidrasa carbónica (CA-VI) podría representar hasta el 50% de la actividad de la TEA en la saliva porcina.

TEA, BChE y sLip pueden medirse espectrofotométricamente, y existen ensayos validados para cerdos.

La TEA salival puede aumentar en situaciones de estrés agudo. Se ha descrito un aumento de la actividad de la TEA salival en cerdos, con un incremento de 1,49 veces justo después del estímulo, tras una sujeción mediante lazo nasal.

investigación 46 porciNews A.Latina Enero 2023
| Potenciales usos de la saliva porcina: evaluación del estrés

Además, se registró un aumento (1,8 veces) de la TEA salival a las 4 h del transporte y la estabulación en el matadero en comparación con los valores anteriores al transporte. Este aumento fue inferior al observado con otros biomarcadores como el cortisol.

El comportamiento de la TEA en saliva en estrés crónico debe ser evaluado más profundamente. En este sentido, podría verse aumentada en cerdos que sufren dolor debido a cojera y prolapso rectal.

Oxitocina (OT)

Esta hormona, además de su papel fisiológico en el parto y la lactancia, se considera un biomarcador de emociones positivas y bienestar social en animales domésticos.

La fuente de OT en la saliva es desconocida, pero un informe reciente en humanos indica que la OT salival puede reflejar la concentración y producción endógena.

En la saliva de los cerdos, al igual que en otras especies, la OT puede estar en dos formas principales: Unida a proteínas o Libre

Al igual que otros biomarcadores, el conocimiento sobre las mediciones de OT en la saliva de cerdos está en sus inicios.

El aumento de OT frente a situaciones positivas de bienestar contrasta con el resto de biomarcadores de estrés utilizados hasta ahora, que aumentan cuando existe una situación estresante o falta de bienestar.

La OT en la saliva puede disminuir en situaciones de estrés agudo. En un informe, se encontraron disminuciones en las concentraciones salivales de OT en cerdos a las 4 h de estabulación en un matadero.

investigación 47 porciNews A.Latina Enero 2023 | Potenciales usos de la saliva porcina: evaluación del estrés

Sonidos extraños.

La OT puede aumentar por interacciones positivas. En un estudio en el que se evaluaron las interacciones positivas entre humanos y animales en cerdos, la concentración de OT en saliva se asoció positivamente con ser acariciado.

Además, la eyaculación aumenta las concentraciones salivales de OT en verracos reproductores. Por lo tanto, estos datos sugieren que esta hormona puede ser un marcador de emociones positivas.

Si las muestras no se procesan inmediatamente, se recomienda refrigerarlas o al menos mantenerlas en un lugar fresco, hasta su llegada al laboratorio.

Utilización de esponjas. Esto permite obtener saliva con menor contenido en mucina y por tanto menor viscosidad lo que facilita el procesado y manejo de las muestras.

Lo ideal es conservar las muestras a - 20 °C o - 80 °C si no se van a analizar inmediatamente.

Las muestras deben centrifugarse para eliminar los restos celulares y alimentarios. El protocolo de centrifugación que utilizamos en nuestro laboratorio es de 3.000×g durante 10 min a 4 °C.

La temperatura óptima de almacenamiento depende del analito. Por ejemplo, CgA y ADA son estables en saliva 1 año almacenados a - 20 °C; mientras que - 80 °C se recomienda para el almacenamiento prolongado de sAA o BChE y las enzimas y biomarcadores de estrés oxidativo en general. En general, a - 80 °C, los analitos son más estables que a - 20 °C.

investigación 48 porciNews A.Latina Enero 2023 | Potenciales usos de la saliva porcina: evaluación del estrés
Toma de muestras: recomendaciones generales

Conclusiones

La saliva de los cerdos puede utilizarse para medir biomarcadores que pueden ayudar a evaluar el estrés, la respuesta inflamatoria, el sistema inmunitario y la homeostasis redox.

Estos biomarcadores, reflejan que la saliva, además de ser una herramienta de diagnóstico para la detección de enfermedades infecciosas, puede proporcionar información potencialmente interesante sobre el estado de salud y bienestar del cerdo.

Sin embargo, todavía se necesitan más datos para validar el uso de la saliva en este campo. Por lo tanto, se espera que en un futuro próximo se generen más conocimientos sobre su fisiología y aplicaciones prácticas sobre los marcadores salivales aquí revisados, y también sobre otros nuevos que pudieran descubrirse, especialmente mediante técnicas "ómicas".

Potenciales usos de la saliva porcina: evaluación del estrés DESCÁRGALO EN PDF

BIBLIOGRAFÍA

Este conocimiento que se espera generar proporcionará información más precisa y útil sobre estos biomarcadores, contribuyendo a un uso más amplio de la saliva en esta especie, así como en otras especies animales y en humanos en el futuro.

investigación 49 porciNews A.Latina Enero 2023 | Potenciales usos de la saliva porcina: evaluación del estrés

UTILIZACIÓN DE DDGS EN

DIETAS DE CERDOS DE CRECIMIENTO Y FINALIZACIÓN: ¿CUÁL ES SU EFECTO EN EL RENDIMIENTO DE LA CANAL?

Los DDGS son un subproducto importante de la producción de etanol a partir de granos como el maíz, trigo y la cebada.

Los DDGS tienen un perfil favorable de:

Proteínas (28%)

Fibra (32% como fibra neutra detergente)

Grasa (12%)

Vitaminas

Minerales

Y, actualmente, se utilizan en dietas de crecimiento y engorda - finalización de cerdos.

50 nutrición porciNews A. Latina Febrero 2023 | Utilización de DDGS en
de
de
en
de
dietas
cerdos
crecimiento y finalización: ¿Cuál es su efecto
el rendimiento
la canal?

Además de su atractivo perfil nutricional, su costo es bajo por lo que ayuda a bajar los costos de formulación, pero:

¿Cómo sabemos qué tanto nos afecta su uso en las dietas? O, ¿cómo sabemos qué cantidad debemos usar? O, ¿en qué etapa de crecimiento y engorda afecta más?

En este articulo te resumimos los puntos importantes a considerar.

Si bien es cierto que los DDGS bajan considerablemente el costo de la dieta (en algunos casos puede ahorrar hasta $7.00 por tonelada de alimento completo) se deben tener en cuenta varios factores y el primero podría ser la edad del cerdo.

Comúnmente los DDGS no se ofrecen a cerdos recién destetados (3-4 semanas de edad) y cerdos jóvenes (6-7 semanas) ya que estos no tienen bien desarrollada su capacidad de fermentación de materiales fibrosos.

Sin embargo, cerdos que ya alcanzan 50lbs (23 kg.) o más (o en su primera etapa de engorde) se les comienza a ofrecer en cantidades moderadas de hasta 100lbs (45 kg.) por tonelada de alimento.

Su inclusión puede aumentar gradualmente, o puede ofrecerse en altos niveles al llegar a la fase de engorda. En este período se pueden tener hasta 5 fases (dietas), desde 90lbs (40 kg) hasta las 290lbs (130 kg).

Los estudios reportan que el uso de DDGS puede ser incluido en dietas hasta en un 30% (o 600lbs – 272 kg.) sin afectar el rendimiento en crecimiento (Soto et al., 2019).

Sin embargo, hay que tener en cuenta su alto contenido de fibra, ya que esta, o cualquier material fibroso, aumentan el peso de los órganos, por lo que disminuye el peso de la canal en planta de sacrificio, resultando en un retorno de inversión más bajo.

Además, su contenido en aceite (grasa) en especial, ácido oleico y linolénico, que son grasas no saturadas, incrementa el índice de yodo en grasa y esto reduce la firmeza de la grasa de la canal causando que ciertos cortes no alcancen los estándares de calidad, como, por ejemplo, el tocino.

Se ha estimado que, por cada incremento en fibra neutra detergente, se afecta alrededor de 1.5% en rendimiento de la canal.

51 nutrición porciNews A. Latina Febrero 2023 | Utilización de
DDGS en
dietas de cerdos de crecimiento y finalización: ¿Cuál es su efecto en el rendimiento de la canal?

ESTRATEGIAS PARA LOGRAR UN BUEN RENDIMIENTO DE CANAL

Hay estrategias que se pueden realizar para recuperar el peso deseado en la canal, y disminuir el valor de índice de yodo en grasa.

Una opción es retirar por completo las dietas altas en bra aproximadamente 3 semanas antes de enviarlos a la planta de proceso.

Otra opción es disminuir el contenido de bra de la dieta en un 10% y agregar fuente de grasa animal en un 5% en la última fase de engorda/ nalización.

Otra opción es hacer una reducción gradual de dieta alta en DDGS a partir de la fase 4 de engorda/ nalización a un 50% y la última fase puede quedar en un 5-10%.

Con esta estrategia se ha observado que los cerdos que hacen esta transición tienen rendimiento de canal similar a cerdos que consumen dietas solo a base de maíz y soya (Asmus et al., 2014; Coble et al., 2018).

Puede ayudar a mejorar el consumo diario voluntario y mejorar la e ciencia en conversión alimenticia, pero no en todos los casos se logra recuperar el peso deseado en la canal.

Pero hay que tener en cuenta que la duración del periodo (withdrawal period) de reducción en fibra es variable y eso va a depender principalmente de la cantidad de fibra neutra detergente con que se formule la dieta.

52 nutrición porciNews A. Latina Febrero 2023 |
Utilización
de DDGS en dietas de cerdos de crecimiento y finalización: ¿Cuál es su efecto en el rendimiento de la canal?

Sería más acertado reducir la cantidad de fibra considerando la cantidad de fibra neutra detergente, porque considera dos aspectos:

Período de reducción (en días) y

Cantidad de fibra neutra detergente.

Es decir, si una dieta alta en DDGS (30%), tiene un porcentaje de fibra neutra detergente de 14% en fase 3, la recomendación es comenzar a bajar ese porcentaje de fibra neutra detergente a partir de la fase 4 (o una fase antes de enviarlos a la planta) hasta quedar en un 9% para la fase final.

Ya que se estima que el rendimiento en canal se puede recuperar a niveles similares a cerdos cuyas dietas nunca fueron altas en fibra.

Es crucial que se aplique un periodo de reducción de al menos 20 días para poder recuperar un peso óptimo en rendimiento de canal. Si se retira muy cerca a la faena, los beneficios no se verán y se obtendrá una canal considerablemente liviana.

Un punto muy importante a considerar es el perfil nutricional de la fuente de DDGS que se esté usando.

53 nutrición porciNews A. Latina Febrero 2023 | Utilización
de DDGS en dietas de cerdos de crecimiento y finalización: ¿Cuál es su efecto en el rendimiento de la canal?

Es común que varíe la cantidad de fósforo, lisina, triptófano y leucina. Este último suele estar en altas concentraciones (86% valor de digestibilidad ileal estandarizada, Blavi et al., 20018), por lo que al formular, se deben realizar ajustes en las proporciones de aminoácidos en base a la lisina.

Otro aspecto a considerar es el uso de fitasas para la liberación de fósforo a partir del fósforo fítico que comúnmente no es digerible por los cerdos sin la ayuda del uso de enzimas.

CONCLUSIONES

Estas son algunas de las estrategias más comunes que han dado buenos resultados con dietas altas en fibra para engorda y finalización.

Son alternativas que permiten jugar con el costo de la dieta, llegar a una optimización costo-efectiva y lograr un buen desempeño animal.

Los nutricionistas deben estar en comunicación constante con el productor porcino sobre cuáles son las mejores opciones de materia prima utilizar.

Se deben explorar escenarios en donde haga sentido ofrecer este tipo de ingredientes en las dietas, y sobre todo entender cuales son las metas y capacidades del productor en cuanto a:

Días en alimento para crecimiento;

Engorda y finalización;

Rendimiento de canal deseado; y

Cuánto espera en retorno de inversión.

Utilización de DDGS en dietas de cerdos de crecimiento y finalización: ¿Cuál es el efecto en el rendimiento de la canal?

DESCARGAR EL PDF

54 nutrición porciNews A. Latina Febrero 2023 |
Utilización
de DDGS en dietas de cerdos de crecimiento y finalización: ¿Cuál es su efecto en el rendimiento de la canal?

EL SUBÓPTIMO CONSUMO

DE ALIMENTO DE LA CERDA LACTANTE COMO

“EFECTO MARIPOSA”

EN LA PRODUCCIÓN PORCINA: PARTE I

1Centro

En la actualidad, las modernas prácticas de producción porcina han propiciado que la duración de la lactancia sea un periodo relativamente corto dentro del ciclo reproductivo de la cerda.

Actualmente la duración de la lactancia oscila entre el 15 a 19% de la duración del ciclo productivo, periodo muy corto comparado con otras especies p. ej., los bovinos [1]

Sin embargo, las adaptaciones metabólicas como lo es la resistencia a la insulina por las que transita la cerda entre gestaciónlactancia son comparables con las de un bovino productor de leche [2] .

Gerardo Ordaz-Ochoa1, Rosa E. Pérez-Sánchez2, Ruy Ortiz-Rodríguez3 Nacional de Investigación Disciplinaria en Fisiología y Mejoramiento Animal, INIFAP, México; 2Facultad de Químico Farmacobiología, UMSNH, México; 3Facultad de Medicina Veterinaria y Zootecnia, UMSNH, México.
porciNews A Latina Marzo 2023 | El subóptimo consumo de alimento de la cerda lactante como “efecto mariposa” en la producción porcina (Parte I) 56 manejo
“Una pequeña alteración imperceptible puede arrojar consecuencias enormes” Edward Lorenz

Si bien las adaptaciones metabólicas como lo es la resistencia a la insulina son esenciales para garantizar el crecimiento intrauterino de los fetos durante el último tercio de gestación y el desarrollo de la glándula mamaria, también propician alteraciones sobre el consumo de alimento de la cerda en lactancia, lo cual conlleva a un desfase productivo de la cerda [3] .

Incrementar el consumo de alimento de la cerda durante la lactancia es un factor complejo de controlar y manipular, debido a que la regulación del apetito durante la transición gestación-lactancia está asociado con adaptación evolutiva de la especie, entre los que destacan, cambios en la fisiología metabólica y reproductiva.

Además de las adaptaciones evolutivas de la especie sobre la regulación fisiológica del apetito, en los actuales sistemas de producción porcina, estos cambios son trastocados por condiciones biológicas y tecnológicas [4]:

Condiciones biológicas

Genotipo

Edad de la cerda

Estado de salud

Condición corporal Tecnología

Infraestructura del alojamiento

Prácticas zootécnicas aplicadas a la cerda pre y postparto

Para maximizar la productividad de la cerda, es imprescindible comprender la fisiología de la resistencia a la insulina por la cual transita la cerda durante la gestación tardía y lactancia.

La resistencia a la insulina no solo incide sobre los patrones de consumo de alimento de la cerda lactante, además, al no modular dicho fenómeno, se convierte en el parteaguas para que se presente el decremento de otros indicadores de interés productivo y económico para los sistemas de producción porcina [5]

porciNews A Latina Marzo 2023 | El subóptimo consumo de
en
porcina (Parte I) 57
alimento de la cerda lactante como “efecto mariposa”
la producción
manejo

Resistencia a la insulina: sistema de defensa para afrontar el ambiente

Como ya fue mencionado, las adaptaciones metabólicas de la cerda, como lo es la resistencia a la insulina, son producto de la fisiología evolutiva de la especie, pero:

¿Qué originó que la especie recurriera a la resistencia a la insulina para garantizar su subsistencia?

Partiendo desde la perspectiva evolucionista, el diseño actual del cerdo, en cada una de las funciones y características morfológicas son óptimas, y fueron desarrolladas a lo largo de millones de años de evolución

En lo que respecta a la evolución de la especie asociada con la alimentación, es la calidad y disponibilidad de los alimentos lo que gobierna las modificaciones metabólicas de la especie.

Hace cinco millones de años, a finales del plioceno, el medio en el que se desarrollaban los ancestros del cerdo actual era de abundancia alimenticia, por lo tanto, una amplia variedad de alimentos como frutos, tallos, raíces, insectos etc., estaba a su entera disposición; la disponibilidad de dichos alimentos era continua en el día a día.

Ello con la nalidad de afrontar cambios en el ambiente, puesto que, cualquier modi cación en el entorno que se desarrolla la especie altera las funciones del organismo.

“Los alimentos que constituían la dieta de los ancestros del cerdo actual estaban compuestos, en su mayor parte, por hidratos de carbono, con pequeña porción de proteína y prácticamente nulo contenido de grasa. Motivo por el cual, para satisfacer

Entre la secuencia de modi caciones para que el cerdo pudiera subsistir al ambiente en que se desarrollaba se encontraban las adaptaciones al tipo y forma de alimentación [6]

Cabe destacar que, si estas adaptaciones alimenticias persisten el tiempo suficiente, pueden permitir que se produzca una adaptación genética.

porciNews A Latina Marzo 2023 | El subóptimo consumo de alimento de la cerda lactante como “efecto mariposa” en la producción porcina (Parte I) 58 manejo

Hojas

Tallos

Frutos

Raíces

Inectos

Apetito Glucosa insulina Glucosa Aminoácidos Grasa

Termogénesis

Hormona limitada debido al bajo contenido graso de las dietas y la mayor sensibilidad a la insulina

Leptina

Tejido adiptoso

Estos alimentos eran procesados en el aparato digestivo hasta transformarlos en glucosa.

Al ingerir alimentos se incrementa la concentración de glucosa en sangre promoviendo la actividad de la insulina para atenuar la glucemia.

Hay que resaltar que, debido a los hábitos alimenticios del cerdo durante ese periodo (predominantemente herbívoros), tenían una elevada sensibilidad a la insulina (Figura 1).

La insulina, al actuar sobre el hígado permite una rápida absorción de la glucosa para ser transformada en glucógeno (reserva energética) [7]

Esta reserva energética era limitada ya que la dieta contenía un bajo aporte de grasa limitando la deposición de este tejido en el organismo. Sin embargo, el depósito graso no era indispensable en dicho periodo ya que se disponía de alimento durante todo el año.

Metabolismo de la glucosa y síntesi de plucógeno

Hígado

Músculo

La deposición de grasa solo es indispensable en especies que habitan en entornos donde hay periodos de escasez de alimento o en caso de hibernación, ello permite sobrevivir prolongados periodos de ayuno; en caso contrario, la acumulación de gran cantidad de grasa es un desperdicio energético que no aporta ventajas de supervivencia [8] .

Cabe destacar que, en dicho periodo, los mecanismos principales que regulaban el consumo de alimento en el cerdo eran:

el descenso en la concentración de glucosa y

el vaciado gástrico

Células α y β del páncreas Figura 1. Regulación del balance energético previo al desarrollo de la resistencia a la insulina.
porciNews A Latina Marzo 2023 | El subóptimo consumo de alimento de la cerda lactante como “efecto mariposa” en la producción porcina (Parte I) 59 manejo

Tejido adiptoso

Células α

Posteriormente

El cambio climático en el entorno en el que se desarrollaba el ancestro del cerdo moderno redujo la disponibilidad de alimentos y estos cada vez estaban más dispersos y de menor valor nutritivo.

Propició que los animales tuvieran largos periodos de ayuno y mayor gasto energético debido al tiempo que tardaban en encontrar alimento.

Para solucionar dicho problema la única forma era mediante el almacenamiento de energía y la forma más eficiente era a través de la grasa.

Se requería una reestructuración metabólica para que, cada vez que se ingiriera alimento, parte de este sea almacenado para momentos de escasez, ello propició el desarrollo de la resistencia a la insulina (Figura 2) [9] .

Con el paulatino desarrollo de la resistencia a la insulina se reducía la sensibilidad hacia esta hormona (insulina) en algunos tejidos diana como lo es el músculo, mientras que el resto de los tejidos mantenían elevada sensibilidad a esta hormona.

Al tener la insulina dificultad para almacenar la glucosa en células musculares y el resto de las células del organismo tener capacidad limitada para usarla:

El exceso de glucosa es dirigido a las células adiposas, que tiene capacidad ilimitada de acumular glucosa transformada en grasa [10] .

La grasa empaqueta el doble de energía que los carbohidratos y proteínas, por unidad de peso. Se almacena sin agua a un costo del 3% de la energía almacenada.

Para almacenar la glucosa a través de glucógeno en hígado y músculo se requiere mucha agua y un costo elevado de más de 20% de la energía almacenada.

Mayor e ciencia lipogénica
Hígado
Inectos Músculo
y β del páncreas
Hojas Tallos Frutos Raíces
RESISTENCIA A LA INSULINA
Leptina Apetito
RESISTENCIA A LA LEPTINA
Glucosa insulina Glucosa Aminoácidos Grasa
porciNews A Latina Marzo 2023 | El subóptimo consumo de alimento de la cerda lactante como “efecto mariposa” en la producción porcina (Parte I) 60 manejo
Figura 2. Regulación del balance energético posterior al desarrollo de la resistencia a la insulina.

Con la resistencia a la insulina cambia la forma de regular el hambre-saciedad de la especie, ya no únicamente incidía el descenso de glucosa en sangre y vaciado gástrico, además aparece la leptina (hormona secretada por los adipocitos) como modulador metabólico a largo plazo (Figura 2).

En periodos de mayor demanda energética como lo es la gestación y la lactancia se suscitaba la aparición de resistencia a leptina para potenciar la resistencia a la insulina con la finalidad de garantizar mayor aporte de glucosa para el desarrollo del feto durante la gestación y estimular la producción de leche durante la lactancia.

Actualmente, se sabe que durante la gestación la concentración de leptina se incrementa por estímulos de los fetos y la placenta.

No obstante, la presencia de resistencia a la leptina durante la gestación no tiene efecto sobre la reducción del consumo de alimento, contrario a lo que ocurre durante la lactancia, donde, a mayor concentración de leptina se tiene menor consumo de alimento [11, 12] .

En lo que concierne en los actuales sistemas de producción, el cerdo ya no está supeditado a periodos de ausencia de alimento.

No obstante, debido a las adaptaciones metabólicas de la especie antes mencionadas, el bajo consumo de alimento en lactancia se ha convertido en un obstáculo para aprovechar el máximo potencial productivo de la especie.

Se deben buscar estrategias alimenticias y nutricionales que vayan directamente enfocadas en modular la resistencia a la insulina por la cual transitan las cerdas durante la gestación y la lactancia.

porciNews A Latina Marzo 2023 | El subóptimo
(Parte I) 61
La llave metabólica que se desarrolla durante la gestación con la finalidad de incrementar la disponibilidad de glucosa para los fetos es la resistencia a la leptina [13] .
consumo de
alimento de la cerda lactante como “efecto mariposa” en la producción
porcina
manejo

Consumo de alimento de la cerda postparto ¿Qué se sabe?

Independientemente que la resistencia a la insulina por la que transita la cerda durante la gestación tardía y la lactancia fue una adaptación evolutiva de la especie. Ello no quiere decir, que no pueda ser modulada para contrarrestar sus efectos sobre la productividad de la cerda.

Las estrategias alimenticias y nutricionales para maximizar el consumo de alimento de las cerdas durante la lactación no han tenido éxito en su totalidad.

La variabilidad del consumo de alimento ad libitum durante lactancia (con dietas maíz-soja) reportada, oscila entre 3.6 a 7.0 kg promedio por día [5, 10, 14] .

Más del 50% de las investigaciones que evalúan el consumo de alimento de la cerda en lactancia encontraron un consumo de alimento promedio inferior a 5.5 kg por día [15]

Cantidad que no satisface los requerimientos nutricionales de las cerdas en dicha fase

Es en la primera semana de lactancia donde se observa el mayor déficit del consumo: las cerdas únicamente logran un consumo máximo del 60% del requerido.

En las semanas posteriores, el consumo es del 80% del requerido, ello, independientemente de la composición nutrimental de la dieta, edad y genotipo de la cerda [1, 16].

Aun cuando el mejoramiento genético de la cerda ha tenido impacto positivo sobre indicadores como prolificidad y magrez , la ingesta de alimento en lactancia no ha sufrido variación [17]

No obstante, el mejoramiento de la magrez en los genotipos actuales ha agudizado los efectos del bajo consumo en lactancia.

Las reservas corporales de los actuales genotipos de líneas maternas son menores a las que tienen las cerdas híbridas o de raza, lo cual provoca menor respuesta homeostática ante la disminución del consumo de alimento de las cerdas en la lactancia [4]

60% 80% ALIMENTO
REQUERIDO
80%
Primera semana Semanas posteriores
porciNews A Latina Marzo 2023 | El subóptimo consumo de
producción porcina (Parte I) 62 manejo
alimento de la cerda lactante como “efecto mariposa” en la

Figura 3. Patrones de consumo de alimento de las cerdas lactantes descritos por Koketsu et al. (1996). (A) aumento rápido en el consumo de alimento; (B) caída mayor y (C) menor; (D) bajo consumo de alimento durante la lactancia (LLL); (E) consumo bajo durante la primera semana y luego un aumento en el consumo de alimento durante el resto de la lactancia (LHH); y (F) aumento gradual. Fuente: Piñero et al. (2019).

De acuerdo con la modelación matemática del comportamiento del consumo de alimento de la cerda lactante, Koketsu et al. [19] reportan seis patrones de consumo de alimento en lactancia (Figura 3):

RAPID, aumento rápido postparto sin caída de consumo (5.9 kg por día)

MAJOR, con caída postparto >1.8 kg por día al menos dos días (5.1 kg por día)

MINOR, con caída postparto <1.8 kg por día al menos dos días (5.4 kg por día)

LLL, consumo bajo durante toda la lactancia (3.2 kg por día)

LHH, incremento gradual con consumos <2.7 kg por día durante la primera semana (3.9 kg por día)

GRADUAL, incremento progresivo con pico a los diez días sin presentar disminución del consumo posterior al pico (6.0 kg por día).

Esta clasificación del consumo de alimento voluntario de las cerdas postparto revela la complejidad del fenómeno entre el estado metabólico y el consumo de alimento de las cerdas durante la lactación [3]

Dicho consumo depende del comportamiento de metabolitos que

A B C D E F RAPID MAJOR MINOR LLL LHH GRADUAL kg Días de lactancia 8 6 4 2 0 kg Días de lactancia 8 6 4 2 0 kg Días de lactancia 8 6 4 2 0 kg Días de lactancia 8 6 4 2 0 kg Días de lactancia 8 6 4 2 0 kg Días de lactancia 8 6 4 2 0
porciNews A Latina Marzo 2023 | El subóptimo consumo de alimento de la cerda lactante como
mariposa” en la producción porcina (Parte I) 63 manejo
“efecto

Repercusiones del consumo de alimento subóptimo de la cerda lactante en los sistemas de producción porcina modernos

El subóptimo consumo de alimento en lactancia propicia menor longevidad de la cerda, desface en la estructura de pariciones y en la productividad total del sistema [4] .

Ello se asocia con:

Pérdida de peso corporal

Incremento del intervalo destete-estro

Incremento del porcentaje de servicios repetidos

Incremento en días no productivos.

Indicadores que participan en una mayor presentación de problemas reproductivos e incremento en la tasa de descarte involuntario afectando la longevidad productiva de la cerda en la piara (Figura 4)

La importancia de la longevidad de la cerda radica en el número de lechones que una cerda es capaz de producir.

Con los actuales genotipos se estima destetar 30 lechones por cerda por año, y que la cerda produzca más de 70 cerdos para abasto a lo largo de su vida productiva [21]. No obstante, valores entre 30 a 40 lechones son comunes en los sistemas de producción porcina.

PROBABILIDAD DE FALLA REPRODUCTIVA,% PARIDAD (P) PARIDAD (P) RIESGO DE DESECHO INMUNITARIO, % 25,0 20,0 20,0 7,0 4,5 3,5 2,0 36 16,02 19,88 13,98 14,02 15,0 10,0 5,0 0,0 0 10 20 30 40 P1 P2 P3-4 P5,6 P<6 P1 P2 P3-4 P5,6 P<6
durante la lactancia. porciNews A Latina Marzo 2023 | El subóptimo consumo de alimento de la cerda lactante como “efecto mariposa” en la producción porcina (Parte I) 64 manejo
Figura 4. Probabilidad de falla reproductiva y riesgo de descarte involuntario de acuerdo con la paridad, cuando la cerda tiene pérdida de peso >10%

Se ha reportado que la mayor eficiencia reproductiva, productiva y económica de las cerdas se encuentra entre el tercer y quinto parto [22]. Sin embargo, en la práctica, entre el 40 y 50% de las cerdas son eliminadas de la piara antes de finalizar la tercera lactación.

Figura 5. Distribución de la paridad (%) en piaras reproductoras de acuerdo a la tasa de reemplazos (TR). El desfase productivo debido a una mayor proporción de cerdas primíparas lo suscita la forma en que canalizan los nutrientes, este tipo de cerdas aún tienen necesidades de crecimiento, menor capacidad de ingesta y menor cantidad de reservas corporales (grasa y proteína), ello conduce a las cerdas a un estado catabólico que compromete su futuro reproductivo [3] .

Tasas de reemplazo superiores al 50% traen como consecuencia una distribución de las paridades cargada hacia la izquierda (Figura 5) debido a que se necesita introducir mayor número de cerdas de reemplazo para lograr las metas de producción, ello origina desfase productivo asociado con mayor número de cerdas nulíparas y de primer y segundo parto.

Continúa en la siguiente edición de la revista porciNews Latam…

DESCARGAR BIBLIOGRAFÍA

El subóptimo consumo de alimento de la cerda lactante como “efecto mariposa” en la producción porcina (Parte I)

DESCARGAR EL PDF

DISTRIBUCIÓN DE LA PARIDAD, % PARIDAD (P) 0 P0 P1 P2 P3 P4 P5 P6 P7 5 10 15 20 25 16 20 23 TR 45% TR 55% TR 65% 14 17 18 14 16 17 13 15 16 12 14 15 11 12 7 10 5 3 10 1 1
porciNews A Latina Marzo 2023 | El subóptimo consumo de alimento de la cerda lactante como “efecto mariposa” en la producción porcina (Parte I) 65 manejo

ACIDIFICANTES: ¿CÓMO INFLUYEN EN LA SALUD INTESTINAL DEL LECHÓN?

La salud intestinal del lechón está influenciada por los componentes del alimento. El contenido y composición de la fracción fibrosa del alimento, el contenido en proteína y su origen, la influencia de determinados minerales, como el zinc y el cobre, y la presencia de probióticos, prebióticos, enzimas y otros aditivos nutracéuticos puede modificar la salud intestinal y el desarrollo posterior del lechón.

Alberto Dr. en Veterinaria y Administrador de Tests and Trials, S.L.U.
66 porciNews A.Latina Marzo 2023 | Acidificantes: ¿Cómo influyen en la salud intestinal del lechón? nutrición

Las restricciones en el uso de antibióticos, promotores del crecimiento y óxido de zinc en la Comunidad Europea, han hecho que sea necesario invertir en investigación para buscar soluciones que aumenten o mantengan los resultados productivos durante un periodo tan crítico del desarrollo del lechón como es el destete.

Para ello, son necesarias dietas que aporten los nutrientes necesarios y que, además, eviten los trastornos digestivos más habituales, existiendo diferentes medidas a tomar, desde el uso de ingredientes de alta calidad hasta diferentes aditivos o combinaciones de ellos.

Entre los aditivos disponibles, los acidificantes (ácidos orgánicos e inorgánicos) han sido ampliamente usados en los últimos años por su efecto positivo en la salud de los lechones, concretamente a nivel intestinal y, por ende, en la eficiencia productiva.

A pesar de que se han realizado numerosos trabajos con los diferentes acidificantes, existe una gran variabilidad en la respuesta a ellos (ver metaanálisis de Tung y Pettigrew, 2006), no solo entre los distintos ácidos, sino también en relación a los diferentes momentos del crecimiento del cerdo debido a diferencias entre:

Los ácidos

Las dosis

El tiempo de suministro

Las dietas

La salud de los animales

Las condiciones de cría

La edad de los cerdos

MODO DE ACCIÓN DE LOS ACIDIFICANTES

Diferentes mecanismos han sido propuestos y validados para explicar la acción de los acidificantes.

La reducción del pH estomacal e intestinal promueve un aumento de la actividad antimicrobiana y un cambio en la microbiota estomacal e intestinal, así como una mejora en la digestibilidad, sobre todo, de la fracción proteica debido a su efecto sobre la pepsina.

Por otro lado, el efecto metabólico de los ácidos debido a su aporte energético no puede ser desdeñado, así como su aporte de otros nutrientes altamente digestibles si se usan sus sales.

DISMINUCIÓN DEL PH DEL CONTENIDO GASTROINTESTINAL

El pH gástrico del lechón recién destetado es más alto (menos ácido) que el de un cerdo adulto por lo que cualquier acción que realicemos para disminuirlo, en teoría, afectará a la microbiota del estómago o del intestino.

67 porciNews A.Latina Marzo 2023 | Acidificantes: ¿Cómo influyen en la salud intestinal del lechón? nutrición

El pH estomacal del lechón suele ser ≥5 en los momentos posteriores al destete debido a:

Una pobre producción de ácido clorhídrico (HCl).

La falta de ácido láctico debido a la fermentación de la lactosa.

El cambio de dieta, pasando de ingerir pequeñas cantidades de leche durante la lactación y a intervalos infrecuentes a ingerir grandes cantidades de alimento sólido (Suiryanrayna y Ramana, 2015).

La acidificación de las dietas disminuye su pH de 3,73 a 3,66 (Tabla 1) pero los datos no sugieren que se disminuya el pH del contenido gastrointestinal ni del estómago (Tung y Petigrew, 2006)

De hecho, los autores señalan que la reducción del pH del estómago se produce en un 55% de los casos, siendo mayor en el 36% de los casos, mientras que en el 9% de los casos se mantuvo igual, por lo que concluyen que la acidificación de la dieta tiene poca influencia en el pH

gástrico. Descripción Control Acidificante Total Positivo Negativo Igual Valor p Dieta 5,95 4,71 59 0 (0,0%) 58 (98,3%) 1 (1,7%) 0,0001 Estómago 3,73 3,66 22 9 (36,4%) 11 (54,6%) 2 (9,0%) 0,519 Intestino delgado 6,83 6,95 12 6 (50,0%) 6 (50,0%) 0 (0,0%) 0,155 Ciego 6,14 6,14 11 7 (63,6%) 4 (36,4%) 0 (0,0%) 0,862 Colon 6,60 6,60 11 3 (27,3%) 8 (72,7%) 0 (0,0%) 0,906
68 porciNews A.Latina Marzo 2023 | Acidificantes: ¿Cómo
nutrición
Tabla 1. Resumen de los efectos de los acidificantes en la dieta y en el contenido intestinal sobre los valores de pH del estómago, intestino delgado, ciego y colon (Modificado de Tung y Petigrew, 2006).
influyen en la salud intestinal del lechón?

Las dietas con una alta capacidad tampón posiblemente comprometan la capacidad de la secreción ácida en el estómago de los lechones, por lo que necesitarán la adición de acidificantes a niveles considerables. Este tipo de dietas suelen tener altos niveles de proteínas y minerales, sobre todo calcio y harinas de pescado y productos que aportan proteína vegetal.

Uno de los problemas principales para medir el pH del contenido estomacal es que éste es heterogéneo y, además, presenta diferentes valores en diferentes partes del estómago.

Esto hace que a veces sea difícil comparar diferentes estudios. No obstante, se asume que, dentro de un estudio, las técnicas son las mismas y los datos tendrán consistencia.

El tiempo que transcurre entre la última ingesta de alimento y el momento de la medición del pH gástrico influye enormemente en los valores registrados.

Curiosamente, el ácido fórmico administrado al 1,8 % a lechones destetados mantuvo el pH gástrico en valores por debajo de 3 durante varios momentos tras la ingesta de alimento.

Sin embargo, al considerar la media de todos los tiempos de muestreo de 0,5 a 8,5 h después de la ingesta, el valor del pH gástrico no se vio afectado por el ácido fórmico (Canibe et al., 2005).

Este resultado muestra que el ácido fórmico en dosis altas puede ayudar a contrarrestar la capacidad amortiguadora de la dieta, pero al mismo tiempo, sugiere que el tiempo de muestreo a menudo puede explicar los diferentes resultados entre diferentes estudios.

MODIFICACIÓN DE LA MICROBIOTA

GASTROINTESTINAL

Se considera que el bajo pH del contenido gástrico de los cerdos mata o inhibe el crecimiento de las bacterias ingeridas.

La capacidad antimicrobiana de los acidificantes es más importante en las formas no disociadas de los ácidos carboxílicos que se difunden mejor a través de las membranas celulares de los microorganismos donde se disocian en el citoplasma celular, alterando el equilibrio osmótico y del pH del microorganismo y bloqueando los sistemas enzimáticos y de transporte de nutrientes, lo que provoca muerte celular sin la lisis de la membrana de la bacteria, aunque con posible liberación de endotoxinas (González Mateos, 2007)

Esto se debe a su carácter lipofílico y a que el pH relativamente alto del interior de la bacteria permite que el ácido se disocie y rompa el equilibrio celular, siendo este mecanismo más efectivo en unas bacterias que en otras (Partanen, 2001) dependiendo también del tipo de ácido, de su dosis y de la dieta.

Los efectos de los ácidos y acidificantes sobre la microbiota gastrointestinal varían ampliamente dependiendo del tramo en el que lo estudiemos.

69 porciNews A.Latina Marzo 2023 | Acidificantes: ¿Cómo influyen en la salud intestinal del lechón? nutrición

Parece que, a pesar del pensamiento generalizado, los ácidos incrementan el número de coliformes y de E. coli en el estómago, mientras que en otras partes del tracto intestinal los efectos son muy variables.

La cantidad de Lactobacillus y Bifidobacteria se reduce en el intestino delgado (no de forma estadísticamente significativa) y en el ciego.

En el colon, los niveles de Lactobacillus y E. coli son menores cuando se incorpora ácido fórmico o su sal cálcica en la dieta.

No está claro si esto significa que los ácidos reducen el número total de bacterias en el intestino grueso, siendo los resultados más variables cuando se utilizaron otros ácidos o sus sales sódicas.

*Log10 por gramo o mL

et al., 1992).

*Log10 por gramo o mL

Tabla 2. Efecto de los ácidos orgánicos sobre la microbiota en el estómago e intestino delgado del lechón (Adaptado de Franco et al., 2005). Tabla 3. Efecto de los ácidos orgánicos sobre la microbiota en intestino grueso del lechón (Adaptado de Gedek
Control Ácido fórmico Ácido fórmico + Ácido fumárico Ácido fórmico + Ácido láctico (1:1) Ácido fórmico + Ácido láctico (2:1) Estómago Nivel de ácido en la dieta (%) 0,00 0,96 1,06 1,38 1,24 Lactobacillus* 7,99 7,31 6,43 7,73 6,84 Coliformes* 3,05 3,67 4,77 3,32 3,88 Intestino delgado Nivel de ácido en la dieta (%) 0,00 0,96 1,06 1,38 1,24 Lactobacillus* 7,85 7,20 6,53 7,06 6,50 Coliformes* 6,42 5,92 5,34 4,33 4,44 Nivel de ácido en la dieta (%) 0,00 0,60 1,20 1,80 2,40 Ciego Lactobacillus*/ Bifidobacterias* 8,50 7,90 7,30 7,60 7,70 E. coli* 7,00 5,70 5,70 6,00 6,10 Colon Lactobacillus*/ Bifidobacterias* 8,70 7,70 7,20 7,60 7,60 E. coli* 7,20 6,40 5,90 5,90 6,10 70 porciNews A.Latina Marzo 2023 | Acidificantes:
nutrición
¿Cómo
influyen en la salud intestinal del lechón?

Estos efectos inconsistentes a lo largo del tracto gastrointestinal probablemente estén relacionados con la falta de cantidades suficientes de ácidos no disociados después del estómago, lo que finalmente afecta la acción antimicrobiana de los ácidos orgánicos.

De hecho, en muchos casos, los ácidos orgánicos suplementados con la dieta solamente se han recuperado en concentraciones más altas que el control sin suplementos en el estómago y en el intestino delgado proximal, desapareciendo posteriormente en el contenido del intestino delgado distal y del intestino grueso (Zentek et al., 2013).

En cuanto a los ácidos grasos de cadena media (MCFA), el ácido caprílico y, en menor medida, el ácido cáprico al 0,3 %, permiten reducir los recuentos de E. coli en el contenido del yeyuno y ciego de lechones destetados (Hanczakowska et al., 2016).

Las mezclas de ácidos orgánicos y MCFA han mostrado resultados variables, ya sea reduciendo E. coli y aumentando la diversidad microbiana en el colon o sin afectar en absoluto la microbiota fecal o del intestino grueso (Li et al., 2018).

En definitiva, los ácidos generalmente reducen las poblaciones de Lactobacillus en el intestino y de E. coli en el colon por lo que podemos decir que alteran la microbiota del tracto digestivo, pero la naturaleza de esta alteración necesita de una metodología de validación.

Los ácidos orgánicos tienen la capacidad de modificar los patrones de fermentación y la producción de amoníaco en el intestino.

Los estudios in vitro han demostrado esta capacidad, mientras que en los estudios in vivo los efectos de los ácidos orgánicos de la dieta sobre los patrones de fermentación a lo largo del intestino parecen ser más variables.

Según Gabert y Sauer (1994), el ácido fórmico a dosis del 0,3-3% no altera la producción de amoníaco y ácidos grasos volátiles a lo largo del tracto gastrointestinal.

Sin embargo, en otros estudios, el ácido fórmico o sus sales han demostrado aumentar el nivel del ácido acético, disminuyendo la concentración de ácido láctico en el contenido del íleon, ciego y colon (Canibe et al., 2005).

Estos hallazgos podrían indicar un cambio en la composición de la microbiota intestinal y una modulación de las fermentaciones microbianas con más nutrientes (glucosa no fermentada en ácido láctico) o metabolitos (como acetato) disponibles para el lechón (Tugnoli et al., 2020).

Pueden los ácidos orgánicos modificar los patrones de fermentación o la producción de metabolitos
¿ ?
MCFA Ácidos orgánicos Ácidos orgánicos + MCFA 71 porciNews A.Latina Marzo 2023 | Acidificantes: ¿Cómo influyen en la salud intestinal del lechón? nutrición

EFECTOS METABÓLICOS DE LOS ACIDIFICANTES

El principal efecto metabólico de los ácidos en los lechones es el aporte energético debido a su energía inherente.

Los ácidos y sus sales también aportan otros nutrientes altamente digestibles a la dieta, por ejemplo, el formiato cálcico que, además, ayuda a disminuir el carbonato de calcio y tiene una capacidad tampón. Otros ácidos, como el butírico, son fuente de energía para los enterocitos del intestino.

pK a = -Log10 ([H+] [A-]/[HA]).

Solubilidad: ++/+/- alto, medio, bajo.

Otro efecto metabólico de los ácidos a nivel del estómago es que son una fuente de cloro para la activación del pepsinógeno, lo que puede contribuir a incrementar la digestibilidad de las proteínas.

Tabla 4. Propiedades físicas y químicas de los ácidos orgánicos más utilizados como acidficantes de la dieta (Roth, 2000).
Acidificante pKa Solubilidad en agua Peso molecular (g/mol) Energía bruta (kJ/g) Presentación Ácido fórmico 3,75 ++ 46 5,8 Líquida Ácido acético 4,75 ++ 60,1 14,8 Líquida Ácido propiónico 4,88 ++ 74,1 20,8 Líquida Ácido láctico 3,88 + 90,1 15,1 Líquida Ácido fumárico 3,03/4,38 - 116,1 11,5 Sólida Ácido cítrico 3,14/4,76/6,39 + 210,1 10,3 Sólida Ácido sórbico 4,76 - 112,1 26,5 Sólida Formiato cálcico - - 130,1 3,9 Sólida Formiato sódico - ++ 68 3,9 Sólida Propionato cálcico - + 186,2 16,6 Sólida 72 porciNews A.Latina Marzo 2023 | Acidificantes: ¿Cómo influyen en la salud intestinal del lechón? nutrición

ÁCIDOS PROTEGIDOS

En los últimos años, las técnicas de revestimiento o de microencapsulación de los ácidos han mejorado su acción en los animales y su manejo práctico, tanto a nivel de fábrica como en la granja.

La microencapsulación mejora la palatabilidad, lo que proporciona la oportunidad de una dosificación mayor del acidificante a la vez que hace posible la llegada de más cantidad al intestino si ésta es la acción pretendida.

Generalmente, la microencapsulación se realiza con lípidos que son digeridos en el duodeno del animal. Este efecto puede tener consecuencias buenas o malas y todo dependerá del objetivo de su adición:

Si su adición tiene el objetivo de disminuirá el pH gástrico, no será efectivo.

Si su adición tiene el objetivo de reducir el número de coliformes, podría ser eficaz.

La microencapsulación también permite reducir la dosis de acidificante necesaria para lograr un efecto antibacteriano (Piva et al., 2007).

Niveles demasiado altos de ácidos en sus formas puras que son más volátiles que sus sales pueden dar problemas de apetencia, siendo las sales de los mismos ácidos menos problemáticas. Éstas no tendrán efecto sobre el pH del alimento pero, una vez ingeridas, se disociarán y sí lo tendrán (en su medida) sobre el pH del tracto gastrointestinal (González Mateos, 2007)

La inclusión de acidificantes en las dietas de los lechones y de los cerdos, en general, incrementa de manera consistente los resultados productivos en condiciones prácticas de cría.

No obstante, existe una alta variabilidad en cuanto a la disminución del pH del contenido gastrointestinal, el incremento en la digestibilidad proteica y la modulación de la microbiota, ejerciendo un papel importante en la salud intestinal del lechón.

Además, los ácidos tienen un papel en el metabolismo del animal, siendo mucho más destacados el ácido butírico y todos los ácidos grasos de cadena media (MCFA).

Acidificantes: ¿Cómo influyen en la salud intestinal del lechón?

EN PDF

DESCÁRGALO DESCARGAR BIBLIOGRAFÍA
73 porciNews A.Latina Marzo 2023 | Acidificantes:
en la salud intestinal del lechón? nutrición
¿Cómo influyen
Una visión técnica e innovadora del sector porcino en América Latina... ¡A un click de distancia! /porcinewslatam ¡Suscríbete! www.porcinews.com

Turn static files into dynamic content formats.

Create a flipbook
Issuu converts static files into: digital portfolios, online yearbooks, online catalogs, digital photo albums and more. Sign up and create your flipbook.