Focus on Pediatrics, Summer 2023

Page 1

FOCUS on Pediatrics

Special care for special babies

INSIDE

How a Cookie saved the day

This house is as safe as it gets

Gamecocks Curing Kids Cancer Clinic

Vol. 36.2 Summer 2023

Children’s Hospital.

Medical editor

James Stallworth, MD

Managing editor

Jeanine Halva-Neubauer

Photographers

Field Brabham

Alan Francis

Art director

Jenny Farquharson

Editorial board

Nichole Bryant, MD

Bill Cooke

Carl Cromer, MSN, FNP-BC

Ann Faulks

Jennifer Hudson, MD

Robin LaCroix, MD

Jonathan Markowitz, MD, MSCE

Kelly Melton, MSN, RNC-OB

Janine Sally, MS, CCC-SLP

Kerry Sease, MD, MPH

R. Caughman Taylor, MD

Elizabeth Tyson, MD

If you would like your name added to or removed from our mailing list or have any comments, questions or suggestions, please send the appropriate information to:

Marketing, Communications & Consumerism

Prisma Health

255 Enterprise Blvd. Greenville, SC 29615

The information contained in the Focus is for educational purposes only – it should not take the place of medical advice or diagnoses made by health care professionals.

All facilities and grounds of Prisma Health are tobacco free.

“Prisma Health” and Prisma Health symbol design are trademarks of Prisma Health.

© 2023 Prisma Health

23-1973

FROM THE MEDICAL DIRECTORS

Addressing pediatric health care challenges

Challenges are growing every day in pediatric health care – the deepening mental health crisis, declining pediatric beds in our regions, escalating gun violence and increasing complexity of hospitalized patients. One of our strengths as a children`s service line is enhanced partnerships to let us more efficiently address those needs with the limited resources available and open opportunities that would not have been possible separately.

Every week our physician leaders, administrators and other team members meet to discuss quality, care initiatives, legislation and access. We share ideas to serve our patients, referring providers and communities better as we reimagine how to deliver the best care.

Some recent benefits are the result of our integration into a children’s service line. The collaboration between our hospitalist programs at Oconee and Sumter keeps care local for children needing hospitalization. Together we are addressing the mental health crisis affecting our state’s children by sharing ideas, planning acute stabilization units and applying our Children’s Hospital Infrastructure Funding (CHIF) toward hospital rooms for patients who may be suicidal or harm others.

In the Midlands, we created a Lactation Center and expanded the Special Care Nursery (see Page 4). In the Upstate, we are expanding our PICU, relocating and expanding our Hematology/Oncology unit and creating a Physiatry Clinic for kids who have suffered stroke or traumatic injuries.

An example of improving processes is the initiative for diabetes outpatient care in the Midlands (paralleling one in the Upstate) that prevented 100+ admissions last year and shortened length of stays for patients with diabetes. And working with our partners, we passed newborn screening legislation, allowing early involvement of metabolic experts and other specialists when a genetic disease is detected.

We are addressing the subspecialist shortage by providing support via satellite clinics and telemedicine to McLeod’s Children’s Hospital, Piedmont Medical Center and other institutions. We are involved with our community either through our Bradshaw Institute (see Page 24) or other collaborations such as our medical-legal partnerships to address socioeconomic determinants.

We also have developed or are developing transition programs for young adults with chronic diseases including sickle cell, congenital heart disease, cystic fibrosis and HIV.

(continued on Page 13)

Focus on Pediatrics is published by Prisma Health

CONTENTS

Inspire health. Serve with compassion. Be the difference. 2 This dog-gone sweet tale (and tail) changed a patient’s day.

Nursery tells 4

Both markets complete renovations.

Clinic update 7

Clinic is first of its kind in the state.

‘Forgotten mourners’ helped to grieve 8 Child Life specialist helps kids deal with traumatic loss.

Departments

What’s new? 10

Healing Hearts, grant news, DAISY winners

Special program 12

No hocus, all POCUS for this new program

Collaborating for better care 14

Eosinophilic Esophagitis Center expands

Medical Staff spotlight 16

Meet the new members of our clinical team

Academic news 18

Congratulations, new and graduating residents!

Clinical case report 20

Can you solve this mystery?

Leadership profile 21

Get to know Drs. Monica McCutcheon and Allison Ranck

Quality counts 22

’Tis the season for grants

Bulletin from the Bradshaw Institute 24 Community Health Implementation Plan through 2025

In the community 26

Buddy’s Safety House, Diaper Bank, Tigers triumph

Focus extra: Oncology gift 28

Tu-tu good of a story to miss

Celebrations 30

Philanthropic news

Camp highlights 32

Camp Brave Blood debuts

Phone directory 33

A handy guide for both Children’s Hospitals

27 32 4 8
On the cover: The Special Care Nursery at Prisma Health Richland Hospital in Columbia now boasts five spacious, state-of-the-art rooms.

Cookie proves a real treat for an anxious teen

When Amy Hibbs got to the front desk at Prisma Health’s Behavioral Pediatrics clinic in Greenville with 13-year-old son Caleb, she was already stressed. She’d spent 10 minutes doing “hostage negotiation” with him in the van and parking lot, trying to convince him it was OK to enter the building.

Caleb, who was born addicted to opiates, has cerebral palsy and Cabezas syndrome, a rare genetic disorder. That means going to the doctor can be harrowing.

“He has been hospitalized one too many times, so as soon as he enters, he questions if he will be allowed to go home,” said his mom. “His anxiety is real – getting out of the car is usually the biggest challenge. He can’t verbally express how he is feeling, so he expresses it through behavior like pinching and spitting.”

Sometimes, she said, the people checking him into a health care setting are “so focused on verifying his address and insurance information that they ignore the person who lives at that address. They don’t stop and acknowledge Caleb.”

But Jodi Snider, a patient services representative at the practice on Prisma Health’s Patewood campus, could see Caleb’s anxiety. When Amy explained how difficult appointments are for him, Snider thought of Cookie, a yellow lab who is one of seven Prisma Health facility dogs trained to work directly with patients and families. She immediately contacted Mitzi Privette, MEd, CCLS, a Child Life

2
CONNECT
TO PURPOSE
The mother of an anxious son said Prisma Health team member Jodi Snider (right), along with facility dog Cookie and Mitzi Privette, “completely changed our day.”
“When Jodi took the time to identify a need and think about the resources available to help ease Caleb’s anxiety, she set the tone for everything that followed.” – Caleb’s mom

specialist who works with Cookie to make the medical experience as positive as possible. Privette helps children prepare for an IV, blood draw, EEG or surgical procedure, and provides coping education and pain management before and after stressful events.

“They are not pet therapy dogs that just visit the patients,” Privette said. “Every day, specialists work with children and families to help them cope in the best possible way, and the dogs play an invaluable part of this process.”

Actions ‘completely changed our day’

“Using Cookie changed the process and the entire visit,” his mother said. “Caleb was no longer focusing on blood pressure machines and thinking about being admitted to the hospital. The communication Jodi started and the strategies Mitzi used with Cookie allowed each team member to obtain the necessary information for the visit and provide the necessary care to Caleb. Leslie Helms, NP, also used adaptable thinking to examine and provide a treatment plan for Caleb.”

The occupational therapist and long-time advocate for individuals with disabilities continued: “It is hard to put into words how it feels when someone really sees you and your child. It is the feeling of relief, joy and gratitude all wrapped into one. Our world sees Caleb from the outside. They see his disability – all the parts of his disability, physical, behavioral, cognitive. But when someone stops and sees Caleb, they see potential, purpose and pure joy.”

“Imagine if we all stopped to see each other. There would no longer be a need

What is a Child Life specialist?

These highly trained specialists focus on emotional and developmental needs of children and families in a health care setting. Through therapeutic play, preparation and education, they work to reduce patients’ fears, anxieties and pain while encouraging an increased sense of comfort, security and safety during medical encounters.

What is the Canine F.E.T.C.H. Unit?

Prisma Health’s Canine F.E.T.C.H. (Friends Encouraging Therapeutic Coping and Healing) Unit consists of seven facility dogs in the Upstate – and soon the Midlands – who help children and families through stressful medical situations, such as blood draws or infusions, or through lengthy and sometimes noisy tests, such as EEGs or MRIs.

Unlike service dogs that help a specific individual or pet therapy dogs that occasionally visit the hospital with their owner, facility dogs undergo targeted, lengthy training to work with a health care handler in a variety of medical environments and situations so that they can expertly meet the needs of patients confronting a range of procedures or health conditions. Like hospital staff, these specially trained canines receive vacation days and health benefits.

To learn more about the formal process involved in securing a facility dog for your area, contact Christy Fink (Midlands) or Taylor Stathes (Upstate), managers of Child Life & Special Services.

3
for a patient satisfaction survey. We would score a perfect 10 every single time.”
– Caleb’s mom
With Privette and Cookie at his side, Caleb did not resist getting a flu shot. Others are on the team (l–r) are Margaret Whitfield, RN; Leslie Helms, NP; and Cyndi Carter, LPN. A relaxed Caleb with Privette and Cookie.

Oh, baby! Twin renovations completed

In the Midlands

At Prisma Health Richland Hospital, the neonatal intensive care unit (NICU) consists of 69 intensive and intermediate licensed beds for full term or preterm neonates experiencing complications. This Level III NICU accepts neonatal transfers from around the region.

Patient care is managed by a team of neonatologists, neonatal nurse practitioners and pediatric specialists. A transport team is available for ground and air service. Specially trained nurses provide care to neonates requiring use of the extracorporeal membrane oxygenation (ECMO) machine.

Five of those monitored beds make up the Special Care Nursery, which is intended for use by newborns needing intermediate care and who have moms still in the hospital.

4
LEAD STORY
The Special Care Nursery at Richland Hospital contains five large rooms. Stephanie Gibson, MD, and RN Terri Hodges check vitals on a newborn twin.

These babies are admitted internally from The Family Birthplace or transferred from Family Beginnings or from the NICU.

The Special Care Nursery previously housed the Newborn Nursery as well, which was discontinued in 2015. The result was an abundance of unused space. Recent remodeling saw this area being reconfigured to house state-of-the-art equipment among five spacious rooms containing neonatal Special Care bassinets.

Upon entry, parents scrub in; they can then comfortably visit their baby at the bedside or relax in a recliner. Curtains enable moms to breastfeed in privacy and without being interrupted. And because the Special Care Nursery is an extension of the NICU, parents can breathe easier knowing that the NICU team also oversees this area.

Renovations also made in the Upstate

Both the Bryan Neonatal Intensive Care Unit and Intermediate Care Unit at Prisma Health Children’s Hospital–Upstate were recently remodeled to freshen their space and enhance their ability to care for the region’s smallest, sickest infants.

Meet Stephanie Gibson, MD

A Savannah native, Dr. Gibson completed both her undergraduate and medical training at Mercer University in Macon, Georgia. In 2013, Dr. Gibson moved to Columbia for her pediatric residency at Richland Hospital. In 2017, she returned to the hospital as the primary newborn hospitalist.

Here’s how Dr. Gibson answered three questions about her job:

Why did you decide to be a pediatrician?

I am a childhood cancer survivor, so I was around doctors a lot growing up. I decided to pursue a career in the medical field to pay forward all the care and support I received as a child.

What is your favorite part overall?

I enjoy seeing babies getting to go home after being in the NICU/SCN for weeks or longer. It’s such an emotional experience for everyone, and it’s great to see how far some of these babies have come. Plus, their going-home outfits are always ADORABLE.

What is the best part of your workday?

Teaching medical students and residents. I get to do this daily on our staff Newborn Service during rounds. I love getting to share my passion for newborn care with these young learners, and it’s great to see how much they learn and grow as providers during their time in our unit.

Meet Terri Hodges, RN

Hodges started off as a nurse tech in 1984 in this newborn area. She will celebrate 39 years of Prisma Health service in September and is the assistant nurse manager. She likes watching parents bond with their infants, as well as educating and teaching parents how to care for their babies.

5
New mom Kiyah Mayes feeds one of her twins in the Special Care Nursery, while the other is monitored in a high-tech bassinet.

State-of-the-art materials to minimize noise, enhance lighting and maximize infection prevention were installed in intensive care. The flooring helps absorb sound, the lighting system resembles natural sunlight, and the walls are finished with material that can easily be wiped down, all of which are essential when considering the immature sensory and immune systems of the premature or sick infant. The color palette was softened to offer enhanced comfort for families experiencing the stress of a NICU admission. While an open design was maintained to allow for easy monitoring and observation, the renovated unit has clearly defined bed space, giving parents more opportunities for privacy and room for personal belongings.

The ICU has a total of 37 beds and provides care to newly admitted and critical infants and to surgical patients. It also houses our Small Baby Unit along with a designated staff to ensure the best outcomes for infants born as young as 22–23 weeks’ gestation.

Also renovated was the Intermediate Care Unit, which features 17 semi-private and 26 single family rooms that can accommodate overnight stays. Furniture was upgraded, enabling families to care for their baby around the clock; rooms were freshened with new paint; ultramodern lighting was installed; and curtains were replaced.

These renovations are not only aesthetically pleasing, but also enhance privacy and increase comfort for families, all while considering the most important element –the unique developmental and medical needs of the premature or sick infant.

6
Intermediate Care Unit room at Greenville Memorial Hospital. Intensive Care Unit room at Greenville Memorial Hospital.
Did you know … Prisma Health has a total of 208 NICU and Special Care bassinets throughout the Midlands and Upstate.

TSC Clinic is first in state

Prisma Health now offers expert, compassionate care for tuberous sclerosis complex (TSC) patients. This rare genetic disease affects many systems within the body, causing benign tumors to potentially grow on vital organs, such as the kidneys, eyes, lungs, heart, skin and brain. Effects on the central nervous system are complex, resulting in a combination of sometimes difficult-to-treat symptoms or changes in development, including:

• Autism spectrum disorder

• Changes or abnormalities on the skin

• Seizures and epilepsy

• Kidney disease

• Developmental disabilities and problems with intellectual development

• Ongoing behavioral problems

Children with TSC often present with seizures in the first several months of life, and a neurologist is the first to diagnose and refer. Other symptoms that babies may present with include heart tumors detected in utero, significant developmental delays and a rash. Early diagnosis and treatment are essential to determine what level of treatment someone with TSC may need. Nationwide, TSC affects some 50,000 people; an estimated 850 South Carolinians have this condition.

Prisma Health’s TSC Clinic in Columbia – the first of its kind in South Carolina – was granted TSC Alliance designation in 2019, which helps serve as a resource for the TSC community to identify where comprehensive clinical care is available. This designation also allows TSC Clinic physicians to form partnerships with other TSC centers and to stay informed of new treatments and clinical trials, as well as to share advocacy opportunities for patients.

Clinic covers the lifespan

This lifespan clinic follows international guidelines for treatment of TSC from infancy through adulthood. The clinic’s core multidisciplinary care team is:

• Monica Cramer, DO, MPH, pediatric nephrologist

• Cecilia Fernandes, MD, pediatric neurologist

• Catherine McClung-Smith, MD, pediatric neurosurgeon

• Marjorie Cloninger, PhD, developmental-behavioral pediatrician

• Candace Chamberlain, MSW, social worker

• Michelle Sanders, LPN, clinic coordinator

Patients are referred to pediatric specialists in cardiology, dermatology, ophthalmology and pulmonology as needed. The core team partners with referring physicians who wish to stay involved in the patient’s care.

“We are happy for patients to remain with the referring doctor,” said Dr. Cramer. “We recommend that we see patients at the clinic annually to make sure they’re getting all necessary care coordinated with other specialists – and to offer them research or clinical trial information.”

The clinic meets at 9 Richland Medical Park Drive, Suite 640, in Columbia. For more information or to refer a patient, call Prisma Health Pediatric Nephrology at 803-434-3572

CLINIC UPDATE
7
For more information about TSC resources, visit tscalliance.org.
Dr. Cramer Dr. Fernandes Dr. McClung-Smith Dr. Cloninger

Helping children grieve

Bird: Kids are ‘forgotten mourners’

“Kids grieve just like adults, but their grief looks different,” said Bird. “Children tell us they want to be there. It’s a beautiful, sweet time. The surviving parents have shared with me that this set their child on the path to good grieving.”

She told the story of a boy at his mother’s bedside who revealed how much he appreciated her teaching him about kindness. He promised to carry on that legacy and be kind to others.

“Another girl, her father would text her dad jokes, and they shared the love of laughter,” Bird said. “She showed me all these dad jokes, and we were laughing and crying together.”

Dana Bird, BS, CCLS, Child Life specialist at Prisma Health Children’s Hospital in Greenville, has stood at the bedside with thousands of children, supporting them as they say goodbye to a dying parent.

“Things the kids are sharing with them are not about earthly possessions,” Bird said. “It’s how they made them feel, how they showed them how to be a person. I never hear ‘thanks for taking me to Disney World’ or for ‘buying me that car’ – it’s about how they gave them their time.”

Even a dozen years ago, it would have been unthinkable to allow children into the hospital room of a dying parent. Bird is helping change that mindset.

“When a parent is dying, a common myth is that children shouldn’t be at the bedside,” she said. “We feel a fierce need to protect them, and we make the mistake of assuming that being there is going to cause long-term trauma, that it will be too sad, too painful. But the opposite is true: If a child isn’t able to say goodbye, to say ‘I love you,’ to hear their mom or dad say their goodbyes, it can be harmful to their emotional development.”

A certified grief support specialist, Bird helps kids navigate the death of a parent or the return home of a parent who has been significantly changed by trauma or illness.

“Let’s say that a parent is in a horrendous car accident or had a stroke,” said Bird. “The mother who was walking and talking and doing the day-to-day mom thing now has injuries so significant that she’s paralyzed. Helping children understand the physical changes and how their mom is going to learn a new way to do things is important. We teach them that even though your person may look different, the love they have for you has not changed.”

Bird believes the more children can understand about a situation, the less scary it is. “When it’s scary is when no one is talking to them. It’s a common myth that adults should shield their kids from their emotions, but children model emotions from their parents. If they see parents keeping all those feelings inside, it’s destructive. Tears are meant to be shed, to be shared. Let’s talk about those feelings and put words to them and talk about what do we do with that anger, that sadness. We’re teaching them healthy coping so that when they encounter trauma later in their life, they will have the skills to deal with it.”

FEATURE STORY
8

Tips for family members

When Bird speaks to groups, she said there’s always someone who tells her, “I was the child who didn’t get to say goodbye, who wasn’t allowed to go to the funeral, and I’ve spent a lifetime in counseling trying to unravel all that.” She helps adults see the significance in giving children permission to keep their parent alive. “The person dies, but the relationship does not,” Bird said. “You can honor them and keep that relationship alive by talking about them. Sometimes, out of protection, adults think we shouldn’t talk about that person because it will make us sad. But the children are reminded every day that the person has died. They want to talk about their person.”

One grandmother who was the primary caregiver asked Bird if she should put all the pictures away. “I said, ‘What if you made a picture book instead and kept it in a special place?’ Instead of assuming what will be helpful for kids, let’s include them in the decisions. A man whose wife died of cancer said, ‘We did a photo album, and every night the girls and I pull it out – and the memory of our mom and wife is so alive in our home!’ ”

Grief support in action

Bird spent several months helping Nicole and Natalie Buah-Kwofie (pictured) navigate through their mom’s cancer diagnosis. She assisted the family in leading sensitive, albeit difficult, discussions about hospice and ensured the children understood what was happening. She made sure the girls had choices in how they wanted to be included and how they wanted their final days with their mom to be.

The support she provided continued until the day their mom died, offering emotional comfort and ensuring the children had a meaningful goodbye with their mom at her bedside. She then connected the family with community resources so that the pair were supported as they began their grief journey.

9
Dana Bird spent months helping Nicole and Natalie Buah-Kwofie work through their mom’s illness and ultimate death.
“So often the instinct in adults is to exclude and shield children from difficult things such as cancer or death. The reality is that children need to be included. It is one of the greatest needs and, in fact, is more harmful to them emotionally and developmentally when they are not included.”
– Child Life Specialist Dana Bird

Healing Hearts Grief Program

The Healing Hearts Grief Program in Columbia teaches and promotes healthy coping strategies for children ages 5–18 who have experienced the loss of a loved one. This program helps children connect with peers and express emotions through therapeutic activities as they navigate the grief journey.

Participants attend four classes over a four-month span, each focusing on a different topic:

• Emotions

• Memories

• Coping skills

• Changes

Parent/caregiver classes meet concurrently and cover the same topics, enabling ongoing grief work at home. Adults are urged to attend to enhance communication and increase the family’s understanding of the grief process.

The next Healing Hearts session starts Thursday, Aug. 31, with the remaining three classes meeting Sept. 28, Oct. 26 and Nov. 30 (all Thursdays). The program takes place at Prisma Health Children’s Hospital–Midlands. Dinner begins at 5:30, with classes running 6–8 p.m.

Facilitated by certified child life specialists, music therapists and a pediatric psychiatrist, the Healing Hearts team knows how to help children and families cope with loss.

Feedback from participants has energized the program. One grandmother shared that her 10-year-old twin grandchildren were reluctant to attend another grief program – after all, unpacking grief is intense work. However, the twins gave the program great reviews, reporting they never imagined they would share their story with strangers. Many other families reached out with similar feedback, thankful that there is a peer program for grieving children.

Both programs are free, and dinner is provided. For more information or to register (required), email christine.fink@prismahealth.org or call 803-434-5658

Cystic Fibrosis Center update

The Prisma Health Pediatric Cystic Fibrosis Center in the Midlands is entering its second year as part of the Therapeutics Development Network (TDN) within the Cystic Fibrosis Foundation. The center was awarded status as a Therapeutics Development Center as part of a competitive grant process in spring 2022 under the leadership of Heather Staples, MD, who serves as the center’s program director and head of the new TDN site. This designation allows for increased funding for research support and access to cystic fibrosis research studies.

Despite advancements in developing cystic fibrosis transmembrane conductance regulator modulators over the last decade, some patients with cystic fibrosis still do not have access to medications that address their genetic variants. Further research within the field of cystic fibrosis will help these patients hope for a brighter future.

The TDN team in the Midlands continues to look for research studies to fit the needs of patients, and studies are open to eligible patients throughout Prisma Health. For more information, contact Cystic Fibrosis Center Coordinator and TDC Coordinator Judy Neff, DNP, at 803-434-4986 or judith.neff@prismahealth.org

Buckle Up for Life grant

Bradshaw Institute for Community Child Health & Advocacy, part of Prisma Health Children’s Hospital–Upstate, has received a grant from Toyota and Cincinnati Children’s Hospital Medical Center to provide 250 car seats to the community and educate 375 people on car seat safety. Called Buckle Up for Life, the program works to counteract the fact that only one in four car seats are properly installed in the U.S., leading to avoidable childhood injury and death. The institute is partnering with fire stations, DHEC and other community groups to host events that promote correct car seat use.

WHAT’S NEW? 10
Dr. Staples

More grant news

Virtual aquarium tours debut

Anna Hoppmann, MD, MPH, a pediatric oncologist at Prisma Health Children’s Hospital–Midlands, has received a 2023 Hyundai Young Investigator Grant of $250,000 from Hyundai Hope on Wheels. Dr. Hoppmann will serve as principal investigator for her proposal, “Social Determinants of Health and Adverse Outcomes Among Children with Cancer.” This marks the first-ever Hyundai Hope on Wheels award for Prisma Health. The grant takes effect January 2024.

Dr. Hoppmann

DAISY awardees honored

Prisma Health partners with The DAISY Foundation to honor the compassionate care of our extraordinary nurses. (DAISY stands for Diseases Attacking the Immune System.) The foundation was formed in 1999 by the family of J. Patrick Barnes who died at age 33 of complications from idiopathic thrombocytopenic purpura. The outstanding nursing care he received when hospitalized profoundly touched his family.

Recent DAISY recipients include:

(l–r) Sydne Bell, RN, and Hope Whicker, RN/School Age-Adolescent/Midlands: These pediatric nurses provide amazing care. They were selected by the DAISY committee at Prisma Health Richland Hospital based on nominations submitted by patients.

Congratulations to our DAISY Award winners!

Prisma Health Children’s Hospital is offering patients a chance to tour the South Carolina Aquarium through a robot they can control without leaving their hospital bed. Patients can maneuver the robot through the aquarium and view animal exhibits. An aquarium employee guides the robot and answers any questions the child might have.

SANE (Sexual Assault Nurse Examiner) team/Upstate: This team’s highly skilled nurses offer care to pediatric and adult patients who experience sexual assault, human trafficking, child abuse, domestic violence or elder abuse.

Cathy King, RN, Peds

Hem-Onc/Upstate: King makes the process of going through cancer treatment better by comforting patients and their parents. She puts her heart and soul into her work, going above and beyond to help families through difficult times.

11

Where there’s a Willenberg, there’s a way to benefit children

In March, Kelly Willenberg donated $150,000 to help establish the Point-of-Care Ultrasound (POCUS) Program at Prisma Health Children’s Hospital in Columbia. This gift marks the second major commitment for Prisma Health Children’s Hospitals from Willenberg, a Fripp Island/ Greenville resident, business owner and philanthropist.

Her generous gift was inspired by the work of son-in-law Duncan Norton, MD, MS, FAAP, assistant professor of Pediatrics and a pediatric hospitalist at Children’s Hospital in Columbia. Fellowship-trained in pediatrics and primary care ultrasound, Dr. Norton is involved in teaching medical students and residents about point-of-care ultrasound.

“Prisma Health serves the pediatric population across the state,” said Willenberg. “With rare diagnosed conditions in my own family, I understand the need for both clinical and supportive care from a strong Children’s Hospital. Seeing the POCUS Program expand and Camp Heart-to-Heart launch has given me great joy. It allows me to give it forward.” (Read on to learn more about Camp Heart-to-Heart, Willenberg’s first major commitment.)

This gift will help meet initial equipment needs and establish the Norton Family Point-of-Care Ultrasound Program Quasi-

12 SPECIAL PROGRAM
Kelly Willenberg with Caughman Taylor, MD, chair of Pediatrics, and Dr. Norton, her son-in-law, at the April 18 meeting of the Children’s Hospital–Midlands Board.

Endowment at Prisma Health Midlands Foundation. But the good news doesn’t stop there. After learning of the opportunity to accelerate the growth of the POCUS Program, other families and organizations stepped up, pledging $155,000 more.

“POCUS is a powerful tool that can help our team assess a child quickly and safely,” said Jason Hawn, MD, who, along with his wife, Leigh Hawn, MD, donated to the program. “I’m excited to see Duncan grow the program and train more providers here at Children’s Hospital.”

As a result of the collective generosity, two portable ultrasound units have been purchased, replacing outdated equipment.

Why POCUS?

With advancements in technology over the decades, ultrasound imaging no longer needs to be housed in bulky machines needing their own room. Rather, ultrasound can be performed with small handheld devices at the patient’s bedside, increasing its usefulness as a rapid diagnostic test.

“Point-of-care ultrasound allows us to obtain real-time information at a child’s bedside, rather than having to schedule a test for a later time,” said Dr. Norton. “It allows our team to make a diagnosis in a more efficient manner and involve the child’s parents in the diagnosis, addressing their questions in the moment.”

Dr. Norton added that POCUS is beneficial in resuscitation events such as codes, and he expects that it will allow for better methods to gain IV access and potentially avoid

From the Medical Directors (continued)

surgically acquired vascular access. He also noted that ultrasound doesn’t use ionizing radiation, allowing for the reduction of radiation to children relative to X-rays and CT scans.

For her philanthropic spirit, Willenberg was honored at the April 18 meeting of the Prisma Health Children’s Hospital— Midlands Board.

Her generosity has benefited our Children’s Hospitals in both the Midlands and Upstate. In 2017, her husband, Dale, was killed in a hit-and-run cycling accident just before their granddaughter was born with a congenital heart defect. In 2019, Willenberg established The Dale A. Willenberg Congenital Heart Defect Endowment Fund, leading to the founding of Camp Heart-to-Heart in the Upstate for Prisma Health patients ages 6–12 with cardiology conditions. The camp debuted in 2022, with the second camp scheduled this summer at Pleasant Ridge Camp and Retreat Center in northern Greenville County.

To learn more about POCUS, call Prisma Health Pediatrics at 803-434-7945. To donate, contact Anna Saunders at 803-434-2830 or anna.saunders@prismahealth.org

We are only able to continue our work because of those who make up our children’s service line and the support of Prisma Health, our communities and our partners. Pediatric services are not income generating but a “service mission of the heart.” We are fortunate to have committed team members who believe it’s an honor and privilege to care for and serve children. To help keep moving forward, we welcome Kaley Powell, new executive director for the children’s service line. (See back cover.)

As a children’s service line, we are here to serve patients. If you are a parent, community leader, volunteer, private community physician or part of our children`s service line, please let us know how we are doing as what you think is important to us and critical to our success. Together we can realize what we all strive for – a better future for our children!

Much work remains, but we remain committed to serving our patients.

13
Willenberg’s generosity has benefited both Children’s Hospitals.

Collaboration is key at EoE Center

Eosinophilic esophagitis (EoE), a disease of the GI tract resulting from food allergies, is one of the most prevalent chronic GI diseases needing care from the Prisma Health Pediatric Gastroenterology practice in Greenville. Currently, the practice follows several hundred pediatric, adolescent and young adult patients with EoE – plus, it has received referrals from 13 states to evaluate patients.

Understanding the complexity of EoE, Prisma Health Children’s Hospital has worked hard to establish a multidisciplinary center over the last decade for treating pediatric patients with EoE. A notable recent addition to the center is the incorporation of an allergist with a history of interest and expertise in this disease.

Offering consistent, comprehensive care

Collaboration lies at the core of the EoE Center as patients need coordinated care from their GI and allergy specialists. Situated in the Division of Pediatric Gastroenterology, the center now incorporates a team that includes gastroenterologists, an allergist and a dietitian (who serves as coordinator for EoE visits).

“With the addition of a dedicated allergist and inclusion of services such as gastroenterology and dietitian support, the center delivers a holistic and integrated approach to EoE management,” said Jonathan Markowitz, MD, a national leader in care for EoE patients and director of the center.

Bringing these components of care under one roof serves patients well. First, it allows for more efficient visits because patients may see multiple providers on one day, saving both time and travel expenses – particularly important for patients who live outside Greenville.

It also allows for implementation of a cohesive, consistent treatment plan. When care is fragmented among specialists from different practices or health systems, patients may receive inconsistent or even conflicting advice. At the EoE Center, patients receive a treatment plan developed by all the specialists working together. Douglas Johnston, DO, who previously practiced in Greenville and Charlotte, is nationally recognized for his expertise in EoE. Dr. Johnston now spends one day a

COLLABORATING FOR BETTER CARE
14

month in the Pediatric GI office exclusively seeing patients with EoE. He performs food and environmental allergy testing on-site to help guide treatment decisions.

Dr. Markowitz also noted that patients with EoE are at increased risk for growth problems because of the impact the disease may have on intake before diagnosis and because disease management may include removal of dietary staples such as milk, wheat, soy, eggs and meat.

Research and transitional care are important

Another area of focus for the EoE Center is research. Patients are offered the option of participating in clinical trials, depending on qualification criteria. Over the years, investigators in the center have taken part in many trials evaluating potential treatments for EoE. In fact, the center served as one of the important sites where patients participated in the trial leading to the first FDA-approved treatment for EoE.

Investigators at Prisma Health are active in evaluating treatment methods and trends within the organization’s patient population as well. Faculty have presented research at many national and international meetings. They also collaborate with other experts across the Carolinas to perform research and improve the quality of care for those with EoE.

An ongoing focus for the center is providing a smooth transition to adult GI care for young adult patients. The division is starting a formal transition program with Prisma Health’s Gastroenterology and Hepatology Center to ensure young adults receive continuity of care when they age out of the Pediatric Gastroenterology practice.

In summary, with the addition of a dedicated allergist and the inclusion of services such as gastroenterology and dietitian support, the center delivers a holistic and integrated approach to EoE management. Through its commitment to collaboration and ongoing research, the EoE Center is at the forefront of advancements in pediatric EoE care, offering hope to children and families affected by this challenging condition.

For more information or to make a referral, call Dr. Markowitz at 864-454-5125

EoE signs and symptoms tend to vary based on age. Infants and toddlers may present with nonspecific signs such as feeding refusal, irritability, reflux or vomiting. School-age children may complain of more typical reflux symptoms such as regurgitation and heartburn. Adolescents and adults tend to present with reflux symptoms, dysphagia and, in extreme cases, food impaction.

About 10% of pediatric patients who present with refractory reflux symptoms are ultimately diagnosed with EoE. PCPs evaluating a patient with reflux symptoms should treat the reflux with a weight-based dose of acid suppression. If symptoms do not respond well, referral to a gastroenterologist is warranted.

While waiting for a patient to be seen by the specialist, using high-dose acid suppression with a proton pump inhibitor (PPI) is appropriate. “High dose” means twice the standard adult dose in adolescents and adults. In younger patients, it means about twice the usual weight-based treatment dose. When patients arrive at the pediatric gastroenterology practice having already received PPI therapy, it may allow for more rapid scheduling of diagnostic tests such as endoscopy, the ultimate exam for confirming EoE.

With the recent addition of an EoE allergist, it is not necessary for patients with suspected EoE to be sent for allergy referral beforehand. Once a patient is confirmed to have EoE, the gastroenterology team can use their EoE allergist to aid in management.

EoE is the most common cause of dysphagia and food impaction in adolescents. While it is worth starting high-dose PPI therapy, more testing such as barium esophagram and/or expedited endoscopy usually is indicated. A patient unable to spontaneously clear a food impaction should go to an emergency department.

15
Dr. Markowitz offers these recommendations when a PCP suspects a patient may have EoE:
“Primary care providers play a vital role in caring for those with EoE. However, it may be difficult to know when to be concerned about this condition, what steps to take to expedite evaluation and when to refer to a specialist.”
– Jonathan Markowitz, MD, pediatric gastroenterologist

Meet our new providers

Welcome to these new members of our clinical team in the Midlands and Upstate. The physicians are or will be in the process of being approved for faculty appointments at the University of South Carolina Columbia or Greenville –an academic health center – depending on their location.

MIDLANDS

Child Abuse Pediatrics

Stephanie Fournel, MSN, APRN, FNP-C, is a board-certified family nurse practitioner with Prisma Health Children’s Hospital–Midlands. Fournel attended Virginia Commonwealth University for her undergraduate nursing degree and the Medical University of South Carolina for her master’s degree. She can be reached at 803-434-3950

Niccole Mount, MSN, APRN, FNPBC, completed her bachelor’s and master’s degrees at the University of South Carolina in Columbia. Mount is board certified by the American Nurses Credentialing Center. She can be reached at 803-434-3950

General & Hospital Pediatrics

C. Sean Stevens, FNP, is a nurse practitioner with the pediatric hospitalist group who received his education and training from Simmons University in Boston, Massachusetts. Stevens is board certified by the American Academy of Nurse Practitioners. He can be reached at 803-434-7945

Pediatric General Surgery

Rebekah Blankenship, PA-C, received her medical training from Charleston Southern University in North Charleston, South Carolina. Blankenship is board certified by the National Commission on Certification of Physician Assistants. She can be reached at 803-434-4555

UPSTATE

Child Abuse Pediatrics

Natalie Dixon, PA-C, is a boardcertified physician assistant through the National Commission on Certification of Physician Assistants. Dixon received her master’s in physician assisting from the Medical University of South Carolina. Before joining Child Abuse Pediatrics, she worked at Prisma Health pediatric primary care offices in Clemson and Seneca, as well as other non-Prisma Health entities. Interests include adolescent medicine, breastfeeding/lactation, weight management and early literacy. She can be reached at 864-467-3650

Child Psychiatry & Psychotherapy

Hannah Siegwald, FPMNHP, received her medical training at Anderson University in Anderson, South Carolina. A psychiatric/mental health NP in Greenville, Siegwald is board certified by the American Nurses Credentialing Center. She can be reached at 864-454-5612

General Pediatrics

Natalie Bikulege-Baum, MD, completed her medical degree from University of South Carolina School of Medicine Greenville, followed by a pediatric residency at Prisma Health–Upstate, also in Greenville. As junior faculty/chief resident for the 2023–24 academic year, Dr. Bikulege-Baum is working as a pediatrician with the Center for Pediatric Medicine as well as in the Newborn Nursery and on the Inpatient Pediatrics floor. She can be reached at 864-220-7270

MEDICAL STAFF SPOTLIGHT 16

Bennett Mack, MD, completed his medical degree from East Carolina University Brody School of Medicine in Greenville, North Carolina, followed by a pediatric residency at Prisma Health–Upstate in Greenville, South Carolina. As junior faculty/chief resident for the 2023–24 academic year, Dr. Mack is working as a pediatrician with the Center for Pediatric Medicine as well as in the Newborn Nursery and on the Inpatient Pediatrics floor. He can be reached at 864-220-7270

Pediatric Ophthalmology

Mary Varn, MD, earned her medical degree from Medical University of South Carolina in Charleston, followed by an internship in general pediatrics at University of Virginia in Charlottesville and mini-fellowship in developmental pediatrics there as well. Dr. Varn then returned to Medical University of South Carolina, where she completed both a residency in ophthalmology and a fellowship in pediatric ophthalmology. She can be reached at 864-454-5540

UPSTATE COMMUNITY PEDIATRIC CLINICIANS

Stephanie Beacham, PA-C, has joined Prisma Health Pediatrics & Internal Medicine–Patrick Square in Clemson. She can be reached at 864-653-4071

Ryan Bromm, DO, has transferred to Prisma Health Pediatrics–Patewood. Dr. Bromm can be reached at 864-454-2670

AN A+ FOR DR. STALLWORTH

At the end of each academic year, medical students from the University of South Carolina School of Medicine Columbia honor deserving faculty members for outstanding teaching, mentoring and expertise. This year, one member – James Stallworth, MD – distinguished himself from all other awardees by receiving FIVE awards!

Both the M3 and M4 classes named Dr. Stallworth the Teacher of the Year. In addition, the M4 class voted him the Pearls of Wisdom recipient and the O’Neill Barrett Teaching Excellence honoree, the school’s highest teaching award. In fact, his contributions are such that he is the school’s most awarded faculty member for teaching excellence.

But that’s not all: M4s also presented him with the Leonard Tow Humanism in Medicine Award, which is sponsored by the Arnold P. Gold Foundation. As the name states, this honor goes beyond stellar teaching or being a clinical role model, but recognizes an individual who demonstrates exemplary dedication, compassion and care.

Congratulations, Dr. Stallworth, for making the grade!

DR. BLACK TAPPED BY RESIDENTS

Tom Black, MD, PhD, received the Friend of the Residents award at the Prisma Health graduation ceremony in June. This award comes from the entire cadre of Prisma Health–Midlands residents who recognized Dr. Black for his exemplary teaching and mentoring of residents. Dr. Black, a pediatric hospitalist, has been with our children’s service line for two years and has won this recognition both years. Congratulations!

Rahul Kataria, MD, has transferred to Prisma Health Pediatrics–Greer. Dr. Kataria can be reached at 864-797-9100

Kimberly Saeger, PA-C, has joined Prisma Health Pediatrics & Internal Medicine–Squires Point in Duncan. She can be reached at 864-968-5126

17

New and graduating residents

Welcome, new Pediatric residents!

Midlands

Bryna Alden, DO: Nova Southeastern University College of Osteopathic Medicine, Davie, Florida

Lauren Bailey, DO: Edward Via College of Osteopathic Medicine, Spartanburg, South Carolina

Laurel Browning, DO: Alabama College of Osteopathic Medicine, Dothan, Alabama

Dallin Christensen, DO: Lincoln Memorial University–DeBusk College of Osteopathic Medicine, Knoxville, Tennessee

Rachel Duncan, MD: University of South Carolina School of Medicine Columbia, Columbia, South Carolina

Sydney Gualtieri, DO: West Virginia College of Osteopathic, Lewisburg, West Virginia

Sara Huber, MD: Wright State University School of Medicine, Dayton, Ohio

Robert Klazynski, MD: Louisiana State University School of Medicine, Shreveport, Louisiana

Emily Lucero, DO: Edward Via College of Osteopathic Medicine, Spartanburg, South Carolina

Alexis Moffa, MD: Florida State University College of Medicine, Daytona Beach, Florida

Andrew Murray, DO: Alabama College of Osteopathic Medicine, Dothan, Alabama

Anna Raley, MD: Mercer University School of Medicine, Macon, Georgia

Megan Rogers, DO: Campbell University School of Osteopathic Medicine, Buies Creek, North Carolina

Upstate

Ciara Amstutz, DO: Ohio University Heritage College of Osteopathic Medicine. Athens, Ohio

Kylie Easterlin, MD: University of South Carolina School of Medicine Columbia, Columbia, South Carolina

Morgan Eversole Dodson, MD: University of Louisville School of Medicine, Louisville, Kentucky

Margaret “Camille” Haywood, MD: East Carolina University Brody School of Medicine, Greenville, North Carolina

Emma Lassen, DO: Lincoln Memorial University–DeBusk College of Osteopathic Medicine, Knoxville, Tennessee

Jacob “Jake” Long, MD: Central Michigan University College of Medicine, Mount Pleasant, Michigan

Samantha “Sam” Mansberger, DO: University of New England College of Osteopathic Medicine, Biddeford, Maine

Jere Ranallo, MD: Medical College of Georgia, Augusta, Georgia

Alyssa Ryan, DO: Philadelphia College of Osteopathic Medicine, Philadelphia, Pennsylvania

Carlie Smallwood, DO: Lincoln Memorial University–DeBusk College of Osteopathic Medicine, Knoxville, Tennessee

Ashlyn Swerdloff, DO: Rocky Vista University College of Osteopathic Medicine, Parker, Colorado

Welcome, new Medicine-Pediatrics residents!

Upstate

Stephen Hughes, MD: University of South Carolina School of Medicine Greenville, Greenville, South Carolina

Kaela Johnson, MD: Virginia Commonwealth University School of Medicine, Richmond, Virginia

Joseph Martinek, MD: University of South Carolina School of Medicine Greenville, Greenville, South Carolina

Rhea Mathew, MD: University of South Carolina School of Medicine Greenville, Greenville, South Carolina

Cassidy Moody, MD: University of Kentucky College of Medicine, Lexington, Kentucky

New and graduating fellows

Developmental-Behavioral Pediatrics

Incoming: Zeel Patel, DO: Medical school: Alabama College of Osteopathic Medicine, Dothan, Alabama

Pediatric residency: University of South Carolina School of Medicine Columbia, Columbia, South Carolina

Graduating: Ranjith Kasanagottu, MD: Assistant Professor of Pediatrics, Division of Developmental and Behavioral Pediatrics, University of Texas Southwestern Medical Center, Dallas, Texas

ACADEMIC NEWS
18

Child and Adolescent Psychiatry Fellowship

Incoming:

Sara Infield Lavelle, MD: University of South Carolina School of Medicine Columbia, Columbia, South Carolina

Gena Williams, MD: Ross University School of Medicine, St. Michael, Barbados

Graduating:

Matthew Edwards, MD: Mission Health Hospital–Behavioral Health (Child and Adolescent), Asheville, North Carolina

Sunny Patel, DO: Atrium Health–Outpatient Child and Adolescent Psychiatrist, Charlotte, North Carolina

Congratulations, Pediatric graduates!

Midlands

Lauren Ancona, MD: Carolina Pediatrics, Columbia, South Carolina

Ashleigh Aubin, MD: Neonatal/Perinatal Fellowship, Baylor Scott & White Medical Center, Temple, Texas

Cecelia Favede, MD: Pediatric Emergency Medicine Fellowship, Nationwide Children’s Hospital, Columbus, Ohio

Collin Hayes, DO: Pediatric Cardiology Fellowship, Penn State College of Medicine, Hershey, Pennsylvania

Olivia Kamensky, MD: Emergency Medicine Fellowship, Rush University Medical Center, Chicago, Illinois

Marisa Laughrey, MD: 24/7 Pediatric Care Center, Jacksonville, Florida

Scott Nelson, MD: North Florida Pediatrics, Tallahassee, Florida

Ashley Nyitray, MD: Pediatric Critical Care Fellowship, Children’s Hospital of Richmond at Virginia Commonwealth University, Richmond, Virginia

Zeel Patel, DO: Developmental Pediatrics Fellowship, Prisma Health/University of South Carolina School of Medicine Greenville, Greenville, South Carolina

Chelsea Reynolds, DO: Pediatric Rheumatology Fellowship, Medical University of South Carolina College of Medicine, Charleston, South Carolina

Kayln Stensrud, DO: Metropolitan Pediatrics Shakopee Clinic, Shakopee, Minnesota

Alyssa Zeitouni, MD: Eastover Pediatrics, Charlotte, North Carolina

Upstate

Natalie Bikulege-Baum, MD: Chief Resident/Assistant Program Director, Prisma Health Children’s Hospital–Upstate, Greenville, South Carolina

Laura Beth Blasko, MD: Pediatric Hospitalist

Kaitlyn Durr-Santos, DO: NGPG Pediatrics, Toccoa, Georgia

Hannah Galloway, MD: Pediatric Hospitalist, Prisma Health Oconee Memorial Hospital, Seneca, South Carolina

Bennett Mack, MD: Chief Resident/Assistant Program Director, Prisma Health Children’s Hospital–Upstate, Greenville, South Carolina

Etta Grace Nabors, DO: Pediatric Hospitalist, Cone Health, The Moses H. Cone Memorial Hospital, Greensboro, North Carolina

Ally Price, DO: Prisma Health Pediatrics–Powdersville, Powdersville, South Carolina

Brittany Ross, DO: Pediatric Cardiology Fellowship, Michigan State University/Helen De Vos Children’s Hospital, Grand Rapids, Michigan

Leah Somerville, DO: Newborn Nursery Hospitalist, Prisma Health Patewood Hospital, Greenville, South Carolina

Allison Williams, MD: Pediatric Critical Care Fellowship, University of Alabama/Children’s Hospital of Alabama, Birmingham, Alabama

Congratulations, graduating Medicine Pediatrics residents!

Upstate

Jonathan Bates, MD: Outpatient Internal Medicine & Pediatrics, Newman Regional Health Medical Partners, Emporia, Kansas

Sarah Calvert, MD: Infectious Disease Fellowship, Prisma Health, Greenville, South Carolina

Laila Hussein, MD: Internal Medicine-Pediatrics Hospitalist & Adolescent Medicine, Prisma Health, Greenville, South Carolina

Uzoamaka Ofodu, MD: Internal Medicine and Pediatric Hospitalist at Johns Hopkins Bayview Medical Center, Baltimore, Maryland

19

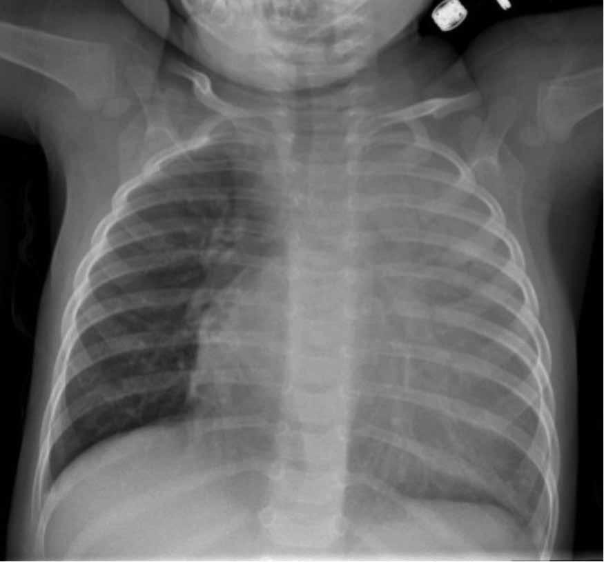
What’s the diagnosis?

An 11-month-old male infant was admitted to the PICU with a history of recurrent respiratory infections, including pneumonia and otitis media. The patient had been experiencing these infections since the age of 6 months, despite appropriate antibiotic therapy. Additionally, he exhibited poor weight gain and failure to thrive.

Upon examination, the patient appeared pale and had mild retractions, with diffuse wheezing, and crackles and diminished breath sounds on the left. Chest X-ray revealed opacification of the left lung and cardiac enlargement. CT of the chest revealed left upper lobe consolidation as well globular enlargement of the left ventricle with marked outpouching of the left ventricular apex with associated myocardial thinning.

Laboratory investigations revealed low serum immunoglobulin levels, including markedly reduced levels of IgG, IgA and IgM. Flow cytometry analysis of peripheral blood revealed the absence of mature B cells.

What’s your diagnosis?

A. X-linked (Bruton) agammaglobulinemia (XLA)

B. Common variable immunodeficiency (CVID)

C. Severe combined immunodeficiency (SCID)

D. Chronic granulomatous disease (CGD)

Have you figured out the diagnosis?

See Page 23 for the answer.

Jonathan Markowitz, MD, FAAP, NASPGHAN-F James Stallworth, MD, FAAP
CLINICAL CASE REPORT
20 Article authors

Meet two of our leaders

McCutcheon, MD, IBCLC

A native of Walterboro, South Carolina, Dr. McCutcheon graduated from the University of South Carolina (USC) Honors College and went on to pursue a master’s in teaching, also from USC. After teaching high school science in Columbia for several years, she realized her true passion was medicine and began medical school at USC School of Medicine Columbia in 2004.

Upon graduation in 2008, she completed her Pediatric residency at Palmetto Health Children’s Hospital in Columbia in 2011. She also finished one year of a neonatology fellowship at Brenner Children’s Hospital in Winston-Salem, North Carolina, before deciding to return to general pediatrics.

After two years of outpatient practice in Columbia, she returned to Prisma Health Richland Hospital as a newborn hospitalist and provided medical education in both the well-newborn unit and Level II Nursery. During that time, she developed an interest in breastfeeding medicine and obtained her International Board Certified Lactation Consultant (IBCLC) credential in 2017. She went on to serve as a pediatrician, IBCLC and medical director at the South Carolina Lactation and Newborn Wellness Center in Columbia for the next three years.

Dr. McCutcheon returned to Prisma Health in 2020 as a pediatric and newborn hospitalist at Tuomey Hospital, where she serves as the medical director for Pediatric and Newborn Services. With her small-town roots, she enjoys working in the community hospital setting and is passionate about delivering excellent care to the children of Sumter and surrounding counties.

Current foci are quality improvement, especially in newborn resuscitation and breastfeeding, and collaborating with Prisma Health Children’s Hospital–Midlands to expand pediatric services at Tuomey Hospital.

Dr. McCutcheon and her husband, a high school teacher and football coach, have two sons. Outside of work, she enjoys running, traveling with her family, and cheering on the AC Flora football and baseball teams.

Allison Ranck, MD

Born in Jacksonville, Florida, Dr. Ranck moved to Snellville, Georgia, early on and completed undergraduate studies at the University of Georgia. She attended Mercer University School of Medicine, graduating in 2005, followed by a Pediatric residency at Greenville Health System, now part of Prisma Health, serving as chief pediatric resident there from 2008–09.

Originally planning to pursue a fellowship in neonatology, she fell in love with hospital medicine during residency and decided to become a pediatric hospitalist where she could fulfill her passion for neonatal medicine while serving a diverse inpatient population. She helped create and lead the Pediatric Hospitalist program joint venture with AnMed Health from 2009–19 and then became the medical director of Newborn and Pediatric Services, a satellite of Prisma Health Children’s Hospital–Upstate, at Prisma Health Oconee Memorial Hospital. She is dual board-certified in pediatrics and pediatric hospital medicine.

Dr. Ranck’s small town roots led her to work in the community hospital setting, where she is passionate about providing stellar care close to home for children in Oconee County and surrounding areas. Professional interests are inpatient quality and safety, newborn resuscitation, asthma and medical education.

Clinical duties include attending the pediatric inpatient service and supervising resident clinics at Prisma Health’s Center for Family Medicine–Oconee. Dr. Ranck served as the pediatric curriculum director for Prisma Health’s Seneca Family Medicine Residency from 2019–23. She is now the pediatric rotation coordinator for the Family Medicine Residency, teaching and supervising learners in inpatient and outpatient settings.

Actively involved in medical education and committed to teaching and inspiring the next generation of physicians to care for pediatric patients, she continues to collaborate with Children’s Hospital–Upstate to expand services at Oconee Memorial Hospital.

Dr. Ranck and her husband enjoy the outdoors, gardening, traveling and cheering on the Georgia Bulldogs.

21
LEADERSHIP PROFILE

MAiN Program awarded funding

The newly created S.C. Opioid Recovery Fund Board, tasked with distributing funds from opioid settlement litigation, has begun allocating awards. In the first round, Prisma Health’s Managing Abstinence in Newborns (MAiN) Program, in partnership with Clemson University, received $250,000 to expand treatment services related to neonatal abstinence syndrome (NAS) in Pickens County.

This team plans to assist the county with needs assessment, web-based resources, in-person education and postpartum home visiting services for opioid-affected families with newborns. After a period of development and implementation in Pickens County, they will seek funding to provide similar services for other Upstate counties, including Anderson, Oconee, Greenville and Laurens.

“Newborns and postpartum women are vulnerable populations,” said Jennifer Hudson, MD, medical director of MAiN and Newborn Services at Prisma Health Greenville Memorial Hospital. “They need and deserve extra support, especially when dealing with the challenge of opioid dependency.”

The U.S. opioid crisis reached epidemic proportions within the last decade, and substance use disorder during pregnancy has increased since the emergence of COVID-19. Not surprisingly, NAS rates continue to rise.

For 10 years, the MAiN team has been working to research NAS treatment outcomes, educate health care staff and help S.C. hospitals develop an evidence-informed, familycentered, standardized approach to NAS care. With the help of Health Sciences S.C. Collaborative Seed Grant funding (see next column), they are also investigating a device for measuring stress in opioid-exposed newborns, NAS prediction modeling and outcomes associated with

specialized care for pregnant women with substance use disorders. The grant, of which Dr. Hudson is a member, is titled: “Toward a compassionate approach to pregnancy and substance use – a clinical partnership to measure efficacy of a novel treatment approach to prenatal care for women with substance use disorders.”

The team’s next phase of work includes a variety of projects funded by local, state and national organizations.

Health Sciences S.C. Collaborative Seed Grant awardees

In addition to the MAiN Program grant, several other pediatric-related projects received seed grants in the Upstate. Project titles are listed below along with the Prisma Health team investigator or member of the team (the list may not be all-inclusive):

• “A produce prescription program to address food security and increase fresh fruit and vegetable consumption among low-income pediatric patients,” Kerry Sease, MD, MPH, and Mackenzie Stuenkel

• “Boundary spanning to improve NICU teamwork,” Bryan Ohning, MD

• “Development of a high-resolution ion mobility-mass spectrometry-based assay for the study of pediatric gastritis,” Michael Dougherty, DO

• “Improving blue light distribution in hyperbilirubinemia treatment,” Jennifer Hudson, MD

• “Leveraging existing community programs as a treatment modality for hypertension risk among youth,” Sudha Garimella, MD

• “Medical Legal Partnership – return on investment study,” Kerry Sease, MD, MPH

• “Menstrual knowledge and self-efficacy among young women with intellectual and developmental disabilities,” Dianna Gurich, MD

• “Restoring function and enhancing self-management in pediatric chronic pain patients via the RESET program,” Kate Gamwell, MD; Blake Windsor, MD; and Crystal Cmeyla

22
QUALITY COUNTS
Dr. Hudson

Resident scholarly activity and recognition

Below is a sampling of scholarly activity and recognition from Pediatrics and Internal Medicine-Pediatric residents in the Midlands and Upstate this past academic year:

• 22 Grand Rounds or senior seminar presentations

• 19 Journal Club presentations

• 20 national, regional and local poster presentations

• PGY2 resident received scholarship to attend National Dysautonomia Annual Meeting

• Two presentations at Prisma Health Research Town Hall

• Regional presentation at Prisma Health Upstate Day of Research: “A growing problem: Comparing the rates of obesity documentation in children in an inpatient and outpatient setting with a change in electronic medical records system.”

• Publications: “Hemoptysis in an adolescent with EVALI” in Pediatric Pulmonology (November 2022); “Know your ABCs managing pediatric trauma patients” in Critical Decisions in Emergency Medicine: Pediatric Trauma Special Edition 2023; “The unlucky hit! Blunt abdominal trauma – what do I do now?” Pediatric Emergency Radiology 2023 (chapter 22).

• Publications pending: “Acute onset headache and vision loss in a 16-year-old female” in Pediatrics in Review; “Residency triage education to help reduce preventable transfers to the Pediatric ICU from Inpatient Medicine” in Pediatric Hospital Medicine; “Pharmacological management of pain” in Open Anesthesia.

The diagnosis (continued from Page 20)

Answer: A) X-linked (Bruton) agammaglobulinemia

Given the incidental finding of the ventricular aneurysm, further investigations were initiated. Based on the clinical presentation, cardiac findings and laboratory results, a provisional diagnosis of Bruton agammaglobulinemia was suspected. Confirmation of the diagnosis was made through genetic testing, which identified a pathogenic mutation in the BTK gene.

CVID is another immunodeficiency disorder characterized by impaired antibody production. It may also present with recurrent respiratory infections, but typically manifests in older patients. Additionally, B cell numbers are usually normal or slightly reduced.

SCID is characterized by profound deficiency in both T and B lymphocytes in addition to low immunoglobulin levels. Diagnosis is facilitated by abnormal TREC numbers on neonatal screening.

CGD may present similarly to Bruton agammaglobulinemia with respiratory tract infections, but the defect is with phagocytic cells (particularly neutrophils) rather than B cells. Plus, patients may have additional clinical manifestations such as granuloma formation and abscesses.

References

Tangye SG, Al-Herz W, Bousfiha A, et al. Human inborn errors of immunity: 2022 update on the classification from the International Union of Immunological Societies Expert Committee. J Clin Immunol 2022; 42:1473.

23

‘Community Needs’ Action Plan

Prisma Health’s commitment to transforming community health and wellness is driven by our purpose: Inspire health. Serve with compassion. Be the difference. But to effectively and efficiently transform health, we must first be aware of the top health issues facing our residents.

A Community Health Needs Assessment is an invaluable tool for identifying and prioritizing a community’s health needs, in this case, the areas served by Prisma Health. The 2022 assessment helped Prisma Health identify the top health priorities (ranked) to focus on through 2025:

1. Mental health

2. Overweight and obesity

3. Heart disease and stroke

Bradshaw Institute for Community Child Health & Advocacy, part of Prisma Health Children’s Hospital–Upstate, has crafted strategies to address these needs in the pediatric population in the Midlands and Upstate. What follows is a summary of the action plan.

Mental health

Promote social and emotional wellness in early development through education and system and family support.

• Establish community-based strategies to support pediatric mental health in two ways: Support connections to preventive resources in community settings; partner to assess variables contributing to mental health disparities in our communities.

Measures: Number of events, activities and new community partnerships. Document findings of assessment and collaborative initiatives.

• Increase health literacy and capacity of adults in supporting children’s social and emotional development in two ways: Partner with community groups, schools, health centers and youth- and family-focused programs to address mental health; support community-based implementation of programs addressing preventive mental health strategies.

Measures: Number of planned collaborative partnerships and projects, and referrals to community-based programs.

Ensure Prisma Health and community capacity for inclusive, timely mental health support.

• Increase community collaboration to leverage resources for care in two ways: Partner with groups to advocate for community health workers/navigators to provide support and connect community members to behavioral health care that matches individual needs; support multisector community coalitions to convene stakeholders; identify and advocate for programs that improve pediatric mental health.

Measures: Number of referrals and linkages to community-based behavioral health resources. Track Prisma Health involvement in statewide and community coalitions.

• Increase Prisma Health capacity to equitably meet urgent needs of patients in two ways: Support provider network focused on meeting diverse cultural and clinical needs; connect patients to the appropriate level of mental health care.

Measures: Increase training opportunities for traumainformed care, support for care navigation/triage within Prisma Health and care coordination with school-based partners.

Overweight/Obesity

Increase healthy eating through inclusive education and equitable access to resources.

• Support equitable and inclusive access to health behavior and education services in three ways: Promote culturally diverse nutrition education to parents and families in community and clinical settings; build Prisma Health capacity to model and promote best practices for healthy eating; address barriers to nutrition services access.

Measures: Gap analysis of nutrition services within Prisma Health footprint, dissemination and available resources to child-serving practices/programs, and participation in statewide efforts to address barriers.

BULLETIN FROM THE BRADSHAW INSTITUTE
24

• Ensure implementation of evidence-based strategies for equitable, inclusive access to food resources in two ways: Partner with schools to implement the Whole School, Whole Child, Whole Community (WSCC) model; support policy/community change toward increasing food access.

Measures: Number of wellness committees supported by Prisma Health. Participation in local food security coalitions within Prisma Health footprint and statewide groups with food access focus.

Use evidence-based strategies to increase equitable, inclusive access to active living.

• Support inclusive access to and development of a safe “built environment” in two ways: Support policy/ community change toward increasing physical activity; address barriers to physical activity access for children/ adolescents.

Measures: Participation in community partnership/ coalitions.

• Promote evidence-based strategies and policies to support an active lifestyle for children and adolescents in two ways: Promote programs that encourage physical activity guided by the WSCC model; build Prisma Health capacity to promote best practices that support physical activity.

Measures: Number of wellness committees supported by Prisma Health and Prisma Health initiatives that promotes physical activity.

Heart disease and stroke

Optimize cardiovascular health across the lifespan.

• Advance evidence-based strategies to support CV health among children and families in two ways: Promote evidence-based interventions supporting tobacco cessation; promote evidence-based interventions supporting healthy eating and active living.

Measures: Number of practices screening for tobacco/ e-cigarette use, practices referring to SC Quitline and trainings offered on lifestyle medicine. Increase use of Wellness Education Chatbot for children with elevated BMI.

• Advocate for multilevel interventions to support CV health in two ways: Support programs and practices to address health literacy; promote policies and practices that support CV health.

Measures: Number of partnerships with communitybased groups and events supporting education on healthy cooking and CV risk.

Ensure health system and community capacity for early detection and intervention of pediatric hypertension.

• Optimize early detection and intervention of hypertension in children and adolescents in two ways: Assess variables contributing to hypertension disparities in our communities; build clinical capacity to address underlying causes of these disparities.

Measures: Number of QI projects within practices around early identification of hypertension in pediatric population. Optimize electronic health record to support early identification of hypertension. Number of referrals to Prisma Health Pediatric Nephrology.

• Increase community collaboration to leverage resources for equitable care in two ways: Partner with schools to increase access to programs and practices addressing hypertension; support community-based implementation of programs addressing hypertension.

Measures: Number of collaborations with communitybased groups and schools to support prevention and early identification of hypertension.

25
To learn more, go to PrismaHealth.org/BradshawInstitute

There’s no place like Buddy’s Health & Safety House

This spring, Bradshaw Institute for Community Child Health & Advocacy, part of Prisma Health Children’s Hospital–Upstate, reopened Buddy’s Health & Safety House. The renovated trailer is an interactive exhibit that educates children on potential household hazards, ranging from bathroom and kitchen safety to furniture tip-overs and poison control.

Children can go inside the house to play interactive games and search for common safety concerns. The renovation was funded by philanthropic support and community sponsors ReWa, South Carolina Federal Credit Union and State Farm.

Upcoming Diaper Banks

The Diaper Bank at Prisma Health Children’s Hospital–Upstate supports families in our community who need assistance with diapers for children from birth to age 4. To take part, families must be eligible to receive WIC, SNAP or Medicaid.

Diapers are distributed to registered participants at distribution events held at Prisma Health campuses in the Upstate. Families must register for each event. Two fall events take place on Saturday from 9–11 a.m. and are limited to the first 300 people.

• Sept. 23: Greer campus. Registration opens Aug. 29 at 9 a.m.

• Nov. 18: Easley campus. Registration opens Oct. 24 at 9 a.m.

IN THE COMMUNITY
26

Meet a ‘Community Hero’

Child Life Specialist Lindsey Metz, MA, CCLS, was named a Greenville News Community Hero for her dedication to and support of the Rollin’ Tigers youth wheelchair basketball team, a part of Prisma Health’s Roger C. Peace Rehabilitation Hospital. As a coach of the state’s only youth wheelchair basketball squad, Metz (pictured) worked with 14 players ages 7–13 who won the national wheelchair basketball championship 29-21 in Wichita, Kansas!

When she was 11, Metz was in a car accident that left her with a spinal cord injury. She had loved playing basketball before the accident, but afterward did not want to join in “any sort of adaptive sport,” she said. “Anything that had the word ‘wheelchair’ in front of it, I was not interested. I didn’t think that it would be as competitive, as exciting.”

But a few years without playing sports changed her mind. She and her father drove to Charlotte so that she could play in the closest place with youth wheelchair basketball.

“The thing that hooked me was that for the first time in two years, I wasn’t different,” she told the newspaper. “I wasn’t anything special because of my disability. We were all in the same place. It was just so exciting to have that camaraderie as a team and to be competitive and to really push myself.”

Metz went on to be named an Academic All-American at the University of Alabama and played on Crimson Tide teams that won the National Wheelchair Basketball Association women’s collegiate championship twice.

Tigers trivia

• The Rollin’ Tigers ended the season with a record of 22-1.

• There are 34 teams in this age division of the NWBA, which means these national champs travel extensively for weekend tournaments.

• Running the team costs about $30,000 a year.

• Sport chairs are custom fitted and cost about $3,250. Players typically need a new chair every few years, but chairs are not covered by insurance.

• A varsity division team for ages 13–18 debuts next year!

To help with team expenses, text “RollinTigers” to 41444

Midlands volunteer continues a mission of service

Mike Shelton (pictured) volunteers at Prisma Health Children’s Hospital on the Richland campus, where his wife, Jean, worked for 20 years. She died unexpectedly the week before Christmas in 2016. Shelton then found himself alone and isolated.

“My greatest fear is loneliness,” he recalled, “and I had to face my greatest fear.”

Shelton gave himself six months to golf, work in the yard and travel. He was reading his Bible one morning and asked God what he should do. “I said, ‘I’m just sitting here, collecting dust, watching grass grow. I’m lonely, and I need some sense of belonging.’ The next passage I read talked about helping others.”

Volunteering twice a week helps him continue Jean’s mission of service.

“Mike is such a special volunteer for us,” said Amy Tate, manager of Volunteer and Visitor Services. “He goes above and beyond in all that he is asked and puts a few miles on his shoes each time he serves. And he gives the best hugs! We call it hug therapy.”

‘Hug therapist’ in action

Shelton started by driving a golf cart, escorting patients and visitors to and from the parking lot. His duties have expanded to include escorting children and their parents upon discharge, sitting with anxious parents and making mail runs.

“I’m doing what I enjoy doing,” he said, “which is to help others – whether it’s patients, families or co-workers. It’s empowering.”

He added, “It’s an opportunity to make a difference in somebody’s life. It doesn’t take any effort to give people a hug or a smile. People come in with a lot of different emotions about being in the hospital. A smile, a kind word, gives them a sense of security, lessens their anxiety and reduces the fear they may feel.”

“The legacy I would like to leave is:

‘He was a hug therapist and he loved people.’ ” – Volunteer Mike Shelton

27

Curing Kids Cancer fulfills $1.2 million endowment

(l–r) Brad Blackburn, Chair, Prisma Health Children’s Hospital–Midlands Board; Charles Waddell, Deputy Athletics Director, USC; Ray Tanner, Athletics Director; Mike Bundy, CEO, Prisma Health Midlands Market; Charles Bloom, Executive Associate Athletics Director, USC; Clay and Gráinne Owen, Curing Kids Cancer; Emily Beamer, member of the Children’s Hospital–Midlands Board; and Head Football Coach Shane Beamer, USC.

In February, Curing Kids Cancer, a nonprofit organization devoted to funding pediatric cancer therapies, presented $240,000 to Prisma Health Midlands Foundation to benefit Prisma Health Children’s Hospital–Midlands. The check presentation marked Curing Kids Cancer’s fulfillment of a $1.2 million endowment supporting the Columbia hospital’s Cancer and Blood Disorders Center.

To honor this extraordinary pledge, the center’s outpatient Hematology and Oncology Clinic has a new name: Gamecocks Curing Kids Cancer Clinic. The name also acknowledges founders Clay and Gráinne Owen’s love for

the University of South Carolina and their gratitude to the coaches and leaders there who have embraced Curing Kids Cancer’s mission. The Owens lost their 9-year-old son, Killian, to leukemia in 2003.

Curing Kids Cancer is one of the center’s largest donors. Each year, the clinic treats 40–50 children and young adults newly diagnosed with cancer. In 2022, the clinic cared for 1,644 children and young adults: 859 were hematology/oncology patients, while 786 had sickle cell disease.

The endowment supports the complex process of helping families navigate the clinical trials process, enrolling childhood cancer patients in clinical studies, ensuring patient data is accurately collected and enabling the hospital to provide the latest treatments.

“The more effective, safer treatments are available, the more healthy, happy childhood cancer survivors we will have,” said Gráinne Owen. “Killian would have been overjoyed to see what a wonderful, positive effect Curing Kids Cancer is having on the lives of children who are being treated here. We look forward to seeing how funding projects like this will have a tremendous impact on the future of childhood cancer.”

To support the Gamecocks Curing Kids Cancer Clinic, visit www.PrismaHealthMidlandsFoundation.org

28 FOCUS EXTRA: ONCOLOGY GIFT
(l–r) Finn Owen and his parents, Curing Kids Cancer co-founders Gráinne and Clay Owen, view the Gamecocks Curing Kids Cancer Clinic signage for the first time in April. The clinic, located on the second floor of Children’s Hospital, was dedicated in honor of Gráinne and Clay’s son, Killian.

T-shirts + tutus + trucks = $2,500

The Midlands Clinical Research Unit at Prisma Health raised $2,500 in May to benefit research and treatment for children with cancer – and these team members did it in style, winning “Best Dressed” in the Curing Kids Cancer 10th Annual Fire Truck Pull in Columbia.

The research team’s theme was “Collin’s Heroes.” Collin was the son of Tessa Roberts, a Prisma Health research nurse. The team said Collin was a “childhood cancer warrior” who battled brain cancer for 13 of his 15 years. Collin died after being treated in five states, undergoing 10 surgeries, enduring 88 radiation treatments, trying 11 chemotherapy/immunotherapy medications and enrolling in three clinical trials.

“Collin was, by definition, a warrior and a hero,” the team wrote. “He endured so much in his short lifetime, but did so with hope, courage and a beautiful smile.”

In the fire truck pull, teams of up to 12 people pull a firetruck down a 30-foot section of Lady Street as fast as possible. Whichever team pulls it the fastest is the winner. The research unit team participated in tutus and superhero T-shirts.

Cancer video wins Emmy® award

A video featuring a patient at Prisma Health Children’s Hospital–Midlands won a Southeast Regional Emmy award in June in the Health/ Medical–Short Form Content category. The award-winning video – the first Emmy for Prisma Health – was produced by Anil Dhokai (below) of the organization’s multimedia team in Marketing, Communications & Consumerism, in collaboration with Marketing Strategist Bill Cooke. It follows Emily Prince (above), who was diagnosed with Ewing sarcoma and underwent a leg amputation. She received excellent care at the Pediatric Hematology/Oncology Center from Laura Pirich, MD, and then Bethany Borkoski (also above), a pediatric physical therapist, among others.

Listen to Emily’s journey at https://www.youtube. com/watch?v=fRYZSrz7bXM

29
Cancer is the top cause of death by disease in children.
Voted “Best Dressed,” a fired-up Collin’s Heroes team keeps on truckin’.

Prisma Health Midlands Foundation

Introducing Madelyn’s Fund

Madelyn’s Fund recently selected Prisma Health Baptist and Richland hospitals to support needy families with babies in these two NICUs to pay for items such as food, car seats, gas and funeral expenses. Prisma Health Midlands Foundation has an agreement in place with Madelyn’s Fund whereby a monthly financial gift is made available for such families as determined by NICU social workers and nurses.

To help raise monies, a Pink Bow Fashion Show was held in April by presenting sponsor Jim Hudson Automotive Group and in partnership with Prisma Health and Prisma Health Midlands Foundation. Featuring a live auction of men’s and women’s styles by Granger Owings, this first-of-its-kind event in Columbia introduced the new partnership between Madelyn’s Fund and Prisma Health. A huge success, the event raised almost $150,000.

Madelyn’s Fund was founded in 2016 by NFL punter Andy Lee and wife Rachel after the loss of their newborn, Madelyn, at just 8 days old. When families are faced with unexpected time in the NICU, they often take unforeseen time off work, incur travel costs, amass high medical bills and, in the worst case, pay for their child’s funeral. The fund’s goal is to ease the stress that parents experience through financial assistance, allowing them to focus time and energy on the well-being of their family.

Learn more at https://madelynsfund.org

New executive director named

Prisma Health Midlands Foundation has a new executive director: Jeffery Faw. Faw brings more than 30 years of extensive fundraising, development and sales experience to the Foundation, most recently serving as director of administration for Prisma Health Tuomey Hospital and executive director and chief development officer of Tuomey Foundation.

For 23 years, community support through Prisma Health Midlands Foundation has resulted in more than $135 million in distributions to Prisma Health in the Midlands. This support has helped Prisma Health advance programs and services and fund innovative equipment for patients throughout this region.

Dance on!

Now in its 25th year of fundraising, the University of South Carolina (USC) Dance Marathon raised more than $788,000 for Prisma Health Children’s Hospital–Midlands. Dance Marathon is the university’s largest student-run philanthropic group!

See Pages 12 and 28 for more Foundation highlights.

30
CELEBRATIONS
Both of our Prisma Health Children’s Hospitals have many reasons to celebrate!
USC Dance Marathon students reveal their fundraising results.

Upstate’s Office of Philanthropy

The We Care Campaign

We Care Campaign, presented by Ingles Markets and broadcast live from iHeart Media studios, kicked off May 25. During the one-day radio event, $80,000 was raised to fund dream gap projects for the Children’s Hospital. Ten ambassador families and 11 clinical partners shared their stories and passion with the listening audience, providing the reason why the community should give.

Goodnight Greenville returns

Goodnight Greenville – now in its third printing – takes youngsters on a journey through popular children’s attractions in Greenville. Landmarks such as Falls Park, Paris Mountain and the Prisma Health Swamp Rabbit Trail are beautifully illustrated, and catchy verses echo the cheery cadence of the original Goodnight Moon.

Local artist Joseph Bradley and local author and pediatrician Joseph Maurer have crafted a bedtime story that engages young children to read. Besides promoting reading, Goodnight Greenville benefits the community because all proceeds go directly to Child Life, part of Prisma Health Children’s Hospital–Upstate. Read more at: prismahealthchildrens.org/goodnightgreenville

The campaign was sponsored by iHeart Studios, Ingles, SEW Eurodrive, ReWa, South Carolina Federal Credit Union and DPR Construction.

Participating iHeart stations were Whistle 100, 92.5 WESC, 102.5 The Lake, and 104.9 FOX Sports Upstate. End date of the overall campaign was June 28.

Learn more at PrismaHealth.org/wecare

Stepping up

Clemson University Dance Marathon amassed nearly $137,000 in February. The largest philanthropic studentled organization at Clemson University raised funds for the Upstate’s Bryan Neonatal Intensive Care Unit.

Children’s Miracle Network Hospitals campaigns

Check out these partner campaigns that will benefit both of our Children’s Hospitals:

• RE/MAX Month of Miracles: August

• Ace Hardware Holiday Round Up: November–December

• Year-round Round Up at the Register: Panda Express, DQ, Love’s Travel Stops, Speedway, Ace Hardware

31
“Goodnight Greenville is a wonderful book that takes kids on an adventure through many of the landmarks that make our city great. It is a book that we can be proud of and that all Greenville families should have on their nightstands.”
– Knox White, mayor of Greenville

Camp Brave Blood debuts

Camp Brave Blood took place April 22 at Pleasant Ridge Camp and Retreat Center in northern Greenville County. This family camp is for patients of Prisma Health’s Comprehensive Bleeding Disorders Clinic, a lifespan clinic for adult and pediatric patients.

The camp was made possible through the South Carolina Hemophilia Treatment Center–Upstate’s 340B Program and through the generosity of four community partners: Bleeding Disorders Association of South Carolina, Optum Infusion Company, Accredo Infusion Company and CVS Specialty Pharmacy.

Twenty participants attended the inaugural outing. One mother summarized the experience of her boys in a single word: “Empowering.”

The camp is staffed by a clinical team from the South Carolina Hemophilia Treatment Center–Upstate and held in partnership with Greenville County Recreation. Medical director is Leslie Gilbert, MD, a pediatric hematologist/ oncologist at Prisma Health in the Upstate.

Camp Brave Blood will meet again in spring 2024. For more information, email Ericka Turner, Camp Brave Blood director, at erickaturner4@prismahealth.org.

Prisma Health offers several medical specialty camps in the Midlands and Upstate where kids are surrounded by peers and dedicated health professionals in an atmosphere of excitement and adventure.

Upcoming camps

• Camp Cary’s Kids: Oct. 6–8

• Camp KEMO Patient Teen Camp/Retreat: Aug. 18–20, Dec. 1–3

• Camp New Horizons: Oct. 20–22

Giving opportunities for specialty camps:

Prisma Health Midlands Foundation, 803-434-7275 or PrismaHealthMidlandsFoundation.org.

Prisma Health Office of Philanthropy (Upstate), 864-797-7732 or PrismaHealthUpstateGiving.org.

32
“Seeing my boys doing outdoor activities around people who will make sure they’re safe was an amazing experience! I was so happy for them. They still talk about it and can’t wait to go back.”
– Mother of participants

Children’s Hospitals directory

Admission to Children’s Hospital (Midlands): 1-800-75-SHOCK (7-4625)

General information: 803-296-KIDS (5437)

Children’s Hospital (Midlands) doctor/program: 803-296-KIDS (5437)

Admission to Children’s Hospital (Upstate): 864-455-0000

Neonatal Transport: 864-505-1481

Children’s Hospital (Upstate) doctor/program: 1-800-4RBUDDY

33
Taylor,
Medical Director 803-434-7950 Allergy and Immunology 803-434-3560 Anesthesiology 803-434-6151 Cardiology 803-434-7940 Child Abuse and Neglect 803-434-3950 Child Developmental and Behavioral Health 803-434-6598 Cochlear Implant Program 803-744-2700 Couplet Care (Richland) 803-434-7400 Critical Care/PICU 803-434-4603 Day Hospital/Sedation 803-434-7954 Dentistry 803-434-6567 Emergency Medicine 803-434-7088 Endocrinology 803-434-7990 Family Beginnings (Baptist) 803-296-5148 Family Beginnings (Baptist Parkridge) 803-907-3500 Gastroenterology 803-434-8450 General & Hospital Pediatrics 803-434-7945 Genetics 803-935-5390 Gynecology 803-434-4480 Hematology/Oncology 803-434-3533 Inpatient Pediatrics (Tuomey) 803-774-9225/9226 Neonatology/NICU (Baptist) 803-296-5709 Neonatology/NICU (Richland) 803-434-7151 Neonatology/NICU Level II (Tuomey) 803-774-9006 Nephrology 803-434-3572 Neurology 803-434-7961 Neurosurgery 803-434-2700 Newborn Nursery (Tuomey) 803-774-9006 Ophthalmology 803-434-2020 Orthopedics 803-296-9200 Pharmacy 803-434-3040 Psychiatry 803-434-4300 Pulmonology 803-434-2505 Radiology 803-434-2168 Rehabilitation Medicine 803-434-7995 Research 803-434-3109 Rheumatology 803-434-7995 SCCAMRS 803-434-3822 Special Care Center 803-434-1299 Special Care Nursery (Baptist Parkridge) 803-907-3400 Sports Medicine/Concussion 803-434-7995 Surgery 803-434-4555 Travel Clinic 803-434-2233 Urology 803-434-4555
Caughman
MD, Senior
Robin LaCroix, MD, Medical Director 864-455-3512 Adolescent Medicine 864-522-4888 Allergy, Immunology and Asthma 864-675-5000 Ambulatory Pediatrics 864-522-5220 Anesthesiology 864-522-3700 Bradshaw Institute for Community Child Health & Advocacy 864-454-1016 Cardiology 864-454-5120 Child Abuse Pediatrics 864-331-0560 Child Psychiatry & Psychotherapy 864-454-5612 Critical Care/PICU 864-455-7146 Developmental Pediatrics 864-454-5115 Emergency Medicine 864-455-6015 Endocrinology 864-454-5100 Ferlauto Center for Complex Pediatric Care 864-522-5280 Gastroenterology 864-454-5125 Genetics 864-250-7944 Gynecology 864-455-1600 Hematology/Oncology 864-455-8898 Infectious Disease 864-454-5130 Infusion (Oconee) 864-482-3300 Inpatient Newborn Care (Greer) 864-797-8700 Inpatient Newborn Care (Patewood) 864-797-1301 Inpatient Pediatrics (Anderson) 864-512-4923/8292 Inpatient Pediatrics (Greenville) 864-455-1765 Inpatient Pediatrics (Oconee) 864-482-3300 International Adoption Clinic 864-454-5130 Minor Care (Greenville): Children’s Hospital After-hours Care 864-271-3681 Neonatal ICU 864-455-7165 Neonatal Intermediate 864-455-6410 Nephrology & Hypertension 864-454-5105 Neurology 864-454-5110 Neurosurgery 864-797-7440 Newborn Services 864-455-6265 Ophthalmology 864-522-3900 Orthopedics 864-797-7060 Otolaryngology 864-454-4368 Pain Medicine 864-522-4880 Plastic Surgery & Aesthetics 864-454-4570 Psychology 864-454-5115 Pulmonology 864-454-5530 Radiology 864-522-XRAY (9729) Rheumatology 864-454-5004 Sleep Medicine 864-454-5660 Supportive Care Team 864-546-8955 Surgery 864-797-7400 Travel Clinic 864-455-9033 Urgent Care (Anderson) 864-512-6544 Urology 864-454-5135

701 Grove Road

Greenville, SC 29605

Change Service Requested

Inspire health.

Serve with compassion. Be the difference.

For Children’s Hospital giving opportunities, contact: Prisma Health Midlands Foundation at 803-434-7275 or PrismaHealthMidlandsFoundation.org

Prisma Health Office of Philanthropy (Upstate) at 864-797-7732 or PrismaHealthUpstateGiving.org

Welcome, Kaley Powell!

Kaley Powell, MHA, is the new Prisma Health director for the children’s service line (and for women’s and oncology). The Lexington native has been with Prisma Health for 10 years working in various roles, including strategic planning, project management and business development. Most recently, she was the director for the primary care and behavioral health service lines.

Powell has an undergraduate degree in industrial engineering from Clemson University and a Master of Health Administration degree from Medical University of South Carolina.

She has lived in Greenville for the last decade with her husband and two young daughters. She enjoys reading; traveling; spending time with her family, friends and dog Rory; and attending Clemson football games.

Non-Profit Org. US Postage PAID Columbia SC Permit No. 740
“I am excited to help lead and support the children’s service line and am looking forward to serving children across the state. We have two wonderful Children’s Hospitals that touch so many families in the communities we serve, and I am ready to help them continue to grow and collaborate.”
– Kaley Powell, MHA

Turn static files into dynamic content formats.

Create a flipbook
Issuu converts static files into: digital portfolios, online yearbooks, online catalogs, digital photo albums and more. Sign up and create your flipbook.
Focus on Pediatrics, Summer 2023 by Prisma Health - Issuu