Dr Dolphin – Summer 2023

Page 1

Flip to the back to see all the front cover designs submitted & for activities!

The Blood-Brain

Role of astrocytes in response to head trauma

Hi all,

We hope you enjoy this edition on the brain! We have a range of amazing and interesting articles to read. Let us know if you have any questions, and happy reading!

CONTENTS 01 Should we stop drinking caffeinated drinks?
02 The Brain: Epilepsy
03 Lecanemab: lifesaver or murderer?
Chloe
04 Why babies cry in different accents By Xanthe Scott 05 Brain structure & social reward: the correlation By Oliwia Krzosa 06 Depression: The Physical Effect By
By
Dia Khosla 07
Barrier
08
~ Sophia, Dia, Xanthe, Lavinia, Leila & Poppy

Should we stop drinking caffeinated drinks?

COFFEE, ENERGY DRINKS AND TEA ALL HAVE A CHEMICAL COMPOUND IN COMMON: CAFFEINE. TO MOST OF US, THE DAILY CONSUMPTION OF THESE BEVERAGES IS PROBABLY AUTOMATIC AND WE ARE FAMILIAR WITH CAFFEINE'S STIMULATORY EFFECT, BUT ARE WE REALLY AWARE OF ITS NEGATIVE CONSEQUENCES, OR EVEN HOW THIS CHEMICAL AFFECTS OUR BRAINS?

Caffeine’s effect on the brain

When you drink caffeinated drinks, the caffeine goes through the bloodstream and directly to the brain. The caffeine binds to your brain's adenosine receptors, stopping the adenosine from binding with them. This in turn makes you feel more awake as the chemical adenosine induces the feeling of tiredness. This effect has several benefits as it increases your alertness, acts as a temporary energy boost, and elevates your mood, however, this also means that it reduces the amount of sleep you get.

Not getting enough sleep will inevitably lead to a feeling of tiredness the next day. It is therefore more likely that you will crave more coffee than usual in order to feel more awake By turning to this caffeinated drink, people could risk consuming an excess of caffeine.

Consuming high caffeine doses on a regular basis could cause a caffeine overdose which may also possibly lead to hormonal imbalances. This is because caffeine also stimulates the production of adrenaline to help prepare your body for the ‘fight or flight’ response. This increase in adrenaline may increase blood pressure, which could potentially cause major health issues, including irregular heartbeat and seizures. The symptoms of caffeine overdose include dizziness, insomnia, headaches and increased thirst due to dehydration. If you experience any of these, you should reduce your caffeine consumption.

Decaffeinated drinks?

In order for a drink to be deemed ‘decaffeinated’, it needs to be at least 97% caffeine free, however, most decaf drinks do still contain a small quantity of caffeine, but it is so insignificant that it doesn’t have any effect. Decaf coffee and tea have almost identical nutritional values to non-decaf, aside from the caffeine content, however decaf coffee additionally causes significantly less acid reflux than regular coffee. Decaf is an excellent way to enjoy your preferred beverage without the side effects of too much caffeine, therefore proving it is an excellent alternative. In addition, recent studies have shown that decaffeinated coffee may protect neurons in the brain, playing a role in preventing neurodegenerative diseases such as Alzheimer s

Conclusion

So in conclusion, caffeine consumption is generally considered safe, although habit forming, but when an excess is in your system, it can be considered harmful Having said this, it is very unlikely that any of us drink too much caffeine, so the only noticeable effects of it would be making us feel more awake and energized.

WHILE THE BRAIN IS STILL AN AGENCY OF MYSTERY, THERE ARE IDENTIFIED DISORDERS SUCH AS EPILEPSY AND COUNTLESS OTHERS. IN NUMEROUS THERE ARE MULTIPLE FACTORS WHICH CAUSE THE CONDITION, BUT IN SOME CASES THERE TURNS OUT TO BE NO IDENTIFIABLE UNDERLYING CAUSE.

Epilepsy is a disorder of the brain that causes seizures, which are bursts of electrical activity in the brain that temporarily affect how it works. The disorder affects people in different ways, depending on which part of the brain is involved. Some symptoms can include:

uncontrollable jerking and shaking, called a "fit" losing awareness and staring blankly into space becoming stiff strange sensations, such as a "rising" feeling in the tummy, unusual smells or tastes, and a tingling feeling in your arms or legs collapsing

Sometimes, when people have a seizure they pass out and often don’t remember what happened There are four main types of Epilepsy that doctors give as a diagnosis:

Focal- these are seizures that are located in just one area of the brain.

Generalised- generalised seizures affect both sides of the Brain.

Combined generalised and focal epilepsy- someone with this experiences both seizures and has a mixture of the symptoms from each type

Unknown epilepsy- this diagnosis is given when doctors do not know where the seizures originate.

Numbers and demographics

Worldwide, roughly 50 million people suffer from the disorder In the United States, 3.5 million out of the 332 million people that live there have Epilepsy, while in the UK, there are over 600,000 diagnosed with the disorder Nearly 80% of people with Epilepsy live in low and middle income countries. It is estimated by researchers that up to 70% of people living with epilepsy could endure a seizure-free life if properly diagnosed and treated. It is shown that epilepsy rates are higher in low and middle income countries because of risk factors such as head trauma, perinatal injury, and CNS infections. Those risk factors are more common in low and middle income countries, especially in the rural areas.

Research: History and beyond:

It was John Hughlings Jackson that laid down the scientific foundation for epileptology and he published the influential text “Study of Convulsion” which was the culmination of his scientific findings. In 1857, Sir Charles Locock, who was an English doctor, introduced potassium bromide to treat epilepsy which soon became the main treatment for the disorder until 1912 when German physician Hauptmann discovered phenobarbital

Scientists are advancing their research which is helping us understand the mechanisms that cause seizures better than any other point in history. This research has been designed using mainly animal models, and tracking down molecular mechanisms underlying seizures in that model. Alongside, new anti-seizure medications are continually being developed and tested as more is learnt about the chemicals in the brain and behaviour of nerve cells.

THE BRAIN // EPILEPSY

ALZHEIMER’S IS THE 7TH MOST COMMON CAUSE OF DEATH ON EARTH AND WITH THE RISING POPULATION IS QUICKLY BECOMING AN EVEN BIGGER PROBLEM. MORE THAN 50 MILLION PEOPLE HAVE BEEN DIAGNOSED WITH ALZHEIMER’S ACROSS THE GLOBE AND IF A CURE ISN’T FOUND SOON THIS NUMBER IS EXPECTED TO INCREASE EXPONENTIALLY.

Alzheimer’s may just start with slight forgetfulness or maybe misplacing your car keys but it can lead to many more serious complications, which have a detrimental effect on not only the person with Alzheimer’s but also their family and friends. Alzheimer’s can lead to severe memory loss, where it is impossible to remember who you are and who the people around you are. As it progresses it can also prevent you from being able to carry out everyday tasks such as driving a car, paying bills, cooking or even just making your own decisions Your reasoning and judgement is impaired as you become increasingly confused and disoriented and it’s agonising trying to find the right words. This can lead to many mental health issues and becoming worried, angry or even violent.

No-one knows completely what the cause of Alzheimer’s is. However, research shows that there are two main contributing factors. The first contributor is plaques forming in the brain. This happens when beta-amyloid clumps together. Beta-amyloids are pieces of protein which originate from a larger protein in the fatty membrane around nerve cells. The reason that beta-amyloid builds up into plaques is because it is chemically ‘sticky’. Some researchers believe that it is not the plaques themselves that are the most harmful but when there are groups of a few pieces of beta-amyloid. The small clumps can stop signalling at synapses between cells or activate immune system cells which devour disabled cells and trigger inflammation.

Tangles can also have a detrimental impact on the brain. Tangles are made up of twisted fibres of a protein called tau. When these build up inside of cells nutrients and other essential supplies are blocked from moving through the cells which causes them to decay and eventually die.

Both the plaques and tangles disrupt the way electrical charges travel within cells and the activity of neurotransmitters which both play a vital role in enabling communication between neurons Brain damage initially starts in the hippocampus and entorhinal cortex which is the area responsible for memory. However, eventually it will spread to the cerebral cortex which is responsible for language, reasoning and social behaviour. This damage leads to neuronal death and tissue loss causing the brain to shrink significantly. This means that eventually most of its functions are severely impacted. There’s no cure yet, but lots of research and hundreds of clinical trials are happening right now to try to combat Alzheimer’s. One which has had particular success recently, is a new drug called lecanemab. Although it is not supposed to cure Alzheimer’s or even prevent it, it has been shown to slow down the decline in thinking and memory skills by 27% for people who have early Alzheimer’s. This is a huge breakthrough as previously this drug had not made any impact on those living with Alzheimer’s. Dr Richard Oakley, Associate Director or Research at Alzheimer’s Society stated that ‘I believe that research will cure dementia, and this is a vital milestone on that journey’.

Lecanemab is a type of antibody so it is able to slow down the progression of Alzheimer’s by marking the build ups of beta-amyloid so that the immune system can clear them away. By targeting these plaques it is possible to maintain communication between nerve cells for longer and decrease a person’s decline in brain function.

However, there has been some controversy over lecanemab, which is why it is still going through clinical trials before being made readily available to the public. A sixty five year old woman, with early Alzheimer’s, who was part of the clinical trial for this drug recently died due to a huge brain haemorrhage. Some researchers have linked this death to her use of lecanemab. This is the second death related to the drug which has raised lots of scepticism and many questions about its safety. Some researchers have suggested that the use of lecanemab should be strictly regulated even if it does pass clinical trials and is approved by the FDA

The woman was admitted to the emergency room after having suffered a stroke and was given a common intervention called tPA, which is a blood thinner used to destroy blood clots. However the tPA did anything but help her stroke. Instead her brain's outer layer immediately started bleeding and the woman died a few days later. After her autopsy it seemed as though the lecanemab was a large contributing factor to her death. The woman had a condition called cerebral amyloid angiopathy (CAA) which means that a plaque of beta-amyloid had built up and replaced the muscle of her blood vessel walls. As lecanemba’s job is to destroy any beta-amyloid in the brain, it severely weakened her blood vessels. Therefore it was easy for the blood vessels to burst, which is exactly what happened when she was given tPA to thin her blood. Unfortunately, the bleeding was so aggressive that it became fatal. The death of this woman has led to many arguments as to whether the benefits of lecanemab outweighs its possibly fatal consequences. And many researchers are urging the FDA to make careful considerations and be extremely cautious in their decision to allow this drug.

Lecanemab: lifesaver or murderer?

IT IS WELL-KNOWN THAT BABIES MIMIC THE VOICES OF THOSE AROUND THEM, PARTICULARLY THEIR MOTHER, GIVING RISE TO DIFFERENT ACCENTS, BUT DID YOU KNOW THAT EVEN BEFORE THEY CAN SPEAK, BABIES CRY IN DIFFERENT “ACCENTS”?

German scientist Dr Wermke has dedicated decades of research into babies’ sounds, including crying, cooing, babbling and early speech, which has allowed her to accumulate an archive of half a million baby sounds In 2009 Dr Wermke and her team studied the cries of 60 newborns - 30 born into French-speaking households, and 30 born into German-speaking households. In order to carry out this study, scientists could not provoke the babies to cry, so instead a group of graduate students were made to wait in the corridors until they heard a baby crying in a room, and then run inside to record it. They discovered that the cries of French babies followed a different melody to that of German babies while French babies produced rising (low to high) contours, German babies produced falling (high to low) contours. In other words, babies with parents that speak different languages have different melodies within their cries

The figure above demonstrates that the melody of babies’ cries corresponds with the intonation of their household language, so the German language, similarly to English, stresses words at the beginning of a sentence, whereas the French language stresses words at the end of a sentence. An example of this is the word for dad, which in German is papa (with the stress placed on the first syllable) but in French is papa (with the stress on the second syllable). While French and German are “pitch accents” so have a more sing-song sound to them, newborns with mothers that speak tonal languages, for example Mandarin, tend to have more complex cries.

Dr Wermke and her team’s explanation for this is that intonation is learnt while in the womb, starting from about 3 months before birth when the foetus's hearing begins to develop. Although the baby is influenced by sounds around it once born, inside the womb it is mostly the mother’s voice that reaches the foetus’s ears, so the main influence on their intonation will be from their mother. This is because a baby is able to notice the patterns in speech, despite not understanding what the words mean.

These studies, undergone by Dr Wermke, enable us to know how development in a baby’s cries tend to look and what factors influence it, which has allowed doctors to notice potential problems early on in newborns, such as hearing problems.

Overall, the different accents babies have when crying is a complex phenomenon that highlights the intricate interplay between nature and nurture, as it not only relies on the vocal chords of the individual, but also the accent of their mother and the language that she speaks.

DID YOU KNOW THERE IS A CORRELATION BETWEEN BRAIN STRUCTURE AND THE SOCIAL REWARD DEPENDENT MEASURE?

In 2009 a group of researchers from Cambridge University made the discovery that the greater the concentration of tissue in the orbitofrontal cortex (the outer strip of the brain just above the eyes) and in the ventral striatum (a deep structure in the centre of the brain), the more of a ‘people pleaser’ the individual is.

Maël Lebreton and colleagues from the Cambridge Department of Psychiatry, led by Dr Graham Muerray, wanted to find out whether the sociability of a person has any relation to the structure of the brain. They gathered a group of 41 men who had to complete a survey which would help to determine the measure of social reward dependence (emotional warmth and sociability) before undergoing a brain scan using Magnetic Resonance Imaging (MRI). The results showed that the more concentrated the grey matter (brain cell containing tissue) there was in the specific regions of the brain mentioned above, the higher the individual scored on the social reward dependence measure

Dr Murray was proud of the team’s discoveries, but he was keen to emphasise that sociability and emotional warmth are complex features of our personalities and that you cannot rely on biological traits alone to figure out why there is such a large range within these qualities Therefore, your experiences and environment in which you grew up in and spend time in also have a large effect in the way in which these qualities develop.

Additionally, when considering the reliability of this trial, it is important to remember that this was carried out on a very small sample and is therefore not representative of the whole human population.

Not only did this discovery help with working on the hypothesis proposed by this group of scientists, it also allowed many other areas to develop. For example, it has provided the starting point in determining how complex features such as sentimentality and affection have evolved in humans from organisms lower down on our evolutionary chain. Also, this research has been useful in helping psychiatrists in understanding psychiatric disorders in which difficulties in social interaction are a key feature of

From Berlin to Bordeaux: why babies cry in different accents THE BRAIN // EPILEPSY Brain structure & social reward measure: the correlation

Depression: The Physical Effect

DEPRESSION - A VERY COMMON MENTAL HEALTH CONDITION, AFFECTING APPROXIMATELY 380 MILLION PEOPLE GLOBALLY AND THE LEADING CAUSE OF DISABILITY. THE SEVERITY DEPENDS ON EVERY INDIVIDUAL - BUT IS IT POSSIBLE FOR SUCH A MENTAL HEALTH CONDITION TO HAVE PHYSICAL EFFECTS?

It’s a condition which affects everyday life, and can be classified as a mood disorder. It usually involves “feeling down” for prolonged periods of time, which can be due to stressful events, loneliness, illness genetics, lifestyle choices (substance abuse for example), or can even be coupled with other mental plights, for example anxiety, or PTSD.

Nervous system

When someone feels happy normally, the brain releases neurotransmitters (a type of chemical) which activates certain areas of the brain A more common neurotransmitter example is dopamine, which is a type of neurotransmitter involved with feeling happy, and rewarded. Production spikes when you are doing something which you enjoy Another example is serotonin, a neurotransmitter involved with feeling optimism, and satisfaction. On the other hand, when someone feels sad, the brain produced less levels of the neurotransmitters associated with happiness, and instead other parts of the brain are activated When someone suffers from depression, the systems involved in feeling sad are much more active than the systems involved in feeling happy. People who have depression often have lower levels of serotonin, dopamine, and norepinephrine (a neurotransmitter similar to adrenaline, it triggers a “fight-or-flight” response). A reduced level of serotonin can lead to depression in some individuals, and can even make people feel suicidal. Antidepressants aim to try and increase production of serotonin.

Cardiovascular system

Depression is often correlated with stress (for example cortisol, a type of stress related hormone), which can induce certain physical responses With this, less blood flows to your heart, and your heart rate speeds up putting your body under physical stress. Approximately 25% of patients with cardiovascular disease have depression. People with depression are less prone to making healthy life-style choices for example they may eat more unhealthily, or have poor hygiene. Overtime, their lifestyle choices can lead to them having poor nutrition, weight gain, higher levels of cholesterol, all of which can contribute a more elevated risk for heart disease In addition, individuals may not have the energy to go to appointments, or the motivation in order to get something potentially serious checked out, despite feeling physical symptoms, chest pain as one

Immune System

The elevated levels of stress can have potential adverse affects on your immune system Individuals who suffer from depression are shown to have up to three times more inflammatory cells compared to those who do not have the condition Inflammatory cells, specifically proteins are produced when your immune system is active, and are used to attack bacteria or heal damaged tissue. Inflammation is bad, as it can lead to diseases like heart disease, strokes, and immune diseases (Cancer, autoimmune diseases) This can lead to the weakening of an immune system, since the body cannot fight both the inflammation and any additional infections which may enter the body, such as a cold. Therefore, a person is more prone to experiencing certain conditions more, such as a common cold or flu. There is more research to be done in this field, as it has only recently started to become more explored.

Gut Health

The gut is truly an extraordinary part of our body. Microbial metabolism also takes place within the gut, where neurotransmitters (such as serotonin) and hormones such as cortisol, among other things are produced.

A study was done on a small population to learn more about this, and used the Flemish Gut Flora project (a group of flemish volunteers who aim to learn more about the role of gut bacteria within the health of individuals). A survey was sent around to individuals, called the RAND-3B health related survey, which looks at different aspects of a person such as social functioning, emotional wellbeing, vitality, physical functioning, and body pain. They then took a sample from each patent which allowed them to detect the different bacterial species within the gut. Their results showed having a higher concentration of Faecalibacterium, Coprococcus, and Dilaester were associated with a higher quality of life, while higher levels of Flavonifractor correlated with a lower quality. Higher levels of Flavonifractor were also reported to have been found in individuals with major depressive disorder.

Conclusion

Mental health conditions can affect the physical body. While a lot of the current research available is still quite limited, doing larger and more diverse studies in the future will be crucial. Many people with depression find it helpful to exercise regularly, adopt a mediterranean diet, cutting down on alcohol, and in some instances taking antidepressants. A reminder you are valid - don’t feel bad for seeking help if you need it.

The Blood-Brain Barrier

TREATING NEUROLOGICAL DISORDERS LIKE PARKINSON'S, MULTIPLE SCLEROSIS, ALZHEIMER'S DISEASE, AND TUMORS CAN BE VERY HARD BECAUSE GETTING THE DRUGS TO THE BRAIN IS THE BIGGEST CHALLENGE. THE BRAIN HAS A PROTECTIVE SYSTEM CALLED THE BLOOD-BRAIN BARRIER THAT MAKES IT HARD FOR DRUGS TO GET THROUGH. SO, HOW CAN WE DELIVER BLOOD TO THE BRAIN?

The Blood-Brain Barrier

The blood-brain barrier (BBB) refers to the highly selective nature of the blood vessel network surrounding the brain tissue. It retains homeostasis (the maintenance of a constant internal environment) in the brain by controlling the free diffusion of amino acids, glucose, and fatty acids as well as protecting it from more than 98% of all potential neurotoxic (poisonous) agents

This diagram illustrates different techniques that are used to transport therapeutic drugs across the blood-brain barrier and deliver them to targeted areas of the brain:

This involves the direct delivery of drugs through intraventricular and/or intracerebral channels pathways. The intraventricular route requires a plastic reservoir to be implanted into the scalp. There are a few problems associated with this; firstly the surgical procedure increases the risk of infection. Secondly, the diffusion distance between the target site and the cerebrospinal fluid is only a few centimeters at most. This means this procedure is only effective if the target site is close to the implanted reservoir of the drug. Intracerebral implants are an alternative method of pharmacological drug delivery. There are many different devices and systems which have been developed, and patented, over time.

Disrupting the blood-brain barrier

Osmotic blood-brain barrier disruption (BBBD)involves dehydrating the cells with a high concentration sugar solution, causing them to shrink and so the tight junctions widen. Drug molecules can more easily pass through by free diffusion. The rehydration process restores the BBB back to its original structure within about four hours. Health professionals must take great care when carrying out this procedure, as disrupting the BBB by osmosis too much can lead to increased permeability of normal brain cells. This leaves the brain vulnerable to an influx of neurotoxic agents, and could be irreversibly damaged.

Novel methods of drug delivery

Non-Invasive Methods

CHEMICAL METHODS

The first method follows along the lines of lipid-mediated free diffusion. If a drug molecule is highly lipophilic (meaning it likes fatty areas) and has a small molecular mass, it will penetrate the blood brain barrier. Liposomes (fat bubbles) are sometimes able to pass through the BBB. If the microbubbles are too large, a focused ultrasound beam can break the bubble down into smaller bubbles which are then able to fit through the tight junctions. Similarly to lipophilic drugs, ‘prodrugs’ are also used. A prodrug is, itself, an inactive species, but when it binds to another chemical species it becomes active The attached chemical species is then separated with enzymes

BIOLOGICAL METHODS

Receptor-mediated transcytosis (RMT) is the most frequently employed strategy for drug delivery into the brain. Antibodies can easily pass through the BBB because they are attracted to and match well with the molecules they carry across Insulin transport is an example of this Antibodies are able to recognise the target molecule and bind to it, thus acting as a molecular Trojan horse to get the active ingredient into the brain. A problem of using antibodies is they could initiate an unwanted, and unnecessary immune response.

Invasive Methods

PHARMACOLOGICAL METHODS

Intraventricular pathway The delivery of a drug into a fluid-filled cavity within the heart or brain. Intracerebral pathway Situated or occurring within or introduced or administered into the cerebrum

Although there are many well-established methods for transport of drugs across the blood-brain barrier new ones are still being explored. One example is the use of mesenchymal stem cells (MSCs). MSCs show a strong affinity for brain malignancies (tumors and growths). They are found in bone marrow and can differentiate into a variety of cell types such as bone, cartilage, muscle, and fat cells MSCs produce molecules which can initiate or suppress immune responses Studies have shown that MSCs are capable of crossing the BBB, but the mechanism of such transport is not yet known. One idea is that the MSCs activate the cells in such a way that affords a slightly large gap which allows migration. The efficiency of MSCs is low and further studies are required before widespread use in medicine.

Conclusion

For over 30 years, researchers have been developing methods to transport therapeutic agents across the blood-brain barrier. These methods have to be safe, effective, and scalable for use within medicine. Many of the current strategies involve using the body’s own mechanisms but manipulating them in such a way that target molecules can also be transported. Important developmental work is continuing in the field of stem cells. Neurodegenerative diseases and disorders are of growing concern therefore it is critical that research of this nature continues so that the lives of millions of people can be improved

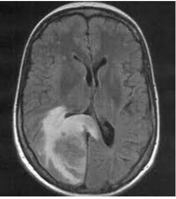
Role of astrocytes in response to head trauma

THE BRAIN IS A VITAL ORGAN RESPONSIBLE FOR COORDINATING ACTIONS SUCH AS VISION, “AUTOMATIC” BEHAVIOURS (SUCH AS BREATHING), AND THE FORMATION OF MEMORIES. TRAUMATIC BRAIN INJURY (TBI) CAUSED BY EVENTS SUCH AS SPORTS INJURIES OR CAR CRASHES OFTEN INHIBIT THE BRAIN'S ABILITY TO PERFORM THESE FUNCTIONS.

The Blood Brain Barrier

The brain consists of tissue surrounded by a network of blood capillaries, allowing for the deliverance and removal of small molecules such as ions- required to generate electrical signals for nervous system communication- and water.

The blood brain barrier (BBB) is a barrier between the brain's blood vessels (capillaries) and the rest of the brain. It controls the rate of diffusion of small molecules into and out of the blood vessels and surrounding cells of the brain Although the BBB is composed of multiple different cell types, astrocytes are a type of cell responsible for controlling the diffusion of ions and water molecules The “end- feet” of each astrocyte are in contact with blood vessels of the brain

Cover Competition

As a result of the increased concentration of ions in the astrocytes, the water potential is lowered, creating a water potential gradient as the water potential in the surrounding blood vessels is higher. Hence, water molecules diffuse from the blood vessels into the astrocytes. This is observed as brain swelling (cerebral edema)

Aquaporins

Aquaporins are protein channels in astrocytes that allow for water to enter As a result of trauma, aquaporins move to the branched ends of astrocytes. This allows them to take on more water as they’re closer to blood vessels of the brain; enhancing brain swelling.

The brain s response, in particular the BBB, to TBI Astrocytes are described as “mechanosensitive” meaning they alter their function in response to mechanical stress, such as TBI. As a result of TBI, mechanosensitive cation channels in the astrocyte cells become more permeable such that more calcium ions enter astrocytes, effectively making the brain more “salty”

Research into aquaporins in order to reduce brain swelling

The following talk provided by the University of Birmingham’s Medical Science department discusses a research team's attempt to target Aquaporins to prevent brain swelling The research team has published material suggesting that drugs can target the “molecular elevator” that moves the aquaporins to come in closer contact with blood vessels, including inhibiting the formation of “PKA and CaM” needed to make the elevator.

https //www youtube com/watch?=uiYVdPjms4w
Look here to see the amazing cover entries we had in this edition!
OliviaDrynska ClaudiaDizon EleanorSimms LeilaAsfalou NimalanTharushana

YEAR 7

Across

1. What is the organ that grows into the wall of the uterus and is joined to the fetus by the umbilical cord?

3. What are the female gametes called?

7. What is the waste substance that diffuses across the placenta from the fetus to the mother?

8. What is the process by which oxygen and nutrients pass from the mother to the fetus through the placenta?

9. What is the name of the fluid that protects a foetus?

YEAR 8

Down

2. What is the term for the group of genetically identical cells that forms after fertilisation?

4. What are the male gametes called?

5. What is the term for the process by which the zygote divides into genetically identical cells?

6. What is the process in which the nucleus of a sperm fuses with the nucleus of an egg?

Across

3. What is the term for respiration that occurs in the presence of oxygen?

7. What is the product of aerobic respiration when glucose reacts with oxygen?

8. What is the term for substances that cannot be absorbed by the body and contain no calories or vitamins?

9. Which food group provides materials for making new cells and repairing damaged tissues?

10. What is the product of anaerobic respiration when glucose reacts without oxygen?

Down

1. What is the process called when drinking water replaces the water lost through urine, sweat, and breathing out?

2. What is the chemical reaction that occurs in all living cells, releasing energy from glucose?

4. What type of respiration occurs without oxygen?

5. What percentage of the human body mass is made up of water?

6. What is the term for the pain and tiredness caused by the build-up of lactic acid in muscles?

Across

2. What is the thin tube that connects the mouth to the stomach called?

6. Where do nutrients get absorbed into the blood in the digestive system?

8. What is the term for the rise and fall of numbers of predators and prey over time in an ecosystem?

Down

1. What is the green pigment found in chloroplasts that absorbs light during photosynthesis?

3. a tissue which transports water and minerals from the roots up the plant stem and into the leaves.

4. transports sucrose and amino acids up and down the plant

5. What is the term for undigested food that is released from the body as waste?

6. What is the muscular bag that mixes food and drink with acid in the digestive system?

7. Which part of the digestive system breaks down food and mixes it with saliva?

YEAR 10
YEAR 9

Turn static files into dynamic content formats.

Create a flipbook
Issuu converts static files into: digital portfolios, online yearbooks, online catalogs, digital photo albums and more. Sign up and create your flipbook.
Dr Dolphin – Summer 2023 by godolphinandlatymer - Issuu