LabMedica Español Marzo 2024

Page 1

Prueba POC de riesgo de dengue grave

El dengue suele ser una enfermedad leve, pero aproximadamente el 15 % de los casos puede progresar a dengue crítico, lo que requiere cuidados intensivos y seguimiento. Los métodos actuales de detección temprana del dengue grave,

Continúa en la pág. 6

Nueva prueba de detección capaz de identificar 18 cánceres en etapa temprana

El cáncer, responsable de una sexta parte de todas las muertes mundiales, presenta un desafío formidable, particularmente porque la detección temprana es crucial para mejorar las tasas de supervivencia. Sin embargo, las pruebas de detección actuales a

menudo son insuficientes debido a factores como la invasividad, el costo y la precisión limitada en la detección de enfermedades en etapa temprana. En respuesta a este desafío, los investigadores han desarrollado un análisis de sangre innovador que puede

Continúa en la pág. 13

Prueba para enfermedades genéticas en fetos

AIA predice con precisión resultados del cáncer a partir de muestras de tejido
IA predice con precisión resultados del cáncer a partir de muestras de tejido

Un modelo de IA es capaz de examinar la organización espacial de las células dentro de muestras de tejido, ofreciendo predicciones precisas sobre los resultados de los pacientes con cáncer, así como indicaciones para el pronóstico y el tratamiento personalizado.

®

Renovar o empezar su subscripción gratuita

Acceso a la edición digital interactiva

Información de productos en línea al instante:

Primera prueba rápida y asequible para beta talasemia

Los trastornos de la hemoglobina se encuentran entre las enfermedades monogénicas más prevalentes a nivel mundial. Entre los diversos trastornos de la hemoglobina, la beta talasemia, un trastorno sanguíneo hereditario, afecta aproximadamente al 1,5 % de la población mundial, y se diagnostican 40.000 Continúa en la pág. 8

ctualmente, la prueba prenatal no invasiva (PPNI) de primera generación se utiliza ampliamente para detectar trastornos cromosómicos comunes en fetos, centrándose principalmente en afecciones como el síndrome de Down y otras anomalías resultantes de cambios cromosómicos significativos. Sin embargo, muchos trastornos congénitos se deben a alteraciones

Continúa en la pág. 4

Resultados de quimioterapia en cáncer de huesos

El cálculo del porcentaje de necrosis (PN), la proporción de un tumor considerado inactivo o “muerto” después de la quimioterapia, sirve como un predictor vital de los resultados de supervivencia en el osteosarcoma, un tipo de cáncer de huesos. Por ejemplo, una PN del 99 % significa que el 99 % del tumor está muerto, lo que indica la respuesta positiva del paciente

Continúa en la pág. 10

Identifique códigos LinkXpress ® de interés en la revista

Haga clic en LinkXpress.com para portal de servicio al lector

Marque códigos de interés en la tabla de LinkXpress ® 1 2 3

Si su solicitud no se renueva cada 12 meses, su subscripción gratuita será automáticamente descontinuada

Dispositivo portátil detecta fentanilo en orina en segundos

El fentanilo, un opioide sintético reconocido por los Centros para el Control y la Prevención de Enfermedades como 50 veces más potente que la heroína y 100 veces más potente que la morfina, a menudo se combina ilícitamente con otras

drogas. Sólo 2 miligramos de fentanilo, aproximadamente equivalentes a 10 a 15 granos de sal de mesa, pueden ser fatales. Las investigaciones han demostrado que el fentanilo se puede detectar en la orina hasta 72 horas después de su uso. Ahora, los

® Continúa en la pág. 14
® Vol.41 No.1 • 2-3/2024 ISSN 1068-1760
Ver el artículo en la pág. 5
LIDER MUNDIAL EN NOTICIAS DE ANALISIS CLINICOS
GLOBETECH MEDIA >>> <<< EN ESTA EDICIÓN LabMedica EXPO ... . 6-16 Noticias Clínicas ... . 3-16 Nuevos de la IFCC .. 17-20 Noticias de la Industria . 21 Calendario .......... 22
E N ESPAÑOL
VISITE
DE SERVICIO AL LECTOR LINKXPRESS COM
PORTAL
Rastreador portátil de glóbulos blancos podría permitir pruebas rápidas de infecciones

Los glóbulos blancos, o leucocitos, son indicadores clave de la salud del sistema inmunológico de un individuo. Los recuentos altos o bajos de leucocitos pueden indicar la gravedad de una infección, indicar afecciones potencialmente mortales como la sepsis o ayudar a monitorear las respuestas del paciente a terapias como la quimioterapia y los fármacos psicotrópicos. Generalmente, la sangre extraída para la prueba de leucocitos se envía a un laboratorio central para su análisis, que envía los resultados en horas, lo que lo hace inconveniente y retrasa el diagnóstico o tratamiento urgente. Ahora, un dispositivo innovador puede

contar rápidamente los glóbulos blancos de una persona con una sola gota de sangre, de forma similar a como los glucómetros escanean rápidamente los niveles de azúcar en la sangre, lo que permite realizar pruebas rápidas y mejorar el triaje de infecciones.

El dispositivo, llamado CytoTracker Leukometer, desarrollado por investigadores de la compañía emergente RizLab Health Inc. de Rutgers (Princeton, Nueva Jersey, EUA; www. rizlabhealth.com) puede ayudar rápidamente a detectar recuentos elevados o reducidos de glóbulos blancos. El dispositivo ha sido sometido a pruebas exhaustivas, comparando su desem-

peño con los analizadores de hematología de mesa de laboratorio convencionales utilizados para análisis de sangre estándar. Estos ensayos confirmaron que el CytoTracker Leukometer tiene al menos un 97 % de precisión, cumpliendo así con los estándares clínicos establecidos. Las aplicaciones potenciales del dispositivo son amplias y significativas. En las salas de emergencia, podría acelerar la detección de sepsis en pacientes más rápidamente que los métodos actuales, que generalmente implican extracciones de sangre y pruebas de laboratorio.

Los oncólogos podrían utilizarlo para evaluar rápidamente si los pacientes de quimioterapia necesitan un estimulante de leucocitos. Además, tiene implicaciones importantes en psiquiatría, particularmente para pacientes que toman clozapina, comúnmente recetada para afecciones como la esquizofrenia. Estos pacientes frecuentemente sufren de neutropenia, una deficiencia de neutrófilos, y necesitan pruebas periódicas para renovar sus recetas. La capacidad del CytoTracker Leukometer para medir rápidamente los niveles de neutrófilos podría facilitar en gran medida el proceso de mantenimiento de los regímenes de medicación necesarios.

“Normalmente, hacer un hemograma requiere que un flebotomista pinche una aguja, recolecte cantidades significativas de sangre venosa y envíe las muestras a los laboratorios donde se analizan, lo que a veces lleva horas o incluso días”, dijo Mehdi Javanmard, profesor del Departamento. de Ingeniería Eléctrica e Informática en la Escuela de Ingeniería de Rutgers, y cofundador y director ejecutivo de RizLab Health Inc. “Nuestro dispositivo portátil permite realizar pruebas cercanas al paciente, requiere solo una pequeña cantidad de sangre y arroja resultados en minutos, lo que permite a los médicos tomar decisiones casi de inmediato”.

“Los resultados rápidos de las pruebas han revolucionado el campo de la medicina”, añadió la Dra. Tanaya Bhowmick, médico especialista en enfermedades infecciosas. “El recuento de glóbulos blancos es un parámetro que los médicos solicitan rutinariamente para evaluar a un paciente en busca de una posible infección. Tener esta información rápidamente puede ayudar a clasificar a los pacientes en el ámbito ambulatorio”.

LabMedica en Español Para ver este número en formato de revista digital interactiva, visite www.labmedica.es 2 LabMedica En Español Febrero/-Marzo/2024
103 LME-3-24 LINKXPRESS COM

Prueba para enfermedades genéticas en fetos

Viene de la portada

más sutiles en el ADN fetal. Para detectarlos, es necesario un examen exhaustivo de todos los genes del genoma fetal, conocido como secuenciación del exoma. Por lo general, este nivel de detección se reserva para embarazos en los que las ecografías sugieren anomalías. Esto se debe al carácter invasivo de las pruebas requeridas, como la muestra de vellosidades coriónicas o la amniocentesis, que se acompañan de molestias y un ligero riesgo de aborto. En consecuencia, muchas enfermedades genéticas graves pasan desapercibidas hasta después del nacimiento. Ahora, una prueba innovadora utiliza una muestra de sangre de mujeres embarazadas para analizar todos los genes del feto, lo que permite detectar enfermedades genéticas graves en los hijos no nacidos de las mujeres embarazadas.

La nueva prueba, denominada desNIPT, fue desarrollada por un equipo de investigación de la Universidad del Sur de Dinamarca (Odense, Dinamarca; www.sdu. dk) y ha demostrado ser capaz de detectar mutaciones en genes fetales, que a menudo son la raíz de enfermedades congénitas graves. Esta nueva prueba se basa en los cimientos de la PPNI de primera generación y mejora significativamente sus capacidades. A diferencia de los métodos tradicionales que requieren procedimientos invasivos, desNIPT se puede realizar con una simple extracción de sangre de la mujer embarazada, ofreciendo un análisis antes de que nazca el niño. Esta técnica examina el ADN fetal que circula en el torrente sanguíneo de la madre, un avance que ha revolucionado el potencial de detección de enfermedades prenatales en los últimos tiempos. Incluso

cuando la cantidad de ADN fetal presente en la sangre de la madre es relativamente baja, la mayor sensibilidad de la prueba desNIPT permite la detección de anomalías genéticas en el feto.

En un estudio de investigación, se monitoreó a 36 mujeres embarazadas y se recolectaron muestras de sangre durante el primer o segundo trimestre. Cada embarazo había sido señalado mediante ecografías como potencialmente portadores de una enfermedad genética grave en el feto. De estos 36 embarazos, se identificaron mutaciones de novo que causan enfermedades en 11 casos mediante el análisis desNIPT. Luego, los hallazgos de desNIPT se compararon con los resultados de la secuenciación tradicional del exoma obtenida mediante muestreo de vellosidades coriónicas o amniocentesis. Los investigadores descubrieron que el nuevo método detectó con éxito todas las variantes genéticas causantes de enfermedades identificadas mediante pruebas prenatales invasivas, lo que demuestra su eficacia. Esta prueba innovadora allana el camino para exámenes genéticos más completos en el futuro, incluida la detección de afecciones que podrían no ser visibles mediante ecografías.

“Somos muy optimistas ya que el estudio indica que la prueba desNIPT es notablemente precisa. En las mujeres embarazadas examinadas no observamos ningún resultado falso positivo”, afirmó Martin Larsen, líder del proyecto y profesor asociado de la Universidad del Sur de Dinamarca. “Actualmente, nuestro objetivo es validar la prueba a través de un estudio más amplio, así como perfeccionar y ampliar la metodología”.

Hisopos placentarios son los más eficaces para detección de sepsis materna

Más de la mitad de las muertes maternas que ocurren en hospitales se atribuyen a la sepsis, una condición crítica en la que una infección se propaga más allá de la contención del tejido local y provoca insuficiencia orgánica. La sepsis materna o perinatal es un problema de salud importante a nivel mundial, que afecta a más de 20 millones de mujeres y provoca aproximadamente 17.000 muertes cada año. Identificar los agentes infecciosos responsables de estos casos suele ser una tarea compleja. Si bien los hemocultivos son el método de diagnóstico preferido, con frecuencia arrojan resultados positivos bajos. Otras muestras, como los hisopos vaginales, tienen una utilidad clínica limitada y la obtención de cultivos microbiológicos de la cavidad uterina como guía antimicrobiana suele ser un desafío. Ahora, un nuevo estudio de muestras de microbiología utilizadas

para investigar la sepsis materna ha demostrado que los hisopos placentarios podrían desempeñar un papel vital a la hora de informar las decisiones sobre la terapia antimicrobiana.

El estudio realizado por investigadores de la Universidad de Limerick (Limerick, Irlanda; www.ul.ie) implicó el análisis de cerca de 2.000 muestras recolectados a lo largo de cinco años y medio. El equipo evaluó retrospectivamente los resultados de los cultivos bacterianos de varias muestras recolectadas como parte de un “estudio de sepsis” diseñado para identificar las bacterias que causan infecciones maternas que conducen a la sepsis. Las muestras incluyeron sangre, orina, hisopos de garganta, hisopos vaginales y hisopos placentarios. Al examinar y comparar los resultados de estas muestras de 430 mujeres, el estudio encontró que los Continúa en la pág. 5

E

COMITE ASESOR EDITORIAL

Graham Beastall RU

Hernán Fares Taie Argentina

Bernard Gouget Francia

Maurizio Ferrari Italy

Tahir S. Pillay Sudáfrica

Andreas Rothstein Colombia

Praveen Sharma India

Rosa I. Sierra-Amor Mexico

Peter Wilding EUA

Andrew Wootton RU

A GLOBETECH PUBLICATION

LabMedica International • LabMedica en Español • LabMedica.com HospiMedica International • HospiMedica.com • MedImaging.net HospiMedicaExpo.com • LabMedicaExpo.com • LinkXpress.com

Fundador y Director Editorial Marc Gueron

Dan

Joffre Lores

Carolyn Moody, RN

Simone Ciolek

Parker Xu

Karina Tornatore

Gerente Editorial Editor de Noticias

Director Regional Director Regional Director Regional Director Regional Gerente de Serv. al Lector

COMO CONTACTARNOS

Suscripciones:

Comunicados de prensa:

Publicidad:

Otros contactos: Director de Publicación

www.LinkXpress.com LMNews@globetech.net ads@globetech.net info@globetech.net

OFICINAS INTERNACIONALES

EUA, RU Miami, FL 33280, EEUU

Carolyn.Moody@globetech.net Tel: (1) 954-686-0838

Joffre.Lores@globetech.net

ALEMANIA, SUIZA, AUSTRIA Bad Neustadt, Alemania Simone.Ciolek@globetech.net Tel: (49) 9771-1779-007

OTROS PAÍSES DE EUROPA Miami, FL 33280, EEUU Carolyn.Moody@globetech.net Tel: (1) 954-686-0838

JAPON Tokyo, Japan Katsuhiro.Ishii@globetech.net Tel: (81) 3-5691-3335

CHINA Shenzen, Guangdong, China

Parker.Xu@globetech.net Tel: (86) 755-8375-3877

OTROS PAISES Contactar EUA ads@globetech.net Tel: (1) 954-686-0838

INFORMACION SOBRE SUBSCRIPCIONES

LabMedica en Español es publicada ocho veces al año y se distribuye en Latinoamerica y España de manera gratuita y en respuesta a solicitud escrita entre especialistas y administradores de laboratorios clínicos y otros profesionales en áreas relacionadas.

Para otros: Está disponible una subscripción de dos años por la cantidad de US$ 120 o copias unitarias por US$ 20. Favor enviar su subscripción con su pago a: LabMedica, Servicio al Lector, P.O.B. 800222, Miami, FL 33280-0222, EUA.

Para cambios de dirección o preguntas escriba a: LabMedica, Servicio al Lector en la dirección de arriba ó visíte: www.LinkXpress.com

ISSN 1068-1760

LabMedica en Español Para ver este número en formato de revista digital interactiva, visite www.labmedica.es Vol.41 No.1. Publicado bajo licencia por Globetech Media LLC Copyright 2024. Todos los derechos están reservados y su reproducción en cualquier forma esta prohibida sin un permiso autorizado.
Publicado en cooperación con la IFCC – International Federation of Clinical Chemistry and Laboratory Sciences. Teknopress Yayıncılık ve Ticaret Ltd. Şti. adına İmtiyaz Sahibi: M. Geren • Yazı işleri Müdürü: Ersin Köklü Müşir Derviş İbrahim Sok. 5/4, Esentepe, 34394 Şişli, İstanbul P. K. 1, AVPIM, 34001 İstanbul E-mail: Teknopress@yahoo.com Baskı: Postkom A.Ş • İpkas Sanayi Sitesi 3. Etap C Blok • 34490 Başakşehir • İstanbul Yerel süreli yayındır. Yılda sekiz kere yayınlanır, ücretsiz dagıtılır.
Gueron
David Gueron
Sanjit Dutt
N ESPAÑOL www.labmedica.es
4 LabMedica En Español Febrero-Marzo/2024
IA predice con precisión resultados del cáncer a partir de muestras de tejido

Los patólogos suelen examinar las muestras de tejido de los pacientes en portaobjetos, un proceso integral para el diagnóstico. Este método tradicional, aunque eficaz, requiere mucho tiempo y está sujeto a variabilidad en las interpretaciones entre diferentes patólogos. Además, algunos detalles sutiles en las imágenes de patología podrían escapar a la observación humana, pero podrían contener información crítica sobre el estado de salud de un paciente. En los últimos años, se han desarrollado varios modelos de inteligencia artificial (IA) para realizar determinadas tareas usualmente realizadas por los patólogos, como clasificar tipos de células o medir las interacciones celulares en función de la proximidad. Sin embargo, estos modelos no han capturado completamente los aspectos más complejos del análisis de imágenes de tejidos que realizan los patólogos, incluido el reconocimiento de disposiciones espaciales celulares complejas y el filtrado de “ruidos” de imágenes irrelevantes que podrían distorsionar las interpretaciones. Para abordar esta brecha, los investigadores han introducido un modelo innovador de IA que es capaz de examinar la organización espacial de las células dentro de muestras de tejido, ofreciendo predicciones precisas sobre los resultados de los pacientes con cáncer y nuevas perspectivas para el pronóstico del cáncer asistido por IA y planes de tratamiento personalizados.

Esta herramienta de inteligencia artificial, denominada Ceograph, creada por investigadores del UT Southwestern Medical Center (Dallas, TX, EUA; www.utsouthwestern.edu), imita el enfoque adoptado por los patólogos para examinar portaobjetos de tejido. Comienza identificando las células y sus respectivas posiciones dentro de la imagen. Luego clasifica los tipos de células y delinea sus formas y distribuciones espaciales, creando un mapa completo donde se detallan para su análisis la disposición, dispersión e in teracciones entre las células. El equipo validó Ceograph en tres escenarios clínicos utilizando portaobjetos de patología. En un caso, Ceograph distin guió entre dos tipos de cáncer de pulmón: adenocarcinoma y carcinoma de células escamosas. En otro, midió el riesgo de progresión de afecciones orales potencialmente cancerosas a malignidad. Finalmente, identificó a los pacientes con cáncer de pulmón con mayor probabilidad de beneficiarse de los inhibidores del receptor del factor de crecimiento epidérmico.

En cada escenario, el desempeño de Ceograph en la predicción de los resultados de los pacientes superó a los métodos tradicionales. En particular, los conocimientos sobre la organización espacial celular proporcionados por Ceograph no solo son interpretables sino que también arrojan luz sobre las implicaciones biológicas de las distintas interacciones espaciales entre células individuales. Estos avances resaltan el papel cada vez más vital que puede desempeñar la IA en la atención médica, particularmente en la mejora de la

precisión y eficiencia de los análisis patológicos. Esta tecnología promete perfeccionar las estrategias preventivas para personas con alto riesgo y adaptar las opciones de tratamiento para satisfacer las necesidades únicas de cada paciente.

“Esta investigación muestra la notable capacidad de la IA para captar estas intrincadas relaciones espaciales entre las células dentro de los tejidos, extrayendo información sutil que antes estaba más allá de la comprensión humana

Hisopos placentarios son los más eficaces para detección de sepsis materna

hisopos placentarios fueron los más efectivos para detectar la mayor cantidad de patógenos.

Los hallazgos del estudio indican que los hisopos placentarios son valiosos para identificar patógenos potenciales de la cavidad uterina, que es el sitio más común de infecciones perinatales. Este descubrimiento es crucial ya que los hisopos placentarios no se examinan de forma rutinaria en muchos hospitales, lo que significa que se podría pasar por alto información vital que podría influir en el tratamiento de estas infecciones. Actualmente, las directrices internacionales para el diagnóstico de infecciones maternas son inconsistentes y hay escasa información en la literatura científica existente sobre la utilización de hisopos placentarios.

“La sepsis materna puede ocurrir durante el embarazo o cuando una incisión de cesárea, desgarro u otra herida del parto se infecta en los días o semanas posteriores al parto”, explicó el profesor Colum Dunne, quien dirigió el nuevo estudio único. “Este estudio proporciona nueva información sobre cómo se puede detectar la sepsis y cómo se pueden identificar tempranamente los organismos involucrados, de modo que se pueda seleccionar el mejor enfoque para un tratamiento exitoso”.

EL

HACIA

Con dispositivos de un solo uso y sistemas de transporte para casi todos los sitios de recolección, estará preparado para cualquier tipo de muestra necesaria en su camino hacia la búsqueda de respuestas. Tome muestras con confianza y confíe en sus resultados.

CONOZCA MÁS EN LÍNEA

info.puritanmedproducts.com/specimen-collection-24

VISÍTENOS EN PERSONA EN ECCMID

Puesto #E-61

105 LME-3-24 LINKXPRESS COM
Viene de la pág. 4
CON PURITAN.
CAMINO
UNA RECOLECCIÓN PRECISA DE MUESTRAS COMIENZA
LabMedica en Español Para ver este número en formato de revista digital interactiva, visite www.labmedica.es 5 LabMedica en Español Febrero-Marzo/2024

PRUEBA DE VITAMINA D LUMIQUICK DIAGNOSTICS

El Quick Profile Vitamin D está diseñado para la determinación cuantitativa o semicuantitativa de la 25-hidroxivitamina D total (25-OH vitamina D) en sangre humana. Está disponible como prueba rápida de un paso y EIA.

202 LME-3-24 COM

Prueba POC de riesgo de dengue grave

Viene de la portada

como las pruebas PCR y ELISA realizadas en muestras de sangre, a menudo carecen de suficiente sensibilidad. Además, las pautas basadas en síntomas recomendadas por la Organización Mundial de la Salud, que incluyen fiebre, dolor de cabeza, dolor en los ojos, sarpullido y sangrado leve, tienen una precisión limitada (6 a 18 %) en la detección del dengue grave debido a la superposición de síntomas con formas más leves y otras enfermedades.

Los científicos y médicos de NTU Singapore (Singapur; www.ntu. edu.sg) han identificado dos biomarcadores (sST2 y suPAR) presentes en la sangre de pacientes con dengue que son prometedores para identificar a aquellos en riesgo de desarrollar dengue grave durante las etapas iniciales de la enfermedad. Este descubrimiento surgió de un estudio realizado entre 2016 y 2019 en el que participaron 129 personas tratadas por dengue. Dado que las pruebas de flujo lateral para sST2 y suPAR, proteínas asociadas con la salud y las enfermedades del corazón, están disponibles comercialmente para la evaluación de la insuficiencia cardíaca, el equipo está explorando la posibilidad de combinarlas en un único kit de prueba diseñado para la detección del dengue grave.

Los niveles elevados de sST2 indican estrés cardíaco y fibrosis, útiles para medir la gravedad de la insuficiencia cardíaca, mientras que los niveles altos de suPAR son indicativos de una mayor inflamación y un mayor riesgo de complicaciones cardíacas. Al rastrear estos marcadores,

LANALIZADOR INTEGRADO DE QUÍMICA E INMUNOENSAYO MINDRAYIN-VITRO DIAGNOSTICS

El M1000 es una solución integrada de química e inmunoensayo especialmente diseñada para laboratorios de gran escala que permite cargar hasta 580 muestras de forma continua a la vez y el destapado de muestras automáticamente.

203 LME-3-24 LINKXPRESS COM

Imagen: Los investigadores han dado un paso adelante en el diagnóstico de casos graves de dengue (Fotografía cortesía de NTU Singapur)

los investigadores obtienen información sobre las afecciones cardíacas y la progresión de la enfermedad. El equipo cree que este nuevo método podría mejorar significativamente la precisión en la predicción de casosde dengue graves, con una tasa de precisión estimada del 55 al 60 %, superando las directrices existentes de la OMS. El desarrollo de estos kits de prueba podría ayudar a los profesionales de la salud a diferenciar entre casos de dengue leve y casos graves que requieren ingreso hospitalario.

Innovadora prueba de sangre para artritis reumatoide predice respuesta al tratamiento

a artritis reumatoide (AR), una enfermedad autoinmune que afecta las articulaciones y otros sistemas del cuerpo, afecta a millones de personas en todo el mundo. Por lo general, el tratamiento biológico inicial incluye medicamentos antiinflamatorios de la familia de inhibidores del factor de necrosis tumoral (TNFi), incluidos Infliximab y Adalimumab, aprobados por la FDA. Sin embargo, sólo alrededor del 30 % de los pacientes con AR tienen éxito con el tratamiento con TNFi después de seis meses. Este retraso en la identificación de tratamientos ineficaces puede ser costoso, ya que la AR puede progresar y causar daño óseo irreversible. Ahora, una

nueva prueba de sangre predictiva promete revolucionar el tratamiento al guiar a los médicos hacia las terapias más efectivas para cada paciente con AR.

La prueba de sangre PrismRA de Scipher Medicine (Waltham, MA, EUA; www. sciphermedicine.com ), una filial de la Universidad Northeastern (Boston, MA, EUA), es la primera prueba para AR clínicamente validada que predice la respuesta al tratamiento. La prueba, que marca un importante paso adelante en el tratamiento de la AR, es capaz de determinar la idoneidad de los tratamientos con TNFi para pacientes con AR antes de comenzar la terapia. Esto es particularmente

beneficioso ya que los TNFi también se usan en el tratamiento de otras afecciones inmunomediadas como la enfermedad inflamatoria intestinal y la psoriasis.

Los investigadores de Scipher reconocieron la urgente necesidad de identificar a los que responden y a los que no responden a los TNFi desde el inicio del tratamiento. Utilizaron conjuntos de datos disponibles públicamente y obtuvieron datos sanguíneos de referencia y tasas de respuesta a los TNFi de cientos de pacientes con AR. A través de estos datos, aplicaron algoritmos de aprendizaje automático para predecir la eficacia del tratamiento con Continúa en la pág.

8
6 LabMedica En Español Febrero-Marzo/2024
recibir información al instante sobre productos, ingrese a www.LinkXpress.com, o escanee el código QR en su dispositivo móvil MERCADO MUNDIAL DE DIAGNÓSTICOS CLÍNICOS
Para

Urea Creat/TFGe CHCM

Prime Plus proporciona el mayor valor clínico de cualquier perfil de analizador de gases en sangre/cuidados intensivos al añadir pruebas esenciales para el equilibrio electrolítico (iMg), volumen plasmático (VPe), función renal (urea, creatinina, TFGe) y diferenciación de tipos de anemia (CHCM).

Magnesio ionizado (iMg)

La hipomagnesemia es un hallazgo frecuente en pacientes gravemente enfermos.1 Se ha demostrado que la terapia con magnesio guiada por monitorización de magnesio ionizado en tiempo real mejora los resultados en estos pacientes.2

Volumen de plasma estimado (ePV)

El estado del volumen plasmático de un paciente es una de las principales prioridades en la evaluación y el tratamiento de enfermedades críticas, incluidas la ICC, el SDRA, la LRA, la cirugía y la sepsis.

Más del 50% de los pacientes ingresados en la UCI desarrollan algún grado de lesión renal aguda.6 La monitorización de creatinina, TGFe y urea proporciona una indicación temprana de los cambios en la función renal y ayuda a guiar el tratamiento para prevenir la LRA.

Urea, creatinina y TFGe CHCM

La concentración de hemoglobina corpuscular media (CHCM) proporciona información sobre la pérdida crónica de sangre de bajo grado y la diferenciación de tipos de anemia.

107 LME-3-24 LINKXPRESS COM El menú de pruebas
cuidados intensivos
incluir novabiomedical com Referencias 1 Soliman HM Development of ionized hypomagnesemia is associated with higher mortality rates Crit Care Med 2003;31(4):1082-7 2 Wilkes NJ et al. Correction of ionized plasma magnesium during cardiopulmonary bypass reduces the risk of postoperative cardiac arrhythmia. Anesth and Analg 2002;95(4) 828-834 3 Kobayashi M et al Prognostic Value of Estimated Plasma Volume in Heart Failure in Three Cohort Studies; Clin Res Cardiol 2019;108(5): 549-561 4 Niedermeyer, et al. Calculated Plasma Volume Status Is Associated With Mortality in Acute Respiratory Distress Syndrome. Critical Care Explorations: September 2021, V3(9):1-9 5 Kim HK et al. Prognostic Value of Estimated Plasma Volume Status in Patients with Sepsis J Korea Med Sci 2020;9(37):1-10 6 Mandelbaum T et al. Outcome of critically ill patients with acute kidney injury using the AKIN criteria. Crit Care Med 2011;39(12):2659-2664
de
y gases en sangre de hoy debe
iMg ePV
de pruebas
PCO2 PO2 SO2 % Hct Hb iMg Na K Cl TCO2 iCa ePV GLU Lac Urea Creat/TFGe CO-Ox CHCM tBil HbF
Menú
pH
3-5

Viene de la portada

Para recibir información al instante sobre productos, ingrese a

o escanee el código QR en su dispositivo móvil

INCUBADORA MULTIGAS PHC EUROPE

La incubadora multigas IncuSafe MCO-170MUVH ofrece la regulación más precisa de oxígeno y otros gases al tiempo que mantiene una uniformidad de temperatura, control de contaminación y usabilidad

205 LME-3-24 COM

PRUEBA DE SEPSIS SEEGENE

La prueba Magicplex Sepsis en tiempo real es un ensayo integral para la detección e identificación de patógenos que causan sepsis. Puede detectar más de 90 patógenos causantes de sepsis a partir de muestras de sangre completa.

206 LME-3-24 LINKXPRESS COM

Primera prueba rápida y asequible para beta talasemia

recién nacidos anualmente. Los pacientes con beta talasemia a menudo requieren transfusiones de por vida para sobrevivir. Muchas personas con el rasgo beta-tal desconocen su condición y el riesgo de tener un hijo con la enfermedad si su pareja también porta el rasgo. En consecuencia, la detección temprana y el diagnóstico oportuno son fundamentales para controlar la beta-talasemia, tanto para el asesoramiento genético para ayudar en la planificación familiar como para prevenir y manejar complicaciones clínicas posteriores. Ahora, una prueba de beta talasemia ofrece una solución precisa y conveniente, que ayuda a las parejas a tomar decisiones sobre reproducción informadas, garantiza una atención materna adecuada y facilita el diagnóstico temprano en los bebés.

La prueba Gazelle Hb Variant de Hemex Health (Portland, OR, EUA; hemexhealth. com ) es capaz de identificar 19 afecciones de hemoglobinopatía, que incluyen tanto la enfermedad y el rasgo beta-tal como la enfermedad y el rasgo de células falciformes. La prueba se realiza en el dispositivo de diagnóstico in vitro Gazelle, que es compacto,

resistente y alimentado por batería. Gazelle está diseñado para un uso rentable por parte de trabajadores sanitarios principiantes, incluso en áreas con acceso, recursos o electricidad limitados. El dispositivo captura digitalmente la información del paciente y los resultados para almacenarlos, imprimirlos o transmitirlos posteriormente. Aprobado para identificar la anemia falciforme y la beta-talasemia en un número cada vez mayor de países, Gazelle integra versiones miniaturizadas de tecnologías confiables, ópticas innovadoras e inteligencia artificial. Con un precio similar al de un iPhone, Gazelle ofrece pruebas individuales de bajo costo. Su detección sensible y sus capacidades de cuantificación precisa le permiten identificar enfermedades o rasgos beta-tal en bebés de tan solo seis meses y anemia falciforme y rasgos en recién nacidos a partir de las 37 semanas de gestación.

Un estudio clínico que validó la precisión diagnóstica de la prueba Gazelle Hb Variant para la beta talasemia reveló que identificó correctamente a los sujetos con el rasgo beta-tal mayor, beta-tal intermedio y beta-tal con más del 99 % de precisión, en comparación con el estándar de oro de

cromatografía líquida de alto rendimiento (HPLC). El estudio concluyó que Gazelle representa una solución rápida y asequible para la identificación de beta-tal en el punto de atención. Su capacidad demostrada para proporcionar resultados rápidos y precisos (disponibles en 8 minutos) sugiere la idoneidad de Gazelle para pruebas generalizadas de beta-tal en el punto de atención. La asequibilidad y conveniencia de la prueba podrían facilitar en gran medida las decisiones sobre reproducción informadas para millones de parejas, garantizar una atención materna adecuada y permitir un diagnóstico rápido en los bebés.

“Al combinar precisión y asequibilidad con accesibilidad en el sitio, Gazelle puede tener un impacto significativo en áreas del mundo con una alta prevalencia de beta-talasemia”, dijo Patti White, directora ejecutiva de Hemex Health. “Antes de Gazelle, las pruebas de lotes de gran volumen en laboratorio, con su tiempo de respuesta lento, eran la mejor opción. Con Gazelle, los adultos jóvenes pueden hacerse pruebas cómodamente en centros de atención primaria o incluso en eventos de detección en escuelas u otros centros comunitarios”.

Innovadora prueba de sangre para artritis reumatoide predice respuesta al tratamiento

Viene de la pág. 6

TNFi utilizando marcadores genéticos en la sangre. Se logró una mayor validación al inscribir a alrededor de 700 pacientes con AR en un estudio prospectivo para evaluar la utilidad clínica de la prueba. Los hallazgos del estudio fueron alentadores; los pacientes que utilizaron la prueba de biomarcadores PrismRA para guiar la terapia tenían tres veces más probabilidades de lograr la remisión en comparación con aquellos que no lo hicieron.

El proceso de prueba PrismRA implica una simple extracción de sangre en el consultorio de un médico, seguida de un análisis de secuenciación de ARN. Luego, la prueba PrismRA de Scipher predice la probabilidad de que un paciente no responda a los TNFi. Según estos resultados, los médicos pueden decidir una terapia alternativa para el paciente. Con el desarrollo de esta prueba biológica, la atención se centra ahora en la creación de pruebas de marcadores sanguíneos similares para otras enfermedades autoinmunes. La extensa co-

lección de datos de secuenciación de ARN de sangre completa de Scipher de más de 20.000 pacientes ofrece una base de datos molecular sólida para futuras investigaciones y desarrollo de pruebas.

“Esta es la primera prueba para artritis reumatoide clínicamente validada que predice la respuesta al tratamiento”, dijo la licenciada de Northeastern Susan Dina Ghiassian, quien fue la primera empleada de Scipher Medicine. “Los pacientes tendrán la oportunidad de recibir la terapia adecuada desde el primer día”.

8 LabMedica En Español Febrero-Marzo/2024
www.LinkXpress.com,
MERCADO MUNDIAL DE DIAGNÓSTICOS CLÍNICOS
Diagnóstico de patología digital impulsado por IA para biomarcador de cáncer colorrectal podría optimizar acceso del paciente a inmunoterapia

El cáncer colorrectal (CCR), con casi dos millones de casos nuevos y un millón de muertes en todo el mundo en 2020, es el tercer cáncer más prevalente en todo el mundo y la segunda causa principal de muertes relacionadas con el cáncer. Un biomarcador genómico crítico para el CCR es la inestabilidad de los microsatélites (IMS), que representa aproximadamente el 15 % de todos los casos de CCR. Investigaciones clínicas recientes subrayan la importancia pronóstica y terapéutica del fenotipo IMS, particularmente después de la aprobación de las terapias con inhibidores de puntos de control inmunológico (ICI). Los pacientes con tumores IMS positivos suelen ser buenos candidatos para la terapia ICI, mientras que aquellos con tumores con microsatélite estables (MSE) normalmente no lo son. En consecuencia, las pautas de consenso global ahora abogan por las pruebas de IMS para guiar las estrategias de tratamiento óptimas. Los instrumentos de preselección que pueden eliminar la necesidad de realizar pruebas universales a los pacientes están surgiendo como un medio para agilizar este proceso y aliviar la carga sobre el personal y los recursos del laboratorio.

Un equipo de científicos de Owkin, Inc. (París, Francia; www.owkin.com), en colaboración con laboratorios de patología franceses, ha realizado una validación ciega de MSIntuit CRC, un innovador diagnóstico de patología digital impulsado por IA creado por Owkin. Diseñado como una herramienta de evaluación

previa, MSIntuit CRC busca perfeccionar la precisión en el diagnóstico y tratamiento del CCR. La herramienta, que aprovecha los datos obtenidos de los pacientes, está diseñada para ofrecer beneficios recíprocos a los pacientes. Los hallazgos del estudio indican que MSIntuit CRC puede excluir con éxito a casi la mitad de los pacientes con MSE e identificar con precisión a más del 96 % de los pacientes con IMS, en línea con el rendimiento de los métodos estándar de oro establecidos (92-95 %). Estas innovaciones transformarán el proceso de detección, permitiendo una clasificación más rápida y exhaustiva de los pacientes.

La solidez del estudio quedó evidenciada por la validación ciega realizada en 600 casos consecutivos de CCR durante dos años en nueve laboratorios de patología distintos, minimizando el riesgo de sesgo de selección. Además, la validación mantuvo un rendimiento constante en dos escáneres de portaobjetos de patología diferentes, con sensibilidades del 96 % y 98 % respectivamente. El enfoque del estudio en la sensibilidad y la especificidad como indicadores de desempeño y otras estrategias metodológicas subraya la confiabilidad del modelo de IA, asegurando la idoneidad del diagnóstico para uso clínico y su aplicabilidad en varios laboratorios y regiones.

“Con el creciente número de biomarcadores que se prueban de forma rutinaria en la práctica clínica, la necesidad de herramientas que puedan aliviar los cuellos de botella y las

Pruebas moleculares multiplex de 15 minutos podrían detectar ITS en el punto de atención

Anualmente, en Estados Unidos se realizan entre 35 y 50 millones de pruebas de clamidia y gonorrea, en gran medida impulsadas por directrices que recomiendan exámenes anuales de ITS para muchas personas sexualmente activas y pruebas aún más frecuentes para grupos específicos de alto riesgo. A pesar de estas recomendaciones, aproximadamente la mitad de las mujeres elegibles para el examen no se someten a las pruebas adecuadas cada año, lo que conlleva que no se hagan suficientes pruebas. Además, el retraso en las pruebas de laboratorio puede dar lugar a que los pacientes no reciban tratamiento y potencialmente propaguen infecciones, o a tratamientos preventivos basados en mejores conjeturas que pueden ser inapropiados, causando costos innecesarios, efectos secundarios y posible desarrollo de resistencia a los antimicrobianos. Ahora, una nueva prueba molecular rápida y portátil para ITS promete brindar resultados inmediatos a pacientes y proveedores, permitiendo un tratamiento rápido y mejorando potencialmente los resultados de salud, espe-

cialmente para los pacientes que de otro modo pospondrían o renunciarían a la prueba.

Detect (Guilford, CT, EUA; www.detect. com) se está preparando para comenzar las validaciones clínicas de su prueba molecular múltiple de ITS de 15 minutos, basada en una tecnología desarrollada inicialmente para abordar la pandemia de la COVID-19. Esta prueba se basa en la amplificación isotérmica mediada por bucle (LAMP) y en un instrumento simple, cuyo objetivo es la asequibilidad, la velocidad y la facilidad de uso. El instrumento realiza reacciones paralelas para una multiplexación rápida, a diferencia de las reacciones de un solo tubo. Si bien LAMP es una tecnología ampliamente utilizada, Detect la ha mejorado considerablemente en los últimos años. Los desafíos de LAMP para los desarrolladores de diagnósticos, como el diseño de cebadores y la velocidad de reacción, se han abordado mediante el uso por parte de Detect de herramientas de diseño de cebadores basadas en IA para desarrollar pruebas altamente sensibles

presiones de recursos al tiempo que aumentan las pruebas de biomarcadores es primordial”, dijo Meriem Sefta, directora de diagnóstico de Owkin. “Nuestra solución representa el primer paso hacia el desarrollo de un diagnóstico de IA que pueda identificar biomarcadores procesables a partir de un único portaobjetos con H&E utilizado en la rutina clínica, lo que nos acerca más a la realización de un futuro de medicina de precisión”.

Continúa en la pág. 10

9 LabMedica en Español Febrero-Marzo/2024 LabMedica en Español Para ver este número en formato de revista digital interactiva, visite www.labmedica.es

KIT DE DETECCIÓN DEL VIRUS DENGUE/ ZIKA/CHIKUNGUNYA SINGUWAY BIOTECH

El kit de detección del virus Dengue/Zika/Chikungunya (PCR-Sondeo Fluorescente) es una prueba DIV, basada en tecnología de PCR en tiempo real, para la detección de ácidos nucleicos del virus Dengue/Zika/Chikungunya en una muestra de suero.

208 LME-3-24 COM

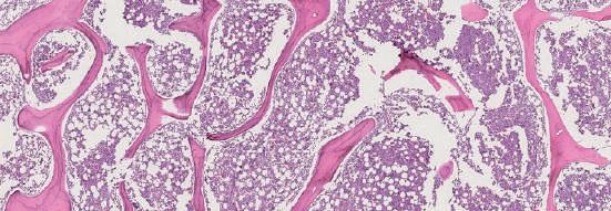
Resultados de quimioterapia en cáncer de huesos

a la quimioterapia y perspectivas de supervivencia potencialmente mejores. Los patólogos suelen evaluar la PN examinando, interpretando y marcando meticulosamente imágenes de portaobjetos completos (WSI), que son secciones transversales detalladas de muestras (como tejido óseo) preparadas para un examen microscópico. Sin embargo, este método tradicional no sólo requiere mucho tiempo y experiencia especializada, sino que también sufre una variabilidad significativa entre los observadores. Esto significa que dos patólogos podrían informar estimaciones de PN diferentes de la misma WSI. Ahora, un modelo de aprendizaje automático creado y entrenado para calcular el PN ha demostrado que su cálculo fue 85 % correcto en comparación con los resultados de un patólogo musculoesquelético, y la precisión mejoró al 99 % al excluir un valor atípico.

Un equipo de investigación de Johns Hopkins Medicine (Baltimore, MD, EUA; www.hopkinsmedicine.org) está desarrollando un modelo de aprendizaje automático “débilmente supervisado”, que no requiere muchos datos anotados para su entrenamiento. Al hacerlo, un patólogo sólo necesitaría proporcionar WSI parcialmente anotados, lo que aliviaría significativamente su carga de trabajo. Para desarrollar el modelo de aprendizaje automático, el equipo comenzó recopilando WSI de pacientes con osteosarcoma intramedular (que se origina dentro del hueso) tratados con quimioterapia y cirugía entre 2011 y 2021. Luego, un patólogo musculoesquelético etiquetó parcialmente tres tipos de tejido en estas WSI: tumor activo, tumor muerto y tejido no tumoral y también proporcionó una estimación de PN para cada caso. Estos datos formaron la base para el entrenamiento del modelo.

El modelo fue entrenado para reconocer y categorizar patrones de imágenes. Las WSI se segregaron en miles de parches más pequeños, se dividieron en grupos según las etiquetas del patólogo y luego alimentaron al modelo. Este proceso tuvo como objetivo proporcionar al modelo un marco de referencia más sólido en lugar de simplemente alimentarlo con una gran WSI. Al finalizar el entrenamiento, el modelo se probó junto con el patólogo musculoesquelético en seis WSI de dos pacientes. Los resultados demostraron una correlación del 85 % en los cálculos de PN y el etiquetado de tejidos entre el modelo y el patólogo. Sin embargo, el modelo tuvo dificultades para etiquetar el cartílago con precisión, lo que generó un valor atípico como resultado de la abundancia de cartílago en una WSI. Cuando se eliminó este valor atípico, la correlación se elevó al 99 %. El trabajo futuro se centrará en incorporar tejido cartilaginoso en el entrenamiento del modelo y ampliar la gama de WSI para abarcar varios tipos de osteosarcoma, no solo el intramedular.

ANALIZADOR DE ANÁLISIS DE ORINA

URITEST MEDICAL ELECTRONIC

El US-1680 es el primer analizador de análisis de orina de Al-Libre con un diseño compacto todo en uno, un rendimiento de 300 P/H para análisis químico, 120 P/H para análisis de sedimentos y 120 P/H para análisis químico y de sedimentos.

209 LME-3-24 LINKXPRESS COM

Imagen: Una imagen microscópica de un osteosarcoma intramedular (Fotografía cortesía de Johns Hopkins Medicine)

Pruebas moleculares multiplex de 15 minutos podrían detectar ITS en el punto de atención

Viene de la pág. 9

y específicas. Las pruebas también incorporan productos biológicos patentados, como enzimas, diseñadas y fabricadas por Detect, lo que permite obtener resultados más rápidos y precisos.

Detect ha aprovechado la misma tecnología utilizada para su prueba de COVID-19 para ampliar sus aplicaciones y actualizar el sistema, haciéndolo más rápido, más fácil de usar y más sensible. Esta evolución ha dado como resultado un sistema avanzado en el punto de atención y nuevas pruebas moleculares múltiples. La compañía ahora está avanzando en su panel multiplex isotérmico inicial para ITS. Lidiar con las pruebas de ITS presentó un desafío único en la preparación de muestras, ya que las muestras de matriz vaginal, a diferencia de la saliva o las secreciones nasales, requieren pasos de preparación adicionales para que los patógenos sean accesibles. Detect ha abordado este importante obstáculo técnico mediante la creación de un componente de preparación de muestras miniaturizado y rentable para su sistema. El cartucho de prueba en sí está compuesto de componentes fluídicos de plástico simples, que desplazan motores o componentes electrónicos complejos del cartucho al núcleo, lo que reduce el costo del cartucho.

El mercado principal de Detect incluye lugares de pruebas en puntos de atención, como consultorios médicos, clínicas de atención de urgencia, residencias de ancianos y farmacias, que normalmente están más preocupados por el coste continuo de los consumibles que por el coste inicial del dispositivo de prueba. La compañía anticipa que su plataforma será sustancialmente más asequible que otros sistemas de punto de atención que existen actualmente en el mercado. Detect se está centrando en validar su ensayo molecular rápido de ITS en los próximos meses para prepararse para su presentación a la Administración de Alimentos y Medicamentos de EUA. En el futuro, Detect planea mejorar su panel de ITS para identificar SNP específicos en las bacterias de la gonorrea que las hacen resistentes a la ciprofloxacina, un antibiótico de bajo costo.

Viene de la portada
10 LabMedica En Español Febrero-Marzo/2024 Para recibir información al instante sobre productos, ingrese a www.LinkXpress.com, o escanee el código QR en su dispositivo móvil MERCADO MUNDIAL DE DIAGNÓSTICOS CLÍNICOS

Nuevos biomarcadores de enfermedad

renal diabética podrían mejorar diagnóstico y seguimiento

La enfermedad renal diabética (ERD) es una complicación microvascular importante que surge de la diabetes mellitus tipo 2 (DM2) y que conduce a la enfermedad renal terminal (ERT). A pesar de los avances en las opciones de tratamiento, como el control de la hiperglucemia y la presión arterial y los bloqueos del sistema renina-angiotensina, la ERD continúa prevaleciendo a tasas alarmantes. Clínicamente, la ERD a menudo progresa de microalbuminuria a macroalbuminuria, marcada por niveles elevados de albúmina en la orina y una fase inicial de hiperfiltración seguida de una disminución gradual de la función renal. Sin embargo, en estudios recientes se han observado variaciones en las presentaciones clínicas y las tasas de progresión a ERT. A medida que evoluciona el conocimiento científico, la necesidad de biomarcadores específicos para la ERD se ha vuelto cada vez más vital. Ahora, un análisis del perfil del proteoma urinario y exosomático realizado por un equipo de científicos ha llevado al descubrimiento de biomarcadores para la ERD, que ofrecen potencial para un diagnóstico y tratamiento tempranos.

La investigación llevada a cabo por científicos del Instituto de Shanghai de Materia Médica, Academia China de Ciencias (Shanghai, China; http:// english.simm.cas.cn) involucró un extenso análisis de proteómica urinaria de 144 pacientes y proteómica de exosomas urinarios de 44 pacientes con diversos grados de albuminuria relacionada con la DM2. La utilización de exosomas para el descubrimiento de biomarcadores ofrece varios beneficios, incluida la minimización de la presencia de abundantes proteínas en la orina y el enriquecimiento de un subproteoma que comprende proteínas de membrana y citosólicas. Los exosomas urinarios también proporcionan información crucial de una amplia gama de orígenes epiteliales, lo que refleja procesos fisiológicos o patológicos en prácticamente todas las células epiteliales expuestas al espacio urinario. Además, el análisis proteómico de los exosomas urinarios puede identificar proteínas específicamente relacionadas con determinadas enfermedades renales, como fue el caso de este estudio.

El estudio analizó muestras de orina de 144 pacientes clínicos, incluidos 19 controles sanos y 125 pacientes con DM. El grupo de diabéticos se clasificó además en tres etapas según los valores de la relación albúmina-creatinina (ACR). La investigación destacó la naturaleza dinámica de los proteomas urinarios y exosomáticos en pacientes con DM2 en diferentes etapas de albuminuria. Las proteínas se agruparon en seis grupos según sus patrones de expresión a lo largo de la progresión de la ERD. El estudio observó una disminución significativa en las proteínas asociadas con los procesos glucolíticos y de ubiquitinación desde los controles sanos hasta las primeras etapas de DM, con una disminución gradual que continúa hasta las últimas etapas de DM. Por el contrario, las proteínas implicadas en el transporte de lípidos y la esterificación del colesterol aumentaron progresivamente, alcanzando su punto máximo en la etapa

más avanzada. Las proteínas involucradas en los procesos metabólicos de los carbohidratos mostraron una alta expresión en pacientes con DM temprana, disminuyendo a medida que avanzaba la ERD. Además, el estudio identificó y validó biomarcadores potenciales para el diagnóstico de ERD o el seguimiento de la enfermedad, como SERPINA1 y TF, en otra cohorte de muestras de orina de diabéticos con distintos grados de ERD. Por lo tanto, esta investigación ha proporcionado una comprensión más profunda de los biomarcadores asociados con la enfermedad renal, alimentando esperanzas de mejores tratamientos en etapa temprana y estrategias de manejo para la ERD.

HbA1c analizador de un paso

• Resultados precisos y fiables de HbA1c trazables a la IFCC y al NGSP

• Medición rápida: resultados disponibles después de 4:30 min.

• Cartucho precalibrado todo en uno

• Almacenamiento de pruebas a 2-30°C por hasta 18 meses

• Analizador sin mantenimiento

DiaSys. Confianza total en resultados de pacientes. www.diasys-diagnostics.com

111 LME-3-24 LINKXPRESS COM 11 LabMedica en Español Febrero-Marzo/2024 LabMedica en Español Para ver este número en formato de revista digital interactiva, visite www.labmedica.es

SISTEMA DE PREPARACIÓN DE NGS INTEGRA BIOSCIENCES

El compacto MIRO CANVAS proporciona una verdadera automatización de protocolos complejos de hibridación y preparación de bibliotecas de secuenciación de próxima generación (NGS), que requieren solo 15 minutos de tiempo práctico.

rueba de COVID-19 de un minuto adaptable para detectar otros virus con proteínas Spike

Varios animales, desde luciérnagas hasta peces linterna, tienen las herramientas químicas necesarias para producir luz. Este tipo de reacción por lo general requiere el sustrato luciferina y la enzima luciferasa. Sin embargo, una clase de luciferinas menos discriminantes, denominadas compuestos de tipo imidazopirazinona (IPT), tiene la capacidad de brillar al entrar en contacto con otras proteínas, incluidas aquellas que no se consideran enzimas. Estudios anteriores han sugerido que las luciferinas IPT podrían actuar como base para un nuevo tipo de prueba médica que utiliza luminiscencia para indicar la presencia de una proteína objetivo en una muestra. Ahora, un equipo de investigadores ha desarrollado una prueba brillante, basada en su creencia de que una luciferina IPT puede reaccionar con la proteína Spike del SARS-CoV-2, lo que permite que las partículas del virus invadan las células y causen la COVID-19.

En su investigación, el equipo del Instituto Nacional de Ciencia y Tecnología Industrial Avanzada (AIST, Ibaraki, Japón; www.aist.go.jp) se centró en 36 luciferinas IPT diferentes y probó su capacidad para reaccionar con una unidad singular de la proteína Spike del SARS-CoV-2: el elemento crítico que permite que el virus penetre en las células y cause la COVID-19. Sorprendentemente, sólo una de estas moléculas, derivada de pequeños crustáceos del género Cypridina, exhibió la capacidad de emitir luz. Se llevaron a cabo más investigaciones sobre la interacción de la luciferina con la proteína Spike en su estado trimérico o natural. Los resultados fueron prometedores, ya que se observaron emisiones de luz detectables en un lapso de 10 minutos. Sin embargo, esta emisión de luz no era visible a simple vista y requería un lector de luminiscencia disponible comercialmente.

SISTEMA DE INMUNOENSAYO POC ABSOLOGY

ABSOL CARRY es un sistema de inmunoensayo con tecnología de microfluidos para un diagnóstico preciso y estable. Diseñado para pruebas en el punto de atención, proporciona resultados cuantitativos basados en tecnología de inmunoensayo.

Imagen: La prueba de COVID-19 de un minuto utiliza un sustrato bioluminiscente que reacciona con la proteína de pico del SARS-CoV-2 (Fotografía cortesía de Ryo Nishihara)

Nuevos biomarcadores urinarios podrían permitir detección temprana de nefritis lúpica

El lupus eritematoso sistémico (LES), ampliamente conocido como lupus, es una afección autoinmune en la que el sistema inmunológico del cuerpo ataca por error a sus propios tejidos y órganos. Esta enfermedad puede provocar una inflamación que afecta a varias partes del cuerpo, incluidas las articulaciones, la piel, los riñones, las células sanguíneas, el cerebro y el corazón. Entre sus manifestaciones, la nefritis lúpica destaca como una de las más graves y comunes, resultando a menudo en una importante morbilidad y mortalidad. La detección temprana de la afectación renal en pacientes con lupus y la intervención inmediata son fundamentales para mitigar el dolor, el sufrimiento y la posible muerte asociados. Ahora, los investigadores han descubierto nuevos biomarcadores con un desempeño diagnóstico mejorado para la detección temprana de la nefritis lúpica.

En un avance significativo, un equipo de investigación de la Universidad de Houston (Houston, TX, EUA; www.uh.edu) empleó la proteómica del ensayo de extensión de proximidad (PEA), un método centrado en el estudio de proteínas en términos de sus interacciones, funciones, composiciones y estructuras, en muestras de orina de pacientes con lupus. Este enfoque condujo al descubrimiento de varias proteínas que aumentan notablemente en la orina de personas con enfermedad renal

El equipo también demostró la selectividad de esta luciferina IPT, ya que no producía luz cuando se exponía a seis proteínas diferentes que se encuentran comúnmente en la saliva. Este tipo único de luminiscencia, denominado “quimioluminiscencia catalizadora de biomoléculas (BCL)”, es una reacción iniciada por biomoléculas que no están clasificadas como luciferasas. Es importante destacar que los investigadores descubrieron que esta luciferina podría determinar la cantidad de proteína Spike presente en la saliva con el mismo nivel de precisión que un método utilizado en la investigación de vacunas, pero mucho más rápido, entregando resultados en solo un minuto, una mejora significativa con respecto a las pruebas rápidas en el punto de atención existentes. Los investigadores imaginan que este método basado en BCL podría servir como base para una prueba sencilla de “mezclar y leer”. Implica agregar luciferina IPT a la saliva no tratada de un individuo sospechoso de tener COVID-19. Este nuevo enfoque podría adaptarse potencialmente para detectar otros virus que tienen proteínas tipo Spike, como la influenza, el MERS-CoV y diferentes coronavirus, ofreciendo una nueva y amplia vía para la detección de virus. Continúa en la pág. 13

211 LME-3-24 COM 212 LME-3-24 LINKXPRESS COM
12 LabMedica En Español Febrero-Marzo/2024 Para recibir información al instante sobre productos, ingrese a www.LinkXpress.com, o escanee el código QR en su dispositivo móvil MERCADO MUNDIAL DE DIAGNÓSTICOS CLÍNICOS
Nueva

prueba de detección capaz de identificar 18 cánceres en etapa temprana

Viene de la portada

identificar 18 tipos de cánceres en etapa temprana en varios órganos importantes del cuerpo humano.

Esta innovadora prueba de Novelna Inc. (Palo Alto, CA, EUA; www.novelna.com) aprovecha un panel de 10 proteínas específico para cada género, lo que proporciona un avance significativo en la batalla en curso contra el cáncer. La base de la prueba se sentó gracias a una investigación pionera que subraya el potencial de una nueva clase de pruebas de detección del cáncer, que promete una mayor precisión, menores costos y un avance hacia la atención médica personalizada. En su investigación, el equipo de Novelna analizó muestras de plasma de 440 individuos, tanto sujetos sanos como aquellos diagnosticados con 18 tumores sólidos diferentes en etapa temprana. Emplearon ensayos de extensión de proximidad para evaluar más de 3.000 proteínas, tanto de alta como de baja abundancia, en cada muestra. Posteriormente, aplicaron un proceso estadístico de múltiples capas para identificar un grupo selecto de proteínas específicas de género capaces de detectar cánceres en etapa temprana e identificar su tejido de origen con alta precisión.

El enfoque de esta prueba en proteínas específicas de género permite una sensibilidad y especificidad mejoradas, reconociendo las diferencias biológicas únicas en el desarrollo del cáncer entre hombres y mujeres. Depender de marcadores proteicos en lugar de marcadores genómicos tradicionales mejora la capacidad de la prueba para detectar varios cánceres con precisión y rapidez. La opción de limitar la detección a 10 proteínas esenciales reduce considerablemente el coste de la prueba. En comparación con las pruebas de detección temprana de múltiples cánceres (MCED), que pueden costar alrededor de 1.000 dólares, se espera que la innovadora prueba de Novelna cueste menos de 100 dólares, lo que hace que la detección temprana del cáncer sea más accesible para muchos.

Con una sensibilidad superior al 80 % para los cánceres en etapa I y II (etapas en las que los pacientes suelen ser asintomáticos), la prueba de Novelna supera los métodos existentes, que generalmente muestran menos del 50 % de sensibilidad para detectar cánceres en etapas tempranas. Este avance tiene el potencial de remodelar las estrategias de salud pública mediante la integración de esta prueba de plasma en los controles médicos regulares. La alta especificidad de la prueba reduce la probabilidad de falsos positivos y su asequibilidad allana el camino para una implementación amplia. La prueba podría resultar un cambio de las reglas de juego en la detección del cáncer al salvar un número significativo de vidas.

“Nuestro estudio representa un gran avance en la detección del cáncer, ya que combina la precisión de los biomarcadores basados

Nuevos biomarcadores urinarios podrían permitir detección temprana de nefritis lúpica

Viene de la pág. 12

activa relacionada con el lupus. El estudio reafirmó la validez de varios biomarcadores en orina previamente reconocidos para el lupus renal activo, incluidos ALCAM, CD163, MCP1, SELL, ICAM1, VCAM1, NGAL y TWEAK. Además, el equipo descubrió biomarcadores de proteínas en orina adicionales no identificados previamente, como ICAM-2, FABP4, FASLG, IGFBP-2, SELE y TNFSF13B/BAFF. El análisis de estas moléculas dentro de los riñones indicó que podrían ser liberadas en la orina tanto por células inmunes como no inmunes presentes en el tejido renal.

“Nosotros y otros hemos informado sobre varias proteínas de la orina que pueden servir como presagios de afectación renal en el lupus”, dijo Chandra Mohan, pionera en la investigación del lupus de la Universidad de Houston. “Aquí informamos sobre una técnica novedosa basada en el uso de anticuerpos y amplificación de ADN que puede detectar incluso concentraciones bajas de proteínas. Esta técnica se llama ensayo de extensión de proximidad (PEA)”.

en proteínas con la eficiencia del análisis específico del sexo”, afirmó el Dr. Ashkan Afshin, fundador de Novelna Inc. “No sólo estamos buscando una forma más eficaz de detectar el cáncer de forma temprana, sino también una solución rentable que puede implementarse a gran escala”.

113 LME-3-24 LINKXPRESS COM
Su socio para una mejor atención médica Puesto 2160 SAFE Visítenos en la Expo de Laboratorio Clínico Agentes Biológicos ADLM 2024 BOLD MOVE. JULY 28 AUGUST 1 CHICAGO, IL
13 LabMedica en Español Febrero-Marzo/2024 LabMedica en Español Para ver este número en formato de revista digital interactiva, visite www.labmedica.es

CONTROL DE CALIDAD DE MARCADORES CARDÍACOS BIO-RAD QUALITY SYSTEMS DIVISION

El control de troponinas cardíacas Liquichek es un control de troponinas dedicado de tres niveles diseñado para monitorear la precisión de los ensayos de troponina I o troponina T de alta sensibilidad o de próxima

Dispositivo portátil detecta fentanilo en orina en segundos

Viene de la portada

investigadores han desarrollado un dispositivo portátil, el primero de su tipo, capaz de detectar con precisión el fentanilo en la orina en cuestión de segundos.

El dispositivo desarrollado por investigadores de la Universidad de Texas en Dallas (Richardson, TX, EUA; www.utdallas.edu) contiene un sensor electroquímico que opera generando señales eléctricas a partir de reacciones químicas. Detectar el fentanilo fue un desafío debido a su naturaleza no volátil, lo que significa que no produce de forma natural una firma electroquímica. Para superar esto, los investigadores diseñaron una estructura molecular similar a una jaula que se asemeja a una trampa para ratones para capturar fentanilo. Esta “trampa” incorpora varios componentes, incluidas nanopartículas de oro, y utiliza naloxona, un medicamento que revierte las sobredosis de opioides, para atraer y unirse al fentanilo. Cuando se aplica una muestra de orina a una tira reactiva, la presencia de fentanilo desencadena una reacción con la naloxona, lo que da como resultado una señal detectable.

Esta tecnología también puede analizar otras sustancias en busca de fentanilo simplemente diluyendo una muestra en agua y aplicándola al sensor. El dispositivo de prueba de concepto del equipo puede detectar

ANALIZADOR AUTOMÁTICO DE BIOQUÍMICA ARK DIAGNOSTIC SYSTEM

El analizador de bioquímica automático Metrolab 2300 GL ofrece una solución flexible para laboratorios con su rendimiento óptimo y bajo consumo de agua. Ofrece 48 posiciones de reactivos y muestras y funciona con software de última generación.

Imagen: Los investigadores demuestran cómo su sensor puede detectar fentanilo (Fotografía cortesía de la Universidad de Texas en Dallas)

trazas de fentanilo con una precisión del 98 %, evitando la necesidad de análisis de laboratorio costosos y que requieren mucho tiempo. El prototipo actual, diseñado para análisis de orina, es un precursor del desarrollo de una prueba basada en saliva. Se están realizando esfuerzos para ampliar la tecnología para detectar fentanilo en el cabello, con el objetivo final de ser una prueba de saliva. Una prueba basada en saliva sería particularmente beneficiosa para los socorristas a la hora de tomar decisiones de tratamiento oportunas en casos de sobredosis.

Modelo de IA para clasificación de tumores cerebrales avanza en neuropatología

Los gliomas difusos, que comprenden una gran parte de los tumores cerebrales malignos en adultos, incluyen varios tipos, como astrocitoma, oligodendroglioma y glioblastoma. El diagnóstico de este tipo de gliomas tradicionalmente se basa en un análisis que integra características histológicas con detalles moleculares, un método que presenta complejidades significativas cuando se intenta desarrollar un modelo de diagnóstico integral a partir de imágenes de portaobjetos completos (WSI). La inmensa resolución de gigapíxeles de los WSI hace que el uso de redes neuronales convolucionales estándar para el análisis sea poco práctico. Para abordar este desafío, los investigadores han introducido un novedoso modelo de diagnóstico integrado que puede clasificar automáticamente los gliomas difusos de tipo adulto directamente a partir de imágenes patológicas estándar sin anotar de diapositivas completas, eliminando la necesidad de pruebas moleculares adicionales.

Investigadores de la Academia China de Ciencias (CAS, Beijing, China; www.cas.cn) han ideado este modelo de aprendizaje profundo capaz de analizar WSI y categorizar gliomas sin necesidad de anotaciones manuales detalladas. Este modelo cumple con las estrictas pautas de clasificación descri-

tas en la quinta edición de 2021 de la Clasificación de tumores del sistema nervioso central de la Organización Mundial de la Salud. El modelo se sometió a entrenamiento y validación en un conjunto de datos diverso que comprende 2.624 casos de pacientes recopilados en tres hospitales diferentes.

La eficacia del modelo se evaluó con base a su precisión de clasificación, sensibilidad a diversos tipos y grados de glioma y su capacidad para diferenciar entre genotipos que exhiben características histológicas similares. Los resultados de los experimentos indican que el modelo demuestra un desempeño sólido, con todas las áreas bajo la curva del operador receptor superando 0,90. Este desempeño se destacó en su capacidad para clasificar los principales tipos de tumores, identificar los grados de los tumores dentro de cada tipo y, en particular, distinguir entre genotipos de tumores que comparten las mismas características histológicas.

“Nuestro modelo de diagnóstico integrado tiene el potencial de usarse en escenarios clínicos para la clasificación automatizada e imparcial de gliomas difusos de tipo adulto”, afirmó el profesor Li Zhicheng de CAS, quien dirigió el equipo de investigación. “La investigación futura se centrará en mejorar este modelo para tener conjuntos de datos multicéntricos y multirraciales”.

214 LME-3-24 COM 215 LME-3-24 LINKXPRESS COM
14 LabMedica En Español Febrero-Marzo/2024 Para recibir información al instante sobre productos, ingrese a www.LinkXpress.com, o escanee el código QR en su dispositivo móvil MERCADO MUNDIAL DE DIAGNÓSTICOS CLÍNICOS
Sensores electroquímicos con recubrimiento de próxima generación avanzan en diagnóstico de precisión POC

Las actuales tecnologías de diagnóstico en el punto de atención (POC) generalmente se limitan a medir un único biomarcador de enfermedad o varios biomarcadores de la misma clase de moléculas, como varios ARN, proteínas o anticuerpos. Sin embargo, la capacidad de medir múltiples biomarcadores de diferentes clases moleculares podría proporcionar una comprensión más integral sobre el estado, la gravedad, la progresión y las variaciones individuales de una enfermedad en su desarrollo. Los biosensores electroquímicos, que convierten la señal química de un biomarcador que se encuentra en una pequeña muestra de biofluido (como sangre, saliva u orina) en una señal eléctrica proporcional a la cantidad del biomarcador, podrían abordar muchos desafíos de diagnóstico en el punto de atención. Estos sensores se pueden ensamblar en matrices multiplexadas para detectar diferentes biomarcadores, y los avances recientes han superado el desafío de la “bioincrustación” (la degradación de las superficies de los electrodos por moléculas biológicas no específicas en las muestras) mediante el desarrollo de delgados recubrimientos antiincrustantes.

Ahora, investigadores del Instituto Wyss de la Universidad de Harvard (Boston, MA, EUA; www.wyss.harvard.edu), en colaboración con varios institutos de Corea, han logrado avances significativos en sensores de diagnóstico electroquímico. Han desarrollado un nuevo recubrimiento antiincrustante poroso nanocompuesto de un micrómetro de espesor, unas 100 veces más grueso que los recubrimientos anteriores. Este mayor espesor, junto con una estructura porosa diseñada, permite

un sensor habilitado para CRISPR para el ARN del SARS-CoV-2, un sensor para el antígeno de la cápside del virus y otro para un anticuerpo del huésped dirigido por el virus. Cuando se probó con muestras de pacientes, el nuevo sensor demostró sensibilidades de detección entre 3,75 y 17 veces mayores en comparación con un sensor anterior fabricado con los mismos sistemas de detección pero utilizando el revestimiento más delgado y no poroso del equipo. También distinguió con precisión entre muestras positivas y negativas con un 100 % de especificidad.

“Nuestro novedoso recubrimiento de emulsión porosa y espesa aborda directamente los obstáculos críticos que actualmente impiden el uso generalizado de sensores electroquímicos como componentes centrales de diagnósticos POC

integrales para muchas afecciones”, dijo el director fundador de Wyss, Dr. Donald Ingber,Ph.D. “Sin embargo, yendo mucho más allá de eso, también podría abrir nuevas oportunidades para desarrollar dispositivos implantables más seguros y funcionales, y otros sistemas de monitoreo del cuidado de la salud en múltiples frentes de enfermedades. Superar los problemas de bioincrustación y sensibilidad son desafíos que impactan muchos de estos esfuerzos”.

Para laboratorios pequeños y medianos, @SINGUWAY es su respuesta

≤30 minutos

Extractor de ácido nucleico Singu20 Sistema de PCR en tiempo real AccuRa-32 (32 muestras)

≤35 minutos

Extractor de ácido nucleico Singu20 Sistema de PCR en tiempo real AccuRa mini (8-16 muestras)

Kits de detección de qPCR (método de fluorescencia en PCR):

Enfermedades Respiratorias: COVID-19, fluA, FluB, AdV, TB y pruebas múltiples

Enfermedades de la sangre: VHB, VHC, VIH y pruebas múltiples

Enfermedades de Transmisión Sexual: VPH, CT, NG, UU y pruebas múltiples

Enfermedades Zoonóticas Virales: MPV

Enfermedades transmitidas por vectores: FP, VZIK

Enfermedades Genéticas: MTHFR

Enfermedades de los animales: enfermedades de los cerdos, aves, animales acuáticos, rumiantes y animales de compañía

Analizador de hematología de 5 partes Hematología + CRP + Analizador de articulaciones AAS (muestreo automático)

115 LME-3-24 LINKXPRESS COM 15 LabMedica en Español Febrero-Marzo/2024 LabMedica en Español Para ver este número en formato de revista digital interactiva, visite www.labmedica.es
Herramientas

PRUEBA DE VITAMINA B1/B6 CHROMSYSTEMS

Este ensayo permite la determinación cuantitativa de las formas fisiológicamente activas de la vitamina B1, pirofosfato de tiamina, en muestras de sangre completa y de la vitamina B6, piridoxal 5’-fosfato, en muestras de sangre o plasma.

de diagnóstico molecular ultrasensibles detectan malaria asintomática

La malaria sigue siendo una causa importante de enfermedad y muerte, especialmente en los países de bajos ingresos, y afecta con mayor fuerza a los niños pequeños y a las mujeres embarazadas. Solo en 2022, la Organización Mundial de la Salud reportó 608.000 muertes por malaria a nivel mundial, y un asombroso 95 % de ellas ocurrieron en la región africana. Un desafío clave en el control de la malaria, especialmente en áreas endémicas, es identificar y tratar a los portadores asintomáticos de la enfermedad. En respuesta a este desafío, los investigadores han desarrollado herramientas de diagnóstico avanzadas capaces de detectar incluso rastros mínimos de malaria en personas que portan el parásito pero que no presentan síntomas.

Un esfuerzo colaborativo entre científicos de la Universidad de Washington (Seattle, WA, EUA; www.washington.edu) y Med Biotech Laboratories (Kampala, Uganda; www.mbl.ug) ha conducido a avances significativos en la detección de la malaria. Los investigadores observaron que

la densidad del parásito de la malaria en la sangre puede caer repentinamente por debajo del umbral de detección de las pruebas tradicionales debido a la naturaleza evolutiva de los patógenos de la malaria. Este problema se agrava cuando se utilizan métodos de diagnóstico más antiguos y menos sensibles y cuando las pruebas se limitan a un único momento. Descubrieron que las herramientas de diagnóstico molecular ultrasensibles poseen una mayor sensibilidad analítica que otros métodos de prueba, incluidos frotis de sangre, pruebas de diagnóstico rápido y algunas otras pruebas moleculares. En su estudio, el equipo aplicó estas herramientas ultrasensibles para realizar pruebas a adultos no embarazadas de entre 18 y 59 años y a niños de ocho a 17 años en el distrito de Katawki en el este de Uganda, una región con una alta incidencia de malaria. Los participantes no estaban siendo tratados con ningún medicamento contra la malaria.

La investigación implicó analizar muestras de sangre seca para detectar la presencia de ARN ribosomal de Plasmodium, esencial en

PLATAFORMA DE PRUEBAS CERCANAS AL PACIENTE BAEBIES

FINDER es una plataforma de pruebas cercanas al paciente impulsada por microfluidos digitales para pruebas que requieren un volumen de sangre bajo. Tiene un tiempo de respuesta de unos 15 minutos después de la introducción de la muestra.

la producción de proteínas del parásito, para evaluar los tipos y densidades de los parásitos de la malaria durante un mes. El objetivo era establecer un programa de muestreo práctico que pudiera identificar consistentemente casos de malaria asintomáticos sin necesidad de pruebas diarias. Sorprendentemente, alrededor del 60 % de los participantes del estudio experimentaron una infección por Plasmodium en algún momento durante el período de investigación. Sin embargo, a menos de la mitad se les detectó una infección al inicio del estudio. La tasa media de infección se situó en el 30 %. El equipo ha destacado una tendencia creciente en la malaria asintomática entre los niños ugandeses mayores de cinco años, lo que indica la necesidad de realizar más investigaciones sobre la dinámica de la malaria asintomática.

“Para fabricar vacunas, medicamentos y terapias contra las infecciones y probarlas en áreas endémicas se necesitan herramientas de diagnóstico que puedan detectar incluso las infecciones de menor densidad”, dijo Sean Murphy, profesor de medicina de laboratorio y patología de la Universidad de Washington.

“Nuestros hallazgos actuales proporcionan información crítica sobre la carga de la malaria asintomática que esperamos que algún día sea útil para el programa nacional de control de la malaria en Uganda y otros países africanos donde la malaria es endémica”, añadió Tonny Owalla, investigador del Med Biotech Laboratories en Kampala.

217 LME-3-24 COM 218 LME-3-24 LINKXPRESS COM
16 LabMedica En Español Febrero-Marzo/2024 Para recibir información al instante sobre productos, ingrese a www.LinkXpress.com, o escanee el código QR en su dispositivo móvil MERCADO MUNDIAL DE DIAGNÓSTICOS CLÍNICOS
Imagen: Los investigadores han logrado avances en el ADN libre de células para el diagnóstico temprano de la preeclampsia (Fotografía cortesía de Leandro Lemgruber, Universidad de Glasgow)

Editado por Katherina Psarra MSc, PhD

Los miembros de la IFCC pueden enviar sus noticias al correo: enews@ifcc.org

MENSAJE DE LA PRESIDENTA

Queridos colegas y amigos,

Asumir el cargo de presidenta de la Junta Ejecutiva de la Federación Internacional de Química Clínica y Medicina de Laboratorio (IFCC) no sólo es un tremendo honor, sino también un gran privilegio para mí. Estoy entusiasmada con las oportunidades y desafíos que tengo por delante mientras me embarco en mi viaje de servicio a la comunidad de la IFCC, comenzando mi mandato el 1 de enero de 2024. Quiero expresar mi sincero agradecimiento a las sociedades miembros de la IFCC dentro de las 6 Federaciones Regionales de la IFCC por su amable apoyo y por creer en mí. Agradezco sinceramente su confianza y les aseguro que estoy plenamente comprometida a merecer su confianza. Me dedico a contribuir con mi tiempo, experiencia, conocimiento y energía para mejorar las funciones y actividades de la IFCC.

Asumiendo una posición de liderazgo, junto con otros miembros dedicados de la Junta Ejecutiva de la IFCC, funcionarios de la IFCC, Federaciones Regionales, Sociedades Nacionales y miembros corporativos, nuestra misión colectiva es fortalecer las bases sólidas sobre las que se sustenta la Federación. Nuestros esfuerzos se centrarán en identificar nuevas oportunidades y formular estrategias innovadoras que permitan a la medicina de laboratorio desempeñar un papel crucial en la atención al paciente. Nuestro objetivo es garantizar que la IFCC continúe siendo la organización global líder que representa la medicina de laboratorio en todo el mundo.

La IFCC exige un equipo directivo dedicado y competente. El presidente, junto con los miembros de la nueva Junta Ejecutiva de la IFCC y los funcionarios de las Unidades Funcionales de la IFCC, dedicarán ambos compromisos, tiempo y esfuerzo. Las operaciones diarias de la IFCC serán administradas de manera eficiente gracias a la capacidad, el entusiasmo y los esfuerzos excepcionales de los secretarios de la oficina de la IFCC que trabajarán en estrecha colaboración con los funcionarios de la IFCC. Nuestro objetivo no es sólo sostener, sino mejorar las funciones y actividades de la IFCC, haciendo contribuciones significativas al avance de la Medicina de Laboratorio y el crecimiento de sus profesionales. Estamos preparados para llevar la bandera de la IFCC aún más alto, manteniendo iniciativas pasadas e introduciendo nuevos proyectos. La experiencia colectiva, el conocimiento y las nuevas ideas de los miembros de la Junta Ejecutiva y los funcionarios de la IFCC, que trabajan con entusiasmo en varias unidades funcionales, impulsarán este progreso. Enfatizamos la importancia de una estrecha colaboración con las Federaciones Regionales de la IFCC, las Sociedades

NOTICIAS

Miembro de la IFCC y los Miembros Corporativos, incentivando su participación activa en todas las actividades de la IFCC.

Expreso mi más sincero agradecimiento y felicitaciones al Prof. Khosrow Adeli por su destacado liderazgo, motivando y alentando a los funcionarios y miembros de la Junta Ejecutiva de la IFCC a participar activamente en numerosos proyectos de la IFCC. Extiendo mi más sincero agradecimiento a los ex presidentes de la IFCC, a los miembros salientes de las Juntas Ejecutivas de la IFCC y a los funcionarios de las Unidades Funcionales por sus

Continúa en la pág. 18

17 LabMedica en Español Febrero-Marzo/2024

EDITORIAL

Estimados colegas,

Esta es la primera edición de IFFC eNews para 2024. Tenemos un nuevo año por delante, lleno de actividades y con un IFCC Worldlab en Dubai, lleno de promesas.

Esta edición comienza con el importante primer mensaje de nuestra nueva presidenta de la IFCC, la profesora Tomris Ozben.

Lean este mensaje lleno de contenido significativo, queridos colegas, y aprenderán mucho sobre el brillante futuro de la IFCC de acuerdo con su maravilloso pasado.

¿Y cuál es el artículo más adecuado para seguir el mensaje de la segunda mujer presidenta de la IFCC, sino las propias palabras de la primera mujer presidenta de la IFCC, la fallecida profesora Jocelyn MB Hicks, en busca de

Viene de la pág. 17

inspiración, lecciones y consejos? La Dra. Sharon M. Geaghan nos ofrece la oportunidad de “escuchar” la voz de Jocelyn Hicks que nos guía, y especialmente a nosotras, las mujeres científicas, en la vida, el trabajo y la ciencia. Definitivamente quedarán conmovidos por sus palabras y sentirán una especie de empoderamiento, de apoyo. Intenten imitarla, queridos colegas.

Dos señoras, la Dra. María Del Carmen y la Dra. María Schroeder, presidenta y miembro del Comité de Relaciones Públicas junto con el expresidente, el Prof. Rajiv Erasmus, que desempeñó un papel tan importante en el lanzamiento de la semana Global Medlab, nos invitan como sociedades nacionales a participar en la Semana Global Medlab 2024 con el inspirador título “Los laboratorios salvan vidas”.

Noticias de EFLM y de las sociedades nacionales (Arabia Saudita, Irán, COLABIOCLI, Japón), de los programas IFCC PMEP y VLP, casos endocrinos presentados por TF-YS, un nuevo grupo de científicos de atención clínica galardonado con el premio de excelencia UNIVANTS completan esta primera edición del 2024 de IFCC eNews.

Feliz año nuevo, queridos colegas y no olviden leer y contribuir a las eNews.

Mensaje de la Presidenta

contribuciones excepcionales, servicios voluntarios, conocimientos y entusiasmo a lo largo de los años. Su dedicación ha desempeñado un papel crucial en la construcción de una Federación resiliente y en continuo avance, estableciéndola como una organización líder en medicina de laboratorio en todo el mundo, que brinda servicios de atención médica de alta calidad a sus miembros. Siempre recordaremos y apreciaremos profundamente sus importantes contribuciones. Aunque es posible que ya no desempeñen papeles activos, confiamos en que sus intereses y contribuciones a la IFCC perdurarán. Esperamos trabajar estrechamente con ellos, aprovechando su amplia experiencia y conocimiento en beneficio de la IFCC.

En los últimos años, las actividades de la IFCC han experimentado un crecimiento constante. Los importantes servicios y contribuciones de la IFCC a la mejora de la medicina de laboratorio son ampliamente reconocidos. Este notable éxito se atribuye al servicio voluntario, la dedicación y el tiempo invertido por más de 300 científicos de laboratorio de sociedades miembro y miembros corporativos, que prestan servicios en varias unidades funcionales de la IFCC. Nuestro más sincero agradecimiento se extiende a los funcionarios de la IFCC que representan a las Sociedades Miembro y a los Miembros Corporativos por su apoyo inquebrantable a lo largo de los años. Su compromiso y lealtad continuos han jugado un papel fundamental en la ejecución exitosa de numerosas tareas y proyectos de la IFCC.

Creo firmemente que el avance de la atención médica a través de la medicina de laboratorio depende del compromiso activo y la participación dedicada de las sociedades miembros de la IFCC, los miembros corporativos y los funcionarios de las unidades funcionales de la IFCC. Sus esfuerzos colectivos desempeñan un papel fundamental en la orientación de nuestra profesión hacia los objetivos y la dirección que se delinearán en los nuevos Planes de Acción Estratégicos de la IFCC, que se implementarán en los próximos años. Estos planes se elaborarán meticulosamente en colaboración con la Junta Ejecutiva de la IFCC, las Unidades Funcionales de la IFCC, las Sociedades Nacionales de la IFCC y los miembros corporativos, incorporando sus valiosas sugerencias, ideas y comentarios en la formulación de los Planes de Acción Estratégicos de la IFCC. Este enfoque inclusivo garantiza que los Planes de Acción Estratégicos de la IFCC sean un verdadero reflejo de las diversas perspectivas y experiencias dentro de nuestra comunidad.

El éxito en este panorama en evolución requiere colaboraciones

entre los impulsores de innovación industriales, públicos, privados y académicos. La Junta Ejecutiva de la IFCC valora y agradece los aportes de ideas, comentarios, sugerencias, críticas y el intercambio de desafíos e inquietudes de las Sociedades Nacionales de la IFCC y los socios de la industria IVD. En particular, animamos a los científicos jóvenes a participar activamente y desempeñar papeles fundamentales en las actividades de la IFCC. Invitamos a toda la comunidad de la IFCC a participar activamente en los esfuerzos de la IFCC, fomentando la colaboración para fortalecer el papel de liderazgo de la IFCC en el avance de la medicina de laboratorio, el diagnóstico integrado y la mejora de la calidad de la atención médica y los laboratorios médicos a nivel mundial. Su compromiso y contribuciones son cruciales mientras nos esforzamos colectivamente por alcanzar estos objetivos compartidos. Sus comentarios, participación y compromiso serán fundamentales para impulsar la medicina de laboratorio y dar forma al futuro de nuestra profesión. Lograr nuestros objetivos compartidos requiere acción y esfuerzo colaborativos. Para facilitar esto, estableceremos una plataforma global interactiva para los miembros de la IFCC en medicina de laboratorio, colegas de la industria del diagnóstico in vitro, salud digital y dispositivos médicos. Esta plataforma brindará oportunidades para interactuar, compartir y aprender a través de debates en red sobre tendencias, oportunidades y desafíos. El objetivo es ofrecer las últimas innovaciones y tecnologías de vanguardia en medicina de laboratorio, establecer modelos de asociación para la integración y adopción eficiente de tecnologías emergentes, prepararse para las nuevas regulaciones de diagnóstico in vitro en Europa y más allá, la transición a laboratorios médicos ecológicos y sostenibles, armonizar y estandarizar las pruebas de laboratorio y mejorar las colaboraciones en educación e investigación. Esta plataforma servirá como un espacio dinámico para el avance colectivo en nuestro campo.

Espero fomentar la cooperación productiva con los miembros y funcionarios de la Junta Ejecutiva de la IFCC, estableciendo colaboraciones y puentes eficientes con las Federaciones Regionales, Sociedades Nacionales y Miembros Corporativos de la IFCC en las actividades actuales y futuras de la IFCC. Les deseo a todos un excelente Año Nuevo con nuevas esperanzas y planes para el año que viene.

Con mis mejores deseos, Prof. Dra. Tomris Ozben Presidenta de la IFCC

18 LabMedica En Español Febrero-Marzo/2024 Noticias del mundo de la IFCC International Federation of Clinical Chemistry and Laboratory Medicine Para mayor información visíte: www.ifcc.org • www.labmedica.com NOTICIAS
Mejorar la vía diagnóstica para pacientes que acuden al servicio de urgencias con sospecha de lesión cerebral traumática leve

El cerebro sigue siendo un enigma con muchas cosas aun por conocer, pero de una cosa que estamos seguros es que cualquier traumatismo en el cerebro puede ser significativo. Por lo tanto, en reconocimiento al mes de concientización sobre las lesiones cerebrales (marzo de 2024), es importante reconocer los avances en todo el campo. Es digno de mención la llegada de las pruebas de biomarcadores sanguíneos en el departamento de emergencias para permitir una clasificación más rápida de los pacientes con sospecha de lesión cerebral traumática leve (mTBI).

En el Hospital Universitario Virgen de las Nieves, en España, un equipo de atención clínica integrada buscó implementar estratégicamente biomarcadores sanguíneos en la atención clínica. El nuevo panel TBI se utiliza junto con otra información clínica para ayudar a determinar la necesidad de una tomografía computarizada de la cabeza en pacientes de 8 años de edad o mayores, que presentan sospecha de lesión cerebral traumática leve (mTBI, puntuación de 13 - 15 en la escala de coma de Glasgow) dentro de las 12 horas posteriores a la lesión. Este panel facilita las mediciones de diagnóstico in vitro para las interpretaciones semicuantitativas de GFAP (proteína ácida fibrilar glial) y UCH-L1 (ubiquitina C-terminal hidrolasa L1) tal como se encuentran en plasma o suero humano.

La implementación de este panel para todos los pacientes con sospecha de mTBI en el departamento de emergencias ha cambiado la forma en que se evalúa a los pacientes con sospecha de TBI y ha tenido un impacto positivo en la atención en múltiples facetas. Ha habido una reducción del 10% en las tomografías computarizadas dentro de los primeros 3 meses de implementación, así como también se mitigó el uso excesivo de recursos limitados dentro del departamento de emergencias en 143 horas totales de urgencias en un período de 9 meses. Esto se combina con un aumento en la confianza clínica: el 77,8 % de los médicos indicaron que la información adicional del panel ayudó a reducir la incertidumbre relacionada con la ausencia de lesiones cerebrales, particularmente en personas que no son de edad avanzada.

Por sus esfuerzos para mejorar la clasificación de pacientes con sospecha de mTBI, este equipo de atención clínica integrada recibió el Reconocimiento al Logro de Excelencia en Atención Médica UNIVANTS. Felicitaciones a Gemma Álverez Corral, Es-

OFICINA DE LA IFCC

Via Carlo Farini 81, 20159 Milan, ITALY

Tel: (39) 02-6680-9912

E-mail: ifcc@ifcc.org • Web: www.ifcc.org

Personal: Paola Bramati, Silvia Cardinale, Silvia Colli-Lanzi, Elisa Fossati, Sofia Giardina, Smeralda Skenderaj

Las visiones y posiciones expresadas en la sección de noticias de IFCC pertenecen a la IFCC o a los autores de manera individual, y no necesariamente representan las visiones o posiciones de la revista LabMedica o sus editores.

pecialista de Laboratorio Clínico, María Isabel Romero Manjon, directora del Departamento de Radiología, Francisco Ruiz-Cabello Osuna, Especialista de Laboratorio Clínico, director del Departamento, Eva Gutiérrez Pérez, Especialista en Medicina de Emergencia, María Molina Zayas, Especialista de Laboratorio Clínico

MAKE YOUR MOVE.

REGISTER EARLY + SAVE

Ready to discover what’s next for laboratory medicine? Join us for ADLM 2024 in Chicago. Breaking science requires bold thoughts and actions from observation to collaboration to innovation to sharing with lab-minded professionals. Immerse yourself in the experience.

• Five plenaries, 65+ scientific sessions, and 170 roundtables

• 12 ADLM University courses offering practical skills for laboratorians

• 900+ exhibitors, 200+ product categories and live demos

• Networking opportunities to connect with industry peers and leaders

• And much more!

Make your move early for the best rates.

Registration opens early April at meeting.myadlm.org.

JU LY 28–AUGUST 1 • CHICAG O, IL, US A
Patrick Mathias MD, PhD
19 LabMedica en Español Febrero-Marzo/2024
del mundo de la IFCC International Federation of Clinical Chemistry and Laboratory Medicine Para mayor información visíte: www.ifcc.org • www.labmedica.com NOTICIAS
Noticias

Actividades del Grupo de Jóvenes Científicos sobre Competencia Digital en Medicina de Laboratorio

Marie Lenski, YS francesa (Société Française de Biologie Cliniques SFBC), miembro de IFCC-TF-YS

Jakob Adler, YS alemán (Deutsche Gesellschaft für Klinische Chemie und Laboratoriumsmedizin DGKL), miembro correspondiente de IFCC-TF-YS

Esta iniciativa comenzó después del EuromedLab Munich 2022 por Jakob Adler (Alemania) y Marie Lenski (Francia) y con el apoyo del Grupo de Trabajo de la IFCC – Jóvenes Científicos. La IFCC distribuyó una primera encuesta en junio de 2022 para evaluar las necesidades de los científicos jóvenes con respecto a la competencia digital a escala global. Los resultados, publicados en 2023 en Journal of Laboratory Medicine, destacaron la necesidad de establecer un grupo de trabajo internacional sobre competencia digital. El objetivo es construir un entorno de aprendizaje y proponer recursos internacionales comunes, como artículos tutoriales, vídeos, ejercicios y artículos técnicos para mejorar las habilidades digitales en medicina de laboratorio. En septiembre de 2022 se realizó una segunda encuesta utilizando una lista de correo específica con casi 120 suscriptores. Esta encuesta permitió a los jóvenes científicos expresar sus expectativas y necesidades para mejorar su competencia digital. Los resultados incluyeron:

. Lenguaje de programación y control de versiones (R, Python, Git…)

. Estadística y ciencia de datos.

. Trabajo colaborativo

. Bingo de palabras de moda de TI (breve explicación de las palabras de moda de TI)

.Aplicación concreta para medicina de laboratorio (intervalos de referencia…)

Después de una intensa creación de la plataforma y los recursos por parte de Jakob Adler, el 24 de enero de 2024 tuvo lugar la primera reunión en línea del grupo de jóvenes científicos sobre competencia digital en medicina de laboratorio. Doce jóvenes científicos participaron en el lanzamiento de las actividades, involucrándose en trabajo colaborativo y fijación

de objetivos futuros sobre:

. GitHub: una plataforma en línea para alojamiento de códigos y trabajo colaborativo, que presenta un grupo dedicado centrado en la competencia digital en medicina de laboratorio.

. Lenguaje Markdown: se presentó un artículo que cubre el lenguaje de marcado Markdown, acompañado de una caja de herramientas de Markdown.

. Programación R: una introducción a la programación R y los recursos que cubren operaciones y funciones básicas.

. CryptPad: una presentación de esta suite ofimática colaborativa, cifrada de extremo a extremo y de código abierto.

El grupo de jóvenes científicos pretende combinar Markdown y R, alojar su trabajo en GitHub y cubrir diversos temas como programación, análisis de datos y aplicaciones prácticas en medicina de laboratorio.

La próxima reunión en línea de este grupo de jóvenes científicos sobre competencia digital en medicina de laboratorio está programada para marzo y continuará mensualmente a partir de entonces. La lista de correo ahora sirve como herramienta de boletín. Para mantenerse informado, puede visitar la página Competencia digital en medicina de laboratorio en pageflow.io y suscribirse enviando un correo electrónico a digcomplabmed@gmx.de

La información sobre todas las actividades, objetivos y proyectos mencionados del TF-YS está disponible en el sitio web de la IFCC ifcc.org/task-force-young-scientists-tf-ys, o síganos en instagram (/ifcc_tfys), facebook (/ifccYOUNG) , linkedin (/ grupos/3049837)

Marie Lenski (Francia)
20 LabMedica En Español Febrero-Marzo/2024 Noticias del mundo de la IFCC International Federation of Clinical Chemistry and Laboratory Medicine Para mayor información visíte: www.ifcc.org • www.labmedica.com NOTICIAS
Jakob Adler (Alemania)

Roche (Basilea, Suiza; www.roche.com) celebró un acuerdo definitivo para adquirir la tecnología de punto de atención de LumiraDx (Londres, Reino Unido; www.lumiradx.com). Esta adquisición está en línea con el objetivo estratégico de Roche de fomentar la atención sanitaria centrada en el paciente a través de soluciones innovadoras en el punto de atención que cubran una amplia gama de entornos sanitarios. La tecnología de microfluidos de LumiraDx garantiza servicios de diagnóstico rápidos, precisos y accesibles, lo que permite realizar pruebas críticas en diversos entornos sanitarios descentralizados. La empresa cuenta con una amplia gama de pruebas aplicables en una única plataforma portátil, con más de 30 ensayos disponibles o en desarrollo. Estos ensayos abarcan una variedad de necesidades médicas, incluidas enfermedades infecciosas, salud cardiovascular, diabetes y trastornos de la coagulación.

Fujirebio (Tokio, Japón; www.fujirebio.com) y Agappe Diagnostics (Kochi, India; www.agappe.com) se han asociado para fabricar reactivos del sistema CLIA basados en cartuchos para los analizadores inmunológicos Mispa i60 y Mispa i121. Estos analizadores y reactivos se venderán bajo la marca Agappe, lo que la convertirá en la primera empresa en la India con una solución completa de quimioluminiscencia elaborada a partir de reactivos producidos en el país. Se espera que la colaboración tenga un impacto sustancial, con lanzamientos graduales planificados para una gama completa de más de 30 parámetros, que abarcan varios segmentos médicos como oncología, tiroides, corazón, fertilidad y enfermedades infecciosas. Sysmex Corporation (Kobe, Japón; www.sysmex.co.jp) celebró un acuerdo de alianza estratégica con CellaVision (Lund, Suecia; www. cellavision.com) para avanzar en soluciones de hematología. La asociación entre Sysmex y CellaVision se ha extendido por más de 20 años, comenzando en 2001, cuando Sysmex firmó una alianza de ventas para los analizadores de morfología celular de CellaVision. La asociación renovada tiene como objetivo mejorar aún más la eficiencia y la estandarización en los flujos de trabajo de pruebas y aumentar el valor clínico al proporcionar una clasificación de la morfología celular más precisa para ayudar en el diagnóstico. Estos esfuerzos conjuntos tienen como objetivo mejorar aún más la eficiencia y la estandarización en los flujos de trabajo de pruebas y aumentar el valor clínico al proporcionar una clasificación de la morfología celular más precisa para ayudar en el diagnóstico.

Sysmex también ha iniciado una colaboración con Hitachi High-Tech Corporation (Tokio, Japón; www.hitachi-hightech.com) para el desarrollo de sistemas de pruebas genéticas que utilizan secuenciadores de electroforesis capilar (secuenciadores CE). El objetivo de la asociación es producir sistemas de pruebas genéticas que sean más eficientes y rentables, facilitando así la aplicación clínica generalizada de pruebas genéticas personalizadas para diversas enfermedades. Hitachi se centrará en obtener aprobaciones de dispositivos médicos para sus secuenciadores CE, mientras que Sysmex desarrollará y buscará aprobaciones regulatorias para reactivos para pruebas compatibles con estos dispositivos, así como desarrollar software de análisis.

BioMérieux (Marcy-l’Étoile, Francia; www.biomerieux.com) ha adquirido LUMED (Sherbrooke, Canadá; www.lumed.ca), una innovadora empresa de software que ha desarrollado un sistema de apoyo a las decisiones clínicas que ayuda a los hospitales a optimizar sus prescripciones de antimicrobianos. La adquisición está en línea con los esfuerzos de bioMérieux para ampliar su cartera de análisis de datos, con un enfoque y compromiso continuos con la administración de antimicrobianos y la prevención y el control de infecciones. bioMérieux planea aprovechar su red comercial global para llevar los beneficios del software LUMED al mayor número posible de pacientes.

BD (Becton, Dickinson and Company, Franklin Lakes, Nueva Jersey, EUA; www.bd.com) y Techcyte (Orem, UT, EUA; www.techcyte.com) están colaborando para ofrecer un algoritmo basado en IA que ayudará a los citólogos y patólogos en la identificación eficiente y efectiva de signos de cáncer y precáncer de cuello uterino a través de imágenes de portaobjetos completos. El acuerdo permitirá a BD proporcionar una solución integral destinada a minimizar el error humano y aumentar el rendimiento. Esto ayudará a los laboratorios a mejorar la estandarización, reproducibilidad y eficiencia de los resultados de la prueba de Papanicolaou.

Seegene, Inc. (Seúl, Corea; www.seegene.com) ha seleccionado a Microsoft (Redmond, WA, EUA; www.microsoft.com) como socio tecnológico para su negocio SG OneSystem para hacer realidad “un mundo libre de todas las enfermedades”. Con esta colaboración, Seegene ha adoptado una estrategia de compartir sus tecnologías únicas de PCR cuantitativa sin-

drómica con las empresas líderes del mundo para fomentar la innovación entre industrias en el diagnóstico molecular. La expansión de las empresas participantes, con las que Seegene pretende formar un consorcio global, brindará a los países de todo el mundo soluciones óptimas, permitiéndoles abordar de manera efectiva futuras pandemias.

ACCESORIOS DE ESTERILIZACIÓN

Ahora disponible: 37 cm de largo GUANTES RESISTENTE AL CALOR

TAPETE PARA BANDEJAS DISTRIBUIDORES

ALFOMBRILLAS PARA INSTRUMENTOS

Resistente al calor (-60°C a 300°C) Esterilizable Totalmente lavable y flexible Apropiado para servicios de esterilización central

TAPETE PARA INSTRUMENTOS

TAPETE PARA BANDEJAS

arriba abajo

NUEVO

TABLETA DE SILICONA Y CUBIERTAS DE RED DE ACERO

Redes intercambiables

BANDEJAS PARA MÁQUINAS TURBO

Cubierta de silicona y tableta para transporte

TAPETE PARA

MICRO-INSTRUMENTOS

arriba abajo

arriba abajo

NUEVO

SILICONE WASHING MACHINE TRAY & TABLET

Redes intercambiables

STERILIZABLE WORK-SURFACE MATS

100% Silicona

Tamaño:

S.A.

Place de la Gare 1 • 1009 Pully • Switzerland

Tel: (41) 21-728-4286

• Fax: (41) 21-729-6741 contact@vicotex.com www.vicolab.com

121 LME-3-24 LINKXPRESS COM 21 LabMedica en Español Febrero-Marzo/2024 Para ver este número en formato de revista digital interactiva, visite www.labmedica.es Noticias de la Industria
x 1000 mm (Espesor 3 mm)
2400
VICOTEX
SONBIENVENIDOS

2024

MARZO

ICE 2024 – 21st International Congress of Endocrinology. Mar 1-3; Dubai, UAE; isendo.org

China Lab 2024. Mar 5-7; Guangzhou, China; chinalabexpo.com

MASCL 2024 – Congress of the Association for Mass Spectrometry & Advances in Clinical Lab. Mar 17-22; Monterey, CA, USA; msacl.org

USCAP 113th Annual Meeting – United States & Canadian Academy of Pathology. Mar 23-28; Baltimore, MD, USA; uscap.org

ABRIL

Analytica 2024. Apr 9-12; Munich, Germany; analytica.de

India Lab Expo & Analytica Anacon India. Apr 15-17; Mumbai, India; analyticaindia.com

Korea Lab 2024. Apr 23-26; Seoul, Korea; korealab.org

ExpoMED Eurasia 2024. Apr 25-27; Istanbul, Turkey; expomedistanbul.com

ECCMID 2024 – 34th European Congress of Clinical Microbiology and Infectious Diseases. Apr 27-30; Barcelona, Spain; eccmid.org

The 15th International & 21st National Congress on Quality Improvement in Clinical Laboratories. Apr 30 - May 3; Tehran, Iran; iqctehran.ir

MAYO

24th National Congress of Clinical Chemistry and Laboratory Medicine. May 2-5; Playa del Carmen, Mexico; fenacqc.org.mx

Immunology 2024 – Annual Meeting of the American Association of Immunologists (AAI). May 3-7; Chicago, IL, USA; immunology2024.aai.org

AACE Annual Meeting 2024 – American Association of Clinical Endocrinology. May 9-11; New Orleans, LA USA; pro.aace.com

ECE 2024 – 26th Annual Congress of the European Society of Endocrinology. May 11-14; Stockholm, Sweden; ese-hormones.org

ASRI 2024 – 43rd Metting of the American Society for Reproductive Immunology. May 18-22; Houston, TX, USA; theasri.org

Hospitalar 2024. May 21-24; Sao Paulo, Brazil; hospitalar.com

107th Annual Meeting of the German Society for Pathology. May 23-25; Munich, Germany; pathologie-dgp.de

IFCC WorldLab 2024 – 26th International Congress of Clinical Chemistry and Laboratory Medicine. May 2630; Dubai, UAE; dubai2024.org

SLAS Europe 2024 Conference and Exhibition - Society of Laboratory Automation and Screening. May 27-29; Barcelona, Spain; slas.org

ISLH 2024 – International Society for Laboratory Hematology. May 30 - Jun 1; Nantes, France; islh.org

EAACI 2024 – Annual Congress of the European Academy of Allergy & Clinical Immunology. May 31Jun 3; Valencia, Spain; eaaci.org

JUNIO

IESHG 2024 – European Human Genetics Conference. Jun 1-4; Berlin, Germany; 2024.eshg.org

UKMedLab24 – National Meeting of the Association for Clinical Biochemistry and Laboratory Medicine. Jun 10-12; Brighton, UK; acb.org.uk

9th International Symposium on Critical Care Testing and Blood Gases. Jun 13-14; Saint-Malo, France; criticalcaretesting-saintmalo2024.eu

ASM Microbe 2024 – American Society for Microbi-

ology. Jun 13-17; Atlanta, GA, USA; asm.org

49th CBAC – Congress of the Brazilian Society of Clinical Analysis. Jun 16-19; Natal, Brazil; sbac.org.br 2024 CSCC Annual Conference – Canadian Society of Clinical Chemists. Jun 17-20; Mont Sainte-Anne, QC, Canada; cscc-sccc.ca

FOCIS 2024 – Annual Meeting of the Federation of Clinical Immunology Societies. Jun 18-21; San Francisco, CA, USA; focisnet.org

FIME 2024 – Florida International Medical Expo. Jun 19-21; Miami, FL, USA; fimeshow.com

ISTH 2024 Congress – International Society on Thrombosis and Haemostasis. Jun 22-26, Bangkok, Thailand; isth2024.org

ECC 2024 – 45th European Congress of Cytology. Jun 23-26; Leipzig, Germany; cytology2024.eu

38th International Congress of the International Society of Blood Transfusion (ISBT). Jun 23-27; Barcelona, Spain; isbtweb.org

AMP Europe 2024. Jun 24-26; Madrid, Spain; amp.org

ASV 2024 – 43rd Annual Meeting of the American Society of Virology. Jun 24-28; Columbus, OH, USA; asv.org

FEBS 2024 – 48th Congress of the Federation of European Biochemical Societies. Jun 29 - Jul 3; Milan, Italy; febs.org

ECB 2024 – European Congress on Biotechnology. Jun 30 - Jul 3; Maastricht, The Netherlands; ecb2024.com JULIO

ESHRE 2024 – 40th Annual Meeting of the European Society of Human Reproduction and Embryology. Jul 7-10; Amsterdam, Netherlands; www.eshre.eu

MedLab Asia 2024. Jul 10-12; Bangkok, Thailand; medlabasia.com

2024 ADLM Annual Scientific Meeting & Clinical Lab Expo. Jul 28 - Aug 1; Chicago, IL, USA; meeting. myadlm.org

64th Annual Academic Assembly of the Japan Soci-

AGOSTO
Para un listado gratuíto de eventos y congresos o para saber cómo anunciarse en esta sección contácte; Calendario Internacional LabMedica en Español E-mail: info@globetech.net – ADLM 19 – APFCB 23 – BCLF 2024 20 – COLABIOCLI 2024 16 111 DiaSys Diagnostic Systems ..................... 11 – EuroMedLab 2025 23 – IFCC WorldLab 2024 .......................... 17 109 Intec Products 9 – LabMedica EXPO ............................. 2 113 Lumiquick 13 107 Nova 7 105 Puritan 5 124 Sekisui 24 115 Singuway 15 103 Snibe 3 121 Vicotex 21 Calendario de Eventos Vol 41 No. 1 03/2024 LabMedica en Español Indice de Anunciantes LinkXpress Anunciante Página LinkXpress Anunciante Página Proporcionado como un servicio a los anunciantes. El editor no se hace responsable de los errores u omisiones. PORTAL DE SERVICIO AL LECTOR LINKXPRESS COM ® VISITE Cada anuncio o producto de este número contiene un número LinkXpress, como se muestra a continuación: 999 LME-03-24 LINKXPRESS COM Renueve / Inicie su Suscripción gratuita Acceso instantáneo en línea a la información del producto Identifique códigos LinkXpress® de interés en la revista Haga clic en LinkXpress.com para portal de servicio al lector Marque códigos de interés en la tabla de LinkXpress ® 1 2 3 ATENCIÓN: SI SU SOLICITUD NO SE RECIBE AL MENOS UNA VEZ CADA 12 MESES, SU SUSCRIPCIÓN GRATUITA PUEDE INTERRUMPIRSE AUTOMÁTICAMENTE

ety of Clinical Chemistry (JSCC). Aug 30 - Sep 1; Utsunomiya, Japan; jscc-jp.gr.jp

SEPTIEMBRE

ASCP 2024 – Annual Meeting of the American Society for Clinical Pathology. Sep 4-6; Chicago, IL, USA; ascp.org

17th Baltic Congress of Laboratory Medicine. Sep 5-7; Vilnius, Lithuania; balm2024.lt

ECP 2024 – 35th Congress of the European Society of Pathology. Sep 7-11; Florence, Italy; esp-congress.org

EUROTOX 2024 – 58th Congress of the European Societies of Toxicology. Sep 8-11; Copenhagen, Denmark; eurotox2024.com

Thailand LAB International 2024. Sep 11-13; Bangkok, Thailand; thailandlab.com

NFKK 2024 - 39th Nordic Congress of Clinical Chemistry. Sep 17-20; Stockholm, Sweden; nfkk2024.se

ESVC 2024 – Annual Meeting for the European Society for Clinical Virology. Sep 17-21; Frankfurt, Germany; escv.eu

47TH ISOBM CONGRESS – International Society of Oncology and Biomarkers. Sep 19-21; Pilsen, Czech Republic; isobm.org

DKLM 2024 – Annual Congress of the German Society for Clinical Medicine and Laboratory Medicine (DGKL). Sep 25-27; Bremen, Germany; dgkl.de

India Lab Expo & Analytica Anacon India. Sep 26-28; Hyderabad, India; analyticaindia.com

OCTUBRE

COLABIOCLI 2024 - 26th Latin American Congress of Clinical Biochemistry. Oct 3-6; Cartagena, Colombia;

colabiocli.com

56th National Congress of the Italian Society of Clinical Biochemistry and Clinical Molecular Biology (SIBioC). Oct 8-10; Bologna, Italy; sibioc.it

JFBM 2024 - Journées Francophones de Biologie Médicale. Oct 9-11; Troyes, France; jfbm.fr

CAP24 – Annual Meeting of the College of American Pathologists. Oct 19-22; Las Vegas, NV, USA; cap.org

ASHI 2024 – 50th Annual Meeting of the American Society for Histocompatibility and Immunogenetics. Oct 21-24; Anaheim, CA, USA; ashi-hla.org

MedLab Africa 2024. Oct 22-24; Johannesburg, South Africa; africahealthexhibition.com

BCLF 2024 – 31st Meeting of the Balkan Clinical Laboratory Federation & 35th National Congress of the Turkish Biochemical Society. Oct 28 - Nov 1; Antalya, Turkey; turkbiyokimyadernegi.org.tr

APFCB Congress 2024 – Asia Pacific Federation for Clinical Biochemistry and Laboratory Medicine. Oct 31 - Nov 3; Sydney, Australia; apfcbcongress2024.org

NOVIEMBRE

ALACI 2024 - 14th Latin American and Caribbean Immunology Congress. Nov 4-8; Buenos Aires, Argentina; alaci.org

ASHG 2024 – Annual Meeting of the American Society of Human Genetics. Nov 5-9; Denver, CO, USA; ashg.org

JIB 2024 - Journées de l’innovation en biologie. Nov 7-8; Paris, France; jib-innovation.com

46 Annual ACBI Conference 2024 – Association of

Clinical Biochemists in Ireland. Nov 8-9; Dublin, Ireland; acbi.ie

MEDICA 2024. Nov 11-14; Dusseldorf, Germany; medica-tradefair.com

45th Annual Meeting of the American College of Toxicology (ACT). Nov 17-20; Austin, TX, USA; actox.org Analytica China 2024. Nov 18-20; Shanghai, China; analyticachina.com.cn

AMP 2024 – Annual Meeting & Expo of the Association for Molecular Pathology. Nov 19-23; Vancouver, BC, Canada; amp.org

DECIEMBRE

ICID 2024 – 20th International Congress on Infectious Diseases. Dec 3-6; Cape Town, South Africa; isidcongress.org

66th ASH Annual Meeting and Exposition – American Society of Hematology. Dec 7-10; San Diego, CA, USA; hematology.org

2025

ENERO

SLAS 2025 – International Conference & Exhibition of the Society of Laboratory Automation and Screening. Jan 25-29; San Diego, CA, USA; slas.org

FEBRERO

Medlab Middle East 2025. Feb 3-6; Dubai, UAE; medlabme.com

23 LabMedica
Febrero-Marzo/2024
en Español
Calendario de Eventos
124 LME-3-24 LINKXPRESS COM

Turn static files into dynamic content formats.

Create a flipbook
Issuu converts static files into: digital portfolios, online yearbooks, online catalogs, digital photo albums and more. Sign up and create your flipbook.