Skip to main content

w-PDF_p1_p61_VM_April2026

Page 1


*밸리매거진에서 제작한 모든 광고 디자인은 밸리매거진의 Written Permission없이 어떠한 용도로도 다른곳에 무단으로 사용될 수 없습니다.

*밸리매거진에 게재된 모든 광고는 광고주의 요청대로 게재한 것이므로 내용의

진위 여부에 대해 본사가 책임지지 않습니다.

*밸리매거진은 문제성있는 광고나 기사 게재를 거부할 수 있습니다.

데보라 홍 변호사

백동흠 힐링교회 담임목사

로이 김 iAM-Dr. Clinic 한의원 원장

샤론 윤 변호사

소피아 양 부동산

수잔 김 베스트부동산대표

양 인 한양장로교회 임시목사

윤미영 로즈몬트 치과원장

이상규 누스타 부동산

이준우 밸리커뮤니티교회 담임목사

이한주 보험

John Yang 옥스퍼드학원원장

조앤 홍 보험

지상문 독자

최청원 내과의사

케빈 오 융자

크리스토퍼 정 스마일어게인 치과원장 - 함께 만드신 분들 -

그라나다 힐스 차터 고등학교,

캘리포니아 주 학업 경시대회 우승

그라나다 힐스 차터 고등학교가 지난 3월에 열

린 2026 캘리포니아 학업 경시대회에서 우승을

차지했으며, 4월에 열리는 전국 대회에서 캘리

포니아의 22년 연속 우승 기록 경신에 도전한 다.

캘리포니아 학업 경시대회 협회가 주최한 2026

캘리포니아 학업 경시대회 주 대회는 3월 20일

부터 22일까지 산타클라라 메리어트 호텔에서 열렸다.

일요일에 열린 시상식에서 주 관계자들은 전국 대회에 진출할 캘리포니아의 다른 학교들을 발 표했는데, 우드랜드 힐스의 엘카미노 레알 차터 고등학교, 로스펠리스의 존 마셜 고등학교, 샌 거의 홀마크 아카데미, 그리고 어바인의 유니버

시티 고등학교가 그 주인공들이다.

엘 카미노 레알 차터 고등학교는 지난 3년간 미 국 학업 경시대회(USAD)에서 우승을 차지했으 며, 벤츄라 카운티의 무어파크 고등학교가 우

승했던 2009년 이후로는 엘 카미노 고등학교와 그라나다 힐스 고등학교가 매년 전국 대회에서

우승을 거머쥐었다.

2020년에는 코로나19 팬데믹으로 인해 대회가

열리지 않았다.

캘리포니아 이외 지역의 학교가 전국 대회에서

우승한 것은 2002년 위스콘신의 워케샤 웨스트 고등학교가 우승했을 때이다.

2026년 USAD 전국 대회는 4월 23일부터 25일 까지 가든 그로브에서 개최될 예정이다.

캘리포니아 학업 경시대회는 캘리포니아 주 전

역에서 최고의 성적을 거둔 고등학교 팀들이 모

여 시험, 연설, 인터뷰 등 다양한 분야에서 경쟁

하는 대회다.

올해의 주제는 "광란의 20년대(The Roaring Twenties)"였다.

LA, 범죄자들의 구리 전선 절도 때문에 재산세 인상 추진

로스앤젤레스시는 도둑과 기물 파손범들이 도

시 기반 시설을 파괴하고 구리 전선을 훔쳐가는 일이 끊이지 않자 재산세를 인상할 예정이다.

로스앤젤레스의 모든 문제 해결책은 세금 인상

인 것 같고, 6월 2일 투표에서 시민들에게 호텔

세를 14%에서 16%로 인상하는 안건을 승인할

지 묻는다. 한편, 로스앤젤레스 시의회는 가로

등, 유지 보수 및 수리를 위해 연간 1억 2,500만

달러를 추가로 확보하기 위해 부동산 소유주에

게 새로운 요금을 부과할 계획이다.

가로등 관리국 자료에 따르면, 약 0.25에이커

(약1,000제곱미터) 부지에 있는 단독 주택은

2026-27 회계연도에 147.08달러의 추가 요금

을 부담하게 된다.

콘도미니엄 소유주는 이보다 약간 적은 금액을

지불하게 된다.

0.5에이커(약 2,000제곱미터) 부지의 단독 주택

은 176.50달러, 50세대 이상 규모의 다세대 주 택은 1,529.68달러, 그리고 0.5에이커 부지의 상

업 시설은 970.76달러를 부담하게 된다. 이러한 요금 부과액은 매년 물가상승률에 따라 인상될

예정이며, 재산세 고지서에 포함될 것이다. 1996년 이전에는 시의회의 승인만 있으면 이 새로운 세금을 징수할 수 있었지만 유권자들이 세금에 대한 투표권을 부여하는 법안인 제218 호 발의안을 통과시키면서 규칙이 바뀌었다. 이 제 비용은 새로운 수수료가 부과될 각 필지에 제공되는 혜택에 비례해야 한다. 그리고 부동산

소유주에게는 통지하고 이의 투표를 할 기회를

주어야 한다.

만약 부동산 소유주의 50% 이상이 이의를 제

기하면 새로운 부과금은 징수될 수 없다. 로스앤젤레스 시에 부동산을 소유하고 있다면

4월에 이 새로운 구역 및 부과금에 대한 투표

용지를 받게 될 것이다. 하지만 이것은 일반적 인 선거 투표용지가 아니다. 단지 부과금에 대 한 이의를 제기할 기회만 제공한다.

부과금을 중단시키려면 발송된 투표용지의

50% 이상이 "반대" 표를 던져 반송되어야 한다.

50만 장 이상의 투표용지가 발송될 예정이다.

어우러진 축제, 밸리대한노인회

정월대보름 행사

밸리대한노인회 최미란 회장은 지난 2월과 3월, 두 가지 큰 행사를 성공

적으로 추진했다. 그중 하나인 정월 대보름 행사 ‘윷놀이 잔치’는 말

그대로 지역사회에 큰 기쁨을 선사한 뜻깊은 자리였으며, 시니어들에

게는 특별한 선물과도 같은 시간이었다.

이번 행사는 3대가 함께 어우러져 웃고 즐기며 세대를 넘어 하나 되는

소중한 시간이었고, 참석자 모두의 가슴 속에 오래도록 남을 추억의 순 간이 되었다. 노인회는 매년 이어온 절기 행사인 전통 놀이 ‘윷놀이’ 전통과

를 중심으로 어르신들과 젊은 세대가 함께 어울릴 수 있도록 정성껏 준 비해, 모두가 참여하는 의미 있는 놀이 한마당을 만들어냈다.

행사 1부는 예배로 시작되었다.

김현승 장로의 기도와 ‘마음 두드림’ 찬양팀의 은혜로운 찬양, 그리 고 최상영 목사의 말씀 선포로 은혜가 넘치는 시간이 이어졌으며, 김창

수 원로목사의 축도로 마무리되었다.

이어진 2부에서는 본격적인 윷놀이가 진행되었다. 보이스카우트들이

Community News

각 조의 리더를 맡아 더욱

뜻깊은 시간이 되었고, 시니

어 참가자들은 리더들의 안

내에 따라 안전하고 질서 있

게 잔디밭 행사장에서 마음

껏 즐길 수 있었다.

노인회에서 준비한 푸짐한

상품과, 이를 위해 도네이션

을 해준 분들에 대한 감사의

마음속에서 행사장은 웃음

으로 가득 찼다.

팀별로 진행된 윷놀이판은

순식간에 열기를 더해갔고, 처음 만난 팀원들조차 같은 팀이라는 이유만으로 금세 가까워졌다. 곳

곳에서 터져 나오는 웃음소리와 함성은 그 자체로 즐거움의 표현이었

으며, 이날은 지역사회의 기억에 남을 축제의 장이 되었다. 또한 맛있는 점심 식사는 축제 분위기를 한층 더 높였고, 모든 팀에게

빠짐없이 상품을 전달한 보이스카우트들의 세심한 봉사는 큰 귀감이

되었다.

이번 행사를 마무리하며 노인회는 앞으로도 시니어들에게 더욱 필요한 것이 무엇인지 고민하고, 이를 위해 최선을 다하는 단체로 나아갈 것을

다짐했다.

현재 노인회는 5월 가정의 달 행사를 준비하며, 즐겁고 행복한 만남을

계속 이어가고 있다. 이러한 만남을 통해 삶의 질을 높이고 아름다운 관

계를 유지하며, 지역사회의 발전에도 기여하고 있다.

어르신들의 노후가 주님과 동행하는 기쁨 속에서 더욱 풍성해지고, 서

로를 배려하며 선한 영향력을 나누는 삶으로 이어지기를 바라는 마음 과 함께 모든 영광을 주님께 돌리며 다가오는 5월 행사를 기대해 본다.

한편, 3월부터 시작되는 봄학기 10주 과정 성인학교도 운영된다.

Community News

클래스 참여를 위해 신청문의는 : 최미란 회장 (818-700-8550)

봄학기 성인학교 안내 (3월 16일-5월 22일)

월-금: 탁구 및 장기·바둑 교실 (오전 10:00-11:30)

화요일: 라인댄스 (고급) (오후 2:00-3:00)

수요일: 핸드폰 교실 / 변은광 목사 (오전 10:00-11:30)

목요일: 건강체조 및 라인댄스 (초급) (오전 9:30-1:15)

전자 미니색소폰/ 최상영목사 (오후 1시 - 2:30)

금요일 : 건강체조 및 라인댄스 (중급) (오전 9:30 -11:15)

- One Generation Senior Center -

Community News

유희자

국악무용연구소 -

유스 한국 문화 클럽(Yoo’s Korean Culture Club) 의 이 취임식

유스 한국 문화 클럽(Yoo’ s Korean Culture Club) 의 이 취임식이 지난 3

월 22일에 밸리에 위치해 있는 유희자 국악 무용 연구소(9650 Reseda Blvd., Northridge, CA 91324) 에서 거행 되었다. 이 클럽은 유희자의 문

하생중 주로 초 중 고등 학생을 중심으로 조직된 봉사 단체이다.

2013년에 결성되어 LA 카운티 지역의 크고 작은 커뮤니티 봉사 활동에

서 두각을 나타내고 있는데

금년에는 Christian Lee 와 Kevin Kwon 이 회장으로 선임이 되었다.

지난해에는 40여 곳에서 공연이 있었고 금년에는 LA Zoo, San Gabriel Mission House, National Asian Police officers conference, San Fernando Valley Museum, Northridge Recreation Center, Valley Asian Festival, Global Grill International BBQ Festival, Chatsworth Charter HS (SFV Youth Olympics), 북부 한인회(회장 박승목)초대로 YMCA 에서

의 Multicultural Festival, Montclair Place, Hope Int’l University 에서

r YKCC Group - 사진은 취임식후에 스튜디오에서 찍은 것

의 Team Kwon (관장 이용혁) 태권도 챔피언쉽, Los Coyotes Country Club(서울대 총회- 회장 양수진), La Crescenta Woman’s Club, 남가 주 윌셔 연합 감리 교회, 경운회(회장 최미길) 등에서 한국 문화를 선 보 인다. 유희자 국악무용연구소는 전통예술 교육을 통해 문화적 자긍심과 봉사

의 가치를 심어주는 데 힘쓰고 있다. 또한 지역사회와의 협력을 바탕으 로 전통예술을 배우고 나누는 다양한 프로그램을 지속적으로 운영하

며, 한국 문화의 우수성을 알리는 데 앞장서고 있다.

문의: 유희자 (818) 456-8022, 웹사이트. www.hizakordance.com www.YouTube에 들어가서 Hiza Yoo를 치시면 공연을 보실 수 있다.

글 : 샤론 윤 변호사

계획 수탁자 - 역할 및 정의

상속 계획은 일반적으로 본인이 판단 능력을 상실했거나 사망한 후 재

정, 법률 및 개인적인 문제를 관리할 개인 또는 단체(수탁자)를 지정하

는 것을 포함합니다.

수탁자는 타인의 최선의 이익을 위해 충실성, 관심 및 선의를 가지고 행

동해야 할 법적 의무를 지닌 사람입니다.

모든 수탁자는 다음과 같은 핵심 법적 의무를 준수해야 합니다.

충실 의무(수혜자의 최선의 이익을 위해 행동할 의무), 관심을 가질 의

무(신중하고 책임감 있게 행동할 의무), 이해 상충을 피할 의무, 정확한

기록을 유지하고 정보를 제공할 의무.

다음은 주요 수탁자와 그 역할에 대한 요약입니다.

1. 신탁 - 수탁자 :

수탁자는 신탁에 보유된 자산을 관리하고 운영합니다. 여기에는 위탁

자의 생전 및 사후에 취소 가능한 생전 신탁이 포함될 수 있습니다.

2. 유언 - 유언집행자/개인대리인 :

유언집행자(유언장에 명시된 경우) 또는 재산관리인(유언장이 없는 경

우)은 고인의 유산

을 상속 절차를 통 해 관리할 책임이 있습니다.

주요 임무는 다음과 같습니다.

3. 위임장 - 대리인 또는 위임장에 의한 대리인 : 이 대리인은 위임받은 사람이 살아 있는 동안, 특히 본인이 의사결정을

할 수 없는 경우 재정 및 법률문제를 처리합니다.

주요 업무는 다음과 같습니다.

z 은행 계좌 및 투자 관리

z 공과금 납부 및 금융 거래 처리

z 부동산 및 사업체 관리

z 위임장에 명시된 권한 범위 내에서 업무 수행

z 자산 수집 및 보호

z 부채, 세금 및 경비 납부

z 법원 서류 제출

z 유언 또는 상속법에 따른 자산 분배

z 신탁 자산의 신중한 관리

z 신탁 문서의 조건 준수

z 수혜자에게 자산 분배

z 기록 유지 및 회계 보고

z 수혜자 간 공정한 행위

4. 사전 의료 지시서 - 의료서비스 에이전트 또는 대리인

의료서비스 대리인은 본인이 의료 결정을 내릴 수 없을 때 의료 결정을

내립니다.

주요 직무는 다음과 같습니다.

z 의사 및 의료 제공자와의 의사소통

z 치료에 대한 동의 또는 거부 결정

z 본인의 의사에 부합하는 임종 관련 결정 수행

5. 후견인 (Guardian) / 관리인 (Conservator)

사전 계획이 수립되어 있지 않거나 추가적인 감독이 필요한 경우, 법원 의 결정에 따라 후견인(미성년자의 경우) 또는 관리인(성인의 경우)이 선임됩니다.

주요 직무는 다음과 같습니다.

z 신상 관리 (주거, 의료적 필요 사항 등)

z 재정 관리 (재산 관리에 대한 권한이 부여된 경우)

z 법원에 보고 의무 수행

결론

신탁 관리인(fiduciary)을 신중하게 선정하는 것은 성공적인 상속 계획

수립에 있어 매우 중요합니다.

선정된 인물은 신뢰할 수 있고, 체계적이며, 재정 및 신상 관련 책임을

감당할 능력을 갖추어야 합니다. 이들의 행위가 상속 재산의 관리 및

수혜자의 복리에 직접적인 영향을 미치기 때문입니다.

상속 계획 관련 사안에 대해 상담을 원하시면 샤론 윤 변호사에게 연락 해 주십시오.

샤론 윤 변호사는 상속 계획, 신탁 및 유언 검인법 분야에서 공인된 전

문 자격을 보유한 극소수의 전문가 중 한 명입니다. (805-298-0405)

각종 통증치료 전문 새소망 한의원

각종 통증치료 전문으로 많은 분들의 고통을 덜어드리고 있는 새소망

한의원은 목이나 어깨, 오십견, 허리, 좌골 신경통, 두통 등의 통증부터

특히 요즘 많은 분들이 통증을 호소하는 족저근막염과 신경섬유통, 관

절, 불임/부인과, 소화기 장애, 불면증, 복부비만관리 등을 안심하고 믿

을 수 있는 한방치료를 통해 정확하게 진단하고 최고의 효과를 경험할

수 있도록 꼼꼼하고 세심하게 진료해드리고 있다.

서울메디컬 그룹, 메디케어를 환영하며 클레버 케어, 유나이티드 헬스

케어, 센트랄헬스, 헬스넷, 스캔, 블루크로스, 블루쉴드, 카이저, 옵텀, ASH, Astiva, Aetna, 외의 다양한 메디케어 HMO 등을 환영하여 부담

없이 방문하실 수 있는 새소망 한의원은 건강에 대한 문제와 고민을 친

절하고 성실하게 상담해드리기 때문에 언제든지 문의를 원하시는 분들

은 오랜 경험의 의료진들을 만나서, 통증 없는 건강한 생활을 시작해보

실 수 있다. 문의 : 818-360-0222

미국 고속도로교통안전국(NHTSA)

데보라 K. 홍 변호사 310-560-3873

미국 고속도로교통안전국(NHTSA)은 법 집행관들이 음주 운전(DUI) 수 사 과정에서 활용하도록 훈련받는 세 가지 현장 음주 측정 검사를 표준 화했습니다. 이 검사들은 '표준 현장 음주측정 검사(SFSTs)'라고 불립니

다.

1. 수평 주시 검사 (HGN)

u 경찰관은 검사 대상자에게 움직이는 물체(펜이나 손전등 등)를 눈 으로 따라가도록 요청합니다.

u 경찰관은 알코올 섭취 시 더욱 심해질 수 있는, 눈의 비자발적인 떨 림 현상을 관찰합니다.

u 이 검사는 세 가지 검사 중 과학적으로 가장 신뢰도가

간주됩니다.

2. 걷고 돌기 검사 (WAT)

u 검사 대상자는 일직선 위에서 발뒤꿈치와 발끝을 맞대며 9걸음을 걸

은 뒤, 방향을 돌려 되돌아옵니다.

u경찰관은 다음과 같은 징후들을 관찰합니다.

(* 균형을 잃음 * 지시보다 너무 일찍 동작을 시작함 * 발뒤꿈치와 발끝

을 제대로 맞대지 못함 * 지정된 선 밖으로 발을 딛음)

3. 한 발 서기 (OLS)

u한쪽 다리를 지면에서 약 6인치(약 15cm) 정도 들어 올린 채 서서 소

리 내어 숫자를 셉니다.

u경찰관은 다음 사항들을 관찰합니다 (* 몸이 흔들리는지 여부 * 균형

을 잡기 위해 팔을 사용하는지 여부 * 제자리에서 뛰는지 여부 * 들어 올린 발을 다시 내려놓는지 여부)

중요 참고사항

u이 테스트들은 NHTSA(미국 고속도로교통안전국)가 전국적으로 유 일하게 타당성을 검증하고 표준화한 검사들입니다.

u다른 테스트들(예: 알파벳을 말하거나 코끝을 만지는 동작 등)은 경찰 관들이 현장에서 시행할 수는 있어도, NHTSA에 의해 표준화된 검사는 아닙니다.

검사 수행 능력은 알코올 섭취뿐만 아니라 나이, 건강 상태, 피로도, 혹은 지면의 고르지 않은 상태 등 다양한 요인에 의해 영향을 받을 수

PAS (예비 음주 측정)

이것은 작은 관(파이프) 모양의 기구로, 경찰관들이 보통 체포 현장에서

여러분에게 숨을 불어넣으라고 요청하는 장비입니다.

매우 중요한 점은 여러분이 PAS 측정을 거부할 수 있으며, 이에 대해 어떠한 법적 또는 DMV(차량국) 관련 불이익도 없다는 사실을 알아두는

것입니다.

사실, 여러분은 어떠한 종류의 FST(현장 음주 측정 검사)라도 거부할 수

있으며, 이에 따른 법적 또는 DMV 관련 불이익은 발생하지 않습니다. 하지만, 검사를 거부할 경우 여러분은 체포되어 경찰서로 연행될 가능

성이 매우 높습니다.

일단 체포되어 DUI(음주 운전) 혐의를 받게 되면, 화학 검사(Chemical Test)를 받으라는 요청을 받게 됩니다. 이 검사는 호흡 분석기 (Datamaster)를 이용한 측정이나 혈액 검사 중 하나를 선택하여 진행해 야 하며, 법적으로 두 가지 중 하나는 반드시 응해야 합니다. 만약 이 화 학 검사를 거부할 경우, DMV는 운전면허를 1년 동안 정지시킬 것입니 다. 게다가 경찰관들은 "McNeely" 영장(강제 검사 영장)을 발부받아 화 학 검사를 강제로 시행할 것이며, 여전히 DMV로부터 1년 운전면허 정 지 처분을 받게 됩니다.

몇몇 독자분들께서 왜 제가 이 모든 정보를 무료로 제공하고 있는지 물 어보시곤 합니다.

저는 동포인 한국인들과 제 글을 읽는 모든 분들이 정확한 정보를 얻고

자신의 권리를 제대로 이해하시기를 바라고 있습니다.

법을 잘 모를 때 우리는 쉽게 두려움을 느끼고 겁을 먹게 됩니다. 하지

만 두려워하지 마세요. 언제든지 저에게 무료로 전화하여 여러분의 권

리에 대해 문의하실 수 있습니다.

만약 체포되었는데 어떻게 대처해야 할지 모르겠다면, 주저하지 말고

즉시 행동을 취하세요.

감사합니다. 제가 여러분을 도와드리겠습니다.

Deborah K. Hong 변호사 310-560-3873

은퇴를 준비하는 과정에서 많은 분들이 고민

하는 부분은 일정한 소득 없이도 생활비와 의

료비를 안정적으로 충당할 수 있는 방법입니

다. 특히 미국에 거주하는 한인 시니어들의 경우 주택 자산은 충분하지

만 현금 흐름이 부족한 상황을 경험하는 사례가 적지 않습니다. 이러한

상황에서 고려해 볼 수 있는 대표적인 금융 전략이 바로 리버스 모기지

(Reverse Mortgage) 입니다.

리버스 모기지는 일정 연령 이상의 주택 소유자가 현재 거주 중인 주택

의 에퀴티를 활용해 생활 자금을 확보할 수 있도록 설계된 프로그램입 니다. 일반 모기지와 달리 매달 상환 부담이 없으며, 주택을 처분하거나 더 이상 거주하지 않을 때 대출이 정산되는 구조입니다.

리버스 모기지 상담 전 반드시 알아야 할 사항

리버스 모기지를 신청하기 전에는 **정부 승인 상담기관(HUD 리버스 모기지를

노후 재정 전략

Counseling)**을 통한

사전 카운셀링이 요구 됩니다. 이 과정은 단

순한 절차가 아니라,

차입자가 프로그램 구

조와 장단점을 충분히

이해하고 본인의 재정

상황에 적합한지 판단

모기지 전문가, 케빈 오 NMLS# 1985037

할 수 있도록 돕기 위한 중요한 단계입니다.

상담에서는 다음과 같은 내용이 함께 검토됩니다.

a 은퇴 후 예상 생활비 구조

a 상속 및 자산 이전 계획

a 향후 이사 또는 요양시설 입주 가능성

a 주택 유지 비용 부담 능력

이러한 요소들은 리버스 모기지 활용 여부를 결정하는 핵심 기준이 됩 니다.

부부 간 나이 차이가 있는 경우의 전략

리버스 모기지는 차입자의 연령이 높을수록 이용 가능 금액이 증가하 는 구조입니다. 따라서 배우자 간 나이 차이가 있는 경우 전략적인 접근

이 필요합니다.

예를 들어 한 배우자가 상대적으로 젊은 경우, a 공동 차입자로 포함할지 a 비차입 배우자(Non-borrowing spouse) 구조로 진행할지에 따라 향 후 거주 안정성과 지급 금액이 달라질 수 있습니다. 특히 장기적으로 한

배우자가 혼자 거주하게 될 가능성까지 고려해 구조를 설계하는 것이 중요합니다.

정부 보증 리버스 vs 렌더 제공 리버스 프로그램

대표적인 리버스 모기지 형태는 **정부 보증 프로그램(HECM)**과 **

민간 금융기관 제공 프로그램(Private Reverse Mortgage)**으로 나눌 수 있습니다.

정부 보증 프로그램은

u비교적 안정적인 조건

u소비자 보호 장치

u일정 한도 내 지급 구조

를 특징으로 합니다. 반면 민간 리버스 모기지는

u고가 주택 소유자에게 더 높은 지급 가능성

u보다 유연한 구조

u개별 금융기관 기준 적용

리버스 모기지는 은퇴 전략의 일부입니다

리버스 모기지는 단순히 현금을 확보하는 수단이 아니라 은퇴 재정 계

획의 구성 요소로 접근해야 합니다.

모기지 상환 부담을 줄이거나 생활 자금 여유를 확보하는 데 도움 이 될 수 있지만, 장기적인 주거 계획과 상속 전략을 함께 고려하는 것

자산을 어떻게 활용하느냐에 따라 은퇴 이후 삶의 안정성 이 크게 달라질 수 있습니다. 따라서 충분한 정보와 전문가 상담을 통해

문의) 모기지 전문가, Kevin Oh T.213-219-2688

열차집

지 상 문 로 눈을 자주 보낸다. 손님의 얼굴을 보며 그 때마다 빈대떡을 부쳐주

눈보라를 헤치고 기어이 찾아 든 열차집이다. 머리위에 앉은 눈이 물 방울로 흘러내려도 아랑곳 않고 지글지글 익어가는 빈대떡으로 눈길을

먼저 보낸다.

넘겨준 막걸리 잔이 시루에서 쪄낸 듯 놀랍도록 따끈하다. 주머니가 가

벼운 사람들이 드나들던 대폿집이다. 해방전후부터 5.16까지 그 가난 한 시대에 빈 주머니만 달랑한 이들이 드나들던 막걸리집이 아직도 있

다는 말이 옛 친구의 소식인양 반갑다. 일반 노동자들은 물론 사무직도

공무원도 문학인들도 하루를 버티다가 땅거미가 짙어 지면 찾아 드는

허름한 집이다.

종로 보신각 옆의 뒷골목, 잇다은 한옥 두 집 처마사이에 쓸모없어 버

려진 막다른 골목에 미닫이문을 달아 만든 집이다. 열차처럼 길기만해

서 양쪽으로 담벼락을 마주하고 앉아있어도 맷돌을 돌리고 있는 손길

곤 한다.

허술한 막걸리집은 아무래도 남자들만의 터전으로 사나이 기백을 울려 펴보는 세계가 아니겠는가. 술이 얽힌 이야기는 앉은 자리에서 지구를

몇 바퀴씩 돌릴 수도 있겠지만 문학에 문외한인 나는 그러한 낭만도 어

떻게 생긴 얼굴을 하고 사는 사람이 시인일까 생각해 본 일도 없이 구수 한 빈대떡과 텁텁한 막걸리에 취하곤 했다.

문학이든 철학이나 종교이든 밑바닥에서 그 뜻이 나와야 우리의 마음

을 잡아주지 고차원적 해설은 저 산 위를 흘러가는 구름인양하다. 이제

는 겸손하되 피가 진한 민족시인, 민족철학인, 민족 종교인이 나타날 때

가 되지 않았나 한다. 분단시대 70년을 훌쩍 넘겨 살아 있는 사람들이 희귀종으로 진화하고 있는데 삶을 말할 줄 아는 사람들, 그런 사람들의

손끝 아닌 가슴으로 통일의 징검다리가 되기를 오늘도 기원해 본다. 조 국의 비극이 정치인의 입이 아닌 시인의 가슴으로 사라지게 된다면 여 기에 어떨 화려한 말로 이를 다 축복할 수 있으랴.

(삐걱거리는 나무의자에 앉아 같이 했던 그들, 그들과 잔을 부딪치며 큰

소리를 질러보고 싶은 곳, 마냥 그들 그 시절 그 곳이 그립다.)

Apr. 01 2026 남철 (지상문)

세금문제는 모든 사업 및 개인에게 중

요한 고민거리인데 절세 전문 장 준

CPA와 함께라면, 더 이상 세금문제에

대해 걱정할 필요가 없다.

장 준 회계사 오피스에서는 세금 법률

및 규정에 대한 전문 지식을 가지고 있

으며, 여러분의 개인적인 상황과 비즈

니스 요구에 따라 최적의 세금 전략을

수립해드린다.

세금 법률은 지속적으로 변경되고 개정

되는데, 이에 대한 대응은 매우 중요하다.

최신 세법 개정에 항상 주목하고, 여러분의 이익을 위해 신속하게 대처 해드리며, 새로운 세법에 대한 업데이트와 조언을 통해 여러분의 재정

적 안정성을 도와드린다. 또한 개인 및 기업을 위한 다양한 세무 및 회

계 서비스를 제공해드릴 뿐만 아니라 기업 가치평가, 세무 감사 등 회계 서비스 등 여러분이 필요로 하는 모든 분야에서 전문가들이 도와드리고

장 준 공인회계사는 뛰어난 실력과 27년 이상의

만들어 드리고 있는데, 세금 문제 를 해결하고 더 나은 미래를 위한 고객들의 성공으로 가는 길을 함께

문의 : 818-772-2811

장례보험, 남은 가족을 위한 마지막 준비

우리는 평생을 가족을 위해 준비하며 살아갑니다.

자녀 교육, 주택 마련, 은퇴 자금까지 계획하지만 정작 인생의 마지막

준비는 미루는 경우가 많습니다. 그러나 장례는 누구에게나 찾아오는 현실입니다.

준비가 되어 있지 않으면 남은 가족은 갑작스러운 슬픔 속에 당황하며

경제적인 부담까지 감당해야 합니다.

미국 내 장례비용은 지역과 형태에 따라 다르지만, 일반적으로 $8,000

불~ $10,000불 이상이 소요됩니다.

관, 화장 또는 매장 비용, 장례식장 사용료, 행정 절차 비용 등 예상보다

다양한 항목이 포함됩니다. 이러한 부담을 대비하기 위한 방법 중 하나 가 ‘장례보험(Final Expense Insurance)’입니다.

n 장례보험이란 무엇인가

장례보험은 사망 시 보장된 보험금을 유가족이 아닌 장의사에게 직접

지불하여 장례 비용과 관련 지출을 빠르게 진행하여 슬픔에 쌓인 유가 족의 부담을 없애는 보장성 보험입니다.

대부분의 상품은 비교적 간단한 절차로 가입이 가능하며 유병자,암환

자, 90세넘은 고령자도 가입가능하며 보험료가 고정되어 예측 가능하

다는 장점이 있습니다.

또한 장례비에 쓰고 남은 보험금과 불입한 현금은 모두 유가족에게

100% 환불을 해드립니다.

n 왜 미리 준비해야 하는가

보험은 건강할 때, 가입이 가능할 때 준비하는 것이 중요합니다.

연령이 높아질수록 보험료는 상승하고, 건강 상태에 따라 가입이 제한

될 수 있습니다.

특히 50-60대는 은퇴 준비와 재정 점검을 시작하는 시기입니다.

왜!?? 50-60대부터 준비해야 할까 !! ?? 많은 분들이 “아직 이르다”

고 생각하지만

보험은 건강할 때, 나이가 젊을 때 준비하는 것이 더 저렴하게 가입할

수 있습니다.

나이가 들수록 보험료는 올라가고 건강 상태에 따라 가입조건이 다를

수도 있습니다.

50-60대는 자녀가 성장하고 은퇴를 준비하는 시기로 재정 구조를 점 검하기에 가장 적절한 시기입니다.

이 시기에 자신의 재정 상황을 점검하며 최소한의 장례비용을 대비해

두는 것은 가족을 위한 책임 있는 선택이 될 수 있습니다.

n 마지막 배려

장례보험은 죽음을 준비하는 것이 아니라, 남은 가족의 부담을 덜어주

는 선택입니다.

갑작스러운 상황 속에서도 가족이 비용 걱정 대신 고인을 추모하는 시

간에 집중할 수 있도록 돕는 것이 목적이며 작은 준비가 큰 안심이 될 수 있습니다

장례보험은 ‘사랑의 표현’입니다

장례보험은 죽음을 준비하는 보험이 아니라 남은 가족의 부담을 덜어

주는 보험입니다.

갑작스러운 상황 속에서 장례비용 걱정 대신 고인을 추모하는 시간에

집중할 수 있도록 돕는 것이 장례보험의 가장 큰 의미입니다.

전문가와 상담을 통해 자신의 상황에 맞는 금액과 구조를 선택하는 것 이 중요합니다.

인생의 마지막 준비는 두려움이 아니라 배려에서 시작됩니다.

지금 준비하는 작은 선택이 훗날 가족에게는 큰 안심이 될 수 있습니다.

보험은 필요할 때 가입하는 것이 아니라 가입할 수 있을 때 준비하는 것 입니다.

Guardian Circle Funeral Plan 한인담당 323-628-5376

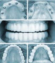
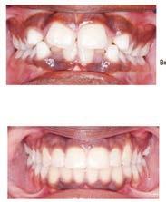
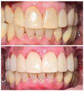
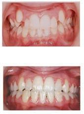
Smile Again Dental Group 818-776-9300

우리는 하루에 두세 번씩 이를 닦습니다. 하지만 정작 “어떤 치약을 쓰

느냐”에 대해서는 깊이 고민하지 않는 경우가 많습니다.

최근에는 ‘무불소’, ‘자연주의’, ‘화학 성분 배제’ 같은 문구가

소비자의 선택을 흔들기도 합니다. 그럼에도 불구하고 대부분의 치과

의사와 보건 기관은 한 가지 기준을 꾸준히 강조합니다.

바로 불소(Fluoride)가 포함된 치약 사용입니다. 이는 단순한 권고가 아

니라, 수십 년간 축적된 연구와 임상 경험을 바탕으로 한 결론입니다.

불소의 가장 중요한 역할은 치아를 더 단단하게 만들고, 충치 발생을 억

제하는 것입니다.

우리가 음식을 섭취하면 입속 세균은 당분을 분해하며 산을 생성합니

다. 이 산은 치아의 가장 바깥층인 법랑질에서 미네랄을 빼앗아 구조를

약화시키는데, 이를 ‘탈회’라고 합니다. 이 과정이 반복되면 결국 치

아에 구멍이 생기고, 우리가 흔히 말하는 충치로 이어집니다.

이때 불소는 중요한 균형추 역할을 합니다. 불소는 탈회된 치아 표면에

다시 미네랄이 결합하도록 도와 재광화(remineralization)를 촉진합니다.

또한 치아를 구성하는 물질을 더 안정적인 형태로 변화시켜 산에 대한

저항력을 높입니다.

쉽게 말해, 치아가 외부 공격에 더 강하게 버틸 수 있도록 구조를 보강 하는 셈입니다. 이 때문에 불소는 단순한 예방 성분이 아니라, 치아를

지속적으로 강화하는 활성 요소로 평가됩니다.

특히 주목할 점은 초기 충치의 가역성입니다. 많은 사람들이 충치는 한

번 생기면 반드시 치료해야 한다고 생각하지만, 초기 단계에서는 이야

기가 다릅니다.

눈에 보이지 않을 정도의 미세한 손상 단계에서는 치아가 스스로 회복

될 여지가 있습니다. 이때 불소는 결정적인 역할을 하며, 손상된 부위에

미네랄이 다시 자리 잡도록 유도하여 충치 진행을 멈추거나 되돌리는

데 기여합니다.

결국 매일 사용하는 치약이 단순한 세정제를 넘어, 일종의 ‘저강도 치 료 수단’으로 기능한다고 볼 수 있습니다.

또한 불소는 세균 활동 자체에도 영향을 미칩니다. 구강 내 세균이 산을 생성하는 과정에 간접적으로 작용하여 산 생성 능 력을 떨어뜨리는 효과가 보고되어 있습니다. 즉,

기본적인 선택인가

이러한 복합적인 작용 덕분에 불소는 오랜 기간 동안 가장

예방 성분으로 자리 잡았습니다.

“불소는 인체에 해로운 것 아닌가?”라는 의문도 자연스럽

게 제기됩니다.

일부에서는 불소에 대한 막연한 불안이나 과장된 위험성을 이야기하기 도 합니다. 그러나 일반적인 치약 사용 범위에서는 안전성이 충분히 검

증되어 있습니다.

시중 치약의 불소 농도는 엄격한 기준 아래 관리되며, 정상적으로 양치 후 뱉어내는 사용 방식에서는 인체에 유해한 영향을 미치지 않습니다.

다만 어린이의 경우 치약을 삼키지 않도록 지도하고, 연령에 맞는 소량

을 사용하는 것이 권장됩니다.

오히려 불소 사용을 기피할 경우 얻을 수 있는 이점보다 충치 예방 효 과를 포기함으로써 발생할 수 있는 손실이 더 클 가능성이 큽니다. 특히

당 섭취가 잦거나, 양치 습관이 완벽하지 않은 현실을 고려하면 불소의

역할은 더욱 중요해집니다.

완벽한 위생 관리가 어려운 일상 속에서, 불소는 작은 노력으로 큰 예방

효과를 제공하는 요소이기 때문입니다.

결국 불소 치약은 특별하거나 선택적인 제품이 아니라, 구강 건강관리

의 기본에 해당하는 도구입니다.

매일 반복되는 양치라는 습관 속에서 불소는 눈에 보이지 않게 치아를

보호하고, 손상을 복구하며, 더 강한 상태로 유지하도록 돕습니다.

새로운 트렌드와 다양한 선택지가 등장하더라도, 오랜 시간 검증된 기

준이 쉽게 바뀌지 않는 이유가 여기에 있습니다.

불소 치약을 사용하는 것은 복잡한 판단이 필요한 일이 아닙니다. 오히

려 가장 단순하면서도 과학적으로 확립된 선택에 가깝습니다. 그리고 그 선택은 매일의 작은 습관 속에서, 장기적인 치아 건강이라는 분명한 결과로 이어집니다.

메디케어 전문 상담가 조앤 홍이 알려드립니다. 문의 : 조앤홍 (818) 606-9486

AEP, OEP 기간이 어제 (3월 31일) 끝났습니

다. 이제는 편안하게 보험 베네핏을 즐기세 요.

매주 토요일 노스리지 갤러리아 마켓에

(12시-4:00 PM) 있읍니다. 궁금한점 있으시

면 818-606-9486 으로 전화 약속하고 오세 요.

** 3월에 가장 많이 받은 질문 1. 치과 보험 청구 거절 **

질문 1) 앤섬 블루크로스(Anthem Blue Cross) 보험 에서 임

플란트(Implant)를 해준다고 해서 아직 앤섬 블루크로스보험을

가지고 있어요. 지난주에 치과에서 전화가 왔는데 앤섬 블루

크로스에서 임플란트 청구가 거절됬다고 합니다 . 작년부터

시작한 임플란트를 도중에 거절을 하다니ㅠㅠ~어떻게 해결해

야 하나요 ?

답) 많은 분들이 같은 일로 당황하고 있어요. 우선 임플란트를 커버하

는 보험플랜을 알아 보세요. 다니고 있는 치과의사가 어떤 보험을 취

급하는지, 본인에게 가장 유리한 보험이 무엇인지를 의사 선생님과 에

이전트와 상의하고 결정하세요.

임플란트를 커버하는 보험회사를 알려드려요. 같은 보험회사도 플랜에

따라 액수가 달라요.

*아스티바 보험 (Astiva): $1000-$2200 (플랙스 카드를 치과에 사용하

면 액수가 더 많아져요)

*클레버케어 보험(Clevercare): $800-$2400 ( 플랙스 카드를 치과에

사용할수 있어요 )

*스캔 보험 (Scan): $4000-No Limit (무한정(?))

** 3월에 많이 받은 질문 2 . OTC (플랙스)카드 마켓 **

사용할 수 있어 좋았어요. 3월이 되면서 갑자기 마켓 사용이

안되요. 마켓 사용이 안되면 다른 보험으로

어떻게 할까요?

답) 지난 3월호에 마켓 문제가 생길거라고 알려드렸어요. 다시한번 리

마인드할께요.

2026년 부터 식료품 구입 규정이 바꼈어요. SSBCI 만성질환자를 위한

특별 보충 혜택 (Special Supplemental Benefits for the Chronically Ill)

을 가진 분들만 플랙스 카드로 마켓사용이 가능 합니다.

보험회사에서 마켓사용이 가능한지 확인 서류를 의사 선생님께 보냈

어요. 의사선생님이 받은 증명 서류에 증명을 하고 보험회사에 팩스로

보내야 마켓을 볼 수 있어요. 그 과정에 착오가 많이 있었어요.

보험을 바꾸기 전에 에이전트에게 보험회사에서 의사 선생님께 보낸

증명서류 카피를 달라고 해서 의사 선생님께 직접가져가세요.

의사 선생님께서 서류 작성 하고 보험회사에 서류를 팩스로 보내면 끝

~마켓을 다시 사용 할수 있어요.

보낸서류는 사진을 찍어서 보관하세요. 기권하지 말고~ 파이팅!!!

질문 3) 플랙스 (OTC) 카드가 코스코에서 사용할수 있다고 하

는데 모든 보험회사에 플랙스 카드가 사용 가능한가요? 코

스코의 어떤 품목을 살수 있나요?

답) 모든 보험회사에 플랙스 카드가 코스코에서 사용 할수 있는건 아니

에요.

현재는 아래 두 회사 플랙스 카드만 사용 가능 합니다 .

코스코 OTC 품목은 약 종류 (비타민, 안약, 알레지약, 치약, 안경,마켓 등등 다양합니다. 그러나 보험회사 마다 커버하는게 다르고 아직 처음

이라 순조롭지는 않습니다.

*클레버 케어 (CLEVERCARE)플랙스 카드: 코스코에서 Healthy Food (마켓), OTC (약종류), 안경, 살수 있어요 한국마켓은 갤러리아 마켓, 한 남체인, Zion 마켓, H-마켓, 99 랜치 마켓에서 사용 가능합니다.

* 스캔(SCAN) 플랙스 카드: 스캔 플랜 모두가 되지 않고요 한국마켓도

다 되지는 않어요.

코스코는 된다고 했는데 아직은 사용이 순조롭지는 않아요. 한국마켓은 H-마켓, 갤러리아 마켓, 99 랜치 마켓에서 사용 가능합니다. ** 3월에 많이 받은 질문 3 . 약 코페이 ** 질문 4) 저는 Medi-Medi 인데 약국에서 약 코페이를 받아요. $2.50 씩 약이 4개라서 $10 내고 왔어요. 지금까지 한번도 낸

적이 없어요. 보험회사를 바꿔야 하나요?

답) 아닙니다.

메디칼이 2026년 부터 메디칼을 가진분들도 약 코페이를 $12.50 까지 낼 수 있다고 법으로 정했습니다 . 약 코페이는 보험회사의 문제가 아닙 니다.

질문 5) 저는 메디케어를 2025년에 등록했습니다. 제가 해야 할 검진들을 몇년에 한번씩 해야 하는지 알려 주실래요?

답) 대강은 알지만 의사 선생님에게 확인하세요.

아래 내용은 제가 기억하고 스케쥴을 기초로 건강상태에 따라 조절합 니다.

답) 메디케어를 처음 등록하면

1. 1년안에 Welcome to Medicare (메디케어 예방 검진) 을 해요.

2. 다음해 부터는 매년 Annual Wellness Visit (연례 건강검진) 을 합니 다.

연례 건강검진은 일반 신체검사(Physical Exam)와는 다릅니다.

그리고 아래 Test 는 기본으로 정하고 필요에 따라서 조절합니다.

1. 암: 대장암 (10년, 고위험한분 2년), 자궁 암 (24개월), 폐암 (12개월), 적립선 암 (12개월), 유방암 (12개월),

2. 만성 질환: 골다골증 (24개월), 당뇨 검사 (연 2회), 심혈관 (12개월)

3. 독감, B 형 폐렴 (12 개월, 필요에 따라서 조절)

4. 대상 포진, 파상풍, 백신, 호흡기 바이러스 (건강 상태에 따라서 합니 다.)

궁금 한 점 있으면 조앤 홍 818-606-9486 으로 연락 주세요.

자녀의 완벽한 이력서가 대학 입학으로 이어지지

않는 이유

지난 4월, 미셸은 어머니와 함께 저의 사무실을

찾았습니다. 그들은 미셸을 위한 ‘이의 제기 편

지(appeal letter)’ 작성을 도와달라고 요청했습

니다. 이전에 그들과 함께 작업한 적은 없었지만, 기꺼이 도움을 주기로 했습니다. 하지만 그들이

가져온, 수북이 쌓인 불합격 통지서들을 보고는 도저히 그냥 지나칠 수

가 없었습니다.

스탠퍼드. UCLA. UC 버클리. USC. 모두 불합격이었습니다.

미셸의 어머니는 당혹스러움과 분노를 감추지 못했습니다. "미셸은 할

수 있는 건 다 했어요." 그녀가 말했습니다. "성적도 완벽했고, SAT 점수

도 높았죠. 각종 활동으로 눈코 뜰 새 없이 바빴고요. 도대체 여기서 뭘

더 해야 한다는 말인가요?"

저는 미셸에게 자신이 했던 활동들에 대해 이야기해 달라고 부탁했습

니다. "매주 일요일마다 교회에서 봉사 활동을 했어요." 그녀가 대답했

습니다. "테니스 팀에서도 활동했고요. 피아노는 10년 동안 쳤어요. 환

경 동아리 친구들과 해변 정화 활동도 했고, 병원에서 자원봉사도 했죠.

수학 동아리에도 가입했고요."

"정말 대단하네요." 제가 말했습니다. “그런데 왜 하필 이런 활동들을

선택했나요?”

미셸은 내 질문이 의아하다는 듯 나를 쳐다보았다. "그야... 대학 입시에

유리해 보이니까요?" 그녀가 말했습니다. "다들 그렇게 하잖아요."

저는 고개를 끄덕였습니다. 바로 그것이 문제였습니다.

미셸은 참으로 많은 활동을 해냈습니다. 하지만 정작 그녀가 무엇에 관

심을 두고 있는지, 무엇에 열정을 느끼는지 물었을 때, 그녀는 대답하지

못했습니다. 그녀의 활동 목록은 하나의 '이야기'가 아니라, 그저 채워

넣어야 할 '체크리스트'에 불과했던 것입니다. 그리고 바로 그 점 때문에

그녀는 대학에 합격하지 못했습니다.

옥스퍼드 에듀케이션에서 25년간 일해 오면서, 저는 이런 대화를 수없

이 많이 나누었습니다. 열심히 노력하는 학생들, 뛰어난 성적, 겉보기

에 화려해 보이는 이력서들, 하지만 입학 사정 결과가 담긴 통지서가 도

착했을 때, 그 결과는 참담하기 그지없습니다. 문제는 결코 노력의 부족

에 있지 않습니다. 진짜 문제는 바로 이것입니다. 자녀의 입학 지원서에

입학 사정관들의 기억에 깊이 각인될 만한 '이야기'가 담겨 있지 않다는

점입니다.

한국 학생들이 저지르는 가장 큰 실수 전형적인 한국 학생의 활동 목록이 어떤 모습인지 보여드리겠습니다.

a교회 봉사 활동 (주일학교 보조) a테니스 팀 소속

a해변 정화 봉사 활동 a피아노 연주 (10년 경력)

a수학 동아리 활동 a지역 병원 봉사 활동 학부모님들의 눈에는 이 목록이 꽤나 훌륭해 보일 것입니다. 이 학생은 다방면에 걸쳐 균형 잡힌 모습을 갖추고 있습니다. 운동, 음악, 봉사 활

않는 이유

동, 그리고 학업까지 두루 섭렵하고 있으니까요. 무척 바쁘게 지내며, 성취한 것들도 많아 보입니다. 하지만 대학 입학 사정관들이 이 목록을

읽을 때 보게 되는 것은 바로 이것입니다.

아무것도 없다는 사실입니다.

그들은 이미 5만 건에 달하는 다른 지원서들에서 보았던 것과 똑같은 활동 목록을 마주하게 될 뿐입니다. 교회 봉사, 테니스, 피아노, 해변 정

화, 병원 봉사, 이 활동들 사이에는 어떠한 연관성도 없습니다. 그 안에 담긴 이야기도 없습니다. 입학 사정관에게 이 학생이 진정으로 어떤 사

람인지, 혹은 무엇에 가치를 두고 관심을 쏟는지 알려주는 요소가 단 하

나도 없는 것입니다. 결국 이 학생은 기억에 남지 않는, 잊혀지기 쉬운

존재가 되고 맙니다.

명문 대학들이 실제로 찾는 학생

최근 월스트리트 저널(WSJ)의 한 기사는 많은 한국 가정이 미처 이해하 지

있던 사실 하나를 밝혀냈습니다. 이 기사는 대학 입학 사정의 흐름이 변화했음을 설명했습니다. 이제는 단순히 여러 가지 다양한 활

동을 많이 하는 것만으로는 충분하지 않습니다. 학생들에게는 이제 입 학 사정관들이 일컫는, 이른바 '응집력 있는 이야기(cohesive narrative)' 가 필요합니다.

이것은 무엇을 의미할까요?

이는 여러분의 활동들이 '여러분이 어떤 사람인지', 그리고 '무엇에 가치

를 두고 관심을 기울이는지'에 대한 명확한 이야기를 들려주어야 함을 뜻합니다. 활동들은 서로 유기적으로 연결되어야 합니다. 또한 여러분 이 특정 분야에 대해 진정 어린 관심을 가지고 있으며, 그 관심사를 오 랜 기간에 걸쳐 깊이 있고 헌신적으로 탐구해 왔음을 입증해 보여야 합 니다. 해당 기사에서 인용된 한 대학 입시 상담 전문가는 다음과 같이 말했습니다. "만약 여러분이 여름방학 동안 수행하는 활동들이 앞서 언 급한 '응집력 있는 이야기'로 제대로 엮이지 않거나, 여름방학 계획을 전 략적으로 수립하지 않는다면, 이는 사실상 아무런 활동도 하지 않은 것 과 다를 바 없습니다." 다시 한 번 강조하겠습니다. 서로 아무런 연관성 없이 흩어진 무작위적인 활동들은, 사실상 아무것도 하지 않은 것과 거 의 같습니다.

두 학생, 두 가지 다른 결과 작년에 제가 지도했던 두 학생에 대해 말씀드리겠습니다. 두 학생 모두 학점(GPA)과 시험 점수가 비슷했습니다. 또한 둘 다 성실하고 똑똑했 습니다. 하지만 그 결과는 완전히 달랐습니다.

학생 A: 다방면에 능한 학생 학생 A의 활동 목록은 다음과 같았습니다.

a교회 자원봉사 a축구 활동

a해변 정화 자원봉사 a8년간 바이올린 연주

a토론 동아리 활동 a초등학생 튜터링

aKey Club 활동

제가 이 학생에게 "무엇에 가장 가치를 두고 있나요?"라고 물었을 때,

Education

학생은 명확하게 대답하지 못했습니다. 학생은 이 모든 활동이 대학 입

시에 유리해 보인다는 이유만으로 참여했습니다. 하지만 그 활동들 사

이에는 아무런 연관성이 없었습니다. 어떠한 서사도, 열정도 담겨 있지

않았습니다.

제가 학생에게 자신의 활동에 잘 맞는, 자신만의 고유한 이야기를 찾아

보라고 제안했을 때, 학생은 이를 거부했습니다. 이 학생은 어떤 이야기

를 가져오더라도 그것이 자신의 본모습을 100% 온전히 담아내지는 못

할 것이라고 느꼈기 때문입니다.

결과: UCLA, UC Berkeley, USC 불합격. UC Riverside 합격.

학생 B: 집중하는 학생

학생 B는 남동생이 학습 장애로 인해 어려움을 겪는 모습을 지켜보며 성장했습니다. 당시 교사들은 남동생의 학습을 어떻게 도와야 할지 제

대로 이해하지 못했습니다. 이러한 경험은 학생 B가 교육에 관심을 갖 게 되고, 학생들이 각기 다른 방식으로 학습한다는 사실에 관심을 갖게 된 계기가 되었습니다.

2학년 때부터 학생 B는 다음과 같은 활동을 수행했습니다.

a학습 장애를 가진 학생들을 전문적으로 지도하는 튜터로 자원봉사 활동을 했습니다.

a다양한 학습 유형에 초점을 맞춘 교내 또래 튜터링 프로그램을 직접 개설했습니다.

a교육 심리학 관련 여름 워크숍에 참가했습니다.

a어려운 수학 개념을 여러 가지 방식으로 설명하는 유튜브 영상을 제 작했습니다.

a사람들이 어떻게 학습하는지에 대해 남동생에게서 배운 점을 주제로

대학 입학 에세이를 작성했습니다.

이 모든 활동은 서로 유기적으로 연결되어 있었습니다. 또한, 모든 활동

은 교육과 학습의 다양성에 대한 학생 B의 진정 어린 관심을 여실히 보 여주었습니다. 그의 이야기는 명확하고 진정성이 넘쳤습니다.

결과: UCLA, UC Berkeley, Stanford 대학에 합격했습니다. 합격의 차이를 가른 것은 지능이나 성적이 아니었습니다. 바로 그 '이야 기(Narrative)'가 차이를 만들어냈습니다.

한국 학생들이 자기소개서 작성에 어려움을 겪는 이유

매년 제가 목격하는 현상에 대해 솔직하게 말씀드리겠습니다.

많은 한국 가정에서는 활동을 많이 하는 것이 더 좋다고 생각합니다. "

아이가 10개의 활동을 하는 것이 5개의 활동을 하는 것보다 낫다"라고

생각하는 것이죠. 하지만 이는 잘못된 생각입니다.

입학 사정관들은 활동 횟수를 세는 것이 아니라, 의미를 찾습니다. 열정

을 찾습니다. 아이가 어떤 사람인지 보여주는 이야기를 찾습니다.

단순히 이력서를 채우기 위해 무작위로 활동을 하는 학생들은 입학 사

정관들에게 금방 드러납니다. 활동 목록이 체크리스트처럼 보이고, 연 결고리도 없고, 깊이도 없고, 진정성 있는 목소리도 없습니다. 그리고

무엇보다 중요한 것은, 이런 학생들은 다른 수많은 학생들과 똑같아 보

인다는 것입니다. 교회 봉사, 피아노 연주, 운동, 해변 청소, 병원 봉사...

입학 사정관들은 이런 목록을 이미 수백 번이나 봐왔습니다. 결국 당신

의 아이는 수많은 학생들 속에 묻혀버립니다.

고등학교 졸업 전 여름: 마지막 기회

지금 자녀가 고등학교 11학년이 된다면, 여러분은 자녀의 고등학교 생

활에서 가장 중요한 여름을 맞이하고 있을 것입니다.

이번 여름은 8월 대학 입시 원서 접수가 시작되기 전, 자녀의 이야기를

만들어가거나 강화할 수 있는 마지막 기회입니다.

대부분의 가정은 이 여름을 허비합니다.

자녀를 그저 멋있어 보이지만 아무런 연관성도 없는 활동에 등록시킵

니다. 리더십 캠프, 봉사 활동, 심지어 다른 관심사와는 전혀 상관없는

연구 프로그램까지.

하지만 현명한 가정은 이 여름을 전략적으로 활용합니다. 그들은 다음 과 같은 질문을 던집니다. "내 아이는 어떤 이야기를 하고 있는가?", "아

이의 활동은 아이가 어떤 사람인지 무엇을 보여주는가?", "이번 여름을 통해 어떻게 아이의 이야기를 더욱 탄탄하게 만들 수 있을까?"

월스트리트 저널 기사에 따르면, 요즘 학생들은 일관성 있는 이야기를 만들기 위해 고등학교 1학년 때부터 여름 활동을 계획한다고 합니다. 기사에 실린 스탠퍼드대 1학년 학생은 9학년 이후 매년 여름을 생물학 과 컴퓨터 과학에 대한 자신의 관심사와 관련된 활동으로 채웠다고 설 명했습니다. 덕분에 대학에 지원할 무렵에는 그녀의 이야기가 명확하 고 일관성 있게 정리되어 있었다고 합니다.

Education

옥스퍼드 학원의 차별점

많은 가정에서 이 부분에서 막막함을 느낍니다. 자기소개서가 중요하

다는 것은 알지만, 자녀가 자신만의 이야기를 만들어나가도록 어떻게

도와야 할지 모르는 경우가 많습니다.

바로 이 부분이 옥스퍼드 학원의 차별점입니다.

저희는 단순히 학생들이 활동 목록을 작성하도록 돕는 것이 아닙니다.

학생들이 진정으로 관심을 갖는 것이 무엇인지 발견하고, 대학에 자신 을 진정으로 보여줄 수 있는 이야기를 만들어나가도록 돕습니다.

학생들이 진정한 이야기를 찾도록 도와드립니다.

많은 학생들이 자신의 이야기가 무엇인지 모릅니다. 부모님의 권유에

따라, 혹은 다른 학생들이 하는 것처럼 보여서 여러 활동에 참여해 왔습 니다.

저희는 학생들이 자기 발견의 과정을 거치도록 안내합니다. 다음과 같

은 질문들을 던집니다.

a당신이 사는 지역 사회에서 어떤 문제들이 당신을 불편하게하나요?

a어떤 경험들이 당신의 세계관을 형성했나요?

a자유 시간에는 무엇을 생각하나요?

a당신의 문화적 배경과 관심사 사이에는 어떤 연관성이 있나요?

이러한 과정을 통해 학생들은 진정한 자신의 목소리와 진정한 관심사

를 발견하게 됩니다.

전략적인 여름 계획을 세워드립니다

학생의 이야기를 이해한 후, 그 이야기를 더욱 풍성하게 만들어 줄 여름 활동을 계획하도록 도와드립니다.

보기에는 좋지만 의미 없는 활동이 아닌, 진정으로 의미 있는 활동을 함 께합니다.

학생들의 구체적인 관심사와 이야기에 맞는 기회를 연결해 드립니다.

진정성과 헌신을 보여줄 수 있는 프로젝트를 설계하도록 지원합니다.

마지막으로, 에세이에서 활동들을 어떻게 연결해야 하는지, 경험의 의

미를 어떻게 설명해야 하는지, 입학 사정관들에게 진솔한 개성과 열정

을 어떻게 보여줘야 하는지 가르쳐 드립니다.

희망을 드립니다.

자녀가 곧 고등학교 11학년이 된다면, 아직 강력한 이야기를 만들어갈

시간이 있습니다. 옥스포드 학원과 함께라면, 자녀의 이야기를 구체화 하고, 그 이야기와 관련된 독창적인 활동을 전략적으로 계획하며, 세상 을 더 나은 방향으로 바꾸고 싶어 하는 진정한 아이의 모습을 보여줄 수

있습니다.

자녀에게는 이야기가 있습니다. 저희가 그 이야기를 찾아낼 수 있도록 도와드리겠습니다.

남가주 부동산 시장은 매년 4월을 기점으로 본격적인 봄 시즌에 진입합

니다. 날씨가 따뜻해지는 만큼 시장의 온도 역시 올라가고, 그동안 관

망하던 매도자와 매수자들이 동시에 움직이기 시작하는 시기입니다.

그러나 2026년의 봄 시장은 과거와는 결이 다릅니다. 단순히 “성수

기”라는 표현만으로 설명하기에는, 지금의 시장은 훨씬 더 복합적이

고 전략적인 접근을 요구하고 있습니다. 이 시기에 양쪽이 공통적으로

궁금해 하는 포인트는 꽤 명확하면서도 서로 다른 관점에서 갈립니다.

부동산 소유주(셀러)가 가장 궁금한 것

1. 지금이 정말 팔기 좋은 타이밍인가?

금리와 재고(Inventory)가 애매한 상황에서는 “지금 팔아야 하나, 조금

더 기다려야 하나”가 가장 큰 고민입니다. 특히 올해는 금리 방향성 + 경기 불확실성 때문에 타이밍 고민이 더 큽니다.

2. 내 집, 얼마에 팔 수 있을까? (Pricing 전략)

매매가를 높게 잡으면 시장에서 외면, 너무 낮게 손해, 답은 ”적정 가 격 + 경쟁 유도 전략” 이며 이에 대한 관심도가 매우 큽니다.

3. 지금도 multiple offer 가능할까?

예전처럼 무조건 경쟁이 붙는 시장은 아니기 때문에 “우리 집도 경쟁 붙을 수 있을까?”가 핵심 질문입니다.

4. 어떤 수리/준비가 필요할까?

*리모델링 vs 최소한의 정리, * staging 해야 하나 → 투자 대비 수익 (ROI)에 대한 고민이 많습니다.

5. 사는 집은 어떻게 해야 하나?

* 팔고 사기 vs 동시에 진행 → “다음 집을 언제, 어떻게 사야 안전할까”

매입자(바이어)가 가장 궁금한 것

1. 지금 사도 괜찮을까, 더 기다려야 할까?

* 금리 인하 기대감 vs 가격 상승 가능성 → 타이밍에 대한 불안감이 가장 큽니다.

2. 금리는 앞으로 내려갈까?

* 많은 바이어가 “지금 사고 refinance 하면 되나?” 고민을 많이 하고 계시죠?

3. 경쟁이 얼마나 심할까?

* 인기 지역 (Pasadena, La Cañada, Hancock Park 등)은 여전히 경쟁 존

재 → “내가 이길 수 있는 전략이 있을까?”

4. 내가 감당 가능한 가격대는 어디까지인가?

* 월 페이먼트 부담 → 실질적인 affordability 에 대한 고민입니다.

5. 좋은 딜을 찾을 수 있을까?

* off-market, 가격 조정 매물 → “요즘에도 deal이 있나?”에 대한 관

심이 많습니다.

공통적으로 중요해진 질문

요즘 시장에서 셀러와 바이어 모두 공통적으로 궁금해 하는 건 딱 이겁니다.

Duk Young (Sophia) Yang

(213) 500-5740

- COMPASS Real Estate 라케냐다 오피스

- Commercial, Residential & Property Management - 전 KREBASC (남가주 부동산 협회) 이사 및 소셜 미디어 담당

- SFR Certified(숏세일/차압/ 은행 매물 전문)

Short sale/ Foreclosure/ Real Estate Owned - 발렌시아/스티븐슨랜치/캐년컨츄리 라카나다/라크라센타/파사데나 전문

지금 시장, 정말 정상(normal)인가 아니면 과도기인가?”

* 팬데믹 초저금리 시장도 아니고 완전한 buyer’s market도 아닌 → 중 간 과도기 시장: 그래서 더더욱 a전략 a타이밍 a협상력이 중요해졌습 니다.

전문가 관점에서 핵심 한 줄 “2026년 봄 시장은 ‘무조건 된다’가 아니라 ‘잘하면 된다’는 시 장입니다.”

* 셀러a가격 + 연출 + 타이밍 전략 필요 * 바이어 a 자금 + 속도 + 협상 전략 필요

이번 시즌, 현장에서 가장 많이 듣는 질문들을 통해 지금 시장의 본질을

짚어보는 것이 중요합니다.

봄 시장의 시작, 그러나 단순한 상승장은 아니다

전통적으로 봄은 매물이 늘어나고 거래량이 증가하는 시기입니다. 가

족 단위의 이사 수요, 학군을 고려한 이동, 그리고 연초의 계획이 실제

행동으로 이어지는 흐름이 맞물리기 때문입니다. 올해 역시 공급과 수 요 모두 증가하는 흐름은 동일합니다.

하지만 중요한 차이는 “확신의 부재”입니다.

금리는 여전히 높은 수준에서 방향성을 탐색 중이고, 경기 역시 완전한 회복 국면이라 보기 어렵습니다. 이로 인해 시장 참여자들은 과거처럼

확신에 기반한 결정보다는, 보다 신중하고 계산적인 움직임을 보이고 있습니다.

결국 지금 시장은 단순한 셀러스 마켓도, 바이어스 마켓도 아닌 전형적 인 과도기 시장입니다. 매도자가 가장 고민하는 것: 타이밍이 아닌 ‘전략’

현재 매도자들이 가장 많이 하는 질문은 단 하나로 압축됩니다. “지금이 팔아야 할 시점인가?” 흥미로운 점은, 이 질문의 본질이 과

거와 달라졌다는 것입니다. 예전에는 시장이 상승 국면일 때 “더 오

르기 전에 팔아야 하나”라는 고민이었다면, 지금은 “지금 팔아도 제 대로 된 가치를 받을 수 있을까”라는 보다 현실적인 고민으로 바뀌었 습니다. 이와 함께 가장 중요한 요소로 떠오른 것은 가격 전략(Strategic Pricing)입니다. 지금 시장에서는 단순히 높은 가격으로 시작하는 것이 더 이상 유효하지 않습니다. 오히려 초기 가격 설정이 시장 반응을 결정

짓고, 그 반응이 곧 최종 거래 가격으로 이어지는 구조입니다.

또한 많은 매도자들이 간과하기 쉬운 부분이 있습니다. 바로 “준비의

수준”입니다. 과거에는 공급이 부족했기 때문에 어느 정도 상태의 주

택도 판매가 가능했다면, 지금은 다릅니다.

* 어떤 수준까지 정리하고 * 어디까지 투자하고 * 어떻게 연출(staging)

할 것인지

이 모든 요소가 단순한 선택이 아니라, 가격을 만들어내는 핵심 전략 요

소가 되었습니다.

결국 지금의 매도 전략은 한 문장으로 정리됩니다. “얼마에 팔 것인

가”가 아니라, “어떻게 팔 것인가”의 문제입니다.

매수자가 가장 궁금해하는 것: 타이밍과 기회 사이

매수자 역시 매우 비슷한 지점에서 고민하고 있습니다. “지금 사는 것

이 맞을까, 아니면 기다려야 할까?” 이 질문의 배경에는 두 가지 심리

가 공존합니다.

* 금리가 내려갈 것이라는 기대 * 그러나 그로 인해 가격이 다시 상승할

것이라는 불안

이 두 가지가 동시에 작용하면서, 많은 매수자들이 결정을 미루거나 타

이밍을 재고 있습니다.

하지만 현장에서 보이는 흐름은 조금 다릅니다.

좋은 매물, 특히 입지와 조건이 뛰어난 주택은 여전히 빠르게 거래되고

있으며, 경우에 따라서는 경쟁도 발생합니다.

즉, 시장 전체는 안정적인 듯 보이지만 ”좋은 매물만 경쟁하는 선택적

경쟁 시장”이 형성되고 있는 것입니다.

이로 인해 매수자에게 중요한 것은 더 이상 단순한 타이밍이 아닙니다.

* 자금 구조를 어떻게 준비할 것인지 * 어떤 매물에 집중할 것인지 * 협

상 전략을 어떻게 가져갈 것인지 이 세 가지가 실제 결과를 좌우하게 됩 니다.

지금 시장의 본질: ‘누가 더 준비되어 있는가’ 현재 남가주 부동산 시장의 가장 중요한 특징은 명확합니다. 시장은 열 려 있지만, 결과는 준비된 사람에게만 돌아간다.

매도자에게는 * 정확한 가격 전략 * 철저한 사전 준비 * 시장 반응을 읽 는 능력

매수자에게는 * 명확한 기준 설정 * 빠른 의사결정 * 현실적인 자금 계 획, 이 모든 요소가 동시에 요구됩니다.

과거처럼 시장의 흐름에 올라타기만 하면 되는 시기는 지났습니다. 이 제는 각자의 상황에 맞는 맞춤 전략이 없으면, 같은 시장 안에서도 전혀

다른 결과를 경험하게 됩니다.

“지금은 잘하는 사람이 결과를 만드는 시장입니다” 2026년 봄 시장

은 결코 나쁜 시장이 아닙니다. 오히려 기회는 분명히 존재합니다. 다만 그 기회를 잡기 위해서는 과거보다 훨씬 정교한 접근이 필요합니다.

단순한 정보나 일반적인 조언만으로는 부족합니다. 각 자산의 특성, 각 고객의 상황, 그리고 시장의 미묘한 흐름까지 읽어내는 입체적인 전략

이 필요한 시점입니다.

부동산은 단순한 거래가 아니라, 타이밍과 전략, 그리고 경험이 만들어

내는 결과입니다.

같은 시장에서도 누구는 기대 이상의 결과를 만들고, 누구는 아쉬움을

남기는 이유는 바로 여기에 있습니다.

지금 이 중요한 시기에 당신의 자산을 어떻게 움직일지 고민하고 계시

다면, 단순한 선택이 아닌 가장 정확한 판단이 필요합니다.

당신의 상황에 맞는 최적의 전략을 제시하고, 그 전략을 결과로 연결시 키는 것-그것이 진정한 전문가의 역할입니다. 가장 신뢰할 수 있는 기 준으로 저를 찾아주시기 바랍니다. 언제든 연락 주세요.

(213) 500-5740

모기지 금리 급등, 구매자들 부담 가중

최근 주택담보대출 금리가

상승하면서 빠듯한 예산과

부족한 매물 때문에 어려움

을 겪고 있는 주택 구매자들

에게 더욱 큰 부담을 주고

있습니다. 대출 기관들은 다

양한 대출 상품에서 금리 인상을 예고했고, 구매자들은 구매 시기, 예

산, 금리 확정 등에서 어려운 선택에 직면하게 되었습니다.

이번 금리 인상은 부동산 시장에서 중요한 시기인 봄철에 발생했는데,

이 시기에는 주택 투어와 계약 체결이 활발하게 이루어집니다. 대출 금

리 상승은 구매자의 구매력을 약화시키고, 판매 속도를 늦추며, 일부 구

매자를 관망하게 만들 수 있습니다. 또한 판매자의 가격 결정력을 시험

하고 건설업체와 대출 기관이 더 나은 조건을 제시하도록 유도합니다.

금리 변동 요인

모기지 금리는 종종 인플레이션 데이터, 고용 보고서, 그리고 연준의 향

후 정책에 대한 채권 시장의 전망에 반응합니다. 투자자들이 인플레이

션이 지속될 것으로 예상하면 수익률이 상승하고, 모기지 금리도 그에

따라 오르는 경향이 있습니다. 작은 변동이라도 구매자에게는 큰 타격

이 될 수 있습니다. 1% 포인트 미만의 금리 인상만으로도 일반적인 30

년 만기 대출의 월 상환액이 수십 달러에서 수백 달러까지 늘어날 수 있 습니다.

지난 2년간 금리는 인플레이션이 정점에서 둔화되었음에도 주요 항목

에서 높은 수준을 유지하면서 급격한 변동을 보였습니다. 시장은 연준 이 금리를 더 오랫동안 높은 수준으로 유지할 가능성에 민감하게 반응 해 왔습니다. 이로 인해 차입자들은 새롭게 발표되는 경제 지표에 전적

으로 의존할 수밖에 없습니다.

주택 구매 부담 심화

금리 인상은 생애 첫 주택 구매자들에게 가장 큰 타격을 줍니다. 많은 사람들이 적은 계약금에 의존하고 있어 금리 조정 여력이 부족합니다.

높아진 월 상환액은 거주 지역, 주택 규모, 또는 매수 제안의 강도를 바

꿔야 할 수도 있습니다.

어떤 이들은 금리 인하를 기다리며 구매를 미루기도 하고, 또 어떤 이들

은 금리 인상에 대비해 금리를 고정하는데, 이는 더 작은 집을 사거나

출퇴근 시간이 길어지는 것을 감수해야 함을 의미합니다.

저금리 모기지를 보유한 기존 주택 소유자들은 또 다른 어려움에 직면 합니다. 더 나은 집으로 이사하려면 저금리 대출을 더 비싼 대출로 바꿔

야 하기 때문입니다. 이러한 "금리 고정"으로 인해 많은 사람들이 매물

을 내놓지 않아 공급이 제한되고 가격이 안정적으로 유지되었습니다.

최근의 금리 인상은 이러한 추세를 더욱 심화시킬 수 있습니다.

판매자, 대출 기관, 그리고 건설업체의 적응 금융비용이 상승하면 판매자들은 더 많은 양보를 제공할 가능성이 높

아집니다. 많은 시장에서 금리 인하 및 수리비용에 대한 클로징 크레딧

이 다시 등장하고 있습니다. 신규 공급을 주도하는 건설업체들은 월 상

환액이 감당 가능한 수준을 유지하도록 영구적 또는 일시적인 금리 인

하를 활용하는 경우가 많습니다. 이러한 조치 덕분에 신규 주택 판매는

예상보다 안정적으로 유지되었습니다.

대출 기관들은 초기 상환액을 낮추는 옵션, 특히 포인트 방식이나 변동

금리형 주택담보대출에 대한 관심이 다시 높아지고 있음을 확인하고

있습니다. 재무 설계사들은 구매자들이 초기 금리뿐만 아니라 향후 더

높아질 상환액을 고려하여 예산을 검토해야 한다고 경고합니다. 목표

는 단순히 대출 승인을 받는 것이 아니라 안정적인 상환액을 확보하는 것입니다.

구매자가 지금 할 수 있는 일

* 여러 금융기관의 상품을 비교하고 금리뿐 아니라 총비용도 비교해 보 세요.

* 판매자나 건설업체에서 제공하는 금리 인하 혜택이 있는지 문의해 보 세요.

* 가능하다면 금리 변동 옵션이 있는 장기 금리 고정 상품을 고려해 보 세요.

* 계약 체결 전에 높은 금리를 감당할 수 있는지 예산을 점검해 보세요. 주목해야 할 시장 신호

향후 발표될 인플레이션 수치, 고용 지표, 연준의 발표가 주요 변수입니 다. 인플레이션이 둔화되면 채권 수익률이 낮아지고 주택담보대출 금

리가 완화되어 부담이 줄어들 수 있습니다. 하지만 인플레이션이 지속

되면 금리가 높은 수준을 유지하고 주택 구매력을 저해할 가능성이 높 습니다.

또한 분석가들은 주택 재고량도 주시할 것입니다. 시장에 매물이 늘어

나면 금리가 높게 유지되더라도 구매자가 협상력을 확보할 수 있습니

다. 반대로 공급이 부족하면 가격이 경직되어 향후 금리 인하 효과가 약 화될 수 있습니다.

업계

전망은 여전히 분분합니다. 부동산 중개인들은 조급함과 주저함이 뒤섞인 반응을 보이고 있습니 다. 일부 구매자들은 금리가 다시 오르기 전에 서둘러 계약을 체결하려 하고 있습니다. 다른 구매자들은 잠시 보류하고 예산을 재조정하거나

금리 하락을 기다리고 있습니다. 모기지 담당자들은 사전 승인이 여전

히 거래 성사에 중요한 역할을 하지만, 가격 변동으로 인해 구매력이 순

식간에 줄어들 수 있다고 말합니다.

경제학자들은 신중한 입장입니다. 많은 전문가들은 금리가 일직선으로 하락하기보다는 변동성이 클 것으로 예상합니다. 이는 금리 바닥을 예

측하기보다는 계획을 세우는 것이 더 중요하다는 것을 의미합니다. 상

환 능력, 직업 안정성, 그리고 주택 거주 기간이 금리의 미세한 조정보

다 더 중요한 요소일 수 있습니다.

오늘의 금리 급등은 주택 시장 전체를 뒤바꾸는 것은 아니지만, 구매자

와 판매자 모두에게 중요한 시점에 새로운 마찰을 야기합니다. 현재로

서는 현명한 선택은 분명합니다. 여러 매물을 비교하고, 예산을 철저히 관리하며, 전략적으로 계약을 체결하는 것입니다. 다음 경제 지표 발표

에서 상황이 다시 바뀔 수도 있습니다.

커브 어필 (Curb Appeal)

이상규 ( 뉴스타 부동산 명예 부회장 )

바이어에게 유리한 시장이 몇 년째 계속되었다. 매물도 전보다 늘어서

매매가 전보다 쉽지가 않다.

작년에 팔지 못한 매물들이 올 봄에 새 단장을 하고 많이 나올 것으로

예상된다. 팔리지 않은 여러 이유가 있기 마련이다. 가령 가격이 높게

나왔다든지 주택이 들어앉은 위치가 선호하는 자리가 아니라든지, 업

그레이드가 되지 않고 집이 지저분하든지 등등 여러 이유가 있다. 이중

종종 Curb Appeal이 되지 않아 집이 팔리지 않은 경우도 있다.

커브 어필(Curb Appeal)은 집의 외관, 특별히 길가 쪽에서 집을 봤을 때

좋은 인상을 줄 수 있는 수준 또는 요소들을 말한다.

집에 호감이 갈 수 있는 외관 페인트, 정문으로 이어지는 하드 스케이핑

과 랜드 스케이핑 등의 업그레이드를 예로 들 수 있다. 커브 어필이 있

경우 바이어에게

좋은 가격에 팔릴 수 있다.

특별히 첫 인상이 좋기 때문에 호감을 갖고 집을 보기 때문에 빨리 팔릴 수 있다.

겨울 비에 낙엽이 많이 쌓여 있거나 여기 저기 잔디가 죽어 흙더미가 보

인다면 해당 주택에 대한 호감도는 반감할 것이다. 그만큼 커브 어필이

판매에 상당한 영향을 끼치고 있다. 그럼 어떤 커브 어필이 주택 판매에

어떻게 도움이 되는지 알아보자.

첫째, 외벽의 페인트칠하기이다. 겨울비로 나무가 썩어서 집이 오래되

보이고 떨어져 나간 페인트로 인해 바이어들은 구매욕이 떨어져 아예

집 내부를 보지 않는 경우가 많다.

페인트를 새로 칠해서 첫 인상을 좋게 만들 필요가 있다. 전체 외관을

다 칠하지 못하더라도 정문 또는 창문 주위의 셔터 부분만이더라도 액

센트를 넣어서 페인트를 한다면 바이어의 시선을 끌 수 있다. 그러나

너무 눈에 띄는 노랑, 오렌지, 빨강색 같은 원색이나 진한 회색이나 갈 색은 피하는 것이 좋다. 그리고 만약 페인트를 칠할 재정의 여유가 아예

없다면 적어도 프레셔 워셔로 벽에 뭍은 먼지나 거미줄 정도만 닦아내 도 집이 더 산뜻해 보여 좋은 인상을 줄 수 있다.

둘째, 죽은 잔디를 교체하고 나무 트리밍을 하여 앞마당을 정돈한다.

겨울 폭풍으로 널부러져 있는 낙엽들과 나무는 집 외관을 어수선하게

만든다. 너무 자란 나무가 드라이브웨이 콘크리트를 파손했거나 집을

볼 때

바이어의 동선을 방해한다면 과감히 잘라버리는 것도 한 방법이 다. 거라지 앞 콘크리트 드라이브웨이가 깨져 있거나 자동차 오일 등으 로 오염이 되었다면 고치고 오염된 부분들을 깨끗이 닦아내다.

셋째, 수영장, 스파, BBQ 등 외부 시설에 대한 점검과 청소를 한다. 수영

장과 스파는 집 가치를 올려주는 좋은 요소이지만 관리가 제대로 되어

있지 않으면 오히려 주택 가치를 떨어뜨리는 요소이다.

관리가 안 된 수영장 시설이 고장이 나있고 수영장 물이 깨끗하지 않고

나뭇잎 등이 떠다닌다면 오히려 고쳐달라는 요청 금액 커서 중간에 딜

이 깨지는 요소가 된다. 그러므로 시장에 내놓기 전에 외부 시설에 대한

점검이 꼭 필요하다.

넷째, 외부 전기 시설을 점검을 한다. 꺼진 등이나 색이 바랜 전등은 집 가치를 하락시킨다.

전등 교체나 전구 교체처럼 적게 투자를 해서 집이 더 돋보이게 하는 센

스가 필요하다.

이와 같이 집의 외관을 산뜻하고 돋보이게 하는 여러 가지 커브 어필 방 법이 있다. 무엇보다도 지금 본인 집에 어울리게 전체 컨셉을 갖고 적게

비용을 들여서 큰 효과를 얻을 수 있는 커브 어필 방법을 찾는 것이 필

요하다.

문의 이상규 : 818-439-8949

70세 시니어들의 평균 사회보장

은퇴를 앞두고 있거나 이미 은퇴 생활에 접어 드셨다면, 아마 이런 궁금

증이 드실 겁니다.

"사회보장 급여 수령 시기를 늦추면 노년층 혜택을 최대로 늘릴 수 있

을까?" 그 대답은 '그렇다'입니다.

많은 분에게 있어 급여 수령 시기를 결정하는 일은 70대 이후의 월 소

득에 지대한 영향을 미칠 수 있습니다. 이번 글에서는 70세 노년층이 평

균적으로 수령하는 급여액, 급여 산정 방식, 그리고 은퇴 자금을 더욱

알뜰하게 활용하기 위한 전략들을 자세히 살펴보겠습니다.

전체 은퇴 근로자의 평균 사회보장 급여액

2026년 초 기준, 전체 은퇴 근로자가 수령하는 평균 사회보장 급여액은 월 약 2,071달러였습니다. 이 수치는 소득 이력이 높지 않은 은퇴자부

터 급여를 조기 수령하기로 결정한 은퇴자에 이르기까지, 광범위한 은 퇴자 집단을 포괄하여 산출된 결과입니다. 따라서 이는 전국의 일반적 인 은퇴자가 매달 어느 정도의 급여를 수령하는지 파악할 수 있는 유용 한 기준점이 됩니다.

70세 은퇴 근로자의 평균 사회보장 혜택

2024년 12월 사회보장국(SSA) 자료에 따르면, 70세 은퇴 근로자는 월

평균 2,176달러의 혜택을 받습니다.

남성의 경우 70세 평균은 2,399.78달러, 여성은 1,939.61달러입니다. 이

평균은 2024년 12월 말 기준 지급 상태에 있는 모든 은퇴 근로자 수혜

자를 포함합니다.

한편, 소득이 높은 사람들은 과세 소득 상한선을 꾸준히 유지하는 경우,

수령을 미루면 2026년에 최대 혜택 금액인 5,181달러를 받을 수 있습니 다.

사회보장 혜택을 극대화하는 방법

최대한 높은 월 혜택을 받으려면 먼저 근로 이력을 살펴보아야 합니다.

사회보장 혜택 계산 공식은 물가상승률을 반영하여 소득이 가장 높았

던 35년 동안의 ‘평균 물가상승률 조정 월 소득(AIME)’을 산출합니 다. 이 규칙은 중요하며 흔히 오해되는 부분입니다.

그 결과는 공식에 따라 귀하의 ‘기본 연금 금액(PIA)’으로 변환되며, 이는 ‘완전 은퇴 연령(FRA)’에 받게 될 금액입니다. 그런 다음 조정 (감액 또는 증액)은 실제로 청구하는 시점에 따라 달라집니다.

소득이 높았던 기간에 대한 기록이 아직 업데이트 중인 경우, 더 오래

일하면 소득이 낮았던 기간을 대체하여 PIA가 증가할 수 있습니다.

1. 70세까지 기다렸다가 사회보장(SS) 혜택을 수령하세요.

70세까지 기다리면 '은퇴 연기 크레딧(delayed retirement credits)'의 혜 택을 온전히 누릴 수 있습니다.

사회보장국(SSA)은 완전 은퇴연령(FRA)을 지난 후 70세가 될 때까지,

1년 지연될 때마다 약

8%의 혜택 인상률을 제공합니다.

70세 이후에는 더 이 상의 인상이 없으므로, 그 시점을 넘어 혜택 수령을 늦출 유인은 없습니다.

수령 시기를 늦추는 사람들은 평생 소득을 바탕으로 훨씬 더 높은 월 수

령액을 확보할 수 있지만, 그만큼 일찍 받을 수 있었던 수년간의 혜택은 포기하게 됩니다.

궁극적으로 혜택 수령 시기를 언제로 정할지는 본인의 건강 상태, 예상

수명, 그리고 현금 흐름에 대한 필요를 종합적으로 고려하여 결정해야 합니다.

2. 최소 35년 동안 근무하세요.

최소 10년 동안 일하며 세금을 납부한 사람이라면 누구나 62세가 되는

시점에 사회보장 혜택을 받을 자격이 주어집니다. 하지만 SSA는 혜택

산정 공식에 가입자의 평생 소득 중 가장 높았던 35년치의 소득을 반영

하기 때문에, 근무 기간이 35년 미만이거나 소득이 낮았던 해가 포함될 경우 계산 과정에 '0'이나 낮은 수치가 대입되어 평균 소득액이 낮아지 게 됩니다.

충분히 긴 기간(가급적이면 높은 급여 수준으로) 근무함으로써, 소득 산

정 대상인 35년치 기간에 높은 소득 기록이 포함될 확률을 높일 수 있

습니다.

이는 곧 '기본 연금액(PIA)'을 끌어올려, 결과적으로 70세 시점의 최종 수령액을 증가시키는 효과로 이어집니다.

3. 혜택 수령을 시작한 후에도 계속 근무하세요.

사회보장 혜택을 수령하기 시작한 이후에도, 특정 상황에서는 계속 근 무하는 것이 도움이 될 수 있습니다.

만약 새로 발생한 연간 소득이 과거 소득 중 상위 35년치에 포함된 낮

은 소득 기록을 대체하게 되면, SSA는 자동으로 혜택 수령액을 상향 재

산정하여 인상된 금액을 지급합니다.

단, 완전은퇴연령(FRA)에 도달하기 전에 일정 기준 이상의 소득을 올

릴 경우, 소득 상한 규정 및 혜택 일부 보류 조치가 적용될 수 있습니다.

2026년 기준, 연간 소득 상한액은 24,480달러입니다.

만약 2026년 내내 조기 은퇴 연령 미만인 상태로 근무한다면, SSA는 소

득 상한액인 24,480달러를 초과하는 소득 2달러당 혜택 수령액에서 1 달러를 공제합니다.

일단 완전 은퇴 연령(FRA)에 도달하거나 그 이후가 되면 소득에 따 른 공제는 더 이상 발생하지 않으며, 재산정 및 ‘물가 연동 조정 (COLA)’을 통해 혜택 수령액이 지속적으로 증가하게 됩니다.

4. 연간 물가 연동 조정(COLA)이 귀하의 급여에 적용되었는지 확

인하세요.

사회보장 수급자들은 구매력을 유지할 수 있도록 매년 물가 연동 조

정(COLA)을 받습니다. 2025년에는 수급자들의 급여가 COLA에 따라 2.5% 인상되었습니다. 2026년의 COLA 인상률은 2.8%였습니다.

급여 수령을 시작한 이후에도, 이러한 COLA 인상분은 시간이 지남에

따라 복리 효과를 발휘하여 귀하가 평생 받게 될 월 급여 총액을 늘려줍 니다.

COLA 인상률 자체를 귀하가 직접 통제할 수는 없지만, 이에 대해 잘

인지하고 있다면 인플레이션 요소를 고려했을 때 실제 급여 가치가 고

정되어 있다고 착각하는 일을 방지할 수 있습니다.

5. 배우자 급여 수급 자격이 있는지 확인해 보세요.

현재 결혼 상태이거나(또는 최소 10년 이상 결혼 생활을 유지하다가 이 혼한 경우), 배우자의 소득 기록을 바탕으로 배우자 급여 또는 전 배우 자 급여를 수령할 자격이 될 수도 있습니다(대개 귀하 본인의 급여 수준 에 따라 배우자 급여의 최대 50%까지 수령 가능). 특히 귀하 본인의 소 득이 상대적으로 낮았던 경우라면, 배우자 급여로 받게 되는 금액이 귀 하 자신의 근로 이력을 통해 받을 수 있는 금액보다 더 많을 수도 있습 니다.

청구를 70세까지 미루면서도 비교적 탄탄한 소득 기록을 보유하

고 있다면, 귀하의 월 사회보장 급여액은 평균치를 상회하여 최고 수준

의 급여액에 근접할 수도 있습니다.

2024년 12월 기준으로 70세 수급자들의 평균 월 급여액은 2,176달러

이지만, 소득 상위층에 속하는 수급자가 급여 청구를 늦출 경우-과

세 대상 소득 상한선에 해당하는 고소득을 꾸준히 유지했다는 전제하 에-2026년 기준 최대 허용 급여액인 5,181달러를 수령할 자격을 얻을 수 있습니다.

하지만 여기에는 상충 관계(trade-off)가 존재합니다.

급여 청구를 늦추는 만큼 그 이전 몇 년간 받을 수 있었던 급여 수령 기

회를 포기해야 하기 때문입니다. 따라서 핵심적인 질문은 다음과 같습 니다.

귀하의 건강 상태, 예상 수명, 그리고 현금 흐름에 대한 필요성을 종합

적으로 고려했을 때, 70세까지 기다리는 것이 나은지 아니면 그보다 일 찍 급여 수령을 시작하는 것이 나은지를 결정해야 합니다.

급여 수령 시작 시기라는 중대한 결정을 내리기 전에 이러한 중요한 요

소들을 충분히 숙고한다면, 은퇴 후의 삶을 더욱 탄탄하게 준비하는 데

큰 도움이 될 것입니다.

LA의 바쁜 내과개업의로서 매주 수요일 오후는 마리나 델레이 배를 타 고 모든 걸 잊고 반나절 낚시를 즐겼다. 그때 같이 낚시하던 Mr. 리를 알게 되었다.

나보다 12살 손아래이고 건축에 관한 노동을 하는 건실한 보통사람으

로 학력은 고졸이라고 겸손히 자기 자신을 소개한다.

낚시 중 간간히 그와의 대화중 그가 자란 안양에선 다부진 체력으로 불

의엔 센 주먹으로 해결하였다며, 지금은 일남일녀의 가장으로서 일과

낚시가 생활의 전부라고 한다.

시간이 흐르며 그는 성실과 정직을 바탕으로 묵묵히 가정을 돌보며 원

칙과 소신을 가지고 손해를 보더라도 진정성으로 꾸려가는 그의 성품

을 느끼고 있었다.

정직은 외로운 섬, 진실은 젖지 않는 고독이라는 표현이 딱 어울리는 성

품과 묵묵히 일하는 보통사람으로 보였다.

어느 날 ‘최 선생님은 바다를 정말로 사랑하는 것 같은데 제가 바다다

운 바다를 보여 드리겠습니다.”하여 그의 깡통 밴에 ATV를 실고 8시

간 걸려 멕시코 바닷가 오지마을로 갔다.

캠핑을 하며 인적도 없는 16마일 길이의 모래사장을 ATV로 누비며 낚

시대를 던지었다.

문명에 때 묻지 않은 원초적인 바다가의 풋풋한 해초냄새, 아슴푸레한

수평선, 그 위의 가날픈 갈매기들의 적막을 깨우는 울음소리, 저녁에는

캠프 화이어 주위에 앉아 서로간의 삶의 대화가 머리위에 쏟아질 것 같

은 은하수의 장관아래서 이루어져 아주 먼 옛날의 추억으로 남기만 했

던 옛 동심을 되찾은 기분이었다. 그것이 좋아 그곳을 자주 방문하곤 한 것이 빈곤한 마을사람을 접한 시간도 주어져 나의 25년간 해온 의료

봉사의 동기를 부여해 주었다.

두 대의 깡통 밴에 각각 ATV를 실고 그의 동서와 같이 갔을 때 Mr.리 차

브레이크가 토요일 오후에 고장 났고, 그 당시 시내가게들은 금요일 오

후부터 월요일 아침가지 문을 닫아서 월요일 일정이 있는 동서와 나는

사정상 일요일 날 떠나고 그는 월요일에 브레이크를 고치고 험한 낭떠

러지 산길을 거쳐 오기로 서로 결정했다.

떠나는 일요일아침 그도 자기차를 몰고 미국으로 간다고 자기 차에 짐

을 실기 시작한다.

벌판이 외로워서 혼자 못 있겠단다. 대책 없는 결정에 크게 분노한 동

서가 “최 선생님 저 친구 되지 라고 놔두고 빨리 재차타세요.’했다.

평소 말수 없고 과묵하고 신중하며 겸손한 동서의 거친 말투였다. 동서

차 앞에 서있는 순간 만감이 교차한다.

대형 사고가 난다면 항상 나를 환대해준 그의 가족들 부인과 자녀들의

슬픈 표정, 더욱이 사고 나는 순간의 MR 리의 고통속의 괴로운 얼굴 표

정, 더구나 그의 차에 동승해온 나, 그를 방관 하고 외면 한다는 것이 어 쩌면 배신 같기도 하고 손익계산에 익숙하고 약삭빠르게 살지 말아야 한다는 평소 생활관을 슬쩍 비겨가는 것 같았다. 물론 내 가족들도 생 각했다. 고민하다 동서에게 “나는 Mr. 리 차를 타고 그가 위험시 붙들 어주고 사이드브레이크라도 잡아보겠다”말하고 Mr.리의 차에 올라탔 다. 불만의 심정으로 한동안 모래사장과 갯바닥의 평지를 거쳐 시내에 나간 때 잠간 물건 가지려 와서 문이 열린 정비소가 눈에 뛰어 브레이 크수리 마치고 돌아왔다. 시간적으로 그때의 행운이었고 기적이었다. 그로부터 그의 나에 대한 태도는 달라졌다. 고민하며 내가 그의 차를 선택 결정한

Life

지금도 자랑스러운 잘한 결정이었다고 생각한다. 결과적으로는 내 목

숨도 주지 않았던 결과 이었으니까.

거센 그가 나약하게 생각했을 한 조그만 의사를, 선생님이라 불리어 졌

던 내가 그의 의리의 두목으로 간주를 했는지 선생님의 호칭이 형님으

로, 꼭 반말을 쓰셔야한다고 하며 나를 그림자처럼 쫓아다니며 매사 도

와주었다.

내가 야꾸자 두목이고 그는 두목 말에 절대복종하는 부하 같았다. 3번

이나 피치 못하여 혼자서 멕시코 의료봉사 떠나게 된 때 소식들은 그는

생업을 뒤로하고(생계가 여유가 없었지만) 먼거리 운전, 식사요리, 무

거운 장비운반 나아가서는 서툴고 무식한 간호보조역할까지도 맡는다.

LA병원 허름한 이층 방은 자원하여 수리하고 가구 침대도 다 짜주며

한말, “형님 환자 보시기 힘든데 간간히 이층에서 편히 쉬십시오.” 말

을 남기고 떠나던 그의 뒷모습이 아직도 남아있다.

그 후 그와의 숨김없고 터 넣고 대화하며 서로의 믿음을 주고받은 것이, 이것이 신의가 아니었나 지금 생각해본다. 그의 소멸되지 않는 진실을

확인하는 시간을 가질 수 있었다. 그 후. 그가 몇 년 후 췌장암으로 죽어

가는 과정을 지켜보게 되었다.

죽기 두 달 전 가족과 같이 멕시코 봉사 참여하기를 원해 우리 모든 봉

사단원들과 마지막봉사를 경건하게 마치었고 죽음 앞에서 의연한 인간

으로서의 그의 인품을 많이 보게 되었다.

“죽음은 하늘이준 명이라 순종하며 두렵지 않으나 어린 아들을 두고

떠나는 것이 가슴아프다.”

“천국이 있음을 굳게 믿는 신앙심도 가지게 되어 좋지만 몸 성할 때 하

나님을 믿지 못하고 제가 아쉬울 때 믿음을 가져 하나님께 죄송하다”

“형님, 가는 데는 순서가 없더군요, 제가 먼저 가서 나중에 오실 형님

을 기다리고 있겠읍니다.”한 이 말이 나에게는 내 생애 최고의 큰 선물 인 것 같다.

누구나 피할 수 없는 죽음을 앞에 놓고 그 세상에서 기다려주는 친구가

있다는 것이 최고의 선물이 아니겠느냐. 물론 내 자신 진정한 믿음의

신앙인은 못되지만 내세가 있다면 그가 나를 기다리고 있을 것이라는 확신은 확실히 가지고 있다. 그가 나에게는 내 생애 최고의 베스트 친

구였었다고 생각된다.

내주위에는 여러 사이즈의 친구들이 있다.

재벌도, 연예인도, 교수도. 부유한 사업가들, 명예, 학식이 높은 사람들 도 많지만 진정한 친구(베스트친구)란 학력, 나이 성별 재력, 명예가 상

관없이 신의와 믿음이 있고 진정성으로 성숙되어가는 인생관을 가진

어쩌면 평범해 보이는 가까이 있는 평범한 사람들이 아닐까 생각해본다.

틈이 있는 곳에서 나오는 새싹

이제는 완전히 봄입니다. 마음이 훨씬 산뜻

- 한양장로교회 임시목사 양인 - 그래서 그들은 큰 자부심을 가지고 살았습니다. 그러나 이들은 하늘나 라를 전파하시는 예수 그리스도를 십자가의 처형으로 죽입니다. 소위 “하나님의 백성”이 하나님의 본체 이신 예수를 죽인 것입니다. 그래 서 마태복음 기록자는 예수부활은 하나님의 백성이 누구인지? 를 180

합니다.

봄기운이 나의 기운이 되고 있습니다.

우연히 집 드라이브 웨이 콘크리트 바닥을

보았습니다. 바닥 틈사이로 풀이 삐죽 나와 있었습니다. 도무지 식물이

살아서 자랄 수 없는 환경인데......바로 그 틈을 비집고 나온 새 싹

이었습니다. 평소에는 이것을 무심코 보고 지나갔었는데, 2026년 부활

절을 맞이하면서 눈에 신선하게 들어왔습니다.

자연을 통하여 주시는 하나님의 은혜이었습니다.

여러분, 각 복음서마다 예수부활의 소식을 전합니다. 그러나 조금씩 다

다릅니다. 그 중에서 마태복음이 전하는 예수부활의 이야기는 아주 독

특합니다.

마태복음 기록자는 자연현상을 자세히 적고 있습니다.

큰 지진이 났다! 천사가 돌을 굴려내고 돌 위에 앉았다!

예수의 시신이 놓여 진 무덤안은 비여 있었다!

마태복음의 기록자는-큰 지진, 굴려 버러진 돌, 빈 무덤으로-우리 예

수의 사람들에게 무엇을 알리고자 했을까요?

Valley 지역에도 지진이 난 적이 있었습니다. 지진은 삶에 엄청난 영향

력을 끼칩니다. 큰 지진은 상상을 초월합니다.

예수부활의 새벽에 큰 지진이 일어났다고 적고 있는 것은 예수의 부활

이 신앙생활과 마음을 엄청나게 흔들어 버렸고, 새롭게 신앙생활을 시

작하게 한 사건임을 알리는 뜻이 숨어 있습니다.

여러분, 마태복음 1장은 그 시작을 아브라함으로 시작합니다. 아브라함 의 자손은 태어날 적부터 하나님의 백성이라는 의미를 갖고 있습니다.

도 다르게 생각하게 한 사건이다! 라고 기록하고 있는 것입니다.

여러분, 예수 부활은 그동안 하나님이 백성이라고 자부하던 생각에 지

진을 일으킨 사건입니다.

부활하신 예수님이 제자들에게 부탁한 말씀을 보세요!

“너희는 가서 모든 민족을 제자로 삼아, 아버지와 아들과 성령의 이름

으로 세례를 베풀고 내가 너희에게 가르친 모든 것을 가르쳐 지키게 하

라(마28:19-20)”

너희는 소위 아브람의 자손으로 자부하는 사람들 사이에 있지 말라! 는 말씀입니다.

예수님이 전하신 천국 복음을 거절한 사람들은 하나님의 백성이 아니 다! 라는 말씀입니다.

아브라함을 조상으로 두지 않는 사람도 천국복음을 듣고 지키는 사람 은 다 하나님의 백성이다! 는 말씀입니다.

예수 부활은 “하나님의 백성” 에 대한 생각을 완전히 흔들어 버리고

새로운 정의를 갖게 한 것입니다.

여러분, 세상의 어떤 것도 예수 부활의 소식을 막을 수 없습니다. 막고

있는 것들의 틈사이로 예수 부활 소식은 사람에게 새 생명이 자라나도

록 합니다.

부활하신 예수님은 예수 부활 소식을 듣는 자와 함께 하십니다. 예수 부 활을 전하려는 사람에게 함께 하십니다.

예수 부활 생명을 가지고 살려는 사람의 앞길을 막고 있는 돌을 굴러 버

리게 하십니다.

2026년 부활절은 맞이하는 우리 모두에게 예수 부활시 일어났던 큰 지 진의 여진이 찾아오면 좋겠습니다.

소유의 감옥에서 존재의 기쁨으로

마태복음 6: 31-33절에는 두 부류의 인간 이 나옵니다. “무엇을 먹을까 무엇을 마

실까 무엇을 입을까 하지 말라” (31절)

더 많이 ‘가지려고’ 달려가는 사람들의 모습, 이 끊임없는 갈망을 우

리는 ‘소유’ 라고 부를 수 있습니다. 반면 “너희는 먼저 그의 나라와

그의 의를 구하라” (33절) 고 합니다.

하나님 앞에서의 온전한 나의 모습인 ‘존재’를 보여줍니다.

사람은 무엇으로 살까? 라는 소유와 존재에 대한 인류의 고민을 예리하

게 짚어낸 책이 있습니다.

에리히 프롬 (Erich Fromm)의 <소유냐 존재냐>입니다. 이 책이 출간된

1970년대는 고도의 산업화로 경제가 급성장하던 시기였습니다.

사람들은 기술이 발달하고 돈이 많아지면 당연히 행복해질 것이라고

믿었습니다.

당시 사람들은 자신을 이렇게 정의했습니다. "나는 내가 가진 것으로 정

의된다(I am what I have)." 내가 가진 재산, 나의 사회적 지위, 입고 있는

명품, 심지어 내 자녀의 성공으로 나의 존재 가치를 증명하려고 했습니 다.

소유로 자신을 증명하려는 삶은 필연적으로 염려와 불안을 낳습니다. '

내가 가진 것'은 언젠가 잃어버릴 수 있기 때문입니다.

소유를 잃는 순간 나라는 존재도 사라진다고 믿기에, 사람들은 끊임없 이 더 쌓아두려 하고 그럴수록 더욱 불안해집니다.

성경은 이런 모습을 가리켜 ‘염려하는 사람들’ 이라고 부릅니다.

에리히 프롬은 소유로 자신을 정의하지 말고, 존재 자체로 증명하라고 권면합니다.

"나는 존재하는 것으로 정의된다 (I am as I am)." 무엇을 가졌느냐가 아

니라, 내가 누구와 관계 맺고 어떤 성품으로 살아가느냐에 가치를 두는

삶입니다. 그는 책에서 두 시인의 태도를 비교합니다.

영국의 시인 테니슨은 길가에 핀 꽃이 너무 예뻐서 "뿌리째 뽑았습니 다." 그리고 손에 쥐고 탐구하려 하지만, 결국 꽃은 죽고 맙니다.

소유하려는 욕망이 생명을 파괴한 것입니다. 반면 바쇼는 길가에 핀 냉

이 꽃을 그저 "가만히 바라봅니다." 그리고 그 아름다움을 노래합니다.

꽃도 살고, 사람도 행복합니다. 존재 자체를 즐겼기 때문입니다.

우리의 삶도 마찬가지입니다. ‘내일’ 이라는 꽃은 억지로 꺾어서 내

주머니에 넣어 소유하려 해서는 안 됩니다.

나의 계획과 욕망대로 내일을 통제하고 소유하려 들면, 오늘과 내일의

기쁨은 모두 시들어 죽고 맙니다.

내일은 내가 소유하는 것이 아니라, 하나님이 주시는 시간 그 존재 그대

로를 겸손히 받아들이는 것입니다. 그럴 때 비로소 우리는 오늘도 살고,

내일도 살 수 있습니다. 안타깝게도 많은 그리스도인이 기도를 ‘소유

를 늘리기 위한 도구’로 사용할 때가 있습니다. "주님, 더 갖게 해주세 요. 남들처럼 더 좋은 것을 소유하게 해주세요." 하지만 행복은 욕망을

소유하고 채우는 데 있지 않습니다.

채울수록 더 목마른 욕망의 속성상, 소유를 통한 행복은 결국 실패하고 맙니다.

그리스도인은 ‘존재하는’ 사람입니다.

천지만물을 지으신 하나님이 나의 아버지이시라는 사실 하나만으로 충 분한 사람들입니다. 이제 우리는 소유의 감옥에서 걸어 나와야 합니다.

우리는 소유한 물건의 크기로 평가받는 사람들이 아닙니다.

하나님의 창조 작품이라는 그 존재 자체만으로, 이미 헤아릴 수 없이 고

귀함을 인정받은 사람들입니다.

오늘 하루, 소유를 향한 염려를 내려놓고, 하나님 자녀로서 존재하는 기

쁨을 누리기를 소망합니다.

도심속의 기도의 처소입니다.

[힐링 기도원]을 이제 시작하려고 합니다.

나의 생활의 주변에 언제든지 열린 기도의 처소를 제공하기 위한 계획 입니다.

오래전부터 그런 마음을 갖고 도심속이 기도원을 기도했습니다.

① 기도원이란 이름은

지금은 전설의 고향같은 이름이 됐지만 1세의 어르신들에게는

다정하고 그리운 곳이 기도원입니다.

우리네 인생의 길에서 사업이 망하고 병이 들어 쓰려질 때 마지막 찾아

가서 부르짖고 응답받고 성령이 체험한 곳이 기도원이 였습니다.

제게도 삼각산 가장 꼭대기 독수리봉의 기도원이 몹시 그리운 곳이기

도 합니다.

② 부르짖음의 기도의 처소처

각박하고 천박한 토양에서는 어림없습니다.

생짜같이 영적으로 겉도는 처소에서는 어림없습니다.

일주일에 한번 모이는 교회로써는 어림이 없습니다.

강단만 있고 제단이 없는 현장에서는 어림없습니다.

새벽 제단이 살아있어야 하고 매일의 집회가 있어야 합니다

영적 토양이 옥토가 되도록 부르짖음이 있어야 합니다.

매일 성령의 단비가 내일 수 있도록 [강청의 기도]가 실제로 살아있어

야 하고 생수의 강이 치료의 강물되어 흐르게 하도록 [돌파의 기도]가

필요합니다.

저 자신이 기도의 제물이 되려고 합니다.

③ 치유의 기도원 -

이민 목회 35년이 됐습니다.

얻어진 결론은 1세 성도들이 하나 둘 노환과 질환으로 병이 들고 양로

병원으로 들어가서 왕따당하며 홀로 외롭게 죽음으로 간다는 것입니 다.

1세 교회는 존귀한 장로님 권사님들이 하나둘 떠나므로 교회의 문이 닫 혀지는 것이 1세 교회의 운명이라고도 합니다.

제게는 용납이 안되었습니다. 그래서 간절히 기도하는 것이 신유의 은 사였습니다.

1세의 장로님 권사님들에게는 지금 당장 필요한 것이 신유입니다. 치매 와 기억력의 소진, 잠 못 드는 불면에 시달림, 무기력과 피곤증, 노인병 (당뇨)의 보편화, 이구석 저구석 온몸이 쑤시는 통증의 현상, 그리고 무 엇보다 무섭게 번저나가는 암의 증상들 -

목회현장에서 보배롭고 존귀한 우리 장로님과 권사님들을 볼 때 얼마 나 신유의 은사가 얼마나 절실한지를 절감하기 때문입니다.

나도 모르게 너무 절실하다 보니 간절히 구한 것이 신유의 은사였습니 다.

④ 우리 시대 우리의 땅을 지키는 백발의 영광

저의 간절한 꿈이 있습니다.

평생을 교회을 섬기고 교회를 위해 희생하고 봉사하신 분들이 1세의 성 도님들입니다. 그 분들이 있었기에 성전을 건축하고 교회를 부흥시컸 고 오늘의 한국 교회와 이민 교회를 세우신 분들이 1세의 성도님들입니 다. 그런데 이분들이 버려지고 있는 모습을 보게 됩니다. 너무 보배롭고 존귀하신 분들이 버려지고 무기력하게 방치되는 모습을

보면서 이건 아니지……. 라는 생각을 많이 들었습니다.

이분들은 [백발의 영광]이라 했고 [노족장의 권위]라고 했고

[존경받아야 할 분들]이여야 합니다.

그런데 이분들이 버려져 있습니다. 너무 안타까워 기도하는 중에 1세의

성도들을 세우라는 주의 음성이 내 안에 들려왔습니다.

이분들을 [시대의 사명자]로 세우라

이들들을 [가정을 지키는 울타리같은 존재]가 되게 하라

이분들을 [구국제단]이 되게 하라 미국을 보호하며 대한민국을 지켜내

며 북녘의 내 백성을 건져내게 하는 기도의 사명자로 세우라 이런 동기

들이 [힐링 기도원]을 만들게 했답니다.

첫째는 내 자신이 기도의 시간에 묶이고 싶은 마음입니다.

기도원의 형태를 취하게 됐고 매일 집회 시간을 정함으로

제 자신이 집회시간에 묶이여서 기도를 하고 싶기 때문입니다.

둘째는 정한 집회시간을 통해 부르짖음의 기도를 쌓고 싶은 마음입니다.

영적 분위기를 만들고 생수의 강이 흐르게 하고 우물물이 솟아나게 하 고 능력이 차고 치유가 가득차게 하고 성령의 충만이 가득차게 하는 현

장을 만들고 싶었습니다. 그래서 어떤 생짜가 오더라도 들어오는 즉시 성령의 불을 받고 치료가 나타나게 하는 [힐링기도원]을 만들고 싶었 습니다.

셋째는 진짜 구국제단이 되고 싶기 때문입니다.

[힐링 기도원]이 구국제단이 되는 것이 아니라

저 자신이 구국제단이 되고 싶습니다.

정직하고 성실하게 기도함으로 미국을 보호하고 대한민국을 지켜내고

북한을 건저내는 기도의 제단 자체가 장로님이 되고 권사님들이 되게

하고 싶기 때문입니다.

영권의 기도, 말씀의 권세, 그리고 축복의 통로로써 자녀들에게 기도해 줄때 100% 보장받는 자녀

들이 되게하는 노족장의 권세, 백발의 영광으로 나타나는 우리 장로님

들 권사님들이 되게 하는 것이 제 꿈이고 비전입니다.

도심속의 기도의 처소

[힐링 기도원]을 위해 기도해 주시기 바랍니다.

그리고 함께 해주시기 바랍니다.

기도 외에는 다른 대안이 없답니다.

기도의 제목 주세요.

정직하고 성실하게 기도해 드리겠습니다.

우리 함께 돌파의 기도 함께 했으면 합니다.

감사합니다. 백동흠 목사 드림

기도 간증

기도하는 것이

쉽고 단순하다.

그리고

응답 주심도

군더더기 없이

깨끗하다.

이런 기도를

배우고 싶다.

체험하고 싶다.

백 동 흠

[ 시작 (詩作) 노트 ]

38년 된 병자의 이야기입니다.

주님은 이마 그 누운 것을 보시고 병이 오랜 줄 아셨습니다. 그리고 단 두 마디 합니다. [네가 낫고자 하느냐?](요5:6)

[네 자리를 들고 걸어가라](요5:8)

38년 된 병자는 곧 나아서 자리를 들고 걸어갔습니다.

군더더기가 없습니다. 너무나 단순하고 깨끗합니다.

주일 예배 전 잠깐 저의 사무실에 오신 권사님의 짧은 간증입니다.

운전면허 시험에 합격했습니다.

운전면허 문답지를 열심히 보았습니다.

계속 강청의 기도를 했습니다.

그리고 시험 보러 가는 날

주님!

제가 열심히 공부한 것은 이것이 다입니다.

여기에서 시험문제가 나게 해주세요!

그리고 시험지 받아보는 순간 [어머] 했답니다.

몽땅 거기서 나온 것입니다. 합격한 다음 그렇게 기뻐하며 감사했다고 합니다.

단순하고 진솔하게 응답 주시는 주님의 모습도 너무 좋았고 단순하고 군더더기 없이 간증하는 권사님의 모습도 너무 좋았습니다.

-풀(POOL) 청소권 매매/매입 하실 분을 찾습니다.:

밸리 45개(6배) 20개(5배), 수영장 깨끗히 관리합니다.

SHALOM POOL SERVICE : 818-606-3551

-가사도우미 구함: 식구2. 아이 없음 어른둘만사는

정직하고 성실한분 (805)857-5003

-치과에서 일하실 분 구함: 문의: (818) 271-7165

-피부관리사 구함: 유 경험자 또는 경험 없는 분도

환영, 라이센스 소유자, 문의: (818) 267-6006

-어카운트일 하실 분 모집: (213) 760-0202

-간병인 구함 : 밸리에 사시는 분, Cash 로 지급, (213) 445-1280

-가사도우미 구함: 주 2-3일 (월수금 & 월수) 오

전 3-4시간 가사도움 주실 정직, 성실, 정리 잘하시는 분. 방2, 화2 청소, 정리, 빨래, 간단 음식준비 등, W2, background check, punch the clock 필요- 캐시 페이 안 됨 $26-28/hr, 산타클라리타 지역, (714) 337-9956 문자 먼저 주세요.

-Bookkeeping직원 모집: 유경험자 우대, 경력이 없으신 분도 환영. Training. 의료보험, 은퇴연금플랜 (401K)외 각종 베네핏을 지원, 높은 시급과 보너스 제 공, 파트타임 풀타임 등 근무시간 조정 가능, 외국어 사 용자 환영(한국어, 중국어, 몽골어, 타이어, 베트남어 등

등) 발레시아 지역 오피스, (661) 775-5923. Kathy at kathy.ray@reliantez.com -자폐/장애인 도와주실 분 구함: 지역선택가능 풀/ 파트타임 $20.25 시작 (818)838-5273 한국어 상담 Jaynolan.org

-텔러 경험있는분 찾습니다: 한미은행 노스리지 지 점 직원모집, 자세한 내용은 Hanmi.com 에 채용공 고 보시면 됩니다. (818) 709-3312, 이메일 Jessica. hwang@Hanmi.com

-서울해장국 카운터에서 일하실분: 밸리 갤러리아 마켓 몰내, (818) 429-9448

-웨이츄레스 구함 : 밸리 송림장 (818) 304-4362

-미용사, 미용 헬퍼 구함 : 미용실에서 기술 배우 면서 "헬퍼"해주실 분 구합니다. 그리고 미용사도 구함 (818) 263-0216

-밴드 공연을 위한 연주자 구함: 남,녀 보컬, 키보 드, 드럼, 각각 모심 (213)256-7082

-교사 & 보조교사 구함: 스몰월드 (818) 363-3684 -광고 매니저 겸 병원장 어시스턴트: 시미 밸리 에 있는 동물 병원, 유경험자 우대, Fluent in english, info@rsvet.com

-게스트룸 렌트: 뷰가 좋은 조용한 주택가 (한센 골 프장 근처), 1 베드룸, 1 베스, 주방완비, 게이트 따로 있

음, 유틸리티 포함 $1,050, 오래 사실 남자분 환영

연락처: 213-700-4642, 213-448-3530

-방 렌트: CSUN에서 5분거리, 가구, 인터넷, 세탁기, 거라지 사용, 유틸리티 포함 워 $700, (818)809-8120, 517-8924 Text 메세지 남기세요.

-방렌트: 갤러리아 마켓 부근, 남자분 환영, 월 $850, (818) 642-8506

-게스트하우스 렌트: 방2. 화1. 부엌1. 출입구 따로, 118. 405. Fwy 가까움. 그라나다 힐스 지역, 유틸리티 포함 $2100, (818) 523-4632, (818)455-0382

-하우스 렌트: 채스워스 지역, 방2+화2, 거라지, 월 $3,500, 문의 (818)213-3558

-방 렌트: West Hills 조용하고 마당 넓은 집, 여성분 선호, Fallbrook Mall 2마일, Northridge Mall 4마일, 마 켓 인근, No pet, no overnight guest, $1,000/월, (213) 458-0703

-게이트 타운하우스 렌트: 선랜드, 방3 화1.5, 수영 장·테니스·농구장, 안락한 공원 분위기, 2대 가라지 + 커뮤니티 파킹, 문의: (818) 294-9187

-게스트하우스 렌트: 방2. 화1. 부엌1. 출입구 따로 118. 405. Fwy 가까움. 그라나다 헬스 지역

유틸리티 포함 $2100, (818) 523-4632

-방 렌트: 그라나다 힐스, 방1, 욕실1, 여성분 환영, $700/월, (818) 808-9799, 메세지 연락

-방 렌트: 405Fwy, 5Fwy 가깝고, 회사원 환영, 잠만

주무실 분, 유틸리티포함 $800/월, (818) 299-0481

-방 렌트: 마켓 6분, 조용한 하우스, Mason & DeSoto, 여자분, 학생, 직장인 환영, 좋은 파킹, 냉장고, 세탁기

사용 가능, $800/월, (213) 254-8179

-랭캐스타 10 에이커 농장 너서리: 야채. 화초 지을

수 있는 농장, 월 $900 렌트, 전기. 물 농사 짓기 좋은

상태 완비, 관심 있는 분 연락 (661) 886-5539

-중고차 팝니다 : 렉서스 330, 2006년, 실버칼라, 마

일리지 20만400 마일, 가격 $3200, 문의 (818)3896031

커뮤니티 안내

-베드민턴 동호회 모임 : 함께 베드민턴 동호회 회원

모집합니다. 누구나 환영, 장소는 주안에교회, 회장. 윤석중 (213)604-1295, 총무 제이콥 정, (562)896-9230 화요일 목요일. 오후 5.00-9.00

-LAKTC 테니스 클럽 회원 모집: 매주 수요일 밤7 시, 토요일 밤 7시, 문의 (213) 268-6594

-볼링 관심 있으신 분: 밸리 한인볼링모임 Hanuri에서 함께해요! 초보부터 고수까지 누구나 환영합니다(부부, 연 인 환영), 즐겁게 스트레스 날리고, 함께 성장하는 우리! 매 주 수요일, 8:30PM, Back Alley Bowling (9118 Balboa Blvd, Northridge, CA 91325) 에서 정기모임 진행 중(818) 963-0831 -포터랜치 해피클 피클볼 클럽 모임: 매주 수, 토 6:40 am 포터랜치 커뮤니티팍. 한 번도 안 해본 사람은 있어도 한 번만 친 사람은 없다는 재미있는 피클볼 함께 해요. 남녀노소 환영합니다. 문의 (213) 550-9059 조슈아 한

-하이킹 모임: 시미밸리 와 포터랜치 지역에서 하이 킹을 매주 토요일에 하실 분은 연락주세요. 이메일 주소: T3479091532@GMAIL.COM

-섹소폰 배우실분 (858) 342-0978

-싱글 돌싱 모임 (1963년부터 1983년까지) 매주 토 일요일 모임이 있습니다. 운동, 여행, 그리고 하이킹도하며 좋은 친구 와 짝궁도 찾아봐요. (310) 739-9234 (문자 먼저 보내주세요)

-사교춤 동호회: (213) 915-9970

-산타클라리타 테니스 동호회 회원 모집: 산타클라

리타 지역에서 테니스를 즐기실 분. Myung (Michael) Cho, michael.myung.cho@gmail.com

-노래교실 : 노래를 배우고. 즐겁게 노래하고 싶은신분 누구 나 환영, 신곡이나 배우고 싶은 곡 또는 부르고 싶은 곡을 완 전히 자기 노래로 소화 시켜 드립니다. 213-216-0006, 818-727-1000

-싱글 모임: (818) 770-4298

-낚시 동호회: 낚시를 즐기고 싶은 분 누구나 환영, 민 물낚시, 배타고 도미낚시 등 함께 즐겁게 낚시를 즐기세요, (818) 831-9658 Mr. Lee

-명곡오페라아카데미 단원 모집: (213) 605-5810

한 기타교실을 오픈, 대상: 성인 (661) 220-0848(황대선 목사) -목요일에 골프치실분 모집을 합니다 : (626) 993-5288 -화요골프사랑 회원모집 : 골프사랑하시는 분들 초대합 니다. Chong (626) 993-5288 (LA-Valley 지역) -테니스 동호인모집: 밸리 테니스 클럽에서 USTA 4.0 이상 되시는 테니스 동호인 모집합니다. 문의) 필립 정 (818) 456-7737

-사진강좌 및 사진 동호회 :밸리지역(213) 793-5500 -밸리 7080 음악동호회 회원모집 : 기타와 노래에 취미 있으신 분 환영, 다름 악기도 좋음, 모임장소: 나성 북부 교회, 시간: 매주 토요일 10시반-12시반, (213) 500-3689

-골프친선모임 : Chon (323) 369-6018

-바둑즐기실 분: 또는 배우실 분 환영, 점심식사 제공 (818) 746-6088

-동호회원 모집: 뜨개질, 퀼트, 그림, 꽃꽂이, 하이킹, 합 창, 생활영어 등 다양한 클래스,문의: Grace Seo (661) 3739647, graceandboys@yahoo.com

- 밸리 테니스 동호회 모임: 매주 토, 일 오전 7시-9시 반 까지, 실마 El Cariso Reginal Park 테니스코트, 중급이상 실력으로 주말 아침 운동하실분 (818) 321-9561 Chan Shin

-새 족구 회원 모집: 지역 : 밸리, 라크라센타, 선랜드, 버뱅크, 글렌데일, 장소 : ANC온누리 교회 체육관, 매주 월요 지역 : 밸리, 라크라센타, 선랜드, 버뱅크, 글렌데일, 장소 : ANC온누리 교회 체육관, 매주 월요일 저녁 7:30~10:30, (714) 824-1006 -무료 기타교실: 랭캐스터 한인장로교회에서 초보자를 위 valleymagazine@gmail.com 818-439-9289

Turn static files into dynamic content formats.

Create a flipbook
w-PDF_p1_p61_VM_April2026 by glendalekorean - Issuu