Edition 25 March 2025

Page 1


By

COMMERCIAL real estate is booming in the hinterland region, driving growth in industries big and small, with a range of benefits business owners can’t say no to.

Colliers Commercial Sales and Leasing executive, Nigel Irving, is selling and leasing industrial estate lots in Beerwah and Landsborough, which he said is attracting a range of businesses to the hinterland. The Rare Orchid Distilling Co owner, Jamie Jones, opened his business in the Landsborough industrial estate in September last year, and employs three staff Full story p15

OVER 100 homes have been spared resumption after the LNP unveiled a revised alignment for Stage 4 of the Bruce Highway Western Alternative (BHWA).

Glass House MP Andrew Powell (pictured) acknowledged that while the previous route would have severely impacted

local communities, the new plan is a “bittersweet” outcome, with roughly 30 properties still directly affected. “I’ve always said we need the Bruce Highway Western Alternative,” he said.

“We can’t keep adding lanes to the Bruce Highway itself – we’d merely be enlarging a car park.

“Corridor protection is essential, and that means resumptions.

“As I requested, (Transport and Main Roads) returned to the drawing board, prioritising state and council-owned land wherever possible.”

Full story p7

Quarrel with council

RESIDENTS are being called on by opponents of the Glasshouse Quarry expansion to attend the Sunshine Coast Council’s ordinary meeting on March 27 to show solidarity in their demands to reject the proposal. Advocacy group Save Our Glasshouse Mountains (SOGHM) has criticised the project’s transparency to date and has called for independent environmental and engineering assessments.

Full story p4

WEDNESDAY, 12 NOON

NEWS TEAM

MITCH GAYNOR Managing Editor mitch@gcnews.com.au

SONIA ISAACS Deputy Editor sonia@gcnews.com.au

KIRRA LIVINGSTONE kirra@gcnews.com.au

TINA GRIEVE tina@gcnews.com.au

LEWIS KWARCIANYI lewis@gcnews.com.au ADVERTISING

DESIGN AND LAYOUT

SHARON KING & KATIE BUCKLEY design@gcnews.com.au

ADMIN & ACCOUNTS

ANGELA USHER angela@gcnews.com.au

I’VE recently been bingewatching the second series of Black Snow – a reasonably good Australian murder mystery airing on Stan.

While I often find myself urging the detective to hurry up and do his bloody job, I’m just as frequently captivated by the glamour shots of the Glasshouse Mountains.

It’s amusing trying to pinpoint where the crew must have been filming during last year’s onlocation shoots.

There are sweeping views of imposing pine plantations towering around Steve Irwin Way, Wildhorse Mountain Lookout, Johnston Road, Marshs Road, Mt Beerwah Road, and many other spots, with the mountains strategically positioned behind the human stars of the show.

Sure, the police occasionally uncover a body (or several), but it’s a small price to pay if it’s at the bottom of Coonowrin. Similarly, Brisbane is transformed – the producers manage to make the city look genuinely cool.

One minor gripe is that while

FOLLOW US ON OUR

SOCIALS

the mountains are referred to by their actual name, the town of Moorevale is fictionalised. I’m sure there’s a good reason for that.

Then there’s the portrayal of homeless camps, which appear far more palatable than they truly are – but that’s a story for another time. Regardless, the series ultimately serves as an impressive tourism advertisement for our region.

The cinematic backdrop taps into what Tourism Minister and Glasshouse MP Andrew Powell describes as the burgeoning growth in experiential tourism (p15-17).

It’s a small but expanding industry in the hinterland, and we have plenty of options on the table to fuel its growth.

Whether you’re seeking highend accommodation like Spicer’s Tamarind, countless five-star wedding venues, or unique mid-range choices such as the Glasshouse Mountains Eco Lodge, tourists won’t miss out – they simply need to know about them.

Part Two of our Go Hinterland series examines economic growth

Country & Maleny News

opportunities, whether through tourism or trades. The lower hinterland, particularly in Beerwah and Landsborough, is opening up land specifically for light and heavy industrial use.

This is attracting larger businesses drawn by reasonable prices and excellent access to main arterials. These developments are not only helping our region grow and create jobs but may also give young graduates a stronger reason to stay rather than leave town after finishing school.

Speaking of growth, we examine the latest iteration of the Bruce Highway Western Alternative.

While it’s unclear how exactly this project will impact us, progress is essential to accommodate our booming population.

Diverting traffic off the Bruce and out near Beerburrum should ease congestion and boost regional development.

Though years away and far from perfect, these developments represent a necessary step towards a more dynamic hinterland.

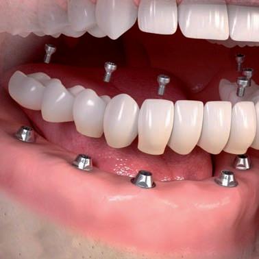
DENTAL IMPLANTS

Dental Implants are a way of replacing lost natural teeth where suitable bone is available. From an Implant Crown to preplace one tooth, to retention for a Full or Partial Denture, to a Full Fixed Arch of teeth, our dentists at Dental Excel will advise what is possible for you. All implants are planned in conjunction with the MIS

Implant Centre in Melbourne and use the MIS MGUIDE for precision placement. Mini Dental Implants for same day stabilization of lower dentures also available for suitable cases. If you would like some advice as to what is possible for you, please book for a FREE consultation.

Community safety champions

THE Queensland Police Service (QPS) is expanding its Community Safety Champions (CSC) program following a successful pilot in Cairns and Toowoomba in 2024.

Part of the QPS Safer Together initiative, the program aims to empower community organisations to promote safety and crime prevention. It will now be trialled on the Sunshine Coast. Developed by the QPS Digital Intelligence and Community Engagement (DICE) Prevention team, the program provides participants with educational resources, access to QPS-endorsed materials, and opportunities to engage with policeled presentations and networking events over an eight-week period.

The pilot saw more than 30 participants from 20 organisations benefit, with key outcomes including improved confi discussing community safety, enhanced information sharing, and strengthened relationships between community members and QPS and collaborate with police.

Expressions of interest are now open for the Sunshine Coast trial.

Visit the Queensland Police website for more information.

Best in show take a bow wow at ‘Dog Olympics’

Sunshine Coast Kennel Club hosts record entries for sporty format

POOCHES big and small descended on the Beerwah Sportsground on March 22 and 23 for the inaugural Sunshine Coast Dog Olympics.

Hosted by the Sunshine Coast Kennel Club, the two-day event was a record breaking weekend, with the new ‘Olympics’ format adding a number of new sporting categories including sprints, scent work and tricks.

“We’ve had an amazing turnout this weekend, we’ve had so many entries, in all our shows and sports,” club secretary, Khylie Wood, said.

“We are really excited and really thankful that

We have owned our property at Witta since 2011 and wanted to fit out our two-storey loft house. The job was a difficult one with mirror image bedrooms in the upper level with lots of angles everywhere. We first approached a local cabinetmaker who came to look at the job, then never contacted us again! We tried again with another cabinetmaker from the coast who we had previously used for a job in our other house. When he came to look at it, he was honest and said it was too difficult a job and he wouldn’t be able to do it for us. We then tried someone else from Landsborough, but after coming to look at the job, he also didn’t get back in touch with us. We then found Kev at Beerwah and gave him a call. He was so lovely on the phone and after we explained the job, he told us that, yes, of course they could help us, it would be no problem at all! Kev’s guys Chris, Jarrid and Sam all upheld those values and attitude and they really stepped up and did the job with ease! Any difficulty they had, they worked through and took their time to get it right. We couldn’t recommend Kev and his team highly enough!

Rochelle & Ian, Witta

Quarry opponents set to march on council

Group fears worst outcome for blasting

RESIDENTS are being called on by opponents of the Glasshouse Quarry expansion to attend the Sunshine Coast Council’s ordinary meeting on March 27 to show solidarity in their demands to reject the proposal.

Advocacy group Save Our Glasshouse Mountains (SOGHM) has criticised the project’s transparency to date and has called for independent environmental and engineering assessments instead of relying on reports provided by Heidelberg Materials. Despite the opposition, the State Government earlier this month granted environmental authority for the expansion. The final decision now rests with the Sunshine Coast Council, which is assessing the development application. If approved, quarry production will double from 600,000 to 1.2 million tonnes per annum (TPA).

However a Heidelberg spokesperson has noted those figures relate to the full 1,200,000 TPA scenario, which would not be every year.

“The quarry (If approved) will not operate at 1,200,000 tpa every year,” the Heidelberg spokesperson said.

“The quarry operations and the truck movements will fluctuate in response to customer demand to accommodate key and local projects.”

Residents fear the expansion will worsen congestion, noise, dust, and road wear, posing heightened safety risks for pedestrians and cyclists.

They have also questioned the accuracy of blasting impact data and the potential impact on Mt Coonowrin, which sits adjacent to the existing quarry.

Concerns have been raised over suburban streets not being designed for industrial traffic, with double-trailer trucks frequently passing homes, a primary school, and a narrow railway bridge before reaching Steve Irwin Way.

Glass House Mountains resident Burnice Starkey said she was deeply concerned about increased traffic, noise pollution, and environmental degradation.

“Some days, the noise

from the trucks is just horrendous,” she said.

“Heidelberg’s response to Council suggests truck movements fluctuate based on demand, but with ongoing housing developments, I believe their estimates undervalue what the actual tally of heavy vehicles on the roads through town will be.”

Ms Starkey also highlighted safety concerns along Coonowrin Rd, Burgess, and Reed Street, noting the lack of sufficient traffic data.

Glass House Mountains residents Steven and Sarah Minns, who have lived in the area for 19 years, expressed frustration over the quarry’s proximity to Mt Coonowrin and the surrounding heritage-listed area.

“Sitting state and local politicians have publicly acknowledged that the quarry should never have been approved at the foot of Mt Coonowrin,” Mr Minns said. “To align with the Council’s commitment to protecting the Glass House Mountains, Mayor Rosanna Natoli and councillors must reject the expansion.”

SOGHM’s Megan Standring criticised what she said

“Without an independent engineering assessment, the risk to public safety remains unknown,” she said.

The group has written to key government agencies, demanding explanations for discrepancies in Heidelberg’s DA response. They say that despite previous requests, Heidelberg has failed to provide critical information.

“We stand firm against quarry expansion and believe public support can demonstrate this is not in the best interest of the Sunshine Coast,” Ms Standring said.

Hinterland Quarry Action

the recently approved Environmental Authority addressed on-site impacts, off-site effects—such as noise, dust, and road safety—remained a significant issue.

“The community is highly concerned about off-site impacts which directly affect people’s liveability and the possible integrity of Mt Coonowrin,” she said.

“Council has a dual responsibility: to maintain resource access while protecting surrounding communities. That balance must be more equitable.”

Sunshine Coast living survey

SUNSHINE Coast Council has launched the fifth annual Living on the Sunshine Coast survey, giving 2000 residents a say on key liveability factors.

Running from March 24 to April 17, the survey— conducted by demographers .id—assesses priorities such as housing affordability, road congestion, and environmental access. Environment and Liveability Portfolio Councillor Maria Suarez said the survey helped Council understand community values and emerging issues. This year, questions will also explore awareness of the region’s UNESCO Biosphere Reserve status and perceptions of climate change impacts.

In 2024, residents rated safety, natural environment access, and health services as top priorities. Survey results will guide Council’s policies and be published online.

Responses remain anonymous. Residents can participate via the Council website.

GHM resident Burnice Starkey. Inset: Sarah and Steve Minns.

Health Hub

THE Cornerstone Group has put the Beerwah Health Hub on the market for sale, just six months after having the official grand opening event.

Stonebridge Property Group are accepting expressions of interest until Thursday, April 10 on behalf of Cornerstone Group. The real estate noted a range of key economic benefits to potential buyers considering buying the health hub.

GC&M News reached out to Cornerstone Group for comment. kirra@gcnews.com.au

New ANZAC memorial unveiled at the Beerwah Golf Club

A NEWLY completed ANZAC memorial has been unveiled at Beerwah Golf Club ahead of this year’s ANZAC Day commemorations.

The informal event last Tuesday March 18, served as an opportunity to thank neighbouring RSL representatives from the Beerwah and Glass House Mountains subbranches, who, along with other key figures,

secured a $10,000 federal ‘Saluting Their Service’ grant from the Department of Veterans’ Affairs, enabling the construction of the memorial located near the Pro Shop gardens.

Club board member Allan Warry, a Vietnam veteran, expressed his gratitude towards the club executive, volunteers, and local stonemason

Wayne Osborne along with other local tradespeople for ensuring its timely completion.

“I’m very pleased we have been able to create a dedicated memorial here at the club that honours both the service of our veterans, past and present as well as the original history of the golf club.”

He also acknowledged the support of Federal MP Andrew Wallace in securing the grant, and is now working on a pictorial display highlighting the historical significance of the club’s origins as the ‘Beerwah and District Memorial Club.’

WHEELCHAIR ‘pilots’ are hitting the streets across the Sunshine Coast hinterland as part of an initiative to enhance accessibility.

Sunshine Coast Council has engaged mobility mapping experts Briometrix to assess accessibility across the region, including Landsborough, Palmwoods, Buderim, and Woombye. Specially trained pilots using wheelchairs equipped with tracking devices are mapping ease of movement for wheelchair users, parents with prams,

those with mobility aids, and people with vision impairments.

The data will inform updates to Council’s mobility maps, guiding footpath upgrades and accessibility improvements.

Areas already mapped include Beerwah, Caloundra, Maleny, Montville, and Nambour.

Strong Community Portfolio and Division 10 Councillor David Law said the project is transforming navigation for people of all abilities.

“I want to thank everyone who has supported this project to fruition over the last three and a half years,” Mr Warry said.

The new ANZAC memorial will be a key feature of the club’s 2025 ANZAC Day celebrations.

Mobility mapping rolling on

“The mobility maps provide essential way finding information for everyone, including parents with prams, the elderly, and people with disabilities,” Cr Law said.

“Our mobility maps are easy to use and help ensure that no matter what age, ability or mobility, everyone has the opportunity to enjoy all that our beautiful region has to offer.”

“Equity and inclusion are key principles of our Council’s values,

which is why this project is essential in identifying accessible routes suitable for everyone.

Find your best path, according to your needs and ability on Council’s website. Council has also partnered with local tech firm Cérge to develop accessibility tools, including virtual tours and sensory guides for community spaces. A series of accessible tools have been developed so people can “know before they go” and understand venue accessibility ahead of time.

Wayne Osborne, Brian Machin, Myra Suosaari, John Nisbett, Allan Warry, Neil Archer, Greg Wilson, Raymond Lloyd, Jacob Harris and Stephen Millgate.
‘Pilot’ Jason Jones at Peace Park, Landsborough.

Fancy a piece of paradise?

Luxury property market is booming in Sunshine Coast Hinterland

THE Sunshine Coast Hinterland is seeing a surge in interest in luxury property, with buyers increasingly prioritising health, wellbeing, and privacy.

High-end listings such as Secrets on the Lake, Lucas Parklands, and Hunchy Hideaway are drawing strong interest.

Interest in the hinterland continues to grow, with acreage properties experiencing a 12 per cent increase in enquiries compared to last year according to Your Property Co’s Nathan Beasley.

“Last week I fielded close to 64 phone calls for regional enquiries in the hinterland just for my acreage listings,” he said.

“The trend is shifting towards dual living, which is why Secrets, Lucas Parklands and Hunchy Hideaway are attracting so much attention.”

Buyers are no longer looking solely for romantic getaways either.

Instead, there is increasing demand for properties that accommodate families and remote work, with a focus on lifestyle benefits.

“The market used to be very much about romantic getaways, but the trend

is turning towards places that allow people to house their family and work from home,” Mr Beasley said.

“Privacy is key, and buyers are looking for properties that offer health and wellbeing options.

“That’s why Montville, Hunchy, and Maleny are in high demand.”

One of the most talkedabout properties is Secrets on the Lake, a 15-hectare estate on Lake Baroon featuring intricate wood carvings and unique architectural features.

Originally designed as a healing retreat, it is now on the market for offers over $20 million.

he believed luxury accommodation businesses must pivot to meet shifting market demands.

“Now is the time to look at adapting in luxury accommodation,” he said.

“People still want to relax in rainforest settings because they see it as healing and nourishing, but they also want options like Reiki, massage, saunas, and wellbeing talks.

“These days, people are looking to get away from the hustle and bustle of life.”

Prestige listings reflect overall market strength.

listed at $4.5 million, is attracting buyers looking for a tranquil rainforest escape.

Meanwhile, Hunchy Hideaway—a secluded retreat with eight luxury cabins and glamping opportunities—is on the market for $3.75 million, appealing to those seeking both privacy and commercial potential.

The demand for prestige properties in Maleny and Montville remains strong.

Melissa Chaddock from Remax Hinterland is marketing 435 Balmoral Road, Montville, priced

BEERWAH PICTURE

around $15 million.

“We already have solid interest from buyers capable of purchasing at this level,” Ms Chaddock said.

“The real estate market in the Hinterland, particularly in Montville and Maleny, has seen notable activity lately.

“Recently listed high-end properties in the region such as this reflect the area’s appeal to luxury buyers. These trends indicate a robust interest in hinterland properties, with both sales and listings showcasing the region’s desirability, and not just for luxury properties, but for a range of properties, from small cabin getaways through to larger family homes.”

Other premium listings include 599 Mountain View Road, Maleny, and 75 Grundon Road, Conondale, both showcasing the unique lifestyle appeal of the region.

Allister Millican, director of Ray White Maleny said he has also noted strong demand, particularly for high-end acreage estates.

“The Maleny market is exceptionally strong, particularly for prestige properties,” he said.

“Demand has surged, with a 306.56 per cent increase in potential buyers year-onyear,” he said.

“While the median sale

price for houses and units sits at $935,000, high-calibre properties well exceed this, appealing to buyers seeking exclusivity, privacy, and lifestyle.”

“This is an exciting time for the Hinterland market, and Mountain View Manor is undoubtedly one of its premier offerings.”

One standout listing is Mountain View Manor, a 160-acre estate with an Italianate main residence, a second farmhouse, and resort-style amenities.

With no price guide, the property is positioned as a premier acquisition for discerning buyers.

“This is an exciting time for the Hinterland market, and Mountain View Manor is one of its premier offerings,” Millican said.

As interest in lifestyle properties continues to grow, the Sunshine Coast Hinterland remains a key destination for buyers seeking luxury, privacy, and wellbeing-focused living.

Maleny View Manor.
Mountain View Manor Maleny.
Secrets on the Lake.
Balmoral Road.
Lucas Parklands.
Hunchy Hideaway.

Tourism push after Ex TC Alfred

THE State Government has launched a major marketing campaign to entice holidaymakers back to Queensland, following two major weather events that impacted the state earlier this year.

All three major Australian airlines will roll out airfare sales to Queensland destinations over the next four weeks, while Tourism and Events Queensland’s ‘Too Great to Wait’ campaign will promote exclusive holiday deals on Queensland.com.

The push comes after flood events in North Queensland and the impact of ex-Tropical Cyclone Alfred on South East Queensland.

Discounted airfares will be released in phases across different travel periods, including before and after the Easter long weekend, encouraging Australians to seize the opportunity for a Queensland getaway.

Tourism Minister Andrew Powell highlighted Queensland’s resilience and readiness to welcome visitors after the destructive weather event.

With strong airline partnerships and targeted marketing, the campaign aims to reinvigorate Queensland’s $95 milliona-day tourism industry, ensuring operators across the state recover swiftly.

Fewer resumptions in new highway alternative

Revised road alignment is a ‘bittersweet’ option for growing region

OVER 100 homes have been spared resumption after the LNP unveiled a revised alignment for Stage 4 of the Bruce Highway Western Alternative (BHWA).

Only 30 homes are now expected to be resumed instead of the 140 properties affected by the route proposed by the former Labor government in late 2023.

That proposal ignited widespread protests and became a pivotal election issue in communities around Caboolture and Elimbah.

The new options run further west of Elimbah and aim to connect the D’Aguilar Highway at Moodlu to Steve Irwin Way at Beerburrum, mostly traversing rural land.

The updated route passes through the north-west corner of the Elimbah SEQ development area before heading east, utilising stateowned forestry land in its northern section.

More than 850 community submissions were received and a parliamentary petition was signed by nearly 11,000 residents opposed to the original Labor proposal.

Glass House MP Andrew

Powell acknowledged that while the previous route would have severely impacted local communities, the new plan is a “bittersweet” outcome, with roughly 30 properties still directly affected.

“I’ve always said we need the Bruce Highway Western Alternative,” he said.

“We can’t keep adding lanes to the Bruce Highway itself – we’d merely be enlarging a car park. Corridor protection is essential, and that means resumptions.

As I requested, (Transport and Main Roads) returned to the drawing board, prioritising state and council-owned land wherever possible.

“They have worked hard to minimise the impact on rural residential properties and, I believe, delivered a far more environmentally responsible solution.”

Mr Powell said TMR is now liaising directly with affected landowners. One of the lead opponents of the original route, Jason Smith, described the announcement of the new routes as “a day of mixed emotions.”

“I am relieved that the number of affected

properties has been significantly reduced,” Mr Smith said.

However, he acknowledged the emotional toll on residents receiving impact notices for a second time.

“For those receiving letters again, our hearts go out to you. You are not alone.

“The community understands what you are going through,” he said.

Mr Smith criticised the original consultation process as lacking transparency, labelling it “more of a bullying exercise than authentic consultation.”

“TMR’s publication of a planning summary— previously unavailable— shows our advocacy for clearer communication and transparency has made a difference,” he said.

The new proposed 12.6-kilometre route is designed to accommodate a forecast population growth of 2.2 million people over the next 25 years, including more than 308,300 extra residents in the City of Moreton Bay.

TMR has indicated construction is unlikely to begin for over a decade,

pending government funding.

Community feedback on the new route remains open until 30 April 2025, with several public information sessions scheduled in the coming weeks.

For more information and to submit feedback, visit https://www.yoursayprojects.tmr.qld.gov. au/bhwa/stage-4

before making landfall, heavy rain still made its way to the hinterland, Nambour.

Our thoughts are with the businesses and residents of Nambour and wish them well in their recovery.

The main impacts to businesses in Maleny appear to have been the loss of trade on the Thursday, Friday and Saturday before the ex-cyclone rolled in.

UPDATE

with Spencer Shaw, Chamber President

We have circulated an email to our membership assistance from State and Federal Governments that may be able to assist business owners and in particular casual employees.

Congratulations to Spill Wine, it’s great to see Chef and co-owner Jamie will be back again in this seasons MasterChef, bringing a bit more magic to Maleny with this great food and wine destination on the national stage!

The other co-owner is Clare, who has just joined the Maleny Commerce management committee and brings new young energy to our team.

Keep your eye out for the survey that Clare has put together from the team, to help focus our work over the next few years in ways that best serve our business community, please make the time to complete it.

Check out our new website which was launched in February with a new logo and branding

designed and developed by our Adrian Anderson.

We have got Bunya trees back on the logo and I’m very happy to be seeing our iconic tree back where it belongs!

The new website is designed to provide a one stop platform to support our businesses and allows for promotion of what is happening in Maleny and surrounds and how our businesses can participate in events and what visitors to Maleny can see, do and experience.

One of the exciting features is that our members can upload their own newsworthy stories directly to the site.

Keep up the good business Maleny.

Nominations for Glassies now open!

Small Business awards return for 2025

MEMBER for Glass House, Andrew Powell has announced that his favourite annual event - the Glass House Small Business Awards, were back for 2025

“This year, I am pleased to partner with Kendall Morton MP, the Member for Caloundra, to ensure our favourite businesses and employees along the border of our electorates (between Beerwah and Landsborough) can also be included,” Mr Powell said.

Nominations for “The Glassies” are now open, offering a fantastic opportunity to recognise the outstanding contributions of local businesses and their employees. These awards celebrate the hard work, creativity, and dedication that drive small businesses, contributing to the growth and vibrancy of our

community. Both businesses and employees can be nominated, allowing for a broad range of recognition.

Whether it’s a business that has shown exceptional growth, innovation, or

customer service, or an employee who has gone above and beyond in supporting the business or community success, these awards shine a light on the incredible efforts made every day. The nomination process is simple and allows businesses, customers, and

community members to submit their nominations. It’s a great chance to show appreciation for a business or employee who consistently delivers outstanding work.

Recognition through these awards can also help increase visibility, foster new opportunities, and build a stronger connection with customers and the community. Don’t miss out on this opportunity to celebrate excellence in our local business community. If you know of a business or employee who deserves recognition, nominate them today and help highlight the incredible talent and innovation in our region!

To make a nomination, visit www.andrewpowell.com.au

2024 Maleny Glassie winners.

Groovy night

IT was a super groovy launch of the Maleny Film Festival last Friday (March 21) with festival attendees embracing the ‘hippy spirit’ of the opening night film ‘Aquarius’. Guests wore their best ‘flower power’ looks, with Lee Bracker (and original Aquarius festival attendee!) winning the best dressed award for the evening. The three-day film festival was well attended and showcased an excellent mix of Australian films.

Zonta; Woman of Achievement award

ZONTA Club of Blackall Range recently held their rescheduled (IWD) Dusk on the Deck event at the Maleny Community Centre. International Women’s Day (IWD) is also marked by Zonta Rose Day. Members and guests gathered on Friday March 14 on the deck of Maleny Community Centre for Zonta’s tenth annual Rose Day celebration.

Former President of Zonta Club of Blackall Range, Gillian Allen (pictured top) was named 2025’s Woman of Achievement, honoring her outstanding contributions to community, supporting the work of Zonta, Maleny Hospital Auxiliary, the Birthing Kit Foundation Australia, Royal Flying Doctor Service, and more.

Barb Jones and Debbie Brennan.
Corinne, Duncan, Rebecca, Peter and Linda.
Faith B and Adrian Anderson. Peta Higgs.
Gemma Tonkin, Monica Rogers.
Peter, Norman and Jude.
Karen and Ian Demack.
Hot Chilli members and Bron.
Ann, Gillian Allen and Margy.
Hot Chilli Choir members.
Madonna Hampson and Rob Dodd.
Lillian Muchari, Fi Emberton.
Helen, Peter, Heidi and Meredith.
Cathie and Desley.
David H-H and Lee Bracker.

Local groups unite to help

Local community groups band together to support Ex TC Alfred disaster efforts

LOCAL community

members of the Glasshouse Country Disaster Management Network recently put their proactive planning into action ahead of ex-Cyclone Alfred.

The network comprises of local groups, churches, businesses, frontline services and the Sunshine Coast Council. Over the past five years, it has developed a directory of contacts and resources to support formal disaster management efforts when additional help is needed.

Network representative Natasha Odgers said the group’s preparation paid off recent weeks.

“It was pleasing to see how eff members communicated and prepared to support the community, thanks to our

years of collaboration,” she said. The network activated in various ways. Service groups and churches, including Mooloolah Valley and Beerwah Lions Clubs, Church on the Rise, Glasshouse Country Uniting Church and Glasshouse Country Rotary Club, coordinated a roster to provide meals at the Place of Refuge in Landsborough. Local businesses also

Landsborough, volunteers were on standby to open community-run refuges if flooding cut off roads, leaving residents stranded.

Following Ex TC Alfred, GCDMN members met last week (Wednesday March 19) to debrief, identifying lessons and actions to improve future preparedness.

One key issue raised was the lack of real-time road closure information.

“This challenge isn’t easy to fix and has been raised before,” Ms Odgers said. “The network has asked authorities to explore solutions. Fortunately, the Glasshouse Country and Maleny News, part of the network, played a vital role in sharing timely local updates via Facebook.” For more information, visit gcdmn.com.au.

Association assists clubs

MAPLETON and District Community Association (MADCA) recently announced the recipients of its latest round of grant funding, supporting a range of valuable local community initiatives.

Some of the local recipients included the Range Community Gym and the Mapleton Choir (pictured above) who received funding to develop a sustainable donations and grant process, aiming to secure their long-term financial stability.

The Mapleton State School P&C - set to utilise their grant to enhance STEAM resources, including a cataloguing system and book boxes, enriching the learning experience for students. The Range Community Kindergarten received funding to purchase a much-needed blind,

improving the learning environment for young children, while the Range United Soccer Club will use their grant to purchase a new BBQ, enhancing their ability to host community events and fostering a sense of camaraderie.

MADCA President Max Standage said this was the second year that MADCA had offered the grants, and said it was fantastic to see the program roll out.

“While it may be small financial support it the grand scheme of things - it can make a big difference to our community clubs and organisations,” he said.

“MADCA is proud to support these diverse local projects that contribute to the vibrancy and well-being of our community.

“We thank all applicants and congratulate the successful recipients.”

Savvy Seniors rescheduled

THE local Speak Up Now – Stop Domestic & Family Violence group will host its annual Safe and Savvy Seniors Forum on Tuesday, April 1, from 9am to noon at Maleny Uniting Church. This free event aims to educate seniors, their families, and carers on protecting themselves from financial and legal abuse, particularly by family members. The forum will highlight risks associated with powers of attorney and offer strategies to prevent potential issues. Attendees will hear from professionals, including representatives from the Suncoast Community Legal Service, Centacare, Relationships Australia’s Elder Abuse team,QPS and senior law specialists. These experts will provide insights and guidance to help safeguard financial and legal rights. The forum is designed to empower seniors with knowledge and support, ensuring they can make informed decisions about their future.

Complimentary morning tea supplied, please RSVP by Friday March 28 to Val on 0419 599 042 or email speakupnowstopdomestic violence@gmail.com

Members of the GCDM Network.

Veteran women network

THE Local at Beerwah hosted a belated International Women’s Day celebration hosted on Sunday March 16.

Local ladies from Glasshouse Country Women united by Defence (GCWuD) and Glasshouse Hinterland AFL Club enjoyed some coffee an cake.

GCWuD representative Fran Sinclair said it was a lovely fun morning of camaraderie amongst friends.

“We had a great turnout of a bunch

of strong females coming together to celebrate how proud we are to be women,” Ms Sinclair said. GCWuD group meets for a lunch and a chat in the second Wednesday of every month at the Local Beerwah. More details contact Fran

SUNSHINE Coast Libraries and QLD Blue Light invite you to a series of free movie screenings at Beerwah Community Hall. Bring your favourite comfy camp chair, bean bag, or blanket—or just come as you are! Plenty of chairs will be available, and snacks can be purchased from the hall kitchen. The first screening is Ready Player One on Thursday, April 10, from 6pm-8.30 pm. Based on Ernest Cline’s 2011 novel, the film takes viewers to the year 2045, where the real world is bleak, and people escape into the OASIS, a virtual universe.

When teenager Wade Watts cracks the first clue in a hidden contest, he and his friends embark on a thrilling adventure to secure control of the OASIS before it falls into the wrong hands. Rated M13+ free event -children 12 and under must be accompanied by an adult, Registration essential.

New Probus president

GHM memorial plaque

Contributed by Jennifer Schafer

GLASS House Mountains locals and family members from across Queensland and Tasmania gathered on Saturday, March 15, to honour the late Eileen Florence Schafer. Eileen, a long-time resident, was known for her daily walks from 2009 until her recent passing, during which she collected

who stepped up to offer their services and to the retiring members who have worked so tirelessly. We are so proud of you all. Glasshouse Probus, though not a large Club, enjoys a relaxed aura of friendship which was obvious at the meeting. The next club activity is a Coffee and Chat Morning.

of the Club as well as getting the occasion.

If you are looking for new activities or more information about Probus we meet in the Glasshouse RSL Rooms, 1 Reed St, at 10am on the second Wednesday of every month. For more details or to find out more ring Sandra 0447440 757 or Norma 0474 313 446. All welcome!

and recycled rubbish from parks, creeks, and footpath. First recognised in 2011 with an Australia Day Community Award, Eileen has now been honoured again with a memorial plaque placed outside Glasshouse Tavern, where she often walked. Eileen, aged 80+, was also known for returning lost wallets and valuables. Eileen’s memorial and plaque placement was a lovely day of celebration attended by family, friends and many other invited relatives.

Potluck dinner event

GET ready to enjoy a evening of fabulous food and social connection at the Maleny Neighbourhood Centre’s Community Pot Dinner on Friday, April 4, from 5–7 pm.

Host Alison Smith says the event is all about bringing people together and welcoming new faces.

“We each bring a savoury

or sweet dish to share. The event is free, and each month we invites a speaker to share their passion for ve minutes before chatting informally with guests,” Alison said. Attendees are encouraged to mingle and sit with people they don’t yet know well. Last month, Bronwyn Lysaght spoke about people who have experienced homelessness and the follow-ups to Reconciliation discussions. This month, on April, 4 Steve McLeish will share his enthusiasm for Arts Alive, an event set to take place in

For more details, contact Alison on 0429 694 014.

IWD celebrations at The Local.
Free films at Beerwah Heart.
All welcome at Maleny Potluck.
Glenda Devries takes over the reigns from Ken McBride.
Eileen’s daughter Jen at GHM memorial.

“Proud of where life has led us” Amazing adventures and nomadic experiences

JACK Wilcox kindly asked Johnny and I to tell our story. So, make a coffee, and indulge in five minutes of magic.

We are the current Community Managers at Vantage Maleny, and of course, just like our beautiful residents, we have lived varied and interesting lives. We have left the distant past behind, as we are in the process of making the future.

We met nearly seven years ago in a place called Kooralbyn, at a karaoke party. I remember Johnny being a bit of a character that night, but something clicked and off we went.

We decided to combine our lifetime skills (of which there are too many to mention) and he asked me to run away with him to Victoria. So, off manage a retirement village in Bacchus Marsh. We fully integrated into the experience until COVID reared its ugly head, and Johnny being nomadic, said was locking down, we decided to travel Australia. And what an adventure it was!

We ended up on the Spirit of Tasmania, two days before they shut the Tasmanian border and stayed there for 18 months. We worked in the most amazing places all over Tasmania, including Cradle Mountain, and out on the west coast at Corinna, and met the

that what we enjoyed most was the community living experience.

So here we are at Vantage Maleny. For us, it is about the value we can add to the lives of our residents. We encourage all to practice respect and happiness, but most importantly, to share their stories and to be proud of where life has led them.

THE WRITE STUFF - Do you have a life story that deserves to be told? Perhaps it’s a tale of triumph or blunder, the happiest moment or a time of profound sorrow. Whatever it is, we’d love to hear it. We’re inviting readers to share their personal stories for publication. We’re not looking for a perfect story, just honest writing so give it a go and send us 400-450 words with a title, your name, age and town: editorial@gcnews.com.au

MONTVILLE is gearing up to celebrate its dynamic arts and crafts scene with its inaugural event ‘Artifest’, a vibrant weekend event filled with workshops, demonstrations, and exhibitions across various locations in Montville village

Richard Sarg Community

How long have you lived in Montville for?

I’ve lived in Montville for five years and going on three months. What made you move to Montville?

When I was a child, grandma would bring me here from the city. She’s a Dixon from the Flaxton area and she’d walk me around the place showing me where there used to be cows on the farm.

When I was five years old I thought I want to live here, and now I do. What do you love about living in Montville?

It’s peaceful and tranquil, I haven’t had to lock my car for all those years.

What’s your favourite spot or hidden gem in Montville?

The hidden gem is the platypus in Russell Family Park that no one really knows is there. So that’s the secret of Montville. It’s fun to have a walk and try to spot them, you never know when they will turn up. Is there anything that you’d change about Montville?

Increase the public flower spaces, like the shrubs could be replaced by flowers. But we all know that will require maintenance. It makes the street more vibrant. What’s something people may not know, but should know about Montville?

Mobile service connection can dramatically reduce because Telstra only provides service for residents, and with influx of visitors on weekends, it’s very erratic.

Montville Artifest

Chamber of Commerce you can attend a range of microevents showcasing the creativity and craftsmanship of our region. With 10 separate micro events to choose from you can plan your weekend to take it all in.

There are woodworking and carving workshops, glass-blowing demonstrations and workshops, art and ceramics workshops, even one for the kids! You are also invited to paint ‘en plein air’ capturing Montville’s stunning landscapes. At the

Opalcutter you can meet the miners, cutters and designers. For the crafters there are demonstrations on watercolour painting, spinning, crocheting, card making and more. Enjoy pizza and gin tasting while viewing local furniture and leather making. You can even watch candy making demonstrations.

Your Opinions You Said It ... Elected Reps

Blasted argument

I am writing to express my deep concern regarding Heidelberg Materials’ recent warning to our council, suggesting that failure to approve their quarry expansion could cause a housing crisis. Such a stance appears to prioritise corporate interests over the wellbeing of our Glasshouse Mountains community.

Heidelberg Materials has a history of contentious projects globally. For instance, in Indonesia, their subsidiary’s planned cement plant in the Kendeng mountains faced significant opposition due to environmental and cultural concerns. Similarly, in the West Bank, their operations have been criticised for exploiting resources without benefiting local communities.

Locally, the proposed expansion threatens our National Heritage-listed sites, rich in cultural significance. The increased movement of B-Double trucks through our town raises concerns about safety, noise, and potential silica dust exposure, jeopardising the health of residents.

While Heidelberg Materials emphasises community engagement and sustainability in their policies, their current approach seems misaligned with these values. The implication that our housing stability hinges on quarry expansion is both misleading and coercive. We, the residents of Glasshouse Mountains, strongly oppose the quarry expansion, as it threatens our environment, health, and cultural heritage. We refuse to accept corporate pressure that prioritises profit over our community’s wellbeing and demand that Heidelberg Materials abandon their expansion plans altogether.

that the group Climate 200 is some kind puppet master of the Independent candidates. Apart from the atrocious misinformation in this letter, the writer asks for us all to do “extremely careful due diligence” when it comes to who we vote for. Sadly, he isn’t practising what he preaches in his misrepresentation of Climate 200 and the Independent candidates. Due diligence means looking to various sources for information.

Regarding Climate 200, Id recommend having a look at the National Press Club’s recent address by Simon Holmes A Court which can be found on ABC Iview for free. In this address, you will hear the true history of the community process of how Climate 200 backed Independents are chosen, and how money is allocated, or not, to their campaigns. Transparency abounds. Gina Rinehart and other fossil fuel corporations are the true puppet masters in Australian politics and have been for decades. The

another person giving a different and opposing one, at which point the first one roundly insults the character of the second.

In that light it’s interesting to watch the behaviour of the sitting members for Fairfax and Fisher when faced with - perhaps for the first time in their careers - a real opposition in the form of a pair of true independents in the upcoming election. These two are way ahead of even the navy: they can’t even be bothered to listen to what their opponents might be saying, it’s attack and disparagement from the get go.

The problem for them, though, is that this is exactly why they’re in trouble: they’re so convinced of their God-given right to their ‘safe’ seats that they’ve stopped listening to the people in their electorates, never mind representing them.

Voices of Fisher, far from being ‘woke’ or ‘joined at the hip to the Greens’ (according to Mr Wallace)

As their collective unembarrassed ‘the Sunshine Coast has been left behind’ admission confesses. There are ‘no big ticket achievements’ our Federal MPs can point to as theirs in Government or Opposition. Yet they’re running again. It’s time we voters put our needs and interests first. There is no acceptable excuse for being left behind. This time let’s send them that message and that our votes matter. Loudly and clearly. Ask them ‘what have you done that’s made a real difference here?’ Real not imagined.

And from there ask, ‘what are you going to deliver that voters will notice making a difference to them, if you’re reelected?’.

And if we hear a Big Slogan, a few numbers, some values and assurances, we can be assured that nothing will change. Let’s get things done.

Andrew Moran Battery Hill

with Andrew Wallace Federal Member for Fisher

Community Spirit and Support After ex-Tropical Cyclone Alfred

The last couple of weeks have been exceptionally challenging for the Sunshine Coast Hinterland, as ex-Tropical Cyclone Alfred bore down on our community. I spoke with locals whose homes and businesses were inundated. Many are still working to pick up the pieces.

Thanks to the cost-ofliving crisis, these locals were already struggling to make ends meet, let alone keep up with skyrocketing insurance premiums.

sooner we have more REAL Independents in Parliament, the better.

Jacinta Foale Maleny

Broader context

I am dismayed and disappointed at the post of Richard Giles in GC&M News (March 4).

Save our Glasshouse Mountains Group Puppet Master/ Mistress

Gina Rinehart recently turned 70. Peter Dutton was sitting next to her at her top table. Please join the dots on what that means for hidden, or in this case, not so hidden political donations that represent control from vested interests. Ask yourself what it means when a mining billionaire has a politician – a potential leader of this country who has made it clear he will ignore international agreements on dealing with Climate Change – sitting next to her at her special party. Gina routinely flies Peter Dutton to Western Australia in her private jet. Don’t you ever wonder why?? A recent letter to this paper expressed concern

The list of Jewish-led atrocities betrays the truth of the 1947-1948 civil war between Jews and Arabs.

After the holocaust Jews sought refuge in their ancestral homeland.

There was an existing Jewish population but after the tidal wave of refugees, the Arabs started murderous activities.

Thus started the civil war. Listing Jewish atrocities alone does nothing to further the truth.

David Hallam Maleny War of attrition

My father had what they called a ‘long war’ in the Royal Navy, 1939-46, rounding out his tours of duty in the Pacific, which meant, I guess, he had plenty of time to learn the ways of mess rooms. He often referred to what he termed ‘a naval argument’. He described it as, one person stating an opinion,

spent the best part of a year going out into the towns and villages of Fisher deliberately trying to find out what the concerns of the people might be, listening without judgement to what they had to say, then distilling those issues into a platform.

It was only when they’d done this that they even started looking for a candidate; someone who would represent those concerns. They eventually persuaded the excellent Keryn Jones to be the Independent candidate for Fisher. In Fairfax, after a similar process, they chose Frances Wiig to stand against Mr Nuclear himself, Ted O’Brien. This is a new way of doing politics and it has both major parties seriously worried.

I know who I’m going to vote for.

With a Federal election coming, it’s amped up, and we’ve choices to make. Who to vote for? And what future do we want for ourselves and community?

Our votes have delivered Federal and State LNP MPs and very little else.

Political trickery

I think the fact that the local perpetual (stand at all elections) Greens candidate has given the Simon Holmes A Court/So Called Teal Independents such a glowing endorsement in recent copies of local hinterland papers has made it clearer to whom these so called independents really have their alliance with. All though it wasn’t hard to confirm that, as the existing cohort of so called Teal Independents that slipped into office at the last election have a proven record of supporting the Marxist/Communist Greens/ Labor agenda in over 90% of the time.

So it will be interesting if the local Greens crowd do or do not stand candidates in Fairfax and Fisher it will be a definite confirmation of whose really behind our Teal INDEPENDENT friends. As an aside getting rid of party shills Wallace and O’Brien will not be a sad loss. But the Teals/Greens/ Labor are a frightening alternative. There are definitely other options.

In the midst of the despair felt by so many, our community has also been inspired by the hard work of so many volunteers. We saw dedicated SES , rural fire brigades and volunteer members of the community working around the clock, alongside neighbours lending a hand and philanthropic businesses like Chilli Bins who

supported our community in their hour of need.

Let’s Help Local Businesses Get Back on Their Feet

Many local businesses were forced to close up shop in the lead-up to and following ex-Tropical Cyclone Alfred, with significant losses, damage, and staff without work. That’s why I’m calling on the Sunshine Coast to do what we do best: get behind local small and family businesses. I know that your support will make all the difference for those local hardworking small and family businesses who are trying to get back on their feet after a challenging couple of weeks. Further Support

If you have been significantly impacted by ex-Tropical Cyclone Alfred and local flooding, you may be eligible for some financial support from the State and Federal Governments. Visit www. fightingforfisher.com.au/ news/cyclone.

I am proud to share with you, Sunshine Coast Council’s new Corporate Plan 2025-30 which reflects what you, our residents, have told us is important, now and into the future. This document outlines our direction.

We have a shared passion and commitment to strengthen economic, environmental and social outcomes for all.

Our three principles - connected, liveable and thriving - ensure an innovative and peoplecentred approach to our bright future.

The plan is built around the bold vision of being Australia’s most sustainable region. This can only be achieved through a connected network of residents, businesses and governments working together in a liveable region, where our natural and built environments exist in harmony. We will thrive in a diverse economy

that supports sustainable development and a quality lifestyle for everyone.

The Sunshine Coast is home to 365,000 people and is expected to grow by another 153,000 by 2041. We are working hard to make sure this growth is wellmanaged for us all.

We need an integrated, safe and efficient transport system that works for locals now and leaves a legacy for future generations. We must have digital connectivity, a sense of well-being for all, and a buoyant economy. These are non-negotiables.

In developing the Corporate Plan, feedback from community engagements was grouped into key themes: community, transport, sustainable growth, natural environment, liveability, economy and Council governance. These themes have played a vital role in shaping the region’s vision and establishing the goals to achieve our aspirations.

Looking to overcome challenges to help region thrive

Setting the scene to ensure good growth

THE hinterland is set to undergo significant economic development, with diverse industries ready to drive robust employment growth, according to Division 1 Councillor, Jenny Broderick,

Cr Broderick said the ongoing expansion of the industrial area throughout Glasshouse Country presents an exciting opportunity for the region.

“These businesses will provide a range of trade and retail opportunities, including manufacturing, fabrication, plumbing, electrical, automotive, and transport,” she said.

She added that this growth opened the door to numerous apprenticeships and traineeships, securing long-term employment for local residents.

Tourism, hospitality, agritourism, and creative industries are also poised for significant expansion.

However, Cr Broderick said that this potential can only be fully realised with support mechanisms.

“Convenient and consistent public transport, appropriately zoned spaces, and improved infrastructure are essential if we are to create an environment where these businesses thrive,” she said.

She added that challenges including a lack of housing for staff and fierce online competition needed to be addressed.

“We often hear calls for a more diverse range of essential retail to encourage local shopping, but rising commercial lease rates and higher living costs create real challenges,” Cr Broderick said.

She argued that without sustained community and government support, these challenges would only widen the gap between potential and actual growth.

Cr Broderick identified agritourism as experiencing a renaissance in the region and a way for local farmers to add value to their produce.

and transport infrastructure was critical.

She also said that larger businesses were increasingly attracted to the hinterland due to available space, affordability, lifestyle benefits, and easier access to both the coast and Brisbane without the traffic congestion common in urban centres.

Food manufacturer, Happy Snack Company, has been operating in the region since 1992.

are moving here because of the available industrial land and easy road access.”

Maleny Chamber of Commerce president, Spencer Shaw, said there was a widening of industries but that “Food and agribusiness will continue to play an important role and reflect our unique rural and environmental region”.

Say Maleny Cheese

port, s n tual urism a he y the region Starting before Land ago, Agne com to

“It’s fantastic to see our farmers supplying local hospitality businesses,”

Cr Broderick said, adding that the integration of local produce into hospitality services underpinned a broader strategy for sustainable regional growth.

Cr Broderick said that the current pace of industry growth aligned with projected population increases, but warned that balancing employment opportunities with housing

Starting in Maleny before relocating to Landsborough 10 years ago, director Megan Agnew credited the company’s success to their “steady and consistent workforce”. She added the business had experienced positive growth through staying in the hinterland.

“We find our position in Landsborough as having good access for transport to bring our raw materials and required goods to us and then take our finished goods on to other locations in Australia or to the port to export markets,” she said.

“We are an established business, with most of the demand for our products being outside this region.

“I think more businesses

“IT industry will continue to grow as green changers retreat from urban centres for the unique urban culture/rural lifestyle that Maleny can offer,” he said.

Mr Shaw added the arts and culture industry also had the potential to thrive if the Sunshine Coast Council and State Government provided financial or planning assistance.

Glasshouse Chamber of Commerce President, Tamara Hazelden, also weighed in on the economic landscape. She said the region’s momentum was fuelled by strong local business development and ongoing infrastructure improvements, which created a fertile ground for further investment.

“We are seeing a clear demand for workforce development, especially in emerging sectors like agritourism, manufacturing, and creative industries,” Ms Hazelden said.

kirra@gcnews.com.au

RENOWNED for its boutique production, Maleny Cheese and Obi Obi Dairy stand as two long-standing food manufacturers in the hinterland, dedicated to sourcing local produce and bolstering community employment.

Founders Sara and Markus Bucher launched Maleny Cheese in 2004 and expanded their operation in 2014 with the acquisition of Obi Obi Dairy.

Together, the two businesses craft artisanal cheese and yoghurt, employing 38 staff and said they remained committed to catering to the hinterland’s needs.

“We offer direct employment opportunities for locals, ranging from specialised roles such as cheese and yoghurt makers to various food handling, office, café, and gardening

positions,” Mrs Bucher explained.

“Maleny Cheese supplies products to restaurants, cafés, and short-stay accommodations, further enhancing the hinterland’s reputation as a thriving ‘food bowl’.” Mrs Bucher further asserted that the hinterland is an ideal setting for growing businesses, particularly in the food sector. “The land is fertile and affordable compared to major cities, with a reliable water supply and a supportive community of like-minded business owners,” she said.

“The hinterland offers a distinct alternative to the crowded coast with its lower entry price and the opportunity to escape coastal congestion,” Mrs Bucher said. Maleny Cheese will continue to grow as they remain focused on customer feedback, sustainability and efficiency.

Commercial lots are giving hinterland an economic boost

THE Sunshine Coast’s hinterland is witnessing a surge in commercial real estate, fuelling growth across a broad spectrum of industries.

Nigel Irving, Colliers Commercial Sales and Leasing executive, is currently marketing industrial estate lots in Beerwah and Landsborough, areas increasingly attracting both emerging enterprises and established corporates.

Mr Irving noted, “We are observing a diverse mix of industrial users, ranging from sole traders to larger corporate entities.

Investors are also drawn to the parks due to their future potential and the overall growth prospects of

the area.”

He highlighted that the Beerwah business park has been thoughtfully designed to accommodate a wide range of industries, including manufacturing and professional services.

“Key drivers include convenient access to the M1 via Roys Road and the affordability of industrial land and units,” he added.

The newly established business park in Landsborough off sheds for lease, with sizes varying from 199.5 to 399 m² and a starting price of $29,925pa. Meanwhile, industrial units on Creek Crescent in Beerwah are for sale, from $540,930 for a 148m² unit, with larger units up to 533m² priced in excess of $1.7 million.

that land sales in

have been robust, and he

opened his business in the Landsborough industrial

Mr Irving also observed

to his patrons.

“We prioritise purchasing from local businesses –for example, we source a significant portion of our produce from a local macadamia nut farmer. When money circulates within the local economy, it benefits everyone,” he explained.

Mr Jones said that operating in the hinterland comes with distinct advantages.

“Working in a beautiful part of the world with a welcoming community, great summers and cool winters, is a real benefit,” he said.

“The location is also ideal – it’s just a short distance from Brisbane, with easy access via the highway and proximity to the train line. Moreover, it is considerably

more affordable than many areas on the Sunshine Coast.”

In a recent transaction, Colliers facilitated the sale of lots 4, 5, 6, and 7/39 Coral Street in Maleny, securing high-profile tenancies at a total value of $3.7 million in February.

Millie Worcester, Colliers commercial sales and leasing executive said:

“We executed an intensive on-market campaign that showcased the properties both individually and collectively to maximise exposure and foster competitive bidding.

“This approach generated 71 enquiries, resulted in the issuance of 68 Information Memorandums and received four offers, ultimately achieving a strong outcome for the vendor,” she said.

Beerwah
The Rare Orchid Distilling Co owner, Jamie Jones,
serves wood-fired pizzas and curated cheese boards
The Rare Orchid Distilling Co owner, Jamie Jones.

Tourism – our secret weapon

20-year

plan to map out future of $34b industry set to take us to the next level

TOURISM is our secret weapon. Queensland’s stunning and unique landscapes and high calibre experiences enables our state to thrive on tourism, boosting our economy by $95 million a day! The Crisafulli Government takes this seriously. It’s why we’ve been out and about across the entire state consulting on a 20year tourism plan known as Destination 2045. It’s why we’ve combined the environment and tourism portfolios - to reduce red tape and showcase our natural wonders. And, it’s why we absolutely have to make the most of the green and gold runway leading up to the 2032 Olympic and Paralympic Games.

Our government established the Tourism Cabinet Committee to appropriately guide these pivotal two decades – it’s chaired by myself, but also includes the Deputy Premier to oversee state infrastructure and planning, the Transport and Main Roads Minister to pave access to our destinations,

the Local Government Minister to ensure all levels of government are working together, the Minister for Natural Resources to coordinate tenure for our brilliant landscapes as we set foot on a new era for ecotourism, and the Olympic and Paralympic Games Minister to guide us to 2032. This is one of the biggest opportunities

to take this $34 billion-ayear industry to the next level, and get back on top as the number one tourism destination in Australia.

Tourism is a major wealth generator in Glass House. Whether it’s established

or our burgeoning agritourism ventures, we know people love to visit our area, and bring our small town economies. We are seeing a growth in “experience tourism” where visitors want to learn how their food is grown or immerse themselves in activities from bush walking to kayaking, and our backyard has even more potential in this space.

for growth Queensland has ever seen, capable of delivering legacy infrastructure right across the state.

Queensland’s tourism sector already supports one in 12 jobs, but it’s time

The Glass House hinterland is well positioned to capitalise on these trends. Moreton Bay, Brisbane and the Sunshine Coast are some of the fastest growing regions in the state, and with a population set to grow by an extra 2.2 million people in the

next 25 years, there’ll be no shortage of visitors. But we need to be sensible about how we grow – gone are the days of approving hasty developments without ensuring there’s enough infrastructure to keep up with a rapidly expanding community.

Half of our Tourism Cabinet Committee members call the Sunshine Coast home –we’re committed to making sure this perfect part of the world excels.

Since October, we’ve

home buyers, we’ve made it possible to rent out a and we’ve put the B2N Rail Duplication Project back on track to ease congestion and increase access. We have a deep understanding of the challenges of overdevelopment, but also know how important it is to ensure the people who keep a roof over their heads and have a job just around the corner.

HQPlantations’ sustainable vision

Building Jobs, Homes, and a Sustainable Future for Queenslanders

AT HQPlantations,

we’re not just managing timber plantations – we’re building the future for Queenslanders. With over 310,000 hectares under our management area spanning from Passchendaele near the NSW border to Kuranda, northwest of Cairns, we’re committed to supplying sustainably grown plantation timber for the Queensland building industry, supporting the local economy and communities across the state. Plantation forests in the Beerburrum area alone cover 30,000 hectares, ensuring a steady supply of timber that helps build homes, create jobs, and sustain regional businesses.

Local Impact, National Reach

Our timber isn’t just grown locally—it’s processed locally. We primarily sell our timber domestically, with processing taking place at nearby facilities.

This approach maximises local and regional economic harvesting, to transporting and processing, ensuring that Queensland’s communities directly our work.

Supporting Queensland’s Economy, Workforce and Sustainable Future

HQPlantations employs a dedicated team across Queensland. Locally we employ people in Beerburrum, North Lakes, and the Sunshine Coast region.

We support thousands of local and regionally-based jobs in the timber industry. From contractors providing a range of professional and technical services to support our forest operations, to the mills, truss and frame manufacturers and others that process our timber into everyday products. Collectively, these

businesses provide work and prosperity to regional areas.

Each year, we provide the timber for the construction of over 25,000 house frames, helping build the homes that Queensland families need.

As our trees

grow, they take carbon out of the atmosphere, which remains stored

it is harvested, helping to address climate change. The trees are replaced with 8 million new seedlings every year, contributing to the circularity of the entire operation and making wood the ultimate

renewable!

For more information on our sustainable practices, information on visiting our plantation forests and the exciting career opportunities available with HQPlantations or our contract partners and customers, visit www. hqplantations.com.au.

Please come and meet the local team

at our HQPlantations Beerburrum Open Day to be held at our Beerburrum 2025. We will be sharing more information on the Beerburrum Open Day soon.

HQPlantations: Building jobs, homes, and a greener, more prosperous Queensland for all.

Health & Wellbeing

Don’t bottle feed toddlers to sleep

PARENTS and carers

University’s

Healthy

Smiles their risk of obesity.

recommended at any age.”

Those still using a bottle at age three had nearly twice as many teeth ected by cavities.

Lead author Heilok Cheng, a PhD candidate at the Susan Wakil School of Nursing and Midwifery, said many parents were unaware of the risks.

“Australian

introducing cups at six months and stopping bottles at 12 months,” Cheng said.

“Bottle feeding in bed is not

Warnings that cyclone sea foam is a ‘bacteria smoothie’

Adjunct Professor Terry Slevin, CEO of the Public Health Association of Australia, said the findings reinforced the need for stronger government action on childhood obesity.

“Obesity has overtaken tobacco as the biggest cause of preventable disease burden,” he said. “We need better regulation of toddler food labelling and formula marketing.”

Prof Slevin also called for universal dental care under Medicare, arguing early intervention was critical in preventing childhood tooth decay.

direct contact through wounds poses infection risks, she warned. The study also identified antibioticresistant species.

AS Tropical Cyclone Alfred churned up sea foam along the coast from South East Queensland to northern New South Wales, a UniSC microbiologist warns that the frothy substance may harbour dangerous pathogens, likening it to a “bacteria smoothie” worse than a sewage treatment plant.

University of the Sunshine Coast Associate Professor

İpek Kurtböke urged the public—and their pets—to stay away after seeing footage of people playing in thick sea foam on the Gold Coast. Research by Dr Kurtböke and PhD student Luke Wright found that most bacteria in sea foam sampled on the Sunshine Coast closely resembled pathogens found in sewage plants worldwide. Thirty-two strains of

Nocardiae—bacteria linked to skin, lung and central nervous system infections— were isolated from nearshore foam.

“It harbours bacteria that are far riskier to public health than previously thought,” Dr Kurtböke said. “Even after this cyclone, our beaches will carry the pathogen.”

Exposure to foamgenerated aerosols or

New mozzie virus in SEQ

QUEENSLANDERS

Queensland.

Dr Kurtböke, an expert in environmental microbiology, said Nocardiae thrive in excess oil and grease, commonly found in sewage plants.

She has advised international organisations on marine pollution and recently edited Actinomycetes in Marine and Extreme Environments, exploring antibioticproducing bacteria in extreme conditions.

death.

are being urged to take precautions against mosquito bites after the first detection of Japanese Encephalitis Virus (JEV) in Brisbane.

Queensland Health confirmed the virus was found in mosquito surveillance samples in Hemmant and warned the risk of human exposure may increase following recent flooding from Ex-Tropical Cyclone Alfred.

Chief Health Officer

Dr Heidi Carroll said this detection suggests JEV is spreading in mosquito populations across

Acupuncture @ Beerwah

I use Chinese medicine to help me feel well and maintain general wellbeing. Acupuncture eases pain, tension and stress, which helps alleviate and/or prevent many issues before they happen. Acupuncture and Chinese Medicine is not a miracle cure, it usually takes several treatments to achieve results and then periodic treatments for maintenance.

I like people to decide for themselves when they could best benefit from treatments and their ongoing maintenance. If you can’t abide needles there are alternative treatments available using Chinese Medical protocols including cupping, herbs and moxibustion.

“This is the first detection for Brisbane, and we have already identified JEV activity in the Goondiwindi and North Burnett regions,”

Dr Carroll said.

“It’s critical that Queenslanders remain extra vigilant against mosquito bites, as JEV can cause severe neurological illness and, in some cases, be fatal.”

She advised residents to use insect repellents containing DEET, picaridin

or oil of lemon eucalyptus, wear loose-fitting, lightcoloured clothing, and eliminate standing water around their homes to reduce spreads when mosquitoes bite infected pigs or wading birds before biting humans.

infected people experience mild or no symptoms, severe cases can lead to fever, headaches, vomiting and, in rare instances,

A JEV vaccine is available for people at high risk, including piggery workers and those living near piggeries. More than 18,000 Queenslanders have been vaccinated since 2022, with free vaccines available at selected GPs and pharmacies.

There are no vaccines for Ross River or dengue viruses, making prevention essential. Queenslanders should take steps to avoid mosquito bites, especially during dusk and dawn when some species are most active.

For more information on JEV and vaccination eligibility, visit the

Homing in on school

AS Australian schools return for the year, a growing number of children are not going back.

Around 45,000 young people are now homeschooling, making them the fastest-growing educational cohort in the country. Queensland has seen the most significant increase, with numbers rising by more than 250% in the past five years.

Home education is a legal alternative to traditional schooling, with each state and territory setting its own registration requirements. In Queensland, families must register with the

Home Education Unit and submit an annual report demonstrating their child’s educational progress, along with a plan for the following year. Children must be registered between the ages of 6.5 and 17, after which they are removed from the homeschooling register.

Accidental Homeschoolers on the Rise

Many families that homeschool never planned to do so. The largest growth area in homeschooling is among ‘school can’t’ students—children who experience extreme anxiety or trauma responses that make school attendance impossible. School refusal, or ‘school distress’ as some prefer

How often should you wash gym gear?

THE French government sparked debate earlier this year with advice suggesting sports clothes could be worn up to three times before washing.

However, Australian conditions may call for more frequent laundering, according to an RMIT expert.

Dr Carolina Quintero Rodriguez, Senior Lecturer in Fashion Enterprise, says the advice is rooted in

environmental concerns, as frequent washing consumes water and energy while also degrading fabrics. But she warns that synthetic activewear, now the dominant choice for sports clothing, can harbour significant er just one wear.

“Synthetic performance wear should be washed after each use, even on a cold cycle,” Dr Quintero

to call it, has contributed significantly to the rise in homeschooling. These families often argue that the education system has already failed their children, making the idea of enforcing the Australian Curriculum on homeschoolers problematic.

A Queensland parliamentary inquiry into homeschooling received nearly 2,000 submissions, with around 680 from families identifying as ‘school can’t’, school trauma, or school refusal

Many of these submissions shared distressing accounts of children being excluded from classrooms due to learning difficulties, disabilities, or behavioural challenges.

Rodriguez said. “These fabrics trap moisture, creating an ideal environment for bacteria growth and odour.”

By contrast, natural fibres such as cotton accumulate fewer odour-causing bacteria, meaning they may last longer between washes. Low-intensity activities like walking or gentle yoga may also allow for more re-wears, as bacterial growth correlates with moisture levels.

Climate plays a role too, with cooler months allowing for less frequent washing. However, those with skin conditions or compromised immune systems should exercise caution when re-wearing gym gear.

Complex Reasons Research into homeschooling choices has highlighted bullying as a major factor in families opting out of traditional schooling.

Many parents also cite schools’ inability to accommodate diverse learning needs as a key reason for choosing home education. One parent described her child as “autistic, with sensory processing disorder and severe anxiety, along with a speech impediment. He has trouble processing multiple noises at once, especially while trying to concentrate.”

Another stated, “Standardised approaches in traditional schools do not

Did

accommodate my child’s diverse needs.”

These stories illustrate the increasing complexity of classroom environments, where teachers must balance competing demands with limited resources.

Is There a Way Back?

For many children, leaving traditional schooling is a last resort, and returning can be difficult. Some only reintegrate through alternative education settings, where flexible approaches cater to individual needs.

Experts and former students suggest that addressing school refusal requires tackling the root causes—ensuring schools

are more inclusive and responsive to students’ needs. Findings from the Queensland and New South Wales inquiries support the need for systemic change. Without a significant shift in classroom culture and resources, homeschooling numbers are likely to continue rising. Teachers need more support to address school refusal before families feel they have no choice but to withdraw their children.

In the meantime, homeschooling families require greater assistance. For many, homeschooling is exhausting and often falls to mothers, who give up fulltime work to support their child’s education.

Karyna is the warm and deeply compassionate counsellor at Ceres Counselling. She provides a safe and supportive environment for individuals and couples seeking guidance in their personal and relationship journeys. Whether you are facing stress, anxiety, depression, life’s upheavals or seeking to improve your relationship dynamics, she is here to help you build bridges between where you are and where you want to be. Karyna offers in-person and online services, providing timely and holistic support to anyone Australia-wide. Let Karyna walk with you on your own unique journey through life.

Rosetta’s Great Reads

Unveiled

Reviewed by Rob

Vincent Fantauzzo’s book Unveiled is a raw, compelling memoir that takes readers on a transformative journey through his turbulent past. From growing up in Melbourne’s public housing to contending with abuse, poverty, and dyslexia, Fantauzzo’s story is one of resilience and self-discovery. His openness about his struggles—ranging from criminal encounters

intimate look at the man behind the renowned portrait artist. The book not only explores his path to artistic success but also his determination to break free from Unveiled is both a deeply personal account and a powerful message of hope for anyone facing adversity. Fantauzzo’s honesty is inspiring, making this a must-read. RRP $36.99.

The Boy from the Sea

collective perspective of the community, it centres on the mysterious arrival of a baby, Brendan, washed Bonnar, Brendan’s presence disrupts the family dynamic, especially with Ambrose’s biological son, Declan, who is jealous of the newcomer. Spanning two decades, Carr’s lyrical prose weaves a tale of love, jealousy, and the harsh realities of life in 1970s and 80s Ireland. With a sense of magic, the novel explores deep human truths, the bonds of family, and the tension between modernity and tradition. A tender, atmospheric read. RRP $34.99

Lights, Camera, Cash! $250K in the spotlight

Sunny Coast ShowdownMax launches

THE not-for-profit Sunny Coast Showdown has announced its most ambitious initiative yet—ShowdownMAX 2025, offering a $250,000 opportunity for local filmmakers to develop commercially competitive projects.

series, and scripted or unscripted feature-length projects with a commercially viable model. The project must be locally owned, produced on the Sunshine Coast and completed by October 1 2025.

changer for the Sunshine Coast screen industry.

GIFTS COFFEE

Horoscopes

ARIES

MARCH 21 – APRIL 20

Is Venus and Mercury backtracking out of Aries this week’s best news? No, it’s the Sun and new moon in your fiery sign on 29 March setting off celestial firecrackers to celebrate your astro-birthday. Take time, Rams, to tune into the magical download of celestial information heading your way.

TAURUS

APRIL 21 – MAY 20

Your ruling planet, Venus, retrogrades in the same zodiac sector around every seven years or so, hence the proverbial seven-year itch. This is when recurring themes or patterns emerge which activate changes of heart and shifts in priorities as you decide what matters most in these changing times.

GEMINI

MAY 21 – JUNE 21

Geminis are used to dealing with dualities, but your mentor planet, Mercury, shifting back and forth between intuitive-dreamy-emotional and blunt, rapid-fire direct, can be confusing and unsettling. This week’s horoscope suggests your naturally chatty selves will do best by holding back and listening.

CANCER

Since its inception, the Showdown has supported Sunshine Coast creatives, producing more than 20 award-winning short films, documentaries and formats. Now, ShowdownMAX aims to take the region’s screen industry to the next level by funding projects with strong commercial potential. ShowdownMAX is calling for ideas that will drive industry growth, employ local crews, utilise Sunshine Coast locations and create opportunities for residents. The focus is on pilots for serialised content, web

WEEK BEGINNING MARCH 25

JUNE 22 - JULY 22

Assertive Mars in Cancer can make you extra protective of what’s precious, and why not? But this week advises treading gently, especially around the potentially flammable and emotionally explosive new moon solar eclipse on 29 March – which, on the upside, enhances confidence and supports new beginnings.

LEO

JULY 23 – AUGUST 23

As this passionate, radical week dials up excitement in the life of Leo, your majesty might feel inclined to push the envelope a little. But easy does it, and also don’t neglect, when you’re stepping onto centre stage, to credit the loyal support team who helped you there.

VIRGO

AUGUST 24 – SEPTEMBER 22

LIBRA

SEPTEMBER 23 – OCTOBER 23

Four finalists will receive $10,000 each for paid development, working with leading Australian writers and producers. One winning project will then secure over $200,000 in production funding and industry support to bring their vision to life.

David Edgar, Showdown Executive Producer said ShowdownMAX is a game-

“We’re giving creatives the resources, mentorship, and industry connections they need to take their ideas from concept to production,” Mr Edgar said.

“If you’ve got a great project, now’s the time to step up and make it happen.” Applications and further details are available at www.sunnycoastshowdown. com.au.

You Venusians will be happy to hear that the new moon eclipse on 29 March brings closure to a planetary theme at work for Librans since 2023 around self vs. relationships, opening a new chapter of discovery, independence and honouring your own needs in ongoing collaborations. Bravo!

SCORPIO

OCTOBER 24 – NOVEMBER 22

Black Moon Lilith is a celestial point between the moon and earth that astrologers associate with representing our wild side. This week Black Moon Lilith moves into Scorpio for a nine-month transit destined to take you for a rollercoaster ride on the drama express. Strap in and enjoy!

Virgos like to be polished and prepared, but your mentor planet, Mercury, is retrograde this week and could bring vagueness, misunderstandings and mistakes. In which case, go easy on the self-scolding; step back from the general noise and tumult for some quintessentially Virgoan reflection and rejigging.

SAGITTARIUS

NOVEMBER 23 – DECEMBER 21

This week’s energy and momentum bring a renewed sense of optimism, initiative and fresh starts as it presses the reset button on a brand-new astrological cycle. Bold possibilities beckon, but curb your impatience, hold those Sagittarian horses, don’t burn out on the first furlong. Pace yourself.

CAPRICORN

DECEMBER 22 – JANUARY 20

AQUARIUS

JANUARY 21 – FEBRUARY 18

Venus and Mercury, concurrently retrograde in your sector of communications and social contacts, is one of the year’s best cycles for revisiting partnership and friend narratives. For thinking about what past grievances can be released, and deciding who should stay and what needs to go.

You’re probably in the mood to blaze your own unique trail this week, but two retrograde planets in your financial sector are saying hey, wait a second… There’s something you may not be aware of yet which, when it’s revealed, which will change the game play.

PISCES

FEBRUARY 19 – MARCH 20

When there’s not just one, but two planets – in this week’s case, Mercury and Venus – retrograde in your sign, the message is loud and clear: something important requires your attention, consideration and reflection. This week’s not without challenges but addressing them will be a huge relief.

with Lilith Rocha

Snapshots from home

WHEN we remember wars, military issues naturally dominate. But what about the home front?

Maleny Players latest production ‘Snapshots from Home’ is an authentic and moving recreation of civilian life in Queensland during the Second World War. This award-winning play will have six performances at the Maleny Playhouse from April 25.

In 1995 Brisbane playwright Margery Forde was commissioned to dramatise the memories of people interviewed by an oral historian. They recalled their youth during wartime half a century before. It was a time of scary news on the radio, air raid drills at school, family members suddenly in uniform and gone. Yet it was also a time of novelties like the arrival of American soldiers, of rousing songs around the family piano, going to

dances and flirting.

Sifting through hundreds of pages of interview transcripts, Margery assembled a collage of verbal ‘snapshots’ using the actual words of the interviewees.

The memories—funny, sad, curious, poignant-are linked and the varying moods enhanced by broadcast voices, images and live music. Along with tunes still familiar there are popular songs now long forgotten.

Director Patricia Lovell has faced some unusual challenges in staging this example of ‘verbatim theatre’. The actors have to handle multiple roles. Margery Forde, who now lives in Maleny, has welcomed the revival of her play. After all the creative endeavour that has gone into it, audiences can expect a treat. Maleny Playhouse. April 25,26, 27 and May 3, 4, 10, 11 .Tickets via Trybooking or Maleny Tourist Information Centre.

Outspoken returns for 2025 Visionary entry statement Applications open for MMF

AWARD-winning writer

Debra Oswald will appear at OUTSPOKEN in Maleny to discuss her latest novel, 100 Years of Betty. Best known as the creator and head writer of Offspring, Oswald has also built a distinguished career as a novelist and playwright.

Her new book follows the life of Betty, a strong-willed woman navigating the sweeping social and cultural changes of the past century,

particularly those affecting women. Debra Oswald is a two-time winner of the NSW Premier’s Literary Award. The evening’s introducing author is Steve MinOn, presenting First Name Second Name, a witty and crosscultural novel. The event takes place at Maleny Community Centre on Tuesday, April 1, at 6 for 6.30pm. Tickets are $27.50, or $18 for students, via www. outspokenmaleny.com.

FOLLOWING a nationwide call out, 180 artist entries and a rigorous selection process, Sunshine Coast Council has announced the artists who will create two major art installations for the highly-anticipated new Library+ in Caloundra. The new Library+, scheduled to open later this year, will feature an impressive entry statement from Sydney-based artist Jade Oakley that will hang suspended from the atrium ceiling, ready to wow visitors upon entry.

Oakley said Flutter was a vibrant, sculptural mobile inspired by the colour and movement of the region’s vivid parrot species.

“The abbreviated curves and feather-like elements of the mobile depicts the essence of flight, bringing vibrant swirls of colour and energy to this important civic space,” Ms Oakley said.

THE Maleny Music Festival will celebrate its 12th year from November 7–9 2025 at the Maleny Showgrounds, featuring eight venues with capacities ranging from 100 to 400 people. The event, which draws 1,200 to 1,500 attendees, including performers and volunteers, will host around 60 to 70 acts, each performing multiple sets across the weekend.

With a mix of professional, semi-professional, and emerging artists, the festival offers a diverse program of 30- to 60-minute performances. A single-gate, ticketed entry system will be in place, with onsite camping and parking available. Performer applications are open now, with expressions of interest closing on 30 March 2025. More details can be found on the festival’s website https://www. malenymusicfestival.com.

Cast member at Caloundra RSL. Photo Marsha Fotographie

On

Tips for Android Phone

When: Thursday March 27, 10am - 11.30am

Where: Beerwah Library, 25 Peachester Rd, Beerwah

Info: Join library staff for the absolute basics of your Android phone. This introductory session covers calls, messages, notifications, camera, apps and settings. Learn about the security features, Play Store, files and folders. Find out how to backup photos and use your phone while travelling. Session details: Bring your updated and fully charged Android phone with Google Account for this session.

Peachester Village Markets

When: Saturday March 29, 8am - 12pm

Where: Peachester Community Hall, Peachester Road, Peachester

Info: All your favourite stalls! Contact 54949557 or 54949748 to book a site.

Invasive Plants and Animals Workshop

When: Saturday March 29, 9am - 12pm

Where: Glass House Mountain Community Hall, 8 Coonowrin Rd, Glass House Mountains

Info: Come along and learn about Invasive Plants and Animals. Come along and learn about: Weed management, feral animal control, wildlife of your area Registration is essential for this event. Free morning tea and native plant with every registration. https://events. sunshinecoast.qld.gov.au/

Stage 4 BHWA Public Information Session

When: Saturday March 29, 10am - 1pm Where: Elimbah Soliders Memorial Hall, Info: THE Department of Transport and Main Roads (TMR) has released a revised alignment for Stage 4 of the Bruce Highway Western Alternative (BHWA), connecting the D’Aguilar Highway at Moodlu to Steve Irwin Way at Beerburrum.

Other sessions available at April 1, Wamuran Sport Complex Hall (2:45pm6:30pm) April 4, Beerburrum Community Hall (10am1pm).

Eucalyptus

Identification with Ally Hayes-Hatten

When: Saturday March 29, 9am - 11am

Where: Barung Landcare Native Plant Nursery, Parkland Drive, Maleny Info: Local Eucalypt enthusiast, Alexandra Hayes-Hatten will lead us through an introduction to Eucalypts of the Sunshine Coast, how to identify them using dichotomous keys, understanding how to use keys to separate similar species and a guide to the best resources. Participation is limited to 15 places so please book in to attend! https://events. humanitix.com/eucalyptusidentification-with-allyhayes-hatten?hxchl=hex-pfl

Master Your Emotions

When: Saturday March 29, 10am - 11.30am Where: Beerwah Library, 25 Peachester Rd, Beerwah Info: Find out how to harness your emotional intelligence to create better connections. Learn practical tips for better self-awareness, emotional regulation and empathy. Discover how creating emotional intelligence can have a positive impact in your daily interactions. Hear real life scenarios to identify potential triggers and responses. Take home strategies to improve emotional responses and build stronger personal and social connections.

Safe & Savvy Seniors Forum

When: Tuesday April 1, 9am - 12pm Where: Maleny Uniting Church, 1290 Maleny Landsborough Road, Maleny

Info: This free event focuses on legal and financial abuse of our senior community, particularly from family members. RSVP by March 28 to 0419599042.

Debra Oswald in conversation

When: Tuesday April 1, 6pm for a 6.30pm start

Where: Maleny Community Centre, 23 Maple St, Maleny Info: Outspoken is delighted to present the wonderful Debra Oswald. Debra is best known as the creator/head writer for the remarkably successful TV show Offspring. She is, however, also an awardwinning novelist and playwright. Tickets, $27.50 and $18 for students www. outspokenmaleny.com

Mythimo Exhibition

When: Tuesday April 1 till Wednesday April 30, 9am5pm

Where: Beerwah Library, 25 Peachester Rd, Beerwah Info: Simo is a talented artist of Celtic heritage, known for his works in painting, writing, and music that explore human nature and the natural world. His series, Mythimo: Favourite Fairy Tales Reimagined Under the Sunlit Australian Skies, features 22 paintings that blend classic fairy tales with the Australian landscape, addressing themes of belonging and personal growth.

Takayna - The Heart of Lutruwita

When: Thursday April 3, 6pm

Where: Maleny Community Centre, 23 Maple St, Maleny

Info: Through the power of personal stories, be taken on a journey to the vast and threatened landscapes of Australia’s largest temperate rainforest in the northwest of Lutruwita / Tasmania. This area, known as Takayna / Tarkine, is one of the last wild places on Earth. Tickets: https:// events.humanitix.com/ takayna-the-heart-oflutruwita-maleny-sunshinecoast-screening

Heritage Talk: Australian Women’s Land Army

When: Friday April 4, 10am - 11am

Where: Bankfoot House, 1998 Old Gympie Road,

Glass House Mountains

Info: On the eve of International Women’s Day, join guest speaker India Dixon from State Library of Queensland as she discusses the formidable Australian Women’s Land Army. Formed in the depths of World War Two, the Land Army ensured the nation’s food supply in a time of great uncertainty, taking on agricultural work to allow more men to enlist. India will showcase Queensland’s stories and offer insight into the lives of the young women who served in this vital wartime effort. Not to be missed! Free. Registration essential at https://heritage. sunshinecoast.qld.gov.au/. Morning tea provided.

Glasshouse Mountains

Community Garden Working Bee

When: Saturday April 5, 9am - 12pm

Where: GHM Community Garden, 8 Coonowrin Road, Glass House Mountains

Info: Free sausage sizzle for all volunteers at the conclusion of the working bee. What to bringEssentials: Water bottle, hat, sunscreen, gardening gloves, a smile and good sense of humour.

Basic Ceramic Casting

When: Saturday April 5

Where: Beerwah CWA Hall, Simpson Street, Beerwah Info: “Understand the possibilities of what you can do with casting. Investigate decorative pieces and bowls using moulds. You will make 3 pieces - a decorative piece, a small mould and a larger mould bowl that explores aspects of casting that you may not have considered before. Cost $45. Contact Julia 0418 727 659 or email juliafbell@ozemail. com.au

Easter Egg Hunt

When: Sunday April 6, 10am

Where: Caboolture River Fishing Club, 514 Uhlmann Road, Burpengary

Info: Join Us for Precinct Realtors’ Annual Free Easter Egg Hunt! Bring the whole family along for a fantastic day of fun, featuring: A

special appearance by the Easter Bunny, A thrilling Easter Egg Hunt for the kids, Easter Basket Raffle (tickets available for purchase on the day).

RangeCare Op Shop

Open Day

When: Wednesday April 9, 9am - 12pm

Where: RangeCare Op Shop, 17 Obi Obi Road Mapleton Info: Bursting with hidden treasures and pre-loved items waiting for a second chance, the RangeCare Op Shop is the best way to shop sustainably while also supporting your local community. Free sausage sizzle, free coffee plus raffle prizes.

Movie Night - Ready

Player One

When: Thursday April 10, 6pm - 8.30pm Where: Beerwah Library 25 Peachester Rd, Beerwah Info: Sunshine Coast Libraries and Qld Blue Light invites you to join us for a series of free movie screenings. Bring your favourite comfy camp chair, bean bag or blanket or just turn up, we have heaps of chairs too! Snacks will be available to purchase from the Hall kitchen. Rated M13+ Children 12 and under must be accompanied by an adult. FREE Event - Registration required due to capacity https:// events.humanitix.com/ movie-night-ready-playerone-m13/tickets

Birds of the Mooloolah River & Surrounds: Glossy Blacks and more!

When: Saturday April 12, 8.30am - 11.30am

APRIL 12

First Nations Family Fun Day

When: Saturday April 12, 10am - 2pm

Where: Bankfoot House, 1998 Old Gympie Road, Glass House Mountains

Info: Join Kabi Kabi and Jinibara First Nations People for a unique, fun filled day of cultural learning. Games, dancing, and craft activities for all ages.

APRIL 12 - 13

Caloundra Chorale’s Easter Concert “The Hunt for What Really Matters”

When: Saturday April 12 and Sunday April 13, 2pm

Where: Caloundra Uniting Church, 56C Queen St, Caloundra

Info: Experience the magic of music as voices unite in harmony at our upcoming Choral Concert, The Hunt for What Really Matters. Featuring a stunning repertoire of timeless classics and powerful contemporary pieces, this event promises to captivate and uplift your spirit. Our talented choir will transport you to a world of pure musical beauty. Tickets: BOOKING: Either phone 0490329912 OR www. trybooking.com/CYWJZ

Where: 2671 Steve Irwin Way, Glenview Info: This morning will see two very passionate bird enthusiasts join forces to bring you a fun and educational session focused on birds of the Mooloolah Valley area. Both speakers have a love of bird photography - so you’ll likely pick up some great photo taking tips along the way!

Kids’ Easter Party

When: Saturday April 19, 12pm - 3pm

Where: Beerwah Hotel, Beerwah Parade, Beerwah Info: Hop down for an eggciting afternoon packed with Easter fun for the whole family! Face Painting – Transform into your favourite Easter character! Colouring-In Competition – Get creative and win awesome prizes! Lucky Door Prize

19 APRIL 19

Easter Fun Day

When: Saturday April 19, 12pm

Where: Golden Beach Tavern, 32 Bowman Road, Caloundra

Info: Join us for lots of family fun. Face Painter, DIY activities, Easter Egg Hunt, Guest appearance from SCARS, Raffles.

Church & Community

Finding the courage

The world and local news continues to be depressive.

Where do we find the courage to rebuild our homes and lives after natural disasters?

How do we respond and react to all the violence and seemingly power plays occurring around us and in the world?

Our human instinct is to hide away, not get involved, ‘it’s not our business’, keep our noses clean. However sitting on the fence isn’t the way of Christ. If we witness a wrong or an injustice, we are to be courageous to call it out in truth.

We all need hope to enable us to confront life, but many in our society live in hopelessness.

Many struggle to meet their daily needs, high rents, homelessness, high cost of living, threatening violence and that is just the tip of the iceberg.

How can one have hope to continue? The Psalmist wrote in Psalm 146 ‘Do not put your trust in princes, in mortal, in whom there is no help’ (v3), and in Psalm 130, he wrote ‘O Israel, hope in the Lord!

For the Lord is steadfast love, and with him is great power to redeem.’ (v7).

As Christians our hope is in Jesus the Christ, who promises to always be with us in all our experiences. Through the Holy Spirit we are empowered with courage, strength and

GHM history group March update

Contributed by Ron Gillinder

‘OLD Sporting Equipment’ was the theme for the Group’s March meeting and attendees brought along a variety of equipment from the back of their wardrobe or shed.

The objective was to draw out memories of sports played in earlier times.

Equipment included:

Anita Harvey’s Vigaro Bat when she competed for the ‘Landsborough Lions’ Vigaro team in the 1980s; Bob Brown’s Spalding

with Rev Ingrid Busk Glass House Anglican Church

wisdom to enable us to journey through life’s good times and the not so good times.

Nothing we do is on our own, Christ is with us, we need not fear, there is always consequences to the choices we make, let us therefore follow the way of Christ, boldly claiming the truth unafraid of what life brings across our paths.

Tennis Racquet from the days he played competition tennis at the Glasshouse Sportsgrounds; Ron Gillinder’s hickory golf club (1890) made by a Blacksmith; Bill Morgan’s Dart Set - he recalled playing Dart competitions in British Pubs when a half pint of beer cost sixpence.

Helen Page did not have the broom but produced a photo of Stella Simpson competing in a Broom

Conservation fundraiser

A SPECIAL screening of Takayna will be held on Thursday April 3, at 6pm at the Maleny Community Centre.

This fundraiser hosted by Barung Landcare supports the Bob Brown Foundation, with all proceeds aiding conservation efforts. Through the power of personal stories, be taken on a journey to the vast and

threatened landscapes of Australia’s largest temperate rainforest in the northwest of Tasmania. This area, is one of the last wild places on Earth. Tickets via Humantix: www// events.humanitix.com/ takayna-the-heartof-lutruwita-malenysunshine-coast-

Throwing contest at the first Beerwah Charity Sports Carnival in 1971.

The next Glasshouse History Group’s Community meeting at the Glass House Mountains Neighbourhood Centre is scheduled for Tuesday 15 April at 1.30pm. The theme will be ‘Parlour Games’. All welcome!

Down Under Craft artist of the month

Contributed by Lyn Gleeson

THIS month our feature artist is Kerry Moore (pictured right). Her creative journey began over 20 years ago when she operated a paint colour shop, helping clients bring vibrancy into their homes through carefully curated colour mixes. Her love for colour soon led her to explore various art forms, from pigmented hot wax to oil and cold wax creations, producing stunning artworks that brighten walls and spark

conversations. She has now moved into creating lovely images utilising her own mix of papers creating unique artworks using collage.

She recently discovered Down Under Craft Landsborough Hall and has created many stunning artworks which are on display and for purchase.

She loves the use of colour and is always on of creating unique images in her mind and making those images a reality.

World day of Prayer 2025 wrap-up

FRIDAY March 14 saw a group of women and men from many diverse Christian backgrounds at the Maleny Uniting Church doing what people in 170 countries around the world do annually. They were

observing the 2025 World Day of Prayer.

our

entered into

WASTE MATTERS

Why Waste Matters

We named our column ‘Waste Matters’ for its double meaning. First, we believe that waste really does matter in terms of its social, economic, political, environmental and health impacts. We feel strongly that everyone has a responsibility for becoming more aware of the waste we produce, and for doing more to reduce waste. This is important to protect the environment and our health, save resources, save

A big thank you to Marsha ē for attending and photographing this year’s wonderful World Day of Prayer service at Maleny. To find out more about the WDOP visit www.worlddayof prayeraustralia.org

With Waste Action Maleny

space in landfills and reduce waste disposal costs.

The second meaning of ‘Waste Matters’ is the information we provide about waste-related issues.

We combine this with practical tips for reducing waste in our daily lives. This includes:

• Rethink your purchases & ask: Do I really need this? Will second hand do?

• Repair, reuse & recycle.

• Reduce plastics - avoid packaging & plastic products where possible.

• Buy in bulk, buy loose fruit & veg, make your own cleaning products.

• Plan meals & avoid impulse food buys.

• Bring your own containers for takeaway.

• Carry a reusable water bottle.

• Bring your own keep cup for takeaway coffee/tea.

• Grow your own food & home compost.

• Join groups that share resources.

WAM’s aims are to educate and empower people to take action on waste and related issues, at a personal and community level. To find out more, visit our website www.wasteactionmaleny.org , Facebook group WAM Waste Action Maleny or email us at wasteactionmaleny@gmail.com.

Maleny folk
the spirit of the occasion with Pacific Islander dress

Optimize Electrical: Powering the local area with Trusted Expertise

Meet Optimize Electrical, your local family-run electrician service proudly based in Beerwah, Queensland. With 25 years of experience across all aspects of the trade, we’re here to light up homes and small businesses throughout Beerwah and surrounding areas with reliable, high-quality electrical solutions.

Our story began 18 months ago when our family of six swapped

the wide-open spaces of Western Australia for the vibrant community of Queensland’s Sunshine Coast hinterland. Since then, Optimize Electrical has become a trusted name for residential households and light commercial shops needing everything from wiring upgrades to lighting installations. We bring a personal touch to every job, ensuring your electrical needs are met with skill, care, and a smile.

Led by our founder, Craig, a seasoned electrician with a passion for excellence, we’re excited to announce that our 15-year-old son will join the team next year as an apprentice— continuing the family tradition of craftsmanship and dedication. Whether it’s a home renovation, a shop fit-out, or an emergency repair, we’ve got you covered with prompt, professional service tailored to our local community.

Electrical, we’re more than just electricians—we’re your neighbours, committed to powering Beerwah and beyond. Check out our family and work photos in this edition, and give us a call at 0477 838 648 to discuss your next project. Let’s optimize your electrical needs together!

Craig from Optimize Electrical. Inset: Craig with family.

Range Croquet Club

Contributed by David Kerr BELIEVE it or not, in Sweden they also play croquet!

There is one club situated a short distance north of the small town of Falkenberg. Under the auspices of the Swedish Croquet Association the Win & Tonic Croquet Club has members like us in Maleny who are attracted to the gentle click of croquet balls on green lawns unexpectedly turning into stark battlegrounds of serious competition calling for the analytical brains of a scientist, the tactical genius of a general and the deft and steady hand of an ablebodied sailor.

The website of the Win and Tonic Croquet club says that “Our aim is to Win. In

Quotes

Certain work defined as 'building work' in the QBCC legislation may only be undertaken by licensed contractors or, if undertaken by unlicensed contractors, only to the value of $3,300. However, work falling outside of that definition may be performed by unlicensed contractors and is not subject to any value limit.

To check whether a contractor holds a QBCC licence visit www.qbcc.qld.gov.au or call the QBCC on 1300 272 272.

the unlikely contingency of losing, we feel entitled to some kind of Tonic”.

Sceptical readers may ask why is Swedish croquet the subject of this week’s article?

One answer is that there hasn’t been much local interclub competition to report on.

But the main reason is that this Tuesday (25th March) is International Waffle Day which has its roots in Sweden where it’s known as “Våffeldagen.”

This day originates from a linguistic mix-up. Historically, March 25

marked the Feast of the Annunciation, called “Vårfrudagen” meaning “Our Lady’s Day.”

Over time, the pronunciation of “Vårfrudagen” began to sound like “Våffeldagen,” which translates to “Waffle Day.”

This phonetic similarity led Swedes to associate the day with waffles, turning a religious observance into a culinary celebration.

Glasshouse Bowls Club

Contributed by David Hayes

WEDNESDAY 19.03.25

If this has set your taste buds alive then come along to the Maleny Club’s “Hoops and High Tea” which has been rescheduled to Saturday 24th May, where amongst other treats there will be freshly toasted waffles available.

Save the Date! To find out more about the high tea, our club and croquet, contact Sarah Widin on 0417640704.

Maleny Bowls Club

Contributed by Brett Gillis

HOW good was it to finally have a week of mostly sunshine to get back outdoors and onto the lawn bowls green. We had fabulous attendance at Tuesday Jackpot Pairs, Wednesday Twilight Bowls and Friday Scroungers which was terrific. On Saturday we played in the finals of the Bowlers Paradise Hinterland Local League against Woombye

Bowls Club. They were tough competition and ended up winning 3 of 4 rinks of competition. This 8 week competition and results were a mighty effort on behalf of all of our players with our success in this inaugural entry competition exceeding all expectations.

Sunday we held a working bee to tidy up the club and ensure it was in tip top shape for patrons. Thanks to the band of volunteers who gave up their morning to assist, it is very much appreciated.

We rely totally on volunteers to run our club and each and every one of them is worth their weight in gold.

Monday was our Monthly Triples competition sponsored by Maleny Hotel with teams from Kilcoy, Woodford, Mapleton, Yandina and Mooloolaba Bowls Clubs competing for cash prizes.

This is a very popular and well supported event on our calendar. Big thanks for our ladies who ensured we were well fed with a delicious lunch.

Bowls 9.00am start Club Championship Ladies Four’s Final. Last year’s winners were too strong leading all the way except the 1st end. Congrats to, Jill Kirchheiner, Margaret Gibson, Marilyn Podmore and Noelene Annakin def Carolyn Malcomson (Sub Jenny Hobson), Carol Lewis, Sally Squires and Di Hume 24 - 12.

Social Allan Pashby, Nicky Bedwell and Gavin Linnan def Gaylene Coppa, Dick Coppa and Rob Scullion 18 - 16.

Joy Reason, Scott Bedwell and Sylvia Chamberlain def Jos Evans, Mark Whittam and Mick Clark 30 - 13.

Geoff Edmonds, Jonathon Orr and Chris Freshwater drew with Trish Jackson, Viv James and John Annakin 21 all.

Winners of the day with the highest winning margin of + 17 were Sylvia Chamberlain’s team.

R/Up with the lowest winning margin of + 2 were Gavin Linnan’s team

Thursday 20.03.25 Social Pairs and Triples 12.30pm start.

After a morning of rain and a shower though the game we managed to get through our afternoon of bowls,

Winners of the day with 2 wins and a score of 42 were Mac Townson and Rob Scullion.

Raffle winners. $30 cash went to Norm Pashby, $25 cash to Annett to Annette Capern, $20 cash to Scott Bedwell and the $15 cash to Di Hume.

Saturday 22 03 25. 1.00pm.

BP Hinterland Challenge Final

Glasshouse Men Blue vs Nambour. 1vs 1

of Bruce Malcomson, Tony Clarke and David Booth won 24 - 22.

The Four’s team of John Palte, Simon Ruchter, Allan Owen and Brett Collinson won 25 - 12

Special mention to Dennis Hume the team manager who also played a game also Kevin Cook, Frank Buckley and Brendan

Mens winninig Hinterland side.
Winning Club Champions fours side. Noelene Annakin, Marilyn Podmore, Margaret Gibson and Jill Kirchheiner.

You can’t help but laugh at these

Why can’t a nose be 12 inches long?

Because then it’d be a foot. Why don’t dinosaurs talk?

Because they’re dead.

A dyslexic man walks into a bra. Get it?

What do you call a fly with no wings?

A walk.

What did the mime say to his audience?

Nothing. He held his character because he’s a professional.

What did the janitor say when he jumped out of the closet?

“Supplies!”

It’s inappropriate to make a dad joke if you are not a dad. It’s a faux pa.

What did the buffalo say when his son left?

Bison!

What’s green and has wheels?

Grass. I lied about the wheels.

My new thesaurus is terrible. Not only that, but it’s also terrible.

What’s the most terrifying word in nuclear physics?

“Oops!”

What do you call a man who can’t stand?

Neil. I used to be addicted to the hokey pokey… but then I turned myself around.

I don’t trust stairs. They’re always up to something.

Wife: “How do I look?”

Husband:

“With your eyes.”

Have you heard the rumor about butter?

Never mind, I shouldn’t be spreading it.

What do you call someone with no body and no nose?

Nobody knows.

Calling all joke tellers!

Hinterland clubs both nal matches

Men’s side is locked in a two-weekend showdown against Tewantin Noosa,

Glasshouse’s attack was led by Ben Stokes and Harrison Murree, both claiming three with the bat, top-scoring for Glasshouse so far with 36. The action resumes on

Bush to beach rugby program

BEERWAH State High School’s Year 7 and 8 boys are making their mark in the Bush to Beach rugby league competition, a weekly tournament designed to develop skills and teamwork.

In their first match, Beerwah faced Burnside in a spirited contest, even sharing some players with the opposition. Despite this, the team secured a strong win to start their campaign on a high.

The second round saw the boys travel to Siena, where they put in a determined effort but fell short of victory.

Despite the loss, the team showcased impressive skills and scored some well-earned

tries.

Players are eager to keep improving and have been dedicating their lunch breaks to training, refining their techniques, and building team cohesion.

The Bush to Beach competition has provided an exciting opportunity for the boys to develop their game while enjoying the sport.

With their hard work and enthusiasm, the team is looking forward to the challenges ahead.

Opting to bat first after winning the toss, Landsborough posted a

strong total of Beau Walker led the charge with an impressive just short of a well-deserved century, while Jonny Meuleners chipped in with a Maroochydore struggled in bowled out for just 100, as Meuleners turned destroyer with the ball, taking a remarkable seven-wicket

At stumps, Landsborough is into its second innings, with Oliver Meuleners and Wade nal battle continues on March 29 at

Glasshouse and Landsborough! kirra@gcnews.com.au

Rare medals for auction

CRICKET enthusiasts had a rare opportunity to secure a piece of history, as a set of Sheffield Shield medals awarded to Australian cricket legend Montague Alfred Noble went under the hammer in Sydney. The medals, issued in 1897, 1903-04, and 1904-05, honoured one of Australia’s greatest all-rounders.

Noble, who captained Australia in 15 of his 42 Test matches, was later inducted into both the Cricket Australia Hall of Fame (2006) and the ICC Cricket Hall of Fame (2021).

Jim Noble, a namesake auctioneer from Noble Numismatics, expected the medals to fetch thousands from cricket historians and collectors. The auction, running from March 18 to 21 at the State Library’s Dixson Room, featured over 3,400 rare items, including historic coins, banknotes, and militaria. Viewing took place at Noble Numismatics in Macquarie Street ahead of the sale, with live and online bidding options available for collectors worldwide.

Racing club funding

THE Redcliffe Harness Racing Club is shining brighter than ever following the unveiling of new stateof-the-art lighting at the racetrack. The $6 million project, delivered by the State Government’s Racing Infrastructure Fund, is set to enhance the quality of night race broadcasts while also improving safety for early morning trackwork. Racing Minister, Tim Mander, said the investment was a major win for the Queensland harness racing industry.

U17s boys are needed

THE Beerwah Bulldogs are currently looking for more U17s boys to join the club ahead of the start of the 2025 season.

The club are looking for boys who were born in 2008, and have a passion for the game, or just looking to

join a sport.

Training sessions for the U17s boys are held every Monday and Wednesday from 5:30 to 6:30pm at the Beerwah Sportsground.

The first round of the Sunshine Coast Gympie junior rugby league

competitions are expected to kick off in two weeks time.

As for the seniors, the Beerwah Bulldogs A Grade team will have their debut match on Saturday, March 29 at the Beerwah Sportsground.

“The new lighting will be significant for the roughly 300 horses that trial or train at the venue every week,” he said. Redcliffe Harness Racing Club President, Mark McNee, said the lighting upgrade was a game changer for the iconic facility. www.sport.qld.gov. au/racing/consultation-forqueenslands-2025-racingreview

Celebrating Diversity

with Spencer and Karen Shaw

Being passionate about our local biodiversity, we at Forest Heart ecoNursery have located ourselves in Maleny, the heart of the Sunshine Coast. Looking ever so slightly further afield, South East Queensland and North East New South Wales is one of Australia’s and the world’s great Biodiversity Hotspots. On the Sunshine Coast alone we have 2000 plus species of local native plants and that number grows to 3500 when we include the rest of SE QLD. We are all lucky to live in and be responsible for a well and truly amazing little patch of Planet Earth. When we plant local native plants, we create not just beautiful gardens but habitat for wildlife and we can preserve and enrich our local ecosystems and your life too! If you like sharing your backyard with wildlife like us, then

planting a range of native plants that include trees, shrubs, groundcovers, ferns, grasses and vines is a good way to live with and create opportunities for wildlife. By planting this diversity of plants, we can create and variety of resources and habitats that supply food, nesting and perching are the key to diversity of wildlife you’ll see and share your backyard with. Celebrate our diverse native plants and bring them into your gardens too.

Jobs for the yard

see to around my backyard in April.

Moving pots down off stands and railings so that they didn’t topple over highlighted that I really need to repot most of them. They were way too light for their size – which means that the potting mix is old and has lost its water holding abilities. I also noticed that the level of the potting mix had dropped in some of them. This is due to the organic components

few bags of quality potting mix (one with the red ticks on the side), laying out a tarp on the grass, pulling out the plant, loosening the potting mix from around the roots, refiling the pot and replanting them. Plus, I’ll add some slow-release fertiliser before giving them a good soaking and replacing them where they came from.

April is also when I get active in the veggie garden, planting my winter crops

you could think about.

• Plant sweet peas, snow peas, sugar snap peas, climbing peas and bush peas. Plant as either seed or seedlings into soil that has had some dolomite added. Maybe also try asparagus peas.

• Start to reduce the frequency you mow the lawn and start raising the blade height to allow the grass to keep a reasonable amount of leaf during the cooler months.

In The Garden WITH

in April

done it for a few years.

• It’s time to dig up, divide and replant your hippeastrum and lilium bulbs.

• Carefully cut off side shoots of bromeliads to create new plants. Plant

• Lightly trim back lavender and rosemary.

• If you didn’t do it last month, you should fertilise the lawn with a complete fertiliser right away.

• As the sun gets lower, move indoor plants further away from windows and glass doors to prevent them from burning.

• Hearting lettuce, such as Iceberg, can be grown from now on.

• Lift corms of finished gladiolus, discard shrivelled parts and store plump corms in a cool dry place.

• Garlic can be planted until the end of April - planting after this date reduces the size of the bulbs.

• Try not to be tempted by displays in supermarkets of tulips and hyacinths, as they are very unlikely to do well.

BROWNIE

Vegetables

Plant beetroot, broccoli, radish, cabbage, leafy lettuce, carrot, celery, cauliflower, Asian greens, garlic, leeks, spring onion, potatoes, sweet potato, turnip, kohl rabi, capsicum,

Flowers

Plant alyssum, petunia, marigold, carnation, sweet pea, gaillardia, everlasting daisy, livingstone daisy, sunflower, verbena, pansy, viola, primula, snapdragon, nemesia, iceland poppy, dianthus, cleome and salvia.

Free Easter Egg Hunt and Raffle to Support Zmuda Family

and kids of all ages. This exciting event will feature a hunt for colorful Easter eggs, with plenty of surprises for everyone, including a special visit from the Easter Bunny. Alongside the egg hunt, a raffle will be held,

difficult time. Charlize was the young teenage girl who was tragically killed in the shark attack on Bribie Island in February. This fundraiser is a great opportunity to support a local family while enjoying a festive day with encourage you to participate a meaningful impact. For more information, visit the event page on Facebook: https://www.facebook. com/share/1BTrxhuXnc/. Bring your friends and family—your support is truly appreciated.

Garlic plants.
Repotting a Zanzibar Gem.
Jalapeno chilli.
Alyssum.

Cyclone Alfred serves as an important reminder to all homeowners and investors to keep your property insurance policies up to date to protect what are usually your renewed your home and contents insurance policies for a few years without thoroughly reviewing the

because a lot has happened since shows building costs have risen by more than 30% since the pandemic began, mainly due to a shortage of disaster or some other insurable substantially higher than just a few services, such as demolition and site clean-up, architect fees, surveyor fees, and council application fees for

JOHN MCGRATH – A GOOD TIME TO REVIEW HOME INSURANCE POLICIES

a complete rebuild have all gone up, people also renovated during the to take into account the improved your property is destroyed, you will you are underinsured, you may have to settle for a smaller new home, challenges in reviewing your building insurance policy is deciding your your property should it be completely

to the market value of your property

with no background in construction

Council of Australia recommends using a tailored building insurance

Cordell where you can type in your

you get the sum insured wrong and a rebuild costs more, you have a 30%

insurance policy that covers not just but also the loss of rental income if the tenants have to move out for a

owners reviewing their building insurance policies:

emergency accommodation

for protecting you if someone gets Your contents insurance policy is you bought a new lounge suite or

upgraded electronics to work from items needs to be factored into your Australia recommends this contents wishes for a speedy recovery to those homeowners, landlords, and tenants East Queensland and Northern NSW

Thinking of upgrading or renovating?

Why winter is a great time to invest in your investment. As temperatures drop, it’s the perfect time for landlords to get ahead on essential property upgrades before the busy warmer months arrive. Completing renovations during autumn and winter can mean greater availability of tradespeople, fewer weather disruptions, and better tenant satisfaction when summer rolls around. Here are some of our best recommendations if you’re considering upgrades.

Roof & Gutter Maintenance

With heavier rain and storms in recent months, winter is an ideal time to check for leaks, loose tiles, and blocked gutters.

Painting & Interior Refresh

Colder months mean lower humidity, allowing paint to dry faster and more evenly. A fresh coat of paint on walls, ceilings, or kitchen cabinetry can modernise your property and increase its appeal for future tenants. costs ahead of summer.

Winter provides the perfect conditions for landscaping, fencing repairs, and exterior pressure cleaning. Planting now allows greenery to establish before the harsh summer sun, keeping your

updating tapware can give your property a fresh new look without major renovations. Cooler months mean tenants are less likely to

At McGrath Coast & Hinterland, we work with trusted trades to help landlords plan ahead and keep their properties in top shape

scheduling upgrades, get in touch with our team today.

Turn static files into dynamic content formats.

Create a flipbook
Issuu converts static files into: digital portfolios, online yearbooks, online catalogs, digital photo albums and more. Sign up and create your flipbook.