pluimvee
December 2024 - nummer 80






































PRAKTIJKONDERZOEK
Resultaten 2024





















SAMEN PUZZEL LEGGEN Salmonellabesmettingen een halt toeroepen


UIT HET LAB
Vaccinatie tegen Newcastle Disease

























![]()
December 2024 - nummer 80






































PRAKTIJKONDERZOEK
Resultaten 2024





















SAMEN PUZZEL LEGGEN Salmonellabesmettingen een halt toeroepen


UIT HET LAB
Vaccinatie tegen Newcastle Disease

























Het verhoogde aantal uitbraken van Salmonella Enteritidis in de leghennensector, tegelijk met het vaker voorkomen van besmettingen bij de mens, benadrukt het belang om samen op te trekken. Voor en achter de schermen wordt keihard gewerkt: van monitoring bij mens en dier tot onderzoek en het ontwikkelen van voorstellen om problemen structureel aan te pakken. Ik vind het bij dit soort uitbraken altijd mooi om te zien hoeveel er gebeurt. Hoe goed mensen van verschillende partijen elkaar weten te vinden om samen de pluimveesector sterker en toekomstbestendiger te maken. In deze Pluimvee nemen we daarom een kijkje achter de schermen bij de aanpak van salmonella op sectorniveau en interviewen we diverse experts.
De situatie rondom vogelgriep blijft een aandachtspunt. Hoewel het afgelopen jaar rustig was, werden we deze maand toch weer opgeschrikt door een uitbraak en ook elders in Europa weet het virus nog pluimveebedrijven te treffen. In deze editie kijken we
naar de stand van zaken van de veldproef met vaccins tegen vogelgriep. Ook dit is een mooi voorbeeld van samenwerking tussen verschillende partijen om een uniek probleem het hoofd te bieden.
Daarnaast praten we u graag bij over andere onderzoeken en nieuwe ontwikkelingen, zoals de rol van windbreekgaas, de aanpak van Enterococcus cecorum en de Ethometer. Deze laatste is een innovatie vanuit GD, voor het in kaart brengen van het gedrag en potentieel het welzijn van pluimvee. Een gebied dat steeds meer aandacht krijgt en waar we samen met pluimveehouders, -dierenartsen en andere sectorpartijen de handschoen op willen pakken. In deze Pluimvee deelt Jan Workamp zijn visie op pluimveegezondheid. Met bijdragen van experts en inzichten uit het veld bouwen we aan een sterkere sector. Laten we deze samenwerkingen verdiepen, zodat we niet alleen uitdagingen oplossen, maar ook samen groeien richting een duurzame toekomst.
Robert Jan Molenaar, dierenarts pluimvee


SCAN DE QR-CODE VOOR HET LAATSTE NIEUWS OVER DE VOGELGRIEPSITUATIE IN ONS LAND

Bereikbaarheid
Tarieven


Royal GD is op werkdagen telefonisch bereikbaar via 088 20 25 500.
Alle genoemde GD-tarieven in deze uitgave zijn exclusief btw en basiskosten.
Ophaaldienst voor sectie- en monstermateriaal
Aanmelden: telefonisch 088 20 25 500 of via de PS Nachtdistributie-app. Wij halen het materiaal dan zo spoedig mogelijk bij je op. Sectie- en monstermateriaal kun je brengen van maandag tot en met vrijdag van 8.00 tot 17.00 uur.
COLOFON
Pluimvee is een uitgave van Royal GD | Redactie Rob Nijland, Jeanine Wiegel, Mirthe de Wit | Beeldredactie Wendy van de Streek | Eindredactie Daphne de Leeuw, Jessica Fiks | Redactieadres GD, Marketing & Communicatie, Postbus 9, 7400 AA Deventer, T. 088 20 25 500, redactie@gddiergezondheid.nl, www.gddiergezondheid.nl | Productiecoördinatie Senefelder Misset Doetinchem B.V. | Basisontwerp Studio Kaap | Vormgeving Dock35 Media B.V. | Druk Senefelder Misset Doetinchem B.V. | Advertenties Dock35 Media B.V., Jan van de Vis, T. 0314-35 58 60 | Verschijningsfrequentie twee keer per jaar | Suggesties voor dit blad kunt u doorgeven aan de redactie. Overname van artikelen is toegestaan uitsluitend na toestemming van de uitgever | Disclaimer Royal GD en de redactie zijn niet verantwoordelijk en daardoor niet aansprakelijk voor de inhoud van de geplaatste advertenties en advertorials.
ISSN: 1875-2594
Dit blad niet meer ontvangen of een adreswijziging doorgeven? Dat kan via 088 20 25 500, of per e-mail. Voor een adreswijziging: klantdata@gddiergezondheid.nl, voor aan- en afmeldingen vakbladen: info@gddiergezondheid.nl.


04 Actueel
05 PCR voor trilziekte
07 FTIR-clusteranalyse van E. coli-isolaten
08 Op weg naar effectieve vaccins tegen vogelgriep
11 Nieuwe standaardtest voor antibioticumresistentie bij Coryza
12 Resultaten en toepasbaarheid van gedane onderzoeken
14 Uitbraak Salmonella Enteritidis
20 Vaccinatie tegen Newcastle Disease
23 Ethometer getest in de praktijk
24 Casus infectieuze laryngotracheïtis (ILT)
27 Het getal en Vraag & Antwoord
28 Diergezondheid volgens Jan Workamp
Benieuwd naar onze producten en tarieven voor 2025? Je vindt ze op onze website. Zo heb je altijd de meest actuele tarieven bij de hand. Met de zoekfunctie kun je een selectie maken van de voor jou relevante producten en bijbehorende tarieven. Je kunt zoeken op speci eke producten of het hele aanbod als pdf downloaden.
Peesschedeontsteking door reovirus bij vleeskuikens is de afgelopen jaren één van de meest aangetoonde problemen in de sectiezaal. In 2023 ging het om 223 gevallen, in 2024 tot en met oktober om 284 gevallen. Sinds 1 september 2024 vallen inzendingen voor reovirus-peesschedeontsteking niet meer onder de gesubsidieerde monitoring. Daarna werd de aandoening duidelijk minder vaak vastgesteld. Uit contacten met het veld blijkt dat de daling deels komt omdat er minder gevallen worden ingezonden, maar dat de aandoening ook minder vaak wordt gezien. Naar aanleiding van de vele gevallen in de tweede helft van 2023 werd extra onderzoek gedaan naar de verspreiding van een van de virussen dat bekend is geworden als genotype 4.7. Hoewel de meeste gevallen het gevolg leken van besmetting op het vleeskuikenbedrijf, waren er ook aanwijzingen dat bij een deel van de gevallen overdracht van moederdieren op nakomelingen de oorzaak was van besmetting. Een rol van verspreiding binnen broederijen werd niet duidelijk aangetoond, maar kon bij een deel van de gevallen ook niet geheel worden uitgesloten. Hygiëne blijft binnen de gehele pluimveekolom belangrijk om reovirusproblemen te voorkomen of de ernst van de problemen te verminderen.







Peesschedeontsteking door reovirus
Vleeskuikens (regulier)
Vleeskuikens (traaggroeiend)
Overig pluimvee


Wil je op de hoogte blijven van actualiteiten vanuit de diergezondheidsmonitoring? Met het Veekijkernieuws informeren wij je elk kwartaal over actualiteiten, trends en ontwikkelingen, casuïstiek, de verschillende monitoringsinstrumenten en de mensen achter de monitoring. Zo besteedden we in de laatste editie van het Veekijkernieuws aandacht aan de ILTuitbraak, laagpathogene aviaire in uenza en de toename van Salmonella Enteritidis bij legpluimvee.
GA NAAR DE MONITORING
In 2024 is op pluimveebedrijven in Nederland tot nu toe één uitbraak van vogelgriep geweest. Bij wilde vogels is het aantal besmettingen op dit moment nog beperkt. De herfst is begonnen en de vogeltrek komt inmiddels op gang, wat risico’s met zich meebrengt. We zien in verschillende Europese landen, waaronder Duitsland, Frankrijk, Denemarken, Tsjechië, Polen, Hongarije, Italië en Oostenrijk, de laatste tijd geregeld uitbraken van vogelgriep bij pluimveebedrijven. AVINED adviseert daarom om alert te blijven en de veiligheidsmaatregelen aan te scherpen.
Enkele tips:
• let op de hygiëne op het pluimveebedrijf;
• wees zeer terughoudend met stalbezoek en zorg ervoor dat bezoekers aan het hygiëneprotocol voldoen (inclusief douchen);
• zorg voor schone vervoermiddelen van en naar pluimveebedrijven;
• let op schone eiertrays.
Het is belangrijk dat vogelgriepuitbraken snel worden ontdekt om tijdig maatregelen te kunnen treffen. Voldoen jouw dieren aan de meldcriteria van de NVWA of twijfel je over ziekteverschijnselen en kan de dierenarts vogelgriep niet uitsluiten? Maak dan melding bij de NVWA. Die kan dan, indien nodig, met spoed monsters laten onderzoeken, zodat u snel duidelijkheid heeft.
ACTUELE INFORMATIE OVER VOGELGRIEP
PCR VOOR TRILZIEKTE
Trilziekte wordt in de wetenschappelijke wereld ook wel aviaire encefalomyelitis (AE) genoemd. Het wordt veroorzaakt door een virus dat zich kan vermeerderen in de darmen en vervolgens via de bloedbaan kan verspreiden naar verschillende organen, waaronder de hersenen. In het centrale zenuwstelsel kan het een ontsteking geven (encefalomyelitis), leidend tot de typische zenuwverschijnselen die de naamgeving verklaren: trilziekte. Dit uit zich vooral in de eerste twee levensweken. Bij infecties op latere leeftijd kan een (tijdelijke) eiproductiedaling optreden en bij reproductiedieren ook nog een daling van de uitkomst. Ook kan de ooglens worden aangetast. De overdracht van het virus kan horizontaal (van dier naar dier) of verticaal (van moederdier via het ei naar het kuiken) plaatsvinden.
Diagnostiek voor trilziekte kan worden ingezet bij kuikens met verdachte verschijnselen of bij leggende hennen met een productiedaling. Het is mogelijk om microscopisch onderzoek te doen op de organen van aangetaste kuikens. Dat kan al een duidelijke aanwijzing geven. Voor
PCR-test
Met een PCR-test wordt een specifiek stukje erfelijk materiaal (DNA) van een ziekteverwekker zodanig vermeerderd dat er voldoende aanwezig is om gedetecteerd te worden door het PCR-apparaat. Dit PCR-apparaat meet vervolgens de hoeveelheid ziekteverwekkend materiaal, waardoor duidelijk wordt of er sprake is van een infectie. De PCR-methode is zeer gevoelig en kan worden toegepast op zowel weefsel als op swabs van weefsel.
een definitieve diagnose is aanvullend onderzoek mogelijk, zoals het aantonen van virus in de weefsels met een immunohistochemische kleuring. Deze test is echter lastig uit te voeren en kostbaar. Een andere mogelijkheid is om het trilziektevirus met een PCR-test aan
te tonen. GD ontwikkelde hiervoor een PCR-test die gebruikt kan worden op zowel weefsels als cloacaswabs. Deze cloacaswabs kunnen genomen worden bij eilegdalingen.
Een andere manier om een trilziekteinfectie aan te tonen is met bloedonderzoek. Door gepaarde bloedmonsters te onderzoeken, monsters van voor de problemen en een aantal weken na de problemen, kan worden vastgesteld of het afweersysteem van de dieren recent heeft gereageerd op het virus. Dit uit zich dan in de vorm van een stijging in het aantal monsters met een aantoonbare titer (wel of niet antilichamen in het bloed) of een stijging van de titer (de hoeveelheid antilichamen in het bloed).















Bij de aanpak van bacteriële infecties, zoals infecties veroorzaakt door E. coli, is het belangrijk om te weten met welke bacteriestammen men te maken heeft. Vaak is het aantonen van de aanwezigheid van een bacterie nog niet genoeg om de juiste keuzes voor een (auto)vaccin te maken. In ons laboratorium maken we gebruik van een nieuwe techniek: de Fourier-transform infrarood (FTIR)spectroscopie. Hiermee kunnen we verschillende isolaten van E. coli binnen een uitbraak onderscheiden.
FTIR-spectroscopie is gebaseerd op de absorptie van infrarood licht. Elke bacterie absorbeert licht op een unieke manier, afhankelijk van de chemische bindingen in de bacteriecel. Deze absorptiepatronen worden weergegeven in een infraroodspectrum, een soort bio-
chemische ‘vingerafdruk’ van de bacteriecel. Met specifieke software worden deze spectra van verschillende bacterie-isolaten met elkaar vergeleken. Zo kunnen we de isolaten in clusters indelen en nauwkeurig vaststellen of de bacteriën gelijk of verschillend zijn.
Toepassing bij E. coli-uitbraken
E. coli is een veelvoorkomende bacterie die in sommige gevallen ernstige problemen kan veroorzaken bij pluimvee. Uitbraken kunnen leiden tot hoge sterfte binnen een korte tijd. Onderzoek heeft aangetoond dat bij een E. coli-uitbraak meerdere typen betrokken kunnen zijn. Meerdere studies lieten een goede correlatie zien tussen E. coli-genotypering en E. coli-FTIR-clusteranalyse. Met de FTIRclusteranalyse kan snel bepaald worden of sprake is van één of meerdere typen bij een uitbraak.
Conclusie
FTIR-clusteranalyse is een waardevol hulpmiddel om bij uitbraken van E. coli beter te begrijpen wat er speelt. De techniek maakt het mogelijk om isolaten van dezelfde bacteriesoort nauwkeurig te vergelijken en vervolgens in te delen in clusters. Dat kan vooral van belang zijn bij terugkerende uitbraken of infecties waarbij meerdere stammen betrokken zijn. Op basis van resultaten van recent onderzoek, waarbij sprake was van enige kruisbescherming tussen verschillende E. coli-genotypen door vaccinatie, is het advies om bij een uitbraak met meerdere typen deze ook op te nemen in het vaccinatieprogramma. De informatie van de FTIR-clusteranalyse is dus belangrijk om de juiste keuzes voor een (auto)vaccin te maken. Dit kan bijdragen aan een effectievere bestrijding van E. coli op pluimveebedrijven, met minder uitval en een betere gezondheid van het koppel als gevolg!
Twee vogelgriepvaccins worden momenteel getest in de praktijk. Sinds september 2023 loopt een veldproef op twee legbedrijven, in opdracht van het ministerie van Landbouw, Visserij, Voedselzekerheid en Natuur (LVVN), om de effectiviteit van vaccinatie tegen vogelgriep in de praktijk te onderzoeken. Eind van dit jaar moet ook een pilot volgen waarin bedrijven in de praktijk worden gevaccineerd met een Europees toegelaten vaccin.
Uit eerder onderzoek in het laboratorium van Wageningen Bioveterinary Research (WBVR) bleek al dat twee vectorvaccins effectief zijn tegen hoogpathogene vogelgriep van het H5-type. Maar omdat de effectiviteit van een vaccin anders kan zijn in een pluimveestal dan in een laboratorium, is het nodig om een veldproef te doen onder praktijkomstandigheden. Dat onderzoek
wordt gedaan door Wageningen University & Research (WUR), GD en de faculteit Diergeneeskunde van de Universiteit Utrecht. Het onderzoek startte in september 2023.
Veldproef
Het vaccin wordt klaargemaakt voor gebruik



In de veldproef zijn 1.800 eendagskuikens gevaccineerd tegen vogelgriep om de effectiviteit van vaccinatie onder veldomstandigheden te onderzoeken. Gedurende de veldproef worden op verschillende momenten transmissieproeven gedaan. Een aantal kippen wordt daarvoor uit de stal gehaald en onder laboratoriumomstandigheden blootgesteld aan het vogelgriepvirus. Uit de eerste transmissieproef, acht weken na vaccinatie, is gebleken dat de vaccins infectie met vogelgriepvirus voorkomen. De gevaccineerde kippen raakten niet geïnfecteerd en werden niet ziek na toediening van vogelgriepvirus. De tweede transmissieproef vond plaats op 24 weken leeftijd, het moment dat de hennen net op hun topproductie zijn gekomen.
Het is belangrijk om te weten of vaccins gedurende de hele productiefase van een leghen werken. Daarvoor vinden op nog twee andere momenten transmissieproeven plaats: op 54 weken leeftijd en op 84 weken. De eindresultaten worden verwacht in de tweede helft van 2025.
Derde vaccin in beeld
De veldproef vindt plaats over de gehele legperiode van de kippen, dit kost dus tijd. Maar ondertussen staan de ontwikkelingen niet stil. In de huidige veldproef worden de vaccins van twee fabrikanten wetenschappelijk onderzocht. Onlangs heeft een derde fabrikant echter laten weten een vectorvaccin te hebben ontwikkeld dat recent een Europese toelating kreeg. Dit vaccin is een HVT-vectorvaccin, dat wil zeggen van hetzelfde type als de twee vaccins uit de veldproef.

Vogelgriep en mijn tijd bij GD
Marieke Augustijn: “Wellicht was het al opgevallen dat mijn naam in deze Pluimvee niet meer bij het voorwoord staat. Op het moment dat deze editie verschijnt, werk ik namelijk niet meer bij GD. Ik was vier jaar manager van de afdeling Pluimvee en kijk terug op een mooie, maar ook intensieve periode waarin vogelgriep een prominente rol speelde. Was aan het begin van die periode vogelgriep nog een seizoensgebonden ziekte, al snel belandden we in een uitbraak die niet alleen de Nederlandse sector, maar in heel Europa en ook wereldwijd de pluimveesector in de ban hield. Er zijn sindsdien veel stappen gezet in de aanpak van vogelgriep, zoals het onderzoeken van de mogelijkheid om vaccinatie in te zetten als effectieve preventiemaatregel (zie artikel). De bereidheid om uitdagingen het hoofd te bieden en het denken in oplossingen zijn dingen die ik enorm bewonder in de pluimveewereld. En dat geldt niet alleen op het gebied van een ziekte als vogelgriep. Zo zijn we met praktijkonderzoek structureel bezig om de pluimveegezondheid op een hoog niveau te houden en naar een nog hoger niveau te tillen. Daarin zijn we een voorbeeld voor de wereld. Ik wil iedereen in de sector bedanken voor de samenwerking en wens jullie allemaal het beste voor de toekomst.”
Vaccinatiepilot gepland
Naast de veldproeven is de start van een pilot voorzien, met een toegelaten vaccin op meerdere legbedrijven. Het doel van de pilot is om ervaring op te doen met de praktische uitvoering van vaccinatie op legbedrijven, de implementatie van het surveillanceprogramma conform de Europese richtlijnen, en het volgen en oplossen van mogelijk negatieve effecten op de handel. Er wordt een surveillanceprogramma toegepast om een eventuele besmetting op een gevaccineerd bedrijf, iets wat ondanks vaccinatie toch zou kunnen gebeuren, zo snel mogelijk op te sporen. Zo wordt de kans dat het virus blijft circuleren zo klein mogelijk gemaakt. Een Europese toelating van het gebruikte vaccin is een belangrijke voorwaarde om de pilot uit te kunnen voeren, en dat is op dit moment geen belemmering meer.
Vaccinatietraject
Dankzij de veldproef en de aangekondigde pilot wordt grootschalige vaccinatie van pluimvee tegen vogelgriep op verantwoorde wijze mogelijk gemaakt. Dit is van belang voor de dieren volksgezondheid en het dierenwelzijn. Daarnaast helpen de proeven om potentieel negatieve gevolgen van de vaccinatie voor de handel zoveel mogelijk te voorkomen. De eerste resultaten van de pilot volgen in 2025 en zullen worden gebruikt voor het bepalen van vervolgstappen op het gebied van preventieve vaccinatie. Nederland is, naast Frankrijk, een van de weinige landen die concreet werken aan vaccinatie tegen vogelgriep; andere landen volgen de stappen van Frankrijk en Nederland daarom op de voet.

Na vaccinatie zijn de kuikens op twee verschillende praktijkbedrijven gehuisvest
VERBETERDE RESULTATEN
Het moderne vleeskuiken is biologisch efficiënter
Per kg levend gewicht heeft het…
nodig per kg levend gewicht 320 g
MINDER VOER NODIG
MINDER WATER 0.57L
met een toenemende gezondheid, welzijn en lagere uitval door evenwichtige selectie
BETERE WATERBENUTTING =
Betere strooiselkwaliteit
Betere darmgezondheid
Betere voetzoolgezondheid
Efficiënter/duurzamer waterverbruik
Verbeterde voerconversie = een vleeskuiken van 2,5 kg dat… 0.8 kg
MINDER LANDBOUWGROND MINDER LANDGEBRUIK & TRANSPORT VERBETERDE
MINDER VOER NODIG HEEFT

MINDER VOER BETEKENT…
PROTECTING THE PLANET FOR FUTURE GENERATIONS
Verbeterde voederconversie en kortere groeitijd = VERMINDERING BROEIKASEFFECT
19 %
LAGERE UITSTOOT VAN BROEIKASGASSEN
LAGERE MILIEUBELASTING
Betere voederconversie = betere benutting van voedingsstoffen 28%
MINDER UITSTOOT VAN NITRAAT/ FOSFAAT
Toename van levend gewicht, kortere groeiperiodes en verminderde voerproductie en transport = 19%
MINDER ENERGIEVERBRUIK
MINDER VRACHTVERVOER


nodig voor de productie van vleeskuikenvoer
voor het leveren van grondstoffen en voer voor vleeskuikens
Onderzoekers van GD hebben een nieuwe stap gezet naar het effectiever behandelen van Coryza bij pluimvee. Met internationale partners is een standaard MIC-test ontwikkeld waarmee de antibioticumgevoeligheid van Avibacterium paragallinarum-stammen bepaald kan worden.
De bacterie Avibacterium paragallinarum veroorzaakt bij kippen ontsteking van de voorste luchtwegen. Coryza (‘acute snot’) kan leiden tot verhoogde uitval, een daling in legpercentage en lagere voeropname. Ter bestrijding van Coryza worden antibiotica gebruikt, maar resistentie is een toenemend probleem. Het is nuttig om bacteriestammen die bij pluimvee worden gevonden, te testen op hun gevoeligheid voor verschillende antibiotica.
Lastige bacterie
De ziektekiem Avibacterium paragallinarum is voor laboratoria een wat ‘lastige’ bacterie. De kiem gaat namelijk snel dood buiten de kip en stelt specifieke eisen aan de laboratoriumomgeving om goed te kunnen groeien. Tot voor kort bestond er geen algemeen geaccepteerde standaard test om de gevoeligheid van antibiotica tegen deze bacterie te kunnen testen. Elk lab gebruikte een eigen methode, waardoor de resultaten onderling niet te vergelijken waren. GD heeft nu samen met een aantal buitenlandse laboratoria een standaard MIC-test ontwikkeld. Door allemaal dezelfde test te gaan gebruiken, kunnen de resultaten voortaan wél vergeleken worden. Dit draagt bij aan meer en betere data over antibioticumresistentie bij Avibacterium paragallinarum.


MIC-plaat in de spiegel
MIC-test
De laagste concentratie van een antibioticum waarbij de groei van de bacterie wordt geremd, noemen we de MIC-waarde (minimale inhiberende concentratie). Deze MIC-waarde helpt bij het bepalen van de keuze voor een bepaald antibioticum. Bij een goed werkende MIC-test moet je alle omstandigheden voor het kweken van de bacterie onder controle hebben. Alleen dán kun je namelijk zeker weten dat het antibioticum dat je tegen de bacterie gebruikt in de test ook daadwerkelijk de oorzaak is van geremde groei van de bacterie (en niet een verkeerde temperatuur of een minder optimale voedingsbodem bijvoorbeeld). In het internationale onderzoek naar een MIC-test voor Coryza is nu een protocol ontwikkeld waarmee dat voor elkaar is. De methode waarover nu consensus bestaat, is wereldwijd toepasbaar en relatief eenvoudig. De bekendheid van de test neemt zo toe, evenals de onderlinge uitwisseling van data.
Coryza op het bedrijf?
Heb je problemen met Coryza? Laat jouw dierenarts contact opnemen met GD voor advies over deze test en het aanleveren van monsters. Snelheid en de juiste selectie van kippen zijn belangrijk, omdat levende bacteriën nodig zijn. De resultaten van een MIC-test dragen bij aan de correcte keuze voor antibiotica bij Coryza op pluimveebedrijven en daarmee tot verantwoord antibioticumgebruik.
GD heeft veel verschillende praktijkonderzoeken uitgevoerd, met de focus op diergezondheid. De onderzoeken die we uitvoeren vallen onder de Preventieve diergezondheid inclusief welzijn (Veterinair onderzoek). Een greep uit de onderzoeken die door AVINED zijn goedgekeurd en afgerond.
Vleeskuikens met kreupelheid
De laatste jaren zien we een toename van kreupelheid bij vleeskuikens. Dit wordt vaak veroorzaakt door afsterven van het kraakbeen (bacteriële chondronecrose) in combinatie met botontsteking (osteomyelitis). Een mogelijke oorzaak van dit soort problemen is de bacterie Enterococcus cecorum In dit onderzoek werden gevallen geïnventariseerd van vleeskuikens met locomotieproblemen waarbij antibiotica zijn ingezet. Zo kregen we meer inzicht in de klachten, de betrokken ziektekiemen en de antibioticumgevoeligheid van die kiemen.
Het waargenomen ziektebeeld kan door verschillende bacteriën worden veroorzaakt. In dit onderzoek werd vaak meer dan één ziekteverwekker aangetroffen. Dat bemoeilijkt de keuze voor een antibioticumtherapie. Bovendien is de bacterie E. cecorum soms niet aan te tonen in het beenmerg, en wel in ander botweefsel. Het kan dan zijn dat deze bacterie wel een rol speelt, maar in eerste instantie niet gekweekt kan worden. Dat heeft gevolgen voor de onderzoeksmethode.
Ook bleek uit genetisch onderzoek dat dezelfde bacteriestammen gevonden werden vóór en ná een behandeling met antibiotica. De infectie lijkt dus niet volledig te verdwijnen door de behandeling. Dit kan voor terugkeer van de klachten zorgen, in het koppel of in het individuele dier. Meer onderzoek is nodig naar de bacterie zelf, naar het ziekteverloop en naar de risicofactoren voor infectie.
E. cecorum in eendagskuikens, wat zegt dat?
Enterococcus cecorum is een belangrijke veroorzaker van kreupelheidsproblemen en sterfte bij vleeskuikens. Deze bacterie is een normale darmbewoner van de kip en er bestaan zowel ziekmakende als niet-ziekmakende stammen. Aan de hand van de aanwezigheid van E. cecorum in de darmen van eendagskuikens is misschien iets te zeggen over de kans op klachten op latere leeftijd.
Vaak wordt gedacht dat bij plaatsing van eendagskuikens in de stal al ziekmakende E. cecorum-bacteriën aanwezig zijn in de kuikens. In deze studie werd onderzocht of daar aanwijzingen voor zijn. Met een ontwikkelde, gevoelige PCR-test is het meconium van eendagskuikens onderzocht op de aanwezigheid van E. cecorum-bacteriën. Nakomelingen van dertien Nederlandse reguliere vleeskuikenouderdierenkoppels werden onderzocht in deze studie.
Er werd geen E. cecorum aangetoond in het meconium van deze eendagskuikens. Om na te gaan of in de blindedarm alsnog E. cecorum aanwezig was, is een vervolgstudie uitgevoerd. Bij enkele nakomelingen van vier ouderdierenkoppels zijn daarbij zeer kleine hoeveelheden E. cecorum gevonden in de blindedarm, terwijl niets werd aangetoond in het meconium. E. cecorum in eendagskuikens lijkt dus niet de belangrijkste besmettingsroute van vleeskuikens. Statistisch is de kans minder dan 15 procent dat eendagskuikenkoppels bij opzet drager zijn van E. cecorum.
Autovaccins, ook wel bedrijfseigen vaccins of stalvaccins genoemd, kunnen bijdragen aan het terugdringen van antibioticumgebruik en sterfte onder pluimvee. Een autovaccin is gemaakt met onschadelijk gemaakte ziektekiemen van het bedrijf waar het wordt toegepast.
Het kan wenselijk zijn om meerdere bacteriën in één autovaccin te combineren. Een grotere totale hoeveelheid bacteriën geeft een grotere hoeveelheid antigenen in een vaccin en daarmee wellicht een effectievere immuunreactie. Een autovaccin met meerdere bacteriën in hoge concentratie lijkt dus ideaal.
Windbreekgaas tegen transmissie van mycoplasma’s?
Ziektekiemen worden vaak via aerosolen in de lucht binnengebracht en verspreid op pluimveebedrijven. Dit geldt ook voor de aviaire mycoplasma’s M. gallisepticum (Mg) en M. synoviae (Ms). Behandelmogelijkheden tegen mycoplasma’s zijn vaak beperkt, dus het voorkomen van infecties staat voorop om uitval en productieverlies te voorkomen.
In dit onderzoek heeft GD onder laboratoriumomstandigheden gekeken naar het effect van dubbellaags windbreekgaas op de introductie van Mg- en Ms-bacteriën via aerosolen door de luchtinlaat. Allereerst werden de uitgangspunten getest. Er werd een gel lter gebruikt voor het opvangen en kweken van Mg- en Ms-bacteriën. Dit model bleek goed te werken en is bovendien geschikt voor het meten van interventiemaatregelen op de luchtinlaat. Vervolgens is in deze laboratoriumopstelling het verschil onderzocht tussen een bacteriekweek met en zonder windbreekgaas.
Dubbellaags windbreekgaas vermindert onder laboratoriumomstandigheden de aerogene introductie van Mg- en Ms-bacteriën via de luchtinlaat. Het windbreekgaas lijkt een mechanische blokkade voor aerosolen met levende mycoplasma-bacteriën te vormen. Omdat alle andere bekende ziekmakende bacteriën bij pluimvee grotere deeltjes vormen, kan dit type windbreekgaas onder laboratoriumomstandigheden ook effectief zijn tegen introductie via de luchtinlaat van bijvoorbeeld E. coli en salmonella.
Dat gaat echter niet zomaar. In de wand van gramnegatieve bacteriën zitten endotoxinen, die van belang zijn voor de immuunreactie omdat hiertegen afweerstoffen worden opgebouwd. Een overmaat aan deze endotoxinen kan echter leiden tot een dodelijke shockreactie. Bij het combineren van meerdere bacteriën in één vaccin zou dit risico groter kunnen worden. Testen hoeveel endotoxinen in het autovaccin zitten vóórdat het toegediend wordt, is dus wenselijk.
In dit onderzoek zijn drie testmethodes onderzocht. Daarvan gaf de ToxinSensor-kit de meest betrouwbare resultaten. Tegelijkertijd werd duidelijk dat de endotoxineconcentratie in bacteriële autovaccins veel hoger ligt dan verwacht. Zo hoog zelfs, dat er weinig ruimte overblijft om de hoeveelheid afgedode bacteriën te verhogen. Vervolgonderzoek naar factoren die de endotoxineconcentratie en daarmee de veiligheid van een autovaccin beïnvloeden is nodig. Welke endotoxineconcentratie in een autovaccin acceptabel is voor pluimvee, is nu nog niet duidelijk.


Nederland had vorig jaar te maken met een verhoogd aantal gevallen van Salmonella Enteritidis bij zowel mensen als leghennen. Pluimveeorganisaties en humane instanties bundelden hun krachten en een besmettingsbron van leghennen werd opgespoord. In 2024 blijft het aantal besmettingen bij zowel mensen als pluimvee nog steeds te hoog; samenwerken en informatie uitwisselen lijken de sleutel in de aanpak van dergelijke zoönose-uitbraken.
Wat is er precies aan de hand? In juni 2023 stijgt het aantal meldingen van mensen in Nederland die ziek worden door een salmonellabacterie aanzienlijk. Hoewel salmonella bij mensen niet meldingsplichtig is, stuurt een deel van medisch microbiologische laboratoria, die in opdracht van artsen diagnostiek doen, de salmonellastam door naar het Rijksinstituut voor Volksgezondheid en Milieu (RIVM) voor typering. Daar wordt met een uitgebreide DNA-analyse, genaamd whole genome sequencing (WGS), gekeken naar de genetische informatie van de salmonellastam.
RIVM-epidemioloog Roan Pijnacker vertelt: “Wij kijken of de salmonellastam bij meerdere mensen hetzelfde DNA-profiel heeft. Dit maakt het waarschijnlijk dat ze dezelfde bron hebben. Het bleek vorig jaar juni om een salmonellastam van serovar Enteritidis te gaan met een DNA-profiel dat niet eerder was gezien.” Uiteindelijk zijn 172 patiënten geïdentificeerd. “Een behoorlijk aantal. Je moet bedenken dat lang niet iedereen met diarreeklachten naar de huisarts gaat. Elke patiënt die dat wel doet, kun je met factor 25 vermenigvuldigen. In totaal hebben dus zo’n 4.300 mensen een S. Enteritidis-besmetting opgelopen met hetzelfde DNA-profiel als vorig jaar.” Dit DNA-profiel werd gevonden bij isolaten afkomstig van verschillende pluimveebedrijven, waarover standaard typeringsinformatie met de Nederlandse Voedsel- en Warenautoriteit (NVWA) en Wageningen Food Safety Research (WFSR) wordt uitgewisseld.
FIONA SCHOEMAKER, GD:
















“De informatie over de typering wordt gedeeld met de NVWA en vervolgens met pluimveekoepelorganisatie AVINED”






“We hopen in de toekomst meer te gaan doen met het analyseren van pluimveestammen in relatie tot achtergrondinformatie”





Informatie-uitwisseling hard nodig
De informatie over de typering wordt gedeeld met de NVWA en vervolgens met pluimveekoepelorganisatie AVINED. Dat gebeurt al veel langer, legt secretaris Ben Dellaert uit. “In de jaren ’90 waren er best veel salmonellabesmettingen. We hebben dat in de sector voortvarend opgepakt, tenslotte willen we met een gezonde kip een gezond ei produceren. Het aantal humane salmonellabesmettingen is sinds 1996 aanzienlijk afgenomen. Natuurlijk zijn er wel eens incidenten. De taak van AVINED is dan om, als de bron bij pluimvee ligt, samen met alle organisaties te achterhalen wat er aan de hand is en actie te ondernemen. Daar kan informatie van anderen bij nodig zijn, zoals het RIVM en de NVWA.”
“Die afstemming met humane instanties was er dus al wel. Maar als het goed gaat, is er vanzelf minder overleg”, vult Jette Visser, dossierhouder salmonella bij AVINED, aan. “Bij de uitbraak vorig jaar bleek informatie-uitwisseling juist weer heel erg nodig. Alle partijen wisten elkaar weer snel te vinden en goed samen te werken.” AVINED beheert de databank met salmonella-uitslagen. Daar wordt periodiek een uitdraai van gemaakt en deze wordt besproken met de keten, de diervoedersector, GD, dierenartsen, enzovoort. “Bij deze uitbraak zagen we inderdaad een stijging van het aantal gevallen in de keten. We hebben meteen opgeschaald en een kernteam veiligheidsincidenten met de sectororganisaties opgezet. Samen hebben we gekeken hoe we de situatie onder controle konden krijgen.”
Lastig bron achterhalen
Dat het een serieuze uitbraak betreft, blijkt ook uit de cijfers van AVINED. Volgens EU-doelstellingen mag het aantal salmonellabesmettingen onder pluimveekoppels niet boven de 2 procent uitkomen. Waar Nederland normaal gesproken ruim onder die norm zit, ligt het percentage in 2023 er met 3,46 procent ruim boven en ook in 2024 zitten we op het moment van schrijven al boven de 2 procent. In het kader van de monitoring op zoönotische salmonella moeten pluimveebedrijven elke 15 weken monsters inleveren voor salmonella-onderzoek. Deze monsters worden onder meer onderzocht bij GD of andere erkende laboratoria. In sommige gevallen laat de NVWA WGS toepassen om de specifieke salmonellastam vast te stellen. De S. Enteritidis-stam die ook bij mensen is geconstateerd, werd gevonden op een aantal leghennenbedrijven. Deze informatie wordt door de NVWA teruggekoppeld naar het RIVM.
Pijnacker: “Het verhoogde aantal salmonellabesmettingen onder pluimveekoppels was een sterke aanwijzing dat eieren de bron waren van ziekte bij de mens. Deze verdenking werd versterkt doordat het vaak om hetzelfde DNA-profiel ging als die bij patienten werd gevonden. Het was daarom van belang om de bron van besmetting van zoveel leghennenbedrijven te achterhalen. Daarnaast werden GGD’en gevraagd om patiënten uit te vragen naar wat voor soort eieren ze eten, waar die zijn gekocht, hoe ze zijn geconsumeerd (zacht- of hardgekookt, spiegelei, et cetera). Dit geeft een beeld van hoe de patiënten de besmetting hebben opgelopen. Het was echter lastig om de tracering
“Je moet bedenken dat lang niet iedereen met diarreeklachten naar de huisarts gaat”
JETTE VISSER, AVINED:
“Meest effectief is om het koppel af te voeren, stallen te reinigen en ontsmetten en een nieuw koppel op te zetten”








tussen eieren van de consument en leghennenbedrijven compleet te maken. Ten eerste hadden patiënten de eieren vaak niet meer in huis ten tijde van de uitvraging door de GGD. Dan is het moeilijk om, met de eiercode, te achterhalen waar ze vandaan komen. Daarnaast werd de tracering op basis van aankooplocatie en soort eieren bemoeilijkt, omdat bij verkoop van eieren in de supermarkt elke verpakking afkomstig kan zijn van een ander leghennenbedrijf, ook wanneer de verpakking zelf niet anders lijkt.”






Uit het brononderzoek bleek dat er eigenlijk twee groepen patienten zijn; de ene at vaak scharreleieren, de andere biologische eieren. Het gaat dus niet om één grote uitbraak, bovendien zijn er patiënten over het hele land. “Dat maakte het nog lastiger”, beaamt Pijnacker.







Schot in de zaak



Men kreeg de vinger niet goed achter de oorzaak van de besmettingen. Er is geen directe link gelegd tussen een ziek persoon en een specifieke eiercode of legbedrijf. Dit is ook lastig, omdat de schalen vaak al weggegooid zijn op het moment dat de persoon ziek wordt. Wel waren er leghennenbedrijven besmet met dezelfde salmonellastam die bij mensen werd gevonden. Veel van de salmonellabesmettingen bij de leghennen worden aangetoond bij koppels van 65 weken en ouder. Daarop nam AVINED via IKB Ei het uitvoeringsbesluit om oudere legkoppels elke 8 weken te bemonsteren. IKB Ei is het private kwaliteitssysteem in de legsector dat zich onder andere inzet voor voedselveiligheid.






















- Hoge (piek) productie
- Excellente eikwaliteit
- Hoogste rendement
- Goede leefbaarheid



- Hoogste aantal sorteerbare eieren - Robuuste kip, past zich gemakkelijk aan - Goed te managen
- Kortom de “ideale” kip
Verlengde Lagecampseweg 2-4
Ochten / Nederland
T +31 344 641 349 hetankerbv.nl
Nieuwstraat 21 Poppel / België T +32 14 65 41 40 vepymo.com
Spoorweg 10
Hegelsom / Nederland T +31 6 230 125 87 vepymo.nl
VerhaegheHet Anker
Broeierij en Pluimveebedrijf
Beselarestraat 155
Geluwe / België T +32 56 511 318 verhaeghe-hetanker.be
Er kwam wat schot in de zaak toen er bericht kwam van een S. Enteritidis-besmetting van eierschalen die eliminatie van salmonella zouden hebben ondergaan bij een diervoederproducent die eierschalen in veevoer verwerkt, met hetzelfde DNAprofiel als die bij patiënten werd gevonden. Dit verklaarde een deel van de besmettingen van leghennenbedrijven en mensen. “Het bleek dat er iets mis was gegaan in dat proces, waardoor eierschalen die in pluimveevoer werden verwerkt als calciumbron, niet goed waren verhit. Dat besmette voer is gedistribueerd, waardoor weer nieuwe koppels leghennen besmet raakten”, licht Pijnacker toe.
Met deze informatie konden snel maatregelen worden genomen door de verwerker van eierschalen. Uiteraard heeft de NVWA toezicht gehouden op de genomen maatregelen “De salmonellastam met het DNA-profiel van de uitbraak zagen we daarna niet meer. Recent veroorzaken wel andere S. Enteritidisstammen een verheffing in het aantal besmettingen bij de mens. De bron hiervan is nog onbekend. Ook zijn de besmettingen in de leghennensector nog steeds hoger dan normaal. Gelukkig zien we de uitbraakstam niet meer terug bij consumenten. De maatregelen helpen dus”, constateert Jette Visser, om er tegelijk aan toe te voegen dat een besmetting op een bedrijf niet zomaar is verdwenen. “Meest effectief is om het koppel af te voeren, stallen te reinigen en ontsmetten en een nieuw koppel op te zetten. Dat is echter aan de ondernemer, hij mag de eieren ook naar de industrie afzetten. Aan beide opties zitten ook economische consequenties.”
Puzzelstukjes leggen
Humaan is er nog altijd een duidelijke verhoging van het aantal S. Enteritidis-gevallen ten opzichte van voorgaande jaren. Hoewel er nu geen duidelijke link is gelegd naar de pluimveesector, leunen de verschillende partijen zeker niet achterover. Zo kunnen een aantal zaken best beter en voortvarender worden opgepakt, stelt GD-pluimveedierenarts Fiona Schoemaker. “Zoals salmonellastammen van besmettingen bij mensen worden getypeerd, kan dat ook bij dieren. We hopen in de toekomst meer te gaan doen met het analyseren van pluimveestammen in relatie tot achtergrondinformatie, met als doel achter de bron van een besmetting te kunnen komen. Bij mensen gebeurt dit al. Het RIVM haalt informatie bij patiënten op via vragenlijsten wanneer een cluster van patiënten met hetzelfde DNA-profiel wordt gezien. Wij zouden heel graag hetzelfde doen bij besmette bedrijven. Nu al is het zo dat de pluimveehouder bij een besmetting in gesprek gaat met de dierenarts. Die informatie blijft nu tussen veehouder en dierenarts. We hopen dat pluimveehouders hun informatie in de toekomst standaard willen delen, in dienst van de pluimveesector als geheel. Het doel is om alle puzzelstukjes bij elkaar te leggen, zodat een goed beeld ontstaat van de besmetting en de bron. Als we dat doen, zijn we goed op weg om meer grip te krijgen op dit soort ziekte-uitbraken.”
Ewoud Kampschöer, van het Platform Pluimveedierenartsen, erkent dat het belangrijk is om informatie over besmettingen te delen. Hij mist daarbij een centraal punt om de informatie overkoepelend te organiseren. “Bij salmonella is er niet direct een heel duidelijke bron aan te wijzen. Er zijn veel risicofactoren. Het zou heel goed zijn om alle houders dezelfde vragen te stellen en deze allemaal bij elkaar te leggen. Je hebt echter wel met AVG-regels te maken en mensen die terughoudend zijn. Dat maakt dit soort data verzamelen soms wat lastig. Het is dus best een uitdaging wie welk puzzelstukje bijdraagt en wie uiteindelijk de hele puzzel gaat leggen.” Dat gezegd hebbende is Kampschöer wel blij met de kortere lijntjes en directere communicatie die zijn ontstaan door de uitbraak.
Alert blijven
Ook AVINED is extra alert op uitbraken. Dellaert: “Het is goed om vaker bij elkaar te komen en informatie te overleggen. Zo kunnen we eventuele problemen snel ontdekken en in de kiem smoren. We doen ook wel oefeningen op het gebied van voedselveiligheidsincidenten met betrokken partijen en instanties. Je komt dan altijd weer zaken tegen waar je niet aan had gedacht. Verder vinden we het belangrijk dat, als er impopulaire maatregelen moeten worden getroffen bij een uitbraak, daar draagvlak en begrip onder ondernemers voor is. We willen samen dingen regelen. Niet achter het bureau, maar in de praktijk.”
We hebben meteen opgeschaald en een kernteam veiligheidsincidenten met de sectororganisaties opgezet
Zowel RIVM, AVINED als GD benadrukken ten slotte nog dat zowel ondernemers als consumenten zelf een belangrijk aandeel kunnen hebben in het voorkomen van salmonellabesmettingen. “Voor bedrijven blijft biosecurity heel belangrijk. Ziekte-insleep voorkomen is altijd beter dan genezen. Maar ook onhygiënisch handelen door consumenten, bijvoorbeeld in de keuken, kan problemen geven”, zegt Ben Dellaert tot besluit.
Newcastle Disease (NCD), ook wel pseudovogelpest genoemd, wordt veroorzaakt door een voor vogels zeer ziekmakend en dodelijk virus. De ziekte komt wereldwijd verspreid nog veel voor. In het verleden hebben we in Nederland ook verschillende NCD-uitbraken gehad bij commercieel gehouden pluimvee en bij siervogels gehouden voor de handel. Om te voorkomen dat we opnieuw te maken krijgen met uitbraken en om eventuele uitbraken zo beperkt mogelijk te houden, geldt in Nederland een wettelijke vaccinatieverplichting voor al het commercieel gehouden pluimvee (vanaf 250 dieren). Ter controle of elk koppel goed is gevaccineerd, worden bloedmonsters afgenomen die worden getest op afweerstoffen die worden opgewekt door de vaccinatie.
Alle dieren moeten achttien dagen na uitkomst uit het ei minimaal één keer gevaccineerd zijn met een levend vaccin of met een recombinant vaccin op de broederij. Dieren die langer leven worden in de praktijk vaker dan één keer gevaccineerd. Deze dieren kunnen daardoor ook meer afweerstoffen in het bloed hebben dan dieren die eenmalig zijn gevaccineerd.
NCD bij duiven
Een duivenvariant van het NCD-virus die wereldwijd, en dus ook in Europa, veel bij duiven voorkomt, is het pigeon paramyxovirus type 1 (ook wel pPMV-1 genoemd). Onlangs werd dit virus in Nederland aangetoond in gehouden duiven met verhoogde sterfte. Het pPMV-1-virus kan ook zeer hoge sterfte bij hoenderachtigen veroorzaken, maar dan moet het virus zich vaak nog iets aanpassen aan pluimvee. Bij de eerste pPMV-1-besmetting bij pluimvee verloopt de ziekte vaak mild. Wanneer het virus de kans krijgt te spreiden, kan het virus zich verder gaan aanpassen aan pluimvee en daarmee steeds dodelijker worden. Om dit te voorkomen, is het dus zeer van belang om commercieel pluimvee goed te vaccineren en te beschermen tegen infectie met het virus om zo verdere verspreiding van dit virus te voorkomen.
Extra onderzoek op bloed met veel afweerstoffen tegen NCD Afweerstoffen in het bloed kunnen zowel door vaccinatie als door een infectie met een NCD-veldvirus, waaronder het pPMV1-virus, worden opgewekt. GD controleert met een serologische test (de HAR-test) of er antistoffen tegen NCD in het bloed zitten. Soms tonen we in bloed van vleeskuikens, broederhaantjes en kalkoenen uitzonderlijk hoge hoeveelheden afweerstoffen tegen NCD aan, hoger dan je verwacht na een vaccinatie. Indien meer dan 75 procent van de ingezonden bloedmonsters van een bepaald koppel van een van deze pluimveetypen een titer van 7 of hoger heeft, voert GD extra onderzoek uit op deze bloedmonsters. Hierbij kijken we ook in meer detail of er antistoffen tegen de duivenvariant van het NCD-virus in het bloed zitten.
In de periode van het derde kwartaal van 2020 tot en met het tweede kwartaal van 2024 toonde GD, in bloed van pluimveekoppels van in totaal 77 verschillende pluimveebedrijven (vleeskuikens, kalkoenen en broederhaantjes) verspreid door het land (zie figuur), een NCD-HAR-titer van 7 of hoger aan in meer dan 75 procent van de ingezonden bloedmonsters bij minimaal één koppel (zie tabel).
Aantal bedrijven met een NCD-HAR-titer van ≥7 in >75% van de ingezonden bloedmonsters van het pluimveekoppel
Pluimveetype
Tabel. Resultaten analyse NCD-HAR-titers in ingezonden pluimveebloed
Op achttien bedrijven toonde GD gedurende meerdere ronden in de beschreven periode hoge NCD-titers aan. Op één koppel na, was er geen aanwijzing dat een pPMV-1-infectie de hoge NCDtiters veroorzaakt had. Daarnaast zagen we geen seizoenseffect, de koppels met de hoge NCD-titers werden gedurende het hele jaar waargenomen.
Wat ook opviel, is dat het voorkomen van hoge NCD-titers bij kalkoenen sterk bedrijfsafhankelijk is. Zoals te zien in de tabel, had één kalkoenenbedrijf zelfs zes keer in de beschreven periode hoge NCD-titers in het ingezonden bloed. Daarbij valt op dat de koppels op dit bedrijf ook vaak Mycoplasma synoviae (Ms)-positief zijn. GD ging na of er een relatie kon zijn tussen de aanwezigheid van Ms ten tijde van de NCD-vaccinatie en de hoogte van de NCD-titers na de NCD-vaccinatie. Eerder onderzoek bij vleeskuikens toonde geen hogere titers aan na een NCD-vaccinatie van Ms-geïnfecteerde dieren (Figueira Silva et al, 2008). Ook in de data van Nederlandse kalkoenenbedrijven is dit effect niet gevonden. Er zijn dus geen aanwijzingen dat Ms-infecties leiden tot hoge NCDtiters bij kalkoenen.
Conclusie
• Hoge NCD-titers (>75% van de inzending titergroep ≥7) bij vleeskuikens, kalkoenen en broederhaantjes kwamen verspreid over het land voor en lijken niet gebiedsgebonden.
• Er lijkt geen sprake van een seizoenseffect.
• In bloed van een beperkt aantal bedrijven werd herhaaldelijk in meer dan 75 procent van de ingezonden monsters een titergroep van 7 of hoger gevonden. Op een uitzondering na, betrof dit twee koppels per bedrijf. Bij het uitzonderingsgeval ging het om zes koppels.
• Op een enkele uitzondering na, werden geen aanwijzingen gevonden dat een infectie met de duivenvariant van het NCDvirus de oorzaak was van de gevonden hoge NCD-titers na de NCD-vaccinatie. Of besmetting met een ander NCD-virus heeft plaatsgevonden kan niet worden uitgesloten.
• Er zijn geen aanwijzingen dat een Ms-infectie bij kalkoenen aanleiding geeft tot hoge NCD-titers.
Diertype
Vleeskuikens (n=50)
Kalkoenen (n=23)
Broederhaantjes (n=4)
Figuur. Verspreiding van de 77 bedrijven waarbij GD NCDHAR-titers van ≥7 aantoonde in >75% van de ingezonden bloedmonsters van het pluimveekoppel (3e kwartaal 2020 tot en met het 2e kwartaal 2024) (Bron: GD)

VERWARMING EN VENTILATIE VOOR UW PLUIMVEEHOUDERIJ
Alle seizoenen een oplossing voor een perfect stalklimaat.






Ongediertebestrijding 12x per jaar
Desinfectie (pluim-)veestallen
Salmonellabestrijding
Coccidisiose- en wormbestrijding
Bloedluisbestrijding
Waterleiding reinigen (pulsen)
Al uw agrarische producten
Uitvoeren van hygiënogram





Indirect gestookte warm waterheaters
Indirect gas gestookte heaters
Gelijkdruk ventilatie systemen
Warmteterugwinning systemen met fijnstof filters
MEER INFORMATIE BEL +31(0)342-786952















0318 - 253 044
loedeman-ongediertebestrijding.nl
Meikade 89, 6744 TC Ederveen
Neem contact op met Frank Roosenbeek
T +31 (0)314 - 355 830
E frank@dock35media.nl
I www.dock35media.nl














































GEDRAG VAN PLUIMVEE
MONITOREN MET CAMERA’S




De Ethometer maakt gebruik van camera’s om het gedrag van vleeskuikens in de stal te registreren en analyseren. Er worden geen beelden gedeeld of opgeslagen. De pluimveehouder kan in de app meekijken en zien wat voor gedrag het koppel vertoont. De geregistreerde data geven informatie die kunnen worden gebruikt om te zien of er ander of afwijkend gedrag voorkomt. GD-projectleider Heleen Worm begeleidde het afgelopen jaar een breed uitgezette pilot, samen met collega’s Maaike Gonggrijp en Willem Dekkers.
Heleen: “We hebben de Ethometer getest met vier pluimveehouders, in meerdere stallen. We wilden diverse koppels in verschillende omstandigheden, zo hebben we ook getest bij een biologische pluimveehouder. Door onder verschillende omstandigheden de Ethometer te testen, kan deze straks onder veel omstandigheden functioneren.”
Actuele gegevens over het koppel Middels een app kun je als pluimveehouder zien welk gedrag jouw kippen vertonen. In een schijfdiagram zie je hoeveel tijd van de dag de dieren bijvoorbeeld stilstaan of -zitten, eten, poetsen,


uitrekken of lopen. Heleen: “De pluimveehouders zien een meerwaarde in het systeem en hebben enthousiast meegewerkt aan deze pilot. Ze kunnen zo ook aan anderen laten zien waar ze mee bezig zijn. En ze gaven aan het interessant te vinden om te zien hoe hun kuikens zich ongestoord gedragen, ook bij verschillende leeftijden. Want zodra je de stal inloopt, verstoor je automatisch hun gedrag. Met de Ethometer stoor je niet. Een blik op de app en de camera en je ziet hoe het gaat.”
Leerpunten
Halverwege de pilot is besloten om de camera’s op een andere positie te hangen. Deze suggestie kwam onder andere van de deelnemende pluimveehouders. De camera’s hangen niet meer schuin aan het plafond naar beneden gericht, maar in de nok. Dit geeft pluimveehouders de mogelijkheid om de informatie van de app te combineren met wat ze zelf kunnen zien in de stal. Daarvoor moest het algoritme wel worden aangepast. “Een kip van de zijkant monitoren, of van bovenaf, dat is toch anders. We richten de Ethometer nu verder in, waarna het na verwachting in het eerste kwartaal van 2025 beschikbaar zal zijn als product”, legt Heleen uit.
Diersoort en leeftijd:
Leghennen (26 weken), opfokleghennen (12 weken) en vleesvermeerderingsdieren (43 weken).
Anamnese
In korte tijd ontving de sectiezaal van GD drie inzendingen van leghennen, opfokleghennen en vleesvermeerderingsdieren met klachten van luchtwegproblemen, verhoogde uitval, slome dieren en dalingen in de productie en voeropname. De mate van kliniek wisselde sterk tussen de verschillende koppels. Bij het opfoklegkoppel was sprake van verhoogde uitval tot bijna 0,5 procent per dag en ernstige luchtwegproblemen met bloed in de luchtpijp. De kliniek bij het volwassen legkoppel was gering verhoogde uitval met enkele dagen een milde productiedaling. Het vermeerderingskoppel had ook iets verhoogde uitval, maar

de kliniek zat hem bij dit koppel met name in een ernstige voeropnamedaling van 12 procent en een productiedaling van 8 procent. Met name de hanen in het koppel waren erg sloom.
Vervolgonderzoeken
GD deed sectie-onderzoek op kippen uit deze koppels. Zeer opvallend bij het opfoklegkoppel en het vleesvermeerderingskoppel was de aanwezigheid van bloed in de luchtpijpen van de dieren. Afbeelding 1 toont twee bloederige luchtpijpen van de opfoklegdieren. Zoals te zien is in beide foto’s, is de hoeveelheid bloed die in de luchtpijp aanwezig was zeer wisselend. Er waren ook dieren bij deze inzending die geen bloed in de luchtpijp vertoonden. Bloed in de luchtpijp werd ook waargenomen bij de vleesvermeerderingsdieren. Bij het legkoppel werden enkel wat overvulde voorhoofdsholtes waargenomen met waterige inhoud.



Diagnose

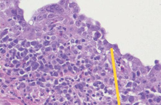
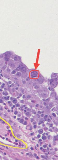
Swabs van de luchtpijp toonden middels PCR infectieuze laryngotracheïtisvirus (ILT-virus) aan. Tevens werden bij het opfoklegkoppel luchtpijpen onder de microscoop bekeken. ILT kan schade aan de luchtpijp geven wat kan leiden tot bloedingen die je met het blote oog kunt zien, maar het virus kan ook leiden tot veranderingen in de luchtpijp die je alleen onder de microscoop kunt waarnemen (zie afbeelding 2).
Infectieuze laryngotracheïtis
Infectieuze laryngotracheïtis is een virale infectieziekte veroorzaakt door een herpesvirus (Gallid herpesvirus 1, ook wel het infectieuze laryngotracheïtisvirus genoemd). De aandoening uit zich met name in luchtwegverschijnselen, verminderde voer- en wateropname en uitval. Bij leggende dieren kan ook een legdaling optreden. Verspreiding vindt plaats door direct en indirect contact (personen, vogels en producten zoals mest, ongedierte, transportmiddelen, verpakkingsmateriaal en gereedschappen). Verspreiding via de lucht is mogelijk, maar doorgaans niet de belangrijkste verspreidingsroute. Er is geen sprake van verticale overdracht, wat wil zeggen dat moederdieren het virus niet kunnen overdragen aan kuikens via het ei.
Na een veldinfectie of vaccinatie met een levend vaccin kunnen dragers ontstaan in een koppel. Reactivatie en ook uitscheiding van het (vaccin)virus is mogelijk, bijvoorbeeld bij stress, bij in productie komen en in geval van bijplaatsen in een koppel. Het ILT-virus spreidt in de stal minder snel dan andere luchtwegvirussen zoals infectieuze bronchitis (IB), Newcastle Disease (NCD) of vogelgriep. Bij stallen met koloniehuisvesting kan het enkele weken duren voordat de hele stal besmet is. De verspreiding naar andere stallen kan ook langzaam gaan. Het virus kan
Afbeelding 2. Luchtpijp met ILT onder de microscoop: de rode pijl toont cellen van de luchtpijp aan die samenklonteren, te herkennen aan de donkerpaarse rand. Dit is typisch voor een infectie met een herpesvirus zoals ILT-virus. De samenklontering is niet met het blote oog te zien, hiervoor is een microscoop nodig. De gele pijl wijst naar een bloedvat in de luchtpijp. Dit bloedvat is nog intact. Indien het ILT-virus schade veroorzaakt aan het omliggende luchtpijpweefsel, kan het bloedvat bloot komen te liggen. Dit leidt tot bloed in de luchtpijp, wat je met het blote oog kunt zien (Bron: GD)
vooral bij lage temperaturen vrij lang buiten de kip overleven; een week in de mest en tot enkele maanden in dode dieren. Na besmetting met het virus ontwikkelen onvoldoende beschermde dieren gemiddeld tussen 5 en 15 dagen later ziekteverschijnselen. Deze verschijnselen kunnen in het beginstadium subtiel zijn, slechts enkele dieren hebben wat neusuitvloeiing of natte ogen. In een aantal dagen gaat dit over in duidelijk geluid op het koppel. Rochelende en proestende kippen met (eenzijdig) de ogen dicht is een veel gezien stalbeeld. In ernstige gevallen kunnen de kippen bloederige afscheiding uit de luchtpijp krijgen, wat er zelfs toe kan leiden dat een dier stikt. De uitval kan in sommige gevallen flink oplopen. Dit hangt mede af van de pathogeniteit (de mate waarin het virus in staat is ziekte te verwekken) van de ILT-virusstam en de aanwezigheid van andere ziekteverwekkers. In een stal kunnen de ziekteverschijnselen 10 tot 14 dagen aanhouden, waarna de dieren doorgaans weer volledig genezen. Commerciële leg- en vermeerderingsdieren worden standaard gevaccineerd tegen ILT. Er zijn diverse types vaccin beschikbaar.
De dieren in deze casussen waren allen gevaccineerd tegen ILT. De opfokleghennen en de vleesvermeerderingsdieren hadden een enkele vaccinatie met een vectorvaccin ontvangen op de broederij. De leghennen hadden naast deze broederij-enting ook een vaccinatie met een vectorvaccin in de opfok gehad. Het is bekend dat vectorvaccins de klinische verschijnselen van ILTinfecties verminderen maar niet altijd kunnen voorkomen (geen volledige bescherming).
MEER INFORMATIE OVER VACCINS EN (PREVENTIEVE) MAATREGELEN BIJ UITBRAKEN



…INZENDINGEN MET AI-UITSLUITINGSSWABS
In 2024 tot en met het derde kwartaal, stuurde GD in het kader van early warning 216 keer vanuit sectie-onderzoek swabs in naar Wageningen Bioveterinary Research (WBVR) om AI uit te sluiten. WBVR ontving daarnaast van 18 verschillende dierenartsenpraktijken 70 inzendingen met AI-EWSuitsluitingsswabs. In geen van de swabs vanuit GD en de pluimveepraktijken werd vogelgriepvirus aangetoond.
In 2024 werd tot het moment van schrijven (begin december) 23 keer een pluimveedierenarts van GD gevraagd om een bedrijf te bezoeken met een NVWA-specialistenteam. Een specialistenteam bezoekt een bedrijf bij een verdenking van AI. Zo’n verdenking is bijna altijd gebaseerd op opvallende klinische verschijnselen. Daarbij kan bijvoorbeeld gedacht worden aan plots hoge uitval, een sterke voer- of wateropnamedaling of een verdacht sectiebeeld.

Tijdens het bezoek neemt het specialistenteam monsters die met spoed worden onderzocht op het vogelgriepvirus (AI). Helaas werd op één van de bezochte bedrijven hoogpathogeen AI-virus (HPAI) aangetoond. Daarnaast werd vier keer een laagpathogeen AI-virus gevonden: één keer H2N3, één keer H10N7, één keer HxNx (nog in onderzoek) en een geval van laagpathogene H5N1.
De 23 bedrijfsbezoeken, steeds na melding van verdachte kliniek, en het hoge aantal inzendingen met EWSuitsluitingsswabs geven aan dat de waakzaamheid en alertheid in de sector nog steeds hoog is.
VRAAG: IK HEB NA REOVIRUSPROBLEMEN DE REINIGING EN DESINFECTIE GECONTROLEERD MET DE VIR-CHECK. DE SCORE IS GROEN, MAAR ER IS NOG WEL REOVIRUS AANGETOOND. WAT BETEKENT DAT?
ANTWOORD: CHRISTIAAN TER VEEN, DIERENARTS

‘Als er reovirus is aangetoond, zijn de kuikens al vroeg met reovirus in aanraking gekomen, de oorsprong van het virus is een beetje gissen. Ze kunnen het virus in de stal hebben opgepikt, ondanks dat de andere virussen niet zijn gevonden. De reiniging en desinfectie is dan in de basis goed, maar het is belangrijk om na te gaan of er toch nog verbeterpunten zijn.
vraag & antwoord
In sommige gevallen kunnen de eendagskuikens het virus hebben meegenomen. De VIR-check houdt er rekening mee dat dit kan gebeuren en kan daarom ondanks het aantonen van een virus toch een groene score geven. Het is niet mogelijk om aan te geven of dit specifieke reovirus peesschedeontsteking of andere ziekte veroorzaakt.’

diergezondheid volgens Jan Workamp
Als zelfstandig adviseur komt Jan Workamp met bijna alle aspecten van de pluimveehouderij in aanraking. Hij draagt veel bij aan de sector, onder andere op het gebied van emissiereductie en ontving daarvoor begin dit jaar een koninklijke onderscheiding. Ook de Anne Veenbaas-penning van 2024 ging naar hem. “We lopen voorop in de wereld als het gaat om pluimveegezondheidszorg. In al die jaren heb ik veel zien veranderen. Wat hetzelfde blijft, is de inzet van de pluimveesector om het elke dag een beetje beter te willen doen. Om problemen op te lossen en uitdagingen aan te gaan.”
Jan is zelfstandig adviseur pluimveehouderij onder de bedrijfsnaam AviConsult en heeft jarenlange ervaring in het agrarisch onderwijs, onderzoek, pluimveebedrijfsleven en de diergezondheidssector. Inmiddels heeft hij een enorm netwerk binnen het bedrijfsleven en de overheid. Hij is al enkele decennia in de pluimveewereld actief. “Er is een enorme variatie in de sector. Opfok, legkippen, vleeskuikens, moederdieren, eenden en ga maar door. Die variatie spreekt mij enorm aan, elk diertype kent zo zijn speci eke houderij-aspecten.”
Vakmanschap pluimveehouders
Jan: “We zien dat de maatschappelijke eisen rondom pluimvee steeds veranderen. Het is belangrijk om verantwoorde en onderbouwde beslissingen te nemen met elkaar. Ging het een tijd geleden over bijvoorbeeld legbatterijen, snavels behandelen of het verminderen van antibioticumgebruik, inmiddels ligt de nadruk meer op dierenwelzijn en de jnstof- en ammoniakuitstoot. Deze gaan soms moeilijk samen. Zo zorgde de overgang van batterij naar scharrel juist voor meer jnstofuitstoot doordat de dieren stofbaden en scharrelen. De sector gaat elke keer voortvarend met de voorliggende vragen aan de slag. De pluimveehouders tonen echt vakmanschap. Ook de pluimveedierenartspraktijken zijn inmiddels zo gespecialiseerd, dat we een hoge pluimveegezondheid hebben in ons land. Daarin zijn we een voorbeeld voor de wereld.”
Dier in het oog houden
Jan benadrukt dat hij vanuit zijn rol met veel partijen om tafel zit. “Het gaat niet om mijn mening, ik probeer te verbinden en gezamenlijke oplossingen te vinden.” Daarbij vindt hij het belangrijk om het dier in het oog te houden. “Als je aan de slag gaat met emissiereductie en je verbetert ook het binnenklimaat, dan heeft dat een positief effect op diergezondheid en dierenwelzijn. Dus de focus op de techniek in combinatie met diergezondheid en dierwelzijn. Dat vind ik heel belangrijk. En doordat we zo voorop lopen in Nederland, hebben we ontzettend veel data beschikbaar. Het zou mooi zijn als we die nog beter met elkaar kunnen combineren in de toekomst.”





