Skip to main content

Whey provision through the water system as cause of salt poisoning

Page 1

AHEAD IN ANIMAL HEALTH

Whey provision through the water system as cause of salt poisoning S. Engel1, C. Sanderman1, T. Tobias1, S. Klarenbeek1 1 Royal GD, Deventer, the Netherlands

Background and Objectives Several nine-week-old fattening pigs were sent in for necropsy, with the anamnesis describing neurological symptoms. The newly introduced animals from three sections exhibited the following symptoms while alive: trembling, reduced appetite and recumbency. The differential diagnosis for these signs points to infectious pathogens such as streptococci and E. coli. Pathological examination could not confirm the proposed infectious causes, but instead, a non-infectious cause was identified as the cause of death after histological examination. The case aims to raise awareness of non-infectious causes of clinical signs of the nervous system. Material and Methods Macroscopic post-mortem examination was performed followed by microscopy (HE staining). Bacterial culture for streptococci and E. coli was performed, as well as PCR testing for the following pathogens: Mycoplasma hyopneumoniae, Mycoplasma hyorhinis, PCV2, Influenza virus and PRRSv.

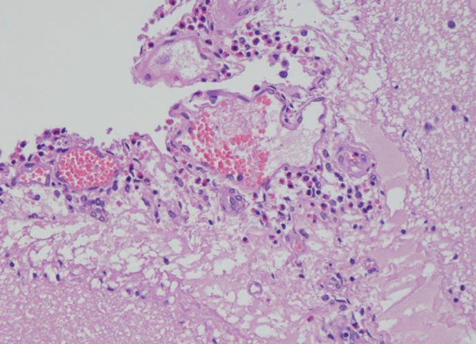
Results The pigs were diagnosed with eosinophilic meningoencephalitis, associated with salt poisoning or obstructed water intake. The meningoencephalitis was characterized by an increased presence of eosinophilic granulocytes in the brain (Fig. 1), concurrent with neuronal

Figure 1: Cerebrum. A blood vessel is surrounded by eosinophilic granulocytes, characterized by granular pink cytoplasm. Hematoxylin and eosin (H&E) stain.

b.engel@gdanimalhealth.com www.gdanimalhealth.com

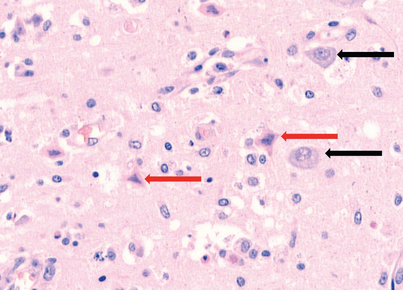
necrosis in the cerebral cortex (Fig 2. and 3.). The results were considered pathognomonic for salt intoxication. Bacterial cultures and PCR tests for the investigated pathogens were negative.

Discussion and Conclusion In this specific case, a high supplementation of whey in combination with a limited amount of water was found to be the cause of the excessive intake of sodium. Signs of salt intoxication in pigs include cessation of eating (but with persistent thirst) and restless behavior. Animals may appear deaf and blind, and various other nervous signs may occur, similar to those in bacterial meningitis. Typical signs include

Figure 2: Cerebral cortex. Necrotic neurons, with karyopyknosis (shrunken compact nuclei) and hypereosinophilic (pink) cytoplasm (red arrow). Nonnecrotic neurons for comparison (black arrows). Hematoxylin and eosin (H&E) stain.

tremors of the snout initially, spreading to clonic spasms of the neck, opisthotonus, walking backward, sitting, lying on the side, and generalized clonic spasms. Following a decrease in whey supplementation and giving ad libitum access to water, the problems were not observed anymore. Rebalancing the pigs' fluid levels should be done slowly. Water intake should initially be limited and distributed over several hours until unrestricted intake is possible again.The case emphasizes the importance of careful dietary management and monitoring of water supply systems to prevent salt poisoning or water shortage-related issues in pig farming. Drinking system: see picture below

Figure 3: Meninges. Blood vessels in the leptomeninges are surrounded by eosinophilic granulocytes. Hematoxylin and eosin (H&E) stain.

e r o m For n o i t a m r o f n i visit 4 0 D h t o o b

GD3050/05-24


Turn static files into dynamic content formats.

Create a flipbook
Whey provision through the water system as cause of salt poisoning by Royal GD - Issuu