Botryomycosis of swine mammary dermal tissue, a re-acquaintance

Page 1

Botryomycosis of swine mammary dermal tissue, a re-acquaintance

Rooijakkers1, Miranda Kanters1, Naomi de Bruijn2, Tijs Tobias2

1 De Varkenspraktijk, the Netherlands

2 Royal GD, Deventer, the Netherlands

Introduction – case description

Since several years, an organic farrow-finish farm (400 sows) experiences cases of apparent pustular dermatitis in sows (Fig 1), with peak prevalence reaching 30%. Sows affected are of random parity and generally in the third trimester of gestation. Pustules develop on and just dorsal of the mammae. This case describes the diagnostic workup and the successive intervention strategies.

Material and methods

The telephone-consultancy “de Veekijker” was consulted to aid in designing the diagnostic process to establish a diagnosis and cause. A clinical case description was set and (histo)pathologic and microbiological (aerobic and anaerobic) examination of fresh and formalin-fixed tissue biopsies obtained at slaughter was performed.

Results

The mammary skin of affected sows had red pustules developing to firm nodules of 1-2 cm in diameter (Fig 1). Some pustules resolve, others increase in size. During lactation, pustules can ulcerate and develop draining tracts. Clinically, the presumptive diagnosis of 'Actinomycosis' was made, but lesions do not resemble textbook cases. Histologically, lesions consist of multifocal granulomatous to pyogranulomatous inflammatory processes in the dermis and subcutis (Fig 2 and Fig 3). The central necrotic debris had an intense neutrophilic inflammatory infiltrate, accompanied by radially arranged deeply eosinophilic amorphous protein, known as the 'Splendore Hoeppli' phenomenon, around large bacterial colonies (Fig 3, 4 and 5). Culture revealed two strains of Staphylococcus aureus with different antimicrobial susceptibility, as well as Streptococcus dysgalactiae ssp. dysgalactiae. Anaerobic culture revealed absence of growth.

Fig 1.: Example case of pustular dermatitis with noduli of 1-2 cm on the udder.

Discussion

The diagnosis was defined as ‘Botryomycosis’ of mammary dermal tissue with micro-trauma as the likely cause of the pustules. The suspected pathogenesis is an infection in relation to wound contamination or trauma by lacerations, bites, or puncture wounds with foreign bodies. In this specific case, inspection of housing revealed straw bedding as prime suspect for the pustules. It was recommended to remove and clean the litter bedding. The house was disinfected. In addition, selection strategies for sows were amended. The current incidence is reduced but long term follow-up is needed.

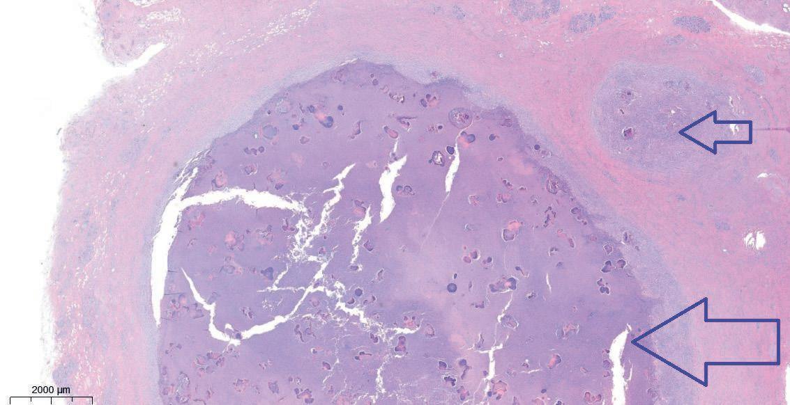
Fig 2.: Overview image (HE staining) of dermal pyogranuloma with a fibrous capsule and central purulent debris (large arrow) and smaller satellite granulomas (small arrow)

Fig 3.: Detailed image (HE staining) of a pyogranuloma with large clusters of bacteria (red star) within the necrotic debris. At the junction of the intense inflammatory neutrophilic infiltrate deeply eosinophilic protein is deposited, known as “Splendore Hoeppli” phenomenon (arrow)

Conclusion

Reporting this case aims to raise awareness

1) of variation in appearance of apparent well known conditions

2) that such lesions can contain multiple bacterial species and

3) to show that biopsies taken at the slaughter can serve purpose to investigate conditions of the integuments.

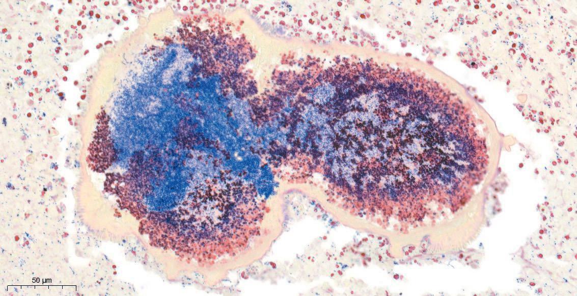
Fig 4.: Overview image (Brown and Brenn staining) Gram staining on pyogranuloma with accumulation of bacteria (blue areas, clusters of gram positive bacteria)

Fig 5.: Detailed image (Brown and Brenn staining) The pyogranulomas contain scattered large clusters of gram positive coccoid bacteria (blue colored) associated with a dense neutrophilic infiltrate and Splendore Hoeppli reaction.

GD0000/00-00
AHEAD IN ANIMAL HEALTH For more information visit booth D04

Turn static files into dynamic content formats.

Create a flipbook
Issuu converts static files into: digital portfolios, online yearbooks, online catalogs, digital photo albums and more. Sign up and create your flipbook.