Skip to main content

Fort Worth Magazine - October 2009

Page 1


Few medical conditions present challenges as complex and diverse as stroke. And few hospitals are as equipped to meet those challenges as Plaza Medical Center. Plaza was the first Fort Worth hospital to offer a dedicated stroke program. As a Certified Stroke facility, we offer stateof-the-art technology to diagnose and treat stroke and other surgical and nonsurgical neurological disorders. With advanced capabilities like these, it’s easy to see why our patients and physicians think Plaza first.

CARDIAC CARE

NEUROSCIENCES

ONCOLOGY

ORTHOPEDICS

SPECIALTY SURGERY

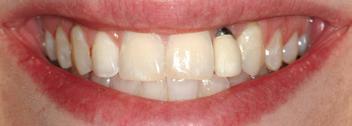
Creating Irresistible Smiles in Fort Worth Since 1985

Your smile is more than just a response; it’s the symbol of your personality and the centerpiece to your overall look. As a pioneer in the field of cosmetic dentistry, Dr. Mitch Conditt combines technical skill with artistic vision to create a smile that will represent who you are and fit your lifestyle aspirations.

An instructor to thousands of dentists from all over the world, Dr. Conditt takes a great deal of pride in having built a practice where patients—like you—feel rejuvenated simply because of the amount of care and experience that has been invested in their personal smile needs.

Contact Dr. Conditt’s practice today to schedule your smile consultation. We are ready to help you start the journey to a smile that is unlike any other.

Modern in Montserrat Nope, it’s not a typo. There indeed exists a contemporary creation in the otherwise traditional enclave. But if you blink, you might miss it—that’s how beautifully this newly

The professionals listed in this article come highly recommended, have an excellent reputation around town or have been in business for many decades. by Courtney

This two-part story features local people and the pets they love, as well as heart-wrenching stories about pet rescues. by Gail

As

Technology and knowledge are nothing without know-how.

I t ’ s one th I ng to understand technology . It’s another thing to use it. At XTO Energy, our expertise pushes the limits of technology to improve the performance of all our properties. As a result, we have driven impressive results for our shareholders and have grown to become one of the largest owners and producers of energy resources in America. We are proud of our successes and our team. As we forge ahead, we’ll continue our commitment to do what we do best:

and online, local shops vastly expand their designing possibilities. by Kelly

Behind the ropes and on the red carpet, the photos of the personalities and parties that have everyone talking

Pink Ribbon Luncheon attendees celebrate the lives of those affected by breast cancer while focusing on the future. by Allison Shipley

With 50 years of service to the youth of Tarrant County, The Boys and Girls Clubs of Arlington celebrate their golden anniversary in style at the new Cowboys Stadium. by Caitlin Rodgers 116 Diners and Dives

One of the secret joys of heading out of town toward the deer lease is indulging in the hole-in-the-wall dining options along the way.

118 Anchors' Outtakes

Bill Jones, sports anchor for CBS 11 and TXA 21, gives the lowdown on the new Cowboys Stadium.

Heywood translates news reports and broadcasts based on a newfound phenomena that he has deemed “subliminal commentary.” 122 PG Suggested Not All It’s

The cheat sheet for all news worth repeating in and around Tarrant County

The latest on Fort Worth’s business climate, power players and entrepreneurs, as well as Q&As with industry leaders

A look inside the world of performing arts, museums, local artists and musicians

Recipe for Health: We caught up with Rebecca H. Dority, instructor in the department of nutritional sciences at TCU, and asked her for some advice on how to live a healthier life.

Hook, Line and Sinker: Local rivers provide perfect fly fishing escapes for those needing a breather from a hectic workweek. by Caitlin Harrison

From the must-see live concert to the highly esteemed art exhibit, a month of events worth checking out

Virtual Accents: Now offering an array of items both in the store

Pass the Brisket and Traditions: Meaningful recipes from a Fort Worth household. by

peek inside new culinary ventures in and around town

Our resident critic dishes on the area’s most notable restaurants

The most sought-after restaurant guide to navigate Fort Worth’s growing dining scene

The backstory behind the people and events that shaped our city

Unsurpassed Quality in Residential and Commercial Construction

davidlewisbUildeR.C om 817-735-1122

DAVID LEWIS BUILDER

contributors

With three young kids at home, life is busy. Courtney Dabney is mom to Allison and Jack, stepmom to Harrison and wife to mark. She enjoys freelance writing about all the charm and character of her hometown. When she’s not at her keyboard, you’ll find her teaching Bible studies at mcKinney memorial Bible Church or being a soccer/ basketball/swim/baseball mom. This month, Courtney reveals local businesses with stellar reputations in “Where to Get everything Fixed” on page 34.

Gail Bennison loves to talk a lot (no surprise to anyone she’s interviewed), and she loves writing about the people of Fort Worth. A daughter, son and two grandchildren have her heart, while two Yorkies, Sonny and Cher, and a blind Westiehuahua serve as daily muses. “I’m happy that Fort Worth, Texas magazine agrees with my personal philosophy: It’s not the ‘who, what, when, where or why’ in a people profile; it’s the ‘how it makes the reader feel’ that truly counts.” Turn to page 48 to read Gail’s story about local people and their pets.

A professional writer with a penchant for Panther City, Alison Rich has penned a diverse array of Fort Worthfocused features in her 15year career. Besides crafting stories about the people and places in and around town, rich also writes and edits for several nationally circulated magazines. To see Allison’s feature, “modern in montserrat,” that gives readers a tour of the mallick’s spectacular home, turn to page 56.

Do you have a story idea for the magazine or are you interested in writing for us? If so, please send all inquiries, queries or story ideas to Jennifer Casseday-Blair, assistant editor, at jcasseday@fwtexas.com.

publisher hal a. brown

associate publisher diane stow

[editorial]

editor amy hallford-turman

assistant editor jennifer casseday-blair

senior art director craig sylva

art directors spray gleaves, ed woolf

food editor judie byrd

food critic camille torres

writers gail bennison, courtney dabney, alison rich

illustrator charles marsh

editorial interns libby davis, kimmy daycock, lauren farrelly, caitlin harrison, elizabeth honea, courtney ortega, caitlin rodgers, ashleigh schmitz, allison shipley

staff photographer jason kindig

photographers meredith brown, sandy tomlinson, andy moore

director of promotions heather davis

[advertising]

main line

817.560.6111

advertising director diane stow x131

senior account executive gina burns-wigginton x150

account executive gail cannon x141

account executive marion c. knight x135

account executive candis low x155

account executive medley regan x126

advertising writers shalene roberts

advertising intern michaela masters

[circulation]

accounting manager evelyn shook office manager silky teemer

founding publisher mark hulme

To subscribe to fort worth texas magazine, or to ask questions regarding your subscription, call 800.856.2032.

fort worth texas: the city ’s magazine is published monthly by fort worth texas m agazine Venture, LP, 6777 Camp Bowie Blvd., Suite 130, Fort Worth, Texas 76116.

Basic subscription price: $23.95 per year. Single copy price: $3.95. Application to mail at periodical postage rates is pending at Fort Worth, Texas. P oST m AST er : Send address changes to fort worth, texas, 6777 Camp Bowie Blvd., Suite 130, Fort Worth, Texas 76116.

©2009 Fort Worth, Texas m agazine Venture, LP. All rights reserved.

No part of this publication may be reproduced without written permission from the publisher.

how to contact us

For questions or comments concerning editorial content, contact Jennifer Casseday-Blair, assistant editor, at 817.560.6178 or via e-mail at jcasseday@fwtexas.com.

MeeT our exTended TeaM MeMbers

Style and the City

Asset to the City

Thank you for the most enjoyable event you planned so well at the Masonic Center for the Tarrant Country Realtors luncheon last Friday and for giving me the opportunity to address the big crowd and for Mike Poss and me to sign books! Your Fort Worth, Texas magazine is such fine quality and a wonderful asset to the city.

With gratitude for your hospitality to me and my association-

Sincerely,

On the WEB

Want to get to know the magazine a little better? Log on to facebook. com and become a fan of the magazine. On our home page, chat with hundreds of local fans, view videos from our signature events, browse photos from some of our most talked about stories and stay updated on our many upcoming events.

Dressed to the nines. Now is the time to recognize those in this city who always leave the house perfectly polished and dapperly dressed. Go to fwtx. com and submit your votes for the best dressed by Oct. 30. Results will be published in the December 2009 issue of Fort Worth, Texas magazine.

Fort Worth Limelight

I love the limelight given to local people. I learn so much about people I see all the time without knowing how truly awesome they are until Fort Worth, Texas magazine does a tribute or article on them. What a great place to learn about your community and the people around you without them having to toot their own horn!

Talk to us We welcome all suggestions, comments and questions about Fort Worth, Texas magazine and the articles we publish. Send comments by visiting fwtx.com. Letters may be edited for length and clarity.

With so many phenomenal women in the community, we couldn’t possibly choose the recipients of this year’s Art of Giving Award without your help. The Art of Giving Award is bestowed to women who have enriched lives and improved livelihoods through their dedication to the community. Five incredible women are on the final ballot, so go to fwtx.com before Nov. 30 to cast your vote for these selfless givers.

Do you think you have what it takes to be Fort Worth, Texas magazine’s next show host? We have partnered with CBS 11/TXA 21 to host an open casting call to select a host for “FYI Fort Worth,” a new lifestyle TV show all about Fort Worth. Please go online to submit your application before Dec. 31. This could be your shot at greatness!

Sneak Peek. Subscribe to our free e-newsletter and be the first to know about the latest magazine events, local dining and entertainment, and the buzz on topics in our upcoming issues.

The most sought-after restaurant guide to navigate Fort Worth’s growing dining scene is now available online. Choose from an extensive listing of restaurants ranging from American to Asian, barbecue to burgers, ethnic to Mediterranean. Just visit fwtx.com and click on the dining guide. Bon appétit!

Calling all party-goers! Did your picture appear in the magazine and now you would like to obtain a copy? If so, log on to fwtx.com, visit Snapshots, where you will find an archive of party pics taken throughout the year, and purchase your photo. It’s that easy.

An Innovator in Women’s Health

Recipient of 2009 Snowmass Institute Award

The Paul and Judy Andrews Women’s Hospital at Baylor All Saints Medical Center has received the 2009 Innovation in Women’s Health Award, presented by The Snowmass Institute. The Innovation in Women’s Health Award recognizes hospitals that have achieved outstanding innovation in women’s health programming and services, such as obstetrics and gynecology. At the Andrews Women’s Hospital at Baylor All Saints Medical Center, we offer innovative techniques and advanced technologies to provide quality health care through all the stages of your life. For a physician referral, call 1-800-4BAYLOR.

Everything In Between

Why is it that so many national companies with locations in the DFW Metroplex attempt to localize radio commercials by inserting the word Dallas? Obviously the advertising agencies that created these spots were not from around here and think that when they refer to the general area as Dallas, we in Fort Worth and surrounding areas feel a connection. Perhaps (in reference to the old Pace Picante Sauce commercials) these advertising folks were from New York City. Truth is, if they were from New York City, they would probably not make this mistake as just eight miles west of Manhattan is a little town called Newark, the largest municipality in New Jersey. I can assure you that up there, they don’t confuse the Nets and the Knicks.

The first basic rule of successful advertising is to know your customers. Before you decide the what, when, where and why, you must know the who. This is something I learned in my first year as a journalism/advertising student at TCU. Surely these advertising folks realize that the reception range for FM radio is between 50-100 miles and that Fort Worth is only 30 miles from Dallas? I'm sure Arlington will agree that the hundreds of thousands of people that live on this side of the new Cowboys Stadium don't consider themselves a part of Dallas. Obviously they did not do their homework because although we are considered twin cities, we are more like quarreling cousins at best.

I made the short twenty-minute trek last month to the new Cowboys Stadium to hear the legendary Sir Paul McCartney perform. To

my chagrin, McCartney opened the concert by saying, “It’s great to be here in Dallas.” How many other times have you been in a Tarrant County venue and heard it referred to as Dallas? The only place where this does not seem to be a problem is Billy Bob’s, and that’s because the entertainers that play there know that with a license it’s legal to carry firearms in Texas.

In this issue, Bill Jones, sports anchor for CBS 11 and TXA 21, shares his experience of broadcasting the Cowboys’ first game in the new stadium, which should be a source of pride for both cities considering its central location in Arlington and its sheer size. Why should Dallas get the credit for everything in between? It’s all about branding.

We are no longer that sleepy little Panther City, and I think it’s time we did something about it. So here’s my proposal ... why don’t we, as a city, buy the naming rights to the new stadium? Think about it, Fort Worth Cowboys Stadium. Let that resonate for a moment. It has a nice ring to it, don’t you think?

Some have speculated that Cowboys owner Jerry Jones is seeking a billion dollars for the naming rights. This price would more than double the two highest naming rights deals in history: Citi Field, home of the New York Mets; and the Barclays Center, future home of the New Jersey Nets.

All we have to do now is fund it. Our city council recently approved the fiscal year 2010 budget of $1.28 billion, so we certainly couldn’t buy the rights without raising taxes. I know no one wants higher taxes, but if I’ve done my math right, that’s only $1,449 per person. Spread out over 20 years, that’s only $72 per person per year. Also, because it’s such great branding for the city, I’m sure we could get the Fort Worth Convention and Visitors Bureau to throw in a few bucks. After all, we do own two-thirds of the title DFW, and even though the FW does follow the D, it’s time to step out of that shadow.

Taking the Field

Gary Patterson, TCU head football coach, took some time off the field to fill fans in on Frog football. He gives the inside scoop on what he expects from his players this season. For more information, turn to page 16.

Game Face On

Gary Patterson, TCU head coach, took some time off the field to fill fans in on Frog football.

You had 11 wins and two losses last fall. Is there anything in particular you learned last year that you are applying to this season? The difference between winning and losing is a very fine line, and you try to prepare and get ready because you never know when those chances are going to come. It’s been a lot of fun, and of everything I’ve learned, it is really important just to enjoy the success. It’s hard to achieve, and it’s hard to win 10 or 11 ball games. I really like the football team we have this year, and hopefully as hard as they’ve worked, they’ll have a lot of success this year also.

When you have played big schools in the past, what is the level of intensity in big stadiums like Memorial and Scott Stadium? Do you think it helps or hurts your team? First of all, you have to look back at our history. We’ve been to games at Oklahoma and a lot of kids have played at Texas in front of big crowds. So we understand what it’s like to play to big crowds. We know

we have a lot of work, but we’ve got to win. We must find a way to do that. On the defensive side you recently lost Stephen Hodge to the Dallas Cowboys. How’s the competition looking for Hodge’s replacement? We’ve had one player out for two days because of a hurt hamstring, but we have several [contenders]. Everybody that’s at that position now should have an opportunity to play this year. We’ve just got to keep getting better; obviously we’re replacing a really good player.

There are several of your players currently up for awards. Are there any boys in particular that you believe have the best shot? All of that is really determined by applicancy. Of course, we have Jerry Hughes and Daryl Washington who are more of a household name; they probably have a better chance. But really all of those guys have a chance to play well. So hopefully they all will do well by the end of the season. –Elizabeth Honea

Artful Resurrection

The Christian Arts Museum, a recent addition to Fort Worth’s Cultural District, features a life-size wax display of Leonardo da Vinci’s “The Last Supper.” In 1955, William Fleming, Fort Worth oilman and philanthropist, commissioned renowned Hollywood wax artists Katherine Stubergh and her daughter,

Katherine Marie Stubergh Keller of Los Angeles, to sculpt the religious representation. The museum’s centerpiece made its Fort Worth debut in 1956 but has spent the last 12 years in storage. Previously housed in the Southern Baptist Radio and Television Commission building, the exhibit closed due to financial difficulties and returned to the Mary D. Walsh Foundation, established by Fleming’s daughter.

Sonya Vasquez of Fort Worth, wax sculptor for Ripley’s Believe It or Not and Louis Tussaud’s Palace of Wax museums, brought the display back to life by restoring its original splendor. Constructing a permanent home for the depiction of Jesus and his disciples, the Christian Arts Commission Inc. fulfilled its objective to create “a spiritual heart in the arts district.” While admission to the Judeo-Christian art museum is free, a campaign has been launched that encourages donations that will establish an endowment fund to maintain the artwork and ensure the longevity of the museum.

Yang Declaws Tiger

Y.E. Yang, his arms and putter held above his head, reacted triumphantly after his surprise victory in the PGA Championship. Yang, a 37-year-old South Korean, brought publicity to Asian-born golfers when he became the first player to topple golf great Tiger Woods in the final round of a major competition. It was an unlikely victory for Yang, who was ranked No. 110 in the world. Woods, on the other hand, was 14-0 going into the tournament and was widely considered to be the favorite. However Yang made an eagle on 14, allowing him to take the lead from Woods. He finished with a victory margin of three shots. This win makes him the first Asianborn player to win a men’s major.

Recently moving to Southlake, Yang is the newest member of the International team for the Presidents Cup in October in San Francisco. Yang, who started playing golf at age 19 in order to pay some bills, is now the proud owner of $1.35 million in winnings as well as a five-year exemption on the majors and PGA Tour. –Libby Davis

The Race is On

Sen. Kay Bailey Hutchison reveals her tenacity as a candidate for Texas governor and shares her opinion of Fort Worth’s urban waterfront project. by

After your 2005 decision to remain in Washington rather than run for governor, what was the deciding factor to run this time? We are facing some serious challenges in Texas. We need leadership that is focused on getting results and solving problems, not playing politics. I love Texas, and I know that at this critical time, I can make the biggest impact on improving lives for my fellow Texans as governor.

You have recently communicated that you want to revamp the Texas Transportation Department. What would that entail? Today, TXDOT is the most arrogant, unaccountable state agency in the history of Texas. I will reform and expand the Commission. It should be more representative of all regions of our state. Under my leadership it will seek and embrace local input. It is time to return to our

tradition of free, quality highways and roads. Like most Texans, I do not believe that politicians should be able to seize the land of hard-working farmers in order to create the TTC. I have always been a staunch defender of private property rights. When I’m governor, the Trans-Texas Corridor will be dead and buried forever.

Why do you feel it is important to limit Texas governors’ terms to eight years? Should there be term limits for senators as well? I support congressional term limits being written into law applicable to all members. Given the congressional seniority system, self-imposed term limits that do not apply to everyone would put Texas at a disadvantage if our members limited themselves when all the other delegations did not and were able to build seniority. The differences between legislative

term limits and executive term limits are stark and there really is little comparison due to the power of the executive. The executive absolutely must be term limited. Ten years in the governor’s office is too long for any one person. It invites a culture of cronyism and tempts corruption.

Your recently visited the Trinity River Vision authority office. Can you share your opinion of our urban waterfront project? The Trinity River Vision project is a great example of how governments can work together to address the many, diverse needs of a growing community. This project should be used as a nationwide model to exhibit how local, state and federal entities can work effectively together to create and execute a plan that dramatically improves the quality of life for an entire community. Not only will this project create 16,000

Core of Combat

After a visit from U.S. Secretary of Defense Robert Gates, Lockheed Martin’s employees will be busy building the Pentagon’s newlyendorsed gem: the F-35 Joint Strike Fighter. Being a longtime fan of the F-35, Gates said he has a “good deal of confidence” in Lockheed Martin to build more than 2,500 F-35 aircrafts for the military’s use. The aircraft will become the primary foundation for combat aviation—a step up from the F-22 Raptor.

While this $300 billion project sounds costly, Gates is confident that individually, the F-35 will be less than half the price of the F-22. “The F-35 is the core of our combat tactical aircraft in the future,” Gates added. –Kimmy Daycock

Smash. Sizzle. Savor.

Smashburger brings a “better burger” to Fort Worth. Promising to be the city’s favorite burger place, the fast, casual restaurant is known for its cooking method of 100 percent fresh Angus beef smashed, seared and seasoned on the grill. In a city with an endless array of dining possibilities, does Fort Worth really need another burger joint? Opening 12 restaurants in the greater Fort Worth area, the Denver-based company is confident the restaurant will be a “smash.” “We are thrilled to continue to expand into Fort Worth,” said Scott Crane, president of Smashburger. “Texas is Smashburger’s largest market and a hub for burger lovers.” Accordingly, the menu includes the Texas Smashburger topped with American cheese, lettuce, mustard, onion, tomato and pickles served on a toasted egg bun. Providing options for patrons, the restaurant offers additional items: Smashchicken, Smashdogs, Smashsalads, Smashsides and Häagen-Dazs milk shakes. –Lauren Farrelly

jobs, mixed-use development opportunities and 10,000 residential units near downtown, but it will also have positive effects on the surrounding neighborhoods.

fwbeat:culture

LivePerformancevenues

october Shows

Small theater brings big acts to Fort Worth’s thriving cultural scene. Committed to presenting professional, innovative shows in an intimate setting, each theater offers diverse performances ranging from the traditional to the offbeat.

Hip pocket tHeatre a princess of Mars

Oct. 2-4, Oct. 9-11, Oct. 16-18, Oct. 23 & 24 8:15pm circle tHeatre

picasso at the lapin agile

Oct. 1-3, Oct. 8-10, Oct. 15-17, Oct. 22-24……Thu. 7:30pm, Fri. 8pm, Sat. 3pm & 8pm

True Survivor

Shipwreck survivor Debbie Scaling

Kiley yields heart-pounding narratives in her two autobiographical novels.

Fort Worth native Debbie Scaling kiley chronicles her real-life events for a more suspenseful and riveting read than Stephen king could ever create in his works of fic-

The reason is simple: her story is real. In her first autobiographical novel, "The Sinking," the emotions are real, the dialogue is cutting and swift, and she successfully holds the readers’ attention as pages begin turning faster and faster.

Kiley’s story begins two years after her survival at sea only to flashback through the entire sequence of events leading up to the sinking of the Trashman, a yacht that she was working on in order to get from Maine to Florida. Up until the yacht starts picking up unfriendly wind gales, the novel trudges along at a mediocre pace. Once the waves become taller than the sails, the adrenaline begins to race as Kiley’s story picks up to a nightmarish pace.

The story’s narrative is so gripping and intensely descriptive that it seems more plausible that Kiley was writing it as it happened, rather than 10 years after the ordeal. The details of the water, sharks and her crewmates produce a dreadfully clear image, as if the reader is floating in the rubber dinghy with Kiley. Nudged by her own desire to get more off her chest as well as her publisher’s questions of a second book, Kiley wrote a follow-up about surviving survival. In it, Kiley tells of life before and after the Trashman, which in turn gives plenty of insight to the events in "The Sinking." However, Kiley devotes a healthy 45 pages of "No Victims, Only Survivors: Ten Lessons of Survival" to a CliffNotes version of her previous book, which leads her book to become repetitive in sections.

The book would read much better if each chapter were one of the survival lessons peppered with anecdotes, rather than the other way around. "No Victims, Only Survivors: Ten Lessons of Survival" would be better marketed as an autobiography because its chief purpose is telling Kiley’s life story.

Kiley’s two books fall into very different genres, whether that was the purpose or not. For an exciting and thrilling novel, pick up a copy of "The Sinking." For non-fiction that reads like typical non-fiction, "No Victims, Only Survivors: Ten Lessons of Survival" is a much better

Jubilee tHeatre the Dance on Widow’s row

Oct. 23 8pm

Oct. 24 3pm & 8pm

Oct. 25 ............................3pm

Oct. 29 8pm

Oct. 30 8pm

Oct. 31 3pm & 8pm

Stage WeSt the Skin of our teeth

Oct. 1..........................7:30pm

Oct. 2...............................8pm

Oct. 3 8pm

Oct. 4 3pm

Four Day WeekenD

Every Friday and Saturday 7:30pm & 10pm caSa Mañana tHeatre

Five guys named Moe Oct. 20-22 7:30pm Oct. 23 .................8pm Oct. 24 2pm & 8pm Oct. 25 2pm & 7pm

BASS

Performance hall

october 2009 shows

The Nancy Lee and Perry R. Bass Performance Hall serves as a permanent home to major performing arts organizations of Fort Worth. It is also a premiere venue for promulgating arts education and contributing to the cultural life of Fort Worth and the Tarrant County area.

SYMPHONY ORCHESTRA

A resident company at the Bass Performance Hall, the Fort Worth Symphony Orchestra Association (FWSOA) provides symphonic performances at the highest level of artistic excellence.

Time for Three

Oct. 9 ....................................... 7:30 p.m.

Oct. 10 8 p.m.

Oct. 11 2 p.m.

The Music of Billy Joel featuring Broadway sensation Michael Cavanaugh

Oct. 16 & 17 8 p.m.

Oct. 18 .......................................... 2 p.m.

All Tchaikovsky

Oct. 30 7:30 p.m.

Oct. 31 8 p.m.

OTHER PRODUCTIONS

In addition to the Fort Worth Opera and Fort Worth Symphony Orchestra, the Bass Performance Hall hosts other attractions as to enhance the range, quality and accessibility of cultural fare available to the public.

Gabriela Montero

Oct. 6 7:30 p.m.

Marc Broussard with special guest Caitlin Crosby

Oct. 24 .......................................... 8 p.m.

Garrick Ohlsson

Ray Price & Roy Clark Oct. 28

2009 Fall Exhibitions

Through October 25, 2009

Butchers, Dragons, Gods & Skeletons: Film Installations by Philip Haas Inspired by Works in the Collection

November 22, 2009 –March 21, 2010

From the Private Collections of Texas: European Art, Ancient to Modern

Admission is always FREE to view the Museum’s permanent collection.

Michelangelo, The Torment of Saint Anthony (detail), c. 1487–88. Tempera and oil on panel, 18 1/2 x
Kimbell Art Museum, Fort Worth

Fish Out of Water

Local rivers provide perfect fly fishing escapes for those needing a breather from a hectic workweek. You don't have to look far to get the experience or equipment you need. Backwoods in Fort Worth offers basic gear and teaches lessons every other Saturday at 8 a.m. on the Kimbell lawn.

To learn more, turn to page 28.

24 sTyle 26 HealTH & BeauTy 28 acTive liFesTyle 30 cooking

Virtual Accents

Chances are that when you browse the showrooms at dh Collection or Domain XCIV both located on 7th Street, you will find exactly what you are looking for. But in the case that you don’t, both stores now offer online shopping capabilities. With the same luxury-living modern aesthetics as these brick-and-mortar stores, these slick sites allow savvy shoppers to view even more fabulous pieces. Browse through multiple collections or simply search by your specific category of interest. Designing your home has never been so easy! To get started, visit dhcollection.com or domainxciv.com.

Arteriors Home, Monahan,

Jan Barbogilo, Santisima Old Cut Mirror Candelabra Small, $253, Large, $264, Domain XCIV
Roma, 5X5 Framed Mirror, $170, Domain XCIV
10-inch Red Crackle Jar, $135, Jade Chagrin Jar with Bronze, $375, 12-inch Green Fish Scale Vase, $45, Domain XCIV
Adjustable Tripod Lamp, $1,400, dh Collection
August Morgan, Love Pillow, $335, dh Collection
Casper, Cherry End Table, $875, dh Collection
fashion finds and trendsetters by Kelly dragues

Your Dream Community Has Arrived. You’ve waited for it, and now, it is waiting for you.

Southlake’s only gated, master-planned community for adults 55 years or better is now open. These elegantly crafted villa and condominium homes offer maintenance-free living, the benefits of home ownership, and the invaluable peace of mind that comes with on-site assisted living. The exclusive, 35,000 -square-foot clubhouse offers services and amenities found only at the finest destinations.

Call 817.748.4000 to find out about our Grand Opening savings. Visit watermere-at-southlake.com.

fwliving:health & beauty

Recipe for Health

We caught up with Rebecca H. Dority, instructor in the department of nutritional sciences at TCU, and asked her for some advice on how to live a healthier life.

Eat a variety of foods. Foods contain many key nutrients and chemicals that serve multiple functions in the body. Even foods within the same food group can contain different nutrients that your body needs. To maximize the health benefit of the foods you eat, aim to balance a variety of carbohydrates (grains, cereals, fruit, vegetables), proteins (meats, dairy, nuts) and fats in your meals and snacks. Additionally, choose fresh foods in an assortment of bright, vibrant colors.

Don’t skip meals. Think of your body as a furnace and food as the fuel that makes your furnace run. When you’re hungry, it is often more appealing to pick up take-out on your way home from work rather than wrestle with ingredients to cook a healthier meal at home.

Learn the facts. All packaged items on your grocery store’s shelves contain the Nutrition Facts Panel. Many of the healthiest foods in the store, like fresh fruits and vegetables, don’t even have food labels.

Limit portion sizes. Simply decreasing your portion size is a step toward making a healthier choice. A good way to automatically cut portion sizes is to use smaller plates and bowls at home. To combat this while dining out, share a meal with someone else or take half of your meal home.

Indulge in moderation. We all have a rebellious teenager living inside of us when it comes to food.

If you tell yourself that you can never eat a certain food, the first thing you are going to want to do is eat it. Instead, if you are craving sweets, go out and have an ice cream cone. You get to enjoy your treat, but you don’t end up eating the whole half-gallon sitting in your freezer.

Select foods with whole grains. They are rich in vitamins, minerals, fiber and antioxidants. Beware of common mistakes. The term “multi-grain” does not necessarily mean that the food is made with whole grains. To be sure, look for the term “100% Whole Grain” on the package.

Choose healthy fats. Not all fats are created equal.

A diet high in saturated fat and trans fat can contribute to heart disease, but eating small amounts of the right kind of fats can actually help prevent heart disease and may have beneficial effects of preventing cancer and improving brain function. Also, trim the visible fat off of meats and choose low-fat dairy products. Choose foods high in monounsaturated and polyunsaturated fats such as canola oil and olive oil, as well as foods that contain omega-3 fatty acids, like salmon and flaxseed oil.

Plan ahead. If you do not have the ingredients for healthy meals or appropriate snacks at your disposal, you are likely to resort to convenient foods or dining out. Plan a week’s menu at a time, and make a list before you go grocery shopping.

Rhinoplasty Face

Liposuction

Blepharoplasty Browlift

Facial

fwliving:active lifestyle

Things to know

Getting Equipped

You don’t have to look far to get equipped for your fly fishing experience. Backwoods in Fort Worth offers a full selection of equipment basics including fly reels, rods, lines and flies. It also offers clothing essential to the sport such as sun-proof pants, sunproof shirts, gloves and hats. For more information about getting equipped, visit backwoods.com.

Lessons

Don’t know how to fly fish? No problem. Woodcock teaches lessons at Backwoods 8 a.m. to noon every other Saturday. After three hours of classroom time and one hour of learning outside, participants should have the knowledge to successfully catch a sunfish the very next day, Woodcock said.

Hook, Line and Sinker

Local rivers provide perfect fly fishing escapes for those needing a breather from a hectic workweek.

For some, fly fishing is the ideal way to relax and get away from it all, but learning this perfect art of deception doesn’t always come easily.

“The reason people give up fly fishing in the first year is they get frustrated,” said Stephen Woodcock, Backwoods Fort Worth fly fishing manager. “They have this idealized view in their mind that you just go back and fourth with a rod.” Woodcock says those who fly fish must learn the correct rod position, how to bend their wrists as they cast, how to fish cleverly and deceptively, and how to read the water.

“Most people make a big mistake, and they think they know where the fish live, so they splash into the water and frighten all the

fish,” Woodcock said. “Fly fishing is hunting with a different piece of equipment.” Of course, one can’t fly fish without the perfect location, and when it comes to Texas, the possibilities are endless. Here are a few recommendations:

Teach a Man to Fish: Stephen Woodcock shares his casting expertise with a future fly fisherman on the Kimbell lawn.

Blanco River

Located southwest of Austin near San Marcos, you’ll find lots of Guadalupe bass, smallmouth bass, perch and sunfish. The perch, always eager to gulp up a fly, make this river the perfect place to teach a beginner to fly fish. It’s about a four-hour drive from Fort Worth, so plan to stay overnight, or you’ll end up spending the majority of the day driving—not fishing.

Brazos River

This salty river starts in the panhandle, running all the way to the Texas coast. Woodcock recommends fishing near Possum Kingdom Lake, located on the river’s main stem northwest of Fort Worth. Here you’re likely to catch striped bass, largemouth bass, catfish, perch and sunfish. The fish are easiest to nab right behind the dams, mainly because there’s oxygenated water in those spots, Woodcock added.

Llano River

This small, clean-running river located northwest of Austin is best to fish in the fall and spring. It’s also home to Texas’ state fish, the Guadalupe bass. You’ll also find carp, largemouth bass, gar and sunfish. If you’re lucky, you may even spot a beautiful Rio Grande perch—a rare find covered in black with aquamarine spots.

Flying the Coupe / Employ the 2010 Mercedes-Benz E-Class E350 Coupe to escort you to your weekend outdoor activities. This new addition to the E-Class strikes a balance between luxury and sport, while maintaining a sleek and stylish exterior.

2010 Mercedes-Benz E-Class E350 Coupe / 3.5-Liter, V 6 Engine / 268 Hp/ 7-Speed Shiftable Automatic Transmission / 17-Inch Alloy Wheels / Four-Wheel Independent Suspension / Variable Intermittent Rain Sensing Wipers / Power Glass Sunroof / Rear Defogger / 8-Way Power Driver and Passenger Seats / One-Touch Power Windows / Dual Zone Climate Controls / Bluetooth Wireless Data / Video Monitor

Artists In Plein View

Come and see 30 Texas artists portray the wonder of nature in a four-day outdoor painting competition in the Fort Worth Botanic Garden. Admission is free to the public.

October 15 – 17, Paint Out Competition 8:00 am to dusk

October 18, Quick Draw Competition 9:00 am – 11:30 am

Champagne Artist Awards Reception and Auction 12:00 pm (Reception tickets are $25/person )

fwliving:cooking

Pass the Brisket and Traditions

Meaningful recipes from a Fort Worth household.

Besides cool, beautiful weather, Autumn also brings us the wonderful Jewish holiday season. My friend, Emily Fine, her husband, Gavin, and their daughter, Sophie, love this time of year, especially for the fabulous recipes that are brought to their home from beloved relatives and friends. Emily loves to cook and serve good food, and ... well, I’ll let her tell you in her own words as she shares some of her most cherished recipes.

Johanna’s Beautiful

almond tart

Yield: 1, 10-inch tart to serve 8-10

Johanna was my husband’s housekeeper when he was growing up in South Africa. Seven years ago, she came to stay with us and help us for a month after Sophie was born. During that time, she shared some of Gavin’s favorite recipes with me. This is not a traditional Rosh Hashana dessert in that honey is not the featured ingredient. However, the sweetness of the tart proves symbolic of the approaching sweet new year.

inGredients:

Pastry:

6 ounces unsalted butter

1 egg

1 tablespoon vegetable oil

2 ½ cups flour

½ cup sugar

1 teaspoon baking powder

½ teaspoon salt

2 - 3 tablespoons apricot jam

1. Preheat oven to 350°. Grease and flour a 10-inch tart pan with a removable bottom.

2. Cream butter and sugar. Add egg and oil and beat until well-blended. Sift dry ingredients into the egg mixture and combine. Press evenly into the bottom and sides of the pan. Prick all over with a fork and bake 10 to 15 minutes. Remove from oven and leave the oven on. Spread baked crust with a thin layer of apricot jam—just enough to cover. Meanwhile prepare Almond Filling.

almond filling:

2, 6-ounce bags of flaked almonds

1 1/2 cups sugar

6 tablespoons whole milk

1/2 cup unsalted butter

Few drops almond flavoring, to taste Honey, to taste

Place butter, sugar, milk and almonds into a large saucepan. Heat over medium-high heat and bring to a boil. Reduce heat and allow to gently simmer for 2 to 3 minutes. Remove from heat and stir in almond flavoring. Pour almond filling into cooled tart shell. Return to oven and bake another 10 minutes. Cool completely and drizzle lightly with honey.

Emily and Sophie Fine show us Johanna’s Beautiful Almond Tart.

fwliving:cooking

Grandma’s Kreplach (meat-Filled dumplings)

My grandmother and I used to make Kreplach every fall for Rosh Hashanah. We made enough to serve on the holiday and rationed out small bits for my mother and uncle to store in their freezers. There was always an argument over who got more. Grandma now lives in Florida, and it is difficult for me to get there in the fall, so we are forced to make these separately. Sophie, 7, and I make the dumplings while my husband, Gavin, is the official Kreplach boiler. It remains a family affair, as it should.

InGredIenTs:

Filling:

1 pound cooked beef (pot roast or chuck roast – use your favorite recipe)

1 ½ small onions

1 egg

2 tablespoons rendered chicken fat (recipe follows)

Salt and pepper to taste

Grind meat and onion together in food processor until very fine. Mix in egg, chicken fat and seasonings. Set aside.

noodle dough:

3 eggs

1 ½ teaspoon salt

Tepid water

1 ½ cups flour

Beat eggs with salt and about ½ cup water. Add enough flour to make a soft dough. If too dry, add a little more water. Be sure dough is neither brittle and dry, nor sticky. Knead slightly. Place on a floured pastry cloth and cover with warm bowl. Let stand ½ hour.

To assemble Kreplach:

Fill a large stockpot halfway with water and bring to a boil. Roll dough out to about 1/8 inch

eIleen’s brIsKeT

YIeld: serves 8-10

Eileen is my mother’s first cousin, which makes her my first cousin once removed. She is an amazing cook, and this is one of her recipes that I have always cherished. I’m not sure where she picked it up, so I will just give her all of the credit.

This is not a difficult recipe, but it does require a bit of planning because the marinating and baking takes place over such a long period of time. I usually sear the meat at about 9 at night and then put the brisket in the oven around 10 p.m. The brisket cooks while I sleep, and the aroma looming throughout the house the next morning is something special.

InGredIenTs:

1, 5-pound, flat-cut brisket

½ cup Worchestershire Sauce

½ cup red wine

½ cup beef broth

Juice of 1 lime

2 tablespoons brown sugar

1/8 cup chopped parsley

Few drops liquid smoke

3 green onions, chopped

½ tablespoon each, salt and pepper

2 cloves garlic, chopped

½ cup bottled barbecue sauce

1. Place brisket in a large roasting pan, fat side up. Mix all remaining ingredients except for the barbecue sauce. Pour over brisket, cover with plastic wrap and refrigerate for 36-48 hours.

2. Preheat grill (you can use a large grill pan on the stove top) and sear each side of the brisket for 10 minutes. Set aside.

3. Preheat oven to 200°. Place brisket in a large roaster that has been lined with foil to create a foil package. Pour ½ of the marinade on top of the brisket and seal the foil package so that it is airtight and none of the marinade is able to escape. Roast for approximately 8 ½ hours.

4. Remove brisket from oven and cool. Place in the refrigerator for several hours to cool completely. Remove fat that has risen to the top.

5. About 30 minutes before serving, combine the barbecue sauce with the remaining marinade. Pour over brisket and reheat at 350°. Slice thinly, against the grain of the meat, and serve.

on floured pastry cloth or board. Cut into 2-inch squares or rounds. Place about a teaspoon of filling in the center of each piece of cut dough. Fold over into a triangle or half circle and pinch edges to seal. Make sure that none of the meat filling is exposed. Place dumplings in boiling water—about 10 at a time—do not overcrowd pot. Boil until they float (about 10 minutes). Remove from water and place in a glass baking dish. Be sure to place waxed paper over each layer of cooked kreplach so that they don’t stick to one another. Cool and use immediately or freeze. Use in soups or serve as appetizers.

For appetizer: Place in a greased baking dish. Generously slather butter on top and bake at 425° for 15-20 minutes or until golden brown and crisp.

rendered chIcKen FaT

InGredIenTs:

One Frying Chicken

1 ½ small onions chopped finely Separate all skin and cut fat from chicken. Reserve chicken for another use. Place skin and fat in large fry pan with onion. On medium low, cook onion and skin/fat until cracklins form. This may take 45 minutes to an hour. Pour fat into a glass bowl and let harden. Keep covered in refrigerator until needed.

Judie byrd is the founder of The Culinary School of Fort Worth and Super Suppers, and host of “Judie Byrd’s Kitchen,” shown daily on FamilyNet Cable TV.

special thanks to central market for providing the groceries needed to prepare these dishes.

WHERE TO GET EVERY THING

My Garage on Old Benbrook Road can get you back on the road cheaper than the dealerships.

THING FIXED

While each of the professionals listed in this article either come highly recommended, have an excellent reputation around town or have been in business for many decades, please note that individual results may vary. In other words ... swim at your own risk.

THIS OLD HOUSE

Glass Works (mirror, glass, shower door repair and installation) - Call United Mirror and Glass first. Their prices and customer service cannot be beat. Plus, United will come out and give you an on-site estimate for free, and they stand by their word as well as their work. They save on the supply side and pass the savings on to you.

Beware of other big name competitors who actually charge you a fee for an on-site quote. It can become a baitand-switch game before you know it. Once you have forked over $50-$80 just for the quote, you feel it would be a waste of your money if you were to go with another supplier. They’ve got you hooked! So do your homework; if they charge you for a written estimate, they may be hiding their inflated prices.

On Solid Ground (floor sanding, refinishing, restoration and installation) - Call on Hernandez Hardwood Floors to get your floors in order. In addition to installation, they can resurface, repair and fix your moldings. This

family-run business is made up of five brothers, each with his own crew and more than 22 years of experience.

Tile Doctor (restore and install) - Tile Marble and Granite Works or TMGW for short, can take on your small jobs or total remodels.

Their Web site attests, “Our focus is providing outstanding tile installations and granite countertops to our customers in the greater Fort Worth area and beyond.” They provided the materials and installation in Fort Worth, Texas magazine’s recent Dream Home and Green Home projects and did a mar-

velous job. If your tile and grout just need to be resuscitated, The Grout Medic can remove and replace broken tiles and rebound loose ones in a flash. Owner John Walker takes pride in “bringing even

Call on Hernandez Hardwood Floors to get your floors in order.

the most lifeless tile and grout back to life.”

Cabinet Rehab (cabinet repair, restoration and new build) - Ray Escobar at R & M Enterprises can reface and restore cabinets or help you start from scratch to build the kitchen of your dreams.

You also may want to try Kitchen Planners to help with your renovations or additions. They assure, “Our goal has always been to work closely with customers to remain within their budget. We can do as much or as little as needed to get your job started or completed.”

High Voltage (electrician)Got your wires crossed? Not feeling grounded? Needing illumination in your life? While Bill’s Electric is a small outfit, they win over clients with their service. They are always on time and work efficiently, never running up the tab when you are paying by the hour. Bill’s offers estimates and happily rolls their service fee into your job, saving you money.

Hot and Cold (central heat and air repair) - J & L Heating and Air are out of Granbury, but that is a short drive to Fort Worth, and one they are happy to make. They specialize in sales and service of all major brands. J & L can install a brand new system or troubleshoot your existing unit. They won’t make you wait in the heat for a week until they can get around to you.

Plumb Perfect (plumbing) - Brothers Ray and Michael Griffith with Pinnacle Plumbing can fix your leaks,

unclog your drains and tune up your pipes. They maintain an A+ rating with the Better Business Bureau. One point of particular pride is “working with historical restoration in Fort Worth. We enjoy keeping some of our city’s older homes in period style while maintaining their integrity,” Griffith said.

Brush Strokes (restaining, repainting and refinishing)Local resident Amy Smelly, who recently had some painting work done, would highly recommend Gus Gutierrez “They did a great job and had fair prices,” she said.

THE GREAT OUTDOORS

Raise the Roof (roof repair, new build or restoration)Robinson Roofing and Construction promises, “From the smallest leak to a complete reroof, our professional staff takes your needs seriously.” Robinson Roofing repairs all types of roofing and specializes in tile and slate work.

Brothers Ray and Michael Griffith with Pinnacle Plumbing can fix your leaks, unclog your drains and tune up your pipes

a small business, and it’s your name on it, quality is your livelihood. Our job is to thrill our customers with our results.” Expert Window not only cleans windows and exterior fixtures, but they can simply wash away those seasonal nightmares of pressure washing and cleaning out the gutters.

For replacement and repair, contact John Boswell with Boswell Aluminum . They can help you replace your screens, windows or glass. He installs and repairs solar screens as well. Boswell Aluminum has the kind of reputation that other professionals in his industry seek to bestow.

Another trusted favorite in town is Lon Smith Roofing . Chances are one of your neighbors has employed them to repair damaged roofing or replace every shingle. No matter what the composition of your roof, Lon Smith has been fixing them right since 1974.

Window Pains (cleaning, window and pane replacement and repair) - For a thorough and professional cleaning, you should contact the experts at Expert Window. Owner Sam Burkett says, “I always feel a sense of pride knowing the job was done right. When you are

Rolling Stone (repair, rebuild of stone walkways, steps and walls) - Brooks Flowers can get your outdoor kitchen and patio fixed up in no time. He can stain your concrete, rework your tile or complete your visions of grandeur with an entirely new addition. Another individual who comes highly recommended in this field is Reyes Moreno

The big name in the business is Whiz-Q Stone. There must be a story behind that name! This is how their Web site defines what sets them apart, “With a dedicated team of sales associates, yard personnel and delivery staff, we are sure to take the extra care and effort necessary to assist you with your next outdoor project.”

If it mows, weed eats or blows grass, chances are that Leonard’s has the parts and expertise to get it running like new.

Take a Dip (pool repair and service) - Steve Bond’s com -

pany, Water Wizard , just completed an installation at the brand new Museum of Living Art at the Fort Worth Zoo. If your residential pool requires some updating, he can handle small jobs, too. “Even if Water Wizard does not provide maintenance service for your pool,

we are happy to tackle any repair problems you might encounter,” Steve assures. They can update, renovate or totally rework your pool and surrounding area.

Get Covered (awning repair and new build) - According to

their Web site, “You can count on ACF Tarp and Awning to build your awning or outdoor canopy using only the finest materials.” That claim is backed up by many satisfied customers, both commercial and residential. They can design or repair your retractable or traditional awning, patio cover, door canopy or porch valance.

Another trusted name in the biz is ACME Tent and Awning , which has been locally owned and operated since 1922. Glen Brooks notes, “We manufacture what we sell. We do all types of stationary as well as retractable awnings, sales and service.”

Buzz Off (pest control) - If you have unwelcome visitors around your house, C-Pest can send them packing. Owner Carl Wentworth thinks his customers “appreciate working with a hometown guy they know they can trust to get the job done right.” His quotes are less expensive than some of the bigger pest control companies because he has less overhead. That, plus the fact that his clients like the one-on-one attention they receive, has won C-Pest many loyal customers.

1-Shot Pest and Termite is also a great friend to have. Owner/operator Max Pfrummer is a mild-mannered, soft-spoken man who shows absolutely no mercy to insects and rodents. He can eradicate your termites, carpenter ants and cockroaches in one fast treatment.

Out on a Limb (tree trimming and limb removal) - This tree trimming company has the perfect name, R J Cutter! That is just as good as a physi-

cian named Dr. Payne. They offer fair pricing, with expert tree care. Robert is a certified arborist and says, “After 17 years in the business, we maintain our A+ rating with the Better Business Bureau.” Sat-

Water Wizard just completed an installation at the brand new Museum of Living Art at the Fort Worth Zoo.

isfied customers attest to their on-time arrival and attention to detail. They even clean up after their work.

Mower Makeover (lawn mower repair) - Leonard’s

Farm and Ranch repairs most major brands. If it mows, weed eats or blows grass, chances are that Leonard’s has the parts and expertise to get it running like new. So, protect your investment. They promise, “With

our full line of parts and fullservice shop, we can keep your equipment running for years to come.”

BEHIND THE WHEEL

Open-Door Policy (garage door installation and repair)Whether your garage is adorned with something custom made or simply classic, Overhead Door Company is the place to turn to keep it in great shape. They offer tune-ups and fix any problem that ails your garage door, and they are very prompt in their response time, often with same-day service.

Under the Hood (car care and repair) - Hill’s Automotive on Donnelly takes pride in getting the job done right for less than the competition. This automotive shop is no nonsense, no frills and no doubt someone you will appreciate doing business with. While Hill is not a conversationalist, he is brilliant at diagnostics and fair about his parts and labor costs. We’ll be back. Another similar option is My Garage on Old Benbrook Road. They can get you back on the road cheaper than the dealerships.

One very satisfied customer raves about the service she gets from owners/operators Steve and Kevin Sorenson at Benbrook Car Care . She says, “Steve has saved us so much money over the past five and a half years that he is on our Christmas list now!”

Off the Record (handle moving violations) - James R. Mallory, attorney at law, is your best bet. Been there, done that! Before you get all judgmental on me, I’ll bet many of

you have employed him at some point in your colorful past. Mallory has become the stuff of urban legend and is an expert at keeping driving records spic and span.

If you choose to go the deferred adjudication route to dismiss your traffic ticket, give Comedy Defensive Driving a try. Their program is informative and amusing. It sure beats listening to some truck driver read the Texas Department of Motor Vehicles Manual out loud for hours on end. Unfortunately, I’ve been there and done that too.

HONOR AN HEIRLOOM

Start at Fort Worth Billiards on Montgomery for repair and recovering of billiard tables and equipment.

See the Light (repair/restore floor or table lamps, chandeliers and shades) - American Lamp Co. Inc. has been serving your lighting needs on Camp Bowie Boulevard for 38 years now. They are a great place to start when trying to locate hard-to-

find parts for your lamps. They also offer lamp repair.

Just down the bricks on Camp Bowie, you will find the House of Tuscany. Owner Melinda Alexander is filling a unique niche in Fort Worth. Her husband, Gary, explains: “We offer Italian and French lighting from the 18th, 19th and early 20th centuries along with accessories. We don’t carry anything new.” House of Tuscany repairs and reworks existing pieces, offers custom lampshades, as well as custom beeswax candle sleeves for your chandeliers.

Diamond in the Rough (jewelry repair) - Here is one that is definitely worth the drive. Take Interstate 820 past Lake Worth, exit Main Street in Saginaw and look for Collections Fine Jewelry on your left. They won’t break the bank with their wholesale plus 10 percent promise. Collections can fix

what you have or customize just about any design. If you don’t find just what you are looking for in their cases, Collections will find it for you and still save you money.

More options closer to town include the fashionable and friendly Haltom’s Jewelers and Ridglea Watch and Jewelry, whose craftsmanship and courtesy are getting around by word of mouth. There is no better advertisement than a satisfied customer.

Timekeepers (clock repair)

- “Along with professional jewelry creation and jewelry or watch repair, Jewelers on the Boulevard also repairs clocks,” emphasizes owner Linda Chrysler. Along with her husband, Dennis, Jewelers on the Boulevard will be happy to get your newer or vintage heirloom ticking again. They offer great service and a knowledgeable staff.

You may also consider Pendulum Clock Shop in North Richland Hills. They have reasonable rates and offer expert care for your antique clocks.

Play it Again (furniture refinishing, repair, upholstery)

- Aaron’s Touch Up and

Restoration in Hurst can take that treasured family heirloom or estate sale find and make it look new again. Their refinishing before-and-afters are astonishing. They offer upholstery updating to boot.

Cut a Rug (cleaning and repair of fine rugs) - If you have literally cut your rug, CT Rugs can clean and repair just about any type of rug, from antique to Navajo or silk. Master rug man Tom Siasi can offer you expert appraisals and estimates to repair your cherished heirloom.

FAST FIXES

Dogs and Cats (spay or neuter pets) - We’ve all seen that pitiful dog from the Far Side cartoon, with his head hanging out the back window, bragging to a friend, “I’m going to get tutored!” The poor misguided pooch had no idea what he was in for. But seriously, unless your hound is AKC registered and intended to be breeding stock, do the Humane Society a

American Lamp Co. Inc. is a great place to start when trying to locate hard-to-find parts for your lamps.

favor and get them spayed or neutered. That is one less litter for them to care for, place, and unfortunately, in some cases, euthanize.

Check with your personal veterinarian about details and pricing, but don’t let money be an issue. The Humane Society offers low cost spaying and neutering. It is part of their mission.

Rack It Up (billiard table restoration) - Start at Fort Worth Billiards on Montgomery for repair and recovering of billiard tables and equipment. “We are a full-service store and the oldest of its type in the Metroplex. We’ve been in business for 58 years,” adds Earnest Lazo, who has been with the company since he was in his teens.

Pendulum Clock Shop in North Richland Hills has reasonable rates and offers expert care for your antique clocks.

ing. We are not a discounter.”

Twin Kell also offers alteration services and special cleaning of household items. Don’t forget their neighbor just down the street. Ray’s Custom Cleaners is also a trusted name in the industry.

Appliance Science (appliance repair) - This category is a rare breed. Fort Worth Shaver and Appliance is the place to go to fix your electric shaver and many other small household appliances. I could put them in many other categories including vacuum and lamp repair. They fix it all. So, before you break down and buy a new one, give Fort Worth Shaver a try.

Oliver Dyer’s is a longtime favorite in sales and repair of appliances. You’ve probably seen their trucks making service calls around town. Over the years, they have earned a

reputation of quality service. Holly Morse has had great success with Bill Patton of AAA Service, which stands for Affordable & After hours Appliance Service . They offer a free-service call with repair. Holly says: “Bill is very nice and professional. He’s also quick. He fixes what needs to be repaired and doesn’t try to pad the bill with other unnecessary repairs.”

Pick-up Pal (vacuum repair) - Think about the guy in the gorilla suit waving to cars while running his vacuum cleaner. Now think about how foul that gorilla suit must smell after spending around 30 years in the hot Texas summer sun. That guy is not getting paid enough! Think about Evan’s Vacuum Cleaner Sales and Service on Camp Bowie Boulevard. They can get your dust buster busting again in no time.

Tuning In (TV and audio repair) - Jim Gunter’s TV and Audio can tune you back in. Another tried-and-true Fort Worth company is Marvin Electronics . Their store is like Neverland to any male with a Peter Pan Syndrome, specializing in all the high-end media must-haves. Marvin’s services what they sell, which is a dying art. For car audio care, Woody’s will get you outfitted to suit your budget and your desire to wear hearing aids later in life. Knock yourself out!

Saving a Sole (shoe cleaning and repair) - Before you throw them away, give Cobblestone a chance to bring your favorite pair of shoes back from the brink. They can put on a new sole, restitch a loose seam and totally transform your old-butfaithful kicks and even save you the expense of buying a new pair.

The Bed You Made (cleaner of heavier household items)Kell’s Cleaners opened its doors in 1932. Now the business goes by Twin Kell , and folks who aren’t lucky enough to live near the cleaners are willing to drive across town to do business with them. According to Kent Kell, the key is that they focus on “quality, full-service clean-

Marvin Electronics is like Neverland to any male with a Peter Pan Syndrome.

HAVE TO ENDURE PAIN INDEFINITELY

DIAGNOSES

• All Acute and Chronic Pain

• Persistent Low Back and Neck Pain

• Headaches

• Fibromyalgia

• RSD

• Peripheral Neuropathies

• Intractable Angina

• Trigeminal Neuralgia

• Failed Back Syndrome

• Post Herpetic Neuralgia

• Peripheral Vascular Disease

• Spasticity/Movement Disorders

Trinity Pain Medicine Associates brings a difference in treatment, helping patients find a greater quality of life. We apply our passion for quality patient care to the diagnosis and treatment of all aspects of acute and chronic pain. We employ the use of differential diagnostic procedures to isolate the pain generators and treat the specific cause of pain, not just mask the symptoms. Let Dr. Ashley M. Classen, D.O., F.A.O.C.A. and Dr. E. Jo Bailey, M.D. join with you in the treatment of your pain generators. Give us a call today. 817-332-3664.

MODALITIES

• Diagnostic Nerve Root Blocks

• Transforaminal Adhesiolysis

• Radiofrequency Neuroblation

• Discography

• Percuaneous Disc Decompression

• Intra Discal Electrothermal Therapy

• Implantable Peripheral Nerve Stimulators

• Implantable Multi-Agent Infusion Pumps

• Implantable Spinal Cord Stimulators

• Selective New Root Blocks

• Epidural Steroid Injections

IMAGINE

Aging is inevitable but how you age is not. You can take control. You can turn back the clock to become the person you used to be. You have the power to manage your aging process with the help of the Institute of Age Management and Aesthetic Medicine. Age Management is about early detection, prevention, and reversal of age related disease. Aesthetic Medicine is about early detection, prevention, treatment, and reversal of aging skin.

Let us create a program, unique to you that will allow you greater control over the aging process. Total well-being beautifying both the inside and out. Enjoy more energy, better moods, improved cognition, increased lean body mass, improved skin quality, revitalized sex drive, and overall better quality of life. The result: You. Only Better.

this incredible leap into the amazing world of Anti-Aging Medicine and begin turning back the hands of time.

Now Offering Total Tumescent Liposuction. Men and women can accumulate excess fat that is not easily shed by exercise and diet. Tumescent liposuction has changed surgical fat removal completely through the use of local anesthesia, smaller incisions and excellent control, providing a higher level of comfort and safety, less recovery time, and more attractive contours. Call today for a consultation appointment.

Animal

American journalist Jane Pauley said, “You can’t look at a sleeping cat and be tense.” KSCS radio personality Mark “Hawkeye” Louis says that he disagrees and would like to introduce Pauley to his wife’s cat. Our neighbors on the next few pages can’t imagine living their lives without a pet, even the wild and crazy ones like Hawkeye’s cat, Mica. We hope you enjoy the stories.

Mark “Hawkeye” Louis Radio Personality, “The Dorsey Gang” KSCS 96.3 FM Cat: Mica, a.k.a. “psycho cat”

When Hawkeye Louis married last year, he received a bonus named Mica, a handle-with-care 4-year-old Persian cat. “The cat hates me, and when I say hate, I mean hate!” Hawkeye said. “She hates every-

body except my wife, Madelyn, and my stepdaughter, Meranda. The vet won’t even give her shots unless we sedate her first.”

In fairness to the cat, Hawkeye didn’t go into this situation blindly. “When Madelyn and I were dating, she would have to put Mica into another room whenever I visited. Oftentimes, I would leave with a torn shirt and scratches,” he said. “I honestly believe

Hawkeye approaches his wife's cat, Mica, with caution after several previous harmful experiences.

that I would not have been able to move in without the removal of her claws. Even without claws, she still attacks me, and she bites hard!” After defending our photographer from Mica, Hawkeye went to the emergency room with a nasty bite and a swollen hand. Hawkeye plans to adopt a shelter dog soon. But the question remains, “Who’s going to tell the cat?”

Eric Nadel Radio Broadcaster, Texas Rangers Baseball Network: Texas Baseball Hall of Fame inductee, 1991 Dog: Nemo

Nemo actually adopted us from the shelter, not the other way around,” Eric Nadel said. “He just looked at my wife, Jeannie, and said, ‘Will you be my mom?’” The Husky-yellow Labrador mix is the poster dog for Muenster Natural Dog Food Co., a Texas Rangers network sponsor. In his 14th year as the lead voice for the Texas Rangers radio broadcasts on KRLD, Nadel obviously is passionate about baseball; he is equally passionate about animal fostering and adoption. Nadel helped open the first leashfree dog park in the Dallas/Fort Worth Metroplex at White Rock Lake in Dallas. He also raised funds for the dog park in Arlington and for numerous other parks in North Central Texas. “Before we adopted Nemo, we knew he had hip dysplasia in both hips,” Eric said. “But at that point, we already

House People and the Pets They Love Part I

knew he was our dog forever. We feel so fortunate that we have the means to take good care of him.”

Marty Leonard Businesswoman and Philanthropist AfricAn Gr Ay PArrot: Jambo

Marty Leonard’s feathered friend, Jambo, was a birthday gift from her sister. Leonard has no idea if the hand-raised, 14-year-old African Gray parrot is male or female. Even the experts can’t tell, she says. On this day, Jambo is speaking in a female voice that sounds eerily like Marty’s. The phone rings. “Hello, Leonard residence!” he says. Jambo’s vocabulary is impressive, and his mimicking skills are precise. He barks like a dog and meows like a cat. He sighs when impatient. He says, “Quit that!” when his space is invaded. During the holidays, he greets visitors with, “Merry Christmas! Happy New Year!”

“Jambo brings a lot of joy to me,” Leonard said. “And he’ll likely outlive me. African grays have a life expectancy of 50 years.”

Marty’s menagerie is completed by two Australian shepherds, Belle and Pistol, an American short hair silver tabby cat, Eezy, who sleeps on Jambo’s cage, two horses, Rosebud and Hidalgo, and a senior citizen mule named Ethel.

Kit Moncrief Philanthropist, Animal Conservationist Burros: sweetie, cutie, Darlin’ and Honey

Kit Moncrief credits her father, legendary wildlife conservationist Harry Tennison, for her love of animals. Tennison named his

Marty Leonard finds great joy in her African Gray parrot, Jambo. With an impressive vocabulary, Jambo can be quite entertaining.
Eric Nadel is just as passionate about animal adoption as he is about baseball. His dog, Nemo, seems to smile for the camera.

daughter after his favorite mule. Ten dogs share Kit and husband Charlie’s Westover Hills home, including two Hurricane Katrina dachshund rescues, Louie Armstrong and Katrina. At the Moncrief Ranch in Parker County, you’ll likely be greeted by retired police horses and rescued burros. Eight wild horses adopted from the Bureau of Land Management roam the Moncrief spread in Gunnison, Colo. “I wanted the whole herd,” Moncrief said. “They only let you get four a year. Charlie was thrilled about that rule. He doesn’t share my {rescue} enthusiasm,” she said laughing.

Moncrief’s message is a simple one: “Wild horses and burros are a part of our Western heritage. It’s important that we continue to protect them.”

For more inFormAtion, visit: donkeyrescue.org

blm.gov/wo/st/en/prog/wild_horse_and_ burro.html

Pat Riley Executive Director, National Cowgirl Museum and Hall of Fame Dogs: Hannah and Alfred

My husband and I don’t have children, so we’ve become those people whose dogs are their children,” Pat Riley said. “Kelly (her husband) and I joke that if we didn’t have a dog we wouldn’t have anything to talk about.”

A bittersweet summer for Pat, she lost two of her beloved dogs and fell in love with a new one, all over a period of three months. Buck, her 15-year-old West Highland terrier, died peacefully, Pat says, “like a gentleman, the same way he lived his life.” Buck was a 40th birthday gift from Kelly— the best gift she’s ever received, she said. The Rileys’ 10-year-old golden retriever, Alfred (pictured left in August), lost his battle with cancer on Sept. 4. Hannah, the bouncy 1-year-old goldendoodle is an only-child for now—one who “didn’t learn to behave while away at charm school, but was sent by God to help us deal with our grief,” Pat said.

Mike Snyder Anchor, NBC Channel 5 News Dog: sophie

She thinks she’s human. No, she really does! She even sits in the captain’s chair on our boat like she’s driving it.” You can’t

help but smile when you hear veteran news anchor Mike Snyder talk about his beloved Bichon Frise, Sophie. Snyder takes the bouncy white powder puff to the Fireplug Inn doggy spa every Monday morning “to get pretty and visit with her friends all day.”

“Sophie goes to her spa more than my wife, Lyn, goes to hers,” Snyder said, laughing. “Sophie came into the family because my dog, Bambi, who I rescued from the Fort Worth Humane Society, was dying. I didn’t want my little girls to go through the trauma of Bambi dying and then not have another pet they could loose their affection on. And

we wanted Bambi to have a companion for her last days, too.”

Snyder tells people that Sophie is his daughters’ dog, but she sleeps next to him every night. “She’s a huge part of our family,” he said. “I love this dog. Can you tell?”

There is no question about who steals the spotlight in Mike Snyder's home. Snyder's Bichon Frise, Sophie, has stolen his heart as well.
Pat Riley's dogs are the loves of her life. She sits here with Hannah, the goldendoodle, and Alfred, her golden retriever that recently passed away.
Kit Moncrief is doing her part to protect Western heritage by rescuing horses and burros.

Who Let the Dogs Out Part II

The continuation of our story spotlights animal enthusiasts that go above and beyond to ensure humane treatment of animals.

Every year, between six and eight million companion animals enter U.S. shelters. Some three to four million of these animals are euthanized simply because there are not enough homes for them. Yet consumers continue to buy puppies from pet stores, newspaper ads and Internet sites, which lends support to a cruel industry called puppy mills.

In July and August of this year, under the lead of the Humane Society of the United States (HSUS), more than 1,000 dogs from Montague and Kaufman county puppy mills were rescued and sheltered. Volunteers from United Animal Nations, the Humane Society of North Texas, local rescue groups, PetSmart Charities and Tarrant County businesses worked around the clock to care for them.

These abused dogs have spent their entire lives confined in cramped, filthy structures in rusty wire cages stacked one on top of the other—cages so small that the dogs can’t stand up or even turn around. The mother dogs are forced to breed over and over again for profit under conditions of unimaginable cruelty. Their water looks more like green slime, their food covered in maggots. And once they are past their prime and ridden with mammary tumors or a prolapsed uterus, the mothers are destroyed or left to starve to death, never having felt the hand of human kindness.

Fort Worth hair stylist Monica Orta Ailey has dedicated her life to rescuing dogs. She describes the conditions of the Kaufman County puppy mill: “We entered the first rundown building, and the smell was unbearable … feces and urine on the floor, cockroaches and flies everywhere. The momma dogs were so dirty and tired, and newborn puppies were lying in the waste of the other dogs. This kind of thing doesn’t happen overnight. The owner had been in business for 40 years. Puppy mills won’t go away until people start making better decisions about where they get their next pet.”

Those featured in this story are driven toward the same mission: to educate the public about the horrific conditions of the puppy mills, encourage the adoption of shelter animals and to ask that everyone become a voice in passing laws that would move our society toward a more humane one. They let the dogs out.

Veronica Orta and Sweet Ernie Homeward Bound Animal Rescue volunteer, Bedford

Veronica Orta partnered with her sister Monica Orta Ailey on the Hurricane

Katrina animal rescue mission in 2005. Her passion for animal rescue began with her first fostering experience through Homeward Bound Animal Rescue in Bedford. “I started with one, then two, then three. Now I have five fosters and four that I’ve adopted. And I favor the big dogs so I usually have a full house!” she said.

Orta found cocker spaniel mix “Sweet Ernie” in a neighbor’s unfenced yard. “He was so weak that I didn’t think he would make it,”

Veronica Orta sits with Ernie in her lap alongside Barbara Richardson and her dog, Jarvis. Both share a passion for animal rescue.

Puppy Mill Facts

Approximately one-third of the nation’s 9,000 independent pet stores sell puppies.

The Humane Society of the United States estimates that 2 million to 4 million puppy mill puppies are sold each year in the United States.

Documented puppy mill conditions include overbreeding, inbreeding, minimal veterinary care, poor food and shelter, crowded cages and lack of socialization.

Dogs kept for breeding in puppy mills suffer for years in continual confinement. They are bred as often as possible and then destroyed or discarded once they can no longer produce puppies.

Pet stores and online sellers often use attractive Web sites to hide the truth from consumers so that they think that they are dealing with a small, reputable breeder.

Reputable breeders never sell puppies over the Internet or through a pet store and will insist on meeting the family who will be purchasing the dog.

Puppy mills contribute to the pet overpopulation problem, which results in millions of unwanted dogs euthanized at shelters every year.

For more information, visit: humanesociety.org/ puppymills

she said. “He had mange and was severely sunburned and emaciated. He was in so much pain that I could barely touch him. Ernie is one of the worst cases I’ve seen.” After surgeries and treatments for a variety of health issues, Ernie is doing well and will soon be ready for adoption, Orta reports.

Orta also volunteers as a rescuer in puppy mill sheltering. “These (puppy mill) owners have no remorse,” she said. “They don’t do it for the love of the breed. They do it for the money, for selfish reasons. I don’t think anyone would do something this horrible if they loved a certain breed of dog.” Orta says that the ball is being dropped in educating the public about puppy mills. At the recent Kaufman puppy mill sheltering, there were 30 of us taking care of 500 dogs. To imagine two elderly owners taking care of 500 dogs … well it’s impossible,” she continued. “Animals have their place and their part in this world,” Orta said.

Barbara Richardson and Jarvis

and

of Homeward Bound Animal Rescue, Bedford

Barbara Richardson founded Homeward Bound Animal Rescue (HBAR) in Bedford in 1994 as an all-volunteer, nonprofit no-kill organization. It remains that way today. HBAR rescues dogs and places them into foster homes until they can be permanently adopted. To date, the organization has rescued more than 5,000 dogs, majority of which are pulled off the kill list the day before their scheduled euthanasia.

Currently, Richardson is personally fostering 13 dogs in her home in addition to her own three rescue dogs, Hudson, Texan and Taylor. In December of last year, she rescued Jarvis, possibly a beagle/retriever mixed-breed, from the Richland Hills Animal Shelter. “Nobody really knows what Jarvis is,” she said. Originally, he was diagnosed with sarcoptic mange and put on medication but continued to get worse. “The poor thing was a bloody mess,” Richardson said. “The veterinarian did a biopsy and diagnosed an auto-immune disease. So now he’s on prednisone and another medication that he will probably be on for the rest of his life. All we need is someone to adopt him who will keep him on the medication. He’s a happy little doggy and gets along with everybody. He just needs a home.”

Monica Ailey has been actively rescuing dogs for the last 15 years. After running out of personal resources for her rescue missions, in 2001, she aligned with Homeward Bound Animal Rescue (HBAR) in Bedford. “I really liked that HBAR took in the underdogs,” she said. “They rescue big dogs, mange dogs, broken dogs, heartworm positive dogs … all from the euthanasia list at local shelters. HBAR can take ugly ducklings and turn them into beautiful swans.”

Monica Orta Ailey Disaster Animal Rescue Responder, Fort Worth Dogs: spencer, Thor and Joe

During July and August of this year, Ailey helped rescue and shelter dogs from the puppy mills. “I could not have prepared myself for what the dogs sounded like, looked like, or smelled like,” she said. “They were so unsocialized that they would just hit the ground when we took them out of their filthy cages. They were in need of medical attention and were living in their own urine and feces. Full-grown labradors had existed in rusted wire-bottom cages and had never walked or even smelled grass in their entire lives. The water was green slime, and the little food that was there looked like vomit and was covered in flies and roaches. The life in their eyes was gone.”

Ailey says that being a doggy foster mom has

Spencer, Thor and Joe are just three of the many dogs that Monica Orta Ailey fosters in her home.

SLEEP RELAX EAT

many rewards. Spencer, Thor and Joe are only three of the many dogs she fosters in her home. “So many people ask me how I do it,” she said. “How can I give up my foster dogs? I can do it when I find that perfect family. Plus, if I kept them all, I wouldn’t have room to rescue anymore. That keeps things in perspective.”

Presby Presbyterian Night Shelter Lowdon-Schutts Building, Children’s Therapy Dog, Fort Worth

I

t isn’t every day that a homeless dog finds its way to a children’s homeless shelter. But that’s exactly what happened this summer at the Presbyterian Night Shelter (PNS) in downtown Fort Worth.

The emaciated, flea- and tick-infested, hot and very thirsty puppy claimed a spot outside the administration office door on a hot afternoon in July. The PNS staff asked around for his owner but no one claimed the puppy, says Teresa Holmes, program manager at the Lowdon-Schutts Building (LSB) for women and children. The staff agreed that he would make a wonderful therapy dog in the women’s and children’s building. The clinic staff suggested he be named “Presby” after Presbyterian Night Shelter.

Presby was treated for his flea and tick infestation and an eye infection. His baby teeth had to be pulled. After Presby was neutered and had all of his vaccinations, he recovered quickly at various staff foster homes before moving into the Shelter. He can sit, shake, and is house trained. Presby interacts with the children under staff supervision and is a big hit with everyone.

“The Shelter is so happy to have Presby as

Sandy Grambort is standing among the wire cages used to cruelly confine more than 500 puppy mill animals.

our new therapy dog,” said Heather White, PNS public relations and volunteer manager. “Research shows that therapy dogs help children become more sociable, give them a sense of responsibility … and actually increase their mental and physical health. Already, Presby has brought a smile to all the children’s faces by just being here. He brightens our clients’ day, comforts them and clearly makes their stay here happier.

the Lowdon-schutts Building shelter feeds and cares for 40 homeless women and their 70 children. there are no length-of-stay restrictions.

For more inFormation, visit: pns-tc.org/lsbuilding.html

Sandy Grambort Supervisor, Humane Society of North Texas, Fort Worth

On July 7, authorities seized more than 500 dogs from a Montague County puppy mill. On Aug. 11, approximately 550 dogs were rescued from a puppy mill in Kaufman County. Judges awarded custody of the neglected and abused animals to the Humane Society of the United States. Sandy Grambort, supervisor for the Humane Society of North Texas (HSNT), said that these were two of the state’s largest seizures.

“The Montague County seizure was a logistical nightmare,” she said. “We had numerous

complaints and reports of anywhere from 100 to 1,000 animals living on the 1,200-acre property. Because the property was so large and because the owner was so good at hiding the animals, we had no idea how many we had to rescue. These owners have sold puppies through newspaper ads and on the Internet for years, but we weren’t able to verify the neglect complaints. Now we have. Once the warrant was issued, we figured if we were prepared for 500, we would be safe.”

“PetSmart Charities was a much-appreciated primary responder,” Grambort said. “They have funding machines at the end of the counters at their retail stores. Those dollars fund their PetSmart Charity Emergency Relief “Waggins,” which is a semi-trailer full of supplies needed to temporarily house animals. They donated hundreds of dog crates, dog food, water bowls, puppy pads and toys for the animals.”

Chesapeake Energy provided a warehouse in the Fort Worth Stockyards to temporarily house the animals. Chesapeake also provided company vendors to connect plumbing, electricity and air conditioning, and to mow the property. Volunteers with United Animal Nations and Homeward Bound in Bedford, as well as other rescue organizations, helped care for the dogs.

For more inFormation, visit: hsnt.org

Presby brings comfort and joy to the women and children at the Presbyterian Night Shelter.

Grand Home Designs, Inc.

Creating a tailored design for a home that encompasses your individual needs and wants. An adventure in creativity, an always rewarding process as we strive to bring your vision from dream into reality. Bold elevations, unique floor plans with your subtle details out of the style you love, bringing them all together appealing to both the aesthetics and the curb.

It starts as a blank roll of paper and your overflowing binder of magazine clippings and fixture catalogs, building it layer by layer as we guide each other to the ultimate goal of a plan that you are completely in love with.

Grand Home Designs is built on a strong reputation with its foundation rooted in customer service. Many clients have come to us after several others couldn’t “get it right.” No forcing ideas into your plan, no limited face time meetings, no avoiding communication. We are a different kind of designer, and we want you to build your house, not ours.

Modern in Montserrat

Nope, it’s not a typo. There indeed exists a contemporary creation in the otherwise traditional enclave. But if you blink, you might miss it—that’s how beautifully this newly built home blends in.

by Alison Rich
photos by Jason Kindig

the typical boilerplate of 21st century modern design often includes words like “emergent,” “atypical,” “organic,” “minimalist” and “pure.” To be sure, this residence reads very much that way. Architecturally and design-wise, it’s off the grid. Emphatic in its progressive vernacular, it commands the site on which it stands, while serenely coexisting with the surrounding terrain. Its curves supple, its lines liquid, like a svelte sans serif font that unobtrusively punctuates a printed page. The entire setting is categorically uncluttered—both inside and out—clad in a fresh tidiness that remarkably manages to spare nary a detail. If this home were a novel, it would be extolled for an economy of words that speaks volumes.

But the incomparable domicile also is a bespoke structure that is, by turns, a tangible manifestation of its owners’ distinctive design ideals and—beyond that—their wish to provide a comfortable and healthy haven for their three young daughters. Tailored specifically to the family’s wants and needs—right down to the custom-made furnishings and handpicked colors, textures, hardware and materials—it measures refreshingly

unfussy and architecturally avant-garde. Like a mix of Rothco and Warhol, it features a provocative assemblage strategically speckled by an air of lighthearted whimsy. In short, this is a serious house that doesn’t take itself too seriously.

And here’s the other paradox: It’s a modern in Montserrat—two words that, until now, seemed at odds amid the decidedly traditional enclave. Heck, it’s a contemporary structure in Fort Worth—a city that, while it’s getting more comfortable in its “Funkytown” skin, is still very much a classically composed place. Yet despite its divergence from the conventional lexicon, the house is quietly understated, dovetailing beautifully with the Mediterranean manses perched nearby. It turns heads not for its thematic incongruity but for its architectural appropriateness. Fact is, Stephen and Lisa Mallick’s house just feels right. And the couple couldn’t agree more.

A Fort Worth native who attended Texas Christian University in the late 1980s, Stephen Mallick cut his teeth on the real estate business, watching his dad develop a slew of iconic local structures. (The 10-story Mallick Tower on Summit Avenue, for one. Constructed in 1968, it was the

Stephen and Lisa Mallick enjoy their modern home tailored specifically to their wants and needs. This architecturally avant-garde marvel serves as a comfortable and healthy haven for their three young daughters.

first high-rise built in downtown west of Henderson Street.) “I grew up in the business,” says Mallick, who has worked in the commercial and residential construction industry for upwards of 20 years. Currently, he owns and operates Mallick Custom Homes, a local “boutique builder” that does about four to five big projects a year. “I treat every house like it’s my own, built to the quality and specs I’d want for my family,” says Mallick, who has concentrated on custom homes and remodels for the past six years.

Under Mallick’s exacting purview, his company has built nine homes in the majestic Montserrat neighborhood. Of those, he and his family have lived in three. But the one in which they now reside is, Mallick notes, the most fine-tuned to their lifestyle. It’s also unlike anything he’s ever built before.

“I’m hoping that I did something ahead of my time for Fort Worth [architecture] with this house,” he says. When he and Lisa floated the idea of building a new home, the couple knew they wanted to make a wholesale change. Married 17 years and parents to three daughters, Meredith, 10, Margeaux, 9, and Macie, 5, Stephen and Lisa traveled extensively in California, studying the architectural compositions prevalent throughout the areas they visited. When they returned home, the Mallicks immediately began conceptualizing. “We wanted to do something different from anything else out here [in Montserrat],” Mallick explains of their creative guidepost. Charettes ensued, followed by the initial exterior design, cour-

tesy of Lisa. “My wife was very involved with this house. She’s very creative,” Mallick effuses.

The pair then embarked on their plans in earnest. “Between Lisa and I, we’re about 75 percent responsible for the design and furnishings,” Mallick explains, noting the couple’s completely congruent design predilection—no style-related spats for these two. “Our taste in everything is 100 percent in sync,” he says. “We’ve never had a single argument over [the style of] our houses.”

Dale Grandmaison of Grand Home Designs created the interior and exterior architectural drawings, based on the Mallicks’ modern concept. Pat Cole of Cole’s Lawn & Landscape did the landscaping, and Ally Arlington of Tallulah & Company was the brainchild behind the custom furnishings and drapes. Mallick designed the pool, which his company constructed.

Incredibly, the 12,000-square-foot structure took Mallick Custom Homes just nine months to build. “We scheduled and specced everything ahead of time,” he notes, which meant when it came time to start working, hammers and nails were free to fly. And things went off without a hitch—which is no surprise, considering Mallick’s painstaking attention to every single detail.

“I’m very organized, and that’s why we trended toward this type of home. We wanted it to be warm and inviting but also to have clean lines

An air of simple elegance leaves the home feeling unculttered and smooth.

Creative plans for the home included a layout with clean lines and a warm and inviting atmosphere.

The stunning master bath has matching his-and-hers sides separated by an artfully tiled walk-in shower. october
Fort Worth, Texas

Splashes of bold color articulate the Mallicks' desire to fashion a fun and family-friendly atmosphere, making it great for a lavish party or a kids' sleepover.

and minimal clutter,” he says. The Mallicks and pooch Lucy moved from their house down the street to this one in the spring.

Situated on a panoramic sloping lot and oriented to minimize solar heat gain in summer and maximize it in winter, the 2.5-story house includes five bedrooms, five full baths and two half baths. Eco-responsible, it is completely foam encapsulated, and has a high-SEER air-conditioning unit, retractable window shades and other green-minded components.

Informed by an air of simple elegance, the layout is uncluttered and smooth. But minimalism does not austerity make in this friendly feeling abode. “This house is built to live in. It’s beautiful but it’s not a china shop either,” Mallick says. “We’re not worried about every little ding and mark.”

Unexpected splashes of bold color pop assertively amongst the otherwise understated array, articulating the Mallicks’ desire to fashion a fun atmosphere conducive to entertaining family and friends. “It’s warm contemporary, [which is] great for everything from a party on a Saturday night to a kids’ sleepover,” he notes.

Downstairs, a casual sitting area off the kitchen provides an informal zone for relaxing. (There is no formal living room in the home. Mallick wanted to save the square footage for more usable applications.)

Bordered by stainless steel and flanked by floor-to-ceiling Venetian glass tile in a cerulean mosaic, the modern-esque fireplace looks more like art than hearth.

Flowing easily into the room, the gourmet culinary zone includes a slew of amenities integrated into a logical layout. “Lisa and I love to cook, so we wanted the kitchen to look good but also be functional,” Mallick says. Notable elements include a tin ceiling, all-Viking appliance suite, statuary white marble island top, stainless steel counters and a mother of pearl backsplash. “We have friends and their kids over all the time,” he notes, “and the kitchen turned out even better than we expected for entertaining.”

The adjacent breakfast room has a steel table with a built-in chartreuse banquette. An adjoining office features CaesarStone Apple Martini-colored counters. “We’re definitely not afraid of color,” Mallick says of the attention-grabbing green tints.

Eschewing the everyday, the dining room features a quartet of chandeliers, spilling out light onto the custom square table below. In fact, every room has a perfectly synchronized lighting array.

“We did a lot of things you don’t normally do in a house,” Mallick

explains of the many judiciously attended-to elements, like Venetian plaster walls, custom baseboards and porcelain floors. All trash cans are built in and concealed from view. Bathroom cabinets are tiled … on the inside, mind you. The pantry is like an exercise in organization down to every last sensibly placed soup can and cereal box.

An automatic sliding door leads to a complete outdoor kitchen and living area, which features a flat-screen TV, heaters for warmth in the wintertime, three remote-controlled “phantom” screens to shield users from the sun and a view to the shimmering black-bottom pool and hot tub.

A Mallick family favorite, the theater room includes black-and-whitepatterned carpet, a candy-apple-red popcorn machine and seating for eight. Tiny bits of recycled glass twinkle from the CaesarStone Ruby Reflections countertops that line the bar area—yet another exemplar of the couple’s inspired use of color.

“I really enjoy doing the modern concept,” Mallick muses. “It lets you exercise the creative side of your brain.”

That he flexed his mental muscle is also evident in the master suite. Spare yet down-to-earth, it has bamboo floors, a breezy ambiance and arguably the biggest bed in Cowtown. “It was custom-made by Mattress Factory. It’s two queen-size beds made into one, so when there’s a storm, there’s room for everybody to pile in,” Mallick laughs. The master bath has matching his-and-hers sides, with “floating” cabinets for stowing toiletries and other grooming supplies. “We call it the mirrored bathroom because it’s two sides that look exactly alike, divided by a walk-in shower,” he notes.

Also downstairs, a tornado/safe room—complete with concrete walls and ceilings, a battery backup and a special phone line—and a special airconditioned room for Lucy, complete with faucet and drain. A high-tech tag reader on her collar automatically opens and closes the doggy door. An elaborate security system buttresses the entire abode.

A soft-industrial-inspired staircase with metallic railings leads to the second story, where the girls have their bedrooms. “They all picked their own colors,” Mallick says of the sweetly styled spaces, each one bearing a different thematic milieu that’s reflective of their individual personalities. A laundry room with stainless counters and rubber floors, a guest suite and a play room—complete with wet bar, pool table, television and extra-thick floors to mitigate the, ahem, pitter-patter of preteen feet—round out the upstairs. A craft room filled with art supplies, musical instruments, games and other kid stuff composes the half-story.

Though they’ve lived there for just six months, Stephen, Lisa and the gang already feel very much at home in their brand-new abode. Needless to say, much of that can be credited to Mom and Dad’s acute forethought and methodical organization, along with Mallick1 Custom Builders’ no-stoneleft-unturned philosophy. But while this mod is very much a newbie on the Montserrat block, it was, Mallick stresses, a long time in the making—and very much worth the wait.

“After 10 years of building custom homes for ourselves,” he says, “I think my wife and I finally got one that has every amenity—both designand function-wise—that we wanted.”

A complete outdoor kitchen and dining area features a flat-screen TV, heaters and a view of the black-bottom pool and hot tub.

EXPERTADVICE

Fort Worth, Texas magazine asked the following advertisers to provide our readers with Expert Advice in the individual field in which they are specialists. Just like you, we rely on others with experience in their specialized fields to provide us with useful information. Whether you are searching for a cosmetic surgeon, an attorney, a financial planner or any specialist in between, Fort Worth, Texas magazine’s Expert Advice section is a great place to begin your selection process. The information in this section is provided by the advertisers and has not been independently verified by Fort Worth, Texas magazine.

rea Lty deveL oPment

AugmentAtion mAstopexy (BreAst enl A rgement A nd BreAst lift)

Q: Can breast augmentation and breast lifts be performed at the same time? If so, are there any limitations to combining the surgery?

Not only can the two surgeries be combined, but in many cases the results are better when a woman with breast ptosis (droop) undergoes a lift at the same time she is having an augmentation. We base our decision to perform a breast lift on the location of the nipple in relation to the crease or fold at the bottom of the breast and the amount of breast tissue lying below the crease. The ideal breast has about 40 percent of the breast from the fold at the bottom of the breast to the nipple and 60 percent from the nipple to the upper pole of the breast. This ratio appears to apply to breasts of all sizes and shapes. If a woman has minimal droop, the augmentation alone may be all that is required to restore volume, upper breast fullness and raise the nipple slightly. As breast droop increases, the desire or need for a breast lift also increases. It is important to understand that when a breast lift is combined with augmentation, a smaller implant may have to be used. Implant size and your need for a lift can be determined during your consultation with your plastic surgeon.

recovery period and less time off work than if the surgeries are performed separately.

Q: How long does this surgery take? What is the recovery period?

The average surgery time for breast augmentation and breast lift is between twoand-a-half to three hours. The surgery is performed under general anesthesia on an outpatient basis. We usually remove the drains after two to three days. There are no sutures to remove, only surgical tape on the incisions. We encourage our patients to resume light activity within a week, however because of the breast augmentation, you will have some restrictions for up to two months. Depending on your job, you will probably want to be off work for about a week.

Q: Is breast droop usually caused by pregnancy?

Q: Is a mammogram required before breast surgery?

We generally obtain a mammogram before breast surgery. This is considered prudent because of the increasing incidence of breast cancer (nearly 10 percent of women). In addition, any tissue that is removed during surgery is submitted to our pathologist for microscopic examination to be sure it is disease free. Our patients’ health and well-being are of paramount importance.

Doing both surgeries together is also less expensive and only requires one recovery period and less time off work than if the surgeries are performed separately.

Q: What are the advantages of doing both surgeries at once?

The real advantage of performing a breast enlargement and lift at the same time is that your surgeon is able to “mold” the implant and breast skin and tissue in conjunction with each other to achieve the best result. Using the proper size implant and anticipating the skin relaxation that inevitably occurs after surgery, we are able to properly position your implant and reposition your breast tissue and nipple to achieve the best breast shape (the 40/60 ratio previously mentioned). Doing both surgeries together is also less expensive and only requires one

Pregnancy is only one of the causes of breast ptosis (droop). It can also occur with normal pubertal breast development, age-related breast tissue relaxation and following weight loss. Sometimes only one breast is droopy while the other remains elevated in a more youthful position. Regardless of the cause, the treatment for breast droop is the same. If volume (size) is adequate, a breast lift alone may be considered, and if the patient desires an increase in breast size, the lift can be performed in conjunction with an augmentation. If pregnancy or significant weight loss occurs after an augmentation mastopexy, breast shape and size can change to the point that a revision may be desired.

Q: Is it possible to have other procedures at the same time?

Absolutely! We often perform various additional procedures including tummy tucks, liposuction, facelifts, eyelid lifts or rhinoplasty. Obviously, your overall general health and the time you can take off work are important factors, but it is not at all uncommon for patients to combine other surgeries with their breast surgery.

Q: What can I expect during my consultation?

The initial consultation takes about 45 minutes and includes a breast examination and discussion of breast augmentation and lifting. Included will be a review of saline and silicone gel implants, various incisions and the pros and cons of each, anticipated benefits and potential limitations of surgery, as well as expectations before, during and after your procedure. We work with you to help you choose the proper size implant that will allow you to have a breast lift with your augmentation. Your questions will be fully answered to your satisfaction. Our cosmetic surgery coordinator will also provide you with your cost estimate and financing options.

* RobeRt G. a ndeRson, Md ceRtified; aMeRican boaRd of plastic suRGeRy Fort Worth Plastic surgery center and Medical sPa 817.810.0770 plasticsurgerytexas.com

▼ Healt H Medical

Six MonthS to Straight t eeth

Q: What is short-term orthodontics?

The goal of short-term orthodontics is to correct the patient’s chief cosmetic concerns with traditional straight-wire braces in an average time of six months. This provides adults with another great option when thinking about improving their smiles. The attractive nature of this procedure when compared to traditional, comprehensive orthodontics and orthodontic treatment with clear aligners or veneers opens a wide door that many patients would otherwise not venture through. Short-term orthodontics is designed to dramatically improve the appearance of the patient’s smile while also improving the overall fit of the teeth. We do this by straightening the teeth without significant change to the overall occlusion (bite). We are not attempting to change a patient’s bite on their back teeth.

Short-term orthodontics is a logical, common sense, straightforward approach to dentistry. It is also quite conservative.

Q: How long has short-term orthodontics been around?

Short-term orthodontics in its current form has been around for nearly 20 years. The first goal of short-term orthodontics is to give the patient a smile they can be proud of in a reasonable amount of time. The secondary goal is to improve the occlusal (bite) relationship as much as possible during treatment.

Q: What is the difference between short-term orthodontics and regular comprehensive orthodontics?

Comprehensive orthodontics is the ideal treatment for patients with malocclusions—an imperfect positioning of the teeth when the

jaws are closed. But as dentists and orthodontists routinely observe, a large percentage of adults are not willing to undergo comprehensive treatment due to the time it takes to reach the ideal, which averages two years. When presented with only one option, most adult patients do nothing about their crooked teeth. This common all-or-nothing treatment philosophy has resulted in a large population of adults who are stuck with unattractive smiles and no other viable option. These people desire straight teeth, and I believe they should be offered a safe, reasonable alternative. Thus the idea of straight teeth in six months gives hope to people who previously had none.

* dr. Jeff Buske Granbury Dental Center 1309 Paluxy Road • Granbury, TX 76048 817.573.3761

Big smile: good.

Waiting On Children: age and infertility

Q: How does a woman’s age affect her fertility?

The average woman is waiting longer to have children. In fact, many couples are often trying for their first child after age 35. As a woman approaches her thirties, however, she experiences a decline in fertility. Because a woman is born with a predetermined number of eggs, which are never replenished, her eggs age as she ages. At birth, a woman has approximately two million eggs; by puberty she has nearly 300,000. This process of decline only continues as a woman gets older, and this creates a decline in her chance to conceive. By age 45, a woman’s chance of conceiving drops to approximately one percent per month. This decline in fertility is a natural consequence of aging. Miscarriage rates also increase substantially as the mother ages.

Q: What tests are available to determine a woman’s fertility?

At Fort Worth Fertility, we use hormonal testing and ultrasound to obtain better insight into the quantity and quality of a woman’s eggs. An ultrasound along with age will quickly determine your fertility status. We may also order blood tests, including the basal follicle stimulating hormone (FSH) and estradiol performed on the second, third or fourth day of the menstrual cycle. An elevation of either the FSH or estradiol values indicates a potential decrease in fertility. Another test, a clomiphene citrate challenge test (CCCT), is a more sensitive test used to assess ovarian reserve. This is similar to a treadmill test for the ovaries. In addition, we may order an antimullerian hormone (AMH) to evaluate egg quantity. Once we determine the quality and quantity of a woman’s

eggs, we can then decide upon the appropriate fertility treatments to help increase her chances of conceiving and giving birth to a healthy child.

Q: What treatment options are available for women who are older or have decreased fertility?

As with all patients at Fort Worth Fertility, we individualize patient care. Women who have a decline in fertility should be more aggressive with their treatment. Fertility treatment options will include fertility medications, intrauterine inseminations (IUI), in vitro fertilization (IVF), donor egg or even freezing eggs or embryos for later use. By freezing eggs or embryos, a women can stop the aging process until she desires to use them.

* dr. robert a . KaufM ann Fort Worth Fertility, PA 817.348.8145 fwivf.com

Fort Worth Fertility

Dr. Robert A. Kaufmann and his staff are dedicated to the practice of treating couples and individuals needing assistance with their fertility. In order to provide the best possible care to our patients we have put together an exceptional group of individuals with the common goal of providing the best care possible for all our patients.

Our Services Include

• IUI (Intrauterine Insemination) • IVF (In Vitro Fertilization) • ICSI (Intracytoplasmic Sperm Injection) • Ovulation Induction • PGD (Preimplantation Genetic Diagnosis) • Gestational Surrogacy

• Donor Sperm Insemination • Egg Donation including lower cost split

▼ Healt H Medical

A Win-Win i nvestment

s tr Ategy

Q: I’ve heard a lot about life settlements. Can you tell me about them? Are they good or bad; are they here to stay; are they safe?

Life settlements are Warren Buffett’s favorite safe settlement, so they must be good. I call life settlements the compassion strategy. Consider these questions: Do you consider yourself compassionate? Do you like to help people? If you could help people and make a double-digit return for yourself, would that be of interest to you? If you answered yes, you may consider life settlements a good investment option.

Q: I do consider myself compassionate, and I like to help others. How might I proceed with the purchase of a life settlement?

First, be mindful that this is not a blanket recommendation. Before seriously considering life settlements, check for suitability. There are a lot of variables, but here are the basics. You buy the life insurance contract of a wealthy senior. The individual’s motive for selling is that he/ she needs the money, so you’re helping him/her meet a need. The guarantee for you is that the individual will eventually pass away. So as the new owner and new beneficiary, you’re in line to inherit a windfall. You’re happy, and the previous owner of the insurance contract is happy. The terms of the transaction are fully disclosed, and it’s a win-win for all parties involved. Do be mindful, however, that not all life settlement companies are the same. Call me for more information.

The GallaGher Group

1845 Precinct Line Road, Ste. 215 Hurst, TX 76054

817.485.1825

docgallagher.com

First Impressions Matter

Select Guardado Landscaping

Guardado Landscaping has risen to a prominent position in the landscaping industry by incorporating unique designs, installation techniques, and maintenance strategies into every landscape.

Eloy Guardado

Camp Bowie Rugs

fwsnapshots

Branded With Care

Western-clad guests raised funds to support the Pediatric Palliative Care Program at Cook Children’s while enjoying dinner, live entertainment and an upscale fashion show at Branded, a Careity Foundation event.

LeAnne & Jay Novacek photography by Sandy Tomlinson

Saving Grace More than 300 supporters mingled at the GRACE Networking Mixer/Auction Donation Party on Aug. 11. The party’s purpose was to allow supporters to meet and gather auction items for the

Opera’s Ovation

The Fort Worth Opera showed their appreciation to supporters of the Opera Ball by hosting a VIP reception at the home of Martha Hyders.

1. Marianna Williamson, Kelly Sorokolit 2. Tracy Hyder, Jennifer Kethley 3. Marjon Zabihi, Nathan DePoint

photography by Sandy Tomlinson
Sibling Support Working to provide children with positive mentors, the Villa de Leon hosted an event to raise awareness for Big Brothers, Big Sisters on Aug. 24. 1. Tom Struhs, Elizabeth Fallconer, Rudy Renda 2. Rick Jenkins, Dana St. Germaine, Charles Pierson photography by Sandy Tomlinson
In Fashion Benefiting the Careity Foundation, guests gathered at the Round Up Inn for dinner, dancing and a Western-style fashion show at this year’s Branded event.
1. Beverly Branch, Lynn Anderson, Lyn Walsh 2. Nan & Bob Kingsley 3. Shelly Burmeister-Mowery, Hugh Savage photography by Sandy Tomlinson
upcoming GRACE Gala. 1. Robin & Jim Hall, Alison Babb 2. Shirley Schollmeyer, Darla Dennison photography by Mike Lewis
Coach With a Cause The sold-out Gary Patterson Foundation Reception and Fundraiser held at Joe T. Garcia’s brought together several special friends and raised nearly $80,000 for disadvantaged youth in Fort Worth. 1. Gary Patterson, Rayfield Wright, Pat Green 2. Craig & Robyn Kelly 3. Geno & Lindy Borchardt photography by Andy Moore
Lights, Camera, Action Guests were treated to a night of cinema magic as the Modern Art Museum of Fort Worth hosted a cocktail party and movie premiere on Aug. 12. 1. Alec Jhangiani, Tina Goreski, John Storm 2. Kelly Loyd, Stephanie Barron 3. Janis Jolcuvar, Dennis Bishop photography by Sandy Tomlinson
Their Best Shot The TCU Theta Chapter of Kappa Sigma, alumni and family gathered together at the 8th Annual Stephen McDaniel Memorial Shoot. The organization awarded more than $9,000 in scholarships and raised more than $71,000 toward future scholarships. 1. Ben, Ronnie & Brad Wallace, JC Britton 2. Wynn Tucker, Patrick McGlinchey, Lon Loveless, Clint Kruemcke, Scott Horton, Richard King, Kevin Sonnonstine, Stephen Nethery, Carl Stroud
Full House Guests reeled in chips during classic casino games at the HALO Society’s Cowtown Casino event. 1. Dick Baldwin, Katy Kouns, Debbie Kiley, Rachel & Jerry Dalton 2. Meredith Brown, Constance Balch, Jodi Beard 3. Bric & Bridget Shelton photography by Cowtown Paparazzi

Dr. Bill Johnson Your new best friend

Thermage CPT

Innovations MedSpa, one of the most experienced Thermage practices in the U.S., is bringing Fort Worth the Comfort Pulse Technology Face tip. This new tip increases comfort by over 50%, allows for a faster treatment time, tightens your skin and gives the option to return to work and your normal activities in about an hour. We also offer Increased Comfort tips for the body, giving you the potential for instant inch loss without surgery!

SmartLipo MPX

Dr. Johnson offers Fort Worth the first FDA approved laser based liposuction technology – SmartLipo. This permanent fat reduction offers amazing results with less trauma and less downtime than before. In addition, it smoothes and tightens the skin to decrease the looseness that one sometimes sees with traditional liposuction.

Innovations Med Spa Fort Worth has a Grand Opening Gift just for you. Call 817-487-7886 for details.

So The World May Hear

So The World May Hear Mission – Fort Worth

The world became a little louder and clearer on September 12 for hundreds of area Fort Worth children when several local and national organizations united to turn up the volume to raise awareness and improve the quality of life for the hearing impaired.

Through a collaborative effort, Starkey Hearing Foundation, Jones Audiology & Hearing Aid Centers, Delta Zeta Sorority, Lunchbox Caterers, Tower Digital, and the Children’s Education Program of Performing Arts Fort Worth at Bass Performance Hall were able to provide hearing instruments to over 200 area Fort Worth school children.

The event, held in McDavid Studio and the Van Cliburn Recital Hall at the Bass Performance Hall Complex, included children from the Fort Worth ISD and surrounding counties.

Upon arrival, the children were given hearing assessments, counseling and educational training by audiologists courtesy of Jones Audiology & Hearing Aid Centers, and were then fitted with their hearing instruments courtesy of the Starkey Hearing

Foundation. The Children’s Education Program of Performing Arts Fort Worth worked with the local school districts to help identify the children that met the criteria to receive the free hearing aids. Supporting the efforts of the sponsors, actor Lou Ferrigno, former Miss America Heather Whitestone McCallum, Justin Osmond, Grammy and multi-Gold Record award winning recording artist, Sam Moore, Fort Worth philanthropists and three-time Indianapolis 500 winner Betty and Johnny Rutherford, “Rowdy” Official Mascot of Dallas Cowboys, former Dallas Cowboy’s Linebacker Lee Roy Jordan and former Fort Worth Mayor, Bob Bolen teamed up to witness and encourage the children as they were fit with their new hearing instruments.

Among the dignitaries on hand to commemorate this special event was Fort Worth Mayor Mike Moncrief, who declared September 12 “Hearing Awareness Day” in Fort Worth. This collaborative project grew out of one simple mission – to improve the quality of life for hearing-impaired children in need in the Fort Worth area by providing them with best-in-class digital hearing instruments and hearing services.

Since 1959 Jones Audiology & Hearing Aid Centers has served the community of Fort Worth. Jones joined the Starkey Hearing Foundation effort in 1990 and has participated in many of the Foundation’s missions. Starkey Hearing Foundation provides more than 50,000 hearing aids annually via 100 hearing missions a year in countries all over the world.

For more information, visit: www.joneshearing.com www.starkeyhearingfoundation.org

Ray and Irene Jones with one of the many children receiving help from the Starkey Hearing Foundation.
The joy on a child’s face is so evident when hearing for the first time.

A Guiding Light

As cognizance of the growing number of those battling cancer is heightened in October for National Breast Care Awareness Month, attention is drawn to an innovative early detection procedure known as the HALO Breast Pap Test.

“People hear the word cancer, and they immediately see it as a death sentence,” says breast cancer survivor Gynna Harlin. The National Cancer Institute reports that in this year alone, there will be 192,370 new cases of breast cancer diagnosed in females, as well as 40,170 deaths. Aside from non-melanoma skin cancer, statistics make breast cancer the most common cancer among women in the U.S. While the numbers remain high and the statistics seem staggering, early detection for the disease and effective treatment have increased the survival rate for those diagnosed. Survival rates will hopefully continue to increase thanks to an innovative procedure with an angelic purpose.

The HALO Breast Pap Test is a five-minute, noninvasive test that incorporates the use of heat, suction and massage in a single, fully automated cycle allowing breast fluid to be collected and analyzed for abnormal cells. The FEM Centre, with locations in both Fort Worth and Colleyville, is currently the only North Texas clinic to offer this procedure to their clients through their EnergyHealth Centre. While most insurance companies do not currently cover the cost of the HALO procedure, the FEM Centre charges their clients only $60 in comparison to the average $75 that other clinics charge.

Approved by the FDA in 2001, it was in 2005 that the first HALO systems were placed in physicians’ offices. Mary Ellen Heald, sales and marketing coordinator for NeoMatrix, said there are currently 233 health care facilities nationwide that offer the HALO procedure to their clients.

Gayla Campbell, nurse practitioner at the FEM Centre’s Colleyville location, says the uniqueness of HALO lies in its ability to detect cancer at its earliest form. “Early prevention leads to early detection, which ultimately leads to a better prognosis,” Campbell said. Given early detection with HALO, she adds, the five-year survival rate of a patient is 100 percent.

Different from a mammogram, HALO looks for abnormal cells in the milk ducts where a large percentage of all breast cancers originate, Campbell said. In contrast, mammograms are just radiological images that look for pre-existing masses, such as tumors or cysts. The procedure begins by bringing nipple aspirate fluid to the surface of the nipple through the use of massage and suction. The fluid that is collected is then sent to the laboratory for examination to differentiate between normal, pre-malignant and malignant cells.

Susan Brown, director of health education for Susan G. Komen for the Cure, said hearing about the development of the HALO pro -

cedure has drawn great interest from the Komen organization, but they have not yet given it their full backing. “We like to reserve our opinion until there is adequate research done and evidence is given,” she said.

While some remain skeptical, Campbell said patients have been very open to the use of the new procedure. “We offer several techniques of early detection to our clients, and they have been very open-minded to trying them,” she said.

Harlin, chairwoman of the 2009-2010 Race for the Cure in Tarrant County, found out she had cancer through a self-examination. “I was at such a young age that mammograms weren’t even suggested yet,” Harlin said. This can often be the case, as breast tissue for those in their early 20s can often be quite dense making a mammogram incapable of detecting the cancer. However, with HALO, abnormalities are detected on a cellular level years before a mammogram could detect a lump, making the recommended demographic for the procedure between the ages of 25 to 55.

Mammograms are oftentimes not recommended for women under the age of 30, unless the individual has reason to suspect they might have a mass, Campbell said. Without a visible lump, this means breast cancer can go undetected until a mass forms and radiation or chemo

therapy is required. With HALO, the cancer is detected before the mass forms; however, if there is a mass already there, HALO cannot detect that, Campbell said.

Though HALO is currently one of the earliest tools for detection in breast cancer, the FEM Centre still suggests that clients use the procedure as a complement to mammograms. Also coupled with Digital Thermal Infrared Imaging, a non-contact, non-invasive procedure for visualizing the body’s physiologic response, a patient is given an increased chance in early detection as well as an increased survival rate if cancer is detected.

Ann Greenhill, executive director for Susan G. Komen for the Cure in Tarrant County, said that since 2001, breast cancer-related deaths in Tarrant County have decreased, although the population that is at risk has increased. And while it is slight, Brown adds, there has also been a decrease in both new cases of breast cancer and mortality nationally. This, she says, is due in part to better screening processes, early detection and effective treatment. With new advancements sure to be on the horizon, the prognosis for future breast cancer cases seems to be filled with great optimism, giving hope to thousands of women and survivors like Gynna Harlin. “It doesn’t have to be a death sentence,” she said. “Not anymore.”

New Post-Acute Skilled Nursing Center Opening Spring 2010

The Public is Invited to Attend Groundbreaking Ceremonies 11:00 am on Thursday, October 1, 2009

Comprehensive Rehabilitation

• Cardiac Care

• Respiratory Rehabilitation

• Orthopedic Rehabilitation

• Amputation Care

• Hip/Knee Replacement

• Neurological Rehabilitation

• Cerebral vascular accident (stroke)

• Multiple Sclerosis

• Guillain-Barre Syndrome

• Multiple Trauma Rehabilitation

• Pulmonary Rehabilitation

• Oncology Rehabilitation

Long Term Care Services and Amenities

• Nurturing and healing environment in comfortable setting

• Rehab gym with over 4000 sq. ft. of therapy space

• Private and semi-private 136 bed accommodations include furnishings, individual televisions

• Beautiful common areas with wireless internet access

• Chapel, Library and private dining for family and celebrations

• Respite or vacation care

For more information call 817-882-8289

Hospital and CanCer Center direCtory

Tarrant County area hospitals, and wellness and cancer centers.

Hospitals

Arlington Memorial Hospital

800 W. Randol Mill Road Arlington, Texas 76012

817.548.6100

texashealth.org/amh

417 beds, 600 doctors

Arlington Memorial Hospital is a 417-bed acute-care, full-service medical center serving Arlington and the surrounding communities since 1958. Services include comprehensive cardiac care; an electrophysiology lab; women’s services; orthopedics; GI; an advanced imaging center; extensive rehabilitation services; emergency services; bariatric surgery and nutrition counseling; health maintenance and disease prevention classes; support groups and community service programs.

Baylor All Saints Medical Center at Fort Worth 1400 Eighth Ave.

Fort Worth, Texas 76104

817.926.2544

baylorhealth.com

537 beds, 1035 physicians

Baylor All Saints Medical Center at Fort Worth, located near downtown Fort Worth, is a full-service hospital dedicated to providing for the health care needs of the community. Baylor All Saints is among Tarrant County’s oldest not-for-profit hospitals and celebrated 100 years of service in 2006. The medical center has 537 licensed beds and offers a broad range of medical services, including programs of excellence in cardiology, transplantation, neurosciences, oncology and women’s services, diabetes, behavioral health, asthma and pulmonary, digestive diseases, emergency care, fitness, heart and vascular, imaging and radiology, neurology, orthopedics, pain management, primary care, rehabilitation, transplants, urology and urogynecology, weight management and surgery, men’s health, scoliosis care and sleep disorders.

Baylor Medical Center at Southwest Fort Worth

7100 Oakmont Blvd.

Fort Worth, Texas 76132

817.346.5700

baylorhealth.com

71 beds, 850 doctors

A not-for-profit, community-based health care organization that offers diagnostic laboratory; electro diagnostic services; emergency care; endoscopy; general and special surgery; intensive care unit; obstetrics and gynecology; pulmonary medicine; radiology rehabilitation; diabetes and bariatrics.

Baylor Regional Medical Center at Grapevine

1650 W. College St. Grapevine, Texas 76051

817.481.1588

baylorhealth.com

233 beds, 800 physicians

An acute-care, full-service regional hospital that offers: cardiovascular services, including open-heart surgery; brain and spine surgeries; cardiac catherizations lab for performing catherizations, angioplasty and stent replacements; diagnostic imaging center for comprehensive CT scanning; bone density scanning unit; digital mammography and MRI; two outpatient diagnostic imaging centers; ICU with cardiac intensive care; 24-hour emergency care services including minor emergencies; center for digestive diseases; physical and occupational therapy services; women’s center including labor/delivery rooms; antepartum, postpartum and gynecology; surgical recovery area; breastfeeding room with lactation consultants available and level III neonatal ICU, nursery and neonatal surgery.

Cook Children’s Medical Center

801 Seventh Ave.

Fort Worth, Texas 76104

1.800.934.COOK

Cookchildrens.org

297 beds, 544 medical staff

Cook Children’s Health Care System is one of the country’s leading integrated pediatric health care systems. Based in Fort Worth, Texas, the nonprofit organization includes a nationally-recognized medical center, physician network, home health company, health

plan, and the Northeast Hospital and Health Foundation. Cook Children’s mission is to improve the health of children through the prevention and treatment of illness, disease and injury. Cook Children’s includes more than 35 pediatric medical offices and specialty clinics throughout Texas, and is ranked in the top 5 percent of the nation’s hospitals for its nursing excellence and has a distinguished reputation for the uncommon care and outcomes achieved through the following programs: Neurology and Neurosurgery, Cardiology and Cardiothoracic Surgery, Hematology and Oncology, Neonatology and Pulmonology.

Diagnostic Health of Fort Worth 6001 Harris Pkwy. Fort Worth, Texas 76132 817.294.1131

Dxhealthcorp.com

Diagnostic Health understands the importance of an accurate diagnosis. That’s why it makes sure each of its facilities has the latest equipment and technology to support its highly skilled technologists and boardcertified physicians. Each facility varies according to the services offered, which include Maganetic Resonance Imaging (MRI), Computerized Tomography (CT Scan), Ultrasound, Mamography, Nuclear Medicine, Bone Densitometry, Electromyography (EMG) and Nerve Conduction Studies (NCS). Diagnostic Health Services also offers extended hours, same-day services, four-hour radiology report turnaround and 50 percent cash discounts on cash-paid patients, and accept all insurances and offer complete precertification for all insurances.

Additional Locations:

Diagnostic Health of Arlington

601 W. Arbrook Blvd.

Arlington, Texas 76104

817.472.0801

Diagnostic Health of Fossil Creek 5455 Basswood Blvd., Suite 550

Fort Worth, Texas 76137

817.428.5002

Diagnostic Health of Hurst 1717 Precinct Line Road, Suite 103 Hurst, Texas 76054

817.498.6575

Harris Methodist Fort Worth 1301 Pennsylvania Ave. Fort Worth, Texas 76104

1.888.4.HARRIS

Texashealth.org/hmfw

710 beds, 800 doctors

Harris Methodist Fort Worth Hospital opened in 1930. It is a Magnet-designated hospital, and Tarrant County’s largest hospital and regional referral center. A member of Texas Health Resources, HMFW is licensed for 710 beds and provides the following services: Cardiovascular; high-risk and routine obstetrics and gynecology; neurosciences; orthopedics and sports medicine; rehabilitation; adult critical care and neonatal intensive care; trauma and emergency medicine; cancer care; medical/surgical; kidney transplants; occupational health; and more. The campus is home to almost 1,000 members of medical staff, more than 4,000 employees, 200 volunteers and the 100-bed Harris Methodist Heart Center.

Harris Methodist H-E-B Hospital 1600 Hospital Pkwy. Bedford, Texas 76022

817.685.4000

Texashealth.org/hmheb

320 beds, 225 doctors

Acute-care facility serving Northeast Tarrant County that offers cardiac care unit; cardiac catherization laboratory; cardiac rehab; cardiovascular surgery; labor/delivery; level III neonatal ICU; outpatient surgery; oncology unit; neurosurgery; gastroenterology; international travel health clinic; radiology; breastfeeding support center; diabetes education; sleep disorders lab; physical medicine and rehabilitation center; senior healthcare center; and pulmonary disease.

Harris Methodist Northwest

108 Denver Trail

Azle, Texas 76020

817.444.8700

Texashealth.org

36 beds, 108 doctors

A community-based hospital that offers emergency services; intensive care unit; cardiovascular services; diagnostic imaging; surgery/ outpatient procedures; rehabilitation; pain management program; laboratory; endoscopy services; and community services.

Harris Methodist Southwest

6100 Harris Pkwy.

Fort Worth, Texas 76132

817.433.5000

Texashealth.org

234 beds, 575 physicians

This suburban hospital offers the following comprehensive services: 24-hour emergency service; advanced diagnostic and imaging services (including interventional radiology and

diagnostic coronary angiograms); surgical services; sports/rehabilitation program; digital mammography; sleep lab; neonatal ICU; surgical robot; and traditional and progressive options in maternity care.

Harris Methodist Walls Regional

201 Walls Drive

Cleburne, Texas 76033

817.641.2551

Texashealth.org/hmwr

137 beds, 80 physicians

Residents of the Cleburne area don’t have to travel far to find a quality hospital. Harris Methodist Walls Regional Hospital offers orthopedic and joint replacement services, birthing suites with chimes that herald the birth of each new baby, community education classes, outpatient surgery, rehabilitation services pulmonology and respiratory therapy. The hospital is a full-service, 137-bed acute care hospital with 80 physicians on the medical staff.

HealthSouth Rehabilitation Hospital of Fort Worth

1212 W. Lancaster Ave.

Fort Worth, Texas 76102

817.870.2336

Healthsouth.com

60 beds, number of doctors varies HealthSouth is the nation’s largest provider of rehabilitation services. Our therapists, medical staff and physicians have dedicated their lives to one goal—returning patients to the community at their optimal level of independence as quickly as possible by using every available technology. Services include: acute inpatient rehabilitation; outpatient rehabilitation; sleepstudy services; pain management classes; and day treatment.

Additional Locations:

HealthSouth Rehabilitation Hospital of Arlington

3200 Matlock Road

Arlington, Texas 76015

817.468.4000

HealthSouth Rehabilitation Hospital of Cityview

6701 Oakmont Blvd.

Fort Worth, Texas 76132

817.370.4700

Huguley Memorial Medical Center

11801 South Freeway

Fort Worth, Texas 76115

817.293.9220

Huguley.org

213 beds, 367 physicians

A member of the Adventist Health System, Huguley Hospital includes two intensive care units, progressive care unit, open heart surgery center, orthopedic center, behavioral health center and a top-ranked wound care center. The Huguley campus features an outpatient imaging center, fitness center, hospice house, nursing home, outpatient surgery center and the Center for Cancer and Blood Disorders.

JPS Health Network

1500 S. Main St. Fort Worth, Texas 76104

817.921.3431

Jpshealthnet.org

567 beds, 433 physicians

The first level II trauma center in Tarrant County designated by the Texas Department of Health that offers intensive care units for infants and adults; 14-hour emergency department staffed by physicians who are board certified in emergency center; inpatient medical and surgical and surgical services for all ages; birthing center with private labor/delivery rooms; psychiatric inpatient for adults and adolescents; Healing Wings HIV/AIDS center for outpatient and inpatient care; JPS Health Centers located throughout Tarrant County; freestanding JPS Health Centers for Women; seven school-based health centers; orthopedic and sports medicine center; diagnostic and surgery hospital.

Medical Center of Arlington

3301 Matlock Road Arlington, Texas 76015 817.465.3241

Medicalcenterarlington.com

567 beds, 500 doctors

South Arlington’s only acute-care and full-service hospital that offers diagnostics; emergency care; therapy; surgery; women’s services; neonatal ICU; neurology; cardiology; rehabilitation services; outpatient wound care clinic; occupational medicine; open-heart surgery; and a sports medicine center.

North Hills Hospital

4401 Booth Calloway Road

North Richland Hills, Texas 76180

817.255.1000

Northhillshospital.com

176 beds, 440 doctors

An acute-care hospital that offers a pediatric center; emergency services; 24-hour chest pain emergency care; rehabilitation unit; ICU; PCU; cardiac program; women’s services; labor/delivery suites digital mammography and sonogram suite; obstetrics; nursery; outpatient imaging center; physical therapy; dialysis; lithotripsy; advanced diagnostics/radiology; diabetes education; senior friends chapter; Bariatric Surgery Center of Excellence.

Plaza Medical Center of Fort Worth

900 Eighth Ave.

Fort Worth, Texas 76104

817.336.2100

Plazamedicalcenter.com

320 beds, 469 doctors

Plaza Medical Center of Fort Worth, located at the crossroads of the city’s medical district, is a 320-bed hospital specializing in tertiary care, teaching and research. Plaza’s programs in heart-attack treatment and total joint replacement have been certified by the Joint Commission and were the first such programs in the Southwest to receive such a certification. A 2007 recipient of the Texas Health Care Quality Improvement

10th Annual

65 Roses Wine and Food Extravaganza

Benefiting the Cystic Fibrosis Foundation

Chairs – Joanie and Toby Darden

Co-Chairs – Rhonda and Lloyd Walsh

Wednesday, October 21, 2009

Under the Stars at La Paloma Residence of Marcee and Grant James 6008 Highway 377 South Benbrook, TX 76126

Enjoy an evening under the Texas stars, sampling the finest cuisine, prepared by our area’s top celebrity chefs, complemented with rich wines from around the world, and premium martini’s selected especially for this event while listening to the best of Texas country playing in the background.

Lead Chef – Michael Thomson – MICHAELS Restaurant and Ancho Chile Bar Wine Director – J. R. Clark – Central Market Fort Worth

n

From all whose lives have been touched by cystic fibrosis thank you to the following sponsors. (At time of printing)

Red Rose

Anne T. and Robert M. Bass

White Rose

Suzanne and J. Taylor Crandall

Yellow Rose

American Airlines • AmeriCredit • Central Market Fort Worth

Fort Worth, Texas Magazine • Grey Goose Vodka

TexiCali Wine Company

Pink Rose

Quicksilver Resources, Inc

Peach Rose

Joanie and Toby Darden • Kleinheinz Capital Partners, Inc.

Park Place Motorcars • Rhonda and Lloyd Walsh

Cranberry Rose

Autobahn Motorcar Group

Rose Sponsor

Brown Dean Wiseman Liser Proctor & Hart LLP

Blue Sky Graphics • Fort Worth and Western Railroad

Immersion Multimedia • The Kitchen Source

Rosebud Sponsor

Amon G. Carter Foundation • Bank of Texas

Cook Children’s Medical Center

Coors Distributing Company of Fort Worth

Community Trust Bank • Terri and John Fant

Hodges Fund at the Community Foundation of North Texas, Inc.

Please

Kelly Hart & Hallman LLP • Anna Melissa and Peter Philpott

Lakecrest Cosmetic Surgery Center • Print Central Mastercraft Printing Products

Featured Restaurants (At time of printing)

MICHAELS Restaurant and Ancho Chile Bar | Perini Ranch Steakhouse | Fort Worth’s Mac’s on 7th

Bonnell’s | Lonesome Dove/The Love Shack | Piranha Killer Sushi | Del Frisco’s

Fred’s & The Outlaw Chef | Café Nutt | Lanny’s Alta Cocina | Ruth Chris Steakhouse

Rio Mambo | Buttons | Central Market Fort Worth | Feastivities | Ultimate Cuisine

Panera Bread | Lambert’s | Grady’s | Ruffino’s | Aventino’s | Eddie V’s

Award of Excellence, Plaza has been recognized twice nationally as a “Top 100 Heart Hospital,” and is one of only five hospitals among the nearly 200 owned and operated by HCA to be designated a cardiovascularcare “center of excellence.” In addition, Plaza is one of just 17 hospitals in Texas certified as “nurse-friendly” by the Texas Nurse Association. The Dallas Business Journal in 2007 named Plaza one of the “Best Places to Work” in North Texas.

Regency Hospital of Fort Worth

6801 Oakmont Blvd.

Fort Worth, Texas 76132

817.840.2500

Regencyhospital.com

40 beds, 120 physicians

Regency Hospital of Fort Worth provides services to medically complex patients who have suffered recent catastrophic illnesses or injuries and require and extended stay in an acute-care environment.

Southwest Surgical Hospital

1612 Hurst Town Center Drive

Hurst, Texas 76054

817.345.4100

swsurgery.com

44 beds

Southwest Surgical Hospital is a medical campus that offers the latest trends in surgical specialties and a 24 hour emergency room in a setting that feels more like a five-star hotel than a hospital.

Baylor Surgical Hospital at Fort Worth

750 13th Ave.

Fort Worth, Texas 76104

817.334.5050

Mcsh-hospital.com

37 beds, 80 physicians on staff

An affiliate of United Surgical Partners International, an international company partnered with local physicians with specialty areas of orthopedics, pain medicine, urology, general surgery, gynecology, ophthalmology, pediatric surgery, plastic surgery, podiatry, oral surgery and ear, nose and throat surgery.

Methodist Mansfield Medical Center

2700 E. Broad St.

Mansfield, Texas 76063

682.622.2000

Methodisthealthsystem.org/Mansfield

88 beds, 203 physicians

Residents of Mansfield and the surrounding communities in southeast Tarrant County no longer have to drive to Arlington, Fort Worth or Dallas for hospital care. Methodist Mansfield Medical Center, a full-service, acute-care hospital with a physician office building, opened in December 2006. The five-story hospital opened with 80 private patient rooms and is designated to allow for expansion as the health care needs of the community grow. Methodist Mansfield Medical Center is part of the nonprofit Methodist Health System.

LifeCare Hospital of Fort Worth

6201 Overton Ridge Blvd.

Fort Worth, Texas 76132

817.370.6078

Lifecare-hospitals.com

73 beds, 160 physicians

The team is directed by the physician and includes: nursing; case management; pharmacy; nutritional services; physical therapy; speech therapy; occupational therapy; respiratory therapy; hyperbaric therapy and wound care; recreational therapy; social services; and psychological services.

Kindred Hospital-Tarrant

County (Fort Worth Southwest)

7800 Oakmont Blvd.

Fort Worth, Texas 76132

Kindredhealthcarefwsw.com

80 beds

A long-term, acute-care hospital that specializes in ventilator dependency, chronic cardiac conditions and neuromuscular or neurovascular, complex orthopedic conditions, wound care complications, multi-system organ failure, dysphasia management, postoperative complications/trauma care, multiple intravenous therapies, chemotherapy, preoperative and postoperative organ transplant care, chronic nutritional management and total parental nutrition (LTPN).

USMD Hospital at Arlington

801 W. I-20 at Matlock Road

Arlington, Texas 76107

817.472.3400

Usmdarlington.com

309 physicians, 36 inpatient rooms, 9 operating suites

USMD Hospital at Arlington is physicianowned, which means that executive decisions for the hospital are made by people who practice medicine, not business. It has a comfortable, non-hospital atmosphere and compassionate professionals equipped with the latest technology that allows them to perform leading-edge spinal procedures, lap-band surgery for obesity, robot-assisted prostate and gynecology procedures that are less invasive for a quicker recovery, advanced orthopedic services and digital mammography with the MammoPad® for more accurate and comfortable breast diagnostics.

USMD Hospital at Fort Worth

5900 Dirks Road

Fort Worth, Texas 76132

817.433.9100

Usmdfortworth.com

8 inpatient beds, 6 operating rooms, more than 100 physicians

USMD at Fort Worth is part of a growing network of physician-owned hospitals and serves both pediatric and adult patients with separate entrances separate preoperative and separate recovery areas for each group. The hospital has operating rooms, preoperative beds, PACU beds, private patient suites, Diagnostic Imaging and an emergency department.

CAnCeR CenTeRS

Arlington Cancer Center

906 W. Randol Mill Road

Arlington, Texas 76012

817.261.4906

Acc-tx.com

Arlington Cancer Center is a comprehensive outpatient treatment facility providing leadingedge diagnosis, treatment, research, education and support services to adult cancer patients from around the world.

Arlington Cancer Center at Trophy Club

2800 Hwy. 114 E., Suite 200

Trophy Club, Texas 76262

817.837.3000

Acc-tx.com

Medical oncology, including chemotherapy infusion and radiation oncology providing IMRT, 1-131 and Samarium protocols, laboratory services and access to clinical trials.

Arlington Memorial Hospital, Oncology Care Unit

800 W. Randol Mill Road Arlington, Texas 76012

817.548.6100

Texashealth.org/amh

Surgical care, chemotherapy, high-dose chemotherapy, biotherapy, pain management, blood transfusions, neutropenic support and radiation therapy.

The Center for Cancer and Blood Disorders

800 W. Magnolia Ave. Fort Worth, Texas 76104

817.759.7000

Thecentertx.com

The center provides patients with services that include oncology, radiation oncology and hematology, with six additional locations throughout the D/FW metroplex. Services include medical oncology, radiation oncology and cyberknife. The centers’ physicians and professional staff share a commitment to compassionate cancer care with respect for the concerns of patients and their families.

Harris Methodist Hospital Fort Worth: Klabzuba Cancer Center

1300 W. Terrell St. Fort Worth, Texas 76104

817.820.4848

Texashealth.org

Chemotherapy, brachytherapy, stereotactic radiosurgery, radiology, mammograms, screenings for prostate, colon, cervical, osteoporosis and genetic risk evaluation.

Harris Methodist H-e-B Hospital, Oncology Care Unit

1600 Hospital Pkwy. Bedford, Texas 76022

817.685.4000

Texashealth.org/heb

Pinnacle Pain Medicine

At the Forefront of Pain Medicine

Chronic pain can severely impact your physical, emotional and psychological wellbeing, ultimately affecting your quality of life. This kind of pain, which often continues for 24 hours a day, 7 days a week for 3 months or more, is often related to disease or an injury. Whatever the cause, the physicians of Pinnacle Pain Medicine can provide immediate relief as well as long-term gain. We offer a comprehensive approach to the treatment of pain which has proven to achieve the best results.

Renowned as one of the Metroplex’s leading pain medicine practices, Pinnacle Pain Medicine is dedicated to improving the care of our patients through prevention, diagnosis, treatment and rehabilitation of painful disorders. Our physicians work with a team of specialists to take into consideration not only the individual’s pain, but also any other physical, emotional or psychological difficulties.

Dr. Scott Berlin, Dr. Andrew Cottingham, Dr. Don Enty, Dr. Brian Flanagan, Dr. Andrew Konen and Dr. Michael Phillips were the first to bring several advanced interventional therapies to the Metroplex and are considered experts in virtually every leading-edge pain technology and treatment available. All Pinnacle Pain Medicine Physicians are certified by the American Board of Anesthesiology and have extensive experience relieving pain.

Dr. Scott Berlin
Dr. Andrew Cottingham
Dr. Andrew Konen
Dr. Michael Phillips
Dr. Don Enty
Dr. Brian Flanagan

New Drug Free, FDA Approved* Treatment for Depression

Advanced TMS Clinics of Texas

Surgical care, chemotherapy, high-dose chemotherapy, biotherapy, radiation therapy, blood transfusions, neutropenic support and pain management.

JPS Center for Cancer Care

601 W. Terrell St. Fort Worth, Texas 76104

817.852.8300

Jpshealthnet.org

Medical oncology/hematology, including chemotherapy, hormonal therapy, immunotherapy, clinical research, pain palliation, hospice care and radiation therapy.

Moncrief Cancer Resources

1701 River Run, Ste. 500 Fort Worth, Texas 76107

817.838.4868

Moncrief.com

Moncrief Cancer Resources is a nonprofit, community-based organization that provides support services to cancer patients and their families in Tarrant County and surrounding areas. The staff conducts personal assessments of anyone with a cancer diagnosis in order to help identify problems and construct a plan to increase the quality of life during cancer treatment. Moncrief offers a full spectrum of cancer support services, including social services, nutritional services and cancer information and education.

Texas Oncology Fort Worth

1001 12th Ave., Ste. 200

Fort Worth, Texas 76104

817.850.2000

Texasoncologyfortworth.com

Texas Oncology’s comprehensive cancer centers provide diagnostics, medical oncology, radiation oncology, labs and pharmacies in convenient, community-based facilities. With more than 300 physicians and 98 sites of service, Texas Oncology uses the latest technology and participates with the largest network of clinical research trials nationally in order to provide high quality care in communities throughout the state. Texas Oncology is a member of the U.S. Oncology network, one of the nation’s leading health services networks focused exclusively on cancer treatment and research. U.S. Oncology is affiliated with 1,122 physicians practicing in 422 locations, including 90 radiation oncology facilities in 38 states.

Additional Locations:

1450 Eighth Ave.

Fort Worth, Texas 76104

817.923.4423

Texas Oncology Southwest Fort Worth Cancer Center

6500 Harris Pkwy.

Fort Worth, Texas 76132

817.263.2600

Texas Oncology Fort Worth (Weatherford location)

907 & 911 Foster Lane

Weatherford, Texas 76086

815.597.7900

Set your clock back.

FRAXEL™ LASER. It’s amazing how something so small – like the pinpoint perfection of the new FRAXEL laser – can literally change your look … and your outlook. Board-certified dermatologist Dr. Cothern uses it to fix wrinkles, scars, spots, stretch marks, sun damage, large pores and more. Spend a few minutes with Dr. Cothern, and set your clock back a few years. Isn’t technology beautiful?

Dermatology and Laser Center of Fort Worth • 817.377.1243 4201 Camp Bowie Blvd., Suite A • www.skinlasercare.com

DR. COTHERN

UCC Golf Ad FWMag.qxd 8/31/09 10:31 AM Page 1

C ELEBRATES 100 YEARS

Monday,November 9,2009

Colonial Country Club • 3735 Country Club Circle • Fort Worth, TX 76109 Tee Time: 10:00 a.m. • Sponsorships, team & individual players spots available. Benefiting United Community Centers, Inc.

Player registration includes thank-you gifts and reservation for UCC 100th Anniversary Celebration Reception and Dinner on Sunday, November 8, 2009. To reserve your sponsorship, team or player spot, call Susie Reyes at 817-927-5556 ext.115 or E-mail: sreyes@unitedcommunitycenters.org

F I GHT BR EAST CA N C ER

W h en I wa s d iagn osed with b reas t cancer, I kn ew the supp ort of my f amily and f rien d s wou ld b e r e a l ly i m port ant . I cho se to part ner w

rig

h ere

m y h om et ow n, so I wouldn’t have t o travel to get the care I need. Texas Oncology is part of the country’s largest network of cancer specialists, r esear c h ers and treatmen t centers. Like thousands of my fellow Texans, I’m glad I have Texas Oncology on my side.

port

HealtH Care Professionals Worth

Eye Consultants of Texas

Phillips Kirk Labor, M.D.

SPECIALTY: Ophthalmology, Cataract and Refractive Surgery, Laser Vision Correction.

EDUCATION: B.S., B.A., Centenary College of Louisiana; B.S., University of Texas Medical Branch at Galveston; M.D., Louisiana State University Health Science Center; Residency, The Combined Program in Ophthalmology at The Eye Foundation Hospital University of Alabama at Birmingham; LASIK Mini-Fellowship Rothschild Eye Institute Boca Raton, Fla.. HONORS: Top Docs 2005-2006, Fort Worth, Texas magazine; America’s Top Ophthalmologists 2002-2003; International College of Surgeons Fellow. PROFESSIONAL MEMBERSHIPS: International Society of Refractive Surgeons, American Society of Cataract and Refractive Surgery, American Academy of Ophthalmology, Texas Ophthalmological Association, Tarrant County Ophthalmological Society, Tarrant County Medical Society, American College of Eye Surgeons, International College of Surgeons, Society for Excellence in Eyecare and Volunteer for Eyecare of America. AFFILIATIONS: Baylor Regional Medical Center, Southwest Surgical Hospital, Physicians Surgery Center, Cityview Surgery Center. INNOVATIONS: The first, or among the first, in Dallas/Fort Worth to adopt and offer several of today’s most advanced vision correction procedures. His practice was the first solo U.S. practice to acquire the Ziemer FEMTO LDV for all laser blade-free LASIK. He was also the first Dallas/Fort Worth ophthalmologist to implant the Verisyse phakic IOL and one of the first to implant the Visian implantable contact lens. In addition, Labor performs no-stitch cataract surgery, as well as ReSTOR®, ReZoom™ and Crystalens HD® implantations. GREATEST PROFESSIONAL ACHIEVEMENT: “While I’m proud to offer many innovations, the most gratifying thing is to earn each patient’s trust and confidence on a professional and personal level.” BEDSIDE MANNER: Labor generously devotes his time to help his patients understand everything they want to know. “I genuinely approach my patients like family. Eye care is health care, and my philosophy is that anything to do with your health deserves your doctor’s undivided attention.” SPECIAL INTERESTS: Exodus Program in Dallas, Guatemala Children’s Fund, Grace Home. Labor recently completed a humanitarian mission to Kurdistan, Northern Iraq performing surgery and training local doctors in conjunction with the International College of Surgeons and Operation HOPE. FREE ADVICE: “There’s no substitute for expertise. However, it’s not just about how many procedures an eye surgeon has performed, it’s about the outcome – quality over quantity. Choose a qualified surgeon who appreciates his patients.”

CONTACT INFORMATION:

Eye Consultants of Texas • 1643 Lancaster Drive, Ste. 305 • Grapevine, Texas 76051 817.410.2030 • Fax 817.251.6261 • dfw2020.com • info@eyecontx.com

Accent Podiatry Associates

Dan Bhakta, D.P.M., F.A.C.F.A.S.

Keyvan Ganz, D.P.M., F.A.C.F.A.S.

SPECIALTY: Podiatric Medicine; Foot and ankle surgery, pediatric and adult reconstructive foot and ankle surgery. Bhakta also specializes in wound care and Ganz specializes in sports medicine. EDUCATION: Bhakta—B.S., UC Riverside, Calif.; D.P.M., California College of Podiatric Medicine in Oakland, Calif.; Podiatric Surgical Residency at Englewood Hospital in Engelwood, N.J.; Podiatric Rotating Residency at Wyckoff Heights Medical Center in Brooklyn, N.Y. Ganz—B.S., University of Maryland in College Park; D.P.M., Temple University in Philadelphia, Pa.; Podiatric Surgical Residency at Englewood Hospital in Englewood, N.J.; Fellowship in Sports Medicine at Miami Heat, Barry University, Walt Disney in Fla. PROFESSIONAL MEMBERSHIPS: Both—American Diabetic Association, Diplomat in American College of Foot and Ankle Surgeons. Ganz—American Academy of Podiatric Sports Medicine. AWARDS/HONORS: Board certified surgeons, BBB accredited and Bhakta is wound care certified.

AFFILIATIONS: USMD at Arlington, MCA of Arlington, Arlington Memorial Hospital, Methodist Center in Mansfield. INNOVATIONS: State-of-the-art foot and ankle medical and surgical techniques to allow patients to return to full activities as soon as possible. BEDSIDE MANNER: We, first, listen to our patients, then explain in full detail and answer all of their questions. We truly care about our patients.

CONTACT INFORMATION:

Arlington Clinic at USMD

811 W. Interstate 20, Ste. 136 • Arlington, Texas 76017

817.557.1006 • fax 817.557.2000

Mansfield Clinic

309 Regency Parkway, Ste. 201 • Mansfield, Texas 76063

817.477.3611 • fax 817.473.3553

accent podiatry.com

Robert G. Anderson, M.D.

MEDICAL SPECIALTY: Cosmetic and Reconstructive Plastic Surgery. EDUCATION: M.D., University of Texas Southwestern Medical School at Dallas; Residencies in Plastic and Reconstructive Surgery and Otolaryngology-Head and Neck Surgery at UT Southwestern Medical School/Parkland Hospital (Dallas) and the University of Florida (Gainesville); Fellowship in Otology/Neurotology/Skull-Base Surgery at the University of Southern California (Los Angeles). CERTIFICATION AND MEMBERSHIP: American Board of Plastic Surgery, American Board of Otolaryngology—Head and Neck Surgery, American Society of Plastic Surgeons, American Society for Aesthetic Plastic Surgery and American College of Surgeons. SERVICES: Breast surgery (augmentation, lifts and reductions), abdominoplasty, liposuction and body contouring and facial rejuvenation including facelifts, neck lifts, eyelid and eyebrow lifts; Botox, Juvaderm and Sculptra; full-service skin care medical spa and laser center (Fraxel Re:Store and Re:Pair, Accent XL, Photofacial, laser hair removal, microdermabrasion; Obagi, La Roche-Posay, SkinCeuticals, Jane Iredale, chemical peels and facials). SPECIAL INTERESTS: Cosmetic surgery, skin cancer surgery (melanomas and other skin cancers) and complex facial reconstruction. HONORS: Co-editor and author of Selected Readings in Plastic Surgery since 1987. VOLUNTEERISM: Medical missionary work in Guatemala, Mexico and the Fiji Islands: Humanitarian Committee of the Tarrant County Medical Society.

CONTACT INFORMATION:

800 12th Ave., Ste. 100 • Fort Worth, Texas 76104

817.810.0770 • plasticsurgerytexas.com

Arlington Cosmetic Surgery Center

SPECIALTY: Breast enlargement, uplift and reduction. Face and neck lift; eyelid and brow lift; liposuction; tummy tuck; body contouring; nasal reshaping; Botox, Restylane and Juvaderm. CERTIFICATION: American Board of Plastic Surgery. PROFESSIONAL MEMBERSHIPS: American Society for Aesthetic Plastic Surgery and American Society of Plastic Surgeons. YEARS OF SERVICE: Rasmussen has been providing cosmetic surgery to satisfied patients throughout the Metroplex for more than 20 years. SERVICES: Accredited, in-office surgery with the latest techniques and procedures to enhance the appearance of our patients. Botox, Restylane and Juvaderm; a highly experienced Medical Aesthetician; extensive skin care products and medical peels. IN STRIDE WITH THE TIMES: The key to natural-appearing, improved results in cosmetic surgery is the balance between innovation in technique and the experience and judgment of the surgeon. GREATEST HONOR: The repeated trust my patients put in my hands when we plan, and then achieve, the transformation that they have dreamed about. MOTTO: “All of our dreams come true if we have the courage to pursue them” — Walt Disney.

CONTACT INFORMATION:

1017 W. Randol Mill Road • Arlington, Texas 76012 817.469.1163 • arlingtoncosmeticsurgery.com

Arlington Day Spa

Jon Senkowsky, M.D.

SPECIALTY: Vascular Surgery. EDUCATION: B.S., Tulane University, New Orleans, La.; M.D., Southwestern Medical School, Dallas, Texas; Internship in General Surgery, Charity Hospital of Louisiana at New Orleans, Tulane University; Residency in General Surgery, Charity Hospital of Louisiana at New Orleans, Tulane University Affiliated Hospitals; Vascular Fellowship, Tulane University Affiliated Hospitals. AFFILIATIONS: Texas Health Arlington Memorial Hospital, Texas Health Harris Methodist HEB Hospital, North Hills Hospital, Baylor Grapevine Hospital, Baylor Irving Hospital, Methodist Mansfield Hospital.

GREATEST PROFESSIONAL ACHIEVEMENTS: Our professional achievements happen every day by giving all of our patients the excellent care they deserve. INNOVATIONS: We are pleased

to announce that we provide excellent vascular care for all patients including the newest procedure for varicose vein patients called “VNUS” Closure. BEDSIDE MANNER: Arlington Day Spa is well known for our medically trained staff with their expertise and vascular knowledge to provide excellent care for all of our patients. PICTURED: Jon Senkowsky, M.D.; Brenda Harville, medical practice office manager; Diane Flahart, R.N.; Sheila Place; Danine Goforth; Kim Chaves.

CONTACT INFORMATION: 1001 N. Waldrop Drive, Ste. 612 • Arlington, Texas 76012 817.861.3000 • fax 817.861.3003 csantdayspa.com

Baylor Surgical Hospital at Fort Worth

SPECIALTIES: Baylor Surgical Hospital at Fort Worth is a 34-bed, surgical hospital serving a wide range of surgical specialties. Our surgical specialties include: orthopedics, spine surgery, pain management, urology, plastic and reconstructive surgery, neurosurgery, pediatric surgery, podiatry, oral surgery and ear, nose and throat surgery. AFFILIATIONS: Our facility has wonderful collaboration between local surgeons, Baylor Health Care System and United Surgical Partners International. ACCREDITATION: We are a Joint Commission Accredited Hospital with 10 operating rooms. INNOVATIONS: Our facility proudly provides a full array of imaging services to include ultrasound, MRI, CT and X-ray. We also feature an ER that is open 24-7. MISSION: “Baylor Surgical Hospital at Fort Worth’s mission is to provide first-class surgical services in a safe, comfortable and welcoming environment; one in which we would be happy to treat our own families. We focus on offering a high quality, service oriented alternative to a hospital for your surgical procedure.”

PICTURED: Roger Rhodes, CEO.

CONTACT INFORMATION: 750 12th Ave. • Fort Worth, Texas 76104

817.334.5050 • bshfw.com

Bruce A. Bollinger, M.D.

SPECIALTY: General Orthopaedics, Arthroscopy, Total Joint Replacements, Surgery for Peripheral Neuropathy, and Lumbar Spine Surgery. EDUCATION: Undergraduate and Medical School, St. Louis University; Orthopaedic Residency, Washington University/Barnes Hospital. PROFESSIONAL

MEMBERSHIPS: American Medical Association, Texas Medical Association, Texas Orthopaedic Association, Tarrant County Medical Society, Southern Medical Association, Southern Orthopaedic Association, American Academy of Orthopaedic Surgeons, American Association of Lower Extremity Peripheral Nerve Surgeons. HIS GREATEST ACHIEVEMENTS: Bollinger feels his greatest personal achievements are being a husband and father. His greatest professional achievement is becoming chief of staff at Baylor Surgical Hospital at Fort Worth. INNOVATIONS: His practice provides custom personalized-fit implants for the hip and knee, and surgical management for Peripheral Neuropathy of the lower extremities. WHAT HE DOES OUTSIDE THE OFFICE: Golf and woodworking. FREE ADVICE: “Never be afraid to seek a second opinion.” WHAT SETS HIM APART: “I try to discuss all options available with my patients so they can make a well-informed decision about their treatment.”

Joseph C. Cecere, D.M.D.

Mark E. Haverkorn, D.D.S., M.D.

SPECIALTY: Oral and Maxillofacial Surgery. EDUCATION: Cecere—Dartmouth College, 1971; Fairleigh Dickinson School of Dentistry, D.M.D., 1977; David Grant United States Air Force Medical Center, Oral and Maxillofacial Surgery Residency, 1982. Haverkorn—Texas Academy of Mathematics and Science, 1997; University of North Texas, 1999; University of Texas Health Science Center San Antonio Dental School, 2003; Louisiana State University Health Science Center Medical School, 2006; Louisiana State University Hospital Oral and Maxillofacial Surgery Residency, 2009. AFFILIATIONS: Texas Health Harris Methodist Fort Worth, Texas Health Harris Southwest, Baylor All Saints Medical Centers, Cook Children’s Medical Center, Weatherford Regional Medical Center. INNOVATIONS: We provide laser surgery, digital radiography, 3-D cone beam imaging, dental implants and advance sedation. Most recently we have updated our X-ray capabilities and

can take three-dimensional X-rays of the jaw bones. Beyond the technology, our greatest innovation is our service. GREATEST PROFESSIONAL ACHIEVEMENT: Cecere—Providing the highest quality of oral and maxillofacial surgery with a continuing focus on the specific needs of our patients. Haverkorn—Finishing all of my training! I am proud of my education and the knowledge that I have obtained. I’ve spent 24 years in school, and I’m excited to be in Fort Worth and working.

CONTACT INFORMATION:

2501 Ridgmar Plaza, Ste. 108 • Fort Worth, Texas 76116 817.731.8629 • Fax 817.732.0563 912 S. Elm St., • Weatherford, Texas 76086 817.596.8172 • Fax 817.341.0341 cecereoralsurgery.com

Cornea Associates of Texas

C. Bradley Bowman, M.D.

Tyrone McCall, M.D.

Aaleya F. Koreishi, M.D.

SPECIALTY: Ophthmalogy with subspecialty in cornea disease and LASIK surgery. The physicians are all fellowship-trained surgeons. They offer a full range of ophthalmic procedures, including laser vision correction, corneal care including transplants, DSAEK, Cataract, ReSTOR ™

Multifocal lens implant to address presbyopia, Verisyse lens to correct extreme nearsightedness and Intacs for Keratoconus. EDUCATION: Bowman—Baylor University, Waco, Texas; University of Oklahoma College of Medicine; Residency, Bascom Palmer Eye Institute, Miami, Fla.; Fellowship, Emory Eye Center in Atlanta. McCall—University of Oklahoma College of Medicine; Residency, University of Arkansas School for Medical Sciences; Fellowship, Sinskey Eye Institute, Los Angeles, Calif. Koreishi—University of Michigan Medical School, Ann Arbor; Residency, Wilmer Eye Institute at Johns Hopkins Hospital; Fellow-

ship, Bascom Palmer Eye Institute. HONORS: Bowman and McCall recently honored by their peers in “Best Doctors in America.” Koreishi—awarded 1st place in the 2004 Bloomberg Memorial resident video competition in cataract and implant surgery. AFFILIATIONS: Harris Methodist, Arlington Memorial, Presbyterian of Dallas. GREATEST PROFESSIONAL ACHIEVEMENTS: Providing excellent patient care for more than 25 years.

CONTACT INFORMATION:

800 5th Ave., Ste. 140 • Fort Worth, Texas 76104 817.850.9282 • Fax 817.850.9218 • corneatexas.com

New Address as of Feb. 01, 2010: 900 W. Magnolia, Ste. 202 • Fort Worth, Texas 76104

Fort Worth Perinatal Associates, P.A.

Tracy Papa, D.O.

Nina Connors M.D.

Rebecca Reyes, M.D.

SPECIALTY: Maternal-Fetal Medicine. This specialty focuses on high-risk pregnancies; we perform prenatal diagnosis and testing, diabetes education and management, and diagnosis and treatment of pregnancy complications.

EDUCATION: Papa—MFM Fellowship at Vanderbilt University Medical Center. Connors – MFM Fellowship at Wake Forest University. Reyes—MFM Fellowship at Tufts University.

AFFILIATIONS: Paul and Judy Andrews Women’s Hospital, one of about 20 hospitals in the country dedicated exclusively to women’s health care. IF YOU ARE PREGNANT OR PLANNING

PREGNANCY: “Ask your OB/GYN about first trimester Down syndrome screening.”

CONTACT INFORMATION:

1250 8th Ave., Ste. 570 • Fort Worth, Texas 76104 817.332.6667

David A. Kleiman, M.D.

Anthony W. Evangelista, M.D. Kleiman | Evangelista Eye Center

SPECIALTY: Refractive and Cataract Eye Surgery; Blade-Free HD IntraLASIK laser vision correction, implantable collamer lenses, premium IOL procedures for presbyopia and cataract patients, as well as solutions for patients who may not be candidates for the Blade-Free HD IntraLASIK procedure, including the Visian ICL procedure.

EDUCATION: Kleiman—B.A., University of Texas at Austin; M.D., University of Texas Medical Branch; Board Certification American Board of Ophthalmology. Evangelista—B.A. in Microbiology and Biostatistics, University of Minnesota; M.D., University of Minnesota Medical School; Board Certification American Board of Ophthalmology. INNOVATIONS: We are proud to be the first LASIK practice in Tarrant County to offer a breakthrough advancement in LASIK technology: the iFS™ Advanced Femtosecond laser.

BEDSIDE MANNER: Delivering more than 30 years of combined experience to every patient’s eye care needs, our surgeons together have performed thousands of surgical and laser vision correction procedures. Every member of our friendly and caring staff is dedicated to providing excellent patient care. FREE ADVICE: Do not hesitate to learn more about the LASIK procedure. Tens of thousands of people have the procedure every year, call now and learn how you may benefit from the all-laser, custom LASIK technology featured at Kleiman | Evangelista Eye Center.

CONTACT INFORMATION: 3025 Matlock Road • Arlington, Texas 76015 800.714.2020 • lasiksurgery.com

Kelly R. Kunkel, M.D., P.A.

SPECIALTY: Cosmetic and reconstructive breast surgery; body contour surgery. EDUCATION: Undergraduate, Notre Dame; M.D., University of Texas Medical Branch; Plastic Surgery, Oregon Health Sciences University. AWARDS/HONORS: Kunkel has been selected by Fort Worth, Texas magazine as one of the area’s Top Docs eight times and by Texas Monthly magazine as a Texas Super Doctor five times. He was also named a Health Care Hero by the Fort Worth Business Press PROFESSIONAL MEMBERSHIPS: American Society for Aesthetic Plastic Surgery, American Society of Plastic Surgeons, American Medical Association, Tarrant County Medical Society. AFFILIATIONS: Baylor All Saints Medical Center, THR Harris Methodist Southwest Hospital, USMD Fort Worth Hospital. GREATEST PROFESSIONAL ACHIEVEMENT: We have created a remarkable culture of compassion, care and service in our office. BEDSIDE MANNER: “In our practice, we treat you like you are a person who has desires and needs; you’re not just another surgical procedure.” FREE ADVICE: “In surgery, experience matters. Find someone who not only understands your needs but can demonstrate experience with a variety of techniques.” PICTURED: Kunkel with some of his patients, all breast cancer survivors: Gail, Dawn, Vera, Ellen, Doris, and Lilian.

CONTACT INFORMATION: 1830 8th Ave. • Fort Worth, Texas 76110

817.335.5200 • kkunkel@msn.com • kunkelplasticsurgery.com

Mark Kuper, D.O.

SPECIALTY: Orthopedic Spine. EDUCATION/TRAINING: Spine Surgery Training Program, University of California; Orthopaedic Surgery Training, Texas Tech Health Sciences Center and Osteopathic Medical Center of Texas; Traditional Rotating Internship, Osteopathic Medical Center of Texas; Medical Degree, University of North Texas HSC-TCOM; University of Texas at Austin. AFFILIATIONS: Baylor All Saints, Harris Methodist. INNOVATIONS: Minimally invasive spine surgery, fusions, scoliosis correction and surgery for arthritis. BEDSIDE MANNER: Our approach allows for a comprehensive treatment plan that we balance with operative and non-operative treatments. FREE ADVICE: “Ask for your doctor’s e-mail address to ask questions.”

CONTACT INFORMATION: 7257 Hawkins View Drive • Fort Worth, Texas 76132 817.735.9397 • Fax 817.735.8340 • texascsd.com

Danielle LeBlanc, M.D., F.A.C.S.

SPECIALTY: Plastic and reconstructive surgery of the breast, body and face. EDUCATION: B.S., University of Texas at Austin; M.D., University of Texas Southwestern Medical School; Residency in plastic and reconstructive surgery, University of Texas Southwestern Medical Center. SPECIAL INTERESTS: Breast reconstruction, breast augmentation, breast lift and body contouring. PROFESSIONAL MEMBERSHIPS: American Society of Plastic Surgeons, American Medical Association, American College of Surgeons, Texas Medical Association, Texas Society of Plastic Surgeons, Tarrant County Medical Society, Fort Worth Surgical Society, Fort Worth Plastic Surgery Society. HOSPITAL AFFILIATIONS: Harris Methodist Fort Worth; Baylor All Saints Medical Center; Cook Children’s Medical Center; Baylor Surgical Hospital; Clear Fork Surgery Center; Fort Worth Surgery Center. GREATEST PROFESSIONAL ACHIEVEMENT: Opening a successful plastic surgery practice in my hometown. BEDSIDE MANNER: I offer a realistic female perspective and enjoy taking the time to develop a relationship with my patients in order to fully address their concerns and goals. DURING OFF HOURS: I enjoy fly fishing, traveling, photography and spending time with my husband and our Weimaraner. FREE ADVICE: Be an educated patient. Always choose a Board-certified physician who has been formally trained for the procedure you need.

CONTACT INFORMATION: Fort Worth Plastic Surgery Institute • 800 8th Ave., Ste. 416 • Fort Worth, Texas 76104 817.698.9990 • Fax 817.698.9997 • info@fwpsi.com

Spine Team Texas

SPECIALTY: Comprehensive Spine Care; neurosurgeons specializing in minimally invasive spine surgery techniques; physiatrists specializing in acute spine pain management and diagnostics; anesthesiologist offering acute and chronic spine pain management.

HONORS: Fort Worth, Texas magazine’s Top Docs in 2007 and 2008; Dallas Business Journal, Healthcare Heroes, “Physician Award” in 2007; Awarded Dallas Business Journal, “Best Places to Work 2009.”

AFFILIATIONS: Harris Methodist Southlake Hospital, Baylor Grapevine, Presbyterian Hospital of Rockwall. PROFESSIONAL ACHIEVEMENTS: The impact that our services have on our patients’ lives every day—seeing them return to activities with their families and return to everyday life is priceless. Being able to build Spine Team Texas and having surrounded ourselves with a phenomenal medical, administrative and management team as well as staff members that truly believe in our services and strive to deliver an

unparalleled experience to our patients every day. INNOVATIONS: Spine Team Texas was the first in the world to implant a unique cervical disc replacement in November 2005. They are currently one of 20 centers in the country selected to participate in the DIAM™ spinal stabilization system clinical research trial. PICTURED: (standing, left to right) Michael D. Garcia, M.D.; Cortland Miller, M.D.; Heather A. Blackburn, M.D.; Amit Darnule, M.D.; Ryan S. Reeves, M.D. (seated, left to right) David Rothbart, M.D.; Juan Bartolomei, M.D.

CONTACT INFORMATION: 1545 E. Southlake Blvd., Ste. 100 • Southlake, Texas 76092

817.442.9300 • Fax 817.416.0108

3142 Horizon Road, Ste. 100 • Rockwall, Texas 75032

972.772.9600 • Fax 972.772.9601

spineteamtexas.com

Party in Pink

Pink Ribbon Luncheon attendees celebrate the lives of those affected by breast cancer while focusing on the future.

It is estimated that one woman is diagnosed with breast cancer every three minutes in the U.S. As the second most common form of cancer found in women, breast cancer affects the lives of millions each year. The women of Zeta Tau Alpha sorority at Texas Christian University are doing their part to not only raise funds but also to increase awareness among the North Texas community. This year will mark the 15th annual Zeta Tau Alpha Pink Ribbon Luncheon. The luncheon benefits the Patsy Ellis Roach Scholarship Fund and the Susan G. Komen Breast Cancer Foundation.

Last year’s event included a silent auction and a holiday fashion show sponsored by Neiman Marcus, and this year’s event will not disappoint. Neiman Marcus Fort Worth will be back to sponsor the holiday fashion show, but this year there will be a raffle rather than a silent auction. The raffle will include

some extraordinary prizes. Donna Adams, event chairperson, is extremely excited about some of this year’s prizes, especially the cooking demonstration by Grady Spears for six couples, which will include autographed copies of Spears’ cookbook.

Patsy Ellis Roach and Susan G. Komen are two remarkable women who faced their breast cancer diagnoses with strength rather than fear. They knew this would be one of the toughest battles of their lives, but they faced it with optimism, keeping their heads high. Both women continued to worry more about those around them than for themselves. While Susan G. Komen did not win her battle with cancer, her concern for others inspired her

sister, Nancy G. Brinker, to start what would become the global leader in the breast cancer movement.

Help fight the battle against breast cancer by putting on your pink and attending the 15th annual Pink Ribbon Luncheon.

When: Oct. 6

Where: Ridglea Country Club

For more information, contact Donna Adams at 817.738.3808.

Following Patsy Ellis Roach’s untimely death, her family and friends decided to do something to honor her loving spirit; they created a scholarship in her name. The Patsy Ellis Roach Scholarship Fund supports members of the Zeta Tau Alpha sorority who show the same commitment to academics, sorority and community that she had. The scholarship fund has honored more than a dozen women since it began in 1991, and The Susan G. Komen Foundation has invested more than $1 billion toward breast cancer awareness and the search for a cure since it began in 1982.

by allison shipley

Party in Pink

Pink Ribbon Luncheon attendees celebrate the lives of those affected by breast cancer while focusing on the future.

It is estimated that one woman is diagnosed with breast cancer every three minutes in the U.S. As the second most common form of cancer found in women, breast cancer affects the lives of millions each year. The women of Zeta Tau Alpha sorority at Texas Christian University are doing their part to not only raise funds but also to increase awareness among the North Texas community. This year will mark the 15th annual Zeta Tau Alpha Pink Ribbon Luncheon. The luncheon benefits the Patsy Ellis Roach Scholarship Fund and the Susan G. Komen Breast Cancer Foundation.

Last year’s event included a silent auction and a holiday fashion show sponsored by Neiman Marcus, and this year’s event will not disappoint. Neiman Marcus Fort Worth will be back to sponsor the holiday fashion show, but this year there will be a raffle rather than a silent auction. The raffle will include

some extraordinary prizes. Donna Adams, event chairperson, is extremely excited about some of this year’s prizes, especially the cooking demonstration by Grady Spears for six couples, which will include autographed copies of Spears’ cookbook.

Patsy Ellis Roach and Susan G. Komen are two remarkable women who faced their breast cancer diagnoses with strength rather than fear. They knew this would be one of the toughest battles of their lives, but they faced it with optimism, keeping their heads high. Both women continued to worry more about those around them than for themselves. While Susan G. Komen did not win her battle with cancer, her concern for others inspired her

sister, Nancy G. Brinker, to start what would become the global leader in the breast cancer movement.

Help fight the battle against breast cancer by putting on your pink and attending the 15th annual Pink Ribbon Luncheon.

When: Oct. 6

Where: Ridglea Country Club

For more information, contact Donna Adams at 817.738.3808.

Following Patsy Ellis Roach’s untimely death, her family and friends decided to do something to honor her loving spirit; they created a scholarship in her name. The Patsy Ellis Roach Scholarship Fund supports members of the Zeta Tau Alpha sorority who show the same commitment to academics, sorority and community that she had. The scholarship fund has honored more than a dozen women since it began in 1991, and The Susan G. Komen Foundation has invested more than $1 billion toward breast cancer awareness and the search for a cure since it began in 1982.

by allison shipley

Hearts of Gold

With 50 years of service to the youth of Tarrant County, The Boys and Girls Clubs of Arlington celebrate their golden anniversary in style at the new Cowboys Stadium.

The Boys and Girls Clubs of Arlington are in the business, the non-profit business that is, of helping children understand that they matter, that they belong and that they have the boundless potential for growth and success. More precisely, the organization is an after-school program that teaches children self-confidence by developing character and life skills, explains Michael Gonzales, the vice president of development for the Arlington clubs. “It’s a safe and positive place where kids can come and be kids.”

America serve 4.5 million children in more than 4,000 clubs located in all 50 states. Locally, the Boys and Girls Clubs of Arlington serve more than 6,000 youth, most of which are disadvantaged and come from single-parent households. The Arlington clubs spread across the city into five separate neighborhood locations that are open six days a week.

Boys and Girls Clubs of Arlington 608 N. Elm St. Arlington, Texas 76011 817.265.7211, bgcarltx.org

What began in 1860 by a group of women who believed boys roaming the streets should have a positive alternative has developed into one of the top youth service organizations in the world. Nationally, the Boys and Girls Clubs of

Beyond the invaluable work that the Boys and Girls Clubs do on a daily basis, the Arlington clubs have even greater reason to be proud of their work as they mark their 50th anniversary. Celebrating with a fête that they are calling “the biggest party of the year,” the Boys and Girls Clubs of Arlington are joining the Dallas Cowboys at an event most appropriately titled 50th on the 50.

A place where kids can be kids, the Boys and Girls Clubs of Arlington help youth develop the skills and qualities essential for success through a multitude of programs offered six days a week.

The event, taking place on Sept. 25, includes the new Cowboys Stadium and approximately 1,000 of the Boys and Girls Clubs’ nearest and dearest of friends. Special guests will receive private tours of the new Hall of Fame, luxury suites and the Cowboys’ locker room. The party will continue on the field that evening with games, stadium tours, auctions and Mickey Thomas and the Starship Band for entertainment.

More than ever, a need exists for children to be encouraged in a safe and positive place. Reflecting on years of service to the Arlington community, Michael Gonzales explains: “The city has really grown in 50 years. The first club (just for boys) was in a room in a funeral home … we now serve more than 6,000 boys and girls.” Children don’t always recognize the potential inside themselves; oftentimes, they need someone to help them discover it. In a world where glimmers of hope are sometimes hard to find, the Boys and Girls Clubs of Arlington beam by giving to some of the children who need it the most.

where the locals go

Deer Leases and To-Die-For Diners

One of the secret joys of heading out of town toward the deer lease is indulging in the hole-in-the-wall dining options along the way.

required to take care of their business outside, but civilized men shouldn’t have to.

Forget the mutant Sci-Fi rattlesnakes, the scorpion we killed in the shower the first night, the stray dog that ambled up to me and downloaded a cavalry of fleas, and temperatures hot enough to boil tin. Working plumbing makes anything passable … so to speak.

As does the secret joy of driving to the lease at any time of year, which is experiencing the restaurants along the way.

Real Texans do the most important thing of the year in the hottest months of the summer. They check out the deer lease.

We’ve got a new one this year, near the little town of Rule, which is actually a suburb of Stamford. The spread is about 800 acres with natural water just off the Brazos, and it has the cutest little hunting shack you’ve ever seen. This deer camp sleeps six, has a wood stove, concrete floors, a fridge, a microwave, a TV that gets two stations, and a bug zapper. All the necessary modern amenities.

Wives don’t think it’s amenable at all because they have no appreciation for truly roughing it. It looks that way because it really is dilapidated, with no trip to Hobby Lobby required. It’s organic. Shabby without the chic. Which is not to say men don’t have requirements of our own. Mine were established after several seasons of rain. I wanted an indoor toilet that worked. Bears might be

You just can’t find a better breakfast than at Weatherford’s Downtown Café. Nestled on the square next to the Parker County courthouse, they’re only open through lunch with a menu that’s as honest as a politician’s promise is fleeting. Straight-ahead eggs, bacon, sausage, toast or biscuits and gravy, plus steaks and ham if you can handle it. All delicious, all served by a friendly staff. You’ll probably need a nap by the time you walk back to your truck.

It was worth it. Priorities are.

I warned my brother-in-law, who had never been there before, that Mary’s large version would be bigger than my hat (I wear a size 7.5), and it was.

Mary has other things on the menu, and they’re all great, but it’s the chicken-fried steak that truckers, bikers, troopers and travelers swear by. And though the Bible speaks against oaths, such a vow is probably good in court. We could barely finish a third of what we ordered, and we happily lived off the yummy leftovers for days.

Which brings me to another out-of-theway place where you’ll be asking for those take-home Styrofoam thingees.

Which is not to say men don’t have requirements of our own. Mine were established after several seasons of rain. I wanted an indoor toilet that worked. Bears might be required to take care of their business outside, but civilized men shouldn’t have to.

The same has been true of another hunter’s favorite, better known as Mary’s Café. Mary Tretter has had her legendary establishment in Strawn for about as long as anyone can recall, serving every day of the year except Thanksgiving and Christmas. With good reason, too— since most in-the-know people name Mary’s Chicken-Fried Steak the best in Texas.

I once convinced my wife to leave a weekend stay at beautiful Wildcatter Ranch up in Graham for a quick drive around Possum Kingdom down to Mary’s for dinner, and showed her that it was only “this far” on the map. Of course, I misrepresented the map’s scale, and two hours later nearly got divorced over a piece of veal.

Loco Coyote has been on County Road 1004 west of Glen Rose for some years now, and it’s worth a trip from anywhere in North Texas.

The little red shack with the slamming front door and covered deck sits in front of a large grassy area and outdoor stage where live music frequently wafts through the oak trees. And it’s a favorite of bikers and city folk looking for an unfurrowed brow. You can’t not relax in a place with a sawdust floor, Gary P. Nunn posters on the wall and, quite literally, the coldest beer I’ve ever enjoyed.

But more than anything, it’s the original Hammond family’s food that will have you going back again and again. Portions are almost Jurassic with steaks, chicken, ribs and sides that would be big even by the Flintstones’ standards. And tasty doesn’t begin to describe it. They’re closed on Sunday through Tuesday, and if they run out of food on Friday, maybe on Saturday, too. So call ahead.

Jody Dean is an Emmy Awardwinning, 35-year broadcast veteran and author. He graduated from Paschal High School, currently hosts the Morning Show on 98.7 KLUV and loves his wife's cooking.

������������������������

The Second Annual Peppers and Piñatas Party

benefiting The Mental Health Association of Tarrant County.

Tuesday, September 29, 2009

Doors open at 6:00 p.m.

Joe T. Garcia’s

2201 N. Commerce Street

Fort Worth, Texas

Attire: Patio Casual

For more information about table or individual reservations and/or sponsorships and contributions

please contact the Mental Health Association of Tarrant County at 817-335-5405.

MENT N AL HEA A ASSOCIA I TION Of Tarrant County t

A United Way Partner Agency

3136 West 4th Street

Fort Worth, TX 76107

www.MHATC.org

Proceeds from the evening will broaden support for Operation Healthy Reunions assisting U.S. military personnel with service in Iraq or Afghanistan and their family members, as well as supporting the Information and Referral services linking people with the best community resources.

SPONSORS

Serrano Pepper

Fort Worth Business Press

Fort Worth Texas Magazine

,

����

The Mary Postishman Lard Trust

Robeegraffix Advertising Design

Jalapeno Pepper

Bank of Texas

Bell Helicopter Textron Inc.

The Byrne Foundation

The DuBose Family Foundation

Freese & Nichols, Inc.

Poblano Pepper

Baylor All Saints Behavioral Health Services

BNSF Railway

Cash America International, Inc.

Chesapeake Energy

Coors Distributing Co of Fort Worth

EOG Resources

Frost Bank

The Holloway Family Foundation

JPS Health Network – Partners Together for Health

LifeSynch

Market You!

Mental Health Mental Retardation of Tarrant County

Multatech

Talon Industries

Texas Health Springwood Hospital Hurst-Euless-Bedford/Texas

Harris Methodist Hospital Fort Worth

Thompson & Knight, LLP

University of Texas Health Science Center

XTO Energy

MARY POSTISHMAN LARD TRUST

anchorsouttakes

BeHind

Bill Jones

sports anchor for CBS11 and TXA21

Gotta Get to Cowboys Stadium

When I asked Pat Summerall what he liked best about Texas Stadium, the broadcasting legend was quick with his answer. “It was the only NFL stadium that had a bathroom in its network broadcast booth,” replied the Southlake resident. “I know that’s why John Madden loved doing games there!”

Well, time moves on. Both Summerall and Madden have now retired—and so has Texas Stadium.

For myself, having grown up in Irving, I have tremendous personal memories of Texas Stadium: riding my Stingray bicycle down the ramp at the stadium as it was still being constructed; watching countless classic Cowboys and high school games through the years; graduating from high school there; and even using that same broadcast booth bathroom that Summerall and Madden used while broadcasting a handful of Cowboys preseason games there.

But as fond as those memories are, now is the time to heed the advice of noted local author Troy Aikman, who wrote a children’s book about 15 years ago entitled “Things Change.” And, for us media-types who cover this team for a living, things have definitely changed for the better at Cowboys Stadium in Arlington.

light makes for great pictures. And I love how the team enters through the fans in that field level club!”

Fellow photographer Bill Ellis concurs. “It has fantastic working conditions,” he said. “The lighting is absolutely amazing. It’s the brightest indoor stadium I’ve ever been in.”

Cowboys Stadium also has, perhaps, the largest home locker room anywhere, maybe three times the size of the Texas Stadium locker room. “This place is the Taj Mahal compared to Texas Stadium,” said CBS 11/ TXA 21 Executive Sports Producer Dandy Killeen.

Fans in the adjacent field level club can actually look through giant windows to watch the Cowboys post game press conference, where the media quizzes Head Coach Wade Phillips and selected players.

No stadium anywhere offers the same kind of fan access to the post game interview scene that this one does. Fans in the adjacent field level club can actually look through giant windows to watch the Cowboys post game press conference, where the media quizzes Head Coach Wade Phillips and selected players. You can only imagine what the scene might look like following a regular season loss if an over-zealous fan spots an “enemy” reporter in the media masses and decides to spew venom in his or her direction.

While broadcasting the Cowboys’ first game there in August, CBS 11 Sports Anchor Babe Laufenberg was taken aback by the creature comforts of the new stadium. “I have been either playing in or attending Cowboys games in the preseason since 1989,” Babe said, “and for the first time in those 20 years, I did not look like Albert Brooks in ‘Broadcast News,’ breaking out in one big sweat ball.”

And from those media members who do the real work—those photographers lugging around cameras and equipment down on the field— Cowboys Stadium receives nothing but rave reviews.

“There is no comparison to Texas Stadium,” said CBS 11/TXA 21 Sports Photographer Bret Kelly. “Air-conditioning [and] magnificent

If that happens, we’ll be there to chronicle it. And, we’ll be doing it in the best working conditions of all time. Here’s further proof that Cowboys Stadium is taking care of the working media in ways formerly reserved only for the Summeralls and Maddens of our little media world:

“At Texas Stadium, photographer restroom facilities consisted of a Port-a-Potty outside the stadium near where the team buses were parked,” Ellis said. “At Cowboys Stadium, we now have a bathroom located right next to the field.”

And, CBS 11/TXA 21 Sports Anchor Gina Miller is quick to point out that there’s even a women’s restroom at field level. It’s something Summerall and Madden learned long ago. When ya gotta go, ya gotta go! And, ya just gotta go see Cowboys Stadium in Arlington.

accordingtoheywood

Subliminal Commentary

Heywood translates news reports and broadcasts based on a newfound phenomena that he has deemed “subliminal commentary.”

Heywood is a morning show host at 95.9 FM The Ranch and provides commentary on TXA 21 News: First In Prime between 7-9 p.m. on Thursdays. All complaints can be directed to Heywood@TheRanchRadio.com.

As most of us know, television anchors and newspaper writers are supposed to be objective when reporting a story. But do you ever wonder what’s really going through their minds? For instance, a while back a book called “He’s Just Not That Into You” topped the New York Times bestseller list. After plodding through a half-page book review, I realized that what the reviewer was trying to convey could have been summed up in one sentence: “Ladies, if you think you need to buy this book, he’s just not that into you.”

I call this phenomena “subliminal commentary,” and the truth is, everybody does it. I find myself doing it quite a bit, especially on weekends after a half a bottle of NyQuil. In fact, I’ve paraphrased some recent stories obtained from various new services with my “subliminal commentary” in parenthesis.

From CNN: The new administration’s primary concern is revamping health care

by cutting costs and thereby saving everyone money. How? Well, according to statistics gathered by the White House, half the money people spend on health care is in the last year of their life. And half that money is spent in the last week of their life. From these statistics, they are developing a plan for all Americans to save money. (It’s simple: die a week early.) This plan will be presented to Congress at a later date. There’s also talk that the administration may appoint committees to decide who among the elderly should and should not receive health care benefits. (That’s ridiculous. But if they’re going to set up one of those “death panels” around here, I’m figuring my only hope is to be on it.) That’s not to say this administration doesn’t have compassion. Quite the contrary. In fact, President Obama has said that he wants everybody to get the swine flu vaccine. (Then he looked over at Vice President Joe Biden, shook his head and thought, “Well, maybe not everybody.”)

Democratic leaders immediately claimed that the senator had been set up by the Republicans. They were outraged. Speaker of the House Nancy Pelosi was extremely upset. (You should have seen the face she was trying to make.)

From the AP wire service: In a bold daylight robbery, thieves in Germany made off with $6.9 million worth of Levitra, the erectile dysfunction medication. The four men absconded with more than 300,000 pills. Police in Germany have no leads or suspects. (Look, I’m no expert in crime solving, but these guys should be fairly easy to spot.)

President Obama has said that he wants everybody to get the swine flu vaccine. (Then he looked over at Vice President Joe Biden, shook his head and thought, “Well, maybe not everybody.”)

From MSNBC: People in the entertainment industry have a certain expertise for getting media attention. (Tactics include getting arrested, adopting a child from a third-world country and leaking a sex tape.) Politicians, on the other hand, have a more difficult time. However, a good way to draw attention is through a town meeting. (Actually, it’s an excellent way, particularly if the politician knows less about the subject matter than the townspeople.) Unfortunately, Democratic Sen. Arlen Specter of Pennsylvania found that out quickly when his constituents started grilling him on President Obama’s health care package. After each question, Specter looked dumbfounded. (It’s the same blank expression my dog gets when I put him on the phone.) Of course

From Medical News Today: According to the U.S. Center for Disease Control and Prevention annual report, STD’s continue to rise in the state of Texas. This is happening despite the enormous progress in diagnosis, treatment and prevention. The CDC recommends that everyone obtain as much information as they possibly can about potential partners. (A good rule of thumb: never date anyone who knows the exact spelling of the word “chlamydia.”)

From Marie Claire (Hey, it was the only magazine in the waiting room): In a survey, people were asked what they felt was the greatest invention over the past 100 years. More than 60 percent of those polled said it was the dishwasher. (Actually, the greatest invention over the past 100 years is caller ID. I haven’t talked to a creditor in years. It’s also the worst invention. I haven’t talked to a woman in years.)

Are you getting the hang of it? If not, practice some “subliminal commentary” this weekend. Matter of fact, include the kids (particularly the ones who have difficulty yawning).

by heywood

Not All It’s Croc’d Up To Be

I ripped open the box but was careful not to damage or upset my new Italian lover, which I was sure was in there. When I first peered inside the box, I cocked my head to the side like a dog does when he looks at you and thinks, “What the heck? You want me to eat that?” There was no way I was eating this. Or, as it turns out, wearing these!

Right before my delicate eyeballs was the most hideous pair of shoes you’ve ever seen. Correction. These were not shoes. They were Crocs. I’m sorry. I’m a total snob when it comes to putting stuff on my feet, and I swore a long time ago that I wouldn’t own a pair of rubber gardening clogs and call them shoes. Period.

Here’s where it gets worse. There was another matching pair … for Tommy. He bought us matching Crocs. I wish I could make up this kind of stuff.

So, a week ago Tommy, my husband, came home from work and said, “I ordered you something. It should be here in a few days.” My eyes lit up, and I jumped up and down like a little kid. I love presents. Who doesn’t? I mean, I am a girl. And it’s been a long time since Tommy just went out and bought me something without me subtly dropping hints like cutting out pictures of earrings or handbags and taping them to his bathroom mirror.

[Side note: I’m pretty sure he loves when I do that.]

After a day or two, I forgot about it. I’ve been busy getting four kids ready for school, [cough, cough] while writing a new book and repeatedly posting 140 characters on Twitter.

So when we got back from Austin on Sunday afternoon, there was a box on the front porch. That’s when I remembered the gift that was headed my way. I picked it up and immediately thought, “Hmm, this is way too light for a Gucci handbag. Unless, it’s that Gucci wallet! Oh yeah, this could so be a wallet.”

As I sat there staring at awfulness in the form of footwear, I thought, “Tommy doesn’t love me anymore.” I mean, who loves someone and buys them Crocs? You know who buys you Crocs and calls it a present? Someone who doesn’t love you anymore. That’s who.

Tommy found me just then, staring off into space. In one hand I held my pair of red Spiderman-looking Crocs, and in the other, his matching pair. His eyes widened, and he yelled out, “Oh my God! They came in! Don’t you love them?”

I looked at him and furrowed my brow. “Surely you’re joking,” I said. “This is a joke, right?”

He grabbed his pair out of my hands and slipped them on his bare feet. “What are you talking about? These are great,” he said. “All the runners wear them. I thought you’d love them, you know, since you’re a runner.”

I looked down at his feet and threw up a little in my mouth. It actually tasted good compared to the burning sensation I felt in my eyeballs upon gazing at the rubbery redness. Then I looked at him and said: “First of all, no runner on his

worst day would wear these shoes. And second, why do you hate me?”

He laughed and said, “Here, put ‘em on.”

“Um, what?” I asked. “But they’re so ugly. I can’t do it.”

His shoulders slumped a little, and that’s when I realized I was going to have to wear them. He had gone through enough trouble to buy me the ugliest shoes he could find. The least I could do was put them on … and then vomit. I sighed heavily, smiled through gritted teeth, kicked off my perfectly acceptable flip flops and stepped into my new shoes.

Tommy’s face lit up, and he said: “Look how cute you are. Now those are hot.”

I looked down at my feet, and a little piece of me died right there in the middle of the kitchen. And then I thought, “Are Crocs toxic if they accidentally catch on fire?”

Needless to say, Tommy wore his new shoes the rest of the day—even in public. I wanted to scream at all of the people who stared at his feet: “Stop gawking! He’s not a loser! He runs! They’re running Crocs!” But I didn’t. I just acted like I didn’t know him.

First person to come up with the best use for a pair of Crocs gets a brand new, shiny red pair—size 7.

Shauna Glenn of Fort Worth, mother of four, can be contacted at shaunarglenn@gmail.com. Her first novel, Heaping Spoonful, is in bookstores now.
illustration by Charles Marsh

TARRANT COUNTY BUDDY WALK ®

Saturday, October 24, 2009 • 10 a.m. Registration, 11a.m. Walk • At River Legacy Park in Arlington

Television personality, Scott Murray, along with the Down Syndrome Partnership of Tarrant County and Green Oaks School, invite you to come out to the Tarrant County Buddy Walk to promote awareness and acceptance of people with Down syndrome, while raising much needed funds to support them in our community. For more information about the Tarrant County Buddy Walk, or to register for the event or donate, visit www.dsptc.org and click on Buddy Walk registration.

www.dsptc.org

www.ndss.org

www.greenoaksschool.org

Cowboy Up for a Cure

Cowtown Ball

American Cancer Society

nominated entertainment, Restless Heart, will perform at Will Rogers Coliseum. With charitable contributions, the benefit hopes to raise enough funds to reach a comprehensive $5 million since its inception in 1992. Cowtown Ball sponsorships, ranging from donations of $5,000 to $50,000, allow more cancer patients the opportunity to benefit from the American Cancer Society Programs.

In addition to the food and fun, there will also be exciting auction items. A few of the live auction items include a trip to New York to see the “Rachel Ray Show,” a trip to Australia and a chef dinner. Other items worth bidding on include:

Cook

Children’s Super Hero

The 17th Annual Cowtown Ball Cowboys Up For a Cure! by

The health of the U.S. economy is faltering.

But despite this financial meltdown that seems to be wreaking havoc, the everyday fight of a cancer survivor overshadows what may be considered one of the worst times in history. We often are reminded by something or someone that this disease too, is

wreaking havoc across the nation. With the help of Fort Worth, the American Cancer Society and Cowtown Ball hope to bring a recession to the fight against cancer.

The 17th Annual Cowtown Ball benefiting the American Cancer Society encourages Fort Worth to “Cowboy Up For a Cure!” On Saturday, Nov. 7, Grammy and CMA

Be the “super hero” for next year by underwriting a Kidz Kowtown party for the oncology patients at Cook Children’s Medical Center. This very special party or field trip will be hosted by the Cowtown Ball Committee with your company’s generous donation. This event brings an everlasting smile to the faces of the “wee” patients at Cook’s. It’s a day for the children and their families to forget their devastating illnesses, if not for a short while. We encourage your company to join in too, for the most fulfilling day of your lives.

The “Irresistible Smile”

A live auction item that is sure to give you a picture perfect smile to the lucky bidder with a $20,000 value! The smile makeover was donated by Mitch Conditt, D.D.S., a continued supporter of Cowtown Ball.

Sponsorship Levels

Cowtown Cowboy-$50,000

Sponsors the headline entertainment, Restless Heart

§ Best seats in the house for 30

§ Company’s name/logo on Cowtown Web site

§ Limousine transportation for 10 the night of the Ball

§ VIP parking for 20

Fort Worth Foreman-$40,000

Sponsors the food and beverage

§ Premier seating for 20

§ Company’s name/logo on Cowtown Web site

§ VIP valet parking on the night of the ball

Texas Top Hand-$30,000

Sponsors event décor

§ Premier seating for 20

§ Company’s name/logo on Cowtown Web site

§ VIP valet parking on the night of event

Western Wrangler-$20,000

VIP party host

§ Special seating for 10

§ Company’s name/logo on Cowtown Web site

§ VIP valet parking on the night of the event

Bullrider-$15,000

Sponsors t-shirts, custom caps and tote bags with company’s logo

§ Special seating for 10

§ Company’s name/logo on Cowtown Web site

§ VIP valet parking on the night of the event

Steer Wrestler-$10,000

Sponsors Circle of Roses, evening program, Kidz Kowtown parties, dance band

§ Special seating for 10

§ VIP valet parking on the night of the event

Calf Roper-$7,500

Sponsors cups, napkins, photo booths, valet parking, dance floor, VIP favors

§ Special seating for 10

§ VIP valet parking on the night of the event

Trick Rider-$5,000

Sponsors VIP entertainment, save the date cards, tote bag items, video screen

§ Seating for eight

Donor Amenities

• Recognition in all pre-event press releases

• Special Cowtown Ball commemorative gift for host couple

• Invitations to VIP party held the night of the Ball for you and your guests

• Video screen recognition as an American Cancer Society Visionary Award Recipient

The currenT economic condiTion intensifies cancer patients’ reliance on the services provided by the American Cancer Society. While Americans work to recover from the unfortunate turn of economical events that have happened, let’s not forget those in the fight against cancer. Join the American Cancer Society at Cowtown Ball and Cowboy Up For a Cure!

Event Gallery
2009 cowtown Ball committee

Chair Profiles

Carrie Cappel

Carrie Cappel, a civil and commercial litigation attorney for Harris, Finley & Bogle, P.C. moved to Fort Worth in 2003. In the six years since then, Cappel’s community involvement has included working in the fundraising/development department at United Way, volunteering as co-chair of the Cowtown Ball Committee, Junior League and Mayfest, as well as the Catholic Charities Cancer Connection where she served as chair of the Zeta Tau Alpha Pink Ribbon Luncheon. Cappel’s father is a prostate cancer survivor, and her maternal grandmother is a breast cancer and uterine cancer survivor. “I appreciate the fact that this community is incredibly philanthropic,” Cappel shares.

Neely Fortinberry

Neely Fortinberry is a civil defense attorney for Amis & Farish and former Tarrant County assistant district attorney. Fortinberry has volunteered with the Cowtown Ball Committee for several years and has served as Raffle committee chair and is proud to serve in the position of co-chair for the 2009 year. In addition to her dedication to Cowtown Ball, Fortinberry also chaired the Zeta Tau Alpha Pink Ribbon Luncheon and believes, “This work is a passion for me and hits very close to

home.” Fortinberry’s mother is a twotime cancer survivor, and her three aunts and grandmother lost their fight with cancer. Fortinberry and her husband Curtis live in Arlington with their daughter.

Mark and Cate Redrow

Mark Redrow has practiced oncology in Fort Worth for the past 20 years. Reared in Nebraska, Mark came to Fort Worth

as an undergraduate at TCU. After attending UTMB in Galveston and completing oncology training at UT Southwestern in Dallas, Mark accepted an American Cancer Society scholarship and began his involvement with the Society during his fellowship training. Mark started his practice in Fort Worth and served as Texas Division Patient Services Chair and Board Member. Later becoming Texas Division Board President, Mark continues as division and unit board member. Mark is also the recipient of the St. George’s Award, which recognizes outstanding volunteerism and dedication to the mission of the Society. His wife, Cate, a cancer survivor and registered nurse has worked in oncology and hospice. Mark and Cate have felt the impact of cancer. Mark’s mother is a 35-year cancer survivor. Cate’s parents lost their battles with the disease in the 1980s. Both are dedicated to the mission of the Society and express their appreciation by being chosen as honorary co-chairs for the 2009 Cowtown Ball.

American Cancer Society Programs

Hope Lodge

When the best treatment is in another city, Hope Lodge offers a home away from home for cancer patients and their families.

I Can Cope

An educational program where cancer patients, family and friends share and learn about cancer-related issues through community and online classes.

Look Good Feel Better

Group workshops and one-onone consultations teach cancer patients beauty tips to look good and feel better while undergoing chemotherapy and radiation treatments.

Man to Man

Support group for prostate cancer patients and their families, helping men cope with the treatment.

Reach to Recovery

Breast cancer survivors volunteer, offering emotional support and informational guidance to individuals facing their own fight with breast cancer.

Road to Recovery

Provides transportation to and from treatment for cancer patients who do not have a ride or are unable to transport themselves.

Casting Call

Are you Fort Worth’s next TV show host star?

Calling female and male show host talent for auditions to host the first season of Fort Worth, Texas magazine’s new lifestyle TV Show, “FYI Fort Worth.” CBS 11/TXA 21 and Fort Worth, Texas magazine are partnering to host an open casting call to select a show host for “FYI Fort Worth,” a new monthly TV show that’s all about Fort Worth including the latest culinary hot spots, local recipes, fashion, health and beauty tips, and Fort Worth active lifestyle. It’s all about the people and the city where cowboy meets culture. Whether you are an experienced pro or new to the screen, classically trained or a born performer, if you are 21 or older and appear to be between the ages of 25 and 40 and have a dynamic personality, this could be your shot at greatness.

The casting team will be holding two open calls in the month of November. Anyone unable to make the casting sessions can submit a home audition tape via mail. A casting call application and instructions on applying can be found on the home page of either fwtx.com or cbs11tv.com. Applications must be submitted prior to the audition date.

Worth, texas magazine’s

The Art of Giving Award is bestowed to women who have enriched lives and improved livelihoods through their dedication to the community, organizations and/or a specific philanthropic cause. They are women who possess exceptional generosity, civic responsibility and leadership.

Thank you to all who participated by casting your initial nominations for the women you feel deem worthy of this honor. Votes are being compiled, and we will once again reach out to you for our final campaign in November to vote for one of our five top finalists from each of the following regions: Fort Worth (includes Parker and Johnson Counties), Arlington/Mansfield and Northeast Tarrant County.

There will be three final winners, one from each region who will be awarded the recognition of the “2010 Art of Giving Award” and will be announced as winners at the January 2010 Art of Giving Awards Luncheon. We look forward to honoring these selfless givers who, by example, have encouraged others to support local organizations and causes.

Things To do in ocTober

Blue Skies

The US Navy Blue Angels and the US Army Golden Knights Parachute Team will take to the skies on Oct. 24-25 at the Fort Worth Alliance Air Show. Guests will witness thrilling aerial displays filled with daring aerobatic maneuvers. For more details, visit allianceairshow.com.

fwevents

things to do in october

to list an event

Send calendar information to Fort Worth, Texas: The City’s Magazine, c/o Jennifer Casseday-Blair, assistant editor, 6777 Camp Bowie Blvd., Ste. 130, Fort Worth, Texas 76116, or e-mail ideas to jcasseday@fwtexas.com. Special consideration will be given to submissions that include photographs. To meet publishing deadlines, information must be received two months prior to monthly magazine issue.

FESTIVALS/FAIRS

SNICKERS FRIGHT FEST, OCT. 2—NOV. 1 » It’s thrills by Day, Chills by Night at Fright Fest 2009. Six Flags Over Texas in Arlington will be totally transformed into a Halloween playground. You will have a ghoulish good time with their hair-raising shows, electrifying street entertainment and thrilling haunted houses. Plus, experience all your favorite rides in the dark. There’s even a special trickor-treat area for the kids. sixflags.com.

18TH ANNUAL CELTIC HERITAGE FESTIVAL, OCT. 3-4

» The Celtic Heritage Festival will hold its 2009 celebration of the seven Celtic nations at the Bedford Boys Ranch City Park in Bedford. For the 18th consecutive year, the event will feature an entertaining blend of traditional and modern Celtic music, Scottish and Irish dance groups, expanded real Highland Games, a Celtic marketplace, children’s activities, cultural workshops, Clan booths and historical reenactments. celticheritagefestival.org.

TASTE OF ARLINGTON, OCT. 6 » Arlington’s biggest all-you-can-eat sampling of the best restaurants and beverages in town is celebrating its 27th year at the Arlington Convention Center from 5:30-9:30 p.m. with the biggest, most exciting taste yet. The evening includes a silent auction, music and a performance by Bentli—all surrounded by Arlington’s distinctive, unique restaurants for all-youcan-eat sampling. tasteofarlington.com.

AFTER DARK IN THE PARK, OCT. 8-11 » After Dark in the Park is a family-friendly fall festival held at River Legacy Parks and River Legacy Living Science Center, featuring storytelling, a pumpkin patch, karaoke, a hayride shuttle, bounce houses and a children’s area with a variety of games and activities. River Legacy Park, 817.861.2576.

HISTORIC MANSFIELD MUSIC FESTIVAL, OCT. 16-17

» Hot beats and cold brews can be found at the Historic Mansfield Music Festival. Featuring POO Live Crew and Brave Combo on Friday night, as well as Delbert McClinton on Saturday night, the festival will offer food, brew and lots of great music on Main Street in Historic Downtown Mansfield. historicmansfield.net.

MUSEUMS

DIA DE LOS MUERTOS GALLERY OPENING, THROUGH OCT. 3 » The Rose Marine Theater presents the grand opening for Dia de los Muertos Art Exhibit, a collaborative show curated by well-known local artist Jerrel Sustaita. Rose Marine Theater, 817.624.8333.

BUTCHERS, DRAGONS, GODS AND SKELETONS, THROUGH OCT. 25 » The Kimbell Art Museum commissioned the distinguished filmmaker Philip Haas to create a series of film installations that interpret and elaborate upon paintings and objects in the Museum’s permanent collection. Kimbell Art Museum, 817.332.8451.

CIRCLE OF FRIENDS: PORTRAITS OF ARTISTS, THROUGH NOV. 29 » With the advent of American modernism, artists began making portraits of one another with increasing regularity. Photographers made portraits to document the members of their artistic communities, but in so doing they also created works that embody their artistic and personal ambitions. Amon Carter Museum, 817.738.1933.

MASTERWORKS OF AMERICAN PHOTOGRAPHY: MOMENTS IN TIME, THROUGH JAN. 3 » Journey

through photography’s history in an exhibition of works from the medium’s early years to the present day. Taken together, these images from the Carter’s permanent collection reflect the diversity and richness of an American visual tradition and explore photography’s unique relationship to time. Amon Carter Museum, 817.738.1933.

SUSAN ROTHENBERG: MOVING IN PLACE, OCT. 18JAN. 3 » From the early horse paintings of the mid-1970s, to her most recent body of work, which explores a number of central motifs that have occurred throughout the artist’s 35-year career, the Modern Art Museum of Fort Worth presents 25 paintings by Susan Rothenberg. Modern Art Museum, 817.738.9215.

VIEWS AND VISIONS: PRINTS FROM THE AMERICAN WEST, 1820-1970, THROUGH JAN. 10 » Experience the intrigue and fascination of the early American West in a special exhibition of 19th and 20th century prints and illustrated books from the Carter’s permanent collection. This exhibit features works by American artists who depicted the grand landscapes, wild animals and rugged individuals of the West. Amon Carter Museum, 817.738.1933.

AFTER HOURS AT THE KIMBELL, SECOND SATURDAY OF THE MONTH, YEAR-ROUND » Join other art and music lovers to listen to music, enjoy an exhibition tour and sip cocktails. Kimbell Art Museum, 817.332.8451.

FIRST FRIDAYS AT THE MODERN, YEAR-ROUND »

The first Friday of each month, the Fort Worth Star-Telegram, the Modern Art Museum of Fort Worth and Cafe Modern team up to bring you live music and cocktails from 5 to 8 p.m. Docent-led spotlight tours of the galleries at 6:30 p.m. Modern Art Museum, 817.738.9215.

FAMILY FREE FRIDAYS: NATIONAL COWGIRL MUSEUM AND HALL OF FAME, LAST FRIDAY OF THE MONTH, YEAR-ROUND » Check out the National Cowgirl Museum and Hall of Fame and the Fort Worth Museum of Science and History for free. 817.255.9300.

CONNECT TO ART, YEAR-ROUND » Presented by Amon Carter Museum, Connect to Art is a free, multiplevisit program for groups of adults with cognitive disabilities and their families and/or caregivers. Amon Carter Museum, 817.738.1933.

SID RICHARDSON MUSEUM, YEAR-ROUND » Through their collections, oilmen like Sid Richardson, Amon Carter, Thomas Gilcrease, Frank Phillips and R.W. Norton established a link to the romantic legends of the Old West. Sid Richardson Museum, 817.332.6554.

TExAS CIVIL WAR MUSEUM, YEAR-ROUND » The Texas Civil War Museum is a nonprofit member started by Texas oil and gas businessman Ray Richey. The museum features several permanent exhibits focusing on Civil War history and memorabilia. Texas Civil War Museum, 817.246.2323.

TExAS COWBOY HALL OF FAME, YEAR-ROUND » The Texas Cowboy Hall of Fame honors Texas men and women who have excelled in the sports of rodeo and cutting. Each booth contains photographs and memorabilia, and many of the booths also have video. Texas Cowboy Hall of Fame, 817.626.7131.

STAGE/THEATER

STAGE WEST PRESENTS “THE SKIN OF OUR TEETH,” THROUGH OCT. 4 » The other great classic from the author of “Our Town,” it’s a timeless comic statement about human frailties and endurance. Stage West, 817.784.9378.

THE RUSSIAN MASTERS, THROUGH OCT. 4 » Texas Ballet Theater welcomes the 2009-2010 season with Russian Masters, a must-see special engagement that mixes classic and contemporary ballet and showcases the company’s amazing talents in one breathtaking pas de deux after another. Bass Hall, 817.828.9200.

FIVE GUYS NAMED MOE, OCT. 20-25 » Cameron Mackintosh, producer of Phantom of the Opera and Les Miserables, brings you a new musical sensation, featuring the music of Louis Jordan, one of the greatest jazz and blues musicians of all time. Featuring great songs like “Is You Is or Is You Ain’t My Baby,” “Caldonia,” and “Let the Good Times Roll,” you don’t want to miss the most exciting night in theatre all year. Casa Manana Theatre, 817.332.2272.

HIP POCKET THEATRE » To celebrate its 33rd season, Hip Pocket Theatre is offering spellbounding performances through the month of October. Hip Pocket Theatre, 817.246.9775.

Oct.2-24 » A Princess of Mars

CIRCLE THEATRE PRESENTS “PICASSOO AT THE LAPIN AGILE,” THROUGH OCT. 24 » A play written by famed comedic actor Steve Martin, “Picasso at the Lapin Agile” explores what would happen if Albert Einstein and Pablo Picasso met. Circle Theatre, 817.877.3040.

MUSIC

15TH ANNUAL STEVIE RAY VAUGHAN REMEMBRANCE RIDE AND CONCERT, OCT. 4 » While remembering the life of Stevie Ray Vaughan, enjoy a fun-filled combination motorcycle parade and blues concert honoring Texas’ most beloved bluesman. The concert will star Tommy Katona with Austin Young, Wes Jeans with Lance Lopez & Tallan Latz, Andy Timmons Band with Cole Davis and The Edgar Winter Band. srvrideandconcert.org.

GABRIELA MONTERO, OCT. 6 » Known to fans as “la Divina del Piano” not only because of her dazzling interpretations of the core repertoire but also for her ability to spin freewheeling improvisations. Bass Hall, 817.212.4200.

MUSICARTE DE FORT WORTH, OCT. 9-10 » Sundance Square plays host to a colorful and exciting celebration of Latino cultures, featuring entertainment, dance, art, food and fun. Sundance Square, 817.870.1642.

TIME FOR THREE, OCT. 9-11 » The Fort Worth Symphony Orchestra presents “Time for Three,” which defies classification with elements of classical, country, western, gypsy rhythms and jazz. Bass Hall, 817.665.6000.

THE MUSIC BILLY JOEL FEATURING MICHAEL CAVANAUGH, OCT. 16-18 » Michael Cavanaugh was chosen by Billy Joel to star in the hit Broadway musical “Movin’ Out” and was nominated for both Grammy and Tony awards. This exciting concert features Michael’s dynamic interpretations of Joel’s greatest hits, colorful behind-thescenes anecdotes about working with Joel, and his favorite hits from other artists. Bass Hall, 817.665.6000.

BILLY BOB’S TExAS » Billy Bob’s Texas, 817.624.7117.

Oct. 2 » Brandon Rhyder

Oct. 3 » Neal McCoy

Oct. 9 » Colt Ford

Oct. 10 » James Otto

Oct. 16 » Bobby Duncan

Oct. 17 » Clint Black

Oct. 23 » Josh Abbott Band

Oct. 24 » Tanya Tucker

Oct. 30 » Aaron Watson

Oct. 31 » Jake Owens

COMEDY

HYENA’S COMEDY NIGHT CLUB » Hyena’s Comedy Night Club, 817.877.5233.

FOUR DAY WEEKEND, FRIDAY AND SATURDAY, YEAR-ROUND » The popular improvisational comedy troupe performs skits and songs based on audience suggestions. Also, through 2009, Curtis Needs a Ride will perform a high-quality blend of sketch comedy and improvisational comedy every Thursday at 8 p.m. Four Day Weekend Theater, 817.226.4DAY.

SPORTS

TCU FOOTBALL » Amon Carter Stadium, 817.257.FROG. Oct. 3 » vs. SMU, 7 p.m. (Family Weekend)

Oct. 17 » vs. Colorado State, 3 p.m.

Oct. 31 » vs. UNLV, 3 p.m. (Homecoming Weekend)

TCU VOLLEYBALL » Student Recreation Center, 817.257. FROG.

Oct. 1 » vs. Air Force, 7 p.m.

Oct. 3 » vs. San Diego State, 1 p.m.

Oct. 15 » vs. UNLV, 7 p.m.

Oct. 22 » vs. Colorado State, 7 p.m. Oct. 24 » vs. Wyoming, 1 p.m.

things to do in october

TCU WOMEN’S SOCCER » Garvey-Rosenthal Soccer Stadium, 817.257.FROG.

Oct. 8 » vs. Air Force, 11:30 a.m.

Oct. 10 » vs. Wyoming, 7 p.m.

Oct. 30 » vs. San Diego State, 7 p.m.

DALLAS COWBOYS » Cowboys Stadium in Arlington, 817.892.4161.

Oct. 25 » vs. Atlanta, 3:15 p.m.

OTHER ATTRACTIONS

CHRISTMAS IN COWTOWN GIFT MARKET, THROUGH OCT. 3 » Peruse various gift options at the Junior League of Fort Worth, Inc.’s annual Christmas in Cowtown Gift Market. Will Rogers Memorial Center, 817.392.7469.

17TH LONE STAR NATIONALS GOODGUYS ROD & CUSTOM SHOW, THROUGH OCT. 4 » More than 1,500 rods, customs, classics, muscle cars and trucks through 1972 will be on display. The event also includes vendor and manufacturer exhibits, Goodgals Gallery, Model Car & Pedal Car Show, Swap Meet and Cars for Sale Corral and a Goodguys Street Challenge AutoCross. Texas Motor Speedway, good-guys.com.

67TH ANNUAL SHRINE CIRCUS, OCT. 9-17 » Affordable family fun with high-wire, slack-wire, motorcycles, aerial artistry, clowns, tigers, elephants and camels are a few of the highlights of the annual Shrine Circus. Pony, elephant and camel rides are available before and after performances, as well as during intermission. Will Rogers Memorial Coliseum, 817.335.1128.

BUTTERFLY FLUTTERBY, OCT. 17 » Travel to Grapevine to celebrate the migration of the Monarch Butterfly from Canada to Mexico. Grapevine is on their path! This fun-for-the-whole-family event includes the release of butterflies and a Gossamer Parade. Join the fun at the Historic Cotton Belt Railroad District, where you will enjoy butterfly exhibits, gardening seminars and all sorts of interactive butterfly arts, crafts and entertainment. grapevinetexasusa.com.

FORT WORTH ALLIANCE AIR SHOW, OCT. 24-25 » The US Navy Blue Angels and the US Golden Knights are coming to Fort Worth! Bring the family for a full day of daring aerobatic maneuvers, static displays, children’s activities, food and more. Aerial performances start at 9:30 a.m. and last until late afternoon. The same show is held both days. allianceairshow.com.

COWBOYS OF COLOR CULTURAL YOUTH HERITAGE SEMINAR, WEDNESDAYS, YEAR-ROUND » National Cowboys of Color Museum and Hall of Fame, 817.922.9999.

DANCE LESSONS, MONDAYS AND THURSDAYS, YEAR-ROUND » Billy Bob’s Texas, 817.624.7117.

GRAPEVINE VINTAGE RAILROAD, VARIOUS DATES, YEAR-ROUND » Rides are available from Grapevine to the Fort Worth Stockyards and from the Stockyards to 8th Avenue at the Trinity River. Stockyards Station, 817.625. RAIL.

HISTORIC FORT WORTH, INC. TOURS, YEAR-ROUND » These tours include the Ball-Eddleman-McFarland House and the Thistle Hill House Museum. Historic Fort Worth, Inc., 817.336.2344.

OMNI THEATER AND NOBLE PLANETARIUM, YEARROUND » The Omni Theater has numerous exciting shows daily. Construction on the museum’s new facilities continues through Fall 2009. Fort Worth Museum of Science and History, 817.255.9300.

STOCKYARDS CHAMPIONSHIP RODEO, FRIDAY AND SATURDAY, YEAR-ROUND » Rope, ride, race! Traditional rodeo fun for the whole family. Cowtown Coliseum, 888.269.8696.

STOCKYARDS DAILY CATTLE DRIVE, YEAR-ROUND » The world’s only daily cattle drive. Fort Worth Stockyards, Exchange Street, 817.624.4741.

FORT WORTH WATER GARDENS, YEAR-ROUND » Here, visitors can stand 38 feet below street level amid 1,000 gallons of water cascading down a 710-foot wall. That’s just one attraction! Fort Worth, 1502 Commerce St., 817.871.7698.

Views and Visions: Prints of the American West, 1820-1970 exhibit at the Amon Carter Museum. (Above) John Mix Stanley, The Young Chief Uncas, 1869, Amon Carter Museum, Fort Worth, Texas (Below) After Albert Bierstadt, The Rocky Mountains Lander’s Peak, 1869, Amon Carter Museum, Fort Worth, Texas

Magnificent Mollusks

Jumbo George’s Bank Sea Scallops at Eddie V’s Prime Seafood are hearty and rich. Smoky bacon hugs sweet scallops. Broiled to perfection, the scallops are silky and tender, contrasting with the crispy bacon. A smoked tomato-basil sauce accents the dish, adding buttery undertones.

140 noW open: eddie V’s prime seaFood
reVieW: LiLi’s BisTro
LisTings

Chic Eats

Eddie V’s serves fresh high-quality seafood and prime aged steaks in a posh environment.

Sited at the convergence of 7th Street, Camp Bowie Boulevard and University Drive, Eddie V’s Prime Seafood has quickly become the place to go for upscale seafood in Fort Worth. Open since late January, it draws patrons with its quality cuisine and chic setting.

Beautifully designed, the modern dining room’s various textures prevent the space from feeling cold. A light gray stone wall serves as a foil to a wall of wine. A scattering of mirrors contrasts with another wall’s wooden accents, and round light figures play off the ceilings recessed wooden panels.

Lounge: Sunday–Thursday 4–11 p.m.; Friday and Saturday 4–12 p.m.

Dining Room: Sunday–Thursday 5–10 p.m.; Friday and Saturday 5–11 p.m.

3120 W. 7th St., Fort Worth 817.336.8000, eddiev.com $$$$

Black floor-to-ceiling curtains keep the room’s lighting low. Black leather booths and chairs surround white linen-topped tables, which are subtly illuminated by candlelight. Frosted glass partitions separate the dining room from the kitchen. Although visually pleasing, the lack of a complete wall allows distracting kitchen noises to float into the adjacent booths.

On our visit, however, the noise couldn’t take away from the Crispy Cashew Calamari. Well-executed, the appetizer was tender and not at all rubbery. Simply battered in flour, the calamari was crisply fried then lightly coated in a sweet-and-spicy sauce. Plated on a bed of rice noodles, it was mixed with black and white sesame seeds and such julienned Asian vegetables as carrots, scallions, sugar snap peas and bean sprouts. Roasted cashews added crunch, and micro greens topped the dish. Although the sauce wasn’t evenly distributed, which resulted in some pieces of calamari sans sauce, it added a slight kick of spice at the end of bites. Ginger and soy added layers of flavor.

The Maine Lobster and Shrimp Bisque was served piping hot, guaranteeing that it was warm down to the final spoonful. Chunks—not small, indiscernible bits—of fresh lobster and shrimp swam in a soup of cream and cognac. Rich and

robust, it was a comforting starter.

For those who prefer salad over soup, Eddie V’s offers several tasty options, such as the Fuji Apple and Golden Beet Salad, which consists of thin slices of crisp, sweet apple and tender beet rested on a bed of greens. Crumbled blue cheese, dried cherries and candied walnuts played off the apple slices. The orange, ginger vinaigrette had some bite, but the salad was slightly overdressed.

As a main entrée, the Chilean sea bass was a lighter alternative to some of the menu’s heartier dishes. Roasted crisp, the thick steak had a slight crust on the outside that gave way to tender, flakey fish. It floated in a subtle broth of lemon, white wine and butter with scallions and thin slivers of garlic. The light broth balanced the mild fish.

The Crab-Stuffed Colossal Shrimp were a nice add-on to the sea bass, but they’re also available as a complete entrée. Jumbo shrimp were stuffed with tender flakes of crab meat mixed with breadcrumbs and seasonings. Grilled, the shrimp were served with lemon butter and chive vinaigrette.

For those craving pure, simple seafood, the West Australian lobster tails are the way to go. The two half-pound tails were perfectly cooked with beautifully broiled tops. They were served

with lemon and a side of drawn butter.

In addition to fresh seafood, Eddie V’s also offers USDA prime, center-cut steaks aged 28 days. To ensure the best quality of meat, the restaurant uses Midwestern grain-fed beef.

A la carte side options vary from the expected steamed asparagus with hollandaise to the unique crab fried rice with mushrooms. Portion sizes are generous, so half an order is plenty for two. On our visit, the Truffled Macaroni and Cheese was rich and indulgent. Extra cheesy and creamy, the pasta is topped with a light dusting of toasted breadcrumbs. On top, a scattering of paper-thin slices of shaved black truffles dress up the dish and add earthiness.

A less fattening alternative was the Asianinspired sugar snap pea side. Sesame oil, black and white sesame seeds, and slivers of garlic-flavored, crispy fresh-tasting sugar snap peas.

The Perfect Pair

Although white wine typically pairs with seafood, Belle Glos 2006 pinot noir (from Clark & Telephone Vineyard in the Santa Mario Valley) works well with Jumbo George’s Bank Sea Scallops. Because the scallops are meatier than fish, wrapped with bacon and enhanced with a smoked tomato sauce, the dish needs a red wine to stand up to its flavors. But stay away from a cabernet, which would be too strong.

Blissful Bistro

Lili’s blends upscale casual cuisine and a cozy setting, making it an eatery locals love.

contrast with the light wine and cream sauce. As tasty as the dish’s main components are, the pièce de résistance is the scattering of chickenfried lobster on top. Large meaty pieces of lobster are fried until golden and crisp. Buttery and sweet, the fried lobster would make even seafood skeptics swoon. The light, yet filling, seafood pasta is served with grilled asparagus.

Small, with only nine tables, Lili’s Bistro on Magnolia is exactly as a bistro should be—charming and cozy but not stuffy. Named for owner Vance Martin’s 6-year-old daughter, the upscale casual restaurant has been open since 2007.

Located in the hospital district, the eatery’s brick walls are decorated with such subtle accents as a muted Mrs. Baird’s Bread mural. Stainless steel tables are flanked by chairs or burnt orange–colored leather booths. The ceiling’s exposed beams and duct work, along with the open kitchen, keep the restaurant from feeling claustrophobic, even when crowded. For those who prefer alfresco dining, there are a few tables outside along Magnolia Street.

modern twists, Lili’s is open for lunch and dinner. Lunch options include salads, sandwiches and burgers, along with a few entrees like Tina’s Green Chili Enchiladas.

Sunday 9 a.m.–2 p.m.

Monday–Friday 11 a.m.–3 p.m.

Saturday 9 a.m.–3 p.m. 2504 Montgomery St., Fort Worth 817.737.0043 $$

Dinner small plates vary from escargot to a Texas Ostrich Egg, an avocado filled with couscous, cream cheese, mushrooms and spinach, served over hummus with jalapeño drizzle. Our favorite small plate option is the Gorgonzola Fries. Just the right amount of creamy Gorgonzola cheese crumbles, green onions and cracked black pepper top waffle fries. The fries are perfectly seasoned with the ideal crunchy exterior and tender center.

On our most recent visit, the daily special—Chili-Rubbed Roasted Cornish Game Hen—was delicious. Beautifully browned, the crispy skin is perfectly seasoned, and the meat is tender and juicy. Full of Southwestern flair, the hen is stuffed with a cornbread tamale. Filled with chopped onion and shredded pork, it’s like a traditional tamale but much more moist. A small handful of tortilla strips tops the bird, and beneath it is a light mushroom sauce. Diced mushrooms and onions dot the peppery, thin sauce. Like most dishes at Lili’s, the Cornish game hen is garnished with a bright pink flower and half a tomato topped with seasoned breadcrumbs.

For dessert, the comforting Uncle Ed’s Apple Pie is available a la mode with vanilla bean-flecked ice cream. Tender crust and bitesize pieces of apple are topped with crunchy brown sugar crumbles mixed with cinnamon. A side a brandy-butter sauce reduces some of the sweetness and adds depth of flavor.

Chef Heather Hogan, a TCU alumna with training in classic French cooking, is at the kitchen’s helm. Serving some comfort food with

A recent addition to the menu, Lili’s Seafood Pasta is a standout dish. Simmered prawns and scallops, along with tender pappardelle pasta, are served in a light white wine sauce. The heavier, approximately one-inch-wide noodles

Because the busy bistro can fill up quickly, we recommend making dinner reservations. On Fridays and Saturdays the restaurant doesn’t accept reservations; however, you can call ahead 30 to 45 minutes before you arrive to reduce your wait.

camille torres

fwdish:listings

dish guide

The most sought-after restaurant listing to navigate the area's growing dining scene.

B Breakfast

L Lunch

D Dinner

✹ Outdoor Dining

( Reservations

T Valet Parking Pricing

$ Entrees up to $10

$$ Entrees $10-$20

$$$ Entrees $20-$25

$$$$ Entrees $25 and over

american

Arlington / Mid-Cities

5 & diner » 522 Lincoln Square, Arlington, 817.277.7900. This 50s-style diner offers tasty food in a fun, casual setting. 6am-10pm daily. $ B L D

BlACkFinn restAurAnt & sAloon » 4001 Bagpiper Way, Ste. 101, 817.468.3332. When you come to BlackFinn, prepare to eat great food in a fun environment. With a flat-panel TV at every booth, can you say game day? 11am-2am daily. $-$$ L D T

BJ’s restAurAnt And Brewhouse » 201 Interstate 20 E., 817.465.5225. What started as a Chicagostyle pizzeria in California is now a national chain that boasts everything on the menu tastes better with a BJ’s beer. 11am-12am Sun.-Thu.; 11am-1am Fri.-Sat. $-$$ L D

CheF Point CAFe » 5901 Watauga Rd., Watauga, 817.656.0080. Eat gourmet in a gas station! Located inside a Conoco station, don’t expect white tablecloths in this cafe, whose motto is “Fill’er-up outside, fill’er-up inside.” This unique restaurant features everything from delicious burgers to stuffed steaks and lamb chops. 11am-9pm Mon.-Thu.; 7am-10pm Fri.-Sat.; 10am-8pm Sun. $-$$ L D

dAve & Busters » 425 Curtis Mathes Way, 817.525.2501. Dave & Buster's is a one-of-a-kind restaurant and fun house because it serves a variety of classic bar and grill food, along with with many video games. 11am-midnight Sun.-Thu.; 11am-1am Fri.-Sat. $$ L D ✹ gArden CottAge teA rooM » 5505 Davis Blvd., 817.656.9780. Escape to The Garden Cottage Tea Room inside Golightly’s Gallery in North Richland Hills. This graceful tea room has been serving tremendously light fare and decadent desserts: banana caramel pie, caramel pecan cheesecake and chewy butter cake, just to name a few — made from scratch — since 1985. This charming lunch or meeting spot, which is also available for special events, is the perfect place to grab a light lunch or enjoy a cup of tea. 11am-2pm Tue.-Sat. $ L ( houlihAn’s » 401 E. 1-20 Hwy., 817.375.3863. Look no further for your favorite American dishes as well as Asianand Italian-inspired entrees. The food here is made fresh and from scratch. 11am-12am, bar 2am Mon.-Sat.; 11am10pm, bar 12am Sun. $$-$$$ L D T ✹

huMPerdink's restAurAnt And Brewery » 700 Six Flags Drive, 817.640.8553. Visit Humperdink's after a fun-filled day at Six Flags or to watch a big game. Guests can enjoy the many flat-screen TVs while enjoying sports bar and grill cuisine. 11am-12am, bar 2am Mon.-Sat.; 11am-2am Sun.-Sat. $$ L D (✹

MAC’s BAr & grill » 6077 W. 1-20, 817.572.0541. The cuisine in this Chicago-style restaurant ranges from Southwestern to Cajun to American grill. Dishes include prime rib, shrimp or crawfish étouffée and even chickenfried steak. Mac’s maintains an upscale, casual atmosphere with white tablecloths, tulip lights, dark wood walls and candlelight. 11am-10pm Mon.-Thu.; 11am-11pm Fri.-Sat. $$ L D ( ✹

MArket street » 5605 Colleyville, 817.577.5020. Good meals to eat in or take home. Good choices of breakfast, salads, pizzas and Tex-Mex. Don’t forget the cobbler. 6am-11pm daily. $ B L D ✹

no Frills grill » 4914 Little Rd., 817.478.1766. Other locations: 801 S. Main St., Keller, 817.741.6344; 2851 Matlock Rd., Ste. 422, Mansfield, 817.473.6699. Along with its

the listings section is a readers service compiled by the Fort Worth, Texas magazine editorial staff. The magazine does not accept advertising or other compensation in exchange for the listings. Listings are updated regularly. To correct a listing or request a restaurant be considered for the list, contact Jennifer Casseday-Blair at jcasseday@fwtexas.com.

doppelganger on Eastchase Parkway, No Frills Grill offers large portions at low prices. Video games, a pool table, a back patio and 80-plus screens make dining fun at all hours at this local sports bar. 11am-2am daily. $ L D olenJACk’s grille » 770 Road to Six Flags East, Ste. 100., 817.226.2600. Chef Brian Olenjack has developed an eclectic menu where there’s something for everyone. Try the chicken-fried steak, so big you’ll have leftovers for days. 11am-10pm Mon.-Thu.; 11am-11pm Fri.-Sat.; 11am9pm Sun. $-$$$ B L D ✹

rose gArden teArooM » 3708 W. Pioneer Pkwy., 817.795.3093. The Rose Garden Tearoom is known for its flavorful rose tea and scrumptious bakeries. You’ll feel as if you’ve stepped into England. 10am-6pm Mon.-Sat.; noon-6pm Sun. $ L ( the sAnFord house » 506 N. Center St., 817.861.2129. The comfortable Victorian-style inn just north of downtown offers exquisite dining. Reservations requested. Breakfast Hours 8am-9:30am Mon.-Sat.; 8am11am Sun. Lunch Hours 11am-2pm Tue.-Sat. Dinner Hours 6pm-9pm Fri.-Sat. $-$$ B L ( southern reCiPes grill » 2715 N. Collins St., 817.469.9878. A restaurant that offers up great atmosphere and a choice of chicken, seafood or steak. 11am9pm Mon.-Fri.; 8am-11pm Sat. $-$$ L D( ✹ ventAnA grille » 7005 Golf Club Dr., 817.548.5047. Located inside the clubhouse at Tierre Verde Golf Club. Serves all meals, but a great pick for an evening out! 6:30am-8pm Sun.-Wed.; 6:30am-10pm Thu.-Sat. $-$$ B L D ( ✹

Fort worth

Billy Miner’s sAloon » 150 W. 3rd St., 817.877.3301. One of the first in downtown, you’ll find your favorite grill food, from burgers and fries to just about anything else. 11am-10pm Mon.-Thu.; 12pm-1am Fri.-Sat. $ L D ( ✹ BlueBonnet CAFÉ » 2223 Haltom Rd., Haltom City, 817.834.4988. The only thing better than the breakfast — and not much is — is the pot roast. The Southern-style cooking is complemented by mementos from "I Love Lucy." 6:30am-2:30pm Mon.-Sat. $ B L Buttons » 4701 W. Freeway, 817.735.4900. Fort Worth featuring Keith Hicks’ signature upscale southern-chic cuisine paired with old school music and a vibrant atmosphere. 11am-2:30pm Mon.-Fri.; 5pm-10pm Mon.-Thu.; 5pm-11pm Fri.-Sat.; 11am-3pm Sun.; 4pm-7pm Happy Hour Mon.-Fri. $$$ L D ( ChArleston’s » 3020 S. Hulen St., 817.735.8900. You can get as casual as coaching shorts, though we’d suggest one think better of it. There’s nothing casual, though, about the hickory-grilled pork, Idaho rainbow trout and classic baby back ribs. 11am-10pm Mon.-Thu.; 11am11pm Fri.-Sat.; 11am-9pm Sun. $$ L D ( ✹ the Covey restAurAnt And Brewery » 3010 S. Hulen St., 817.731.7933. Offering a combination of styles, one side of this fine dining establishment is a comfortable brew pub with its own on-site brewmaster, and the other side is a classic restaurant serving creative cuisine and fine wines. 11am-11pm Sun.-Thu.; 11am-12am Fri.-Sat. $$-$$$ L D (✹

Curly’s CustArd » 4017 Camp Bowie Blvd., 817.763.8700. Cool down with a fresh frozen custard or try a milkshake—35 flavors to choose from! Enjoy on outdoor benches or drive thru. 11am-10pm Sun.-Thu.; 11am11pm Fri.-Sat. $ L D ✹ dixie house CAFe » 3701 Belknap St., 817.222.0883.

Other locations: 6200 E. Lancaster, 817.451.6180; 5401 S. Hulen St., 817.361.8500. This family-operated restaurant is known for its chicken-fried steak and homemade rolls. 6:30am-2pm Mon.-Thu. & Sat.; 6:30am-8:30pm Fri. $ B L (

drew’s PlACe » 5701 Curzon Ave., 817.735.4408. A westside favorite for good home cooking. Excellent service and a friendly atmosphere. 11am-5pm Thu.; 11am9pm Fri.-Sat.; 1pm-5pm Sun. $-$$ L D (

Fred’s texAs CAFe » 915 Currie St., 817.332.0083. This great music venue features innovative food combinations, from hamburgers to green chili pork roast with sweet potatoes and sourdough battered chicken-fried steak and gravy. The outdoor patio only adds to the attraction of the fun café. 10:30am-midnight Tue.-Sat.; 10:30am-9pm Sun. Closed Mon. $$ L D ✹

gAllery Art CAFe » 609 S. Jennings Ave., 817.335.4646. The menu features American/Southwestern favorites, and the food is worth coming back for. 7am3pm Mon.-Fri.; 10am-2pm Sat. & Sun. $ B L ( ✹

luCile’s stAteside Bistro » 4700 Camp Bowie Blvd., 817.738.4761. Where do we start—with tableside bananas foster for an entrée or fried green tomatoes with an incredible lobster bisque for dessert? Grazing and drinking in any order are popular sports at this favorite westside bistro. Lucile’s has brunch Sat. and Sun. and 40, yes, 40 great martinis. 11:30am-10pm Mon.-Thu.; 11:30am-11pm Fri.; 9am-11pm Sat.; 9am-10pm Sun. $$ L D ( ✹

lunCh Box » 6333 Camp Bowie Blvd., 817.738.2181. This westside lunch hot spot serves fabulous soups, salads and more. The colorful, flavorful menu will satisfy any taste. 11am-3pm Mon.-Fri.; 11am-2:30pm Sat. $ L

MAssey’s » 1805 8th Ave., 817.921.5582. Open since 1947, this place is an institution, built largely on its reputation for chicken-fried steak. There’s all-you-can-eat catfish on Wednesday and Friday nights, and steaks, seafood and salads. For dessert, try a slice of homemade pie. No frills in the ambiance—this is strictly casual dining. 11am-9pm Mon.-Thu.; 11am-9:30pm Fri.; 11am-9pm Sat.; 11am-3pm Sun. $ L D

MontgoMery street CAFÉ » 2000 Montgomery St., 817.731.8033. This is no-frills cooking at its finest. From omelets to chicken-fried steak, the menu includes fabulous Southern favorites. 6am-2pm Mon.-Fri.; 7amnoon Sat. $ B L(

old neighBorhood grill » 1633 Park Place Ave., 817.923.2282. Everyone knows everyone’s name in this appropriately named grill. Fabulous breakfast entreés of pancakes and Belgian waffles are matched by an equally scrumptious lunch/dinner menu. 7am-9pm Mon.-Sat. $ B L D ✹

ol’ south PAnCAke house » 1509 S. University Dr., 817.336.0311. This place is hopping 24 hours a day, so if you get a craving in the middle of the night for German pancakes, slip on your fuzzy house shoes and join the party. Open 24 hours. $ B L D ( ovAtion dining And entertAinMent » 6115 Camp Bowie Blvd., 817.732.8900. This venue offers quality food and an extensive live music calendar. 6pm-11pm Wed.-Thur.; 6pm-midnight Fri.-Sat.; noon-10pm Sun.; Closed Mon.-Tue. $$ L D ( PAris CoFFee shoP » 700 W. Magnolia, 817.335.2041. This Fort Worth institution has been serving up homemade breakfasts and lunches since 1930. 6am-3pm Mon.-Fri.; 6am-11am Sat. $ B L (

PArk hill CAFe » 2974 Park Hill Dr., 817.921.5660. With a weekend menu that changes on a weekly basis, you can’t go wrong at this quaint cafe. On the regular weekly menu, try the Smoked Turkey Park Hill sandwichsmoked turkey, cranberry relish, coleslaw and spicy mustard on toast. Serves fabulous American cuisine in the evenings and a scrumptious Sunday Brunch. 10:30am3pm Mon.-Sat.; 6pm-9pm Thu.-Sat.; 10:30am-1:30pm Sun. $-$$ L D

PoP’s sAFAri rooM » 2929 Morton St., 817.334.0559. You’ll find just about any wine and a good cigar, but don’t forget the fine food in one of the two smoke-free dining rooms. Specializing in wild game, entreés feature beef tenderloin, crab cakes and more. 10am-10pm Mon.Wed.; 10am-midnight Thu.-Sat.; Closed Sun. $$-$$$ L D ( ✹

CelebrityCutting

Presenting

The

Moncrief

Athena

Platinum Sponsors

Bob

Bonnell’s

Fort

National

Gold

Eventide

First

Leonard

Grants

The

Walsh

Walton

Produced by Lyn Walsh and Beverly Branch
Painting by Lyndon Gaither
Diane Stow Honorary Chair

RISE & SHINE » 3636 Altamesa Blvd., 817.423.3555. Breakfast served all day, featuring 54 varieties of omelets and other goodies. The lunch menu is pretty tasty, too. 6am-2pm daily. $ B L (

SECRET GARDEN TEAROOM » 2601 Montgomery St., 817.763.9787. Indeed a secret garden, the tearoom is nestled among 40 separate “shops” inside the Montgomery Street Antique Mall, which offers a unique casual dining experience. The menu features light sandwiches and a variety of salads, soups and quiche. And as the name implies, they carry a wide range of teas (might we suggest the apricot-mango?). 11am-3pm Mon.-Fri.; 11am-4pm Sat.; noon-4pm Sun. $ L (

SNOOKIE’S » 2755 S. Hulen St., 817.207.0788. The menu at first seems typical of casual American cuisine until you hit Ostrich burger. If that doesn’t appeal, however, stick with cheese fries or any of the other five burgers. A fully stocked bar offers eight beers on tap—including Dos Equis Lager and Black and Tans—and four TVs to watch the big games. 11am-2am daily. $ L D ✹

TEXAS GRILL » 6550 Camp Bowie Blvd., 817.377.0270. This casual Western-style restaurant is a real steal, with the most expensive entrée less than $7. The menu features unusual items, such as tuna salad with homemade dressing and chicken-fried steak topped with spicy queso. A dozen bottled beers are available, including Texas favorites Shiner and Lone

Star. 11am-9pm daily. $ L D ( ✹

THE ROSE GARDEN TEA ROOM » 7200 Camp Bowie Blvd., 817.731.7673. The Rose Garden Tearoom is known for its flavorful rose tea and scrumptious bakeries. You’ll feel as if you’ve stepped into England. 11:30am-4pm Mon.-Sat.; noon-4pm Sun. $ L (

VICKERY CAFÉ » 4120 W. Vickery Blvd., 817.737.2277. Owner John Pendergrass offers a large breakfast menu at reasonable prices, as well as a lunch menu with such country favorites as chicken-fried steak and fried catfish. Expect excellent service when you come here—the waitstaff has, on average, 15 years experience. 6am-3pm Mon.-Sat.; noon-6pm Sun. $ B L (

VIDALIA’S AT THE WORTHINGTON » 200 Main St., 817.210.2222. With dishes ranging from fried green tomatoes to smothered pork chops, the cuisine at Vidalia’s is unequivocally Southern. Using such regional products as beef from Grandview and grits from Waco, Vidalia’s homestyle take on upscale cuisine is infused with a true taste of the South. 6am-10pm Mon.-Sun. $$ B L D T (

WESTSIDE CAFÉ » 7950 Hwy. 80, 817.560.1996. Enjoy Southern cooking served with Southern hospitality. The breakfasts are huge, the lunches are so good, and both will leave you needing/wanting a good Southern-style nap. 6am-10pm daily. $ B L D

THE ZODIAC ROOM AT NEIMAN MARCUS » 2100

Lanny’s Alta Cocina Mexicana

Nouvelle Mexican Cuisine

Don’t go in expecting traditional enchiladas and tacos. Instead, enjoy multiple courses of nouvelle Mexican cuisine from a fourth-generation member of the Joe T. Garcia family. 11:30am-2:30pm Tue.-Fri.; 5:30pm-10 pm Tue.-Thu.; 5:30pm-10:30pm Fri.-Sat. 3405 W. 7th St., 817.850.9996. $$$ L D ( ✹

Green Oaks Rd., 817.738.3581. A delightful dining adventure for lunch with excellent service. 10am-7pm Mon.Sat.; noon-6pm Sun. $$ L

KELLER/LAKE COUNTRY

HARbOR ONE » 9315 Boat Club Rd., Lake County; 817.236.8150. The view from this restaurant is one of the best in the county. 10am-6pm Wed.-Sun. $ L D (

ROANOKE

bAbE’S CHICKEN DINNER HOUSE » 104 N. Oak, 817.491.2900. A tradition among locals, Babe’s Chicken Dinner House offers Southern fried chicken, green beans, cream corn and salad with a sweet vinaigrette served family-style. 11am-2pm Mon.-Fri.; 4:30pm-9pm Mon.-Fri.; 11am-9pm Sat.; 10:30am-9pm Sun. $ L D

CLASSIC CAFE » 504 N. Oak St., 817.430.8185. This cozy house comforts guests as they enjoy some truly fine casual dining. 5pm-9pm Mon.-Thu.; 5pm-10pm Fri.-Sat. $$-$$$ L D ( ✹

DOVE CREEK CAFÉ » 204 S. Hwy. 377, 817.491.4973. If you’re looking for soul food/Southern cooking, the Dove Creek Café serves up a healthy helping, along with a friendly waitstaff and fellow patrons. 6am-8pm Mon.Thu.; 6am-9pm Fri.; 6am-3pm Sat.; 6:30am-3pm Sun. $ B L D

PRAIRIE HOUSE RESTAURANT » 304 S. Hwy. 377, 817.491.4855. Open since 1999, this eclectic and authentic Texas-style eatery serves up mesquite-grilled steaks, killer baby back ribs, barbecue and other delicious options. Try the buffalo burger or the chicken-fried ribeye for a treat. With unique decor and a different theme at every booth, the atmosphere is as entertaining to the senses as the fare. 11am-10pm Mon.-Sun. $-$$ L D (

SOUTHLAKE

CAFÉ EXPRESS » 1472 Main St., 817.251.0063. Zagat’s called these numerous Texas cafés “The Mercedes-Benz of fast food eateries” because of their sophisticated setting and fresh food belie their self-serve nature. Start with a large, chic salad, such as nicoise, shrimp & avocado and couscous, or indulge in the pasta amoré, which certainly lives up to its to-die-for name. Wine, beer, cappuccino and espresso are all available. 11am-9pm Sun.-Thu.; 11am-10pm Fri.-Sat. $$ L D ✹

THE CHEESECAKE FACTORY » 1440 Plaza Place, 817.310.0050. Since 1978, The Cheesecake Factory has been serving up something for everyone. From soups and salads to seafood and pasta dishes, the servings are always generous, and the desserts are always decadent. 11am-11pm Mon.-Thu.; 11am-12:30am Fri.-Sat.; 10am11pm Sun. $$ L D ✹

X’S & O’S SPORTING TAVERN » 1239 Main St., Southlake, 817.251.6776. This place is not your typical sporting tavern. Both couples and singles can come for a romantic date or to enjoy the game. They serve everything from cheese sticks and burgers to seared chili-crusted tuna. 4pm-7pm Mon.-Thur.; 3pm-7pm Fri. $ L D ( ✹

WEATHERFORD

CLEAR FORK GRILL » 29 Crown Road, 817.441.2300. Clear Fork Grill boasts true Texas cuisine with a Mediterranean flair. Utilizing lots of local ingredients creates flavors as big as Texas! 10am-9pm Tue.-Thu.; 10am-10pm Fri.-Sat. $-$$ L D (

FIRE OAK GRILL » 14 Austin Ave., 817.598.0400. This delicious eatery serves up the best in Southwestern, American and down-home Southern cuisine. Savor the taste of a delicious steak cooked to perfection or let your taste buds devour the Bourbon Chocolate Pecan Pie. Now with a full bar, the Fire Oak Grill is sure to leave you satisfied! Lunch: 11am-3pm Mon.-Fri.; Dinner: 5pm-10pm Mon.Sat. $-$$ D (

asian

ARLINGTON

GENGHIS GRILL » 4000 Five Points Blvd., Ste. 189, 817.465.7847. Customize your own bowl of Asian stir-fry with Genghis Grill's wide variety of meats, spices and sauces. Lunch: 11am-10pm Mon.-Thu.; 11am-11pm Fri.Sat. $$ L D (✹

If you’re a TCU fan, you know #70 Marshall Newhouse. He’s the left offensive tackle for the Frogs and he moves people. His dad, John, moves people, too - as a Frog Club volunteer. John believes in the cause. He gives his time and money in support of the academic efforts of all 400 student-athletes at TCU, including one kid that he knows quite well. Join our family today at www.TCUFROGCLUB.com or call (817) 257-7700.

John Newhouse TCU Frog Club Board Member & Donor
Marshall Newhouse Senior Advertising/PR Major Offensive Tackle

PEI WEI » 2100 N. Collins St., 817.299.8687 L D ✹. Other locations: 4133 E. Cooper St., 817.466.4545 L D. Part of the P.F. Chang family, Pei Wei offers the same great mix of Asian cuisine but in a far more casual setting. Their specialty dishes include coconut curries and Mongolian and spicy Korean fare, which you order at the counter. 10:30am-9pm Sun.-Thur.; 10:30am-10pm Fri.-Sat. $ PIRANHA’S KILLER SUSHI » 851 N.E. Green Oaks Blvd., 817.261.1636 L D (. Other locations: Arlington Highlands 309 Curtis Mathes Way, #149 817.465.6455 L D (✹ Sushi rolls, tempura and teriyaki dishes dominate an incredible menu of Japanese delights. 11am-10pm Mon.-Thu.; 11am-11pm Fri.; Noon-11pm Sat.; Noon-10pm Sun. $$

SUKHOTHAI » 423 N. Fielder Plaza, 817.860.4107. A tiny restaurant that serves healthy Thai cuisine. No MSG is found in the cooking here. Try the chicken satay or the steamed spring rolls. 11am-2pm, 5pm-9:30pm Mon.-Fri.; 5-9:30pm Sat. $ L D (

TASTE OF THAI » 2535 E. Arkansas Lane, 817.543.0110. This authentic Thai restaurant serves up fresh dishes daily. 11am-3pm, 4:30pm-10pm Mon.-Fri.; 11:30am-3pm, 4:30pm-10pm Sat.; 11:30am-9:30pm Sun. $ L D ( BEDFORD

THAI jASmINE » 3104 Harwood Rd., 817.283.8228. This wonderful Thai restaurant has some of the best Pad Thai one could ask for. Serves wine and beer. 11am-9pm Mon.Sat.; 4:30pm-9pm Sun. $ L D ✹

FORT WORTH

ASIA BOWL & GRILL » 2400 Lands End, 817.738.1688. From Vietnamese and Korean to every possible variety of Chinese cuisine, the offerings on this menu are sure to please any palate. Fresh ingredients combined with complex flavors make this a fabulous dining experience. 11am-9:30pm Sun.-Thu.; 11am-10pm Fri.-Sat. $ L D

EDOHANA HIBACHI SUSHI » 2704 S. Hulen, 817.924.1144 L D ( ✹. Other locations: 5816 S.W. Loop 820, 817.731.6002 L D (. Table-side food preparation is just part of the experience—a fabulous sushi bar includes many delicacies. 11am-2:30pm Mon.-Fri.; 5:30pm9:30pm Mon.-Thu.; 5pm-10pm Fri.-Sat. $$

HUI CHUAN SUSHI, SAKE, TAPAS » 6100 Camp Bowie #12, 817.989.8886. This small, yet visually appealing, restaurant is full of surprises. Owner Hui Chuan Logan will not only remember your face, but maybe even what you ordered. With a wide variety of tapas and sushi, you are bound to find something that sounds appealing. 11:30am-2:30pm Mon.-Sat.; 5:30pm-10pm Mon.-Thu.; 5:30pm-11pm Fri.-Sat.; 5:30-10pm Sun. $$ L D ✹ jAPANESE PALACE » 8445 Camp Bowie W., 817.244.0144. Japanese décor and dark wood paneling transport you to Asia, as the hibachi chefs slice and dice your entrée right before your eyes. Sit at a cooking table, traditional American tables or try sitting authentically on the floor. Often busy, but reservations are not required. 5:30pm-10pm Sun.-Thu.; 5:30pm-midnight Fri.-Sat. $$$$$ D

mY LAN » 4015 E. Belknap St., 817.222.1471. This Vietnamese restaurant serves multiple rice dishes with vegetables, meat and seafood, and there are more than 100 items on the menu. 9am-9pm Mon.-Sun. Closed Wed. $ L D

PEI WEI » 5900 Overton Ridge Blvd., 817.294.0808 L D. Other locations: 2600 W. 7th St., Montgomery Plaza, 817.806.9950 L D ✹. Part of the P.F. Chang family, Pei Wei offers the same great mix of Asian cuisine but in a far more casual setting. Their specialty dishes include coconut curries and Mongolian and spicy Korean fare, which you order at the counter. 10:30am-9pm Sun.-Thu.; 10:30am-10pm Fri.-Sat. $

P.F. CHANG’S » 400 Throckmorton, 817.840.2450. A gorgeous, upscale restaurant found across America, P.F. Chang’s believes food should be “fresh, contemporary and outstanding.” They mix traditional and modern Chinese Southeast Asian cuisine to form a vast menu complemented by an extensive wine list. 11am-10pm Sun.-Thu.; 11am-11pm Fri.-Sat. $ L D T ( ✹

PHO LITTLE SAIGON » 6942 Green Oaks Blvd., 817.738.0040. Authentic Vietnamese cuisine at low prices is served up in a friendly atmosphere. 10am-8:30pm Mon.-Fri.; 10am-3pm Sat. $ L D

PHU LAm » 4125 E. Belknap St., 817.831.9888. The fare

is updated and includes new choices in Vietnamese and Chinese food. 10am-10pm Sun.-Sat. $-$$ L D

PIRANHA’S KILLER SUSHI » 335 W. 3rd St., 817.348.0200. Sushi rolls, tempura and teriyaki dishes dominate an incredible menu of Japanese delights. 11am-10pm Mon.-Wed.; 11am-11pm Thu.; 11am-1am Fri.; Noon-1am Sat.; noon-10pm Sun. $$ L D T (

SONNY’S DINER » 6220 Camp Bowie Blvd., 817.732.7754. This Asian Bistro combines the flavors of Vietnam, Korea and Japan to generate a diverse and delectable menu. 11am-2pm, 5pm-8:30pm Mon.-Fri.; 11am2:30pm Sat. $ L D ( ✹

SUSHI AXIOm jAPANESE FUSION RESTAURANT » 4625 Donnelly Ave., Ste. 101, 817.735.9100. Enjoy Japanese flavor combined with American flair in a stylish setting for a great sushi experience. 11am-10pm Mon.-Fri.; noon-10pm Sat.; noon-9pm Sun. $$ L D ( ✹

SUSHI YOKO » 6333 Camp Bowie Blvd. Ste. 280., 817.737.4000. This new sushi restaurant offers their own version of the Ahi tuna tower—the DFW Tower. 11am2pm Mon.-Fri.; 5pm-10pm Sun.-Thu.; 5pm-10:30pm Fri.Sat. $-$$ L D ( ✹

SZECHUAN » 5712 Locke Ave., 817.738.7300. Other location: 4750 Bryant Irvin Rd., Cityview Plaza, 817.346.6111. This Chinese favorite counts on high-quality food and service to keep patrons coming back for more. Enjoy the fresh and flavorful dishes in an elegant, yet casual, atmosphere. 11am-10pm Sun.-Thu.; 11am-11pm Fri.-Sat. $ L D (

THAI TINA’S » 703 N. Henderson St., 817.332.0088. With a myriad of selections on its eccentric menu, this downtown restaurant lives up to its slogan, “A menu that’s simply to Thai for.” 11 am-9pm Mon.-Thur.; 11am-10pm Fri.-Sun. $$ L D

TOKYO CAFE » 5121 Pershing Ave., 817.737.8568. This Camp Bowie hideaway delivers great sushi at reasonable prices. Please come casual. 11am-9pm Mon.-Thur.; 11am10pm Fri.-Sat. $ L D ( ✹

GRAPEvINE

EDOHANA HIBACHI SUSHI » 1501 W. State, Grapevine, 817.251.2004. Table-side food preparation is just part of the experience—a fabulous sushi bar includes many delicacies. 11am-2pm Mon.-Fri.; 5:30pm-10pm Mon.-Thu.; 5:30pm-10:30pm Fri.; 5pm-10:30pmSat.; 5pm-9:30pm Sun. $$ L D (

P.F. CHANG’S » 650 W. Highway 114, 817.421.6658. A gorgeous, upscale restaurant found all across America, P.F. Chang’s believes food should be “fresh, contemporary and outstanding.” They mix traditional and modern Chinese Southeast Asian cuisine to form a vast menu complemented by an extensive wine list. 11am-11pm daily. $$ L D (

HURST

SWEET BASIL THAI CUISINE » 977 Melbourne Rd., 817.268.2899. This authentic Thai restaurant serves up high-end dishes without the high-end price. Delicious curries and soups are their trademark. 11am-9:30pm Mon.-Sat. $-$$ L D (

SOUTHLAKE

EDEN BISTRO » 480 W. Southlake Blvd., 817.748.0028. This chic little restaurant has one of the tastiest summer rolls in town. 11am-9:30pm Sun.-Thu.; 11am-10:30pm Fri.Sat. $-$$ L D (

KOBEYA jAPANESE HIBACHI & SUSHI » 1230 Main St., 817.416.6161. Hungry for food and entertainment? Then Kobeya Japanese Hibachi & Sushi is the right place. Delicious food, wonderful service and Hibachi chefs to keep you smiling and amused. 11:30am-2:30pm Mon.Fri.; noon-3:30pm Sat.-Sun.; 5pm-10pm Sun.-Thu.; 5pm10:30pm Fri.-Sat. $$ L D ( PEI WEI » 1582 E. Southlake Blvd., 817.722.0070. Part of the P.F. Chang family, Pei Wei offers the same great mix of Asian cuisine but in a far more casual setting. Their specialty dishes include coconut curries and Mongolian and spicy Korean fare, which you order at the counter. 10:30am-9pm Sun.-Thu.; 10:30am-10pm Fri.-Sat. $ L D

THAI CHILI » 215 Grand Ave., 817.251.6674. A Thailand setting with an American twist. They serve up beautifully prepared food that you can’t help but savor as it goes down. They also cater, so if you can’t join them, they’ll

bring the party to you. 11am-10pm Mon.-Thu.; noon11pm Fri.; 11am-9:30pm Sat.-Sun. $-$$ L D ( ✹

barbecue

ARLINGTON

DICKEY’S BARBECUE PIT » 5530 S. Cooper, 817.468.0898. 1801 Ballpark Way, 817.261.6600. A Texas tradition since 1941 is now serving great Texas-style barbecue in Arlington. Offering eight slow-cooked meats and 16 freshly made vegetables. Dine-in, take-out, drivethru and catering. 10:30am-8:30pm daily. $ L D

RED HOT AND BLUE » 1350 E. Copeland Rd., 817.795.7427. Beef may be king here, but Memphis-style barbecue has taken our town by storm. Although pork is the house specialty, chicken and beef dishes are also available. 11am-9pm Sun.-Thu.; 11am-10pm Fri.-Sat. $$ L D

FORT WORTH

ANGELO’S » 2533 White Settlement Rd., 817.332.0357. A big bear right inside the door invites you to big beers on the tables. But the big draw is the brisket, hickorysmoked out in back of this uncontrived institution that also serves chicken. No credit cards, but checks are welcome, and there’s an ATM in the building. 11am-10pm Mon.-Sat. $ L D (

COUSIN’S PIT BARBECUE » 6262 McCart Ave., 817.346.2511 L D (. Other location: 5125 Bryant Irvin Rd., 817.346.3999 L D (✹. Brisket, ribs, chicken and homemade sausage are the staples, along with cobblers and delicious cakes. A 21-year family-run business, Cousin’s has opened up a third location in Keller as a drive-thru/ take-out hot spot. 11am-9pm Mon.-Sat. $

DICKEY’S BARBECUE PIT » 451 University Dr., 817.231.8813 L D ✹. Other locations: 5724 Bryant Irvin, 817.361.1034 L D. 1000 N.E. Loop 820, 817.289.0027 L D 1989 Colonial Pkwy., 817.759.7500. A Texas tradition since 1941 is now serving great Texas-style barbecue in Fort Worth. Offering eight slow-cooked meats and 16 freshly made vegetables. Dine-in, take-out, drive-thru and catering. 11am-8pm Sun.-Thu.; 11am-9pm Fri.-Sat. $

RAILHEAD SmOKEHOUSE » 2900 Montgomery St., 817.738.9808. One of the most popular barbecue spots in Fort Worth, but we live for the homemade french fries. It sometimes gets so crowded you have to use the satellite parking lot across the street. 11am-9pm Mon.-Sat. $ L D ✹

RED HOT AND BLUE » 3000 S. Hulen St., 817.731.8770 L D. 9143 Grapevine Hwy., 817.605.1333 L D. Beef may be king here, but Memphis-style barbecue has taken our town by storm. Although pork is the house specialty, chicken and beef dishes are also available. 11am-9pm Sun.-Wed.; 11am-10pm Thu.-Sat. $$

RISCKY’S » 6701 Camp Bowie Blvd., 817.989.1800 L D ( ✹. 300 Main St., 817.877.3306 L D ( ✹. 9000 U.S. 377, Benbrook, 817.249.3320 L D ✹. A legend in Texas since 1927, Riscky’s secret is the way that the meat is smoked. All of their meat is hand-trimmed, rubbed with “Riscky dust” and then naturally smoked for hours in wood-burning pits. The historic Stockyards location offers a spacious patio that is the perfect place to sit back and watch the daily longhorn cattle drive. 11am-9pm Sun.-Mon.; 11am10pm Tue.-Thu.; 11am-11pm Fri.-Sat. $

SmOKIES BBQ » 5300 E. Lancaster Ave., 817.451.8222. Smokies has been serving fine barbecue and smoked meats in a family-friendly environment for 30 years. 10:30am-8pm Tue.-Sat. $ L D ✹

THE SmOKE PIT » 2401 E. Belknap St., 817.222.0455. This barbecue joint has various types of smoked meats and is great for dine-in or to have cater your next party. 10:30am-8pm Mon.-Fri.; 10:30am-6pm Sat. $-$$ L D ( TRAILBOSS BURGERS » 140 E. Exchange Ave, 817.625.1070. Same owners but a new concept. This restaurant, formerly part of the Riscky’s chain, focuses on what it does best, burgers. 11am-7pm Sun.-Thu.; 11am9pm Fri.; 11am-10pm Sat. $-$$ L D ✹

HURST

DICKEY’S BARBECUE PIT » 1858 Precinct Line Rd., 817.656.0200. A Texas tradition since 1941 is now serving great Texas-style barbecue in Fort Worth. Offering eight slow-cooked meats and 16 freshly made vegetables.

fwdish:listings

Dine-in, take-out, drive-thru and catering. 11am-9pm daily. $ L D

brazilian

fort worth

tEXAS DE BrAZIL » 101 N. Houston St., 817.882.9500. The meat never stops coming as waiters dressed as gauchos go table to table offering it on swords. Between the all-you-can-eat salad bar and selection of 14 meats, you’ll need to be wheeled out of this upscale restaurant. 5pm10pm Mon.-Thu.; 11am-2pm & 5pm-10:30pm Fri.; 4pm10:30pm Sat.; 4pm-9pm Sun. $$$ D T (

GrAPEVINE

BoI NA BrAZA » 4025 William D. Tate, 817.329.5514. Tasty food served with Brazilian flair. Offers constant choices of meat by servers at your table. 5pm-10pm Mon.-Sat.; 5pm-9pm Sun. $$$ L D

burgers & sandwiches

ArLINGtoN

AL’S hAMBUrGEr’S » 1001 N.E. Green Oaks Blvd., 817.275.8918. The place is an institution in north Arlington. The burger joint serves up delicious hamburgers and

other good fast food. 6:30am-10:30pm Mon.-Sat. $ B L D (

ChAPPS » 2045 N. Hwy. 360, 817.649.3000. Other locations: 153 Southwest Plaza (1-20 & Little Road), 817.483.8008. 2596 E. Arkansas, 817.460.2097. Cheeseburgers, Baby Chapps, mushroom burgers and jalapeño burgers (among others) are cooked to order from freshly bought meat served on freshly baked buns. A large menu stuffed with Philly cheese-steak sandwiches, fried okra, stuffed jalapeños and chicken strips means you’ll never eat the same thing twice. 11am-9pm Sun.-Thu.; 11am9pm Fri.-Sat. $ L D

oLD towN hAMBUrGErS » 2406 W. Park Row Dr., 817.276.9191. A burger and fries treat that is an excellent hot spot for lunch and a quick dinner. 11am-8:30pm Mon.Thu., Sat.; 11am-9pm Fri.; 11am-3pm Sun. $ L D

fort worth ChAPPS » 6219 Oakmont Blvd., 817.263.5172. Cheeseburgers, Baby Chapps, mushroom burgers and jalapeño burgers (among others) are cooked to order from freshly bought meat served on freshly baked buns. A large menu stuffed with Philly cheese-steak sandwiches, fried okra, stuffed jalapeños and chicken strips means you’ll never eat the same thing twice. 11am-9pm Sun.-Thu.; 11am9pm Fri.-Sat. $ L D

DUtCh’S » 3009 S. University Dr., 817.927.5522. Chef

Olenjack’s Grille

Something Eclectic for Everyone

Chef Brian olenjack has developed an eclectic menu where there’s something for everyone. Try the shrimp and grits with bacon, andouille sausage and mustard greens, or chicken-fried steak, so big you’ll have leftovers for days. 11am-10pm Mon.-Thu.; 11am-11pm Fri.-Sat.; 11am-9pm Sun. 770 Road to Six Flags East, Ste. 100., 817.226.2600. $-$$$ B L D ✹

Grady Spears is at it again with his newly opened burger joint. Laid-back atmosphere with good-tasting burgers and fries. 11am-9pm Mon.-Thu.; 11am-10pm Fri.-Sat.; 11am-3pm Sun. $ L D ( ✹

thE GrEAt oUtDoorS » 3204 Camp Bowie Blvd., 817.877.4400. Try one of three gourmet breakfast subs filled with choices of eggs, ham, pastrami, cheddar, Swiss or cream cheeses. Lunch subs abound, topped with the usual meats and served on fresh preservative-free sub rolls. Great stop on a summer day after the park or the museums. 9am-9pm Mon.-Sat.; 10am-8pm Sun. $ B L D

KINCAID’S » 4901 Camp Bowie Blvd., 817.732.2881 L D (. Other location: 4825 Overton Ridge Blvd., 817.370.6400 L D (. There are those who will swear this is the best burger in the country, and the lunchtime line of parked cars that stretches two to four blocks in every direction of this old grocery store is a testament to both the legend and the taste. Enjoy at picnic tables inside or at stand-up counters. Frills would seem unnecessary. 11am-8pm Mon.-Sat. $

thE LoVE ShACK » 110 E. Exchange Ave., 817.740.8812. Tim Love’s latest concept is far removed from his fine dining restaurants, but the food’s just as good. Try the love burger, it’s one of Tim’s favorites. 11am-8pm Sun.-Wed.; 11am-10pm Thu.; 11am-1am Fri.-Sat. $ L D T ( ✹ M & o StAtIoN GrILL » 200 Carroll St., 817.882.8020. Located inside Leonard's Department Store Museum, this nostalgic diner features award-winning burgers. Try the Bleu Cow, stuffed with bleu cheese and bacon. 11am3pm Mon.; 11am-8:30pm Tue.-Sat.. $ L D PAPPA’S BUrGErS » 2700 W. Freeway, 817.348.8273. From the same group that brought Pappadeaux and Pappa’s Steaks, Pappa’s Burgers is the newest addition to the family. Try the blue cheese burger. You won’t be disappointed. 11am-10pm Sun.-Thu.; 11am-11pm Fri.Sat. $-$$ L D ( ✹ thE PoUr hoUSE SPortS GrILL » 2725 W. 7th St., 817.335.2575. The Pour House offers a little bit of everything from sports bar munchies to steaks, which can be washed down with one of 25 bottled beers. 11am-2am Mon.-Sat.; 11am-midnight Sun. $ L D ( PUrPLE Cow DINEr » 4601 W. Freeway, 817.737.7177. The Cow has standard burgers, fries and ice cream sundaes with all that finger-lickin' junk kids like to track all over the table. Yes, playing with the condiments is OK. 11am-10pm Fri.-Sat.; 11am-9pm Sun.-Thu. $ L D

toMMY’S hAMBUrGErS » 2701 Green Oaks Rd., 817.735.9651 L D (. Other locations: 5228 Camp Bowie Blvd., 817.569.1111 L D (. 3431 W. 7th St., 817.885.7500 L D ( ✹. Noted, obviously, for excellent burgers, Tommy’s serves up mouthwatering daily specials, including a fabulous chicken-fried steak. 11am-9pm Mon.-Thu.; 11am10pm Fri.-Sat.; 11am-8pm Sun. $

SoUthLAKE

johNNY B’S BUrGErS & ShAKES » 2704 E. Southlake Blvd., 817.749.0000. This joint takes pride in their signature sweet sourdough bun, premium Texas beef, handcut fries and much more. Try one of the old fashioned shakes. 10:30am-8:30pm Mon.-Thur.; 10:30am-9pm Fri.-Sat.; 10:30am-3pm Sun. $ L D

ArLINGtoN

CAfÉ At DAIrEDS » 2400 W. I-20, 817.465.9797. Serving lunch in a casual, energetic setting, The Café at Daireds offers a variety of upscale entrées, salads and homemade soups. The Café treats with gourmet three-course prix fixe menu that changes weekly and a fully stocked bar. 9am-6pm Mon.; 9am-9pm Tue.-Thur.; 9am-6pm Fri.; 8:30am-5:30pm Sat.; noon-6pm Sun. $-$$ L D ( ✹ fort worth

610 GrILLE » 610 Main St., 817.332.0100. The café delivers stunning upscale new American cuisine with showmanship on the plate and elegance in the décor. Executive Chef Ismael Rojas offers an excellent menu of tasty foods—from Chilean sea bass to lamb. 6:30am4pm Mon.-Thu.; 6:30am-10pm Fri.-Sat.; 11am-9pm Sun. $-$$$ B L D T (

CAfÉ ASPEN » 6103 Camp Bowie Blvd., 817.738.0838.

This westside favorite includes a fish menu that changes regularly, and the rack of lamb alone would merit a return visit. Go casual or dressed to the nines—either way, you’ll fit in. The ambiance becomes even more elegant at night with candlelight. An adjoining full bar offers a highend well. A fabulous patio is open seasonally. 11am-2pm Mon.-Fri.; 6pm-9pm Mon-Thu.; 6pm-10pm Fri.-Sat. The bar opens at 11am and closes one hour after the kitchen. $$ L D ( ✹

delis & bakeries

Arlington

rED oVEn » Bowen & Park Row, 817.274.1423. This French bakery prepares fresh artisan breads daily. Best known for their wonderful Red Velvet, Black Forest and Italian Cream cakes. 8:30am-6pm Tue.-Fri.; 8:30am-5pm Sat. $$

Fort WortH

ArtiSAn BAKing CoMPAnY » 4900 White Settlement Rd., 817.821.3124. Now the award-winning breads and scones from the bakers of Cowtown Farmers Market can be purchased at Fort Worth’s only independent artisan baker. Locally made sourdough, focaccia, multigrain, cinnamon, roasted garlic, and breakfast bread, as well as scones and abundant sweets, are now year-round purchases. 9am-5pm Tue.-Fri., 8am-noon Wed. & Sat. at the Farmer’s Market. $ B

BAKEr BroS. AMEriCAn DEli » 6333 Camp Bowie Blvd., 817.989.1400. Baker Bros. serves up only the finest quality breads, meats and cheeses. 11am-9pm daily. $ L D ✹

BlUEBonnEt BAKErY » 3905 Camp Bowie Blvd., 817.731.4233. Consistently chosen as one of the city’s finest bakeries, while their lunch crowd continues to grow. Try a homemade petit four, and you will quickly become a regular. 7am-6pm Mon.-Fri.; 7am-4pm Sat. $ B L

CArSHon’S DEliCAtESSEn » 3133 Cleburne Rd., 817.923.1907. Open since 1928, so you know they’re doing something right. Choose from their big specialty sandwiches, such as the Rebecca, Rachel or Ruthie, homemade soups and chili and homemade pies, including chocolate, butterscotch or pecan. 9am-3pm Mon.Sat. $ B L

tHE CUPCAKE CottAgE » 5015 El Campo Ave., 817.732.5670. This bakery is heaven for anyone with a sweet tooth. Five different flavored cupcakes every day. 10am- when the last cupcake is sold. Tue.-Sat. $ ESPErAnZA’S MEXiCAn CAFÉ & BAKErY » 2122 N. Main St., 817.626.5770 B L D ( ✹. Other location: 1109 Hemphill St., 817.332.3848 B L D (. The Lancarte family has yet another hit with this cafe and bakery, where a fabulous brunch, traditional Mexican dishes and freshbaked pastries are the norm. Breakfast is served all day on weekends. 6:30am-7pm daily. $

KolACHE SHoPPE » 6724 Brentwood Stair Rd., 817.457.0071. Be sure to visit this longtime purveyor of delicious kolaches, muffins, fritters and more. 6am-noon Tue.-Sat.; 7am-noon Sun. $ B

MCKinlEY’S FinE BAKErY & CAFE » 1612 S. University Dr., 817.332.3242. This cafe is a great place for friends to meet and catch up on old times. Our bakery is made from scratch right here in-house. We use 100% real butter and never bake from mixes or add preservatives. Try the pecan-crusted chicken salad. 8am-6:30pm Mon.-Sat.; 11am-5pm Sun. $ B L D ✹

PAnErA BrEAD » 1700 S. University Dr., 817.870.1959

B L D ✹. Other location: 1804 Precinct Line Rd., 817.605.0766 B L D ✹. The word “bread” is deceiving, although there’s plenty of it. Think more along the lines of “Big Fat Sandwich and Dessert.” 6:30am-9pm Mon.-Sat.; 7am-8pm Sun. $

tHE Snoot Y Pig » 2401 Westport Pkwy., 817.837.1077

B L D. Other locations: 1540 Keller Pkwy., Keller, 817.431.0064 B L D ✹. Great breakfast stop, also good for lunch. Don’t get away without trying the famed muffins, baked daily. 6:30am-2pm Mon.-Fri., 7am-noon Sat.Sun. $

SUBliME BAKErY » Country Day Plaza, 5512 Bellaire Dr., 817.570.9630. Among her other delicacies, Catherine Ruehle’s scones, cheesecakes and cupcakes are indeed

sublime. 8am-5:30pm Mon.-Fri.; 9am-5pm Sat. $-$$ B

SWiSS PAStrY SHoP » 3936 W. Vickery, 817.732.5661. A Fort Worth tradition for 30 years, the shop serves a traditional breakfast, as well as lunch. And they are rumored to have the best German sausages in town. 6:30am-5:30pm Tue.-Fri.; 7:30am-4pm Sat. $ B L

Yogi’S BAgEl CAFE » 2710 S. Hulen St., 817.921.4500. The best bagels in Fort Worth come from this eclectic eatery that hosts a killer breakfast. Later in the day, choose from a truckload of salads with a cup of the house specialty, borscht. Come ready to stand in line on Saturday and Sunday mornings. 6:30am-9pm Mon.-Fri.; 7am9pm Sat.; 7:30am-3pm Sun. $ B L ✹

grAPEVinE

MAin StrEEt BrEAD BAKing CoMPAnY » 316 Main St., 817.424.4333. Located in historic downtown Grapevine, Main Street Bread Baking Company offers quality baked goods, including fresh breads and decadent cakes and desserts. With offerings like Grand Marnier cake, an orange liqueur cake filled with a light orange cream and garnished with whipped Italian butter cream, it’s easy to see why this cafe and bakery has become a favorite among locals. 6:30am-6:30pm daily. $ B L D

tHE Snoot Y Pig » 4010 William D. Tate, 817.283.3800. Great breakfast stop, also good for lunch. Don’t get away without trying the famed muffins, baked daily. 6:30am2pm Mon.-Fri.; 7am-2pm Sat.-Sun. $ B L D ✹

SoUtHlAKE

BAKEr BroS. AMEriCAn DEli » 2820 E. Southlake Blvd., 817.748.3354. Baker Bros. serves up only the finest quality breads, meats and cheeses. 11am-9pm daily. $ L D ✹

ElEgAnt CAKErY » 2707 E. Southlake Blvd., Ste. 140, 817.488.7580. From cakes to cupcakes to Petit Fours, each of Elegant Cakery’s products is sure to make your event unforgettable. 9am-6pm Tue.-Sat. $-$$

WEinBUrgEr’S DEli » 3 Village Circle, Westlake, 817.491.9119. Other location: 611 Main St., Grapevine, 817.416.5574 B L D ✹ Weinburger’s Deli specializes in quality meats and cheeses. They also offer a variety of fresh salads. 8:30am-7pm Mon.-Sat.; 11am-3pm Sun. $ eclectic

Arlington

BoUDrEAUX CAjUn KitCHEn» 4000 Bagpiper Way, 817.557.3700. The Boudreaux Cajun Kitchen serves overthe-counter delicious Cajun cuisine in a fun atmosphere with lively Cajun music. 11am-10pm Sun.-Thu.; 11am11pm Fri.-Sat. $$ L D ✹

MY MArtini WinE & BiStro » 859 N.E. Green Oaks Blvd., 817.461.4424. The incredible tapas menu is almost as tempting as the drink list, which includes the signature Brady martini, made with pickle brine and a dill pickle spear. 3:30pm-11pm Sun.-Thur.; 3:30pm-1am Fri.-Sat. $$ D (

tHE MElting Pot » 4000 Five Points Road, Ste. 119, 817.469.1444. Experience attentive service, fine wines, the highest quality fresh ingredients, a variety of cooking styles, unique sauces and your favorite chocolate fondue. 5pm-10pm Mon.-Thu.; 5pm-11pm Fri.; 3:30pm-11pm Sat.; 1pm-11pm Sun. $$-$$$ D

BUrlESon

WinE DoWn » 124 S. Scott Street. 817.447.9122. This bistro, located in “Old Town” Burleson, was inspired by hill country wine bars. The relaxed atmosphere allows food and wine enthusiasts to “wine down” from their hectic day with wine, beer and artisan cheeses in the evenings. 11am-9pm Wed-Sat. $$ L D

Fort WortH

8.0 rEStAUrAnt & BAr » 111 E. Third St., 817.336.0880. The Jell-O shot pioneer of the 1980s is still a cool drinking spot, where martinis now rule. 8.0 continues to feed eclectic tastes from a full menu, and the dinner hour lasts late for theater-goers. This art bar offers great jazz and blues under the stars on the patio, which seats 350. Every wall is handpainted by local artists. 11am-10pm Mon.Tue.; 11am-1am Wed.; 11am-2am Thu.-Fri.; noon-2am Sat.; 10am-2am Sun. $$ L D ( ✹

CAFÉ MoDErn » 3200 Darnell, 817.840.2157. The Modern Art Museum features a restaurant with grilled salmon and melted citrus butter, beautiful desserts and a Sunday brunch that is a must. Reservations are recommended for parties of five or more. 11am-2:30pm Mon.-Fri.; 11am3pm Sat.-Sun. $$ L ( ✹

KiMBEll Art MUSEUM » 3333 Camp Bowie Blvd., 817.332.8451, ext. 251. Unlike the works here at one of the nation’s primo art museums, the menu changes every day in the kitchen, where the staff turns out creatively crafted sandwiches, salads and soups, including a killer gazpacho. Matisse sculptures give an aristocratic flair; Friday night dinner features live music. Lunch 11:30am2pm Tue.-Thu. & Sat.; noon-2pm Fri. & Sun.; Dinner 5:30pm-7:30pm Fri. $$ L ( ✹

lili’S BiStro » 1310 W. Magnolia Ave., 817.877.0700. Lili's offers unpretentious global cuisine. Enjoy the Gorgonzola fries, innovative comfort food and championship burgers. Delicious! 11am-2:30pm Mon.-Sat.; 5:30pm9pm Tue.-Thu.; 5:30pm-10pm Fri.-Sat. $$ L D ( ✹

SPirAl DinEr » 1314 W. Magnolia, 817.332.8834. At this 100 percent vegan and mostly organic restaurant, you can find nearly anything you could desire on the menu. Fresh-tasting and affordable, don’t forget about their wide variety of juices and smoothies. 11am-10pm Tue.-Sat.; 11am-5pm Sun. $ L D ( ✹

ZAMBrAno WinE CEllAr » 910 Houston St., Ste. 110, 817.850.9463. With a menu featuring more than 200 wines, this wine bar should be a priority for all wine lovers. 4:30pm-11pm Mon.-Thu.; 4:30pm-1am Fri.-Sat. $-$$ D T ( ✹

SoUtHlAKE

SAnDEllA’S CAFÉ » 1245 Prospect St., 817.421.0727. Finally, a place to eat delicious food without the worry of calorie counting. This family-owned restaurant spices up delicious sandwich wraps, such as the Chicken Verona or the flatbread pizza. With their relaxing European atmosphere, you’re likely to stay not only for the food, but the free Internet, as well. 9am-8pm Mon.-Sat. $ L D ✹

ethnic

Fort WortH

BoMBAY grill » 4625 Donnelly Ave., 817.377.9395. This Indian restaurant serves up classics like Tandoori and garlic naan (flatbread). 11am-2pm & 5:30pm-10pm daily. $ L D ( BYBloS » 1406 N. Main St., 817.625.9667. Owned by a member of the same family who owns Hedary’s, this Stockyards restaurant serves the same great Middle Eastern fare. Don’t miss Friday nights, the day that brings bellydancing into the Stockyards. 11am-10pm Mon.-Thu.; 11am-11pm Fri.; 5pm-11pm Sat. $$ L D ( CHADrA MEZZA & grill » 1622 Park Place, 817.924.2372. Creative dishes featuring spicy Lebanese food and homemade Italian. 11am-3pm Mon.-Tue; 11am10pm Wed.-Sat. $-$$ L D ( ✹

HEDArY’S » 6323 Camp Bowie Blvd., 817.731.6961. Tucked into a shopping center just off the road, Fort Worth’s other Lebanese eatery includes the best hummus we ever put a lip to. Enjoy the Frarej chicken, baked with potatoes and tomatoes in olive oil, garlic and lemon juice. 11am-10pm Sun.; 11am-3pm Mon.; 11am-10pm Tue.-Thu.; 11am-11pm Fri.; 5pm-11pm Sat. $ L D ( ✹ King tUt » 1512 Magnolia Ave., 817.335.3051. The Middle East meets the Mediterranean to bring us an alternative Egyptian restaurant. Try one of many healthy dishes including falafels, hummus and tabbouleh. Prices suggest that attire is formal, but the atmosphere mandates a casual look. 11am-2:30pm Mon.-Sat. 5:30pm-9pm Mon.Sat. $$ L D (

MAHArAjA » 6308 Hulen Bend Blvd., 817.263.7156. This restaurant has a large menu offering many different Indian dishes, such as Chicken Makahani. The breads with curries are especially good. 11am-2pm Mon.-Fri.; 11:30am-2:30pm Sat.-Sun.; 5:30pm-10pm Sun.-Thu.; 5:30pm-10:30pm Fri.-Sat. $$ L D ( french

Arlington

CACHAREL » 2221 E. Lamar Blvd., Ste. 910, 817.640.9981. Rock-solid French fare that has evolved into just about the finest in the county. The three-course fixed price dinner runs a happy gamut between lobster and ostrich, or have a steak cut to order. The place is peaceful and elegant, high above Six Flags with a great view. You won’t get off cheaply, but you won’t be disappointed. 11:30am-2pm & 5pm-10pm Mon.-Fri.; 5pm-10pm Sat. $$$ L D ( FoRt WoRtH

BIStRo LoUISE » 2900 S. Hulen St., Ste. 40, 817.922.9244. Voted Best French in Tarrant County. Chef Louise Lamensdorf frequently travels to Europe for inspiration, which returns to Cowtown in the form of superior sauces and excellent wine selections. It has a romantic, relaxed atmosphere that welcomes a lust for food. Their Sunday brunch is quite possibly the best in town! 11am2pm Mon.-Sun.; 5:30pm-9pm Tue.-Thu.; 5:30pm-10pm Fri.-Sat. $$$ L D ( ✹

LA MADELEINE » 6140 Camp Bowie Blvd., 817.732.4656. Other locations: 2101 N. Collins St., Arlington, 817.461.3634. 4201 S Cooper St., Arlington, 817.417.5100. 900 Hwy. 114 W., Grapevine, 817.251.0255. Croissants, pastries, soups, salads and more are served in a charming European atmosphere. Camp Bowie 6:30am-10pm Sun.-Thu.; 6:30am-11pm Fri.-Sat.; 6:30am-8pm Sun.-Thu.; 6:30am-10pm Fri.-Sat.; Hwy. 114 6:30am-9pm Sun.-Thu.; 6:30am-10pm Fri.-Sat.; Collins and Cooper 6:30am-10pm Sun.-Thu.; 6:30am-11pm Fri.-Sat. $ B L D ✹

SAINt-EMILIoN » 3617 W. 7th St., 817.737.2781. Wellconcocted country French dishes, including duck, lamb, steak tartare and fresh fish. Full bar. 6pm-9pm Tue.-Thu.; 6pm-10pm Fri.-Sat. $$$ D ( ✹ german

FoRt WoRtH

EDELWEISS » 3801 Southwest Blvd., 817.738.5934. A German food anchor in West Fort Worth for 32 years. Family operated with emphasis on fun and food, Edelweiss offers Bavarian charm and substantial fare. Dance to a live German band, complete with ritual chicken dance. 5pm-10pm Tue.-Sat. $$ D (

GREENWooD’S » 3522 Bluebonnet Cir., 817.921.6777. A great place to venture out and try some traditional German cuisine. 4pm-9pm Tue.-Thu.; 4pm-10pm Fri.-Sat.; 11am-3pm Thu.-Fri. $$ L D ( greek

FoRt WoRtH

CAFÉ MEDI » 420 Grapevine Hwy., 817.788.5110. This authentic Greek restaurant offers only the freshest of homemade recipes, including Greek salad, gyros and tasty hummus and flatbread. 11am-2:30pm, 5pm-10pm Tue.-Sat.; 11am-9pm Sun. $ L D (

GREEK HoUSE » 2426 Forest Park Blvd., 817.921.1473. Gyros, souvlaki and more in a counter-pickup eatery just right for TCU students with a need for study and sustenance. Food is fresh, well-prepared and promptly presented for customer pickup. 11am-8pm Mon.-Sat. $ L D (

JAZZ CAFÉ » 2504 Montgomery St., 817.737.0043. Funky, laid-back service and atmosphere with dependable Tex-Greek food and great music. House band plays fine jazz on Sunday. Sunday champagne brunch. 11am3pm Mon.-Fri.; 9am-3pm Sat.; 9am-2pm Sun. $ L italian

ARLINGtoN/MID-CItIES

BIRRAPoREttI’S » 668 Lincoln Square, 817.265.0588. Birraporetti’s is a perfect spot for an elegant meal. Offering pastries, breads and fine Italian food, this restaurant features live jazz and a special brunch menu served from 11am-11pm Sun.-Mon. & Wed.-Thu.; 11am-12:30am Tues.; 11am-12am Fri.-Sat. $$ L D ( ✹

ItALIANNI’S » 1601 Precinct Line Rd., Hurst, 817.281.7272. This quaint Italian bistro includes the genre standards, as well as some creative dishes like three-pepper calamari. 11am-10pm Sun.-Thu.; 11am-11pm Fri.-Sat. $$ L D ( ✹

LA BIStRo » 722 Grapevine Hwy., Hurst, 817.281.9333. Enjoyable menu with excellent pastas and other traditional menu items, including seafood. 11am-10pm Sun.Fri.; 5pm-11pm Sat. $$ L D ( ✹

MoNI'S » 1730 W. Randol Mill Road #100, Arlington, 817.860.6664. Head to Moni's for its family friendly environment and for reasonably priced Italian cuisine. 11am10pm Mon.-Sun.; $$ L D ( ✹

NIZZA PIZZA » 1430 S. Cooper, 817.274.5222. This innovative family pizza place has customers lining up around the block. 11am-10pm Sun.-Thu.; 11am-11pm Fri.-Sat. $ L D ✹

PALIo’S PIZZA CAFÉ » 5712 Colleyville Blvd., 817.605.7555. This pizza café offers interesting and highend pizza toppings. 11am-10pm daily. $ L D ( ✹

PICCoLo MoNDo » 829 E. Lamar Blvd., 817.265.9174. Don’t let the strip-center dining surprise you. Excellent service and inviting atmosphere. 5:30pm-10:30pm MonThu.; 11:30am-2:30pm Mon.-Fri.; 5:30pm-11pm Fri.-Sat.; 5pm-10pm Sun. $-$$ L D (

PRESPA'S » 4720 Sublett Road, Arlington, 817.561.7540. Other location: 3100 W. Arkansas Lane #B, Dalworthington Gardens, 817.459.2775. The ambiance at Prespa's attracts couples, families and parties. Guests can enjoy fresh Italian cuisine in their choice of a brightly lit dining room or a dimmer, more romantic setting. 11am-9pm Mon.-Thu.; 11am-10pm Fri.-Sat.; 11am-9pm Sun. $$ L D ( ✹

REFLECtIoNS oF BELLA vItA » 1507 N. Watson Road, Arlington, 817.633.0877. Located in the Admiral Hotel, guests can enjoy an elegant ambiance and a mouth-watering Italian menu. Breakfast and Lunch, 6am-2pm Sun.Sat.; Dinner, 4:30pm-10pm Mon.-Thu.; 4:30pm-11pm Fri.Sat.; 4:30pm-9pm Sun.11am-9pm Mon.-Thu.; 11am-10pm Fri.-Sat.; 11am-9pm Sun. $ B L D (

RUGGERI’S RIStoRANtE » 32 Village Ln., Colleyville, 817.503.7373. A sweeping menu that offers a full choice of Italian favorites and more. You’ll find what you want, from chicken to beef to pasta. 11am-2pm Mon.-Fri.; 5pm9pm daily. $$ L D ( ✹

FoRt WoRtH

AvENtINo » 3206 Winthrop Ave., 817.731.0711. This long-time Fort Worth favorite underwent a complete renovation and now offers modern Central Italian cuisine in a casual yet contemporary setting. Chef Derrick Paez combines traditional flavors with modern techniques making Aventino the next generation of fine Italian dining. 5-10pm Mon.-Thu.; 5-11pm Thu.-Sat. $$$ D ( BELLA ItALIA WESt » 5139 Camp Bowie Blvd., 817.738.1700. The most wild game this side of Fossil Rim. This dimly lit set of nooks and rooms is a great romantic setting, but it’s also suitable for high-powered business or low-key gatherings of friends. 11:30am-1:30pm Mon.Fri.; 6pm-9pm Mon.-Thu.; 6pm-10pm Fri.-Sat. $$ L D ( ✹

CAFÉ BELLA » 3548 South Hills Ave., 817.922.9500. The café is a busy place and known for its pizza, lasagna, salad and cheese bread. 11am-10pm Mon.-Fri.; 4pm-10pm Sat.-Sun. $-$$ L D ( ✹

FERRÉ RIStoRANtE BAR » 215 E. Fourth St., 817.332.0033. This new Tuscan-Italian eatery offers a range of dishes. For more traditional, try the Spaghettini Pomodoro, or for a heartier appetite, try the Agnello al Forno, a seared lamb loin dish. 4pm-9pm Mon.-Thu.; 4pm-11pm Fri.-Sat. $$ D T ( ✹

FoRtUNA » 5837 Camp Bowie Blvd., 817.737.4469. This little Italian restaurant is a favorite among Fort Worthians. 11am-10pm Sun.-Thu.; 11am-11pm Fri.-Sat. $ L D ( ItALIAN INN RIDGLEA » 6323 Camp Bowie Blvd., 817.737.0123. Chic and classic menu offers veal, chicken, seafood and pasta. Get ready for attentive service in a vintage underground nightclub setting, complete with singing waiters. 5pm-10pm Sun.-Thu.; 5pm-11pm Fri.Sat. $-$$ D ( LA PIAZZA » 1600 S. University Dr., #601, 817.334.0000. Upscale Italian cuisine in University Park Village Shopping Center. Dress nicely to visit this lovely (and pricey) Italian spot ... the experience is worth it. 11:30am-2pm Sun.-Fri.; 5:30pm-10pm Sun.-Thu.; 5:30pm-10pm Fri.-Sat.

$$$ L D ( ✹

MAMA’S PIZZA » 1813 W. Berry St., 817.923.3541. 5800 Camp Bowie Blvd., 817.731.MAMA This Fort Worth staple has been serving up great pizza in Fort Worth since 1968. Lunch buffet: 11am-2pm daily. Delivery through Entrees-To-Go: 11am-10pm Mon.-Thu.; 11am-11pm Fri.Sat.; Noon-10pm Sun. $ L D (

MANCUSo’S » 9500 White Settlement Rd., 817.246.7041. A westside favorite that draws crowds from all over. Consistently flavorful authentic Italian fare. Large portions served with outstanding pastas, a wonderful Italian fish fry and homemade sausages. 11am-1pm Mon.-Fri.; 4pm-9pm Mon.-Thur.; 4pm-10pm Fri.-Sat.; Closed Sun. $ L D (

MARGIE’S oRIGINAL ItALIAN KItCHEN » 9805 Camp Bowie W., 817.244.4301. 1950s-style eatery that serves pizza from a brick oven and equally fine lasagna, chicken marsala and shrimp scampi. 5pm-10pm Sun.Thur.; 5pm-11pm Fri.-Sat. $$ D ( MELLoW MUSHRooM » 3455 Bluebonnet Circle, 817.207.9677. A funky and fun 1960s ambiance good for large gatherings. Come ready to eat unique pizza. 11am10pm Sun.-Thu.; 11am-11pm Fri.-Sat. $$ L D ( ✹ MILANo’S » 3416 W. 7th St., 817.332.5226. Pizza is a big menu item, but you’ll find more than enough choices to satisfy your hunger. 11am-10pm Mon.-Sat. $ L D ( NoNNA tAtA » 1400 W. Magnolia Ave., 817.332.0250. With a weekly changing menu, this small Italian restaurant is a hidden gem that begs to be found. 11am-3pm Tue.-Fri.; 5:30pm-9pm Tue.-Thu.; 5:30pm-10pm Fri. $-$$ L D ✹

PIoLA » 3700 Mattison Ave., 817.989.0007. Nestled in Fort Worth’s Cultural District, this cozy bistro serves up true comfort food in the form of authentic Italian cuisine. For a treat, make reservations to dine on the patio. 11am2pm Mon-Fri; 5pm-10pm Mon-Sat. $$ L D (✹

PIZZERIA UNo CHICAGo GRILL » 300 Houston St., 817.885.8667. With a great location downtown and pizza you can’t find anywhere else in Texas, Uno’s Chicagostyle deep-dish pizza is a must. Don’t skip the heavenly chocolate peanut butter cup dessert! Large menu offers many choices for everyone. 10am-11pm Sun.-Thu.; 10ammidnight Fri.-Sat. $ L D

RUFFINo’S ItALIAN REStAURANt » 2455 Forest Park Blvd., 817.923.0522. A light homemade ravioli is our favorite to slip on a fork and across the table into the mouth of a close dining partner at this upscale romantic spot also known for its chicken, beef and pasta. Voted best in town by Fort Worth, Texas magazine readers. 11am-2pm Mon.-Fri.; 5pm-9pm Mon.-Thu.; 5pm-10pm Fri.-Sat. $$ L D (

tAvERNA RISottERIA » 450 Throckmorton St., 817.885.7502. Hand-tossed pizzas, risottos, pastas and entrées that include beef tenderloin, sea bass and yellowfin tuna. The bar offers beer and wine, and the bottomless mimosas are divine. Sunday brunch. 11am-10pm Sun.-Thur.; 11am-11pm Fri.-Sat. $-$$ L D T ( GRAPEvINE /SoUtHLAKE/CoLLEYvILLE

BRIo tUSCAN GRILL » 1431 Plaza Place, Southlake, 817.310.3136. Whether you want to eat in or just need that warm Italian bread to go, this restaurant has you covered. High-quality steak and house-made pastas are cooked in an authentic Italian wood oven to give you the taste of Italy. 11am-10pm Sun.-Thu.; 11am-11pm Fri.-Sat. $-$$ L D ( ✹

BUCA DI BEPPo » 2701 E. State Hwy. 114, Southlake, 817.749.MAMA. A neighborhood restaurant where guests feast on family platters of Southern Italian specialties in a boisterous, celebratory environment that recalls the supper clubs of the 1940s and ’50s. 11am-10pm Mon.-Thur.; 11am-11pm Fri.-Sat.; 11am-9pm Sun. $$ L D (

FERRARI’S ItALIAN vILLA » 1200 William D. Tate Ave., 817.251.2525. This upscale restaurant boasts authentic Italian cuisine. Owned by the Secchi family, Ferrari’s serves century-old family recipes with a modern twist. 11am-2pm Mon.-Fri.; 5pm-10pm Mon.-Thur.; 5pm-11pm Fri.-Sat. $$-$$$ L D

RAvIoLI » 120 E. Worth, Grapevine, 817.488.1181. Excellent ingredients and huge portions will satisfy the biggest appetites in your family. 11am-2pm Tue.-Sat.; 5pm9pm Tue.-Thur.; 5pm-10pm Fri.-Sat. $ L D

fwdish:listings

latin american

colleyville/fort worth

GloriA’S » Colleyville: 5611 Colleyville Blvd., 817.656.1784 L D ✹. Fort Worth: 2600 W. 7th St., 817.332.8800 L D T ✹. Arlington: 3901 Arlington Highlands Blvd., Ste. 137, 817.701.2981 L D ✹. Gloria’s offers an alternative to Tex-Mex cuisine with a dash of Salvadoran flavor. Favorites include the seafood soup, ceviche and grilled pork. Colleyville: 11am-10pm Sun.-Thur.; 11am-2am Fri.-Sat. Fort Worth: 11am-9pm Sun.-Mon.; 11am-10pm Tue.-Thu.; 11am-2am Fri.-Sat. $-$$ mediterranean

fort worth

SAPriSti! » 2418 Forest Park Blvd., 817.924.7231. Relaxed, elegant dining that features a European flair. Items include mussels and tapas, and you’ll also find risotto, duck and braised lamb shank. 5:30pm-9:30pm Tue.-Thu.; 5:30pm-10pm Fri.-Sat.; Sunday brunch from 10:30am2pm. $$ D (

ScAMPi’S MeDiterrANeAN cAfe » 1057 W. Magnolia Ave., 817.927.1887. Italian and Greek cuisine in a setting recently redecorated for romance. Counter service at lunch and full table service in the evening. BYOB. 11am2pm Mon.-Fri.; 5:30pm-9pm Wed.-Thu.; 5:30pm-9:30pm Fri.-Sat. $ L D (

the vAult » 525 Taylor St., 817.348.9828. Sample sumptuous Mediterranean cuisine and wonderful wines in a warm, European-inspired setting, and linger at the hip V Lounge Wine & Martini Bar located downstairs. Signature dishes include Vault Paella and many tempting tapas selections. 11am-11pm Mon.-Wed.; 11am-midnight Thu.-Fri.; 10:30am-midnight Sat.; 10:30am-3pm Sun. $$$$ L D ( ✹

mexican

ArliNGtoN

Abuelo'S » 1041 West I-20, 817.486.2622. The courtyard-inspired dining room at Abuelo's creates an elegant ambiance, but the prices are reasonable and suitable for a casual night out. 11am-10pm Sun.-Thu.; 11am-11pm Fri.Sat. $$ L D (✹

chuy'S » 4001 Bagpiper Way, Ste. 199, 817. 557.2489. The colorful and inviting atmosphere of Chuy's allows anyone to make themselves right at home. Guests can enjoy fine Tex-Mex cuisine for a reasonable price! 11am10pm Sun.-Thu.; 11am-11pm Fri.-Sat. $ L D T ✹ colleyville/GrAPeviNe

eSPArZA’S » 124 E. Worth St., 817.481.4668. Located in a 19th-century home in historic downtown Grapevine, this quaint little restaurant serves Tex-Mex favorites. By the looks of all the famous faces gracing the walls, you never know who will show up. 11am-10pm Mon.-Thu.; 11am-11pm Fri.-Sat.; 11am-9pm Sun. $ L D ✹ lA hAcieNDA rANch » 5250 Hwy. 121, Colleyville, 817.318.7500. Mexican food is the fare, and the grilled steaks are excellent. Don’t forget the fajitas. 11am-10pm Sun.-Thu.; 11am-11pm Fri.-Sat. $$ L D

rio MAMbo » 5150 Hwy. 121, 817.354.3124. Salad takes a new twist alongside standard Tex-Mex favorites, with the Los Cabos, a Mexican cobb salad of sorts with chicken, avocado and bleu cheese. 11am-9:30pm Sun.-Thur.; 11am-10:30pm Fri.-Sat. $$ L D ( ✹ fort worth

ANthoNy’S » 2400 Meacham Blvd., 817.378.9005. The Santa Fe-style Mexican cuisine features red and green chile enchiladas, fajitas, seafood and more, as well as a great selection of beer, wine and margaritas. 7am2:30pm Mon.-Fri.; 5pm-9pm Wed.-Sat. $ L D ✹

bAKer St. Pub & Grill » 6333 Camp Bowie Blvd., 817.377.9772. British-themed pub with a menu that offers shepherd’s pie and Scotch egg with good chutney. You’ll also find a mix of Tex-Mex with a Brit nuance thrown in for good measure. 11am-2am daily. $-$$ L D ( ✹ beNito’S reStAurANt » 1450 W. Magnolia Ave., 817.332.8633. Other location: 2516 N.E. 28th St.,

817.740.1679. Authentic Mexican fare with some Tex-Mex mixed in. Great weekend breakfast, as well. 10am-9pm Mon.-Thur., 10am-2am Fri.-Sat., 11am-9pm Sun. $$ L D cAbo GrANDe » 115 W. 2nd St., 817.348.8226. Good service plus Mexican dishes in a festive atmosphere. Enjoy ribs, snapper and fajitas outside on the patio. 11am10pm Sun.-Thur.; 11am-midnight Fri.-Sat. $$ L D ( ✹ cANtiNA lAreDo » 530 Throckmorton St., 817.810.0773. Start with the top-shelf guacamole and move on to the Enchiladas de Mole. Don’t forget to save room for the scrumptious Mexican apple pie. 11am-10pm Mon.-Thu.; 11am-11pm Fri.-Sat.; 10am-9pm Sun. $-$$ L D T ( ✹

chiMy’S cerveceriA » 1053 Foch St., 817.348.8888. Famous for its nachos and addictive margaritas, this place is a must-try for all Tex-Mex lovers. 11am-midnight Mon.Sat. $ L D ✹

chiPotle » 3050 S. Hulen St., 817.735.8355. Other locations: 3000 W. 7th St., 817.348.8530. 4484 Bryant Irvin Rd., 817.735.4506. 1312 W. Pipeline Rd., 817.595.3875. 3010 E. Southlake Blvd., 817.748.4745. Good food at a low price. Standard Mexican tacos and burritos. Everything is made to order while you watch. 11am-10pm daily. $ L D ✹

DoS GriNGoS » 1015 University Dr., 817.338.9393. The name says it all. The Tex-Mex menu is top fare in a setting that appeals to the Cultural District crowd. Their margaritas are the largest in town! 11am-9pm Sun.-Thu.; 11am11pm Fri.-Sat. $ L D ( ✹

el feNiX » 6391 Camp Bowie Blvd., 817.732.5584. More than 80 years ago, the Martinez Family pioneered what is now internationally known as the Tex-Mex food phenomenon, but they also offer many traditional Mexican food dishes that are popular south of the border. El Fenix is the oldest chain of family-owned Tex-Mex restaurants in the United States. 11am-10pm daily. $ L D ( el rANcho GrANDe » 1400 N. Main St., 817.624.9206. This family-owned and -operated Mexican restaurant has been a Cowtown favorite for more than 60 years. Fresh tortillas and chips and salsa are made from scratch daily, and the eatery is housed in a beautiful vintage 1918 restored building on the north side of Fort Worth. 11am9pm Mon.-Thu.; 11am-10pm Fri.-Sat. $-$$ L D ( eSPerANZA’S MeXicAN bAKery & cAfe » 2122 N. Main St., 817.626.5770 B L D ( ✹. Other location: 1109 Hemphill St., 817.332.3848 B L D (. The south-of-theborder fare draws neighborhood families and downtowners alike because of the friendly surroundings. It’s owned by the family that runs Joe T. Garcia’s, so you know you’re in for a good time. Bakery: 6am-7pm daily; Cafe: 6:30am6pm Mon.-Fri.; 6:30am-7pm Sat.-Sun.; 6:30am-5:30pm Mon.-Fri.; 6am-5:30pm Sat.-Sun. Hemphill. $

ferNANDeZ cAfe » 4220 W. Vickery Blvd., 817.377.2652. This family-friendly Mexican eatery offers a low-fat selection of food on its menu. 6:30am-2pm daily. $ B L D

fieStA » 3233 Hemphill St., 817.923.6941. Twenty five years in one location with the original owners. Some employees have even been here for 23 years! The brightly colored lights make for a nice ambiance. 11am-9pm Mon.Thu.; 11am-10pm Fri.-Sat. $ L D ( fuZZy’S tAco ShoP » 2917 W. Berry St., 817.924.7943. 2719 Race St., 817.831.TACO. The favorites for late nights are tacos, big burritos, great enchiladas and beer. A TCU student hot spot. 10:30am-2am Thu.; 10:30am-3am Fri.Sat.; 10:30am-midnight Mon.-Wed.; 8am-10pm Sun.; 9:15am-10pm Sun.-Thu.; 9:15am-11pm Fri.-Sat. $ B L D ✹

Joe t. GArciA’S » 2201 N. Commerce, 817.626.4356. Family-owned and -operated for three generations, Joe T.’s is a must for outside dining. Pick one of two menu choices (enchiladas or fajitas) and feast in one of the courtyards or in the fiesta gardens. Beware: The weekend rush will keep you in line for a table, but it’s well worth the wait. Cash only. 11am-2:30pm, 5pm-10pm Mon.-Thu.; 11am-11pm Fri.-Sat.; 11am-10pm Sun. $$ L D ( ✹ lA fAMiliA » 841 Foch St., 817.870.2002. Family-owned and -operated restaurant. Lunch specials are served six days a week. Good service and great Tex-Mex are served up here in large portions. 11am-9pm Mon.-Thu.; 11am10pm Fri.-Sat. $ L D

lA PlAyA MAyA » 6209 Sunset Dr., 817.738.3329. Other

locations: 1540 N. Main St., 817.624.8411. 3200 Hemphill St., 817.924.0698. Traditional Tex-Mex is well done, but the seafood is better. A must-order here is the succulent ceviche (raw fish) cooked in lime juice, then mixed with chopped tomatoes, onions, cilantro and peppers. 11am10pm Mon.-Thu.; 11am-11pm Fri.; 10am-11pm Sat.; 10am10pm Sun. $ L D ( ✹

loS MolcAJeteS » 4320 Western Center Blvd., 817.306.9000. Here, you have a tremendous amount to choose from, including various enchiladas, tostadas, fajitas, chimichangas, combination platters and a sampler platter for the lunch crowd. 11am-9:30pm Mon.-Thu.; 11am-10pm Fri.-Sat.; 11am-9pm Sun. $ L D

loS vAqueroS » 2629 N. Main St., 817.624.1511. Located across from Billy Bob’s Texas, this northside favorite is a great place for inexpensive, but absolutely delicious, Tex-Mex. You cannot find better beef fajitas. 11am-9pm Mon.-Thu.; 11am-11pm Fri.-Sat.; 10:30am-3pm Sun. $ L D ✹

MAMbo’S » 1010 Houston St. in the Park Central Hotel, 817.336.3124. A downtown favorite. Mambo’s famous tacos and incredible margaritas will keep you going back for more. Late-night dining at its best. 11am- 2pm Mon.Fri.; 5pm-midnight Tue.-Thu.; 5pm-2am Fri.-Sat. $ L D ✹

Mi cociNA » 509 Main St., 817.877.3600 L D ✹. Other location: 4601 W. Freeway (I-30 and Hulen), 817.569.1444 L D. A favorite all over the Metroplex. Nachos locos, chicken con hongos, mongo goodo and the famous Mambo Taxi that may make you "looso drunko." Easygoing cantina atmosphere. 11am-10pm Sun.-Thu.; 11am11pm Fri.-Sat. $

the oriGiNAl » 4713 Camp Bowie Blvd., 817.738.6226. Fort Worth’s oldest Mexican restaurant offers all of the traditional favorites such as warm flautas and homemade tamales in a warm, family-friendly setting. 11am-9pm Tue.-Thu.; 11am-10pm Fri.-Sat.; 11am-9pm Sun. $ L D ( PAPPASito’S cANtiNA » 2704 W. Freeway, 817.877.5546. Other location: 321 W. Road to Six Flags, Arlington, 817.795.3535. Next door to Pappadeaux, this restaurant draws large crowds with generous helpings of Tex-Mex food. The quality is the best, the portions are huge, and the service is impeccable. 11am-10pm Sun.Thu.; 11am-11pm Fri.-Sat. $$ L D ( ✹ all locations PuliDoS » 5051 Hwy. 377 S., 817.732.7871. Other locations: 2900 Pulido St., 817.732.7571. 4924 Old Benbrook Rd., 817.731.4241. Classic Mexican restaurant offering everything from enchiladas to crispy tacos. 11am-9:30pm Mon.-Thu.; 11am-10pm Fri.-Sat. $ L D ( ✹ rio MAMbo » 6125 I-20 at Bryant Irvin Rd., 817.423.3124. Salad takes a new twist alongside standard Tex-Mex favorites, with the Los Cabos, a Mexican cobb salad of sorts with chicken, avocado and bleu cheese. 11am-9:30pm Sun.-Thu.; 11am-10:30pm Fri.-Sat. $$ L D ( ✹ treS JoSeS cociNA MeXicANA » 4004 White Settlement Rd., 817.763.0456. Decidedly creative menu with a range of choices, from chargrilled chicken breast to grilled shrimp, fancy tamales stuffed with sirloin and topped with tomatillo salsa. 11am-9pm Tue.-Thur.; 11am10pm Fri.-Sat.; 11am-9pm Sun.; Closed Mon. $$ B L D ( uNcle Julio’S » 5301 Camp Bowie Blvd., 817.377.2777. A West Fort Worth cult eatery, and it’s easy to see why. This national chain has blended the best parts of Southwestern cuisine with Mex and Tex-Mex, giving guests a flavorful dining experience. 11am-10:30pm Sun.-Thu.; 11am-11:30pm Fri.-Sat. $$ L D ( ✹ SouthlAKe

Mi chulA’S » 1431 Southlake Blvd., Ste. 551, 817.756.6920. Featuring popular Mexican dishes, Mi Chula's has adapted classic recipes to offer guests a menu with a flavor all its own. Perfect for families or working professionals, Mi Chula’s offers good food in a relaxed setting. 11am-9pm Sun-Thu.; 11am-9:30pm Fri. & Sat. $$ L D ✹

willow PArK

loS vAqueroS » 4971 E. I-20N, 817.441.1551. Sister restaurant to Los Vaqueros in the Stockyards, this has the same menu with a more laid-back, family-friendly atmosphere. 11am-9pm Sun. & Tue.-Thu.; 11am-10pm Fri.-Sat. $-$$ L D ( ✹

seafood

Dine. Shop. Explore.

Flowers to Go and Marie Antoinette From gerberas to roses, to the most exotic tropicals, fragrances from the Houses of Creed, Jivago, Annick Goutal, luxurious body care and much more can be found on your “scentsational” safari. Indulge yourself in the legacy of Paris at Marie Antoinette’s and her Flowers to Go. And when the object is relaxing or muscle tension relief enjoy the privacy of our massage therapy spa “In the Loft.” 817.332.2888/339.2555 flowerstogofw.com and marieantoinettespa.com

Uno Chicago Bar & Grill Chicago’s original deep dish pizzeria is right in the heart of Sundance Square. Uno has surrounded its famous deep dish pizza with many colorful and exciting menu items. New favorites include Lemon Basil Salmon, Chicken Gorgonzola, Baked Stuffed Chicken, Classic Cobb Salad and organic flatbread pizzas. At lunchtime Uno offers a variety of items that will be served within ten minutes. Uno’s full service bar has many excellent signature drinks that compliment any meal. After the show, stop in for a slice of cheesecake or try Uno’s award winning Deep Dish Sundae. A fast and friendly staff is eager to serve you. For call ahead seating or to book a large party, please call 817-885-8667.

your guide to local flavor

Arlington

Fish City grill » 3900 Arlington Highlands Blvd., 817.465.0001. This casual restaurant offers tasty treats from the sea at tasty prices. Try the blue crab stuffed mushrooms or the Fish City sandwich. 11am-10pm Mon.Thu.; 11am–11pm Fri.-Sat.; 11am- 9pm Sun. $-$$ L D ✹ Fort Worth

DADDy JACK’s » 353 Throckmorton St., 817.332.2477. The attentive servers and the expertly cooked dishes make for a wonderful dining experience. Crab cakes with big chunky pieces that are hard to come by. Lobster tail and the catch of the day are the main attractions of the seafood house in the heart of the Wild West. 11am-2pm Mon.-Sat.; 5pm-10pm Sun.-Thu.; 5pm-10:30pm Fri.-Sat. $$ L D T ( ✹

EDDiE V’s » 3120 W. 7th St. 817.336.8000. This fine-dining establishment is perfectly nestled in Fort Worth’s Cultural District. Diners can expect an award-winning menu with selections that are flown in daily, as well as an extensive wine list offering American and European vintages. Open daily at 4pm. $$$$ D T (✹

J&J oystEr BAr » 612 N. University Dr., 817.335.2756. The Oyster bar is the best place where locals go for oysters, scallops and the best seafood gumbo in town. 11am10pm Sun.-Thu.; 11am-11pm Fri.-Sat. $ L D ✹

lonE stAr oystEr BAr » 4750 Bryant Irvin Rd., 817.370.0030. Seafood lovers shouldn’t leave this place without trying the tasty oysters. A fun place to unwind after a long day at the office or outside in the Texas sun. The daily specials are excellent, as well. 11am-2am Tue.-Sat.; 11am-midnight Sun.-Mon. $ L D ( ✹

PAPPADEAUX » 2708 W. Freeway, 817.877.8843. Other location: 1304 E. Copeland Rd., Arlington, 817.543.0544. Basic New Orleans-themed chain, but hardly pedestrian on the palate. Keep in mind, the Arlington location is one of the busiest spots in the county, especially when the neighboring Texas Rangers are in town. 11am-10pm Sun.Thu.; 11am-11pm Fri.-Sat. $$ L D ( ✹

rAZZoo’s » 318 Main St. in Sundance Square, 817.429.7009. Other location: 4700 Bryant Irvin Rd. in Cityview, 817.292.8584. Why go to Mardi Gras when you’ve got Razzoo’s at home? Less fancy than the competition, they offer Louisiana favorites, as well as specialty drinks, like hurricanes, gator punch and worm burners. 11am-11pm Sun.-Thur.; 11am-2am Fri.-Sat. $$ L D ✹

roCKFish » 3050 S. Hulen St., 817.738.3474. A seafood lover’s paradise in a good people-watching place. Tender pastas complement all the seafood choices, and the raspberry margarita is too tasty for words. 11am-9pm Sun.Thu.; 11am-10pm Fri.-Sat. $$ L D ✹

ZEKE’s Fish & ChiPs » 5920 Curzon Ave., 817.731.3321. This Fort Worth staple serves up something different than the Southern battered fish fry. Modeled after English fish and chips. 11am-9pm Mon.-Thu.; 11am-11pm Fri.; 10am11pm Sat.; Noon-9pm Sun. $ L D ✹ soUthlAKE

Fish City grill » 2750 E. Southlake Blvd., Ste. 130, 817.748.0456. This casual restaurant offers tasty treats from the sea at tasty prices. Try the blue crab stuffed mushrooms or the Fish city sandwich. 11am-10 pm Mon.Thu.; 11am-1pm Fri.-Sat.; 11am-9pm Sun. $-$$ L D ( ✹

trUlUCK’s sEAFooD, stEAK & CrAB hoUsE » 1420 Plaza Pl., 817.912.0500. It’s all about the fresh seafood and tender crab at Truluck’s which features a weekly changing menu. 5pm-10pm daily. $$$ D T ( southwest

Fort Worth

BlUE MEsA BAr & grill » 1600 S. University Dr., 817.332.6372 L D ( ✹. Other location: 158 E. Southlake Blvd., Southlake, 817.416.0055 L D ✹. Escape Tex-Mex fever and opt for superb Southwestern cuisine in this favorite University Park Village haunt. Low-fat menu choices make it easy for the calorie counters. Their popular happy hour provides delicious quesadillas with drinks. One of the best brunches you’ll ever eat. Fort Worth: 11am-10pm Mon.Thu.; 11am-11pm Fri.-Sat.; 10am-10pm Sun.; Southlake: 11am-9pm Mon.-Thu.; 11am-10pm Fri.-Sat.; 10am-9pm Sun. $$

BonnEll’s FinE tEXAs CUisinE » 4259 Bryant Irvin Rd., 817.738.5489. Wonderful Texas game dishes, fresh grilled seafood, steaks and chops. Something for every taste, like the grilled trout with mango salsa. Draws an upscale crowd both dressy and casual. Extensive wine list. 11am-2:30pm Tue.-Fri.; 5:30pm-10pm Tue.-Sat. $$$ L D (

lAnny’s AltA CoCinA MEXiCAnA » 3405 W. 7th St., 817.850.9996. Don’t go in expecting traditional enchiladas and tacos. Instead, enjoy multiple courses of nouvelle Mexican cuisine from a fourth-generation member of the Joe T. Garcia family. 11:30am-2:30pm Tue.-Fri.; 5:30pm10pm Tue.-Thu.; 5:30pm-10:30pm Fri.-Sat. $$$ L D ( ✹ lonEsoME DoVE WEstErn Bistro » 2406 N. Main St., 817.740.8810. A white-tablecloth dining establishment in the heart of the Fort Worth Stockyards. Chef/owner Tim Love has brought together a collection of dishes that reflects the spirit of food from the traditional and new Southwest. We suggest the duck quesadillas and the coffeerubbed kangaroo tail. 11:30am-2:30pm Tue.-Sat.; 5pm10pm Mon.-Thu.; 5pm-11pm Fri.-Sat. $$$ L T ( ✹ MiChAEls rEstAUrAnt & AnCho ChilE BAr » 3413 W. 7th St., 817.877.3413. Michaels Restaurant & Ancho Chile Bar serves up contemporary Southwestern cuisine, a comfortable atmosphere and an extensive list of fine wines. The Chile Bar offers its own unique menu. 11am2:30pm Mon.-Fri.; 5:30pm-10pm Mon.-Wed.; 5:30pm11pm Thur.-Sat. Chile Bar hours: 11am-11pm Mon.-Wed.; 11am-1am Thu.-Fri.; 5pm-1am Sat. $ L D ( ✹ rEAtA » 310 Houston St., 817.336.1009. A garden bar three stories above downtown and two stories of dining make this one of the most popular tickets in Fort Worth. Well, that, and an innovative menu that includes such palate-pleasing favorites as smoked quail on cheese grits, chicken-fried steak and a chili relleno stuffed to the gills with cheese. The crowd is lively and the waitstaff is unmatched. 11am-2:30pm, 5pm-10:30pm daily. Bluegrass Brunch 11am-2pm Sun. $$ L D T ( ✹

steaks

Arlington

MAC’s stEAKs & sEAFooD » Arlington: 6077 I-20 W., 817.572.0541. Fort Worth: 2600 W. 7th St., Ste. 153, 817.332.6227. Colleyville: 5120 Hwy. 121, 817.318.6227. Trendy but casual pub featuring steaks and seafood. 10am-10pm Sun.; 11am-10pm Mon.-Thur.; 11am-11pm Fri.Sat. $-$$ L D (

trAil DUst stEAK hoUsE » 2300 E. Lamar Ave., 817.640.6411. The large and lively atmosphere make this a good place for a night out with the family. They serve a wide variety of steaks and have a tasty appetizer selection, to boot. 11am-10pm Sun.-Thu.; 11am-11pm Fri.-Sat. $$$ L D ( ✹

Fort Worth

BoB’s stEAK AnD ChoP hoUsE » 1300 Houston St., 817.350.4100. One of the top steak houses in the country, Bob’s Steak and Chop House, has come to Fort Worth and is located inside of the Omni Fort Worth Hotel. You’re sure to become a regular after experiencing their stellar service, extensive wine list and quality food in an upscale atmosphere. 5-10pm Mon.-Thu.; 5-11pm Fri. and Sat.; Closed Sun. $$$$ D T (

CAttlEMEn’s stEAK hoUsE » 2458 N. Main St., 817.624.3945. In the Stockyards since 1947, Cattlemen’s is a beef institution where you choose your steak from the glass butcher case. If you’re not a red-meat eater, there is a good selection of superb seafood and chicken. 11am10:30pm Mon.-Thu.; 11am-11pm Fri.-Sat.; 1pm-9pm Sun. $$$ L D (

DEl FrisCo’s DoUBlE EAglE stEAKhoUsE » 812 Main St., 817.877.3999. A Fort Worth/Dallas legend. The meat is great, and so is the service. Don’t hesitate to try the fish or the mock turtle soup made with beef and sherry. A perfect special-occasion dining location. 5pm-10pm Mon.-Thu.; 5pm-11pm Fri.-Sat.; 5pm-9pm Sun. $$$ D T (

FUEgo » 6333 Camp Bowie Blvd., 817.377.4400. Try chef/ owner Efrain Benitez’s Queso Fuego. This dish, ignited tableside, features cheese, jalapenos and ground beef. 11am-3pm Mon.-Fri.; 5pm-10pm Mon.-Sat. $$$ L D ( ✹ grACE rEstAUrAnt » 777 Main St., 817.877.3388. With

Saturday, October 24, 2009

9:00am-4:00pm Beautiful Bosque Bottoms Campgrounds

fresh, bold flavors and high-quality ingredients, Grace serves modern American classics on its protein-driven menu. 5:30pm-9:30pm Mon.-Thu.; 5:30pm-10:30pm Fri.Sat. Bar Hours 4pm-11pm Mon.-Thu.; 4pm-midnight Fri.; 5:30pm-midnight Sat. $$$$ D T ( ✹

H3 RANCH » 109 E. Exchange Ave., 817.624.1246. The bunkhouse feel lends a special Stockyards flavor to roast pork Southern-style, and be sure to try a gooey caramely dessert served in a skillet or a flaming steak with 150-proof fuel. The huge open hickory grill gets your attention right away. 11am-10pm Mon.-Thur.; 11am-1am Fri.; 9am-1am Sat.; 9ama-10pm Sun. $$$ L D T (

HOFFBRAU » 1712 S. University Dr., 817.870.1952. A relaxed setting that serves up good steaks, chargrilled pork chops, bacon-wrapped shrimp, fried pickles and banana pudding. 11am-10pm Sun.-Thu.; 11am-11pm Fri.-Sat. $$ L D ( ✹

THE KEG STEAKHOUSE & BAR » 576 S.W. Loop 820, 817.731.3534. Other location: 4001 Arlington Heights Blvd., #101, Arlington, 817.465.3700. The fireplace makes it cozy, but the food makes it better, especially the oddball, round “baseball steak.” Try the bacon-wrapped scallops with a zesty cocktail sauce or the grilled top sirloin. Fort Worth: 4pm-11pm Sun.-Thur.; 4pm-1am Fri.-Sat. Arlington: 11am-10pm Sun.-Thur.; 11am-11pm Fri.-Sat $$$ D ( LAmBERT’S » 2731 White Settlement Rd., 817.882.1161. Lambert’s serves bold ranch cuisine in a big city setting. Enjoy country cooking and live music on Friday and Saturday nights. 5pm-10pm Mon.-Thu.; 5pm-11pm Fri.-Sat.; 11am-3pm Sun. $$ D T ( ✹

mERCURY CHOP HOUSE » 301 Main St., 817.336.4129. The menu is the only way to describe this place of beef tenderloin Oscar, Dijon-crusted pork chops, truffled polenta and halibut over a roux of Kalamata olives and Roma tomatoes. 11am-3pm Mon.-Fri.; 5pm-10pm Sun.-Thur.; 5pm-11pm Fri.-Sat.; 11am-3pm Sun. $$$ B L D T ( ✹ m&m STEAKHOUSE » 1106 N.W. 28th St., 817.624.0612. This restaurant may be small, but the steaks sure aren’t. Try one of these huge slabs of meat smothered in a garlic sauce. The food is excellent. Cash only. 5pm-11pm Tue.Sat. $$ D (

RISCKY’S STEAKHOUSE » 120 E. Exchange Ave., 817.624.4800. A true Old West décor serving Texas-size steaks of certified Angus beef. Originally frequented by visiting ranchers, cowboys and cattlemen involved with the Stockyards and livestock business, making them famous for their calf fries and excellent steaks. 11am-9pm Sun.-Mon.; 11am-10pm Tue.-Thur.; 11am-11pm Fri.-Sat. $$-$$$ L D (

RUTH’S CHRIS » 813 Main St., 817.348.0080. Ruth’s Chris famous steaks are seared to perfection at 1800 degrees and topped with fresh butter so they sizzle all the way to your table. 5pm-10 pm Mon.-Thu.; 5pm-11pm Fri.-Sat.; 5pm-9:30 pm Sun. $$$ D T (

SHULA’S 347 » Sheraton Hotel, 1701 Commerce St., 817.870.2700. Named after Hall of Fame football coach Don Shula, this high-end steakhouse with a sporty flair offers everything from salads to burgers to its famous Shula Cut steaks. 6:30am-10pm Sun.-Thu.; 6:30 am-11pm Fri.Sat. $$ B L D T (

SILVER FOX STEAKHOUSE » 1651 S. University Dr., 817.332.9060. Other location: 1235 William D. Tate, Grapevine, 817.329.6995. Prime veal, steak salads and off-thecob cream corn are a few of the favorites on this menu of upscale Western chophouse fare. Popular for gatherings, as well as a heckuva steak. 4pm-10pm Mon.-Sat. $$$ D T (

GRAPEVINE /SOUTHLAKE/COLLEYVILLE

J.R.’S STEAKHOUSE » 5400 Hwy. 121, 817.355.1414. The menu has plenty of steaks and seafood to choose from, but reasonably priced first courses and salads could easily pass for small entrées. J.R.’s draws a more casual crowd, but there is nothing casual about the food. Wine lovers will also be pleased to find a number of bottles priced in the $30 to $80 range. You will also find live music nightly in the adjoining bar. 4pm-lounge; 5pm-10pm Mon.-Sat.; Closed Sun. $$$ D T (

KIRBY’S STEAKHOUSE » 3305 E. Hwy. 114, Southlake, 817.410.2221. A fine dining experience featuring primeaged, bone-in ribeye and pepper steak. Excellent seafood, as well. 4:30pm-10pm Sun.-Thu.; 4:30pm-11pm Fri.Sat. $$$ D T (

fwflashback

Former TCU football captain Lindy Berry practicing at Amon G. Carter Stadium

True to Form

With TCU being picked to win the 2009 Mountain West Conference, a brief look back at another winning time under coaching genius Dutch Meyer reminds fans of their proud Horned Frog history. Lindy Berry was voted All-American First Team and All-Southwest Conference in 1949 right before he was drafted to play professionally for the Edmonton Eskimos. He flourished under Meyer, who had the greatest number of victories in TCU history.

Photo courtesy of the Fort Worth Star-Telegram Collection, Special Collections, The University of Texas at Arlington Library, Arlington, Texas

901 Highway 114 E. 817.416.3100

www.parkplacetexas.com

Making the Grade

For Southlake resident Dr. David Faltys, making the grade isn’t something he simply aspires to, it’s his life’s work. As the superintendent of Carroll ISD, Faltys oversees operations and maintains the academic reputation of the exemplary school system. It comes as no surprise then that when selecting a new vehicle for his wife, Jennifer, the school administrator put his trust in the same dealership that has been serving as a gracious, supportive sponsor to his ISD for several years—Park Place Lexus Grapevine.

Boasting ample room, luxurious comfort and some pep in its step, the Faltys’ Certified Pre-Owned Lexus LX 470 is the ideal vehicle for a busy mom of four. And though Faltys and his wife were slow to initially make their decision—he jokes that the car-shopping experience was a three-year process—he is quick to acknowledge the patient, accommodating, friendly service of the dealership. “They were always very welcoming, very free with information. And if we weren’t ready to do something, they always thanked us for coming, and they let us know they’d be happy to help with anything.”

Such unparalleled quality service has earned the dealership an A+ rating from this school administrator and has undoubtedly made Faltys a loyal Park Place customer.

Turn static files into dynamic content formats.

Create a flipbook