

























![]()






























Plaza Medical Center of Fort Worth was awarded the 2008 Texas Workforce Commission Employer of the Year Award. This award honors employers who are actively involved with their local workforce and have made a positive impact on employees and the community. Plaza Medical Center is an equal opportunity employer, and has invested heavily in its people and the overall workplace environment. The Employer of the Year Workforce Award recognizes the use by an employer of creative and innovative approaches to the recruiting, training and retention of workers, as well as the upgrading of their skills.

A t X t O E n E rgy, our spirit of independence has led us to seek out opportunities that others may have overlooked. As a result, our shareholders have recognized the benefits of our high expectations and hard work. We’ve built a strong company around great people, becoming one of the largest owners and producers of energy resources in America. We are proud of our successes and our team. As we forge ahead, we’ll continue our commitment to do what we do best:




36 Uncorked: A Winery Guide to Fort Worth
Local winemakers are turning out small batches of sophisticated wines with Texas-grown grapes. What’s your house wine?
by Laura Samuel Meyn
52 An Unconventional Breed
The nontraditional career paths of seven local women by Gail
60 Cosmetic Surgery
Cosmetic Quick-Fix: 10 easy, affordable and virtually painless ways to turn back the clock for a happier, healthier and more confident you!
by Maggie Tarwater

This spring, we gain inspiration from the performing arts in Fort Worth and pair exquisite artistry with poetic fashion. Styling ranges from delicate chiffon gowns that mimic the graceful melodies performed at the Van Cliburn Competition to the whimsical floral patterns that coincide with the symphonic excellence of the Fort Worth Symphony Orchestra.









The Rise and Fall of Alcohol: As Six Flags Over Texas begins to serve alcohol for the first time, Heywood ponders the double standards and paradoxes of booze and the boozehounds who consume it.
Banned Smoking, But You Can Still Take Your Kids?
columnist’s nose turns south by southwest toward Hico’s Texas Steak Cook-Off, Beef Symposium and Tourist Trap as the aroma of

In the locker room and on the field as a female sports anchor by Gina Miller, sports anchor for TXA21 and CBS11
The cheat sheet for all news worth repeating in and around Tarrant County 20 Business
The latest on Fort Worth’s business climate, power players and entrepreneurs, as well as Q&As with industry leaders
A look inside the world of performing arts, museums, local artists and musicians

Go Pink: Pink is one of the season’s standout trends with several variations of the color by Kelly Dragues
28 Health and Beauty
Spring Back to Your Youth: 10 products to keep your skin looking its youngest
30 Active Lifestyle
Sail Away: Enjoy a swift but safe sailboat adventure on the J/105 and J/80 crafts of B Sailing Club near Houston. by Diana Bloxom
32 Cooking
Spring Frenzy: Easy Family Meals for the Busy Month of May by Judie Byrd

Behind the ropes and on the red carpet, the photos of the personalities and parties that have everyone fwevents 101
From the must-see live concert to the highly esteemed art exhibit, a month of events worth checking out fwdish
107
Now Open A peek inside new culinary ventures in and around town
110 Restaurant Review
Our resident critic dishes on the area’s most notable restaurants
112 Restaurant Listings
The most sought-after restaurant guide to navigate Fort Worth’s growing dining scene flashback
128
The backstory behind the people and events that shaped our city



All Saints Medical Center Cardiac Catheterization Lab
Now, advanced heart care is even closer to home. The Baylor All Saints Medical Center Catheterization Lab has expanded to deliver responsive heart treatment—when you need it most. With completion of our new Cath Lab, we’re offering advanced technology to provide each patient quality care. In fact, we are one of the few centers in Texas now using the Stereotaxis Magnetic Navigation System. Because when it comes to caring for your heart, there’s no place like Baylor All Saints. Call 1-800-4BAYLOR to learn more.

Freelance writer and editor
Laura Samuel Meyn specializes in food, entertaining, the arts and related lifestyle topics; her work has appeared in Bon Appétit, 805 Living, Directions and the Star-Telegram. After moving to Fort Worth in 2007, meyn launched the Meatless in Cowtown blog, chronicling her search for noteworthy vegetarian fare. To see more of her work, visit laurasamuelmeyn.com.

Camille Torres is senior associate editor at a custom publishing company and moonlights as a freelance magazine writer and business copywriter. Specializing in food, fashion and shelter writing, she has penned numerous articles for national, regional and local magazines. She is the former editor of a monthly city magazine in California and has worked as the assistant editor of two national shelter publications. Camille graduated from TCU while attending the Culinary School of Fort Worth. In her spare time, she enjoys creating new healthy recipes to enjoy with her husband, matt.

Gail Bennison loves to talk a lot (no surprise to anyone she’s interviewed), and she loves writing about the people of Fort Worth. A daughter, son and two grandchildren have her heart, while two Yorkies, Sonny and Cher, and a blind Westiehuahua serve as daily muses. “I’m happy that Fort Worth, Texas magazine agrees with my personal philosophy: It’s not the “who, what, when, where or why” in a people profile. It’s the “how” it makes the reader feel that truly counts.”
Do you have a story idea for the magazine or are you interested in writing for us? If so, please send all inquiries, queries or story ideas to Amy Hallford-Turman, editor, at ahallford@fwtexas.com.
publisher hal a. brown
associate publisher diane stow
[editorial]
editor amy hallford-turman
assistant editor jennifer casseday-blair
senior art director craig sylva
art directors spray gleaves, ed woolf
food editor judie byrd
food critic camille torres
staff writer gail bennison
writers laura samuel meyn, m aggie tarwater, camille torres
columnists heywood, jody dean, shauna glenn
editorial interns alicia berger, diana bloxom, katie martinez, alex zobel
staff photographer jason kindig
photographers sandy tomlinson
photography intern chris spalding
director of promotions heather davis
[advertising]
main line 817.560.6111
advertising director diane stow x131
senior account executive gina burns-wigginton x150
account executive gail cannon x141
account executive marion c. knight x135
account executive candis low x155
account executive medley regan x126
advertising writers shalene roberts
advertising intern lauren pope
[circulation]
accounting manager evelyn shook office manager kelly dragues
founding publisher mark hulme
To subscribe to fort worth, texas magazine, or to ask questions regarding your subscription, call 800.856.2032.
fort worth, texas: the city ’s magazine is published monthly by fort worth, texas m agazine Venture, LP, 6777 Camp Bowie Blvd., Suite 130, Fort Worth, Texas 76116.
Basic subscription price: $23.95 per year. Single copy price: $3.95. Application to mail at periodical postage rates is pending at Fort Worth, Texas. P oST m AST er: Send address changes to fort worth, texas, 6777 Camp Bowie Blvd., Suite 130, Fort Worth, Texas 76116.
©2008 Fort Worth, Texas magazine Venture, LP. All rights reserved.
No part of this publication may be reproduced without written permission from the publisher.
how to contact us
For questions or comments concerning editorial content, contact Amy Hallford-Turman, editor, at 817.560.6140 or via e-mail at ahallford@fwtexas.com.



you talk, we listen

"Fort Worth has always been known for its generosity, but it was truly inspiring to read the six stories about individuals who gave up their time, the comforts of home, and the potential risk to their own lives to help those in the world who need assistance the most."
Congresswoman Kay Granger on our feature "On a Mission"


“I have always enjoyed the magazine, but the April issue particularly stood out. The new redesign of the magazine is a great reward not only to its readers, but the staff for their dedication and hard work. Also, after reading “On a Mission” by Gail Bennison, I could not have been more proud of our community. Fort Worth has always been known for its generosity, but it was truly inspiring to read the six stories about individuals who gave up their time, the comforts of home, and the potential risk to their own lives to help those in the world who need assistance the most. I have always been proud to call Fort Worth home, and this article is just one more reason why.”
Congresswoman Kay Granger
I just received my copies of the April issue, and it looks fabulous. I just love your publication. Always classy and well done.
Leslie Bardo,
Director of Marketing Realty Capital Corporation

I like the new look of the magazine. It’s a tough business. You’ve got to figure out how you’re going to attract all your reader bases. How do you get the younger generation to look at a hard magazine cover? Everything they read is Internet-based, so you’ve got to do something to get them to pick it up. That’s the biggest challenge for the layman here looking at it.
Vicki Dickerson, President and CEO of The Projects Group
The new magazine layout is fabulous! Congratulations!
Alicia Jenkins, Director of Development
Ronald McDonald House of Fort Worth
Talk to us We welcome all suggestions, comments and questions about Fort Worth, Texas magazine and the articles we publish. Send comments by visiting fwtx.com. Letters may be edited for length and clarity.

Are you looking for a new physician? If you missed the April Top Docs issue, we have the entire Top Docs list on the Web site. Approximately 3,000 area physicians were mailed a survey from Fort Worth, Texas magazine and asked to name the best doctors in Tarrant County. Through an online voting process, medical professionals cast their votes for the top surgeons, doctors and physicians. Browse a listing of 336 of the area’s best physicians in 41 specialties as voted by their peers.
Calling all party-goers! Did your picture appear in the magazine and now you would like to obtain a copy? If so, log on to fwtx.com, visit Snapshots, where you will find an archive of party pics taken throughout the year, and purchase your photo. It’s that easy.

If you are a faithful follower of Judie Byrd’s recipes in the Cooking department featured in the magazine, you won’t want to pass up the opportunity to access her secret recipes and cooking tips, which are only available at fwtx.com. Just look for Cooking with Judie Byrd.
As the college semester comes to an end, have you found yourself without a summer internship? If you are interested in pursuing a field in art, editorial, advertising or marketing/promotions, we just might have a position for you. If you would like to pursue an internship with Fort Worth, Texas magazine, please log on to fwtx.com to submit your resume.

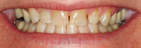
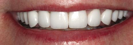
Your smile is more than just a response; it’s the symbol of your personality and the centerpiece to your overall look. As a pioneer in the field of cosmetic dentistry, Dr. Mitch Conditt combines technical skill with artistic vision to create a smile that will represent who you are and fit your lifestyle aspiration.
An instructor to thousands of dentists from all over the world, Dr. Conditt takes a great deal of pride in having built a practice where patients—like you—feel rejuvenated simply because of the amount of care and experience that has been invested in their personal smile needs.
Contact Dr. Conditt’s practice today to schedule your smile consultation. We are ready to help you start the journey to a smile that is unlike any other.

I’ve always had a love affair with fashion. But don’t be mistaken—achieving stylista status (we use this term loosely) was not an easy feat. I, too, have had my “Devil Wears Prada” makeover: facials, highlights, high heels, tailored clothes and designer handbags. (Some would argue that my makeover could use a little more time.) But trust me, you do not want to see what I looked like just a little more than a decade ago—I had severe acne and bushy eyebrows that would have made Bert on “Sesame Street” thankful for his unibrow. But thanks to a former model friend of my mother’s, I had my first beauty “aha!” moment when she introduced me to tweezers. Now, as an editor, I get to rub shoulders with the best beauty and fashion pros in the area, some of who (namely my friends at Halo Salon and Color Lab) generously donated their time, talent and advice to making this
year’s spring fashion spread (“Repertoire of Spring Fashion,” page 46) an exquisite piece.
Arriving during a season of lavish festivals and grand works on stage, the cover story takes up the subject of arts, though not from the angle you might be accustomed to. This year’s Women’s Issue is largely dedicated to the crossover artist in all of us who use fashion and beauty to explore ourselves. From the top trends you really do need to know for spring (“Color Me Pink,” page 26) and skin care in a bottle (“Spring Back to Your Youth,” page 28), to 10 easy cosmetic quick-fixes (“Cosmetic Quick-Fix,” page 60) and a glamorous style piece that uses Fort Worth’s performing arts as inspiration, this issue was tailor-made for the aspiring stylista in all of us.
And while we are on the subject of aspirations and inspiration, let me introduce you to seven extraordinary women who have chosen rather surprising career paths. From the trail boss of the Fort Worth Herd in the Stockyards to an FBI Special Agent to the CEO of a Private Investigation Service, “An Unconventional Breed” (page 52) epitomizes the high caliber of women only found in Fort Worth. Inspiration by example is only one of the many ways this issue might enliven you and/ or motivate you to do something you never thought possible.
So curl up with the May issue and a glass of wine, or take a seat at one of the flourishing local wineries listed in our wine lovers’ guide (“Uncorked: A Winery Guide to Fort Worth,” page 36), and prepare to be empowered.

Amy Hallford-Turman Editor




After years of supporting her creative vision and entertaining her loyal Fort Worth fan base, April Geesbreght released her latest album, Big Fire, in June with high hopes for success. The album delivers 11 solid tracks of a polished brand of folky pop rock. For more information, turn to page 22.

SundanCe Square’S four day weekend, a comedy troupe specializing in improvisation, recently sold a television series to 20th Century Fox. Two of Four Day Weekend’s founders, David Wilk and Frank Ford, have been tapped to consult, write and produce on the untitled project, which is currently in development. When asked about the project, Wilk said, “After 12 years and 3,400 shows, we’re an overnight success.”
Sixty yearS after the LaGrave fieLd fire, CatS StiLL SCore where the oriGinaL home pLate onCe Sat
LaGrave fieLd has endured quite a lot to serve as home to the Fort Worth Cats throughout two different baseball eras. Having survived a depression, a war, a fire, a flood and complete deconstruction and reconstruction, LaGrave seems to be nothing short of infallible.
This year marks the 60th anniversary of a fire that blazed among the ballpark in 1949. “Are you kidding me?” recalled Bobby Bragan of his initial response after receiving a midnight call from someone he didn’t know. The caller said a fire was destroying LaGrave Field. Also known as “Mr. Baseball,” Bragan embarked upon his first managerial position with the Cats from 1948-1952 after serving as a back-up catcher on the Brooklyn Dodgers.

“The steel was still warm and everything,” said Bragan of the day following the fire. That same afternoon, the Cats played their scheduled game against San Antonio. Bringing folding chairs and finding places to sit around the rubble, fans didn’t let the fire get them down. “About 2,500 fans came out,” Bragan remembers.
LaGrave Field was torn down in 1967 while the Cats played on under their new title, the Dallas/Fort Worth Spurs, at the recently constructed Turnpike Stadium.
LaGrave Field and the Cats had been gone almost 40 years when current owner Carl Bell put Fort Worth minor-league baseball back in business. Reviving boyhood memories of attending games at the old LaGrave Field, Bell built a new field in 2002 where the original park once stood. Now, players score again on a home plate that sits exactly where it did in 1926. Cats such as Bragan, Duke Snider, Maury Wills, Sparky Anderson, Carl Erskine and Rogers Hornsby have all run the bases on Fort Worth’s own infallible field.
—Diana Bloxom


WHolesale Beer disTriBUTors of Texas figHT To prevenT Beer sales in BreWeries
The small breweries of Texas, including Fort Worth-based Rahr and St. Arnold’s of Houston, are going up against the Wholesale Beer Distributors of Texas. Two proposals are currently in committee, the first sponsored by Rep. Lon Burnam, D-Fort Worth. Burnam’s proposal would permit beer sales at the breweries. The other proposal, submitted by Rep. Jessica Ferrar, D-Houston, would allow visitors to receive up to 48 12-ounce bottles to go,
but only with the purchase of a tour package.
Ferrar’s bill has been granted a hearing, but Texas artisanal brewers may have reason to shake in their boots. The industrial Wholesale Beer Distributors of Texas could use their influence to keep Ferrar’s proposal out of committee vote. Though the breweries claim they seek a change in law only to inspire future sales at supermarkets and liquor stores, the Wholesale Beer Distributors of Texas assert that the proposal could upset current commerce structure and law.
—Diana Bloxom

NeeLe Y SCHooL oF BUSINeSS STUDeNTS TAKe FIRST PLACe AT ANNUAL Re AL eSTATe CHALLeNGe
TCU gradUaTe sTUdenTs Ryan Johnson, Amber Cancel, Aaron Duncan, Jack Parker and Ben Wyatt took first place at the Fourth Annual Texas Shoot-Out Real Estate Challenge. This year’s winners produced the most effective plans and will split the $10,000 grand prize.

The TCU team was initially unaware that the development assigned was an actual project for a prime piece of land in The Woodlands, which is just north of Houston. This year’s project, 21 Waterway, is a seven-story, 103,000-square-foot office building containing restaurant and retail space that serves as a major civic plaza and gathering place.
The event’s goal each year is to bring university real estate centers closer to the North Texas real estate community. This year, the judges were made up of a panel of 10 real estate executives from the area’s top real estate firms. The other competing teams included the University of Texas, Southern Methodist University, Texas Tech University, Rice University and Baylor University.
—Jennifer Casseday-Blair
Holding its spot on the New York Times’ paperback best-seller list for more than a year, Same Kind of Different As Me reveals an unlikely and inspirational friendship between Ron Hall, a local upscale art dealer, and Denver Moore, a homeless wanderer born on a sharecropper’s plantation in Louisiana. The books raving reviews and popularity caught the eye of the executive producer of “The Pursuit of Happyness,” Mark Clayman, who has purchased the movie rights to Same Kind of Different As Me.
Anyone who has read the book knows that neither the book nor the movie would be possible if it wasn’t for the encouragement of Hall’s wife, Deborah. She was an advocate for the homeless and an avid volunteer at Fort Worth’s Union Gospel Mission, where she met Moore. She convinced her husband to befriend Moore, and after Deborah lost her battle with cancer in 2000, Hall and Moore’s friendship grew stronger.
Moore suggested that they write a book about their histories, their friendship and Deborah’s fight for the homeless. Hall and Moore worked on the book every morning over breakfast. Because Moore could not read or write, Hall transcribed Moore’s story. Hall’s writing was primarily cathartic, and he never imagined how successful their book would become.
Hall and Moore are now working on their second book, What Difference Do It Make, and speaking at events benefiting the homeless. In 2006, the citizens of Fort Worth named Moore as “Philanthropist of the Year” for his work with the homeless. All of Hall’s proceeds from the book go directly to Union Gospel Mission, and he feels blessed to be carrying his wife’s torch for the homeless.
—Jennifer Casseday-Blair

A rollercoaster ride with finances won’t derail Six Flags Over Texas in Arlington
Despite a $201 million quarterly loss and a debt of about $2 billion, Six Flags has plans to keep rolling along. Though the theme park reported higher annual earnings and revenue for 2008 than the previous year, an income tax expense of $109 million contributed to the fourth quarter loss. In addition, a hefty payment on preferred-income redeemable shares looms in the company’s future.

While executives may be experiencing a bumpy ride, visitors to the Arlington park could enjoy quite the opposite come 2011. The park plans to shut down the 18-year-old Texas Giant in 2010 for a $10 million renovation. The new and improved coaster is to coincide with the 50th anniversary of Six Flags Over Texas, which opened in Arlington in 1961. New trains and a major overhaul will make for a less-rickety ride on the Giant. No small feat, this facelift will require 10 tons of nails, 81,370 bolts and 900,000 board feet of lumber.
Third-richest man in the nation gains opposition as he proposes to build a Las Vegas-style resort casino in DFW
Will DFW become the next las Vegas? Sheldon G. Adelson, ranked the nation’s third-richest man by Forbes magazine in 2007 and 2008, supports the idea. The DFW Metroplex is being considered as a prime location for a luxury casino complex due to its size and possession of one of the world’s largest airports. Adelson said he would spend “whatever it takes” to build 12 Las Vegas-style resort casinos in Texas’ urban centers, but it may take quite a bit to convince Fort Worth Mayor Mike Moncrief and Arlington Mayor Robert Cluck, both of whom have already expressed opposition, to get on board.

DFW residents may soon have to decide where to play their chips, as well. Supporters of the casinos are asking why we should continue spending in Louisiana and Oklahoma casinos when we could keep our money here to benefit locally.
While the casinos would bring in an estimated $4 billion in states taxes from gaming revenue that would be used for education and transportation, casino developers will likely encounter considerable opposition from several local leaders.
—Jennifer Casseday Blair
The appeals on beers for Six Flags are over. After announcing their intent to apply for a liquor license in 2007, the park sparked a process of appeals from the Texas Alcoholic Beverage Commission. However, the
Arlington theme park was recently issued a mixed-beverage permit after the TABC denied an appeal to hold a new public hearing on the issue.
Six Flags Over Texas will now sell beer in 16-ounce cups for $5.99 at six

locations throughout the amusement park. While the park, along with neighboring Six Flags Hurricane Harbor, both received permits to sell mixed beverages, the parks plan to sell only beer.
—Diana Bloxom
In a move that is estimated to bring as many as 500 jobs and have an economic impact of $700 million, Q-Edge Corp., a computer manufacturing company, is opening a new assembly plant in Fort Worth this month. The Taiwanese company considered locations in Coppell and Flower Mound before deciding to lease more than 365,000 square feet in north Fort Worth’s Alliance Gateway 2 building.
Company executive Wen Ren told the Star-Telegram that Q-Edge based the decision on the centralized location, which makes shipping nationwide more efficient and said Fort Worth is a “very businessfriendly city.” Many Fort Worth leaders were responsible for ironing out the deal with Q-Edge which included tax abatements as incentive.
Governor Rick Perry, City of Fort Worth officials and the Chamber of Commerce worked together to make it happen.
The company will begin trying to fill 350 jobs this month, an encouraging development in the current economic climate.
—by Katie Martinez



Discover, touch, explore, imagine and select from the largest collection of natural stone in the USA


After years of supporting her creative vision and entertaining her loyal Fort Worth fan base, April Geesbreght released her latest album, Big Fire, with high hopes for success.
In 2000, a representative from Virgin Records gave Fort Worth singer-songwriter April Geesbreght the opportunity to travel to England, record an album with some of the best musicians and
producers in the industry and go on a European tour. She declined. “It felt like they were taking a young girl with some talent and ability, and they were going to create what they wanted of me,” Geesbreght said. “My goal has never been
UpcomInG shoW: mAyFEst—mAIn stAGE
sunday, may 3
5 p.m.
trinity park, 2401 University Drive Fort Worth
to become famous or to be a big deal. My goal is for people to hear what means a lot to me.”
The 28-year-old is a prime example of an artist who traded what most people would consider the opportunity of a lifetime for the opportunity to pursue her creative vision. And that creative vision led to a decade of contribution to the Fort Worth music scene that yielded four albums including her latest effort, Big Fire. The record, which was released in June, delivers 11 consistently solid tracks of a polished brand of folky pop rock. Geesbreght worked with producer Will Hunt, who has worked with such pop music stars as Nick Lachey, Ryan Cabrera and Amy Lee from the group Evanescence. Geesbreght’s lyrics represent her personality well. They’re positive and bright yet serious with a subtle spiritual nature to them.
Geesbreght was a finalist in the Race to BE: Creative Entrepreneurship Challenge, a competition sponsored by the Ewing Marion Kauffman Foundation during Global Entrepreneurship week, where entrepreneurs in the fields of music, film and fashion compete for a cash prize, a chance to perform in Austin and talk to some of the most important people in the music business. In 2005, she won Female Vocalist of the Year at the Fort Worth Weekly Music Awards. In March 2008, Fort Worth Weekly nominated her for Best Female Vocalist of the Year, Best Songwriter of the Year, Best Song of the Year and Best Album of the Year.
This year, Geesbreght hopes to tour with Matt Nathanson and get a song in a movie or TV show. Recently, her focus was diverted toward preparing for a Showcase in Nashville, Tennessee, on May 18, where she had been selected to perform for some major names in the industry. She said that now, unlike 10 years ago, she is at a point where she thinks she can handle the responsibility of fame. “And it’s not that I have any of it all figured out, but I feel like I know who I am and what’s important and what’s not. If somebody wanted to help me get my music to a lot of people and that required a lot from me— bring it on. I’ll do it.”



Hop aboard the J/105 and J/80 highperformance vessels at B Sailing Club.
Located 30 miles southeast of Houston, this sailing club offers new sailors and skippers alike a cost-effective way to enjoy the sport of sailing.
Designers fill their ready-to-wear spring collections with splashes of pink.
Pink is one of the season’s standout trends with several variations of the color; from innocent blush to plum shades, to too-hot-to-handle pinks. Invest in everything from pencil skirts to platforms, as pink will be a staple for seasons to come.
(A) Zig Zag sheer summer scarf, Epice, $135, A. Hooper
(B) Patent open-toe pump, Miu Miu, $585, Neiman Marcus

(C) Quilted leather watch, Michele Watches, $1,295, Neiman Marcus
(D) Waterstripe silk dress, Milly, $325, Neiman Marcus
(E) Metallic python clutch with stones, Prada, $1,295, Neiman Marcus
(F) Double-breasted swing jacket, Rebecca Taylor, $388, A. Hooper








These skin serums, eye creams and moisturizers fight to keep skin looking its youngest.
Awoman never reveals her age … and neither should her skin. Although a fountain of youth was never really discovered, the availability of anti-aging serums, creams and moisturizers allow women to combat the signs of aging without resulting to costly, invasive cosmetic procedures. Give your beauty regimen an overhaul this spring and your skin the pampering it’s been craving.
(A) Youthtopia Skin firming lotion with Rhodiola rosea, the “Golden Root” $48.50 (Origins)
(B) Chantecaille Nano Gold Energizing Eye Cream $420 (Neiman Marcus)
(C) oli Anti-aging Body Mist enriched with olive oil $15 (Walgreens)
D) Wexler No-Injection Instant Line Filler for Eyes and Lips $17.50 (Bath and Body Works)
(E) Peter Thomas Roth Un-Wrinkle Lip, a line filling lip treatment $40 (Ulta)
(F) ARTDECO Caviar Lifting Mask with antiwrinkle effects $45 (Walgreens)
(G) Chanel Essential Regenerating Cream, targeting wrinkles and uneven skin tone $375 (Neiman Marcus)
(H) La Prairie Anti-aging longevity serum, increasing lifespan of skin cells $185 (Neiman Marcus)
(I) Wexler Resurfacing Microbrasion System complete with Skin Resurfacing Cream and Intensive Hydrator $60 (Bath and Body Works)

PHILOSOPHY
Omega OB/GYN understands how important it is for today’s busy women to access a wide variety of services designed to provide complete health care in the comfort and convenience of their own physicians’ office. Omega offices are equipped to perform diagnostic and routine procedures including sonography, bone densitometry, and minor surgeries.
Omega OBGYN has 6 physicians and 13 Registered Nurses on staff with advanced training and education who are recognized as leaders in their specialties, including innovative laparoscopic laser procedures used to treat urological dysfunction, endometriosis and other conditions, high-risk pregnancies including twins, mothers with high blood pressure or diabetes, infertility, child
817-468-3255
bearing after age 35 or pregnancies requiring genetic assessment. Omega OB/GYN physicians and staff realize that some pregnancies are special situations which require sensitivity and discretion in addition to medical expertise, and are more than capable of handling any circumstance that may arise.
OMEGA OB/GYN PHYSICIANS All Omega physicians are Board Certified Fellows in the American College of Obstetrics and Gynecology (F.A.C.O.G). They each perform a broad spectrum of innovative gynecologic surgeries including pelvic floor reconstruction and urinary incontinence. Laparoscopic hysterectomies, in-office tubal ligation and endometrial ablations as well as treatment of all types of infertility issues are just a few of the procedures that set these physicians apart.

Enjoy a swift but safe sailboat adventure on the J/105 and J/80 crafts of B Sailing Club.
Inspired by a special family tradition that began on Lake Erie, owner Alan Bates created B Sailing to provide a costeffective way for sailors to enjoy the sport and to offer his expert instruction to newcomers. Bates’ father ran what they dubbed the “Bates Academy,” encouraging anyone interested in sailing to hop on board the family’s C&C 35 MK II, Tumbril and participate in the escapade. Bates now strives to provide an engaging and exciting sailing experience through his club in Seabrook Shipyard, which is located just 30 miles southeast of Houston between Clearlake and Galveston Bay.
are extremely high-performance vessels, yet simple to operate. The colored sails on the vessels, known as “spinnakers,” are great for downwind and across-the-wind sailing. A fast, but safe sail can be experienced by all aboard the J/105, which holds six people, or the J/80, which holds four people.
B Sailing Club 1900 Shipyard Drive Seabrook, Texas 77586 281.212.7348, bsailing.com
To ensure a unique and interactive sailing adventure, Bates uses the 34’ J/105 and the 26’ J/80 to teach new sailors. Because these boats are commonly used for racing, they
For new sailors desiring to become competent skippers, there are a variety of ways to practice through B Sailing Club. Day sails are available for a flat rate of $90 an hour, as well as package deals for multiple sails. Bates offers unlimited training sessions to ensure the confidence of all sailors and can adjust costs according to personal usage patterns. Serious skippers may decide to become annual members of the club. Members can show off sailing skills while treating family

Bow: The front end of the boat Fore: To, at or near the front of the boat Amidship: In the middle of the boat Starboard Side: The right side of the boat Port Side: The left side of the boat Aft: At, near or toward the stern of a boat Stern: The back of the boat
and friends to a good time on club sailboats. B Sailing Club members may also choose to participate in the local racing scene and share sea sportsmanship at parties following the races.
Visitors and members can spend their time off of the waves enjoying a picnic at one of the marina picnic tables or watching passing boats from the F Dock Gazebo. B Sailing Club visitors may also combine sea and space with a trip to the nearby NASA Space Center.

Anchors Aweigh Travel south to the B Sailing Club in the Seabrook Shipyard in the spacious 2009 Lexus RX400h, which delivers a responsive and agile ride. 2009 Lexus RX400h / 3.5-Liter / 275 Hp / 24-Valve, V-6 Engine / 6-Speed


By Judie Byrd

Easy Family Meals for the Busy Month of May
As the school year ends, a predictable myriad of parties and events fill the calendar, making May a mother’s busiest month. Here are several quick and easy meals to help you get through the rush. We also give you a few side dish and dessert ideas.
These yummy Stacked Tostadas were often my go-to dinner when I was in the middle of my kidraising years. Besides being an incredibly simple meal to prepare (your teenagers can whip them up in just a few minutes), they are filling and satisfying, and with the beans, lean chicken and fresh tomato, they are way up there on the nutrition scale. But you might want to keep that little secret to yourself.
Yield: 2 stacked tostadas, each serving one big eater or two smaller eaters
ingredients:
4 crispy corn tortillas
1, 28-ounce can fat-free refried beans, heated
1 fully cooked, grilled chicken breast, shredded, thinly sliced or diced
4 to 5 ounces shredded cheddar cheese (1 ½ - 2 cups)
Shredded lettuce
1 large tomato, diced ½ medium onion, diced
Salsa
Spread one crispy tortilla with heated refried beans. Top with sliced chicken, cheddar cheese, lettuce, tomato and onion. Repeat, using remaining crispy tortillas and toppings, and stack filled tortillas on serving plates. (For smaller eaters, serve each filled tortilla on its own.) Serve with salsa on the side.
dessert: Chocolate Quesadillas
Heat a skillet over medium heat. Place a flour tortilla in the bottom and sprinkle on 2 tablespoons chocolate chips. When chocolate chips are melted, fold the tortilla and cut into wedges. Each tortilla serves 1 or 2.






Kielbasa Pasta with Redeye Gravy satisfies our cravings for carbohydrates with protein. And even though it could definitely be considered comfort food, the lovely light sauce makes it delightful for summer meals. The idea of using leftover breakfast coffee as a sauce for fried bacon or sausage came from cowboy cooks out on the range. But we city folks love it also.
YIELD: 4 to 6 servings
InGREDIEnTS:
12 ounces whole wheat spaghetti, fettuccine or other pasta
1 tablespoon olive oil
1 pound low-fat kielbasa sausage, cut into ¼-inch slices
1 medium onion, sliced
1 medium bell pepper, sliced
2 to 3 teaspoons minced garlic
1 cup coffee or chicken stock or a combination of both Salt and pepper to taste
1. Cook pasta in boiling water according to package directions.
2. While the pasta is cooking, heat the olive oil in a large skillet over medium-hot heat. Add kielbasa; cook and stir 5 minutes or until lightly browned. Add onion, bell pepper and garlic and cook, stirring 5 minutes. Remove meat and vegetables to holding plate and cover to keep warm. Add coffee or chicken stock to the skillet; turn up heat and simmer, using a wooden spatula to scrape up any bits that are on the bottom of the skillet, until liquid reduces to half the amount. Add drained pasta, meat and vegetable mixture, salt and pepper to taste. Toss to mix well.
DESSERT: Pudding Parfaits: Layer chocolate and vanilla pudding in parfait glasses.
PLAn AHEAD: Keep kielbasa in freezer and defrost in microwave when needed.
FREEZE AHEAD: Prepare entire recipe; place in freezer bag and freeze up to one month. Defrost and reheat in large skillet over low heat.
Cobb Salad is a dish that you can easily make look like a million bucks by topping chopped lettuce with ingredients your family enjoys. With the easy deli chicken we all have grown to love, this salad entrée is a snap to put together.

One fully cooked deli chicken will yield about 4 cups of succulent, juicy meat. Each of the following dishes will serve two eaters. If you are serving more, grab another chicken.
1. Cheesy Chicken Melts: Spread both sides of a hoagie roll with Thousand Island Dressing. Top both sides with pulled chicken meat, using about ½ cup per side. Cover chicken with shredded cheddar cheese or blue cheese crumbles or sliced Swiss cheese; place under a preheated broiler until cheese is melted.
2. Chicken Alfredo: Cook 8 ounces penne pasta according to package directions. Drain and toss with 1 ½ cups pulled chicken meat, 1, 15-ounce jar Alfredo sauce and ¼ to ½ cup shredded Parmesan cheese. Serve with crusty bread and a green salad.
3. Chicken Cobb: Spread 2 large handscoops salad greens on a platter. Top with 1 ½ cups pulled chicken meat, ½ cup blue cheese crumbles, 4 slices fried and crumbled bacon or diced ham, and 2 chopped hard-boiled eggs. Drizzle with Italian salad dressing. Serve with Parmesan Toasts (recipe from Kielbasa Pasta with Redeye Gravy).
InGREDIEnTS:
2 large hand-scoops of salad greens
1 ½ cups pulled chicken meat
½ cup blue cheese crumbles
4 slices fried and crumbled bacon or diced ham
2 chopped hard-boiled eggs
Italian Salad Dressing
Spread 2 large hand-scoops of salad greens on a platter. Top with 1 ½ cups pulled chicken meat, ½ cup blue cheese crumbles, 4 slices fried and crumbled bacon or diced ham and 2 chopped hard-boiled eggs. Drizzle with Italian salad dressing. Serve with Parmesan Toasts (recipe from Kielbasa Pasta with Redeye Gravy).
Web exclusive: For illustrated directions on making Stacked Chicken Green Chili Enchiladas, visit Cooking with Judie Byrd at fwtx.com.
Judie Byrd is the founder of The Culinary School of Fort Worth and Super Suppers. To submit recipe ideas: contact Judie at judie@judiebyrd.com.
Special thanks to Central Market for providing the groceries needed to prepare these dishes.



UpcomIng Ev EnTS
• Mother’s Day Brunch, Sunday May 10, with bottomless Mimosas and Live Jazz
• Fourth of July “Celebrate America” Barbeque and live music
• ‘Jazz in the Courtyard’ every Friday night starting Sept 25 – Oct. 23 (Patio bar open at 5pm/Live music starts at 7/menu dining available)
• Holiday Fashion Show & Luncheon, Saturday, Nov 28

The Sanford House Inn and Spa is a luxurious Bed & Breakfast located in historic downtown Arlington, Texas. We offer a perfect venue for weddings, receptions, social events and retreats.
Our Award Winning Sanford Spa & Salon, is a beautiful relaxing venue where visitors can experience the most luxuriating array of spa services and beauty treatments.
You don’t have to be a guest to enjoy The Sanford House! Come and visit the Van Gogh Bar & Lounge which has Happy Hour from 4-7 pm on Thu, Fri, & Sat with free appetizers served from 6-7 pm.
Our executive Chef, Nellda Gallagher, has created a wonderful ala carte menu for Friday night dining, open to the public every Friday at 6 pm.

Local winemakers are turning out small batches of sophisticated wines with Texas-grown grapes. What’s your house wine?

by Laura Samuel Meyn
You like to support locally-owned restaurants. You like to purchase Texas-grown produce. Heck, you probably like to drink Texas-made beer. It’s high time that Texas wines—indeed, Fort Worth-area wines—get added to the list of local products to take pride in purchasing and enjoying. And if you suspect it’s not good enough to stand in for that California wine you’ve been serving, maybe it’s just been too long since you’ve tried any.
“Ten or 15 years ago, the quality of wine in Texas was generally pretty mediocre,” said Bruce Anderson, Burleson’s Sunset Winery winemaker. “People who have tried Texas wines that far back are surprised that, by golly, we’re producing some wines that are holding their own against California wines or wines anywhere in the world.” These days, some 170 Texas wineries are offering the gamut from simple and sweet to complex and dry wines to satisfy all tastes—and altogether, they’re drawing nearly a million tourists each year.
While Hill Country certainly has its fair share of fine wineries, you might be surprised to learn that many in the business consider Texas’ best viticultural growing area to be the Texas High Plains area around Lubbock. That’s why so many of our local winemakers source grapes from the High Plains—and they’re making award-winning wines with it. “There are more wineries now in North Texas than there are in the Hill Country,” said Caris Turpen, winemaker at LightCatcher Winery in Fort Worth. “We’re here, doing well, and new people visit us every week. But it’s a challenge to make ourselves known.”
One catch is that many of these wines aren’t ready for large-scale distribution: The winemakers are concentrating on small batches to sell from their tasting rooms, and they often don’t make enough wine to guarantee an ongoing supply to a retailer. So while you’ll find a handful of local labels at shops around town and on wine lists at a few restaurants, the majority of locally-produced wine can only be tasted and purchased from the source.
This month, as the grapes are beginning to grow, winemakers aren’t yet busy with harvest, and the weather is at its best, it’s a great time to visit some of our local wineries. Stop by, chat with the winemakers (who will likely be pouring your wine), taste the goods, and be prepared to change your mind about Texas wines—namely Fort Worth, Texas wines.

There are plenty more places to try wines made in and around Fort Worth. Some are actual working wineries where you can get on a list to help with the crush come harvesttime, some are tasting rooms for Texas wineries located further afield, and some are “custom wineries,” where grape juices or concentrates are used to customblend wine on the premises, meaning you can have a wine made to suit your own tastes. (All custom wineries and some of the working wineries offer personalized labels for their wines, making for great gifts.)
All are fun destinations for wine-tasting, so keep this guide handy for exploring at your own pace.
About 14 miles south of Granbury, Bluff Dale Vineyards is part of the Way Out Wineries trail, which supports several “Road Trip” tasting weekends each year (visit wayoutwineries. org). “We are most proud of our Port-style wine and Merlot,” said co-owner David Haynes. “People come back for good conversation, our sweet wines and the picnic areas with spectacular views.” Bluff Dale is a full working winery, with some vineyards and all wine production on-site; bring a picnic to enjoy with your purchases.
Bluff Dale Vineyards 5222 County Road 148, Bluff Dale 254.728.3540 or bluffdalevineyards.com.
Tastings: $5 for about seven wines, Monday, Wednesday, Thursday, Friday and Saturday, 11 a.m. to 6 p.m., and Sunday, noon to 6 p.m.
Wines: Look for Nexus (sweet red), Caramella (sweet white),
Cabernet, Chardonnay, Merlot, and even a Port and Cream Sherry, among others. Prices: $12 to $25.
Off the beaten path in Alvord is Brushy Creek Vineyards, where owner and winemaker Les Constable is known for his interest in experimenting with lesser-known varietals to see what grows best in Texas. As such, the winery has 10 acres of vineyard with a staggering 36 different grape varieties. “Most folks think our best wines are the ones made from grapes they have never heard of,” said Constable, who sells out of everything he makes, adding, “It is real Texas Wine.”
Brushy Creek Vineyards 572 CR 2798, Alvord 940.427.4718 or brushycreekvineyards.com
Tastings: Free with wine purchase ($1 per ounce otherwise), daily, 10 a.m. to 6 p.m., or by appointment. Wines: Tempranillo, Rkatsiteli, Sunset Red, Muscat, Riesling and some two dozen others. Prices: $10 to $50.
Housed in a historic 1874 farmhouse in Grapevine, Cross Timbers Winery pours its own label of wines grown and produced in Lubbock, plus wines from other Texas wineries, such as McPherson and Messina Hof, and a few from Grapevine sister cities in Mexico and Austria. Cross Timbers has event facilities, including the tasting room, gazebo, patio and a large barn, suitable for anything from special birthday parties to weddings.
Cross Timbers Winery 805 Main St., Grapevine 817.488.6789 or crosstimberswinery.com
Tastings: $5 for four 1-ounce tastes, Monday through Saturday, noon to 5 p.m., and Sunday, 12:30 to 5 p.m. Wines: Cross Timbers Blush, Chardonnay, Merlot, Cabernet Sauvignon and San Giovese, plus other Texas and international labels. Prices: $20 to $35.
Events are the main thing going on at Delaney Vineyards & Winery; its picturesque 10-acre vineyard of Cynthiana grapes provides plenty
LightCatcher Winery: 6925 Confederate Park Road, Fort Worth; 817.237.2626 or lightcatcher.com. Tastings: $5 for three wines, Wednesdays, Thursdays and Sundays, noon to 6 p.m., and Fridays and Saturdays, noon to 9 p.m. Wines: LightCatcher Cabernet Sauvignon and LightCatcher Merlot; the less-expensive Texas Roads label (Pinot Gris and Remuda Red), and the Happy Dog Sweet Red, among others. Prices: $12 to $36, for most. Why go? LightCatcher Bistro is open on weekends, and the adults-only Jazz Sundays ($10 per person), held the first and third Sunday of each month, are a popular attraction. This month, there will also be a Mother’s Day buffet.

Terry and Caris Turpen, winemakers at LightCatcher Winery
of ambiance for private parties as well as for tastings and tours. The winery’s main vineyard is in Lamesa, Texas, allowing it to offer a number of varietals. Stop by as part of a wine-tasting tour in Grapevine—or if you’re scoping out possible wedding or rehearsal dinner sites.
Delaney Vineyards & Winery 2000 Champagne Blvd., Grapevine 817.481.5668 or delaneyvineyards.com
Tastings: $10 for six wines, Monday through
“Fort Worth appreciates entrepreneurship and something of a wildcatter mentality that winemaking takes,” said Caris Turpen, winemaker at LightCatcher Winery. “The challenges are getting people to consider something new, and to overcome their fear that they don’t know enough to enjoy wines.” And that’s why, although Turpen is proudest of her awardwinning LightCatcher Cabernet Sauvignon, you’ll find a lot more than her signature big red wines on the tasting menu. “Sweet wines are a great entry point for people who are otherwise beer drinkers,” she said, adding that she’s had repeat customers who have started sampling at the sweet end of the spectrum and have gradually migrated toward the dryer wines. It’s no wonder they keep coming back: While LightCatcher is a serious working winery, there’s a lot more to it. The rustic building houses an ample tasting room, an artsy gift shop and a barrel room that on weekends doubles as LightCatcher Bistro, which, with its Napa-style menu that draws from the on-site vegetable and herb garden, is reason enough to visit. Outside, a large open-air terrace makes for an inviting place to enjoy a glass of wine (don’t miss the 2003 LightCatcher Merlot, among others). While the winery maintains a small demonstration vineyard of Black Spanish (or Lenoir) grapes, Turpen sources most of her grapes from West Texas. All of the wines, however, are made on-site. “We do it with an eye for enjoying the pleasures of life,” Turpen said. “Life is hard. There are enormous gifts that are all around us that will help us navigate the tough times if we can partake of the good things.”

Saturday, noon to 5 p.m. Wines: Sauvignon Blanc, Muscat Canelli, Chardonnay, Texas Champagne Brut, Three Daughters (a red blend), Cynthiana, Merlot, Claret, Sweet Texas Red and Texas Rose. Prices: $11 to $30.
With locations in Fort Worth, Grapevine and Granbury, D’Vine Wine has the ‘817’ pretty, well covered. As a custom winery, D’Vine Wine sources juice from California vineyards and makes its own label of more than a dozen wines, ready for tasting and purchase. They can also help customers design personal batches (about 28 bottles for $300) with their own labels. “People can come in and do a tasting, and we can custom-tailor the wine to their taste,” said winemaker Wally Jones.
D’Vine Wine 4915 Camp Bowie Blvd., Fort Worth 817.569.9463 or dvinewineusa.com.
There are also locations in Grapevine and Granbury; wine prices and availability can vary.
Tastings: $5 for three tastes, or $10 for four tastes and a glass to keep, Tuesday through Saturday, noon to 6 p.m. Wines:
Because certain wine grapes don’t grow as well in the heat, some Texas growers are leaning more toward Spanish and Italian varietals that can flourish in warmer climates, resulting in better, more varietally true wines. Tempranillo, Sangiovese, Grenache, Malbec, Viognier and Syrah are all showing promise in Texas and might someday help define our state’s place in the world of wines. Black Spanish, also known as Lenoir, is one of the grape varieties that’s relatively easy to grow in Fort Worth, so many local wineries grow that. The guides to varietals, on pages 42 and 44, complete with food pairing suggestions, comes courtesy of the Texas Department of Agriculture. Visit gotexanwine.org for more information to help plan your visits to Texas wineries, near and far.

Shiraz, San Giovese, Cowtown Red (a Barolo), Riesling and Chardonnay, among others. Prices: $12 to $14.
With its main production facility in Ivanhoe, Texas, the Grapevine location of Homestead Winery is a tasting room—and a charming one that’s well worth a stop. It’s housed a couple blocks off historic Grapevine’s Main Street, in a pretty, yellow 1890s house. In addition to their regular wines, Homestead features its Portejas ($25), a fortified wine made with Zinfandel, with a Texas star on the label.
Homestead Winery Grapevine Tasting Room 211 E. Worth, Grapevine 817.251.9463 or homesteadwinery.com
Tastings: $5 for four tastes, daily, 11 a.m. to 5:30 p.m. Wines: More than a dozen, including Chardonnay, Rose, Cabernet Franc and Syrah, among others. Prices: $11 to $18, for most.
It’s the only winery we know of in an airport—and it’s at DFW. While most of the winemaking happens in Bryan, Texas, La Bodega Winery is cellaring the aptly named Aero Port in oak barrels on-site at DFW. Also available for tasting are dozens more premium Texas wines. “We provide a welcoming environment for enjoying a nice glass of wine and tapas on our patio or at the bar,” said owner Gina Puente-Brancato.

Lone Oak Winery: 2116 FM 731, Burleson; 817.426.6625 or loneoakwinery.com. Tastings: $5 for any five wines (fee waived with bottle purchase), Thursday through Sunday, noon to 7 p.m. Wines: Among the dozen or so offerings are two versions of the vineyard’s own Shiraz, two Merlots, some accessible white and blush wines and even a wonderful Ruby Port. Prices: $10 to $25. Why go? Owners Gene and Judy Estes host a Spring Concert Series; this month, look for a May 17 concert by Trey and the Tritones (tritones.com). Bring your own lawn chairs, blankets and a picnic.
With a picturesque setting overlooking a creek and vineyards in Burleson, Lone Oak Winery feels a lot further from the city than it is. A large tasting room and an even larger covered deck give visitors plenty of room to spread out and enjoy Lone Oak wines—in fact, it’s so inviting that by Thursday evening, people start showing up after work, some still in scrubs, to meet up with friends and enjoy the offerings, which include a few sweet wines as well as some serious reds. The Shiraz Vineyard Block A, from the winery’s oldest vineyard, is a real standout. Lone Oak owner and grower Gene Estes, who’s currently president of the Texas Wine and Grape Growers Association (TWGGA), grows several varietals on the property, including Tempranillo, Syrah and Blanc Du Bois. Even with all that, Estes said that his vineyard only meets about 25 to 30 percent of his needs—and it’s an issue winemakers all over Texas are grappling with. “We (in Texas) have about 170 wineries and 3,000 producing acres,” Estes said. “My No. 1 mission as president of TWGGA is to work to get funding and grants for new growers and for current growers to expand; we’re doing well in the wine business, but we need Texas fruit.” Estes said that Texas wines have improved tremendously in the last decade, and he enjoys introducing them to new tasters. “If we have someone who comes here from California, New York, Washington, Oregon, they’re usually skeptical, and they’re nearly always surprised,” he said. “I’m kind of entertained by that.”

Malbec: Complex, tannin-laden red with lush flavors of plums, berries and spice. Pair with beef dishes, turkey and hearty stews.
Tempranillo: Lush, smoky red with a hint of vanilla and rich, dark fruits. Pair with pizza, cabrito and tamales.
Syrah: Smokey red with soft tannins, toasted oak, berries and plums. Pair with beef stew, grilled meats, pizza and wild game.
Sangiovese: Smooth-textured red varietal spiced with wild raspberries and licorice. Pair with beef, pork, pasta dishes and cheese.
Zinfandel: Full-bodied, bold and fruity red bursting with berries and spice. Pair with barbecue, red pasta sauce and pizza.
Merlot: Medium-to-full bodied red with a subtle, herbaceous flavor and soft tannins. Pair with meatloaf, grilled tuna and eggplant Parmesan.
Cabernet Sauvignon: Complex, hearty red with bold flavors of cherry, cedar and chocolate. Pair with rack of lamb, T-bone steak and wild game.
Pinot Noir: Rich, smooth red with delicate notes of black cherries and cloves. Pair with duck, salmon and turkey.
Lenoir: Deep, dark red with notes of rasp
They’re also giving the burgeoning Texas wine industry some face time with world travelers.
La Bodega Winery
DFW Airport
Terminal A (972.574.1440)
Terminal D (972.973.9463)
Tastings: Prices vary for 2-ounce pours, sold at Terminal A, Gate 15, Monday through Friday, 7 a.m. to close, Saturday, 10 a.m. to close, Sunday, noon to close; and at Terminal D, Gate 14, Monday through Friday, 9 a.m. to close, Saturday, 10 a.m. to close, Sunday, noon to close (closing times, usually between 7 p.m. and 9 p.m., depending on airport traffic). Wines: La Bodega Winery Private Reserve Cabernet Sauvignon, wines from La Buena Vida Vineyards, Grapevine, as well as other Texas wines. Prices: $15 to $80.
With a tasting room offering several labels and an expansive terrace, this is a relaxing place to
Barking Rocks Winery: 1919 Allen St., Granbury; 817.579.0007 or barkingrockswine.com.
Tastings: $5 for three wines, Saturday afternoons and by appointment or chance. Wines: Viognier, Little Red Wine in Hood (Syrah blend), Sangiovese and Cabernet Sauvignon, with others coming soon. Prices: $15 to $25. Why go? Just a few miles from historic Granbury, a stop at this winery could be tagged onto a Saturday spent on the square. Or, stop in for the First Friday event, a wine-and-cheese social hour that features live music, held the first Friday of each month. Look for weekend-long “Road Trip” events from Way Out Wineries (wayoutwineries.org), which include Barking Rocks and seven other wineries between the DFW area and the Hill Country.


Don’t be surprised if the first greeting you get when you pull up to Barking Rocks Winery in Granbury is from a friendly black and white dog named Cellar: He is, after all, the official director of security. Winemaker Tiberia, who co-owns the operation with his wife, is a free spirit who left his corporate job with TXU in 2002 to pursue full-time winemaking—and since, decided to go by a single name (“like Madonna,” he jokes). Backing up his love of wine is an Italian heritage (his parents came through Ellis Island as children), some hard-earned lessons about growing grapes in Texas (his first attempt back in the 90s was, well, unfruitful), and formal studies (he took classes in oenology at Grayson College). These days, Tiberia grows some Black Spanish grapes on-site, and sources the rest of his grapes from Texas growers. The results are expressive, small-batch wines that he makes in an old rock barn. Among his favorites is, naturally, an Italian varietal: “Sangiovese is a red that I think has good promise,” he says. “It’s the primary grape of Chianti.” Look also for the 2005 Viognier that’s in danger of selling out (get some while you can—this is an up-and-coming varietal in Texas). Ready for bottling are two sweet newcomers to the Barking Rocks lineup: an Orange Muscat and a strawberry wine, the result of a collaboration with a local strawberry grower.


Texas White Varietals
Chardonnay: Clean, crisp, well-balanced white with big flavors of citrus and oak. Pair oak-aged with light beef with cream sauces or smoked chicken; unoaked with lobster and veal.
Blanc du Bois: Light, fresh-finished white with notes of grapefruit and apples. Pair with fish with lemon butter sauce, pasta Alfredo and pineapple chicken.
Pinot Grigio: Creamy, slightly perfumed white with rich color and a fresh palate. Pair with TexMex, gulf fried shrimp and oysters.
Viognier: Intense, slightly spicy white with notes of floral, peach and apricot. Pair with lettuce wraps (Chinese), white fish with mango salsa, and paella.
listing, below); La Buena Vida Vineyards in Grapevine is now owned by Gina Puente-Brancato, as is La Bodega Winery at DFW Airport. At the Grapevine location, live music is featured Thursday and Saturday afternoons; check the Web site for other special events.
La Buena Vida Vineyards 416 E. College St., Grapevine 817.481.9463 or labuenavida.com
Tastings: $7.50 to $9 for three 2-ounce pours, Sunday through Tuesday, noon to 5 p.m., Wednesday through Friday, noon to 7 p.m., and Saturdays, 10 a.m. to 7 p.m. Wines: Bestsellers include La Buena Vida Red Headed Stepchild Sangria and Springtown Merlot L’ elegance, a white Merlot. Look also for the Springtown Viognier. Prices: $10 to $60.
Bobby Smith, considered one of the pioneers of the Texas wine industry, owns and operates La Buena Vida Vineyards at Springtown, providing much of the wine for La Buena Vida Vineyards at Grapevine. Why make the trek to Springtown? To try his Smith Estate label wines, which you can’t get anywhere else; to try his house-made cheeses, crafted from organically produced milk; and to enjoy his tales from the vineyard, as he grows most of the grapes used in his wines.
La Buena Vida Vineyards at Springtown 650 Vineyard Lane, Springtown 817.220.4366 (winery) or 817.821.6794 (owner’s cell phone)
Tastings: Free, Saturday 10 a.m. to 5 p.m., Sunday, noon to 5 p.m., and by appointment (call Smith’s cell phone to schedule). Wines: Smith Estate Tempranillo, Merlot, Pinot Blanc and a limited edition Cabernet Sauvignon, among others. Prices: $14 to $32.
Su Vino Winery is a custom winery, meaning that they come into the winemaking process
Riesling: Crisp, unobtrusive white accented by rich, fruit flavors, and a floral bouquet. Pair with Indian cuisine, Greek salad and Jamaican pork.
Sauvignon Blanc: Silky smooth white with floral, grassy and delicate herbal properties. Pair with fish, shrimp, cream soups and veggies.
Chenin Blanc: Delicate, floral white with a dry, well-balanced finish. Pair with cheese crepes, quiche and Waldorf salad.
Orange Muscat: Fruity, sweet white with notes of gooseberry and orange peel. Pair with ice cream, dark chocolate and smoked salmon.
Muscat Blanc: Light, fragrant white accented by coriander, peach and citrus flavors. Pair with fish, pasta, raw vegetables and soups.
Muscat Canelli: Fresh, fruity white retaining the zesty flavors of the grape. Pair with chocolate, fresh fruit, fish and pasta.
Gewurtztraminer: Full-bodied, pungent white characterized by fruity, nutty flavors. Pair with barbecue, sushi and blackened fish.
Semillon: Bold and oaky, this sweet white carries hints of honey and figs. Pair with fried catfish, olive tapenade and fried chicken, as well as blue cheese or crème brûlèe.
after the crush (sourcing from West Coast wineries), finishing the winemaking on-site. As such, Su Vino has its own label, and it also offers custom-blending for customers (a batch, which yields about 30 bottles, begins around $200). They also carry wine-themed gifts and décor. Call to find out about regular events, including regular Girls’ Nights Out and Wine Tasting 101 classes.
Su Vino Winery
120 S. Main St., Grapevine
Sunset Winery: 1535 S. Burleson Blvd., Burleson; 817.426.1141 or sunsetwinery.com. Tastings: $5 for five to six wines, Thursday through Sunday, noon to 7 p.m., and by appointment. Wines: Sun Ray Cabernet Sauvignon, Moon Glow Merlot, Twilight Tango Malbec, Pink Rainbows (a blush-colored Chenin Blanc blend), Orange Muscat and Santa’s Special (a locally grown Black Spanish/Lenoir). Prices: $14 to $27. Why go? Right off I-35W, just 10 minutes south of I-20, this unassuming little tasting room is a great detour on your way out of town: Stop by to taste, enjoy a tour, chat with the Andersons, and buy a couple bottles to share—wine will be welcome wherever you’re heading. There are picnic tables on the grounds, and there’s also a monthly potluck “Wine Down” party held in the barrel room the third Friday of every month.

817.424.0123 or suvinowinery.com
Tastings: $5 for five tastes, Tuesday through Saturday, noon to 7 p.m., and Sunday, 1 p.m. to 5 p.m. Wines: Select from 15 to 20 Su Vino-label wines, including Bella Rosa (a red blend), Summer Rain (a sweet white wine), and Porto Cocoa (a chocolate-infused Port).
Prices: $10 to $25.
*For a complete listing of vineyards and wine tasting rooms in and around Fort Worth, visit fwtx.com
Bruce and Birgit Anderson’s Burleson winery occupies the house that they raised their three daughters in during Bruce’s 25-year career as professor of sociology at University of Texas at Arlington. What was once a living room now has a grape crusher in it; the dining room is crowded with stainless steel tanks; and the kitchen has a really cool little corking machine. But the Andersons, who live in Fort Worth these days, aren’t your average mom and pop: They produce some serious red wines, including Sunset Winery’s 2004 Sun Ray Cabernet Sauvignon, which took a gold medal at the 2008 Lone Star International Competition. “My philosophy as a winemaker is to find the best fruit you can, and then try to help it become wine without a lot of interference,” said Bruce, who sources most of his grapes from the wellrespected Newsom Vineyards in Plains, Texas. (The Andersons grow Black Spanish, also known as Lenoir, on their Burleson property.) While their red wines are well-respected, the top seller is actually Pink Rainbows, a sweetly accessible blush-colored blend of Chenin Blanc and five other grapes. “It’s really good with spicy foods,” said Birgit, who explained that it was named when their then-2-year-old granddaughter was trying to describe the beauty of a sunset. The Andersons, who first met on the dance floor, are especially proud of their Twilight Tango Malbec, a velvety wine that has flavors of vanilla, black fruit and a hint of tobacco. “It’s very good with a steak,” Birgit said.



by Amy Hallford-Turman
The lighting is enchanting, the stage entrancing and the murals mesmerizing. The Nancy Lee and Perry R. Bass Performance Hall simulates the opulence of classic European opera houses. From its exalted limestone angels to the grand façade and plush velvet seating, every element touts a classical and romantic aesthetic. And this spring, we pair this exquisite artistry with poetic fashion. Delicate chiffon gowns mimic the graceful melodies performed at the Van Cliburn Competition; whimsical patterns coincide with the symphonic excellence of the Fort Worth Symphony Orchestra; empowering silhouettes embody the powerful voices of the Fort Worth Opera; and diverse and vibrant color palettes pay tribute to the Texas Ballet Theater’s unprecedented artistic expression.
GRACEFUL MELODY




Electric Blue Halter Gown, Kay Unger, $470; Yellow and Green Rhinestone Cuff, Fragments, $195, Neiman Marcus. Gold Emerald-Cut Earrings, Givenchy, $50, Dillard’s Hulen Mall. Justine Gold Metal Pump, Via Spiga, $490, April Lane Exquisite Footwear. Opera Glasses courtesy of Bass Performance Hall.
by Gail Bennison photos by Jason Kindig

The Fort Worth Herd has brought the Old West back to life twice daily for 10 years as cowhands drive 15 Texas Longhorn steers through the city’s historic Stockyards along Exchange Avenue.
Arizona native Kristin Jaworski was 25 years old in 2002, when she took the reins as the Herd’s third trail boss. She is the first woman to hold the position. Eleven of the 12 cowhands she manages are men.
Jaworski was raised around the livestock industry and exposed to tourism at the Grand Canyon at an early age. She found that marketing was her passion while attending Tarleton State University in nearby Stephenville. Her background helps her manage the livestock, budget, event coordination, the media and the education program—a few of the trail boss “hats” she wears.
“The men test me, of course, but the more tenured drovers are actually very protective of me,” Jaworski said. “They all call me ‘boss lady,’ and we currently don’t have any major issues. That did not come easy though,” she continued. “The first few years, I had more terminations than I did new hires!”
Interaction with tourists is a favorite part of her job, she said. “What better place than working where people choose to visit and are so excited to be so close to those amazing steers?”
Jaworski lives in Tolar, just southwest of Fort Worth, where she raises quarter horses and Hereford cattle.

Fort Worth

The 1991 film, “The Silence of the Lambs,” opens with actress Jodie Foster trekking the FBI Academy obstacle course in Quantico, Virginia. Special Agent Kathryn Lumley entered FBI duty that same year. “We call the obstacle course The Yellow Brick Road,” the diminutive Lumley said. “And it’s rigorous. I worked out every day for a year before I even went to the Academy.”
Lumley earned an accounting degree at St. Leo University in Florida, worked as a police officer in Tampa for five years, and five years as an accountant with Bank of America to prepare for a job with the FBI.
Classified as a Criminal Agent, her assignments included evidence collection at the scene and in the morgue after the 1995 Alfred P. Murrah Federal Building bombing in Oklahoma City. She also assisted in the roundup of members of the notorious “Texas Syndicate,” a violent prison gang that developed behind bars in the 1970s and committed serious crimes in North Central Texas and other areas.
Currently working in the white-collar crime area, Lumley specializes in mortgage and insurance fraud. Her strengths, she said, are “putting together all the pieces of the puzzle and making people feel comfortable enough to confess their crimes.”
“When people meet a female FBI agent, they find it fascinating because law enforcement traditionally is a male-dominated profession,” Lumley said. “For me, it’s a dream job.”

Henry, Claire, Hazel, Sister, Gigi Fontaine, Chips, Twiggy, Max and Isabella—these are just the ones she’s bottle-feeding. Deborah Rogers is the proud mommy of 52 baby goat kids this year.
In former lives, Rogers was a globetrotting Ford fashion model and a high-powered stockbroker. She certainly is not your ordinary goat farmer. Her farmstead isn’t ordinary either. Deborah Rogers Farmstead fromagerie, located five minutes away from posh Westover Hills, looks more like a European retreat than a goat farm. But Rogers’ model is the Amish farm system. She wants people to seek out her cheese because it is unique.
It was during her modeling days in France that Rogers fell in love with cheese and the art of making it. “This year I’ll have fresh Chevre (goat milk cheese), Feta, a Raclette, similar to a Gruyere, Birdsong, a bloomy rind cheese similar to a Camembert, and a Persille, another bloomy rind cheese with white and blue molds,” she said.
Rogers plans to launch her Botanicas Skincare line early this summer. “Goat milk is one of the most nourishing things you can put on your skin,” she said. “I’ve been working on the all-natural formulas for about 18 months.” Botanicas initially will include a cleanser, toner, moisturizer, serum and hand cream.
Deborah Rogers Goat Farmer, Cheesemaker
Deborah’s Farmstead Fort Worth

“I love putting puzzles together,” said Vicki Dickerson, president and CEO of Fort Worthbased The Projects Group. In 2002, she formed the company, which offers a full range of development services through completion of construction and opening of the facility. Dickerson was the first woman to graduate in her class of Joint Electrical Apprenticeship in 1981 and the only one on many job sites, but said she never considered herself a pioneer. For her, it has never been about gender.
“It’s about doing the very best that I could,” she explained. “If you’re the best, you don’t have to think about that. Have I always, in the background, wanted to be sure I represented and set an example for women who follow me? Yes. But I never went into anything thinking there would be a judgment against me because of gender.”
Equipped with a degree in construction management, Dickerson’s first job was working for Southland Corporation on the City Place Project. She developed numerous projects for Southland before the company closed.
Among her accomplishments are the project management of the Nancy Lee and Perry Bass Performance Hall, National Cowgirl Museum and Hall of Fame, Bank One, Wells Fargo Bank, Sundance West and Sanger Lofts.
Current projects include the Fort Worth Museum of Science and History, The Smith Center for Performing Arts in Las Vegas, and Richmond Performing Art Center in Richmond, Virginia.
Vicki Dickerson President and CEO of The Projects Group Fort Worth

Lisa Edrich Private Investigator CEO, Bobcat Investigation Services
Fort Worth
Being a female private investigator has a lot of advantages, said Lisa Edrich, CEO of Bobcat Investigation Services in Fort Worth. “I’m able to get closer to a situation or put myself in the middle of a situation easier than a man could,” she explained. “I’ve been 'burned' before on the job, and I just start doing something that women normally do, like putting on makeup. People think, ‘Well maybe she isn’t watching me.’ It just never occurs to people that a woman would be sitting in her car working surveillance.”
Edrich, who does most of her work in her car, started in the business 10 years ago as an office manager for a private investigations firm. She also has worked as a process server, a job she says can be very dangerous. “Being an investigator can be dangerous, too, if you don’t work smart,” Edrich added. “If my job takes me to an area of town where people who look like me should not be, I’ll give that case to someone who will blend. Sometimes I find myself in a bad situation. I do the smart thing and get out because it’s not worth losing my life over it.”
Bobcat Investigation Services works for insurance companies on workers' compensation investigations, and for individuals and attorneys in cases involving pre-marital background checks, child custody, the location of missing relatives and runaway teens, and surveillance services for spouses who suspect their partners of infidelity. They also provide background investigation services for business owners.
Elizabeth “Liz” Kaszynski
Multimedia Production Analyst
Aerial Photographer and Videographer
Lockheed Martin Aeronautics
Fort Worth

She wears a flight suit, harness and G-suit just like the pilots wear. She feels G-forces from head to foot—what scientists call “positive G.” At nine-plus Gs, she couldn’t move a muscle. The same force that keeps water pinned in a pail when spun at arm’s length flushes blood from the brain and chest, sending it south to her feet.
Liz Kaszynski started with Lockheed Martin Aeronautics in Fort Worth as an intern during her last semester of college. After graduating from the University of North Texas in Denton with a degree in radio-television-film, she was hired full time in 2003. Kaszynski received her flight status credentials four years ago.
“As an intern, I didn’t have a clue what I was getting into,” she said. “I didn’t even know who Lockheed Martin was! But being a poor, starving college student, I thought ‘Well, I’ll try that.’”
Kaszynski flies in the rear seats of F-16 and F-18 fighter jets and supports flight testing of both the F-16 and F-35 programs in her role as an aerial photographer and videographer. Basically, her job is to shoot photos and videos of other fighter jets in various configurations and profiles as part of Lockheed’s flight testing process.
Kaszynski must be able to handle cameras and communicate with the pilots during the aircraft's “high-G” maneuvers and has been trained to eject if necessary.
“I’m shooting not only for engineering documentation but for marketing and business development purposes, so when we get back from that 30-minute flight, I need to have some stellar visuals,” she said. “It’s a great job!”

HighPoint Kennels
Bird Dog Trainer and Breeder Granbury
A professional bird dog trainer and breeder, Bunny Brown knew from the time she was in 5th grade that she wanted to train dogs for a living. “I grew up with horses and dogs, and I’ve never had a normal job,” she said.
Over the last 24 years, her Brittany Field Champions have won and placed in numerous championships including the United States Open Brittany Championship, Texas Open Brittany Championship and the National All-Age Brittany Championship, as well as more than 300 regional field trials in the Midwest. “I started winning and beating professional trainers when I was in high school,” Brown said. “I was traveling all over Texas, Oklahoma and Kansas during my senior year and all through college.”
Brown, who lives in Granbury and trains at the 26,000acre Diamond H Black Ranch, describes an ideal Brittany All Age dog as “having the ability to run big and stay out to the front, to go to the correct objectives to find wild birds, the stamina to run over one hour hard and wide, class, style and manners around their birds, and the ability to find enough birds. Their ground speed and classy style catches a judge’s eye,” she said.
“We do our best to train both dogs and owners,” Brown said. “Owners are welcome to observe and work with their dogs during all phases of training. A well-educated handler is the key to a successful investment in any hunting program.”

Ten easy, affordable and virtually painless ways to turn back the clock for a happier, healthier and more confident you!
by Maggie Tarwater
Gone are the days when a trip to your local plastic surgeon’s office required loads of medication, weeks of bed rest and months before returning to normalcy. In today’s fast-paced environment of powerhouse women, few have time for more than a quick trip to the department store for a fresh tube of lipstick during their lunch break. Thankfully, medical specialists worldwide have dedicated their time to developments in cosmetic surgery that not only adhere to the constant lack of time in our daily lives, but also to easy procedures that leave us looking refreshed and feeling years younger. After all, in a society where time is always at a premium, turning back the clock on our appearance is one way to stop time in its tracks and for some, to relish in the youthful beauty that may have passed by too quickly.
Fifteen minutes and a series of small, painless injections are all that are needed to erase the shadows of time and aging with this quick cosmetic fix-me-up. And as more people may find themselves without the time for surgery, it’s no wonder that BOTOX was the No. 1 top nonsurgical and surgical cosmetic procedure performed in 2008 among both men and women, according to the American Society of Aesthetic Plastic Surgery. “BOTOX is a very safe procedure, that’s why it’s remained so popular,” said James McCarty, M.D., of Southwest Cosmetic Dermatology Associates in Fort Worth, who receives the procedure himself. And according to his nurse, Molly Skaggs, RN, who administers the injectable to patients: “BOTOX can make a nice improvement in your appearance without eliminating all of your expression,” she said. “It’s very safe, very easy and, for the amount of improvement that you get, is one of the less expensive procedures out there.” Injected into the facial muscles where wrinkles and fine lines commonly appear, BOTOX blocks transmission of the nerve impulses to prevent these lines and wrinkles from forming. Costing around $200 an area and lasting about three to four months, BOTOX steadily maintains its accredited reputation as the fast, easy and affordable way to temporarily turn back the hands of time without surgery.
More commonly recognized by its trade names, Restylane®, Juve-
derm™ or Perlane®, these quickstep injections can take years off your appearance in just minutes. And while their purposes may parallel that of BOTOX, their areas of use, treatment processes and results are what distinguish these injectables from their more moderate counterpart. FDA-approved for the treatment of mild facial creases, hyaluronic acid helps smooth and define areas around the mouth or beneath the nose, also called nasolabial folds, by filling deep lines and wrinkles for a more youthful appearance. Enhancing these areas with hyaluronic acid, according to David Rasmussen, M.D., will give patients a more youthful, natural look by helping their skin appear smoother. “The key element of aging is the loss of elasticity and the formation of shadows and hollows in the face,” Rasmussen said. “These injectables reverse that very easily and very safely.” The results of these injectables, according to Basith Ghazali, M.D., P.A., are very natural and effective. “It’s a very safe procedure and most patients are very satisfied,” he said. At about $400 to $1,000, approximately 30 minutes for administration and results lasting anywhere from nine months to a year, these dermal fillers are a great way to quickly achieve youngerlooking skin.
This procedure pretty much speaks for itself, but what might surprise most women is how simple and cost-effective it truly is. According to Richard Grossman, D.O., treatments on the face take a matter of
minutes, after which, patients can return to their normal activities with no noticeable signs of hair removal.
“Most treatments take about 10 to 15 minutes,” Grossman said.
“There is very minor discomfort, and patients are usually thrilled with their results.” Redness can be seen for about 15 minutes to an hour after the procedure, with optimal results typically seen after three to five treatments. Results are immediate and can last for a number of years. “It’s very effective, easy to administer and women love the freedom of no longer having to shave, bleach and wax those troublesome areas.”
Depending on the area, laser hair removal can cost anywhere from $50 to $400 for each treatment, but could be the perfect alternative to those messy creams or your bimonthly waxing sessions.
As the first FDA-approved prescription medication for the treatment of hypotrichosis, or inadequate eyelashes, LATISSE has been clinically proven to help women grow longer, fuller lashes in a matter of weeks. Research suggests that its active ingredient, bimatoprost, prolongs the growth phase while increasing the percent of lashes grown as well. Applied once a day with an applicator brush to the base of the upper eyelid, LATISSE is effective, easy to use and, according to Kelly Kunkel, M.D., P.A., has very few downsides. “We see a lot of people who are looking for easy, nonsurgical ways to enhance their appearance, and this is one way we can help them do that,” he said. Costing anywhere from $105 to $130 for a one-month supply with results typically seen in about four to six weeks, LATISSE is a great solution for that extra pop and sparkle in your eye.
According to Kunkel, Latisse was originally used as part of a prescription eyedrop administered for the treatment of glaucoma or other high pressure eye conditions. After a few weeks of use, a majority of patients noticed longer, thicker lashes as well. Further research by pharmaceutical leader Allergan led to its reapplication as a separate treatment for growing longer eyelashes.
It is a known fact that, as women age, the volume and shape of our lips will slowly begin to decrease. The good news? There are several effective and affordable procedures to treat this small but equally
unpleasant sign of aging. David Lavine, M.D., said hyaluronic acids, such as Restylane® and Juvederm™, have become increasingly popular methods for adding fullness and shape to the lips, while also smoothing out fine lines. “As we get older, our lips get thinner and the central part of our faces begins to show our age,” Lavine said. “The goal is to fill out these areas for plumper lips and an overall younger-looking appearance.” When injected into the lips, hyaluronic acids yield immediate results that will last anywhere from a month and a half to four months. And at about $400 to $600 a treatment and only minutes for administration, Lavine said these lip enhancement procedures are very safe and effective and produce results that leave patients very satisfied.
We know what you’re thinking: There’s no such thing as nonsurgical liposuction, much less for the face. Well, believe it! Thanks to this revolutionary technique that literally melts away stubborn fat, you can say goodbye to that double chin and hello to a beautifully sculpted jawline without surgery. An ultrasound wand delivers radiofrequency heat to break up and emulsify fat cells, which are then excreted through the patient’s lymphatic system. Temperature and energy is regulated by each patient’s individual metabolism, so the procedure is tailored to your body’s specific level of tolerance and comfort. “Most patients say it feels like a hot stone massage,” said Belinda Lambert, Medical Specialist for Destination Beauty of Texas in Southlake. “It really is a remarkable procedure because there’s no surgery, no pain and no downtime, but the patient usually sees amazing results.” Great for treating stubborn fat on the chin, around the jawline and even under the eyes, Lipo-EX also boosts collagen growth so the patient’s skin becomes smoother and firmer. A series of eight treatments is usually needed for maximum results, with patients seeing a dramatic change after the third treatment. A series of eight facial procedures costs $1,600 and takes about 30 minutes each to perform. The results of which, Lambert said, will last forever with a little exercise, lots of water and selfregulated maintenance.
Perfect for women seeking a healthy glow and a more refreshed appearance in a snap, the micropeel is a combination of microderm-
abrasion and one of three different chemical peels. During microdermabrasion, a roughened surface sloughs away dead, dull skin to reveal newer, fresher skin. Great for cleaning out pores, removing blackheads and helping to clear acne scars, this quick and easy facial makeover takes only about 20 minutes to perform and, according to Farrah Archer, lead aesthetician for North Tarrant Skin Care, will help patients achieve softer skin. “It’s a great procedure for patients who want a more even skin tone or who want to achieve smoother skin,” Archer said. Fine lines and wrinkles are smoothed away and hyperpigmentation becomes virtually undetectable for an overall younger-looking appearance. When combined with the more moderate Glycolic or Lactic peels, patients will see more vibrant skin and a completely refreshed look. “These peels are better for patients wanting less drastic results,” Archer said. “They are more like super exfoliators.” The entire procedure takes about an hour to perform, costs $100 and, unlike more aggressive exfoliating procedures, requires no downtime, no anesthetic and no healing time.
If you’re looking for an easy way to enhance your appearance without the help of injections, peels or chemicals, this may be the perfect solution. The OBAGI skin care system was designed to moisturize, heal and improve skin that has been damaged by the sun or affected with age spots. In conjunction with rigorous sun-damage protection and strict adherence to the OBAGI program, this skin care system will rejuvenate your skin for a healthy, younger and more vibrant appearance. And, according to Louis Strock, M.D., P.A., it is much more effective than most department store creams. “Everyone wants skin care in a bottle,” Strock said. “You can get that if you want a limited effect, but we’re trying to cause a meaningful change in both the appearance and textural quality of the skin—the main issues caused by sun damage.” According to Strock, most patients start seeing results in the first month and continue to notice improvements for three to six months, after which they will go onto a maintenance program that requires fewer products but continues to yield great results.
Radio frequency energy heats the deep supporting structures of the

face, smoothing out fine lines and wrinkles to give patients tighter, younger-looking skin. This innovative technique works by heating collagen in the deep layers of the skin. As the collagen heats and contracts, the body begins producing more, giving patients a younger, naturallooking appearance. According to Tim Anderson, P.A.-C of Texas Aesthetics in Arlington, Thermage is one of the best nonsurgical skintightening techniques available today. “Compared with other skintightening procedures that require surgery, Thermage is considerably less expensive, less painful, it’s a one-time treatment and there’s no downtime,” he said. The versatility of Thermage might be another reason patients have turned to this youth-enhancing procedure. Thermage can help brighten dull, tired eyes by improving crow’s feet, lines and hooding above the eyes. “[After treatment with Thermage], new collagen will form, your skin will tighten, your jaw line will become more defined and your wrinkles will smooth away,” Anderson said. Thermage for the entire face costs about $2,500 and takes about an hour to perform and, according to Anderson, improvement will continue to be seen for four to six months and can last up to six years.
A relatively new procedure for skin rejuvenation, the ViPEEL includes a unique, anti-inflammatory ingredient that allows for deeper penetration and decreases posttreatment inflammation. Great for treating hyper-pigmentation, acne-scarring, age-related spots and melasma, the ViPEEL will also soften lines and wrinkles to give patients a smoother complexion and younger-looking skin. “We’ve seen great improvement in pigmentation [with ViPEEL], which has been almost an impossible achievement with darker skinned patients until now,” said Bill Johnson, M.D. Great for sun damage and reducing pore appearance, the ViPEEL also helps boost collagen formation to increasing the tone and texture of the patient’s skin. Results are usually seen within the first 48 hours when light to heavy peeling is typical, “much like that of a sunburn,” Johnson explained. “This peel is significantly more aggressive than most microderms, so patients might see more side-effects, but with that comes great results.” The ViPEEL takes about 30 to 40 minutes to perform and costs around $400 for each treatment with full results seen at six weeks and lasting about three to four months.


Spend one hour with Massage Heights and suddenly the best part of the day is ahead of you. You’ll get even more from your massage as a Member. Receive free aromatherapy and discounted add-on services.
Hours: Mon-Fri 9am-9pm, Sat 9am-7pm, Sun 10am-6pm










Flowers to Go and Marie Antoinette’s are the Zone in Sundance Square for expressing your Mother’s Day appreciation. Order your flowers, roses, tulips, lilies, or a beautiful fresh mix!! Allow your mom to relax in the privacy of our massage therapy amd nail spa, and crown her with a fine fragrance from Creed, Jivago, Herrera, Annick Goutal, and many others, the finest collection in the metroplex. May, the designated month to celebrate you mom. Call today and place your order. 817.339.2555. Web site: www.flowerstogofw.com

Uno Chicago Bar & Grill Chicago’s original deep dish pizzeria is right in the heart of Sundance Square. Uno has surrounded its famous deep dish pizza with many colorful and exciting menu items. New favorites include Lemon Basil Salmon, Chicken Gorgonzola, Baked Stuffed Chicken, Classic Cobb Salad and organic flatbread pizzas. At lunchtime Uno offers a variety of items that will be served within ten minutes. Uno’s full service bar has many excellent signature drinks that compliment any meal. After the show, stop in for a slice of cheesecake or try Uno’s award winning Deep Dish Sundae. A fast and friendly staff is eager to serve you. For call ahead seating or to book a large party, please call 817-885-8667.


Fort Worth, Texas magazine asked the following advertisers to provide our readers with Expert Advice in the individual field in which they are specialists. Just like you, we rely on others with experience in their specialized fields to provide us with useful information. Whether you are searching for a cosmetic surgeon, an attorney, a financial planner or any specialist in between, Fort Worth, Texas magazine’s Expert Advice section is a great place to begin your selection process.
▼ Healt H Medical
Q: What body-contouring options exist to help me get back to my pre-pregnancy state?
Following a pregnancy, many women may need a breast lift and tummy tuck to return their bodies to the pre-pregnancy state. Typical changes to the breasts following pregnancy are drooping and deflated breasts. In addition, women often find a loss of firmness in their tummy along with stretch marks.
Starting with the tummy ... if there is a significant amount of loose skin, the only solution is a tummy tuck. Liposuction is not an option for stretched-out skin, because you can end up with an empty bag of wrinkled, loose skin, which is definitely not the result most patients want to achieve. A tummy tuck will remove a wide wedge of skin in the lower abdomen, which will eliminate any stretch marks from your belly button down to the incision. In addition to removing the excess skin, the muscle, which has been stretched out during pregnancy, will be tightened with sutures. The result is a flatter tummy. By removing the loose skin and tightening the abdominal muscles, your tummy will be close to your pre-pregnancy state.
To address the breast changes during pregnancy, I would recommend a breast lift to reverse the droopiness along with an implant to restore the volume that is often lost. The breast lift will restore the perky shape and tighten the loose skin that you can have following pregnancy. As part of the breast lift, the nipple is lifted up to the position it once was in.
time as the tummy tuck for a complete pre-pregnancy contouring procedure.
Q: Can you perform all the procedures at once?
In most cases, patients can have a breast lift, tummy tuck and liposuction at the same time. However, for the safety of the patient, I limit surgery time to six to seven hours. If I can complete these procedures during this time, I have no problem doing this “mommy makeover” combination. Typically, most women want the breast and tummy surgeries at the same time so they only experience one downtime and can get back to their children and back to work. Because of this I do often recommend a breast lift and tummy tuck at the same time.
Q: What happens if I get these procedures and then get pregnant again later in life?
It certainly has happened in the past; (patients) get remarried, they change their minds later in terms of having another child, or sometimes it’s just an accident. What I tell my patients is that they certainly can get pregnant again, and you can carry your baby. The forces of nature overcome anything that I tighten during the surgery. The consequences are that you may need the same procedures again. I typically recommend that patients be certain of their future pregnancy plans before undertaking these procedures so they are not wasting a surgery.

Q: Is there anyone who should not consider these procedures?
weight—which is certainly a gray zone and could vary from person to person—to decrease the risk of complications. As for those who are considering losing weight, I would definitely recommend that they lose the weight first.
In most cases, patients can have a breast lift, tummy tuck and liposuction at the same time. However, for the safety of the patient, I limit surgery time to six to seven hours. If I can complete these procedures during this time, I have no problem doing this “mommy makeover” combination.
Q: What is the average recovery time following these procedures?
The total recovery time for a tummy tuck (where patients are not able to do anything strenuous) is about six weeks. In most cases, patients are able to return to work on very light duty within ten days. Recovery for a breast lift operation is usually only a week. When I perform an augmentation, adding an implant in combination with a breast lift does not add any more time to your recovery period.
* dr. Y. a nt Hon Y n aka Mura, M.d, F. a .c.S., P. a . Accent On YOu cOsmetic surgerY center And medicAl spA 817.417.7200 accentonyou.com
For the patients who may also notice a little collection of fat around the waist, we can add liposuction. The waist, as well as the thigh area can be contoured with liposuction at the same
Patients who are grossly overweight should lose their weight before doing these procedures. Risk factors such as bleeding, skin that does not heal properly, blood clots and pneumonia ... all these risk factors increase with obesity. You want to be relatively close to your ideal body
Q: What is Thermachoice Ablation?
Gynecare Thermachoice is a minimally invasive procedure that utilizes a balloon to remove the lining of the uterus while leaving the rest of the uterus intact and in place. Known as endometrial ablation, this one-day procedure is designed to bring an end to heavier-than-normal cycles for premenopausal women who have completed childbearing. The procedure, which uses heat to treat the lining of the uterus, can be performed in the office and takes approximately eight minutes to complete. No surgical incision is required, therefore patients do no receive any permanent surgical scars. The procedure is performed under conscious sedation (not general anesthesia) and no hospital stay is required. Most patients resume normal activities within a day. Clinical data shows that five years following the procedure, Thermachoice patients have a 95-percent satisfaction rating. Thermachoice has a proven safety profile with a low rate of complications.
Q: Is there anyone who is exhibiting symptoms of menorrhagia who may not be a candidate for Thermachoice?
Yes. Since the procedure removes the endometrial lining that is necessary for a healthy pregnancy, Thermachoice is only intended for women who have already completed their childbearing or for those women who do not intend to have children.

Q: If I’m interested in the procedure, and I believe I may benefit from the treatment, what is the next step?
First, call our office to arrange a consultation. Because there are many causes for heavy cycles, it is important that we accurately diagnose your condition. At your consultation, we will talk with you and review your medical history before evaluating you and proceeding with the best treatment for your condition, which may include Thermachoice. Q: How is the procedure performed?
work and can resume normal activities within a day. Seven to ten days following the procedure, we will conduct a postoperative checkup. At this appointment we will examine you and clear you for all physical activities.
Known as endometrial ablation, this one-day procedure is designed to bring an end to heavier-than-normal cycles for premenopausal women who have completed childbearing.
Q: How much does the procedure cost? Thermachoice is generally covered by most insurance plans, so cost to the patient is typically an office co-pay. My staff verifies that the procedure is covered before proceeding.
Q: If I decide to have this procedure, why should I choose you?
I have been working with Thermachoice for many years, and I do this as a convenient in-office procedure.
* dr. l isa Gardner
Q: Who may benefit from Thermachoice?
Approximately one in five premenopausal women endure heavier-than-normal cycles. Some women who suffer from such heavy cycles may actually have a medical condition termed menorrhagia—a cycle that is atypically heavy and prolonged. For these women, pain, fatigue and general disruption to their regular activities occurs on a monthly basis. If you think you may have menorrhagia, consider these symptoms: periods that last more than seven days, fatigue or shortness of breath, and/or cycles that clot and saturate one or more feminine products every hour for several consecutive hours. Patients who can relate to these symptoms may in fact be a viable candidate for Thermachoice.
We start by inserting a soft, flexible balloon attached to a thin catheter into the uterus through the body’s natural openings. We inflate the balloon with sterile fluid; this fluid then expands to mold to the shape of the uterus. Once the balloon is inflated, we heat the fluid to approximately 188 degrees Fahrenheit. We then maintain that temperature for eight minutes while treating the uterine lining. Once the treatment is complete, we remove the fluid and the catheter while leaving the balloon in place. Within the next seven to ten days, the heated balloon attached to the the uterine lining will slough off naturally.
Q: What can I expect during recovery?
Most patients experience some cramping during the first day. We generally prescribe Ibuprofen, which is usually effective in relieving these discomforts. Patients typically return to
Fusion Women’s Healt H and Wellness 817.423.2002
fusionobgyn.com 5801 Oakbend Trail, Suite 180 Fort Worth, TX 76132
Q: What alternatives do you have if patients are not good candidates for LASIK? Is there an alternative that allows me to achieve great vision without corrective eyewear?
Yes. The Visian ICL procedure is ideal for patients suffering from moderate to severe nearsightedness and who are not good candidates for, or who would prefer not to undergo, our LASIK procedure.
Q: How is the Visian ICL procedure different from Blade-Free HD IntraLASIK?


The Visian ICL is essentially a permanent contact lens that is implanted inside the eye, whereas the LASIK procedure uses two lasers to reshape the corneal surface. During the Visian ICL procedure, I will create an opening at the base of your cornea for positioning of the lens. A topical anesthetic will be administered to minimize discomfort and a gel-like substance placed inside the eye for protection during the procedure. Next, an opening is made through which the lens will be implanted. Implantation is fast and virtually painless, and the procedure is reversible should the patient wish to have the lens removed, though patients rarely request to do so. The lens is maintenance-free and cannot be seen by the naked eye.
Q: How expensive is the Visian ICL?
Pricing varies depending on individual vision needs. At Kleiman/Evangelista Eye Center, we offer up to two years no interest and affordable monthly payments, and we will work with you to determine a plan that best fits your budget. For most patients, payments are often less than their monthly gas or phone bill!
* DaViD a. KleiMan, MD anthony W. eVangelista, MD
Kleiman | eVangelista e ye center 800.714.2020
lasiksurgery.com
3025 Matlock Road Arlington, TX 76015
Q: What’s the risk of progression with scoliosis?
The risk of progression is different for children, adolescents, teens and adults. It depends on the degree of curvature. For adults, scoliosis doesn’t progress quickly. It’s a slow-growing process that’s associated with arthritis. In younger patients however, it can be due to growth spurts, and the growth and the curvature can progress relentlessly and should be monitored closely. In most patients, scoliosis doesn’t necessarily cause pain.
Q: If I have scoliosis, what are potential treatments?
Treatments for adults usually consist of physical therapy, pain-reducing modalities and, occasionally, surgery when the curvature causes narrowing of the spinal canal. In younger patients, treatment can consist of bracing. Most of the time we can use non-operative measures to prevent the patient from having to undergo surgery.

Q: What problems are associated with scoliosis?
If you have scoliosis, watch out for burning numbness in your hips, thighs or feet, weakness, or increasing pain in your back. These are all bad symptoms that should be evaluated by a physician.
Q: If I think I may be at risk, why should I see you?
Most spine surgeons will evaluate scoliosis but don’t necessarily treat it. You’ll need to find a surgeon who has had training in scoliosis correction. I’ve had extensive training in scoliosis surgery, and we use minimally invasive techniques to straighten the spine and allow for a solid fusion.
* Dr. MarK Kuper center for spinal surgery
817.735.9397 texascsd.com
Q: What is laser disc ablation?
Laser disc ablation is a minimally invasive preventative procedure for degenerative disc disease or disc rupture in dogs. The procedure has been shown to be 97 percent effective in preventing future disc ruptures. We typically utilize this procedure in breeds that are prone to rupturing discs. Good candidates are dogs that have either had a history of back pain or have previously ruptured a disc and are no longer in pain. It’s not a procedure we do because your dog is paralyzed or has back pain. Your pet should be pain free and off all pain medication for at least two weeks.
Q: How is the procedure performed?
Patients have to be under anesthesia; their back will have to be shaved or clipped. We then use an X-ray machine that allows us to view the vertebrae and the disc spaces along the spine. We address the eight most common spaces that are prone to rupturing. While the patient is under anesthesia, we pass a spinal needle into each of those spaces. We then pass a laser fiber into the center of the spinal needle and fire it for a given amount of time. In doing so, the disc space actually melts.

Q: What is the anticipated recovery time?
The patient will stay in the hospital at least one night. For two weeks they need to be confined to a cage. They’ll be placed on an anti-inflammatory and pain medication during that time. After that they can resume normal activities.
Dallas Veterinary surgical center
817.379.5444
info@DFWvetSurgeons.com
DFWvetSurgeons.com
2700 West Hwy. 114 Grapevine, TX 76051







by AliciA berger
Guests were wined and dined by the city’s culinary icons at this year’s Big Taste of Fort Worth benefiting Big Brothers Big Sisters.

Who knew that turning 30 could be so delicious? The famous Cowtown cook-off, Big Taste of Fort Worth, was orchestrated in a new location this year, celebrating the event’s big birthday at the Hilton Fort Worth Hotel. Larry Anfin, chairman of this year’s Big Taste of Fort Worth, dished about the highly anticipated spring soiree.
“The 2009 attendees [saw] some friendly competition between Fort Worth’s finest restaurants like Del Frisco’s Double Eagle Steakhouse and Reata, and the new establishments that are already making a name for themselves like Buttons, Grace
and Eddie V’s,” Anfin said. There was also a return of the exceedingly successful VIP Wine Tasting presented by Bank of Texas, which poured their top vintages from wineries all over the country just prior to the primo event. The tasting contenders brought their signature, seasoned expertise, along with innovative creations that skew the boundaries of traditional cuisine.
For 30 years, Big Brothers Big Sisters (BBBS) has been organizing fundraising events in order to promote and finance their nonprofit agenda and its noble purpose. The mission of BBBS is to enrich, encourage and empower children to reach their
30 years,
highest potential through safe, positive mentoring relationships, which they strive to do through providing a mentor for every child who needs or wants one. To satisfy the incessant need of youth mentoring in America, BBBS has grown exponentially since their early foundation in 1927.
A recent scientific impact study affirmed that children who are involved in a youth mentoring program are 46 percent less likely to begin using illegal drugs, 27 percent less likely to begin using alcohol and 52 percent less likely to skip school, all of which are encouraging odds. Additionally, “Big Brothers Big Sisters mentoring has a long-lasting, positive effect on children’s confidence, grades and social skills," said Judy Vredenburgh, president and CEO of Big Brothers Big Sisters. For these reasons and more, Big Taste of Fort Worth is satisfying for both the stomach and mind.
Attendees of the annual festivity had the chance to mingle with Fort Worth’s culinary geniuses on April 26, at a cost of $85 for the main tasting and $150 for both the main tasting and the VIP wine event. Also, there was a silent auction held after the tastings, which featured unique and exclusive items, while the evening’s music was performed by Trey and the Tritones.
Big Brothers Big Sisters bbbs.org/taste































by Katie martinez
Laura’s Lunch inspires women and raises much-needed funds to help people with neurological disorders in Fort Worth.
Ladies lunching” takes on a whole new meaning in Fort Worth this month. The seventh annual Laura’s Lunch brings together around 600 ladies to celebrate the life of Laura Leonard Hallum and raise funds for the neuroscience center at Baylor All Saints Medical Center.
Hallum, whose grandfather founded Leonard’s, one of the first and most famous familyowned department stores in Fort Worth history, died from brain cancer in 2001. Her family felt very strongly that the specialized gamma knife treatment she received during her illness greatly extended and improved the quality of her life. In 2002, Hallum’s friends and family honored her by raising $1.8 million to bring the treatment to Fort Worth. And with that grand gesture, a new specialty wing was established at Baylor All Saints in Fort Worth.
Fast forward seven years and seven lunches, and now the patients at the Laura Leonard Hallum Neuroscience Center are receiving
cutting-edge treatments for brain tumors, aneurysms, stroke, Parkinson’s disease and movement disorders that were once considered untreatable. The lunch that began with a few dozen friends and family has grown into a community event and a common cause for hundreds of Fort Worth women.
The ladies enjoy some of Hallum’s favorite recipes for lunch, including chicken apricot salad and pimento cheese sandwiches on pumpernickel bread. Suzie Russell, development officer for All Saints Health Foundation, said Hallum was a wonderful cook and baked fresh bread every day. “No one ever left the Hallum home without a loaf of bread,” Russell said. This memory of Hallum prompted her friends and family to compile
The lunch that began with a few dozen friends and family has grown into a community event and a common cause for hundreds of Fort Worth women.
a cookbook of Hallum’s favorite recipes titled “Daily Bread.” The cookbook is supplemented with some of Hallum’s favorite scripture, which she had highlighted in her bible. Copies of the cookbook are sold at the lunch, and this year’s raffle tickets are good for a chance to win several packages of goodies including hotel getaways, a golf outing, gift certificates to area restaurants, a photography session and a child portrait.
Featured inspirational speaker, Lynn Kitchens, will explore ways for women to live life with purpose. She is the Assistant Minister to Women at Christ Chapel Bible Church and wife of pastor Ted Kitchens. Kitchens is also community leader of women’s special events and hosts a women’s mentoring program.

Steve Newton, president of Baylor All Saints, said Laura’s Lunch makes an important contribution to the community because the Laura Leonard Hallum Neuroscience Center greatly impacts the lives of patients by providing compassionate, state-of-the-art treatment right here in Fort Worth for some of the most challenging illnesses. “Laura was a beautiful young woman who had a special ability to positively impact everyone with whom she came in contact,” Newton said. “She made people feel special when they were around her.”
Friday, May 8
Will Rogers Memorial Center 11:30 a.m. – 1 p.m.
Laura's Lunch brings together close to 600 women to celebrate the life of Laura Leonard Hallum. (pictured, left to right: Stephanie Brentlinger, Sue Sumner and Sarah Gentry.


As Six Flags Over Texas begins to serve alcohol for the first time, Heywood ponders the double standards and paradoxes of booze and the boozehounds who consume it.

Heywood is a morning show host at 95.9 FM The Ranch and provides commentary on TXA 21 News: First In Prime between 7-9 p.m. on Thursdays. All complaints can be directed to Heywood@ TheRanchRadio.com.
There was quite a commotion recently when Six Flags Over Texas in Arlington decided to start serving alcohol for the first time since it opened in 1961. Many people were against it because they were concerned about behavioral problems associated with overindulgence, particularly around children. Frankly, I had no problem with the decision. As a matter of fact, I enjoyed a few sips myself when I visited the park the other day. And, aside from refusing to get off the Shockwave and proposing to the concession lady who had a lazy eye, my friends said I behaved relatively well.
However, other venues have remained steadfast in their refusal to allow alcohol at their events. Local colleges and universities still don’t condone drinking inside the stadium at football games. Violations of school policy can be severe. At TCU, you’ll be asked to leave the game. At SMU, you’ll
be forced to stay.
But truth is, the sale of alcohol at any event has always been controversial. Back in the 1970s, beer promotions attracted a number of fans to Ranger baseball games at Arlington Stadium. But the promotions finally ended because of complaints about unruly fans and concerns over the amount of alcohol being consumed. How much alcohol? Well, let’s put it this way. I ran out of money on nickel-beer night.
However, I think a much larger controversy is going to take place over a new bill that’s currently before the state Legislature. If it passes, it will allow liquor stores to open on Sunday. Opponents envision tailgate parties before church services. That’ll never happen. But at least the sermons won’t seem as long. Seriously, alcohol is a paradox. For starters, it’s a universally held opinion that anyone who doesn’t drink must be a recovering alcoholic. But if you drink too little, you’re boring. If you drink too much, you’re obnoxious. If you drink way too much, you get labeled with a disease. Remarkably, the person who doesn’t drink and the person who drinks way too much receive the same label.
you feel important when you have no status. It makes you feel intelligent when you’re stupid. It makes you feel attractive when you’re an eyesore. In fact, it can make you feel any way you like, except the one thing you’re not—sober.
So is alcohol really necessary? Unfortunately, yes. It’s how one gets through a butt-numbing four hours of watching “Titanic” with a girlfriend. It’s how one gets through family dinners with in-laws. It’s also how one tolerates small-talk at social functions with bankers and lawyers. Sadly, massive amounts are needed to tolerate doctors. But one must always be careful. A new study shows that increased alcohol consumption by women leads to lower self-esteem … and eventually a date with me.
As a disease, alcoholism holds a unique status. It’s the only disease that ever gets mentioned in a divorce petition. Think about it. No petitioner has ever accused a respondent of being a “raging diabetic.”
Still, everyone knows that alcohol has its dangers and there are a couple of things that are always disturbing.
The first is underage drinking. If you’re a youngster, it can ruin your health, increase your weight and impair your mind. In other words, you could be mistaken for an adult.
Plus, as a disease, alcoholism holds a unique status. It’s the only disease that ever gets mentioned in a divorce petition. Think about it. No petitioner has ever accused a respondent of being a “raging diabetic.”
Yes, alcohol touches our lives in so many ways. It’s not just the reason your mom left your dad or your uncle was subdued by the other passengers. It’s so much more. Alcohol provides inspiration. That’s why there are no bad ideas after five margaritas. It makes
The second, of course, is drinking and driving. We have strict laws against it and, as a society, we would never do anything to encourage that kind of behavior ... would we? I’m not sure about that. Ever seen a bar that didn’t have a parking lot?
I don’t think anybody will ever fully understand why people drink. You know, people say you fear what you don’t understand. Maybe that’s why I tremble when I hear Spanish. Anyway, I’ve got to run over to Majestic; “Titanic” is on television again tonight.

By shauna Glenn

What is it with people who don't have kids and their dislike for people with kids? What? You were never a kid? You just showed up here on planet Earth, a fullgrown, intolerant adult? What a fete! I mean, you must be in the Guinness Book of World Records or something. Bravo. {clap hands together and give standing ovation}
My latest encounter with said annoying, intolerant, kidhating people came last weekend at lunch. The six of us strolled into our usual Sunday hangout for brunch and were greeted with
less than approving eyes. A couple sitting in a booth in the corner of the room took one look at us (two teenagers, one adolescent, one toddler and two seemingly responsible adults … remember, they didn't know us yet so at least we looked responsible enough) and decided (before we even sat down!) that this arrangement wouldn't work for them. As we took our seats at a table not so near to them, the woman got up from the booth and went looking for, what seemed like, another place to sit. The man who was with her shouted, "Anyplace else we can move?" The woman puckered her overly lipsticked mouth and replied, "Doesn't look like there's an empty table anywhere." She then threw up her hands in disgust. Mind you, they had this exchange right in front of us. I knew right then what this was about. Apparently, we were a problem for them.
The irritated woman sat back down, sighed heavily,
and then furrowed her brow in my direction. What the heck was wrong with these people?
My adorable 3-year-old hadn't climbed on the table, under the table, punched his sister in the gut, screamed out loud, or even spilled his drink yet. That came exactly four and a half minutes later ... in that order. We were being prematurely judged. Was she correct in wanting to move? That's not the point … but, yes, I'm not saying they weren't justified in wanting to sit somewhere else; I’m saying it's rude to be that obvious.
So you know what I did? I did nothing to persuade my young son to do anything other than what he usually does in public. I let him do his thing. I might as well, right? I mean, the uptight couple had already decided my kids would misbehave and ruin their dining



experience, so I just helped fulfill their prophecy. I sure showed them. And you should have seen the looks they threw my way. How dare my children speak, laugh or, Heaven forbid, show any spirited excitement for being alive. I ask you, who's really being obnoxious here? (Don't you just love my overuse of drama?)
This wasn't an unusual occurrence. This kind of thing happens all the time when we're in public together. What am I supposed to do? Lock my kids in a basement until they're grown? Oh. Wait a minute. I may be on to something. Hmm. Excuse me for one second. Note to self: look into possibly building a basement in which to lock up the children until the year 2025.
OK. I'm back. I wonder, why do some people hate kids? I don't get it. I mean, if you have kids you understand why you hate them (at times), but people without kids? Really? I say nope. If you don't have children, then you have no reason to hate them, nor are you allowed to. They didn't break your favorite platter, or repeatedly pee on your brand new TempurPedic mattress, or eat the last of your dark chocolate, or take over the television in your room right about the time you were going to sit down and watch “Grey's Anatomy.”
So, no, intolerant, kid-free adults, you don't get to act burdened, ticked off, let down, disappointed or put out.
If anyone gets to feel these things, it's the people with kids. In fact, we’d like to sit at a separate table—as far away as possible. But hey, you don't get everything you want. Life's a beach. Get over it.
Here's a thought. If you would like to legitimately feel this way (you know, about kids in public places), then please sign up to babysit for me. Don't worry. I won't be gone too long. Just long enough to go to a restaurant for a nice quiet meal and judge the people with kids.

Announcing the winners of the 2009 Imagine No Violence Art Contest, awarded April 13th at the Art Contest Awards Ceremony & Dinner:
Middle School Grand Prize - We’re All in This Together, by Litzet Lopez, Meadowbrook Middle School (above)




High School Grand Prize - Reaching for the Safe City, by Selena Orozco, North Side High School (right) Crestline Management, L.P.






Thank you to the sponsors of the Safe City Ball!

























Benefiting Safe City Commission, Inc.
Mr. & Mrs. Lee M. Bass Anne & John Marion
Mr. & Mrs. Ed Bass
Your generous support helped to create an exciting and memorable evening on March 7th at the Omni Fort Worth Hotel. Proceeds from the Safe City Ball will go to support new and innovative programs and to improve and sustain successful programs operated by the Safe City Commission which include Imagine No Violence, Tarrant County Crime Stoppers, Bright Futures, CORE and other law enforcement support and crime prevention efforts.
Mr. & Mrs. Sid R. Bass


C & N Fire Systems, Inc.
Cantey Hanger LLP/
Quicksilver Resources Inc.
Cash America International, Inc.
Concussion Advertising
Coors Distributing Company of Fort Worth
Devon Energy Corporation
Electric Services Inc.
Finley Resources
Mr. & Mrs. Ben Fortson
Mr. & Mrs. Joel Glenn Healthpoint
IDI - Innovative Developers Inc.
Mr. & Mrs. Dee Kelly
Kelly Hart & Hallman
Mr. & Mrs. Mark Hart
Mayor Mike & Rosie Moncrief
Mr. & Mrs. Ardon Moore
Rent-A-Center, Inc.
Mr. & Mrs. Leonard Roberts
Sid Richardson Carbon & Energy Co.
The Texas Division of Southwest Elevator Inc.
Texas Health Resources
Texas Rangers Baseball Foundation
Texas Wesleyan University
Waste Management of Texas Inc.
where the locals go
By jody dean
Jody Dean’s nose turns south by southwest toward Hico’s Texas Steak Cook-Off, Beef Symposium and Tourist Trap as the aroma of lobster enchiladas and bacon-wrapped scallops fill the air.

Ishould read less. A study a few weeks ago suggested that diets heavy in red meat increase mortality rates.
I read it intently – then got a tattoo on my right bicep. The tattoo is a prime rib, emblazoned with little saltshakers that spell out “Born To Lose.”
Not that I’m flaunting medical science, mind you, but I love beef. And buffalo. And venison. Really anything that swims, quacks or clucks. Pork, too.
My rabbi smiles at me regarding the latter, as if I’m in for a shock inside the Pearly Gates. Alberto may be right, so my philosophy is “stock up now.”
And while most see May as the time for Mayfest, the Nelson and the hallowed Colonial, my thoughts and nose turn south by southwest.
The point of interest is the little town of Hico, where the Texas Steak Cook-Off, Beef Symposium and Tourist Trap is held each May.
Anything with a name like that has to be good … and it is.
Chefs of every stripe converge from all over the state, vying to see who can best poke fire, competing for prizes and pride, as savory scents pour from grill and spit to the tune of bluegrass and country music. May 16 of this year was circled on my calendar before the coals from last year’s gathering cooled. Just one $20 ticket entitles one to graze right to defibrillation with a smile on his or her face.
I nearly do every year and so do the halfdozen camera crews from “The Food Network,” who come not just for the Texana. Because not only do these backyard masters and professional artists fix the best steaks I’ve ever tasted, they also go way off the beaten charcoal and hardwood path. Ever had lobster enchiladas? How about grilled shrimp tacos? Or bacon-wrapped scallops fresh off a glowing treasure of fiery mesquite?
wanted to be. A great mix of old architecture and Bohemian vibe, dotted with interesting cafes and shops, that’s simultaneously airy and safe.
While most see May as the time for Mayfest, the Nelson and the hallowed Colonial, my thoughts and nose turn south by southwest.
Good thing PGA golf is at hand and our two tournaments are back to back, because I’ll need them to help me walk off the effects of Hico.
And regarding walks, may I invite you to stroll over to the best Italian restaurant I’ve enjoyed in many a year? Maybe ever?
This being a column about hole in the walls, I can say I may have found the ultimate, and it’s right here in Fort Worth. A restaurant friend in Dallas actually pointed me to it. I’m embarrassed to say that Nonna Tata has been located at West Magnolia and 6th avenues for three years now, and I just found it.
Better late than never.
For starters, Fort Worth’s “Southside,” as they call it, is everything Dallas’ Deep Ellum
And right in the middle of it, there’s Donatella Trotti’s Nonna Tata, a tiny and terrific little tribute to her native northwestern Italy. Actually, “tiny” is an understatement. Six tables, not counting the small patio fixtures outside, fill this Italian gem. Twenty people fit inside Nonna Tata, maybe 21 if they’re all skinny. She’s not open Saturday, Sunday or Monday, they don’t take reservations, and chances are you will have to wait. If there’s a line, leave your cell phone number. They’ll call you when your name comes up. It. Is. Worth. It. I could not find a can of anything in the kitchen. All ingredients are market fresh. All the dishes are authentic and homemade. Prices are ridiculously low. Bring your own wine and your own glass, unless you want to pay $3 for one of hers. The menu changes, so it’s hard to predict what you’ll encounter—other than to flatly state that you will adore it. I had the best carbonara I’ve ever tasted. As for desserts, the apple-pear cake is Donetella’s specialty, but I had the salami di cioccolata, which is a salami of cocoa pate and cookie, sliced and served with whipped cream.
A poet couldn’t describe it.
Nonna Tata is Trotti’s first try at restauranting, and it shows in every good sense of the phrase. Nothing is contrived or perfunctory. In fact, the name is in honor of her grandmother—who would doubtless be honored. It is not merely a business. It is a labor of pure love, which you can tell by the “yummy” sounds streaming from her guests.







BehInd the SceneS at cBS11 and txa21
“What’s it like in the locker room?”
That is still the No. 1 question I get after working in this profession in one capacity or another for almost 15 years. From my friends, from my family, from wonderfully curious strangers who just want to know, it’s the question I have tried to answer in a variety of ways that isn’t disappointing to the person asking the question. That’s because, quite frankly, it’s not as terribly exciting as you might think.
Yes, occasionally there’s a volatile Terrell Owens comment or two (well, at least there used to be), and every now and then, Mavericks owner Mark Cuban will get a little testy about an official after a tough Dallas loss. Other than that, it’s pretty tame.
That doesn’t mean doing this job in this market is by any means tame. North Texas is, without question, the absolute best sports market in the country. Sure, I might be biased since I am from here, but which locale can boast teams from every professional sport, a slew of area high school teams that are competitive nationally, a Super Bowl on the horizon, an upcoming NBA All-Star Game … I could go on and on. It certainly makes for interesting days.
and am reading off a teleprompter. If I’m co-hosting a show like Mavericks Game Night or Cowboys Game Day, that typically is more off-the-cuff and ad-libbed.
I tell students when I speak with them that I do more homework now than I ever did while I was in school. And you know what? I wouldn’t change it for the world. We all do a ton of research in preparation for our shows … from simply getting familiar with an opponent or looking up particular information on a player, we have to have this stuff in our memory bank “just in case.” For instance, did you know that Mavericks forward James Singleton is an expert marksman thanks to his high school training in Jr. ROTC? Initially, neither did I, but believe me, if Singleton hits a game-winning shot, don’t be surprised if you hear that fun fact thrown out there.
Perhaps the biggest misconception about sports anchors is that we just walk into the studio or arena and start talking in front of the camera. In reality, we spend hours researching information in preparation for our shows.
Perhaps the second-most common question I get is, “What are your days like?” The answer is: No two are the same. On any given day, we could be standing outside a hospital checking to see if the aforementioned Owens is in fact in there, recovering from an accidental overdose. It could involve contacting sources, trying to figure out who the next head coach of the Mavericks is going to be. Or it could involve watching a playoff hockey game from the press box after having octopus juice slung on you. (All of those things have happened.) Those are just a few examples that only scratch the surface, and I still can’t get that octopus juice stain out of my blouse. Seriously.
Perhaps the biggest misconception about sports anchors is that we just walk into the studio or arena and start talking in front of the camera. In reality, we spend hours researching information in preparation for our shows. Then we actually write what we are going to say. If I am anchoring one night on TXA21 or CBS11, generally speaking, most everything I’m saying is something that I have thought about, typed into a computer
Without a doubt, the absolute best part of this wildly unpredictable and exhilarating profession is the people we get to meet. I have had the pleasure of spending an afternoon touring the great Bum Phillips’ horse ranch in Goliad, Texas. I’ve visited with young Palestinian and Israeli soccer players who play on the same team and share the same youthful enthusiasm for sports that 12-year-olds do, despite the fact that their respective countries can’t seem to agree on anything. I met a high school girls’ basketball player who overcame cancer to lead her team to the playoffs. She is, to this day, a constant reminder of how powerful the mind can be in conquering any obstacle.
In one way or another, they’ve all shared something with me or taught me a lesson. The interesting thing is that no matter what the lesson or nugget is, it generally all goes back to one thing: passion. The people I meet and work with just happen to be involved in athletics or television in some form or fashion. They are wildly successful for the most part, and the common denominator among them is the passion they have for what they do. That’s something that transcends sports, and I think it’s a key element for a successful and happy existence.
But back to what most people really want to know when they meet me and are typically afraid to ask. Only a few brave souls have, and it generally goes something like this, “What’s it like being a woman in a men’s locker room?” To that, let me just say this: I always look up, never down.


While choosing any healthcare professional is a personal decision, selecting a cosmetic surgeon requires careful thought and detailed research. To help you make your decision on which specialist is right for you, some area professionals have purchased space to tell you more about themselves, their practice and how they can improve your appearance and self-esteem.
Y. Anthony Nakamura, M.D., P.A.
SPECIALTY: Plastic Surgery. EDUCATION: B.A., Zoology UT, Austin; M.D., UTMB, Galveston; Intern resident and general surgery, LSU School of Medicine, Charity Hospital New Orleans; Plastic Surgery resident, UTMB, Galveston. CERTIFICATION: Board certified by the American Board of Plastic Surgery. PROFESSIONAL MEMBERSHIPS: American Medical Association, American Society of Plastic Surgeons, American Society of Aesthetic Plastic Surgeons, Texas Medical Association, Fellow of the American College of Surgeons. AFFILIATIONS: Methodist Mansfield Medical Center, Texas Health Arlington Memorial Hospital, Medical Center of Arlington. GREATEST PERSONAL ACHIEVEMENT: My daughter and son. It has been fun to watch their transformation into adults. BEDSIDE MANNER: We have a fully accredited, free-standing surgery

center with at least five nurses in the building to assist with the care of our patients and their families. Instead of voicemail, a nurse or nurse coordinator is available to answer your call. As I am only steps away, you will get the answers you need. DURING HIS OFF HOURS: Nakamura plays golf, skis, reads and plays the piano. CHARITABLE WORK: Locks of Love, Boys and Girls Club, Make a Wish. FREE ADVICE: “Check your surgeon’s credentials, and make sure your doctor is certified in plastic surgery by the American Board of Medical Specialties.”
CONTACT INFORMATION: 3030 S. Cooper St. • Arlington, Texas 76015 817.417.7200 • Fax 817.417.7300 info@accentonyou.com • accentonyou.com

Mayli Davis, M.D.
SPECIALTY: Ophthalmic Plastic Surgery. EDUCATION: Undergraduate, University of Kansas; M.D., University of Kansas; Ophthalmology residency, Mayo Clinic; Ophthalmic Plastic Fellowship, U.T. Southwestern. AWARDS/HONORS: Top Docs 2004-2006, Fort Worth, Texas magazine. PROFESSIONAL MEMBERSHIPS: American Medical Association, American Academy of Ophthalmology, Texas Medical Association. AFFILIATIONS: Plaza Day Surgery Center, Plaza Medical Center, Cook Children’s Medical Center, Grapevine Surgical, Calloway Creek Surgery Center. NEW LOCATION: “We are pleased to announce our brand new Colleyville location at 6208 Colleyville Blvd., Colleyville, Texas 76034. INNOVATIONS: Thermage, including cellulite treatment; Evolence and laser eyelid surgery.
CONTACT INFORMATION: 6208 Colleyville Blvd., Ste. 100 • Colleyville, Texas 76034 1101 W. Rosedale • Fort Worth, Texas 76104 817.329.4480 • Fax 817.488.5993 drmaylidavis.com

MEDICAL SPECIALTY: Cosmetic and Reconstructive Plastic Surgery. EDUCATION: M.D., University of Texas Southwestern Medical School at Dallas; Residencies in Plastic and Reconstructive Surgery and Otolaryngology-Head and Neck Surgery at UT Southwestern Medical School/Parkland Hospital (Dallas) and the University of Florida (Gainesville); Fellowship in Otology/Neurotology/Skull-Base Surgery at the University of Southern California (Los Angeles). CERTIFICATION AND MEMBERSHIP: American Board of Plastic Surgery, American Board of Otolaryngology—Head and Neck Surgery, American Society of Plastic Surgeons, American Society for Aesthetic Plastic Surgery and American College of Surgeons. SERvICES: Breast Surgery (augmentation, lifts and reductions), Abdominoplasty, Liposuction and Body Contouring and Facial Rejuvenation including facelifts, necklifts, eyelid and eyebrow lifts; Botox, Juvaderm, Restylane and Sculptra; Full-service Skin Care and Laser Center (Fraxel II, Accent XL, Photofacial, Laser Hair Removal, Microdermabrasion; Obagi, Laroche-Posay/BioMedic, SkinCeuticals, chemical peels, and facials). SPECIAL INTERESTS: Cosmetic surgery, skin cancer surgery (melanomas and other skin cancers) and complex facial reconstruction. HONORS: Co-editor and author of Selected Readings in Plastic Surgery since 1987. vOLUNTEERISM: Medical missionary work in Guatemala, Mexico and the Fiji Islands; Humanitarian Committee of the Tarrant County Medical Society.
CONTACT INFORMATION:
800 12th Ave., Ste. 100 • Fort Worth, Texas 76104
817.810.0770 • plasticsurgerytexas.com

David L. Rasmussen, M.D., P.A.
SPECIALTY: Breast enlargement, uplift and reduction; Face and neck lift; eyelid and brow lift; liposuction; tummy tuck; body contouring; nasal reshaping; Botox, Restylane and Juvaderm. CERTIFICATION: American Board of Plastic Surgery. PROFESSIONAL MEMBERSHIPS: American Society for Aesthetic Plastic Surgery and American Society of Plastic Surgeons. YEARS OF SERVICE: Rasmussen has been providing cosmetic surgery to satisfied patients throughout the Metroplex for more than 20 years. SERVICES: Accredited, in-office surgery with the latest techniques and procedures to enhance the appearance of our patients. Botox, Restylane and Juvaderm; a highly experienced Medical Aesthetician; extensive skin care products and medical peels. IN STRIDE WITH THE TIMES: The key to natural-appearing, improved results in cosmetic surgery is the balance between innovation in technique and the experience and judgment of the surgeon. GREATEST HONOR: The repeated trust my patients put in my hands when we plan, and then achieve, the transformation that they have dreamed about. MOTTO: “All of our dreams come true if we have the courage to pursue them” — Walt Disney.
CONTACT INFORMATION:
1017 W. Randol Mill Road • Arlington, Texas 76012 817.469.1163 • arlingtoncosmeticsurgery.com

Robert L. True, M.D., F.A.C.O.G., A.A.C.S. True Aesthetics Center
SPECIALTY: Cosmetic Surgery, Anti-Aging and Gynecology.
EDUCATION: B.S. Pharmacy, Idaho State University; M.D. University of Nevada Medical School; Cosmetic Surgery Associate, American Academy of Cosmetic Surgery. AWARDS: Faculty Trainer/ Instructor for American Academy of Cosmetic Gynecologists, Who’s Who in Medicine, Empire Registry, Board Certified by the American Board of Obstetrics and Gynecologists. PROFESSIONAL
MEMBERSHIPS: American Academy of Cosmetic Surgery, American Academy of Cosmetic Gynecologists, American Society of Liposuction Surgery, American Society of Cosmetic Breast Surgery, American College of Obstetricians and Gynecologists, American Academy of Anti-Aging Medicine. H OSPITAL AFFILIATIONS: Baylor Grapevine. GREATEST PERSONAL ACHIEVEMENT: “Raising my children into responsible, welleducated and respected adults. My wife and I take great pride in our family.” PROFESSIONAL ACCOMPLISHMENTS:
A recognized, expert instructor for SmartLipo and Tumescent Liposuction; pioneered the concept of Awake Breast Augmentation in the Dallas/Fort Worth area; founded True Aesthetics Center that addresses women’s needs and better health. “I am blessed to have a wonderful, caring staff. I enjoy helping women feel better about themselves, and transforming and sculpting their bodies to meet their greatest expectations.”
OFFERINGS: SmartLipo, Tumescent Liposuction, Awake Breast Augmentation, Bikini Tummy Tuck, Fat Transfer, Vaginal Rejuvenation, Labiaplasty, Advanced Gynecological Surgery, Facial Rejuvenation procedures, Weight-loss and Anti-Aging Programs. FREE ADVICE: “Stay healthy with the right nutrition, daily exercise, anti-aging supplements, and a positive mental attitude to embrace the joy of life.”
CONTACT INFORMATION: 5203 Heritage Ave. • Colleyville, Texas 76034 817.399.8783 • truemd.com








Own the Fort Worth, Texas magazine Dream Home. This gorgeous 6,100-square-foot Mediterranean-style home, built by Jefferies Custom Homes, sits atop a 1.32-acre, tree-covered lot nestled on a hilltop adjacent to a heavily wooded green space in the prestigious Palomar Estates development in Southlake. The spacious floor plan offers an impressive foyer with a grand staircase. The gourmet Wood-Mode kitchen features two islands, a butler’s pantry, double ovens and a wine cellar. The opulent master suite is complete with a cozy fireplace and a luxurious master bath. Entertain year-round in the well-appointed outdoor pavilion equipped with a fireplace and an award-winning pool.






(ask us about payments)
How often do you get a chance to do something wonderful and easy for yourself, and make a difference in somebody else’s life at the same time? Have your smile professionally whitened at a deeply discounted fee while donating 100% of your money to seriously ill, disabled and underprivileged children in our community and around the world.
Be their hero by whitening your smile.


Park Place Motorcars Fort Worth offered fuel for fun as it kicked off the 10th annual 65 Roses Wine and Food Extravaganza benefiting the Cystic Fibrosis Foundation. The party showcased some of Fort Worth’s finest restaurants and chefs, as well as the new GLK Mercedes Benz. The biggest announcement of the night came when the co-chairs for the large charity event on Oct. 21, Lloyd and Rhonda Walsh and Toby and Joanie Darden, were revealed.





















































I learned the value of hardwork from my parents, who owned Paul’s Donuts on 8th Avenue for 35 years. I am a product of Fort Worth public schools and I’m proud to raise my family here. If you trust me with your vote, I’ll provide sound fiscal leadership to ensure our city lives within its means.
Tough times call for tough choices. We need to keep taxes low, find new innovative ways to fund roads, and reconnect neighborhoods with their local government. I pledge to you that I will work night and day to put our neighborhoods and families first. I encourage you to visit FoxforFortWorth.com to learn more.

The Colonial Golf Tournament is one of professional golf’s classic tournaments. This nationally televised competition features the nation’s top golfers on the PGA tour at Fort Worth’s prestigious Colonial Country Club. Crowne Plaza Invitational at Colonial, May 25-31.
Send calendar information to Fort Worth, Texas: The City’s Magazine, c/o Amy HallfordTurman, editor, 6777 Camp Bowie Blvd., Ste. 130, Fort Worth, Texas 76116, or e-mail ideas to ahallford@fwtexas.com. Special consideration will be given to submissions that include photographs. To meet publishing deadlines, information must be received two months prior to monthly magazine issue.
MAYFEST, April 30— MAY 3 » Mayfest is celebrating its 37th year as Fort Worth’s premier community festival. The festival is held on 33 acres in the lovely Trinity Park of Fort Worth. Prepare for four days of fun, family and community. More than 135 groups from Fort Worth and surrounding areas will perform on more than six stages. Back for the third year, local talent will compete in the Mayfest Battle of the Bands. The acclaimed Children’s Area features free activities for kids including face painting, arts and crafts, and the lifesize mound of sand. Visit mayfest.org.
25Th AnnuAl MAin STrEET DAYS FESTivAl, MAY 15-17 » Grapevine is the perfect spot for active lifestyles and outdoor enthusiasts, and the 25th Annual Main Street Days will showcase Grapevine’s adventurous side and natural resources through various outdoor and recreational activities. Festivities include an outdoor exhibition featuring demonstrations, education and interactive activities. Festival guests will have the chance to watch and/or participate in a variety of adventures! Visit grapevinetexasusa.com.
GrEATEr ForT WorTh hErb SociETY hErb FESTivAl, MAY 16 » At The Greater Fort Worth Herb Society’s 2009 Herb Festival, there will be vendors selling herbs and other plants, books and herb-related products. There will be lectures on herbal subjects and demonstrations. The 23rd Annual Herb Festival will be held in the peaceful surroundings of the Fort Worth Botanic Garden Center. Visit greaterftworthherbsociety.org.
16Th AnnuAl DoG DAYS oF SuMMEr, MAY 2930 » Bring your four-legged best friend to Quakertown park in downtown Denton for a day of fur-filled fun at the Dog Days of Denton. The event takes place rain or shine. Attendees can enjoy fantastic festival foods, contests, live music and entertainment, and kids’ games. Vendors will sell their canine-themed wares, arts/crafts and pet care information, and pet rescue groups will be on-site. Visit dogdaysdenton.com.
ThE collEcTionS AnD ThEn SoME, ThrouGh MAY » After a lively summer and fall of dynamic temporary exhibitions, the Museum will focus on The Collection and Then Some this spring. The exhibit will include nearly 100 works, including old favorites and works from storage that have not been seen in some time. The Modern Art Museum, 817.738.9215.
bArbAr A cr AnE: chAllEnGinG viSion, ThrouGh MAY 10 » Think of photography as a vibrant language that extends well beyond realism, where high contrast, overlapping exposures and limited focus are just as important as acute detail. This is the work of Barbara Crane, whose special exhibition of nearly 200 photographs is on view at the Amon Carter Museum, 817.738.1933.
livinG in SpAcE, ThrouGh MAY 10 » Living in Space, an interactive exhibition inspired by the International Space Station (ISS) and created in collaboration with NASA, allows visitors to become ISS crewmembers for a day as they engage in a multitude of
astronaut activities. This unique environment is the basis for a fascinating immersion experience—a window into a day in the life of an ISS crewmember. Fort Worth Museum of Science and History, 817.225.9300.
FocuS: roSSon croW, ThrouGh MAY 17 » For her upcoming FOCUS exhibition, painter and native Texan Rosson Crow will feature large-scale vivid depictions of nostalgia-laden interiors that blend aspects of history with theatricality. Modern Art Museum, 817.738.9215.
FirST looK: MASTErWorKS oF AMEricAn
phoToGr AphY, ThrouGh JunE 7 » This is the first time these works—all part of the Amon Carter Museum’s renowned photography collection—have been exhibited at the museum. Taken together, they reflect the diversity and richness of an American visual tradition. Amon Carter Museum, 817.738.1933.
ArT AnD lovE in rEnAiSSAncE iTAlY, ThrouGh JunE 14 » This exhibit will present a group of exceptional objects that commemorate the most profound moments of Renaissance life: betrothal, marriage and the birth of a child, as well as more informal bonds of love. Kimbell Art Museum, 817.332.8451.
DEEp SEA, ThrouGh JunE 18 » Dive into the Deep Sea now showing at the Omni Theater, an IMAX Dome, at the Fort Worth Museum of Science and History. Through the magic of IMAX technology, audiences will be transported below the ocean surface to swim with some of the planet’s most unique, dangerous and colorful creatures, from the unusual Wolf Eel to the Giant Pacific Octopus. The Omni Theater, 817.225.9540.
DinoSAurS AlivE! ThrouGh JunE 18 » Dinosaurs Alive is a captivating adventure of science and discovery that will enthrall audiences with its unique look at the entire age of dinosaurs. The Omni Theater, 817.225.9540.
hiGh MoDErniSM: AlFrED STiEGliTZ AnD hiS lEGAcY, ThrouGh JunE 28 » Modern Art Photography is widely recognized as being born in the 1910s from the work of Alfred Stieglitz and his hand-picked group of artists. Follow the pathway set by Stieglitz and his colleagues in this exhibition of photographs that blend sharp focus, fine printing and subscription to beauty. Amon Carter Museum, 817.738.1933.
Gr AnD cAnYon ADvEnTurE: rivEr AT riSK, ThrouGh SuMMEr 2009 » Get ready for a thrilling
ride down the Colorado River! Grand Canyon Adventures at the Omni Theater, an IMAX Dome, combines exhilarating river rafting action on America’s most iconic river with the grandeur of the Grand Canyon. Learn how you can make a difference for our parched planet. The Omni Theater, 817.225.9540.
AFTEr hourS AT ThE KiMbEll, SEconD SATurDAY oF ThE MonTh, YEAr-rounD » Join other art and music lovers to listen to music, enjoy an exhibition tour and sip cocktails. Kimbell Art Museum, 817.332.8451.
FirST FriDAYS AT ThE MoDErn, YEAr-rounD
» The first Friday of each month, the Fort Worth StarTelegram, the Modern Art Museum of Fort Worth and Cafe Modern team up to bring you live music and cocktails from 5 to 8 p.m. Docent-led spotlight tours of the galleries at 6:30 p.m. Modern Art Museum, 817.738.9215.
FAMilY FrEE FriDAYS: nATionAl coWGirl MuSEuM AnD hAll oF FAME, l AST FriDAY oF ThE MonTh, YEAr-rounD » Check out the National Cowgirl Museum and Hall of Fame and the Fort Worth Museum of Science and History for free. 817.255.9300.
connEcT To ArT, YEAr-rounD » Presented by Amon Carter Museum, Connect to Art is a free, multiple-visit program for groups of adults with cognitive disabilities and their families and/or caregivers. Amon Carter Museum, 817.738.1933.
SiD richArDSon MuSEuM, YEAr-rounD » Through their collections, oilmen like Sid Richardson, Amon Carter, Thomas Gilcrease, Frank Phillips and R.W. Norton established a link to the romantic legends of the Old West. Sid Richardson Museum, 817.332.6554.
TEx AS civil WAr MuSEuM, YEAr-rounD » The Texas Civil War Museum is a nonprofit member started by Texas oil and gas businessman Ray Richey. The museum features several permanent exhibits focusing on Civil War history and memorabilia. Texas Civil War Museum, 817.246.2323.
TEx AS coWboY hAll oF FAME, YEAr-rounD » The Texas Cowboy Hall of Fame honors Texas men and women who have excelled in the sports of rodeo and cutting. Each booth contains photographs and memorabilia, and many of the booths also have video. Texas Cowboy Hall of Fame, 817.626.7131.







Making a Wake MasterCraft Pro Wakeboard Tour, the longest running, most dominant professional wakeboard circuit in the world, will be stopping in Fort Worth from May 29-31.
Billy BoB’s Texas » Billy Bob’s Texas, 817.624.7117.
May 1 » The Bart Crow Band
May 2 » Rodney Atkins
May 8 » Brandon Rhyder
May 9 » Jason Boland
May 15 » James Otto
May 16 » Restless Heart
May 22 » No Justice
May 23 » Jamey Johnson
May 29 » Bucky Covington
May 30 » Billy Currington
ForT WorTh opera presenTs “Cinderella,” May 1 and May 9 » First performed in Rome in 1817, Rossini’s Cinderella is based on the well-known fairy tale. It came right on the heels of his triumphant “The Barber of Seville.” Written in the short span of three weeks (with help from a collaborator), it contains some of the finest writing for solo voice and ensembles. Bass Hall, 817.396.7372.
ForT WorTh opera presenTs “dead Man Walking,” May 2-10 » Based on actual events. In Louisiana in the 1960s, Joseph DeRocher is convicted of murder and is awaiting execution on death row. DeRocher begins a correspondence with Sister Helen. After meeting with him, and despite misgivings of her own, Sister Helen takes on a personal mission to convince DeRocher to find peace and salvation through confession. Bass Hall, 817.396.7372.
ForT WorTh opera presenTs “CarMen,” May 3 and May 8 » Carmen is a sensual woman whose hobby is collecting the hearts of men. She turns her charms on an upstanding soldier, Don José, who gives up his family, career and reputation for Carmen’s amorous charms. When Carmen becomes bored with Don José’s affections, his obsession shows its flip-side— jealousy. Bass Hall, 817.396.7372.
ForT WorTh syMphony orChesTra presenTs “WesT side sTory: syMphoniC danCes,” May 15-17 » Paganini’s first violin concerto, a dazzling display in technical prowess, features Augustin Hadelich, who last performed with the FWSO at Carnegie Hall. Bass Hall, 817.665.6000.
sTage WesT presenTs “dead Man’s Cell phone,” May 2—JUne 14 » A remarkable new dramatic comedy by the author of The Clean House. Stage West, 817.784.9378.
a year WiThoUT a Frog, ThroUgh May 17 » Casa Mañana presents the Tony Award-nominated adaptation of the beloved Arnold Lobel classic stories, where cherry frog and grumpy Toad leap off the page and onto the stage just in time for blossoming, bird-chirping spring. Casa Mañana Theater, 817.332.2272.
JUBilee TheaTre presenTs “The gospel QUeen,” May 22—JUne 21 » Sheran Goodspeed Keyton captures the great Mahalia Jackson in charismatic style while bringing to life the songs that dubbed Jackson The Queen of Gospel Music. Jubilee Theatre, 817.338.4411.
hyena’s CoMedy nighT ClUB » Hyena’s Comedy Night Club, 817.877.5233.
Billy d. Washington » May 1-2
ron shock » May 8-9
Chad Miller » May 15-16
Chas elstner » May 22-23 dante » May 29-30
FoUr day Weekend, Friday and saTUrday, year-roUnd » The popular improvisational comedy troupe performs skits and songs based on audience suggestions. Four Day Weekend Theater, 817.226.4DAY.
CroWne plaza inviTaTional aT Colonial, May 25-31 » The Colonial Golf Tournament is one of professional golf’s classic tournaments. This nationally televised competition features the nation’s top golfers on the PGA tour at Fort Worth’s prestigious Colonial Country Club. The Crowne Plaza Invitational at Colonial Tournament draws winners of the U.S. P.G.A., U.S. Open, British Open, and the Masters Tournament. Visit crowneplazainvitational.com or pgatour.com.
MasTerCraFT pro WakeBoard ToUr, May 2931 » The longest running, most dominant professional wakeboard circuit in the world will be stopping in Fort Worth. The MasterCraft Pro Wakeboard Tour will be heading to Texas MasterCraft from May 29-May 31. You can expect to see the world’s top athletes, hailing from Europe, Canada and the U.S., battling for their share of more than $250,000 in King of Wake prize money. Directions: Located on a private lake just behind Texas MasterCraft. For directions and details on this event, please visit prowakeboardtour.com.
ForT WorTh CaTs » LaGrave Field, 301 NE 6th St., 817.226.2287.
May 14-17 » vs. Grand Prairie
May 18-20 » vs. Sioux City
May 29-31 » vs. Wichita
TCU Men’s BaseBall » Lupton Stadium WilliamsReilly Field, 817.257.FROG.
May 1 » vs. BYU, 6:30 p.m.
May 2 » vs. BYU, 4 p.m.
May 8 » vs. Utah, 6:30 p.m.
May 9 » vs. Utah, 6:30 p.m.
May 10 » vs. Utah, 1 p.m.
May 12 » vs. Mariners, 7:05 p.m.
Texas rangers BaseBall » Rangers Ballpark in Arlington, 817.273.5222.
May 1 » vs. White Sox, 7:05 p.m.
May 2 » vs. White Sox, 7:05 p.m.
May 3 » vs. White Sox, 7:05 p.m.
May 12 » vs. Mariners, 7:05 p.m.
May 13 » vs. Mariners, 7:05 p.m.
May 14 » vs. Mariners, 1:05 p.m.
May 15 » vs. Angels, 7:05 p.m.
May 16 » vs. Angels, 3:10 p.m.
May 17 » vs. Angels, 1:05 p.m.
May 25 » vs. Yankees, 1:05 p.m.
May 26 » vs. Yankees, 7:05 p.m.
May 27 » vs. Yankees, 7:05 p.m.
May 29 » vs. Athletics, 7:05 p.m.
May 30 » vs. Athletics, 7:05 p.m.
May 31 » vs. Athletics, 2:05 p.m.
20Th annUal CardBoard BoaT regaTTa, May 2 » Amateur boat builders put their skills to the test as they try to navigate their cardboard creations along the Lazy River and Wave Pool at the 20th Annual Cardboard Boat Regatta. Spectators flock to this event at Six Flags Hurricane Harbor to watch the courageous crews brave the waves as well as ride the Tornado and splash around in Hook’s Lagoon. All proceeds benefit River Legacy Foundation and its education programs. Call 817.861.2576 or visit riverlegacy.org.
22nd annUal Bike Ms: saM’s ClUB ride, May 2-3 » The SAM’S CLUB MS 150 is regarded as one of the fastest growing MS 150s nationwide. At 7 a.m., 4,000 cyclists are expected to participate in the twoday, 150-mile ride from Frisco to Fort Worth in the 22nd annual SAM’S CLUB MS 150 this May. The goal: to raise $2.7 million to support the National Multiple Sclerosis Society, Lone Star Chapter. Funds support research and programs for the estimated 20,000 individuals and their families affected by multiple sclerosis in 174 Texas counties. Visit ms150.org.
hisToriC FairMoUnT’s 27Th annUal ToUr oF hisToriC hoMes, May 9-10 » On Mother’s Day weekend, the 27th Annual Tour of Historic Homes will take place. Celebrating beautifully restored homes in the Fairmount district, which is the largest designated historical district in the Southwest. This district preserves antique homes from the turn of the century to the late 1920s. Visit historicfairmount.com.
l ake WorTh MonsTer dash, May 30 » Join the Lake Worth Alliance at the Lake Worth Monster Dash, a 5K and 1 mile fun Run along the shores of Lake Worth at Casino Beach. The USA Track and Field (USATF)certified route offers curves, flat surfaces and a scenic lake view. Benefiting Lake Worth Alliance, The Monster Dash is an event for the entire family with prizes for winners and a T-shirt for all who pre-register. 817.238.8820 or visit runtimeracingservices.com.
CoWBoys oF Color CUlTUral yoUTh heriTage seMinar, Wednesdays, year-roUnd » National Cowboys of Color Museum and Hall of Fame, 817.922.9999.
danCe lessons, Mondays and ThUrsdays, year-roUnd » Billy Bob’s Texas, 817.624.7117.
grapevine vinTage railroad, varioUs daTes, year-roUnd » Rides are available from Grapevine to the Fort Worth Stockyards and from the Stockyards to 8th Avenue at the Trinity River. Stockyards Station, 817.625.RAIL.
hisToriC ForT WorTh, inC. ToUrs, yearroUnd » These tours include the Ball-EddlemanMcFarland House and the Thistle Hill House Museum. Historic Fort Worth, Inc., 817.336.2344.
oMni TheaTer and noBle planeTariUM, year-roUnd » The Omni Theater has numerous exciting shows daily. Construction on the museum’s new facilities continues through Fall 2009. Fort Worth Museum of Science and History, 817.255.9300.
sToCkyards ChaMpionship rodeo, Friday and saTUrday, year-roUnd » Rope, ride, race! Traditional rodeo fun for the whole family. Cowtown Coliseum, 888.269.8696.
sToCkyards daily CaTTle drive, year-roUnd » The world’s only daily cattle drive. Fort Worth Stockyards, Exchange Street, 817.624.4741.
ForT WorTh WaTer gardens, year-roUnd » Here, visitors can stand 38 feet below street level amid 1,000 gallons of water cascading down a 710-foot wall. That’s just one attraction! Fort Worth, 1502 Commerce St., 817.871.7698.
















1st Place Signs
Ben E Keith Beverages
Blue Tower Café
Bubba’s Backyard Bar B-Q
Campesinos Café
Circle S Catfish Grill
Coors Distributing Company
FortWorth,Texas magazine
Frost Banking
G-Texas Catering
Hi Roller Band
Home Appétit A Personal Chef Service
Miss Devon & The Outlaw
Monticello Spring Water Co.
Quick Park
Rahr & Son’s Brewing
Renfro Foods
Riscky’s BBQ & Catering
Rosa’s Café & Tortilla Factory
Sam’s Club Foundation
Star Bank
Starbucks Coffee Company
The Lunch Box
Tres Joses Mexican Restaurant
XTO Energy

Served atop creamy skin-on smashed potatoes, the Shula's 347 Braised Short Rib of Beef entrée is bursting with comforting down-home flavors. The Premium Black Angus beef boneless short ribs are braised in red wine, creating meat so juicy and tender, you can cut it with a fork. Pieces of fried onion strings punctuate bites, rounding out the flavors. The dish’s rich aroma and meat-and-potato basics bring you right back to Mom’s kitchen table. The hearty portion is ideal for men’s healthy appetites, and daintier eaters are sure to have ample leftovers. A side of seasonal veggies (such as carrots, squash and zucchini) completes the meal.
With cool, masculine décor and tasty dishes for the heartiest of appetites, Shula’s 347 Grill is a welcome addition to downtown.
Stepping into Shula’s, you feel its difference at once. A refreshing blend of an upscale and a more casual grill, the restaurant has a unique laid-back vibe. Managers are in suits, but the environment is anything but stuffy.
When most steak houses don’t want to be too upscale, they turn to kitschy, country décor. But Shula’s gleans its character from a look that’s both masculine and chic. Black wainscoting decorates the bottom halves of the walls, while football-colored pig-skin leather covers the upper halves. Dark wooden floors anchor the space, and stainless steel accents treat the eyes. Black-and-white sports photos deck the walls, and flat-screened TVs are a saving grace when an anniversary falls on the night of a big game.
Connected to the Sheraton Fort Worth Hotel & Spa, Shula’s 347 opened in June 2008. Named in honor of Hall of Fame Coach Don Shula, it’s one of approximately a dozen scattered around the nation. Valet parking is available at the hotel, and it’s complimentary if the restaurant’s hostess validates your ticket.
We began our meal with the Crispy Ravioli, which essentially are dressed-up versions of fried mozzarella cheese sticks. Eight bread crumb- and herb-battered fried ravioli were filled with a creamy blend of Parmesan, Romano, cream cheese and mozzarella. Creatively plated on uncooked capellini pasta, the ravioli were served with a tasty tomato coulis that was rounded out with a splash of Pernod.
If you’re looking for an appetizer that’s more unique, try the BBQ Shrimp. Created by Execu-
Sunday-Thursday: 6:30 a.m.-10 p.m.
Friday-Saturday: 6:30 a.m.-11 p.m.
Sheraton Hotel
1701 Commerce St., Fort Worth 817.870.2700, donshula.com $$
The world of wine and wine tasting doesn’t have to be intimidating.

tive Chef Dane George exclusively for the Fort Worth restaurant, they’re stuffed with basil and wrapped in bacon. The shrimp come alive with a tangy barbecue sauce that has some kick from a dash of horseradish.
Though the menu’s sandwiches and burgers were tempting, I couldn’t resist what the restaurant is most known for—its Shula-Cut steaks.
Using top-quality cuts of Premium Black Angus, the company ages the beef to bring out the best in its flavors. Seasoned with kosher salt, white and black pepper, thyme and paprika, the 8-ounce filet mignon did not disappoint. Although it was served with a side of béchamel sauce, the steak did not need any additions. Instead, I preferred to let the simple flavors of the meat shine. Iron Skillet Beans had the ideal baked-bean flavor with a hint of mustard.
Also well prepared, the hearty red-wine braised beef short ribs were moist and tender enough to cut with a fork. Paired with skin-on smashed potatoes flavored with butter, cream, salt, pepper and a hint of garlic, the short ribs were slow cooked to perfection. Fried onion strings topped the meat, providing an extra punch of flavor to each bite. The accompanying sautéed carrots, zucchini and squash were
The Perfect Pair To balance the powerful flavors of the aged Shula-Cut 8-ounce filet mignon, opt for a full-bodied red wine like the Simi Landslide Cabernet Sauvignon. With deep tannins and hints of blackberry and plum, the bold Alexander Valley, California, wine stands up to the restaurant’s signature steak.
a fresh addition.
We concluded the meal with Ancho Chocolate Pecan Pie served warm, a la mode, with a dusting of cinnamon atop the vanilla ice cream, finely chopped pecans blended with rich chocolate in a buttery crust. The subtle undertones of the sweet ancho chilies provided depth of flavor without heat. Created by George for the Fort Worth restaurant, the pie left me craving more.
Also worth mentioning, the Post Game cocktail—chilled espresso, Absolut Vanil, Starbucks liqueur and Bailey’s, served in a martini glass with a drop of white chocolate—was a delicious alternative to after-dinner coffee.
During the meal, service was attentive, and our drinks were never less than half full. Though our server could have been a bit smoother in his descriptions, overall, he was knowledgeable about the food and its ingredients. Hostesses were friendly, and a manager amicably greeted, then followed up, with guests.
Seventh AnnuA l
Seventh AnnuA l
Seventh AnnuA l
Benefiting the Laura Leonard Hallum Neuroscience Center at Baylor All Saints Medical Center at Fort Worth c
Benefiting the Laura Leonard Hallum Neuroscience Center at Baylor All Saints Medical Center at Fort Worth c
Benefiting the Laura Leonard Hallum Neuroscience Center at Baylor All Saints Medical Center at Fort Worth
Friday, May 8, 2009 ~ 11:30 a.m.
Friday, May 8, 2009 ~ 11:30 a.m.
Friday, May 8, 2009 ~ 11:30 a.m.
Will Rogers Memorial Center – Round Up Inn
Will Rogers Memorial Center – Round Up Inn
Will Rogers Memorial Center – Round Up Inn
Guest Speaker – lynn Kitchens
Guest Speaker – lynn Kitchens
Guest Speaker – lynn Kitchens
Luncheon Graciously Underwritten By:
Luncheon Graciously Underwritten By:
Luncheon Graciously Underwritten By:
Amon G. Carter Foundation | Marty Leonard and Madelon Bradshaw | Greg and Vicki Cantwell
Amon G. Carter Foundation | Marty Leonard and Madelon Bradshaw | Greg and Vicki Cantwell
Amon G. Carter Foundation | Marty Leonard and Madelon Bradshaw | Greg and Vicki Cantwell
Fort Worth, Texas Magazine | Baker and Sarah Gentry | The Lawrence B. Dale Family Foundation
Fort Worth, Texas Magazine | Baker and Sarah Gentry | The Lawrence B. Dale Family Foundation
Fort Worth, Texas Magazine | Baker and Sarah Gentry | The Lawrence B. Dale Family Foundation
Cindy and Paul Leonard, III, Donna and Daniel Leonard, David and Nena Leonard, Louise and Rob Keffler
Cindy and Paul Leonard, III, Donna and Daniel Leonard, David and Nena Leonard, Louise and Rob Keffler
Cindy and Paul Leonard, III, Donna and Daniel Leonard, David and Nena Leonard, Louise and Rob Keffler
Luther King Capital Management | Range Resources Corporation | Johnny and Eloise Vinson | XTO Energy
Luther King Capital Management | Range Resources Corporation | Johnny and Eloise Vinson | XTO Energy
Luther King Capital Management | Range Resources Corporation | Johnny and Eloise Vinson | XTO Energy
Event Co-Chairs
Event Co-Chairs
Event Co-Chairs
Stephanie Brentlinger & Sarah Gentry Committee
Stephanie Brentlinger & Sarah Gentry Committee
Stephanie Brentlinger & Sarah Gentry Committee
Janet Bishop
Janet Bishop
Janet Bishop
Stephanie Brentlinger
Stephanie Brentlinger
Stephanie Brentlinger
Mary Alice Brumley
Mary Alice Brumley
Mary Alice Brumley
Patsy Butler
Patsy Butler
Patsy Butler
Kristen Coffee
Kristen Coffee
Kristen Coffee
Mary Collins
Mary Collins
Mary Collins
Sarah Daniel
Sarah Daniel
Sarah Daniel
Sarah Gentry
Sarah Gentry
Sarah Gentry
Anne Green
Anne Green
Anne Green
Adelaide Hallum
Adelaide Hallum
Adelaide Hallum
Mindy Hallum
Mindy Hallum
Mindy Hallum
Nancy Herren
Nancy Herren
Nancy Herren
Debi Hicks
Debi Hicks
Debi Hicks
Sarah Jarrett
Sarah Jarrett
Sarah Jarrett
Sheri Jones
Sheri Jones
Sheri Jones
Louise Keffler
Louise Keffler
Louise Keffler
Lynn Kitchens
Lynn Kitchens
Lynn Kitchens
Cindy Leonard
Cindy Leonard
Cindy Leonard
Donna Leonard
Donna Leonard
Donna Leonard
Nancy Leonard
Nancy Leonard
Nancy Leonard
Nena Leonard
Nena Leonard
Nena Leonard
Marty Leonard
Marty Leonard
Marty Leonard
Jan McConnell
Jan McConnell
Jan McConnell
Chrissie McCutchen
Chrissie McCutchen
Chrissie McCutchen
Alicia McDonald
Alicia McDonald
Alicia McDonald
Sheila Moncrief
Sheila Moncrief
Sheila Moncrief
Gayle O’Neal
Gayle O’Neal
Gayle O’Neal
Martha Prioleau
Martha Prioleau
Martha Prioleau
Tamara Reese
Tamara Reese
Tamara Reese
Carolyn Roberts
Carolyn Roberts
Carolyn Roberts
Charlotte Robinson
Charlotte Robinson
Charlotte Robinson
Patricia Ryan
Patricia Ryan
Patricia Ryan
For more information regarding the Laura Leonard Hallum Neuroscience Center or to purchase tables or tickets for Laura’s Lunch, please call 817-922-7707.
For more information regarding the Laura Leonard Hallum Neuroscience Center or to purchase tables or tickets for Laura’s Lunch, please call 817-922-7707.
For more information regarding the Laura Leonard Hallum Neuroscience Center or to purchase tables or tickets for Laura’s Lunch, please call 817 922-7707.

Offering fabulous French fare for more than 20 years, Cacharel is an Arlington mainstay.
The pinnacle (quite literally) of Arlington’s fine-dining scene for more than two decades, Cacharel has a certain je ne sais quoi. Located on the ninth floor of the Brookhollow Tower, it provides a scenic view of the city’s highlights— Six Flags, the Rangers’ Ballpark and the new Cowboys’ Stadium.
Inside the restaurant, low lighting offers a romantic, intimate ambience that’s ideal for dates and celebrating special occasions. On the tables, small, crystal oil lamps flicker like candles, playing off the skyline’s lights that beam beyond the expansive windows. Leather-seated, wooden-armed chairs surround the cream linen-topped tables. Brick-framed interior windows give diners a glimpse inside the kitchen where white-jacketed chefs are preparing the French cuisine.
Decidedly upscale, yet still relatively laidback (no jackets required), Cacharel is a fusion of French country and haute cuisine. On one hand, the dining room’s heavily textured khaki walls and blonde wooden accents give the restaurant a calm French country air. However, courteous, vested servers and cordon bleu cuisine maintain Cacharel’s upscale status.
During the week, the atmosphere is relaxed, but sometimes it’s a bit too laidback. On a recent visit, we were ready to go 15 minutes before a server brought the check. That said, most times the service is exceptional. Though the food can be on the pricey side, it’s well worth it. If you want the most value for your money, order from the prix fixe menu. For $48.50 you can choose an appetizer, entrée and dessert from a menu that changes daily.
As an available appetizer, the Belgian
Endive and Watercress Salad is a standout. Tossed in a light raspberry vinaigrette dressing, it’s beautifully plated. Four crisp endive spears accent the delicate watercress leaves, and the salad’s classic trio of apples, walnuts and bleu cheese complement each other nicely. The crunch of the apples and walnuts balance the bleu cheese’s creaminess, and their tart, nutty and pungent flavors harmonize.
For those who are truly Texans, the 14-ounce New York strip steak with cabernet sauce won’t disappoint. Though it’s not on the fixed menu, it’s worth the extra cost. Perfectly seared, the meat’s seasoned crust gives way to a burst of flavor and tender center. Served with snow peas, the steak rivals some of the best in Fort Worth and is a good alternative for those not fond of French fare. But with dishes like grilled buffalo tenderloin that’s accented with cabernet sauvignon sauce and shitake mushrooms, you’ll be rewarded if you step outside your comfort zone and try something you don’t find at just any restaurant.
A menu highlight is the sliced roasted duck breast, which is served on a savory bed of red wine-flavored cabbage. The dish’s six slices of moist, not-too-fatty duck pair nicely with a glass of pinot noir. Half a roasted apple tops the meat, its fruity flavors balancing the duck’s fatty tendencies. The cabbage adds a slight crunch to bites of the duck. Three pillows of duck ravioli accompany the strips of duck breast. Though the ravioli filling is a bit dry from all the meat, it’s still quite tasty, and the duck’s accompanying reduction adds more flavor and moisture.
For dessert, Cacharel’s soufflés are unrivaled. Served piping hot, the light, airy apricot soufflé is sweet, accented with chopped apricots and roasted macadamia nuts. The chocolate soufflé is richer and slightly less sweet. Both are served with a light dusting of powdered sugar. A side of fresh, not-too-sweet whipped cream complements the soufflés as the cool whipped cream melts atop the warm dessert. Wonderfully executed, the soufflés are a perfect ending to a meal at Cacharel.
Monday-Friday: 11:30 a.m.- 2 p.m. & 5 p.m.-10 p.m.
Saturday 5 p.m.-10 p.m.
2221 E. Lamar Blvd., Ste. 910, Arlington 817.640.9981, cacharel.net $$$






The most sought-after restaurant listing to navigate the area's growing dining scene.
B Breakfast
L Lunch
D Dinner
✹ Outdoor Dining
( Reservations
T Valet Parking Pricing
$ Entrees up to $10
$$ Entrees
$10-$20
$$$ Entrees $20-$25
$$$$ Entrees $25 and over
american
Arlington / Mid-Cities
CHeF Point CAFe » 5901 Watauga Rd., Watauga, 817.656.0080. Eat gourmet in a gas station! Located inside a Conoco station, don’t expect white tablecloths in this cafe, whose motto is “Fill’er-up outside, fill’er-up inside.” This unique restaurant features everything from delicious burgers to stuffed steaks and lamb chops. 11am-9pm Mon.-Thu.; 7am-10pm Fri.-Sat.; 10am-8pm Sun. $-$$ L D
gArden CottAge teA rooM » 5505 Davis Blvd., 817.656.9780. Escape to The Garden Cottage Tea Room inside Golightly’s Gallery in North Richland Hills. This graceful tea room has been serving tremendously light fare and decadent desserts: banana caramel pie, caramel pecan cheesecake and chewy butter cake, just to name a few — made from scratch — since 1985. This charming lunch or meeting spot, which is also available for special events, is the perfect place to grab a light lunch or enjoy a cup of tea. 11am-2pm Tue.-Sat. $ L ( MAC’s BAr & grill » 6077 W. 1-20, 817.572.0541. The cuisine in this Chicago-style restaurant ranges from Southwestern to Cajun to American grill. Dishes include prime rib, shrimp or crawfish étouffée and even chicken-fried steak. Mac’s maintains an upscale, casual atmosphere with white tablecloths, tulip lights, dark wood walls and candlelight. 11am-10pm Mon.Thu.; 11am-11pm Fri.-Sat. $$ L D ( ✹
MArKet street » 5605 Colleyville, 817.577.5020. Good meals to eat in or take home. Good choices of breakfast, salads, pizzas and Tex-Mex. Don’t forget the cobbler. 6am-11pm daily. $ B L D ✹
no Frills grill » 4914 Little Rd., 817.478.1766. Other locations: 801 S. Main St., Keller, 817.741.6344; 2851 Matlock Rd., Ste. 422, Mansfield, 817.473.6699. Along with its doppelganger on Eastchase Parkway, No Frills Grill offers large portions at low prices. Video games, a pool table, a back patio and 80-plus screens make dining fun at all hours at this local sports bar. 11am2am daily. $ L D
olenJACK’s grille » 770 Road to Six Flags East, Ste. 100., 817.226.2600. Chef Brian Olenjack has developed an eclectic menu where there’s something for everyone. Try the chicken-fried steak, so big you’ll have leftovers for days. 11am-10pm Mon.-Thu.; 11am-11pm Fri.-Sat.; 11am-9pm Sun. $-$$$ B L D ✹ rose gArden teArooM » 3708 W. Pioneer Pkwy., 817.795.3093. The Rose Garden Tearoom is known for its flavorful rose tea and scrumptious bakeries. You’ll feel as if you’ve stepped into England. 10am-6pm Mon.-Sat.; noon-6pm Sun. $ L ( tHe sAnFord HoUse » 506 N. Center St., 817.861.2129. The comfortable Victorian-style inn just north of downtown offers exquisite dining. Reservations requested. 11am-2pm Sun.-Wed.; 6:30am-10pm Thu.-Sat. $-$$ B L ( ✹
soUtHern reCiPes grill » 2715 N. Collins St., 817.469.9878. A restaurant that offers up great atmosphere and a choice of chicken, seafood or steak. 11am-9pm Mon.-Fri.; 8am-11pm Sat. $-$$ L D ( ✹
VentAnA grille » 7005 Golf Club Dr., 817.548.5047. Located inside the clubhouse at Tierre Verde Golf Club. Serves all meals, but a great pick for an evening out! 6:30am-8pm Sun.-Wed.; 6:30am-10pm Thu.-Sat. $-$$ B L D ( ✹
the listings section is a readers service compiled by the Fort Worth, Texas magazine editorial staff. The magazine does not accept advertising or other compensation in exchange for the listings. Listings are updated regularly. To correct a listing or request a restauarant be considered for the list, contact Amy HallfordTurman at ahallford@fwtexas.com.
BillY Miner’s sAloon » 150 W. 3rd St., 817.877.3301. One of the first in downtown, you’ll find your favorite grill food, from burgers and fries to just about anything else. 11am-10pm Mon.-Thu.; 12pm1am Fri.-Sat. $ L D ( ✹
BlUeBonnet CAFÉ » 2223 Haltom Rd., Haltom City, 817.834.4988. The only thing better than the breakfast — and not much is — is the pot roast. The Southernstyle cooking is complemented by mementos from "I Love Lucy." 6:30am-2:30pm Mon.-Sat. $ B L BUttons » 4701 W. Freeway, 817.735.4900. Fort Worth featuring Keith Hicks’ signature upscale southern-chic cuisine paired with old school music and a vibrant atmosphere. 11am-2:30pm Mon.-Fri.; 5pm-10pm Mon.-Thu.; 5pm-11pm Fri.-Sat.; 11am-3pm Sun.; 4pm7pm Happy Hour Mon.-Fri. $$$ L D (
CHArleston’s » 3020 S. Hulen St., 817.735.8900. You can get as casual as coaching shorts, though we’d suggest one think better of it. There’s nothing casual, though, about the hickory-grilled pork, Idaho rainbow trout and classic baby back ribs. 11am-10pm Mon.Thu.; 11am-11pm Fri.-Sat.; 11am-9pm Sun. $$ L D ( ✹
gAllerY Art CAFe » 609 S. Jennings Ave., 817.335.4646. The menu features American/Southwestern favorites, and the food is worth coming back for. 7am-3pm Mon.-Fri.; 10am-2pm Sat. & Sun. $ B L ( ✹
tHe CoVeY restAUr Ant & BreWerY » 3010 S. Hulen St., 817.731.7933. The brewery features a sevenbarrel microbrewery at its center. Lunch and dinner menus range from pizzas to entrees. 11am-10pm Sun.Thu.; 11am-midnight Fri.-Sat. $$-$$$ L D ( ✹
CUrlY’s CUstArd » 4017 Camp Bowie Blvd., 817.763.8700. Cool down with a fresh frozen custard or try a milkshake—35 flavors to choose from! Enjoy on outdoor benches or drive thru. 11am-10pm Sun.-Thu.; 11am-11pm Fri.-Sat. $ L D ✹
dixie HoUse CAFe » 3701 Belknap St., 817.222.0883. Other locations: 6200 E. Lancaster, 817.451.6180; 5401 S. Hulen St., 817.361.8500. This family-operated restaurant is known for its chicken-fried steak and homemade rolls. 6:30am-2pm Mon.-Thu. & Sat.; 6:30am8:30pm Fri. $ B L (
dreW’s Pl ACe » 5701 Curzon Ave., 817.735.4408. A westside favorite for good home cooking. Excellent service and a friendly atmosphere. 11am-5pm Thu.; 11am-9pm Fri.-Sat.; 1pm-5pm Sun. $-$$ L D ( Fred’s tex As CAFe » 915 Currie St., 817.332.0083. This great music venue features innovative food combinations, from hamburgers to green chili pork roast with sweet potatoes and sourdough battered chickenfried steak and gravy. The outdoor patio only adds to the attraction of the fun café. 10:30am-midnight Tue.Sat.; 10:30am-9pm Sun. Closed Mon. $$ L D ✹
lUCile’s stAteside Bistro » 4700 Camp Bowie Blvd., 817.738.4761. Where do we start—with tableside bananas foster for an entrée or fried green tomatoes with an incredible lobster bisque for dessert? Grazing and drinking in any order are popular sports at this favorite westside bistro. Lucile’s has brunch Sat. and Sun. and 40, yes, 40 great martinis. 11:30am-10pm Mon.Thu.; 11:30am-11pm Fri.; 9am-11pm Sat.; 9am-10pm Sun. $$ L D ( ✹
lUnCH Box » 6333 Camp Bowie Blvd., 817.738.2181. This westside lunch hot spot serves fabulous soups, salads and more. The colorful, flavorful menu will satisfy any taste. 11am-3pm Mon.-Fri.; 11am-2:30pm Sat. $ L
MAsseY’s » 1805 8th Ave., 817.921.5582. Open since 1947, this place is an institution, built largely on its reputation for chicken-fried steak. There’s all-you-can-eat catfish on Wednesday and Friday nights, and steaks, seafood and salads. For dessert, try a slice of homemade pie. No frills in the ambiance—this is strictly casual dining. 11am-9pm Mon.-Thu.; 11am-9:30pm Fri.; 11am-9pm Sat.; 11am-3pm Sun. $ L D
MontgoMerY street CAFÉ » 2000 Montgomery St., 817.731.8033. This is no-frills cooking at its finest. From omelets to chicken-fried steak, the menu includes fabulous Southern favorites. 6am-2pm Mon.Fri.; 7am-noon Sat. $ B L( old neigHBorHood grill » 1633 Park Place Ave., 817.923.2282. Everyone knows everyone’s name in this appropriately named grill. Fabulous breakfast entreés of pancakes and Belgian waffles are matched by an equally scrumptious lunch/dinner menu. 7am-9pm Mon.-Sat. $ B L D ✹
ol’ soUtH PAnCAKe HoUse » 1509 S. University Dr., 817.336.0311. This place is hopping 24 hours a day, so if you get a craving in the middle of the night for German pancakes, slip on your fuzzy house shoes and join the party. Open 24 hours. $ B L D ( oVAtion dining And entertAinMent » 6115 Camp Bowie Blvd., 817.732.8900. This venue offers quality food and an extensive live music calendar. 6pm-11pm Wed.-Thur.; 6pm-midnight Fri.-Sat.; noon10pm Sun.; Closed Mon.-Tue. $$ L D ( PAris CoFFee sHoP » 700 W. Magnolia, 817.335.2041. This Fort Worth institution has been serving up homemade breakfasts and lunches since 1930. 6am-3pm Mon.-Fri.; 6am-11am Sat. $ B L ( PArK Hill CAFe » 2974 Park Hill Dr., 817.921.5660. With a weekend menu that changes on a weekly basis, you can’t go wrong at this quaint cafe. On the regular weekly menu, try the Smoked Turkey Park Hill sandwich - smoked turkey, cranberry relish, coleslaw and spicy mustard on toast. Serves fabulous American cuisine in the evenings and a scrumptious Sunday Brunch. 10:30am-3pm Mon.-Sat.; 6pm-9pm Thu.-Sat.; 10:30am-1:30pm Sun. $-$$ L D
PoP’s sAFAri rooM » 2929 Morton St., 817.334.0559. You’ll find just about any wine and a good cigar, but don’t forget the fine food in one of the two smoke-free dining rooms. Specializing in wild game, entreés feature beef tenderloin, crab cakes and more. 10am-10pm Mon.-Wed.; 10am-midnight Thu.Sat.; Closed Sun. $$-$$$ L D ( ✹ rise & sHine » 3636 Altamesa Blvd., 817.423.3555. Breakfast served all day, featuring 54 varieties of omelets and other goodies. The lunch menu is pretty tasty, too. 6am-2pm daily. $ B L (
seCret gArden teArooM » 2601 Montgomery St., 817.763.9787. Indeed a secret garden, the tearoom is nestled among 40 separate “shops” inside the Montgomery Street Antique Mall, which offers a unique casual dining experience. The menu features light sandwiches and a variety of salads, soups and quiche. And as the name implies, they carry a wide range of teas (might we suggest the apricot-mango?). 11am-3pm Mon.-Fri.; 11am-4pm Sat.; noon-4pm Sun. $ L ( snooKie’s » 2755 S. Hulen St., 817.207.0788. The menu at first seems typical of casual American cuisine until you hit Ostrich burger. If that doesn’t appeal, however, stick with cheese fries or any of the other five burgers. A fully stocked bar offers eight beers on tap— including Dos Equis Lager and Black and Tans—and four TVs to watch the big games. 11am-2am daily. $ L D ✹
tex As grill » 6550 Camp Bowie Blvd., 817.377.0270. This casual Western-style restaurant is a real steal, with the most expensive entrée less than $7. The menu features unusual items, such as tuna salad with homemade dressing and chicken-fried steak topped with spicy queso. A dozen bottled beers are available, including Texas favorites Shiner and Lone Star. 11am9pm daily. $ L D ( ✹
12th Annual Cigar Smoker
Wednesday, May 6, 2009
6:00 p.m. at The Fort Worth Club
Fine Cig ars
Premium Wines & Spirits Wild Game Dinner
Silent and Live Auctions
2009 Smoker Committee
Early Davis and Jeff Davis, Co-Chairs
Steven Bradbury Becky Renfro Borbolla Sam Buchanan Megan Carpenter Gale Caveness
John W. Cornelsen Will Courtney Kelsey de la Torre Luci Dzurilla Paul Greenwell David Hallum
Janet L. Hahn Julia Huseman Robert Huseman Susan Irvin Lynette Jensen Ginger Johnson
Jeff Jordan Leah M. King Sharbel Lattouf Walter Littlejohn Don S. Marable Greg McCoy
Sandra McGlothlin Susan K. Medina Shivaun Palmer Atlee Phillips Victoria Powell Michael Rodriguez Kobi Sella Kent Snodgrass Todd Spake Perry Tong
Individual Tickets : $250 each
Table Sponsorship and Under writing Opportunities Available Call 817-871-8022 or Email tlunsford@fort worthlibrar y org


The Rose GaRden Tea Room » 7200 Camp Bowie Blvd., 817.731.7673. The Rose Garden Tearoom is known for its flavorful rose tea and scrumptious bakeries. You’ll feel as if you’ve stepped into England. 11:30am-4pm Mon.-Sat.; noon-4pm Sun. $ L (
VICKeRY CaFÉ » 4120 W. Vickery Blvd., 817.737.2277. Owner John Pendergrass offers a large breakfast menu at reasonable prices, as well as a lunch menu with such country favorites as chicken-fried steak and fried catfish. Expect excellent service when you come here—the waitstaff has, on average, 15 years experience. 6am-3pm Mon.-Sat.; noon-6pm Sun. $ B L (
VIdalIa’s aT The WoRThInGTon » 200 Main St., 817.210.2222. With dishes ranging from fried green tomatoes to smothered pork chops, the cuisine at Vidalia’s is unequivocally Southern. Using such regional products as beef from Grandview and grits from Waco, Vidalia’s homestyle take on upscale cuisine is infused with a true taste of the South. 6am-10pm Mon.-Sun. $$ B L D T (
WesTsIde CaFÉ » 7950 Hwy. 80, 817.560.1996. Enjoy Southern cooking served with Southern hospitality. The breakfasts are huge, the lunches are so good, and both will leave you needing/wanting a good Southernstyle nap. 6am-10pm daily. $ B L D
The ZodIaC Room aT neIman maRCUs » 2100 Green Oaks Rd., 817.738.3581. A delightful dining
adventure for lunch with excellent service. 10am-7pm Mon.-Sat.; noon-6pm Sun. $$ L KelleR/laKe CoUnTRY
haRboR one » 9315 Boat Club Rd., Lake County; 817.236.8150. The view from this restaurant is one of the best in the county. 10am-6pm Wed.-Sun. $ L D ( RoanoKe
babe’s ChICKen dInneR hoUse » 104 N. Oak, 817.491.2900. A tradition among locals, Babe’s Chicken Dinner House offers Southern fried chicken, green beans, cream corn and salad with a sweet vinaigrette served family-style. 11am-2pm Mon.-Fri.; 4:30pm-9pm Mon.-Fri.; 11am-9pm Sat.; 10:30am-9pm Sun. $ L D
ClassIC CaFe » 504 N. Oak St., 817.430.8185. This cozy house comforts guests as they enjoy some truly fine casual dining. 5pm-9pm Mon.-Thu.; 5pm-10pm Fri.-Sat. $$-$$$ L D ( ✹
doVe CReeK CaFÉ » 204 S. Hwy. 377, 817.491.4973. If you’re looking for soul food/Southern cooking, the Dove Creek Café serves up a healthy helping, along with a friendly waitstaff and fellow patrons. 6am-8pm Mon.-Thu.; 6am-9pm Fri.; 6am-3pm Sat.; 6:30am-3pm Sun. $ B L D
PR aIRIe hoUse ResTaUR anT » 304 S. Hwy. 377, 817.491.4855. Open since 1999, this eclectic and au-

Fresh Seafood
It’s all about the fresh seafood and tender crab at Truluck’s which features a weekly changing menu. 5pm-10pm daily. 1420 Plaza Pl., 817.912.0500.
$$$ D T (
thentic Texas-style eatery serves up mesquite-grilled steaks, killer baby back ribs, barbecue and other delicious options. Try the buffalo burger or the chickenfried ribeye for a treat. With unique decor and a different theme at every booth, the atmosphere is as entertaining to the senses as the fare. 11am-10pm Mon.-Sun. $-$$ L D (
soUThlaKe
CaFÉ eXPRess » 1472 Main St., 817.251.0063. Zagat’s called these numerous Texas cafés “The MercedesBenz of fast food eateries” because of their sophisticated setting and fresh food belie their self-serve nature. Start with a large, chic salad, such as nicoise, shrimp & avocado and couscous, or indulge in the pasta amoré, which certainly lives up to its to-die-for name. Wine, beer, cappuccino and espresso are all available. 11am-9pm Sun.-Thu.; 11am-10pm Fri.-Sat. $$ L D ✹
The CheeseCaKe FaCToRY » 1440 Plaza Place, 817.310.0050. Since 1978, The Cheesecake Factory has been serving up something for everyone. From soups and salads to seafood and pasta dishes, the servings are always generous, and the desserts are always decadent. 11am-11pm Mon.-Thu.; 11am-12:30am Fri.-Sat.; 10am-11pm Sun. $$ L D ✹
X’s & o’s sPoRTInG TaVeRn » 1239 Main St., Southlake, 817.251.6776. This place is not your typical sporting tavern. Both couples and singles can come for a romantic date or to enjoy the game. They serve everything from cheese sticks and burgers to seared chili-crusted tuna. 4pm-7pm Mon.-Thur.; 3pm-7pm Fri. $ L D ( ✹
WeaTheRFoRd
FIRe oaK GRIll » 14 Austin Ave., 817.598.0400. This delicious eatery serves up the best in Southwestern, American and down-home Southern cuisine. Savor the taste of a delicious steak cooked to perfection or let your taste buds devour the Bourbon Chocolate Pecan Pie. This BYOB grill is sure to leave you satisfied! Lunch: 11am-3pm Mon.-Fri.; Dinner: 5pm-10pm Mon.Sat. $-$$ D (
aRlInGTon
PeI WeI » 2100 N. Collins St., 817.299.8687 L
Other locations: 4133 E. Cooper St., 817.466.4545 L D
Part of the P.F. Chang family, Pei Wei offers the same great mix of Asian cuisine but in a far more casual setting. Their specialty dishes include coconut curries and Mongolian and spicy Korean fare, which you order at the counter. 10:30am-9pm Sun.-Thur.; 10:30am-10pm Fri.-Sat. $
PIR anha’s KIlleR sUshI » 851 N.E. Green Oaks Blvd., 817.261.1636 L D (. Other locations: Arlington Highlands 309 Curtis Mathes Way, #149 817.465.6455 L D (✹ Sushi rolls, tempura and teriyaki dishes dominate an incredible menu of Japanese delights. 11am10pm Mon.-Thu.; 11am-11pm Fri.; Noon-11pm Sat.; Noon-10pm Sun. $$
sUKhoThaI » 423 N. Fielder Plaza, 817.860.4107. A tiny restaurant that serves healthy Thai cuisine. No MSG is found in the cooking here. Try the chicken satay or the steamed spring rolls. 11am-2pm, 5pm-9:30pm Mon.-Fri.; 5-9:30pm Sat. $ L D (
TasTe oF ThaI » 2535 E. Arkansas Lane, 817.543.0110. This authentic Thai restaurant serves up fresh dishes daily. 11am-3pm, 4:30pm-10pm Mon.-Fri.; 11:30am-3pm, 4:30pm-10pm Sat.; 11:30am-9:30pm Sun. $ L D ( bedFoRd ThaI jasmIne » 3104 Harwood Rd., 817.283.8228. This wonderful Thai restaurant has some of the best Pad Thai one could ask for. Serves wine and beer. 11am-9pm Mon.-Sat.; 4:30pm-9pm Sun. $ L D ✹ FoRT WoRTh
asIa boWl & GRIll » 2400 Lands End, 817.738.1688. From Vietnamese and Korean to every possible variety of Chinese cuisine, the offerings on this menu are sure to please any palate. Fresh ingredients combined with complex flavors make this a fabulous dining experi-


Fort Worth, Texas

ence. 11am-9:30pm Sun.-Thu.; 11am-10pm Fri.-Sat. $ L D
EDOHANA HIBACHI SUSHI » 2704 S. Hulen, 817.924.1144 L D ( ✹. Other locations: 5816 S.W. Loop 820, 817.731.6002 L D (. Table-side food preparation is just part of the experience—a fabulous sushi bar includes many delicacies. 11am-2:30pm Mon.-Fri.; 5:30pm-9:30pm Mon.-Thu.; 5pm-10pm Fri.-Sat. $$ HUI CHUAN SUSHI, SAKE, TAPAS » 6100 Camp Bowie #12, 817.989.8886. This small, yet visually appealing, restaurant is full of surprises. Owner Hui Chuan Logan will not only remember your face, but maybe even what you ordered. With a wide variety of tapas and sushi, you are bound to find something that sounds appealing. 11:30am-2:30pm Mon.-Sat.; 5:30pm-10pm Mon.-Thu.; 5:30pm-11pm Fri.-Sat.; 5:30-10pm Sun. $$ L D ✹
JAPANESE PALACE » 8445 Camp Bowie W., 817.244.0144. Japanese décor and dark wood paneling transport you to Asia, as the hibachi chefs slice and dice your entrée right before your eyes. Sit at a cooking table, traditional American tables or try sitting authentically on the floor. Often busy, but reservations are not required. 5:30pm-10pm Sun.-Thu.; 5:30pm-midnight Fri.-Sat. $$-$$$ D
MY LAN » 4015 E. Belknap St., 817.222.1471. This Vietnamese restaurant serves multiple rice dishes with vegetables, meat and seafood, and there are more than 100 items on the menu. 9am-9pm Mon.-Sun. Closed Wed. $ L D
PEI WEI » 5900 Overton Ridge Blvd., 817.294.0808 L D. Other locations: 2600 W. 7th St., Montgomery Plaza, 817.806.9950 L D ✹. Part of the P.F. Chang family, Pei Wei offers the same great mix of Asian cuisine but in a far more casual setting. Their specialty dishes include coconut curries and Mongolian and spicy Korean fare, which you order at the counter. 10:30am-9pm Sun.-Thu.; 10:30am-10pm Fri.-Sat. $
P.F. CHANG’S » 400 Throckmorton, 817.840.2450. A gorgeous, upscale restaurant found across America, P.F. Chang’s believes food should be “fresh, contemporary and outstanding.” They mix traditional and modern Chinese Southeast Asian cuisine to form a vast menu complemented by an extensive wine list. 11am10pm Sun.-Thu.; 11am-11pm Fri.-Sat. $ L D T ( ✹ PHO LITTLE SAIGON » 6942 Green Oaks Blvd., 817.738.0040. Authentic Vietnamese cuisine at low prices is served up in a friendly atmosphere. 10am8:30pm Mon.-Fri.; 10am-3pm Sat. $ L D PHU LAM » 4125 E. Belknap St., 817.831.9888. The fare is updated and includes new choices in Vietnamese and Chinese food. 10am-10pm Sun.-Sat. $-$$ L D
PIRANHA’S KILLER SUSHI » 335 W. 3rd St., 817.348.0200. Sushi rolls, tempura and teriyaki dishes dominate an incredible menu of Japanese delights. 11am-10pm Mon.-Wed.; 11am-11pm Thu.; 11am-1am Fri.; Noon-1am Sat.; noon-10pm Sun. $$ L D T ( SONNY’S DINER » 6220 Camp Bowie Blvd., 817.732.7754. This Asian Bistro combines the flavors of Vietnam, Korea and Japan to generate a diverse and delectable menu. 11am-2pm, 5pm-8:30pm Mon.-Fri.; 11am-2:30pm Sat. $ L D ( ✹
SUSHI AXIOM JAPANESE FUSION RESTAURANT » 4625 Donnelly Ave., Ste. 101, 817.735.9100. Enjoy Japanese flavor combined with American flair in a stylish setting for a great sushi experience. 11am-10pm Mon.Fri.; noon-10pm Sat.; noon-9pm Sun. $$ L D ( ✹
SUSHI YOKO » 6333 Camp Bowie Blvd. Ste. 280., 817.737.4000. This new sushi restaurant offers their own version of the Ahi tuna tower—the DFW Tower. 11am-2pm Mon.-Fri.; 5pm-10pm Sun.-Thu.; 5pm10:30pm Fri.-Sat. $-$$ L D ( ✹
SZECHUAN » 5712 Locke Ave., 817.738.7300. Other location: 4750 Bryant Irvin Rd., Cityview Plaza, 817.346.6111. This Chinese favorite counts on highquality food and service to keep patrons coming back for more. Enjoy the fresh and flavorful dishes in an elegant, yet casual, atmosphere. 11am-10pm Sun.-Thu.; 11am-11pm Fri.-Sat. $ L D (
THAI TINA’S » 703 N. Henderson St., 817.332.0088. With a myriad of selections on its eccentric menu, this
downtown restaurant lives up to its slogan, “A menu that’s simply to Thai for.” 11 am-9pm Mon.-Thur.; 11am10pm Fri.-Sun. $$ L D
TOKYO CAFE » 5121 Pershing Ave., 817.737.8568. This Camp Bowie hideaway delivers great sushi at reasonable prices. Please come casual. 11am-9pm Mon.Thur.; 11am-10pm Fri.-Sat. $ L D ( ✹
EDOHANA HIBACHI SUSHI » 1501 W. State, Grapevine, 817.251.2004. Table-side food preparation is just part of the experience—a fabulous sushi bar includes many delicacies. 11am-2pm Mon.-Fri.; 5:30pm-10pm Mon.-Thu.; 5:30pm-10:30pm Fri.; 5pm-10:30pmSat.; 5pm-9:30pm Sun. $$ L D (
P.F. CHANG’S » 650 W. Highway 114, 817.421.6658. A gorgeous, upscale restaurant found all across America, P.F. Chang’s believes food should be “fresh, contemporary and outstanding.” They mix traditional and modern Chinese Southeast Asian cuisine to form a vast menu complemented by an extensive wine list. 11am11pm daily. $$ L D (
SWEET BASIL THAI CUISINE » 977 Melbourne Rd., 817.268.2899. This authentic Thai restaurant serves up high-end dishes without the high-end price. Delicious curries and soups are their trademark. 11am-9:30pm Mon.-Sat. $-$$ L D ( SOUTHLAKE
EDEN BISTRO » 480 W. Southlake Blvd., 817.748.0028. This chic little restaurant has one of the tastiest summer rolls in town. 11am-9:30pm Sun.-Thu.; 11am10:30pm Fri.-Sat. $-$$ L D (
KOBEYA JAPANESE HIBACHI & SUSHI » 1230 Main St., 817.416.6161. Hungry for food and entertainment? Then Kobeya Japanese Hibachi & Sushi is the right place. Delicious food, wonderful service and Hibachi chefs to keep you smiling and amused. 11:30am2:30pm Mon.-Fri.; noon-3:30pm Sat.-Sun.; 5pm-10pm Sun.-Thu.; 5pm-10:30pm Fri.-Sat. $$ L D ( PEI WEI » 1582 E. Southlake Blvd., 817.722.0070. Part of the P.F. Chang family, Pei Wei offers the same great mix of Asian cuisine but in a far more casual setting. Their specialty dishes include coconut curries and Mongolian and spicy Korean fare, which you order at the counter. 10:30am-9pm Sun.-Thu.; 10:30am-10pm Fri.-Sat. $ L D
THAI CHILI » 215 Grand Ave., 817.251.6674. A Thailand setting with an American twist. They serve up beautifully prepared food that you can’t help but savor as it goes down. They also cater, so if you can’t join them, they’ll bring the party to you. 11am-10pm Mon.-Thu.; noon-11pm Fri.; 11am-9:30pm Sat.-Sun. $-$$ L D ( ✹
DICKEY’S BARBECUE PIT » 5530 S. Cooper, 817.468.0898. 1801 Ballpark Way, 817.261.6600. A Texas tradition since 1941 is now serving great Texas-style barbecue in Arlington. Offering eight slow-cooked meats and 16 freshly made vegetables. Dine-in, takeout, drive-thru and catering. 10:30am-8:30pm daily. $ L D
RED HOT AND BLUE » 1350 E. Copeland Rd., 817.795.7427. Beef may be king here, but Memphisstyle barbecue has taken our town by storm. Although pork is the house specialty, chicken and beef dishes are also available. 11am-9pm Sun.-Thu.; 11am-10pm Fri.-Sat. $$ L D
ANGELO’S » 2533 White Settlement Rd., 817.332.0357. A big bear right inside the door invites you to big beers on the tables. But the big draw is the brisket, hickorysmoked out in back of this uncontrived institution that also serves chicken. No credit cards, but checks are welcome, and there’s an ATM in the building. 11am10pm Mon.-Sat. $ L D (
COUSIN’S PIT BARBECUE » 6262 McCart Ave., 817.346.2511 L D (. Other location: 5125 Bryant Irvin
Rd., 817.346.3999 L D (✹. Brisket, ribs, chicken and homemade sausage are the staples, along with cobblers and delicious cakes. A 21-year family-run business, Cousin’s has opened up a third location in Keller as a drive-thru/take-out hot spot. 11am-9pm Mon.-Sat. $
DICKEY’S BARBECUE PIT » 451 University Dr., 817.231.8813 L D ✹. Other locations: 5724 Bryant Irvin, 817.361.1034 L D. 1000 N.E. Loop 820, 817.289.0027 L D. 1989 Colonial Pkwy., 817.759.7500. A Texas tradition since 1941 is now serving great Texas-style barbecue in Fort Worth. Offering eight slow-cooked meats and 16 freshly made vegetables. Dine-in, take-out, drive-thru and catering. 11am-8pm Sun.-Thu.; 11am9pm Fri.-Sat. $
RAILHEAD SMOKEHOUSE » 2900 Montgomery St., 817.738.9808. One of the most popular barbecue spots in Fort Worth, but we live for the homemade french fries. It sometimes gets so crowded you have to use the satellite parking lot across the street. 11am9pm Mon.-Sat. $ L D ✹
RED HOT AND BLUE » 3000 S. Hulen St., 817.731.8770 L D. 9143 Grapevine Hwy., 817.605.1333 L D. Beef may be king here, but Memphis-style barbecue has taken our town by storm. Although pork is the house specialty, chicken and beef dishes are also available. 11am9pm Sun.-Wed.; 11am-10pm Thu.-Sat. $$
RISCKY’S » 6701 Camp Bowie Blvd., 817.989.1800 L D ( ✹. 300 Main St., 817.877.3306 L D ( ✹. 9000 U.S. 377, Benbrook, 817.249.3320 L D ✹. A legend in Texas since 1927, Riscky’s secret is the way that the meat is smoked. All of their meat is hand-trimmed, rubbed with “Riscky dust” and then naturally smoked for hours in wood-burning pits. The historic Stockyards location offers a spacious patio that is the perfect place to sit back and watch the daily longhorn cattle drive. 11am9pm Sun.-Mon.; 11am-10pm Tue.-Thu.; 11am-11pm Fri.-Sat. $
THE SMOKE PIT » 2401 E. Belknap St., 817.222.0455. This barbecue joint has various types of smoked meats and is great for dine-in or to have cater your next party. 10:30am-8pm Mon.-Fri.; 10:30am-6pm Sat. $-$$ L D (
TRAILBOSS BURGERS » 140 E. Exchange Ave, 817.625.1070. Same owners but a new concept. This restaurant, formerly part of the Riscky’s chain, focuses on what it does best, burgers. 11am-7pm Sun.-Thu.; 11am-9pm Fri.; 11am-10pm Sat. $-$$ L D ✹
DICKEY’S BARBECUE PIT » 1858 Precinct Line Rd., 817.656.0200. A Texas tradition since 1941 is now serving great Texas-style barbecue in Fort Worth. Offering eight slow-cooked meats and 16 freshly made vegetables. Dine-in, take-out, drive-thru and catering. 11am-9pm daily. $ L D
TEXAS DE BRAZIL » 101 N. Houston St., 817.882.9500. The meat never stops coming as waiters dressed as gauchos go table to table offering it on swords. Between the all-you-can-eat salad bar and selection of 14 meats, you’ll need to be wheeled out of this upscale restaurant. 5pm-10pm Mon.-Thu.; 11am-2pm & 5pm10:30pm Fri.; 4pm-10:30pm Sat.; 4pm-9pm Sun. $$$ D T (
BOI NA BRAZA » 4025 William D. Tate, 817.329.5514. Tasty food served with Brazilian flair. Offers constant choices of meat by servers at your table. 5pm-10pm Mon.-Sat.; 5pm-9pm Sun. $$$ L D
AL’S HAMBURGER’S » 1001 N.E. Green Oaks Blvd., 817.275.8918. The place is an institution in north Arlington. The burger joint serves up delicious hamburgers and other good fast food. 6:30am-10:30pm Mon.Sat. $ B L D (

Easter Seals
North Texas
8th Annual
Hats Off to Mothers’ Benefit Luncheon
May 6, 2009 11:00 am
Colonial Country Club Fort Worth, Texas
2009 Honorees
D’Ann Bonnell
Shari Hardin
Joy Ann Havran
Gayle O’Neal
Madalyn Teal
www.ntx.easterseals.com 817-332-7171
Generously sponsored by: Cockrell Printing, JODesign, Mary Margaret and John R. Clay, Gus Bates Company, Nezhoni, Rosalyn G. Rosenthal, Sally’s Flower Shoppe, Words & Numbers, Yates Construction
Special Thanks to:
CAPTAiN BiLLY WHiZZBANG’S » 2406 W. Park Row Dr., 817.861.9498. A burger and fries treat with excellent onion rings. It’s a hot spot for lunch and a quick dinner. 10:30am-8pm Mon.-Sat. $ L D
CHAPPS » 2045 N. Hwy. 360, 817.649.3000. Other locations: 153 Southwest Plaza (1-20 & Little Road), 817.483.8008. 2596 E. Arkansas, 817.460.2097. Cheeseburgers, Baby Chapps, mushroom burgers and jalapeño burgers (among others) are cooked to order from freshly bought meat served on freshly baked buns. A large menu stuffed with Philly cheese-steak sandwiches, fried okra, stuffed jalapeños and chicken strips means you’ll never eat the same thing twice. 11am-9pm Sun.-Thu.; 11am-9pm Fri.-Sat. $ L D
CHAPPS » 6219 Oakmont Blvd., 817.263.5172. Cheeseburgers, Baby Chapps, mushroom burgers and jalapeño burgers (among others) are cooked to order from freshly bought meat served on freshly baked buns. A large menu stuffed with Philly cheese-steak sandwiches, fried okra, stuffed jalapeños and chicken strips means you’ll never eat the same thing twice. 11am-9pm Sun.-Thu.; 11am-9pm Fri.-Sat. $ L D
DuTCH’S » 3009 S. University Dr., 817.927.5522. Chef Grady Spears is at it again with his newly opened burger joint. Laid-back atmosphere with good-tasting burgers and fries. 11am-9pm Mon.-Thu.; 11am-10pm Fri.-Sat.; 11am-3pm Sun. $ L D ( ✹
THE GREAT OuTDOORS » 3204 Camp Bowie Blvd., 817.877.4400. Try one of three gourmet breakfast subs filled with choices of eggs, ham, pastrami, cheddar, Swiss or cream cheeses. Lunch subs abound, topped with the usual meats and served on fresh preservativefree sub rolls. Great stop on a summer day after the park or the museums. 9am-9pm Mon.-Sat.; 10am-8pm Sun. $ B L D
KiNCAiD’S » 4901 Camp Bowie Blvd., 817.732.2881
L D (. Other location: 4825 Overton Ridge Blvd., 817.370.6400 L D (. There are those who will swear this is the best burger in the country, and the lunchtime line of parked cars that stretches two to four blocks in every direction of this old grocery store is a testament to both the legend and the taste. Enjoy at picnic tables inside or at stand-up counters. Frills would seem unnecessary. 11am-8pm Mon.-Sat. $
THE LOvE SHACK » 110 E. Exchange Ave., 817.740.8812. Tim Love’s latest concept is far removed from his fine dining restaurants, but the food’s just as good. Try the love burger, it’s one of Tim’s favorites. 11am-8pm Sun.-Wed.; 11am-10pm Thu.; 11am-1am Fri.-Sat. $ L D T ( ✹
PAPPA’S BuRGERS » 2700 W. Freeway, 817.348.8273. From the same group that brought Pappadeaux and Pappa’s Steaks, Pappa’s Burgers is the newest addition to the family. Try the blue cheese burger. You won’t be disappointed. 11am-10pm Sun.-Thu.; 11am-11pm Fri.Sat. $-$$ L D ( ✹
THE POuR HOuSE SPORTS GRiLL » 209 W. 5th St., 817.335.2575. The Pour House offers a little bit of everything from sports bar munchies to steaks, which can be washed down with one of 25 bottled beers. Enjoy the spectacular view of downtown on Wednesdays during karaoke, Thursdays with the Top 40/Rock DJ or weekends with a live band. 11am-2am Mon.-Sat.; 11am-midnight Sun. $ L D T ( ✹
PuRPLE COW DiNER » 4601 W. Freeway, 817.737.7177. The Cow has standard burgers, fries and ice cream sundaes with all that finger-lickin' junk kids like to track all over the table. Yes, playing with the condiments is OK. 11am-10pm Fri.-Sat.; 11am-9pm Sun.-Thu. $ L D
TOMMY’S HAMBuRGERS » 2701 Green Oaks Rd., 817.735.9651 L D (. Other locations: 5228 Camp Bowie Blvd., 817.569.1111 L D (. 3431 W. 7th St., 817.885.7500 L D ( ✹. Noted, obviously, for excellent burgers, Tommy’s serves up mouthwatering daily specials, including a fabulous chicken-fried steak. 11am-9pm Mon.-Thu.; 11am-10pm Fri.-Sat.; 11am-8pm Sun. $
SOuTHLAKE
jOHNNY B’S BuRGERS & SHAKES » 2704 E. Southlake Blvd., 817.749.0000. This joint takes pride in their signature sweet sourdough bun, premium Texas
beef, handcut fries and much more. Try one of the old fashioned shakes. 10:30am-8:30pm Mon.-Thur.; 10:30am-9pm Fri.-Sat.; 10:30am-3pm Sun. $ L D
ARLiNGTON
CAFÉ AT DAiREDS » 2400 W. I-20, 817.465.9797. Serving lunch in a casual, energetic setting, The Café at Daireds offers a variety of upscale entrées, salads and homemade soups. The Café treats with gourmet three-course prix fixe menu that changes weekly and a fully stocked bar. 9am-6pm Mon.; 9am-9pm Tue.-Thur.; 9am-6pm Fri.; 8:30am-5:30pm Sat.; noon-6pm Sun. $-$$ L D ( ✹
FORT WORTH
610 GRiLLE » 610 Main St., 817.332.0100. The café delivers stunning upscale new American cuisine with showmanship on the plate and elegance in the décor. Executive Chef Ismael Rojas offers an excellent menu of tasty foods—from Chilean sea bass to lamb. 6:30am-4pm Mon.-Thu.; 6:30am-10pm Fri.-Sat.; 11am9pm Sun. $-$$$ B L D T (
CAFÉ ASPEN » 6103 Camp Bowie Blvd., 817.738.0838. This westside favorite includes a fish menu that changes regularly, and the rack of lamb alone would merit a return visit. Go casual or dressed to the nines—either way, you’ll fit in. The ambiance becomes even more elegant at night with candlelight. An adjoining full bar offers a high-end well. A fabulous patio is open seasonally. 11am-2pm Mon.-Fri.; 6pm-9pm Mon-Thu.; 6pm-10pm Fri.-Sat. The bar opens at 11am and closes one hour after the kitchen. $$ L D ( ✹
RED OvEN » Bowen & Park Row, 817.274.1423. This French bakery prepares fresh artisan breads daily. Best known for their wonderful Red Velvet, Black Forest and Italian Cream cakes. 8:30am-6pm Tue.-Fri.; 8:30am5pm Sat. $$
FORT WORTH
ARTiSAN BAKiNG COMPANY » 4900 White Settlement Rd., 817.821.3124. Now the award-winning breads and scones from the bakers of Cowtown Farmers Market can be purchased at Fort Worth’s only independent artisan baker. Locally made sourdough, focaccia, multi-grain, cinnamon, roasted garlic, and breakfast bread, as well as scones and abundant sweets, are now year-round purchases. 9am-5pm Tue.Fri., 8am-noon Wed. & Sat. at the Farmer’s Market. $ B
BAKER BROS. AMERiCAN DELi » 6333 Camp Bowie Blvd., 817.989.1400. Baker Bros. serves up only the finest quality breads, meats and cheeses. 11am-9pm daily. $ L D ✹
BLuEBONNET BAKERY » 3905 Camp Bowie Blvd., 817.731.4233. Consistently chosen as one of the city’s finest bakeries, while their lunch crowd continues to grow. Try a homemade petit four, and you will quickly become a regular. 7am-6pm Mon.-Fri.; 7am-4pm Sat. $ B L
CARSHON’S DELiCATESSEN » 3133 Cleburne Rd., 817.923.1907. Open since 1928, so you know they’re doing something right. Choose from their big specialty sandwiches, such as the Rebecca, Rachel or Ruthie, homemade soups and chili and homemade pies, including chocolate, butterscotch or pecan. 9am-3pm Mon.-Sat. $ B L
THE CuPCAKE COTTAGE » 5015 El Campo Ave., 817.732.5670. This bakery is heaven for anyone with a sweet tooth. Five different flavored cupcakes every day. 10am- when the last cupcake is sold. Tue.-Sat. $
ESPERANZA’S MEXiCAN CAFÉ & BAKERY » 2122 N. Main St., 817.626.5770 B L D ( ✹. Other location: 1109 Hemphill St., 817.332.3848 B L D (. The Lancarte family has yet another hit with this cafe and bakery, where a fabulous brunch, traditional Mexican dishes and fresh-baked pastries are the norm. Breakfast is served all day on weekends. 6:30am-7pm daily. $
KOLACHE SHOPPE » 6724 Brentwood Stair Rd., 817.457.0071. Be sure to visit this longtime purveyor of delicious kolaches, muffins, fritters and more. 6amnoon Tue.-Sat.; 7am-noon Sun. $ B
MCKiNLEY’S FiNE BAKERY & CAFE » 1612 S. University Dr., 817.332.3242. This cafe is a great place for friends to meet and catch up on old times. Our bakery is made from scratch right here in-house. We use 100% real butter and never bake from mixes or add preservatives. Try the pecan-crusted chicken salad. 8am6:30pm Mon.-Sat.; 11am-5pm Sun. $ B L D ✹
PANERA BREAD » 1700 S. University Dr., 817.870.1959 B L D ✹. Other location: 1804 Precinct Line Rd., 817.605.0766 B L D ✹. The word “bread” is deceiving, although there’s plenty of it. Think more along the lines of “Big Fat Sandwich and Dessert.” 6:30am-9pm Mon.Sat.; 7am-8pm Sun. $
THE SNOOTY PiG » 2401 Westport Pkwy., 817.837.1077 B L D. Other locations: 1540 Keller Pkwy., Keller, 817.431.0064 B L D ✹. Great breakfast stop, also good for lunch. Don’t get away without trying the famed muffins, baked daily. 6:30am-2pm Mon.-Fri., 7am-noon Sat.-Sun. $
SuBLiME BAKERY » Country Day Plaza, 5512 Bellaire Dr., 817.570.9630. Among her other delicacies, Catherine Ruehle’s scones, cheesecakes and cupcakes are indeed sublime. 8am-5:30pm Mon.-Fri.; 9am-5pm Sat. $-$$ B
SWiSS PASTRY SHOP » 3936 W. Vickery, 817.732.5661. A Fort Worth tradition for 30 years, the shop serves a traditional breakfast, as well as lunch. And they are rumored to have the best German sausages in town. 6:30am-5:30pm Tue.-Fri.; 7:30am-4pm Sat. $ B L
YOGi’S BAGEL CAFE » 2710 S. Hulen St., 817.921.4500. The best bagels in Fort Worth come from this eclectic eatery that hosts a killer breakfast. Later in the day, choose from a truckload of salads with a cup of the house specialty, borscht. Come ready to stand in line on Saturday and Sunday mornings. 6:30am-9pm Mon.Fri.; 7am-9pm Sat.; 7:30am-3pm Sun. $ B L ✹
MAiN STREET BREAD BAKiNG COMPANY » 316 Main St., 817.424.4333. Located in historic downtown Grapevine, Main Street Bread Baking Company offers quality baked goods, including fresh breads and decadent cakes and desserts. With offerings like Grand Marnier cake, an orange liqueur cake filled with a light orange cream and garnished with whipped Italian butter cream, it’s easy to see why this cafe and bakery has become a favorite among locals. 6:30am-6:30pm daily.
$ B L D
THE SNOOTY PiG » 4010 William D. Tate, 817.283.3800. Great breakfast stop, also good for lunch. Don’t get away without trying the famed muffins, baked daily. 6:30am-2pm Mon.-Fri.; 7am-2pm Sat.-Sun. $ B L D ✹
BAKER BROS. AMERiCAN DELi » 2820 E. Southlake Blvd., 817.748.3354. Baker Bros. serves up only the finest quality breads, meats and cheeses. 11am-9pm daily. $ L D ✹
ELEGANT CAKERY » 2707 E. Southlake Blvd., Ste. 140, 817.488.7580. From cakes to cupcakes to Petit Fours, each of Elegant Cakery’s products is sure to make your event unforgettable. 9am-6pm Tue.-Sat. $-$$
WEiNBuRGER’S DELi » 3 Village Circle, Westlake, 817.491.9119. Other location: 611 Main St., Grapevine, 817.416.5574 B L D ✹ Weinburger’s Deli specializes in quality meats and cheeses. They also offer a variety of fresh salads. 8:30am-7pm Mon.-Sat.; 11am-3pm Sun. $ eclectic
MY MARTiNi WiNE & BiSTRO » 859 N.E. Green Oaks Blvd., 817.461.4424. The incredible tapas menu is almost as tempting as the drink list, which includes the signature Brady martini, made with pickle brine and a dill pickle spear. 3:30pm-11pm Sun.-Thur.; 3:30pm-1am Fri.-Sat. $$ D (


A garden bar three stories above downtown and two stories of dining make this one of the most popular tickets in Fort Worth. Well, that, and an innovative menu that includes such palate-pleasing favorites as smoked quail on cheese grits, chicken-fried steak and a chili relleno stuffed to the gills with cheese. The crowd is lively and the waitstaff is unmatched. 11am-2:30pm, 5pm-10:30pm daily. Bluegrass Brunch 11am-2pm Sun. 310 Houston St., 817.336.1009.
$$ L D T ( ✹
8.0 RESTAURANT & BAR » 111 E. Third St., 817.336.0880. The Jell-O shot pioneer of the 1980s is still a cool drinking spot, where martinis now rule. 8.0 continues to feed eclectic tastes from a full menu, and the dinner hour lasts late for theater-goers. This art bar offers great jazz and blues under the stars on the patio, which seats 350. Every wall is handpainted by local artists. 11am-10pm Mon.-Tue.; 11am-1am Wed.; 11am-2am Thu.-Fri.; noon-2am Sat.; 10am-2am Sun. $$ L D ( ✹
CAFÉ MODERN » 3200 Darnell, 817.840.2157. The Modern Art Museum features a restaurant with grilled salmon and melted citrus butter, beautiful desserts and a Sunday brunch that is a must. Reservations are recommended for parties of five or more. 11am2:30pm Mon.-Fri.; 11am-3pm Sat.-Sun. $$ L ( ✹ KIMBELL ART MUSEUM » 3333 Camp Bowie Blvd., 817.332.8451, ext. 251. Unlike the works here at one of the nation’s primo art museums, the menu changes every day in the kitchen, where the staff turns out creatively crafted sandwiches, salads and soups, including a killer gazpacho. Matisse sculptures give an aristocratic flair; Friday night dinner features live music. Lunch 11:30am-2pm Tue.-Thu. & Sat.; noon-2pm Fri. & Sun.; Dinner 5:30pm-7:30pm Fri. $$ L ( ✹ LILI’S BISTRO » 1310 W. Magnolia Ave., 817.877.0700. This quaint bistro focuses on tradition. Start with the Gorgonzola fries and move on to the Spinach & Mushroom grilled chicken. Delicious! 11am-2:30pm Mon.Fri.; 5:30pm-9pm Wed.-Thu.; 5:30pm-10pm Fri.-Sat. $$ L D ( ✹
SPIRAL DINER » 1314 W. Magnolia, 817.332.8834. At this 100 percent vegan and mostly organic restaurant, you can find nearly anything you could desire on the menu. Fresh-tasting and affordable, don’t forget about their wide variety of juices and smoothies. 11am-10pm Tue.-Sat.; 11am-5pm Sun. $ L D ( ✹
zAMBRANO WINE CELLAR » 910 Houston St., Ste. 110, 817.850.9463. With a menu featuring more than 200 wines, this wine bar should be a priority for all wine lovers. 4:30pm-11pm Mon.-Thu.; 4:30pm-1am Fri.-Sat. $-$$ D T ( ✹
SANDELLA’S CAFÉ » 1245 Prospect St., 817.421.0727. Finally, a place to eat delicious food without the worry of calorie counting. This family-owned restaurant spices up delicious sandwich wraps, such as the Chicken Verona or the flatbread pizza. With their relaxing European atmosphere, you’re likely to stay not only for the food, but the free Internet, as well. 9am-8pm Mon.-Sat. $ L D ✹
BOMBAY GRILL » 4625 Donnelly Ave., 817.377.9395. This Indian restaurant serves up classics like Tandoori and garlic naan (flatbread). 11am-2pm & 5:30pm-10pm daily. $ L D ( BYBLOS » 1406 N. Main St., 817.625.9667. Owned by a member of the same family who owns Hedary’s, this Stockyards restaurant serves the same great Middle
Eastern fare. Don’t miss Friday nights, the day that brings bellydancing into the Stockyards. 11am-10pm Mon.-Thu.; 11am-11pm Fri.; 5pm-11pm Sat. $$ L D ( CHADRA MEzzA & GRILL » 1622 Park Place, 817.924.2372. Creative dishes featuring spicy Lebanese food and homemade Italian. 11am-3pm Mon.Tue; 11am-10pm Wed.-Sat. $-$$ L D ( ✹
HEDARY’S » 6323 Camp Bowie Blvd., 817.731.6961. Tucked into a shopping center just off the road, Fort Worth’s other Lebanese eatery includes the best hummus we ever put a lip to. Enjoy the Frarej chicken, baked with potatoes and tomatoes in olive oil, garlic and lemon juice. 11am-10pm Sun.; 11am-3pm Mon.; 11am-10pm Tue.-Thu.; 11am-11pm Fri.; 5pm-11pm Sat. $ L D ( ✹
KING TUT » 1512 Magnolia Ave., 817.335.3051. The Middle East meets the Mediterranean to bring us an alternative Egyptian restaurant. Try one of many healthy dishes including falafels, hummus and tabbouleh. Prices suggest that attire is formal, but the atmosphere mandates a casual look. 11am-2:30pm Mon.Sat. 5:30pm-9pm Mon.-Sat. $$ L D (
MAHARAJA » 6308 Hulen Bend Blvd., 817.263.7156. This restaurant has a large menu offering many different Indian dishes, such as Chicken Makahani. The breads with curries are especially good. 11am-2pm Mon.-Fri.; 11:30am-2:30pm Sat.-Sun.; 5:30pm-10pm Sun.-Thu.; 5:30pm-10:30pm Fri.-Sat. $$ L D ( french
CACHAREL » 2221 E. Lamar Blvd., Ste. 910, 817.640.9981. Rock-solid French fare that has evolved into just about the finest in the county. The threecourse fixed price dinner runs a happy gamut between lobster and ostrich, or have a steak cut to order. The place is peaceful and elegant, high above Six Flags with a great view. You won’t get off cheaply, but you won’t be disappointed. 11:30am-2pm & 5pm-10pm Mon.-Fri.; 5pm-10pm Sat. $$$ L D (
BISTRO LOUISE » 2900 S. Hulen St., Ste. 40, 817.922.9244. Voted Best French in Tarrant County. Chef Louise Lamensdorf frequently travels to Europe for inspiration, which returns to Cowtown in the form of superior sauces and excellent wine selections. It has a romantic, relaxed atmosphere that welcomes a lust for food. Their Sunday brunch is quite possibly the best in town! 11am-2pm Mon.-Sun.; 5:30pm-9pm Tue.-Thu.; 5:30pm-10pm Fri.-Sat. $$$ L D ( ✹
LA MADELEINE » 6140 Camp Bowie Blvd., 817.732.4656. Other locations: 2101 N. Collins St., Arlington, 817.461.3634. 4201 S Cooper St., Arlington, 817.417.5100. 900 Hwy. 114 W., Grapevine, 817.251.0255. Croissants, pastries, soups, salads and more are served in a charming European atmosphere. Camp Bowie 6:30am-10pm Sun.-Thu.; 6:30am-11pm Fri.-Sat.; 6:30am-8pm Sun.-Thu.; 6:30am-10pm Fri.Sat.; Hwy. 114 6:30am-9pm Sun.-Thu.; 6:30am-10pm Fri.-Sat.; Collins and Cooper 6:30am-10pm Sun.-Thu.; 6:30am-11pm Fri.-Sat. $ B L D ✹
SAINT-EMILION » 3617 W. 7th St., 817.737.2781. Wellconcocted country French dishes, including duck, lamb, steak tartare and fresh fish. Full bar. 6pm-9pm Tue.-Thu.; 6pm-10pm Fri.-Sat. $$$ D ( ✹
EDELWEISS » 3801 Southwest Blvd., 817.738.5934. A German food anchor in West Fort Worth for 32 years. Family operated with emphasis on fun and food, Edelweiss offers Bavarian charm and substantial fare. Dance to a live German band, complete with ritual chicken dance. 5pm-10pm Tue.-Sat. $$ D ( GREENWOOD’S » 3522 Bluebonnet Cir., 817.921.6777. A great place to venture out and try some traditional German cuisine. 4pm-9pm Tue.-Thu.; 4pm-10pm Fri.Sat.; 11am-3pm Thu.-Fri. $$ L D (
greek
fort worth
CAfÉ MEDI » 420 Grapevine Hwy., 817.788.5110. This authentic Greek restaurant offers only the freshest of homemade recipes, including Greek salad, gyros and tasty hummus and flatbread. 11am-2:30pm, 5pm-10pm Tue.-Sat.; 11am-9pm Sun. $ L D (
GrEEK hoUSE » 2426 Forest Park Blvd., 817.921.1473. Gyros, souvlaki and more in a counter-pickup eatery just right for TCU students with a need for study and sustenance. Food is fresh, well-prepared and promptly presented for customer pickup. 11am-8pm Mon.-Sat. $ L D (
JAZZ CAfÉ » 2504 Montgomery St., 817.737.0043. Funky, laid-back service and atmosphere with dependable Tex-Greek food and great music. House band plays fine jazz on Sunday. Sunday champagne brunch. 11am3pm Mon.-Fri.; 9am-3pm Sat.; 9am-2pm Sun. $ L
italian
ArlInGton/MID-CItIES
BIrrAPorEttI’S » 668 Lincoln Square, 817.265.0588. Birraporetti’s is a perfect spot for an elegant meal. Offering pastries, breads and fine Italian food, this restaurant features live jazz and a special brunch menu served from 11am-11pm Sun.-Mon. & Wed.-Thu.; 11am12:30am Tues.; 11am-12am Fri.-Sat. $$ L D ( ✹
ItAlIAnnI’S » 1601 Precinct Line Rd., Hurst, 817.281.7272. This quaint Italian bistro includes the genre standards, as well as some creative dishes like three-pepper calamari. 11am-10pm Sun.-Thu.; 11am11pm Fri.-Sat. $$ L D ( ✹
l A BIStro » 722 Grapevine Hwy., Hurst, 817.281.9333. Enjoyable menu with excellent pastas and other traditional menu items, including seafood. 11am-10pm Sun.Fri.; 5pm-11pm Sat. $$ L D ( ✹
nIZZA PIZZA » 1430 S. Cooper, 817.274.5222. This innovative family pizza place has customers lining up around the block. 11am-10pm Sun.-Thu.; 11am-11pm Fri.-Sat. $ L D ✹
PAlIo’S PIZZA CAfÉ » 5712 Colleyville Blvd., 817.605.7555. This pizza café offers interesting and high-end pizza toppings. 11am-10pm daily. $ L D ( ✹
PICColo MonDo » 829 E. Lamar Blvd., 817.265.9174. Don’t let the strip-center dining surprise you. Excellent service and inviting atmosphere. 5:30pm-10:30pm Mon-Thu.; 11:30am-2:30pm Mon.-Fri.; 5:30pm-11pm Fri.-Sat.; 5pm-10pm Sun. $-$$ L D (
rUGGErI’S rIStor AntE » 32 Village Ln., Colleyville, 817.503.7373. A sweeping menu that offers a full choice of Italian favorites and more. You’ll find what you want, from chicken to beef to pasta. 11am-2pm Mon.-Fri.; 5pm-9pm daily. $$ L D ( ✹ fort worth
AVEntIno’S » 3206 Winthrop Ave., 817.731.0711. Good old-fashioned Italian. Think chicken picatta and one of the best no-frills marinaras around. Luscious desserts, too. 11am-2pm Mon.-Fri.; 5pm-9pm Mon.-Thu.; 5:30pm-10pm Fri.-Sat. $$-$$$ D ( BEll A ItAlIA wESt » 5139 Camp Bowie Blvd., 817.738.1700. The most wild game this side of Fossil Rim. This dimly lit set of nooks and rooms is a great romantic setting, but it’s also suitable for high-powered business or low-key gatherings of friends. 11:30am1:30pm Mon.-Fri.; 6pm-9pm Mon.-Thu.; 6pm-10pm Fri.Sat. $$ L D ( ✹
CAfÉ BEll A » 3548 South Hills Ave., 817.922.9500. The café is a busy place and known for its pizza, lasagna, salad and cheese bread. 11am-10pm Mon.-Fri.; 4pm10pm Sat.-Sun. $-$$ L D ( ✹
fErrÉ rIStor AntE BAr » 215 E. Fourth St., 817.332.0033. This new Tuscan-Italian eatery offers a range of dishes. For more traditional, try the Spaghettini Pomodoro, or for a heartier appetite, try the Agnello al Forno, a seared lamb loin dish. 4pm-9pm Mon.-Thu.; 4pm-11pm Fri.-Sat. $$ D T ( ✹
fortUnA » 5837 Camp Bowie Blvd., 817.737.4469. This little Italian restaurant is a favorite among Fort
Worthians. 11am-10pm Sun.-Thu.; 11am-11pm Fri.-Sat.
$ L D (
ItAlIAn Inn rIDGlEA » 6323 Camp Bowie Blvd., 817.737.0123. Chic and classic menu offers veal, chicken, seafood and pasta. Get ready for attentive service in a vintage underground nightclub setting, complete with singing waiters. 5pm-10pm Sun.-Thu.; 5pm-11pm Fri.Sat. $-$$ D (
l A PIAZZA » 1600 S. University Dr., #601, 817.334.0000. Upscale Italian cuisine in University Park Village Shopping Center. Dress nicely to visit this lovely (and pricey) Italian spot ... the experience is worth it. 11:30am-2pm Sun.-Fri.; 5:30pm-10pm Sun.-Thu.; 5:30pm-10pm Fri.Sat. $$$ L D ( ✹
MAMA’S PIZZA » 1813 W. Berry St., 817.923.3541. 5800 Camp Bowie Blvd., 817.731.MAMA This Fort Worth staple has been serving up great pizza in Fort Worth since 1968. Lunch buffet: 11am-2pm daily. Delivery through Entrees-To-Go: 11am-10pm Mon.-Thu.; 11am-11pm Fri.Sat.; Noon-10pm Sun. $ L D (
MAnCUSo’S » 9500 White Settlement Rd., 817.246.7041. A westside favorite that draws crowds from all over. Consistently flavorful authentic Italian fare. Large portions served with outstanding pastas, a wonderful Italian fish fry and homemade sausages. 11am-1pm Mon.-Fri.; 4pm-9pm Mon.-Thur.; 4pm-10pm Fri.-Sat.; Closed Sun. $ L D (
MArGIE’S orIGInAl ItAlIAn KItChEn » 9805 Camp Bowie W., 817.244.4301. 1950s-style eatery that serves pizza from a brick oven and equally fine lasagna, chicken marsala and shrimp scampi. 5pm-10pm Sun.Thur.; 5pm-11pm Fri.-Sat. $$ D (
MEllow MUShrooM » 3455 Bluebonnet Circle, 817.207.9677. A funky and fun 1960s ambiance good for large gatherings. Come ready to eat unique pizza. 11am-10pm Sun.-Thu.; 11am-11pm Fri.-Sat. $$ L D ( ✹
MIl Ano’S » 3416 W. 7th St., 817.332.5226. Pizza is a big menu item, but you’ll find more than enough choices to satisfy your hunger. 11am-10pm Mon.-Sat. $ L D ( nonnA tAtA » 1400 W. Magnolia Ave., 817.332.0250. With a weekly changing menu, this small Italian restaurant is a hidden gem that begs to be found. 11am-3pm Tue.-Fri.; 5:30pm-9pm Tue.-Thu.; 5:30pm-10pm Fri. $-$$ L D ✹
PIZZErIA Uno ChICAGo GrIll » 300 Houston St., 817.885.8667. With a great location downtown and pizza you can’t find anywhere else in Texas, Uno’s Chicagostyle deep-dish pizza is a must. Don’t skip the heavenly chocolate peanut butter cup dessert! Large menu offers many choices for everyone. 10am-11pm Sun.-Thu.; 10am-midnight Fri.-Sat. $ L D
rUffIno’S ItAlIAn rEStAUr Ant » 2455 Forest Park Blvd., 817.923.0522. A light homemade ravioli is our favorite to slip on a fork and across the table into the mouth of a close dining partner at this upscale romantic spot also known for its chicken, beef and pasta. Voted best in town by Fort Worth, Texas magazine readers. 11am-2pm Mon.-Fri.; 5pm-9pm Mon.-Thu.; 5pm-10pm Fri.-Sat. $$ L D (
tAVErnA rISottErIA » 450 Throckmorton St., 817.885.7502. Hand-tossed pizzas, risottos, pastas and entrées that include beef tenderloin, sea bass and yellowfin tuna. The bar offers beer and wine, and the bottomless mimosas are divine. Sunday brunch. 11am10pm Sun.-Thur.; 11am-11pm Fri.-Sat. $-$$ L D T ( GrAPEVInE /SoUthlAKE/CollEYVIllE
BrIo tUSCAn GrIll » 1431 Plaza Place, Southlake, 817.310.3136. Whether you want to eat in or just need that warm Italian bread to go, this restaurant has you covered. High-quality steak and house-made pastas are cooked in an authentic Italian wood oven to give you the taste of Italy. 11am-10pm Sun.-Thu.; 11am-11pm Fri.Sat. $-$$ L D ( ✹
BUCA DI BEPPo » 2701 E. State Hwy. 114, Southlake, 817.749.MAMA. A neighborhood restaurant where guests feast on family platters of Southern Italian specialties in a boisterous, celebratory environment that recalls the supper clubs of the 1940s and ’50s. 11am10pm Mon.-Thur.; 11am-11pm Fri.-Sat.; 11am-9pm Sun. $$ L D (
fErr ArI’S ItAlIAn VIll A » 1200 William D. Tate Ave.,






Fax: 817-923-2978
Email: piolarestaurant@hotmail.com

817.251.2525. This upscale restaurant boasts authentic Italian cuisine. Owned by the Secchi family, Ferrari’s serves century-old family recipes with a modern twist. 11am-2pm Mon.-Fri.; 5pm-10pm Mon.-Thur.; 5pm-11pm Fri.-Sat. $$-$$$ L D
RAVIOLI » 120 E. Worth, Grapevine, 817.488.1181. Excellent ingredients and huge portions will satisfy the biggest appetites in your family. 11am-2pm Tue.-Sat.; 5pm-9pm Tue.-Thur.; 5pm-10pm Fri.-Sat. $ L D
cOLLeyVILLe/fORt wORth
GLORIA’S » Colleyville: 5611 Colleyville Blvd., 817.656.1784 L D ✹. Fort Worth: 2600 W. 7th St., 817.332.8800 L D T ✹. Arlington: 3901 Arlington Highlands Blvd., Ste. 137, 817.701.2981 L D ✹. Gloria’s offers an alternative to Tex-Mex cuisine with a dash of Salvadoran flavor. Favorites include the seafood soup, ceviche and grilled pork. Colleyville: 11am-10pm Sun.Thur.; 11am-2am Fri.-Sat. Fort Worth: 11am-9pm Sun.Mon.; 11am-10pm Tue.-Thu.; 11am-2am Fri.-Sat. $-$$
fORt wORth
SAPRIStI! » 2418 Forest Park Blvd., 817.924.7231. Relaxed, elegant dining that features a European flair. Items include mussels and tapas, and you’ll also find risotto, duck and braised lamb shank. 5:30pm-9:30pm Tue.-Thu.; 5:30pm-10pm Fri.-Sat.; Sunday brunch from 10:30am-2pm. $$ D ( ScAMPI’S MeDIteRRANeAN cAfe » 1057 W. Magnolia Ave., 817.927.1887. Italian and Greek cuisine in a setting recently redecorated for romance. Counter service at lunch and full table service in the evening. BYOB. 11am-2pm Mon.-Fri.; 5:30pm-9pm Wed.-Thu.; 5:30pm9:30pm Fri.-Sat. $ L D ( the VAuLt » 525 Taylor St., 817.348.9828. Sample sumptuous Mediterranean cuisine and wonderful wines in a warm, European-inspired setting, and linger at the hip V Lounge Wine & Martini Bar located downstairs. Signature dishes include Vault Paella and many tempting tapas selections. 11am-11pm Mon.-Wed.; 11ammidnight Thu.-Fri.; 10:30am-midnight Sat.; 10:30am3pm Sun. $$-$$ L D ( ✹
cOLLeyVILLe/fORt wORth
eSPARZA’S » 124 E. Worth St., 817.481.4668. Located in a 19th-century home in historic downtown Grapevine, this quaint little restaurant serves Tex-Mex favorites. By the looks of all the famous faces gracing the walls, you never know who will show up. 11am-10pm Mon.-Thu.; 11am-11pm Fri.-Sat.; 11am-9pm Sun. $ L D ✹
LA hAcIeNDA RANch » 5250 Hwy. 121, Colleyville, 817.318.7500. Mexican food is the fare, and the grilled steaks are excellent. Don’t forget the fajitas. 11am10pm Sun.-Thu.; 11am-11pm Fri.-Sat. $$ L D
RIO MAMBO » 5150 Hwy. 121, 817.354.3124. Salad takes a new twist alongside standard Tex-Mex favorites, with the Los Cabos, a Mexican cobb salad of sorts with chicken, avocado and bleu cheese. 11am-9:30pm Sun.Thur.; 11am-10:30pm Fri.-Sat. $$ L D ( ✹ fORt wORth
ANthONy’S » 2400 Meacham Blvd., 817.378.9005. The Santa Fe-style Mexican cuisine features red and green chile enchiladas, fajitas, seafood and more, as well as a great selection of beer, wine and margaritas. 7am-2:30pm Mon.-Fri.; 5pm-9pm Wed.-Sat. $ L D ✹
Mon.-Thur., 10am-2am Fri.-Sat., 11am-9pm Sun. $$ L D cABO GRANDe » 115 W. 2nd St., 817.348.8226. Good service plus Mexican dishes in a festive atmosphere. Enjoy ribs, snapper and fajitas outside on the patio. 11am10pm Sun.-Thur.; 11am-midnight Fri.-Sat. $$ L D ( ✹ cANtINA L AReDO » 530 Throckmorton St., 817.810.0773. Start with the top-shelf guacamole and move on to the Enchiladas de Mole. Don’t forget to save room for the scrumptious Mexican apple pie. 11am10pm Mon.-Thu.; 11am-11pm Fri.-Sat.; 10am-9pm Sun. $-$$ L D T ( ✹
chIMy’S ceRVeceRIA » 1053 Foch St., 817.348.8888. Famous for its nachos and addictive margaritas, this place is a must-try for all Tex-Mex lovers. 11am-midnight Mon.-Sat. $ L D ✹
chIPOtLe » 3050 S. Hulen St., 817.735.8355. Other locations: 3000 W. 7th St., 817.348.8530. 4484 Bryant Irvin Rd., 817.735.4506. 1312 W. Pipeline Rd., 817.595.3875. 3010 E. Southlake Blvd., 817.748.4745. Good food at a low price. Standard Mexican tacos and burritos. Everything is made to order while you watch. 11am-10pm daily. $ L D ✹
DOS GRINGOS » 1015 University Dr., 817.338.9393. The name says it all. The Tex-Mex menu is top fare in a setting that appeals to the Cultural District crowd. Their margaritas are the largest in town! 11am-9pm Sun.-Thu.; 11am-11pm Fri.-Sat. $ L D ( ✹
eL feNIX » 6391 Camp Bowie Blvd., 817.732.5584. More than 80 years ago, the Martinez Family pioneered what is now internationally known as the Tex-Mex food phenomenon, but they also offer many traditional Mexican food dishes that are popular south of the border. El Fenix is the oldest chain of family-owned Tex-Mex restaurants in the United States. 11am-10pm daily. $ L D ( eL R ANchO GRANDe » 1400 N. Main St., 817.624.9206. This family-owned and -operated Mexican restaurant has been a Cowtown favorite for more than 60 years. Fresh tortillas and chips and salsa are made from scratch daily, and the eatery is housed in a beautiful vintage 1918 restored building on the north side of Fort Worth. 11am-9pm Mon.-Thu.; 11am-10pm Fri.-Sat. $-$$ L D (
eSPeRANZA’S MeXIcAN BAKeRy & cAfe » 2122 N. Main St., 817.626.5770 B L D ( ✹. Other location: 1109 Hemphill St., 817.332.3848 B L D (. The southof-the-border fare draws neighborhood families and downtowners alike because of the friendly surroundings. It’s owned by the family that runs Joe T. Garcia’s, so you know you’re in for a good time. Bakery: 6am-7pm daily; Cafe: 6:30am-6pm Mon.-Fri.; 6:30am-7pm Sat.Sun.; 6:30am-5:30pm Mon.-Fri.; 6am-5:30pm Sat.-Sun. Hemphill. $
feRNANDeZ cAfe » 4220 W. Vickery Blvd., 817.377.2652. This family-friendly Mexican eatery offers a low-fat selection of food on its menu. 6:30am-2pm daily. $ B L D fIeStA » 3233 Hemphill St., 817.923.6941. Twenty five years in one location with the original owners. Some employees have even been here for 23 years! The brightly colored lights make for a nice ambiance. 11am9pm Mon.-Thu.; 11am-10pm Fri.-Sat. $ L D ( fuZZ y’S tAcO ShOP » 2917 W. Berry St., 817.924.7943. 2719 Race St., 817.831.TACO. The favorites for late nights are tacos, big burritos, great enchiladas and beer. A TCU student hot spot. 10:30am-2am Thu.; 10:30am-3am Fri.-Sat.; 10:30am-midnight Mon.-Wed.; 8am-10pm Sun.; 9:15am-10pm Sun.-Thu.; 9:15am-11pm Fri.-Sat. $ B L D ✹
CHEF
817-821-1621
817-437-1055 www.tcbcateringfortworth.com
BAKeR St. PuB & GRILL » 6333 Camp Bowie Blvd., 817.377.9772. British-themed pub with a menu that offers shepherd’s pie and Scotch egg with good chutney. You’ll also find a mix of Tex-Mex with a Brit nuance thrown in for good measure. 11am-2am daily. $-$$ L D ( ✹
BeNItO’S ReStAuRANt » 1450 W. Magnolia Ave., 817.332.8633. Other location: 2516 N.E. 28th St., 817.740.1679. Authentic Mexican fare with some Tex-Mex mixed in. Great weekend breakfast, as well. 10am-9pm
JOe t. GARcIA’S » 2201 N. Commerce, 817.626.4356. Family-owned and -operated for three generations, Joe T.’s is a must for outside dining. Pick one of two menu choices (enchiladas or fajitas) and feast in one of the courtyards or in the fiesta gardens. Beware: The weekend rush will keep you in line for a table, but it’s well worth the wait. Cash only. 11am-2:30pm, 5pm-10pm Mon.-Thu.; 11am-11pm Fri.-Sat.; 11am-10pm Sun. $$ L D ( ✹
LA fAMILIA » 841 Foch St., 817.870.2002. Familyowned and -operated restaurant. Lunch specials are served six days a week. Good service and great TexMex are served up here in large portions. 11am-9pm Mon.-Thu.; 11am-10pm Fri.-Sat. $ L D

















RISTORANTE ITALIANO
Ser




LA PLAYA MAYA » 6209 Sunset Dr., 817.738.3329. Other locations: 1540 N. Main St., 817.624.8411. 3200 Hemphill St., 817.924.0698. Traditional Tex-Mex is well done, but the seafood is better. A must-order here is the succulent ceviche (raw fish) cooked in lime juice, then mixed with chopped tomatoes, onions, cilantro and peppers. 11am-10pm Mon.-Thu.; 11am-11pm Fri.; 10am11pm Sat.; 10am-10pm Sun. $ L D ( ✹ Los MoLcAjetes » 4320 Western Center Blvd., 817.306.9000. Here, you have a tremendous amount to choose from, including various enchiladas, tostadas, fajitas, chimichangas, combination platters and a sampler platter for the lunch crowd. 11am-9:30pm Mon.-Thu.; 11am-10pm Fri.-Sat.; 11am-9pm Sun. $ L D Los vAqueros » 2629 N. Main St., 817.624.1511. Located across from Billy Bob’s Texas, this northside favorite is a great place for inexpensive, but absolutely delicious, Tex-Mex. You cannot find better beef fajitas. 11am-9pm Mon.-Thu.; 11am-11pm Fri.-Sat.; 10:30am3pm Sun. $ L D ✹
MAMBo’s » 1010 Houston St. in the Park Central Hotel, 817.336.3124. A downtown favorite. Mambo’s famous tacos and incredible margaritas will keep you going back for more. Late-night dining at its best. 11am- 2pm Mon.-Fri.; 5pm-midnight Tue.-Thu.; 5pm-2am Fri.-Sat. $ L D ✹
MI cocINA » 509 Main St., 817.877.3600 L D ✹ Other location: 4601 W. Freeway (I-30 and Hulen), 817.569.1444 L D. A favorite all over the Metroplex. Nachos locos, chicken con hongos, mongo goodo and the famous Mambo Taxi that may make you "looso drunko." Easygoing cantina atmosphere. 11am-10pm Sun.-Thu.; 11am-11pm Fri.-Sat. $ tHe orIGINAL » 4713 Camp Bowie Blvd., 817.738.6226. Fort Worth’s oldest Mexican restaurant offers all of the traditional favorites such as warm flautas and homemade tamales in a warm, family-friendly setting. 11am-9pm Tue.-Thu.; 11am-10pm Fri.-Sat.; 11am9pm Sun. $ L D (
PAPPAsIto’s cANtINA » 2704 W. Freeway, 817.877.5546. Other location: 321 W. Road to Six Flags, Arlington, 817.795.3535. Next door to Pappadeaux, this restaurant draws large crowds with generous helpings of Tex-Mex food. The quality is the best, the portions are huge, and the service is impeccable. 11am-10pm Sun.-Thu.; 11am-11pm Fri.-Sat. $$ L D ( ✹ all locations PuLIdos » 5051 Hwy. 377 S., 817.732.7871. Other locations: 2900 Pulido St., 817.732.7571. 4924 Old Benbrook Rd., 817.731.4241. Classic Mexican restaurant offering everything from enchiladas to crispy tacos. 11am9:30pm Mon.-Thu.; 11am-10pm Fri.-Sat. $ L D ( ✹ rIo MAMBo » 6125 I-20 at Bryant Irvin Rd., 817.423.3124. Salad takes a new twist alongside standard Tex-Mex favorites, with the Los Cabos, a Mexican cobb salad of sorts with chicken, avocado and bleu cheese. 11am-9:30pm Sun.-Thu.; 11am-10:30pm Fri.Sat. $$ L D ( ✹ tres joses cocINA MeXIcANA » 4004 White Settlement Rd., 817.763.0456. Decidedly creative menu with a range of choices, from chargrilled chicken breast to grilled shrimp, fancy tamales stuffed with sirloin and topped with tomatillo salsa. 11am-9pm Tue.-Thur.; 11am-10pm Fri.-Sat.; 11am-9pm Sun.; Closed Mon. $$ B L D (
uNcLe juLIo’s » 5301 Camp Bowie Blvd., 817.377.2777. A West Fort Worth cult eatery, and it’s easy to see why. This national chain has blended the best parts of Southwestern cuisine with Mex and Tex-Mex, giving guests a flavorful dining experience. 11am-10:30pm Sun.-Thu.; 11am-11:30pm Fri.-Sat. $$ L D ( ✹
WILLoW PArk
Los vAqueros » 4971 E. I-20N, 817.441.1551. Sister restaurant to Los Vaqueros in the Stockyards, this has the same menu with a more laid-back, family-friendly atmosphere. 11am-9pm Sun. & Tue.-Thu.; 11am-10pm Fri.-Sat. $-$$ L D ( ✹
seafood
ArLINGtoN
FIsH cIt Y GrILL » 3900 Arlington Highlands Blvd.,
817.465.0001. This casual restaurant offers tasty treats from the sea at tasty prices. Try the blue crab stuffed mushrooms or the Fish City sandwich. 11am-10pm Mon.- Thu.; 11am–11pm Fri.-Sat.; 11am- 9pm Sun. $-$$ L D ✹
Fort WortH
dAddY jAck’s » 353 Throckmorton St., 817.332.2477. The attentive servers and the expertly cooked dishes make for a wonderful dining experience. Crab cakes with big chunky pieces that are hard to come by. Lobster tail and the catch of the day are the main attractions of the seafood house in the heart of the Wild West. 11am-2pm Mon.-Sat.; 5pm-10pm Sun.-Thu.; 5pm10:30pm Fri.-Sat. $$ L D T ( ✹ eddIe v’s » 3120 W. 7th St. 817.336.8000. This finedining establishment is perfectly nestled in Fort Worth’s Cultural District. Diners can expect an award-winning menu with selections that are flown in daily, as well as an extensive wine list offering American and European vintages. Open daily at 4pm. $$$$ D T (✹
j&j oYster BAr » 612 N. University Dr., 817.335.2756. The Oyster bar is the best place where locals go for oysters, scallops and the best seafood gumbo in town. 11am-10pm Sun.-Thu.; 11am-11pm Fri.-Sat. $ L D ✹
LoNe stAr oYster BAr » 4750 Bryant Irvin Rd., 817.370.0030. Seafood lovers shouldn’t leave this place without trying the tasty oysters. A fun place to unwind after a long day at the office or outside in the Texas sun. The daily specials are excellent, as well. 11am-2am Tue.Sat.; 11am-midnight Sun.-Mon. $ L D ( ✹
PAPPAdeAuX » 2708 W. Freeway, 817.877.8843. Other location: 1304 E. Copeland Rd., Arlington, 817.543.0544. Basic New Orleans-themed chain, but hardly pedestrian on the palate. Keep in mind, the Arlington location is one of the busiest spots in the county, especially when the neighboring Texas Rangers are in town. 11am-10pm Sun.-Thu.; 11am-11pm Fri.-Sat. $$ L D ( ✹
r
AZZoo’s » 318 Main St. in Sundance Square, 817.429.7009. Other location: 4700 Bryant Irvin Rd. in Cityview, 817.292.8584. Why go to Mardi Gras when you’ve got Razzoo’s at home? Less fancy than the competition, they offer Louisiana favorites, as well as specialty drinks, like hurricanes, gator punch and worm burners. 11am-11pm Sun.-Thur.; 11am-2am Fri.-Sat. $$ L D ✹
rockFIsH » 3050 S. Hulen St., 817.738.3474. A seafood lover’s paradise in a good people-watching place. Tender pastas complement all the seafood choices, and the raspberry margarita is too tasty for words. 11am9pm Sun.-Thu.; 11am-10pm Fri.-Sat. $$ L D ✹
Zeke’s FIsH & cHIPs » 5920 Curzon Ave., 817.731.3321. This Fort Worth staple serves up something different than the Southern battered fish fry. Modeled after English fish and chips. 11am-9pm Mon.-Thu.; 11am-11pm Fri.; 10am-11pm Sat.; Noon-9pm Sun. $ L D ✹ soutHLAke
FIsH cIt Y GrILL » 2750 E. Southlake Blvd., Ste. 130, 817.748.0456. This casual restaurant offers tasty treats from the sea at tasty prices. Try the blue crab stuffed mushrooms or the Fish city sandwich. 11am-10 pm Mon.-Thu.; 11am-1pm Fri.-Sat.; 11am-9pm Sun. $-$$ L D ( ✹
truLuck’s seAFood, steAk & cr AB House » 1420 Plaza Pl., 817.912.0500. It’s all about the fresh seafood and tender crab at Truluck’s which features a weekly changing menu. 5pm-10pm daily. $$$ D T ( southwest
Fort WortH
BLue MesA BAr & GrILL » 1600 S. University Dr., 817.332.6372 L D ( ✹. Other location: 158 E. Southlake Blvd., Southlake, 817.416.0055 L D ✹. Escape Tex-Mex fever and opt for superb Southwestern cuisine in this favorite University Park Village haunt. Low-fat menu choices make it easy for the calorie counters. Their popular happy hour provides delicious quesadillas with drinks. One of the best brunches you’ll ever eat. Fort Worth: 11am-10pm Mon.-Thu.; 11am-11pm Fri.-Sat.;


•
•
•
•
•
•
•
•

BONNELL’S FINE TEXAS CUISINE » 4259 Bryant Irvin Rd., 817.738.5489. Wonderful Texas game dishes, fresh grilled seafood, steaks and chops. Something for every taste, like the grilled trout with mango salsa. Draws an upscale crowd both dressy and casual. Extensive wine list. 11am-2:30pm Tue.-Fri.; 5:30pm-10pm
LANNY’S ALTA COCINA MEXICANA » 3405 W. 7th St., 817.850.9996. Don’t go in expecting traditional enchiladas and tacos. Instead, enjoy multiple courses of nouvelle Mexican cuisine from a fourth-generation member of the Joe T. Garcia family. 11:30am-2:30pm Tue.-Fri.; 5:30pm-10pm Tue.-Thu.; 5:30pm-10:30pm
LONESOME DOVE WESTERN BISTRO » 2406 N. Main St., 817.740.8810. A white-tablecloth dining establishment in the heart of the Fort Worth Stockyards. Chef/owner Tim Love has brought together a collection of dishes that reflects the spirit of food from the traditional and new Southwest. We suggest the duck quesadillas and the coffee-rubbed kangaroo tail. 11:30am-2:30pm Tue.-Sat.; 5pm-10pm Mon.-Thu.; ( ✹
MICHAELS RESTAURANT & ANCHO CHILE BAR » 3413 W. 7th St., 817.877.3413. Michaels Restaurant & Ancho Chile Bar serves up contemporary Southwestern cuisine, a comfortable atmosphere and an extensive list of fine wines. The Chile Bar offers its own unique menu. 11am-2:30pm Mon.-Fri.; 5:30pm-10pm Mon.-Wed.; 5:30pm-11pm Thur.-Sat. Chile Bar hours: 11am-11pm Mon.-Wed.; 11am-1am Thu.-Fri.; 5pm-1am
310 Houston St., 817.336.1009. A garden bar three stories above downtown and two stories of dining make this one of the most popular tickets in Fort Worth. Well, that, and an innovative menu that includes such palate-pleasing favorites as smoked quail on cheese grits, chicken-fried steak and a chili relleno stuffed to the gills with cheese. The crowd is lively and the waitstaff is unmatched. 11am-2:30pm, 5pm-10:30pm daily. Bluegrass Brunch 11am-2pm Sun.
4pm-midnight Fri.; 5:30pm-midnight Sat. $$$$ D T ( ✹
H3 RANCH » 109 E. Exchange Ave., 817.624.1246. The bunkhouse feel lends a special Stockyards flavor to roast pork Southern-style, and be sure to try a gooey caramely dessert served in a skillet or a flaming steak with 150-proof fuel. The huge open hickory grill gets your attention right away. 11am-10pm Mon.-Thur.; 11am-1am Fri.; 9am-1am Sat.; 9am-10pm Sun. $$$ L D T (
HOFFBRAU » 1712 S. University Dr., 817.870.1952. A relaxed setting that serves up good steaks, chargrilled pork chops, bacon-wrapped shrimp, fried pickles and banana pudding. 11am-10pm Sun.-Thu.; 11am-11pm Fri.-Sat. $$ L D ( ✹
THE KEg STEAKHOUSE & BAR » 5760 S.W. Loop 820, 817.731.3534. The fireplace makes it cozy, but the food makes it better, especially the oddball, round “baseball steak.” Try the bacon-wrapped scallops with a zesty cocktail sauce or the grilled top sirloin. 4pm-10pm Sun.Thur.; 4pm-11pm Fri.-Sat. $$$ D (
L AMBERT’S » 2731 White Settlement Rd., 817.882.1161. Lambert’s serves bold ranch cuisine in a big city setting. Enjoy country cooking and live music on Friday and Saturday nights. 5pm-10pm Mon.-Thu.; 5pm-11pm Fri.-Sat.; 11am-3pm Sun. $$ D T ( ✹
MERCURY CHOP HOUSE » 301 Main St., 817.336.4129. The menu is the only way to describe this place of beef tenderloin Oscar, Dijon-crusted pork chops, truffled polenta and halibut over a roux of Kalamata olives and Roma tomatoes. 11am-3pm Mon.-Fri.; 5pm-10pm Sun.Thur.; 5pm-11pm Fri.-Sat.; 11am-3pm Sun. $$$ B L D T ( ✹
M&M STEAKHOUSE » 1106 N.W. 28th St., 817.624.0612. This restaurant may be small, but the steaks sure aren’t. Try one of these huge slabs of meat smothered in a garlic sauce. The food is excellent. Cash only. 5pm-11pm Tue.-Sat. $$ D (
» Arlington: 6077 I-20 W., 817.572.0541. Fort Worth: 2600 W. 7th St., Ste. 153, 817.332.6227. Colleyville: 5120 Hwy. 121, 817.318.6227. Trendy but casual pub featuring steaks and seafood. 10am-10pm Sun.; 11am-10pm Mon.-Thur.; 11am-11pm
TRAIL DUST STEAK HOUSE » 2300 E. Lamar Ave., 817.640.6411. The large and lively atmosphere make this a good place for a night out with the family. They serve a wide variety of steaks and have a tasty appetizer selection, to boot. 11am-10pm Sun.-Thu.; 11am11pm Fri.-Sat. $$$ L D ( ✹

CATTLEMEN’S STEAK HOUSE » 2458 N. Main St., 817.624.3945. In the Stockyards since 1947, Cattlemen’s is a beef institution where you choose your steak from the glass butcher case. If you’re not a red-meat eater, there is a good selection of superb seafood and chicken. 11am-10:30pm Mon.-Thu.; 11am-11pm Fri.-
LE STEAKHOUSE » 812
Main St., 817.877.3999. A Fort Worth/Dallas legend. The meat is great, and so is the service. Don’t hesitate to try the fish or the mock turtle soup made with beef and sherry. A perfect special-occasion dining location. 5pm-10pm Mon.-Thu.; 5pm-11pm Fri.-Sat.; 5pm-9pm
6333 Camp Bowie Blvd., 817.377.4400. Try chef/owner Efrain Benitez’s Queso Fuego. This dish, ignited tableside, features cheese, jalapenos and ground beef. 11am-3pm Mon.-Fri.; 5pm-10pm Mon.-
777 Main St., 817.877.3388. With fresh, bold flavors and high-quality ingredients, Grace serves modern American classics on its proteindriven menu. 5:30pm-9:30pm Mon.-Thu.; 5:30pm10:30pm Fri.-Sat. Bar Hours 4pm-11pm Mon.-Thu.;
RISCKY’S STEAKHOUSE » 120 E. Exchange Ave., 817.624.4800. A true Old West décor serving Texas-size steaks of certified Angus beef. Originally frequented by visiting ranchers, cowboys and cattlemen involved with the Stockyards and livestock business, making them famous for their calf fries and excellent steaks. 11am-9pm Sun.-Mon.; 11am-10pm Tue.-Thur.; 11am-11pm Fri.-Sat. $$-$$$ L D (
RUTH’S CHRIS » 813 Main St., 817.348.0080. Ruth’s Chris famous steaks are seared to perfection at 1800 degrees and topped with fresh butter so they sizzle all the way to your table. 5pm-10 pm Mon.-Thu.; 5pm-11pm Fri.-Sat.; 5pm-9:30 pm Sun. $$$ D T (
SHULA’S 347 » Sheraton Hotel, 1701 Commerce St., 817.870.2700. Named after Hall of Fame football coach Don Shula, this high-end steakhouse with a sporty flair offers everything from salads to burgers to its famous Shula Cut steaks. 6:30am-10pm Sun.-Thu.; 6:30 am11pm Fri.-Sat. $$ B L D T (
SILVER FOX STEAKHOUSE » 1651 S. University Dr., 817.332.9060. Other location: 1235 William D. Tate, Grapevine, 817.329.6995. Prime veal, steak salads and off-the-cob cream corn are a few of the favorites on this menu of upscale Western chophouse fare. Popular for gatherings, as well as a heckuva steak. 4pm-10pm Mon.-Sat. $$$ D T (
gRAPEVINE /SOUTHLAKE/COLLEYVILLE
J.R.’S STEAKHOUSE » 5400 Hwy. 121, 817.355.1414. The menu has plenty of steaks and seafood to choose from, but reasonably priced first courses and salads could easily pass for small entrées. J.R.’s draws a more casual crowd, but there is nothing casual about the food. Wine lovers will also be pleased to find a number of bottles priced in the $30 to $80 range. You will also find live music nightly in the adjoining bar. 4pm-lounge; 5pm-10pm Mon.-Sat.; Closed Sun. $$$ D T ( KIRBY’S STEAKHOUSE » 3305 E. Hwy. 114, Southlake, 817.410.2221. A fine dining experience featuring primeaged, bone-in ribeye and pepper steak. Excellent seafood, as well. 4:30pm-10pm Sun.-Thu.; 4:30pm-11pm Fri.-Sat. $$$ D T (





Cats’ president John Reeves (left) and Dodgers’ general manager Branch Rickey (right) survey the damage after a famous fire destroyed LaGrave Field in May 1949. Current Cats’ owner Carl Bell rebuilt the ballpark in 2002, with home plate sitting exactly where it did in 1926. Fans now have the opportunity to enjoy baseball at the same historic place graced by Hall of Famers Babe Ruth, Lou Gehrig, Joe DiMaggio and Jackie Robinson.





ft.
3737 West Airport Freeway
866.429.7681
www.parkplacetexas.com
For So7 residents, John and Carol Davidson, travel is a way of life. Whether it’s European getaways, weekend jaunts to the Hill Country or short excursions to and from the city’s many cultural offerings, the retired couple demands a set of wheels that will deliver them to their destination efficiently and comfortably. Their new Mercedes E320 BlueTEC and SLK300 from Park Place Motorcars Fort Worth offer the couple reliable transportation and über-luxurious indulgences.
Carol relishes the SLK300 roadster, and John adores seeing her behind the wheel. “She’s cute as a bug in it,” he said. But when he takes the wheel, John typically drives the E320 BlueTEC, an ecological diesel sedan that the couple picked up personally in Stuttgart, Germany. The pick up, which was arranged by Park Place, allowed the duo to motor around Germany, Austria and the Czech Republic before shipping their new auto home. “It was a fabulous experience,” Carol said.
Such exceptional service as exhibited by the Park Place staff have made the Davidson’s lifelong customers. “They’re a great dealership,” John said. “They’re the best in our lifetime experience in terms of professionalism, thoroughness and the representation of a great product.”