Medical Market - Urologie 2023

Page 1

Acad. Prof. Univ.

Dr. Ioanel Sinescu

Președinte ARU

Conf. Univ.

Dr. Cristian Surcel

Președinte ROMURO 2023

Prof. Univ.

Dr. Petrișor Geavlete

Clinica de Urologie, Spitalul clinic de urgență Sfântul Ioan București, Spitalul Sanador

Prof. Univ.

Dr. Scârneciu Ioan

Medic primar urologie, Șeful Secției Clinice Urologie, Spitalul Clinic

Județean de Urgență Brașov

Prof. Univ.

Dr. Alin Cumpănaș

U.M.F. Victor Babeș Timișoara

Prof. Univ.

Dr. Geavlete Bogdan

Clinica de Urologie, Spitalul clinic de urgență Sfântul Ioan București, Spitalul Sanador

Prof. Univ. Dr. Habil.

Orsolya K.I. Mártha

U.M.F.S.T. „George Emil Palade’’ Tg. Mureș

Prof. Univ.

Dr. Pricop Cătălin

U.M.F. „Grigore T. Popa” Iași

Urologie

Revista profesioniștilor din Sănătate • 2023 - 2024 • Publicație creditată B+ conform

CHIRURGIA ROBOTICA DA VINCI

Da Vinci Xi

cea mai avansată formă de chirurgie minim-invazivă

www.sofmedica.com

Test non invaziv pentru screening și monitorizare a pacienților cu cancer de vezică.

Simplu De încredere Rapid

proba: URINĂ

valoare predictivă negativă

PENTRU MAI MULTE DETALII SCANEAZA AICI

ABORDAREA INFECȚIILOR DE TRACT URINAR

Pentru 2 capsule vegetale:

Extract din fructe de (Vaccinium macrocarpon) 266,6 mg - din care proantocianidine tip A

Extract din vârfuri înflorite de iarbă neagră (Calluna vulgaris) 250 mg

Pentru 2 capsule gelatinoase moi:

Ulei esențial din scoarță de Scorțișoară

Ulei esențial din ramuri cu frunze de Niaouli 24 mg

Ulei esențial din vârfuri înflorite

Rozmarin

Ulei esențial din vârfuri înflorite de Cimbru-de-iarnă/Cimbru-de-munte 24 mg

Dimineața Seara

5 zile

**Proantocianidine, exprimate sub formă de proantocianidine de tip A determinate prin metoda DMAC.

***Număr de celule vii măsurate prin citometrie.

Cys-Control Flash și Cys-Control Fort sunt suplimente alimentare. Vă rugăm să citiți prospectul înainte de prescriere.

Acest material este destinat profesioniștilor din domeniul sănătății.

Pentru 2 plicuri roșii:

D-Manoză

Extract din fructe de care PAC-uri** 36 mg .

Agent de încărcare:

Tulpini ale bacteriilor benefice 2 miliarde de celule*** incluzând Lactobacillus plantarum LP01

Pentru 1 plic alb în formă de baton:

Agent de încărcare: maltodextrină

Tulpini ale bacteriilor benefice 2 miliarde de celule*** incluzând Lactobacillus plantarum LP01 Lactobacillus reuteri LRE02

probiotice

Suplimentele alimentare nu înlocuiesc o dietă variată și echilibrată și un stil de viață sănătos.

Pentru

18+ ANI 18+ ANI
ABORDAREA INFECȚIILOR DE TRACT URINAR
Dimineața
MKSLMHC0046/03.2023 MagnaPharm Marketing & Sales ROMANIA SRL Str. Av. Popișteanu, nr. 54A, Clădirea 2, în incinta Expo Business Park, etaj 7, Sector 1, București, Cod poștal 012095 Tel: +4 0372 502 200, Fax: +4 0372 502 255 | www.magnapharm.eu
Dimineața
zile
18+ ANI 18+ ANI
Dimineața Seara Cu
2 capsule vegetale: Pentru 2 plicuri roșii:

„Urologia românească de astăzi și-a consolidat poziția în prim-planul medicinei mondiale“

Interviu cu Acad. Prof. Univ. Dr. Ioanel Sinescu

„Noi susținem tinerii urologi să se supraspecializeze în toate procedurile chirurgicale care ne stau la dispoziție“

Interviu realizat cu Conf. Univ. Dr. Cristian Surcel 10

Locul ureteroscopiei semirigide în era ureteroscopiei flexibile

Prof. Dr. Geavlete Petrișor, Asist. Univ. Dr Mareș Cristian, Prof. Dr. Geavlete Bogdan 12

Microultrasonografia versus mpRMN în detecția cancerului de prostate

Prof. Univ. Dr. Ioan Scârneciu, Dr. Maxim Laurian Ștefan 14

Genetica în cancerul de prostată - schimbări de paradigmă în medicina de precizie a secolului XXI Prof. Univ. Dr. Alin Cumpănaș 20

Importanța prestentării în urgență a pacienților cu colică reno-ureterală

Prof. Univ. Dr. Bogdan Geavlete, Dr. Anne Pleșuvescu, Ș. L. Dr. Cosmin Ene, Prof. Univ. Dr. Petrișor Geavlete 26

Centrul de analiză morfologică și spectroscopică Michel Daudon - o realizare importantă a asociației urologilor din Iași Prof. Dr. Cătălin Pricop, Ș. L. Dr. Dragoș Puia, Asistent Universitar Dr. Adelina Miron, Dr. Marius Ivănuță, Dr. Eric Cosovanu

Influența SARS-CoV-2 asupra tratamentului minim invaziv din hiperplazia benignă prostatică

Dr. Ștefan Bălăcescu, Ș. L. Dr. Cosmin Ene, Prof. Univ. Dr. Petrișor Geavlete, Prof. Univ. Dr. Bogdan Geavlete

Utilizarea copolimerilor sintetici biocompatibili în tratamentul minim-invaziv al refluxului vezico-ureteral simptomatic: Prezentare de caz

Șef Lucrări Dr. Vasile Dan Stanca, Prof. Univ. Dr. Nicolae Crișan, Dr. Teodora Telecan, Dr. Emanuela Maria Ionuțaș

Îmbătrânirea vezicii-este o realitate?

Prof. Dr. Med. Habil. Orsolya K.I. Mártha

32

36

40

46

Copierea fără acordul scris al editurii a oricăror elemente de grafică sau conținut editorial apărute în revistele editurii sunt considerate furt de proprietate intelectuală şi intră sub incidența legii.

4 www.revistamedicalmarket.ro Urologie Sumar
8
medical:
Aurora Bulbuc, medic primar Medicină de familie Editor Calea Rahovei,
5, Bucureşti, Electromagnetica Business
Corp 01,
Tel: 021.321.61.23 e-mail: redactie@finwatch.ro ISSN 2286 - 3443
Consultant
Dr.
nr. 266-268, Sector
Park,
et. 1, cam. 4
S T I M U L A R E M A G N E T I C Ă F U N C Ț I O N A L Ă

Interviu realizat cu Academician Profesor Universitar Dr. Ioanel Sinescu, Președintele Asociației Române de Urologie

Stimate domnule Profesor, vă rog să amintiți, la începutul discuției, câteva dintre reperele româneşti la care trebuie să se raporteze orice medic implicat în progresul ştiințelor medicale din România.

România are o tradiție excepțională în medicină, cum greu ne putem imagina în zilele noastre. Întreaga istorie a ultimilor 150 de ani este presarată de nume care au rămas în memoria comunității medicale de la noi și din străinătate. Majoritatea acestora s-au format în cele mai prestigioase universități și clinici din lume și apoi au ales să revină în țară pentru a crea o școală de medicină comparabilă cu tot ceea ce exista pe plan internațional. Dacă vorbim despre numele mari, eu am cel puțin 100 la care m-am raportat, de-a lungul anilor, în tot ceea ce am scris. Putem începe cu creatorii de școli medicale: Carol Davila, Gheorghe Marinescu, Thoma Ionescu, Victor Babeș, Ion Cantacuzino, Petre Herescu, întemeietorul Societății Române de Urologie, pentru a ajunge la cei care au contribuit ulterior, decisiv, la stabilirea solidei reputații de care se bucură medicina românească: Acad. Nicolae Hortolomei, Acad. N. Gh. Lupu, Acad. Iuliu Hațieganu, Acad. Theodor Burghele, Prof. Ion Juvara, Prof. Dan

Setlacec, Prof. Gh. Litarczek, Prof. Leonida Gherasim, Prof. Eugeniu Proca, maestrul meu și mulți, mulți alții.

Au trecut 24 de ani de când ați preluat destinele Urologiei româneşti de la mentorul dumneavoastră, Prof. Eugeniu Proca. Cu ce speranțe ați pornit la drum legat de viitorul Asociației de Urologie?

După cum bine știu colegii mei de specialitate, istoria noastră, ca organizație profesională, nu a fost una liniară. Prima Societate Română de Urologie s-a născut, oficial, în 1909 sub patronajul marelui Profesor Petre Herescu. A urmat asimilarea ei în Societatea Română de Chirurgie în 1927, o primă

renaștere realizată în 1934 de Profesorul Nicolae Hortolomei sub denumirea „Societatea Română de Boli Genito-Urinare’’, altă fuziune forțată sub tutela Societății de Chirurgie în 1948 (al cărei președinte era Profesorul Theodor Burghele) și, la final, ne-am caștigat „independența’’ în 1989, conduși de profesorul Eugeniu Proca. O ultimă schimbare a avut loc în 2001, când Societatea a devenit Asociația Română de Urologie, așa cum o știm astăzi. Trebuie spus că, de-a lungul anilor, în conducerea Organizației noastre s-au regăsit nume cu greutate ale Urologiei române și europene (mai puțin în perioada comunistă), care au încurajat schimburile de idei și ne-au ajutat considerabil la dezvoltarea specialitatatii pana la nivelul la care a ajuns în zilele noastre.

Eu am fost ales în 1999 Președintele a ceea ce se numea, încă, Societatea Română de Urologie. Anticipând eventualitatea acelui moment, având exemplul și îndemnurile maestrului meu, Profesorul Eugeniu Proca, și exemplul marilor medici din trecut, am făcut tot posibilul să obțin cât mai multe specializări în centre medicale prestigioase din SUA, Germania, Franța, Israel etc. În pofida faptului că școala românească de Urologie a evoluat în trecut la nivel internațional, perioada în care ne-am aflat în spatele Cortinei de Fier nu ne-a permis accesul

8 www.revistamedicalmarket.ro Urologie Interviu
„Urologia românească de astăzi și-a consolidat poziția în prim-planul medicinei mondiale“

la toate studiile și tehnicile avansate, decât în măsura în care am avut prilejul să le descoperim la fața locului.

Planul meu a fost simplu: dacă va veni momentul sa preiau responsabilitatea acestei discipline, atât ca Președinte al Asociației cât și ca pedagog sau șef de clinică, obligația mea prioritara a fost pregatirea profesionala de așa manieră încât să am mai multe răspunsuri (maximal) la problemele pacientilor. Mai mult, dorința mea a fost să readuc Urologia românească în prim-planul Urologiei europene și mondiale, acolo unde îi este locul, poziție pentru care au muncit și s-au sacrificat toate generațiile anterioare.

Astăzi pot spune că acest scop a fost atins. Asociația nostră este extrem de activă pe plan european, iar urologii noștri, membri ai ARU, sunt de facto, automat, membri ai EAU, cu acces la orice manifestare stiintifica, sub egida acestei Organizații și la toate celelalte beneficii profesionale aferente.

Aproape întreaga

dumneavoastră carieră de medic se leagă indisolubil de ’’nava amiral’’ a Urologiei româneşti, Centrul Pentru Uronefrologie Și Transplant Renal ”Fundeni’’, pe care il şi conduceți din 1997. Ce înseamnă Centrul astăzi pentru pacienți?

Centrul reprezinta stația terminus pentru aceasta specialitate medicală în România. Aici se formeaza și se perfecționează noile generații de specialiști și tot aici vin cele mai complicate cazuri, care nu pot fi diagnosticate sau tratate în alte unități spitalicești din tara. În clinică trebuie să ai răspunsuri și soluții pentru pacienți, indiferent de complexitatea patologiei cu care se prezintă!

După deschiderea produsă în 1989, am redobândit accesul la tot ceea ce înseamnă tehnică de vârf în Urologie, am reactivat colaborările cu specialiștii din întreaga lume și „am pierdut” dreptul de a spune pacientului „nu știu’’ sau „nu pot’’! Avem acces la cele mai noi tehnici de investigație și medici pregătiți să ofere soluții la nivelele actuale ale urologiei romanesti și internationale.

Odată ce avem diagnosticul, putem stabili abordarea optimala a unui caz, iar

specialiștii pregătiți de noi cunosc, știu toate tehnicile aplicate în întreaga lume.

Cum a evoluat Centrul nostru în ultimele decenii? Am introdus în această clinică chirurgia sub microscopul operator în 1985, pentru prima dată, am introdus transplantul de rinichi cu organe recoltate de la donatori în moarte cerebrală, atât la adult în 1997 cât și la copil în 1999, am introdus tehnicile de chirurgie majoră cum ar fi pentru cancerul renal cu extensie în cavitățile inimii (extensia trombului tumoral pe cale venoasă, prin vena cavă inferioară, până în atriul și chiar în ventriculul drept) după ce am văzut astfel de intervenții efectuate la Cleveland Clinic Foundation, împreună cu chirurgi cardiaci, în echipă mixtă, sub circulație extracorporeală. Am introdus oncologia de mare anvergură, cu limfodisecții largi pentru tumorile renale, vezicale și testiculare, cu limfodisecție retroperitoneală pentru toate acestea. Dupa cistectomia radicala, foarte adesea, reconstruim neovezici din segmente ale tubului digestiv (neovezica de substitutie). Am introdus toate tehnicile de abordare ale litiazei aparatului urinar, prin litotriție extracorporeală cu unde de șoc, prin ureteroscopie, utilizând ca surse de energie pentru distrugerea calculilor energia ultrasonică și cea laser. Coroborat cu abordul percutanat al rinichilor, am ajuns până acolo încât în momentul de față, doar 2-3% dintre pacienții cu litiaza aparatului urinar mai ajung la operații clasice. Ceilalți sunt rezolvați prin tehnici de endourologie de aparat urinar superior, prin abord percutanat sau prin ESWL. Am introdus celelalte tehnici de abord pentru diversele tipuri de cancer ale aparatului urinar, cancer de glandă suprarenală, cancerul retroperitoneal, cancerul de căi urinare, cancerul prostatic, cancerul de uretră, cancerul penian, testicular etc. Acestea ar fi doar câteva exemple de patologie pentru care suntem pregatiți. Mai merită amintite intervențiile sub microscopul operator pentru infertilitatea masculină prin cauze obstructive, pentru impotențele organice de cauză vasculogenică, pentru autotransplantul testicular ... Toate acestea au fost introduse în Centrul nostru, plus o serie de investigații legate de urologia funcțională, pentru tulburări de evacuare vezicală prin diverse

cauze, cele mai multe neurologice. Mai sunt de adăugat investigații aprofundate pentru sindromul dureros pelvin cronic și pentru infecțiile urinare repetate, recidivante, care nu își dezvăluie cauza de la început. La blocul nostru operator sunt realizate, zilnic, 40-50 de intervenții cu diferite grade de dificultate, în 11 sali de operație, toate dotate la cel mai inalt nivel. Avem medici supraspecializați în toate cele 13 ramuri ale Urologiei, abordăm toate cele nouă tipuri de cancer care se adresează specialității noastre, efectuăm toată gama de intervenții chirurgicale aflate în arsenalul Urologiei.

În anul 2004, recunoscând performanțele acestui Centru, mărimea lui, complexitatea patologiei etc., Asociația Europeană de Urologie l-a denumit și a ramas asa: „Centru de Excelență” în Urologia Europeană.

Lucrările celui de-al XXXIXlea Congres ROMURO sunt programate pentru perioada 2527 mai, la Poiana Braşov. Cum arată programul ştiințific şi cât de consistentă apreciați că va fi participarea?

În curând va începe Congresul XXXIX al ARU la Poiana Brașov, unde timp de trei zile și jumătate vom avea manifestări științifice ce vor acoperi majoritatea aspectelor mari ale Urologiei actuale.

În ceea ce privește participarea, așteptăm peste 500 de membri ARU, care vor veni să se întâlnească cu colegii lor și, mai ales, cu o serie de invitați prestigioși de peste hotare. Am reușit să aducem nume de referință, specialiști în cancer renal, de prostată și urotelial, în patologia infecțioasă urinară, în litiază renală, în diferite tipuri de malformații ale aparatului urinar etc.

Congresul acesta se adresează, cu precădere, tinerilor urologi, care vor concura prin prezentari de lucrări și sesiuni hands-on și vor fi jurizați de un comitet format din personalități ale urologiei românești, cărora li se adaugă unii dintre invitații străini. Este una dintre formele de stimulare a pregatirii noilor generatii de medici, pentru a deveni urologi de nadejde și specialisti de valoare europeana.

9 Urologie 2023 - 2024 Interviu

Interviu realizat cu Conf. Univ.

Dr. Cristian Surcel, Președintele

Congresului ROMURO 2023

Stimate domnule doctor, sunteți președintele din acest an al Congresului ROMURO, care a ajuns la impresionanta ediție cu numărul XXXIX. Căror factori se datorează această longevitate a principalului eveniment medical pe care îl organizează Asociația din care faceți parte?

Suntem o Asociație unită, cu obiective clare, la îndeplinirea cărora lucrăm toți, de ani buni. Suntem o Asociație cu istorie, dar avem și prezent și viitor. Cred că relațiile pe care le-am creat între membrii ARU reprezintă cheia succesului pentru această longevitate. Întotdeauna mi-a plăcul proverbul acela african: ‘’Dacă vrei să ajungi repede aleargă singur, daca vrei să ajungi departe aleargă împreună cu alții’’. Noi ținem aproape unii de alții și am ajuns departe. Care sunt principalele teme ce vor fi abordate în cadrul lucrărilor? Există noutăți notabile față de edițiile ultimilor ani?

Topica propusă ‘’Aspecte clinico-terapeutice ale patologiei urologice’’ este doar o umbrelă sub care se regăsesc toate aspectele activităților noastre ca urologi. Avem ambiția să aducem în discuție la acest congres toate subspecialitățile urologice, care sunt cel putin 13, astfel încât fiecare membru ARU să se regăsească prin temele propuse. Încă de la început Societatea noastră a încercat prin ROMURO să combine parametrii educaționali cu cercetarea și inovația. Avem de toate în congresul acesta, avem lasere, roboți, chirurgie dechisă și endoscopie și laparoscopie, lucrări ce acoperă toată gama de proceduri medico-chirurgicale specifice specialității noastre. Congresul a fost gândit și organizat astfel încât să aducă un câștig profesional pentru fiecare membru și avem toate motivele să credem că va fi o reușită. Predecesorul dumneavoastră la președinția ROMURO aprecia că Urologia este considerată cea mai tehnicizată specialitate medicală, poate cu excepția chirurgiei robotice. Cum apreciați că evoluează an de an accesul colegilor dumneavoastră la tehnologie tot mai performantă, având în vedere costurile considerabile și bugetele

care nu sunt ajustabile în timp real pentru a face față prețurilor în creștere?

Este adevarat, suntem o specialitate extrem de tehnologizată. În general, prima specialitate în care se dezvoltă tehnologiile cu aplicație medicală este Urologia. Când vine vorba despre accesul la tehnică, discuția este mai nuanțată. Noi susținem tinerii urologi să se supraspecializeze în toate procedurile chirurgicale care ne stau la dispoziție. Avem această deschidere și asta se va vedea la Congresul ROMURO, unde vor fi sesiuni de hands-on, în care avem și roboți cu care tinerii specialiști se pot familiariza cu tot ce înseamnă proceduri bazale urologice. Dar, tehologie nu înseamnă numai robot, înseamna și proceduri de endoscopie, de chirurgie deschisă, chiar de laparoscopie; cumva încercăm să acoperim toate aceste segmente ale Urologiei la Congres. Este adevărat că unele proceduri cu tehnică de vârf nu le sunt accesibile nici medicilor, nici pacienților la spitalele publice, ceea ce reprezintă o mare problemă, dar cred în continuare că dacă ești un chirurg foarte bun pe chirurgie deschisă sau un chirurg eminent pe laparoscopie, cumva rezultatele sunt superpozabile peste cele pe care ți le oferă tehnologia înaltă. Conteaza calitatea chirurgului, calitatea spitalului în care lucrează și nu cred ca pacienții au de suferit din cauza asta. Pe viitor se impune totuși o dotare superioară a spitalelor publice, pentru că rezidenții se pregătesc acolo și este de dorit ca aceștia să aiba acces cât mai devreme în cariera lor la tehnologii de ultimă generație.

Interesul viitorilor medici pentru specialitatea urologie este tot mai substanțial de la an la an și numărul colegilor

dumneavoastră din ARU este în creștere constantă. Apreciați că atractivitatea este dată de elementul tehnic sau răspunde unor nevoi în creștere privind serviciile oferite de urologi?

Putem spune că Urologia este cea mai importantă specialitate chirurgicală prin faptul că este cea mai solicitată. O treime dintre pacienții chirurgicali ni se adresează nouă, iar celelalte două treimi sunt împărțite de alte nouă specialități chirurgicale. Evident că interesul viitorilor medici este condiționat de acest rezervor uriaș de pacienți, dar și de varietatea foarte mare de subspecialități ale urologiei, deasemenea de varietatea de patologii, de la incontinența urinară la disfuncții erectile, de la infecții urinare până la adenomul de prostată și, nu în ultimul rând, de numeroasele tipuri de cancer care afectează aparatul urogenital și contribuie drastic la reducerea calității vieții pacientului. Fără îndoială că și componenta tehologică este foarte atractivă pentru medicii în formare, dar aș spune că Urologia este aleasă întâi de toate pentru că este o specializare de ordinul 1, care pe lângă latura chirurgicală foarte avansată are și una medicală. Aceasta permite colegilor mei care nu pot de la începutul carierei să lucreze într-un spital mare cu patologie chirurgicală, să consulte pacienți la cabinet, în așteptarea unui eventual loc vacant într-o unitate spitalicească. Una peste alta, este o specialitate care îți oferă toată gama de patologie, medicală și chirurgicală avansată, iar tinerii medici sunt atrași de aceasta varietate. Cu multe mulțumiri pentru timpul acordat, propunem să vă adresați la final colegilor dumneavoastră, care vor participa direct sau vor urmări de la distanță lucrările ROMURO din acest an.

Mă bucur să îmi reîntâlnesc colegii an de an și sunt nerabdator să le adresez un calduros „Bine ați venit!“ la lucrările ROMURO 2023. Ediția aceasta vine cu multe noutăți, de la schimbarea locației, anul acesta am ales Poiana Brasov, până la introducerea de noi sesiuni hands-on, inclusiv de robotică. Așteptăm un număr mare de participanți, sperăm ca toți cei prezenți să fie cât mai activi, să pună întrebări, să se bucure de reuniunea colegială, de lucrările prezentate și de tot ce oferă un asemenea eveniment.

10 www.revistamedicalmarket.ro Urologie Interviu
„Noi susținem tinerii urologi să se supraspecializeze în toate procedurile chirurgicale care ne stau la dispoziție“

Locul ureteroscopiei semirigide

în era ureteroscopiei flexibile

The role of semi-rigid ureteroscopy in the era of flexible ureteroscopy

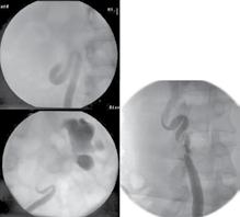
Spitalul Clinic de Urgență „Sfântul Ioan” din București este un centru universitar de renume atât național, cât și internațional în chirurgia endoscopică minim-invazivă a tractului urinar. În ultimii 30 de ani, circa 23.000 de ureteroscopii (semirigide, fiber-optice, digitale, flexibile, cu ureteroscoape reutilizabile sau flexibile) au fost efectuate cu success în centrele noastre (spitalele Sfântul Ioan și Sanador), cu rezultate deosebite în beneficiul pacientului (una dintre experiențe majore pe plan mondial, recunoscută la congresele internaționale la care am participat). Prin urmare, putem aminti cu satisfacție primele experiențe pe plan național cu diverse tipuri de ureteroscoape rigide, flexibile (reutilizabile sau de unică folosință), diverse tipuri de lasere, cu multiple premiere naționale dea lungul timpului. Ne bucurăm că azi, în țara noastră sunt multiple centre urologice care aplică această metodă, inclusiv ureteroscopiile flexibile cu diverse tipuri de tehnologie flexibilă sau lasere. Este un progres uriaș, ureteroscopia intrând în curicula de pregătire a rezidenților noștri. Istoria ne arată interesul ridicat acordat tratamentului litiazei încă din cele mai vechi timpuri; în ultimii 100 de ani a avut loc un avans tehnologic impresionant în ceea ce privește miniaturizarea instrumentelor și tehnologizarea intervențiilor. Începând cu anul 1912 când a fost efectuată prima ureteroscopie și continuând cu anul 1960 (dezvoltarea primului laser cu aplicații medicale), evoluția tehnologiei ne-a adus astăzi în punctul în care paleta de instrumente din care poate alege chirurgul în armamentariumul propriu este atât de mare încât apare o întrebare: avem mereu nevoie de ultimile gadgeturi în intervențiile chirurgicale pe care le practicăm sau instrumentele consacrate deja sunt încă utile în rezolvarea cazurilor? Mai are loc ureteroscopul semirigid în armamentariumul nostru sau ar trebui înlocuit definitiv cu ureteroscopul flexibil? (Fig. 1)

Spitalul Clinic de Urgență „Sf. Ioan”, București, Spitalul Sanador

UMF „Carol Davila”, București

Asist. Univ.

Dr Mareș Cristian

Spitalul Clinic de Urgență

„Sf. Ioan”, București, UMF „Carol Davila”, București

Spitalul Clinic de Urgență „Sf. Ioan”, București, Spitalul Sanador

UMF „Carol Davila”, București

n primul rând, trebuie să privim ureteroscopia ca o procedură universal valabilă, indiferent de tipul ei, care se practică peste tot în lume și care este gold-standardul tratamentului litiazic în toate ghidurile de bună practică urologică internaționale. Ghidul Asociației Europene de Urologie subliniază importanța urete-

roscopiei semirigide în toate edițiile anuale ale ghidului de Urolitiază, oferidu-i credit alături de ureteroscopia flexibilă în tratamentul litiazei ureterale. Situațiile cele mai importante în care ureteroscopia semirigidă este alegerea princeps sunt reprezentate de: litiaza ureterală distală, tumorile ureterale, stricturile ureterale, precum și stenoza joncțiunii pelviureterale. Dintre toate aceste situații, cea mai indicată situație de utilizare al ureteroscopului semirigid este și va rămâne litiaza ureterală distală! Pornind de la aceastea, intuitiv putem afirma sinergic

situațiile preferabile ale ureteroscopiei flexibile în tratamentul litiazei ureterale, precum litiaza ureterală proximală și medioureterală, eșecul ureteroscopiei semirigide sau migrația retrogradă a calcului (care nu mai reprezintă de mult o problemă intraoperatorie iar rezolvarea ei imediată este obligatorie și facilă folosind instrumente flexibile, aflate obligator, întotdeauna, la îndemâna urologului care efectuează o ureteroscopie pentru litiaza aparatului urinar superior), litiaza multiplă renală și ureterală, malformații ale tractului renoureteral, variate de-

12 www.revistamedicalmarket.ro Articole de specialitate Urologie
Î
Prof. Dr. Geavlete Petrișor Prof. Dr. Geavlete Bogdan Fig. 1. Imagine intraoperatorie (Ureteroscopie flexibilă digitală) cu litotriție cu laser Holmium (Dornier Medilas H35) a unui calcul în calicele inferior (dezintegrarea litiazei „in situ”)

rivații urinare cu litiază asociată (atât prin abord anterograd, cât și retrograd), rinichiul transplantat, anatomia particulară sau, nu în ultimul rând, trebuie să o recunoaștem, disponibilitatea instrumentelor flexibile!

Dar această întrebare nu ne-o punem numai noi, ci face obiectul multiplelor dezbateri în cadrul congreselor internaționale de pe toate continentele, precum și subiectul nenumăratelor articole publicate recent în literatura de specialiate în jurnale care mai de care mai prestigioase. Susținătorii instrumentelor semirigide subliniază potențialele beneficii ale acestor tipuri de aparate, precum vizibilitatea mai bună, posibilitatea utilizării unei palete mai largi de surse de litotriție și diverselor pense sau sonde extractoare, fiind în același timp o procedură cu un raport mai bun timp-eficiență. Totodată, instrumentele sunt mai robuste, cu un cost de achiziție mai mic (mai puțin de jumătate din preț) și au un canal de lucru mai mare care permit accesul cu instrumente mai „spornice”. Pe de altă parte, nu trebuie să neglijăm nici limitările acestei proceduri dintre care amintim dificultatea sau imposibilitatea accesului în anumite situații particulare precum anomalii anatomice, derivații urinare, migrarea calcului în sistemul pielocaliceal sau abordul ureteral anterograd. (Fig. 2)

Multiple publicații recente care compară cele două tipuri de instrumente (ureteroscoape) subliniază avantajele ambelor variante fără a concluziona ferm și elocvent „victoria” vreunuia dintre ele. În majoritatea studiilor, problema cea mai frecvent ridicată este retropulsia calculilor – intre 5 si 40%; factori asociați frecvent cu aceasta sunt calculii de dimensiuni reduse, dilatația urete-

rului proximal, hidronefroza semnificativă. Odată cu avansarea tehnologiei și a miniaturizării endoscoapelor, soluția No-Touch Technique (NTT) în cadrul ureteroscopiei flexibile este din ce în ce mai răspândită (prima noastră evaluare românească cu această procedură a fost publicată recent). Se ridică întrebarea: și ce facem cu ureterul considerând că acesta nu este perfect rectiliniu? – răspuns intuitiv: folosim ureteroscopul flexibil! Noile ureteroscoape flexibile (mai ales cele de unică folosință) sunt deosebit de subțiri (foarte apropiate de calibrul normal, anatomic, ureteral), standardul actual de 7.5 Fr. (doar 2 exemple introduse de noi în țara noastră: Pusen și HugeMed) pare să fie pus sub semnul întrebării de instrumente și mai noi de doar 6.4.-6.8 Fr. (în curs de evaluare), așadar asigurând un acces mai puțin traumatic și optim pentru întregul sistem urinar superior. (Fig. 3, Fig. 4)

motiv în plus pentru o alegere optimă. Indiferent de ureteroscopul ales, se recomandă a avea ambele instrumente disponibile și chiar de a practica (pentru calculii ureterali) o ureteroscopie semirigidă înaintea oricărei ureteroscopii flexibile, aceasta aducând informații importante unui succes sigur.

O altă problemă ridicată este reprezentată de varianta prestentării ureterului înaintea acestei proceduri. Din fericire, avansul tehnologic prin miniaturizarea instrumentelor face irelevantă această problemă deoarece ambele tipuri de intervenții pot fi realizate cu succes fără a monta un stent înaintea procedurii de litotriție, ultimile studii arătând faptul că nu influențează rata de stone-free. Studiile pe termen lung au concluzionat ferm avantajele ambelor instrumente, fiecare tip de ureteroscop având indicații specifice, uneori fiind complementar unul altuia. Mai important decât tipul de instrument ales este particularitatea fiecărui caz în parte în probabilitatea de reușită al intervenției; printre factorii considerați importanți se numără diametrul/volumul calcului, poziția proximală/distală a acestuia, anatomia locală a tractului urinar.

În succesul final al oricărei proceduri trebuie considerate mai multe aspecte, iar presiunea intrarenală în timpul intervenției chirurgicale este una dintre ele; multiple studii au fost elaborate pe această temă, concluzia finală arătând beneficiul ureteroscopului flexibil folosit pe o teacă de acces corespunzătoare, având rezultatele cele mai bune și deci, mai sigure. Pe de altă parte, din experiența noastră se arată o învățare facilă a procedurii ureteroscopice (în special cea semirigidă) după circa 40 de proceduri! Cu avansarea tehnologiei și apariția noilor ureteroscoape flexibile de unică folosință se pune problema costurilor mai ridicate ale procedurilor și al accesibilității pacienților la serviciile de sănătate moderne; cu toate acestea ultimile analize indică tendința la corecție a prețurilor în viitorul apropiat și al creșterii accesibilității acestor proceduri care nu demult scumpe, în curând vor fi mai accesibile.

În cazul calculilor ureterali proximali, dacă rata de succes a instrumentelor rigide nu depășește 83%, instrumentele flexibile se apropie de 90-95% rată de succes; așadar, un

În concluzie, din experiența Clinicii de Urologie a Spitalului Clinic de Urgență Sfântul Ioan din București și a Spitalului Sanador subliniem multiplele avantaje ale ambelor instrumente în managementul calculilor căilor urinare superioare, și considerăm necesitatea evaluării fiecarui caz individual și al adaptării tacticii la situațiile locale optime.

13 Articole de specialitate Urologie 2023 - 2024
Fig. 2. Aspecte ureterale care impun ureteroscopia flexibilă (chiar dacă și în aceste situații particulare chiar și această metodă devine dificilă, necesitând o experiență importantă și manevre ajutătoare). Oricum, este exclusă utilizarea ureteroscoapelor semirigide! Fig. 3. Ureteroscopul single-use Pusen PU 3033A (7.5 Fr.). Aspect intraoperator (2021). Fig. 4. Ureteroscopul single-use HugeMed HU30S (7.5 Fr.) folosit cu un monitor Sony 4K 55Inch (2022).

Microultrasonografia versus mpRMN în detecția cancerului de prostate

Microultrasonography versus mpMRI in the detection of prostate cancer

Abstract: Microultrasonography is a new imaging system that is designed to improve the detection of prostate cancer by being able to describe suspicious lesions for prostate cancer, but also to perform an ultrasound-guided biopsy through a transperineal or transrectal approach.

la 70 de microni. Aceast progres în creșterea rezoluției are marele avantaj că anatomia prostatei este identificată mult mai ușor și mai detaliat, o serie de leziuni care nu sunt evidențiate la ecografia transrectală convențională sunt descrise detaliat cu ajutorul microultrasonografiei.

trasonografia este soluția ideală deoarece leziunile pot fi descrise ușor, încadrate cu ajutorul scorului PRIMUS și ulterior efectuarea biopsiei de prostată țintit și ghidat prin microultrasonografie.

Microultrasonografia este un sistem nou de imagistică, care este conceput pentru a îmbunătăți detecția cancerului de prostată, putând fi folosit pentru a descrie leziunile suspecte pentru cancerul de prostată, dar și pentru a putea realiza o biopsie ghidată ecografic prin abord transperineal sau transrectal.

Noul sistem de microultrasonografie este mult superior sistemelor ecografice convenționale, datorită faptului că prezintă o rezoluție înaltă de 29 MHz, în comparație cu sistemele ecografice convenționale care funcționează la 9-12 MHz. Astfel rezultă o îmbunătățire cu 300% a rezoluției, lucrând la o frecvență de până

Microultrasonografia are o curbă de învățare redusă la cei care efectuază în mod curent ecografie transrectală și biopsie de prostată ghidată ecografic transrectal sau transperineal. Trebuie înțeles modul de interpretare a leziunilor cu ajutorul scorului PRIMUS, care este similar scorului PIRADS folosit în RMN multiparametric. Cu ajutorul lui sunt evidențiate leziunile suspecte care ulterior sunt descrise și clasificate ultilizând acest scor, pentru a descrie riscul de a descoperi un cancer de prostată. Scorul PRIMUS este folosit pentru caracterizarea sistematică a țesutului și este un sistem notat cu 5 puncte, în care un scor PRIMUS de 1 semnifică benignitate, iar un scor PRIMUS de 5, semnifică cel mai probabil o leziune malignă.

Ghidurile Asociației Europene de Urologie recomandă efectuarea unui mpRMN înainte de efectuarea unei biopsii de prostată, dar mpRMN este limitat datorită cererii mari, de disponibilitate și de costurile ridicate ale procedurii. De aceea au fost căutate alternative mai puțin laborioase pentru a înlocui rezonanța magnetică nucleară. Există și un grup de pacienți la care examinarea mpRMN este contraindicată din diferite motive, cum ar fi pacienții cu implaturi protetice, stimulatoare cardiace, cei cu claustrofobie sau cu insuficiență renală cronică care nu pot efectua investigația. Pentru acest grup de pacienți microul-

Un studiu recent care a analizat dimensiunile ductelor prostatice în specimenele de prostatectomie radicală a descoperit că rezoluția de 70 de microni permite microultrasunetelor să vizualizeze 95% din toate ductele prostatice, comparativ cu 15% pentru ultrasunetele convenționale.

Ghidurile NCCN includ microultrasonografia și au descris recent că utilizarea microultrasonografiei de înaltă rezoluție a fost comparată cu rezonanța magnetică nucleară multiparametrică și s-a constatat că funcționează similar pentru detecția cancerului de prostată.

Rolul microultrasonografiei în detecția cancerului de prostată comparativ cu mpRMN, a fost intens studiată, iar ratele de detecție a cancerului de prostată au fost comparabile, folosind cele două proceduri, lucru confirmat în 4 studii separate. Un studiu [1], prospectiv, orb, efectuat pe 320 de pacienți, a evidențiat detecția de cancer de prostată semnificativ clinic, este similară folosind cele două proceduri. Un alt studiu [2] efectuat de Hofbauer, a demonstrat că microultrasonografia nu este inferioară mpRMN, detectând 97% dintre cancerele de prostată semnificative clinic (p=0.00230).

14 www.revistamedicalmarket.ro Articole de specialitate Urologie
Prof. Univ. Dr. Ioan Scârneciu Facultatea de Medicina, Universitatea Transilvania Brasov, medic primar urologie, Seful Sectiei Clinice Urologie, Spitalul Clinic Judetean de Urgenta Brasov Dr. Maxim Laurian Ștefan Facultatea de Medicina, Universitatea Transilvania Brasov, medic primar urologie la Spitalul Clinic Judetean de Urgenta Brasov

UROLOGY QUICK REFFERENCE GUIDE

MARK III NEW

Într-un studiu efectuat în 2020 [3], în care au fost incluși 1040 de pacienți din 11 instituții și la care a fost efectuat mpRMN și au fost supuși unei biopsii ghidate microultrasonografic, a fost evidențiată o sensibilitate semnificativ mai mare folosind microultrasonografia decât folosind mpRMN, pentru cancerele de prostată semnificative clinic, cu un scor Gleason mai mare sau egal cu 7.

Scorul PIRADS 3 este un scor mpRMN care este considerat a fi echivoc, procentul de tumori descoperite la un scor PIRADS 3 fiind destul de mic. Nu toți pacienții trebuie supuși unui stres chirurgical cu efectuarea unei biopsii de prostată. Microultrasonografia a demonstrat [4], că a putut evita biopsia de prostată la 25 (23%) de pacienți cu 111 la care a fost descris un scor PIRADS de 3. Scorul PRIMUS bazat pe microultrasonografie oferă o stratificare clară a riscului atunci când mpRMN este echivoc.

Microultrasonografia și-a dovedit noninferioritatea față de mpRMN, în multiple studii, iar studiile inițiale sunt promițătoare, necesitând însă studii care să cuprindă populații mai mari, multicentrice, pentru a stabili dacă biopsiile țintite sunt suficiente pentru a diagnostica un cancer de prostată semnificativ clinic. Rămâne un studiu clinic care este în desfășurare, un studiu internațional, format din 3 brațe, care să ofere dovezi de nivelul 1, care să susțină utilizarea microultrasonografiei în biopsia de prostată. În acest studiu au fost randomizați 1200 de pacienți care nu au avut o biopsie de prostată în antecedente și au fost împărțiți în 3 brațe, cu biopsie folosind microultrasonografia, biopsie ghidată cu ajutorul microultrasonografiei la cei care au avut un mpRMN efectuat și fuziune de imagini RMN. Finalizarea studiului este estimată ca fiind primăvara anului 2023.

Microultasonografia poate fi folosită atât pentru descrierea precisă a leziunilor identificate ușor în regim de ambulator, dar poate să fie folosită și pentru a ghida o biopsie de prostată în timp real sau pentru a ghida o biopsie de prostată, cognitiv dacă pacientul are efectuat un mpRMN. Biopsiile de prostată pot fi realizate atât prin abord transperineal cât și prin abord transrectal, pot fi realizate în regim de ambulator sub anestezie locală. Timpul de efectuare a biopsiei de prostată este scurt dacă biopsia de prostată este disponibilă în practica curentă.

Experiența inițială a Clinicii de Urologie Brasov, cu microultrasonografia a inclus 26 de pacienți. Toți pacienții au fost investigați prin mpRMN înainte de efectuarea

biopsiei de prostată. Cei mai mulți pacienți au avut un scor PIRADS de 3 la13 pacienți,la 9 pacienți a fost descris un scor PIRADS de 4 și la 4 pacienți un scor PIRADS de 5. Rata de detecție globală a cancerului de prostată a fost de 65,2%, cel nesemnificativ clinic a fost întâlnit într-un procent de 21,8% iar cel semnificativ clinic într-un procent de 43,4%. Am observat la majoritatea leziuniilor descrise mpRMN și care au a fost încadrate într-un scor PIRADS 3, că aspectul microultrasonografic a fost încadrat într-un scor PRIMUS de 1 sau 2, fără a ridica o suspiciune de cancer de prostată. Studiile în desfăsurare vor dovedi cu mare probabilitate valoarea microultrasonografiei în detecția cancerului de prostată.

Bibliografie

1. Lughezzani G, Maffei D, Saita A, Paciotti M, Diana P, Buffi NM, Colombo P, Elefante GM, Hurle R, Lazzeri M, Guazzoni G, Casale P. Diagnostic Accuracy of Microultrasound in Patients with a Suspicion of Prostate Cancer at Magnetic Resonance Imaging: A Single-institutional Prospective Study. Eur Urol Focus. 2021 Sep;7(5):1019-1026. doi: 10.1016/j.euf.2020.09.013. Epub 2020 Oct 15. PMID: 33069624.

2. Sebastian L. Hofbauer, Ferdinand Luger, Niklas Harland, Henning Plage, Maximillian Reimann, Markus Hollenbach, Andreas Gusenleitner, Arnulf Stenzl, Thorsten Schlomm, Laura Wiemer, Hannes Cash, A non-inferiority comparative analysis of micro-ultrasonography and MRI-targeted biopsy in men at risk of prostate cancer. First published: 13 November 2021 https://doi.org/10.1111/bju.15635

3. Klotz L, Lughezzani G, Maffei D, Sánchez A, Pereira JG, Staerman F, Cash H, Luger F, Lopez L, Sanchez-Salas R, Abouassaly R, Shore ND, Eure G, Paciotti M, Astobieta A, Wiemer L, Hofbauer S, Heckmann R, Gusenleitner A, Kaar J, Mayr C, Loidl W, Rouffilange J, Gaston R, Cathelineau X, Klein E. Comparison of micro-ultrasound and multiparametric magnetic resonance imaging for prostate cancer: A multicenter, prospective analysis. Can Urol Assoc J. 2021 Jan;15(1):E11-E16. doi: 10.5489/cuaj.6712. Erratum in: Can Urol Assoc J. 2022 Feb;16(2):E111. PMID: 32701437; PMCID: PMC7769516.

4. Pier Paolo Avolio M.D. a b, Giovanni Lughezzani M.D. a b, Marco Paciotti M.D. a b, Davide Maffei M.D. a b, Alessandro Uleri M.D. a b, Nicola Frego M.D. a b, Rodolfo Hurle M.D. a, Massimo Lazzeri M.D. Ph.D. a, Alberto Saita M.D. a, Giorgio Guazzoni M.D. a b, Paolo Casale M.D. a, Nicolò Maria Buffi M.D. a b. The use of 29 MHz transrectal micro-ultrasound to stratify the prostate cancer risk in patients with PI-RADS III lesions at multiparametric MRI: A single institutional analysis. Department of Urology, Humanitas Clinical and Research Center, Rozzano, Italy. Department of Biomedical Sciences, Humanitas University, Pieve Emanuele, Milan, Italy. https://doi.org/10.1016/j. urolonc.2021.05.030

16 www.revistamedicalmarket.ro
Urologie
Articole de specialitate

Genetica în cancerul de prostată

schimbări de paradigmă în medicina de precizie a secolului XXI

Genetics in prostate cancer - paradigm shifts in precision medicine of the 21st century

Diagnosticul și tratamentul cancerului de prostată au cunoscut schimbări substanțiale în ultimele decenii. După demonstrarea hormonosensibilității cancerului de prostată de către Huggins și Hodges, introducerea dozării antigenului prostatic specific (PSA), terapia hormonală de deprivare androgenică, dezvoltarea și îmbunătățirea tehnicilor de prostatectomie radicală (deschisă, laparoscopică, robotică), metodele moderne de imagistică (scintigrafia, rezonanța magnetică nucleară, tomografia cu emisie de pozitroni), biopsia prostatică ecoghidată, fusion și RMN ghidată precum și medicația adresată cancerelor prostatice hormonorezistente și/sau metastatice au contribuit în mod semnificativ la îmbunătățirea impresionantă a diagnosticului și rezultatelor tratamentului pacienților cu cancer de prostată, anticipând transformarea cancerului de prostată dintr-o boală incurabilă într-o boală cronică, cu care se poate trăi o lungă perioadă de timp.

reprezentat niciodată o limită care să confere siguranță diagnostică ci, cel mult, o bornă de orientare

Privind însă datele studiilor publicate în ultimii ani, putem constata că, odată depășită euforia pionieratului cu evoluții aparent spectaculoase, rezultatele consistente obținute în diagnosticul și tratamentul cancerului de prostată au fost însoțite și de abordări care s-au dovedit a fi suboptimale:

• au fost incluși frecvent în programe de screening pacienți la care acest lucru nu era necesar

• a fost subestimat screeningul la persoanele mai tinere și aparent sănătoase

• au fost supratratate cazuri low-risk

și subtratate cancere high-risk iar valoarea prag a PSA de 4 mg/ml nu a

Stratificarea cancerelor de prostată în grupe de risc (nomogramele Partin, MSKCC, Briganti, CAPRA, NCCN) se face în funcție de PSA, stadiul tumoral, examenul histopatologic, volumul tumoral și densitatea PSA, având ca rezultat un procent de aproximativ 30% de cazuri la care se face upstaging/ downstaging-ul, respectiv upgrading/ downgrading-ul, conform unui studiu recent publicat în European Urology. Cu toate acestea, mortalitatea prin cancer de prostată a scăzut cu peste 50% față de etapa pre-PSA iar medicina secolului XXI, orientată spre terapii personalizate, face pași importanți bazându-se pe progresele deja înregistrate, eliminând abordările greșite/ suboptimale și integrând elementele moderne de diagnostic și tratament.

Odată cu încheierea proiectului de secvențiere a genomului uman (19902003, cu ultimele 8% din genele ADN

secvențiate în 2022), evaluarea genetică a cancerelor, în general, și a cancerului de prostată în particular a cunoscut o dezvoltare consistentă. Astfel, dacă înainte de 2016, ghidurile NCCN (National Comprehensive Cancer Network) menționau în capitolul dedicat cancerului ovarian și a celui de sân că gena BRCA ar putea fi implicată în cancerul de prostată ereditar, din 2016 se recomanda screeningul precoce al pacienților cu istoric familial de cancere BRCA 1/2 pozitive iar din 2018 ghidurile NCCN pentru cancerul de prostată iau în considerare testarea genetică a liniei germinale pentru mutațiile BRCA la persoanele cu risc (istoric familial, vârstă tânără la debut, cancer metastatic). Din 2022 această testare are valoare de recomandare la cazurile cu risc.

Se consideră că 20-30% dintre cancere au o componentă genetică. Astfel, sunt definite în prezent

• cancerele prostatice ereditare (1015% din totalul cancerelor), la care

20 www.revistamedicalmarket.ro Articole de specialitate Urologie
Prof. Univ. Dr. Alin Cumpănaș Clinica de Urologie, UMF Victor Babeș, Timișoara

Quasar® eLite - Brandon Medical/Marea Britanie

● Tehnologie HD-LED;

● Cel mai mare fascicul de lumină;

● Confortul HALO - reduce solicitarea ochilor de la contrastele mari ale intensităţii luminii;

● Controlul temperaturii de culoare de la 3.100°K la 5000°K în 5 trepte;

● Ajustarea intensităţii de lumină în 6 trepte.

Famed OPTIMA

Alege o masă de operaţie adaptată nevoilor tale!

Famed OPTIMA – baza și coloana din fibră de carbon

Înclinarea Trendelenburg de 40° va facilita accesul unui chirurg sau unui robot.

Mioveni-Argeș • Tel: +40 348 451 038 • E-mail: office@primeramed.ro • Web: www.primeramed.ro
DISTRIBUITOR EXCLUSIV

mutația/mutațiile genetice ereditare sunt dovedite (genele BRCA, HOXB13, sindromul Lynch etc)

• cancerele familiale (15-20%) – fără mutații genetice (încă) identificate dar cu agregare familială clară , la care patogeneza poate să implice factori genetici/epigenetici și condițiile de viață

• cancerele sporadice (70-80%) – fără componentă ereditară

Anamneza pacienților cu cancer de prostată ar trebui să includă în mod obligatoriu şi evaluarea de risc familial pentru boală cu determinism genetic: vom întreba asupra rudelor de grad unu, de ambele sexe precum şi asupra rudelor de gradul doi (bunici, unchi, mătuşi, veri pe linie maternă şi paternă), ne vom interesa de istoricul familial de cancer de prostată şi de sân, ovar, endometru, pancreas, colon, gastrointestinal şi leucemie. De asemenea, este importantă în anamneza familială vârsta de apariție a cancerelor în familie precum şi vârsta eventualelor decese prin cancer. În plus, este important de evaluat prin anamneză dacă a fost vorba de cancere agrsive sau nonagresive, metastatice sau nonmetastatice, cu sau fără chimioterapie.

Testele genetice actuale utilizate în cancerul de prostată se împart în două mari categorii: testele liniei germinale (pentru mutațiile genetice moștenite de la genitori) și testele genetice somatice (din celulele tumorale). Majoritatea genelor liniei germinale testate sunt gene de recunoaștere și reparație a leziunilor ADN rezultate în faza de replicare (BRCA, ATM, MSH, HOXB13 etc.)

În funcție de grupa de risc, Ghidurile NCCN din 2023 recomandă testarea genetică a liniei germinale

(cel puțin pentru mutații ale BRCA) la pacienții low-risk cu istoric familial încărcat sau la cei cu cancer intraductal sau cribriform precum și la toți pacienții cu risc intermediar sau crescut (17% dintre aceștia s-au dovedit a avea una sau mai multe mutații genetice cu risc, cel mai frecvent mutațiile BRCA). Mutațiile BRCA se asociază cu un risc de 2-6 ori mai mare de a dezvolta cancer de prostată, cu un risc de 8-9 ori de a dezvolta cancer de prostată sub 65 ani comparativ cu pacienții cu non-mutații, risc mai mare de cancer agresiv (Gleason 8+, N+, metastaze). Există studii care au arătat că în cazul pacienților cu cancer de prostată în program de supraveghere activă, riscul de upgrading este de 42% la purtătorii de mutații BRCA față de 23% la ne-purtători. Prin urmare, se poate aștepta ca pe viitor testarea genetică a liniei germinale (statusul de ne-purtător de mutații) să reprezinte un criteriu de includere în supravegherea activă.

Testarea genetică somatică (din materialul tumoral) evaluează peste 300 de gene, TMB (tumor mutation burden) sau MSI (microsattelite instability) precum și DNA liber circulant (cfDNA).

În prezent, dincolo de evaluarea riscului potențial de a dezvolta cancer de prostată/forme agresive ale acestuia, există deja implicații terapeutice:

• mutațiile genelor de recunoaștere și reparare a leziunilor ADN (ATM, BRCA 1, BRCA 2) sunt favorabile tratamentului cu inhibitori PARP (olaparib) sau chimioterapiei cu produși pe bază de platină

• genele de mismatch repair (MSH 2, MSH6, MLH1, PMS2) creează premisele unui răspuns favorabil la imunoterapia cu checkpoint inhibitors

Evaluarea mutațiilor genetice este una laborioasă, care beneficiază de programe complexe informatice și de computere dedicate performate, fiind necesare analize a zeci de mii de secvențe de baze, repetate de mai multe ori pentru e evita erorileTestarea genetică prin metoda NGS – next generation sequencing este obligatorie pentru a obține rezultate de calitate, în contrast cu testele ieftine care pot oferi rezultate incomplete sau eronate. Este important ca pacienții să fie informați asupra acestor aspecte și să aleagă să efectueze teste genetice de calitate, chiar dacă aceasta implică costuri semnificativ mai mari.

În concluzie, progresele recente în genetică și implicațiile acestora în cancerul de prostată vor trebui:

• să ne facă mai atenți la evaluarea istoricului familial al pacienților cu cancer de prostată, pentru a identifica pacienții la care vom recomanda testarea genetică (linia germinală sau somatică) în funcție de istoricul familial și histologia tumorii

• să ne permită să definim mai bine grupele de risc și alegerea tratamentului corespunzător

• să alegem, în echipa multidisciplinară (împreună cu oncologul, radioterapeutul, anatomopatologul, radioimagistul și geneticianul) tratamentul adecvat – un pas spre medicina de precizie și medicina personalizată

• nu în ultimul rând, consider că este rolul nostru, al urologilor, ca așa cum am popularizat și am reușit să implementăm dozarea PSA, să informăm pacienții, medicii de familie și colegii din alte specialități despre importanța evaluării factorilor de risc genetic și a importanței acestuia în succesul tratamentului cancerului de prostată.

22 www.revistamedicalmarket.ro
Urologie
Articole de specialitate

Realitatea mixtă folosită în medicina modernă .

Realitatea mixtă folosită în medicina modernă .

CarnaLife Holo este un sistem de imagistică 3D revoluţionar care asigură precizia, confortul şi siguranţa procedurilor medicale. Prin intermediul software-ului şi cu ajutorul dispozitivelor Microsoft HoloLens 2 googles, doctorii pot vedea în spaţiul real holograma tri-dimensională a anatomiei pacientului.

CarnaLife Holo este un sistem de imagistică 3D revoluţionar care asigură precizia, confortul şi siguranţa procedurilor medicale. Prin intermediul software-ului şi cu ajutorul dispozitivelor Microsoft HoloLens 2 googles, doctorii pot vedea în spaţiul real holograma tri-dimensională a anatomiei pacientului.

Reprezentarea holografică a studiilor pacientului este posibilă datorită imaginilor DICOM 3D obţinute prin intermediul examinărilor CT (Computer Tomograf), RM (Rezonanţă Magnetică), PET, Ecocardiografie şi Angiografie Rotaţională.

Reprezentarea holografică a studiilor pacientului este posibilă datorită imaginilor DICOM 3D obţinute prin intermediul examinărilor CT (Computer Tomograf), RM (Rezonanţă Magnetică), PET, Ecocardiografie şi Angiografie Rotaţională.

Tehnologie folosită în Cardiologie, Cardiologie Intervenţională, Ortopedie, Otolaringologie, Chirurgie Oncologică şi Chirurgie Vasculară

Tehnologie folosită în Cardiologie, Cardiologie Intervenţională, Ortopedie, Otolaringologie, Chirurgie Oncologică şi Chirurgie Vasculară

CarnaLife Holo este certificat ca dispozitiv

medical de diagnostic, clasa IIb de către TUV NORD Polonia, organism de notificare autorizat de Ministerul Sănătăţii.

CarnaLife Holo este certificat ca dispozitiv medical de diagnostic, clasa IIb de către TUV NORD Polonia, organism de notificare autorizat de Ministerul Sănătăţii.

Avantaje ale utilizării CarnaLife Holo :

Pregătirea şi planificarea eficientă a intervențiilor chirurgicale

Pregătirea şi planificarea eficientă a intervențiilor chirurgicale

Vizualizare în timp real a imaginilor generate de echipamentele de investigație imagistică

Vizualizare în timp real a imaginilor generate de echipamentele de investigație imagistică

Precizie ridicată a intervențiilor

Precizie ridicată a intervențiilor

Ușurința accesului la imagini

Ușurința accesului la imagini

Steril şi interacţiune intuitivă cu holograma

Steril şi interacţiune intuitivă cu holograma

Confort ridicat pentru medici

Confort ridicat pentru medici

Interacțiune şi relaționare eficientă cu pacientul

Interacțiune şi relaționare eficientă cu pacientul

Optimizarea timpului pentru un diagnostic mai rapid

Optimizarea timpului pentru un diagnostic mai rapid

0374 023359; sales@livartix.ro
Avantaje ale utilizării CarnaLife Holo : 0374 023359; sales@livartix.ro
PRECIZIA NEMȚEASCĂ ÎN CHIRURGIA UROLOGICĂ RET RACTOARELE CHIRURGICALE GOLDLINE CONF IGURAȚ IA F LEX IBIL Ă PEN T RU EF ICIEN ȚA OP T IMĂ

D O U Ă M O D E L E

Maxi reprezintă soluția pentru intervențiile abdominale și retro peritoneale ce are aplicație în toate procedurile urologice, pentru care oferă flexibilitate la 360o și adaptabilitate pentru orice poziție și morfologie a pacientului prin articluațiile sale sferice și retractoare speciale pentru vezica urinară.

Mini este conf igurația specială pentru prostatectomiile perineale, echipată cu retractoare speciale pentru vizualizarea optimă a câmpului de operare, îmbunătățită și prin atașarea cablului pentru lumina rece, iar articulațiile sferice ale sistemului oferă ergonomia optimă chiar și în cele mai dif icile poziții ale pacientului.

ADAP TABILI TAT E ÎN ORICE SI TUAȚ IE

• Flexibilitatea ajustării la 360o datorită articulațiilor sferice creează vizibilitatea optimă a câmpului operator și un mediu ergonomic pentru echipa medicală

• Design-ul modular permite ajustarea unei game largi de componente pentru f iecare procedură sau morfologie a pacientului

• Structura din oțel inoxidabil garantează

durabilitatea și igiena la f iecare folosire

info@condor-medtec.de +49 5258 99160

Dr.-Krismann-Straße 15, 33154 Salzkotten, Germania

condor-medtec.de

Importanța prestentării în urgență a pacienților cu colică reno-ureterală

The importance of emergency stenting in patients with reno-ureteral colic

Introducere: Scopul studiului nostru a fost evaluarea retrospectivă a ratei de stone free, după montare de sondă JJ și post-intervenție (ureteroscopie semirigidă, ureteroscopie flexibilă, ureteroscopie semirigidă și flexibilă și NLP) efectuată.

Prof. Univ. Dr. Bogdan Geavlete1,2, Dr. Anne Pleșuvescu1, Șef de Lucrări Dr. Cosmin Ene1,2, Prof. Univ. Dr. Petrișor Geavlete1,2

1. Spitalul Clinic de Urgență Sf. Ioan București

2. UMF Carol Davila București

Materiale și metode: Un total de 49 de pacienți care s-au prezentat la camera de garda a Spitalului Clinic de Urgență „Sfântul Ioan” București cu patologie renală acută sugerând prezența unor calculi la nivel renal și/sau ureteral care au fost confirmați prin imagistică (radiografie, ultrasonografie sau tomografie computerizată) au fost incluși în acest studiu retrospectiv, în perioada septembrie 2021 – decembrie 2021. Toți pacienții selectați au avut indicație de intervenție de urgență și au fost tratați prin inserarea unui stent dublu J. Am analizat rata de stone-free după a doua intervenție, care a fost una dintre următoarele: ureteroscopie semirigidă, ureteroscopie flexibilă, ureteroscopie combinată semirigidă și flexibilă și PCNL. Pacienții s-au întors pentru a doua intervenție și au fost reevaluați imagistic.

Rezultate: Procedurile endoscopice au fost efectuate de 4 medici urologi și au fost practicate într-o perioadă de 2 până la 6 săptămâni după procedura inițială de stentare. Stenturile încrustate au fost întâlnite în 4 cazuri și în 5 cazuri pacienții au fost internați cu obstrucția stenturilor introduse anterior. Din totalul de 49 de pacienți, distribuția intervențiilor a fost: 28 cazuri ureteroscopie semirigidă cu o rată stone-free de 19 cazuri; 12 cazuri de ureteroscopie flexibilă cu o rată

a stone-free de 10 cazuri; 5 cazuri cu ureteroscopie combinată flexibilă și semirigidă, cu o rată de stone-free de 4 cazuri; 4 cazuri cu NLP cu o rată de stone-free de 3 cazuri. Rata totală de stone-free pentru toate procedurile a fost de 93.2% Timpul operator mediu a fost de 23 min. Nu au avut loc incidente sau complicații majore în timpul procedurilor.

Concluzii: Prestentarea de urgență înainte de tratamentul definitiv al litiazelor reno-ureterale este o procedură sigură. Cea mai mare rata de succes a celei de a doua intervenție a fost efectuată utilizând ureteroscopia flexibilă cu cea mai mare rată de stone-free.

Introducere

Prevalența calculilor urinari este estimată a fi între 2% și 3% în populația generală [1]. În absența profilaxiei secundare adecvate, rata de recurență la 5 ani variază de la 30% la 40% [2]

Procentul de pacienți care se adresează la urgențe pentru simptome acute determinate de litiaza reno-ureterală este foarte mare [3] .

Calculii pot fi diagnosticați folosind: Radiografia tractului renal (doar 60-70% dintre calculi sunt radio-opaci și, prin urmare, este posibil să se rateze diagnosticul unora dintre ei). Ecografia tractului renal poate fi utilă în depistarea calculilor renali și hidronefrozei, dar poate eșua pentru litiaza renala cu calculi mici și pentru litiaza ureterală, prin urmare nu este cea mai bună alegere în modalitatea imagistică aleasă în cazurile de colică acută. Pielografia intravenoasă poate fi o alegere pentru investigații în unitățile medicale unde este încă utilizată. Tehnicile de imagistică CT reprezintă investigația standard de aur pentru a evalua prima prezentare a colicii renale [3] .

Luând în considerare contextul clinic al pacientului, contextul medical și echipamentul spitalului căruia pacientul i se adresează, managementului tratamentului pentru fiecare pacient va fi diferit [4]

În studiul nostru am analizat pacienții care după prezentarea la urgență au fost internați și li s-a introdus un stent JJ cu scopul de a pregăti pacientul pentru a doua intervenție care a fost una dintre următoarele: ureteroscopie semirigidă, ureteroscopie flexibilă, ureteroscopie semirigidă și flexibilă și PCNL. Scopul a fost analizarea ratei stone-free după a doua intervenție.

Materiale si metodă

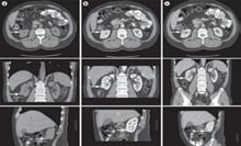
Un total de 49 de pacienți care s-au prezentat la camera de garda a Spitalului Clinic de Urgență „Sfântul Ioan” București cu patologie renală acută sugerând prezența unor calculi la nivel renal și/ sau ureteral care au fost confirmați prin imagistică (radiografie), ultrasonogra-

fie sau computer tomografie) (Fig.1) au fost incluși în acest studiu retrospectiv, în perioada septembrie 2021 – decembrie 2021. Toți pacienții selectați au avut indicație de intervenție de urgență și au fost tratați prin inserarea unui stent dublu J. Am analizat rata de stone-free după a doua intervenție, care a fost una dintre următoarele: ureteroscopie semirigidă,

26 www.revistamedicalmarket.ro Articole de specialitate Urologie
Fig. 1. Poziţionarea mai multor pietre în scanarea CT cu sau fără substanță de contrast.

rinar T U

Formulă unică și concentrată cu efecte dovedite științific

30% PAC din EXTRACT NATURAL DE MERIȘOARE +

D-MANOZĂ (500 mg) + CONCENTRAT DE RĂCHIȚELE LIOFILIZATE

ITU-STOP împiedică aderența uropatogenului E.Coli de pereții tractului urinar asigurând eliminarea lor la urinare. Uroseptic natural, cu puternic efect antiinflamator, potrivit pentru adulți, copii, gravide sau femei în perioada lactației. Poate fi utilizat în combinație cu antibiotice.

Unic Importator și Distribuitor în România: Dux MD Pharma Solutions SRL Puteți solicita detalii printr-un email la adresa: office@duxmd.ro www.duxmd.ro / Tel: 0769 954 577 Ingrediente cu efect dovedit științific Produs urologic Concentrație mare de proantocianidine Doză combinată www.itu-stop.ro STOP
nfecțiilor 1 capsulă roșie + 1 capsulă transparentă
R e v . M aM M 2 0 2 3
I
de
ract

Articole de specialitate

ureteroscopie flexibilă, ureteroscopie combinată semirigidă și flexibilă și NLP. Pacienții s-au întors pentru a doua intervenție și au fost reevaluați imagistic. Toți pacienții selectați au avut indicații de intervenție de urgență și au fost tratați ca prima intervenție de urgență cu inserarea unui stent dublu J. Am analizat rata de stone-free după a doua intervenție care a fost una dintre următoarele intervenții: ureteroscopie semirigidă (Grup A), ureteroscopie flexibilă (Grup B), ureteroscopie combinată semirigidă și flexibilă (Grup C) și NLP (Grup D).

lului. Un calcul mai mare a fost asociat cu un timp operator mai mare. Pentru Grupa A timpul operator mediu a fost de 42,3 min, pentru Grupa B timpul operator mediu a fost de 45,7 min, pentru Grupa C timpul operator mediu a fost de 67,8 min, Grupa D timpul operator mediu a fost de 62,4 min.

Complicațiile au fost evaluate luând în considerare sistemul modificat Clavien-Dindo. Am întâlnit o complicație generală de gradul I în toate grupurile. A existat doar 1 caz de complicație Clavien-Dindo de gradul II în grupul NLP. Nu au existat complicații majore în toate grupurile. A fost o perioadă mai lungă de spitalizare în grupul NLP.

Discuţii

Procedurile endoscopice au fost efectuate de 4 medici urologi și au fost efectuate într-o perioadă de 2 până la 6 săptămâni după inserarea inițială a stentului JJ.

Rezultate

Stenturile încrustate au fost întâlnite în 4 cazuri și în 5 cazuri pacienții au fost internați cu obstrucția stenturilor introduse anterior. Din totalul de 49 de pacienți, distribuția intervențiilor a fost: 28 cazuri ureteroscopie semirigidă cu o rată stone-free de 19 cazuri; 12 cazuri de ureteroscopie flexibilă cu o rată a stone free de 10 cazuri; 5 cazuri cu ureteroscopie combinată flexibilă și semirigidă, cu o rată de stone-free de 4 cazuri; 4 cazuri cu NLP cu o rată de stone-free de 3 cazuri. Rata totală de stone-free pentru toate procedurile a fost de 93.2% Timpul operator mediu a fost de 23 min (Fig. 3).

Litiaza reno-ureterală rămâne una dintre cele mai frecvente boli renale, cu un mecanism de formare a litiazelor reno-ureterale ce nu este încă clar [5]. Dezvoltarea colicii renale este principalul motiv pentru care pacientul vine la camera de gardă. Adesea, primul gest chirurgical este inserarea unui stent dublu J urmat de o a doua intervenție chirurgicala care va fi în concordanță cu poziționarea, dimensiunile calculilor si alți factori asociați pentru a trata cauza colicii renale nu numai a simptomelor acesteia. [6]. Totodată, utilizarea ureteroscoapelor semirigide și flexibile pentru tratarea pacienților cu calculi reno-ureterali a crescut semnificativ în ultimul deceniu în comparație cu litotripsia cu unde de șoc și nefrolitotomia percutanată [7]. Ureteroscopia flexibilă este din ce în ce mai utilizată ca tratament de primă linie pentru pacienții cu calculi renali.

În general, plasarea preoperatorie a stentului dublu J a îmbunătățit semnificativ rata stone-free a pacienților supuși litotriției ureteroscopice. Timpul operator, ratele de complicații, precum și ratele de complicații majore, au fost similare cu valorile întâlnite în alte studii privind rata stone-free [8]

puțin despre cum ar trebui monitorizați pacienții cu urolitiază după tratament. Motivul principal pentru această situație este heterogenitatea clinică mare a bolii litiazice în rândul pacienților, precum și a ratei stone-free după intervenție [10] .

Timpul operator mediu pentru fiecare procedură din studiul nostru a fost similar cu datele din literatură. Timpul operator a fost influențat direct de dimensiunile calculilor [11]

Concluzie

Prestentarea în urgență, înainte de tratamentul definitiv al litiazelor reno-ureterale este o procedură sigură. Cea mai mare rată de succes după prestentare a fost obținută utilizând ureteroscopia flexibilă (cea mai mare rată de stone-free).

Bibliografie

1. Bagley DH: Removal of upper urinarry tract calculi with flexible ureteroscopy. Urology 1990; 35:412.

2. Herrera-Gonzalez G et al. Efectiveness of single flexible ureteroscopy for multiple renal calculi. J Endourol 2011;25(3)431-435.

3. Campbell-Walsh Urology, 11th Edition. Elsevier 2016. ISBN 9781455775675. David FM. Thomas,

4. Patrick G. Duffy and Anthony MK. Rickwood. Essentials of Paediatric Urology, 2nd Edition. Informa Healthcare 2008. ISBN 9781841846330.

5. Jack W.McAninch, Tom Lue. Smith & Tanagho’s General Urology, 2013; (17)249-278.

6. Lipsky MJ, Shapiro EY, Cha DY, Gupta M. Modified-PCNL without modified instruments: a description of technique. J Endourol. 2013 Jun;27(6):684-7.

7. Nevo A, Roy Mano R, Baniel J, Lifshitz D. Ureteric stent dwelling time: a risk factor for post- ureteroscopy sepsis. BJU Int.2017 Jul; 120(1):117-122.

8. Yang Y, Tang Y, Bai Y, Wang X, Feng D, Han P. Preoperative double-J stent placement can improve the stone-free rate for patients undergoing ureteroscopic lithotripsy: a systematic review and meta-analysis. Urolithiasis. 2018 Oct;46(5):493-499.

9. Geavlete P, Georgescu D, Multescu R, Stanescu F, Cozma C., Geavlete B. Ureteral stent complicationsexperience on 50,000 procedures. J Med Life. 2021 Nov-Dec; 14(6):769–775.

10. Skolarikos A, Neisius A, Petřík A, Somani B, Thomas K, Gambaro G (Consultant nephrologist). EAU Guidelines - Follow-up of urinary stones, Elsevier, 2022.

Nu au avut loc incidente sau complicații majore în timpul procedurilor. Timpul operator este legat de dimensiunea calcu-

În Ghidurile Asociației Europene de Urologie privind urolitiaza, ureteroscopia flexibilă este tratamentul de elecție pentru calculii renali mai mici de 20 mm și posibilă terapie de linia a doua pentru calculii renali mai mari de 20 mm [9]. Pacienții care suferă de litiază reno-ureterală dezvoltă adesea complicații și reapariția pietrelor. În ciuda literaturii bogate publicate pe acest subiect, s-a scris foarte

11. Whitehurst L, Pietropaolo A, Geraghty R, Kyriakides R, Somani BK. Factors affecting operative time during ureteroscopy and stone treatment and its effect on outcomes: retrospective results over 6.5 years. Ther Adv Urol. 2020 Jun 23;12.

12. Jun DY, Cho KS, Jeong KY, Moon YJ, Kang DH, Jung HD, Lee JY. Comparison of Surgical Outcomes between Single-Use and Reusable Flexible Ureteroscopes for Renal Stone Management: A Systematic Review and Meta-Analysis. Medicina (Kaunas).2022 Oct 3;58(10):1388.

28 www.revistamedicalmarket.ro
Urologie
Fig. 2 Imagini CT cu substanță de contrast cu litiază renală stângă și hidronefroză Fig. 3 Rata Stone Free - Comparație între cele 4 grupe de pacienți

SISTEM ROBOTIZAT PENTRU BIOPSIE DE PROSTATĂ

SUB GHIDAJ RMN – „IN BORE“

RCM

RECOMĂNDARI AVANTAJE

• Biopsie* prealabilă negativă, dar sunt suspiciuni clinice mari de cancer de prostată

• Leziuni mici (<1.5ml) cu scor PIRAD 4

• Leziuni în zone greu accesibile (anterior/apex) cu scor PIRAD 4/5

• Număr redus de puncții (3-5);

• Confort sporit pentru pacient

• Precizie mare datorită software-ului inteligent și design-ului unic al motoarelor RCM;

• Risc redus de infecție;

• Procedură simplă si rapidă (cca 30 min);

• Compatibil cu orice echipament RMN

ACCURIS
office@accuris.ro
*Nu inlocuiește biopsia sistematică, fiind o tehnică complementară, mult mai precisa.
MEDICAL SRL distribuitor al SOTERIA MEDICAL B.V.

Îmbunătățește

COMPOZIȚIE:

✔ Citrat tribazic de magneziu 5 mEq

calculilor renali Previne recurențele litiazei renale
Crește solubilitatea
de potasiu
mEq
✔ Citrat tribazic
25
Acesta este un supliment alimentar și se poate elibera fără prescripție medicală. Acest material promoţional este destinat profesioniştilor din domeniul sănătăţii.
✔ Piridoxină 25 mg eficacitatea litotriției

Permite solubilizarea celor mai frecvente tipuri de calculi urinari

Fără lactoză

Gust plăcut de portocale

Potrivit pentru diabetici

Nu conține sodiu

Fără gluten

Centrul de analiză morfologică și

spectroscopică Michel Daudon - o realizare importantă a asociației urologilor din Iași

Litiaza urinară reprezintă o problemă de sănătate publică la nivel mondial, fiind o boală multifactorială, a cărei importanță reiese nu doar din incidența și prevalența aflate în expansiune ci și din suferința pe care această patologie o cauzează pacientului precum și costurile pe care le atrage după sine.

infrastructură de investigație modernă, de medici informați și dedicați în organizați echipe multidisciplinare, pacienți dornici să se implice, medicație eficace atent monitorizată dar și de un plan complex de acțiune.

Șef Lucrări Dr. Dragoș Puia, Asistent Universitar Dr. Adelina Miron, Dr. Marius Ivănuță, Dr. Eric Cosovanu Clinica Urologică Iași

În condițiile în care probabilitatea de recidivă litiazică este estimată la peste 50% în primii cinci ani de la prima manifestare a bolii, aplicarea măsurilor și principiilor de metafilaxie, pare să fie cheia pentru prevenție.

Cunoașterea structurii biochimice a calculilor urinari devine crucială pentru înțelegerea substratului biochimic și a tulburărilor metabolice care au stat la baza formării acestor calculi, dar și mai important, cunoașterea compoziției calculilor este necesară pentru aplicarea măsurilor de metafilaxie a acestei boli. Tratamentul litiazei urinare necesită constituirea unei echipe multidisciplinare din care, alaturi de urolog, trebuie sa faca parte si nefrologul,biochimistul, diabetologul, endocrinologul și desigur nutriționistul. Prin identificarea cu exactitate a compoziției calculilor dar și prin monitorizarea parametrilor biochimici ai urinei, poate fi realizat un plan metafilactic țintit, care trebuie discutat în amănunt cu pacientul implicat.

În vederea realizării unei metafilaxii corecte, este nevoie în primul rând de o

Pentru realizarea acestor obiective, un grup restrâns de urologi dedicați, au înființat in urma cu 5 ani Asociația Urologilor din Iași, o asociație non-profit, al cărei rol a fost de la bun început crearea de programe destinate pacienților cu diverse afecțiuni urologice. Unul dintre cele mai importante proiecte este reprezentat de înființarea Centrului de Analiză Morfologică și Spectroscopică a calculilor reno-ureterali Michel Daudon în cadrul Spitalului C.I. Parhon din Iași.

Dupa depășirea unor dificultăți majore în colectarea fondurilor necesare achiziției aparaturii, în luna aprilie 2019, Centrul a fost deschis în prezența profesorului Michel Daudon,de la Spitalul Tenon din Paris, unul dintre pionierii analizei morfologice și spectroscopice a litiazei renale, la nivel mondial.

De atunci Centrul de Analiză Morfologică și Spectroscopică a beneficiat de consilierea Profesorului Daudon, membrii acestui centru fiind participanți activi ai diverselor manifestări organizate în cadrul Spitalului Universitar Tenon. Mai mult decât atât, Profesorul Daudon ne-a pus la dispoziție baza personală de date, cuprinzând rezultatele analizelor efectuate la peste 40.000 de calculi, rezultate la care facem referință în protocoalele noastre. Un argument în plus pentru calitatea analizei efectuate la centrul nostru este reprezentat de infrastructura utilizatăstereomicroscopul Olympus și spectrofotometrul Brucker Alfa-II, aceste echipamente de ultimă generație fiind similare

celor utilizate în Laboratoarele Crystal sau în alte centre importante din spațiul european.

În acest moment, chiar dacă centrul este departe de ”vârsta maturității”, reprezintă locul de naștere a mai multor proiecte – analiza morfologică a calculilor monobloc, atât a nucleului cât și a straturilor periferice, analiza încrustării stenturilor JJ, analiza morfologică a fragmentelor de calculi obținute prin abord percutanat dar și a fragmentelor eliminate în urma litotriției extracorporeale, o parte din rezultatele obținute fiind deja publicate în reviste internaționale.

Mai important decât atingerea unor obiective stiințifice, rezultatele obținute prin analiza calculilor a constituit punctul de plecare a strategiei metafilactice, astfel că până acum peste 500 pacienți litiazici au beneficiat de experiența acumulată.

În acest mod, pacienții litiazici din arealul Moldovei în principal beneficiază de aceleași condiții de metafilaxie ca pacienții din Vestul Europei sau din Statele Unite ale Americii. Faptul că la Iași, funcționează singurul centru de analiză morfologică și spectroscopică a calculilor urinari din România (și din cunoștințele noastre singurul din Europa de Sud-Est) i-a determinat pe medicii din alte spitale din România, care au înțeles importanța metafilaxiei, să trimită pentru analiză fragmentele litiazice recuperate după diversele proceduri endourologice, alături de chestionarul de investigare a pacientului litiazic (LAMPA). Acest chestionar complex, ce a fost creat de asemenea în centrul nostru, cu scopul de a înțelege mai bine comportamentul alimentar al pacientului dar și patologiile pe care pacientul le asociază constituie elementul central al dialogului atunci când decidem cum prevenim recidiva litiazică

32 www.revistamedicalmarket.ro Articole de specialitate Urologie
Prof. Univ. Dr. Cătălin Pricop Clinica Urologică Iași

NUTRACEUTICAL DEPUR·DRAIN

Supliment alimentar cu mesteacăn și păpădie pentru FUNCȚIILE DE PURIFICARE ale corpului, plus fenicul, porumb și Hawkweed pentru

DRENAREA FLUIDELOR organismului. Hibiscus și Phyllanthus susțin funcționarea tractului urinar, în timp ce Moringa reglează GREUTATEA CORPULUI. Cu Afin, pentru funcția microcirculatorie

Utilizare

Se dizolvă conținutul unui plic în 500ml apă: se bea pe tot parcursul zilei.

RAMIDO STAFF Tel.: 0740.640.941; 0729.856.025, Fax: 031.418.04.96 ramidostaff@ymail.com, www.ramido.ro, www.medicalmagazin.ro

Încercăm astfel să răspundem la cele două întrebări importante care îl frământă în egală măsura pe medic și pacient:

• Cum a apărut calculul renal?

• Ce putem face ca episodul litiazic să nu se mai repete?

Practic dupa analiza morfologică și spectroscopică care ne oferă date esențiale pentru a constata dacă este vorba despre o litiază metabolic activă, cu potențial recidivant major, analizăm cu atenție chestionarul LAMPA, completat la domiciliu, în care pacientul consemnează informații importante despre antecedentele litiazice personale și heredo-colaterale, intervenții anterioare în sfera urologică, obiceiuri alimentare și consum lichidian, medicație cronică, alte patologii, etc. Coroborând toate aceste informații stabilim un plan de investigații suplimentare, acolo unde este cazul (dozări de parathormon, vitamina D, analiza urinei pe 24 ore, etc) și ulterior, un plan terapeutic care cuprinde tratamentul metafilactic specific tipului biochiomic și

regimul igieno-dietetic adecvat. În anumite cazuri recomandăm și un consult la medicul endocrinolog, diabetolog, nefrolog sau un dietetician avizat.

Faptul că în România ne confruntăm, în contextul educației defictare, a calității reduse a alimentelor consumate și al ”invaziei fast-food”, cu o adevărate epidemie de obezitate, ne-a făcut să ne aplecăm asupra acestui subiect și am constatat că pacienții obezi și litiazici sunt mai expuși la dezvoltarea recidivelor comparativ cu pacienții normoponderali. Astfel, a luat naștere un alt proiect, respectiv programul PELO (Programul de Evaluare a Litiazicului Obez), care este primul program din Europa ce are drept scop armonizarea unui program de scădere ponderală cu regimul specific adaptat compoziției biochimice a calculilor la această categorie de pacienți. Colaborarea excelentă cu echipa de nutriționiști din UMF Gr. T. Popa, Iași a avut rezultate foarte bune în cazul pacienților care au înțeles

că obezitatea este o boală aflată în strânsă legatură cu patologia litiazică și că, prin monitorizare și bună comunicare, programele nutriționale pot ajuta decisiv atât la normalizarea greutății cât și la prevenirea recidivei litiazice. Din nefericire, aderența pacienților la acest program a fost sub asteptări, dar pacienții care au înțeles că prin disciplină și respectarea indicațiilor de regim pot atinge aceste obiective, au ajuns aproape la greutatea ideală, nu s-au reîntors în timp la greutatea inițială și nici nu au prezentat recidive litiazice pe durata monitorizării.

Asociația Urologilor din Iași, după cum precizam anterior, este o entitate non-profit care oferă gratuit celor interesați rezultatele unor analize complexe a calculilor renali la standarde europene. Suntem convinși că pe măsură ce medicii și pacienții din România vor fi la curent cu progresele pe care le facem, iar baza de date se va extinde, strategiile metafilactice oferite pacienților litiazici vor fi din ce în ce mai eficiente.

34 www.revistamedicalmarket.ro Articole de specialitate Urologie

Influența SARS-CoV-2 asupra

tratamentului minim invaziv din

hiperplazia benignă prostatică

Introducere: Pandemia de COVID-19 a schimbat definitiv modul de gestionare al pacienților cu hiperplazie benignă prostatică (BPH). Acest studiu urmărește metodele de tratament la pacienții cu BPH asociat cu SARS-CoV-2 care s-au prezentat în Clinica de Urologie a Spitalului Clinic de Urgență‚ „Sf. loan“, București, România.

Șef Lucrări Dr. Cosmin Enea,b, Prof. Univ. Dr. Petrișor Geavletea,b, Prof. Univ. Dr. Bogdan Geavletea, b

a Departamentul de Urologie, Spitalul Clinic de Urgență‚

„Sf. loan“, București, România

b UMF „Carol Davila“, București, România

Material și metodă: Acest studiu a inclus 40 de pacienți (vârsta medie 62,2 ani, interval de vârstă (55 -87 ani) cu SARS-CoV-2 și BPH care au fost internați în perioada ianuarie 2021 și decembrie 2021. Diagnosticul de SARSCoV-2 s-a bazat pe testul PCR, iar cel de BPH a folosit triada de diagnostic care cuprinde examinare rectală, PSA, free PSA și examinare ecografică. Trebuie menționat că unii dintre pacienții spitalizați au urmat tratament cu alfa-blocante și/sau inhibitori de 5-alfa-reductază în momentul internării.

Rezultate: Din 40 de cazuri spitalizate, 3 au necesitat intervenție endoscopică de urgență sub rahianestezie (TURP sau TURisP) pentru hemostază deoarece au prezentat hematurie persistentă care nu a răspuns la tratamentul conservator. Un număr de 17 cazuri a prezentat retenție urinară acută pe du-

rata spitalizării și a fost montat un cateter uretro-vezical, urmând a fi reevaluat urologic după episodul de COVID. Din cei 37 de pacienți rămași, 17 au prezentat retenție urinară cronică la internare, cu sonda uretro-vezicala prezentă, 13 cazuri au necesitat pe durata spitalizării un tratament cu alfa-blocant asociat cu inhibitori 5-alfa reductază, iar restul de 7 de pacienți, au fost gestionați strict pentru patologia COVID-19.

Concluzii: Nu a existat o influență clară a evoluției pacienților cu BPH din cauza patologiei SARS-CoV-2, tendința generală fiind de gestionare conservatoare a cazurilor cronice până la remiterea infecției virale.

Introducere

Pandemia de SARS-CoV-2 a fost un punct important în viața noastră, care a adus cu el multe realități și dificultăți noi, care necesită răspunsuri adecvate noului context. Drept rezultat, a existat o scădere a procentului de pacienți care suferă de BPH care au avut și retenție persistentă de urina la care a fost comunicată ca indicație operatorie rezecția transuretrală a prostatei (TURP) (1). În același timp, la cazurile urgente ce au prezentat retenție urinară acută / hematurie totală, a fost observată o preferință, atât de către pacienți, cât și de către personalul medical pentru intervenții minime și pentru tratamentul chirurgical cu durată operatorie redusă și cu media spitalizării cât mai mică (2). Acest lucru a avut drept rezultat perioade mai mici de spitalizare pentru pacienții care nu au avut COVID. Totuși, nu există un acord general asupra aces-

tui subiect, deoarece studii, cum ar fi cel efectuat de Topaktas et al. nu observă o creștere a mortalității la pacienții cu BPH pe durata pandemiei, menținând în același timp un flux rezonabil al pacienților (3). Acest lucru sugerează ca nu există un răspuns unic definitiv la această întrebare. Cazurile cu COVID-19 au avut mai multe comorbidități, care au necesitat o abordare multidisciplinară și au avut drept rezultat o prelungire semnificativă a spitalizării. Astfel, a existat o reducere atât al procentului de intervenții mono și bipolare TURP, dar și clasice, din cauza preferinței pacienților pentru tratamentul medicamentos, dar și drept rezultat al implementării măsurilor pentru prevenirea răspândirii de SARS-CoV-2 (4). Un număr de investigații au ajuns la concluzia că majoritatea urologilor au întârziat intervențiile pe durata pandemiei (5) . Totuși, într-un studiu despre pacienții pandemici din Brazilia, Alva Pinto et al a concluzionat că tratamentele endoscopice ar avea o probabilitate mai scăzută de contaminare cu SARS-CoV-2 decât operațiile deschise sau laparoscopice. Cu toate acestea, nu există date unanim acceptate până în prezent privind acest subiect (6) .

Material și metodă

acest studiu a inclus 40 de pacienți (vârsta medie 62,2 ani, interval de vârstă (55 -87 ani) cu SARS-CoV-2 și BPH care au fost internați în perioada ianuarie 2021 - decembrie 2021. Diagnosticul de SARS-CoV-2 s-a bazat pe testul PCR, iar cel de BPH a folosit triada de diagnostic care cuprinde examinare rectală, PSA, free PSA și examinare eco-

36 www.revistamedicalmarket.ro Articole de specialitate Urologie
Dr. Ștefan Bălăcescu Departamentul de Urologie, Spitalul Clinic de Urgență‚ „Sf. loan“, București, România

grafică. Trebuie menționat că unii dintre pacienții spitalizați au urmat tratament cu alfa-blocante și/sau inhibitori de 5-alfa-reductază în momentul internării. Toți pacienții s-au supus procedurii de internare în mod individual. Aceasta a inclus scanarea CT toracică, electrocardiograma, ultrasonografia generală, testele de urină (inclusiv urocultura) și analize de sânge (hemoleucogramă, glucoză, uree, creatinină, test de coagulare, feritină, D-dimer, TGO, TGP, bilirubină totala și directă, CRP). În anumite cazuri, scanarea CT a abdomenului și pelvisului a fost efectuată în plus față de examinarea imagistică inițială. Pe durata procedurilor, a fost utilizat echipamentul de rezecție monopolar Karl Storz pentru TURP și dispozitivul Olympus bipolar pentru TURisP. Toți pacienții au primit anti-coagulante conform planului prevăzut de medicul cardiolog și cel epidemiolog.

Rezultate

Printre participanții la studiu, au fost prezente comorbidități asociate la 39 de pacienți cu infecție de SARS-CoV-2, inclusiv patologii cardiace (AHT, boli cardiace cronice, angină), la 21 de pacienți, boli metabolice (obezitate, diabet zaharat) la 8 pacienți, boli de rinichi (CKD) la 3 cazuri, boli infecțioase (VHB, VHC) la doi subiecți, istoric de neoplazia a colonului sau rectului la trei pacienți și boli pulmonare obstructive cronice (COPD) la doi subiecți. În afară de complicațiile respiratorii, nu există alt tip de complicații aferent patologiei SARS-Co V2 în acest grup.

Din 40 de cazuri spitalizate, 3 au necesitat intervenție endoscopică de urgență sub rahianestezie (TURP sau TURisP) pentru hemostază deoarece au prezentat hematurie persistentă care nu a răspuns la tratamentul conservator. Un număr de 17 cazuri a prezentat retenție urinară acută pe durata spitalizării și a fost montat un cateter uretro-vezical, urmând a fi reevaluat urologic după episodul de COVID. Din cei 37 de pacienți rămași, 17 au prezentat retenție urinară cronică la internare, cu sonda uretro-vezicală prezentă, 13 cazuri au necesitat pe durata spitalizării un tratament cu alfa-blocant asociat cu inhibitori 5-alfareductază, iar restul de 7 de pacienți, au fost gestionați

strict pentru patologia COVID-19. Exceptând 12 pacienți care au avut nevoie de suport ventilator, dintre care cinci au decedat, pacienții au prezentat o evoluție general favorabilă, cu cerere scăzuta de oxigen (< 5 L/h).

Discuții

Focarul pandemiei de Coronavirus din 2019 (COVID-19) a fost provocat de sindromul respirator acut de coronavirus 2 (SARS-CoV2) - prima dată identificat în 2019, în Wuhan, China, care a generat o catastrofă globală (7). Pe durata pandemiei, gestionarea pacienților noștri cu BPH asociat cu COVID-19 a avut drept obiectiv depășirea problemelor provocate de infecția virală. Pentru a atinge acest obiectiv în timp ce virusul era prezent, abordarea chirurgicală a fost dimensionată la cazurile esențiale. Pe durata pandemiei de COVID-19, diagnosticarea și prescripția de tratament pentru BPH s-a bazat pe telemedicină și pe protocoale comune, după cum este prezentat în evaluarea Medina - Polo et al (8), care a concluzionat că tehnica chirurgicală asociată cu cele mai puține complicații și cu cea mai scurta perioadă de spitalizare trebuie aleasă. S-a observat că există o corelație între vârsta și progresul BPH, care duce la o creștere semnificativă a numărului de bărbați în vârstă diagnosticați cu BPE (9). Drept rezultat, este rezonabil să presupunem că un procent de pacienti în vârstă de sex masculin diagnosticați cu COVID-19, inclusiv cei cu cazuri grave, pot avea și BPH și infecție concomitentă cu COVID-19, BPH putând fi un factor de agravare.

În foarte puține cazuri gestionate, nu a existat o certitudine că situația ar fi fost diferită fără COVID-19.

Pe de alta parte, a fost sugerat ca inflamarea prostatică a fost un factor de risc pentru evoluția BPH (13). 0 alta sugestie a fost că infecția cu SARS-CoV2 și suprimarea ulterioară a ACE2 poate duce la activarea căilor pro-inflamatorii, eliberarea crescută de citokină și pot provoca răspunsuri inflamatorii la organele vulnerabile, cum ar fi prostata (10). Acest lucru poate explica parțial de ce există o morbiditate mai mare la pacienții operați, din moment ce sindromul inflamator este mai prevalent la acele cazuri decât la

cele non-operatorii și procentul de complicații din studiul nostru este mai ridicat la cazurile operate decât la celelalte. Cu toate acestea, inflamarea comună poate reprezenta o agravare a LUTS aferentă BPH și complicațiilor sale pe durata infecției cu SARS-CoV-2 și după aceasta (4)

Concluzii

Pandemia de SARS-CoV2 a generat noi provocări pentru toate domeniile, inclusiv cel urologic, cum ar fi hiperplazia benignă de prostată, pentru care tendința de gestionare generală a fost sa întârzie cazurile cronice pana la remiterea infecției virale, pentru a reduce morbiditatea pe cât de mult posibil. Conflict de interese: nedeclarate. Suport financiar: nedeclarat.

Referințe:

1. Roehrborn CG. Tractul urinar inferior masculin (LUTS) și simptomele benigne de prostată. benignă (BPH). Med Clin 2011;95:87-100.

2. Stensland KD, Morgan TM, Moinzadeh A, et al. Considerații privind triaj al operațiilor urologice în timpul COVID-19 Pandemia. Eur Urol 2020;77:663-666

3. Topaktaș R, Tokuç E Kutluhan MA, et al. Caracteristici clinice și rezultate ale COVID-19 pacienți cu boli benigne de prostată hiperplazie prostatică benignă la bărbații îmbătrâniți: O retrospectivă studiu retrospectiv de 18 cazuri. Int J Clin Pract 2020;74:e13574.

4. Ribal MJ, Cornford P, Briganti A, et al. Asociația Europeană de Urologie Orientări birouri de reacție rapidă Group: An Organisation-wide efort de colaborare la nivel de organizație pentru adaptarea Asociației Europene de Urologie Recomandările ghidurilor la era Coronavirus Disease 2019. Eur Urol 2020;78:21-28.

5. Alva Pinto AM, González MS. Endourologie și prostată benignă. Hiperplazia în pandemia COVID-19. Int Braz J Urol 2020;46(suppl.1):34-38.

6. Naspro RPL, Pozzo LF. Urologia în timp de coroană. Nat Rev Urol 2020;17:251-253. 6. Organizația Mondială a Sănătății. Coronavirus disease 2019 (COVID-19): raport de situație. 88. 2020.

7. Medina-Polo J, Téigell Tobar J, Romero-Otero J, et al. Benign prostatic hiperplazie benignă în timpul pandemiei COVID-19. Arch Esp Urol 2020;73:405-412.

8. Berry SJ, Coffey DS, Coffey DS, Walsh PC, Ewing LL. Dezvoltarea de boli umane hiperplaziei benigne de prostată umană odată cu vârsta. J Urol 1984;132:474-479.

9. Madersbacher S, Sampson N, Culig Z. Fiziopatologia prostaticii benigne. hiperplazie prostatică benignă și a hiperplaziei prostatice benigne enlargement: a minireview. Gerontologie 2019;65:458-464.

10. Chai X, Hu L, Hu L, Zhang Y, et al. Expresia specifică a ACE2 în colangiocitele poate provoca leziuni hepatice. după infecția cu 2019-nCoV. bioRxiv. 2020

37 Articole de specialitate Urologie 2023 - 2024

High Speed Dating

m e et s

Solutions for enucleation and morcellation

Str. Nisipari, nr. 27, sector 1, București; tel/fax 021.317.91.88/89, e-mail: office@vavian.ro
Str. Nisipari, nr. 27, sector 1, București; tel/fax 021.317.91.88/89, e-mail: office@vavian.ro

Utilizarea copolimerilor sintetici biocompatibili

în tratamentul minim-invaziv al refluxului

vezico-ureteral simptomatic: Prezentare de caz

The use of biocompatible synthetic polymers for the minimally invasive treatment of symptomatic vesico-ureteral reflux: Case presentation

Abstract: Vesico-ureteral reflux affects 1 – 2% of the pediatric population, patients harboring the risk of developing reccurent urinary tract infections and end-stage renal failure. Minimally invasive endoscopic treatment, comprised of submucosal injection of synthetic biocompatible copolymers offers high reflux-free rates, with minimal perioperative complications. Hereby, we present the case of a 11 years old female patient with unilateral vesico-ureteral reflux, who was treated in our department with Vantris submucosal expander injection, with good results at the 4 years follow-up.

Șef Lucrări Dr. Vasile Dan Stanca, Prof. Univ. Dr. Nicolae Crișan, Dr. Teodora Telecan, Dr. Emanuela Maria Ionuțaș, Compartimentul de Urologie Pediatrică, Spitalul Clinic Municipal Cluj-Napoca

Refluxul vezico-ureteral (RVU) reprezintă refluarea retrogradă a urinei dinspre vezica urinară spre ureter și sistemul colector pielocaliceal (1). Cauzele care stau la baza acestei patologii pot varia de la integritatea funcțională a ureterului, la dinamica contractilității detrusoriene și până la malformații anatomice ale joncțiunii uretero-vezicale. RVU afectează 1-2% din populația pediatrică, pacientele de sex feminin fiind de 5 – 6 ori mai frecvent afectate (2). Dintre acestea, 30 – 40% din cazuri dezvoltă infecții de tract urinar febrile, în vreme ce 10 – 25% dintre pacienți prezintă leziuni renale cu potențial de afectare a funcției excretorii (3)

În funcție de amploarea refluxului și afectarea sistemului pielocaliceal, respectiv a parenchimului renal, RVU prezintă 5 grade de severitate, unde gradul 1 este definit drept refluxul limitat la nivelul ureterului, iar gradul 5 este acordat cazurilor în care refluxul vezico-ureteral determină dilatare severă a întregului sistem colector, asociind un ureter cu traiect tortuos și ștergerea impresiunilor papilare (4)

În ceea ce privește managementul acestei patologii, atitudinea conservatoare sau chirurgicală este ghidată de gradul refluxului și simptomatologia sau compli-

cațiile asociate. În vreme ce RVU de grad I – III prezintă prognostic favorabil în ceea ce privește rezoluția spontană odată cu înaintarea în vârstă, gradele IV – V necesită tratament activ prin antibioprofilaxie continuă și tratament chirurgical endoscopic sau deschis, în funcție de mecanismul fiziopatologic subiacent (5)

Prezentare de caz

Descriem cazul unei paciente în vârstă de 11 ani care a fost adresată Compartimentului de Urologie Pediatrică a Spitalului Clinic Municipal Cluj-Napoca pentru infecții de tract urinar recidivante începând cu vârsta de 3 ani. A fost diagnosticată în alt serviciu medical cu reflux vezico-ureteral drept de gradul III, pacienta beneficiind la vârsta de 5 ani și 6 luni de injectare subtrigonală antireflux. Ulterior a prezentat multiple episoade de pielonefrită acută, cu evidențierea unei recidive a refluxului vezico-ureteral drept. La momentul prezentării în serviciul nostru se afla sub antibioprofilaxie continuă cu Nitrofurantoin.

Ecografia renală a evidențiat rinichiul drept ca fiind modificat scleroatrofic, măsurând 56 mm în axul cranio-caudal, cu indice parenchimatos diminuat (8 mm) și ștergerea diferențierii cortico-medulare, fără a se decela ectazia sistemului pielocaliceal. Unitatea renală contralaterală a prezentat hipertrofie compensatorie (axul lung măsurând 119 mm), cu indice parenchimatos de 20 mm, fără hidronefroză. S-au identificat criterii ecografice de tulburări de tranzit intestinal și disfuncție micțională (vezică urinară cu perete îngroșat difuz, rect cu diametru crescut în segmentul retrovezical). Ulterior, la reluarea ana-

mnezei, am identificat tendința de a amana mersul la toaleta pentru a urina pana în ultimul moment. Toate aceste aspecte au relevanta pentru atitudinea terapeutică pe termen lung, constituind probabil cauza recidivei refluxului vezico-urinar dupa prima injectare.

Bilanțul imagistic a fost completat cu scintigrafie renală cu acid dimercaptosuccinic (99mTc-DMSA), aceasta obiectivând parenchim renal drept accentuat hipofuncțional, cu multiple cicatrici; funcția renală diferențială fiind în raport de 91% în favoarea rinichiului stâng versus 9% pentru rinichiul drept.

Cistografia micțională retrogradă a evidențiat reflux vezico-ureteral drept activ și duplicitate pielocaliceală dreaptă incompletă (Figura 1).

Uretro-cistoscopia retrogradă a relevat ambele meate ureterale ca fiind ortotopice, cel stâng de aspect și conformație normală, iar cel drept de aspect beant, cu deschidere largă sub jetul de lichid de lavaj (Figura 2).

Am discutat cu părinții pacientei opțiunile terapeutice, aceștia optând în favoarea atitudinii conservatorii în ce privește rinichiul afectat (acesta aflandu-se la limita indicației de nefrectomie). Având în vedere multiplele episoade de pielonefrită acută din antecedente se decide tratamentul chirurgical al refluxului vezico-ureteral drept. În consecință, se intervine chirurgical prin abord endoscopic, sub anestezie generală și se practică injectarea subureterală dreaptă antireflux, utilizând 1 mL de amestec de copolimeri sintetici biocompatibili VantrisTM (Promedon

40 www.revistamedicalmarket.ro Articole de specialitate Urologie

GmbH International, Kolbermoor, Germania) (Figurile 3, 4).

Evoluția postoperatorie a fost favorabilă, cu suprimarea cateterului uretro-vezical la 12 ore de la intervenție și externare în prima zi postprocedurală. Am instituit terapie de reabilitare funcțională vezicală, cu micțiuni la ore fixe și terapie de ameliorare a tranzituluio intestinal.

Cistografia micțională retrogradă de control efectuată la 4 ani de la intervenție relevă absența RVU (Figura 5), pacienta menținându-se asimptomatică, fără episoade de infecții de tract urinar febrile. Discuții

Refluxul vezico-ureteral reprezintă una din cele mai frecvente afecțiuni urologice pediatrice, având potențialul de a impacta negativ pe termen lung funcția

renală, astfel încât 6% dintre cazuri cu RVU înalt dezvoltă insuficiență renală cu necesar de dializă la vârsta adultă (6) . Această evoluție nefavorabilă este precipitată de infecțiile febrile de tract urinar; prevenirea acestora este principalul obiectiv terapeutic în cazul unui pacient pediatric cu reflux vezico-ureteral.

În nici un moment nu trebuie pierdute din vedere calitatea actului micțional și a tranzitului intestinal; în cazul în care există afectări ale acestora (disfuncție micțională, constipație cronică) ce nu sunt abordate terapeutic concomitent cu refluxul vezico-ureteral, riscurile de recidivă a refluxului și a infecțiilor urinare febrile devin semnificative.

Abordul endoscopic presupune injectarea submucoasă a 1 până la 2 ml de polimer biocompatibil, fiind recomandat ca primă linie de tratament în cazurile în care RVU este datorat unui orificiu ureteral beant, slab compliant, cu mecanism de valvă insuficient. Avantajele acestei tehnici rezidă în rata scăzută a complicațiilor postoperatorii, precum și a duratei de spitalizare redusă. Totuși, literatura raportează grade variabile de eficiență ulterior unei singure injectări, între 68% și 92%, dependent de natura polimerului utilizat (7). Ultimii 20 de ani au fost marcați de diversitatea agenților de expandare submucoasă, printre care se numără politetrafluoroetilen (PTFE), silicon, condrocite, dextranomer combinat cu acid hialuronic (Dx/HA, sub denumirea comercială de Deflux) și respectiv copolimer de poliacetat-polialcool (PPC, sub denumirea comercială de Vantris) (8). PPC este un produs preponderent utilizat în afara Statelor Unite, cu un profil de siguranță comparabil cu cel al Dx/HA și rezultate superioare în ceea ce privește rezoluția RVU după 1 până la 3 injectări. Warchol și colaboratorii (7) au raportat rate de succes terapeutic după 1, 2 și 3 injectări de 86,4%, 99,4% și respectiv 100%, pe un lot de 65 de pacienți și o perioadă de follow-up de 5 ani. Complicația cea mai des întâlnită este stenoza iatrogenă de joncțiune uretero-vezicală, cu necesar de reimplantare ureterală în 8% dintre cazuri.

Cazul de față se remarcă prin repetarea procedurii de expandare submucoasă la peste 6 ani de la prima intervenție, interval de timp în care pacienta a prezentat infecții de tract urinar febrile recurente, cu necesar de antibioprofilaxie continuă. Nerecunoașterea inițială a tulburărilor funcționale

asociate ale tractului urinar inferior au precipitat recidiva refluxului și a infecțiilor urinare febrile. Ținând cont de funcția renală diferențială, indicația de tratament endoscopic versus nefrectomie dreaptă totală a fost una electivă, adoptată din dorința exprimată de părinte și de pacientă în ceea ce privește un plan terapeutic conservator. Concluzie

Refluxul vezico-ureteral reprezintă o afecțiune uro-pediatrică frecventă, abordul endoscopic minim invaziv oferind rezultate bune, cu un profil de siguranță acceptabil pentru pacient. Identificarea anomaliilor funcționale asociate este esențială pentru succesul terapeutic pe termen lung.

Referințe

1. Blais AS, Bolduc S, Moore K. Vesicoureteral reflux: From prophylaxis to surgery. Can Urol Assoc J. 2017 Jan-Feb;11(1-2Suppl1):S13-S18. DOI: 10.5489/cuaj.4342.

2. Prasad MM, Cheng EY. Imaging studies and biomarkers to detect clinically meaningful vesicoureteral reflux. Investig Clin Urol. 2017 Jun;58(Suppl 1):S23-S31. DOI: 10.4111/icu.2017.58.S1.S23.

3. Hunziker M, Colhoun E, Puri P. Renal cortical abnormalities in siblings of index patients with vesicoureteral reflux. Pediatrics. 2014 Apr;133(4):e933-7. DOI: 10.1542/ peds.2013-3498.

4. Lebowitz R, Olbing H, Parkkulainen K, Smellie J, Tamminen-Möbius T. International System of Radiographic Grading of Vesicoureteric Reflux. Pediatr Radiol. 1985;15(2):105-9. DOI:10.1007/bf02388714

5. Leigh J, Rickard M, Sanger S, Petropoulos J, Braga LH, Chanchlani R. Antibiotic prophylaxis for prevention of urinary tract infections in the first year of life in children with vesicoureteral reflux diagnosed in the workup of antenatal hydronephrosis: a systematic review. Pediatr Nephrol. 2020 Sep;35(9):1639-1646. DOI: 10.1007/ s00467-020-04568-6.

6. Hains DS, Cohen HL, McCarville MB, Ellison EE, Huffman A, Glass S, Qureshi AH, Pierce KR, Cahill AL, Dixon A, Santos ND. Elucidation of Renal Scars in Children With Vesicoureteral Reflux Using Contrast-Enhanced Ultrasound: A Pilot Study. Kidney Int Rep. 2017 Jan 26;2(3):420-424. DOI: 10.1016/j.ekir.2017.01.008.

7. Warchol S, Krzemien G, Szmigielska A, Bombinski P, Brzewski M, Dudek-Warchol T. Comparison of results of endoscopic correction of vesicoureteral reflux in children using two bulking substances: Dextranomer/hyaluronic acid copolymer (Deflux) versus polyacrylate-polyalcohol copolymer (Vantris). J Pediatr Urol. 2016 Aug;12(4):256. e1-4. DOI: 10.1016/j.jpurol.2016.04.006.

8. Kocherov S, Ulman I, Nikolaev S, Corbetta JP, Rudin Y, Slavkovic A, Dokumcu Z, Avanoglu A, Menovshchikova L, Kovarskiy S, Skliarova T, Weller S, Bortagaray JI, Lopez JC, Durán V, Burek C, Sager C, Maruhnenko D, Garmanova T, Djamal A, Jovanovic Z, Vacic N, Abu Arafeh W, Chertin

B. Multicenter survey of endoscopic treatment of vesicoureteral reflux using polyacrylate-polyalcohol bulking copolymer (Vantris). Urology. 2014 Sep;84(3):689-93. DOI: 10.1016/j.urology.2014.04.033.

41 Articole de specialitate Urologie 2023 - 2024
Figura 4 orificiu postinjectare Figura 3 aparatură injectare Figura 2 Orificiu preinjectare Figura 1 Cistografie preinjectare

Greencath®catetere urinare cu lubrifiant mai ușor de utilizat

Compania Slovena TIK Kobarid a lansat pe piață inca din 2012 sondele urinare cu lubrifiant greencath®. Investițiile continue în tehnologie și cercetare cât și trendul actual au ajutat compania slovenă ca în anul 2018 să relanseze o gama Greencath® complet schimbată cu noi caracteristici și design.

Cateterele sunt mult mai ușor de utilizat, noile caracteristici ducând la reducerea numărului de complicații în timp ce sunt folosite. Acestea sunt produse printr-un proces tehnologic avansat iar lubrifiantul special utilizat reduce la minim atât efectele secundare cât si numarul infecțiilor urinare.

Noile caracteristici ale cateterelor

Acoperirea hidrofilică

Lubrifiantul biocompatibil este activat cu apă în 30 de secunde, are un timp de uscare mai îndelungat după activare și un luciu excelent care face inserția cateterului în uretra mai simplă și mai puțin dureroasă. Compactitatea lubrifiantului față de cateter și buna aderare pe suprafața acestuia, asigură rămânerea intactă după introducere în uretră și, de asemenea, lubrifierea pe întrega lungime a acesteia. Aceste caracteristici ușurează procesul de cateterizare și reduce semnificativ riscul deteriorării uretrei.

Ambalajul primar

Amabalajul fiecărui cateter este realiat din hârtie specială domeniului medical și folie transparentă iar sistemul de deschidere este unul simplu și practic. În ambalaj, cateterul este plasat cu vârful în jos, cu un sistem de deschidere foarte ușor de manevrat păstrând sterilitatea produsului pe timpul întregului proces de utilizare.

Pliculețul cu apă

Este disponibilă și varianta de cateter cu lubrifiant care are inserat și un pliculeț cu apă care asigură autonomia de a utiliza cateterul oriunde, în călătorii, acasă sau oricând și oriunde apa curată nu este disponibilă.

Pliculețul de apă este activat simplu prin îndoirea acestuia împreună cu cateterul și strângerea acestora în palmă. Pliculețul se va sparge ușor și va păstra apa în interiorul ambalajului cateterului. Ambalajul special creat asigură că umectarea cateterului se face uniform și rapid pe toată suprafața. De asemenea, ambalajul special creat, asigură că apa special purificată rămâne sterilă și impecabilă pe tot timpul valabailității produsului.

Sterilitatea

Toate tipurile de catetere Greencath® sunt igienic sigure, sterilizate cu EO (etilenoxid) realizate dintr-un material care nu contine DEPH si latex de inmuiere.

Patru tipuri de catetere ale producatorului Sloven TIK

KOBARID

În prezent, sunt disponibile patru tipuri de catetere urinaregreencath®, greencath SOFT®, greencath PLUS®, greencath SLOFT PLUS®,- recomandate pentru auto-cateterizare intermitentă .

Acestea sunt produse în diferite dimensiuni (conectorii sunt colorați conform codurilor internaționale) și sunt potrivite pentru bărbați, femei și copii.

Greencath®catetere urinare Nelaton cu lubrifiant: sunt recomandate pentru cateterizarea zilnică a vezicii urinare, colectarea artificială a urinii sau pentru scopuri terapeutice. Acoperirea hidrofilică (lubrifiantul) reduce frecarea între cateter și uretră și elimina absorbția reziduurilor în organism după utilizarea cateterului. Cateterul are orificii laterale polisate atraumatic care reduc semnificativ posibilitatea rănirii uretrei, care este factorul principal în infectarea tractului urinar.

Greencath Soft® este un cateter care are toate caracteristicile de bază ale modelului Greencath® în plus având un vârf flexibil care permite inserarea mai ușoară pentru pacienții cu prostată mărită. Este, de asemenea, adecvat pentru pacienții care au uretra modificată prin metoda Mitrofanoff. Frecarea între cateter și mucoasa uretrei este în continuare redusă și la acest model datorită laturilor atraumatice ale orificiilor laterale cât și a vârfului flexibil.

Greencath Plus® este un cateter urinar Nelaton cu lubrifiant care are adugat un pliculet cu apa. Are de asemenea, orificii laterale cu laturi atraumatice. Anumite dimensiuni ale cateterelor includ si un manson care usureaza inserarea cateterului cu si mai multa siguranta de sterilitate.

Greencath Soft Plus® combină toate caracteristicile menționate mai sus: are vârf moale, atraumatic, lubrifiant, ochi laterali atraumatici și pliculeț cu apă. De asemenea, anumite dimensiuni pentru cateterele pentru bărbați au și manșon.

44 www.revistamedicalmarket.ro Articole de specialitate Urologie

GENTLE FOR DOCTORS AND PATIENTS

COATED URETHRAL CATHETERS

Coated urethral catheters greencath® are gentle and patient-friendly. Hydrophilic coating reduces friction between the catheter and the mucous membrane and reduces the body’s load to the absorbtion of residual deposits after use. Special atraumatic side holes considerably reduce the potential for damage to the urethra and the apperance of urinary tract infections. Coated urethral catheters, among which greencath® catheters stand out with exceptional features, are becoming a gold standard in more or less all European contries. So it’s right that they become your first choice too!

www.med-activ.ro reprezentant exclusiv în România TIK KOBARID

Îmbătrânirea vezicii -este o realitate?

Bladder aging - is it a reality?

Pe parcursul vieții, la nivelul organismului au loc schimbări fiziologice progresive, organice și celulare, statusul biologic prezentând un declin progresiv. În condiții genetice optime, stil de viață perfect sănătos, speranța de viață se estimează la 120 de ani (122 ani a trăit madame Jeanne Calment, decedând în 1997).

Conform unor date oferite de World Bank Group (2019) speranța de viață în România se estimează în medie la 74.35 ani, bărbați: 70.50 ani, respectiv 78.40 ani la femei. Cea mai lungă speranță de viață o regăsim în Norvegia, 83.21 ani, Elveția 83.10 ani. Pe plan național și global asistăm la o îmbătrânire a populației, conform unor date INS la 123,9 persoane vârstnice/100 de tineri sub 15 ani. Pacientul de peste 75 de ani, sau cel peste 70 de ani, pe tratament cronic cu cel puțin 5 medicamente (fragil-frail elderly) necesită o abordare urologică mai diferită, bazată pe investigații urodinamice.

Teoriile senescenței sunt multiple, printre cele mai des studiate sunt:

• teoria telomerazelor, a apoptozei

• teoria defectelor AND/ARN

• teoria radicalilor liberi, îmbătrânirii mitocondriilor

• teoria glicilizării

• teoria deficitului sistemului endocrin etc.

În acest proces al îmbătrânirii participă și aparatul uro-genital. Modificările renale cele mai importante: atrofie, scăderea numărului de nefroni 30 – 40% ‡ pănă la 1/3, sclerozarea acestora, scăderea filtrării glomerulare, răspuns modificat la ADH, modificări structural și modificări funcționale la nivelul celulei tubular renale, respective atrofia progresivă a cortexului.

La nivelul vezicii cele mai relevante modificări, şi cu impact din punct de vedere al strategiei terapeutice, sunt cele structurale de la nivelul uroteliului şi al detrusorului, ce duc la accentuarea sau apariția unor acuze urinare joase de stocare şi golire. Studii recente au subliniat faptul că, vezica se pare că are o „memorie“, astfel identificarea şi tratamentul precoce al disfuncților micționale la copii are o împortanță majoră

Diferitele patologii asociate, caracteristice pacientului în vârstă, cele care duc la afectarea cortexului sau hipotalamusului (AVC; boala Alzheimer), insuficiența circulatorie pelvină pot induce o hiperactivitate detrusoriană, scăderea capacității funcționale, instabilitate detrusoriană. Ischemia cronică duce la alterări morfo-funcționale, scăderea contractilității, la apariția hipocontractilității detrusoriene, apa-

riția rezidiului postmicțional respectiv infecții urinare. Scăderea presiunii de închidere uretrală, creșterea volumului de urină peste noapte, scăderea tonusului sfincterului, atrofii pelvine… toate acestea consecințe ale senescenței pot avea un impact nefavorabil asupra rezultatelor terapeutice (ex. persistența retenției după TURP, declanșarea unui episod de tulburare cognitivă, efect secundar al terapiei anticholinergice-povara antimuscarinică!!).

În cazul pacienților în vârstă, studierea activității detrusoriene are o indicație extrem de fermă.Urologia funcțională, cunoașterea în complexitate a tuturor patologiilor ce afectează actul micțional are din ce în ce mai mulți adepți printre urologi. La acești pacienți în vârstă mai ales la cei cu patologii asociate și terapie medicamentoasă multiplă, indicațiile de terapie invazivă de ex TURP, se vor stabili doar pe baza unor studii de flux presiune.

Putem concluziona că:

• LUTS în cazul pacienților în vârstă reflectă o patologie și nu o parte inevitabilă a procesului de îmbătrânire

• îmbătrânirea vezicii este o realitate, pacientul urologic în vârstă necesită un abord bazat pe studii urodinamice, tratament personalizat, cel medicamentos bazat pe cunoașterea și aplicarea listei FORTA (fit for the aged list).

46 www.revistamedicalmarket.ro Articole de specialitate Urologie
Prof. Dr. Med. Habil. Orsolya K.I. Mártha UMFST „George Emil Palade“ Tg. Mureș

Your Patient. Your Choice. KARL STORZ Flexible Uretero-Renoscopes

Because every patient, and every case, is unique

There is nothing routine in the field of flexible ureteroscopy as you treat a more complex mix of patients with Urolithiasis and Upper Tract Urothelial Carcinoma (UTUC). KARL STORZ ultimate goal is to support you to focus on what matters most: Your Patient. We put the value of choice back into your hands with our comprehensive portfolio of reusable and single use ureteroscopes to customize your scope to your needs. It‘s Your Choice

The Value of Choice - KARL STORZ flexible Uretero-Renoscopes

Accessibility

• Navigating tight anatomies

• Treating hard-to-reach stones

• High image resolution due to double amount of fibers*

Image Quality

• S-Technologies visualization modes accentuate the image

• 2.6x higher image resolution*

• Clear image at high zoom levels*

Ready When You Are

• Maximized flexibility with the single-use Video Uretero-Renoscope

• High image quality**

• Integration into the IMAGE1 S™ camera system and further imaging technologies

www.karlstorz.com
*In comparison to previous model **In comparison to fiber optic mode KARL STORZ Endoscopia România srl, str. Prof. Dr. Anton Colorian nr. 74, sector 4, București

Turn static files into dynamic content formats.

Create a flipbook
Issuu converts static files into: digital portfolios, online yearbooks, online catalogs, digital photo albums and more. Sign up and create your flipbook.