Medical Market - Ortopedie 2024

Page 1


Conf. Univ. Dr. Răzvan Ene

Președinte SOROT

Prof. Univ.

Dr. Cătălin Florin Cîrstoiu

UMF „Carol Davila”, București, SUUB

Prof. Univ. Dr. Ștefan Cristea

UMF „Carol Davila’’ București, Spitalul Clinic de Urgență „Sfântul Pantelimon’’ București

Prof. Univ.

Dr. Dan Nelu Anușca

Spitalul Clinic Județean de Urgență Craiova, Secția de Ortopedie și Traumatologie

Prof. Univ.

Dr. Aurel Mironescu

Universitatea „Transilvania” din Brașov – Facultatea de Medicină

Prof. Univ. Dr. Gheorge Tomoia

UMF „Iuliu Hațieganu’’ Cluj-Napoca

Prof. Univ. Dr. Dan Tarniță

UMF Craiova

Prof. Univ. Dr. Alexandru Ulici

UMF „Carol Davila”, Departamentul de Ortopedie Pediatrica, S.C.U.C. „Grigore Alexandrescu”

Șef Lucr.

Dr. Radu Dan Necula

Universitatea„Transilvania” din Brașov, Facultatea de Medicină, Spitalul Clinic Județean de Urgență Brașov – secția Ortopedie-Traumatologie

Ortopedie și Traumatologie

şi reducere rapidă a durerii acute1-4

Doza recomandată este de 1 comprimat

Analgezic opioid/AINS 5, 6

Pentru tratamentul durerii acute moderate până la severe 5, 6, *

(echivalent la clorhidrat de tramadol 75 mg şi dexketoprofen 25 mg) până la maxim 3 comprimate / 3 plicuri pe zi

(echivalent la clorhidrat de tramadol 225 mg şi dexketoprofen 75 mg)

* tratamentul simptomatic, pe termen scurt, până la 5 zile

Intervalul minim între doze: 8 ore. Skudexa este destinat numai administrării pe termen scurt, nu mai mult de 5 zile.

1 Moore RA, McQuay HJ, Tomaszewski J, Raba G, Tutunaru D, Lietuviete N, et al BMC Anesthesiol 2016 ian 22; 16:9

Studiu multicentric, randomizat, dublu-orb, cu grupuri paralele, controlat placebo si activ, cu doză unică şi doze multiple, de faza III, pe un număr de 606 paciente cu histerectomie totală sau partiala pentru afecţiuni benigne, prezentând dureri de intensitate moderată şi severă (VAS ≥ 40) Pacientele urmau să primească a durerii la 8 h)

2 McQuay HJ, Moore RA, Berta A, Gainutdinovs O, Fülesdi B, Porvaneckas N, et al Br J Anaesth. 2016 feb;116(2):269-76 Studiu multicentric, randomizat, dublu-orb, cu grupuri paralele, controlat placebo şi activ, de faza III, cuprinzând o fază cu doză unică şi o fază cu doze multiple Au fost cuprinşi 641 de pacienţi supuşi unor intervenţii standard de artroplastie totală de şold primară unilaterală pentru osteoartrită şi care acuzau în repaus dureri de intensitate cel puţin moderată (VAS ≥ 40) în ziua de după intervenţie. Medicamentul de studiu a fost administrat pe cale orală, o dată la 8h pe o perioadă de (suma diferenţelor de intensitate a durerii la 8 h)

3 Moore RA, Gay-Escoda C, Figueiredo R, Tóth-Bagi Z, Dietrich T, Milleri S, et al. J Headache Pain. 2015;16:60 Studiu multi-centric, randomizat, dublu-orb cu grupuri paralele, controlat placebo si activ de faza II cu un total de 10 grupe de tratament, cu dexketoprofen diferite, un grup martor activ (ibuprofen 400 mg), pe 606 pacienţi cu durere moderată şi severă (scala analog vizuală [VAS] ≥ 40 mm şi scala de evaluare verbală faţă de placebo.Obiectivul primar a fost reprezentat de proporţia pacienţilor cu cel puţin 50% din reducerea totală maximă a durerii TOTPAR max. pe un interval de 6 ore după administrarea dozei (≥ 50% TOTPAR max)

4 Gay-Escoda C, Hanna M, Montero A, Dietrich T, Milleri S, Giergiel E, et al BMJ Open. 2019 Feb 19;9(2):e023715 doi: 10 1136/bmjopen-2018-023715 Studiu de fază IIIb multicentric, randomizat, dublu-orb, controlat placebo şi activ, pe 653 de pacienţi sănătoşi cu vârsta de minimum 18 ani programaţi pentru extracţia pe cale chirurgicală a cel puţin unui molar 3 inferior complet sau parţial impactat. Participanţilor cu durere moderată şi severă [≥4 pe o scară de evaluare numerică (NRS) cu 11 puncte] la patru ore de la intervenţie, li s-a administrat oral o doză unică de tramadol/dexketoprofen 75 mg/25 mg (n = 260), tramadol/ paracetamol 75 mg/650 mg (n = 262) sau placebo (n = 131) Obiectivul primar l-a constituit TOTPAR6 (reducerea totală a durerii la şase ore de la administrarea dozei)

5 Skudexa® 6 Skudexa®, granule pentru soluţie orală, RCP, Octombrie 2022

Acest medicament se eliberează pe bază de prescripţie medicală PS Pentru informaţii suplimentare consultaţi RCP-ul medicamentului

Acest material este destinat profesioniştilor din domeniul sănătaţii

Berlin-Chemie A. Menarini

Calea Floreasca 169A, Etaj 7, Sector1, Bucureşti Tel/Fax +4021 232 34 32 / 233 08 26 www berlin-chemie.ro

UMF „Victor Babeș” Timișoara

Dr. Dan Tarniță

Universitatea de Medicină și Farmacie Craiova

As. Univ. Dr. Alexandru Herdea

Departamentul 11 de Ortopedie Pediatrica, UMF “Carol Davila”

Asist. Univ. Dr. Mihnea Ioan Gabriel Popa

UMF „Carol Davila”, București, SUUB

Asist. Univ. Dr. Radu Aurelian Vișan

UMF „Carol Davila’’, București, Spitalul Clinic de Urgență ’’Sfântul Pantelimon’’ București

Asist. Univ. Dr. Victor Băluță

UMF „Carol Davila’’, București, Spitalul Clinic de Urgență „Sfântul Pantelimon’’ București

Asist. Univ. Dr. Mihai Rădulescu

Universitatea „Transilvania”, Brașov – Facultatea de Medicină

Dr. Constantin Iulian Creangă

Medic primar ortopedie-traumatologie, doctor în științe medicale, Spitalul de Urgență ’’Prof. Dr. Dimitrie Gerota’’, București

Dr. Claudiu Daniel Chitea

Medic primar, șef de secție, Spitalul Clinic Militar de Urgență „Dr.Constantin Papilian”, Cluj-Napoca

Alin Pandea

Medic primar Chirurgie Ortopedică, Terapia Durerii

Dr. Raul Mureșan

Medic specialist Ortopedie-Traumatologie, Spitalul Clinic Județean de Urgență Craiova, Secția de Ortopedie și Traumatologie

Dr. Raluca Iordache

Spitalul Clinic Județean de Urgență Brașov, secția Ortopedie-Traumatologie

Dr. Khader Batarseh

Spitalul Clinic Județean de Urgență Brașov, secția Ortopedie-Traumatologie

Dr. Florin Sabou

Spitalul Clinic Județean de Urgență Brașov, secția Ortopedie-Traumatologie

Dr. Alexandru Ulici

Dep. 11 de Ortopedie Pediatrica, UMF „Carol Davila”, Dep. de Ortopedie Pediatrica, S.C.U.C. „Grigore Alexandrescu”, Bucuresti

Dr. Manuel Oprea

Spitalul Județean de Urgență „Pius Brânzeu” Timișoara

Dr. Daniel Valcioiu

Medic specialist Ortopedie – Traumatologie

Claudiu Jaba Fizioterapeut

Consultant medical: Dr. Aurora Bulbuc, medic primar Medicină de familie

Editor Calea Rahovei, nr. 266-268, Sector 5, Bucureşti, Electromagnetica Business Park, Corp 01, et. 1, cam. 4 Tel: 021.321.61.23 e-mail: redactie@finwatch.ro

„Unul dintre principalele obiective SOROT în perioada următoare este pregătirea cadrelor didactice, pentru a deveni parte integrantă din examenul european pentru specialitatea noastră“ Interviu realizat cu Conf. Univ. Dr. Răzvan Ene

Managementul Chirurgical al Metastazelor Osoase în Carcinomul Renal: Strategii Multidisciplinare pentru Optimizarea Supraviețuirii

Asist. Univ. Dr. Mihnea Ioan Gabriel Popa, Prof. Univ. Dr. Cătălin Florin Cîrstoiu

Management de tratament în fracturile de platou tibialTreatment management in tibial plateau fractures

AS. Univ. Dr. Radu Aurelian Vișan, As. Univ. Dr. Victor Băluță, Prof. Dr. Ștefan Cristea

4

8

16

Revizia protezei totale de geunchi infectată cu refacerea mecanismului extensor folosind grefă sinteticăProf. Univ. Dr. Dan Nelu Anușca, Dr. Raul Mureșan 20

Rolul analizării răspunsului inflamator sistemic în funcție de momentul operator la pacienți tratați chirurgical pentru fracturi pertrohanteriene

As. Univ. Dr. Mihai Rădulescu, Prof. Univ. Dr. Aurel Mironescu, Șef Lucr. Dr. Radu Dan Necula, Dr. Raluca Iordache, Dr. Khader Batarseh, Dr. Florin Sabou 22

Artroscopia în practica medicală Dr. Claudiu Daniel Chitea, Prof. Univ. Dr. Gheorghe Tomoaia 26

Managementul Interdisciplinar al Fracturilor deschise de Tibie în Contextul Infecției cu HIV: Studiu de Caz și Implicații Clinice

Asist. Univ. Dr. Mihnea Ioan Gabriel Popa, Prof. Univ. Dr. Cătălin Florin Cîrstoiu

Managementul fracturilor deschise de tibie – Prezentare de caz

Asist. Univ. Dr. Mihail Lazăr Mioc, Dr. Bogdan Căpăstraru, Dr. Manuel Oprea 32

Bioceramicele utilizate în tratamentul fracturilor oaselor spongioase cu deficit mineral D. Tarniță, D. Grecu, R. M. Tarniță, B. Capitănescu, L. Dumitrescu

Asocierea acidului hialuronic și a plasmei îmbogățite cu trombocite (PRP) reprezintă cel mai eficient tratament nechirurgical al durerilor artrozice

Dr. Alin Pandea 36

Afecțiunile postraumatice ale genunchiului Fizioterapeut principal Nițu Marian

Importanța unor noi markeri biochimici ce pot fi utilizati în diagnosticul rapid, pentru evaluarea evoluției și ajustarea tratamentului în sindromul de strivire Dr. Iulian Constantin Creangă

Reducerea artroscopică și fixarea internă a unei fracturi articulare cominutive de epifiză distală de radius cu fragment „die-punch”- prezentare de caz Dr. Daniel Vîlcioiu, Claudiu Jaba

Reconstrucția ligamentului încrucișat anterior la copii – Evaluarea efectelor tehnicii transfizare Alexandru Herdea, Mihai-Codrut Dragomirescu, Valentin Burcan, Alexandru Ulici

Utilitatea AI în examinările RM musculo-scheletale la Medinst Fizician medical: Luminița Păun

Copierea fără acordul scris al editurii a oricăror elemente de grafică sau conținut editorial apărute în revistele editurii sunt considerate furt de proprietate intelectuală și intră sub incidența legii.

Asist. Univ. Dr. Mihail Lazăr Mioc
Dr.
„Unul dintre principalele obiective SOROT în perioada următoare este pregătirea cadrelor didactice, pentru a deveni parte integrantă din examenul european pentru specialitatea noastră“

Interviu realizat cu Conf. Univ. Dr. Răzvan Ene, președinte SOROT

Actualul Comitet Director al SOROT marchează la apropiata Conferință Națională un an de când a preluat conducerea Societății, cu dumneavoastră în poziția de preşedinte. Care sunt reuşitele din acest an, ce mai este de făcut?

A fost un an greu, cel puțin din perspectivă personală, dar în ceea ce privește SOROT îmi place să cred că a fost unul echilibrat și linistit. În mare parte, am continuat proiectele începute de antemergătorii mei, legate de pregătirea rezidenților. Cu ajutorul societăților satelit din specialitatea noastră, cum ar fi SRATS, SRUC, Societatea de Chirurgie a Mâinii, Societatea de Chirurgie a Gleznei și Piciorului, a crescut foarte mult numărul de cursuri organizate în toate centrele universitare mari din țară. La Sibiu, Timișoara, Craiova, Constanța au fost organizate numeroase acțiuni adresate specialiștilor în formare, la care au fost invitați lectori din toată lumea, voci foarte importante din specialitatea noastră. Evident că la lucrări au fost prezente și figurile cele mai reprezentative din Ortopedia autohtonă. În marea majoritate a cazurilor, locurile la aceste cursuri s-au ocupat în proporție de 100%, ceea ce denotă interesul pentru astfel de evenimente și dorința tinerilor specialiști de a se perfecționa, ambele aspecte mai mult decat îmbucurătoare pentru noi. În ce privește planurile noastre de viitor, ele sunt prea numeroase pentru a fi amintite aici și le vom face cunoscute membrilor pe masură ce ne pregatim de acțiune.

Având în vedere că toate cursurile amintite se bucură de prezența multor specialişti străini, poate este important să aducem în discuție colaborarea SOROT cu

organismele echivalente de nivel european şi nu numai.

Pot spune că relațiile noastre cu aceste Societati sunt tot mai solide, pe măsură ce trec anii. Vorbim în primul rând despre Federația Europeană a Asociațiilor Naționale de Ortopedie și Traumatologie (E.F.O.R.T) la care suntem afiliați de mult timp și cu care avem avem o relație istorică foarte bună. La toate manifestărilor științifice pe care le organizăm, congrese sau conferințe, sunt alături de noi membri din conducere și medici reprezentativi ai Societăților echivalente din țări europene, care își onorează invitația cu numeroase prezentări de mare interes și mare nivel științific, ceea ce pentru noi este un factor extrem de important. Intenția noastră pentru o perioadă imediat urmatoare este, așa cum

spuneam, de a continua proiectele începute de conducerile trecute ale SOROT, iar acestea au în vedere și pregatirea cadrelor noastre didactice, pentru a deveni parte integrantă din examenul european pe specialitatea noastră. Deocamdată doar colegii de la ATI au finalizat acest demers și avem toate intențiile să îi urmăm cât mai curând. Cel mai important aspect în acest sens, la care lucrăm permanent, este alinierea curriculei noastre la cea europeană.

Un alt punct important din relația cu Federația este legat de participarea rezidenților noștri la cursurile FORTE (Federation Of Orthopaedic And Trauma Trainees In Europe), fără de care alinierea noastră la curricula europeană și implicarea directă în organizarea examenului european de specialitate nu pot avea loc în viitorul imediat. Merită men-

ționat faptul că la aceste cursuri am facut un mare pas înainte, când am trecut de la etapa de simplă participare cu rezidenți la cea în care suntem prezenți acolo și cu lectori. Nu pot să nu remarc faptul că toți cursanții din țara noastră sunt apreciați ca foarte bine pregatiți, aceștia făcând dovada în numeroase rânduri că și-au început rezidențiatul cu cunoștinte solide căpătate în centrele noastre universitare. Există multe motive de optimism, întrucât progresele sunt vizibile și ne apropie rapid de rezultatele dorite.

Aminteați în interviul nostru din ediția precedentă despre importanța colaborării cu colegii din alte specialități, alături de care împărțiți responsabilitățile lângă patul pacientului. Ce ar fi de adăugat înainte de Conferința Națională SOROT?

Spuneam ca s-a renunțat în ultimii 8-10 ani, pe bună dreptate, la ideea că

manifestările organizate de SOROT trebuie sa aibă o participare formata 100% din specialiști în Ortopedie și Traumatologie, fie ei români sau străini. Situația ‘’la firul ierbii’’, în spital, lângă pacient, este de așa natură încât nu poți aborda un caz doar din perspectiva ortopedului. În toate acțiunile noastre ne bazăm într-o foarte mare măsură pe colegii cu alte specialități și este firesc ca la evenimentele noastre să îi cooptam și pe aceștia. Colegii de la radiologie și ATI, de care suntem legati organic, răspund întotdeauna primii. Acestora li se adaugă specialiștii din oncologie, neurochirurgie (alături de care acționăm la politraumatisme cu leziuni asociate), boli infecțioase, microbiologie, histopatologie, pentru că la traumele extinse infecțiile sunt uneori inevitabile... Toți colegii din specialitățile conexe cu care conlucrăm în tratarea unui pacient au la conferințele noastre sesiuni de prezentare, care subliniază cât de importantă și necesară este colaborarea noastră pentru binele pacientului.

Anul acesta principalul eveniment

SOROT este Conferința Națională, organizată în perioada 1-2 noiembrie la Poiana Braşov. Cât de consistentă apreciați că va fi participarea?

Într-adevar, anul acesta este rândul Conferinței Naționale pentru că, după cum bine stiți, la noi alternează conferințele și congresele anuale. Trebuie spus ca feed back-ul indică o participare numeroasă, poate chiar foarte apropiată de anul trecut. Având în vedere lectorii invitați și locația, mulți colegi și-au declarat disponibilitatea de răspunde la apel, spre bucuria noastră. Așa cum aminteam, pe lângă

SOROT activează mai multe societăți, care sunt axate pe intervenții asupra anumitor segmente anatomice sau pe anumite patologii ori tipuri de intervenții chirurgicale. Toate aceste organizatii satelit au conexiunile lor atât la nivel european cât și dincolo de granițele continentului, fapt ce le-a permis să atragă personalități marcante din diferitele nișe ale specialității noastre. Prezentările acestora, nu am nicio îndoială, au cântărit greu în decizia multor colegi de a fi prezenți fizic la Conferință. Încheiem, ca deobicei, cu un cuvânt din partea conducerii

SOROT adresat membrilor organizației pe care o reprezentați. În ultimii ani ca vicepreședinte SOROT și anul acesta ca președinte am încercat sa organizez evenimentele noastre într-o zonă cât mai accesibilă tuturor colegilor, de regulă în partea centrală a țării. Dincolo de aspectul logistic am căutat și zone ofertante din punct de vedere turistic. Ideea centrală a acestor acțiuni este, evident, schimbul de cunostințe și de experiență, pe primul loc fiind aspectul științific al evenimentului. Având în vedere însă că ne întâlnim rar și ne putem permite la fel de rar o pauză în activitatea de zi cu zi, am încercat să nu neglijăm și partea de socializare. Mai mult, trebuie să le arătăm și invitatilor străini ce țară frumoasă avem. Am ales Poiana Brașov pentru Conferința aceasta cu convingerea că raspunde și celor mai pretențioase cerințe, atât din punct de vedere al confortului cât mai ales al peisajelor pe care le oferă vizitatorilor. Îi asteptăm cu mult drag pe toți colegii noștri, sperăm că se vor simti bine și că evenimentul va fi unul memorabil.

Managementul Chirurgical al Metastazelor Osoase în Carcinomul

Renal: Strategii Multidisciplinare pentru

Surgical Management of Bone Metastases in Renal Carcinoma: Multidisciplinary Strategies to Optimize Survival

Abstract: Clear cell renal carcinoma (RCC) represents one of the most aggressive urological neoplasms, having a marked tendency to metastasize to bone. From an epidemiological point of view, RCC occupies an important place among malignant tumors, with an increasing global incidence, mainly associated with the increase of risk factors such as smoking, hypertension and obesity. What makes RCC particularly problematic in the oncological realm is its ability to generate extensive bone metastases, which, by their osteolytic nature, contribute to severe complications, including pathologic fractures, refractory pain, spinal cord compression, and hypercalcemia, all of which these profoundly affecting the quality of life of patients (1,2) .

MUMF „Carol Davila”, București, Spitalul Universitar de Urgență București

Prof. Univ.

Dr. Cătălin Florin Cîrstoiu

UMF „Carol Davila”, București, Spitalul Universitar de Urgență București

etastazele osoase sunt printre cele mai devastatoare complicații asociate cancerului renal. Acestea apar adesea în stadii avansate și sunt determinate, în mare parte, de un proces complex de remodelare osoasă alterată, în care osteoclastele sunt activate excesiv, favorizând distrugerea osului. În particular, RCC, prin intermediul unor mecanisme moleculare precum activarea sistemului RANK/RANKL/OPG, stimulează acest proces osteolitic, ducând la rezorbția masivă a osului. În plus, implicarea unor factori precum interleukina-6 (IL-6) și factorul de necroză tumorală-alfa (TNF-α) intensifică dezechilibrul homeostatic al osului, promovând nu doar degradarea țesutului osos, ci și creșterea necontrolată a celulelor tumorale în mediu medular osos. Această dinamică patologică explică atât agresivitatea bolii, cât și dificultatea de a o controla therapeutic (1,3)

Din perspectivă clinică, metastazele osoase asociate RCC sunt adesea dificil de gestionat din cauza ratei scăzute de răspuns la terapiile convenționale. Deși progresele

recente în tratamentele oncologice sistemice, precum inhibitorii tirozin-kinazelor (TKI) și inhibitorii punctelor de control imun (checkpoint inhibitors), au adus beneficii semnificative în prelungirea supraviețuirii pacienților, impactul acestora asupra metastazelor osoase rămâne limitat. În acest context, intervențiile chirurgicale ocupă un loc central în strategia de tratament, oferind soluții paliative esențiale pentru ameliorarea durerii, stabilizarea structurilor osoase afectate și prevenirea fracturilor patologice (2,4) Abordările chirurgicale moderne pentru metastazele osoase includ tehnici variate, de la osteosinteza preventivă, destinată leziunilor osteolitice amenințătoare de fractură, la reconstrucțiile complexe cu proteze modulare. În același timp, osteosinteza post-fractură, combinată cu utilizarea cimentului acrilic (PMMA), s-a dovedit a fi o metodă eficientă pentru creșterea rezistenței biomecanice a osteosintezei. Totuși, provocarea majoră rămâne identificarea corectă a pacienților care vor beneficia de pe urma intervențiilor chirurgicale majore, având în vedere prognosticul adesea rezervat în cazul bolii metastatice (5,6)

Embolizarea preoperatorie joacă un rol esențial în minimizarea riscului hemoragic, în special în metastazele osoase hipervascularizate de origine renală. Această tehnică, în combinație cu rezecțiile tumorale și reconstrucțiile endoprotetice, oferă pacienților o îmbunătățire considerabilă a calității vieții și o reducere a riscurilor asociate cu sângerările intraoperatorii masive. Prin urmare, gestionarea metastazelor osoase în contextul RCC necesită o abordare multidisciplinară riguroasă, care să îmbine expertiza oncologică, ortopedică și radiologică pentru a ob-

ține cele mai bune rezultate posibile pentru pacienți. Deși progresul în domeniul tratamentelor sistemice oferă speranțe, intervențiile chirurgicale rămân piatra de temelie a managementului acestor pacienți, fiind esențiale pentru ameliorarea simptomelor și creșterea supraviețuirii funcționale (3,5,7)

Patofiziologia Metastazelor Osoase în Carcinomul Renal

La baza acestui proces patologic se află interacțiunile complexe dintre celulele tumorale și microambientul osos. Sistemul RANK/RANKL/OPG (Receptor Activator of Nuclear factor κB/Receptor Activator of Nuclear factor κB Ligand/Osteoprotegerină) joacă un rol central în patogeneza metastazelor osoase în RCC. RANKL, produs de osteoblaste și celule stromale, este esențial în activarea osteoclastelor, responsabile pentru resorbția osoasă. În contextul metastazelor osoase RCC, celulele tumorale secretă factori care cresc expresia RANKL și reduc nivelul osteoprotegerinei (OPG), un inhibitor natural al RANKL. Aceasta duce la un dezechilibru în favoarea osteoclastogenezei, determinând o resorbție osoasă accelerată. Studiile au arătat că tumorile RCC sunt capabile să elibereze o serie de citokine și factori de creștere, precum factorul de necroză tumorală-alfa (TNF-α), interleukina-6 (IL-6) și proteina paratiroidiană-related (PTHrP), care intensifică activitatea osteoclastică. Aceste citokine induc o stare proinflamatorie și proosteolitică în os, agravând deteriorarea structurală a acestuia. IL-6 joacă un rol cheie în stimularea osteoclastelor și a resorbției osoase, în timp ce TNF-α contribuie la progresia bolii prin facilitarea migrației și supraviețuirii celulelor tumorale în mediu osos (5,7,8,9) .

Asist. Univ. Dr. Mihnea Ioan Gabriel Popa

Stratamed şi Strataderm

Terapia profesională pentru managementul rănilor și cicatricilor

Folosiţi Stratamed imediat după orice tip de intervenție chirurgicală.

Adresați-vă medicului sau farmacistului dumneavoastră pentru mai multe informații.

Stratamed – pansament pentru vindecarea mai rapidă a rănilor și prevenirea precoce a cicatricilor anormale

Utilizaţi Strataderm pe cicatricile existente.

Adresați-vă medicului sau farmacistului dumneavoastră pentru mai multe informații.

Strataderm - pentru prevenirea şi tratamentul cicatricilor anormale

Chirurgie MOHS1 - buza superioară Monoterapie cu Stratamed

Cicatrice hipertrofică liniară după excizia chirurgicală a unui nev2 - torace

Vârsta cicatricilor înainte de tratament: 14 luni

Cicatricea din stânga a rămas netratată, cicatricea din dreapta a fost tratată timp de 2 luni

Începerea tratamentului cu Strataderm După 2 luni de tratament cu Strataderm

Atenție: Numai pentru uz extern. Nu trebuie aplicat peste alte tratamente pentru piele fără sfatul medicului dumneavoastră. Dacă apare iritația, întrerupeți utilizarea și consultați medicul dumneavoastră. Poate păta hainele dacă nu este complet uscat. În cazul în care apar pete, curățarea chimică ar trebui să fie capabilă să le îndepărteze fără a deteriora țesătura. Pentru o depozitare corectă, vă rugăm să închideți tubul bine cu capacul. A nu se lăsa la îndemâna copiilor. Nu utilizați după data de expirare (EXP) imprimată pe tub. Data de expirare (EXP) nu se modifică odată ce tubul a fost deschis. Strataderm: nu trebuie aplicat pe arsuri de gradul trei sau pe răni deschise. Nu trebuie pus în contact cu membranele mucoase sau cu ochii. Stratamed: nu trebuie pus în contact cu ochii. Nu este adecvat pentru plăgi umede, foarte exsudative, răni tunelizate sau arsuri de gradul III. În cazul în care rana dumneavoastră prezintă semne de infecție sau nu se vindecă după 30 de zile, consultați medicul dumneavoastră.

Ingrediente din Stratamed: Polisiloxani, rășină siloxanică.

Ingrediente din Strataderm: Polidimetilsiloxani, siloxani, siliconi alchilmetilici.

Referinţe: 1. Prezentat în cadrul Societății Internaționale de Chirurgie Dermatologică (ISDS) 2015 (Primăvara) de Dr. Benedetto, Cartagena (Columbia). 2. Date la dosar, 2010 (Studiul Dr. A. Irwin). Stratpharma AG. Produs de: Stratpharma AG, Aeschenvorstadt 57, CH-4051 Basel, Elveția

Stratamed este dispozitiv medical de clasa IIa, cu marcaj CE pentru Europa, înregistrat TGA și FDA. Strataderm este dispozitiv medical de clasa I, cu marcaj CE pentru Europa, înregistrat TGA și FDA.

Începerea tratamentului cu Stratamed
După 2 luni de tratament cu Stratamed

Un alt mecanism patologic important este reprezentat de alterarea metabolismului calciului, adesea observată în metastazele osoase ale RCC. Activitatea crescută a osteoclastelor duce la eliberarea masivă de calciu din os în sânge, determinând hipercalcemie. Aceasta este o complicație severă care afectează funcția renală, neurologică și cardiacă a pacienților, necesitând intervenție terapeutică urgentă. Din punct de vedere clinic, metastazele osoase osteolitice determină o fragilitate structurală a scheletului, crescând semnificativ riscul de fracturi patologice. Regiunile scheletice cele mai afectate includ coloana vertebrală, femurul proximal, pelvisul și humerusul, toate fiind zone care suportă o mare parte din încărcătura biomecanică a corpului. Fracturile patologice la acest nivel sunt deseori devastatoare pentru pacienți, conducând la dureri severe și dizabilitate funcțională, iar în cazurile în care coloana vertebrală este afectată, poate apărea și compresia medulară, o urgență neurochirurgicală (6,9,10)

Metastazele osoase afectează nu doar structura osului, ci și dinamica microambientului osos. RCC se caracterizează printr-o activitate angiogenetică intensă, susținută de expresia crescută a factorului de

Localizare anatomică

creștere endotelial vascular (VEGF), care contribuie la formarea de noi vase sanguine în zona metastatică. Această angiogeneză patologică susține proliferarea tumorală și creează condițiile necesare pentru supraviețuirea celulelor tumorale în os, făcând astfel tratamentul chirurgical și sistemic al metastazelor mult mai complex. Tumorile metastazice hipervascularizate prezintă un risc major de sângerare în timpul intervențiilor chirurgicale, necesitând preembolizare pentru a diminua fluxul sanguin și a reduce riscul de complicații intraoperatorii. Astfel, metastazele osoase în RCC reprezintă o provocare majoră atât pentru oncologi, cât și pentru ortopezi, datorită interacțiunilor complexe dintre celulele tumorale, osteoclaste și microambientul osos. Înțelegerea acestor mecanisme patofiziologice este esențială pentru dezvoltarea unor strategii terapeutice eficiente care să abordeze nu doar tumora primară, ci și metastazele osoase distructive (4,10,11) .

Opțiuni Terapeutice pentru Metastazele Osoase în Carcinomul Renal

Metastazele osoase în contextul carcinomului renal (RCC) prezintă o provocare clinică majoră, având un impact sever

Metastază unică (fracturată sau nu)

Pelvis Tratament non-chirurgical

Femur proximal

Diafiza femurală

Femur distal

Tibia proximală

Diafiza tibială

Gamba distală și picior

Scapula/Claviculă

Humerus proximal

Diafiza humerală

Humerus distal

Rezecție-reconstrucție cu proteză modulară

Rezecție-reconstrucție cu proteză modulară

asupra prognosticului pacienților și calității vieții acestora. Managementul acestor metastaze implică o abordare complexă și multidisciplinară, combinând tratamente chirurgicale, terapii sistemice și metode paliative. Alegerea strategiilor terapeutice depinde de mai mulți factori, incluzând starea generală a pacientului, localizarea și extensia metastazelor osoase, precum și speranța de viață estimată. În această secțiune, vom explora principalele opțiuni terapeutice disponibile pentru tratarea metastazelor osoase la pacienții cu RCC (4,11,12) Terapia Chirurgicală (tabel 1)

Chirurgia ocupă un rol central în managementul metastazelor osoase cauzate de RCC, în special atunci când este vorba de stabilizarea fracturilor patologice sau prevenirea fracturilor iminente. Intervențiile chirurgicale sunt recomandate în principal pentru ameliorarea durerii, restabilirea funcționalității și îmbunătățirea calității vieții pacienților, având în vedere că metastazele osoase determină o fragilitate semnificativă a structurii scheletice. Decizia de a interveni chirurgical trebuie să țină cont de prognosticul general al pacientului și de capacitatea acestuia de a suporta o intervenție invazivă (1,13) .

Metastaze multiple (risc crescut de fracturare)

Procedura Harrington pentru fracturi periacetabulare iminente sau fracturate

Rezecție-reconstrucție (proteză modulară sau artroplastie)

Osteosinteză preventivă ± PMMA

Rezecție-reconstrucție cu proteză modulară Osteosinteză preventivă ± PMMA

Rezecție-reconstrucție cu proteză modulară

Rezecție-reconstrucție cu proteză modulară

Tratament non-chirurgical

Tratament non-chirurgical

Rezecție-reconstrucție cu proteză modulară

Rezecție-reconstrucție cu proteză modulară

Rezecție-reconstrucție cu proteză modulară

Antebraț Rezecție-reconstrucție ± PMMA

Antebraț distal și braț Tratament non-chirurgical

Osteosinteză preventivă ± PMMA

Osteosinteză preventivă ± PMMA

Tratament non-chirurgical

Tratament non-chirurgical

Rezecție-reconstrucție (proteză modulară sau artroplastie)

Osteosinteză preventivă ± PMMA

Osteosinteză preventivă ± PMMA

Osteosinteză preventivă ± PMMA

Tratament non-chirurgical

Tabel 1- Tratamentul metastazelor osoase la nivelul membrului superior si inferior.

Metastaze multiple (fracturate)

Procedura Harrington pentru fracturi periacetabulare iminente sau fracturate

Osteosinteză ± PMMA

Osteosinteză ± PMMA

Artrodeza după rezecție

Artrodeza după rezecție

Osteosinteză ± PMMA

Tratament non-chirurgical

Tratament non-chirurgical

Osteosinteză ± PMMA

Osteosinteză ± PMMA

Osteosinteză ± PMMA

Osteosinteză ± PMMA (dacă există instabilitate)

Tratament non-chirurgical

Osteosinteza preventive (Figura 1) reprezintă o opțiune importantă în cazul leziunilor metastatice osteolitice extinse, care amenință integritatea osului și care prezintă un risc ridicat de fractură. Procedurile de osteosinteză, cum ar fi utilizarea tijei centromedulare sau plăcilor de fixare, sunt eficiente pentru stabilizarea oaselor lungi, precum femurul sau humerusul, unde metastazele osoase sunt frecvent localizate. În plus, în zonele cu distrucție osoasă semnificativă, cimentul acrilic (PMMA) poate fi utilizat pentru a crește rezistența biomecanică a osteosintezei și pentru a preveni instabilitatea post-operatorie (9,13) .

Figura 1: Cazul unei femei de 66 de ani, cu probleme de sănătate complexe, care a suferit o fractură patologică la nivelul humerusului din cauza unei metastaze. (A) Evidențiază metastaza osteolitică din humerus. (B) Imagine scintigrafică ce arată răspândirea sistemică. (C) Imagine postoperatorie care prezintă o tijă centromedulară utilizată pentru osteosinteză, permițând mișcarea imediată a brațului.

Reconstrucțiile cu proteze modulare (Figura 2) oferă o soluție pentru pacienții cu distrucții osoase extinse, unde intervențiile de osteosinteză nu sunt viabile. Protezele modulare permit restabilirea integrității scheletice și pot fi utilizate

atât pentru oasele lungi, cât și pentru articulații, cum ar fi șoldul sau genunchiul. Această abordare are avantajul de a permite mobilizarea precoce a pacienților, ceea ce reduce semnificativ riscul de complicații postoperatorii, precum tromboembolismul venos (13,14)

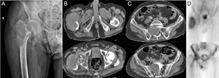
Figura 2 - Bărbat de 59 de ani, fără antecedente medicale semnificative și fără spitalizări anterioare. Pacientul a ajuns la urgențe cu durere bruscă și mobilitate redusă a șoldului drept, apărute în timp ce încerca să prindă un mijloc de transport în comun. Radiografia a arătat o fractură patologică la nivelul femurului drept (A). Investigațiile suplimentare, inclusiv analize de laborator și CT toraco-abdominopelvin, au relevat o tumoră canceroasă la rinichiul stâng. Deoarece metastaza era limitată la treimea superioară a femurului drept, s-a decis îndepărtarea chirurgicală a leziunii renale și reconstrucția femurului cu o proteză modulară (B).

Un alt aspect esențial în chirurgia ortopedică a metastazelor osoase RCC este preembolizarea preoperatorie. Tumorile metastatice cauzate de RCC sunt adesea hipervascularizate, datorită expresiei crescute a factorului de creștere endotelial vascular (VEGF), care stimulează angiogeneza în zona metastatică. Preembolizarea are rolul de a reduce riscul de sângerare intraoperatorie masivă prin blocarea principalelor vase de sânge care alimentează metastaza. Această tehnică este deosebit de importantă în cazul pacienților cu metastaze localizate în oasele pelvine sau vertebrale, unde riscul hemoragic este crescut (10,13,15)

Terapia Sistemică

Deși chirurgia este esențială pentru gestionarea fracturilor și ameliorarea simptomelor, tratamentele sistemice joacă un rol crucial în controlul progresiei metastazelor osoase în RCC. Inhibitorii tirozin kinazelor (TKI), precum sunitinib, pazopanib și cabozantinib, sunt

utilizați pe scară largă în tratamentul cancerului renal metastatic. Acești agenți farmacologici acționează prin inhibarea semnalizării VEGF și a altor căi de semnalizare celulară care susțin creșterea tumorală și angiogeneza. Deși TKI-urile au demonstrat eficiență în prelungirea supraviețuirii pacienților cu RCC, efectul lor asupra metastazelor osoase este limitat în ceea ce privește prevenirea complicațiilor ortopedice. În ultimii ani, inhibitorii punctelor de control imun (immune checkpoint inhibitors), precum nivolumab și pembrolizumab, au devenit opțiuni promițătoare în tratamentul RCC metastatic. Acești agenți imunoterapeutici stimulează sistemul imunitar al pacientului să recunoască și să distrugă celulele tumorale. În contextul metastazelor osoase, deși inhibitorii punctelor de control imun pot reduce povara tumorală globală, eficiența lor specifică în prevenirea degradării osoase și a fracturilor rămâne insuficient studiată, necesitând cercetări suplimentare (12,16,17)

Tratamentul Paliativ (Figura 3)

Pentru pacienții cu metastaze osoase extinse sau cu un prognostic limitat, radioterapia paliativă este o opțiune esențială. Radioterapia poate ameliora durerea cauzată de metastazele osoase și poate încetini progresia bolii, în special în cazurile de compresie medulară sau afectare vertebrală. Dozele moderate de radiații sunt eficiente în reducerea activității osteoclastice și în stabilizarea leziunilor osoase. Un alt tratament adjuvant utilizat în managementul metastazelor osoase este denosumab, un anticorp monoclonal care inhibă RANKL, reducând astfel activitatea osteoclastică. Denosumab s-a dovedit a fi eficient în prevenirea complicațiilor scheletice la pacienții cu metastaze osoase, prelungind timpul până la apariția primului eveniment scheletic major, cum ar fi fracturile sau necesitatea intervențiilor chirurgicale (14,15,18)

Figura 3: Bărbat de 69 de ani cu metastaze avansate la nivelul femurului proximal și sacrumului. Imaginea arată osteoliză semnificativă, indicând riscul iminent de fractură patologică. (A) Prezintă o tu-

moră osteolitică în femur, iar B și C arată scanări CT care evidențiază extinderea metastazelor în femur și sacrum. Scintigrafia osoasă (D) oferă dovezi suplimentare ale răspândirii extinse a bolii. Din cauza prezenței unei tumori inoperabile, pacientul a urmat un plan de tratament pentru ameliorarea simptomelor și îmbunătățirea calității vieții, care a inclus radioterapie și ablație cu radiofrecvență pentru reducerea durerii și stabilizarea osului.

Prognosticul Pacienților cu Metastaze Osoase

în Carcinomul Renal

În termeni de supraviețuire funcțională, intervențiile chirurgicale pot prelungi perioada de mobilitate independentă a pacientului, un aspect esențial în îmbunătățirea calității vieții acestora. Chiar dacă chirurgia nu modifică supraviețuirea globală în mod direct, aceasta joacă un rol esențial în menținerea unei funcționalități acceptabile, permițând pacienților să își păstreze autonomia pentru o perioadă mai lungă de timp. Pe lângă intervențiile chirurgicale, terapiile sistemice sunt o componentă critică a managementului pacienților cu RCC metastatic. Inhibitorii de tirozin kinază (TKI), cum ar fi sunitinib și pazopanib, au demonstrat eficiență în prelungirea supraviețuirii globale la pacienții cu metastaze multiple, inclusiv cele osoase. Mecanismul de acțiune al TKI-urilor, care inhibă semnalizarea angiogenetică mediată de VEGF, limitează creșterea tumorilor și răspândirea metastazelor. Cu toate acestea, efectul lor direct asupra metastazelor osoase este limitat, iar aceste terapii nu pot preveni complet complicațiile scheletice, cum ar fi fracturile patologice. Imunoterapia cu inhibitori ai punctelor de control imun, precum nivolumab și pembrolizumab, a adus o revoluție în tratamentul cancerului renal avansat. Aceste tratamente, care stimulează sistemul imunitar să recunoască și să distrugă celulele tumorale, au demonstrat rezultate promițătoare în prelungirea supraviețuirii. În contextul metastazelor osoase, însă, datele disponibile sugerează că imunoterapia poate reduce povara tumorală, dar nu previne în totalitate degradarea osoasă sau riscul de fractură. Astfel, combinația dintre tratamentele sistemice și intervențiile ortopedice rămâne esențială pentru obținerea unor rezultate optime (19-21) Factori Prognostici în Metastazele

Osoase

din RCC

Prognosticul pacienților cu metastaze osoase din RCC este influențat de o serie de factori clinici și biologici. Unul dintre cei mai importanți factori este numărul metastazelor osoase și localizarea acestora. Pacienții cu metastaze multiple la nivelul oaselor lungi sau coloanei vertebrale au un prognostic semnificativ mai rezervat decât cei cu metastaze unice sau localizate periferic. De asemenea, prezența fracturilor patologice și a compresiei medulare reprezintă factori de prognostic negativ, fiind asociate cu o scădere semnificativă a supraviețuirii. Pe lângă factorii clinici, markerii biologici, precum nivelurile serice ale fosfatazei alcaline și proteinelor C-reactive, au fost asociați cu un prognostic defavorabil la pacienții cu metastaze osoase. În plus, markerii imagistici care arată distrucția extensivă a osului și invazia tumorii în țesuturile moi sunt predictori importanți ai unui răspuns slab la tratament. În gestionarea pacienților cu metastaze osoase din RCC, un obiectiv central este menținerea și îmbunătățirea calității vieții. Chiar dacă tratamentele nu pot întotdeauna prelungi supraviețuirea globală, ameliorarea durerii și restabilirea funcționalității sunt esențiale. Evaluarea calității vieții include parametri precum capacitatea de mobilizare, intensitatea durerii și autonomia în activitățile zilnice. Tratamentele care combină intervențiile chirurgicale, terapiile sistemice și radioterapia paliativă pot aduce îmbunătățiri semnificative în aceste aspecte (6,15,22-23) . Discuții

Tratamentul metastazelor osoase cauzate de carcinomul renal (RCC) a evoluat semnificativ în ultimii ani, grație progreselor în chirurgia ortopedică, terapiile sistemice și gestionarea simptomatică. Cu toate acestea, metastazele osoase din RCC rămân o provocare majoră atât pentru chirurgi, cât și pentru oncologi, datorită caracterului lor osteolitic agresiv și riscurilor asociate complicațiilor scheletice. În această secțiune vom discuta rezultatele prezentate, le vom compara cu literatura actuală și vom analiza implicațiile clinice (22,24-25)

Chirurgia în Metastazele Osoase din RCC

Intervențiile chirurgicale rămân pilonul de bază în tratamentul metastazelor osoase, mai ales atunci când sunt prezen-

te fracturi patologice sau riscuri iminente de fractură. Comparativ cu alte tipuri de metastaze osoase, cele cauzate de RCC au un comportament distinct, datorită angiogenezei intense și capacității metastazelor de a induce resorbție osoasă rapidă. Studiile recente, precum cele efectuate de Mavrogenis și colab. (2019), subliniază faptul că intervențiile ortopedice, în special osteosinteza și reconstrucțiile cu proteze modulare, pot prelungi supraviețuirea funcțională a pacienților, permițându-le să își păstreze mobilitatea pentru perioade mai lungi de timp, chirurgia singură nu modifică supraviețuirea globală a pacienților, ci doar contribuie la ameliorarea durerii și îmbunătățirea calității vieții. În special, protezele modulare sunt preferate în fața osteosintezei simple, deoarece permit o stabilizare mai solidă și o recuperare funcțională mai rapidă. Acest lucru este în concordanță cu datele noastre, care sugerează că pacienții cu metastaze osoase avansate beneficiază de intervenții complexe, cum ar fi reconstrucțiile cu proteze, în detrimentul fixărilor interne simple. Un aspect esențial discutat și în alte articole este utilizarea preembolizării preoperatorii pentru metastazele hipervascularizate. Articolele de referință, evidențiază eficiența embolizării în reducerea pierderilor de sânge intraoperatorii la pacienții cu metastaze osoase din RCC, în special în pelvis și coloană. În analiza noastră, pacienții care au beneficiat de preembolizare au prezentat o rată semnificativ mai mică de complicații intraoperatorii și o recuperare postoperatorie mai rapidă, un lucru susținut și de alte studii clinice (14,20,26-29).

Impactul Terapiilor Sistemice

Terapiile sistemice, precum inhibitorii de tirozin kinază (TKI) și inhibitorii punctelor de control imun, au revoluționat tratamentul cancerului renal avansat. Totuși, în ceea ce privește metastazele osoase, eficiența acestor terapii rămâne limitată. Datele noastre indică faptul că TKI-urile, deși eficiente în reducerea progresiei tumorale generale, nu sunt suficient de puternice pentru a preveni complet complicațiile scheletice, cum ar fi fracturile patologice. Aceste rezultate subliniază că, deși TKI-urile oferă beneficii importante în prelungirea supraviețuirii globale, acestea nu au un efect direct asupra osului . În schimb, imunoterapia, deși promițătoare în reducerea metastazelor sistemice,

prezintă încă date insuficiente cu privire la controlul metastazelor osoase din RCC. De exemplu, studiile clinice realizate cu nivolumab nu au demonstrat un impact semnificativ asupra prevenției fracturilor sau ameliorării leziunilor osoase la pacienții cu metastaze extinse (10,30-33)

Astfel, datele disponibile în literatură confirmă necesitatea combinării intervențiilor chirurgicale cu terapiile sistemice pentru un management eficient al metastazelor osoase din RCC. Deși TKI-urile și imunoterapia pot controla răspândirea sistemică a bolii, intervențiile chirurgicale rămân esențiale pentru prevenirea complicațiilor majore la nivel scheletic (12,34)

Comparația cu Alte Tipuri de Metastaze Osoase

În comparație cu alte tipuri de cancer, cum ar fi cancerul de sân sau de prostată, unde metastazele osoase sunt adesea osteoblastice sau mixte, metastazele din RCC sunt în mod predominant osteolitice. Aceasta explică de ce pacienții cu RCC au un risc mult mai mare de fracturi patologice și distrucții osoase severe. De exemplu, în cancerul de sân, utilizarea bisfosfonaților și a denosumabului a arătat rezultate promițătoare în prevenirea complicațiilor scheletice . Totuși, în RCC, răspunsul la aceste terapii este mai modest. Datele noastre arată că, deși denosumab reduce activitatea osteoclastică, nu oferă aceleași beneficii în RCC comparativ cu alte neoplasme. Acest lucru poate fi explicat prin patofiziologia unică a metastazelor osoase din RCC, care implică factori angiogenetici și osteolitici mult mai activi. În consecință, în timp ce denosumab și bisfosfonații pot prelungi timpul până la apariția primelor complicații scheletice, aceștia nu sunt suficienți pentru a preveni complet deteriorarea osoasă la pacienții cu RCC (15,19,35-36) Implicații Clinice și Direcții Viitoare

Managementul metastazelor osoase din RCC necesită o abordare cu adevărat multidisciplinară, combinând chirurgia ortopedică cu terapiile oncologice și tratamentele paliative. Comparând datele prezentate în acest articol cu cele din literatura de specialitate, este evident că intervențiile chirurgicale joacă un rol esențial în menținerea funcționalității pacienților, dar sunt adesea insuficiente pentru a modifica supraviețuirea globală.

Terapiile sistemice aduc beneficii în controlul bolii sistemice, dar nu reușesc să prevină în totalitate complicațiile osoase. Pe viitor, cercetările ar trebui să se concentreze pe integrarea terapiilor sistemice cu intervențiile locale, precum radioterapia stereotactică și tehnicile de ablație, pentru a îmbunătăți rezultatele la pacienții cu metastaze osoase. Totodată, noile tratamente imunoterapeutice, alături de terapiile țintite, ar putea aduce beneficii suplimentare în prevenirea fracturilor și în controlul distrucției osoase (14, 37-38)

Concluzii

Metastazele osoase din carcinomul renal reprezintă o provocare clinică majoră, fiind asociate cu o morbiditate semnificativă și un impact negativ asupra calității vieții pacienților. Managementul acestor metastaze implică o abordare multidisciplinară, care combină intervențiile chirurgicale, terapiile sistemice și tratamentele paliative.

Intervențiile ortopedice, în special reconstrucțiile cu proteze modulare și osteosinteza preventivă, sunt esențiale pentru stabilizarea scheletului și prevenirea fracturilor patologice, contribuind la prelungirea supraviețuirii funcționale. Pe de altă parte, terapiile sistemice, cum ar fi inhibitorii de tirozin kinază și imunoterapia, au demonstrat eficiență în prelungirea supraviețuirii globale, însă rămân insuficiente în prevenirea complicațiilor scheletice.

Comparativ cu alte tipuri de neoplazii metastatice, metastazele osoase din RCC sunt predominant osteolitice, ceea ce explică agresivitatea lor și necesitatea unor strategii terapeutice mai complexe. Integrarea abordărilor chirurgicale cu terapiile oncologice rămâne esențială pentru obținerea celor mai bune rezultate.

Pe viitor, dezvoltarea de noi strategii terapeutice care să combine intervențiile chirurgicale cu terapiile țintite și radioterapia locală ar putea îmbunătăți semnificativ rezultatele și calitatea vieții pacienților cu metastaze osoase din RCC.

Bibliografie

1. Alzubaidi AN, Sekoulopoulos S, Pham J, Walter V, Fuletra JG, & Raman JD. Incidence and distribution of new renal cell carcinoma cases: 27-year trends from a statewide cancer registry. Journal of Kidney Cancer and VHL 2022, 9(2), 7–12. (https://doi. org/10.15586/jkcvhl.v9i2.219)

2. Bray F, Ferlay J, Soerjomataram I, Siegel RL, Torre LA, & Jemal A. Global cancer statistics 2018: GLO-

BOCAN estimates of incidence and mortality worldwide for 36 cancers in 185 countries. CA: A Cancer Journal for Clinicians 2018, 68(6), 394–424. (https://doi.org/10.3322/caac.21492)

3. Petard JJ, Leray E, Rioux-Leclercq N, Cindolo L, Ficarra V, Zisman A, De La Taille A, Tostain J, Artibani W, Abbou CC, et al. Prognostic value of histologic subtypes in renal cell carcinoma: a multicenter experience. Journal of Clinical Oncology 2005, 23(13), 2763–2771. (https://doi.org/10.1200/ JCO.2005.07.055)

4. Choueiri TK, & Motzer RJ. Systemic therapy for metastatic renal-cell carcinoma. New England Journal of Medicine 2017, 376(4), 354–366. (https:// doi.org/10.1056/NEJMra1601333)

5. Cancer Genome Atlas Research Network, Linehan WM, Spellman PT, Ricketts CJ, Creighton CJ, Fei SS, Davis C, Wheeler DA, Murray BA, Schmidt L, et al. Comprehensive molecular characterization of papillary renal-cell carcinoma. New England Journal of Medicine 2016, 374(2), 135–145. (https://doi. org/10.1056/NEJMoa1505917)

6. Motzer RJ, Bacik J, & Mazumdar M. Prognostic factors for survival of patients with stage IV renal cell carcinoma: Memorial Sloan-Kettering Cancer Center experience. Clinical Cancer Research 2004, 10(18), 6302S–6303S. (https://doi. org/10.1158/1078-0432.CCR-040031)

7. Escudier B, Powles T, Motzer RJ, Olencki T, Arén Frontera O, Oudard S, Rolland F, Tomczak P, Castellano D, Appleman LJ, et al. Cabozantinib, a new standard of care for patients with advanced renal cell carcinoma and bone metastases? Subgroup analysis of the Meteor trial. Journal of Clinical Oncology 2018, 36(8), 765–772. (https://doi. org/10.1200/JCO.2017.74.7352)

8. Haaker L, Tryssesoone L, Renders I, Verbiest A, Lerut E, Baldewijns M, Bourgain C, Roussel E, Van den Bulck H, Wynendaele W, et al. Bone metastasis is associated with poor prognosis in metastatic papillary renal cell carcinoma patients treated with first agent angiogenesis inhibitors. Urologic Oncology 2020, 38(8), 686.e1–686.e9. (https://doi. org/10.1016/j.urolonc.2020.04.031)

9. Du Y, Pahernik S, Hadaschik B, Teber D, Duensing S, Jäger D, Hohenfellner M, & Grüllich C. Survival and prognostic factors of patients with renal cell cancer with bone metastasis in the era of targeted therapy: a single-institution analysis. Urologic Oncology 2016, 34(10), 433.e1–433.e8. (https://doi. org/10.1016/j.urolonc.2016.05.017)

10. Ruppert LM. Malignant spinal cord compression: adapting conventional rehabilitation approaches. Physical Medicine and Rehabilitation Clinics of North America 2017, 28(1), 101–114. (https:// doi.org/10.1016/j.pmr.2016.08.007)

11. Negishi T, Furubayashi N, Takamatsu D, Ieiri K, Nishiyama N, Kitamura H, & Nakamura M. Radio -

graphical efficacy of systemic treatment for bone metastasis from renal cell carcinoma. Oncology Letters 2020, 20(1), 267. (https://doi.org/10.3892/ ol.2020.12130)

12. Ruatta F, Derosa L, Escudier B, Colomba E, Guida A, Baciarello G, Loriot Y, Fizazi K, & Albiges L. Prognosis of renal cell carcinoma with bone metastases: experience from a large cancer centre. European Journal of Cancer 2019, 107(1), 79–85. (https:// doi.org/10.1016/j.ejca.2018.10.023)

13. Ward WG, Holsenbeck S, Dorey FJ, Spang J & Howe D. Metastatic disease of the femur: surgical treatment. Clinical Orthopaedics and Related Research 2003 (415Supplement) S230–S244. (https://doi. org/10.1097/01.blo.0000093849.72468.82)

14. Jacofsky DJ & Haidukewych GJ. Management of pathologic fractures of the proximal femur: state of the art. Journal of Orthopaedic Trauma 2004 18 459–469. (https://doi.org/10.1097/00005131200408000-00013)

15. Motzer RJ, Escudier B, McDermott DF, George S, Hammers HJ, Srinivas S, Tykodi SS, Sosman JA, Procopio G, Plimack ER, et al. Nivolumab versus everolimus in advanced renal-cell carcinoma. New England Journal of Medicine 2015, 373(19), 1803–1813. (https://doi.org/10.1056/NEJMoa1510665)

16. Pan T, Lin SC, Yu KJ, Yu G, Song JH, Lewis VO, Bird JE, Moon B, Lin PP, Tannir NM, et al. BIGH3 promotes osteolytic lesions in renal cell carcinoma bone metastasis by inhibiting osteoblast differentiation. Neoplasia 2018, 20(1), 32–43. (https://doi. org/10.1016/j.neo.2017.11.002)

17. Armstrong AJ, Halabi S, Eisen T, Broderick S, Stadler WM, Jones RJ, Garcia JA, Vaishampayan UN, Picus J, Hawkins RE, et al. Everolimus versus sunitinib for patients with metastatic non-clear cell renal cell carcinoma (ASPEN): a multicentre, open-label, randomised phase 2 trial. Lancet Oncology 2016, 17(3), 378–388. (https://doi.org/10.1016/S14702045(15)00515-X)

18. Dudani S, de Velasco G, Wells JC, Gan CL, Donskov F, Porta C, Fraccon A, Pasini F, Lee JL, Hansen A, et al. Evaluation of clear cell, papillary, and chromophobe renal cell carcinoma metastasis sites and association with survival. JAMA Network Open 2021, 4(1), e2021869. (https://doi.org/10.1001/ jamanetworkopen.2020.21869)

19. Malouf GG, Joseph RW, Shah AY, & Tannir NM. Nonclear cell renal cell carcinomas: biological insights and therapeutic challenges and opportunities. Clinical Advances in Hematology & Oncology 2016, 14(4), 268–276.

20. Joeckel E, Haber T, Prawitt D, Junker K, Hampel C, Thüroff JW, Roos FC, & Brenner W. High calcium concentration in bones promotes bone metastasis in renal cell carcinomas expressing calcium-sensing receptor. Molecular Cancer 2014, 13(42). (https://doi.org/10.1186/1476-4598-13-42)

21. Escudier B, Sharma P, McDermott DF, George S, Hammers HJ, Srinivas S, Tykodi SS, Sosman JA, Procopio G, Plimack ER, et al. CheckMate 025 randomized Phase 3 study: outcomes by key baseline factors and prior therapy for nivolumab versus everolimus in advanced renal cell carcinoma. European Urology 2017, 72(6), 962–971. (https:// doi.org/10.1016/j.eururo.2017.02.010)

22. Broom RJ, Hinder V, Sharples K, Proctor J, Duffey S, Pollard S, Fong PC, Forgeson G, Harris DL, Jameson MB, et al. Everolimus and zoledronic acid in patients with renal cell carcinoma with bone metastases: a randomized first-line phase II trial. Clinical Genitourinary Cancer 2015, 13(1), 50–58. (https://doi.org/10.1016/j.clgc.2014.07.002)

23. Smith MR, Sweeney CJ, Corn PG, Rathkopf DE, Smith DC, Hussain M, George DJ, Higano CS, Harzstark AL, Sartor AO, et al. Cabozantinib in chemotherapy-pretreated metastatic castration-resistant prostate cancer: results of a phase II nonrandomized expansion study. Journal of Clinical Oncology 2014, 32(30), 3391–3399. (https:// doi.org/10.1200/JCO.2013.54.5954)

24. Makhov P, Joshi S, Ghatalia P, Kutikov A, Uzzo RG, & Kolenko VM. Resistance to systemic therapies in clear cell renal cell carcinoma: mechanisms and management strategies. Molecular Cancer Therapeutics 2018, 17(7), 1355–1364. (https://doi. org/10.1158/1535-7163.MCT-17-1299)

25. Duran I, Lambea J, Maroto P, González-Larriba JL, Flores L, Granados-Principal S, Graupera M, Sáez B, Vivancos A, & Casanovas O. Resistance to targeted therapies in renal cancer: the importance of changing the mechanism of action. Targeted Oncology 2017, 12(1), 19–35. (https://doi.org/10.1007/ s11523-016-0463-4)

26. Tang PA, Vickers MM, & Heng DYC. Clinical and molecular prognostic factors in renal cell carcinoma: what we know so far. Hematology/Oncology Clinics of North America 2011, 25(4), 871–891. (https://doi.org/10.1016/j.hoc.2011.04.003)

27. Rhoades Smith KE, & Bilen MA. A review of papillary renal cell carcinoma and MET inhibitors. Kidney Cancer 2019, 3(3), 151–161. (https://doi. org/10.3233/KCA-190058)

28. Xie C, Li Y, Li Q, Chen Y, Yao J, Yin G, Bi Q, O’Keefe RJ, Schwarz EM, & Tyler W. Increased insulin mRNA binding Protein-3 expression correlates with vascular enhancement of renal cell carcinoma by intravenous contrast-CT and is associated with bone metastasis. Journal of Bone Oncology 2015, 4(3), 69–76. (https://doi.org/10.1016/j. jbo.2015.07.001)

29. Al-Obaidy KI, Eble JN, Cheng L, Williamson SR, Sakr WA, Gupta N, Idrees MT, & Grignon DJ. Papillary renal neoplasm with reverse polarity: a morphologic, immunohistochemical, and molecular study. American Journal of Surgical Pathology 2019,

43(8), 1099–1111. (https://doi.org/10.1097/ PAS.0000000000001288)

30. Naito S, Makhov P, Astsaturov I, Golovine K, Tulin A, Kutikov A, Uzzo RG, & Kolenko VM. LDL cholesterol counteracts the antitumour effect of tyrosine kinase inhibitors against renal cell carcinoma. British Journal of Cancer 2017, 116(9), 1203–1207. (https://doi.org/10.1038/bjc.2017.77)

31. Beretta GL, Cassinelli G, Pennati M, Zuco V, & Gatti L. Overcoming ABC transporter-mediated multidrug resistance: the dual role of tyrosine kinase inhibitors as multitargeting agents. European Journal of Medicinal Chemistry 2017, 142(1), 271–289. (https://doi.org/10.1016/j.ejmech.2017.07.062)

32. Gowrishankar B, Ibragimova I, Zhou Y, Slifker MJ, Devarajan K, Al-Saleem T, Uzzo RG, & Cairns P. MicroRNA expression signatures of stage, grade, and progression in clear cell RCC. Cancer Biology and Therapy 2014, 15(3), 329–341. (https://doi. org/10.4161/cbt.27314)

33. Ionescu Miron AI, Atasiei DI, Ionescu RT, Ultimescu F, Barnonschi AA, Anghel AV, Anghel CA, Antone-Iordache IL, Mitre R, Bobolocu AM, et al. Prediction of subclinical and clinical multiple organ failure dysfunction in breast cancer patients—a review using AI tools. Cancers 2024, 16(2), 381. (https://doi.org/10.3390/cancers16020381)

34. Xiao W, Gao Z, Duan Y, Yuan W, & Ke Y. Notch signaling plays a crucial role in cancer stem-like cells maintaining stemness and mediating chemotaxis in renal cell carcinoma. Journal of Experimental and Clinical Cancer Research 2017, 36(1), 41. (https://doi.org/10.1186/s13046-017-0507-3)

35. Chandrasekar T, Klaassen Z, Goldberg H, Kulkarni GS, Hamilton RJ, & Fleshner NE. Metastatic renal cell carcinoma: patterns and predictors of metastases—a contemporary population-based series. Urologic Oncology 2017, 35(6), 661.e7–661.e14. (https://doi.org/10.1016/j.urolonc.2017.06.060)

36. Joosten SC, Hamming L, Soetekouw PM, Aarts MJ, Veeck J, van Engeland M, & Tjan-Heijnen VC. Resistance to sunitinib in renal cell carcinoma: from molecular mechanisms to predictive markers and future perspectives. Biochimica et Biophysica Acta 2015, 1855(1), 1–16. (https://doi.org/10.1016/j. bbcan.2014.11.002)

37. Singla N, Xie Z, Zhang Z, Gao M, Yousuf Q, Onabolu O, McKenzie T, Tcheuyap VT, Ma Y, Choi J, et al. Pancreatic tropism of metastatic renal cell carcinoma. JCI Insight 2020, 5(13), e134564. (https://doi. org/10.1172/jci.insight.134564)

38. Grassi P, Doucet L, Giglione P, Grünwald V, Melichar B, Galli L, De Giorgi U, Sabbatini R, Ortega C, Santoni M, et al. Clinical impact of pancreatic metastases from renal cell carcinoma: a multicenter retrospective analysis. PLOS ONE 2016, 11(4), e0151662. (https://doi.org/10.1371/journal.pone.0151662)

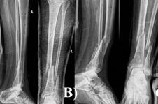
Management de tratament în fracturile de platou tibial

Treatment management in tibial plateau fractures

Summary: Tibial plateau fractures are complex injuries, which can have different degrees of severity. Their incidence is increasing in recent years, and the resulting potential complications are a challenge for the orthopedist. They can be both simple, without displacement, and complex, with significant local tissue damage, integument, meniscus, ligaments and neuro-vascular damage, which can compromise the viability of the pelvic limb. Because of this, it requires a complex therapeutic management.Epidemiologie

FUniv. Dr. Radu Aurelian Vișan

UMF „Carol Davila București’’, Spitalul Clinic de Urgență „Sfântul

Pantelimon’’ București

As. Univ. Dr. Victor Băluță

UMF „Carol Davila București’’, Spitalul Clinic de Urgență „Sfântul Pantelimon’’

voltă fracturi cominutive, complexe, în special datorită accidentelor rutiere. La femei, fracturile apar mai ales la cele peste 70 de ani și au ca mecanism prioritar căderea de la același nivel.

Diagnostic clinic

Suspiciunea clinică de fractură platou tibial este dată de prezența durerii la nivelul genunchiului, asociată cu impotență funcțională, tumefacție locală, însoțite de un istoric sugestiv de mecanism traumatic.

rențial. Se pot decela flictene sau prezența unei fracturi deschise.

O tumefacție marcată poate necesita puncție evacuatorie cu evidențierea hemartrozei. Apariția urmelor de grăsime este sugestivă pentru o fractură intraarticulară.

Toate compartimentele musculare ale gambei trebuie palpate. Prezența presiunii crescute ridică suspiciunea unui sindrom de compartiment. Presiunea crescută poate fi cuantificată prin măsurarea acesteia intracompartimental.

UMF „Carol Davila București“ Spitalul Clinic de Urgență „Sfântul

Pantelimon“ București

racturile de platou tibial reprezintă 1% din totalul fracturilor. Incidența este de 10,3 per 100000 oameni anual(4). Distribuția este majoritară la bărbații sub 50 ani, ce dez-

Pacienții politraumatizați, cu multiple leziuni, vor fi evaluați multidisciplinar, urmând protocolul ATLS. Se va identifica leziunea prioritară, amenințătoare de viață, conform conduitei terapeutice A, B, C, D și se va institui tratament specific în vederea stabilizării bolnavului. Lipsa pulsului distal la un membru pelvin poate constitui urgență ortopedică.

Se practică examinarea clinică minuțioasă a întregului genunchi, comparativ cu cel controlateral, prezumtiv sănătos, acordând multă atenție următoarelor elemente.

Tegumentul se inspectează circumfe-

Se practică teste de laxitate. O laxitate mai mare de 10 grade la nivelul interliniumului articular, la un test de varus, valgus forțat, sugerează o leziune de colateral. Prezența acesteia sub interlinium este caracteristică fracturii.

Mobilitatea activă și pasivă a genunchiului este dificil de examinat datorită durerii intense, caracteristice fazei acute.

Diagnostic imagistic

Articulația genunchiului trebuie sistematic examinată în vederea decelării

AS.
Prof. Dr. Ștefan Cristea
Schatzker III, Osteosinteză cu șuruburi percutană

Schatzker VI, Reducere sângerândă și osteosinteză cu 2 plăci

fracturilor cu separare sau înfundare a platourilor tibiale, precum și a leziunilor de părți moi asociate ligamentare sau de menisc.

Se practică radiografii standard, examinare CT sau RMN.

Radiografiile se fac în cel puțin 3 incidențe: antero-posterioară, laterală și notch intercondilar.

Incidența antero-posterioară poate decela: o bandă osteoscerotică intensificată, specifică fracturii cu înfundare, separarea unui fragment osos, incongruență articulară femuro-tibială. O înfundare mai mare de 6 mm sau/și o incongruență articulară cu lărgirea acesteia mai mult de 5 mm sunt sugestive pentru leziuni de menisc lateral, ligament colateral lateral sau ligament încrucișat posterior(5). O înfundare sau lărgire articulară mai mare de 8 mm este deseori asociată cu o leziune de menisc medial(6).

Schatzker VI, Reducere sângerândă și osteosinteză cu 2 plăci

Incidența laterală decelează traiecte de fractură postero-mediale.

În baza examenului radiologic au fost propuse mai multe clasificări, dar cea mai folosită este cea a lui Schatzker:

Schatzker I: fracturi cu separare hemiplatou extern

Schatzker II: fracturi cu separare și înfundare hemiplatou extern

Schatzker III: fracturi cu înfundare hemiplatou extern

Schatzker IV: fracturi hemiplatou intern

Schatzker V: fracturi hemiplatou extern și intern

Schatzker VI: fracturi cu extensie metafizo-diafizară

Totuși, 10% din fracturile de platou tibial nu pot fi încadrate în clasificarea Schatzker.

CT-ul cu reconstrucție tridimensională sau RMN genunchi relevă mult mai

bine complexitatea fracturii și dau posibilitatea unui planning preoperator superior estimării radiologice clasice(7). CT-ul este mai rapid și mai ușor de făcut, dar RMN decelează mai bine leziunile de menisc sau ligamentare.

Tratament

Scopul tratamentului este refacerea aliniamentului axial și rotațional, precum și obținerea unui genunchi stabil(8)

Tratamentul ortopedic este indicat în fracturile cu minimă deplasare sau înfundare. Ele sunt produse de traumatisme cu energie cinetică mică și nu asociază leziuni de părți moi.

Se practică imobilizare în aparat gipsat sau orteză genunchi pentru 6 săptămâni fără sprijin, apoi reluare mobilizare genunchi cu orteză și sprijin parțial, progresiv pentru cel puțin încă 6 săptămâni.

Se face control radiologic periodic, iar orteza va fi scoasă doar după obținerea calusului radiologic. Activitățile sportive sau cele care necesită un sprijin prelungit vor fi permise doar când membrul fracturat va avea cel puțin 90% din forța celui sănătos(9,10)

Tratamentul chirurgical este indicat în fracturile cu separare sau înfundare. Momentul optim al intervenției chirurgicale, precum și tipul de osteosinteză ales, sunt strâns legate de leziunile de părți moi, rezultate mai ales în urma fracturilor produse prin traumatisme cu energie cinetică mare. Prezența flictenelor contraindică reducerea deschisă și fixarea internă. Prevenția sau tratarea leziunilor tisulare se poate face prin crioterapie(11), imobilizare sau extensie transcalcaneană urmată de tracțiune osoasă continuă.

În fracturile Schatzker I, fără leziuni de menisc extern asociate este indicată reducerea și osteosinteza percutană cu șuruburi. Dacă leziunea de menisc este evidențiată pe RMN, se poate opta pentru reducere și osteosinteză percutană cu șuruburi asociată cu artroscopie(12), având rol de control al reducerii și curativ pentru leziunea de menisc, sau reducere deschisă și fixare internă cu placă și șuruburi.

La pacienții tineri cu fracturi Schatzker tip II și III se poate opta pentru reducere și osteosinteză percutană cu șuruburi asociată cu artroscopie. O altă variantă este cu grefă osoasă și reducere deschisă cu fixare internă cu placă și șuruburi. Controlul reducerii intraoperator se realizează artroscopic sau cu C arm.

Fracturile tip Schatzker IV, fără leziuni asociate, pot fi tratate cu osteosinteză percutană, iar cele cu leziuni ligamentare sau de menisc, cu reducere deschisă și fixare internă.

Fracturile tip Schatzker V și VI sunt rezultatul unor traumatisme cu energie cinetică mare și asociază leziuni tisulare importante. Din această cauză este mai prudent să se temporizeze intervențiile chirurgicale agresive, datorită riscului major de complicații imediate postoperatorii. Fixatorul extern reprezintă o bună alternativă. Are ca și avantaj principal faptul că produce o agresiune tisulară minimă fiind salutar în politraumatisme, leziuni vasculare asociate, fracturi deschise. Dezavantajele constau în dificulta-

tea obținerii unei reduceri perfecte, riscul septic la nivelul fișelor.

Postoperator este recomandată imobilizarea într-o orteză până se vindecă complet părțile moi. Se începe apoi mobilizarea genunchiului, dar sprijinul nu va fi permis mai devreme de 4 săptămâni, în funcție de controlul radiologic și rigiditatea montajului.

La pacienții vârstnici, cu osteoporoză avansată, se poate opta și pentru artroplastie totală, primară de genunchi.

Complicații

Complicațiile imediate sunt reprezentate de: leziuni neuro-vasculare, sindrom de compartiment, leziuni tegumentare-flictene, fractura deschisă, leziuni septice, tromboza venoasă profundă, cu risc de trombembolism pulmonar sau accident vascular cerebral.

Complicațiile tardive pot influența negativ calitatea vieții(13), în special a celor cu activitate fizică intensă. Pot apare: redoare articulară, instabilitate articulară, artroză, deformări în ax, pseudartroză.

Prognostic

Un prognostic bun, cu o reintegrare activă în societate, este dependent de obținerea stabilității articulare și refacerea aliniamentului axial și rotațional. Fracturile produse de traumatisme cu energie cinetică mare au de multe ori, din păcate, un prognostic rezervat(14)

Bibliografie

1. Cuéllar-Avaroma A, King-Martínez AC, Hernández-Salgado A, Torres-González R. Complicaciones en las fracturas complejas de la meseta tibial y factores asociados. Cir Ciruj. 2006;74(5):351–357. [PubMed] [Google Scholar]

2. Álvarez LA, García L, Gutiérrez BM, Montanchez SD. Clasificación de Schatzker en las fracturas de la meseta tibial. AMC. 2010;14(6):1–11. [Google Scholar]

3. Allende DP, Scheu G, Carredano G, Colmenares S, Yáñez L, Donoso M, et al. Principios quirúrgicos en fracturas de platillos tibiales con compromiso de columna posterior. Rev Chil Ortop Traumatol. 2018;59(1):22–34. doi: 10.1055/s0038-1641563. [DOI] [Google Scholar]

4. Elsoe R, Larsen P, Nielsen NP, Swenne J, Rasmussen S, Ostgaard SE. Popu-

lation-Based Epidemiology of Tibial Plateau Fractures. Orthopedics. 2015 Sep;38(9):e780-6. [PubMed]

5. Gardner MJ, Yacoubian S, Geller D, Pode M, Mintz D, Helfet DL, Lorich DG. Prediction of soft-tissue injuries in Schatzker II tibial plateau fractures based on measurements of plain radiographs. J Trauma. 2006 Feb;60(2):319-23; discussion 324. [PubMed]

6. Spiro AS, Regier M, Novo de Oliveira A, Vettorazzi E, Hoffmann M, Petersen JP, Henes FO, Demuth T, Rueger JM, Lehmann W. The degree of articular depression as a predictor of soft-tissue injuries in tibial plateau fracture. Knee Surg Sports Traumatol Arthrosc. 2013 Mar;21(3):564-70. [PubMed]

7. Chan PS, Klimkiewicz JJ, Luchetti WT, Esterhai JL, Kneeland JB, Dalinka MK, Heppenstall RB. Impact of CT scan on treatment plan and fracture classification of tibial plateau fractures. J Orthop Trauma. 1997 Oct;11(7):484-9. [PubMed]

8. Prat-Fabregat S, Camacho-Carrasco P. Treatment strategy for tibial plateau fractures: an update. EFORT Open Rev. 2016 May;1(5):225-232. [PMC free article] [PubMed]

9. Schmidt AH, Finkemeier CG, Tornetta P. Treatment of closed tibial fractures. Instr Course Lect. 2003;52:607-22. [PubMed]

10. Ziran BH, Hooks B, Pesantez R. Complex fractures of the tibial plateau. J Knee Surg. 2007 Jan;20(1):67-77. [PubMed]

11. Borrelli J. Management of soft tissue injuries associated with tibial plateau fractures. J Knee Surg. 2014 Feb;27(1):59. [PubMed]

12. Duan XJ, Yang L, Guo L, Chen GX, Dai G. Arthroscopically assisted treatment for Schatzker type I-V tibial plateau fractures. Chin J Traumatol. 2008 Oct. 11 (5):288-92. [QxMD MEDLINE Link].

13. Warschawski Y, Elbaz A, Segal G, Norman D, Haim A, Jacov E, Grundshtein A, Steinberg E. Gait characteristics and quality of life perception of patients following tibial plateau fracture. Arch Orthop Trauma Surg. 2015 Nov;135(11):1541-6. [PubMed]

14. van Dreumel RL, van Wunnik BP, Janssen L, Simons PC, Janzing HM. Mid- to long-term functional outcome after open reduction and internal fixation of tibial plateau fractures. Injury. 2015 Aug;46(8):1608-12. [PubMed]

Revizia protezei totale de geunchi infectată cu refacerea mecanismului extensor folosind

grefă sintetică - Prezentare de caz

Revision of an infected total knee prosthesis with restoration of the extensor mechanism using a synthetic graft - Case report

Gonarthrosis is a degenerative, disabling disease that affects both sexes, with a rate of 4.5% in women and 1.5% in men, according to recent data from the European Health Surveys. (1) Having Romanian statistics from the period 2012-2022, we note that the incidence of gonarthrosis cases is approximately 90 cases/100,000 inhabitants, respecting the ratio above, with variations depending on the less developed counties, where the availability of medical centers is lower. (2) Starting from these statistics, we observe the increase in the need for knee arthroplasty (PTG) among patients, but also the increase in the number of revisions (septic/aseptic) in recent years, a fact that increases hospitalization, costs and the difficulty of solving cases, more and more the worst.

SSpitalul Clinic Județean de Urgență Craiova, Secția de Ortopedie și Traumatologie

Dr. Raul Mureșan

Med. sp. Orto.-Traumatologie,

Spitalul Clinic Jud. de Urgență Craiova, Secția Orto.- Traumatologie

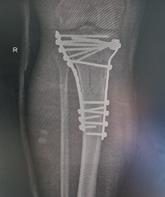
copul. Prezentarea unui caz complex rezolvat în Clinica Ortopedie -Traumatologie din cadrul SCJU Craiova al unui pacient ce a suferit un traumatism postoperator, cu ruptura ligamentului rotulian si complicarea septică a implantului, ce a necesitat revizia în doi timpi și refacerea mecanismului extensor folosind grefă sintetică.

Material și metode

În lucrarea de față vom prezenta cazul complex al unui pacient în vârsta de 84 de ani, ce a fost diagnosticat în primăvara acestui an cu Gonartroza bilaterala stadiul III, decompensata algic și functional pe dreapta, care în urma evaluării clinice, biologie și imagistice a urmat intervenția

de protezare a genunchiului, cu o evoluție postoperatorie favorabilă, fără complicații. În urma dispensarizării la domiciliu, la 3 săptămâni postoperator, pacientul suferă un traumatism prin cădere de la același nivel, prezentându-se în Serviciul de Urgență tardiv, după aproximativ 10 ore, cu o plagă dehiscentă pe fața anterioară a genunchiului, exteriorizându-se la piele ligamentul rotulian restant, dezinserat de la nivelul polului inferior rotulian. Intraoperator se practica debridare mecano-chirurgicala intensivă, cu îndepărtarea marginilor plăgii, ale țesuturilor necrozate, lavaj intens, abundent și sutura ligamentului rotulian (Fig 1; Fig 2).

Postoperator evoluția este nefavorabilă, cu modificarea markerilor biologici inflamatori (VSH, Fibrinogen, Proteina C-Reactiva ↑), prezența unei hidrartroze restante, pozitive la Staphylococcus aureus meticilino-rezistent (MRSA), ruptura suturii ligamentare, de unde și decizia unei revizii în doi-timpi, conform protocoalelor internaționale și inițializarea antibioticoterapiei țintite cu Linezolid 2mg/ ml, fl II/zi.

În prima etapă s-a îndepărtat proteza primară, s-a practicat debridarea mecano-chirurgicală a țesuturilor neviabile, rezecția ligamentului restant de la nivelul inserției sale tibiale, alezarea canalelor fe-

Prof. Univ. Dr. Dan Nelu Anușca

muro-tibiale, aplicarea perlelor de Stimulan atât in canalele osoase cât și în camera genunchiului, si montarea unui spacer femuro-tibial (Fig 3).

În a doua etapă, după parcurgerea curei antibiotice, se practică revizia cu implantele finale, folosind proteza de revizie de tip balama, cu stem femural și tibial lung, cu protecția oferită de perlele de Stimulan impregnate cu Vancomicină și Linezolid.

Particularitatea cazului o oferă tipul de tehnică chirurgicală folosită în refacerea ligamentului rotulian prin utilizarea unei grefe sintetice, de tipul Marlex mesh. (3) Din experiența noastră folosind multiple tipuri de grefe pentru reconstrucția ligamentului rotulian, rezultatele în timp s-au dovedit ineficiente (evaluarea la 1-3 ani postoperator indică resorbția cu dispariția ligamentului rotulian în întregime în mediu aseptic după folosirea grefei din Banca Națională de Țesut, fiind utilizată atât grefă cu pastilă osoasă calcaeană și tendon Achillean, cât și aparat extensor

întreg – dar osteointegrarea osoasă la nivelul TTA fiind completă), motiv pentru care am decis utilizarea unui substitut alloplastic- meșă (plasă) de polipropilenă 30x30cm care a fost preparată astfel: bucata de material a fost pliat în 8 straturi, având o l=3cm și o L=30 cm, fiind suturată cu fir neresorbabil pe lateralele sale, urmând a fi cimentată in canalul tibial odată cu componenta protetică tibială. După stabilirea indicelui Insall-Salvati corect, s-a folosit o langetă musculară din dreptul femural după tehnica Ducroquet care a acoperit noul ligament sintetic, oferind protecție si bază nutritivă și a fost stabilizat cu ajutorul a 2 ancore cu fire nerserobabile (Fig 4+5+6). Postoperator pacientul este imobilizat în aparat gipsat femuro-gambier pentru 6 săptămâni, mărind treptat gradul de flexie.

Concluzii

Tehnica de reconstrucție a mecanismul extensor al genunchiului, folosind

substitut alloplastic de tipul meșă de polipropilenă reprezintă un nou capitol în domeniul ortopediei, ce poate rezolva deficiențele tehnice de până acum, oferind un suport cantitativ și calitativ, cu rezultate bune pe termen scurt și lung.

Bibliografie

1. Abdel, Matthew P et al. „“Extensor Mechanism Reconstruction with Use of Marlex Mesh.”.” JBJS essential surgical techniques 9 (2019): 2-21.

2. Carmen, S. A. S. U., and Marius CIUTAN. „”Studiu descriptiv privind situația episoadelor de spitalizare determinate de cele mai frecvente afecțiuni ale articulațiilor mari-gonartroza/ coxartroza, în România, în ultimul deceniu”.” Management în Sănătate (2022): 6-6.

3. Europe, Musculoskeletal Health in. Musculoskeletal Health in Europe. 2008. www.eumusc.net/myUploadData/files/30%20August%20 Final%20draft%20report.pdf>.

Rolul analizării răspunsului inflamator sistemic în funcție de momentul operator la pacienți tratați chirurgical pentru fracturi pertrohanteriene

The role OF systemic inflammatory response analysis based ON surgical timing IN patients treated FOR pertrochanteric fractures

Summary: This article studies the relationship between the systemic inflammatory response and the timing of surgery in elderly patients with pertrochanteric fractures. The results show that patients who underwent surgery within 48 hours had a significantly lower inflammatory response, as indicated by lower IL-6 levels, and experienced fewer postoperative complications compared to those who had delayed surgery. The study suggests that IL-6 could serve as a prognostic marker for postoperative outcomes, emphasizing the importance of early surgery in improving recovery.

As. Univ. Dr. Mihai Rădulescu

Universitatea „Transilvania” din Brașov – Facultatea de Medicină

Prof. Univ. Dr. Aurel Mironescu

Universitatea „Transilvania” din Brașov – Facultatea de Medicină

Șef Lucr. Dr. Radu Dan Necula

Univ. „Transilvania” din BrașovFacultatea de Med., Sp. Cl. Jud. de Urg. Brașov - secția Orto.-Traumatologie

Dr. Raluca Iordache

Spitalul Clinic Județean de Urgență Brașov – secția Ortopedie-Traumatologie

Dr. Khader Batarseh

Spitalul Clinic Județean de Urgență Brașov – secția Ortopedie-Traumatologie

Dr. Florin Sabou

Spitalul Clinic Județean de Urgență Brașov – secția Ortopedie-Traumatologie

Fracturile de șold reprezintă o problemă de sănătate publică, din cauza impactului acestora asupra vieții pacienților, având un caracter debilitant, dar și din cauza costurilor ridicate asociate cu tratamentul fracturii și al complicațiilor sale, în special la pacienții vârstnici [1, 2]. Aceste fracturi pot fi deosebit de periculoase, deoarece adesea exacerbează patologii preexistente, ducând la creșterea morbidității [3]. Deși este larg acceptat faptul că fracturile de șold necesită o intervenție chirurgicală cât mai devreme, momentul optim rămâne dezbătut [4, 5]

Scopul principal al acestui studiu a fost de explorarea legăturii dintre răspunsul inflamator sistemic (SIR) și momentul intervenției chirurgicale la pacienții vârstnici cu fracturi femurale pertrohanteriene. Un alt obiectiv a fost încercarea de a identifica parametri care să poată anticipa evoluția postoperatorie imediată în funcție de momentul operator. Materiale și metode

Studiul realizat este unul prospectiv, efectuat în perioada ianuarie – aprilie 2022 la Spitalul Clinic Județean de Urgență Brașov, secția Ortopedie-Traumatologie. Au fost incluși 22 de pacienți cu vârsta de minimum 60 de ani, diagnosticați cu fracturi pertrohanteriene (clasificarea 31A1 și 31A2 după AO), cauzate de traumatisme cu energie scăzută și tratați chirurgical (reducere închisă și fixare internă cu tijă gamma). Nu au fost introduși în studiu pacienții cu politraumatisme, fracturi patologice sau în tratament cu corticosteroizi. Pacienții au fost împărțiți în două grupuri în funcție de momentul operator: cei care au beneficiat de intervenție chirurgicală precoce (grupul A), în primele 48

de ore de la internare, respectiv cei care au avut intervenția chirurgicală efectuată după 48 de ore (intervenție întârziată, grupul B). Datele colectate au inclus informații demografice, perioada de spitalizare, momentul operator, parametri biologici legați de SIR (proteina C reactivă și interleukinele 6 și 10) și complicațiile apărute postoperator intraspitalicesc. Parametrii biologici menționați au fost analizați toți cu o oră preoperator, iar postoperator, în zilele 1 și 3 a fost analizată proteina C reactivă. Analiza statistică a fost efectuată cu ajutorul programelor SPSS și Microsoft Excel.

Rezultate

Studiul a inclus 22 de pacienți, cu o vârstă medie de 78,77 ± 12,61 ani; 73% dintre pacienți au fost de gen feminin. Timpul mediu până la operație a fost de 52,45 ± 48,29 ore, iar 50% dintre pacienți au fost supuși unei intervenții chirurgicale în primele 48 de ore. Dintre cei 11 pacienti operati sub 48 ore, 7 pacienți au fost operati sub 24 ore, iar 4 in intervalul 24-48 ore. Mai mulți factori au contribuit la întârzierea momentului operator, cei mai frecventi fiind reprezentați de internarea în perioada de weekend (50%) și internarea în afara orelor de program normal de lucru (25%). Alte cauze au inclus indisponibilitatea sălilor de operație (17%), respectiv optimizarea medicală a pacientului (8%) – această categorie incluzând pacienții aflați în tratament cu anticoagulante sau antiagregante plachetare.

Durata medie a spitalizării a fost de 6,36 ± 2,68 zile, cu un deces în spital. 86,36% dintre pacienți au prezentat cel puțin o complicație, cum ar fi evenimente cardiace, embolie pulmonară, infecții ale tractului urinar și anemie (figura 1).

Nivelurile IL-6 au fost semnificativ mai mici în grupul A comparativ cu grupul B (p = 0,005), indicând o corelație între intervenția chirurgicală efectuată sub 48 de ore și un răspuns inflamator sistemic redus (figura 2). În plus, a existat o corelație pozitivă moderată între nivelurile de IL-6 și momentul operator (r = 0,4, p = 0,067) (figura 3). Niveluri mai mari ale IL-6 au fost asociate cu o rată crescută a complicațiilor (p = 0,02), dar nu a fost găsită nicio relație semnificativă între IL-6 și alți parametri, cum ar fi timpul spitalizării, durerea postoperatorie sau mortalitatea.

Valorile proteinei C reactive ai fost, de asemenea, mai mari în grupul cu intervenția chirurgicală întârizată, dar diferențele nu au avut semnificație statistică. Doar un pacient a avut un nivel anormal de IL-10 și nu au fost găsite corelații între IL-10 și alte variabile.

Discuţii

Operația efectuată după 48 de ore a fost asociată cu un număr crescut al complicațiilor în perioada postoperatorie imediată, fiind un rezultat în concordanță cu alte studii și recenzii efectuate pe acest subiect [6-9]. Întârzierea intervenției chirurgicale este un alt subiect abordat în diverse studii, fiind de regulă cauzată de optimizarea sau stabilizarea pacientului [10-12], de lipsa personalului medical specializat sau de indisponibilitatea sălii de operație [10]. În cazul studiului nostru, ultimele două motive au fost preponderente.

IL-6 poate fi un marker cheie al răspunsului inflamator sistemic și este adesea folosit pentru a cuantifica injuria tisulară după intervenția chirurgicală. În cadrul unui studiu efectuat în Italia în 2012, pacienții supuși intervenției chirurgicale clasice cu placă DHS pentru fracturile pertrohanteriene au prezentat niveluri postoperatorii semnificativ mai mari de IL-6 comparativ cu cei tratați prin tehnica minim invazivă. Acest lucru susține ideea că IL-6 poate fi utilizată pentru a cuantifica gradul invaziv al intervențiilor chirurgicale, dar și pentru a prezice rezultatele postoperatorii, inclusiv complicațiile [13]. Studiul nostru evidențiază importanța intervenției chirurgicale precoce în reducerea răspunsului inflamator sistemic la pacienții vârstnici cu fracturi pertrohanteriene, precum și reducerea complicațiilor postoperatorii imediate. De asemenea, studiul evidențiează faptul că IL-6 ar putea servi ca un factor prognostic pentru complicațiile postoperatorii, întrucât nivelurile mai ridi-

cate de IL-6 au fost asociate cu intervenția chirurgicală întârziată și complicații crescute. Aceste rezultate sunt în concordanță cu studiul efectuat de del Prete, et al [13] În timp ce CRP a fost crescută în grupul pacienților operați după 48 de ore, lipsa semnificației statistice sugerează că IL-6 poate fi un marker mai fiabil pentru prezicerea complicațiilor la această populație. Limitări

Analizarea IL-6 și IL-10 au fost realizate în cadrul unui laborator privat, întrucât laboratorul spitalului în care s-a desfășurat studiul nu măsoară acești parametri. Apelarea la un laborator privat a presupus stabilirea unui buget și a limitat măsurarea IL-6 și IL-10 doar preoperator. O altă limitare este dimensiunea mică a eșantionului studiat. Considerăm că este nevoie de cercetări suplimentare pe cohorte mai mari de pacienți pentru a confirma aceste constatări. Concluzii

Pacienții care au suferit o intervenție chirurgicală în decurs de 48 de ore de la internare au avut un răspuns inflamator sistemic mai scăzut, rezultând mai puține complicații postoperatorii. IL-6 pare a fi un factor prognostic promițător pentru a anticipa rezultatele postoperatorii imediate, însă suntem conștienți de dificultatea punerii în aplicare a unui protocol din

cauza costurilor ridicate pentru efectuarea analizei. Ceilalți markeri analizați, și anume proteina C reactivă și IL-10 oferă informații limitate. Putem concluziona de asemenea că intervenția chirurgicală timpurie este crucială pentru evoluția favorabilă postoperatorie imediată, însă trebuie să ținem cont întâi de optimizarea medicală a pacientului pentru operație. Finanțare

Universitatea „Transilvania” din Brașov a contribuit financiar la realizarea studiului, acoperind costurile pentru măsurarea IL-6 și IL-10 într-un laborator privat.

Bibliografie

1. Nikitovic, M., et al., Direct health-care costs attributed to hip fractures among seniors: a matched cohort study. Osteoporos Int, 2013. 24(2): p. 659-69.

2. Bergstrom, U., et al., The hip fracture incidence curve is shifting to the right. Acta Orthop, 2009. 80(5): p. 520-4.

3. Cummings, S.R. and L.J. Melton, Epidemiology and outcomes of osteoporotic fractures. Lancet, 2002. 359(9319): p. 1761-7.

4. Zeltzer, J., et al., Determinants of time to surgery for patients with hip fracture. ANZ J Surg, 2014. 84(9): p. 633-8.

5. Leicht, H., et al., Time to Surgery and Outcome in the Treatment of Proximal Femoral Fractures. Dtsch Arztebl Int, 2021. 118(26): p. 454-461.

6. Nia, A., et al., Predicting 30-Day and 180-Day Mortality in Elderly Proximal Hip Fracture Patients: Evaluation of 4 Risk Prediction Scores at a Level I Trauma Center. Diagnostics (Basel), 2021. 11(3).

7. Chen, P., et al., Comparative assessment of early versus delayed surgery to treat proximal femoral fractures in elderly patients: A systematic review and meta-analysis. Int J Surg, 2019. 68: p. 63-71.

8. Klestil, T., et al., Impact of timing of surgery in elderly hip fracture patients: a systematic review and meta-analysis. Sci Rep, 2018. 8(1): p. 13933.

9. Sasabuchi, Y., et al., Timing of surgery for hip fractures in the elderly: A retrospective cohort study. Injury, 2018. 49(10): p. 1848-1854.

10. Simunovic, N., et al., Effect of early surgery after hip fracture on mortality and complications: systematic review and meta-analysis. CMAJ, 2010. 182(15): p. 1609-16.

11. Butler, S.A., A. Salipas, and A. van der Rijt, Comparative study of outcomes for elderly hip fractures presenting directly to a referral hospital versus those transferred from peripheral centres. ANZ J Surg, 2019. 89(10): p. 1314-1318.

12. Declarador, N., et al., Beyond comanaged inpatient care to community integration: Factors leading to surgical delay in hip fractures and their associated outcomes. J Orthop Surg (Hong Kong), 2018. 26(2): p. 2309499018783909.

13. del Prete, F., T. Nizegorodcew, and P. Regazzoni, Quantification of surgical trauma: comparison of conventional and minimally invasive surgical techniques for pertrochanteric fracture surgery based on markers of inflammation (interleukins). J Orthop Traumatol, 2012. 13(3): p. 125-30.

Figura 1 – complicațiile postoperatorii imediate.
Figura 2 – valorile IL-6 în funcție de momentul operator (stânga – pacienți operați timpuriu, dreapta – pacienți operați după 48 ore) (p = 0,005).
Figura 3 – corelație moderată pozitivă între IL-6 și momentul operator (MO, în ore) (r = 0.4, p = 0.067).

Artroscopia în practica medicală

Arthroscopy in medical practice

Summary: Arthroscopy is a surgical procedure minimum invasive used in order to evaluate and treat lesions inside the joints. It reduces the trauma caused to tissues, muscles, bones and ligaments, which leads to decreasing the pain and the immobility period. Therefore, it reduces the healing time. The risk of infection is significantly minimized in comparison to conventional surgery.

AUniversitatea de Medicină și Farmacie „Iuliu Hațieganu Cluj-Napoca’’

rtroscopia este o metodă chirurgicală endoscopică de vizualizare, investigaţie, diagnostic și tratament a leziunilor articulare.

Artroscopia a schimbat în mod radical posibilitatea efectuării diagnosticului și tratamentului unor însemnate varietăţi de leziuni articulare cu precădere la nivelul genunchiului.

Termenul artroscopie are ca origine două cuvinte din limba greacă – „arthro” (articulație) și „skopein” (a vedea), astfel artroscopia semnifică „a te uita în articulație”.

Dezvoltarea tehnicilor de vizualizare şi de transmitere a imaginilor prin fibre optice a permis de asemenea examinarea artroscopică a majorităţii articulatiilor.

Pe primul loc, se situează totuși articulaţia genunchiului dar tehnica a fost extinsă și asupra altor articulaţii cum ar

fi: umărul, cotul, ș oldul, tibio-tarsul și altele.

Preluarea primei imagini intraarticulare cu ajutorul unei camere video și transmiterea ei la un ecran de monitor este realizată în 1978 în SUA de către McGinty creându-se astfel premizele instruirii concomitente a mai multor chirurgi și totdata răspândirea pe scară largă a acestei tehnici chirurgicale.

Artroscopia a permis stabilirea unui diagnostic greu de efectuat prin mijloacele cunoscute, a contribuit la observarea proceselor de vindecare și reparare articulară făcând posibilă de asemenea și dezvoltarea chirurgiei reconstructive artroscopice

Artroscopia presupune un proces intelectual și abilităţi diferite de cele ale chirurgiei clasice și o îmbunătăţire a posibilităţilor noastre de a fi mai exacţi în diagnostic și tratament.

Înalta precizie a diagnosticului, morbiditatea redusă şi recuperarea rapidă, coroborate cu avantajele financiare ale unor intervenţii ce necesită o zi de spitalizare, au făcut ca artroscopia să fie cea mai folosită manoperă ortopedică în practica curentă.

În ţara noastră, artroscopia a pătruns abia in anul 1992 când s-a organizat primul curs de iniţiere la București de către specialiști de la Universitatea Pasadena-California din SUA, Ministerul Sănătăţii și Direcţia Sanitară a Municipiului București.

Un instrumentar de artroscopie cuprinde următoarele elemente:

1. artroscopul

2. cablu de lumină

3. sursa de lumină

4. camera video

5. monitorul

6. palpatorul

7. sistemul de distensie şi irigare articulară

8. instrumente chirurgicale de rezectie, secţiune şi extragere a resturilor meniscale şi a corpilor străini

9. instrumente auxiliare

10. instrumentar pentru plastia ligamentelor încrucişate

Articulaţia este spălată până când lichidul care drenează este clar, folosind în medie 3 litri de ser fiziologic în pungi de plastic, poziţionate la o înălţime de 2m, deasupra pacientului..

Diagnosticul artroscopic poate fi realizat cu pacientul în anestezie locală, regională sau generală.

Anestezia locală este utilizată pentru un diagnostic de rutină la un pacient cooperant.

Alegerea anesteziei locale depinde de experienţa artroscopistului, de natura problemelor, nivelul de toleranţă al pacientului, de posibilitatea rezolvării problemelor întâlnite și dacă pacientul dorește sa revină în zilele următoare pentru o anestezie generală care sa permită un procedeu articular adecvat.

Inciziile sunt de mici dimensiuni, mai mici de un centimetru, se numesc portaluri, prin care chirurgul ortoped introdu-

Dr. Claudiu Daniel Chitea
Medic primar, șef de secție, Spitalul Clinic Militar de Urgență „Dr.Constantin Papilian”, Cluj-Napoca
Prof. Univ. Dr. Gheorghe Tomoaia

ce în articulație o cameră miniaturală ce îi permite să vizualizeze întreaga articulație, putând determina tipul leziunilor. Tot prin portaluri, introduce instrumente prin care repară sau corectează diferite leziuni. După introducerea trocarului si a camerei în articulație, este introdusă în articulatie soluție salină cu scopul de a destinde articulația, a scadea sangerarea in articulatie fiind astfel îmbunătățită vizualizarea. Soluția salină este introdusă și menținută la o anumită presiune cu ajutorul unui aparat numit artropompa. Imaginea este transmisă la un monitor video. În manipularea artroscopului și a instrumentelor necesare se folosește așa numită tehnică a triangulaţiei.

Triangulaţia presupune folosirea unuia sau a mai multor instrumente introduse prin portaluri separate şi aduse în câmpul optic al artroscopului astfel încât vârful instrumentului şi artroscopul sa formeze vârful unui triunghi.

Triangulaţia are unele avantaje faţă de metoda clasică.

Câmpul vizual în cazul artroscopiei diagnostice este mai larg și permite o vizualizare articulară mai bună.

La finalul intervenției, instrumentele chirurgicale sunt îndepărtate și procedura este finalizată

Indicațiile

Artroscopiei

Artroscopia se folosește pentru a trata diferite leziuni putând fi efectuată la nivelul următoarelor articulații:

• Genunchi - Leziunile de menisc, ruptura de ligament încrucișat anterior sau posterior (LIA/LIP), extragerea corpilor liberi intraarticulari, leziunile de cartilaj, gonartroza incipientă sau medie, blocajul articular, controlul reducerii unor fracturi de platou tibial sau condili femurali, sindromul de impingement femuro-patelar, sinovita cronică vilonodulară

• Umăr – luxații recidivante de umăr, sindom de impingement subacromial, leziuni ale coafei rotatorilor, tendinita calcifiantă a umărului, umăr înghețat,

leziuni ale labrumului articular, artroza acromio-claviculară

• Cot – instabilitate de cot, corpi liberi intraarticulari, leziuni de cartilaj

• Gleznă – instabilitate articulară, corpi liberi intraarticulari, leziuni de cartilaj, sindrom de impingement

• Șold - Sindromul de impingement femuro-acetabular, artroza șoldului, sindromul de durere trohanterică, compresia nervului sciatic, instabilitatea șoldului, durerea cronică localizată la nivelul șoldului, leziuni ligamentare, leziuni musculare.

• Încheietura mâinii - fracturilor încheieturii mâinii, luxații recidivante mâna, leziuni ligamentare, leziuni ale tendoanelor.

Totodata artroscopia este folosită si în scop diagnostic, pentru a completa rezultatele examinărilor imagistice când acestea nu sunt concludente (radiografie, CT și RMN) și deseori pentru a stabili un diagnostic final cat mai precis. Odată cu accesul tot mai facil la investigațiile de înalta performantă, artroscopia se foloseste tot mai puțin în scop diagnostic deoarece este o procedura invazivă.

Avantajele Artroscopiei

Poate trata leziunile fără a deschide articulația, ceea ce scad riscurile locale și perioada de recuperare.

Este o intervenție chirurgicală ce se efectuează în sala de operație sub anestezie generală sau loco-regională.

Chirurgia artroscopică este adesea mai scurtă decât o intervenție chirurgicală deschisă/clasică, ceea ce permite şi un timp de anestezie mai scurt.

Mărimea inciziilor este, în general, de câțiva milimetri, cu puțin mai mare decât diametrul artroscopului.

Este o intervenție chirurgicală minim invaziva, care reduce trauma cauzată țesuturilor, mușchilor, oaselor și tendoanelor, ceea ce duce la scaderea durerii și a duratei imobilizării și reduce astfel timpul de vindecare.

Chirurgia artroscopica nu provoacă pierderi de sânge şi de obicei are puține complicații. Riscul de infecție este minimizat semnificativ în comparație cu chirurgia convențională.

Durerea este minimă la nivelul articulației – astfel scade necesarul de medicație antialgică postchirurgicală.

Este un tip de chirurgie ce se poate efectua cu internare de zi, externarea se poate face și în aceeași zi.

Recuperarea este de obicei rapidă și permite reluarea sporturilor, a activităților profesionale și a vieții zilnice într-un timp mai scurt. Cu toate acestea, rezultatele și timpul de recuperare pot varia foarte mult de la pacient la pacient în funcție de particularitățile individuale.

Contraindicațiile

Artroscopiei

Dezavantajele artroscopiei sunt puţine dar ele pot fi semnificative la un artroscopist mai puţin iniţiat.

Activitatea cu artroscopul este minuţioasă nescesită o pregătire îndelungată deoarece căile (portalurile) de acces sunt mici și se efectuează cu instrumente delicate, fragile. De asemenea sunt necesare echipamente care manevrate în spaţiul îngust intraarticular pot genera leziuni ale cartilajului articular

Deși dezavantajele pot fi uneori destul de marcate avantajele metodei sunt mult superioare artrotomiei..

Diagnosticul artroscopic este indicat pentru evaluarea preoperatorie și confirmarea diagnosticului clinic înainte de orice alt procedeu chirurgical fiind în acelasi timp și o metodă de studiu a modificărilor morfopatologice intraarticulare.

Artroscopia nu trebuie utilizată în afectiuni articulare minore care răspund la un tratament conservativ uzual.

Artroscopia nu trebuie să înlocuiască anamneza, examenul clinic și radiologic și trebuie să contribuie la clarificarea diagnosticului numai după ce celelalte metode au fost epuizate.

Ar fi gresit sa se creadă că artroscopia este o intervenţie minoră, neglijindu-se luarea unor masuri de precauţie.

Gonartroza avansată

Starea de sepsis (sindrom de răspuns inflamator sistemic în prezența unei infecții severe confirmate microbiologic).

Pacient necooperant cu protocolul de recuperare.

Incidente

Este normal să apară probleme de scurtă durată, cum ar fi tumefacții, echimoze, rigiditate sau disconfort în primele zile după o artroscopie.

Cu toate ca sunt foarte rare, artroscopia prezinta riscurile oricărei intervenții chirurgicale:

Sângerare în timpul intervenției – la locul punctionării pielii sau în articulație

Infecție – superficială sau în articulație – artrită septică.

Reacții alergice la anestezice sau alte substanțe folosite în timpul intervenției.

Formarea de cheaguri la nivelul membrului inferior – tromboflebită sau tromboză venoasă profundă.eziuni iatrogene ale cartilajului.

Leziuni de nervi superficiali din jurul articulației – ce pot determina amorțeli temporare sau permanente pe teritoriul respectiv, sau un anumit grad de pierdere a sensibilității în zona respectivă.

Incidente foarte rare legate de defecțiuni tehnice ale echipamentului.

Avantajele artroscopiei în comparaţie cu artrotomia sunt următoarele (după Campbell`s Operative Orthopaedics):

a. incizie mică

b. reducerea morbidităţii post-operatorii

c. reacţie inflamatorie posto-peratorie redusă

d. îmbunăţirea calităţii diagnosticului

e. absenţa efectelor secundare

f. reducerea costului de spitalizare

g. reducerea ratei complicaţiilor

h. îmbunătăţirea evoluţiei ulterioare

i. posibilitatea realizării unor inervenţii chirurgicale care sunt dificil sau imposiobil de realizat prin artrotomie

În afara acestora mai putem aminti următoarele :

• este cea mai neinvaziva metodă de investigare articulară și tratament

• oferă cea mai perfectă inventariere a leziunilor articulare

• imaginea pe monitor este mult marită

• imaginea este fidelă și amanunţită de-

oarece vârful artroscopului poate pătrunde în toate spaţiile articulare

• ofera cea mai buna rezolvare chirurgicala pentru ca se poate adapta tipului leziunii

• ofera posibilitatea de a renunţa la etapa operatorie atunci când diagnosticul nu este confirmat

Descriere Tehnică

Intervenția presupune efectuarea unei incizii de mici dimensiuni la nivelul articulației, necesară pentru a introduce artroscopul în articulație, care este prevăzut o cameră video și o sursă de lumină care au capacitatea de a transmite pe un monitor imagini din interiorul articulației. Cu ajutorul instrumentarului chirurgical specific, imaginile sunt mărite pentru a oferi medicului posibilitatea de a vizualiza în detaliu structurile articulare și de a identifica leziunile existente.

În a doua etapă a procedurii, medicul va efectua alte două sau trei incizii de mici dimensiuni, necesare pentru a introduce în articulație instrumentarul chirurgical utilizat în tratarea leziunilor identificate. Poziționarea acestor portaluri, depinde de articulatia la nivelul careia se efectuează intervenția chirurgicală si de leziunea ce trebuie tratată și astfel de tehnică chirurgicală realizată.

După procedură, pacientul necesită o monitorizare scurtă cuprinsă între 1-2 zile.

Concluzii

Artroscopia este o tehnică chirurgicală minim invazivă, care este utilizată pentru soluționarea unui număr tot mai mare şi diversificat de leziuni, la un număr tot mai mare de articulații. Datorită avantajelor multiple majoritatea medicilor ortopezi îşi propun sa îşi îmbunătățească abilitățile în efectuarea intervențiilor chirurgicale cu ajutorulul artroscopului. Totodată, componentele artroscopului s-au îmbunătățit continuu, pentru obținerea unei imagini cât mai clare pentru a se evidentia cu

exactitate leziunile, trusele şi instrumentele de lucru sunt tot mai complexe şi precise, astfel încât medical se realizate manevrele cu mare precizie.

Bibliografie:

1. Canale T BJ. Campbell’s Operative Orthopedics,. In: 11’th ed.; 2007

2. C Chitea,. Contribuţii clinice și experimentale în chirurgia reconstructivă a ligamentelor genunchiului. Teza doctorat

3. Lohmander LS, Ostenberg A, Englund M, Roos H. High prevalence of knee osteoarthritis, pain, and functional limitations in female soccer players twelve years after anterior cruciate ligament injury. Arthritis Rheum. 2004; 50 (10): 3145-3152. doi:10.1002/art.2058

4. Maffulli N, Binfield PM, King JB. Articular cartilage lesions in the symptomatic anterior cruciate ligament-deficient knee. Arthrosc - J Arthrosc Relat Surg. 2003;19(7):685-690. doi:10.1016/S0749-8063(03)00403-1

5. Øiestad BE, Engebretsen L, Storheim K, Risberg MA. Knee osteoarthritis after anterior cruciate ligament injury: A systematic review. Am J Sports Med. 2009;37(7):1434-1443. doi:10.1177/0363546509338827

6. Rehabilitation of anterior cruciate ligament injuries. - PubMed - NCBI. Accessed May 14, 2020. https://www. ncbi.nlm.nih.gov/pubmed/8481969

7. Scott N. Insall and Scot. Surgery of the Knee. Fifth Edit.; 2012.

8. Siebold Rainer, Dejour David ZS. Anterior Cruciate Ligament Reconstruction. (Siebold Rainer, Dejour David ZS, ed.). Springer; 2014. doi:10.1007/978-3-642-45349-6

9. Tomoaia Gheorghe, Artroscopia in Ortopedie, Ed. Mdicala UniversitaraI Iuliu Hatieganu, Cluj-Napoca.2013 pag 312-358.

Managementul Interdisciplinar al Fracturilor deschise de Tibie în Contextul Infecției cu HIV: Studiu de Caz și Implicații Clinice

Interdisciplinary Management of Open Tibial Fractures in the Context of HIV Infection: Case Study and Clinical Implications

Abstract: Open fractures of the tibia are often a consequence of road accidents or falls from a height, having a significant incidence in traumatic pathology, predominantly among the adult population. Identification of patients with HIV infection is more common in developing countries, but the problem is pervasive globally. The young adult demographic, which frequently uses two-wheelers, exhibits an increased susceptibility to road accidents. Simultaneously, this demographic segment presents an increased risk of contracting HIV, suggesting a potential convergence of the two major public health problems in the field of orthopedics (1,2) .

ÎAsist. Univ. Dr. Mihnea Ioan Gabriel Popa

UMF „Carol Davila”, București, Spitalul Universitar de Urgență București

Prof. Univ.

Dr. Cătălin Florin Cîrstoiu

UMF „Carol Davila”, București, Spitalul Universitar de Urgență București

n domeniul ortopedic, infecția asociată fracturii (IAF) este percepută ca o complicație majoră și cu evoluție incertă. Incidența și evoluția IAF sunt influențate de capacitatea imunologică a pacientului. Virusul imunodeficienței umane (HIV), care afectează primordial sistemul imunitar, generează ambiguități în privința corelației sale cu IAF. Impactul HIV, incluzând supresia imună și inflamația cronică, asupra abilității organismului de a combate infecțiile, este bine documentat. Totuși, persistă o dezbatere referitoare la riscul asociat, în special în cadrul fracturilor deschise. Studiile variate au generat concluzii diferite, inducând incertitudine în rândul chirurgilor ortopezi cu privire la strategia terapeutică optimă pentru pacienții HIV pozitivi (3-5) .

Analizarea fracturilor deschise în rândul indivizilor cu infecție HIV transcende simpla evaluare a ratelor de infecție. Dificultățile emergente includ selecția între metodele de fixare internă sau externă, procesul de vindecare, și complicațiile

post-operatorii în contextul unui sistem imunitar compromis. Prevalența infecțiilor cu Staphylococcus Aureus rezistent la meticilină (MRSA) este semnificativ amplificată comparativ cu populația generală, accentuând preocupările. Factori precum numărul de celule CD4, stadiul bolii HIV și avantajele potențiale ale terapiei antiretrovirale complică și mai mult procesul decisional (1,5,7,8)

Obiectivul acestor studii este de a elucida dificultățile existente, furnizând date relevante și aprofundând înțelegerea relației dintre fracturile deschise ale tibiei, tratament și statutul HIV. Se urmărește oferirea unor recomandări robuste chirurgilor ortopezi, pentru a optimiza rezultatele terapeutice și a îmbunătăți calitatea vieții pacienților. Pe lângă aspectele clinice imediate, este esențial să se acorde atenție impactului social și economic asociat tratamentului fracturilor deschise ale tibiei în rândul persoanelor HIV pozitive. Țările în curs de dezvoltare, confruntându-se deja cu resurse limitate în sănătate, trebuie să gestioneze atât trauma imediată, cât și consecințele pe termen lung pentru pacienții cu un sistem imunitar compromis. Această provocare poate fi accentuată de întârzierile în accesul la tratament, disponibilitatea redusă a terapiilor ortopedice avansate și îngrijirea post-operatorie nesatisfăcătoare (1,9-11) . Investigațiile subliniază diverse aspecte critice ale acestei interacțiuni. Prezența leziunilor deschise la pacienții HIV pozitivi subliniază gravitatea situației, amplificând riscul de sepsis. Dificultatea se amplifică datorită riscului de consolidare osoasă în-

târziată și a complicațiilor derivând din diverse tehnici de fixare. Deși fixarea externă poate părea o soluție pentru a minimiza riscurile asociate cu implanturile metalice, aceasta aduce cu sine probleme precum sepsisul la nivelul locului de inserție a pinilor. Astfel, chirurgii ortopezi se confruntă cu decizii complexe, care necesită o cunoaștere aprofundată atât a ortopediei, cât și a patofiziologiei HIV (1,2,12-14)

Studiul de caz

Pacientul N.I., masculin, în vârstă de 61 de ani, s-a prezentat în cadrul Unității de Primire Urgențe a Spitalului Universitar de Urgență București, manifestând o leziune traumatică a gambei drepte. Evaluarea inițială a evidențiat o fractură deschise de tibie și fibulă, clasificată conform Gustillo-Anderson ca tip IIIA. Mecanismul traumatic relatat de pacient corespundea unei precipitări de la aproximativ 4m.

Decizia terapeutică imediată, având în vedere natura complexă a leziunii și riscul crescut de complicații septice, a fost de stabilizare temporară prin fixator extern. Procedura a implicat atât lavajul meticulos al rănii, cât și debridarea extensivă, urmărind eliminarea țesutului necrozat și a contaminanților potențiali (Figura 1). Stabilizarea prin fixator extern este frecvent utilizată în astfel de situații, permițând atât monitorizarea postoperatorie facilă a zonei lezate, cât și evitarea potențialelor complicații asociate cu proceduri chirurgicale mai invazive într-un context septic. În paralel, pacientul a beneficiat de triplă antibioterapie profilactică, protocol uzual în astfel de leziuni.

Fig 1. –A) Aspectul radiologic la prezentare. B) Reducerea și stabilizarea fracturii cu fixator extern

Ulterior intervenției, în cursul monitorizării postoperatorii, pacientul a făcut dezvăluirea stării sale serologice pozitive pentru HIV. Acest element a complicat și mai mult managementul cazului. Dincolo de riscul la care a fost expus personalul medical, statutul HIV pozitiv al pacientului sugerează un potențial risc crescut de complicații postoperatorii, printre care se numără și infectarea secundară a rănii, dar și un timp prelungit de consolidare.

În contextul abordării terapeutice a acestor categorii de fracturi, protocolul medical recomandat se desfășoară în două faze cruciale, concepute astfel încât să asigure atât o inițială stabilizare a segmentului osos afectat, cât și o ulterioară recuperare funcțională optimă a pacientului. Prima etapă terapeutică implică montarea unui fixator extern, dispozitiv ortopedic ce permite stabilizarea preliminară a fracturii și crearea unui mediu propice pentru vindecare. Simultan, se inițiază un regim antibiotic pe termen lung, cu scopul de a preveni și combate eventualele infecții care pot surveni în zona leziunii, un aspect de maximă importanță, mai ales în contextul unei fracturi deschise. Post stabilizarea inițială și sub evaluarea atentă a riscului septic, echipa medicală poate proceda la etapa secundară a protocolului terapeutic. Aceasta implică o nouă intervenție chirurgicală, în cadrul căreia se montează o tijă centromedulară, un dispozitiv intern ce conferă o stabilizare superioară și permite mobilizarea precoce a pacientului, favorizând astfel

un proces de recuperare accelerat. În scenariul unui pacient diagnosticat cu HIV, riscul de complicații septice secundare este considerabil amplificat, necesitând o abordare terapeutică meticuloasă și o monitorizare atentă a evoluției clinice. Cu toate acestea, pacientul a manifestat reticență față de această propunere chirurgicală, situație ce a determinat echipa medicală să reevalueze și să adapteze planul terapeutic în concordanță cu preferințele și starea clinică a pacientului, subliniind necesitatea unei abordări multidisciplinare și personalizate în gestionarea cazului.

După o perioadă de opt săptămâni, s-a optat pentru suprimarea fixatorului extern și imobilizarea fracturii cu ajutorul unei atele. Regimul post-operatoriu a fost bine definit, însă pacientul nu a aderat la indicațiile medicale, rezultând în deplasarea fracturii sub atelă (Figura 2).

Fig. 2 – În imaginea A se observă o imobilizare corectă realizată după suprimarea fixatorului extern. În imaginea B, la o săptămână post-imobilizare, apare o deplasare important deoarece pacientul nu a respectat indicațiile. În imaginea C, se încearcă reluarea reducerii, dar fără succes.

Această evoluție nefavorabilă a necesitat o nouă intervenție chirurgicală, un demers imperativ pentru a rectifica complicațiile apărute și pentru a realinia corect segmentele osoase deplasate. În cadrul acestei intervenții, s-a realizat o reducere și osteosinteză cu tijă centromedulară zăvorâtă static, o procedură ce vizează restabilirea integrității structurale a osului și asigurarea unei stabilizări robuste, indispensabilă pentru o vin-

decare adecvată (figura 3).

Fig 3. – A) imagine postoperatorie. B) imagine la 2 luni postoperator

După intervenție, pacientul a primit instrucțiuni detaliate cu privire la protocolul de mobilizare și recuperare, având în vedere complicațiile anterioare și necesitatea strictă de a respecta tratamentul pentru a asigura rezultate optime. În figura numărul 4, se evidențiază evoluția pacientului pe parcursul tratamentului, ilustrând dificultățile în procesul de vindecare cauzate de starea sa de sănătate. După montarea tijei centromedulare, s-a înregistrat inițial o reacție semnificativă în zona fracturii deschise, dar fără complicații septice ulterioare. Această evoluție pozitivă a reprezentat un pas crucial în recuperarea pacientului, subliniind importanța monitorizării atente și gestionării complicațiilor în cazul pacienților cu fracturi deschise și HIV pozitivi.

Fig. 4 – A) Imagine cu fractura deschisă. B) Reacție locală la 2 zile după montarea tijei centromedulare. C) Vindecare lentă la aproximativ 3 săptămâni postoperator. D) Vindecare aproape completă la 3 luni de la operație.

Discuții

Impactul infecției HIV asupra intervențiilor ortopedice a fost subiect de discuție și cercetare de-a lungul timpului. Infecția cu HIV este adesea considerată un factor major de risc în contextul infecțiilor post-chirurgicale. De-a lungul anilor, numeroase studii au evidențiat o creștere semnificativă a riscului de infecție post-operatorie la pacienții cu HIV. Cu toate acestea, literatura medicală prezintă studii cu rezultate contradictorii, ceea ce arată necesitatea unei analize mai aprofundate (3,4,13,15,16)

Un aspect revoluționar în tratarea HIV a fost introducerea terapiei antiretrovirale (ARV) în 1997. Acest tratament a avut un impact considerabil asupra riscului de infecție la pacienții cu HIV. Este interesant de observat că înainte de introducerea ARV, pacienții HIV pozitivi care aveau fracturi deschise erau mult mai susceptibili la infecții. Cu toate acestea, odată cu utilizarea extinsă a ARV, acest risc a scăzut semnificativ, aducând o speranță mare pentru pacienții cu HIV. În privința vindecării fracturilor, există unele indicii care sugerează că pacienții cu HIV pot avea o rată mai mare de întârziere în consolidare a fracturilor comparativ cu cei fără HIV. Se crede că acest fenomen este legat de o posibilă reacție inflamatorie diminuată asociată cu HIV, care afectează

procesul normal de vindecare (5,6,10,17,18) .

Tratarea fracturilor la pacienții cu HIV implică o serie de provocări specifice. În cazul fracturilor deschise la acești pacienți, este esențial să se adopte un protocol adecvat de tratament. Acesta ar trebui să includă administrarea de antibiotice intravenoase, testarea și consilierea pentru HIV și stabilizarea fracturii, fie cu ajutorul fixatorului extern, fie prin alte metode chirugicale, în funcție de gravitatea și starea plăgii. Un aspect crucial, adesea neglijat, în îngrijirea pacienților cu HIV este nutriția adecvată. O alimentație echilibrată poate juca un rol vital în vindecarea normală a rănilor și a fracturilor. Pentru pacienții care urmează să fie operați, se recomandă suportul nutrițional intensiv în perioada perioperatorie pentru a favoriza procesul de vindecare (2,7,10,17,19)

Cu toate acestea, este vital să recunoaștem limitările studiilor existente pe această temă. Multe dintre ele sunt de natură retrospectivă și au eșantioane de dimensiuni reduse, ceea ce poate afecta validitatea concluziilor lor. Totuși, chiar având în vedere aceste limitări, putem concluziona că majoritatea pacienților cu HIV care au suferit fracturi au șanse bune de vindecare dacă sunt tratați corespunzător (6,10,15,19) .

Confruntându-ne cu un pacient având un status serologic HIV pozitiv, multiple provocări se ridică din punct de vedere al managementului său. Inițial, există preocuparea legată de statusul imunologic al pacientului, întrucât pacienții cu HIV pot avea o capacitate redusă de a combate infecțiile. Acest aspect a fost crucial atunci când s-a decis menținerea fixatorului extern pentru o perioadă îndelungată. De asemenea, evaluarea încărcăturii virale și a numărului de celule CD4 a devenit imperativă pentru a evalua starea imunitară a pacientului și a determina cel mai potrivit regim de tratament.

A fost esențială colaborarea strânsă cu echipa de boli infecțioase pentru monitorizarea și ajustarea tratamentului antiretroviral, garantând astfel că starea imunitară a pacientului rămâne optimă în fața provocărilor postoperatorii. Menținerea echilibrului între managementul HIV și cel al fracturii a fost esențială pentru a preveni eventualele interacțiuni medicamentoase sau complicații asociate.

La finalul acestui parcurs terapeutic complex, se impune sublinierea importanței unei abordări multidisciplinare. Colaborarea dintre ortopezi, infecționiști, radiologi, psihologi și asistenți sociali a fost esențială pentru ma-

nagementul optim al pacientului și pentru abordarea tuturor complicațiilor și provocărilor care au apărut în cadrul acestui caz. Concluzii

În lumina datelor actuale, se subliniază relevanța clinică a terapiei antiretrovirale în diminuarea complicațiilor post-chirurgicale la pacienții cu HIV ce necesită intervenții ortopedice. Totodată, se sugerează că statusul seropozitiv al HIV poate contribui la un risc crescut de întârziere în consolidarea a fracturilor, posibil secundar unui răspuns inflamator diminuat. Managementul acestor pacienți necesită o abordare multidisciplinară, în care strategiile nutriționale și alegerea metodei de fixare ortopedică joacă roluri pivotale în prognosticul și vindecarea clinică. Subliniem importanța reevaluării strategiilor terapeutice în funcție de particularitățile fiecărui pacient și a contextului său clinic, având în vedere riscul crescut de complicații post-operatorii în rândul pacienților cu HIV.

Abordarea fracturilor deschise ale tibiei la pacienții cu HIV este o provocare clinică și presupune o înțelegere aprofundată a ortopediei și patofiziologiei HIV, împreună cu o colaborare strânsă între echipele multidisciplinare pentru a oferi cea mai bună îngrijire posibilă pacienților.

Bibliografie

1. Xu G, Zhao J, Sun J, Liu Y. Analysis of the surgical treatment of fracture in HIV positive patients: A clinical study. Pak J Med Sci. 2017 Nov-Dec;33(6):1449-1453. doi: 10.12669/ pjms.336.13368. PMID: 29492076; PMCID: PMC5768842.

2. Harrison WJ. Open tibia fractures in HIV positive patients. Malawi Med J. 2009 Dec;21(4):174-5. doi: 10.4314/mmj. v21i4.49639. PMID: 21174932; PMCID: PMC3345752.

3. Nieuwoudt L, Rodseth RN, Marais LC. Fracture-related infections in HIV infected patients: A systematic review and meta-analysis. J Orthop. 2020 Jan 30;18:248-254. doi: 10.1016/j.jor.2020.01.023. PMID: 32071513; PMCID: PMC7016040.

4. Norrish AR, Lewis CP, Harrison WJ. Pin-track infection in HIV-positive and HIV-negative patients with open fractures treated by external fixation: a prospective, blinded, case-controlled study. J Bone Joint Surg Br. 2007 Jun;89(6):790-3. doi: 10.1302/0301-620X.89B6.18854. PMID: 17613506.

5. Aird J, Noor S, Lavy C, Rollinson P. The effect of HIV on early wound healing in open fractures treated with internal and external fixation. J Bone Joint Surg Br. 2011 May;93(5):678-83. doi: 10.1302/0301-620X.93B5.26081. PMID: 21511935.

6. Metsemakers W.J., Morgenstern M., McNally M.A. Fracture-related infection: a consensus on definition from an international expert group. Injury. 2018;49(3):505–510.

7. Schade AT, Mbowuwa F, Chidothi P, MacPherson P, Graham SM, Martin C Jr, Harrison WJ, Chokotho L.

Epidemiology of fractures and their treatment in Malawi: Results of a multicentre prospective registry study to guide orthopaedic care planning. PLoS One. 2021 Aug 4;16(8):e0255052. doi: 10.1371/ journal.pone.0255052. PMID: 34347803; PMCID: PMC8336825.

8. Mock C, Cherian MN. The global burden of musculoskeletal injuries: challenges and solutions. Clin Orthop Relat Res. 2008 Oct;466(10):2306-16. doi: 10.1007/ s11999-008-0416-z. Epub 2008 Aug 5. PMID: 18679760; PMCID: PMC2584305.

9. Shao J, Chang H, Zhu Y, et al. Incidence and risk factors for surgical site infection after open reduction and internal fixation of tibial plateau fracture: A systematic review and meta-analysis. Int J Surg. 2017;41:176-182

10. Gheorghe A, Moran G, Duffy H, et al. Health Utility Values Associated with Surgical Site Infection: A Systematic Review. Value Health. 2015;18(8):1126-37

11. Mattiassich G, Ortmaier R, Rittenschober F, Hochreiter J. Diagnostic parameters in periprosthetic infections: the current state of the literature. Eur J Orthop Surg Traumatol. 2018;28(8):1573-1580

12. Triantafyllopoulos G, Stundner O, Memtsoudis S, Poultsides LA. Patient, Surgery, and Hospital Related Risk Factors for Surgical Site Infections following Total Hip Arthroplasty. Sci World J. 2015;2015:979560

13. De Vries FE, Wallert ED, Solomkin JS, et al. A systematic review and meta-analysis including GRADE qualification of the risk of surgical site infections after prophylactic negative pressure wound therapy compared with conventional dressings in clean and contaminated surgery. Medicine (Baltimore). 2016;95(36):e4673

14. Gallo J, Holinka M, Moucha CS. Antibacterial surface treatment for orthopaedic implants. Int J Mol Sci. 2014;15(8):13849-80

15. Graves N, Wloch C, Wilson J, et al. A cost-effectiveness modelling study of strategies to reduce risk of infection following primary hip replacement based on a systematic review. Health Technol Assess. 2016;20(54):1-144

16. Cursaru, A.; Popa, M.I.; Cretu, B.; Iacobescu, G.; Spiridonica, R.; Rascu, A.; Iordache, S.; Serban, B.; Cîrstoiu, C. Insights from a Comprehensive Case Series Analysis: Exploring Individualized Approaches to Managing Vancouver B Periprosthetic Femoral Fractures. Preprints 2023, 2023100118. https://doi. org/10.20944/preprints202310.0118.v1

17. Braissant O, Wirz D, Göpfert B, et al. Biomedical Use of Isothermal Microcalorimeters. Sensors (Basel). 2010;10(10):9369-9383

18. Zaharia DC, Muntean A, Popa Mihnea G, et al. Comparative analysis of Staphylococcus aureus and Escherichia coli microcalorimetric growth. BMC Microbiology. 2013;13:171 doi:10.1186/1471-2180-13-171 (FI 2,976)

19. Cursaru A, Popa M, Lupu A, et al. (September 18, 2023) An Examination of Personalized Approaches in the Management of Ankle Fractures: A Thorough Evaluation of Soft Tissue Factors, Treatment Methods, and Patient Adherence. Cureus 15(9): e45507. doi:10.7759/cureus.45507

Managementul fracturilor deschise de tibie – Prezentare de caz

Management of open tibial fractures – Case report

Abstract: Open tibial fractures are complex injuries, accounting for 2.6% of all fractures, with tibial fractures being the most common. This report discusses a 24-year-old male motorcyclist who suffered a severe open fracture of the left tibia and fibula in a traffic accident. Initial treatment included extensive lavage, debridement, open reduction, and external fixation.

Asist. Univ. Dr. Mihail Lazăr Mioc

Universitatea de Medicină și Farmacie „Victor Babeș” Timișoara

Dr. Manuel Oprea

Spitalul Județean de Urgență, „Pius Brânzeu” Timișoara

Bogdan Căpăstraru

Medic ortoped, Spitalul Județean de Urgență „Pius Brânzeu” Timișoara

Fracturile deschise sunt definite ca și fracturi care comunică cu mediul înconjurător prin intermediul plăgii. Marea majoritate a fracturilor deschise survin la nivelul oaselor lungi, mai ales cele ale membrului pelvin. (1) Dintre toate fracturile, cele deschise sunt rare, reprezentând aproximativ

2.6%. (2) Un studiu epidemiologic realizat pe 2386 de pacineți pe o perioadă de 15 ani relevă faptul că fracturile de la nivelul tibiei sunt cele mai frecvente, acestea reprezentând 13,7% din totalul fracturilor deschise, incluzând și diafiza peroneului. De asemenea, acestea sunt de două ori mai frecvente la sexul masculin decât la cel feminin și apar la o medie de vârsta de 43.3 ani. (3)

Fracturile deschise ale tibiei sunt leziuni complexe, predispuse la o multitudine de complicații, iar tratamentul acestora reprezintă o provocare, chiar și pentru o echipă medicală multidisciplinară. Acestea au un prognostic variabil, iar durata de spitalizare este de cel puțin 2 ori mai lungă comparativ cu fracturile închise. (4) Dintre toate fracturile deschise, 34-43% survin în urma accidentelor rutiere (5), 51,8% fiind reprezentate de fracturi deschise ale tibiei. (6) În cele ce urmează vă vom prezenta un caz clinic despre o fractură deschisă de ambe oase gambă stângă GA IIIB.

Prezentare de caz

Pacient în vârstă de 24 ani, victimă a

unui accident rutier (motociclist), survenit în urmă cu aproximativ 8 ore, este adus în cadrul Serviciului de Primiri Urgențe de către o ambulanță de la un spital din alt județ. La momentul prezentării pacientul acuză durere de intensitate severă la nivelul gambei stângi și impotență funcțională totală a membrului pelvin stâng. La examenul clinic se evidențiază o plagă delabrantă de mari dimensiuni (aproximativ 30/10 cm) la nivelul feței anterioare a gambei stângi care comunica cu fractura tibiei și o plagă la nivelul cotului stâng. Sunt realizate investigații radiologice (Rx, CT) care relevă o fractura la nivelul treimii medii a diafizei tibiei si peroneului stâng. În urma corelării examenului clinic cu cel paraclinic se decide internarea în carul clinicii noastre în vederea tratamentului de specialitate. În decursul aceleași zile se intervine chirurgical împreuna cu medicul plastician ți se practică lavaj abundent cu soluții antiseptice, debridare excizională a țesuturilor devitalizate, reducerea deschisă a fracturii de tibie și osteotaxia cu fixator extern, contraincizie față internă gambă, repoziționare masă musculară și lambou dermocutanat în vederea acope-

Dr.

ririi tibiei, fire de apropiere și pansament steril. Pe parcursul următoarei săptămâni pacientul este internat în cadrul secției de Terapie Intensivă, timp în care este pansat steril în sala de operație din 2 în 2 zile, iar după o săptămană se reintervine chirurgical împreună cu medicul plastician în vederea debridării minim excizionale, închiderea contrainciziei și montarea unui aparat de vacuum. Se realizează transferul pe secția de Chirurgie Plastică cu scopul tratamentului defectului tegumentar restant de la nivelul gambei stângi. Pe parcursul următoarelor 2 săptămâni se intervine periodic în vederea lavajului, debridării excizionale și a schimbării aparatului de vacuum. În urma rezultatului culturii de secreție plagă este administrat tratament antibiotic cu Amikacină timp de 7 zile pentru combaterea infecției cu Acinetobacter baumanii și tratament cu Anxiar pentru combaterea anxietății și insomniilor, la indicația mediului psihiatru.

Se reintervine chirurgical și se practică lavaj abundent cu soluții antiseptice, debridarea minim excizională a plăgii, recoltarea unei grefe de piele liberă despicată de la nivelul feței anterioare a coapsei stângi, acoperirea defectului gambei și montarea unui aparat de vacuum care ulterior este suprimat după alte 2 săptămâni. Grefa de piele este complet integrată, fără semne de infecție locală și zonă donatoare reepitelizată. După încă

2 săptămâni pacientul este transferat înapoi în cadrul clinicii noastre, în vederea suprimării fixatorului extern și a osteosintezei definitive cu o tijă zăvorâtă centromedulară.

La o săptămână postoperator evoluția pacientului este favorabilă, motiv pentru care se decide externarea cu recomandarea de a merge cu încărcare progresivă pe membrul pelvin operat, tromboprofilaxie cu tratament anticoagulant injectabil timp de o săptămână, iar ulterior tratament oral pentru o luna și recuperare funcțională prin kinetoterapie.

Concluzii

Cazul prezentat ilustrează complexitatea și provocările asociate cu tratamentul fracturilor deschise de tibie, în special în contextul unui accident rutier sever. Intervenția chirurgicală inițială, care a inclus debridare, lavaj și osteotaxie cu fixator extern a fost esențială pentru prevenirea complicațiilor. Infecția este una dintre cele mai comune complicații ale ecestui tip de fractură. (7)

Managementul interdisciplinar a contribuit la realizarea unei recuperări eficiente și la integrarea cu succes a grefei de piele. Progresul favorabil al pacientului postoperator demonstrează importanța unei abordări riguroase și adaptate, care include atât tratamentul chirurgical, cât și îngrijirea postoperatorie.

Bibliografie

1. Court-Brown C., Rimmer S., Prakash U., McQueen M. The epidemiology of open long bone fractures. Injury. 1998;29(7):529–534. doi: 10.1016/s00201383(98)00125-9.

2. Сourt-Brown C., Aitken S., Forward D., O’Toole R. The epidemiology of fractures. In: Bucholz R.W., Court Brown C.M., Heckman J.D., Tornetta P., editors. Rockwood and Green’s Fractures in Adults. seventh ed. Lippincott, Williams and Wilkins; Philadelphia: 2010. pp. 53–84.

3. Court-Brown C.M., Bugler K.E., Clement N.D., Duckworth A.D., McQueen M.M. The epidemiology of open fractures in adults. A 15-year review. Injury. 2012;43(6):891–897. doi: 10.1016/j.injury.2011.12.007.

4. Nicolaides M, Pafitanis G, Vris A. Open tibial fractures: An overview. J Clin Orthop Trauma. 2021 Jun 24;20:101483. doi: 10.1016/j.jcot.2021.101483. PMID: 34262849; PMCID: PMC8254044.

5. Weiss R.J., Montgomery S.M., Ehlin A., Dabbagh Z.A., Stark1 A., Jansson K.-Å. Decreasing incidence of tibial shaft fractures between 1998 and 2004: information based on 10,627 Swedish inpatients. Acta Orthop. 2008;79(4):526–533. doi: 10.1080/17453670710015535.

6. Winkler D., Goudie S.T., Court-Brown C.M. The changing epidemiology of open fractures in vehicle occupants, pedestrians, motorcyclists and cyclists. Injury. 2018;49(2):208–212. doi: 10.1016/j. injury.2017.11.009.

7. Schade A.T., Hind J., Khatri C., Metcalfe A.J., Harrison W.J. Systematic review of patient reported outcomes from open tibia fractures in low and middle income countries. Injury. 2020;51(2):142–146. doi: 10.1016/j.injury.2019.11.015.

Bioceramicele utilizate în tratamentul

fracturilor oaselor spongioase cu deficit mineral

Bioceramics used in the treatement of the fractures determined by the spongious bones seltting

Introduction: Some scientific researchers have issued some theories sustaining that the mineral salts as calcium or phosphate, are stimulating the bone reconditioning, from a bone deficiency, by putting the necessary minerals into the bone that needed to be reconditioned.

Dan Tarniță 1 ,

D. Grecu 1 ,

R. M. Tarniță 2

B. Capitănescu 1 ,

L. Dumitrescu 3

1 Universitatea de Medicină și Farmacie Craiova, 2 Harvard University,

Albee și Morison (1920) au injectat suspensie de fosfat tricalcic 5% în osul radial al șoarecilor, lăsând intact periostul.

Analizele radiologice au arătat că osul deficitar injectat cu fosfat tricalcic a avut o regenerare osoasă mai rapidă și o consolidare mai bună decât proba martor.

Anul 1963 este un an foarte important din punct de vedere al istoriei bioceramicii. În acest an, Smith a raportat dezvoltarea unui substitut obișnuit al ceramicii osoase, prin impregnarea cu 48% a ceramicii aluminoase cu o rășină etoxilină. Acest material atinge proprietățile fizice ale osului.

În continuare, cercetările au devenit diverse și pe lângă dezvoltarea bioceramicului, aproape inexistent la începutul anilor ‚70, a apărut o nouă direcție în domeniul biomaterialelor. Henck & Co. (1972) au găsit o compoziție specifică de sticlă, care implantată în femurul șoarecilor nu a putut fi eliminată după 6 săptămâni „in vivo”. Biomaterialele au cerințe speciale. Ele trebuie să realizeze simultan criterii biologice, chimice, mecanice și uneori estetice.

Metode:

În această lucrare s-au folosit fragmente de biocersamice structurate, de aproape 2,5 cm/1cm, pe bază de fosfat de calciu, pentru reconstrucția arhitecturii tridimensionale a oaselor spongioase fracturate cauzate de tasare. Prin intervenție chirurgicală, am ridicat cortexul osos fracturat prin decantare și am umplut spațiul gol cu fragmente bioceramice. Asta a asigurat un suport mecanic foarte bun pentru cortexul ridicat pe care l-a menținut în poziție până la recuperarea completă.

Rezultate:

Comportamentul broșei a fost foarte bun:

• Nu a avut nici o reacție imediată sau îndepărtată în ceea ce privește compatibilitatea;

• A obținut o susținere bună pentru câmpul tibiei:

• A avut o integrare foarte bună în structura osoasă;

• Dupa un an de la operatie, grefa de bioceramica a fost complet integrata pe os; După 10 ani de la operație, bioceramica a fost perfect integrată în osul spongios. Pe întreaga perioadă a acelor 10 ani nu a indus niciun efect negativ, detectabil clinic sau vizibil radiologic.

Discuții și concluzii:

În concluzie, bioceramica structurată poate fi folosită ca grefă osoasă pentru refacerea arhitecturii spațiale a oaselor spongioase cu deficit osos. Bioceramica nu este biodegradabilă, nici absorbita de un țesut vecin.

Bibliografie

1. Hing, Karin A., Bioceramic Bone Graft Substitutes: Influence of Porosity and Chemistry, International Journal of Applied Ceramic Technology, Volume 2, Number 3, May 2005 , pp. 184-199(16)

2. Mastrogiacomo M, Muraglia A, Komlev V, Peyrin F, Rustichelli F, Crovace A, Cancedda R. Tissue engineering of bone: search for a better scaffold, Orthod Craniofac res. 2005; 8(4): 277-84 (ISSN: 1601-6335)

3. Ville-Valtteri Välimäkia, Niko Moritza, Jessica J. Yrjansa, Eero Vuoriob, Hannu T. Aro, Effect of zoledronic acid on incorporation of a bioceramic bone graft substitute, J. Bone, Vol. 38, Pages 432-443

4. Ryu HS, Lee JK, Seo JH, Kim H, Hong KS, Kim DJ, Lee JH, LEE DH, Chang BS, Lee CK,Chung SS. Novel bioactive and biodegradable glass ceramics with high mechanical strength ydroxyapatite biocoating by electrophoretic deposition, J Biomed Mater Res A. 2003; 67(1): 270-5 (ISSN: 1549-3296)

Asocierea acidului hialuronic și a plasmei îmbogățite cu trombocite (PRP) reprezintă cel mai eficient tratament nechirurgical al durerilor artrozice

Chiar dacă parte mare dintre medici folosesc infiltrațiile în cabinete, clinici sau spitale, apariția unor materiale utile, care ne pot îndruma în efectuarea corectă și eficientă a infiltrațiilor sunt foarte puține în momentul de față.

Alin Pandea

Medic primar Chirurgie Ortopedică, Terapia Durerii Fondator al cursului “Workshop practice de infiltrații în afecțiunile musculoscheletale” Autor al “Ghid practic de infiltrații intraarticulare”

Infiltrațiile intraarticulare cu cortizon reprezintă o metodă tradițională de tratare a durerilor artrozice, însă din dorința din ce în ce mai mare de a oferi tratamente mai eficiente și pentru a limita efectele adverse ale utilizării cortizonului, noi metode de tratament sunt folosite pentru a reduce durerile artrozice, pentru a reduce riscul progresiei afecțiunii și pentru o recuperare cât mai rapidă.

În acest context, soluțiile pe bază de acid hialuronic și plasmă îmbogățită cu trombocite reprezintă o soluție net superioară, fără efectele adverse ale corticosteroizilor (prin efectul proteolitic).

De ce este nevoie de infiltrații?

Pentru că nu toți pacienții au nevoie de operație, dar și pentru că rata satisfacției după artroplastie este de 90%, pentru că uneori operația nu poate fi realizată din motive medicale, dar și personale, dar și deoarece există multiple intervenții chirurgicale cu rol paleativ (meniscectomii, acromioplastii etc) și atunci sunt preferate proceduri mai puțin invazive. Ce infiltrăm?

Acid hialuronic (beta-D-glucuronil-betaD-N-acetil glucosamina).

Element structural articular, cu efect antiinflamator, antialgic, reface homeostazia articulară, are rol în adeziunea celulară și contribuie la refacerea microvsacularizației.

PRP

• Are rol în a stimula răspunsul natural de vindecare.

• De a minimaliza simptomele afecțiunilor degenerative.

• Și de a preveni și, poate chiar de a vindeca anumite leziuni (epicondilite, leziuni ale coafei rotatorilor etc).

Este orice infiltrație cu PRP o infiltrație cu PRP?

PRP este eficient atunci când putem obține și administra cel puțin 1000000 trombocite/microL (conform F.D.A)

Conține platelet derived growth factor (PDGF), transforming growth factor (TGF-beta), insulin-like growth factor (IGF), vascular endothelial growth factor (VEGF), epidermal growth factor (EGF), platelet factor 4, interleukin-1 (IL-1), platelet derived angiogenesis factor, platelet derived endothelial growth factor, epithelial cell growth factor, osteocalcină, osteonectină, fibrinogen, vitronectină, fibronectină și trombospondină.

În momentul de față acest procedeu este des recomandat în România, însă nicăieri nu este precizat numărul de trombocite și nici volumul de plasmă obținut. Astfel ajungem să vedem pacienți care primesc acest tratament și pentru că plasma obținută nu conține nici măcar 3 milioane de trombocite/ mililitru, nu au rezultate semnificative în reducerea durerilor. Tot din acest motiv și studiile care există în acest moment arată o eficiență redusă, pentru că au fost analizate doar rezultatele infiltrațiilor care au folosit concentrații și volume mici de trombocite.

Care sunt avantajele asocierii PRP cu acid hialuronic: Prin efectul sinergic al celor două substanțe vom putea oferi pacienților mai puțină durere, mai multă mobilitate și o mai bună funcționalitate.

Devine din ce în ce mai clar că acest tip de infiltrații sunt standardul de aur în tratarea durerilor articulare. Mai exact

PRP-ul pregătit corespunzător (volum, concentrație de trombocite).

De asemenea adminstrarea exactă (sub ghidaj ecografic). Dacă aceste deziderate nu sunt respectate, este foarte posibil ca o infiltrație să nu fie de mare ajutor. Nu toți pacienții pot fi tratați cu acest tip de infiltrații.

Pentru a putea beneficia de rezultate satisfăcătoare, trebuie îndeplinite o serie de condiții:

Afecțiunea nu trebuie să fie foarte avansată, iar aliniamentul articular nu trebuie afectat.

Volumul și concentrația plasmei sunt importante.

Procesul de centrifugare.

PRP-ul sărac în leucocite este cel mai eficient pentru articulațiile membrelor, însă PRP-ul bogat în leucocite este eficient pentru afecțiunile coloanei.

În cazul pacienților în vârstă sunt necesare mai multe infiltrații.

Precizia injectării.

În concluzie, pentru a fi eficientă o infiltrație cu PRP trebuie să ne asigurăm că diagnosticul este corect, că folosim un număr optim de trombocite şi volum mare de plasmă. Chiar dacă nu putem trata artroza, ne putem asigura că obținem mai puțină durere, mai multă mobilitate.

Dr.

FOCUSED SHOCKWAVE

O FORMULĂ COMPLET NOUĂ PENTRU DUREREA CRONICĂ

Undele de șoc sunt unde acustice tranzitorii care au capacitatea unică de a transmite energie de înaltă intensitate la nivelul punctelor dureroase ale sistemului musculo-scheletal. Undele de șoc determină stimularea celulară și eliberarea factorului de creștere, rezultând regenerarea tisulară. Această terapie favorizează procesele de reparare de la nivelul tendoanelor și oaselor, elimină calcificările, reduce durerea persistentă și relaxează musculatura suprasolicitată.

INDICAȚII

Cu adâncimea sa de penetrare reglabilă și intensitatea maximă constantă, unda de șoc focalizată este potrivită pentru tratamentul ţesuturilor superficiale și profunde

Principiu electroacustic brevetat

Dispozitivul generează o tensiune înaltă, care utilizează un singur cristal piezoelectric și creează o undă acustică convergentă care se propagă prin corpul pacientului.

SUPER INDUCTIVE SYSTEM

DUCEM VERSATILITATEA LA UN ALT NIVEL

Terapia cu Super Inductive System de la BTL utilizează un câmp electromagnetic de înaltă intensitate pentru a trata afecțiunile dureroase ale sistemului musculo-scheletal. Câmpul electromagnetic intens depolarizează nervii și determină contracții musculare pentru reducerea durerii, eliminarea blocajelor articulare, sprijinirea procesului de vindecare a fracturilor și relaxarea sau întărirea musculară. Super Inductive System este o procedură fără operator care vă economisește timp, se aplică peste îmbrăcăminte și are zero consumabile și materiale de unică folosinţă.

INDICAȚII

PROCEDURĂ FĂRĂ OPERATOR

Terapia acoperă toate stadiile afecțiunilor dureroase

Reduce inflamația și durerea din stadiile incipiente ale leziunilor

Poate fi combinat cu metode de fizioterapie sau antrenament de forță

Aplicați chiar și peste aparatul gipsat pentru a preveni atrofia musculară

Mobilizare blândă a articulațiilor și relaxare musculară în același timp

Reeducarea și optimizarea stereotipului de respirație

Durere acută
Reducerea spasticităţii
Fractură
Blocaje articulare

Afecțiunile postraumatice ale genunchiului

Genunchiul este una dintre cele mai mari și importante articulații din corp. Afecțiunile posttraumatice ale genunchiului sunt rezultatul unor traumatisme sau leziuni acute, care pot afecta diferite structuri. Aceste afecțiuni sunt frecvente în urma accidentelor sportive, căzăturilor sau altor tipuri de traumatisme directe sau indirecte. Ele pot varia de la leziuni minore până la afecțiuni grave care necesită intervenții chirurgicale și perioade lungi de recuperare.

Pentru prevenira accidentărilor de la nivelul genunchiului trebuie subliniată importanța controlului neuro-muscular al lanțului kinetic. Orice slăbiciune în acest lanț, cum ar fi gleznele slabe sau o stabilitate deficitară a zonei centrale a corpului, poate predispune la leziuni ale genunchiului.

Imaginea de mai jos evidențiază elementele anatomice ale genunchiului care sunt cel mai frecvent lezate.

Cele mai comune afecțiuni posttraumatice ale genunchiului includ:

1. Leziuni ale ligamentelor: ruptura ligamentului încrucișat anterior (LIA), ruptura ligamentului încrucișat posterior (LIP) și leziuni ale ligamentelor colaterale (medial și lateral).

2. Leziuni de menisc

3. Fracturi: fractura rotulei (patela) și fracturi ale condililor femurali sau tibiali.

4. Luxații ale genunchiului

5. Contuzii și hematoame intraarticulare

6. Sindromul post-traumatic de durere cronică

Tratamentul afecțiunilor posttraumatice

Tratamentul pentru leziunile posttraumatice ale genunchiului depinde de severitatea leziunii și structurile implicate:

• Tratament conservator: odihnă, aplicarea gheții, compresie și ridicarea piciorului (principiul RICE), fizioterapie, purtarea ortezelor pentru stabilizarea genunchiului, antiinflamatoare.

• Tratament chirurgical

Recuperare și reabilitare

Recuperarea după o leziune la nivelul genunchiului poate dura de la câteva săptămâni la câteva luni, în funcție de severitatea traumei și de tratamentul urmat. Fizioterapia este o componentă esențială a recuperării, ajutând la amplitudini de mișcare, restabilirea forței musculare și a stabilității.

Dacă nu sunt tratate corect, leziunile posttraumatice pot duce la complicații pe termen lung, cum ar fi instabilitatea cronică a genunchiului sau dezvoltarea osteoartritei.

Pentru reducerea riscului de accidentare si de reaccidentare la nivelul articulației genunchiului este importantă antrenarea mușchilor care susțin această articulație. Toate exercițiile de forță care au ca scop dezvoltarea puterii și volumului muscular.

Mușchii cvadricepsului sunt esențiali pentru stabilitatea genunchiului în activități precum săriturile, sprintul, răsucirile și schimbările bruște de direcție.

Ischiogambierii sunt deosebit de importanți în activități precum sprintul și răsucirile și lucrează împreună cu cvadri-

cepsul pentru a stabiliza genunchiul. O funcție proprioceptivă eficientă a mușchilor este esențială pentru a preveni alte leziuni.

În cadrul clinicilor Kineto Consult punem pe primul loc pacientul și calitatea serviciilor de recuperare în cazul tuturor patologiilor de genunchi.

Datorită incidenței mari a patologiei ortopedice, Kineto Consult pune la dispoziție un department nou special dedicat recuperării postraumatice.

Echipa Kineto Consult Fizioterapeut principal Nițu Marian

Str. Siriului nr. 42-46, etajul 5 0799 866 240

Str. Argentina nr. 5

0727 843 402

RECUPERARE REEDUCARE MEDICALĂ

La KinetoConsult dispunem de aparatură medicală profesională ter se adapte indifer

Ne concentr a tratamentului individual atent monitorizat de către personalul

Iar pentru că suntem buni parteneri, abonamentele serviciilor noastre pot fi decontate

asigurări private SIGNAL IDUNA.

Reabilitare post-chirurgicală

CPMotion

Kinetoterapie

Fizioterapie & Reflexoterapie

Masaj terapeutic

Terapie Schroth

Dry Needling

Drenaj limfatic manual

Ecografie musculoscheletală

Alte specializări

Ortopedie și Traumatologie

Ortopedie pediatrică

Reumatologie

Recuperare perineală

Terapie manuală

Crioterapie

apy

Terapie copii și bebeluși

Terapie gravide și post-partum

Terapia Shockwave

Infiltr

Terapie TECAR

✔ Terapie individualizată

✔ Diversitatea abordărilor

✔ Facilități moderne

✔ Medici și terapeuți cu experien

✔ Decontare CASMB

✔ Acces facil la mijloace de transport

Importanța unor noi markeri biochimici ce pot fi utilizati în diagnosticul rapid, pentru evaluarea evoluției și ajustarea tratamentului în sindromul de strivire

The importance of some new biochemical markers that can be used in rapid diagnosis, evaluation, evolution and adjust of the treatment in crush syndrome

Abstarct: Crush syndrome (CS) is a severe medical condition found in patients presenting to emergency departments, who have suffered accidents of various causes, resulting in severe destruction of muscle tissue in a certain area. Such a trauma can progress to death even in the absence of an initial multi-organ damage, if it is not intervened therapeutically in a fast and effective way. The local/general clinical examination as well as the monitoring of biochemical markers have a very important role. Discovery of bichemical markers with increased specificity for crush syndrome - Aldolase A (ALD A), Carbonic Anhydrase III (CAIII), N-terminal Prohormone of Cerebral Natriuretic Peptide (NT-pro-BNP), Oxidative Stress Response Protein 1 - (OXSR1) together with the evaluation of markers already known and used in current medical practice – creatine kinase ( CK ), lactate dehydrogenase (LDH), fibrinogen, C-reactive protein (CRP) – Should represent a priority for improving the rapid diagnosis protocols of SS. Biomarkers ALD A and CAIII, biochemical markers with particular clinical significance and which are not routinely determined in patients with crush syndrome, can have a particularly important role in their monitoring. ALD A activity correlates positively with CAIII activity, with inflammation markers (IL-6, TNF-α) and with CK activity, a biomarker of muscle lysis, providing a molecular picture consistent with the clinical one. The increased specificity of these markers for muscle injuries (of non-traumatic etiology) has been demonstrated in numerous studies, researchers being able to demonstrate a direct proportional relationship between their values (assessed in dynamics) and the rate of muscle destruction in numerous pathologies involving muscle damage (rheumatoid arthritis, systemic lupus erythematosus, collagenosis, muscle stress in performance athletes). To date there are very few studies that place these markers in relation to traumatic injuries. Currently, serum CK is considered the most sensitive indicator of crush injury assessment. ALD A and CAIII are not routinely determined and monitoring of these markers is not included in any protocol for the diagnosis and monitoring of SS. In the presented study, it was observed that ALD A has increased concentrations in patients with crush syndrome, the differences between the 2 groups (study group and control group) being statistically significant (p<0.001).

Med. pr. ortopedie-traumatologie,

Dr. șt. med., Spitalul de Urgență

„Prof. Dr. Dimitrie Gerota’’, București

Sindromul de strivire (SS) reprezintă o condiție medicală severă ce se regăsește la pacienții prezentați în cadrul departamentelor de primiri urgențe, care au suferit accidente de diverse cauze, soldate cu distrugerea severă a țesutului muscular dintr-o anumită zonă. Un astfel de traumatism, poate evolua către deces chiar și în absența unei afectări pluriorganice inițiale, dacă nu se intervine terapeutic într-un mod rapid și eficient.

În anumite circumstanțe, poate fi afectat un număr mare de persoane, de exemplu în cazul dezastrelor naturale sau atacurilor teroriste, acestea putând genera nu numai decesul imediat, dar și complicații severe cu potențial ireversibil. Evaluarea rapidă și tratamentul în urgență (local și general), oferă pacientului șanse crescute de vindecare, scade numărul complicațiilor și facilitează integrarea rapidă în societate.

Punem accent pe “diagnostic rapid“ deoarece pacientul care a suferit un traumatism prin strivire poate prezenta inițial, la prezentarea în urgență la camera de gardă, semne și simptome nespecifice, modeste (mai ales în cazul leziunilor musculare care nu au asociate leziuni osoase – fracturi), care pot fi ușor trecute cu vederea de un ochi mai puțin experi-

mentat și frecvent asociate cu leziuni de tipul contuzie. Acest lucru adesea întârzie instituirea tratamentului de specialitate, fapt care poate produce leziuni locale dar și generale ireversibile, sechele grave sau deces.

Examenul clinic local /general precum și monitorizarea markerilor biochimici, au un rol foarte important.

Descoperirea unor markeri bichimici cu specificitate crescută pentru sindromul de strivire - Aldolaza A ( ALD A), Anhidraza carbonică III (CAIII), Prohormonul N-terminal al Peptidului Natriuretic Cerebral (NT-pro-BNP), Proteina de răspuns la stres oxidativ 1 - (OXSR1) împreună cu evaluarea markerilor deja cunoscuți și folosiți în practica medicală curentă – creatinkinaza ( CK ), lactat dehidrogenaza (LDH), fibrinogen, proteina

Dr. Iulian Constantin Creangă

C reactivă (CRP) – Ar trebui sa reprezinte o prioritate pentru îmbunătățirea protocoalelor de diagnostic rapid al SS.

Determinarea nivelelor unor makeri biochimici (ALD A, CAIII, NT-proBNP, OXSR1) care la ora actuală, nu sunt determinați în mod curent și uzual, poate avea un rol important pe viitor în evaluarea leziunilor musculare de etiologie traumatică.

Leziunile musculare declanșează schimbări din punct de vedere fizic, fiziologic și biochimic. Tulburările metabolice din mușchiul lezat sunt ilustrate prin eliberarea în matricea extracelulară a unor biomarkeri specifici:

• Utilizați în protocolul actual de diagnostic: proteine musculare: mioglobină, troponină, markeri ai lizei musculare: creatinkinaza, izoenzimele MM și MB, markeri ai inflamației: TNF-α, IL-6, IL-1β, hsCRP • mai puțin studiați: aldolaza (ALD A), anhidraza carbonică III (CAIII), prohormonul N-terminal al peptidului natriuretic cerebral (NT-pro-BNP), proteina de răspuns la stres oxidative 1 (OXSR1)

Cuantificarea acestor parametri poate contribui în mod substanțial în evaluarea leziunilor musculare și stabilirii conduitei terapeutice ulterioare .

Materiale si metode:

Am realizat un studiu in care au fost formulate următoarele ipoteze care au stat la baza cercetărilor întreprinse:i-

dentificarea relației dintre ALD A și SS, identificarea unei posibile legături dintre markerii biocimici consacraţi pentru leziunile musculare și ALD A, CAIII, NT-proBNP și OXSR1

S-au făcut ample cercetări bibliografice, precum și analiza cantitativă și statistică a unor parametrii de interes.

În acest context, cercetarea din prezenta lucrare constă în realizarea unui studiu comparativ efectuat pe un număr de 42 de pacienți (22 de pacienți care au suferit un traumatism prin strivire și 20 de pacienți sănătoși - care reprezintă lotul martor), studiu care să compare valorile ALD A, cu valorile celorlalți markeri de distrucție musculară consacrați (CK, TNF-α, IL-6, IL-1β, hsCRP).

Determinarea activității ALD A în sânge la pacienți cu sindrom de strivire și compararea cu nivelul ALD A din sângele pacienților ce constituie lotul control, precum si analizarea valorilor ALD A, și pentru o serie de parametri clinici și paraclinici are scopul de a raporta rezultatele studiilor în contextul clinic al pacienților.

Materiale și metode:

Pacienții au fost împărțiți în două grupuri:

Grupul 1: constă din pacienți internați de urgență cu diagnosticul de SINDROM DE STRIVIRE, în Spitalul Clinic de Urgență București, în perioada 20162021.

Grupul 2: a fost alcătuit din lotul con-

trol – pacienți internați pentru alte patologii, CU EXCEPȚIA SINDROMULUI DE STIVIRE.

Pacienții din grupul 1 de studiu au beneficiat de recoltarea a două probe de sânge și implicit două determinări ale valorilor ALD A și a markerilor biologici frecvent utilizati in diagnosticul de SS, prima efectuată la admisia în urgență, a doua la 24 de ore de la admisie (după efectuarea tratamentului de urgență și echilibrarea primară a pacientului) .

Determinarea ALD A a fost realizată prin metoda ELISA sandwich, utilizând kituri și un cititor de plăci Stat Fax 300+. Intervalul de detecție al kitului a fost de 0,31-20 ng/mL, iar sensibilitatea 0,19 ng/ mL. Metoda de detecție este colorimetrică. Procedura de lucru este efectuată conform indicațiilor producătorilor kiturilor.

Rezultate:

Distribuția valorilor ALD A în ambele loturi este parametrică, conform testului Shapiro-Wilk (p>0.05).

Conform testului Student, pacienții din lotul de studiu au avut valori ale ALD A semnificativ mai mari (3105 ± 849.81 pg/mL) comparativ cu pacienții din lotul control (961.82 ± 165.7 pg/mL) (p<0.001)

Concluzii

Specificitatea crescută a acestor markeri pentru leziunile musculare (de etiologie ne-traumatică) a fost demonstrată în numeroase studii, cercetătorii reușind

Tabel 1 Compararea valorilor de ALD A între loturi

să demonstreze un raport direct proporțional între valorile acestora (evaluată în dinamică) și rata de distrucție musculară în cadrul a numeroase patologii care implică afectare musculară (poliartrită reumatoidă, lupus eritematos sistemic, colagenoze, stres muscular la sportivii de performanță).

Până la momentul actual există foarte puține studii care să plaseze acești markeri în raport cu leziunile traumatice.

În prezent, CK serică este considerat cel mai sensibil indicator al evaluării leziunilor prin strivire. ALD A și CAIII nu sunt determinate în mod uzual și monitorizarea acestor markeri nu este inclusă în nici un protocol de diagnostic și monitorizare a SS.

În acest prim studiu s-a observat că

ALD A prezintă concentrații crescute în cazul pacienților cu sindrom de strivire, diferențele dintre cele 2 loturi fiind semnificative din punct de vedere statistic (p<0.001).

Sunt descrise situații în practica clinică când deși există SS, valorile CK nu sunt semnificativ crescute sau creșterea CK nu este direct proporțională cu severitatea leziunilor. În aceste scop Nozaki și Pestronk au subliniat utilitatea măsurării ALD A serice la toți pacienții cu leziuni musculare care prezintă valori CK normale.

Mecanismul molecular prin care ALD A ar putea fi eliberată din celulele muscu-

lare fără o creștere paralelă a CK seric nu a fost încă explicat. În scopul de a oferi o explicație pentru aceste date clinice, Casciola-Rosen și colaboratorii săi au analizat nivelul de expresie genică și proteică ale ALD A și CK în timpul diferențierii in vitro a celulelor muscular. Rezultatele experimentale in vitro au arătat că în timpul fazei de regenerare a mușchiului ALD A este exprimată la niveluri mai mari comparativ cu CK. De asemenea, au identificat o fază în timpul diferențierii celulelor musculare în care celulele exprimă exclusiv ALD A.

Monitorizarea și analiza în dinamică a acestor markeri împreună cu markerii biochimici recent studiați (ALD A), este foarte utilă deoarece aceștia reprezintă un punct de plecare ca model de referință și control în studiul efectuat.

Biomarkerii ALD A și CAIII, markeri biochimici cu semnificație clinică deosebită și care nu se determină ȋn mod curent la pacienții cu sindrom de strivire, pot avea un rol deosebit de important în monitorizarea acestora. Activitatea ALD A se corelează pozitiv cu activitatea CAIII, cu markerii de inflamație (IL-6, TNF-α) și cu activitatea CK, biomarker al lizei musculare, oferind un tablou molecular în concordanță cu cel clinic.

Pacienții cu sindrom de strivire prezintă cel mai adesea un răspuns inflamator sistemic. Studiul prezent este în concordanță cu aceste date și evidențiază

prezența inflamației la pacienții cu sindrom de strivire analizați. Astfel, acești biomarkeri pot fi considerați indicatori ai evoluției și ai prognosticului în sindromul de strivire.

Bibliografie:

1. Iulian Creangă, Alexandra Totan, Olivera Lupescu, Iulia - Ioana Stănescu, Costin Dumitru, Maria Greabu. Aldolase - From Biochemistry to Laboratory Medicine, REV.CHIM. (Bucharest) 70, No. 2, p578-580, 2019.

2. Iulian Constantin Creangă, Alexandra Totan, Iulia-Ioana Stănescu, Daniela Miriicescu, Maria Greabu. The importance of the biochemical markers in rapid diagnosis and treatment of crushing syndrome. Romanian Journal of Medical Practice – Vol. XV, No. 1 (70), p 88-95, 2020.

3. Iulian Constantin Creangă, Alexandra Totan, Iulia-Ioana Stănescu, Daniela Miricescu, Maria Greabu. Aldolase A and carbonic anhydrase III, two new candidate biomarkers versus acknowledged parameters în the context of crushing syndrome. Romanian Journal of Medical Practice –Vol. XVI, No. 3 (80), p380386, 2021.

4. Costin Dumitru, Stănescu Iulia-Ioana, Totan Alexandra, Miricescu Daniela, Iulian Constantin Creangă, Greabu Maria. Abordarea pacientului politraumatizat cu fractură de bazin. Romanian Journal of Medical Practice, Vol. XV Issue 1, p37-45. 9p, 2020.

5. Nozaki,K., Pestronk, A.J. Neurol. Neurosurg. Psychiatry, 80, p. 904–908, 2009.

6. Casciola-Rosen, L., Hall, J.C., Mammen, A.L., Christopherstine, L., Rosen, A. Clin. Exp. Rheumatol., 30, no. 4, p. 548–553, 2012.

7. Casciola-Rosen, L., Nagaraju, K., Plotz, P., Wang, K., Levine, S., Gabrielson, E., Corse, A., Rosen, A. J Exp Med. 201, p.591–601, 2005.

Fig. 1 Compararea valorilor de ALD A între loturi

Din Colagen Dispozitive Medicale

Terapia PRP Plasmogel este des utilizată în or topedie și medicina spor tivă datorită rezultatelor rapide care vindecă leziunile

țesuturilor moi, diverse boli degenerative, traumatisme ar ticulare și musculare.

Eprubetele PRP New Life by Plasmogel conțin anticoagulant (citrat de sodiu) și gel separator.

Dar, succesul unui tratament PRP Plasmogel se bazează în mare măsură pe pregătirea PRP-ului și mai ales pe acele eprubete PRP utile pentru a genera concentrația necesară de trombocite pentru o injectare.

Substanțele conținute de eprubetă:

· păstrează intactă compoziția plasmei autologe

· permit obținerea plasmei autologe necesare pentru injectarea în corpul uman

· asigură o absorbție adecvată a trombocitelor în concentrații corespunzătoare intervalului terapeutic

· formează o barieră bine definită care previne amestecarea plasmei cu ansamblul RBC (globule roșii )

Calea București Nr. 74 Tunari, Ilfov, România

+40 759 059 540

+40 731 361.550

comenzi@grestetica.ro www.grestetica.ro

Reducerea artroscopică și fixarea internă a unei

fracturi

articulare cominutive de epifiză distală de radius cu fragment “die-punch”- prezentare de caz

Arthroscopic reduction and internal fixation of a comminuted articular fracture of the distal epiphysis of the radius with a „die-punch” fragment - case report

Abstract: Distal radius fractures are common pathology in a Trauma Departement. Even if the treatment can be simplified by manual reduction and cast immobilization for 5 to 6 weeks, the unstable articular fractures are at high risk and should be treated by open reduction and internal fixation (ORIF). This procedures can be assisted by wrist arthroscopy for precise reduction and clinical testing of the stability after fixaion. The die-punch fragments are difficult to treat by fluoroscopy only and they can need special techniques for reduction. Using arthroscopic reduction and internal fixation(ARIF) combined with early hand therapy on a complaint patient, the results are guaranteed. We present you a case of a 22 years old active male patient who suffered a die-punch type fracture and was treated by arthroscopic reduction and internal fixation with an early hand therapy program.

Medic specialist Ortopedie –Traumatologie, Clinica de Chirurgie A Mâinii Dr. Vîlcioiu, București

Prezentare de caz

Vă prezentăm cazul unui pacient de 22 ani ce a suferit o fractură articulară complexă de epifiză distală de radius drept în urma unui traumatism de energie înaltăcădere cu bicicleta. Pacientul a fost tratat în alt serviciu de urgență prin reducere ortopedică și imobilizare în aparat gipsat brahio-palmar și trimis către clinica noastră pentru tratament chirurgical de specialitate - chirurgia mâinii. Pacientul a fost investigat prin examen CT nativ de pumn pentru analiza amanunțită a fracturii și stabilirea planning-ului preoperator (Fig. 1).

În cazul acestui tip de fractură reducerea se efectuează cu dificultate, întrucât fragmentul nu prezintă inserții ligamentare și nu poate fi manipulat în mod indi-

rect. Necesită tehnici speciale de reducere, similare cu cele din fracturile platoului tibial (instrumente speciale, materiale de osteosinteză dedicate).

Se poate observa integritatea peretului anterior al epifizei distale de radius (Fig. 2A) pe planul sagital , defectul central de os de mărime semnificativă (24/13mm, Fig. 2B) și cominuția stiloidei dorsale ce va împiedica fixarea fragmentului die-punch doar în șuruburi sau brose (Fig. 2C). În concluzie, fractura necesită și un abord volar, pentru a putea fi redusă și fixată cu ajutorului unei plăci de titan cu șuruburi de osteosinteză.

Astfel, planning-ul preoperator este complet și constă în abord volar Henry modificat, artroscopie de pumn, o placă cu șuruburi titan EDR , pregătirea unor broșe de 0,8-1,2 pentru fragmentele mici și un program timpuriu de recuperare medicală - terapia mâinii.

Pacientul a fost pregatit pentru intervenția chirurgicală prin investigații minime, analize uzuale de sânge, iar anestezia a constat în sedare usoară și bloc nervos la nivelul plexului brahial. Membrul superior a fost pregătit în poziție de supinație pentru reducerea deschisă pe abord volar și osteotomia radiusului în vederea manipulării fragmentului tasat, ghidate artroscopic.

După confirmarea reperelor anatomice, poziționarea corectă a plăcii de oste-

osinteză și fixarea temporară cu broșe K, membrul superior drept este poziționat cu cotul la 90 grade, contragreutate ce facilitează menținerea tracțiunii în ax, pentru efectuarea artroscopiei de pumn.

Fragmentul este manipulat, atât intern cât şi extern, cu ajutorul instrumentelor dedicate. După confirmarea reducerii anatomice, placa va fi completată cu şuruburile finale de osteosinteză, deasemenea se vor folosi si broşe K. Plaga volară este închisă în straturi anatomice, iar pansamentul cu Grasolind, compresele sterile medii şi vata Rolta sunt aplicate în acelaşi timp cu oprirea sistemului tourniquet.

Pumnul va fi imobilizat mai întâi cu atelă gipsată, până la scoarea materialului de sutură cutanată și ulterior în orteza termoformabilă customizată, ce va permite mobilizarea cu ușurință a încheieturii pumnului pentru exercițiile de terapia mâinii.

Programul recuperator, corect conceput și aplicat la nevoile pacientului, a fost: • Perioadă de imobilizare, 6 săptămâni, ale cărei obiective principale sunt: com-

Dr. Daniel Vîlcioiu
Claudiu Jaba Fizioterapeut

baterea durerilor, educarea pacientului.

• Etapa de mobilizare progresivă se întinde până la 12 săptămâni postoperator. Obiectivele pe care le urmărim sunt: creșterea progresivă a mobilității articulare, încărcarea progresivă a articulației pumnului, combaterea atrofiei musculare, stabilitatea articulară.

• După 12 săptămâni vom intra în etapa de recuperare a funcției. Obiectivele stabilite sunt: creșterea mobilității articulare, creșterea forței și rezistenței musculare, reluarea activităților socio-profesionale.

Evaluarea funcțională

Evaluarea funcțională a fost realizata la 1, 5, 6 respectiv 12 luni post operator. În cadrul acestei evaluări am realizat bilanțul articular la nivelul pumnului cu ajutorul goniometrului, iar măsurătorile au avut în vedere mișcările de flexie, extensie, deviație radială și ulnară. După cum se poate obverva în graficul atașat (Fig. 5), mobilitatea articulară a evoluat constant pe parcursul unui an. Evoluția cea mai evidentă și spectaculoasă a fost

legată de mișcarea de flexie a pumnului în perioada de la 1, 5 luni la 6, creșterea fiind de 50 de grade.

Concluzii

Artroscopia de pumn este o procedură minim-invazivă ce permite vizualizarea tuturor structurilor articulare radiocarpiene și mediocarpiene. În cazul fracturilor de epifiză distală de radius cu fragmente tasate, ce nu pot fi reduse prin ligamentotaxis, se impune indicația de reducere sub vizualizare directa, artroscopică.

În acest fel pacienții pot fi recuperați complet, fără a mai fi nevoie de alte intervenții chirurgicale pe viitor.

În cazul prezentat mai sus, pacientul a avut parte de o vindecare la 1 an de zile într-un procent de 98% (Fig. 6), ce poate fi maximizată prin extragerea materialului de osteosinteză, fără sechele post-traumatice şi post-operatorii.

Bibliografie

1. Lutsky K, Boyer MI, Steffen JA, Goldfarb CA. Arthroscopic assess- ment of intra-articular distal radius fractures after open

• reduction and internal fixation from a volar approach. J Hand Surg 2008;33A: 476 – 484.

2. del Piñal F. Treatment of explosion-type distal radius fractures. In: del Piñal F, Mathoulin C, Luchetti C, eds. Arthroscopic management of distal radius fractures. Berlin: Springer Verlag, 2010:41–65.

3. del Piñal F, García-Bernal FJ, Delgado J, Sanmartín M, Regalado J, Cerezal L. Correction of malunited intra-articular distal radius frac- tures with an inside-out osteotomy technique. J Hand Surg 2006; 31A:1029 –1034.

4. Ruch DS, Vallee J, Poehling GG, Smith BP, Kuzma GR. Ar- throscopic reduction versus fluoroscopic reduction in the manage- ment of intra-articular distal radius fractures. Arthroscopy 2004;20: 225–230.

Reconstrucția ligamentului încrucișat anterior la copii – Evaluarea efectelor tehnicii transfizare

Reconstruction of the anterior cruciate ligament in children - Evaluation of the effects of the transfixation technique

Abstract: Anterior cruciate ligament injury (ACL) is a current problem among young athletes, and often occurs together with other knee injuries, such as meniscal and ligament injuries. Early and accurate diagnosis is crucial, as is early treatment. The incidence of LIA reconstruction cases has increased in recent years, indicating an increase in the participation in sports activities of the pediatric population, which underlines the need for effective prevention and treatment strategies. LIA injuries can lead to long-term problems, such as gonarthrosis, even after surgical reconstruction. The low rate of return to sports after LIA reconstruction is a significant problem, with evidence suggesting that delaying the resumption of physical activity until approximately 2 years postoperatively may reduce the risk of further injuries.

Alexandru Herdea1,2

Mihai-Codrut Dragomirescu2

Valentin Burcan2

Alexandru Ulici1,2

1 Departamentul 11 de Ortopedie Pediatrica, UMF “Carol Davila”, Bd. Eroii Sanitari Nr 8, 050474 Bucuresti, Romania; rectorat@ umfcd.ro

2 Departamentul de Ortopedie Pediatrica, S.C.U.C. „Grigore Alexandrescu”, 011741, Bucuresti, Romania; contact@ spitalulgrigorealexandrescu.ro. Corespondenta: alexherdea@yahoo. com; Tel.: +40726386739

Opțiunile de tratament al leziunii LIA sunt atât non-chirurgicale cât și chirurgicale, diferențierea făcându-se în funcție de nevoile specifice ale pacientului, de vârsta osoasă și de nivelul de activitate. Reconstrucția anatomică este posibilă prin tehnica transepifizară. Copiii mici, cu potențial de creștere osoasă considerabil, ar trebui să ia în considerare însă tehnicile care cruță cartilajul de creștere, deoarece astfel evită riscul de complicații pe termen lung. Începând cu anul 1986 literatura conține tehnici „over the top” care respectă cartilajele de creștere. Ulterior, au apărut tehnici limitate strict

la epifiză, care restaurează amprenta anatomică a LIA, având totodata beneficiile unei tehnici „physeal sparing”. Urmărirea pe termen lung a copiilor care au suferit o intervenție chirurgicală pentru LIA este obligatorie pentru monitorizarea și detectarea tulburărilor de creștere sau a deviațiilor axiale secundare. Studiul nostru își propune să verifice dacă reconstrucția transepifizară a LCA la pacienții cu schelet imatur, dar apropiat de finalul creșterii, va provoca tulburări organice. Am formulat ipoteza ca reconstrucția prin cartilajul de creștere a LIA, în cazul copiilor cu 2 ani sau mai puțin de creștere osoasă rămasă, este o procedură sigură, fără risc semnificativ de inegalitate de membre inferioare sau deviații de ax.

Materiale și metode. A fost realizat un studiu retrospectiv monocentric în perioada ianuarie 2018 - ianuarie 2022 ce a inclus copii cu vârsta cronologică cuprinsă între 12 și 16 ani, care s-au pre-

zentat în clinică pentru traumatisme de genunchi soldate cu leziune LIA si care ulterior au primit tratament chirurgical. Am inclus în studiu pacienții cu: diagnostic pozitiv de leziune LIA confirmat prin IRM genunchi și intraoperator, examen clinic care susține diagnosticul, mai puțin de 2 ani de creștere osoasă rămasă (caracteristică stabilită convențional prin evaluări radiografice ale degetului III al mâinii nondominante, precum și prin metodele Risser și Greulich & Pyle) și un follow-up de minim 2 ani pentru a detecta posibilele complicații. Am eliminat din studiu pacienții cu istoric incomplet, cu diformități preexistente precum genu var, genu recurvatum și pe cei cu comorbidități locale, deasemenea pe cei care nu șiau dat acordul pentru utilizarea datelor în cercetare și pe victimele accidentelor cu energie mare.

În urma anamnezei și a examenului clinic amănunțit, au fost efectuate evaluările imagistice și pănâ la obținerea rezultatului IRM pacienții au fost imobilizați în orteză de genunchi, primind indicația de sprijin parțial pe membrul afectat. În evaluarea preoperatorie au fost incluse: scorul de activitate Tegner, scorul Tegner-Lysholm, radiografiile Ortholeg, IRM genunchi și probe de laborator. Reconstrucția LIA a fost efectuată prin aceeași tehnică la întregul grup de pacienți, de către aceeași echipă chirurgicală, după cum ilustrează Figura 1. Tunelul tibial a fost realizat în mod „outside-in”, iar tu-

nelul femural prin portalul anteromedial. Grefonul utilizat a fost recoltat de la ischiogambierii ipsilaterali. Inserția femurală a fost realizată cu o ancoră, iar cea tibială a fost fixată cu un șurub de interferență resorbabil. Orice leziuni meniscale concomitente au fost tratate în cadrul aceleiași proceduri chirurgicale, utilizând tehnici de sutură all-inside și outside-in, fără a trece prin cartilajele de creștere. Toți pacienții au urmat un protocol postoperator riguros. Evaluările ulterioare au fost efectuate la 2 și la 4 săptămâni, la 3, 6, 12 și 24 luni. În perioada postoperatorie au fost repetate examinarile Ortholeg și scorurile funcționale o dată la 6 luni.

Rezultate. În total, 48 pacienți pediatrici cu schelet imatur au fost incluși în studiu, așa cum este ilustrat în Figura 2, dintre care 27 băieți și 21 fete. Vârsta medie la diagnostic a fost de 14.08 ani. Pe lângă vârsta cronologică, vârsta osoasă a fost măsurată convențional pe radiografii de pumn și de bazin. Toate cazurile au fost identificate în urma accidentelor sportive.

Timpul mediu dintre momentul leziunii și diagnostic a fost de 14.125 săptămâni, iar între diagnostic și intervenția chirurgicală de 4.02 săptămâni. La momentul studiului, doar 8 din 48 de pacienți au reluat participarea la sporturi, după un interval mediu de 30 săptămâni.

Scorul Tegner-Lysholm a crescut de la o medie de 71.9 la 93.08 după 12 luni

de la momentul intervenției, evidențiind că aproape toți pacienții au prezentat îmbunătățirea calității vieții fără să prezinte instabilitate în timpul activităților de rutină. Tabelul 1 și Tabelul 2 ilustrează diferențele pre- și postoperatorii ale scorului Tegner-Lysholm, precum și ale scorului Tegner.

Nu au fost observate recidive în timpul celor 2 ani de monitorizare. Calitatea vieții copiilor a devenit similară cu cea dinainte de momentul traumatic. Niciunul nu a manifestat instabilitate clinică conform manevrelor Lachmann, sertar anterior sau pivot shift.

Referitor la deviația axială medie, a existat o diferență de 1.375 mm, cu un minim de 1 și un maxim de 5 mm, cu percentila 95 de 3.55 mm. Diferența medie a unghiului aLDFA a fost de 0.68 mm, cu un minim de 0 mm și un maxim de 3 mm, cu percentila 95 de 2 mm. În ceea ce priveste unghiul MPTA, media a fost de 0.708 mm. Diferența de lungime a membrelor la 24 luni postoperator măsurată pe Ortholeg a fost în medie de 1.395 mm. Discuție. Rezultatele studiului nostru dezvăluie că reconstrucția LIA la pacienții pediatrici oferă rezultate favorabile, cu îmbunătățirea semnificativă a scorurilor funcționale și a capacității de activitate fizică. Deasemenea, obiectivul nostru a fost atins și am constatat că intervenția prin cartilajul de creștere la această categorie de vârstă este sigură.

Leziunile LIA la copii sunt încă un subiect de dezbatere în ceea ce privește alegerea tratamentului chirurgical sau conservator, iar majoritatea autorilor subliniaza deficiențele în literatură. Timpuriu se considera ca managementul conservator este adecvat până la maturitatea osoasă. Există însă dovezi că pacienții care amână intervenția sunt supuși riscului de leziuni suplimentare, cum ar fi leziunea de menisc sau de cartilaj articular, precum și de schimbări degenerative accelerate. Acest rezultat persistă, în ciuda includerii exercițiilor de reabilitare și a ortezelor. În practica noastră, leziunile care implică mai mult de 50% din volumul LIA sunt imediat supuse tratamentului chirurgical. Rezultatele noastre au fost în concordanță cu autori precum McConkey, care au raportat că la pacienții cu schelet imatur tulburările de creștere sunt rare și sunt mai degrabă cauzate de erori chirurgicale, precum plasarea șuruburilor prin cartilajul de creștere, sau tensionarea exagerată a grefonului. De asemenea, Wong a afirmat că precizia actului chirurgical este mai importantă decât alegerea tehnicii operatorii. În studiul nostru am observat minime deviații axiale și inegalități de membre complet neglijabile clinic. Un al autor, Perkins, a conchis că pentru băieții cu vârsta osoasă între 13 și 14 ani și pentru fetele cu vârsta osoasă între 11 și 12 ani reconstrucția prin cartilajul de creștere este o opțiune adecvată. Noi am utilizat un criteriu echivalent: apropierea la cel mult 2 ani de maturitatea osoasă.

Concluzie. Atât reconstrucția precoce cât și amânată a LIA aduce beneficii în rândurile pacienților pediatrici. Pentru copiii cu cel mult 2 ani de creștere osoasa rămasă reconstrucția LIA prin cartilajul de creștere este sigură și nu prezintă risc de deviații axiale sau inegalitati de membre semnificative clinic.

Utilitatea AI în examinările RM musculo-scheletale la Medinst

Investigația prin rezonanță magnetică (RMN/IRM) este o tehnică non-invazivă de diagnostic imagistic care folosește combinația dintre un câmp magnetic puternic și unde radio cu diferite frecvențe specifice, pentru a crea imagini detaliate ale organelor și structurilor interne.

Fizician medical:

Luminița Păun

IRM permite obţinerea unor imagini

multiplanare cu contrast ridicat între diferite tipuri de țesuturi din organismul uman fără utilizarea razelor X (roentgen), făcând posibilă diagnosticarea precisă a numeroase afecţiuni. Avantajele majore ale IRM faţă de CT sunt date de caracterizarea mult mai bună a leziunilor focale intraparenchimatoase și de lipsa iradierii, importantă în special pentru persoanele tinere, pentru femeile însărcinate și pentru persoanele care necesită investigaţii imagistice seriate pentru monitorizarea bolii.

În timp ce aceste caracteristici au ajutat la stabilirea RMN ca metodă de elecție pentru diagnosticul multor patologii, una din limitările semnificative ale imagisticii RMN rămâne timpul de achiziție. Tehnicile convenționale de scurtare a timpului de achiziție implică compromisuri în ceea ce privește rezoluția imaginii sau raportul semnal-zgomot (SNR). Viteza de achiziție, rezoluția imaginii și SNR sunt corelate și creșterea unuia dintre parametrii afectează negativ cel puțin unul din celelalte 2. Utilizarea bobinelor de recepție a semnalului și tehnica de achiziții paralele au contribuit semnificativ la procesul de reconstrucție a imaginii. Utilizarea unor factori de accelerație mari au ca rezultat un semnal neomogen și creșterea zgomotului în imagine, în special în regiunile mai îndepărtate de bobină. Includerea inteligenței artificiale în procesele de achiziție și de reconstrucție a imaginilor implementate de Siemens pe echipamentele de ultimă generație a reușit să rezolve cu succes obiectivul de accelerare a timpului de achiziție cu îmbunătățirea calității imaginii. Echipamentul RM Altea, Siemens aflat în dotarea MEDINST include următoarele tehnici AI pentru examinările musculo-scheletale: Deep Resolve Gain (DRG), Deep Resolve Sharp (DRS) și Deep Resolve Boost (DRB). Deep Resolve Gain este integrată în procesul de recontrucție a imaginii și folosește tehnici de Deep Learning pentru a reduce variațiile locale de zgomot din imagine, crescând raportul semnal-zgomot (SNR) și claritatea imaginii. Permite ajustare manuală.

Achiziție convențională:
Achiziție AI cu Deep resolve Boost:
Examinare articulația pumnului:

Deep Resolve Sharp este o tehnologie avansată de reconstrucție a imaginii RMN, dezvoltată de Siemens, care îmbunătățește claritatea și rezoluția imaginii prin utilizarea rețelelor neuronale profunde. Aceasta permite o reconstrucție a imaginii mai clară și mai detaliată, crescând dimensiunea

matricei imaginii (de până la două ori) de-a lungul axelor în plan. Acest lucru rezultă într-o redare mai clară a structurilor fine și a marginilor precise, esențială pentru diagnosticare. Optimizează procesul de reconstrucție al datelor brute achiziționate, asigurând o consistență robustă a rezultate-

Examinare bazin osos (articulații coxo-femurale și sacro-iliace)

lor și reprezentarea corectă a contrastelor. Un avantaj semnificativ al tehnologiei este că această creștere a clarității imaginii nu necesită prelungirea timpului de achiziție, ceea ce permite scanări mai rapide, dar cu o calitate a imaginii superioară. Deep Resolve Boost îmbunătățește rezoluția imaginii pe baza unor algoritmi Deep Learning pentru a optimiza claritatea imaginii cu reducerea timpul de achiziție. De asemenea, oferă beneficii precum creșterea dimensiunii matricei pentru o rezoluție mai mare și capacitatea de a gestiona regiuni anatomice complexe, cum ar fi creierul și sistemul musculo-scheletal. Comparație între o două examinări, una fără utilizarea AI și alta cu AI, la un pacient cu reconstrucție de LIA: imaginile au fost achiziționate cu un echipament MR Siemens Magnetom Altea 1,5T, aflat in dotarea clinicii Medinst Diagnostic. Tunelul tibial este poziționat pe aria de proiecție a liniei Blumensaat. In adiacenta tunelului tibial în regiunea cranială se remarca leziune rotund-ovalară, cu semnal chistic, ce apare în hipersemnal PD, hiposemanal T1, cu dimensiuni de până la 12,7/5,4mm, ce poate fi expresia unui chist de tunel tibial. Imagini similare se evidențiază în adiacenta tunelului femural, de până la 7,6/5,2mm, mult mai bine conturate sși de intensitate mult mai crescută, datorita secvențelor cu AI, leziuni ce la examinarea anterioară se etalau de intensitate mult mai redusă, putând fi confundate cu fuzee lichidiene la nivelul tunelului femural și cu modificările edematoase postintervenționale de la nivelul condilului femural extern. Toate protocoalele Medinst pentru patologia MSK includ inteligența artificială (DRB, DRG, DRS).

Examinare gleznă: timpul total de achiziție pentru secvențe PD FS în plan sagital, transversal și coronal, T2 TRA și T1 sag nu depășește 10 minute.

Reconstrucția bazată pe inteligență artificială (AI) este noul capitol a imagisticii prin rezonanță magnetică. Acest lucru poate crește acuratețea diagnosticului și poate extinde obiectivului de precizie a diagnosticului prin digitalizare. Deep Resolve permite creșterea eficienței, îmbunătățind în același timp confortul pacientului prin obținerea unor imagini mai clare si mult mai rapide.

Examinare articulația genunchiului
T1 TSE cor

SOLUȚIA COMPLETĂ PENTRU INOVAȚIE ÎN

ORTOPEDIE

CINE SUNTEM NOI

Încă din 1999, pentru a crește calitatea vieții din România, am căutat să ne extindem perspectivele și direcțiile de dezvoltare pentru a răspunde la cât mai multe nevoi din sectorul medical. Prin urmare, am reușit să devenim un lider de piață și un partener de încredere pentru toți clienții noștri, prin oferirea de soluții integrate la cheie, a căror performanță a fost demonstrată în cadrul a mai multor proiecte de amploare și medii spitalicești la nivel național.

Totodată, societatea noastră a implementat și menține cu succes sistemele de management al calității în domeniul dispozitivelor medicale și al mediului, o activitate garantată și acreditată prin standardele ISO 9001, ISO 13485, ISO 14001 și 45001

EFICIENȚA GERMANĂ

OFERITĂ DE CĂTRE

PRODUCĂTORI

CONSACRAȚI

CELE 3 DOMENII DE ACTIVITATE

Proiectarea și implementarea de camere curate

Distribuția și integrarea de echipamente medicale de înaltă performanță

Proiectarea, execuția și instalarea sistemelor de gaze și fluide medicale

MEDIFA 6000

Masă de operație avansată cu design modular și reglaj electrohidraulic

Cu o structură din oțel inoxidabil ce tolerează greutăți de până la 454 kg, aplicabilitatea sa în ortopedie este ridicată, iar design-ul modular permite poziționarea versatilă a pacientului:

• Înălțime reglabilă între 690 și 1050 mm

• Ajustare din telecomandă wireless, pedale sau unități de control integrate

• Gamă largă de accesorii Medifa disponibilă

CONDOR ES® (EXTENSION SYSTEM)

Extensie de poziționare a pacientului

Optimizează eficiența în cadrul intervențiilor chirurgicale ortopedice, având o structură radiotransparentă integrală din carbon pentru proceduri ce implică sisteme de radiologie:

• Susține greutăți de până la 220 kg

• Compatibilă cu orice masă de operație

• Ușor de stocat, transportat și integrat în blocul operator

CONDOR ROTEXTABLE

®

Sistem de poziționare pacient cu reglaj electric

Are o suprafață radiotransparentă, ce asigură eficiența în actul chirurgical:

• Compatibil cu orice model de masă de operație

• Eficient pentru protezarea de șold prin abord anterior

• Ușor de transportat, instalat și ajustat

• Compatibil cu o gamă largă de extensii pentru poziționarea pacientului

SUPORT PENTRU ARTROPLASTIE DE GENUNCHI CONDOR®

Sistem de poziționare intraoperatorie a piciorului

Sterilizabil și ușor de ajustat, optimizează poziționarea piciorului în timpul artroplastiei de genunchi și asigură o intervenție chirurgicală sigură și precisă:

• Design ergonomic, compatibil cu orice masă de operație

• Reglajul pe șină permite ajustarea simplă a sistemului

Turn static files into dynamic content formats.

Create a flipbook
Issuu converts static files into: digital portfolios, online yearbooks, online catalogs, digital photo albums and more. Sign up and create your flipbook.