Necrosis avascular femoral

Page 1

NECROSIS AVASCULAR DE CABEZA FEMORAL DR FERNANDO GOMEZ CIRUJANO ORTOPEDICO Y TRAUMATOLOGICO
NECROSIS AVASCULAR FEMORAL ( NAV )  Definición : La necrosis avascular es una enfermedad debida a la pérdida temporal o permanente del flujo de sangre a los huesos.  Esta falta de flujo sanguíneo, en el caso de la cabeza femoral puede ser extraósea cefálica (arterias retinaculares) en la necrosis postraumática, o por procesos vasculares intracefálicos en las necrosis idiopáticas.

VASCULARIzACION dE LA CAbEzA FEMORAL

VASCULARIzACION dE LA CAbEzA FEMORAL

EtIOpAtOgENIA y FACtORES dE RIESgO  constituye un verdadero reto para el cirujano ortopédico, a causa de la gran variedad clínica e imagenólogica de esta entidad.  afecta a hombres y mujeres de cualquier edad, pero es más común entre los 30 y 40 años.  repercusión importante sobre el estilo de vida del individuo.  El diagnóstico de osteonecrosis supone de un 5 a un 12% de todas las artroplastias de cadera.  Los niños, tan jovenes como 4 años y extendiéndose a los adolescentes, consigue una forma de NOA que se llama la enfermedad “Legg-Calve-Perthe's” (Perthes para pequeños)
EtIOpAtOgENIA y FACtORES dE RIESgO  NAC abarca dos grandes grupos :  Los estudios nuevos están destinados a conocer los factores predisponentes ( factores ambientales y genéticos).  Los pacientes que sufren la llamada osteonecrosis idiopática probablemente tienen algún tipo de alteración de la coagulación que no se ha identificado Necrosis postraumáticas avasculares. Necrosis idiopáticas.
ESTADISTICAS VENEZOLANAS REGIONES CON MAYOR INDICE DE OSTEONECROSIS FEMORAL SALUDANZ EN EL AÑO 2002 4% 9% 19% 11%22% 10% 16% 9% ANZOATEGUI CARABOBO CARACAS MERIDA BARINAS TACHIRA ZULIA MIRANDA
ESTADISTICAS VENEZOLANAS TABLA 3. Evolución preoperatorio de osteonecrosis de cabeza femoral Evolución No. % Menos de 8 meses 4 33,4 8 - 12 meses 6 50,0 13 - 16 meses 1 8,33 Más de 16 meses 1 8,33 Total 12 100,0 Fuente: Departamento de Archivo y Estadísticas. DEL MINISTERIO DE SANIDAD AÑO 1999
Patogenia de la osteonecrosis.  Obstrucción intraluminal: desórdenes tromboembólicos, estasis venosa.  Compresión vascular: presión mecánica externa, vasoespasmo .  Disrupción física del vaso sanguíneo: traumatismo, fractura
Timing del proceso isquémico en el hueso.  Elementos hematopoyéticos: muerte celular en 6-12 horas.  Células óseas (osteocitos, osteoblastos): muerte celular en 12-48 horas.  Células grasas: muerte celular en 2-5 días.
Fases del proceso necrótico.  Fase I: muerte celular e inicio de la respuesta del huésped.  Fase II: hiperemia.  Fase III: aparición de la interfase reactiva.  Fase IV: Colapso articular.
Procesos patógenos asociados a necrosis avascular   Alcoholismo ( efecto toxico en las celulas osteogenicas).  Uso de esteroides.  Enfermedad por descompresión (barotraumatismos).  Enfermedad metastásica.  Hemoglobinopatías falciformes.  Radioterapia.  Estados de hipercoagulabilidad.  Enfermedad de Gaucher.

PATOGENIA DE LA OSTEONECROSIS

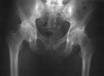
DIAGNOSTICO  CLINICA.  EXAMENES DE LABORATORIO(no se ven alterado a menos que exista una enfermedad de base).  el diagnóstico en fase prerradiológica se ha utilizado la medición de la presión intraósea en cabeza femoral.  RADIOLOGIA.  RESONANCIA MAG  TAC.  ARTERIOGRAFIA.  ECOGRAFIA.
CLINICA  COXOPATIA DOLOROSA DE APARICION BRUSCA  INCAPACIDAD FUNCIONAL PARA LA DEAMBULACION.  REFERIDO A LAS RODILLA.  COJERA  DOLORES NOCTURNO ES UN SIGNO CLASICO.  LIMITACION DE LA ROTACION INTERNA Y ABDUCION DEL MIEMBRO AFECTO.  FLEXION Y LA EXTENSION SE MANTIENEN.

CLINICA

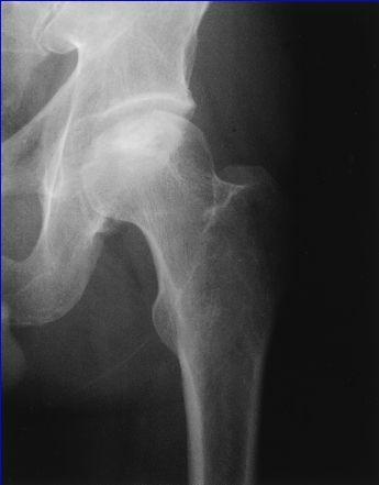
Clasificación de Fitcat y Arlet Estadio Línea articular Contorno de la cabeza Trabeculad o Diagnóstic o por Rx Diagnóstic o por exploración ósea Osteonecr osis Simple I Normal Normal Normal uosteoporó -tico Imposible Probable por pruebas hemodinámicas II Normal Normal Osteoporo sis o esclerosis Probable Histopatog enia certera Osteonecr osis Complicad a III Normal Aplanamiento (colapso del hueso subcondral ) Formación de secuestro Certero Confirmad a IV Estrechami ento Colapso Destrucció n del polo superior Muy difícil de diferenciar entre osteoartros is y osteonecro sis Insuficienci a hemodiná mica con necesidad de biopsia

Clasificación de Fitcat y Arlet

Secuencias Radiológicas

SE APRECIA UNA LINEA DE COLAPSO SUBCONDRAL EL SIGNO DE LA MEDIA LUNARADIOLOGIA NORMAL EL DIAG SE PUEDE REALIZAR POR RESONANCIA MAG

Secuencias Radiológicas

COLAPSO AFECTA LA SUPF SUBCONDRAL PERDIENDO SU MORFOLOGIA NORMAL

LA INCONGRUENCIA ARTICULAR PRODUCE PERDIDA DEL GROSOR DEL CARTILAGO Y CAMBIOS EN EL ACETABULO

EL

RADIOLOGIA

CLASIFICACION DE LA UNIVERSIDAD DE PENSILVANIA O STEINBERG

Esta dio Características radiográficas

normal y alteraciones en la gammagrafía y resonancia magnética

de la cabeza femoral.

I

Ligera, menos del 15 % de afección.

Moderada, del 15 al 30 % de afección.

Severa, más del 30 % de afección.

Presencia de quistes y esclerosis en la cabeza femoral.

II

Ligera, menos del 15 % de afección.

Moderada, del 15 al 30 % de afección.

Severa, más del 30 % de afección.

Presencia de colapso subcondral sin aplanamiento(signo creciente) en la cabeza femoral.

III

Ligera, menos del 15 % de afección.

Moderada, 15- 30 % de afección.

Severa, más del 30 % de afección.

Aplanamiento de la cabeza femoral.

Ligera, menos del 15% de afección, menor de 2mm de depresión.

IV

Moderada, del 15 al 30% de afección, de 2 a 4 mm de depresión.

Severa, más del 30% de afección, mayor de 4 mm de depresión.

V

Estrechamiento del espacio articular, cambios degenerativos o ambos.

VI Cambios degenerativos avanzados.

Rx
nuclear
IA
IB
IC
IIA
IIB
IIC
IIIA
IIIB
IIIC
IVA
IVB
IVC

RADIOLOGIA

TOMOGRAFIA

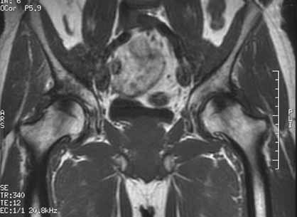
RESONANCIA MAGNETICA  muy sensible a los cambios isquémicos tanto en zonas epifisarias como en zonas metafisodiafisarias.  diagnóstico precoz: 2-5 días.  El patrón de imagen puede variar según el grado de afectación y la respuesta individual.  Una doble linea entre el hueso isquemico y no isquemico.  correlación entre las imágenes de RMN y los hallazgos histopatológicos  Visualiza la integridad del cartílago articular y permite identificar cuerpos libres intraarticulares.

RESONANCIA MAGNETICA

RESONANCIA MAGNETICA

GAMMAGRAFIA  método ampliamente utilizado por su alta especificidad y bajo costo.  pacientes con cadera sintomática sin cambios evidentes en Rx.  muestra aumento de la captación de radio fármaco entre el área reactiva y la de necrosis.  el área reactiva es altamente captante y la necrótica es de baja captación.

GAMMAGRAFIA OSEA

ARTERIOGRAFIA

A la izquierda cadera en addución observándose contacto entre cabeza femoral y cótilo. A la derecha en abducción observándose acúmulo de contraste por separación entre cabeza femoral y cótilo.

TRATAMIENTO NO QUIRURGICO  Tratamiento:  Alivio del dolor mediante AINES.  Movilización, con un programa de ejercicios y fisioterapia.  Reducción de la carga, perdiendo peso, caminando con bastón, períodos de reposo estricto...  Derivación para su tratamiento quirúrgico tras agotar las medidas mencionadas.
TRATAMIENTO QUIRURGICO  Descompresión del núcleo(estadíos precoces de la osteonecrosis de la cabeza femoral).  Injerto Óseo No Vascularizado.  Injertos Libres Vascularizados de Peroné.  Osteotomías.  Artroplastia femoral de revestimiento limitada (de resuperficialización).  Prótesis totales

Tratamiento

QUIRURGICO  Debe estar en función del momento evolutivo del proceso.  dependerá también del nivel de actividad habitual, sintomatología y limitaciones funcionales.  la elección terapéutica deberá hacerse en virtud del estadio radiológico.  La tendencia actual en el tratamiento de la necrosis isquémica de la cabeza femoral es la conservación de la cabeza femoral.  El tratamiento no quirúrgico generalmente tiene un pronóstico pobre.
TRATAMIENTO EN ESTADIOS INICIALES  Suspensión del apoyo.  Tratamiento farmacológico.  Oxigenación hiperbárica.  Estimulación eléctrica.  Perforaciones o trepanaciones de la cabeza femoral.  Ondas de choque.

Injerto Óseo No Vascularizado

El defecto de la cabeza femoral puede rellenarse con injerto de hueso antólogo o con diversos sustitutos del injerto óseo.

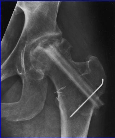
Injerto de Peroné  descompresión de la cabeza femoral.  resección del hueso necrótico.  sustitución con hueso esponjoso fresco.  soporte del hueso subcondral con un injerto óseo fuerte y viable.  revascularización y osteogénesis de la cabeza femoral

El injerto peroneal con los vasos peroneos se obtiene de la pierna ipsilateral para insertarlo en el cuello y cabeza femoral.

Se obtiene hueso esponjoso del trocánter mayor que se inserta en la cavidad formada tras la extirpación del hueso necrótico. El injerto de peroné se inserta en el túnel y se estabiliza con una aguja de Kirschner de 0.62 mm. La arteria y venas peroneas se anastomosan a las ramas ascendentes de la arteria circunfleja femoral lateral (LFCA) y sus venas satélites.

Injerto de Peroné

Osteotomías  el efecto biomecánica de retirar el segmento necrótico o colapsado de la cabeza femoral.  la reducción de la hipertensión venosa y la disminución consiguiente de la presión intramedular.  no son ampliamente aceptadas como un método estándar en el tratamiento.  osteotomías rotacionales transtrocantéricas y osteotomías intertrocantéricas varizantes o valguizantes

Osteotomías en valgus

Osteotomías en varus

Osteotomías

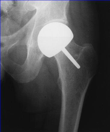
Artroplastia Femoral de Revestimiento

Limitada

Artroplastia Femoral de Revestimiento Limitada Este procedimiento cuenta con algunas ventajas:  (1) se extirpa el cartílago dañado de la cabeza femoral,  (2) preserva la reserva ósea de la cabeza y cuello femorales y  (3) la revisión a una artroplastia total subsiguiente no se complica.

Artroplastia Total de Cadera

Artroplastia Total de Cadera indicaciones  osteonecrosis de la cabeza femoral con cambios y lesión severa del cartílago articular de la cabeza y pérdida del cartílago acetabular.  con afectación extensa o colapso de la cabeza femoral que tiene síntomas suficientes.  Pacientes mayores o con bajas demandas funcionales.
Artroplastia Total de Cadera contraindicacion  pacientes jóvenes con una osteonecrosis de la cabeza femoral en estadío precoz .  pacientes con un riesgo excesivo de complicaciones con una artroplastia total (por ejemplo, aquellos con un hábito alcohólico grave y permanente que tendrían un riesgo excesivo de luxación de una prótesis total)

Gracias por su atencion

Turn static files into dynamic content formats.

Create a flipbook
Issuu converts static files into: digital portfolios, online yearbooks, online catalogs, digital photo albums and more. Sign up and create your flipbook.
Necrosis avascular femoral by Ferluisgo1 - Issuu