Skip to main content

EMJ 10.3 2025

Page 1


Editor's Pick

73 Science to Clinical Practice: IL-23 Inhibition for the Treatment of Psoriasis. Latest Insights on the Selective Mode of Action of Risankizumab

Caroline E. Cross

80 Patient-Reported Outcome Measures, 1 Year After COVID-19: A Cohort Study of Symptomatic, Laboratory-Confirmed Cases in South Trinidad, 2020–2021

Dharamraj and Motilal

96 Travelling from the Inferior Vena Cava to the Right Atrium

Braving All Odds: A Case of Retroperitoneal Leiomyosarcoma of the Inferior Vena Cava

Badhe et al.

103 Single-Agent Low-Dose Nivolumab in Patients with RelapsedRefractory Hodgkin's Lymphoma as a Bridge to Stem Cell Transplant

Mohite et al.

109 Atypical Presentation of Group A Streptococcal Puerperal Sepsis and Toxic Shock Syndrome: A Case Report

Abdu et al.

"99.4% of us have at least one genetic feature that means a medicine could be ineffective"

Editorial Board

Editor-in-Chief

Prof Markus Peck-Radosavljevic

Klinikum Klagenfurt am Wörthersee, Austria

Current Chairman and Head of the Department of Gastroenterology and Hepatology, Endocrinology, Rheumatology and Nephrology at Klinikum Klagenfurt am Wörthersee, with expertise in portal hypertension, hepatocellular carcinoma, and HIV-HCV coinfection

Prof Ahmad Awada

Jules Bordet Institute, Belgium

Prof Sorin T. Barbu

“Iuliu Hațieganu” University of Medicine and Pharmacy, Romania

Prof Abdullah Erdem Canda

Yildirim Beyazit University, Türkiye

Prof Ian Chikanza

Harley Street Clinic, UK

Prof Lászlo Vécsei

University of Szeged, Hungary

Dr Pierfrancesco Agostoni

St. Antonius Hospital, the Netherlands

Dr Fernando Alfonso

Hospital Universitario de La Princesa, Spain

Dr Emanuele Angelucci

IRCCS Ospedale Policlinico San Martino, Italy

Dr George Anifandis University of Thessaly, Greece

Dr Riccardo Autorino

Virginia Commonwealth University, USA

Dr Mátyás Benyó University of Debrecen, Hungary

Prof Andrew Bush Imperial College London, UK

Dr Hassan Galadari

United Arab Emirates University, United Arab Emirates

Dr Amir Hamzah Abdul Latiff

Pantai Hospital, Malaysia

Dr Lorenz Räber

Bern University Hospital, Switzerland

Aims and Scope

EMJ, the flagship journal of the EMJ portfolio, is an openaccess, peer-reviewed eJournal, committed to elevating the quality of healthcare globally by publishing high-quality medical content across the 18 clinical areas covered in our portfolio. The journal is published quarterly and showcases the latest developments across these clinical areas.

EMJ publishes peer-reviewed research papers, review articles, and case reports across all therapy areas of the EMJ portfolio. In addition, the journal publishes features and opinion pieces create a discussion around key topics in the field and broaden readers’ professional interests. The journal also features interviews with leading experts in various clinical disciplines.

The journal covers advances within the pharmaceutical arena by publishing sponsored content from congress symposia, which is of high educational value for healthcare professionals. This undergoes rigorous quality control checks by independent experts and the in-house editorial team.

EMJ endeavours to increase knowledge, stimulate discussion, and contribute to the delivery of world-class updates in the clinical realm. We do not publish veterinary science papers or laboratory studies that are not linked to patient outcomes. Further details on coverage can be found here: www.emjreviews.com

Editorial Expertise

EMJ is supported by various levels of expertise:

• Guidance from an Editorial Board consisting of leading authorities from a wide variety of disciplines.

• Invited contributors who are recognised authorities in their respective fields.

• Peer review, which is conducted by expert reviewers who are invited by the Editorial team and appointed based on their knowledge of a specific topic.

• An experienced team of editors and technical editors.

• A team of internal and independent medical writers.

Peer Review

Every review article, case report, feature, and research article published in EMJ undergoes peer review by at least two independent experts.

On submission, all manuscripts are assessed and undergo a technical check by the EMJ Editorial staff to determine their suitability for the journal and appropriateness for peer review. Editorial staff identify appropriate reviewers who are selected based on their specialist knowledge in the relevant area. All peer review is double-blind.

Following review, manuscripts are either accepted without modification, returned to the author(s) to incorporate required changes, or rejected. Editorial staff are responsible for ensuring that necessary amendments to the manuscript have been made, with input from our Editorial Board or the original reviewers where necessary. The Editor of EMJ has final discretion over any proposed amendments. Manuscripts authored by members of the Editorial Board are subjected to the same double-blind process. Short opinion pieces are published following internal review and publication is at the discretion of the Editor. Congress-associated content authored by the EMJ Editorial staff undergoes internal quality control checks. Congress-related content sponsored or funded by our industry partners undergoes quality control checks independently. Industry-supported content that falls into any of

the categories that are eligible for peer review, undergoes the same peer review process.

Submissions

We welcome contributions from professionals, consultants, academics, and industry leaders on relevant and topical subjects. We seek papers with the most current, interesting, and relevant information in each therapeutic area and accept original research, review articles, case reports, and features.

We are always keen to hear from healthcare professionals wishing to discuss potential submissions, please email: editorial.assistant@emjreviews.com

To submit a paper, use our online submission site: www.editorialmanager.com/e-m-j

Submission details can be found through our website: www.emjreviews.com/contributors/authors

Reprints

All articles included in EMJ are available as reprints (minimum order 1,000). Please contact hello@emjreviews.com if you would like to order reprints.

Distribution and Readership

EMJ is distributed through controlled circulation to healthcare professionals in the relevant fields globally.

Indexing and Availability

EMJ is indexed on DOAJ, the Royal Society of Medicine, and Google Scholar®.

EMJ is available through the websites of our leading partners and collaborating societies.

EMJ journals are all available via our website: www.emjreviews.com

Open Access

This is an open-access journal in accordance with the Creative Commons Attribution-Non Commercial 4.0 (CC BY-NC 4.0) license.

Congress Notice

Staff members attend medical congresses as reporters when required.

This Publication

Launch Date: 2016 Frequency: Quarterly Online ISSN: 2397-6764

All information obtained by EMJ and each of the contributions from various sources is as current and accurate as possible. However, due to human or mechanical errors, EMJ and the contributors cannot guarantee the accuracy, adequacy, or completeness of any information, and cannot be held responsible for any errors or omissions. EMJ is completely independent of any event reviews in this issue and the use of the organisations does not constitute endorsement or media partnership in any form whatsoever. The cover photo is of Greece, the location of work for the primary author of Editor's Pick.

Front cover and contents photograph: Izmir, Turkey © Ryzhkov Oleksandr / stock.adobe.com

Managing Editor

Darcy Richards

Copy Editors

Noémie Fouarge, Sarah Jahncke, Aranii Nagarajah

Editorial Leads

Helena Bradbury, Ada Enesco

Editorial Co-ordinators

Jenna Lorge, Bertie Pearcey

Editorial Assistants

Katrina Thornber, Katie Wright, Aleksandra Zurowska

Creative Director

Tim Uden

Design Manager

Stacey White

Senior Designers

Owen Silcox

Tamara Kondolomo

Creative Artworker

Dillon Benn Grove

Designers

Shanjok Gurung, Fabio van Paris

Junior Designer

Helena Spicer

Head of Marketing

Stephanie Corbett

Chief Executive Officer

Justin Levett

Chief Commercial Officer

Dan Healy

Founder and Chairman

Spencer Gore

Welcome

Dear Readers,

We are delighted to welcome you to the third issue of the EMJ Flagship Journal for 2025, which focuses on advances in genomics, an area with the potential to transform how the profession approaches disease prevention, as well as early diagnosis and personalised treatment for improved patient outcomes.

In our exclusive expert interviews with Sir Mark Caulfield and Bill Newman, you can discover more about what a multi-omics future looks like and the potential of pharmacogenomics. Stephen Kingsmore discussed rapid whole genome sequencing, next-generation sequencing, and the scalability and ethics of these. You can also learn more about novel therapeutic avenues for neuromuscular diseases in an insightful congress feature, showcasing how genomics can aid rare disease treatment.

Amongst our peer-reviewed content is a feature exploring a possible cure for acne vulgaris through innovations in phage therapy, highlighting not only the potential and promise of this treatment, but also the challenges that will need to be addressed before its implementation into clinical practice. Also included are a range of reviews, original research, and case reports spanning several therapeutic areas.

We would like to take this opportunity to thank our Editorial Board, the authors, peer reviewers, and interviewees for their invaluable contributions to this issue. We hope you enjoy reading and find insights that add value to your daily practice and encourage discourse with your colleagues.

Contact us

Editorial enquiries: editor@emjreviews.com

Sales opportunities: salesadmin@emjreviews.com

Permissions and copyright: accountsreceivable@emjreviews.com

Reprints: info@emjreviews.com Media enquiries: marketing@emjreviews.com

Foreword

Dear Colleagues,

Welcome to the latest issue of the EMJ Flagship Journal for 2025, where we explore advancements in genomics, a field that continues to redefine the boundaries of modern medicine

As genomic technologies accelerate, their clinical applications are becoming increasingly transformative across specialties. From diagnostics and drug development to personalised medicine and rare disease research, genomics is no longer the domain of the future; it is the foundation of today’s precision healthcare.

This issue brings together an array of peerreviewed research, reflecting the depth and breadth of genomic impact. Among the highlights, we examine the use of lowdose nivolumab as a bridging therapy in relapsed/refractory Hodgkin’s lymphoma and the potential of phage therapy as an innovative, genomics-guided treatment for acne vulgaris. We also explore how digital rectal exams and family history can help

detect prostate cancer in patients with lowrisk Prostate Imaging Reporting and Data System (PI-RADS) 1–2 imaging.

In keeping with our focus on genomics, we are proud to feature exclusive interviews with three internationally recognised leaders in the field: Sir Mark Caulfield, a pioneer in population genomics; Stephen Kingsmore, whose work has driven rapid whole-genome sequencing in newborns who are critically ill; and Bill Newman, a leading voice in rare genetic diseases and personalised medicine. Each offers a unique perspective on the breakthroughs, challenges, and ethical questions shaping the genomic era.

As always, my sincere thanks go to our authors, peer reviewers, interviewees, and Editorial Board, whose expertise and dedication have made this journal possible. I hope this issue sparks conversation, curiosity, and innovation as we continue to navigate the genomic frontier.

This issue brings together an array of peer-reviewed research, reflecting the depth and breadth of genomic impact

Professor of Medicine and Chairman, Department of Gastroenterology and Hepatology, Endocrinology, Rheumatology and Nephrology, Klinikum Klagenfurt am Wörthersee, Austria

Next-Gen Neurology: Emerging Therapeutic Strategies in

Neuromuscular Diseases

Author: Bertie Pearcey, EMJ, London, UK

Citation: EMJ. 2025;10[3]:10-15. https://doi.org/10.33590/emj/GXUO3027

NEUROMUSCULAR diseases, while rare, can be debilitating and even fatal for patients if left untreated. Although some treatments do exist, long-term evidence is lacking, and physiological barriers exist, marking an unmet need for patients. A session delivered at the 11th European Academy of Neurology (EAN) Annual Congress, held in Helsinki, Finland from 21ˢᵗ–24ᵗʰ June 2025, titled ‘New Therapeutic Roads for Neuromuscular Disease’, chaired by Kristl Claeys, UZ Leuven, Belgium; and Benedikt Schoser, Ludwig-Maximilians-University, Munich, Germany, explored the next generation of treatments for this group of rare neurological diseases.

MYASTHENIA GRAVIS PATHOPHYSIOLOGY AND UNMET NEEDS

The session began with an explanation from Claeys on myasthenia gravis (MG), an autoimmune neuromuscular disease characterised by fluctuating muscle weakness, which continues to challenge clinicians, particularly in its refractory forms.

MG primarily involves pathogenic autoantibodies targeting the postsynaptic membrane of neuromuscular junctions (NMJ). The most common causal antibodies are IgG1 and IgG3 subclasses directed against the acetylcholine receptor, which trigger complement activation and subsequent destruction of NMJ components. Less frequently, MG arises from IgG4 antibodies against musclespecific kinase or IgG1 antibodies against low-density lipoprotein receptor-related protein 4 (LRP4). Claeys also specified that a small subset of patients (around 5%) are seronegative, with an unknown cause.

Despite advances, she stressed that “Even with the current innovative drugs, the ultimate therapeutic goal of complete disease control can only be reached in a subset of MG patients,” and that “new

targeted or precision immunotherapies with increased efficacy and safety are needed for complete elimination of the pathogenic antibodies.”

Even with the current innovative drugs, the ultimate therapeutic goal of complete disease control can only be reached in a subset of MG patients

CAR-T Cell Therapy: A New Frontier

One promising avenue is CAR-T cell therapy, which has revolutionised cancer treatment. Unlike in cancer, where CAR-T cells target B cell proliferation broadly, in autoimmune diseases, they are designed to eliminate B cells producing pathogenic autoantibodies. She highlighted a trial of five patients with systemic lupus erythematosus who achieved drug-free remission after CAR-T therapy, experiencing only mild adverse events such as cytokine release syndrome.1

Promising Results in Early-Phase Studies

Claeys presented preliminary results from a Phase Ib/IIa trial investigating autologous

mRNA CAR-T therapy targeting B cell maturation antigen (BCMA) in 14 adults with refractory generalised MG.2 The study tested different dosing intervals and primarily assessed safety. Treatment was well tolerated, with only mild (Grade 1) adverse events reported. Partial plasma cell depletion led to reduced total IgG levels, vaccine antibodies, and autoantibodies, with no opportunistic infections, and a notable reduction in MG disease severity.

Additional case reports supported these findings, showing symptomatic improvement and antibody reduction following anti-CD19,3 anti-BCMA,4 or bispecific CAR-T therapy.5 In one instance, a patient achieved drug-free remission with undetectable acetylcholine receptor antibodies.4 Similar successes have been noted in other B cell-driven autoimmune diseases, including stiff person syndrome and chronic inflammatory demyelinating polyneuropathy. While the results are encouraging, Claeys cautioned that long-term data remain limited, and larger, controlled studies are needed.

GENE THERAPY IN NEUROMUSCULAR DISORDERS: CURRENT CHALLENGES AND THE PROMISE OF ANTISENSE OLIGONUCLEOTIDES

Schoser took the stage to explore the landscape of gene therapies in neuromuscular diseases, highlighting both the promise and remaining challenges.

Gene therapy for neuromuscular disorders currently spans three broad strategies: gene replacement, gene editing, and antisense oligonucleotides (ASO). While gene replacement has shown success in spinal muscular atrophy (SMA), especially in paediatric patients, gene editing technologies such as CRISPR-Cas9 remain largely experimental. ASOs, meanwhile, have entered the clinic with agents for SMA and with emerging candidates for disorders such as myotonic dystrophy.

Schoser distinguished between two key delivery modalities: viral vectors, notably adeno-associated virus (AAV) vectors, and ASOs. He explained that AAV vectors offer durable gene expression but come with immune-related risks, challenges crossing the blood–brain barrier, and limitations with gene size and pre-existing muscle pathology. In contrast, ASOs provide efficient delivery to muscle and brain tissues with fewer immune concerns, but require repeated dosing every 4–8 weeks; a burden for patients and healthcare systems alike. Moreover, ASOs carry potential off-target effects and toxicity that necessitate careful monitoring.

ASOs provide efficient delivery to muscle and brain tissues with fewer immune concerns, but require repeated dosing every 4–8 weeks

Myotonic Dystrophy: A Paradigm for Antisense Oligonucleotide Therapeutics

Schoser presented myotonic dystrophy Type 1 as a complex multi-system disorder. The disease stems from CTG repeat expansions in the DNA, leading to toxic RNA hairpin structures that trap muscleblind-like proteins and disrupt normal RNA splicing, locking cells in an embryonic state and causing myotonia.

Three types of ASOs targeting myotonic dystrophy Type 1 RNA have shown promise: siRNA-based ASOs, RNase H ASOs, and steric blocking ASOs, each with individual pros and cons.

Looking Forward: Challenges and Innovations

Beyond ASOs, emerging approaches include AAV-delivered siRNAs, small molecules, and preclinical CRISPR-based therapies. Yet, challenges with toxicity, immune responses, and long-term efficacy require ongoing investigation. Notably, ASO treatment cessation may allow toxic RNA repeats to re-expand, highlighting the need for durable solutions.

Schoser concluded by emphasising the importance of drug stability, uptake, and global affordability, notably balancing infusion centre demands against the potential for home administration, to ensure no patients are missed.

EXPLORING NEW HORIZONS IN GENE THERAPY FOR NEURODEGENERATIVE DISORDERS

Francesca Fumagalli, San Raffaele Telethon Institute for Gene Therapy, Milan, Italy, opened her presentation by framing gene therapy as an approach that harnesses viral vectors to deliver genetic material. She summarised four key strategies: replacing faulty genes, silencing harmful gene expression, adding new genes to compensate for dysfunction, and editing genes to correct mutations at their source.

Choosing the Right Vector

Central to successful gene therapy is selecting the most suitable viral vector. Fumagalli highlighted the strengths and limitations of four common types: adenoviral, AAV, murine retroviral, and lentiviral vectors. Each differs in capacity, duration of gene expression, target cells, and safety. For instance, adenoviral vectors can carry larger genes but often elicit immune responses. Conversely, AAV vectors are prized for their long-lasting effects and low immunogenicity, though they accommodate smaller genes.

Delivering Gene Therapy In Vivo: Hope for Rare Disorders

Gene therapy can be administered directly into the patient’s body, in vivo delivery, either systemically or targeted to specific tissues. Fumagalli discussed one example of onasemnogene abeparvovec, an AAV9-based treatment for SMA. By restoring the function of the SMN1 gene, this therapy can improve survival and motor outcomes, especially when given early.6,7 However, it does not cure the disease.

In Duchenne muscular dystrophy, delandistrogene moxeparvovec uses muscle-targeted AAV vectors to express a shortened dystrophin protein. While it increased microdystrophin expression, the primary motor function outcome was not met in trials,8 highlighting challenges in translating biomarker gains into clinical improvements. Approval was granted on the basis of surrogate endpoints, with further data awaited.

Another compelling case Fumagalli explained is eladocagene exuparvovec for aromatic L-amino acid decarboxylase deficiency, a rare condition disrupting dopamine synthesis. Delivered directly to the brain, this gene therapy has led to sustained gains in motor function with a favourable safety profile, particularly when started early.9

The Promise and Complexity of Ex Vivo Stem Cell Therapies

She went on to explain how ex vivo gene therapy presents a more complex approach. For metachromatic leukodystrophy, a demyelinating lysosomal storage disorder caused by arylsulfatase A deficiency and subsequent accumulation of sulfatides in the central and peripheral nervous systems, gene therapy has achieved durable enzyme overexpression, improved neurological outcomes, and slowed disease progression.10 Early intervention before symptom onset is critical to preserve nerve function and quality of life.

Advances in Treating Adrenoleukodystrophy with Gene Therapy

Adrenoleukodystrophy, an X-linked disorder caused by ATP-binding cassette subfamily D member 1 (ABCD1) mutations, leads to the accumulation of toxic very long-chain fatty acids and progressive neurological decline. Traditionally, cerebral adrenoleukodystrophy is treated with allogeneic stem cell transplantation after symptom onset, with significant transplant risks.

Fumagalli’s final point emphasised the risks of these therapies, noting concerns over cases of treatment-related blood cancers with certain ex vivo gene therapies, highlighting the need for vigilance and ongoing research.

Looking Ahead: Early Diagnosis and Lifelong Management

Fumagalli concluded by stressing that successful gene therapy hinges on understanding the genetic and clinical landscape of each disease, guiding vector choice and timing, and that presymptomatic diagnosis through newborn screening can maximise benefits.

To fully realise gene therapy’s potential, she called for investment in natural history studies, long-term patient follow-up, and real-world data. As these technologies mature, they hold the promise of transforming care for many rare neurodegenerative diseases.

ENZYME REPLACEMENT THERAPY IN NEUROMUSCULAR DISORDERS: PROGRESS AND CHALLENGES

Nadine van der Beek, Erasmus University, Rotterdam, the Netherlands, offered a comprehensive overview of enzyme replacement therapies (ERT) and their evolving role in treating lysosomal storage disorders, focusing on Pompe disease. Lysosomal storage disorders are rare inherited metabolic conditions caused by enzyme deficiencies, leading to harmful accumulation of substrates within lysosomes. These disorders typically affect multiple organ systems, complicating their management.

ERT works by administering recombinant human enzymes, usually through intravenous infusions. Once in the bloodstream, these enzymes are taken up by target cells via receptor-mediated endocytosis, transporting the enzyme into lysosomes to degrade accumulated material.

van der Beek continued with a specific introduction to Pompe disease, caused by a deficiency of the lysosomal enzyme acid alpha-glucosidase, which manifests in two main forms. Classic infantile Pompe disease presents within the first year of life with severe muscle weakness and respiratory failure, often fatal if untreated. The late-onset form, emerging in childhood or adulthood, predominantly affects skeletal and respiratory muscles and shows a more variable progression.

She went on to describe how the first generation of ERT for Pompe disease marked a milestone, with the initial human trial starting in 1999 and approval following in 2006. For the first time, treatment extended survival beyond infancy and enabled patients to achieve

motor milestones such as independent walking. Subsequent studies demonstrated improvements in lung function and mobility compared to placebo,11 representing a major step forward for affected families.

Refining Treatment and Recognising New Challenges

Over time, experience with ERT has highlighted the critical importance of dosing. While the original approved regimen was 20 mg/kg every other week, many clinicians have adopted higher doses, sometimes up to eight times the original amount, to improve outcomes. This adjustment has led to better survival rates.12

However, long-term follow-up has revealed challenges. van der Beek explained that some patients experience a decline in motor function despite treatment, including previously unrecognised distal muscle weakness. Another significant limitation is that ERT does not cross the blood–brain barrier, leaving central nervous system involvement unaddressed. This has led to new phenotypes characterised by cognitive decline and white matter changes, conditions that only became apparent as treated patients began to live longer.

Moreover, the immune response to infused enzymes remains a concern. Antibody formation can interfere with both enzyme activity and uptake into the tissues, especially in classic infantile patients. Strategies combining immune modulation with ERT have shown promise in mitigating this effect.

Next-Generation Therapies and the Road Ahead

Recent advances have introduced nextgeneration ERTs designed to improve enzyme delivery and stability.

The COMET trial13 demonstrated that avalglucosidase alfa led to better outcomes in lung function and walking distance compared to the original therapy, with longer-term extension studies confirming these sustained benefits. Similarly, the PROPEL study14 investigating cipaglucosidase alfa with a small molecule chaperone showed promising improvements, though it narrowly missed statistical superiority in some measures.

Looking Forward: Towards Personalised Medicine

van der Beek stressed that despite progress, current ERTs fail to address neurological involvement, and long-term real-world data comparing new treatments are still awaited. Large-scale international registries and longitudinal studies will be crucial to understanding which patients benefit most from each therapy and guiding personalised treatment choices. “We should move away from a one-size-fitsall approach to an individualised, tailored treatment approach,” she concluded.

We should move away from a one-size-fits-all approach to an individualised, tailored treatment approach

CONCLUSION

While the original approved regimen was 20 mg/kg every other week, many clinicians have adopted higher doses, sometimes up to eight times the original amount

Together, these advances in neuromuscular disease illustrate a transformative era in medicine. While significant challenges remain, the overarching theme is clear: personalised, mechanism-based approaches are the future. With ongoing research, real-world data collection, and innovative trial designs, the future holds promise for more durable, targeted, and patient-centred therapies that could alter the trajectory of neuromuscular diseases and improve quality of life for many.

References

1. Meckensen A et al. Anti-CD19 CAR T cell therapy for refractory systemic lupus erythematosus. Nat Med. 2022;28(10):2124-32.

2. Granit V et al. Safety and clinical activity of autologous RNA chimeric antigen receptor T-cell therapy in myasthenia gravis (MG-001): a prospective, multicentre, open-label, non-randomised phase 1b/2a study. Lancet Neurol. 2023;22(7):578-90.

3. Haghikia A et al. Anti-CD19 CAR T cells for refractory myasthenia gravis. Lancet Neurol. 2023;22(12):1104-5.

4. Tian DS et al. B cell lineage reconstitution underlies CAR-T cell therapeutic efficacy in patients with refractory myasthenia gravis. EMBO Mol Med. 2024;16(4):966-87.

5. Zhang Y et al. Bispecific BCMA/CD19 targeted CAR-T cell therapy forces sustained disappearance of symptoms and anti-acetylcholine receptor antibodies in refractory myasthenia gravis: a case report. J Neurol. 2024;271(7):4655-9.

6. Mercuri E et al. Onasemnogene abeparvovec gene therapy for symptomatic infantile-onset spinal muscular atrophy type 1 (STR1VE-EU): an open-label, single-arm, multicentre, phase 3 trial. Lancet Neurol. 2021;20(10):832-41.

7. Weiß C et al. Efficacy and safety of gene therapy with onasemnogene abeparvovec in children with spinal muscular atrophy in the D-ACH-region: a population-based observational study. Lancet Reg Health Eur. 2024;47:101092.

8. Oskoui M et al. Delandistrogene moxeparvovec gene therapy in individuals with duchenne muscular dystrophy: evidence in focus: report of the AAN guidelines subcommittee. Neurology. 2025;105(4):e214014.

9. Tai CH et al. Long-term efficacy and safety of eladocagene exuparvovec in patients with AADC deficiency. Mol Ther. 2022;30(2):509-18.

10. Fumigalli et al. Long-term effects of atidarsagene autotemcel for metachromatic leukodystrophy. N Eng J Med. 2025;392(16):1609-20.

11. Van der Ploeg et al. A randomized study of alglucosidase alfa in lateonset Pompe's disease. N Engl J Med. 2010;362(15):1396-406.

12. Ditters IAM et al. Effect of alglucosidase alfa dosage on survival and walking ability in patients with classic infantile Pompe disease: a multicentre observational cohort study from the European Pompe Consortium. Lancet Child Adol Health. 2022;6(1):28-37.

13. Diaz-Manera J et al. Safety and efficacy of avalglucosidase alfa versus alglucosidase alfa in patients with late-onset Pompe disease (COMET): a phase 3, randomised, multicentre trial. Lancet Neurol. 2021;20(12):1012-26.

14. Schoser B et al. Safety and efficacy of cipaglucosidase alfa plus miglustat versus alglucosidase alfa plus placebo in late-onset Pompe disease (PROPEL): an international, randomised, double-blind, parallelgroup, phase 3 trial. Lancet Neurol. 2021;20(12):1027-37.

Bradykinin-Mediated Angioedema: Pathways, Physiology, and Disease Mechanism

This Pharvaris-sponsored symposium took place on the 29th May 2025, in Budapest, Hungary

Support: The publication of this article was funded by Pharvaris.

Chairperson: Henriette Farkas1

Speakers: Marc A. Riedl,2 Danny M. Cohn3

1. Hungarian Angioedema Reference Centre (ACARE Center), Department of Internal Medicine and Haematology, Semmelweis University, Budapest, Hungary

2. US HAEA Angioedema Center, University of California (UC) San Diego Health, California, USA

3. Amsterdam University Medical Center (UMC), the Netherlands

Disclosure:

Farkas has received research grants from CSL Behring and Pharvaris; speaker fees from CSL Behring and Shire/Takeda; travel grants from CSL Behring, Shire/Takeda, Pharming, Kalvista, Pharvaris, Biocryst, Astria, Intellia, Biocryst, and Ionis; and served as an advisor/consultant for CSL Behring, Shire/Takeda, Pharming, ONO Pharmaceutical, Kalvista, Pharvaris, Biocryst, Astria, Intellia, Biocryst, and Ionis.

Riedl has received research support from Astria, Biocryst, Biomarin, CSL Behring, Intellia, Ionis, Kalvista, Pharvaris, and Takeda; received consulting fees from Astria, Biocryst, Biomarin, Celldex, CSL Behring, Cycle Pharma, Grifols, Intellia, Ionis, Kalvista, Novartis, Pharming, Pharvaris, Sanofi-Regeneron, and Takeda; and speaker presentation fees from Biocryst, CSL Behring, Grifols, Pharming, and Takeda.

Cohn has received consulting fees paid to the institution, honoraria paid to the institution, medical writing support, meeting/travel support, research support, and/or served on advisory boards from/for Astria, BioCryst, CSL Behring, Intellia Therapeutics, Ionis Pharmaceuticals, KalVista Pharmaceuticals, Otsuka, Pharvaris, and Takeda; and served in a leadership role on the HAEi Medical Advisory panel for Central Eastern Europe and Benelux.

Acknowledgements: Medical writing assistance was provided by Yolande Chalmers, EMJ, London, UK.

Disclaimer: The views and opinions expressed in this symposium are those of the individual speakers and chairperson and do not necessarily reflect those of Pharvaris or EMJ. Speakers and the chairperson received honoraria for their participation in the symposium.

Keywords: Angioedema (AE), bradykinin (BK), bradykinin-mediated angioedema (AE-BK), bradykinin B2 receptor (B2R), C1 inhibitor (C1INH), diagnostic biomarkers, inflammation, kallikrein-kinin system, subtype classification.

Citation: EMJ. 2025;10[3]:16-25.

https://doi.org/10.33590/emj/VBKS3456

Meeting Summary

On the 29th May 2025 in Budapest, Hungary, leading experts discussed bradykinin-mediated angioedema (AE-BK). Henriette Farkas, Head of the Hungarian Angioedema Center of Reference and Excellence, Semmelweis University, in Budapest, Hungary; Marc A. Riedl, Clinical Director of the US HAEA Angioedema Center, UC San Diego Health, California, USA; and Danny M. Cohn, Medical Specialist in Vascular Medicine at the Amsterdam University Medical Center, the Netherlands, elucidated the mechanisms underlying the bradykinin (BK) signalling cascade, associated pathways, and the role of BK in both AE-BK and broader inflammatory disorders. The role of BK B2 receptor (B2R) was discussed, as well as the consequences of B2R antagonism, exploring whether this antagonism might have an impact on pathophysiological processes. A key focus was on the unmet needs in AE-BK, notably for on-demand (ODT) and long-term prophylactic (LTP) treatment approaches to address needs in multiple types of AE-BK. For treatments to address individual patient expectations and needs, they should be effective, well-tolerated, and have a low treatment burden regarding portability, handling, and administration. The value of standardised guidelines to aid the classification of recurrent angioedema (AE) was also discussed. Additionally, the value of reliable and accurate biomarker-based testing aiding diagnosis was emphasised. Ongoing research aims to address these gaps by investigating novel biomarker testing approaches and exploring additional therapeutic approaches.

Multifaceted Pathways Lead to Bradykinin Production

BK is a short-lived effector molecule that belongs to the peptide family of kinins and plays a crucial role in inflammation.1,2 It was first discovered in 1949,2 and BK receptors were cloned and characterised in 1994.3,4 In 2004, a B2R antagonist was first evaluated for the treatment of hereditary angioedema (HAE) in the FAST-1 clinical trial.5,6

BK is formed through several biological pathways, including the kallikrein-kinin system (KKS).7 Riedl explained that in physiological conditions, activation of the plasma KKS system and subsequent release of BK is triggered by the contact/ coagulation activation system, in response to trauma, injury, or infection.7,8 Contact system activation results in factor XII (FXII) activation, which converts prekallikrein to plasma kallikrein (pKal). pKal cleaves high molecular weight kininogen (HK) to generate BK.7,8 pKal additionally activates FXII, resulting in the amplification of FXII activity and further contact system activation. The activation of both the CAS and KKS systems is physiologically aimed at repairing the injury site.9

BK can also be produced independently of the KKS pathway, through activation of the fibrinolytic pathway, initiated by wound healing and breakdown of fibrin, and results in plasmin generation that can cleave HK, leading to BK generation.10,11

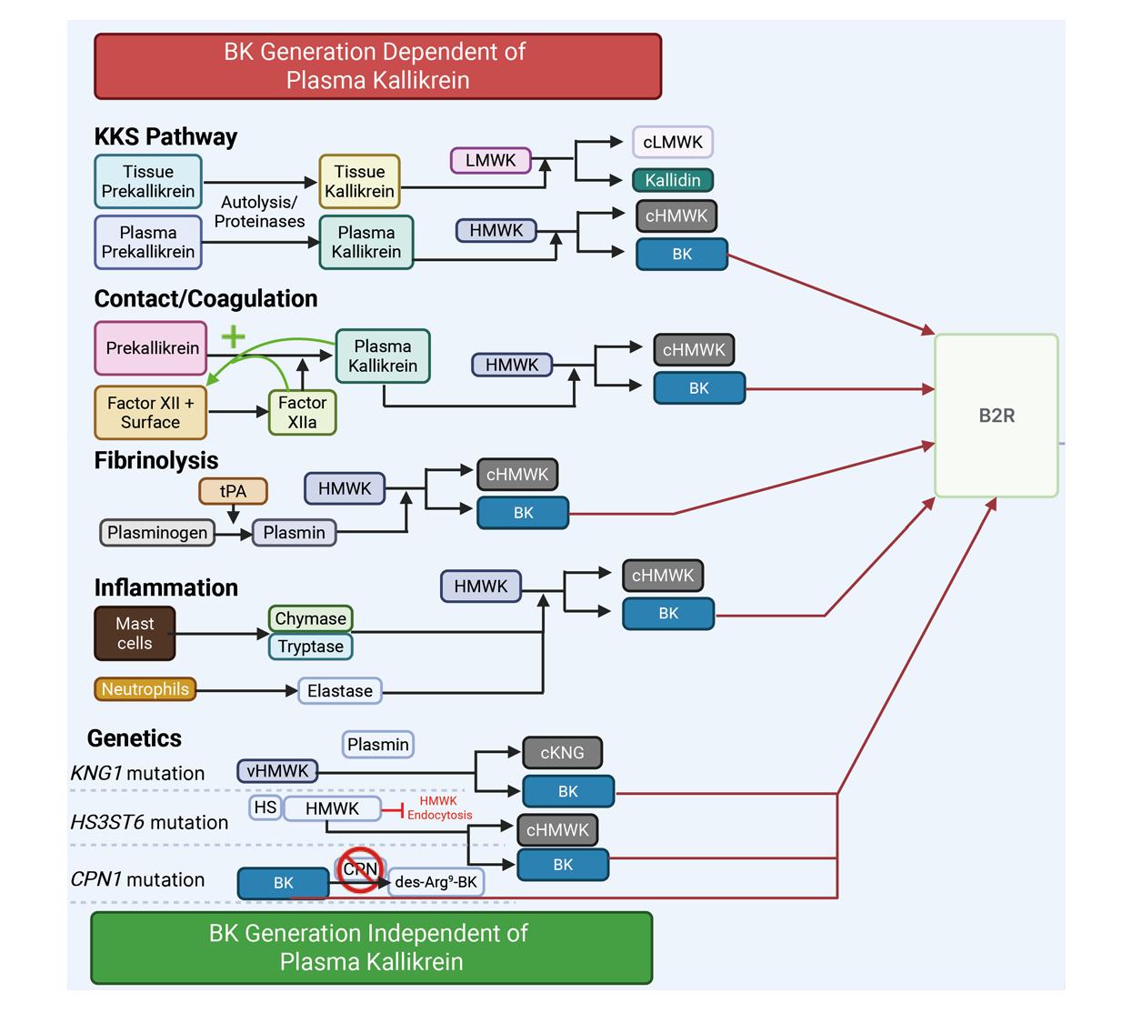
On the other hand, inflammation can also lead to BK generation. Activation of the innate immune system results in degranulation of mast cells and neutrophils to clear pathogens, resulting in release of several proteases that are believed to cleave HK and generate BK.12 Summarising this, Riedl commented: “There are multiple pathways by which BK can be formed, and for the majority, their biological function is related to diseases we are familiar with, all of which are signalled through the common B2R pathway.” Moreover, he highlighted that the production of BK can be influenced by genetics and certain pathogenic mutations, which lead to uncontrolled BK production (Figure 1).

Bradykinin B2 Receptor Antagonism

BK exerts its effects by converging on and activating specific receptors, including the B2R.7,13 B2R, a G protein-coupled receptor

Figure 1: Generation of bradykinin: dependent and independent of plasma kallikrein.

Created in BioRender.com

B2R: bradykinin B2 receptor; BK: bradykinin; cHMWK: cleaved high molecular weight kininogen; cKNG: cleaved kininogen; CPN: carboxypeptidase N; C1INH: C1 inhibitor; des-Arg-BK: bradykinin lacking arginine at position 9; HMWK: high molecular weight kininogen; HS: heparan sulfate; KKS: kallikrein-kinin system; KNG: kininogen; LMWK: low molecular weight kininogen; tPA: tissue-type plasminogen activator; v: variant.

(GPCR), is activated through the binding of either BK or, with lower affinity, kallidin.14 Highlighting the clinical relevance of GPCRs such as B2R, Riedl noted: “Approximately one-third of all drugs marketed are targeted at GPCRs, as they are so ubiquitous in disease processes.” BK binds to the B2R through extensive molecular contacts, serving as the primary receptor for BK signalling.7,13,14 Compared to the human BK B1 receptor, BK exhibits a 20,000-fold greater affinity for human B2R.13 Notably, Riedl highlighted that B2R antagonism can modulate BK-mediated effects independently of the pathway leading to BK production.

The B2R is constitutively expressed, and its expression may be elevated in certain pathologies.15,16 Highlighting the proinflammatory activity of BK, Riedl described BK as “... part of the inflammatory milieu... when activated, B2R triggers oedema, vascular permeability, inflammation, and vasodilation.”

BK signalling is primarily mediated through the activation of the B2R.15 By promoting vascular permeability and inflammation, dysregulation of BK production can contribute significantly to a range of inflammatory disorders, as observed in conditions such as AE-BK,15,17 asthma,16,18 and a cold-induced urticarial syndrome.19 Consequently, B2R represents a potential therapeutic target for disorders that are characterised by BK-mediated hyperpermeability and inflammation.6,20,21

Bradykinin B2 Receptor Antagonism as a Therapeutic Target: Studies and Case Reports

Riedl navigated a series of clinical trials which assessed B2R antagonism in BKmediated conditions such as HAE. For example, in HAE, a type of AE-BK, B2R antagonism has recognised therapeutic effects on disease manifestations in an acute, on-demand treatment (ODT) setting.6,19,22,23 In patients with chronic asthma, B2R antagonism versus placebo has been shown to improve pulmonary

function test performance (e.g., forced expiratory volume in 1 second and peak expiratory flow rate) by 10% after 4 weeks.24 However, Riedl noted, despite improvement in measured pulmonary function, patients reported no significant clinical benefit in symptom score or reduction in rescue medication when compared to placebo.24 B2R antagonism has also been shown to reduce fatigue in FXII-Associated Cold Autoinflammatory Disease (FACAS).19 Riedl concluded that, whilst BK is implicated in a range of inflammatory disorders, such as AE-BK, further research is needed to delineate the specific pathologies in which BK is a core mediator from those where it acts as a conditional contributor alongside other factors.

Patients with acute ischaemic stroke (AIS) receive thrombolytic/fibrinolytic therapy to improve blood flow.25 However, a potential side effect of tissue plasminogen activator (tPA) fibrinolytic treatment in some patients with AIS is orolingual and facial angioedema.26,27 tPA-induced angioedema provides a valuable model to assess the effects of B2R antagonism during an ischaemic condition.27-31 In a series of case reports, patients with AIS and tPAinduced angioedema were administered B2R antagonist treatment. B2R antagonism appeared to reduce angioedema progression, with no reported adverse effects of B2R antagonism on the evolution of AIS.29-33

A randomised, double-blind, placebocontrolled crossover study (N=11) investigated the effects of B2R antagonism in patients experiencing intradialytic hypotension (IDH) during haemodialysis, hypothesised to occur as a result of an increased production of vasodilators, such as BK.34 Of the 11 patients undergoing haemodialysis, seven experienced IDH, defined as a reduction of systolic blood pressure ≥20 mmHg during haemodialysis. A post-hoc stratified analysis based on the presence of IDH revealed that B2R antagonism rescued the drop in blood pressure in patients with IDH but had no effect in patients without IDH. Further, B2R antagonism did not affect heart rate and had no associated adverse events.34

The efficacy of B2R antagonists for the treatment of angiotensin-converting enzyme (ACE) inhibitor-induced angioedema (AE-ACEI) has been assessed across randomised controlled trials. Within 10–12 hours after the onset of AE-ACEI, patients were administered 30 mg of B2R antagonist subcutaneously. Although the primary endpoint of time to symptom resolution or meeting discharge criteria was not met in two of the three studies cited, B2R antagonism did not result in increased blood pressure, and no serious adverse events were reported.35-37

Riedl outlined a clinical case of a patient with HAE observed under repeated B2R antagonism in the form of repeated, acute treatment for a total of 141 HAE attacks over 3 years. No systemic or cardiovascular side effects from this repeated on-demand treatment were reported.38 Considering these studies, Riedl noted that, according to the evidence available to date in humans, the role of B2R in overall cardiovascular homeostasis may be conditional, though data from additional human studies will be important.

Unmasking Bradykinin-Mediated Angioedema: Connecting Evidence, Innovation, and Unmet Needs

AE is a heterogeneous condition with variability across its aetiology, pathophysiology, frequency, and symptomology.39 Cohn explained that “recurrent AE is a field of many unmet needs, and even the classification of the disease itself is challenging.” Reflecting this complexity, he highlighted that several taxonomic systems are currently in use amongst clinicians, each with varying proposed classifications of AE. Cohn emphasised that exact classifications of AE have some inconsistencies across different guidelines and consensus documents, with taxonomical gaps remaining and updated guidelines becoming increasingly necessary as novel genetic mutations are uncovered.39

In 2021, updates to the International World Allergy Organization (WAO)/European Academy of Allergy and Clinical Immunology

(EAACI) guidelines incorporated published evidence to support clinicians and patients in making informed disease management decisions for HAE.19 More recently, the Definition, Acronyms, Nomenclature, and Classification of Angioedema (DANCE) framework was developed to provide a global consensus, integrating clinical expression, underlying mechanisms, biomarkers, and genetics to define different subtypes of AE (Figure 2).39 Under the DANCE classifications, AE-BK encompasses hereditary C1 esterase inhibitor (C1INH) deficiency (HAE-C1INH), acquired C1INH deficiency (AAE-C1INH), and hereditary angioedema with normal C1INH and with genetic mutations in genes encoding for elements of the KKS.39 Two newly described forms of HAE, HAE-CPN (HAEcarboxypeptidase N) and HAE-DAB2IP (disabled homolog 2 interacting protein), are considered to be at least in part BKmediated, but where these fit into the DANCE classification is not yet clear.40

Cohn explained that there are several types of AE-BK, which encompass all AEs attributed to the KKS cascade and BK production.39 C1INH is believed to regulate BK production by inhibiting FXIIa, which activates prekallikrein to kallikrein, and by directly inhibiting plasma kallikrein, which cleaves HK into BK.39 Reduced levels or dysfunction of C1INH result in excess BK.41,42 AEs mediated by BK include HAEC1INH, forms of HAE-C1INH, and acquired angioedema due to C1INH deficiency. HAEC1INH is inherited, mediated by deficient or dysfunctional C1INH,19,39,41 resulting in excess BK production.41 AAE-C1INH is caused by deficiencies in C1INH, as a result of pathomechanisms that include consumption or anti-C1INH antibodies, typically acquired secondary to autoimmune or haematooncologic conditions (mainly lymphoma). However, in selected cases, no underlying condition can be identified.41

AE-BK also includes some forms of HAE with normal C1INH (HAE-nC1INH), which have a similar phenotype to HAE-C1INH, but with normal C1INH inhibitor levels, and can be classified based on the underlying genetic cause.39 Within the DANCE framework, there are four established

Figure 2: The DANCE classification framework for angioedema.39

Name

AE-MC

AE-BK

AE-VE

AE-DI

AE-UNK

Mechanism

Mast cell degranulation

Hereditary C1INH deficiency

Acquired C1INH deficiency

KKS (contact) pathway mutations

Intrinsic VE dysfunction

Drug adverse reactions

Unknown aetiology/mechanism

*Also designated HAE-nC1INH.

Endotype/Subtype

AE-URT

AE-ANA

HAE-C1INH (Type 1,2)

AAE-C1INH

HAE-FXII*, HAE-PLG*, HAE-KNG*, HAE-UNK*

HAE-ANGPT1*†, HAE-MYOF*† , HAE-HSST*, HAE-UNK*, SCLS

AE-ACEI, AE-tPA, AE-DPPIV, AE-NSAID, etc.

AE-UNK, HAE-UNK*, EAE

†The role of BK as mediator of AE symptoms seems to be indirect or conditional.

Adapted from Reshef et al.39

No known role of BK

AAE-C1INH: acquired angioedema due to C1INH deficiency; ACEI: angiotensin-converting enzyme inhibitor; AE: angioedema; ANA: anaphylaxis; ANGPT1: angiopoietin-1; BK: bradykinin; C1INH: C1 esterase inhibitor; CPN: carboxypeptidase N; DAB2IP: disabled homolog 2 interacting protein; DANCE: Definition, Acronyms, Nomenclature, & Classification of Angioedema; DI: drug-induced; DPPIV: di-peptidyl peptidase IV blocker; EAE: episodic angioedema with eosinophilia; FXII: factor XII; HAE: hereditary angioedema; HAE-C1INH: hereditary angioedema due to C1INH deficiency; HAE-nC1INH: hereditary angioedema due to normal C1INH; HSST: heparan sulfate 3-O-sulfotransferase 6; KKS: kallikrein-kinin system; KNG: kininogen; MC: mast cell; MYOF: myoferlin; NSAID: nonsteroidal anti-inflammatory drug; PLG: plasminogen; SCLS: systemic capillary leak syndrome; tPA: tissue-type plasminogen activator; UNK: unknown; URT: urticaria; VE: vascular endothelium (dysfunction).

forms of HAE-nC1INH associated with genetic variants of HAE-nC1INH (FXII, plasminogen, and kininogen), all mediated through the activation of B2R.

Several other AE types have been proposed, for which there is debate around the role of BK: AE due to vascular endothelium dysfunction, and druginduced AE.39 The latter encompasses all drug-induced AEs, and the first includes AEs believed to be related to intrinsic vascular endothelium abnormalities and variants in genes encoding for elements involved in the regulation of endothelial functions. The role of BK in at least some of these types has not been excluded.39

HAE-unknown type (HAE-UNK) comprises a population of patients with a phenotype indicative of HAE-nC1INH, for which the cause is unknown or not associated with

known genetic variants, some of which are believed to be mediated by BK.39,43 An area of ongoing research, diagnosing HAEUNK can prove challenging and difficult to identify.39,40 Possible causes of HAE-UNK may be BK-mediated, vascular endothelium dysfunction-mediated, or unknown in aetiology and mechanism.39 Diagnosing HAE-UNK involves a positive family history regarding AE and exclusion of known causes of recurrent AE, including C1INH deficiency, mast cell involvement, genetic variants, and associated medication use.43

Differential diagnosis between recurrent AE subtypes and within HAE-UNK remains complex and time-consuming, with efforts ongoing to identify measurable biomarkers that facilitate the diagnosis of AE-BK and AE subtypes, thereby identifying patients likely to be responders to treatment specific to AE-BK.44

Barriers to Diagnosing BradykininMediated Angioedema

Cohn emphasised how the use of diagnostic biomarkers could shorten the time to diagnosis, as well as enable patient-specific management, through the identification of patients who may respond better to certain treatments.

Moreover, current access to testing procedures varies between clinics, causing delays in diagnosis.19,45-47 Pathway-specific testing is limited, with current diagnostic indicators unable to distinguish between AE-BK and other AE subtypes, or between AE and other inflammatory conditions.46 For assays that target KKS, analytical challenges include analyte instability and susceptibility to pre-analytic ex vivo activation.48

Cohn summarised that “Achieving a diagnosis is a slow process, and there can be huge delays. There are access barriers; we need pathway-specific testing to identify BK-mediated AEs... However, this is challenging: BK has a very short half-life and is very hard to measure. There is a lot of work to be done in this field.”

Current Expert Consensus

Currently, a diagnosis of HAE-nC1INH is based upon clinical criteria facilitated by expert consensus (Figure 3).43,49,50

Despite this, the diagnostic journey remains a challenge due to a lack of standardised diagnostic approaches and objectively measurable biomarkers for different subtypes of AE.43,51

Unmet Needs in Bradykinin-Mediated Angioedema Management

Despite the availability of treatment options, further progress is needed in terms of controlled trial data for HAEnC1INH, particularly in subtypes without defined genetic variants.43,52 Additionally, data from clinical trials are limited for acquired angioedema due to C1INH deficiency (AAE-C1INH).53

Goals for ODT for AE-BK should prioritise efficacy, safety, tolerability, and overall

treatment experience.41,54,55 This includes evaluating the efficacy in specific types of angioedema pathologies,56 ensuring early onset and durable response without requiring multiple administrations,57 and minimising tolerability issues related to administration56 and/or unwanted side effects. Additionally, it is important to retain patients’ ability to perform daily activities,57 and decrease their reliance on healthcare resources.56 “We need treatment options that are efficacious, have low issues with tolerability, work fast and have a sustained effect, and are tailored to the treatment preference options of the patient,” said Cohn.

Regarding clinical trials investigating the ODT of HAE attacks, Cohn highlighted the heterogeneity in current clinical outcome assessments measured in previous studies, which limits the comparability of results across different treatment methods. He highlighted a recent initiative, Project AURORA, a Delphi consensus study which set out to establish a Core Outcome Set to be utilised and aligned across future clinical trials.58 The Core Outcome Set delineates five key standard outcomes that are recommended to be used to evaluate outcomes in clinical trials for on-demand treatment of HAE attacks (Figure 4).57,58

One of the established key outcomes was the time to end of progression, which involves the patient recognising the first effects of ODT, indicating when symptoms have stopped progressing and they have reached a state of stability or already started improving. Cohn added that “the shorter the time to end of progression, the sooner the patient can adjust and regain their daily activities.” Project AURORA achieved a high level of consensus on the core outcome set.57

In terms of developing LTP, both physicians and patients have several goals for the future. These include treatment efficacy across, and for specific types of AE-BK,55,56 minimising attack frequency,55 ideally to reach attack freedom,59 fast achievement of prophylaxis and reliable protection,56 low tolerability issues,19 convenience around handling, accessibility and storage,55,58 and administering

Figure 3: Algorithm for the diagnosis of angioedema.43

Step 1: Recurrent AE without hives

Step 2: Excluded C1INH deficiency

Step 3: Excluded medication-associated AE?

Step 4: Strong family history of recurrent AE?

Step 5: Response to mast-cell targeted therapies?

Step 6: Excluded pathogenic mutation?

- Exclude AE mimics & factitious AE

- Obtain detailed family and medication history

- C4, C1INH antigen, C1INH function tests all normal - If suspect acquired, C1q level and C1INH autoantibody

- ACE inhibitors, dipeptidyl peptidase inhibitors, neprilysin inhibitors, tissue plasminogen activators, NSAIDs

- Known HAE-nC1INH in family or strong history of recurrent AE without hives in family

mutation identified

- H1 antihistamines up to 4x standard dose for sufficient period -Consider adding montelukast -Omalizumab

(recommend referral to expert)

- Targeted or whole exome sequencing

- Depending on cost, may be considered prior to omalizumab

Step 7: Response to B2 bradykinin receptor antagonist?

- Lack of response does not exclude possibility of AE-BK

- Other on-demand or LTP treatments may be considered

HAE-C1INH or acquired C1INH deficiency

Stop ALL possible drug culprits & observe for ≤1-3 months

Targeted gene sequencing

Recurrent mast cellmediated AE

HAE-nC1INH

Reconsider entire differential for swelling

HAE-nC1INH (HAE-UNK)

Non-mast cell-mediated AE of unknown cause

Step 8: Screen all family members for HAE-nC1INH: sequence for mutation if known; otherwise symptoms

*Family history may be an unreliable marker of HAE.

Adapted from Zuraw et al.43

AE: angioedema; ACE: angiotensin converting enzyme; C1INH: C1 esterase inhibitor; HAE: hereditary angioedema; HAE-C1INH: hereditary C1INH deficiency; HAE-nC1INH: hereditary angioedema due to normal C1INH; HAE-UNK: HAEunknown type; LTP: long-term potentiation; NSAID: non-steroidal anti-inflammatory drugs.

Figure 4: Core Outcome Set for the efficacy of acute treatment of hereditary angioedema.57,58

AURORA: Core Outcome Set

1 Change in overall symptom severity at one predetermined point between 15 minutes and 4 hours after treatment

2 Time to end of progression

3 Durability of treatment response and need for rescue medication during attack

4 Impairment of daily activities

5 Treatment satisfaction

Project

treatment to minimise impact on daily living,55,57 decrease the use of healthcare resources,19,60 and empowering patients with AE-BK to achieve disease control and improve their health-related quality of life.19

The Future of Biomarkers

Looking to the future, symposium chair Farkas expressed her hopes for the possibility of precision medicine in AE, echoing her fellow experts in that “we need early and accurate diagnosis to be able to introduce suitable treatment, to establish whether AE is BK-mediated or not. This is a key question that cannot be answered by symptomatology alone; we need established laboratory markers, kinin biomarker assays.”61 Instead of a onesize-fits-all approach for managing AE, she emphasised the need for innovative approaches to diagnosis that can be carried out at the patient’s bedside, and used to personalise treatments which align with each patient’s individual characteristics based on the identification of biomarkers.

References

1. Pirahanchi Y, Sharma S. Physiology, Bradykinin. StatPearls [Internet]. 2023. Available at: https://www.ncbi. nlm.nih.gov/books/NBK537187/. Last accessed: 5 June 2025.

2. Prado GN et al. Mechanisms regulating the expression, self-maintenance, and signaling-function of the bradykinin B2 and B1 receptors. J Cell Physiol. 2002;193(3):275-86.

3. Menke JG et al. Expression cloning of a human B1 bradykinin receptor. J Biol Chem. 1994;269(34):21583-6.

4. Hess JF et al. Cloning and pharmacological characterization of bradykinin receptors. Braz J Med Biol Res. 1994;27(8):1725-31.

5. Icatibant: HOE 140, JE 049, JE049. Drugs R D. 2004;5(6):343-8.

6. Cicardi M et al. Icatibant, a new bradykinin-receptor agonist, in hereditary angioedema. N Engl J Med. 2010;363(6):532-41.

7. Kaplan AP et al. Pathogenesis of hereditary angioedema: the role of the bradykinin-forming cascade. Immunol

Cohn reiterated the need for quick and efficient biomarkers to establish cases of AE-BK, highlighting that in current clinical practice, clinicians may only rely on response to B2R antagonism as a method of diagnosing AE-BK. He noted that this is a poor diagnostic approach, as it can be unclear whether a response is a result of the antagonist or the natural course of the disease.

Conclusion

In conclusion, recurrent AE represents a heterogeneous disease with a diverse range of pathogenetic mechanisms and mediators, notably BK. The challenges surrounding unmet needs regarding treatment efficacy, tolerability, and burden currently remain for the management of AE-BK, encompassing both LTP and ODT. Moreover, the diagnosis, classification, and treatment underscore the need for further research, including the development of standardised guidelines to identify disease subtypes, specific biomarker diagnostic testing, and the alignment of outcomes assessed in future clinical research trials.

Allergy Clin North Am. 2017;37(3):513-25.

8. Bryant JW, Shariat-Madar Z. Human plasma kallikrein-kinin system: physiological and biochemical parameters. Cardiovasc Hematol Agents Med Chem. 2009;7(3):234-50.

9. Kaplan AP. Bradykinin formation by mutant plasminogen. Blood. 2022;138(18):2732-3.

10. Cap AP. Plasmin: a driver of hemovascular dysfunction. Blood. 2016;128(20):2375-6.

11. Kozik A et al. A novel mechanism for bradykinin production at inflammatory sites. Diverse effects of a mixture of neutrophil elastase and mast cell tryptase versus tissue and plasma kallikreins on native and oxidized kininogens. J Biol Chem. 1998;273(50):33224-9.

12. Leeb-Lundberg LM et al. International union of pharmacology. XLV. Classification of the kinin receptor family: from molecular mechanisms to pathophysiological consequences. Pharmacol Rev. 2005;57(1):27-77.

13. Shen J et al. Cryo-EM structures

of human bradykinin receptor-Gq proteins complexes. Nat Commun. 2022;13(1):714.

14. Shen JK, Zhang HT. Function and structure of bradykinin receptor 2 for drug discovery. Acta Pharmacol Sin. 2023;44(3):489-98.

15. Ricciardolo FLM et al. Bradykinin B2 receptor expression in the bronchial mucosa of allergic asthmatics: the role of NF-κB. Clin Exp Allergy. 2016;46(3):428-38.

16. Kaplan AP et al. Pathways for bradykinin formation and inflammatory disease. J Allergy Clin Immunol. 2002;109(2):195-209.

17. Ricciardolo FLM et al. Bradykinin in asthma: modulation of airway inflammation and remodelling. Eur J Pharmacol. 2018;827:181-8.

18. Scheffel J et al. Cold-induced urticarial autoinflammatory syndrome related to factor XII activation. Nat Commun. 2020;11(1):179.

19. Maurer M et al. The international WAO/ EAACI guideline for the management of hereditary angioedema – the

2021 revision and update. Allergy. 2022;77(7):1961-90.

20. Ritchie BC. Protease inhibitors in the treatment of hereditary angioedema. Transfus Apher Sci. 2003;29(3):259-67.

21. Sharma JN, Al-Sherif GJ. Pharmacologic targets and prototype therapeutics in the kallikrein-kinin system: bradykinin receptor agonists or antagonists. ScientificWorldJournal. 2006;6:1247-61.

22. Cohn DM et al. Interplay between on-demand treatment trials for hereditary angioedema and treatment guidelines. J Allergy Clin Immunol. 2025;155(3):726-39.

23. Maurer M et al. The Icatibant Outcome Survey: 10 years of experience with icatibant for patients with hereditary angioedema. Clin Exp Allergy. 2022;52(9):1048-58.

24. Akbary AM et al. Efficacy and tolerability of Icatibant (Hoe 140) in patients with moderately severe chronic bronchial asthma. Immunopharmacology. 1996;33(1-3):238-42.

25. Baig MU, Bodle J. Thrombolytic Therapy. StatPearls. [Internet]. 2023. Available at: https://www.ncbi.nlm. nih.gov/books/NBK557411/. Last accessed: 6 June 2025.

26. Kim C, Hladik A. Angioedema secondary to tPA use in acute ischemic stroke patient with hypertension: a case report. Clin Pract Cases Emerg Med. 2021;5(2):159-62.

27. Brown E et al. Icatibant for the treatment of orolingual angioedema following the administration of tissue plasminogen activator. Am J Emerg Med. 2018;36(6):1125.e1-2.

28. Cheong E et al. Icatibant as a potential treatment of life-threatening alteplaseinduced angioedema. J Stroke Cerebrovasc Dis. 2018;27(2):e36-7.

29. Mas-Serrano M et al. Treatment of alteplase-induced orolingual angioedema by means of icatibant. Rev Neurol. 2019;69(6):261-2.

30. Vigneron C et al. Angioedema associated with thrombolysis for ischemic stroke: analysis of a case-control study. J Intern Med. 2019;286(6):702-10.

31. Benoit C et al. Orolingual and abdominal angioedema post thrombolysis and thrombectomy. Neurology. 2018;90(3):140-1.

32. Hutten EM et al. Angioedema after use of recombinant tissue-type plasminogen activators in stroke. Stroke. 2024;55(8):2193-7.

33. Theodorou A et al. Icatibant averting mechanical ventilation in acute ischaemic stroke patient with alteplase induced orolingual angioedema. Eur J Neurol. 2024;31(4):e16173.

34. Gamboa JL et al. Bradykinin B2

receptor blockade and intradialytic hypotension. BMC Nephrol. 2023;24(1):134.

35. Straka BT et al. Effect of bradykinin receptor antagonism on ACE inhibitorassociated angioedema. J Allergy Clin Immunol. 2017;140(1):242-8.e2.

36. Baş M et al. A randomized trial of icatibant in ACE-inhibitor-induced angioedema. N Engl J Med. 2015;372(5):418-25.

37. Sinert R et al. Randomized trial of icatibant for angiotensin-converting enzyme inhibitor–induced upper airway angioedema. J Allergy Clin Immunol Pract. 2017;5(5):1402-9.e3.

38. Greve J et al. Successful long-term treatment with the bradykinin B2 receptor antagonist icatibant in a patient with hereditary angioedema. Int J Dermatol. 2011;50(10):1294-5.

39. Reshef A et al. Definition, acronyms, nomenclature, and classification of angioedema (DANCE): AAAAI, ACAAI, ACARE, and APAAACI DANCE consensus. J Allergy Clin Immunol. 2024;154(2):398-411.e1.

40. Christiansen SC et al. Hereditary angioedema with normal C1 Inhibitor: a quarter century of forward progress and persisting obstacles. J Allergy Clin Immunol Pract. 2025;13(6):1300-9.

41. Misra L et al. Angioedema: classification, management and emerging therapies for the perioperative physician. Indian J Anaesth. 2016;60(8):534-41.

42. Memon RJ, Tiwari V. Angioedema. StatPearls. [Internet]. 2023. Available at: https://www.ncbi.nlm.nih.gov/ books/NBK538489/. Last accessed: 5 June 2025.

43. Zuraw BL et al. Hereditary angioedema with normal C1 inhibitor: an updated international consensus paper on diagnosis, pathophysiology, and treatment. Clin Rev Allergy Immunol. 2025;68(1):24.

44. Porebski G et al. Biomarkers in hereditary angioedema. Clin Rev Allergy Immunol. 2021;60(3):404-15.

45. Jones D et al. Managing diagnosis, treatment, and burden of disease in hereditary angioedema patients with normal C1-esterase inhibitor. J Asthma Allergy. 2023;16:447-60.

46. Marcelino-Rodriguez I et al. Bradykinin-mediated angioedema: an update of the genetic causes and the impact of genomics. Front Genet. 2019;10:900.

47. Jindal AK et al. Mitigating disparity in health-care resources between countries for management of hereditary angioedema. Clin Rev Allergy Immunol. 2021;61(1):84-97.

48. Hofman Z et al. Bradykinin: inflammatory product of the

coagulation system. Clin Rev Allergy Immunol. 2016;51(2):152-61.

49. Busse PJ et al. US HAEA Medical Advisory Board 2020 guidelines for the management of hereditary angioedema. J Allergy Clin Immunol Pract. 2021;9(1):132-50.e3.

50. O’Connor M et al. Study to adjudicate hereditary angioedema with normal C1INH diagnoses in the PIONEER-HAE Database. J Allergy Clin Immunol. 2025;155(2):AB432.

51. Riedl MA et al. Hereditary angioedema with normal C1 Inhibitor: US survey of prevalence and provider practice patterns. J Allergy Clin Immunol Pract. 2023;11(8):2450-6.e6.

52. Fijen LM et al. Inhibition of prekallikrein for hereditary angioedema. N Engl J Med. 2022;386(11):1026-33.

53. Petersen RS et al. Deucrictibant for angioedema due to acquired C1inhibitor deficiency: a randomizedcontrolled trial. J Allergy Clin Immunol. 2024;154(1):179-83.

54. Malesker M et al. Addressing the individualized needs in hereditary angioedema: managed care strategies to optimize access to care. Am J Manag Care. 2022;28(Suppl 1):S3-9.

55. Betschel SD et al. The complexities of decision-making associated with on-demand treatment of hereditary angioedema (HAE) attacks. Allergy Asthma Clin Immunol. 2024;20(1):43.

56. Caballero T et al. Expert review and consensus on the treat-totarget management of hereditary angioedema: from scientific evidence to clinical practice. J Investig Allergol Clin Immunol. 2023;33(4):238-49.

57. Petersen RS et al. A core outcome set for efficacy of acute treatment of hereditary angioedema. J Allergy Clin Immunol Pract. 2024;12(6):1614-21.

58. Petersen RS et al. Clinical trials conformity with AURORA COS: a systematic literature review. Bradykinin Symposium, 5-6 September, 2024.

59. Yong PFK et al. Prophylaxis in hereditary angioedema: a United Kingdom Delphi consensus. Clin Exp Immunol. 2024;217(1):109-16.

60. Mendivil J et al. Clinical characteristics and burden of illness in patients with hereditary angioedema: findings from a multinational patient survey. Orphanet J Rare Dis. 2021;16(1):94.

61. Farkas H et al. Differentiating histaminergic and nonhistaminergic angioedema with or without urticaria. J Allergy Clin Immunol. 2022;150(6):1405-9.

Breathing as One: The Expanded Role of IL-5 Inhibition in Patient Care for

Chronic Rhinosinusitis with Nasal Polyps and Severe Asthma

This GSK-sponsored promotional symposium took place during the European Academy of Allergy and Clinical Immunology (EAACI) Congress on 13th June 2025 in Glasgow, UK

Support: The publication of this promotional article was funded by GSK and is intended for healthcare professionals only.

Chairperson: Santiago Quirce1

Speakers: Özlem Ceylan,2 Pascal Werminghaus3

1. Department of Allergy at University Hospital La Paz, Madrid, Spain

2. EAACI Patient Organisations Committee Chair, Istanbul, Türkiye

3. Münsterstraße Clinic, Düsseldorf, Germany

Disclosure:

Quirce had participated in advisory boards and received speaker fees from Allergy Therapeutics, AstraZeneca, Chiesi, GlaxoSmithKline, Gebro, Novartis, and Sanofi. Ceylan has no conflicts of interest to declare and no personal remuneration received; and volunteers with the Living with Allergy Association (Türkiye) and EAACI. Werminghaus has participated in advisory boards and received speaker fees from AstraZeneca, Bencard Allergy, Novartis, GSK, Sanofi, and Stallergene. Quirce and Werminghaus have received honoraria for their participation in the GSK-sponsored promotional symposium at EAACI 2025. Ceylan did not receive honoraria for her participation.

Acknowledgements: Medical writing assistance was provided by Yolande Chalmers, EMJ, London, UK.

Disclaimer:

The views and opinions expressed in this symposium are those of the individual speakers and do not necessarily reflect those of GSK or EMJ. UK Prescribing Information and Adverse Event Reporting Information for Nucala (mepolizumab) can be found at the end of this article. For Healthcare Professionals outside of the UK, please refer to your Local Prescribing Information and Adverse Event Reporting Guidelines.

While recent research on the role of IL-5 suggests an impact on disease processes mentioned in this presentation, the definitive MoA has not been established yet. Any clinical implications of such research findings are yet to be established and do not imply a therapeutic benefit beyond those approved in the SmPC.

Keywords: Asthma, comorbidity, chronic rhinosinusitis with nasal polyps (CRSwNP), ear, nose, and throat (ENT), IL-5, IL-5 inhibition, mepolizumab, pulmonology, severe asthma, Type 2 inflammation, unified airways.

Citation: EMJ. 2025;10[3]:26-34; https://doi.org/10.33590/emj/ACBJ5255

Meeting Summary

At the European Academy of Allergy and Clinical Immunology (EAACI) Congress 2025 in Glasgow, UK, two experts in otorhinolaryngology and allergology joined the EAACI Patient Organisations Committee Chair to discuss the burden of disease in severe asthma and chronic rhinosinusitis with nasal polyps (CRSwNP). They also explored the potential of IL-5 inhibition as a therapeutic strategy, as investigated in the REALITI-A, SYNAPSE, and MESILICO studies. Additionally, experts discussed the concept of the unified airway, exploring how the upper and lower airways may function as an interconnected system and share common mechanisms.

Living with CRSwNP: Navigating the Care Pathway

Özlem Ceylan, EAACI Patient Organisations Committee Chair, Istanbul, Türkiye, introduced CRSwNP as a debilitating, chronic inflammatory disease which affects 1–2% of the European population, amounting to around 8.9 million Europeans.1,2

Ceylan emphasised that the burden of disease is often overlooked, with patients facing substantial daily challenges impacting physical and mental health, social life, work, sleep, and healthcare resource utilisation, as well as incurring direct and indirect costs.3-5 She urged clinicians to look beyond the initial/immediate clinical status and focus on the whole patient journey, from before diagnosis to follow-up.

She shared results of an online survey carried out by the initiative BeyondTheNose, to explore the impact of CRSwNP on patients’ lives across Belgium, France, Germany, Italy, and Spain (N=168).5,6 The survey was designed to capture the burden of disease and the patient experience from diagnosis through to follow-up.6 Patients were included based on criteria of a medical diagnosis of CRSwNP and at least one of the following: experience of anosmia/hyposmia, currently taking a biologic agent, or having had one surgery to remove polyps. Of all respondents, 58% were male, and the majority (45%) were 46–50 years of age. In terms of treatment, 39% of patients had received courses of oral steroids, 30% were on maintenance oral steroids, 24% had received steroid injections, 37% were on biologic therapy, and 16% had

undergone surgery. The most frequently reported comorbidities included allergic rhinitis, asthma, and food allergies (Figure 1).6

Ceylan noted: “The impacts of CRSwNP extend far beyond the nose…they affect every corner of the patient’s life.” Poor sleep was reported in 77% of patients, leaving them feeling drained during the day, while 71% reported reduced physical activity and ability to participate in sports. Ceylan emphasised: “These insights are more than just numbers… they tell the story of daily challenges and gaps in care, and should guide us on how to improve the system altogether.”

Time to Diagnosis

All patients surveyed experienced delays in reaching CRSwNP diagnosis (97%), waiting an average of 4.2 years.6 Ceylan described the diagnostic journey for patients as “being lost in a foggy forest without a map, pointed in the wrong direction…as they tried to find their way, the signposts were confusing and kept leading to the completely wrong destination.” With current inefficient diagnostic pathways, there is an increased strain on healthcare costs and resources, worse symptoms, and higher frustration.6 She added that this highlights the need for a streamlined referral system and a proactive approach to diagnosis.

Access to Care

Although high levels of satisfaction were reported with the approach to the care provided by healthcare professionals (HCP), 96% wanted more support in the patient journey. Seventy-five percent of patients

Figure 1: The top five comorbidities reported by patients with chronic rhinosinusitis with nasal polyps in the 2025 BeyondTheNose patient survey (N=168).6

Allergic rhinitis or similar Asthma

Food allergies or intolerances

Eczema (atopic dermatitis)

Eosinophilic gastroenteritis

reported that it took several appointments to receive a diagnosis, and 47% needed more support accessing their prescribed treatment.6 Ceylan explained: “Access is not just about entry to the system, it’s about meaningful engagement and support once diagnosed, follow-ups, and treatment.”

Treatment Experience and Follow-up Care

Whilst the treatment experience is generally perceived well, treatment burden remains high. Patients reported taking an average of 5.5 different types of treatment, which Ceylan explained have varying degrees of success. In those prescribed short-term oral steroids (n=126), 65% had undergone two to three cycles in the past year. In patients who had surgery to remove polyps (n=100), there was a median of two surgeries in the past 3 years. Patients valued consistency in appointments and recognised the value of coordinated multidisciplinary follow-up care.6

Meeting Unmet Patient Needs in the Care Pathway

For a satisfying care experience, patients noted the value of knowing who to contact, reduced wait time for appointments, confidence to discuss the disease, understanding treatment options, defining treatment goals with HCPs, and having their treatment expectations met.6 A member of the audience asked Ceylan about the main unmet need in the patient journey. She emphasised that all the

issues are equally important, but there is a pertinent need for early diagnosis, as everything starts from there.

Transforming Unified Airway Care with Emerging Science

Quirce highlighted a position paper published in 2020 by a panel of experts on the European Forum for Research and Education in Allergy and Airway Diseases (EUFOREA), which outlined key features defining remission in CRSwNP (Figure 2).2

As the treatment landscape evolves, remission in patients with CRSwNP and severe asthma is becoming an attainable goal.2,7,8 Quirce explained that emerging data shows patients with severe asthma can also aim for clinical remission, which means freedom from exacerbation for 12 months, freedom from oral corticosteroids (OCS) and/or systemic corticosteroids (SCS), symptom control, and stable lung function.7-9 In a recent systematic review and meta-analysis, Quirce stated that it was shown that 30% of patients with severe asthma treated with biologics achieve remission from the disease.10

The Core Role of IL-5 in Type 2 Inflammation

Quirce highlighted that recent research has described IL-5 as a pleiotropic cytokine, orchestrating a range of multi-directional

Sustained control for ≥12 months in:

Patient-reported CRS control

Patientreported CRS control

Overall symptom severity

Overall symptom severity

*Evaluated by nasal endoscopy.

Nasal obstruction, sense of smell

Nasal obstruction, sense of smell

Absence of active disease*

Absence of active disease*

No need for sinonasal surgery

No need for surgery

Absence of need for systemic corticosteroids

Absence of need for systemic corticosteroids

CRSwNP remission†

CRSwNP remission†

†Remission can be reached without treatment, excluding systemic corticosteroids and surgery (in the last 12 months).

CRS: chronic rhinosinusitis; CRSwNP: chronic rhinosinusitis with nasal polyps.

effects across different structural and immune cells.11-18 IL-5 is involved in the differentiation, proliferation, survival, migration, and activation of eosinophils in blood and tissue,11,12 as well as enabling mast cell cross-talk.11,12 It also promotes basophil activation,12 expression and activation of IL-5 receptor alpha subunit (IL-5RA) on neutrophils, upregulates genes involved in plasma cell proliferation,12 downregulates genes relating to tight junctions and barrier function in ciliated epithelial cells, and modifies epithelial activation.12,15-17 IL-5 has also been shown to promote the proliferation and activation of fibroblasts,12 and mediation of smooth muscle cell activity,12,16 innate Type 2 lymphoid cells (ILC2),12 and T regulatory cell (Treg) production.12

In severe asthma, dysregulation of IL-5 drives Type 2 inflammation through effects on multiple cells, as characterised by elevated Type 2 biomarkers such as fractional exhaled nitric oxide (FeNO) and eosinophil count.15,16,19 Alarmins at the epithelial barrier release thymic stromal lymphoprotein (TSLP), IL-25, and IL-33, resulting in increased epithelial permeability. This leads to impaired pathophysiologic features and a dysregulated immune response. As a result, the clinical impact on patients includes symptoms such as persistent cough, wheezing, dyspnoea, exacerbations, and loss of lung function.19

IL-5 as a Therapeutic Target in Severe Asthma

Epithelial Barrier Dysfunction

Quirce overviewed a transcriptomic analysis of nasal brushes taken from patients with severe asthma at baseline and after 3 months of IL-5 inhibition (n=27), explaining that differential gene expression and DNA methylation analyses identified 6,719 genes and 53 CpG sites changed in response to IL-5 inhibition.17 Pathway analysis of gene expression changes showed evidence of suppression of inflammatory pathways and upregulation of genes relating to repair responses in epithelial cells, suggesting broad effects on the airway epithelium in severe asthma.17

He also introduced the MESILICO study, a multicentre study in Greece that measured epithelial damage through bronchial biopsies before and after 12 months of anti-IL-5 therapy in patients with severe asthma (N=30).18 IL-5 inhibition was shown to significantly reduce bronchial epithelial damage, a key feature of lower airway remodelling. Treatment was also associated with improved disease control and improved lung function versus baseline (before treatment initiation).18

Figure 2: Key features for defining remission in chronic rhinosinusitis with nasal polyps.2

Immune Imbalance and ILC2 Cells

A key component of the Type 2 inflammatory response in both asthma and CRSwNP is the involvement of ILC2 cells.20,21 IL-5 inhibition in patients with severe asthma has demonstrated the ability to rebalance T-effector cell and T-regulatory cell populations, as well as inflammatory cytokines.22

Mucus Plugging

By decreasing eosinophil and galectin-10 levels, IL-5 inhibition has also been shown to prevent the formation of mucus plugs.23-25 Ongoing studies aim to further investigate the role of IL-5 inhibition in lung function and ventilation associated with mucus plugs.26

Airway Remodelling

Quirce explained that often in patients with severe asthma, damage to the airway at the epithelial level is observed, with increased thickness in the sub-basement membrane and airway smooth muscle.18 In the MESILICO study, patients exhibited a significant decrease in measures of the airway wall, observed at 12 months postanti-IL-5 treatment (p<0.01 and p=0.004).18 Overall, Quirce emphasised: “One of the main takeaways from this emerging evidence is that we can aim beyond clinical remission in severe asthma, that we can aim for disease modification.”23

Breathing as One: Integrating the Upper and Lower Airways

Quirce introduced the concept of a ‘unified airway’, that the upper and lower airways exhibit shared functional and histological characteristics.27 He emphasised that the common underlying mechanism seen in CRSwNP, severe asthma, and non-steroidal anti-inflammatory drug exacerbated respiratory disease (NSAID-ERD) is Type 2 inflammation driven by eosinophilic activity, and elevated levels of IL-5, IL-13, and IL-4.28

Quirce shared that a 2023 Spanish study in patients with Type 2 inflammatory

disease (N=404) found that up to 70% of patients with CRSwNP have comorbid asthma, and 10% have comorbid NSAIDERD. In patients with asthma, 40% have comorbid CRSwNP, and up to 15% have comorbid NSAID-ERD.28-30

Patient Case Study

Quirce introduced a hypothetical 54-yearold living with asthma since age 40 years. Over the past 5 years, her asthma has worsened, and she receives oral medication and a short-acting beta-2-agonist metered dose inhaler. Her symptoms include congestion, night awakenings, an increased use of her rescue inhaler, and an ongoing cough with thick off-white sputum.

She uses an inhaled corticosteroids (ICS)/ long-acting beta antagonist (LABA) inhaler, a long-acting muscarinic agonist (LAMA) inhaler, nasal steroid spray, and antihistamines. She suffers from comorbidities including CRSwNP, obstructive sleep apnoea, and hypertension. Reflecting on her case, Quirce commented: “In patients with CRSwNP and asthma, there is a link between the upper and lower airways. We need to address this connection and identify a common mechanism…this can help inform treatment, which can enable a bidirectional and simultaneous effect.”

However, Quirce remarked, it is not always easy to identify the phenotype or the endotype. The ideal course of action for diagnosis and predicting treatment response, as outlined in the Global Strategy for Asthma Management and Prevention (GINA) Guidelines 2025, is to measure Type 2 inflammation biomarkers. Blood eosinophil count (BEC) and FeNO can aid in diagnosing, phenotyping, monitoring of prognosis, and predicting treatment response in asthma.7

The GINA 2025 guidelines acknowledge the variability in BEC and FeNO, highlighting the importance of repeated testing, particularly in patients with test results below the threshold for Type 2. Due to this, it is mandatory to measure BEC and FeNO on at least three occasions, or at least 1–2 weeks after OCS/ on the lowest possible OCS dose.7

Mepolizumab Clinical Trial Data

REALITI-A is a global, prospective observational cohort study evaluating the real-world effectiveness and safety of mepolizumab in patients with severe asthma (N=822). A post-hoc analysis evaluated 1-year outcomes stratified by comorbidities at enrolment. It was observed that the reduction in severe exacerbations versus baseline was 75% for patients suffering from nasal polyps and 69% for those with asthma alone.30

The post-hoc analysis also demonstrated the potential for OCS freedom in patients. Among patients with severe asthma, 46% of those with comorbid CRSwNP (n=104) and 40% of those without CRSwNP (n=118) were able to eliminate maintenance OCS from their treatment schedule after 1 year of treatment.30

Case Study 2

Werminghaus shared a hypothetical patient case from his perspective as an ear, nose, and throat (ENT) specialist, of a 52-year-old engineer, diagnosed with CRSwNP at the age of 48 years. Over the past 4 years, her condition has worsened, marked by frequent, acute exacerbations of CRSwNP. She reports symptoms including nasal congestion, post-nasal drips, facial pain, infections of the airways, frequent shortness of breath, and nighttime symptoms. Two years ago, she underwent sinus surgery. Her current treatment includes low-dose ICS/LABA, a salbutamol inhaler, and mometasone furoate, and she suffers from gastro-oesophageal reflux disease and asthma. Werminghaus commented: “As an ENT surgeon, 10 years ago, I would think about surgery, but it is no longer that time. It’s 2025, and we investigate more… I investigate the lungs, perform a CT scan, assess symptoms, and current medication… and besides surgery, we consider biologics.”

Phase III SYNAPSE Study

In the Phase III SYNAPSE study, a randomised, double-blind 52-week study (N=407), mepolizumab demonstrated significant dual benefit in patients with upper and lower airway disease.31 By Week 52, a greater proportion of patients with CRSwNP had experienced a ≥1-point or ≥2-point improvement from baseline in total endoscopic NP score compared with placebo. This is also supported by realworld evidence.32 A 2022 retrospective, observational, multicentre real-life study evaluated patients with severe allergic asthma and nasal polyps treated by benralizumab, mepolizumab, or omalizumab for 6 months (N=72). After 6 months, all patients experienced benefit in asthma symptoms, FEV1 scores, asthma control test, and reduced NP score and BEC.32

In a hypothetical patient, biologic treatment may alleviate nasal congestion,33 steroid burden,31 sleep disruption and fatigue,33 work impairment,33 and activity impairment.33 Werminghaus emphasised that when treating patients with CRSwNP and severe asthma, we should consider everything as one airway, one disease.

Safety Data

In clinical trials, mepolizumab had a similar incidence of adverse events versus placebo (Table 1), except for injection site reactions (8% versus 3%), occurring mainly within the first three injections.34,35 Mepolizumab has 10 years of long-term extension safety data in severe asthma with Type 2 inflammation.36

Conclusion

CRSwNP poses a high disease burden to patients, particularly among patients with comorbid severe asthma, affecting multiple dimensions of daily living and quality of life. Recent evidence points towards a multidirectional effect of IL-5 in T2 inflammation, which offers potential for disease modification in patients with asthma and CRSwNP. Data presented

on mepolizumab, an anti-IL5 monoclonal antibody, demonstrated durable clinical efficacy with a favourable safety profile over approximately 10 years of treatment, supported by both clinical trial data and real-world evidence.

Table 1: Long-term safety data for patients treated with mepolizumab for up to approximately 10 years.35

safety data for

*10 years based on a multicentre, open-label, LTE safety study of patients treated with Nucala for a maximum of 9.97 years, including 6.44 years in the LTE and the previous years in Nucala clinical and open-label trials, inclusive of interruptions in dosing with a given study.

†Serious AEs were assessed in all 514 patients in the study. Non-serious AEs were assessed in a smaller sub-group of 88 patients.

‡For serious AEs: any on-treatment, 34 (7%); any post-treatment, 1 (<1%). For non-serious AEs: any on-treatment, 43 (57%); any post-treatment, 2 (3%).

Adapted from Pavord et al.35

AE: adverse events; LTE: long-term extension.

Long-term
Nucala (mepolizumab) in patients treated for up to approximately 10 years*35

Adverse events should be reported. Reporting forms and information can be found at https://yellowcard.mhra.gov.uk/ or search for MHRA Yellowcard in the Google Play or Apple App Store. Adverse events should also be reported to GlaxoSmithKline on 0800 221 441.

Nucala (mepolizumab) is indicated as an add-on treatment for severe refractory eosinophilic asthma in adults, adolescents and children aged 6 years and older. Chronic rhinosinusitis with nasal polyps (CRSwNP): indicated as an add-on therapy with intranasal corticosteroids for the treatment of adult patients with severe CRSwNP for whom therapy with systemic corticosteroids and/or surgery do not provide adequate disease control. Eosinophilic granulomatosis with polyangiitis (EGPA): indicated as an add-on treatment for patients aged 6 years

References

1. Fokkens WJ, et al. European position paper on rhinosinusitis and nasal polyps 2020. Rhinology 2020;58(Suppl S29):1-464.

2. Fokkens WJ et al. EPOS2020/EUFOREA expert opinion on defining disease states and therapeutic goals in CRSwNP. Rhinology 2024;62:287-98.

3. Bachert C et al. Burden of disease in chronic rhinosinusitis with nasal polyps. J Asthma Allergy. 2021;14:127-34.

4. Mullol J et al. Chronic rhinosinusitis with nasal polyps: quality of life in the biologics era. J Allergy Clin Immunol Pract. 2022;10(6):1434-53.

5. Claeys N et al. Patients unmet needs in chronic rhinosinusitis with nasal polyps care: a patient advisory board statement of EUFOREA. Front Allergy. 2021;2:761388.

6. BeyondTheNose. Chronic rhinosinusitis with nasal polyps and its impact on patient lives: insights into patient experiences across diagnosis, treatment and follow-up care. Available at: https://medical. gsk.com/content/dam/cf-pharma/ medicalaffairs/en_GB/pdf/beyondthe-nose-report-on-market-research. pdf. Last accessed: 18 June 2025.

7. GINA. Global strategy for asthma management and prevention. Updated 2025. Available at: https:// ginasthma.org/2025-gina-strategyreport/ Last Accessed 24 June 2025.

and older with relapsing-remitting or refractory eosinophilic granulomatosis with polyangiitis. Hypereosinophilic syndrome (HES): indicated as an addon treatment for adult patients with inadequately controlled hypereosinophilic syndrome without an identifiable non-haematologic secondary cause.

For Healthcare Professionals outside of the UK, please refer to your Local Prescribing Information and Adverse Event Reporting Guidelines.

8. Menzies-Gow A et al. An expert consensus framework for asthma remission as a treatment goal. J Allergy Clin Immunol. 2020;145(3):757-65.

9. McDowell PJ et al. Clinical remission in severe asthma with biologic therapy: an analysis from the UK Severe Asthma Registry. Eur Respir J. 2023;62(6):2300819.

10. Shackleford A et al. Clinical remission attainment, definitions, and correlates among patients with severe asthma treated with biologics: a systematic review and meta-analysis. Lancet Respir Med. 2025;13(1):23-4.

11. Pelaia C et al. Interleukin-5 in the pathophysiology of severe asthma. Front Physiol. 2019;10:1514.

12. Buchheit KM et al. Interleukin-5 as a pleiotropic cytokine orchestrating airway type 2 inflammation: effects on and beyond eosinophils. Allergy. 2024;79(10):2662-79.

13. Galdiero MR et al. Bidirectional mast cell-eosinophil interactions in inflammatory disorders and cancer. Front Med. 2017;4:103.

14. Guillet C et al. Eosinophil-mast cell interaction: mepolizumab leads to a reduction of clinical symptoms and serum tryptase in a patient with eosinophilic asthma and idiopathic mast cell activation. J Allergy Clin Immunol Pract. 2021;9(3):1393-5.

15. Buchheit KM et al. Mepolizumab targets multiple immune cells in aspirin-exacerbated respiratory disease. J Allergy Clin Immunol. 2021;148(2):574–84.

16. Barretto KT et al. Human airway epithelial cells express a functional IL-5 receptor. Allergy. 2020;75(8):2127-30.

17. Rakkar K et al. Mepolizumab induced changes in nasal methylome and transcriptome to predict response in asthma. Am J Respir Crit Care Med. 2024;209(10):1268-72.

18. Domvri K et al. Effect of mepolizumab in airway remodeling in patients with late-onset severe asthma with an eosinophilic phenotype. J Allergy Clin Immunol. 2025;155(2):425-35.

19. Russell RJ et al. The airway epithelium: an orchestrator of inflammation, a key structural barrier and a therapeutic target in severe asthma. Eur Respir J. 2024;63(4):2301397.

20. Malik B et al. Severe asthma ILC2s demonstrate enhanced proliferation that is modified by biologics. Respirology. 2023;28(8):758-66.

21. Bergantini L et al. The effect of anti-IL5 monoclonal antibodies on regulatory and effector T cells in severe eosinophilic asthma. Biomed Pharmacother. 2023;166:115385.

22. Koranteng J et al. Late Breaking Abstract - Role of eosinophil mitochondrial function in severe eosinophilic asthma. Poster PA552. ERS, 9-13 September, 2023.

23. Kobayashi K et al. Mepolizumab decreased the levels of serum galectin-10 and eosinophil cationic protein in asthma. Asia Pac Allergy. 2021;11(3):e31.

24. Hamakawa M, Ishida T. Usefulness of mepolizumab for mucus plugs. Int Med. 2024;63(22):3113-4.

25. Dunican EM et al. Mucus plugs in patients with asthma linked to

eosinophilia and airflow obstruction. J Clin Invest. 2018;128:997–1009.

26. Clinicaltrials.gov. NCT04512521. Last Accessed: 9 July 2025.

27. Bachert C et al. The unified airway hypothesis: evidence from specific intervention with anti-IL-5 biologic therapy. J Allergy Clin Immunol Pract. 2023;11(9):2630-41.

28. Goméz de la Fuente E et al. Addressing the unmet needs in patients with Type 2 inflammatory diseases: when quality of life can make a difference. Front Allergy. 2023;4:1296894.

29. Liu MC et al. Mepolizumab in patients with severe asthma and comorbidities: 1-year REALITI-A analysis. J Allergy Clin Immunol Pract. 2023;11(12):3650-61.e3.

30. Bachert C et al. Mepolizumab for chronic rhinosinusitis with nasal

polyps: treatment efficacy by comorbidity and blood eosinophil count. J Allergy Clin Immunol. 2022;149(5):1711-21.e6.

31. Tiotiu A et al. Real-life effectiveness of benralizumab, mepolizumab and omalizumab in severe allergic asthma associated with nasal polyps. Clin Rev Allergy Immunol. 2023;64(2):179-92.

32. Cantone E et al. The effects of mepolizumab on CRSwNP: real-life evidence. J Pers Med. 2024;14(11):1112.

33. Mullol J et al. The impact of mepolizumab on sleep impairment in CRSwNP: posthoc analyses of SYNAPSE and MUSCA. Rhinology. 2024;62(6):669–80

34. Nucala (mepolizumab) 100 mg solution for injection in pre-filled pen. Summary of Product Characteristics (SmPC).

2025. Available at: https://www.ema. europa.eu/en/documents/productinformation/nucala-epar-productinformation_en.pdf. Last accessed: 9 July 2025

35. Pavord I et al. Long-term safety of mepolizumab for up to ~10 years in patients with severe asthma: openlabel extension study. Ann Med. 2024;56(1):2417184.

36. Ortega HG et al. Mepolizumab treatment in patients with severe eosinophilic asthma. N Engl J Med. 2014;371(13):1198-207.

How a Novel Portable Spacer Benefits Patients with Respiratory Disease, the Healthcare

System, and the Environment

Support: This article was sponsored by Trudell Medical International.

Interviewees:

Alan Kaplan,1-4

Job F.M. Van Boven5

1. Family Physician Airways Group of Canada, Markham, Ontario, Canada

2. Respiratory Effectiveness Group, Ely, UK

3. University of Toronto, Ontario, Canada

4. Global Initiative for Asthma (GINA), Fontana, Wisconsin, USA

5. Associate Professor of Cost-Effective & Sustainable Respiratory Drug Use, Department of Clinical Pharmacy & Pharmacology, Groningen Research Institute for Asthma and COPD (GRIAC), University Medical Center Groningen, University of Groningen, The Netherlands

Disclosure: Kaplan reports being a member of a speakers bureau or advisory board for ALK, AZ, GSK, Idorsia, Merck, Moderna, Pfizer, Roche, Sanofi, Sequriis, Trudell and Valeo. Van Boven reports research grants and/or consultancy fees from ALK, AstraZeneca, Chiesi, European Commission, COST Action 19132, GSK, Novartis, Pfizer, Sanofi, Teva, Trudell Medical and Vertex, outside the submitted work and all paid to his institution.

Disclaimer: The opinions expressed in this article belong solely to the named interviewees.

Acknowledgements: Writing support provided by Sheila Wang and Jason Suggett.

Keywords: Asthma, carbon footprint, COPD, health system, inhaler, portable.

Citation: EMJ. 2025;10[3]:35-41. https://doi.org/10.33590/emj/REBZ6731

Citation: This article was originally published online on 11th September 2025. An erratum has since been issued and can be viewed here

Article Summary

Spacers or valved holding chambers added to pressurised metered dose inhalers (pMDI) reduce errors in inhaler technique and improve delivery of fine dose particles to patients with obstructive airway diseases. However, despite the established benefits of spacers, patients frequently do not use them beyond the home setting due to inconvenience regarding their relatively large size and appearance. Notably, not using the spacer (i.e., nonadherence) could have negative consequences for more than just the patients themselves.

Alan Kaplan, Physician and Chairperson of the Family Physician Airways Group of Canada, Markham, Ontario, Canada; and Job F.M. Van Boven, Associate Professor of Cost-Effective & Sustainable Respiratory Drug Use, University Medical Center Groningen, the Netherlands, explored the intricate relationships between adherence to prescribed treatments with spacers, symptom control and management, the carbon footprint, and economic burden on the healthcare system. They also introduced a novel, portable spacer that was designed to be used while on the go. Specifically, they discussed the performance of the portable spacer compared to the gold standard traditional spacer, pMDIs alone, and dry powder inhalers (DPI). Finally, summarising patient feedback and adherence data about the new portable spacer.

PHARMA

INTRODUCTION

Valved holding chambers, commonly referred to as spacers, are medical devices used with a pMDI to improve the delivery of medication to the lungs. They are an important aspect of the pMDI delivery system used by a large share of patients with asthma and/or COPD. Spacers have been shown to increase lung deposition, reduce oropharyngeal deposition, and make it easier for people of all ages to breathe in their inhaler medicine by overcoming challenges with poor inhalation technique.1,2

Despite the crucial role that spacers play in optimising the delivery of inhaled medicines via pMDIs, most patients do not use spacers with their inhalers.3 For those who use a spacer, many are prone to leaving them at home when on the go due to their size and appearance.3 In this expert interview, Kaplan and Van Boven describe the clinical, economic, and environmental impact of spacer use,4 and explore innovations in spacer design that aim to optimise the effects of inhaled medicines.

EFFICIENT MEDICATION

DELIVERY: GOOD FOR THE PATIENT, THE ECONOMY, AND THE ENVIRONMENT

Where Are Patients Likely to Experience Exacerbations, and What Do Guidelines Recommend for Symptom Control and Management?

One of the main inhaler treatment goals of asthma and COPD is to avoid and cope with the occurrence of exacerbations, i.e., periods with worsening and sometimes life-threatening symptoms, including severe dyspnoea, cough, and sputum production. Exacerbations often occur outside the home when people are exposed to different triggers, such as weather, pollen, pollution, and fragrances. Even people whose symptoms are typically mild and wellcontrolled can experience an exacerbation with little warning.5 Inhaler medication can be difficult to inhale in an emergency, especially when specific flow rates and coordination are required. During exacerbations, people

are often breathless, coughing, and even panicking, which can impede effective use of inhaled therapy at the time when it’s needed most.5 As such, the European Respiratory Society (ERS) recommends that people have a pMDI and spacer emergency treatment pack for self-management of exacerbations, especially if using DPIs for regular treatment.6

How Does Spacer Use Relate to the Economic Burden on the Healthcare System?

Directly, spacers allow for more efficient delivery of pMDI doses, reducing the need for treatment of side effects (e.g., oral thrush) and the likelihood of requiring additional doses, due to symptoms being controlled with less medication.4 Indirectly, if spacers are not used and patients’ symptoms are not controlled at standard doses, clinicians may deem this as intrinsically ineffective medication (while the actual underlying reason is incorrect inhaler usage). For this indirect case, clinicians may unnecessarily step up treatment to more expensive medications (e.g., biologics) that may cost up to 30 times more than inhaler treatment.7

How Does the Use of Spacers Relate to the Carbon Footprint of Treatment with Aerosolised Medication?

Despite their clinical effectiveness, the propellants currently used in pMDIs (hydrofluoroalkane [HFA]-134a and HFA227) can have a negative impact on the environment due to their global warming potential. The development of greener propellants (HFA-152a and HFO-1234ze) is one of the key strategies to reduce the environmental impact of pMDIs, which will still benefit from use with spacers. Additionally, using current pMDIs with low propellant volume along with a spacer has shown the potential to improve medication delivery and reduce carbon emissions.8

Moreover, the ERS, British Thoracic Society (BTS), and Canadian Thoracic Society (CTS) are all encouraging the use of spacers as an important strategy to reduce greenhouse gas emissions from pMDIs through more efficient medication delivery.6,9,10

Notably, more efficient delivery of pMDI doses with a spacer reduces the total number of reliever doses and may decrease the likelihood of further deterioration and the need for emergency room or hospital visits, which have been associated with high environmental impact.4,11 Indeed, optimal respiratory control will simultaneously minimise environmental burden and improve the quality of patient care, which has previously been described by Usmani and Levy in 2023,12 who said: “The most appropriate and environmentally friendly inhaler is one that a patient will adhere to and use correctly: this minimises wastage and promotes good disease control.”

Additional Context: Overcoming the Portability Challenge of Spacers

To overcome the portability challenges related to spacer usage, the AeroChamber2go* Spacer (Trudell Medical International, London, Ontario, Canada) was recently introduced, specifically designed for use on the go. Of note, throughout its development process, people with asthma and COPD were included to ensure the device met their needs for usage outside the home environment. The patient-centric design process likely contributed to the high patient satisfaction and increased adherence demonstrated with the new AeroChamber2go* Spacer device.11,13,14 The device has a compact, portable, and consumer-friendly form, conceived to encourage patients to carry the device with them outside the home. It dually functions as a protective case for the inhaler, made from durable, shatter-resistant material, with an easy-to-use opening mechanism that allows patients to easily access their inhaler in emergency situations. In addition, the chamber is manufactured sustainably using locally sourced components and over 90% green energy sources for electricity, resulting in a very low global warming potential (Trudell Medical International, data on file).

EVALUATING ON-THE-GO SPACER PERFORMANCE

What Performance Evaluations Have Been Conducted with the AeroChamber2go* Spacer, and with Which pMDIs?

Several laboratory studies have assessed the in vitro performance of the AeroChamber2go* Spacer. These investigations were carried out with commonly used relievers, as well as increasingly prescribed combination inhalers such as maintenance and reliever therapies, and anti-inflammatory reliever therapies. The list of pMDIs evaluated to date includes: AirSupra® (AstraZeneca, Cambridge, UK), Fostair® (Chiesi, Parma, Italy), Symbicort® (AstraZeneca, Cambridge, UK), Ventolin® HFA (GSK, London, UK), Atrovent® (Boehringer Ingelheim, Ingelheim am Rhein, Germany), Salamol® (Norton Healthcare Ltd, Essex, UK), and Teva Salbutamol (Teva Pharmaceutical Industries Ltd, Tel Aviv, Israel).15-21

Improved performance compared to the use of a pMDI alone

Use of the new portable spacer was shown to provide similar or improved delivery compared to a pMDI alone (even when the pMDI was used with perfect technique; Figure 1).15-18,20,21 In addition, the spacer significantly reduced the delivered coarse particle dose compared to the use of pMDI alone.15-17 The reduction of these large aerosol particles is important because they can potentially lead to side-effects such as thrush, hoarseness, sore throat, and potentially even poor oral health and dental effects.1,22-24 This is particularly important with new maintenance and reliever/antiinflammatory-reliever therapies, where inhaled corticosteroids would be inhaled on the go, and people may not be able to rinse their mouths immediately after use as recommended.

Similar performance as widely prescribed AeroChamber Plus* Flow-Vu* Spacer

To demonstrate non-inferior performance to the gold standard spacer, studies have compared the AeroChamber2go* Spacer with the widely prescribed AeroChamber Plus* Flow-Vu* Spacer (Trudell Medical International, London, Ontario, Canada). The studies showed similar quantities of fine particle mass (<4.7 µm), indicative of potential lung delivery.15,18

Improved performance compared to dry powder inhaler

A laboratory study compared the performance of the Easyhaler® DPI (Orion Corporation, Espoo, Finland) to the Teva Salamol® pMDI when used in conjunction with the AeroChamber2go* Spacer. The pMDI/Spacer combination was more efficient at delivering medication at all flow rates.19 In addition, the coarse particle dose was reduced by approximately nine times compared to the DPI at optimal flow rates, and even more at suboptimal rates.25

Figure 1: Fine particle mass and large particle mass for inhaled corticosteroid component of Fostair® metered dose inhaler (100/6).16
AeroChamber2go*: Trudell Medical International, London, Ontario, Canada; Fostair®: Chiesi, Parma, Italy; FPM: fine particle mass; LPM: large particle mass; pMDI: pressurised metered dose inhalers; VHC: valved holding chamber.

How Has the Portable Device Been Shown to Impact Patient Adherence and Satisfaction?

A survey was completed by 86 users in Canada who were using a traditional spacer and then started using the AeroChamber2go* Spacer to understand the users’ perspective of the portable device. Overall, highly positive impressions were reported: 99% were very or extremely satisfied with ease of use, 97% found the device easy to carry, 95% reported effective

delivery, and 92% were favourable to the aesthetics.13 Further, the percentage of patients using a spacer outside the home doubled from 39% to 86% (Figure 2).13

A similar preference study was completed in the Netherlands. Results showed that patients with asthma/COPD found the novel compact spacer generally acceptable, with 85% of people reporting being highly likely to continue using it.14

What Link Has Been Demonstrated Between Improved Patient Outcomes, the Healthcare System, and the Environment?

In a Canadian survey (N=409), 91% of people reported using the AeroChamber2go* Spacer all or most of the time. Compared to using a pMDI alone, 82% were more confident in medication delivery, 26% noted fewer puffs were

required, 11% noticed fewer side effects, and 9% reported fewer emergency visits.11

With many of these outcomes being contributors to carbon emissions, these findings suggest the new on-the-go spacer could be beneficial to the patient, the healthcare system, and the environment (Figure 3).26

Figure 2: Improved adherence on-the-go compared to traditional spacer device.13
AeroChamber2go*: Trudell Medical International, London, Ontario, Canada; VHC: valved holding chamber.

CONCLUSION

In this expert interview, Kaplan and Van Boven described how efficient medication delivery using spacers is recognised as an integral aspect of the pMDI delivery system, especially with increasing recommendations for more expensive combination and biologic therapies and environmental concerns regarding the currently used propellants in inhalers. They highlighted that these issues are intrinsically linked. Optimal respiratory control, including through the use of devices like spacers, is an important

References

1. Lavorini F, Fontana GA. Targeting drugs to the airways: the role of spacer devices. Expert Opin Drug Deliv. 2009;6(1):91-102.

2. McIvor RA et al. Optimizing the delivery of inhaled medication for respiratory patients: the role of valved holding chambers. Can Respir J. 2018;2018(1):5076259.

strategy to minimise environmental burden and improve the quality of patient care. However, implementation depends on patients being adherent to their respiratory care plans, including using their spacers outside the home.

Kaplan and Van Boven also introduced the novel portable AeroChamber2go* Spacer, which presents a viable device for use when patients are on the go, and demonstrates potential benefits for patients, the healthcare system, and the environment.

3. Suggett J, Ellery A. Patient centered development of a new valved holding chamber (VHC) designed specifically for on-the-go use. Eur Respir J. 2020;56(Suppl 64):3181.

4. Suggett J. Assessment of metered dose inhaler (MDI) vs MDI and spacer – impact on patient, health care system and the environment. Pharmacotherapeutics. 2023;164(Suppl 4):A5208.

5. Keeley D, Partridge MR. Emergency MDI and spacer packs for asthma and COPD. Lancet Respir Med. 2019;7(5):380-2.

6. European Respiratory Society. European Respiratory Society position statement on asthma and the environment. 2021. Available at: https://www.ersnet.org/news-andfeatures/news/ers-publishes-positionstatement-asthma-environment. Last accessed: 30 April 2025.

7. Anderson WC 3rd, Szefler SJ. Costeffectiveness and comparative effectiveness of biologic therapy for asthma: to biologic or not to biologic? Ann Allergy Asthma Immunol. 2019;122(4):367-72.

Figure 3: Portable spacer benefits patient, healthcare system, and environment.11

8. Kaplan A et al. How might choice of salbutamol metered-dose inhaler (MDI) type and use of a spacer impact drug delivery and emissions: best options for patients and the environment. CHEST. 2022;162(4):A2470-1.

9. British Thoracic Society 2024: BTS position statement on sustainability and the environment: climate change and lung health. 2024. Available at: https://www.brit-thoracic.org.uk/ document-library/governance-andpolicy-documents/position-statements/ position-statement-on-sustainabilityand-the-environment-climate-changelung-health-2024/. Last accessed: 29 August 2025.

10. Gupta S et al. Canadian Thoracic Society position statement on climate change and choice of inhalers for patients with respiratory disease. Canadian J Respir Crit Care Sleep Med. 2023;7(5):232-9.

11. Kaplan A et al. A new portable spacer for use on the go can provide benefits for patients, health care systems and the environment. Presentation OP2.5. IPCRG Conference, April 2025.

12. Usmani O, Levy M. Effective respiratory management of asthma and COPD and the environmental impacts of inhalers. NPJ Prim Care Respir Med. 2023;DOI:10.1038/s41533-023-00346-7.

13. Suggett J, Ellery A. Improved adherence and high patient satisfaction with ‘on the go’ spacer. Poster Group 8. Canadian Respiratory Conference, 2023.

14. Eikholt A et al. Usability and acceptance of a novel compact spacer in patients with asthma and/or COPD. Eur Respir J. 2023;62(Suppl 67):PA4604.

15. Suggett J et al. Can a new portable valved holding chamber (VHC) for use on the go improve the delivery and reduce side effects of a new combination albuterol/budesonide inhaler? Am J Respir Crit Care Med. 2025;211:A1483.

16. Nagel M et al. Evaluation of a New Onthe-Go Spacer for Delivery of a MART Metered Dose Inhaler Therapy. Abstract 529. PCRS Respiratory Conference, September 2024.

17. Nagel M et al. Inhaled maintenance and reliever therapy (MART) and antiinflammatory-reliever (AIR) therapy: exploring in vitro performance of a portable valved holding chamber (VHC). Respiratory Drug Delivery. 2025;2(2025):258-61.

18. Nagel M et al. Performance of a portable spacer compared to the metered dose inhaler alone and a commonly recommended spacer. Am J Respir Crit Care Med. 2024;209:A1396.

19. Nagel M et al. Effect of flow rate on emitted fine particle mass (FPM) from a dry powder inhaler (DPI) and a metered dose inhaler (MDI) with spacer delivering salbutamol. Eur Resp J. 2024;64(Suppl 68):PA2110.

20. Nagel M, Suggett J. Choice of salbutamol metered dose inhaler (MDI)

type and use of a spacer impact drug delivery and carbon emissions. Eur Resp J. 2023;62(Suppl 67):PA2383.

21. Kaplan A, Suggett J. How might choice of Salbutamol metered dose inhaler (MDI) type and use of a spacer impact drug delivery and emissions – best for patient and environment. Poster. CHEST Conference, 16-19 October, 2022.

22. Nair A et al. Respirable dose delivery of fluticasone propionate from a small valved holding chamber, a compact breath actuated integrated vortex device and a metered dose inhaler. Brit J Clin Pharmacol. 2008;66(1):20-6.

23. Bansal V et al. Oral health assessment in children aging 8-15 years with bronchial asthma using inhalation medication. Tzu Chi Med J. 2022;34(2):239-44.

24. Van Boven JF et al. Inhaled corticosteroids and the occurrence of oral candidiasis: a prescription sequence symmetry analysis. Drug Saf. 2013;36(4):231-6.

25. Suggett J et al. Effect of flow rate on coarse particle mass (CPM) from a dry powder inhaler (DPI) and a metered dose inhaler (MDI) / spacer delivering salbutamol. Eur Resp J. 2024;64(Suppl 68):PA2114.

26. Tennison et al. Health care’s response to climate change: a carbon footprint assessment of the NHS in England. Lancet Planet Health. 2021;5(2):e84-92.

Interviews

EMJ had the privilege of speaking to three leaders in genomic medicine: Sir Mark Caulfield, NIHR Barts Biomedical Research Centre, Barts Health NHS Trust, London; Queen Mary, University of London, UK; Stephen Kingsmore, Rady Children’s Institute for Genomic Medicine, San Diego, California, USA; and Bill Newman, Manchester Centre for Genomic Medicine; Manchester University NHS Foundation Trust, UK. Caulfield explores the intricacies and results of the 100,000 Genomes Project, Kingsmore explains the benefits of rapid whole genome sequencing in the neonatal ICU, and Newman discusses the PALOH study and the potential of pharmacogenomics.

Featuring: Sir Mark Caulfield, Stephen Kingsmore, and Bill Newman

Sir Mark Caulfield

NIHR Barts Biomedical Research Centre, Barts Health NHS Trust, London; Queen Mary, University of London, UK

Citation:

Although we had many good medicines to treat high blood pressure, we still had a residual unmet need

Q1

Citation: EMJ. 2025;10[3]:42-48. https://doi.org/10.33590/emj/DGCY5495

Starting at the beginning of your career, what first drew you into the world of genomics, and what about the field continues to fascinate you today?

I trained in medicine, and I've been a doctor for 41 years. What I observed as I began to train, particularly as I became more senior in my career, was that, although we had many good medicines to treat high blood pressure, we still had a residual unmet need. So, I thought about this, and I wondered whether, if we understood better the genetic architecture of blood pressure, because we know it's a mixture of genetic variation and environment, we could identify new pathways that might unveil new therapies, which we could bring forward, test in trials, and then perhaps give to patients to address that unmet need. I started working on that in 1989, and in 1994, I discovered

that the angiotensinogen gene was a gene for high blood pressure, and that's since been validated. I published that finding in a journal, and that kick-started my career. It fitted with another group that had already published work suggesting the gene was implicated. And it turns out that 20 years later, I rediscovered the mechanism in another paper that I had published.

Q2

For many clinicians, the rapidly evolving genomics landscape can feel overwhelming. Given your deep clinical and research experience, how do you think we can more effectively bridge the gap between frontline healthcare professionals and the practical benefits of genomics in patient care?

We are entering an era of precision healthcare, where genomics and other -omic tests, which are measures of your RNA,

proteins, metabolic signatures, and what life does to your DNA, that is, epigenetics, are becoming relevant to diagnosis and ensuring patients get the right treatment the first time. Also, at present, we do not have sufficient genomics and genetics training in undergraduate medical degrees, so people graduate with limited knowledge, probably confined to rare diseases. Here are some examples of work that I’ve done to help illustrate the point.

In a study of 76,000 whole genomes, we showed 99.4% of us have at least one genetic feature that means a medicine could be ineffective, or even harmful. Twenty-five percent of us have four of these gene-drug interactions, meaning we are likely to experience side effects. What is the relevance of this to practice? If 6.5% of UK hospital admissions are due to adverse drug reactions, and most of us have at least one of these features, our genetic makeup could be fuelling these adverse responses. If we knew this before prescribing medicines, particularly those with known adverse event potential, we could avoid harm. Therefore, it is very likely that, at some point, health

99.4 %

systems in various countries around the world will adopt some form of genetic testing to understand the risk of somebody having an adverse reaction if they're given a certain medicine.

Even during COVID-19, we studied 7,491 intensive care patients and 44,000 others, and we found 23 regions of the DNA linked to severe responses to COVID-19. One of these, tyrosine kinase 2, is the target of baricitinib, originally indicated for inflammatory arthritis.1 In February 2022, a paper was published showing that baricitinib reduced mortality and length of stay in the intensive therapy unit by 13% in addition to dexamethasone and tocilizumab.2 So that's an example of genomically primed therapy. And if there's one, there will be others.

Another important consideration is diversity. Typically, the most studied population is of White European ancestry, which means there are populations that are vastly underrepresented. In a study of 65,000 British Bangladeshi and Pakistani individuals, we found that 57% could not activate clopidogrel, a medicine commonly used

after heart attacks or following narrowing of the coronary arteries.3 Thirty percent of the White European people were also not able to activate the medicine. We used electronic health records to show that those unable to activate clopidogrel had a higher risk of further heart attacks after being given the drug. This shows how real and important this issue is, making sure patients get the right medicine for the right benefit with modern genomics.

So, what I think is needed is undergraduate strengthening of education in genomics. There is a national master's programme in genomic medicine, but not everyone has the time to do that. What we will have to do is to continually upskill the workforce in all health systems across the world to be able to adopt what might be not even a genomic, but a multiomic future, where we may not just measure the genome, we might measure what life has done to your genome, the epigenetics, the RNA, the protein, and the metabolic signatures, all of which build up a life course picture of how you and your body interact with the world. This is definitely the future.

In a study of 76,000 whole genomes, we showed 99.4% of us have at least one genetic feature that means a medicine could be ineffective, or even harmful

Q3

You received a knighthood for your leadership of the 100,000 Genomes Project, which was a landmark study in genomics. What have been the most impactful conclusions from the data so far, and what benefits have patients seen as a result?

On the 5th of July 2013, when Genomics England, London, UK, was formed, we were given the mission of the 100,000 Genomes Project. I was given four letters, which you can find on the World Wide Web. One was on rare disease, one on cancer, one on infection, and one on big data and how to store it. They all said roughly the same thing: here are some things you could look at because they might be tractable to benefit in healthcare. Nobody has ever done this before. The first thing we did was to travel across the world to centres which said they were doing this type of thing, and we learned that although lots of people said they were doing this, they weren't really doing it as an end-to-end pipeline. For example, innovations in sequencing meant you could sequence at scale, so reading the genetic make-up was no longer the issue. The issue was, how did you analyse it and make it meaningful for patients?

We worked with one of the top sequencing companies in the world, knowing that if they were doing this alongside us, they would learn, invent, and do their utmost to ensure we delivered the best possible quality product. And that's what we did. After that, we built an analytical pipeline to try to analyse the genomes.

One major output from this was the National Genomic Test Directory. In 2018, with my colleague Dame Sue Hill, NHS England, UK, we created a new genomic medicine service which was national. And to do that, my team and I created a national test directory to drive regional equity of access to genomic testing for 57 million people across the UK. We also negotiated 500,000 whole genomes for use in rare disease and cancer, making them available to patients through this test directory. That test directory is not just a directory for when to perform whole genome sequencing, because whole genome sequencing isn’t needed for every single genomic disorder; it’s a comprehensive system for genomic testing in the UK.

In 2019, I was asked by then Chief Medical Officer, Sally Davis, to look at genomic testing in children. With a large task and finish group,

we proposed that all babies and children admitted to neonatal or paediatric intensive care with an unexplained diagnosis should receive genomic testing with a whole genome. We started that service a few years ago, and they are diagnosing about 42–47% of the children with a genomic diagnosis now. The second thing we recommended is that Genomics England and the NHS should test the role of a whole genome sequence in newborn babies, since around one in 17 may have a rare inherited disease. The goal was to see if knowing about these conditions at birth could allow us to intervene, avoid harm, or reduce disability. As a result, we created a website called RX-Genes where you can plug in the name of any genomic disorder, and it will tell you whether it's treatable or not and what the treatment is.

We have learned a lot because the programme has sequenced 12,000 babies already, finding treatable diagnoses at the rate of one in 250 births. That doesn't mean their lives will be entirely normal, but it could reduce their disability or screen them for something. For example, one baby’s genome showed mutations in the RB1 gene, a gene in the retina, and if mutated, can lead to early-life tumours of the back

of the eye, which can be treated with radiotherapy or removal of the eye. At 6 weeks, an eye exam under anaesthetic detected two areas that had retinoblastoma in the retina, which were treated with laser therapy. If the child makes it to their sixth birthday without having major problems, then the child may retain sight in both eyes and avoid removal of the affected eye.

Another example involved a family whose first baby passed away after 4 months in intensive care. We allowed parents to enrol their deceased child’s DNA in the project to help with future reproductive choices. When the mother became pregnant again, she wanted to know if the second child might be affected. Sequencing showed the first child had a mutation in transcobalamin 2, a protein that helps vitamin B12 enter cells. Case reports suggested that high-dose B12 could bypass the defect. The second child, tested within a week, had the same mutation but received weekly high-dose B12 and has had a normal life course.

By identifying those at risk, we can provide treatment early, reduce disability, improve quality of life, save healthcare costs, and potentially prevent disease. So that's what this programme sets out to do, and the government has allocated another 650 million GBP to do that over the next few years.

Throughout these projects, we learned that involving patients and families with lived experience is essential because the questions they want answered are not always the ones we think are most important. Their voice was central to the 100,000 Genomes Project and the newborn project, and it is very important to me. When we faced challenges with our analysis pipeline or other setbacks, we met with patients to explain the issues. This maintained a strong connection to their views, and many became ambassadors for the project while continuing to advocate for patients.

Q4Are there any current research projects happening as a result of the 100,000 Genomes Project that you’re particularly excited about? What are their goals, and what impact do you hope they’ll have on patients in the future?

has implications for clinical trials. Trials are typically conducted over a short period, but if we have all of the cancer registry data, such as the systemic anti-cancer therapy registry, we can look for long latency signals of benefit that may take months or years to emerge, but wouldn't be captured in the usual clinical trial. The project is a gift that keeps giving.

We can also explore polygenic risk scores, where an aggregate of all the variants that affect your risk of having a common disease is calculated. This could allow someone in their 20s to be told they're at a risk of developing breast cancer, and are recommended intensive breast screening. Common diseases are a mixture of lifestyle and genomics, not simply genomics. But genomics may enable a new era of preventive precision medicine, allowing health systems to anticipate and reduce future disease risk.

By identifying those at risk, we can provide treatment early, reduce disability, improve quality of life, save healthcare costs, and potentially prevent disease

Firstly, when we designed the project, we took great care to design a life course picture of the people we enrolled and their health records. Everyone in the programme is followed longitudinally over their life course, so as they age, there may be new diseases or exposures, and we have their consent to study any condition they encounter. This allows us to work on any disease or exposure that arises during their life. Because of this longitudinal approach, we can show them the impact of specific mutational signatures in cancer on a person’s lifespan.

For example, in the paper we published in 2024 on cancer landscape, we showed that over 5 or 6 years, certain mutational signatures could indicate a higher likelihood of recurrence, increased illness, and sadly, a higher risk of death. This also

This is what we're calling now a National Genomic Research Library. Everyone who has a whole genome sequenced in the NHS is offered consent to be a research participant, and over 90 percent of them say yes. This creates a longitudinally followed cohort, essentially a library of information. This library functions as a reading library, not a lending library. People come and work on the data without taking it away. In the era of AI, this scale of data can add value by improving diagnoses and finding answers we do not yet know, such as rare disease diagnoses or identifying genetic variants that predict adverse drug reactions. We set this up as a life course repository for Genomic Health, and the participants are fully informed and very involved. They've actually published papers on how to be on our participant panel. They have also published

a book of poetry describing their lived experience of rare disease and cancer. They are incredibly committed people who are all very participatory in the programme.

Q5

Integrating genomic testing into routine NHS practice required a major transformation. What were the biggest clinical, operational, or ethical hurdles, and how were they overcome?

The challenge of organising the NHS is that it is like an oil tanker. It takes a while to turn it round and change its course. This was taken care of by Dame Sue Hill. I was involved, but she very much did this. She created the seven lab hubs, which were openly tendered for as part of an NHS procurement process in accordance with government rules, and they competed to be lab hubs. The aim was to have seven lab hubs, and it encouraged people to establish partnerships. If one part of the country had a specific set of skills but not the full range, they could pair with another region to cover all the necessary expertise.

Not every lab hub does every test. Certain tests are done in specific lab hubs, and that's to focus on quality and excellence, and they're all in National Quality Assurance schemes, and are monitored. It is hard to secure accreditation,

and it’s also hard to maintain it, but the NHS lab hubs do that. Every diagnostic test returned to a patient, including whole genome sequencing, goes through a UK quality assurance process. We built the first accredited whole genome sequencing end-toend pipeline, from DNA to sequence to analysis to patient.

Then there is the ethical side. When we began, the Ethics Committee asked, “You are doing whole genomes, so you will inevitably find things. How will you handle that?” If I have your complete blueprint for life and analyse it, I will probably discover things that could be useful to you, but you might not want to know them. My view is that if I knew something about you and withheld it, that would be unethical. In Genomics England, we treat your DNA as always belonging to you, even if you consent for us to use it. It is your unique blueprint, unlike anyone else’s in the world. You are, in a sense, unique in your 3.3 billion letters. You did not know you were a billionaire, but you are, just not in cash.

The important thing here is that we said to people, if we find something, we need to tell you, and they said they would want to know, but when we asked about specific examples, some did not

want certain information. So, we created a list of findings we would return, focusing on those with profound impacts. If I knew you had a high hereditary risk of prostate cancer and did not tell you, you could develop it early in life without the chance for prevention. To me, that is not ethical. Ethics works both ways: it is about protecting people from harm and ensuring they have the opportunity to act on important information.

There is also the ethical question of sequencing newborn babies. They are at the very start of life, and some wonder if this could label them in ways that cause harm. My argument is that if one in 190 babies has a treatable condition and we do not tell their parents, that is far more harmful. Most people agree when you explain it.

Because we involve the public and participants throughout, we can go to them with these questions. In fact, when we asked if they were comfortable with us collecting all their health data, from GPs, from every registry, they surprised us. We expected caution, but they said, collect everything you can. They wanted us to use the resource fully, to find problems early, and to make the work as useful as possible. In many ways, they were less conservative than we were.

Q6 Has a lack of public understanding about genomics ever posed challenges during your work? How have you approached communicating complex concepts to patients or the wider public?

When you do a programme that's groundbreaking and at the forefront, everybody thinks it's going to be marvellous, and everybody assumes you are only doing it because you already know how. As I shared with you, we were building the aircraft as we were flying it. Traditionally, that's not what you want to do. But of course, we did everything we could to make it as safe and as fast as possible.

In the early days, we faced challenges from patients. Some would say, I've been enrolled in the study for a year, I haven't got any results, I'm really upset, etc. We were very careful in how we handled that. We spoke directly to people who felt that way and walked them through the process. When we explained what we were doing with their genetic makeup, they often said, I completely see why that would take a year or more.

Overwhelmingly, the people in the project stuck with the project. Every participant has the right to withdraw at any stage, but most stayed. Some did withdraw. Some

We

were building the aircraft as we were flying it

got their diagnosis and said, I’ve got my answer, and I don’t want to be in this anymore. That is fine. We can keep and use their data for research up until the point they withdraw, but after that, no further data is collected. We respect that; it's the right thing to do.

Q7 What is the greatest challenge currently seen in healthcare that you think could be solved with the use of genomic research?

I think one in two of us will have cancer, and I think that genomics, possibly multi-omics, might allow us, in some cancers, not all, to choose the right therapy the first time. I think the big challenge, and one that is being actively investigated, is to be able to detect cancer early. Most of the time, when we find cancer, it's already at an advanced stage. But now, using cell-free DNA that leaks out of dead or dying tumour cells into the circulation, we can measure in a blood sample that you have tumour DNA circulating around. That molecular signature

from the tumour DNA may even tell us what organ the cancer is in, and can even detect tumours that are not easy to spot on imaging at a very early stage.

We are already using these measures for lung cancer, and they're allowing us to detect this early. If early detection of cancer works, then we will be in for an entire paradigm shift in cancer treatment, and we will be able to deploy therapies earlier. Of course, we will need a series of studies in earlyphase cancers to understand how therapies that have been tested in late-stage disease can be used safely and effectively, because these treatments are not without side effects. So, discovering the cancer earlier may lead to it being removed, it may lead to it being treated with radiotherapy and chemotherapy, or a combination, and monitored afterwards using cell-free DNA to detect recurrence. There is a very large study called the NHS Galleri trial involving 140,000 people, looking at cell-free DNA as a multi-cancer test. It may not work for every cancer we're testing, but if it works for three or four, it could be the first annual test starting from around your 35th birthday. That would have the potential to completely change the world of cancer care, just through genomics.

Q8How does the UK's approach to genomic medicine compare to other countries? What lessons can we draw from global efforts, and are there potential opportunities for collaboration and even larger-scale projects?

When I was at Genomics England, we interacted with many programmes around the world. It's fair to say that there have been some attempts at national initiatives, but there's been nothing so tightly connected to a healthcare system, free at the point of delivery, as this one, which has led to a transformation that is NHS-wide and regionally equitable. There is no other project that has done that. There are other projects that have sequenced more whole genomes. But what I would put to you is that it is not the number of genomes that you sequence that matters; it's what you do with the information you get. Having sequenced a million whole genomes is not that important if there is no benefit to humanity.

We tried to make our benefits directly realisable within the UK NHS, and that's the reason why there is a National Genomic Medicine Service. That wasn't an instruction from the government when they awarded us the 100,000 Genomes Project. We're one of the very few countries with a public system that is deploying whole genomes for direct healthcare. Clinicians and scientists working in the NHS can order from a national test directory for specific conditions.

So, we are in the vanguard. There are others doing similar initiatives, and they will eventually catch up. The nature of the UK and the NHS provides a unique foundational

health system to do this in. You can do it at the level of a nation here, whereas in other health systems, this is more difficult because they have regional or other things that get in their way. Regional barriers or even laws can make a nationallevel programme very challenging.

Another issue is that we do not have equitable access to genomics worldwide. Many underserved communities in the global south, like Africa, India, Latin America, and Southeast Asia, have yet to feel the benefits of genomics. But that is coming, and there is a recognition in the global genomics community of the need to address this.

Projects of this scale, UK Biobank, Our Future Health, and All of Us in the USA, galvanise a community behind a programme or a project. People then spend their time doing research and innovating. The people actually leading the project don't have to do all the work. They just have to assemble a global coalition of intellectuals to do that. And of course, there are things like the Global Alliance for Genomics in healthcare, which is designed to develop, codevelop, and co-create methods, approaches, and standards for doing genomics worldwide. This means that research from around the world becomes portable and usable within programmes here in the UK. That is the benefit of a global community working together and pooling its intellect for the good of humanity.

References

1. RECOVERY Collaborative Group. Baricitinib in patients admitted to hospital with COVID-19 (RECOVERY): a randomised, controlled, openlabel, platform trial and updated meta-analysis. Lancet. 2022; 400(10349):359-68. Erratum in: Lancet. 2022;400(10358):1102.

2. Pairo-Castineira E et al. Genetic mechanisms of critical illness in COVID-19. Nature. 2021;591(7848):92-8.

3. Magavern EF et al. CYP2C19 Genotype prevalence and association with recurrent myocardial infarction in british-south asians treated with clopidogrel. JACC Adv. 2023;2(7).

Citation: EMJ. 2025;10[3]:49-55. https://doi.org/10.33590/emj/ODYT4169

Q1Your exposure to genetic research began as a teenager, including time at the Weizmann Institute of Science in Rehovot, Israel. How did this formative experience inspire your path into paediatric genomic medicine, and how does it still shape your vision today?

in the USA, was to see if we could identify the gene that caused the syndrome, and we were successful. So, yes, something that happened as a teenager, serendipitously, left an unequivocal mark on my life, which persists to this day.

What we have realised is that there are about 10,000 different genetic diseases, and these are some of the principal reasons why babies are admitted to NICUs

I was a high school senior in Northern Ireland, and I had the good fortune to win a scholarship from Marks & Spencer, London, UK, who packed me off to the Weizmann Institute of Science before starting university. I was enrolled as a medical student and believed that that's what I wanted to do with my life. While I was in Israel, I interned with the Late Professor Shraga Segal, and he got me working on a mouse model of cancer. These mice were immunodeficient and had a disorder called Chédiak–Higashi syndrome. I was fascinated. By the end of that summer, I realised that I didn’t really want to be a doctor at all. I wanted to do what these scientists did at the Weizmann Institute of Science: research, and I wanted to do that for the rest of my life. So, I kept going back every summer, and I would suffer through medical school, which at the time was mainly rote learning of textbooks. Then I would get my mental escape in the summertime at the Weizmann Institute of Science, where I continued to do research.

Chédiak–Higashi syndrome is a genetic immunodeficiency, and it occurs in humans as well as mice. One of my first projects, when I had my own lab years later

Q2

At Rady Children’s Institute for Genomic Medicine, San Diego, California, USA, your team has demonstrated that rapid whole-genome sequencing (rWGS) can yield actionable diagnoses in infants who are critically ill. From a clinical management perspective, what have been the most significant impacts of rWGS on outcomes, for example, time to diagnosis or treatment precision?

For this, we have to go back 15 years. Illumina, San Diego, California, USA, approached me, and at the time, I was in Kansas City, Missouri, USA (before I joined Rady Children’s Institute for Genomic Medicine). They said, “Hey, we’ve got a new genome sequencer that can turn a result around in about a day, and we're not sure what to do with it.” So, I talked to some of my colleagues at Children's Mercy Hospital, Kansas City, Missouri, USA, and they said, “Let's decode the genomes of babies in our neonatal ICU (NICU).”

Now, for those who don't know, 10–15% of babies go into the NICU when they’re born, and sometimes it’s because the baby was born prematurely, or the delivery didn't go smoothly. In many other cases, however, it’s because of something

that just wasn’t anticipated. The baby is delivered and immediately starts to have symptoms. These are mystery babies.

The thing about babies that people don't really get is that the younger a child is, the faster a disease progresses. For old folks like me, it takes days or weeks to get sick, while in children, it takes hours, and in babies, it takes minutes. You can have a baby that's looking great, but 15 minutes later, that baby could be morbidly ill. So, in this setting, there is extreme urgency. What we have realised is that there are about 10,000 different genetic diseases, and these are some of the principal reasons why babies are admitted to NICUs. Nobody knew this 15 years ago. It was just assumed that they had common things like immature lungs or immature livers, because there was no such thing as decoding the genome. When we started to put that to work, we found, much to our amazement, that over a third of the babies whose genomes we decoded had a genetic disease. Over the last 15 years, that's been recapitulated maybe 100 times around the world, and it's now universally accepted, irrespective of where a baby's born. Many countries in the world now have policies that say that if a baby is admitted to an ICU, then the

baby will get genome sequencing as part of their healthcare provision. The sequencing needs to be done as fast as is humanly possible, because it has profound implications on how the baby is managed. Until you know what's causing the illness, you're treating the baby blindly. You may get it right, but chances are that you won't with 10,000 possible genetic diseases, all of which are very rare. The likelihood that you're treating the right thing without knowing what the genome says isn’t high. You have more luck playing the lottery.

For some babies, there are curative therapies. For instance, there's a disease called spinal muscular atrophy where you can give them gene therapy. It's a once-in-a-lifetime dose, and they're cured. However, the clock's ticking, and if they already have irreversible neurological damage, they won’t recover; it's a race against time. How quickly can we pick up a baby with spinal muscular atrophy and get them the gene therapy? In the future, we hope to have effective or curative treatments for most of these diseases, and genome sequencing will become more and more powerful. Even today, in our current era, which means there isn't a gene therapy for most diseases, the information remains

very powerful, because there are conventional therapies that make the baby better, even though they might not cure the baby. Above and beyond that comes the whole psychological and social aspect of the situation, where parents know what's going on, doctors and nurses know what's going on, and there is trust in the system. The parents, empowered by that knowledge, can make decisions on behalf of their baby. Until you know what's causing the baby's illness, the doctors are essentially in charge, and you don't have the ability to make decisions. Once the doctor knows and tells you, then you can retake charge and say, “Okay, I now understand the consequences, and I can make these decisions.” If the baby is going to die, that ability is very empowering. You, as the parent, can decide the circumstances. How much do you want intensive care to continue? There are all kinds of practical elements, like bonding and getting last rites, but above all, there's this knowledge for parents that their child had a disease. It's not a curse. It's not something that the parents did wrong during pregnancy, where they may have had a cigarette or a glass of wine; parents are racked with anxiety and guilt otherwise. This is one of the most revolutionary things to ever happen in neonatology.

Q3

A highlight of your work in rWGS is your 2021 world record for ‘The fastest molecular diagnosis using rWGS’ in 13.5 hours, beating your previous record by 6 hours. Could you detail the work that went into this achievement and describe the positive effects patients have seen/will see as a result?

When we identified this for the first time, the idea of speed relating to genome sequencing was just a foreign concept. Nobody had ever thought about that before. However, the more we dug into it, the more we realised that there was a golden set of hours related to birth delivery, admission to the NICU, and the initiation of therapy, that we really needed to optimise. We needed to turn this into an engineering project. We needed to make it scalable so we could do it repeatedly with every baby who would need it. We needed to make it cost-effective so that the system could bear this. We needed an educational piece because neonatologists didn't know genomics. They still don't, nor should they, but they needed to know how to utilise this new technology and, most importantly, how to utilise the information we were returning. For 15 years now, we’ve been pushing the envelope to say, What does that look like? It's an ecosystem. It's a healthcare delivery platform. People get hung up on the fact that we're decoding a genome, but honestly, that part is easy. Just in this past week, we had the publication of 491,000 British genomes from the UK Biobank, Stockport, UK. Decoding genomes at scale is commonplace now, but this ecosystem is not common, and there is still much work to be done to democratise this. Right now, in the USA, we estimate that only 3% of the babies in an NICU who would

benefit from genome sequencing are receiving it. Even for those babies, it's often ordered as a last resort, rather than something you put on the admission orders. We have at least another decade of work to do to make this standard of care and to see it be democratised around the world. How do we equip neonatologists? How do we equip hospitals to be able to do this at scale for every baby who will need it?

Q4

You received the Precision Medicine World Conference (PMWC) Luminary Award in 2022, which recognised your contributions to implementing precision medicine in acute paediatric care. What does ‘Rapid Precision Medicine™’ (Rady Children’s Institute for Genomic Medicine) look like in practice?

It's not really about the genome. The genome is a very powerful piece of technology, but the point here is to deliver optimal care. The idea that care needs to be tailored to the genome (genome-informed care) is what we mean by precision medicine. It's not that the genome is the only data stream; it's just that it's one that is really important in at least half of the babies in the ICU. However, there are other -omic streams that are coming online as well, and what we want to do, particularly with the possibility of 10,000 different genetic diseases, is to get people to think about individualised and genomeinformed care. This is so that the moment we have a genome answer, we can turn it into a specific therapeutic regimen that is tailored to the child's specific condition. To that end, we have employed a group of experts for 5 years now. We maintain a website called GTRx™ (or Genome-ToTreatment; Rady Children's Institute for Genomic Medicine),1

and it helps you navigate what to do next when you have a label for a child's disease but have never seen the disease before in a baby. The website details steps such as confirmatory tests, specialist consultants to get advice from, and therapies to be considered for the baby, even before harnessing those consultants’ advice. The intent of the website is to take frontline neonatologists and paediatricians and equip them to practice something that they were not taught in medical school, in their residency, or in their fellowship, which is a highly tailored approach to medical care that delivers more optimal outcomes. One of the wonderful things about that is that it also delivers optimal cost efficiency. Having a baby in the NICU for 1 day in the USA costs at least 3,500 USD, and many of these babies could be in the hospital for months because the cause of their sickness is unknown. Therefore, this rapid precision medicine approach saves money, largely because the babies start on an informed management plan, and so a disposition (e.g., the threshold the baby needs to meet to be safely discharged from the NICU) is also apparent.

Q5 BeginNGS®

(Rady Children’s Institute for Genomic Medicine) is a groundbreaking programme that could redefine newborn screening. How does it differ from current Recommended Uniform Screening Panel-based methods, and what impact could it have if adopted at scale?

Everybody probably knows the heel prick that a baby gets on the first day of life: it creates a blood spot on a card, which gets sent to a regional laboratory and is tested biochemically for different conditions. The number

of conditions varies depending on where you’re born. For instance, in California, USA, it's about 80 conditions. This has been going on since the mid-1960s, so we're 60 years into this practice. The conditions are selected carefully, and every baby gets screened, so that is around 3.7 million babies in the USA. The vast majority of them will be normal. However, for the rare few, you'll be able to give lifesaving treatment. This is for conditions that are so severe that this intervention is likely going to save their lives, and you're accepting the fact that, for most of the population, screening will give them no benefit. It’s a very careful balance. You have to think about these things: how much bother am I creating, since 99.9% of those tested are healthy, and the results can often be false positives, but for those that are real positives, I actually have the potential to save a life?

Our idea was to take everything we learned from decoding genomes in NICUs and see if we could form factor a genome for this new purpose. Why, when we’re already testing for all these conditions? The screening is typically done through biochemical testing, and unfortunately, for many genetic diseases, there is no biochemical way to measure them. For example, if your baby has seizures or heart disease, there's no way to detect that through biochemical means. Thus, our goal was to do the same as we do for biochemical disorders, but with genomes, so

that we could bring the benefits of newborn screening to every condition that fits the criteria. In other words, it has to be really severe, and there has to be a highly effective therapy that will change the outcome if I find out the baby has or will have this condition. We've been working on this idea now for about 5 years, and have developed a test that could screen for just >500 different diseases. However, we are still developing the platform, because it isn't perfect right now: it's not cost-effective, it's not fully scalable, and the performance metrics aren't quite there. We're also enrolling babies around the USA and will soon do so in other countries around the world, so that we can test this out. We need to build up evidence to show that this works and it's safe, with the goal for it to be implemented as a standard test. We're 15 years behind where we're at with diagnostic genome sequencing in the NICU, so we're playing catch-up. In an ideal future, we would like to have a belt-and-braces approach, with babies in the NICU getting a diagnostic genome that screens for 10,000 disorders, and all the healthy babies getting screened for 500 or even 1,000 conditions, which will catch the babies before they get sick. For many babies, we would prevent them from actually needing to go to the ICU in the first place by catching their illness before it develops. That's the vision of the future that we're pushing into. It's still early, and it's still research, but I'm excited about the potential.

Thus, our goal was to do the same as we do for biochemical disorders, but with genomes

Q6

You’ve previously described the first two phases of BeginNGS: moving from technical feasibility to an early clinical trial. What have you learned from these stages? What excites you most about Phase III, the 100,000-infant trial, and what results are you expecting?

Phase I was about prototyping the test and seeing if it could be done. We ticked that box and showed that it was feasible. Phase II involved running a small trial in the NICU with a further developed test, and that went off without a hitch. That was really a safety trial. Could we do this? Would we have some major issues related to implementing this in the real world for the first time? We had no adverse events, and we had 100% specificity without a single false positive, which was really encouraging. There were, I think, four or five true positives in 120 babies.

Then we moved on to the current phase, where we’re enrolling babies in various locations across the USA, such as San Diego County, California; Memphis, Tennessee;

and Denver, Colorado. Soon we’ll be doing the same in other areas of the USA, like Salt Lake City, Utah; Rochester, Minnesota, at the Mayo Clinic; and Rutgers University, Newark, New Jersey. That will allow us to enrol 10,000 babies by the end of next year. We’re also close to extending this to the Gulf region and the Middle East, specifically in Ar-Rayyan, Qatar, at Sidra Medicine, and in Riyadh, Saudi Arabia, at the King Faisal Specialist Hospital and Research Centre. One of the exciting things coming up now is the opportunity to go international, because the incidence of genetic disease varies around the world, and some of the diseases that we are targeting are much more common in other countries. It's going to be really interesting, and we can't wait to see what those results look like.

Q7AI and machine learning are commonly used in sequencing pipelines. How has your team leveraged AI over the past decade, and what role do you see for automation in improving the scalability and accessibility of genome sequencing?

AI has come to the public's knowledge in the last 5 years, and people think of it as something new. But AI, as in machine learning, and earlier versions of AI have been around for many, many years. In fact, decoding a genome wouldn't be possible without it. The genome is the equivalent of a book that is 400 feet tall, and we decode it on average 40

times; the amount of information we generate from a single human genome is staggering, and it is way more than a human being could ever process. So, from the get-go, we have been reliant on computing and pushing the envelope on biological computing, using whatever automation or AI tools were available. That's been true since 2005, when our ability to decode human genomes became a reality.

AI is allowing us to automate genome interpretation, so we are able to increasingly arrive at a diagnosis without a human being having to look

Over time, however, the relevance of AI has changed. In the early days, it was all about how we could train the machines to decode the genome, and then how we could use that information to interpret the genome. As of 5–7 years ago, that was really all that we were using AI for. They were sophisticated tools for turning signals into DNA bases and then allowing humans to be able to inspect the genome, pick things out, and make a diagnosis. More recently, AI is allowing us to automate genome interpretation, so we are able to increasingly

arrive at a diagnosis without a human being having to look. Now, that doesn't mean that we won't need humans anymore. Even when you have autopilot on an aeroplane, you still need two pilots in the cockpit, despite the fact that the plane could technically fly itself. That's one thing to make really clear: you still need people in charge who are evaluating performance, even though you're using AI tools.

The really exciting thing now, with large language models and generative AI and agentic AI, is that we can actually start to interface the brains of physicians and parents with this complex space. The major problem now is not decoding genomes at scale. It's upskilling the medical workforce so that they can cope with this information torrent and the fact that there are 10,000 diseases, about which they know almost nothing, that they now have to deal with. This goes for parents, too: how do they cope with all of this information? In the future, these newer tools will essentially provide physicians with an accessory brain that is a specialist in the information needed to perform medicine at a very different level (rapid precision medicine). It will be the same for parents, so that they’ll be able to fill in the gaps in their knowledge regarding these diseases. The issue with one of these rare or ultra-rare diseases is that parents need to become specialists in that disease. If they go into a regular

doctor's office, where the doctor isn’t familiar with their child, they will need to educate that doctor or nurse about their child's condition; they will be the expert. They won't be able to prescribe drugs or diagnostic tests, but they will know more about that condition than the healthcare provider does.

Ultimately, we want to provide these tools to parents and frontline paediatricians. What's super exciting right now is thinking: how do we build this? How do we ensure that it's safe? How do we roll it out? How do we overcome all of the concerns that people have about the fact that it is AI? There's a lot of work to do to go from a concept to reality.

Q8

Ethical concerns remain prominent in the context of newborn genome sequencing. How should clinicians counsel families on these issues, and what safeguards are essential to maintain public trust while enabling clinical innovation?

This is a very difficult question. We live in an era where there is a lot of public distrust. It's unparalleled, and this arose, really, during the COVID-19 pandemic. Subsequent to the pandemic, distrust seems to be increasing rather than decreasing. Whether you're involved in something new, like genomes, or in standard care provision as a physician, it's a new phenomenon, and the rule book doesn't apply. I think the first thing to realise is that people no longer have a broad trust in expert advice of any type. They want to consider alternative truths, and that requires tolerance, patience, and a new set of tools (thinking about engaging and educating as opposed to care delivery). That's all new, and do we have answers for it yet? No, I think we're really struggling. When I was being trained in medicine, this was

not top of mind. The doctor was right. You came to the doctor, they gave you what you needed, you did what you were told, and bingo, but that's not the world we live in anymore. Now it’s a discussion. I don't think that that's necessarily bad, but it is more complicated, so we have to be aware of it. On top of that, we’re doing new things that were not part of care practice previously, so those concerns are heightened.

When genomes arrived on the scene 15 years ago, there were immense concerns about genome information, and that was largely because people didn't understand it. They thought, and many people still do think, that your genome is like the 10 Commandments, that it's a definitive set of rules written by God, and that's not the case. The genome is like any other type of information. It confers risk or benefit for whatever it is you're dealing with, whether it's the likelihood of developing diabetes or living to be 87 years old. It's not a declarative text. People constructed a whole new set of rules and ethical concerns because they thought, ‘Oh, my word, we're uncovering something; we're opening Pandora's box’.

Fifteen years later, many people are now realising that that's just not the case. The genome was massively overblown; sometimes it gets things right, but it often doesn't. Even if you have, let's say, variants in the cystic fibrosis gene, that doesn’t mean you're going to have cystic fibrosis. If you do have cystic fibrosis, it doesn't necessarily mean you're going to develop severe lung disease either. But we didn't know any of that, and people still get very confused about it. Even really well-educated people still tend to think of the genome as some special type of information. As a result of that, we have several laws

related to genome information, because they think it's exceptional. Frankly, those laws are a little immature. We need to get over that, though it's going to take time. It was good to put those laws in place, but now we need to get rid of the hype and understand that this is just another type of data. It doesn't have the implications that people feared it did.

People also thought that genome information could do profound harm (e.g., it would lead to anxiety, depression, etc). Now, that's not to say that it’s not a valid fear, but once again, it was overdone. In fact, we’ve found that people, when confronted with genome information, don't have catastrophic reactions in the way that we had anticipated. The pendulum swung over to one side, and now it's swinging back, and it still has a ways to go before we reach what we might regard as an equilibrium state. I don't want to disregard this at all, but I just want to say that over the last two decades, I've watched us go from complete paranoia to realising that many of our worst fears did not happen.

Having said that, we are facing cyber threats like we have never seen before. We just talked about AI, and one of the biggest uses of AI is for cyber threats. This isn’t necessarily tied to genomes, but it's tied into the confidentiality of any healthcare or financial information that you might have. We need to be very concerned about our confidentiality and privacy in an era when the internet knows an awful lot about every one of us, and these AI tools can grab this information with a couple of keystrokes or a sentence spoken. The genome absolutely needs all of the same security safeguards that healthcare information gets, and we need rules that protect

confidentiality and privacy, as well as rules related to who owns that information. The best way to think about this is that the genome is healthcare information that ought to be treated like anything else in your medical record. If you've had an ECG, a chest X-ray or a blood test, the genome is similar in that you have a right to a copy of the results, and you are giving your doctor and a healthcare organisation permission to hold that for you because they are providing services to you.

Now, in the USA, we've got the Genetic Information Nondiscrimination Act of 2008 (GINA). It's a great law that largely protects citizens from discrimination because of their genome. There are certainly loopholes in GINA, and one of the things that we spend a lot of time doing is alerting parents to the implications for them and their child when we generate this data, that GINA is not perfect, and that there may be consequences for them. We have to do that in a way that enables them to make a decision while weighing the risks and benefits. Many countries don't have a genotype law, but they need one. Meanwhile, in the USA, we will need to revise the GINA law and reduce the loopholes as we learn more.

Q9Finally, looking towards the next generation: what advice would you give to young healthcare professionals who want to be a part of this ongoing genomic revolution?

First of all, there continues to be a huge need for physicians who are going to do research. Right now, we have challenges related to, for example, substantial cuts in federal funding for medical research, but that need is not diminished. We still need the brightest young minds to be thinking about a research career. They won't be as well paid, and they'll probably have to work harder than their peers with less job security, but we need them, and we’ll continue to need them. That is the fulcrum around which things improve.

The scale of what's possible is completely unparalleled, and what I think of today as unbelievable will seem mundane tomorrow

How you acquire skills has changed quite a bit. It used to be that you needed to get into a laboratory, get your hands wet, and learn how to mix chemicals. That's how I started. These days, many of the new discoveries are electronic, so being skilful in terms of programming and knowing how to use AI is increasingly important and will continue to be important. The types of experiments that we can contemplate would have been completely unimaginable years ago. Just this morning, I was on a call, and we are currently collating 491,000 genomes into a database to perform analyses. The scale of what's possible is completely unparalleled, and what I think of today as unbelievable will seem mundane tomorrow. It's going to be a very exciting era.

Another thing that has changed dramatically is the emphasis on rare diseases. When I was young, medical research was

focused almost exclusively on common diseases, as was drug development. However, we have now realised that rare diseases collectively are as common as common diseases, and that we have neglected them for decades. As a result, we have few effective therapies. We also still massively underutilise diagnostic tools. So, this is a whole new avenue. There are thousands of diseases for which there are no therapies. We don’t understand how hundreds of diseases work. There are still probably 10,000 new genetic diseases to be discovered. We now have a playbook, the likes of which we've never seen before, which is amazing. But we also have a huge set of tasks ahead of us to fill in all the gaps in our knowledge, and then to do all the hard work to turn those into improvements in healthcare.

At the same time, however, you have to understand that the maths doesn't work out anymore; we live in societies that have tapped out the ability to pay for healthcare, and so the old way, which was new benefits at any cost, can't survive. We now need to be aware of the maths at all times: how will we be able to do this and afford to do this, and how will we be able to do this equitably for the population? Tragically, one of the lessons we've learned is that healthcare advances don't often make it across the population. They make it to the top 1%, 5%, or maybe even 20%. So, armed with that knowledge, how do we fix this?

References

1. Rady Children's Institute for Genomic Medicine. GTRx. 2022. Available at: https://radygenomics. org/gtrx-genome-to-treatment/. Last accessed: 26 August 2025.

Professor of Translational Genomic Medicine, Manchester Centre for Genomic Medicine; Consultant in Genomic Medicine, Manchester University NHS Foundation Trust, UK

Citation: EMJ. 2025;10[3]:56-62. https://doi.org/10.33590/emj/NCHO5117

Q1

You initially trained as a doctor, specialising in adult medicine, before transitioning to clinical genetics. What sparked that change, and what has kept your passion for genomics alive throughout your career since then?

I was initially focused on internal medicine, and in the UK, most individuals who focus on internal medicine then specialise in a particular area, like cardiology or gastroenterology. I became aware that there was a specialty around clinical genetics, and I was interested in that because I liked the breadth of the subject. It essentially involves caring for individuals and families across all stages of the life cycle, from before birth with prenatal investigations and advice, right through childhood, adulthood, and the end of life. I was aware that there was significant expertise in clinical genetics in Manchester, where I was based, and we had a very strong clinical department. I also knew that there would be increasing opportunities around research and technological developments. That's what drew me in.

privilege to work with so many clever people, and I really have enjoyed the relationship between clinicians and researchers, but also the patients and their families. Their voices have really driven a lot of the work that's happened within the genomic medicine space.

Q2

After your medical training, you spent 2 years in Toronto, Canada, studying the genetic basis of rheumatoid arthritis and inflammatory bowel disease. Was returning to the University of Manchester, UK, always the plan for you? If so, what led you back?

Over the last 15 years or so, my group has discovered over 25 different genes that are the causes of several rare conditions

I think the thing that's kept my interest is the fact that there has been so much change, including the opportunity to use new technologies, especially around the diagnosis of rare conditions; the increasing ability to use information to inform treatment and the development of new treatments; and a greater understanding of the contribution of genetics to our health. It's a

It wasn't necessarily the plan, certainly during my clinical training and my subsequent PhD. My PhD was based on work around arthritis, and it very much focused on molecular biology, as well as the function of genes and how they might interact with each other. A lot of the work that I did in Toronto was more focused on understanding classical genetic studies, and there was a change in the technology just around that time that suddenly allowed you to undertake the genotyping of lots of different genetic variants. Large-scale genomic studies became possible, and people began to explore the genetic contribution to more common diseases like inflammatory bowel disease, asthma, and arthritis.

I was really interested in that, but in terms of returning to Manchester, there were a few drivers. One was a really strong relationship with the hospital where I'm based, and the

university that I'm employed by. I was working in a very strong clinical department that had good relationships and worked very closely with the university in a seamless way. They allowed us to ask questions in the clinic and perform tests and investigations that were appropriate for families with particular conditions. Then, if we couldn't explain their health problems or provide them with the information required to make the right choices or to help with their clinical care, we could take that information into a university setting and do some research. Manchester had an infrastructure that allowed me to explore some of those questions, and over the last 15 years or so, my group has discovered over 25 different genes that are the causes of several rare conditions. That's only possible because I have such a strong clinical team working alongside me. I've also got some outstanding clinical academic colleagues who have undertaken work in related fields, and, as a group, we've probably discovered or contributed to the discovery of >200 conditions, working in collaboration with researchers all around the world. Additionally, my boss at the time, Dian Donnai, University of Manchester, UK, had a real understanding of how genetics could contribute to healthcare and how collaboration across different international groups was going to be important. That led me to a number of roles with the European Society of Human Genetics (ESHG).

Q3You’ve led significant work in pharmacogenetics and rare disease research while remaining active in clinical care. How do these areas of your work influence each other, and what are the main benefits?

I think I'm very privileged and lucky to have had so much variety in my career to date. I like doing different things. I find it stimulating, and I like working with different people. The drivers behind rare disease research really came from the strength of our clinical department and the colleagues I was working with, who were seeing families with rare conditions. These colleagues were either identifying conditions that had not been previously described or identifying conditions where genetic testing wasn't able to determine the genetic change responsible for the condition. Starting with clinical data and access to clinical materials allowed us to start using next generation sequencing, so we were one of the first centres in the UK to undertake exome sequencing and discover the causes of a number of conditions. For a number of these conditions, we've gone on to look at the function of those genes, and for some, we're now at the stage of developing new therapies. That has been really exciting. There are a number of colleagues working alongside me who are driving that work in rare conditions, looking at it in different ways and using different

approaches. With my colleague Siddharth Banka, Manchester Centre for Genomic Medicine, UK, we've been able to establish the Manchester Rare Conditions Centre, UK, which brings together research expertise, clinical service developments, and education and training programmes.

In terms of pharmacogenetics, my driver was somewhat different. It was partly a sense that genetics, to some degree, has been seen as an area that is only relevant to a very small number of people. I've always felt that that wasn't right, and that genetic information was probably going to be more relevant to a much greater group of people. A real, clear example of this is when people take medications and either have an adverse drug reaction or don't respond to their medication at all. The concept of pharmacogenetics had been developing, and I was really interested in some of the work that had been done and the strong evidence that had amassed. What I couldn't understand was why that hadn't moved into routine clinical practice, what the barriers were, and why we weren't using that information on a daily basis. That's where the main focus has been for me, my colleague John McDermott, Manchester Centre for Genomic Medicine, UK and our team; it isn’t so much on the discovery of new genes that are relevant to drug response, but much more on taking the information that we've known for

years and making sure that we use it for patients. It's allowed me to get involved in work on both ends of the spectrum: discovery and clinical implementation.

Q4One of your most highprofile projects is the PALOH study. Could you describe the work that went into it and how it has benefited patients?

The PALOH study builds on the point I made about genetic information and data being available to the world for a long time without having been implemented in clinical practice. Back in 1993, it was discovered that a change in a gene predisposes individuals to severe hearing loss if they're exposed to a certain type of antibiotic called gentamicin (an aminoglycoside). So we've known that for 30 years. If you know that you're going to use that type of drug in a patient with a condition like cystic fibrosis or a predisposition to chest infections, then you can do a genetic test in the lab. Once you have the results, you can decide to give them gentamicin or an alternative depending on whether they carry the change in the RNR1 gene.

However, I was very conscious that there was a group of patients, specifically newborn babies, for whom the genetic information just wasn't going to be available in a timely way. When newborns are admitted to a neonatal unit, the vast majority of them are given penicillin and gentamicin to protect them against infection (sepsis), and you need to start those antibiotics within an hour. If you send a blood sample off to the lab and get a result 3 or 4 days later, you just can't use that information in a meaningful way. I was aware of a small company in Manchester, UK, called Genedrive, which had been working on a point-of-care

technology. I met with them and explored the possibility of developing an assay together, where we could use a cheek swab from a baby, the results could be available quickly, and the correct antibiotics could be given.

The first step was to get a small grant from a hearing loss charity called the Royal National Institute for the Deaf (RNID), Peterborough, UK, in order to develop the prototype assay. We tested that in the lab, and it worked really well: we could generate a test from a sample in about 30 minutes. Then we moved on to a larger grant from the National Institute for Health and Care Research (NIHR) because we needed to see if it could be done in a neonatal unit. Could we generate a genetic test that could be done at the bedside in 30 minutes in the middle of the night, when people are rushing around, and so many other things need to be done? The nurses doing the test are not genetics experts, so the test needed to be done in a way that was robust, didn’t require a lot of training, and was cost-effective. We did that test study in the UK (Manchester and Liverpool) a few years ago, and we tested 750 babies. We showed that three of them carried the genetic change, and we gave them a different antibiotic. In addition, we were able to show that using the test did not delay those babies getting antibiotics. This has now undergone a National Institute for Health and Care Excellence (NICE) appraisal, which shows that it is cost-effective. NICE is the UK organisation that decides if something like this should be rolled out on a large scale. What they've said to us is that they want a bit of extra evidence to show that this type of testing can also be done in small units that might not have all the facilities available to a large centre. Therefore,

we're now running a study called PALOH-UK at multiple sites across the UK, including Scotland, Wales, Northern Ireland, and other parts of England. We hope to have all the results from that next year. We believe that if this test is implemented at scale around the world, in 1 year, you could theoretically prevent 14,000 babies from going deaf out of the 7 million a year that are given gentamicin. It's a very nice example of taking information that is known and working out how you can use it in a clinical setting without needing to use laboratory-based testing or setting up multiple new processes.

We believe that if this test is implemented at scale around the world, in 1 year, you could theoretically prevent 14,000 babies from going deaf out of the 7 million a year that are given gentamicin

Q5The study has been described as ‘transformational’. From your perspective, what have been the key learnings from PALOH, and the work that has happened since, that can be used to implement genomics into everyday NHS care?

One of the most positive experiences I had regarding the PALOH study was working with our other stakeholders and patient groups to really understand whether this new approach of testing newborn babies was going to be appropriate. It is a very stressful and difficult time for families when a newborn baby is unwell and needs special treatment, and our parent group helped us enormously. We worked together to make sure that the information we were providing and how we were approaching the study were done in a sensitive and appropriate way. Working with colleagues, especially the nursing teams and the neonatology groups, was also fantastic. They were all really enthusiastic. They knew that this was an issue for them and the babies they were looking after, and so they were incredibly engaged in working with us to find solutions.

Another really positive thing was that the eleventh baby that was tested had the genetic change, and the word spread through the whole unit like wildfire: they'd saved this baby's hearing. It meant that all the nurses were really keen to do the test, and we missed very, very few babies. Now it's integrated as part of the routine clinical pathway. Understanding when exactly we needed to do the testing, speaking to the experts in neonatal care, speaking to the parents, and understanding some of the practical issues were all really helpful, and this experience has informed all of our work.

We've gone on to do other studies now on different types of genetic tests in acute settings where you need a rapid result, and we've taken the same approach. You design the study with the clinicians and the patient groups, and then you listen to what it is that they need and want, as well as what doesn't disrupt the important pathways that they have set in place. You don't come in and say, “Here's our new solution.” You say, “How can I work with you to make sure that our solution fits into your pathway and what you're doing?” so that it becomes part of their routine care.

Understanding the needs and the challenges for a commercial company, how they operate, how you work in partnership, and what support you as a clinical academic can provide has also been really interesting. This has led to us working with a number of other companies to provide input as they start to develop their own products. As a result, we have a large programme called DEVOTE funded by Innovate UK, Swindon, UK, where we work with a number of different companies, giving them advice, support, or information to help them develop their particular genetic solution.

Another key learning is that, in acute settings, it's very difficult to get patients’ permission to carry out a genetic test, especially when working with newborn babies, who cannot give consent. PALOH was the first time anywhere, as far as we're aware, that a genetic test was undertaken without explicit consent. We'd sought the advice of lawyers, ethicists, and the parent groups to make sure that they could understand why we felt it was so important to do the test before filling out consent forms, because we needed that information quickly to make the right decisions for the baby. There was a lot to learn in that respect.

Q6

Are you involved in any other exciting projects at the moment? What results are you expecting from them, and what benefits might patients see down the line?

There are always a lot of plates spinning. I've mentioned some of our work around the acute setting and point-of-care testing, but we're also leading a large programme as part of the NHS Network of Excellence in pharmacogenomics. This involves working in primary care with general practitioners (GP). Around 90% of all drugs in the UK are prescribed by GPs, and a lot of those are common drugs like antidepressants, painkillers, statins, reflux medicines, etc, and we know that how people respond to a number of these drugs can be based on their genetic profile. Thus, we have been undertaking an implementation project called PROGRESS, which involves working with 20 GP practices across England. An individual who sees their GP at any of those practices and needs to start on a medicine will be asked if they would like to participate in the study. They provide a saliva sample, which is sent to our laboratory, and within a week, the result goes back to the GP. When the GP wants to prescribe the medicine, the information pops up in the patient’s electronic record to give them some guidance, and that then leads to the individuals either receiving the medication that the doctor had initially thought or a

different medicine entirely. So far, with an interim analysis, we can see that in about a quarter of individuals, either their dose or the actual medicine is changed based on their genetic results. If the individual goes back to their GP a few weeks or a few months later and they need a different medicine for a different health problem, that genetic information is still available in their records, so they don't need another test; it's immediately available to their GP to inform the prescription of the next drug they might need. That study is going to finish at the end of the year, and we hope to have all the data from that in early 2026. We think that this will inform plans to undertake pharmacogenetic testing as a routine part of care within the NHS, and then it will just be a question of how we scale it up and roll it out across the country. My expectation is that the data will strongly show that this is of real benefit to patients.

Q7

During your time as President of the ESHG, what impact have you seen the Society make, particularly in terms of improving care across Europe? Are there any exciting plans on the horizon?

I think that the ESHG is a really fantastic organisation. It's been a wonderful experience for me to be part of that group and to have worked with such impressive individuals. I think that the Society has achieved a lot over the last

several years through the quality of work that its members are undertaking across Europe, as well as their willingness to share that experience, supporting the training and education of young members, helping them to look beyond the boundaries of the Society, and helping other groups and individuals understand the role of genetics in human health.

We have an Annual Conference, which happens in different cities around Europe. The data that is presented there is absolutely at the cutting edge of science. It's truly remarkable, and we're able to attract some of the top scientists and clinicians in the world to present their data at that meeting. Last year, we had a Nobel Prize winner presenting her work on mRNA vaccines and her work on COVID-19, which was fantastic and really inspiring for a lot of the younger attendees to hear about.

We also have an education group that is looking to explore the resources required by our members and other people to help those who can't attend the conference. How do you make resources available to people in a way that is accessible and cheap, but is of high quality? We've been working on developing apps, and we've introduced some fellowship schemes so that young investigators, clinicians, and scientists can visit different centres and gain experience. We also have a number of web

resources, and we set up a webinar series this year to have some of our top scientists and clinicians speak each month about some of their work.

We then have a policy and ethics group that considers some of the impact that genomics is having at a societal level. Considering the various challenges faced in different countries across Europe, trying to support colleagues in other parts of the world where genetics and research are not looked upon favourably or are not getting the support that they should be.

ESHG has become a very outward-facing group, and any society like that is only as good as the people who are prepared to put in the effort and really commit to making what they do

You may think you've got the greatest ideas, but if you can't bring your colleagues and the public with you, then there is little point in doing some of this work

better and more inclusive. We've been supported brilliantly by the Vienna Medical Academy, for over 20 years, and they organise all the elements of our group, providing that institutional memory that ensures we can learn from what's happened before and build upon the positives moving forward.

Q8As genomics is a rapidly evolving field, have you encountered hesitation or misunderstanding from healthcare professionals or the public? How do you approach these challenges and help others see the value of genomics in care?

I think it's really interesting, and it’s challenging to understand what about genomics makes some people concerned. We've done a lot of work looking at that. You can have the best technology in the world, and you may think you've got the greatest ideas, but if you can't bring your colleagues and the public with you, then there is little point in doing some of this work. We’ve tried, particularly in the context of rare diseases and pharmacogenetics, to take different approaches, but we very much use a partnership approach by exploring the attitudes and the concerns of our clinical colleagues to pharmacogenetics. We've

undertaken studies like discrete choice experiments, where we look for people's preferences regarding the aspects of a service they think are the most important. Is it how quickly you get the result? Is it how you take the sample? Is it the format that the result comes in? You can ask those questions in different ways, and that gives you a sense of the most important elements as you're developing and delivering a service.

There are other methods, such as through focus groups, interviews, asking key opinion leaders, and going out and canvassing opinions as much as you can, to ensure that you're listening to the concerns of the public and professionals, and if appropriate, to reassure them. It can help if you might not have explained something properly or if there might be something that you hadn't considered before, where you need to go back and look at in a different way. I think that's very important for people who may have not been treated well by governments or healthcare systems in the past, and who feel quite anxious and concerned about how this new data could be used against them. It’s about ensuring that the safety of the data is in place and that it's used appropriately for their benefit.

At the beginning, when you're thinking about your programme of work, you're having those conversations, and you're designing the approach that you're taking as a partnership. We found that that has worked very well, but you can't just do that once. You've got to keep going back and making sure that what you're doing is appropriate and that you're measuring outcomes from your intervention. So, if you're using a new type of test or a new type of treatment, you need to demonstrate that it has had meaningful benefits for patients and for society.

Q9 If time and funding were not obstacles, what do you believe the full potential of pharmacogenomics could be? How far could it go in transforming the way we deliver care?

I think there are several important changes that are going to happen over the next few years. I think that we're going to see a significant change in the way that hospitals, universities, and industry all work together in this space. For instance, in the past, individuals who worked in an academic setting and then moved to a commercial setting didn't move very freely between the two spaces, and that's changing now.

Some of my colleagues and I have set up a small company called FAVA, Manchester, UK, with which we're trying to address some of the challenges that are not necessarily about generating genetic information, but about ensuring that it's available at the point of clinical need. Generating genetic information is only useful if you can ensure that people are acting upon that information to change their medication and

looking at what the downstream effects of that are. In the past, we stopped too early in our evaluation: we created a solution and then didn’t see if that solution really enhanced the care in the way we hoped and expected. With this change in the way of thinking, we won't be able to eradicate all adverse drug reactions, and not every drug given to every patient is going to be effective, but we can turn the dial and shift the balance. We can make sure that people feel more confident, that when they're prescribed a medicine, it's much less likely to cause an adverse event, especially if it's one that we know has a genetic component to it.

The other thing to say about pharmacogenetics is that it's only one element of good medicine use. Making sure that a person is on the right dose, that you've made the right diagnosis, that they're not on the wrong combination of medicines, and that they are still taking their medicine is all part of the package that will ensure the best outcome possible. However, I think the biggest change that we're going to see over the coming years is patients feeling that they want to take ownership of their own information and control of their own healthcare. We saw a big shift during the COVID-19 pandemic, where people became more accustomed to using apps, testing themselves, feeling that they understood more about their own healthcare, and doing that in partnership with healthcare professionals, rather than a more transactional relationship, which may have been the case in the past. I think that relationship is probably going to be the biggest difference that we're going to see.

Development of Phage Therapy for Curing Acne Vulgaris Using Phage PA6

1. Department of Bio-Sciences and Technology, Maharishi Markandeshwar Engineering Campus, Maharishi Markandeshwar (Deemed to be University), Haryana, India *Correspondence to manoj.singh@mmumullana.org

Disclosure: The authors have declared no conflicts of interest.

Received: 20.03.25

Accepted: 01.07.25

Keywords: Acne vulgaris, Cutibacterium acnes, phage PA6.

Citation: EMJ. 2025;10[3]:63-65; https://doi.org/10.33590/emj/OJOG7100

INTRODUCTION

Acne vulgaris, commonly known as acne, is a skin disease caused by the blockage of hair follicles, high keratin and sebum production in hair follicles, and overgrowth of bacteria. It affects approximately 9.4% of the global population.1 Inflammation mainly occurs when the associated bacteria release enzymes for sebum degradation. Cutibacterium acnes is one of the main candidates associated with acne vulgaris. This bacterium is Gram-positive and a facultative anaerobe, meaning it can survive in the presence or absence of oxygen. The hair follicle environment, with limited oxygen, provides a suitable niche for the bacterium to inhabit. This bacterium releases propionic acid as a byproduct of sebum degradation. Acne formation is correlated with genetic, dietary, hormonal, psychological, and medication-related side effects.2 In severe cases, doctors prescribe antibiotics like doxycycline, minocycline, azithromycin, or sarecycline, as these antibiotics show strong antimicrobial activity against Cutibacterium acnes. 3,4 Antibiotic medications are very effective against acne vulgaris. However, a large number of cases of antimicrobial resistance in acne have been reported. Therefore, there is a need for more effective alternatives for the treatment of acne.

BACTERIOPHAGE AGAINST CUTIBACTERIUM ACNES AND ITS CHARACTERISTICS

Bacteriophages are the acellular entities (viruses) that infect bacteria and kill them. Their basic characteristics include genetic material (either DNA or RNA, double- or single-stranded) covered by a capsid (protein coat). Indeed, viruses can also infect archaea. Bacteriophages mainly adopt two modes of infecting bacteria and are found everywhere. The lytic mode is characterised by the replication of bacteriophages inside the bacteria, which causes them to burst and release new virions. In the other mode, bacteriophages can reside inside the bacterium silently for a longer time and then start their replication, followed by the lytic mode.5 A bacteriophage might be developed as an alternative treatment against acne vulgaris. A very interesting bacteriophage named phage PA6 was reported in the literature in 2007.6 After many trials, researchers concluded that phage PA6 has a lytic reproductive cycle on the basis of the first genome sequencing.7,8 This conclusion was based on the absence of genes for integrase and repressor.9

Host specificity is a very important characteristic and can play a role in developing bacteriophage-based solutions. Host specificity ensures that

the bacteriophage only targets the targeted bacterium. A narrow range of hosts can effectively reduce the chances of inducing resistance in the non-targeted bacterial species. The conditions of the hair follicle are not very supportive of the growth of microbial species due to the effects of pH, temperature and nutrient availability, antimicrobial peptides, cytokines, chemokines, and proteases. Cutibacterium acnes has adapted to the microbiome of the hair follicle very well by exhibiting high lipolytic, biofilm, and pH regulatory mechanisms. Because of these reasons, the diversity of Cutibacterium acnes is very low.6 The low diversity of Cutibacterium acnes is the reason that the phage would evolve with a very narrow host range.

CHALLENGES IN THE DEVELOPMENT OF PHAGE-BASED TREATMENT

This paper mentions some challenges in developing bacteriophage-based therapy for curing acne, as the microbiome of hair follicles is different from and much more complex than that of the outer skin. This makes it very difficult for the phage PA6 to get access to the bacteria residing in the follicle through an outer, antisepticlike application. Another issue is the presence of biofilm. Cutibacterium and other bacteria generally show resistance to many antimicrobial agents. Therefore, this must pose a problem for the phage PA6 in acting on the Cutibacterium acnes present in the biofilm. As mentioned above, the diversity within Cutibacterium acnes is very low. As a result, the diversity of phages targeting Cutibacterium acnes is also very low. Therefore, this homogeneity might cause confusion and contradictions in the identification, characterisation, and other characteristics of the phage PA6.

ROLE OF PHAGE THERAPY IN CONTROLLING DERMATOLOGICAL INFECTIONS AND ITS FUTURE APPLICATIONS

Various successful results for the treatment of dermatological infections have already been reported in the literature. For example, a study was conducted on 143 patients affected by purulent skin infections caused by Staphylococcus aureus. Phage was introduced directly at the site of the wound and surrounding tissue using an injection. As a result, 75.0% of the patients recovered successfully, improvement was reported in 7.7%, and only 4.9% of patients experienced no effect.10 Similarly, another study was conducted on 55 patients with furunculosis caused by Staphylococcus. The phage was introduced orally, and a very effective result was obtained.11 Unfortunately, phage therapy is still under trial and needs improvements to become a successful treatment option. If researchers are successful in overcoming the above-mentioned challenges, phage therapy has the potential to become one of the fastest-growing healthcare products. Indeed, it can act as a potential preservative against food-spoiling microbes and as an antibacterial agent for the cosmetic industry.

CONCLUSION

Bacteriophage is a bacterial targeting acellular entity with some of the key characteristics like a lytic reproductive life cycle and target host specificity. These characteristics of the phage can be utilised to develop treatments against acne vulgaris. Acne vulgaris is a skin disease caused by the excessive growth of Cutibacterium acnes. Phage PA6 is a phage isolated from the Cutibacterium acnes infection. This phage can be used to treat acne vulgaris by inhibiting the responsible bacterial growth, although there are some challenges, like a high level of homogeneity, limited in vivo host accessibility, and reduced action on the bacterium in the presence of biofilm.

References

1. Mohammadi M. Cutibacterium acnes bacteriophage therapy: exploring a new frontier in acne vulgaris treatment. Arch Dermatol Res. 2024;317(1):84.

2. Babasaheb JV et al. A review article on anti acne. Int J Res Anal Rev. 2022;9(1):551-60.

3. Crane JK et al. Antimicrobial susceptibility of Propionibacterium acnes isolates from shoulder surgery. Antimicrob Agents Chemother. 2013;57(7):3424-6.

4. Baldwin H. Oral antibiotic treatment options for acne vulgaris. J Clin

Aesthet Dermatol. 2020;13(9):26-32.

5. Britannica. bacteriophage. 2025. Available at: https://www.britannica. com/science/bacteriophage. Last accessed: 13 March 2025.

6. Brüggemann H, Lood R. Bacteriophages infecting Propionibacterium acnes. Biomed Res Int. 2013;2013:705741.

7. Farrar MD et al. Genome sequence and analysis of a Propionibacterium acnes bacteriophage. J Bacteriol. 2007;189(11):4161-7.

8. Pulverer G et al. Bakteriophagen von Propionibacterium acnes (Bacteriophages of Propionibacterium

acnes, author’s transl). Zentralbl Bakteriol Orig A. 1973;225(2):353-63.

9. Webster GF, Cummins CS. Use of bacteriophage typing to distinguish Propionibacterium acne types I and II. J Clin Microbiol. 1978;7(1):84-90.

10. Jończyk-Matysiak E et al. Prospects of phage application in the treatment of acne caused by Propionibacterium acnes. Front Microbiol. 2017;8:164.

11. Slopek S et al. Results of bacteriophage treatment of suppurative bacterial infections in the years 1981-1986. Arch Immunol Ther Exp (Warsz). 1987;35(5):569-83.

Predicting Prostate Cancer in PI-RADS 1–2

Lesions: The Role of ProstateSpecific Antigen Density, Digital Rectal Examination, and Family History

Editor's Pick

This retrospective study evaluates predictors of prostate cancer in patients with Prostate Imaging Reporting and Data System (PI-RADS) 1–2 lesions, traditionally considered low risk. Highlighting the significance of suspicious digital rectal examination findings and a positive family history as independent predictors, the authors demonstrate that relying solely on imaging may miss clinically relevant cancers. Their findings support a more individualised, risk-adapted approach to biopsy decision-making in patients with low PI-RADS scores.

Prof Markus Peck-Radosavljevic Klinikum Klagenfurt am Wörthersee, Austria

Authors: *Serkan Özcan,1 Mertcan Dama,2 Kürşad Dönmez,3 Enis Mert Yorulmaz,1 Osman Köse,1 Sacit Nuri Görgel,1 Yiğit Akin1

1. Department of Urology, İzmir Kâtip Çelebi University, Türkiye

2. Department of Urology, Ministry of Health İzmir City Hospital, Türkiye

3. Department of Urology, İzmir Kâtip Çelebi University, Ataturk Training and Research Hospital, Izmir, Türkiye

*Correspondence to drserkanozcan@hotmail.com

Disclosure: The authors have declared no conflicts of interest.

Received: 27.04.25

Accepted: 19.08.25

Keywords: Digital rectal examination (DRE), multiparametric magnetic resonance imaging (mpMRI), prostate cancer, Prostate Imaging Reporting and Data System (PI-RADS), prostate-specific antigen (PSA) density.

Citation: EMJ. 2025;10[3]:66-72. https://doi.org/10.33590/emj/JKEY1169

Abstract

Objective: To evaluate the diagnostic value of prostate-specific antigen (PSA) density, digital rectal examination (DRE), and family history in predicting prostate cancer among patients with low-risk Prostate Imaging Reporting and Data System (PI-RADS) 1 and 2 lesions who underwent prostate biopsy.

Methods: The authors retrospectively analysed 153 patients with PI-RADS 1–2 lesions who underwent systematic and/or targeted transrectal ultrasound-guided prostate biopsy at a tertiary urology centre between 2022–2024. Clinical parameters including PSA level, PSA density, prostate volume, DRE findings, and family history were recorded. Cancer detection rates and significant predictors were identified using univariate analysis and logistic regression. Diagnostic performance was assessed with receiver operating characteristic curve analysis.

Results: Prostate cancer was detected in 16/153 patients (10.5%). Patients with cancer had higher PSA density, more frequent abnormal DRE findings, and a significantly higher rate of positive family history. Logistic regression revealed that abnormal DRE (odds ratio: 0.062; p=0.009) and family history (odds ratio: 0.211; p=0.014) were independent predictors of cancer detection. The combined model showed moderate diagnostic performance (area under the curve: 0.711; p=0.006). PSA density showed a trend towards significance (p=0.082), but did not reach statistical significance independently.

Conclusion: Although PI-RADS 1 and 2 lesions are typically considered low-risk, the authors' findings suggest that clinical factors such as suspicious DRE and family history significantly enhance the detection of prostate cancer in this population. Incorporating these variables into biopsy decision-making may help avoid missed diagnoses and support a more individualised approach in patients with low-risk imaging findings.

Key Points

1. A notable proportion of patients with Prostate Imaging Reporting and Data System (PI-RADS) 1–2 lesions may still harbour prostate cancer despite low-risk imaging.

2. Digital rectal examination and a positive family history are significant clinical predictors of cancer detection in this group.

3. Incorporating clinical risk factors into biopsy decisions can improve diagnostic accuracy and prevent missed diagnoses.

INTRODUCTION

Prostate cancer remains one of the most prevalent malignancies among men worldwide, underscoring the need for effective diagnostic strategies to facilitate early detection and inform appropriate clinical management.1 Multiparametric MRI (mpMRI) has become an essential component in the diagnostic pathway, enhancing the detection of clinically significant prostate cancer (csPCa) while reducing the number of unnecessary biopsies.2 To standardise mpMRI interpretation, the Prostate Imaging Reporting and Data System (PI-RADS) was developed, enabling the categorisation of prostate lesions based on their likelihood of harbouring csPCa.3

While PI-RADS 3–5 lesions are frequently biopsied due to their stronger association with malignancy, the management of PIRADS 1 and 2 lesions remains a clinical challenge.4 These low-score lesions are generally considered to have minimal malignant potential, often resulting in conservative management. However, biopsies are still performed in selected

patients with PI-RADS 1–2 findings, particularly when additional risk factors, such as elevated prostate-specific antigen (PSA) levels, abnormal digital rectal examination (DRE) findings, or a positive family history, are present. This highlights the need for more precise and evidence-based criteria to guide biopsy decisions in this subgroup.5

Previous studies have primarily focused on the predictive value of PI-RADS 3–5 lesions, with limited data available regarding the clinical significance of PI-RADS 1 and 2 findings.5 The absence of clear guidelines for biopsy in this lower-risk population may result in the underdiagnosis of clinically relevant prostate cancer or the performance of unnecessary invasive procedures. Thus, refining the selection criteria for biopsy in patients with PI-RADS 1–2 lesions is essential for optimising diagnostic accuracy and reducing overtreatment.

In this study, the authors aimed to identify variables associated with prostate cancer detection in patients with PI-RADS 1 and 2 lesions who underwent biopsy despite their low-risk imaging classification. By

evaluating factors such as PSA density, DRE findings, prostate volume, and family history, the authors seek to contribute to a more individualised and evidence-based approach to biopsy decision-making in this patient population.

MATERIALS AND METHODS

The study included male patients who underwent mpMRI for suspected prostate cancer, were assigned a PI-RADS 1 or 2 score, and subsequently underwent prostate biopsy due to persistent clinical suspicion. Data were retrospectively collected from medical records between 2022–2024.

Inclusion criteria comprised patients with mpMRI-detected PI-RADS 1 or 2 lesions who underwent systematic and/or targeted prostate biopsy and had complete clinical and pathological data available. Patients were excluded if they had a prior history of prostate cancer, previous prostate interventions or treatments, active urinary tract infection or prostatitis at the time of biopsy, or insufficient imaging or biopsy data. Information on family history of prostate cancer was obtained through patient interviews. A positive family history was defined as having at least one first-degree relative (father or brother) diagnosed with prostate cancer.

The following clinical parameters were recorded: patient age, PSA level, PSA density, prostate volume (measured via transrectal ultrasound), DRE findings, and family history of prostate cancer. Imaging findings were evaluated according to the most recent PI-RADS classification guidelines.

All patients underwent transrectal ultrasoundguided prostate biopsy, with systematic sampling of at least 12 cores. Additional targeted biopsies were obtained when a focal lesion was suspected. Histopathological evaluation categorised biopsy specimens as benign, atypical small acinar proliferation, chronic prostatitis, or prostate cancer. csPCa was defined as a Gleason score ≥7.

Statistical Analysis

Descriptive statistics were calculated for both continuous and categorical variables. Comparisons between cancerpositive and cancer-negative groups were conducted using the independent t-test or Mann–Whitney U test for continuous variables, and the χ2 or Fisher’s exact test for categorical variables. Logistic regression analysis was performed to identify predictors of prostate cancer detection. Receiver operating characteristic (ROC) curve analysis was conducted to evaluate the diagnostic performance of significant variables, and the area under the curve (AUC) was calculated to assess predictive accuracy. A p value of <0.05 was considered statistically significant. All statistical analyses were performed using the Statistical Package for the Social Sciences (SPSS) version 22.0 (IBM, Armonk, New York, USA).

RESULTS

A total of 153 patients with PI-RADS 1 and 2 findings were included in the analysis. Of the 153 patients who underwent biopsy, 16 (10.5%) were diagnosed with prostate cancer. Of these, seven patients had Gleason 3+3 disease, six had Gleason 3+4, and three had Gleason 4+3. Accordingly, nine out of 16 cancers (56.3%) were clinically significant (Gleason ≥7). The remaining cases were categorised as benign prostatic hyperplasia (n=115; 75.2%), atypical small acinar proliferation (n=11; 7.2%), and chronic prostatitis (n=11; 7.2%).

The mean prostate volume was 70.88±29.98 mL in the cancer-positive group and 87.85±50.03 mL in the cancernegative group (p=0.493). The mean age was similar between the groups (65.50±7.32 years versus 64.42±6.77 years; p=0.258). PSA levels were also comparable, with 10.86±20.66 ng/mL in patients who were cancer-positive and 7.91±8.28 ng/mL in patients who were cancer-negative (p=0.756). PSA density was higher in the cancer-positive group (0.19560±0.44109) than in the cancernegative group (0.09450±0.07307), approaching statistical significance

Continuous variables were compared using the independent t-test or Mann–Whitney U test, while categorical variables were analysed using the χ2 test or Fisher’s exact test, as appropriate.

DRE: digital rectal examination; PI-RADS: Prostate Imaging Reporting and Data System; PSA: prostate-specific antigen.

DRE: digital rectal examination; PSA: prostate-specific antigen.

(p=0.093). The presence of firm nodules on DRE was significantly more frequent in the cancer-positive group (12.5%) compared to the cancer-negative group (1.5%; p=0.006). All patients who were cancer-positive (100%) had PI-RADS 2 findings. A positive family history of prostate cancer was present in 31% of the cancer-positive group (5/16) and 10.9% of the cancernegative group (15/137), which was statistically significant (p=0.023). These characteristics are summarised in Table 1

In the logistic regression analysis, the presence of a family history (p=0.014), DRE findings (p=0.009), and PSA density (p=0.082) were included in the model. The

presence of a suspicious DRE and positive family history were significant predictors of prostate cancer. Specifically, a suspicious rectal examination reduced the odds of not having cancer (odds ratio: 0.062), and having a family history also decreased the odds (odds ratio: 0.211). The model was statistically significant (Omnibus Test of Model Coefficients: χ²=13.289; p=0.004) and explained approximately 17% of the variance in cancer status (Nagelkerke R²=0.170). The predictive accuracy of the model was 89.5%, correctly identifying 135/137 patients without cancer (specificity: 98.5%), but only 2/16 patients with cancer (sensitivity: 12.5%). These characteristics are summarised in Table 2

Table 1: Baseline characteristics of patients with and without prostate cancer.
Table 2: Logistic regression analysis of prostate-specific antigen density, digital rectal examination, and family history.

ROC Curve

AUC: 0.711

1 - Specificity

Diagonal segments are produces by ties.

Sensitivity: 12.5%; specificity: 98.5%; 95% CI: 0.556–0.867; p=0.006.

AUC: area under the curve; ROC: receiver operating characteristic.

The AUC-ROC for the predicted probability was 0.711 (95% CI: 0.556–0.867; p=0.006), indicating moderate diagnostic performance. The combined predictive probability of PSA density, family history, and DRE findings demonstrated strong diagnostic utility in identifying patients at risk of prostate cancer despite low PI-RADS scores. The ROC curve analysis is shown in Figure 1

DISCUSSION

The findings of this study provide valuable insights into the factors influencing prostate cancer detection in patients with PI-RADS 1 and 2 lesions who underwent biopsy despite their low-risk imaging classification. The authors’ results highlight the significance of DRE findings and family history in identifying patients at higher risk of prostate cancer,

while PSA density showed a trend towards significance. Conversely, prostate volume, age, and PSA levels did not emerge as significant predictors in this cohort.

The role of mpMRI in prostate cancer diagnosis has been well established, with PI-RADS serving as a critical tool for risk stratification.3 While PI-RADS 3–5 lesions are commonly subjected to biopsy due to their higher malignancy probability, there remains considerable uncertainty regarding biopsy indications in patients with PI-RADS 1 and 2 lesions.6 Previous studies have largely overlooked the clinical relevance of this subgroup, often assuming a negligible cancer risk.2 However, the authors’ findings underscore that a subset of these patients still harbour csPCa, necessitating a more nuanced approach to biopsy decision-making.

Figure 1: Receiver operating characteristic analysis of combined predictors: prostate-specific antigen density, family history, and digital rectal examination.

The authors’ study observed a cancer detection rate of 10.5% in patients with PI-RADS 1 and 2 lesions. This aligns with previous research indicating that, although the likelihood of csPCa is lower in PI-RADS 1 and 2 categories, it is not negligible. For instance, a study reported that deferring biopsy in patients with PI-RADS 1 or 2 lesions could miss up to 16% of Gleason score ≥7 cancers.7 These findings suggest that relying solely on mpMRI findings may lead to the underdiagnosis of significant cancers, highlighting the need for additional clinical parameters to be integrated in the decision-making process.8 This distribution indicates that, while over half of detected cancers were clinically significant, a proportion of low-grade (Gleason 6) cancers was also identified. This suggests that biopsy decisions in patients with PI-RADS 1–2 lesions can uncover both indolent and aggressive disease.

Current guidelines recommend considering biopsy deferral in patients with PI-RADS 1 or 2 lesions, especially when other risk factors are absent. The authors’ study reinforces the importance of a comprehensive clinical assessment, including DRE findings and family history, to identify patients who may benefit from a biopsy despite low-risk imaging results. This approach aligns with the guidelines, which emphasise individualised risk assessment in prostate cancer diagnosis.9

DRE findings were significantly associated with prostate cancer detection, reinforcing the importance of incorporating clinical examination into biopsy decision algorithms.10 This aligns with prior research emphasising the predictive value of abnormal DRE findings, even in the presence of low-risk mpMRI findings.11 Additionally, the presence of a positive family history markedly increased the likelihood of cancer detection, suggesting that genetic predisposition remains a crucial factor independent of imaging findings.12 Several genome-wide association studies have identified multiple susceptibility loci associated with an increased risk of prostate cancer, including genes such as BRCA1, BRCA2, HOXB13, and variants on chromosome 8q24.13 These findings emphasise the importance of genetic

screening in high-risk individuals, particularly those with a strong family history. Given these results, clinicians should maintain a high index of suspicion in patients with suspicious DRE findings or a strong family history, even when PI-RADS classification suggests a low probability of malignancy.

PSA density has been proposed as a useful adjunct in biopsy decision-making, with prior studies indicating its potential role in refining risk assessment.14,15 In the authors’ study, PSA density demonstrated a trend towards significance, suggesting that it may contribute to risk stratification in patients with PI-RADS 1–2 lesions, but may not be a standalone predictor. Further research with larger cohorts may better delineate its utility in this setting.

The absence of a significant association between prostate volume, age, and PSA level with cancer detection in the authors’ study is noteworthy. While larger prostate volumes have been linked to lower PSA density and reduced cancer risk, the authors’ findings suggest that prostate size alone may not be a decisive factor in patients with PI-RADS 1–2 lesions.16 Similarly, PSA level, although widely used as a screening tool, did not provide additional discriminatory value in this subgroup, reinforcing the need for a multifactorial approach incorporating clinical and genetic risk factors.

The authors’ study has several strengths, including a well-defined patient cohort and a focus on an often-overlooked subset of patients undergoing prostate biopsy. Additionally, the ROC curve analysis demonstrated an AUC of 0.711, indicating good discriminatory power in differentiating between cancer-positive and cancer-negative cases. This suggests that, while PI-RADS 1 and 2 lesions are generally considered low risk, integrating additional clinical parameters such as PSA density, DRE findings, and family history enhances diagnostic accuracy. The strong performance of the authors’ model highlights the potential utility of combining imaging and clinical data in biopsy decisionmaking. Future studies should validate these findings in larger, multicentre cohorts to establish their broader applicability.

However, the study also has limitations. The retrospective design introduces inherent selection biases and the sample size, particularly in the cancer-positive group, remains relatively small. Additionally, while family history was a significant predictor, its precise impact could be influenced by recall bias or incomplete medical records. Future prospective studies with larger sample sizes and genetic profiling may offer more definitive conclusions. The lack of genetic analysis in the authors’ study represents a key limitation, as they were unable to assess the potential contribution of inherited genetic mutations to prostate cancer risk in this cohort. Genetic testing in this context would typically involve germline mutation analysis for genes such as BRCA1, BRCA2, and HOXB13, as well as risk-associated loci like 8q24. Incorporating such testing would allow for a more accurate evaluation of hereditary predisposition and clarify whether the observed effect of family history reflects

References

1. Siegel RL et al. Cancer statistics, 2023. CA Cancer J Clin. 2023;73(1):17-48.

2. Turkbey B et al. Prostate imaging reporting and data system version 2.1: 2019 update of prostate imaging reporting and data system version 2. Eur Urol. 2019;76(3):340-51.

3. Weinreb JC et al. PI-RADS prostate imaging reporting and data system: 2015, version 2. Eur Urol. 2016;69(1):16-40.

4. Kuhl CK et al. Abbreviated biparametric prostate MR imaging in men with elevated prostate-specific antigen. Radiology. 2017;285(2):493-505.

5. Ahmed HU et al. Diagnostic accuracy of multi-parametric MRI and TRUS biopsy in prostate cancer (PROMIS): a paired validating confirmatory study. Lancet. 2017;389(10071):815-22.

6. Steiger P, Thoeny HC. Prostate MRI based on PI-RADS version 2: how we review and report. Cancer

true genetic susceptibility or reporting bias. Incorporating genetic testing into future studies could provide a more comprehensive understanding of the hereditary components of prostate cancer and refine risk stratification models.

CONCLUSION

In conclusion, the authors’ study suggests that, while PI-RADS 1 and 2 lesions are generally associated with a low probability of malignancy, certain clinical factors warrant consideration when deciding on biopsy. DRE findings and family history emerged as significant predictors of prostate cancer detection, underscoring their role in clinical decision-making. PSA density may offer additional value, but requires further validation. These findings highlight the importance of an individualised, risk-adapted approach to biopsy in patients with low-risk PI-RADS classifications.

Imaging. 2016;16(1):1-9.

7. Filson C et al. MP60-11 should a normal multiparametric MRI preclude prostate biopsy? J Urol. 2015;193(Suppl 4):e742.

8. Abdul Raheem R et al. Can a prostate biopsy be safely deferred on PI-RADS 1,2 or 3 lesions seen on pre-biopsy mp-MRI? Arab J Urol. 2022;21(1):10-7.

9. European Association of Urology (EAU). Prostate cancer - summary of changes. 2019. Available at: https:// uroweb.org/guidelines/prostatecancer/summary-of-changes/2019. Last accessed: 5 April 2025.

10. Djavan B et al. Optimal predictors of prostate cancer on repeat prostate biopsy: a prospective study of 1,051 men. J Urol. 2000;163(4):1144-9.

11. Heidenreich A et al. EAU guidelines on prostate cancer. part 1: screening, diagnosis, and local treatment with curative intent-update 2013. Eur Urol. 2014;65(1):124-37.

12. Kiciński M et al. An epidemiological reappraisal of the familial aggregation of prostate cancer: a meta-analysis. PLoS One. 2011;6(10):e27130.

13. Schumacher FR et al. Association analyses of more than 140,000 men identify 63 new prostate cancer susceptibility loci. Nat Genet. 2018;50(7):928-36.

14. Peng Y et al. Optimal PSA density threshold for prostate biopsy in benign prostatic obstruction patients with elevated PSA levels but negative MRI findings. BMC Urol. 2025;25(1):1-9.

15. Pellegrino F et al. Prostate-specific antigen density cutoff of 0.15 ng/ ml/cc to propose prostate biopsies to patients with negative magnetic resonance imaging: efficient threshold or legacy of the past? Eur Urol Focus. 2022;9(2):291-7.

16. Saidi S et al. Does prostate specific antigen density correlates with aggressiveness of the prostate cancer? Hippokratia. 2009;13(4):232-6.

Science to Clinical Practice: IL-23 Inhibition for the Treatment of Psoriasis. Latest Insights on the Selective Mode of Action of Risankizumab

Support: The publication of this article was funded by AbbVie.

Author: Caroline E. Cross1

1. Freelance medical writer, Reading, UK

Disclosure: Cross was commissioned by EMJ to write this article.

Disclaimer: The purpose of this non-promotional article is for awareness of recently published data relating to mechanisms of action of IL-23 inhibitors and is not meant to imply the efficacy or safety of any AbbVie products or other medications. The information is intended for healthcare professionals only.

Received: 27.05.25

Accepted: 23.07.25

Keywords: Biologics, guselkumab, IL-23 inhibitors, inflammation, plaque psoriasis, psoriasis, risankizumab, secukinumab, skin, tildrakizumab.

Citation: EMJ. 2025;10[3]:73-79. https://doi.org/10.33590/emj/MWZP6306

Abstract

Psoriasis affects 60 million people globally. It is an inflammatory skin condition that can significantly impact quality of life. Furthermore, comorbidities including psoriatic arthritis and cardiovascular disease are common, indicating wider immune system involvement. In recent years, the IL-23/Type 17 T cells (T17) axis of inflammation has been shown to play a key role in psoriasis pathogenesis, leading to the development and licensing of biologics that target IL-23- and IL-17-mediated inflammatory pathways. These advanced medications effectively disrupt the inflammatory cycle, resulting in sustained improvements in clinical disease. This article reviews newly available data that provide the latest insights into the molecular interactions and mode of action of IL-23 antagonists. It outlines evidence to demonstrate that IL-23 blockade with risankizumab selectively inhibits pathogenic T17 cell subsets in psoriasis skin lesions, while non-pathogenic or regulatory T17 subsets remain intact, as well as the potential clinical benefits. It also evaluates the alternative binding to CD64 and concludes that it is unlikely to affect the clinical efficacy or safety of licensed IL23 antibodies. These new data provide clinically relevant insights into the durable efficacy and safety of anti-IL-23 biologics.

INTRODUCTION

Psoriasis is an inflammatory skin condition that affects more than 60 million people worldwide.1 Several subtypes exist, but the most prevalent is plaque psoriasis, also known as psoriasis vulgaris.2 The condition manifests on the skin as erythematous,

scaly patches of varying size that can coalesce and appear on any part of the body. Importantly, inflammation is not limited to skin and can affect joints, causing psoriatic arthritis.2,3 Comorbidities are also common, including cardiovascular disease, metabolic syndrome, and inflammatory bowel disease.4 The condition has a

significant negative impact on quality of life, causing disrupted sleep, low selfesteem, and social isolation, and can lead to cumulative life course impairment over a patient’s lifetime.5

Characteristic psoriasis skin lesions harbour hyperplastic keratinocytes in the epidermis and a variety of infiltrating leukocytes, including dendritic cells and T cells, in the dermis.6,7 This infiltration is triggered when dermal dendritic cells are activated to secrete inflammatory mediators, including the cytokine IL-23, which drives the differentiation of a subset of T cells, called Type 17 T cells (T17).3 T17 cells produce the inflammatory cytokines IL-17 and IL-22 that drive overproduction of keratinocytes, resulting in plaque formation.6

Recent advances in the understanding of the IL-23/T17 axis of inflammation in psoriasis have led to the development and licensing of effective targeted treatments for moderate-to-severe psoriasis and psoriatic arthritis, including biologics such as IL-23 and IL-17 inhibitors that disrupt the cycle of psoriatic inflammation.8,9

This article focuses on recently published data that shed new light on the mode of action of IL-23 inhibitors and their effectiveness as treatments for psoriasis, demonstrating their targeted effect in reducing pathogenic T cell subsets in psoriatic lesions.

CELL-MEDIATED INFLAMMATION IN PSORIASIS

In psoriasis, inflammation can be considered to occur in two phases.2 In the initial phase, activated dendritic cells in the skin produce IL-23 in the form of heterodimers (consisting of a p19 and a p40 subunit), which bind to IL-23 receptors expressed on the surface of cells, including T17 cells.10 Signalling via the IL-23 receptor stimulates T17 cells to produce cytokines, including IL-17 and IL22. While IL-23 acts as a regulatory cytokine in the early stages of the inflammatory pathway in psoriasis,11 effector cytokines, including IL-17, produced by T17 cells, maintain inflammation,12 stimulating keratinocytes to proliferate and secrete other inflammatory mediators, resulting in plaque formation and maintenance (Figure 1).3,10 This IL-23/T17 immune axis is now

Adapted from Hawkes JE et al.13

Figure 1: Schematic showing IL-23/T17-mediated effects on epidermal keratinocytes in psoriatic skin.
Peptide antigens
Peptide antigens

known to be instrumental in psoriasis and in several other autoimmune conditions, including inflammatory bowel disease,12 and raised levels of IL-23 can be detected in psoriatic skin lesions.10

TARGETING THE IL-23/T17 AXIS OF INFLAMMATION IN PSORIASIS

Several novel biologics targeting IL-23 or IL-17 have been developed as therapeutic interventions for moderate-to-severe psoriasis.12 For example, in global Phase III trials, over 70% of participants treated

with the IL-23 inhibitor risankizumab (150 mg) experienced substantial skin clearance and clinical improvement in the extent and severity of plaque psoriasis after 4 months.14 Most patients maintained clear (Psoriasis Area and Severity Index [PASI] 100), or almost clear (PASI 90), skin for 5 years, and this was associated with significant improvements in quality of life.15

Blocking the activity of IL-23 with a neutralising antibody directly reduces IL-17–induced inflammation mediated via T17 cells (Figure 2). The antibody binds to IL-23 and blocks its interaction with the IL-23 receptor

Adapted from Pang Y et al.10

Created using BioRender.com

Figure 2: Overview of mode of action of IL-23 inhibitors.
Psoriasis
Risankizumab
Guselkumab Ustekinumab

(IL-23R) found on the surface of T17 cells and some other cell types, resulting in highly potent neutralisation of IL-23 bioactivity and a reduction in the production of IL-17.6 Although IL-23 blockade reduces IL-17 production, it does not completely ablate it, and T17 cells can produce some IL-17 independently of signalling via the IL-23R.6

There is growing evidence that different types of T17 cells exist, as demonstrated using murine models,16 including nonpathogenic (homeostatic) and pathogenic T17 cells.11 Recent in vitro studies using human skin samples,6 and in animal models,11 show that the activation of the IL-23R is responsible for pathogenic effector T17 cell responses, which include the production of other inflammatory cytokines, including IL-22, GM-CSF, and IFN-γ.6,11 While non-pathogenic T17 cells regulate barrier functions and control microbial invasion at mucosal surfaces, pathogenic T17 cells induce tissue inflammation and autoimmunity.11 Recent research in vitro using a mouse model has shown that IL-23R expression differentiates pathogenic from non-pathogenic T17 cells, with pathogenic cells demonstrating high levels of IL-23R expression.16

SELECTIVE DOWNREGULATION OF PATHOGENIC T17 CELL SUBSETS

Disrupting the IL-23/IL-17 inflammatory axis by blocking either lL-23 or IL-17 has been shown to control psoriasis effectively.17-20 However, there appear to be differences between IL-23 and IL-17 blockade, as well as among IL-23 inhibitors.

In head-to-head clinical trials, it was shown that IL-23 blockade with risankizumab or guselkumab was superior to secukinumab (IL-17 blockade) after 1 year.17,18 In addition, IL-23 plays a pivotal role in the maintenance and function of tissue-resident memory T cells in various tissues, including the skin.21 In the context of psoriasis, IL-23 is essential for the persistence of skinresident memory Th17 cells, which are implicated in the chronicity and recurrence

of the disease.11 Clinical evidence showed that patients who were withdrawn from treatment with IL-17 inhibitors lost their response to treatment faster than patients on anti-IL-23 treatment.22 Trials have shown that the median time to loss of PASI 90 response (clear or almost clear skin) of 210 days for risankizumab compares with 106 days for guselkumab and 126 days for tildrakizumab, although these were not head-to-head studies.23-25 Whereas, time to relapse following secukinumab treatment was 168–196 days (300 mg dose).26,27

To further investigate the complexities of the T17 subsets involved in psoriasis pathogenesis and differences in the mode of action of IL-23 and IL-17 inhibitors, Kim et al.7 explored, at a single cell level, the genomic profiles of T17 cell subsets in psoriasis skin before and after treatment with risankizumab or secukinumab.17,18 They found that, although expression of IL-23R transcripts was reduced in skin lesions following IL-23 inhibition, transcripts for IL17 and IL-23R were still detectable following treatment. These data demonstrate that systemic IL-23 inhibition substantially downregulates but does not eradicate the expression of IL-23/T17 pathway genes in the skin, even at a point where systemic IL-23 inhibition has maximal impact on reducing skin lesions.7

Prior to the study by Kim et al.,7 pathogenic versus non-pathogenic subsets of T17 cells were not known. The presence of IL-23/T17 cell transcriptomes in the clinically improved psoriasis skin after systemic IL-23 inhibition led Kim et al.7 to investigate whether IL23 inhibition selectively downregulates pathogenic T17 subsets, leaving nonpathogenic T17 subsets present in the posttreatment psoriasis skin.7 By comparing the single-cell transcriptome profiles of different T17 subsets within psoriasis skin samples, the investigators found that a T17 subset that expressed IL-23R transcripts and IL-17A and IFN-γ transcripts was present in lesions before treatment, but was eradicated after IL-23 inhibition. Another IL-23R-expressing pathogenic T17 subset (IL17F+, IL10-subset) was also selectively downregulated by IL-23 blockade. At the same time, non-pathogenic T cell subsets

that did not express IL-23 transcripts were retained following the anti-IL-23 treatment (Figure 3A). The investigators also found that, as the percentages of pathogenic T17 subsets decreased, the percentage of a non-pathogenic T17 subset increased (Figure 3B).7 The authors conclude that,

Figure 3: Selective modulation of pathogenic T17 subsets by risankizumab.

IL-23R Granzymes, perforins

IL-17A+ IFNG+ T17

Complex subsets of T17 cells in active disease, pathogenicity not defined

IL-17A+ IFNG- T17

IL-17A+ IL-17F+ T17

Inflammatory cytokines (IL-1β, IL-34)

IL-17F+ IL-10- T17

IL-17F+ IL-10+ T17

Risankizumab treatment

IL-26+ IL-17A- IL-17F- T17 intermediates

Pathogenic T17 cells

IL-17A+ IFNG+ T17

IL-17F+ IL-10- T17

Non-pathogenic T17 cells

IL-17A+ IFNG- T17 IL-17A+ IL-17F+ T17

Pre-pathogenic T17 cells

IL-26+ IL-17A- IL-17F- T17

Regulatory T17 cells

IL-17F+ IL-10+ T17

considering that IL-23 inhibition is not associated with an increased risk of candidiasis, unlike IL-17 inhibition, which is associated with an increased risk of candidiasis,28 the IL-17A+ IL-17F+ T17 subset may represent the non-pathogenic skin-resident memory Th17 cells preserved B

Strongly down-regulated or eliminated

Retained, possibly protective nonpathogenic population

Retained

Non expanded

NL

PostTx LS IL-23 inhibition

20.00% IL-17A+ IFNG- T17 subset

60.00% IL-17A+ IL-17F+ T17 subset 20.00% IL-17F+ IL-10- T17 subset

LS

15.18% IL-17A+ IFNG+ T17 subset 21.79% IL-17A+ IFNG- T17 subset 15.95% IL-17A+ IL-17F+ T17 subset 45.91% IL-17F+ IL-10- T17 subset 1.17% IL-17F+ IL-10+ T17 subset

33.33% IL-17A+ IFNG- T17 subset

50.00% IL-17A+ IL-17F+ T17 subset 16.67% IL-17F+ IL-10- T17 subset

A) Analysis of single T cell phenotypes in response to IL-23 inhibition demonstrates selective downregulation of pathogenic T17 subsets, while pre-pathogenic T17 cells and regulatory T17 cells are retained.

B) Proportional changes of T17 subsets between Pre-Tx NL and LS, and Post-tx LS IL-23 inhibition.

Adapted from Kim J et al.7

LS: lesional skin; NL: non-lesional; Post-Tx: post-treatment; Pre-Tx: pre-treatment; T17: Type 17 T cells.

PreTx
PreTx

after IL-23 inhibition because of its lack of IL-23R expression, defending skin against external surface microbes after treatment.

STRUCTURAL DIFFERENCES IN IL-23 INHIBITORS

Four monoclonal antibodies that neutralise IL-23 activity are licensed as treatments for psoriasis (risankizumab, guselkumab, ustekinumab, and tildrakizumab), and all have demonstrated efficacy in reducing psoriatic skin lesions.19 Three of the monoclonal antibodies (risankizumab, guselkumab, and tildrakizumab) bind distinct epitopes on the p19 subunit of the IL-23 heterodimer.6 Risankizumab and guselkumab inhibit the interaction of IL-23 with its receptor, IL-23Rα, through competitive inhibition of IL-23. In contrast, tildrakizumab-bound IL-23 is capable of binding to IL-23Rα, but at a 200-fold weaker affinity.6

Risankizumab is a human IgG1 antibody that was engineered with two mutations in the Fc region (L234A, L235A mutations, known as LALA) that lower its binding to Fc gamma receptors, including CD64 and complement C1q, to avoid any unwanted cellular cytotoxicity.10 LALA mutations have no effect on neonatal FcR binding; thus, risankizumab exhibits linear and time-independent pharmacokinetic characteristics consistent with typical IgG1 monoclonal antibodies,10 and demonstrates high affinity and potency, with the longest half-life among the approved IL-23 monoclonal antibodies, in patients with psoriasis, of 28 days.10

In contrast to risankizumab, the other licensed anti-IL-23 biologics, guselkumab and tildrakizumab, do not have mutations in the Fc region. While in vitro studies show that guselkumab exhibits strong binding to CD64 expressed on cell lines,29 in the presence of plasma, neither guselkumab nor risankizumab bind to CD64 expressed on activated monocytes from healthy

human donors.29 Indeed, the much higher concentration of endogenous IgG1 in vivo or in plasma competitively blocks the high affinity Fc receptor, CD64, which prevents binding of the anti-IL-23 biologics to it.29 In addition, in other in vitro cellular assays, when IL-23 was added exogenously, guselkumab and risankizumab demonstrated similar potency for inhibition of IL-23 signalling.30 Although further investigation may provide additional insight, the hypothesis that binding to CD64 is a mechanism of action, based on in vitro data, is unlikely to be clinically relevant in vivo in patients and has not been shown to impact clinical effectiveness or safety.31,32

CONCLUSION

Psoriasis is driven by a complex cascade of cellular events and inflammatory cytokines, including IL-23 and IL-17. Biologics that target the IL-23/T17 axis of inflammation are effective in controlling active disease and demonstrate sustained efficacy even beyond the treatment period. Analysis of T cell subsets from psoriasis lesions now demonstrates that the IL-23 antagonist risankizumab selectively targets and removes pathogenic IL-23R-expressing T17 cells in psoriasis skin lesions. Other T17 subsets in psoriasis skin that are unaffected by IL-23 blockade are likely to mediate protective immunity and may help to prevent skin infections like candidiasis. In addition, insights into the structural binding characteristics of IL-23 inhibitors in plasma support existing clinical data that demonstrate the potential for CD64 binding is unlikely to have any clinical consequences. While these data provide new insights into the mode of action of IL-23 antagonists, it remains unclear whether pathogenic T17 subsets are unique to psoriasis or if they occur in other skin disorders or other target organs. It is, therefore, important to further investigate the role of these different cell subsets.

References

1. Global psoriasis atlas. Prevalence heat map. Available at: https://www. globalpsoriasisatlas.org/en/explorethe-data/prevalence-heat-map. Last accessed: 28 July 2025.

2. Rendon A, Schäkel K. Psoriasis pathogenesis and treatment. Int J Mol Sci. 2019;20(6):1475.

3. Griffiths CEM et al. Psoriasis. Lancet. 2021;397(10281):1301-15.

4. Menter MA et al. Common and not-so-common comorbidities of psoriasis. Semin Cutan Med Surg. 2018;37(2S):S48-51.

5. Romiti R et al. Cumulative life course impairment in patients with dermatological diseases, with a focus on psoriasis. An Bras Dermatol. 2024;99(2):269-76.

6. Zhou L et al. A non-clinical comparative study of IL-23 antibodies in psoriasis. MAbs. 2021;13(1):1964420.

7. Kim J et al. Psoriasis harbors multiple pathogenic type 17 T-cell subsets: selective modulation by risankizumab. J Allergy Clin Immunol 2025;155(6):1898-912.

8. Yang K et al. Use of IL-23 inhibitors for the treatment of plaque psoriasis and psoriatic arthritis: a comprehensive review. Am J Clin Dermatol. 2021;22(2):173-92.

9. Batta S et al. IL-17 and IL-23 inhibitors for the treatment of psoriasis. EMJ Allergy Immunol. 2023;8(1):89-97.

10. Pang Y et al. Risankizumab: mechanism of action, clinical and translational science. Clin Transl Sci. 2024;17(1):e13706.

11. Kreuger JG et al. IL-23 past, present, and future: a roadmap to advancing IL-23 science and therapy. 2024;15:1331217.

12. Girolomoni G et al. The role of IL-23 and the IL-23/TH 17 immune axis in the pathogenesis and treatment of psoriasis. J Eur Acad Dermatol Venereol. 2017;31(10):1616-26.

13. Hawkes JE et al. Psoriasis pathogenesis and the development of novel targeted immune therapies. J Allergy Clin Immunol. 2017:140(3): 645-53.

14. Gordon KB et al. Efficacy and safety of risankizumab in moderate-to-severe plaque psoriasis (UltIMMa-1 and UltIMMa-2): results from two doubleblind, randomised, placebo-controlled and ustekinumab-controlled phase 3 trials. Lancet. 2018;392(10148): 650-61.

15. Papp KA et al. Long-term safety and efficacy of risankizumab for the treatment of moderate-to-severe plaque psoriasis: interim analysis of the LIMMitless open-label extension trial up to 5 years of follow-up. J Am Acad Dermatol. 2023;89(6):1149-58.

16. Pawlak M et al. Induction of a colitogenic phenotype in Th1-like cells depends on interleukin-23 receptor signalling. Immunity. 2022;55(9): 1663-79.

17. Reich K et al. Guselkumab versus secukinumab for the treatment of moderate-to-severe psoriasis (ECLIPSE): results from a phase 3, randomised controlled trial. Lancet. 2019;394(10201):831-9.

18. Warren RB et al. Efficacy and safety of risankizumab vs secukinumab in patients with moderate-to-severe plaque psoriasis (IMMerge): results from a phase III, randomized, open-label, efficacy assessorblinded clinical trial. Br J Dermatol. 2021;184(1):50-9.

19. Ruggiero A et al. Anti-IL-23 biologic therapies in the treatment of psoriasis: real-world experience versus clinical trials data. Immunol Res. 2023;71(3):328-55.

20. Langley RG et al. Secukinumab longterm efficacy and safety in psoriasis through to year 5 of treatment: results of a randomized extension of the phase III ERASURE and FIXTURE trials. Br J Dermatol. 2023;10;188(2): 198-207.

21. Whitley SK et al. Local IL-23 is required for proliferation and retention of skin-resident memory TH17 cells. Sci Immunol. 2022;18;7(77):eabq3254.

22. Tian D, Lai Y. The relapse of psoriasis: mechanisms and mysteries. JID Innov. 2022;2(3):100116.

23. Blauvelt A et al. Efficacy and safety of continuous Risankizumab therapy vs treatment withdrawal in patients with moderate to severe plaque psoriasis. JAMA Dermatol. 2020;8;156(6): 649-58.

24. Reich K et al. Efficacy and safety of guselkumab, an anti-interleukin-23 monoclonal antibody, compared with adalimumab for the treatment of patients with moderate to severe psoriasis with randomized withdrawal and retreatment: results from phase III, double-blind, placebo- and active comparator-controlled VOYAGE 2 trial. J Am Acad Dermatol. 2017;76(3): 418-31.

25. Reich K et al. Tildrakizumab in patients with moderate-to-severe psoriasis: post-hoc analyses on efficacy, time to relapse, long-term safety in elderly population and predictability from the reSURFACE 1 and reSURFACE 2 Phase III clinical trials. EMJ Dermatol. 2020;8(Suppl 2):12-9.

26. Mrowietz U et al. Secukinumab retreatment-as-needed versus fixed-interval maintenance regimen for moderate to severe plaque psoriasis: a randomized, double-blind, noninferiority trial (SCULPTURE). J Amer Acad Dermatol. 2015;73(1): 27-36.

27. Blauvelt A et al. Secukinumab re‐initiation achieves regain of high response levels in patients who interrupt treatment for moderate to severe plaque psoriasis. Brit J Dermatol. 2017;177(3):879-81.

28. Islam RK et al. Risk of fungal infection in psoriasis patients treated with IL-17 and IL-23 inhibitors: a multi-cohort study using real-world data. Arch Dermatol Res. 2025;317(1):678.

29. Cohen Solal JF et al. FcγRI binding is unlikely to contribute to the clinical efficacy of risankizumab and guselkumab. MauiDerm, 22-26 January, 2024.

30. Sachen KL et al. Guselkumab binding to CD64+ IL-23–producing myeloid cells enhances potency for neutralizing IL-23 signaling. Front Immunol. 2025;16:1532852.

31. Mahil SK et al. Comparing the efficacy and tolerability of biologic therapies in psoriasis: an updated network meta-analysis. Br J Dermatol. 2020;183(4):638-49.

32. Armstrong AW et al. Long-term benefit–risk profiles of treatments for moderate-to-severe plaque psoriasis: a network meta-analysis. Dermatol Ther (Heidelb). 2022;12(1):167-84.

Patient-Reported Outcome Measures, 1 Year After COVID-19: A Cohort Study of Symptomatic,

Laboratory-Confirmed

Cases in South Trinidad, 2020–2021

1. University of the West Indies, St. Augustine, Trinidad and Tobago 2. South-West Regional Health Authority (SWRHA), San Fernando, Trinidad and Tobago *Correspondence to kavita.dharamraj@my.uwi.edu

Disclosure: The authors have declared no conflicts of interest. Ethics approval was granted by the University of the West Indies Ethics Committee and the SWRHA Bioethics Committee. All participants gave informed consent. All methods were carried out according to relevant guidelines and regulations.

Acknowledgements: The authors would like to acknowledge Brian Armour, the Chief Executive Officer of SWRHA; and Pedram Lalla, the Medical Director of Primary Health Care of SWRHA, for granting permission to access the baseline data, as well as the physicians and nurses working on the surveillance teams for compiling the baseline data at SWRHA.

Received: 18.07.24

Accepted: 24.06.25

Keywords: Long COVID, post-acute COVID-19 syndrome, post-COVID-19.

Citation: EMJ. 2025;10[3]:80-95; https://doi.org/10.33590/emj/ZJSY3944

Erratum: This article was originally published online on 28th August 2025. An erratum has since been issued and can be viewed here.

Abstract

Aim: The study aims to describe patient-reported long-term health effects, 1 year post-acute COVID-19 infection, and predictors, according to illness severity.

Methods: A cohort of adults who were symptomatic with laboratory-confirmed COVID-19 infection between March 2020–May 2021 were followed up for ≥12 months to evaluate persistent, newly occurring, or worsening symptoms. Multivariable-adjusted linear and logistic regression models estimated the odds ratios, β coefficients, and 95% CIs for associations between disease severity and long-term health consequences.

Results: Seventy-five percent (324/431) of eligible participants were enrolled. The median age was 41 years (interquartile range: 34–52), with 51.23% being men, and 33.02% having comorbidities. One year later, 60.00% reported ≥1 persistent symptom; the most common were dyspnoea (52.16%), fatigue (42.59%), and muscle weakness (31.48%); 13.60% reported symptoms of anxiety or depression, as measured by the Patient Health Questionnaire-4 (PHQ4). In the unadjusted analysis, participants with moderate/severe illness had a significantly increased risk of developing fatigue or muscle weakness (p=0.043), anxiety/depression (p<0.001), breathlessness (p<0.001), and reduced health-related quality of life (p<0.001). When adjusted for age, gender, and comorbidities, their risk of developing fatigue or muscle weakness, anxiety/depression, and breathlessness was nullified, except for health-related

quality of life. Overall, the mean (SD) health index value score was 0.931 (0.13), comparable to the national norms of 0.950. For those with moderate/severe illness, the mean (SD) was 0.894 (0.16), with a statistically significant decrease compared to mild illness (p<0.001).

Conclusion: After 1 year of post-acute COVID-19 infection, a significant proportion of survivors have persistent symptoms. The health index value for those with moderate/ severe illness was below the population norms. Therefore, interventions should be prioritised for their long-term recovery.

Key Points

1. Long-term symptoms after COVID-19 affect a significant proportion of survivors globally, with implications for healthcare systems in both high- and low-resource settings.

2. This retrospective cohort study followed 324 patients who were symptomatic with COVID-19 in South-West Trinidad for 1 year to assess post-COVID symptoms, breathlessness, quality of life, and mental health.

3. Moderate/severe illness predicted poorer long-term outcomes, highlighting the need for integrated, multidisciplinary follow-up and expanded long COVID services in community and primary care settings.

INTRODUCTION

The COVID-19 pandemic has led to a global prevalence of more than 7.80% confirmed cases with over 0.08% deaths.1 In Trinidad and Tobago (TT), since 12 March 2020, there have been prevalences of over 11.90% confirmed cases, 11.40% recovered cases, and 0.30% deaths.2

Post-COVID-19 condition occurs in individuals with a history of probable or confirmed SARS-CoV-2 infection, usually 3 months from the onset, with symptoms that last for at least 2 months and cannot be explained by an alternative diagnosis. Common symptoms include, but are not limited to, fatigue, shortness of breath, and cognitive dysfunction, and generally have an impact on everyday functioning. Symptoms might be of new onset following initial recovery from an acute COVID-19 episode, or persist from the initial illness. Symptoms might also fluctuate or relapse over time.3 There has been a notable impact on the physical, cognitive, mental, and social health status of patients, regardless of the severity of the illness.4-7

Published studies have focused predominantly on previously hospitalised patients with severe COVID-19, reporting symptoms up to 6 months post-discharge.8-10

Globally, data have been published regarding the 1-year health consequences of postCOVID-19 infection.9,11-13 However, a review of published literature shows that few studies have been conducted in TT or the Englishspeaking Caribbean. This study sought to determine the difference in health-related quality of life (HRQoL), symptoms, anxiety/ depression, and degree of breathlessness experienced 1 year after being diagnosed with COVID-19 according to the severity of illness, and to determine the predictors/ factors associated with these main outcomes. It captured COVID-19 survivors who resided in the community of SouthWest Trinidad, not only those who were hospitalised, but also those who presented to a health facility for testing and were managed in home quarantine by primary care physicians in the community. From this study, the long-term burden of COVID-19 may be better understood in TT.

METHODS

Literature Search Strategy and Review

Several databases such as PubMed, MEDLINE, and Scopus were searched up to March 2021 without any language restrictions. The search terms used were ‘COVID-19’, ‘Coronavirus disease 2019’,

‘2019-nCoV’, ‘SARS-Cov-2’, ‘post-acute COVID-19 syndrome’, ‘post-COVID-19’, ‘post-acute sequelae of COVID-19’, or ‘long COVID’, and ‘one-year health consequences’, ‘12-month health consequences’, ‘longterm health consequences’, or ‘long-term sequelae’. Early in the pandemic, studies reported that hospital-discharged COVID-19 survivors might have reduced quality of life due to persistent symptoms. However, representation may have been limited due to a short follow-up duration (up to about 6 months post-discharge), low response rates (as many patients could not be contacted post-discharge), and the use of single study centres. As the pandemic progressed, 1-year post-COVID-19 studies were published, and relevant findings were compared to the authors’ findings. However, the long-term health consequences, particularly for outpatients and their associated factors, remain unknown.

Study Design: Sampling Methods and Sample Size

This retrospective cohort study was set in the community of South-West Trinidad. Multiple persons per household were included once they met the inclusion criteria. The inclusion criteria comprised patients who were symptomatic with laboratoryconfirmed COVID-19 for a minimum period of 1 year prior to the study; were ≥18 years of age during the study period (baseline: 12 March 2020–31 May 2021; ≥1-year follow-up: 26 July 2021–31 May 2022); resided within the study setting; spoke English; had no pre-existing conditions affecting the outcomes of interest (for example, cardiorespiratory conditions that cause shortness of breath, thyroid, and autoimmune diseases that may cause fatigue); were not reinfected with COVID-19 at the time of interview; were not pregnant at baseline or at follow-up; were capable of providing informed consent; and were alive and contactable at follow-up. This study included participants who presented to a health facility for testing. Some were hospitalised, while some were managed in home quarantine by primary care physicians in the community via telehealth.

The study excluded adults without laboratory-confirmed COVID-19;

asymptomatic laboratory-confirmed COVID-19 cases; persons who were reinfected with COVID-19 at follow-up; pregnant women with acute COVID-19 infection or those who were pregnant at follow-up; children and adolescents <18 years; non-residents of the South-West Trinidad community; non-English speaking; individuals with a history of pre-existing conditions that may affect outcomes of interest; individuals with diminished autonomy who were incapable of providing informed consent; individuals who died before 1-year follow-up; those who did not consent to participate; those who could not be contacted; and those who were not tested at a health care facility.

A sample of 324 participants was enrolled in the study. Based on a comparison of two proportions, a 30% prevalence of persistent symptoms for mild disease,9 and a 55% prevalence of persistent symptoms for moderate/severe disease was noted.14 This was calculated using a Type 1 error margin of 0.05, at a 95% CI, with a power of 80%.

Convenience sampling was done. If an eligible person could not be contacted or did not consent, the next eligible person on the list of participants was chosen.

Bias Reduction

Measures were taken to reduce sources of bias. To reduce non-response bias, the data collection tool was pre-tested to identify possible sources of bias in the length or content of the questionnaire, and to minimise the non-response rate. To mitigate recall bias, especially as participants might have had difficulty remembering certain baseline information, interviewers used prompts to aid memory recall during data collection. No sources of bias were identified through the use of the virtual canvases employed in the study.

Data Collection Tool

The ‘COVID-19 Data Collection Tool’ is shown in Supplementary Figure 1. The first section, containing baseline information, was collected during the

patient’s nasopharyngeal swab. One year later, data on health-related outcomes were collected using the following questionnaires:

• Symptom Questionnaire: Participants were asked to report on newly occurring symptoms post-COVID-19 infection, which were persistent or worsening.8 Baseline data on participants’ symptoms were unavailable for this study, so newly occurring symptoms post-COVID-19 infection, which were persistent or worsening, were assessed.

• Modified Medical Research Council (mMRC) dyspnoea scale: This is a fivecategory scale, which characterises the level of dyspnoea with physical activity. Higher scores correspond with increased dyspnoea.15 It quantifies the disability associated with breathlessness, by identifying if breathlessness occurs when it should not.

• EuroQol (EQ-5D-5L) questionnaire: This is a validated questionnaire to evaluate patient quality of life by assessing five factors: mobility, selfcare, usual activities, pain/discomfort, and anxiety/depression. Each factor is divided into five levels that range from none to extreme problems.16

• EuroQol Visual Analog Scale (EQVAS): This is a patient’s assessment of subjective assessment of generic health, ranging from 0–100, with higher scores representing better subjective health experience.16

• Patient Health Questionnaire-2 (PHQ-2): This is used for screening depression and measuring severity.17

• Generalized Anxiety Disorder Questionnaire-2 (GAD-2): This is a brief screening test for detecting generalised anxiety disorder.18

• Patient Health Questionnaire-4 (PHQ-4): This is a four-item patient health screening questionnaire for detecting depression and anxiety.19

Symptoms were recorded at the time of the survey, which was ≥1 year postCOVID-19 infection.

Data Collection Methods

Ethical approval was granted by the University of the West Indies, St. Augustine, TT; and the South-West Regional Health Authority (SWRHA), San Fernando, TT. Permission was given by the Medical Director, Primary Health Care, to access the SWRHA COVID-19 surveillance database from 12 March 2020–31 May 2021. This was compiled by the epidemiology unit at SWRHA, which would have included quarantined patients.

This database was used to recruit eligible study participants who consented to participate. A pilot study was first conducted with 20 participants to pretest the data collection tool.

Informed consent was obtained from the participants. Virtual interviews (Zoom video conferencing [Zoom Communications, San Jose, California, USA] and telephone) were conducted due to safety concerns during the COVID-19 pandemic. Participants were offered the options and allowed to choose the platform they were most comfortable with. None of the study participants received assistance from relatives in answering any of the questions. Permission to use the ED-5D-5L questionnaire and the EQ-VAS was granted by the EuroQol Research Foundation. Instructions were given to each participant to indicate how good or bad his/her health was on the scale. Primary outcomes measured include fatigue or muscle weakness, anxiety or depression, degree of breathlessness (mMRC score), and health-related quality of life (health index value). Those who had persistent symptoms were offered a referral to the ‘long COVID’ clinic at the San Fernando Teaching Hospital (SFTH), TT.

Statistical Analysis

Baseline characteristics and 1-year health consequences of participants with symptomatic, laboratory-confirmed COVID-19 were presented. Normally

distributed continuous variables were expressed as means (SDs) and non-normally distributed as medians (interquartile ranges). Categorical variables were presented as absolute values (N) with percentages (%). Participants were categorised into two groups according to their illness severity at acute infection.

For this study, patients who met the Ministry of Health (MOH), TT, and hospital admission criteria for COVID-19 home-quarantined patients (Kavita Dharamraj, data on file; Supplementary Figure 2) were considered moderately/severely ill, while those who did not were considered mildly ill. An individual with mild illness exhibited one or more of the following symptoms: fever (measured ≥38 °C or reported), cough, runny nose (coryza), sore throat, shortness of breath (dyspnoea), body pains, joint pains, and loss of taste and/ or smell. Individuals who presented with severe acute respiratory illness, exhibited acute respiratory infection with a history of fever or measured fever of ≥38 °C and cough, with symptom onset within the last 10 days at the time of presentation, and those who were admitted to the hospital, were included the moderate/severe illness category.20

Comparisons of baseline characteristics, symptoms, degree of breathlessness and HRQoL, anxiety, and depression were made between mild and moderate/ severe groups. For this study, cut-points for positive screens for depression, PHQ2 score ≥3,17 anxiety, GAD-2 ≥3 anxiety/ depression,18 PHQ-4 score ≥619 were used. The Student’s t-test was used for parametric data, and the Mann-Whitney U test was used for non-parametric data.

Multivariable adjusted logistic regression models were used to estimate the odds ratios (OR) and 95% CI for the association between illness severity and categorical outcomes (fatigue or muscle weakness, degree of breathlessness, and anxiety/ depression), stratified by ICU admission. ICU admissions were highlighted to provide insight into patients who were severely ill, as moderately/severely ill patients were represented as one category in this study. Major criteria for

ICU admission include those who require invasive mechanical ventilation or septic shock with the need for vasopressors.

For the association between illness severity and continuous outcomes (health index value), multivariable adjusted linear regression models were used to estimate β values and 95% CIs. Adjustments were made for the effects of the predictor variables including age, gender, comorbidities, previous history of anxiety/depression, and PHQ-4 score, using regression models. A two-sided p value ≤0.05 was considered statistically significant. There were no missing data. Statistical analysis was done using Stata Version 16 (StataCorp, College Station, Texas, USA) and Microsoft Excel 2019 (Microsoft Corporation, Redmond, Washington, USA).

RESULTS

Baseline Socio-Demographics

Seventy-five percent of eligible participants were enrolled in this study (Figure 1). Selected characteristics of individuals who were symptomatic and tested positive for COVID-19 (n=324), from South Trinidad, and met the inclusion criteria, stratified by illness severity, are summarised in Table 1. In this study, 50% of the participants (n=162) experienced mild illness, while 50% experienced moderate/severe illness. The median age of the population was 41 years (interquartile range: 34–52). More men (51.23%; n=166) were included in this study compared to women (48.77%). A greater percentage of men (58.02%) had mild illness, while a greater percentage of women (55.56%) had moderate/severe illness. Eleven percent (n=18) of the participants with moderate/severe illness were healthcare workers. Being a healthcare worker (p=0.070) and age (p=0.15) had no statistically significant association with illness severity.

A χ² test was used to compare categorical variables in Table 1.

Table 1: Baseline characteristics of symptomatic COVID-19 cases, South Trinidad.

Gender

Type 2

Ischaemic heart disease

Cerebrovascular disease

Table 1: Baseline characteristics of symptomatic COVID-19 cases, South Trinidad (Continued).

State Quarantined

Data are n/N (%) or mean (SD), unless otherwise specified. p values ≤0.05 are statistically significant and are bolded to highlight this.

IQR: interquartile range.

Figure 1: Flow chart of the recruitment of the study participants.

9,017 patients in SWRHA COVID-19 database (March 2020–March 2021)

Excluded (N=8,586)

• Age <18 years: 1,471

• Asymptomatic: 6,049

• Non-residents: 350

• Non-English speaking: 19

• Pre-existing conditions: 67

• Re-infected at follow-up: 21

• Pregnant (baseline): 122

• Pregnant (follow-up): 7

• Incapable of consent: 6

• Deceased before follow-up: 474

Eligible for inclusion: 431

Excluded:

• Refused: 6

• Unreachable: 75

• Lost to follow-up: 26

Final cohort recruited: 324 participants (75.2%)

Follow-up: July 2021–May 2022

SWRHA: South-West Regional Health Authority.

Clinical Characteristics

Approximately, one-third of the study participants, 33.02% (107), had comorbidities. Approximately 40.0% of patients with moderate/severe illness had comorbidities, and 73.0% of patients with mild illness had no comorbidities. Patients with comorbidities were more likely to experience moderate/ severe illness compared to patients without comorbidities (p=0.013). Hypertension was the most common comorbidity (22.53%) seen among symptomatic patients with COVID-19, followed by Type 2 diabetes (T2D; 16.36%).

People with T2D (p=0.050) and ischaemic heart disease (p=0.024) were more likely to have moderate/severe illness than those who did not have those conditions.

Notably, in the early phase of the pandemic, for the first 4 months, 12 March–20 July 2020, state quarantine was mandatory, once COVID-19 positive, regardless of the degree of illness. In this study, 9.57% of participants were under mandatory state quarantine during this time. From Phase II, 21 July 2020, the indication for hospitalisation was for only those who met the admission criteria, (Kavita Dharamraj, data on file) and 23.00% (n=74) of participants were hospitalised. There were 82.72% (n=268) individuals in home quarantine, with equal proportions, 82.72% (n=134), having both mild illness and moderate/severe illness.

Symptoms, Health-Related Quality of Life at 12-Month Follow-Up

Table 2 shows the lingering post-COVID-19 symptoms and HRQoL at a minimum follow-up period of 12 months, stratified by severity of illness. Sixty percent (n=195) of the participants had at least one of the following post-COVID-19 symptoms outlined in Table 2. Most COVID-19 survivors were troubled by fatigue 42.59% (n=138), muscle weakness 31.48% (n=102), and sleep difficulties 22.84% (n=74). Individuals who experienced moderate/severe illness were 3.5 times more likely to have at least one long-COVID symptom, as compared to those who had the milder illness (OR: 3.51; 95% CI: 2.19–5.61).

The mMRC scores were grouped into categories 0 and ≥1. A score 0 indicates

that the participant ‘only gets breathless with strenuous exercise’, and a score ≥1 indicates that at minimum the participant ‘gets short of breath when hurrying on level ground or walking up a slight hill’.15 In the group with mild illness, 62.35% (n=101) scored 0, and among those with moderate/severe illness, 66.67% (n=108) scored ≥1. The risk of an mMRC score ≥1 was 3.3 times increased in participants with moderate/severe illness compared to those with mild illness (OR: 3.31; 95% CI: 2.1–5.22).

Using the EQ-5D-5L instrument, the health index value was derived for each participant. The mean (SD) score was 0.931 (0.13). Those with milder illness reported a slightly higher score, mean (SD) of 0.967 (0.07), as compared to those with moderate/severe illness, mean (SD) score of 0.894 (0.16). The mean (SD) EQ-VAS score was 79.06 (15.74). Those with mild illness reported a slightly higher score, mean (SD) of 84.04 (12.58), compared to those with moderate/severe illness, mean (SD) score of 74.09 (16.99). Using the cut-points for the screening tools (17–19) stated above for positive screens, 13.58% had anxiety/ depression, 13.89% had depression, and 16.98% had anxiety, with statistically significant differences (all p values <0.001).

EQ-5D-5L

responses from the study cohort

In Figure 2, 40.0% of respondents reported symptoms of anxiety/depression, 30.0% reported pain/discomfort, 22.0% had problems performing their usual activities, such as work, study, housework, family, or leisure activities, 11.0% had problems with mobility, and 4.0% had problems with self-care, 1-year post-COVID-19.

Predictors of Selected Outcome Measures

Table 3 A–D shows multivariate regression models for the four primary outcomes. Table 3A shows a multivariate logistic regression of differences in fatigue or muscle weakness by illness severity stratified by ICU admission. Among all study participants, in the unadjusted analysis, those with moderate/severe illness had a significantly increased risk of developing fatigue or

Table 2: Symptoms and health-related quality of life at follow-up according to severity of illness.

Symptoms

Table 2: Symptoms and health-related quality of life at follow-up according to severity of illness (Continued).

Health Index Value, Mean, (SD) (T&T values: 0.95)

*Quality of Life, EQ-VAS score Mean, (SD)

0.93 (0.13) 95%

(0.92–0.94) 0.97 (0.07) 95%

79.06 (15.74) 95%

(0.16) 95%

(0.96–0.98)

*Quality of life was assessed using the EuroQol Visual Analog Scale, ranging from 0 (worst imaginable health) to 100 (best imaginable health).

Data are n/N (%) or mean (SD), unless otherwise specified. p values ≤0.05 are statistically significant and are bolded to highlight this.

GAD-2: Generalized Anxiety Disorder Questionnaire-2; EQ-5D-5L: EuroQol five-dimension five-level questionnaire; IQR: interquartile range; mMRC: Modified Medical Research Council; NA: not applicable; OR: odds ratio; PHQ-2: Patient Health Questionnaire; PHQ-4: Patient Health Questionnaire; T&T: Trinidad and Tobago.

Figure 2: Distribution of the EuroQol five-dimension five-level questionnaire (EQ-5D-5L) responses by health domain.

Response Level

Severe problems

Extreme problems

Table 3A: Multivariate logistic regression of difference in fatigue or muscle weakness by illness severity stratified by ICU admission.

Adjusted OR (95% CI) p value

ICU Admission Status

All participants

admission

Illness Severity (Reference group: Mild illness)

Unadjusted OR (95% CI) p value

Model 1: Adjusted for age (centred), gender, and comorbidities

Severe

Severe

(1.01–2.47) p=0.043

p values ≤0.05 are statistically significant and are bolded to highlight this.

OR: odds ratio.

p=0.215

Table 3B: Multivariate logistic regression of difference in anxiety or depression symptoms by illness severity stratified by ICU admission.

Adjusted OR (95% CI) p value

ICU Admission Status Illness Severity (Reference group: Mild illness)

All

Non-ICU admission Moderate/ Severe

Unadjusted OR (95% CI) p value

(1.47–3.66) p<0.001

Model 1: Adjusted for age (centred), gender, and comorbidities

(0.85–2.61) p=0.159

Model 2: Adjusted for age (centred), gender, comorbidities, and previous history of anxiety or depression

(2.28–17.84) p<0.001

2.25 (1.41–3.59) p=0.001 1.50 (0.84–2.67) p=0.173 6.55 (2.34–18.29) p<0.001

p values ≤0.05 are statistically significant and are bolded to highlight this.

OR: odds ratio.

muscle weakness (OR: 1.58; 95% CI: 1.01–2.47; p=0.043). In model 1, when adjusted for age, gender, and comorbidities, there was no significant risk of developing fatigue or muscle weakness among all participants who had moderate/severe illness (OR: 1.40; 95% CI: 0.814–2.40; p=0.224). Table 3B shows the multivariate logistic regression of differences in anxiety or depression by illness severity stratified by ICU admission. In the crude model, among all participants, those with moderate/severe illness were 2.3 times more likely to experience anxiety/

depression 12 months post-COVID-19 infection, compared to the mild cases (OR: 2.32; 95% CI: 1.47–3.66; p<0.001). In model 1, when adjusted for age, gender, and comorbidities, there was no significant risk of experiencing anxiety/depression among all participants who had moderate/ severe illness (OR: 1.49; 95% CI: 0.85–2.61; p=0.159). When adjusted for a previous history of anxiety or depression, the risk of having anxiety/depression among all participants, 1-year post-COVID-19 infection, was 6.4 times higher among participants

Table 3C: Multivariate logistic regression of difference in degree of breathlessness (mMRC score) by illness severity stratified by ICU admission.

Adjusted OR (95% CI) p value

ICU Admission Status

Illness Severity (Reference group: Mild illness)

Unadjusted OR (95% CI) p value

Model 1: Adjusted for age (centred), gender, and comorbidities

Non-ICU admission

p values ≤0.05 are statistically significant and are bolded to highlight this.

mMRC: Modified Medical Research Council; OR: odds ratio.

Table 3D: Multivariate linear regression of change in health-related quality of life (Health Index Value) by illness severity stratified by ICU admission.

Adjusted β (95% CI) p value

ICU Admission Status Illness Severity (Reference group: Mild illness)

All participants

Non-ICU admission

Moderate/Severe

Moderate/Severe

Unadjusted β (95% CI) p value

Model 1: Adjusted for age (centred), gender, and comorbidities

-0.071 (-0.097–-0.044) p<0.001 -0.044 (-0.076–-0.01) p=0.006

-0.058 (-0.0799–0.036) p<0.001

-0.027 (-0.05–-0.0009) p=0.043

p values ≤0.05 are statistically significant and are bolded to highlight this.

who were moderately/severely ill (OR: 6.38; 95% CI: 2.28–17.84; p<0.001). Illness severity predicting anxiety or depression was dependent on prior mental health history.

Table 3C shows the multivariate logistic regression of difference in degree of breathlessness (mMRC score) by illness severity stratified by ICU admission. In the unadjusted model, among all participants, those with moderate/severe illness were 3.31 times more likely to experience breathlessness 12 months post-COVID-19

Model 2: Adjusted for age (centred), gender, comorbidities, and PHQ-4 score (centred)

-0.026 (-0.030–-0.022) p<0.001

-0.021 (-0.024–-0.018) p<0.001

infection (OR: 3.31; 95% CI: 2.10–5.22; p<0.001). In Model 1, when adjusted for age, gender, and comorbidities, there was no significant risk of experiencing breathlessness among all participants who had moderate/severe illness (OR: 1.58; 95% CI: 0.90–2.78; p=0.110).

Table 3D shows the multivariate linear regression of change in HRQoL (Health Index Value) by illness severity stratified by ICU admission. In the unadjusted analysis, among all study participants, those

with moderate/severe illness had a 0.071 decrease in health index value compared to those with mild illness (β: –0.071; 95% CI -0.097–-0.044; p<0.001). When adjusted for age, gender, and comorbidities in Model 1, (β: -0.044; 95% CI: -0.076–-0.01; p=0.006), and further adjusted for PHQ-4 score (β: –0.026; 95% CI: -0.030–-0.022; p<0.001), statistically significant differences were noted.

DISCUSSION

Illness Severity at Baseline Illness severity criteria

Illness severity criteria were infrequently defined in the published literature, and most studies focused on cohorts of hospitalised patients. The local MOH and TT criteria (Kavita Dharamraj, data on file) were most suitable for this study. Examples of published illness severity criteria to assess outcomes included mild (86.8%), severe (3.5%), or critical (9.7%) COVID-19 severity by Yang et al.,21 under the 'COVID-19 Prevention and Control Plan (Sixth Edition)';21 ward (80.0%) versus ICU patients (20.0%) by Garrigues et al.;10 and non-hospitalised (37.6%) versus hospitalised (62.4%) patients by Lombardo et al.22 Standardised, clearly defined illness severity criteria would better impact future studies.

Socio-demographics

In the authors’ study, more women survived moderate/severe illness. Most studies found gender to be independent of illness severity.21,23,24 However, Maestre-Muñiz et al.12 also found that women were more likely to experience moderate/severe illness.

Comorbidities

Hypertension was the most common comorbidity seen, followed by T2D, consistent with national prevalences.25,26 The authors found that individuals with comorbidities, particularly T2D and ischaemic heart disease, were more likely to experience moderate/severe illness, this is consistent with published studies by Maestre-Muñiz et al.12 and Lombardo et al.22 Vulnerable groups should be encouraged to get vaccinated and boosted.

Outcomes 1 Year Later Symptomology

The findings from the authors’ study showed that 60% were troubled by at least one lingering symptom, with 46% among them mildly ill and 75% with moderate/ severe illness. Long-term care and follow-up should be made available for these afflicted groups. Globally, a wide variation is seen in the prevalence of post-COVID-19 conditions (PCC). In China, Huang et al.13 reported that the proportion of hospital-discharged patients with at least one PCC decreased from 68% at 6 months to 49% at 12 months. After 1 year, in Italy, Comelli et al.¹¹ found that 91.7% of hospital-discharged patients experienced at least one PCC. Similarly, Lombardo et al.22 reported a prevalence of 81%, regardless of the severity of the acute illness. In Moscow, Pazukhina et al.27 observed a lower prevalence of 34% among patients after hospital discharge. For mild-to-moderate COVID-19 cases, Boscolo-Rizzo et al.28 reported a 1-year PCC prevalence of 53%.

In the authors’ study, after 1 year, the most frequently reported symptoms were dyspnoea, fatigue, muscle weakness, sleep difficulties, and hair loss, regardless of the illness severity in the acute phase. Compared to international studies, some of the authors’ findings were similar at 1-year post-COVID-19. In China, Huang et al.13 most commonly report dyspnoea, fatigue, sleep difficulties, joint pain, and hair loss, among hospital-discharged patients. In Italy, Lombardo et al.22 found fatigue and weakness, muscle and joint pain, sleep disorders, respiratory disorders, and neurological and cognitive impairments prevalent regardless of the illness severity in the acute phase.

HRQoL

In the authors’ study, overall, the health index value (0.931) was comparable to national norms,29 but lower for persons with moderate/severe illness (0.894). The overall EQ-VAS score was 79.06%, lower than the score for TT (83.6%), and even lower for persons with moderate/severe illness (74.09%). For post-acute COVID-19, in a pooled prevalence of poor quality of life, EQ‐VAS was 59% (95% CI: 42–75%).14 At 110 days post-hospitalisation, Garrigues et al.10 reported EQ-VAS score of 70.3%,

and an EQ-VAS index of 0.86.10 At 6 months post-hospitalisation, Huang et al.8 reported EQ-VAS score of 80% (70–90%).

EQ-5D-5L Responses and Mental Health Outcomes

Most of the authors’ participants fully recovered. However, a significant proportion had problems affecting HRQoL, which could have a negative economic impact.9 When the authors’ findings were compared to a meta-analysis done by Malik et al.,4 using the EQ-5D-5L instrument, they observed a lower prevalence of mobility (11% versus 36%), self-care (4% versus 8%), usual activities (22% versus 30%), and pain/discomfort (30% versus 42%), but a higher prevalence of anxiety/ depression symptoms (40% versus 38%).4

In the authors’ study, at 12-month follow-up, 14.0% of the respondents screened positive for either anxiety or depression. No similar studies were found for the comparison of anxiety/depression using the PHQ-4, PHQ-2, and GAD-2 questionnaires. Anxiety and depression can fit the definition of post-COVID-19 conditions if they meet the WHO criteria for post-COVID-19 condition. The tools assessed symptoms that the patient experienced in the preceding 14 days. Therefore, the presence of anxiety or depressive symptoms does not necessarily confirm a post-COVID-19 condition. However, the proportions detected remain significant for appropriate interventions.

Key Predictors

Age, gender, and comorbidities were confounders of the predicted primary outcomes, except for HRQoL. Illness severity predicting anxiety/depression was dependent on prior mental health history. HRQoL was worse in those with moderate/severe COVID-19 compared to mild disease, 1 year later, even after adjustment for demographics and PHQ-4 score. It is possible that factors other than age, gender, comorbidities, and PHQ-4 score were responsible for the participants’ decreased quality of life, such as socioeconomic challenges. Baseline factors such as income level and living partners could be explored in future studies.

Through studying long-term sequelae after acute COVID-19, an evidence-based multidisciplinary team approach could be developed to care for these patients.5 Care should include optimisation for underlying comorbidities, physiotherapy, occupational therapy, and psychological support.6 In South Trinidad, at 12-month follow-up, patients with persistent symptoms were referred to the ‘long COVID’ clinic at the San Fernando Teaching Hospital. An intern, a cardiologist, and a psychiatrist form the multidisciplinary team. Further evaluation, rehabilitation, and appropriate care are offered to these patients.

Strengths

A review of published studies suggests that this type of study has not yet been undertaken in the Caribbean. The study’s large sample size (n=324), with sufficient power to show associations between comparison groups, randomised cohort selection, and long follow-up duration, provides a good foundation for future related studies. The questionnaire allowed the investigation of many areas of the participant’s health status. Standardised pre-tested data collection instruments were used. The response rate was good, providing a reliable estimation of the proportion of patients with COVID-19 who came to a health facility.

When people were invited to participate in the study, the response rate was quite high, over 99%. So, the study was not limited by people being more interested in participating if they had more significant health sequelae from COVID-19. Hence, the study results were generalisable.

Limitations

One major limitation of this study is that there is no measurement of baseline health-related quality of life or pre-infection symptom prevalence, so there is no proper baseline to compare to.

There was no control group, so comparisons could not be made with those who were not infected with COVID-19, as validation of absence COVID-19 in matched controls was beyond the scope of this study.

In this study, only symptomatic cases at baseline were included. However, a control group, such as an asymptomatic group, would have been useful for comparing the outcomes with symptomatic groups. This could be considered for future studies.

SARS-CoV-2 variants during the study period (ancestral versus others), which had different symptom profiles and severity, were not considered in this study.

Even though the tools were aimed to be very comprehensive, some symptoms may not have been captured. Establishing a structured, validated questionnaire that encompasses the full clinical spectrum of long COVID-19 would enhance the replicability of clinical studies.29 It was assumed that the laboratory-confirmed COVID-19 cases were true positives and that individuals were not re-infected after the first time. Data related to the variants and post-COVID-19 symptoms were beyond the scope of this study.

Questionnaires were limited to patientreported outcomes, via virtual interviews. This study’s results may not be generalisable to all COVID-19-positive cases in TT, as there were equal proportions of mild and moderate/ severe cases. It is possible that mild cases were under-reported, as more moderate/ severe cases may have sought medical attention at health facilities, and therefore, were captured by the surveillance teams. Elderly patients may have had difficulty recalling some of the baseline information.

As the tools used to assess anxiety/ depression assessed symptoms that the

References

1. World Health Organization (WHO). Weekly operational update on COVID-19. Emergency situational updates. Available at: https://www. who.int/publications/m/item/weeklyoperational-update-on-covid-19--30-march-2022. Last accessed: 27 July 2024.

patients experienced in the preceding 14 days, anxiety or depressive symptoms may not have represented a post-COVID condition.

CONCLUSION

Significant proportions of COVID-19 survivors have post-COVID symptoms after 1 year. The health index value of all participants was below the population norms, and even lower among those with moderate/severe illness. Interventions should be prioritised for those with the highest burden of persistent symptoms to aid their recovery. Further longitudinal observational national studies and clinical trials are needed to understand the longterm burden of COVID-19 in TT.

RECOMMENDATIONS

In TT, long-term surveillance programmes and long-term COVID clinics should aid long-haulers. An integrated approach of multidisciplinary teams with medical, psychological, and rehabilitation services, with appropriate follow-up, should be available for patients.30,31 However, the effectiveness of these clinics would need to be evaluated. Public health and social policies need to be implemented to aid survivors, especially those who have had severe disease, for example, disability grants and flexible working hours. Trials of biologics for those with severe long-COVID symptoms could be done, similar to the posthospitalisation COVID-19 (PHOSP-COVID) study in the UK.31

2. Ministry of Health, Trinidad and Tobago. COVID-19 update Trinidad and Tobago. 2023. Available at: https:// health.gov.tt/covid-19/covid-19-newsand-updates/update-trinidad-andtobago. Last accessed: 15 June 2024.

5. Nalbandian A et al. Post-acute COVID-19 syndrome. Nat Med. 2021;27(4):601-15.

3. Soriano JB et al.; WHO Clinical Case Definition Working Group on PostCOVID-19 Condition. A clinical case definition of post-COVID-19 condition by a Delphi consensus. Lancet Infect Dis. 2022;22(4):e102-7.

4. Malik P et al. Post-acute COVID-19 syndrome (PCS) and health-related quality of life (HRQoL)- a systematic review and meta-analysis. J Med Virol. 2022;94(1):253-62.

6. Raveendran AV et al. Long COVID: an overview. Diabetes Metab Syndr. 2021;15(3):869-75.

7. Klok FA et al. The post-COVID-19 functional status scale: a tool to measure functional status over time after COVID-19. Eur Respir J. 2020;56(1):2001494.

8. Huang C et al. 6-month consequences of COVID-19 in patients discharged from hospital: a cohort study. Lancet. 2021;397(10270):220-32.

9. Logue JK et al. Sequelae in adults at 6 months after COVID-19 infection. JAMA Netw Open. 2021;4(2):e210830.

10. Garrigues E et al. Post-discharge persistent symptoms and health-related quality of life after hospitalization for COVID-19. J Infect. 2020;81(6):e4-6.

11. Comelli A et al. Patient-reported symptoms and sequelae 12 months after COVID-19 in hospitalized adults: a multicenter long-term followup study. Front Med (Lausanne). 2022;9:834354.

12. Maestre-Muñiz MM et al. Longterm outcomes of patients with coronavirus disease 2019 at one year after hospital discharge. J Clin Med. 2021;10(13):2945.

13. Huang L et al. 1-year outcomes in hospital survivors with COVID-19: a longitudinal cohort study. Lancet. 2021;398(10302):747-58.

14. Carfì A et al.; Gemelli Against COVID-19 Post-Acute Care Study Group. Persistent symptoms in patients after acute COVID-19. JAMA. 2020;324(6):603-5.

15. Fletcher CM et al. The significance of respiratory symptoms and the diagnosis of chronic bronchitis in a working population. Br Med J. 1959;2(5147):257-66.

16. Feng Y et al. Assessing the health of the general population in England: how do the three- and five-level versions of EQ-5D compare? Health Qual Life Outcomes. 2015;13:171.

17. Kroenke K et al. The patient health questionnaire-2: validity of a twoitem depression screener. Med Care. 2003;41(11):1284-92.

18. Kroenke K et al. Anxiety disorders in primary care: prevalence, impairment, comorbidity, and detection. Ann Intern Med. 2007;146(5):317-25.

19. Kroenke K et al. An ultra-brief screening scale for anxiety and depression: the PHQ-4. Psychosomatics. 2009;50(6):613-21.

20. World Health Organization (WHO). WHO COVID-19 case definitions. 2022. Available at: https://www.who.int/ publications/i/item/WHO-2019-nCoVSurveillance_Case_Definition-2022.1. Last accessed: 15 June 2024.

21. Yang A et al. Clinical and epidemiological characteristics of COVID-19 patients in Chongqing China. Front Public Health. 2020;8:244.

22. Lombardo MDM et al. Longterm coronavirus disease 2019 complications in inpatients and outpatients: a one-year follow-up cohort study. Open Forum Infect Dis. 2021;8(8):ofab384.

23. Huang C et al. Clinical features of patients infected with 2019 novel coronavirus in Wuhan, China. Lancet. 2020;395(10223):497-506.

24. Tabata S et al. Clinical characteristics of COVID-19 in 104 people with SARS-CoV-2 infection on the Diamond Princess cruise ship: a retrospective analysis. Lancet Infect Dis. 2020;20(9):1043-50.

25. Seitz H. The Borgen Project. Common diseases in Trinidad and Tobago. 2017. Available at: https://borgenproject.org/

common-diseases-in-trinidad-tobago/. Last accessed: 15 June 2024.

26. Office of the President of Trinidad and Tobago. Message on world diabetes day 2019. 2019. Available at: http://otp.tt/message-on-worlddiabetes-day-2019/. Last accessed: 15 June 2024.

27. Pazukhina E et al. Prevalence and risk factors of post-COVID-19 condition in adults and children at 6 and 12 months after hospital discharge: a prospective, cohort study in Moscow (StopCOVID). BMC Med. 2022;20(1):244.

28. Boscolo-Rizzo P et al. Sequelae in adults at 12 months after mild-tomoderate coronavirus disease 2019 (COVID-19). Int Forum Allergy Rhinol. 2021;11(12):1685-8.

29. Bailey H et al. EQ-5D-5L population norms and health inequalities for Trinidad and Tobago. PLoS One. 2019;14(4):e0214283.

30. Gemelli Against COVID-19 Post-Acute Care Study Group. Post-COVID-19 global health strategies: the need for an interdisciplinary approach. Aging Clin Exp Res. 2020;32(8):1613-20.

31. PHOSP-COVID. The post-hospitalisation COVID-19 study (PHOSP-COVID). 2021. Available at: www.phosp.org. Last accessed: 15 Jun 2024.

Travelling from the Inferior Vena Cava to the Right Atrium Braving All Odds: A Case of Retroperitoneal Leiomyosarcoma of the Inferior Vena Cava

1. Department of Radiology, Seth GS Medical College and KEM Hospital, Mumbai, India

2. Department of Radiology, Vedantaa Institute of Medical Sciences, Dahanu, India

*Correspondence to ajithvarrior@gmail.com

Disclosure: The authors have declared no conflicts of interest.

Disclaimer: Written informed consent was obtained from the patient to write the manuscript and use their images. It was ensured that their identity would not be revealed at any point, either in the text or in the images.

Received: 15.05.25

Accepted: 12.08.25

Keywords: Inferior vena cava (IVC), leiomyosarcoma (LMS), retroperitoneal tumour.

Citation: EMJ. 2025;10[3]:96-102. https://doi.org/10.3350/emj/PPTQ7727

Abstract

Leiomyosarcoma (LMS) of the inferior vena cava (IVC), although rare, is the most common primary tumour of the IVC. Due to a vague, non-specific clinical presentation, radiological investigations play an important role in diagnosis. The tumours are classified based on the segment of the IVC involved and the growth pattern. The authors report a case of a 41-year-old man who presented with complaints of pain in the right hypochondrium, abdominal distension, and occasional episodes of fever for 1 month. Imaging features showed a well-defined, lobulated, heterogeneous lesion in the retroperitoneum invading the IVC, causing its expansion. There was an extension into the right atrium. Histopathological findings confirmed the diagnosis of an LMS. Surgery is the mainstay of treatment for such tumours. This case highlights the imaging features of a retroperitoneal LMS involving the IVC, causing its expansion and extension into the right atrium.

Key Points

1. Inferior vena cava leiomyosarcoma (iLMS) is a rare but aggressive tumour with a high rate of metastasis (around 50%). It is crucial to differentiate iLMS from tumours with secondary inferior vena cava involvement due to differences in pathology.

2. This article presents a case report of a 41-year-old man with iLMS, emphasising imaging findings and the role of multiparametric MRI/CT in diagnosis.

3. The reporting checklist should include the segment of inferior vena cava involved, presence of collaterals, extent of the lesion, and adjacent organ invasion. Prompt use of radiological investigations, such as MRI, is a must for appropriate diagnosis.

INTRODUCTION

Leiomyosarcoma (LMS) is a malignant neoplasm characterised by smooth muscle differentiation. It is the second most common sarcoma to affect the retroperitoneum and the most common sarcoma to arise from the retroperitoneal large blood vessels.1 LMS of the inferior vena cava (IVC) or IVC leiomyosarcoma (iLMS) accounts for 2% of all LMSs and originates from the smooth muscle cells of the media.2 It is most commonly seen in women and frequently occurs in the sixth decade of life.3 Based on the segment involved, it can be classified into segment I (infrarenal), segment II (renal and suprarenal), and segment III (suprahepatic). Segment II is the most common type.4,5 Based on the growth pattern, it can be either extraluminal (most common), intraluminal, or a combination of both.5-7 Since it is a rare tumour, it is important to differentiate it from the other common tumours with secondary involvement of the IVC, given the poor prognosis and high rates of recurrence. The need to differentiate iLMS from other organ tumours with secondary IVC involvement is described in detail in the discussion section.

CASE PRESENTATION

A 41-year-old man presented with complaints of pain in the right hypochondrium with abdominal distension for 1 month. He had a lowgrade fever intermittently for 1 month. On

examination, a lump was palpable in the right hypochondrium and the right lumbar region. Blood investigations such as white blood cell counts, liver enzymes, and bilirubin were in the normal range. He had no relevant past medical, surgical, or family history. On ultrasound (Figure 1), there was a well-defined, lobulated, heterogeneously hypoechoic lesion in the retroperitoneum on the right side. The lesion involved the IVC, causing distension. On colour Doppler, there was vascularity within the lesion. The IVC showed an absence of colour flow. An unenhanced CT was ordered to map the extent of the lesion, since the serum creatinine levels were elevated. CT showed a heterogeneous soft-tissue density lesion in the right retroperitoneum measuring approximately 6.5x11x25 cm. It was separate from the kidney, the adrenal gland, and the pancreas. There was no macroscopic fat or calcification. There was loss of fat planes with the infrarenal IVC, with significant dilatation of its proximal segments (imperceptible wall sign). Superiorly, it extended into the right atrium (Figure 2). A few days later, after the creatinine levels dropped to normal limits, a contrast-enhanced MRI scan was done for further characterisation of the lesion. MRI was preferred over a repeat contrastenhanced CT, as MRI has superior contrast resolution and lacks ionising radiation. The lesion was heterogeneously hyperintense on the T2 sequence and isointense on the T1 sequence. There was no signal drop on the in-phase and out-of-phase sequences. Post-contrast sequences showed heterogeneous enhancement.

A B C

A) Longitudinal sections of the ultrasound of the abdomen show a heterogeneous lobulated lesion in the retroperitoneum (white arrow) with areas of necrosis (yellow asterisk). The white asterisk marks the liver.

B) and C) Axial sections on colour Doppler show vascularity within the lesion (white arrow). Necrotic areas (yellow asterisk) show no vascularity. The IVC is distended with no colour flow, indicating a tumour thrombus (yellow arrow). The white asterisk marks the normal liver.

IVC: inferior vena cava.

The lesion showed diffusion restriction with a drop in the apparent diffusion coefficient map (Figure 3). There was involvement of the right ureter with resultant proximal dilatation. A percutaneous CT-guided biopsy of the lesion showed a spindle cell tumour with moderate cellular atypia. On immunohistochemistry, the cells showed strong positivity for desmin, smooth muscle actin, and h-caldesmon. They tested negative for S-100, discovered on GIST1 (DOG1), and mouse double minute 2 (MDM2). The patient was planned for neoadjuvant chemotherapy to downsize the tumour prior to surgery; however, he was lost to further follow-up.

DISCUSSION

Retroperitoneal LMSs typically present as large soft tissue masses. Due to their retroperitoneal location and their tendency to spare visceral structures, these tumours can grow to substantial sizes before detection and are often incidentally discovered during imaging.3 When symptomatic, they may cause compression-related symptoms, such as pain. If they have an intraluminal

component, they tend to present earlier.8 Based on the involved segment of the IVC, the presentation may vary. Signs of Budd-Chiari syndrome, such as jaundice, hepatomegaly, ascites (suprahepatic IVC), renal dysfunction (mid IVC), or limb oedema (infrarenal IVC), may be present.2,6

Imaging plays an important role in differentiating iLMS from adjacent organ tumours.9 On ultrasound, these tumours are typically large, solid, soft-tissue masses with lobulated margins, often with cystic areas secondary to necrosis or haemorrhage.10 They may be iso- or hypoechoic compared with the liver. An intravascular growth pattern shows an intraluminal solid mass with vascularity on Doppler. The IVC is often expanded.

On CT, these tumours are isoattenuating to muscle. The enhancement pattern is heterogeneous. Collateral vessels are frequently observed adjacent to the lesion due to the slow growth of the tumour.11,12 Local invasion into the right kidney, liver, adrenal gland, pancreas, stomach, or spine is common. The intravascular component is seen as a tumour thrombus. CT provides certain signs that might help in differentiating the lesion from a primary retroperitoneal

Figure 1: Ultrasound and colour Doppler findings in a case of inferior vena cava leiomyosarcoma.

A B C

Axial (A, B) and sagittal (C) sections of an unenhanced CT abdomen show a well-defined, heterogeneous, soft tissue lesion (white arrow) in the retroperitoneum. There is loss of fat planes with the IVC, with its distension due to tumour thrombus (yellow arrow), demonstrating the imperceptible wall sign. IVC: inferior vena cava.

tumour. The imperceptible wall sign is the most specific, wherein the vessel is not seen separate from the lesion at the site of maximal contact, as seen in the authors’ case.11 Other signs, such as the positive embedded sign (the vessel is embedded in the periphery of the lesion), might be encountered.13,14 The negative embedded sign, indicating vessel compression at the periphery of the lesion, suggests that the lesion does not originate from the vessel.11 The extraluminal variant is difficult to diagnose and has to be differentiated from other tumours secondarily involving the IVC.5 Tumours known to invade the IVC include renal cell carcinoma, Wilms tumour, and adrenal cortical carcinoma. These tumours have a primary tumour arising from the parent organ, whereas a primary iLMS will lack this finding.

On T2 sequences, the lesion has a heterogeneously hyperintense signal, with a hypo- or isointense signal on T1 sequences.6,10,15 Areas of necrosis are hyperintense on T2 and hypointense on T1. Haemorrhagic areas show blooming on gradient sequences and high signal on T1, which does not suppress on fat-saturated sequences, differentiating it from fat. Due to high cellularity, they show true diffusion restriction.16 In cases with intravascular tumour, black-blood imaging sequences

nicely depict the extent of the tumour by highlighting the bright tumour against the dark blood in the vessel. Multiplanar post-contrast imaging is also useful for evaluating vascular involvement and distinguishing tumour from bland thrombus. The radiological findings have been summarised in Table 1

Certain imaging findings that favour a better prognosis include tumour location in the mid-segment of the IVC. Other favourable factors include pain at presentation (early detection). On the contrary, IVC occlusion, lower limb oedema, and involvement of the upper segment have a poorer prognosis. Intimal sarcomas have a worse prognosis than mural sarcomas due to their propensity for dissemination.9

Primary retroperitoneal tumours are a common differential diagnosis for the extraluminal type; however, in these cases, the IVC is usually displaced or compressed. Bland thrombus does not distend the lumen, lacks diffusion restriction, and is non-enhancing. Certain tumours with tumour thrombosis mimicking iLMS include renal, adrenal, or hepatocellular carcinoma.6 The epicentre of the lesion, along with the characteristic imaging features, helps to eliminate these differentials. The most common primary

Figure 2: Imperceptible wall sign of inferior vena cava leiomyosarcoma.

Figure 3: MRI features of inferior vena cava leiomyosarcoma.

Axial (A, B) and coronal (C) T2 sequences of the MRI abdomen show the lesion to be hyperintense (yellow arrow). There is a loss of fat planes surrounding the IVC, causing distension (white arrow) and extending to the right atrium. Axial pre-contrast T1 in-phase (D) and out-of-phase (E) sequences show no signal drop. Axial post-contrast T1 sequence (F) shows heterogeneous enhancement. Axial diffusion-weighted sequence (G) shows diffusion restriction (white arrow). Axial non-fat saturated T2 sequence of the MRI of the abdomen (H) shows the intact IVC (red arrow) below the level of the tumour. The white arrow marks the extraluminal component of the tumour in (H).

IVC: inferior vena cava.

1: Key imaging features of inferior vena cava leiomyosarcoma.

Absence of a tumour arising from a retroperitoneal organ.

IVC distension with enhancement and diffusion restriction.

Lobulated with cystic areas due to necrosis and haemorrhage.

Imperceptible wall sign and positive embedded organ sign.

Collateral vessels adjacent to the tumour.

IVC: inferior vena cava.

retroperitoneal tumours include liposarcoma (fat component), lymphoma (uniform homogeneous enhancement, T2 dark with strong diffusion restriction, and encasement of vessels), and metastases (multiplicity with the presence of a primary tumour).

Accurate diagnosis is of paramount importance, as vascular LMS is notorious for recurrence at distant sites, with a metastatic rate of almost 50%.9 Differentiation from a solid organ tumour with secondary involvement of the IVC is necessary for the following reasons:

• Pathobiology: iLMS, being mesenchymal in origin, has a separate regimen for systemic therapy, as opposed to an epithelial or mesenchymal tumour of an adjacent organ, which requires an organspecific regimen.

• Prognosis: iLMS has a high rate of recurrence, even with R0 resection, while the recurrence rate for other tumours is highly variable and depends on the primary organ involved.

• Surgical management: iLMS warrants en bloc resection of the involved IVC segment ± graft reconstruction, whereas in cases of secondary involvement of the IVC, an

organ-directed resection is preferred (such as radical nephrectomy/ adrenalectomy). The vessel wall is preserved unless invaded.

• Biopsy: For iLMS, a percutaneous transhepatic or retroperitoneal approach is preferred to avoid peritoneal seeding. For tumours with secondary involvement of the IVC, the sample is obtained from the primary organ mass instead of the IVC tumour thrombus (safer with a better diagnostic yield).

Surgical resection is the only curative option.2,17 Sternotomy, along with laparotomy, might be required for segment III tumours. In cases of involvement of the renal or suprarenal veins, there might be a need for right nephrectomy/adrenalectomy. This involves a multidisciplinary team including the surgical oncologist, vascular surgeon, and anaesthesiologist. If only the renal vein ostium is involved, a renal vein reimplantation is done.18 The vessel is reconstructed by ligation or grafts; however, they are not required in the presence of adequate collaterals.4,9 When the tumour is bulky, a multi-organ autotransplantation is performed.12 The use of chemoradiotherapy has been described in both neoadjuvant and adjuvant settings. However, there is no standard regimen.6 Doxorubicin with trabectedin was found to increase the

Table

progression-free survival in patients with metastatic or unresectable disease.9

The authors’ case had a non-specific presentation of abdominal pain and distension with on-and-off fever. Thus, the diagnosis was primarily achieved on imaging, which depicted the large, voluminous nature of the tumour with both intra- and extraluminal components, which is a rare finding.2,16 This highlights the importance of radiological investigations and the guidance they offer for surgical management. The radiological pointers relevant to healthcare professionals include the exact extent of the lesion, the segment of the IVC involved, the status of the renal veins, adjacent organs, and the presence of collaterals. These factors allow the clinicians to offer proper counselling to the patient.

References

1. Rajiah P et al. Imaging of uncommon retroperitoneal masses. Radiographics. 2011;31(4):949-76.

2. Di Pilla MA et al. Leiomyosarcoma of the inferior vena cava. Radiol Case Rep. 2023;19(1):382-6.

3. Sessa B et al. Imaging of leiomyosarcoma of the inferior vena cava: comparison of 2 cases and review of the literature. Cancer Imaging. 2010;10(1):80-4.

4. Kieffer E et al. Leiomyosarcoma of the inferior vena cava. Ann Surg. 2006;244(2):289-95.

5. Dave K et al. Primary leiomyosarcoma of the inferior vena cava : an uncommon entity. Eur. J. Med. Health Sci. 2020;2(3).

6. Wang MX et al. Current update on IVC leiomyosarcoma. Abdom Radiol (NY). 2021;46(11):5284-96.

7. Terrill CD, Shady K. Leiomyosarcoma of the inferior vena cava. Appl Radiol. 2024;(3):42-3.

CONCLUSION

iLMS is a rare retroperitoneal tumour with a non-specific clinical presentation. Accurate diagnosis is important, as it carries a poor prognosis with a high recurrence rate. Differentiating iLMS from other tumours is also important in terms of systemic therapy regimen, route of biopsy, and surgical management. Radiological signs that aid differentiation from primary retroperitoneal tumours include the imperceptible wall sign and the positive embedded sign. The intraluminal form causes distension of the vessel with heterogeneous post-contrast enhancement. It is important to mention the segment of the vessel involved. MRI should be ordered whenever possible for better characterisation and staging of the tumour. Surgical management is challenging and involves resection of the involved IVC segment, along with its reconstruction. Additional nephrectomy or adrenalectomy may be needed in some patients.

8. Ganeshalingam S et al. Leiomyosarcomas of the inferior vena cava: diagnostic features on cross-sectional imaging. Clin Radiol. 2011;66(1):50-6.

9. Gama JM et al. When vessels and sarcomas combine: a review of the inferior vena cava leiomyosarcoma. J Vasc Dis. 2024;3(1):34-48.

10. Cooley CL et al. Imaging features and metastatic pattern of non–IVC retroperitoneal leiomyosarcomas. J Comput Assist Tomogr. 2014;38(5):687-92.

11. Webb EM et al. Can CT features differentiate between inferior vena cava leiomyosarcomas and primary retroperitoneal masses? AJR Am J Roentgenol. 2013;200(1):205-9.

12. Zhou X et al. A case of a huge inferior vena cava leiomyosarcoma: precise preoperative evaluation with gadobutrol-enhanced MRI. Cancer Manag Res. 2020;12:7929-39.

13. Gulati V et al. Solid primary retroperitoneal masses in adults: an imaging approach. Indian J Radiol Imaging. 2022;32(2):235-52.

14. Kumar K et al. Solitary fibrous tumor of internal jugular vein: an extremely rare entity with review of literature. Indian J Radiol Imaging. 2021;31(2):484-7.

15. Bednarova I et al. Case 257: leiomyosarcoma of the inferior vena cava. Radiology. 2018;288(3):901-8.

16. Ronchi B et al. PET/MR: primary inferior vena cava leiomyosarcoma. Eur J Hybrid Imaging. 2022;6(1):24.

17. Strauss DC et al. Retroperitoneal tumours: review of management. Ann R Coll Surg Eng. 2011;93(4):275-80.

18. Gupta S et al. Inferior vena cava leiomyosarcoma – a challenge for management of a rare tumour – a case report. Medical Journal of Dr. DY Patil Vidyapeeth. 2023;16(4):642-4.

Single-Agent Low-Dose Nivolumab in Patients with Relapsed-Refractory Hodgkin's

Lymphoma as a Bridge to Stem Cell Transplant

Authors: *Aniket

1. Jehangir Hospital, Pune & Novo Solitaire Care, Pune, India *Correspondence to lifelineaniket@gmail.com

Disclosure: The authors have declared no conflicts of interest. Written informed consent was obtained from the patient and family before the publication.

Received: 23.03.25

Accepted: 08.07.25

Keywords: Disease-free interval, nivolumab, progression-free survival (PFS), relapse, refractory, salvage.

Citation: EMJ. 2025;10[3]:103-108. https://doi.org/10.33590/emj/PHED8393

Abstract

The introduction of nivolumab has changed the landscape of relapsed/refractory (R/R) classical Hodgkin's lymphoma (HL) treatment. Despite its clinical importance, this therapy may remain inaccessible for a significant number of patients worldwide, especially in lowincome countries, due to its high cost. The recommended dose is usually 3 mg/kg (240 mg flat dose) every 15 days, which incurs a huge financial burden to patients. Currently, this therapy is used for the treatment of adult patients with R/R classical HL after autologous stem cell transplant and treatment with brentuximab vedotin.

In one study, the authors used a flat dose of 40 mg of nivolumab every 15 days in R/R classical HL, with an objective response rate of 70%, and 43.3% of patients achieved complete response. Median progression-free survival was 18.4 months with this low- and fixed-dose regimen of 40 mg.

This is a case report of a 21-year-old girl, who was previously treated with two lines of therapy and had <1-year disease-free interval after the first line of therapy. She then exhibited progressive disease, which was followed by salvage chemotherapy. She was treated with single-agent low-dose nivolumab, achieving complete response after 2 months of therapy, and was taken up for transplant. This opens up a possible option of low-dose nivolumab for patients with R/R HL as a bridge to transplant.

Key Points

1. Relapsed/primary progressive Hodgkin’s lymphoma responds well to a short course of nivolumab, permitting consolidation with stem cell transplant.

2. There was an objective response rate of 70%, with 43.3% achieving complete response. This is comparable to standard-dose nivolumab trials (which report approximately 65–73% objective response rate, and approximately 40% complete response).

3. Low-dose nivolumab (40 mg every 2 weeks) maintains high efficacy with excellent tolerability and offers dramatic cost savings by three-to-seven-fold, representing a strong rationale for further trials and broader use in patients with classical Hodgkin’s lymphoma, particularly in low- and middle-income settings.

INTRODUCTION

Magnitude of the Problem

Up to a quarter of patients with classical Hodgkin’s lymphoma (HL) are resistant or have disease relapse after first-line chemotherapy.1 For such patients with relapsed or refractory (R/R) disease, second-line chemotherapy and autologous haematopoietic stem cell transplantation (ASCT) may lead to sustained remission in about half of cases.2 Historically, patients who failed ASCT had a dismal prognosis, with a life expectancy of <2 years.3-5

Existing Treatments and Limitations

Brentuximab vedotin (BV), an anti-cluster of differentiation 30 (CD30) immunoconjugate, has demonstrated activity after ASCT failure, with overall response (OR) and complete response (CR) rates of 72% and 33%, respectively. Despite high OR, most patients eventually progress or relapse, with a median progression-free survival (PFS) of 9.3 months, while up to 15% may remain in sustained CR without further medical intervention.6 Thus, even though this is a targetable option, it doesn’t offer a good, long-term sustained response, and the cost involved is around 4,500 USD per dose. This makes it unaffordable for quite a large population of patients with HL. It also results in significant Grade 3 and Grade 4 neutropenia in 33–54% of patients, with 18% of cases needing admission, and Grade 3–4 peripheral neuropathy in 10–20% cases (in

the ECHELON trial).7 This leads to lots of morbidity in patients, along with financial toxicity.

Existing Evidence in Favour of Nivolumab

Nivolumab is a monoclonal antibody targeting programmed death 1 (PD-1) with high specificity and affinity. The programmed death-ligand 1 (PDL1) expression on tumour cells leads to the evasion of tumour cell escape mechanisms, and allows them to be targeted by the immune cells, which helps to achieve better tumour cell kill. PD-1 receptors are also expressed on CD3+ T cells, and pharmacokinetic studies have demonstrated that median PD-1 receptor occupancy on CD3+ T cells in the peripheral blood of patients with melanoma, treated at a dose from 0.1–10.0 mg/kg every 2 weeks, averaged around 65% for every dose level over 0.3 mg/kg, independent of nivolumab concentrations. Moreover, no correlation between dose, adverse events, and efficacy was observed in clinical trials of anti-PD-1 antibodies across a range of solid malignancies.8-10

Rationale

The introduction of nivolumab has changed the landscape of R/R classical HL treatment, as well as in many other solid tumours like oral cancers, lung cancers (non-small cell lung cancer), renal cell cancers, and melanomas. Despite its effectiveness in

many cancers, including R/R HL, its use has been limited, especially in developing countries, due to the prohibitive cost involved. The recommended dose, as per the clinical trial data, is 3 mg/kg (240 mg flat dose) every 15 days, which incurs a huge financial burden to patients, costing around 480,000 INR (5,800 USD) per month.

The FDA approved the therapy for treating adult patients with R/R classical HL after ASCT and treatment with BV.

CASE PRESENTATION

A 21-year-old female was diagnosed with HL and was treated with a doxorubicin, bleomycin, vinblastine, and dacarbazine (ABVD) regimen. She had a complete metabolic response in interim PET-CT, and progressed after four cycles of an ABVD regimen. The patient then received six cycles of gemcitabine, doxorubicin, and prednisone salvage chemotherapy. She had achieved partial response after three cycles. Despite this treatment, the patient showed signs of relapsed disease, evidenced by the increased size and metabolic activity of the pre-vascular retrosternal lymph nodes, as well as a Deauville score of 5 on the post-treatment (six cycles of gemcitabine, doxorubicin, and prednisone) PET-CT scan (Figure 1)

She had relapsed despite two chemotherapy regimens, so she was started on single-agent low-dose nivolumab (40 mg every 15 days for two cycles). She then underwent fertility preservation prior to transplant as she was still unmarried and planned for ASCT. Her PET-CT after 2 months of nivolumab (Figure 1) showed that she achieved CR, and she was then taken up for ASCT, which was followed by low-dose maintenance for 1 year. She is currently 6 months post-transplant and has been in complete remission based on a PETCT after 3 months.

DISCUSSION

R/R HL is associated with poor outcomes compared to patients who have achieved remission status. Patients with R/R HL have conventionally been treated with salvage chemotherapy, which involves high doses and high toxicity, resulting in significant Grade II–IV cytopenia in 30–45% of patients. Febrile neutropenia in such patients has resulted in considerable morbidity and mortality, as well as the emergence of drug resistance infections.

Salvage chemotherapies were the standard for decades before the advent of genetic tests to know more about the tumour microenvironment. These have specifically demonstrated high PD-1 ligand expression on the surface of Reed-Sternberg cells. There has also been much interest in immunotherapy approaches, particularly PD-1 inhibitors in HL, after initial work in melanomas. This also led to interest in the expression of PD-1 and PDL-1 in oral, lung, and renal cell cancers.

Excellent results were shown from the interim analysis of the SWOG 1826 trial comparing BV, doxorubicin, vinblastine, and dacarbazine (BV-AVD) to nivolumab AVD (N-AVD), with preliminary data suggesting the superiority of N-AVD. The results of clinical trials on the anti-PD-1 antibodies nivolumab and pembrolizumab demonstrated a 1-year overall survival (OS) of 92.0% and a 2-year OS of 91.1%.7-9

While this regimen may change the frontline treatment of advanced-stage HL in developed countries, the prohibitive costs of checkpoint inhibitors at approved doses/ schedules make this approach out of reach for most of the world’s population. Despite its efficacy in many cancers, including R/R HL, its use has been limited, especially in developing countries, due to the prohibitive cost involved.

An alternative strategy would be the use of checkpoint inhibitors at low doses. This has never been done in a Phase I trial, and would be based on case reports or postmarketing clinical trials performed only in developing countries. This is because the majority of the population cannot afford

Left: increased size and metabolic activity of previously seen prevascular retrosternal nodes (left prevascular node: 33x21 mm; SUVmax: 10.21 [previously 17x13 mm; SUVmax: 5.96]).

Increase in size and uptake of the neck nodes (FDG avid: 13 mm; SUVmax: 10.77 [previously 9 mm; SUVmax: 2.6]). No other new lesions were detected. Deauville score of 5, indicating that the relapsed disease was highly active and required further treatment.

Right: after 2 cycles of nivolumab, there is metabolic resolution of the majority of mediastinal nodes and cervical nodes. Non-FDG avid nodes are at both sites.

FDG: fludeoxyglucose; SUVmax: maximum standardised uptake value.

the ideal dosing schedules followed/ recommended in Western data.

Due to their unique mechanism of action, the efficacy and toxicity profiles of immune checkpoint inhibitors differ from those of chemotherapy and immunoconjugates. The treatment of R/R HL has advanced significantly with the advent of immunotherapy, particularly nivolumab and brentuximab. However, this therapy is

only approved for the treatment of adult patients with R/R classical HL after ASCT and treatment with BV.11

Lepik et al.12 showed that a 40 mg flat dose is enough to give non-inferior responses in circumstances where there are resource constraints. They used a 40 mg flat dose of nivolumab every 2 weeks in 30 patients with R/R classical HL, with an OR rate of 70%, 43.3% (13) patients achieving CR,

Figure 1: PET-CT image of relapse and response to nivolumab.

and a median PFS of 18.4 months (95% CI: 11.3–18.5 months).12 The median dose of nivolumab per kg of body weight was 0.59 mg/kg (0.4–1.0 mg/kg).

As per data published by Tata Memorial Hospital, Mumbai, India, in the Indian scenario, around 20–22% of transplanteligible patients undergo bone marrow transplant, and only a few have access to immunotherapy in full dose.13,14 Many fail to achieve CR after salvage chemotherapy, and are made ineligible for transplant due to infections and complications. For instance, around 30–56% of people develop Grade 3/4 haematological toxicity, and 30–45% develop febrile neutropenia resulting in a significant number of fatalities.13

The LoNAH trial (CTRI/2024/03/063942 [Registered: 11/03/2024])11 is a randomised Phase III study involving patients with newly diagnosed, advanced-stage HL (Stage IIBX, III, or IV). It compares ABVD with a new regimen of n-AVD (comprising low-dose nivolumab [flat dose of 40 mg] + AVD) using a risk-adapted strategy. This trial is currently ongoing, and its results are awaited. This trial may be set up using low-dose AVD as the first-line standard for patients with bulky lymphoma and patients with Stage III/IV lymphoma.15

Relapsed/primary progressive HL responds well to a short course of nivolumab, permitting consolidation with stem cell transplantation. In a study comparing lowdose to standard-dose, the standard dose nivolumab showed no benefit over a dose of 40 mg (0.6 mg/kg), with non-inferior response rates and PFS in both groups.16

There are also data on using nivolumab maintenance for patients with HL who are at high risk of relapse or progression. Sixty percent of patients completed 6 months of maintenance therapy. Six-month PFS was 92.1%, 1-year OS was 100.0%, and 46.0% of patients had adverse events such as thyroiditis, rash, vomiting, or fatigue, with only two patients having pneumonitis or rhabdomyolysis. However, there were no therapy-related deaths.17

The PD1-PD-L1 pathway may facilitate the T cell-mediated tissue damage responsible

for graft-versus-host disease (GvHD). Currently, there are a series of publications on GvHD showing that post-exposure to PD-1 blockade agents like nivolumab and pembrolizumab can cause auto-GvHD.18-20 Moreover, engraftment syndrome and autoGvHD have similar clinical manifestations and exhibit indistinguishable pathological findings on skin biopsy. Auto-GvHD may fall within the same spectrum as engraftment syndrome as an autoinflammatory consequence of breakdown in self-tolerance after ASCT.18

In this case, the patient is an ideal candidate for transplant, but she would not have proceeded to transplant had she not received single-agent low-dose nivolumab. The cost of her therapy was reduced to one-third, and she could save this cost for transplant after achieving CR. She was given nivolumab every 15 days for 2 months before achieving CR, and could achieve fertility preservation prior to transplant. After this, she received maintenance and is in remission post-transplant. So far, the patient has been on nivolumab maintenance therapy for 6 months and does not have any therapy-related side effects or progression/ relapse of disease.

This therapy can be used as a bridge to transplant for many transplant-eligible patients, saving a lot of financial resources. It could become the standard of care instead of the toxic salvage regimen, in which one-third to one-half of patients become ineligible due to morbidity or have infection-related mortality.

CONCLUSION

Low-dose nivolumab is a promising therapeutic option for patients with R/R HL, particularly after failure of multiple rounds of chemotherapy. This case highlights the importance of personalised treatment approaches and careful monitoring in achieving optimal outcomes.

This may become a standard, affordable, and effective option, giving patients with lymphoma a chance at cure. It opens up a possible option of low-dose nivolumab for

patients with R/R HL as a bridge to transplant.

This study needs to be validated in larger populations, and the role of nivolumab in the management of R/R HL will continue to evolve, offering hope for patients with

References

1. Gordon LI et al. Randomized phase III trial of ABVD versus Stanford V with or without radiation therapy in locally extensive and advanced-stage Hodgkin lymphoma: an intergroup study coordinated by the Eastern Cooperative Oncology Group (E2496). J Clin Oncol. 2013;31(6):684-91.

2. Schmitz N et al. Aggressive conventional chemotherapy compared with high-dose chemotherapy with autologous haemopoietic stem-cell transplantation for relapsed chemosensitive Hodgkin’s disease: a randomised trial. Lancet. 2002;359(9323):2065-71.

3. Von Tresckow B et al. Outcome and risk factors of patients with Hodgkin lymphoma who relapse or progress after autologous stem cell transplant. Leuk Lymphoma. 2014;55(8):1922-4.

4. Crump M. Management of Hodgkin lymphoma in relapse after autologous stem cell transplant. Hematology Am Soc Hematol Educ Program. 2008:326-33.

5. Badar T et al. Trends in post relapse survival in classic Hodgkin lymphoma patients after experiencing therapy failure following auto-HCT. Blood Adv. 2020;4(1):47-54.

6. Chen R et al. Five-year survival and durability results of brentuximab vedotin in patients with relapsed or refractory Hodgkin lymphoma. Blood. 2016;128(12):1562-6.

otherwise limited options. Future research will help to determine the most effective dosing strategies, the duration of therapy, and the role of nivolumab in combination with other therapies for enhanced outcomes in HL treatment.

7. Connors JM et al.; ECHELON-1 Study Group. Brentuximab vedotin with chemotherapy for stage III or IV Hodgkin’s lymphoma. N Engl J Med. 2018;378(4):331-44.

8. Berger R et al. Phase I safety and pharmacokinetic study of CT-011, a humanized antibody interacting with PD-1, in patients with advanced hematologic malignancies. Clin Cancer Res. 2008;14(10):3044-51.

9. Armand P et al. Nivolumab for relapsed/refractory classic Hodgkin lymphoma after failure of autologous hematopoietic cell transplantation: extended follow-up of the multicohort single-arm phase II CheckMate 205 trial. J Clin Oncol. 2018;36(14):142839. Erratum in: J Clin Oncol. 2018;36(26):2748.

10. Chen R et al. Pembrolizumab in relapsed or refractory Hodgkin lymphoma: 2-year followup of KEYNOTE-087. Blood. 2019;134(14):1144-53.

11. Korula A et al. Lonah trial: a phase III randomized study of low dose nivolumab plus AVD or ABVD in patients with newly diagnosed advanced stage classical Hodgkin lymphoma. Blood. 2024;144 (Suppl 1):3055.1.

12. Lepik KV et al. Nivolumab for the treatment of relapsed and refractory classical Hodgkin lymphoma after ASCT and in ASCT-naïve patients. Leuk Lymphoma. 2019;60(9):2316-9.

13. Khattry N et al. Long term clinical outcomes of adult hematolymphoid malignancies treated at Tata Memorial

Hospital: an institutional audit. Indian J Cancer. 2018;55(1):9-15.

14. Kumar L et al. Editorial: real world outcomes of lymphoma from India. Front Oncol. 2022;12:922370.

15. Driessen J et al. How to choose first salvage therapy in Hodgkin lymphoma: traditional chemotherapy vs novel agents. Hematology Am Soc Educ Program. 2021;2021(1):240-6.

16. Trivedi C et al. Dose optimisation of check-point inhibitors: a comparison of standard dose and low dose nivolumab in relapsed/refractory Hodgkin lymphoma. Blood. 2024;144 (Suppl 1):3048.

17. Bachier C et al. A phase II single arm study of nivolumab as maintenance therapy after autologous stem cell transplantation in patients with Hodgkin lymphoma at risk of relapse or progression. Blood. 2021;138(Suppl 1):2455.

18. Merryman RW et al. Allogeneic transplantation after PD-1 blockade for classic Hodgkin lymphoma. Leukemia. 2021;35(9):2672-83.

19. Cornell RF et al. Engraftment syndrome after autologous stem cell transplantation: an update unifying the definition and management approach. Biol Blood Marrow Transpl. 2015;21(12):2061-8.

20. Fraebel J et al. GVHD-like skin eruption post-autologous stem cell transplantation. Bone Marrow Transplant. 2024;59(6):900-3.

Atypical Presentation of Group A Streptococcal Puerperal Sepsis and Toxic Shock Syndrome: A Case Report

1. Department of Obstetrics and Gynaecology, Princess of Wales Hospital, Bridgend, UK

2. Radiology Department, Royal Glamorgan Hospital, Pontyclun, UK

*Correspondence to shahana.abdu2@wales.nhs.uk

Disclosure: The authors have declared no conflicts of interest.

Received: 12.05.25

Accepted: 22.08.25

Keywords: Group A Streptococcus, necrotising fasciitis (NF), puerperium, sepsis, toxic shock syndrome.

Citation: EMJ. 2025;10[3]:109-116. https://doi.org/10.33590/emj/FNKX8582

Abstract

Sepsis remains a significant cause of maternal mortality, and is responsible for approximately 11% of maternal deaths worldwide. Group A β-haemolytic Streptococcus (GAS) is one of the pathogens linked to maternal sepsis. It is notable for its virulence, rapidly progressing to invasive group A streptococcal (iGAS) infections with a high mortality rate of 20–40%. The authors report a case of puerperal sepsis due to GAS in a postpartum woman who initially presented with limb swelling following an uneventful vaginal delivery. Within hours, she rapidly deteriorated into septic shock, despite early initiation of the Sepsis Six pathway. GAS was isolated from both the genital tract and blood, even though classic symptoms of endometritis were absent. Intensive treatment, including broad-spectrum antibiotics, fluid resuscitation, intravenous Ig, intensive care support, and surgical debridement successfully saved her life. However, she experienced prolonged morbidity due to extensive tissue loss from wound debridement. Although iGAS is rare in the UK, pregnant and postpartum women have a significantly increased risk, particularly within the first 28 days postpartum. Puerperal GAS infections often present atypically, with non-specific symptoms rather than classical signs of endometritis. Given the high mortality associated with iGAS, a high index of clinical suspicion, early recognition, and aggressive management are critical to improve the outcome.

Key Points

1. Pregnant women have a 20-fold higher risk of invasive Group A streptococcal infections than non-pregnant women, rising to 80-fold in the first 28 days postpartum.

2. Puerperal invasive Group A streptococcal infections may present with atypical symptoms and progress rapidly to life-threatening conditions such as necrotising fasciitis, streptococcal toxic shock syndrome, disseminated intravascular coagulation, and septic shock.

3. A high index of suspicion, prompt administration of broad-spectrum antibiotics, fluid resuscitation, urgent escalation, multidisciplinary management, and early identification and treatment of the source of infection (including surgical management if appropriate) are crucial in reducing morbidity and mortality.

INTRODUCTION

Sepsis continues to be a significant contributor to maternal mortality, and is responsible for approximately 11% of maternal deaths worldwide.1 According to the MBRRACE 2024 report, sepsis accounted for 25/275 maternal deaths during the 2020–2022 triennium, representing 9% of cases, with a maternal mortality rate of 0.89 per 100,000 maternities due to pregnancyrelated infection.2 Among the pathogens linked to maternal sepsis, Escherichia coli and group A β-haemolytic streptococci (GAS) are notable for their association with severe morbidity and mortality.3 GAS, in particular, is recognised for its heightened virulence, with rapid progression to lifethreatening invasive group A streptococcal (iGAS) infections, such as endometritis, necrotising fasciitis (NF), streptococcal toxic shock syndrome (STSS), septic shock, multiorgan failure, and death.3,4 Although iGAS is relatively uncommon in the UK, with an annual incidence of two to four cases per 100,000 individuals, pregnant women face a 20-fold greater risk of developing iGAS infections compared to non-pregnant women, and this risk increases up to 80fold within the first 28 days postpartum.5 Furthermore, pregnancy-related iGAS infections carry a high mortality rate of 20% within 7 days of diagnosis, rising to over 40% if septic shock occurs.6 Even though the vaginal colonisation of GAS is low (ranging 0.03–0.37%), ascending infections can lead to severe invasive infections, increasing morbidity and mortality.7

Although endometritis typically presents with symptoms such as abdominal pain, fever, abnormal vaginal discharge, or bleeding, puerperal iGAS infections often manifest with non-specific symptoms such as malaise, fatigue, or other atypical features.6 These may include severe limb pain or swelling, blisters, infected episiotomy wounds, NF involving the uterus and cervix, and shock. While NF following vaginal delivery is rare, it has been documented.3 Tissue invasion at the site of vaginal injury can lead to the septicaemic spread of GAS to the skin and soft tissue, resulting in NF. A hallmark of NF is severe pain requiring escalating doses of analgesics

such as opioids. In its early stages, NF may present with minimal skin changes, as the infection begins in deep tissues. As the condition progresses, it may cause blisters and necrosis.6 The absence of fever and the presence of watery, inoffensive lochia in cases of GAS can mislead clinicians, potentially delaying diagnosis. Therefore, maintaining a high index of clinical suspicion is critical for early detection and timely intervention, which are essential to reducing morbidity and preventing fatal outcomes.3

CASE REPORT

A 32-year-old woman presented to obstetric triage 6 days after an uneventful, midwifery-led, vaginal birth and episiotomy with sudden onset of swelling and pain in the upper and lower limb on the same side, accompanied by a general sense of feeling unwell for the past 24 hours. At the time of presentation, her main concern was swelling rather than pain, and she had no history of injury or skin discolouration. The woman had occasional chills but recorded a normal temperature at home. There were no typical symptoms of endometritis or genital tract infection, such as abdominal pain, fever, abnormal lochia, or vaginal bleeding. Her past medical history was unremarkable. She had a history of cannabis use but denied any intravenous drug use. Her labour and birth were uneventful, with no epidural or prolonged rupture of membranes, and both mother and baby had been discharged on the day of birth. The woman confirmed that she had no similar prior symptoms, and had been well until 24 hours before the issues arose. Her baby and other family members were in good health.

Upon admission, the woman appeared unwell but haemodynamically stable, with a pulse rate of 86 bpm, blood pressure of 112/71 mmHg, respiratory rate of 18 bpm, and SpO2 of 99%, though she had a mild fever of 37.7 °C. Her Modified Early Obstetric Warning Score (MEOWS) was 0, and these parameters were comparable to the levels seen in labour. Her upper limb was more swollen and tender than her lower limb. Distal pulses were palpable. Other examinations, including cardiovascular,

respiratory, and neurological systems, were unremarkable, with minimal movement limitations due to pain and swelling. Abdominal and pelvic examination revealed a 14-week involuting, nontender uterus; a clean, slightly dehisced episiotomy; and healthy lochia. A high vaginal swab was sent for culture to rule out genital tract infection on high suspicion. Differential diagnoses at this stage included deep vein thrombosis (DVT), thrombophlebitis, and early cellulitis of the upper limb with possible sepsis.

The full blood count with differential showed leukocytosis with elevated white blood cells (15.6x109/L), elevated neutrophils (14.2x109/L), and elevated C-reactive protein (418 mg/L), with normal haemoglobin (113 g/L) and platelet count (238x109/L). Electrolytes and liver function tests were deranged, with hyponatraemia (131 mmol/L), hypokalaemia (3.2 mmol/L), high bilirubin (36 µmol/L), high alkaline phosphatase (449 U/L), and high alanine transaminase (69 U/L). Renal function tests and coagulation profile were normal. The venous blood gas showed raised lactate (2.6 mmol/L) and a normal pH and glucose.

As inflammatory markers were high, sepsis management was initiated with broadspectrum antibiotics and fluid resuscitation following blood culture collection, although the source of infection was unclear. A throat swab was taken to identify other potential infection sources. A CT scan of the abdomen and pelvis was performed as ultrasound was not available out of hours, which suggested the possibility of endometritis, though the uterine cavity appeared empty and there were no clinical signs suggesting endometritis. The patient was referred to the medical team for a Doppler ultrasound of her limbs to rule out DVT, and was started on anticoagulation therapy in the interim.

Within 3–4 hours, she developed a persistent tachycardia (pulse rate: 130 bpm), tachypnoea (respiratory rate: 35 beats per minute), and intermittent altered mental status, with a MEOWS of 6. Biochemical markers began to deteriorate further, with abnormal liver and renal function tests, metabolic acidosis (pH: 7.2), lactate (5.6 mmol/L), and low bicarbonate

(15 mmol/L; Table 1). A senior escalation and multidisciplinary team meeting involving the outreach, emergency, and intensive therapy unit (ITU) teams was conducted, and the woman was transferred to ITU. Antibiotic therapy was escalated to empirical meropenem and gentamicin, according to the microbiologist’s recommendation. Despite aggressive fluid resuscitation and sepsis management, the woman deteriorated into shock.

Notably, apart from a swollen limb, there were no other localised signs of infection. Differential diagnoses such as acute fatty liver of pregnancy and peripartum cardiomyopathy were considered due to the unusual presentation and rapid deterioration, although the evidence for these was not conclusive. CT head and Doppler ultrasound of the limbs ruled out intracranial pathology and venous thromboembolism, respectively. Over the following 10–12 hours, the limb swelling worsened, and skin mottling appeared on the chest and abdomen, raising concerns for toxic shock syndrome. By Day 2, the patient had developed a persistent high fever, skin blisters, and mild discolouration suggestive of early NF. Blood and genital cultures confirmed iGAS infection (type emm77). Antibiotics were adjusted to meropenem and clindamycin, with the latter chosen to mitigate exotoxin production based on microbiological input. Orthopaedics, general surgery, and plastic surgery teams were consulted, and infection control measures were implemented, notifying the infection prevention and neonatology teams.

The woman exhibited classical features of STSS with NF, multiorgan dysfunction, disseminated intravascular coagulation, and stress cardiomyopathy. She required intubation, inotropic support, intravenous Ig (IVIG) therapy, intravenous albumin, and blood products. Imaging (CT and MRI of the limbs; Figure 1) revealed extensive muscle oedema and myositis, though a CT limb angiogram ruled out arterial thrombosis. Repeat transvaginal ultrasound and MRI pelvis suggested a possible small intrauterine clot or retained products of conception (RPOC).

Table 1: Table showing blood results of the patient from Day 1 to Day 5 of sepsis.

ALP: alkaline phosphatase; ALT: alanine transaminase; APTT: activated partial thromboplastin time; Bili: bilirubin; Creat: creatinine; CRP: C-reactive protein; Fib: fibrinogen; Hb: haemoglobin; K: potassium; Na: sodium; Neut: neutrophil count; plat: platelets; PT: prothrombin time; WCC: white cell count.

On Day 4, after stabilising the patient, surgical intervention was undertaken in her best interest as she was still intubated, which included fasciotomy, extensive debridement of the upper and lower limbs, lower abdominal wall, and uterine evacuation to address potential RPOC. Interestingly, no RPOC was identified. GAS was isolated from both deep tissue and muscle samples. Clindamycin resistance was detected on extended culture, prompting its replacement with linezolid alongside meropenem. Amputation was considered as part of her ongoing management after stabilising her coagulation.

The woman showed gradual improvement with multiple extensive debridements, meticulous wound care, and ITU support, alongside intravenous antibiotics, IVIG,

albumin, and blood products. By Day 6, blood and genital swab cultures were sterile. On Day 10, she was extubated and transferred to a tertiary unit for plastic surgery for skin grafting and reconstructive procedures, which required multiple repeat surgeries for wound revision and reconstruction.

Prolonged antibiotic therapy led to complications, including Clostridium difficile diarrhoea. After 2 months of hospitalisation, the patient was discharged with a comprehensive plan for ongoing antibiotic therapy, neuropathic pain management, physiotherapy, occupational therapy, and mental health support for both her and her family. Despite extensive tissue loss, amputation was fortunately avoided.

Figure 1: MRI image of the mid forearm with subcutaneous oedema.
Axial STIR sequence MRI image at the level of the right mid forearm showing extensive high signal change abnormality in the flexure compartment musculature (white arrow) with surrounding subcutaneous oedema (yellow arrow). STIR: short tau inversion recovery.

DISCUSSION

Group A Streptococcus is a facultative, gram-positive coccus categorised under β-haemolytic streptococci.8 It is highly contagious and spreads through close contact via respiratory droplets, direct skin contact, or indirectly through fomites such as towels or bedding. GAS can colonise the throat, skin, and occasionally the vagina and anogenital tract, and is usually asymptomatic.4 GAS is associated with a spectrum of clinical infections, ranging from mild, non-invasive conditions like pharyngitis, scarlet fever, and impetigo, to severe, life-threatening invasive infections.8 Approximately 90% of iGAS cases are community-acquired, with the remainder being nosocomial, including reported outbreaks in healthcare institutes.7

iGAS is identified by detecting GAS through culture or molecular methods, such as PCR, from normally sterile body sites, including blood, body fluids, bone, endometrium, or deep tissues.5 Severe infections resulting from iGAS include bacteraemia, STSS, puerperal sepsis, and NF. While specific risk factors for iGAS are often not evident, recent respiratory infections, particularly influenza, have been recognised as significant predisposing factors.9

Pregnancy-related iGAS infections are most frequently reported in late pregnancy (beyond 30 weeks’ gestation) and up to 4 weeks postpartum.9 This heightened risk is attributed to immunological changes during pregnancy and the potential GAS invasion through perineal trauma or ascending infection via the endocervix.9

The M protein is a key virulence factor of GAS, enabling the bacterium to invade sterile sites, evade phagocytosis, and adhere to epithelial cells.9 GAS also produces exotoxin A, a superantigen that triggers an intense inflammatory response characterised by excessive activation of circulating T cells and cytokines, resulting in capillary leak syndrome and severe hypotension.9 The M protein gene (emm) encodes the surface M protein.9 Currently, emm typing is the molecular gold standard for GAS typing globally.3 emm3 is the

most common type among more than 200 described emm types in the 2024–2025 season in the UK.10 Certain emm types are associated with specific clinical conditions; for example, emm28 is linked to puerperal sepsis, although GAS, being a versatile pathogen, is often linked with an array of presentations with varying severity.7 emm77 was the strain detected in this patient.

Typically, symptoms arise within 2–4 days post-delivery and include fever, chills, and tachycardia in endometritis. However, nonspecific symptoms or atypical manifestations are not uncommon. Signs of infection, such as pyrexia, may not always be present and may not correlate with the severity of sepsis. In contrast, hypothermia should raise an early suspicion of iGAS. Lochia may appear serosanguinous or watery due to GAS-induced leukocyte destruction, and may not have an offensive odour.11 Absence of classic features of endometritis, such as fever, abdominal and pelvic pain, purulent lochia, and uterine tenderness can lead to diagnostic delay, increasing the risk of unexpected sudden deterioration to lifethreatening complications despite aggressive sepsis management.3

For life-threatening sepsis, a combination of piperacillin and tazobactam or meropenem and clindamycin provides extended broadspectrum cover.3 If methicillin-resistant Staphylococcus aureus is suspected, vancomycin should be added.

Early identification and source control through surgical intervention, such as evacuation of RPOC, abscess drainage, fasciotomy, wound debridement, or hysterectomy, are critical in preventing rapid disease progression. However, identifying the source of infection is not always possible. Therefore, a high index of suspicion, adherence to the ‘Think Sepsis’ programme, and early initiation of sepsis pathway protocol, when in doubt, is essential.2 This includes early sepsis risk assessment, initial fluid resuscitation, prompt administration of broad-spectrum intravenous antibiotics after blood culture within 1 hour of presentation, escalation to senior medical staff, multidisciplinary input, intensive care support, and source control.3

In this patient, the primary complaint of limb swelling and pain initially raised suspicion of DVT as the leading differential diagnosis. However, persistent tachycardia and elevated inflammatory markers pointed towards possible sepsis, despite the atypical presentation. The absence of pelvic pain and normal temperature, as well as healthy lochia, complicated the diagnosis of endometritis, even though CT abdomen suggested its possibility. Although broadspectrum antibiotics and fluid resuscitation were initiated promptly, the patient’s rapid progression to shock with multiorgan dysfunction prompted consideration of alternative diagnoses, such as acute fatty liver of pregnancy or peripartum cardiomyopathy. Ultimately, the isolation of group A Streptococcus from vaginal samples and evidence of bacteraemia confirmed the diagnosis of iGAS infection.

As the patient developed symptoms on the 6th daypostpartum, it is likely that the infection was community-acquired, as hospital-acquired infections typically manifest within 2–4 days of discharge. On reflection, the progression of NF followed a characteristic course, starting with limb swelling and pain and advancing to blister formation and eventual tissue necrosis.

IVIG plays a critical role in severe, unresponsive cases of iGAS infections, such as NF and STSS, by neutralising exotoxins and superantigens.3 It is recommended only for patients who are critically ill, and doses of up to 2 g/kg have been safely used in exotoxin-mediated sepsis during pregnancy without adverse effects.3 The combination of intravenous Ig with clindamycin is synergistic and highly effective in managing suspected GAS sepsis during pregnancy, offering enhanced therapeutic benefits.3

Hysterectomy may be required in cases of iGAS infections involving uterine or adnexal necrosis.12 However, in the authors’ patient, this was fortunately avoided, and only ultrasound-guided suction evacuations were needed for suspected RPOC. Despite this, the morbidity associated with repeated extensive wound debridement was significant and debilitating, with extremely

limited function of the affected limbs in addition to neuropathic pain. Survivors of iGAS infections often endure severe long-term complications, including prolonged hospitalisations and the need for multiple surgical interventions, such as amputations or extensive wound care. In this case, the patient required ongoing physiotherapy, occupational therapy, and comprehensive management of neuropathic pain, along with mental health support, after discharge. Given the traumatic nature of the experience, emotional and psychological support should also be extended to family members to help them cope and recover alongside the patient.

Raising awareness among the pregnant population about GAS infection, its signs and symptoms, and the importance of personal hygiene is crucial.7 This includes emphasising practices such as washing hands thoroughly before and after using the lavatory to prevent perineal contamination.3

Puerperal iGAS infection is a rare condition; however, a recent resurgence has been observed, attributed to increasing bacterial virulence. It is associated with extremely high morbidity and mortality rates. Even in cases of survival, patients often endure significant debilitating complications, requiring a prolonged recovery period. Successful outcomes depend on maintaining high clinical vigilance, ensuring prompt diagnosis, timely escalation of care, multidisciplinary involvement, early initiation of antibiotics, fluid resuscitation, and effective source control of the infection. Additionally, comprehensive support for the patient and their family should be provided even after hospital discharge to aid in their return to normality.

References

1. Say L et al. Global causes of maternal death: a WHO systematic analysis. Lancet Glob Health. 2024;2(6):e323-33.

2. Mothers and Babies: Reducing Risk through Audits and Confidential Enquiries across the UK (MBRRACEUK). Saving lives, improving mother’s care. 2024. Available at: https://www. npeu.ox.ac.uk/assets/downloads/ mbrrace-uk/reports/maternalreport-2024/MBRRACE-UK%20 Maternal%20MAIN%20Report%20 2024%20V2.0%20ONLINE.pdf. Last accessed: 18 March 2025.

3. Lissauer D et al.; the Royal College of Obstetrics and Gynaecology. Identification and management of maternal sepsis during and following pregnancy. BJOG. 2024;132(4):e61-85.

4. Sherwood E et al. Invasive group A streptococcal disease in pregnant women and young children: a systematic review and meta-analysis. Lancet Infect Dis. 2022;22(7):1076-88.

5. Leonard A et al. Severe group A streptococcal infections in mothers and their new-borns in London and the South East, 2010–2016: assessment of risk and audit of public health management. BJOG. 2019;126(1):44-53.

6. Donders G et al. Genital tract GAS infection ISIDOG guidelines. J Clin Med. 2021;10(9):2043.

7. UK Health Security Agency. UK guidelines for the management of contacts of invasive group A streptococcus (iGAS) infection in community settings. 2023. Available at: https://assets.publishing.service.gov. uk/media/64071ec5d3bf7f25fa417a91/ Management-of-contacts-of-invasivegroup-a-streptococcus.pdf. Last accessed: 01 February 2025.

8. Health Protection Agency, Group A Streptococcus Working Group. Interim UK guidelines for management of close community contacts of invasive group A streptococcal disease. Commun Dis Public Health. 2004;7(4):354-61.

9. Efstratiou A, Lamagni T, “Epidemiology of streptococcus pyogenes,” Ferretti JJ et al. (eds.), Streptococcus pyogenes: basic biology to clinical manifestations (2020) 2nd edition, Oklahoma City: University of Oklahoma Health Sciences Center, pp.5-7.

10. UK Health Security Agency. Group A streptococcal infections: seasonal activity in England, 2024 to 2025. 2025. Available at: https://www.gov. uk/government/publications/groupa-streptococcal-infections-seasonalactivity-in-england-2024-to-2025. Last accessed: 30 March 2025.

11. Yoshizawa S et al. Streptococcal toxic shock syndrome caused by β-haemolytic streptococci: clinical features and cytokine and chemokine analyses of 15 cases. J Infect Chemother. 2019;25(5):355-61.

12. Harris K et al. Outcomes and management of pregnancy and puerperal group A streptococcal infections: a systematic review. Acta Obstet Gynecol Scand. 2023;102(2):138-57.

If you like it,why not share it...

Share with a colleague today

Turn static files into dynamic content formats.

Create a flipbook