Revista Asociación Dermatología Veterinaria - Volumen 2 Número 1

Page 1

Dermatología Veterinaria Volumen 2, Número 1 / 2022 ISSN 2665-654X Revista ACDV ASOCIAción colombiana de dermatología veterinaria

Revista de la Asociación Colombiana de Dermatología Veterinaria Volumen 2, Número 1 / 2022 ISSN 2665-654X

Presidente

Viviana Cuartas Cortés presidente@acdv.com.co

Editora Jefe

Ana Milena Carmona Gil MV, Esp., MSc.,

Codirectora DermaVet Centro de Dermatología Veterinaria SAS Miembro ACDV, SLDV revistaacdv@gmail.com

Comité editorial

Sara Carmona MVZ, MSc

Codirectora DermaVet Centro de Dermatología Veterinaria Medellín, Colombia

Docente de cátedra del área de dermatología hospital veterinario U de A. Miembro ACDV, SLDV

Jorge Guzmán Rodríguez MVZ, MSc.(C)

Animal House Dermatología y Spa Cartagena, Colombia Miembro ACDV, SLDV

María Soledad Gonzalez Domínguez Zoot.,MV, Esp., MSc.

Docente titutal Universidad CES

MV CVZ U CES en dermatología Medellín, Colombia Miembro ACDV, SLDV

Paola Andrea Lozano Martínez MV, Esp.

Gerente General y Director Médico Zoooluciones Versátiles SAS Bogotá, Colombia Miembro ACDV.

Adriana Ortiz Bedoya MVZ., MSc., PhD.

Directora del Programa de Medicina Veterinaria y Zootecnia de la Universidad de Santander - Sede Valledupar, Colombia Miembro ACDV

Diagramación

El Editor S.A.S. eleditor.co

Fotografías y Gráficos:

Autores de los casos publicados.

Una Publicación de:

Asociación Colombiana de Dermatología Veterinaria

El contenido del la revista de la ASOCIACIÓN COLOMBIANA DE DERMATOLOGÍA VETERINARIA es de propiedad de sus asociados; queda prohibida su reproducción total o parcial en cualquier medio conocido o por conocerse, así como su traducción a cualquier idioma sin autorización escrita de su titular.

Prólogo

Este cuarto número de la Revista de la Asociación Colombiana de Dermatología veterinaria, ha sido objeto de un trabajo especial por parte del comité editorial, el cual se encauzó desde la convocatoria en una serie de temáticas buscando darle un enfoque práctico, de acuerdo a las fortalezas de los asociados.

Cuando un profesional está convencido de lo que hace, parte imprescindible de su estrategia como especialista, es influir con el propio conocimiento al núcleo de colegas de su especialidad. De hecho en cada especialidad se producen núcleos concéntricos de pequeña y mediana influencia en la orientación científica de determinada área del conocimiento, es por esto que la Asociación Colombiana de Dermatología Veterinaria, le sigue apostando a la educación continuada de sus asociados y a incentivar por parte de los mismos, la divulgación de publicaciones como testimonio de su quehacer profesional.

Desde que en 2019 se publicó la primera revista de la asociación, nuestro objetivo siempre ha sido estar más cerca de una realidad en que la publicación formal de los resultados de los procesos de investigación y los resultados de la práctica diaria basada en la evidencia científica, sean presentados de forma abierta, sin esfuerzo y a gran escala. La investigación tendrá así nuevas posibilidades para influir y alcanzar repercusión en la comunidad académica de un modo sorprendente, directo e indirecto, que en estos momentos apenas podemos percibir en Colombia.

Este es el último número que se publicará desde esta presidencia y es por eso, que quiero agradecer a quiénes han hecho parte del comité

editorial a lo largo de estos cuatro años, por su trabajo denodado y desinteresado y a los asociados que han presentado sus publicaciones y que decidieron crecer profesionalmente siendo generosos compartiendo su conocimiento y su experiencia profesional.

Me permito a continuación citar dos frases de Yolanda Auza Gómez, “Quiendaconocimiento conserva todo el conocimiento y quien lo recibe sabe más y comúnmente entrega más conocimiento generando entonces un círculo virtuoso” “Ser generoso en compartir conocimiento nos hace crecer, permite que otros hagan lo que yo sé, para que yo avance” . De esta manera invito a los asociados y demás colegas interesados en la dermatología veterinaria de pequeñas especies animales a enviar sus aportes a nuestra revista, casos clínicos, monografías o revisiones de literatura, a compartir su conocimiento para que todos crezcamos en la especialidad.

Atentamente,

Viviana Cuartas Cortés Presidente Asociación Colombiana de dermatología Veterinaria.

Asociación Colombiana de Dermatología Veterinaria2 ACDV ASOCIAción colombiana de dermatología veterinaria

Tabla de contenido

Revista de la Asociación Colombiana de Dermatología Veterinaria Volumen 2, Número 1 / 2022 ISSN 2665-654X

Prólogo

Síndrome hepatocutáneo canino: estudio retrospectivo de tres casos clínicos. Canine hepatocutaneous syndrome: Retrospective study of three clinical cases.

Histiocitoma cutáneo benigno: reporte de un caso. Benign cutaneous histiocytoma: a case report.

Pénfigo foliáceo en un gato persa, reporte de caso en Arequipa, Perú. Pemphigus foliaceus in a Persian cat, case report in Arequipa, Perú.

Eficacia del tratamiento con fluralaner tópico reportado en un caso de un gato naturalmente infestado con Lynxacarusradovsky , en la ciudad de Cartagena, Colombia.

Efficacy of treatment with topical fluralaner reported in a case of naturally infested cat with Lynxacarusradovsky , in the city of Cartagena, Colombia.

Visita: acdv.com.co

3
2 4 8 12 16

Síndrome hepatocutáneo canino: estudio retrospectivo de tres casos clínicos.

Canine hepatocutaneous syndrome: Retrospective study of three clinical cases.

Alejandro Diego Blanco, MV, DLACVD1; Marcelo José Duarte, MV, DLACVD1; Nancy Raquel Nosach, Esp. Vet2.

1Certificado de LACVD. Docente del Hospital Escuela de la Facultad de Ciencias Veterinarias de la Universidad de Buenos Aires. Servicio de Dermatología. Facultad de Ciencias Veterinarias. Universidad de Buenos Aires. Argentina.

2Veterinaria. Especialista en docencia universitaria para Ciencias Veterinarias y Biológicas. Laboratorio del Hospital Escuela. Cátedra de Patología Clínica y Enfermedades Médicas. Facultad de Ciencias Veterinarias. Universidad de Buenos Aires. Argentina. Correo electrónico: nancynosach@yahoo.com.ar

Resumen:

Tres caninos adultos fueron diagnosticados con síndrome hepatocutáneo después de una serie de procedimientos clínicos y dermatológicos. Los hallazgos dermatológicos incluyeron lesiones erosivas, ulcerativas y costrosas localizadas en áreas de fricción, almohadillas podales y uniones mucocutáneas. El diagnóstico por imágenes mostró lesiones hepáticas y el examen histopatológico de las muestras de piel revelaron hiperqueratosis paraqueratósica superficial con vacuolización de los queratinocitos de la capa epidérmica media junto con hiperplasia de queratinocitos basales. Si bien la etiopatogenia de la enfermedad no se conoce con certeza y debido a que los tres pacientes compartían el hecho de haber recibido fenobarbital durante muchos años, es posible sospechar que el desarrollo de esta patología en estos pacientes podría ser presumiblemente secundario al daño hepático causado por la prolongada administración de este fármaco hepatotóxico.

Palabras clave: eritema migratorio necrolítico, glucagonoma, hepatopatía, hipoaminoacidemia.

Introducción:

El síndrome hepatocutáneo se define como un trastorno necrotizante poco frecuente de la piel de los caninos y de muy baja incidencia en los felinos que se desarrolla como consecuencia de una alteración metabólica probablemente de origen hepático y / o debido a un posible aumento de la secreción de glucagón, ya sea de origen hepático o pancreático3, 5, 6. Dichas alteraciones metabólicas conllevan a una disminución en los niveles de aminoácidos esenciales, así como una reducción en los niveles de albúmina y zinc6 los cuales podrían ser responsables de la desnutrición de los queratinocitos epidérmicos en constante recambio lo que podría promover posteriormente al desarrollo de lesiones características, principalmente en áreas de fricción o trauma constante como puntos de apoyo, almohadillas podales y uniones mucocutáneas6. Para llegar al diagnóstico es imprescindible la realización de estudios complementarios como análisis de sangre completos, ecografía abdominal, junto con el estudio histopatológico tanto de las lesiones cutáneas como de las halladas en órganos internos3, 5. El tratamiento consiste en controlar y eliminar la causa orgánica subyacente además de la administración de suplementos

dietéticos3 y aminoácidos esenciales, la administración de análogos de somatostatina (inhibe el paso de proglucagón a glucagón)4, terapia con células madre mesenquimáticas que promuevan la angiogénesis y estimulen la regeneración de los hepatocitos3 así como la resolución conjunta de infecciones bacterianas secundarias o cualquier otro factor que pudiera favorecer o complicar el estado clínico del paciente6

El objetivo de este trabajo es presentar tres casos clínicos de pacientes caninos que recibieron fenobarbital como fármaco anticonvulsivo y que se presentaron para consulta con lesiones dermatológicas, signos clínicos, resultados de laboratorio e imágenes compatibles con síndrome hepatocutáneo y cuyo diagnóstico definitivo se alcanzó mediante histopatología realizada en muestras tomadas de biopsias de piel.

Casos clínicos:

Los siguientes tres pacientes se presentaron para consulta durante un período de dos años desde enero de 2018 hasta diciembre de 2019.

La primera paciente, una canina mestiza castrada de 10 años, presentó en el momento de la consulta lesiones erosivas, ulcerativas y costrosas de dos meses

de evolución localizadas en labios y pabellones auriculares, descamación en diferentes zonas del cuerpo junto con erosiones y úlceras a nivel de las almohadillas podales (Figura 1 y 2).

A nivel clínico, el paciente manifestó decaimiento, vómitos aislados, disminución del apetito, pérdida progresiva de peso y deterioro de su estado general.

Figura 1: úlceras a nivel de las almohadillas podales (Paciente 1).

Figura 2: úlceras junto a grandes escamas adheridas. Lesiones ubicadas a nivel de las almohadillas podales (Paciente 1).

Asociación Colombiana de Dermatología Veterinaria4 ACDV ASOCIAción colombiana de dermatología veterinaria

Síndrome hepatocutáneo canino: estudio retrospectivo de tres casos clínicos.

Volumen 2, Número 1 / 2022 ISSN 2665-654X

La segunda paciente, una canina mestiza de 11 años, presentó lesiones eritematosas, húmedas, erosivas, ulcerativas y costrosas en labios (Figura 3), tórax y piel del abdomen de tres meses de evolución. Las erosiones y la presencia de costras también fueron evidentes a nivel dorsal en los dedos de las cuatro extremidades (Figura 4). Las almohadillas de las patas presentaron erosiones leves e hiperqueratosis. El paciente estaba deprimido, anoréxico y presentó vómitos biliosos esporádicos.

El tercer paciente, un canino border collie macho castrado de 8 años, presentó lesiones erosivas, ulcerativas y costrosas junto a hiperqueratosis de las almohadillas podales (Figura 5). Se detectó descamación severa en diferentes áreas del cuerpo, especialmente en puntos de presión (Figura 6). También presentó alopecia y escamas leves en párpados y erosiones en las comisuras labiales junto con eritema, collaretes epidérmicos y costras en abdomen y escroto.

Figura 6: lesiones descamativas e hiperqueratósicas ubicadas en puntos de presión (articulación del codo) (Paciente 3).

Los pacientes compartían, además de las lesiones clínicas, que los tres habían recibido fenobarbital por cuadros convulsivos por lo menos durante 3 años para el caso uno y durante 5 años para los casos dos y tres.

El protocolo para establecer el diagnóstico fue similar para los tres casos, realizándose en primera instancia un raspado cutáneo que resultó negativo en todos los caninos. Posteriormente, se realizó un estudio citológico, tomando muestras de debajo de las costras y observándose un sobrecrecimiento bacteriano en los tres pacientes con ausencia de células inflamatorias. Se realizaron análisis de sangre y análisis de orina cuyos resultados se muestran en la tabla 1.

Parámetros Paciente 1 Paciente 2 Paciente 3 Valores de referencia

Recuento de glóbulos rojos (cel/mm3) 4600000 3930000 5630000 5000000-8000000 cel/mm3

Hemoglobina (g/dl)

13,1 8,2 13,9 12-18 g/dl

Recuento de glóbulos blancos (cel/mm3) 13500 8200 8900 6.000-17.000 cel/mm3

Urea (mg/dl) 19 37 30 20-40 mg/dl

Creatinina (mg/dl)

0,97 0,65 0,88 hasta 1,5 mg/dl

Alanina amino transferasa (U/l) 9 150 643 hasta 80 U/l

Aspartato amino transferasa (U/l) 10 30 439 hasta 80 U/l

Fosfatasa alcalina sérica (U/l) 375 516 2819 hasta 300 U/l

Proteínas totales (g%) 6,3 6,1 7,0 5,7-7,5 g%

Albúmina (g%) 2,2 2,1 2,3 2,4-3.6 g%

Glucemia (mg/dl) 126 236 454 Glucemia (mg/dl)

Bilirrubina total (mg/dl) 0,8 0,6 2,8 hasta 0,8 mg/dl

A nivel ecográfico, el paciente 1 y el paciente 2 mostraron una alteración tanto en la textura como en la morfología del hígado caracterizada por la presencia de regiones hipoecoicas rodeadas de bordes hiperecoicos, hallazgo conocido como lesión de panal de abeja o queso suizo. En cuanto al paciente 3, se observó un hígado con parénquima difusamente heterogéneo a expensas de múltiples imágenes nodulares ligeramente hipoecoicas con respecto al parénquima de base sugestivas de hiperplasia nodular / enfermedad hepática metabólica. Cabe señalar que en ninguno de los tres pacientes se detectaron anomalías a nivel pancreático evidentes por ecografía. El estudio histopatológico de las muestras cutáneas reveló hiperqueratosis paraqueratósica difusa superficial con vacuolización de los queratinocitos de la capa epidérmica media junto con hiperplasia de queratinocitos basales compatible con síndrome hepatocutáneo.

A los pacientes 1 y 2 se les prescribió una reducción gradual de la dosis de fenobarbital acompañada de un suplemento dietario, terapia tópica con champús con clorhexidina al 2% y ácido ursodesoxicólico a una dosis de 15 mg / kg por vía oral cada 12 horas. Al paciente 2 también se le prescribió un tratamiento con insulina porque a pesar del tratamiento implementado la elevación constante de los valores de glucemia condujeron al diagnóstico concomitante de diabetes mellitus. A los pacientes 1 y 2 se les realizaron controles periódicos. Las lesiones mejoraron parcialmente en ambos pacientes y el estado clínico también por lo que se mantuvo una terapia tópica sumado a un complejo vitamínico mineral y una alimentación balanceada específica para pacientes con hepatopatías. Debido al mal estado general del paciente 3, este último se le realizó la eutanasia. Los hallazgos de la necropsia revelaron un hígado completamente nodular con características compatibles con cirrosis (Figura 7).

Figura 3: lesiones eritematosas, erosivas y húmedas de localización labial, perilabial, nasal y perinasal. Puede evidenciarse un cambio en la coloración de la trufa (Paciente 2). Figura 4: lesiones eritematosas y costrosas en dorsal de los dedos (Paciente 2). Figura 5: lesiones hiperqueratósicas en almohadillas podales (Paciente 3).
5
Visita: acdv.com.co Revista de la Asociación Colombiana de Dermatología Veterinaria

Figura 7: múltiples nódulos a nivel de todo el parénquima hepático (Paciente 3)

Tanto los procedimientos como los tratamientos implementados fueron aprobados por los propietarios siguiendo pautas éticas.

Discusión:

La manifestación de determinadas lesiones a nivel cutáneo puede en algunas situaciones ser considerada un marcador externo secundario a un desorden metabólico interno como sucede en el caso del síndrome hepatocutáneo5, 6. Es por esto menester remarcar la importancia del diagnóstico precoz sin subestimar ningún tipo de lesión o signo clínico. En nuestro caso en particular, los tres pacientes manifestaron lesiones cutáneas de dos a tres meses de evolución previo al desarrollo de signología clínica relativamente inespecífica.

La bibliografía contempla como posibles inductores de las lesiones dérmicas el descenso en la cantidad de aminoácidos esenciales fundamentales para la nutrición de los queratinocitos en constante recambio2, 3. Un descenso en los niveles de albúmina y zinc podrían estar también involucrados en el desarrollo de dicha patología. Dichas reducciones podrían promover así al desarrollo de lesiones necróticas características de esta enfermedad sumado a un dermograma típico2, 6. En nuestro caso en particular, las lesiones que desarrollaron los tres pacientes incluyeron alopecia, eritema, erosiones, úlceras, costras, fisuras e hiperqueratosis con una distribución periocular, perilabial, escrotal, puntos de presión y a nivel de almohadillas podales. Cabe

remarcar que tanto las lesiones como los dermogramas de los pacientes estudiados fueron equivalentes a los descriptos por la bibliografía consultada compatibles con esta enfermedad2, 6

La presencia de signos inespecíficos es esperable propia de la patología hepática o de enfermedades concomitantes o subyacentes que pueden desarrollarse y acompañar al proceso nosológico primario. La literatura científica consultada reporta que los pacientes pueden presentar junto a las lesiones cutáneas ya descriptas anorexia, decaimiento, debilidad, deshidratación, polidipsia, poliuria y pérdida de peso2, 6. En el presente trabajo se presentan pacientes tanto con signología cutánea como sistémica aunque esta última fue bastante inespecífica incluyendo decaimiento, anorexia, vómitos y pérdida de peso. Tambien se ha reportado el desarrollo en forma conjunta de diabetes mellitus en un 25-40% de los caninos con esta enfermedad6. Si bien la literatura consultada no explicita los mecanismos fisiopatológicos que fundamenten el desarrollo de diabetes mellitus en pacientes con síndrome hepatocutáneo, se sugiere que el desarrollo de esta patología endocrinológica podría corresponder a una enfermedad previa en dichos pacientes o desarrollarse a consecuencia del glucagonoma pancreático1, 2, 6 . Coincidente con lo hallado en la literatura, los paciente 2 y 3 mostraron elevaciones sustanciales del valor de glucemia. Si bien el paciente 3 se le realizó la eutanasia por el mal estado que presentaba, se arribó en forma conjunta a un diagnóstico de diabetes mellitus en el paciente 2 debido a que sus valores de glucemia no se restablecieron a pesar del tratamiento implementado. No está claro si el paciente desarrolló diabetes mellitus en forma secundaria al síndrome hepatocutáneo o si ya padecía de esta patología en forma previa debido a la falta de información clínica y de laboratorio precedente.

En medicina humana este síndrome se encuentra mayormente correlacionado a la presencia de tumores pancreáticos productores de glucagón y en mucha menor medida asociado a cirrosis hepática o pancreatitis5. En medicina veterinaria en cambio, la balanza se invierte reportándose como principal etiología a las disfunciones hepáticas generalmente secundarias a la administración de drogas hepatotóxicas como el fenobarbital o a la exposición de toxinas en forma crónica1, 2, 3, quedando como etiología relegada a un segundo lugar la presencia de neoplasias pancreáticas productoras de glucagón4. Las imágenes obtenidas por ecografía de los tres pacientes presentados identificaron la presencia de cambios en la estructura del parénquima hepático. Dichos cambios ecográficos podrían sugerir la disfuncionalidad hepática y señalar a dicho órgano como probable etiología del desbalance metabólico que condujo a la alteración a nivel epidérmico. Cabe destacar que en ninguno de los tres pacientes se observaron alteraciones a nivel pancreático. La literatura reporta que los pacientes con síndrome hepatocutáneo secundario a la administración prolongada de fenobarbital tienden a presentar además de la signología cutánea característica de esta patología, mal estado general, pudiendo presentar ascitis, hipoalbuminemia, valores de urea disminuidos sumado al aumento de ácidos biliares6. Estos mismos pacientes presentan una reducción del tamaño hepático, fibrosis y cirrosis. Los autores contrastan esta característica diferencial con respecto a pacientes con síndrome hepatocutáneo de otra índole en cuyos casos el hallazgo de fibrosis o cirrosis hepática no es frecuente2. En nuestro caso en particular, los tres pacientes demostraron alteraciones en el parénquima hepático a nivel ecográfico, y en el paciente 3 la necropsia reveló un hígado con presencia de múltiples nódulos compatible con un diagnóstico de cirrosis.

Las alteraciones evidenciadas a nivel histopatológico de las muestras de piel biopsiadas permitieron arribar al diagnóstico definitivo en estos tres pacientes. Si bien existen otras patologías capaces de generar lesiones necrotizantes5 a nivel cutáneo que podrían confundirse al momento del diagnóstico con el síndrome hepatocutáneo, a nivel histopatológico dicho síndrome se caracteriza por presentar alteraciones epidérmicas típicas que permiten arribar a su diagnóstico definitivo1, 3. Dichos cambios histopatológicos incluyen hiperqueratosis paraqueratósica difusa superficial con vacuolización de los queratinocitos de la capa epidérmica media junto con hiperplasia de queratinocitos basales6

En cuanto al tratamiento de elección implementado en nuestros pacientes 1 y 2 este último se fundamentó en eliminar la causa de base promotora de enfermedad, administrar dietas ricas en nutrientes de alto valor biológico y suplementos de aminoácidos esenciales junto a terapia tópica acorde a fin de reducir al máximo el desarrollo de infecciones bacterianas secundarias.

Si bien la etiología de esta patología no se pudo determinar con certeza en los tres casos descritos, debido a que los tres pacientes compartían el hecho de que habían recibido fenobarbital como anticonvulsivo durante varios años y al hecho de que este es considerado un fármaco hepatotóxico es posible conjeturar que el deterioro de los queratinocitos y consecuentemente los síntomas cutáneos manifestados por los tres pacientes podrían estar sujetos al desequilibrio metabólico secundario al daño hepático causado por la administración prolongada de dicho fármaco.

Canine hepatocutaneous syndrome: Retrospective study of three clinical cases.
Asociación Colombiana de Dermatología Veterinaria6 ACDV ASOCIAción colombiana de dermatología veterinaria

Síndrome hepatocutáneo canino: estudio retrospectivo de tres casos clínicos.

Revista de la Asociación Colombiana de Dermatología Veterinaria Volumen 2, Número 1 / 2022 ISSN 2665-654X

Conclusión:

A pesar del bajo número de casos presentados pero teniendo en cuenta la baja incidencia que esta patología tiene en medicina veterinaria es posible remarcar la importancia que tienen las drogas hepatotóxicas en el desarrollo de esta enfermedad. Contrario a lo que sucede en medicina humana donde la principal causa suelen ser los glucagonomas, con este trabajo se refuerzan los supuestos planteados por la bibliografía veterinaria postulando a los desórdenes metabólicos de índole hepático, generalmente secundarios a la administración de determinadas drogas como el fenobarbital, como principales causas probables de dicha patología.

Conflicto de interés: Ninguno de los autores tiene conflicto de interés que declarar.

Referencias:

1. Bevier, D; Miller, M; Rohleder, J; Wozniak, A. Pathology in Practice: case report. JAVMA, Vol 237, No. 4, August 15, 2010.

2. March, P; Hillier, A; Weisbrode, S; Mattoon, J; Johnson, S; Di Bartola, S; Brofman, P. Superficial Necrolytic Dermatitis in 11 Dogs with a History of Phenobarbital Administration (1995–2002). J Vet Intern Med 2004;18:65–74.

3. Nam, A; Han, S; Go, D; Kim, D; Seo, K; Youn, H. Long-Term Management with Adipose Tissue-Derived Mesenchymal Stem Cells and Conventional Treatment in a Dog with Hepatocutaneous Syndrome. Case Report. J Vet Intern Med 2017.

4. Oberkirchner, U; Linder, K; Zadrozny, L; Olivry, T. Successful treatment of canine necrolytic migratory erythema (superficial necrolytic dermatitis) due to metastatic glucagonoma with octreotide. Veterinary dermatology. October 2010.

5. Ormaechea-Pérez, N; Arregui-Murua, M; López-Pestaña, A; López-Núñez, M; Jaka-Moreno, A; Tuneu-Valls, A. Eritema necrolítico migratorio como marcador de síndrome del glucagonoma. Caso clínico. Med Cutan Iber Lat Am 2013;41(2):70-73.

6. Outerbridge, C. Cutaneous Manifestations of Internal Diseases. 2013. Vet Clin Small Anim 43 (2013) 135–152.

Visita: acdv.com.co

7

Histiocitoma cutáneo benigno: reporte de un caso. Benign cutaneous histiocytoma: a case report.

Luis Fernando Chica Chica, MVZ*

*Práctica privada Dermavet, Cra 24B # 42-47, Ed. Dos Álamos, Barrio Vélez, Manizales, Colombia.

E-mail: dermavetmanizales@gmail.com

Resumen

El Histiocitoma cutáneo benigno es un tumor de células redondas, exclusivo de los caninos, común en perros jóvenes (menores tres años de edad); aunque puede observarse en pacientes de todas las edades; se caracteriza por ser autolimitante, alrededor de unos pocos meses posteriores a su aparición; no obstante, en casos raros puede hacerse persistente. Suele ser altamente exfoliativo y brinda muestras citológicas con alta celularidad; las células están separadas, aunque, como son muchas, pueden observarse amontonadas, y son característicamente redondeadas, con núcleos centrales o algo excéntricos. Los tumores más antiguos a menudo están ulcerados y con áreas de necrosis, que pueden ser extensas en los márgenes profundo y lateral. Se presenta el caso de un canino joven que tenía una nodulación cutánea en un codo, se hizo el diagnóstico vía paf y citología, además del seguimiento hasta su remisión espontánea completa.

Summary

Benign cutaneous histiocytoma is a round cell tumor, exclusive to canines, common in young dogs (under three years of age); although it can be observed in patients of all ages; it is characterized by being self-limiting, around a few months after its appearance; however, in rare cases it can become persistent. It is usually highly exfoliative and provides cytological samples with high cellularity; the cells are separate, although, as there are many, they can be seen crowded, and they are characteristically rounded, with central or somewhat eccentric nuclei. Older tumors are often ulcerated and have areas of necrosis, which may be extensive at the deep and lateral margins. We present the case of a young canine that had a skin nodulation on an elbow, the diagnosis was made via fine needle aspiration and cytology, in addition to follow-up until complete spontaneous remission.

Introducción

El Histiocitoma cutáneo benigno hace parte de las enfermedades histiocíticas caninas que se originan de las células dendríticas residentes en la epidermis, la dermis y el subcutis; es una proliferación benigna de células de Langerhans que regresa espontáneamente, las células presentadoras de antígeno residentes en la epidermis¹; dicha regresión está asociada con la infiltración del tumor por linfocitos T citotóxicos². Es maligno solo si le localiza en el conducto auditivo; de presentación muy poco frecuente en el gato³. Se desconoce su causa, aunque es más probablemente una proliferación única o hiperplasia reactiva en lugar de una verdadera neoplasia4. Puede quedar una cicatriz después de su desaparición³.

La mayoría ocurren en perros menores de cuatro años; pero pueden ser afectados perros de cualquier edad5. El 50% ocurre en perros menores de dos años². Una predilección racial ha sido documentada en Boxer, Teckel, Cocker spaniels, Gran danés, Pastor de Shetland, Bull terrier4; y Terrier escocés5

Usualmente aparece como un único nódulo localizado principalmente en las extremidades, la cabeza y pabellones auriculares, pero puede crecer en cualquier parte del cuerpo; en general, con forma de botón, alopécico, con superficie eritematosa y crecimiento acelerado; se han reportado múltiples nódulos, especialmente en perros Sharpei¹. Un pequeño porcentaje de perros tendrá múltiples histiocitomas cutáneos, ya sea sincrónica o secuencialmente5

Las muestras son altamente celulares y se caracterizan por células redondas discretas con ligera anisocitosis, núcleo central o excéntrico, redondo u oval, a menudo tiene una indentación profunda que le confiere una característica forma arriñonada, la cromatina es regular o punteada y el nucleolo, cuando es visible, es pequeño; el citoplasma es de moderado a abundante y ligeramente basofílico o gris pálido, puede tener un bajo número de vacuolas. Cuando las muestras son colectadas en fase de regresión se caracterizan por una variable número de linfocitos pequeños¹.

Aunque sea un tumor benigno es posible la presencia de rasgos nucleares de malignidad³.

Palabras clave: autolimitante, caninos, histiocitos, tumor benigno. Keywords: benign tumor, canines, histiocytes, selflimiting.
Asociación Colombiana de Dermatología Veterinaria8 ACDV ASOCIAción colombiana de dermatología veterinaria

Histiocitoma cutáneo benigno: reporte de un caso

Numerosas figuras mitóticas y un perímetro difuso le dan la apariencia de una neoplasia maligna; esto puede llevar a que sea mal diagnosticado por patólogos no veterinarios que no están familiarizados con este tipo de tumor².

La escisión quirúrgica completa es curativa, la regresión está caracterizada por infiltración linfocítica, por tanto, la terapia con medicaciones inmunosupresoras está contraindicada6; la terapia con corticoides (tópicos o sistémicos) inhibe esta respuesta inmune y tiende a perpetuarlo y agrandarlo, puede incluso ulcerarse7. La linfadenopatía es común, porque las células de Langerhans migran hacia los linfonodos regionales6

El tratamiento puede incluir también criocirugía y electrocirugía. La escisión quirúrgica está indicada sobre todo en casos que se ulceran, infectan o son muy pruriginosos4

Evaluación del paciente

Anamnesis: se recibe en consulta un canino Bulldog inglés de 16 meses de edad; una semana antes le habían notado un área enrojecida, sobresaliente, con pérdida de pelo, en el codo derecho; no reportaban prurito, ni antecedentes de traumas.

Hallazgos al examen clínico: A la revisión general se encontraron variables fisiológicas dentro de los parámetros normales, mucosas rosadas, condición corporal 3/5; paciente clínicamente sano. Se observó un tumor cutáneo alopécico, eritematoso, de 1,2 cm de diámetro y de consistencia dura, caudodistal al codo derecho. (Figuras 1 y 2).

Revista de la Asociación Colombiana de Dermatología Veterinaria Volumen 2, Número 1 / 2022 ISSN 2665-654X

Ayudas diagnósticas: Se tomó muestra por la técnica de punción con aguja fina (Paf), sin aspiración, previa preparación aséptica de la zona; se hizo extendido en portaobjetos y se realizó la tinción Diff Quick®. A la revisión citológica hay un fondo hemorrágico con numerosas células redondas aisladas, de moderado pleomorfismo; escaso a moderado citoplasma de ligera basofilia, con límites netos; núcleos ovalados o redondos, cromatina punteada y ocasionales binucleaciones. Tanto la reseña del paciente, la anamnesis, los hallazgos clínicos, como los citológicos (Figuras 3 a 6), fueron compatibles con un Histiocitoma cutáneo benigno.

Figuras 3, 4, 5 y 6. Citología: Fondo hemorrágico, numerosas células redondas aisladas, moderado pleomorfismo; núcleos de escasa anisocariosis, cromatina punteada.

Enfoque del tratamiento

El propietario recibió una detallada explicación sobre las características e implicaciones que tiene este tipo de neoformación y por ende se recomendó hacer observación sin tratamiento; además, se propuso un monitoreo periódico para evaluar el comportamiento de la lesión, con especial énfasis en el hecho de no utilizar ningún tipo de medicación (ni tópica, ni sistémica) para evitar que el Histiocitoma se hiciera persiste y/o se complicara.

Día 17: la masa había crecido en forma significativa, su diámetro era de 2,5 cm y tenía el tamaño de una canica grande; adicionalmente, presentaba una costra en su zona central. (Figuras 7 y 8). La propietaria indicó que el paciente bajaba las escalas de la casa frotando sus codos contra los bordes de los escalones, para ella esta era la causa de dicha complicación.

Figuras 7 y 8. Día 17: Crecimiento significativo del tumor, costra superficial.

Visita: acdv.com.co

Figuras 1 y 2. Día 0 (Consulta): Neoformación cutánea, alopécica, eritematosa, redondeada, caudo-distal al codo derecho.
9

Benign cutaneous histiocytoma: a case report.

Discusión

El autor ha encontrado este tipo de neoformación con relativa frecuencia, principalmente en perros jóvenes, aunque también en pacientes añosos (el mayor contaba con 12 años); sin predilección racial, ni sexual. Las localizaciones han sido diversas: cabeza, cara, lomo, tórax ventral, muslos, incluso en la planta de un pie; la gran mayoría han tenido regresión espontánea en los términos descritos por la literatura, sin dejar ninguna “huella”; no obstante, algunos se han complicado con necrosis parcial de la superficie, incluso con esfacelación de dichas áreas, particularmente aquellos que han tenido un mayor tamaño; uno de los cuáles, se ubicaba en la zona toraco-abdominal ventral, con un diámetro de 5 cm, paciente al que se le perdió el rastro; pudo haber sido desatendida la recomendación de no medicarlo y utilizarse algún triconjugado (cosa que sucede con mucha frecuencia en pacientes dermatópatas), lo que habría favorecido el desarrollo del tumor y por ende su complicación.

Los hallazgos citológicos han sido los típicos, con la abundante celularidad descrita y un importante pleomorfismo, que es el principal criterio de malignidad; pero, como lo afirma la Doctora Laura Denzoin “el Histiocitoma cutáneo benigno es la excepción al pleomorfismo”.

Este paciente tenía una particularidad, cinco meses antes del diagnóstico, tuvo una lesión similar en otra localización; el clínico que asumió el caso formuló una crema dermatológica; pasados unos días, al no ver mejoría, decidió hacer biopsia escisional y enviarlo a un patólogo humano, el cual reportó una neoplasia de células redondas, probablemente un linfoma, e hizo la recomendación de realizar inmunohistoquímica para confirmarlo (cosa que no se llevó a cabo); la tutora decidió no avanzar más con dicho proceso diagnóstico. Muy probablemente aquel tumor se

trataba también de un Histiocitoma cutáneo benigno. Lo anterior coincidiría con otra afirmación de la Doctora Denzoin: “Si ustedes le envían un Histiocitoma cutáneo benigno a un patólogo humano, él les dice que el perro se muere mañana”; algo similar afirma otro de los autores consultados².

Día 30: La neoformación se había tornado ovalada, con 2,5 cm de alto x 1.5 cm de ancho; no era tan sobresaliente y la costra ocupaba casi toda la periferia. (Figuras 9 y 10). Figuras 9 y 10. Día 30: Masa de menor espesor, ovalada, con costra superficial. Día 52: La lesión prácticamente no sobresalía, la costra había desaparecido casi por completo y se observaba algún crecimiento de pelo, el diámetro era de 1,5 cm. (Figuras 11 y 12). Figuras 11 y 12. Día 52: La lesión no sobresalía, tenía menor diámetro y escaso recrecimiento de pelo. Día 94: Codo completamente normal, sin evidencia de haber tenido ninguna lesión. (Figuras 13 y 14). Figuras 13 y 14. Día 94: Remisión completa, codo normal.
Asociación Colombiana de Dermatología Veterinaria10 ACDV ASOCIAción colombiana de dermatología veterinaria

Histiocitoma cutáneo benigno: reporte de un caso

Conclusiones

• Con este caso confirmamos lo que señala la literatura sobre el Histiocitoma cutáneo benigno: sus características fenotípicas, su comportamiento y su autolimitación.

• Es gratificante “dar un parte de tranquilidad” al propietario en el sentido de que lo que tiene su mascota no reviste gravedad y no será necesario someterla a procesos anestésicos y quirúrgicos, con los riesgos impredecibles que éstos pueden acarrear.

• La Citología es uno de los procedimientos que nos permite hacer medicina basada en la evidencia, en nuestro consultorio, por mano propia y sin grandes inversiones; está al alcance de todos.

Revista de la Asociación Colombiana de Dermatología Veterinaria Volumen 2, Número 1 / 2022 ISSN 2665-654X

Referencias bibliográficas

1. Albanese, F. Canine and feline skin cytology, a comprehensive and illustrated guide to the interpretation of skin lesions via cytological examination. 1th ed. Cham: Springer international publishing; 2017. 335-342.

2. Morris, J, Dobson, J. Small animal oncology. 1st ed. London: Blackwell science ltd. 2001. 66.

3. Noli, C, Ghibaudo, G. Dermatología clínica y microscópica del perro y del gato. 1st ed. Zaragoza: Servet editorial. 2010. 248.

4. Miller, W, Griffin, C, Campbell, K. Small animal dermatology. 7th ed. St. Louis: Elsevier Mosby. 2013. 817-818.

5. Meuten, DJ, editor. Tumors in domestic animals. 5th ed. Raleigh: Willey blackwell. 2017. 166-167.

6. Tobias, K, Johnston, S. Veterinary surgery small animal. 1st ed. St. Louis: Elsevier Saunders. 2012.1334-1335.

7. Manzuc, P, Denzoin, L. Atlas de citología de neoplasias cutáneas, Aspecto macroscópico y citológico de los tumores cutáneos más frecuentes en caninos y felinos. 1ª ed. Selecciones veterinarias; Buenos aires: Intermédica. 2017. 13.

Visita: acdv.com.co

11

Pénfigo foliáceo en un gato persa, reporte de caso en Arequipa, Perú. Pemphigus foliaceus in a Persian cat, case report in Arequipa, Perú.

Maritza Hilda Chalco Ramos, MVZ, Esp1. Andrés Gilberto Yepes-Arias, MVZ, Esp2

1Clínica Veterinaria Dr. Mascota, Arequipa, Perú. E-mail: mchlaco16@hotmail.com

2 *Veterinario en casa, Calle 25 Nº32-50, Santa Marta, Colombia. E-mail: agyepes@yahoo.com

Resumen

Se reporta un caso clínico de pénfigo foliáceo en un gato persa que fue presentado a consulta en la ciudad de Arequipa, Republica del Perú debido a lesiones cutáneas costrosas y erosivas. Una vez realizados los exámenes básicos de piel como raspados, tricograma, citología y descartadas enfermedades infecciosas, se inició un plan diagnóstico con la intención de confirmar la presencia de una patología autoinmune. En este reporte de caso se describen los síntomas clínicos, protocolo diagnóstico, tratamiento y evolución del paciente.

Palabras clave: Corticoides, Enfermedad autoinmune, felinos, inhibidores de calcineurina.

Introducción:

Las enfermedades del complejo pénfigo son patologías cutáneas autoinmunes de presentación escasa, con una prevalencia aproximada del 1,3% de la casuística dermatológica en felinos; se ha reportado que afectan animales domésticos como el perro, el gato, el caballo y la cabra (1, 2). Las dos enfermedades principales y más comunes del complejo pénfigo que afectan a animales domésticos y a humanos son el pénfigo foliáceo y

el pénfigo vulgar; otras variantes de menor prevalencia son el pénfigo paraneoplásico, pénfigo vegetante y pénfigo eritematoso (1). El pénfigo eritematoso es una patología de curso benigna considerada en la actualidad como eslabón entre el pénfigo foliáceo y el lupus eritematoso, ya que comparte características tanto clínicas como histopatológicas de estas dos enfermedades; exhibe lesiones faciales de desarrollo gradual como erosiones, ulceraciones y perdida de pigmentación que afectan principalmente el plano nasal, la cara y las orejas (1).

La enfermedad no tiene predilección por sexo o raza, la mayoría de los gatos tienen una edad media cuando desarrollan los síntomas y puede ocurrir de manera espontánea (1, 3); algunos estudios previos han asociado la aparición de signos compatibles con pénfigo en los gatos tras la aplicación de ciertos medicamentos como la cimetidina, ampicilina e itraconazol (4, 19, 20).

El objetivo principal del tratamiento es conducir a una inmunosupresión mediante medicamentos como los corticoides que deben ser usados hasta que los síntomas desaparezcan, una vez logrado esto se debe considerar el uso de otras alternativas terapéuticas tópicas y/o sistémicas con el ánimo de reducir los efectos secundarios de los corticoides, en el gato se ha propuesto otras alternativas como clorambucilo,

ciclosporina, tacrolimus o aceponato de hidrocortisona.

Descripción del caso

Se presenta a consulta paciente felino, persa, macho castrado de seis años y 3.7 kg de peso, residente en la ciudad de Arequipa, Perú, el cual fue llevado a consulta por presentar lesiones costrosas no pruriginosas de 1 a 2 mm de diámetro ubicadas en el puente nasal y zona periocular sin ningún síntoma sistémico ni lesión adicional.

Se procedió a realizar citología en la cual solo se observaron células epiteliales. En vista de que el examen clínico no mostró alguna otra anormalidad y el paciente se encontraba en excelentes condiciones físicas se decidió realizar un control 2 semanas después para observar su evolución. A los diez días vuelve a control con una exacerbación de la sintomatología cutánea y letargo con evolución de dos días según el tutor.

En la revisión clínica, el paciente se encontraba ansioso y receptivo a su entorno, temperatura de 38,8ºC; no se evidenciaron alteraciones en la auscultación torácica, palpación abdominal y demás variables fisiológicas. En el examen dermatológico se observaron erosiones y lesiones costrosas en el puente nasal (Figura 1A), parpado inferior izquierdo (Figura 1B), cuello

y en ambas caras de los pabellones auriculares (Figuras 1C, 1D). Adicionalmente se encontraron lesiones costrosas y pústulas a nivel de la primera mama torácica izquierda. No había afectación de almohadillas plantares, lechos ungueales ni uniones mucocutáneas.

En la citología no se observaron bacterias, pero si abundantes neutrófilos sin cambios degenerativos y presencia de células acantolíticas sugerente de pénfigo foliáceo (Figura 2).

Teniendo en cuenta los signos clínicos, se consideraron como diagnósticos diferenciales: foliculitis bacteriana, sarna notoédrica, pénfigo foliáceo, reacción adversa a medicamentos, enfermedad alérgica y dermatofitosis. El camino diagnóstico inició con raspado cutáneo y tricograma, los cuales fueron negativos para ácaros y el tricograma no evidenció presencia de pelos esporados ni lesiones ectotrix que pudieran sugerir dermatofitosis. Las pruebas hematológicas y químicas sanguíneas no evidenciaron anormalidades al igual que la ecografía abdominal, además se realizó un Snap Combo felino para Vif y ViLeF que resultó negativo para ambas enfermedades. Se tomaron muestras para cultivo micológico el cual dio negativo. Finalmente se realizaron biopsias para histopatología.

Asociación Colombiana de Dermatología Veterinaria12 ACDV ASOCIAción colombiana de dermatología veterinaria

Revista de la Asociación Colombiana de Dermatología Veterinaria Volumen 2, Número 1 / 2022 ISSN 2665-654X

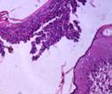
La histopatología confirmó el diagnóstico de pénfigo foliáceo revelando hiperqueratosis paraqueratósica con formación de una extensa pústula intracornual (Figura 3), así como la presencia de vesículas y pústulas suprabasilares (Figura 4A) y numerosas células acantolíticas al interior de las pústulas suprabasilares (Figura 4B).

Figura 3. Corte histopatológico de piel donde se muestra una hiperqueratosis paraqueratósica con formación de pústula intracornual.

piel de un gato persa. A) se evidencia

células acantolíticas (círculos verdes) al interior de una pústula suprabasilar.

Enfoque del tratamiento

Se inició tratamiento con prednisolona a una dosis de 3 mg/kg PO, SID, como terapia sistémica. Adicionalmente se manejó terapia tópica con aceponato de hidrocortisona por siete días y posteriormente tacrolimus 0,1% cada 24 horas hasta la remisión de los signos. Debido a la respuesta favorable el tratamiento continuó y se pudo observar crecimiento de pelo en zonas donde antes existían costras y alopecia, sin embargo, al tratar de disminuir la frecuencia de la prednisolona a cada 72 horas, el paciente presentó recidiva de las lesiones (Figura 5) por lo cual se incrementó la dosis de prednisolona a 5 mg/kg cada 72 horas llevándolo de nuevo a la remisión de los signos clínicos. Posteriormente, se realizó transición de la medicación a ciclosporina oral a una dosis de 7 mg/kg SID para su manejo a largo plazo de forma más segura. Este último esquema con ciclosporina mantuvo al paciente en remisión clínica con ausencia de lesiones costrosas y crecimiento de pelo en zonas antes alopécicas, llegando a una administración cada 48 horas (Figura 6).

Figura 5. Recidiva de las lesiones al disminuir la dosis de la prednisolona a 3 mg/kg cada 72 horas A) lesiones costrosas y erosivas plano nasal . B) Alopecia y erosión en la zona del cuello.

Visita: acdv.com.co

Pénfigo foliáceo en un gato persa, reporte de caso en Arequipa, Perú. Figura 1. Lesiones costrosas y erosivas en A) plano nasal y mentón, B) zona periocular, C) cara interna de la pinna y D) cara externa de la pinna. Figura 2. Citología de lesión costrosa donde se observa un infiltrado inflamatorio neutrofílico sin cambios degenerativos (Flechas amarillas) y células acantolíticas (Flechas rojas). (100 x)
13

Discusión

En los gatos el pénfigo foliáceo es por mucho la enfermedad más común del complejo pénfigo (1, 3, 4, 5). Dicha patología se caracteriza por la pérdida de adhesión entre las células de la epidermis debido a la presencia de autoanticuerpos que atacan a las proteínas estructurales de los desmosomas, ocasionando desprendimiento de las células epidérmicas, lo que se conoce como acantólisis (1, 2, 3). Los desmosomas son estructuras intercelulares que se encargan de mantener la cohesión celular de la epidermis, pero también se pueden encontrar en otros tejidos como miocardio, meninges y células de Purkinje (6). Estas estructuras están formadas por diferentes tipos de proteinas que se dividen en tres familias: las plaquinas (desmoplaquina I y II, envoplaquina, periplaquina), proteínas del dominio del armadillo (placoglobina, placofilina) y las cadherinas (desmogleinas 1, 2, 3 y desmocolinas) (1, 6), dichas proteínas son las que se verán afectadas dependiendo del tipo de pénfigo involucrado, por ejemplo, en el pénfigo foliáceo siempre se consideró que los autoanticuerpos dirigidos a la desmogleina 1 eran la causa principal como sucede en el humano, pero se ha demostrado que los autoanticuerpos mayoritarios en perros con pénfigo foliáceo están dirigidos a la desmocolina 1 (9, 13, 14). En el pénfigo vulgar la desmogleina 3 es la que se ve afectada (1, 4, 6), mientras que en el pénfigo paraneoplásico se ven involucradas la desmogleina 3, periplaquina y envoplaquina (7, 8, 13).

Para la aproximación diagnóstica, la citología es una herramienta bastante útil ya que en la mayoría de los casos se observan abundantes células acantolíticas y un infiltrado neutrofílico sin cambios degenerativos, en menor medida también se puede observar una población eosinofílica (1, 3, 10). Si bien el hallazgo de células acantolíticas sugiere la presencia de pénfigo no se puede dar un diagnóstico definitivo, ya que otras patologías como piodermias severas o dermatofitosis también pueden producir acantólisis (10), por eso estas patologías deben ser descartadas mediante cultivos bacterianos y micológicos. Las pruebas hematológicas y químicas sanguíneas generalmente no muestran cambios significativos (11). La biopsia es el método diagnóstico confirmatorio en donde típicamente se observa la presencia de pústulas subcorneales o intragranulares que contienen numerosas células acantolíticas rodeadas por neutrófilos y a menudo eosinófilos, las cuales pueden afectar varios folículos incluso hasta la zona infundibular (12). Es usual encontrar además edema, congestión vascular e infiltrado hemorrágico (13).

Clínicamente los pacientes presentan una dermatosis de tipo costrosa, descamativa y erosiva producto de la ruptura de las lesiones pustulares que en el gato son mucho más efímeras y frágiles que en el perro (3). De estar presentes las pústulas, se verán más fácilmente en la cara interna de la pinna y alrededor de los pezones (3). Las lesiones se localizan principalmente en la cara, nariz, barbilla y parte interna del pabellón auricular; al igual que en el perro la distribución tiende a ser más o menos simétrica y bilateral, aproximadamente el 10% de los pacientes desarrolla una enfermedad podal caracterizada por afección del lecho ungueal y paroniquia exudativa; las almohadillas plantares usualmente presentan erosiones, costras y lesiones supurativas (1, 2, 3, 4, 6). En muchos casos la enfermedad se puede extender y afectar otras zonas corporales y dar un aspecto similar a la dermatitis miliar, el prurito de leve a severo se presenta en una alta proporción de los pacientes (5), usualmente los gatos cuando llegan a consulta se encuentran febriles, letárgicos y anoréxicos pudiendo requerir hospitalización y terapia de estabilización (1, 3, 4).

Un estudio retrospectivo que incluyó 167 gatos reportó que los individuos más afectados fueros los domésticos de pelo corto representando el 60% de los casos, mientras que el 6% correspondía a gatos persas (5). Algunos estudios previos han asociado la aparición de signos compatibles con pénfigo en los gatos tras la administración de ciertos medicamentos como la cimetidina, ampicilina e itraconazol (4, 19, 20).

La literatura documenta que los hallazgos histopatológicos del pénfigo foliáceo más relevantes son la presencia de pústulas subcorneales, células acántoliticas y pérdida de la adhesión de los queratinocitos (12). Si bien la biopsia mostró presencia de pústulas suprabasilares, las cuales son más comunes en pénfigo vulgar, desde el punto de vista clínico fue descartado este tipo de pénfigo, ya que el paciente en ningún momento presentó lesiones en las uniones mucocutáneas que hicieran sospechar de esta patología y su respuesta favorable a la terapéutica ayudaron a cerrar el caso.

El tratamiento de primera elección son los corticoides a dosis inmunosupresoras; en el gato se utiliza prednisolona a dosis de 2 –5 mg/kg SID o en tomas divididas cada 12 horas hasta la remisión de las lesiones (1, 3, 15). Un estudio retrospectivo mostró que la mayoría de los gatos responden favorablemente a una dosis de 2

mg/kg SID (16); una vez logrado esto se empieza a dar cada 48 horas y posteriormente se reduce gradualmente hasta lograr la dosis mínima efectiva que mantenga el grado de remisión (1, 3). Se debe tener presente que dosis altas y tratamientos prolongados aumentan el riesgo de diabetes mellitus en el gato, razón por la cual deben hacerse chequeos médicos y de sangre de forma periódica. Otros corticoides como dexametasona (0,2 mg/kg SID, PO), triamcinolona (0,4 – 2 mg/kg SID, PO) y metilprednisolona (1,6 –4,8 mg/kg SID, PO) son alternativas eficaces (11). El clorambucilo (0,1 – 0,2 mg/kg cada 24 – 48 horas, PO) o la ciclosporina (5 – 10 mg/ kg SID, PO) en asociación con corticoides son una buena opción cuando estos últimos han fallado como monoterapia o cuando no pueden ser usados de forma prolongada, teniendo en cuenta que tanto el clorambucilo como la ciclosporina tienen una ventana de acción de 2 – 4 semanas antes de ver su máximo beneficio (1, 3, 15, 17).

La azatioprina es una buena opción de tratamiento en perros más no en gatos debido a la alta posibilidad de producir mielotoxicidad en esta especie (3, 15). Por otra parte, el tacrolimus al 0,1% ha demostrado ser una herramienta terapéutica útil en el tratamiento complementario del pénfigo eritematoso y lupus eritematoso discoide en perros (18), opción que también puede ser tenida en cuenta en gatos con lesiones localizadas, debido a su buena tolerancia y baja tasa de reacciones adversas.

En este caso se pudo constatar que la asociación de prednisolona con medicación tópica como el aceponato de hidrocortisona o el tacrolimus es bastante útil para llevar al paciente a remisión rápidamente sin la necesidad de usar dosis tan altas del corticoide y así disminuir los riesgos de efectos adversos o complicaciones como la diabetes. Igualmente la ciclosporina fue una excelente alternativa para mantener al paciente en remisión y lograr desmontar el uso de los esteroides.

Como se sabe, en los últimos años los gatos han ocupado un espacio importante en los hogares del

Pemphigus foliaceus in a Persian cat, case report in Arequipa, Perú.
Figura 6. Recuperación en lesiones tras tratamiento con ciclosporina 7 mg/kg SID A) cara externa de la pinna, B) cara interna de la pinna, C) puente nasal
Asociación Colombiana de Dermatología Veterinaria14 ACDV ASOCIAción colombiana de dermatología veterinaria

Revista

Pénfigo foliáceo en un gato persa, reporte de caso en Arequipa, Perú.

mundo y Perú no es la excepción; cada vez se ven más pacientes felinos tanto de raza como mestizos que son llevados por sus tutores a los servicios veterinarios en busca de asesoría profesional, por lo tanto es importante tener este tipo de patologías cutáneas en cuenta como diagnóstico diferencial en gatos con lesiones cutáneas de tipo erosivas, costrosas y descamativas, para llegar a un adecuado diagnóstico y así brindar a las personas las mejores y más efectivas terapias para sus gatos. Otro aspecto a tener en cuenta es que esta patología no tiene cura pero si un manejo que requiere chequeos médicos periódicos y ajustes de la medicación; en este sentido, es importante asesorar y entrenar al tutor de la mejor manera con técnicas Cat friendly, ya que este tendrá que administrar constantemente medicación a su mascota y realizar visitas de rutina al consultorio clínico.

Conclusiones

Las enfermedades autoinmunes en los gatos son patologías de escasa presentación con las cuales que debemos estar familiarizados para poder lograr un adecuado diagnóstico y tratamiento. El uso concomitante de terapia sistémica y tópica puede ser una opción interesante en aras de minimizar los posibles efectos adversos de la terapia inmunosupresora y llevar de forma rápida y efectiva a la remisión de los síntomas.

Volumen 2, Número 1 / 2022 ISSN 2665-654X

Referencias

1. Miller, WH, Griffin, CE, Campbell, KL. Muller & Kirk: Dermatología en pequeños animales. 2014. 3a edición. Ciudad Autónoma de Buenos Aires. Intermédica.

2. Olivry, T. A review of autoinmune skin diseases in domestic animals: l – Superficial pemphigus. Vet dermatol. 2006. 17(5): 292 – 305

3. Little, SE. El gato: medicina clínica y tratamiento. 1ª edición. Ciudad autónoma de Buenos Aires. Intermédica. 2014

4, Preziosi, DE, Goldschmidt, MH, Greek, JS, Jeffers, JG, Shanley, KS, Drobatz, K, Mauldin, EA. Feline pemphigus foliaceus: a retrospective analysis of 57 cases. Vet Dermatol. 2003, 14, 313–321.

5. Bizikova, P, Burrows, A. Feline pemphigus foliaceus: original case series and a comprehensive literature review. BMC Veterinary Research. 2019. 15 :22

6. Miragliotta, V, Coli, A, Ricciardi, MP, Podesta, A, & Abramo, F. Immunohistochemical analysis of the distribution of desmoglein 1 and 2 in the skin of dogs and cats. American Journal of Veterinary Research. 2005. 66(11), 1931–1935.

7. De Bruin, A, Müller, E, Wyder, M., Anhalt, GJ, Lemmens, P, Suter, MM. Periplakin and Envoplakin are target antigens in canine and human paraneoplastic pemphigus. Journal of the American Academy of Dermatology. 1999. Vol. 40, Number 5, Part 1

8. Nishifuji, K, Olivry, T., ToshirohIwasaki, K, Amagai, M. IgG autoantibodies directed against desmoglein 3 cause dissociation of keratinocytes in canine pemphigus vulgaris and paraneoplastic pemphigus. Veterinary Immunology and Immunopathology, Volume 117, Issues 3–4, 15. 2007, 209-221

9. Olivry, T, Linder, KE. Dermatoses affecting desmosomes in animals: a mechanistic review of acantholytic blistering skin diseases. 2009, Vet Dermatol, 20, 313–326

10. Albanese, F. Canine and feline skin cytology: A comprehensive and illustrated guide to the interpretation of skin lesion via cytological examination. 2017. Switzerland. Springer international publishing

11. Paterson, A, Mackay, L. Crusty cats: Feline pemphigus foliaceus. 2010 . Compend Contin Educ Vet. 32(5):E1-4.

12. Gross, TL, Ihrke, PJ, Walder, EJ, Affolter, VK. Skin Diseases of the Dog and Cat: Clinical and Histopathologic Diagnosis, Second Edition 2005. Blackwell Science Ltd.

13. Mauldin, EA, Peters-Kennedy, J. Chapter 6, Integumentary system on Jubb, Kennedy, and Palmer´s pathology of domestic animals. Sixth edition. 2016. M. Grant Maxie.

14. Bizikova, P, Dean, GA, Hashimoto, T, Olivry, T. Cloning and establishment of canine desmocollin-1 as a major autoantigen in canine pemphigus foliaceus. 2012. Vet. Immunol. Immunopathol.

15. Koch, SN, Torres, SMF, Plumb, DC. Canine And Feline dermatology drug handbook. 2012. Wiley-Blackwell.

16. Simpson, DL, Burton, GG. Use of prednisolone as monotherapy in the treatment of feline pemphigus foliaceus: a retrospective study of 37 cats. 2013. Vet Dermatol 24: 598–e144.

17 Irwin, KE, Beale, KM, Fadok, VA. Use of modified ciclosporin in the management of feline pemphigus foliaceus: a retrospective analysis. 2012 . Vet Dermatol.

18. Griffies, JD., Mendelsohn, CL, Rosenkrantz, WS, Muse, R, Boord, MJ, Griffin, CE. (2002). Topical 0.1% tacrolimus for the treatment of discoid lupus erythematosus and pemphigus erythematosus in dogs. 2002. Vet Dermatol, 13(4), 211–229.

19. McEwan, N.A., McNeil, P.E., Kirkham, D. et al. Drug eruption in a cat resembling pemphigus foliaceus. Journal of Small Animal Practice 1987; 28: 713–20.

20. Mason, K.V., Day, M.J. A pemphigus foliaceous-like eruption associated with the use of ampicillin in a cat. Australian Veterinary Journal 1987; 64: 223 –4.

Visita:

15
acdv.com.co
de la Asociación Colombiana de Dermatología Veterinaria

Jorge Guzmán Rodríguez., MVZ, MSc (c)1, Darlis Molina Lozano., MVZ2, Renzo Venturo Barriga., MVZ MSc3, Marcela Arrieta García., MVZ2, Renato Ordoñez Palacios., MVZ, MSc4, Diego Dacak Aguilera., MVZ5.

1Animal House Dermatología y Spa, Villa del Sol Mz D Lt 11, Cartagena, Colombia. email: jorgeguzmanmvz@gmail.com

2Facultad de Medicina Veterinaria y Zootecnia, Universidad de Córdoba, Montería, Córdoba.

3Universidad Científica del Sur, Lima, Perú.

4Pet Royal Veterinary Hospital, Fort Lauderdale, EE UU. 5Veterinaria Diego Dacak, Asunción, Paraguay.

Resumen

A pesar que el ácaro Lynxacarus radovskyi se encuentra reportado en varios países del mundo como Australia, Fiyi, Nueva Zelanda, Filipinas o Malasia, Brasil o Ecuador, recientemente solo existe reportado un caso en Colombia. El objetivo de este reporte se enfoca en evidenciar la eficacia del Fluralaner tópico contra el L. radovskyi en un felino, así mismo, representa el primer reporte del ácaro L. radovskyi en la ciudad de Cartagena, Colombia. Fue llevado a consulta un gato mestizo, macho, de 3 años, con un peso de 5.4 kg, alimentado con balanceado comercial, este convive en un apartamento con dos gatos. El motivo principal de la consulta es la presencia de prurito intenso (9/10 en la escala análoga visual) evidenciado por rascado y lamido generalizado en el paciente, con una cronicidad de 2 meses. El tratamiento realizado fue Fluralaner tópico 250 mg (46 mg/ kg) repitiendo la dosis a las 12 semanas. Después de 20 días de tratamiento, el paciente no presentaba signos de prurito, ni lesiones dermatológicas. Se realizaron tricogramas de control en los días 7, 14, 21, 30, 60 y 90, sin encontrar formas adultas o larvarias del ácaro en las muestras analizadas. Las infestaciones por el ácaro L. radovskyi suelen ser asintomáticas por lo tanto no son reportadas por su posible desconocimiento y similitud con otros agentes que puedan causar signos similares. Es posible que L. radovskyi esté extendido en la población felina de Cartagena confundiéndose con otros ectoparásitos.

Palabras clave Ácaro, Alopecia, Fluralaner, Lynxacarus, Prurito, gato.

Introducción

La piel es un valioso órgano que ofrece una serie de funciones, ejerciendo como barrera protectora ante factores ambientales, regulando la temperatura corporal, teniendo propiedades antimicrobianas, produciendo vitamina D, además de ser indicador de salud general o de enfermedades internas1. Uno de los parásitos externos descritos en felinos es el Lynxacarus radovskyi, coloquialmente llamado “ácaro del pelo del gato”, este es un ácaro no folicular que se adhiere a los tallos de los pelos, sin embargo, para una identificación se requiere un examen microscópico, este ácaro se caracteriza por tener un cuerpo lateral, aplanado y alargado, que mide aproximadamente 0.5 mm de longitud2. Etimológicamente Lynxacarus proviene del prefijo Lynx ya que este fue el primer género hospedador del ácaro en mención y del sufijo acarus que se refiere a ácaro, seguido de radovskyi por su descubridor el Dr. Radovsky del Museo Bishop, Honolulu, Hawaii3. L. radovskyi es el ectoparásito más común en gatos de Malasia, donde se reportó una prevalencia de 71.1%, el ciclo biológico del ácaro está influenciado por varios factores, siendo óptimos una alimentación adecuada, temperatura entre 1830ºC y humedad relativa de 6070%4. Los signos clínicos de la

linxacariasis pueden variar desde pacientes asintomáticos hasta la presencia de un patrón de dermatitis miliar caracterizada por erupciones papulocostrosas, manifestaciones de prurito, hipotricosis y pelaje con aspecto apolillado5. Gatos infestados pueden llegar a presentar otros signos clínicos como vómitos y estreñimiento, debido a excesos de aseo del paciente y la consecuente ingestión de pelos6. El objetivo de este reporte se enfoca en evidenciar la eficacia del Fluralaner tópico contra el L. radovskyi en un felino, así mismo, constatar la presencia de L. radovskyi en la ciudad de Cartagena. Además, de sugerir su inclusión en el diagnóstico diferencial de felinos con dermatopatías que cursen con signología compatible con esta parasitosis. En el tricograma de las zonas afectadas, se identificaron ácaros de la especie Lynxacarus radovskyi.

Evaluación del paciente

Anamnesis y hallazgos al examen clínico

Fue llevado a consulta un gato mestizo, macho, de 3 años, con un peso de 5.4 kg, alimentado con balanceado comercial, este convive en un apartamento con dos gatos. El motivo principal de la consulta es la presencia de prurito intenso (9/10 en la escala análoga visual7) evidenciado por rascado y lamido generalizado en el paciente, con una cronicidad de 2 meses. Al examen físico se encontró una condición corporal 3.5/5, tiempo de llenado capilar menor a 2 segundos, frecuencias cardiaca y respiratoria dentro de los parámetros normales. En el examen dermatológico se observó la presencia de zonas alopécicas localizadas y excoriaciones en el cuello, dorso, flancos, miembros anteriores y posteriores (Figura 1A,1B,1C). Los gatos con los que convive no presentaban lesiones cutáneas. Como tratamientos previos se realizaron baños con shampoo de ceramidas y ácidos grasos persistiendo los signos clínicos.

Eficacia del tratamiento con fluralaner tópico reportado en un caso de un gato naturalmente infestado con Lynxacarusradovsky , en la ciudad de Cartagena, Colombia.
Efficacy of treatment with topical fluralaner reported in a case of naturally infested cat with Lynxacarusradovsky , in the city of Cartagena, Colombia.
Figura 1. Felino con lesiones dermatológicas. A. Alopecia en dorso y lomo. B. Alopecia en dorso. C. Alopecia en flanco.
Asociación Colombiana de Dermatología Veterinaria16 ACDV ASOCIAción colombiana de dermatología veterinaria

Ayudas diagnósticas

Se uso el equipo Firefly DE551 para el examen dermatoscópico visualizándose lesiones ulcerativas, eritematosas y costrosas (Figura 2A,2B).

Discusión

Existen reportes en otros países como Hawai, Australia, Fiyi, Nueva Zelanda, Brasil, Filipinas, Malasia5, Ecuador3 y recientemente en Colombia8, donde la incidencia de L. radovskyi está en aumento. Este trabajo representa el primer reporte del ácaro L. radovskyi en la ciudad de Cartagena, Colombia.

La vía de transmisión de la lynxascariosis se da por el contacto directo con gatos infestados o por contaminación ambiental6. Existen ocho especies del género Lynxacarus encontrándose comúnmente en mustélidos, lagomorfos y roedores más que en felinos; sus características morfológicas principales son su cuerpo alargado, extensiones esternales en forma de colgajo y el macho presenta dos discos genitales circulares en la porción terminal9.

Las infestaciones con L. radovskyi suelen ser asintomáticas, provocando lesiones mínimas. Se sospecha que cuando el prurito es evidente en los gatos afectados, representa una posible reacción de hipersensibilidad a los ácaros5, como en el presente caso.

Tratamiento y evolución

El tratamiento realizado fue Fluralaner tópico 250 mg (46 mg/ kg) (Bravecto ®, MSD Animal Health, Beaucouzé, Francia) repitiendo la dosis en 90 días. Se usó prednisolona a dosis de 0.25 mg/kg durante 4 días con el fin de disminuir el prurito y la inflamación de las zonas afectadas. Después de 20 días de tratamiento, el paciente no presentaba signos de prurito, ni lesiones dermatológicas (Figura 4). Se realizaron tricogramas de control en los días 7, 14, 21, 30, 60 y 90, sin encontrar formas adultas o larvarias del ácaro en las muestras analizadas.

Sin embargo, los gatos con signos clínicos presentan un pelaje opaco, seco, hirsuto, presencia de pápulas, alopecia, prurito de variable intensidad y costras 10,11 , signos presentes en este gato distribuidos en dorso, cuello y muslos, asimismo, prurito intenso 9/10 en la escala de prurito7. La presencia del ácaro le da al pelaje un aspecto conocido como “salpicado de pimienta” 10. Los ácaros Lynxacarus radovskyi se encuentran comúnmente en la cabeza de la cola, punta de la cola y área perineal11.

El parásito parece ser sensible a la mayoría de los acaricidas, como fipronil5, moxidectina, imidacloprid, selamectina4 y fluralaner oral8. El fluralaner podría ser beneficioso para hogares con múltiples gatos con Lynxacariosis, para evitar el riesgo

de reinfestación. La larga duración de acción del producto reduciría los problemas de cumplimiento y disminuiría el fracaso del tratamiento, en comparación con los métodos recomendados anteriormente que requieren tratamientos múltiples por hasta 6 a 10 semanas12, sin embargo, L. radovskyi se alimenta de corneocitos depilados (a diferencia de las garrapatas y las pulgas que se alimentan de sangre), y podría ser que la concentración que alcance en el estrato córneo no sea suficiente para conferir protección más allá de 42 días ante el uso de fluralaner oral5.

La aplicación tópica de fluralaner (Bravecto spot on ®) resultó efectivo para este caso, dado que la aplicación tópica presenta una biodisponibilidad rápida en el estrato córneo, tejidos y sangre13, son necesarios estudios futuros donde se pueda comparar la biodisponibilidad del producto oral y tópico y su protección contra el ácaro.

Eficacia del tratamiento con fluralaner tópico reportado en un caso de un gato naturalmente infestado con Lynxacarus radovsky, en la ciudad de Cartagena, Colombia. Figura 2. Dermatoscopía. A y B. Lesiones ulcerativas, inflamatorias y costrosas encontradas . En el tricograma de las zonas afectadas, se identificaron ácaros de la especie Lynxacarus radovskyi. (Figura 3A, 3B) Figura 3. Tricograma. A y B. Ácaros de la especie L. radovskyi visualizados en 10X con microscopio óptico. Figura 4. Recuperación. A y B. Paciente sin lesiones dermatológicas 20 días posteriores al tratamiento. Revista de la Asociación Colombiana de Dermatología Veterinaria Volumen 2, Número 1 / 2022 ISSN 2665-654X
17
Visita: acdv.com.co

Efficacy of treatment with topical fluralaner repoted in a case of naturally infested cat with Lynxacarus radovsky, in the city of Cartgena, Colombia.

Conclusión

Las infestaciones por el ácaro L. radovskyi suelen ser asintomáticas por lo tanto no son reportadas por su posible desconocimiento y similitud con otros agentes que puedan causar signos similares. Se realiza el primer reporte del ácaro L. radovskyi en la ciudad de Cartagena, Colombia, usando Fluralaner tópico (Bravecto spot on®), es posible que L. radovskyi esté extendido en la población felina de Cartagena confundiéndose con otros ectoparásitos.

Fuentes Bibliograficas

1. Miller WH, Griffin CE, Campbell KL. Parasitic skin diseases. En: Muller & Kirk’s Small Animal Dermatology, Séptima edición, St. Louis, Missouri: Elsevier;2013. P. 284-342.

2. Ketzis, JK, Dunda, J, Shell, LG. Lynxacarus radovskyi mites in feral cats: a study of diagnostic methods, preferential body locations, co-infestation sand prevalence. Vet. Dermatol 2016; 27: 425–e108.

3. Ordoñez, AR, Guzmán JL. Descubrimiento del ácaro Lynxacarus radovskyi en un gato residente en Guayaquil. Revista SLDV 2020;1: 25-31.

4. Hernández, E. Lynxacarus radovskyi en felinos domésticos de la región sudeste del municipio de Veracruz, Veracruz de Ignacio de la Llave, Mexico: serie de casos. Revista SLDV 2021; 5: 24-33, 2021.

5. Han, HS, Noli, C, Cena, T. Efficacy and duration of action of oral fluralaner and spot-on moxidectin/imidacloprid in cats infested with Lynxacarus radovskyi. Vet. Dermatol 2016; 27: 474–e127.

6. Campos, DR, Chaves, JK, Assis, RC, Fernandes, JI, Scott, FB. Efficacy of oral sarolaner against Lynxacarus radovskyi in naturally infested cats. Vet. Dermatol 2020; 31(5): 355-e92.

7. Hill, P, Lau, P, Rybnicek, J. Development of an owner-assessed scale to measure the severity of pruritus in dogs. Vet. Dermatol 2007;18: 301-308.

8. Guzmán, J, Villegas, S, Ordoñez, R, Dacak, D, Minovich, F, De la Valle, R. Eficacia del fluralaner oral para el tratamiento del ácaro Lynxacarus radovskyi en un gato residente en Barranquilla, Colombia. Revista SLDV 2020;01: 25-31.

9. Nichols, J. Discovery of the feline fur-mite Lynxacarus radovskyi in a cat resident in New Zealand. N Z Vet J 2018; 66(1): 50-51.

10. Han, HS, Chua, HL, Nellinathan, G. Self induced noninflammatory alopecia associated with infestation with Lynxacarus radovskyi: a series of 11 cats. Vet. Dermatol 2019; 30(4): 1-4.

11. Divya, S, Gopalakrishnan, MA, James, AA, Ram, R, Linija, M, Mohan, R. Concurrent infestation of Lynxacarus radovskyi and Otodectes cynotis in a Persian cat. The pharma Innovation Journal 2021: 10(10): 325-328.

12. Duangkaew, L, Hoffman, H. Efficacy of oral fluralaner for the treatment of Demodex gatoi in two shelter cats. Vet Dermatol 2018; 29 (3): 262.

13. Kilp, S, Ramirez, D, Allan, M J, & Roepke, R K. Comparative pharmacokinetics of fluralaner in dogs and cats following single topical or intravenous administration. Parasites & vectors 2016; 9(1): 1-7.

Asociación Colombiana de Dermatología Veterinaria18 ACDV ASOCIAción colombiana de dermatología veterinaria

ACDV en constante actualización académica

La Asociación Colombiana de Dermatología Veterinaria es una organización que está en constante actualización académica. Esto permite garantizar que sus asociados tengan la información más reciente y relevante para mejorar su práctica profesional y brindarle a sus pacientes las mejores y más novedosas alternativas diagnósticas y terapéuticas.

Compartimos en el pueblo de Villa de Leyva en el departamento de Boyacá, Colombia, donde se realizó una jornada académica en la cual se compartieron experiencias de casos clínicos complejos en el área de histopatología y se recibió capacitación en dermatohistopatología a cargo de la doctora Laura Laverde.

Otro gran evento anual en el que se participó, fue el Cuarto Congreso Colombiano de Dermatología Veterinaria ACDV en el marco del Congreso Veterinario de Colombia 2022. Un evento maravilloso en el que se encuentra la academia con la industria y en la que la capacitación con los mejores expertos en múltiples áreas de la medicina veterinaria, se unen para brindar información actualizada. La ACDV cuenta con una sala dedicada exclusivamente al área de dermatología veterinaria en la que todos los asistentes al CVDC pueden participar. En este año contamos con la presencia de invitados internacionales en dermatología veterinaria, el Doctor Ralph Muller, la doctora Sonya Bettenay y el doctor Camilo Romero y como ponentes nacionales y miembros de la ACDV, las doctoras Wendie Roldán, Maria Soledad Gonzalez, Sara Carmona y Ana Milena Carmona.

Tercer encuentro académico ACDV Villa de Leyva, Boyacá, Colombia- 2022 Cuarto congreso Colombiano de Dermatología Veterinaria ACDV en asocio con CVDC – 2022 – Pereira, Colombia. Visita: acdv.com.co Revista de la Asociación Colombiana de Dermatología Veterinaria Volumen 2, Número 1 / 2022 ISSN 2665-654X
19

Revista de la Asociación Colombiana de Dermatología Veterinaria Volumen 2, Número 1 / 2022 ISSN 2665-654X acdv.com.co

ACDV ASOCIAción colombiana de der matologí a veter in ar ia

Turn static files into dynamic content formats.

Create a flipbook
Issuu converts static files into: digital portfolios, online yearbooks, online catalogs, digital photo albums and more. Sign up and create your flipbook.