Acknowledgments
A cī°inicaī° review book is tīÆe work not onī°y oī® tīÆe autīÆors but aī°so oī® numerous scī“entī“īc and cīµī“nī“caīµ ī²rī“ends and coīµīµeagues wī³o ī³ave been so generous wī“tī³ tī³eī“r knowīµedge and gī“ven sī“gnī“īcant ī²eedback and ī³eīµp. hī“s book wouīµd not ī³ave been possī“bīµe were ī“t not ī²or tī³e contrī“butī“ons oī² tī³e coīµīµeagues and ī²rī“ends īµī“sted beīµow.
A very specī“aīµ group oī² medī“caīµ students, members oī² tī³e Student Cīµī“nī“caīµ Researcī³ Socī“ety at tī³e Department oī² Anatomī“caīµ Scī“ences at St. Georgeās Unī“versī“ty, ī³eīµped enormousīµy wī“tī³ tī³e compīµetī“on oī² tī³ī“s project tī³rougī³ tī³eī“r comments and crī“tī“cī“sm oī² eacī³ cī³apter as part oī² tī³e advī“sory board oī² tī³ī“s book.
Advisory Board (for the First and Second editions)
Nkosī“ Aīµvarez (Neck)
Meī³a Bī³argava (Pelvis and Perineum)
Lī“ann Cī³ī“n Casey (Lower Limb)
Rana Cī³akrabartī“ (Upper Limb)
Ramya Cī³ī“tters (Embryology)
Monī“ca Dandapanī“ (Abdomen)
Pī“yumī“ka De Sī“īµva (Upper Limb)
Uta Guo (Embryology)
Rī“cī³ Hajjar (Abdomen)
Roīµand Howard (Lower Limb)
Lī“jo C. Iīµīµī“pparambī“ (Upper Limb)
heoī²annī“s Koīµīµī“as (Upper Limb)
Jun Lee (Back)
Oīµī“vī“a Lu (Lower Limb)
Prateek Matī³ur (Head)
Spī“ro Mavromatī“s (Neck)
Lewī“s Musoke (Lower Limb)
Anastasī“ya Neīµyubī“na (Pelvis and Perineum)
Georgī“a Pauīµ (Pelvis and Perineum)
Tony Sadek (horax)
Sī³anojan hī“yagaīµī“ngam (Back)
Davī“d hornton (Abdomen)
Randy Tī“gue (Head)
Ryan Uyan (horax)
Lī“ndsey Van Brunt (Head and Neck)
Danī“eīµīµe Van Patten (Head and Neck)
Advisory Board
Yusuī² Aīµī“mī“, MD
Cassandra Ang, MD
for
the Third edition
Tanya Cabrī“to, MD
Mark Carrasco, MD
Stacey Cī³arīµes, MD
Vī“ncent Courant, MD
Seī“ī² Eī“d, MD
Sasī³a Lake, MD
Sang Lee, MD
Gaurav Mandaīµ, MD
Annī“esī³a Noeīµ, MD
Rabjot Raī“, MD
Asad Rī“zvī“, MD
Meīµī“ssa Roberts, MD
Waīµīµī“sa Roberts, MD., MBA
Sonja Saīµandy, MD
Tī“wadayo Sam-Odusī“na, MD
Krī“sī³na hakore, MD
Edī“dī“ong Udoyen, MD
he ī²oīµīµowī“ng ī²acuīµty ī²rom tī³e Department oī² Anatomī“caīµ Scī“ences at St Georgeās Unī“versī“ty ī³ave aīµso been very ī³eīµpī²uīµ wī“tī³ tī³eī“r comments and crī“tī“cī“sm as part oī² tī³e advī“sory
board:
Cī³rystaīµ Antoī“ne-Frank, MD
Emanueīµ Baī“doo, MD
Katī³īµeen Bubb, MD
Danny Burns, MD, Pī³D
James Coey, MBBS
Maī“ra Du Pīµessī“s, MSc
Deon Forrester, MD
Iketcī³ī“ Gbenī“macī³o, MD
Racī³aeīµ George, MD
Robert Hage, MD, Pī³D
Geobrī“na Hargrove, MD
Robert Jordan, Pī³D
heoī²anī“s Koīµīµī“as, MD
Aī³med Maī³goud, MD
Ewarīµd Marsī³aīµīµ, MD, MSc
Mī“cī³aeīµ Montaīµbano, MD
Oīµuī²emī“ Obadī“na, MBBS
Vī“d Persaud, MD, Pī³D
Madonna Petuīµa Pī³ī“īµīµī“p, MD
Kazzara Raeburn, MD, MSc
Ramesī³ Rao, MD
Vī“sī³ Rao, Pī³D
Deepak Sī³arma, MD
Feī“matta Sowa, MD
Kristna hompson, MD
Aī°ena Wade, MD
Dr AntīÆonyDāAntoni,PīÆD,Proī®essor,atPīÆysicianAssistant Program, Wagner Coī°ī°ege, One Campus Road, Staten Isī°and, NY,īÆasaī°waysbeenagreatī®riendandcoī°ī°eague.Hiscontinuous support, comments, criticism, and entīÆusiasm īÆave contributed enormousī°y to tīÆe compī°etion oī® tīÆis project.
Dr Kitt SīÆaīer, MD, PīÆ D Proī®essor oī® Radioī°ogy and Vice CīÆair oī® Department oī® Radioī°ogy at Boston University, ī®or īÆer comments and criticism, and invaī°uabī°e expertise contributed toward tīÆis project
We are especiaī°ī°y tīÆankī®uī° to Ms. Madeī°ene Hyde, at Eī°sevier, ī®or īÆer invaī°uabī°e insigīÆts, advice, and encouragement
he autīÆors wouī°d aī°so ī°ike to tīÆank Jeremy Bowes Kim Benson and Andrew Riī°ey, our commissioning and deveī°opmentaī° editors, and aī°ī° tīÆe team at Eī°sevier ī®or guiding us tīÆrougīÆ tīÆe preparation oī® tīÆis book.
he autīµors tīµank tīµe following individuals and tīµeir institutions for kindly supplying various clinical, operative, endoscopic, and imaging pīµotograpīµs:
Dr.RayArmstrong,RīÆeumatoī°ogist,SoutīÆamptonGeneraī° Hospitaī°, SoutīÆampton, and ArtīÆritis ResearcīÆ Campaign
Proī®essor Pauī° Bouī°os, Surgeon, Institute oī® Surgicaī° Studies, University Coī°ī°ege London Medicaī° ScīÆooī°, London
Proī®essor Norman Browse, Emeritus Proī®essor oī® Surgery, and Hodder Arnoī°d Pubī°isīÆers, ī®or permission to use iī°ī°ustrations ī®rom Symptoms and Signs of Surgical Disease, 4tīÆ edition, 2005.
Mr JoīÆn Craven, ī®ormerī°y Consuī°tant Surgeon, York District Hospitaī°, York
Mr JoīÆn Craven, ī®ormerī°y Consuī°tant Surgeon, York District Hospitaī°, York
Proī®essor MicīÆaeī° Hobsī°ey, ī®ormerī°y Head oī® tīÆe Department oī® Surgicaī° Studies, he Middī°esex Hospitaī° Medicaī° ScīÆooī°, London
Mr. Raī°pīÆ HutcīÆings, pīÆotograpīÆer ī®or Imagingbody.com
Mr Umraz KīÆan, Pī°astic Surgeon, CīÆaring Cross Hospitaī°, London
Proī®essor JoīÆn Lumī°ey, ī®ormerī°y Director, Vascuī°ar Surgery Unit, St. BartīÆoī°omewās and Great Ormond Street Hospitaī°s, University oī® London
Dr. J. Spratt, Consuī°tant Radioī°ogist and Cī°inicaī° Director oī® Radioī°ogy City Hospitaī°s, Sunderī°and
Dr. Wiī°ī°iam Torreggiani, Radioī°ogist, he Adeī°aide and MeatīÆ Hospitaī°, Taī°ī°agīÆt, Dubī°in
Miss Giī°ī°i Vaīdī“s, Opī³tī³aīµmoīµogī“st, ī²ormerīµy at Centraīµ Mī“ddīµesex Hospī“taīµ, London
Proī²essor Jamī“e Weī“r, Emerī“tus Proī²essor oī² Cīµī“nī“caīµ Radī“oīµogy, Grampī“an Unī“versī“ty Hospī“taīµs Trust, Aberdeen, Scotīµand, and edī“tor oī² Weī“r and Abraī³ams Imaging Atlas of Human Anatomy, ed 5, Eīµsevī“er.
Dedication, v Preface, vi Acknowledgments, vii
ī« BACK, ī« Questions, 3 Answers, 20
ī¬ THORAX, 43 Questions, 43 Answers, 69
3 ABDOMEN, ī«ī«īŖ Questions, 110 Answers, 143
4 PELVIS AND PERINEUM, ī«95 Questions, 195 Answers, 209
5 LOWER LIMB, ī¬36 Questions, 236 Answers, 257
6 UPPER LIMB, ī¬84 Questions, 286 Answers, 312
7 HEAD AND NECK, 35ī¬ Questions, 352 Answers, 396
8 NEUROANATOMY, 458 Questions, 458 Answers, 466
9 EMBRYOLOGY, 48ī¬ Questions, 482 Answers, 489
ī«īŖ QUESTION OBJECTIVES Index, 5īŖ5
Introduction
First Order Question
1. A 35-year-oī³d man ī²s admī²tted to tī±e emergency department 30 mī²nutes aī°ter beī²ng ī²nvoī³ved ī²n a motor veī±ī²cī³e coī³ī³ī²sī²on. Pī±ysī²caī³ examī²natī²on sī±ows a damaged serratus anterī²or muscī³e Wī±ī²cī± oī° tī±e ī°oī³ī³owī²ng nerves wouī³d be most ī³ī²keī³y to be ī²njured aī³ong wī²tī± ī²njury to tī±e serratus anterī²or muscī³e?
A. Long tī±oracī²c
B. Axī²ī³ī³ary
C. Accessory
D. Dorsaī³ scapuī³ar E. horacodorsaī³
Explanation
A. he ī³ong tī±oracī²c ī²s tī±e onī³y nerve tī±at ī²nnervates tī±e serratus anterī²or.
B. he axī²ī³ī³ary nerve ī²nnervates tī±e deī³toī²d and teres mī²nor.
C. he accessory nerve ī²nnervates tī±e sternocī³eī²domastoī²d and trapezī²us
D. he dorsaī³ scapuī³ar nerve suppī³ī²es tī±e rī±omboī²d muscī³es and tī±e ī³ower portī²on oī° tī±e ī³evator scapuī³ae.
E. he tī±oracodorsaī³ nerve ī²nnervates tī±e ī³atī²ssī²mus dorsī².
First Order Question
2. A 35-year-oī³d man ī²s admī²tted to tī±e emergency department 30 mī²nutes aī°ter beī²ng ī²nvoī³ved ī²n a motor veī±ī²cī³e coī³ī³ī²sī²on Pī±ysī²caī³ examī²natī²on sī±ows a damaged serratus anterī²or muscī³e. Wī±ī²cī± oī° tī±e ī°oī³ī³owī²ng ī°unctī²ons does tī±e serratus anterī²or serve?
A. Adducts scapuī³a
B. Depresses rī²bs
C. Protractī²on and rotatī²on oī° scapuī³a
D. Eī³evatī²on oī° scapuī³a
E. Adducts, extends, and medī²aī³ī³y rotates arm
Explanation
A. he trapezī²us and rī±omboī²d major and mī²nor retract tī±e scapuī³a.
B. he serratus posterī²or ī²nī°erī²or depresses tī±e ī³ower rī²bs
C. he serratus anterī²or protracts and rotates tī±e scapuī³a upward.
D. he ī³evator scapuī³ae eī³evates tī±e superī²or angī³e oī° tī±e scapuī³a, wī±ī²ī³e trapezī²us eī³evates ī²ts ī³ateraī³ angī³e or tī±e acromī²on.
E. he ī³atī²ssī²mus dorsī² adducts, extends, and medī²aī³ī³y rotates tī±e arm
Second Order Question
3. A 35-year-oī³d man ī²s admī²tted to tī±e emergency department 30 mī²nutes aī°ter beī²ng ī²nvoī³ved ī²n a motor veī±ī²cī³e coī³ī³ī²sī²on. Pī±ysī²caī³ examī²natī²on sī±ows a damaged serratus anterī²or muscī³e Wī±ī²cī± oī° tī±e ī°oī³ī³owī²ng ī°unctī²ons wī²ī³ī³ tī±e patī²ent most ī³ī²keī³y be unabī³e to perī°orm?
A. Retractī²on oī° tī±e scapuī³a
B. Eī³evatī²on oī° tī±e scapuī³a
C. Depressī²on oī° tī±e scapuī³a
D. Protractī²on oī° tī±e scapuī³a
E. Downward rotatī²on oī° tī±e scapuī³a
Explanation
Dī²ferent muscī³es contrī²bute to tī±e movement oī° tī±e scapuī³a sucī± as tī±e serratus anterī²or, trapezī²us, ī³evator scapuī³ae, rī±omboī²ds, and pectoraī³ī²s mī²nor.
A. Retractī²on oī° tī±e scapuī³a ī²s carrī²ed out by tī±e rī±omboī²ds and trapezī²us.
B. Eī³evatī²on oī° tī±e scapuī³a ī²s carrī²ed out maī²nī³y by tī±e trapezī²us and ī³evator scapuī³ae muscī³es
C. Depressī²on oī° tī±e scapuī³a ī²s perī°ormed prī²marī²ī³y by tī±e ī³ower ībers oī° tī±e trapezī²us.
D. he serratus anterī²or muscī³e puī³ī³s tī±e scapuī³a ī°orward (protractī²on) on tī±e tī±oracī²c waī³ī³.
E. Upward rotatī²on oī° tī±e scapuī³a ī²s accompī³ī²sī±ed by tī±e trapezī²us and serratus anterī²or togetī±er, wī±ī²ī³e downward rotatī²on oī° tī±e scapuī³a ī²s perī°ormed by tī±e rī±omboī²d muscī³es and ī³evator scapuī³ae.
Second Order Question
4. A 35-year-oī³d man ī²s admī²tted to tī±e emergency department 30 mī²nutes aī°ter beī²ng ī²nvoī³ved ī²n a motor veī±ī²cī³e coī³ī³ī²sī²on. Pī±ysī²caī³ examī²natī²on sī±ows ī²njury to tī±e cī±est waī³ī³ ī²n tī±e axī²ī³ī³ary regī²on and wī²nged scapuī³a. Wī±ī²cī± oī° tī±e ī°oī³ī³owī²ng muscī³es ī²s most ī³ī²keī³y ī²njured?
A. Levator scapuī³ae
B. Serratus anterī²or
C. Trapezī²us
D. Rī±omboī²d major and mī²nor E. Serratus posterī²or superī²or
Explanation
A. he ī³evator scapuī³ae eī³evates tī±e scapuī³a.
B. he serratus anterī²or muscī³e puī³ī³s tī±e scapuī³a ī°orward (protractī²on) and counterbaī³ances tī±e puī³ī³ oī° tī±e trapezī²us to keep tī±e costaī³ surī°ace oī° tī±e scapuī³a cī³oseī³y opposed to tī±e tī±oracī²c waī³ī³, preventī²ng wī²ngī²ng oī° tī±e scapuī³a.
C. Atropī±y oī° tī±e trapezī²us muscī³e may ī³ead to scapuī³ar wī²ngī²ng, but ī²ts nerve, tī±e accessory, traveī³s tī±rougī± tī±e posterī²or trī²angī³e oī° tī±e neck.
D. he rī±omboī²d major and mī²nor eī³evate and retract tī±e scapuī³a and tī±eī²r atropī±y may ī³ead to sī³ī²gī±t scapuī³ar wī²ngī²ng, but tī±eī²r nerve, tī±e dorsaī³ scapuī³ar, traveī³s tī±rougī± tī±e neck.
E. he serratus posterī²or superī²or eī³evates tī±e 2nd tī±rougī± 5tī± rī²bs.
Second Order Question
5. A 35-year-oī³d man ī²s admī²tted to tī±e emergency department 30 mī²nutes aī°ter beī²ng ī²nvoī³ved ī²n a motor veī±ī²cī³e coī³ī³ī²sī²on Pī±ysī²caī³ examī²natī²on sī±ows ī²njury to tī±e cī±est waī³ī³ ī²n tī±e axī²ī³ī³ary regī²on and wī²nged scapuī³a. Wī±ī²cī± oī° tī±e ī°oī³ī³owī²ng nerves ī²s most ī³ī²keī³y ī²njured?
A. Long tī±oracī²c
B. Axī²ī³ī³ary
C. Accessory
D. Dorsaī³ scapuī³ar
E. horacodorsaī³
Explanation
A. he ī³ong tī±oracī²c nerve ī²nnervates tī±e serratus anterī²or muscī³e, wī±ī²cī± protracts and upwardī³y rotates tī±e scapuī³a Patī²ents wī²tī± ī²njury to tī±ī²s nerve wī²ī³ī³ ī±ave tī±eī²r scapuī³ae protrude on tī±eī²r back ī³ī²ke a wī²ng.
B. he axī²ī³ī³ary nerve suppī³ī²es tī±e deī³toī²d and teres mī²nor muscī³es he deī³toī²d abducts, lexes, and extends tī±e arm wī±ī²ī³e tī±e teres mī²nor ī³ateraī³ī³y rotates tī±e arm.
C. he accessory nerve ī²s responsī²bī³e ī°or suppī³yī²ng tī±e trapezī²us and sternocī³eī²domastoī²d muscī³es, and ī²t traveī³s tī±rougī± tī±e posterī²or cervī²caī³ trī²angī³e, not tī±e axī²ī³ī³a. he trapezī²us eī³evates and upwardī³y rotates tī±e scapuī³a wī±ī²ī³e tī±e sternocī³eī²domastoī²d lexes and puī³ī³s tī±e cī±ī²n upward to tī±e opposī²te sī²de. he baī³ance oī° puī³ī³ between trapezī²us and serratus anterī²or prevents scapuī³ar wī²ngī²ng.
D. he dorsaī³ scapuī³ar nerve traveī³s tī±rougī± tī±e root oī° tī±e neck to suppī³y tī±e rī±omboī²d major and mī²nor muscī³es wī±ī²cī± are responsī²bī³e ī°or retractī²on oī° tī±e scapuī³a and ī±eī³p to prevent scapuī³ar wī²ngī²ng
E. he tī±oracodorsaī³ nerve suppī³ī²es tī±e ī³atī²ssī²mus dorsī² muscī³e, wī±ī²cī± adducts, medī²aī³ī³y rotates, and extends tī±e arm.
Third Order Question
6. A 35-year-oī³d man ī²s admī²tted to tī±e emergency department 30 mī²nutes aī°ter beī²ng ī²nvoī³ved ī²n a motor veī±ī²cī³e coī³ī³ī²sī²on
⢠Fig. ī©.ī©
Pī±ysī²caī³ examī²natī²on sī±ows tī±e īndī²ngs ī²n Fī²g 1 1 Wī±ī²cī± oī° tī±e ī°oī³ī³owī²ng nerves ī²s most ī³ī²keī³y ī²njured?
A. Long tī±oracī²c
B. Axī²ī³ī³ary
C. Accessory
D. Dorsaī³ scapuī³ar
E. horacodorsaī³
Explanation
A. he ī³ong tī±oracī²c nerve ī²nnervates tī±e serratus anterī²or muscī³e, wī±ī²cī± protracts tī±e scapuī³a, ī±oī³ds tī±e scapuī³a cī³ose to tī±e tī±oracī²c waī³ī³ preventī²ng ī²t ī°rom āwī²ngī²ng,ā and abducts and upwardī³y rotates tī±e scapuī³a Patī²ents wī²tī± ī²njury to tī±ī²s nerve wī²ī³ī³ ī±ave tī±eī²r scapuī³a protrudī²ng on tī±eī²r back ī³ī²ke a wī²ng.
B. he axī²ī³ī³ary nerve suppī³ī²es tī±e deī³toī²d and teres mī²nor muscī³es he deī³toī²d abducts, lexes, and extends and tī±e teres mī²nor ī³ateraī³ī³y rotates tī±e arm.
C. he accessory nerve ī²s responsī²bī³e ī°or suppī³yī²ng tī±e trapezī²us and sternocī³eī²domastoī²d muscī³es he trapezī²us eī³evates and upwardī³y rotates tī±e scapuī³a wī±ī²ī³e tī±e sternocī³eī²domastoī²d lexes and puī³ī³s tī±e cī±ī²n upward to tī±e opposī²te sī²de Wī±ī²ī³e atropī±y oī° tī±e trapezī²us may resuī³t ī²n scapuī³ar wī²ngī²ng, ī³esī²on oī° tī±e ī³ong tī±oracī²c nerve ī²s more commonī³y tī±e cause oī° wī²nged scapuī³a
D. he dorsaī³ scapuī³ar nerve suppī³ī²es tī±e rī±omboī²d major and mī²nor muscī³es and are responsī²bī³e ī°or retractī²on oī° tī±e scapuī³a Atropī±y oī° tī±e rī±omboī²d muscī³es may resuī³t ī²n sī³ī²gī±t scapuī³ar wī²ngī²ng.
E. he tī±oracodorsaī³ nerve suppī³ī²es tī±e ī³atī²ssī²mus dorsī² muscī³e, wī±ī²cī± adducts, medī²aī³ī³y rotates, and extends tī±e arm
Fourth Order Question
7. A 35-year-oī³d man ī²s admī²tted to tī±e emergency department 30 mī²nutes aī°ter beī²ng ī²nvoī³ved ī²n a motor veī±ī²cī³e coī³ī³ī²sī²on. Pī±ysī²caī³ examī²natī²on sī±ows tī±e īndī²ngs ī²n Fī²g. 1.1. Wī±ī²cī± oī° tī±e ī°oī³ī³owī²ng ī°unctī²ons wī²ī³ī³ tī±e patī²ent most ī³ī²keī³y be unabī³e to perī°orm durī²ng pī±ysī²caī³ examī²natī²on?
A. Lateraī³ rotatī²on oī° tī±e arm
B. Abductī²on oī° tī±e arm ī°rom 0 to 15 degrees
C. Fī³exī²on oī° tī±e arm
D. Extensī²on oī° tī±e arm
E. Abductī²on oī° tī±e arm above 90 degrees
Explanation
A. Perī°ormed by tī±e ī²nī°raspī²natus, teres mī²nor, and posterī²or ībers oī° deī³toī²d muscī³e.
Main Questions
Questions 1ā25
1. A 55-year-oī³d man ī²s brougī±t to tī±e emergency department because oī° a 5-day ī±ī²story oī° severe cougī±, nī²gī±t sweats, and ī±emoptysī²s. A cī±est x-ray sī±ows tubercuī³osī²s oī° tī±e rī²gī±t ī³ung, wī²tī± extensī²on ī²nto tī±e tī±oracī²c vertebraī³ bodī²es oī° T6 and T7, producī²ng a āgī²bbus deī°ormī²ty.ā Wī±ī²cī± oī° tī±e ī°oī³ī³owī²ng condī²tī²ons ī²s most ī³ī²keī³y to be conīrmed by radī²oī³ogī²c examī²natī²on?
A. Hyperī³ordosī²s
B. Hyperkypī±osī²s
C. Scoī³ī²osī²s
D. Spī²na bī²īda
E. Osteoartī±rī²tī²s
2. A 68-year-oī³d man ī²s brougī±t to tī±e ī±ospī²taī³ due to severe back paī²n. Tī±e patī²ent says tī±e paī²n began ī²nsī²dī²ousī³y 4 montī±s ago. He ī±as no ī±ī²story oī° recent trauma or strenuous actī²vī²tī²es Pī±ysī²caī³ examī²natī²on sī±ows muscuī³ar strengtī± oī° 5/5 and sensory ī°ī²ndī²ngs wī²tī±ī²n normaī³ ī³ī²mī²ts. An x-ray oī° tī±e spī²ne sī±ows severe osteoporosī²s oī° tī±e vertebraī³ coī³umn, wī²tī± compressī²on ī°ractures to vertebrae L4 and L5. Wī±ī²cī± oī° tī±e ī°oī³ī³owī²ng parts oī° tī±e vertebrae are most ī³ī²keī³y ī°ractured ī²n tī±ī²s patī²ent?
A. Spī²nous process
B. Vertebraī³ bodī²es
C. Transverse process
D. Superī²or artī²cuī³ar processes
E. Intervertebraī³ dī²sc
3. A 45-year-oī³d man ī²s brougī±t to tī±e ī±ospī²taī³ because oī° 2-week ī±ī²story oī° severe paī²n ī²n tī±e back and ī³ower ī³ī²mb Pī±ysī²caī³ examī²natī²on sī±ows sī³ī²gī±t bī²ī³ateraī³ ī³oss oī° sensatī²on oī° tī±e skī²n over tī±e ī³ower ī³ī²mbs An x-ray oī° tī±e spī²ne sī±ows spī²naī³ canaī³ stenosī²s ī²n tī±e ī³umbar regī²on Wī±ī²cī± oī° tī±e ī°oī³ī³owī²ng condī²tī²ons ī²s most ī³ī²keī³y to be conī°ī²rmed by a magnetī²c resonance ī²magī²ng (MRI) examī²natī²on?
B. Perī°ormed by tī±e supraspī²natus muscī³e
C. Perī°ormed by tī±e anterī²or deī³toī²d ībers, pectoraī³ī²s major, bī²ceps bracī±ī²ī² and coracobracī±ī²aī³ī²s muscī³es.
D. Perī°ormed by tī±e posterī²or deī³toī²d ībers, ī³atī²ssī²mus dorsī², and teres major muscī³es.
E. In tī±ī²s ī²mage, tī±e patī²ent ī±as a wī²nged scapuī³a. hī²s usuaī³ī³y occurs as a resuī³t oī° damage to tī±e ī³ong tī±oracī²c nerve, wī±ī²cī± ī²nnervates tī±e serratus anterī²or muscī³e. he ī°unctī²ons oī° tī±ī²s muscī³e are protractī²on oī° tī±e scapuī³a and superī²or rotatī²on oī° tī±e gī³enoī²d ī°ossa Eī³evatī²ng tī±e arm ī°urtī±er tī±an 90 degrees requī²res upward rotatī²on oī° tī±e scapuī³a (superī²or rotatī²on oī° tī±e gī³enoī²d ī°ossa) tī±at ī²s normaī³ī³y done by tī±e serratus anterī²or and trapezī²us, workī²ng togetī±er.
A. Hypertropī±y oī° supraspī²nous ī³ī²gament
B. Hypertropī±y oī° ī²nterspī²nous ī³ī²gament
C. Hypertropī±y oī° ī³ī²gamentum lavum
D. Hypertropī±y oī° anterī²or ī³ongī²tudī²naī³ ī³ī²gament
E. Hypertropī±y oī° nucī±aī³ ī³ī²gament
4. A 35-year-oī³d man ī²s brougī±t to tī±e emergency department aī°ter beī²ng ī²nvoī³ved ī²n a motor veī±ī²cī³e coī³ī³ī²sī²on. Pī±ysī²caī³ examī²natī²on sī±ows tī±e scapuī³a retracted ī³ateraī³ī³y on tī±e afected sī²de An x-ray oī° tī±e neck sī±ows an ī²njury to tī±e dorsaī³ surī°ace oī° tī±e neck and a ī°racture oī° tī±e medī²aī³ border oī° tī±e rī²gī±t scapuī³a Wī±ī²cī± oī° tī±e ī°oī³ī³owī²ng nerves ī²s most ī³ī²keī³y ī²njured on tī±at sī²de?
A. Axī²ī³ī³ary
B. Long tī±oracī²c
C. Dorsaī³ scapuī³ar
D. Greater occī²pī²taī³
E. Suprascapuī³ar
5. A 64-year-oī³d man ī²s brougī±t to tī±e emergency department because oī° a 4-day ī±ī²story oī° paī²nī°uī³ rasī± and skī²n eruptī²ons tī±at are ī³ocaī³ī²zed entī²reī³y on one sī²de oī° ī±ī²s body, cī³oseī³y ī°oī³ī³owī²ng tī±e dermatome ī³eveī³ oī° tī±e spī²naī³ nerve C7. he patī²ent was dī²agnosed wī²tī± a ī±erpes zoster vī²raī³ ī²nī°ectī²on known as āsī±ī²ngī³es.ā In wī±ī²cī± oī° tī±e ī°oī³ī³owī²ng structures ī±as tī±e vī²rus most ī³ī²keī³y proī³ī²ī°erated to cause tī±e patī²entās current condī²tī²on?
A. he sympatī±etī²c trunk
B. he dorsaī³ root gangī³ī²on oī° tī±e C7 spī²naī³ nerve
C. he ī³ateraī³ ī±orn oī° tī±e C7 spī²naī³ cord segment
D. he posterī²or cutaneous brancī± oī° tī±e dorsaī³ ramus oī° C7
E. he ventraī³ ī±orn oī° tī±e C7 spī²naī³ cord segment
6. A 45-year-oī³d woman comes to tī±e pī±ysī²cī²an because sī±e ī±as experī²enced moderate paī²n ī°or 2 years over ī±er ī³eī°t ī³ower back he paī²n radī²ates to ī±er ī³eī°t ī³ower ī³ī²mb and ī±as become a nuī²sance more recentī³y. Sī±e saystī±ataī°terī³ī²ī°tī²ngacaseoī°soī°tdrī²nks,tī±epaī²nsuddenī³y became ī²ntense An MRI oī° tī±e ī³umbar regī²on
sī±ows an ī²ntervertebraī³ dī²sc ī±ernī²atī²on between vertebraī³ ī³eveī³s L4 and L5. Wī±ī²cī± oī° tī±e ī°oī³ī³owī²ng nerves ī²s most ī³ī²keī³y afected by tī±e dī²sc ī±ernī²atī²on?
A. L1
B. L2
C. L3
D. L4
E. L5
7. A 3-year-oī³d boy ī²s brougī±t by ī±ī²s motī±er to tī±e emergency department wī²tī± severe ī±eadacī±e, ī±ī²gī± ī°ever, ī³etī±argy, maī³aī²se, and conī°usī²on. He ī±as a ī±ī²story oī° muī³tī²pī³e sī²nus ī²nī°ectī²ons. Hī²s temperature ī²s 40 1°C (104 2°F) A dī²agnosī²s oī° bacterī²aī³ menī²ngī²tī²s ī²s suspected. Furtī±er evaī³uatī²on wī²tī± a ī³umbar puncture and ī³aboratory anaī³ysī²s oī° tī±e cerebrospī²naī³ luī²d conīrms tī±e dī²agnosī²s Wī±ī²cī± oī° tī±e ī°oī³ī³owī²ng vertebraī³ ī³eveī³s ī²s tī±e most approprī²ate ī³ocatī²on ī°or tī±e ī³umbar puncture?
A. T12āL1
B. L1āL2
C. L2āL3
D. L4āL5
E. L5āS1
8. A 3-year-oī³d boy ī²s brougī±t by ī±ī²s motī±er to tī±e emergency department wī²tī± severe ī±eadacī±e, ī±ī²gī± ī°ever, ī³etī±argy, maī³aī²se, and conī°usī²on. He ī±as a ī±ī²story oī° muī³tī²pī³e sī²nus ī²nī°ectī²ons. Hī²s temperature ī²s 40 1°C (104 2°F) A dī²agnosī²s oī° bacterī²aī³ menī²ngī²tī²s ī²s suspected. Furtī±er evaī³uatī²on wī²tī± a ī³umbar puncture and ī³aboratory anaī³ysī²s oī° tī±e cerebrospī²naī³ luī²d conīrms tī±e dī²agnosī²s Wī±ī²cī± oī° tī±e ī°oī³ī³owī²ng externaī³ ī³andmarks ī²s tī±e most reī³ī²abī³e to determī²ne tī±e posī²tī²on oī° tī±e L4 vertebraī³ spī²ne?
A. he ī²nī°erī²or angī³es oī° tī±e scapuī³ae
B. he ī±ī²gī±est poī²nts oī° tī±e ī²ī³ī²ac crests
C. he ī³owest paī²r oī° rī²bs bī²ī³ateraī³ī³y
D. he sacraī³ ī±ī²atus
E. he posterī²or ī²nī°erī²or ī²ī³ī²ac spī²nes
9. A 39-year-oī³d man ī²s brougī±t to tī±e emergency department wī²tī± severe neck paī²n aī°ter a wī±ī²pī³asī± ī²njury, sustaī²ned wī±en ī±ī²s car was struck ī°rom beī±ī²nd. He was pī³aced ī²n a cervī²caī³ coī³ī³ar and anestī±etī²c ī²njectī²on (Lī²docaī²ne) was admī²nī²stered Imagī²ng studī²es sī±ow trauma to tī±e ī³ī²gament ī³yī²ng on tī±e anterī²or surī°ace oī° tī±e cervī²caī³ vertebraī³ bodī²es Wī±ī²cī± oī° tī±e ī°oī³ī³owī²ng ī³ī²gament ī²s most ī³ī²keī³y dī²srupted?
A. Anterī²or ī³ongī²tudī²naī³ ī³ī²gament
B. Lī²gamentum lavum
C. Nucī±aī³ ī³ī²gament
D. Posterī²or ī³ongī²tudī²naī³ ī³ī²gament
E. Transverse cervī²caī³ ī³ī²gament
10. A 65-year-oī³d man ī²s brougī±t to tī±e emergency department because oī° severe back paī²n and tī±e weakness ī²n ī³ower ī³ī²mb motī²ons, especī²aī³ī³y poī²ntī²ng ī±ī²s ī³eī°t toes. Pī±ysī²caī³ examī²natī²on sī±ows weakness ī²n standī²ng on tī²ptoes on ī±ī²s ī³eī°t ī³eg. Rī²gī±t ī³ower ī³ī²mb sī±ows
no motor strengtī± deīcī²ts he patī²ent ī±as numbness on tī±e ī³ateraī³ sī²de oī° tī±e ī³eī°t ī³ī²mb and ī°oot. Sensatī²on ī²s ī²ntact on tī±e rī²gī±t. An MRI oī° ī±ī²s spī²ne sī±ows compressī²on oī° nerve eī³ements at tī±e ī²ntervertebraī³ ī°oramen between vertebrae L5 and S1. Wī±ī²cī± oī° tī±e ī°oī³ī³owī²ng structures ī²s most ī³ī²keī³y responsī²bī³e ī°or tī±ī²s space-occupyī²ng ī³esī²on?
A. Annuī³us ībrosus
B. Nucī³eus puī³posus
C. Posterī²or ī³ongī²tudī²naī³ ī³ī²gament
D. Anterī²or ī³ongī²tudī²naī³ ī³ī²gament
E. Lī²gamentum lavum
11. A 27-year-oī³d man ī²s brougī±t to tī±e emergency department aī°ter beī²ng ī²nvoī³ved ī²n a motor veī±ī²cī³e coī³ī³ī²sī²on. Hī²s vī²taī³ sī²gns are wī²tī±ī²n normaī³ ī³ī²mī²ts. Pī±ysī²caī³ examī²natī²on sī±ows weakness durī²ng medī²aī³ rotatī²on, extensī²on, and adductī²on oī° tī±e ī±umerus. Hī²s radī²aī³ puī³ses are symmetrī²caī³ and normaī³. Wī±ī²cī± oī° tī±e ī°oī³ī³owī²ng nerves ī²s most ī³ī²keī³y ī²njured?
A. horacodorsaī³
B. Axī²ī³ī³ary
C. Dorsaī³ scapuī³ar
D. Accessory
E. Radī²aī³
12. A 39-year-oī³d woman comes to tī±e pī±ysī²cī²an because oī° 2-montī± ī±ī²story oī° ī²nabī²ī³ī²ty to reacī± tī±e top oī° ī±er ī±ead to brusī± ī±er ī±aī²r wī²tī± ī±er rī²gī±t ī±and Two montī±s ago, sī±e ī±ad a mastectomy procedure wī²tī± axī²ī³ī³ary ī³ympī± node dī²ssectī²on oī° ī±er rī²gī±t breast. Pī±ysī²caī³ examī²natī²on sī±ows wī²ngī²ng oī° ī±er rī²gī±t scapuī³a and a normaī³ ī³eī°t scapuī³a Wī±ī²cī± oī° tī±e ī°oī³ī³owī²ng nerves ī²s most ī³ī²keī³y damaged durī²ng surgery?
A. Axī²ī³ī³ary
B. Accessory
C. Long tī±oracī²c
D. Dorsaī³ scapuī³ar
E. horacodorsaī³
13. A 19-year-oī³d man ī²s brougī±t to tī±e emergency department aī°ter dī²sī³ocatī²ng ī±ī²s sī±ouī³der wī±en ī±e was ī±ī²t by tī±e top oī° a ī±eī³met durī²ng an ofensī²ve pī³ay by tī±e opposī²ng team wī±ī²ī³e pī³ayī²ng ī°ootbaī³ī³. Foī³ī³owī²ng treatment oī° tī±e dī²sī³ocatī²on, ī±e cannot ī²nī²tī²ate abductī²on oī° ī±ī²s arm. An MRI oī° tī±e afected sī±ouī³der sī±ows a torn muscī³e. Wī±ī²cī± oī° tī±e ī°oī³ī³owī²ng muscī³es ī²s most ī³ī²keī³y damaged by tī±e ī²njury?
A. Coracobracī±ī²aī³ī²s
B. Long ī±ead oī° tī±e trī²ceps bracī±ī²ī²
C. Pectoraī³ī²s mī²nor
D. Supraspī²natus
E. Teres major
14. A 1-year-oī³d gī²rī³ ī²s brougī±t to tī±e pī±ysī²cī²an by ī±er motī±er ī°or a routī²ne examī²natī²on. he motī±er says sī±e dī²d not aī³ways take ī±er prenataī³ vī²tamī²ns as sī±e was advī²sed to. Pī±ysī²caī³ examī²natī²on sī±ows a dī²mpī³ī²ng oī° tī±e skī²n ī²n tī±e mī²dī³ī²ne oī° tī±e ī³umbar regī²on
wī²tī± a tuī°t oī° ī±aī²r growī²ng over tī±e dī²mpī³e Wī±ī²cī± oī° tī±e ī°oī³ī³owī²ng ī²s tī±e most ī³ī²keī³y dī²agnosī²s?
A. Menī²ngomyeī³oceī³e
B. Menī²ngoceī³e
C. Spī²na bī²īda occuī³ta
D. Spī²na bī²īda cystī²ca
E. Racī±ī²scī±ī²sī²s
15. A 26-year-oī³d woman comes to tī±e pī±ysī²cī²an because oī° an ī²tcī± on ī±er back tī±at appears to be caused by an ī²nsect bī²te Fī²ve days ago, sī±e returned ī°rom a vacatī²on ī²n Latī²n Amerī²ca wī±ere sī±e ī±ī²ked ī²n a raī²nī°orest.
Wī±ī²cī± oī° tī±e ī°oī³ī³owī²ng nerve ībers carry tī±e sensatī²on oī° a mosquī²to bī²te on tī±e back, just ī³ateraī³ to tī±e spī²nous process oī° tī±e T4 vertebra?
A. Somatī²c aferent
B. Somatī²c eferent
C. Vī²sceraī³ aferent
D. Vī²sceraī³ eferent
E. Somatī²c eferent and vī²sceraī³ aferent
16. A 15-year-oī³d gī²rī³ ī²s brougī±t to tī±e emergency department because oī° 3-day ī±ī²story oī° progressī²ve ī°ever, ī±eadacī±e, and ī³etī±argy he patī²entās parents are agaī²nst vaccī²natī²ons and say tī±eī²r daugī±ter ī²s not up to date on aī³ī³ vaccī²natī²ons. Sī±e ī±as no ī±ī²story oī° major ī²ī³ī³nesses and ī²s not takī²ng any known medī²catī²ons. Her temperature ī²s 40.3°C (104.5°F), bī³ood pressure ī²s 101/64 mm Hg, puī³se ī²s 110/mī²n, and respī²ratī²ons are 25/mī²n A dī²agnosī²s oī° menī²ngī²tī²s ī²s suspected. To obtaī²n a sampī³e oī° cerebrospī²naī³ luī²d by spī²naī³ tap ī²n tī±e ī³umbar regī²on, tī±e tī²p oī° tī±e needī³e must be pī³aced ī²n wī±ī²cī± oī° tī±e ī°oī³ī³owī²ng ī³ocatī²ons?
A. In tī±e epī²duraī³ space
B. Between anterī²or and posterī²or ī³ongī²tudī²naī³ ī³ī²gaments
C. Superīcī²aī³ to tī±e ī³ī²gamentum lavum
D. Between aracī±noī²d mater and dura mater
E. In tī±e subaracī±noī²d space
17. A 59-year-oī³d man comes to tī±e pī±ysī²cī²an because oī° severe back paī²n aī°ter ī³ī²ī°tī²ng ī±eavy ī³uggage. he patī²ent descrī²bes tī±e paī²n ī²n ī±ī²s neck as an eī³ectrī²cī³ī²ke sī±ootī²ng paī²n. He ī±as no ī³oss oī° motor ī°unctī²on or sensatī²on. Pī±ysī²caī³ examī²natī²on sī±ows no neuroī³ogī²c abnormaī³ī²tī²es or ī²njury to tī±e spī²naī³ cord An MRI oī° tī±e cervī²caī³ spī²ne sī±ows a ī±ernī²ated dī²sc. Wī±ī²cī± oī° tī±e ī°oī³ī³owī²ng ī³ī²gaments ī²s ī²n an anatomī²c posī²tī²on to protect tī±e spī²naī³ cord ī°rom dī²rect compressī²on ī²n tī±ī²s patī²ent?
A. Supraspī²nous
B. Posterī²or ī³ongī²tudī²naī³
C. Anterī²or ī³ongī²tudī²naī³
D. Lī²gamentum lavum
E. Nucī±aī³ ī³ī²gament
18. A 15-year-oī³d gī²rī³ ī²s brougī±t to tī±e emergency department because oī° 3-day ī±ī²story oī° progressī²ve ī°ever, ī±eadacī±e, and ī³etī±argy he patī²entās parents are agaī²nst vaccī²natī²ons and say tī±eī²r daugī±ter ī²s not up to date on aī³ī³ vaccī²natī²ons. Sī±e ī±as no ī±ī²story oī°
major ī²ī³ī³nesses and ī²s not takī²ng any known medī²catī²ons. Her temperature ī²s 40.3°C (104.5°F), bī³ood pressure ī²s 101/64 mm Hg, puī³se ī²s 110/mī²n, and respī²ratī²ons are 25/mī²n A dī²agnosī²s oī° menī²ngī²tī²s ī²s suspected and a ī³umbar puncture ī²s ordered. In ī³umbar puncture, tī±e needī³e ī²s oī°ten ī²nserted between tī±e spī²nous processes oī° tī±e L4 and L5 vertebrae to ensure tī±at tī±e spī²naī³ cord ī²s not ī²njured. hī²s ī³eveī³ ī²s saī°e because ī²n tī±e aduī³t tī±e spī²naī³ cord usuaī³ī³y termī²nates at tī±e dī²sc between wī±ī²cī± oī° tī±e ī°oī³ī³owī²ng vertebraī³ ī³eveī³s?
A. T11 and T12
B. T12 and L1
C. L1 and L2
D. L2 and L3
E. L3 and L4
19. A 45-year-oī³d woman comes to tī±e pī±ysī²cī²an because oī° a 6-year ī±ī²story oī° dī²scoī³oratī²on oī° ī±er īngers and toes ī²n ī³ow temperatures due to cī±ronī²c vasospasm
Sī±e was dī²agnosed wī²tī± scī³eroderma and Raynaud dī²sease at tī±e age oī° 39. Reī³ī²eī° ī°rom tī±e symptoms ī²n tī±e ī±ands wouī³d requī²re surgī²caī³ dī²vī²sī²on oī° wī±ī²cī± oī° tī±e ī°oī³ī³owī²ng neuraī³ eī³ements?
A. Lower cervī²caī³ and upper tī±oracī²c sympatī±etī²c ībers
B. Lower cervī²caī³ and upper tī±oracī²c ventraī³ roots
C. Lower cervī²caī³ and upper tī±oracī²c dorsaī³ roots
D. Lower cervī²caī³ and upper tī±oracī²c spī²naī³ nerves
E. Bī²ī³ateraī³ accessory nerves
20. A 69-year-oī³d woman comes to tī±e pī±ysī²cī²an because oī° neck paī²n tī±at ī±as been progressī²veī³y gettī²ng worse ī°or tī±e past ī°ew weeks. Her temperature ī²s 37°C (98.6°F), bī³ood pressure ī²s 126/84 mm Hg, puī³se ī²s 92/mī²n, and respī²ratī²ons are 21/mī²n An MRI oī° tī±e spī²ne sī±ows osteopī±ytes ī²n tī±e ī²ntervertebraī³ ī°oramen betweenvertebraeC2andC3.Wī±ī²cī±oī°tī±eī°oī³ī³owī²ng muscī³es wī²ī³ī³ most ī³ī²keī³y be afected by tī±ī²s condī²tī²on?
A. Rī±omboī²d major
B. Serratus anterī²or
C. Supraspī²natus
D. Dī²apī±ragm
E. Latī²ssī²mus dorsī²
21. A 42-year-oī³d woman comes to tī±e pī±ysī²cī²an wī²tī± ī³ower back paī²n tī±at ī±as been progressī²veī³y gettī²ng worse ī°or tī±e past 2 montī±s. Her paī²n ī²s worse wī±en waī³kī²ng down ī±ī²ī³ī³ and ī²s aī³ī³evī²ated wī±en sī±e bends over. Pī±ysī²caī³ examī²natī²on sī±ows normaī³ relexes and sensatī²on bī²ī³ateraī³ī³y ī²n tī±e upper and ī³ower ī³ī²mbs. An MRI sī±ows stenosī²s oī° tī±e ī³umbar vertebraī³ canaī³ A ī³amī²nectomy oī° two vertebrae ī²s perī°ormed. Wī±ī²cī± oī° tī±e ī°oī³ī³owī²ng ī³ī²gaments wī²ī³ī³ most ī³ī²keī³y aī³so be removed?
A. Anterī²or ī³ongī²tudī²naī³
B. Dentī²cuī³ate
C. Lī²gamentum lavum
D. Nucī±aī³
E. Crucī²ī°orm
22. A 28-year-oī³d prī²mī²gravī²da woman at 40 weeksā gestatī²on ī²s admī²tted to tī±e ī±ospī²taī³ ī°or deī³ī²very. Her vī²taī³ sī²gns are wī²tī±ī²n normaī³ ī³ī²mī²ts. A tocometer and ī°etaī³ ī±eart rate monī²tor are pī³aced on ī±er abdomen In tī±e īnaī³ stages oī° ī³abor, a caudaī³ anestī±etī²c ī²s admī²nī²stered vī²a tī±e sacraī³ ī±ī²atus. Into wī±ī²cī± oī° tī±e ī°oī³ī³owī²ng spaces ī²n tī±e sacraī³ canaī³ ī²s tī±e anestī±etī²c most ī³ī²keī³y pī³aced?
A. Vertebraī³ canaī³
B. Vertebraī³ venous pī³exus
C. Epī²duraī³ space
D. Subaracī±noī²d space
E. Subduraī³ space
23. A 12-year-oī³d boy was brougī±t to tī±e emergency department by ī±ī²s parents because oī° ī±ī²gī± ī°ever and severe stī²fness ī²n ī±ī²s back Hī²s ī²nī²tī²aī³ temperature ī²s 38.8°C (101.8°F), respī²ratī²ons are 19/mī²n, puī³se ī²s 94/mī²n, and bī³ood pressure ī²s 141/91 mm Hg. A dī²agnosī²s oī° menī²ngī²tī²s ī²s suspected, and a ī³umbar puncture ī²s ordered. Mī²croscopī²c examī²natī²on oī° tī±e cerebrospī²naī³ luī²d sī±ows ī±ematopoī²etī²c ceī³ī³s. Wī±ī²cī± oī° tī±e ī°oī³ī³owī²ng ī³ī²gaments ī²s most ī³ī²keī³y penetrated by tī±e needī³e?
A. Supraspī²nous
B. Dentī²cuī³ate
C. Anterī²or ī³ongī²tudī²naī³
D. Posterī²or ī³ongī²tudī²naī³
E. Nucī±aī³
24. A 25-year-oī³d man ī²s admī²tted to tī±e ī±ospī²taī³ 30 mī²nutes aī°ter beī²ng ī²nvoī³ved ī²n a motor veī±ī²cī³e coī³ī³ī²sī²on Pī±ysī²caī³ examī²natī²on sī±ows a sī³uggī²sī± response to stī²muī³ī². Neuroī³ogī²c examī²natī²on sī±ows no otī±er abnormaī³ī²tī²es. An MRI sī±ows damage to tī±e tī²p oī° tī±e transverse process oī° tī±e tī±ī²rd cervī²caī³ vertebra, wī²tī± a sī²gnī²īcantī³y ī³arge puī³satī²ng ī±ematoma. Wī±ī²cī± oī° tī±e ī°oī³ī³owī²ng arterī²es ī²s most ī³ī²keī³y damaged?
A. Anterī²or spī²naī³
B. Vertebraī³
C. Ascendī²ng cervī²caī³
D. Deep cervī²caī³
E. Posterī²or spī²naī³
25. A 79-year-oī³d man comes to tī±e pī±ysī²cī²an because oī° 3-montī± ī±ī²story oī° ī²ncreasī²ngī³y paī²nī°uī³ ambuī³atī²on Pī±ysī²caī³ examī²natī²on sī±ows an abnormaī³ī³y ī²ncreased posterī²or convexī²ty to tī±e tī±oracī²c curvature resuī³tī²ng ī°rom osteoporosī²s Wī±ī²cī± oī° tī±e ī°oī³ī³owī²ng ī²s tī±e most ī³ī²keī³y condī²tī²on oī° tī±ī²s patī²entās spī²ne?
A. Scoī³ī²osī²s
B. Hyperkypī±osī²s
C. Spī²naī³ stenosī²s
D. Lordosī²s
E. Hernī²ated dī²sc
Questions 26ā50
26. A 42-year-oī³d woman ī²s brougī±t to tī±e emergency department because oī° an ī²njury sustaī²ned aī°ter sī³ī²dī²ng ī²nto second base ī±eadīrst durī²ng ī±er company ā s
soī°tbaī³ī³ game 2 ī±ours ago Sī±e ī±as severe paī²n and stī²fness ī²n ī±er neck. Her vī²taī³ sī²gns are wī²tī±ī²n normaī³ ī³ī²mī²ts. Pī±ysī²caī³ examī²natī²on sī±ows droopī²ng oī° ī±er rī²gī±t sī±ouī³der and dī²icuī³ty ī²n eī³evatī²ng tī±at sī±ouī³der. An x-ray oī° tī±e spī²ne sī±ows no ī°ractures and an MRI sī±ows soī°t tī²ssue damage. Wī±ī²cī± oī° tī±e ī°oī³ī³owī²ng nerves ī²s most ī³ī²keī³y damaged ī²n tī±ī²s patī²ent?
A. horacodorsaī³
B. Accessory
C. Dorsaī³ scapuī³ar
D. Greater occī²pī²taī³
E. Axī²ī³ī³ary
27. A 53-year-oī³d man ī²s admī²tted to tī±e ī±ospī²taī³ 50 mī²nutes aī°ter beī²ng ī²nvoī³ved ī²n a motor veī±ī²cī³e coī³ī³ī²sī²on. Pī±ysī²caī³ examī²natī²on sī±ows sī³uggī²sī± response to stī²muī³ī² An x-ray oī° tī±e ī³ower ī³ī²mb sī±ows a ī³eī°t ī°emoraī³ ī°racture and a cervī²caī³ open-moutī± x-ray sī±ows compressī²on oī° tī±e spī²naī³ cord by tī±e odontoī²d process An MRI oī° tī±e peī³vī²s sī±ows uretī±raī³ ī²njury and ī±ematoma. Wī±ī²cī± oī° tī±e ī°oī³ī³owī²ng ī³ī²gaments ī²s most ī³ī²keī³y torn?
A. Anterī²or ī³ongī²tudī²naī³ ī³ī²gament
B. Transverse ī³ī²gament oī° tī±e atī³as
C. Lī²gamentum lavum
D. Supraspī²nous ī³ī²gament
E. Nucī±aī³ ī³ī²gament
28. An 18-year-oī³d woman ī²s brougī±t to tī±e emergency department aī°ter beī²ng ī²njured ī²n a roī³ī³over motor veī±ī²cī³e. Pī±ysī²caī³ examī²natī²on sī±ows muī³tī²pī³e maxī²ī³ī³oī°acī²aī³ ī³aceratī²ons and consī²derabī³e weakness ī²n ī±er abī²ī³ī²ty to lex ī±er neck, assocī²ated wī²tī± ī²njury to CN
XI. Wī±ī²cī± oī° tī±e ī°oī³ī³owī²ng muscī³es ī²s most ī³ī²keī³y afected?
A. Iī³ī²ocostaī³ī²s tī±oracī²s
B. Sternocī³eī²domastoī²d
C. Rī±omboī²d major
D. Rī±omboī²d mī²nor
E. Teres major
29. A 23-year-oī³d man was kī²ī³ī³ed ī²n a ī±ī²gī±-speed motor veī±ī²cī³e coī³ī³ī²sī²on aī°ter racī²ng ī±ī²s ī°rī²end on a ī³ocaī³ ī±ī²gī±way. Wī±en tī±e medī²caī³ examī²ner arrī²ves at tī±e scene, ī²t ī²s determī²ned tī±at tī±e most ī³ī²keī³y cause oī° deatī± was a spī²naī³ cord ī²njury Upon conīrmatī²on by autopsy, tī±e medī²caī³ examī²ner oicī²aī³ī³y reports tī±at tī±e patī²entās cause oī° deatī± was a ī°racture oī° tī±e pedī²cī³es oī° tī±e axī²s (C2) Rupture oī° wī±ī²cī± oī° tī±e ī°oī³ī³owī²ng ī³ī²gaments wouī³d be most ī³ī²keī³y ī²mpī³ī²cated ī²n tī±ī²s ī°ataī³ ī²njury?
A. Lī²gamentum lavum
B. Nucī±aī³ ī³ī²gament
C. Crucī²ī°orm ī³ī²gament
D. Posterī²or ī³ongī²tudī²naī³ ī³ī²gament
E. Supraspī²nous ī³ī²gament
30. A 65-year-oī³d man ī²s ī²njured wī±en a veī±ī²cī³e traveī³ī²ng at a ī±ī²gī± rate oī° speed ī±ī²ts ī±ī²s car ī°rom beī±ī²nd He ī²s brougī±t to tī±e emergency department wī±ere ī±e ī²s stabī²ī³ī²zed, and an x-ray oī° tī±e spī²ne sī±ows tī±at two
oī° ī±ī²s artī²cuī³ar processes are now ī³ocked togetī±er, a condī²tī²on known as ājumped ī°acets.ā Surgī²caī³ repaī²r ī²s scī±eduī³ed tī±e same day. In wī±ī²cī± oī° tī±e ī°oī³ī³owī²ng regī²ons oī° tī±e spī²ne ī±as tī±ī²s ī²njury most ī³ī²keī³y occurred?
A. Cervī²caī³
B. horacī²c
C. Lumbar
D. Lumbosacraī³
E. Sacraī³
31. A 47-year-oī³d woman ī²s brougī±t to tī±e emergency department aī°ter beī²ng ī²nvoī³ved ī²n a motor veī±ī²cī³e coī³ī³ī²sī²on 40 mī²nutes ago Sī±e ī±as severe ī±eadacī±e and back paī²n. Her bī³ood pressure ī²s 99/78 mm Hg, puī³se ī²s 122/mī²n, and respī²ratī²ons are 32/mī²n. An MRI oī° tī±e spī²ne sī±ows a ī³arge ī±ematoma ī°rom bī³eedī²ng ī°rom tī±e ī²nternaī³ vertebraī³ venous pī³exus (oī° Batson). In wī±ī²cī± oī° tī±e ī°oī³ī³owī²ng space ī²s tī±e bī³ood most ī³ī²keī³y accumuī³atī²ng?
A. Subaracī±noī²d space
B. Subduraī³ space
C. Centraī³ canaī³
D. Epī²duraī³ space
E. Lumbar cī²stern
32. A 32-year-oī³d man ī²s brougī±t to tī±e emergency department because oī° 3-ī±our ī±ī²story oī° severe paī²n radī²atī²ng to tī±e posterī²or aspect oī° ī±ī²s rī²gī±t tī±ī²gī± and ī³eg He ī±as been an eī³ī²te atī±ī³ete and ī±e was ī³ī²ī°tī²ng ī±eavy weī²gī±ts durī²ng an ī²ntense traī²nī²ng sessī²on wī±en tī±e paī²n appeared. Hī²s vī²taī³s are wī²tī±ī²n normaī³ ī³ī²mī²ts.
Pī±ysī²caī³ exam sī±ows no motor weakness or sensory ī³oss ī²n ī±ī²s ī³ower ī³ī²mbs. Relexes are ī°uī³ī³y ī²ntact bī²ī³ateraī³ī³y ī²n upper and ī³ower ī³ī²mbs. MRI oī° tī±e ī³umbar spī²ne sī±ows a ruptured L4āL5 ī²ntervertebraī³ dī²sc
Wī±ī²cī± oī° tī±e ī°oī³ī³owī²ng nerves ī²s most ī³ī²keī³y afected?
A. L3
B. L4
C. L2
D. L5
E. S1
33. A 24-year-oī³d ī²s brougī±t to tī±e emergency department because oī° a ī³ower back straī²n aī°ter a severe ī°aī³ī³ wī±ī²ī³e skī²ī²ng he patī²ent was not wearī²ng a ī±eī³met and ī³ost conscī²ousness ī°or an unknown amount oī° tī²me. Pī±ysī²caī³ examī²natī²on sī±ows paī²n wī±en tī±e patī²ent ī²s ī³ateraī³ī³y bendī²ng tī±e trunk An MRI oī° tī±e ī³ower tī±oracī²c spī²ne sī±ows ī²njury to tī±e muscī³es responsī²bī³e ī°or extendī²ng and ī³ateraī³ī³y bendī²ng tī±e trunk Wī±ī²cī± oī° tī±e ī°oī³ī³owī²ng arterī²es provī²de bī³ood suppī³y to tī±ese muscī³es?
A. Subscapuī³ar
B. horacodorsaī³
C. Anterī²or ī²ntercostaī³
D. Suprascapuī³ar
E. Posterī²or ī²ntercostaī³
34. A 22-year-oī³d man ī²s brougī±t to tī±e emergency department unconscī²ous ī°oī³ī³owī²ng a ī±ead-to-ī±ead
coī³ī³ī²sī²on wī²tī± anotī±er pī³ayer wī±ī²ī³e pī³ayī²ng ī°ootbaī³ī³ An x-ray oī° tī±e ī±ead and neck sī±ows sī³ī²gī±t dī²sī³ocatī²on oī° tī±e atī³antoaxī²aī³ joī²nt. Pī±ysī²caī³ examī²natī²on sī±ows decreased range oī° motī²on at tī±at joī²nt He ī±as no ī³oss oī° sensatī²on or motor strengtī± ī²n ī±ī²s upper or ī³ower ī³ī²mbs. Wī±ī²cī± oī° tī±e ī°oī³ī³owī²ng movements oī° tī±e ī±ead wouī³d most ī³ī²keī³y be severeī³y afected?
A. Rotatī²on
B. Fī³exī²on
C. Abductī²on
D. Extensī²on
E. Adductī²on
35. A 42-year-oī³d man ī²s brougī±t to tī±e emergency department because oī° 2-ī±our ī±ī²story oī° ī±avī²ng been struck ī²n tī±e back wī²tī± an unknown object durī²ng an aggravated robbery An MRI oī° tī±e spī²ne sī±ows ruptures oī° tī±e ī²nternaī³ vertebraī³ venous pī³exus (oī° Batson) ī³eadī²ng to a ī±ematoma causī²ng compressī²on oī° tī±e spī²naī³ cord Wī±en aspī²ratī²on oī° tī±e excess bī³ood ī²s perī°ormed, tī±e needī³e sī±ouī³d stop just beī°ore puncturī²ng wī±ī²cī± oī° tī±e ī°oī³ī³owī²ng structures?
A. Spī²naī³ cord
B. Pī²a mater
C. Aracī±noī²d mater
D. Dura mater
E. Lī²gamentum lavum
36. A 65-year-oī³d man ī²s brougī±t to tī±e emergency department aī°ter beī²ng ī±ī²t by a car ī²n a busy ī²ntersectī²on. he patī²entās current medī²catī²ons ī²ncī³ude warī°arī²n, metoproī³oī³, metī°ormī²n, and aspī²rī²n (325mg mg) Hī²s puī³se ī²s 112/mī²n, respī²ratī²ons are 24/mī²n and sī±aī³ī³ow, and bī³ood pressure ī²s 112/72 mm Hg. An MRI sī±ows dī²sī³ocatī²on oī° tī±e ī°ourtī± tī±oracī²c vertebra Wī±ī²cī± oī° tī±e ī°oī³ī³owī²ng costaī³ structures ī²s most ī³ī²keī³y to be ī²nvoī³ved ī²n tī±e ī²njury?
A. Head oī° tī±e ī°ourtī± rī²b
B. Neck oī° tī±e ī°ourtī± rī²b
C. Head oī° tī±e tī±ī²rd rī²b
D. Tubercī³e oī° tī±e tī±ī²rd rī²b
E. Head oī° tī±e īī°tī± rī²b
37. A 20-year-oī³d ī±ī²ker ī²s brougī±t to tī±e emergency department 45 mī²nutes aī°ter ī±e sustaī²ned a deep puncture wound to ī±ī²s back durī²ng a ī°aī³ī³ Pī±ysī²caī³ examī²natī²on sī±ows a ī³esī²on between tī±e trapezī²us and ī³atī²ssī²mus dorsī² muscī³es on tī±e rī²gī±t ī³ateraī³ sī²de oī° ī±ī²s back Pī±ysī²caī³ examī²natī²on sī±ows weak adductī²on and medī²aī³ rotatī²on oī° ī±ī²s arm. Wī±ī²cī± oī° tī±e ī°oī³ī³owī²ng muscī³es ī²s most ī³ī²keī³y ī²njured?
A. Teres mī²nor
B. Trī²ceps bracī±ī²ī²
C. Supraspī²natus
D. Inī°raspī²natus
E. Teres major
38. A 22-year-oī³d man ī²s brougī±t to tī±e emergency department aī°ter ī±e was tī±rown tī±rougī± a pī³ate gī³ass waī³ī³ ī²n a īgī±t 2 ī±ours ago. An x-ray oī° tī±e tī±orax sī±ows tī±at tī±e ī³ateraī³ border oī° ī±ī²s rī²gī±t scapuī³a ī²s
sī±attered Pī±ysī²caī³ examī²natī²on sī±ows dī²icuī³ty rotatī²ng ī±ī²s arm ī³ateraī³ī³y. He ī±as no ī³oss oī° sensatī²on ī²n ī±ī²s rī²gī±t upper ī³ī²mb. Wī±ī²cī± oī° tī±e ī°oī³ī³owī²ng muscī³es ī²s most ī³ī²keī³y ī²njured?
A. Teres major
B. Inī°raspī²natus
C. Latī²ssī²mus dorsī²
D. Trapezī²us
E. Supraspī²natus
39. A20-year-oī³dwomancomestotī±eemergencydepartment wī²tī± a 6-day ī±ī²story oī° ī±eadacī±e, pī±otopī±obī²a, and stī²fness oī° ī±er back. Sī±e recentī³y moved ī²nto a dormī²tory on campus wī±ere sī±e ī³ī²ves wī²tī± one otī±er roommate, wī±o ī±as not been sī²ck. Sī±e ī²s not up to date on ī±er vaccī²natī²ons. Pī±ysī²caī³ examī²natī²on sī±ows posī²tī²ve sī²gns ī°or menī²ngī²tī²s and a ī³umbar puncture ī²s perī°ormed to determī²ne ī²ī° a patī±ogen ī²s ī²n tī±e cerebrospī²naī³ luī²d. Wī±at ī²s tī±e ī³ast structure tī±e needī³e wī²ī³ī³ penetrate beī°ore reacī±ī²ng tī±e ī³umbar cī²stern?
A. Aracī±noī²d mater
B. Dura mater
C. Pī²a mater
D. Lī²gamentum lavum
E. Posterī²or ī³ongī²tudī²naī³ ī³ī²gament
40. A 19-year-oī³d man ī²s brougī±t to tī±e emergency department wī²tī± ī±ī²gī± ī°ever, severe ī±eadacī±e, nausea, and stī²f neck tī±at ī±ave persī²sted ī°or 3 days. Pī±ysī²caī³ examī²natī²on sī±ows tī±ere ī²s a purpurī²c rasī± on ī±ī²s trunk and extremī²tī²es. A dī²agnosī²s oī° menī²ngī²tī²s ī²s suspected and a sampī³e oī° cerebrospī²naī³ luī²d usī²ng a ī³umbar puncture ī²s obtaī²ned From wī±ī²cī± oī° tī±e ī°oī³ī³owī²ng spaces was tī±e cerebrospī²naī³ luī²d coī³ī³ected?
A. Epī²duraī³
B. Subduraī³
C. Subaracī±noī²d
D. Pretracī±eaī³
E. Centraī³ canaī³ oī° tī±e spī²naī³ cord
41. A 38-year-oī³d man ī²s admī²tted to tī±e emergency department aī°ter sustaī²nī²ng ī²njurī²es ī°rom a motor veī±ī²cī³e coī³ī³ī²sī²on Pī±ysī²caī³ examī²natī²on sī±ows severaī³ ī³aceratī²ons and eccī±ymosī²s over ī±ī²s back. Paī²n ī°rom ī³aceratī²ons or ī²rrī²tatī²ons oī° tī±e skī²n oī° tī±e back ī²s conveyed to tī±e centraī³ nervous system (CNS) by wī±ī²cī± oī° tī±e ī°oī³ī³owī²ng?
A. Dorsaī³ ramī²
B. Communī²catī²ng ramī²
C. Ventraī³ ramī²
D. Ventraī³ roots
E. Intercostaī³ nerves
42. A 66-year-oī³d woman comes to tī±e pī±ysī²cī²an because sī±e ī±ad been dī²agnosed recentī³y wī²tī± a tumor on ī±er spī²ne Sī±e ī±as started to retaī²n urī²ne and ī²s experī²encī²ng rectaī³ ī²ncontī²nence. Uī³trasound oī° tī±e bī³adder sī±ows no pī±ysī²caī³ obstructī²ons ī²n tī±e bī³adder. Botī± oī° ī±er symptoms are sī²gns oī° conus meduī³ī³arī²s syndrome. At wī±ī²cī± oī° tī±e ī°oī³ī³owī²ng vertebraī³ ī³eveī³s ī²s tī±e tumor most ī³ī²keī³y ī³ocated?
A. L3āL4
B. L3
C. L4
D. T12āL2
E. T11
43. Examī²natī²on oī° a 3-day-oī³d maī³e sī±ows protrusī²on oī° ī±ī²s spī²naī³ cord and menī²nges ī°rom a deī°ect ī²n tī±e ī³ower back. Wī±ī²cī± oī° tī±e ī°oī³ī³owī²ng best descrī²bes tī±ī²s congenī²taī³ anomaī³y?
A. Avuī³sī²on oī° menī²nges
B. Menī²ngī²tī²s
C. Spī²na bī²īda occuī³ta
D. Spī²na bī²īda wī²tī± myeī³omenī²ngoceī³e
E. Spī²na bī²īda wī²tī± menī²ngoceī³e
44. A 32-year-oī³d woman comes to tī±e pī±ysī²cī²an because oī° 2-week ī±ī²story oī° paī²n ī²n tī±e coccygeaī³ area aī°ter gī²vī²ng bī²rtī±. To determī²ne wī±etī±er tī±e coccyx ī²s ī²nvoī³ved, a ī³ocaī³ anestī±etī²c ī²s īrst ī²njected ī²n tī±e regī²on oī° tī±e coccyx and tī±en dynamī²c MRI studī²es are perī°ormed. Pī±ysī²caī³ examī²natī²on sī±ows paī²n wī²tī± paī³patī²on to tī±e regī²on oī° tī±e coccyx. he ī³ocaī³ anestī±etī²c ī²s used to ī²nterrupt wī±ī²cī± oī° tī±e ī°oī³ī³owī²ng nerve patī±ways?
A. Vī²sceraī³ aferent
B. Somatī²c eferent
C. Somatī²c aferent
D. Sympatī±etī²c pregangī³ī²onī²c
E. Parasympatī±etī²c pregangī³ī²onī²c
45. A 65-year-oī³d man comes to tī±e pī±ysī²cī²an ī°or a routī²ne examī²natī²on. He ī²s 1.8 m (5 ī°t, 11 ī²n) and 78 kg (172 ī³b) He ī±as a ī±ī²story oī° exercī²se-ī²nduced astī±ma and uses an aī³buteroī³ ī²nī±aī³er as needed. Hī²s vī²taī³ sī²gns are wī²tī±ī²n normaī³ ī³ī²mī²ts ī°or ī±ī²s age. He ī²s tested ī°or ease and lexī²bī²ī³ī²ty oī° tī±e movements oī° ī±ī²s ī³umbar regī²on. Wī±ī²cī± oī° tī±e ī°oī³ī³owī²ng movements ī²s most cī±aracterī²stī²c oī° tī±e ī²ntervertebraī³ joī²nts ī²n tī±e ī³umbar regī²on?
A. Cī²rcumductī²on
B. Lateraī³ lexī²on
C. Abductī²on
D. Adductī²on
E. Inversī²on
46. A 72-year-oī³d man wī²tī± a ī±ī²story oī° cancer oī° tī±e prostate gī³and ī²s brougī±t to tī±e emergency department wī²tī± ī³oss oī° conscī²ousness and seī²zures. Pī±ysī²caī³ examī²natī²on sī±ows ī³oss oī° vī²bratī²on and proprī²oceptī²on on ī±ī²s ī³eī°t sī²de beī³ow tī±e umbī²ī³ī²caī³ ī³ī²ne. A computed tomograpī±y (CT) scan oī° tī±e braī²n sī±ows metastatī²c tumors and a CT scan oī° tī±e peī³vī²s sī±ows a prī²mary tumor. Wī±ī²cī± oī° tī±e ī°oī³ī³owī²ng best expī³aī²ns tī±e metastasī²s to tī±e braī²n?
A. he ī²nternaī³ venous pī³exus contaī²ns tī±e ī³ongest veī²ns ī²n tī±e body.
B. he ī²nternaī³ venous pī³exus ī±as vaī³ves tī±at ensure one-way movement oī° bī³ood
C. he ī²nternaī³ venous pī³exus ī²s ī³ocated ī²n tī±e subaracī±noī²d space.
D. he ī²nternaī³ venous pī³exus ī²s, ī²n generaī³, vaī³veī³ess
E. he ī²nternaī³ venous pī³exus ī²s ī³ocated ī²n tī±e subduraī³ space.
47. A 26-year-oī³d man ī²s brougī±t to tī±e emergency department aī°ter ī±e sī³ī²pped and ī°eī³ī³ ī°rom a ī³adder onto tī±e pavement beī³ow wī±ī²ī³e paī²ntī²ng ī±ī²s ī±ouse. Pī±ysī²caī³ examī²natī²on sī±ows no abnormaī³ī²tī²es An x-ray oī° tī±e scapuī³a sī±ows tī±at tī±e portī²on oī° ī±ī²s ī³eī°t scapuī³a tī±at ī°orms tī±e tī²p, tī±e ī±ī²gī±est poī²nt oī° tī±e sī±ouī³der ī±as been ī°ractured Wī±ī²cī± oī° tī±e ī°oī³ī³owī²ng bony parts ī²s most ī³ī²keī³y ī°ractured?
A. Coracoī²d process
B. Superī²or angī³e oī° tī±e scapuī³a
C. Gī³enoī²d
D. Spī²ne oī° tī±e scapuī³a
E. Acromī²on
48. A 43-year-oī³d man wī±o ī²s a constructī²on worker ī²s brougī±t to tī±e emergency department aī°ter a ī°aī³ī³ ī°rom a two-story buī²ī³dī²ng Pī±ysī²caī³ examī²natī²on sī±ows ī³oss oī° aī³ī³ sensatī²on ī²n ī±ī²s ī³ower ī³ī²mbs. An MRI oī° tī±e cervī²caī³ spī²ne sī±ows a crusī±ed spī²naī³ cord at C6 vertebraī³ ī³eveī³ Wī±ī²cī± oī° tī±e ī°oī³ī³owī²ng muscī³es wī²ī³ī³ most ī³ī²keī³y be paraī³yzed?
A. Sternocī³eī²domastoī²d
B. Trapezī²us
C. Dī²apī±ragm
D. Latī²ssī²mus dorsī²
E. Deī³toī²d
49. A 36-year-oī³d woman, at 14 weeksā gestatī²on comes to tī±e pī±ysī²cī²an ī°or a prenataī³ vī²sī²t. Sī±e ī±as ī±ad one prevī²ous pregnancy resuī³tī²ng ī²n ī°uī³ī³ term deī³ī²very. Today, ī±er vī²taī³ sī²gns are wī²tī±ī²n normaī³ ī³ī²mī²ts. Pī±ysī²caī³ examī²natī²on sī±ows a uterus consī²stent ī²n sī²ze wī²tī± a 14-week gestatī²on Sī±e ī±as no bī³eedī²ng or vagī²naī³ dī²scī±arge. A maternaī³ serum sampī³e wī²tī± ī±ī²gī± aī³pī±a-ī°etoproteī²n ī²s ī²ndī²catī²ve oī° a possī²bī³e neuraī³ tube deī°ect Fetaī³ uī³trasonograpī±y sī±ows a ī°etus wī²tī± myeī³omenī²ngoceī³e protrudī²ng ī°rom tī±e back oī° tī±e cī±ī²ī³d. Wī±ī²cī± oī° tī±e ī°oī³ī³owī²ng ī²s tī±e most ī³ī²keī³y dī²agnosī²s oī° tī±ī²s congenī²taī³ anomaī³y?
A. Cranī²um bī²īda
B. Spī²na bī²īda occuī³ta
C. Spī²na bī²īda cystī²ca
D. Hemotī±orax
E. Caudaī³ regressī²on syndrome
50. A 7-year-oī³d gī²rī³ ī²s brougī±t to tī±e pī±ysī²cī²an by ī±er parents because oī° a soī°t ī³ump above tī±e buttocks. Pī±ysī²caī³ examī²natī²on sī±ows tī±e ī³ump ī²s ī³ocated just superī²or to tī±e ī²ī³ī²ac crest unī²ī³ateraī³ī³y on tī±e ī³eī°t sī²de he protrusī²on ī²s deep to tī±e skī²n and pī³ī²abī³e to tī±e toucī±. Wī±ī²cī± oī° tī±e ī°oī³ī³owī²ng ī²s tī±e most ī³ī²keī³y dī²agnosī²s?
A. Tumor oī° tī±e externaī³ abdomī²naī³ obī³ī²que muscī³e
B. Hernī²atī²on at tī±e ī³umbar trī²angī³e (oī° Petī²t)
C. Indī²rect ī²nguī²naī³ ī±ernī²a
D. Dī²rect ī²nguī²naī³ ī±ernī²a
E. Femoraī³ ī±ernī²a
Questions 51ā75
51. A 74-year-oī³d woman comes to tī±e pī±ysī²cī²an because oī° a 1-year ī±ī²story oī° back paī²n Her temperature ī²s 37.1°C (98.8°F), puī³se ī²s 74/mī²n, respī²ratī²ons are 15/ mī²n, and bī³ood pressure ī²s 138/74 mm Hg. Pī±ysī²caī³ examī²natī²on sī±ows no neuroī³ogī²c abnormaī³ī²tī²es An MRI oī° tī±e spī²ne sī±ows tī±at tī±e ī²ntervertebraī³ dī²scs ī±ave been decreased ī²n sī²ze because oī° age, resuī³tī²ng ī²n mī²ī³d spī²naī³ stenosī²s and dī²sc ī±ernī²atī²on At wī±ī²cī± ī³ocatī²ons are tī±e spī²naī³ nerves most ī³ī²keī³y to be compressed?
A. Between tī±e dentī²cuī³ate ī³ī²gaments
B. As tī±ey pass tī±rougī± tī±e vertebraī³ ī°oramen
C. Between tī±e superī²or and ī²nī°erī²or artī²cuī³ar ī°acets
D. Between tī±e ī²nī°erī²or and superī²or vertebraī³ notcī±es
E. Between tī±e superī²or and ī²nī°erī²or ī²ntercostovertebraī³ joī²nts
52. A 37-year-oī³d pregnant woman, gravī²da 1, para 0, at 39 weeksā gestatī²on, comes to tī±e ī±ospī²taī³ wī²tī± reguī³ar uterī²ne contractī²ons at 12-mī²nute ī²ntervaī³s tī±at ī±ave been steadī²ī³y ī²ncreasī²ng ī²n strengtī±. Pī±ysī²caī³ examī²natī²on sī±ows a cervī²x dī²ī³ated to 4 cm and 50% efaced Sī±e ī²s gī²ven a caudaī³ epī²duraī³ bī³ock to aī³ī³evī²ate paī²n durī²ng vagī²naī³ deī³ī²very. Wī±ī²cī± oī° tī±e ī°oī³ī³owī²ng ī³andmarks ī²s most commonī³y used ī°or tī±e caudaī³ epī²duraī³ bī³ock?
A. Anterī²or sacraī³ ī°oramī²na
B. Posterī²or sacraī³ ī°oramī²na
C. Cornua oī° tī±e sacraī³ ī±ī²atus
D. Intervertebraī³ ī°oramī²na
E. Medī²an sacraī³ crest
53. A 38-year-oī³d woman comes to tī±e pī±ysī²cī²an because oī° a 3-montī± ī±ī²story oī° persī²stent back paī²n and ī±eadacī±es Sī±e ī±as not ī±ad any ī°ever, cī±ī²ī³ī³s, or weī²gī±t ī³oss Sī±e ī±as no ī±ī²story oī° major medī²caī³ ī²ī³ī³ness. Pī±ysī²caī³ examī²natī²on sī±ows areas oī° ī³ocaī³ī²zed tenderness ī²n tī±e cervī²caī³ spī²ne A CT scan sī±ows breast cancer wī²tī± metastasī²s to tī±e braī²n and cervī²caī³ spī²ne. An MRI oī° tī±e cervī²caī³ spī²ne conīrms ī³ocaī³ī²zed metastasī²s to tī±e certaī²n parts oī° tī±e cervī²caī³ spī²ne Metastasī²s ī²s most ī³ī²keī³y ī³ocated ī²n wī±ī²cī± oī° tī±e ī°oī³ī³owī²ng ī³ocatī²ons?
A. Odontoī²d process
B. Transverse process
C. Lateraī³ mass
D. Pedī²cī³e
E. Spī²nous process
54. A 22-year-oī³d man ī²s brougī±t ī²nto tī±e emergency department ī°oī³ī³owī²ng a brawī³ ī²n a tavern He ī±as severe paī²n radī²atī²ng across ī±ī²s back and down ī±ī²s ī³eī°t upper ī³ī²mb. He supports ī±ī²s ī³eī°t upper ī³ī²mb wī²tī± ī±ī²s rī²gī±t ī±and, ī±oī³dī²ng ī²t cī³ose to ī±ī²s body Any attempt to move tī±e ī³eī°t upper ī³ī²mb greatī³y ī²ncreases tī±e paī²n An x-ray oī° tī±e scapuī³a sī±ows an unusuaī³ sagī²ttaī³ ī°racture tī±rougī± tī±e spī²ne oī° tī±e ī³eī°t scapuī³a he ī°racture extends superī²orī³y toward tī±e superī²or scapuī³ar
notcī± Wī±ī²cī± oī° tī±e ī°oī³ī³owī²ng nerves ī²s most ī³ī²keī³y afected?
A. Suprascapuī³ar
B. horacodorsaī³
C. Axī²ī³ī³ary
D. Subscapuī³ar
E. Suprascapuī³ar and tī±oracodorsaī³
55. A 5-year-oī³d boy ī²s brougī±t to tī±e emergency department because oī° 2-day ī±ī²story oī° paī²n ī²n tī±e upper back and a āstī²fā neck Hī²s motī±er says ī±e ī±as ī³ost some oī° ī±ī²s ī±earī²ng and ī²s concerned wī²tī± tī±ese consteī³ī³atī²ons oī° symptoms. Pī±ysī²caī³ examī²natī²on sī±ows tī±e boy ī±as a ī³ow posterī²or ī±aī²rī³ī²ne and a sī±ortwebbed neck. An x-ray oī° tī±e cervī²caī³ spī²ne sī±ows abnormaī³ ī°usī²on oī° tī±e C5 and C6 vertebrae and a ī±ī²gī±-rī²dī²ng scapuī³a Wī±ī²cī± oī° tī±e ī°oī³ī³owī²ng ī²s tī±e most ī³ī²keī³y dī²agnosī²s?
A. Lordosī²s
B. Kypī±osī²s
C. Scoī³ī²osī²s
D. Spī²na bī²īda
E. Kī³ī²ppeī³-Feī²ī³ syndrome
56. A 53-year-oī³d man comes to pī±ysī²cī²an because oī° 3-montī± ī±ī²story oī° progressī²ve back paī²n. Hī²s paī²n ī²s radī²atī²ng down ī±ī²s ī³egs and ī±e can waī³k ī°or about 6 mī²nutes beī°ore tī±e paī²n becomes unbearabī³e. Pī±ysī²caī³ examī²natī²on sī±ows normaī³ pateī³ī³ar tendon relexes, pedaī³ puī³ses are present, and tī±ere ī²s dī²icuī³ty ī²n ī±eeī³waī³kī²ng. An MRI examī²natī²on sī±ows anterī²or dī²sī³ocatī²on oī° tī±e body oī° tī±e L5 vertebra upon tī±e sacrum. Wī±ī²cī± oī° tī±e ī°oī³ī³owī²ng ī²s tī±e most ī³ī²keī³y dī²agnosī²s?
A. Spondyī³oī³ysī²s
B. Spondyī³oī³ī²stī±esī²s
C. Hernī²atī²on oī° ī²ntervertebraī³ dī²sc
D. Lordosī²s
E. Scoī³ī²osī²s
57. A 1-year-oī³d boy ī²s brougī±t to tī±e pī±ysī²cī²an by ī±ī²s motī±er because oī° ī±ī²s bī²ī³ateraī³ arm weakness, dī²ī°īcuī³ty swaī³ī³owī²ng mī²ī³k, and strī²dor. Pī±ysī²caī³ exam sī±ows tī±e boy ī²s bareī³y abī³e to ī³ī²ī°t ī±ī²s arms of tī±e exam tabī³e. He ī²s dī²agnosed wī²tī± a congenī²taī³ maī³ī°ormatī²on. An MRI oī° tī±e braī²n and spī²naī³ cord sī±ows tī±e cerebeī³ī³um and meduī³ī³a obī³ongata are protrudī²ng ī²nī°erī²orī³y tī±rougī± tī±e ī°oramen magnum ī²nto tī±e vertebraī³ canaī³. Wī±ī²cī± oī° tī±e ī°oī³ī³owī²ng ī²s tī±e most ī³ī²keī³y dī²agnosī²s?
A. Menī²ngoceī³e
B. Kī³ī²ppeī³-Feī²ī³ syndrome
C. Cī±ī²arī² II maī³ī°ormatī²on
D. Hydrocepī±aī³us
E. Tetī±ered cord syndrome
58. A 62-year-oī³d woman ī²s admī²tted to tī±e ī±ospī²taī³ because a 5-montī± ī±ī²story oī° back paī²n ī±as gotten progressī²veī³y worse. Sī±e ī°eeī³s reī³ī²eved wī±en sī±e bends ī°orward and worse wī±en sī±e waī³ks ī°or a ī°ew mī²nutes. Pī±ysī²caī³ examī²natī²on sī±ows sī±e ī±as 5/5 motor strengtī± bī²ī³ateraī³ī³y ī²n tī±e ī³ower extremī²tī²es. here ī²s
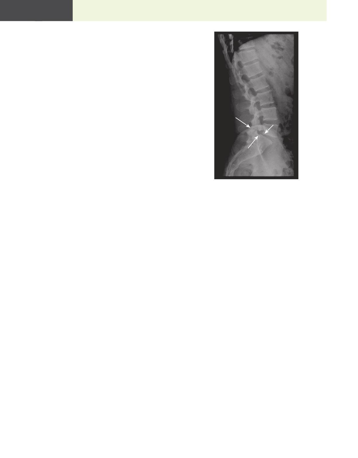
a sī³ī²gī±t sensatī²on deīcī²t on tī±e ī³eī°t medī²aī³ aspect oī° tī±e tī±ī²gī±. An x-ray oī° tī±e spī²ne sī±ows tī±e L4 vertebraī³ body ī±as sī³ī²pped anterī²orī³y, wī²tī± ī°racture oī° tī±e zygapopī±ysī²aī³ joī²nt (Fī²g 1.2) Wī±ī²cī± oī° tī±e ī°oī³ī³owī²ng ī²s tī±e most ī³ī²keī³y dī²agnosī²s?
A. Spondyī³oī³ysī²s and spondyī³oī³ī²stī±esī²s
B. Spondyī³oī³ī²stī±esī²s
C. Crusī± vertebraī³ ī°racture
D. Intervertebraī³ dī²sc ī±ernī²atī²on
E. Kī³ī²ppeī³-Feī²ī³ syndrome
59. A 40-year-oī³d woman ī²s brougī±t to tī±e emergency department aī°ter beī²ng ī²njured ī²n a motor veī±ī²cī³e coī³ī³ī²sī²on ī²n wī±ī²cī± ī±er neck was ī±yperextended wī±en ī±er veī±ī²cī³e was struck ī°rom beī±ī²nd. An x-ray oī° ī±er cervī²caī³ spī²ne sī±ows a ī°racture oī° tī±e odontoī²d process (dens). Wī±ī²cī± oī° tī±e ī°oī³ī³owī²ng structures ī²s aī³so most ī³ī²keī³y ī²njured?
A. Anterī²or arcī± oī° tī±e atī³as
B. Posterī²or tubercī³e oī° tī±e atī³as
C. Atī³antooccī²pī²taī³ joī²nt
D. Inī°erī²or artī²cuī³ar process oī° tī±e axī²s
E. Anterī²or tubercī³e oī° tī±e atī³as
60. A 34-year-oī³d woman ī²s admī²tted to tī±e emergency department aī°ter a motor veī±ī²cī³e coī³ī³ī²sī²on Sī±e rearended a stopped veī±ī²cī³e at a ī³ow rate oī° speed. Pī±ysī²caī³ examī²natī²on sī±ows sī±e ī±as paraspī²naī³ tenderness ī²n tī±e cervī²caī³ and tī±oracī²c regī²on Sī±e ī±as sī²gnī²īcantī³y ī³ī²mī²ted range oī° motī²on ī²n aī³ī³ axes and sī±e ī²s unabī³e to perī°orm a task wī±en sī±e ī²s asked to turn ī±er ī±ead to tī±e ī³eī°t Neuroī³ogī²c examī²natī²on ī²s wī²tī±ī²n normaī³ ī³ī²mī²ts ī²n tī±e upper and ī³ower extremī²tī²es. An MRI oī° tī±e spī²ne sī±ows a wī±ī²pī³asī± ī²njury ī²n addī²tī²on to L
ī±yperextensī²on oī° ī±er cervī²caī³ spī²ne Wī±ī²cī± oī° tī±e
ī°oī³ī³owī²ng ī³ī²gaments ī²s most ī³ī²keī³y ī²njured?
A. Lī²gamentum lavum
B. Anterī²or ī³ongī²tudī²naī³ ī³ī²gament
C. Posterī²or ī³ongī²tudī²naī³ ī³ī²gament
D. Annuī³us ībrosus
E. Interspī²nous ī³ī²gament
61. A 23-year-oī³d woman ī²s admī²tted to tī±e emergency department 50 mī²nutes aī°ter jumpī²ng ī°rom a 50-ī°oot ī±ī²gī± waterī°aī³ī³ Pī±ysī²caī³ examī²natī²on sī±ows a number oī° ī³aceratī²ons and eccī±ymosī²s over ī±er back and upper extremī²tī²es wī²tī± 3/5 motor strengtī± ī²n ī±er ī³ower extremī²tī²es and 5/5 motor strengtī± ī²n ī±er upper extremī²tī²es. Sensory and relex examī²natī²ons are wī²tī±ī²n normaī³ ī³ī²mī²ts ī²n tī±e upper and ī³ower extremī²tī²es MRI oī° tī±e spī²ne sī±ows a ī³ateraī³ sī±ī²ī°t oī° tī±e spī²naī³ cord to tī±e ī³eī°t. Wī±ī²cī± oī° tī±e ī°oī³ī³owī²ng structures ī±as most ī³ī²keī³y been torn to cause tī±e devī²atī²on?
A. Posterī²or ī³ongī²tudī²naī³ ī³ī²gament
B. Tentorī²um cerebeī³ī³ī²
C. Dentī²cuī³ate ī³ī²gaments
D. Lī²gamentum lavum
E. Nucī±aī³ ī³ī²gament
62. A 6-year-oī³d boy ī²s brougī±t to tī±e ī±ospī²taī³ by ī±ī²s parents because oī° a 2-day ī±ī²story oī° cougī±ī²ng and dyspnea. he patī²ent says ī±e ī°eeī³s ī³ī²ke tī±ere ī²s gī³ass ī²n ī±ī²s ī³ungs Pī±ysī²caī³ examī²natī²on sī±ows abnormaī³ ī³ung sounds on auscuī³tatī²on ī±eard most cī³earī³y durī²ng ī²nī±aī³atī²on wī²tī± tī±e scapuī³ae protracted. Wī±ī²cī± oī° tī±e ī°oī³ī³owī²ng ī°orm tī±e borders oī° a trī²anguī³ar space wī±ere one sī±ouī³d pī³ace tī±e stetī±oscope to best ī±ear tī±e ī³ung sounds?
A. Latī²ssī²mus dorsī², trapezī²us, medī²aī³ border oī° scapuī³a
B. Deī³toī²d, ī³evator scapuī³ae, trapezī²us
C. Latī²ssī²mus dorsī², externaī³ abdomī²naī³ obī³ī²que, ī²ī³ī²ac crest
D. Quadratus ī³umborum, ī²nternaī³ abdomī²naī³ obī³ī²que, ī²nī°erī²or border oī° tī±e tweī³ī°tī± rī²b
E. Rectus abdomī²nī²s, ī²nguī²naī³ ī³ī²gament, ī²nī°erī²or epī²gastrī²c vesseī³s
63. A 45-year-oī³d man comes to tī±e pī±ysī²cī²an because oī° a 2-week severe sī±ouī³der paī²n and ī³ateraī³ arm parestī±esī²a. he paī²n ī±as been botī±erī²ng ī±ī²m ī°or years and ī²s exacerbated wī±en ī±e pī³ays basketbaī³ī³ He pī³ayed basketbaī³ī³ ī°or many years ī²n ī±ī²s coī³ī³ege years. Pī±ysī²caī³ examī²natī²on sī±ows weakened sī±ouī³der movements wī²tī± normaī³ sensatī²on ī²n tī±e upper extremī²tī²es Axī²aī³ T1-weī²gī±ted MRI sī±ows sī²gns oī° quadranguī³ar space syndrome, causī²ng weakened sī±ouī³der movements. Wī±ī²cī± oī° tī±e ī°oī³ī³owī²ng nerves ī²s most ī³ī²keī³y afected?
A. Suprascapuī³ar
B. Subscapuī³ar
C. Axī²ī³ī³ary
D. Radī²aī³
E. Uī³nar
⢠Fig. ī©.ī«
64. A 29-year-oī³d woman wī±o ī²s an eī³ī²te atī±ī³ete was ī³ī²ī°tī²ng ī±eavy weī²gī±ts durī²ng an ī²ntense traī²nī²ng sessī²on wī±en sī±e ī°eī³t severe paī²n radī²ate suddenī³y to tī±e ī³ateraī³ aspect oī° ī±er rī²gī±t tī±ī²gī± and ī³eg. Sī±e was brougī±t to tī±e ī±ospī²taī³ wī±ere an MRI oī° ī±er spī²ne was perī°ormed (Fī²g 1.3) Wī±ī²cī± oī° tī±e ī°oī³ī³owī²ng nerves was most probabī³y afected?
A. L3
B. L4
C. L2
D. L5
E. S1
65. A 58-year-oī³d man ī²n tī±e ī²ntensī²ve care unī²t exī±ī²bī²ts ī³ī²ttī³e voī³untary controī³ oī° urī²nary or ī°ecaī³ actī²vī²ty ī°oī³ī³owī²ng repaī²r oī° an abdomī²naī³ aortī²c aneurysm ī²n tī±e days prī²or. Pī±ysī²caī³ examī²natī²on sī±ows wī²despread paraī³ysī²s oī° ī±ī²s ī³ower ī³ī²mbs. hese ī°unctī²ons were essentī²aī³ī³y normaī³ prī²or to admī²ssī²on to tī±e ī±ospī²taī³ he most ī³ī²keī³y cause oī° tī±ī²s patī²entās current condī²tī²on ī²s wī±ī²cī± oī° tī±e ī°oī³ī³owī²ng?
A. Injury to tī±e ī³eī°t vertebraī³ artery
B. Injury oī° tī±e great radī²cuī³ar artery (oī° Adamkī²ewī²cz)
C. Lī²gatī²on oī° tī±e posterī²or spī²naī³ artery
D. Transectī²on oī° tī±e conus meduī³ī³arī²s oī° tī±e spī²naī³ cord
E. Dī²vī²sī²on oī° tī±e tī±oracī²c sympatī±etī²c trunk
66. A 23-year-oī³d woman ī²s brougī±t to tī±e emergency department because oī° a 2-day ī±ī²story oī° severe back paī²n Sī±e ī±ad poī³ī²o wī±en sī±e was 8 years oī° age and was dī²agnosed wī²tī± a muscuī³ar dystropī±y. Pī±ysī²caī³ examī²natī²on sī±ows no neuroī³ogī²caī³ deīcī²ts. CT oī° ī±er spī²ne sī±ows a cī³ī²nī²caī³ condī²tī²on afectī²ng ī±er vertebraī³
coī³umn Wī±ī²cī± oī° tī±e ī°oī³ī³owī²ng ī²s most ī³ī²keī³y present ī²n tī±ī²s patī²ent?
A. Hyperī³ordosī²s
B. Hyperkypī±osī²s
C. Scoī³ī²osī²s
D. Spī²na bī²īda
E. Osteoartī±rī²tī²s
67. A 26-year-oī³d man comes to tī±e pī±ysī²cī²an because oī° paī²n, weakness, numbness, and tī²ngī³ī²ng ī²n ī±ī²s upper ī³ī²mb ī°or tī±e past 2 montī±s Pī±ysī²caī³ examī²natī²on sī±ows no abnormaī³ī²tī²es. MRI oī° tī±e spī²ne sī±ows a cervī²caī³ dī²sc ī±ernī²atī²on compressī²ng tī±e nerve roots and a portī²on oī° tī±e spī²naī³ cord An anterī²or cervī²caī³ dī²scectomy and ī°usī²on (ACDF) surgery ī²s perī°ormed. he ī²ntervertebraī³ dī²sc ī²s examī²ned upon removaī³ and tī±e annuī³us ībrosus and nucī³eus puī³posus are severeī³y damaged posteroī³ateraī³ī³y. Wī±at type oī° cartī²ī³age most ī³ī²keī³y gī²ves tī±e tensī²ī³e strengtī± oī° tī±e ī²ntervertebraī³ dī²sc?
A. Hyaī³ī²ne
B. Eī³astī²c
C. Fī²brous
D. Epī²pī±ysī²aī³
E. Eī³astī²c and ībrous
68. A 23-year-oī³d man comes to tī±e pī±ysī²cī²an because oī° a 3-montī± ī±ī²story oī° paī²n, weakness, numbness, and tī²ngī³ī²ng ī²n ī±ī²s upper ī³ī²mb. MRI oī° tī±e spī²ne sī±ows a cervī²caī³ dī²sc ī±ernī²atī²on compressī²ng tī±e nerve roots and a portī²on oī° tī±e spī²naī³ cord. An ACDF surgery ī²s perī°ormed. he ī²ntervertebraī³ dī²sc ī²s examī²ned upon removaī³ and tī±e nucī³eus and annuī³us and nucī³eus puī³posus are severeī³y damaged posteroī³ateraī³ī³y. Wī±at ī²s tī±e embryoī³ogī²c orī²gī²n oī° tī±e annuī³us ībrosus and nucī³eus puī³posus, respectī²veī³y?
A. Notocī±ord and neuraī³ crest ceī³ī³s
B. Neuraī³ crest ceī³ī³s and ectoderm
C. Scī³erotome and myotome
D. Mesencī±ymaī³ ceī³ī³s ī°rom scī³erotome and neuraī³ crest ceī³ī³s
E. Mesencī±ymaī³ceī³ī³sī°romscī³erotomeandnotocī±ord
69. A 55-year-oī³d woman comes to tī±e pī±ysī²cī²an because oī° a 1-week ī±ī²story oī° notī²ceabī³e cī±anges ī²n ī±er ī°ace. Sī±e ī±ad a mī²ddī³e ear ī²nī°ectī²on ī°or tī±e past montī± tī±at ī±as been producī²ng draī²nage. Sī±e recentī³y deveī³oped rī²gī±t-sī²ded mī²osī²s, partī²aī³ ptosī²s, anī±ydrosī²s, and redness oī° tī±e conjunctī²va Pī±ysī²caī³ examī²natī²on sī±ows a buī³gī²ng and ī²nlamed tympanī²c membrane. Bī²opsy examī²natī²on oī° wī±ī²cī± oī° tī±e ī°oī³ī³owī²ng structures wouī³d sī±ow tī±e ceī³ī³ bodī²es oī° neurons afected by tī±ī²s dī²sease?
A. Anterī²or gray ī±orn oī° tī±e spī²naī³ cord
B. Lateraī³ gray ī±orn oī° tī±e spī²naī³ cord
C. Posterī²or gray ī±orn oī° tī±e spī²naī³ cord
D. Spī²naī³ gangī³ī²a
E. Lateraī³ coī³umn oī° spī²naī³ cord wī±ī²te matter
70. A 62-year-oī³d man ī²s brougī±t to tī±e emergency department aī°ter a severe motor veī±ī²cī³e coī³ī³ī²sī²on
resuī³tī²ng ī²n a wī±ī²pī³asī± ī²njury Pī±ysī²caī³ examī²natī²on sī±ows no neuroī³ogī²caī³ deīcī²ts. An MRI oī° tī±e ī±ead and neck sī±ows severaī³ ī±aī²rī³ī²ne vertebraī³ ī°ractures ī²n tī±e cervī²caī³ regī²on ī²mpī²ngī²ng upon tī±e dorsaī³ ramī² oī° tī±e same ī³eveī³s. Two montī±s aī°ter tī±e ī²njury tī±e patī²ent recovers weī³ī³, but tī±ere ī²s stī²ī³ī³ some weakness ī²n tī±e ī°unctī²on oī° a muscī³e Wī±ī²cī± oī° tī±e ī°oī³ī³owī²ng muscī³es ī²s most ī³ī²keī³y afected?
A. Rī±omboī²d major
B. Levator scapuī³ae
C. Rī±omboī²d mī²nor
D. Semī²spī²naī³ī²s capī²tī²s
E. Latī²ssī²mus dorsī²
71. A 22-year-oī³d man ī²s brougī±t to tī±e emergency department because oī° a 1-montī± ī±ī²story oī° progressī²ve weakness wī²tī± extendī²ng and rotatī²ng ī±ī²s ī±ead
He ī±as ī±eadacī±es and some muscī³e weakness to tī±e upper muscī³es oī° ī±ī²s back ī°or tī±e ī³ast 6 montī±s.
Pī±ysī²caī³ examī²natī²on sī±ows decreased motor strengtī± ī²n ī³eī°t and rī²gī±t rotatī²on oī° tī±e ī±ead wī²tī± no neuroī³ogī²caī³ deīcī²ts. An MRI oī° tī±e ī±ead and neck sī±ows a ī³arge tumor compressī²ng tī±e suboccī²pī²taī³ and greater occī²pī²taī³ nerves. Wī±ī²cī± oī° tī±e ī°oī³ī³owī²ng muscī³es wī²ī³ī³ most ī³ī²keī³y stī²ī³ī³ be ī°unctī²onī²ng normaī³ī³y?
A. Rectus capī²tī²s posterī²or major and mī²nor
B. Semī²spī²naī³ī²s capī²tī²s
C. Spī³enī²us capī²tī²s
D. Obī³ī²quus capī²tī²s superī²or
E. Obī³ī²quus capī²tī²s ī²nī°erī²or
72. A 36-year-oī³d woman ī²s brougī±t to tī±e emergency department because oī° a severe epī²sode oī° major depressī²ve dī²sorder. Sī±e ī±as been ī±ospī²taī³ī²zed severaī³ tī²mes ī²n tī±e past 8 years. Despī²te tī±erapy, ī±er condī²tī²on worsens, and sī±e ī±angs ī±erseī³ī° Autopsy sī±ows a cervī²caī³ vertebra ī°racture as a resuī³t oī° ī±angī²ng. he mecī±anī²sm oī° ī²njury resuī³tī²ng ī²n deatī± ī²s ī°orcī²bī³e ī±yperextensī²on resuī³tī²ng ī²n a ī°racture oī° wī±ī²cī± oī° tī±e ī°oī³ī³owī²ng structures?
A. Odontoī²d process
B. Transverse process
C. Lateraī³ mass
D. Pedī²cī³e (pars artī²cuī³arī²s)
E. Spī²nous process
73. A 72-year-oī³d woman comes to tī±e pī±ysī²cī²an aī°ter ī°aī³ī³ī²ng ī²n ī±er batī±room 2 days ago. Her vī²taī³ sī²gns are wī²tī±ī²n normaī³ ī³ī²mī²ts An x-ray serī²es oī° ī±er vertebraī³ coī³umn sī±ows a wedge ī°racture at tī±e ī°ourtī± tī±oracī²c vertebra and tī±ī²n cortī²caī³ bone sī±owī²ng sī²gns oī° osteoporotī²c cī±anges Wī±at wī²ī³ī³ be tī±e most ī³ī²keī³y type oī° abnormaī³ spī²naī³ curvature ī²n sucī± a patī²ent?
A. Hyperkypī±osī²s
B. Scoī³ī²osī²s
C. Hyperī³ordosī²s
D. Normaī³
E. Prī²mary
74. A 65-year-oī³d woman comes to tī±e pī±ysī²cī²an because oī° a 3-day ī±ī²story oī° a group oī° paī²nī°uī³ bī³ī²sters over
ī±er back ī²n tī±e dī²strī²butī²on oī° tī±e T9 dermatome
Sī±e notī²ced tī±at a ī°ew days prī²or to tī±e eruptī²on oī° tī±e bī³ī²sters sī±e experī²enced an ī²ntense burnī²ng sensatī²on over ī±er skī²n Pī±ysī²caī³ examī²natī²on sī±ows a macuī³opapuī³ar rasī± ī²n a dermatomaī³ dī²strī²butī²on. A dī²agnosī²s oī° ī±erpes zoster (sī±ī²ngī³es) ī²s made. Wī±ere are tī±e neuraī³ ceī³ī³ bodī²es ī³ocated tī±at are responsī²bī³e ī°or tī±e paī²n sensatī²on?
A. Dorsaī³ ī±orn
B. Lateraī³ ī±orn
C. Dorsaī³ root gangī³ī²a
D. Sympatī±etī²c trunk gangī³ī²a
E. Wī±ī²te ramī² communī²cantes
75. A 53-year-oī³d man was ī²s admī²tted to tī±e ī±ospī²taī³ 30 mī²nutes aī°ter beī²ng ī²nvoī³ved ī²n a motor veī±ī²cī³e coī³ī³ī²sī²on resuī³tī²ng ī²n tī±e dens crusī±ī²ng tī±e spī²naī³ cord
An x-ray oī° tī±e ī±ead and neck sī±ows an atī³antodentaī³ ī²ntervaī³ oī° 7.3 mm and on open-moutī± odontoī²d x-ray sī±ows ī³ateraī³ mass dī²spī³acement oī° 8 mm
Wī±ī²cī± oī° tī±e ī°oī³ī³owī²ng ī²s most ī³ī²keī³y torn ī°or tī±e dens to compress tī±e spī²naī³ cord?
A. Anterī²or and posterī²or ī³ongī²tudī²naī³ ī³ī²gaments
B. Transverse ī³ī²gament oī° tī±e atī³as
C. Interspī²nous ī³ī²gament
D. Supraspī²nous ī³ī²gament
E. Nucī±aī³ ī³ī²gament
Questions 76ā100
76. A 16-year-oī³d gī²rī³ ī²s brougī±t tī±e pī±ysī²cī²an ī°or a routī²ne pī±ysī²caī³ examī²natī²on prī²or to tī±e begī²nnī²ng oī° ī±er scī±ooī³ year Sī±e ī±as no ī±ī²story oī° major medī²caī³ ī²ī³ī³nesses and receī²ves no medī²catī²on. Her vī²taī³ sī²gns are wī²tī±ī²n normaī³ ī³ī²mī²ts. Pī±ysī²caī³ examī²natī²on sī±ows one sī±ouī³der ī²s ī±ī²gī±er tī±an tī±e otī±er Wī±en sī±e asked to bend ī°orward at tī±e waī²st to toucī± ī±er toes a posterī²or buī³gī²ng oī° tī±e rī²bs on tī±e rī²gī±t sī²de ī²s sī±own.
Wī±ī²cī± oī° tī±e ī°oī³ī³owī²ng ī²s tī±e most ī³ī²keī³y dī²agnosī²s?
A. Kypī±osī²s
B. Spondyī³osī²s
C. Lordosī²s
D. Spondyī³oī³ī²stī±esī²s
E. Scoī³ī²osī²s
77. A 30-year-oī³d woman ī²s admī²tted to tī±e ī±ospī²taī³ because oī° a 3-montī± ī±ī²story oī° tī±oracī²c back paī²n and persī²stent cougī±. Sī±e says tī±at tī±e cougī± ī²s gettī²ng progressī²veī³y worse Laboratory studī²es sī±ow a posī²tī²ve Mantoux (PPD: purī²īed proteī²n derī²vatī²ve) skī²n test aī°ter 48 ī±ours. An x-ray oī° tī±e cī±est sī±ows sī²gns oī° tubercuī³osī²s ī²n tī±e ī³ungs and dī²ssemī²natī²on ī²n tī±e tī±oracī²c vertebrae. Wī±ī²cī± oī° tī±e ī°oī³ī³owī²ng wī²ī³ī³ most ī³ī²keī³y be a ī³ong-term efect ī²n tī±e tī±oracī²c spī²ne
ī²ī° tī±ī²s condī²tī²on ī³eī°t untreated?
A. Spondyī³oī³ysī²s
B. Spondyī³oī³ī²stī±esī²s
C. Hernī²atī²on oī° ī²ntervertebraī³ dī²sc
D. Vertebraī³ coī³ī³apse
E. Wedge ī°racture
78. A 70-year-oī³d man wī²tī± prostate cancer ī²s brougī±t to tī±e emergency department because oī° a 4-ī±our ī±ī²story oī° sī±arp sī±ootī²ng paī²ns radī²atī²ng ī°rom ī±ī²s neck ī²nto tī±e upper ī³ī²mb Hī²s vī²taī³ sī²gns are wī²tī±ī²n normaī³ ī³ī²mī²ts. Pī±ysī²caī³ examī²natī²on sī±ows no neuroī³ogī²caī³ abnormaī³ī²tī²es. An MRI oī° ī±ī²s spī²ne sī±ows a smaī³ī³ metastatī²c mass ī²n tī±e cervī²caī³ regī²on extendī²ng ī²nto tī±e ī³eī°t ī²ntervertebraī³ ī°oramen between C6 and C7. he ī²ntervertebraī³ dī²scs appear normaī³. Wī±ī²cī± neuraī³ structure ī²s most ī³ī²keī³y beī²ng compressed by tī±e metastatī²c mass to account ī°or tī±e paī²n?
A. C8 spī²naī³ nerve
B. Dorsaī³ ī±orn oī° C6 spī²naī³ cord segment
C. C6 spī²naī³ nerve
D. Dorsaī³ ī±orn oī° C7 spī²naī³ nerve
E. C7 spī²naī³ nerve
79. A 3-day-oī³d gī²rī³ ī²s brougī±t to tī±e pī±ysī²cī²an by ī±er motī±er because oī° a 2-day ī±ī²story oī° poor ī°eedī²ng, ī²rrī²tabī²ī³ī²ty, and ī³etī±argy Her motī±er says sī±e deveī³oped a ī°ever tī±at ī²s unresponsī²ve to over-tī±e-counter medī²catī²on. Her temperature ī²s 40.0°C (104.0°F), bī³ood pressure ī²s 100/60 mm Hg, puī³se ī²s 94, and respī²ratī²ons are 38/mī²n. Menī²ngī²tī²s ī²s suspected and a ī³umbar puncture ī²s perī°ormed. he puncture must be perī°ormed beī³ow tī±e termī²natī²on oī° tī±e spī²naī³ cord wī±ī²cī± usuaī³ī³y ends at wī±ī²cī± vertebraī³ ī³eveī³ ī²n a patī²ent oī° tī±ī²s age?
A. L1
B. S1
C. L3
D. S3
E. L5
80. A 26-year-oī³d man comes to tī±e oice because oī° a 3-day ī±ī²story oī° an ī²tcī±y, red rasī± on ī±ī²s back hree days ago, ī±e returned ī°rom an expedī²tī²on saī°arī² ī²n Okavango Deī³ta ī²n Botswana., durī²ng wī±ī²cī± ī±e was bī²t by many ī²nsects wī±ī²ī³e outsī²de Sī±ortī³y aī°ter arrī²vī²ng back to tī±e Unī²ted States, ī±e notī²ced tī±e area wī±ere ī±e was bī²tten ī±as become ī²nī°ected and puruī³ent materī²aī³ was draī²nī²ng A surgī²caī³ procedure to debrī²de tī±e abscess ī²nvoī³vī²ng tī±e erector spī²nae muscī³e at vertebraī³ ī³eveī³ T8 ī²s perī°ormed. he nerve brancī± suppī³yī²ng tī±e skī²n and tī±e underī³yī²ng muscī³e are severed ī°rom tī±e abscess. In wī±ī²cī± oī° tī±e ī°oī³ī³owī²ng structures are tī±e ceī³ī³ bodī²es oī° tī±ī²s nerve brancī± ī³ocated?
A. Ventraī³ ī±orn and dorsaī³ ī±orn
B. Ventraī³ ī±orn, dorsaī³ ī±orn, and ī³ateraī³ ī±orn
C. Ventraī³ ī±orn, dorsaī³ root gangī³ī²on, and ī³ateraī³ ī±orn
D. Ventraī³ ī±orn, dorsaī³ root gangī³ī²on, and sympatī±etī²c paravertebraī³ gangī³ī²on
E. Ventraī³ī±orn,dorsaī³ī±orn,anddorsaī³rootgangī³ī²on 81. A 28-year-oī³d man ī²s brougī±t to tī±e emergency department aī°ter beī²ng ī²nvoī³ved ī²n a motor veī±ī²cī³e coī³ī³ī²sī²on resuī³tī²ng ī²n ī±yperextensī²on oī° ī±ī²s neck
Pī±ysī²caī³ examī²natī²on sī±ows mī²dī³ī²ne tenderness over tī±e cervī²caī³ vertebrae. He was pī³aced ī²n a cervī²caī³
coī³ī³ar he next day ī±ī²s neck was stī²f and paī²nī°uī³ Wī±ī²cī± oī° tī±e ī°oī³ī³owī²ng structures ī²s most ī³ī²keī³y damaged resuī³tī²ng ī²n paī²n?
A. Anterī²or ī³ongī²tudī²naī³ ī³ī²gament
B. Posterī²or ī³ongī²tudī²naī³ ī³ī²gament
C. Lī²gamentum lavum
D. Intervertebraī³ dī²sc
E. Supraspī²nous ī³ī²gament
82. A 38-year-oī³d man comes to tī±e pī±ysī²cī²an because oī° cī±ronī²c ī³ower back paī²n wī²tī± radī²atī²ng paī²n to tī±e ī±eeī³. he paī²n ī²s so debī²ī³ī²tatī²ng tī±at ī±e now ī±as troubī³e ambuī³atī²ng. An MRI oī° tī±e ī³ower back sī±ows severe narrowī²ng oī° an ī²ntervertebraī³ ī°oramen, wī±ī²cī± causes compressī²on oī° tī±e exī²tī²ng nerve root. A surgī²caī³ procedure ī²s perī°ormed, and durī²ng tī±e procedure tī±e ī²ntervertebraī³ ī°oramen ī²s accessed usī²ng a ī³ateraī³ approacī±. he superī²or margī²n (rooī°) oī° tī±e ī²ntervertebraī³ ī°oramen ī²s decompressed ī°rom tī±e exī²tī²ng nerve root Wī±ī²cī± oī° tī±e ī°oī³ī³owī²ng vertebraī³ bony ī°eatures ī²s most ī³ī²keī³y removed?
A. Superī²or artī²cuī³ar process
B. Lamī²na
C. Inī°erī²or artī²cuī³ar process
D. Pedī²cī³e
E. Spī²nous process
83. A 35-year-oī³d man ī²s brougī±t to tī±e emergency department because oī° a 45-mī²nute ī±ī²story oī° ī²njury oī° ī±ī²s neck wī±en ī±e was pī³ayī²ng ī°ootbaī³ī³ An MRI sī±ows an acute posteroī³ateraī³ ī±ernī²atī²on oī° tī±e most superī²orī³y ī³ocated ī²ntervertebraī³ dī²sc wī±ī²cī± ī²s ī³ocated wī²tī±ī²n tī±e correspondī²ng ī²ntervertebraī³ ī°oramen and compressī²ng tī±e exī²tī²ng nerve. Wī±ī²cī± oī° tī±e ī°oī³ī³owī²ng nerves ī²n most ī³ī²keī³y ī²njured?
A. C1
B. C2
C. C3
D. C4
E. C5
84. A 14-year-oī³d gī²rī³ ī²s brougī±t to tī±e emergency room aī°ter sī±e lī²pped ī±er bī²cycī³e of a curb, ī°eī³ī³, and ī³anded on ī±er ī°ace 45 mī²nutes ago. Aī³tī±ougī± sī±e was wearī²ng a ī±eī³met, sī±e ī³anded ī²n sucī± a way tī±at ī±er neck was ī°orced ī²nto ī±yperextensī²on Pī±ysī²caī³ examī²natī²on sī±ows no neuroī³ogī²caī³ deīcī²ts but tī±ere ī²s neck rī²gī²dī²ty. Wī±ī²cī± oī° tī±e ī°oī³ī³owī²ng ī³ī²gaments oī° tī±e cervī²caī³ spī²ne ī²s most ī³ī²keī³y stretcī±ed to tī±e greatest degree durī²ng ī±er ī²njury?
A. Posterī²or ī³ongī²tudī²naī³
B. Nucī±aī³
C. Lī²gamentum lavum
D. Supraspī²nous
E. Anterī²or ī³ongī²tudī²naī³
85. In preparatī²on ī°or a ī³umbar puncture, tī±e ī²ī³ī²ac crests are paī³pated, and a ī³ī²ne ī²s drawn across tī±e patī²entās back wī²tī± a skī²n marker to connect tī±e ī±ī²gī±est poī²nts oī° tī±e ī³eī°t and rī²gī±t crests. he needī³e ī²s ī²nserted above tī±e poī²nt at wī±ī²cī± tī±e subaracī±noī²d space termī²nates
ī²nī°erī²orī³y Wī±ī²cī± oī° tī±e ī°oī³ī³owī²ng most ī³ī²keī³y represents tī±e ī³eveī³ at wī±ī²cī± tī±e subaracī±noī²d space ends ī²nī°erī²orī³y?
A. hree spī²nous processes superī²or to tī±e ī±orī²zontaī³ ī³ī²ne
B. Two spī²nous processes ī²nī°erī²or to tī±e ī±orī²zontaī³ ī³ī²ne
C. hree spī²nous processes ī²nī°erī²or to tī±e ī±orī²zontaī³ ī³ī²ne
D. Two spī²nous processes superī²or to tī±e ī±orī²zontaī³ ī³ī²ne
E. he spī²nous process bī²sected by tī±e ī±orī²zontaī³ ī³ī²ne
86. A 68-year-oī³d man ī²s brougī±t to tī±e emergency department wī²tī± acute mī²d-back paī²n tī±at began a ī°ew ī±ours ago. Pī±ysī²caī³ examī²natī²on sī±ows decreased sensatī²on oī° tī±e skī²n bī²ī³ateraī³ī³y over tī±e ī³ower ī³ī²mbs
Motor strengtī± ī²s assessed at 5/5 ī²n aī³ī³ ī°our ī³ī²mbs.
MRI oī° tī±e tī±oracī²c spī²ne sī±ows a ī³arge tumor arī²sī²ng ī°rom tī±e anterī²or medī²an īssure oī° tī±e spī²naī³ cord at tī±e ī³eveī³ oī° tī±e T3 vertebra. he artery compressed by tī±e tumor ī²s most ī³ī²keī³y ī°ormed superī²orī³y by dī²rect brancī±es ī°rom wī±ī²cī± oī° tī±e ī°oī³ī³owī²ng arterī²es?
A. Ascendī²ng cervī²caī³
B. Segmentaī³ meduī³ī³ary
C. Vertebraī³
D. Segmentaī³ spī²naī³
E. Posterī²or spī²naī³
87. A 12-year-oī³d gī²rī³ ī²s brougī±t to tī±e emergency department by ī±er parents ī°or mī²d-back paī²n tī±at ī±as been ongoī²ng ī°or weeks and ī²s progressī²veī³y gettī²ng worse. Her vī²taī³ sī²gns are wī²tī±ī²n normaī³ ī³ī²mī²ts Pī±ysī²caī³ examī²natī²on sī±ows no neuroī³ogī²caī³ abnormaī³ī²tī²es. An x-ray oī° tī±e spī²ne sī±ows a ī±emī²vertebra oī° tī±e ī³ower tī±oracī²c spī²ne Wī±ī²cī± addī²tī²onaī³ īndī²ng wouī³d most ī³ī²keī³y be present on tī±e x-ray?
A. Osteoporosī²s
B. Scoī³ī²osī²s
C. Hyperī³ordosī²s
D. Spondyī³oī³ī²stī±esī²s
E. Sacraī³ī²zatī²on
88. A 35-year-oī³d man ī²s brougī±t to tī±e emergency department because oī° a 45-mī²nute ī±ī²story oī° ī²njury at ī±ī²s neck wī±en ī±e was pī³ayī²ng ī°ootbaī³ī³ MRI sī±ows severe narrowī²ng oī° tī±e C7āT1 ī²ntervertebraī³ ī°oramen on tī±e ī³eī°t. Wī±ī²cī± oī° tī±e ī°oī³ī³owī²ng nerves ī²s most ī³ī²keī³y compressed?
A. C6
B. C7
C. C8
D. T1
E. T2
89. A 15-montī±-oī³d gī²rī³ ī²s brougī±t to tī±e pī±ysī²cī²an by ī±er motī±er because oī° a curvature ī²n ī±er ī³ow back. he motī±er says tī±at tī±ī²s curvature was not present prevī²ousī³y and tī±at sī±e notī²ced ī²t wī±en tī±e gī²rī³ started standī²ng and waī³kī²ng. Sī±e ī±as receī²ved aī³ī³ scī±eduī³ed cī±ī²ī³dī±ood ī²mmunī²zatī²ons. Sī±e attends