FUNDAMENTAL NEUROSCIENCE for Basic and Clinical Applications
Duane E. Haines, PhD, FAAAS, FAAA
Professor, Department of Neurobiology and Anatomy, and Professor of Neurology, Wake Forest School of Medicine Winston-Salem, North Carolina; Professor Emeritus (and Former Chairman) Neurobiology and Anatomical Sciences Professor, Departments of Neurology and Neurosurgery The University of Mississippi Medical Center Jackson, Mississippi
Gregory A. Mihailoff, PhD
Professor Emeritus Department of Anatomy Arizona College of Osteopathic Medicine Midwestern University Glendale, Arizona
Medical Illustrators: W.K. Cunningham, BA, MSMI, and M.P. Schenk, BS, MSMI, CMI, FAMI
Photographer: G.W. Armstrong, RBP
Computer Graphics: C.P. Runyan
1600 John F. Kennedy Blvd.
Ste 1800 Philadelphia, PA 19103-2899
FUNDAMENTAL NEUROSCIENCE FOR BASIC AND CLINICAL APPLICATIONS, FIFTH EDITION
Copyright © 2018 by Elsevier, Inc. All rights reserved.
ISBN: 978-0-323-39632-5
No part of this publication may be reproduced or transmitted in any form or by any means, electronic or mechanical, including photocopying, recording, or any information storage and retrieval system, without permission in writing from the publisher. Details on how to seek permission, further information about the Publisher’s permissions policies and our arrangements with organizations such as the Copyright Clearance Center and the Copyright Licensing Agency, can be found at our website: www.elsevier.com/permissions
This book and the individual contributions contained in it are protected under copyright by the Publisher (other than as may be noted herein).
Notices
Knowledge and best practice in this field are constantly changing. As new research and experience broaden our understanding, changes in research methods, professional practices, or medical treatment may become necessary.
Practitioners and researchers must always rely on their own experience and knowledge in evaluating and using any information, methods, compounds, or experiments described herein. In using such information or methods they should be mindful of their own safety and the safety of others, including parties for whom they have a professional responsibility.
With respect to any drug or pharmaceutical products identified, readers are advised to check the most current information provided (i) on procedures featured or (ii) by the manufacturer of each product to be administered, to verify the recommended dose or formula, the method and duration of administration, and contraindications. It is the responsibility of practitioners, relying on their own experience and knowledge of their patients, to make diagnoses, to determine dosages and the best treatment for each individual patient, and to take all appropriate safety precautions.
To the fullest extent of the law, neither the Publisher nor the authors, contributors, or editors, assume any liability for any injury and/or damage to persons or property as a matter of products liability, negligence or otherwise, or from any use or operation of any methods, products, instructions, or ideas contained in the material herein.
Spanish Translation (2003) of the Second English (2002) Spanish Translation (2014) of the Fourth English (2013)
Previous editions copyrighted 2013, 2006, 2002, and 1997.
Library of Congress Cataloging-in-Publication Data
Names: Haines, Duane E., editor. | Mihailoff, Gregory A., editor.
Title: Fundamental neuroscience for basic and clinical applications / [edited by] Duane E. Haines, Gregory A. Mihailoff ; medical illustrator, W.K. Cunningham and M.P. Schenk ; photographer, G.W. Armstrong ; computer graphics, C.P. Runyan.
Description: Fifth edition. | Philadelphia, PA : Elsevier, [2018] | Includes bibliographical references and index.
Identifiers: LCCN 2017024153 | ISBN 9780323396325 (hardcover : alk. paper)
Subjects: | MESH: Central Nervous System--physiology | Neurons | Neuroimaging--methods
Classification: LCC QP355.2 | NLM WL 300 | DDC 612.8/22--dc23 LC record available at https://lccn.loc.gov/2017024153
Content Strategist: Marybeth Thiel
Senior Content Development Specialist: Rae Robertson
Publishing Services Manager: Catherine Jackson
Book Production Specialist: Kristine Feeherty
Design Direction: Ryan Cook
Preface

The significant changes in the fifth edition of Fundamental Neuroscience for Basic and Clinical Applications take into consideration (1) new discoveries in the basic neurosciences, (2) how these may be applied to educating students in the clinical setting, (3) new observations in the clinical neurosciences, and of particular importance (4) how this information may be used to understand and diagnose the neurologically compromised patient. These concepts recognize two important points essential to medical education. First, the contemporary approach allows educators to integrate basic and clinical science information, rather than to just teach anatomy or connections within the nervous system for their own sake. The clinical observation is a springboard for students to understand and apply basic science concepts to a neurologically compromised patient. Second, accrediting and licensing bodies that govern the various branches of medicine, dentistry, and allied health have clearly indicated that the integration of basic science and clinical information is an integral part of the contemporary educational experience.
The significant changes and additions to Fundamental Neuroscience (both great and small) emphasize the intimate interaction between the basic and clinical neurosciences. The main goals are to introduce additional and relevant clinical information, to integrate clinical and basic science information in a seamless fashion, and to introduce new anatomic information when it enhances the understanding of clinical concepts. The emphasis is clearly shifted to an even more clinically oriented approach. Of particular note is the fact that of the approximate 598 illustrations in this new edition, about 48%, are new/revised (artwork, CT, MRI): labels have been changed, artwork was modified, and many drawings were recast so as to now appear in color.
In addition, about 275 general Review Questions with explanatory answers are available online on the Student Consult website (www.studentconsult.com) for review, practice, or assessment.
It is not possible to describe each individual change, modification, or addition; only the more significant are mentioned here.
First, key words, phrases, and concepts appear in boldface. This expedites quick and easy access.
Second, the presentation, or availability, of anatomic information in a “clinical orientation” is an essential feature of contemporary neuroscience education; it prepares the student for the significant realities of the clinical environment where viewing the central nervous system in MRI and CT in a “clinical orientation” is the established standard. This is especially true for images such as stained sections or artwork of the spinal cord or brainstem, when they are presented in an axial plane. For example, in an axial MRI of the midbrain, its dorsal aspect (the colliculi) is “down” in
the image, and its ventral portion (the crus and interpeduncular fossa) is “up” in the image. This is opposite the “anatomic orientation.” Because the MRI/clinical orientation is opposite the anatomic orientation (commonly used in the instructional setting), a method is incorporated into this edition that allows the reader to easily flip selected images from the anatomic orientation to the clinical orientation and thereby view the anatomy as it is presented in MRI and CT. Images that are identified by a flip
symbol in the figure description within the book can be viewed in either anatomic or clinical orientation with online resources at www.studentconsult.com. The availability of this feature accommodates a wide variety of educational approaches and review opportunities but especially prepares the user for the expectations and requirements of the clinical experience.
Third, the relevance of clinical information and its integration with basic neuroscience concepts is an absolutely essential component of the contemporary educational process. To this end, all clinical information, including reflexes, appears in a light blue highlight throughout the book. This approach allows the clinical correlations to remain in their proper textual context within the natural flow of structural and functional information. At the same time, it also allows the reader to immediately identify what text on any given page is clinical in nature.
Fourth, new clinical and anatomic terminology is introduced that reflects a contemporary, and more correct, usage of classic terms. This also has allowed existing concepts and interpretations to be clarified and corrected.
Fifth, new clinical information in the form of MRI and CT, clinical examples, line drawings, and related information is introduced. A special effort has been made to fully integrate this information with existing text and new basic neuroscience data.
Sixth, throughout the book, a significant number of anatomic and clinical drawings are corrected; modified to increase their clarity; replaced with new artwork; correlated with clinical images such as MRI, CT, and angiograms; or otherwise improved.
This edition follows the official international list of anatomic terms for neuroanatomy (Terminologia Anatomica, Thieme, 1998) or draws on recent publications that provide particular clarity. We have made a concerted effort to include the most current and most correct terminology; if some terms have eluded us, these will be corrected in future printings.
To further improve this work, the editor and contributors welcome comments, corrections, and suggestions from students, our colleagues, and any other readers of this book.
SECTION I ESSENTIAL CONCEPTS
1 Orientation to the Structure and Imaging of the Central Nervous System 3
D.E. Haines and A.C. Terrell
2 The Cell Biology of Neurons and Glia 15
G.A. Mihailoff and D.E. Haines
3 The Electrochemical Basis of Nerve Function 34
T.M. Dwyer
4 Chemical Signaling in the Nervous System 54
T.M. Dwyer
5 Development of the Nervous System 72
W.A. Grow
SECTION II REGIONAL NEUROBIOLOGY
6 The Ventricles, Choroid Plexus, and Cerebrospinal Fluid 93
J.J. Corbett and D.E. Haines
7 The Meninges 107
D.E. Haines
8 A Survey of the Cerebrovascular System 122
D.E. Haines
9 The Spinal Cord 138
D.E. Haines, G.A. Mihailoff, and R.P. Yezierski
10 An Overview of the Brainstem 152
D.E. Haines and G.A. Mihailoff
11 The Medulla Oblongata 160
D.E. Haines and G.A. Mihailoff
12 The Pons and Cerebellum 172
G.A. Mihailoff and D.E. Haines
13 The Midbrain 183
G.A. Mihailoff, D.E. Haines, and P.J. May
14 A Synopsis of Cranial Nerves of the Brainstem 195
D.E. Haines and G.A. Mihailoff
15 The Diencephalon 212
G.A. Mihailoff and D.E. Haines
16 The Telencephalon 225
D.E. Haines and G.A. Mihailoff
SECTION III
SYSTEMS NEUROBIOLOGY
17 The Somatosensory System I: Tactile Discrimination and Position Sense 243
S. Warren, N.F. Capra, and R.P. Yezierski
18 The Somatosensory System II: Nociception, Thermal Sense, and Touch 258
S. Warren, R.P. Yezierski, and N.F. Capra
19 Viscerosensory Pathways 278
J.A. Kaufman and T.B. Jones
20 The Visual System 286
J.J. Corbett and J. Chen
21 The Auditory System 306
C.K. Henkel
22 The Vestibular System 320
J.D. Dickman
23 Olfaction and Taste 334
K.L. Simpson
24 Motor System I: Peripheral Sensory, Brainstem, and Spinal Influence on Anterior Horn Neurons 346
G.A. Mihailoff and D.E. Haines
25 Motor System II: Corticofugal Systems and the Control of Movement 360
G.A. Mihailoff and D.E. Haines
26 The Basal Nuclei 377
T.P. Ma and H.L. Geyer
27 The Cerebellum 394
D.E. Haines and G.A. Mihailoff
28 Visual Motor Systems 413
P.J. May and J.J. Corbett
29 Visceral Motor Pathways 430
T.B. Jones and J.A. Kaufman
30 The Hypothalamus 442
A.D. Parent and E. Perkins
31 The Limbic System 457
M.A. Willis and D.E. Haines
32 The Cerebral Cortex 468
W.A. Grow
33 The Neurologic Examination 480
J.J. Corbett and J. Chen
Illustration Credits 494
Index 496
Orientation to the Structure and Imaging of the Central Nervous System
D.E. Haines and A.C. Terrell
Overview-3
Central, Peripheral, and Visceromotor Nervous Systems-3
Neurons-3
Reflexes and Pathways-4
Regions of the Central Nervous System-4
Spinal Cord-4
Medulla Oblongata-5
Pons and Cerebellum-5
Midbrain-5
Thalamus-5
Cerebral Hemispheres-6
Functional Systems and Regions-6
Localizing Signs and Localization-7
Concept of Afferent and Efferent-7
Posterior (Dorsal), Anterior (Ventral), and Other Directions in the Central Nervous System-8
Symptom or Sign?-8
Symptom-8
Sign-8
Clinical Images of the Brain and Skull-8
Computed Tomography-9
Magnetic Resonance Imaging-10
Image Density and Intensity-11
Imaging of the Brain and Skull-11
Our nervous system makes us what we are. Personality, outlook, intellect, coordination, and the many other characteristics are the result of complex interactions within our nervous system. Information is received from the environment and transmitted into the brain or spinal cord. Once this sensory information is processed and integrated, an appropriate motor response is initiated.
The nervous system can be viewed as a scale of structural complexity. At the microscopic level, the individual structural and functional unit of the nervous system is the neuron (the cell body and its processes), or nerve cell. Interspersed among the neurons of the central nervous system are supportive elements called glial cells. At the macroscopic end of the scale are the large divisions (or parts) of the nervous system that can be handled and studied without magnification. These two extremes are not independent but form a continuum; functionally related neurons aggregate to form small structures that combine to form larger structures. Communication takes place at many different levels, the end result being a wide range of productive or life-sustaining nervous activities.
OVERVIEW
Central, Peripheral, and Visceromotor Nervous Systems
The human nervous system is divided into the central nervous system (CNS) and the peripheral nervous system (PNS) (Fig. 1.1A). The CNS consists of the brain and spinal cord. Because
of their locations in the skull and vertebral column, these structures are the most protected in the body. The PNS is made up of nerves that connect the brain and spinal cord with peripheral structures. These nerves innervate muscle (skeletal, cardiac, smooth) and glandular epithelium and contain a variety of sensory fibers. These sensory fibers enter the spinal cord through the posterior (dorsal) root, and motor fibers exit through the anterior (ventral) root. The spinal nerve is formed by the joining of posterior (sensory) and anterior (motor) roots and is, consequently, a mixed nerve (Fig. 1.1B). In the case of mixed cranial nerves, the sensory and motor fibers are combined into a single root.
The visceromotor nervous system (also called visceral motor) is a functional division of the nervous system that has parts in both the CNS and the PNS (Fig. 1.1). It is made up of neurons that innervate smooth muscle, cardiac muscle, or glandular epithelium or combinations of these tissues. These individual visceral tissues, when combined, make up visceral organs such as the stomach and intestines. The visceromotor nervous system is also called the autonomic nervous system because it regulates visceral motor responses normally outside the realm of conscious control.
Neurons
At the histologic level, the nervous system is composed of neurons and glial cells. As the basic structural and functional units of the nervous system, neurons are specialized to receive information, to transmit electrical impulses, and to influence other neurons or effector tissues. In many areas of the nervous system, neurons are structurally modified to serve particular functions. At this point, we consider the neuron only as a general concept (see Chapter 2).
A neuron consists of a cell body (perikaryon or soma) and the processes that emanate from the cell body (Fig. 1.2A). Collectively, neuronal cell bodies constitute the gray matter of the CNS. Named and usually function-specific clusters of cell bodies in the CNS are called nuclei (singular, nucleus). Typically, dendrites are those processes that ramify in the vicinity of the cell body, whereas a single, longer process called the axon carries impulses to a more remote destination. The white matter of the CNS consists of bundles of axons that are wrapped in a sheath of insulating lipoprotein called myelin.
In general, there is a direct relationship between (1) the diameter of the axon, (2) the thickness of the myelin sheath, (3) the distance between the nodes of the myelin sheath (nodes of Ranvier), and (4) the conduction velocity of the nerve fiber. Axons with a large diameter have thick myelin sheaths with longer internodal distances and therefore exhibit faster conduction velocities. Likewise, axons with a thin diameter that have thin myelin sheaths with shorter internodal distances have slower conduction velocities. The axon terminates at specialized structures called synapses or, if they innervate muscles, motor end plates (neuromuscular junctions), which function much like synapses.
The generalized synapse (Fig. 1.2A) is the most common type seen in the CNS and is sometimes called an electrochemical synapse. It consists of a presynaptic element, which is part of an
Sympathetic chain ganglion
Anterior root
Ner ves to viscera
brief example, we see that (1) the neuron is structurally specialized to receive and propagate electrical signals, (2) this propagation is accomplished by a combination of electrical and chemical events, and (3) the transmission of signals across the synapse is in one direction (unidirectional), that is, from the presynaptic neuron to the postsynaptic neuron. There are a number of neurologic disorders, such as myasthenia gravis, Lambert-Eaton syndrome, or botulism, that represent a failure of neurotransmitter action at the presynaptic membrane, synapse, or at the receptors on the postsynaptic membrane.
Reflexes and Pathways
Spinal ner ve
root ganglion
Posterior root ganglion
Fig. 1.1 A, General relationships of central (CNS), peripheral (PNS), and visceromotor nervous systems. Visceromotor regions of CNS and PNS are shown in red. B, A representation of the thoracic spinal cord in a clinical orientation showing the relationships of efferent (outgoing, motor) and afferent (incoming, sensory) fibers to spinal nerves and roots. Motor fibers are visceral efferent (visceromotor; red) and somatic efferent (green); sensory fibers are somatic afferent (blue) and visceral afferent (black).
axon, a gap called the synaptic cleft, and the postsynaptic region of the innervated neuron or effector structure. Communication across this synapse is accomplished as follows. An electrical impulse (the action potential) causes the release of a neuroactive substance (a neurotransmitter, neuromodulator, or neuromediator) from the presynaptic element into the synaptic cleft. This substance is stored in synaptic vesicles in the presynaptic element and is released into the synaptic space by the fusion of these vesicles with the presynaptic membrane (Fig. 1.2A).
The neurotransmitter diffuses rapidly across the synaptic space and binds to receptor sites on the postsynaptic membrane. On the basis of the action of the neurotransmitter at receptor sites, the postsynaptic neuron may be excited (lead to generation of an action potential) or inhibited (prevent generation of an action potential). Neurotransmitter residues in the synaptic cleft are rapidly inactivated by other chemicals found in this space. In this
The function of the nervous system is based on the interactions between neurons. Fig. 1.2B illustrates one of the simplest types of neuronal circuits, a reflex arc composed of only two neurons. This is called a monosynaptic reflex arc because only one synapse is involved. In this example, the peripheral end of a sensory fiber responds to a particular type of input. The resulting action potential is conducted by the sensory fiber into the spinal cord, where it influences a motor neuron. The axon of the motor neuron conducts a signal from the spinal cord to the appropriate skeletal muscle, which responds by contracting. This is an example of a muscle stretch reflex, which is actually one of the more commonly tested reflexes in clinical medicine. Reflexes are involuntary responses to a particular bit of sensory input. For example, the physician taps on the patellar tendon, and the leg quickly extends at the knee without the patient consciously controlling the movement. The lack of a reflex (areflexia), an obviously weakened reflex (hyporeflexia), or an excessively active reflex (hyperreflexia) is usually indicative of a neurologic disorder. By building on these summaries of the neuron and of the basic reflex arc, we shall briefly consider what neuronal elements constitute a neural pathway If the patient bumps his or her knee and not only hits the patellar tendon but also damages the skin over the tendon, two things happen (Fig. 1.2C). First, impulses from receptors in the muscle stretched by the tendon travel through a reflex arc that causes the leg to extend (knee jerk, or patellar reflex). The synapse for this reflex arc is located in the lumbosacral spinal cord. Second, impulses from pain receptors in the damaged skin are transmitted in the lumbosacral cord to a second set of neurons that convey them via ascending axons to the forebrain (Fig. 1.2C). As can be seen in Fig. 1.2C, these axons cross the midline of the spinal cord and form an ascending tract on the contralateral side. In the forebrain, these signals are passed to a third group of neurons that distribute them to a region of the cerebral cortex specialized to interpret them as pain from the knee.
This three-neuron chain constitutes a pathway, a series of neurons designed to carry a specific type of information from one site to another (Fig. 1.2C). Some pathways carry information to a level of conscious perception (we not only recognize pain but know that it is coming from the knee), and others convey information that does not reach the conscious level. It is common to refer to all the neurons comprising a pathway and conducting a specific type of information as a system. For example, the anterolateral system conducts pain and thermal information, whereas the posterior column–medial lemniscus system conducts body position and vibratory sense, and the corticospinal system conducts descending information from the cerebral cortex to spinal cord motor neurons.
REGIONS OF THE CENTRAL NERVOUS SYSTEM Spinal Cord
The spinal cord is located inside the vertebral canal and is rostrally continuous with the medulla oblongata of the brain (Fig. 1.3). An essential link between the PNS and the brain, it conveys sensory information originating from the body wall, extremities,
Posterior
Relay in spinal cord
Fig. 1.2 A representative neuron and synapse (A), a simple (monosynaptic) reflex (B), and a pathway (C). Many pathways share the feature of being crossed (a decussation or commissure) at some point in their trajectory.
and gut and distributes motor impulses to these areas. Impulses enter and leave the spinal cord through the 31 pairs of spinal nerves (Fig. 1.1; see also Fig. 9.2). The spinal cord contains sensory fibers and motor neurons involved in reflex activity and ascending and descending pathways or tracts that link spinal centers with other parts of the CNS. Ascending pathways convey sensory information to higher centers, whereas descending pathways influence neurons in the spinal cord or brainstem.
Medulla Oblongata
At the level of the foramen magnum, the spinal cord is continuous with the most caudal part of the brain, the medulla oblongata, commonly called the medulla (Fig. 1.3). The medulla consists of (1) neurons that perform functions associated with the medulla and (2) ascending (generally sensory) and descending (generally motor) tracts that pass through the medulla on their way from or to the spinal cord. Some of the neuronal cell bodies of the medulla are organized into nuclei associated with specific cranial nerves. The medulla contains the nuclei for the glossopharyngeal (cranial nerve IX), vagus (X), and hypoglossal (XII) nerves as well as portions of the nuclei for the trigeminal (V) and vestibulocochlear (VIII) nerves; the nucleus of the accessory nerve (XI) is located in cervical levels of the spinal cord. It also contains important relay centers and nuclei that are essential to the regulation of respiration, heart rate, and various visceral functions.
Pons and Cerebellum
The pons and cerebellum originate embryologically from the same segment of the developing neural tube. However, in the adult, the pons forms part of the brainstem (the other parts being the midbrain and medulla) and the cerebellum is a suprasegmental structure because it is located posterior (dorsal) to the brainstem (Fig. 1.3).
Like the medulla, the pons contains many neuronal cell bodies, some of which are organized into cranial nerve nuclei,
and it is traversed by ascending and descending tracts. The pons contains the nuclei of the abducens (VI) and facial (VII) nerves and portions of the nuclei for the trigeminal (V) and vestibulocochlear (VIII) nerves. The anterior (ventral) part of the pons contains large populations of neurons ( pontine nuclei ) that form a relay station between the cerebral cortex and cerebellum and descending motor fibers that travel to all spinal levels.
The cerebellum is connected with diverse regions of the CNS and is considered part of the motor system. It serves to coordinate the activity of individual muscle groups to produce smooth, purposeful, synergistic movements.
Midbrain
Rostrally, the pons is continuous with the midbrain (Fig. 1.3). This part of the brain is, quite literally, the link between the brainstem and the forebrain. Ascending or descending pathways to or from the forebrain must traverse the midbrain. The nuclei for the oculomotor (III) and trochlear (IV) cranial nerves as well as part of the trigeminal (V) complex are found in the midbrain. Other midbrain centers are concerned with visual and auditory reflex pathways, motor function, transmission of pain, and visceral functions.
Thalamus
The forebrain consists of the cerebral hemispheres, large groups of neurons that comprise the basal nuclei, and the thalamus (Fig. 1.3). We shall see later that the thalamus actually consists of several regions—for example, the hypothalamus, subthalamus, epithalamus, and dorsal thalamus. The thalamus is also commonly called the diencephalon, a term that reflects its embryologic origin.
The thalamus is rostral to the midbrain and almost completely surrounded by elements of the cerebral hemisphere. Individual parts of the thalamus can be seen in detail only when the brain is cut in coronal or axial planes.
Sensor y neuron
Midline
POSTERIOR (DORSAL), ANTERIOR (VENTRAL), AND OTHER DIRECTIONS
IN THE CENTRAL NERVOUS SYSTEM
By convention, directions in the human CNS—such as posterior (dorsal) and anterior (ventral), medial (toward or at the midline) and lateral (away from the midline), rostral (or rostrad, a direction toward the nose), and caudal (or caudad, a direction toward the tail)—are absolute with respect to the central axis of the brain and spinal cord. In a similar manner, the anatomic orientation of the body in space is related to its central axis. For example, if the patient is lying on his or her stomach, the posterior surface of the trunk is up and its anterior surface is down (Fig. 1.6). If the patient rolls over, the back remains the posterior surface of the patient’s body even though it now faces down.
As shown in Fig. 1.7, the spinal cord and the brainstem (medulla, pons, and midbrain) form a nearly straight line that is roughly parallel with the superoinferior axis of the body. Therefore anatomic directions in these regions of the CNS coincide roughly with those of the body as a whole.
During embryonic development, the forebrain rotates (at the cephalic flexure) relative to the midbrain until its rostrocaudal axis corresponds to a line drawn from the forehead to the occiput (from the frontal to the occipital poles of the cerebral hemispheres). This rotation creates a sharp angle in the long axis of the CNS at the midbrain-thalamus junction. Consequently, the long axis of the CNS bends at the midbrain-thalamus junction, and the directions posterior and anterior follow accordingly (Fig. 1.7).
In the cerebral hemisphere (forebrain), posterior (dorsal) is toward the top of the brain, anterior (ventral) is toward the base of the brain, rostral is toward the frontal pole, and caudal is toward the occipital pole. Anatomic directions in the forebrain relate to its long axis; therefore the posterior side of the forebrain structures faces the vertex of the head, and the anterior aspect of the forebrain faces the base of the skull (Fig. 1.7). Posterior and dorsal and anterior and ventral are considered synonymous and are commonly and frequently used interchangeably.
These directional terms are extremely valuable in the description of the relative position of a structure within the brain or spinal cord or the relative positions of two structures to each other. For example, the midbrain is rostral to the pons but caudal to the thalamus (Fig. 1.3). The midbrain is selected as the reference point and adjacent structures are described in relation to it. Also, directional terms, such as posterior and lateral, can be combined to describe a structure that occupies an intermediate position. For example, the nuclei in the spinal cord transmitting sensory information can be described as posterolateral to the central canal.
SYMPTOM OR SIGN?
These terms are used literally every day in countless clinical settings and serve to form an essential and important part of the physician-patient relationship—that is, the communication of
information that will result in proper and successful medical treatment. It is useful to establish what constitutes a symptom versus a sign at this point. These concepts and definitions are revisited throughout subsequent chapters.
Symptom
A symptom is a departure from any normal state of structure or function that is experienced by the patient. In other words, something is wrong and the patient knows it. Symptoms may develop slowly, almost imperceptibly, as in a slow-growing tumor or as part of the aging process, or appear suddenly, as in hemorrhage or trauma. A symptom such as pain may be clear to the patient (a symptom) but difficult for the attending physician to evaluate. A symptom is a subjective indicator of a presumably abnormal process.
Sign
A sign is a departure from any normal state of structure or function that is discovered, observed, and evaluated by a health care professional on examination of the patient. In this situation, the clinical problem (be it great or small) is seen and can be evaluated by the physician. It is possible that a patient may have signs of a disease process, seen during the examination, that he or she is unaware of; the patient has signs but no symptoms. A sign is an objective indicator of a presumably abnormal process.
CLINICAL IMAGES OF THE BRAIN AND SKULL
The most routinely used methods to image the brain and skull are computed tomography (CT) and magnetic resonance imaging (MRI) (Fig. 1.8). As we shall see, CT is especially useful in visualizing the skull and the brain in the early stages of subarachnoid hemorrhage. On the other hand, MRI, by use of T1-weighted or T2-weighted techniques, shows brain anatomy in elegant detail,
pole
pole
teri or
or
1.6 The anatomic directions of the body are absolute with respect to the axes of the body, not with respect to the position of the body in space.
p = Posterior (dorsal)
a = Anterior (ventral)
Fig. 1.7 The central axis and anatomic directions of the central nervous system (CNS). The dashed line shows the long (rostrocaudal) axis of the CNS. The long axis of the spinal cord and brainstem forms a sharp angle with the long axis of the forebrain. Posterior (dorsal) and anterior (ventral) orientations are also shown.
Occipital
Frontal
Fig.
Conventional spin-echo sequences generate images that may be T1-weighted or T2-weighted according to the time interval in milliseconds between each exciting radio wave. This is called repetition time (TR). The time interval, in milliseconds, required to collect these radio waves from the relaxing protons is called echo time (TE). With spin-echo pulse sequences, the shorter the TR and TE, the more the image is considered T1-weighted. The longer the TR and TE, the more the image is considered T2-weighted.
The contrast material used to enhance tumors and blood vessels is the paramagnetic rare earth gadolinium. It is used in solution for intravenous injection. The gadolinium causes an increase in signal by shortening the relaxation time for T1. Owing to a breakdown of the blood-brain barrier, intravascular gadolinium enters the pericellular spaces, where it increases the relaxation state of water protons and generates a bright signal on T1-weighted images (Table 1.1).
Acute subarachnoid hemorrhage is poorly imaged by MRI on T1-weighted images but well imaged by CT (Table 1.2). Some MRI sequences are sensitive for detection of acute bleeding, but other factors may limit this method of examination. Special MRI techniques can also determine if a brain infarct or ischemia is acute (about 1 to 3 hours old) or subacute (about 4 hours old or more). Contraindications to MRI are cardiac pacemakers, cochlear implants, implantable cardioverter-defibrillators, ferromagnetic foreign bodies in the eye, and certain aneurysm clips. Large metallic implants or ferromagnetic foreign bodies in the body may heat up. The general appearance of the brain and adjacent structures in health and disease on MRI and CT is summarized in Tables 1.1 and 1.2.
Image Density and Intensity
As described before, a CT scan is produced when the patient is placed between a source of x-rays and detectors; the degree to which the tissues of the body attenuate these x-rays is a measure of its density. The various textures of gray seen in CT are a representation of this relative tissue density. Hyperdense, hypodense, and isodense are terms used in the clinical setting to specify various abnormal states in CT. Bone in CT greatly attenuates x-rays, has a high CT number, and appears white. Acute subarachnoid blood in CT is hyperdense; its appearance is shifted toward that
Tumor
Acute
Subacute
Acute
Subacute
Edema
*Measures tissue density.
†Measures tissue signal. ↑↑↑
represents very white to light gray:
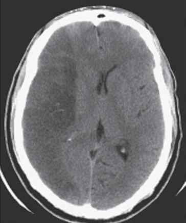
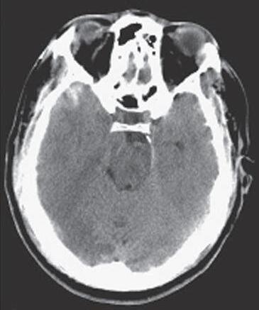
of bone and is clearly whiter than the surrounding brain (Fig. 1.10A). On the other hand, air in CT poorly attenuates x-rays, has a low CT number, and appears black. An area of ischemia in CT is hypodense; its appearance is shifted toward that of air (or cerebrospinal fluid) and is darker than the surrounding brain (Fig. 1.10B, arrows). When the lesion, or tissue damage, appears basically the same as the surrounding brain, it is specified as isodense (Fig. 1.10C, arrow).
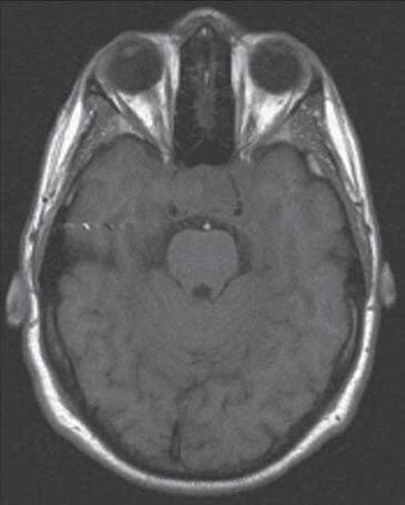
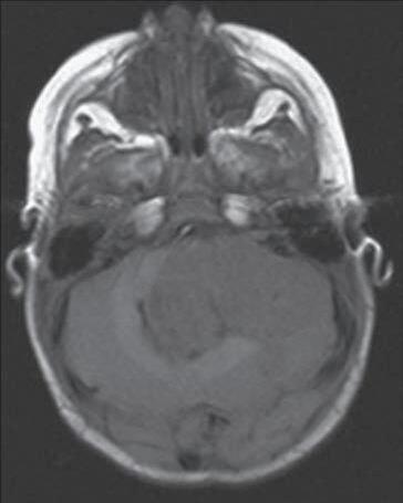
Also described before, an MR image is produced when the patient is exposed to a magnetic field, and the effects of this field on protons within the body are measured. Under the influence of an external magnet, these protons align themselves parallel to the source. When the external source is removed, the protons “relax”; those that relax more slowly from a lower energy level produce a T1-weighted image, whereas those that relax more rapidly from a higher energy level produce a T2-weighted image. Hyperintense, hypointense, and isointense specify various abnormal states in MRI in the clinical setting. In the normal patient, fat (T1) and cerebrospinal fluid (T2) appear distinctly more white. A lesion that is hyperintense in MRI appears whiter than the surrounding brain—for example, a meningioma and the surrounding edema ( Fig. 1.10 D ). An example of a tumor that is hypointense is a medulloblastoma in the posterior fossa; this lesion appears darker than the surrounding brain ( Fig. 1.10 E , arrows ). In between these extremes are lesions that are isointense; these lesions have basically the same appearance as the surrounding brain ( Fig. 1.10 F, G , between arrows ).
Imaging of the Brain and Skull
Patients lie in the supine (face up) position for imaging of the brain or spinal cord and the surrounding bony structures (Fig. 1.11). In this position, the posterior (dorsal) surface of the brainstem and spinal cord and the caudal aspect (occipital pole) of the cerebral hemispheres face down. The anterior (ventral) surface of the brainstem and spinal cord and the frontal pole are face up (Fig. 1.11).
Images of the brain are commonly made in coronal, axial (horizontal), and sagittal planes. To illustrate the basic orientation of the CNS in situ, we shall look at examples of images in all three of these planes as they appear in the clinical setting (Figs. 1.11 and 1.12). Coronal imaging planes are oriented perpendicular to the rostrocaudal axis of the forebrain but are nearly parallel to the rostrocaudal axis of the brainstem and spinal cord. Therefore a coronal image obtained at a relatively rostral level of the cerebral hemispheres (Fig. 1.11A) will show only forebrain structures, and these structures will appear in cross section (perpendicular to their long axis). As the plane of imaging is moved caudally, brainstem structures enter the picture (Fig. 1.11B), but the brainstem is cut nearly parallel to its rostrocaudal axis.
Axial images, in contrast, are oriented parallel to the rostrocaudal axis of the cerebral hemispheres but nearly perpendicular to the long axis of the brainstem and spinal cord. Consequently, an axial image obtained midway through the cerebral hemispheres (Fig. 1.11D) will show only forebrain structures, with the rostral (frontal) end of the forebrain at the top of the image and the caudal (occipital) end at the bottom. As the plane of imaging is moved farther anteriorly (ventrally) relative to the forebrain, the brainstem appears (Fig. 1.11C). The brainstem, however, is cut nearly in cross section and is oriented with the anterior (ventral) surface “up” (toward the top of the image) and the posterior (dorsal) surface “down.”
Images made in the sagittal plane are at, or parallel to, the midsagittal plane of the brain or spinal cord. This is the plane running through the middle (midline) of the head from rostral to caudal (along the frontal to occipital axis) or along the midline
Table 1.2 Differences in CT Density and MRI Signals in Representative Clinical Examples
Fig. 1.10 Examples of density and intensity as seen in clinical images. In CT, subarachnoid blood is hyperdense (A), an area of infarct is hypodense (B, arrows), and a lesion causing herniation that appears the same texture as the brain is isodense (C, at arrow). In MRI, the edema surrounding a meningioma is hyperintense (D, T2-weighted), a nonenhanced medulloblastoma is hypointense (E, T1-weighted, at arrows), and a nonenhanced pituitary tumor that appears like the brain is isointense (F, T1-weighted; G, T2-weighted, between arrows).