Biologie, manual clasa a VIII-a

Page 1


MINISTERUL EDUCAȚIEI ȘI CERCETĂRII

Biologie

Manual pentru clasa a VIII-a

Alexandrina-Dana Grasu
Jeanina Cîrstoiu

Biologie

Manual pentru clasa a VIII-a

Alexandrina-Dana Grasu
Jeanina Cîrstoiu

Manualul este distribuit elevilor în mod gratuit, atât în format tipărit, cât și digital, și este transmisibil timp de patru ani școlari, începând cu anul școlar 2025–2026.

Inspectoratul școlar Școala/Colegiul/Liceul

ACEST MANUAL A FOST FOLOSIT:

AnulNumele elevului Clasa Anul școlar

Aspectul manualului* format tipărit la primire la predare

* Pentru precizarea aspectului manualului se va folosi unul dintre următorii termeni: nou, bun, îngrijit, neîngrijit, deteriorat.

• Cadrele didactice vor verifica dacă informațiile înscrise în tabelul de mai sus sunt corecte.

• Elevii nu vor face niciun fel de însemnări pe manual.

Biologie. Manual pentru clasa a VIII-a Alexandrina-Dana Grasu, Jeanina Cîrstoiu

Referenți științifici: prof. gr. I Mirela Magdalena Marinescu, Colegiul Național de Informatică „Tudor Vianu”, București lector univ. dr. Georgiana Duță Cornescu, Facultatea de Biologie – Universitatea din București

Copyright © 2025 Litera Educațional Toate drepturile rezervate

Editura Litera tel.: 0374 82 66 35; 021 319 63 90; 031 425 16 19 e-mail: contact@litera.ro www.litera.ro

Editor: Vidrașcu și fiii

Redactori: Adelina

Corector: Carmen Bîtlan

Credite foto: arhiva Litera, Shutterstock

Copertă: Lorena Ionică Tehnoredactare și prepress: Marin Popa

CUPRINS

STRUCTURA MANUALULUI

VARIANTA TIPĂRITĂ

Manualul Biologie pentru clasa a VIII‑a cuprinde trei unități de în vățare care respectă modelul de proiectare centrat pe construirea de competențe și conținuturile din programă. Lecțiile sunt însoțite de activități de învățare evaluare, care determină formarea competen țelor specifice cu care acestea sunt corelate.

PAGINĂ DE PREZENTARE A UNITĂȚII

PAGINĂ DE RECAPITULARE PAGINĂ DE EVALUARE

PAGINI DE PREZENTARE A LECȚIEI

Amintește-ți! – include noțiuni și întrebări destinate realizării de conexiuni între cunoștințele și competențele pe care elevii le au deja și cele noi.

Aplicații – se referă la activități destinate aplicării informațiilor dobândite prin conținuturile lecțiilor.

Reține! – include informații esențiale cu referire la tema respectivă.

Activitate practică – destinată observării directe și experimentului de laborator.

Temă de proiect – individual sau de grup – cuprinde activități de cercetare și de aplicare a unor noțiuni studiate, în scopul legăturii dintre teorie și practică.

Fișa pentru portofoliu – cuprinde activități care vor constitui portofoliul elevului.

Află mai mult! – se adresează claselor/elevilor care au un ritm mai rapid de parcurgere a lecției, dar și un nivel mai ridicat de înțelegere. Probleme – impun un demers logic și/sau creativ de rezolvare.

Exerciții – propun activități de evaluare: itemi cu alegere duală, alegere multiplă, asociere, probleme, situații-problemă, eseu.

Dicționar – Explicarea unor termeni științifici și precizarea etimologiei acestora.

Temă de gândire – propuneri de dezvoltare a temelor prezentate, care pot fi aprofundate individual sau dezbătute împreună cu clasa.

Teme de dezbatere – propuneri de dezvoltare a temelor prezentate, cu toată clasa, cu final deschis sau cu concluzii generalizabile.

– marcaje care indică diferite grade de dificultate a unor aplicații, probleme, exerciții.

Varianta digitală cuprinde integral conținutul manualului în vari antă tipărită, având în plus o serie de activități multimedia interactive de învățare (AMII): animate, statice, interactive.

Paginile din manual pot fi vizionate pe diverse dispozitive (desktop, laptop, tabletă, telefon), oferind o excelentă experiență de navigare.

Activitățile multimedia interactive de învățare în curajează elevii să și dezvolte gândirea critică și să‑și sporească interesul și cunoștințele.

AMII statice galerii de imagini, informații suplimentare, diagrame și hărți conceptuale

AMII animate filmulețe sau animații

AMII interactive jocuri sau exerciții, la finalul cărora elevul poate verifica corectitudinea răspunsurilor oferite

Descoperiți informații utile pentru utilizarea manua‑ lului digital examinând schema de mai jos.

VARIANTA DIGITALĂ

CUVÂNT-ÎNAINTE

În anii anteriori de gimnaziu, ai studiat diferite aspecte ale naturii și ale vieții: relațiile dintre viețuitoare și mediul lor de viață, organizarea viețuitoarelor după diferite criterii, organismul ca întreg, legătura dintre structură și funcție, aspecte ale înrudirii și creșterii complexității viețuitoarelor.

Anul acesta, vei aprofunda aceste aspecte, învățând modul în care anumite însușiri se transmit de la generație la generație, cum pot să apară elemente noi, cu efect asupra adaptării la mediu și cum pot fi prevenite modificările negative în sănătatea omului și în sănătatea mediului.

Toate cele trei unități ale manualului au legătură directă cu propria ta viață, aducând explicații, provocând întrebări și teme de cercetare.

Aplicațiile, exercițiile și problemele propuse sunt marcate în funcție de gradul de dificultate, pentru a putea autoevalua nivelul de aprofundare atins. Noii termeni științifici, dar și cuvintele uzuale, utilizate în diferite contexte, vor contribui la dezvoltarea vocabularului. Tabelele, schemele și imaginile te vor ajuta să înțelegi relațiile dintre diferite componente și procese, dezvoltând noi conexiuni neuronale, prin care îți vei îmbunătăți modul de gândire. Problemele simple de genetică, în special prin modelele de rezolvare și prin indiciile date, te vor ajuta să îți organizezi logic ideile și noțiunile.

Rămân valabile recomandările din anii anteriori („trucurile pentru învățare eficientă”):

• alege și verifică sursele de informare;

• recitește informațiile în ziua în care le-ai aflat;

• fragmentează logic lecția și redu ideile la un rezumat/o schemă simplă/ un tabel comparativ, păstrate în portofoliul de biologie;

• selectează informații dificile/noi/importante (inclusiv etimologia termenilor);

• corelează textele cu imaginile; rezolvă exercițiile și aplicațiile;

• lucrează în echipă, discută întrebările, răspunsurile și concluziile formulate;

• găsește propriile tale metode de învățare.

Într-un an complex ca solicitări și consecințe, lecțiile de biologie pot părea o preocupare mai puțin importantă, pentru unii elevi și pentru unii părinți. Sperăm ca, înțelegând noțiunile din acest an, să îți dezvolți noi abilități, noi domenii de interes, care să conteze în alegerea profilului și a specializării, în anii de școală, după gimnaziu.

Competențe generale și specifice

1. Explorarea sistemelor biologice, a proceselor și a fenomenelor cu instrumente și metode științifice

1.1. Analiza critică a informațiilor extrase din texte, filme, tabele, desene, scheme, grafice, diagrame, utilizate ca surse de informare

1.2. Realizarea unor activități de investigare proiectate independent

2. Comunicarea adecvată în diferite contexte științifice și sociale

2.1. Formularea de predicții referitoare la diferite fenomene și procese naturale pe baza concluziilor investigației

2.2. Susținerea argumentată a punctului de vedere, utilizând adecvat terminologia specifică biologiei

3. Rezolvarea unor situații problemă din lumea vie pe baza gândirii logice și a creativității

3.1. Rezolvarea unor situații problemă utilizând argumente și modele adecvate

3.2. Identificarea de soluții noi/alternative pentru rezolvarea unor situații problemă

4. Manifestarea unui stil de viață sănătos într-un mediu natural propice vieții

4.1. Participarea activă la acţiuni de conservare și ocrotire a mediului înconjurător, de adoptare a unui stil de viață sănătos

4.2. Evaluarea consecințelor propriului comportament asupra sănătății proprii și a stării mediului.

Clasificarea viețuitoarelor

RECAPITULARE INIȚIALĂ

Viețuitoarele studiate în clasa a V-a au fost clasificate (grupate) după mai multe criterii:

1. După mediul de viață: viețuitoare acvatice, terestre, subterane etc.

• Dă exemple de medii de viață/ecosisteme și exemple de viețuitoare din aceste categorii.

2. D upă organizarea corpului, viețuitoarele sunt grupate în cinci regnuri.

• Care sunt aceste regnuri? Dă exemple de viețuitoare din fiecare regn. În ce medii trăiesc ele?

3. După relațiile trofice: producători, consumatori, descompunători.

• Dă exemple de lanțuri trofice. Corelează cele cinci regnuri cu cele trei categorii trofice.

4. După tipul de celule: procariote (fig. 1) și eucariote (fig. 2).

• Compară cele două tipuri de celule din fig. 1 și fig. 2 . În ce regnuri există organisme procariote? Dar eucariote?

5. După numărul de celule: organisme unicelulare și pluricelulare.

• În ce regnuri există organisme unicelulare? În ce regnuri există organisme pluricelulare?

• Poți organiza aceste informații într-un tabel (de exemplu, cu cele cinci regnuri în coloane, iar celelalte criterii de clasificare, pe linii). Completează căsuțele din tabel.

Organismul – un tot unitar

• C are sunt componentele organismului vegetal prezentate în fig. 3? Ce componente microscopice sunt specifice plantelor? Ce substanță specifică se află în aceste componente?

• Reprezintă o schemă similară pentru organizarea unui organism animal. Ce element trebuie adăugat în schemă?

Fig. 3
Fig. 1 Celulă procariotă
Fig. 2 Celulă eucariotă

Funcțiile fundamentale ale viețuitoarelor

A. Funcțiile de nutriție sunt hrănirea, respirația, circulația și excreția; ele asigură schimbul de materie, energie și informație dintre organism și mediul de viață.

1. Hrănirea constă în producerea sau prelucrarea substanțelor nutritive și poate fi autotrofă (fotosinteza), heterotrofă (digestia, parazitismul, hrănirea saprofită) și mixotrofă (semiparazitismul, hrănirea plantelor carnivore etc.).

• Dă exemple de viețuitoare cu aceste tipuri de hrănire. Corelează tipurile de hrănire cu cele trei categorii trofice.

2. Respirația realizează schimburile de gaze dintre organism și mediu, pentru producerea de energie necesară vieții. Energia rezultă din reacții aerobe (cu oxigen) sau anaerobe, care duc la formarea de dioxid de carbon, eliminat în mediul de viață. Schimburile de gaze respiratorii dintre organism și mediu se realizează prin diferite componente: membrana celulară, frunze, branhii, plămâni (fig. 4), piele etc.

• C e viețuitoare respiră prin aceste componente? Ce vertebrate respiră diferit în funcție de vârstă?

3. C irculația asigură legătura dintre componentele organismului prin transportul substanțelor, prin fluidele corpului (sevele plantelor, sângele și limfa la animale și oameni). Ce rol au cele două tipuri de vase conducătoare la plante. Cum sunt puse în mișcare fluidele în corpul plantelor, al animalelor și al oamenilor?

4. Excreția asigură eliminarea substanțelor nefolositoare și în exces, în diferite stări de agregare: vapori (transpirația plantelor), lichide (urina), solide (de exemplu, prin năpârlire).

• Ce substanțe elimină organismul uman prin urină? Ce procese au dus la formarea urinei?

B. Funcțiile de relație sunt reprezentate de sensibilitate, mișcare și coordonare; ele asigură schimbul de energie și de informație dintre organism și mediul de viață. La plante, toate organele simt și pot realiza ușoare mișcări; de exemplu, închiderea și deschiderea florilor în anumite condiții de mediu. Animalele și oamenii au organe conectate informațional sub forma arcurilor reflexe.

• A mintește-ți componentele arcului reflex (fig. 5). În ce organe umane se află receptorii?

Ce organe pot fi efectoare? Ce relație există între componentele aparatului locomotor?

C. Funcția de reproducere asigură transferul anumitor informații între generații de indivizi și se poate realiza asexuat și sexuat (implicând fecundația). Plantele se pot înmulți prin spori sau prin flori, semințe, fructe. La animale, fecundația poate fi externă sau internă, iar în funcție de dezvoltarea embrionară ele pot fi ovipare, ovovivipare și vivipare (de exemplu, omul) (fig. 6).

• Cum se pot înmulți asexuat și sexuat plantele?

Dă exemple de animale cu cele două tipuri de fecundație și cu dezvoltări embrionare diferite.

Fig. 5 Schema unui arc reflex
Fig. 6 Embrion conectat la placentă
Fig. 4 Schimburi de gaze respiratorii
Alveole Țesut

Noțiuni generale privind ereditatea și variabilitatea la om

Conținuturile pe care le vei parcurge:

• Ereditatea și variabilitatea

• M aterialul genetic: noțiuni generale despre cromozomi, gene, ADN, cariotip

• Transmiterea materialului genetic: rolul gameților și al fecundației, caractere dominante și recesive, transmiterea ereditară a unor caractere normale și patologice, factori mutageni și consecințele mutațiilor

• L a începutul acestei unități, caută în calendarul de la paginile 106-109 sărbătorile și activitățile corespunzătoare. Adaugă rezultatele acestor activități în portofoliul individual.

• L a finalul acestei unități, evaluează activitatea pe care ai desfășurat-o pe parcursul acestor lecții. Completează pe o coală de hârtie o fișă asemănătoare cu cea de la pagina 112 pentru a -ț i observa progresul. Adaugă și această fișa la portofoliul tău.

EREDITATEA ȘI VARIABILITATEA

E toamnă. Familia prietenilor tăi este la plimbare prin parc sau prin pădure. Cei doi copii mai mici adună frunze colorate pentru ierbar. După ce au adunat câte un buchet, îi roagă pe părinți să-i ajute să le identifice. Ei vor trebui să lipească frunze din aceeași specie pe o coală de hârtie și să scrie apoi numele speciei pe o etichetă. Doar că acum sunt puțin derutați, deoarece aspectul de toamnă al frunzelor îi poate face să le confunde între ele.

Copiii pun câteva întrebări părinților, iar aceștia le oferă explicații referitoare la asemănările și deosebirile dintre viețuitoare (fig. 1).

Genetica este știința care studiază ereditatea și variabilitatea viețuitoarelor.

Ereditatea este capacitatea viețuitoarelor de a primi de la strămoși și de a transmite la urmași un set de caracteristici distincte. Pe baza acestor caracteristici se poate stabili înrudirea dintre viețuitoare. Caracteristicile comune permit încadrarea indivizilor în speciile din care fac parte.

Variabilitatea este capacitatea viețuitoarelor de a se distinge unele de altele prin caracteristici specifice. Fiecare individ este unic și chiar dacă există un grad mare de înrudire, el prezintă caracteristici personale, diferite de ale altui individ (fig. 2).

Variabilitatea a avut și are un rol foarte important în adaptarea organismelor, deoarece diferențele pot să reprezinte avantaje sau dezavantaje în funcție de mediu.

Pe baza întrebărilor și a răspunsurilor date, putem defini ereditatea și variabilitatea

Pe baza noțiunilor generale de biologie, răspundeți la următoarele întrebări:

• De ce toate frunzele unui copac au aceeași formă?

• De ce nu sunt complet identice?

• De ce frații seamănă între ei, dar și cu restul familiei?

• De ce gemenii seamănă între ei mai bine decât restul fraților?

Fig. 1 Pădure – toamna
Fig. 2 Aspectul organelor la diferite specii de plante
Aplicații

Fișă pentru portofoliu

Folosind diferite surse de informare (cărți, reviste, pagini web etc.), realizează o prezentare în PowerPoint, de cinci-șapte slide-uri, despre familii de muzicieni sau despre familii de sportivi.

Pe baza prezentărilor, realizați în clasă o dezbare pe tema „ Ereditate versus educație”.

Activitate practică

Pentru problemele și aplicațiile din lecțiile următoare de genetică, poți confecționa împreună cu colegii tăi 30 de siluete umane (15 siluete feminine și 15 siluete masculine), după modelele de mai jos sau salvează-le și printează-le din varianta digitală a manualului:

5 ×5 ×5 ×5 ×5 ×5 ×

Iată principalele noțiuni pe care le vei studia în Unitatea 1. Unele noțiuni îți sunt cunoscute, altele sunt noi. În dreptul fiecăreia găsești notată între paranteze pagina la care vei găsi explicațiile corespunzătoare.

Alelă dominantă (22)

Homozigot (22)

Heterozigot (22)

Alelă recesivă (21)

Alele (21)

Genotip (12)

Fenotip (12)

Variabilitate (10)

Mutație (30, 31)

Genă (13)

Cromatidă (14)

Centromer (14)

Nucleotidă (15)

Cromozom (13)

ADN (15)

Autozom (16, 19)

Heterozom (16, 19)

Cariotip (16)

Ereditate (10)

Nucleu (12)

Diviziune (20)

Mitoză (18, 20) Meioză (18, 20)

Celulă (12, 18)

MATERIALUL GENETIC

Noțiuni generale despre materialul genetic

Toate caracterisiticile unui individ au o bază genetică, reprezentată de materialul genetic (moleculele de ADN – acid dezoxiribonucleic) aflat în marea lui majoritate în nucleul celulelor eucariote (fig. 1).

Pe baza acestei informații, prin citirea și traducerea ei corespunzătoare, în celulă se produc toate substanțele necesare menținerii și desfășurării vieții. Tot informația genetică face ca organismele, organele și celulele să aibă anumite forme, mărimi și funcții, dar și anumite relații între ele.

Molecula de ADN conține secvențe codificatoare numite gene .

Constituția genetică a unui individ poartă numele de genotip . Din interacțiunea dintre genotip și mediu rezultă fenotipul, care este reprezentat de totalitatea caracteristicilor ale unui individ.

În fig. 2 se observă localizarea materialului genetic într-o celulă eucariotă. Nucleul are rolul principal în coordonarea activității celulei și în diviziunea celulară, deoarece el conține cea mai mare parte din materialul genetic celular.

Amintește-ți!

Amintește-ți, din clasele anterioare, alcătuirea celulei și rolul nucleului.

Fig. 1 Reprezentare: celulă, cromozom, ADN
Fig. 2 Celulă – nucleu – cromozom – ADN
Nucleu
Celulă Cromozom
acid dezoxiribonucleic

Materialul genetic din nucleu este organizat sub formă de cromozomi. Cromozomii sunt formați din ADN și proteine. În timpul diviziunii celulare, cromozomii devin vizibili la microscop.

Termenul de cromozom înseamnă corpusculi colorați. Culoarea nu e specifică, ci provine de la coloranții folosiți pentru prepararea celulelor aflate în diviziune, în vederea unei mai bune observări.

Numărul și forma cromozomilor este caracteristică speciei și va fi identică în toate celulele unui individ și la toți indivizii speciei respective. Fiecare cromozom cuprinde numeroase gene dispuse într-o ordine precisă.

Gena este un fragment dintr-o moleculă de ADN care conține informația necesară producerii unei anumite substanțe sau realizării unei funcții a celulei.

În fig. 3 este reprezentată amprenta ADN a unui individ. Amprenta ADN poate fi folosită pentru identificarea unui individ.

Află mai mult!

Aplicații

Ce importanță practică poate avea analiza amprentei genetice a unui individ?

Genetica este o știință care se dezvoltă continuu datorită oamenilor de știință care studiază materialul genetic, dar și prin intermediul progreselor tehnologice. Studiul geneticii a început în Antichitate, cu observarea însușirilor asemănătoare la membrii unor familii. Până la începutul secolului XX, geneticienii au avut la dispoziție puține mijloace tehnice și au făcut descoperiri majore folosind raționamente și experimente mai simple. Pe baza invențiilor și descoperirilor ulterioare, au apărut ramuri ale geneticii, cu importanță teoretică și practică deosebită: citogenetica, genetica populațiilor, radiogenetica, genetica moleculară și ingineria genetică.

Câțiva dintre geneticienii importanți sunt:

• Gregor Johann Mendel, călugăr, botanist și matematician, a descoperit modul în care se moștenesc anumite caracteristici ereditare, datorită factorilor ereditari, numiți ulterior gene. Pe baza experimentelor de hibridare (încrucișare) pe mazăre, el a elaborat legile mendeliene ale eredității, publicate în 1865 .

• T homas Hunt Morgan și echipa de cercetători americani au realizat hibridări pe musculița de oțet. Au elaborat, în 1910, teoria cromozomială a eredității, demonstrând că genele sunt localizate în cromozomi și că diferențele dintre cele două sexe sunt determinate genetic.

• F. Griffith, în 1927, O.T. Avery și colaboratorii săi, în 1944, au pus bazele geneticii moleculare, realizând experimente cu pneumococi pe șoareci.

• J. Watson, F. Crick și M. Wilkins au descris modelul dublu catenar al ADN-ului, în 1953.

• Matthew Meselson și Franklin Stahl au demonstrat, în 1957, modul în care se realizează dublarea cantității de ADN, în vederea realizării diviziunii celulare.

După 1970, studiile de genetică au urmărit două direcții principale: ingineria genetică (în scop economic și terapeutic) și analiza genomului uman (într-un proiect care s-a desfășurat între 1990 și 2003).

Fig. 3 Amprenta ADN a unui individ

Structura cromozomului

Atunci când celulele nu se divid, fiecare cromozom e reprezentat de o moleculă dublu catenară de ADN, numită cromatidă. Înainte de diviziune, cantitatea de ADN se dublează (vezi fig. 4), iar cromozomii devin bicromatidici, având două molecule dublu catenare de ADN unite într-un punct numit centromer (fig. 5).

Centromerul împarte cele două cromatide în câte două brațe, egale sau inegale. La nivelul centromerului se prind fibrele fusului de diviziune care vor trage cromozomii către capetele celulei care se divide.

1 cromozom monocromatidic = 1 moleculă ADN

1 cromozom bicromatidic = 2 molecule ADN

identice (fig. 5) Reține!

cromozom monocromatidic

cromozom bicromatidic

Modelarea unui cromozom

În fig. 6 este reprezentat modelul expus într-un muzeu, al unui cromozom. Ce reprezintă zonele diferit colorate de pe suprafața lui?

Realizează un model al unui cromozom folosind diferite materiale la alegere: plastilină, hârtie, sfoară, vopsea etc. Împreună cu profesorul și colegii, organizați o expoziție pe această temă.

Fig. 5 Cromozomi bicromatidici
Fig. 4 Formarea cromozomilor bicromatidici centromer
Activitate practică
Fig. 6 Model de cromozom

Structura moleculei de ADN

În fig. 7 și fig. 8 puteți observa reprezentări ale moleculei de ADN realizate din diverse materiale.

Fig. 7 Model al moleculei de ADN din piese de plastic.

Fig. 8 Model simplificat al moleculei de ADN, din paie din plastic și bandă adezivă.

Molecula de ADN este o moleculă alcătuită din numeroase unități mai simple numite nucleotide. O nucleotidă este formată, la rândul ei, din mai multe componente. Toate acestea sunt dispuse într-o ordine perfectă, unite prin legături chimice și fizice, răsucite în spirală.

În fig. 9 observați un fragment dintr-o moleculă de ADN care este alcătuit din trei perechi de nucleotide. În fig. 10 este reprezentată o nucleotidă alcătuită din: o bază azotată, un monozaharid și un radical fosforic. Există 4 tipuri de baze azotate în ADN notate cu simbolurile A, G, T, C. Monozaharidul este notat cu D, iar radicalul fosforic cu P. Bazele azotate se leagă întotdeauna în perechi AT, TA, GC, CG.

Adenină (A)

Timină (T)

Guanină (G)

Citozină (C)

Monozaharid (D)

Radical fosforic (P)

Fig. 9 Fragment dintr-o moleculă de ADN

Activitate practică

Modelarea moleculei de ADN

Radical fosforic (P)

Monozaharid (D) Adenină (A) Nucleotidă

Fig. 10 Alcătuirea unei nucleotide

Împreună cu colegul/colega de bancă, sau în grup cu mai mulți colegi, realizați un model al moleculei de ADN, folosind materiale la alegere (sârmă, mărgele, scobitori, jeleuri etc.). În construcție, puteți porni de la elementele separate, reprezentând nucleotidele, pe care să le uniți apoi într-o structură stabilă.

Află mai mult!

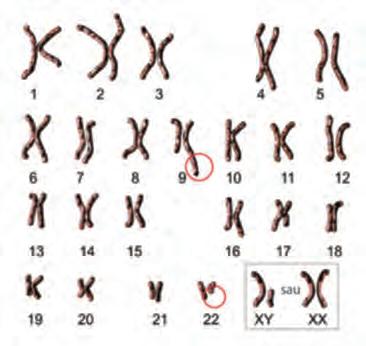
Cariotipul

Cariotipul reprezintă totalitatea cromozomilor dintr-o celulă somatică. Numărul normal de cromozomi umani este de 46, care au diferite forme și mărimi (fig. 11). În funcție de asemănări, ei au fost ordonați în grupe. Forma unui cromozom este dată de poziția centromerului – zona care fixează cele două cromatide între ele. Centromerul poate fi plasat spre centrul cromozomului sau spre marginea acestuia.

Observând cariotipul uman (fig. 12), putem număra 46 de cromozomi, dispuși în perechi, deci 23 de perechi. 22 de perechi sunt identice la femeie și la bărbat, iar acești cromozomi se numesc autozomi. O pereche diferă: la femei există doi cromozomi identici, notați XX, iar la bărbați, în perechea corespunzătoare există un cromozom X, și unul, mai mic, notat cu Y. Pe cromozomul X se află gene vitale, iar pe Y, gene care determină masculinitatea. Acești cromozomi, X și Y, poartă numele de heterozomi

Activitate practică

Analiza de cariotip

Dicționar

Soma = corp. Celule somatice = celulele corpului (excepție gameții).

Pentru a putea ordona cromozomii, aceștia se fotografiază la microscop, apoi fiecare cromozom se decupează din fotografie, i se găsește perechea, iar acestea sunt așezate în ordinea descrescătoare a mărimii. Heterozomii sunt așezați ultimii, indiferent de mărime.

autozomi (22 de perechi)

2 heterozomi XX sau XY

Fig. 11 Celule sanguine Fig. 12 Cariograma – reprezentarea grafică a cariotipului

În fig. 11 se pot observa cromozomi umani din celule sanguine. Acestea se află în procesul de diviziune. Care dintre celulele sângelui se divid? Care nu se divid și de ce?

Există numeroase metode de cercetare în genetică, iar analiza de cariotip este una dintre ele. Observând numărul și forma cromozomilor, se pot identifica eventualele abateri de la normal, fiecare abatere putând să se manifeste printr-o afecțiune. Analizele genetice sunt din ce în ce mai precise, iar în momentul de față putem spune că se cunosc toate genele care intră în alcătuirea genomului uman.

Alte metode de cercetare în genetica umană, care nu presupun analize ale cromozomilor și genelor sunt:

• Studiul direct al persoanelor, al familiilor, al comunităților, în special al comunităților mici și izolate, unde există un anumit grad de înrudire între indivizi; studiind fenotipul indivizilor înrudiți, se poate aprecia modul de transmitere ereditară a caracteristicilor normale sau patologice.

• Studiul arborilor genealogici (fig. 13) și al istoricului medical al familiilor, pe parcursul mai multor generații.

Dicționar

Genom = totalitatea cantității de ADN dintr-o celulă (gene și secvențe necodificatoare).

Exerciții

1. Ordonează următoarele structuri după mărime:

Află mai mult!

Proiectul genomului uman a început în 1990 și a fost finalizat în 2003. S-au identificat aproximativ 25 000 de gene atât ca localizare, cât și din punctul de vedere al funcției lor. În prezent, numeroase analize genetice sunt disponibile pentru populație în laboratoarele de genetică medicală.

Aplicații

Numește generațiile în care apar bărbați cu afecțiuni genetice.

femeie femeie cu afecțiune genetică bărbat bărbat cu afecțiune genetică

generația 1

generația 2

generația 3

generația 4

Fig. 13 Arbore genealogic – patru generații ale unei familii

Organ/Cromozom/Genă/Organism/Celulă/Nucleu/ADN/Nucleotidă

Rezolvare: Nucleotidă/Genă/…

2. Grupează următoarele noțiuni în tabelul de mai jos. Există suprapuneri? Explică de ce! frunze din același copac; frunze din copaci diferiți; caracteristicile comune ale gemenilor; caracteristicile diferite ale gemenilor; reflexele necondiționate; reflexele condiționate

Exemplu pentru ereditate Exemplu pentru variabilitate

Caracteristicile comune ale gemenilor

3. Care dintre următoarele egalități sunt adevărate (A) și care sunt false (F)? Explică.

a. 1 cromozom = 1 moleculă de ADN (A)

b. 1 cromozom = 1 genă

c. 1 cromozom = 1 nucleu

d. 1 cromozom = 1 cromatidă

e. 1 cromozom = 1 centromer

f. 1 cromozom = 1 fenotip

TRANSMITEREA MATERIALULUI GENETIC

Amintește-ți!

Amintește-ți din lecțiile anterioare noțiunile de ereditate, variabilitate și genetică.

Ereditatea se manifestă prin funcția de reproducere a organismelor. La speciile cu reproducere sexuată, materialul genetic (ADN-ul) se transmite de la o generație la alta prin procesul de fecundație. Combinarea gameților în fecundație crește variabilitatea speciei.

Rolul gameților și al fecundației

Rolul gameților și al fecundației în transmiterea materialului genetic

Amintește-ți!

Amintește-ți din clasa a VII-a noțiunile de fecundație și gameți. Unde are loc fecundația? Dar formarea gameților?

Pentru păstrarea numărului de cromozomi al speciei, fecundația este precedată de formarea gameților în organele reproducătoare ale viitorilor părinți. Formarea gameților se realizează printr-un tip de diviziune celulară (meioza), prin care numărul de cromozomi se reduce la jumătate, față de celulele din corpul părinților.

Celulele somatice din corpul fiecărui individ uman sănătos conțin câte 46 de cromozomi. Prin diviziunea numită meioză, celulele din ovare și din testicule vor forma ovule și spermatozoizi cu câte 23 de cromozomi.

În fecundație, unirea celor doi gameți (feminin și masculin) include și unirea nucleilor, astfel încât zigotul format va avea un singur nucleu, cu 46 de cromozomi.

Temă de gândire

Ce s-ar întâmpla dacă nu s-ar reduce numărul de cromozomi înainte de fecundație?

Află mai mult!

Deși ovulul este mult mai mare decât spermatozoidul, aceste celule conțin același număr de cromozomi (în mod normal 23).

Află mai mult!

Dicționar

1 Reproducerea sexuată

Primul stadiu de existență al noului individ este unicelular (zigot). Zigotul se divide (fig. 1) de multe ori, formând treptat corpul pluricelular al noului individ. Aceste diviziuni asigură multiplicarea celulelor, celule în care se păstrează numărul de cromozomi din zigot. Celulele formate prin mitoze se vor specializa, păstrând anumite roluri pe care să le realizeze mai eficient în organismul pluricelular.

Mitos = (din limba greacă) filament; denumirea diviziunii se referă la implicarea unor fire/filamente în repartizarea cromozomilor în celulele rezultate. Meion = (din limba greacă) mai mic, redus.

Fig.

Rolul gameților și al fecundației în determinarea

genetică a sexelor

Nașterea unui copil într-o familie este deseori precedată de întrebarea: „Va fi băiat sau va fi fată?”. Răspunsul la această întrebare a avut diferite consecințe, în funcție de perioada istorică și de importanța socială a familiei respective. În prezent, putem observa cel puțin două diferențe, față de trecut: 1) sexul copilului poate fi aflat înainte de nașterea acestuia; 2) copiii de sex feminin și cei de sex masculin au drepturi egale în societatea umană, ca și adulții de ambele sexe. Din punct de vedere genetic, sexul copilului este determinat de combinația de heterozomi. Ovulul conține, în mod normal, 22 de autozomi și un heterozom X. Spermatozoidul conține, în mod normal, 22 de autozomi și un heterozom X sau un heterozom Y. Astfel, sexul copilului este determinat de tipul de heterozom pe care îl conține spermatozoidul care fecundează ovulul. Vor rezulta două combinații posibile: 44 de autozomi și heterozomii XX, la organismele de sex feminin, și 44 de autozomi și heterozomii XY la organismele de sex masculin.

În fig. 2 sunt prezentate cele două tipuri de gemeni. În care dintre cele două situații frații gemeni pot avea sexe diferite? De ce?

spermatozoid

ovul

gemeni identici

gemeni diferiți

Fig. 2 Tipuri de gemeni

Aplicații

Precizează tipul de cariotip (feminin sau masculin) pentru fiecare dintre imaginile a) și b) (fig. 3).

Fig. 3 Cariograme umane

Transmiterea materialului genetic se face:

• de la o generație de indivizi la altă generație de indivizi, prin intermediul fecundației, (precedată de meioză), în cadrul aceleiași specii (și în cadrul aceleiași familii, în sensul social al termenului).

• d e la o generație de celule la altă generație de celule, prin mitoze, în cadrul aceluiași organism pluricelular, păstrând numărul de cromozomi.

Reține!
Aplicații

Află mai mult!

Diviziunea celulară. Mitoza

Mitoza este diviziunea celulară care duce la formarea unor celule-fiice identice cu celula inițială (celula - mamă). Pentru păstrarea numărului de cromozomi în celulele-fiice, înaintea mitozei are loc dublarea cantității de ADN. Astfel, cromozomii monocromatidici devin bicromatidici.

Fig. 4 reprezintă un model simplificat al mitozei, în care celula unitară are o singură pereche de cromozomi.

inițială

cromozomi monocromatidici

cromozomi bicromatidici

4 Mitoza diviziune celulară

Diviziunea celulară. Meioza

Meioza are loc doar în organele reproducătoare și duce la formarea unor celule cu număr de cromozomi redus la jumătate față de celula inițială. Meioza cuprinde două etape.

Schema de mai jos reprezintă un model simplificat al meiozei, în care celula inițială are două perechi de cromozomi. În fiecare pereche de cromozomi, unul este moștenit de la mamă, celălalt de la tată. În timpul meiozei, cromozomii materni și paterni pot face schimb de gene, prin procesul de recombinare, rezultând gameți variați.

inițială

Realizează un model al unei diviziuni mitotice, pornind de la fig. 4 și folosind diferite materiale.

Realizează un model al unei diviziuni meiotice, pornind de la fig. 5 folosind diferite materiale. Activitate

Problemă

Folosind cunoștințele de matematică, precizează care este numărul de celule rezultat după trei mitoze succesive: a. 2 × 3; b. 23; c. 32

Temă de gândire

Ce efecte ar putea avea unele erori din timpul diviziunii meiotice? Dar din timpul diviziunilor mitotice care au loc în timpul formării embrionului?

5 Meioza

Fișă pentru portofoliu Investigație

Înainte de a învăța despre transmiterea informației genetice, realizează un studiu despre unele caracteristici din familia ta. De exemplu, poți observa tipul de păr natural (drept, ondulat sau creț) al membrilor familiei tale; cere informații despre membrii familiei pe care nu îi poți observa. Notează aceste observații într-o fișă pentru portofoliul individual, folosind modelul de arbore genealogic învățat în anii anteriori de școală. Compară rezultatele studiului cu cele ale colegilor tăi. Formulează o concluzie despre această însușire. Ce alte însușiri poți observa direct sau indirect (de exemplu, prin analize medicale)?

Fig.
celule -fiice
celulă
Fig.
celulă
meioza 1
meioza 2
celule -fiice
Află mai mult!

Caractere dominante și caractere recesive

Amintește-ți!

• A mintește-ți din lecțiile anterioare noțiunile: ADN, genă, autozom, heterozom.

• A mintește-ți din lecțiile din clasa a VI-a noțiunea de Rh (pozitiv și negativ).

Prin gameți, informațiile din ADN-ul părinților (ascendenți) se transmit la copii (descendenți).

Observând indivizi umani din diferite familii, vei constata că descendenții (fig. 6) pot moșteni:

• u nele caracteristici similare cu cele ale mamei;

• u nele caracteristici similare cu cele ale tatălui;

• unele caracteristici similare cu cele ale bunicilor, dar nemanifestate de părinți;

• unele caracteristici diferite de ale părinților și de ale bunicilor (rezultate din combinarea materialului genetic al acestora).

Caracterele ereditare sunt codificate de gene. O genă poate exista sub forma unor variante numite alele. O genă poate avea două sau mai multe alele. Unele caractere sunt mai frecvente la nivelul speciei umane, iar alte caractere sunt mai rare. Frecvența diferită a caracterelor ereditare a fost studiată de geneticieni pentru înțelegerea codificării genetice și pentru realizarea de predicții privind transmiterea unor caractere la generațiile următoare.

Cei 46 de cromozomi din celulele somatice, moșteniți de la cei doi părinți, formează 23 de perechi. Cromozomii din aceeași pereche conțin alele pereche care codifică același tip de caracter ereditar. Multe caractere ereditare sunt determinate de astfel de perechi de alele. În unele situații, cele două alele sunt identice, în alte situații, cele două alele sunt diferite (fig. 7).

Alelele unei gene pot fi notate cu litere mari dacă alela este dominantă (de exemplu: A, B, C, D etc.) sau cu litere mici dacă alela este recesivă (de exemplu: a, b, c, d etc.).

Exemplu: Codificarea factorului Rh

Gena care codifică Rh-ul are două alele: D și d. Două alele identice DD vor determina Rh+, iar două alele identice dd vor determina Rh –

Când alelele unei gene sunt diferite, de obicei se va exprima informația uneia dintre ele. De exemplu, când un individ moștenește de la un părinte alela care codifică Rh+, iar de la celălalt părinte, alela pentru Rh –, el va avea Rh+. În acest caz, alela pentru Rh+ este considerată dominantă, prin comparație cu alela pentru Rh –, care este recesivă.

Formula geneticăCaracterul manifestat

DD Rh+ (dominant)

Dd Rh+ (dominant)

dd Rh - (recesiv)

Fig. 7 Cromozomi cu alele
Fig. 6 Trei generații
Reține!

Află mai mult!

Organismele cu formule genetice AA și aa sunt denumite homozigote. Organismele cu formula genetică Aa sunt denumite heterozigote

În concluzie, unele caractere ereditare sunt dominante, iar altele sunt recesive, în funcție de alelele care le codifică (substratul material al acestor caractere ereditare) – fig. 8 .

În continuare, vom vedea și alte reprezentări simbolice ale formulelor genetice prezentate, dar și modul în care aceste simboluri sunt utilizate în scheme de genetică.

În fig. 9 sunt reprezentate combinațiile posibile ale alelelor părinților, pentru un anumit tip de caracter. Combinând fiecare alelă dintr-o pereche a fiecărui părinte, rezultă patru combinații de alele; în acest exemplu, două combinații ale descendenților sunt similare. Săgețile indică sensul transmiterii genelor la descendenți.

De exemplu, alela dominantă „A” a tatălui se poate întâlni, în procesul de fecundație, cu alela dominantă a mamei, rezultând prima formulă genetică a descendenților din această schemă (AA). Aceeași alelă „A” a tatălui ar putea să se combine cu alela recesivă a mamei, rezultând a doua formulă genetică (Aa). Alela recesivă a tatălui se poate combina cu alela dominantă a mamei dând formula genetică Aa sau cu alela recesivă a mamei, rezultând formula genetică aa.

Cele patru combinații posibile pot să apară la frați născuți din sarcini succesive sau din sarcini cu gemeni diferiți.

Află mai mult!

Ordinea în care se nasc copiii cu aceste combinații nu poate fi stabilită prin schemele genetice. De asemenea, chiar dacă un cuplu ar avea patru copii, nu este obligatoriu să apară aceste patru combinații, ele reprezentând posibilități de combinare a gameților părinților în fecundație; acest proces nu poate fi controlat în mod natural.

caracter dominant

alela dominantă A alela recesivă a

caracter recesiv

individ uman cu două alele dominante (AA)

individ uman cu două alele diferite (Aa)

individ uman cu două alele recesive (aa)

Fig. 8 Simboluri grafice utilizate în schemele de genetică

alelă dominantă alelă recesivă

Fig. 9 Reprezentarea grafică a transmiterii ereditare

Aceeași schemă poate fi reprezentată cu ajutorul literelor care simbolizează alelele unei gene (fig. 10). Convențional, alelele dominante pot fi scrise înaintea celor recesive, în combinațiile cu alele diferite (Aa). Prima linie reprezintă formulele genetice ale părinților; a doua linie reprezintă alelele distribuite în gameți, care nu se află în perechi; a treia linie din schemă reprezintă formulele genetice posibile ale descendenților acestui cuplu.

Săgețile dintre linia 1 și linia 2 reprezintă separarea cromozomilor cu alele, în timpul meiozei, iar săgețile dintre linia 2 și linia 3 reprezintă modul în care aceste alele se pot combina în procesul de fecundație.

Probabilitatea apariției unui caracter în descendență se poate exprima prin fracții, în care numărătorul indică de câte ori este posibil să apară o formulă genetică în descendență, iar numitorul indică cele patru combinații posibile ale celor două perechi de alele ale părinților.

Model de rezolvare de probleme

Calculează probabilitatea apariției descendenților cu formula genetică AA, când ambii părinți sunt Aa.

Pasul 1: realizează o schema similară cu cea din fig. 11

Pasul 2: Formula genetică AA apare o dată (numărătorul este 1) în cele patru combinații posibile (numitorul este 4). Deci probabilitatea ca acest cuplu, să aibă un copil cu formula genetică AA, este ¼ sau 25%.

Aceeași modalitate de calcul se poate utiliza pentru probabilitatea de apariție a unui anumit caracter din fenotip. Aici, probabilitatea de apariție a caracterului dominant este ¾ sau 75%.

Problemă

Folosind informațiile din fig. 11, identifică în descendența cuplului:

a. probabilitatea de apariție a caracterului recesiv;

b. probabilitatea de apariție a organismelor homozigote;

c. probabilitatea de apariție a organismelor cu același fenotip și cu același genotip ca părinții.

Fig. 10 Reprezentarea schematică a transmiterii ereditare

Fig. 11 Schemă pentru rezolvarea unei probleme de genetică

Formula genetică se referă la alelele genelor, care aparțin genotipului. Carac terul manifestat este însușirea de alcătuire, de funcție sau de comportament, care aparține fenotipului.

Problemă 1

În fig. 12 este reprezentat schematic modul în care se poate transmite tipul de Rh la descendenții unui cuplu în care tatăl are Rh-, iar mama are Rh+, dar a moștenit de la unul dintre părinții ei o alelă recesivă.

1. Pe baza modelului din fig. 12, reprezintă o schemă în care să folosești simbolurile alelelor pentru tipul de Rh: alela D dominant și alela d recesivă.

2. Folosind modelul de rezolvare a problemelor de la pagina anterioară, identifică probabilitatea de apariție în descendența acestui cuplu a Rh -ului negativ.

Important pentru sănătate

Probabilitatea de apariție a Rh-ului negativ ident ificată în problema de mai sus este similară și dacă mama are Rh- și tatăl are Rh+. Totuși, această situație este importantă din punct de vedere medical. Documentează-te despre importanța cunoașterii Rh-ului celor doi părinți atât pentru sănătatea mamei, cât și a unor copii ai acestui cuplu.

Exerciții

I. Alege răspunsul corect.

Calculează probabilitatea de apariție a Rh -ului negativ la descendenții unor cupluri care au următoarele formule genetice: a) DD și dd; b) Dd și DD. Pe baza problemelor rezolvate în acest capitol, stabilește valoarea de adevăr a următoarelor afirmații:

a. Dacă niciunul dintre părinți nu are Rh-, niciun copil al cuplului nu poate avea Rh-.

b. Dacă unul dintre părinți are Rh-, cel puțin un copil al cuplului are Rh-.

1. Fecundația este: a. procesul de formare a gameților; b. procesul de unire a gameților; c. procesul de diviziune a zigotului.

2. Meioza este: a. diviziunea la care participă zigotul; b. diviziunea de formare a gameților; c. diviziunea de formare a zigotului.

3. Rh-ul negativ este determinat de formula genetică: a. DD; b. Dd; c. dd

II. Asociază tipurile de celule, din coloana A , cu numărul de cromozomi normal din aceste celule, din coloana B . Un element din coloana B va rămâne fără pereche.

C oloana A

1. Zigot feminin

2. Ovul

3. Spermatozoid

III. Transcrie pe caiet tabelul alăturat și completează-l cu termenii următori: dominant, recesiv, homozigot și heterozigot.

C oloana B

a. 22 de autozomi și, obligatoriu, heterozomul X

b. 22 de autozomi și, posibil, cromozomul Y

c. 44 de autozomi și heterozomii XY

d. 44 de autozomi și heterozomii XX

Formula geneticăTipul de organismCaracterul manifestat AA dominant

Problemă 2
Aplicație
alela dominantă alela recesivă
Fig. 12

Amintește-ți!

Transmiterea ereditară a unor caractere normale și

patologice

Transmiterea ereditară a unor caractere normale

Amintește-ți din lecțiile anterioare noțiunile de genă, dominant, recesiv, recombinare .

Caracterele ereditare moștenite de copii depind de modul în care sunt codificate în gene și interacțiunea acestor gene în procesul de fecundație.

Caracterele ereditare umane pot fi codificate de:

1. o genă cu două alele;

2. o genă cu trei sau mai multe alele;

3. mai multe gene (de exemplu, culoarea pielii).

1. G ena cu două alele se poate transmite și exprima în mai multe moduri.

a. Cel mai frecvent, gena dominantă se exprimă atât când este moștenită de la un singur părinte, cât și când este moștenită de la ambii părinți. Așa cum ai învățat anterior, tipul de Rh este codificat după regula dominant-recesiv.

Formula genetică Caracterul manifestat

dominant

dominant

recesiv

b. Alela dominantă și alela recesivă pot interacționa, rezultând trei variante posibile de descendenți, prezentate în tabelul alăturat. Descendenții cu formula Aa pot manifesta un caracter ereditar intermediar între cei doi părinți, în semidominanță, sau un caracter ereditar mai puternic decât cel dominant; de exemplu, vocea umană și tipul de fir de păr se manifestă prin semidominanță.

2. Gena cu o serie de alele poate avea:

a. O serie de alele aflate în raport dominant-recesiv; de exemplu, culoarea ochilor este codificată de o serie de alele.

Aplicație

Știind că alela pentru culoare albastră a ochilor este recesivă și folosind informațiile din lecțiile anterioare, găsește o situație în care părinții care nu au ochi albaștri pot avea copii biologici cu ochi albaștri.

b. Alele dominante și o alelă recesivă; de exemplu, grupele de sânge sunt codificate de trei alele: alelele dominante L A și LB și de alela recesivă ℓ; din întâlnirea celor două alele dominante, L A și LB , la fel de „puternice”, va rezulta o nouă grupă de sânge, AB, prin fenomenul numit codominanță .

de sânge A

LB sau LB ℓ Grupa de sânge B

Grupa de sânge 0

A LB Grupa de sânge AB

ondulat

Recesiv Păr drept

Grupa de sânge AB (L AL B)

Grupa de sânge A (L Aℓ)

Grupa de sânge B (L B ℓ)

Grupa de sânge 0 (ℓℓ)

Fig. 13 Reprezentare grafică a formulelor genetice pentru grupele de sânge

STUDIU DE CAZ: Codominanța

O familie formată din părinți și doi copii (o fată și un băiat) se află la spital, pentru a dona sânge pentru băiat, victimă a unui accident de circulație. Analizele de sânge indică următoarele grupe sanguine: mama – grupa sanguină A, tatăl – grupa B, fata – grupa AB, iar băiatul accidentat – grupa 0.

Amintește-ți!

Amintește-ți schema compatibilității grupelor de sânge în transfuzii, pe care ai învățat-o în clasa a VI -a . Care dintre rude îi poate dona sânge băiatului?

Temă de gândire

Dezbate în clasă următoarele ipoteze:

• Grupele de sânge nu sunt transmise ereditar.

• C ei doi copii nu pot fi frați.

• Băiatul nu poate fi copilul natural al cuplului.

• Genele care codifică grupele de sânge au un tip special de transmitere.

Diferențele de grupe de sânge dintre părinți și copii, ca și cele dintre cei doi frați, pot fi explicate prin modul în care acest caracter ereditar este codificat genetic. Modul de transmitere ereditară a grupelor de sânge este important pentru:

• înțelegerea compatibilității pentru transfuzii sanguine și transplanturi, între rude;

• s tabilirea înrudirii dintre indivizi, de exemplu, în stabilirea paternității.

Finalul poveștii: Neavând rude de gradul I compatibile și având o grupă rară de sânge, băiatului i-a fost transfuzat sânge de la un donator compatibil. Ulterior, băiatul a învățat despre modul în care sunt moștenite grupele de sânge și a înțeles de ce nu a putut primi sânge de la părinți și de la sora lui.

Problemă

Analizează schema din fig. 14 și precizează:

a. Ce alte grupe sanguine pot avea alți frați ai băiatului cu grupa 0.

b. Care este probabilitatea (în procente) de apariție a grupei AB la copiii acestei familii?

Grupa de sânge A (L Aℓ)

Grupa de sânge B (L B ℓ)

L A gena L B gena ℓ

Grupa de sânge AB (L AL B)

Grupa de sânge 0 (ℓℓ)

14 Transmiterea ereditară a grupelor de sânge

Reține!

Caracterele ereditare umane pot avea diferite moduri de codificare și de transmitere genetică. Pentru genele localizate pe autozomi, formula genetică aa va manifesta caracterul recesiv, indiferent de tipul de codificare. În funcție de tipul de interacțiune dintre alele, formulele genetice cu alele diferite pot duce la:

• manifestarea caracterului dominant;

• manifestarea unui caracter diferit de cel dominant sau de cel recesiv (în semidominanță și în codominanță).

Fig.
gena

Transmiterea ereditară a unor caractere patologice

Cunoașterea modului de transmitere a caracterelor umane este utilă și în înțelegerea modului de transmitere a unor caractere patologice (adică a unor boli genetice).

Unele boli genetice sunt determinate de alele dominate sau recesive modificate, care nu mai permit manifestarea caracterului ereditar normal. Caracterul dominant sau recesiv al alelei modificate este important, dar este importantă și localizarea acelei alele, pe un autozom sau pe un heterozom. Bolile produse de gene de pe autozomi au frecvență egală la cele două sexe în populația umană, în timp ce bolile produse de gene de pe heterozomi au frecvență diferită.

1. O boală ereditară produsă de o alelă dominantă de pe un autozom este polidactilia (prezența unor degete suplimentare la mâini și/sau la picioare – fig. 15).

2. O boală ereditară produsă de o alelă recesivă de pe un autozom este albinismul, manifestat prin absența melaninei din piele, din păr și din iris (fig. 16). Oamenii albinoși au ochii albaștri și o rezistență scăzută la soare.

Fig. 16 Copil cu albinism și frații săi

3.  Dintre bolile ereditare produse de alele dominante localizate pe heterozomi face parte rahitismul rezistent la vitamina D, codificat de gena R situată pe cromozomul X.

Formula genetică

Caracterul ereditar/ Boala ereditară

XX Femeie sănătoasă

XR XFemeie cu rahitism rezistent

XR XR Femeie cu rahitism rezistent

XY Bărbat normal

XR YBărbat cu rahitism rezistent

4.  Boli ereditare produse de alele recesive localizate pe heterozomi sunt, de exemplu:

• daltonismul (incapacitatea de a vedea unele culori, în special roșu), codificat de gena d;

• hemofilia (timp de coagulare a sângelui de 6–7 ori mai lung decât normal, cu risc de hemoragie letală).

Formula genetică

Caracterul ereditar/ Boala ereditară

XX Femeie sănătoasă

Xd X sau XXd Femeie sănătoasă purtătoare

Xd Xd Femeie cu daltonism

XY Bărbat normal

Xd YBărbat cu daltonism

Aplicații

Care dintre sexe manifestă mai frecvent bolile heterozomale dominante? Dar pe cele recesive?

Reține!

În transmiterea ereditară a bolilor genetice sunt importante:

• c aracterul dominant sau recesiv al alelei modificate care codifică caracterul patologic;

• dacă gena este autozomală sau heterozomală;

• formulele genetice ale părinților.

Indivizii cu un exemplar de alelă recesivă autozomală modificată sunt purtători sănătoși, dar cei cu un exemplar de alelă dominantă autozomală modificată manifestă boala respectivă.

Fig. 15 Mână cu polidactilie

Problema 1

În fig. 17 este reprezentată descendența unui cuplu cu polidactilie, dar care poate avea și copii cu număr normal de degete.

a. Ce formulă genetică au acești părinți?

b. Care este probabilitatea ca acest cuplu să aibă copii cu polidactilie?

Problema 2

În fig. 18 este reprezentată descendența unui cuplu sănătos, dar care poate avea copii cu albinism.

a. Ce formulă genetică au acești părinți?

b. Care este probabilitatea ca acest cuplu să aibă copii sănătoși?

c. Realizează această schemă folosind și litere pentru a reprezenta alele dominante și alele recesive.

dominantă alelă recesivă

copil sănătos

copii cu boală autozomală dominantă

Problema 3

Amintește-ți simbolurile învățate anterior pentru a identifica femeile și bărbații din arborele genealogic din fig. 19, în care a fost evidențiată transmiterea ereditară a polidactiliei.

1. R eprezintă în caietul de biologie schema completată cu formulele genetice ale întregii familii.

2. Subliniază în schema ta indivizii care prezintă polidactilie.

3. Care este probabilitatea de apariție a indivizilor sănătoși în a doua generație? Dar în a treia generație?

copil cu boală autozomală recesivă

copii sănătoși

Problema 4

În arborele genealogic din fig. 20 este reprezentată transmiterea ereditară a daltonismului în trei generații ale unei familii.

1. Realizează în caietul de biologie o schemă similară, în care să reprezinți formulele genetice ale acestor indivizi.

2. C um explici faptul că bărbatul din a doua generație este daltonist, deși tatăl lui nu are această boală?

3. Cum explici faptul că băiatul din a treia generație este daltonist, deși tatăl lui nu are această boală?

Fig. 18 Transmiterea unei boli autozomale recesive
Fig. 17 Transmiterea unei boli autozomale dominante
Fig. 19
Fig. 20

Exerciții

I. Asociază tipurile de transmitere ereditară, din coloana A , cu exemplele de caractere ereditare corespondente, din coloana B . Un element din coloana B rămâne neasociat.

Coloana A

1. Codominanță

2. Semidominanță

C oloana B

a. tipul de păr (drept, ondulat, creț)

b. tipul de grupă de sânge în sistemul 0AB

c. tipul de Rh

II. a. Asociază grupele de sânge ale părinților, din coloana A , cu grupele de sânge posibile ale descendenților lor, din coloana B . Un element din coloana B va rămâne neasociat:

Coloana A

1. 0 și AB

2. A (L A L A) și 0

3. A (L Aℓ) și AB

C oloana B

a. A și AB

b. A, B și AB

c. A și B

d. A

b. Explică de ce grupa de sânge 0 nu apare în descedența primelor două cupluri de părinți.

III. Observă fig. 19 și găsește răspunsul corect pentru următoarele afirmații:

1. Dacă alela dominantă codifică polidactilie, în această familie reprezentată în fig. 21:

a. ambii părinți au polidactilie;

b. 50% dintre copii sunt sănătoși, dar purtători ai alelei modificate;

c. 50% dintre copii sunt sănătoși și nu pot transmite polidactilia urmașilor.

Explică de ce sunt incorecte celelalte răspunsuri.

2. Dacă alela recesivă din fig. 19 codifică albinismul, în această familie:

a. ambii părinți au albinism;

b. 50% dintre copii sunt sănătoși, dar purtători ai alelei modificate;

c. 50% dintre copii sunt sănătoși și nu pot transmite albinismul urmașilor. Compară răspunsurile corecte și răspunsurile incorecte de la punctele 1 și 2. Formulează o concluzie.

IV. a. Folosind noțiunile despre arborele genealogic, identifică în fig. 22:

• indivizii cu albinism din arborele genealogic alăturat;

• c e formule genetice au partenerii celor trei albinoși din această familie, având în vedere descendența lor.

b. Realizează o schemă care să prezinte formulele genetice din primele trei generații din acest arbore genealogic.

c. E ste posibil ca în generația a patra să se nască copii cu albinism? Ce factor influențează această probabilitate?

alelă dominantă alelă recesivă

21

Fig. 22

Fig.

Factorii mutageni și consecințele mutațiilor

Factorii mutageni

Factorii mutageni sunt factorii care produc mutații. Mutațiile sunt modificările materialului genetic, care nu rezultă din recombinările genetice.

După modul de apariție sau după influența omului, factorii mutageni pot fi factori naturali și factori artificiali. Mutațiile cauzate de factori naturali se manifestă cu frecvență mică, datorită unei capacități naturale a ADN-ului de a se autorepara. Diversitatea și intensitatea factorilor artificiali au crescut, depășind capacitatea de reparare a ADN-ului, deci, numărul mutațiilor a crescut.

După natura lor, factorii mutageni pot fi clasificați în factori fizici, chimici și biologici. O parte dintre factorii mutageni pot avea efect cancerigen, afectând diferite organe.

Află mai mult!

Variabilitatea unei specii este rezultatul următoarelor procese biologice:

1. M odificarea aspectului unor organisme, ca adaptare la condițiile de mediu, prin variații care nu se transmit urmașilor.

2. Modificarea materialului genetic, cu efecte în generațiile următoare, produsă prin:

a. recombinarea cromozomilor (în meioză) și combinarea probabilistică a gameților (în fecundație); b. acțiunea unor factori mutageni.

Tipuri de factori mutageni

Factori fizici (fig. 23)

Factori chimici (fig. 24)

Factori biologici (fig. 25)

Dicționar

Exemple de factori mutageni (naturali și artificiali)

Șocuri termice, raze ultraviolete (UV), raze X, radiații gamma

Antibiotice, coloranți și aditivi alimentari, insecticide, fungicide, cofeină, substanțe din fumul de țigară

Virusuri (de exemplu, efectul teratogen al virusului rubeolei, în primele trei luni de viață intrauterină), microorganisme patogene

Factor cancerigen = factor mutagen care transformă celule normale în celule tumorale maligne (celule canceroase).

Factor teratogen = factor care produce o anomalie în timpul vieții intrauterine.

Fișă pentru portofoliu

Important pentru sănătate

Identifică factorii mutageni prezenți în mediul tău de viață. Care dintre acești factori pot fi reduși prin propriul tău comportament?

Comparați în clasă răspunsurile voastre.

Fig. 23 Radiografie dentară
Fig. 24 Fum de țigară
Fig. 25 Embrion infectat de un virus

Consecințele mutațiilor

Consecințele mutațiilor pot fi diferite, în funcție de:

1. celulele afectate/efectul mutației asupra transmiterii ereditare;

2. efectul mutației asupra capacității de adaptare a organismului;

3. cantitatea de material genetic afectat.

1. În funcție de celulele afectate, mutațiile se pot transmite sau nu, la generațiile următoare. Mutațiile care apar în celulele reproducătoare sunt mutații gametice, fiind mutații ereditare (fig. 26). Mutațiile care apar în celelalte celule ale corpului (celulele somatice) sunt mutații somatice, fiind mutații neereditare (fig. 27).

2. După efectul lor, mutațiile pot fi neutre, utile sau dăunătoare. Mutațiile utile (foarte rare) și mutațiile neutre sunt cele care pot permite apariția unor noi specii, deoarece măresc capacitatea de adaptare a unui organism la anumite condiții de mediu. Consecința mutațiilor dăunătoare este incompatibilitatea cu supraviețuirea sau apariția unor boli genetice (ereditare sau neereditare).

3. Î n funcție de cantitatea de material genetic afectat, mutațiile pot fi:

• genice (care afectează structura unei gene – fig. 28);

• cromozomale structurale (care afectează structura unui cromozom – fig. 29);

• cromozomale numerice (care afectează numărul de cromozomi – fig. 30).

26

1. Este posibil ca un cuplu de indivizi cu albinism să aibă copii fără albinism? În ce situație este posibil ca un cuplu care nu este purtător al genei de albinism să aibă copii cu albinism?

2. Este posibil ca un cuplu de indivizi care au alunițe să aibă copii fără alunițe? E xplică răspunsurile.

Documentează-te despre anemia falciformă, produsă de o mutație care modifică forma hematiilor, cu efect neutru, util sau dăunător, în funcție de condițiile de mediu în care se află bolnavul.

Fig.
Mutație ereditară: albinismul
Fig. 27 Mutație neereditară: alunițele
Aplicații
Fig.
Aplicații

Cele trei tipuri de mutații au diferite moduri de apariție și de transmitere.

a. Mutațiile genice pot fi clasificate:

• după modul de transmitere: mutații dominante, recesive etc.;

• după tipul de cromozom cu alelele mutante: mutații autozomale sau heterozomale.

b. Mutațiile cromozomale structurale:

• după modificarea structurii cromozomului: segmente de cromozom în plus sau în minus într-un cromozom;

• după tipul de cromozom afectat: mutații autozomale și mutații heterozomale.

c. Mutațiile cromozomale numerice apar dacă fie un gamet, fie ambii gameți rezultă dintr-o meioză anormală; în acest caz, nu toți cromozomii pereche se separă pentru a se repartiza în gameți, deci unii gameți pot avea cromozomi în plus sau în minus. Aceste mutații pot fi clasificate:

• d upă numărul anormal de cromozomi: trisomii (cu trei cromozomi în loc de o pereche – fig. 32 A și C), monosomii (cu un singur cromozom în loc de o pereche – fig. 32 B) etc.;

• d upă tipul de cromozom afectat: mutațiile autozomale (trisomia 21 – sindromul Down –fig. 31 – etc.) și heterozomale (monosomia X, trisomia X, trisomia XXY).

Află mai mult!

Important pentru sănătate

Gameții cu număr modificat de cromozomi apar mai des dacă vârsta părinților, în special a mamei, este peste 35-40 de ani. Frecvența sarcinilor cu copii cu sindrom Down crește progresiv, de la 1:1500, la femeile cu vârsta de 30 de ani, până la 1:30, la femeile peste 45 de ani. Sunt și cazuri de cupluri tinere cu un copil cu sindrom Down, deci pot fi și alte cauze de apariție a bolii.

Află mai mult!

Important pentru sănătate

Consangvinizarea (conceperea unor copii de către părinți care sunt rude) crește probabilitatea apariției unor indivizi care să manifeste gene recesive. Acest motiv științific se adaugă motivelor morale, ducând la interzicerea căsătoriilor între rude, în populația umană actuală.

Cromozomul X conține genele vitale. Ce șanse de supraviețuire ar avea un embrion cu 45 de cromozomi cu un singur heterozom, dacă: 1. heterozomul este cromozomul X 2. heterozomul este cromozomul Y.

Mutațiile care pot duce la apariția unor boli genetice pot să apară:

• în timpul formării gameților viitorilor părinți;

• în timpul vieții intrauterine;

• după nașterea individului.

Reține!
Fig. 32 Mutații genomice heterozomale
Fig. 31 Fetiță cu sindromul Down și mama ei
A – trisomia X B – monosomia X
C – trisomia XXY

STUDIU DE CAZ:

Mutații cromozomale numerice autozomale

Sindromul Down (trisomia 21) se manifestă prin malformații cardiace, afectarea creierului, gât scurt și gros și ochi oblici. Comportamental, încă din copilărie sunt afectuoși și pot fi creativi în anumite domenii. Intervențiile chirurgicale care corectează malformațiile cardiace permit prelungirea vieții tinerilor cu sindromul Down.

În fig. 33 este prezentată o familie în care fiul mai mic are sindromul Down, cu fenotip diferit de părinți și de fratele mai mare. Cum explici apariția copilului cu sindromul Down în familie?

Analizează următoarele ipoteze:

1. El nu poate fi copilul natural al cuplului.

2. El a moștenit gene recesive (consangvinizare).

3. Al treilea cromozom 21 a apărut după conceperea sa.

4. O vulul sau spermatozoidul a avut 24 de cromozomi.

Aplicație

Important pentru sănătate

Documentează-te despre asociațiile care susțin copiii cu sindromul Down din România. Află cum te poți implica și tu pentru integrarea socială a acestor copii și despre atitudinea corectă față de ei .

Fig. 33 Sindromul Down

Anomaliile cromozomale structurale și numerice sunt prezente la aproximativ 0,7% din nou-născuți, la 2% din sarcinile femeilor cu vârsta peste 35 de ani în momentul concepției și la peste 50% din avorturile spontane din primul trimestru de sarcină. Diagnosticarea se face prin diferite metode de diagnoză prenatală (prezentate în manualul digital). Deși frecvența de apariție a acestor boli este mică, atât copiii, cât și adulții cu aceste boli au nevoie deseori de îngrijire specială; de aceea, părinții au nevoie de sfaturi pentru îngrijirea adecvată a copilului, dar și pentru cunoașterea factorilor care ar favoriza nașterea unui alt copil cu o boală genetică în acea familie.

Teme de dezbatere și fișe pentru portofoliu

1. Temă de dezbatere: „ Efectul razelor UV ”. Notează concluziile dezbaterii în fișa de portofoliu, urmărind informațiile despre: a. surse naturale/surse artificiale de raze UV; b. efecte pozitive/efecte negative ale razelor UV asupra organismului uman.

2. Temă de dezbatere: „Vaccinarea antirubeolică”. Notează concluziile dezbaterii în fișa pentru portofoliu, urmărind importanța vaccinării antirubeolice la cele două sexe și efectul teratogen al virusului rubeolei.

3. Hiroshima, Cernobîl și Fukushima sunt locuri asociate cu catastrofe ecologice și genetice. Documentează-te și notează concluziile referitoare la consecințele lor genetice.

4. Documentează-te despre normele de protecție necesare într-un mediu radioactiv (fig. 34).

Fig. 34 Investigarea unui mediu radioactiv

Află mai mult!

1. Care dintre factorii mutageni din tabelul de la pagina 30 sunt naturali? Care factori pot fi și naturali, și artificiali? Scrie două-trei enunțuri despre modul în care pot fi prevenite efectele negative ale factorilor mutageni.

2. Alege afirmațiile adevărate. Corectează afirmațiile false. Argumentează.

a. Toate caracteristicile ereditare sunt genetice, dar nu toate cele genetice sunt ereditare.

b. După efect, mutațiile pot fi genice, cromozomale structurale și cromozomale numerice.

c. Mutațiile pot să apară doar înainte de momentul formării unui zigot.

d. Efectul mutațiilor este întotdeauna dăunător.

e. Mutațiile genice, cromozomale structurale și cromozomale numerice pot fi autozomale sau heterozomale.

3. Asociază formulele genetice, din coloana A , cu fenotipul corespunzător, din coloana  B . Un element din coloana B rămâne fără pereche.

Coloana A C oloana B

1. X0 a. bărbat cu trisomie heterozomală

2. XXX b. bărbat cu sindrom Down

3. X XY

c. femeie cu monosomie heterozomală

d. femeie cu trisomie heterozomală

4. Într-o familie, părinții nu au daltonism, dar tatăl mamei, da.

a. Care sunt formulele genetice ale părinților?

b. Care este probabilitatea ca acest cuplu să aibă copii cu daltonism?

c. Care este probabilitatea ca băieții acestui cuplu să aibă daltonism?

d. Reprezintă arborele genealogic pentru transmiterea daltonismului în cele trei generații (bunici, părinți, copii) ale familiei din enunțul de mai sus.

5. În tabelul de mai jos sunt reprezentate toate variantele de cupluri de părinți pentru transmiterea ereditară a daltonismului.

Formula genetică a părinților

XX (sănătoasă)

Xd X (sănătoasă purtătoare)

Xd Xd (daltonistă)

XY (sănătos)

XX 50% fete sănătoase

XY 50% băieți sănătoși

Xd X 25% fete sănătoase purtătoare

XX 25% fete sănătoase

XdY 25% băieți cu daltonism

XY 25% băieți sănătoși

Xd X 50% sănătoase purtătoare

XdY 50% băieți cu daltonism

Xd Y (daltonist)

Xd X 50% fete sănătoase purtătoare

XY 50% băieți sănătoși

Xd Xd 25% fete cu daltonism

Xd X 25% fete sănătoase purtătoare

XdY 25% băieți cu daltonism

XY 25% băieți sănătoși

Xd Xd 50% fete cu daltonism

XdY 50% băieți cu daltonism

1) Care sunt cuplurile de părinți în care apar: a. 50% copii cu daltonism; b. 50% băieți cu daltonism; c. 50% fete cu daltonism?

2) Care dintre cele două sexe manifestă mai frecvent boli heterozomale recesive? Cum explici această frecvență diferită la cele două sexe?

Aplicații

Un grup de elevi vizitează un cabinet de sfaturi genetice. Geneticienii le explică modul în care ei interpretează informațiile dintr-o cariogramă umană. Pe baza indicațiilor, elevii primesc ca sarcină de lucru să analizeze trei fișe medicale care conțin cariograma unor pacienți. Pentru protejarea datelor personale, toate documentele medicale au coduri de identificare.

1. Poți finaliza activitatea elevilor completând informațiile într-un tabel similar cu cel de mai jos, pe baza celor trei imagini alăturate.

327

Sexul pacienților feminin

Numărul de cromozomi 47

Monosomie sau trisomie

Boală autozomală sau heterozomală heterozomală

2. Pe baza informațiilor completate în tabel, stabilește valoarea de adevăr (A / F ) a următoarelor afirmații:

a. Fișa 327 aparține unui pacient de sex masculin care are 45 de cromozomi.

b. Fișa 183 corespunde unei persoane de sex feminin cu o trisomie heterozomală.

c. Fișa 97 corespunde unei persoane de sex masculin cu o trisomie autozomală.

d. Pacienții 327 și 183 au același număr de cromozomi.

e. Pacienții 183 și 97 au același număr de autozomi.

183

Fișa 97

Fișa
Fișa

1. Noțiuni generale de genetică

RECAPITULARE

În figura alăturată sunt reprezentate elemente care conțin informația genetică a unui organism. Identifică elementele numerotate cu cifre de la 1 la 5. Care dintre aceste componente are proprietatea de a se autoreplica? Ce importanță are această proprietate? Din ce secvențe este format elementul 3? În ce număr este prezent acest element în majoritatea celulelor umane? Dar în gameți? Prin ce procese se poate forma elementul 1?

2. Transmiterea caracterelor ereditare normale

a. Completează în caietul de biologie, într-un tabel similar cu tabelul de mai jos, formulele genetice ale celor patru grupe de sânge din sistemul AB0.

Grupa de sânge 0 A B AB

Formula genetică . . . ... sau ... ... sau ... . . .

b. Folosind metodele de rezolvare a problemelor de genetică, calculează procentele corespunzătoare grupelor de sânge posibile ale descendenților cuplurilor; completează-le într-un tabel similar cu tabelul de mai jos. Adaugă și alte variante de grupe de sânge ale părinților și identifică ce grupe de sânge pot avea descendenții lor.

Grupe de sânge ale părinților

0 și B (L BLB)

procentul grupelor de sânge pentru descendenți 0

A (L A l) și AB 0% 0 și AB 0%

3. Transmiterea caracterelor ereditare patologice

În cazul bolilor produse de alele dominante de pe autozomi:

• d acă ambii părinți sunt Aa,  ...  % dintre copii vor manifesta boala respectivă (de exemplu, polidactilia).

În cazul bolilor produse de alele recesive de pe autozomi:

• d acă ambii părinți sunt Aa,  ...  % dintre copii vor manifesta boala respectivă (de exemplu, albinismul).

În cazul bolilor produse de alele dominante de pe heterozomi:

• dacă ambii părinți au câte o alelă dominantă pe cromozomul X, copiii de sex  ...  vor manifesta boala în proporție de 100%, iar copiii de sex  ...  , în proporție de  ...  %.

În cazul bolilor produse de alele recesive de pe heterozomi:

• dacă ambii părinți au câte o alelă recesivă pe cromozomul X,  ...  % dintre fete și  ...  % dintre băieți vor manifesta boala (de exemplu, daltonismul).

4. Factorii mutageni și mutațiile

Factorii mutageni sunt factorii care produc  ...  . După influența omului, factorii mutageni pot fi ...  și  ...  . Majoritatea mutațiilor sunt produse de factorii  ...  , care depășesc capacitatea ADN-ului de a se  ...  . După natura lor, factorii mutageni pot fi  ...  (razele UV),  ...  (aditivi alimentari) și biologici (  ...  ).

Mutațiile sunt  ...  materialului genetic. După celulele afectate, mutațiile pot fi gametice (  ...  ) și  ...  (neereditare). După efectul asupra capacității de adaptare, mutațiile pot fi  ...  (care favorizează adaptarea),  ...  (care nu influențează capacitatea de adaptare) și dăunătoare (care  ...  capacitatea de adaptare la mediu). După cantitatea de material genetic afectat, mutațiile pot fi  ...  (care afectează  ...  unei gene), cromozomale structurale (care afectează  ...  unui  ...  ) și  ...  (care afectează  ...  cromozomilor).

5. a. Formulează enunțuri afirmative despre cel puțin zece dintre noțiunile din schema de mai jos.

b. Formulează enunțuri afirmative despre relațiile dintre aceste noțiuni, relații indicate prin săgeți.

c. Ce conexiuni mai poți face între elementele din schemă? Cromozom

Heterozigot

Fenotip

Alele

Nucleotidă

EVALUARE

Subiectul I (10 p = 2 × 5 p)

Alege răspunsul corect pentru fiecare dintre enunțurile următoare:

1. Dintre următoarele componente, cea mai mică este: a. cromozomul; b. gena; c. celula.

2. Cromozomii unui zigot de sex feminin sunt: a. 22 autozomi +XX; b. 44 autozomi +XY; c. 44 autozomi +XX.

Subiectul II (30 p)

1. C ompletează spațiile libere cu noțiunile corespunzătoare: (10 p = 5 × 2 p)

a. Pentru o persoană care are genele ll și dd, grupa de sânge este  ...  , iar Rh-ul este  ...  .

b. Frecvența bolilor genetice este diferită la cele două sexe dacă sunt afectați cromozomii  ...

c. ...  sunt factori mutageni fizici naturali, iar  ...  sunt factori mutageni chimici artificiali.

2. A sociază bolile genetice din coloana A cu noțiunile corespunzătoare din coloana B. Un element din coloana B va rămâne fără pereche: (10 p = 5 × 2 p)

Coloana A Coloana B

1. Daltonismul a. Poate fi moștenit de la ambii părinții bolnavi sau purtători.

2. Albinismul b. Este moștenită de băieți doar de la mama bolnavă sau purtătoare.

3. Monosomia X0 c. Apare dacă gameții părinților conțin număr anormal de autozomi.

4. Sindromul Down d. Apare dacă gameții părinților conțin număr anormal de heterozomi. e. Apare dacă un cromozom al unui părinte este mai mare sau mai mic.

3. Observă cele două cariotipuri alăturate: (10 p = 2 × 5 p)

a. Ce imagine reprezintă cariograma cu mutație cromozomală autozomală?

b. În care dintre cele două imagini este reprezentată cariograma unui bărbat?

Subiectul III (20 p = 2 × 10 p)

a. Părinții au grupele de sânge 0 și AB. Ce grupe de sânge pot avea copiii cuplului? Reprezintă schema transmiterii ereditare a grupelor de sânge în această familie.

b. Tatăl are albinism, iar mama nu, dar a avut un părinte cu albinism. Care este probabilitatea ca acest cuplu să aibă copii cu albinism? Reprezintă schema transmiterii ereditare a bolii.

Subiectul IV (30 p)

Elaborează un minieseu de 3–4 fraze, cu titlul

„Mutațiile – cauze și prevenire”.

Se acordă 10 puncte din oficiu. Total = 100 de puncte . Timp de lucru recomandat: 50 de minute

Evoluționism

MEZOZOIC PALEOZOIC

MEZOZOIC PALEOZOIC

UNITATEA

2

Conținuturile pe care le vei parcurge:

Conținuturile pe care le vei parcurge:

• Teorii despre originea și evoluția vieții

• Dovezi ale evoluției

• Teorii despre originea și evoluția vieții

• Dovezi ale evoluției

• Factori ai evoluției

• L a începutul acestei unități, caută în calendarul de la paginile 106-109 sărbătorile și activitățile corespunzătoare. Adaugă rezultatele acestor activități în portofoliul individual.

• Evoluția omului

• Factori ai evoluției

• Evoluția omului

• L a începutul acestei unități, caută în calendarul de la paginile 106-109 sărbătorile și activitățile corespunzătoare. Adaugă rezultatele acestor activități în portofoliul individual.

• L a finalul acestei unități, evaluează activitatea pe care ai desfășurat-o pe parcursul acestor lecții. Completează pe o coală de hârtie o fișă asemănătoare cu cea de la pagina 112 pentru a -ț i observa progresul. Adaugă și această fișa la portofoliul tău.

• L a finalul acestei unități, evaluează activitatea pe care ai desfășurat-o pe parcursul acestor lecții.

Completează pe o coală de hârtie o fișă asemănătoare cu cea de la pagina 112 pentru a -ț i observa progresul. Adaugă și această fișa la portofoliul tău.

Competențe specifice: 1.1, 1.2, 2.1, 2.2, 3.1, 3.2, 4.2

Competențe specifice: 1.1, 1.2, 2.1, 2.2, 3.1, 3.2, 4.2

Amintește-ți!

NOȚIUNI GENERALE DESPRE EVOLUȚIE

Amintește-ți principalele grupe de viețuitoare învățate în clasa a V-a. Care sunt cele cinci regnuri ale lumii vii? Care sunt organismele ce fac parte din acestea? Ce au în comun? Ce le deosebește de alte organisme?

Revenind la noțiunile de genetică învățate la începutul anului, care sunt bazele asemănărilor și deosebirilor dintre organisme? Ce anume asigură ereditatea? Dar variabilitatea?

Viața există pe Pământ în diferite forme. Diver sitatea viețuitoarelor e imensă și, totuși există numeroase asemănări între organismele vii. Numărul de specii cunoscute se modifică permanent: pe de o parte, sunt descoperite specii noi, pe de altă parte, din păcate, unele specii dispar.

Toate organismele vii au informația codificată în acizii nucleici, iar codul este aproximativ același. Funcțiile de nutriție, de relație și de reproducere sunt prezente la toate organismele vii. Speciile înrudite au caracteristici comune. Au fost descoperite fosile cu caracteristici intermediare între diferitele grupe de vertebrate actuale.

Amintește-ți!

Reamintește-ți din clasa a VI-a alcătuirea inimii la grupele de vertebrate. Folosind și imaginea din fig. 1, descrie numărul compartimentelor inimii și denumește-le. Care sunt aspectele de progres de la o grupă la alta?

Toate aceste aspecte pot fi explicate prin teoria evoluției, care presupune (și susține cu dovezi) că diferitele tipuri de organisme provin prin modificarea de-a lungul generațiilor a caracteristicilor altor organisme preexistente.

În fig. 2 se află o reconstituire a unui animal, pe baza unor fosile găsite încă din secolul al IX-lea. Acest animal avea caracteristici de reptilă: scheletul toracelui, numeroase vertebre codale, dinți, solzi, degete prevăzute cu gheare la aripi; dar și caracteristici tipice păsărilor precum penele asimetrice, scheletul craniului, osul denumit furcula („iadeșul“).

Se apreciază, pe baza fosilelor găsite, că Archaeopteryx avea o mărime de 35-45 cm, că putea alerga pe sol, dar se putea cățăra și în copaci, de unde putea zbura asemeni unui planor.

2 Archaeopteryx

Fișă pentru portofoliu

pești amfibieni reptile păsări mamifere

Fig. 1 Alcătuirea inimii la diferite grupe de vertebrate

Caută și alte imagini cu Archaeopteryx, așa cum a fost reconstruită pe baza pieselor fosile găsite. Compară imaginea cu a unui pterodactil. Crezi că păsările au evoluat din reptile zburătoare sau nezburătoare? Documentează-te, găsește argumente și contraargumente.

Realizați o dezbatere pe această temă, în clasă.

Fig.

TEORII DESPRE ORIGINEA ȘI EVOLUȚIA VIEȚII

Teorii despre originea vieții

Deși teoria evoluției este, în general, acceptată, există numeroase concepții diferite referitoare la modul în care a avut loc evoluția.

De-a lungul timpului, oamenii și-au pus problema originii și evoluției vieții pe Pământ. Primele teorii vorbesc despre creație. Ele afirmă că Dumne z eu/Divinitatea principală din fiecare grup uman a creat viața pe Pământ, în forma în care se găsește și astăzi. Fiecare cultură are legende și mituri referitoare la creație. Momentul creației variază în funcție de capacitatea oamenilor de a aprecia vechimea Pământului și a vieții pe Pământ.

Se estimează că vârsta Pământului este de 4,5–4,6 miliarde de ani, iar viața a apărut acum 3,5–3,8 miliarde de ani.

Primele și cele mai simple organisme care au apărut pe Pământ erau asemănătoare bacteriilor. Apariția lor a fost precedată de câteva etape:

• Sinteza substanțelor organice simple.

• F ormarea substanțelor organice complexe pornind de la cele simple.

• Formarea protobionților, forme primitive de viață.

• Reproducerea protobionților.

În laborator, simulând condițiile presupuse pentru momentul apariției vieții pe Pământ (atmosferă lipsită de oxigen, prezența de amoniac, metan, vapori de apă descărcări electrice, radiații ultraviolete, temperatură ridicată), s-au putut sintetiza substanțe organice pornind de la cele anorganice. Nu s-au putut produce forme de viață.

Protobionții nu erau celule, dar se asemănau cu acestea prin anumite caracteristici:

• O delimitare a mediului intern de cel extern, printr-un înveliș asemănător cu o membrană, ca în fig. 1.

• Î n mediul intern, reacțiile desfășurate se pot echivala cu un metabolism primitiv: o serie de substanțe din mediu intrau în interior, erau transformate, și alte substanțe erau eliminate.

• Se puteau fragmenta, dar acest lucru nu poate fi echivalat cu autoreproducerea, deoarece nu exista încă un program genetic, o informație care să se transmită de la o celulă la alta.

Între protobionți și primele organisme diferența e destul de mare, dar trecerea s-a realizat în principal prin apariția acizilor nucleici – ca bază a eredității.

Primii acizi nucleici apăruți au fost de tip ARN, cu gene capabile să determine sinteza de proteine. Pe baza modelului ARN, s-au produs apoi molecule de ADN, mai mari și mai stabile. Informația genetică a fost codificată în așa fel încât să aibă semnificații comune la toate viețuitoarele.

Fig. 1 Simulare a formei protobionților

ARN (acid ribonucleic) = substanță asemănătoare ADN -ului, cu rol în transmiterea informației genetice Dicționar

Primele organisme cu informație genetică care au fost capabile de autoreproducere, cu transmiterea informației la celulele-fiice au fost de tip procariot, și timp de 2 miliarde de ani au fost singurele ființe de pe Pământ.

Primele organisme eucariote au apărut, posibil, prin simbioză între procariote. Dovadă:

Aplicații

Identifică în cele două tipuri de celule din fig. 2 organitele comune și organitele specifice. Care sunt aspectele care arată superioritatea eucariotelor față de procariote?

mitocondriile și cloroplastele din celulele eucariote actuale sunt asemănătoare cu bacteriile, având ADN propriu și ribozomi proprii, diferiți de cei din citoplasmă.

Pasul următor a fost făcut de trecerea de la eucariotele unicelulare la cele pluricelulare, acum circa 700 de milioane de ani.

Fig. 2 Comparație între celula eucariotă (stânga) și procariotă (dreapta)

complex Golgi

reticul endoplasmatic

membrană

mitocondrie

capsulă citoplasmă lizozom

perete celular

membrană

Volvox (fig. 3) este o algă verde care arată trecerea de la organismele unicelulare la pluricelulare. Ea este un organism colonial, alcătuit dintr-un număr mare de organisme unicelulare care ar putea trăi independent, dar prezintă un început de specializare. Colonia se poate fragmenta și regenera. Fiecare punct de pe marginea coloniei reprezintă un individ unicelular. În interiorul coloniilor mari există colonii-fiice în creștere.

Eucariotele pluricelulare au evoluat ulterior, la început în mediul acvatic, apoi au cucerit treptat uscatul, ducând la marea diversitate a organismelor actuale.

Aplicații

Amintește-ți alte organisme coloniale studiate în clasa a V-a, în capitolul „Grupe de viețuitoare”. Documentează-te, utilizând diferite surse de informare, pentru a găsi și alte exemple de organisme coloniale.

Amintește-ți!

Care sunt organismele procariote? Care sunt eucariotele unicelulare?

Fig. 3 Volvox aureus
Celulă eucariotă Celulă procariotă nucleu ribozomi ribozomi

Teorii ale evoluției – evoluția ideilor despre evoluție

Diferitele caracteristici ale organismelor, adaptările lor la mediu au fost considerate dovezi ale faptului că fiecare specie există cu un anumit scop.

Pe măsură ce au fost descoperite din ce în ce mai multe specii și s-au observat asemănările dintre ele, acestea au fost grupate în genuri, genurile în familii, și așa mai departe. La început nu era foarte clară limita între viu și neviu; se considera că există trei regnuri: mineral, vegetal și animal.

Karl Linne (Carolus Linnaeus – om de știință suedez, 1707–1778) a fost cel care a dezvoltat sistemul nomenclaturii binare: fiecare specie a primit un nume latin (sau din cuvinte grecești latinizate) format din doi termeni: unul indică genul din care face parte, altul specia. Mai multe specii fac parte din același gen. De exemplu, specia umană poartă numele Homo sapiens. Numele de Homo indică genul, sapiens indică specia. În prezent, specia umană este singura specie reprezentantă a genului Homo. În fig. 4 este omul actual și o reconstituire a unei specii fosile, Homo erectus, care a trăit cu un million de ani în urmă.

După dezvoltarea paleontologiei, descoperirea diferitelor fosile a oferit mai multe argumente pentru evoluție. Numeroase fosile au fost descoperite în roci sedimentare, dispuse în straturi (fig. 5).

Cu cât straturile sunt mai profunde, deci mai vechi, cu atât fosilele descoperite diferă mai mult de formele de viață actuale. Cu toate acestea, apar diferențe între teorii care explică dispariția unor specii:

• Unele susțin că Pământul și viețuitoarele suferă modificări treptate în timp.

• A ltele, că limitele dintre straturi indică existența unor catastrofe naturale.

A doua perspectivă, cea formulată de Georges Cuvier (naturalist francez, 1769–1832), susține că, la anumite intervale de timp evidențiate de straturile geologice, au avut loc catastrofe naturale (inundații, secete prelungite) care au determinat dispariția unor specii. După un timp, pe teritoriile respective, apăreau specii venite din alte zone.

Dicționar

Sapiens = (lat.) cu înțelepciune; aici, cu gândire. Erect = drept; aici, referitor la poziția bipedă.

Fig. 4 Homo sapiens/Homo erectus
Fig. 5 Fosilele în straturile geologice –desen și fotografia unor cochilii fosile dintr-o peșteră

Jean-Baptiste Lamarck (biolog francez, 1744–1829) a emis teoria conform căreia viața evoluează pe măsura modificării mediului. El considera că părțile corpului care sunt mai utilizate se dezvoltă mai mult, iar aceste modificări se pot transmite urmașilor (ereditatea caracterelor dobândite).

Charles Darwin (1809–1882) a fost cel care a sintetizat ideile despre evoluție într-o teorie argumentată cu numeroase dovezi strânse în ani de observații. Darwin a fost atras dintotdeauna de științele naturii și și-a petrecut copilăria și tinerețea făcând observații în natură și căutând explicații. În tinerețea sa, concepția generală era că speciile de viețuitoare, indiferent de modul în care au apărut, au rămas nemodificate din momentul apariției.

În anul 1832, Darwin se îmbarcă pe vasul Beagle într-o călătorie care va dura cinci ani. Pe parcursul călătoriei, el face numeroase observații referitoare la adaptarea organismelor la mediu. El culege fosile și plante, observă animale și trage concluzia că fiecare viețuitoare este adaptată la mediul în care trăiește. De exemplu, el observă pe insulele din arhipelagul Galápagos mai multe specii de cinteză, specii diferite între ele prin forma ciocului (fig. 7). Studiind modul lor de viață, el a presupus că forma ciocului avea legătură cu modul de hrană: ulterior, s-a constatat că, de exemplu, cintezele cu ciocul scurt și puternic descojesc semințele, cele cu ciocul lung și puternic adună fructele de cactus, iar cele cu ciocul mai subțire se hrănesc cu insecte și semințe mici.

Jean-Baptiste Lamarck Georges Baron von Cuvier Karl Linne
Charles Darwin
Fig. 6 Oameni de știință care au contribuit la studiul evoluției
Fig. 7 Forma ciocului este corelată cu hrana acestor cinteze

Aplicații

Dă și alte exemple referitoare la relația dintre alcătuire, funcție și mediul de viață la plante sau animale. Transcrie pe caiet tabelul de mai jos și completează-l după exemplul dat.

Alcătuire

Frunzele cactușilor reduse la spini

Blana albă a ursului polar/ a altor animale polare

Funcție/Rol

Mediul de viață

Limitarea transpirației Arid, secetos

Camuflaj

Cintezele observate de Darwin (fig. 8) sunt specii strâns înrudite, care s-au specializat pentru accesul la hrană diferită într-un teritoriu limitat.

Dă exemple de alte specii înrudite și precizează asemănările și deosebirile dintre ele.

La întoarcerea din călătorie, studiul materialelor și notițele l-au condus la presupunerea că evoluția este explicația potrivită pentru unitatea și diversitatea vieții, iar selecția naturală este cauza adaptării evolutive.

Lucrarea în care și-a expus ideile este: Originea speciilor prin selecție naturală sau păstrarea raselor favorizate în lupta pentru existență, lucrare publicată în 1859. Inițial, nu a folosit noțiunea de evoluție, ci pe aceea de descendență cu modificări.

Exerciții

I. Alege răspunsul corect.

1. Inima prezintă două compartimente la: a. pești; b. amfibieni; c. reptile; d. păsări.

Acoperit de zăpadă/gheață, de culoare albă

Darwin își imagina istoria vieții asemenea unui arbore cu numeroase ramuri, care pornesc dintr-un trunchi comun. Linne ordonase speciile în mod asemănător, dar nu a corelat asemănările dintre specii cu ideea de evoluție.

2. În laborator, simulând condițiile din perioada apariției vieții, s-au putut obține, pornind de la substanțe anorganice: a. substanțe minerale; b. substanțe organice; c. celule primitive.

3. Primii acizi nucleici au fost de tip: a. ADN; b. ARN; c. gene simple, din câteva nucleotide.

II. Întrebări/Dezbateri:

1. Din ce cauză numărul de specii cunoscute se modifică permanent?

2. De ce este necesară evoluția? În ce condiții nu ar fi necesară?

3. Ce teorii ale evoluției cunoști? În ce măsură s-a modificat punctul tău de vedere referitor la evoluție după studiul acestor lecții? Compară punctul tău de vedere cu al altor colegi.

Fig. 8 Cinteza de cactus

DOVEZI ALE EVOLUŢIEI

Teoriile evoluției sunt susținute de dovezi, care pot fi grupate în două categorii: directe și indirecte.

Dovezile directe surprind procesul evolutiv în plină desfășurare, prin observații asupra modului în care operează selecția naturală sau artificială. De exemplu, selecția naturală a acționat în cazul speciei de fluture de mesteacăn. Selecția naturală presupune supraviețuirea și reproducerea celor mai adaptate variații.

Aplicații

Observă fig. 1 și 2. Ce culoare are scoarța de mesteacăn? Ce culori pot avea aripile fluturilor de mesteacăn? Ce importanță are culoarea în relație cu păsările răpitoare?

Ce se petrece dacă fluturele se așază pe un substrat de aceeași culoare? Dar pe unul de culoare contrastantă?

În condițiile creșterii nivelului de poluare, scoarța mestecenilor a devenit mai închisă la culoare. Ca urmare, deși înaintea industrializării masive cele mai numeroase exemplare erau cele de culoare deschisă, în prezent predomină fluturii de culoare închisă. Explică modul de acțiune al selecției naturale în cazul acestei specii de fluturi.

Un alt exemplu îl reprezintă relația dintre microorganisme și antibiotice. Antibioticele sunt medicamente care distrug bacteriile, deci sunt folosite în tratarea infecțiilor bacteriene.

Pentru identificarea antibioticelor potrivite, se folosesc mai multe antibiotice care se așază pe o cultură bacteriană. Dacă în jurul medicamentului bacteriile sunt distruse, medicamentul este potrivit pentru tratamentul infecției produsă de acea bacterie. Dacă nu, înseamnă că bacteriile sunt rezistente la antibioticul respectiv (fig. 3).

În cazul unui tratament nepotrivit, rezistența bacteriilor la antibiotice crește. Medicamentul nu creează specii noi, rezistente, ci selectează variațiile rezistente dintre bacteriile cu care a luat contact. Bacteriile sensibile mor, iar cele rezistente se reproduc; generațiile următoare vor fi formate din urmașii bacteriilor rezistente.

Este un exemplu de selecție naturală sau artificială? Argumentează răspunsul tău!

Fig. 1 Fluture de mesteacăn
Fig. 2 Scoarță de mesteacăn
Fig. 3 Antibiogramă

Amintește-ți din clasa a VI-a alcătuirea celulelor vegetale și animale (fig. 4) și precizează organitele comune celor două tipuri de celule.

Dovezile indirecte sunt furnizate de diferite știinţe precum: biochimie, citologie, anatomie comparată, embriologie, paleontologie, sistematică, biogeografie.

Dovezile aduse de biochimie arată că toate organismele au în alcătuirea corpului aceleași substanțe de bază. Structura și funcțiile acizilor nucleici sunt aproximativ identice la toate organismele vii. Analiza comparativă a ADN-ului aparținând unor specii înrudite arată porțiuni comune și specifice. Speciile înrudite au un număr asemănător de cromozomi.

Citologia este știința care studiază alcătuirea și funcțiile celulelor.

Dovezile citologiei sunt reprezentate de asemănările structurale (organite comune) și funcționale dintre diferitele tipuri de celule.

Anatomia comparată arată existența unui plan comun al alcătuirii organismelor, plan care suferă transformări în funcţie de mediul de viaţă.

Care este planul comun al alcătuirii membrului superior? Care sunt oasele membrului superior al omului? Denumește-le, apoi indică-le pe imaginea alăturată, asociindu-le cu culorile folosite. Urmărește apoi culorile la desenele membrelor altor grupe de animale. Compară membrele între ele și corelează forma lor cu mediul de viață și modul de deplasare al animalului.

Care sunt elementele care arată adaptarea la mediu? Există elemente de superioritate la anumite grupe față de altele? Observă în fig. 5 planul comun al alcătuirii membrului superior.

Aceste organe cu plan de organizare comun, dar care prezintă variații în funcție de mediul de viață și modul de deplasare se numesc organe omoloage și arată originea comună a vertebratelor.

Fig. 4 Celulă animală (A)/Celulă vegetală ( B)
Fig. 5 Scheletul membrului superior la vertebrate
balenă pasăre liliac broască cârtiță pisică cal om

Embriologia se ocupă cu studiul dezvoltării embrionare a organismelor. Prin compararea embrionilor de la diferite vertebrate, embriologia ne arată că etapele pe care le parcurge un organism individual în timpul dezvoltării sale de la celula ou până la starea adultă reprezintă o recapitulare sumară a lungului șir de forme parcurs de strămoșii organismului dat. În fig. 6 se pot observa aspectele comune în dezvoltarea embrionilor

de la speciile menționate. De exemplu, la mamiferele terestre apar temporar structuri asemănătoare fantelor branhiale ale organismelor acvatice. De asemenea, toți embrionii vertebratelor au coadă, indiferent dacă aceasta persistă la adult sau nu. Embrionii de balenă au muguri ai dinților care la adulți dispar, iar fanoanele apar mai târziu. Primele fosile de balene au avut și dinți, și fanoane.

pești om păsări reptile amfibieni

la diferite specii

Care sunt organele care ar putea să dispară de-a lungul timpului în evoluția umană? Argumentează răspunsul.

Paleontologia dovedește evoluţia prin studiul fosilelor de plante și animale. Darwin a anticipat, în observațiile sale, ideea că evoluția trebuie să lase urme sub forma fosilelor. Paleontologii au descoperit numeroase fosile cu caracteristici care leagă speciile primitive de cele actuale.

În fig. 7 este reprezentat scheletul fosil al unui cetaceu cu dinți și membre posterioare. Cetaceele ac t uale (balene, delfini) nu prezintă membre posterioare.

Fig. 7 Cetaceu fosil cu dinți și membre posterioare

Fig. 6 Etape în dezvoltarea embrionilor
Aplicații

Sistematica vegetală și animală stabilește înrudirea dintre organisme pe baza asemănărilor și deosebirilor dintre ele, alcătuind arbori filogenetici.

Biogeografia susţine evoluţia pornind de la ideea că răspândirea plantelor și animalelor este consecinţa unor legi naturale care stabilesc legăturile dintre populații, specii și teritoriile pe care acestea le ocupă. Analiza acestora dezvăluie realitatea și acţiunea evoluţiei.

Speciile înrudite tind să ocupe aceeași regiune geografică. Cel mai bun exemplu îl reprezintă mamiferele marsupiale din Australia. Ele au drept caracteristică comună prezența marsupiului în care se definitivează dezvoltarea embrionară.

Există numeroase specii de marsupiale, toate trăind în sau fiind originare din Australia. Unele au forme asemănătoare cu alte mamifere placentare, de exemplu: veverița zburătoare (fig. 8) se aseamănă cu veverița zburătoare siberiană (fig. 9) sau din America de Nord. Cu toate acestea, veverița marsupială este rudă mult mai apropiată cu celelalte animale marsupiale, decât cu celelalte veverițe.

Aplicații

Observă schema care arată relațiile dintre organisme. Care sunt regnurile lumii vii? Care sunt asemănările și deosebirile dintre regnuri? Transcrie pe caiet tabelul de mai jos și completează-l cu asemănările/elementele comune dintre regnurile lumii vii. Unele aspecte se pot repeta în mai multe casete de răspuns.

Monera

Sunt organisme unicelulare

Protista

Fungi

Plantae

Animalia

Sunt organisme unicelulare

Fig. 8 Veveriță marsupială
Fig. 9 Veveriță siberiană
Regnul Monera Protista Fungi Plantae Animalia

Amintește-ți!

FACTORI AI EVOLUȚIEI

Amintește-ți din lecțiile introductive ce este ereditatea? Dar variabilitatea? Cum poți explica aceste caracteristici, acum, după studiul lecțiilor de genetică?

Ele caracterizează informația genetică, organismele, populațiile sau speciile? Dă exemple pentru a argumenta răspunsul tău!

Ereditatea și variabilitatea sunt factori esențiali ai evoluției.

Ereditatea este capacitatea viețuitoarelor de a primi de la ascendenți/a transmite la descendenți informația genetică/materialul genetic cu mare fidelitate, informație care determină caracteristicile speciei din care face parte.

Variabilitatea este capacitatea viețuitoarelor de a se distinge unele de altele prin caracteristici specifice, apărute în urma recombinării genetice și a mutațiilor.

Variațiile sunt utile (fig. 1), indiferente sau dăunătoare.

Amintește-ți!

Amintește-ți din clasa a V-a modul în care se înmulțesc bacteriile. Dacă există condiții favorabile, o bacterie se poate divide la fiecare jumătate de oră. Calculați câte bacterii rezultă dintr-o bacterie, după o zi. Ce s-ar întâmpla dacă diviziunea s-ar desfășura în continuare în același ritm?

Suprapopulația

Presupunem că un arbore fructifer ar produce 1000 de fructe, fiecare cu o sămânță. Dacă fiecare dintre aceste semințe ar germina, în anul următor ar exista 1000 de urmași ai arborelui inițial, o livadă întreagă. Ce factori ar face această situație posibilă?

Șoarecii de casă ating vârsta de reproducere la 6-7 săptămâni. O femelă poate avea, în condiții favorabile, 5-15 gestații pe an și să nască de fiecare dată 8-12 șoricei. Numărul de șoareci rezultați dintr-un singur cuplu inițial ar fi imens, dacă ar supraviețui toți (fig. 3).

În fig. 2 sunt reprezentate culturi bacteriene provenite din bacteriile de pe o mână nespălată și una spălată. Care au fost factorii de mediu implicați în acest caz?

A B

Fig. 1 Variabilitatea la buburuze. Cu cât culorile sunt mai puternice, cu atât sunt mai toxice.
Fig. 3 Familie de șoareci
Fig. 2 Culturi bacteriene
Aplicații

Pe un teritoriu se pot dezvolta în mod optim un anumit număr de indivizi. Dezvoltarea lor este limitată de spațiu, de condițiile climatice și de cantitatea de resurse existente, astfel încât populațiile nu pot depăși o anumită mărime (număr de indivizi).

Creșterea numărului de indivizi peste capacitatea de suport a mediului reprezintă suprapopulația. Între variațiile apărute se va manifesta lupta pentru existență, urmată de selecția variațiilor favorabile.

Lupta pentru existență Lupta pentru existență poate să îmbrace mai multe forme, incluzând lupta propriu-zisă. Victoria în lupta pentru existență nu este dată doar de supraviețuirea individuală, ci mai ales de supraviețuirea prin urmași.

La nivel de individ, numărul celulelor reproducătoare este mare, dar nu toate participă la reproducere. Se poate vorbi, deci, despre luptă pentru existență și la nivel celular (fig. 4, fig. 5).

Și la nivel de populație, competiția poate fi la fel de strânsă.

La albine, în zborul de împerechere, toți trântorii urmează matca, dar numai unul singur – primul – participă la fecundație.

La mamifere pot să existe lupte între masculi; câștigătorul se reproduce, iar învinsul, dacă supraviețuiește, părăsește teritoriul (fig. 6, fig. 7). Acest gen de lupte se pot observa și la masculii unor păsări.

4 Numeroși spermatozoizi în competiție pentru fecundarea unui singur ovul

Numeroase stamine încărcate cu polen; doar granulele de polen care ajung pe stigmat germinează, și doar unele vor participa la fecundație

Fig. 7 Masculi de stârc cenușiu
Fig. 6 Adaptări pentru luptă – prezența coarnelor la masculii unor erbivore
Fig. 5
Fig.

Lupta pentru existență poate avea loc și între indivizi din specii diferite între care există concurență pentru hrană/teritoriu; putem vorbi de lupta pentru existență chiar și cu condițiile de mediu (fig. 8). În toate aceste situații, indivizii mai slabi sunt eliminați din populație.

Selecția naturală

Variațiile care apar pot produce modificări utile, neutre sau dăunătoare. Ele pot fi astfel clasificate în funcție de condițiile de mediu. Mediul este cel care selectează variațiile cu cea mai mare capacitate de adaptare la condițiile existente și de a produce urmași care să transmită caracteristicile utile generațiilor următoare. Fiecare generație e formată din urmașii indivizilor cei mai adaptați și mai competitivi, moștenind de la aceștia caracterele favorabile.

Pentru ca o specie să aibă succes în lupta pentru existență și să treacă probele selecției naturale, ea trebuie:

• să producă mulți descendenți (număr mare de generații pe an, număr mare de indivizi la fiecare generație);

• să suporte variații mari ale condițiilor de mediu;

• să aibă un regim variat de hrană.

După mai multe generații, dacă diferențele dintre variațiile „de succes” și specia inițială sunt mari, variațiile pot deveni specii noi.

Află mai mult!

Omul poate introduce specii într-un nou mediu de viață. În noul mediu, o specie poate trece prin trei etape de adaptare: acomodare, aclimatizare și naturalizare.

Selecția artificială

Dacă selecția naturală se bazează pe supraviețuirea și reproducerea indivizilor cel mai bine adaptați la mediu, selecția artificială, realizată de om, presupune reproducerea dirijată și îngrijirea indivizilor cu variații utile omului. Omul a ales să cultive plante și să domesticească animale cu caracteristici utile (la plante – o cantitate mare de substanțe de rezervă în organele de depozitare, în fructe și semințe, iar la animale – producție mare de lapte, un număr mare de ouă sau o masă musculară mare etc.).

Prin selecție artificială s-au obținut varietăți care aduc avantaje omului și sunt crescute/cultivate/îngrijite de către acesta. Selecția artificială nu s-a axat pe rezistența speciilor la mediu, așa că speciile cultivate/domestice au nevoie de îngrijire (fig. 9), iar în mediul natural nu ar fi favorizate de selecția naturală.

Aplicații

Caută informații despre rolul omului în cele 3 etape ale adaptării. Amintește-ți exemple de specii aclimatizate în România. Caută alte exemple de specii aflate în diferite faze de adaptare de la noi.

Fig. 8 Plantă care crește în condiții dificile – în asfalt
Fig. 9 Diferite rase de câini obținute prin selecție artificială

Află mai mult!

Peștera Movile, de lângă Mangalia, este un ecosistem unic în lume, care a fost separat de lumea exterioară timp de 5,5 milioane ani. Descoperită în 1986 de către speologul Cristan Lascu, această peșteră a revoluționat complet teoriile referitoare la apariția și evoluția vieții pe Pământ. „În total, aici s-au descoperit 35 de specii complet noi care trăiesc într-un mediu foarte bogat în hidrogen sulfurat, cu o atmosferă foarte săracă în oxigen, dar bogată în dioxid de carbon și metan, asemănătoare oarecum cu fosele vulcanice de pe planeta Marte, după cum au apreciat ulterior cei de la NASA”, spune Lascu. Pe suprafața apei sulfuroase din peșteră s-a observat prezența unui strat de câțiva milimetri grosime de substanță albă, cremoasă. S-a constatat că era vorba despre o substanță organică, nutritivă, în care se aflau numeroase organisme, îndeosebi melci mici și viermi. (https://www.scientia.ro/univers/terra/6811­p estera­ movile.html )

Exerciții

Reține!

• I nformația genetică se transmite cu un grad înalt de fidelitate (ereditatea).

• Cu toate acestea, apar modificări prin recombinare genetică și mutații (variabilitatea).

• Dacă toate variațiile ar supraviețui, numărul de indivizi ar depăși capacitatea de suport a mediului (suprapopulația).

• A stfel, apare concurența pentru spațiu, hrană și acces la reproducere (lupta pentru existență).

• Vor supraviețui și se vor reproduce indivizii cei mai adaptați (selecția).

1. A semănările dintre celulele vegetale și animale sugerează din punct de vedere evolutiv că:

a. plantele sunt mai evoluate decât animalele;

b. animalele sunt mai evoluate decât plantele;

c. plantele și animalele au evoluat din strămoși comuni; d. procariotele au evoluat din eucariote.

2. Pornind de la afirmația: speciile înrudite tind să ocupe aceeași regiune geografică, explicați de ce marsupialele trăiesc în condiții naturale doar în Australia.

3. Variațiile sunt utile, indiferente sau dăunătoare. În ce condiții o variație indiferentă ar putea deveni folositoare sau dăunătoare? Care ar putea fi factorii determinanți?

4. Unele specii de viețuitoare produc un mare număr de celule reproducătoare sau chiar de urmași. Care sunt avantajele și riscurile pentru specie: a. Dacă supraviețuiesc mulți? b. Dacă supraviețuiesc puțini?

5. Ce importanță are pentru specie eliminarea celor mai slabi în lupta pentru existență? Dați exemple de luptă pentru existență în relația dintre organism – mediu. Ce trebuie să facă organismul pentru a câștiga?

6. Guvidul cățărător este un pește care are capacitatea de a petrece un timp pe uscat datorită respirației care se realizează parțial prin piele și a înotătoarelor pectorale puternice care îi permit să se cațere pe mal. Privește imaginea alăturată și argumentează originea amfibienilor din pești.

EVOLUȚIA OMULUI

Locul omului în sistemul de clasificare a viețuitoarelor

Deși evoluția este ușor de observat în natură și de admis la modul general, au existat întotdeauna rezerve referitoare la a admite evoluția omului și înrudirea cu restul Regnului Animalia. Cu toate acestea, dovezile sunt evidente. Pe lângă dovezile biologice, prezentate anterior, există și dovezi comportamentale, de exemplu, mimica asemănătoare a feței la om și la maimuțele antropoide, în exprimarea emoțiilor. Omul este încadrat în Regnul Animalia. Este vertebrat, mamifer și face parte din ordinul Primate, familia Hominidae, genul Homo, specia Homo sapiens; este singurul reprezentant actual al familiei și al genului.

Reține!

În acest context, termenii de „familie” și de „gen” sunt folosiți cu sensul taxonomic (de clasificare) și nu cu sensul social.

Câteva repere în evoluția omului:

• O mul nu a evoluat din maimuțele actuale, ci dintr-un grup de primate străvechi, din care s-au desprins mai multe linii evolutive: una a dus la maimuțele antropoide actuale (gorilă, cimpanzeu, bonobo), alta la hominide. În sprijinul acestei afirmații, există dovezi paleontologice.

• S e consideră că primele fosile care pot fi încadrate în linia evolutivă a omului datează de cca 6–6,55 milioane de ani și aparțin grupului Ardipitecus. Cea mai cunoscută fosilă, denumită „omul Ardi” ( Ardipitecus ramidus), a fost

descoperită în Etiopia, are o vârstă estimată de 5,8–4,4 milioane ani și prezintă adaptări ale scheletului care combină capacitatea de cățărare cu mersul biped. Aveau aproximativ 120 cm înălțime și 50 kg. Capacitatea craniană (cca 300–350 cm3 e asemănătoare cu cea a cimpanzeilor actuali.

• Printre cele mai cunoscute forme ale genului Homo sunt: Homo habilis, care a trăit acum 2–1,6 milioane de ani (avea cca 1 m, capacitate craniană de 500 cm3 și folosea unelte din piatră) și Homo erectus, care a trăit în urmă cu 1,8 milioane – 100 000 de ani (avea 1,3–1,7 m, capacitate craniană până la 1250 cm3 , făurea unelte de piatră și folosea focul).

• Homo neanderthalensis, omul de Neanderthal, a trăit acum 150 000–20 000 de ani. Avea capacitatea craniană de 1250–1750 cm3, înălțimea de 1,5-1,7 m, folosea unelte și arme. Își îngrijea răniții și își îngropa morții. Nu este considerat un strămoș al omului, ci o ramură colaterală.

• Homo sapiens apare prin fosile acum 120 000 de ani, fiind contemporan și cu Homo erectus și cu Homo neanderthalensis (fig. 1). Înălțimea variază între 1,2 și 1,9 m, iar capacitatea craniană între 1000 și 2000 cm3; folosea limbajul articulat și o gamă largă de unelte și arme, producea forme simple de artă și manifesta simțul sacrului (au fost identificate elemente de cult, sculpturi care ar putea reprezenta zei cu forme mixte om-animal). La scurtă vreme după apariție, Homo sapiens a colonizat mare parte din suprafața Pământului.

Fig. 1 Cranii de hominizi
Homo neanderthalensis
Australopithecus africanus
Homo sapiens
Homo erectus

Factorii care au intervenit

în evoluția omului

Izolarea geografică și/sau ecologică

Izolarea geografică și/sau ecologică presupune existența unor bariere geografice sau de altă natură care să separe fizic sau doar reproductiv populațiile unei specii. Dacă această izolare este de lungă durată, populațiile pot evolua ulterior ca specii diferite.

Temă de proiect

Pe baza cunoștințelor de biologie și istorie, alcătuiți o scurtă prezentare despre manifestările și efectele rasismului.

Trecerea de la un mediu de viață la altul Fiecare specie sau populație e adaptată la viață într-un anumit mediu. Atunci când mediul se schimbă sunt favorizate variațiile mai bine adaptate la noul mediu. În cazul speciei umane, se presupune că schimbarea cea mai importantă a fost trecerea de la un mediu de viață arboricol, unde era nevoie de folosirea celor patru membre pentru cățărat, la viața în savană, unde a devenit importantă poziția bipedă, pentru a putea privi peste ierburile înalte ale savanei. Trecerea nu a fost bruscă; se prespune, după descoperirile arheologice, că primele forme de Homo nu trăiau în savană, ci în păduri întrerupte de luminișuri și mlaștini.

Află

În Peștera cu Oase, din apropierea orașului Anina (Caraș-Severin), au fost găsite cele mai vechi resturi umane moderne europene, de acum cca 37 000–42 000 ani. Mandibula de Homo sapiens găsită prezintă asemănări cu cea a omului de Neanderthal, cu care Homo sapiens a fost parțial contemporan. În 2015, cercetările genetice au relevat faptul că fosila descoperită avea un strămoș cu un procent de ADN neanderthal estimat de 5–11%. Aceste informaţii sunt o premieră pentru lumea știinţifică internaţională, pentru că se considera până recent că cele două specii umane, deși contemporane cca 10 000 ani în Europa, nu se puteau încrucișa.

Amintește-ți din lecțiile anterioare care sunt factorii evoluției. Cum se aplică ei la specia umană? În continuare, vom detalia alți câțiva factori.

Aplicații

Argumentează rolul izolării geografice și al adaptării la medii diferite de viață în formarea raselor umane. Dă exemple de însușiri morfologice și fiziologice ale diferitelor rase umane. Cum argumentăm faptul că toate rasele umane aparțin speciei umane – Homo sapiens?

Rasele se amestecă unele cu altele și nu au fost niciodată complet separate. Există o tranziție lentă între o rasă și alta și o mare variabilitate a fenotipurilor umane (fig. 2). Astfel, cei care considerau că există trei mari rase (albă, galbenă, neagră) aveau dificultăți în a încadra unele populații cu trăsături distincte într-o rasă sau alta.

Rasismul a fost o convingere greșită, care presupunea că între rase ar exista inegalități din punctul de vedere al unor capacități fizice și mai ales intelectuale. Rasiștii porneau de la premisa falsă că există o legătură între rase și nivelul sau posibilitatea de dezvoltare a culturii materiale și spirituale; astfel, albii erau considerați superiori altor rase, iar între albi, unele subtipuri (indivizi înalți, blonzi, cu ochi albaștri) ar fi superioare altora.

Fig. 2 Familie interrasială
Amintește-ți!
Află mai mult!
mai mult!

Mersul biped

Mersul biped eliberează membrele anterioare de rolul locomotor, permițând o mai bună utilizare a uneltelor. Acest factor este însă o consecință a schimbării mediului (fig. 3).

Tipul de alimentație

Alimentația cu carne, hrană mai bogată în proteine și calorii, necesare dezvoltării creierului, a fost considerată importantă în evoluția omului. Cu toate acestea, și cimpanzeii actuali se hrănesc ocazional cu carne, iar în cazul oamenilor vegetarieni, nu s-au semnalat modificări metabolice semnificative pentru evoluție.

Extinderea perioadei de reproducere

Multe animale au perioade de reproducere limitate, corelate cu adaptările climatice. Specia umană nu are astfel de limite, fertilitatea fiind egală pe tot parcursul anului, femeile producând de obicei câte un ovul pe lună.

La majoritatea animalelor, ciclurile reproductive sunt reglate astfel încât să nu apară pui în sezonul nefavorabil. Cum crezi că a depășit specia umană această limitare?

Reducerea părului de pe corp

Reducerea părului de pe corp ar fi putut avea dezavantaje, prin expunerea corpului la arsurile solare și la frig; apariția hainelor a rezolvat această problemă. Corpul uman lipsit de blană se pare că a avut avantaje selective, ceea ce a dus la selecția acestei caracteristici.

Care sunt rolurile hainelor? Cum au evoluat aceste roluri de la omul primitiv și până în zilele noastre?

Relațiile sociale

Selecția naturală a presupus, la fel ca în cazul oricărei alte specii, supraviețuirea celui mai apt și transmiterea genelor sale mai departe, în populația de urmași. Având în vedere caracteristicile fizice ale omului, în comparație cu ale maimuțelor, aspectul fizic ar fi mai degrabă un dezavantaj. Procurarea hranei, în condiții de competiție, ar favoriza indivizii cu forță fizică mai mare, rezistență și viteză mai mare decât a altor oameni sau animale carnivore care urmăresc aceeași pradă. În condiții de colaborare, într-un grup de vânători care vânează împreună și împart apoi prada, factorul principal nu ar fi forța, ci inteligența, care să demonstreze capacitatea de comunicare, cooperare, alcătuirea unor strategii și asigurarea stabilității grupului. Inteligența umană în creștere a fost corelată cu dezvoltarea relațiilor sociale și cu munca prin confecționarea de unelte, împărțirea eficientă a activităților și realizarea lor cu succes.

• Dezbateți avantajele forței și ale inteligenței într-o competiție sportivă. Dați exemple de sporturi pe care le cunoașteți sau le practicați. Notați concluziile dezbaterii într-o fișă de portofoliu.

• Completează portofoliul cu o fișă cu „Activitatea animalelor sociale”. Dă exemple de animale sociale și/sau care „muncesc” (albine, furnici, castori) și descrie activitatea lor. Compară activitatea lor cu activitatea umană. Care sunt asemănările și care sunt diferențele?

• A nimalele prădătoare vânează uneori în haită. Se poate numi asta muncă?

• Realizează o schemă care să conecteze factorii evolutivi. Cum crezi că a acționat în acest caz selecția naturală? Ce alți factori ar putea fi implicați?

• În condițiile de viață actuale, care crezi că sunt factorii de mediu (natural și antropizat, adică modificat de om) care ar putea duce la modificări ale corpului uman?

Fig. 3
Teme de dezbatere și fișe pentru portofoliu

RECAPITULARE

1. În această unitate au fost studiate noțiuni, teorii, ipoteze, factori și dovezi referitoare la evoluția lumii

vii. O parte dintre noțiuni sunt prezentate în schema de mai jos.

a. Formulează enunțuri afirmative pentru fiecare dintre elementele din schemă.

b. Formulează enunțuri afirmative referitoare la relațiile dintre aceste noțiuni, indicate prin săgeți.

c. Ce conexiuni se mai pot face între elementele schemei?

d. Cum se aplică toate acestea în cazul evoluției speciei umane?

TEORII

EVOLUȚIE

2. Proiect/Dezbatere

Cum ai putea aplica ideile referitoare la evoluție într-o situație ipotetică?

a. Să presupunem că nava pe care o pilotezi ajunge pe o planetă cu caracteristici asemănătoare Terrei.

b. Găsești acolo (variante la alegere): o zonă cu ghețuri, o zonă de deșert, o zonă cu vegetație luxuriantă asemănătoare cu cea tropicală terestră.

c. Descrie trei specii de organisme pe care le găsești acolo. Care sunt caracteristicile de adaptare la mediul în care trăiesc? Cum s-ar putea modifica acestea dacă mediul de viață se modifică?

d. Dacă pământenii ar coloniza acea planetă, care ar fi modificările aduse mediului și ce s-ar întâmpla cu viețuitoarele de acolo? Scrie o scurtă poveste pe această temă.

EVALUARE

Subiectul I (10 p = 2 × 5 p)

Scrie litera corespunzătoare răspunsului corect (o singură variantă):

1. Teoria lui Georges Cuvier susține că dispariția speciilor s-a datorat:

a. modificării lente a mediului;

b. c atastrofelor naturale;

c. mutațiilor dăunătoare.

2. Antibioticele sunt medicamente care distrug: a. bacteriile; b. virusurile; c. celulele sănătoase.

Subiectul II (30 p)

1. Completează frazele de mai jos folosind cuvintele potrivite: (10 p = 2 × 5 p)

a. Archaeopteryx este o fosilă cu caracteristici de  ...  , cum ar fi dinții, solzii, ghearele și caracteristici de ...  , cum ar fi scheletul craniului și  ...  de pe corp. b. Volvox aureus este o algă  ...  care arată trecerea de la organismele  ...  la cele pluricelulare.

2. Asociază noțiunile din coloane (de exemplu, 1–E); fiecărei noțiuni din prima coloană îi corespunde o noțiune sau mai multe din a doua coloană: (20 p = 2 × 10 p)

1. Ereditate

2. Variabilitate

3. Suprapopulație

4. Luptă pentru existență

5. Selecție

1. Homo habilis

2. Homo neanderthalensis

3. Homo sapiens

4. Maimuțe antropoide

5. Homo erectus

Subiectul III (20 p = 2 × 10 p)

A. Doi cerbi își dispută teritoriul.

B. Există diferențe între copiii aceleiași familii.

C. Indivizii mai puțin adaptați nu rezistă la frig/căldură.

D. În condiții favorabile, microorganismele se înmulțesc intens.

E. Caracteristicile se transmit de la o generație la alta.

A. Folosește limbajul articulat.

B. Viață arboricolă.

C. Ramură colaterală în evoluția omului.

D. Folosește unelte de piatră.

E. Făurește unelte de piatră și folosește focul.

1. Argumentează afirmația: Etapele parcurse de un organism individual în cursul dezvoltării sale embrionare reprezintă o recapitulare a lungului șir de forme parcurs de strămoșii organismului dat.

2. Se consideră că unul dintre factorii umanizării a fost reprezentat de trecerea de la mediul arboricol la savană. Cum ar fi arătat specia umană dacă evoluția ar fi avut loc tot în mediul arboricol?

Subiectul IV (30 p)

Realizează un text, de maximum 10 rânduri, cu titlul: „Locul omului în Regnul Animal”.

Se acordă 10 puncte din oficiu. Total = 100 de puncte. Timp de lucru recomandat: 50 de minute

Subiectul I 10p

Subiectul II 30p

Subiectul III 20p

Subiectul IV 30p Din oficiu 10p TOTAL

PUNCTAJ

Sănătatea omului și a mediului

Conținuturile pe care le vei parcurge:

• Calitatea aerului, a apei și a solului

• Boli influențate de factori de mediu și de propriul comportament

• Omul și tehnologia

• Resurse energetice ale planetei

• Importanța păstrării biodiversității

• Dezvoltarea durabilă

UNITATEA

• L a începutul acestei unități, caută în calendarul de la paginile 106-109 sărbătorile și activitățile corespunzătoare. Adaugă rezultatele acestor activități în portofoliul individual.

• L a finalul acestei unități, evaluează activitatea pe care ai desfășurat-o pe parcursul acestor lecții. Completează pe o coală de hârtie o fișă asemănătoare cu cea de la pagina 112 pentru a -ț i observa progresul. Adaugă și această fișa la portofoliul tău.

Competențe specifice: 1.1, 1.2, 2.1, 2.2, 3.1, 3.2, 4.1, 4.2

CALITATEA AERULUI, A APEI ȘI A SOLULUI

Mediul de viață se află într-o transformare permanentă: biotopul influențează biocenoza, iar biocenoza influențează biotopul. De la apariția sa, omul a influențat permanent mediul de viață și fiecare componentă a acestuia. Evoluția omului și a așezărilor umane a dus la transformări majore ale mediului de viață, cu efecte asupra aerului, apei, solului.

Calitatea aerului

Pământul este înconjurat de atmosferă. Numim în mod convențional aer stratul de gaze din straturile inferioare ale atmosferei Pământului.

Cea mai mare parte din compoziția aerului este reprezentată de azot, apoi urmează oxigenul, gazul esențial pentru respirație (fig. 1). De asemenea, în aer se găsește dioxidul de carbon necesar fotosintezei plantelor. Pentru ca fotosinteza și respirația să se desfășoare optim este nevoie de menținerea constantă a concentrației oxigenului și a dioxidului de carbon din aer.

Există modificări normale ale acestor concentrații de-a lungul zilei și anului, dar și modificări anormale, date de poluanți.

Amintește-ți!

Amintește-ți, de la lecțiile despre fotosinteză și respirația plantelor, valorile de oxigen și dioxid de carbon din atmosferă și efectele acestora asupra proceselor fiziologice desfășurate.

De-a lungul evoluției Pământului, compoziția atmosferei s-a schimbat în timp și continuă să se schimbe. Unele substanțe din aer provin din sursele de poluare (fig. 2) și au efect dăunător. Concentrația lor este monitorizată permanent și semnalată din oră în oră. Există aplicații care fac vizibile aceste valori culegând date de la cea mai apropiată stație de monitorizare a calității aerului.

Amintește-ți!

Amintește-ți din lecțiile despre mediile de viață care sunt factorii de mediu. Ce este biotopul? Care sunt relațiile acestuia cu biocenoza?

Amintește-ți de la lecțiile de geografie ce reprezintă atmosfera, hidrosfera, litosfera.

1% dioxid de carbon, vapori de apă și alte gaze

21% oxigen

Fig. 1 Compoziția aerului, în procente

Analizând aspectul și activitatea plantelor de-a lungul zilei și anului, precizează sensul variațiilor normale ale concentrației de oxigen și dioxid de carbon din aer.

Fig. 2 Poluare industrială a aerului

78% azot
Aplicații

Exemple de substanțe poluante (gaze și pulberi fine din atmosferă, de la arderea combustibililor):

• Dioxidul de sulf produce probleme respiratorii (în special persoanelor cu astm) și afectează plantele; în reacție cu apa produce ploi acide care ard țesuturile plantelor.

• Oxizii de azot și amoniacul rezultă din reacția azotului cu alte substanțe; prezența lor în aer afectează sistemul respirator.

• Ozonul (O3) – deși în straturile superioare ale atmosferei are rol protector, reprezentând o barieră pentru radiațiile ultraviolete, în straturile inferioare este poluant din cauza reactivității sale ridicate. În concentrații ridicate afectează fotosinteza, reproducerea și creșterea plantelor, iar în corpul uman afectează plămânii și bronhiile.

• Benzenul provenit din arderea combustibililor auto poate produce cancer.

• Benzo (a) pirenul ( BaP) rezultat din arderea combustibililor auto, a lemnelor și a cărbunilor arși în sobă produce iritații ale ochilor, ale nasului și ale bronhiilor; de asemenea, poate produce cancer.

Factori naturali care influențează poluarea și starea aerului:

• Temperatura ridicată și iradierea solară determină reacții chimice în atmosferă ducând la apariția unor poluanți secundari. Poluanții reacționează între ei sau cu vaporii de apă din atmosferă putând duce la ploi acide.

• Curenții de aer duc la răspândirea substanțelor poluante pe distanțe mai mari. Umiditatea mare a aerului limitează răspândirea lor.

• S uprafețele de apă fixează poluanții din aer. Aceș tia vor determina, în schimb, poluarea apei.

• Vegetația poate fixa dioxidul de sulf și pulberile pe frunze.

Exerciții

Fișă pentru portofoliu

Folosind o aplicație online de monitorizare a calității aerului, notează datele timp de o săptămână. Discută observațiile în clasă, împreună cu profesorul și colegii.

Măsuri de prevenire și de combatere a poluării:

• S căderea emisiilor de gaze și a pulberilor industriale prin montarea de filtre.

• Folosirea unor vehicule cât mai puțin poluante.

• Plantarea unor zone verzi care să fixeze poluanții și să crească procentul de oxigen din atmosferă.

Teme de dezbatere

• Fumatul reprezintă un factor poluant major pentru atmosferă?

• Care sunt efectele fumatului pentru persoana care fumează? Dar pentru fumătorii pasivi?

(fig. 3)

Căutați informații despre substanțele din fumul de țigară și efectele acestora asupra omului și a mediului.

3 Fumatul activ și pasiv

1. Scrie litera corespunzătoare răspunsului corect (o singură variantă): Cea mai mare parte din compoziția aerului este reprezentată de: a. oxigen; b. dioxid de carbon; c. azot.

2. Completează fraza de mai jos folosind cuvintele potrivite: Temperatura  și  solară determină reacții chimice în atmosferă ducând la apariția unor   secundari.

Fig.

Calitatea apei

Apa acoperă aproximativ 70% din suprafața Pămân t ului. Corpul uman conține aproximativ 75% apă la naștere, apoi procentul de apă scade până la 50% la bătrânețe. Trăim cu ajutorul apei, ne deplasăm cu ajutorul apei, folosim apa pentru a produce energie; pentru multe viețuitoare apa este mediul de viață.

Sub toate formele ei, apa influențează și întreține viața. Organismele vii prezintă adaptări importante ale structurilor și funcțiilor lor legate de obținerea, de conservarea și de eliminarea apei (sistem radicular bine dezvoltat, frunze reduse la cactuși și la conifere, capacitatea de a închide stomatele, piele subțire sau îngroșată, rinichi cu adaptări speciale etc.).

Aplicații

Observă fig. 4 și descrie circuitul apei în natură și, pe baza acestei descrieri, stabilește legătura între poluarea aerului, a apei și a solului!

• Ce se întâmplă cu substanțele din aer atunci când vaporii de apă precipită?

• C e se întâmplă cu substanțele din sol atunci când apa străbate și spală straturile de sol?

Aplicații

Caută informații despre conținutul în apă al diferitelor plante și animale. Compară informațiile.

Amintește-ți!

Amintește-ți, din lecțiile despre fotosinteză, respirația, circulația și excreția la plante, aspecte legate de circuitul apei în corpul plantelor.

Amintește-ți din lecțiile de geografie despre circuitul apei în natură.

Scăderea calității apei apare din cauza apelor reziduale industriale și menajere, a substanțelor folosite în agricultură (îngrășăminte, erbicide), a contaminării cu deșeuri (fig. 5).

Pentru organismele care trăiesc în apă, poluarea apei reprezintă scăderea calității vieții până la moartea unor organisme acvatice. Având în vedere că algele sunt principalii producători primari și furnizori de oxigen, poluarea apelor duce și la scăderea concentrației de oxigen din aer.

Cele mai importante măsuri împotriva poluării apei sunt:

• Construirea de baraje.

• Folosirea de filtre pentru epurarea apelor uzate.

• A menajarea unor spații speciale de colectare a deșeurilor și a reziduurilor.

• C rearea de zone protejate pentru bazinele acvatice.

Fig. 5 Apă contaminată cu reziduuri menajere

Fig. 4 Circuitul apei în natură

Calitatea solului

Solul reprezintă stratul de la suprafața scoarței terestre care conține substanțele hrănitoare pentru majoritatea plantelor. În sol, alături de rădăcinile plantelor și uneori în strânsă relație cu acestea trăiesc bacterii, protiste, fungi și animale. Solul este alcătuit din:

• Partea minerală, provenită din sfărâmarea rocilor; conține substanțele minerale necesare vieții plantelor.

• Partea organică, provenită din descompunerea viețuitoarelor moarte și a resturilor organice; de asemenea, aici intră viețuitoarele care trăiesc în sol.

• A pă (procentul optim pentru plante este de 70-80% din spațiile dintre particulele solului).

• Aer (necesar pentru respirația rădăcinilor și a viețuitoarelor din sol).

În sol se întâlnesc:

• Bac terii și ciuperci descompunătoare.

• Bacterii fixatoare de azot și ciuperci care formează micorize la nivelul rădăcinilor cu care se află în simbioză.

• Protiste – mai ales alge unicelulare care fac fotosinteză.

• V iermi (fig. 6), păianjeni, insecte și larve de insecte.

• Mamifere mici (cârtița).

Amintește-ți!

Amintește-ți modul de hrănire al râmei și explică rolul acesteia în îmbogățirea solului cu substanțe organice.

Poluarea solului e strâns legată de poluarea apei și a aerului.

Principalele substanțe poluante sunt îngrășămintele chimice, erbicidele, substanțele rezultate din resturile menajere și industriale (fig. 7).

Alte aspecte care afectează calitatea și sănătatea solului sunt: compactizarea, scăderea biodiversității (a numărului de specii de viețuitoare de la nivelul lui), alunecările de teren și inundațiile.

Acțiuni necesare pentru refacerea sănătății solului:

• Modernizarea lucrărilor de irigații și desecări, afânarea adâncă și refacerea rezervelor de substanțe organice.

• Prevenirea și reducerea poluării.

• Gestionarea eficientă a zonelor de depozitare a deșeurilor.

• D iminuarea eroziunii solului prin plantarea arborilor.

• Folosirea echilibrată a substanțelor chimice cu rol de îngrășăminte și erbicide, căutarea de variante naturale.

Fig. 6 Râmele sunt viermi care asigură sănătatea solului
Fig. 7 Sol poluat, deșert industrial

ACTIVITĂȚI PRACTICE.

INVESTIGAREA ECOSISTEMELOR ANTROPIZATE

Activitate în grup. Aprecierea calității solului

• Observați vegetația spontană din zona voastră sau din zone prin care vă plimbați/mergeți în excursie.

• Colectați probe de sol din diferite zone: zone cu sol fără vegetație sau cu vegetație săracă/ slab dezvoltată și zone cu vegetație abundentă.

• Fotografiați zona, plantele și căutați să identificați plantele folosind atlase și determinatoare; etichetați probele de sol, notând zona de unde au fost recoltate.

• În laborator, observați aspectul fiecărui tip de sol.

• C e observații și experimente puteți realiza pentru a aprecia calitatea solului?

• Cum corelați calitatea solului cu plantele care cresc în acel sol?

• C are sunt aspectele care se pot îmbunătăți în cazul solurilor mai puțin fertile?

Un experiment simplu pentru a evidenția calitatea solului este aprecierea capacității acestuia de a reține apa. Cum crezi că se corelează acest aspect cu viața plantelor?

Apa din sol se găsește la suprafaţa particulelor și în porii acestuia. Particulele elementare de nisip, praf și argilă, care determină textura solului, sunt organizate în complexe numite agregate structurale.

Structura solului exercită o influenţă directă asupra proprietăților sale, asigurând condiţii optime pentru germinaţia seminţelor, răsăritul plantelor și dezvoltarea rădăcinilor.

Află mai mult!

În general, plantele cultivate preferă un mediu de reacţie slab acid – neutru (pH = 6,3–7,2) pentru creșterea și dezvoltarea lor optimă. Cu toate că există și plante tolerante la condiţii extreme de aciditate ridicată sau alcalinitate, plantele cultivate suportă mai bine condiţiile de reacţie slab acide decât alcaline.

Amintește-ți!

Funcțiile plantelor se desfășoară optim atunci când apa ocupă 70–80% din spațiile dintre particulele solului.

Mod de lucru:

Fiecare probă de sol este pusă într-un pahar cu baza din sită, peste care se adaugă aceeași cantitate de apă. Paharele sunt introduse în alte pahare în care se va scurge apa. Care dintre pahare reține mai multă apă și care mai puțină? Care este aspectul apei filtrate prin sol? (fig. 1) Cum se corelează acest aspect cu vegetația zonei din care a fost recoltată proba de sol? Apa rezultată după filtrare va fi testată pentru determinarea pH-ului solului.

Fig. 1

Filtrarea soluției solului

Pentru a observa și compara pH-ul apei aveți nevoie de hârtie indicatoare și de mai multe probe de apă. Aduceți în laborator și puneți în eprubete diferite probe de apă: apă de baltă sau dintr-o apă curgătoare, apă de robinet din diferite surse, apă minerală de mai multe tipuri, soluție de sol. Introduceți în fiecare eprubetă câte un fragment de hârtie de pH sau adăugați o soluție indicatoare și apoi identificați pH-ul apei folosind o scală de culoare (fig. 2).

Fig. 2 Compararea unei soluții cu o scală color pentru pH

Apa purificată are pH 7. Care dintre probele de apă se apropie cel mai mult de această valoare? Faptul că apa e neutră o face automat bună de băut? Ce altceva ar mai trebui verificat?

În general, apele minerale naturale carbogazoase au un pH ușor acid, datorită acidului care se formează în apă prin dizolvarea dioxidului de carbon. Apele plate bicarbonatate sodice, calcice sau magneziene au un pH ușor bazic. Apa de ploaie dintr-o zonă nepoluată are pH-ul de 5,6 (ușor acid), datorită dizolvării de dioxid de carbon din aer.

Anchete și chestionare

Realizează o anchetă sau alcătuiește și aplică un chestionar pentru a evalua gradul de poluare a solului din localitatea voastră. Vei avea în vedere: existența terenurilor agricole și substanțele folosite (îngrășăminte chimice, erbicide, pesticide), existența unor fabrici și modul în care acestea gestionează deșeurile, locuințele și serviciile de salubritate.

Cum ar putea suna întrebările? Care ar fi asemănările și deosebirile într-un chestionar care ar aprecia poluarea apei sau a aerului?

Pentru poluarea apei e nevoie să aflăm: cum ajunge apa în casele noastre? Unde se găsesc stațiile de epurare? Care sunt efectele detergenților, ale uleiurilor, ale reziduurilor menajere ajunse în apă? Care sunt punctele prin care se face risipă de apă potabilă și cum se poate economisi?

Pentru poluarea aerului este util să știi ce conțin gazele de eșapament? Care sunt sursele industriale de gaze toxice? Cum se pot reduce? Care sunt efectele asupra viețuitoarelor?

Câteva aspecte legate de aplicarea anchetei și a chestionarului

Cereți permisiunea persoanei pentru a-i adresa întrebările. Explicați scopul anchetei sau al chestionarului.

În primul rând, întrebările care alcătuiesc chestionarul trebuie formulate clar, simplu, precis, fără să se repete. Este bine ca atunci când aplicați chestionarul să îi citiți celui chestionat întrebările și să fiți gata să oferiți lămuriri.

Află mai mult!

Ploile acide reprezintă precipitațiile cu pH mai mic de 5,6. Ele apar în condițiile în care în atmosferă există cantități mari de monoxid de azot sau dioxid de sulf. Acestea reacționează cu vaporii de apă, producând acizi. Documentează-te asupra efectelor ploilor acide.

Exemplu: „Câți saci de gunoi aruncați pe săptămână?” (în loc de: „Produceți mult gunoi?”)

Întrebările pot fi închise, cu răspunsuri la alegere, sau deschise, atunci când cel întrebat trebuie să ofere răspunsul. Nu căutați să sugerați răspunsul. Fiecare întrebare trebuie să se refere la un singur aspect.

Exemple: „Folosiți îngrășăminte chimice?” (în loc de: „Folosiți îngrășăminte, erbicide sau alte substanțe?”), „Sortați gunoiul?” – fig. 3.

Dacă ancheta se desfășoară față în față, notați imediat răspunsurile. Dacă amânați, e posibil ca notițele voastre să nu mai fie suficient de precise.

Mulțumiți persoanei pentru participarea la cercetarea voastră.

Fig. 3 Sortarea gunoiului menajer

Fertilitatea solului este dată de humus –componenta organică descompusă, variind între 2–7%. Cu cât solul are o cantitate mai mare de substanțe organice, cu atât este mai fertil.

Se poate crește fertilitatea solului prin adăugare de compost (fig. 4), în locul îngrășămintelor chimice.

Compostul se poate obține în gospodărie din resturi organice descompuse.

Materiale recomandate: Resturi de legume și fructe, flori tăiate, coji de ouă, zaț de cafea, plicuri de ceai, iarbă, resturi vegetale, fân, buruieni fără semințe, resturi de pâine, bălegar, hârtie, rumeguș, frunze uscate.

În niciun caz nu se folosesc: deșeuri sanitare, scutece, plastic, resturi de plante atacate de boli/dăunători, buruieni cu semințe (ar germina imediat în solul fertilizat), cărbuni, cenușă de lemn.

Materialele se depozitează într-un container sau la marginea grădinii. Straturile de material trebuie să fie de 15–20 de centimetri, se udă și se aerisesc o dată pe lună. Procesul durează 6–12 luni. El este favorizat de bacterii și de râme (dacă materialul se depozitează chiar pe sol).

Odată finalizată descompunerea, compostul poate fi folosit la plantarea pomilor, a plantelor decorative. El poate intra și în compoziția pământului folosit pentru ghivecele de flori sau pentru răsaduri.

Temă de proiect

Caută informații despre modul în care pot fi înlocuite diverse tehnologii poluante folosite în agricultură. Prezintă avantajele și dezavantajele. Sintetizează informația într-un poster pe care să îl afișezi în clasă/ laborator.

Exerciții

I. Scrie litera corespunzătoare răspunsului corect (o singură variantă):

1. Animale care intră în alcătuirea solului sunt: a. protiste; b. râme; c. descompunători.

2. Scăderea calității apelor are următoarele cauze: a. construirea barajelor; b. precipitarea poluanților din sol; c. scurgerea reziduurilor menajere și industriale.

3. Adaptările legate de conservarea apei în organism sunt: a. piele subțire; b. rădăcini ramificate; c. capacitatea de a închide stomatele.

4. pH-ul unei ploi acide poate fi: a. 7; b. 5,5; c. 5,7.

II. Completează frazele de mai jos folosind cuvintele potrivite: Pentru ca fotosinteza și  ...  să se desfășoare optim, e nevoie de menținerea constantă a concentrației   ...  și a dioxidului de carbon din aer.

Poluarea aerului se poate combate prin  ...  unor zone verzi care să  ...  poluanții și să  ...  procentul de oxigen din atmosferă.

Partea  ...  a solului provine din sfărâmarea  ...  și conține substanțele minerale necesare  ...  .

Fig. 4 Obținerea compostului

BOLI INFLUENȚATE DE FACTORI DE MEDIU

ȘI DE PROPRIUL COMPORTAMENT

Diverse boli pot perturba starea de sănătate, pe termen scurt sau pe termen lung. Uneori, o persoană poate suferi de mai multe boli, care pot avea cauze comune sau diferite.

Putem clasifica bolile după durata lor de acțiune (boli acute sau cronice), după organele afectate (boli digestive, respiratorii etc.), după cauze (etiologia bolii), după modul de transmitere etc. Factorii de mediu și propriul comportament pot produce sau favoriza anumite boli, dar pot ajuta și la prevenirea (profilaxia) lor.

Alergiile

Alergiile sunt afecțiuni care apar în urma expunerii la alergeni, la persoanele cu o anumită predispoziție.

Aproximativ 20% dintre oameni prezintă alergii, unele dintre ele fiind transmise ereditar.

Stresul și emoțiile puternice pot amplifica unele reacții alergice.

Reacțiile alergice determină diferite simptome, fiind localizate mai frecvent la nivelul:

• s istemului respirator: rinoreea (secreții nazale abundente), astmul bronșic și senzația de sufocare;

• organelor de simț: pe piele (erupții, eczeme, dermatite de contact etc.), la nivelul ochilor (înroșire, secreție lacrimală abundentă, senzație de mâncărime) etc. (fig. 1)

Reacțiile alergice foarte rapide și foarte intense sunt denumite „șoc anafilactic” și reprezintă o urgență medicală, necesitând apelarea Seviciului de urgență la 112 . Prevenirea se realizează prin evitarea contactului cu alergenii, dar și prin anumite tratamente care previn sau reduc efectele alergice. Persoanele care au avut șocuri anafilactice trebuie să aibă asupra lor o doză de adrenalină (epinefrină) (fig. 2, pag. 68).

Dicționar

Sănătate = bunăstare deplină fizică, mentală, socială și morală. (OMS – Organizația Mondială a Sănătății a inclus în 2006 și sănătatea morală în conceptul modern de sănătate).

Boală = modificare anatomică și/sau funcțională a echilibrului organismului.

Semn al bolii = manifestare obiectivă a unei boli, ce poate fi observată și de alte persoane, nu doar de către bolnav (de exemplu: febra și apariția unei erupții pe piele).

Simptom = manifestare subiectivă a unei boli, percepută numai de către bolnav (de exemplu: anxietatea, durerea de spate și oboseala).

Profilaxie = măsurile medico-sanitare pentru prevenirea apariției și răspândirii unei boli.

Etiologie = ramură a medicinei care studiază cauzele bolilor și factorii care influențează apariția bolilor.

Alergen = substanță/particulă care produce o reacție alergică, la anumite persoane, care au anumiți anticorpi în cantitate mai mare; unele alergii sunt declanșate de factori de mediu (de exemplu, frigul).

Alergolog = medic specializat în diagnosticarea și tratarea alergiilor.

Fig. 1 Factori alergeni

Aplicații

Amintește-ți care este efectul hormonului adrenalină asupra sistemului respirator și asupra sistemului cardiovascular și precizează importanța adrenalinei în șocul anafilactic.

După sursa și calea de pătrundere, alergenii pot fi clasificați în:

1. Alergeni respiratori (polen, praf de casă, fungi atmosferici, peri și epiderme de animale, în special părul de pisică, mai rar cel de câine).

2. A lergeni alimentari (albuș de ou, lapte de vacă, căpșuni, fragi etc.).

3. A lergeni proveniți de la insecte (venin de albină, de viespe); aceste alergii sunt rare, dar pot fi fatale.

4. Alergeni proveniți de la paraziți (în special de la viermi paraziți: trichină, limbric).

5. Alergeni din medicamente (penicilina și derivatele ei ampicilină și amoxicilină; unele vaccinuri cu componente din ou etc.); nu toate reacțiile adverse ale medicamentelor sunt alergice.

6. A lergeni chimici, inclusiv din produse cosmetice (de exemplu, vopseaua de păr), latexul etc.; sensibilitatea poate să apară prin expunerea la alergeni puternici (ricin, gumă arabică etc.) timp de câteva săptămâni sau luni, iar la alergenii slabi (de exemplu, făina de cereale), până la 10–15 ani.

Alergenii respiratori

Polenul care declanșează alergii poate proveni de la graminee, de la ierburi (păpădie, ambrozie) sau de la arbori (plop, mesteacăn, ulm etc.). Aceste alergii apar în perioada de înflorire; și puful de plop este un alergen (fig. 3).

Dintre fungi, mucegaiurile (în special, mucegaiul negru) pot fi alergeni atât sub formă de spori, cât și de micelii formate pe diferite suprafețe. Praful de casă este un amestec de alergeni:

acarieni (arahnide mici), resturi provenite de la gândaci de bucătărie sau de la animale de companie. Menținerea curățeniei poate preveni declanșarea acestor reacții alergice.

Alergiile alimentare și intoleranța alimentară Principalele alimente care produc alergii sunt: laptele de vacă, ouăle de pasăre, peștele, carnea, nucile, fragii, căpșunile, soia, arahidele, midiile, scoicile, crustaceele, legumele (țelină, morcovi). Reacțiile la ou, lapte și soia se reduc, de obicei, la vârsta adultului.

Alergiile alimentare au un șir de reacții imediate succesive, chiar la ingerarea unei cantități mici de aliment (alergen); reacțiile pot avea o amploare deosebită, ducând uneori chiar la deces, de aceea, alergenii respectivi sunt evitați toată viața

Fig. 2 Epipen
Fig. 3 Puf de plop
Fig. 4 Alți alergeni

Reține!

Este foarte important ca fiecare persoană să își cunoască organismul propriu, să știe care sunt alimentele benefice și alimentele pe care nu le tolerează sau la care este alergic.

Aplicații

Identifică diferențele dintre alergiile alimentare și intoleranțele alimentare. Ce importanță practică are cunoașterea acestor diferențe?

Astmul

Astmul este o afecțiune cronică inflamatorie a căilor respiratorii, care îngreunează respirația.

Astmul se caracterizează prin îngustarea temporară a căilor respiratorii; din cauza acestei îngustări de scurtă durată a căilor respiratorii, apar tusea seacă, respirația dificilă și șuierătoare. Există mai multe tipuri de astm: astm bronșic, astm de efort, astm alergic, astm ocupațional (ultimele două putând să se agraveze noaptea, ca astm nocturn).

Cauzele astmului nu sunt complet cunoscute. Se consideră că apare, de obicei, în urma unei asocieri între factori genetici (ereditatea) și factori de mediu (polen, particule de mucegai, praf, fum de țigară, alergeni de la locul de muncă, alergeni alimentari, unele medicamente etc.).

Deși este o boală cronică, în anumite condiții se declanșează crizele de astm, cu amplificarea unor semne ale bolii: din cauza îngustării căilor respiratorii, bolnavul respiră foarte greu și tușește. Condițiile de apariție a crizelor pot fi legate de expunerea la factori declanșatori de la locul de muncă, sau de anumiți factori care se repetă sezonier (de exemplu, diferite tipuri de polen și mucegaiurile) sau întâmplător (păr de animale, aer rece, fum de țigară, stres).

Află mai mult!

Alergiile alimentare sunt confundate uneori cu intoleranțele alimentare, dar ele sunt corelate cu anticorpi diferiți, evidențiați prin teste specifice. Intoleranța alimentară este o reacție imunitară de tip întârziat, la unul sau mai multe alimente, cu semne și simptome diverse ca localizare (inițial sunt digestive) și ca intensitate. Alimentele/ Substanțele respective trebuie eliminate o perioadă variabilă de timp din alimentație, apoi ele sunt reintroduse treptat, în cantități mici și rar. Intoleranțe alimentare frecvente sunt cea la lactoză și la gluten. Diagnosticarea intoleranței alimentare și respectarea unei diete corespunzătoare au ca scop îmbunătățirea calității vieții și contribuie la menținerea stării de sănătate.

pentru ușurarea respirației (fig. 5). Tratamentul trebuie recomandat și actualizat de medicul pneumolog.

Aplicații

Cunoscând factorii de risc în apariția acestei boli și în declanșarea crizelor, precizează câte un mod de prevenire a astmului și a crizelor de astm.

Există un tratament de întreținere (care reduce riscul crizelor de astm) și un tratament de urgență (în crizele de astm), care presupune și folosirea unui inhalator care să asigure dilatarea bronhiilor, Fig. 5 Dispozitiv inhalator

Boli nutriționale

Aplicații

Un studiu de caz „altfel”

Analizează obișnuințele alimentare vizibile ale unui personaj preferat (din filme, din benzi desenate sau din animații). Ce este sănătos și ce este nesănătos în aceste obișnuințe? Ce obiceiuri ale acestor personaje ai copiat în propriul comportament? Cum poți selecta ceea ce este sănătos de ceea ce este dăunător pentru tine?

Observă și obișnuințele alimentare ale celor din grupul de prieteni și din familia ta. Care sunt asemănările și deosebirile dintre obiceiurile lor alimentare și preferințele tale?

D iabetul zaharat

Diabetul zaharat este o boală endocrină caracterizată prin valori peste normal ale glicemiei (hiperglicemie) (fig. 6). Cele mai cunoscute forme de diabet zaharat sunt: diabetul zaharat de tip I și diabetul zaharat de tip II. Este important și diabetul de sarcină (diabetul gestațional), care poate avea efecte negative atât asupra viitoarei mame, cât și asupra fătului.

Folosește manualul digital pentru a-ți aminti cum se manifestă diabetul zaharat.

Cauze ale diabetului zaharat

• A limentația dezechilibrată: exces de dulciuri sau de alimente cu amidon, mai ales seara; nerespectarea orelor de masă; mese consistente urmate de perioade de nealimentare.

• Predispoziția genetică.

• Stresul.

• Programul de activitate și de odihnă dezechilibrat.

• Activitatea fizică insuficientă.

• Alte boli care afectează pancreasul (de exemplu, complicații ale oreionului).

• Consumul frecvent de alcool.

• Obezitatea.

Amintește-ți!

Amintește-ți sensul larg și sensul restrâns al termenului „nutriție”.

În sensul de hrănire, nutriția influențează major organismele, asigurând supraviețuirea.

Bolile nutriționale au diferite cauze, localizări și manifestări. Cunoașterea acestor boli este importantă pentru posibilitatea tratării, dar, mai ales, pentru prevenirea apariției lor.

O parte dintre bolile care afectează nutriția sunt asociate cu dezechilibre ale alimentației, altele sunt boli endocrine sau au legătură cu psihicul uman.

Prevenirea diabetului zaharat

• A limentația echilibrată (cantitativ, calitativ, la ore și intervale de timp corespunzătoare).

• Prevenirea și combaterea stresului, prin activități recreative și prin consiliere.

• O rganizarea rațională a programului de activitate și de odihnă (inclusiv asigurarea numărului necesar de ore de somn, în intervalul potrivit pentru fiecare vârstă).

• E vitarea consumului de substanțe nocive (alcool, tutun, droguri).

• Consult medical periodic (și suplimentar, în cazul apariției unor semne ca: sete intensă noaptea, foame excesivă, oboseală etc.).

Fig. 6 Hiperglicemie

Aplicații

Amintește-ți etapele și organele digestive în care are loc descompunerea glucidelor. Ce este glicemia? Ce hormoni intervin în reglarea glicemiei? Care este valoarea normală a glicemiei? Care este hormonul care scade și cel care crește glicemia? În ce condiții se realizează, în mod normal, aceste modificări ale glicemiei? Amintește-ți sensul termenului „feedback negativ”.

Amintește-ți informațiile despre diabetul zaharat, studiate în clasa a VII-a.

În fig. 7 sunt prezentate: 1. organism sănătos; 2. diabet de tip I; 3. diabet de tip II. În care dintre cele trei situații prezentate:

a. glucoza este absorbită din intestinul subțire în sânge; b. glucoza intră în mușchi și ficat;

c. insulina este secretată în sânge; d. insulina stimulează intrarea glucozei în mușchi și ficat?

Cum poate fi tratat diabetul de tip I? Este necesară injectarea insulinei în diabetul de tip II?

Important pentru sănătate

Concentrația glucozei din sânge (glicemia) poate fi crescută în următoarele situații:

• consum de glucoză (din alimente sau sub forma unor tablete, utilizate frecvent de sportivi);

• c onsum de amidon și de glicogen (glucide care vor fi descompuse în tubul digestiv, pentru a fi transformate în glucoză);

• consum exagerat de fructoză (care va fi transformată în glucoză, în ficat). Ce organe sunt suprasolicitate în cazul excesului de fructoză?

Pentru diabetici există îndulcitori speciali, cum ar fi, de exemplu, zaharina.

Fig. 7 Relația glucoză-insulină

Aplicații

Documentează-te cu privire la diferența dintre: medicul nutriționist, tehnicianul nutriționist și medicul endocrinolog.

Obezitatea poate fi cauză a diabetului zaharat, dar poate fi și o consecință a acestei boli. 80% dintre diabeticii de tip II sunt obezi la momentul diagnosticării diabetului zaharat.

Ziua Mondială a Diabetului Zaharat este pe 14 noiembrie. Din cauza importanței acestei boli, orice moment este potrivit pentru organizarea unei campanii de informare, pentru prevenirea diabetului zaharat.

Află mai mult!
Află mai mult!

Obezitatea

Obezitatea este o boală metabolică în care greutatea corporală normală este depășită cu 20% sau mai mult. Există trei grade de obezitate (de gradul I, de gradul II și obezitate morbidă). Creșterea greutății corporale cu mai puțin de 20% este numită supraponderalitate.

În populația României, dar și în alte țări, frecvența obezității a crescut foarte mult în ultimii ani.

Riscuri/Consecințe posibile ale obezității

Obezitatea prezintă un interes medical și social deosebit. Apărută la adulți, este asociată adesea cu boli cronice severe: boli cardiovasculare grave, afecțiuni ale articulațiilor, diabet zaharat de tip II, unele tipuri de cancer (în special, cancer de colon).

Apărută în copilărie, obezitatea prezintă efecte pe termen scurt și pe termen lung, favorizând reapariția sau agravarea obezității la vârsta adultă. Pe lângă bolile cronice favorizate de obezitate la adulți, enumerate mai sus, se adaugă, deseori, în cazul copiilor: probleme respiratorii (astm bronșic), afecțiuni hepatice, anxietate, depresie, respect de sine scăzut și reducerea calității vieții, posibile probleme sociale.

Cauzele principale ale obezității sunt considerate în prezent: supraalimentarea (excesul de glucide, de lipide – deci exces de calorii; excesul de hrană procesată, de hrană de tip fast food, de băuturi carbogazoase sau alcoolice), sedentarismul, anxietatea, stresul și asocieri ale acestor factori. Alte cauze pot fi: unele boli endocrine (hipotiroidia, diabetul zaharat); mese consumate după ora 20 sau chiar noaptea; exces de suplimente alimentare (vitamine etc.); unele medicamente pentru tratarea altor boli; predispoziția ereditară; și chiar diete de slăbire, nerecomandate de medic sau urmate incorect.

Prevenirea obezității se poate realiza printr-un stil de viață sănătos, bazat pe informații corecte, pe autodisciplină (alimentație corespunzătoare (fig. 8), activitate fizică zilnică) și pe control medical periodic. În clasa a VI -a, ai învățat mai multe despre dieta echilibrată, despre substanțele necesare creșterii, dezvoltării și funcționării corpului tău.

Dicționar

Sedentarism = stil de viață cu activitate fizică foarte redusă sau chiar absentă.

8 Alegerea alimentelor este importantă în prevenirea obezității

Activitate practică

Senzația de sațietate

Poți evita supraalimentarea, cu puțin antrenament. Oprește-te din a mânca înainte de a simți stomacul plin; sunt necesare 15–20 de minute pentru ca semnalul de la stomac să ajungă la creier (mai exact la hipotalamus); obișnuiește-te să simți și să aștepți senzația corectă de stomac plin care apare după acest interval de timp. Pentru a evita excesul de alimente, este util să mesteci mai mult alimentele.

Reține!

Manifestă respect față de copiii care nu au o greutate normală și susține-i în încercările de reglare a masei corporale. Deoarece nu toate cauzele obezității depind de noi, oricine poate ajunge, într-un anumit moment al vieții, să aibă o greutate anormală.

Reglarea greutății, atât la adulți, cât și la copii, trebuie realizată cu ajutorul medicilor nutriționiști, care pot recomanda dieta potrivită.

Nu urma diete promovate în mediul online sau diete care au avut rezultate la alte persoane. Urmează exemplul altor persoane care își mențin greutatea normală și care se aseamănă cu tine, ca vârstă, activitate, stare de sănătate etc.

Fig.

Aplicații

Analizează datele din fig. 9: Care este procentul de băieți cu greutate mai mare decât normal, în grupul-țintă studiat? Dar procentul de fete cu greutate mai mare decât normal?

Aplicații

Recunoaște în fig. 10 reprezentările grafice pentru:

• c auze ale obezității;

• consecințe ale obezității;

• măsuri de prevenire a acestei boli metabolice. Ce măsuri de prevenire poți aplica în programul tău zilnic? Realizează activitățile practice de la sfârșitul lecției.

supraponderalobezitate

băieți fete

Fig. 9 Prevalența obezității la copii de 9 ani în funcție de sex

Află mai mult!

IMC se exprimă în kg/cm2. Se calculează după formula IMC = masa corporală/înălțimea (în cm2), formulă valabilă pentru bărbați și femei, cu vârsta între 18 și 65 de ani. Pentru copii, formula de calcul este diferită și o poți găsi la activitățile practice de la sfârșitul lecției. IMC nu se utilizează pentru gravide, sportivi și vârstnici și nu dă informații despre procentul de grăsime corporală, de masă musculară sau de masă osoasă.

IMC = Indicele de masa corporală este indicatorul oficial de calculare a greutății corporale ideale, pentru o înălțime dată. Dicționar

Reține!

Grăsimea din corp, în cantități normale, este necesară pentru integritatea și pentru funcționarea normală a unor organe din corp (de exemplu: creierul, pielea, gonadele etc.).

Aplicații

10 Obezitatea

În prezent, există aparatură medicală și chiar cântare de uz casnic care măsoară IMC, procentul de mușchi și procentul de grăsime din corp, putând chiar să măsoare cantitatea de grăsime internă. De asemenea, aparatura modernă indică necesarul zilnic de calorii pentru menținerea greutății. Observă fig. 11. Care dintre cele două dispuneri ale grăsimii în exces este mai periculoasă pentru sănătate?

visceralăGrăsime subcutanată

Fig. 11 Secțiuni prin trunchi, cu sau fără exces de grăsime

Fig.
Consecințe
Cauze
Prevenire

Află mai mult!

Într-un raport național din anul 2017 al Institutului

Național de Sănătate Publică sunt menționate date statistice despre obezitate, în România și pe Glob, pentru anul 2016. Poți afla mai multe detalii despre acest subiect pe site-ul insp.gov.ro

Extinderea problemelor de greutate corporală la nivel mondial a determinat Organizația Mondială a Sănătății (OMS) să lanseze, în 2007, iniţiativa

COSI (European Childhood Obesity Surveillance Initiative); în 2012, în etapa a treia a proiectului, s-a alăturat și România.

Temă de gândire

1. O bezitatea afectează tot mai mult și țări cu venituri mici și medii. De ce?

2. Frecvența obezității la grupa de vârstă 5-18 ani a crescut de la 4% în 1975, la peste 18% în 2016 (cu frecvență egală la fete și băieți).

De ce?

3. Frecvența obezității s-a triplat în lume din 1975 în 2016. Care sunt cauzele? Dar consecințele?

4. La nivel mondial, datele din 2016 indică, între adulți:

• 39% supraponderali, în medie (39% dintre bărbați și 40% dintre femei);

• 13% obezi, în medie (11% dintre bărbați și 15% dintre femei).

În ultimii ani, obezitatea este mai frecventă la băieți și bărbați, la care s-au înregistrat și creșteri ale cantității de hormoni estrogeni. Ce alimente pot favoriza această modificare hormonală?

(fig. 12) Ce efecte poate avea această modificare pentru funcția de reproducere?

Problemă

Problemă

În tabelul de mai jos, sunt prezentate date statistice despre numărul de cazuri de supraponderali și de obezi, pe Glob, în 2016, pentru trei grupe de vârstă. Calculează numărul total de supraponderali și de obezi pe Glob. Raportează acest număr la populația umană de pe Glob (aproximativ 7,5 mld.). Care pot fi cauzele creșterii frecvenței greutății peste normal?

Grupe de vârstă

Număr de obezi și supraponderali pe Glob în 2016

Sub 5 ani 41 mil.

Între 5 și 18 aniPeste 340 mil. (dintre care 124 mil., obezi)

Peste 18 ani> 1,9 mld. (dintre care > 650 mil., obezi)

Total?

Reține!

Greutatea corporală și starea de sănătate sunt într-o relație de interdependență. De aceea, menținerea unei greutăți corporale normale este una dintre cele mai importante modalități de menținere a stării de sănătate. Excesul unor substanțe și deficitul altora pot duce la dereglarea greutății corporale. Preocuparea pentru o greutate normală și pentru sănătate nu trebuie să devină o teamă nesănătoasă de obezitate.

Fig. 13 Măsurarea greutății corporale
Fig. 12 Importanța alimentației sănătoase

A lte dezechilibre nutriționale

Subnutriția și malnutriția sunt deseori utilizate ca sinonime, în limbajul comun. Nutriționiștii încadrează atât obezitatea, cât și subnutriția în afecțiunea de tip malnutriție („nutriție rea”).

Subnutriția apare din cauza unei alimentații insuficiente, fie din punct de vedere caloric, fie din punctul de vedere al cantității și al calității alimentelor consumate (fig. 14). De obicei, subnutriția constă într-un aport insuficient de calorii, de proteine, de iod, de fier, de vitamina A și vitamina D.

Este principala cauză a mortalității și a morbidității în țările în curs de dezvoltare; în țările dezvoltate apar cazuri de subnutriție la copiii spitalizați pe termen lung sau care au boli cronice grave. Paradox: în timp ce numărul de cazuri de obezitate a crescut pe Glob, în prezent se estimează că aproximativ 842 de milioane de persoane suferă de foame, la nivel mondial.

Persoanele subnutrite au un aspect modificat. Riscul de boli infecțioase crește, deoarece scade imunitatea corpului. Apărută la vârste mici, subnutriția încetinește creșterea și dezvoltarea corpului, a creierului, scăzând șansele de supraviețuire.

Aproximativ 300 000 de copii, cu vârsta sub cinci ani, mor anual de subnutriție, în întreaga lume.

Subnutriția poate să apară și în situația în care dieta nu este adaptată la perioada de creștere, de efort fizic sau intelectual sau la sarcină (afectând major și dezvoltarea fătului).

În populația actuală, în țările dezvoltate, numeroase cazuri de subnutriție se suprapun cu afecțiuni de tipul anorexiei.

Dezechilibrele minerale

Spre deosebire de vitamine, care sunt substanțe organice, mineralele sunt substanțe anorganice și sunt împărțite în două grupe: minerale esențiale și oligoelemente.

Mineralele esențiale (macrominerale sau macroelemente) sunt: Ca, Mg, Na, K, P, Cl. Fiecare macroelement trebuie consumat în cantitate de 100 mg/zi. Aceste minerale se regăsesc în aproximativ toate celulele organismului și sunt implicate în funcționarea normală a organismului. Dezechilibrele mari ale acestor minerale pot fi letale.

Fig. 14 Copil subnutrit, într-un spital din Somalia, în 2017

Teme de dezbatere

Amintește-ți din lecțiile de istorie a României și de istorie universală despre perioadele în care diferite persoane au fost discriminate, din diverse cauze. Cum s-au adaptat organismele celor care au supraviețuit? Ce funcții ale corpului au avut de suferit pe termen lung? Cum pot fi prevenite noi perioade de discriminări? Ce importanță are cunoașterea trecutului? Dar a caracteristicilor biologice comune tuturor oamenilor?

Micromineralele (oligoelementele) sunt necesare organismului uman în cantități foarte mici (mai puțin de 100 mg/zi), fiind reprezentate de Fe, Co, Cu, I, Mn, Se, Zn și Mo.

Cauzele dezechilibrelor minerale sunt, de obicei, alimentația dezechilibrată și absorbția incorectă a unor minerale (din cauza unor boli endocrine sau genetice).

Prevenirea acestor dezechilibre se poate realiza prin informare corectă, prin alimentație corespunzătoare și prin control medical periodic (în special, analize de sânge).

Avitaminozele

Deficitul unor vitamine în alimentație are de obicei efecte negative asupra sănătății, deoarece vitaminele sunt necesare pentru numeroase procese din corp, iar cele mai multe dintre vitamine nu sunt sintetizate în organismul uman (fig. 15). Totuși, și excesul de vitamine (hipervitaminoza) poate avea efecte nocive, putând duce chiar la intoxicare.

Cauzele avitaminozelor sunt, de obicei:

• alimentația dezechilibrată;

• consumul frecvent al unor alimente, în defavoarea altora;

• c onsumul frecvent de hrană preparată și foarte rar de hrană proaspătă (prin preparare termică, o mare parte din vitamine sunt distruse);

• absorbția incorectă a unor vitamine, din cauza vârstei sau a unor boli.

În clasa a VI-a ai studiat efectele vitaminelor și ale avitaminozelor principale. Caută date despre sursele de vitamine și despre necesarul zilnic de vitamine pentru adolescenți. Ce efecte pot avea diferitele avitaminoze asupra creșterii și dezvoltării unui organism?

Prevenirea avitaminozelor se face prin:

• informarea corectă a familiei, pentru asigurarea unei alimentații corespunzătoare;

• preparare termică în aburi a hranei;

• preparare termică moderată;

• conservare prin congelare;

• utilizarea unor produse cosmetice adecvate și a unor suplimente în perioadele de efort sau de schimbare a climei.

Află mai mult!

Câteva vitamine (K, B2, B6) sunt sintetizate de bacteriile simbionte din intestinul gros uman, numite microfloră sau, mai corect, microbiotă intestinală. Cantitatea produsă de aceste bacterii nu este suficientă pentru organism, deci și în cazul lor este necesar un aport exogen (din afara corpului).

Caută informații despre sursele de minerale și despre necesarul zilnic pentru adolescenți. Citește informațiile de pe etichetele alimentelor preferate pentru a afla ce minerale și ce vitamine consumi în mod obișnuit.

Fig. 15 Vitamine
Aplicații
Aplicații

Anorexia (fig. 16A ) este o tulburare alimentară de ordin psihic, cu cauze complexe – biologice, psihologice și sociale.

Se consideră că persoanele cele mai expuse riscului de apariție a anorexiei sunt de gen feminin și au între 14 și 18 ani.

Boala are efecte anatomice (reducerea masei musculare și afectarea unor organe), fiziologice (afectarea funcțiilor creierului, perturbarea menstruației, nedezvoltare sexuală etc.), psihologice (prin intrarea într-un cerc vicios, de reducere a stimei de sine și de încercare a redobândirii ei) și sociale (prin afectarea relațiilor sociale, a capacității de efort fizic și intelectual etc., prin apariția altor boli sau prin scăderea imunității).

Factorii de risc ce pot duce la declanșarea bolii sunt:

• istoricul de dezechilibre alimentare în familie (atât ca ereditate, cât și ca model oferit sau evitat);

• perfecționismul, teama de a nu greși;

• dificultăți în exprimarea emoțiilor;

• dificultăți în rezolvarea conflictelor;

• c opierea unor modele nesănătoase promovate în mass-media etc.

Anorexia poate fi prevenită prin:

• informarea corectă a tinerilor, verificarea unor date obiective (de exemplu, IMC);

• formarea unor obișnuințe sănătoase legate de alegerea alimentelor, de cantitățile și momentele de consumare a acestora;

• aprecierea calităților în paralel cu observarea defectelor, într-un mod prietenos și nu critic;

• atitudine constructivă în acceptarea și analiza greșelilor proprii și ale celorlalți;

• conștientizarea superficialității și scopului comercial de promovare a unui anumit aspect fizic;

• evitarea ironiilor legate de aspectul corporal sau de obiceiurile alimentare; cuvintele alese sunt importante, dar mai ales tonul și gesturile sunt cele care fac diferența între mesaje;

• solicitarea ajutorului de specialitate (psiholog, psihoterapeut, consilier) când observi că ai nevoie de încurajare sau când vrei să ajuți pe cineva care prezintă un dezechilibru alimentar.

Fig. 16 Anorexie (A) și bulimie ( B)

Dezechilibrul alimentar poate să se manifeste diferit în cazul bulimiei, care uneori apare la persoane care au avut anorexie. Mai rar, persoanele care au avut bulimie pot dezvolta anorexie.

Bulimia (fig. 16B) este, de asemenea, o tulburare alimentară de ordin psihic, declanșată de obicei la începutul vârstei adulte. Spre deosebire de anorexie, unde predomină înfometarea, în bulimie, persoana afectată se alimentează excesiv în anumite momente, încercând apoi să anuleze efectele excesului alimentar prin metode nesănătoase. Și bulimia poate fi cauză pentru diferite dezechilibre (distrugerea smalțului dinților, afectarea esofagului, disfuncții digestive etc.).

Factorii de risc în bulimie sunt, de asemenea, complecși:

• conflicte în familie, posibile abuzuri în copilărie;

• dezechilibre alimentare sau dezechilibre psihice în familie;

• încercarea de a ține diete iraționale, fără asistență de specialitate (chiar anorexie în trecut).

A B

Prevenirea bulimiei se poate face prin:

• identificarea și rezolvarea conflictelor în familie;

• consiliere sau psihoterapie în cazul unor abuzuri din copilărie;

• f ormarea unor obișnuințe sănătoase alimentare, încă din copilărie: porții adecvate de hrană, ore fixe pentru mese și conștientizarea senzației de sațietate;

Activitate practică

1. 5000 de pași/zi

• conștientizarea superficialității modelelor culturale de frumusețe și de succes;

• i dentificarea activităților care pot crea mulțumire și satisfacție, prin neurotransmițătorii activați: serotonină (care reduce apetitul), dopamină (cu rol în mecanismul de recompensă) etc.

Schimbarea unei obișnuințe necesită timp (două-trei săptămâni) și perseverență. Poți renunța mai ușor la un obicei nesănătos dacă îl înlocuiești cu un comportament sănătos. Înlocuiește o parte din programul sedentar de viață prin plimbări în aer liber, cu prietenii. Înregistrează numărul de pași realizat zilnic cu ajutorul unei aplicații a telefonului mobil sau a unui alt dispozitiv electronic. Analizează starea ta din și după zilele în care ai realizat cel puțin 5000 de pași.

2. A limentația sănătoasă În grupe de 5-6 elevi, documentați-vă despre alimentația corespunzătoare vârstei voastre. Cereți ajutorul personalului medical de la cabinetul medical școlar sau unor nutriționiști. Lucrând în aceste grupe, realizați câte un poster/afiș în care să prezentați, prin texte (texte rimate sau mesaje cu impact și ușor de reținut) și imagini, recomandările pentru o alimentație sănătoasă pentru vârsta de 14-15 ani. Comparați rezultatele activității tuturor grupelor de elevi. Formulați concluzii cu privire la informațiile comune și la cele diferite, din afișele prezentate. Notați aceste concluzii într-o fișă de portofoliu. Discutați în fiecare grupă comentariile primite de la celelalte grupe și de la cei care au văzut afișele. Ce elemente puteau fi realizate mai bine? Ce alte resurse ar fi fost necesare?

3. IMC pentru copii și tineri

Indicele de masă corporală (IMC) este un indicator oficial de calculare a greutății corporale ideale. IMC ajută la:

a. stabilirea grupei de greutate în care se încadrează o persoană;

b. calcularea numărului de kilograme pe care o persoană trebuie să le piardă/câștige, pentru a ajunge la greutatea ideală. Poți verifica dacă ai o greutate normală, în funcție de vârstă, sex și înălțime, folosind aplicația online pentru calcularea IMC la copii, de la adresa https://calculator-imt.com/ro-md/imc-copii.htm. Caută în tabelul de la această adresă categoria de greutate în care te afli. Poți păstra aceste date confidențiale. Ce trebuie să păstrezi și ce trebuie să modifici în stilul tău actual de viață?

Temă de proiect

Codul alimentar personal

Notează aceste concluzii sub forma unui cod personal de reguli zilnice. Cere părerea unui adult informat înainte de a trece la aplicarea codului personal. Afișarea acestui cod într-un loc vizibil pentru tine te poate ajuta să îți amintești regulile. Documentează-te despre modul în care trebuie să adaptezi aceste reguli pentru perioadele ce preced examene importante pentru tine.

Nu uita că digestia, absorbția și metabolismul energetic sunt procese care durează, deci nu vei obține imediat energia din hrana consumată; sunt importante alimentele și activitatea din ultimele 48 de ore (minimum)!

Cancerul

Amintește-ți!

Amintește-ți sensul termenului „cancerigen”.

Amintește-ți tipul de diviziune prin care se formează celule identice cu celula inițială.

Cancerul constă în apariția unor tumori maligne, care înlocuiesc țesuturile sănătoase dintr-un organ și care se pot răspândi în alte organe, prin sânge și prin limfă (fig. 17).

Aplicații

Analizează fig. 17. În ce organ a apărut tumora malignă inițială? Ce organe au fost afectate ulterior, din cauza metastazei?

La nivel mondial, anual, se diagnostichează 11 milioane de noi cazuri de cancer. Aproximativ 40% dintre cazurile de cancer pot fi prevenite prin regim alimentar echilibrat, activitate fizică și evitarea consumului unor substanțe care creează dependență (droguri, alcool etc.). Aproximativ 20% din cazurile de cancer pot fi prevenite prin o bună igienă personală și a mediului de viață și prin tratarea unor boli (de obicei, infecțioase).

De asemenea, este de reținut că majoritatea tipurilor de cancer pot fi tratate și chiar vindecate, mai ales dacă sunt diagnosticate în primele etape de evoluție a bolii. Apariția a tot mai multe tehnici de diagnosticare și de tratare a bolii mărește șansele de supraviețuire ale bolnavilor de cancer și calitatea vieții lor. Sunt efecte pozitive ale tehnologiei aplicate în medicină.

Un rol important în vindecare are suportul psihologic de specialitate. Există diferite programe de consiliere psihologică pentru suspectul de cancer, pentru bolnav și pentru familia sa.

Controlul cancerului este o măsură de sănătate publică care urmărește, pentru 33% dintre cazuri, prevenirea cancerului la persoane sănătoase și depistarea precoce a cancerului și tratamentul bolnavilor. Numărul cazurilor mortale de cancer este în continuare foarte mare.

Tumoră = grup de celule anormale, rezultate din diviziuni numeroase, induse de un factor perturbator.

Carcinogeneză = procesul prin care apare cancerul.

Metastază = răspândirea celulelor canceroase în alte organe.

Tumori benigne = tumori care nu se pot răspândi în alte organe (de exemplu: adenomul de prostată, fibromul uterin etc.).

Află mai mult!

Oncologia este ramura medicinei care se ocupă cu diagnosticarea și tratarea cancerelor.

Oncologia pediatrică se ocupă cu diagnosticarea și tratarea cancerelor apărute la copii.

Prevenirea diferitelor forme de cancer poate fi realizată prin control medical periodic, folosind: ecografia de sân și mamografia (pentru femeile peste 40 de ani), testul Papanicolau (pentru femei), teste de rutină (pentru identificarea unor boli ale prostatei, la bărbații vârstnici), tomografia computerizată, rezonanța magnetică nucleară (RMN) etc.

Fig. 17 Răspândirea celulelor tumorale
Tumoră inițială
Tumoră
Creier
Plămâni
Rinichi
Celule tumorale
Dicționar

Principalele tipuri de cancer care duc la decese la nivel mondial sunt: cancerul pulmonar (1,3 milioane decese/an); cancerul gastric (aprox. 1 mil./ an); cancerul hepatic și cancerul de colon (aprox. 660 000/an); cancerul mamar (502 000/an).

Frecvența tipurilor de cancer poate fi descrisă și diferențiat pentru cele două sexe, în ordinea descrescătoare a frecvenței: pentru bărbați – cancer pulmonar, gastric, hepatic, colo-rectal, esofagian, de prostată; pentru femei – cancer mamar, pulmonar, gastric, colo-rectal și uterin.

Amintește-ți!

Amintește-ți tipurile și exemplele de factori mutageni prezentate în lecțiile anterioare. Poți reciti informațiile din tabelul de la pagina 30.

Au fost stabilite legături cauză–efect între unii factori mutageni și anumite forme de cancer. Efectul cancerigen se poate manifesta atât în timpul vieții prenatale (efect teratogen) – fig. 18, cât și în timpul vieții postnatale. În toate categoriile de factori mutageni putem identifica factori cancerigeni. Principalii factori de risc care favorizează apariția cancerului sunt:

• fumatul: fumul de țigară conține peste 60 de substanțe toxice, cancerigene și este asociat cu forme de cancer pulmonar, de esofag, de vezică urinară, dar este considerat cauză posibilă și pentru alte cancere (de colon, de rect sau colo-rectal etc.); mestecarea tutunului;

• obezitatea;

• consumul excesiv/ frecvent de alcool (mărește riscul de cancer hepatic, gastric și pancreatic);

• expunerea la factori mutageni din mediul natural (lumină, virusuri, bacterii) sau artificial (pesticide, coloranți, azbest, benzen etc.); radiațiile UV și alte radiații pot produce cancer de piele sau cancere ale unor organe interne;

• vârsta (riscul de cancer crește cu vârsta, după 40 de ani);

• ereditatea (în special pentru cancerul mamar și ovarian; de aceea, este important să avem informații despre bolile generațiilor anterioare);

• istoricul medical: cei care au avut o formă de cancer prezintă un risc mai mare de recidive, adică de reapariție a unui cancer; bolile cu transmitere sexuală, netratate, pot produce și cancerul de prostată; virusul hepatitei B este asociat cu cancere ale ficatului, iar virusul Papilloma (HPV) este o cauză probabilă a cancerului de col uterin (cancerul cervical).

Majoritatea factorilor de risc au acțiune lentă, de aceea, pentru persoanele neinformate, este mai greu să asocieze cauza/comportamentul de risc cu efectul nociv.

Reține!

Cancerul nu este o boală contagioasă. Ceea ce se poate transmite de la om la om, însă, ar putea fi:

• predispoziția genetică pentru apariția bolii, care poate fi compensată printr-un stil de viață sănătos;

• anumiți factori de risc patogeni care produc boli infecțioase ce slăbesc rezistența unor organe și chiar a întregului organism;

• anumiți factori comportamentali de risc, care pot fi imitați (consum de alcool, abuz de medicamente, fumat, netratarea corespunzătoare a bolilor etc.).

Fig. 18 Factori de risc

Cancerul de piele

Cancerul de piele (cancerul cutanat ) se localizează inițial, de obicei, în partea superficială a epidermului, avansând în profunzimea pielii.

Amintește-ți!

Care sunt cele trei straturi ale pielii? Care este stratul pielii cu refacere (diviziune celulară) continuă? Care este substanța din piele care ne protejează de radiațiile UV? În ce boală genetică lipsește acest pigment din piele? Ce straturi cutanate conțin țesut conjunctiv?

Află mai mult!

Există mai multe tipuri de cancer cutanat (fig. 19), în funcție de componentele pielii afectate: carcinom, melanom, sarcom etc. În unele situații, alte tipuri de cancer (de obicei, cancer de sân, de colon, pulmonar) pot da metastaze cutanate, care nu sunt considerate cancer cutanat.

Deși reprezintă mai puțin de 5% din toate cazurile de cancer de piele, melanomul este responsabil de majoritatea deceselor datorate cancerului de piele. Riscul de melanom este mai mare dacă în piele există o cantitate mai mică de melanină.

Dicționar

Amintește-ți!

Recitește concluziile dezbaterii despre efectul razelor UV, din lecția despre mutații.

Factorii de risc și cauzele posibile ale cancerului cutanat sunt:

• pielea deschisă la culoare și cu pistrui;

• e xpunerea neprotejată, de lungă durată, la soare (la 90% din cazurile de cancer cutanat);

• „bronzarea” la solar;

• imunitatea scăzută (în special, în cazul persoanelor infectate cu virusul HIV);

• numeroase alunițe pe piele (mai ales noi alunițe după vârsta de 30 de ani);

• istoric familial de cancer de piele;

• alte afecțiuni ale pielii (psoriazis, pitiriazis, vitiligo, herpes etc.).

Carcinom = cancer care afectează un țesut epitelial (de obicei, epiteliu de acoperire).

Melanom = cancer care afectează melanocitele (celulele cu melanină, din profunzimea dermului).

Sarcom = cancer care afectează țesuturi conjunctive.

Prevenirea acestei boli se poate face prin:

• igiena corespunzătoare a pielii;

• expunerea limitată la soare, în condițiile cel mai puțin periculoase;

• utilizarea unor produse cosmetice care să asigure corect protecția pielii;

• evitarea bronzării artificiale frecvente;

• t ratarea corectă a bolilor și a leziunilor cutanate existente;

• control medical periodic la dermatolog.

Fig. 19 Tipuri de cancer cutanat
Carcinom
Epiderm
Derm
Hipoderm
Melanom
Reține!
Ce straturi ale pielii pot fi afectate de sarcom?
Aplicații

Reține!

Controlul medical periodic este necesar mai ales dacă pe piele există diferite formațiuni (alunițe, negi, pete etc.). Este important controlul medical la dermatolog dacă: alunițele cresc prea mult, își schimbă culoarea, sau devin asimetrice sau cu margini neregulate; nu leza aceste alunițe. În unele situații, este necesară o analiză specială, numită biopsie.

Dicționar

Biopsie = extragerea chirurgicală a unui fragment de țesut, pentru a fi analizat la microscop, în vederea identificării unor celule tumorale și a naturii lor (benigne sau maligne).

Analizează informațiile de mai sus și identifică intervalele favorabile pentru expunerea la soare. Aplicații

Reține!

Cancerul de piele poate să apară la orice persoană, dar există factori de risc care pot deveni cauze ale acestei boli; un comportament sănătos, bazat pe informații corecte, poate preveni apariția sau agravarea acestei boli.

Teme de dezbatere

Mituri despre cancerul de piele

Dezbateți în grupe următoarele afirmații pe care le puteți auzi uneori. Prezentați concluziile și notați-le în fișa de portofoliu.

1. Toți cei din familia mea au stat oricât și oricând la plajă, fără probleme ale pielii.

2. S olarul este prea scump pentru a putea fi nociv.

3. C osmeticele pe care le folosesc mă protejează de orice factor nociv pentru piele.

4. Pot face arsuri solare doar vara, la mare.

Află mai mult!

Indicele razelor ultraviolete variază între „1“ (cel mai mic risc pentru piele) și „10+“ (cel mai periculos nivel de raze UV), în funcție de doi factori: poziția soarelui pe cer și gradul de acoperire al acestuia cu nori, dar și de momentul din an. La amiază, când soarele se află cel mai sus pe cer, radiațiile UV sunt cele mai puternice. Unii nori subțiri pot mări valoarea radiației UV. Nivelul acestor radiații este maxim la solstițiul de vară.

Activitate practică

Acțiunea razelor UV În grupe de elevi, realizați chestionare care să investigheze obișnuințele tinerilor, în legătură cu expunerea la raze UV. În întrebările formulate, urmăriți identificarea intervalelor în care tinerii se expun la raze UV naturale, la frecvența cu care se expun la raze UV artificiale, cum se informează despre efectele acestei expuneri și cum se protejează de efectele negative. Cereți ajutorul profesorilor voștri pentru a aplica aceste chestionare. Centralizați răspunsurile și formulați concluzii privind obișnuințele grupului-țintă chestionat, dar și concluzii privind propriul vostru comportament.

Cancerul pulmonar

Amintește-ți!

Amintește-ți sau recitește informațiile despre frecvența cancerelor letale pentru cele două sexe, prezentate anterior. Ce loc ocupă în acest clasament cancerul pulmonar letal în cazul bărbaților? Dar în cazul femeilor?

Factorii de risc care pot favoriza apariția cancerului pulmonar (fig. 20–21) sunt:

• fumatul e considerat responsabil de peste 85% dintre cazurile de cancer pulmonar;

• fumatul pasiv : în familiile în care doar un partener este fumător, nefumătorul are cu 25% risc mai mare de a face cancer pulmonar, în comparație cu cuplurile de nefumători; un risc mare există și pentru fetușii și copiii cuplurilor de fumători sau fumător–nefumător.

• expunerea la anumite substanțe din mediu: de exemplu, radonul (rezultat din descompunerea radioactivă a Ra), As, azbestul, Cd, Ni, dioxidul de siliciu (din diferite profesii sau industrii).

• boli respiratorii frecvente, netratate sau tratate necorespunzător (care pot produce leziuni ale mucoaselor care căptușesc căile respiratorii, inclusiv intrapulmonare).

Tabelul de mai jos prezintă date statistice despre scurtarea vieții, din cauza fumatului.

Numărul de țigări pe zi (timp de 15 ani)

Diminuarea speranței de viață

10 cu 2–3 ani

20 cu 5–7 ani

30 cu 8–11 ani

Prevenirea cancerului pulmonar poate fi realizată prin cunoașterea factorilor de risc:

• evitarea fumatului activ sau pasiv, prin găsirea unor noi obiceiuri;

• respectarea normelor de protecție a muncii, în mediile de risc menționate;

• a sigurarea unor condiții cât mai sigure, în locuințe;

• activitatea fizică, în special în aer liber;

• diagnosticarea și tratarea bolilor respiratorii.

Teme de dezbatere

Realizați o dezbatere cu tema „ Fumatul – relaxare sau viciu? ”. Documentați-vă, individual și pe grupe, din surse directe (de la fumători) sau din diferite publicații (tipărite sau online), despre: motivele pentru care oamenii fumează, pentru care vor sau nu vor să renunțe la fumat; dificultățile pe care le-au avut, dacă au încercat să renunțe la fumat. Notați concluziile dezbaterii și modul în care se poate renunța la fumat. Căutați informații despre dependența de fumat, despre modul în care poate fi schimbat un obicei. Căutați informații despre programe de sănătate antifumat, la nivel local sau la nivel național.

Fig. 21 Fumatul crește riscul de cancer pulmonar
Fig. 20 Mulaje de plămâni de fumător și de nefumător

Teme de dezbatere

Mituri despre fumat

Dezbateți în grupe următoarele „mituri”. Prezentați concluziile. Notați-le în fișa de portofoliu.

1. Bunicul a fumat toată viața și nu a făcut cancer pulmonar.

2. Țigările electronice și narghileaua nu pot cauza cancer.

3. Fumatul pasiv mi-ar face mai rău, mai bine fumez activ.

4. Doar dependența de droguri poate produce sevraj.

Cancerul de colon

Amintește-ți!

Amintește-ți, din clasa a VI-a, care sunt segmentele și rolurile intestinului gros.

Recitește informațiile despre numărul de decese cauzate de cancerul de colon (fig. 22), anual, pe Glob. Este cauză de deces frecventă pentru ambele sexe? De ce?

Factori de risc /Cauze posibile sunt:

• un regim cu excese de grăsimi saturate;

• obezitatea;

• sedentarismul;

• constipația și diareea;

• vârsta (de obicei, după 50 de ani);

• alte boli (polipii, boli autoimune);

• factori genetici (doar 5-10% din cazuri);

• f umatul.

Prevenirea cancerului de colon se poate realiza pe baza cunoașterii factorilor de risc, în special a celor care pot să fie controlați de fiecare persoană:

• alimentația echilibrată (cu fibre, cu grăsimi nesaturate etc.);

• controlul greutății;

• activitate fizică, în special în aer liber;

• control medical periodic și tratarea corespunzătoare a bolilor acute sau cronice;

• evitarea/reducerea fumatului.

Activitate practică

Prevenirea și efectele fumatului

În grupe de elevi, realizați pliante informative pentru prevenirea fumatului la tineri. Alegeți informațiile relevante și convingătoare, selectați imagini sau realizați propriile desene sau benzi desenate care să mărească impactul informațiilor. Puteți realiza pliante care să se adreseze și adulților cu care interacționați în diferite medii, incluzând și prevederile legale referitoare la fumatul în spații publice. Organizați-vă pentru a distribui aceste pliante, folosind și ocazia Zilei Mondiale Fără Tutun (31 mai). Notați-vă, într-o fișă de portofoliu, concluzii legate de reacțiile celor cărora le-ați dat aceste pliante.

Fig. 22 Stadii în cancerul de colon

Teme de dezbatere

Mituri despre cancerul de colon

Dezbateți în grupe următoarele afirmații pe care le puteți auzi uneori. Prezentați concluziile și notați-le în fișa de portofoliu.

1. Doar cei care mănâncă mult pot face cancer de colon.

2. Ț in post alimentar, periodic, pot mânca oricât în restul timpului.

3. Î n familia mea, toate persoanele mănâncă orice, oricât, fără probleme.

Ce alte mituri despre cancer cunoști?

Aplicații

• Identifică în fig. 23 alimentele în care predomină grăsimile saturate și grăsimile nesaturate.

• Recunoaște tipurile de grăsimi care predomină în alimentația ta și a familiei tale. Sunt necesare schimbări de alimentație pentru menținerea sănătății? Dacă da, cum poți face aceste schimbări?

• C e alte probleme de sănătate pot fi prevenite prin consumarea unor cantități potrivite de grăsimi sănătoase?

Exerciții

1. Bolile pot fi favorizate de mai mulți factori de risc. Fiecare categorie de factori de risc poate favoriza mai multe boli. Pe baza modelului dat, completează tabelul de mai jos cu factori de risc care pot produce bolile menționate în prima coloană.

Boli/Factori de risc

Factori chimici

Factori fizici

Factori biologici interni și externi

Alergii Înțepături de insecte

Astm

Diabet zaharat Exces de glucide

Obezitate

Cancer de piele

Cancer pulmonar

Cancer de colon

Radiații ultraviolete

Ereditate

Factori comportamentali

Sedentarism

2. Bolile studiate, ca și alte boli, pot fi produse de excese sau de deficite de substanțe sau de alți factori.

a. Grupează aceste boli în două categorii, după acest criteriu cantitativ.

b. Cum pot fi prevenite și tratate, în general, bolile cauzate de excese? Dar cele cauzate de deficite?

c. Cum te poți autoeduca pentru evitarea factorilor de risc?

Fig. 23 Grăsimi saturate și nesaturate

OMUL ȘI TEHNOLOGIA

Tehnologia a modificat viața fiecărui individ și chiar a întregii societăți. Vorbim astăzi de creatori, de producători și de consumatori/utilizatori de tehnologie. Mecanizarea, electrificarea și electronica au fost completate în ultimele decenii de nanotehnologie, de o lume virtuală și reală prin internet.

Fiecare componentă biotică și abiotică a naturii, fiecare ramură a biologiei, a medicinei și a multor alte științe au fost influențate în diferite grade de tehnologie.

Teme de dezbatere

• Cum poți utiliza internetul în învățare?

• Dar în activități de relaxare?

• Ce efecte are utilizarea excesivă a internetului asupra gândirii?

• Dar asupra relațiilor interumane?

Dicționar

Inginerie genetică = complex de tehnici de modificare artificială a genomului unui organism.

Terapia genică = tratarea unor boli genetice prin introducerea în organism a unor gene sănătoase, cu ajutorul unui vector (de exemplu, un virus modificat).

Biotehnologia este o știință de graniță, care se definește treptat ca știință de sine stătătoare. Prin biotehnologie, unele organisme (bacterii, drojdii, mucegaiuri) care pot fi modificate genetic, sunt folosite pentru a produce substanțe utile, la scară industrială. Modificarea genetică este realizată prin tehnici de inginerie genetică și poate fi utilizată și pentru specia umană, prin terapia genică.

Evoluția naturală a organismelor presupune avantaje în adaptare, dar și posibile dezavantaje, în anumite condiții. Cu atât mai mult, creată artificial, tehnologia prezintă avantaje și riscuri. Rezultate

Substanțe utilizate în tratarea unor boli: insulina, hormonul de creștere, interferonul (antiviral și antitumoral), antibioticele etc.

Substanțe utilizate în industria alimentară (coloranți, acid lactic, acid citric, vitamine, enzime etc.) sau în agricultură (insecticide).

Unele bacterii și unele virusuri folosite pentru obținerea unor vaccinuri (antitetanos, antirubeolic, antipolio etc.).

1 La locul de joacă, în anul 2000 (A) și în anul 2020 ( B)

Documentează-te suplimentar și scrie o listă de boli endocrine și de hormoni utilizați terapeutic.

Folosind etichete ale produselor alimentare, scrie o listă de aditivi alimentari. Care dintre acești aditivi pot avea efecte adverse?

Scrie o listă de vaccinuri importante pentru om încă de la naștere. Care sunt vaccinurile pentru situații de risc?

Fig.

În tabelul de mai jos, vei găsi o analiză a avantajelor și a riscurilor pentru utilizarea unor produse ale tehnologiei. Riscurile pot fi reduse prin măsuri de prevenire.

Rezultatul tehnologiei

Substanțe utilizate în tratarea unor boli: antibioticele.

Vaccinuri obținute prin biotehnologie (antitetanos, antirubeolic, antipolio etc.).

Avantaje, riscuri, prevenirea riscurilor

Avantaje – Cantități de substanțe utile, suficiente pentru populația umană în creștere numerică și accesibile ca preț; tratarea unor boli infecțioase.

Riscuri – Utilizarea exagerată a antibioticelor, care poate duce la: distrugerea bacteriilor simbionte din intestinul gros; supraviețuirea bacteriilor foarte rezistente (exemplu: un tip de stafilococ auriu); apariția de noi tulpini rezistente la antibiotice (prin transfer de informație între bacterii).

Prevenirea riscurilor – Respectarea indicațiilor medicului (interval și cantitate de administrare a antibioticelor, utilizarea probioticelor și a prebioticelor etc.).

Avantaje – Utilizare la scară largă, în țări cu dezvoltare economică diferită: prevenirea și chiar eradicarea (eliminarea) unor boli infecțioase.

Riscuri – Crearea unor vaccinuri cu foarte multe tulpini de bacterii și de virusuri, cu efecte imunitare greu de controlat pentru specia umană (care are variabilitate mare); tendințe extreme pro și contra vaccinare (unele persoane se vaccinează cu toate vaccinurile apărute, altele refuză vaccinarea proprie și a familiei).

Prevenirea riscurilor – Informare corectă, realizarea vaccinării în condiții de siguranță, evitarea atitudinilor extreme.

Încrucișarea artificială a fost practicată și în absența tehnologiei, pentru obținerea de soiuri de plante și de rase de animale cu importanță economică. În plus, ingineria genetică a permis obținerea unor organisme modificate genetic, fie prin culturi de celule – fig. 2 (hibrizi obținuți in vitro), fie prin tehnica ADN-ului recombinat. Nu se cunosc complet efectele acestor organisme în lanțurile trofice care includ sau nu includ omul.

Fig. 2

Fig. 3 Dolly, prima clonă de mamifer (1996–2003), expusă la un muzeu din Scoția; a avut trei mame (o mamă-sursă de ovul, o mamă-sursă de nucleu de celulă somatică, o mamă surogat care a purtat sarcina)

Clonarea este o tehnică a ingineriei genetice care permite obținerea de copii identice ale unui organism adult (vegetal sau animal – fig 3). Există dezbateri cu privire la efectele pe termen lung asupra sănătății umane, date de utilizarea alimentară a organismelor modificate genetic și a clonelor. Poți afla mai multe despre clonare utilizând manualul digital.

Culturi de celule

Influența tehnologie-viețuitoare nu s-a exercitat într-un singur sens. Folosind modele anatomice sau funcționale ale unor viețuitoare, omul a creat aparate care i-au îmbunătățit viața. Așa a apărut bionica, o altă știință de graniță, cu aplicații în construcții, în crearea echipamentelor de protecție, în medicină, în diferite industrii, în domeniul militar etc. Totuși, multe au dus la crearea unui mediu artificial.

Bionica, electronica (fig. 4), internetul, inteligența artificială și ultimele descoperiri și inovații tehnologice au îmbunătățit calitatea vieții umane. În diferite măsuri, fiecare sistem de organe și fiecare funcție a organismului uman a fost influențat de tehnologie, în scop terapeutic și profilactic. Obținerea țesuturilor și a organelor umane cu ajutorul imprimantelor 3D reprezintă o etapă importantă în salvarea vieții.

Comunicarea online în lumea științifică și în lumea medicală permite informarea în timp real, oriunde pe Glob. Informațiile medicale disponibile pentru public sunt, deseori, folosite incorect, pentru autodiagnosticare și autotratare.

Riscurile apar deci, și în acest domeniu, inclusiv prin utilizare exagerată sau prin comportament iresponsabil, datorită speranței de remediere a efectelor. De exemplu, în timp ce chirurgia plastică are scop principal reparator (apărând în încercarea de recuperare a victimelor Primului Război Mondial și progresând în paralel cu tehnologia), chirurgia estetică a câștigat teren exagerat, devenind chiar o cale de depersonalizare, prin copierea unor modele „de succes”.

Teme de dezbatere

Organismele modificate genetic și clonarea Care sunt avantajele economice ale clonării? Ce aduce clonarea în plus față de încrucișarea artificială clasică? Caută informații despre efectele și despre prevederile legale cu privire la organismele modificate genetic și la organismele-clonă.

Temă de gândire

• C e aplicații are nanotehnologia? Ce forme de tehnologie ar putea urma celor actuale?

• D e ce valorile morale trebuie să însoțească progresul științific?

Teme de proiect

Activitate în grupe de elevi

Folosind surse online și tipărite, organizați-vă în grupe pentru a vă documenta cu privire la realizări din bionică. Puteți realiza scheme sau chiar machete sau puteți prezenta informațiile într-o prezentare PowerPoint. Iată câteva exemple de teme de proiect: stupul de albine-construcțiile hexagonale și aerul condiționat; fluturii ochi de păun și detectorul de radiații infraroșii; vezica înotătoare a peștilor și submarinele; animalele polare, încălzirea cu energie solară și antigelul; capul ciocănitorii și căștile de protecție; castorul și ecluzele; fotosinteza artificială și hidrogenul, combustibil nepoluant; păsările marine și desalinizarea apei sărate; avertizare și camuflaj în mediul terestru și în mediul acvatic; proteza manuală bioelectrică (fig. 5); ochiul mamiferelor și aparatul fotografic; sensibilitățile speciale ale animalelor și anunțarea seismelor și a erupțiilor vulcanice etc.

Fig. 4 Tehnologia în medicină: extirparea apendicelui prin laparoscopie (tehnică de chirurgie minim invazivă)
Fig. 5 Mâna bioelectrică

În continuare, sunt prezentate câteva exemple de utilizare a tehnologiei în sănătatea sistemului circulator: transplant de inimă (însoțit de transplant de plămâni, uneori), inimă artificială, stenturi vasculare (care mențin vasele deschise –fig. 6), grefe vasculare – fig. 7, valve artificiale – fig. 8 etc. Sângele este analizat cu ajutorul diferitelor teste, permițând: diagnosticarea unor boli ereditare sau neereditare, infecțioase sau neinfecțioase; stabilirea grupei de sânge și a tipului de Rh (pentru transfuzii compatibile). O reușită medicală din ultimele decenii este transfuzia sanguină intrauterină.

Aplicații

Amintește-ți rolul vaselor de sânge și rolul inimii.

Ce rol au valvele dintre atrii și ventricule? Dar cele de la baza arterelor?

În ce situații ar fi necesar un transplant de inimă?

Ce boli pot indica parametri ai sângelui ca glicemia mărită, anticorpi în cantitate mare și/sau leucocite numeroase?

În ce situații ar putea fi necesară transfuzia intrauterină? Explică răspunsurile.

Fig. 6 Stentul menține arterele deschise

Ce ar putea bloca circulația sângelui printr-o arteră? Ce efect ar avea această blocare? Caută informații despre materialele din care sunt produse stenturile și despre modul în care ele pot fi introduse în artere.

grefă de venă

Fig. 7 Grefele de vene permit trecerea sângelui venă

Ce cauză și ce efect ar putea avea blocarea unei vene? Caută informații despre situațiile în care este necesară introducerea unei grefe de venă.

8 Valvele artificiale permit sensul unic al sângelui

Ce se întâmplă dacă valvele atrio-ventriculare rămân deschise? Dar dacă nu se mai închid?

Caută informații despre riscurile posibile ale valvelor artificiale.

Fig. 9 Test pentru stabilirea grupei de sânge

Ce componente ale sângelui fac diferența între grupele de sânge din sistemul AB0? Dar în sistemul Rh? Ce importanță medicală are stabilirea grupelor de sânge? Ce consecințe poate avea nerespectarea compatibilității sanguine în transfuzii?

Fig.
valvă artificială

1. Mai jos, găsești câteva exemple de utilizări ale tehnologiei pentru alte sisteme de organe și funcții ale organismului uman. Unele dintre ele au fost studiate anterior. Pentru cele necunoscute, poți utiliza un dicționar. Fiecare exemplu poate deveni o temă de proiect individual sau de grup. aparat de dializă, rinichi artificiali, fecundație in vitro, inseminare artificială, implanturi și proteze dentare, metode contraceptive, recoltarea celulelor s tem, ventilația mecanică, transplant de plămâni, proteze biomecanice, transplant de rinichi, ortodonție, analiza ADN-ului, teste pentru bolile cu transmitere sexuală, aparat auditiv, ochelari sau lentile, analize de urină, teste de sarcină, microcipuri în piele, u tilizarea steroizilor, transplant de ficat, spirometrie, diagnoza prenatală, grefe de piele, clonarea umană terapeutică.

a. Identifică în imaginile (A-F ) exemplele enumerate mai sus.

b. Grupează aceste exemple, după sistemul de organe influențat sau funcția realizată.

c. C are dintre exemple au influență asupra mai multor sisteme?

d. Care influențează întregul organism? Explică.

2. Scrie un eseu, de maximum 10 rânduri, respectând următorul plan:

Ce modificări aduce tehnologia în programul de viață?

Dar dependența de tehnologie (internet, rețele de socializare, selfie)?

C um poți menține un echilibru în programul de viață utilizând tehnologia?

RESURSE ENERGETICE ALE PLANETEI

Prin corpurile viețuitoarelor circulă un flux permanent de materie și energie.

Sursa principală de energie într-un ecosistem este energia solară, aparent inepuizabilă. Ea este stocată în legăturile chimice din substanțele organice sintetizate de producători și consumate apoi de consumatori.

Energia scade de la o verigă la alta a lanțului trofic, deoarece, la nivelul fiecărei verigi:

• o parte din energie se întoarce în mediu sub formă de căldură;

• o altă parte este consumată pentru realizarea funcțiilor organismului;

• o parte rămâne în produșii finali de degradare.

Omul și societatea umană funcționează pe baza consumului de resurse materiale și energetice. Resursele naturale ale Pământului au fost și sunt baza dezvoltării economice a societății. Combustibilii fosili (fig. 1) au furnizat și furnizează în continuare energie. Combustibilii fosili sunt reprezentați de cărbuni, petrol și gaze naturale. Ei s-au format prin transformarea chimică a organismelor în timp îndelungat.

De exemplu, formarea petrolului durează milioane de ani, și de aceea, acesta (la fel ca și cărbunele și gazele naturale) este inclus în categoria resurselor neregenerabile. Consumul de resurse neregenerabile duce, inevitabil, la riscul epuizării lor.

Plantele lemnoase (dacă ne referim la utilizarea energetică, lemn pentru foc) ar reprezenta, teoretic, o sursă de energie regenerabilă; cu toate acestea, viteza cu care sunt defrișate pădurile este cu mult mai mare decât viteza de creștere a arborilor.

Energia regenerabilă este cea care se reînnoiește în mod natural într-un interval scurt de timp. Tehnologiile care folosesc surse de energie regenerabilă produc puține deșeuri și poluanți și nu necesită eforturi suplimentare de depozitare și reciclare a deșeurilor.

Aplicații

Ce surse de energie recunoști? Observă imaginea, identifică-le și denumește-le (fig. 2).

Amintește-ți!

Amintește-ți relațiile trofice dintre organisme. De unde provine energia din substanțele organice? În ce mod este stocată și cum este eliberată pentru a fi utilizată în corpurile viețuitoarelor?

Ce se petrece cu materia și cu energia de-a lungul unui lanț trofic?

Explică de ce plantarea de copaci, chiar dacă aceștia nu sunt utilizați pentru foc, crește cantitatea de energie disponibilă în ecosisteme. Ce activități de plantare de copaci există în comunitatea ta?

Fig. 2 Surse regenerabile de energie
Fig. 1 Cărbune, combustibil natural fosil
Aplicații

Tipuri de energie din resurse regenerabile

1. Energia hidraulică folosește căderea naturală a apelor curgătoare. Hidrocentralele asigură circa 19% din energia electrică la nivel mondial. Energia mecanică a apei se exploatează cu ajutorul unui baraj care se construiește pe cursul unui râu. Rotirea turbinelor hidrocentralei transmite energia unui generator de curent electric. Numește o hidrocentrală din țara noastră.

2. Energia eoliană folosește puterea vântului, pe care o convertește în energie electrică. Inițial, morile de vânt transformau energia vântului în energie mecanică, pe care o foloseau la măcinatul cerealelor sau la pomparea apei.

3. Energia solară se colectează cu ajutorul unor panouri care transformă radiația solară în energie electrică. Prezintă dezavantajul că este difuză și doar temporar accesibilă (nu și când e cerul înnorat).

4. Biomasa reprezintă în general producția de substanțe organice de către organisme. În sensul utilizării ca resursă energetică, se referă la deșeurile vegetale și reziduurile menajere care sunt folosite drept combustibil în centralele termoelectrice.

Aplicații/Proiecte

Realizează un inventar al surselor de energie din locuința ta. Ai în vedere iluminatul, încălzirea, comunicarea.

– Notează consumul de energie electrică lunară și găsește modalități de reducere a consumului, cu păstrarea calității vieții.

– A lcătuiește un chestionar, folosind întrebări care să verifice consumul de energie și sursele acesteia. Aplică chestionarul colegilor tăi. Compară răspunsurile lor cu ale tale și, împreună, identificați modalitățile cele mai eficiente de consum. Cum puteți aplica și generaliza concluziile?

– Realizați, pe grupe, câte un afiș/poster pe care să îl afișați în școală.

5. Energia geotermală folosește căldura internă a Pământului – roci fierbinți, aburi, apă geotermală – care este convertită în energie electrică. Este o resursă valoroasă în zonele vulcanice.

Aplicații

Identifică modalitățile prin care poți utiliza biomasa din propria gospodărie.

Află mai mult!

Parlamentul European a aprobat proiecte ce necesită ca cel puțin 35% din consumul energetic al Europei să fie din surse energetice regenerabile până în anul 2030; prin urmare, situația sectorului energetic se va îmbunătăți considerabil.

România și-a propus ca, în 2020, sursele regenerabile să furnizeze 30,7% din energia utilizată. Se consideră că rezervele de petrol (fig. 3) ar putea fi epuizate până în 2041 sau, economisind, în 2054.

Principala problemă va fi reprezentată de găsirea de alternative de combustibil pentru autovehicule. Studiul energiilor regenerabile are în vedere și acest aspect.

Care sunt mijloacele de transport care economisesc energia?

Fig. 3 Rafinărie de petrol

IMPORTANȚA PĂSTRĂRII BIODIVERSITĂȚII.

DEZVOLTAREA DURABILĂ

Ce este biodiversitatea și cum o estimăm?

Diversitatea biologică sau biodiversitatea reprezintă totalitatea formelor de viață de pe planeta noastră. Termenul de biodiversitate nu se referă doar la variabilitatea dintre specii, ci și la variațiile care apar în interiorul unei specii (subspecii, rase, variații adaptative).

Câte specii credeți că există pe Pământ? În care dintre regnuri credeți că există mai multe specii?

Cele mai numeroase specii cunoscute fac parte din Regnul Animalia. Cele mai numeroase specii estimate fac parte din Regnul Monera. Explicați de ce.

Există un mare număr de specii de organisme, însă doar o parte sunt cunoscute. Numărul lor nu este stabil, deoarece:

• Permanent dispar specii (fig. 1) ca urmare directă sau indirectă a selecției naturale și a activităților umane. Unii cercetători estimează că, dacă ritmul actual de dispariție a speciilor se menține, mai mult de jumătate din speciile de plante și animale vor dispărea.

• Apar specii noi ca urmare a factorilor evoluției.

• Se descoperă specii noi de către om.

În ceea ce privește descoperirea de specii noi, majoritatea speciilor cunoscute sunt terestre. Cu toate acestea, există zone încă insuficient explorate, cum ar fi pădurile tropicale și ecuatoriale. Mările și oceanele prezintă numeroase specii încă necunoscute, mai ales în zonele abisale.

De asemenea, diversitatea microorganismelor este încă insuficient studiată, deoarece stabilirea diferențelor dintre speciile de microorganisme necesită investigații complexe din punct de vedere tehnic, iar, pe de altă parte, microorganismele evoluează mult mai rapid decât organismele pluricelulare.

Atunci când vorbim despre numărul de specii, ne referim la speciile cunoscute. În prezent, au fost identificate 1,5–1,8 milioane de specii, dar se estimează că ar putea exista circa 6 milioane de specii. Unii cercetători afirmă că ar putea exista între 30 sau chiar 100 de milioane de specii.

Fig. 1 Schelet de dinozaur

Aplicații

Dați exemple de specii dispărute și de cauze ale dispariției lor.

Dispariția speciilor

Selecția naturală și selecția artificială acționează în mod constant asupra speciilor. Permanent un număr mai mic sau mai mare de specii se află pe cale de dispariție, deoarece materialul genetic are o capacitate limitată de a se modifica, iar mediul se poate modifica peste capacitatea speciilor de a se adapta.

Uneori, în urma unor catastrofe naturale (cele mai recente au fost incendiile din 2019–2020 din Australia, Amazon și alte zone ale lumii), dispariția unui număr mare de indivizi din anumite specii poate pune specia în pericol de dispariție.

Fig. 2

Rețea trofică

Dacă dintr-o specie rămâne un număr mic de indivizi, urmașii lor vor rezulta din împerecherea între indivizi înrudiți; acest fapt scade variabilitatea, deci și capacitatea de adaptare a populației oricum reduse.

Dispariția unei specii dintr-un ecosistem poate duce și la dispariția altora, deoarece într-o rețea trofică o specie este legată de multe alte specii (fig. 2).

Cum măsurăm diversitatea?

Pentru a măsura diversitatea, pornim de la următoarele principii:

• Toate speciile sunt egale. Atunci când analizăm o specie, nu e important dacă e o specie abundentă sau o specie rară (abundența reprezintă numărul de specii de pe o suprafață de teren/dintr-un volum de apă pentru speciile acvatice).

• Toți indivizii sunt egali.

• C omparăm abundența speciilor folosind aceeași unitate de măsură (număr de indivizi pentru indivizii mari, cantități pentru indivizii mici, de exemplu: pentru speciile care formează planctonul).

Aplicații

Analizează rețeaua trofică din imaginea de mai sus. Pe baza cunoștințelor din clasa a V-a, identifică animalele și încadrează-le în categoriile trofice – producători, consumatori.

Identifică greșelile din imagine, unul dintre animale nu e poziționat corect!

Alege unul dintre animalele cunoscute și discută cu colegii cauzele posibile ale dispariției acelei specii.

Teme de dezbatere

Apreciați biodiversitatea pentru un teritoriu limitat al unui ecosistem natural. Pentru asta, alegeți o zonă dintr-o pădure, pajiște etc. Delimitați o suprafață de 1 m2 și observați cu atenție zona respectivă:

• C âte specii diferite ați găsit? Din ce regn fac parte?

• Câți indivizi din fiecare specie puteți număra? Care sunt dificultățile în aprecierea numărului de indivizi?

Credeți că observațiile voastre sunt reprezentative pentru ecosistemul studiat? Argumentați.

Cauzele scăderii biodiversității

Având în vedere numărul de specii cunoscute și estimate, dispariția unei specii ar putea să pară nesemnificativă. Cu toate acestea, fiecare specie este unică, iar dispariția ei nu va putea fi compensată de nicio altă specie, indiferent cât de asemănătoare este.

Biodiversitatea scade constant ca urmare a acțiunilor umane:

Fragmentarea și distrugerea habitatelor. Omul, în expansiunea sa, a modificat ecosistemele naturale prin realizarea de culturi agricole, pășunat excesiv, defrișare, minerit, poluare, extinderea așezărilor urbane. Dacă teritoriile sunt distruse sau modificate, iar speciile locale nu pot migra, ele dispar.

Supraexploatarea resurselor naturale. Omul folosește alte viețuitoare pentru hrană și activitățile sale. Supraexploatarea înseamnă exploatarea acestor specii (vânătoare, pescuit, comerț) cu mult peste capacitatea lor de a se reface. Supraexploatarea afectează atât specii comune (de exemplu, peștii oceanici), cât și specii rare, cu număr mic de indivizi.

Omul poate introduce accidental sau intenționat noi specii printre cele deja existente într-un ecosistem. De obicei, aceste specii nu întâlnesc imediat alte specii care să joace față de ele rolul de prădători sau paraziți. Ele intră în concurență cu speciile existente pentru hrană și teritoriu sau pot fi dăunătoare. Speciile nou introduse se numesc specii invazive.

În țara noastră, un exemplu de specie invazivă este ambrozia ( Ambrosia artemisiifolia), o buruiană observată prima dată în 1910, care s-a răspândit și s-a înmulțit masiv, răspândirea ei fiind accelerată de încălzirea globală. Polenul ei provoacă alergii (fig. 3) în perioada de înflorire, iar cantitatea de polen crește în perioadele de secetă și temperaturi crescute; persoanele alergice au probleme toată vara, cum ar fi: strănuturile, secrețiile nazale, conjunctivita alergică. De asemenea, la persoanele care smulg ambrozia pot să apară iritații ale pielii.

Modificările climatice globale Încălzirea globală reprezintă creșterea constantă

și accelerată a temperaturii medii a atmosferei în apropierea solului, precum și a temperaturii apei mărilor și oceanelor. Cauza principală este activitatea umană, în special cea industrială. Se acumulează gazele cu efect de seră în atmosferă și astfel se împiedică disiparea căldurii în spațiu. Efec tele sunt: topirea ghețarilor, ridicarea nivelului mărilor, fenomene climatice extreme, dispariția a numeroase specii și modificări în starea de sănătate a oamenilor.

Caută și notează informații referitoare la modificările climatice din ultimii ani.

Aspectele legate de poluare au fost detaliate într-o lecție anterioară.

Aplicații

Introducerea de noi specii în ecosistem Folosind imaginea referitoare la rețeaua trofică de la pagina anterioară, discută cu colegii efectele introducerii unei specii noi printre cele din schemă. Ce specie ai ales? Cu ce se hrănește? Ce altă specie o poate folosi drept hrană?

Fig. 3 Ambrozie și copil alergic la ambrozie

Fișă pentru portofoliu

Conservarea biodiversității

Având în vedere scăderea biodiversității, se impun măsuri de conservare și protejare. De asemenea, ținând cont de nivelul actual al degradării ecosistemelor, e nevoie și de reconstrucție ecologică, pentru a reface ecosistemele degradate.

Pentru încetinirea reducerii biodiversității, se urmărește identificarea zonelor care trebuie protejate. Acestea ar fi cele care au o concentrație mare de specii și un număr mare de specii pe cale de dispariție (fig. 4). Chiar dacă s-ar reuși identificarea și protejarea a cât mai multor astfel de zone, acestea vor fi puține față de marele număr de habitate deteriorate de activitatea umană.

Numeroase zone distruse de activitatea umană sunt ulterior abandonate. O parte dintre distrugeri sunt reversibile, iar ecosistemele naturale se pot reface în acele zone, doar că au nevoie de un interval lung de timp. Se caută metode de reducere a timpului necesar pentru refacere. Unele dintre aceste metode ar putea fi:

• Folosirea de microorganisme și plante care să elimine substanțele poluante din mediu; în viitor se speră în obținerea de microorganisme modificate genetic pentru degradarea substanțelor poluante.

• Folosirea de plante capabile să crească pe soluri sărace, plante care vor îmbogăți apoi solul cu substanțe nutritive.

Dezvoltarea durabilă

Ideea de dezvoltare durabilă se referă la prosperitatea pe termen lung a societății umane și a ecosistemelor pe care aceasta se bazează. Este – conform definiției dată de Comisia Mondială pentru Mediu și Dezvoltare – „dezvoltarea care urmărește satisfacerea nevoilor prezentului fără a compromite posibilitatea gene ra țiilor viitoare de a-și satisface propriile nevoi”. Dezvol t area durabilă nu este doar o știință, aceasta trebuie să fie și o politică globală de dezvoltare a societății.

Pe de altă parte, fiecare om poate contribui la dezvoltarea durabilă.

4 Speciile protejate au nevoie de zone protejate în care să trăiască

Temă de proiect

Caută informații despre cele 17 obiective de dezvoltare durabilă (fig. 5). Alege unul dintre aceste obiective, caută informații și strategii referitoare la îndeplinirea lui și prezintă măsurile necesare în acest sens. Cum poți acționa tu, de la nivelul tău, pentru a contribui la dezvoltarea durabilă?

5 Obiective ONU pentru dezvoltare durabilă

Fig.
Fig.

Amprenta ecologică

Dezvoltarea durabilă este corelată cu reducerea amprentei ecologice.

Amprenta ecologică măsoară cerințele omenirii de la natură și anume, cantitatea resurselor naturale necesare pentru a susține economia și activitatea oamenilor (fig. 6). Aceasta urmărește și înregistrează cerințele prin intermediul unui sistem de contabilitate ecologică care măsoară consumul de resurse, în special resurse biologice.

Amprenta ecologică reprezintă presiunea pe care omenirea o pune asupra resurselor neregenerabile ale Pământului. Pământul se află în depășire ecologică (situația în care oamenii folosesc mai multe resurse și generează deșeuri într-un ritm în care ecosistemul nu le poate regenera) încă din anii 1970.

Aplicații

În ce măsură imaginea alăturată surprinde relația om–mediu?

Află mai mult!

Amprenta ecologică pentru un individ are valoarea de 1,8 hag (hectare globale). Cum se calculează asta?

O formulă de calcul a amprentei ecologice împarte suprafața Pământului (inclusiv zonele acvatice sau înghețate) la numărul de locuitori. Acea suprafață ar trebui să fie suficientă unui individ pentru a-și obține resursele necesare și pentru a-și biodegrada deșeurile.

În 2007, s-a calculat că, pornind de la consumul de resurse și de la producerea de deșeuri, avem nevoie de o planetă și jumătate pentru a susține ritmul de dezvoltare.

În 2018, data de 1 august a fost desemnată Ziua

Datoriei Eco, ziua în care oamenii au utilizat mai multe resurse naturale decât poate planeta regenera într-un an.

Care credeți că sunt variantele cele mai probabile de viitor?

Aplicații

Există chestionare care oferă o imagine asupra amprentei ecologice personale/familiale/organizaționale. Acestea iau în calcul:

• Numărul persoanelor dintr-o gospodărie și tipul de clădire locuită

• Sursele de energie

• Sursele de apă (pentru o gospodărie, numărul de robinete)

• Tipul de hrană consumat (consumul de carne generează o amprentă ecologică mai mare)

• C antitatea de hrană preparată și consumată zilnic

• T ipul de articole electrocasnice utilizate

• M ijloacele de transport folosite și frecvența utilizării lor

• Cantitatea de deșeuri produse, tipul lor

• Modul de sortare și reciclare a deșeurilor

Completează un astfel de chestionar și identifică modalitățile potrivite de a reduce amprenta ecologică.

Fig. 6 Amprenta ecologică – reprezentare simbolică

Fișă pentru portofoliu

Pornind de la principiile dezvoltării durabile și de la întrebările referitoare la amprenta ecologică, alege unul sau mai multe dintre proiectele prin care îți poți aduce contribuția la dezvoltarea durabilă a locului în care trăiești.

Activități practice individuale

1. Stabilește-ți un plan zilnic și unul lunar de reducere a cantității de deșeuri/de reciclare a acestora. De exemplu, poartă cu tine o sacoșă pentru cumpărături și refuză pungile de plastic. Notează-ți acțiunile realizate și îndeplinirea lor conform planului.

2. Realizează postere referitoare la consecințele comportamentelor nesănătoase asupra sănătății omului și mediului. Ce comportament ai ales? De ce? Afișează posterul în clasă/laborator.

3. Caută exemple de localități/comunități/instituții care acționează conform principiilor dezvoltări durabile. Fă o scurtă prezentare identificând ce poate servi drept model și altora.

Activități practice de grup

1. Pornind de la planurile individuale de reducere a cantității de deșeuri produse, stabiliți acțiunile eficiente de realizat împreună cu clasa:

• Colectați deșeuri regenerabile și duceți-le la centrele de colectare.

• Planificați și realizați activități de reciclare creativă.

• Discutați cu reprezentanți ai comunității despre modul de reducere a poluării prin deșeuri și prezentați-le proiectele voastre, pentru a sprijini comunitatea.

2. Într-o excursie prin pădure, realizați harta aproximativă a acesteia, marcând potecile și zonele cele mai apropiate de așezările umane.

Discutați:

• Este sau nu un caz de fragmentare a habitatului?

• Cum ați putea să vă dați seama de asta?

Identificați, cu ajutorul profesorului și a determinatoarelor de plante și animale, speciile din diferite zone. Ce observați?

Căutați hărți mai vechi ale zonei și discutați cu localnicii: Există diferențe între mărimea actuală și cea din trecut a pădurii?

3. Organizați împreună cu clasa activități de întreținere și înfrumusețare a spațiului verde al școlii și/ sau de plantare de arbori. Vă puteți alătura unor acțiuni locale de amploare mai mare sau puteți organiza aceste activități la nivel de clasă/școală.

Arborii pe care îi plantați vor rămâne ca amprente pozitive, de lungă durată, ale trecerii voastre pe această Planetă.

RECAPITULARE

1. Ai învățat, în această unitate, câteva aspecte despre sănătatea omului și a mediului; de exemplu: calitatea aerului, calitatea apei, calitatea solului, poluarea, boli nutriționale, cancer, tehnologie, resurse energetice, biodiversitate, dezvoltare durabilă etc.

Formulează câte un enunț afirmativ pentru fiecare dintre noțiunile menționate.

Formulează enunțuri afirmative despre relația dintre aceste noțiuni și sănătatea omului și/sau sănătatea mediului.

Identifică câte o modalitate de optimizare a sănătății omului și a sănătății mediului, pornind de la enunțurile pe care le-ai formulat anterior.

Dintre acestea, alege cel puțin câte una (pentru sănătatea omului și pentru sănătatea mediului) pe care să le pui în practică începând de acum.

2. Pe baza informațiilor învățate și a experienței personale, realizează și completează pe caiet tabelul de mai jos, cu unele cauze posibile/factori de risc și modalități de prevenire pentru bolile studiate.

Boli

Alergii

Astm

Diabet zaharat

Obezitate

Anorexie/Bulimie

Avitaminoze, carențe minerale

Cancer de piele

Cancer pulmonar

Cancer de colon

Cauze posibile/Factori de risc

Prevenire

3. Următoarele acțiuni umane au ca efect reducerea biodiversității. Explică aceste situații, completând tabelul pe caiet.

Acțiuni

Fragmentarea habitatelor

Supraexploatarea

Introducerea de noi specii

Motivație umană Efecte asupra mediului

EVALUARE

Subiectul I (10 p = 2 × 5 p)

Scrie litera corespunzătoare răspunsului corect (o singură variantă):

1. Cele mai numeroase specii cunoscute fac parte din Regnul: a. Animalia; b. Insecta; c. Monera.

2. Sunt dezechilibre nutriționale cauzate de excese alimentare: a. avitaminozele; b. subnutriția; c. obezitatea.

Subiectul II (30 p)

1. Completează frazele de mai jos folosind cuvintele potrivite: (10 p)

Acțiunile umane care au ca efect scăderea biodiversității sunt: fragmentarea și distrugerea  ...  ,  ...  resurselor naturale și introducerea de noi  ...  în ecosistem. Comportamentul uman nesănătos poate duce la apariția unor boli grave, cum sunt  ...  (boală metabolică) sau  ...  (boală care se poate răspândi în multe organe).

2. Asociază noțiunile din coloane (de exemplu, 1–A); fiecărei noțiuni din prima coloană îi corespunde o noțiune sau mai multe din a doua coloană: (20 p = 2 × 10 p)

Tipuri de surse de energie

1. Surse regenerabile de energie

2. Surse neregenerabile de energie

Boli umane

1. Alergii

2. Astm

3. Diabet zaharat

4. Obezitate

5. Cancer pulmonar

Subiectul III (20 p)

Exemple de surse de energie

A. Petrol

B. Gaze naturale

C. Energie eoliană

D. Energie geotermală

E. Cărbuni

Factori de risc/Cauze

A. Substanțe din alimente

B. Fum de țigară

C. Ereditate

D. Sedendarism

E. Boli infecțioase frecvente

Multe dintre bolile studiate sunt cauzate de dezechilibre alimentare.

a. Scrie minimum patru exemple de boli nutriționale sau de alt tip, cu cauze alimentare. (10 p)

b. Scrie minimum două caracteristici calitative ale unei alimentații echilibrate. (5 p)

c. Scrie minimum două caracteristici cantitative ale unei alimentații sănătoase. (5 p)

Subiectul IV (30 p)

Realizează un text, de maximum 10 rânduri, referitor la modul în care se corelează sănătatea aerului, a apei și a solului cu sănătatea omului.

Se acordă 10 puncte din oficiu. Total = 100 de puncte

Timp de lucru recomandat: 50 de minute

Subiectul I 10p

Subiectul II 30p

Subiectul III 20p

Subiectul IV 30p Din oficiu 10p TOTAL 100p

PUNCTAJ

RECAPITULARE GENERALĂ

1. Schema alăturată reprezintă interacțiunile dintre ereditate, evoluția viețuitoarelor și evoluția mediului.

Formulează minimum trei enunțuri pentru fiecare dintre aceste interacțiuni, folosind noțiuni ca: factorii evoluției, biodiversitate, dezvoltare durabilă, antropizare etc.

Exemplu: 1 (interacțiunea ereditate – evoluția viețuitoarelor): Mutațiile utile și mutațiile neutre pot permite apariția unor noi specii, mărind capacitatea de adaptare a unui organism la anumite condiții de mediu.

2. Organizează într-un tabel noțiunile studiate în lecțiile despre sănătatea mediului, corelând componentele mediului cu factorii care le afectează și cu măsurile de prevenire și de combatere a deteriorării mediului. Poți utiliza modelul de tabel de mai jos.

și combatere a acțiunii acestor factori

3. Organizează într-un tabel noțiunile studiate în lecțiile despre sănătatea omului. Pentru fiecare categorie de afecțiuni, precizează factori de risc și măsuri de prevenire și de tratare. Poți utiliza modelul de tabel de mai jos.

Componente ale mediului
Factori de risc pentru sănătatea mediului
Prevenire
Factori de risc

Subiectul I (10 p = 2 × 5 p)

EVALUARE FINALĂ

Scrie litera corespunzătoare răspunsului corect (o singură variantă):

1. Cauzele scăderii biodiversității sunt: a. domesticirea; b. supraexploatarea; c. reciclarea.

2. Sunt dezechilibre nutriționale cauzate de excese alimentare: a. avitaminozele; b. anorexia; c. obezitatea.

Subiectul II (30 p)

1. Completează frazele de mai jos folosind cuvintele potrivite: (10 p)

Darwin, prin observațiile făcute în călătoria sa, a ajuns la concluzia că  ...  este explicația potrivită pentru unitatea și  ...  vieții, iar  ...  naturală este cauza adaptării evolutive.

2. Asociază noțiunile din coloane (de exemplu, 1–A); fiecărei noțiuni din prima coloană îi corespunde o noțiune sau mai multe din a doua coloană (20 p = 2 × 10 p):

1. Dovezi directe ale evoluției

2. Dovezi indirecte ale evoluției

1. Alergolog

2. Pneumolog

3. Nutriționist

4. Oncolog

Subiectul III (30 p)

A. Compararea fosilelor cu scheletul speciilor actuale

B. Compararea embrionilor la vertebrate

C. Găsirea de specii înrudite pe aceeași arie geografică

D. Organite comune la celulele eucariote

E. Observarea creșterii rezistenței bacteriilor la antibiotice

A. Cancer cutanat

B. Alergii

C. Astm

D. Obezitate

E. Avitaminoze

Genetica este știința care studiază ereditatea și variabilitatea organismelor.

a. Care este legătura dintre ereditate și variabilitate? (5 p)

b. Precizează categoriile de mutații, după modul lor de transmitere ereditară și după efectul lor asupra capacității organismelor de adaptare la mediul de viață. (10 p)

c. Ce alte criterii poți utiliza în clasificarea mutațiilor? (5 p)

d. De ce unele boli genetice se manifestă cu frecvență egală la cele două sexe? Dar cu frecvență diferită? (10 p)

Subiectul IV (20 p)

Realizează un eseu, de 10–15 rânduri, cu tema „Sănătatea omului și sănătatea mediului”; trebuie să ai în vedere următorul plan: factori de risc, efecte ale factorilor de risc, prevenire și combatere a efectelor negative.

Se acordă 10 puncte din oficiu. Total = 100 de puncte. Timp de lucru recomandat: 50 de minute

Subiectul I 10p

Subiectul II 30p

Subiectul III 30p

Subiectul IV 20p

Din oficiu 10p

TOTAL 100p

PUNCTAJ

RECAPITULARE CLASELE V-VIII

În schema de mai jos sunt prezentate influențe ale factorilor abiotici asupra organismelor.

1. Formulează câte două afirmații despre fiecare dintre cei cinci factori, folosind noțiunile din schema de mai jos, dar și altele studiate. Înlocuiește semnele de întrebare cu noțiunile potrivite.

fotosinteză

procese biologice influențate

sensibilitate

fotosensibilitate apă în organisme mediu acvatic

substanțe minerale construcții producerea/pierderea de temperatură

obiecte aparatură substanțe de sinteză ? ? ?

2. Amintește-ți sau descoperă detalii despre relația organismelor cu mediul:

1

2

3

4

5

mediu de transport

dioxid de carbon oxigen

Cum reacționează animalele la temperaturi scăzute și la temperaturi ridicate? Dar plantele?

Care sunt temperaturile optime pentru fotosinteză și pentru respirație la plante?

Care este temperatura normală a corpului uman? Cum este menținută această temperatură?

Ce substanță este specifică organismelor care folosesc lumina pentru hrănire?

Ce substanțe ale animalelor și ale oamenilor reacționează la lumină? În ce organe se află aceste substanțe?

Ce relație există între lumină–melanină–melanom?

Cum circulă cele două seve prin corpul plantelor? Cum circulă apa în corpul celorlalte viețuitoare?

Ce procese din corpul plantelor consumă apă?

Prin ce proces seva brută devine sevă elaborată? Ce procese din corpul viețuitoarelor produc apă?

Prin ce procese este produs oxigenul? Dar dioxidul de carbon?

Ce substanță e necesară pentru producerea oxigenului? Unde are loc producerea CO2?

Ce tip de respirație nu consumă oxigen? Ce procese sunt influențate de deficitul de minerale pentru plante? Dar pentru om?

Cum pot fi proiectate construcțiile pentru condiții optime de viață?

Cum pot fi obținute substanțe de sinteză? În ce domenii pot fi folosite aceste substanțe?

Ce aparate pot modifica șansele omului de a supraviețui? Ce riscuri prezintă modificarea artificială a mediului de viață pentru diferite viețuitoare (inclusiv pentru om)?

Tot ceea ce ai studiat până acum la biologie, ca și tot ce vei studia în continuare, se poate rezuma în cinci idei fundamentale (principii biologice):

1. Organismul – un tot unitar. Organismul funcționează ca un întreg, reunind și integrând funcțiile componentelor sale.

2. Relația organism–mediu. Fiecare organism prezintă adaptări (de structură și de funcție) la mediul său de viață.

3. Relația structură–funcție. Fiecare structură este adaptată funcției/funcțiilor îndeplinite.

4. Evoluția. Organismele actuale au evoluat din forme mai simple, prin selecția variațiilor mai bine adaptate la mediu.

5. Unitatea și diversitatea lumii vii. Toate organismele sunt formate din celule, au aceleași funcții fundamentale, iar materialul genetic este reprezentat de acizii nucleici care codifică informația în același mod; pe de altă parte, nu există două organisme identice, iar lumea vie are o variabilitate foarte mare.

Fiecare lecție a inclus elemente referitoare la una sau mai multe dintre aceste cinci idei biologice fundamentale. Astfel, puteți organiza dezbateri pornind de la temele propuse în tabelul de mai jos, sau de la altele asemănătoare.

1. Organismul – un tot unitar

Exemple: alcătuirea corpului uman, alcătuirea corpului plantelor

Fig. 1 Sisteme care intră în alcătuirea corpului uman

Teme de eseu: sisteme cu rol de coordonare și integrare.

Fig. 2 Alcătuirea corpului unei plante cu flori

Teme de gândire/dezbatere: Este posibil ca o specie să supraviețuiască în orice mediu de viață?

2. Relația organism – mediu

Exemple: locomoția la diferite grupe de animale; factorii evoluției omului.

Teme de eseu: adaptări la mediul acvatic.

Teme de gândire/dezbatere: ce caracteristici trebuie să aibă o specie pentru a supraviețui în orice mediu de viață?

Fig. 3 Forma corpului unui delfin, asemănătoare cu cea a unui pește

3. Relația structură – funcție

Fig. 4 Inima și rolul ei de pompă, ilustrat prin săgeți

Fig. 5 Rădăcina și absorbția apei Fig. 6 Alcătuirea stomatelor

Exemple: funcția  ...  la  ...  și sistemele de organe care o îndeplinesc (orice funcție, la orice grup de viețuitoare); consecințele mutațiilor.

Teme de eseu: rolul inimii în circulația sanguină și în integrarea funcțiilor de nutriție la vertebrate/om; rolul rădăcinii în asigurarea circulației apei prin corpul plantelor, rolul stomatelor în realizarea funcțiilor frunzei.

Teme de gândire/dezbatere: în procesul evoluției se modifică mai întâi structura sau funcția; ce se petrece în cazul în care structura nu mai este bine adaptată funcției?

4. Evoluția

Fig. 7 Dezvoltarea capacității craniene la hominide.

Fig. 8 Evoluția creierului la vertebrate

Exemple: factorii evoluției omului, dezvoltarea diferitelor sisteme de organe la vertebrate.

Teme de eseu: selecția în condițiile încălzirii globale.

Teme de gândire/dezbatere: care ar putea fi direcțiile de evoluție ale speciei umane?

5. Unitatea și diversitatea lumii vii

Exemple: ereditatea și variabilitatea lumii vii, biodiversitatea.

Teme de eseu: criterii de clasificare a organismelor.

Teme de gândire/dezbatere: care sunt consecințele dispariției unei specii? (exemple la alegere).

9 Diversitatea lumii vii

Fig.

CALENDAR PENTRU SĂNĂTATEA OMULUI ȘI A MEDIULUI

Fiecare zi a anului poate fi marcată printr-o sărbătoare. Au fost adunate aici o parte din zilele pe care le puteți marca în mod conștient prin studiul lecțiilor din unitatea de învățare 3: sănătatea omului și a mediului.

Vă puteți stabili propriul calendar găsind și alte zile de sărbătoare și stabilind la nivelul clasei și alte moduri de a sărbători. Invitați colegii și profesorii din școală la sărbătorile clasei voastre.

LUNA DATA / SĂRBĂTOAREA

IANUARIE

FEBRUARIE

10 Ziua Mondială a economisirii energiei

4 Ziua Mondială de luptă împotriva cancerului

27 Ziua internațională a ursului polar

MOD DE SĂRBĂTORIRE

Cum asigurăm eficiența energetică? Cât folosim, cum folosim, cât economisim?

Proiecte despre prevenirea diferitelor tipuri de cancere-comportamente ale tinerilor care pot preveni apariția cancerului.

Dezbatere: viitorul ursului polar în contextul încălzirii globale. Ursul polar și ursul brun – asemănări și deosebiri. Fram – poveste și realitate.

4 Ziua mondială de prevenire a obezității

21 Ziua Pădurii

MARTIE

21 Ziua internațională a sindromului Down

22 Ziua Apei

Proiecte: evoluția cazurilor de obezitate în populația României și la nivelul Globului în ultimii 50 de ani; cauze, prevenire și asistență de specialitate pentru obezitate; mesajele pozitive pe care le putem transmite persoanelor cu obezitate sau dacă suntem obezi. Excursie în pădure. Analiza ecosistemului de pădure.

Dezbatere: actualizarea noțiunilor învățate în lecțiile de genetică; ce depinde și ce nu depinde de noi în prevenirea sindromului Down; cum ne comportăm pozitiv și nediscriminator cu copiii și tinerii cu sindromul Down.

Sănătatea apei – aspecte legate de economisire, poluare, reciclare, purificare; importanța apei.

APRILIE

1 Ziua Păsărilor

7 Ziua Mondială a sănătății

22 Ziua Pământului

Construirea unor cuiburi și hrănitori pentru păsări. Recunoașterea păsărilor după sunetele pe care le produc, după penaj, după cuiburi.

Proiecte: sănătatea – un complex de factori anatomici, funcționali și comportamentali; sănătatea fizică, sănătatea psihoemoțională, sănătatea vieții intelectuale, sănătatea socială.

Expoziție – concurs pe tema zilei pământului

8 Ziua Internațională a Crucii Roșii

MAI

IUNIE

22 Ziua Internațională a Diversității

Biologice

31 Ziua Mondială fără tutun

5 Ziua Mondială a Mediului

8 Ziua oceanelor

14 Ziua Mondială a Donatorului de Sânge

29 Ziua Dunării

Proiecte: implicarea Crucii Roșii în rezolvarea unor probleme majore pe Glob; Crucea Roșie în Romănia – istoric, prezent, viitor.

Excursie didactică într-un ecosistem natural cu tema: evaluarea biodiversității ecosistemului.

Dezbatere: Fumatul activ și fumatul pasiv-consecințe, prevenire; responsabilizare și autoresponsabilizare.

Excursii tematice

Expoziții de postere, prezentări de proiecte

Proiecte: importanța donării de sânge pentru salvarea vieților umane; actualizarea noțiunilor despre grupele de sânge și tipul de Rh; condițiile necesare pentru a deveni donator de sânge.

IULIE

AUGUST

SEPTEMBRIE

11

Ziua Mondială

a Populației

5/9 Ziua Internațională

a Grădinilor Zoologice și Parcurilor

16 Ziua Internațională

a Stratului de Ozon

22 Ziua Mondială

a Plantării Arborilor

25 Ziua Internațională

a Mediului Marin

26 Ziua Mondială a Munților Carpați

Proiecte: variațiile populației umane în ultimele două secole – cauze și evoluții posibile; corelații cu progresele medicinii și ale tehnologiei, cu utilizarea resurselor de apă și de hrană

Vizite didactice în grădini zoologice/parcuri

Dezbatere pe tema deteriorării/protejării stratului de ozon

Organizarea plantării de arbori în curtea școlii sau pe un teren special amenajat

Dezbareti/prezentări/vizionări de filme pe tema biodiveristății mediului marin

Excursie la munte/studiul ecosistemelor montane

3 Ziua Mondială

a Mersului pe Jos

4 Ziua Mondială

a Animalelor

OCTOMBRIE

16 Ziua Mondială

a Alimentației

31 Ziua Internațională a Mării Negre

Proiecte despre beneficiile mersului pe jos și despre riscurile vieții sedentare

Dezbateri pe teme legate de lumea animală/proiecte/vizite la adăposturi de animale.

Dezbateri pe tema resurselor de hrană pe Glob

Proiecte despre diferite tipuri de dietă (sportivi, adolescenți etc)

Prezentări de proiecte pe teme legate de Marea Neagră

NOIEMBRIE

DECEMBRIE

8 Ziua Internațională

a Zonelor Urbane

14 Ziua Mondială

a Diabetului Zaharat

Proiecte-Resursele de hrană și de energie în zonele urbane și în zonele rurale; avantaje și dezavantaje ale vieții în zonele urbane.

Proiect: tipuri de diabet zaharat, cauze, prevenire, tratament, stil de viață adaptat.

Dezbatere: ce depinde și ce nu depinde de noi în apariția diabetului zaharat;

5 Ziua Mondială

a Voluntariatului

14 Ziua Internațională de protest împotriva reactoarelor nucleare

Proiecte: Importanța voluntariatului în rezolvarea sau prevenirea problemelor majore actuale pe Glob

Activități practice: voluntariat pentru rezolvarea unor probleme de mediu din comunitatea în care se află școala voastră.

Proiecte: Dezastre nucleare; surse alternative de energie; studierea legislației la nivel internațional cu privire la construirea și funcționarea reactoarelor nucleare.

RĂSPUNSURI LA APLICAȚII, EXERCIȚII ȘI EVALUĂRI

UNITATEA 1

Pag. 17 – Aplicații: generațiile 1. și 3. Exerciții: 1. nucleotidă/genă/ADN/cromozom/nucleu/celulă/ organ/organism. 3. 1 cromozom = 1 cromatidă.

Pag. 19 – Aplicații: 1. a doua situație, pentru că spermatozoizii diferiți pot avea X sau Y. 2. a. masculin; b. feminin.

Pag. 20 – Problema: b.

Pag. 23 – a. 25%; b. 50%; c. 50%

Pag. 24 – Problema 1: 1. tatăl dd- cu Rh- și mama Dd cu Rh+; copiii cu dd (Rh-) și Dd (Rh+); 2. 50% Rh-.

Problema 2: 1. a. 0%; b. 0%; 2. a. F, b. F. Exerciții: I. 1b, 2b, 3c; II. 1d, 2a, 3b; III. AA-homozigot; Aa-heterozigot dominant; aa-recesiv

Pag. 27 – Aplicații: frecvență egală pentru bolile heterozomale dominante și frecvență mai mare la bărbați pentru cele heterozomale recesive.

Pag. 28 – Problema 1: a. Aa; b. 75%; Problema 2: a. Aa; b. 75%; c. părinții: Aa, Aa; copiii: AA, Aa, Aa, aa; Problema 3: 1. Generația 1: Aa, aa; generația 2: aa, Aa, aa; generația 3: Aa; 2. Aa; 3. În generația 2: 50%; în generația 3: 50%; Problema 4: 1. Generația 1: XdXd și XY; generația 2: Xd Y, XX; generația 3: XY; 2. a moștenit cromozomul X cu alela d de la mamă; 3. a moștenit de la mamă cromozomul X fără alela mutantă.

Pag. 29 – Exerciții: I. 1d, 2a; II. a) 1c; 2d; 3b. b) grupa 0 este codificată de alele recesive, care se manifestă doar în dublu exemplar, deci moștenită de la ambii părinți. III. 1c; alela dominantă se manifestă într-un exemplar sau în două exemplare; 2b; aceleași formule genetice duc la fenotipuri diferite în funcție de tipul de alelă (dominantă sau recesivă). IV. a. indivizii reprezentați prin pătrat negru sau cerc negru; partenerii lor: Aa; b. pentru toți indivizii reprezentați cu semne negre – formula genetică aa, pentru ceilalți, formula genetică Aa; c. da, dacă mama are formula genetică Aa (este heterozigotă, purtătoare a alelei de albinism).

Pag. 31 – Aplicații: 1. Cuplul de albinoși nu poate avea copii biologici fără albinism, această boală f iind produsă de prezența a două alele recesive; Un cuplu care nu poartă alela recesivă poate să aibă copii biologici cu albinism dacă mutația a apărut în gameții ambilor părinți (probabilitate foarte mică). 2. Alunițele sunt produse de mutații neereditare, deci nu vor fi transmise generației următoare.

Pag. 32 – Aplicații: 1. Poate supraviețui, va fi o fată cu sindrom Turner; 2. Nu poate supraviețui în absența unor gene vitale.

Pag. 34 – Exerciții: 1. exemple: lumina (naturală și artificială). 2. A: a,e; argument pentru afirmațiile false: b și d: după efect, sunt mutații utile, neutre, dăunătoare; c: efectul teratogen este după fecundație, dar și după naștere pot apărea mutații. 3. 1c; 2d; 3a. 4. a. tatăl XY, mama XXd; b. 25%; c. 50% dintre băieți sunt daltoniști. d. părinții mamei (bunicii materni): Xd Y și XX, părinții tatălui: XY, XX; copiii: XXd, XX, Xd Y, XY. 5. 1) a. Xd Xd și XY, Xd X și Xd Y; b. Xd Xd și XY, Xd Xd și Xd Y; c. XdXd și XY. 2) Sexul masculin, deoarece pe cromozomul Y nu există o alelă dominantă care să oprească manifestarea alelei recesive într-un singur exemplar.

Pag. 35 – Aplicații: 1. Fișa 327: feminine, 45, monosomie; fișa 183: 47, trisomie, autozomală; fișa 97: masculin, trisomie, heterozomală. 2. F: a, b, c, d; A: e.

Pag. 40 EVALUARE – Unitatea 1

I. 1.b, 2c; II. 1. a. 0 negativ; b. X sau Y. c. radiațiile solare. 2. 1b, 2a, 3d, 4c. 3. a. fig 1; b. fig 2. III. a. A, B; b. 50%. IV. Termeni de utilizat: factori mutageni (exemple cu sau fără categorii de factori), efect mutagen

(cu sau fără efect teratogen și efect cancerigen); prevenirea poate fi descrisă în legătură cu factorii mutageni (de evitat, de compensat).

UNITATEA 2

Pag. 45 – Exerciții: 1. 1a, 2b, 3b.

Pag. 53 – 1c.

Pag. 58 – EVALUARE – Unitatea 2

I. 1b, 2a; II. 1) reptilă, pasăre, pene/colonială, unicelulare; 2) 1E, 2B, 3D, 4A, 5C; 1D, 2C, 3A, 4B, 5E

UNITATEA 3

Pag. 61 – Exerciții: 1c. 2. 2 ridicată, iradierea, poluanți.

Pag. 74 – Problemă: aproximativ 27%.

Pag. 85 – Exerciții:

1. Repere pentru completarea tabelului: factori chimici: substanțe (din aer, apă, alimente, medicamente etc.); factori fizici: radiații, temperaturi; factori biologici: microorganisme care produc infecții ale sistemelor/organelor respective; factori comportamentali: obiceiurile alimentare (ore de masă, cantități, combinații alimentare, mestecare insuficientă etc.), programul de activitate/odihnă dezechilibrat, alegerea greșită a unor modele de urmat, lipsa comunicării etc. 2. a. boli cauzate (de obicei) de deficite: subnutriția, avitaminozele, dezechilibrele alimentare, anorexia etc.; boli cauzate (de obicei) de excese: obezitate, diabet zaharat, cancer pulmonar, cancer de colon etc. b. bolile cauzate de deficite sunt tratate, de obicei, prin adăugarea în alimentație sau în modul de viață a elementelor al căror deficit au cauzat boala; bolile cauzate de excese sunt tratate, de obicei, prin eliminarea substanțelor sau a obiceiurilor și prin introducerea unor elemente antidot (substanțe sau noi obișnuințe). c. informare, repetare, verificare periodică a efectelor propriului comportament (măsurarea unor parametri – glicemie, greutate, tensiune etc. și alte investigații medicale).

Pag. 90 – Exerciții: 1. a. A-aparat auditiv, B-spirometrie, C-proteză biomecanică, D-contraceptive, E-implanturi dentare, F-fecundație in vitro. 1. b. sistemul digestiv: ortodonție etc.; sistemul respirator: spirometria etc.; sistemul excretor: aparat de dializă, etc.; sistemul nervos: microcipuri neuronale; organele de simț: grefe de piele etc.; sistemul reproducător: clonarea umană terapeutică, recoltarea celulelor stem, analiza ADN-ului etc.; aparatul locomotor: proteze biomecanice, utilizarea steroizilor. c. exemple: utilizarea sterorizilor, clonarea terapeutică etc. d. exemple: cele pentru funcții vitale; identificarea unei persoane sau a înrudirii prin analiza de ADN; celulele stem care pot reface diferite organe și țesuturi etc.

Pag. 100 – EVALUARE – Unitatea 3

I. 1a; 2c; II. 1. habitatelor, supraexploatarea, specii, diabetul zaharat, cancerul; 2. 1CD, 2ABE; 1ABCE, 2BCE, 3ACDE, 4ACD, 5BE; III. a. diabet zaharat, obezitate etc.; b. proaspătă, potrivită cu vârsta, anotimpul, activitatea individului; c. respectarea senzației corecte de sațietate, echilibru din punctul de vedere al compoziției (vitamine, minerale etc. ) și al caloriilor etc.

Pag. 102 – EVALUARE FINALĂ

I. 1b, 2 c. II. 1. evoluția, diversitatea, selecția. 2. 1E, 2ABCD; 1B, 2C, 3DE, 4A. III. a. prin modificarea ereditară sau neereditară a materialului genetic se asigură variabilitatea; b. mutații ereditare și mutații neereditare; mutații utile, neutre, dăunătoare; c. după cantitatea de material genetic afectat, după tipul de cromozomi afectați; d. bolile produse de mutații ale autozomilor se manifestă cu frecvență egală, iar cele produse de mutații ale heterozomilor, cu frecvență diferită.

Fișa de observare a comportamentului elevului în timpul activităților de învățare

Gândește-te la activitatea ta de pe parcursul fiecărei unități de învățare. Citește cu atenție fiecare comportament și bifează, de fiecare dată, răspunsul care ți se potrivește cel mai bine.

Comportamentul ÎntotdeaunaDeseoriUneoriNiciodată

Am învățat informații noi și interesante.

Am urmat instrucțiunile.

Am lucrat atât individual, cât și în echipă.

Am cooperat cu ceilalți în activitățile de grup.

Am participat la discuții despre lecții.

Când am greșit, am vrut să aflu cum pot să corectez.

Am dus activitățile până la capăt.

Observă și modul în care timpul alocat învățării și stilul tău de viață (odihnă, alimentație, activitate fizică) au influențat starea ta și rezultatele la evaluările din timpul anului. Folosește aceste observații pentru o pregătire optimă pentru examenele naționale de la finalul clasei a VIII-a.

CUVÂNT DE ÎNCHEIERE… SAU DE CONTINUARE

Cele trei unități studiate, cu teme, la prima vedere, separate, ți-au permis să descoperi că fiecare dintre ele se corelează cu celelalte teme. Modificarea informațiilor ereditare este una dintre cauzele evoluției viețuitoarelor, iar evoluția viețuitoarelor s-a realizat în relație cu evoluția mediului. În toate aceste teme, informațiile referitoare predominant la specia umană nu indică o importanță mai mare a acesteia în comparație cu celelalte specii, ci mai ales faptul că oamenii sunt capabili să influențeze major (și nu totdeauna pozitiv) propria sănătate și sănătatea mediului.

La sfârșitul anilor de gimnaziu, ai devenit mai autonom în pregătirea școlară și în activitățile extrașcolare. Vei putea participa mai activ la viața comunității din care faci parte, prin acțiuni, sperăm, cu impact pozitiv asupra mediilor naturale și artificiale cu care interacționezi.

Nu uita, modul în care îți vei susține punctele de vedere, verbal și prin acțiuni, poate contribui la rolul tău în sănătatea oamenilor și a mediului. Cel mai convingător argument este exemplul personal. Păstrează-ți sănătatea și folosește-ți calitățile înnăscute și calitățile dobândite, pentru a reuși în proiectele tale de viitor.

Turn static files into dynamic content formats.

Create a flipbook
Issuu converts static files into: digital portfolios, online yearbooks, online catalogs, digital photo albums and more. Sign up and create your flipbook.
Biologie, manual clasa a VIII-a by Editura Litera - Issuu