


Entrevista a Jordi Giné, presidente de AVEPA
Puntos
clave del Manual de tenencia responsable de animales de compañía
![]()



Entrevista a Jordi Giné, presidente de AVEPA
clave del Manual de tenencia responsable de animales de compañía
• Nuevas terapias en gingivoestomatitis crónica felina: no todo es exodoncia
• Ameloblastoma en el perro
• Tratamiento quirúrgico de la subluxación atlantoaxial


4
“Cada vez más, la sociedad demanda un mayor nivel de especialización en el cuidado de los animales” 8
Puntos clave del Manual de tenencia responsable de animales de compañía


ACTUALIDAD PROFESIONAL
“Cada vez más, la sociedad demanda un mayor nivel de especialización en el cuidado de los animales” Entrevista a Jordi Giné (AVEPA) 4
“La salud de los gatos y perros está en el centro de todo lo que hacemos” Entrevista a María Ángeles Toscano (Royal Canin) 6
Puntos clave del Manual de tenencia responsable de animales de compañía 8

Se atribuye a Antoine de SaintExupéry la cita que dice que “uno es para siempre responsable de lo que domestica”, y a Anthelme Brillat-Savarín otra que afirma que “convidar es asumir la responsabilidad del bienestar del convidado durante el tiempo que está bajo nuestro techo”.
14 EN PORTADA
Odontología 28
Hemangiosarcoma esplénico en el perro (y II): caso clínico, investigación y algunas nuevas terapias


EN PORTADA / PRÓXIMOS NÚMEROS
• Gestión y marketing
• Traumatología y neurología
• Cardiología
• Patología de la piel y del oído
• Anestesia
Si desea publicar un artículo sobre estos u otros temas, escríbanos a argos@grupoasis. com
Nuevas terapias en gingivoestomatitis crónica felina: no todo es exodoncia
FORMACIÓN CONTINUA
Hemangiosarcoma esplénico en el perro (y II): caso clínico, investigación y algunas nuevas terapias
SECCIÓN DIAGNÓSTICA / El valor diagnóstico de la morfología sanguínea en medicina felina y canina
HABLANDO DE NUTRICIÓN CLÍNICA / Tendencias nutricionales en perros y gatos. Qué dice la ciencia
Creo que en ambos casos es fácil estar de acuerdo, y quizá por eso somos conscientes de que la responsabilidad de los tutores, propietarios o como prefiramos llamarlos, sobre los animales que acogen en su hogar es indiscutible.
En ese aspecto, debemos tener en cuenta que detrás del motivo que muchas veces deriva en abandono está el criterio que les ha movido a adoptar o comprar, y la información de que disponían por entonces. Es decir, a menudo ese abandono era evitable, si se hubiese dispuesto de la información necesaria para decidir con buen criterio.
En este número recogemos algunos puntos clave del Manual de tenencia responsable de animales de compañía, que puede consultarse completo en la página web del de Derechos Sociales, Consumo y Agenda 2030. En concreto, nos hemos centrado en la parte referente a antes de que el animal llegue al hogar, por ser, sin duda, el momento crítico: el de la decisión.
Quizá el manual puede ser un punto de partida para elaborar las recomendaciones del propio centro veterinario, que se pueden entregar a los clientes en piezas impresas o utilizar para publicar en redes sociales. O a lo mejor se puede dirigir al cliente directamente a la web del Ministerio para que lea el manual completo. O todo a la vez, por qué no. Que cada cual use el contenido del manual como considere, si es que le parece útil y certero, por supuesto.
Que tenemos un papel en la prevención del abandono ya lo sabemos. Obviamente tenemos una capacidad limitada de influir en el comportamiento y las decisiones de nuestros clientes, o de aquellos que podrían llegar a serlo si toman la decisión de incluir en sus vidas un animal de compañía. En todo caso, cuanto más medios tengamos para ello, mejor. Todo sea por poner nuestro granito de arena para combatir la lacra del abandono.
Sheila Riera Forteza Veterinaria y socióloga Medios de Comunicación s.riera@grupoasis.com
Síguenos en nuestras redes sociales:


“Cada
Jordi Giné, presidente de AVEPA, destaca el largo proceso y la importancia del reconocimiento de la especialización veterinaria en España, que beneficia a más del 80 % de los veterinarios de pequeños animales.

La Organización Colegial Veterinaria (OCV) presentó recientemente el sistema de acreditación de especialidades veterinarias, un hecho que desde AVEPA fue calificado como “un hito significativo”. ¿Por qué es tan importante?
Bueno, es significativo porque supone el reconocimiento de un nivel intermedio de especialización, que es algo en lo que llevamos trabajando en AVEPA desde hace muchos años. Hay que tener en cuenta que aunque el acuerdo se firmó hace
“Hemos trabajado durante años para conseguir el reconocimiento por parte de distintos colegios provinciales y del propio Consejo General de Colegios Veterinarios”.
poco, en junio, el proceso para llegar hasta aquí no ha sido de unos meses, sino que ha llevado más de 15 años. Este trabajo ha pasado por cuatro juntas directivas diferentes en AVEPA, y se ha dado la circunstancia de que he sido yo quien he firmado el acuerdo como presidente, pero ha sido un esfuerzo de muchos implicados.
Este proceso de acreditación nació para dar respuesta a muchos de nuestros socios, veterinarios que han dedicado años a formarse y especializarse en áreas concretas dentro de la clínica de animales de compañía. Lo que queríamos era que este esfuerzo fuera reconocido por la Administración y por el Consejo General de Colegios Veterinarios, que es el interlocutor oficial de la profesión veterinaria. Por eso, este reconocimiento ha sido tan importante para la asociación y, en general, para los veterinarios que trabajan en este campo, que representan más del 80 % de los profesionales en el ámbito de pequeños animales en España.
Ha habido muchos interlocutores a lo largo del camino, y aunque no siempre tuvimos éxito de inmediato, logramos avances con varios colegios y finalmente con el Consejo. La actual Junta del Consejo mostró una sensibilidad especial hacia este tema, y esto nos permitió llegar al acuerdo actual.
La nueva ordenación de especialidades veterinarias establece una estructura de tres niveles de especialización. ¿Puede explicar en qué consiste esa estructura? Sí, básicamente la profesión veterinaria quedará estructurada en tres niveles. Aunque falta el reconocimiento ministerial a futuro, de momento el Consejo General de Colegios Veterinarios ha establecido esta estructura. El primer nivel incluye a los veterinarios graduados/licenciados. Luego está el nivel intermedio, al que se accede mediante la acreditación de AVEPA en una especialidad, o a través de un pos-
“Al nivel intermedio de especialización se podrá acceder directamente mediante la acreditación de AVEPA”.
Señalaba que este proceso ha tenido una larga trayectoria. ¿Puede contarnos un poco más sobre cómo fue su desarrollo y cómo se llegó a este acuerdo? Sí, ha sido un proceso largo y complejo. Aunque otras asociaciones, como la Asociación de Veterinarios Especialistas Diplomados de España (AVEDE) o la Asociación de Veterinarios Especialistas en Équidos (AVEE), también han estado involucradas, AVEPA ha liderado gran parte del esfuerzo. Hemos trabajado durante años para conseguir el reconocimiento por parte de distintos colegios provinciales y del propio Consejo General de Colegios Veterinarios.
grado universitario que todavía está por definir, pero que deberá cumplir con los mismos criterios de formación y calidad. Y, finalmente, está el nivel superior, que corresponde a las diplomaturas europeas o americanas en una especialidad concreta, que son las más reconocidas a nivel internacional.
Ha mencionado también la certificación. ¿Qué se sabe hasta ahora sobre cómo será este proceso?
El certificado OCV implica la adquisición de una formación específica. En el caso del nivel intermedio, que es el

que más nos afecta a nosotros, se completa con el proceso de acreditación de AVEPA. Nuestra asociación dispone ya de 416 acreditados en 19 especialidades veterinarias, y 270 veterinarios que actualmente están cursando el proceso de acreditación.
“El certificado OCV reflejará no solo los conocimientos científicos y experiencia, sino también una formación específica”.
Además, será necesario asistir a una formación colegial adicional de dos horas de duración, que incluirá temas deontológicos, estatutarios y otros aspectos relacionados con el ejercicio de la profesión en España. Es decir, además de la formación científica, se añadirán estos conocimientos básicos colegiales como un complemento necesario para obtener el certificado.
Este proceso de acreditación AVEPA puede durar entre tres y cinco años, dependiendo de la especialidad y la experiencia del profesional. Al final, el certificado OCV reflejará no solo los conocimientos científicos y experiencia clínica adquiridos a través de AVEPA, sino también una formación específica sobre el marco profesional en el que trabajamos.
Este es un proyecto que aún debe ser aprobado completamente, pero ¿qué cree que va a suponer para la profesión veterinaria? ¿Qué beneficios esperáis?
Este proyecto, como ocurre en otras profesiones sanitarias, permite reconocer al profesional veterinario con conocimientos especializados, que han sido adquiridos y evaluados de manera homogénea y regulada. Esto garantiza que el veterinario que te atiende no solo es competente en el cuidado de animales de compañía, sino que posee un conocimiento sólido en una especialidad concreta. Esto es fundamental tanto para los profesionales como para la sociedad en general. Cada vez más, la sociedad demanda un mayor nivel de especialización en el cuidado de los animales. Hemos avanzado mucho desde los tiempos en los que el veterinario era una figura genérica. Ahora hablamos de veterinarios que no solo se especializan por especie (pequeños animales, équidos, etc.), sino que dentro de cada especie se especializan en áreas concretas, como oftalmología, anestesia o medicina interna.
Miguel Ángel Ordovás Argos - argos@grupoasis.com

Para María Ángeles Toscano, directora de Corporate Affairs de Royal Canin, la formación continuada para acceder a la evidencia científica en materia de nutrición es clave para reforzar el rol fundamental de los veterinarios en esta área.

y directora de Corporate
¿En qué se basa la filosofía nutricional de Royal Canin?
La salud de los gatos y perros está en el centro de todo lo que hacemos y nuestra filosofía nutricional es única, ya que nos centramos en nutrientes y no en ingredientes, para garantizar una alimentación completa y adaptada a las necesidades de cada mascota. Tenemos un equipo altamente cualificado que formula nuestros alimentos basándose en la ciencia y la observación.
Además, realizamos más de 500.000 análisis anuales de materias primas y productos finales para garantizar la calidad y seguridad durante todo el proceso de producción.
cada animal y de sus necesidades nutricionales según su especie y raza. Estos equipos colaboran con asociaciones veterinarias internacionales, revisando la última bibliografía científica e investigando para garantizar la calidad de nuestras fórmulas.
Si hablamos de nutrición y de ciencia, ¿cómo definiría el rol de los profesionales veterinarios?
Son clave para garantizar la salud de las mascotas. Los veterinarios son los expertos en nutrición desde una perspectiva científica, y los indicados para asesorar a los cuidadores al elegir el alimento adecuado. Aunque hoy existen muchos mitos y nuevas tendencias, los veterinarios son los garantes del aval científico.
Por eso, es fundamental la formación continuada que acerque la evidencia científica en nutrición a los veterinarios y su rol en transmitirla a los cuidadores, respondiendo con base científica a las dudas comunes sobre nutrición. Así reforzamos el papel clave de la nutrición en la salud y bienestar de gatos y perros.
¿Qué tipo de actividades están realizando para reforzar este concepto de ciencia relacionada con nutrición?
Para nosotros, la ciencia es clave y trabajamos en dos líneas. Por un lado, con los veterinarios, profundizando en su rol como expertos en nutrición. Este año, en las sesiones “La Nutrición tiene su Ciencia”, participaron más de 600 veterinarios, analizando los retos para comunicar sobre
“Realizamos más de 500.000 análisis anuales de materias primas y productos finales para garantizar la calidad y seguridad durante todo el proceso de producción”.
¿Qué destacaría de sus expertos en nutrición y de las investigaciones científicas en las que basan el desarrollo de sus productos?
La ciencia tiene un papel clave en nuestro día a día. Nuestros alimentos dan respuesta a necesidades reales de los gatos y los perros, ya que son el resultado de mucha investigación, conocimiento y observación.
Además, nuestro equipo de I+D es multidisciplinar, incluyendo expertos en nutrición veterinaria que aportan una comprensión profunda de la fisiología de
nutrición y reforzar su papel como expertos. Por otro lado, con los cuidadores, mediante contenidos educativos en redes sociales que abordan los principales mitos y tendencias nutricionales desde una perspectiva científica.
¿En qué consiste su política de sostenibilidad?
Royal Canin forma parte del plan Sustainable in a Generation de Mars, que busca mejorar la salud de gatos y perros al tiempo que actuamos sobre el impacto medioambiental y social de la compañía.

Nuestro compromiso se enfoca en tres áreas interconectadas: Mascotas (mejorar la salud de animales con soluciones nutricionales específicas y concienciar sobre temas clave como la obesidad o la atención veterinaria); planeta (integrar la sostenibilidad en todo el negocio para reducir la huella ambiental); y personas (promover la inclusión y diversidad entre nuestros asociados y apoyar el desarrollo de las comunidades donde operamos).
“Somos conscientes del impacto que generan las materias primas, por lo que las optimizamos desde una perspectiva ambiental y social, sin comprometer la calidad”.
Mediante la optimización de nuestras fórmulas y un suministro más sostenible, reducimos nuestra huella. Somos conscientes del impacto que generan las materias primas, por lo que las optimizamos desde una perspectiva ambiental y social, sin comprometer la calidad.
La Fundación Royal Canin colabora con Yaracán, entidad especialista en intervenciones asistidas con animales. ¿Qué iniciativas están llevando a cabo?
La Fundación Royal Canin busca potenciar el papel positivo de las mascotas en la sociedad, apoyando proyectos que mejoran la vida de las personas con ayuda de animales. En España apoya a Yaracán a través de un programa de terapias asistidas con perros para pacientes infantiles del área de oncología del Hospital 12 de Octubre de Madrid. Anteriormente ya había colaborado con Yaracán en el proyecto ‘4 patas de apoyo’, para estimular y motivar a niños con alteraciones neurocognitivas mediante sesiones terapéuticas con perros. Comenzó de forma online y desde 2023 se desarrolla presencialmente, ampliándose a pacientes ambulatorios del Hospital 12 de Octubre. Esto ha permitido duplicar el número de niños beneficiados y aumentar la frecuencia de las sesiones de quincenales a semanales.
Estos programas, liderados por la doctora Berta Crespo, especialista en neurodesarrollo, buscan optimizar la recuperación de pacientes pediátricos con alteraciones neurocognitivas, mediante terapia con perros de apoyo. El proyecto demuestra el poder curativo del apoyo de estos perros de terapia. Juntos, aspiramos a ampliar el alcance y eficacia de esta terapia en hospitales, reforzando nuestro compromiso con la innovación terapéutica, la humanización de la atención pediátrica y un impacto duradero en la calidad de vida de pacientes.

¿Colaboran en algún otro proyecto relacionado con perros de asistencia o de terapia?
Desde 2019 colaboramos con la Fundación ONCE del Perro Guía, enfocándonos en la formación, nutrición y divulgación de la labor de los perros guía. Proporcionamos dietas especializadas para sus necesidades y apoyamos la formación de sus entrenadores, además de participar en la cría, socialización y entrenamiento de cachorros. Es un honor colaborar con ellos, aportando nuestra experiencia en nutrición en este proyecto en el que la salud de los perros es una prioridad compartida.
“La Fundación Royal Canin busca potenciar el papel positivo de las mascotas en la sociedad, apoyando proyectos que mejoran la vida de las personas con ayuda de animales”.
Me gustaría destacar nuestra colaboración con DogPoint, especializada en perros de asistencia para personas con TEA. Esta colaboración se centra en el apoyo que los perros brindan tanto a niños como familiares, ofreciendo seguridad, apoyo emocional y fomentando un desarrollo psicosocial significativo. La llegada de un perro de asistencia reduce el estrés familiar, facilita las tareas diarias y sirve para recuperar los momentos de ocio fuera de casa. Participaremos nuevamente en la futura camada de perros de asistencia de DogPoint, donde varios asociados de Royal Canin se convertirán en familias de acogida durante su primer año.
Sheila Riera
Argos - argos@grupoasis.com
Imágenes cedidas por Royal Canin

Con el objetivo de ayudar a tomar una mejor decisión a quienes se plantean ser responsables de un animal de compañía, el Ministerio de Derechos Sociales, Consumo y Agenda 2030 ha elaborado un manual que incluye todos los aspectos relevantes a la hora de comprar o adoptar al nuevo miembro de la familia. Conocerlo, e incluso recomendarlo, puede sernos útil.
Argos argos@grupoasis.com
Con la ratificación del Convenio Europeo sobre Protección de animales de compañía, cada país se compromete a garantizar el bienestar de los animales que conviven con las personas en sus hogares y a implantar un conjunto de prácticas y costumbres básicas que determinen una conducta responsable por parte de los ciudadanos.
Entre los compromisos adquiridos se encuentra la puesta en marcha de programas de información y de educación para promover, entre las organizaciones relacionadas y la población en general, las buenas prácticas en torno a la cría, adiestramiento, comercio y custodia de animales de compañía, así como la conciencia y el conocimiento de los principios que rigen el Convenio.
Debido a estos compromisos, el Ministerio de Derechos Sociales, Consumo y Agenda 2030 impulsa una campaña que pone a disposición de los interesados en llevar un animal de compañía a su hogar, y de los que ya lo tienen, todo el material informativo y formativo necesario para una adecuada tenencia responsable.
En un estudio que se hizo preguntando a las protectoras de España, se descubrió que una de las principales razones por las que fallan las adopciones es la escasa previsión de los nuevos cuidadores, debido a:
• Mayor responsabilidad de la esperada.
• Falta de tiempo o espacio.
• Problemas de comportamiento.
• Factores económicos.
• Caída del entusiasmo de los niños.
• Animales adoptados en periodo navideño.
Por ello, el manual pretende orientar desde el momento en el que alguien empieza a plantearse incorporar un animal de compañía a su familia hasta que lo acoge en su casa y cuida de él de manera cotidiana. También explica cómo hacer una compra o adopción responsable y todo lo que implica el proceso.
Este artículo recopila algunos puntos clave del manual, que puede consultarse completo en la página web del Ministerio.
Consideraciones antes de adquirir un animal de compañía
Las preguntas clave que debe realizarse alguien que se plantea introducir en su hogar un animal de compañía son: ¿Debería adoptar un animal de compañía? Sé qué implicaciones tendrá en tu vida? Para encontrar la respuesta, se deben tener en cuenta varios factores.
Razones
La motivación que lleva a pensar en comprar o adoptar suele ser muy concreta, y es muy importante porque será la base que establecerá la relación del cuidador con el animal.
Por tanto, hay que asegurarse de que la razón es suficientemente sólida. Estas son las más frecuentes:
• Alguien de la familia ha expresado su deseo de adoptar o comprar.
• Compañía para la persona/familia o para otro animal que ya esté en casa.
• Emociones, como la pena por un animal abandonado. En ningún caso es recomendable dejarse guiar solo por las emociones, ya que se trataría de un acto impulsivo y no se estaría analizando la existencia de los recursos necesarios para cuidar de ese animal.
• Curiosidad por la especie.
• Modas, por ejemplo, por una raza en concreto. En este caso siempre habría que tener en cuenta las necesidades del animal, antes de nada, y si más allá del atractivo estético este animal será compatible con sus cuidadores.

• Utilidad, como es el caso de los perros para proteger el hogar. Es posible que el animal no pueda cumplir con el rol que se le asigne y, dependiendo de la situación, requerirá de un adiestramiento respetuoso y consistente.
Tiempo de compromiso
Una vez definida la principal motivación, es recomendable que el futuro cuidador se informe sobre el tiempo durante el cual se alargarán sus responsabilidades. El manual recomienda fijarse en la estimación de la esperanza de vida del animal elegido, para determinar si está listo para responsabilizarse durante todo ese periodo. También incluye una guía con las esperanzas de vida de las especies más frecuentes.
Cambios en sus rutinas
Puesto que esa persona deberá introducir en su vida los hábitos relacionados con el cuidado del nuevo animal de compañía, debe ser consciente de lo que implicarán:
• Alimentación rutinaria.
• Estimulación diaria y atención para asegurar el enriquecimiento ambiental.
• Higiene básica relacionada con sus necesidades y limpieza de su ambiente.
• Paseos en el caso de los perros.
• Particularidades de los animales de especies exóticas.
• Vigilancia constante (animales en edad infantil o con necesidades especiales) Aquí es importante que el futuro cuidador sepa con seguridad que dispondrá de tiempo para introducir estas actividades, y tener en cuenta que en algunos casos puede añadirse un extra de dificultad en la adaptación, como es caso de los exóticos.
Costes
Alimentación, productos varios, servicios veterinarios regulares o de urgencia, seguro de responsabilidad civil cuando sea necesario y acondicionamiento del hogar son algunos de los aspectos que deberán tener en cuenta.
Requisitos legales
En este campo tendrán diferentes obligaciones que cumplir:
• Obligaciones impuestas por comunidades de vecinos, ordenanzas municipales o contratos de alquiler.



• Aplicar como mínimo las vacunas obligatorias, tener la cartilla sanitaria de vacunación actualizada y llevarlo al veterinario siempre que sea necesario.
• Evitar la reproducción incontrolada.
• Identificar y censar al animal según la normativa vigente en tu Comunidad Autónoma.
Necesidades especiales
Es importante que el futuro cuidador esté bien informado sobre las necesidades, características y conductas específicas del animal
que tiene en mente, y que se asegure de que serán compatibles con lo que su familia puede ofrecerle: espacio, tiempo para estimularlo, adiestramiento responsable y, de nuevo, las necesidades especiales que presentan sobre todo algunas especies exóticas.
Medios para adquirirlo
Es muy importante que conozca los métodos existentes para tomar la mejor decisión, y hacerlo siempre de manera responsable y respetuosa con el animal.
Compra
La compra es el método tradicional de adquisición de animales de compañía y el manual explica cómo funciona todo el proceso.
Criterios para una compra responsable
El manual recoge “las pistas para detectar cuándo un vendedor de animales de compañía se merece tu confianza” y recomienda verificar los siguientes puntos, que llevan su explicación correspondiente:
• Entorno de cría
• Condiciones del animal
• Documentación en regla
Riesgos
Si la compra no es responsable, podemos encontrarnos con:
• Enfermedades congénitas, deformidades.
• Problemas de convivencia.
• Compra ilícita en criadores no autorizados ni registrados, que además pueden atentar directamente contra las necesidades más básicas de bienestar.
Adopción
Según el manual, cuando se adopta en una protectora, “lugar cuya misión es la protección de la dignidad y derechos del animal”, de manera directa se está “aportando un granito de arena para combatir la consecuencia de los abandonos en la sociedad”.
Requisitos
Para las protectoras es indispensable hacer todas las comprobaciones pertinentes y así asegurarse de que el animal de compañía y los futuros titulares serán
compatibles. Por eso, estos deben tener en cuenta que este proceso conlleva una serie de cuestionarios, revisiones de documentación y visitas presenciales en el nuevo contexto de convivencia.
Algunos de las comprobaciones o requisitos más frecuentes son los siguientes:
• Mayoría de edad del futuro titular del animal.
• Comprobante del domicilio.
• Contrato de adopción.
• Abono de costes.
• Requisitos de cuidado específicos del animal de compañía
• Esterilización del animal (recomendable).
• Compromiso firmado de no abandono.
• Seguimiento periódico del proceso de adopción.
Diferencia entre adoptar un adulto o un cachorro
Adoptar un cachorro o un gatito suele ser la alternativa más atractiva en primera instancia.
Puesto que en las protectoras también hay animales adultos que tendrán menos posibilidades de ser adoptados, el manual recoge las diferencias entre adoptar a un perro o gato adulto de un cachorro de la misma especie, con todas las implicaciones que tiene y para qué tipo de familia es más recomendable.
Para más información, documentos y enlaces de interés:

Presentación de la plataforma de diagnóstico de INDICAL BIOSCIENCE.
Texto e imágenes INDICAL BIOSCIENCE.
Los parásitos intestinales en gatos y perros no solo son un problema para nuestros queridos compañeros, sino que también pueden ser peligrosos para nosotros. El método más utilizado para eliminar los parásitos intestinales sin dañar al huésped consiste en prescribir medicamentos antihelmínticos de amplio espectro. Sin embargo, estudios recientes han evidenciado el aumento de la resistencia a los antihelmínticos, lo que incrementa el riesgo de fracaso en la cura de infecciones en gatos y perros.
Para combatir e cazmente las infestaciones parasitarias intestinales en nuestros amigos de cuatro patas, se vuelve esencial un diagnóstico rápido y con able. Para responder a esta necesidad, INDICAL BIOSCIENCE ha lanzado su última solución innovadora de diagnóstico veterinario: OvaCyte™ Pet, que permite la identi cación y el recuento de huevos de parásitos en muestras fecales de perros y gatos.
Un diagnóstico e caz, con able, sencillo y no invasivo OvaCyte™ Pet es un instrumento automatizado, del tamaño de una cafetera, que utiliza el análisis digital y la inteligencia arti cial (IA) para ofrecer un método ecaz, con able y sencillo de diagnosticar de manera no invasiva los parásitos intestinales en gatos y perros.
¿Cómo funciona?
La preparación de la muestra fecal se realiza en menos de 60 segundos. Fácil de usar, el sistema sellado y sin olores OvaPrep le permite iniciar el análisis en menos de un minuto. La preparación de la muestra no requiere ni pesado, ni incubación, ni centrifugado.
OvaCyte™ Pet es un instrumento automatizado, del tamaño de una cafetera, que utiliza el análisis digital y la inteligencia artificial (IA) para ofrecer un método eficaz, confiable y sencillo de diagnosticar de manera no invasiva los parásitos intestinales en gatos y perros.
El nuevo método de otación activa completamente automatizado de OvaCyte™ Pet, combinado con un análisis digital mediante IA, proporciona resultados precisos y con ables durante la consulta del animal para un tratamiento dirigido. Gracias a OvaCyte™ Pet, puedes tomar decisiones rápidas y fundamentadas, evitando tratamientos innecesarios o inapropiados. Este nuevo sistema también permite ahorrar tiempo y dinero en comparación con los métodos existentes en clínica o laboratorio.


Parásitos detectados
Actualmente, OvaCyte™ Pet puede detectar parásitos como anquilostomas, ascáridos, tricocéfalos y coccidias, que son organismos unicelulares que infectan las células del sistema digestivo y también pulmonar (Capillaria spp.) de los mamíferos y otros vertebrados.


representa un gran avance para el bienestar de sus compañeros y su tranquilidad. Además, dado que los niños pequeños están especialmente expuestos a las infecciones parasitarias de las mascotas, es importante asegurarse de que los animales estén libres de parásitos para proteger a todo el hogar.
Actualmente, OvaCyte™ Pet puede detectar parásitos como anquilostomas, ascáridos, tricocéfalos y coccidias, que son organismos unicelulares que infectan las células del sistema digestivo y también pulmonar (Capillaria spp.) de los mamíferos y otros vertebrados.
Estudios comparativos
Análisis comparativos entre varios métodos de diagnóstico de referencia existentes muestran que OvaCyte™ Pet es signi cativamente más sensible para la detección de los distintos parásitos, especialmente para las coccidias. Además, estos estudios comparativos demuestran que el método OvaCyte™ es signi cativamente más rápido que otros métodos.
Mejor salud animal y humana
Para los tutores de perros y gatos, esta mejora en la sensibilidad y con abilidad del diagnóstico de parásitos intestinales

¿Por qué IA?
El nuevo instrumento se basa en la tecnología de IA del primer instrumento OvaCyte™, destinado al diagnóstico de parásitos intestinales en caballos, bovinos y ovinos.
INDICAL ha optado por la inteligencia arti cial porque ofrece a los veterinarios una herramienta extremadamente valiosa para el diagnóstico parasitario. Los instrumentos OvaCyte™ escanean las muestras preparadas en busca de huevos de parásitos. La IA compara lo que el instrumento detecta con una base de datos en constante actualización y registra cada huevo identi cado.
El informe proporciona los resultados con un diagnóstico cualitativo de cada parásito e indica la gravedad de la infección. También ofrece imágenes de alta resolución de la muestra. En solo 20 minutos, se dispone de todos los datos necesarios para tomar decisiones informadas sobre el tratamiento.
Los instrumentos OvaCyte™ escanean las muestras preparadas en busca de huevos de parásitos. La IA compara lo que el instrumento detecta con una base de datos en constante actualización y registra cada huevo identificado.
INDICAL, que cuenta con numerosos veterinarios y expertos en salud animal, es la división de diagnóstico del grupo VIMIAN, una red de empresas innovadoras unidas por la pasión común de mejorar la salud animal en todo el mundo. Las soluciones de INDICAL son utilizadas con con anza por veterinarios, laboratorios de diagnóstico e investigación, y organizaciones de salud animal de todo el mundo.
INDICAL se enorgullece de apoyar y acompañar a los veterinarios brindándoles avances en el diagnóstico parasitario.
Obtén una demostración gratuita.





• Nuevas terapias en gingivoestomatitis crónica felina: no todo es exodoncia
• Ameloblastoma en el perro
• Tratamiento quirúrgico de la subluxación atlantoaxial
La gingivoestomatitis crónica felina (GECF) supone un reto terapéutico debido a la variabilidad que existe en la respuesta frente a sus posibles manejos terapéuticos. A pesar de que la exodoncia es parte del tratamiento esencial de la GECF, no debemos olvidar la importancia del manejo médico, que debe ser multimodal e individualizado, y adaptarse a las necesidades de cada paciente.
Ana Fernández Clemente1, Silvia Ruiz Vidal2
1DVM, Responsable del Servicio de Medicina felina
2DVM, Servicio de Medicina interna y Medicina felina
LaClinicaVeterinaria-Vetpartners
Imágenes cedidas por los autores
La gingivoestomatitis crónica felina (GECF) es una enfermedad crónica y multifactorial en la que el sistema inmunitario del paciente reacciona de forma exacerbada a diferentes antígenos, lo que da lugar a la aparición de lesiones en la cavidad oral. Se trata de una patología desafiante y controvertida que supone un reto terapéutico en la práctica clínica diaria debido a la variabilidad en la respuesta de sus posibles tratamientos.
Su prevalencia es de alrededor de un 7-12 % de los gatos adultos jóvenes, frecuentemente menores de 8 años, y no existe predisposición sexual.
Muchos pacientes acuden a consulta tras tratamientos previos múltiples, y cuanto mayor sea el tiempo de evolución, menor será el porcentaje de éxito terapéutico1,2
Control de la placa bacteriana
El control de la placa bacteriana se puede realizar con cepillado dental, estimulando la masticación con juguetes o utilizando soluciones antisépticas, pero en la práctica los pacientes felinos lo rechazan por estrés o dolor2
posoperatoria debido a la naturaleza agresiva de la cirugía y el mal estado de los tejidos mucogingivales (amoxicilina/ácido clavulánico 13,75 mg/kg/12horas o clindamicina 5-11 mg/kg/12 horas)3
En el caso del uso de la doxiciclina en gatos que necesiten un tratamiento paralelo frente a Mycoplasma sp., se recomienda administrar la medicación con abundante agua y comida, ya que se ha comprobado que la GECF puede contribuir al desarrollo de esofagitis y este medicamento podría potenciar los daños en el esófago2
Control del dolor
El manejo del dolor es esencial en todas las etapas del manejo de la GECF: en el proceso agudo, tras la cirugía y en los casos refractarios a la extracción3
Opioides, antiinflamatorios no esteroides o gabapentina son algunos de los fármacos utilizados.
Un estudio muestra que la administración bucal de buprenorfina tiene un efecto significativo, ya que reduce las puntuaciones de dolor con bajas variaciones interindividuales en la concentración plasmática. Por tanto, se puede incorporar en un plan de analgesia multimodal4. La gabapentina puede ser una opción de tratamiento complementario a la buprenorfina con una dosis de 5-10 mg/kg/12 horas. A menudo se utilizan los AINE, excepto en casos crónicos por la preocupación de efectos secundarios. Aun así, los estudios no han logrado mostrar efectos renales perjudiciales en pacientes con enfermedad
Los datos científicos que respaldan el uso de antibióticos en GECF son limitados. Los autores recomiendan su uso solo en infecciones secundarias o como terapia posoperatoria debido a la naturaleza agresiva de la cirugía y el mal estado de los tejidos mucogingivales (amoxicilina/ácido clavulánico 13,75 mg/ kg/12horas o clindamicina 5-11 mg/kg/12 horas)3
La eliminación del sarro a través de limpiezas profesionales para minimizar la exposición a la placa bacteriana y, por lo tanto, mantener menos activo el sistema inmunitario puede provocar un beneficio, pero solo a corto plazo.
Es importante en pacientes con gingivitis juvenil durante los primeros años de vida1
Control de la infección
Los datos científicos que respaldan el uso de antibióticos en GECF son limitados. Los autores recomiendan su uso solo en infecciones secundarias o como terapia
renal en etapas 1-2 de la sociedad internacional de interés renal (IRIS)3 Los esteroides se pueden considerar como una opción adyuvante para reducir el dolor de forma indirecta mediante sus efectos antiinflamatorios. Sin embargo, un estudio demostró que solo el 23 % de los pacientes presentó una mejoría marcada y el 7 % una remisión clínica. Teniendo en cuenta que la estimulación antagónica crónica puede provocar un “agotamiento” anulando sus efectos, la existencia del calicivirus (provocando mayor realización vírica y empeoramiento de las lesiones) y los efectos secundarios con su administración
a largo plazo como la diabetes mellitus, los autores recomiendan que se reserven para pacientes que no responden a los protocolos habituales del manejo del dolor y, en el caso de ser utilizados, se recomienda realizar análisis de sangre periódicos1,3
Terapia de soporte
La fluidoterapia, el sondaje esofágico y las dietas especiales de recuperación deben considerarse en el caso de animales inestables, como ayuda a la recuperación tras la exodoncia1
Debemos transmitir que los primeros días tras la cirugía sí se debe administrar dieta húmeda, pero que posteriormente el animal podrá ingerir dieta seca sin complicaciones, ya que la limitación principal es el dolor bucal y no la ausencia de piezas2
Una de las dudas más habituales que presentan los tutores en consulta es la preocupación por la capacidad de alimentarse sin piezas dentales. Debemos transmitir que los primeros días tras la cirugía sí se debe administrar dieta húmeda, pero que posteriormente el animal podrá ingerir dieta seca sin complicaciones, ya que la limitación principal es el dolor bucal y no la ausencia de piezas2
Terapia inmunosupresora
La ciclosporina es un imunosupresor usado en casos de GECF. Diversos estudios informan de que existe mejoría clínica tanto en casos previos a las extracciones como tras la cirugía, aunque los autores desaconsejan la inmunosupresión sin intervención quirúrgica3
Interferón omega felino recombinante
Con respecto a los agentes virales, el calicivirus, el herpesvirus, el virus de la inmunodeficiencia felina y el virus de la leucemia felina están implicados en la GECF. De estos agentes, el calicivirus desempeña el papel más relevante2. Sin embargo, no se ha podido evidenciar de manera sólida que la infección crónica por calicivirus esté relacionada con la GECF5
Los interferones (IFN) son un grupo de proteínas señalizadoras que presentan


la capacidad de interferir en el ciclo de replicación viral. Se ha demostrado que los IFN estimulan la inmunomodulación a través de los tejidos linfoides orofaríngeos, mientras que la absorción gastrointestinal destruye la glicoproteína2
Un estudio evidenció que el interferón omega felino recombinante (rFeiFN) oromucoso en gatos positivos a calicivirus
produjo una mejoría moderada en la curación clínica en un 45 % de los casos y marcada en un 55 %3
Terapia celular
Las células madre mesenquimales (MSC) son células indiferenciadas y multipotentes que se localizan en tejidos como
médula ósea, placenta, encías, membranas amnióticas y tejido adiposo, aunque normalmente se aíslan de tejido adiposo subcutáneo o intraabdominal6
Algunos estudios han evaluado la respuesta a la administración de MSC en gatos con GECF refractarios a la exodoncia, en los que se ha obtenido una mejoría o remisión en un 57 % de los pacientes tratados con MSC alogénicas y un 71 % en los animales tratados con MSC autólogas7. Por lo tanto, la eficacia de las MSC alogénicas es menor en comparación con las MSC autólogas8
La terapia celular carece de eficacia clínica si es realizada previamente a la exodoncia completa6 y se recomienda su administración inmediatamente después de la extracción dental para obtener mejoría de los signos clínicos7
Se deben considerar los posibles efectos adversos agudos tras su administración,
como letargia, taquipnea, vómitos y fiebre y los crónicos, como la tumorogénesis6
La terapia con MSC es reciente, innovadora y con unos resultados prometedores, pero aun así, son necesarias más investigaciones debido a las limitaciones de coste, disponibilidad de tejidos, fabricación y logística9
Conclusión
A pesar de que la exodoncia es parte del tratamiento esencial de la GECF, no debemos olvidar la importancia del tratamiento médico. Este debe ser multimodal e individualizado, y adaptarse a las necesidades de cada paciente. Debido a la variabilidad de la respuesta al tratamiento se siguen realizando estudios sobre nuevas terapias que pueden ser prometedoras.
Bibliografía:
1. Vega, J, Enfermedades orales. En Manual Clínico de Medicina Felina. Reino Unido: Improve Formación Veterinaria, 2018; 142-160.
2. Minovick F, Rubio A, Sanz L. Manual práctico de medicina felina volumen II. Barcelona: Multimedica Ediciones Veterinarias, 2024; 161-189.
3. Soltero-Rivera M, Goldschmidt S, Arzi B. Feline chronic gingivostomatitis current concepts in clinical management. Journal of Feline Medicine and Surgery. 2023; 25(8):1-16.
4. Stathopoulou TR, Kouki M, Pypendop BH, et al., Evaluation of analgesic effect and absorption of buprenorphine after buccal administration in cats with oral disease. Journal of Feline Medicine and Surgery. 2018; 20(8):704-10.
5. Silva M, Fernandes M, Fialho M, Mestrinho L. A Case Series Analysis of Dental Extractions’ Outcome in Cats with Chronic Gingivostomatitis Carrying Retroviral Disease. Animals. 2021; 11(11):3306.
6. Arzi B, Taechangam N, Lommer MJ, et al., Stem cell therapy prior to full-mouth tooth extraction lacks substantial clinical efficacy in cats affected by chronic gingivostomatitis. Journal of Feline Medicine and Surgery. 2021; 23(6):604-608.
7. Rivas IL, Soltero-Rivera M, Vapniarsky N, Arzi B. Stromal cell therapy in cats with feline chronic gingivostomatitis: current perspectives and future direction. Journal of Feline Medicine and Surgery. 2023; 25(8):1-11.
8. Arzi B, Clark KC, Sundaram A, et al., Therapeutic Efficacy of Fresh, Allogeneic Mesenchymal Stem Cells for Severe Refractory Feline Chronic Gingivostomatitis. Stem Cells Translational Medicine. 2017; 6(8):1710-1722.
9. Webb TL, Webb CB. Scoping review of the use of mesenchymal stem and stromal cell products in cats, Part 1: current logistics and safety. Journal of the American Veterinary Medical Association. 2024; 262(S1):S16-S23.


El ameloblastoma acantomatoso es un tumor que todavía no se ha diagnosticado en la especie felina, por lo que se denomina ameloblastoma acantomatoso canino (AAC). Puede ser periférico, y afectar a los tejidos blandos de la encía, o intraóseo, y originarse en el interior del hueso mandibular.
Ana Espinosa Fernández1, Jorge Llinás Ceballos2, Alberto Climent
Manzanera3, Ana Whyte Orozco4
1Servicio de cirugía AniCura Valencia
Sur Hospital Veterinario
2Director de AniCura Valencia Sur Hospital Veterinario
3VetMonzón Centro Clínico Veterinario. Monzón (Huesca)
4Servicio Odontología. Hospital
Veterinario Universidad de Zaragoza
Imágenes cedidas por los autores
La cavidad oral es el 5.º lugar donde se desarrollan tumores en pequeños animales. En concreto, las neoplasias o tumores orales representan el 9 % (Saldiva, 2024) de todos los tumores y son crecimientos celulares de naturaleza no inflamatoria que tienen un desarrollo rápido, persistente y desproporcionado. En general, la etiología de los tumores es desconocida, a excepción de la papilomatosis oral que afecta a perros jóvenes y está producida por un Papilomavirus ADN (Fernández et al. 2014).
Aunque el sistema TNM de la Organización Mundial de la Salud (OMS) es de vital importancia en el diagnóstico y tratamiento de los tumores orales, existe una clasificación que los agrupa en tres categorías, atendiendo a:
• Su comportamiento biológico.
• El tejido embrionario que origina el tumor.
• Según se produzcan a partir de tejido odontogénico o no.
Así, los tumores orales se clasifican en tumores odontogénicos, tumores no odontogénicos y tumores de origen mixto (Requicha et al. 2015):


• Los tumores de origen no odontogénico son aquellos que surgen a partir de estructuras de la cavidad oral, exceptuando los tejidos dentarios, y en su mayoría son malignos (Requicha et al. 2015).
• Los tumores odontogénicos son aquellos que tienen origen en las estructuras dentarias y se suelen clasificar en función de su origen celular: epiteliales, mesodérmicos o mixtos (Chamberlain TO, Lommet MJ, 2012). En la tabla 1 se resume la clasificación de las neoplasias orales odontogénicas siguiendo el criterio de varios autores, así como la base histológica establecida por la OMS (Requicha et al. 2015).
El ameloblastoma acantomatoso canino (históricamente denominado épuli acan-
Tabla 1. Clasificación de los tumores de origen odontogénico. (Gardner 1996, Head et al. 2003, Prado et al. 2008, Rodríguez-Quirós et al. 1998, Tsai et al. 2007, Verstraete 1992).
Tumores de la cavidad oral de origen odontogénico
• Ameloblastoma
No inductivos
Origen epitelial
Tumores benignos
Origen mesodérmico
Quistes odontogénicos
Tumores malignos
Lesiones semejantes a neoplasias
Inductivos
• Tumor odontogénico productor de amiloide (tumor odontogénico calcificante)
• Ameloblastoma acantomatoso (épuli acantomatoso)
• Fibroma ameloblástico
• Fibro-odontoma ameloblástico
• Odontoma
• Fibroma odontogénico periférico (épuli fibromatoso y osificante/épuli fibromatoso del ligmaneto periodontal)
• Cementoma
• Fibroma cementificado
• Quistes dentígeros
• Quistes radiculares
• Carcinomas odontogénicos
• Sarcomas odontogénicos
• Carcinoma primario intra-ósea
• Fibrodentinosarcoma ameloblástico
• Inflamación de estructuras odontogénicas y tejidos periodontales.
• Granuloma periférico de células gigantes (épulis de células gigantes).
• Hiperplasia gingival.
tomatoso) es un tumor odontogénico benigno y una de las tres neoplasias odontogénicas con mayor prevalencia, representando cerca del 45 % de los tumores odontogénicos caninos (Mikiewicz, 2019). Es de origen epitelial y se observa cierta predisposición racial, especialmente en el Golden Retriever, Akita Inu, Cocker Spaniel y Pastor Shetland. La edad media de presentación es de 7-10 años (Lassara, 2012).
Por otra parte, el ameloblastoma acantomatoso es un tumor que todavía no se ha diagnosticado en gato (Chamberlain, Lommet 2012) por lo que se denomina ameloblastoma acantomatoso canino (AAC).
Signos clínicos
En cuanto al aspecto clínico, el AAC se presenta como un engrosamiento que puede originar desplazamiento dental e incluso mala oclusión en el animal, si bien es un proceso indoloro y de expansión lenta. Puede presentarse como un ameloblastoma periférico que afecta a los tejidos blandos de la encía o como un ameloblastoma central o intraóseo que se origina en el interior del hueso mandibular.
biológico es independiente de la apariencia macroscópica. Sí que podemos encontrar variación en cuanto a la sintomatología, que depende fundamentalmente de la localización y de la extensión del tumor dentro de la cavidad oral. Algunos signos clínicos que podemos ver son:
• Enrojecimiento de la encía.
• Deformidad facial, sobre todo en la mandíbula.
• Sangrado oral: son masas friables que sangran fácilmente y pueden verse restos de sangre en la saliva o en los juguetes.
• Dificultad para comer.
• Dolor o malestar al masticar.
• Dificultad en la aprehensión y/o deglución la comida.
• Movilidad dental, incluso pérdida dental.
• Babeo.
• Halitosis.
Diagnóstico y estadificación
Son tumores que pueden pasar desapercibidos y ser un hallazgo en la exploración odontológica de rutina. Por ello, si localizamos este tipo de crecimientos
En cuanto al aspecto clínico, el AAC se presenta como un engrosamiento que puede originar desplazamiento dental e incluso mala oclusión en el animal, si bien es un proceso indoloro y de expansión lenta.
Según un estudio donde se analizaron 68 perros afectados por tumores orales de posible origen odontogénico en un hospital docente veterinario entre los años 1995 y 2005, la distribución de este tipo de tumor en la cabeza fue la siguiente (figura 1A):
• 24 % maxila rostral
• 6 % maxila caudal
• 41 % mandíbula rostral
• 29 % mandíbula caudal
En su aspecto visual podemos encontrar algunas variaciones: algunos tumores pueden ser nodulares o multilobulados (aspecto de coliflor sangrantes al paso de una gasa) (Lassarra, 2012), mientras que otros aparecen como una masa infiltrativa difusa. A pesar de esto, el comportamiento
debemos hacer un buen diagnóstico y estadificación, ya que se trata de un tumor muy agresivo a nivel local que requiere un diagnóstico rápido y preciso y una extirpación quirúrgica adecuada a pesar de ser descrito como benigno. En el proceso diagnóstico del AAC se debe realizar un examen completo del paciente, estudio radiológico y, en aquellos casos que sea posible, el estudio complementario con TC para obtener más información acerca de su extensión (figura 1B). A nivel radiológico se observa una masa infiltrativa asociada al diente que causa desplazamiento dental y osteólisis variable, y que puede presentar mayor o menor apariencia quística (figura 2).



La principal diferencia del AAC con otros tumores odontogénicos es su capacidad de invadir hueso esponjoso, por lo que en radiología se observa infiltración ósea grave, desplazamiento dental e incluso reabsorción dental tanto a nivel local como a distancia. El mayor inconveniente de la evaluación radiográfica de estos tumores es la infravaloración de la extensión del hueso afectado, por lo que es conveniente realizar una tomografía computarizada para determinarla con mayor exactitud (Tjepkema, 2020).
El diagnóstico definitivo se basa en el hallazgo de las características histopatológicas del epitelio odontogénico, sobre todo cuando existe cierto grado de queratinización (ameloblastoma queratinizante), para diferenciar este tumor de un carcinoma de células escamosas. Son tumores del epitelio odontogénico que muestran características citológicas de ameloblastos diferenciados (células que produce esmalte) y/o diferenciación de órganos del esmalte, pero no inducen la diferenciación del mesénquima odontogénico (es decir, sin inducción de la papila dental o estructuras similares a los dientes).



Se sospecha que el epitelio neoplásico surge de restos inactivos de epitelio odontogénico que permanecen dentro del periodonto. En los casos de los ameloblastomas de localización central, es decir, ubicados dentro del hueso de la mandíbula, probablemente surjan del epitelio que queda en el ligamento periodontal (restos de Malassez) o cualquier otro remanente atrapado/ ectópico del órgano del esmalte. En cambio, en los ameloblastomas de localización
• La preparación de las familias, facilitando imágenes y dando una explicación detallada sobre los resultados estéticos y funcionales, para ayudar a tomar una decisión.
• Preparación preoperatoria del paciente. La cavidad oral es difícil de esterilizar. Estos procedimientos deben ser considerados procedimientos limpios - contaminados. Entre las técnicas quirúrgicas que se pueden realizar se encuentran:
La principal diferencia del AAC con otros tumores odontogénicos es su capacidad de invadir hueso esponjoso, por lo que en radiología se observa infiltración ósea grave, desplazamiento dental e incluso reabsorción dental tanto a nivel local como a distancia.
periférico, es decir, ubicados dentro de la encía, presumiblemente surgen de restos epiteliales dentro de la propia encía como son los restos de Serres (Tjepkema, 2020).
Tratamiento
Una vez diagnosticado, las opciones terapéuticas que tenemos dependerán de diferentes factores, como la ubicación del tumor, su tamaño, la invasión de los tejidos adyacentes y el estado de salud del paciente. Entre ellas se incluyen:
• Cirugía: en la actualidad la extirpación quirúrgica en bloque del tumor con técnicas como la maxilectomía, mandibulectomía o la escisión en arco, es el tratamiento de elección, como veremos más adelante (Goldschmidt, 2017).
• Radioterapia: principalmente como adyuvante a una cirugía citorreductora para obtener mejores resultados (Mayer, 2007).
• Quimioterapia/electroquimioterapia: se han realizado algunos estudios sobre quimioterapia intralesional con bleomicina con buenos resultados (Castelló et al., 2014).
• Cuidados paliativos: en los casos en los que la cirugía o la radioterapia no sean factibles debido al estadio avanzado del tumor o la salud general del perro, los cuidados paliativos se centran en aliviar el dolor, controlar los síntomas y mantener una buena calidad de vida.
Técnica quirúrgica
La técnica va a depender de la localización del tumor. Estas lesiones se tratan mediante escisión en bloque con márgenes de al menos 1 cm. Según la experiencia de los autores, con márgenes de 2 cm siempre que sea posible, valorando tanto localización como tamaño del paciente, los resultados son óptimos.
Los perros toleran muy bien este tipo de cirugía. Sin embargo, los gatos son menos tolerantes, aunque en esta especie se pueden obtener magníficos resultados a corto y largo plazo.
Antes de realizar una mandibulectomía o maxilectomía parcial se deben tener en cuenta aspectos tales como:
la experiencia de los autores, para realizar la cirugía de forma más rápida y segura, mejorando los resultados y la recuperación del paciente.
El láser de CO2 supone un avance en la cirugía oncológica con múltiples ventajas, como: menos sangrado por sellado de vasos sanguíneos de hasta 0,6 mm, menor inflamación y edema por el sellado de terminaciones nerviosas y vasos linfáticos, y una mejor cicatrización. Por su longitud de onda de 10.600 nm, nos resultará muy útil sobre los tejidos blandos, pero con poca o nula eficiencia sobre el cartílago y el tejido óseo.
El pronóstico para perros con AAC puede variar dependiendo de varios factores, incluido el tamaño, la ubicación, la extensión y la posibilidad de tratamiento. El diagnóstico precoz facilita que el pronóstico sea más favorable. Los perros que pueden ser tratados mediante cirugía en bloque con márgenes limpios suelen tener un pronóstico a largo plazo muy bueno. No obstante, en algunos casos se produce una recurrencia, por lo que las visitas periódicas de control y seguimiento son extremadamente importantes (Bolek, 2024).
• Se inicia como un crecimiento visible en las encías.
Mandibulectomías
• Mandibulectomía rostral bilateral: escisión del hueso a nivel de los incisivos, incluyendo o no los caninos en función del tamaño del tumor.
• Mandibulectomía central: resección de un segmento del cuerpo mandibular.
• Mandibulectomía caudal: extirpación total o parcial de una rama.
• Mandibulectomía total: extirpación de la totalidad de una de las mandíbulas (derecha o izquierda).
Maxilectomías
• Maxilectomía rostral: escisión del hueso que rodea uno o más incisivos, incluyendo en caso de ser necesario uno o ambos caninos (figura 3).
• Maxilectomía central: escisión del hueso que rodea los premolares y/o molares y ocasionalmente un canino o ambos (figuras 4 y 5).
• Maxilectomía caudal: escisión del hueso que rodea los molares.
Con frecuencia estos procedimientos se combinan según necesidad.
Las unidades de electrocirugía y láser de CO2 son herramientas muy útiles, según
Bibliografía:
• A menudo tiene un aspecto irregular y sangrante.
• Se encuentra comúnmente en la parte frontal de la mandíbula (mandíbula rostral 41 %), pero puede aparecer en cualquier ubicación de la boca.
• Se presenta en todas las razas, pero Golden Retriever, Akita Inu, Cocker Spaniel y Pastor Shetland tienen mayor predisposición.
• Se observa con mayor frecuencia en perros de entre 7 y 10 años.
• No se han reportado metástasis, pero tiene un carácter infiltrativo agresivo.
• Se recomienda realizar una tomografía computarizada antes de la cirugía para evaluar completamente el grado de afectación ósea.
• El método de tratamiento preferido es la extirpación quirúrgica en bloque con márgenes amplios.
• Es poco probable que vuelva a aparecer con una extirpación quirúrgica adecuada.
• La radiación es una opción de tratamiento para tumores no quirúrgicos.
• Bolek, A.; Smith, M.; Taney, K. and Powers, B. Symphyseal-Sparing Mandibulectomy for Canine Acanthomatous Ameloblastoma in Dogs: 35 Cases. Journal of Veterinary Dentistry. 2024, Vol. 41(1) 10-16.
• Castelló P, Borrego J, Ortega J. Clasificación, diagnóstico y tratamiento de los tumores odontogénicos. En: Clínica veterinaria de pequeños animales. 2014; 34 (4): 191-203.
• Chamberlain TO, Lommet MJ: Clinical behavior of odontogenic tumors. En: Verstraete JM. Oral and Maxillofacial Surgery in Dogs and Cats. 1a ed. Philadelphia: Saunders Elsevier; 2012. p. 103-410.
• Fernández Sánchez JM, del Campo Velasco M, Trobo Muñiz J. Oncología oral canina y felina. Canis et Felis 2014(128):56-73.
• Fiani, N.; Verstraete, F; Kass, P.; Cox, D. Clinicopathologic characterization of odontogenic tumors and focal fibrous hyperplasia in dogs: 152 cases (1995–2005). Journal of the American Veterinary Medical Association. 2011. 238, 4; 495.
• Goldschmidt SL, Bell CM, Hetzel S, Soukup J. Clinical Characterization of Canine Acanthomatous Ameloblastoma (CAA) in 263 dogs and the Influence of Postsurgical Histopathological Margin on Local Recurrence Journal of Veterinary Dentistry 2017 Dic; 34(4):241-247.
• Lassara M, David A. Enfermedad Dental. Veterinary Focus 2012; 22(3): 10-16.
Mayer MN, Anthony JM. Radiation therapy for oral tumors: canine acanthomatous ameloblastoma Canadian Veterinary Journal. 2007 enero; 48(1):99 Mikiewicz M, Pazdzior-Czapula K, Gesek M, Lemis-hevskyi V, Otrocka-Domagala I. Canine and Feline Oral Cavity Tumours and Tumour-like Lesions: a Retrospective Study of 486 Cases (2015-2017). Journal of Comparative Pathology. 2019; 172:80-87.
Requicha JF, Pires M dos A, Albuquerque CM, Viegas CA. Neoplasias da cavidade oral do cão Breve revisão. Revista Brasileira de Medicina Veterinária. 2015, 37(1): 41-46.
Saldivia-Paredes, M; Vidal-Ordóñez, L. Ameloblastoma acantomatoso en canino (Canis lupus familiaris): reporte de caso Rev. Med. Vet. ISSN 0122-9354 ISSNe 2389-8526. Bogotá (Colombia) N°49:1-9, julio-diciembre de 2024. Tjepkema, J.; Bell, C. and Soukup, J. Presentation, Diagnostic Imaging, and Clinical Outcome of Conventional Ameloblastoma in Dogs. Journal of Veterinary Dentistry 2020, Vol. 37(1) 6-13
• Tobias, K. M., Johnston, S. A (eds): Cirugía Veterinaria de Pequeños Animales.

Conocer la anatomía de la zona, usar la mano no dominante para estabilizar la mandíbula o el maxilar en el punto opuesto en el que se realiza presión, y sujetar correctamente los luxadores y botadores, así como los fórceps de extracción contribuyen a prevenir las complicaciones peri y posoperatorias más frecuentes de las extracciones dentales.
Ana Whyte1
José Javier San Román2
Lisa Mestrinho3*
1DVM, PhD. Profesora titular de la Universidad de Zaragoza
1DVM. Médico adjunto en la Fundación
Jiménez Díaz y en el Complejo
Hospitalario Ruber Juan Bravo
3DVM BsC MsC PhD FAVD DAVDC
DEVDC
Imágenes cedidas por los autores.
Al hablar de complicaciones en las extracciones dentales hay que referirse a aquellas que se producen durante e inmediatamente tras el procedimiento quirúrgico (complicaciones perioperatorias) y aquellas que se presentan después del mismo (complicaciones posoperatorias).
Las siguientes normas ayudan a prevenirlas:
• Conocer la anatomía de la zona.
• Usar la mano no dominante para estabilizar la mandíbula o el maxilar en el punto opuesto en el que se realiza presión.
• Sujetar correctamente los luxadores y botadores, así como los fórceps de extracción.
Complicaciones perioperatorias
Principales complicaciones perioperatorias
• Fracturas dentales
• Hemorragia
• Lesiones en tejidos blandos
• Enfisema subcutáneo
• Edema sublingual
• Lesiones en las estructuras nerviosas
• Desplazamiento de raíces al hueso maxilar, cavidad nasal o canal mandibular
• Lesiones óseas térmicas
• Fractura del hueso alveolar
• Fractura mandibular
Fracturas dentales
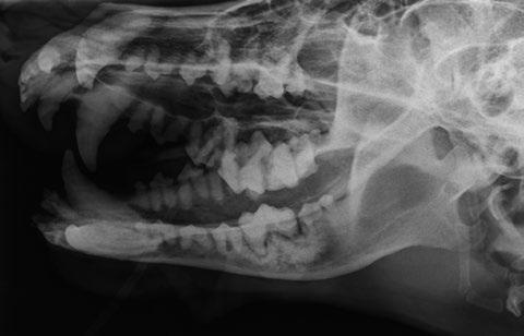
Es una de las complicaciones perioperatorias más frecuentes y puede producirse en el diente objeto de la extracción (en la corona o en la raíz) o en los dientes contiguos si se realiza un uso incorrecto del instrumental (figuras 1 y 2).
En la fractura del diente intervienen diversos factores, como son:
• La presencia de un tratamiento endodóncico previo que ha debilitado el diente.
• Fracturas coronarias previas en las que disponemos de menos corona para poder ejercer fuerza con el fórceps.
• Anquilosis de la raíz dentaria, raíces curvas o divergentes con una disposición anatómica diferente que modifica la tracción.
• Acceso inadecuado o error en la técnica de exodoncia por falta de experiencia.
Si la fractura se produce en la corona dental, se debe normalmente a una fuerza excesiva producida con los elevadores o con el fórceps dental.
Las fracturas radiculares son una complicación habitual (figura 3). Los factores que influyen con más frecuencia son: técnica incorrecta de exodoncia, daños preexistentes en la estructura de la raíz y variaciones en la anatomía normal. Normalmente, cuando se produce una fractura de la raíz, se produce un sonido y tacto particular. Además, cuando se extrae el diente, si palpamos el borde de la raíz este es irregular, y no liso y redondeado.
Si la fractura se produce en la cara coronal de la raíz, se debe introducir un luxador en el espacio periodontal para continuar con la exodoncia. Si la fractura se produce dentro del alvéolo, la extracción se hace más complicada. Es muy importante en estos casos trabajar con radiología dental para visualizar el tamaño, la localización y la forma del resto radicular. Se recomienda realizar una alveolectomía (eliminación de porciones específicas de hueso alveolar que faciliten el abordaje) y el uso de la jeringa multifunción. Una vez localizado el resto radicular, se podrá introducir un luxador en el ligamento periodontal para continuar con la exodoncia. En los casos en los que existe anquilosis radicular, en los cuales es imposible insertar un luxador en el espacio del ligamento periodontal, se puede utilizar una fresa de diamante redonda o cónica para crear un espacio alrededor del fragmento de la raíz.
Hemorragia
El sangrado durante las exodoncias es esperable, normalmente cesa mediante compresión con gasas, que pueden impregnarse con algún vasoconstrictor como la adrenalina. No se debe olvidar el uso de agentes hemostáticos como son las esponjas de colágeno y gelatina (figura 4).
El sangrado excesivo se produce cuando se ocasiona un daño en la arteria palatina mayor, la arteria infraorbitaria o la arteria alveolar mandibular inferior, o en aquellos casos en los que haya problemas de coagulación. En estos casos, si la compresión es insuficiente, se puede realizar la ligadura de los vasos con sutura de monofilamento absorbible.
Lesiones en tejidos blandos
El uso de fuerzas excesivas o la pérdida de control de los instrumentos dentales pueden causar daño en los tejidos blandos (encía, mucosa oral, comisura labial, labio, lengua, glándulas y sus conductos, órbita y conducto nasolagrimal).
La mayoría de los casos de traumatismos leves sobre la encía, mucosa oral y comisura labial se resuelven por sí solos, aunque se recomienda la aplicación de un gel o spray de clorhexidina al 0,2 %. En los casos más graves es necesario suturar la lesión con sutura monofilamento absorbible de calibre 4/0.
Una de las complicaciones más graves es la penetración en la órbita durante la extracción de los dientes premolares y molares maxilares, que puede dar como resultado infección ocular grave y requerir la enucleación.
Una de las complicaciones más graves es la penetración en la órbita durante la extracción de los dientes premolares y molares maxilares, que puede dar como resultado infección ocular grave y requerir la enucleación. El uso de radiología oral previa ayudará al clínico a determinar la pérdida ósea debida a enfermedad periodontal. En


estos casos en particular, se recomienda el uso del dedo en el extremo del instrumento (luxador o elevador) como tope, la odontosección por tratarse de dientes multirradiculares, la correcta separación de los tejidos blandos y la luxación del ligamento periodontal, evitando excesivas fuerzas.
Determinados procesos dentales pueden ocasionar edema agudo y obstrucción extraluminal iatrogénica del conducto nasolagrimal o ruptura del mismo.
La obstrucción del conducto nasolagrimal es más frecuente en el gato. En esta especie, el conducto nasolagrimal empieza a nivel del tercer premolar superior y discurre dorsal o dorsomedial a la raíz del canino maxilar, separado solo por una línea delgada de hueso alveolar. Determinados procesos dentales pueden ocasionar edema agudo y obstrucción extraluminal iatrogénica del conducto nasolagrimal o ruptura del mismo. La sintomatología incluye epífora con descarga ocular serosa o mucosa días después del procedimiento. El diagnóstico se realiza mediante dacriocistografía.
Enfisema subcutáneo
La jeringa tripe o jeringa multifunción es un instrumento útil a la hora de irrigar el tejido o suministrar aire a presión, lo cual facilitará la visualización de estructuras durante la exodoncia o la resolución de sus complicaciones, pero su uso incorrecto o excesivo puede dar lugar a la introducción de aire en los vasos sanguíneos. Al utilizar la pieza de mano de alta velocidad, si se posiciona de manera que el aire se introduzca dentro del hueso o de los teji-


dos blandos, también puede afectar a los vasos sanguíneos.
En el caso de que se introduzca aire en el tejido subcutáneo, se puede realizar compresión hacia el foco de entrada, disminuyendo así la sensación de molestia que puede originar. Normalmente se reabsorbe en las siguientes 24-48 horas.
Edema sublingual
El edema sublingual se produce como consecuencia de traumatismos en la mucosa sublingual. Según la gravedad será necesario aplicar tratamiento médico




a base de antiinflamatorios y, ocasionalmente, diuréticos.
Lesiones en las estructuras nerviosas
Es importante conocer la anatomía de la zona, ya que durante el proceso de extracción se pueden dañar el nervio infraorbitario, mentoniano y lingual, bien mediante una técnica cerrada o quirúrgica, bien por sección de la estructura nerviosa al realizar un colgajo mucoperióstico para la extracción de los dientes caninos o cuando se realizan colgajos simples o dobles para el cierre de fístulas oronasales.
El nervio también se puede lesionar al realizar bloqueos anestésicos, con mayor probabilidad al introducir la aguja en el agujero infraorbitario o mentoniano.
El nervio también se puede lesionar al realizar bloqueos anestésicos, con mayor probabilidad al introducir la aguja en el agujero infraorbitario o mentoniano.
Desplazamiento de raíces al receso maxilar, cavidad nasal o canal mandibular
Esta complicación tiene lugar cuando el hueso periapical está afectado (enfermedad periodontal avanzada) o cuando se realiza una fuerza apical excesiva durante una extracción.
Con el fin de evitarlo, debemos realizar un estudio radiográfico dental previamente a la exodoncia. La elevación de un colgajo mucogingival facilita la extracción y previene esta complicación.
Si el animal muestra signos de dolor en la cavidad oral, se debe remitir el caso a un especialista en cirugía maxilofacial.
Aunque es raro, un fragmento de raíz en la cavidad nasal puede dar lugar a un secuestro, en cuyo caso se debe realizar una rinotomía para eliminar el fragmento.
Lesiones óseas térmicas
Cuando se usa una pieza de mano de baja o alta velocidad es importantísimo refrigerar con agua la fresa. Un sobrecalentamiento terminará dañando el hueso y dará lugar a una necrosis térmica.
Fractura del hueso alveolar
Esta complicación puede ocurrir si la técnica de exodoncia es incorrecta, el fórceps se usa prematuramente (es decir, no se ha conseguido todavía una buena movilización del diente dentro del alvéolo) o si existe una anquilosis dental (la raíz está unida al hueso alveolar). Puede suceder que el hueso alveolar fracturado se desprenda o que quede adherido al periostio. En el primer caso, se realiza una alveoloplastia, es decir, se regulariza el borde del alvéolo mediante el uso de una fresa de bola de diamante y en función de cada caso se puede realizar un colgajo para cerrar el defecto. En el segundo caso, el hueso se puede conservar y reposicionar mediante la creación de un colgajo.
Fractura mandibular
Se produce sobre todo en perros de razas pequeñas y con un estado avanzado de enfermedad periodontal, por ello es importante la realización de radiografías dentales previa a la extracción (figuras 5 y 6).
Existen dos zonas en la mandíbula más susceptibles de sufrir fracturas:
• Cuerpo de la mandíbula a nivel del primer molar, zona que presenta menor



resistencia debido a un menor grosor del hueso y menor altura de la mandíbula en la raíz distal comparado con otras zonas.
• Hueso alveolar lingual del canino mandibular de perros pequeños y gatos, debido a que el grosor del hueso alveolar es de unos 2-3 mm.
Complicaciones posoperatorias
• Inflamación
• Dolor
• Infección
• Dehiscencia
• Trauma oclusal
• Fístula oronasal adquirida
• Atrofia del hueso alveolar
Inflamación
Puede producirse una inflamación secundaria a técnicas de exodoncia traumáticas o compresión excesiva del tejido que obstruya los vasos linfáticos. Se recomienda el uso de antiinflamatorios no esteroideos antes del procedimiento y tras el mismo (salvo en los casos en los que esté contraindicado) para reducir esta complicación.
Dolor
La exodoncia es un procedimiento doloroso, que requiere el uso de analgésicos durante y tras el procedimiento quirúrgico.

Figura 5. Radiografía preoperatoria en la que se observa el primer molar mandibular (409) con gran pérdida de estructura ósea debido a enfermedad periodontal. En la extracción de este diente existe un gran riesgo de fractura mandibular.
Es necesario mencionar la importancia de la realización de bloqueos anestésicos orales previos a la exodoncia.
Es necesario mencionar la importancia de la realización de bloqueos anestésicos orales previos a la exodoncia.


siderablemente el riesgo de infección, ya que reduce el número de bacterias y de otros microorganismos que entran en la sangre durante los procedimientos dentales. El uso de antibióticos se debe realizar de forma racional de acuerdo al aumento de resistencias bacterianas. El Colegio Americano de Odontología Veterinaria recomienda el uso de antibióticos sistémicos en los pacientes inmunodeprimidos, los que presenten enfermedades sistémicas subyacentes o cuando existan infecciones graves orales, pero no es necesario en animales sanos.
Dehiscencia
La dehiscencia suele producirse como resultado de tensión en las líneas de sutura
El uso de agentes antisépticos orales como la clorhexidina 0,2 % disminuye considerablemente el riesgo de infección, ya que reduce el número de bacterias y de otros microorganismos que entran en la sangre durante los procedimientos dentales.
Además, la manipulación suave del tejido, la extracción completa del diente y el alisamiento del hueso alveolar antes de suturar la encía resultarán en un paciente más cómodo. Si a pesar de esto el dolor posoperatorio es evidente (inactividad, dolor en la región facial o anorexia parcial o total), se debe considerar la combinación de un antiinflamatorio no esteroideo junto con analgésicos opioides.
Infección
La infección en el lugar de la extracción puede ser debida al uso de instrumentos no esterilizados o a no reducir la carga bacteriana previa mediante el tratamiento periodontal profesional previo a las exodoncias. El uso de agentes antisépticos orales como la clorhexidina 0,2 % disminuye con-
o un compromiso del aporte vascular del colgajo mucogingival.
Enfermedades sistémicas como la diabetes mellitus o el hiperadrenocorticismo, así como la administración crónica de corticoesteroides, pueden predisponer a un retraso de la cicatrización.
Como normal general, siempre que una zona no cicatrice de la manera habitual o se retrase el proceso más de lo habitual, se debe considerar la realización de radiología y la toma de una biopsia.
Traumatismo oclusal
Se produce sobre todo en gatos después de la extracción del canino maxilar (figura 7).
Normalmente este diente y las estructuras de soporte (encía y hueso), mantienen



el labio alejado del canino mandibular cuando el gato cierra la boca. Tras la extracción, el labio superior puede quedar pellizcado, perforado o lacerado por el canino mandibular ipsilateral.
Esta complicación se puede prevenir reduciendo la corona del canino mandibular del mismo lado. Con la reducción de la corona dental suele ser necesario un tratamiento endodóntico.
Fístula oronasal adquirida
Las fístulas oronasales adquiridas son comunicaciones anormales entre las cavidades nasal y oral y pueden estar asocia-
das a cualquier diente maxilar. Las causas más comunes son: enfermedad periodontal grave, lesiones periapicales y lesiones iatrogénicas (figura 8). Una extracción incorrecta del canino maxilar en el que se aplique una fuerza excesiva en la corona puede producir el desplazamiento medial del diente y perforar la pared nasal del hueso alveolar. La sintomatología incluye una secreción nasal serosa, sanguinolenta o mucopurulenta (unilateral), estornudos, anorexia, halitosis y, en ocasiones, salida de agua o restos de comida por las fosas nasales cuando el animal está comiendo o bebiendo.
Las fístulas oronasales adquiridas son comunicaciones anormales entre las cavidades nasal y oral y pueden estar asociadas a cualquier diente maxilar. Las causas más comunes son: enfermedad periodontal grave, lesiones periapicales y lesiones iatrogénicas.

El diagnóstico en estos casos se basa en la exploración de la cavidad oral del animal y en la sintomatología (figura 9). El tratamiento es quirúrgico con la realización de colgajos mucoperiósticos simples o dobles para cerrar el defecto.
Atrofia del hueso alveolar
Tras la exodoncia de un diente se puede producir la recesión del hueso alveolar del maxilar o la mandíbula. Los injertos óseos pueden prevenir la gravedad de este proceso (figura 10).
Bibliografía disponible en https://www.grupoasis.com/argos/ bibliografias/complicaciones263.docx
Complicaciones
Este artículo es un extracto de la obra Cirugíaoraly maxilofacial del perro y el gato
Disponible en https://ediciones edra.com/ Tel.: 976 461 480


El tratamiento de elección para el HSA esplénico sigue siendo la cirugía basada en la esplenectomía
total. La complementación de esta con un protocolo quimioterapéutico puede aumentar sensiblemente tanto la mediana de supervivencia como la tasa de supervivencia al año.
José Manuel Vilameá Iglesias Área de medicina interna del Hospital y Clínicas Veterinarias Abeiro. La Coruña. España.
Diagnóstico
Diagnóstico presuntivo
En función de los resultados arrojados por las diferentes técnicas diagnósticas realizadas en nuestro hospital, podemos emitir ya un diagnóstico que, debido a la naturaleza parcial de dichas técnicas, es todavía presuntivo: hemangiosarcoma esplénico.
Diagnóstico definitivo
El diagnóstico definitivo del HSA esplénico ha de establecerse únicamente mediante el estudio anatomopatológico del bazo2,3
Al igual que en una amplia variedad de neoplasias, el tratamiento del HSA esplénico suele ser la extirpación quirúrgica del tumor para su posterior envío a anatomía patológica. Una vez allí, mediante técnicas histopatológicas, se establece un diagnóstico definitivo.
T: Tumor primario
• T0: Sin evidencia de tumor.
• T1: Tumor de menos de 5 cm de diámetro y confinado en el sitio primario.
• T2: Tumor ≥ 5 cm de diámetro o con rotura o invadiendo los tejidos subcutáneos.
• T3: Tumor que invade las estructuras adyacentes, incluyendo al músculo.
N: Ganglios linfáticos regionales
• N0: Sin afectación de los ganglios linfáticos.
• N1: Afectación de los ganglios linfáticos regionales.
• N2: Afectación de los ganglios linfáticos a distancia.
M: Metástasis a distancia
• M0: Sin evidencia de metástasis a distancia.
• M1: Metástasis a distancia.
ESTADÍOS
• I: T0 o T1; N0; M0
• II: T1 o T2; N0 o N1; M0
• III: T2 o T3; N0, N1 o N2; M1
En nuestro caso, el informe anatomopatológico reveló la presencia de un hemangiosarcoma esplénico, confirmándose así el diagnóstico presuntivo (ver apartado correspondiente).
El estadiaje de la enfermedad es necesario a la hora de emitir un pronóstico y matizar el tratamiento del HSA esplénico1,2,3 Tanto Ettinger SJ y Feldman EC como Withrow SJ, distinguen, en función del sistema cTNM, tres estadios en el curso de la enfermedad2,3 (tabla 4). Cabría mencionar que esta clasificación es clínica. Según el sistema TNM, establecido por la AJCC (American Joint Committe on Cancer) en 1977, existen hasta 4 clasificaciones para cada grado de evolución tumoral: clasificación clínica (cTNM), histológica (pTNM), para retratamiento (rTNM), y en necropsia (nTMN).
Los controles electrocardiográficos previos a las cirugías están especialmente indicados en casos de hemangiosarcoma4
A partir de de una correcta estadificación del proceso, el cirujano sabrá mejor a qué atenerse a la hora de reseccionar. Además, el estadio influye en el tratamiento quimioterapéutico, si lo hubiere. El pronóstico varía también en función del estadiaje. Estadios mayores implican peor pronóstico1,2,3
En nuestro paciente, los síntomas observados (T2; N1; M0) lo hacen compatible con un estadio II. Tratamiento en la clínica actual: cirugía y quimioterapia
Medidas de estabilización y prequirúrgico
Tras informar a los dueños de la sospecha de un proceso tumoral a nivel del bazo, se les aconsejó su hospitalización, conducente a la estabilización del paciente, y se programó una laparotomía exploratoria con posibilidad de esplenectomía para primera hora del día siguiente.
Se inició entonces el tratamiento farmacológico que consistió en:
• Fluidoterapia I.V.: suero Ringer Lactato (suplementado con 2 mL de vitaminas del complejo B y expansores de plasma) a razón de 1,80 L en 24 horas.
• Antibioterapia: amoxicilina-clavulánico. 500 mg cada 8 horas, S.C.
• Analgesia: meloxicam. 5 mg cada 24 h S.C.
Se efectuó el prequirúrgico correspondiente que, en nuestro hospital, además
de hemograma, bioquímica y radiología, abarca la electrocardiografía.
Electrocardiograma
Los controles electrocardiográficos previos a las cirugías están especialmente indicados en casos de hemangiosarcoma4
Entre las posibles alteraciones electrocardiográficas destacan la taquicardia sinusal, las arritmias ventriculares de origen extracardiaco y el infradesnivel S-T.16
En el caso de Thor, el ECG fue totalmente normal (figura 6). Al no apreciarse aumento en la duración de la onda P se concluyó que el soplo mitral auscultado era consecuencia de la anemia.16.
Cirugía
El tratamiento de elección para el HSA de bazo sigue siendo la cirugía, en concreto la esplenectomía total.1,2,3,12,13,19
Iniciada como una laparotomía exploratoria, la cirugía concluyó con la extirpación del bazo junto con la masa. Finalmente, ambos formaban una única entidad anatómica de 4.100 kg (figura 7).
Los perros a los que se les practica una esplenectomía están predispuestos a desarrollar una arritmia ventricular intra y posquirúrgica que, de ocurrir, suele resolverse dentro de las 24-48 h posteriores
a la cirugía3. Por ese motivo, la monitorización electrocardiográfica de nuestro paciente fue continua en dicho periodo, sin que se presentaran complicaciones a ese nivel.
A los tres días de la cirugía, a Thor se le dio el alta hospitalaria. Cambiamos la vía de administración de su tratamiento farmacológico para una más fácil administración por los dueños en domicilio. A mayores añadimos un citoprotector (omeprazol), para prevenir los posibles daños gástricos que el antiinflamatorio pudiera ocasionar, quedando la pauta como sigue:
• Amoxicilina-clavulánico: 500 mg cada 12 h P.O.
• Meloxicam: 5 mg cada 24 horas P.O.
• Omeprazol: 40 mg cada 24 horas P.O. Al cabo de 10 días fueron retirados los puntos de la cirugía.
Dos semanas más adelante le fue realizado un hemograma de control, cuyos resultados mejoraron respecto al anterior. La anemia, así como el resto de los parámetros de la serie roja, remontaron, y la leucocitosis granulocítica también se estabilizó (tabla 5).
La mejoría de la anemia, junto a una auscultación en la que ya no se apreciaba soplo alguno, parecieron confirmar la etiología hemodinámica de este.



Quimioterapia
Tras la cirugía, comentamos a sus dueños la posibilidad de instaurar un tratamiento quimioterápico. Pese a ello, los propietarios declinaron esta opción.
Según Withrow SJ, dada la tasa tan alta de metástasis de la mayor parte de los HSA caninos y los pobres resultados asociados a la cirugía sola, la quimioterapia adyuvante está indicada en todos los casos, con la excepción de los tumores puramente no invasivos y cutáneos de pequeño tamaño3 Esto es corroborado además por estudios como el de Batschinski et al 31, de manera que se observan diferencias significativas en el tiempo medio de supervivencia si comparamos la cirugía sola frente a la cirugía combinada con quimioterapia, obteniéndose valores que varían desde los 66 días en el primer escenario, a los 274 en el segundo.
Quimioterapia convencional vs. quimioterapia metronómica
La quimioterapia convencional (o QMDT por sus siglas en inglés: Quimioterapia de Dosis Máxima Tolerada), consiste en la aplicación de los fármacos anti-
neoplásicos sujetos a ciclos de duración variable (generalmente semanas o meses) cuyas elevadas dosis hacen obligatoria la realización de pausas. Si bien su efecto es dosis-dependiente y, por lo tanto, de mayor contundencia farmacológica, los secundarismos también son proporcionalmente más intensos, y la causa de los necesarios periodos de descanso para así poder evaluar y tratar dichos efectos no deseados33. En la tabla 6 figuran tres
Es la quimioterapia metronómica (QM).
Su fundamento es considerar la dosis máxima tolerada (es decir: la dosis de un ciclo de quimioterapia convencional o QMDT), y dividirlo entre el número de días del ciclo, de forma que se obtienen dosis menores que se aplicarían diariamente. De tal modo, los efectos secundarios de los fármacos se ven reducidos respecto a la quimioterapia convencional (QMDT).31, 32, 33.
Los perros a los que se les practica una esplenectomía están predispuestos a desarrollar una arritmia ventricular intra y posquirúrgica que, de ocurrir, suele resolverse dentro de las 24-48 h posteriores a la cirugía3
protocolos quimioterapéuticos convencionales (QMDT) aplicados comunmente al HSA (VAC, AC Y DOX; los tres basados en la doxorrubicina, fármaco predilecto en este tipo de neoplasia).
Por otro lado, posteriormente a la primera, ha surgido una nueva modalidad de quimioterapia, y cuya diferencia con la anterior reside en el par dosis-frecuencia.

La tabla 7 muestra un posible protocolo de quimioterapia metronómica también para el HSA.
Se baraja la posibilidad de que las bajas dosis administradas en la quimioterapia metronómica (QM) reduzcan o dificulten la neoangiogénesis tumoral y, consecuentemente, el aporte de nutrientes para su crecimiento.32
La doxorrubicina es el fármaco usado habitualmente en el tratamiento del HSA (bien en modalidad estándar, bien en metronómica) tanto en el perro como en el hombre debido a sus potentes efectos anticancerígenos en ambas especies25. Sin embargo, su cardiotoxicidad dosis-dependiente hace que deba ser descartada en ciertos pacientes con compromiso a ese nivel. En cuanto a este compuesto, bajo régimen metronómico, no se observaron diferencias significativas en lo relativo al tiempo de supervivencia general o al tiempo de supervivencia libre de progresión tumoral si lo comparamos con los pacientes tratados con doxorrubicina a dosis estándar.26 Asimismo, en pacientes con HSA en estadios TI o TII, la media de tiempo de supervivencia no difirió entre los tratados con quimioterapia estándar o metronómica.34
Informe anatomopatológico
En él, como corresponde a la fisiopatología de este tipo de tumor, es reseñable el eminente componente vascular, fruto de una neoangiogénesis de vasto endotelio. La elevada tasa de mitosis, junto a una cromatina inmadura (en pleno proceso
de actividad) y la elongación citonuclear, dan cuenta de la drástica malignidad del proceso.
Pronóstico
Los tiempos de supervivencia de perros con HSA varían en función de la localización y estadio del tumor1
En el caso del HSA esplénico, el pronóstico de los pacientes tratados únicamente con cirugía es malo, con una mediana de supervivencia (MS) que varía de los 19 a los 86 días, y una tasa de supervivencia al año del 10 %.2,3
Si la cirugía es complementada con quimioterapia posquirúrgica (protocolo VAC de 21 días), la MS puede llegar a los 190 días, con tasas de supervivencia al año del 30 %1
Los factores que afectan al pronóstico del HSA son principalmente tres2:
• Estadio del proceso: mejores expectativas en estadios bajos o iniciales.
• Edad del animal: a menor edad, peor pronóstico.
• Resección quirúrgica del tumor: resecciones incompletas evidentes se asocian a tiempos de supervivencia menores.
La avanzadilla en el estudio de las neoplasias de origen vascular corresponde a la medicina humana.
La doxorrubicina es el fármaco usado habitualmente en el tratamiento del HSA (bien en modalidad estándar, bien en metronómica).
En el hombre, el HSA esplénico es extremadamente raro3. Las patologías humanas que más se corresponden con el HSA canino son el angiosarcoma y el sarcoma de Kaposi, pues ambos parecen estar relacionados por un origen oncogénico común22
El desarrollo de terapias que atajen los procesos tumorales desde su inicio (desde la oncogénesis), es una línea de investigación evidente no solo en dicho mal, sino
6. Tres protocolos de quimioterapia convencional basados en la doxorrubicina.
1 VAC* (vincristina, doxorrubicina, ciclofosfamida)
Día 1
Doxorrubicina† 30 mg/m2 IV Ciclofosfamida 100-150 mg/m2 IV o Ciclofosfamida
Días 8 y 15 Vincristina 0,75
Día 22
Día 1
Repetir ciclo hasta un total de 4-6 ciclos
2 AC* (doxorrubicina, ciclofosfamida)
Doxorrubicina† 30 mg/m2 IV Ciclofosfamida 100-150 mg/m2 IV o Ciclofosfamida 150-200 mg/m2 PO, dividido en 3-4 días
Día 22 Repetir ciclo hasta un total de 4-6 ciclos
3 DOX* (doxorrubicina)
Doxorrubicina† 30 mg/m2 IV Repetir cada 2-3 semanas hasta 5 tratamientos
*Llevar a cabo un hemograma completo (CSC) antes de cada tratamiento de quimioterapia; retrasar el tratamiento de 5 a 7 días si los neutrófilos <2.000/uL o las plaquetas >75.000/uL
†La doxorrubicina se administra en dosis de 25 mg/m2 o 1 mg/kg en perros cuyo peso sea inferior a 1 kg.

Tabla 7. Protocolo de quimioterapia metronómica (QM) en el HSA esplénico.
Fármaco quimioterapéutico Ciclofosfamida
Dosis 12,5-25 mg/m2 al día por 3 semanas, alternando con etoposide.
Otros fármacos Etoposide 50 mg/m2 al día por 3 semanas. Piroxicam 0,3 mg/kg al día
Papel en la terapia
Adyuvante
Fuente: Withrow and Macewen’s. Small animal clinical oncology. 5th edition.
en cualquier tipo de cáncer. En este sentido, y debido a la naturaleza endotelial de este tipo de neoplasias vasculares, se han elaborado estudios con ratones enfermos de HSA para intentar inferir nuevas estratégicas antiangiogénicas3,35; punto importante en el desarrollo nutricional, oxigénico y metastásico de cualquier tipo de neoplasia tumoral, pero especialmente en los tumores de los vasos sanguíneos. Como ejemplos de sustancias que modifican el proceso de angiogénesis tumoral, entre otros, son destacables tres: interleucina-2 (IL-2), bevacizumab e interleucina-8 (IL-8).
la oncogénesis de este mal en la propia especie canina, cuyo fin sea, bien la salud del paciente canino, bien la inferencia técnica a la especie humana, o ambas.
En esta línea, un estudio24 efectuado principalmente por veterinarios, en el que se trasplantaron células de HSA esplénico canino a ratones, sostiene que la expresión génica de la IL-8 en el HSA canino está altamente estimulada. La IL-8, también conocida como CXCL8, es una quimiocina del grupo de las CXC (las “C” se deben a las dos cisteínas terminales de la molécula) con actividad proinflamatoria y proangiogénica. Además, la IL-8 está asociada con
Si la cirugía es complementada con quimioterapia posquirúrgica (protocolo VAC de 21 días), la MS puede llegar a los 190 días, con tasas de supervivencia al año del 30 %1
Thamm DH, en el capítulo correspondiente del libro Oncología Clínica de pequeños animales3, recoge los estudios de Masuzawa y Ohkawa (1989) y de Takano y Suzuki (1991), publicados en sendos años en la revista Japanese Journal of Dermatology (Jpn J Dermatol), para afirmar que en la administración local de IL-2 en tumores vasculares humanos ha podido ser apreciada una actividad antiagiogénica3
Un estudio más reciente23, realizado también en humanos, califica al bevacizumab (un anticuerpo recombinante humanizado contra el factor de crecimiento endotelial vascular -VEGF-), como eficaz en el tratamiento del angiosarcoma metastásico o localmente avanzado y de los hemangioendoteliomas epitelioides en combinación con tratamientos quimio o radioterapéuticos. El VEGF, un regulador primordial de la angiogénesis tanto fisiológica como tumoral y, por tanto, ligado al crecimiento no solo de tejidos sanos, sino neoplásicos, parece, según los autores de este estudio, ser inhibido por el bevacizumab.
En el caso concreto del HSA esplénico, su extremada rareza en el hombre y su relativa frecuencia en el perro, propician la existencia de líneas de investigación sobre
la angiogénesis de varios tumores humanos, y están demostrados los efectos de su hiperexpresión en la proliferación y supervivencia de la célula tumoral en distintos tipos de cáncer como el de mama, estómago, colon, páncreas, ovarios, vejiga, próstata y melanoma.
La estimulación de la expresión génica de la IL-8 en las células del HSA canino comparada con la de células no malignas derivadas de hematomas esplénicos sugiere que la IL-8 juega un papel crucial en la malignidad de estos tumores, en concreto mediante la potenciación de la supervivencia de la célula tumoral y su implantación o arraigo en los tejidos del hospedador. De hecho, en este artículo se comprobó que la IL-8 promueve el crecimiento del HSA modulando la angiogénesis y el microambiente del tumor en vivo. No obstante, los mecanismos mediante los cuales la IL-8 ejerce este efecto son desconocidos hoy en día.
A nivel genético, para finalizar, la similitud clínica del hemangiosarcoma canino y el angiosarcoma humano refleja una etiología genómica compartida; por ello, los perros podrían ser un modelo muy necesario para avanzar en la investigación del angiosarcoma humano. Mediante la secuenciación
del exoma completo de 47 hemangiosarcomas de golden retriever y la secuenciación de ARN de 74 hemangiosarcomas de múltiples razas, se observó que, con mayor frecuencia, las mutaciones de codificación somática se produjeron en el gen supresor de tumores TP53 (59,6% de los casos), así como en dos genes de la vía PI3K: el oncogén PIK3CA (29,8%) y su subunidad reguladora PIK3R1 (8,5%). La firma mutacional predominante fue la desaminación de citosina a timina asociada a la edad.36
En los estudios de Kim JH et al., fueron hallados en ambas patologías (humana y canina) 15 nuevos genes de fusión que codifican proteínas. Estos genes de fusión se observaron exclusivamente en tumores del subtipo molecular angiogénico que contenían mutaciones recurrentes en TP53, PIK3CA, PIK3R1 y NRAS. En particular, los genes de fusión y las mutaciones de TP53 coexistieron en tumores con una frecuencia más alta de lo esperado por azar, y enriquecieron las firmas mutacionales que predicen la activación de las vías angiogénicas.
El análisis comparativo de transcripción del AS humano y HSA canino identificó firmas moleculares compartidas asociadas con la activación de la vía canónica PI3K/ AKT/Mtor, una ruta de señalización celular que juega un papel fundamental en la modulación de muchos de los procesos básicos del ciclo celular como la apoptosis, la quiescencia, el crecimiento, la proliferación, el metabolismo o la diferenciación. Las alteraciones en esta ruta implican una amplia variedad de patologías, dentro de ellas, el cáncer.38
Existen líneas abiertas de investigación sobre la angiogénesis tumoral y su importancia oncogénica en este tipo de tumores vasculares. Estudios específicos sobre cómo las distintas sustancias pro y antiangiogénicas modulan el proceso bioquímico de la oncogénesis en los tumores de origen vascular podrían concluir en nuevas terapias para dicho tipo de tumores, así como para otros.
Asimismo, investigaciones a nivel genético han concluido que ciertos genes, como el supresor de tumores TP53 junto con otros genes y rutas metabólicas relacionadas, juegan un papel destacado en el proceso oncogénico y angiogénico de esta estirpe tumoral.
En referencia al paciente de estudio, se estableció un diagnóstico presuntivo de HSA de bazo en estadio II. Dicho diagnóstico fue consolidado por los resultados del examen anatomopatológico.
Pese a que el pronóstico de esta patología no es alentador, a las pocas semanas de la cirugía el paciente recuperó su peso habitual, estaba anímicamente más activo y, según sus dueños, “comía con un apetito que no mostraba desde hacía tiempo”. Su hemograma y bioquímica sanguínea mejoraron, aproximándose, pese al proceso, a los valores fisiológicos de su edad.
Desafortunadamente, casi tres meses después de la cirugía, Thor acudió a consulta aquejado de los síntomas típicos del proceso terminal de la patología objeto del artículo; entre los cuales destacan: anorexia, caquexia, debilidad, emaciación y apatía.
Investigaciones a nivel genético han concluido que ciertos genes, como el supresor de tumores TP53 junto con otros genes y rutas metabólicas relacionadas, juegan un papel destacado en el proceso oncogénico y angiogénico de esta estirpe tumoral.
Los datos obtenidos sugieren que la inestabilidad del genoma inducida por mutaciones de TP53 podría crear una predisposición a eventos de fusión que pueden contribuir a la progresión del tumor al promover la selección y/o mejorar la aptitud mediante la activación de vías angiogénicas convergentes en esta neoplasia maligna vascular.37
Discusión
El tratamiento de elección para el HSA esplénico sigue siendo la cirugía basada en la esplenectomía total. La complementación de esta con un protocolo quimioterapéutico puede aumentar sensiblemente tanto la mediana de supervivencia como la tasa de supervivencia al año.
Basándose en una determinación muy meditada, sus dueños, quienes desde hacía aproximadamente dos semanas venían notando este declive de su mascota, decidieron que la más ética opción para con él era la eutanasia.
Con lo expuesto se confirma que, en el caso de Thor, la mediana de supervivencia (MS) se ajusta a la descrita en la bibliografía para esta patología, establecida entre los 19 y los 86 días en función de un tratamiento únicamente quirúrgico. Thor fue intervenido el 7 de febrero y fue eutanasiado el 30 de abril, lo que arroja una MS de 82 días.
Bibliografía disponible en https://www.grupoasis.com/argos/ bibliografias/HSA262.docx

LETI Pharma sigue apostando por la colaboración formativa en los colegios veterinarios
LETI Pharma celebró en septiembre sendas sesiones formativas en los Colegios de Veterinarios de Cáceres y Huelva. El objetivo fue actualizar las mejores prácticas para optimizar el control de la zoonosis, destacando la importancia de su prevención todo el año. Las sesiones forman parte del programa integral de formación que LETI Pharma está impulsando en colaboración con diferentes colegios veterinarios de toda España, reafirmando su compromiso con la salud animal y la prevención de la leishmaniosis. “Nuestra misión es proporcionar a los veterinarios herramientas eficaces para proteger la salud de los animales. La leishmaniosis es una enfermedad grave, pero con una correcta prevención y diagnóstico, especialmente después del verano, se puede controlar eficazmente”, explicaron desde LETI Pharma.

HifasVet muestra en vídeo todo lo que las moléculas bioactivas de los hongos hacen por las mascotas


HifasVet invita a los veterinarios a descubrir todo lo que las moléculas bioactivas de los hongos pueden hacer en beneficio de las mascotas. Para acercar sus características, la compañía ha editado un vídeo que muestra las bondades de la micoterapia y define la acción de su gama MiB (MicoimmunoBiotics). Los hongos superiores cultivados por HifasVet incluyen prebióticos, probióticos y posbióticos. Cada componente tiene un rol complementario para mantener y mejorar la salud intestinal y general del organismo.
Un prebiótico micoterápico es un tipo de fibra no digerible que sirve como alimento para las bacterias beneficiosas del intestino. Estimulan el crecimiento y la actividad de estas bacterias, mejorando el equilibrio de la microbiota intestinal.
La línea de principios activos de HifasVet lleva asociados probióticos naturales que crecen en simbiosis con los micelios fúngicos. Son microorganismos vivos que, cuando se administran en cantidades adecuadas, aportan beneficios a la salud del huésped.
Los posbióticos son los metabolitos que quedan después de que las bacterias probióticas o los hongos han fermentado los prebióticos. Estos compuestos son los productos finales de la actividad de los probióticos y tienen efectos beneficiosos directos en la salud del huésped. Escanee el código QR para ver el vídeo.


Cantabria Labs Stangest ha incorporado a Lluc Ferrer a su equipo como export & private brand manager, con el objetivo de impulsar la compañía a nivel internacional y potenciar grandes cuentas a través de producto de marca privada. Con más de 20 años de experiencia en el sector pet care, es un nombre conocido dentro de la industria veterinaria y aporta un sólido historial en visión y desarrollo de negocio. Además de su destacada carrera profesional, Ferrer fue presidente de la asociación empresarial española AEDPAC desde 2016 hasta 2021. Con su incorporación, Cantabria Labs Stangest refuerza su compromiso de implementar las mejoras necesarias que le permitan fortalecer aún más su posición como referente en el sector.
Vetoquinol participa en el 3er Congreso
Anual de VetPartners

Madrid acogió en octubre el Congreso Anual de VetPartners, el grupo de clínicas presente en España desde 2021. Un año más, Vetoquinol quiso mostrar su apoyo al grupo, siendo patrocinador de su tercer encuentro. Además del patrocinio, la compañía participó con un espacio donde se mostraron algunos de sus productos, como Felpreva, el antiparasitario diseñado específicamente para gatos, y Phovia, la solución no invasiva basada en energía lumínica FLE de Vetoquinol que acelera los procesos naturales de regeneración de la piel y cada día es más utilizado en la clínica diaria. Toda la información sobre Felpreva está disponible en www. gatossinbichos.es. Más información y experiencias prácticas descargables sobre Phovia en www.phovia.es

Algunos cambios morfológicos pueden dar pistas sobre posibles patologías subyacentes.
ESTHER TORRENT GALINDO1, MIGUEL MOLINER ESCAPA2, JUANI SUÁREZ MORENO3
1Clinical Pathologist
2Medical Consultant
3Professional Services Veterinarian
IDEXX
Imágenes cedidas por los autores
En perros y gatos, el hemograma es una prueba esencial tanto para evaluar animales enfermos como en controles de pacientes aparentemente sanos. Actualmente es frecuente que el veterinario disponga de contadores hematológicos en la propia clínica, que permiten detectar rápidamente alteraciones en las concentraciones de las diferentes células sanguíneas. Aun así, estos analizadores no informan sobre posibles alteraciones morfológicas, para lo que, hoy en día, se requiere de un examen visual del frotis sanguíneo.
La evaluación del frotis sanguíneo cobra importancia en pacientes enfermos o con alteraciones del recuento hematológico, pero también en pacientes sin alteraciones cuantitativas aparentes que presentan gráficas de puntos o histogramas anómalos. Un buen frotis se debe realizar a partir de sangre fresca, obteniendo células bien distribuidas, y debe dejarse secar y teñirse de forma adecuada. La calidad del frotis es imprescindible para obtener buenos resultados y evitar artefactos.1
El estudio del frotis sanguíneo permite detectar parásitos hemáticos, variaciones en el tamaño y la morfología de las células, y cuantificar aproximadamente las diferentes densidades celulares.1 Algunos cambios morfológicos pueden ser poco específicos o de poca significación clínica, mientras que otros pueden dar pistas sobre posibles patologías subyacentes. En este artículo únicamente discutiremos cambios morfológicos hemáticos que pueden ser de ayuda diagnóstica.

1. Diferentes tipos de linfocitos. Las dos imágenes superiores se corresponden con linfocitos reactivos. Los linfocitos del cuadrante inferior izquierdo son linfocitos neoplásicos de una leucemia linfoblástica aguda. El linfocito del cuadrante inferior derecho es un linfocito granular grande de un linfoma intestinal en estadio V.
Los eritrocitos caninos son relativamente uniformes, tienen forma de discos bicóncavos y en el frotis sanguíneo muestran una palidez central. Los felinos son de menor tamaño y de formas más variables que los del perro y no tienen palidez central..1,2 Sus cambios morfológicos son vitales en pacientes con anemia, ya que pueden dar información sobre posibles enfermedades concurrentes o mecanismos involucrados en la anemia. Al interpretar estos cambios hay que tener en cuenta la especie (perro o gato), el grado de estos cambios y el contexto clínico.
A continuación, se discutirán las diferentes alteraciones morfológicas eritrocitarias según la información diagnóstica que aportan (tabla 1).
Regeneración
La forma adecuada de determinar si una anemia es regenerativa es el contaje de reticulocitos de forma automatizada o manual.2 Aun así, en las tinciones de WrighGiemsa o derivadas los reticulocitos pueden presentar un color más púrpura (eritrocitos policromatófilos). Un número aumentado de eritrocitos policromatófilos, y de eritrocitos con cuerpos de Howell-Jolly (un punto basofílico que representa un remanente nuclear) sugieren regeneración.1,2,3,4 Un número bajo de eritrocitos con estos cambios no es significativo, sobre todo en lo que respecta a gatos con cuerpos de Howell-Jolly.2 Los eritrocitos policromatófilos son de mayor tamaño y su presencia puede acompañarse de anisocitosis eritrocitaria (eritrocitos de diferentes tamaños).
En anemias regenerativas también puede observarse más de un 5 % (del total de células nucleadas) de eritrocitos nucleados (precursores eritroides de la médula ósea).1,2 Su número también puede estar aumentado en caso de daño a la médula ósea, procesos neoplásicos o displásicos.1,2,5 Por ese motivo, si no se acompañan de anemia o regeneración y se detectan precursores muy inmaduros puede ser recomendable su evaluación por parte de un patólogo clínico.
Hemólisis intravascular
En la hemólisis intravascular, la membrana del eritrocito puede romperse liberándose la hemoglobina. Quedan entonces eritrocitos en forma de células fantasmas, pálidos y con la membrana evidente.1,2 También pueden verse otras alteraciones según la causa de hemólisis (parásitos hemáticos, cuerpos de Heinz, etc.) o cambios indicativos de regeneración.
Destrucción inmunomediada
Según el consenso del ACVIM de 2019,6 la presencia de cinco o más esferocitos por campo de 100 aumentos favorece el diagnóstico de una anemia hemolítica inmunomediada en perros. Los esferocitos son eritrocitos de pequeño tamaño y sin palidez central (han sido fagocita-
Tabla 1. Principales alteraciones morfológicas eritrocitarias con información diagnóstica.1,2,5,6,9,13,14,15,16,17,18,19,20,21
Alteración morfológica* Desórdenes asociados
Eritrocitos policromatófilos
Cuerpo de HowellJolly
Eritrocitos nucleados



Eritrocitos fantasmas

Esferocitos

Cuerpos de Heinz

Anemias regenerativas: por pérdida de sangre o destrucción de eritrocitos.
Anemias regenerativas, glucocorticoides, quimioterapia, diseritropoyesis, enfermedad renal crónica.
Anemias regenerativas, daño esplénico o de médula ósea, neoplasias mieloides o linfoides, diseritropoyesis/ síndrome mielodisplásico.
Hemólisis intravascular: parásitos hemáticos, daño oxidativo, anemia hemolítica inmunomediada.
Artefactual: muestra de sangre envejecida, transfusión de concentrado de eritrocitos.
Anemia hemolítica inmunomediada (p), deficiencia de piruvato quinasa (p), daño por fragmentación (p), síndromes hemofagocíticos (p), veneno de serpientes (p). Artefactual: transfusión de concentrado de eritrocitos (p).
Oxidantes exógenos: ingestión de cebolla o derivados, naftaleno, paracetamol (g), benzocaína, propofol, vitamina K3 y sus agonistas. Oxidantes endógenos: diabetes mellitus, hipofosfatemia, linfoma, hipertiroidismo (g). Excentrocitos

Esquistocitos

Daño mecánico: coagulación intravascular diseminada, inflamación de órganos muy vascularizados, glomerulonefritis, síndrome de la vena cava/ dirofilariosis (p), hemangiosarcoma (p), shunt portosistémico (p). Fragilidad eritrocitaria: anemia por deficiencia de hierro, mielofibrosis.
Acantocitos

Hemangiosarcoma (p), osteosarcomas (p), coagulación intravascular diseminada (p), vasculitis, enfermedad hepática, lipidosis hepática (g), deficiencia de hierro, glomerulonefritis, enfermedades digestivas (p), mielofibrosis, uremia, alteraciones electrolíticas y de colesterol, posibles desórdenes hereditarios (p)
Queratocitos

Equinocitos

Cambio poco específico. Mismos desórdenes que acantocitos y excentrocitos
Uremia, glomerulonefritis, deficiencia de piruvato quinasa, veneno de serpiente, quimioterapia con doxorrubicina
Artefactual: exceso de EDTA, secado inadecuado, muestra, envejecida
*Los cambios morfológicos deben interpretarse en función de su cantidad y del contexto clínico. p: perros; g: gatos
dos parcialmente por macrófagos esplénicos).1,2,6,7 No son patognomónicos de anemias inmunomediadas y también pueden encontrarse, normalmente en menor número, en otras patologías. En gatos la detección de esferocitos no es fiable.
Las anemias inmunomediadas pueden ir acompañadas de policromasia, anisocitosis, eritrocitos nucleados, eritrocitos fantasmas y eritrocitos dispuestos en agregados.
Daño oxidativo
El daño oxidativo puede causar alteraciones en la membrana de los eritrocitos, observándose eritrocitos con cuerpos de Heinz (proyecciones redondeadas de
hemoglobina desnaturalizada en forma de “nariz de payaso”), y excentrocitos (eritrocitos con hemoglobina condensada con una zona pálida excéntrica).1,2,7 Cuando un excentrocito pierde la membrana que rodea la zona pálida recibe el nombre de picnocito, y podría confundirse con un esferocito.2
Los eritrocitos con cambios oxidativos se interpretan según el cuadro clínico del paciente, cantidad de eritrocitos afectados, presencia de células fantasmas, picnocitos, eritrocitos policromatófilos, etc. La hemoglobina felina es fácilmente oxidable, y gatos sanos pueden tener números bajos (o hasta moderados) de pequeños cuerpos de
Heinz sin causar anemia, mientras que en perro su presencia es siempre patológica.1,2
Fragmentación eritrocitaria y alteraciones lipídicas
Los esquistocitos son eritrocitos que se han roto por un daño mecánico (anemia hemolítica microangiopática) por patologías que cursan con alteraciones de la superficie endotelial, flujo sanguíneo turbulento, fibrina intravascular o, con menor frecuencia, por fragilidad del propio eritrocito. Son eritrocitos pequeños, de formas irregulares o con extremos puntiagudos.1,2,7
Los acantocitos son eritrocitos con espículas normalmente romas de tamaños variados y distribución irregular. Se cree que se producen por alteraciones en la composición de la membrana lipídica que hacen las células menos deformables al pasar por los capilares esplénicos, junto con daño mecánico como el que produce los esquistocitos.1,2,7,8 Los acantocitos no deben confundirse con equinocitos. En anemias por fragmentación también puede verse policromasia y otros tipos de poiquilocitos como queratocitos.
Cambios poco específicos o artefactuales
Los queratocitos son eritrocitos con una vesícula clara que puede romperse generando un eritrocito con “cuernos”. Es un cambio poco específico que puede no tener significación clínica, aunque con otros poiquilocitos y en números elevados se relacionan con daño oxidativo o por fragmentación.1,2,7
Los equinocitos son eritrocitos crenados, con numerosas espículas de tamaños parecidos, con frecuencia puntiagudas, y distribuidas de forma uniforme. Suelen ser artefactuales, aunque en ocasiones pueden indicar patología.1,2,7,9
Alteraciones leucocitarias
Aunque los cambios de mayor significación clínica suelen ser cuantitativos (números aumentados o disminuidos de células), hay cambios morfológicos (no siempre acompañados de alteraciones cuantitativas) que pueden aportar información sobre desórdenes concurrentes.
Inflamación
En procesos inflamatorios (incluyendo patologías no-infecciosas) puede haber una maduración acelerada de neutrófilos en médula ósea que hace que en sangre periférica podamos encontrar números aumentados de neutrófilos en banda (cayados) o con características de toxicidad. Los neutrófilos en banda tienen núcleos sin lobulaciones o con constricciones muy leves, en forma de cayado, U o S.1,10 Las características de toxicidad de los neutrófilos incluyen citoplasma basofílico y espumoso/ vacuolado y cuerpos de Döhle (concreciones azuladas citoplasmáticas). En casos de toxicidad más marcada pueden observarse núcleos inmaduros (en anillo) o en casos graves, núcleos hinchados o con lisis.1,10 En gatos, un número bajo de neutrófilos con cuerpos de Döhle no se considera de significación clínica.2 En sangre envejecida pueden aparecer falsos neutrófilos en banda y cambios tóxicos artefactuales.11 Los cambios tóxicos se gradúan según el número de neutrófilos afectados y el tipo de cambios.
Estimulación antigénica
En casos de estimulación antigénica, sobre todo en animales jóvenes, pueden verse linfocitos reactivos. Estos linfocitos suelen representar una población heterogénea, con núcleos de cromatina densa y formas variables, sin nucléolos, en ocasiones con más cantidad de citoplasma
azul intenso o con una zona clara perinuclear.1,10 Pueden ser de tamaño grande lo que puede dificultar diferenciarlos de células neoplásicas (figura 1).
Displasia o neoplasia
En ocasiones pueden observarse leucocitos anómalos, incluyendo leucocitos con cambios displásicos, o células sanguíneas inmaduras de origen neoplásico (células “blásticas”), de origen linfoide, mieloide o indiferenciado. Estas células pueden ser de tamaño mediano a grande, mononucleares, con núcleos redondos o indentados, en ocasiones con un nucléolo evidente y con citoplasma azulado.1,10 Para una mejor interpretación de estas células es reco-
mendable una valoración por un patólogo clínico o la realización de pruebas complementarias. En algunas neoplasias no hematopoyéticas también podemos ver células metastásicas en sangre circulante.
Alteraciones plaquetarias
En general los cambios en la morfología plaquetaria aportan poca información diagnóstica. La anisocitosis plaquetaria (plaquetas de diferentes tamaños) es frecuente, sobre todo en gatos. La formación de agregados plaquetarios, también más frecuente en gatos que en perros, tiene que considerarse en la interpretación del contaje de plaquetas, pero su presencia úni-
camente indica una activación plaquetaria en el momento de la toma de muestras.12 En perros la presencia de macroplaquetas puede verse en algunas razas con macrotrombocitopenia congénita (Cavalier King Charles Spaniel).12
En conclusión, la interpretación de los cambios morfológicos de las células sanguíneas debe hacerse en correlación con la cantidad de células afectadas junto con los otros parámetros del hemograma y alteraciones laboratoriales, con la pertinente historia del paciente. La evaluación adecuada depende de los conocimientos del observador y de la calidad del frotis sanguíneo.
Referencias:


En la actualidad nos enfrentamos a una compleja situación ante la elección de la mejor alimentación para nuestros perros y gatos.

Veterinario
Comunicación Científica Royal Canin
Vivimos un proceso de continuos cambios en las tendencias de alimentación de perros y gatos. Además, existe una gran oferta de alimentación en el mercado, unida a la mayor y más fácil posibilidad de obtener información en internet y redes sociales, incluso antes de consultar con el veterinario. El problema es que no todas estas opiniones o informaciones son ciertas, están contrastadas o tienen una base científica que las apoye. Más bien están basadas en valores, opiniones o anécdotas personales, incluso elección de estilo de vida, sin tener en cuenta que la nutrición de perros y gatos es muy diferente a la de los humanos. Por este motivo una buena formación de los equipos veterinarios en este tema resultará de vital importancia para saber exponer las ventajas, riesgos e inconvenientes que todas estas tendencias presentan y poder recomendar y prescribir la mejor nutrición para perros y gatos sin comprometer su salud. Es importante destacar que, aunque perros y gatos, como mamíferos, pertenecen por su clasificación taxonómica al orden carnívoro atendiendo a su morfología, por su comportamiento trófico los carnívoros pueden clasificarse como: omnívoros (perro y oso), carnívoros estrictos (gato, comadreja y nutria) o herbívoros (oso panda). Esto realmente puede confundir en cuanto a la idoneidad de determinadas tendencias nutricionales. El gato es considerado carnívoro estricto por sus particularidades nutricionales: necesita mayor aporte de proteínas y aminoá-
cidos; depende de la taurina y arginina del alimento (aminoácidos esenciales); no puede obtener acido araquidónico a través de su precursor el ácido linoleico; tampoco puede obtener retinol, la forma activa de la vitamina A, de sus precursores los betacarotenos. Por todo ello, los gatos necesitan que una parte de su alimentación provenga de tejidos animales (carne, vísceras) que contienen estos nutrientes para evitar deficiencias nutricionales, aunque pueden utilizar también otras fuentes de nutrientes. Los principales puntos sobre estas tendencias se relacionan con los siguientes aspectos.
La dieta evolutiva
La nutrición con alimentos evolutivamente diseñados se basa en la alimentación del ancestral lobo salvaje (hace más de 36.000 años) del que desciende el actual perro doméstico. No tiene en cuenta el proceso de domesticación y adaptación a la vida con los humanos. Los perros ancestrales modificaron su genoma para sintetizar amilasa, obtener más eficazmente energía de los carbohidratos, y tener más probabilidades de sobrevivir y más descendencia. Transmitían estas mutaciones1,2
La domesticación parece haber cambiado la fisiología digestiva del perro, que amplía su espectro alimentario. De hecho, un artículo que investigó sobre perros que viven en poblaciones actuales poco evolucionadas nutricionalmente indica que la dieta estaba compuesta por: en mayor medida maíz y otros cereales, sobras de carne (huesos, vísceras, despojos), frutas y verduras e incluso heces humanas, bastante diferente de lo que refleja esta dieta ancestral3
La dieta evolutiva nos ayuda a entender las particularidades nutritivas del gato y perro, pero no necesariamente es la dieta ideal, ya que es variable según la ubicación geográfica, puede reflejar disponibilidad, pero no nutrición óptima y, además, los félidos y cánidos salvajes tienen vidas cortas, muy diferentes de los actuales que, gracias a la mejora de la genética, los cuidados en el entorno y veterinarios más una buena tienen una longevidad bastante más larga. En este grupo podemos encontrar las dietas: en base carne cruda (BARF), altas en proteínas con limitación de carbohidratos, libres de cereales y con altas cantidades de carne fresca, etc.

No existe ninguna legislación que regule el término “natural”, por lo que está basado en conceptos o ideas poca claras, subjetivos y variables, más atendiendo a percepciones y expectativas personales sobre alimentación idealizada y a marketing. Conceptos como: “sin conservantes”, “fresco”, “cocinado a baja temperatura”, “ingredientes naturales”, “frutas y verduras frescas” se usan para acercar a los cuidadores a este tipo de alimentos.
El Código de buenas prácticas de etiquetado de alimentos para animales de compañía de FEDIAF y ANFAAC define el uso de “natural” (pero no tiene carácter legal), describiendo que la extrusión se considera un proceso productivo aceptable dentro de este concepto natural4
Existe una errónea e injusta predisposición a llamar “ultraprocesados” (no existe definición legal), a los alimentos extrusionados para perros y gatos, comparándolos con la comida para humanos de baja calidad (poco saludable, con mucha sal, grasa o azúcares, pobres en proteína, fibra y micronutrientes), sin ningún rigor y sin consenso científico, bastante alejada de la realidad. Los alimentos extrusionados para perros y gatos están elaborados por empresas que llevan muchos años en el sector e invierten en investigación y desarrollo, son totalmente equilibrados, formulados por especialistas en nutrición y proporcionan una nutrición completa y saludable.
Dietas grain free
Los cereales (trigo, maíz, arroz, etc.) han sido incluidos en alimentos para perros y gatos hace décadas y, aunque su uso principal es como fuente de energía, también aportan una variedad de nutrientes. En función de qué parte de estos cereales pueda utilizarse, su perfil nutricional es diferente: no es lo mismo maíz o harina de maíz que gluten de maíz o almidón de maíz y, por este motivo, se declaran de forma independiente en el etiquetado. No son, por lo tanto, ingredientes “vacíos”, ya que aportan más nutrientes además de calorías; su inclusión en forma de carbohidratos permite formular alimentos más bajos en grasa y calorías para ayudar al control de peso, además de permitir ahorrar proteína (concepto de sostenibilidad), un nutriente valioso y escaso. Existen múltiples mitos alrededor de los ingredientes que aportan carbohidratos digestibles en alimentos para mascotas, especialmente cereales. Muchos tutores de perros y cuidadores de gatos creen que los alimentos sin cereales ofrecen una nutrición superior, e incluso que proporcionan múltiples beneficios para la salud de sus mascotas (reducción de alergias alimentarias5 (figura 1) o mejora de la salud gastrointestinal), aunque la realidad nos dice que no existe ninguna evidencia científica que lo demuestre. Como es sabido, para fabricar las croquetas (proceso de extrusión) es necesaria la presencia de almidón, de cualquier fuente, ya sea procedente de cereales u
otras fuentes alternativas (lentejas, garbanzos, patatas, guisantes) y estos ingredientes tampoco forman parte de la “dieta natural” de perros y gatos salvajes. Estudios de la FDA relacionaban estos alimentos con ingredientes no habituales, con las muertes de perros por MCD (miocardiopatía dilatada) asociado a un déficit de taurina6,7, actualmente en proceso de revisión.
Existen estudios que demuestran cómo diferentes tipos de almidones procedentes de varios ingredientes pueden ser digeridos de una forma eficiente por perros y gatos (+95 % digestibilidad)8,9. Siempre teniendo en cuenta que la digestibilidad de los almidones mejora cuando son cocinados adecuadamente.
Desarrollada por un veterinario australiano, la dieta BARF (Biologically Appropriate Raw Food) se compone de un 60-80 % de carne, huesos carnosos crudos y el 20-40 % de fruta y vegetales crudos, huevos, vísceras. No existe ningún estudio con evidencia científica sobre posibles beneficios que puede aportar. Solo uno hace referencia a la menor cantidad de sarro dental (cuestión estética), no sobre enfermedad periodontal10 y otro sobre beneficios en diferentes patologías, pero realizado con muchas limitaciones y sin verificar la evolución de las patologías por veterinarios11 En cambio, el uso de este tipo de alimentación presenta varios riesgos:
• Deficiencias o excesos nutricionales.
• Contaminación bacteriana y potencial zoonótico. Efectos tanto en el animal como para tutores y cuidadores y ambiente que les rodea. Existen muchas referencias a reportes de contaminación por diferentes bacterias (Salmonella spp., Campylobacter spp., E. coli, Clostridium spp., Listeria spp.) y parásitos (Toxoplasma). Es especialmente grave la referencia a un estudio de 2022 donde puede demostrarse la resistencia a antibióticos en E. Coli y la presencia de Salmonella en muestras de heces de perros alimentados con dietas crudas12, por lo que no estaría alineado con un enfoque One Health
• Riesgos para la salud de perros y gatos. Alimentación con huesos (fracturas dientes, heridas boca, etc.) y otros riesgos (obstrucción GI, perforaciones). Es importante recordar que la congelación no elimina el riesgo de contaminación, y solo se recomienda el tratamiento térmico para eliminarlo.
Existe una tendencia a humanizar e idealizar la nutrición de perros y gatos, aunque las diferencias nutricionales de estos con los humanos son bastante grandes. Por ello importante que los equipos veterinarios tengan la formación adecuada para informar a los cuidadores de perros y gatos, con el objetivo de convertirse en el referente en cuanto a la nutrición y la salud de estos.
Bibliografía disponible en https://www. grupoasis.com/argos/bibliografias/RC263.docx



El laboratorio Vetilea, especializado en complementos alimenticios y productos de higiene, cuidado y manejo de los animales respaldados por estudios clínicos, presenta su nueva línea de oftalmología en España. A partir de noviembre, tres productos pioneros estarán disponibles en los distribuidores nacionales colaboradores de Vetilea, proporcionando soluciones eficaces, seguras y altamente tolerables para perros, gatos, caballos no aptos para el consumo y conejos de compañía. Los productos de esta línea están diseñados para el manejo de diversas situaciones, ofreciendo una combinación única de ingredientes avanzados. Vetilea Siccostil Protect (10 ml) son gotas estériles lubricantes que alivian la sequedad ocular y el síndrome de ojo seco. Vetilea Septostil Hydrogel (10 ml) protege la córnea, aliviando la irritación y el enrojecimiento ocular. Vetilea Viscostil (30 ml) es un hidrogel transparente perfecto para diagnósticos oftalmológicos avanzados y procedimientos quirúrgicos. Son productos con alta tolerabilidad y evidencia científica ofreciendo una solución de vanguardia para los profesionales veterinarios. Vetilea planea continuar innovando con nuevas referencias que se sumarán a esta línea en el futuro cercano.

■ Para más información: Vetilea info@vetilea.com – myvetilea.com
Centauro se convierte en distribuidor oficial de Atramat

Centauro se ha convertido en distribuidor oficial de Atramat, marca de referencia en el desarrollo de productos de sutura quirúrgica. Atramat se especializa en la producción de suturas de alta calidad para distintas especialidades veterinarias, incluyendo cirugía general, ortopédica y oftálmica, lo que asegura un nivel de precisión y seguridad óptimos en los procedimientos quirúrgicos. Estas suturas están diseñadas para cumplir con los más altos estándares de la industria y están disponibles en una amplia gama de materiales y configuraciones, permitiendo a los veterinarios elegir la mejor opción para cada intervención.
■ Para más información: Centauro - https://shop.centauro.es
Picart Select Diet Cat Urinary es un alimento dietético completo y equilibrado, elaborado con ingredientes de origen natural, vitaminas y minerales añadidos, apto para gatos adultos e indicado especialmente para problemas del tracto urinario. Contiene ingredientes con propiedades acidificantes de la orina que modifican su pH y ayudan a disolver gradualmente los cálculos de fosfato inorgánico.
Con un 50 % de ingredientes de origen animal de calidad y un 50 % de frutas, verduras y cereales saludables, la gama Classics de Acana contiene gran cantidad de proteínas de origen animal y los nutrientes y vitaminas que perros de todas las razas necesitan para cuidar su salud en todas las etapas de la vida. Incluye tres recetas para todos los gustos: Red Meat, elaborada con vacuno crudo; Prairie Poultry, elaborada con pollo fresco; y Wild Coast, con salmón crudo como primer ingrediente.

■ Para más información: Acana info@masale.com

Menforsan presenta un repelente de insectos para equinos de fácil aplicación que protege de las picaduras y mordeduras de insectos voladores (moscas, tábanos, mosquitos) las zonas más sensibles de la cara del caballo (sienes, exterior de los ojos, testuz, ollares, labios y orejas). También puede aplicarse en la base de la cola y la crinera. Contiene una combinación única de tres activos repelentes naturales (margosa+geraniol+lavandino) que reduce las tremendas molestias provocadas por estos insectos. Se comercializa en envases de 75 ml con aplicador roll-on
■ Para más información: Laboratorios Bilper Group – info@menforsan.com www.menforsan.com
Dômes Pharma presenta su gama para el control de la epilepsia
Arquivet Baby Powder Cat Litter es una arena aglomerante natural para gatos con aroma a talco. Elaborada con bentonita de sodio 100 % natural, esta arena se distingue por su capacidad de formar bolas instantáneas con una aglomeración muy compacta. Además, tiene muy poco polvo y mínima adherencia a las patitas, lo que la convierte en una opción de calidad superior. La bentonita utilizada es una arcilla completamente natural, diseñada para cuidar el bienestar y la salud del gato. Disponible en sacos de 5 y 10 kg.
■ Para más información: Arquivet – www.arquivet.com
La Vitamina K1 de Dômes Pharma se llama ahora Vitamivet K1


■ Para más información: Picart - https://picartpetcare.com
La gama Epilepsia de Dômes Pharma se adapta a cualquier necesidad de tratamiento de la enfermedad en perros. Soliphen, comprimidos de fenobarbital, es tratamiento de primera línea para la epilepsia idiopática. Viene en cajas de 60 comprimidos y tres concentraciones (15, 60 y 120 mg). Vetbromide, comprimidos de 600 mg de bromuro potásico, está indicado en monoterapia o como complemento al fenobarbital. El inyectable Ziapam 5 mg/ ml (diazepam) es apto en trastornos convulsivos y espasmos musculares y como parte de un protocolo preanestésico o de sedación en perros y gatos.

■ Para más información: Dômes Pharma – contacto@domespharma.com www.domespharma.es
Dômes Pharma cambia el nombre de las dos presentaciones de Vitamina K1 de su gama Anti-Tox para la gestión de intoxicaciones. Se trata de medicamentos de prescripción veterinaria a base de fitomenadiona o vitamina K1 para la acción contra los rodenticidas anticoagulantes en los casos de intoxicaciones en perros. Las formas galénicas son Vitamivet K1 inyectable 10 mg/ml en ampollas de 5 ml y Vitamivet K1 comprimidos 50 mg recubiertos con película ranurados. La acción de Vitamivet K1 inyectable es rápida gracias a su administración intravenosa.
■ Para más información: Dômes Pharma contacto@domespharma.com – www.domespharma.es


Virbac presenta Trilotab, el primer comprimido masticable con trilostano con sabor y divisible, para el tratamiento del síndrome de Cushing en perros. La tecnología de click tab permite dividir el comprimido en cuatro partes iguales con una ligera presión de los dedos, facilitando una dosificación precisa para un control más sencillo. Está disponible en tres presentaciones de 10, 30 y 60 mg en envases de 30 comprimidos. El síndrome de Cushing es una de las endocrinopatías más frecuentemente diagnosticadas en perros. Realizar un diagnóstico y tratamiento tempranos para controlar los síntomas y prevenir la progresión de una enfermedad crónica que amenaza la vida del paciente es clave. Para aumentar las posibilidades de éxito del tratamiento, es necesario asegurar un cumplimiento estricto. Su fácil administración con la comida, agradable sabor a pollo y la posibilidad de dosificación precisa facilitan el cumplimiento del tratamiento y permiten que cada perro reciba la dosis mínima efectiva. El trilostano inhibe de forma selectiva y reversible el sistema enzimático 3-betahidroxiesteroide isomerasa, bloqueando la producción de cortisol. Es eficaz en ambas formas de la enfermedad (síndrome de Cushing pituitario y adrenal) y tiene una alta relación beneficio/riesgo.

■ Para más información: contacte con su delegado de Virbac
Distrivet presenta su nueva gama de desinfección de la marca Covetrus

Distrivet presenta su nueva gama de desinfección de la marca Covetrus. Se trata de una línea de desinfectantes de fabricación española formulados de tal manera que son seguros para los pacientes, el medioambiente y cumplen con la normativa tanto española como europea. En este caso, Covetrus formula desinfectantes con moléculas de ultimo diseño muy seguro para la consulta veterinaria, de acción rápida, con moléculas que no generan resistencia y con un amplio especto de acción. Sin necesidad de aclarado y listas para usar.
■ Para más información: Distrivet a Covetrus Company – www.distrivet.es

Acana comienza una colaboración con la Fundación Aladina en la Unidad de Cuidados Paliativos Pediátricos del Hospital Niño Jesús
Las adopciones de perros en

El hospital veterinario más antiguo de España cumple 75 años

Acana inicia una nueva colaboración con la Fundación Aladina, organización que nació en 2005 con el objetivo de que ningún niño enfermo pierda la sonrisa ni las ganas de luchar. La organización ayuda cada año en torno a 2.000 niños y familiares y colabora en 20 hospitales. Acana aportará 4.000 euros que permitirán financiar gran parte de un programa pionero que se desarrolla en la Unidad de Cuidados Paliativos Pediátricos del Hospital Niño Jesús. Gracias a este programa, niños y niñas en fase de cuidados paliativos podrán beneficiarse de una serie de intervenciones asistidas con perros, las cuales aportan grandes beneficios, no solo a los menores, sino también a sus familiares.

Visualvet, el equipo de profesionales veterinarios especializados en medicina y patología ocular, se integra en AniCura Indautxu Hospital Veterinario para ofrecer el mejor servicio oftalmológico para mascotas en la zona norte. De esta manera, AniCura Indautxu, el hospital veterinario de referencia en el País Vasco, consolida su compromiso en brindar un servicio de alta calidad asistencial, disponiendo de un gran abanico de especialidades y ofreciendo al veterinario referidor un excelente servicio integral. “Contamos con la más avanzada tecnología y aplicamos las últimas técnicas, diagnósticos y tratamientos. Gracias a la dedicación exclusiva y a la constante formación en oftalmología veterinaria, nuestro equipo está capacitado para interpretar y resolver, quirúrgica o clínicamente, las enfermedades oftalmológicas que presentan nuestros pacientes”, comenta Victoria Espejo, fundadora de Visualvet.
Access VetMed expone las primeras conclusiones de su estudio europeo del mercado de genéricos veterinarios
En 2023, el número de adopciones de perros en España cayó a la cifra más baja registrada en los últimos tres años. Fundación Affinity estima que 77.000 perros fueron adoptados el pasado año, lo que representa el 45 % de los perros que llegaron a los refugios. Este porcentaje supone una caída de 5 puntos en comparación con 2022. Por el contrario, el informe muestra que la adopción de gatos ha mostrado una leve recuperación. Tras el descenso registrado en 2022, el año pasado se alcanzaron las 56.500 adopciones, 1.500 más que hace dos años. Aunque este incremento no es estadísticamente significativo, sugiere una tendencia positiva en la adopción de felinos.


HifasVet, referente en el desarrollo de soluciones naturales e innovadoras para la salud y alimentación de las mascotas, ha dado un importante paso al abrir su perfil oficial en Instagram (www. instagram.com/hifasvet). A través de esta plataforma digital, busca conectar de manera más cercana con veterinarios, tutores de mascotas y amantes de los animales, ofreciendo información valiosa y accesible sobre salud animal. Con un claro enfoque One Health, HifasVet pone énfasis en la interconexión entre seres humanos, animales y medioambiente. La compañía tiene como objetivo crear una comunidad activa donde se priorice el bienestar animal y se promuevan prácticas saludables tras irrumpir en el canal veterinario con el desarrollo de nuevas fórmulas naturales basadas en resultados clínicos, y que se elaboran a partir de compuestos activos de hongos medicinales. El perfil de Instagram es un espacio para compartir contenido educativo, consejos y novedades sobre sus productos, todo orientado a mejorar la calidad de vida de las mascotas. HifasVet invita a veterinarios y tutores a seguir su cuenta y participar en su nueva iniciativa. Con esta estrategia, la compañía reafirma su compromiso con el bienestar animal y su papel referente en el sector.

Fundado en 1949 por Manuel Isidro Rodríguez, AniCura San Vicente Hospital Veterinario cumple su 75 aniversario ofreciendo un servicio de vanguardia y calidad excepcional a pequeños animales, exóticos y caballos de toda la Comunidad Valenciana y limítrofes. El centro está ubicado en Sant Vicent del Raspeig (Alicante) en la calle del Veterinario Manuel Isidro Rodríguez García, que lleva su nombre como homenaje a su destacable trayectoria. “Nuestra pasión por el cuidado animal nos guía a buscar la excelencia. Estamos orgullosos de lo que hemos logrado para seguir adelante con el legado de mi padre. Además, tenemos el honor de celebrar este momento con compañeros que, con su ardua dedicación, nos acompañan desde hace más de 40 años”, explica Manuel Alejandro Rodríguez, director del hospital.


Access VetMed, la voz de los medicamentos genéricos veterinarios en Europa, celebró su reunión anual de directores generales los días 12 y 13 de septiembre en Bucarest (Rumanía) con el apoyo de Farmavet como empresa anfitriona. El evento reunió a más de 60 directores generales y personal de empresas asociadas. “Es una oportunidad para el intercambio de ideas, opiniones y prácticas, así como para el debate sobre los principales desafíos que enfrenta este sector”, dijo Xavier Molins, responsable de Asuntos Regulatorios en Bimeda y presidente de Access VetMed. Uno de los momentos más esperados fue la presentación de las conclusiones preliminares del Estudio de Mercado de Medicamentos Genéricos Europeos de Access VetMed en 2024.

El artículo “Agresividad felina: diferentes causas y aproximación al tratamiento”, publicado en el número 261 de Argos (correspondiente a septiembre de 2024), en concreto en la página 22, contiene tres ilustraciones que, aunque están referenciadas, no cuentan con la pertinente autorización de las editoriales que publicaron las obras originales: las figuras 1, 2 y 3. Lamentamos los inconvenientes derivados de ello e informamos a nuestros lectores de que la versión digital de la revista ha sido rectificada en consecuencia. Puede acceder a ella a través de este código QR.

En el 34 Congreso anual ECVIM-CA, celebrado en Lyon (Francia) del 5 al 7 de septiembre, se presentó el póster del estudio de la eficacia clínica de Specific Digestive Support Low- Fat CID-LF de Dechra en perros con enteropatía crónica, de Claudia Hernández, Luís Feo y Jordi Puig (Departamento de Medicina Interna. AniCura Ars Veterinari Hospital). Este estudio sugiere que una dieta baja en grasa con proteína hidrolizada puede ser adecuada para tratar las enteropatías que responden a la dieta en perros. En esta población, la dieta Specific Digestive Support Low-fat consiguió una respuesta global favorable del 81 % (pacientes clasificados como RC y RP), lo que enfatiza la importancia del tratamiento nutricional como piedra angular del enfoque terapéutico.
Nota de Redacción
En su firme compromiso de ir más allá de la salud animal, Ceva Salud Animal ha reafirmado su responsabilidad social a través de una significativa colaboración con Cruz Roja Cataluña. La compañía ha donado leche para apoyar a personas y familias en riesgo de exclusión social. Este gesto solidario refleja su dedicación no solo con el bienestar animal, sino también con la mejora de la calidad de vida de los sectores más desfavorecidos. La empresa demuestra una vez más su dedicación a construir una sociedad más justa y equitativa. La colaboración con Cruz Roja viene de lejos y subraya su compromiso tanto con la salud de los animales como con el bienestar humano, trabajando por un mundo mejor para todos.

El Departamento de Redacción de Argos informa a los lectores de que las “Noticias” publicadas en esta revista deben tener como máximo 125 palabras y contar con un único elemento gráfico (fotografía o logotipo) para ilustrarlas.

Nicolas Dumoulin, nuevo director general de Boehringer Ingelheim España
Nicolas Dumoulin es nuevo director general de Boehringer Ingelheim España desde el 1 de octubre. Sustituye en el cargo a Peter Ploeger, quien, tras seis años en el cargo, asume nuevas responsabilidades globales como country managing director Animal Health en Boehringer Estados Unidos. Dumoulin se unió a Boehringer Ingelheim en 2003 como head de Animal Health en Francia, tras ocupar diversos roles en Pfizer o Bayer. “Mi propósito es crear valor para mejorar la vida de las personas y de los animales. Me gustaría seguir impulsando el crecimiento de España como país motor para la compañía, así como asegurar que los esfuerzos en innovación y sostenibilidad contribuyen a mejorar la calidad de vida de la sociedad española”, explica Dumoulin.

Vetoquinol participa en el Congreso
Anual de VetFamily celebrado en Valencia
Elanco colabora en la desparasitación y adopción de perros y gatos de la Fundación Jadoul

Los días 4 y 5 de octubre tuvo lugar en Valencia el Congreso Anual de VetFamily. Igual que en otras ocasiones, Vetoquinol formó parte de este encuentro, un congreso donde se tuvo la oportunidad de compartir información y experiencias de los productos y soluciones que tiene la compañía para la clínica veterinaria con los veterinarios del grupo. La compañía mostró productos y soluciones como Felpreva, el antiparasitario diseñado específicamente para gatos, y Phovia, la solución no invasiva basada en energía lumínica FLE de Vetoquinol que acelera los procesos naturales de regeneración de la piel y cada día es más utilizado la clínica diaria. Más información y experiencias prácticas descargables sobre Phovia en www.phovia.es
Zoetis visibiliza la lucha frente a la artrosis canina en la carrera Perrotón
Zoetis participó el 6 de octubre en la XIII Carrera Perrotón, una prueba de 4,5 km en la que los verdaderos protagonistas fueron los perros. El evento tuvo lugar en la plaza de Colón en Madrid. Con esta actividad se celebró la alegría y vitalidad de las mascotas, pero también se destacó la importancia de mantener su salud articular y disfrutar así de una vida activa y sin dolor. Zoetis entregó el premio al “Veterinario más comprometido con la artrosis”, que recayó en Álvaro Fernández Hernández, de la Clínica Veterinaria Medivet Diego de León (Madrid), que recibió el galardón por parte de Diego García, director general de Zoetis España y vicepresidente sénior del Sur de Europa.



Elanco se une a la cadena de clínicas veterinarias y tiendas especializadas en mascotas Interzoo para apoyar a la Fundación Jadoul en su misión de asegurar el bienestar de sus perros y gatos rescatados y encontrarles un hogar definitivo. Esta colaboración se centra en dos áreas clave: la desparasitación de los animales y la promoción de su adopción. Elanco ha donado pipetas antiparasitarias para perros Advantix, uno de sus productos más reconocidos que celebra este año su 20 aniversario, y comprimidos masticables antiparasitarios para gatos AdTab, lanzados en 2022. Estos antiparasitarios externos de Elanco ayudan a asegurar el bienestar de los animales.
Neftys Farma Iberia y Petia Vet Health llegan a un acuerdo para lanzar la vacuna contra la leishmaniosis canina Neoleish
LETI Pharma y el Colegio de Veterinarios de Murcia organizan un seminario online sobre leishmaniosis felina



Neftys Farma Iberia (Cemave, Copema, Nuserga, Solá Domingo y Probian) y Petia Vet Health, perteneciente al grupo biotecnológico Zendal, han firmado un acuerdo para distribuir Neoleish, una innovadora vacuna contra la leishmaniosis en perros. Neoleish utiliza una tecnología única de ADN plasmídico superenrollado patentado pPAL-LACK, que codifica la proteína LACK de Leishmania infantum. Esta es la primera vacuna de su tipo en el mercado veterinario. Las características principales de Neoleish son: administración por spray nasal, sin necesidad de inyecciones; no causa reacciones adversas, garantizando la seguridad de mascotas y veterinarios; eficaz en la prevención de la leishmaniosis, una grave enfermedad zoonótica.

La colaboración entre Neftys Farma Iberia y Petia Vet Health busca mejorar la salud canina haciendo que Neoleish esté ampliamente disponible. Esta nueva vacuna representa un avance significativo en la protección de los perros contra la leishmaniosis.
Alivira España amplía su alcance internacional con Uristop
Alivira España-Laboratorios Karizoo continúa su expansión internacional con el lanzamiento de su producto a base de fenilpropanolamina a 15 países europeos. Tras el éxito consolidado en España y Rusia, la compañía llevará Uristop, bajo la marca Urixine, a Portugal, Italia, Alemania, Polonia, Rumanía, Austria, Bélgica, Países Bajos y Francia, entre otros países, y donde se espera que obtenga una acogida muy positiva. Con una sólida trayectoria en el mercado español, AliviraLaboratorios Karizoo busca expandir y reforzar su presencia en el mercado europeo. “Tras varios años de éxito en España, hemos detectado una creciente demanda en los mercados internacionales y creemos que este es el momento adecuado para expandirnos con Uristop”, afirma Matthieu Gonneaud, Europe export manager de Alivira España.

LETI Pharma sigue colaborando con los colegios veterinarios para mejorar la formación en leishmaniosis. En esta ocasión, junto con el Colegio de Veterinarios de Murcia, y de la mano de Xavier Roura, se presentó una actualización sobre la leishmaniosis felina. Durante la sesión online, Xavier Roura comentó que últimamente hay muchas publicaciones de leishmaniosis felina, sobre todo porque es una enfermedad zoonótica y hay que considerar que papel tiene el gato: “Lo primero que debe cambiar en el veterinario clínico es pensar ella e incluirla en el diferencial”, dijo. La iniciativa formativa de LETI Pharma reunió a más de 50 veterinarios.

Laboklin, laboratorio de referencia en diagnóstico clínico veterinario, y Divasa-Farmavic, fabricante y comercializador de productos para uso exclusivo en veterinaria y especialista en test de diagnóstico rápido, DFV Test, han llegado a una alianza comercial para el beneficio de todos los veterinarios clínicos de España y Portugal. Con esta alianza se ofrece a los veterinarios la posibilidad de seguir con un diagnóstico más conciso después de una prueba realizada con DFV Test. Infórmese de las ventajas para su CV. Para más información, contacte en el correo electrónico info@ divasa-farmavic.com, con los delegados de zona y distribuidores o en el teléfono 938 860 100.

Fruto de la colaboración existente con la Asociación de Guías Caninos de Policías Locales de España (AGCPLE), Acana patrocinó las jornadas internacionales de formación que esta entidad organizó del 1 al 4 de octubre en Lloret de Mar (Girona). Unidades caninas de todo el territorio nacional tuvieron la oportunidad de asistir a diferentes charlas teórico-prácticas sobre detección de sustancias con el perro (en personas en movimiento y estáticas, en almacenes y en vehículos). También se celebraron otras charlas de interés, como de iniciación de perros detectores o primeros auxilios en perros. En total, participaron en torno 100 personas de unas 55 unidades caninas de diferentes cuerpos de seguridad. Javier Mira, director comercial de Acana, recibió un galardón por el apoyo constante de la marca.
Christophe Bailet y Arnaud Leboulanger refuerzan el alcance global y experiencia de Ceva Salud Animal
Ceva Salud Animal cambia su comité ejecutivo con el nombramiento de Christophe Bailet como director financiero del grupo y de Arnaud Leboulanger como director para el Sur de Europa, donde supervisará las actividades comerciales para Chipre, Grecia, Italia, Malta, Portugal y España. Bailet se incorporó a Ceva el 1 de octubre de 2024 y aporta amplia experiencia internacional en finanzas, con especial pericia en gestión de operaciones de LBO y refinanciación de empresas. Leboulanger, en la compañía desde 2003, también ha sido confirmado oficialmente como responsable de Ceva España, donde seguirá trabajando en profundidad con los equipos locales para consolidar los sólidos resultados y el


El pasado 5 de octubre, el Colegio de Veterinarios de Barcelona celebró con gran éxito la tradicional Diada de San Francisco de Asís, patrón de los veterinarios, en la Bodega Miquel Jané en Font-Rubí. El evento congregó a 111 colegiados, quienes disfrutaron de una jornada repleta de actividades especiales y momentos emotivos dedicados a reconocer la importante labor de los profesionales veterinarios. El acto central fue la entrega de insignias y diplomas a los colegiados que celebran sus 65 años este 2024, un momento especialmente emotivo guiado por el presidente, quien también celebró este mismo hito y entregó personalmente los reconocimientos a sus compañeros.
ANVET S.L. 937 598 565
Laboratori CatBio, S.L. 934 516 643
Análisis clínicos
clínico
Laboratorios de análisis Dr. Echevarne 935 040 126 Análisis clínicos y anatomía patológica
Laborti Veterinària, S.L 934 851 786 / 938 444 999 -
LETI Pharma 933 945 350 Alergia, microbiología, histología y leishmaniosis veterinaria Uranolab 934 482 521
VORAN NETZ, S.L. 935 820 203
Cádiz Laboratorio Maña-Watson 956 110 026
Córdoba Laboratorio Veterinario Garfia 957 276 351
Granada Anapath 958 292 345
Laboratorios GASSET (GRUPO DAV SALUD) 958 042 121
León INDILAB 900 701 128
Lugo AMSvet (AMSlab Group) 982 808 074
Madrid
Alergovet 914 134 472
IDEXX Laboratorio de Referencia 916 376 317
Laboratorio de análisis veterinarios Dr. Barba 902 190 942
LAV 913 838 493
CIAB, Laboratorio de Referencia Veterinaria 913 613 314
Diavet S.L. 914 966 013
Laboratorio veterinario LABOKLIN, S.L. 644 030 557
Uranolab 934 482 521
Málaga Histolab Veterinaria 952 664 819
Pontevedra Lema y Bandín 986 437 400
Laboratorio del Dr. Valenzuela 986 858 313
Valencia Laboratorio ACVLAB 963 532 377
Vizcaya
Sagunto 99 963 485 931
Analítica Veterinaria 946 744 251
Microvet laboratorio 944 913 912
Tenerife Laboratorios Taoro 922 353 158
Análisis clínicos
Análisis clínicos
Análisis clínicos
Biología molecular
Histología
Diagnóstico Laboratorial Integral
Diagnóstico laboratorial
Toxicología veterinaria
Alergias veterinarias
Análisis/Diagnóstico clínico
Biología molecular
Análisis clínicos
Análisis clínicos
Alergia e infección vet.
Diagnóstico clínico
Análisis clínicos
Histología
Hematología
Análisis clínicos
Análisis clínicos
Inmunología
Histología
Endocrinología
Exóticos
EDITOR Julio Allué1
Contacte con nosotros a través de argos@grupoasis.com si desea publicar un artículo, y remita sus notas de prensa a notasdeprensa@grupoasis.com
REDACCIÓN Sheila Riera1, Natalia Sagarra1 M. Ángel Ordovás, Israel Salvador
RESPONSABLE DE DISEÑO Ana Belén Mombiela
JEFA DE DISEÑO Teresa Gimeno
DISEÑO Y MAQUETACIÓN Erica García, Marian Izaguerri, Marisa Lanuza
Escriba a publicidad@grupoasis.com si desea anunciarse, y a suscripciones@grupoasis.com para altas, bajas o modificaciones en sus datos de contacto
RESPONSABLE DE PUBLICIDAD Ana Caballero1
PUBLICIDAD Pilar Angás1, Jorge Pérez1, Laura Montón1, María Puig2
SOPORTE DE PUBLICIDAD Raquel Miguel, Rocío Sarrate
Zaragoza Laboratorios Albéitar 976 306 495
Hematología
Aravet Laboratorios 976 598 653
Análisis clínicos Exopol 976 694 525 Microbiología
ADMINISTRACIÓN Beatriz Sanz, Carmen Ezquerro, Miriam de la Torre SUSCRIPCIONES suscripciones@grupoasis.com
1Licenciado/a en Veterinaria, 2Graduada en Farmacia, 3Doctora en Veterinaria
EMPRESA EDITORA Grupo Asís Biomedia, S.L.
PREIMPRESIÓN E IMPRESIÓN Grupo Edelvives
EMPRESA MANIPULADORA Grupo Edelvives
DEPÓSITO LEGAL: Z-2106/98 - ISSN: 1699-7875


Veterinari Cardedeu, S.L. 938 462 051 Urgencias, Cirugía y
Hospital Veterinari del Mar 930 217 812 Cirugía, urgencias, exóticos, oftalmologia, etc.
Hospital Veterinari Desvern 934 990 648 Ortopedia y Traumatología
IMPROVET 600 921 927 Diagnóstico, Cirugía, Formación
Serv., Urgenc. i Ref. Veterinàries Diagonal, S.L. 934 594 500 Urgencias y Cuidados Intensivos
Burgos Hospital Veterinario Valderrama 947 277 843 Traumat., Neurocirugía y Med. Interna
Castellón ASSISVET Veterinària 964 229 838 Exóticos y Medicina Felina
Centro Médico Veterinario Benicarló 964 472 610 Dermatología
Nexo Hospital veterinario CMV Castelló 964 723 697 Neurología-Neurocirugía, Trauma-Ortopedia, Imagen (TAC, endoscopia, eco), UCI, Derma
Clínica Veterinaria St. Vicent CB 964 672 907 Urgencias, Dermatología
Hospital Veterinario Sagrada Familia 964 254 888 Urgencias, UCI, Cirugía, Cardiorrespiratorio
Servicios Veterinarios Albeytar 964 691 025 Medicina Cardio-Respiratoria
Córdoba Mascoderm 957 300 977 Dermatología canina y felina
Gran Canaria Clínica Ocular Veterinaria 928 696 510 Oftalmología
ADERVET, Atención Dermatológica Veterinaria 914 984 112 Dermatología
Centro Médico Veterinario Delicias 915 275 828 Urg., Traum., Neur., Oftal., Card., Exót. y Cir.
Centro Veterinario Auditorio 915 631 167 Endoscopia y Cirugía Endoscópica 12
Centro Veterinario los Sauces 914 454 305 Exóticos
Centro Veterinario Prado de Boadilla 916 322 351 Neurología y Neurocirugía 15-20
Centro Quirúrgico Veterinario Tobío 913 881 990 Cirugía y Traumatología
Clínica Veterinaria Alberto Alcocer 913 452 515 Urgencias, Hospitalización y Exóticos
Clínica Veterinaria Ciudad Ángeles, S.L. 913 175 562 Urgencias
Clínica Veterinaria El Bosque 916 167 485 Exóticos
Clínica Veterinaria Ignacio Trobo 629 111 305 Odontología, Cirugía maxilofacial y general 60
Clínica Veterinaria Las Rozas 916 370 277 Homeopatía 40-50
Clínica Veterinaria Río Duero, S.L. 916 472 336 Traumatología-Odontología 15-20
Clinica Veterinaria Unzeta S.L. 917 588 393 Medicina Felina, Quirófano y Hospitalización 250-75-30
Clínica Veterinaria Velázquez 915 627 769 Dig., Laparosc., Odontol., Oncol. 100-120 Gattos 915 040 651 Medicina Felina, Comportamiento Felino 20 Habana Boston Centro Veterinario 911 406 072 Rehabilitación de pequeños animales 15
Hospital Veterinario Fuente el Saz 916 200 098 Urgencias 24 h 200-300
HURVET 914 173 977 Urgencias y Hospitalización 100
Tris Sampayo (ENDOVES) 619 236 325 Endos. diag. e intervencionista y cirug. de mín. invasión 50-75 Javier Collados. Sinergia Veterinaria. 911 339 038 Odontología y Cirugía Oral PA, Exóticos 60
Vetcare hospital veterinario 24h 916 200 098 Urgencias, hospit., cirugía, Endosc., traumat. y rehab. 200-500
VETERCOL, S.L. 918 915 439 Endoscopia flexible y rígida 8-10
Vetsia 914 984 112 Rehab., Diagnóstico Imagen y Neurología -
Málaga Animal Bluecare Hospital 952 665 050 Oncol., Card., Exóticos, Oftal., Endoscopia, Med. InternaMundo Animal 952 050 682 Exóticos: aves, reptiles y peq. mamíferos 30
Myramar Animal Hospital & Exotic VetMed 952 588 543 Traumatología y Ortopedia/Exóticos 20-30
Animalicos Hospital de Día Murcia 968 967 966 Traumatología, Neurología, Oncología y Fisioterapia 70-100
Clínica Veterinaria Bonafé 968 847 478 Endoscopia y cirugía de mínima invasion 40-60
Murcia
Hospital de Urgencias Veterinarias Región de Murcia 968 899 280 Urgencias y Cuidados Intensivos 120-130
Hospital La Flota 968 246 122 Endoscopia flexible y rígida, Urg. y Cui. int. 100
Navarra Centro Veterinario San Fermín 948 230 802 Traumatología, Ecocardiografía y Neurología 40
Sevilla Centro Veterinario Bormujos 955 725 684 Exóticos 100-120
H.V. Guadiamar-servicios veterinarios de referencia 955 704 804 Neurol.-neurocir., RM-TAC, Cir. lapar. y Anest. 100 Sta. Cruz de Tenerife Hospital Veterinario Taco 922 612 476 Hepatología clínica y Cirugía hepática 15-25
Tarragona Clínica Veterinaria Lagun 977 795 835 Traumat., Dermat. y Exóticos, Urgencias 30-50
Centro Veterinario Silla 961 213 147 Cirugía maxilofacial, Odont. y Cardio.
Clínica Veterinaria Ayora 963 303 979 Endoscopia flexible y rígida
Clínica Veterinaria El Puig 961 472 109 Oftalmología
Clínica Veterinaria San Luis 963 748 890 Oftalmología/Cardiología
Clínica Veterinaria Torrent 961 581 740 Endoscopia flexible y rígida
Valencia
Clínica Veterinaria Veterval 961 827
Publicación controlada por Grupo Asís Biomedia está asociado a (miembro de y ) y a (miembro de y )



COMITÉ ASESOR
DIRECTOR TÉCNICO: Enrique Ynaraja.
ANESTESIA: Antonio González (HV Rof Codina), Ignacio Sández (HV Vetsia)
CARDIOLOGÍA: Joaquín Bernal (Cardiovet), Laín García (HV Molins) Susana Serrano (HV Vetsia)
CIRUGÍA: Joaquín Sopena (UCH-CEU, Valencia), José Rodríguez (FV de Zaragoza)
COMPORTAMIENTO: Xavier Manteca (FV de Barcelona)
DERMATOLOGÍA: Maite Verde (Servicio de Dermatología, FV Zaragoza)
ENDOSCOPIA Y CIRUGÍA DE MÍNIMA INVASIÓN: Jesús Usón (CCMI) Federico Soria (CCMI), Tris Sampayo (Endoscopia Veterinaria)
EXÓTICOS: Albert Martínez-Silvestre (Centro CRARC), Jordi Grifols (Hospital Zoologic de Badalona), Andreu Riera (HV Molins), Beatriz Álvarez Carrión (CV Camaleo)
GESTIÓN Y MARKETING: Miguel Ángel Valera (Centauro Veterinarios), Jorge P. Pascual Ribote (CEVE).
HEPATOLOGÍA CLÍNICA Y CIRUGÍA HEPÁTICA: Alfredo Pérez (CV Taco)
MEDICINA FELINA: Mª Luisa Palmero (CV Gattos. GEMFE)
MEDICINA INTERNA: José Ramón García (CV San Francisco de Asís), Alberto Montoya (Facultad de Veterinaria ULPGC)
MICROBIOLOGÍA Y ENFERMEDADES INFECCIOSAS: Mariano Morales (FV Zaragoza)
NEUROLOGÍA: Xavier Raurell (HV Molins)
ODONTOLOGÍA: Soledad Montes (Cardiovet), Javier Collados (Servicio Móvil de Odontología)
OFTALMOLOGÍA: Inmaculada Morales Fariña (Responsable del Servicio de Oftalmología del Hospital Docente ULPGC)
ONCOLOGÍA: Miguel Laporta (HV Molins)
PARASITOLOGÍA: Juan Antonio Castillo (FV de Zaragoza)
REPRODUCCIÓN Y OBSTETRICIA: Pedro García (FV Lugo)
TOXICOLOGÍA Y FARMACOLOGÍA: Arturo Anadón (FV de Madrid)
TRAUMATOLOGÍA Y NEUROCIRUGÍA: Tomás Fernández (Centro Médico Veterinario) Ramón Sever (Policlínica Veterinaria Rover), Fernando Díaz Santiago (Fauna Clínica Veterinaria)
URGENCIAS: Jordi Manubens (HV Molins)
COLABORADORES: Luis Javier Yus Cantín (Gerente del Col. de Veterinarios de Zaragoza)
La responsabilidad de los artículos, reportajes, comunicados, etc. recae exclusivamente sobre sus autores. El editor sólo se responsabiliza de sus artículos o editoriales. La ciencia veterinaria está sometida a constantes cambios. Así pues es responsabilidad ineludible del veterinario clínico, basándose en su experiencia profesional, el correcto diagnóstico de los problemas y su tratamiento. Ni el editor, ni los autores asumen responsabilidad alguna por los daños y perjuicios, que pudieran generarse, cualquiera que sea su naturaleza, como consecuencia del uso de los datos e información contenidos en esta revista. De acuerdo con la normativa vigente en materia de protección de datos Grupo Asís Biomedia, SL., es responsable del tratamiento de sus datos personales con la finalidad de enviarle comunicaciones postales de nuestras revistas especializadas, así como otras comunicaciones comerciales o informativas relativas a nuestras actividades, publicaciones y servicios, o de terceros que puedan resultar de su interés en base a su consentimiento. Para ello, Grupo Asís podrá ceder sus datos a terceros proveedores de servicios de mensajería. Podrá revocar su consentimiento, así como ejercer sus derechos de acceso, rectificación, supresión, oposición, limitación y portabilidad enviando un correo electrónico a protecciondatos@grupoasis.com, o una comunicación escrita a Grupo Asís en Centro Empresarial El Trovador, planta 8, oficina I, Plaza Antonio Beltrán Martínez 1, 50002, Zaragoza (España), aportando fotocopia de su DNI o documento identificativo sustitutorio e identificándose como suscriptor de la revista. Asimismo, si considera que sus

