
Síganos en Facebook y Twitter


![]()

Síganos en Facebook y Twitter


• Cardiomiopatía hipertrófica
• Cardiomiopatías no hipertróficas
• Agresividad felina
• Maniobra de reclutamiento alveolar escalonada durante la anestesia general
• Sondas de alimentación utilizadas en gatos
Autocuidado: cómo comienza un cambio Complicaciones en cirugía de urgencia (II)


4
Autocuidado: cómo comienza un cambio



Autocuidado:
Cardiomiopatía hipertrófica en una gata de raza British Shorthair de tres años
Cardiomiopatías felinas no hipertróficas


Complicaciones quirúrgicas en cirugía de urgencia (II): sistema genitourinario

EN PORTADA / PRÓXIMOS NÚMEROS
• Gestión y marketing
• Urgencias y cuidados intensivos
• Cardiología
• Traumatología y neurología
• Dermatología
Si desea publicar un artículo sobre estos u otros temas, escríbanos a argos@grupoasis. com
Agresividad felina: diferentes causas y aproximación al tratamiento 22
Maniobra de reclutamiento alveolar escalonada para mejorar la distensibilidad pulmonar en un gato durante la anestesia general
Sondas de alimentación utilizadas en gatos
Manejo de la enfermedad renal crónica felina
FORMACIÓN CONTINUA
Complicaciones quirúrgicas en cirugía de urgencia (II): sistema genitourinario
HABLANDO DE NUTRICIÓN CLÍNICA / Importancia de las primeras etapas de la vida en la salud y la enfermedad en perros y gatos
SECCIÓN DIAGNÓSTICA / Diagnóstico de las enfermedades renales: ¿cómo optimizar lo que teníamos y cómo usar lo que vamos a tener?
Síguenos en nuestras redes sociales:

Probablemente a muchos lectores les sorprenderá el primer artículo de este número, firmado por la veterinaria Natacha Suárez. No solo porque no se trata, como ella misma dice, de “algo académico”, sino porque la autora nos explica, en confianza, los motivos personales y laborales que le hicieron pasar una mala etapa. Y no se guarda nada. Su objetivo es concienciar sobre el hecho de que “existe mucho más fuera de las cuatro paredes de tu clínica” y la necesidad de “saber marcar límites razonables con nuestro entorno”.
Sabemos, porque hay múltiples estudios al respecto, que los profesionales veterinarios sufren a menudo problemas relacionados con el distrés. Por ese motivo, identificar los factores estresantes que hay en la clínica es clave para comprender y gestionar estas dificultades. En julio de este año Spendelow y cols. publicaron los resultados de un estudio elaborado al respecto en Reino Unido, para identificar la gravedad de estos factores en profesionales de diferentes niveles de experiencia. Analizaron 93 factores en más de 650 personas y establecieron cuatro categorías principales de factores estresantes: carga de trabajo y exigencias laborales, estrés en las relaciones con los clientes, rendimiento y responsabilidad, y retos en la atención al paciente. Además, observaron que la gravedad de los factores estresantes tiende a disminuir a medida que aumenta el nivel de experiencia, y que los estresores más graves varían en función de la etapa profesional.
Por tanto, el “café para todos” no sirve: el gerente debe identificar los factores estresantes clave en los distintos niveles de experiencia para apoyar de la mejor manera a todos los miembros del equipo.
Pero, atención, coincido plenamente con Natacha en que la única pieza irremplazable es uno mismo. Porque, más allá de lo que esperemos de los demás y de los límites que establezcamos con ellos, el autocuidado debería ser el primero de nuestros deberes diarios, aunque esto discrepe con el refrán español que critica a quien se coloca a uno mismo en primer lugar.
Sheila Riera Forteza Veterinaria y socióloga Medios de Comunicación s.riera@grupoasis.com

En un momento en el que la salud mental de nuestro sector está en boca de todos, la autora de este trabajo expone su propia experiencia al afrontar ciertos reveses profesionales e invita a la reflexión.
Natacha Suárez Rodríguez
Directora Veterinaria
Clínica Veterinaria Petxpress
Imágenes cedidas por María Pifarré
Cada vez que comenzamos a hablar sobre salud mental en Veterinaria nos vienen a la cabeza cifras nada halagüeñas. Hablamos de abandono, renuncia, estrés, burnout y suicidios; esa espada de Damocles se cierne últimamente sobre muchos de nosotros.
Les cuento un secreto a voces: no somos los únicos. Mi intención con esta afirmación no va encaminada a quitar importancia al asunto, que es muy grave y afecta a todo el colectivo, incluidos los auxiliares, sino a intentar dar un contexto y abordar algunos temas que creo que debemos poner sobre la mesa, algo que nos cuesta mucho. Médicos, enfermeros y odontólogos entran en este saco. ¿Ven las similitudes? Los sanitarios estamos ahora mismo en un punto donde todos han puesto su vista sobre nosotros, y nosotros hemos empezado a mirarnos las tripas un poco.
El que pretenda encontrar en este artículo algo académico ya puede ahorrarse el resto. Este artículo va sobre personas. Si necesitas referencias, llevo desde 1999 metida en el mundo de la veterinaria, como alumna en prácticas en mi clínica de toda la vida, y desde 2004 como trabajadora en varios hospitales 24 h y como directora técnica en varias clínicas hasta que en 2013 monté la mía propia tras unos años como veterinaria a domicilio entre medias. Sí, has contado bien: 20 años como veterinaria, alguno más como ayudante en consulta (no existía la figura del auxiliar).
Los veterinarios disfrutamos de un perfeccionismo extremo, con un síndrome del impostor grave y grandes dosis de empatía por nuestros pacientes.
Perfeccionismo académico
Los sanitarios en general, y los veterinarios en particular, disfrutamos de un perfeccionismo extremo, con un síndrome del impostor grave y grandes dosis de empatía por nuestros pacientes, que no son capaces ni de decir qué les pasa.
En nuestro caso, tenemos otro factor estresante muy grave: el cliente, que es quien, además, nos va a permitir o no hacer bien nuestro trabajo, ya que tiene la decisión última de pagar o no y que, en muchos casos, cree que con una bola de cristal deberíamos solucionarlo casi todo.
Les voy a contar otro secreto: no es él, eres tú.
Si aún siguen leyendo, voy a explicarles cómo con 39 años decidí ser madre. ¿Saben cómo comenzó mi reloj biológico a darme la lata? Soy veterinaria generalista, si me quieren poner una etiqueta. Para mí, la
medicina preventiva es la base de la salud de las familias, así que, sin ser muy consciente, pedí hora en el médico de cabecera y le dije que quería hacerme un chequeo general. Estuve 3 meses en diferentes especialistas para concluir que mi estado de salud, pese al sobrepeso, era adecuado. Con todo bien chequeado, hablé con mi pareja y me fui a la ginecóloga a explicarle nuestros planes. Era el momento perfecto: clínica estabilizada, pareja adecuada, situación ideal para ponerme a ello. Entonces, el 14 de febrero de 2020 el propietario del local de mi clínica nos puso de patitas en la calle y nos reclamó el local. En marzo de 2020, en plena mudanza de mi centro: pandemia. Fue una detrás de otra durante un tiempo.
tan simple como que era necesario parar y beber agua de forma adecuada… Gracias a ello mejoré enormemente mis migrañas; durante semanas, no paraba de orinar porque mis riñones no sabían qué hacer con tanto líquido. Si te paras a pensarlo, ¿cuántas recomendaciones de cuidados les das a los propietarios de un animal que tú no eres capaz de poner en práctica para ti?
¿No fui capaz con todos mis conocimientos de entender que estar bien hidratada debía estar por encima de atender a un paciente tras otro sin coger resuello?
Hace un tiempo, descubrieron que las embarazadas pasamos por un proceso de plasticidad cerebral similar al que se produce antes del desarrollo completo del
No saber marcar límites saludables con nuestro entorno nos lleva a malentendidos y a situaciones muy complicadas que nos van socavando el ánimo y la energía.
Así, entre “me quiero quedar embarazada” y reveses más o menos graves, empecé con Vetbonds. Como muchos de ustedes, llevo todos estos años invirtiendo mucho tiempo libre y cantidades ingentes de dinero en diferentes formaciones, además de aprovechar todas las charlas y jornadas que los laboratorios nos ofrecen durante el año. Cuando comencé con Vetbonds, me sumergí en una formación muy novedosa para mí, me ayudó a conocerme, a plantearme cuestiones y preguntas que nunca me había hecho; a comprender situaciones que había tenido que enfrentar sin saber que no disponía de las herramientas adecuadas. Porque, por mucho que estudiemos, por mucho que sepamos de veterinaria, nadie nos ha enseñado sobre las personas.
Por si alguno lo ha comprobado, no pude conseguir el certificado: el curso me cayó muy fuerte en un momento personal brutal y no estaba preparada para seguir ahondando en ese mundo. Fue mi primer “pendiente” en formación, al que añadiría otro de medicina interna también sin acabar, pero este por problemas médicos. Quedé embarazada por segunda vez en el verano de 2022. Por ese entonces había aprendido, a base de golpes, qué era importante en mi vida y qué no. No fue el mejor momento: me enfrenté a muchos miedos y reveses. Se llama Aurora y está muy por encima de todo lo que había sido importante hasta ese momento.
Durante mi embarazo descubrí el desarrollo personal. Hasta el momento, todo lo que no fuera académico y certificado tenía muy poca importancia para mí y me parecía una pérdida de tiempo que poco me iba a ayudar en mi trabajo. El esfuerzo y la constancia, el aprendizaje continuo, era lo único necesario para realizar bien mi trabajo y prosperar.
¿Alguna vez se han parado a pensar qué necesitan? No me refiero a conocimientos técnicos, ni a cosas materiales. Recuerdo una charla de la compañera Mar Félix donde explicaba que era necesario hidratarse para tener un buen rendimiento. Una compañera explicando algo
cerebro. La explicación que han encontrado es que las hormonas del embarazo nos preparan para cambiar nuestras costumbres de cara a la crianza. Veterinaria, autónoma y de baja por riesgo en el puesto de trabajo. Pasear, tomar el sol y hacer ejercicio no era, ni
por asomo, mi idea de qué hacer en un día normal. La casa y cocinar, menos. Tuve que dejar mi negocio en manos de desconocidos, ya que las leyes de este país no están hechas para embarazadas autónomas. Con mil miedos de salud, económicos y personales, me vi en un maravilloso congreso de gestión, donde dos personas que no son veterinarias me abrieron un mundo fuera de mi jaula, justo en el momento necesario, en la situación hormonal en la que mi cabeza estaba dispuesta a no quedarse con los estándares aprendidos hasta entonces. En ese congreso lloré de angustia con Rosa Montaña y su forma de hacerte mirar las tripas y de risa con Sergio Ayala Climent y su maravillosa forma de enfrentar el día a día. Superé un miedo grave respecto a mi embarazo y empecé a ver las cosas de una forma muy diferente. Aprendí lo que eran las mentorías y el crecimiento personal (más allá de lo que había leído de Jorge Bucay de mucho más joven).
Cuestión de enfoque
¿Por qué te he soltado todo este rollo? Porque quiero que, como compañero que me lees, entiendas que existe mucho más


fuera de las cuatro paredes de tu clínica, de tu despacho, de tu casa; que cuando aprendes quién eres, te enfrentas a lo que quieres y cómo lo quieres sin sesgos del tipo: es que es imposible, es que es horrible todo, es que no sé qué puedo hacer yo con esto, tu mundo cambia.
Parece frase de una taza mona, pero es verdad: no tienes que cambiar el mundo, tienes que cambiar tu mundo. ¿Te parece fácil? No lo es, requiere trabajo, esfuerzo y algo que nosotros, seres académicos y perfeccionistas, llevamos muy mal. Requiere pedir ayuda, oír cosas que no queremos oír y mucho trabajo de
empatía con seres iguales a nosotros: no nuestros pacientes, sino nuestros clientes, compañeros, familia, amigos y perfectos desconocidos.
Lo primero que he conseguido es recordarme cada vez que tengo un revés que, cuando me hacen daño, la primera vez es culpa del otro, pero la segunda es culpa mía. No saber marcar límites saludables con nuestro entorno nos lleva a malentendidos y a situaciones muy complicadas que nos van socavando el ánimo y la energía. Tener claro lo que quieres (no lo que se espera de ti, no lo que quieres demostrarle al resto, sino lo que quieres) hace que asu-
mas una responsabilidad muy importante con lo que te sucede. Durante mi embarazo me planteé muchas cosas, aprendí muchas cosas; me dio miedo enfrentarme a algunas, pero miré mi miedo, lo acepté y supe que era el camino. He conocido a gente maravillosa que, como yo, estaba metida en el cabreo constante, la ansiedad y el miedo al qué dirán, personas con licenciaturas, másteres, especializaciones varias y muchos años de experiencia que, como yo, estaban cabreadas con el mundo porque no se creían suficiente, porque había que saber más, dar más, porque se sentían

ninguneados como profesionales, se sentían un número, una pieza reemplazable. Mi último secreto en este artículo: la única pieza irremplazable eres tú.
Te invito a que, si estás en esa situación de cabreo, si crees que ahora mismo todo está en contra de ti, que no vale la pena seguir en la que creo es la mejor profesión del mundo (y lo creo realmente, no es un decir, me lo pregunté muchas veces en estos años), te mires a un espejo, tranquila, relajada, y mirándote a los ojos, te des las gracias por el camino recorrido, te pidas perdón por el daño que te hayas podido hacer, que te expliques lo que quieres conseguir y te des las gracias por darte esta nueva oportunidad de conseguirlo.
Te invito a que pidas ayuda a tu entorno: pregunta cuáles creen que son tus puntos fuertes y cuáles tus áreas que mejorar. Te invito a que pidas ayuda también fuera de tu entorno y te des la oportunidad de escucharlos.
Te invito a que pidas ayuda a tu entorno: pregunta cuáles creen que son tus puntos fuertes y cuáles tus áreas que mejorar. Te invito a que pidas ayuda también fuera de tu entorno y te des la oportunidad de escucharlos. Te invito a pensar qué quieres realmente hacer con tu vida y ser consecuente y responsable con tu respuesta.

1ER SEMINARIO DE CONTROL DE LA REPRODUCCIÓN
Virbac Salud Animal organiza un seminario para abordar el control de la reproducción en función de las necesidades y la evidencia científica actuales, con especial hincapié en las recomendaciones de la WSAVA.
en la toma de decisión, que debe ser específica. De hecho, “la castración como método rutinario ya no está apoyada prácticamente por ningún experto”, destacó.
El 1er Seminario de Control de la Reproducción organizado por Virbac Salud Animal tuvo lugar el pasado 3 de julio en Barcelona y reunió a cerca de 70 asistentes, que disfrutaron de diversas ponencias impartidas por diplomados por el Colegio Europeo de Reproducción Animal (Lluís Ferré-Dolcet, Xiomara Lucas y Montserrat Rivera) y por el Colegio Europeo de Bienestar Animal y Medicina del Comportamiento (Marta Amat, Xavier Manteca y Jaume Fatjó).
Durante las charlas y la mesa redonda final se puso de manifiesto el consenso que existe entre los especialistas en comportamiento y reproducción sobre la importancia de elegir el mejor método de control de la reproducción en función de las características específicas de cada animal y su entorno, así como la necesidad de considerar otras actuaciones más allá de la castración quirúrgica.
Nayra Auyanet (veterinaria, Product Manager Animales de Compañía, Virbac Salud Animal) dio la bienvenida a los asistentes, destacando que tanto la reproducción de perros y gatos como, específicamente, los aspectos tratados en este seminario “están de actualidad”. De hecho, el 28 de mayo la WSAVA publicó las primeras directrices de control de reproducción (WSAVA guidelines for the control of reproduction in dogs and cats), a las que se hizo referencia en diversas ocasiones durante el evento.
Efectos de la castración: ¿hacia dónde vamos?
Lluís Ferré-Dolcet (secretario de la European Veterinary Society of Small Animal Reproduction) puso de manifiesto la importancia de los efectos de la gonadectomía sobre el organismo. Las guías de la WSAVA “son concisas”, remarcó el ponente, que participó en su revisión antes de que se publicaran, pero hay que tener en cuenta que “tratan sobre un tema muy complejo”, ya que la castración implica modificar la fisiología del paciente. Por ello, en cada caso hay que evaluar los riesgos y los beneficios de la intervención, teniendo en cuenta una compleja red de variables que intervienen
Con respecto a los animales de perreras y refugios, el ponente explicó que la práctica mejor considerada en la actualidad (gonad-sparing) implica la realización de una histerectomía o una vasectomía/epididimectomía sin gonadectomía, lo que permite mantener al animal sexualmente activo mientras se evita que pueda concebir. En poblaciones ferales y silvestres la ventaja de esta práctica es que, a la vez que permite controlar el tamaño de la población, contribuye a mantener intacta la estructura social del grupo: así, en una colonia felina el macho alfa puede seguir marcando y apareándose con las hembras y no es reemplazado por otro entero que llega de fuera para ocupar su lugar.
“La castración como método rutinario ya no está apoyada prácticamente por ningún experto”, Lluís Ferré-Dolcet.
A continuación, Ferré explicó el trabajo actual y futuro del Reproduction Control Committee (RCC) de la WSAVA, que incluye, entre otros, la realización de una encuesta a diferentes países sobre las prácticas de esterilización, elaborar guías en colaboración con diversas entidades y promover su distribución. También va a desarrollar un Expert consensus on pet neutering and sterilization, así como herramientas que contribuyan a que este llegue de la forma más práctica posible a los veterinarios clínicos.
Efectos de la castración en la salud del perro
Xiomara Lucas (jefa del Servicio de Reproducción y Obstetricia en Pequeños Animales del Hospital Clínico Veterinario UMU) aclaró que, además de las consecuencias de la gonadectomía sobre las gonadotropinas (LH y FSH), que todos conocemos, aún se desconocen sus efectos sobre otras sustancias, como kisspeptina, inhibinas, prolactina, hormona antimulleriana, etc.


Existe una relación entre el sistema endocrino, el SNC y el sistema inmunitario (Bereschenko et al., 2018), de manera que una alteración sobre cualquiera de ellos puede generar un desequilibrio en los demás. “Hay que entender la salud del perro como el equilibrio de todos esos sistemas; aunque antes creíamos que los efectos de la gonadoctomía eran mínimos, ahora sabemos que produce un desequilibrio en los otros sistemas”, explicó la ponente, que subrayó que la concentración de LH es en torno a 30 veces superior en animales castrados que en enteros.
Además, la extirpación de las gónadas aumenta el riesgo de que se desarrollen ciertas enfermedades inmunonógicas (Sundburg et al., 2016), como la dermatitis atópica, la anemia hemolítica inmunomediada, el hipoadrecocorticismo y el hipotiroidismo; así como otras patologías, más allá de la obesidad, especialmente en hembras y en razas medias-grandes-gigantes: incontinencia urinaria, alteraciones musculoesqueléticas, tumor prostático, hemangiosarcoma, linfosarcoma, mastocitoma, osteosarcoma y carcinoma de células transicionales, etc. (Romagnoli et al., 2018). Aunque este incremento es bajo (entre el 1 y el 2%), “esto no significa que no deba tenerse en cuenta”.
A continuación, llamó a la reflexión sobre por qué se suele recomendar la castración de perros machos (evitar ciertos comportamientos, control de la superpoblación, prevenir y/o tratar alteraciones reproductivas) y recordó

que “existen métodos farmacológicos y otras opciones quirúrgicas, aparte de la gonadectomía, que permitirían controlar estas situaciones sin que se dé un incremento de la LH”.
Para concluir, hizo hincapié en que sí se debe recurrir a la castración quirúrgica si existe una indicación médica que la justifique, pero se debe elegir el momento adecuado, considerando la influencia que tiene la intervención sobre otros sistemas en términos de bienestar animal. “Aunque es un procedimiento realizado tradicionalmente, actualmente sabemos que la retirada de las gónadas no es inocua, por lo que antes de realizarla se debe tener en cuenta el motivo de la castración, la raza, la edad y el modo de vida del animal y su propietario”, resumió Xiomara Lucas. Por tanto, “la castración quirúrgica no puede ser la única elección para todos los perros ni se debe realizar en los mismos tiempos”, concluyó la especialista, quien remitió a guías como la de la WSAVA para la toma de decisiones.
Efectos de la castración en la salud de la perra
En lo referente a los beneficios de la gonadectomía en las perras, Montserrat Rivera (responsable del Servicio de Reproducción del Hospital Clínico Veterinario de la UAB) desgranó los que tradicionalmente han servido para justificar la generalización de esta práctica y actualizó lo que se sabe de ellos: • La castración evita la piometra, pero en un estudio (Waters et al., 2017) realizado en


242
Rottweilers se observó que en realidad únicamente un 2 % habían padecido esta enfermedad antes de los 4 años. Por tanto, cabe preguntarse si realmente es necesario castrar a edades tempranas.
• En el mismo estudio solo el 8 % de las perras desarrollaron carcinoma de mama, en mayor medida a partir de los 5 años, y antes de los 2,5 años no apareció ninguno. De hecho, llama la atención que el estudio al que todavía se hace referencia al afirmar que el riesgo de tumor de mama aumenta cuanto mayor es la edad de castración de la perra data de 1969 (Schneider et al.).
• Con respecto al efecto de la castración sobre la longevidad, actualmente existe la hipótesis de que, en realidad, lo que sucede es que los propietarios que disponen de medios económicos para castrar a su animal también invierten dinero en solucionar otras patologías que aparecen a posteriori. Por tanto, no está claro que exista una relación causa-efecto entre castración y aumento de la longevidad.
Sobre los efectos no deseados, la ponente recordó que se conocen de sobra la incontinencia urinaria y la obesidad. Además, aumenta la probabilidad de que aparezcan neoplasias no reproductivas y, aunque el incremento puede no ser muy significativo, el propietario debe saberlo antes de tomar la decisión. Por otra parte, se puede dar un cierre retardado de las epífisis de cúbito y radio, lo que genera un retraso en el crecimiento del animal. También se ha observado una incidencia significativa de roturas de ligamentos cruzados craneales y linfosarcomas en perras castradas jóvenes, así como de hemangiosarcomas en perras castradas a edades más tardías.
“También nos estamos encontrando otras consecuencias en perras castradas jóvenes que aún no están todavía bien documentadas”, comentó la ponente, en referencia a la vulva infantil, la vaginitis/vulvitis crónica y la infección de orina recurrente
Por tanto, “no podemos generalizar a la hora de decidir una castración quirúrgica”, comentó Rivera, quien remarcó que es necesario utilizar un enfoque de medicina individualizada, haciendo partícipe al propietario, y encontrar un equilibrio entre los beneficios que puede aportar la castración y sus consecuencias negativas, sin olvidar que existen alternativas.
¿Es la castración una herramienta válida para reducir la agresividad?
Tal y como comentó Marta Amat (responsable del Servicio de Etología del Hospital Clínico Veterinario de la UAB), la castración ha sido una práctica muy habitual en animales de compañía, y la primera recomendación para controlar los problemas de agresividad. No obstante, este criterio se ha basado en estudios cuyo diseño es “mejorable” porque tenían un tamaño muestral muy bajo, carecían de grupo control, era difícil establecer la relación causaefecto (al no haberse eliminado los perros que ya tenían problemas de agresividad antes de castrar), o bien no se había caracterizado el tipo de agresividad que presentaban.
Otros estudios más recientes (McGreevery et al., 2018; Farhoody et al. 2018; Starling et al. 2019; Zink et al. 2023), en cambio, tienen un buen tamaño muestral, cuentan con grupo control, incluyen un registro de la edad a la que se realiza la castración y el tiempo de exposición a las hormonas gonadales, eliminan los perros castrados por problemas de conducta o por motivos preventivos y caracterizan un poco más el tipo de agresividad. Según estos estudios, la castración no es una herramienta válida para corregir problemas de agresividad, o al menos no como se pensaba hasta ahora: no se observa efecto sobre los problemas de agresividad hacia los tutores, aunque sí que se aprecia una tendencia a aumentar los problemas de agresividad por miedo a personas desconocidas y hacia otros perros, sobre todo cuando se realiza de forma temprana.
No obstante, incluso en los estudios actuales sigue habiendo limitaciones. Por tanto, en la práctica clínica la castración únicamente debería considerarse como una posible herramienta para el control de la agresividad en perros machos agresivos con otros machos cuya conducta agresiva haya surgido después de la pubertad, en hembras con pseudogestaciones que además de sintomatología física presentan agresividad y en hembras que únicamente reaccionan agresivamente durante el celo. Y, aunque la castración esté justificada en algunos casos, es importante tener en cuenta que en la conducta intervienen otros factores, como la genética, la socialización, el manejo y los problemas médicos.

Por tanto, se deben considerar alternativas a la gonadectomía, como la vasectomía/ histerectomía o la utilización de agonistas GnRH (deslorelina), que permite comprobar cómo afectaría la gonadectomía al comportamiento, con la ventaja de que, a diferencia de la castración quirúrgica, es reversible y no provoca un aumento de la LH. “La única precaución que se debe tener en cuenta con la deslorelina es que puede haber un incremento transitorio de agresividad las primeras semanas de su uso, algo de lo que se debe advertir a los tutores”, concluyó Amat.
Los perros castrados, tanto machos como hembras, tienen mayor probabilidad de mostrar conductas problemáticas causadas por el miedo, como la agresividad.
Efectos de la castración sobre el temperamento del perro y su tendencia a mostrar miedo Xavier Manteca (catedrático de la Facultad de Veterinaria de la UAB) explicó que la castración aumenta moderadamente las conductas causadas por el miedo en la especie canina, ya que:
• Los esteroides sexuales disminuyen los problemas de miedo y ansiedad y, en general, la susceptibilidad al estrés. Por tanto, su ausencia incrementa estas condiciones.
• La castración quirúrgica causa un aumento de la concentración plasmática de LH, lo que provoca un aumento del miedo y la ansiedad. Por tanto, una hipótesis razonable es que el aumento del miedo no debería ser tan pronunciado si se recurre a la deslorelina, que no modifica la concentración de la LH.
• Realizar la gonadectomía antes de la pubertad provoca la reducción del juego brusco (rough play) del perro, conducta típica en esa etapa que tiene un efecto positivo en la modulación permanente del eje hipotálamohipófisis-adrenal. Esta reducción puede implicar que disminuya la capacidad futura del animal de modular el estrés y de ajustar sus reacciones en función de la gravedad del problema al que se enfrenta.
Por tanto, los perros castrados, tanto machos como hembras, tienen mayor probabilidad de mostrar conductas problemáticas causadas por el miedo, como la agresividad. Otras formas de agresividad en principio no se ven alteradas por la gonadectomía, lo que implica que, en general, la población de perros castrados muestra más agresividad que la de no castrados.
Dadas las características de los estudios de los que se extraen estas evidencias (McGreevy et al., 2018, Farhoody et al. 2018, Starling et al. 2013, 2019, Zink et al. 2022), podemos considerarlas sólidas por lo que, “con lo que se sabe hoy en día, podemos afirmar con una certeza razonable que castrar un perro o una perra

aumenta la tendencia del animal a mostrar fobia o agresividad por miedo, sobre todo si se castra a una edad temprana”, expuso Manteca.
“Esto no significa que cualquier perro castrado vaya a convertirse en un animal desequilibrado: aunque el efecto de la castración sobre el temperamento y el miedo es estadísticamente significativo, sobre todo si el tamaño de la muestra estudiada es grande, hablamos de un efecto moderado”, aclaró el ponente, que concluyó recordando que, además de la castración, el miedo depende de otros factores, como genética, estrés prenatal, manipulación neonatal, socialización.
El factor humano en la toma de decisiones sobre la esterilización de animales de compañía
Por último, Jaume Fatjó (profesor asociado del Departamento de Psiquiatría de la UAB y veterinario clínico en Vetpartners - Ethogroup) explicó las actitudes que suelen mostrar los propietarios ante la castración, así como las barreras que hacen que en ocasiones reaccionen con miedo ante esta opción.
Según Glasser et al., la percepción de la población sobre la castración de la especie canina generalmente es positiva, entre otras razones porque durante mucho tiempo los profesionales veterinarios la han recomendado de manera sistemática. No obstante, algunas personas manifiestan percepciones negativas por diferentes motivos que, desde su punto de vista, están justificados. Por eso, a la hora de considerar la castración, es importante incluir en nuestro análisis del caso los factores que tienen que ver con los tutores.
El sesgo de negatividad y el de omisión son algunas de las barreras psicológicas que pueden presentar los tutores; otros factores, como la tenencia responsable, que puede relacionarse con comportamientos ansiosos en los propietarios, están incluso recogidos en las guías de la WSAVA y se deberían tener en cuenta. “Hay que dar a los tutores la información imprescindible para que puedan tomar una decisión con el menor riesgo para reducir su incertidumbre. Es importante escucharlos”, remarcó el ponente.
Como ejemplo, Fatjó explicó un caso en el que la utilización de un implante de deslorelina dio lugar a una mejoría en la conducta de marcaje y monta de un perro, lo que permitió a sus tutores vivir la experiencia de dejar de convivir con el problema. Finalmente, el resultado los llevó a optar por la castración quirúrgica.
“Deberíamos pasar de una forma de hacer clínica basada en el cumplimiento a una aproximación más de contrato terapéutico donde el veterinario propone y resuelve dudas, pero quien decide es el cliente”, concluyó. En este sentido, cabe destacar que en las guías de la WSAVA se plantea que las decisiones de castración vayan acompañadas de un consentimiento informado, concluyó Fatjó.



• Cardiomiopatía hipertrófica en una gata de raza British Shorthair de tres años
• Cardiomiopatías felinas no hipertróficas
• Maniobra de reclutamiento alveolar escalonada para mejorar la distensibilidad pulmonar en un gato durante la anestesia general
• Agresividad felina: diferentes causas y aproximación al tratamiento
• Sondas de alimentación utilizadas en gatos
La cardiomiopatía hipertrófica (CMH) es la cardiopatía más común en gatos y afecta a un 15 % de la población de esta especie. La paciente de este caso acudió a consulta de urgencias por un cuadro de disnea grave, intolerancia al ejercicio y postración, de cuatro días de duración.
Cristóbal Mora Díaz Veterinario
GPCert en Cardiología otorgado por la ISVPS
En proceso de Acreditación por AVEPA. Imágenes cedidas por el autor
Se presenta de urgencias al hospital una gata de raza British Shorthair, de tres años, indoor, tras varios días de anorexia y apatía, con un cuadro de disnea grave que había sido desencadenado por una insuficiencia cardiaca congestiva (ICC). Se procedió a su hospitalización durante 48 horas hasta el control de la sintomatología. Tras la estabilización del paciente, a través de ecocardiografía, se diagnosticó un fenotipo de cardiomiopatía hipertrófica (CMH) y movimiento sistólico anterior (SAM, systolic anterior motion) de la válvula mitral (VM), que provocaba una obstrucción dinámica del tracto de salida del ventrículo izquierdo (ODTSVI). Se categorizó en fase C siguiendo los criterios de la clasificación American College of Veterinary Internal Medicine (ACVIM).
Posteriormente, se estableció un tratamiento ambulatorio con clopidogrel, benazepril y torasemida, y se dio de alta al paciente. Se propuso la revisión de parámetros analíticos una semana después del ingreso, así como ecocardiografía de control tres meses tras el diagnóstico. Se recomendó el seguimiento en casa de la frecuencia respiratoria (FR) en reposo, indicando el adelantamiento de las revisiones en caso de mantenerse por encima de 30 respiraciones por minuto (rpm).
Introducción
Las cardiomiopatías (CM) son un grupo de enfermedades del miocardio asociadas con una disfunción mecánica y/o eléctrica que se exhibe con una hipertrofia del ventrículo o dilatación, debidas a diferentes causas (Maron et al. 2006). Tienen elevada prevalencia y morbilidad. La CMH es la cardiopatía más común en gatos y afecta a un 15 % de la población (Fuentes et al. 2020). El consenso ACVIM (Fuentes et al. 2020) propone una clasificación de las CM felinas siguiendo una adaptación de la ESC (European Society of Cardiology) en cinco fenotipos: CMH, cardiomiopatía restrictiva (CMR), cardiomiopatía dilatada (CMD), cardiomiopatía no específica y cardiomiopatía arritmogénica del ventrículo derecho. El fenotipo hipertrófico se define como un aumento difuso o regional del grosor del VI, con una cavidad no dilatada. En él se encuentra la CMH, en ausencia de otra enfermedad cardiaca o sistémica capaz de producir una hipertrofia secundaria como hipertensión arterial, hipertiroidismo, acro-
megalia, engrosamiento miocárdico transitorio (EMT) o pseudohipertrofia (por ejemplo, por hipovolemia). Sin descartar el resto, el diagnóstico es fenotipo hipertrófico. La mayoría de los gatos padecen una enfermedad subclínica. Entre los signos clínicos más frecuentes se dan los de ICC (signos respiratorios, como taquipnea o disnea) y el tromboembolismo aórtico (TEA). Algunos presentan muerte súbita.
Un trastorno del tejido fibroso conjuntivo parece provocar la pérdida de distensibilidad y contractilidad miocárdica, que disminuye la función diastólica y (con el tiempo) sistólica del VI. Esto activa los mecanismos de compensación cardiacos y produce hipertrofia concéntrica. Las necesidades de oxígeno del miocardio aumentan y el aporte nutricional de las coronarias disminuye (al disminuir la función diastólica). El aumento de tamaño del AI debido al mayor de volumen de sangre que recibe, predispone al desarrollo de TEA (Payne et al. 2015).
A esta hipertrofia concéntrica suele seguirle una ODTSVI, producida por el SAM de la VM, la hipertrofia de la base del septo que disminuye el diámetro del TSVI, o por ambos simultáneamente.
lares, agrandamiento de AI e hipoquinesia de la pared del VI.
Nos visita una hembra castrada de raza British Shorthair, de 3 años y 9 meses y 3,8 kg. Indoor estricta; vive en un piso sin animales convivientes. Vacunación y desparasitación correctas; alimentación a base de dieta comercial seca. Acude a consulta de urgencias por un cuadro de disnea grave, intolerancia al ejercicio y postración, desde hace cuatro días. Previamente había sufrido episodios de diarreas crónicas recurrentes, que respondieron a tratamiento sintomático. No se describe un accidente traumático, ni tratamientos de uso crónico o previos al ingreso.
En la exploración clínica se observó una condición corporal de 5/9. Presentaba un cuadro grave de disnea mixta con un patrón restrictivo. La temperatura rectal era de 37,6 °C. No deshidratada. Mucosas rosadas y húmedas, con tiempo de relleno
Los factores de riesgo de ICC o TEA son: presencia de ritmo de galope o arritmia, aumento moderado o grave del AI, fracción de acortamiento del AI disminuida, hipertrofia y/o hipoquinesia del VI, patrón restrictivo diastólico y ODTSVI. Estos se asocian a mayor morbilidad y mortalidad.
El SAM de la VM ocurre por la elongación de las valvas o de las cuerdas tendinosas, por la posición anómala de los músculos papilares, o por una unión atípica de las cuerdas tendinosas en el TSVI.
El consenso ACVIM propone un estadiaje adaptado por la American Heart Association (AHA). El estadio A incluye gatos predispuestos a la CM. El B, pacientes asintomáticos; se subdivide en dos. Los gatos sin aumento o con un aumento leve del atrio izquierdo (AI) conforman el grupo B1. Aquellos con un aumento moderado-grave, el grupo B2. El C lo componen gatos con signos de ICC o TEA, incluso si estos signos se resuelven con tratamiento. Los gatos con signos de ICC refractaria al tratamiento se clasifican en estadio D (Fuentes et al. 2020).
El pronóstico es variable. Los factores de riesgo de ICC o TEA son: presencia de ritmo de galope o arritmia, aumento moderado o grave del AI, fracción de acortamiento del AI disminuida, hipertrofia y/o hipoquinesia del VI, patrón restrictivo diastólico y ODTSVI. Estos se asocian a mayor morbilidad y mortalidad.
Los factores de riesgo de muerte súbita pueden incluir síncope, arritmias ventricu-
capilar inferior a dos segundos. Palpación de la tiroides sin alteraciones. Auscultación cardiaca con soplo sistólico apical izquierdo III/VI y una elevada frecuencia cardiaca de 264 latidos por minuto, con un ritmo regularmente regular. Se auscultaron crepitaciones húmedas a nivel de los lóbulos caudales. FR 68 respiraciones por minuto. Pulso fuerte y sincrónico. Palpación abdominal sin alteraciones. No presentaba linfadenomegalia.
Lista de problemas:
• Disnea de tipo mixto y patrón respiratorio restrictivo: compatible con procesos neumónicos o bronconeumónicos, agudización de asma felino, parasitosis (filariosis o aeroluroestrongilosis), edema pulmonar, derrame pleural, neoplasia (virus de la leucemia felina (FeLV) o linfoma mediastínico) o traumatismo (contusión). Otros, como derrames pleural o pericárdico, neumotórax o hernia diafragmática, se descartan debido a que los ruidos respiratorios se ausentarían o estarían atenuados.
• Crepitaciones húmedas: compatible con neumonía (infecciosa o no infecciosa), fibrosis pulmonar, neumonía eosinofílica,



En la exploración clínica se observó una condición corporal de 5/9. Presentaba un cuadro grave de disnea mixta con un patrón restrictivo. La temperatura rectal era de 37,6 °C.
hemorragia pulmonar, edema pulmonar cardiogénico, asma felino, neoplasias pulmonares, torsión pulmonar y síndrome de distrés respiratorio agudo.
• Soplo sistólico apical izquierdo III/VI: sugiere la presencia de un problema cardiaco congénito (defecto del septo interventricular o displasia de VM) o adquirido (fenotipo hipertrófico con o sin ODTSVI, o CMR, degeneración crónica de la VM o endocarditis), localizado probablemente en el corazón izquierdo. Además, puede indicar procesos sistémicos como anemia, fiebre, hipertiroidismo o hipertensión arterial sistémica.
• Intolerancia al ejercicio, postración, anorexia, apatía: signos clínicos inespecíficos compatibles con diversas enfermedades sistémicas, incluidas TEA o ICC. El patrón respiratorio y los sonidos cardiacos y respiratorios hacían sospechar de ICC. Por lo tanto, fueron necesarios exámenes complementarios para descar-

tar enfermedades sistémicas y confirmar la enfermedad cardiaca como causa más probable.
Pruebas complementarias
Dada la gravedad del cuadro y el estrés del animal, se decidió sedarlo con una dosis única de midazolam (0,2 mg/kg) y butorfanol (0,2 mg/kg) y se introdujo en una cámara de oxígeno. Durante su estancia en la cámara, se monitorizó la saturación de oxígeno (siempre por encima del 92 %) y la presión sanguínea sistólica (108 mmHg, rango 100-140 mmHg).
T-POCUS
Se optó por una T-POCUS al no considerar al animal lo suficientemente estable para realizar radiografías y ecocardiografía completa. En decúbito esternal para evitar el estrés. Se observaron gran cantidad de líneas B compatibles con presencia de
líquido intersticial pulmonar (más de tres por campo pulmonar), lo cual es compatible con edema pulmonar cardiogénico o no cardiogénico, procesos inflamatorios o infiltrativos (traumatismos, SRIS, bronquiolitis) o fibrosis intersticial. Se confirmó hipertrofia del VI y dilatación de AI. El aumento del AI junto con la presencia de líneas B puede sugerir con mayor probabilidad un edema pulmonar de origen cardiogénico (Ward et al. 2017).
Pruebas laboratoriales
Una vez sedado, se cateterizó y se extrajo sangre. Se realizó, en función del diagnóstico diferencial: hemograma, bioquímica general, pro-BNP, T4 y test de detección de antígenos de virus de la inmunodeficiencia felina y FeLV:
• Hemograma y bioquímica: para descartar anemia o procesos inflamatorios/infecciosos. Destacan, eritrocitosis (12,43 M/mcL, rango 6,54-12,20 M/mcL) y reticulocitosis (131,8 K/mcL, rango 3,0-50,0 K/mcL) compatibles con un proceso crónico de hipoxia, e hiperglucemia (325 mg/dl; rango 80-120 mg/dl) probablemente por el estrés del animal.
• T4: 2,1 mcg/dl, en rango (0,8-4,7 mcg/ dl); se descarta hipertiroidismo.
• pro-BNP: biomarcador que evalúa el estrés parietal atrial. Resultado positivo, lo cual se corresponde con valores >270 pmol/L, y es muy sugestivo de patología cardiaca frente a respiratoria.
• Test de antígenos FeLV-FIV: negativo.
Con las pruebas realizadas hasta el momento, se descartaron varios procesos sistémicos y el hipertiroidismo. Las pruebas sugerían con una alta probabilidad que el problema tenía origen cardiaco.
Una vez estabilizada la paciente, se realizaron pruebas de imagen para llegar al diagnóstico definitivo.
Estudio radiológico
En las vistas laterales, el vertebral heart score (VHS) era de 7,75 vértebras (rango 6,7-8,1). No se observó desplazamiento dorsal de la tráquea, ni mayor apoyo cardiaco sobre las estérnebras teniendo en cuenta la edad del paciente. Se observó un patrón alveolar en zonas caudodorsales al corazón (figura 1), y patrón intersticial difuso generalizado. En la vista dorsoventral, se apreciaba una silueta cardiaca con forma de “corazón de San Valentín”, sugestivo de aumento del AI o bilateral de atrios (figura 2).
Estudio ecocardiográfico
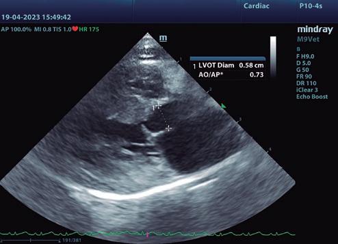
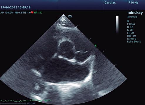
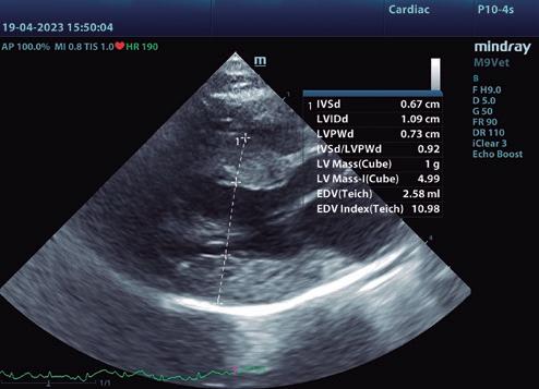
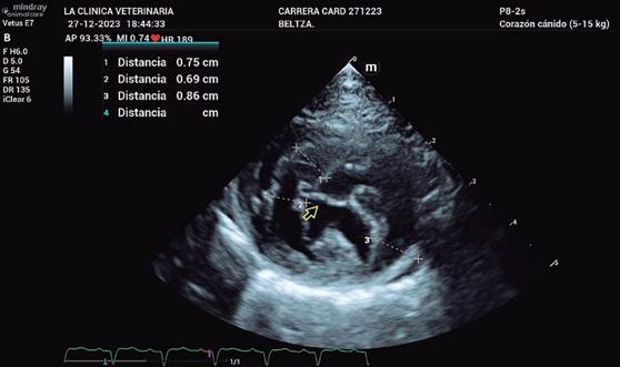
• Modo B: en la proyección paraesternal derecha eje largo, se observó un jet de regurgitación mitral con dirección posterior y SAM (figura 3). En el eje corto derecho a la altura de la base cardiaca se observó un ratio atrio izquierdo/aorta (AI/Ao) de 1,92 (>1,6 se considera dilatación AI) (figura 4). Además, se observó hipertrofia de la pared del septo interventricular (SIV) de 7,6 mm y la pared libre del ventrículo izquierdo (PLVI) la 8,4 mm (hipertrofia >6 mm) (figura 5).
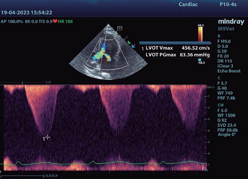
• Modo M: en paraesternal derecho eje corto a nivel de músculos papilares se observó un aumento del grosor del SIV en sístole (SIVs) de 7,8 mm (hipertrofia >6 mm), así como una hipertrofia de los músculos papilares (figura 6). • Modo Doppler: en la proyección paraesternal izquierda apical cuatro cámaras se midieron los flujos mitral (onda E 0,89 m/s y onda A 0,66 m/s) y subaórtico (4,56 m/s) (figura 7) ambos turbulentos, pero con velocidades dentro de rango. Presencia de ODTSVI. El flujo dentro de la aurícula izquierda estaba ligeramente disminuido (0,23 m/s, rango <0.25 m/s), aunque sin smoke
Con el estudio ecocardiográfico, se descartaron las patologías cardiacas congénitas y neoplásicas, degeneración de la VM, endocarditis, y otro tipo de cardiomiopatías.




7. Proyección paraesternal izquierda cinco cámaras. Mediante Doppler color, se observa el flujo turbulento hacia el TSVI y hacia el AI. Se toma la velocidad del flujo que discurre a través del TSVI, generando un gradiente de presión de 83,36 mmHg.

8. Proyección optimizada para la aurícula izquierda. En ella, se toma una de las varias medidas del flujo de sangre a este nivel para evaluar la predisposición del animal a sufrir un proceso trombótico (TEA).

(figura 8). Se observó un patrón de flujo transmitral pseudonormal.
Diagnóstico
Según el resultado del pro-BNP y la T-POCUS, el diagnóstico fue de patología cardiaca. Las radiografías y la T-POCUS mostraban imágenes compatibles con edema pulmonar (y dilatación de AI), que podemos definir como de origen cardiogénico.
Con el estudio ecocardiográfico, se descartaron las patologías cardiacas congénitas y neoplásicas, degeneración de la VM, endocarditis, y otro tipo de cardiomiopatías. El diagnóstico definitivo fue fenotipo hipertrófico con SAM y ODTSVI. Como consecuencia de todo ello, se advirtió de la presencia de ICC aguda y descompensada, lo cual nos sitúa en estadio C.
Tratamiento
Durante la hospitalización (suplementada con oxígeno y sedación), y tras los resultados de la T-POCUS, se administró furosemida vía subcutánea (SC) a 2 mg/ kg en primera instancia, seguido de un segundo bolo con la misma dosis, vía intravenosa (IV), dos horas después. Posteriormente, se instauró una CRI de furosemida (0,66 mg/kg/h). En este momento, se realizaron las pruebas de imagen, de forma que se pudo establecer el diagnóstico y continuar el tratamiento.
grafía, tres meses después, mostraba una leve reducción de los valores, con un AI/ Ao de 1,81, y un grosor del SIV y PLVI de 7,2 y 7,9, respectivamente.
Debido al estrés del animal al acudir a la consulta y a la aparente estabilización de la sintomatología, se acordó realizar la ecocardiografía de control un año después. Diez meses después, el animal se encuentra sin sintomatología; la bioquímica renal y el ionograma continúan en rango. Hasta la fecha no ha sido necesaria la modificación del tratamiento, ni su ingreso.
Discusión
Antes de 2020, no existía ningún consenso sobre el diagnóstico o tratamiento de esta afección. Los estudios retrospectivos observacionales no representan ninguna evidencia científica para obtener recomendaciones.
A pesar de las mutaciones del A31P del Maine Coon, del R820W del Ragdoll (Borgeat et al. 2014), y del MYH7 del gato común de pelo corto (Schipper et al. 2019), la mutación genética no es la única causa de CMH en British Shorthair y en las anteriormente mencionadas (Meurs et al. 2009).
En el British Shorthair, la prevalencia de CMH es del 8,5 %. Hay una clara predisposición sexual masculina, y una edad media de diagnóstico de 2,7 años (similar a Maine Coon y Ragdoll) (Granström et al. 2011), lo cual no coincide con nuestro paciente.
La T-POCUS cada vez tiene mayor uso en casos de ICC para su diagnóstico, mediante la visualización de líneas B en los diferentes campos pulmonares (Ward et al 2017), tal y como ocurrió en nuestro caso.
Cuando comenzó a comer por sí sola dieta húmeda, se pautó clopidogrel (18,75 mg/gato) cada 24 horas. Tras las primeras 48 horas de ingreso se le dio el alta con tratamiento ambulatorio.
Se pautó clopidogrel (18,75 mg/gato cada 24 horas), benazepril (0,5 mg/kg cada 24 horas) y torasemida (0,13 mg/kg cada 24 horas).
Se recomendó la repetición de la bioquímica renal en una semana y de la ecocardiografía en 3 meses. Se pautó un seguimiento en casa de la FR en reposo, marcando las 30 rpm como límite superior.
Evolución y resultado
La bioquímica renal una semana después del ingreso fue normal. La ecocardio-
Bibliografía:
La prueba de elección para diagnosticar ICC es la radiografía torácica. En nuestro caso retrasamos su realización y realizamos una T-POCUS dada la inestabilidad del paciente. La T-POCUS cada vez tiene mayor uso en casos de ICC para su diagnóstico, mediante la visualización de líneas B en los diferentes campos pulmonares (Ward et al. 2017), tal y como ocurrió en nuestro caso.
La T-POCUS y el NT-proBNP son útiles para el diagnóstico de ICC en gatos con distrés respiratorio (Ward et al. 2018). En nuestro caso, un valor positivo al snap indica un valor de NT-proBNP superior a 240 pmol/L que enmarca al animal (muy probablemente) en una patología cardiaca. Actualmente se estudia un nuevo biomarcador de CMH, la Galectina-3 (Stack et al. 2023).
Borgeat, K., Caramian-Sorrosal, D., Helps, C., Fuentes, V. y Connolly, D. (2014). Association of the myosin binding protein C3 mutation (MYBPC3 R820W) with cardiac death in a survey of 236 Ragdoll cats. Journal of Veterinary Cardiology 16 (2), 73-80. Buchanan JW. (2000). Vertebral scale system to measure heart size in radiographs. Veterinary Clinics of North America: Small Animal Practice. 30 (2), 379–393.
• Fuentes, V., Abbott, J., Chetboul, V., Côté, E., Fox, P., Häggström, J., Kittleson, M., Schober, K. y Stern, J. (2020). ACVIM consensus statement guidelines for the classification, diagnosis, and management of cardiomyopathies in cats. Journal of Veterinary Internal Medicine 34 (3), 1062-1077
• Granström, S., Nyberg Godiksen, M., Christiansen, M., Piper, C., Willesen, J. y Koch, J. (2011). Prevalence of hypertrophic cardiomyopathy in a cohort of British Shorthair cats in Denmark. Journal of Veterinary Medicine 25 (4), 866-71.
• Hogan, D., Fox, P., Jacob, K., Keene, B., Laste, N., Rosenthal, S., Sederquist, K. y Weng, H. (2017). Secondary prevention of cardiogenic arterial thromboembolism in the cat: The double-blind, randomized, positivecontrolled feline arterial thromboembolism; clopidogrel vs. aspirin trial (FAT CAT). Journal of Veterinary Cardiology 1, S306-S317.
• James, R., Guillot, E., Garelli-Paar, C., Huxley, J., Grassi, V. y Cobb, M. (2018). The SEISICAT study: a pilot study assessing efficacy and safety of spironolactone in cats with congestive heart failure secondary to cardiomyopathy. Journal of Veterinary Cardiology 20 (1) 1-12. King, J., Martin, M., Chetboul, V., Ferasin, L., French, A., Strehlau, G., Seewald, W., Smith, S., Swift, S., Roberts, S., Harvey, A., Little, C., Caney, S., Simpson, K., Sparkes, A., Mardell, E., Bomassi, E., Muller, C, Sauvage,
Mediante la radiografía torácica, se determina un VHS normal en gatos de 7,5+/- 0,3 (Buchanan 2000). Esta técnica tiene una sensibilidad baja y especificidad elevada (28 % y 95 %, respectivamente) (Soyeon et al. 2023) para la detección de agrandamiento de AI. Esto se refleja en nuestro paciente, con un VHS de 7,75 (normal), pero un aumento considerable de AI ecocardiográficamente.
En un animal como nuestro paciente, en fase C con ICC aguda, se recomienda la sedación, oxigenoterapia y el uso empírico de furosemida (1-2 mg/kg) rápidamente vía IV.
Para el diagnóstico de fenotipo hipertrófico, la gold estándar es la ecocardiografía. Aunque no hay una medida mundialmente aceptada para un valor normal o anormal de grosor de la pared, un aumento focal o difuso por encima de 6 mm (Fuentes et al. 2020) confirma el diagnóstico. Un AI/ Ao >1,6, justifica la presencia de ICC. En nuestro caso, el diagnóstico de fenotipo hipertrófico, se sustenta por el aumento del grosor de la pared del VI (7,6 mm en modo B y 7,8 mm en modo M) y la ICC, por el del AI/Ao (1,92).
Determinamos un flujo transmitrálico pseudonormal por la presentación clínica, categorizando una disfunción diastólica moderada. Ante la falta del flujo venoso pulmonar y del Doppler tisular del anillo mitral (Schober y Chetboul 2015), es una suposición. Sería necesaria la toma de estas medidas para confirmarlo. El estudio REVEAL (Fox et al. 2018) no asocia un peor pronóstico al SAM, aunque revela que se trata de gatos diagnosticados más jóvenes, como es nuestro caso.
En un animal como nuestro paciente, en fase C con ICC aguda, se recomienda la sedación, oxigenoterapia y el uso empírico de furosemida (1-2 mg/kg) rápidamente vía IV. En nuestro caso se decidió la administración SC debido a la inestabilidad del paciente. Según el consenso, se puede continuar con bolos de furosemida IV cada 8-12 horas, o con una CRI. El objetivo es mantener la FR por debajo de 30 rpm. En nuestro caso se eligió la segunda opción para mantener la vía permeable. Se añadió clopidogrel debido al riesgo de TEA, definido por el aumento del AI/ Ao (1,92) y el flujo del apéndice del AI (0,23 m/s). El consenso ACVIM sugiere su uso a partir de un AI/Ao >1,7. Su utiliza-
J., Diquélou, A., Schneider, M., Brown, L., Clarke, D. y Rousselot, J. (2018). Evaluation of benazepril in cats with heart disease in a prospective, randomized, blinded, placebo-controlled clinical trial. Journal of Veterinary Internal Medicine 33, 2559-2571.
Kittleson M. y Côté, E. (2021). The feline cardiomyopathies: 1. General concepts. Journal of Feline Medicine and Surgery 23, 1009-1027. Kochie, S., Schober, K., Rhinehart, J., Winter, R., Bonaguera, J., Showers, A. y Yildez, V. (2020). Effects of pimobendan on left atrial transport function in cats. Journal of Veterinary Internal Medicine 35 (1), 10-21. Maron, B., Towbin, J., Thiene G., Antzelevitch, C., Corrado, D., Arnett, D., Moss, A., Seidman, C. y Young, J. (2006). An American Heart Association Scientific Statement From the Council on Clinical Cardiology, Heart Failure and Transplantation Committee; Quality of Care and Outcomes Research and Functional Genomics and Translational Biology Interdisciplinary Working Groups; and Council on Epidemiology and Prevention. Circulation 113; 1807-1816.
• Meurs, K., Norgard, M., Kuan, M., Haggstrom, J. y Kittleson, M. (2009). Analysis of 8 sarcomeric candidate genes for feline hypertrophic cardiomyopathy mutations in cats with hypertrophic cardiomyopathy. Journal of Veterinary Internal Medicine 23, 840-843.
• Schipper, T., Van Poucke, M., Sonck, L. Smets, P., Ducatelle, R., Broeckx, B. y Peelman, L. (2019). A feline orthologue of the human MYH7 c.5647G>A (p.(Glu1883Lys)) variant causes hypertrophic cardiomyopathy in a Domestic Shorthair cat. European Journal of Human Genetics 27, 1724–1730
• Schober, K y Chetboul, V. (2015). Echocardiographic evaluation of left ventricular diastolic function in cats: hemodynamic determinants and pattern recognition. Journal of Veterinary Cardiology 17, S102-S133. Schober, K., Rush, J., Fuentes, V., Glaus, T., Summerfield, N., Wright, K., Lehmkuhl, L., Wess, G., Sayer, M., Loureiro, J., MacGregor, J. y Mohren, N.
ción previene el TEA y es más beneficioso que la aspirina (Hogan et al. 2015). Una vez estabilizado y diagnosticado, y siguiendo el consenso, se continúa con clopidogrel. En nuestro caso, decidimos usar torasemida cada 24 horas en lugar de furosemida cada 8-12 horas para evitar generar estrés por la administración de medicación. Aunque no está indicada hasta el estadio D, el consenso tampoco la contraindica. Se recomienda mantener la FR en reposo en casa por debajo de 30 rpm. El uso de IECA en gatos no demuestra un beneficio claro en su uso y puede suponer un estrés adicional para el animal (King et al. 2018). En nuestro caso, decidimos añadirlo debido a la gravedad de la patología a pesar de que el ACVIM no lo recomienda. La espironolactona parece ayudar, pero se necesitan más estudios para hacer una recomendación firme (James et al., 2018). Decidimos no añadirla por la dificultad para medicar al animal.
El pimobendan otorga mayor tiempo de supervivencia, pero no estadísticamente significativo (Doreste et al. 2014; Kochie et al. 2020). En un estudio de Schober et al. (2021), se observó que los gatos con OTSVI tratados con pimobendan tienen la misma supervivencia que aquellos no tratados.
La CMH tiene mejor pronóstico que otras CM (Spalla et al. 2018). Los gatos en estadio C (y D), como el nuestro, están más predispuestos a morir por la enfermedad cardiaca que por cualquier otra causa. Aquellos con fenotipo hipertrófico en estadio C por EMT, situación de estrés o hipertiroidismo tienen mejor pronóstico (Kittleson), al igual que aquellos sin síntomas (Spalla et al. 2016), pero no era el caso de nuestro paciente. El agrandamiento del AI y los signos de hipercoagulabilidad ecocardiográficamente establece mayor riesgo de muerte independientemente de la CM subyacente. Además, la guía ACVIM relaciona la bajada de los niveles de NTproBNP con un mejor pronóstico. Así, el pronóstico de nuestro paciente, sin signos clínicos tras los controles posteriores, es favorable a corto plazo, pero reservado a largo. Al no medir cuantitativamente el NT-proBNP, no se pudo relacionar con el pronóstico.
El fenotipo CMH es una patología frecuente en gatos y su pronto diagnóstico mediante ecocardiografía y tratamiento es muy importante para aumentar la supervivencia y la calidad de vida del animal. No obstante, queda mucho por estudiar en cuanto al tratamiento de esta patología y, de momento, tenemos escasas herramientas terapéuticas.
(2021). Effects of pimobendan in cats with hypertrophic cardiomyopathy and recent congestive heart failure: Results of a prospective, double-blind, randomized, nonpivotal, exploratory field study. Journal of Veterinary Cardiology 35 (2), 789-800. Soyeon, K., Lee, D., Park, S., Hyun Suh, G. y Choi, J. (2023). Radiographic findings of cardiopulmonary structures can predict hypertrophic cardiomyopathy and congestive heart failure in cats. American Veterinary Medical Association 84, 9. Spalla, I., Locatelli, C., Riscazzi, G, Santagostino, S., Cremaschi, E. y Brambilla, P. (2016). Survival in cats with primary and secondary cardiomyopathies. Journal of Feline Medicine and Surgery 18 (6), 501-509.
• Spalla, I., Payne, J., Borgeat, K., Fuentes, V. y Connolly, D. (2018). Prognostic value of mitral annular systolic plane excursion and tricuspid annular plane systolic excursion in cats with hypertrophic cardiomyopathy. Journal of Veterinary Cardiology 20 (3), 154-164.
• Stack, JP., Fries, RC., Kruckman, L., Kadotani, S. y Wallace G. (2023). Galectin-3 as a novel biomarker in cats with hypertrophic cardiomyopathy. Journal of Veterinary Cardiology 48, 54-62.
• Ward, J., Lisciandro, G., Ware, W., Viall, A., Aona, B., Kurtz, K., Reina-Doreste, Y. y DeFrancesco, T. (2018). Evaluation of point-of-care thoracic ultrasound and NT-proBNP for the diagnosis of congestive heart failure in cats with respiratory distress. Journal of Veterinary Internal Medicine 32 (5), 1530-1540.
• Ward, J., Lisciandro, G., Keene, B., Tou, S. y DeFrancesco, T. (2017). Accuracy of point-of-care lung ultrasonography for the diagnosis of cardiogenic pulmonary edema in dogs and cats with acute dyspnea. Journal of American Veterinary Medical Association Mar 15; 250 (6): 666-675. Wilkie, L.J., Smith, K. y Fuentes, V. (2015). Cardiac pathology findings in 252 cats presented for necropsy; a comparison of cats with unexpected death vs. other deaths. Journal of Veterinary Cardiology 17 (1), S329-S340.

Las cardiomiopatías suelen ser asintomáticas o incluso presentar muerte súbita como único síntoma, salvo al desarrollar insuficiencia cardiaca congestiva en estadios avanzados. Por ello, es importante determinarlas y diferenciarlas en fases iniciales. Este trabajo se centra en los fenotipos menos comunes en esta especie: cardiomiopatía restrictiva (CMR), la cardiomiopatía dilatada (CMD), la cardiomiopatía arritmogénica del ventrículo derecho y la cardiomiopatía de fenotipo no específico.
Mercedes López Veas-Pérez de Tudela1, Ángela María Huerta Lorenzo2
1DVM. Responsable del servicio de cardiología de Laclinicaveterinaria – Vetpartners
2DVM. Responsable del servicio de cardiología de Centro Veterinario
Henares – Vetpartners
Imágenes cedidas por las autoras
Las cardiomiopatías son un grupo heterogéneo de enfermedades del miocardio que afectan a su estructura y muestran un fenotipo variable; son comunes en gatos, y se encuentran entre las 10 causas más comunes de muerte en esta especie1,2
Desde 2020 las cardiomiopatías felinas se clasifican según la expresión fenotípica que nos indica el consenso ACVIM, independientemente de la etiología, ya que pueden ser primarias o secundarias a una enfermedad extra cardiaca (figura 1).
Suelen ser enfermedades asintomáticas o incluso presentar muerte súbita como único síntoma, salvo al desarrollar insuficiencia cardiaca congestiva en estadios avanzados de la enfermedad, donde los gatos acuden a consulta por disnea, taquipnea, cianosis, intolerancia al ejercicio, anorexia, hipotermia, ascitis o al evolucionar con tromboembolismo aórtico (parálisis de extremidades, cianosis periférica).1,2 Por ello, es importante determinarlas y diferenciarlas en fases iniciales.
La más habitual entre las cardiomiopatías de la especie felina es la cardiomiopatía hipertrófica, que afecta a un 15 % de los gatos, un 29 % cuando se habla de pobla-
ción felina sénior2, pero en este artículo nos vamos a centrar en los otros fenotipos menos comunes que se pueden encontrar en esta especie, que, por orden de frecuencia en su presentación en la consulta de cardiología son: cardiomiopatía restrictiva (CMR), la cardiomiopatía dilatada (CMD), la cardiomiopatía arritmogénica del ventrículo derecho y, por último, la cardiomiopatía de fenotipo no específico (antigua cardiomiopatía no clasificada).
Cardiomiopatía restrictiva (RCM)
Se caracteriza por la presencia de disfunción diastólica, sin engrosamiento de las paredes del miocardio1, y representa un 15-20 % de todas las cardiomiopatías felinas.2
La edad de presentación varía entre 4 meses y 19 años, en algunos estudios, aunque la edad media en el momento del diagnóstico suele ser entre los 7 y los 10 años.2
conduce a un aumento de presión diastólico impidiendo el llenado normal del ventrículo, alterando la función diastólica y transmitiendo esta presión al atrio izquierdo, que aumenta de tamaño.3,4
La clasificación de los distintos tipos de CMR se realiza en función de los cambios estructurales observados durante la ecocardiografía y en los estudios post mortem, aunque existe poco consenso sobre el diagnóstico histopatológico de esta patología.2,3,4
Así, se han establecido:
• Forma endomiocárdica: se distingue por disposición de bandas fibrosas de tejido en el ventrículo izquierdo que forman puentes entre la pared libre y el septo interventricular o los músculos papilares (figura 2), o bien infiltración difusa de este tejido envolviendo el ventrículo izquierdo; a veces se denomina “cicatriz endomiocárdica”.
• Forma miocárdica: se produce una sustitución de tejido miocárdico por tejido fibroso.
Desde 2020 las cardiomiopatías felinas se clasifican según la expresión fenotípica que nos indica el consenso ACVIM, independientemente de la etiología, ya que pueden ser primarias o secundarias a una enfermedad extra cardiaca.
La capacidad de adaptación del ventrículo izquierdo está alterada debido a la sustitución de fibras miocárdicas por tejido fibroso a nivel miocárdico, subendocárdico, endocárdico o infiltrativo, posiblemente de origen cicatricial o secundario a enfermedades infecciosas, inmunitarias o inflamatorias como las miocarditis3, que
Deficiencia de taurina en la dieta
Mediado por taquicardia
Incremento de grosor de la pared del VI
Hipertensión
Reducción de la precarga
Etapa final de la CMH CMH + disfunción sistólica
Fenotipo RCM Grosor normal de la pared del VI, dilatación del AI
Infiltración neoplásica Engrosamiento miocárdico transitorio Acromegalia Hipertiroidismo
Fenotipo CMD Dilatación de la cámara, disfunción sistólica Fenotipo MAVD Dilatación del AD y VD No específico Anormalidades que no encajan en otras categorías
MAVD: cardiomiopatía arritmogénica del ventrículo derecho. CMD: cardiomiopatía dilatada. CMH: cardiomiopatía hipertrófica. Etapa final de la CMH: CMH con disfunción sistólica. CMR: cardiomiopatía restrictiva. EMT: engrosamiento miocárdico transitorio.
• Endomiocarditis o fibrosis endocárdica: en la que se produce infiltración de células inflamatorias y tejido fibroso.3,5
• Fibroelastosis endocárdica: se produce un engrosamiento endocárdico por aumento de tejido fibroso. Esta forma solamente se ha descrito en gatos Burmeses en 1980 y en una familia de gatos en 1994, por lo que se sospecha de un componente hereditario, aunque aún no ha sido identificado.3
Examen físico de fase subclínica
Es similar a otras cardiomiopatías felinas; en la auscultación cardiaca se puede localizar soplo sistólico de proyección mitral en un 77 % de los gatos, ritmo de galope (en un 31 % de los gatos) o arritmias (en un 23 %).3,4
Diagnóstico
Es frecuente encontrar arritmias en el electrocardiograma, como complejos prematuros ventriculares o taquicardias supraventriculares. Estas alteraciones se pueden evidenciar en el estudio Holter.3
La radiografía puede reflejar un aumento marcado de la aurícula izquierda o ambas aurículas y patrón vascular venoso y, en estadios avanzados, derrame pleural o edema pulmonar.3
El diagnóstico definitivo de la CMR requiere la identificación ecocardiográfica de disfunción diastólica en ausencia de cardiomiopatía hipertrófica; se observa un patrón anómalo de llenado de VI o incluso llenado restrictivo en estadios más avanzados de la enfermedad.2,3
Aunque los hallazgos no están uniformemente aceptados2,3,5, se observa dilatación del atrio izquierdo (con posible regurgitación mitral leve), o de ambos atrios; a nivel
de ventrículo izquierdo (también del derecho en algunas ocasiones2), dependiendo de la forma de presentación, observaremos miocardio o endomiocardio hiperecoico de forma uniforme o con asimetría y áreas de adelgazamiento. O bien, presencia de bandas fibrosas, áreas de distorsión o unión de los músculos papilares.2,3,5 Otras pruebas diagnósticas interesantes para el diagnóstico son:
• Troponinas, que indican el daño miocárdico.2
• PCR para la detección de Bartonella, ya que en un estudio de 2018 se reportó este microorganismo en la mitad de los gatos afectados con este fenotipo.6
Tratamiento
En aquellos casos en los que se sospeche de CMR secundaria a agentes infecciosos se recomienda el tratamiento etiológico oportuno.2,7
Además, debido al aumento del tamaño atrial se recomienda el uso de antiagregantes plaquetarios +/- anticoagulantes, así como el tratamiento de las arritmias que se presenten, igual que en el manejo de otras cardiomiopatías según el consenso ACVIM.1
Cardiomiopatía dilatada
Representa un 5 % de los casos de enfermedades del miocardio en gatos y se caracteriza por disfunción sistólica y dilatación (primaria o secundaria) de las cámaras cardiacas en ausencia de enfermedad vascular o valvular y de cardiopatías congénitas que conlleven aumento en la precarga3
El diagnóstico definitivo de la CMR requiere la identificación ecocardiográfica de disfunción diastólica en ausencia de cardiomiopatía hipertrófica; se observa un patrón anómalo de llenado de VI o incluso llenado restrictivo en estadios más avanzados de la enfermedad.2,3
El promedio de edad de los gatos afectados es de 9 años. No existe una evidente predisposición racial como se ha detectado en algunas razas de perros.2,7 Las causas secundarias comprenden:
• La administración de algunos fármacos (antraciclinas).
• Taquiarritmias crónicas.
• Enfermedades inmunomediadas o metabólicas.
• Causas nutricionales, secundaria a deficiencia de taurina: es poco frecuente gracias a las dietas comerciales a las que se añade habitualmente dicho aminoácido. Es frecuente en animales con dietas vegetarianas o caseras no adecuadas, por ejemplo, las dietas a base de conejo.3
• O en estadio final de CMH (afterload mismatch), en razas predispuestas genéticamente a CMH (abisinios, british, sphynx)2

Examen físico de fase subclínica
La mayoría de los casos se presentan en fallo cardiaco congestivo (ascitis, disnea, hipotermia, sonidos cardiacos disminuidos)3, pero la presentación de soplo sistólicos de baja intensidad, ritmo de galope y arritmias, puede ser sugestiva de cardiomiopatía.7
Pruebas diagnósticas
La radiografía y el y electrocardiograma no presentan demasiada significación para el diagnóstico, aunque se pueden observar arritmias y cardiomegalia por remodelado excéntrico.2,7
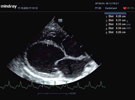
Ecocardiográficamente se observa un aumento de cámaras cardiacas izquierdas2,3, paredes ventriculares que pueden presentar adelgazamiento2,5 (figura 2), disminución de la función sistólica ventricular, y de la fracción de acortamiento3, con aumento de la distancia del punto E al septo.2,5
El lado derecho puede estar afectado mostrando dilatación, aunque no en todos los casos.
La dilatación de la aurícula izquierda o de ambas puede evidenciarse a medida que progresa la enfermedad: puede existir
contraste espontáneo o trombos en el atrio izquierdo.2
Otras pruebas diagnósticas interesantes para el diagnóstico:
• Las concentraciones de NT-pro-BNP y troponinas cardiacas suelen estar elevadas.3
• Concentración de taurina en sangre entera si se sospecha deficiencia de la misma, teniendo en cuenta la existencia de falsos negativos y falsos positivos en la determinación laboratorial.2
Tratamiento de fase subclínica
Se recomienda la suplementación con taurina, aun con niveles normales en sangre, debido a la respuesta extremadamente favorable y posibilidad de falsos negativos en la detección de deficiencia en taurina.2
El tratamiento con pimobendan (0,6251,25 mg/gato/12 h) aumenta la funcionalidad sistólica mejorando la supervivencia, a pesar de no estar aprobado para su uso en gatos.2,3,8
Además, debido al aumento del tamaño atrial, se recomienda el uso de antiagregantes plaquetarios +/- anticoagulantes, así


como el tratamiento de las arritmias que se presenten, igual que en el tratamiento de otras cardiomiopatías, según el consenso ACVIM.1
Cardiomiopatía arritmogénica de ventrículo derecho2,4 (CAVD)
La CAVD en gatos representa entre un 1-5 % de las cardiomiopatías felinas2,4 y se comporta de manera similar a la patología de mismo nombre en la especie humana.3
Esta patología es poco frecuente en gatos y se desconoce la causa, no hay referencias de familias felinas ni registro genético, y es diferente a la cardiomiopatía arritmogénica del perro.3,4
Anatómicamente, se caracteriza por un adelgazamiento difuso o localizado de la pared libre del ventrículo derecho en el que el tejido miocárdico se encuentra reemplazado por tejido fibroso o fibrograso. Como consecuencia de ello se observa dilatación y disfunción ventricular derecha. Algunos autores describen esta patología como cardiomiopatía arritmogé-


nica, debido a que habitualmente también se afecta el ventrículo izquierdo.2,3
Historia clínica y examen físico Los gatos pueden presentarse con síncopes o muerte súbita (aunque esta última es menos frecuente que en humanos).3
Debido a la dilatación ventricular puede existir regurgitación tricúspide, de manera que se ausculta un soplo en el cuarto espacio intercostal derecho y arritmias.4,9 En fases avanzadas de la enfermedad, a diferencia de otras cardiomiopatías, se pueden encontrar signos de insuficiencia cardiaca derecha: taquipnea si existe efusión pleural, distensión yugular, congestión hepática y ascitis.3
Diagnóstico
En el electrocardiograma, se pueden apreciar complejos prematuros ventriculares y taquicardia ventricular, extrasístoles supraventriculares, taquicardia supra ventricular y fibrilación atrial, bloqueo de rama derecha y bloqueos auriculoventriculares de primer y tercer grado.3,7,9
En fases avanzadas de la CAVD, a diferencia de otras cardiomiopatías, se pueden encontrar signos de insuficiencia cardiaca derecha: taquipnea si existe efusión pleural, distensión yugular, congestión hepática y ascitis.3
Radiológicamente se puede evidenciar el aumento del contacto esternal y la silueta cardiaca, y signos de cardiomegalia derecha como el desplazamiento de la silueta cardiaca hacia la izquierda.7
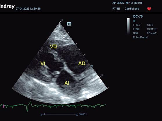
En la ecocardiografía se advierte un aumento del tamaño de cámaras cardiacas derechas (figura 4) y regurgitación tricúspide evidenciada con Doppler color. El movimiento de la pared libre del ventrículo derecho puede estar reducido en algunos gatos, mientras que el del septo interventricular puede ser paradójico. La cavidad del ventrículo izquierdo puede ser normal o estar disminuida, aunque la aurícula izquierda puede estar aumentada en algunos gatos.3
Tratamiento de fase subclínica3 Es conveniente el tratamiento de las arritmias que pueden empeorar el cuadro. Si aparece taquicardia ventricular o complejos ventriculares se recomienda pautar sotalol (2-4 mg/kg/12 h VO).2,3 Si existe fibrilación atrial (> 200 lpm) se puede administrar digoxina, digoxina + diltiazem o sotalol.3

El efecto inótropo positivo del pimobendan (0,25- 0,30 mg/kg/12 h) puede ser de utilidad en estos casos, siempre y cuando no haya presencia de SAM ni obstrucción dinámica de tracto de salida de ventrículo izquierdo.3,8,9
Cardiomiopatía no específica3
Anteriormente las enfermedades de este grupo se catalogaban como cardiomiopatías no clasificadas.
Habitualmente, los pacientes presentan un aumento del tamaño de la aurícula izquierda y tromboembolismo arterial.3
fisiología cardiovascular felina, influyen en gran medida en la aparición de insuficiencia cardiaca congestiva, que se presenta con edema pulmonar y efusión pleural y de trombos. Por ello, el consenso recomienda la pauta de diuréticos, toracocentesis y antiagregantes o anticoagulantes, en función de las dimensiones del atrio izquierdo.1
Pronóstico de cardiomiopatías felinas2,10,11,12
Una edad avanzada, la mera presencia de signos clínicos y la auscultación de
Para el tratamiento de fases avanzadas, el consenso ACVIM recomienda la pauta de diuréticos, toracocentesis y antiagregantes o anticoagulantes, en función de las dimensiones del atrio izquierdo.1
Diagnóstico
Se realiza mediante ecocardiografía, tras observar la presencia de alteración cardiaca que no encaja en las categorías tradicionales (HCM, ARVC, DCM, RCM O LVNC). Al igual que en otras patologías cardiacas, el tamaño de la aurícula izquierda determina el pronóstico del animal, y tanto el pronóstico como el tratamiento se asemejan a otras patologías cardiacas.3
Tratamiento de fases avanzadas (ACVIM)
Las cardiomiopatías primarias en gatos comparten algunas características comunes (dimensión del AI y estado hipercoagulable) que, ligadas a la anatomía y
ritmo de galope son marcadores negativos de gravedad de la enfermedad (tabla 1), así como la evolución y tratamiento de la causa subyacente a la miocardiopatía10 y la visualización de una hipertrofia extrema de miocardio de VI (>9 mm) y un patrón de llenado de VI restrictivo.11
Además, al evaluar cualquier fenotipo de cardiomiopatías hay factores independientes que nos indican un riesgo elevado de insuficiencia cardiaca congestiva (ICC), como el aumento grave de AI y déficit sistólico de VI <30 % (figura 5), accidente tromboembólico (ATE) ese mismo aumento de atrio izquierdo, ecocontraste positivo y déficit sistólico de AI o muerte súbita, que puede estar asociada a la presencia de síncopes.12
Tabla 1. Factores pronósticos negativos.
Edad Avanzada
Anamnesis, signos y exploración física
Biomarcadores
Sintomatología
Disnea, taquipnea, síncopes
Auscultación Ritmo de galope
NT proBNP >1.500 pmol/l
Troponinas >0,7 mg/ml
Miocardio
Ecocardiografía
Bibliografia:
Atrio izquierdo
Hipertrofia extrema >9 mm
FS AI <30 %
Ecocontraste positivo
Aumento grave AI/Ao>1,8
Patrón mitral de llenado VI Restrictivo
1. Luis Fuentes V, Abbott J, Chetboul V, et al. ACVIM consensus statement guidelines for the classification, diagnosis, and management of cardiomyopathies in cats. J Vet Intern Med. 2020; 34:1062-1077.
2. Fernández del Palacio MJ, Domingo C, Oriol D, Gemma F: Cardiomiopatías felinas: Manual clínico de cardiología en pequeños animales. Madrid: Improve Formación Veterinaria SLU. 2019; 286-301.
3. Kittleson MD, Côté E: The feline cardiomyophaties 3. Cardiomyopathies other than HCM. Journal of Feline Medicine and Surgery 2021; 23: 1053–1067.
4. Kittleson MD, Kienle RD. Cardiomiopatía inclasificada y cardiomiopatía restrictivas felinas. En Medicina cardiovascular de pequeños animales. Barcelona: Multimédica, 2000; 363-369.
5. Boon JA: Patologías miocárdicas. En Ecocardiografía Veterinaria. Barcelona: Multimédica Ediciones Veterinarias, 2012; 257-293.
6. Donovan TA, Balakrishnan N, Carvalho Barbosa I, et al. Bartonella spp. as a possible cause or cofactor of feline endo myocarditis–left ventricular endocardial fibrosis complex. J Comp Pathol 2018; 162: 29–42.
7. Ettinger SJ, Feldman EC, Côté E: Enfermedades miocárdicas felinas. En Tratado de medicina interna veterinaria. Zaragoza, España: Edra, Grupo Asís Biomédica; 2017; 1278-1305.
8. Gordon SG, Saunders AB, Roland RM, et al. Effect of oral administration of pimobendan in cats with heart failure. J Am Vet Med Assoc 2012; 241: 89–94.
9. P R Fox 1, B J Maron, C Basso, S K Liu, G Thiene Spontaneously occurring arrhythmogenic right ventricular cardiomyopathy in the domestic cat: A new animal model similar to the human disease
10.Spalla I., Locatelly C., Riscazzi G., et al. Survival in cats with primary and secondary cardiomyopathies. J Feline Med Surg. 2016; 18(6):501-509
11.Payne JR, Borgeat K, Connolly DJ, et al. Prognostic indicators in cats with hypertrophic cardiomyopathy. J Vet Intern Med. 2013;27:1427- 1436
12.Payne JR, Borgeat K, Brodbelt DC, et al. Risk factors associated with sudden death vs. congestive heart failure or arterial thromboembolism in cats with hypertrophic cardiomyopathy. J Vet Cardiol. 2015; 17(1):S318-S328.
13.Kittleson MD, Côté E: General concepts 1. The feline cardiomyopathies. Journal of Feline Medicine and Surgery 2021; 1009–1027.



Diagnosticar la causa en cada caso particular es el primer y más importante reto de la etología clínica, dado que será un factor determinante para el tratamiento.
Sergio Martínez Andreu
Veterinario clínico y etólogo
AniCura Constitución Hospital
Veterinario
Imágenes cedidas por los autores
Hablamos de agresividad felina cuando un gato doméstico presenta vocalizaciones de amenaza, arañazos o mordiscos contra personas u otros animales.
Se estima que una de cada dos consultas de etología felina está relacionada con la agresividad. De estos episodios declarados, el 64 % es dirigido hacia otros gatos y el 36 % hacia personas. Los episodios son más frecuentes en viviendas pequeñas y si vive más de un gato. Sin embargo, cuando solo hay un gato en el hogar la frecuencia de agresividad hacia personas es mayor.
Las motivaciones para estos episodios de agresividad son muy diversas y es lo que vamos a desglosar en este artículo. Diagnosticar la causa en cada caso particular es el primer y más importante reto de la etología clínica, dado que será un factor determinante para el tratamiento. Al igual que en perros, evitar el castigo físico y aplicar el refuerzo positivo con premios sabrosos de alto valor para el gato será una herramienta con la que deberemos trabajar cuidadores, etólogos y adiestradores.
Agresividad de causa orgánica
La primera causa no es propiamente comportamental y es la primera que debemos descartar. La causa orgánica engloba la agresividad derivada de patologías neurológicas, hormonales o que produzcan dolor. Siempre debemos realizar un chequeo médico que incluya análisis hormonales, exploración neurológica y evaluación de dolor musculoesquelético, al orinar/defecar, etc. En muchos casos la causa orgánica potenciará la intensidad y frecuencia de una agresividad subyacente a otra causa.
Tratamiento
En este caso se debe tratar la patología diagnosticada y revaluar las modificaciones en la conducta.
Agresividad por miedo
El miedo es probablemente la causa más frecuente de las estudiadas. Suele observarse la agresividad en situaciones estresantes, cuando el gato se siente acorralado o se le acerca alguien con quien no tiene confianza. Puede darse contra personas u otros gatos. Frecuentemente está relacionado con una socialización deficiente. El periodo normal de socialización del gato finaliza a los 3-4 meses de edad,
Siempre debemos realizar un chequeo médico que incluya análisis hormonales, exploración neurológica y evaluación de dolor musculoesquelético, al orinar/defecar, etc. En muchos casos la causa orgánica potenciará la intensidad y frecuencia de una agresividad subyacente a otra causa.
por lo que es una etapa muy importante donde el animal debe conocer otros gatos, personas, perros y ruidos. Por esta razón, el miedo a personas es más frecuente en animales recogidos de la calle cuando son jóvenes o adultos. Eventos traumáticos o peleas recientes también son causas habituales.
Consumar la agresión suele ser la última opción para el gato, que siempre preferirá huir. Sin embargo, es una conducta que se refuerza a sí misma, por lo que en episodios recurrentes es más probable que se produzca la agresión.
El miedo a personas es más frecuente en animales recogidos de la calle cuando son jóvenes o adultos. Eventos traumáticos o peleas recientes también son causas habituales.
Es necesario identificar el lenguaje corporal del gato en una situación de miedo. La postura puede ser cabizbaja, con orejas plegadas hacia atrás, en una postura interpretable como sumisión. En los casos en los que la intensidad del miedo es mayor veremos el lomo arqueado con piloerección, cola levantada y vocalizaciones.
Tratamiento
Enfocaremos el tratamiento en potenciar la socialización con el agente por el que siente miedo (gatos, personas u otros animales).
Para ello se implantará un protocolo de desensibilización. Consiste en realizar una presentación progresiva al estímulo aversivo, en este caso una persona u otro gato. Iniciaremos el protocolo a una gran distancia, sin interaccionar directamente con el paciente, y premiaremos una respuesta positiva. Poco a poco iremos aproximando la interacción, procurando no provocar una respuesta negativa en el paciente en ningún momento. Este tipo de protocolos conviene trabajarlos en sesiones cortas y durante días o semanas.

Se trata de una agresividad ofensiva en la que podemos ver conducta de acecho seguida de una agresión directa. Algunos gatos preferirán amenazar con la postura, generando piloerección con cola neutra o baja, orejas planas hacia los lados y vocalizaciones.
Tratamiento
La castración resuelve este tipo de agresividad en el 90 % de los casos.
Agresividad territorial
Los gatos pueden presentar agresividad por protección de recursos. Es más frecuente contra otros gatos, pero también se presenta contra personas. La escasez de recursos o tamaño del hogar con relación al número de gatos aumenta la probabilidad de este tipo de agresión.
Los desencadenantes más frecuentes son la introducción de un nuevo gato en casa y la reintroducción de otro gato conocido (por ejemplo, tras la visita al veterinario). Este tipo de agresividad también está relacionada con la frustración y el estrés, ya que son factores que predisponen a la respuesta agresiva.
Tratamiento
Es muy importante realizar un buen protocolo de introducción cuando traemos un nuevo gato a casa. Inicialmente, o tras un primer episodio de agresividad de esta naturaleza, debemos dividir la casa en dos porciones, donde vivirá cada gato sin interaccionar directamente.
Durante los primeros días cambiaremos a los gatos de “territorio” para que se vayan acostumbrando a los olores del otro gato. También podemos frotar con un trapo la cara de cada gato y presentar el olor directamente al otro.
Podemos apoyarnos en terapias biológicas para aumentar la tolerancia del
El siguiente paso consiste en una presentación visual, sin contacto físico, para ir
Es muy importante realizar un buen protocolo de introducción cuando traemos un nuevo gato a casa. Inicialmente, o tras un primer episodio de agresividad de esta naturaleza, debemos dividir la casa en dos porciones, donde vivirá cada gato sin interaccionar directamente.
paciente. Una combinación de feromonas y nutracéuticos con base de triptófano es de utilidad con este cometido. En casos graves puede ser necesario el uso de antidepresivos como la fluoxetina para ayudar al gato a tolerar mejor la presencia del estímulo aversivo.
Agresividad intrasexual
Es la que ocurre en contra de otros gatos del mismo sexo. Es más frecuente en machos que en hembras y ocurre con mayor intensidad en épocas de celo.



tanteando la respuesta de los animales. En casas donde ya conviven gatos en los que aparece este problema debemos aprovechar el espacio tridimensional con baldas en las paredes para que el gato agredido pueda evitar la interacción directa con el otro gato (figura 1).
Puede ser de utilidad colocar un cascabel al gato agresor para que el agredido esté sobre aviso cuando se aproxime.
El uso de feromonas en difusor es una ayuda recomendable.
El uso de antidepresivos como la fluoxetina puede ser necesario en casos graves.
Agresividad por juego
Este tipo de agresividad se caracteriza por manifestarse en forma de conductas depredadoras (acecho, persecución, ataque y mordedura). Es característico el ataque a tobillos en movimiento. Por tanto, no presentan las posturas de agresividad ofensiva o defensiva, ni tampoco piloerección o vocalizaciones.
También incluimos en esta categoría las mordeduras durante el juego con las
En caso de agresividad redirigida, aunque el estímulo detonante haya desaparecido, la agresividad puede mantenerse, lo cual dificulta la identificación del detonante.
manos. Esta mordedura debe ser inhibida aunque, si el gato no ha tenido una correcta interacción social de joven, estas mordeduras pueden no estar inhibidas y ser mucho más dolorosas. También es frecuente que pierdan el control de la mordedura por un exceso de excitación durante el juego. Los arañazos suelen ser con garra retraída.
Tratamiento
Para plantear el tratamiento debemos entender a qué perfil corresponde el paciente. Generalmente se trata de gatos jóvenes que tienen mucha energía, por lo que la base de la resolución es mejorar el enriquecimiento ambiental y dedicar tiempo a jugar con ellos, preferiblemente a través de juguetes, caña con pluma o
tes de agresión en el 95 % (50 % y 45 %, respectivamente) de los episodios registrados de agresividad redirigida.
Tratamiento
El verdadero reto de este tipo de agresividad es identificar qué estímulos están desencadenando la agresión. Una vez identificados procuraremos tratar la causa subyacente, ya sea miedo, agresividad intrasexual, etc.
dadores deben aprender a leer el lenguaje corporal de su gato.
Algunos signos de incomodidad frecuentes son:
• Cambios en las orejas, que se pliegan hacia atrás.
• Movimientos de la cola.
• Rigidez corporal.
El refuerzo positivo es indispensable para la agresividad por interacción, tanto para el manejo sin contacto físico como para realizar un refuerzo de las interacciones y reducir su frustración.
Agresividad por interacción
Se trata de la agresividad que muestra un gato contra los miembros de la familia por el hecho de interaccionar con él. En ocasiones es frustrante para los cuidadores porque no entienden la razón de por qué, ante la misma acción, a veces reacciona bien y otras mal. Hay dos factores que suelen desencadenar la agresión:
• Dilatación pupilar. Si la interacción es inevitable y necesaria, debemos intentar llegar al mismo fin sin interacción física. Un ejemplo sería llamar con premios al gato para que baje del sofá en el cual nos queremos sentar. El refuerzo positivo es indispensable para este tipo de agresividad, tanto para el manejo sin contacto físico como para realizar un refuerzo de las interacciones y reducir su frustración.
pelotas en movimiento. También podemos utilizar juguetes interactivos, que permiten que se distraiga él solo cuando no tenemos tiempo para dedicarle. Generalmente funcionan a base de conseguir premios mediante la interacción con el juguete.
Es un error común castigar al gato encerrándolo y esto solo potenciará el aburrimiento del animal y, por tanto, incrementará el problema.
Para los gatos sin una correcta inhibición de mordida podemos intentar adiestrarla. Si durante el juego el gato realiza un mordisco demasiado poderoso fingiremos un grito de dolor que llame la atención del gato. Esta será la señal de referencia. Seguidamente detendremos el juego y nos alejaremos. Un rato después podemos volver a jugar con él y repetir este proceso. El objetivo es hacerle entender que en el momento en que nos muerde fuerte el juego se acaba.
Agresividad redirigida
La agresividad redirigida es aquella que no viene motivada por el blanco del ataque. Se pueden dividir en dos grupos según su motivación:
• Sucede un estímulo fuerte que excita/ asusta al gato y este responde de manera agresiva contra algún miembro de la familia, ya sea persona u otro gato. Un ejemplo puede ser que cae un plato y se rompe, y del susto ataca a su cuidador.
• El gato presenta un episodio de agresividad contra un blanco con el que no puede acceder, y acaba atacando a un objetivo diferente. Un ejemplo sería cuando otro macho se pone en la ventana cerrada de la vivienda y, al no poder acceder a él, acaba atacando a otro gato de la casa.
Este tipo de agresividad es la más incomprendida por los cuidadores, pues desde su punto de vista no hay ningún motivo y se les suele calificar como que “se ha vuelto loco”. Aunque el estímulo detonante haya desaparecido, la agresividad puede mantenerse, lo cual dificulta la identificación del detonante.
Además, es la causa más frecuente de agresividad hacia personas: según la bibliografía, de hasta el 50 % de los casos. Los ruidos agudos y las interacciones con otros gatos fueron los estímulos motivan-
• Durante una caricia tocamos una zona de su cuerpo que le incomoda. Una zona de conflicto frecuente es el vientre.
• Ante una acción que en otras ocasiones no ha sido un conflicto, en un momento dado sí lo es. Por ejemplo, normalmente cogemos al gato para quitarlo del sofá y no hay problema, pero en una situación concreta esta manipulación provoca un mordisco. Suelen ser situaciones molestas para el gato pero que generalmente tolera. Sin embargo, en otro momento puntual su nivel de frustración es mayor y reacciona de forma agresiva.
Tratamiento
En primer lugar, debemos reducir las interacciones que han generado una respuesta aversiva con anterioridad. Más allá de señales obvias como el gruñido, los cui-
En algunos gatos la propia caricia de la interacción puede ser el refuerzo positivo; sin embargo, en los casos que estamos mencionando reforzaremos la interacción positiva con premios en forma de snack de alto valor para él.
El estudio de la etología en felinos y la experiencia de cientos de profesionales nos permiten comprender cada vez mejor cómo funciona el engranaje mental de nuestros compañeros peludos. Una vez conocida la causa de la agresividad en un caso concreto se abre un abanico de posibles medidas y tratamientos para prevenir y evitar futuras agresiones. Conocer esta información también ayudará a cuidadores de felinos a ofrecer una mejor calidad de vida a sus mascotas.

Bibliografía:
• AMAT,M., CAMPS,T., LE BRECH,S. (2022). Manual práctico de etología clínica en el gato. AMAT, M., RUIZ DE LA TORRE, J.L., FATJÓ, J., MARIOTTI, V., WIJK VAN, S., MANTECA, X. (2009). Potential risk factors associated with feline behaviour problems. ROCHLITZ, I. (2005) A review of the housing requirements of domestic cats (Felis silvestris catus) kept in the home. MANTECA, X. (2002) Etología clínica veterinaria del perro y el gato. Ed. Multimédica SA Barcelona (España). BEAVER, B.V. (2003) Feline Behavior. A guide for veterinarians. 2.ª Ed. Saunders. St. Louis, Missouri. USA. BORCHELT, P.L., VOITH, V.L. (1985) Aggressive behavior in dogs and cats. AMAT, M., MANTECA, X., LE BRENCH, S., RUIZ DE LA TORRE, J.L., MARIOTTI, V., FATJÓ, J. (2008). Evaluation of inciting causes, alternative targets, and risk factors associated with redirected aggression in cats.




Las MRA han demostrado su eficacia para corregir atelectasias pulmonares durante la anestesia general en humanos y en perros, pero su uso en la especie felina aún no está descrito. El paciente de este caso presentó baja distensibilidad pulmonar y baja SpO2, que se corrigieron gracias a una MRA escalonada.
Alejandro Sánchez López1, Rocío
Bermejo Bermejo1, Hugo Ruíz Ferrer2, Iago Asorey Blázquez1
1Servicio de Anestesia y Analgesia.
2Auxiliar Técnico Veterinario del servicio de Anestesia y Analgesia. Hospital Veterinario Puchol. Agradecimientos: al Servicio de Diagnóstico por Imagen del HV Puchol, por ceder las figuras 1-5.
El desarrollo de atelectasias pulmonares es un complicación frecuente durante la anestesia general1,2. Sus causas incluyen: la compresión del tejido pulmonar (atelectasias por compresión), la ventilación con altas concentraciones de oxígeno (atelectasias por absorción) y la pérdida del surfactante pulmonar y/o la acción del mismo1,3,4
El desarrollo de atelectasias pulmonares da lugar a un intercambio gaseoso ineficaz, con disminución de la presión arterial de oxígeno (PaO2) y un aumento de la presión arterial de dióxido de carbono (PaCo2), así como a una disminución de la distensibilidad pulmonar, lo que lleva a un aumento de las presiones pulmonares durante la ventilación1,2,5. Como consecuencia de todo ello podemos llegar a encontrar una disfuncionalidad pulmonar que ponga en peligro la salud de nuestro paciente.
30-40 cmH2O durante aproximadamente
30-40 segundos7
• Maniobras escalonada: descritas por primera vez en medicina humana por Tusman y colaboradores en 19994 y en perros por Canfrán y colaboradores en 20125. En este tipo de MRA se aumentan de forma gradual los valores de presión máxima y PEEP, para posteriormente buscar un valor de PEEP óptimo para el paciente, entendiendo este como aquel valor de PEEP que mantiene el valor máximo de distensibilidad pulmonar en ese paciente y por debajo del cual dicha distensibilidad tiende a disminuir.
Existen diferentes estudios que han demostrado la eficacia de las MRA durante la anestesia general en humanos4,6 y en perros5,7,8, pero el uso de estas en gatos aún no está descrito.
A continuación, se presenta un caso clínico en el cual se realizó una MRA escalonada en un gato sometido a una anestesia general que desarrolló baja distensibilidad pulmonar.
Descripción del caso clínico
Se han descrito diferentes estrategias para corregir las atelectasias pulmonares, tales como la aplicación de presión positiva al final de la espiración (PEEP) y las maniobras de reclutamiento alveolar (MRA)4,5
Se han descrito diferentes estrategias para corregir las atelectasias pulmonares, tales como la aplicación de presión positiva al final de la espiración (PEEP) y las maniobras de reclutamiento alveolar (MRA)4,5. Dentro de estas últimas podemos diferenciar:
• Maniobras por capacidad vital o inflado sostenido: en las que se aplica una presión en pulmón de aproximadamente
Se presenta el caso de un gato común europeo, macho de 2 años, de 5,1 kg y condición corporal 6/9, que fue sometido a anestesia general para la exéresis de varios quistes hepáticos. Como antecedente, el paciente fue sometido a cirugía por un quilotórax un año atrás, sin complicaciones reseñables y con buena recuperación.
Debido al carácter del paciente, no fue posible realizar una exploración física.
La analítica sanguínea preanestésica mostró leucocitosis y elevación de las transaminasas hepáticas. Días atrás se realizó anestesia general para la realización de

ecografía y estudio de tomografía computarizada (TC) en el que se observaron tres quistes hepáticos de 46x40 mm, 61x35 mm y 18x11 mm respectivamente (figuras 1-3), que afectaban a los lóbulos lateral izquierdo, medio y caudado (figuras 4 y 5), así como una leve ascitis.
intravenosa (IV). Al final de esta maniobra, el valor de distensibilidad pulmonar aumentó hasta 9 ml/kg/cmH2O, la SpO2 aumentó hasta el 100 % y las presiones pico y meseta se redujeron hasta 10 cmH2O con los siguientes parámetros: volumen tidal (VT) 10 ml/kg, frecuencia respiratoria (FR)
Al final de esta maniobra, el valor de distensibilidad pulmonar aumentó hasta 9 ml/kg/cmH2O, la SpO2 aumentó hasta el 100 % y las presiones pico y meseta se redujeron hasta 10 cmH2O.
Se pautó ayuno preanestésico de 8 horas de sólidos y 2 de líquidos. La premedicación consistió en 8 mcg/kg de dexmedetomidina, 5 mg/kg de ketamina y 0,2 mg/kg de metadona por vía intramuscular (IM). Se realizó la inducción anestésica con 2 mg/kg de propofol y se llevó a cabo la intubación endotraqueal, iniciándose el mantenimiento anestésico con isoflurano vaporizado en oxígeno al 100 %. Se cateterizó un acceso arterial en la arteria coccígea y, como parte del manejo analgésico, se realizó un bloqueo bilateral del cuadrado lumbar guiado por ecografía con 2 mg/kg de bupivacaína al 0,5 %. Se trasladó al paciente a quirófano, donde se posicionó en decúbito supino y se mantuvo la anestesia con isoflurano vaporizado en mezcla de oxígeno y aire con fracción inspirada de oxígeno (FiO2) en torno al 50 %; también se inició la fluidoterapia con lactato de Ringer 3 ml/kg/h.
La monitorización consistió en: electrocardiograma (ECG), saturación de oxígeno de la hemoglobina (SpO2), fracción espirada de dióxido de carbono (EtCO2), presiones arteriales sistólica (PAS), diastólica (PAD) y media(PAM) por medición no invasiva (oscilometría) e invasiva, temperatura, gases anestésicos y espirometría. Al comienzo de la cirugía, el paciente presentó hipotensión moderada (PAM 55 mmHg) que se corrigió con la administración de 3 microgramos/kg de fenilefrina

15-17 rpm, relación I:E de 1:2, pausa inspiratoria 30 % y PEEP de 3 cmH2O (valor aportado por la propia estación de anestesia, que no permitía programar un valor de PEEP de 0). Al instaurar ventilación mecánica, se observó que el paciente presentaba presiones pico y meseta algo elevadas (16 mmHg), baja distensibilidad pulmonar (3-4 ml/kg/cmH2O) y muy leve mejoría en el valor de SpO2 (93 %).
Por todo ello, se decidió realizar una MRA escalonada. Para ello, en modo ventilación controlada por presión (VCP) y, partiendo de un valor de presión inspiratoria pico (PIP) de 10 cmH2O y de PEEP de 3 cmH2O (de nuevo, valor aportado por la propia estación de anestesia), se comenzó a subir de forma conjunta la PIP y la PEEP de 5 en 5 cmH2O durante 5-6 ciclos respiratorios, manteniendo un diferencial de presión (DeltaP) de 10 cmH2O, salvo en la fase final en la que se alcanzaron valores de presión máxima de 20 cmH2O y de PEEP de 10 cmH2O. Posteriormente, se pasó a VCV y, partiendo de un valor inicial de PEEP de 10 cmH2O, se fue disminuyendo PEEP de dos en dos con un tiempo aproximado de 1 minuto entre bajadas (figura 6). Se observó cómo la distensibilidad fue aumentando a medida que se bajó la PEEP y se estimó el valor óptimo de esta en 5 cmH2O. Al final de esta maniobra, el valor de distensibilidad pulmonar aumentó hasta 9 ml/kg/cmH2O, la SpO2 aumentó hasta




Esquema de la maniobra de reclutamiento alveolar escalonada (MRAe) realizada en el paciente.
el 100 % y las presiones pico y meseta se redujeron hasta 10 cmH2O.
El paciente no presentó más complicaciones durante la anestesia y se mantuvo hasta el final de la misma en ventilación mecánica en modo VCV con los siguientes parámetros: VT 10 ml/kg, FR de aproximadamente 17 rpm, relación I:E de 1:2, pausa inspiratoria 30 % y PEEP 5 cmH2O (tabla 1). El valor de distensibilidad pulmonar tendió a disminuir durante el resto de la anestesia, pero no volvió a los valores iniciales descritos (figura 7). El paciente se recuperó adecuadamente de la cirugía y fue transferido al servicio de hospitalización.
Discusión
El paciente del presente estudio presentó baja distensibilidad pulmonar y baja SpO2 que se corrigieron gracias a una MRA escalonada. Las MRA permiten la apertura de alvéolos que han sido colapsados por diferentes motivos dentro del proceso anestésico, lo que ayuda a mejorar la distensibilidad pulmonar y también el intercambio gaseoso y, con ello, la oxigenación de nuestro paciente4,8
Las causas de atelectasia pulmonar durante la anestesia pueden, a grandes rasgos, agruparse en: compresión del tejido pulmonar, uso de elevadas fracciones de
oxígeno y pérdida del surfactante pulmonar y/o la funcionalidad del mismo1,3,8. En este caso, la causa más probable de la baja distensibilidad que presentó el paciente seguramente fue la compresión pulmonar en la que pudieron influir factores tales como la posición en decúbito supino, la elevada condición corporal3,9 y, muy especialmente, el aumento de presión intraabdominal por los quistes hepáticos de gran tamaño que presentaba10
El efecto de la posición en decúbito supino y lateral en el desarrollo de atelectasias y el descenso de la distensibilidad pulmonar durante la anestesia en humanos y en perros está ampliamente estudiado3,10-12. En gatos, hasta la fecha, solo hay un estudio preliminar en el que se haya observado el efecto del posicionamiento sobre la distensibilidad pulmonar y en el que se concluyó que, a diferencia de la posición en decúbito lateral, el decúbito supino no tenía influencia significativa sobre la misma13. Los resultados presentados en este caso clínico corresponden a un único paciente en posición de decúbito supino y con condiciones patológicas específicas, por lo que no sirven para sacar una conclusión sobre el efecto de la posición en decúbito supino sobre la distensibilidad pulmonar en gatos. Por otro lado, el paciente permaneció aproximadamente 20 minutos con una
FiO2 del 100 % durante la preparación para cirugía. El oxígeno difunde de forma muy rápida del alvéolo a la circulación sanguínea, y es el nitrógeno del aire ambiental (que en condiciones normales es aproximadamente un 78 % del mismo) el que ejerce una función tensioactiva que evita el cierre de los alvéolos; por ello, el uso de elevadas fracciones de oxígeno durante la anestesia favorece el desarrollo de atelectasias, tanto en perros7,8 como en gatos14 En conocimiento de los autores, este es el primer caso descrito de una MRA escalonada en un gato doméstico. Dicha maniobra fue realizada por extrapolación de la MRA descrita por Canfrán y colaboradores en 2012 en perros5, adaptándola a la especie felina en dos aspectos:
• A diferencia de la MRA descrita en perros, en la que se alcanzaron valores de PIP y PEEP de 30 y 15 cmH2O respectivamente, en este caso se llegó únicamente a valores de presión máxima y PEEP de 20 y 10 cmH2O para minimizar el riesgo de barotrauma.
• Dado que la estación de anestesia utilizada no permite programar un valor de PEEP de 0, el valor mínimo de esta con el que se inició la maniobra fue de 3 cmH2O.
Se tomó la decisión de realizar una MRA escalonada en lugar de una MRA por capacidad vital por dos motivos: la posibilidad de estimar una PEEP óptima individualizada (que ha demostrado ser más eficaz que una PEEP fija de p.ej 5 cmH2O para mantener evitar un nuevo colapso alveolar)4,5,15 y la mayor efectividad y menor impacto cardiovascular que las MRA escalonadas han mostrado con respecto a las MRA por capacidad vital4,16. En este paciente se determinó una PEEP óptima de 5 cmH2O tras la MRA escalonada, el cual es similar a los valores de PEEP óptima estimados en diferentes estudios en perros sanos bajo anestesia general7,10,15
En conocimiento de los autores, este es el primer caso descrito de una MRA escalonada en un gato doméstico. Fue realizada por extrapolación de la MRA descrita por Canfrán y colaboradores en 2012 en perros5, adaptándola a la especie felina. En este caso, dado que no se realizaron gasometrías arteriales ni antes ni después de la
MRA, no es posible afirmar que dicha MRA fuera efectiva en cuanto a lo que la mejora de la oxigenación en sangre del paciente se refiere, pero el aumento de la distensibilidad pulmonar del paciente en más de un 20 % con respecto al valor previo a la MRA, y la mejoría en el valor de SpO2 sí pueden considerarse indicativos de la efectividad de la misma18
El valor de distensibilidad pulmonar que se consideró como normal en gatos domésticos en el momento en el que se realizó este caso fue extrapolado del determinado en perros, siendo este aproximadamente de 1,3 ml/kg/cmH2O19-21 Actualmente, el valor de distensibilidad pulmonar en gatos solo ha sido descrito en un estudio preliminar, donde se ha situado en torno a 1,8 ml/kg/cmH2O13
Teniendo en cuenta cualquiera de los dos valores, la distensibilidad pulmonar del paciente previa a la MRA era considerablemente baja (0,58 ml/kg/cmH2O) y tras la MRA escalonada aumentó hasta un 300 % con respecto al valor inicial (1,76 ml/kg/cmH2O). Estos resultados, junto con el valor de distensibilidad descrito en gatos, sugieren una mayor distensibilidad pulmonar en esta especie en comparación con la especie canina, aunque se requieren futuros estudios para poder afirmarlo.
Las repercusiones hemodinámicas de las MRA están ampliamente descritas4,5,7,16, dado que el elevado aumento de presión intratorácica mantenido en el tiempo reduce de forma significativa la precarga del ventrículo derecho e izquierdo, resultando en descenso de la presión arterial y el gasto cardiaco. El paciente de este caso no presentó un descenso de la presión arterial durante la MRA que pudiera considerarse como hipotensión22, aunque sí se observó un descenso de los valores de PAS de 130 mmHg a 110 mmHg y PAM de 100 mmHg hasta 62 mmHg. No obstante, hay que tener en cuenta que los valores de presión arterial previos a la MRA se consiguieron tras la administración de una dosis de 3 mcg/kg de fenilefrina por hipotensión previa (PAM 55 mmHg). Por ello, es difícil estimar con certeza la magnitud del impacto hemodinámico que la MRA tuvo en este paciente.
En perros, el uso de un bolo de cristaloide isotónico de 10 ml/kg en 10 minutos parece prevenir el impacto hemodinámico de las MRA escalonadas al mejorar la precarga del paciente previamente a las mismas23. En este caso, dada la urgencia de mejorar la oxigenación del paciente, no se administró ningún bolo de cristaloide previo a la MRA, aunque sí se administró uno bolo de lactato de Ringer de 10 ml/kg en 15 minutos posteriormente a la misma, con el fin de compensar un posible descenso en la precarga del paciente consecuencia de la MRA.
La MRA escalonada realizada en este paciente se puede considerar efectiva en cuanto a la mejora producida en la distensibilidad pulmonar y la SpO2
De igual modo, dicha MRA fue segura a nivel pulmonar y produjo un mínimo impacto hemodinámico en el paciente. Se necesitan futuros estudios en gatos para determinar los valores de PIP y PEEP adecuados para corregir el colapso alveolar con mínimo impacto hemodinámico y sin riesgo de barotrauma, así como el efecto del decúbito sobre la distensibilidad pulmonar.
Bibliografía disponible en https://www.grupoasis.com/argos/ bibliografias/MRA.docx






La desnutrición incrementa las tasas de morbilidad y mortalidad, por lo que es frecuente apostar por la colocación de una sonda de alimentación si, tras el diagnóstico y las primeras fases del tratamiento, el paciente no llega a ingerir suficientes calorías y proteínas.
Alberto Barneto 1 (coordinador), Anna Calvet 2, Salvador Cervantes 2 , Antonio Peña 3, Llibertat Real 1
1 Clínica Veterinaria Ayavet, Boadilla del Monte (Madrid)
2 Clínica felina Barcelona (Barcelona)
3 Centro Veterinario Lisboa, Alcorcón (Madrid).
Imágenes cedidas por el autor.
Actualmente, la colocación de una sonda de alimentación forma parte de la terapia habitual de muchos cuadros clínicos, donde se sabe o se anticipa que el paciente va a tener dificultades para alcanzar sus requerimientos diarios calóricos y de proteínas. Existen cuatro tipos de sondas de alimentación (tabla 1), aunque mayoritariamente se usan tres y, de estas, la sonda de esofagostomía es la más habitual. Para la selección de la sonda deben tenerse en cuenta seis puntos importantes antes de decidirse por una u otra.
Sondas nasoesofágicas
Las sondas nasoesofágicas son relativamente bien toleradas por los pacientes, pero sobre todo suelen ser las preferidas por los tutores de los gatos, ya que son muy económicas, no implican anestesia ni sedación y son fácilmente extraíbles en caso de necesidad.
La gran ventaja de este tipo de sondas reside en que pueden proporcionar un soporte nutricional de manera rápida y sencilla; sin embargo, el clínico debe entender que estas sondas solo pueden permanecer colocadas durante un corto plazo de tiempo, y que las sondas de esofagostomía o gastrostomía serán más apropiadas para tratamientos nutricionales que vayan a durar más de una semana. Sin embargo, las desventajas más marcadas en los pacientes felinos hospitalizados son las molestias ocasionadas por la sonda y el collar isabelino, que normalmente es obligatorio en la mayoría de los gatos, o la rinitis que puede ocasionar. Esta rinitis puede complicar un proceso respiratorio
Factores
de la sonda de alimentación
1. Duración de la sonda o tiempo que va a ser necesaria la alimentación asistida.
2. Tipo de alimentación necesaria. Las sondas más estrechas como las nasales o las de yeyunostomía son mucho más restrictivas en este sentido, ya que su diámetro no permite dietas que no sean muy líquidas.
3. La patología que va a ser tratada.
4. La presencia o ausencia de enfermedad que afecte a nariz, boca, faringe, esófago o estómago.
5. La capacidad del paciente para superar una anestesia. Solo las sondas nasoesofágicas se pueden poner en gatos no anestesiados.
6. Preocupaciones y habilidades de los tutores, especialmente si la alimentación asistida va a seguirse en el domicilio del paciente.
Desventajas
• Facilidad de colocación.
• Económica.
• Bien tolerada, aunque requiere de collar isabelino.
• No requiere ni anestesia ni sedación.
• Solo útil para dietas líquidas.
• No aplicable si hay esofagopatías o vómitos.
• Permite solo alimentaciones de corta duración (hasta 7 días, como máximo 10 días).
• Produce rinitis.
Observaciones
ya existente y provocar un síndrome de disnea/taquipnea que acabe con la retirada de la sonda antes de lo necesario.
Por supuesto, si existen motivos que desaconsejen la colocación de una sonda en la nariz, esofagopatías, gastropatías o procesos eméticos que no puedan ser controlados médicamente, estas sondas nasoesofágicas no serán recomendables. Finalmente, muy a menudo estas sondas no se eligen debido a la pequeña cantidad de alimentos preparados para esta administración. Son de muy bajo calibre, y esto obligará al uso de dietas comercializadas totalmente líquidas con la total ausencia de grumos y con unas propiedades reológicas ideales.
Las sondas utilizadas suelen ser de un diámetro de 3 a 6 Fr. Siempre que sea posible, es muy recomendable la colocación de una sonda de 6 Fr para que sea más fácil la entrada de la comida y más difícil que se doble irremediablemente el tubo, obligando a su cambio.
Se prefieren las sondas de poliuretano antes que las de silicona. Y estas de silicona se prefieren a las de PVC (cloruro de polivinilo).
Para la colocación de una sonda nasoesofágica (ver vídeo):
1. En primer lugar, debemos elegir el diámetro del tubo (3 a 6 Fr) y marcar la longitud que queremos insertar. Normalmente, se habla de medir desde la punta de la nariz hasta el séptimo u octavo espacio intercostal. Sin embargo, los autores utilizan una técnica más rápida y práctica que es elevando el codo en dirección caudal. Este punto suele marcar la base del corazón en la gran mayo-
• Facilidad de colocación.
• Económica.
• Muy bien tolerada.
• Administración de gran variedad de alimentos disponibles.
• Utilizable a largo plazo.
• Requiere de anestesia.
• No aplicable en presencia de vómitos o esofagopatías.
• Muy bien tolerada.
• Administración de gran variedad de alimentos disponibles.
• Útil en pacientes con esofagopatía.
• Técnicamente más complicada.
• Requiere de anestesia.
• Hay que esperar 24 horas para empezar la alimentación.
• Puede causar peritonitis como complicación.
• Hay que esperar 14 días para retirarla.
Existen técnicas abiertas, semiabiertas con kits semiciegos y técnicas guiadas por endoscopia.
ría de gatos y es un lugar correcto para que la punta de la sonda descanse una vez colocada. Sea como fuera, lo que hay que evitar es que la punta de la sonda quede dentro del estómago y pueda producir reflujo, estimule el reflejo emético o provoque esofagitis.
Se prefieren las sondas de poliuretano antes que las de silicona. Y estas de silicona se prefieren a las de PVC (cloruro de polivinilo).
2. Una vez marcada la sonda hasta la profundidad elegida, se aplicará una gota de colirio anestésico en la fosa nasal que vamos a utilizar. Dejaremos pasar unos 30 segundos para que el anestésico surja efecto. La mayoría de los gatos van a permitir esta maniobra sin forcejear demasiado. Se recomienda la utilización de una técnica de contención con toallas (p. ej.: técnica en burrito) para la protección tanto del paciente como del asistente. Si el forcejeo es excesivo, se puede aplicar una sedación suave.
3. Se lubrica la punta de la sonda con un gel soluble en agua (puede ser un gel como el de ecografía o uno con lidocaína o incluso con clorhexidina).
4. A continuación, se sujeta firmemente con una mano la cabeza del gato y se inclina para que la punta de la nariz se eleve. Se inserta la sonda con la otra mano y se va introduciendo poco a poco. Se intentará que la dirección con
• Puede utilizarse en pacientes con vómitos incontrolables o con peligro de deglución desviada.
• De utilidad en pacientes con problemas orales, faríngeos, esofágicos, gastroduodenales o pancreáticos.
• Se puede colocar en el duodeno o en el yeyuno.
• Técnicamente es la más complicada.
• Requiere de anestesia.
• Puede causar peritonitis como complicación.
• Hay que retirarla bajo anestesia.
Existen técnicas abiertas y técnicas por endoscopia, en las que la sonda se introduce por el estómago y se avanza hasta el duodeno o yeyuno.
la que se va introduciendo la sonda sea ventromedial para que el tubo pase por el meato nasal ventral y alcance la nasofaringe sin demasiados problemas. Si se intuye que el meato por donde pasa es el dorsal o el medio, se retirará y se reorientará el catéter. Por experiencia, los autores recomiendan hacer este paso de los primeros 2-3 cm lentamente, ya que son los más molestos para el paciente.
5. Una vez se haya alcanzado la nasofaringe, se continuará poco a poco para que el paciente sea consciente de que tiene un cuerpo extraño en la garganta y nos ayude mediante el reflejo de deglución. En este momento el asistente dejará que la cabeza retome su posición normal, lo cual también ayuda a evitar una intubación traqueal.
6. Una vez se alcanza el esófago se avanza la sonda hasta la marca que se había realizado en primera instancia.
7. Se realiza una radiografía para comprobar la perfecta colocación de la sonda. Los autores no recomiendan las técnicas de aspiración o instilación de suero para garantizar la situación de la sonda porque han podido ver que estos sistemas no son infalibles.
8. La sonda se fija a la mejilla o a la frente del paciente mediante una mariposa de esparadrapo y un par de puntos con sutura no reabsorbible y flexible.
VÍDEO 1
Colocación de una sonda nasoesofágica.


9. Se coloca un collar isabelino, ya que la gran mayoría de los pacientes intentan sacarse la sonda y lo consiguen con mucha facilidad gracias al uso que le dan a la uña del primer dedo del lado de la sonda (figura 1).
En la actualidad, las sondas de esofagostomía son las más utilizadas y preferidas por muchos clínicos. Su facilidad de colocación, su aceptación por parte del paciente y sus mínimos requerimientos de conservación hacen que sean incluso aptas para que el tutor alimente a su gato en casa de una manera muy sencilla y segura. Además, son adecuadas para administrar casi cualquier tipo de alimentación húmeda que se pueda licuar y su duración puede ir de una semana a varios meses. Las dos únicas verdaderas contraindicaciones son cuando la zona gastroesofágica no es utilizable y cuando existen síndromes eméticos que no pueden controlarse con medicación. Los materiales con los que están hechos estos tubos incluyen poliuretano, silicona, PVC y látex. Los autores prefieren los de poliuretano porque son más resistentes a doblarse y quebrarse, se colapsan menos y son de la rigidez suficiente para reducir su salida en caso de accidente emético. Se suelen recomendar diámetros de sonda que van de 10 a 16 Fr (4,0-5,3 mm de diámetro). Estos diámetros permiten utilizar casi cualquier dieta húmeda licuada.
Para la colocación de una sonda de esofagostomía (ver vídeo 2):
1. El gato debe colocarse en decúbito lateral y la región cervical media que quede en la parte superior debe afeitarse y prepararse asépticamente (desde el ángulo de la mandíbula hasta el margen craneal de la escápula y hombro). Para esta técnica se requiere una breve anestesia general.
2. Tras la intubación intratraqueal del paciente, se introducen unas pinzas Kocher curvas suficientemente largas para alcanzar el esófago. Las pinzas se orientan en dirección laterodorsal para
VÍDEO 2

identificar tanto el esófago en la región cervical media como la yugular, que se desplazará en dirección ventral para salvaguardarla.
3. Sobre la punta de las pinzas Kocher y manteniendo la presión en todo momento, se incide la piel con una hoja de bisturí directamente. Se extrae la punta de las pinzas a través de la abertura y se abren.
4. Si no se ha hecho antes, ahora es el momento de calcular la longitud de sonda que vamos a necesitar. En este caso irá desde esta abertura hasta la base del corazón, que se puede calcular fácilmente desplazando el codo en sentido caudal sobre las costillas o bien tomando como referencia el séptimo u octavo espacio intercostal.
5. Se sujeta bien la punta de la sonda con las pinzas y se tira suavemente de ellas hasta extraer la sonda por la cavidad oral del paciente.
6. En este momento la punta de la sonda se reintroduce hacia el esófago. Esto puede hacerse de nuevo con las pinzas, pero también con las manos. La sonda se desplaza en dirección al estómago. Cuando la dirección de entrada de la sonda a través de la abertura cambia de craneal a caudal es que la sonda se ha colocado correctamente. El cirujano se asegura de que la punta de la sonda se encuentra en la posición correcta comprobando la longitud de sonda insertada.
7. Seguidamente se realiza una sutura en bolsa de tabaco alrededor de la abertura y una vez terminada y sin cortar los cabos se aprovecha para hacer una sutura en trenza china o en sandalia romana (figura 2).
8. Tras esto, y para terminar, se aplica un antiséptico de nuevo y un vendaje ligero que proteja la sonda y al mismo tiempo permita su salida, sin doblarse, en dirección caudodorsal (figura 3). Este vendaje debe revisarse cada 24-48 horas para detectar de forma temprana la presencia de dermatitis o abscesos. No es necesario el uso de antibióticos con estas sondas, de hecho, en la actualidad se prefieren las soluciones acuosas de clorhexidina o de ácido hipocloroso o cremas cicatrizantes para favorecer la creación y el cuidado del estoma. Esta sonda puede retirarse en cualquier momento después de haber sido colocada, incluso al día siguiente, sin necesidad de sedación o anestesia.

Esta sonda puede retirarse en cualquier momento después de haber sido colocada, incluso al día siguiente, sin necesidad de sedación o anestesia.
Estas sondas han caído prácticamente en desuso y se utilizan en aquellos pacientes que no toleran una sonda de esofagostomía por el motivo que sea. Se suelen utilizar sondas de punta de champiñón de un diámetro de hasta 20 Fr. Para la colocación de estas sondas es necesario el uso de endoscopia o bien por laparotomía. A continuación, se explica brevemente como realizar la técnica por laparotomía. Para la colocación de una sonda de gastrostomía por lapatoromía:
1. El gato se posiciona en decúbito dorsal y se prepara el campo quirúrgico abdominal craneal asépticamente para una celiotomía por la línea alba. Esta incisión será de unos 3-5 cm de longitud por detrás del xifoides.
2. Con la hoja del bisturí se crea el defecto en la pared abdominal izquierda para que pase la sonda de gastrostomía hasta el estómago del paciente. El lugar elegido suele ser justo detrás de la última costilla. Para localizar correctamente este defecto, trazaremos una línea imaginaria que una la columna vertebral con el punto medio de la incisión de la celiotomía y crearemos el defecto a la altura del tercio ventral de esta línea. Mediante unas pinzas Kocher se pasa el extremo de la sonda en forma de champiñón por el defecto creado.
3. A continuación, se colocan unas suturas de fijación en la pared del estómago en la zona por donde va a entrar la sonda.
4. Se realiza una sutura en bolsa de tabaco en el cuerpo gástrico en el sitio donde entrará la sonda, antes de crear la incisión con el bisturí.
5. Debe pinzarse la luz del tubo para evitar que se contamine el campo quirúrgico.
6. Tras realizar la incisión en el centro de la sutura en bolsa de tabaco se inserta la punta de la sonda en forma de champiñón. Para facilitar este paso, conviene pinzar la punta de la sonda en forma de champiñón con las pinzas Kocher.
7. Una vez insertada la sonda, se retira hasta que el champiñón haga tope con
la pared gástrica y se anuda y asegura bien la sutura en bolsa de tabaco.
8. El estómago se fija a la pared abdominal mediante cuatro suturas de colchonero horizontales entre la pared del estómago y la pared del cuerpo, colocadas alrededor del tubo en secuencia para crear una caja de suturas.
9. El estoma se envuelve con un poco de epiplón situándolo alrededor de la sonda y las suturas.
10. La sonda se asegura externamente con una sutura en trenza china o en sandalia romana.
11. Finalmente, se venda la zona de salida de la sonda antes de la recuperación de la anestesia para evitar la extracción accidental. Esto se puede lograr usando un vendaje de malla tubular.
Este artículo es un extracto de la obra Atlas de técnicas en cirugíafelina
Disponible en https://ediciones edra.com/ Tel.: 976 461 480

Breheny CR, Boag A, Le Gal A, et al. Esophageal feeding tube placement and the associated complications in 248 cats. J Vet Intern Med, 2019; 33(3):1306-1314. Chan DL. The inappetent hospitalised cat: clinical approach to maximizing nutritional support. J Feline Med Surg, 2009; 11(11):925-933. Fink L, Jennings M, Reiter AM. Esophagostomy feeding tube placement in the dog and cat. J Vet Dent, 2014; 31(2):133-138.
Formaggini L. Normograde, minimally invasive technique for oesophagostomy in cats. J Feline Med Surg 2009; 11(6):481-486. Glaus TM, Cornelius LM, Bartges JW, Reusch C. Complications with non-endoscopic percutaneous gastrostomy in 31 cats and 10 dogs: a retrospective study. J Small Anim Pract, 1998; 39(5):218-222. Ireland LM, Hohenhaus AE, Broussard JD, Weissman BL. A comparison of owner management and complications in 67 cats with esophagostomy and percutaneous endoscopic gastrostomy feeding tubes. J Am Anim Hosp Assoc, 2003; 39(3):241-246. Klaus JA, Rudloff E, Kirby R. Nasogastric tube feeding in cats with suspected acute pancreatitis: 55 cases (2001-2006). J Vet Emerg Crit Care (San Antonio), 2009; 19(4):337-346. Remillard RL. Nutritional support in critical care patients. Vet Clin North Am Small Anim Pract, 2002; 32(5):11451164. Seaman R, Legendre AM. Owner experiences with home use of a gastrostomy tube in their dog or cat. J Am Vet Med Assoc, 1998; 212(10):1576-1578.
Los péptidos antimicrobianos (PAM) son cruciales en la defensa de la piel, no solo por su actividad antimicrobiana, sino también por su capacidad para modular la respuesta inmunológica.
NP. Estas alteraciones están parcialmente atribuidas a la respuesta inflamatoria desencadenada por la exposición a alérgenos. Un estudio reciente sugirió que la organización espacial de los lípidos en la piel atópica también está alterada, con un empaquetamiento lipídico menos organizado en comparación con la piel sana.
Introducción
La dermatitis atópica (DA) canina es una enfermedad inflamatoria crónica de la piel, de origen hereditario, que se caracteriza por prurito persistente y lesiones cutáneas recurrentes (figura 1). Esta condición es predominantemente impulsada por la activación de células
T y afecta a un porcentaje significativo de la población canina. La compleja interacción entre la barrera cutánea, el sistema inmunitario y el microbioma cutáneo desempeña un papel fundamental en la patogénesis de la DA. En este contexto, los péptidos antimicrobianos (PAM) han emergido como componentes cruciales en la defensa de la piel, no solo por su actividad antimicrobiana, sino también por su capacidad para modular la respuesta inmunológica.
Función de la barrera cutánea en la dermatitis atópica canina
La barrera cutánea es esencial para proteger al organismo contra patógenos y alérgenos externos. En perros con dermatitis atópica, esta barrera se encuentra comprometida, lo que facilita la penetración de alérgenos y microorganismos, exacerbando la respuesta inflamatoria. Los estudios sobre la barrera cutánea en perros atópicos han utilizado parámetros como la pérdida de agua transepidérmica (TEWL), el contenido de ceramidas y la presencia de proteínas estructurales como la filagrina y la filagrina 2 para evaluar su integridad.
La TEWL es una medida indirecta de la funcionalidad de la barrera cutánea. En perros con DA, se ha observado un aumento significativo en la TEWL, lo que indica una barrera cutánea comprometida. Sin embargo, la metodología para medir TEWL presenta limitaciones debido a la influencia de factores ambientales como la temperatura y la humedad. Estudios recientes han intentado correlacionar la TEWL con la gravedad clínica de la DA, encontrando que los valores de TEWL se correlacionan positivamente con la gravedad de la enfermedad.
Los lípidos del estrato córneo, especialmente las ceramidas, son cruciales para la integridad de la barrera cutánea. En perros con DA, se ha observado una reducción en la cantidad y diversidad de ceramidas, lo que contribuye a la disfunción de la barrera. Estudios han demostrado que las ceramidas alteradas en la DA incluyen ceramida 1, ceramida 9 y ceramida
Las proteínas estructurales, como la filagrina y la filagrina 2, son esenciales para la formación de la envoltura cornificada y la hidratación de la piel. En humanos, las mutaciones en el gen de la filagrina están asociadas con una mayor predisposición a la DA. Aunque en perros no se ha encontrado una asociación directa en la mayoría de las razas, un polimorfismo en el gen de la filagrina se ha relacionado con la DA en labradores del Reino Unido. Investigaciones recientes han identificado una proteína similar a la filagrina en perros, denominada filagrina 2, que también desempeña un papel en la integridad de la barrera cutánea.
La compleja interacción entre la barrera cutánea, el sistema inmunitario y el microbioma cutáneo desempeña un papel fundamental en la patogénesis de la DA.
La piel no solo actúa como barrera física, sino que también participa activamente en la respuesta inmunitaria. Los queratinocitos, las células más abundantes en la epidermis, producen citocinas proinflamatorias como el factor de necrosis tumoral α (TNF-α) e interleucina 1 (IL-1) en respuesta a estímulos inflamatorios. En perros con DA, esta producción de citocinas puede estar desregulada, contribuyendo a la inflamación crónica y exacerbación de la enfermedad.
Estudios han demostrado que los queratinocitos caninos activados por interferón-γ (IFN-γ) y lipopolisacárido (LPS) producen cantidades significativas de TNF-α. Un protocolo experimental que utilizó estos estímulos ha proporcionado un método para estudiar la activación de queratinocitos y su modulación en perros. Los resultados muestran que la combinación de IFN-γ y LPS aumenta la secreción de TNF-α, lo que subraya el papel crucial de los queratinocitos en la respuesta inflamatoria cutánea (figura 2).
Alteraciones del microbioma cutáneo en la dermatitis atópica canina
El microbioma cutáneo, compuesto por bacterias, hongos, parásitos y arqueas, desempeña un papel vital en la salud de la piel. En perros

con DA se observa una disbiosis cutánea, caracterizada por una disminución en la diversidad microbiana y un aumento en la colonización por patógenos como Staphylococcus pseudintermedius. La tecnología de secuenciación de nueva generación ha permitido un análisis detallado de estas alteraciones, revelando cambios significativos en la población microbiana durante los brotes de DA.
La diversidad bacteriana en la piel de perros sanos es alta, pero se reduce significativamente en la piel atópica, favorecida por la predominancia de S. pseudintermedius, lo que aumenta el riesgo de infecciones secundarias. Investigaciones recientes han demostrado que durante los brotes de DA, la abundancia de S. pseudintermedius aumenta, mientras que la diversidad microbiana global disminuye. Esta alteración persiste incluso después de la remisión de las lesiones, sugiriendo un papel continuo de la disbiosis en la patogénesis de la DA.
Además de las bacterias, los hongos como Malassezia pachydermatis también desempeñan un papel en la disbiosis cutánea. La abundancia relativa de M. pachydermatis (figura 3) es mayor en la piel de perros atópicos en comparación con perros sanos. Un estudio reciente que evaluó la micobiota cutánea en perros atópicos y sanos encontró que M. pachydermatis predominaba en la piel atópica, mientras que M. globosa era más común en la piel sana.
Péptidos antimicrobianos (PAM) en la dermatitis atópica canina
Los péptidos antimicrobianos, también denominados péptidos de defensa del huésped, son pequeñas proteínas catiónicas de origen natu-
ral con propiedades antimicrobianas e inmunomoduladoras.
Los péptidos antimicrobianos (PAM) se producen en el estrato granuloso de la piel, se empaquetan en cuerpos lamelares y son transportados hacia el estrato córneo, donde están presentes de forma natural para proteger la piel. La presencia de bacterias o la inflamación estimula la síntesis de PAM, contribuyendo así a la defensa cutánea.
Estos péptidos forman parte integral de la respuesta inmunitaria innata y se han conservado a lo largo de los procesos evolutivos. Actúan como mecanismos de defensa frente a enfermedades causadas por diversos microorganismos, mostrando actividad contra bacterias grampositivas y gramnegativas, hongos y virus. Existe una amplia diversidad de péptidos antimicrobianos y sus fuentes son igualmente variadas, pudiéndose encontrar en plantas, insectos, virus y mamíferos.
Se han identificado dos tipos de PAM, la catelicidina (cCath) y las betadefensinas (cBD103, cBD1 ± cBD2,cBD3, cBD107) y se ha demostrado que estimulan los mecanismos de inmunidad innata potenciando las respuestas pro Th1, estimulan las respuestas anti Th2, favoreciendo además los mecanismos de regeneración tisular como la cicatrización y la angiogénesis.
En la piel, los PAM desempeñan un papel crucial en la defensa contra patógenos y en la modulación de la respuesta inmunitaria. En perros con DA, se ha observado una alteración en la expresión y funcionalidad de estos péptidos, lo que puede contribuir a la susceptibilidad a infecciones secundarias.

celular y humoral que se produce, sobre todo durante el brote agudo en la piel del paciente alérgico.
Se ha demostrado que la expresión de genes de PAM, como β-defensinas y catelicidina, es mayor en la piel atópica en comparación con la piel sana, especialmente durante las infecciones activas. Sin embargo, este aumento en la expresión genética no siempre se traduce en un aumento correspondiente en los niveles de proteína, lo que sugiere una desregulación en la síntesis y secreción de PAM.
Dos estudios clave han investigado las alteraciones cualitativas y cuantitativas en la secreción de PAM en la piel de perros atópicos. Un estudio encontró que, aunque los niveles de PAM eran similares en pieles sanas y atópicas, la piel de los perros atópicos mostraba una actividad antimicrobiana significativamente menor contra S. pseudintermedius. Otro estudio utilizando microscopía electrónica de barrido inmunológica (iSEM) reveló que la β-defensina 103 canina se retenía en la capa más externa del estrato córneo en la piel atópica y que el número de péptidos adheridos a bacterias era mayor en comparación con la piel sana.
La correlación entre los niveles de PAM y la gravedad de los signos clínicos de la DA ha sido objeto de investigación. En general, los estudios han mostrado que los niveles de PAM en la piel atópica no siempre se correlacionan con la gravedad de los síntomas clínicos. En algunos casos, se ha observado una expresión elevada de PAM durante los brotes, pero esta no se traduce en una mayor actividad antimicrobiana efectiva, que al igual que ocurre con su expresión génica con respecto a la síntesis y secreción, muestra una posible alteración en la regulación de la función de los PAM en perros atópicos.
Además de las aplicaciones tópicas, los PAM también se están investigando como posibles terapias sistémicas. La administración oral o inyectable de PAM podría ofrecer una protección más amplia y sostenida contra las infecciones.
Inhibición de la adhesión bacteriana
Los monosacáridos, como la D-galactosa, D-manosa y L-ramnosa, han mostrado potencial para inhibir la adherencia de Pseudomonas aeruginosa a los corneocitos caninos. Estudios han demostrado que estos azúcares exóge-
nos actúan como “trampas” para los microorganismos, saturando los sitios de unión de las lectinas en la superficie de las bacterias y reduciendo significativamente su capacidad de adherencia y colonización. La combinación de D-galactosa, D-manosa y L-ramnosa, utilizada en algunos productos de higiene veterinaria, ha demostrado reducir la adherencia de P. aeruginosa en más del 50 %.
Además de su papel en la inhibición de la adhesión bacteriana, los monosacáridos como la L-ramnosa han mostrado propiedades inmunomoduladoras. En estudios experimentales, la L-ramnosa ha demostrado reducir la liberación de TNF-α por queratinocitos activados en un 75 %, lo que sugiere un efecto antiinflamatorio significativo. Este hallazgo es importante porque indica que los monosacáridos no solo pueden prevenir infecciones bacterianas, sino también moderar la respuesta inflamatoria en la piel atópica.
Terapias tópicas antimicrobianas
Una de las estrategias emergentes es el uso de productos tópicos enriquecidos con PAM, monosacáridos y extractos vegetales. Estos productos pueden ayudar a restaurar la función de barrera de la piel y proporcionar una defensa adicional contra los patógenos. En estudios preliminares, los champús y lociones que contienen PAM, monosacáridos o fitoterápicos, han mostrado efectividad en la reducción de infecciones bacterianas y la mejora de la salud general de la piel en perros atópicos.
Se han investigado diversas moléculas vegetales (fitoterápicos) en ensayos clínicos y bacteriológicos, destacando los extractos de Boldo (Peumus boldus) y Filipendula ulmaria (reina de los prados). Los resultados muestran que tanto el Boldo al 0,1 % como la Filipendula ulmaria tienen un efecto positivo en la reducción de la carga bacteriana, especialmente contra Staphylococcus spp., lo que sugiere un potencial significativo de estos extractos en la modulación de mecanismos de defensa inmunitaria.
Adicionalmente, otros estudios han demostrado que los fitoterápicos pueden influir en la respuesta inflamatoria cutánea, modulando la
boldus) ha demostrado estimular la síntesis de hBD3 (betadefensina humana 3). Este compuesto exhibe una actividad de amplio espectro contra bacterias grampositivas y gramnegativas, incluyendo Staphylococcus aureus
La capacidad de estos extractos para fortalecer las defensas inmunitarias intrínsecas en individuos alérgicos, y no solo en aquellos sanos, abre nuevas posibilidades para el uso de fitoterápicos en el tratamiento de infecciones cutáneas.
El tratamiento de la dermatitis atópica (DA) canina se centra en restaurar la función de la barrera cutánea, controlar la inflamación y manejar la disbiosis microbiana. Las terapias tópicas y sistémicas, incluyendo champús antimicrobianos y fitoterapia, son comúnmente utilizadas. Los péptidos antimicrobianos (PAM) desempeñan un papel crucial en la defensa cutánea y la regulación de la respuesta inmunitaria en la DA canina. Aunque la investigación ha avanzado significativamente, aún queda mucho por descubrir sobre la interacción compleja entre los PAM, el microbioma cutáneo y el sistema inmunitario.
producción de citocinas y mejorando la función de barrera de la piel. Estos efectos, observados tanto en modelos in vitro como in vivo, respaldan la hipótesis de que los extractos de plantas pueden ser empleados como tratamientos complementarios en enfermedades dermatológicas.
Específicamente, se ha demostrado que los extractos de Boldo y Filipendula ulmaria no inducen propiedades proinflamatorias, dado que no estimulan la producción de TNF-α e IL-8 cuando se utilizan en bajas concentraciones en queratinocitos atópicos. Además, estos compuestos tienen el potencial de modular la expresión de péptidos antimicrobianos (PAM) en queratinocitos atópicos caninos.
El extracto de Filipendula ulmaria (Spiraea ulmaria) ha demostrado estimular la síntesis de IL-37, una catelicidina humana. Además, este extracto inhibe el crecimiento de Propionibacterium acnes y Staphylococcus aureus, contribuyendo a la defensa antimicrobiana de la piel. Por otro lado, el extracto de Boldo (Peumus
La creciente comprensión de los PAM ha abierto nuevas vías para el desarrollo de terapias innovadoras para la DA canina. La investigación continúa explorando cómo estos péptidos pueden mejorar la barrera cutánea y reducir las infecciones secundarias en perros atópicos. La disfunción de los PAM en la piel atópica no se debe solo a una alteración en su cantidad, sino también a una desregulación en su secreción y funcionalidad.
En resumen, podemos afirmar que la combinación de productos tópicos de higiene que contengan PAM, monosacáridos y/o extractos vegetales como Boldo y Filipendula, además de potenciar los efectos inmunomoduladores, ofrecen una protección más completa contra infecciones y la inflamación cutánea.
Este enfoque basado en el uso tópico de estas moléculas ofrece nuevas y mejores perspectivas para el manejo de esta compleja enfermedad. Con estudios adicionales y un enfoque multidisciplinario, es posible desarrollar tratamientos más efectivos y personalizados para la dermatitis atópica canina en el futuro.
Bibliografía disponible en https://www.grupoasis.com/argos/ bibliografias/Virbac260.docx


La enfermedad renal crónica (ERC) felina es una patología progresiva, multifactorial e irreversible que causa un daño funcional y/o estructural en el riñón y que tiene una evolución de más de 3 meses. Su etiología es variada y se estima que es la causa más frecuente de mortalidad en gatos mayores de 5 años. Los chequeos periódicos son cruciales para diagnosticarla lo antes posible. A medida que avanza, el tratamiento debe irse adaptando al paciente, con el objetivo de proporcionarle la máxima calidad de vida posible. En esta guía, Ana Pallarés Picado y Salvador Cervantes Sala exponen los puntos clave del diagnóstico y el manejo terapéutico de esta enfermedad.
Salvador Cervantes Sala Clínica felina Barcelona Imágenes cedidas por los autores
La enfermedad renal crónica (ERC) felina es una patología progresiva, multifactorial e irreversible que causa un daño funcional y/o estructural en el riñón y que tiene una evolución de más de 3 meses1–5. La etiología es variada (tabla 1)6,7. Hay cierta variación entre las distintas poblaciones, pero se calcula que entre un 30 % y un 40 % de los gatos mayores de 10 y entre un 50 % y un 80 % aquellos que son mayores de 15 años años sufre de ERC. Se estima, además, que es la causa más frecuente de mortalidad en gatos mayores de 5 años2,3,8 Así, se recomiendan chequeos anuales de todos los gatos y, en aquellos mayores de 7 años, revisiones cada 6 meses (peso, condición corporal, presión arterial) y control analítico sanguíneo y de orina, anualmente3
Diagnóstico
En la clínica diaria, para diagnosticar una ERC, se recomienda seguir los siguientes pasos3,6,9:
• Recoger una buena historia clínica: consumo de agua, tipo de comida y presentación (húmeda, pienso), orinas, heces,
estado anímico, etc. Algunos pacientes pueden presentarse con una clínica normal en estadios tempranos, mientras otros pueden presentar signos como apatía, anorexia, vómitos, náuseas, deshidratación, pérdida de peso y/o masa muscular, poliuria – polidipsia (PU/PD), debilidad, dolor abdominal, halitosis.
• Revisar medicaciones potencialmente nefrotóxicos que pueda estar tomando el paciente (p.ej. diuréticos, corticoides, AINE, IECA).
• Exploración física general (EFG) completa, prestando atención al peso, condición corporal (CC), masa muscular, hidratación, presión arterial sistólica (PAS), palpación abdominal y acicalamiento. Se pueden ver las prevalencias de los hallazgos detectados en la EFG en la tabla 26
• Analíticas completas de sangre y orina. Las analíticas de sangre se recomiendan para valorar creatinina, SDMA (symmetric dimethyl-arginine), urea o BUN, proteínas totales y electrolitos (sodio, potasio, calcio, cloro, fósforo). En la orina se evaluará la densidad urinaria, una tira reactiva de orina, el sedimento, un cultivo si es necesario y la razón creatinina/proteína (UPC). Se descartarán comorbilidades (p.ej. hipertiroidismo, pancreatitis).
• Pruebas de imagen (radiografía y ecografía): permiten evaluar si hay presen-
Se calcula que entre un 30 % y un 40 % de los gatos mayores de 10 y entre un 50 % y un 80 % aquellos que son mayores de 15 años años sufre de ERC.
1. Etiología de la enfermedad renal crónica. Etiología
Anomalía familiar Enfermedad renal hereditaria, poliquística, agenesia renal
Metabólico Nefropatía hipercalcémica, isquemia, hipertensión sistémica primaria, acromegalia, nefropatía hipopotasémica
Mecánico Obstrucción crónica del tracto urinario
Neoplásico Linfoma, neoplasia primaria
Infeccioso Pielonefritis crónica, peritonitis infecciosa felina (nefritis piogranulomatosa)
Inmune Amiloidosis (hereditaria en Abisinios), glomerulonefritis crónica
Tóxico Antibióticos (gentamicina, anfotericina B), AINE, agentes de contraste, metales pesados, hemoglobina, etilenglicol, liliáceas
Progresión desde daño renal agudo Obstrucción ureteral, uretral, pielonefritis, infarto renal, isquemia
Desconocido Nefropatía intersticial crónica
cia de causas o signos sugerentes de ERC (p.ej., urolitiasis, alteración forma, pérdida de diferenciación corticomedular, pielectasia, síndrome del riñón grande - riñón pequeño).
La creatinina es el biomarcador más usado: es fácil de medir, económico, tiene poca variabilidad intraindividual y está al alcance de las clínicas veterinarias.
El gold estándar y la prueba más sensible para diagnosticar una ERC es la medición de la tasa de filtración glomerular (GFR); hay varias técnicas desarrolladas, pero ninguna de ellas es factible en la clínica diaria. Por esto mismo, la GFR se mide de forma indirecta mediante biomarcadores séricos1,3,4. La creatinina es el biomarcador más usado: es fácil de medir, económico, tiene poca variabilidad intraindividual y está al alcance de las clínicas veterinarias. Desgraciadamente, hay que tener en cuenta que las concentraciones de esta no están elevadas de forma persistente hasta que no hay una pérdida de nefronas de alrededor de un 75 %, no detecta una bajada temprana de la GFR ni alteraciones renales en las que GFR no esté afectada. Además, está influida por factores extrarrenales, como la masa
Tabla 2. Prevalencia de los hallazgos detectados en la exploración física.
Prevalencia
Alta (40-75 %)
Signos clínicos
Deshidratación
Caquexia, pérdida de peso
Enfermedad periodontal, gingivitis, ulceración oral
Mala calidad del pelo
Soplo cardiaco
Palpación anómala de los riñones
Riñones de tamaños diferentes
Media (1039 %)
Baja (<10 %)
Glándula tiroides palpable
Taquicardia
Taquipnea
Mucosas pálidas
Hipotermia
Hipertermia
Lesiones retinianas
muscular y la deshidratación. Los valores de referencia pueden variar entre individuos, analizadores y laboratorios1,3,4 El SDMA, en cambio, en recientes estudios se ha podido observar que es más sensible a la hora de evaluar la función renal: empieza a elevarse a partir de una pérdida de función del 40 % de media (en algunos estudios, a partir de un 25 %). En su caso, no está afectado por la masa muscular, pero se recomienda interpretar los resultados con precaución, ya que aún es escasa la información sobre su especificidad1,3,4,8
Se han estudiado otros biomarcadores, como la cistatina C sérica, para evaluar la GFR, pero no se ha encontrado utilidad clínica en gatos con ERC1. Por otro lado, está la FGF – 23 (fibroblast growing factor – 23), que es la hormona responsable de la regulación del fósforo y del calcitriol producido por los osteocitos y los osteoblastos. Es utilizada como biomarcador temprano de alteración del metabolismo renal del fósforo y en aquellos gatos con ERC puede ser usada para analizar cuáles se podrían beneficiar de una restricción de fósforo en la dieta, sabiendo que la hiperfosfatemia es un factor pronóstico negativo que disminuye la esperanza de vida1,2,8,10,11. Marcadores como la albúmina, transferrina, factor de crecimiento vascular endotelial, cistatina C urinaria, entre otros, usados en medicina humana y en perros, no queda claro que tengan utilidad en medicina felina, por ahora1
En varias publicaciones se ha observado una relación entre pacientes que sufren ERC y la presencia de hipercalcemia12–16 En humanos, está bien descrita la relación entre ERC y la hipercalcemia, denominada como trastorno mineral y óseo asociado a enfermedad renal crónica (CKD – MBD de las siglas en inglés), ahora en proceso de estudio en el campo felino. Así como el papel de otros iones implicados, como el fósforo, en esta patología, parecen estar bien descritos, los estudios llevados a cabo resumen que es necesaria más investigación para acabar de esclarecer las causas subyacentes de la hipercalcemia, a pesar de que parece que se puede relacionar hipercalcemia con ERC, y que los mecanismos de hipercalcemia y la relación existente podría emular al desorden en humanos,12–14,17. Se ha observado, también, una asociación entre aquellos individuos que presentan hipercalcemia y la presencia de urolitiasis y calcificaciones extraóseas16,18,19
En orina, nos interesa valorar la densidad urinaria porque nos puede indicar si el riñón ha perdido la capacidad de concentrar la orina o no; la tira reactiva nos aporta datos como hematuria microscópica, pH y presencia de otros solutos (p.ej glucosa). En el sedimento podemos apreciar si hay cristaluria (o urolitiasis) y de qué tipo, celularidad, infecciones (fagocitosis por polimorfonucleados) y, en ese caso, realizar un cultivo de orina3. Se ha descrito que infecciones de las vías urinarias pueden ser causa de agudizaciones de la enfermedad renal crónica, por lo que hacer un cultivo y tratarlas de forma adecuada es un necesario20. Otro factor importante en la progresión de la ERC es la proteinuria1,3
Las pruebas de imagen son necesarias para poder valorar la estructura y morfología de los riñones (corteza y pelvis renal), el tamaño, valoración de uréteres, vejiga, uretra y posibles alteraciones existentes (véase tabla 3 para lista de alteraciones de imagen ecográfica y radiográfica)21 En animales estables, normohidratados, el aumento de creatinina (>1,6 mg/dl),
de SDMA (>18 μg/dl), disminución de la densidad urinaria (<1.035), la presencia de proteinuria (UPC al límite entre 0,2 – 0,4 o >0,4), hipertensión (>160 mmHg), alteraciones en pruebas de imagen renal, deben alertarnos3,22
Un buen comienzo sería descartar primero una insuficiencia renal aguda (IRA). Normalmente, con la historia clínica y los hallazgos de la exploración física, podemos distinguir entre IRA y ERC (véase tabla 4 para más detalle)6, aunque en procesos de reagudización sobre ERC, puede resultar difícil. La IRA está caracterizada por un daño abrupto del parénquima renal, normalmente, aunque no siempre, acompañado de una disminución de la función renal. Es potencialmente reversible, con una supervivencia aproximada del 50 %20. Las causas más comunes de agudización sobre una ERC son la obstrucción ureteral, pielonefritis e isquemia renal. Las causas menos comunes son la nefropatía perdedora de proteínas, síndrome cardiorrenal, procesos quísticos e idiopáticas20. Si, tras el protocolo diagnóstico propuesto (con EFG completa,
analíticas de sangre y orina, y pruebas de imagen) se descarta la presencia de IRA o de reagudización, nos quedaría, entonces, una ERC que tenemos que clasificar y subclasificar, para lo cual nos basaremos en las recomendaciones de las guías IRIS (figura 1). Es importante este paso, puesto que nos servirá para poder establecer un pronóstico y un tratamiento más específico. El éxito en estos pacientes depende de que el tratamiento se lleve a cabo de forma individualizada con revisiones periódicas para ir ajustándolo según la evolución y el estadiaje en el que nuestra mascota se clasifique22
Tratamiento
Cuando nos enfrentamos a la ERC buscamos retrasar la progresión de la enfermedad en la medida de lo posible, preservar
la funcionalidad renal restante, tratar los síntomas y mejorar lo máximo que se pueda la calidad de vida del paciente3 Los primeros pasos para iniciar el tratamiento de la enfermedad renal son:
• Descontinuar medicaciones potencialmente nefrotóxicas, si es posible.
• Identificar y tratar cualquier alteración pre/posrenal, si existe.
• Mediante pruebas de imagen, descartar alteraciones renales con posibilidad de tratamiento, como pielonefritis u obstrucción ureteral.
• Medir la presión arterial y la razón UP/C para el subestadiaje de la enfermedad. Estadios 2, 3 y 4:
• Dieta renal: son dietas más bajas en proteínas, fósforo y sodio, y suplementadas con potasio, ácidos grasos omega-3, fibra y vitamina D, además son alcalinizantes.
Se recomienda ofrecer dietas renales en animales clasificados en estadios 2, 3 y 4. Se ha demostrado que mejoran la calidad y la esperanza de vida de los gatos con ERC3
Tabla 3. Alteraciones de la imagen ecográfica y radiográfica, y su diagnóstico diferencial.
Alteraciones ecográficas
Alteración
Riñón
Quiste renal
Lesión focal del parénquima
Lesión difusa del parénquima
Pelvis y uréter proximal
Patologías congénitas e idiopáticas
Solitario
Múltiple
*Pseudoquiste perinéfrico
Masa sólida simple
Infarto renal
Corteza renal hiperecogénica
Pérdida de diferenciación cortico-medular
Signo de borde medular
Pielectasia
Pielonefritis
Hidronefrosis
Agenesia renal
Displasia renal
Cálculos Oxalato cálcico, estruvita (menos común: urato, cistina, xantina, sílice, fosfato cálcico, pirofosfatos)
Fluido subcapsular Sangre, orina, trasudado, exudado
Tamaño renal
Pared
Contenido
Ectópico
Riñón pequeño
Riñón grande
Obstrucción ureteral
Aumento grosor
Neoplasia
Hiperecogénico
Cálculos
Diagnóstico diferencial
Hematoma, absceso, masa cavitada
Enfermedad renal poliquística
Causa desconocida
El más común es el linfoma
Tromboembolismo, coagulopatía
Nefritis intersticial, glomerulonefritis, intoxicación por etilenglicol, linfoma renal difuso, peritonitis infecciosa felina, criptococosis, amiloidosis
Displasia renal congénita, ERC
Animales sanos, nefropatía hipercalcémica, intoxicación por etilenglicol, peritonitis infecciosa felina, nefritis intersticial crónica
Administración intravenosa de fluidos, diuréticos, incremento de la diuresis por enfermedad renal, distensión de la vejiga, obstrucción del tracto urinario inferior, pielonefritis, ureteritis, uréter ectópico, otras malformaciones congénitas
Infección renal, infección ascendente de la vejiga
Malformación congénita, obstrucción del tracto urinario inferior, obstrucción de la pelvis, obstrucción del uréter
Congénito
Hereditario, panleucopenia felina
Predisposición individual, no acceso al exterior, inactividad, alimentación e ingesta de agua, pH, sobresaturación de la orina, sobrepeso
Traumatismo, infección, obstrucción, intoxicación, neoplasia renal
Agenesia, displasia renal, obstrucción ureteral y pelviana
Masa sólida simple, compensación contralateral, hidronefrosis, IRA, derrame subcapsular, neoplasias infiltrativas
Uréter
Congénito
Ectopia, ureteritis, obstrucción (total, parcial por cálculos, masas, estenosis), enfermedad congénita
Vejiga
Oxalato cálcico, estruvita (menos común: urato, cistina, xantina, sílice, fosfato cálcico, pirofosfatos)
Cistitis, cistitis polipoide
Carcinoma de células transicionales, carcinoma de células escamosas, rabdomiosarcoma, quemodectoma, leiomiosarcoma, linfoma, mastocitoma
Hematuria, cistitis, cristaluria, triglicéridos, gas (con artefactos de reverberación)
Predisposición individual, no acceso al exterior, inactividad, alimentación e ingesta de agua, pH, sobresaturación de la orina, sobrepeso
Tabla 4. Parámetros de ayuda a la diferenciación entre insuficiencia renal aguda (IRA) y enfermedad renal crónica (ERC).
Parámetro IRA
Episodio agudo
Exposición a tóxicos, isquemia
Historia clínica
EFG
Hallazgos clínicopatológicos
Hidratación
Ninguna alteración y estado normal hasta la consulta
Buena condición corporal
Riñones lisos, aumentados de tamaño o dolorosos
Signos relativamente graves para el nivel de azotemia
Hematocrito normal o aumentado
Sedimento urinario activo
Normo o hiperpotasemia
Urea y creatinina normales previamente e incremento progresivo actual
Acidosis metabólica más intensa
Generalmente presencia de oliguria, disuria, periuria, hematuria
En la ERC, el riñón pierde la capacidad de ahorrar agua a medida que avanza la enfermedad, provocando deshidratación3,9
Por este motivo:
• Se aportará alimentación húmeda (máxima proporción que el paciente acepte).
• Se incentivará la ingestión de agua (figura 2). Para ello podemos ofrecer en distintos puntos del hogar bebederos con agua fresca y limpia. También pueden usarse fuentes que, al generar movimiento constante en el agua, hagan que sea más apetecible.
• Aguas con saborizantes o sopas, siempre teniendo en cuenta que son opciones de alimentación complementaria y no sustituyen la ración diaria que debe ingerir nuestro paciente (figura 3).
Fluidoterapia parenteral
En aquellos animales que hayan sufrido reagudizaciones de la enfermedad, muestren sintomatología de deshidratación o sufran una crisis urémica, la recomendación es la administración de fluidoterapia intravenosa (con las suplementaciones necesarias) hasta la estabilización3,9 (figuras 4 y 5). En aquellos casos en los que la ERC está más avanzada (estadios 3, 4) puede recomendarse la administración
ERC
Historial con antecedentes renales
Pérdida de peso, vómitos o diarreas crónicos
PU/PD
Baja condición corporal
Riñones pequeños, irregulares, no dolorosos
Signos relativamente leves para el nivel de azotemia
Anemia normocítica normocrómica no regenerativa
Sedimento urinario generalmente inactivo
Normo o hipopotasemia
Urea y creatinina previamente elevadas, concentración actual más o menos estable
Acidosis metabólica menos intensa o normalidad
Generalmente presencia de poliuria hasta los estadios terminales
de fluidoterapia subcutánea (figura 6) o incluso la colocación de un tubo de alimentación por el cual se administre el agua23
En fases 3 y 4, en gatos con disminución del apetito, la administración de esta fluidoterapia en casa (suero salino fisiológico o lactato de Ringer) no mejorará la funcionalidad renal, pero mantendrá la hidratación, la perfusión orgánica, aumentará el apetito, promoverá la diuresis y mejorará la calidad de vida. La cantidad administrada oscila entre 10 a 30 ml/kg c. 12-48 h, dependiendo del estado del paciente3,9
Dietas renales
Se recomienda ofrecer estas dietas en animales clasificados en estadios 2, 3 y 4. Se ha demostrado que mejoran la calidad y la esperanza de vida de los gatos con ERC3
Para alcanzar su objetivo se valen de varias estrategias:
• Restricción de fósforo: el fósforo es un nefrotóxico directo, y su limitación reduce el riesgo de hiperparatiroidismo secundario y de aumento de FGF–23. En los casos en los que las dietas renales no sean suficiente, la suplementación con quelantes de fósforo es una opción, siendo monitorizado el fósforo al mes del inicio de este tratamiento. Si estos
quelantes de fósforo son en forma cálcica, se recomienda también la monitorización del calcio ionizado.
• Restricción de proteínas: a menudo como consecuencia del punto anterior. Ayudan a disminuir la concentración de nitrógeno ureico en sangre, con lo que se reducen las crisis urémicas. Sin embargo, esta restricción podría llevar al paciente a una pérdida de masa muscular, por lo que hay que revisar de forma periódica el peso y la condición corporal del paciente.
de estas dietas renales puede ocasionar hipercalcemia. Esta resuelve, con restricciones menos graves de fósforo o con la retirada de la dieta renal15,24. En cambio, en estadios más tardíos en los que puede aparecer esta hipercalcemia a causa de la propia ERC, la recomendación sí es la administración de dietas renales, que permiten un buen control de esta15
A menudo, las ERC van acompañadas de hipertensión arterial (HA) sistémica, que se define como la persistencia de la presión arterial sistólica (PAS) por encima de 160 mmHg y como el riesgo a que se produzca un daño en los órganos diana (corazón, ojos, sistema nervioso central y riñones)3,9,25 (figura 7). Si se demuestra que hay HA persistente tras varias mediciones de PAS y/o existe evidencia de que hay daño en los órganos diana, se recomienda iniciar la terapia antihipertensiva:
• Bloqueantes de los canales de calcio (amlodipino): en dosis de 0,125 a 0,25 mg/kg c.24 h. Puede usarse como monoterapia en la mayoría de los gatos con buena respuesta. Puede administrarse en dosis de 0,5 mg/kg cada 24 horas si es necesario.
• Bloqueantes del receptor de la angiotensina II (telmisartán): en dosis de 2-3 mg/ kg c.24 h, producto más lento que el anterior (alcanza su efecto máximo a los 10-14 días). Posee un efecto antiproteinúrico más potente que el anterior. Estos dos medicamentos pueden combinarse, si con monoterapia no se controla la HA.
Se recomienda solo administrarlos en animales estables y normohidratados. El tratamiento de la HA es de por vida, por lo que se recomiendan controles rutinarios cada 3 – 6 meses para valorar la respuesta al tratamiento3,9
El éxito en estos pacientes depende de que el tratamiento se lleve a cabo de forma individualizada con revisiones periódicas para ir ajustándolo según la evolución y el estadiaje en el que nuestra mascota se clasifique22
Las dietas renales son conocidas por ser poco palatables, por lo que es interesante iniciar su introducción de manera progresiva y en fases tempranas. En estadios más avanzados de la ERC aparece sintomatología como anorexia e inapetencia, e introducir una dieta de este tipo puede convertirse en un problema3,9 En algunos estudios, se ha observado que en pacientes en estadios muy tempranos de la ERC (estadio 1), la introducción

• PAS por debajo de 120 mmHg, debilidad o taquicardia indican hipotensión, que se debe evitar.
• El aumento de 0,5 mg/dl de la creatinina puede estar justificado por estos tratamientos, pero un aumento mayor se considera un efecto adverso.
La proteinuria es una comorbilidad poco frecuente (<15 %) en gatos y, normalmente, sucede en fases avanzadas de la ERC3,9. Suele estar relacionada con la progresión de la patología debido a que promueve la aparición de fibrosis e inflamación de los túbulos renales, lo que conlleva un peor pronóstico. Para evaluar la proteinuria se realiza una UPC y, con el resultado obtenido, se clasifican los gatos de la siguiente manera:
• No proteinúricos: <0,2.
• Proteinúricos al límite: 0,2 – 0,4.
• Abiertamente proteinúricos: >0,4. En aquellos animales con proteinuria (incluso en aquellos al límite), seguiremos el siguiente protocolo9:
• Descartar enfermedades concomitantes asociadas que puedan tratarse (p.ej. pielonefritis).
• Considerar biopsias renales que puedan diagnosticar enfermedades subyacentes (p.ej. glomerulonefritis).
• De existir HA, se recomienda empezar con antihipertensivos puesto que esta


puede ser la causa principal de la proteinuria.
• Finalmente, administrar medicación como inhibidores del eje renina – angiotensina – aldosterona (RAAS):
• Antagonistas de los receptores de angiotensina II (ARAII): telmisartán en dosis de 1 mg/kg c. 24 h.
• Inhibidores de la enzima angiotensina convertasa (IECA): benazeprilo en dosis de 0,25 a 0,5 mg/kg c. 12-24 h. Esta medicación será crónica, por lo que se deberán hacer controles rutinarios para valorar si la proteinuria se mantiene estable en el tiempo o hay que ajustar dosis.
Es importante tener en cuenta que:
• No se puede administrar medicación antiproteinúrica si el animal no está correctamente hidratado, está hipovolémico o con crisis urémica.
• Pacientes con proteinuria e hipoalbuminemia pueden tener riesgo de tromboembolismo, por lo que puede estar indicado iniciar una terapia preventiva (clopidogrel 18,75 mg/gato c. 24 h).
• La terapia con antiproteinúricos no ha demostrado ralentizar la progresión de la enfermedad en gatos.


La hipopotasemia puede contribuir a la aparición de signos clínicos como apatía, debilidad muscular, inapetencia y constipación, así como al desarrollo de acidosis metabólica3
Hiperfosfatemia
El riñón es el mayor regulador de fósforo. Cuando pierde nefronas, los niveles de hormona paratiroidea (PTH) aumentan para compensar la falta de funcionalidad renal, ayudando a mantener la fosfatemia en sangre estable (hiperparatiroidismo secundario), hasta que el 85 % de las nefronas dejan de ser funcionales, momento en el cual la PTH pierde su capacidad compensatoria y el fósforo aumenta progresivamente11,17,26,27. Por esta razón, cuando se controla el fósforo tanto con dieta renal como con quelantes, el hiperparatiroidismo secundario mejora. La hiperfosfatemia se asocia a una menor esperanza de vida.
Según el estadio de la enfermedad, tenemos unos niveles de fósforo objetivo3:
• Estadio 2: 3 – 4,5 mg/dl.
• Estadio 3: 3 – 5 mg/dl.
• Estadio 4: 3 – 6 mg/dl.
Para conseguir un buen control de la fosfatemia se recomienda9:
• Dieta renal.
• Quelantes de fósforo: en aquellos casos en los que, a pesar de la dieta renal, los niveles de fósforo estén por encima de los valores objetivo, se recomienda una dosis de 30 – 60 mg/kg/día repartidos en cada una de las tomas de comida. Los mg/kg administrados deberán ser regulados según dosis – efecto y se deberán realizar controles del calcio sérico y de las concentraciones de fosfato cada 4 – 6 semanas hasta su normalización; a partir de ahí, las revisiones serán cada 12 semanas. Una vez se consiga la estabilización, se recomienda la valoración de FGF–23 para determinar si una restricción mayor del fósforo podría ser beneficiosa para el animal28:
• > 400 pg/ml: aumentaremos la dosis de quelante o combinaremos con un segundo, siempre y cuando no haya
hipercalcemia, anemia marcada o enfermedad inflamatoria grave.
• 300 – 400 pg/ml: seguir monitorizando, revalorar en, mínimo, 2 meses.
• < 300 pg/ml: buen control de la fosfatemia.
Hipopotasemia
La ERC puede conducir a la diuresis excesiva de potasio, causando hipopotasemia (<3,5 mmol/l), que puede ir acompañada de una ingestión menor de potasio (hipo/anorexia), vómitos y por el intercambio iónico transcelular. Además, la hipopotasemia puede contribuir a la aparición de signos clínicos como apatía, debilidad muscular, inapetencia y constipación, así como al desarrollo de acidosis metabólica3. A pesar de que las dietas renales llevan suplemento de potasio, hay algunos pacientes que muestran hipopotasemia.
Para tratar las náuseas y los vómitos se puede administrar maropitant a razón de 1 – 2 mg/kg subcutáneo, intravenoso o vía oral, así como ondansetrón a 0,5 – 1 mg/kg cada 6 – 8 horas vía subcutánea.
Si son hipocalemias asintomáticas, pueden aportarse suplementos de potasio en la comida (gluconato potásico, citrato de potasio o cloruro potásico), empezando con una dosis de 1 – 4 mmol/gato c. 12 h, ajustando la dosis según la respuesta9. En aquellos en los que aparezca sintomatología clínica, se recomienda la administración de la suplementación de potasio de forma intravenosa hasta que desaparezcan los síntomas y se normalice el potasio sérico.
Tratamiento de los síntomas
A partir del estadio 2 de la ERC pueden empezar a aparecer signos clínicos como náuseas, vómitos, apatía y anorexia debidos a la intoxicación urémica que sufren3,29. Estos síntomas, junto con la posible proteinuria, pueden llevar a la pérdida de peso y de masa muscular. Otros signos que pueden contribuir a la clínica son: deshidratación, hipopotasemia, acidosis y anemia. El tratamiento de estos síntomas puede marcar la diferencia.
Náuseas y vómitos
Para tratar las náuseas y los vómitos se puede administrar maropitant a razón de 1 – 2 mg/kg subcutáneo, intravenoso o vía oral, así como ondansetrón a 0,5 – 1 mg/kg cada 6 – 8 horas vía subcutánea. Hay evidencia que sugiere que la mirtazapina a 1,88 mg/ gato c.48 h oral puede mejorar las náuseas, aumentar el apetito y favorecer la ganancia de peso3,9
En aquellos casos en los que haya una pérdida de masa muscular marcada, se recomienda revalorar los valores de SDMA y reclasificar el estadiaje del gato según estos y no solo con la creatininemia9
No es raro encontrar gatos con múltiples enfermedades que cursan con sintomatología similar, por lo que deberemos valorar la existencia de estas comorbilidades que puedan producir náuseas, vómitos y pérdida de peso. (p.ej. gato hipertiroideo que desarrolla una ERC, gato con ERC que desarrolla un linfoma intestinal de bajo grado).

Anorexia
Actualmente, el tratamiento más utilizado es la mirtazapina en pomada auricular diaria o cada dos días.
La capromorelina es un agonista del receptor de la grelina; se une al receptor de la hormona del crecimiento (GHS-Rs) en el hipotálamo, en la glándula pituitaria y en otros órganos. Mimetiza la acción de la grelina incrementando el apetito y estimulando la liberación de la hormona del crecimiento, lo que sería de utilidad en aquellos gatos con condiciones médicas en las que muestren inapetencia y/o pérdida de peso30,31
En estudios recientes se ha visto que es una medicación bien tolerada en gatos desde 2 mg/kg32 hasta 60 mg/kg cada 24 horas entre 14 y 91 días (dosis altas y dosis más bajas, respectivamente). Como efectos adversos, pueden aparecer salivación, emesis, letargo/depresión y temblores, principalmente en dosis altas (30 – 60 mg/kg)31,32

ha mejorado con hidratación y dieta, las guías IRIS recomiendan añadir suplementación de bicarbonato sódico (o citrato potásico en caso de que además aparezca hipopotasemia) a razón de 40 – 75 mg/kg c.12 h como dosis inicial. La meta es mantener el CO2 total entre 16 y 24 mmol/l9
Anemia
Se han visto anemias de diferente gravedad en un 30 % – 65 % de los gatos con ERC, mayoritariamente anemias normocíticas normocrómicas no regenerativas. Aquellas que tienen un hematocrito de <20 % pueden afectar a la calidad de vida del animal3,8. No hay tratamientos aprobados para uso veterinario, aunque se conoce que la eritropoyetina recombinante humana es un tratamiento efectivo. El tratamiento con derivados de la eritropoyetina puede hacerse con Epoetina α o R-Hu EPO a razón de 50-100UI/kg sc. 3 veces por semana hasta alcanzar hema-
El pronóstico de la ERC es variable: depende, al menos, de la causa subyacente de la ERC, del estadio, de la presencia de hiperfosfatemia, proteinuria, anemia, la concentración de fGf–23, agudización sobre ERC o progresión de la enfermedad.
Aún no está disponible en España, pero se aprobó su comercialización en mayo de 2023 por el Comité de Medicamentos de la Agencia Europea de Medicamentos, por lo que se espera que esté disponible a partir del 2024.
Acidosis metabólica
La acidosis metabólica clínica es una complicación rara en gatos renales, pero puede encontrarse en estadios avanzados (3 y 4), debido a una mala reabsorción de bicarbonato a nivel tubular y/o por un aumento de uremia3. Las dietas renales están suplementadas de forma que ayudan a mantener a raya la acidosis. Si existe esta acidosis clínica (bicarbonato en sangre o CO2 total a concentraciones menores de 16 mmol/l), y no
tocritos superiores al 30 %, entonces se reduce la dosis a 50-75UI/kg dos veces a la semana o incluso menos, lo justo para mantener el nivel de hematocrito en ± 30 %.37 También existen experiencias clínicas con darbopoetin en una dosis 1 ug/ kg sc. Semanal hasta el 30 % de hematocrito y luego titulando a la dosis mínima efectiva.38 En todos los casos, de no haber respuesta se suplementará el paciente con gluconato ferroso 50-100 mg/gato c.24 h vía oral.
Para terminar con el tratamiento de la anemia, hay que decir que durante el pasado año se aprobó en EE. UU. la comercialización de un jarabe de molidustat. El molidustat es un medicamento que actúa como un inhibidor de la hidroxilasa prolin-inducible por hipoxia, lo que
de pérdida grave de masa muscular y peso, aportar alimentación23
Otros tratamientos
Diálisis y transplantes renales
Los trasplantes de riñón procedente de donantes vivos puede ser una opción en gatos con ERC en centros especializados en algunas regiones, pero hay que tener en cuenta las implicaciones éticas y financieras, y las consideraciones de monitorización y bienestar del animal3,9
La hemodiálisis o la diálisis peritoneal son técnicas que pueden aplicarse de forma exitosa, aunque las complicaciones son elevadas. La principal indicación para estas técnicas es el manejo de enfermedad renal aguda o agudización en enfermedad renal crónica9,32
Células madre
Hay estudios que evalúan la eficacia de las células madre como tratamiento, pero los resultados obtenidos hasta la fecha demuestran falta de eficacia3,9,33
Análogos de la prostaciclina – beraprost
Beraprost es un análogo sintético de prostaciclinas que inhibe la expresión de los factores de inflamación, inhibe la apoptosis de las células del endotelio microvascular renal y de las del epitelio tubular, así como también reduce la fibrosis tubulointersticial en estudios en humana. En el ámbito felino aún está en fase de estudio.
aumenta la producción endógena de eritropoyetina, la cual estimula la producción de hemoglobina y glóbulos rojos.36
Alimentación por tubo de esofagostomía/gastrotomía
En animales con estadios muy avanzados, se puede considerar la colocación de un tubo de esofagostomía o gastrotomía para aportar a través de ahí la hidratación diaria que necesitan, y en casos extremos
En dos estudios recientes5,34, se ha visto que puede ayudar a la reducción del deterioro de la filtración renal al tener efectos protectores, antiinflamatorios y vasodilatadores, ayudando al mantenimiento del flujo sanguíneo renal y reduciendo así el daño por hipoxia, que se cree crucial para el avance de esta patología. En el último estudio34 se ha visto que, a pesar de no mejorar la funcionalidad renal, sí parece ayudar a enlentecer la progre-

sión, mejorando la esperanza de vida sin aparentes efectos adversos; es una medicación segura en dosis de 55 μg/gato c.12 h vía oral tras haber comido.
También parece aumentar el apetito en enfermos renales; se cree que es debido a que aumenta el flujo sanguíneo en la arteria mesentérica, aumentando la actividad digestiva y metabólica, por lo que, consecuentemente, se puede obtener una ganancia de peso, hidratación y calidad de vida a ojos del tutor.
Cabe decir que son dos estudios recientes y que se necesita más investigación para acabar de afirmar que sea una medicación válida, a pesar de que los resultados parecen ser prometedores.
Revisiones
Las revisiones periódicas dependerán del estadio renal, la subclasificación, la sintomatología y las comorbilidades, entre otras cosas. En estadios tempranos de la enfermedad, según cómo se encuentre nuestro paciente, las revisiones pueden realizarse cada 3 – 6 meses, mientras que, en estadios más avanzados, puede ser incluso necesario realizar controles cada 1 – 2 semanas3
Se recomienda en cada revisión un EFG completo (prestando especial atención al peso, condición corporal, presión arterial), un control analítico sanguíneo y de orina, y pruebas de imagen.
Pronóstico
El pronóstico de la ERC es variable: depende, al menos, de la causa subyacente de la ERC, del estadio, de la presencia de hiperfosfatemia, proteinuria, anemia, la concentración de FGF–23, agudización sobre ERC o progresión de la enfermedad. Según el estadio, estudios recientes3 obtuvieron los siguientes resultados de esperanza de vida media aproximada:
• Estadio 2: entre 1 y 3 años.
• Estadio 3: 5 meses a 2 años.
• Estadio 4: 3 semanas a 3 meses.

Se conoce que factores como la proteinuria, la hiperfosfatemia y la anemia están asociados con la progresión y empeoramiento de la enfermedad y conllevan un peor pronóstico. En un estudio se evaluó la esperanza de vida de los gatos con proteinuria y se observó que, solo evaluando la ratio UP/C3:
• UP/C <0,2: 2 – 3 años.
• UP/C 0,2 – 0.4: 1 – 1,5 años.
• UP/C >0,4: 12 – 13 meses.
Se sabe, además, que la proteinuria es un potenciador de la enfermedad renal.
Las agresiones agudas (como, por ejemplo, pielonefritis, obstrucciones ureterales, uretrales o nefrolitiasis en general, procesos isquémicos, etc.) sobre pacientes con
ERC afectan de forma grave al pronóstico a largo plazo, empeorando la progresión y disminuyendo la esperanza de vida. El daño ocasionado durante el episodio agudo sobre unos riñones ya de base dañados no es completamente reversible, disminuyendo la esperanza de vida frente a aquellos animales con ERC que no sufren de una agudización. En estudios sobre enfermedad renal aguda se ha demostrado que hasta el 50 % de los animales no recuperan la funcionalidad completa tras un episodio agudo. Tras el alta, los valores de creatinina son más altos que los previos al insulto agudo, conllevando un empeoramiento de la ERC y una revaloración del estadiaje. En algunos casos, incluso, puede
darse la situación en que la lesión persiste, llevando a una deterioración aún más rápida de las funciones renales20,35,36 No existe una regla para establecer el pronóstico y la esperanza de vida de nuestros pacientes, cada caso debe ser evaluado de forma individual y cada gato responde de forma diferente. Lo que está claro es que es una enfermedad irreversible, progresiva, y que a medida que avanza, el tratamiento debe irse adaptando al animal, ofreciéndole la máxima calidad de vida posible tanto al paciente como al tutor.
Bibliografía disponible en https://www.grupoasis.com/argos/ bibliografias/PY105025Bibliografia.docx

Arixil Vet 5 mg
Benazecare
Sabor 5 mg
Benefortin
Sabor 2,5 mg
Comprimidos recubiertos con película para perros y gatos
Comprimidos para perros y gatos
Hidrocloruro de benazepril Gatos: reducción de la proteinuria asociada a enfermedad renal crónica Gatos: la dosis es 0,46 mg de benazepril/kg peso una vez al día, que corresponde a 0,50 mg de hidrocloruro de benazepril/kg peso por día.
Hidrocloruro de benazepril Gatos: reducción de la proteinuria asociada a enfermedad renal crónica. Gatos: dosis mínima de 0,5 mg (intervalo 0,5-1,0 mg) de hidrocloruro de benazepril/kg peso una vez al día.
Hidrocloruro de benazepril Gatos: reducción de la proteinuria asociada a enfermedad renal crónica. Gatos: dosis mínima de 0,5 mg (intervalo 0,5-1,0) de hidrocloruro de benazepril/kg peso una vez al día. 5 mg
Fortekor Sabor 2,5 mg
Comprimidos para gatos y perros
Hidrocloruro de benazepril Gatos: reducción de la proteinuria asociada a enfermedad renal crónica. Gatos: dosis mínima de 0,5 mg (intervalo 0,5-1,0) de hidrocloruro de benazepril/kg peso una vez al día. 5 mg
Furosoral 10 mg
Glucosalino isotónico
Nelio
Comprimidos para gatos y perros
Comprimidos para gatos y perros
Furosemida
La dosis de inicio recomendada es de 2,5-5 mg de furosemida por kg de peso corporal al día. 40 mg
3,6% Braun uso veterinario
2,5 mg
Prilben Vet 5 mg
Semintra 4 mg
Vetpril
Glucosa anhidra y cloruro sódico.
Comprimidos para gatos Hidrocloruro de benazepril
Comprimido recubierto con película para perros y gatos
Solución oral para gatos
Tratamiento del hidrotórax, hidropericardio, ascitis y edemas, especialmente los asociados a insuficiencia cardiaca y disfunción renal.
Como vehículo para administración de otros medicamentos junto con un ligero aporte energético.
• Deshidrataciones con escasa pérdida salina.
• Correcciones de las anormalidades salinas en insuficiencia renal aguda, insuficiencia cardiaca y hepática.
• Fluido de mantenimiento en determinadas situaciones como: exceso de NaCl (p.e. perros con fallos cardíacos congestivos); en algunos animales con problemas renales o digestivos en los que el sodio no está controlado.
La dosificación y el ritmo de tratamiento deberán ser establecidos por el clínico veterinario en virtud de la especie animal, gravedad y evolución del proceso patológico. Hay que tener en cuenta el peso corporal del animal, el tipo de deshidratación y la edad.
Reducción de la proteinuria asociada a enfermedad renal crónica. Dosis mínima de 0,5 mg (rango de 0,5-1,0) de hidrocloruro de benazepril /kg de peso corporal una vez al día.
Hidrocloruro de benazepril Gatos: reducción de la proteinuria asociada a enfermedad renal crónica. Gatos: dosis mínima de 0,5 mg (intervalo 0,5-1,0) de hidrocloruro de benazepril/kg peso una vez al día.
Telmisartán
Reducción de la proteinuria asociada con la enfermedad renal crónica (ERC) en gatos. Tratamiento de la hipertensión sistémica en gatos. La dosis recomendada es 1 mg de telmisartán/kg de peso. 10 mg
5 mg
Comprimidos recubiertos con película para perros y gatos
Hidrocloruro de benazepril Gatos: reducción de la proteinuria asociada a enfermedad renal crónica.
Fuente: CIMAVET. Consultado 15 de julio de 2024. Tabla elaborada por Grupo Asís.
Advance Veterinary Diets Renal
Early Cat Kidney & Joint (KJ1)
Cat Kidney & Joint (KJ2)

Advanced Cat Kidney & Joint (KJ3)
1,5 kg y 8 kg Arroz , maíz , proteína de maíz , grasa animal, estabilizada con una mezcla de tocoferoles de origen natural, proteínas deshidratadas de cerdo , huevo deshidratado , proteína de soja , pulpa de remolacha , proteínas animales hidrolizadas , suero de leche deshidratado , proteínas deshidratadas de salmón , carbonato de calcio , aceite de pescado, caseinato , cloruro potásico , inulina , citrato potásico , Fuentes de proteínas: proteína de maíz, proteínas deshidratadas de cerdo, huevo deshidratado, proteína de soja, proteínas animales hidrolizadas, suero de leche deshidratado, proteínas deshidratadas de salmón y caseinato.
Dieta seca. Sacos x 1.5 y 3 Kg
Dieta seca. Sacos x 1.5 y 3 Kg
Dieta seca. Sacos x 1.5 y 3 Kg
Dieta de prescripción con un alto nivel de proteínas de alta calidad, bajo contenido en fósforo e ingredientes específicos que favorecen la salud renal y articular en gatos.
Dieta de prescripción con un alto nivel de proteínas de alta calidad, bajo contenido en fósforo e ingredientes específicos que favorecen la salud renal y articular en gatos.
Dieta de prescripción con un alto nivel de proteínas de alta calidad, bajo contenido en fósforo e ingredientes específicos que favorecen la salud renal y articular en gatos.
Gatos: 0,46 mg benazepril /kg p.c. y día, que corresponde a 0,50 mg de hidrocloruro de benazepril / kg p.c. y día. Se debe administrar por vía oral una vez al día, en las comidas o fuera de ellas. Esta dosis corresponde a 1 comprimido por 10 kg.
Alimento dietético completo para gatos adultos, con un nivel limitado de proteínas, pero de alta calidad y con un bajo contenido en fósforo. Está especialmente indicado para apoyar el funcionamiento del sistema renal de tu gato en caso de insuficiencia renal crónica. Además, ayuda a evitar la formación de cálculos de oxalato, y a mantener la musculatura de tu gato.
Dieta formulada para favorecer la movilidad en caso de osteoartritis preservando al mismo tiempo el riñón y una condición corporal óptima.
Dieta formulada para cuidar la insuficiencia renal crónica en el estadio IRIS 2, mientras facilita la movilidad en casos de osteoartritis.
Dieta formulada para cuidar la insuficiencia renal crónica en los estadios IRIS 3 y 4, mientras facilita la movilidad en casos de osteoartritis. Hill's Prescription Diet Kidney Care 85 g Carne y derivados animales (vacuno 4%), derivados de origen vegetal, azúcares diversos, pescado y derivados del pescado, aceites y grasas, minerales, huevos y derivados del huevo. Fuentes de proteínas: Pollo, cerdo, ternera, salmón, clara de huevo deshidratada. Mezcla prebiótica ActivBiome+ Kidney Defense (0,29%): Betaína, salvado de avena, fructooligosacáridos.
PRO PLAN® Veterinary Diets NF Renal Function Early Care
PRO PLAN® Veterinary Diets NF Renal Function Advanced Care
"Restricción temprana de fósforo para ayudar a frenar la progresión de la insuficiencia renal crónica:
• Niveles moderados de proteínas de alta calidad para ayudar a reducir los desechos nitrogenados
• Ácidos grasos omega-3 para ayudar a reducir la hipertensión glomerular y la inflamación
• Potasio añadido y bajo contenido en sodio para ayudar a mantener el equilibrio electrolítico y la presión sanguínea"
• Mayor restricción de los niveles de proteínas
• Niveles más elevados de ácidos grasos omega-3
• Mayor densidad energética para asegurar el mantenimiento de la condición corporal
• Potasio añadido y bajo contenido en sodio"
Alimento dietético completo para el mantenimiento de la función renal en caso de insuficiencia renal crónica o temporal en gatos adultos.
Ayuda a apoyar las etapas tempranas (IRIS 1 y 2) de la insuficiencia renal crónica. Insuficiencia renal transitoria: reducción de la formación de cálculos urinarios de urato; ayuda a la función cardíaca en caso de insuficiencia cardíaca crónica; enfermedad hepática con encefalopatía.
Ayuda a apoyar las etapas más avanzadas (IRIS 3 y 4)de la insuficiencia renal crónica. Insuficiencia renal transitoria: reducción de la formación de cálculos urinarios de urato; ayuda a la función cardíaca en caso de insuficiencia cardíaca crónica; enfermedad hepática con encefalopatía. Royal Canin Select 400 g, 2 kg, 4 kg
Grasas animales, arroz, harina de trigo precocida, proteína de cerdo deshidratada*, harina de trigo, gluten de trigo*, fibras vegetales, gluten de maíz, proteínas de ave de corral hidrolizadas, pescado deshidratado, minerales, pulpa de achicoria, aceite de pescado, aceite de soja, mono- y diglicéridos de ácidos palmítico y esteárico esterificados con ácido cítrico, semillas e integumentos de psyllium, fructo-oligosacáridos, harina de tagetes. Fuentes de proteínas: proteína de cerdo deshidratada (7,9%), gluten de trigo (6,6%), gluten de maíz (5%), proteínas de ave de corral hidrolizadas (4,5%).
Royal Canin with beef
Royal Canin with fish
85 g Carnes y subproductos animales (vacuno 4%), cereales, aceites y grasas, subproductos de origen vegetal, sustancias minerales, azúcares, levaduras. Fuentes de proteínas: subproductos de ave de corral (20%), subproductos de cerdo (7,4%), subproductos de vacuno (4%).
85 g Carnes y subproductos animales, cereales, pescados y subproductos de pescado (pescado 4%), subproductos de origen vegetal, aceites y grasas, sustancias minerales, azúcares. Fuentes de proteínas: subproductos de ave de corral (15,3%), subproductos de cerdo (13,7%), salmón (4%).
Wet Cat Early Kidney & Joint Trozos en salsa. Caja x 12 sobres x 85 g
Wet Kidney & Joint Mousse. Caja x 14 tarrinas x 85 g
Dieta húmeda de prescripción con un alto nivel de proteínas de alta calidad, bajo contenido en fósforo e ingredientes específicos que favorecen la salud renal y articular en gatos.
Formulado para ayudar a la función renal en caso de insuficiencia renal crónica y para la reducción de la formación de cálculos de oxalato.
Alimento dietético completo para gatos, formulado para ayudar a la función renal en caso de insuficiencia renal crónica y para la reducción de la formación de cálculos de oxalato.
Formulado para ayudar a la función renal en caso de insuficiencia renal crónica y para la reducción de la formación de cálculos de oxalato. Proteínas de alta calidad.
Dieta formulada para favorecer la movilidad en caso de osteoartritis preservando al mismo tiempo el riñón y una condición corporal óptima.
Dieta formulada para cuidar la insuficiencia renal crónica en los estadios IRIS 2, 3 y 4, mientras facilita la movilidad en casos de osteoartritis. Tabla elaborada por Grupo Asís.
Formación
Posgrado en Oncología
■ Inicio: septiembre de 2024
■ Lugar: online
Posgrado en Medicina de Pequeños Animales
■ Inicio: septiembre de 2024
■ Lugar: online
Posgrado en Etología Clínica de Pequeños Animales
■ Inicio: 19 de octubre de 2024
■ Lugar: online/Madrid
Posgrado en Reproducción de Pequeños Animales
■ Inicio: diciembre de 2024
■ Lugar: online/Madrid

Posgrado en Diagnóstico por Imagen
■ Inicio: 16 de diciembre de 2024
■ Lugar: online/Valencia
Posgrado en Ecografía Clínica de Pequeños Animales
■ Inicio: diciembre de 2024
■ Lugar: online/Valencia
Posgrado en Dermatología
■ Inicio: enero de 2025
■ Lugar: online
Posgrado en Odontología y Cirugía Oral
■ Inicio: 14 de febrero de 2025
■ Lugar: Madrid
Para más información: Improve Veterinary Education
Tel.: 911 881 568 info.es@improveinternational.com – www.improveinternational.com
VI Máster en Dirección y Marketing en la Industria de Sanidad y Nutrición Animal
■ Fecha: de octubre de 2024 a julio de 2025
■ Lugar: Madrid/online
Para más información: secretaria@vetmasi.es www.vetmasi.es
Congreso de la Asociación Francesa de Veterinarios de Animales de Compañía (AFVAC)
■ Fecha: del 21 al 23 de noviembre de 2024
■ Lugar: Lyon (Francia)
Para más información: https://afvac-lecongres.com
Congreso de AVEPA-SEVC 2024
■ Fecha: del 24 al 26 de octubre de 2024
■ Lugar: Madrid
Para más información: https:// sevc2024.vconnect.tv/home.php

VII Congreso Provincial de Centros de Veterinaria de Alicante AEVA
■ Fecha: 29 y 30 de noviembre de 2024
■ Lugar: Alicante
Para más información: atama@atama.global https://congreso.aeva.org.es
■ Fecha: 9 de noviembre de 2024
■ Lugar: León
Para más información: www.avepa. org
III Curso Práctico de Artroscopia, Ecografía y Cirugía de Hombro y de Codo
■ Fecha: 27 y 28 de octubre de 2024
■ Lugar: Cáceres
Para más información: https://setov.org
XIX Congreso Andaluz de Veterinarios Especialistas en Animales de Compañía
■ Fecha: 29 y 30 de noviembre de 2024
■ Lugar: Cádiz
Para más información: https://www.congresoveterinario.es/2024
¿QUIERE TRASPASAR SU CLÍNICA? PUBLIQUE SU ANUNCIO
Traspasos, ventas y alquileres de locales
■ Traspaso por jubilación clínica veterinaria en Santa Cruz de Tenerife (capital). Con más de 40 años de actividad, está firmemente consolidada en el sector con amplia cartera de clientes y en pleno funcionamiento. Local de 200 m2, consta de amplia sala de espera, tienda, tres consultas, quirófano, sala de rayos X con radiología digital, laboratorio y hospitalización. Interesados en más información contactar por mail en traspasocvetsc@gmail. com o por WhatsApp 670 845 586.
Si quiere publicar algún anuncio, escríbanos a argos@grupoasis.com Argos no se responsabiliza del contenido de los anuncios publicados en este tablón.

Algunos patógenos, como los protozoos parásitos, evaden la acción del sistema inmunitario de los mamíferos, fundamentalmente humoral, debido a que desarrollan una parte de su ciclo vital dentro de células del sistema inmunitario. Por tanto, para su prevención se requieren vacunas que activen la vía celular de la respuesta inmunitaria.

Desde su descubrimiento a finales del siglo XVIII y, sobre todo, a finales del siglo XIX y el XX puede decirse que la historia de las vacunas y su efecto sobre enfermedades infecciosas que constituían auténticas amenazas para la humanidad ha sido una historia de éxito. El descubrimiento científico, realizado por von Berhing y Kitasato, en personas que habían superado una infección, de la existencia de los anticuerpos que bloqueaban a los patógenos, evitando las infecciones repetidas, así como de la posibilidad de inducirlos utilizando dosis menores de patógenos inactivados que protegían de la infección inicial, supuso un cambio total en la historia de las enfermedades infecciosas. Los patógenos que causaban estas enfermedades que producían unas mortalidades altísimas fueron siendo identificados y se obtuvieron vacunas eficaces que protegieron a las poblaciones, muy claramente en el caso de la población infantil. Los nombres de Kock y Pasteur aparecen los primeros en la pléyade de científicos que son señeros en la historia de la microbiología. La difteria, el tétanos, el sarampión, la tosferina o la poliomielitis fueron desapareciendo como un problema de salud
pública y apareciendo como enfermedades controlables. La figura 1 muestra el descenso de la mortalidad por 100.000 habitantes en Estados Unidos a lo largo del siglo XX. En ese descenso, el descubrimiento de nuevas vacunas jugó un papel fundamental. El avance de la biología consiguió que las vacunas se fueran refinando y ya no hacían falta los patógenos completos inactivados y fragmentos de estos, proteínas purificadas (antígenos protectores) u obtenidas de forma recombinante, gracias a la biología molecular, fueron originando vacunas de mejor calidad y con menos efectos secundarios. No obstante, se fueron detectando enfermedades cuyos causantes no eran sensibles a las vacunas que inducían la producción de anticuerpos específicos frente a distintos patógenos. Enfermedades con gran repercusión, tanto por el número de personas afectadas, como por la gravedad de la enfermedad que conducía en muchos casos a la muerte: las enfermedades causadas pon Mycobacterium spp., fundamentalmente la tuberculosis, aunque también causantes de enfermedades que afectan seriamente la vida del paciente, como la lepra. Otro tipo de patógenos como los protozoos parásitos también evadían el ataque organizado por el sistema inmunitario de los mamíferos, fundamentalmente humoral. Es el caso de la leishmaniosis y del paludismo o la malaria, que afecta a millones de personas en países pobres y mata a cientos de miles, fundamentalmente niños. Algunas infecciones víricas también escapaban al control de los anticuerpos, como es el caso de VIH, causando la inmunodeficiencia adquirida o SIDA. ¿Cuál era la causa de que estas enfermedades no fueran prevenidas por las vacunas clásicas? El desarrollo de los estudios básicos sobre el funcionamiento del sistema inmunitario


Plásmido o liposoma Vía endógena Miocitos/queratinocitos
Antígeno Vía exógena
ha acabado desvelando el misterio, ya en el cambio de siglo. Estos patógenos desarrollan una parte de su ciclo vital dentro de células del sistema inmunitario y se hallan, por tanto, protegidos del ataque de los anticuerpos presentes en el suero. Necesitan, pues, de la actividad de la respuesta del sistema inmu-
Este tipo de vacunas introduce, en lugar del antígeno protector frente al patógeno, el ADN del gen correspondiente o bien el ARN específico, para que sea producido dentro del mamífero (paciente).
nitario celular para que el huésped mamífero consiga eliminar este tipo de infecciones. En los últimos años se han obtenido vacunas que activan la vía celular de respuesta inmunitaria y frente a infecciones como el virus de la enfermedad pancreática de los salmones, frente a enfermedades parasitarias como la leishmaniosis o frente a enfermedades proliferativas como algunos cánceres. Estas vacunas están basadas en el uso de ácidos nucleicos, ADN o ARN. La enfermedad respiratoria originada por el SARS-CoV-2 ha supuesto el conocimiento público de este tipo de vacunas y de la utilidad de estas.
Este tipo de vacunas introduce, en lugar del antígeno protector frente al patógeno, el ADN del gen correspondiente o bien el ARN específico, para que sea producido dentro del mamífero (paciente) y sea presentado a los linfocitos por una célula presentadora, activando el sistema inmunitario de una forma natural y mucho más eficiente. Además, se activa la vía celular, necesaria en los patógenos de ciclo biológico intracelular.
Los agentes de vacunación, bien el gen codificante o el ARN específico del antígeno protector, son introducidos en un vehículo (plásmido o liposoma) que constituyen la vacuna. Una vez en el interior de una célula tendrán dos
efectos dependiendo de la vía de presentación:
• Si es por la vía exógena, esto es, el antígeno se ha producido ya en otra célula, normalmente un miocito o keratinocito, activarán los linfocitos CD4+ que a su vez activarán las células B y la producción de anticuerpos específicos y producirán células B y T de memoria para proteger de subsiguientes infecciones.
• Si lo hacen por la vía endógena, directamente en una célula presentadora, la activación se hará sobre las células CD8+ que intervendrán directamente en la eliminación de las células infectadas por el parásito acabando con el patógeno” protegido” dentro de las células del S.I. El mecanismo se muestra en la figura 2 Así pues, se ha producido un gran avance en el concepto de vacunación que ha conseguido sobrepasar la barrera de los patógenos intracelulares como los responsables del paludismo, la leishmaniosis o el HIV que ya se benefician o lo harán en los próximos años, de este tipo de vacunas.
Las vacunas de ARN son específicas y producen mayor cantidad del antígeno. No obstante, son complejas de fabricar. Además, pueden modificarse fácilmente para adaptarse a nuevas cepas (son sintéticas) y su producción industrial es sencilla y barata. Hasta el momento hay tres vacunas de ADN utilizadas en el mundo. La de la fiebre hemorrágica de los salmones (CLYNAV, Elanco), una vacuna frente a SARS-CoV-2 (ZyCoV-D, CADILA) y otra frente a la leishmaniosis canina (NeoLeish, Petia) que han obtenido la aprobación de las agencias internacionales del medicamento. Esta última es la única que ha demostrado que no se integra en el genoma del huésped y carece de genes de resistencia a antibiótico para su selección.
En cualquier caso, las vacunas de ADN representan un avance cualitativo en el desarrollo de vacunas frente a enfermedades infecciosas de patógenos intracelulares y deben tener un gran desarrollo frente a patologías que no eran sensibles a la vacunación clásica.

El objetivo de este artículo es la descripción de las diferentes complicaciones quirúrgicas que pueden suceder en las cirugías de urgencias más comunes en nuestra práctica diaria. Tras la cirugía de intestino delgado de la primera entrega, esta segunda parte se centra en el sistema reproductor y urinario.
Gabriel Carbonell Rosselló1, Elvira Deffontis Gallofré2
1Ldo.Vet, Dipl.ECVS, Acred. GECIRA y GEVO
Director Clínico y Responsable de Cirugía Hospital Veterinario PRIVET, Madrid
Diplomado en Cirugía por el European College of Veterinary Surgeons (ECVS)
Acreditado AVEPA- Traumatología Y Ortopedia GEVO y Tejidos Blandos
GECIRA
EBVS® European Specialist in Small Animal Surgery
2Lda. Vet, GpCert SAS Cirujana del Servicio de Cirugía Hospital Veterinaria del Mar, Barcelona Imágenes cedidas por los autores
Las cirugías de urgencia más comunes del sistema reproductor y urinario son: piometra, cesárea y cistotomías.
Piometra
Es la forma más grave de la endometritis que afecta a hembras no esterilizadas adultas. Implica una inflamación uterina con acumulación de material purulento dentro del útero.
La piometra de cuello uterino cerrado es potencialmente mortal y puede estar asociada a sepsis, shock endotóxico y un síndrome de respuesta inflamatoria sistémica (SIRS). Por ello, la piometra debe tratarse urgentemente de forma quirúrgica mediante ovariohisterectomía (OVH), siempre y cuando la paciente se haya estabilizado hemodinámicamente.4
El tratamiento médico de la piometra también está descrito, pero la tasa de éxito es baja y se reserva para casos de piometra abierta. Actualmente no se considera el tratamiento de elección, e incluso su uso es controvertido.



Las complicaciones ocurren en un 20 % de los casos, e incluyen peritonitis y sepsis en la mayoría de las ocasiones, absceso del muñón uterino, infección de orina, ruptura de útero, enfermedad renal, anemia, anorexia, ictericia, uveítis, infarto esplénico y enfermedad tromboembólica.4,5 En pacientes con piometra y ruptura de útero la tasa de mortalidad aumenta hasta un 57 %.4
Azotemia
Se define como el aumento en las concentraciones de urea y creatinina en sangre. La azotemia prerrenal se puede observar en cualquier condición que afecte adversamente al flujo sanguíneo hacia los riñones, incluyendo hipovolemia, hipotensión, endotoxemia o sepsis, que pueden estar presentes en la piometra.1 Dado que en muchos casos existe infección de orina concomitante
La azotemia prerrenal se puede observar en cualquier condición que afecte adversamente al flujo sanguíneo hacia los riñones, incluyendo hipovolemia, hipotensión, endotoxemia o sepsis, que pueden estar presentes en la piometra.1
Cabe destacar que la piometra se produce siempre con la presencia de hormonas, por lo que una hembra correctamente esterilizada no desarrollará una piometra ni piometra de muñón uterino. Si esta se produce debe tratarse la piometra y buscar el remanente ovárico o el origen de dichas hormonas sexuales (figura 2.1).
con la piometra, se recomienda la toma de muestra intraquirúrgica para cultivo.
El principal tratamiento para la azotemia es la fluidoterapia intravenosa con el objetivo de corregir los desequilibrios hídricos, electrolitos y de ácido-base.1 Además, restablecer una correcta perfusión tisular y tratamiento de la posible toxemia será clave en estos casos.

Absceso del muñón uterino/ piometra de muñón
La piometra de muñón ocurre cuando la piometra se desarrolla en el tejido uterino residual en perras y gatas esterilizadas de manera incompleta, con mayor frecuencia debido a remanentes ováricos o tejido ovárico ectópico o revascularizado separado del ovario durante la cirugía. La presentación clínica es muy similar a la de la piometra.5 El absceso o infección del muñón uterino podría estar asociado a una mala técnica quirúrgica, a una reacción al material de sutura, a una manipulación excesiva de los tejidos blandos, a infección residual después de la OVH por piometra, por una cantidad excesiva de tejido uterino desvitalizado que permanece proximal a las ligaduras en el cuerpo uterino o por una técnica aséptica deficiente durante la cirugía.1,5 El tratamiento incluye la resección quirúrgica del tejido ovárico remanente y uterino restante a nivel del cuello uterino, junto con tratamiento médico de soporte y antibioterapia, si están indicados. La eliminación de cualquier tejido ovárico restante es fundamental para evitar la recidiva. En algunos casos se recomienda la omentalización del muñón uterino,5 lo cual se realiza prácticamente de rutina dada la ausencia de complicaciones asociadas (figura 2.2).
La distocia es la incapacidad para el parto, frecuentemente en la fase de expulsión del feto. La cesárea está indicada siempre que se detecte una obstrucción fetal o materna, a menos que pueda corregirse mediante tratamiento médico/conservador. Se trata de un cuadro que puede dar lugar a complicaciones tanto en la madre como en los fetos/neonatos (figura 2.3)
Alteraciones sistémicas y complicaciones posicionales
Pueden aparecer anomalías como agotamiento físico, deshidratación, trastornos acido-básicos, hipotensión, hipoglucemia e hipocalcemia (eclampsia); esta se observa mayormente en perros pequeños, primeros partos y perros con camadas grandes.


El tratamiento se basa en la suplementación, corrección y monitorización de las deficiencias analíticas, junto con el tratamiento de fluidoterapia intravenosa intensiva. Las tasas de mortalidad materna por cesárea en perros y gatos varían del 0 % a 4 %.1
Hemorragia
La hemorragia uterina puede ser causada por desgarros de los vasos uterinos secundarios a traumatismo obstétrico, coagulopatías hereditarias o adquiridas, masas uterinas o vaginales, subinvolución de sitios placentarios, hiperplasia endometrial quística, piometra, quistes de inclusión en la serosa uterina y torsión uterina. Otras causas extrauterinas podrían incluir vasos uterinos rotos, hemorragia de la incisión quirúrgica o de la pared abdominal y vasos de la glándula mamaria distendidos. El tratamiento podrá variar en función de la gravedad del sangrado, desde una transfusión sanguínea a ovariohisterectomía en caso de sangrados persistentes. El uso de la oxitocina para promover la involución uterina también está descrito.1
Complicaciones de la incisión
Un cierre inadecuado de la pared uterina puede promover dehiscencias y una consecuente peritonitis séptica. Además, puede afectar también a la futura placentación o interferir en la motilidad uterina. Es importante también un cierre adecuado de la pared abdominal para evitar herniaciones. En algunos casos ocurren laceraciones iatrogénicas accidentales del feto al incidir en la pared uterina, en cuyo caso se deberá evaluar la viabilidad de este.
Las laceraciones del útero pueden ser reparadas mediante un adecuado patrón de sutura; frecuentemente se recomiendan las opciones de sutura continua simple o la sutura interrumpida. En este caso la reinversión en es posible sin complicaciones asociadas descritas.

La dehiscencia de la incisión uterina puede conducir a una peritonitis séptica potencialmente mortal. Asimismo, también puede ocurrir dehiscencia de sutura, seroma, automutilación, infección e inflamación de la incisión quirúrgica.1
Endometritis
La endometritis se define como la inflamación/infección del útero, y puede ocurrir durante los primeros 7 días posparto. Las principales causas descritas son la retención fetal o placentaria, abortos, traumatismo uterino secundario a distocia o manipulación obstétrica e infección ascendente desde el canal vaginal.
El tratamiento se basa en fluidoterapia intravenosa intensiva, así como el uso de antibioterapia de amplio espectro. Se recomienda evaluar la OVH tras la estabilización de la paciente.1,6
Mastitis
Es la infección bacteriana de las glándulas mamarias, frecuentemente después del parto. En algunos casos la paciente puede presentar shock séptico a causa de una infección bacteriana ascendente, diseminación hematógena, traumatismo o falta de higiene.6
En ciertos casos en los que existe absceso o gangrena de la glándula mamaria está indicado el tratamiento quirúrgico para el drenaje. Los cachorros deberán ser retirados de la madre durante el tratamiento si esto ocurre.
La mastitis es tratada mediante antibióticos de amplio espectro junto con la extracción frecuente de leche, compresas tibias locales e hidroterapia. En algunos casos muy graves es necesario realizar mastectomía.1
Complicaciones asociadas con los recién nacidos
Los neonatos son muy sensibles a la hipoxia en el momento de la extracción del saco amniótico.
Algunas de las complicaciones más frecuentes que podemos encontrar en neonatos son: palatosquisis, atresia anal, deformidades de las extremidades y omphalocele y diversas malformaciones congénitas menos frecuentes.
La fuga dará lugar a una acumulación de orina dentro de la cavidad abdominal (uroabdomen), generando un inicio tardío de los signos clínicos secundarios a la uremia y a la peritonitis séptica.7
Es necesaria la estabilización del paciente y el drenaje inmediato de la cavidad abdominal, así como la reparación quirúrgica de la causa primaria.
Hematuria
La presencia de sangre en orina tras una cirugía de vejiga es una complicación esperable y suele resolver espontáneamente en una semana. Generalmente, el resultado es bueno cuando la hematuria se controla adecuadamente y se trata si es necesario. Cuando la hematuria persiste o es grave, se necesita un examen más detenido y, si es posible, un tratamiento de la causa para detener el sangrado. Dependiendo de la causa, puede ser necesaria una intervención quirúrgica.1
Recurrencia en urolitiasis
Si no se extraen todos los urolitos de la vejiga en el momento de la cirugía, en el periodo posoperatorio inmediato pueden surgir complicaciones como obstrucción
Para evitar complicaciones de neonatos es preciso escoger un adecuado protocolo anestésico, así como reducir el tiempo quirúrgico lo máximo posible.
Para evitar complicaciones de neonatos es preciso escoger un adecuado protocolo anestésico, así como reducir el tiempo quirúrgico lo máximo posible.
La rápida administración de oxigenoterapia, así como la eliminación de líquidos en las cavidades orales/nasales de los neonatos, es de vital importancia1 (figura 2.4).
Cistotomía
La cistotomía para la extracción de cálculos urinarios o urolitos es el procedimiento quirúrgico más común en la vejiga de la orina. Puede realizarse como cirugía de urgencia debido a la obstrucción uretral generada por los urolitos o bien por la ruptura de la vejiga.
Las principales complicaciones descritas incluyen, entre otras, fuga de orina y consecuente uroabdomen, hematuria, recurrencia de urolitos, infección del tracto urinario, estranguria, disuria, polaquiuria, hemorragia7 (figura 2.5).
Fuga de orina/dehiscencia
La dehiscencia de sutura vesical no es común, gracias al elevado poder cicatricial de la vejiga, y suele estar asociada a una inadecuada técnica quirúrgica o a la elección inapropiada del material de sutura. Generalmente ocurre durante los primeros 3-5 días tras la cirugía.

parcial o total del flujo urinario, infección del tracto urinario, hematuria, estranguria y molestias durante la micción.7
La extracción incompleta de urolitos debe ser considerada como una complicación debido a una técnica inadecuada.1
En caso de ocurrir se recomienda evaluar la necesidad de reintervención. Realizar radiografías de abdomen antes y después de la intervención nos ayudará a controlar esta situación y minimizarla.
Bibliografía:
1. Griffon D, Hamaide A. Wiley (ed): Complications in Small Animals Surgery. 2016.
2. Ellison GW: Complications of gastrointestinal surgery in companion animals. Vet Clin North Am Small Anim Pract. 2011 Sep;41(5):915-34, vi.
3. Venara A et al.: Postoperative ileus: Pathophysiology, incidence, and prevention. J Visc Surg. 2016 Dec;153(6):439-446
4. Hagman R. Pyometra in Small Animals. Vet Clin North Am Small Anim Pract. 2018 Jul;48(4):639-661.
5. Campbell BG. Omentalization of a nonresectable uterine stump abscess in a dog. J Am Vet Med Assoc. 2004 Jun 1;224(11):1799-803, 1788.
6. Biddle D, Macintire DK. Obstetrical emergencies. Clin Tech Small Anim Pract. 2000 May;15(2):88-93.
7. McLoughlin MA. Complications of lower urinary tract surgery in small animals. Vet Clin North Am Small Anim Pract. 2011 Sep;41(5):889-913, v.
8. Cabon Q, et al. Thoracic bite trauma in dogs and cats: a retrospective study of 65 cases. Vet Comp Orthop Traumatol. 2015;28(6):448-54
9. Frykfors von Hekkel AK, Pegram C, Halfacree ZJ. Thoracic dog bite wounds in dogs: A retrospective study of 123 cases (2003-2016). Vet Surg. 2020 May;49(4):694-703.
10.Brockman DJ et al. A practical approach to hemoperitoneum in the dog and cat. Vet Clin North Am Small Anim Pract. 2000 May;30(3):657-68.
11.Aronsohn MG, Dubiel B, Roberts B, Powers BE. Prognosis for acute nontraumatic hemoperitoneum in the dog: a retrospective analysis of 60 cases (20032006). J Am Anim Hosp Assoc. 2009 Mar-Apr;45(2):72-7.

Diversos factores de la etapa inicial de la vida de cachorros y gatitos tienen un impacto en el riesgo de mortalidad neonatal y el desarrollo posterior de enfermedades crónicas en la edad adulta. La nueva guía práctica de Neonatología y Pediatría Felina y Canina responde a las dudas más comunes de los clínicos sobre esta etapa.

DVM Comunicación Científica Royal Canin
Las primeras etapas de la vida, desde la gestación hasta el destete y los primeros meses de vida, son un periodo crucial para el desarrollo físico, mental y emocional de gatos y perros. Durante esta etapa, se sientan las bases para su salud futura, por lo que es un periodo de vital importancia. El concepto de “Orígenes del desarrollo de la salud y la enfermedad” (DOHaD, por sus siglas en inglés) no es nada nuevo. En muchas especies de mamíferos, tanto las experiencias tempranas como las de los padres han sido investigadas como posibles contribuyentes a
Enfermedades crónicas no transmisibles
Infancia y pubertad
Gestación

la programación del desarrollo. El ambiente al que se expone el animal durante el desarrollo puede provocar cambios epigenéticos que modifican o “programan” la expresión de genes, de manera que afectan al desarrollo estructural y funcional y pueden suponer riesgos para la salud. En los seres humanos, el periodo crítico durante el cual la programación del desarrollo sienta las bases para el neurodesarrollo, el crecimiento y la salud tiene lugar durante los primeros 1.000 días de vida (gestación más 2 años después del nacimiento)1. Los estudios retrospectivos también han sido importantes para contribuir a los avances en la comprensión de los factores que contribuyen a la programación del desarrollo2,3,4. Los últimos avances son los estudios de intervención nutricional temprana, en los que se observó que la alimentación de la mujer durante el embarazo y la alimentación del niño en los dos primeros años de vida son cruciales para el desarrollo de la salud no solo en este momento, sino también en etapas posteriores de la vida. No se trata de proporcionar una cantidad suficiente de energía para asegurar un crecimiento adecuado al niño durante este tiempo mediante una dieta saludable, sino de garantizar un aporte equilbrado de nutrientes que necesita el niño para su desarrollo, lo que implicará una verdadera “programación nutricional temprana”5
Edad adulta Sin intervención
Intervención tardía Impacto en grupos vulnerables
Intervención temprana
Mejora la capacidad funcional y la respuesta a desafíos
En gatitos y cahorros también hay estudios que indican que diferentes factores de esta etapa de la vida, especialmente la nutrición durante la gestación y el crecimiento temprano, tienen un impacto en el riesgo de mortalidad neonatal6-8 y el desarrollo posterior de enfermedades crónicas en la edad adulta9,10, aunque aún tenemos mucho por avanzar en el conocimiento sobre sus necesidades. Es evidente que la prevención precoz va a ayudar a reducir la prevalencia de algunas enfermedades no transmisibles, como la obesidad o los problemas de conducta, pero en muchos casos no existe un programa de prevención en la clínica veterinaria dedicado específicamente a ellas. Hay disponibe para los veterinarios unas curvas de crecimiento para gatitos y cachorros, desarrolladas por el Waltham Centre, que es el instituto de ciencia e investigación de Mars Petcare, que permiten realizar un correcto seguimiento del crecimiento de gatos y perros, teniendo en cuenta el sexo en ambas especies, así como los diferentes tamaños en el caso del perro.
En un artículo reciente, Gaillard et al.11 se proponía investigar en profundidad sobre la programación del desarrollo en gatitos y cachorros, presentando una revisión de los factores de riesgo que se han estudiado para diferentes enfermedades, con especial hincapié en que hay mucho recorrido todavía para comprender algunos de estos factores. En este mismo artículo, los autores sugieren que la etapa más sensible para el desarrollo de gatos y perros se extiende desde la preconcepción hasta el final del crecimiento, comprendiendo cinco periodos: preconcepción, gestación, periodo de lactancia, crecimiento previo a la esterilización o prepubertad, crecimiento posterior a la esterilización o posterior a la pubertad hasta el tamaño adulto (figura 1). El límite máximo de edad de esta etapa dependerá de la especie y la raza. Adquirir un mayor conocimiento de los periodos desde el nacimiento hasta la edad adulta va a permitir a los veterinarios poder avanzar en el propósito de mejorar la salud de gatos y perros, tanto a corto como a largo plazo.
Neonatología y Pediatría Felina y Canina: Guía Práctica para Veterinarios
Evolución de las enfermedades transmisibles a lo largo de la vida y oportunidades de intervención. Adaptado de Hanson et al 2011 12
El equipo de Investigación y Desarrollo de Royal Canin ha desarrollado una nueva guía práctica de Neonatología y Pediatría Felina y Canina, que está disponible para los profesionales veterinarios en el sitio web de la revista Veterinary Focus (figura 2). En el desarrollo de la guía han participado 25 expertos reconocidos tanto

Figura 2. Neonatología y pediatría felina y canina: Guía práctica para veterinarios. Disponible en su cuenta de Veterinary Focus: https://vetfocus.royalcanin.com/es.
del mundo académico como en el de la práctica clínica, la mayoría de ellos graduados en colegios americanos o europeos en diferentes disciplinas.
Esta guía pretende dar respuesta a las preguntas más comunes, que se encuentran en la práctica clínica diaria, relacionadas con el mejor cuidado tanto de gatitos como cachorros.
Los primeros capítulos se centran en la importancia de la preparación al parto, el parto propiamente dicho, ya sea natural o por cesárea, el posparto y la lactancia. En estos capítulos se abordan aspectos como la nutrición de las madres en estas etapas, protocolos de vacunación y desparasitaciones, así como las patologías que se pueden presentar y provablemente afectar a la supervivencia de gatitos y cachorros
Esta guía también contiene 90 artículos breves y concisos para responder rápidamente a las preguntas y dudas más frecuentes de los veterinarios.
El periodo neonatal y los cuidados necesarios hasta el final de este también tienen un capítulo reservado donde se abordan los primeros cuidados del recién nacido, las principales patologías, la nutrición, así como la importancia de la medicina preventiva y la conducta.
Los últimos capítulos se centran en el periodo que va desde el destete hasta la edad adulta y continúan centrándose en la medicina preventiva y el comportamiento, así como en la importancia de gestionar las consultas pediátricas y los temas que se deben tratar con los propietarios para ayudarles a cuidar a sus mascotas. Esta guía también contiene 90 artículos breves y concisos para responder rápidamente a las preguntas y dudas más frecuentes de los veterinarios. Además, dispone de un apéndice muy útil con tablas que ayudan a interpretar los parámetros sanguíneos, tanto bioquímicos como hematológicos, de gatitos y cachorros a lo largo de su etapa de crecimiento, así como una tabla de puntuación fecal específica para estas etapas.
Bibliografía disponible en https://www.grupoasis.com/argos/ bibliografias/RoyalCanin261.docx

A la creatinina y la SDMA se unen algunos biomarcadores de reciente incorporación, como la cistatina B o el factor de crecimiento fibroblástico 23, que permiten mejorar el diagnóstico y el manejo de los pacientes renales.

ÓSCAR CORTADELLAS, DVM, PHD
Acred. AVEPA Medicina Interna Profesor Asociado
Departamento Medicina y Cirugía Animal
Hospital Clínico Veterinario Universidad
CEU Cardenal Herrera
Las enfermedades renales son motivo frecuente de consulta, tanto en clínica canina como felina. Se ha estimado que el 25 % de los perros atendidos en hospitales de referencia presentan enfermedad renal crónica (ERC)1. En el gato, la ERC puede afectar al 80 % de los animales mayores de 15 años,2 al tiempo que en varios países las nefropatías son consideradas la principal causa de muerte en gatos mayores de 5 años.3-4 El diagnóstico precoz es clave en la supervivencia de estos pacientes, pero no resulta fácil por la ausencia de signos clínicos característicos y escasa sensibilidad de las pruebas tradicionales.5-7
Diagnóstico de la enfermedad
renal hasta la fecha
Aunque determinadas patologías renales se diagnostican mediante técnicas de imagen o histopatología, en la mayoría de los casos el diagnóstico se basa en demostrar una alteración en la capacidad funcional. En este sentido, la determinación de la tasa de filtración glomerular (TFG) se considera el gold standard para evaluar la función renal. Desafortunadamente, ninguno de los métodos disponibles para ello es aplicable de modo rutinario en la clínica diaria. Por ello, se recurre al uso de marcadores indirectos de TFG, de los cuales, y a pesar de sus limitaciones, la creatinina es el más usado. La relación entre la TFG y la creatinina es curvilínea, de modo que inicialmente, descensos importantes en la TFG no se acompañan de elevaciones en la concentración de creatinina. De hecho, animales con daño renal agudo (DRA) grado 1 o ERC estadio 1 de IRIS presentan creatininas dentro de los rangos de referencia habituales de muchos laboratorios.8 Una de las limitaciones más importantes de la creatinina es que el tamaño, la masa muscular y la raza afectan a la concentración sérica. De este modo, perros sanos muy musculados o de razas grandes y algunas razas de gatos pueden presentar creatininas compatibles incluso con un grado/estadio IRIS 2.910 Por el contrario, en animales con pérdida

CaR: receptores sensibles al calcio; VDR: receptores vitamina D; fGfR: receptores del fGf; PTH: paratohormona.
Figura 2. Patogénesis de los desórdenes del metabolismo mineral y óseo en la ERC. Visión tradicional (A) y actualizada (B).
importante de masa muscular la creatinina infraestima la gravedad de la enfermedad.11
La SDMA es un marcador de TFG de aparición más reciente, y aunque también
Las evidencias indican que la SDMA es más sensible que la creatinina12, de modo que elevaciones leves persistentes sobre el valor de referencia (14 µg/dl,16 µg/dl en cachorros) ya sugieren enfermedad renal estadio/grado 1.

tiene una relación curvilínea con la TFG, las evidencias indican que es más sensible que la creatinina12, de modo que elevaciones leves persistentes sobre el valor de referencia (14 µg/dl,16 µg/dl en cachorros) ya sugieren enfermedad renal estadio/ grado 1. Aunque algunas razas (galgos y gatos birmanos) pueden tener concentraciones de SDMA más altas de lo normal, estos efectos parecen menos importantes que en el caso de la creatinina.13-14 Por otra parte, la concentración de la SDMA no se ve afectada por la masa muscular,11 lo que la convierte en un marcador diagnóstico muy interesante en esas situaciones. En función de los resultados obtenidos (y teniendo en cuenta la densidad urinaria y el resto de la evaluación diagnóstica), los pacientes se clasifican de acuerdo con los criterios establecidos por IRIS.8 En la ERC son necesarias al menos dos determinaciones previas de creatinina y/o SDMA (mejor ambas) en un paciente estable y normohidratado para proceder a su clasificación. Por el contrario, en animales con DRA son
esperables cambios en la concentración de estos marcadores en breves espacios de tiempo que implican cambios en la gravedad de la enfermedad.8
Por último, en pacientes con enfermedad glomerular, la proteinuria precede al descenso de la TFG.15 Por ello, si hay sospecha de glomerulopatía (por ejemplo, en perros con enfermedades vectoriales, especialmente leishmaniosis) y queremos hacer un diagnóstico precoz, además de los parámetros bioquímicos habituales es imprescindible cuantificar la proteinuria mediante el UPC.
Novedades en la evaluación laboratorial de los enfermos renales
En los últimos años se han investigado múltiples marcadores renales (figura 1), algunos de los cuales han sido incorporados recientemente por laboratorios de referencia, abriendo nuevos campos en el diagnóstico y manejo de los enfermos renales.
Determinación de la cistatina B (CysB) en orina
La Cys-B es una proteína de bajo peso molecular (11 kDA) presente en distintas células (entre ellas las células epiteliales de los túbulos renales) cuya aparición en orina en cantidades importantes se asocia a la ruptura de las células tubulares. En función de ello, y al contrario de lo que ocurre con la creatinina/SDMA, que son marcadores funcionales, la Cys-B urinaria (uCysB) es un
marcador de daño renal agudo y/o activo. Esto tiene una gran importancia, porque en pacientes con DRA, el daño renal precede a la alteración funcional. Por otra parte, se ha demostrado que en animales con ERC IRIS 1, una uCysB elevada indicaría mayor riesgo de progresión de la enfermedad.16 En cualquier caso, la uCysB debe interpretarse junto al resto de parámetros evaluados y el estado clínico del paciente. Una uCysB <100 ng/ml con el resto de parámetros funcionales en rango de referencia prácticamente descarta una lesión renal significativa. Si uCysB <100 ng/ ml pero hay azotemia, isostenuria o proteinuria, debería considerarse una posible enfermedad renal previa. Valores de uCysB >100 ng/ml sugieren daño renal agudo o activo. Si los demás indicadores son normales, considerar daño renal agudo y revaluar a las 24-48 horas. Si hay azotemia, isostenuria y/o proteinuria patológica se abren dos posibilidades: paciente con DRA progresivo y alteración funcional, que debe ser clasificado de acuerdo con las guías de IRIS, o paciente con ERC previa IRIS 1 que presenta una lesión activa y por ello, mayor riesgo de progresión. En función de esto, parece claro que la gran mayoría de los pacientes renales pueden beneficiarse de la determinación de uCysB. Además, otras condiciones en las que su medición estaría indicada incluyen exposición a tóxicos, screening en pacientes tratados con drogas nefrotóxicas, hipotensión perioperatoria y monitorización en pacientes susceptibles de eventos isquémicos.
Determinación del factor de crecimiento fibroblástico 23 (FGF23)
Las alteraciones del metabolismo mineral y óseo (MMO) representan una de las complicaciones más importantes en pacientes con ERC, tanto por su elevada prevalencia (76 % en perros con ERC, >84 % en gatos con ERC azotémica)17-18 como por el impacto negativo que tienen en la supervivencia del enfermo renal.5 Hasta hace relativamente poco tiempo, estas alteraciones se explicaban por el hecho de que la retención de fósforo secundaria al descenso en la TFG estimula la secreción de PTH por la glándula paratiroides. Por otra parte, la hiperfosfatemia inhibe la actividad de la 1- α hidroxilasa (enzima necesaria para la síntesis de calcitriol), lo cual da como resultado una disminución del calcio ionizado y el subsecuente estímulo para un incremento en la producción de PTH. Aunque estos hechos son ciertos, se han descubierto nuevos actores (como el FGF23) que tienen un papel fundamental en las alteraciones del metabolismo mineral y óseo (MMO) observadas en pacientes con ERC (figura 2).
El FGF23 es una hormona producida por los osteocitos y osteoblastos en respuesta a la retención de fósforo. A nivel renal actúa fijándose al complejo Klotho-receptor FGFRc reduciendo la expresión de los co-transportadores sodio/fosfato (NaPi2a) a nivel del túbulo proximal, y en función de ello, reduciendo la reabsorción de fósforo e incrementado la fosfaturia. Además, el FGF23 reduce los niveles de calcitriol (reduciendo la absorción de fósforo a nivel del tracto gastrointestinal), y a nivel de la paratiroides disminuye la producción y secreción de PTH. Para que el FGF23 pueda llevar a cabo sus funciones es fundamental la acción del correceptor α-Klotho, ya que sin él no se produce la activación de los receptores del FGF23 en los órganos diana. Se sabe que a medida que la
enfermedad renal progresa, la expresión de Klotho se reduce, de manera que se limita la actividad fosfatúrica del FGF23 y se favorece la resistencia a los efectos del FGF23 a nivel de la paratiroides.19
Se ha demostrado que en pacientes con ERC la elevación FGF23 precede a la hiperfosfatemia y al hiperparatiroidismo renal y, actualmente, se considera el indicador más precoz de la existencia de MMO. Además, en estadios iniciales de ERC, niveles elevados de FGF23 se asocian con un mayor riesgo de progresión de la enfermedad y una mayor mortalidad.20
A nivel clínico, medir el FGF23 permite determinar qué pacientes con fosfatemias dentro de los rangos establecidos por
IRIS8 para los distintos estadios de ERC podrían beneficiarse de un tratamiento específico para el control de la fosfatemia. Aunque los niveles del FGF23 podrían medirse tanto en gatos como en perros, en esta última especie los valores de referencia y su utilidad clínica no están bien establecidos todavía.21 Además, hay que tener en cuenta que el hipertiroidismo, la enfermedad cardiaca, las lesiones osteolíticas, una anemia grave y los procesos inflamatorios (graves)/neoplásicos pueden interferir con los resultados.
En gatos en estadios IRIS 1-2 con fosfatemias en el rango recomendado por IRIS (< 4,6 mg/dl), un valor de FGF23 ≥ 400 pg/ml indica la existencia de alteraciones significa-
tivas en la homeostasis del fósforo y la necesidad de tratamiento específico (dieta y/o quelantes). Valores ≤ 299 pg/ml se consideran normales, y no requieren tratamiento, mientras que valores en el rango 300-399 pg/ml se consideran dudosos, y se recomienda tratamiento en caso de persistencia. En pacientes que ya reciben terapia hipofosfatémica, valores de FGF23 < 500 pg/ ml indican un control excelente del MMO mientras que FGF > de 700 pg/ml sugieren la necesidad una mayor restricción de fósforo.
Referencias:



Vetigel es un hidrogel estéril hemostático y biocompatible que detiene el sangrado en segundos, fabricado a base de plantas. Se aplica directamente en la fuente de sangrado, adhiriéndose con rapidez a la zona y formando una barrera mecánica que frena el flujo sanguíneo. Facilita la coagulación natural sin necesidad de presión adicional. Su facilidad de uso permite que pueda ser utilizado en todo tipo de cirugías y sangrados, con alguna excepción aislada. Este hidrogel acelera la recuperación del tejido, órgano y paciente, reduciendo el tiempo quirúrgico y el riesgo asociado, generando una recuperación más rápida y segura.
■ Para más información: Distrivet – www.distrivet.es
Dechra lanza Specific Weight

Specific Weight Management App es un programa innovador, gratuito, sencillo y práctico que responde a las necesidades de animales, cuidadores y veterinarios, facilitando la implementación y gestión de programas de pérdida de peso con éxito desde la clínica veterinaria. Proporciona un plan de alimentación personalizado y detallado que se ajusta en función del progreso y permite compartir en tiempo real (entre cuidador y clínica) los resultados que se van obteniendo a lo largo del tiempo. Con una visualización motivadora, la aplicación permite una pérdida de peso segura y constante.
■ Para más información: Dechra Veterinary Products www.dechra.es
Centauro colabora con el primer ciclo de
Acuerdo entre Nuzoa y Petia para distribuir la innovadora vacuna Neoleish contra la leishmaniosis

El grupo Nuzoa y Petia Vet Health, del grupo biotecnológico Zendal, han firmado un acuerdo para la distribución de la novedosa vacuna Neoleish. Esta vacuna es la primera de su clase en utilizar ADN plasmídico superenrollado pPAL-LACK, que codifica la proteína LACK de Leishmania infantum Neoleish se distingue por no causar reacciones adversas, ofreciendo seguridad tanto para los profesionales veterinarios como para los propietarios de mascotas. Además, su administración a través de una pequeña pulverización nasal elimina la necesidad de inyecciones subcutáneas. Este acuerdo entre Nuzoa y Petia representa un avance importante en la lucha contra la leishmaniosis, proporcionando una solución efectiva y segura para proteger a los perros de esta grave enfermedad zoonótica. La distribución de Neoleish mejorará la salud y el bienestar animal gracias a su amplia disponibilidad.


■ Para más información: Petia Vet Health/Nuzoa
El Departamento de Redacción de Argos informa a los lectores de que las “Novedades comerciales” publicadas en esta revista han sido estrictamente elaboradas con la información remitida por las propias empresas en lo referente a las características técnicas y particularidades de los distintos productos y/o promociones.
Boehringer Ingelheim presenta un monográfico de enfermedades de transmisión por artrópodos en gatos
Boehringer Ingelheim, junto con la doctora Elena Carretón y los doctores Xavier Roura y Ángel Sainz, presenta el Monográfico de enfermedades de transmisión por artrópodos en gatos, explorando un territorio desconocido, un documento formativo para veterinarios que da respuesta a preguntas frecuentes acerca de estas enfermedades. El objetivo de este material es concienciar al veterinario sobre la importancia de llevar a cabo una correcta prevención, ayudarle a incorporar las pruebas de detección en sus diagnósticos diferenciales y proporcionarle pautas de manejo y control.
Boehringer Ingelheim ofrece un espacio dedicado a
■ Para más información: contacte con su delegado de Boehringer Ingelheim

Centauro, referente en distribución veterinaria, estuvo presente como colaborador en el primer ciclo de Jornadas de Odontología de AniCura. La iniciativa incluyó talleres prácticos en Madrid, Valencia y Reus impartidos por Jorge Llinás, responsable del Servicio de Odontología y Cirugía Maxilofacial de AniCura Valencia Sur Hospital Veterinario, y su equipo, y la doctora Ana Whyte, especialista en odontología y cirugía maxilofacial de la Universidad de Zaragoza. Los asistentes actualizaron sus conocimientos en técnicas avanzadas de higienización, tratamiento y restauración dental, así como en procedimientos de cirugía oral. “Continuaremos al lado de la formación, y muy especialmente de nuestro partner AniCura, en pro de seguir divulgando la importancia de la salud bucal y la odontología veterinaria”, afirman desde Centauro.
LETI Pharma celebra la mesa redonda “Leishmaniosis, ni un enfermo más”

LETI Pharma celebró el 10 de julio una mesa redonda con veterinarios especialistas en Leishmania de Bragança (Portugal). La sesión fue organizada por Beatriz Canosa, KAM de la compañía en Portugal, y moderada por Rubén Foj, MSL en leishmaniosis del departamento médico. Bajo el título “Leishmaniosis, ni un enfermo más”, se mantuvo un interesante debate sobre la importancia de la prevención a través de la vacunación con LetiFend de una enfermedad zoonótica endémica en la zona, potencialmente grave y de curso crónico. Durante la dinámica conversación, se abordaron temas como el impacto del cambio climático en la expansión de la enfermedad o el papel clave de los veterinarios en su control.

Boehringer Ingelheim ofrece en las páginas de la revista Argos El Rincón de la Diabetes. El primer espacio dedicado a esta especialidad, que en esta ocasión se publica en el pliego central de este mismo número de septiembre, tendrá una continuidad mensual en próximas las ediciones. En este espacio se presentarán casos clínicos reales de pacientes diabéticos tratados tanto por especialistas como por veterinarios generalistas. En esta ocasión, Carlos Melián cuenta su experiencia clínica con Senvelgo a través del caso clínico de un gato macho común europeo de 12 años que presentaba signos clínicos característicos de diabetes (poliuria, polidipsia y pérdida de peso), hiperglucemia y un valor elevado de proteínas glucosiladas (fructosamina). Senvelgo ha supuesto un cambio de paradigma en el tratamiento de la diabetes felina. Se trata de una solución oral que, con una administración única diaria, permite un buen control de la glucemia en la mayoría de los gatos diabéticos sin necesidad de inyectar insulina dos veces al día.
Con esta iniciativa, Boehringer Ingelheim como experto en diabetes, demuestra su compromiso con la formación continua en esta disciplina y el apoyo a la comunidad veterinaria, contribuyendo así al bienestar de las mascotas y fortaleciendo los lazos entre veterinarios y tutores de mascotas.

Provet Cloud ha anunciado la finalización con éxito del proyecto de implementación de su sistema de gestión veterinaria en la división de Animales de Compañía de CVS Group plc (CVS). Hoy en día, más de 386 clínicas de CVS utilizan Provet Cloud para gestionar todas sus necesidades de gestión. El proyecto es la continuación del acuerdo entre CVS y Nordhealth anunciado en octubre de 2022. Tras un período de configuración y preparación de datos, CVS estaba listo para implementar Provet Cloud en todo el grupo. El proceso de implementación se desarrolló sin inconvenientes y se completó antes de lo previsto. Con aproximadamente 2.400 veterinarios y 3.400 ATV, CVS basa su éxito en la dedicación de su personal para proporcionar atención de alta calidad a los animales.
Feliway Optimum libera mensajes de tranquilidad a los gatos de los hogares españoles
Desde hace más de 25 años, el equipo de investigación de Ceva Salud Animal apuesta por el desarrollo de productos que ayuden a mejorar el bienestar felino y el vínculo entre tutores y gatos. Gracias al descubrimiento de un nuevo complejo de feromonas felinas, Feliway Optimum es la gama más completa para ayudar a reducir el estrés, proporcionando un mensaje de mayor tranquilidad. A través de un spot publicitario, disponible en plataformas televisivas digitales, Ceva Salud Animal refuerza su compromiso con los felinos. Feliway Optimum ha sido diseñado específicamente para abordar y reducir los signos de estrés en los gatos, un problema común que frecuentemente puede estar subestimado. Más información sobre cómo las feromonas ayudan a los gatos en www.feliway.es


Boehringer Ingelheim imparte una formación sobre dirofilariosis
Boehringer Ingelheim reunió en junio en las instalaciones de Zoomedic (Valladolid) a profesionales de más de 20 centros veterinarios de la provincia para impartir una charla práctica sobre dirofilariosis canina. Bajo el título “Una picadura, muchas consecuencias: puntos clave en el manejo de la dirofilariosis”, la sesión fue impartida por la doctora Marta León, asesora técnica veterinaria de Pets en Boehringer Ingelheim, quien repasó los aspectos más destacables de la enfermedad, para preparar a los profesionales a afrontar una enfermedad parasitaria emergente y grave. Entre otras cuestiones, explicó cómo la epidemiología va cambiando en función de factores como la evolución actual del clima y cuál es la fisiopatología y el cuadro clínico que presentan los animales infectados.
Nacex lanza una nueva oferta de servicio con temperatura controlada
Centauro hace una donación de material a la Facultad de Veterinaria de la UAB
Elanco consigue dos reconocimientos internacionales en marketing y comunicación por el calendario Vetnia


Nacex, firma de mensajería urgente de Logista, ha lanzado una nueva oferta de servicio para envíos con control térmico estricto, entre 15 y 25 °C, para el sector salud. Este servicio se realiza mediante envases isotérmicos reutilizables, consolidando el transporte pasivo en España, Portugal y Andorra, y ampliando su gama de temperaturas con un nuevo rango térmico.
Pharma box es un servicio dirigido al sector sanitario (farmacéutico, ensayos clínicos, ortopedia, dental, etc.) con entregas en hospitales, laboratorios, clínicas, centros veterinarios, domicilios de pacientes, etc. Está caracterizado por garantizar un estricto control térmico entre 2-8 °C y 15-25 °C, disponer de la trazabilidad física y térmica en tiempo real durante todo el trayecto y ofrecer la información del envío de forma ágil.
El servicio refuerza el compromiso de Nacex con el sector, garantizando seguridad, calidad y eficacia del medicamento hasta el paciente en cualquier punto requerido. Da cumplimiento tanto a las directrices de las Buenas Prácticas de Distribución de Medicamentos de uso humano y veterinario, así como a los requerimientos adicionales del sector, y mantiene su compromiso de entrega al día siguiente, antes de las 8:30 h, 12:00 h y en sábados. Más información en www.nacex.com

Zoetis ha publicado su Informe de Sostenibilidad 2023 Avanzando en la sostenibilidad en salud animal para un futuro mejor, que destaca el progreso de la compañía en alcanzar su compromiso de sostenibilidad (Programa Drive to Care), a largo plazo, y proporcionar información continua sobre temas ambientales, sociales y de gobierno. El informe comparte las acciones de Zoetis para cumplir las aspiraciones en tres pilares: Comunidades, Animales y Planeta. Incluye el Índice ESG y el Consejo de Normas para la Sostenibilidad (SASB) de la empresa. También incluye el compromiso de Zoetis de divulgar los avances alineados con la Taskforce on Climate-related Financial Disclosure, además de un enlace al Cuestionario de cambio climático CDP (Carbon Disclosure Project) 2023.
Centauro, referente en distribución veterinaria, ha hecho una donación de material a la Facultad de Veterinaria de la Universidad Autónoma de Barcelona (UAB). Esta acción forma parte del marco de colaboración entre ambas entidades. La donación se efectuó el pasado mes de junio, y consta de casacas y pantalones de pijama para quirófano. La donación va directa a los estudiantes de Veterinaria de la Facultad de la UAB, y servirá para hacer prácticas de tipo clínico. Desde Centauro afirman que “este tipo de acciones refuerzan nuestro vínculo con la profesión y las facultades de veterinaria de nuestro país”, y refuerzan su compromiso con las “colaboraciones con sentido.
Health y la lucha frente a la resistencia a los antimicrobianos
Del 3 al 5 de julio se celebró el curso de verano
“One Health y la resistencia a los antibióticos”, organizado por la Universidad Complutense de Madrid junto con la Agencia Española del Medicamento. Profesionales de la salud expusieron la situación de las resistencias antimicrobianas desde una perspectiva One Health y profundizaron en los modelos de financiación propuestos y testados en otros países para desarrollar nuevos antibióticos. “En MSD tenemos un compromiso desde hace más de 55 años en España, con una larga tradición de investigación, desarrollo, producción y comercialización de soluciones frente a las resistencias antimicrobianas, objetivos que pasan por avanzar en la investigación a través de colaboraciones”, explicó Cristina Nadal, directora ejecutiva de Government Affairs de MSD.

Farmina abre en Madrid las puertas de su primer Genius Center en España. Este innovador centro de Nutrición Animal, ubicado en la calle Joaquín Sorolla 3 (28522, Rivas-Vaciamadrid), es parte de un proyecto en pleno crecimiento que ya cuenta con más de 300 centros adscritos en toda Europa. Los Genius Center de Farmina están diseñados para proporcionar a los pet parents, de forma gratuita, un plan nutricional dinámico a medida para cada mascota, que permite seguir su dieta y apoyarla a través del asesoramiento experto y constante durante las etapas de su vida, desde cachorro y gatito hasta mascotas sénior. Para ello, los centros cuentan con la presencia in situ de Consultores Nutricionales especialmente formados a través de la Academia Farmina.

El calendario Vetnia de Elanco ha ganado el premio Silver dentro de la categoría “Marketing & Promotional – Calendar” en los MUSE Awards, que se suma al premio Bronze en los Astrid Awards en “Calendars: Assistance/Therapy Dogs”. Esta pieza rinde homenaje a los perros de intervención asistida, que aportan motivación y estímulo y mejoran el bienestar de las personas atendidas en entornos terapéuticos, educativos y hospitalarios. Por su parte, los perros de asistencia ayudan a personas con alguna discapacidad física o emocional. También forman parte de este homenaje los perros de búsqueda y rescate de desaparecidos y los jubilados de las Fuerzas y Cuerpos de Seguridad del Estado, que han cumplido una importante misión en su vida laboral.
LETI Pharma, continuando con su compromiso de apoyo al veterinario en pro de la prevención de la leishmaniosis, organizó el 10 de julio, junto con la Clínica Veterinaria Palomares de Sevilla, una sesión formativa sobre esta grave zoonosis dirigida a tutores de mascotas. Su objetivo fue aumentar el conocimiento de esta enfermedad y la importancia de su prevención. La jornada contó con la participación de 30 tutores, quienes mostraron un gran interés en esta zoonosis y especialmente en cómo ayudar a prevenirla. “LETI Pharma ofrece a los veterinarios todo tipo de formaciones ad hoc, tanto para profesionales de la clínica como para tutores de mascotas, quienes representan una pieza clave en la pirámide de la prevención de la enfermedad”, explican desde la compañía.
El verano está a punto de terminar, ¿cuáles son sus siguientes objetivos profesionales?


El verano está a punto de terminar, y es el momento perfecto para invertir en tu futuro profesional. IVE, como empresa de referencia en formaciones continuadas para profesionales veterinarios, ofrece una amplia gama de posgrados y cursos diseñados para satisfacer sus necesidades. Varios de ellos comienzan este 2024 e incluyen opciones tanto presenciales como online, adaptándose a sus horarios y preferencias como: Medicina de Pequeños Animales online (septiembre), Oncología online (septiembre), Etología Clínica (octubre), Reproducción online (diciembre), Diagnóstico por Imagen o Ecografía semipresenciales, ambos en Valencia (diciembre).
No olvide que su campaña de verano sigue activa hasta finales de septiembre, brindándole una oportunidad exclusiva. “Se trata de una oportunidad única para acceder a formaciones de calidad, en instalaciones de primera y avaladas por la ISVPS, lo que significa un reconocimiento internacional”, explica Daniela Castro, Marketing Business Partner Portugal, España y América Latina de IVE. Consulte toda su oferta formativa para 2024-2025 en www.improveinternational. com/es y empiece a planificar su futuro hoy mismo.
Boehringer Ingelheim apoya la formación especializada de 300 expertos en el Congreso GEVO

Boehringer Ingelheim patrocinó el XXII Congreso de Traumatología y Ortopedia (GEVO), de la Asociación de Veterinarios Españoles Especialistas en Pequeños Animales (AVEPA), celebrado en A Coruña. Asimismo, participó con un stand informativo. Los asistentes al congreso, evento exclusivo para veterinarios miembros del grupo especialista, pudieron participar en diversas ponencias de la mano de reputados expertos en el ámbito de la traumatología y ortopedia en pequeños animales, como el doctor Caleb Hudson o Jan Hnizdo. Las charlas se centraron principalmente en el abordaje de patologías, tales como lesiones en carpo y tarso, luxación de rótula en perros y en gatos, y opciones de tratamiento quirúrgico en diferentes situaciones, como la displasia de cadera.
Nota de Redacción
El Departamento de Redacción de Argos informa a los lectores de que las “Noticias” publicadas en esta revista deben tener como máximo 125 palabras y contar con un único elemento gráfico (fotografía o logotipo) para ilustrarlas.
llegando a su fin
La Campaña de Verano de IVE finaliza a finales de mes, y con ella la oportunidad de ahorrar dinero en formaciones acreditadas por la ISVPS. El objetivo de la empresa es claro: mejorar los conocimientos, habilidades y confianza a través de una oferta formativa de alta calidad y acreditada con reconocimiento internacional. Para veterinarios y ATV interesados, IVE ofrece un catálogo detallado disponible en su sitio web, donde pueden encontrar descripciones completas de cada curso, incluyendo contenidos, metodología, equipo docente y acreditaciones. Para poder tomar una decisión acertada, la empresa cuenta con asesores de formación disponibles que podrán orientar, dar información o ayudar en el proceso de inscripción. Para disfrutar de este servicio de consultoría gratuito, basta con concertar una cita en www. improveinternational.com/es
Elanco obtiene el Oro en los Premios Aspid por su “Petfranero Popular”

Elanco Animal Health, compañía experta en antiparasitarios, ha ganado el Oro en la categoría de Salud Animal de los Premios Aspid que reconocen la creatividad publicitaria en la industria farmacéutica y de la salud. La campaña galardonada ha sido “El Petfranero Popular”, primer refranero para concienciar sobre la parasitosis en perros y gatos. En una época marcada por la innovación y la irrupción de la inteligencia artificial, en un sector como el de la salud donde la evolución tecnológica parece la única vía de progreso, Elanco decide recurrir al saber popular para concienciar y educar sobre la importancia de la prevención de estas enfermedades y echar una mirada al pasado para solucionar un problema cada vez más presente.
Iberzoo+Propet, feria que promueven la Asociación Madrileña de Veterinarios de Animales de Compañía (AMVAC) y la Asociación Española de la Industria y el Comercio del sector del Animal de Compañía (AEDPAC), ha constituido su comité organizador de cara a la edición que se celebrará del 26 al 28 de febrero de 2025. La próxima cita, que buscará superar todas sus cifras, dará continuidad a su expansión hacia el mercado internacional, creciendo sobre las 40 empresas extranjeras presentes en la edición celebrada este año. Iberzoo+Propet llegará con una nueva imagen que buscará poner de manifiesto su evolución y consolidación para convertirse en referente internacional. Lo hará con un nuevo diseño, que simboliza el dinamismo de esta feria, manteniendo toda su esencia y los valores que la han distinguido durante los últimos años.
El comprimido antiparasitario para perros más completo del mercado, NexGard Spectra, se comercializa con nuevas especificaciones que permiten ampliar el tratamiento a perros de pequeño tamaño, y asegurar el objetivo de conseguir un control integral y eficaz de las principales parasitosis. NexGard Spectra puede administrarse a cachorros aún más pequeños, que tengan más de 8 semanas de edad, y razas toy, ya que la compañía ha reducido el peso mínimo de la presentación XS de 2 kg a 1,35 kg. Además, los comprimidos se presentan en nuevos envases con 30 meses de vida útil. Los nuevos envases se han empezado a distribuir de forma paulatina y se espera que ya estén plenamente distribuidos en el mercado para finales de año.

Ceva Salud Animal patrocinó la pasada edición del Congreso del Grupo de Especialistas en Dermatología de AVEPA (GEDA), celebrado del 6 al 8 de junio en Málaga. Este prestigioso encuentro reunió a destacados profesionales de la dermatología veterinaria, consolidándose como una referencia en el sector. Ceva Salud Animal estuvo presente para apoyar a los asistentes con su exitosa gama Douxo S3, entre otras. Esta línea de productos refuerza la barrera mecánica cutánea, manteniendo la piel elástica e hidratada por más tiempo, reestablece el equilibrio de la flora microbiana protectora y ayuda a aliviar la irritación, favoreciendo la regeneración de la piel. Otro foco de interés estuvo puesto en la nueva herramienta Patrones dermatológicos en perros, diagnóstico y tratamiento, desarrollada junto al destacado experto Isaac Carrasco.
Chus
MSD Animal Health ha nombrado a Chus Pérez como directora general ejecutiva para el clúster de Iberia en sustitución de Helene Lanz, quien ha pasado a desempeñar nuevas funciones dentro de la organización en Europa. Con una extensa y exitosa carrera en el área de salud, asume el liderazgo del clúster aportando amplia experiencia y visión estratégica para impulsar el crecimiento y la transformación de la compañía, referente en salud animal en Portugal y España.


A lo largo de sus 18 años de trayectoria en la compañía, Chus Pérez ha ocupado diversos roles de creciente responsabilidad en áreas terapéuticas, mercados y salud animal, demostrando una habilidad notable para aprender rápidamente, una visión estratégica transformadora y un sólido liderazgo en la gestión de equipos. En su nuevo rol, será responsable de liderar la aceleración de la transformación continua de MSD Animal Health, superando las expectativas del mercado. Centrará sus esfuerzos en la estrategia de desarrollo de talento y capacidades, así como en el impulso del plan estratégico y el enfoque de nuevas oportunidades para consolidar a la organización como líder en salud animal.
Cantabria Labs Stangest
abierta la novena edición de su concurso fotográfico solidario

Cantabria Labs Stangest ha lanzado, por noveno año consecutivo, su concurso fotográfico solidario para elegir la imagen de portada de su vademécum de 2025. Este certamen tiene una peculiaridad que lo hace especial: por cada foto recibida, la compañía destina un euro en productos a una protectora española elegida por sus seguidores en redes sociales. La donación de este año será para SOScanicat, una asociación de Tarragona formada por varias chicas con un único objetivo: ayudar a los animales abandonados. La temática es libre, siempre y cuando salgan los animales, los verdaderos protagonistas del certamen. Los interesados pueden enviar sus imágenes (máximo 4) al correo electrónico hola@stangest.com hasta el 13 de octubre de 2024.
Información y prevención, claves para evitar la transmisión de patógenos durante un viaje

LETI Pharma colaboró con la XIX Jornada de Medicina del Viajero, evento promovido por el Hospital Universitario Ramón y Cajal que contó con la intervención de profesionales de diversos ámbitos de la salud. LETI Pharma apoya a médicos y veterinarios por su gran labor en la prevención de la difusión y manejo de enfermedades, tanto en personas como en animales. Destacó la ponencia de la doctora Guadalupe Miró sobre mascotas viajeras, ya que cada vez hay más animales en los hogares españoles y son más frecuentes los viajes con ellas. Este movimiento favorece la dispersión de enfermedades zoonósicas por todo el mundo, y por ello es esencial realizar una correcta gestión de su salud.
Centauro reúne a más de 100 veterinarios en su Congreso de Oftalmología en Barcelona

Centauro, referente en distribución veterinaria, celebró en julio su Congreso de Oftalmología en Barcelona. El encuentro contó con las ponencias de Fernando Sanz y Clinio Díaz, y con la colaboración de Boehringer Ingelheim, YowUp y Medline. El evento destacó por volver a reunir a los dos ponentes en un formato de ponencias compartidas. Más de 100 veterinarios participaron en una jornada cuyo formato fue muy dinámico y dio pie a turnos de preguntas y debates. Desde Centauro afirman que el balance del primer Congreso de Oftalmología de este año ha sido muy positivo, y que ya están en preparando el siguiente evento, que se celebrará en Madrid a principios de noviembre.
El grupo Zendal lanza la quinta edición de sus International Zendal Awards para proyectos de salud humana

El grupo Zendal lanza sus V International Zendal Awards, sus galardones anuales. Estos premios nacieron en 2019 con el objetivo de impulsar, visibilizar, promocionar y reconocer nuevos proyectos de investigación en el ámbito de la salud humana y animal. Año tras año, el número de candidaturas y proyectos ha ido creciendo paulatinamente, lo que es una muestra de la calidad científica de muchos de los grupos de investigación tanto a nivel nacional como internacional. Estos reconocimientos están abiertos a instituciones y equipos de trabajo, tanto públicos como privados, y está dotado con 25.000 euros. Las candidaturas se podrán presentar hasta el próximo 4 de octubre a través de www.zendal.com

Dechra ha anunciado la próxima adquisición de Invetx, en línea con su estrategia a largo plazo de ser referente en innovación en la salud de los animales de compañía. Invetx está especializada en el desarrollo de terapias basadas en proteínas para enfermedades crónicas de los animales de compañía, con especial atención a los anticuerpos monoclonales (mAbs). Su plataforma de innovación biotecnológica patentada combina tecnologías referentes para desarrollar mAbs específicos para cada especie y de vida media prolongada, más duraderos que los productos disponibles en la actualidad, eficaces, seguros y asequibles. La adquisición asegura más productos innovadores para perros y gatos complementarios a la amplia cartera de especialidades terapéuticas de Dechra. La operación está sujeta a la aprobación antimonopolio y otras condiciones de cierre habituales.
clínico
Análisis clínicos
Laboratori CatBio, S.L. 934 516 643
Laboratorios de análisis Dr. Echevarne 935 040 126 Análisis clínicos y anatomía patológica
Laborti Veterinària, S.L 934 851 786 / 938 444 999 -
LETI Pharma 933 945 350 Alergia, microbiología, histología y leishmaniosis veterinaria Uranolab 934 482 521
VORAN NETZ, S.L. 935 820 203
Cádiz Laboratorio Maña-Watson 956 110 026
Córdoba Laboratorio Veterinario Garfia 957 276 351
Granada Anapath 958 292 345
Laboratorios GASSET (GRUPO DAV SALUD) 958 042 121
León INDILAB 900 701 128
Lugo AMSvet (AMSlab Group) 982 808 074
Madrid
Alergovet 914 134 472
IDEXX Laboratorio de Referencia 916 376 317
Laboratorio de análisis veterinarios Dr. Barba 902 190 942
LAV 913 838 493
CIAB, Laboratorio de Referencia Veterinaria 913 613 314
Diavet S.L. 914 966 013
Laboratorio veterinario LABOKLIN, S.L. 644 030 557
Uranolab 934 482 521
Málaga Histolab Veterinaria 952 664 819
Pontevedra Lema y Bandín 986 437 400
Laboratorio del Dr. Valenzuela 986 858 313
Valencia Laboratorio ACVLAB 963 532 377
Sagunto 99 963 485 931
Analítica Veterinaria 946 744 251
Análisis clínicos
Análisis clínicos
Análisis clínicos
Biología molecular
Histología
Diagnóstico Laboratorial Integral
Diagnóstico laboratorial
Toxicología veterinaria
Alergias veterinarias
Análisis/Diagnóstico clínico
Biología molecular
Análisis clínicos
Análisis clínicos
Alergia e infección vet.
Diagnóstico clínico
Análisis clínicos
Histología
Hematología
Análisis clínicos
Análisis clínicos
Inmunología
Histología
EDITOR Julio Allué1
Contacte con nosotros a través de argos@grupoasis.com si desea publicar un artículo, y remita sus notas de prensa a notasdeprensa@grupoasis.com
REDACCIÓN Sheila Riera1, Natalia Sagarra1 M. Ángel Ordovás, Israel Salvador
RESPONSABLE DE DISEÑO Ana Belén Mombiela
JEFA DE DISEÑO Teresa Gimeno DISEÑO Y MAQUETACIÓN Erica García, Marian Izaguerri, Marisa Lanuza, Marina Alonso
Escriba a publicidad@grupoasis.com si desea anunciarse, y a suscripciones@grupoasis.com para altas, bajas o modificaciones en sus datos de contacto
RESPONSABLE DE PUBLICIDAD Ana Caballero1
PUBLICIDAD Pilar Angás1, Jorge Pérez1, Laura Montón1, María Puig2, Marta Suárez de Peón3
SOPORTE DE PUBLICIDAD Raquel Miguel, Rocío Sarrate
Vizcaya
Microvet laboratorio 944 913 912
Tenerife Laboratorios Taoro 922 353 158
Endocrinología
Exóticos
ADMINISTRACIÓN Beatriz Sanz, Carmen Ezquerro, Miriam de la Torre
Zaragoza Laboratorios Albéitar 976 306 495
Hematología
Aravet Laboratorios 976 598 653
Análisis clínicos Exopol 976 694 525 Microbiología
SUSCRIPCIONES suscripciones@grupoasis.com
1Licenciado/a en Veterinaria, 2Graduada en Farmacia, 3Doctora en Veterinaria
EMPRESA EDITORA Grupo Asís Biomedia, S.L.
PREIMPRESIÓN E IMPRESIÓN Grupo Edelvives
EMPRESA MANIPULADORA Grupo Edelvives
DEPÓSITO LEGAL: Z-2106/98 - ISSN: 1699-7875


y Rehabilitación Veterinaria
Hospital Veterinari Cardedeu, S.L. 938 462 051 Urgencias, Cirugía y Medicina Interna
Hospital Veterinari del Mar 930 217 812 Cirugía, urgencias, exóticos, oftalmologia, etc.
Hospital Veterinari Desvern 934 990 648 Ortopedia y Traumatología
IMPROVET 600 921 927 Diagnóstico, Cirugía, formación
Serv., Urgenc. i Ref. Veterinàries Diagonal, S.L. 934 594 500 Urgencias y Cuidados Intensivos
Burgos Hospital Veterinario Valderrama 947 277 843 Traumat., Neurocirugía y Med. Interna
ASSISVET Veterinària 964 229 838 Exóticos y Medicina felina
Centro Médico Veterinario Benicarló 964 472 610 Dermatología
Castellón
Nexo Hospital veterinario CMV Castelló 964 723 697 Neurología-Neurocirugía, Trauma-Ortopedia, Imagen (TAC, endoscopia, eco), UCI, Derma
Clínica Veterinaria St. Vicent CB 964 672 907 Urgencias, Dermatología
Hospital Veterinario Sagrada familia 964 254 888 Urgencias, UCI, Cirugía, Cardiorrespiratorio
Servicios Veterinarios Albeytar 964 691 025 Medicina Cardio-Respiratoria
Córdoba Mascoderm 957 300 977 Dermatología canina y felina
Gran Canaria Clínica Ocular Veterinaria 928 696 510 Oftalmología
ADERVET, Atención Dermatológica Veterinaria 914 984 112 Dermatología
Centro Médico Veterinario Delicias 915 275 828 Urg., Traum., Neur., Oftal., Card., Exót. y Cir. 300
Centro Veterinario Auditorio 915 631 167 Endoscopia y Cirugía Endoscópica 12
Centro Veterinario los Sauces 914 454 305 Exóticos 50-60
Centro Veterinario Prado de Boadilla 916 322 351 Neurología y Neurocirugía
Centro Quirúrgico Veterinario Tobío 913 881 990 Cirugía y Traumatología
Clínica Veterinaria Alberto Alcocer 913 452 515 Urgencias, Hospitalización y Exóticos 150-200
Clínica Veterinaria Ciudad Ángeles, S.L. 913 175 562 Urgencias
Clínica Veterinaria El Bosque 916 167 485 Exóticos
Clínica Veterinaria Ignacio Trobo 629 111 305 Odontología, Cirugía maxilofacial y general
Clínica Veterinaria Las Rozas 916 370 277 Homeopatía
Clínica Veterinaria Río Duero, S.L. 916 472 336 Traumatología-Odontología 15-20
Clinica Veterinaria Unzeta S.L. 917 588 393 Medicina felina, Quirófano y Hospitalización 250-75-30
Clínica Veterinaria Velázquez 915 627 769 Dig., Laparosc., Odontol., Oncol.
Gattos 915 040 651 Medicina felina, Comportamiento felino 20 Habana Boston Centro Veterinario 911 406 072 Rehabilitación de pequeños animales 15
Hospital Veterinario fuente el Saz 916 200 098 Urgencias 24 h 200-300
HURVET 914 173 977 Urgencias y Hospitalización 100
Tris Sampayo (ENDOVES) 619 236 325 Endos. diag. e intervencionista y cirug. de mín. invasión 50-75
Javier Collados. Sinergia Veterinaria. 911 339 038 Odontología y Cirugía Oral PA, Exóticos 60
Vetcare hospital veterinario 24h 916 200 098 Urgencias, hospit., cirugía, Endosc., traumat. y rehab. 200-500
VETERCOL, S.L. 918 915 439 Endoscopia flexible y rígida 8-10
Vetsia 914 984 112 Rehab., Diagnóstico Imagen y NeurologíaMálaga
Murcia
Animal Bluecare Hospital 952 665 050 Oncol., Card., Exóticos, Oftal., Endoscopia, Med. InternaMundo Animal 952 050 682 Exóticos: aves, reptiles y peq. mamíferos 30
Myramar Animal Hospital & Exotic VetMed 952 588 543 Traumatología y Ortopedia/Exóticos 20-30
Animalicos Hospital de Día Murcia 968 967 966 Traumatología, Neurología, Oncología y fisioterapia 70-100
Clínica Veterinaria Bonafé 968 847 478 Endoscopia y cirugía de mínima invasion 40-60
Hospital de Urgencias Veterinarias Región de Murcia 968 899 280 Urgencias y Cuidados Intensivos 120-130
Hospital La flota 968 246 122 Endoscopia flexible y rígida, Urg. y Cui. int. 100
Navarra Centro Veterinario San fermín 948 230 802 Traumatología, Ecocardiografía y Neurología 40
Sevilla Centro Veterinario Bormujos 955 725 684 Exóticos 100-120
H.V. Guadiamar-servicios veterinarios de referencia 955 704 804 Neurol.-neurocir., RM-TAC, Cir. lapar. y Anest. 100 Sta. Cruz de Tenerife Hospital Veterinario Taco 922 612 476 Hepatología clínica y Cirugía hepática 15-25
Tarragona Clínica Veterinaria Lagun 977 795 835 Traumat., Dermat. y Exóticos, Urgencias 30-50
Centro Veterinario Silla 961 213 147 Cirugía maxilofacial, Odont. y Cardio.
Clínica Veterinaria Ayora 963 303 979 Endoscopia flexible y rígida
Clínica Veterinaria El Puig 961 472
Valencia
Publicación controlada por Grupo Asís Biomedia está asociado a (miembro de y ) y a (miembro de y )



DIRECTOR TÉCNICO: Enrique Ynaraja.
ANESTESIA: Antonio González (HV Rof Codina), Ignacio Sández (HV Vetsia)
CARDIOLOGÍA: Joaquín Bernal (Cardiovet), Laín García (HV Molins) Susana Serrano (HV Vetsia)
CIRUGÍA: Joaquín Sopena (UCH-CEU, Valencia), José Rodríguez (FV de Zaragoza)
COMPORTAMIENTO: Xavier Manteca (FV de Barcelona)
DERMATOLOGÍA: Maite Verde (Servicio de Dermatología, FV Zaragoza)
ENDOSCOPIA Y CIRUGÍA DE MÍNIMA INVASIÓN: Jesús Usón (CCMI) federico Soria (CCMI), Tris Sampayo (Endoscopia Veterinaria)
EXÓTICOS: Albert Martínez-Silvestre (Centro CRARC), Jordi Grifols (Hospital Zoologic de Badalona), Andreu Riera (HV Molins), Beatriz Álvarez Carrión (CV Camaleo)
GESTIÓN Y MARKETING: Miguel Ángel Valera (Centauro Veterinarios), Jorge P. Pascual Ribote (CEVE).
HEPATOLOGÍA CLÍNICA Y CIRUGÍA HEPÁTICA: Alfredo Pérez (CV Taco)
MEDICINA FELINA: Mª Luisa Palmero (CV Gattos. GEMFE)
MEDICINA INTERNA: José Ramón García (CV San Francisco de Asís), Alberto Montoya (Facultad de Veterinaria ULPGC)
MICROBIOLOGÍA Y ENFERMEDADES INFECCIOSAS: Mariano Morales (FV Zaragoza)
NEUROLOGÍA: Xavier Raurell (HV Molins)
ODONTOLOGÍA: Soledad Montes (Cardiovet), Javier Collados (Servicio Móvil de Odontología)
OFTALMOLOGÍA: Inmaculada Morales fariña (Responsable del Servicio de Oftalmología del Hospital Docente ULPGC)
ONCOLOGÍA: Miguel Laporta (HV Molins)
PARASITOLOGÍA: Juan Antonio Castillo (FV de Zaragoza)
REPRODUCCIÓN Y OBSTETRICIA: Pedro García (FV Lugo)
TOXICOLOGÍA Y FARMACOLOGÍA: Arturo Anadón (FV de Madrid)
TRAUMATOLOGÍA Y NEUROCIRUGÍA: Tomás fernández (Centro Médico Veterinario) Ramón Sever (Policlínica Veterinaria Rover), fernando Díaz Santiago (Fauna Clínica Veterinaria)
URGENCIAS: Jordi Manubens (HV Molins)
COLABORADORES: Luis Javier Yus Cantín (Gerente del Col. de Veterinarios de Zaragoza)
La responsabilidad de los artículos, reportajes, comunicados, etc. recae exclusivamente sobre sus autores. El editor sólo se responsabiliza de sus artículos o editoriales. La ciencia veterinaria está sometida a constantes cambios. Así pues es responsabilidad ineludible del veterinario clínico, basándose en su experiencia profesional, el correcto diagnóstico de los problemas y su tratamiento. Ni el editor, ni los autores asumen responsabilidad alguna por los daños y perjuicios, que pudieran generarse, cualquiera que sea su naturaleza, como consecuencia del uso de los datos e información contenidos en esta revista. De acuerdo con la normativa vigente en materia de protección de datos Grupo Asís Biomedia, SL., es responsable del tratamiento de sus datos personales con la finalidad de enviarle comunicaciones postales de nuestras revistas especializadas, así como otras comunicaciones comerciales o informativas relativas a nuestras actividades, publicaciones y servicios, o de terceros que puedan resultar de su interés en base a su consentimiento. Para ello, Grupo Asís podrá ceder sus datos a terceros proveedores de servicios de mensajería. Podrá revocar su consentimiento, así como ejercer sus derechos de acceso, rectificación, supresión, oposición, limitación y portabilidad enviando un correo electrónico a protecciondatos@grupoasis.com, o una comunicación escrita a Grupo Asís en Centro Empresarial El Trovador, planta 8, oficina I, Plaza Antonio Beltrán Martínez 1, 50002, Zaragoza (España), aportando fotocopia de su DNI o documento identificativo sustitutorio e identificándose como suscriptor de la revista. Asimismo, si considera que sus datos han sido tratados de forma inadecuada, podrá presentar una reclamación ante la Agencia Española de Protección de Datos (C/

